AGD Impact August 2024

Page 8


The relationship between a dental practice and a lab takes time and effort from both sides to build. A good working relationship results in quality products that ultimately help dentists deliver the best possible patient care. What does a good relationship between a practice and lab look like, and how can practices build one? Self-Instruction article, 1 CE credit

2

8

Where Artistry Meets Exceptional Skill: Profiling Master Ceramists

In the realm of dental restoration, the distinction between a typical ceramist and a master ceramist is profound. Master ceramists are distinguished by their extensive experience, advanced certifications and exceptional artistry. They meticulously craft restorations that are virtually indistinguishable from natural teeth, achieving the highest standards of beauty and precision.

Why Some Do, and Why Some Don’t

In my travels, I meet so many fine people, many of whom want to learn the newest techniques, procedures and protocols to increase their success and better provide for their patients. Continuing education is a huge investment in time and money, and I admire those who invest first in themselves.

Recently, I lectured for a dental organization, and I was made aware of how positive motivation can expand one’s horizon. My host was a recent graduate who told me of his interest in implant dentistry. He was currently an associate and had the opportunity to place some implants. His intent was either to purchase a practice or start one from scratch. His enthusiasm was contagious. He seemed very aware that he knew a lot but also realized that he had no idea of what he did not know. My topic, “Critical Thinking for Implant Dentistry: A Recipe for Success,” hit home for him. After the program, he appeared to have heartfelt appreciation for the information he could take back home to his professional life.

Mastership. I’m curious why more attendees do not belong to our AGD. I ask my lecture attendees who belongs, and I am surprised and a bit alarmed that at some programs I’ll see only 25% of hands raised. AGD is the primary advocate for all general dentists, so the organization must continuously strive to make nonmembers aware of the advantages to belonging and motivate them to get involved both locally and nationally. Why do dentists not pursue lifelong learning? I would assume that the time commitment and financial responsibilities are primary reasons. Setting achievable goals and budgeting time and costs may increase outcomes such as personal growth and performance. Challenging yourself to change is not easy. Anyone who’s tried to lose some excess pounds would certainly agree. But take it one step at a time. Evaluate your interests, set achievable goals, and plan out a few courses to take. The benefits will be immense.

Editor

Timothy F. Kosinski, DDS, MAGD

Associate Editor

Bruce L. Cassis, DDS, MAGD

Director, Communications

Kristin S. Gover, CAE

Executive Editor

Tiffany Nicole Slade, MFA

Managing Editor Leland Humbertson, MA

Associate Editor

Caitlin Davis

Manager, Production/Design Tim Henney

Graphic Designers

Robert Ajami Eric Grawe

Meeting these types of people makes me wonder: Why do some of us constantly strive to learn and advance, while others are content to stay put? Why do some volunteer and give back to their communities and profession, while others focus on financial gains?

There is much intrinsic information that is not provided in dental school programs that can be absorbed through high-quality postdoctorate education programs. Without this motivation, frustration can ensue, and dentistry becomes more of a job than a living, continually growing profession. Floundering through life — especially when we are so fortunate to be a part of the most rewarding profession — is just plain unhealthy. Following intrinsic motivation occurs when you are most interested in a topic. The more you learn, the more information you desire. For example, implant dentistry has become one of the most dynamic treatment modalities that patients request and thus one of the most financially rewarding. It’s a win-win. Competence comes with confidence.

One way to ignite your passion for continual learning is by pursuing AGD Fellowship or

William Jennings Bryan, American attorney, prominent orator and politician who ran for president three times, said, “Destiny is not a matter of chance; it is a matter of choice. It is not a thing to be waited for; it is a thing to be achieved.”

Being content with your place in life may be fine, but self-motivation to achieve heights comes only through planning, hard work and investment in yourself. It’s not that we are lucky; rather, we are fortunate to be given skills few have. AGD consistently provides opportunities for advancement. This includes clinical excellence, team involvement and the ability to get involved with other like-minded colleagues. Becoming active in the organization not only benefits the group, but unequivocally will positively affect your persona throughout life. You are the center of control in creating clarity in your ambitions. Personal and professional success is yours for the taking, so take it.

Academy of General Dentistry 560 W. Lake St., Sixth Floor Chicago, IL 60661-6600

agd.org impact@agd.org 888.243.3368 312.335.3427 (fax)

DISCLAIMER: The Academy of General Dentistry does not necessarily endorse opinions or statements contained in essays or editorials published in AGD Impact. The publication of advertisements in AGD Impact does not indicate endorsement for products and services. AGD approval for continuing education courses or course sponsors will be clearly stated. AGD Impact (ISSN 0194-729X) is published monthly by the Academy of General Dentistry, 560 W. Lake St., Sixth Floor, Chicago, IL 60661-6600. Canadian Mailing Information: IPM Agreement number 40047941. Change of address or undeliverable copies should be sent to: Station A, P.O. Box 54, Windsor, Ontario, N9A 6J5, Canada. Email: impact@agd.org. Periodical postage paid at Chicago, IL and additional mailing office.

*AGD members receive AGD Impact as part of membership; annual subscription rates for nonmembers are $70 to individuals/$90 to institutions (orders to Canada, add $15). Online-only subscriptions available outside U.S./Canada are $75 to individuals/$115 to organizations. Single copy rates are $17.50 to individuals/$20 to institutions (orders to Canada, add $2.50). All orders must be prepaid in U.S. dollars.

POSTMASTER: Send address changes to AGD Impact, 560 W. Lake St., Sixth Floor, Chicago, IL 60661-6600.

No portion of AGD Impact may be reproduced in any form without prior written permission from the AGD. Photocopying Information: The Item-Fee Code for this publication indicates that authorization to photocopy items for internal or personal use is granted by the copyright holder for libraries and other users registered with the Copyright Clearance Center (CCC). The appropriate remittance of $3 per article/10¢ per page is paid directly to the CCC, Inc., 222 Rosewood Drive, Danvers, MA 01923, USA. The copyright owner’s consent does not extend to copying for general distribution, for promotion, for creating new works, or for re-sale. Specific written permission must be obtained from the publisher for such copying. The Item-Fee Code for this publication is 0194-729X. Printed in U.S.A. © Copyright 2024, Academy of General Dentistry, Chicago, IL.

Constituents

Oral Cancer Screening: Easier than It Sounds

The kindest gestures are the ones that do not require reciprocation. An oral cancer screening is one of those gestures and can be offered by AGD and its constituents. Conducting an oral cancer screening event in your AGD constituent is the perfect opportunity to educate your community about the important services that dental offices provide, and your efforts could result in a life saved.

Pennsylvania AGD conducted an oral cancer screening event at the Pennsylvania Capitol Building in Harrisburg in May 2024. The screening was supported by the AGD Foundation and Henry Schein Cares and was held in conjunction with the Pennsylvania AGD MasterTrack meeting. Seven doctors took time away from their practices to check Capitol employees for suspicious lesions and other signs of cancer.

While the prospect of logistical planning for an event like this may be intimidating, the execution is not nearly as difficult as one might expect.

1. Secure a location. Pick an event or location near where there will be a medium to large number of your member doctors in one place. Pennsylvania AGD chose the Capitol, but local minor league sporting events, state or county fairs, and large employers are all potential screening locations.

2. Secure the supplies. The screening required minimal supplies, primarily tongue depressors, gauze, personal protective equipment, disinfectant, etc. Pennsylvania AGD requested the supplies through Henry Schein Cares, and the entire process only took about two weeks from application to shipment. Most dental suppliers have a philanthropic arm that can address supply requests. All other supplies unavailable through Henry Schein Cares, like portable patient chairs, were purchased using a grant from the AGD Foundation.

3. Prepare the documentation. Prepare yourself for all possible outcomes through proper documentation. Have a local referral source for oral surgeons in the area if a potential cancerous lesion is detected. Have forms for the screening doctor that identify areas of concern so the patient can take it to their regular dentist. Have a referral list of local AGD members if the patient does not have a regular dentist. Have informed consent forms acknowledging that this is a brief screening and should not be confused with a thorough examination.

4. Get the doctors. Depending on your location and the number of potential patients, you only need three or four per shift. For those constituents with live MasterTrack or leadership meetings, I recommend holding your screening event in conjunction with that meeting. It is the best way to ensure that your best doctors are all in one place.

5. Hold the event. Be prepared, but also be prepared to improvise. Our prescreening mailings turned out to be unnecessary, as we did much better with walk-ins. We also went door to door and hand-delivered goodie bags (also donated by Henry Schein Cares) during slow times, and we saw many of the recipients shortly after for screenings.

AGD members are elite at what they do. Their pursuit of excellence in dentistry separates them from their colleagues, and an event like an oral cancer screening allows you to show why a general dentist who commits themselves to optimal practice potential through education is vital to the communities you serve. I encourage all AGD constituents to search for opportunities to conduct oral cancer screenings as regular events.

For forms or recommendations about screenings, please contact me at steve@pennagd.org.

Dr. Ryan Buehner breaks out his VELscope® for a screening.
Drs. Dat Vu and Dave Sullivan conduct a screening.
Drs. Seth Walbridge and Dat Vu with a satisfied customer.
Dr. Amanda Sonntag with her ergonomic loupes.
Dr. Nicole Carnicella with some timely prevention advice.

Students

2024

Student Chapter and Faculty Advisor of the Year

Awardees

AGD is proud to share this year’s Student Chapter of the Year Award and Faculty Advisor of the Year Award winners.

The Student Chapter of the Year Award honors one AGD student chapter that provides its student membership with the best overall set of programs and activities. This year’s winner is the University of Texas Health Science Center at San Antonio School of Dentistry student chapter. This student chapter experienced membership growth by recruiting over 150 new student members. Throughout the school year, the student chapter hosted three social events and 12 continuing education sessions on topics ranging from digital dentistry to advocacy. The student chapter also made a point to give back to the community by volunteering at Ronald McDonald House, a local refugee health clinic and the American Cancer Society’s Oral Cancer Foundation Walk.

The Faculty Advisor of the Year Award honors one AGD student chapter faculty advisor who provides their AGD student chapter with the best overall support and guidance. This year’s recipient is Sophia Khan, DDS, MS. Two of her dental students shared that “Dr. Khan’s mentoring went beyond the classroom when she resurrected the student chapter at the University of Colorado School

Awards

of Dental Medicine. She has garnered support and enthusiasm not only for the area of general dentistry but also for the value of belonging to a national organization. Her energy is infectious and pushes us to do more and be more.” (Khan is featured in this month’s Member Spotlight on page 6.)

For more information on AGD student chapter awards, contact students@ agd.org

AGD Fact Sheets

2024 Dr. Thaddeus V. Weclew Award: Dr. Charles J. Goodacre

Named for the founding father of AGD, the Dr. Thaddeus V. Weclew Award is presented annually to a dedicated educator who embodies the spirit of comprehensive dental care. This recipient is a professional role model whose activities exemplify a commitment to the profession of dentistry and the principles and goals of AGD. The 2024 Weclew Award was presented to Charles J. Goodacre, DDS, MSD, for his numerous contributions to the profession. Goodacre received his DDS from Loma Linda University and his MSD from Indiana University after completing a combined program in prosthodontics and dental materials. He served as chair of the department of prosthodontics at Indiana University and as dean of the Loma Linda University School of Dentistry. He is a diplomate of the American Board of Prosthodontics and past-president of both the American Board of Prosthodontics and the American College of Prosthodontists. He has authored over 200 scientific publications, with two listed among the 100 most-cited articles in implant dentistry and two others listed in the 100 mostcited articles in prosthodontics. He has developed or helped develop 17 online continuing education courses and five 3D digital-learning resources, three of which include virtual/augmented reality capabilities. He helped develop the FOR.org website, with over 50,000 dentists and students currently using the freely available content. He has presented over 600 invited lectures throughout the world. Goodacre is a distinguished professor at Loma Linda University and teaches in the advanced education program in implant dentistry. He maintains a practice devoted to prosthodontics and implant dentistry.

Talking to Patients About Teenagers’ Oral Health

AGD fact sheets provide your patients with all of the information they need to maintain their oral health. Fact sheets on more than 25 oral health topics are available for downloading online and can be customized to include your name and practice information. Download the fact sheet “What to Know About Teenagers’ Oral Health” at agd.org/factsheets.

Upcoming

AGD Corporate Sponsors

Sophia Khan, DDS, MS
University of Texas Health Science Center at San Antonio School of Dentistry student chapter.

Dental Practice Advocacy

AGD Response to Dental Quality Alliance Request for Comment

AGD provided feedback in response to a request for comment from the Dental Quality Alliance (DQA). On March 15, AGD President Merlin P. Ohmer, DDS, MAGD, sent a letter to the DQA advising that AGD endorsed the DQA interim report on testing of “Early Childhood Dental Oral Evaluation Following Medical Preventive Service Visit” measure. AGD’s Dental Practice Council conducted the review of the interim report, with input provided by Ralph A. Cooley, DDS, FAGD, AGD’s representative to the DQA. In his letter to the DQA, Ohmer noted that AGD policy recommends that a child’s first visit to the dentist should occur within six months of the first tooth’s eruption. The letter also noted that data in the report revealed that many children receive medical care at an earlier age than when they receive dental care. It is hoped that, by tracking and communicating data regarding when children enter the dental care system, the new measure may address ways to improve/increase dental visits for young children. Information on the DQA is available at ada.org/dqa.

AGD Volunteers Represent General Dentists in ADA Discussions Relating to CDT Codes for Dental Anesthesia

On April 15, AGD President Merlin P. Ohmer, DDS, MAGD, appointed two AGD leaders to the American Dental Association’s Code Maintenance Committee’s (CMC’s) Ad-Hoc Working Group on Anesthesia. Brooke Elmore, DDS, MAGD, a member of AGD’s Dental Practice Council (DPC), and Guy E. Acheson, DDS, MAGD, a consultant to the DPC on matters relating to dental anesthesia and sedation, are representing general dentists and AGD in this important effort. The working group is charged with preparing recommendations on a series of CDT Code action item requests that were considered at the March 7 meeting of the CMC. Invitations to appoint representatives were sent to CMC member organizations considered to be interested in the matter and familiar with the discussion during the CMC meeting.

Membership

Share, Save, Succeed: AGD’s Triple-Threat Referral Promotion

Did you know that referrals are one of the most powerful ways to grow a community? According to studies, referred members also tend to be more engaged and loyal. AGD is combining the power of referrals with the return of the Half-Year Dues membership promotion to help grow the AGD community. Until Sept. 30, new members can join AGD for just half the usual AGD dues. But there’s more — your referrals can unlock savings for you. For every colleague you refer who joins AGD, both you and your referred colleague will receive $50 in Referral Rewards. These rewards can be applied toward next year’s membership renewal. With no limit on the number of rewards you can earn, the more colleagues you refer, the more you save. Recruits are eligible if they have not had an AGD membership expire on Dec. 31, 2023, and are not recent graduates from 2023 or 2024.

Other organizations with representatives to the group include the American Association of Oral and Maxillofacial Surgeons, the American Academy of Periodontology, the American Academy of Pediatric Dentistry and the American Society of Dentist Anesthesiologists.

Talks Continue on Model State Sedation/General Anesthesia Rules

On April 17, Darren S. Greenwell, DMD, MAGD, chair of AGD’s Dental Practice Council (DPC), met with leaders of the American Society of Dentist Anesthesiologists (ASDA) to discuss the status of model state sedation/general anesthesia rules developed by ASDA, the American Association of Oral and Maxillofacial Surgeons, and the American Academy of Pediatrics. The DPC and its anesthesia consultants — Guy E. Acheson, DDS, MAGD, and Bryan T. Moore, DDS — have been actively monitoring this issue since 2023. AGD has previously shared details regarding its concerns with the model legislation and engaged in leadership meetings with representatives of several participating organizations. AGD does not endorse the current version of the model legislation and will continue to advocate on behalf of the profession and patients. As a result of Greenwell’s meeting, ASDA is working with AGD to take into account the concerns general dentists have with the model rules.

Dental Practice Council Member Participates in AAPD Systematic Review on Pulp Therapy in Permanent Teeth

John V. Gammichia, DMD, FAGD, of AGD’s Dental Practice Council, was appointed AGD’s representative to the American Academy of Pediatric Dentistry’s (AAPD’s) review of materials relating to pulp therapy in permanent teeth. In his May 15 letter to AAPD advising it of Gammichia’s appointment, AGD President Merlin P. Ohmer, DDS, MAGD, noted that Gammichia is highly qualified to represent the interests of the general dentist in this evaluation. The systematic review is expected to culminate in the publication of a clinical practice guideline on the topic later in the year.

Inside General Dentistry

Look for the following articles in the July/August 2024 issue of AGD’s peer-reviewed journal, General Dentistry.

• Globe-shaped central incisors in a patient with otodental syndrome

• The effects of a therapy dog intervention on dental fear and anxiety in adult patients

• Clinical guidelines for posterior semidirect composite resin restorations

Read these articles and more at agd.org/ generaldentistry.

Celebrating AGD’s 2024 Faculty Advisor of the Year: Dr. Sophia Khan

AGD student chapter faculty advisors play vital roles in the future of both the organization and the profession of general dentistry. They serve as the first introduction of AGD to dental students, letting them know how the organization can help them through dental school and after they’ve graduated. As mentors, faculty advisors also help guide the educational and career paths of their students, helping them figure out which options appeal most to them and where their clinical passions lie. The Faculty Advisor of the Year Award honors one AGD student chapter faculty advisor who provides their chapter with the best overall support and guidance. This year’s recipient, Sophia Khan, DDS, MS, is the director of student affairs and professionalism, an associate professor, and the AGD student chapter faculty advisor at the University of Colorado (CU) School of Dental Medicine as well as president of the Colorado AGD.

In their nomination for Khan, CU dental students Elle Bertuccelli and Devan Cruz said: “Dr. Khan’s mentoring went beyond the classroom when she resurrected the student chapter at the University of

Colorado School of Dental Medicine. It has been 2.5 years since then, and she has garnered support and enthusiasm not only for the area of general dentistry, but also for the value of belonging to a national organization. With her full-time commitment to the dental school as an associate professor and the director of student affairs, as well as being a single mother of two children, president of the Colorado AGD and student chapter faculty advisor, she makes it a point to stay engaged with her students. She keeps us on task and gives us autonomy to make the club our own. Her energy is infectious and pushes us to do more and be more.”

AGD Impact spoke with Khan about her own path to becoming a dentist as well as her advice, both for fellow mentors and for new dentists.

AGD Impact: What inspired you to become a dentist?

Khan: Science runs in my blood — both of my parents are doctors — so healthcare was a natural path. My father, an orthopedic surgeon, navigated me toward dentistry because he felt my personality

was suited to creating long-lasting relationships with my patients. My passion for science, helping others and working with my hands were all things I wanted to carry through my career. Lastly, the work-life balance would suit me in the future when I had a family, as he saw how much I enjoyed cooking and spending time with my family.

What led you to focus your dental career on the academic field?

It was pure happenstance! I thought I was done with school and was going to have a career in private practice. I was asked to teach at New York University (NYU), my alma mater, shortly after I graduated, and my mentors took me under their wings to “teach [me] how to teach.” I realized how much I enjoyed the interaction of discussing cases, being around my colleagues and mentoring students. I was also able to follow my passion of service through the various charitable organizations NYU worked with. It fulfilled me as a person. What started off as a part-time endeavor set me on a trajectory into a full-time career here at the CU School of Dental Medicine.

Volunteering at TeamSmile with Devan Cruz and Elle Bertuccelli.

What do you believe are the most important aspects of mentoring dental students?

Be authentic, be open, and listen with understanding. Students look to us to motivate and offer constructive criticism. They depend on us to push them beyond their comfort zones and assist with weighing the pros and cons of decisions, whether it’s for their careers, personal lives or both. Being honest is hard, but, as long as students feel you have their best interests in mind, it can certainly lead to paths of growth and development.

I enjoyed private practice very much. However, I realized as a private practitioner I could not impact the dental profession as much as I could as an academician and leader. I believe we must provide students with strong clinical foundations and an emphasis on technology they can confidently apply when they graduate. A good mentor must understand the complex world we live in today and be able to relate to their students in order to facilitate students’ critical thinking when working with patients.

I am very fortunate to still be connected to my own mentors, to whom I continue to reach out. They vary in their experiences and fields of study, but, most importantly, they are accessible, honest and open. They share both their successes and their failures. My mentors keep me on track and hold me accountable.

How has AGD benefitted you in your career, and how does it benefit dental students and new dentists?

I have been an AGD member since I was in my general practice residency program. At first, it was a place to track my continuing education (CE) credits and attain my Fellowship. Years later, I found myself organizing CE courses for the Colorado AGD. I am uniquely positioned as an associate professor at the CU School of Dental Medicine, allowing me to foster a network of alum dentists, colleagues and students. I revamped the student chapter at the school to help them understand the value of AGD membership: CE courses, support from colleagues and advocacy for our profession.

What advice do you have for dental students and new dentists? What advice do you have for other dentists who may be interested in becoming mentors?

Seek a mentor, be open, and don’t be afraid to be vulnerable. When choosing a mentor, look for someone whom you respect and feel comfortable confiding in. They do not necessarily all need to be in your field, either, because good mentors can help you develop diverse skills and offer an objective perspective on challenges and opportunities. They can help you to stay motivated and focused on your goals — personally and professionally — as well as provide valuable guidance from their own experiences. If you are interested in becoming a mentor, align yourself with organizations and/or dental schools. Students love to hear and see career dentists from all backgrounds. Not only does it create a network for them to learn from, it promotes growth for the organization by increasing camaraderie between senior and junior members and the dental profession. ♦

Dental students educating about dentistry at a local school.

Practice Management

What Dentists Can Learn from Other Business Models

One of my key observations as the CEO of a dental management consulting firm is that most dentists don’t start out by designing an ideal model for their practice. Many of us either begin our careers working in another practice or by finding and purchasing an existing practice. Few dentists begin their careers by determining the ideal model for their practice. And even fewer start out with the documented systems needed to support their ideal model.

But what is an ideal model?

An ideal model provides the blueprint for the day-to-day operation of your dental practice with the goal of maximizing practice performance. Identifying your ideal model is the most direct path to a successful practice with high production, profit and income. This is essential because most dentists have significant student loan debt and desire a rapid return on that investment.

So, how do you identify an ideal model? Start by looking at goals. What size practice do you want? How many practice locations? Do you want to work solo or with partners and associates? What types of cases would you like to handle, and how many of each would you like to perform each year? How large do you want your patient base to be? The answers to questions like these help you set goals, and then you can build the ideal model for a practice that will achieve those goals for you.

To help understand the concept of a model that is supported by excellent systems, let’s examine McDonald’s as an example. McDonald’s is successful for one simple reason — a clearly defined model supported by excellent systems. Under a model created by its founder, McDonald’s spends millions of dollars every year improving current systems and testing new ways to operate its stores to prepare and sell food. McDonald’s can make the same Big Mac every single time in every individual location anywhere in the world. It has systems for the preparation of every item it sells. McDonald’s leaves nothing to chance and is one of the most successful business operations in the history of the world. The reason? An ideal model and excellent systems.

Obviously, fast food and dentistry are vastly different business models, but there are important aspects of the McDonald’s model that can be helpful to dentists who are seeking to improve practice performance. Suppose your ideal practice model includes a significant focus on implant dentistry. How could a dentist apply McDonald’s discipline to the systems required to support the first consult for a new implant patient? You would document every single step in the process. You would script out every sentence of what to say and when. You would document what every team member needs to do and when. It would start with the new patient phone call, including the exact dialogue of the scripts to use (with options to follow depending on what the patient says). Then, the system would include a detailed scheduling method and a process for greeting a new patient when they arrive at the practice.

McDonald’s leaves nothing to chance in the preparation of its products and their delivery to customers. This philosophy is applicable in a dental practice and can be extremely helpful. For example, many practices today are struggling with significant staff turnover. Fully documented systems are the best way to train new team members and ensure that every patient receives the ideal experience from your practice, even with new, potentially inexperienced staff members who may not have a dental background.

Systems allow you to achieve a specific result. How will you know you’ve achieved the result? A set of performance indicators (or targets) should be reviewed weekly, monthly and annually. Systems must be designed in a step-by-step manner. You need to outline every step that a doctor or team member must follow to achieve the desired result. If you skip steps, it is unlikely you’ll achieve the result. If you have too many steps, you become inefficient and waste time.

Is it simple? Honestly, it takes time to identify and document every step in a system, but, once that is complete, your team will be able to implement the system with every patient, every time. Look at how successful McDonald’s has been using this approach in its business.

Now it’s your turn. If you are willing to commit to building an ideal model and the systems needed to support it, there is no stopping you. The earlier you get it right, the higher your practice production, profit and income will be, and the sooner you will reach financial independence. ♦

Roger P. Levin, DDS, is the founder and CEO of Levin Group, a dental management consulting firm. To receive his Practice Production Tip of the Day, visit levingroup.com. To comment on this article, email impact@agd.org

Wellness

Convincing Our Patients to Put Themselves First

In the ever-evolving realm of our calling, I would like to discuss a subject not often mentioned in our ongoing education: the role a patient’s self-worth plays in accepting proposed treatment. It’s common for us to see patients prioritize everything else in their lives except their well-being. Well-being, self-compassion, rest and reprieve are considered luxuries. Patients tend to undervalue themselves, and this tendency directly correlates with self-imposed neglect. Patients place their children, spouses and financial obligations at the forefront, leaving themselves at the bottom of the list. In fact, they often provide luxuries for their children that they deny themselves, like new clothes or the latest iPhone. Anecdotally, I usually see women and mothers in this position.

I have no doubt that similar scenarios unfold daily in your practices as patients contend with decisions regarding proposed treatments. Concerns about costs, insurance coverage and budget affect the judgment of what they will and won’t permit in their mouths. Questions of function or necessity take a back seat. While your treatment plan may cost the same as what they will spend on their children’s sports tournaments or prom dresses, the budgetary decision about whether to follow through with your treatment plan is made quite differently than expenses on behalf of their kids or loved ones.

Further complicating the issue is our patients’ (excruciatingly flawed) belief that if insurance doesn’t cover the proposed treatment, then it must be unnecessary. They may also consider that the only funds allowable toward their chewing ability rest on their insurance’s annual maximum. Patients are quick to reject treatment if a preauthorization is declined or downgraded on account of plan limitations and exclusion. Many patients are also often unaware of the intrinsic link between their oral and systemic health. Juggling work, childcare, eldercare, family functions and extracurriculars, they’re exhausted and believe that how they view themselves in the mirror should not and cannot be altered.

I recently took care of a patient who was a married mother of a 12-year-old soccer player. She relied on disability benefits from a work accident while her husband, who was battling cancer, was the only one producing a healthy income. Their son had been blessed with a talent in sports. The family spent tens of thousands of dollars a year on travel and elite club memberships. They’d flown him all over Europe, all while the mother suffered silently with infections and was in dire need of replacing an implant-supported bridge. At all of our recare appointments, the patient shared with me that she wanted her son to succeed. That was the reason she refused to follow up on the recommended care. She wanted the very best for her son — more for him than she’d ever had herself.

She was willing to wait on her smile and masticatory function for however long it took to ensure her son could settle into a good life. I wondered if how she refused to smile and laugh — on account of the pain and infection — had affected how she expressed her admiration of him. No one had ever told her that preventing her lips from smiling would impact how happy she felt physiologically, not just psychologically. Had she been holding back celebratory smiles when he won championships? And did her son notice? Did that affect how he viewed his mother? I wondered if she ever realized that her son needed her or would have chosen for her to be healthy over the many championships he’d won or the trips to Europe.

Unlike our patients, we dentists understand that how much and how wide our patients smile affect their joy and happiness; it affects their outlooks and, most of all, their perceptions of life. It’s that very realization that led many of us to become dentists in the first place. We wanted to help people and change lives, and we knew that we could by attending to their smiles. I vote that we bring this belief front and center in all our treatment plan presentations. Emerging from the shadows of wanting to go unnoticed due to a missing tooth, lack of function or pain should never be considered a luxury — it is something all of our patients deserve. We should not be shy to point out that, beyond facilitating comfortable eating and speaking, a healthy, bright smile significantly influences self-esteem and confidence.

We watch our patients as they tirelessly engage in the care of others, but what if we were to convince them that the list of people in their lives who need and deserve attention should also include themselves? Within our operatories, we possess a unique opportunity to instigate positive change in our patients’ lives. Let’s use our voices, personal experiences and professional knowledge to empower them to invest in themselves. By doing so, they will not only enhance their oral health but also rediscover self-love and confidence. Together, our collaborative efforts will bear fruits of a better and happier generation, allowing us to make a meaningful impact. Let’s create a chain reaction by insisting our patients invest in themselves as much as they do in others. It will not only bring them great confidence, fortified by their new smiles, but also a sensation that someone, somewhere, took care of them. We must challenge our patients to shift their mindsets, and, if they ask why, we can remind them of what L’Oréal said more than 50 years ago: “Because you’re worth it!” ♦

Maggie Augustyn, DDS, is a practicing general dentist, owner of Happy Tooth, faculty member at Productive Dentist Academy, author and inspirational speaker. To comment on this article, email impact@agd.org

Student Perspectives

Embracing Real-World Dentistry An External Rotation Experience at MacDonald Ranch Modern Dentistry

Embarking on a new journey in the field of dentistry can be both exciting and intimidating. As the first student from Roseman University to participate in an innovative external rotation program with PDS Health (formerly Pacific Dental Services) in Las Vegas, I had the unique opportunity to step beyond the familiar confines of school into the dynamic realm of real-world dental practice. This pilot program is not only new to Roseman, but it is also unlike any other program offered by dental schools across the country. I was fortunate enough to work alongside the exceptional Christopher Martinez, DMD, (above, pictured next to me) at MacDonald Ranch Modern Dentistry. This experience would become a defining chapter in my educational journey, pushing my clinical boundaries and shaping my future as a dental professional.

Throughout this monthlong experience, I discovered not only my strengths, but also my limitations and areas needing improvement. This journey of self-awareness was eye-opening, revealing the specific skills I need to focus on as I finish my last year of dental school. Often, I found myself thinking, “Wow, this is what it would be like to start working as a dentist!” I was grateful for this glimpse into real-world dentistry because it showed me how to better prepare for my first job after dental school.

One key lesson was in patient management, especially with children. I never encountered difficulties with a child patient in the clinic, so managing a very fearful and screaming child during

my rotation was humbling. Dr. Martinez constantly pushed me to reach my full potential, even when I wished he would take over certain procedures because I doubted my ability to complete the treatment. His belief in me taught me the invaluable lesson of surrounding oneself with mentors and employers who inspire and challenge you to be better and remind you that you can handle difficult tasks.

I didn’t realize beforehand how amazing it is to have someone clinically advanced enough to not only point out your mistakes, but also give constructive feedback. This experience has influenced my considerations for when I apply for my first job as a dentist, making me realize the importance of having the support of other dental professionals.

Digital Dentistry

Once I got acquainted with the office, Dr. Martinez had me practice a crown prep on a posterior molar using a diagnostic cast. He provided valuable feedback on proper reduction measurements and how to use specific depth-cut burrs. After refining my crown prep, I learned how to use the CEREC® CAD/CAM 3D scanner. It took some time to get the hang of it, but digital scanning is amazing and much more comfortable for the patient. Once everything was digitally scanned, I could see my prepped typodont tooth on the computer screen. The software asked for information, such

as the type of porcelain material, the tooth being prepped and the shade color. Using artificial intelligence, the computer generated an anatomical crown with appropriate anatomy that fit well with the rest of the arch. I could adjust the minimal thickness of the crown material in certain areas, the occlusion and the contacts if needed. I was also able to draw out my margins on the computer so that the machine knew where the crown would extend.

By doing most of the lab work on my own, I learned how to improve my crown preps while working in the mouth, as I became more aware of what to look out for. Seeing the crown margins enlarged on the computer screen is very different from looking through your loupes while working in the mouth. You can see all the imperfections and inadequacies up close. Once I had my crown design looking how I wanted on the 3D impression, I submitted the file to be milled out on the CEREC milling machine. It only took about 10 minutes to have a new porcelain crown made and ready to be seated on my cast. This was my first experience with same-day crowns!

Once I got the hang of completing a same-day crown, I was able to implement these procedural steps on actual teeth. Dr. Martinez guided me through every step of the procedure to ensure everything was going well. During my time, I was able to complete multiple same-day crowns. This was such a unique experience because, in dental school, it could take up to a year or more for a student to practice on a typodont in the simulation clinic before being able to complete a crown on a real tooth in the actual clinic. With this rotation and the technology I was able to use, I shortened this time frame to about one week. I learned exponentially more in this short amount of time by being in Dr. Martinez’s office and working alongside him.

Bringing Joy and Confidence

One of my favorite moments at MacDonald Ranch Modern Dentistry was witnessing how heartwarming dentistry can be. Dr. Martinez teaches esthetic dentistry within the company, and I understand why: He does many esthetic cases and has a real niche. One patient in particular had dealt with a discolored front tooth for many years that also protruded too far anteriorly. She was severely self-conscious about it. Finally, the day came when she committed her morning to achieving a new smile. Everything was designed in-house and digitally, allowing Dr. Martinez to custom-fit the shade and tooth shape to the patient’s profile and smile perfectly. Once the design was made, the same-day ceramic crowns were milled, polished, stained, glazed and fired. The entire procedure went so smoothly. Once all the anterior crowns were cemented in and the dental assistant gave the patient a mirror to see her new smile for the first time, the patient cried because she was so happy. The coloring of her teeth was more natural and complemented her skin tone, and the shape of the teeth looked and also functioned much better. The patient was so excited that she wanted to buy herself some new lipstick for her new smile. I loved being a part of this life-changing experience for her. I was grateful for the opportunity because it made me realize why I chose this profession: to bring joy and confidence to others through dentistry. Another valuable lesson I took home from my rotation was the importance of treatment plan presentation and case acceptance in the role of a dentist and dental practice. One of the responsibilities of a dentist is to be an effective teacher and communicator. I recognize

how challenging it can be to explain complex disease processes to a patient who doesn’t have a biology background or to guide someone through the entire process of receiving new dentures when they are unfamiliar with regular dental visits.

During my rotation, I observed Dr. Martinez masterfully break down complicated concepts into simple, understandable terms. He used analogies and visual aids, like the posters on the walls, to help patients grasp the importance of their treatment plans. He also emphasized the significance of the oral-systemic connection (which PDS Health refers to as the Mouth-Body Connection®), which instills a sense of urgency in patients regarding their oral health. Treatment planning isn’t just about fixing or saving a tooth; while presenting treatment options, we are also helping patients improve their overall health.

While we all learn this as dental students, it’s easy to forget to incorporate this type of verbiage when talking with patients. Dr. Martinez played a significant role in making patients feel comfortable and informed, which in turn increased their willingness to accept and commit to their treatment plans. His approach highlighted the essential role of communication in ensuring successful patient outcomes.

I am incredibly grateful for Dr. Martinez’s trust in allowing me to provide care for his patients and to work alongside his team. Under his guidance, I not only expanded my restorative clinical skillset, but also developed a deeper understanding of what it means to be a compassionate practitioner and leader. I extend my sincere appreciation to Ryan Moffatt, DDS, MPH, from Roseman University, who helped implement this new external rotation at my school.

What Makes a Good Leader

My perspective on leadership and teamwork in dentistry has evolved from my experience at PDS Health. Previously, I viewed specialists as the primary leaders in dentistry. While this remains true to some extent, I am now inspired by the way PDS Health is structured, placing significant weight and responsibility on the general dentist and practice owner.

At PDS Health, specialists travel to the general dental practice to better serve their patients, providing a broad range of services and exceptional care in one location. As the practice owner, Dr. Martinez ensured everyone was on a path to success. He supported his specialists, including oral surgeons, periodontists and endodontists, while also assisting his employees, such as practice managers, front desk personnel, dental assistants and other dentist associates. I noticed the positive relationships he had with each team member.

In this setting, Dr. Martinez, as the general dentist and practice owner, served as the central point of contact and primary leader. I thought it was fascinating that within PDS Health, it is the general dentist who orchestrates the entire practice. Seeing this unique dynamic, I realized that a good leader isn’t always about being at the top of the educational ladder or the one with the most degrees. A good leader focuses on the success of the people around them. If those around you succeed, you will also succeed. ♦

Brooklyn Janes is a fourth-year dental student and AGD chapter president at Roseman University College of Dental Medicine. To comment on this article, email impact@agd.org

Improving Your working Relationship with your dental Lab

When patients sit down in the operatory chair, they might see a dental hygienist and their dentist. But, behind the scenes, many dental cases require a collaborative process between different specialists. The team at your dental lab is among those vital specialists.

“A dentist’s success depends on the product he gets back from the laboratory,” said Neil I. Park, DMD, vice president of clinical affairs at Glidewell Laboratories in Newport Beach, California. “The beautiful crowns, bridges and veneers that we want to provide for our patients — they can’t be fabricated without the help of a laboratory.”

That relationship between a practice and a lab takes time and effort from both sides to build. A good working relationship between the two results in quality products that ultimately help dentists deliver the best possible patient care. A breakdown in that relationship creates frustration in the dental practice and can impact patients.

What does a good relationship between a practice and lab look like, and how can practices build one?

The Dental Lab Industry

Understanding the state of the dental lab industry can help dentists build better lab partnerships. Like dentistry as a whole, the lab sector is grappling with a labor shortage. The number of dental laboratories with payrolls dropped from 7,715 in 2001 to 5,286 in early 2022, according to data from the National Association of Dental Laboratories. 1 As of May 2023, there were 34,190 dental laboratory technicians 2 serving 202,304 practicing dentists in the United States. 3

The shortage of dental laboratory technicians is in part due to fewer educational programs. In 2012, there were 19 dental laboratory education programs. By 2023, that number dropped to 13. 4 From 2011 to 2012, 276 people graduated from dental laboratory technology programs. A total of 174 graduates completed programs from 2022 to 2023. 4

Compounding the problem, experienced lab technicians are leaving the field. “Experienced technicians are aging out or retiring,” said Joe Young, president-elect of the National Association of Dental Laboratories and marketing manager of Young Dental Laboratory in Philadelphia.

Many labs struggle with staffing, a challenge heightened by the COVID-19 pandemic.5 May 2019 labor numbers showed 34,460 dental lab techs in the profession,6 which indicates a loss of only 270 positions; however, considering the continual growth of the dental industry as a whole, this relatively small decrease actually represents a larger shortfall. Despite workforce challenges, the demand for dental lab work has not decreased.

“The lab tech shortage, paired with an unfortunate decrease in the amount of lab work taught in dental schools and an increase in the numbers of dentists, have resulted in a heavier burden placed on all labs,” said Leila S. Zadeh, DMD, FAGD, an associate dentist with Revive Dental Implant Center in Mesa, Arizona.

But labs are adapting in this landscape. With a lack of outside education, many labs have turned to in-house training. “We do training in our own facility, and, with that level of in-house training, they can qualify to become CDTs [certified dental technicians] and even MDTs [master dental technicians],” Park said.

While both practices and labs contend with the realities of today’s labor market, they are also subject to shifting technology trends. The field of dentistry is increasingly becoming digital, although not at a uniform rate. Analog protocols persist in many aspects of dentistry at many practices. “It was really just last year that Glidewell Laboratories started receiving more

“Although advances in digital software can help streamline and speed up many lab processes, the difference between ‘good enough’ and ‘great’ is a matter of proper training and/or years of continuing education.”

cases digitally than we did with traditional types of impressions,” said Park.

Making the transition from analog to digital can improve the relationships between dental practices and their labs. “The dentist who’s gone digital has a chance to look at the screen with his acquisition software and really see whether he’s giving his best work so the laboratory can do their best work,” said Park.

The Institute of Digital Dentistry (iDD) surveyed more than 1,000 dentists from 109 countries — the majority of whom were general dentists — and 78.8% reported using intraoral scanners in their daily work.4 “At this point, if an office doesn’t have an intraoral scanner, it’s definitely behind the times,” said Matt Winstead, CDT, vice president of Oral Arts Dental Laboratories in Huntsville, Alabama.

If a practice is just starting its digital journey, its dental lab can be a valuable resource. “Many times when our clients are ready to make the transition to a digital workflow they look to us for guidance on which system they should invest in,” said Denise Burris, CDT, president of the National Association of Dental Laboratories and cofounder and owner of By Design Dental Studio in Atlanta, Georgia. “We can help with directing the dentist and staff on getting information to us, learning the scanner, and building confidence in trusting the software.”

Zadeh has seen how digital dentistry can drive more efficiency, from the perspective of both a lab technician and a dentist.

“I used to be a lab tech at Renew Full Arch Lab, our fully digital in-house lab, which has about 60 clients across the country,” she said. “Working in both a clinic and lab, using cutting-edge digital technology such as photogrammetry, I can personally attest to how digital technology can streamline and make prosthetic workflows more predictable and efficient both chairside and on the lab side.”

While that efficiency is an incredible boon to the relationship between dental practices and labs, adopting digital workflows still requires skill to deliver digital images that labs can use to create the best possible products.

“The ability to take an excellent intraoral scan is a skill that I think is underestimated sometimes,” said Park. “One of the rules

Working with a New Lab

Sometimes, it just doesn’t work out. Dentists may reach a point where the communication and results from a lab just aren’t meeting their needs. How can a dentist build a strong relationship from scratch?

Talk Expectations

Start with why you decided to leave your last lab.

“If you typically had problems with prior labs on certain issues, be sure to tell this to the new lab,” Matt Winstead, CDT, Oral Arts Dental Laboratories, recommended. “There are adjustments the lab can make to mitigate typical issues that doctors might have, like contacts, occlusion, fit, etc.”

Tour the Lab

Seeing for yourself how a dental lab works can help you decide whether it is a good fit, and it can also pave the way for a smooth working relationship.

“If it’s local enough, visit the lab. Ask questions about their equipment, the materials that they use. Ask questions about the type of credentials or continuing education that they received or conventions and other types of seminars and presentations

that they attend to help them better themelves,” said Joe Young, National Association of Dental Laboratories president-elect.

If it isn’t feasible to make an in-person visit, schedule a virtual tour, and come prepared with a list of questions.

Invest the Time

Like any relationship, the one between a dental practice and a lab takes time to establish. “It requires more than a handful of cases to build that relationship,” said Young.

During the first few months of working with a new lab, dedicate more time to communication. Talk to the lab staff about your preferences. Point out any concerns in the work being returned to the practice. Ask questions about your own work and how it could be improved to empower the lab to deliver the results you want.

“The reality is that not all labs and dentists are a good match for one another,” said Denise Burris, CDT, NADL president. “But once a lab and dentist really work together to foster communication, that is where the magic happens.”

“A large or complex case that is multidisciplinary involving fixed and removable prostheses plus implants, in my opinion, will never be manufactured within the clinic unless the clinic is a large group of offices [that has] a fully capable lab internally with a similar setup as a production lab.”
— Matt Winstead, CDT

we have at Glidewell is that you can’t digitize a process until you’ve nailed it on the analog side.”

As dental practices take on the digital learning curve, labs can provide valuable feedback. “If your laboratory gives you feedback on that scan, take it seriously,” Park recommended. “They’re looking at a large number of scans, and chances are they’re seeing a situation that they’ve seen before.”

In-House vs. Outsourced Lab Work

Many dental practices will debate the merits of in-house versus outsourced lab work. In-house capabilities give dentists more control. Why manage an outside relationship if you can do it yourself?

In-house milling and 3D printing, for example, may be lab capabilities that a practice could adopt to its benefit. The iDD survey found that 9.8% of respondents have only a milling machine, 10% have only a 3D printer, and 11.8% have both. Nearly a third of respondents (31.5%) have in-house computeraided design/computer-aided manufacturing (CAD/CAM) tools. 7 (About 5% of iDD survey respondents were dental lab techs, so these percentages likely include dental labs in addition to dental practices.)

If dentists are considering adding these in-house capabilities, they need to consider return on investment. Does it make sense from a financial perspective?

“The cost of equipment, software and additional staff will most likely make sense for practices that have multiple dentists. It isn’t typically cost-effective for a single practitioner,” said Burris.

Winstead pointed out that dentists need to consider chair time when calculating return on investment. “If you prep, scan and mill a crown in your office, how long is your chair time going to be tied up trying to get that same-day single-unit crown done compared to how many crowns you could have seated if you scanned and sent the case to your preferred dental lab?” he asked.

Lab work also demands a high level of specialized skill, and Zadeh points out that many recent dental graduates do not receive as much lab work education as has been offered in the past.

“I think many dentists who want to have in-house labs should not undertake starting one unless they feel confident enough in their training to be able to do right by their patients and provide the top-notch quality of prosthodontic oversight that years of doing lab work can instill,” she said. “Although advances in digital software can help streamline and speed up many lab processes, the difference between ‘good enough’ and ‘great’ is a matter of proper training and/or years of continuing education.”

The decision to bring specific lab processes in-house will be unique to each practice. Some dentists will have the skills and resources to make these processes successful and profitable. Others may find it makes more sense to rely on outsourcing. In most cases, it likely will not make sense to bring lab work entirely in-house. Indeed, even as the popularity of milling and 3D printing technology in dental practices has grown, Inside Dentistry reported in 2023 that 97% of dentists who responded to a survey still used a dental laboratory, with 83% using more than one laboratory; 14% of respondents reported doing some form of laboratory work in-office — such as milling or 3D printing — indicating there is overlap among dentists who are using CAD/CAM technology in office but still collaborating with a dental lab when needed. 1

“A large or complex case that is multidisciplinary involving fixed and removable prostheses plus implants, in my opinion, will never be manufactured within the clinic unless the clinic is a large group of offices [that has] a fully capable lab internally with a similar setup as a production lab,” Winstead explained.

Building the Bridge Between Practices and Labs

With the importance of the practice-lab relationship firmly cemented, how can dentists evaluate the health of that connection and improve it?

The health of dental practice-lab relationship is best seen in the end results. Is a practice receiving what it expects? Are feedback and requests reflected in the products delivered?

“That’s probably the best way to determine whether you’ve got a good relationship and a laboratory that’s interested in doing its best for you,” said Park.

A good relationship requires a steady flow of communication and action following that communication. Lab technicians need to respond to feedback from their clients, but dentists also need to listen to what their labs have to say.

“If a great dentist provides a perfect impression to a poorquality lab, a poorly made product might be returned,” said Zadeh. “Conversely, if a dentist provides a terrible impression to a fantastic lab, the lab techs have their hands tied because they cannot correct operator error, such as bubbles on the crown margins of a polyvinyl siloxane impression.”

Strong communication between the clinician and the lab opens the door to a mutual understanding of expectations and

preferences. Dentists can share their preferences, and labs can ensure those preferences are uploaded to their design software.

“This can be everything from the amount of relief on the intaglio surface of the crown for cement space versus how heavy the proximal contacts are to what kind of occlusal contacts you want. All of those things the laboratory needs to dial into the preference of the individual doctor,” Park explained.

On the other hand, dentists can ask labs how they prefer to work with dentists. What makes the technicians’ jobs easier, ultimately resulting in the best possible product?

“Simply understanding the lab side of articulation and bites could eliminate an immense amount of remakes and stress for the dentist. The more a dentist knows about lab work, the better a dentist they become; the more a technician knows about clinical work, the better a technician they become,” said Winstead.

Accepting feedback, especially if it is negative, can be a tough pill to swallow. “The first step to improving any relationship involving a dentist and lab is staying humble and receptive to feedback with the goal of being a better clinician or technician,” said Winstead.

In a healthy relationship, the process of giving and receiving feedback does not need to be adversarial. Rather, it is a part of making sure both parties are doing everything they can to deliver the best end result for the patient.

“Give valuable feedback at delivery so you and the technician can alter those parameters in the software so that what you’re getting back is more predictable every time,” said Young.

The methods labs and dentists use to communicate is another aspect of defining and improving that relationship.

“Texting back and forth has been popular, and it’s pretty efficient,” said Young. “We text with our clinicians — case concerns, questions, all types of issues that may come up in the lab. And, likewise, doctors will send us photos to our phones. … I’ve even FaceTimed with clinicians to be able to see patients in the chair.”

When it comes to communication between dental practices and labs, a picture is often worth a thousand words. “Dental photography skills are underrated. High-quality photos can be a big help to the technicians making the case,” said Winstead.

Taking high-quality photos is one of the most impactful ways dentists can contribute to the success of their lab relationship. Dentists can ask labs what photos they need to make sure they get the best results for their patients.

“This is critical for scan alignment in digital workflows, shade selection, relaying critical information about the incisal edge position or any occlusal cant relative to the interpupillary line, smile line, tooth shape/mold, shade, etc.,” Zadeh explained.

Those photography skills are invaluable on the front end of a case, but they can also come in handy after dentists complete their work. Dental lab technicians put a lot of work into a final product, but they don’t always have the opportunity to see the final result.

“Remember, technicians are trying to provide beautiful restorations for your patient, but they don’t have the benefit of seeing your patient like the doctor does,” said Park. “Take that

“Remember, technicians are trying to provide beautiful restorations for your patient, but they don’t have the benefit of seeing your patient like the doctor does. Take that final photo, and go ahead and put it in an email to your technician or your technical consultant.”

final photo, and go ahead and put it in an email to your technician or your technical consultant.”

Many cases that bring revenue to dental offices require the involvement of a lab. That relationship, for better or worse, has a direct impact on the bottom line. When a lab is delivering high-quality work, it can be easy to forget how much time and effort is poured into those results.

“Cranking out good-quality lab work is not as easy as it looks and takes constant continuing education to keep up with the ever-evolving digital landscape,” said Zadeh.

Dental lab technicians are specialists who are valuable resources for dentists. “The best indication of a strong dentistlab relationship is when the dentist considers their laboratory an extension of their interdisciplinary team,” said Burris. ♦

Carrie Pallardy is a freelance writer and editor based in Chicago. To comment on this article, email impact@agd.org

References

1. Brzozowski, Carol. “The Future of Laboratory Workflows: Technology Is Enabling New Models of Collaboration to Navigate the Waters of Dentistry.” Inside Dentistry , vol. 19, no. 5, May 2023, aegisdentalnetwork.com/id/2023/05/the-future-of-laboratory-workflows.

2. “Occupational Employment and Wages, May 2023: 51-9081 Dental Laboratory Technicians.” U.S. Bureau of Labor Statistics , May 2023, bls.gov/oes/current/oes519081.htm.

3. “The Dentist Workforce.” American Dental Association , ada.org/en/resources/research/health-policyinstitute/dentist-workforce. Accessed 7 June 2024.

4. Health Policy Institute. “2022-23 Survey of Allied Dental Education: Report 3 - Dental Laboratory Technology Education Programs: 2022-23 Dental Laboratory Technology Report.” Commission on Dental Accreditation , Find a Program, CODA Survey of Allied Dental Education, Oct. 2023, coda.ada. org/en/find-a-program. Accessed 29 May 2024.

5. Fine, Terry. “How Dental Laboratories Joined the COVID-19 Digital Trend.” Inside Dental Technology , AEGIS Dental Network, Aug. 2021, aegisdentalnetwork.com/idt/2021/08/how-dental-laboratoriesjoined-the-covid-19-digital-trend.

6. “Occupational Employment and Wages, May 2019: 51-9081 Dental Laboratory Technicians.” U.S. Bureau of Labor Statistics , May 2019, bls.gov/oes/2019/may/oes519081.htm.

7. Al-Hassiny, Ahmad. “Results: The World’s Largest Survey on Intraoral Scanners by iDD.” Institute of Digital Dentistry , 22 May 2023, instituteofdigitaldentistry.com/cad-cam/results-the-worlds-largestsurvey-on-intraoral-scanners/.

Self-Instruction

No. IM155, 1

Practice Management and Human Relations

(Subject Code: 550)

The 10 questions for this exercise are based on information presented in the article, “Improving Your Working Relationship with Your Dental Lab” by Carrie Pallardy on pages 12–17. This exercise was developed by members of the AGD editorial team.

Reading the article and successfully completing the exercise will enable you to:

• understand the current state of the dental laboratory industry and what types of work dental lab technicians can perform for dentists;

• recognize ways to facilitate optimal communication between dental practices and labs; and

• know what to look for when choosing a dental lab and/or technician to work with.

This exercise can be purchased and answers submitted online at agd.org/self-instruction Answers for this exercise must be received by July 31, 2025.

1. Like dentistry as a whole, the lab sector is grappling with a labor shortage. The number of dental laboratories with payrolls dropped from a total of _____ in 2001 to _____ in early 2022, according to data from the National Association of Dental Laboratories.

A. 6,215; 3,786

B. 6,715; 4,286

C. 7,215, 4,786

D. 7,715; 5,286

2. As of May 2023, there were a total of _____ dental laboratory technicians serving _____ practicing dentists in the United States.

A. 33,190; 201,304

B. 34,190; 202,304

C. 35,190; 203,304

D. 36,190; 204,304

3. In 2012, there were a total of _____ dental laboratory education programs in the United States. By 2023, that number dropped to _____.

A. 17; 11

B. 18; 12

C. 19; 13

D. 20; 14

4. From 2011 to 2012, a total of _____ people graduated from dental laboratory technology programs in the United States, compared with _____ graduates from 2022 to 2023.

A. 226; 124

B. 276; 174

C. 326; 224

D. 376; 374

5. Despite growth in the dental industry, a comparison between May 2019 and May 2023 U.S. labor numbers shows a loss of _____ lab technician positions in the years after the COVID-19 pandemic.

A. 270

B. 370

C. 470

D. 570

6. The Institute of Digital Dentistry (iDD) surveyed more than 1,000 dentists from 109 countries, and _____% reported using intraoral scanners in their daily work.

A. 63.8

B. 68.8

C. 73.8

D. 78.8

7. The iDD survey found that 9.8% of respondents have only a milling machine, 10% have only a 3D printer, and _____% have both.

A. 6.8

B. 11.8

C. 16.8

D. 21.8

8. In the acronym CAD/CAM, the As stand for _____.

A. augmented

B. automated

C. assisted

D. aided

9. Inside Dentistry reported in 2023 that _____% of dentists who responded to a survey still used a dental laboratory, with _____% using more than one laboratory.

A. 97; 83

B. 93; 77

C. 87; 73

D. 83; 67

10. While the majority of respondents to Inside Dentistry’s survey reported using a dental lab, _____% reported doing some form of laboratory work in-office — such as milling or 3D printing — indicating there is overlap among dentists who are using CAD/ CAM technology in office but still collaborating with a dental lab when needed.

A. 12

B. 13

C. 14

D. 15

• AGD Supply Discount: Automatically access your membership’s savings benefit of up to 30% off standard industry retail.

• Authorized Access: Order with confidence! No gray market. No fraudulent products.

• FREE Shipping: Consolidate your supply sources and eliminate shipping fees within the continental United States.

• Save Time: Order all of your dental supplies from one easy-to-use online dental supply store.

• Support: Our dedicated account managers review every order for accuracy and apply qualifying manufacturer discounts and deals.

Where Artistry Meets Exceptional Skill: Profiling Master Ceramists

Discover the personal journeys that led three dental technicians to become masters of their craft, pushing the boundaries and elevating dental esthetics to new heights.

In the realm of dental restoration, the distinction between a typical ceramist and a master ceramist is profound. While both possess the foundational skills to create functional and esthetically pleasing dental prostheses, a master ceramist elevates the craft to an art form. Master ceramists are distinguished by their extensive experience, advanced certifications and exceptional artistry. They meticulously craft restorations that are virtually indistinguishable from natural teeth, achieving the highest standards of beauty and precision.

Below are profiles of three exemplary master ceramists who have not only perfected their technical skills but also dedicated their careers to pushing the boundaries of dental esthetics. Through their unique journeys, they have transformed the ordinary into the extraordinary, showcasing the pinnacle of what can be achieved in the field of dental ceramics.

Nancy Gausz, CDT

In 1978, a military-trained master ceramist named Gerald Brosco hired 18-year-old Nancy Gausz straight out of high school to work at OCA Dental Laboratory.

“He didn’t want his technicians to have any experience [so that he could] train them his way,” she explained. “This was in the days of porcelain-fused-to-gold restorations, and I am most proud of my

“Teamwork is vital to a successful outcome for the patient. The doctor and ceramist work closely together to provide a functioning restoration that is esthetically pleasing to the patient.”

— Nancy Gausz, CDT

skill in chairside custom shading, which I learned from Brosco.”

A few years later, in 1984, Gausz became certified as a ceramist by completing all the duties of a dental technician, which ranged from pouring impressions and creating a working model to completing a porcelain crown and a full gold crown.

Over the years, Gausz has worked for several dental laboratories. Currently, she is the master ceramist for Pi Dental Center’s in-house porcelain laboratory. Pi Dental Center specializes in implant and restorative prosthodontics, and Gausz

has the opportunity to work directly with patients, doing chairside custom shading. Gausz visits with the patient during two different appointments to evaluate the color and characterization of each tooth. During the first appointment, she chooses the base shade for the prostheses. At the second appointment, she makes custom modifications to refine the color and detail of the restorations to perfectly match the adjoining teeth. This process is rather unique, as most offices send their cases to external laboratories with photos and instructions.

Teamwork: The Key to Master Ceramist Success

When asked what the difference is between a good ceramist and a master ceramist, Gausz said a master ceramist title comes from a combination of advanced training and years of hands-on experience. With 45 years of experience, Gausz certainly has had years of training, building cases, learning tooth morphology and function, and learning the esthetics of natural shade-blending between dentin and the translucent incisal edge.

Additionally, Gausz emphasizes that a master ceramist knows how important it is to work well with others when crafting beautiful custom dental prostheses.

“Teamwork is vital to a successful outcome for the patient,” she explained. “The doctor and ceramist work closely together to provide a functioning restoration that is esthetically pleasing to the patient.”

For example, Gausz and the doctor will take into consideration the patient’s individ-

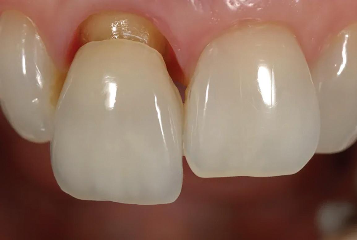
Both of Pi Dental Center’s patients received beautiful all-ceramic crowns for their two upper central incisors (Nos. 8 and 9). Translucence and chairside custom shading helps make them blend well with adjoining teeth. Gausz custom-stained the crowns chairside and glazed them in the oven. This baking process usually takes about 20 to 30 minutes. As soon as the baking is completed, the final crowns were delivered to the patients.

ual facial characteristics. Gausz will look at the patient’s natural dentition and eye, skin and hair color to help decide on the shade of the restoration. And, as a team, Gausz and the doctor will assess the patient’s personality and preferences for shading, tooth shapes and special characteristics of the crown.

Tech-Driven Excellence: The Shift in Dental Ceramics

Over the years, technology has changed the way Gausz works.

“As a ceramist, I have had to pivot from a hands-on buildup approach to digital design,” using CAD/CAM technology, she explained. While this transition can be challenging, “faster turnaround, less chair time for the patient, greater strength and durability, and the ability to replace a lost or damaged prosthesis quickly are advantages of the monolithic crown and digital dentistry.”

While she maintains there will always be a place for a creative hands-on approach to ceramics, especially for custom chairside shading, she also believes that digital dentistry has already replaced the hands-on approach to crown and bridge prostheses in many cases.

“However, there are occasions when a cutback of the full digital crown is necessary to achieve a more esthetic result. This allows the ceramist to build in certain characterizations by hand,” she noted.

Regardless of whether digital technologies are used to craft dental prostheses, Gausz believes that all dentists should strive to work with a master ceramist on every

project to provide their clients with the best esthetic outcome. To find a nearby master ceramist, she recommends interviewing well-established dental labs, which likely employ highly-trained and experienced master ceramists.

Calvin Mun, CDT

In 1997, Jason Kim, CDT, a worldrenowned master ceramist, was chatting with his wife’s cousin — Calvin Mun — about Kim’s job as a CDT and ceramist. One thing led to another, and Kim asked Mun if he would be interested in trying his hand in the dental lab.

“My college degrees are in economics and business,” Mun said. “So, I never expected to work in dentistry. But, I took a chance, flew to New York, and, after working with Kim, I really started to love what I was learning and doing.”

When Kim realized that Mun had not only the eye but also the love for the craft, he sent him to study with master ceramist Walter Gebhard, MDT. Mun attended the world-famous Oral Design International Foundation and trained shoulder-to-shoulder with the best ceramists in the world.

As Mun’s expertise grew, so did his reputation. In the early 2010s, New York University asked Mun to be an instructor for its course, “Mastering Aesthetics & Ceramics for the Advanced Dental Technician,” which he taught for three years.

Currently, Mun is a master ceramist overseeing a team of 30 technicians for the dental laboratory Jason J. Kim Dental Aesthetics in New York. His role keeps him

quite busy, ensuring quality and artistic excellence while mentoring the lab’s next generation of ceramists.

The Journey of Mastery: Continuous Learning and Artistic Improvement

While Mun is undisputedly a master of his craft, he’ll never admit it.

“My teacher, Walter Gebhard, once told me that if you’re ever satisfied with your “My teacher, Walter Gebhard, once told me that if you’re ever satisfied with your work, you’ll never progress. You always have to try harder to get better at what you do, and I know that I still have room to grow and improve. I’m not sure I’ll ever consider myself to be a master ceramist.”

work, you’ll never progress. You always have to try harder to get better at what you do, and I know that I still have room to grow and improve. I’m not sure I’ll ever consider myself a master ceramist,” he said.

When asked what the difference is between a good ceramist and a master ceramist, Mun explained that a master ceramist “has to know everything.” It’s not enough to just know how to craft the prostheses out of ceramics. They must know every step in the production process and understand the nuances needed to control the outcomes. They must also have an excellent grasp of the science behind different materials to the point where they could fashion whatever product a patient needed, from the very first step to the last. Then, they should be able to use their artistic side to turn those functional prostheses into something beautiful.

Balancing Tradition and Technology: The Future of Dental Craftsmanship

As Mun looks to the future, he readily admits that technology is evolving to quickly produce many types of restorations. But, so far, minimally invasive, health-driven, artistic restorations cannot be produced in a fully digital environment.

“There will always be the need for handcrafted artistic works of dentistry,” he explained. “For example, if you’re creating a single central incisor, in order to match the rest of the teeth, we use more than 10 different types of ceramics to match the shade. Digital just can’t accomplish that yet. It can do many things, but there will

always be work that needs the artistic eye and hand of an experienced ceramist.”

This is why Jason J. Kim Dental Aesthetics puts such a focus on mentoring and training the next generation of ceramists.

While Mun remains optimistic about how technology will affect the future of his craft, a different form of technology has created a bit of a headache for the master ceramist.

“My biggest challenge is social media,” he said. “Dentists see our work on social media, and they expect their patients’ prostheses to come out the same way. But the best restorations start with the dentist: impressions, models, measurements, photos — this is the foundation upon which we build beautiful smiles. Then we partner with the dentist to consider the architecture and symmetry of the patient’s face, occlusal aspects and functionality, all with an eye toward minimal prep of the natural teeth. We want to create health for the patient and hopefully surpass their expectations of esthetics. A lot goes into creating that beautiful smile, and it isn’t always apparent from pictures on Instagram! For doctors who want to begin this journey, we create mentorships and educational opportunities to help them achieve their goals in this type of dentistry, just as I did as a ceramist.”

When it comes to working with a master ceramist, Mun says that dentists should look for a partner they can learn from and grow with, where workflow is consistent, and experience and artistry are apparent in every case. To find a master ceramist, Mun says dentists will have to rely on recom-

mendations from colleagues and — perhaps a bit ironically — social media.

Olivier Tric, MDT

When Olivier Tric was a young teenager in France, he had his heart set on becoming an architect. However, the summer before he was to begin his formal schooling for architecture, he took a job working as an assistant in a dental laboratory that belonged to a family friend. Within weeks, Tric realized he had found his calling, and he never looked back. He switched his field of study and began attending the College of Leonardo da Vinci and Aix-Marseille University at the Palais du Pharo while concurrently pursuing a five-year apprenticeship in dental technology.

Interestingly, Tric can recall the very moment he realized that he wanted to be the best master ceramist in the world. During one of his first few years working as an apprentice, he had a run-in with a client who was rather disrespectful. After that interaction, Tric vowed that he would pour his heart and soul into his work so that all professionals would respect him from then on.

Upon completing his schooling and apprenticeship, Tric devoted himself to thoroughly understanding the principles of dental esthetics and mastering specialized techniques in dental laboratory technology. He continued to study under other master ceramists, such as Willi Geller. After more than 25 years in this field of work, Tric is recognized not only as a master ceramist, but also as a pioneer within the industry

Feldspathic veneers, as crafted by Calvin Mun, allow for minimal prep to the patient's original teeth and enable the dentist to provide proper occlusion with a natural, highly esthetic result.

“For those of us who excel at our work and who have patients who want the very best, technology is still nowhere near close to touching us.”

for developing new and unique methodologies that are now taught worldwide.

Key Traits of a Master Ceramist: Passion and a Unique Style

According to Tric, intelligence, decades of experience and adaptability are the fundamental requirements for someone who wishes to become a master ceramist. However, he believes two other qualities really elevate masters above all others within their field.

First, a passion for their work.

“I’ve become a master ceramist not because of the schools I attended or even the

mentors I studied under,” Tric explained, “but because of my passion, being a perspicuous person, and the love that I have for my craft.”

Second, a unique style.

“I also feel that a master ceramist has to have his or her own style,” Tric said. “It’s natural to copy others when you’re learning something for the first time, but a master is someone who evolves, who does unique things with what they have learned, and who can express themselves and be detached from their work while becoming the person who is copied by the next generation.”

In order for all dental professionals to practice their craft at the highest level and offer total freedom and independence, Tric created a group — Atelier Dentaire — based on ethics, knowledge and experience. Dental professionals who are members of Atelier Dentaire are highly sought after by patients because the brand evokes respect, integrity and excellence.

“During my career, I’ve given dozens of hands-on courses and have taught dental technicians from around the world in order to elevate this profession and educate both dentists and dental technicians,” he said.

Embracing Technology Without Fear

Over the years, Tric has seen many different dental laboratory technologies come and go. And, for decades, none of these technologies was able to produce a product “that came even close to what I was producing with my own two hands. So, I never saw the advantage in investing in them,” he said.

This doesn’t mean Tric is against the use of technology. In fact, he very much understands and believes that technology is becoming an integral part of dentistry. For instance, Tric will be investing in a 3D printer because it will save him time creating alveolar casts. The quality and predictability of 3D-printed products has improved to the point where even an apprentice can easily learn how to use the technology and create high-quality products. This will ultimately give Tric significantly more time to focus on his art and the more complicated aspects of his craft.

“If we refuse to adapt to technology, our businesses will die,” Tric said. “Dental school graduates are well versed and highly skilled at using new technologies, so we need to be willing to evolve and adopt technology when it makes sense.”

However, he isn’t worried that machines are coming for his job any time soon.

“At best, machines are making dental prostheses that are on par with the average CDT technicians. Those are the individuals who should worry that technology is coming for their jobs. But for those of us who excel at our work and who have patients who want the very best, technology is still nowhere near close to touching us,” he said. ♦

Michal Christine Escobar is a freelance writer based in Chicago. To comment on this article, email impact@agd.org.

Examples of Olivier Tric's work.

REFER A COLLEAGUE, GET REWARDED

“By recruiting colleagues to join AGD, I’ve not only lowered my membership renewal cost, I’m also helping my fellow dentists.”

Filippo Marchello, DDS, MAGD Member since 1992

AGD Referral Rewards Program

Refer your colleagues to join AGD now, and they’ll pay only half of 2024 headquarters membership dues.*

You’ll both also earn $50 in Referral Rewards once they join!

LEARN MORE agd.org/member-center

*Half-year rate does not apply toward constituent and component portion of dues. Half-year rate does not apply for memberships that expired on Dec. 31, 2023, residents, or new dentists who graduated in 2023 or 2024. Members who pay half-year dues may record CE starting on July 1, 2024.

2024 FALL FELLOWSHIP REVIEW COURSE AND EXAM

Fellowship Review Course

The Fellowship Review Course was designed to provide a refresher in 17 dental disciplines, as well as to assist members in preparing for the Fellowship Exam.

Dates: Oct. 4–5, 2024

Time: 7:30 a.m. to 5 p.m.

Location: Academy of General Dentistry, 560 W. Lake St., Chicago, IL

Note: Premium Plus Members receive a 20% registration discount.

Fellowship Exam

The Fellowship Exam is a four-hour 252-question multiple-choice test emphasizing clinical applications of accepted dental knowledge, techniques, and procedures in general dentistry. The Fellowship Exam fee is a separate fee from the course registration fee.

Date: Oct. 6, 2024

Times: 7:30 a.m. to 1 p.m.

Location: Academy of General Dentistry, 560 W. Lake St., Chicago, IL

Search for “Fellowship Review Course” on agd.org

AGD HAS BENEFITS FOR YOUR UNIQUE NEEDS

BEFORE YOUR NEXT BIG PURCHASE, CHECK MEMBERS-ONLY DISCOUNTS ON PRODUCTS AND SERVICES agd.org/exclusive-benefits

ASSOCIATE DENTIST

PRACTICE OWNER

FELLOW/MASTER

AGD LEADER

• 4 Imprint

• AccountingDepartment.com

• ADP

• AGDVANTAGE

• All-Star Dental Academy

• Avis and Budget

• CareCredit

• Dental Card Services Alliance

• Dentist’s Advantage

• Hagan Insurance Group

• Liberty Mutual Insurance

• MemberDeals

• Naylor Association Solutions

• Office Depot

• SoFi

STUDENT/RESIDENT

• Avis and Budget

• Dentist’s Advantage

• Hagan Insurance Group

• Liberty Mutual Insurance

• MemberDeals

• Naylor Association Solutions

• Office Depot

• SoFi

Turn static files into dynamic content formats.

Create a flipbook
Issuu converts static files into: digital portfolios, online yearbooks, online catalogs, digital photo albums and more. Sign up and create your flipbook.
AGD Impact August 2024 by Academy of General Dentistry - Issuu