


























![]()































Your HEALTH Magazine publishes and distributes health information people need. We produce special sections to focus on particular health topics each month, and profiles of local health professionals. It Makes a Difference! Here’s what you can look forward to:
September DENTAL HEALTH plus WEIGHT CONTROL, EXERCISE AND NUTRITION – Dentists, Cosmetic Dentistry, TMJ, Periodontics, Orthodontics, Oral Surgeons, Endodontics, and more! Gyms, nutrition and diet plans, weight loss, surgical alternatives, to help affect America’s out-of-control weight problems. Will include Profiles and Information from your Local Dental Health and Exercise and Nutrition Professionals.
October CANCER AWARENESS and HEALTH TECHNOLOGY – Professionals to help with prevention, early detection and surviving cancer. Information for men and women, and their families, and professionals who can provide help! Will include Profiles from your Local Cancer Health Professionals.
November BEAUTY, SKIN CARE, & GORGEOUS SMILES – Dermatology, Aesthetics, Body Contouring, Plastic and Cosmetic Surgery, the Latest Lasers, Anti-Aging, Weight Loss, Cosmetic Dentistry, Eye Wear, and more! Will include Profiles and Information from your Local Beauty and Dental Health Professionals.
December HEALTHY HOLIDAYS plus NEW YEAR, NEW YOU! – Professionals to help you and your family have a happy, healthy Holiday Season, plus professionals to help you lose weight, get fit, and eat better in the New Year! Will include Profiles from your Local Healthy Holiday & New Year Health Professionals.
January MEET YOUR LOCAL HEALTH PROFESSIONALS – Biographical profiles of a wide variety of local health professionals (Primary Care, Specialists, Integrative, Fitness, and more), highlighting their credentials, expertise, education, practice philosophy, areas of interest, and more!

If you are a Health Professional interested in

By Netsere Tesfayohannes, MD, ABA, ABAP Georgetown Pain Managment
In the United States this year, 700,000 people and one out of every four post-menopausal women will suffer from a painful bone injury called a vertebral compression fracture. This common type of bone injury results in the collapse of a vertebra, a type of bone that makes up the spine. Although there is a safe, effective, and minimally invasive therapy available, two-thirds of these fractures fail to be diagnosed. This is unfortunate, as missing this condition can result in under-treated pain, limitations on daily activities, breathing problems, and dependence on dangerous pain medications.
Bone density in both women and men starts to decrease after age forty, but the loss of density greatly accel erates after women enter menopause and can progress to osteoporosis, a disease characterized by very low bone density. Although most compres sion fractures occur in patients with osteoporosis, one-third of vertebral compression fractures occur in pa tients without osteoporosis.
If a fracture occurs suddenly, patients can experience sudden severe back pain that often wraps around the sides and is felt in the chest. Because of this, it is sometimes confused with diseases of the heart or the lungs. The pain is often worse when standing, sitting-up, or walking around. If very severe, the patient can have trouble breathing.
kyphoplasty that can quickly, safely, and effectively treat a patient’s pain without the long-term use of opioids and other pain medications.
If an acute compression fracture is present on an MRI, a patient should be referred to a pain management physician or another physician who performs kyphoplasty. This procedure can often be performed in a doctor’s office, preventing the need for an overnight stay in a hospital. On the day of the procedure, the patient is given a medicine to relax and then is asked to lie on their belly. An x-ray machine
is then used to locate the fractured bone and a narrow tube is placed into it through a very small opening in the skin. A small balloon is inflated within the bone to create a small space and the fracture is then filled with bone cement. The entire procedure can take as little as 45 minutes. Many patients feel immediate pain relief and are able to return to their daily lives the day after the procedure. However, some patients may take a week or longer to feel better.
Kyphoplasty most successfully reduces a patient’s pain within two



Patients who have symptoms of a fracture should see their doctor for evaluation. After an examination that suggests a vertebral compression fracture, they will often be sent for an MRI. This imaging shows the level of the fracture and also reveals whether it is old or new. Some doctors treat compression fractures with pain medicine, physical therapy, and bracing. However, many cases continue to cause severe pain and long-lasting health effects unless treated more definitively. Unfortunately, many patients and physicians are not aware that there is a minimally invasive procedure called

weeks following a fracture. Unfortunately, if the window of opportunity is passed, the pain can become more challenging to treat and further complications can occur.
If you think you or someone you care about is experiencing symptoms of a vertebral compression fracture, be reassured that there are safe, effective, and minimally invasive therapies available. Schedule an initial pain evaluation at Georgetown Pain Management to determine if you’re eligible for kyphoplasty or other pain therapies. Most insurances are accepted and new patient evaluations are currently being scheduled. As awareness of this condition increases and more patients are offered kyphoplasty as a minimally-invasive therapy, it is hopeful that fewer patients will have to live with the severe pain that results from vertebral compression fractures and can return to their full lives more quickly and comfortably than before.



Your Health Magazine is on a mission. There are far too many people, insured or not, who do not go to the doctor when they should, and in millions of cases, don’t know who they should go to, or why. People are encouraged to buy a new house, car, cell phone or big screen TV, and those companies make themselves very visible and their products easily attainable.
Information about, and from, local healthcare providers is not easy to find, and many times those services are difficult to access.
Information and encouragement always lowers fear and trepidation about anything, and this is especially true in healthcare. While general information is available on web-sites, specific information from local providers is almost impossible for people to find. This is one of the key reasons chronic and episodic conditions are not cared for. It is our mission to:
Make A Difference By Empowering and Encouraging People To Live Healthier By Going To the Doctor When They Should.
There is a lot of evidence that the health professionals who participate in Your Health Magazine have helped many people over the years. We at Your Health Magazine salute you!
G. Scott Hunter, Editor-in-Chief
If you would like to find out how you can participate in one of our upcoming editions, please contact the office nearest you.
MARYLAND & WASHINGTON, DC OFFICE One Town Center 4201 Northview Drive, Suite 102 Bowie, MD 20716 Office (301) 805-6805 • Fax (301) 805-6808 info@yourhealthmagazine.net
VIRGINIA OFFICE Office (301) 805-6805 info@yourhealthmagazine.net
© Your Health Magazine, 2024. The magazine and all of its contents are protected by copyright. For permission to reproduce any materials in this magazine, contact info@yourhealthmagazine.net

By Jacqueline D. Griffiths, MD New View Eye Center
Contact lens wearers who wear cosmetics on a daily basis may be especially vulnerable to eye problems. Misuse of products and adverse reactions to ingredients used in cosmetic formulas cause lens deposits, eye irritation, allergy, dryness, injury and infection. Knowing which products to use and how to use them is important for long-term, problem-free contact lens wear.
Before handling lenses, wash your hands with a mild soap such as Neutrogena, Ivory or a clear glycerin soap. Or, use one of the specialty soaps for contact lens wearers such as AOSoap or Optisoap. Avoid soaps containing cream, deodorant, antiseptics, or heavy fragrances.
Contact lenses should be inserted before any cosmetics are applied to prevent contaminating the lens by makeup and disrupting makeup by tears. Mascara should be used sparingly and only on the outer half of the lashes. Besides being a potential irritant, mascara is frequently a source of infection. Even with the best of care, mascara and eyeliner should be
replaced every three months. Use a light touch with eyeliners and shadows, as they may cause blepharitis, an infection of the eyelid that can lead to styes and chalazion. Don’t use eye liner pencils inside the lower eyelid. Color pigments can cause irritation, damage contact lenses, or lodge underneath the contact lens and scratch the cornea.

Prevent contamination of your makeup by keeping it dry and avoiding contact with fingers. Keep applicators clean and replace them after approximately three months. Hair spray,



deodorant, cologne, mousse, nail polish and nail polish remover should be used before inserting your lenses. If one of these products gets into your eye it can cause permanent damage to the contact lens surface. If you must use hair spray while wearing contacts, close your eyes tightly while spraying and then leave the area quickly. Aerosol mist lingers in the air for some time after spraying.
Never wear contacts when using hair dyes, permanent wave lotions, or medicated shampoos.
Use cosmetics labeled “hypoallergenic,” “for contact lens wearers,” or “for sensitive eyes.” Approximately one in ten women have either a respiratory or skin allergy to perfume. Hypoallergenic brands are designed to be free of irritants such as perfumes and lanolin. Lanolin may be used in cosmetics and soaps and is one of the most common allergens, causing redness, itching, and blotchy skin spots.
Wash your hands and remove contact lenses before removing makeup. Your fingers are less likely to be contaminated by pigments, creams and oils from cosmetic products when the lenses are removed first.
Jacqueline D. Griffiths M.D. earned her undergraduate degree at Yale and her medical degree from the University of Michigan. Her Ophthalmology residency was completed at Georgetown University Medical Center.
Dr. Griffiths has been in private practice since 1994. She started her own practice and laser center, NewView Laser EyeTM in 1999 where she serves as the Medical Director. NewView’s Mission is to provide Excellence in Ophthalmologic services by giving personalized attention to every patient.
Dr. Griffiths is Board Certified and began performing laser vision correction practically from its inception in this country. She has performed thousands of cases and participated with the CRS-USA LASIK trials to get the LASIK procedure approved by the FDA.
NewView offers Lasik & PRK, advanced cataract surgery, annual eye exams, contact lenses, glaucoma and diabetic screening exams, and cosmetic services including Botox, Restylane, Radiesse, Juvederm, and eyelid surgery. NewView Optical offers affordable high quality frames and lenses for the entire family (ages 5 and older).
Dr. Griffiths is the former Ophthalmology Section Chief of Reston Hospital Department of Surgery, the former Chief of Ophthalmology for the Reston Ambulatory Surgical Center in Reston, VA as well as Loudoun Hospital in Leesburg, VA, Diplomate of the American Board of Ophthalmology, a Fellow of the American Academy of Ophthalmology, a member of the American Society of Cataract and Refractive Surgery, the Washington National Eye Center and others.


By Priya K. Tahim, MA, LPC, NCC Kaur Counseling

Kaur Counseling works to serve individuals, families and couples’ from diverse backgrounds who suffer from depression, anxiety, re-building intimacy, marital conflict, familial conflict, PCOS, Infertility, low self-esteem, imposter syndrome, divorce/uncoupling, parenting and more.
Therapy can be an intimidating process, and our goal is to provide an open, safe environment to help instill support, understanding and empowerment throughout your therapeutic journey.
Whether you’re looking to build confidence as an individual or within your relationships, together we can build the tools you need to succeed.

Did you know that there are specific mental health disorders that are unique to women? Three major mental health disorders that are unique to women include: Perinatal Mood and Anxiety disorder (during and after pregnancy), Premenstrual dysphoric disorder (before, during and after period), and Perimenopausal depression (during menopause).
Just like your physical health, it’s important to check in on how you are mentally feeling, especially during these specific phases in your life.
Things to look out for include, but are not limited too:
• Persistent sadness
• Feelings of hopelessness
• Noticeable changes in mood, energy, or appetite
• Difficulty sleeping or sleeping too much
• Appetite or weight changes
• Decreased energy or fatigue
• Excessive fear or worry
• Seeing or hearing things that are not there
• Extremely high and low moods
• Aches, headaches, or digestive problems without a clear cause
• Anger or irritability
• Social isolation
• Suicidal thoughts
If you notice any of the above symptoms, it’s recommended to speak to a provider. An easy place to start is with your primary care doctor or reaching out to a mental health provider for a screening.
There are also several additional resources, that may be beneficial for you to reach out to:
• National Suicide Prevention hotline: 1-800-273-8255 or text “hello” to 741741
• Text “988” or call “988” ext 3 to speak with someone to get more health via the Suicide & Crisis lifeline
• For Perinatal mental health resources, call: 1-800-944-4773 or text “help” to 1-800-203-7773


ABC Custom Breast Prothesis for women following a mastectomy, reconstruction, or breast conserving surgery?
Call now to find out if the ABC Custom Breast Prosthesis is right for you.

By Marc P. Stanard, DDS, PC
inflammation. Additionally, hormonal changes can affect the body’s response to toxins produced by plaque, leading to an exaggerated reaction in the gums.
Symptoms To Watch For
Pregnancy brings about significant changes in a woman’s body, including hormonal fluctuations that can impact oral health. One common issue is hormonal gingivitis, a condition characterized by inflammation of the gums due to increased hormone levels. This article aims to educate expectant mothers on the causes, symptoms, and preventive measures for hormonal gingivitis, ensuring a healthy pregnancy and maintaining optimal dental health.
Causes Of Hormonal Gingivitis
During Pregnancy
During pregnancy, the body experiences a surge in hormones, particularly progesterone and estrogen. These hormones can increase blood flow to the gums, making them more sensitive, irritable, and prone to
Recognizing the symptoms of hormonal gingivitis is crucial for timely intervention. Common signs include:
Red, Swollen Gums: The gums may appear more red and swollen than usual.
Bleeding Gums: Gums that bleed during brushing or flossing.
Tenderness: Increased sensitivity and tenderness in the gums.
Bad Breath: Persistent bad breath, despite regular oral hygiene practices.
Preventive Measures
Maintaining good oral health during pregnancy is essential to prevent hormonal gingivitis. Here are some effective strategies:
Regular Dental Visits: Schedule dental check-ups before and during pregnancy. Inform your dentist about

your pregnancy so they can provide appropriate care.
Proper Oral Hygiene: Brush your teeth twice a day with fluoride toothpaste and floss daily to remove plaque and prevent gum disease.
Healthy Diet: Consume a balanced diet rich in vitamins and minerals, particularly vitamin C and calcium, which are essential for gum health.
Stay Hydrated: Drink plenty of water to help rinse away food particles and bacteria, promoting overall oral health.
If you develop hormonal gingivitis during pregnancy, don’t panic. There are steps you can take to manage the condition effectively:
Enhanced Oral Care: Be diligent with your oral hygiene routine, ensuring thorough brushing and flossing to remove plaque.
Dental Cleanings: Schedule professional cleanings to remove tartar and plaque buildup that can exacerbate
gum inflammation. Rinse with Saltwater or Chlorhexidine prescription antibacterial rinse: This can help reduce inflammation and soothe irritated gums.
Gross debridement, selective deep cleaning, or in the case of a pregnancy tumor (that results from very lacking plaque home care), surgical removal of grossly enlarged and inflamed gum preferably performed in the second trimester of pregnancy (extreme case).
Hormonal gingivitis is a common yet manageable condition during pregnancy. By understanding its causes, recognizing symptoms, and taking preventive measures, expectant mothers can maintain good oral health and ensure a healthy pregnancy. Regular dental visits, proper oral hygiene, and a balanced diet play crucial roles in preventing and managing hormonal gingivitis. If you experience any symptoms, consult your dentist promptly for appropriate care and guidance.
Maintaining good dental hygiene is crucial, and Dr. Marc Stanard, a periodontist and specialist in surgical implant dentistry, can help you achieve healthy teeth comfortably. We offer a wide range of specialized procedures and services to cater to your periodontal needs, such as bone surgery, scaling, and root planing, gum grafts, crown lengthenings, and sinus lifts.
Marc P. Stanard, DDS
• We provide advanced, affordable dental care tailored to meet your unique needs.
• Our team offers oral hygiene instruction and education on gum disease, bone loss, and other dental health conditions.
• Dr. Marc Stanard has decades of experience and a passion for his work, and he’s earned numerous designations, affiliations, and awards, including Top DDS by Washingtonian and high ratings on Google and Yelp.
• Our office is friendly and welcoming, making it the perfect place to receive top-quality dental care.





When you look in the mirror, what you see often affects how you feel. Signs of premature aging, a scar from an accident or a birth defect can cause unhappiness for some. A facial plastic surgeon can, in many cases, make you feel more comfortable and confident about your appearance. It’s all about choosing the one that’s right for you.
When you look in the mirror, what you see often affects how you feel. Signs of premature aging, a scar from an accident or a birth defect can cause unhappiness for some. A facial plastic surgeon can, in many cases, make you feel more comfortable and confident about your appearance. It’s all about choosing the one that’s right for you.
When you look in the mirror, what you see often affects how you feel. Signs of premature aging, a scar from an accident or a birth defect can cause unhappiness for some. A facial plastic surgeon can, in many cases, make you feel more comfortable and confident about your appearance. It’s all about choosing the one that’s right for you.
When you look in the mirror, what you see often affects how you feel. Signs of premature aging, a scar from an accident or a birth defect can cause unhappiness for some. A facial plastic surgeon can, in many cases, make you feel more comfortable and confident about your appearance. It’s all about choosing the one that’s right for you.
Dr. Taylor is an expert who is trained to perform cosmetic and reconstructive surgery and procedures on the face, head and neck.
He has had six years of surgical training specializing in the face, head and neck, a fellowship in Facial Plastic and Reconstructive Surgery and 21 years of experience. Establishing a relationship, defining expectations ahead of time with his patients along with Dr. Taylor’s skill and experience are all-important factors that ensure successful results and satisfied patients.
Dr. Taylor is an expert who is trained to perform cosmetic and reconstructive surgery and procedures on the face, head and neck. He has had six years of surgical training specializing in the face, head and neck, a fellowship in Facial Plastic and Reconstructive Surgery and 21 years of experience. Establishing a relationship, defining expectations ahead of time with his patients along with Dr. Taylor’s skill and experience are all-important factors that ensure successful results and satisfied patients.
Dr. Taylor is an expert who is trained to perform cosmetic and reconstructive surgery and procedures on the face, head and neck. He has had six years of surgical training specializing in the face, head and neck, a fellowship in Facial Plastic and Reconstructive Surgery and 21 years of experience. Establishing a relationship, defining expectations ahead of time with his patients along with Dr. Taylor’s skill and experience are all-important factors that ensure successful results and satisfied patients.
Dr. Taylor is an expert who is trained to perform cosmetic and reconstructive surgery and procedures on the face, head and neck. He has had six years of surgical training specializing in the face, head and neck, a fellowship in Facial Plastic and Reconstructive Surgery and 21 years of experience. Establishing a relationship, defining expectations ahead of time with his patients along with Dr. Taylor’s skill and experience are all-important factors that ensure successful results and satisfied patients.
ng with Care & Compassion for Optimal Results
Healing, Enhancing, Advancing with Care & Compassion for Optimal Results
Healing, Enhancing, Advancing with Care & Compassion for Optimal Results
Cosmetic Surgical Procedures
Healing, Enhancing, Advancing with Care & Compassion for Optimal Results
Nonsurgical Services
Nonsurgical Services
Reconstructive Surgical Procedures
Reconstructive Surgical Procedures
Rhinoplasty (Nose Reshaping)
Cosmetic Surgical Procedures
Cosmetic Surgical Procedures
Rhinoplasty (Nose Reshaping)
Blepharoplasty (Eyelid lift)
Rhinoplasty (Nose Reshaping)
Facelift
Blepharoplasty (Eyelid lift)
Blepharoplasty (Eyelid lift)
Facelift
Browlift
Facelift
Browlift
Browlift
Facial implants: Chin/Cheek
Facial implants: Chin/Cheek
Facial implants: Chin/Cheek
Facial implants: Chin/Cheek
Otoplasty (for protruding ears)
Otoplasty (for protruding ears)
Otoplasty (for protruding ears)
Otoplasty (for protruding ears)

Obagi Skin Care System
Nonsurgical Services
Obagi Skin Care System
Nonsurgical Services
Split Earlobe Repair
Split Earlobe Repair
Reconstructive Surgical Procedures
Reconstructive Surgical Procedures
Obagi Skin Care System
Obagi Skin Care System
Facial Fillers: Restylane/Perlane
Facial Fillers: Restylane/Perlane
Microdermabrasion
Microdermabrasion
Facial Fillers: Restylane/Perlane
Facial Fillers: Restylane/Perlane
Botox/Dysport
Microdermabrasion
Botox/Dysport
Microdermabrasion
Xeomin
Xeomin
Botox/Dysport
Botox/Dysport
Radiesse/Restylane
Xeomin
Xeomin
Radiesse/Restylane
Radiesse/Restylane
Radiesse/Restylane
Management & Excision of keloids
Split Earlobe Repair
Split Earlobe Repair
Management & Excision of keloids
Skin Cancer removal and reconstruction
Management & Excision of keloids
Management & Excision of keloids
Skin Cancer removal and reconstruction
Skin Cancer removal and reconstruction
Skin Cancer removal and reconstruction
301.897.LVLV (5858)
301.897.LVLV (5858)
The Champlain Building 6410 Rockledge Drive, Bethesda, MD www.levisageface.com
The Champlain Building 6410 Rockledge Drive, Bethesda, MD www.levisageface.com
301.897.LVLV (5858) The Champlain Building 6410 Rockledge Drive, Bethesda, MD www.levisageface.com
301.897.LVLV (5858) 10215 Fernwood Road, Suite #401, Bethesda, MD 20817 www.LevisageFace.com



By Lubrina Bryant, DPM District Podiatry, PLLC
Experiencing pain in the pinky toe can be discomforting, yet understanding the causes behind it can offer clarity and relief. One common culprit is wearing ill-fitting footwear, particularly shoes that are too narrow or have inadequate toe space, which can compress the pinky toe and lead to friction and discomfort. Additionally, repetitive activities such as running or walking long distances can strain the muscles and joints in the pinky toe, resulting in pain and inflammation. Injuries such as stubbing the toe or dropping a heavy object on it can also cause acute pain and swelling.
Moreover, conditions like bunions or hammertoes can affect the alignment of the toes, putting extra pressure on the pinky toe and causing pain over time. Understanding the diverse causes of pinky toe pain empowers individuals to take proactive measures, such as wearing properly fitting shoes, and practicing good foot hygiene. If your pinky toe hurts, it is suggested that you contact a podiatrist who can determine what the cause is, and offer appropriate treatment options.
Toe pain can disrupt your daily activities. If you have any concerns, contact Dr. Lubrina Bryant of District Podiatry, PLLC. Our doctor can provide the care you need to keep you pain-free and on your feet.
Most severe toe pain is caused due to a sports injury, trauma from dropping something heavy on the toe, or bumping into something rigid. Other problems can develop over time for various reasons.
Toe pain can be caused by one or more ailments. The most common include:
• Trauma
• Sports injury
• Wearing shoes that are too tight
• Arthritis
• Gout
• Corns and calluses
• Hammertoe
• Bunions
• Blisters
• Ingrown toenails
• Sprains
• Fractures (broken bones)
• Dislocations
When To See a Podiatrist
• Severe pain
• Persistent pain that lasts more than a week
• Signs of infection
• Continued swelling
• Pain that prevents walking
• Diagnosis
In many cases the cause of toe pain is obvious, but in others, a podiatrist may want to use more advanced methods to determine the problem. These can range from simple visual inspections and sensation tests to Xrays and MRI scans. Prior medical history, family medical history, and any recent physical traumatic events will all be taken into consideration for a proper diagnosis.
Treatments for toe pain and injuries vary and may include shoe inserts, padding, taping, medicines, injections, and in some cases, surgery. If you believe that you have broken a toe, please see a podiatrist as soon as possible.
If you have any questions please feel free to contact our office located in Washington, D.C . We offer the newest diagnostic tools and technology to treat your foot and ankle needs.


COSMETIC SURGERY
• Breast Augmentation
• Abdominoplasty (Tummy Tuck)
• Liposuction
• Hair Transplants
• Mommy Makeover
• Facial Surgery
NON-INVASIVE TREATMENTS
• Botox®, Dysport®, Xeomin®*
• BellaFill®
• Juvederm*
• Restylane®*
• TempSure Envi
• Endermologie
• Zerona
• Lipolight
LASER TREATMENT
• Hair Removal
• Vein Treatment
• Laser Resurfacing
WELLNESS SERVICES
• Bioidentical Hormones (BHRT)
• ED Treatment for Men
• Medical Weight Loss


4407 Willard Avenue Chevy Chase, MD 20815 (Across from the Friendship Heights Metro) Dr.
H. Michael Rassael
By Karl A. Smith, DDS, MS ditions
A smile is the first impression that communicates a woman’s happiness and confidence; if you wish to keep your winning smile out in front, you will want to take special care of what’s behind it – your periodontal (gum) health.
Periodontal health is connected to a woman’s overall health. As your health care needs change throughout your life, during puberty, pregnancy, and menopause, your oral care needs may change.
Hormonal fluctuations during these times may affect your gum tissue and the underlying bone that support your teeth. These changes may increase your susceptibility to periodontal disease and require you to take special care of your oral health.
Gum Care During Puberty
When a young woman enters puberty, the production of sex hormones, such as progesterone and estrogen increase. Studies show that these elevated hormone levels may cause gum sensitivity and lead to a greater reaction to any irritation, including food particles and plaque. During this time, the gums can become swollen, turn red, and may feel tender.
Menstruation and Gingivitis
During menstruation, some women may experience gingivitis. This condition may cause gingival (gum) bleeding, redness or swelling of the gums, sores on the inside of the lip and cheek, a slight burning sensation or gum discomfort. It is important to maintain good oral health during these hormonal fluctuations. However, in some cases, periodontal treatment and antimicrobial agents may be recommended to ensure that your periodontal health is at its best.
Pregnancy and Gum Disease
If you are pregnant, or planning to become pregnant, you need to know that your periodontal health can affect your pregnancy and ultimately the health of your baby. Studies have shown that any infection, including gum infection during pregnancy, may put you at a significant risk of delivering a preterm, low birth weight baby.
If you are already pregnant and have been diagnosed with periodontal disease by your general dentist, a simple non-surgical procedure called scaling and root planning performed by an experienced periodontist may significantly reduce your chances of complications.
Medications Including Oral Contraceptives
Birth control pills may make you susceptible to oral health con-
that affect pregnant women. Synthetic hormones in the oral contraceptives are designed to mimic pregnancy and may cause your gums to turn red, bleed, and swell.
Also some commonly prescribed medications such as antidepressants and certain heart medications may cause dry mouth, increased plaque build-up and enlarged gum tissue. These conditions frequently result in bacterial infections under the gum line causing bleeding gums and bad breath. Make an appoint-
ment and speak with your periodontist if you are experiencing these symptoms.
During menopause or postmenopause, you may notice a change in the way your mouth looks or feels. You may, for example, experience discomfort including pain, burning sensations in the gums tissue, mouth sores or apthous ulcers, and altered tastes. Saliva substitutes are available from your periodontist to help

lessen the effects of a “dry” mouth that many women experience. Postmenopausal women may significantly reduce tooth loss by controlling their periodontal disease, especially if diagnosed with osteoporosis.
Diligent at-home oral hygiene, professional cleanings, and periodontal evaluations are an essential part of your overall health care.
Make an appointment for a periodontal evaluation with an experienced periodontist today.



Our patients mean the world to us (and they love to refer to us as friends and family). My team works together to ensure your visit is enjoyable, and that your treatment is gentle and pain-free. We are deeply committed to help you prevent and treat periodontal (gum) disease, and to enhance your smile to improve your overall health.




Submitted By Sivakumar Sreenivasan, DMD, MDS
Dental Implant Center of Rockville
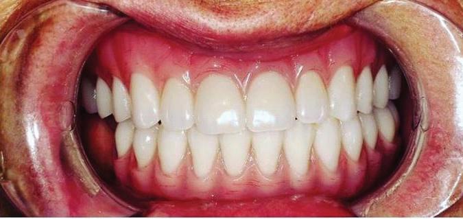
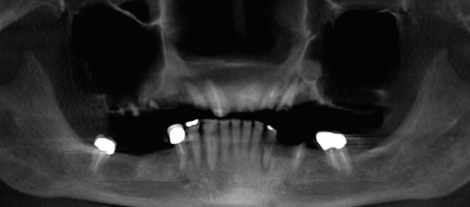
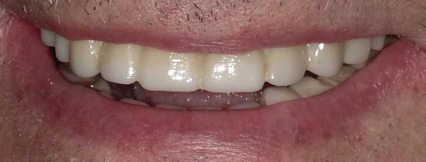
Can just four implants replace all of the teeth on the top or the bottom of your mouth? Thanks to advances in dental implant technology, that answer is a resounding yes.
Believe it or not, tooth loss is extremely common among adults, especially as we age. In fact, more than 35 million people in America are missing all of their upper and/or lower teeth. Rather than living with the discomfort and hassles of dentures, many people are opting for what is called “all-onfour” dental implant restoration.
All-On-Four: One Full Arch Of Teeth, Four Dental Implants
To fully understand this remark-
able technique for replacing teeth, you should first understand what a dental implant is. An implant is a small titanium screw that fits inside your jawbone and replaces the root-part of a missing tooth. Minor surgery is required to insert the implants. Once the implant is in place, a crown is attached to give you a highly realistic-looking and functional prosthetic tooth.
Here’s where it gets really interesting: You do not need a dental implant for each and every one of your missing teeth. All you need is four precisely placed implants on the top of your mouth, and four on the bottom, to restore your full smile. That’s the beauty of the all-on-four. And because the implant is made of titanium, it has the unique ability to fuse to living bone and function as part of it. So eventually, the dental implant becomes part of the jawbone and serves as a strong, long-lasting foundation for your new teeth.
Besides ensuring that your implants are permanently fixed in place,


Missing Teeth or Tired of Wearing Dentures?
Thanks to advances in dental implant technology, just four implants can replace all of the teeth on the top or the bottom of your mouth.
this bone fusion has another important benefit: it prevents future bone loss in the jaw. This helps to maintain a more youthful facial structure – and better oral health. But perhaps the biggest surprise about the all-on-four is how quickly it can transform your life.
What’s The All-On-Four Dental Implant Procedure Like?
It can be scary to get implants for the first time. Most of that fear is probably due to the uncertainty, so here is the step-by-step process for getting an All-On-Four dental implant.
First, your dentist will want to make sure your comfortable, so either local or general anesthesia will be administered.
Second, the dentist or surgeon will prepare your mouth for the implants, which involves removing your remaining teeth that are failing. They will then remove any diseased or infected tissue from your jaw and gums.
Next, they will begin the implantation process. This means they will



insert the titanium screws into your jawbone. Most likely, they will place two implants toward the front of your mouth and two towards the back of your mouth so the “anchors” can evenly bare the force of the denture.
After the implants have been placed, they will thoroughly clean the surgical sites and suturing all the incisions. Then you’ll be taken to a recovery room where you can relax and take time to wake up from the anesthesia.
How Do You Know If The All-On-Four Procedure Is The Right Option For You?
At your All-On-Four consultation, you’ll receive a 3D CT Scan. This scan will help determine if you need implants and assist your doctors in creating your treatment plan. So if you want to learn more about dental implants, simply schedule a consultation with an All-On-Four provider. It’s the best way to find out how dental implants can change your life.


Maintaining and restoring the best you.
Primary and Urgent Care
Same Day or Next Day appointments
• Providing efficient medical care for your non-life threatening medical needs. We work alongside your primary care doctor to maintain and restore the best you!
• We hire from the local community
• Our care team shares the passion for delivering care to underserved, marginalized communities. “You


• Women 18-65 y/o
• Protective style wearers
• Natural hair wearers
• Hair loss conditions
• Dandruff
• Dry Scalp
• Help us develop effective solutions tailored to the unique needs of curly hair
• Contribute to cutting-edge research aimed at hair and scalp health
• Receive personalized care and attention from our expert dermatologists
• Receive compensation for your time and commitment to the study
CONTACT US TO LEARN MORE AND SEE IF YOU QUALIFY Callender Center for Clinical Research 12200 Annapolis Road, Suite #315, Glenn Dale, MD 20769 301-249-0970 ext. 1520 clinicalresearch@CallenderSkin.com


By Yemi Adesanya-Famuyiwa, MD Montgomery Fertility Center
Cesarean sections are usually done in over 20% of deliveries globally. In the US, nearly a third of deliveries are by cesarean (31.9% in 2018), with rates above 36.0% in several states.
In the three years following first childbirth, women who delivered their first child by cesarean had lower rates of conception after unprotected
intercourse, and fewer of these women had a second child than those who delivered vaginally.
There can be sequelae from cesarean delivery on subsequent ability to conceive. These sequelae are magnified in the presence of a cesarean section scar also called a niche or a cesarean-induced isthmocele.
A niche as defined by their European niche task force as an indentation of the uterine myometrium of at least 2 mm at the site of the cesarean scar assessed by transvaginal ultrasound. The diagnostic criterion of the niche includes a hypoechoic space failed with postmenstrual blood most typically in a triangular shape reflecting a discontinuation of the myometrium at the site of the previous cesarean section. A large niche is defined as an incision of a depth of at least 50-80% of the anterior myometrium, or the
Please see “Cesarean Section,” page 38

Our mission is to assist our patients in creating the families of their dreams, whether it be at the present or to maintain the possibility in the future.
Medical Director Dr. Famuyiwa, a double board certified fertility specialist and an advocate for personalized holistic fertility care, is at the forefront of providing state-of-the-art care based on emerging and advanced new technologies in the most compassionate of manners.


Dr. Wolcott received his DDS degree from the University of Maryland School of Dentistry & keeps up-to-date on the latest dental trends through continued education. He has over 25 years of experience in the placement & restoration of broken, damaged & missing teeth.


Dr. Poupard, who is fluent in French, received dual DDSs from Paris Descartes University & University of Maryland School of Dentistry, where she also completed a one–year residency in General Dentistry. Dr. Poupard actively embraces new & improving technology & advances in dentistry through continuing education.
Dr. Centty, who is fluent in Spanish, received dual DDSs from Cayetano Heredia University & University of Maryland School of Dentistry, where she also received her
in Advanced
Dentistry. Dr. Centty remains abreast of the





Choose Adventist Medical Group Primary Care in Fort Washington, Maryland, to provide a full range of primary care services for adults.
Learn to better manage your health and prevent illnesses with personalized care from our experienced, primary care providers. Our specialists in family medicine and internal medicine work as a team to deliver expert care when you need:
• Same-day Sick Visits
• Women’s and Men’s Health and Wellness Exams
• Health Physicals, Health Maintenance and Preventive Care
• Geriatric (Senior) Wellness Exams
• Vaccinations and Immunizations, including Flu Shots
• Health Management for:
• Asthma and Allergies
• High Blood Pressure
• High Cholesterol
• Diabetes
• Heart Disease
You also benefit from coordinated care that helps you effectively handle all aspects of your health—from preventive medicine and preoperative appointments to management of chronic health conditions.
To schedule an appointment, please call 240-724-6018 10709 Indian Head Highway, Suite D1 Fort Washington, Maryland 20744 AdventistMedicalGroup.org
Submitted by WeDo Aesthetics
Dermal fillers have become increasingly popular in recent years as a non-invasive way to rejuvenate the skin and achieve a more youthful, refreshed appearance. These injectable treatments offer a range of benefits that can help address common signs of aging such as fine lines, wrinkles, and loss of volume in the face. In this article, we will explore some of the top benefits of dermal fillers for achieving rejuvenated skin.
One of the key benefits of dermal fillers is their ability to instantly add volume to the skin, helping to smooth out fine lines and wrinkles. As we age, our skin naturally loses collagen and elastin, which are essential proteins that keep our skin plump and youthful. Dermal fillers help to replenish these lost proteins by injecting a gel-like
substance into the skin that fills in lines and wrinkles, resulting in a smoother, more youthful appearance.
In addition to filling in lines and wrinkles, dermal fillers can also help to enhance and define the contours of the face. By strategically injecting fillers into areas such as the cheeks, lips, or jawline, a skilled injector can create a more balanced and symmetrical appearance. This can help to restore lost volume in areas that have started to sag or flatten over time, giving the face a more lifted and youthful look.
Another benefit of dermal fillers is their long-lasting results. While the exact duration of the effects will vary depending on the type of filler used and the individual’s metabolism, most fillers can last anywhere from six months to two years. This means that patients can enjoy the benefits of smooth, youthful-looking skin for an
Please see “Dermal Fillers,” page 38





By Toni Greene, Owner Happy Hour Yoga on Zoom!
A glow as bright as gold. Sound bathing is an intentional act where you absorb the sounds around you from Tibetan bowls, rain sticks, tuning forks, and other natural-sounding instruments.
Sound bathing is an aid for your health and well-being. It goes beyond hearing and listening; it is becoming one with the sound. Sound frequency engages the mind, body, and spirit, aiding in healing and happiness. Happiness is healing, and focusing on happy thoughts and mindful concepts enhances this effect.
Sound bathing is centuries old. It is a form of meditation where you meditate on the experience, waves, vibrations, and frequency.
Sound bathing is a spiritual cleansing; it is an awareness. It’s like a wash, a bath with instruments. It has a cleansing sound. Sound bathing creates change and brings about a balance of energy. It has no melody or hook, allowing the brain to release thoughts, emotions, and feelings. These sounds resonate within the seven main centers in the body called chakras. When the sound penetrates each chakra center, either together or separately, it brings about a clearing that creates harmony. It removes discordance from your energy field.
Yoga and acupuncture also help to open energy blocks. However, the sound bath relaxes and brings about physical and emotional healing. Sound therapy has its roots in science, based on the principles of quantum physics and sacred geometry. Western medicine also uses sound waves daily in the form of ultrasound. In some cases, ultrasound is used to break up kidney stones and other things in the body.
Sound bathing resonates with the different organs of the body’s emotions, illnesses, diseases, and trauma.
It is comforting, meditative, and relaxing, and you’re usually lying down, listening to soothing, echoing sounds from the Tibetan bowls. The sound from the bowls is known to relieve stress, anxiety, depression, and pain. Soaking in sound helps you to create the healing your body needs. Sound is music therapy.
It has a way of relaxing you, enabling you to float into the pureness within yourself. It is an experience where you are immersed in the deep sound of vibrations that penetrate the energy centers.
Sound bathing releases stuckness from the seven main chakras and sub-chakras according to the flow of energy in your body.
Sound baths are for everyone, at any stage of your life. Sound baths are very beneficial for pregnancy, prehab, rehab, old and young people, and people experiencing diseases, illnesses, and trauma.
Sound baths can also help you connect to your inner self. With sound bathing, it’s easier to relax, especially if you have difficulties relaxing in
meditation. It helps you to control your excessive thinking, making it easier for you to let go and let the sound in. The different frequencies of sound create personal therapy, thereby creating a game-changer for the individual.
To Experience a Sound Bath
You can come to Happy Hour Yoga every 3rd Wednesday of the month, where the lights are dim and aroma fills the room, creating a very comfortable and safe place. The temperature for your bath is perfect for you.
For your bath, it is advised that you make a commitment to show up. Wear comfortable clothing—you can sit or lie down, whichever makes you comfortable. Invite a friend to share your experience with.
In sound bathing, simply become one with the sound. Let go of the thinking. The temperature is right for your body. Lie on your back and soak in the vibrations and frequency so that the mind and body can relax and heal.
Namaste












Dr. Brown’s practice focuses on TMJ, sleep apnea and orthodontics. This allows Dr. Brown and his team to provide individualized, focused care for patients dealing with these specific issues. Every day, his practice helps patients of all ages with facial development, sleep issues, chronic headaches, migraines, neck pain, movement disorders, and much more. His training also includes multiple disciplines involving the cranial bones in the skull, and the discs in the jaw joints. Through treatment, Dr. Brown is able to reduce these symptoms, align cranial bones, avoid extractions, and greatly reduce the need for traditional braces. His expertise allows him to identify issues early on which promotes proper facial development using dental appliances. If there is an internal imbalance, whether an adult or child, the body does not develop or function properly. When the cranial bones are lined up correctly, patients are able to function, sleep and generally live better.
With that in mind, the team at Sleep & TMJ Therapy takes a whole-body approach when treatment planning. They work hand in hand with physical therapists and osteopathic doctors for a better success rate. Dr. Brown is devoted to helping patients of all ages live a symptom free life.
Degrees & Certifications
Dr. Brown earned his degree from Georgetown Dental School and completed residencies with Emory University Hospital for Dental Sleep Medicine and the ALF Appliance Therapy Institute.
Outside the Office
When not seeing patients, Dr. Brown is a sought-after speaker. He has lectured all over the world, including D.C., Dubai, Seoul, London, Norway and Toronto. He has also been featured on Channel 9’s Good Morning Washington, several podcasts, and numerous magazines and journals.
Professional Affiliations
Dr. Brown is a diplomate of the American Academy of Craniofacial Pain, a member of the American Academy of Dental Sleep Medicine, American Academy of Gnathological Orthopedic, Academy of Integrative Pain Management American Dental Association, a Fellow of the American Academy of Craniofacial Pain, and Legacy Provider for the ALF Interface Academy.
Do you have TMD or Sleep Apnea?
TMD Symptoms: Noise in the jaw joints when opening and closing your mouth, difficulty chewing, limited opening, tender facial muscles, ear ringing, uncomfortable bite, jaw locking, headaches, migraines, dizziness, vision issues as well as pain in the jaw area which can radiate to the ears, head, neck, shoulders, and back.
Sleep Apnea Symptoms: Snoring, waking up gasping for air, feeling tired and irritable in the morning, difficulty controlling weight, concentration problems, morning headaches, episodes of not breathing, waking with a sore throat, forgetfulness and mood changes. If you believe you may be suffering from TMD or Sleep Apnea, don't wait... Call today to schedule a consultation with Dr. Brown: 703-821-1103.

Raised in Severna Park, MD, Dr. Shawn Samad is the proud son of Fred and Mary Samad, a working class couple that raised their children in a humble household. Dr. Samad grew up to be an avid sports fan. He still plays soccer regularly and is a HUGE Ravens fan!
He went to college in Westminster, MD, where he received his Bachelor of Science degree with majors in Biology and Chemistry with a special focus on Physics. He then continued his education at UMBC where he worked on a Masters degree in Biology. And finally attended University of Maryland School of Dentistry where he received his Doctor of Dental Surgery (DDS) degree.
Although he has achieved one of the highest educational degrees, he still continuously partakes in Continuing Education (CE) regularly to learn about all of the newest, latest, and greatest techniques and technology. He has received extensive training and experience in Cosmetic Dentistry, Endodontics (Root Canals), Oral Surgery, Implantology, and Invisalign Orthodontics. His belief is Knowledge is Success!!
And it must be mentioned that his office is filled to the teeth (Pun intended) with world class, state of the art, technology in a modern and sophisticated office layout. Dr. Samad’s motto in his work is, “Changing lives, one tooth at a time.” Come on in and meet him. You won’t be disappointed!



Oral and Maxillofacial Surgeon Diplomate, American Board of Oral & Maxillofacial Surgery
DMD, MDS • OMFS, MD, PA
77 South Washington Street Suite #205, Rockville, MD
www.OMFSMD.com

Meet Dr. Sreenivasan:
Dr. Sreeni came to the United States as an Oral and Maxillofacial Surgeon in the year 1990 and put himself through dental school again at Boston University and Oral and Maxillofacial Surgery residency at University of Medicine and Dentistry of New Jersey.
As an Oral and Maxillofacial Surgeon, Dr. Sreeni manages a wide variety of problems relating to the Mouth, Teeth and Facial Regions. He practices a full scope of Oral and Maxillofacial Surgery with expertise ranging from Corrective Jaw Surgery to Wisdom Teeth Removal. His passion is in implant surgery and he is well known for same day placement of implants following teeth removal be it for single teeth or a complete “makeover” (Smile in a day). He can also diagnose and treat Facial Pain, Facial Injuries and TMJ disorders and perform Bone Grafting and Sinus lift procedures.
Dr. Sreeni completed a residency in Anesthesiology at Mount Sinai Hospital, New York in 1994 and has worked as an Attending providing anesthesia services for children and adults in the ambulatory out-patient center of the hospital.
Dr. Sreeni is an Advanced Cardiac Life Support instructor with the Adventist group. He is also certified in Pediatric advanced life support and is very capable of handling emergencies that could possibly arise in the office. Dr. Sreeni’s staff are trained in assisting with IV Sedation/General Anesthesia within our state of the art office setting. Patients are continuously monitored during and after surgery. The goal of our office is to provide professional service with compassion and an understanding of the patients’ perspective.


Dr. Shin is the founder and president of BCC Pediatric Dentistry. She is a Board-Certified Pediatric Dentist with more than 20 years of practice experience. Among other awards and recognitions, Dr. Shin has been selected by her peers as a Washingtonian Top Pediatric Dentist and a Bethesda Magazine Top Pediatric Dentist.
Dr. Shin’s experience spans a diverse range of locations, settings, and organizations. She was Associate Professor of Pediatric Dentistry for the Advanced Post-Graduate Pediatric Dentistry Residency at the University of Southern California (USC). Dr. Shin practiced pediatric dentistry at a Native American Reservation in Montana. After 911, she joined the Army and served as an active-duty military officer and pediatric dentist at Walter Reed Army Medical Center, in Washington DC. Dr. Shin was also the first Korean-American female to hold the position as the division head of the Pediatric Dentistry and Orthodontic Dental Clinic at the Children’s Hospital of Los Angeles. These and other positions throughout the years have provided Dr. Shin with invaluable pediatric dentistry experience and unique expertise. Most of all she loves children, likes to make them laugh, and is constantly trying to learn more about them and their accomplishments. That includes her patients and her son, daughter, grandkids, and your child too!


Sonya Worthy Okolo, PT, a native of Asheville, NC, is a highly experienced physical therapist with over 25 years of practice. A graduate of the University of Maryland Baltimore, Sonya’s career took a significant turn after her own experience with birth trauma, sparking a deep interest in pelvic floor therapy and maternal healthcare. Driven by a passion for prevention and recovery, she founded Oasis PT & Pelvic Health, a clinic dedicated to providing comprehensive and compassionate care. Sonya possesses a multi-system skill set that includes functional and sports-specific training, advanced manual therapy, visceral mobilization, myofascial release, and instrument-assisted soft tissue and joint mobilization. She has extensively trained in pelvic health through the Herman & Wallace Pelvic Rehab Institute and other leading experts in the field. Since 2016, she has specialized exclusively in pelvic health, offering services from fertility optimization, birth doula support, through postpartum and beyond.
As a holistic practitioners, Sonya & her team integrate a personcentered model of care, emphasizing the mind-body connection and a multidisciplinary approach to health. Their practice is rooted in a trauma-informed perspective, ensuring a safe and nurturing environment for all patients. At Oasis, Sonya and her team provide expert, individualized care for chronic pain, bladder and bowel problems, sexual issues, and other pelvic health concern.

Dr. Garima Talwar specializes in Full Mouth Reconstructive and Implant Dentistry. She brings 25 years of experience to Northern Virginia, and has been recognized as one of the best Prosthodontists by “Top Dentist” and Washingtonian magazine, and by her peers.
Her state-of-the-art facilities in Asburn and Leesburg offer comprehensive Full Mouth Reconstruction with laser-assisted procedures and oral/intravenous sedation.

Foot doctor Lubrina Bryant, DPM is dedicated to getting to the root of your foot or ankle problem.
District Podiatry, PLLC specializes in general foot and ankle care. Having chronic foot and ankle pain can affect the quality of your life and finding the right foot and ankle specialist can be just as difficult. We know how hectic life can be and we are committed to making our practice and care convenient and accessible.
We accept most insurance plans and welcome new patients! From routine checkups to minor foot surgery, Lubrina Bryant, DPM is a podiatrist who is equipped to handle all your foot and ankle needs.
Services Include: Routine Foot Care, Diabetic Foot Care, Wart Removal, Ingrown Toenails, Foot, Ankle or Heel Pain, Toenail Fungus, and Bunions.
Where You Can Find Me Making A Difference: District Podiatry, PLLC
P: 202-388-5303
1647 Benning Road, NE, Suite #301, Washington, DC www.DistrictPodiatry.com


Family dentistry has been a way of life for me, and the passion for caring for children is in my genes. My mother, Dr. Lynda Dean-Duru, also a pediatric dentist, was my first inspiration towards family dentistry. Having started my journey in family care working as a pediatric dental assistant at Ashburn Children’s Dentistry, I spent many summers as my mother’s mentee. Watching what seemed like magical healing art she deployed while treating her patients and knowing the need and the power of proactive preventive dental health for children, I chose a career specializing in pediatric dentistry. It is an honor to join my mother in practice at Ashburn Children’s Dentistry where I get to fulfill my commitment to helping each child and parent have a positive and transformative dental experience, with compassion and fun! Having matured as an integrative laser pediatric dental surgeon and absorbing the ethos of Ashburn Children’s Dentistry, I work tirelessly to stay abreast of emerging research, and improve the quality of life for children by learning from the world’s leading researchers and clinicians. Through these means, we are continually integrating critical aspects of oral structure, craniofacial development, and its impact on the pediatric airway in the service of providing optimal patient outcomes. Caring for children is so powerful and rewarding and with that, understanding the importance of utilizing gentle and minimal intervention therapies. Treating the source of their issues—instead of the symptoms—and focusing on early prevention, has been critical to my role in educating parents and assisting their blossoming child’s development into a healthy and resilient adult.
I hold an undergraduate degree from Columbia University in New York, where I studied Psychology. I received a Doctorate of Dental Surgery from Virginia Commonwealth University in Richmond, VA and completed my Pediatric Residency at Interfaith Department of Dental Medicine in Brooklyn, NY, where I served in a leadership role as Chief Resident. Board Certified, I am a proud Diplomate of the American Board of Pediatric Dentistry.
When not helping my young patients build happy smiles, I enjoy spending time with family and friends, growing in my faith, improving my dancing skills, learning boxing moves, traveling — and cheering on Washington sports teams!
“Dr. Krystle,” as she is known by her patients, is thrilled to join her mom, Dr. Lynda, in practice. Patients and parents compliment her fun, compassionate approach. They are also impressed by her commitment to helping each child and parent have a positive dental experience. Having matured as a dental surgeon, she is constantly working to enhance her capabilities in the field.
Where You Can Find Me Making A Difference: Ashburn Children’s Dentistry
P: 703-723-8440
44025 Pipeline Plaza, Suite #225, Ashburn, VA www.KidzSmile.com


Dr. Lynda Dean-Duru over the last twenty years has built one of the most progressive pediatric dental practices in Northern Virginia. Based in Ashburn, her Ashburn Children’s Dentistry practice serves thousands of families and stays on the cutting edge of Integrative wholistic airway-focused preventative dentistry.
For Dr. Dean-Duru, the pathway to dentistry stemmed from her childhood experience with a dentist in her native Nigeria. As the eldest of nine children (including seven brothers), she witnessed a total transformation in the health of one of her little brothers after his aches and pains were totally resolved under the care of a well-trained dentist. She determined, as a result of that experience, to extend that kind of care to others as her life’s calling.
Her decades of study and practice have led Dr. Lynda to this focus. She holds her dentistry degree from the University of Benin, her General Practice residency from Howard University Hospital, her Pediatric Dentistry Specialty Training from Children’s National Medical Center, her Board Certification from the American Board of Pediatric Dentistry, and her Fellowship Laser Certification from the Academy of Laser Dentistry. She has undertaken numerous continuing education courses in Orthodontic training and is a fellow of the United States Dental Institute and a member of the prestigious Gnathos Orthodontic education group in Atlanta, GA. She holds a Certification in Orofacial Myology from the International Association of Orofacial Myology (IAOM). She has completed all 3 levels of the ALF Education Institute (Advanced Light Force Functionals (Quantum ALF) program, ALF Interface Academy Foundations, Genesis, Grow, Smilelase (Oralase / Babylase), Airway Collaborative Mini Residency, Pediatric Airway Mini Residency and other courses.
She is a member of numerous professional and civic associations and provides tens of thousands of dollars in pro bono screenings and procedures along with other community service in Northern Virginia every year.
Dr. Dean-Duru and her family live in the Ashburn/Leesburg area. Her daughter, Krystle, followed in her footsteps as a Pediatric Dentist.
Where You Can Find Me Making A Difference: Ashburn Children’s Dentistry P: 703-723-8440
44025 Pipeline Plaza, Suite #225, Ashburn, VA www.KidzSmile.com


Dr. Shadi Sarebanha, a distinguished Naturopathic Physician, began her journey with a Medical Degree in Iran, providing a robust scientific foundation for her holistic health pursuits. A transformative trip to China led her to earn a PhD in Chinese Medicine, immersing herself in acupuncture and herbal medicine. She further expanded her expertise with a doctorate in naturopathic medicine.
Dr. Sarebanha bridges Western and alternative medicine, creating a comprehensive approach to healing physical, emotional, and energetic imbalances. Her mission is to guide patients towards optimal health, focusing on Weight Management, Skin Health, Pediatrics, Women’s Health, Autoimmune Conditions, Thyroid Issues, Digestive/Gastrointestinal Health (SIBO, IBS, etc.), Anxiety, and Mental Health. Fluent in English, Mandarin, and Persian, she values communicating with patients in their native language. Dr. Sarebanha's biography exemplifies the power of merging diverse medical traditions for holistic healthcare.
Where You Can Find Me Making A Difference:
National Integrated Health Associates
P: 202-237-7000 • NIHAdc.com 5225 Wisconsin Avenue, NW Suite #402, Washington, DC



Since 2009, Janis Kay Carson Jarvis, Master Hypnotherapist and Certified Life Coach, has owned and operated Hypnotherapy by the Bay LLC: the home of Compassion, Intelligence, and Excellence. She is known for “tranceforming” lives with her Gifts Gone Bad? Take Back Your Bliss protocol. Her hypnosis can help you too if you want to increase your happiness and self-mastery and finally live the life you want.
Specialties: 1) freedom from the effects of trauma; 2) eliminating or controlling habits, fears and addictions; and 3) facilitating healing, self-awareness and peace of mind through spiritual hypnosis. Experience & Education: Janis began her career in the Private sector and the U.S. Government. Her dedication to service really took off as she built a solid foundation in Psychology. She earned a B.A. in Criminology and volunteered at a Crisis Intervention and Suicide Hot line; and at an Addictions Center. She now holds a Masters Degree in Counseling Psychology (GPA 4.0) and certification from a 2-year post graduate program in Gestalt Psychotherapy.
Hypnotherapy Certifications: Hypnotherapy and Advanced Hypnotherapy. Specialty training and certifications include Life Coaching, Neuro-Linguistic Programming, Trauma Hypnosis, Addictions Hypnosis, Childhood and Chakra Regression, Life Between Lives, Reiki, Emotional Freedom Technique (tapping) and Soul Link.
Janis loves to dabble in art and music, spending time with family and enjoying the wonders of Nature.
Where You Can Find Me Making A Difference: Hypnotherapy By The Bay, LLC P: 410-212-4144 613 Ridgely Avenue, Annapolis MD www.HypnoByTheBay.com

Dr. Madhavi Chada an Interventional Pain Management Physician and is triple Board Certified in Anesthesiology, Internal Medicine and Pain Management. Dr. Chada completed her fellowship training in Interventional Pain Medicine at Tufts University – Baystate Medical Center, MA. Dr. Chada completed her dual residencies in Anesthesiology at Brookdale Medical Center, NY and in Internal Medicine at SUNY Stony Brook, NY.
Dr. Chada is an active member of the American Society of Interventional Pain Physicians (ASIPP), North American Neuromodulation Society (NANS) and American Society of Anesthesiologists (ASA). She is also affiliated with the American Medical Association (AMA).
Dr. Chada has been providing Maryland and Washington, DC metropolitan area communities with comprehensive chronic pain management treatments for the past several years. She is the Founder and Medical Director of Synergy Spine and Pain Center, LLC. Dr. Chada is committed to high-quality patient care and is unwavering in her dedication to providing personalized treatment.
Where You Can Find Me Making A Difference: Synergy Spine and Pain Center www.SynergySpineMD.com

P: 240-929-6652 • 12150 Annapolis Road, Suite #209, Glenn Dale (Bowie), MD P: 240-260-3828 • 10905 Fort Washington Road, Suite #305, Fort Washington, MD

Dr. Janet V. Johnson was born in Brooklyn, NY. She received her undergraduate degree in Biology at Hunter College in Manhattan, NY. She pursued a career in research medicine as a research assistant at Downstate Medical School in the Department of Gastroenterology. Obtaining her masters degree in Physiology at Long Island University in Brooklyn, NY. Dr. Johnson received her medical degree from State University of New York at Buffalo School of Medicine in 1991. She completed her Internship and Residency at Howard University/DC General Hospital in 1994.
After becoming Board Certified by the American Board of Pediatrics, Dr. Johnson worked as an Emergency Room Pediatric Physician at DC General Hospital and for a local pediatrician before she began her practice: Loving Care Pediatrics in Hyattsville, MD in 1998. She is continuing to pursue CME credits to maintain board certification. Concurrently, she serves as a Clinical Instructor to nursing students at Howard University Family Nurse Practitioner (FNP) Program; John Hopkins Family Nurse Practitioner (FNP) Program; Marymount Family Nurse Practitioner (FNP) Program; and University of Maryland Baltimore Family Nurse Practitioner (FNP) Program. She also serves as a Clinical Instructor for medical assistant students at Stratford University; Fortis College, Brightwood College and Career Technical Institute. She is a Fellow of the American Academy of Pediatrics (FAAP). Dr. Johnson is also a member of the Prince George’s Community Advisory Group (CAG), Washington Adventist Health Ministry Network and the Medical Advisory Committee for Amerigroup Insurance. Dr. Johnson has given lectures on Teen Suicide and Teen awareness on HIV/AIDS to youth groups in Washington, DC and continues to publish articles in Washington Woman’s Journal and Your Health Magazine in Prince George’s County. She served as Medical Director of the MidMaryland Mission of Mercy and Health Equity Festival, which provides free dental care. She annually gives talks “Suicide Is Not an Option” and “Teen HIV/AIDS Awareness” to a group for youth summer program in Washington, DC. She integrates Christian prayer into her practice when appropriate and regularly incorporates social justice topics into her magazine articles.
Where You Can Find Me Making A Difference: Loving Care Pediatrics P: 301-403-8808 3311 Toledo Terrace, Suite C-201, Hyattsville, MD Monday–Friday: 9:00 am–5:00 pm

Founder and Director Of Chevy Chase Home Care
Degrees and Training: PhD in Demography/Gerontology, MS in Economics
Certificates From: Georgetown University, American University and New York University
Professional Memberships and Associations: IUSSP – International Union for the Scientific Study of Population, National Council on Aging (US).
Areas of Interest: Traveling, Fitness, Camping, Health Nutrition, Reading and Exploring the Internet.
Family: Son – Co-Owner
Services: Live in/out, short, long, nights, 24/7, Help at home, nursing home or hospital.
We Bring Our Hearts To Your Place!
Where You Can Find Me Making A Difference: Chevy Chase Home Care P: 202-374-1240 www.CHCHhomecare.com • CHCHhomecare@yahoo.com

Ogechi C. Anyaoku, MD, MSPH, is a Board Certified Internal Medicine Physician with Adventist Medical Group.
Dr. Anyaoku attended George Washington University where she completed a master of science in public health in addition to medical school. She then completed her Internship and Residency at MedStar Washington Hospital Center in Washington, DC.
Dr. Anyaoku has a special interest in wellness, nutrition and weight management. Her philosophy of medicine is individualized medicine that treats the whole person, body, mind and spirit. It’s very important to her to develop a partnership/relationship with her patients that is rooted in mutual respect to obtain the best health outcomes.
Prior to joining Adventist HealthCare, Dr. Anyaoku worked at Associate Physician Internal Medicine of Northern Virginia, PLLC where she assisted patients with managing chronic diseases. She has volunteered in the Washington, DC community and has also been published in the Journal of Clinical Virology. Dr. Anyaoku is a part of the American College of Physicians and International Lyme and Associated Diseases society.
When Dr. Anyaoku isn’t seeing patients, she enjoys working out, spending time with her husband and kids, learning how to create self-care products and trying new foods and recipes.
Where You Can Find Me Making A Difference:
Fort Washington Medical Center
P: 240-724-6018 • www.AdventistHealthCare.com
10709 Indian Head Highway, Suite D Ft. Washington, MD


Nicole received her bachelor’s degree in nursing from the University of Virginia School of Nursing and continued her education to receive a Master of Science in Nursing – Family Health Nurse Practitioner from Virginia Commonwealth University.
As a nurse and nurse practitioner, she has over 20 years of combined experience. Her experiences in healthcare include family practice, occupational health and nursing home/rehabilitation. Nicole believes in patient and family education as a vital tool in disease prevention and control as well as empowering them to actively participate in their own healthcare.
In her free time, she enjoys spending time with family and friends, high intensity interval training and running.
Where You Can Find Me Making A Difference: Fort Washington Medical Center
P: 240-724-6018 • www.AdventistHealthCare.com
10709 Indian Head Highway, Suite D Ft. Washington, MD


Voted One of the Best Hair Dressers in DC!!!
Monica Colburn is a distinguished Master Cosmetologist and a renowned specialist in color correction, blonding, and fashion color services. With over a decade of experience and ABCH certification, Monica excels in delivering vibrant, multi-cultural hair color solutions.
As a Master Stylist and Educator, she has honed her craft and shared her expertise with aspiring professionals. Monica’s work has been showcased in Modern Salon Magazine, highlighting her innovative approach and artistic vision. Her talent also took her backstage as a stylist at FALL NYFW 2020, where she worked on high-profile fashion events.
Monica is a Licensed Cosmetology Instructor, dedicated to educating the next generation of stylists. Currently, she offers her services at Color Lab Salon by TSR in Washington, DC. Follow her on Instagram @mac_hair or book an appointment at 301-643-0654 to experience her transformative hair services. Are you ready for a new look? Monica Colburn is here to help!
1st Time Customers Only – Mention YourHEALTH Ad For a Special Offer
Where You Can Find Me Making A Difference: Color Lab Salon By TSR
P: 301-643-0645
1607 Connecticut Avenue, NW , Washington, DC www.MonicaColburn.com


Dr. Griffiths is one of this area's most experienced surgeons and offers state-of-the-art Laser Vision Correction, Cataract Removal, Multifocal Lens Implants, and Comprehensive Ophthalmology. She has helped thousands of patients who struggle with their vision. Her knowledge, compassion, and attention to detail are the reasons she was voted by her peers to be one of this area’s most elite physicians.
Degrees, Training & Certifications: Dr. Griffiths is a Board Certified Ophthalmologist. She received her undergraduate degree from Yale and her medical degree from the University of Michigan. She then completed her Ophthalmology Residency at Georgetown University Medical Center.
Professional Memberships & Affiliations: Dr. Griffiths is the former Ophthalmology Section Chief of Reston Hospital Department of Surgery, the former Chief of Ophthalmology for the Reston Ambulatory Surgical Center in Reston, VA as well as Loudoun Hospital in Leesburg, VA, Diplomate of the American Board of Ophthalmology, a Fellow of the American Academy of Ophthalmology, a member of the American Society of Cataract and Refractive Surgery, the Washington National Eye Center and others.
"Top Ophthalmologist" Washingtonian and NorthernVirginia Magazine
Where You Can Find Me Making A Difference: NewView Eye Center • www.NewViewEye.com P: 703-834-9777 12110 Sunset Hills Road, Suite #50 , Reston, VA


A native of Leesburg, VA, Claiborne M. Callahan, MD graduated with distinction from The University of Virginia in 1996. In 2000, she graduated from The University of Virginia School of Medicine. She completed her Ophthalmology Residency at Tulane University in 2004. Prior to joining NewView Eye Center, Dr. Callahan was in private practice in Virginia, Florida, and Alabama. Her knowledge, experience and patient-centered focus allows her to spend quality time with each patient to diagnose, educate and treat them. She understands that patients have a choice with whom to entrust their eye care needs, and she prides herself on adhering to the highest ethical standards in the practice of medicine.
Dr. Callahan has performed thousands of cataract surgeries, as well as laser, glaucoma and eyelid plastic surgeries. She has treated a myriad of eye conditions throughout her career. She is committed to ongoing education and stays current with diagnoses and treatments. She attends several educational and training meetings yearly to remain in the forefront of ophthalmology advancements.
She is a Diplomate of the America Board of Ophthalmology, a Fellow of the American Academy of Ophthalmology, and others.
Where You Can Find Me Making A Difference: NewView Eye Center • www.NewViewEye.com
P: 703-834-9777
12110 Sunset Hills Road, Suite #50 , Reston, VA

P: 703-777-1244 • 20 Davis Avenue, SW, Leesburg, VA 20175

Dr. Mary Alexander, periodontist, obtained a Bachelor of Science degree in Biology from the University of South Carolina and continued her education in dentistry at the University of Maryland School of Dental Surgery where she received her DDS degree. Prior to and during her dental studies, Dr. Alexander received funding and support from the National Institutes of Dental Research for her involvement in the periodontal research.
After obtaining her DDS degree Dr. Alexander spent one year at the Veteran’s Administration Hospital, in general practice residency focusing her training in the area of anxiety patient management. She then attended Harvard University and earned her clinical specialty in periodontics and a doctorate in medical science. Her doctoral research was focused in the study of bone function and metabolic disease of the bone.
Dr. Alexander received extensive training in dental implantology, periodontal plastic surgery, bone regenerative procedures and sedation dentistry. All aspects of Dr. Alexander’s training are incorporated in her periodontal practice assuring patient’s thorough and comprehensive periodontal treatment.
Where You Can Find Me Making A Difference: Total Dental Care
P: 240-813-9111 • www.TotalDentalCareMD.com 20680 Seneca Meadows Parkway, Suite #218 Germantown, MD 20876


Dr. Cheryle Baptiste began working in the dental industry when she was 12 years old, helping out at her father’s practice where she began to learn the basics. There, she developed a passion for improving patients’ health, confidence, function, and oral aesthetics through dentistry.
Dr. Baptiste graduated from the Howard University College of Dentistry in 1984. She is a certified provider of the Shatkin FIRST Mini Dental Implants and LightWalker Laser procedures. She is the Immediate Past President of the local chapter of the National Dental Association, President Elect of the National Dental Association, current President of the local chapter of the American Dental Association, Fellow of the International College of Dentists, Diplomate of the IAMDI and a member of the Academy of General Dentistry.
Dr. Baptiste and her team strive to stay informed about cutting-edge technologies and patient comforts. She takes into account the link between oral health and overall health and incorporates that into her treatment plans. One area of her focus is preparing patients for dental clearance when they need major medical procedures.
When not in the office, Dr. Baptiste spends her free time on the Eastern Shore of Maryland. Her hobbies include entertaining friends and family, travel, outdoor hikes and cooking healthy meals with her partner, Mr. Darryl Hill.
Where You Can Find Me Making A Difference: Friendship Dentistry
P: 202-362-7804 • DrCheryle-DDS.com
4839 Wisconsin Avenue, NW, Suite #2 Washington, DC


Priya is the founder of Kaur Counseling and is a Licensed Professional Counselor who provides individual, family, and couples therapy to children, adolescents, and adults. Priya earned her MA in Professional Counseling from Amberton University in Garland, TX and received her BA in Psychology from Texas Woman’s University in Denton, TX.
Priya’s primary areas of expertise include working with individuals suffering from anxiety/depression, couples conflict, divorce, rebuilding from narcissistic abuse, rebuilding intimacy in your relationship, infertility, PCOS, post-partum anxiety/depression, new moms and self-esteem.
Priya works with individuals from all cultures and backgrounds who feel dissatisfied or uneasy as an individual or within their relationships.
Priya offers in-person/virtual therapy services to those in Washington, DC, Virginia & Texas.
Fun Fact: Priya loves to dance and create new recipes in the kitchen! She’s also obsessed with tea and her nieces!
Where You Can Find Me Making A Difference: Kaur Counseling
P: 214-507-2248
2168 Wisconsin Avenue, NW, Washington, DC www.KaurCounseling.org


For over 18 years, Padmaja Yalamanchili, DDS, has been serving patients throughout Northern Virginia with her extensive dental expertise, personalized one-on-one care and state-of-the-art dental technology. She and the entire team at her practice Dr. Padmaja Yalamanchili, DDS, PC in Fairfax, VA are committed to helping patients achieve their healthiest, most beautiful smiles. She is well-reputed in the area, and she emphasizes on preventive dentistry.
Dr. Yalamanchili graduated with her Doctor of Dental Surgery degree from the New York University College of Dentistry in Kips Bay, Manhattan. This prestigious New York City institution is the third oldest dental college in the country and is a global leader in top-tier dental care and innovation.
After earning her degree, Dr. Yalamanchili committed herself to serving patients throughout Northern Virginia with her clinical expertise and personalized care. She offers each patient her extensive knowledge and takes the time to customize a care plan to their specific oral health needs and smile goals. She serves patients of all ages through this tailored one-on-one approach. In fact, the rapport she builds with each patient leaves many fondly referring to her as “Dr. Y.”
Dr. Yalamanchili is a member of the American Dental Association, Virginia Dental Association, and Northern Virginia Dental Society.
Dr. Yalamanchili is fluent in English, Hindi, and Telugu. When she’s not serving patients, you can find her spending time with her husband and two children, cooking, reading, watching a Bollywood movie, or practicing Bikram yoga.
Where You Can Find Me Making A Difference:
Fairfax Family Dental
P: 703-591-4010
10875 Main Street, Suite #103, Fairfax, VA www.FairfaxFamilyDentist.com


Bonnie has been involved in healing arts since she was young, starting with her family as a caregiver and coach. She mentored her family and friends before she ever knew what energy work was. Through hard times and emotional times, Bonnie has served as a vessel to all who needed her loving, healing energy. Bonnie has been training in yoga since 1976, Energy and Healing field since 1990 and also has experience in the field of wellness.
YoRiQi is a self-healing technique that consists of light exercise and stretching with Kundalini, Korean, Yen, restorative Yoga methods and finding the energy flow with tapping the body to release stagnant energy. This brings in a new fresh flow of energy and enhances the circulation and breath. It includes vibrational dancing and laughter Yoga to take your experience to the next level. You will then relax to a beautiful sound bath meditation, that takes you to an even higher level of completion. Services: Through the art of healing herself and others she has many other modalities which include long distant healing, acupressure and clearing chakras. She offers Reiki, a form of energy healing. Reiki is also called palm healing or hands-on healing as a form of alternative medicine. Reiki is a spiritual practice developed in 1922 by Japanese Buddhist Mikao Usui.
Methodology: She starts with a combination of clearing the stagnant energy and opening up the chakras. She includes a light shaking for relaxation, light tapping or touching, and light or heavy acupressure if needed. Bonnie will also use her warm healing energy with her hands to embrace your body and soul with universal loving, healing energy that flows from her heart. Call for group, birthday, couples sound bath healing meditation information. For a faster response please text me for class occupancy and private healings. I will get back to you ASAP. All COVID-19 regulations are in process. For your safety we are taking as many precautions as possible for a safe environment. Bring your own mat and a small pillow. Couple of blankets if you will be coming for healing sound bath meditation.
Personal Interests: Bonnie enjoys cooking, music, dancing and the arts.
Benefits of Reiki: Reiki is very beneficial for cancer, colon problems, abdominal pain, breathing problems, headache, back, legs, knees, feet, hands, throat and heart and many more. You may experience emotional releases of stress and a series of three of more treatments will stimulate the body’s natural healing process.
Where You Can Find Me Making A Difference: Beyond Bonnie’s Hands P: 703-598-5197 Bonnie@BeyondYoRiQi.com www.BeyondYoRiQi.com

Degrees, Training & Certifications: Dr. Swathi M. Reddy, DMD received her DMD from Goldman School of Dental Medicine, Boston University. She graduated with high honors and was inducted into the Omicron Kappa Upsilon National Dental Honor Society. She received additional training to be a specialist in Orthodontics and Dentofacial Orthopedics at University of Nevada.
Professional Memberships: Dr. Swathi M. Reddy, DMD is an active member of many organizations, including the American Association of Orthodontists, American Dental Association, Northern Virginia Dental Society, Southern Association of Orthodontics, and Virginia Dental Association.
Best Health Advice: It is recommended by the AAO (American Association of Orthodontics) that all children get a check-up with an orthodontist no later than age 7. An orthodontist can identify any problems with emerging teeth and jaw growth, even while some baby teeth are still present.
Services: All Smiles Orthodontics offers complimentary consultations with convenient office hours and flexible payment plans with interest free financing.
Practice Philosophy: “My philosophy is to provide the best orthodontic treatment at the most appropriate age. It is important to analyze each patient’s specific needs, because in-depth planning leads to superior results and higher patient satisfaction. I strive to maintain a balanced and harmonious facial appearance with a functional bite, in addition to providing a long-lasting beautiful smile.” – Dr. Swathi M. Reddy, DMD
Where You Can Find Me Making A Difference:
All Smiles Orthodontics
P: 703-337-4414
9010 Lorton Station Boulevard, Suite #260, Lorton, VA www.AllSmilesBraces.com


Dr. Afreen Sayeed graduated from University of Texas, School of Dentistry at Houston. She also attended St. John’s University in New York where she focused not only on the sciences but studied and developed a deep interest in Ethics and Philosophy. With several years of dental experience working with all age groups, Dr. Sayeed strives to build trusting and genuine relationships with each patient and is committed to providing the best that dentistry today has to offer. She seeks to improve her patients’ overall health and lifestyle through healthy teeth and gums, allowing for improved self-esteem and self-confidence through a beautiful smile. While utilizing her extensive training and experience to treat even the most challenging dental situations, Dr. Sayeed believes modern dentistry should be pain and stress free, provide excellent clinical and radiographic results, and remain cost effective.
As a dental professional and health care provider, she remains current on the latest advancements in dentistry through continuing education courses in implants, Invisalign and CEREC technology.
In this manner, Dr. Sayeed may educate her patients with all available options and present a comprehensive treatment plan. She understands and is fully aware that her patients have placed a great deal of trust in her and her abilities and strives to not only meet, but exceed her patients’ expectations.
Dr. Sayeed believes that preventative care and education are the keys to optimal dental health. She offers a full range of dental services tailored to meet your dental needs, and maintains a focus on practicing conservative dentistry for better oral health whenever possible. Conservative dentistry means she would rather prevent a cavity with an emphasis on regular dental visits, placement of sealants, maintaining proper oral hygiene and educating her patients.
With Dr. Sayeed’s extensive experience in pediatric and adolescent dentistry, now all her patients can also benefit from and take advantage of her refined, gentle dentistry!
You Can Find Me Making A Difference: Samfar Dentistry P: 703-591-4111 11213 A Lee Highway, Fairfax, VA SamfarFamilyDentistry.com


Women’s Incontinence
Patti Lee brings years of experience to Montage Health & Wellness. As a Nurse Practitioner, Patti has expertise in: Weight Loss Management, Contour Light Red Light Therapy, Women’s Incontinence, Women’s Health and Hormones, Men’s Health and Testosterone.
Where You Can Find Me Making A Difference: Montage Health and Wellness
P: 571-464-3142
5631 Burke Centre Parkway, Burke, VA MontageHealthandWellness.com


• Licensed Hair Care Provider and Certified Trichologist
• Owner, Beyond The Strandz Wellness Clinic and Jai’Stylz Hair Spa & Salon Leading the Cosmetology industry for nearly 3 decades, Jaimi specializes in Hair Care, Scalp Disorders, Hair Loss, Silk Press, Natural Hair, Relaxers, Short Hair, Scalp Detoxification, Colors and Treatments that protect, rebuild and tame various hair types in the Washington, D.C. metropolitan area.
Jaimi Jackson is a Certified Trichologist, Licensed Hair Care Provider, and Owner of Beyond The Strandz Wellness Clinic and Jai’Stylz Hair Spa & Salon.
A Trichologist is a specialist who focuses on Trichology – the science dealing with the study of diseases or problems related to the hair and scalp, as well as their treatments.
A Trichologist does not diagnose; we suggest and recommend because we are not medical doctors.
Our restorative hair treatments can heal and moisturize hair from the inside out, which results in healthier hair! Our scalp treatment is catered toward those experiencing thinning hair and scalp dryness. We focus on targeting problems and offer solutions with a treatment plan that anyone with any scalp or hair condition will benefit. The treatment rejuvenates the scalp by removing dead skin cells, unclogging follicles, and improving overall scalp circulation.!
WE ASSIST YOU IN TAKING A PROACTIVE APPROACH TO HAIR AND SCALP CARE.
, Where You Can Find Me Making A Difference:
Beyond the Strandz Wellness Clinic @Jai’Stylz P: 301-967-4044 • jaistylz.com/hair-loss/ 5000 Pennsylvania Avenue (off Spaulding Avenue) Suite J, Suitland, MD


Training, Degrees:
Fellowship Trained, Board Certified
• UCLA (University of California – Los Angeles) –Internal Medicine Residency
• Georgetown University – Gastroenterology Fellowship
Dr. Ebrahimi specializes in the diagnosis and treatment of the digestive tract:
• SCREENING COLONOSCOPY
• Esophagus
• Stomach
• Small Intestine
• Colon/Rectum
• Liver
• Pancreas
• Nutrition
• Weight Loss
• Obesity
• Hemorrhoids
• Gallbladder
• Biliary Tree
• Gastrointestinal Malignancy
Where You Can Find Me Making A Difference: Suzan Ebrahimi, MD • P: 301-345-5877 7247 Hanover Parkway, Suite A , Greenbelt, MD

Services Offered: A yoga mix - all kinds of yoga; custom jewelry and clothing; Holistic Counseling; Tai Chi; Laughing Yoga; Hypnosis; Yoga Teacher Certifications Available
Special Interests: Yoga, Reiki, Ayurveda, Numerology, Hypnosis
Family: Married with two children.
I love being around people, I am also a creative and spiritual person. I try to bring both creativity and spirituality to everything I do. People say I am energetic and I attribute my high energy level to over 20 years of yoga practice. I own and operate both a clothing store and yoga studio. Through these businesses, I am able to combine and share my creativity and spirituality with others. What brings me the most joy is seeing the smiling face of a satisfied customer in my clothing store or the relaxed body of a yoga student in my studio. Practice Philosophy: I always say, “Make the time to practice yoga. Out of a 40 hour work week, take one hour for yourself. To revitalize your mind, soul, spirit and body. A total and complete work-out.”
Where You Can Find Me Making A Difference: Happy Hour Yoga P: 301-449-8664
6504 Old Branch Avenue, Temple Hills, MD theartist52@hotmail.com

Be the Best You Can Be Through the Power Of Your Own Mind
Desiree is a Board Certified, award-winning, Master Transpersonal Hypnotherapist and Life Coach. She specializes in building personal intuition, spiritual exploration and personal transformation. With a degree in Psychology and multiple certifications in modalities ranging from Mindfulness and Cognitive Behavioral Coaching to Psychic-Medium, Past Life Regression, Life Between Lives Spiritual Regression, Reiki, Art Therapy and Tarot, Desiree’s intuitive approach uniquely qualifies her to work with clients through Mind, Body and Spirit.
Where You Can Find Me Making A Difference: Trans-Hypnotherapy – Integrative Life Strategist P: 202-203-0725 • Online Appointments Available The Wharf DC www.TransHypnotherapy.com • TransHypnotherapy@gmail.com

Follow me on FB“Trans-Hypnotherapy”

Since age 5, my passion for veterinary care has guided me. At 14, I embarked on my journey, working in veterinary clinics. Graduating from The Ohio State University with a DVM degree in 1977, I've devoted my life to caring for both pets and their families. After a decade in clinical practice, I sought new avenues due to concerns about pets' health. In 1988, I delved into veterinary acupuncture, earning certification from the International Veterinary Acupuncture Society. This led me into holistic medicine, where I gained certification in homeopathy and underwent training with Dr. Richard Pitcairn. In 1993, I sold my practice in Maryland and pursued spirituality in Sedona, AZ, becoming a Tibetan Buddhist nun until 2023. Embracing the belief in the equality of all life, I dedicated myself to alleviating suffering. Returning to Maryland in 2006, I co-founded Holistic Veterinary Healing in 2013. Recognizing the interconnectedness of human and animal health, I pursued a Master's degree in Human Acupuncture in 2010. Since 2016, I've focused solely on animal patients, certified in Medical Ozone Therapy and as a Fear Free Practitioner. Residing in Germantown with my dogs, I cherish moments with family and friends, enjoy farm visits, and find solace in meditation and watching my dogs.
Where You Can Find Me Making A Difference: Holistic Veterinary Healing
P: 240-715-6570
12627 Wisteria Drive, Suite C & D, Germantown, MD HolisticVeterinaryHealing.com


If you have cataracts, glaucoma, or want to check the health of your eyes, Dr. WilsonUmanzor is the Eye Specialist for you.
Ophthalmology
Experience matters. Compassionate innovative care. Specialist in cataract, glaucoma, and anterior segment surgery.
Accepting new patients Fluent in Spanish Hablamos Español
Where You Can Find Me Making A Difference: Eye One Surgical Associates • www.EyeOneSurgical.com
P: 301-699-1882 • 6510 Kenilworth Avenue, Suite #1300, Riverdale, MD
P: 202-339-0001 • Georgetown University Hospital, Pasquerilla Bldg. Lower Level, 3800 Reservoir Road, NW, Washington, DC

Board Certified, Ophthalmology by the American Board of Ophthalmology
Board Certified Ophthalmologist who has performed thousands of laser, ophthalmic, cataract, cornea and BOTOX procedures. Owner and Medical Director of Envision Eye and Laser. Trained at Wellesley College, UCLA School of Medicine, Yale University and the LSU Eye Center. Named a 2021 Washingtonian TOP DOCTOR by her peers. Selected as the Millennial EYE Outstanding Female Leader in Ophthalmology for the March/April 2021 Issue.
A commitment to excellence in ophthalmic training and surgical technique, coupled with her expertise with stateof-the-art technology, has enabled Dr. Bovelle to earn her patients’ confidence and trust. Her practice emphasizes disease prevention, overall wellness, and patient education. She is committed to treating all of her patients with compassion and caring. She offers each patient an individualized treatment plan, and is dedicated to helping patients make informed decisions about medical, surgical, and aesthetic treatments.
Served as assistant professor of Ophthalmology at Louisiana State University, and worked at the National Institutes of Health. Current Director of the Cornea Service at Howard University Hospital Department of Ophthalmology. Her work has been published in medical textbooks and ophthalmology journals in the U.S. and internationally. Donates her time to caring for the poor by participating in health fairs and medical mission trips.
She holds academic appointments at Howard University Hospital, Ross University School of Medicine and University of Maryland Capital Region Medical Center. Holds leadership positions in ophthalmic and other medical associations. Currently, she represents the Maryland Society of Eye Physicians and Surgeons (MSEPS) as a counselor to the American Academy of Ophthalmology and is on the MedChi legislative council. Under her leadership, MSEPS received the 2021 Star Award for innovative delivery of education and value to society members.


, Where You Can Find Me Making A Difference: Envision Eye & Laser Center P: 301-805-4664 12200 Annapolis Road, Suite #116, Glenn Dale, MD www.EnvisionEyeandLaser.com



Certified Therapeutic, Recreation Therapist and Certified Rehabilitation Practitioner
Studies have shown that the U.S. is in the middle of a mental health crisis, and experts say there is an immediate need for integrated mental health services. In her new book, From Helpless to Hopeful: Addressing a Loved One’s Challenges and Changes, respected Maryland recreation therapist Beth Albaneze explains how to navigate both mental health challenges and the system that treats them. “It’s such an important time for people to have a tool like this,” Ms. Albaneze says. “Mental health issues are so widespread right now that even people who haven’t experienced such challenges themselves know someone who is having a hard time.”
The book is designed to help laypeople find appropriate resources to help a loved one who is experiencing an emotional and/or life shift. The guidance is delivered alongside Ms. Albaneze’s personal anecdotes as well as case studies from her many decades of helping clients find creative and effective ways to help someone they care about.
To order a copy of From Helpless to Hopeful: Addressing a Loved One’s Challenges and Changes, go to: HouseCallsTotalWellness.com GO TO AMAZON FOR MORE INFORMATION
, Where You Can Find Me Making A Difference: House Calls Total Wellness, LLC
P: 301-346-6732 • PO Box 776, Olney, MD Headquarters in Montgomery County HouseCallsTotalWellness.com • info@housecallstotalwellness.com



Veronica Hughley, LMT, CLT, RMA is a licensed massage therapist and has practiced for 20 years with an extensive medical background to provide a therapeutic experience. She specializes in Medical Massage, Oncology Massage, Manual Lymph Drainage and Complete Decongestive Therapy which treat various conditions. Ms. Hughley received her certification in Massage Therapy from Virginia Massage Therapy Institute in 2002.
Ms. Hughley is the owner and founder of Optimum Wellness Services located in DC serving the Metropolitan area providing holistic therapeutic treatment for mind, body, and spirit. Her focus is to assistant clients in being proactive in their health to live a healthier lifestyle.
Where You Can Find Me Making A Difference: Optimum Wellness Services, LLC
P: 202-241-8120
3020 Nelson Place SE, Suite #2, Washington, DC OWS.MassageTherapy.com

Dr. Gela Naenifard has been a practicing chiropractor now for over 10 years. Dr. Gela is a chiropractor who serves Washington, DC North East, Fairmount Heights, Camp Springs and surrounding communities in MD. She takes pride in the fact that her offices have helped countless individuals with back pain, neck pain, headaches, dizziness, stiffness, etc. Dr. Gela specializes in car accidents, sport injuries, work injuries, muscular injuries and overall health.
A believer in lifelong learning, Dr. Gela currently holds many certifications including:
• Medical Examiner for National Registry of Department of Transportation, DOT, FMCSA, NRCME, National Registry # 9380714400
• Certified Chiropractic Sports Practitioner • Dry Needling Certification
• MRI Spine Interpretation
• Spinal Biomechanical
• Accident Reconstruction
• Auto Accident Sciatica Injuries
• Graston® Technique
• Personal Injury Specialty Evaluations & Diagnostics
• Full Body Active Release Technique (ART)®
• Lumbar Rehabilitation
• Whiplash Analysis, Head Trauma & Brain Injuries
• Full Body Kinesio Taping Technique
• Spinal Decompression
Where You Can Find Me Making A Difference:
Pain & Rehab Center, LLC - with 2 Locations
P: 301-925-2013
525 Eastern Avenue, NE, Suite B2, Fairmount Heights, MD 5855 Allentown Road, Unit 19, Camp Springs, MD

Carole is a local graduate of PMTI in Washington, DC and MITCM in Bethesda, MD. Prior to training in Eastern and Western Massage and Acupuncture she worked as a hospital nurse in the ICU step down unit and Orthopedic Neurology Floor. Additionally she did home care and hospice care through healthcare agencies. She cared for and over saw the care of her mother at home for the past 10 years. She has trained in biofeedback and stress reduction visual imagery techniques and therapeutic touch also.
East-West Healing Arts is located in Uptown Washington, DC across from the National Zoo. We offer the very best in health care modalities ranging from relaxation techniques to injury assessment and rehab accompaniment. Specializing in soft tissue manipulation and drawing from eastern and western disciplines we offer acupuncture, deep barefoot shiatsu, Thai massage, Swedish, AIS specialized stretching and Craniosacral, an osteopathic technique to highlight a few. In addition East-West offers On-Site services of: Chair Massage and AIS Mattes Stretching for Corporate and At Home Events.
Biofeedback and Hypnosis to help you achieve a deeper state and make lifestyle or habit changes for medical or personal enhancement are part of our services offered. Our practitioners are certified and/or licensed and skilled.
Where You Can Find Me Making A Difference: East-West Healing Arts
P: 202-483-7081
3000 Connecticut Avenue, NW, Suite #139, Washington, DC www.EastWestHealing-Arts.com

Dr. Trent has a passion for helping people. She has practiced Audiology since 1984, in a number of clinical settings. Her diverse career has included 16 years of teaching and clinical supervision at Howard University, Washington, DC and Temple University, Philadelphia, PA. Dr. Trent has also worked as a clinical audiologist in hospital settings and private ENT practices.
Education: Clinical Doctoral Degree – Audiology-University of Florida, Gainesville, FL
Master of Education – Audiology- Northeastern University, Boston, MA Bachelor of Science – Communication Sciences and Disorders – Hampton University, Hampton, VA
Dr. Trent holds her Maryland State Licensure in Audiology. She is a Certified Clinical Audiologist (CCC-A) through the American Speech-Language-Hearing Association (ASHA). Presently, she serves on the Board of Directors for ASHA as Vice President for Audiology Practice.
Where You Can Find Me Making A Difference: Hearing Healthcare Services, LLC
P: 301-429-2920 • HearingHealthcareServices.com

10111 Martin Luther King Jr. Highway, Suite #102, Bowie, MD 6196 Oxon Hill Road, Suite #240, Oxon Hill, MD

BOARD CERTIFIED PEDIATRIC DENTIST
Degrees, Training and Certificates: Dr. Toyer attended the University of Virginia and received a degree in Biology and Bioethics in 2003. There she volunteered at the Charlottesville Free Clinic and developed a love for dentistry. Dr. Toyer attended dental school at the University of Maryland and took part in the Pediatric Dentistry Clerkship program. It was there that she met her husband, Dr. Leonard. During her summers off from dental school, Dr. Toyer worked for the Department of Education to be surrounded by young smiles. After graduating from dental school in 2007, she attended Howard University for her residency in pediatric dentistry, which she completed in 2009.
Professional Memberships: Dr. April became a Diplomate of the American Board of Pediatric Dentistry in 2011, which “certifies pediatric dentists based on standards of excellence that lead to high quality oral health care for infants, children, adolescents, and patients with special health care needs. Certification by the ABPD provides assurance to the public that a pediatric dentist has successfully completed accredited training and a voluntary examination process designed to continually validate the knowledge, skills, and experience requisite to the delivery of quality patient care.” Hobbies: In her spare time Dr. Toyer enjoys writing, running, and playing the piano.
Practice Philosophy: Our mission is to provide our patients with the highest quality of pediatric, family, and cosmetic dental care in a warm, relaxing, and fun environment. Our office is a Dental Home that provides services for your family for a lifetime, from age 1 to 101.
Where You Can Find Me Making A Difference: Lifetime Dental Care
P: 703-499-9779
14573 Potomac Mills Road, Woodbridge, VA www.LifetimeDentalCareVA.com


Dr. Lida M. Vargas graduated from University Del Bosque, Colombia, in 1994 and the University of Maryland at Baltimore in 2005. With over 20 years of experience, Dr. Vargas has advanced training in implants, CEREC®, Invisalign®, and orthodontics, and is certified by Progressive Orthodontics. She is a member of the Academy of General Dentistry and the American Academy of Cosmetic Dentistry.
Dr. Vargas is dedicated to providing relaxed, patient-centered care. She is an honorary member of Who’s Who in Dental Professionals and Northern Virginia Top Doctors. An Invisalign Preferred Provider and CEREC specialist, she holds certifications in regenerative medicine and various laser dentistry techniques, including Fotona Nightlase for sleep disorders and Smoothlase for fine lines. She is also a certified Myotherapist.
Her office is highly rated on Google and Yelp, known for its multi-clinical approach and holistic connection of oral health to overall well-being.
Where You Can Find Me Making A Difference: Virginia Dental Group
P: 703-259-8823/703-385-3800
3911 Blenheim Boulevard, Suite #42C, Fairfax, VA VirginiaDentalGroup.com


Skill and compassion go hand in hand when providing exceptional patient care. As a dental professional, Dr. Wilson stays up to date on the latest advancements in dentistry in order to provide the most current treatment options for her patients. As a doctor, she recognizes that her patients are unique individuals who have placed a great deal of trust in her and her team. That is just one reason why she values each and every patient relationship.
Dr. Wilson has an enduring passion for the practice of dentistry! She is committed to educating her patients on their unique oral health concerns and creating a comprehensive dental care plan that works for them. Dr. Wilson takes time to listen to each patient’s concerns, forging a real partnership with the goal of good oral health. She loves helping patients with dental fears become dental fans.
She appreciates the time you’ve taken to find out more about her dental practice, and the many services she and her team provide to help you achieve optimum oral health: Preventative Care • Exams and Cleanings • Fluoride Treatment • Oral Cancer Exam • Porcelain Veneers • Porcelain Crowns • Dental Implants • Cosmetic Dentistry • Invisalign • Periodontal Disease Treatment • Tooth Extractions
Dental of
703-457-1147

www.AWilsonSmile.com 1447-C Dolley Madison Boulevard, McLean, VA Facebook: wilsondentalofmclean • Instagram: wilsondental_mclean



By Quansheng Lu, CMD, PhD, LAc Wholelife Chinese Medicine & Acupuncture Center
What Does Lower Back Pain Entail?
Approximately 80% of adults in the United States experience lower back pain at some stage in their lives. Acute back pain typically lasts from a few days to a few weeks, while chronic

back pain can persist for over three months. Various factors can cause lower back pain, with muscle strain and degenerative disc disease being the most common culprits.
In accordance with traditional Chinese medicine theory, external factors like extreme weather, injury, and excessive sexual activity can lead to a blockage of Qi and blood. This block-
Wholelife Acupuncture & Fitness Center
Quansheng Lu, CMD, PhD, L.Ac www.wholelifeherb.com • luquansheng@gmail.com
•
Guest professor, Henan University of Traditional Chinese Medicine (TCM) Chief TCM Physician, WFCMS; M.S. in TCM, Beijing University of TCM PhD in integrated medicine, China Academy of Chinese Medical Sciences Fellowship, Georgetown University & Children’s National Medical Center 3 patents, 8 books of TCM, 30 papers, 30+ years of experience in TCM
Low back pain • eczema • arthritis
allergies
cough • insomnia • paralysis obesity • nephritis
hepatitis
infertility • PMS • side effects of cancer treatment 416 Hungerford Drive, #300 Rockville, MD 20850 5022 Dorsey Hall Drive, #101 Ellicott City, MD 21042


is
and recognized, also where the satisfaction of all patients regardless of their background is the fundamental goal of our every action, with the practice of medicine being
as

age is believed to manifest as low back pain when it occurs in the lower back. Traditional Chinese Medicine (TCM) encompasses various modalities, including Chinese herbal medicine, acupuncture, moxibustion, cupping, scrapping, tui-na, qi-gong, and exercises. Acupuncture and Chinese herbal medicine are the primary components of TCM.
Lower back pain significantly impacts daily activities and is the second most common reason for seeking medical attention. Previous studies have shown widespread use of acupuncture for treating lower back pain. A metaanalysis was conducted to evaluate the effectiveness of acupuncture in this regard. The analysis included 33 randomized, controlled trials that met the inclusion criteria. The trials were categorized based on the nature of the pain (acute or chronic), style of acupuncture, and type of control group used. For the primary outcome of short-term relief from chronic pain, the

meta-analyses revealed that acupuncture was significantly more effective than sham treatment and no additional treatment. The study concluded that acupuncture may effectively relieve chronic low back pain.
For acute back pain, usually 1-3 sessions are recommended, while for chronic back pain, the number of sessions typically ranges from 6 to 16, depending on the individual situation. Twice-weekly sessions are advised for optimal treatment outcomes.
Is
Yes, acupuncture is considered a safe therapeutic approach. However, there may be occasional side effects such as dizziness, localized internal bleeding, dermatitis, nerve damage, and increased pain, particularly if the acupuncturist is not adequately trained.

By Janet V. Johnson, MD Loving Care Pediatrics
The American Academy of Pediatrics (AAP) suggests limiting a child’s screen time, including TV, movies, video games, and computer games, to one or two hours per day. It is also advisable to encourage your child to engage in reading activities.
Looking to foster a love for reading? Control screen time, start early, read books aloud together, visit the library, and set a positive example. These are the best recommendations, but here are a few creative ideas and quick tips
to inspire both new and seasoned readers. During the summer, encourage your child to read at least four books for fun, which can help improve their reading speed and comprehension.
Capture Their Interest In the Story
Begin by reading aloud together to capture their interest in the story. For long car trips, play audio recordings of books.
Spark their curiosity by reading aloud something you think they might find interesting, and then share an intriguing tidbit that would entice them to read with curiosity and delight.
Make It Social and Fun
For children who are just learning to read, have them read aloud to a pet, stuffed animal, or younger siblings who are not yet mobile.
Turn reading aloud into a game and have everyone, including children, guess what will happen next.
Use Books As Treats
Make reading a reward and let kids
Please see “Reading,” page 38



feel the excitement. Create reading areas with themes. Have a mystery book box or bag where you hide new books, and the child has to guess the theme, title, or series before opening the surprise. Instead of money, have the tooth fairy bring books for each lost tooth.
Explore Beyond
Keep a variety of quick reads in the car for your child to enjoy and share funny stories and facts with you while traveling.
Mix up the media. Children nowadays have the privilege of accessing books on computers, e-readers, audio books, tablets, as well as traditional paper versions. Find out what works best for your child’s personality.
Read and Write
Encourage your child to write to
their favorite author and share their thoughts about a good book they’ve recently finished. Motivate your child to create their own stories to accompany their drawings and write their own tales.
Bring
Choose a character and dive into the book by acting out the roles and imagining how they would interact with one another. Add sound effects while reading aloud, and involve your child in providing appropriate background noises like closing doors, howling sounds, or footsteps.
Switch it Up - When reading aloud old favorites or classic stories, change the storyline to see if your child can catch you. Swap words or rename characters to match friends and family members.
extended period of time before needing to undergo another treatment.
Dermal fillers are also a versatile treatment option that can be tailored to suit the unique needs and goals of each individual. Whether you are looking to plump up thin lips, soften lines around the mouth, or restore volume to hollowed cheeks, there is a dermal filler that can help achieve your desired results. Additionally, fillers can be used in combination with other cosmetic treatments such as Botox or laser therapy to create a comprehensive rejuvenation plan.



Overall, dermal fillers offer a safe, effective, and minimally invasive way to achieve rejuvenated skin and a more youthful appearance. Whether you are looking to smooth out fine lines and wrinkles, add volume to the cheeks and lips, or enhance your facial contours, dermal fillers can help you achieve your aesthetic goals with natural-looking results. If you are considering dermal fillers for rejuvenated skin, be sure to consult with a qualified and experienced injector to discuss the best treatment options for your unique needs.




remaining myometrial thickness less than 2.2 mm when evaluated by transvaginal ultrasound or less than 2.5 mm when evaluated by sonohysterography.
Niches are observed in 50-60% of women following a cesarean section. Several factors have been shown to be associated with the development of a cesarean section niche. There are some maternal factors that can contribute to poor healing of tissue such as diabetes and smoking. A study by Hayakawa et al., demonstrated that double-layer interrupted sutures reduced the prevalence of a cesarean section myometrial defect after at 30–38 days after surgery.
Cesarean section niches can result in a spectrum of disorders starting with cesarean scar ectopic pregnancy, to increased incidence of placenta previa and uterine rupture associated with major maternal morbidity, and even mortality. Cesarean section niches collect menstrual blood, resulting in abnormal peri-menstrual bleeding or spotting. They also cause pelvic pain, painful menstruation, and dyspareunia. The accumulation of blood in this area may also negatively affect the quality of cervical mucus and semen, as well as interfere with semen transport
Another serious sequela may be the implantation of an embryo within the niche resulting in the development of a cesarean scar ectopic pregnancy. This can be a life-threatening complication if not diagnosed on time and adequately treated. The diagnosis of a niche ectopic pregnancy is invariably challenging, as approximately 30% of patients may not present with any symptoms, and in 70% the symptoms mimic early pregnancy. Transvaginal ultrasound is the most accurate differential test, with a sensitivity of 84.6%. Additionally, saline infusion sonohysterography, MR, 3D US and hysteroscopy may also be helpful.
Several studies have reported spotting in up to 30% of women that develop a niche within 6-12 months compared to 15% of women without a niche. The amount of spotting post-

menstrual is correlated to the volume of the niche and inversely correlated to the residual myometrial thickness.
The development of a Cesarean section niche by itself also reduces future fecundity and it is felt that there are three major mechanisms for this to happen. The first is that the defect presents a detrimental environment for sperm penetration and implantation. The niche accumulates intrauterine fluid which has been shown to impair implantation. There is altered immune biology and increased inflammation when the niche is present. The niche itself also distorts the contractility of the uterus.
Several studies have shown that the uterus has a contractile pattern. The fibrosis and interruption of the myometrial layer at the site of the niche can prevent normal contractile patterns. There is accumulation of mucus and blood in the niche which can impair sperm penetration. The second mechanism of decreased fecundity includes a physical barrier for embryo transfer and implantation. A large niche in combination with a strongly retroflexed uterus impairs accessibility for subsequent embryo transfer in a future IVF cycle. This is due to the distorted anatomy at the niche site. The third mechanism of reduced fecundity could be related to gynecologic symptoms which interfere with sexual intercourse and may interfere with opportunities to conceive.
The treatment for cesarean section niches is usually surgical. Patients whose main symptom includes spotting or bleeding abnormally can be readily treated by hysteroscopy.
Repairing the niche itself by laparoscopy can improve future fertility. A prospective study looked at patients who had niches. Patients with no clinical symptoms had a mean residual myometrial layer on transvaginal ultrasonography of 5.39±3.34 mm, which could be used as a good reference to predict the recovery of patients after repair surgery.

UltraSlim is the safest, most effective non-invasive fat loss device – and the only device with same-day results. The mechanism of action is our patented photobiomodulation of the adipocyte, resulting in lipolysis. In IRB clinical trials, patients lost an average of 1,580cc of fat during their first $500 treatment – 40 times more fat loss than the 39.6cc with CoolSculpting three weeks after treatment. UltraSlim works for all patients, with no restrictions for skin tone or BMI. With three FDA clearances (Risk Group 1 with no adverse outcomes), five indications For Use, and nine patents, there is nothing else like UltraSlim.


“Lose 3.5 Inches From Your Waist, Hips or Thighs In 32 Minutes...” (Non Invasive Body Sculpting)
“New Mom Libny lost 36 pounds of fat with twelve 32-minute UltraSlim treatments”
(Non Invasive Body Sculpting)


ACUPUNCTURE
Eastern Medical Holistic Healing Center, Angel Wood, 240755-5925. www.acupuncture4wellness.webs.com
ALTERNATIVE HEALTHCARE
Holistic Family Health - Thermal Imaging, Herndon, VA. 703-635-6324 For More information visit www.fhtid.com
BEAUTY/SKIN
A Better You, Dr. ClarkeBennett, 410-672-2742. Essences of Jamal of DC – 202839-0657. Worlds Best SheaButter, Rose-Water Butter, Hemp Seed Oil, Nag Champa Incense, Sage Smudge Sticks, Jumbo Incense Sticks, TeaTree Oil. Price List Available. 202-839-0657 – JamalofDC@ gmail.com.
BREAST HEALTH
University of Maryland Charles Regional Medical Center. 11340 Pembrooke Square, Suite 202, Waldorf, MD 20603. 240-607-2010. UMCharlesRegional.org
CHINESE MEDICINE & ACUPUNCTURE
Wholelife Chinese Medicine & Acupuncture, 301-526-9898, 416 Hungerford Dr., Rockville www.wholelifeherb.com
DENTISTRY
Karl A Smith, DDS, 2550 N. Van Dorn St., Suite #128, Alexandria, VA. Call 703-894-4867, Visit www.drkarlsmith.com
DENTISTRY
Richard Hughes, DDS, 703444-1152, 46440 Benedict Drive Suite #201, Sterling, VA. www.SterlingImplantDentist. com
CARE
Visual Eyes, Alexander Nnabue OD, 301-324- 9500.
HOLISTIC WELLNESS COACH
Nutrition Lifestyle Digestion and More – Lisa@LisaThorne.Me – Text 269861-7565.
HYPNOSIS
Toni’s Happy Hour Yoga and Holistic Wellness Center • 6504 Old Branch Avenue, Temple Hills, MD 20748 • 301-449-8664.
MEDICAL SPACE
Charles L. Feitel Company, 301-571-9333, www.medicalanddentalspace.com.
MENTAL HEALTH SERVICES
House Calls, LLC. 301-3466732. callingonbeth@gmail. com. www.CallingOnBeth.net.
Nutritional Healing Center, Thomas K. Lo, DC, MA, 240-651-1650, 7310 Grove Road, Suite 107, Frederick, MD 21704. doctorlo.com.
OPHTHALMOLOGY
NewView Laser Eye Center – Jacqueline D. Griffiths, MD – Reston (703) 834-9777 or (800) 294-1001 – Visit us at www.NewViewEye.com.
ORAL & FACIAL
SURGERY
Northern Virginia Surgical Arts 703-998-3971, 611 South Carlin Springs Road, Ste 308, Arlington, VA 22204 For more information visit us online at www.novasurgicalarts.com.
The Maryland Oral Surgery Group, Dr. Sharon Russell. 301-967-0183. www.THEMOSG.com.
All Smiles Orthodontics. 9010 Lorton Station Blvd Suite 260, Lorton VA 22079 www. allsmilesbraces.com For more info call us at 703 337-4414.
Jacqueline Brown Bryant DDS, MS, PC, Damon, Clear Braces & Invisalign for Adults And Children. Silver Spring, Maryland 20910 www.smileconstructors. com 301-587-8750 .
Order Information: 3 line listing $30.00 for 6 months, $5.00 for each additional line. 10 line listing for 6 months is $65.00. (Each line approximately 3-4 words)
To Order: Include you NAME, ADDRESS, PHONE, EMAIL AND WHAT HEADING YOU WISH TO BE LISTED UNDER, AND ANY SPECIAL OFFER OR TEXT TO INCLUDE. We will prepare a proof and email to you for approval.
Email your information to: info@yourhealthmagazine.net or Fax to: (301) 805-6808. Call (301) 805-6805 for assistance.
MARYLAND/WASHINGTON, DC OFFICE
4201 Northview Drive, Suite #102, Bowie, MD 20716 phone: (301) 805-6805 • fax: (301) 805-6808 • email: Info@YourHealthMagazine.net VIRGINIA OFFICE phone: (703) 288-3130 • fax: (703) 288-3174 • email: Publish@YourHealthMagazine.net

Loving Care, Janet Johnson, MD – Hyattsville, MD – 301403-8808.
PHYSICAL THERAPY/ REHABILITATION
Active Physical Therapy. Various Locations across Maryland and Washington, DC. Active-physicaltherapy. com.
Arlington Podiatry Center, Edward S. Pozarny, DPM 703-820-1472. 611 S. Carlin Springs Road, Suite #512, Arlington VA.
Largo Foot and Ankle Health Center, Ade Adetunji, DPM, 301-386-5453.
SENIOR CARE
Chevy Chase Home Care. Help at a time you need it most. Any Ages. Any situations. Any shifts. MD, DC, VA. www.CHCHhomecare. com 202-374-1240.
Toni’s Happy Hour Yoga and Holistic Wellness Center –6504 Old Branch Avenue, Temple Hills, MD 20748 –301-449-8664.










a year’s subscription (12 issues)! SUBSCRIBING IS
1) Call 301-805-6805 with your name, contact info, and credit card payment for $24, or
2) Simply mail this form along with your check for $24:
Your Health Magazine 4201 Northview Dr. Suite 102 Bowie, MD • 20716
EMAIL: _________________________
























