
8 minute read
Présentation de cas: Facilitation orthodontique chirurgicale
Dr méd. dent Barbara Jaeger Dentiste spécialiste de l’orthodontie Zurich
Ill. 1
L’objectif de tout traitement orthodontique est d’obtenir une fonction masticatoire optimale. Les articulations temporomandibulaires, les muscles masticateurs, l’occlusion et le parodonte forment une unité et doivent être en équilibre. En même temps, il est souhaitable d’obtenir une esthétique optimale avec le traitement. En fin de compte, cependant, le traitement doit aboutir à un résultat stable à long terme.
Dans le traitement orthodontique des adultes, nous rencontrons souvent des limitations biologiques qui rendent le traitement difficile, voire impossible. Le compartiment alvéolaire accueille la racine de la dent et constitue une limite claire, en particulier dans la région antérieure de la mandibule. Pour des raisons anatomiques, le processus alvéolaire peut avoir différentes formes. En particulier, un appareil mandibulaire étroit avec une couverture osseuse buccale et une couverture de la muqueuse gingivale fines limite les possibilités de déplacement des dents. Il n’est pas rare que les patients adultes présentent des récessions uniques ou généralisées. Si l’on n’accorde pas suffisamment d’attention à ces conditions anatomiques et structurelles, un traitement ortho peut provoquer d’autres récessions le résultat du traitement aboutit alors à une situation biologiquement pire. Comment estil possible de répondre à une demande de traitement dans une situation initiale complexe sur le plan parodontal sans compromettre (davantage) le parodonte? Cette question m’a toujours davantage intéressée. Il y a de nombreuses années, les frères Wilcko (un parodontologue et un orthodontiste) ont mis au point une méthode permettant d’accélérer le mouvement des dents, qui a ensuite été appelée «WilckoDontics». Cette méthode est très invasive. Des lambeaux de taille importante sont préparés buccalement et oralement jusqu’à l’apex des racines des dents et le processus alvéolaire est perforé avec des fraises rondes. L’os est recouvert de BioOss, le lambeau est adapté et suturé. Il n’est pas rare que cette méthode entraîne des saignements postopératoires, des hématomes, des troubles sensoriels, voire des nécroses. Il y a quelques années, j’ai entendu parler de la «piézocision» pour la première fois lors d’un congrès orthodontique paro en Amérique et j’ai été totalement fascinée par cette technique jusqu’à ce que je puisse en apprendre davantage à ce sujet à Boston avec mon collègue parodontologue et prothésiste, le Dr Michael Kyburz. Entretemps, nous avons acquis une grande expérience et développé la méthode pour nousmêmes.
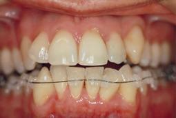
Situation initiale (Ill. 1–5) Ce patient de presque 40 ans présente un encombrement distinct des deux mâchoires (maxillaire 5mm, mandibule 6mm) avec de
Ill. 2



nombreuses rotations; les conditions parodontales doivent être considérées comme critiques pour un traitement orthodontique; la gencive est très fine, il y a des récessions naissantes à de nombreux endroits. En particulier, les 11/21, 23 et 43/42 présentent déjà des récessions distinctes. La rotation de dents telles que 23/32 ici, qui ont déjà une récession est extrêmement délicate. Le risque que la dent se redresse mais que la récession augmente est assez élevé. Du point de vue de la planification, ce problème doit être résolu sans extractions dans la mâchoire supérieure, car sinon le profil extrêmement attrayant serait aplati et affecté négativement par le raccourcissement de l’arcade dentaire. Après l’élaboration du concept orthodontique, le cas est abordé de manière interdisciplinaire. La vue DTV nous donne suffisamment d’informations sur la couverture osseuse buccale pour pouvoir déterminer où placer les coupes corticales, en tenant compte du mouvement dentaire souhaité. Au cours de l’intervention, les récessions peuvent être recouvertes de greffes de tissu conjonctif. De même, la position osseuse initiale peut être optimisée par une augmentation osseuse si la planification prévoit que les dents doivent être poussées plus loin en direction buccale.

Après réduction de l’émail interdentaire et insertion des appareils (Ill.6–8) Avant l’intervention, les appareils fixes sont mis en place et une réduction approximative de l’émail est effectuée lorsque cela est anatomiquement correct. Il est facile de voir comment les prémolaires du maxillaire ont été réduites en largeur pour générer de l’espace pour le déplacement des dents. Au niveau de la mâchoire supérieure, le patient souhaite avoir un appareil palatin invisible (technique linguale). Par manque de place, les deux crochets pour le 12 et le 23 ne peuvent pas encore être placés. La dent 2n’a pas d’attache car elle sera retirée lors de la procédure piézoélectrique selon le planning. Au cours de la procédure, la corticale buccale est incisée à une profondeur d’environ 3 mm à l’aide d’un dispositif piézoélectrique, ce qui provoque une inflammation stérile accompagnée d’un antibiotique. Cette «lésion» provoquée entraîne ensuite un processus de guérison physiologique, avec des processus de remodelage importants dans l’os. La densité osseuse diminue, les dents deviennent très mobiles et peuvent être déplacées très rapidement dans la position souhaitée. Jusqu’à ce que l’os se reminéralise, on dispose d’une fenêtre de temps de 4 à 6 mois maximum pour déplacer les dents au maximum.
Ill. 4 Ill. 5 Ill. 6
Ill. 7

Ill. 8






Ill. 9
Ill. 10
Ill. 11
11 semaines après l’opération (Ill. 12–14) Onze semaines après l’opération, pratiquement toutes les rotations sont corrigées sauf la 12 (à ce stade, le support peut être placé correctement), l’écart dans l’avant mandibulaire se referme. Le traitement orthodontique se déroule selon le plan, comme dans tout autre cas résolu de manière conventionnelle – sauf que le patient doit venir toutes les deux semaines pour le changement d’arc afin d’exploiter au maximum la fenêtre de temps de mobilité accrue des dents.
Ill. 12
1 semaine après l’opération (Ill. 9–11) En plus de la piézocision interdentaire entre la 14 distale et la 24 distale et dans la mandibule entre la 34 distale et la 44 distale, la dent 21 a reçu une greffe de tissu conjonctif, une augmentation osseuse a été réalisée dans l’antérieur mandibulaire, toutes deux sous visualisation avec formation de lambeaux. Une facette a été collée sur la dent adjacente à la place de la 42 extraite pour rendre l’espace moins visible visuellement. Jusqu’au retrait des sutures après environ 10 jours, l’hygiène buccale est soutenue par un rinçage à la chlorhexidine. Le processus de guérison s’effectue sans problème et les patients ne ressentent pratiquement aucune douleur.
Ill. 13
Ill. 14



Documentation lors du retrait de l’appareil (Ill. 15–17) Après 11 mois, le traitement actif peut être terminé et des appareils de rétention sont placés de manière standard dans les régions antérieures maxillaires et mandibulaires pour garantir le résultat final. La première chose que l’on remarque sur la vue de face, ce sont les triangles noirs très inesthétiques entre les dents inférieures de devant. Ceci est particulièrement visible dans le cas de couronnes de forme triangulaire. Chez les patients adultes présentant une situation d’encombrement dans la région antérieure de la mandibule, cela peut difficilement être évité, à moins de réduire en plus une grande quantité d’émail interdentaire, ce qui n’était pas souhaité ou voulu dans ce cas. Deuxièmement, il convient de noter que la couverture des récessions à 21 ans a été un succès total; la gencive s’est montrée très stable dans l’ensemble, et aucune autre récession n’a eu lieu. Ill. 18–20 Enfin, le prothésiste a placé des facettes dans la partie antérieure de la mandibule de façon à ce que les grands triangles interdentaires soient cachés. Dans l’ensemble, le support chirurgical miniinvasif m’offre un grand avantage dans de nombreux cas pour le traitement des situations orthodontiques initiales complexes chez les adultes. Non seulement les cas limites peuvent être gérés avec une grande confiance, mais la durée de traitement nettement plus courte rendue possible en facilitant le déplacement des dents est également très appréciée des patients.

Ill. 16
Ill. 17

Ill. 18

Ill. 19
Ill. 20
L’auteure
Dr Barbara Jaeger 1984 Diplôme Ecole HD Zurich 1987 – 1992 Etudes de médecine dentaire Université de Zurich 1992 Examen d’Etat de médecine dentaire Université de Zurich 1993 – 1999 Médecindentiste assistante à l’Ecole HD de Zurich 1999 – 2002 Formation postgrade en orthodontie à la Clinique orthodontique et pédiatrique dentaire auprès du Prof. Dr. P. Stöckli 2002 – 2003 Assistantecheffe à la Clinique orthodontique et pédiatrique dentaire Dès oct. 2003 Cabinet commun avec le Dr P. Clavadetscher 2004 Titre de spécialisation «médecindentiste spécialiste en orthodontie CH» selon les directives de la SGK/SSO 2004 – 2020 Conseils en orthodontie pour le Service dentaire scolaire de la ville de Zurich 2006 – Conseils en orthodontie pour les services sociaux du canton de Zurich 2009 – 2013 Présidente de la Société Suisse d’Orthopédie DentoFaciale (SSODF) 2015 – Présidente de la Swiss Lingual Orthodontic Association (SLOA), Association Suisse d’Orthodontie Linguale 2020 – Membre de la Commission d’éthique du canton de Zurich
Correspondance: Dr. Barbara Jaeger Fachzahnärztin für Kieferorthopädie Drahtzugstr. 18, 8008 Zürich www.fastteeth.ch