2023-2024



![]()
2023-2024



RWJBarnabas Health is improving heart and vascular outcomes through research, technology and innovation. With the state’s largest medical group, including its academic faculty at Rutgers Health, RWJBarnabas Health cares for the most hearts in New Jersey.
New Jersey’s leader in heart and vascular care:
• Largest heart surgery network
• Largest cardiac imaging program
• Only heart and lung transplant programs
• Largest network of catheterization laboratories
Cooperman Barnabas Medical Center, Barnabas Health Ambulatory Care Center
4. Jersey City Medical Center
5. Monmouth Medical Center, The Unterberg Children’s Hospital at Monmouth Medical Center
6. Monmouth Medical Center Southern Campus
7. Newark Beth Israel Medical Center
Robert Wood Johnson University Hospital, The Bristol-Myers Squibb Children’s Hospital
9. Robert Wood Johnson University Hospital Hamilton
10. Robert Wood Johnson University Hospital Rahway
11. Robert Wood Johnson University Hospital Somerset
12. Rutgers Cancer Institute of New Jersey
13. RWJBarnabas Health Behavioral Health Center
14. Trinitas Regional Medical Center
RWJBarnabas Health also includes hundreds of ambulatory and medical group locations throughout New Jersey.

It is truly my honor to introduce this report, which highlights the remarkable contributions of our entire Heart and Vascular team at Robert Wood Johnson University Hospital (RWJUH).
The outstanding results noted in this report are the foundation of RWJBarnabas Health’s commitment to optimizing patient-care delivery for those already within our health network, while expanding access for others seeking the most advanced care. The report showcases the breadth and depth of services at RWJUH, our academic medical center for Rutgers Robert Wood Johnson Medical School. In addition to excellence in care delivery, RWJUH’s work in research and education demonstrates how we are advancing heart and vascular care to benefit our patients and communities throughout New Jersey and beyond—not only for today, but also as an active investment in our collective future.
I am proud to present this report and am privileged to support the excellent work at RWJUH and across RWJBarnabas Health, New Jersey’s largest network of heart and vascular care.
Sincerely,
Conor Barrett, MD, MBA Chief Clinical Officer and Senior Vice President RWJBarnabas Health, Heart and Vascular Service Line
On behalf of the Heart and Vascular Service at Robert Wood Johnson University Hospital (RWJUH), we are proud to present the 2023-2024 Heart and Vascular report. This report highlights our academic program’s comprehensive medical and surgical cardiovascular care, cutting-edge clinical research, and commitment to education and training for the next generation of cardiovascular health care professionals.
Our transformative journey as the leadership team of the Heart and Vascular Service began in 2021, when Partho P.Sengupta, MD, DM, FACC, FASE, joined RWJUH and Rutgers Robert Wood Johnson Medical School (RWJMS), completing the faculty physician leadership triad, with Mark J. Russo, MD, MS, and Saum A. Rahimi, MD, FACS, at New Jersey’s premier academic medical hub for cardiovascular disease. Together, our achievements have been remarkable.
Our Cardiac Surgery Service has repeatedly earned three-star ratings from the Society of Thoracic Surgeons, a hallmark of excellence in cardiac surgery outcomes. Our nationally renowned minimally invasive cardiac surgery program delivers exceptional patient outcomes and faster recovery using small incisions, bone-sparing techniques, and percutaneous (incision-free) approaches.
Advanced aortic procedures and improvements in endovascular care are among Vascular Surgery’s major accomplishments in 2024.
The Heart and Vascular Service has significantly expanded its academic footprint by recruiting distinguished leaders and increasing faculty size from 10 to 30. Many of these professionals actively contribute to national professional societies, serve on boards, and hold editorial positions with high-impact academic journals. This expansion reflects our unwavering commitment to subspecialty excellence and education.
Collectively, our faculty are involved in more than a dozen clinical trials, driving the development of groundbreaking therapies. These efforts have led to FDA approval of novel treatments and significant contributions from our incubator, the Center for Innovation at RWJUH and RWJMS. Faculty research has been published in top-tier journals such as The New England Journal of Medicine, The Lancet, JAMA, Journal of the American College of Cardiology and Annals of Vascular Surgery, and presented at premier international conferences.
As a quaternary heart and vascular care program and index referral center for the region, we maintain strong connections to cardiovascular physicians in communities across New Jersey and on the RWJUH medical staff, enabling our growth and ability to help more patients with acute disease. We are proud to share these successes and reaffirm our commitment to improving patient outcomes through innovation, research and academic collaboration. Our dedication to excellence will continue to shape the future of cardiovascular care.
Sincerely,

Partho P. Sengupta, MD, DM, FACC, FASE
Chief of Cardiology, Robert Wood Johnson University Hospital and Henry Rutgers Professor of Cardiology, Chief of Cardiovascular Diseases and Hypertension, Rutgers Robert Wood Johnson Medical School

Mark J. Russo, MD, MS
Chief of Cardiothoracic Surgery, Robert Wood Johnson University Hospital and Professor of Surgery and Chief of Cardiac Surgery, Rutgers Robert Wood Johnson Medical School


Saum A. Rahimi, MD, FACS
Medical Director, Perioperative Services, Robert Wood Johnson University Hospital and Professor of Surgery, Chief of Vascular Surgery and Endovascular Therapy, and Norman and Ruth H. Rosenberg Chair of Vascular Surgery, Rutgers Robert Wood Johnson Medical School

World-class clinicians are the foundation of the Heart and Vascular Service at RWJUH.



1,000+ OPEN CARDIAC CASES 30+ MITRACLIP CASES 14 HEART TRANSPLANTS Annually


2,545 CASES (since 2012)
421 CASES (in 2024)
2 HYBRID ORS Facilities TAVR Vascular 2023-2024
2,233
142 461
8 CATH & EP LABS

Watchman
640 CASES (since 2016)
Cath Lab Encounters
3,500+ DIAGNOSTIC 900+ ELECTROPHYSIOLOGY 200+ PERIPHERAL VASCULAR
1,600+ INTERVENTIONAL
Faculty members from the Heart and Vascular service at RWJUH have been recognized internationally and nationally. Below are a few highlights.



Dr. Altobelli serves as the Clinical Chief of Cardiology at RWJUH, responsible for the improvement and expansion of hospital-based cardiovascular services at one of the state’s highest-volume and most comprehensive programs. He is also Associate Chief Medical Officer at RWJUH, with administrative oversight of clinical delivery across all service lines.
In 2024, Dr. Altobelli was named Physician of the Year by the American Heart Association.
New Jersey Governor Phil Murphy has appointed Dr. Bokhari to serve on the New Jersey Rare Disease Advisory Council for a three-year term. Read more.
In addition, Dr. Altobelli serves as co-director of the RWJBarnabas Health Sports Cardiology Program and is a cardiology consultant to the Princeton University and Rutgers University athletic programs.
Governor Phil Murphy appointed Dr. Altobelli to the New Jersey State Board of Medical Examiners as one of 12 physicians to serve a three-year term.

Dr. Lee, Chief of Surgical Services at RWJUH and Chair of Surgery at RWJMS, has assumed a twoyear term as president of the board of directors for the Eastern States region of the American Heart Association. Read more.
Dr. Maganti has been elected to the American Society of Echocardiography Board of Directors. Read more.

Dr. Sengupta was selected by the American College of Cardiology as its 2023 Gifted Educator Award honoree. He was also honored for Outstanding Achievements in the Field of Cardiology by the American Association of Cardiologists of Indian Origin. Read more.
Cardiovascular Diseases and Hypertension at RWJMS has expanded its Continuing Medical Education (CME) and Rutgers Health fellowship programs significantly over the past few years. The CME program now has a robust online collection of videos and tutorials. The Rutgers Health fellowship program currently includes two subspecialty fellowships, Advanced Imaging and Interventional Cardiology, with two more, Advanced Heart Failure and Amyloidosis, slated to begin in July 2025.
2023-2024 HIGHLIGHTS
Growth in general cardiology fellowships
•Continued expansion of the RWJMS general cardiology fellowship program, with the incoming class (July 2025) increasing to five fellows per year (15 total).
• Women account for 43% of fellows.
• The fellows are active participants in American College of Cardiology conferences, presenting papers and posters.
• The faculty has increased from 10 to 30 and works collaboratively to develop curriculum.
Growth in subspecialty fellowships

•Advanced Imaging Cardiology Fellowship increased to two fellows.
• RWJMS was awarded the Pfizer Cardiac Amyloid Fellowship program grant out of a field of 20 academic institutions nationwide, with training to begin in 2025.
Growth in education and CME program
•More than 70 high-impact educational videos are available.
• YouTube subscribers now number more than 200% of our total two years ago (now 450, up from 192 in 2022).
• A threefold increase in CME credits indicates engagement across RWJBarnabas Health system providers.
• Weekly virtual Cardiology Grand Rounds (presented by renowned national and international faculty) are available.
1977
• An affiliation was signed making the hospital the primary teaching hospital for what was then the College of Medicine and Dentistry of New Jersey, Rutgers Medical School.
1990s
• The hospital and medical school campus became an academic medical center for all New Jersey, celebrated its centennial, and officially changed its name to Robert Wood Johnson University Hospital.
•The Heart Center of New Jersey—a major cardiac referral center for the region—opened.
•The Ross procedure for open heart surgery was performed for the first time in New Jersey at RWJUH.
With a commitment to drive transformation and innovation, the Noninvasive Cardiology team at RWJUH is building a state-of-the-art program focused on using advanced imaging to diagnose and monitor cardiac health. In 2024, the section was recognized by the Intersocietal Accreditation Commission for achieving 25 years of accreditation. Under the leadership of Section Chief Kameswari Maganti, MD, FACC, FASE, the team has made exceptional strides in increasing the volume and quality of echocardiology, ECG monitoring and advanced cardiac imaging. These tools have significantly improved early detection of heart disease and accurate evaluation of heart damage following a heart attack.

The laboratory conducts three types of ultrasound testing based on a solid foundation of research: transesophageal echocardiography (TEE), transthoracic echocardiogram (TTE) and stress echocardiography. More robust studies, improved volumes of each test, and shortened patient wait times are just a few of the ways the lab is continually striving to achieve the best possible patient outcomes.
• 14% growth in TTE, TEE and stress echo volumes from 2022 to 2024.
• Outpatient wait times for TTE shortened from 5 weeks to 1 week, and stress outpatient wait times from 8 weeks to 1 week.
• Reduced turnaround times to allow seamless patient care and expedite discharges.
• Introduced new technology, including 3D miniaturized TEE probes, 4D intracardiac echo, point-of-care ultrasound and supine bicycle stress echo.
• Hosted inaugural sonography symposium to improve standardization of echocardiography across the health system.
• Promoted continuing education through an all-day, case-based, hands-on session held for the Echo Lab team.
The OneStop program is a streamlined, patient-centered process designed to efficiently coordinate preoperative testing and evaluations for cardiothoracic surgery patients. The program includes:
1. Initial consultation: Patients meet with a cardiothoracic surgeon in the clinic. The OneStop encounter is scheduled.
2. Appointment coordination: A scheduler contacts the patient to arrange all necessary appointments for the OneStop encounter.
3. Nurse navigator: The nurse navigator reaches out to confirm details, providing personalized guidance throughout the process.
4. Hospital arrival: Patients are directed to Main Admitting for registration and preparation for tests.
5. Testing: Patients are taken to the Same Day Cath Lab pre-procedure area, where IV placement, lab work, an electrocardiogram and an echocardiogram are performed.
6. Final imaging: The patient is escorted to the CT Scan area for final tests.
7. Discharge: Upon completion of testing, the nurse navigator escorts the patient out of the building.
increase from 2022 to 2024

The Advanced Cardiac Imaging Program at RWJUH is directed by Sabahat Bokhari, MD, FACC, FASNC, who is also the director of the Cardiac Amyloidosis and Cardiomyopathy Center at RWJUH and RWJMS, and Professor of Medicine at RWJMS. The program offers access to state-of-the-art cardiac computed tomography (CT); cardiac magnetic resonance (CMR); nuclear testing; and myocardial perfusion imaging (MPI), including cardiac positron emission tomography (PET), to patients and referring and community clinicians. Through the program, access to novel imaging capabilities has seen considerable growth for several hospitals throughout the RWJBarnabas Health system. For example, as shown below, the average monthly advanced cardiac imaging volumes at RWJUH have more than doubled within the last year.
• 164% growth in volumes of CT, CMR and nuclear studies from 2022 to 2024.
• Cutting-edge research studies using coronary CT angiography for noninvasive assessment of coronary arteries.
• First cardiac PET myocardial perfusion program for the health system initiated in 2024.

• Sengupta PP, et al. Challenges for augmenting intelligence in cardiac imaging. Lancet Digit Health. 2024 Oct;6(10):e739-e748.
• Al Taha Z, Bokhari S, et al. Attacking the Achilles heel of cardiac amyloid nuclear scintigraphy: How to reduce equivocal and false positive studies. J Nucl Cardiol. 2023 Oct;30(5):1922-1934.
• Seetharam K, Hamirani Y, et al. Broadening perspectives of artificial intelligence in echocardiography. Cardiol Ther. 2024 May 4.
• Appadurai V, Maganti K, et al. The value of ultrasound enhancing agents in the echocardiographic acquisition of pulmonary artery systolic pressure: An invasive to non-invasive correlation study. Int J Cardiovasc Imaging. 2024 Jun;13(2):267-279.
Average Monthly Advanced Cardiac Imaging Volumes (CT/CMR/Nuclear) at RWJUH
164% increase from 2022 to 2024
Cardiac computed tomography (CT); cardiac magnetic resonance (CMR); nuclear testing; and myocardial perfusion imaging (MPI), including cardiac positron emission tomography (PET)
RWJUH is at the forefront of treating valvular and structural heart disease, combining state-of-the-art technology with groundbreaking research. As nationally recognized leaders in their field, RWJUH physicians have taken on leading roles in landmark multicenter clinical trials, facilitating the approval of novel devices that have expanded treatment options for patients with no therapeutic options.
RWJUH provides a full spectrum of advanced therapies for structural heart disease, ensuring that patients receive the highest level of care. Procedures such as transcatheter aortic valve replacement (TAVR) for narrowed aortic valves, transcatheter mitral valve repair for leaky mitral valves, and left atrial appendage closure for patients with irregular heartbeats who cannot take blood-thinning medications are performed routinely by expert teams. RWJUH has also helped pioneer treatments for complex cases, including novel therapies for leaky aortic valves and damaged mitral and tricuspid valves.
Leadership in innovation
RWJUH physicians have been instrumental in clinical trials that led to the approval of devices like the Tricuspid with Evoque valve, the first transcatheter valve replacement therapy for tricuspid regurgitation. Additionally, RWJUH has participated in studies focused on determining the optimal timing for TAVR to maximize patient outcomes, helping shape evidence-based guidelines for treating narrowed aortic valves.
Advanced atrial appendage management
Breakthrough devices, such as Amulet and Watchman, are now utilized to seal the left atrial appendage, providing lifechanging solutions for patients at risk of stroke and other complications.
Treatment for congenital defects
Minimally invasive solutions for congenital conditions, including patent foramen ovale (PFO) and atrial septal defect (ASD), have improved outcomes for previously underserved patient populations.
• 700-800 structural heart procedures annually.
• 1-day median length of stay for TAVR including MitraClip and left atrial appendage occlusion including Watchman.
• 3-day median length of stay for minimally invasive isolated valves.

• Sengupta PP, et al. The future of valvular heart disease assessment and therapy. Lancet. 2024 Apr 20; 403(10436).
• Ali S, Hamirani YS, et al. Transcatheter aortic valve implantation with and without mitral stenosis—A National Readmission Database study. Cardiovasc Revasc Med. 2024 Aug;65:1-7.
• Hiltner E, Russo M, et al. Trends in the incidence, mortality and clinical outcomes in patients with ventricular septal rupture following an ST-elevation myocardial infarction. Coronary Artery Disease. 2024 Dec;35(8):675-683.
RWJUH physicians Mark J. Russo, MD, MS, and Ankur Sethi, MD, were authors on The Cost of Waiting for a Transcatheter Aortic Valve Replacement in Medicare Beneficiaries With Severe Aortic Stenosis, published in Structural Heart, June 2024.
In this video, they discuss the increased health care costs of delaying TAVR and RWJUH’s streamlined testing and evaluation process, called OneStop, which reduces time from referral to treatment. Read the study.

RWJUH has an international reputation for exemplary clinical care and advanced research. Not only has the hospital been recognized for excellence in heart bypass surgery, but it is also an active participant in valve-related clinical trials.
Under the direction of Tudor Vagaonescu, MD, PhD, who is also associate professor of medicine at RWJMS, the RWJUH Catheterization Lab performs one of the highest volumes of coronary interventions, structural heart procedures, electrophysiology procedures and vascular interventions in New Jersey. The lab uses intravascular ultrasound (IVUS) for 50% of its percutaneous coronary intervention (PCI) procedures, putting it in the 90th percentile of IVUS use nationally. In 2023, the lab was designated as the referring center for chronic total occlusion for the entire RWJBarnabas Health system.
• IVUS used for 50% of PCI procedures, well surpassing the national average of 27%.
• Median time to immediate PCI (STEMI) was 67 minutes.
• Median time for PCI following an in-house STEMI was 46 minutes (90th percentile per NCDR).
• The RWJUH CCL risk-adjusted PCI in-hospital mortality is below the NCDR benchmark for hospitals with similar volumes over the last two years.
• STEMI program received a bronze designation from the American Heart Association’s Get With the Guidelines program.
Technology has changed the way serious heart disease is treated, and RWJUH has been on the cutting edge. Advancements have improved the way PCI is performed, how endovascular procedures are conducted, and how heart failure is treated. The use of various mechanical circulatory devices in collaboration with cardiac surgery and advanced heart failure/heart transplant teams allows for the care of the sickest patients through the cardiogenic shock program and successful performance of high-risk PCI. Overall, the Heart and Vascular program has an impressive record of successfully treating a wide range of heart conditions.
2023-2024 HIGHLIGHTS
• Adopted AGENT, the first and only U.S. coronary drug-coated balloon for patients with in-stent restenosis.
• Used the Esprit BTK Everolimus Eluting Resorbable Scaffold System to improve luminal diameter in infrapopliteal lesions in patients with chronic limb-threatening ischemia.
• Improved safety of coronary interventions in patients with heart attacks and low pump function by using mechanical circulatory devices.

• Upadhyaya VD, Zakir RM, et al. Management of myocardial infarction: Emerging paradigms for the future. Methodist Debakey Cardiovasc J 2024 Aug 20;20(4):54-63.
• Hakeem A, Sethi A, Awasthi A, Zakir R, Vagaonescu T, et al. Safety and efficacy of single-access Impella for high-risk percutaneous intervention (SHiP). JACC Cardiovasc Interv. 2022 Feb;15(3):347-348.
When patient Jim Hart arrived at RWJUH in cardiac arrest, “His ejection fraction was really poor,” says Ramzan Zakir, MD, Director of High-Risk PCI and Research at RWJUH and Clinical Associate Professor of Medicine at RWJMS. Doctors immediately implanted the Impella CP device—the world’s smallest heart pump—to support Jim’s heart. “The Impella saved his life,” says Dr. Zakir.

When Jerry Infurna arrived at RWJUH after a myocardial infarction, his heart’s ejection fraction was only 20 percent. Doctors needed to implant a VAD to support his heart function until they could place a stent in the blocked artery, but the case was complicated by the patient’s PAD. Ankur Sethi, MD, pivoted quickly to external bypass.
Led by Mark Russo, MD, MS, Chief of Cardiothoracic Surgery at RWJUH and Professor of Surgery and Chief of Cardiac Surgery at RWJMS, the program has established itself as a premier institution for cardiac surgery, exemplified by:
Repeatedly achieving three-star ratings from the Society of Thoracic Surgeons, a hallmark of excellence in cardiac surgery outcomes.
Renowned expertise in a variety of areas, including minimally invasive valve surgery, valve-sparing procedures, transcatheter valvular interventions, high-risk surgery, and mechanical circulatory support. Examples include:
• An advanced minimally invasive cardiac surgery, achieving exceptional patient outcomes with smallincision, bone-sparing techniques and median hospital stays of three days—some patients discharged in 24 hours.
• A 99% success rate for mitral valve repair in patients with mitral regurgitation.
One of the largest cardiac surgery programs in the Northeast, characterized by significant year-over-year growth in procedural volume and scope of services.
• A leading institution in the region for comprehensive aortic care, showcasing seamless collaboration between cardiac and vascular surgery teams.
• Performed nearly 1,000 transcatheter aortic valve replacement (TAVR) procedures between 2023 and 2024.
Under the auspices of Rutgers University, Partho Sengupta, MD, DM, FACC, FASE, has received a patent for a “flow phantom” device that can be used to help diagnose complex cases, determine appropriate interventions, plan procedures, and test the chosen intervention prior to performing it on the patient. The 3D-printed model consists of an enclosed chamber, flow controllers, and patient-specific MRI and CT scans. This invention may prove to be a game changer for planning and conducting cardiac surgery.
Invention Highlights:
• Pre-operative planning for cardiac surgeries
• Operation practice for cardiac surgeons
• Cardiac device testing
• Cardiac disease diagnosis in complex cases

Leonard Y. Lee, MD, FACS, FACC, FCCP
Early adoption of cutting-edge technologies and care pathways, including:
• Enhanced Recovery After Surgery (ERAS), promoting shorter hospital stays and fewer complications.
• On-table extubation for open-heart surgery patients, leading to faster recoveries and higher rates of early discharge.
RWJUH offers an ACGME-accredited cardiothoracic residency program to cultivate the next generation of cardiac surgeons.
• Actively participating in nearly a dozen clinical trials, a number of which have led to FDA approval for new cutting-edge therapies.
• An NIH RO1-funded basic science research laboratory.
• Faculty members have authored dozens of peer-reviewed manuscripts, with publications in high-impact journals like The New England Journal of Medicine, The Lancet and Circulation (see a partial list of publications below).
These achievements highlight our unwavering dedication to providing world-class cardiac care, fostering innovation, and advancing the field of cardiovascular medicine through education and research.

• Vahl TP, Russo M, et al. Transcatheter aortic valve implantation in patients with high-risk symptomatic native aortic regurgitation (ALIGN-AR): A prospective, multicentre, single-arm study. Lancet 2024 Apr 13;403(10435):1451-1459.
• Généreux P, Russo M, et al. Cardiac damage and quality of life after aortic valve replacement in the PARTNER Trials. J Am Coll Cardiol. 2023 Feb 28;81(8): 743-752.
• Yang NK, Sunagawa G, Takebe M, Lemaire A, Ikegami H, Russo MJ, Lee LY, et al. Minimally invasive approach associated with lower resource utilization after aortic and mitral valve surgery. JTCVS Open 2023 Jun 28;15:72-80.
Vascular Surgery at RWJUH has been on the fast track for the past two years, making advancements on the clinical, research, and education fronts. The number of surgeries performed has increased, along with their complexity. Advanced aorta treatment procedures—now including the entire aorta from the valve to the iliac bifurcation—and improvements in endovascular care are among the major accomplishments in 2024.
Vascular Surgery faculty members who have been instrumental in the growth and success of the program include William Beckerman, MD, Justin Ady, MD, Huong Truong, MD, and Jennifer Li, MD.
Saum A. Rahimi, MD, FASC, Chief of the Vascular Surgery program, attributes some of that success to the section’s ongoing collaboration with Cardiac Surgery, which has broadened the types of procedures offered and the technology used. For example, the Thoraflex device for aortic arch pathology.
The Vascular Surgery service continues to hold a peripheral arterial conference with Cardiology in order to offer all the latest advanced treatments for infrainguinal arterial disease. This continuing dialogue brings new therapies to patients as quickly as possible.
• Used the Thoraflex device, enabling surgeons to repair the aortic arch with branched grafts to maintain cerebral and upper extremity perfusion. An endovascular stent connected to this graft can be deployed antegrade from the arch exposure to treat the proximal descending thoracic aorta, which is often surgically inaccessible with traditional open surgery.
• Worked with Cardiology to expand peripheral arterial care and limb salvage with new endovascular

• Baxi J, Rahimi S, Russo MJ, et al. Socioeconomic status as a predictor of post-operative mortality and outcomes in carotid artery stenting vs. carotid endarterectomy. Front Cardiovasc Med 2024 Feb 7;11.
• McGevna MA, Beckerman WE, et al. Infrarenal Aortic Aneurysm in a Patient with Remote History of Liver Transplant with Aorto-Hepatic Conduit. J Vasc Surg. 2024 May 3.
• Hamilton CA, Rahimi SA, Truong H, Beckerman WE. Current Trends and Outlook of 3D-Printing in Vascular Surgery. J Vasc Surg Cases Innov Tech. Accepted June 10, 2024.

platforms that have just been approved to treat patients who are too high risk for surgery or who are not candidates for standard endovascular treatment.
• Routinely offered full endovascular treatment for thoracoabdominal aortic aneurysms with branched endograft technology, allowing our physicians to treat aneurysms that involve major branch vessels.
• Added more treatment rooms with vascular lab capabilities for office-based procedures.
• In process of adding Vascular APP (advanced practice providers) to streamline inpatient care.
• Made plans to expand endovenous treatment in the new Clinical Pavillion (Plum 2), with cardiac and vascular surgery to occupy the 7th floor.
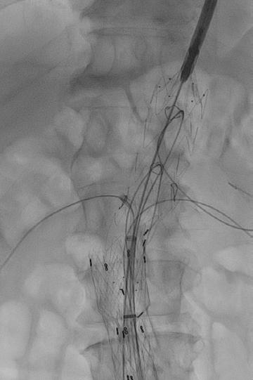
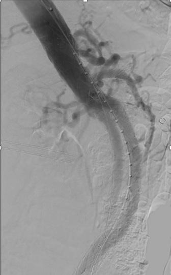
This custom endovascular device can be implanted inside the aorta to seal the aneurysm. A precise opening in the mid segment of the graft allows for blood flow into important arteries while still sealing the aorta above and below the aneurysm.

Below, the graft has been implanted with cannulation of each of the openings and wires placed into each important kidney and bowel artery to maintain blood flow.

Finally, this image shows the sealed aneurysm with continued blood flow in the visceral (kidney and intestinal) arteries.


The Advanced Heart Failure, Mechanical Circulatory Support (MCS), and Heart Transplant Program at RWJUH has grown considerably over the past few years, earning a reputation as one of the nation’s strongest heart failure programs. It was recently restructured under the leadership of Maya Guglin, MD, PhD, Section Chief and Professor of Medicine at RWJMS.
The number of transplants has increased from six in 2021 to 14 in 2024, and the program has received several recent recognitions. The U.S. News & World Report High-Performing Heart Failure 2024-2025 award positions the program as uniquely qualified to treat heart failure patients with medication, medical procedures and surgery. The section also has received the Joint Commission’s advanced certification for Ventricular Assist Device (VAD), one of only four centers in New Jersey to receive this distinction.
Under the leadership of Deepa B. Iyer, MD, Associate Professor of Medicine at RWJMS, the Heart Transplant Program has had 100% graft heart survival at one year since 2018 (national average is 91%).
• Adoption of HeartCare since March 2023, which makes use of both Allomap GEP and Allosure cfDNA, noninvasive indicators of graft injury and immune activation/quiescence, reducing the number of heart biopsies for transplant patients from 14 to six.
• First in New Jersey to use SherpaPak, an FDA-approved organ transportation system that keeps donor hearts between 4 and 8 degrees Celsius during transport, which helps prevent thermal injury and decreases the incidence of primary graft dysfunction.
• Median postop length of stay for heart transplants from January 2021 to the present is 10 days, surpassing the national average of 18 days, per the Scientific Registry of Transplant Recipients (SRTR; data from 1/2022 to 6/2023).

• Ton VK, Guglin M, et al. Serial shock severity assessment within 72 hours after diagnosis: A Cardiogenic Shock Working Group report. J Am Coll Cardiol. 2024 Sep;84(11):978-990.
• Fried J, Guglin M, et al. Clinical outcomes among cardiogenic shock patients supported with high-capacity Impella axial flow pumps: A report from the Cardiogenic Shock Working Group. J Heart Lung Transplant. 2024 Sep;43(9):1478-1488.
RWJUH has been recognized as a leader in mechanical circulatory support (MCS) and ventricular assist device (VAD). In 2023, the VAD program, led by Chonyang L. Albert, MD, FACC, FHFSA, Assistant Professor of Medicine at RWJMS, earned the Joint Commission’s disease-specific care certification and Gold Seal of Approval. The number of VADs implanted continues to increase each year.
2023-2024 HIGHLIGHTS
• RWJUH is one of only 30 hospitals in the country selected for the limited market launch of the Impella RP Flex for right-sided temporary support.
Under the direction of Dr. Albert, RWJUH launched a multidisciplinary cardiogenic shock team, bringing together experts from advanced heart failure, interventional cardiology, cardiothoracic surgery, critical care, and advanced practice providers to offer 24/7 care to the sickest patients.
2023-2024 HIGHLIGHTS

• The cardiogenic shock team has successfully bridged patients to heart recovery and to advanced heart failure treatments, such as heart transplant and LVAD.
• The program began participation in the AHA Cardiogenic Shock registry.
To monitor the status of heart failure patients, the cardiac team uses a CardioMEMS sensor, which is implanted into the pulmonary artery. Not only can the device monitor pulmonary artery pressures, it also can transmit data in real time to physicians.
Keith Hoch received a heart failure diagnosis 17 years ago and was treated successfully until 2020, when he was admitted to RWJUH in cardiogenic shock. An Impella 5.5 heart pump stabilized his heart until a suitable donor was found, which happened within two months. “The Impella 5.5 was a lifesaving device for me,” he said, adding that the device made it possible for him to receive a heart.


The Heart Rhythm Disorders Program at RWJUH treats patients with irregular heart rhythms, heart palpitations and rapid heartbeats. State-of-the-art technology coupled with advanced multidisciplinary care in an academic environment ensures the best possible outcomes for all patients. The program is led by the team of William J. Kostis, MD, PhD, Section Chief of Cardiac Electrophysiology and Director of Electrophysiology Research and Development at RWJUH and Professor of Medicine at RWJMS, and Theodore Maglione, MD, Electrophysiology Laboratory Director at RWJUH and Associate Professor of Medicine at RWJMS.
To monitor and treat arrhythmias, the program utilizes advanced technology, including implantation and management of cardiac implantable devices (pacemakers, defibrillators, heart rhythm monitors) and a variety of catheter ablation procedures for the treatment of atrial fibrillation as well as supraventricular and ventricular arrhythmias.
The Electrophysiology Lab has added a range of new technologies to its toolbox to improve quality of care, including:
• Dual chamber leadless pacemaker
• Extravascular implantable cardioverter defibrillator
• New Biosense multipolar mapping catheters
• New ICE technology
• New esophageal cooling probe
These innovations have led to an increase in the number of procedures performed. Electrophysiology volume has grown from 2,489 cases in 2022 to 2,886 cases in 2024.
Increased Electrophysiology Lab efficiency via the institution of seamless
This new minimally invasive technology used by RWJUH is the next generation of cardiac ablation, approved to treat drug-refractory, paroxysmal Afib. It employs short bursts of electrical impulses to targeted areas in the heart to reduce the risk of damage to surrounding tissues.

The Heart and Vascular service provides a range of outpatient specialty programs. Led by Sabahat Bokhari, MD, FACC, FASNC, the nationally recognized Cardiac Amyloidosis and Cardiomyopathy Center, a partnership between RWJUH and RWJMS, continues to expand rapidly. To combat heart disease, the leading cause of death among women, the Women’s Heart Center at RWJUH, led by Yanting Wang, MD, FACC, Assistant Professor of Medicine at RWJMS, focuses on underdiagnosed and undertreated conditions unique to female patients.

The RWJUH Cardiac Amyloidosis and Cardiomyopathy Center is New Jersey’s first cardiac amyloid center and now serves more than 700 patients. One-fourth of the patients are out-of-state or international patients.
• In two years, the Amyloidosis Center has become the fourth largest in the country.
• Competing with major, well-established amyloidosis programs across the country, the center was awarded a Cardiac Amyloid Fellowship Training grant.
• The center is participating in several multicenter clinical trials and has received a research grant for a phase II study from industry. It is establishing a core lab for a multicenter study in amyloidosis.
• The center is in the process of obtaining Center of Excellence designation for its Hypertrophic Cardiomyopathy Center.
• Aftab A, Bokhari S, et al: Cardiac sarcoidosis: Diagnosis and management. Front Cardiovascular Med 2024.
• Mishra N, Sengupta PP, Bokhari S, et al: Patient with single coronary artery, giant coronary artery aneurysm, contained rupture, and fistula. JACC Case Rep 2024.
• Nussdorf A, Bokhari S, et al: Associations of galectin-3 levels with measure of vascular disease in patients with rheumatoid arthritis. Semin Arthritis Rheum 2024.
• Phuyal P, Bokhari S: Establishment of a comprehensive cardiac amyloid center in a community hospital setting. Reviews in Cardiovasc Med 2024.

Multiple initiatives are underway to establish the Women’s Heart Center as a national leader in gender-specific cardiovascular care. Led by Program Director Yanting Wang, MD, FACC, the center is committed to improving heart health for women through evidence-based care and community outreach. Its Cardio-Obstetrics Program provides specialized care for women with preexisting conditions or pregnancy-related cardiovascular risks.
STRATEGIC
• Develop a unified educational curriculum involving internal medicine, family medicine, and obstetrics and gynecology to enhance understanding of women’s cardiovascular health.
• Launch an online resource to streamline access to services and improve follow-up care for women.
• Improve access to care through enhanced telehealth services for follow-up appointments and consultations, particularly for underserved women.
• Implement a yearlong campaign to raise awareness of the unique cardiovascular risks faced by women, utilizing social media and community engagement.
• Improve safety of coronary interventions in patients with heart attacks and low pump function by using mechanical circulatory devices.

Yanting Wang, MD, FACC
The Center for Innovation in the Division of Cardiology at RWJUH and RWJMS provides an integrated platform for multidisciplinary experts in cardiovascular sciences, trainees, imagers and engineers to collaborate in the development, translation and clinical implementation of cutting-edge technologies. The Center for Innovation focuses on fostering unique industry-academia collaborations aimed at developing digital health solutions, advanced imaging techniques, and therapies that foster implementation of artificial intelligence (AI)-enabled care. The Center for Innovation also has been recognized for its work in AI and technology and was invited to discuss this research at Microsoft.
To learn more about the Center for Innovation, watch this video.
• Dr. Naveena Yanamala, PhD, Section Chief of Research and Innovation, Division of Cardiology at RWJMS, was appointed as a member of the Patient Advisory Engagement Committee (PEAC) at the Center for Devices and Radiological Health (CDRH), US FDA.
• The clinical trial unit has actively sponsored over 22 clinical trials, six of which are currently in study start-up phase.
• In 2023-2024, the Cardiology Clinical Trials Unit was one of the top three recruiting units across all departments, with 402 consented and 366 enrollments.
• The unit was awarded the RWJMS Congo Wild Bingo Award for being one of the top three sites nationally and internationally in the STEMI-DTU recruitment challenge.
• The unit was selected through the Trial Innovation Network for the REACT-AF (NIH/NHLBI) study, earning a bonus for accelerated start-up.
• The unit was recognized as the top national recruiter in the REACT-AF study for February and March 2024.
• The unit is selected to participate in the PCORI-sponsored clinical trial (CONTEMP-ICD trial).



Innovation
• In 2023 and 2024, our cardiology inventors filed five patents, of which one was awarded in 2024.
• The Center for Innovation has entered into three industry and two international institutional agreements for product co-development.
• A study using the patented technique for ultrasonic texture for cardiac assessment was awarded the 2023 William Parmley Young Author Achievement Award for best national paper written in the Journal of the American College of Cardiology.
• A late-breaking clinical trial at Annual Scientific Session of American College of cardiology in 2023 reported the use of wrist-worn bloodless sensors for diagnosing myocardial infarction.
• Another late-breaking clinical trial in 2024 reported the use of pocket ultrasound to reduce length of stay and hospitalization cost in heart failure patients.

The winning team for the 2023 William Parmley Young Author Achievement and Mentorship Award for best paper in the Journal of American College of Cardiology.
• A study using the patented technique for Synthetic generation of Echo wave forms from ECG was selected for a Young Investigator Award presentation by the American Society of Echocardiology in 2024.
• The BBC released a documentary on the Center for Innovation’s research on a device that uses infrasound waves for noninvasive assessment of cardiac function.
Trailblazing NIH/NHLBI Awards

The patented technology for generating heart’s tissue motion synthetically from surface ECG was recognized as top four research papers in 2024 for the Young Investigator Award Session of American Society of Echocardiography Annual Scientific Sessions.
In addition to the NHLBI clinical trials and National Science Foundation grants on wearables and AI, Dr. Sengupta, as principal investigator, and his team secured two NHLBI grants in 2024:
• $2.43 million NHLBI grant (R01) for a four-year study on ultrasonic texture-based AI to improve care of patients with heart attacks, which is the first NIH NHLBI award for the health system.
• A second NHLBI-funded study subaward through the CAROL Act from the Cardiac Surgical Thoracic Network focusing on using AI and ultrasound imaging to advance care of patients with valvular heart disease.
‘‘Similar to the way genomics has advanced cancer care, the emergence of AI is allowing cardiologists to reimagine everything we know about how the heart works and how we care for it.”
—Partho P. Sengupta, MD, DM, FACC, FASE, Chief of Cardiology, RWJUH and RWJMS


1 Robert Wood Johnson Place
New Brunswick, NJ 08901
www.rwjbh.org/rwjuhheart
Our mission: We are an academic health system, partnering with our communities to build and sustain a healthier New Jersey.