
3 minute read
IN MANY CASES, CORONECTOMY CAN REDUCE THE RISK OF NERVE DAMAGE
CORONECTOMY, THE DECORONATION of the wisdom tooth leaving the roots in place, is often a viable alternative to full extraction that lessens or eliminates the danger of damage to the inferior alveolar nerve (IAN). The procedure takes 30 to 40 minutes, and after the crown is taken out, the root surface is smoothed down and the surrounding gingiva is sutured into place. First described in 1984 by Ecuyer and Debien1 and championed in the U.S. by M. Anthony Pogrel, MD, DDS, of the University of California–San Francisco, coronectomy is now supported by data from peer-reviewed studies and has won wide acceptance.
In a 2004 study by Dr. Pogrel and two collaborators,2 41 patients underwent coronectomy on 50 lower third molars with a six-month follow-up. There were no cases of resultant damage to the IAN. (One patient required subsequent removal of roots due to failure to heal and another because roots had migrated to the surface.)
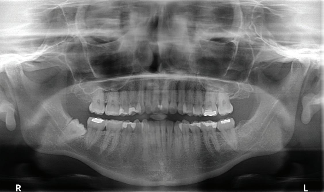
Coronectomy isn’t usually recommended if the tooth or root is infected or in younger patients whose roots aren’t yet fully developed. Dr. Pogrel and his colleagues also found that “teeth that are horizontally impacted along the course of the [IAN] may be unsuitable for this technique because sectioning of the tooth itself could endanger the nerve.” But for other patients, coronectomy is indicated if a panoramic plain-film X-ray (often followed by a confirming cone-beam computed tomography) shows that a root’s proximity to the IAN poses a danger of nerve damage.


Oral surgeon Rosie Noordhoek, DDS, says that there are some definite signs on panoramic X-rays that indicate a higher risk of sensory nerve damage: “when the root gets darker, for instance, or the nerve is displaced, or you can’t see the whole nerve canal.” To confirm that coronectomy is the preferable course, says Dr. Noordhoek, “we usually recommend a CBCT at that point.”
Coronectomy, Dr. Noordhoek explains, also carries a slightly higher risk of infection, although usually infection can be prevented with a short course of antibiotics. “We also know that the roots left in place tend to migrate, which may require a second surgery down the road,” she says.
Therefore, part of the challenge in doing a successful coronectomy— besides making sure that all of the enamel of the crown is removed—is to gently elevate the roots to confirm that they’re not mobile. If roots are loose or migrating, they are likely to cause an infection. In such cases, a surgeon who set out to do a coronectomy must change the plan and perform a full extraction instead.
Briefing Patients
Of course, patients are routinely warned of this possibility beforehand. We also explain to coronectomy patients that the surgeon will see them for a follow-up in six to nine months, and that the possible need for a later procedure to remove a problematic root cannot be ruled out. In some cases, root migration occurs quite a while after the procedure. But if bone has healed sufficiently over the roots, says Dr. Noordhoek, “that’s not usually a problem.” She adds that there is no need to remove the nerve or pulp chamber, nor to put any sort of bone graft or sealer over them.
A 2018 study at Italy’s University of Bologna3 provided a five-year follow-up on 76 coronectomies in 63 patients, finding no cases of neurologic lesions to the IAN or lingual nerve. In the first three years, surgery to remove migrated roots was required in five patients, while no further complications were observed in years four and five.
“After crown removal, we ground the root with a round burr using a high-speed surgical drill,” the Italian researchers report. “This step is crucial to obtain a regular root surface without enamel spikes that avoids bone formation around the root fragment.”
Occasionally, in mature patients, coronectomy is considered for a reason other than the roots’ proximity to the IAN.
7 Radiographic Signs By Rood And Shehab
B
Source: Appl Sci . 2021, 11(2), 816; https://doi.org/10.3390/app11020816
That is when a cyst, usually a dentigerous cyst with a fluid-filled sac, develops on the crown. In such cases the procedure may lessen the danger not only of nerve damage but of jaw fracture.
Long-lasting or permanent numbness resulting from nerve damage during an extraction can be a significant qualityof-life issue for patients, so it is fortunate that today’s oral surgery has at its disposal the tool of coronectomy, which, when properly used, can help to alleviate that danger.
REFERENCES:
1. Ecuyer J, Debien J, [Surgical deductions]. Actual Odontostomatol (Paris) 148:695, 1984 (in French).
2. Pogrel MA, Lee JS, Muff DF: Coronectomy: a technique to protect the inferior alveolar nerve. J Oral Maxillofac Surg 62:1447–1452, 2004.
3. Monaco G, D’Ambrosio M, De Santis G, Vignudelli E, Gatto MRA, Corinaldesi G, Coronectomy: A surgical option for impacted third molars in close proximity to the inferior alveolar nerve—a 5-year followup study, J Oral Maxillofac Surg 77:1116–1124, 2019.









