Center for Oral & Maxillofacial Surgery Newsletter: Spring 2023

Page 1

COMMITTED TO EXCELLENCE

Welcome to the fifth issue of our clinical update newsletter! We hope you find it helpful and invite you to suggest any topics you’d like to see covered (just give us a call to request).

We welcome referrals from colleagues and invite you to speak to any of our surgeons to discuss the needs of your patients. Informal inquiries are welcome. We look forward to hearing from you!

Warm regards,

Emily J. Van Heukelom, DDS

Roseanna P. Noordhoek, DDS, FACS

Mark N. Grinzinger, DDS, MD

permanent

Center for Oral Surgery & Dental Implants | grandrapidsoralsurgery.com 1 SPRING 2023 1 A Refresher on Dental Trauma 4 Coronectomy Can Reduce the Risk of Nerve Damage 6 How an Office Remodel Has Made a Big Difference 8 Dr. Panek Retires FROM THE CENTER FOR ORAL SURGERY & DENTAL IMPLANTS
CONTINUED ON NEXT PAGE Contact one of our surgeons at 616-361-7327 OUR OFFICES 4349 Sawkaw Drive NE Grand Rapids, MI 49525 158 Marcell Drive, Suite B Rockford, MI 49341
Our surgeons, from left: Roseanna P. Noordhoek, DDS, FACS; Emily J. Van Heukelom, DDS; and Mark N. Grinzinger, DDS, MD.
DENTAL
dentition. That means dental trauma is something all dentists should be able to approach with confidence, whether in a
TRAUMA
Dental Traumatology
one-third of all
REFRESHER
ACCORDING TO the International Association of
(IADT),
adults have experienced trauma to the A
ON

A REFRESHER ON DENTAL TRAUMA

given case that means treating it fully oneself, or working in collaboration with an endodontist, an oral surgeon or other specialists. Practice Insights spoke recently with Mark Grinzinger, DDS, MD, about treating dental trauma cases, and his first recommendation was the website of the IADT itself ( https:// www.iadt-dentaltrauma.org/forprofessionals.html ).

“I find it useful,” he says. “The last edition of their guidelines came out in 2020. You can click on categories of guidelines—on fractures and luxations, for example—and find the latest evidence-based recommendations for what to do as the practitioner, including follow-up care, how often to see the patient, what to look out for and what a favorable outcome looks like.”

How do you define dental trauma?

“I distinguish it from more global facial trauma, which may include the dentition, but can also encompass the supporting structures of the face: the maxilla, mandible, nasal bones, orbit and zygoma. A mandible fracture, for instance, is not something a general dentist typically treats. Dental trauma, I would define as trauma to the dentition and/or the alveolar bone.”

What kinds of injury qualify?

“There are probably 15 or 20 different kinds of injury that can happen to teeth. For example, there’s concussion , in which a tooth is traumatized but doesn’t move. A tooth can also be chipped; within that there are classifications for whether the damage is to the enamel, dentin or pulp, some combination or

all three. A tooth can be moved out of position (luxated ), or it may have moved but then fallen back (subluxated) , or it may be detached completely from its socket (avulsed) . All of these injuries and others are within the general dentist’s purview. An alveolar fracture can displace two or three teeth without involving a fracture of the basal bone of the mandible itself. It can sometimes be handled by a general dentist but is often referred to an oral surgeon.”

When you’re presented with a patient with dental trauma, what step comes first?

“Triage, to determine a diagnosis—and whether you should proceed to treat or refer right away to a specialist. You start with what they call a ‘history of present illness’—you find out what happened. If a parent reports, for instance, ‘My child had a tooth knocked out on the basketball court,’ you can be pretty confident it’s not what we call a highenergy injury. By contrast, if the impact of a collision in an auto accident was the cause of the dental trauma, you want to make very sure—even if it appears at first that only teeth were affected— that you don’t need to refer the patient promptly to an oral-maxillofacial surgeon or even a hospital emergency department team to investigate and treat other possible injuries.”

So the next step in the workup is a clinical exam, right?

“Yes. You check for soft-tissue injuries, any suspected underlying hard-tissue injury and then imaging. A Panorex image is a good screening device, not only for dental trauma but also

for associated problems that may not be evident at first glance. Once you have a diagnosis, you can provide the appropriate treatment.”

Do you recommend imaging in every case?

“Yes. It’s useful from a diagnostic standpoint, and it can sometimes show you things that surprise you. A root fracture, for instance. Let’s say a person comes in with a tooth that has been traumatized but seems to be in a good position. An image may reveal that the root is fractured through.”

You’ve mentioned the importance of “the latest” treatment recommendations. Do treatment guidelines really change significantly over time?

“Yes, recommendations can change. That’s why, when I’m on call and I get a call from a hospital’s emergency department—say, for a person there with dental trauma—I often refer to the guidelines on the IADT website. That way I can be sure I’m providing the most up-to-date treatment recommendations, rather than depending on what I learned in dental school eight or nine years ago.”

Tell me what one of these ED calls is like.

“They’ll call and say, for example, ‘We have a patient here who got into a fight at school earlier today and got punched. Two teeth fell out, and they’re here.’ They’ll be keeping them in milk or another approved preservative. If appropriate recommendations have been followed according to the timeline for adequately preserving an avulsed tooth,

PRACTICE INSIGHTS | SPRING 2023 2
CONTINUED FROM PREVIOUS PAGE

I’ll go in and splint the tooth in the ED, using a composite retained-wire splint.”

How does one determine when general dentists should treat a case themselves and when they should refer to an oral surgeon or an ED?

“Some practitioners are comfortable managing a broader range of trauma situations than others. The first rule, of course, is to assure patient safety by always erring on the side of caution. But a second consideration is that there’s a much higher cost associated with treating a patient in the ED. There will probably be radiology and laboratory work and a sizable bill; that’s what hospitals do when people walk in the door. Of course, there will always be cases with unforeseen complexities, but generally speaking it’s a shame to have to end up in the ED with a situation that could have been managed in a dental office. Splinting a tooth, for example, is something dentists should know how to manage and be willing to manage. Still, we don’t want people providing a treatment they’re not fully trained in and confident with.”

I imagine the rules are different for children’s primary teeth.

“Yes. Primary teeth are treated much less aggressively than adult ones; the goal is to protect the future permanent teeth. A primary tooth that is avulsed, for example, will never be put back into position. If a permanent tooth is intruded, you bring it out and get it back into position, while a primary tooth is left where it is and allowed to ‘re-erupt’ back into its premorbid condition. If a primary tooth is extruded,

as long as it’s not interfering with the occlusion, it’s typically left in position or an occlusal adjustment is performed. In any case, you don’t want the permanent dentition to become ankylosed, or fused to the jaw.”

Does treating dental trauma pose particular medico-legal risks that dentists should be aware of?

“Not especially, in my view. Obviously, with trauma the situation isn’t perfect. As long as you have suspicion and understand that with trauma in the face, for example, you don’t just look at the teeth, you should be fine. You rule out other injuries with a good series of questions and a basic image. And even in a worst-case scenario—let’s say a dentist treats an avulsed tooth and on follow-up the bite isn’t right and there turns out to be a mandible fracture. That’s a miss, right? But it’s not the end of the world. We typically have two to three weeks to treat mandible fractures before they start to heal in the wrong position. So as long as followup is maintained and you’re doing the right things and documenting them appropriately, I don’t think there’s a big problem—absent gross negligence, of course.”

It’s often said that the ideal way to handle an injury is to prevent it in the first place. Any message you think dentists should have for their patients about the use of mouthguards?

“Sure. I would recommend a mouthguard to anyone in a contact sport. They’re routinely used in football and hockey, and in baseball or softball they may not be urgently needed. (A catcher, of course, must wear a regulation mask.) But basketball is definitely a contact sport; people are flying around, and there are all those elbows. I don’t think the mouthguard is as widely used by basketball players as it should be. Actually, I played high school basketball myself without a mouthguard—and sustained a tooth fracture that required my dentist to do a composite reconstruction. So I can make this point both as an oral surgeon and as a former player: Use a mouthguard!”

Any final thoughts?

“I’d urge once again that dentists make use of that informative IADT website.”

[ https://www.iadt-dentaltrauma.org/ for-professionals.html ]

Center for Oral Surgery & Dental Implants | grandrapidsoralsurgery.com 3
“Of course, there will always be cases with unforeseen complexities, but generally speaking it’s a shame to have to end up in the ED with a situation that could have been managed in a dental office.”
Mark Grinzinger, DDS, MD

IN MANY CASES, CORONECTOMY CAN REDUCE THE RISK OF NERVE DAMAGE

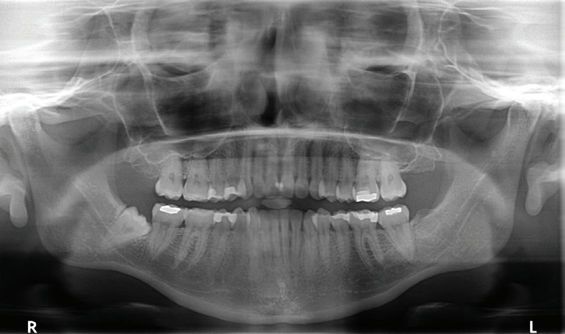
CORONECTOMY, THE DECORONATION of the wisdom tooth leaving the roots in place, is often a viable alternative to full extraction that lessens or eliminates the danger of damage to the inferior alveolar nerve (IAN). The procedure takes 30 to 40 minutes, and after the crown is taken out, the root surface is smoothed down and the surrounding gingiva is sutured into place. First described in 1984 by Ecuyer and Debien1 and championed in the U.S. by M. Anthony Pogrel, MD, DDS, of the University of California–San Francisco, coronectomy is now supported by data from peer-reviewed studies and has won wide acceptance.

In a 2004 study by Dr. Pogrel and two collaborators,2 41 patients underwent coronectomy on 50 lower third molars

with a six-month follow-up. There were no cases of resultant damage to the IAN. (One patient required subsequent removal of roots due to failure to heal and another because roots had migrated to the surface.)

Coronectomy isn’t usually recommended if the tooth or root is infected or in younger patients whose roots aren’t yet fully developed. Dr. Pogrel and his colleagues also found that “teeth that are horizontally impacted along the course of the [IAN] may be unsuitable for this technique because sectioning of the tooth itself could endanger the nerve.” But for other patients, coronectomy is indicated if a panoramic plain-film X-ray (often followed by a confirming cone-beam

computed tomography) shows that a root’s proximity to the IAN poses a danger of nerve damage.

Oral surgeon Rosie Noordhoek, DDS, says that there are some definite signs on panoramic X-rays that indicate a higher risk of sensory nerve damage: “when the root gets darker, for instance, or the nerve is displaced, or you can’t see the whole nerve canal.” To confirm that coronectomy is the preferable course, says Dr. Noordhoek, “we usually recommend a CBCT at that point.”

Coronectomy, Dr. Noordhoek explains, also carries a slightly higher risk of infection, although usually infection can be prevented with a short course of antibiotics. “We also know that the roots left in place tend to migrate, which may

PRACTICE INSIGHTS | SPRING 2023 4
Pre-op panoramic 6 months post coronectomy

require a second surgery down the road,” she says.

Therefore, part of the challenge in doing a successful coronectomy— besides making sure that all of the enamel of the crown is removed—is to gently elevate the roots to confirm that they’re not mobile. If roots are loose or migrating, they are likely to cause an infection. In such cases, a surgeon who set out to do a coronectomy must change the plan and perform a full extraction instead.

Briefing Patients

Of course, patients are routinely warned of this possibility beforehand. We also explain to coronectomy patients that the surgeon will see them for a follow-up in six to nine months, and that the possible need for a later procedure to remove a problematic root cannot be ruled out. In some cases, root migration occurs quite a while after the procedure. But if bone has healed sufficiently over the roots, says Dr. Noordhoek, “that’s not usually a problem.” She adds that there is no need to remove the nerve or pulp chamber, nor to put any sort of bone graft or sealer over them.

A 2018 study at Italy’s University of Bologna3 provided a five-year follow-up on 76 coronectomies in 63 patients, finding no cases of neurologic lesions to the IAN or lingual nerve. In the first three years, surgery to remove migrated roots was required in five patients, while no further complications were observed in years four and five.

“After crown removal, we ground the root with a round burr using a high-speed surgical drill,” the Italian researchers report. “This step is crucial to obtain a regular root surface without enamel spikes that avoids bone formation around the root fragment.”

Occasionally, in mature patients, coronectomy is considered for a reason other than the roots’ proximity to the IAN.

7 RADIOGRAPHIC SIGNS BY ROOD AND SHEHAB

B

Source: Appl Sci . 2021, 11(2), 816; https://doi.org/10.3390/app11020816

That is when a cyst, usually a dentigerous cyst with a fluid-filled sac, develops on the crown. In such cases the procedure may lessen the danger not only of nerve damage but of jaw fracture.

Long-lasting or permanent numbness resulting from nerve damage during an extraction can be a significant qualityof-life issue for patients, so it is fortunate that today’s oral surgery has at its disposal the tool of coronectomy, which, when properly used, can help to alleviate that danger.

REFERENCES:

1.  Ecuyer J, Debien J, [Surgical deductions]. Actual Odontostomatol (Paris) 148:695, 1984 (in French).

2.  Pogrel MA, Lee JS, Muff DF: Coronectomy: a technique to protect the inferior alveolar nerve. J Oral Maxillofac Surg 62:1447–1452, 2004.

3.  Monaco G, D’Ambrosio M, De Santis G, Vignudelli E, Gatto MRA, Corinaldesi G, Coronectomy: A surgical option for impacted third molars in close proximity to the inferior alveolar nerve—a 5-year followup study, J Oral Maxillofac Surg 77:1116–1124, 2019.

Center for Oral Surgery & Dental Implants | grandrapidsoralsurgery.com 5
A
DARKENING OF ROOT DEFLECTION OF ROOT
C
NARROWING OF ROOT
D
DARK LINE IN ROOT APEX
E
DIVERSION
INTERRUPTION OF “WHITE” LINE OF CANAL
F NARROWING
OF CANAL
G
OF CANAL

HOW AN OFFICE REMODEL HAS MADE A BIG DIFFERENCE

WHEN THE CENTER for Oral Surgery and Dental Implants set about renovating its business office a few years ago, it had a piece of good luck. It was able to retain an interior designer who knew just how its oral surgeons worked because she—Julie B. Billups, DDS—was one of them. She was retiring from the practice and returning to art and interior design, in which she was originally trained. Fulfilling her design scheme, the practice had architectural drawings and construction estimates for work that was scheduled for February and March 2020.

When the pandemic hit that March, it not only halted construction plans, but also raised questions about how future office design might need to be different to accommodate new public health needs. But by late 2022, the planned remodel was back on track. “We had our estimates from 2019,” says Emily Van Heukelom, DDS, “and we had a good idea of how commodity prices had changed in the interim.”

Work finally went forward last October, and it had to tackle several problems. In the office’s open-air layout, managers weren’t sitting near people they supervised. Three or four employees sat in the main desk area: one checking patients in, another checking them out, and one or two handling scheduling and insurance. But they overheard each other too easily, there were too many

interruptions and distractions, and the employee break room wasn’t in a handy location.

Before the renovation, the practice spent a year studying kaizen, the Japanese principle that says making tiny improvements in repetitive processes can add up to a significant change. COSDI’s leaders also realized there were things office employees knew better than they did. “I didn’t know, for example, the specifics of the repetitive motions you make when you assemble charts for the week,” says Dr. Van Heukelom. “So we started, four or five years ago, asking our employees about their workflow.”

Thanks to sound planning, there were few missteps. “The only hiccups,” says Dr. Van Heukelom, “were a couple of times they had to turn off either power or water to the whole building, which is shared with other medical practices. We tried to plan those ahead, but a construction schedule is never exactly what you map out at the beginning.”

Today the checkout person has better access to patients checking out. Three-quarter-height, soundabsorbing partitions that interrupt lines of sight have helped to reduce distractions. Because different people use desks at different times of day and even the same people need to change position, special ergonomic “stand-sit” desks have replaced the previous desks.

PRACTICE INSIGHTS | SPRING 2023 6

Thanks to the recent remodeling, practice employees now:

• are more efficient. The new desks, for example, make it much easier to work from two computer screens at once. That has reduced the time it takes to process insurance claims. While on hold with one insurer, an employee can work on another claim on the second screen.

• find it easier to be HIPAA-compliant. Staffers were conscientious about HIPAA rules before the remodeling, but sometimes an employee would need to call a patient back later rather than take a call right away, for example, in order to avoid discussing private information out loud within earshot of other patients.

Today the sound-absorbing barriers and better organization of space make it easier to guard patient privacy—saving time. “If a practice is considering any type of renovation, it should keep HIPAA in mind,” Dr. Van Heukelom advises.

• are more comfortable. The new ergonomic, height-adjustable computer monitors and the more rational deployment of office space have won rave reviews from employees, creating better morale and the prospect of reduced turnover. That’s good for the practice, and it’s good for patients too. “Overall,” says Dr. Van Heukelom, “people are happier and have a more pleasant voice and demeanor when they interact with co-workers or patients.”

Center for Oral Surgery & Dental Implants | grandrapidsoralsurgery.com 7
Our office remodel has improved efficiency, comfort and morale for employees. Hiring an interior designer—who was also an oral surgeon—was key.

A WELL-DESERVED Retirement FOR DR. RICHARD PANEK

IN 1998, Richard Panek, DDS, FACD, came to Grand Rapids to join Norm Palm, DDS, at the then iconic Palm and Panek Oral Surgery. Through his 24 years of practice, Rich’s career has been filled not only with excellent patient care but also with service, both to the dental community and to West Michigan as a whole.

Rich has been a staff oral and maxillofacial surgeon at both Corewell (Spectrum) Health and Mercy St. Mary’s throughout his whole career. After years of persistent work, he has recently been instrumental in bringing residents from the Detroit Medical Center to Corewell

Health to work with on-call community oral surgeons. Rich served as president of the Michigan Society of OMFS from 2020 to 2021, Michigan OMSPAC chairperson and editor of the Journal of the Michigan Dental Association. He also demonstrated passion in caring for the underserved of West Michigan by participating in the donated dental services program, the Adult Dental Services program, and by volunteering with the dental department at Mel Trotter Ministries.

For the West Michigan community, Rich has been passionately involved with the Polish Heritage Society,

organizing the yearly Polish Heritage Festival and continuing the mission of the organization at meetings to keep Polish traditions alive. Rich and his wife, Mary, are also actively involved in their church parish, the Assumption of the Blessed Virgin, organizing facilities improvements and blood drives.

Although we will miss Rich in our practice, the remaining COSDI doctors are committed to continuing his tradition of compassionate, patient-centered care. We hope the coming seasons of enjoying life and family are long in his future. If you see Rich, please help us to wish him a wonderful retirement.

4349 Sawkaw Drive NE Grand Rapids, MI 49525 FIRST CLASS U.S. POSTAGE PAID HARRISBURG, PA PERMIT NO. 324

Turn static files into dynamic content formats.

Create a flipbook
Issuu converts static files into: digital portfolios, online yearbooks, online catalogs, digital photo albums and more. Sign up and create your flipbook.