Panoramic Visions - Volume 1, Issue 1

Page 1

visions pan o ram ic •

VOLUME 1, ISSUE 1
• •

FROM THE DESK OF DR. BARTISH

Dear Readers,

I’m thrilled to introduce the first issue of our new quarterly magazine, Panoramic Visions. Whether you’re a long-time patient or meeting us for the first time, welcome--everyone here at Velle Dental is glad to have you. We are constantly striving to stay on the cutting edge of dental care, and that often means that changes can happen quickly here. Panoramic Visions is our latest effort to keep you in the know and to share Velle Dental news with you.

A panorama is intended to show a full view of its subject. This magazine is our way of doing exactly that for the Velle Dental family. It is an exciting way for us to celebrate our patients’ successes and highlight our excellent team. It is a space for us to inform patients about the care we provide and show how we are getting involved in our community.

My philosophy in practicing dentistry revolves around shared goals and helping my patients to grow and achieve the health that they deserve. Panoramic Visions allows us to share these goals more broadly and with more people, and I could not be more excited than to start it off now. Please join us in taking in this view of Velle Dental.

Sincerely,

velledental.com I Issue 1 2024 3 08 12 05 What’s New I 06 Before and After 10 Staff Spotlights I 11 What is a Periodic Exam? 14 Why Your Bite Matters I 15 It’s Not “Just a Cleaning” 16 Community Impact I 17 What’s Next
INSIDE Celebrations Breakthrough Technology: 3D Dentistry Life Changing Dentistry 4
WHAT’S

WHAT’S NEW

CELEBRATING 26 YEARS!

Our longest-tenured employee, Tammy Taylor, has just celebrated her 26th anniversary of working for the practice!

From early days of working with Dr. Crowley through moving to the new office with Dr. Bartish and the Velle Dental team, Tammy has been a fixture of our practice family. Her kindness, warmth, and positivity are a constant and we are so grateful for her many years of service. Congratulations to you, Tammy!

personal commitment to our patients
“Tammy’s level of is next level. She knows what time they wake up so we don’t call too early. She knows when they are on vacation, their kids’ and grandkids’ names, what restaurants they eat at. You can’t teach or train personal connection.”
- Maria, Treatment Coordinator

NEW YEAR, NEW TECH

Velle Dental has fully embraced what 3D printed dentistry can do for our patients! While we have been able to offer 3D printed appliances like occlusal guards and retainers for some time, the technology around 3D printed dentistry has leapt forward allowing us to provide so much more. We have acquired a new SprintRay Pro S 3D printer and other new 3D printing tools which have sped up our printing time and enabled us to print dental restorations. We’ll be highlighting just what this new technology can do for our patients later in this issue, as we discuss 3D printed crowns.

4 velledental.com I Issue 1 2024

COMING SOON

A new dental experience in Mariemont, combining concierge, personalized care with cutting edge dental technology.

Visit our website to sign-up for updates and learn about what sets us apart.

OPENING SUMMER 2024

velledental.com I Issue 1 2024 5
Located in the Mariemont Strand 6822 Wooster Pike Cincinnati, Ohio 45227

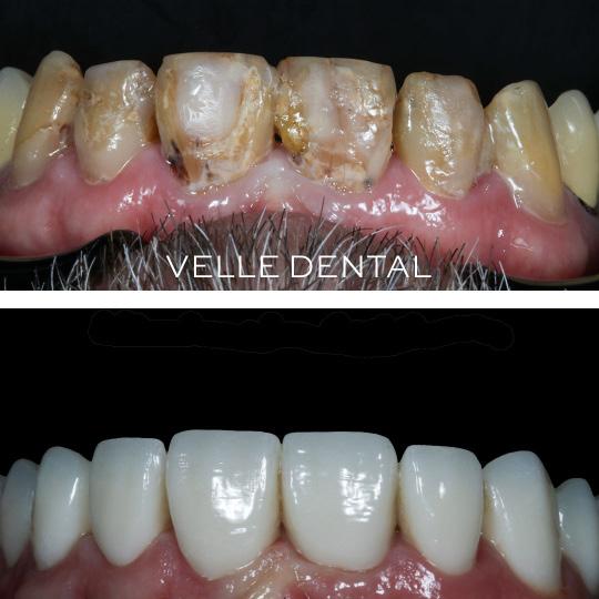
Ron is such a fun guy to be around. He works with his hands in a high pressure environment and, over the years, many of his teeth had absorbed a lot of wear and damage. Ron’s wife is in the dental industry and we were incredibly flattered when they sought us out for his dental reconstruction. We used porcelain crowns to open up his bite and restore the damaged tooth structure. Along the way, we got his gums healthier and improved the alignment of the entire oral system.

Dan is a true public servant. A long time member of the CPD, he is now retired. He had given so much of himself to his job and his family that he really hadn’t prioritized his teeth. But once we showed him what was possible, he was all on board. We navigated his travel schedule between Cincinnati and Florida to deliver a full upper and lower mouth rehab using crowns and bridges. While the case was in progress, Dan saw his Florida dentist who said he couldn’t believe how nice the temporary bridges we had made him were.

6 velledental.com I Issue 1 2024
TRANSFORMATIONS

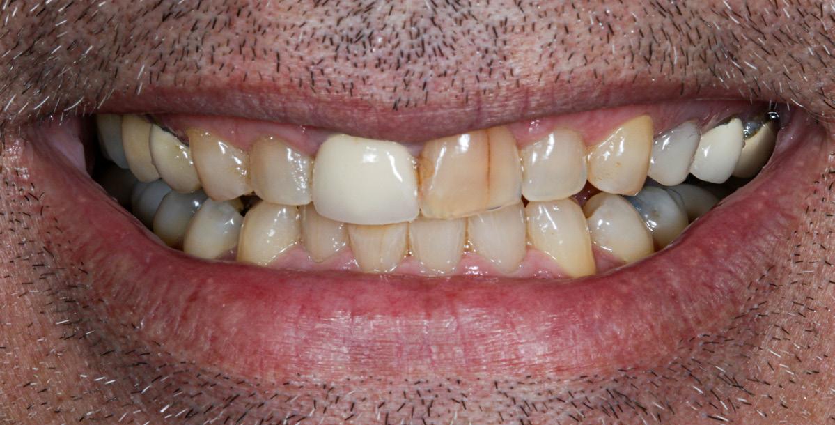
Jenny had a bridge across her front teeth that was becoming loose. Beyond that, it didn’t match the rest of her teeth in color or appropriate shape. Jenny is such a mogul, running her own business working with highly trained animals and we all really felt like her smile didn’t match her personality. We decided to bookend her new bridge with some conservative porcelain veneers. Not only did it improve the aesthetics but the overall health of her mouth as well.

velledental.com I Issue 1 2024 7
Interested in exploring your own transformation? Call us at 513-661-5800. Schedule a consult. Discover the possibilities.
8 velledental.com I Issue 1 2024

BREAKTHROUGH TECHNOLOGY 3D DENTISTRY

In our What’s New page, we introduced the new 3D printed dentistry which Dr. Bartish is performing at Velle Dental. 3D printing is the latest, game-changing innovation to come to dental care. With 3D printers and ceramic resin, Dr. Bartish is now able to produce a wide variety of dental restorations in house in a fraction of the time it would take to get them from a laboratory.

Today, we’re going to be spotlighting one of these restorations that sets 3D printed dentistry apart from its alternatives: crowns. 3D printed crowns are made from cutting edge materials

that are constantly evolving. When fabricating 3D printed crowns, Dr. Bartish can adjust the pigment to match the color of the natural teeth around the restoration exactly. But the real star of the show is the speed of making a 3D printed crown.

NO OTHER ALTERNATIVE IN THE FIELD CAN COME CLOSE TO MATCHING SINGLE ALL IN A VISIT

To put things into perspective, most dental offices that advertise “same-day crowns” are using Cerec mills. That process involves carving out a crown from a block of ceramic. These mills are limited to carving a single crown at a time, and not always consistent in how long it takes to mill a crown—sometimes taking as long as 3 hours. Furthermore, mills require the removal of a larger amount of original tooth to ensure a proper fit.

By contrast, 3D printing allows Dr. Bartish to print an entire mouth’s worth of crowns in 20-25 minutes. This means that Dr. Bartish can prep the teeth, print the crowns, and place them all in a single visit and faster than if the crowns were milled. What would take weeks with a laboratory and hours with a mill is being done by Dr. Bartish with incredible speed and precision. 3D printed crowns allow us at Velle Dental to provide our patients with a safe, durable, and efficient standard of care that no other alternative in the field can come close to matching.

velledental.com I Issue 1 2024 9
CHRISY Practice Manager

Favorite Product: Electric toothbrush – it feels like I just had my teeth cleaned!

My contribution to the Velle Dental mission: I love to help patients that finally get the “nerve” to call after being embarrassed or afraid of the dentist. I know that they will be heard and respected in our office so I can reassure them that they called the right place!

Most impactful life changing dentistry moment: When Dr. Bartish does full mouth reconstructive dentistry – it is so fulfilling to know that we delivered something totally life changing!

“Alone we can do so little; together we can do so much.”

Favorite Product:

Clinically: Our iTero scanners. Personally: Electric toothbrush – my teeth feel cleaner and healthier vs a manual toothbrush.

My contribution to the Velle Dental mission: I am passionate about helping patients feel comfortable during their entire visit and making sure they understand what we are doing and why they are here.

Most impactful life changing dentistry moment: Every time that we give a patient the smile of their dreams!

ASHLEY Dental Assistant

10 velledental.com I Issue 1 2024
STAFF SPOTLIGHT

What is a

PERIODIC EXAM

A periodic exam is when your dentist comes in and examines you and your teeth during your regular maintenance appointments with our hygienists.

Your provider will review new radiographs (“x-rays”) and compare to previous images to monitor health and identify any new issues. These images allow us to see between the teeth to check for cavities, evaluate bone health, and see the apex (or “roots”) of your teeth.

We also perform a thorough oral cancer screening on every single patient, every single visit. As a provider who sees you at least twice a year, we are your first line of prevention and early detection of oral cancers that can arise.

One of our favorite tools to use during our periodic examinations are our iTero digital scanners.

Near Infrared Imaging (NIRI) allows us to look “through” the teeth, giving us additional datapoints to use in conjunction with radiographs. We also have the ability to compare previous scans, providing an excellent

method to monitor and prevent tooth wear, shifting of teeth, and changes in gum health including inflammation and recession.

The heat map feature tell us exactly where your teeth are coming in contact with each other. This can show clenching and/ or grinding patterns as well as diagnose dental malocclusions (unhealthy bites). We can even use this technology to identify teeth that are at risk of fracturing in the future, allowing us to intervene early and prevent an emergency visit.

Our team utilizes artificial intelligence software to precisely analyze radiographs. Areas of concern are visually identified, allowing us to provide patients with clarity on what we are seeing and on the best treatment options available.

The periodic exam is also a great opportunity for you to ask your provider any questions. Whether you have a friend who recently got veneers and you are interested in veneers yourself or if you are simply looking for the best toothpaste for you, we are always happy to help!

At Velle Dental, we believe in leveraging technology to consistently provide superior experiences and, consequently, superior outcomes for our patients.

↑ Dr. Tonnis performs a periodic exam.

←The heat map feature of the iTero digital scanner displays bite patterns.

↓Near Infrared Imaging provides an additional view of patients’ teeth.

velledental.com I Issue 1 2024 11

LIFE CHANGING DENTISTRY

12 velledental.com I Issue 1 2024

This is a case I’m incredibly proud of and flattered that this person trusted me with his care. Our patient, Dave, lives full-time in Michigan and sought us out to help him identify a solution. He knew that he had neglected his teeth for many years and when he called down to our office he basically just said “please fix me.” His dentist back in Michigan wouldn’t treat his teeth because he didn’t feel comfortable with the complexity of the care that was needed. We developed a master blueprint for the outcome we wanted to achieve for Dave, and then executed it over a total of three trips to our office. While he traveled between states, he reported that he had absolutely no issues with the temporary smile design or pain in any teeth. We were able to save EVERY SINGLE ONE of Dave’s teeth through a customized approach using our rehabilitative techniques.

velledental.com I Issue 1 2024 13

In my career, I’ve always been interested in occlusion. Sometimes people think of it as their “bite.” I find it to be one of the most fascinating topics in all of dentistry. We can examine your occlusion and have a good sense if you are at risk of sleep apnea. It can tell us if you have a type of reflux. Do you grind your teeth at night and can we protect your teeth with a bite guard? Or do you have occlusal disease that needs to be addressed through moving or restoring teeth?

How about this one… Do you have gum recession because you’re brushing your teeth too hard? Or… Is your gum recession a byproduct of your occlusion? I can tell you that, in a vast majority of cases, the explanation is the latter. So, why is there so much misunderstanding of this concept? The truth is many den-

tists either don’t pay attention to it or don’tunderstand it. As a part of our exams we utilize intraoral scanning technology to evaluate your occlusion and compare changes over time. This is a FREE SERVICE that we provide because we believe it’s a critical part of your oral examination.

Occlusion is just a fancy dental word for “how your teeth touch and work together.”
14 velledental.com I Issue 1 2024 OCCLUSION
Andrew F. Bartish, DDS

↑ Becky performs periodontal charting as part of a patient’s routine hygiene visit.

↓Our office utilizes special software to record periodontal charting results and automatically compare results to those from previous visits. This allows our hygiene team to easily compare trends over time to help patients achieve and maintain optimal peridontal health.

One of the biggest misconceptions in dentistry is the idea of a “teeth cleaning.”

That’s not what we do at our practice. A teeth cleaning is something you do at home, while you’re brushing and flossing (or using a waterpik) twice each day. Yet, as the dental general public, you’ve been trained by your dental benefit companies or your previous dental experiences to ask for a cleaning. There are more than 8 different types of “teeth cleanings” you could get in a dental office, so how would we know which one to do without doing a proper examination?

Many of our patients have been coming to see us since 1976, but a lot of times when we welcome new clients into our practice one of the things that they have the most questions about is how we deliver “non-surgical periodontal care.” What the heck is that?

When you come to our office, we use a custom approach for each of our patients to ensure your hygienist is delivering

the optimal service for your individual gum health needs.

There are always great questions from patients about the numbers our hygienists call out during an exam. Those numbers are measurements which are a part of an overall periodontal (or “gum”) health assessment. In general, lower numbers are good… They reflect a high quality of gum tissue and bone health along with the absence of inflammation, which is the real danger.

Sometimes (but not always) higher numbers indicate that there may be gum disease or serious inflammation present in the mouth. That bacteria and inflammatory response travels and affects the entire body if it’s not addressed with the appropriate care. Visiting us at the intervals we recommend is the best way to ensure you are maintaining optimal oral health. A healthy mouth if the gateway to a healthy body!

velledental.com I Issue 1 2024 15
HYGIENE

COLLABORATIVE TRANSFORMATIONS

When specialty care is needed, the key to success is excellent communication between everyone involved. This young patient was born without two of her front teeth. Finding a way to deliver her a smile she was proud of, not only at the end of treatment but also while going through years of orthodontics, was a top priority.

Before she even began to wear braces, we collaborated with her orthodontist, Dr. Fernando Martinez, about where the teeth needed to end up for a quality outcome. We worked together on creating a master plan and Dr. Martinez ensured the teeth were where they needed to be for us to deliver her completed smile. This involved replacing the missing teeth with no-prep veneered bridges. This was a very unique case and our patient was such a trooper through the process. Providing great outcomes often requires both collaboration and creativity.

16 velledental.com I Issue 1 2024
velledental.com I Issue 1 2024 17

RONALD MCDONALD HOUSE DRIVE

This past holiday season, the Velle Dental team took an opportunity to give back and invited our extended Velle family to join us in doing so. The Bartish family has been supporting the Ronald McDonald House of Cincinnati for years and led the charge with an item drive to benefit the families that would be spending their holiday season at the House.

We put out a call for toys, snacks, toiletries, and cleaning supplies to our patients and team, and they delivered! Our original goal of 200 items was exceeded: our wonderfully generous patients and staff donated a total of 227 items. Velle Dental chipped in 300 oral health kits, each including: toothbrushes, toothpaste, and floss, bringing our grand total of donated items to 527! These totals do not include the numerous items that our amazing colleagues across the country purchased and shipped directly to the House.

It was truly a joy to give back to the community through our drive benefiting the Ronald McDonald House of Cincinnati. In 2024, we look forward to finding more opportunities like this to return the generosity of our greater Cincinnati community and be a force for good within the practice and without.

IN OUR NEIGHBORHOOD

We are very fortunate to have some incredible businesses that we count as neighbors. One of these is Victor’s Wine, located in the shopping center directly next to our White Oak office!

This family owned business is led by Certified Sommelier (and just genuinely nice guy), Paul Victor. They carry a broad selection and can help you pick out the perfect bottle for anything from a casual family get-together to a celebratory milestone. We highly recommend stopping by the next time you’re in the area!

(And don’t worry red wine fans - we are always happy to recommend at-home whitening solutions!)

18 velledental.com I Issue 1 2024
COMMUNITY

LOOKING AHEAD

Thanks for joining us for the premiere edition of Panoramic Visions!

Check back in soon for our next issue! Topics will include:

- Fillings vs. Inlays/Onlays: What’s the real story?

- A special announcement from Dr. Tonnis

- Spotlight on a collaboration between Dr. Bartish and Dr. Parker

- A deep dive into 3D design

- Mariemont office construction updates

- And more!

Until then, be well and keep smiling.

velledental.com I Issue 1 2024 19
“There is nothing ordinary about Velle Dental.” WHITE OAK 5916 Cheviot Road Cincinnati, OH 45247 MARIEMONT 6822 Wooster Pike Cincinnati, OH 45227 (513) 661-5800 www.velledental.com

Turn static files into dynamic content formats.

Create a flipbook
Issuu converts static files into: digital portfolios, online yearbooks, online catalogs, digital photo albums and more. Sign up and create your flipbook.
Panoramic Visions - Volume 1, Issue 1 by velledental - Issuu