FACULTY DAY 2024



![]()



Faculty Day of the amalgamated Faculty of Veterinary Science reflects a proud tradition, which had been nurtured by the original faculties of Veterinary Science of both the Medical University of South Africa (Medunsa) and the University of Pretoria, of showcasing the research activities of staff and students on a special, dedicated occasion.
Since the inception of the Faculty of Veterinary Science at Medunsa in the early 1980s, the staff, and later students, were involved in the activities of the “Academic Day”, which was aimed at highlighting the research activities of the University, as well as exposing young researchers to a conference environment.
The Faculty of Veterinary Science of the University of Pretoria at Onderstepoort followed this trend shortly thereafter and the first “Faculty Day”, which focused on the research activities of the Faculty, was held on 5 September 1984, sponsored by the then Dean, Prof JMW le Roux. The combined research skills of the two original institutions are today reflected in the proceedings of the Faculty Day held each year at the Onderstepoort Campus.
A hallmark of the day is the Theiler Memorial Lecture and announcement of Faculty research awards. Prior to Faculty Day, the memorial lecture was presented as part of the SAVA congress, with the first lecture presented by Prof C Rimington in 1963.

Master of Ceremonies: Prof Johan Schoeman
08:00 – 08:20 Registration and tea (Arnold Theiler Building)
08:20 – 08:25 Start of proceedings and housekeeping rules
08:25 – 08:40 Welcoming address: Prof Vinny Naidoo, Dean of the Faculty of Veterinary Science
08:45 – 09:50 Session 1: Postgraduate research [10 min + 3 min questions]
High-sensitivity cardiac troponin I in African rhinoceros: Point-of-care immunoassay validation, reference interval determination and evaluation of serum concentration changes during immobilisation and transport – Y Rautenbach
Molecular evolution of Southern African Territories (SAT) serotypes in Africa – L Seoke
Effects of prenatal genistein exposure on anxiety and depressive-like behaviour in rat offspring – J Chetty
The prevalence of Central Nervous System (CNS) diseases in mammalian species at the University of Pretoria, Faculty of Veterinary Science, Pathology – R Mweshipopya
Intra- and interspecific variation of Amblyomma ticks from southern Africa – A Smit
09:55 – 10:25 Tea (Cafeteria Elephant Room)
10:30 - 11:25 Session 2: Keynote lecture
Dr Mark Penning: Animal Wellbeing beyond Private Practice – Combining Art and Science
11:30 – 12:35 Session 3: Postgraduate
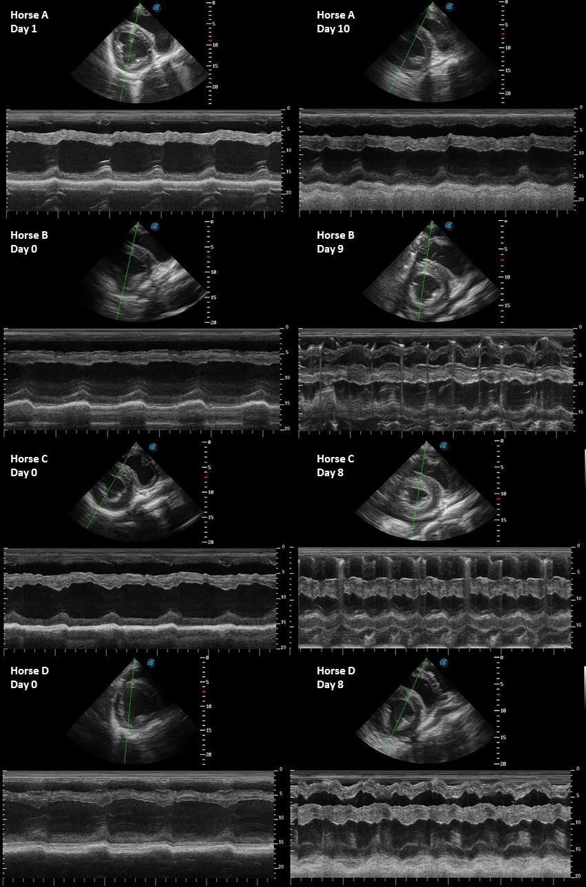
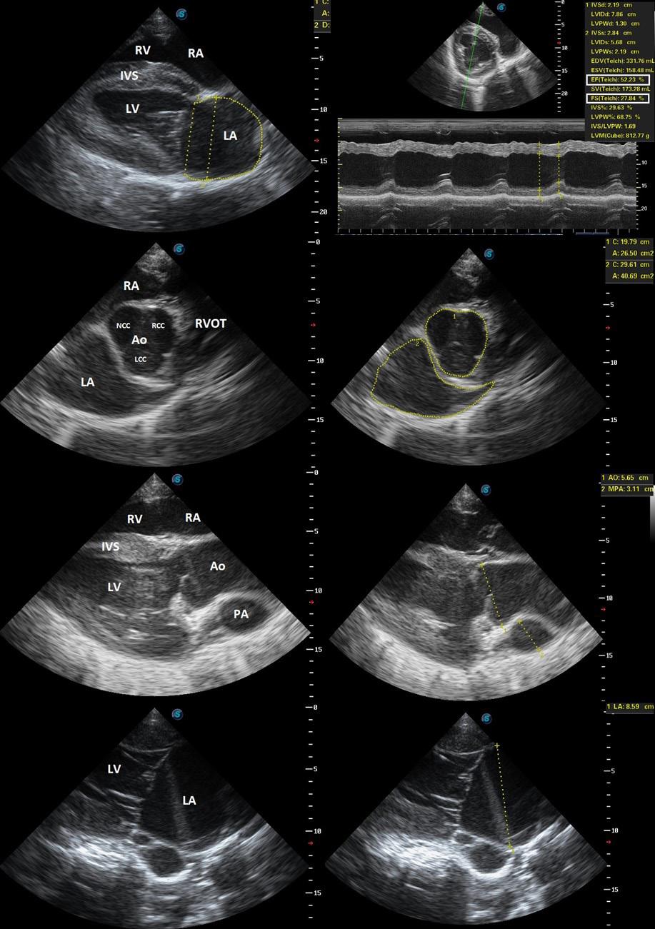
Echocardiographic evaluation of horses challenged with African horse sickness virus – N Hoepner
Mitigation of the negative effects of heat stress in broiler chickens fed diet fortified with probiotic and ascorbic acid – V Sumanu
Eco-epidemiology of the zoonotic parasite Toxoplasma gondii among domestic and wildlife environments of South Africa – M de Bruin
Analytical and overlap performance of an automated serum amyloid A assay in lions (Panthera leo) – T Morris
Establishment of foot-and-mouth disease virus serotype SAT2 persistent infection in BHK-21 cells – L Nocaka
12:40 – 13:00 Poster viewing (Arnold Theiler foyer)
Session chair: Prof Emma Hooijberg
Session chair: Prof Gerhard Steenkamp
Session chair: Dr Chiraag Simao
13:00 – 13:45 Lunch (Cafeteria Elephant room)
13:50 – 14:25
Session 4: Undergraduate research (Veterinary research report, VRE 600) [5 min + 2 min questions]
Health assessment of Cape vultures (Gyps coprotheres): Leukocyte reference intervals and comparison between different manual blood cell counting techniques – LF Pepler
Mortalities in red nose labeo (Labeo rosae) associated with a Ceratium hirundinella bloom event in Lake Loskop, RSA – A Robson
Comparative pathology of Spirocerca infections in carnivores: Insights for conserving wild populations – A Pienaar
14:30 – 15:35 Session 5: Postgraduate research [10 min + 3 min questions]
Thoracic imaging and bronchoalveolar lavage findings in captive black-footed cats (Felis nigripes) in South Africa – J Humphreys
Development of a real-time PCR assay to detect a novel rickettsial agent identified in patients with acute febrile illness – N Smith
Electron microscopy of platelet activation and fragmentation during thrombus formation in dogs with Babesia rossi infection
– R Watson
Eukaryotic microbiome of various host species at a human-livestock-wildlife interface – R Ackermann
Occurrence and characteristics of Shiga toxin-producing Esherichia coli and enteropathogenic Escherichia coli in cattle and calves on communal rangeland in Gauteng, South Africa
– M Malahlela
15:40 – 16:00
Session 6: Sponsor session [4 x 5 min]
Session chair: Dr Nicolene Hoepner
Session chair: Dr Joe Hanekom
Session chair: Prof Amelia Goddard
16:00 – 16:30 Annual Faculty Research Prize Giving Prof Marinda Oosthuizen
16:30 Closing remarks Prof Vinny Naidoo

Scan the QR code to access the online programme.

Scan the QR code to access the online Poster Abstract Booklet.
1. Mycobacterial safety of meat cuts from BCG-vaccinated African buffalos (Syncerus caffer) experimentally infected with Mycobacterium bovis – M Antrobus
2. Assessment of quantitative real-time PCR and 16S microbiome sequencing to detect a novel Anaplasma species in dogs – B Bezuidenhout
3. Mechanism of action and anti-inflammatory activity of two Combretum species against bovine mastitis pathogens and LPS-induced murine macrophages – RC Erhabor
4. A novel production profile classification system for incoming calves that predicts feedlot growth performance – AHR Hentzen
5. Isolation of a multidrug-resistant Escherichia coli pathotype Stx2:Cnf1:Cnf2:Eae as a potential cause of haemorrhagic diarrhoea and secondary septicaemia in a dog – A Jonker
6. In silico mining of the Theileria parva proteome for transporter proteins as drug design candidates – N Kotsovolos
7. The effects of prenatal genistein exposure on learning and memory function in rat offspring – AO Kunene
8. Characterization of mosquito host-biting networks of potential Rift Valley fever virus vectors in north-eastern KwaZulu-Natal, South Africa – TI Makhanthisa
9. Validation of a novel symmetric dimethylarginine assay in dogs and cats – PT Mashego
10. Prognostic indicators of survival in dogs with clinically suspected canine distemper infection in Harare, Zimbabwe – T Matiza
11. Molecular detection of porcine babesiosis in smallholder pigs in Gauteng Province – L Mbanjwa
12. Evaluation of a portable Tetracore 8 real-time thermocycler for foot-and-mouth disease virus detection in lymph node materials – KC Moabelo
13. Prevalence of Cryptosporidium species in neonatal ruminants and its associated risk factors in Mpumalanga and Eastern Cape provinces, South Africa – PS Moche
14. Erythrocyte and platelet characteristics in dogs with carcinoma or sarcoma and their use as indicators of metastasis – A Mulder
15. Ethnoveterinary medicines used for treatment of small ruminant livestock ailments in smallholder farming systems of Zimbabwe – A Munengwa
16. Knowledge, attitudes and practices of communal goat farmers on the prevalence and control of gastrointestinal nematodes – KC Ndwandwe
17. Jumping to great heights – the hind limb myology of the black-footed cat (Felis nigripes) – C Steyn


To be an innovative global leader in veterinary science.
• To provide an adaptive enquiry-led undergraduate and postgraduate educational system that meets national and international societal needs.
• To create and promote an enabling environment for excellence in research using a transdisciplinary approach.
• To be at the cutting edge of veterinary science and technology – building capability and creating new knowledge in the field.
• To influence and shape policy frameworks that are proactive and enabling.
• To leverage our expertise to protect and enhance animal and human health and well-being, and contribute to thriving communities and sustainable planetary ecosystems.
Welcome to Faculty Day 2024. Today we once again come together to celebrate the achievements of our undergraduate and post-graduate students. For our undergraduate students, Faculty Day provides an opportunity to showcase the research skills they’ve gained while completing their research module (VRE), which teaches the importance of scientific publications in general veterinary practice. For our post-graduate students, today will hopefully mark the start of an academic career, all aimed at developing the veterinary profession. We are also privileged to have Dr. Mark Penning present our keynote address on ”Animal Wellbeing beyond Private Practice – Combining Art and Science”.
With today’s lecture being focused on animal wellbeing and my role as the UP chair of the Animal Ethics Committee, I thought I’d share my perspective on animal ethics, welfare, and wellbeing. As a veterinary faculty, these issues are at the heart of what we do. Do we support the production of food for human use? Do we allow for our indigenous wildlife to be kept in captivity? Do we support hunting? And do we support euthanasia? These are questions that we, as a profession, must grapple with. Reflecting on one of the ethics debates at a committee I once served on, we received a complaint that all zoos in the country should be closed as we have ample wildlife parks and reserves. The underlying complaint was that animals under managed care are being tortured and kept in poor conditions. This has been an age-old debate and one that I think deserves much consideration.
To me, keeping animals under managed care is more nuanced than this. The first question that comes to mind is one of accessibility. How
many people can travel to a wildlife park to see animals in the wild? Is the experience and thrill of seeing one of our large indigenous mammals on display reserved for the very privileged who have the means to travel? Should the privilege of seeing a kangaroo be limited to those travelling to Australia? Should seeing a fossa be limited to watching a TV cartoon like Madagascar? Should watching a vulture chick be limited to those who can abseil down a sheer cliff? How much more can we achieve by allowing everyone to experience an animal in an accessible manner that is more within their financial means? I am absolutely convinced that the educational opportunities offered under these managed care circumstances will have a greater impact than a drive through a wildlife reserve, especially in the absence of a trained zoologist accompanying you.
Of course, the other side of the debate should also be considered. Keeping animals under managed care will require that the animals are kept under suitable conditions, and it must be ensured that they receive adequate enrichment and are allowed to express their normal behaviour. Who better than the veterinary professions to make this possible? As such, I look forward to today’s presentation and to learning from the experience of a colleague and alumnus who has been putting welfare and ethical principles into practice at some of the largest theme parks and zoological gardens in the world. Today, he’ll share his experiences, from surviving to thriving, and I hope that this will give us all food for thought on how we, as a veterinary faculty, play a crucial role in ongoing debates.
Prof Vinny Naidoo Dean: Faculty of Veterinary Science

Dr Mark Raymond Penning completed a Bachelor of Veterinary Science (BVSc) at the University of Pretoria’s Faculty of Veterinary Science, Onderstepoort, where he was awarded the University’s Honorary Colours for Outstanding Service to the Student Community. During a stint in private practice he actively pursued an interest in wildlife, focusing on the treatment and care of birds and reptiles, particularly the breeding and conservation of rare species and their habitats. This led to a shift into the zoo and aquarium profession, becoming CEO of the Umgeni River Bird Park in Durban, South Africa, where he worked on numerous projects to protect wildlife and their habitats. His passion for inspiring people to care about wildlife led to him developing free-flight bird shows and breeding programs for endangered species for release back into the wild. He helped to develop the Montecasino Bird Gardens in Fourways, Johannesburg, and served on several committees and working groups aiming to protect wildlife habitats and improve the welfare of animals in zoos and aquariums.
Leveraging his experience with project development, he became the CEO of the South African Association for Marine Biological Research (SAAMBR) in Durban, South Africa, a registered Non-Profit Company founded for the purposes of contributing to marine conservation. Over a period of nine years, he
led the construction of what was then one of the largest public aquariums in the world and still the premier man-made tourist destination in KwaZulu-Natal, uShaka Sea World, and The Sea World Education Centre. He also led the Oceanographic Research Institute (ORI), which provides strategic decision support to government departments, agencies and other NGO’s across the African continent and in surrounding waters. Through its affiliation with the University of KwaZulu-Natal, the ORI had at the time produced over 100 post-graduate students and over 1,000 scientific publications in peer-review journals. It continues to be regarded as the premier marine research institute in the Western Indian Ocean.
During this time, he served as President of the World Association of Zoos and Aquariums (WAZA), an association representing around 350 leading zoological institutions in almost 50 countries or territories. With its headquarters in Barcelona, Spain, the WAZA brings together the collective expertise of responsible zoo and aquarium directors of the world, to facilitate optimum animal care and welfare, sound environmental education and appropriate scientific research, in the interests of preserving global biodiversity.
Mark’s desire to expand his influence and make a broader contribution to conservation and animal welfare led to him joining The Walt Disney Company in 2012, initially in an Operations Director role and subsequently as Vice President of Disney’s Animals, Science & Environment
team. Mark provides vision, leadership and strategic direction to a team of over 1,000 animal care professionals, story-tellers and conservationists. Based at Disney’s Animal Kingdom in Orlando, Florida, his role includes:
• Animal care, animal husbandry, animal health and scientific studies wherever animals are housed at Walt Disney World (Disney’s Animal Kingdom, Disney’s Animal Kingdom Lodge, Epcot’s The Seas and Land pavilions, and the Ranch at Fort Wilderness), Castaway Cay in the Bahamas, and Aulani Resort in Hawaii - this includes two separate zoological institutions accredited by the Association of Zoos and Aquariums;
• Disney field conservation efforts to protect wildlife and wild habitats around the world;
• The safe and responsible portrayal of animals and nature in all Disney film and television productions; and
• Projects aimed at achieving the ambitious 2030 Environmental Goals of The Walt Disney Company.
Over the last decade, he has supported conservation and animal welfare efforts across the globe, and continues to serve as a Board member of the Dian Fossey Gorilla Fund International, a Member of the Board of Trustees of Wild Welfare, a UK-registered charity, a Board member of Wild Welfare US, and a member of the IUCN (World Conservation Union) Reverse the Red Advisory Board. In 2019, he was appointed an Honorary Conservation Fellow of the Zoological Society of London for his “innovative approach to global conservation and commitment to delivering impact to secure a future for our shared planet.


The film and television industry, along with modern animal theme parks and zoos/aquariums, offer veterinarians and scientists unique career opportunities. They rely heavily on animals both in managed care and in the wild, and animal care is evolving away from the concept of animals merely being commodities. We talk about animal wellbeing which, of course raises the question of how it differs from animal welfare. Without getting too philosophical, here is how we think about it at the world’s largest entertainment business, The Walt Disney Company.






Prof Marinda Oosthuizen, Deputy Dean: Research and Postgraduate Studies
The Faculty of Veterinary Science at the University of Pretoria has a proud tradition of training professionals to promote animal health, which in turn directly influences human health, promotes economic growth, and ensures food security. This is made possible by the Faculty’s commitment to:
Excellence in Education
Providing high-quality veterinary education and training to produce highly skilled professionals.
Conducting innovative and cutting-edge research to advance veterinary science and to addresses local and global challenges.
Community Engagement
Serving the community through veterinary services, outreach programs, and partnerships.
Animal Welfare
Promoting the welfare of animals through education, research, and clinical practice.
Global Collaboration
Collaborating with international partners to enhance knowledge exchange and drive advancements in veterinary research and practices globally.
Driven by the persistent hard work, unwavering dedication, and the exceptional expertise of our Faculty members, researchers and students, the Faculty continued to make significant strides in research, fostered national and international partnerships and collaborations, and advanced postgraduate education in 2023. This was achieved despite the several challenges we faced; i.e. funding constraints, administrative and regulatory hurdles, the pandemic aftermath and staff shortages, to name a few. I am extremely proud of what we have achieved and would like to thank each and every one in our Faculty for their passion, dedication, hard work and perseverance. No matter how big or small your contribution, it is commended and very much appreciated! Thank you!
“Success is no accident. It is hard work, perseverance, learning, studying, sacrifice, and MOST of all, love of what you are doing.” - Pele
To continue improving the Faculty’s reputation as a leading veterinary school and growing the research status of the Faculty, we are committed to continue fostering a vibrant research culture, delivering innovative and relevant research, generating high-impact publications, offering high-quality postgraduate training, increasing the number of postgraduate students and postdoctoral fellows, building partnerships and pursuing joint funding opportunities, and promoting transdisciplinary research which can help to foster collaboration across different fields and disciplines. By doing so, the Faculty can tackle complex challenges and make a greater impact on society.
We are dedicated to continuously improve our world rankings and to enhance our reputation as a leading veterinary school. We once again performed well in the various ranking systems:
• We are very proud that that the discipline “veterinary science” featured as one of the higher QS ranked subject fields at the University of Pretoria in 2023; ranked in the 51-60 global band.
• We ranked 51-75 in the global Shanghai rankings, and first in Africa.
• We ranked 27th in the global EduRank rankings, and first in Africa.
• We are ranked among the top 10 best choices for international students who want to study in a foreign country by Educations.com (a top global education platform hosting a worldwide database of universities).
The Faculty developed a new Research Strategic Framework in 2022 to ensure that our research efforts are focused and aligned with our Faculty goals and objectives. Since we work at different levels of complexity with end-to-end capabilities, we developed a framework, “From basic sciences to advanced care – addressing the dimensions of sustainable development”, that included the different workstreams and varying levels of complexity to form the broad spaces where we conduct our research. Seeking to define specific research themes within this broader framework, the past five year’s publication outputs (2019-2023) were analyzed and the following five key areas were identified, providing a comprehensive overview of the major research themes that we have (and continue to be) focused on:
• Integrated One Health and Zoonotic Disease Research
• Wildlife Disease Ecology and Conservation Medicine
• Global Veterinary Epidemiology and Public Health
• Animal Welfare Science and Ethical Veterinary Practice
• Innovative Clinical and Veterinary Sciences
The African Centre for Biosecurity and Disease Risk Assessment, was established late in 2022. With the Faculty being very strong in these areas of study, it was a strategic decision to consolidate and extend research and activities for the study of animal health-related risks (including zoonoses, foodborne diseases, residues and antimicrobial resistance) that threaten Africa’s wildlife and agriculture economy, food security, and public health. Furthermore, the Centre forms a core part of the National Biosecurity Hub at Innovation Africa @UP (launched in October 2022), a multi-stakeholder partnership initiative geared to address a multitude of current and potential future threats to biosecurity in South Africa. During 2023, a Faculty task team was appointed to drive the initiatives; the main focus was on engagement with stakeholders (mostly through the National Biosecurity Hub platform), including government departments (Department of Agriculture, Land Reform and Rural Development, DALRRD, Department of Science and Innovation, DSI), research institutions (ARC-OVR) and industry partners to formulate priority needs; as well as to put formal agreements (MoUs, service level agreements) in place.
Over the past 14 years, the Faculty has established a footprint in the community within the Bushbuckridge municipality of Mpumalanga, bordering central Kruger National Park. The infrastructure footprint includes the Hans Hoheisen Wildlife Research Station and the Hluvukani Animal Clinic, although its influence extends far beyond, through well-established community relations with a variety of stakeholders.
Furthermore, recognizing the University’s strategic intent to drive a transdisciplinary agenda that addresses complexity for transformative societal impact, various initiatives took place in 2022 and 2023 with the involvement of various Faculties and research entities across the University to co-design an approach to recognize the Faculty’s Community Engagement Programme Initiative in this area and steps to establish it as a University-recognized One Health transdisciplinary platform in the field.
Currently we are in the approvals process to transform and formalize the “Hans Hoheisen Wildlife Research Station” into the Hans Hoheisen Research Centre, a transdisciplinary research, training and community engagement platform, within the Faculty. The next steps will be to (i) once the policy and guidelines are available for the formation of a UP platform, the proposed UP-recognized One Health transdisciplinary platform will be defined and actioned, (ii) appropriate governance and resourcing arrangements for the platform will be determined and (iii) an engagement and communication strategy will be developed to position the platform and it’s work within the University. As such, also for the community, across platform stakeholders, and beyond the platform.
In 2023, Prof. Armanda Bastos, a Professor of One Health, was appointed in the Faculty’s Department of Veterinary Tropical Diseases to, inter alia, manage the One Health platform at the Hans Hoheisen Wildlife Research Station.
After our record high publication output of 113.84 units in 2020, we expressed concern that the publication outputs will show a significant drop beyond 2020 due to the COVID-19 pandemic delays experienced in field and laboratory research projects. As such, our publication outputs dropped to 108.35 units in 2021. In 2022, we were very excited with our publication units increasing to 112.93 (274 papers in total) and confident that we were back on an upward trend. Our publication units for 2023, therefore, came as a significant surprise, dropping to 87.7 units (202 papers in total), a figure only slightly higher than what we achieved in 2016 (85.85 units). Although several other faculties within the University experienced a similar trend, this remains of significant concern. Identifying and addressing the underlying reasons is essential.
• Scholarly Output = 1,990
• Citation Count = 27,042
• Citations per Publication = 13.6
• Field-Weighted Citation Impact = 1.27
• International collaboration = 61%
• Number of publications in the top 10% journals worldwide = 26.6%
• Number of publications in the top 10% most cited publications worldwide = 10.1%
“The Faculty has 38 NRF-rated researchers (National Research Foundation): one A-rated, five B-rated, 25 C-rated and five Y-rated.”
“Currently the Faculty has 55% permanent academic staff members with a doctorate degree as their highest qualification.”
Various research and related topics deriving from the work of our researchers have featured extensively in the media and on the UP and Faculty websites over the last twelve months, contributing to an increased visibility of the Faculty. Examples of these can be seen on the Faculty Day website (www.opvetfacultyday.co.za).

I am extremely proud of our postgraduate students and postdoctoral fellows. They are an incredible group and it is such a privilege for me to be part of their postgraduate journey. They are always so enthusiastic and their positive attitude and collaborative spirit shine through, even as they try to manage their own challenges; whether it is the complexities of their own research, financial pressures, emotional difficulties or any other stressors they might be facing. Despite these challenges, they remain dedicated, resilient, and an invaluable asset to our academic community. To our postgraduate students and postdoctoral fellows, thank you for who you are, for the vibrant atmosphere that you bring to the Faculty, but most of all, thank you for your persistent dedication and hard work!
In 2023, the Faculty once again struggled to meet our postgraduate targets (especially on MSc level), and our completion times are still not desirable. We are, however, proud of our graduates and strive to, apart from their academic achievements, instil the skills, capabilities and attributes in them that will enable them to be successful in an ever-changing global environment. I would, therefore, like to thank
our supervisors for their dedication and hard work to guide, support and mentor our students on their postgraduate journey! The Faculty has a number of young academics, many of whom are currently pursuing their own PhD studies –a very special word of thanks to you for being prepared to guide the juniors! And, we remain dedicated to support you to feel confident in supervising and guiding our students on their postgraduate journey.
For the 2023 registration year, postgraduate students and postdoctoral fellows contributed 24% of the total student body. Students from designated groups made up 51.5% of the total number of postgraduate students, with the group being 59.8% female. The number of postgraduate students and postdoctoral fellows in the faculty in 2023 totaled 326

Our Postgraduate Student Association (PGSA) is playing a significant role in the lives of our postgraduate students. By engaging with our students and fostering a warm and inclusive environment, the PGSA created a dynamic and supportive community for all.
Thank you for your enthusiasm and for always taking on, and organizing several academic and social initiatives. Your contributions are valued and I am proud to have you as an integral part of our Faculty.


The faculty awarded a total of 20 PhDs, 32 masters and 11BVSc (Hons) degrees, and eight postgraduate diplomas.

Through our Faculty Postgraduate Student Advisor (FSA), we are committed to supporting our students through emotional and other challenges. Additionally, several training courses were presented during the year. The most important one to mention is the “Onboarding programme” that we developed for our new postgraduate students; a biannual induction and welcoming course, which will include both hard and soft skills training. Hard skills training includes sessions on how to write a research proposal, plagiarism, basic statistic, academic integrity and ethics, other regulatory approval processes, etc. The soft skills training aims to develop transversal competences such as intercultural skills and global awareness; flexibility and adaptability; critical and innovative thinking; organization and time management; communication; teamwork; empathy and ability to build relationships; problem solving; learning orientation; negotiation skills; decision making; leadership; and collecting and processing information.
“We value our postgraduate students and strive to create an enabling environment that promotes success, wellbeing, and a positive learning experience.”
The SARChI chair in Poultry Heath and Production’s mandate is to investigate and develop tools to mitigate diseases that impact the health of the national flock, on which our food security depends, and those that may affect human health too. Continuing outbreaks of H5N1 high pathogenicity avian influenza (HPAI) in the first half of 2023 were overshadowed by an H7N6 HPAI virus that emerged in June, causing eggs shortages and the most devastating and costly avian influenza outbreak that this country has ever experienced. We sequenced the complete genomes of more than 120 of these H5N1 and H7N6 viruses in 2023 to determine their origins, track their spread, and assess their threat to human health. Naturally, we rapidly produced an H7 virus-like particle vaccine in tobacco plants that will be tested alongside other vaccines in a large vaccine efficacy study in 2024. Other highlights for the year included the publication of our work in developing and testing novel tobacco plant-expressed vaccines against infectious bronchitis virus and Newcastle disease virus as well as a SARS-CoV2 vaccine, a genomics study describing the reversion to virulence of Salmonella gallinarum vaccines in the field, plus the results of a successful collaboration with scientists in Ghana, Tanzania and USA on Newcastle disease. One MSc and two PhD students graduated in 2023, ten peer-reviewed scientific publications and five technical reports were produced, and seven oral presentations or posters were presented by members of our group at international conferences in Denmark, Italy and South Africa. The chair also presented an invited talk on avian influenza the AviAfrica Expo in Kempton Park in June, and delivered the opening keynote address on avian influenza at the International Veterinary Immunology Symposium that was held in Skukuza in November.
The World Organisation for Animal Health (founded as OIE) has established the Wildlife Collaborating Centre Network as a global research centre to provide advice and guidance on wildlife health related issues to Member Countries. The Faculty’s WOAH Collaborating Centre for Training in Wildlife and Livestock Health and Management has been selected to serve in the Core Leadership Team that is guiding the establishment of the network and advises on its activities during the inaugural year. The WOAH Collaborating Centre Onderstepoort aims to offer and deliver applicable training on regional, economically important livestock and wildlife diseases including their diagnosis and control and
embracing the One Health concept. Secondly, the WOAH CC Onderstepoort seeks to advance technical skills among WOAH Member Countries in the region relating to the management of livestock and wildlife in order to promote their health. Both objectives are aimed at building capacity in animal health in the southern African region.
The Centre for Veterinary Wildlife Research, through its staff, students and affiliates, had a successful year in 2023. The Centre continued to make significant contributions to the Faculty’s wildlife related publications (peer-reviewed research articles = 32, books = 1, book chapters = 2) and postgraduate students trained (Postdocs = 1, PhD = 10, MSc = 6). The Centre also continued to grow its local and international collaborations with three new research agreements signed and fifteen research projects being done with its collaborators. A noteworthy project in 2023, which brought five collaborating institutions together, was a large study aimed at investigating optimal ways of administering fluids to rhinoceros to improve their welfare during translocations.
Other Faculty entities:
• African Centre for Biosecurity and Disease Risk Assessment
• Equine Research Centre
• Onderstepoort Veterinary Genetics Laboratory
The annual Faculty Day on 21 September 2023 provided an opportunity for our researchers to showcase the research activities in the Faculty to colleagues and peers, and was well attended by staff members, visitors and sponsor companies alike. The Arnold Theiler memorial lecture entitled “The future of animal-based-agriculture in the context of climate change and biodiversity loss” was delivered by Prof. Richard Kock, a wildlife veterinary ecologist in the field of wildlife health focused on Africa and Asia, currently an Adjunct Professor at Tufts University (Grafton, USA) and at the Njala University in Njala and Bo, Sierra Leone. Excellence in research performance was recognized at the event with the announcement of the Faculty’s Top 10 researchers:
Researcher of the Year:
Prof Peter Thompson
Rest of Top 10 Researchers in the Faculty:
2. Prof Lyndy McGaw
3. Prof Geoff Fosgate
4. Prof Vinny Naidoo
5. Prof Leith Meyer
6. Prof Henriette van Heerden
7. Prof Marinda Oosthuizen
8. Prof Luis Neves
9. Dr Gareth Zeiler
10. Prof Musafiri Karama
I am confident that we will continue to play a significant role in achieving the Faculty’s goals and advancing the University’s vision. Personally, I am committed to supporting and inspiring our students and staff to maintain their enthusiasm and passion for research and their postgraduate journeys. Postgraduate students becoming the kind of supervisor they themselves aspired to during their studies, is a goal close to my heart.
The passion, dedication, and commitment to excellence shown by our students and staff will drive innovation, creativity, and academic success. These qualities ultimately benefit not only our Faculty and University but society as a whole. It is our responsibility to foster this passion and encourage everyone to aim high. “Align your passion with your profession and watch your dreams unfold!”
I am thankful for the ongoing progress and successes we are experiencing. Therefore, I extend my heartfelt gratitude to thank all of you – researchers, postgraduate students and support staff alike –who are making it possible for us to continue to operate and who are indeed contributing towards the Faculty’s goal of being a leading veterinary school, and both the Faculty and the University’s goal of being a research-intensive entity.
With my sincere gratitude,

Prof Marinda Oosthuizen Deputy Dean: Research and Postgraduate Studies



Y Rautenbach

Y Rautenbach1,2, LCR Meyer2,3, A Goddard1,2, PE Buss2,4, F Pohlin5, EH Hooijberg1,2
1 Department of Companion Animal Clinical Studies, Faculty of Veterinary Science, University of Pretoria, Onderstepoort, Pretoria, South Africa
2 Centre for Veterinary Wildlife Research, Faculty of Veterinary Science, University of Pretoria, Onderstepoort, Pretoria, South Africa
3 Department of Paraclinical Sciences, Faculty of Veterinary Science, University of Pretoria, Onderstepoort, Pretoria, South Africa
4 Veterinary Wildlife Services, South African National Parks, Kruger National Park, Skukuza, South Africa
5 Research Institute of Wildlife Ecology, Department of Interdisciplinary Life Sciences, University of Veterinary Medicine Vienna
E-mail: yolandi.rautenbach@up.ac.za
High-sensitivity cardiac troponin I in African rhinoceros: Point-ofcare immunoassay validation, reference interval determination and evaluation of serum concentration changes during immobilisation and transport
Conservation strategies for endangered black and white rhinoceros (Diceros bicornis minor; Ceratotherium simum simum) often involve chemical immobilisation and translocation. Adverse effects during transport include dehydration, acid-base disturbances, hypoxaemia, negative energy balance, stressinduced immunomodulation and skeletal muscle injury. Investigation into potential concurrent myocardial injury in transported rhinoceros is limited due to a lack of validated immunoassays.
The objective was to validate a point-of-care high-sensitivity cardiac troponin I (hs-cTnI) immunoassay in both rhinoceros species. Additionally, to establish reference intervals (RIs) for each species, and lastly to investigate serum cTnI concentration changes in transported rhinoceros. Analytical validation procedures for the Siemens Atellica® VTLi hs-cTnI assay included linearity, repeatability, reproducibility, recovery, interference and detection limit experiments using homogenates of rhinoceros myocardium and serum. The RIs for hs-cTnI were determined from sample groups of free-living and boma-adapted healthy black and white rhinoceros from the Kruger National Park and Care for Wild Sanctuary.
Serum cTnI concentrations were measured in serum samples collected during African rhinoceros transport studies. Cardiac troponin
I at capture and various time points was compared using the Wilcoxon rank-sum test and repeated measures ANOVA; P<0.05 was considered significant. Results showed that the Atellica® assay was validated for use in black and white rhinoceros. It was linear within a range of 2.95 - 1250 ng/L. Short-term and longterm imprecision ranged from 5.3 – 10.3% and 2.8 – 8.0%, respectively. The hs-cTnI RIs were 1.47 - 8.17 ng/L and 2.22 - 5.84 ng/L in black and


white rhinoceros, respectively. Cardiac troponin I in rhinoceros transported for long periods was significantly elevated during transport and release compared to capture results.
In conclusion, the Atellica VTLi is suitable for the measurement of cTnI in African rhinoceros and may be useful in field settings. Increasing cTnI in transported animals indicates myocardial injury, which may be reversible or permanent.

L Seoke

L Seoke1, L Heath2, P Opperman1,2, G Fosgate1
1 Department of Production Animal Studies, Faculty of Veterinary Science, University of Pretoria, Onderstepoort, South Africa
2 Agricultural Research Council, Onderstepoort Veterinary Institute, Transboundary Animal Diseases, Onderstepoort, South Africa
E-mail: u13077628@tuks.co.za
Molecular evolution of Southern African Territories (SAT) serotypes in Africa
With the aim of improving future diagnosis of foot-and-mouth disease virus (FMDV), the molecular evolution of the Southern African Territories (SAT) serotypes was investigated.
Ninety-five open reading frame (ORF) sequences representing SAT1-3 viruses sampled between 1934 and 2022 across Africa were analyzed.
A maximum likelihood phylogenetic tree was constructed from the sequences followed by recombination analysis. Guided by the recombination breakpoint distribution plot, the sequences were partitioned into three recombination-free regions and time-stamped maximum clade credibility trees were created for each partition.
The topology of the ORF phylogenetic tree did not differentiate the individual serotypes as expected, and this was attributed to recombination bias. Three recombination hotspots, which appeared to be unique to SAT serotypes, were observed across the ORF, partitioning the polyprotein into the Lpro, capsid and P2/P3 (NSP) regions. The mean evolutionary rate of the Lpro, capsid and NSP coding regions were estimated to be 1.05 x 10-3, 8.96 x 10-4 and 9.95 x 10-4 substitutions/site/year and the timeto-most-recent common ancestor were predicted in the years 966.67, 1129.35 and 1574.98, respectively.
The study findings indicated that the three coding regions evolved independently. A unique picture of the evolution of some of the SAT1 isolates from East and West Africa emerged. The Lpro and NSP sequences of these isolates formed their own clades that were more closely related to SAT2 viruses than other SAT1 viruses. In comparison, the capsid sequences also formed independent clades, but these were most closely related to other SAT1 viruses.
This was an indication that the sequences were likely recombinants which had evolved over time due to the coinfection of the host with SAT1 and SAT2 viruses. This study provided preliminary insight into the evolution of SAT serotypes in Africa which is information critical to the development of appropriate diagnostic tests for the continent.



JD Chetty

JD Chetty1, C Newton2, Z Mohamed Moosa1
1 Department of Anatomy and Physiology, Faculty of Veterinary Science, University of Pretoria, Onderstepoort, South Africa
2 Centre of Neuroendocrinology, Department of Immunology, Faculty of Health Sciences, University of Pretoria, Prinshof, South Africa
Email: u18138978@tuks.co.za
Endocrine-disrupting chemicals (EDCs) possess chemical similarities to endogenous hormones. Phytoestrogens, a group of EDCs, can bind to oestrogen nuclear receptors, alpha and beta, and the cell surface oestrogen receptor, G-protein coupled oestrogen receptor, leading to either beneficial or adverse physiological effects, depending on the receptor type and cellular context. Prenatal exposure to EDCs was shown to have negative implications on reproduction, through disrupted fertility, and on behaviour, particularly, impeded social interaction skills.
The phytoestrogen, genistein, has beneficial effects, previously been shown to have antiproliferative effects on certain cancers. However, prenatal exposure to this phytoestrogen may have negative consequences on the developing foetal brain, interrupting neural network formation.
Therefore, this study aimed to investigate the effects of prenatal genistein exposure on cognitive function, evaluating anxiety-like and depressive-like behaviour in rat offspring. Pregnant Sprague-Dawley rats were exposed to either genistein (5 mg/kg or 10 mg/kg) or vehicle (cottonseed oil), during the prenatal period (GND 7- GND 21). Behavioural tests were conducted on male and female offspring at adulthood (PND 86-89). A sucrose preference test, measuring preference for sucrose solution, assessed anhedonia, associated with depressive-
like behaviour, and elevated plus maze test, evaluating a preference for enclosed spaces, suggestive of anxiety-like behaviour, were utilised. Blood and brain tissue were collected for neurochemical analysis. Two indirect markers for anxiety-like and depressive-like behaviour, the chronic stress hormone, corticosterone was measured in plasma by ELISA; and brain derived neurotropic factor expression in brain tissue was measured by Western blotting. Preliminary
results indicate no significant changes in any of the behavioural or chemical parameters between the treatment groups, however, significant sex differences were recorded. In conclusion, this study suggests that prenatal exposure to genistein does not affect anxiety-like and depressive-like behaviour in rat offspring, however, sex-specific differences may warrant further investigation.
RN Mweshipopya

RN Mweshipopya1, L Avenant1, JCA Steyl1, GT Fosgate2
1 Department of Paraclinical Sciences, Faculty of Veterinary Science, University of Pretoria, Onderstepoort, South Africa.
2 Department of Production Animal Studies, Faculty of Veterinary Science, University of Pretoria, Onderstepoort, South Africa.
E-mail: rnahambo@gmail.com
The prevalence of central nervous system (CNS) diseases in mammalian species at the University of Pretoria, Faculty of Veterinary Science, Pathology section from 2013-2023
Neuropathology is represented in a broad spectrum of diseases of both animal and public health importance, however extensive studies on their institutional and regional prevalence is poorly documented worldwide, especially in Africa.
This study aimed to systematically review pathology reports for central nervous system (CNS) diseases in domestic, wildlife and locally exotic mammalian species and determine their prevalence in South Africa.
The study utilized archival data for cases presented between 2013 and 2023 to the Pathology section, Faculty of Veterinary Science, University of Pretoria. The prevalence of specific diseases involving the CNS was expressed as proportions. Wildlife had most cases (693), followed by bovine (493), canine (430), ovine (296), caprine (241), equine (163), feline (75) and porcine (38). For the infectious disease category, heartwater was most frequently reported, accounting for 126 (52.3%) of caprine cases, 146 (49.3%) of ovine cases, 162 (34.5%) of bovine cases and 110 (15.9%) of wildlife cases. Wildlife heartwater cases (102, 92.7%), were reported in the springbok (Antidorcas marsupialis). Cerebral babesiosis 43 (9.2%) and malignant catarrhal fever 41(8.7%) were also significantly reported in bovines. Canine distemper, 29 (6.7%), was the most prevalent infectious disease of dogs.
For diseases with zoonotic and public health implications, rabies was mostly reported in bovine 22 (5.0%), canine 16 (3.7%) and wildlife 13 (1.9%). Multiple congenital abnormalities were observed less commonly with 9 (1.9%) bovine and 7 (1.6%) canine cases. Hepatic and renal encephalopathy resulting from metabolic and toxic conditions featured at 25 (3.6%) of which 19 (2.8%) were attributed to phyto- or mycotoxicosis in wildlife.
The most identified primary CNS tumour was meningioma 8 (1.9%) in canines. Identification of specific pathogens was achieved in many cases, largely dependent on application of complementary diagnostic tests such as immunohistochemistry, histochemical stains, bacterial culture, polymerase chain reaction, fluorescence antibody test and toxicological analysis.






A Smit1, F Mulandane2, M Labuschagne1,3, SH Wójick1, C Malabwa4, G Sili5, S Mandara6, Z Dlamkile1, WH Stoltsz1, HR Vineer7, K Huber8, I Horak1, D Morar-Leather1, BL Makepeace7, L Neves1,2
1 Department of Veterinary Tropical Diseases, Faculty of Veterinary Science, University of Pretoria, South Africa
2 Biotechnology Center, Eduardo Mondlane University, Maputo, Mozambique
3 Department of Genetics, Faculty of Natural & Agricultural Sciences, University of Pretoria, Gauteng, RSA
4 Central Veterinary Research Institute, Lusaka, Zambia
5 Department of Basic Science, Faculty of Veterinary Medicine, University Jose Eduardo dos Santos, Huambo, Angola
6 Department of Animal Production Sciences, Marondera University of Agricultural Sciences and Technology, Marondera, Zimbabwe
7 Department of Infection Biology and Microbiomes, Institute of Infection, Veterinary & Ecological Sciences, University of Liverpool, Liverpool, United Kingdom
8 ASTRE, Univ Montpellier, CIRAD, INRAE, Montpellier, France
E-mail: u14023190@tuks.co.za
Amblyomma spp. ticks, known for their long mouthparts, bright ornate appearance and aggressive hunting behaviour, are vectors of several important pathogens. In southern Africa, 17 Amblyomma spp. are currently documented. Of these species, Amblyomma hebraeum and A. variegatum have been well studied due to their wide geographical range and their status as competent vectors of pathogens that are of veterinary and medical importance. Studies on other Amblyomma spp. in southern Africa have been neglected, fostering ongoing debates on the validity of certain species such as A. pomposum. This study investigated the interand intra-species variation of Amblyomma ticks collected in southern Africa, focusing on resolving the dispute about A. pomposum and A. variegatum as distinct species. Four Amblyomma tick species were collected from Angola, Mozambique, South Africa, Zambia, and Zimbabwe, and were identified morphologically as A. eburneum (208), A. hebraeum (4,758), A. pomposum (191) and A. variegatum (2,577) using identification keys. Gene amplification targeting the 12S and 16S rRNA, cytochrome oxidase I, cytochrome B and internal transcribed spacer-2 genes was conducted for 204 ticks. Maximum Likelihood analyses were performed in IQ-TREE. The phylogenetic topologies and ABGD analyses of each individual gene clustered A. pomposum within the A. variegatum clade, while clearly separating A. eburneum and A. hebraeum from all other species. None of the genetic markers were capable of geographic separation based on country of origin. Our study concludes that there is insufficient molecular evidence to differentiate A. pomposum and A. variegatum from each other.
We highlight the need for whole mitochondrial genome sequencing of these two species to resolve the ongoing controversies. Furthermore, we propose mating and hybrid viability studies between the two species to confirm their reproductive isolation.





M Penning
Vice President: Animals, Science and Environment Walt Disney Parks, Experiences and Products, Lake Buena Vista, Florida, USA
E-mail: mark.r.penning@disney.com
The film and television industry, along with modern animal theme parks and zoos/aquariums, offer veterinarians and scientists unique career opportunities. They rely heavily on animals both in managed care and in the wild, and animal care is evolving away from the concept of animals merely being commodities. We talk about animal wellbeing which, of course raises the question of how it differs from animal welfare. Without getting too philosophical, here is how we think about it at the world’s largest entertainment business, The Walt Disney Company.
Animal welfare is widely considered to be a science, based on data collection and observation, and is best evaluated from the perspective of the “outputs” that a particular animal demonstrates. These could be reactions, experiences, behaviours and expression of mental state. For animals in human care, these outputs are strongly influenced by the “inputs” that we provide or support as animal care professionals, like nutrition, medical care, environment and opportunities for the expression of a behavioural repertoire.
Animal wellbeing we think of as more of a concept, and we chose the word to convey to a wider audience in more understandable and relatable language the desire of animal care professionals to create and support an overall state of comfort, health, and happiness with an end goal of animals being able to thrive in our care, and not merely survive. We see wellbeing infused more and more into our societal conversations across human health/wellbeing, animal wellbeing, corporate policy and management methodologies. Perhaps that is because people relate more readily to the concept than the science - everyone understands what it means to be healthy, comfortable and happy, while few understand what inputs and outputs and mental states all mean.
I am lucky to be based at the most-attended theme park in the world, where we use science in a modern zoological setting in many different ways. Most obviously, we manage the health of the animals in our collection. Behaviour training is an integral part of this management process, and animals are trained to participate in their medical procedures. Animals in zoo collections should not need to be darted in order to get blood tests, radiographs, ultrasound studies, and many other procedures done.
Animals need not be tame to respond well to training and to allow basic medical procedures to be conducted. We get voluntary blood draws from lions and tigers, by developing strong relationships of trust with those animals and by providing something they find irresistibly delicious – in this case, goat’s milk. We get voluntary blood pressure measurements and do cardiac ultrasound examinations on gorillas through building trust and providing grapes. Each animal is trained for a recall to a backstage holding facility – in the event on an oncoming hurricane, we can have every animal voluntarily shift backstage within 15 minutes, even a group of huge crocodiles. We easily bleed black rhinos to manage haemochromatosis, and do voluntary blood draws on elephants to know exactly when they will give birth.
In the modern zoo, it isn’t good enough for animals to merely survive – we want to see our animals thrive! We do an assessment on each animal in the collection, and each individual within the group, to understand their behavioural repertoire. We develop a list of exactly which behaviours or outputs we want to see that show us the animal is thriving, as opposed to surviving. Once we have full team buy-in into those behaviours, we look at how we will be able to measure and record those behaviours as appropriate. In some instances, we will see visual cues that are obvious enough. We may use camera surveillance methodologies - we use software that enables machine learning, which allows for continuous analysis of video material by a computer. Alerts are sent to the right people when the desired behavior is recognized by the system. We also use this system to observe negative behaviour, and identify the causative factors or culprits - minimizing aggression in a group of large crocodiles is a great example. Black rhinos like to walk long distances, so we apply a fit-bit to them and study the data. We study the light and sound environment because our animals don’t get to go home at the end of the day to escape the activity – they are home, and we need their home to provide what they need to thrive.
The film and television industry has exploded in recent years, largely due to the high demand for streaming content. The Walt Disney Company is fortunate to own a host of film and television platforms, and we make animal wellbeing a priority in our productions. In the spirit of having our animals thrive, we aspire to ensure that animals used in these productions enjoy a positive experience. We pay attention to every single step of that animal’s journey to our production – did it come from an appropriate setting or was it bred factory-style for the filming industry? Where does it stay during the filming but when not present on set? Have we catered for all its needs, and provided sufficient refuge from the activity? Does it have a good home offering lifelong care once the production has been completed? We are also working to transform the entire industry through the creative application of CGI. We use videogrammetry in productions like The Lion King by filming animals performing their routine behaviors without any interference from us, and thereby teaching a system of computers precisely how the animal walks, stands, runs, roars etc. We are able to complete a production without having a single animal filmed in a green room or setting a paw onto a film set! We are proud to be at the forefront of an animal wellbeing revolution in film and television, and excited about what lies ahead.


SN Hoepner1, C Eberhardt1, A Carstens1,2
1 Department of Companion Animal Clinical Studies, Faculty of Veterinary Science, University of Pretoria, Onderstepoort, South Africa.
2 School of Agricultural, Environmental and Veterinary Sciences, Charles Sturt University, Wagga Wagga, NSW, Australia
E-mail: nicolene.hoepner@up.ac.za
Echocardiographic evaluation of horses challenged with African horse sickness virus
African horse sickness (AHS) is an infectious, often fatal viral disease of equids with a severe impact on the equine industry in subSaharan Africa. Clinicopathological mechanisms are poorly understood, and there is limited information on the degree and type of cardiac involvement, especially during the course of the disease.
This study followed four horses experimentally infected with African horse sickness virus (AHSV) as part of a vaccine trial, to describe echocardiographic changes during the course of the disease. Echocardiography was performed once prior to infection, and daily from infection to humane euthanasia of each subject. Basic objective and subjective (eFoCUS) evaluations of all appropriate echocardiographic variables were performed.
An increase in diastolic myocardial thickness and a decrease in the size of the left cardiac chambers during diastole and systole were consistent findings on the last day of evaluation of each subject and suggestive of hypovolaemia. The cause of the suspected hypovolaemia was not investigated, but increased vascular permeability causing third space volume loss was considered the most likely cause, as this is associated with the disease process. During the eFoCUS evaluation substantial and perfect interobserver agreements were found for an
increase in myocardial thickness and diminution of the left ventricle, respectively, suggesting that these variables could be used to subjectively evaluate cardiovascular status in clinical cases in an emergency setting. In addition, perfect interobserver agreement for impaired diastolic function, and almost perfect agreement for

pericardial effusion, was found during the eFoCUS evaluation of the final data sets for each subject. Further studies are needed to confirm the presence, quantify the severity, identify the cause and significance of these findings in both clinical and experimental environments.


Sumanu1, V Naidoo2, MC Oosthuizen3, JP Chamunorwa1
1 Department of Anatomy and Physiology, Faculty of Veterinary Science, University of Pretoria, Onderstepoort, South Africa.
2 Department of Paraclinical Sciences, Faculty of Veterinary Science, University of Pretoria, Onderstepoort, South Africa.
3 Department of Veterinary Tropical Diseases, Faculty of Veterinary Science, University of Pretoria, Onderstepoort, South Africa.
E-mail: devicpet@gmail.com
Thermal stress negatively affects the welfare of broiler chickens leading to poor productivity and potentially death. This study focused on mitigating the detrimental effects of thermal stress in chickens through the administration of probiotic and/or ascorbic acid. Performance indices, indicators of heat stress and intestinal morphology were evaluated under semi-natural conditions during the hot summer months at Onderstepoort, Pretoria, South Africa.
The study made use of 56 chicks and were allotted into 4 groups (one control and three treatment groups) of 14 each, and the administrations were given via feed for five weeks (D1 to D35). The effect of the antioxidants activities were highly significant (P < 0.0001) in the treatment groups in comparison with the control. Performance indicators were significantly higher (P < 0.05) in the probiotic and co-administered group. The height of duodenal, jejunal and ileal villi, and goblet cell counts in the treatment groups were significantly different (P < 0.001). The control group showed that heat stress negatively affects the performance, levels of endogenous antioxidants and the morphology of small intestinal epithelium. In conclusion, the administered antioxidants were efficacious in mitigating the negative effects of thermal stress in chickens.



M de Bruin

M de Bruin1, A Mercier2, V Rougeron3, T Thovhakale1,4, R Bokaba1, F Prugnolle3, L Neves1,5, D Morar-Leather1
1 Department of Veterinary Tropical Diseases, Faculty of Veterinary Sciences, University of Pretoria, South Africa.
2 Inserm U1094, IRD UMR270, Univ. Limoges, CHU Limoges, EpiMaCT - Epidemiology of chronic diseases in tropical zone, Institute of Epidemiology and Tropical Neurology, OmegaHealth, Limoges, France.
3 IRL REHABS, International Research Laboratory REHABS, CNRS-NMU-UCBL, Nelson Mandela University, George, South Africa.
4 Boehringer-Ingelheim Animal Health, Waterfall Corporate Campus, Midrand, South Africa
5 Biotechnology Centre, Eduardo Mondlane University, Maputo, Mozambique.
E-mail: u19229187@tuks.co.za
Eco-epidemiology of the zoonotic parasite Toxoplasma gondii among domestic and wildlife environments of South Africa
Toxoplasma gondii is a protozoan parasite that causes toxoplasmosis, a zoonotic disease. The definitive host are felids; however, this parasite infects a diverse range of intermediate hosts, including humans, domestic and wildlife species.
Despite its prevalence, little is known about the epidemiology and ecology of Toxoplasma in southern Africa. In this context, our study aims to determine the seroprevalence of T. gondii in domestic and wildlife environments in South Africa. We analysed the seroprevalence of T. gondii in feral rodents from the National Zoological Gardens (NZG) in Pretoria and wildlife from the Kruger National Park by use of the modified agglutination test (MAT). The MAT was used to assess the seroprevalence in rodents (n=138, 2.2%) from a domestic environment (NZG). The wildlife MAT results highlighted that definitive felid hosts, (lion (n=137, 89.8%) and leopard (n=18, 88.9%)) had the highest seroprevalence, followed by spotted hyena (n=88, 65.9%). The seroprevalence among herbivores was lower than in carnivores: hippopotamus (n=35, 51.4%), white rhino (n=138, 28.3%), African elephant (n=138, 21.7%), African buffalo (n=137, 19%), black rhino (n=35, 17.1%) and warthog (n=35, 14.3%). Analysis of these results (with 95% confidence interval) revealed significant differences in the seroprevalence
between carnivores and herbivores, thus implicating diet as a significant variable. The results further suggested that larger herbivores, especially grazers like white rhino and hippopotamus, had a higher seroprevalence compared to browsers (black rhino) or smaller herbivores. However, no significant difference was found in the seroprevalence between the types of herbivores (grazers or browsers).


The seroprevalence in the hippopotamus differed significantly from that observed in other herbivores. The observed seroprevalence trends could be attributed to diet and the circulation of oocysts in the environment through grass and water. Our work will therefore provide a better understanding of the eco-epidemiology of Toxoplasma in South Africa.



TL Morris1, Y Rautenbach1,2, P Caldwell3, M Miller4, P Buss2,5, K Koeppel2,6, C Steyrer7, EH Hooijberg1,2
1 Department of Companion Animal Clinical Studies, Faculty of Veterinary Science, University of Pretoria, South Africa.
2 Centre for Veterinary Wildlife Research, Faculty of Veterinary Science, University of Pretoria, South Africa.
3 Old Chapel Veterinary Clinic, Pretoria, South Africa.
4 South African Medical Research Council Centre for Tuberculosis Research, Division of Molecular Biology and Human Genetics, Faculty of Medicine and Health Sciences, Stellenbosch University, Tygerberg, South Africa.
5 Veterinary Wildlife Services, South African National Parks, Skukuza, South Africa.
6 Department of Production Animal Studies, Faculty of Veterinary Science, University of Pretoria, South Africa.
7 Lionsrock Big Cat Sanctuary, Bethlehem, South Africa.
E-mail: tessa.morris@up.ac.za
leo)
Serum amyloid A (SAA) is a biomarker of inflammation in both domestic and free-living mammals and may have utility as an objective measure of health and indicator of inflammation in lions. The purpose of this investigation was to validate the Eiken VET-SAA immunoturbidometric assay for use in lions, determine reference intervals (RI), and investigate changes in SAA concentrations in various diseases.
Analytical validation experiments included linearity, intra- and inter-assay imprecision, recovery, limit of quantification (LoQ), and interference, using stored serum samples from free-living and captive lions. RIs were established using the non-parametric method from 84 apparently healthy lions. Fifty diseased lions were categorised as having either nonor inflammatory disease. SAA in the healthy and two disease groups was compared with the Kruskal-Wallis and post-hoc Conover tests (p<0.05 significant).
Diagnostic accuracy was investigated using Receiver Operator Characteristic (ROC) curve analysis. The results showed that the Vet-SAA assay was validated in lions. The assay was linear up to 186.8 mg/L, short- and long-term imprecision ranged from 2.0-9.4%, LoQ was 2.1 mg/L, recovery was 89.7%. Severe haemolysis or lipaemia did not cause interference. RI was
2.1-21.3 mg/L. Significant differences were found between all three clinical groups, but there was some overlap, with moderate diagnostic accuracy for the discrimination of apparently healthy versus diseased lions (ROC area under curve 0.78).


In conclusion, the Eiken Vet-SAA assay can be used in lions. SAA should be further investigated in specific diseases of clinical and conservation importance, to determine its potential use during health screening and as an indicator of inflammatory disease.


L Nocaka

L Nocaka1,2, T Nefefe2, KP Sibeko-Matjila1
1 Department of Veterinary Tropical Diseases, Faculty of Veterinary Science, University of Pretoria, Onderstepoort, South Africa.
2 Onderstepoort Veterinary Research- Transboundary Animal Diseases, Agricultural Research Council, Onderstepoort, South Africa.
E-mail: nocakal@gmail.com
Establishment of foot-and-mouth disease virus serotype SAT2 persistent infection in BHK-21 cells
The foot-and-mouth disease virus (FMDV) is highly contagious and poses a significant threat to livestock globally. Persistent infection has been reported in ruminants that fail to clear the infection and associated mechanisms are poorly understood. In vitro systems have been useful in studying pathogen-host interactions.
Therefore, the aim of this study was to establish in vitro persistent infection of the SAT2 virus, a serotype responsible for most FMDV outbreaks in South Africa, in BHK-21 cells. Since FMDV replication is pH sensitive, ammonium chloride (NH4Cl) is used to emulate persistent infection in vitro. Thus, BHK-21 cells (1x106 cells/mL) were infected with 1x105 TCID50/50µl SAT2 virus and exposed to varying NH4Cl concentrations (10 mM, 15 mM, and 20 mM). Control cultures included virus-infected/NH4Cl-untreated cells (positive control) and virus-uninfected/NH4Cl-untreated cells (negative control). Additionally, virus-free cells treated with varying concentrations of NH4Cl were monitored for NH4Cl-induced cytotoxicity. All cultures were prepared in three independent replicates, maintained in GMEM (10% FBS and 1 ml streptomycin-penicillin) and incubated for 6h, 24h, and 48h. Cells were microscopically monitored for any cytopathic effects (CPE) and the viral infectivity determined by quantitative reverse transcription real-time PCR (qRT-PCR), at each time point. Some CPE (cell detachment)
was observed at 24h and 48h in NH4Cl-treated cells and complete CPE in the positive control. The effect of NH4Cl treatment appeared to be dose-dependent, with higher concentrations (20 mM) leading to significant decrease in cell viability. High Cq values (29-35) were obtained in the experimental group, indicating low viral RNA quantities at all-time points; while higher

viral RNA was detected in the positive control (Cq=16). Persistent infection of the SAT2 FMDV was achieved with 15 mM NH4Cl in BHK-21 cells. The successful establishment of FMDV SAT2 persistent infection in BHK-21 cells will allow in vitro investigation of the mechanisms behind persistent infection.




4 Veterinary
(BVSc final year)

LF Pepler

LF Pepler1, Y Rautenbach2, K Wolter3
KN Koeppel1,4
1 Department of Production Animal Studies, Faculty of Veterinary Science, University of Pretoria, Onderstepoort, South Africa
2 Department of Companion Animal Clinical Studies, Faculty of Veterinary Science, University of Pretoria, Onderstepoort, South Africa
3 Vulpro Rehabilitation, Plot 121 Kenneth Rd, Rietfontein, Hartbeespoort, South Africa
4 Centre for Veterinary Wildlife Research, Faculty of Veterinary Science, University of Pretoria, South Africa
E-mail: u19009527@tuks.co.za
Leukocyte reference intervals and influencing factors in Cape vultures (Gyps coprotheres)
Cape vulture (Gyps coprotheres) is the only species endemic to southern Africa. With a population size of 9210-12714 mature birds they are listed as vulnerable. Despite their conservation significance, this species has no published leukocyte reference intervals (RI). Haematological findings are critical for monitoring health and disease assessment in captive vultures. The aim of the study was firstly to establish the leukocyte RI and secondly to identify the factors influencing RI in a captive breeding population of Cape vultures. Blood samples were collected from 41 clinically healthy Cape vultures at VulPro’s conservation facility during their annual health assessments. Indirect leukocyte counts were determined using phloxine B stain with an Improved Neubauer haemocytometer on EDTA blood samples. Differential leukocyte counts performed on blood smears stained with Diff Quick were used in conjunction with the indirect counts to calculate leukocyte counts. RI were generated using Reference Value Advisor V2.1 software according to the Clinical and Laboratory Standards Institute and American Society for Veterinary Clinical Pathology guidelines. An ANOVA test was performed to identify factors influencing total leukocyte count. Fourty-one samples were included in the study (six fledglings, two juveniles and 33 adults). The following leukocyte RIs were determined with 90% confidence intervals: total leukocyte count 8.97-27.27 ×109/L,
heterophils 7.20-17.27 ×109/L, lymphocytes 0.61-16.35 ×109/L, eosinophils 0-2.55 ×109/L, monocytes 0-2.30 ×109/L and basophils 0 ×109/L.
Haemogregarina, a haemoparasite species was found on blood smears in 29% of the population. Age and infection with Haemogregarina sp. had a significant (P < 0.05) impact on total leukocyte counts. Sex and body condition scores showed

no significant influence. Reported RI can be used for health monitoring and routine blood smear evaluation to assist with identification of subclinical Haemogregarina infections in captive Cape vultures. Although Haemogregarina infections were asymptomatic they were associated with leukopenia.



A Robson, J Steyl
Department of Paraclinical Sciences, Faculty of Veterinary Science, University of Pretoria, Onderstepoort, South Africa.
E-mail: u20420197@tuks.co.za
Mortalities in red nose labeo (Labeo rosae) associated with a Ceratium hirundinella bloom event in Lake Loskop, RSA
Lake Loskop, located in the Mpumalanga province, South Africa, has faced significant challenges including acid mine drainage, sewage effluent contamination, agricultural runoff and industrial discharge resulting in eutrophication and poor water quality.
Together with cyclic weather patterns, these issues have led to harmful algal blooms (HABs), most notably Ceratium hirundinella and Microcystis aeruginosa associated with aquatic and terrestrial wildlife mortalities. In this case report, a comprehensive postmortem and histopathological investigation conducted on Red nose labeo following acute mortalities associated with a C. hirundinella bloom in early spring of 2012, is described.
Gross post-mortem examination of affected fish revealed severe, generalised inter-gill filament adhesion with excessive mucus secretion consistent with significant gill injury. Histopathological examination revealed mild to moderate, diffuse secondary lamellar epithelial hypertrophy, separation, interlamellar goblet cell hyperplasia and proprial leukocytosis including chloride cell proliferation. In association with these changes, more severe, multifocal areas of primary and secondary lamellar fusion were identified in association with entrapped algal organisms typical of C. hirundinella. Occasionally,
monogenean parasites were also observed. The acute mortality and morbidity of fish was attributed to a combination of suspected insults to the gill tissues that included low PO2, chronic variable water chemistry, and mechanical gill injury attributable to C. hirundinella

The magnitude of gill injury attributable to C. hirundinella in this case remains speculative but provides an opportunity for further experimental investigation. This case demonstrates a novel mechanism of the detrimental effects HABs can have on aquatic fauna.



A Pienaar

A Pienaar, SJ Clift
Department of Anatomy and Physiology, Faculty of Veterinary Science, University of Pretoria, Onderstepoort, South Africa.
E-mail: u19050802@tuks.co.za
Spirocerca, a genus of nematode transmitted by dung beetles, infects both domestic dogs and a multitude of wild carnivore species worldwide. However, Spirocerca infections in wild carnivores and their potential implications for conservation are not fully understood.
The aim of this review is to evaluate the current literature pertaining to spirocercosis in wildlife, and the essential differences between wild and domestic carnivores. Spirocerca has been detected in a total of 35 wild host species in 28 countries across five continents.
Typical pathological signs include aortic aneurysms, gastric and oesophageal nodules, and aberrant migration within the thorax and abdomen. Overall, spirocercosis appears to be less pathogenic in wild carnivores, and the complications seen in domestic dogs, such as vertebral spondylitis, oesophageal neoplasia, and hypertrophic osteopathy have not been observed in wildlife. The mechanisms behind these differences are not fully understood, but hypotheses include a relatively immature immune system in dogs, differences in diet and natural history, and evolved resistance to infection in wild hosts. Findings suggest that spirocercosis may not significantly affect healthy populations of wild carnivores, but its impact on critically endangered species could be potentially
devastating. Future research should prioritise disease screening in wild carnivores following routine culling activities.
Researchers should focus on molecular identification of Spirocerca nematodes, rather than relying solely on morphological characteristics.





J Humphreys

J Humphreys1, JM Hewlett1,3, SN Hoepner2, EH Hooijberg2,3, SOTS Jesus2, KN Koeppel1,3
1 Department of Production Animal Studies, Faculty of Veterinary Science, University of Pretoria, Onderstepoort, South Africa
2 Department of Companion Animal Clinical Studies, Faculty of Veterinary Science, University of Pretoria, Onderstepoort, South Africa
3 Centre for Veterinary Wildlife Studies, Faculty of Veterinary Science, University of Pretoria, Onderstepoort, South Africa
E-mail: jessica.humphreys@up.ac.za
Black-footed cats (BFCs) are endemic to southern Africa, and due to their vulnerable status (as determined by the IUCN), research efforts are focused on identifying risks in wild populations, and captive population management.
Evidence shows that this species is susceptible to great stress and high mortalities in captivity, the latter primarily due to renal amyloidosis.
Unpublished post-mortem examinations in South Africa have noted excess mucus in respiratory tracts as a cause of death, with the presence of goblet cell hyperplasia histologically in a number of animals from captive populations.
To investigate this further, this pilot study aimed to investigate bronchoalveolar cytology and thoracic imaging findings, and to develop standardised thoracic imaging protocols for BFCs in captivity. Sixteen cats from two captive breeding facilities were sampled opportunistically during the annual health checks. Eight (50%) of the animals sampled showed radiographic signs of lung pathology, seven of which were bronchial in nature.
Ultrasound examination using the adapted TFAST method found that all animals sampled exhibited some degree of consolidation, and 10/16 (62.5%) exhibited portions of abnormal lung fields. Mean vertebral heart scores were
8.91 (±0.29), which was greater than the standard normal ranges for domestic cats, suggesting that the species’ standard range is much larger and not comparable to that of domestic cats.
All 15 animals sampled exhibited mucus in the bronchoalveolar lavage (BAL) samples with moderate to high amounts of clear mucus found in 13/15 (87%). Cytological evaluation

confirmed the presence of mucus granules in all BAL samples (n=15) with moderate numbers of goblet cells in 5/15 (33%) and high numbers of neutrophils in 13/15 (87%). Bacterial culture of BAL samples (n=13) exhibited no significant growth. Further investigation is required to identify the risk factors associated with this severe allergic response and the cause thereof.


N-M Smith

N-M Smith1, SM Makgabo1,2, RV Bhoora1, KA Brayton3, K Kreppel4, E Bottieau4, MC Oosthuizen1, B Bezuidenhout1, M Troskie1, D Fagir1, NE Collins1
1 Department of Veterinary Tropical Diseases, Faculty of Veterinary Science, University of Pretoria, Private Bag X04, Onderstepoort 0110, South Africa
2 Department of Life and Consumer Sciences, College of Agriculture and Environmental Sciences, University of South Africa (UNISA), Florida Campus, Roodepoort 1709, South Africa
³ Department of Veterinary Microbiology and Pathology, Washington State University, Pullman, 99164, Washington, USA
4 Department of Clinical Sciences, Institute of Tropical Medicine (ITM), Antwerp, Belgium
E-mail: nimarismith23@gmail.com
Development
of a real-time PCR assay to detect a novel rickettsial agent identified in patients with acute febrile illness
In a previous study, a novel rickettsial agent was identified in 19 patients presenting with acute febrile illness (AFI) at the Hluvukani Community Health Centre in the Mnisi Community, Mpumalanga Province, South Africa.
The 16S rRNA sequence of the novel organism grouped within the Rickettsiaceae. An alignment of closely related 16S rRNA sequences was used to design primers and a TaqMan probe to detect a unique region within the V1 loop of the novel rickettsial agent. Known positive patient samples were used to optimize the real-time PCR.
Ten-fold and two-fold dilutions of a synthetic plasmid were used to determine the efficiency of the assay and the limit of detection. The real-time PCR test did not detect DNA extracted from a range of bacterial samples that cause human disease in southern Africa or DNA from Amblyomma hebraeum samples positive for Rickettsia africae, suggesting that the real-time PCR assay is specific for the novel rickettsial agent.
Two of the 19 AFI patient samples known to contain the 16S rRNA sequence of the novel organism tested positive, but with very high Ct values (>37), suggesting that the organism is present at very low levels in patient blood samples. DNA extracted from the blood of
healthy human controls tested negative. Of 553 DNA samples extracted from Rhipicephalus sanguineus ticks collected from dogs in the Mnisi community, 43 (7.8%) tested positive for the agent, also with very high Ct values. The brown dog tick, R. sanguineus, is well adapted to living in kennels and human dwellings with its

canine host and is known to be one of the most common ticks to bite humans, suggesting that transmission of the novel organism to humans could be through tick bites. Further research is required to determine whether the organism is responsible for causing AFI in human patients.



R Watson

R Watson1, A Lensink2, P Pazzi,1 A Goddard1
1 Department of Companion Animal Clinical Studies, Faculty of Veterinary Science, University of Pretoria, Pretoria, South Africa
2 Department of Anatomy and Physiology, Faculty of Veterinary Science, University of Pretoria, South Africa
E-mail: rowena@jsvc.co.za
Despite the presence of severe thrombocytopenia, dogs with Babesia rossi infection do not exhibit a bleeding phenotype. Instead, a consumptive coagulopathy with microthrombi formation, which has been associated with mortality, has been described in these dogs. The objective of this pilot study was to assess the structure of platelets and thrombi in complicated and uncomplicated babesiosis cases, using electron microscopy. Blood was collected from six client-owned dogs: two uncomplicated babesiosis, two complicated babesiosis and two control dogs. Platelets were fixed from platelet rich plasma and in vitro thrombi formation established using thromboelastography. Clots were removed at set time-points (initiation, amplification, maximum clot strength and fibrinolysis). Platelets and thrombi were examined using scanning and transmission electron microscopy. For the control dogs, platelets in circulation were typical for resting platelets showing discoid shapes, smooth regular cell membranes and clearly visible open canicular system, alpha- and dense granules and mitochondria. Platelets from babesiosis patients showed significant activation, with spheroid transformation, pseudopodia and lamellipodia formation, platelet aggregation and microparticle formation. Procoagulant modifications of platelets were most evident in patients with complicated
babesiosis. Platelets in the thrombi of control dogs were typical for activated platelets with pseudopodia formation, centralisation of the platelet granules and platelet aggregation. Early platelet fragmentation was noted at maximum clot strength. Similarly, platelets in the thrombi of babesiosis cases were markedly activated, with larger platelet aggregates, extensive pseudopodia, centralization of granules and microparticle formation. The most significant finding in the dogs with babesiosis was extensive

platelet fragmentation with almost complete fragmentation in uncomplicated babesiosis cases during fibrinolysis. This study confirms the marked platelet activation previously reported in dogs with babesiosis. Thrombin-driven platelet fragmentation is considered a novel mechanism of platelet behaviour and the extensive fragmentation observed in dogs with babesiosis may have implications for thrombus dissolution and platelet clearance.


R Ackermann

R Ackermann1, NE Collins1, KA Brayton2, C Matthee3, D Fagir1,4, MC Oosthuizen1
1 Department of Veterinary Tropical Diseases, University of Pretoria, Onderstepoort, South Africa
2 Department of Veterinary Microbiology and Pathology, Washington State University, Pullman, United States of America
3 Department of Botany and Zoology, Stellenbosch University, Stellenbosch, South Africa
4 Hans Hoheisen Wildlife Research Station, Faculty of Veterinary Science, University of Pretoria, Onderstepoort, South Africa
E-mail: beccy7.ra@gmail.com
Eukaryotic microbiome of various host species at a humanlivestock-wildlife interface
The rise of tick-borne diseases, due to global expansion into wildlife areas and the subsequent increase in tick and tick-borne pathogen exposure, represents a global threat to human and animal health. The focus has been on tickborne bacterial pathogens, while eukaryotic pathogens have received less attention.
Investigating tick-borne eukaryotic organisms, especially in rural communities that rely on livestock and are in close proximity to wildlife is greatly needed. The rural Mnisi community of Mpumalanga, South Africa, sees several cases of non-malarial acute febrile illness (AFI) each year. This study aimed to analyse the eukaryotic microbiome of tick vectors and AFI patients in the Mnisi community. The eukaryotic microbiome of Rhipicephalus sanguineus and Amblyomma hebraeum ticks collected over four years from dogs and cattle, respectively, as well as sick/healthy human samples, were analysed. Primers were designed to amplify the 18S gene region of fungal and protozoan groups. Primers were designed with mismatches to mammalian and tick DNA. Primers were barcoded and Pacific Biosciences circular consensus sequencing was used to amplify a 1200 bp region. Microbiome analysis was conducted using the Actual Sequence Variant method on the Dada2 pipeline. Cladosporium (environmental fungus) and Alternaria (allergen) were detected in R. sanguineus, A. hebraeum and humans. Phoma
and Malassezia were found in R. sanguineus and humans. Phoma is associated with animal disease (e.g. bovine mycotic mastitis). Malassezia causes canine and human dermatitis and could play a role in human gut diseases. Fungal genera found in both ticks include Aspergillus, Aureobasidium, Bipolaris, Chaetomium, Leptosphaerulina and Mucor, while A. hebraeum

contained two species of Trichosporon. Two protozoa, Hepatozoon canis and Plasmodium were identified. Hepatozoon canis was detected in R. sanguineus while in humans, we identified Plasmodium falciparum. This research highlights the importance of microbiome studies to identify potential human pathogens at the wildlifelivestock-human interface.




1 Department of Paraclinical Sciences, Faculty of Veterinary Science, University of Pretoria, Onderstepoort, South Africa
2 Department of Veterinary Tropical Diseases, Faculty of Veterinary Science, University of Pretoria, Onderstepoort, South Africa
E-mail: mogaugedi.malahlela@gmail.com
Occurrence and characteristics of Shiga toxin-producing Esherichia coli and enteropathogenic Escherichia coli in cattle and calves on communal rangeland in Gauteng, South Africa
Enteropathogenic Escherichia coli (EPEC) are food borne pathogens responsible for causing mild, watery, sometimes persistent diarrhoea in children under 5 years in developing countries.
Ruminants, including cattle, and water contaminated animal faeces are the main reservoir and source of EPEC for humans. This study investigated the presence of EPEC in 646 samples including 322 from apparently healthy adult cattle and 324 calves raised on communal rangeland in Gauteng province, South Africa.
Recovered EPEC isolates were screened for the presence of EPEC virulence-associated genes: eaeA and bfpA and hlyA gene. Microbiological culture and polymerase chain reaction (PCR) were used for detection and characterization of EPEC strains. PCR revealed that 11.18% (36/322) of adult cattle and 20.06% (65/324) of calves carried EPEC.
EPEC isolates were eaeA positive and bfpAnegative. Partial serogrouping revealed 11 EPEC serogroups among adult cattle and calves including human disease associated serogroups O26, O76, and O177. This is the first study reporting the presence of EPEC in adult cattle and calves raised on communal rangeland in
South Africa. The results showed that cattle are a reservoir and may be a source of virulent EPEC strains which have been previously incriminated in infant diarrhoea globally. Comparative characterization studies on cattle and human EPEC isolates are needed to evaluate to what extent cattle EPEC are a cause of disease in humans in South Africa.


On behalf of the Faculty of Veterinary Science, University of Pretoria, a sincere thank you for your kind sponsorship of our Faculty Day.
Faculty Day is a proud tradition, showcasing the research activities of the Faculty as well as exposing young researchers, postgraduate and final year undergraduate students to a conference environment. The Faculty would, therefore, like to express our deepest appreciation for your continuing support and for being part of our special day.
We look forward to hosting you again in 2025!
Prof. Vinny Naidoo
Prof. Marinda Oosthuizen Dean of the Faculty of Veterinary Science Deputy Dean: Research and Postgraduate Studies



















Organising committee
Prof Amelia Goddard (chairperson)
Prof Marinda Oosthuizen
Prof Emma Hooijberg
Ms Esther Visser
Ms Diepe Kgabo
Ms Fransie Lottering
Ms Metse Mdlongwa
Ms Lesego Teffu
Ms Madaleen Schultheiss
Scientific committee
Prof Emma Hooijberg (chairperson)
Prof Lyndy McGaw
Prof Ned Snelling
Prof Katja Koepel
Dr Nicola Collins
Dr Elize van Vollenhoven
Online platform liaison and editors
Prof Amelia Goddard
Prof Marinda Oosthuizen
Ms Lesego Teffu
Online platform management
Vetlink Media Solutions (Madaleen Schultheiss and her team)

“Animal health matters”
