HPV Vaccine | The Role Of The Pharmacist

Page 1

WELCOME TO OUR PANELISTS THIS EVENING:

This Webinar Is Being Recorded

The Recording and Slides will be shared with you following the webinar

All Content can be used as part of your CPD learning with the PSI

Email UDWMarketing@United-Drug.com for your certificate

WELCOME TO

Vaccination, Screening, Treatment and Cervical Cancer Elimination

Sinéad Cleary

Advanced Nurse Practitioner

Women’s Health

Nurse Colposcopist / Nurse

Sonographer / Nurse

Prescriber

Tallaght University Hospital

Cervical Cancer Elimination

4

AGENDA

HPV

Cervical Screening

Vaccination

Colposcopy

Cervical Cancer Elimination programme

5

Human Papilloma Virus

• Cause of over 90% of cervical cancer cases and is responsible for an important fraction of other anogenital and oropharyngeal cancers

• 90% anal cancer

• 40% vulval and vagina cancers

• 35% oropharyngeal cancers

• 90% of genital warts

6

Human Papilloma Virus

• 9th leading cause of cancer in women

• 4th most common cancer is women age 15 – 44yrs

• HPV subtypes tested: 16,18,31,33,35,39,45,51,52,56,58,59,66,68

• HPV subtypes found in cancers diagnosed in Ireland are subtypes 16,18,31,33,52 and 58

7

Transformation Zone

8

Disease progression

Time
Months Invasive cervical cancer Normal epithelium HPV infection; koilocytosis CIN I CIN II CIN III Progression 10-20 years CIN I 57% CIN II 43% CIN III 32% Approx. likelihood of regression 9
Years

HPV vaccination

05/02/12 10

HPV vaccination

• HPV vaccination alongside screening will reduce the risk of cervical cancer further than screening alone (by up to 90%), and will also significantly reduce the number of abnormal screening results requiring follow-up

• 2010 vaccinating girls – quadrivalent vaccine (6,11,16 & 18)

• 2019 vaccinating boys too – nonavalent vaccine (6,11,16,18,31,33,45,52 & 58)

11

HPV vaccination

• School based vaccination programme (1st yr students)

• NIAC recommendations

• One dose 9 – 24yrs

• Two doses 25 – 45yrs (6 – 12mths apart)

• Three doses @ 0, 2 and 6mts – specific cohorts considered to be immunocomprised

• GBMSM and trans women can be vaccinated up to 45yrs of age free in many public STI clinic and HIV clinics

12

Cervical Screening

13

HPV primary screening

• March 2020: 25-34yr olds 3yrly 35-65yr olds 5yrly

• 80% of men and women will come in contact with HPV by the age of 50 and 80% of those will clear HPV within 1-2yrs

• Recent study reported 93% have had a screen 80% within the last 5yrs

65% within the last 3yrs

05/02/12 14

Colposcopy

15

Normal colposcopy

16

Low grade Colposcopy (CIN1)

• Usually Conservative management as most resolve spontaneously

• Return to Primary care for retesting in 12 months

17

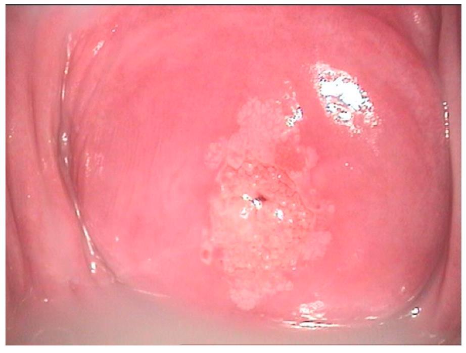
Colposcopy: CIN2

• Majority have Treatment – often ablation

• Conservative Mx is possible within strict limits

18

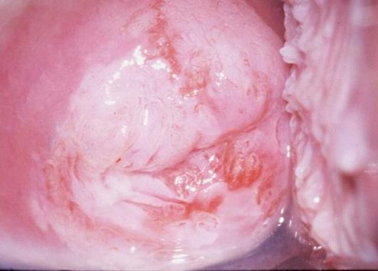
Colposcopy: CIN3 & cGIN

• CIN 3 & cGIN: treatment is always recommended

19

Colposcopy: Cancer

• Diagnostic biopsy to confirm pathology

• Refer to Gynae-Oncology service

05/02/12 20

Ireland’s Cervical Cancer Elimination Programme

21

WELCOME

TO Thank You For Participating In Our Pharmacy Webinar Series

Turn static files into dynamic content formats.

Create a flipbook
Issuu converts static files into: digital portfolios, online yearbooks, online catalogs, digital photo albums and more. Sign up and create your flipbook.