




![]()





C60 has been characterized as the most powerful antioxidant known. It’s hundreds of times more powerful than conventional antioxidants.
Crossing the blood-brain barrier, C60 works at the cellular level to support mitochondrial function. C60 fights inflammation, lifts the oxidative burden, and neutralizes toxic free radicals.
Unlike conventional antioxidants, C60 won’t interfere with any other supplements, vitamins, or medications. It can reset itself, again and again. Take it before your other supplements to boost your morning routine supplement stack.
Most users note an increase in ENERGY and MENTAL CLARITY within 30 days when incorporating C60 Power into their morning routine. Many users note FASTER RECOVERY and IMPROVED PERFORMANCE within this same time frame.




Publisher: John Highland
Editor In Chief: Hannah H.
Editorial Assistant: Jillian Fast
Graphic Designers: Laura Poyner, Dylan R-N
Contributing Authors: Evelyn Flaharty, Riley George, Bryan Lantry, Joshua Wheeler
Vice President of Development: Mark Carvalho
Business Director: Rob Fletcher
Fractional Marketing Officer: Craig Handley
Advisory Board: Dr. Ken Davis

Our mission and purpose at TopDoctor Magazine is to foster connections within the health and wellness community and empower our readers to make wellinformed healthcare and lifestyle decisions. We pride ourselves on being the ultimate resource for interviews with health and wellness leaders, trending medical news, and healthy living topics.
We understand that choosing a healthcare provider is a crucial decision. Our in-depth interviews with esteemed doctors and medical professionals aim to bridge the gap between them and their clients. By providing our readers with personal insights, philosophies, and areas of expertise, we facilitate a deeper understanding of the individuals responsible for your health and well- being. We also strive to highlight our outstanding practitioners, showcasing their dedication to their patients and contributions to the medical community.
The field of medicine is constantly evolving, with new practices, therapies, and technologies emerging at a rapid pace. At TopDoctor Magazine, we strive to keep you updated on the latest advancements in the medical world. Our comprehensive coverage of trending medical news equips both doctors and patients with the knowledge they need to make informed choices about healthcare options.
Building strong connections within the medical community is essential for enhancing patient care and driving medical progress. Our magazine serves as a bridge, connecting medical companies with doctors and vice versa. By facilitating these connections, we aim to catalyze collaborations that can lead to innovative solutions and improved healthcare outcomes for everyone.
It is our firm belief that well-informed individuals make better decisions about their health. By providing you with insights into established and emerging medical trends and technologies, we empower you to take an active role in your healthcare choices. Whether you are a healthcare professional seeking to stay updated on the latest advancements or a patient eager to make informed decisions about your well-being, TopDoctor Magazine is here to support you.
In every issue, we strive to uphold the highest standards of journalistic integrity, accuracy, and relevance. Our dedicated team of writers, editors, and medical experts work tirelessly to bring you well-researched and compelling content that is both educational and engaging. Moreover, our graphic design team is committed to delivering an aesthetically pleasing reading experience where captivating design seamlessly merges with informative content, ensuring each issue becomes an engaging journey of discovery.
As we embark on this mission to serve as your trusted source of medical information and insights, we encourage you to join us on this exciting journey. Your feedback and suggestions are invaluable to us, and we look forward to hearing from you.
Thank you for being a part of the TopDoctor Magazine community. Together, let us embrace knowledge, forge connections, and make informed decisions to lead healthier lives.
With warmest regards, Hannah
H.

10
THE SECRET TO FLAWLESS SKIN
22 32 40 46
BLUE ATLAS BIOLOGICS: THE FUTURE OF WOUND CARE
BRYAN LANTRY: THE NEW FACE OF HEALTH AND WEALTH
ELECTROLYTES IN YOUR DAILY WHOLE FOODS
TRUST YOUR GUT: HOW NUDORA IS REDEFINING PROBIOTICS


By Evelyn Flaharty
When it comes to skincare, it’s easy to get lost in the multitude of products in the market, the trends, and the complicated routines. From serums to exfoliants to 10-step regimens, you may have seen influencers posting on social media, which can feel overwhelming. But the truth is, great skin doesn’t have to be complicated. In fact, the secret to healthy, glowing skin is more straightforward than you think; it’s all about nourishment, listening to what your skin needs, and consistency in your skincare routine.
Skincare is more than just a routine. Skincare is an investment in your health, confidence, and overall well-being. Our skin is the body’s largest organ and serves as a protective barrier against the elements while also reflecting our inner health and lifestyle choices. From hydration and nutrition to the right products and daily habits, caring for your skin is a journey that evolves with time.
Whether you are aiming for a radiant glow, maintaining youthful elasticity, or simply embracing self-care, a smart and effective skincare routine can make all the difference. Understanding what your skin needs and treating it with intention can unlock the secret to a healthy, ageless complexion.
Your skin is constantly communicating with you. When it feels tight and flaky, it’s crying out for moisture. When it’s breaking out, it might be reacting to stress, diet, or an imbalance in your routine. It could be asking for more hydration, exfoliation, or a little extra sleep when it looks dull. The key is to pay attention and then take the appropriate action.
Caring for your skin at home doesn’t have to be complicated or expensive. Maintaining a consistent at-home skincare routine is key to keeping your skin healthy, youthful, and radiant. You don’t need a bathroom full of fancy or expensive products; just a few basic steps to be consistent with your skincare routine. A skincare routine can be simple and effective without feeling overwhelming. Sticking to a few essential steps can make a huge difference in your skin’s health. The best place to start is with the basics.
The first and most crucial step is cleansing. Washing your face is the foundation of skincare. Cleansing removes dirt, oil, sweat, makeup, and pollutants that can clog pores and cause breakouts. Use a gentle cleanser that suits your skin type, and avoid products that can strip your skin of its natural moisture and lead to dryness and irritation.
Hydration is key for all skin types. Even oily skin needs moisture to stay balanced. A good moisturizer helps lock in hydration and maintain your skin’s barrier. Moisturizer keeps your skin soft and smooth while protecting you from premature aging. This is where I would make an investment. Find a good moisturizer that works well for your skin type. Look for ingredients like hyaluronic acid for hydration or ceramides for barrier support.
Protection
Sunscreen is often overlooked, but it is the most crucial step in preventing premature aging. Think of it as the most powerful anti-aging product you can use daily. UV exposure leads to premature fine lines and wrinkles, dark spots, loss of elasticity, and even more serious skin conditions. Apply an SPF of at least 30 every morning, even on cloudy days, to protect your skin from damage. Applying sunscreen is a must for all skin complexions.
Once you have the essentials down, you can add a few extra steps to target specific skin concerns.
Exfoliation:
Removing dead skin cells helps brighten your complexion and allows skincare products to work better. Use a gentle exfoliant 2-3 times weekly, like a mild chemical exfoliant or a soft scrub.
Serums:
If you have concerns like dryness, wrinkles, or dark spots, serums with ingredients like vitamin C, retinol, or niacinamide can help. Serums penetrate deeper than moisturizers and deliver targeted benefits.
Face Masks:
A great way to give your skin an extra boost. Hydrating masks, clay masks, or sheet masks can be used weekly to address different concerns like dryness, oiliness, or dullness.


A few minutes of gentle massage while applying products can boost circulation, reduce puffiness, and promote a natural glow.
Despite all the hype around elaborate skincare routines, the fundamentals of healthy skin have always remained the same. A simple, consistent routine will always be more effective than an overloaded one.
Skincare isn’t just about what you apply to your face; it’s also about how you take care of yourself. Your skin reflects your overall health, so the choices you make in your daily life can have a significant impact. While using the right skincare products is essential, what you put into your body matters just as much.
Hydration and nutrition are crucial in maintaining healthy, glowing skin from the inside out. While skincare products help nourish and protect your skin externally, proper hydration and a nutrientrich diet provide the essential building blocks your skin needs to repair, regenerate, and maintain its natural glow.
Water is essential for every cell in your body, including those that make up your skin. When your skin is well-hydrated, it looks plumper and more radiant. On the other hand, when your skin is dehydrated, it will appear dull, dry, and more prone to fine lines and wrinkles. Drinking enough water throughout the day helps flush out toxins, maintain elasticity, and support overall skin function.
Your diet also plays an essential role in the health and appearance of your skin. Nutrient-rich foods provide the vitamins, minerals, and antioxidants necessary to fight inflammation, boost collagen production, and protect
against premature aging. Foods high in omega-3 fatty acids like salmon, walnuts, and flaxseeds help strengthen the skin barrier and reduce dryness. Vitamin C-rich foods like oranges, strawberries, and bell peppers promote collagen synthesis, keeping skin firm and youthful.
Antioxidants found in leafy greens, berries, and green tea help combat free radical damage, which can contribute to wrinkles and dullness. On the other hand, excessive consumption of processed foods, refined sugars, and unhealthy fats can lead to inflammation and breakouts and give your complexion a dull, uneven appearance. Focusing on a balanced diet filled with whole, nutrient-dense foods can support your skin’s natural ability to heal and maintain a radiant glow.
Your skin repairs itself while you sleep. During deep sleep, your body goes through a period of repair and regeneration, producing collagen, repairing damaged cells, and replenishing moisture levels. A lack of sleep can lead to increased cortisol levels, which can break down collagen and elastin, leading to premature aging, dullness, and even breakouts. Dark circles, puffiness, and a dull complexion are common signs that your skin isn’t getting a good night’s rest. This is why you should strive for 7-9 hours of quality sleep each night.
Lack of sleep isn’t the only thing you need to worry about. Managing stress is just as crucial for your skin’s health. Chronic stress triggers inflammation and increases oil production, which can contribute to acne, redness, and sensitivity. High stress levels also weaken the skin’s barrier, making it more prone to dehydration and environmental damage.
Finding ways to relax can help balance stress hormones and improve overall skin clarity. Relaxation techniques such as meditation, deep breathing, and yoga can help reduce stress and promote overall well-being. Additionally, activities like taking long walks, exercising, engaging in a hobby, or practicing mindfulness can positively impact both your mental health and the appearance of your skin.
By prioritizing rest and stress management, you’re giving your skin the best environment to heal, restore, and maintain its natural radiance.
Great skin doesn’t happen overnight; it’s the result of small, daily habits that add up over time. As with everything else, the key to seeing real results is consistency. Even the best products won’t work if they are only used occasionally. Sticking to a simple but effective daily routine will keep your skin looking and feeling its best.
There are ways to enhance your at-home skincare routine. One option is to get a professional facial from a qualified esthetician who can assess your skin’s needs, provide expert care, and even recommend products specific to your skin type. Professional facials offer deep cleansing, exfoliation, and hydration that go beyond what everyday products can achieve. They can help address concerns like acne, dryness, or signs of aging while promoting overall skin health. Regular treatments, combined with a consistent daily routine, can keep your skin looking its best.
For many, facials are seen as an occasional indulgence, something to treat yourself to before a big event or as part of a spa day. The truth is, professional facials are much more than just a luxury. A professional facial can offer deep, long-term benefits for your skin that go beyond what you can achieve with your at-home routine. It also complements the care you already give your skin, enhancing and supporting your efforts for even better results. Regular facials can help improve skin health, prevent aging, and enhance your overall well-being.
Even with a consistent skincare routine, dirt, oil, and environmental pollutants can build up deep in your pores over time. Professional facials offer a deeper level of cleansing beyond what you can do at home, similar to how a professional dental cleaning provides a deeper clean than daily brushing and flossing.
Estheticians use specialized products and techniques to remove impurities, unclog pores, and eliminate toxins, helping your skin breathe and function optimally. This deep cleansing process can prevent breakouts, reduce blackheads, and give your skin a fresher, healthier appearance.
One of the most significant benefits of facials is professional exfoliation. Over time, dead skin cells build up on the surface of your skin, leading to a dull, uneven complexion. While athome exfoliators help, professional treatments use advanced techniques like chemical peels, microdermabrasion, or enzyme treatments to gently remove dead skin cells, revealing brighter, smoother skin underneath. Regular exfoliation also helps improve the effectiveness of your skincare products, allowing serums and moisturizers to penetrate more deeply.
Keeping your skin hydrated enhances its appearance, strengthens its ability to withstand environmental damage, and slows down signs of aging. When your skin is hydrated, it looks youthful, plump, and radiant.
During a facial, estheticians use high-quality masks, serums, and moisturizers tailored to your skin type to hydrate and replenish your skin deeply. Professional treatments can help restore moisture balance, especially for those with flaky or dehydrated skin. One popular type of facial is the HydraFacial.
A HydraFacial is a non-invasive skincare treatment that deeply cleanses, exfoliates, hydrates, and nourishes the skin in one session. It uses a specialized device with a vacuum-like tip to remove dead skin cells, extract impurities, and infuse the skin with hydrating and antioxidant-rich serums. Alternating professional facials between anti-aging treatments and a HydraFacial for balanced skincare benefits is a great approach. In my experience, a 2-to-1 ratio works best for my oily, mature skin.

Facials can be an excellent tool for maintaining youthful skin and preventing premature aging. Many professional treatments incorporate anti-aging techniques such as collagenboosting massages, peptides, LED light therapy, or microcurrent stimulation, which help improve skin elasticity and reduce the appearance of fine lines and wrinkles. Additionally, regular facials stimulate blood circulation, promoting cell regeneration and keeping your skin fresh and firm over time.
Skincare is not just about physical appearance; it’s also about well-being. The gentle massage techniques used during facials help relax facial muscles, release tension, and even promote lymphatic drainage, reducing puffiness and improving circulation. The experience itself is incredibly soothing, making facials a great way to relieve stress and practice self-care. Taking time for a facial can be a moment of relaxation in a busy world, benefiting your skin and mental health. You’ll feel refreshed and rejuvenated afterward.
One of the best things about professional facials is that they are tailored to your specific skin concerns. Unlike store-bought products that take a one-size-fits-all approach, estheticians analyze your skin and customize treatments based on its unique needs, whether acne, dryness, sensitivity, or signs of aging. They can also provide expert advice on which products and routines will work best for your skin type, helping you build an effective at-home routine.

While a single facial can leave your skin looking and feeling amazing, the real benefits come from consistency. Regular facials, ideally once a month, can help maintain skin health, prevent common issues like breakouts and dullness, and support long-term anti-aging efforts. Over time, you’ll notice improved texture, better hydration, and a more youthful glow.
Professional facials aren’t just about pampering; they’re a powerful tool for maintaining healthy, glowing skin. From deep cleansing and exfoliation to hydration and anti-aging benefits, facials provide results that go beyond what you can achieve with at-home skincare alone. Plus, the relaxation and stress relief that come with a facial make it an investment in your skin and overall well-being. If you’re looking to take your skincare to the next level, regular professional facials are a worthwhile addition to your beauty routine.
But skincare isn’t one-size-fits-all. Our skin changes over time due to age, environment, and lifestyle, meaning that what worked in the past may not be what your skin needs today. The key is tuning in, understanding what your skin craves, and giving it the love and attention it deserves. When you care for your skin, you’re not just enhancing your outer glow but investing in long-term health and confidence.
Skincare isn’t just about looking good. It’s also about feeling good. Our skin works hard for us every single day, protecting us against the elements and reflecting our overall health and lifestyle. It also reflects what’s happening inside our bodies, from hydration levels to overall health and well-being.
That’s why taking care of it isn’t just another step in your daily routine. It’s a way to invest in yourself! It’s self-love. Proper skincare habits can do more than just enhance your appearance. It can boost your confidence, promote relaxation, and even serve as a form of self-care.
The right habits and products can make all the difference. Whether you are aiming for a radiant glow, trying to keep your skin youthful and healthy, or simply taking a few moments to pamper yourself, a thoughtful skincare routine makes all the difference.
The secret to beautiful skin isn’t found in expensive treatments or endless products; it’s found in simple, consistent care and a little bit of self-love. There’s no one-size-fits-all approach, and your skin’s needs may change over time.
The key is to stay patient, listen to your skin, and give it the care it deserves. When you focus on maintaining healthy habits, both inside and out, your skin will naturally reflect that effort. And remember, skincare isn’t about perfection; it’s about embracing and taking care of the skin you’re in.

Wild caught by hand. Delivered to your Wild caught by hand. Delivered to your door. Ready to steal the show. door. Ready to steal the show.
When it comes to dinner, subtlety has its place. When it comes to dinner, subtlety has its place.
This is not that place. This is not that place.
This is the kind of lobster tail that earns silence at the This is the kind of lobster tail that earns silence at the table—followed by applause. table followed by applause.
Caught by hand off the coast of the Nor th Atlantic.
Caught by hand off the coast of the Nor th Atlantic. Flash-frozen the day it's landed. Flash-frozen the day it's landed. We don’t


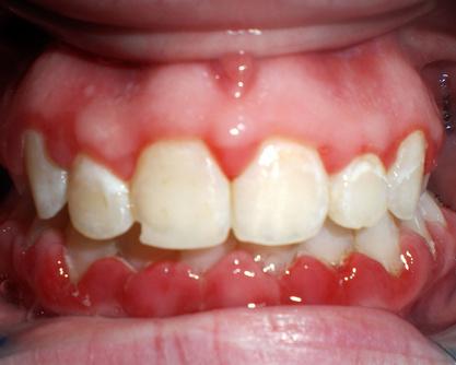
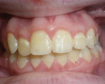
“L arge Study Links Gum Disease With Dementia”

“Periodontal disease may increase the risk of diabetes& heart disease”

“More
Evidence of Link Between Severe Gum Disease and Cancer Risk”


Clinically Proven to Reduce Biofilm 112x Better Than Brushing Alone

Inflammation in the mouth can affect the rest of the body Heart disease, Alzheimer's, pancreatic cancer and many more diseases are linked to gum disease To fight gum disease, you must fight biofilm (dental plaque) and with up to 70% of adults having some form of gum disease, brushing and flossing are not enough OraCare has been clinically proven to remove biofilm 112x better than brushing alone.





















Hey there,
We’re Strive Compounding Pharmacy.
And we’re striving for the personal side of healthcare. You know, Personal Pharma over Big Pharma. People over profits. Well care over sick care. Baseline shifting pharmaceuticals over symptom-covering ones.
We help thousands of healthcare providers just like you write tailored prescriptions so your patients can become the healthiest version of themselves.
Whether you have experience prescribing compounds or not, we make it easy to get started, get confident, and get support.
By joining our network of providers, you’re making medicine more personal—exactly how it should be.
It’s time to Strive Forward, together.

Zero Toxic Chemicals Non-Comedogenic Mineral-Based
Medical Grade Non-Nano Zinc & Non-Nano Titanium Dioxide
No White Cast Ultra-Luxe Hydration


Introducing HypoNasal™ the allnatural nasal spray and rinse made with ultra-pure HOCl and Reverse Osmosis water for gentle, effective nasal care
All-Natural & Pure: Made with pharmaceutical-grade hypochlorous acid and reverse osmosis water
Clean Formula: Free of salt, preservatives, stabilizers, and f ragrances
Scientif ically Balanced:
Optimized pH 5 4–5 7 with 100–110 PPM HOCl.
Residue-Free Relief: Soothes, cleanses, and ref reshes without irritation.
Long-Lasting: Stays potent for over 12 months when properly stored

AVAILABLE NOW







By Riley George
For Hootan Melamed, a pharmacist with deep roots in the healthcare industry, the path to founding Nudora was born out of a profound personal tragedy. A fifth-generation healthcare professional, he was destined to pursue a career in healthcare. Though he spent years as a practicing pharmacist, it was the illness of his father that truly ignited the mission behind his company, Nudora. At Nudora, they don’t just target one system—they support both your gut and your brain at the same time. This dualaction approach sends 2X the signal between your body’s two command centers:
In 2018, Melamed's father, a physician himself, fell ill with a condition that doctors couldn't diagnose. As his health deteriorated, he was prescribed various generic probiotics, but Melamed, with his extensive background in pharmacy, knew something wasn't right.
“Probiotics are meant to support gut health. A myriad of other health benefits flow from a healthy gut. However, the products my father was given were not supporting his health in the ways they should have,” he explained.
He questioned why generic products were being used when a more targeted approach was needed. Finding a better solution became a personal mission for Melamed and his father. Sadly, his father passed away that same year, leaving Melamed to carry on the project alone.
“It took me a little bit to want to continue this project and launch the products on my own,” he said.
Yet, he persevered, driven by a deep-seated desire to continue the work his father and he had started. Ultimately, Melamed knew he wanted to carry on his father’s legacy by providing a product that truly supported other people’s health and well-being.
“Looking back, I’m proud I was able to push forward and carry on the development of Nudora,” he shared.


Melamed's goal with Nudora was to solve several key problems in the supplement market. First, he wanted to create a product that was truly gut-specific, and second, he aimed to reduce the number of capsules people had to take. The concept behind Nudora is to combine a probiotic, prebiotic, and specific herbs and adaptogens into a single, comprehensive formula.
For example, someone dealing with anxiety, sleep issues, and a lack of energy might typically buy three or four separate bottles of supplements, resulting in a daily intake of ten or more capsules. Nudora offers a single solution.
"We offer a product that gives you everything in one bottle," Melamed explained. "All of the products we've created have been clinically studied and tailored to our customers' needs."


Nudora’s products are designed to be intuitive for the consumer. The company’s offerings are color-coded, with each color corresponding to a specific health concern.
For example, the orange 2.0 product is designed to reduce inflammation, aid in weight loss, and boost energy. The purple formula is tailored to help with sleep and mental clarity. Melamed uses the products himself, taking the orange for inflammation and the purple to help him wind down and relax at night.
He believes that only the individual knows what they truly need.
"Only you know what you need," he said. "From there, you can pick the formulas we offer that align best with your health goals."
This approach places the power of choice directly in the consumer's hands, enabling them to create a personalized regimen without the need for multiple consultations or complicated testing.
“There are always new ingredients and products coming out on the market, so we always stay up to date on any of the latest changes that are happening in the health and wellness space,” Melamed said, showing Nudora’s commitment to staying at the forefront of the industry.


Nudora has already reformulated its orange product to a 2.0 version, and the company is constantly working to optimize its formulations to ensure the best possible product for consumers, while maintaining its core mission of simplicity and efficacy.
Melamed sees a major shift in the wellness landscape as consumers become more educated and proactive about their health.
"People have a lot more access to data now and are more aware of what they eat and what supplements they take," he observed.
He believes that the biggest challenge now is a lack of education about specific probiotic strains and their benefits. Nudora aims to address this by providing products that are scientifically backed and easy to understand.
Melamed credits his wife with the company’s unique packaging, which he says was “designed by a woman for women.” The products are housed in eco-friendly, glass bottles with bamboo caps, a stark contrast to the typical plastic containers found on the market.
"Our packaging is very unique and different from any packaging that's in the market," he highlighted. Their focus on sustainability and aesthetics is another way Nudora stands out from its competitors.
Looking ahead, Nudora is not just following trends—it's creating them. The company has a dynamic pipeline of new projects, each driven by a commitment to solving real-world health challenges with innovative, purpose-driven products. At the forefront of this work is the development of a non-hormonal hot flash formulation, a revolutionary product designed to provide relief for both men and women. They are also developing new products aimed at men’s wellness and women's wellness, expanding their reach to address some of the most pressing health concerns of our time.
Perhaps the most personal of these ventures is a formulation for memory, concussion, and dementia. This project holds a special significance for Melamed, whose daughter endured multiple concussions while playing soccer.
"I know how much those injuries affected her day-to-day life," he shared, calling her experience a "defining moment" that has profoundly shaped his approach to his work.
This commitment to turning personal struggle into a professional solution is at the core of Nudora's mission.
Melamed is confident in Nudora’s unique position in the market, asserting that the company has no true competition. This conviction stems from the meticulous, complex, and scientifically driven process behind every product. The company's unique formulation combines live bacterial strains, prebiotics,
herbs, and minerals, or both—a process that is far more complex than it appears. The biggest challenge, Melamed explained, is a delicate balancing act: ensuring the herbs and adaptogens do not compromise the viability of the live bacterial strains.
"Figuring out which adaptogen can actually work with each strain is the hardest part," he said. This painstaking process means each formulation takes a minimum of three to six months to develop, a testament to the company's unwavering commitment to quality and efficacy.
This rigorous approach allows Nudora to create a product that is not only effective but also unlike anything else on the market. As Melamed puts it:
“Nudora is one of the few brands taking this integrative, condition-specific approach — delivering probiotics, prebiotics, and adaptogens together in formulas tailored to real wellness needs,” Melamed concluded.
To learn more about Nudora’s mission and product line, visit https://nudora.com/pages/why-nudora.


You can find more from Evelyn through her website or social media channels:
1. Website: EvelynFlaharty.com
2. YouTube: Evelyn Flaharty
3. YouTube: Workouts With Evelyn Flaharty
4. Instagram: ffmusclesandcurves
5. TikTok: @evelynifbbpro
6. Facebook: Evelyn Flaharty
Learn more about Blue Atlas Biologics and the future of regenerative medicine:
1. Visit their website at www.blueatlasbiologics.com.
2. Email them at info@blueatlasbiologics.com.
3. Speak to someone on their team by calling (845) 489-2303.
The next era of medicine is here. It’s time to join it.
1. Learn more about the movement toward a healthier future by following Bryan on Instagram: @ Bryan_lantry
1. Wempen, Kristi. “The Wonders of Watermelon.” Mayo Clinic Health System, July 27, 2021. https:// www.mayoclinichealthsystem.org/hometown-health/speaking-of-health/the-wonders-of-watermelon.
2. Manaker, Lauren. “Skip the Sugary Sports Drinks—These 20 Electrolyte-Boosting Foods Can Help You Stay Hydrated.” Health, November 8, 2023. https://www.health.com/foods-with-electrolytes-8349000.
3. Leonard, Jayne. “Foods That Are High in Electrolytes.” www.medicalnewstoday.com, May 15, 2020. https://www.medicalnewstoday.com/articles/electrolytes-food.
4. Cleveland Clinic Writing Team. “Rebalance, Replenish: 4 Sources of Electrolytes.” Cleveland Clinic, September 22, 2023. https://health.clevelandclinic.org/best-electrolyte-sources.
1. To learn more about Nudora’s mission and product line, visit https://nudora.com/pages/why-nudora.



