TFDA March/April 2024

Page 1

JUNE 20-22, 2024 YOUR FUTURE. YOUR DESIGN. FDC2024/FDA AWARD WINNERS ISSUE A PUBLICATION OF THE FLORIDA DENTAL ASSOCIATION FDA 2024 Award Winners Vol. 36, NO. 2 MARCH/APRIL 2024 Beneficial Ownership Interest Reporting Requirements today’s FDC2024 Speaker Articles Q&A With FDC2024 Scientific Program Chair Dr. Olmos
S C OTT RUTHSTROM • GeneralManager/COO scott.ruthstrom@fdaservices.com•850.350.7146 C A R R I E MI Director Of Insur erati o n s carrie.millar@fdaservices.com•850.350.7155 R I CK D ’ANGELO • WEST FLORIDA rick.dangelo@fdaservices.com •813. 475. 6 9 4 8 dennis.head@fdaservices.com•407.359. 9 7 0 0 DENNISHEAD • CENTRAL FLORIDA J OE PERRETTI • SOUTH FLORIDA joe.perretti@fdaservices.com•305. 665. 0 4 5 5 D A N ZOTTOLI•ATLANTIC COAST dan.zottoli@fdaservices.com•561. 791. 7 7 4 4 M I KE TROUT• NORTH FLORIDA mike.trout@fdaservices.com •904.254. 8 9 2 7 THE FDAS TEAM IS FOCUSED ON YOU AND YOUR PRACTICE MALPRACTICE • OFFICE INSURANCE • CYBER INSURANCE • WORKER’S COMP • DISABILITY Came for the insurance ... Stayed to support my profession.
Today’s FDA | 1 contents MARCH/APRIL 2024 floridadental.org 68 34 FDC/AWARD WINNERS ISSUE 24 BOD Meets in Fort Myers 34 Q&A With FDC2024 Scientific Program Chair Dr. Olmos 40 FDC2024 Speaker – Dental Assistants Excell: Artistic Designs and Fabrication of Provisional Restorations Workshop at FDC2024 46 FDC2024 Speaker – Clinical Case Study: Rehabilitation of Fully Edentulous Maxillary Arch with Implant-supported Monolithic Hybrid Prosthesis 52 FDC2024 Speaker – Full Arch Success With In-house Workflows 58 Exhibit Marketplace 63 FDA 2024 Award Winners 68 Beneficial Ownership Interest Reporting Requirements 72 Transforming Lives: Dental Lifeline Network’s Donated Dental Services Program Provides Vital Dental Care to Those in Need IN EVERY ISSUE 2 Staff Roster 5 President’s Message 7 Did You Know? 9 Legislative 10 Preventive Action 14 Take The LEAD 19 Dental Benefits Spotlight 20 New Dentist 26 news@fda 29 In Memoriam 77 Diagnostic Discussion 82 Career Center 85 Advertising Index 88 Off the Cusp Check out Today’s FDA online

EDITOR

Dr. Hugh Wunderlich, CDE Palm Harbor

BOARD OF TRUSTEES

PRESIDENT

Dr. Beatriz Terry Miami PRESIDENT-ELECT Dr. Jeffrey Ottley Milton

FIRST VICE PRESIDENT

Dr. John Paul Lakeland

IMMEDIATE PAST PRESIDENT

Dr. Gerald Bird

SECOND VICE PRESIDENT

Dr. Dan Gesek Jacksonville

Cocoa SPEAKER OF THE HOUSE

Dr. Don lIkka Leesburg

TREASURER

Dr. Rodrigo Romano

Miami

TRUSTEES

Dr. Tom Brown Orange Park

Dr. John Coroba

Lake Mary

Dr. Karen Glerum

Boynton Beach

Dr. Reese Harrison

Lynn Haven

Dr. Eddie Martin Pensacola

EXECUTIVE DIRECTOR

Drew Eason, CAE Tallahassee

Dr. Christopher Bulnes Tampa

Dr. Bethany Douglas Jacksonville

Dr. Fred Grassin Spring Hill

Dr. Bertram Hughes Gainesville

Dr. Richard Mufson Miami

Dr. John Pasqual Delray Beach

800.877.9922 or 850.681.3629

To contact an FDA board member, use the first letter of their first name, then their last name, followed by @bot.floridadental.org. For example, to email Dr. Hugh Wunderlich, his email would be hwunderlich@bot.floridadental.org.

To call a specific staff member below, dial 850.350. followed by their extension. 545 John Knox Road, Ste. 200 Tallahassee, FL 32303

EXECUTIVE OFFICE

Drew Eason • chief executive officer/executive director deason@floridadental.org Ext. 7109

Greg Gruber • chief operating officer/chief financial officer ggruber@floridadental.org Ext. 7111

Casey Stoutamire • chief legal officer cstoutamire@floridadental.org Ext. 7202

Lianne Bell • leadership affairs manager lbell@floridadental.org Ext. 7114

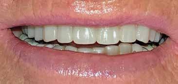
Lywanda Tucker • peer review coordinator ltucker@floridadental.org Ext. 7143

ACCOUNTING

Breana Giblin • director of accounting bgiblin@floridadental.org Ext. 7137

Leona Boutwell • finance services coordinator lboutwell@floridadental.org Ext. 7138

Mitzi Rye • fiscal services coordinator mrye@floridadental.org Ext. 7139

Kaitlinn Sendar • fiscal services coordinator ksendar@floridadental.org Ext. 7165

COMMUNICATIONS AND PUBLICATIONS

Renee Thompson • director of communications and marketing

rthompson@floridadental.org Ext. 7118

Jill Runyan • director of publications jrunyan@floridadental.org Ext. 7113

Kelsey Simmons • communications and media coordinator ksimmons@floridadental.org Ext. 7115

FDA FOUNDATION

R. Jai Gillum • director of foundation affairs rjaigillum@floridadental.org Ext. 7117

Kristin Badeau • foundation coordinator kbadeau@floridadental.org Ext. 7161

Madelyn Espinal • foundation assistant mespinal@floridadental.org Ext. 7122

2 | March/April 2024

FLORIDA DENTAL CONVENTION AND CONTINUING EDUCATION

Crissy Tallman

Alyssa Bynum

Brooke Martin

Lisa O’Donnell

• director of conventions and continuing education

ctallman@floridadental.org Ext. 7105

• FDC meeting assistant abynum@floridadental.org Ext. 7162

• FDC marketing specialist bmartin@floridadental.org Ext. 7103

• FDC program coordinator lodonnell@floridadental.org Ext. 7120

Deirdre Rhodes

GOVERNMENTAL AFFAIRS

Joe Anne Hart

Alexandra Abboud

Jamie Graves

• chief legislative officer jahart@floridadental.org Ext. 7205

• governmental affairs liaison aabboud@floridadental.org Ext. 7204

• legislative assistant jgraves@floridadental.org Ext. 7203

INFORMATION SYSTEMS

Larry Darnell

• director of strategic initiatives and technology ldarnell@floridadental.org Ext. 7102

Charles Vilardebo

• computer support technician cvilardebo@floridadental.org Ext. 7153

MEMBER RELATIONS

Kerry Gómez-Ríos

Megan Bakan

Bettie Swilley

Austin White

Scott

Carrie Millar

• director of member relations krios@floridadental.org Ext. 7121

• membership coordinator mbakan@floridadental.org Ext. 7136

• membership coordinator bswilley@floridadental.org Ext. 7110

• member access coordinator awhite@floridadental.org Ext. 7100

• FDC exhibits coordinator drhodes@floridadental.org Ext. 7108 FDA

• director of insurance operations carrie.millar@fdaservices.com Ext. 7155

Carol Gaskins • commercial accounts manager carol.gaskins@fdaservices.com Ext. 7159

Tessa Pope • customer service manager tessa.pope@fdaservices.com Ext. 7158

Marcia Dutton

• membership services assistant marcia.dutton@fdaservices.com Ext. 7148

Porschie Biggins • Central FL membership commercial account advisor porschie.biggins@fdaservices.com

Kelly

Jamie Idol • commercial account advisor jamie.idol@fdaservices.com Ext. 7142

Maddie Lawrence • commercial account advisor maddie.lawrence@fdaservices.com Ext. 7154

Liz Rich • commercial account advisor liz.rich@fdaservices.com Ext. 7171

Karina Scoliere • commercial account advisor karina.scoliere@fdaservices.com Ext. 7151

YOUR RISK EXPERTS

Dan Zottoli, SBCS, DIF, LTCP director of sales

• Atlantic Coast 561.791.7744

• cell: 561.601.5363

dan.zottoli@fdaservices.com

Joseph Perretti, SBCS director of sales

• South Florida cell: 305.721.9196

joe.perretti@fdaservices.com

Dennis Head, CIC director of sales

• cell: 407.927.5472

• Central Florida 877.843.0921

dennis.head@fdaservices.com

Rick D’Angelo, CIC director of sales

• West Coast 813.475.6948

• cell: 813.267.2572

rick.dangelo@fdaservices.com

Mike Trout director of sales

• North Florida cell: 904.254.8927

mike.trout@fdaservices.com

Today’s FDA | 3 Group & Individual Health • Medicare Supplement • Life Insurance • Disability Income • Long-term Care • Annuities Professional Liability • Office Package • Workers’ Compensation • Auto • Boat
SERVICES | 545 John Knox Road, Ste. 201 • Tallahassee, FL 32303
800.877.7597 or 850.681.2996
Ruthstrom • chief operating officer scott.ruthstrom@fdaservices.com Ext. 7146
Ext. 7149
• South FL membership commercial account advisor maria.brooks@fdaservices.com Ext. 7144
Maria Brooks
• Atlantic Coast membership commercial account advisor davis.perkins@fdaservices.com Ext. 7145
Davis Perkins
Ext.
Danielle Basista
commercial account advisor dbasista@fdaservices.com
7156
Dee • commercial account advisor kelly.dee@fdaservices.com Ext. 7157
THE OFFICIAL MEETING OF THE FDA GAYLORD PALMS RESORT & CONVENTION CENTER | ORLANDO floridadentalconvention.com JUNE 20-22, 2024 YOUR FUTURE. YOUR DESIGN. REGISTER NOW! FREE FORREGISTRATION FDAMEMBERS! FEATURED SPEAKERS > Debra Engelhardt-Nash > Kevin Henry, MA > Ron Kaminer, DDS > Mark Kleive, DDS > Sara Jockin, DDS > Laci Phillips-Newland > Sully Sullivan, DDS > Kevin Suzuki, DMD, MS > + Many More! HOT TOPICS > AI in Dentistry > Bone Augmentation > Dental Implants > Dental Photography > Forensic Dentistry > Full Arch Restoration > Patient Communication > Smile Design & 3D Printing > + Much More!

You and Organized Dentistry

As a 30-year practicing Florida periodontist and your current president, I am honored to write to you today. I have been a longtime member of the Florida Dental Association and a member and past president of the Florida Association of Periodontists. This should indicate my commitment to organized dentistry and the specialty of periodontics and implant dentistry.

Upon graduation, many D4s and graduate students will embark on professional career paths in private practice, corporate dental practices or academics. These are exciting times!

For the seasoned dentist, many may consider practice expansion, hiring an associate, downsizing or even selling. These, too, are exciting times!

Recent graduates and seasoned doctors have many commonalities. However, the most important one in my eyes is maintaining membership in organized dentistry and our professional association.

I clearly remember my first day of work as a periodontist. It was at a general practice doing in-house perio one day per week. It was nerve-wracking, but also wonderful, to

finally be doing what I was trained to do. Concurrently, I began growing my private practice as an associate with a well-established periodontist in my area.

A few short years later, I dropped the in-house perio gig as I had enough patients and referrals to sustain me and grew my practice to where it is today. I’ve moved locations a few times, but the growth continues presently.

Throughout my practice growth journey, I have maintained my organized dentistry membership. Specifically the American Dental Association, Florida Dental Associatoin, American Academy of Periodontology and Florida Association of Periodontists. Even when money was tight, I never missed paying my annual dues. I recognized the critical importance of belonging to these great organizations and the value they brought to my profession.

Being a member provides you with a support group of your peers. Here are some of the benefits I utilize:

• It is a place where I network with other dentists and specialists. I’ve made some lifelong friends and travel buddies; together, we have watched our families grow.

• I have found mentors who have guided me through practice decisions, purchasing equipment, investment planning and employee issues. This is a free benefit of

t

Today’s FDA | 5
president’s message

membership and would have cost me thousands with a consultant.

• I get my continuing education credits from the courses offered and improve my skills through hands-on workshops. This makes me a better dentist.

• I get discounts on insurance products like liability and disability policies through FDA Service's large group buying power.

• My patients respect me and see me as an expert in my field when they see the association logos posted in my office. They understand that belonging to such a group is a privilege and hold me to a higher standard.

Finally, and probably the most important, is advocacy. The associations provide me with continuous state and national advocacy to protect my profession and the patients I serve.

I recognize that you may feel it is not important to join or maintain your membership with the ADA and FDA and for the specialist, you might feel that belonging to your specialty association is enough. However, I beg to differ. We are ALL DENTISTS FIRST. As such, we need to protect DENTISTRY above and beyond all specialties. There are far more dentists and we know we are always stronger in number. Belonging to our dental association is critical in maintaining those numbers.

For the D4s and recent graduates, I wish you all great success in your professional endeavors. For the seasoned doctors, I wish you continued growth and prosperity.

I hope to see you all as ACTIVE members at any one of our future meetings. Together, we can make a difference!

FDA President Dr. Terry can be reached at bterry@bot.floridadental.org.

NEED HELP WITH PATIENT COMPLAINTS?

The Peer Review program is designed to help Florida Dental Association member dentists.

Avoid costly legal fees, malpractice suits and Board of Dentistry complaints by using this free service exclusively for members.

Learn more online at FloridaDental.org/PeerReview or by contacting FDA Peer Review Coordinator Lywanda Tucker at 850.350.7143 or ltucker@floridadental.org

6 | March/April 2024
president’s message

did you know?

Your Response to a Negative Patient Review Could be a HIPAA Violation

Did you know your response to a negative review from a disgruntled patient or family member could be a violation of the Health Insurance Portability and Accountability Act (HIPAA)? There is no HIPAA exception that allows a health care provider to disclose a patient’s protected health information (PHI) in response to a negative review. HIPAA generally prohibits dentists (and all health care providers) from using or disclosing a patient’s PHI without his or her consent. As a reminder, PHI includes information that “relates to the past, present or future physical or mental health or condition of an individual [or] the provision of health care to an individual, and … that identifies the individual, or with respect to which there is a reasonable basis to believe the information can be used to identify the individual” (45 CFR 160.103). This means that posting any information that identifies someone as your patient violates HIPAA, even if specific medical information is not posted or disclosed.

The next question is, “How can I respond to a negative review?” Our first piece of advice is to just ignore it and try to generate more positive reviews to offset the negative

For more information on social media policies and how best to respond to negative review, please call us at 850.681.3629.

one. In addition, you could reach out to the patient to try and resolve the problem. Usually, when people post a negative review, they are frustrated and want their voice to be heard. If you can resolve the situation, you may be able to convince the patient to take down the negative review. And even if you cannot resolve the issue, ask the patient to give you a HIPAA-compliant authorization that would allow you to respond appropriately to the negative review.

Now, we know ignoring a post is not going to sit well with some of you! If you feel you must respond, it should be generic. Your response cannot confirm that the patient received care at your office. Instead, you could describe your general practices and policies and then ask the disgruntled person to contact your office to discuss things further. It goes without saying that if you do respond, take a deep breath before doing so to calm down and be polite, professional and sensitive to the disgruntled person’s perspective.

To read more on negative reviews, check out a past “Chew on This” at vimeo.com/556207196.

FDA Chief Legal Officer Casey Stoutamire can be reached at cstoutamire@floridadental.org.

Today’s FDA | 7

DENTISTS’ DAY ON THE HILL MARCH

Tuesday, March 25, 2025

2025 25

A portion of your dues is transferred to the Florida Dental Association Political Action Committee (FDAPAC). FDAPAC provides campaign contributions to dental-friendly candidates.

FDAPAC Century Club members provide additional financial support of $150 or more for state campaigns. FDAPAC dues and contributions are not deductible for federal income tax purposes.

Today’s FDA | 9
D
r
. Ree Chair
ARE YOU A MEMBER OF FDAPAC CENTURY CLUB?

Is a Potential Email Breach Among Your Biggest HIPAA Vulnerabilities?

Dental practices face a growing threat to their security, with thefts targeting patient data and practice integrity. Just as one would safeguard property in a neighborhood plagued by theft, it’s crucial for healthcare leaders and practice managers to prioritize security measures.

Despite the warnings, email security often remains overlooked in practice protocols. Understanding HIPAA compliance for email is essential. There are five technical safeguards required for HIPAA-compliant email:

• Access Controls: Limit protected health information (PHI) access to authorized personnel.

• Audit Controls: Monitor email history and transmissions.

• Integrity Controls: Prevent improper destruction or alteration of ePHI.

• Authentication: Verify individual identities before granting access.

• Transmission Security: Encrypt transmitted PHI.

An email breach constitutes unauthorized use or disclosure of email accounts or systems. Common causes include human error, phishing attacks and insufficient encryption or security measures.

10 | March/April 2024

preventive action

An email breach constitutes unauthorized use or disclosure of email accounts or systems.

To enhance email security:

1. Establish or update security protocols to include email security.

2. Provide comprehensive staff training on security risks and phishing awareness.

3. Implement vendor risk management strategies, like business associate agreements.

4. Conduct a HIPAA risk assessment covering email systems.

5. Utilize a secure, HIPAA-compliant email solution with end-to-end encryption.

Despite its importance, email security often receives insufficient attention. Hackers exploit vulnerabilities, making it crucial for dental practices to safeguard their data and networks.

Maintaining robust email security isn’t just about compliance; it’s about preserving patient trust and ensuring

the continuity of care. With cyber threats evolving rapidly, proactive measures are paramount. Practices should regularly review and update security protocols, conduct ongoing staff trainings and stay vigilant against emerging threats. By prioritizing email security, practices can mitigate risks, protect sensitive information and uphold their commitment to patient confidentiality in an increasingly digital dental landscape.

Prioritizing email security is essential in safeguarding both practice integrity and patient data. Florida Dental Association Services endorsed iCoreExchange encrypted HIPAA email, which enhances patient data protection and workflow efficiency. To learn more, book a demo at iCoreConnect.com/FL16 or call 888.810.7706.

Learn more from Mr. McDermott in his course “How Automating Insurance Verification in Your Practice Can Change Profitability” (NC05) on Thursday, June 20 at the 2024 Florida Dental Convention. This course is free for FDA members. Learn more at www.floridadentalconvention.com

Today’s FDA | 11
To learn more, book a demo a iCoreConnect.com/FL16 or call 888.810.7706

20 FREE COURSES FOR FDA & ADA MEMBERS*

FREE EXHIBIT HALL PASSES

DISCOUNTED HOTEL RATE AT GAYLORD PALMS

$215 PER NIGHT

INCLUDING SELF-PARKING*

$15 LUNCH & LEARN

SPONSORED BY LEGALLY MINE

FREE PRE-REGISTRATION FOR FDA MEMBERS*

MORNING YOGA ON THE LAWN

WAYS TO SAVE AT FDC2024

$25 LUNCH VOUCHER WHEN YOU PURCHASE AN AM & PM COURSE ON THURSDAY

NIGHTLY SOCIAL EVENTS INCLUDED IN YOUR REGISTRATION

* Deadlines apply

DISCOUNTED REGISTRATION FEES FOR FDA MEMBERS’ DENTAL TEAM

FREE KEYNOTE SESSIONS FOR ALL ATTENDEES DURING PRE-REGISTRATION*

SAVE UP TO 20%! REGISTER BY 4/12

SPEAKER HOSTS

RECEIVE FREE COURSE TUITION & A $25 LUNCH VOUCHER

FREE COURSE FOR DENTAL HYGIENISTS*

EXCLUSIVE ON-SITE COUPONS FROM EXHIBITORS WELCOME COCKTAIL RECEPTION

ON THURSDAY FROM 4-6 PM

DISCOUNTED MEAL OPTIONS AT GAYLORD PALMS

(See On-site Guide for details)

HOW MUCH ASSURANCE

do you have in your malpractice insurance?

With yet another major dental liability insurer selling out to Wall Street, there’s an important question to ask. Do you want an insurer with an A rating from AM Best and Fitch Ratings, over $6.5 billion in assets, and a financial award program that’s paid $140 million in awards to retiring members? Or do you want an insurer that’s focused on paying its investors?

Join us and discover why our 84,000 members give us a 90+% satisfaction rating when it comes to exceptional service and unmatched efforts to reward them.

You’re Invited! 2024 Leaders Emerging Among Dentistry Program

On Friday, Jan. 19, the Florida Dental Association’s (FDA) Leadership Development Committee hosted 50 member dentists and dental students for the Leaders Emerging Among Dentistry (LEAD) program in Orlando. The committee hosts annual LEAD events to develop leaders within the association and support member dentists in their leadership journeys. As dentists, we are routinely called to be leaders. Whether in the management of our practice, in our community, educating patients or advocating for the profession with local and state leaders, dentists are being asked to lead more frequently. To do all these well it requires clear communication, adaptability, personal drive, initiative and self-awareness. For some these skills may come naturally, but for most of us it takes intention and training to hone the skills needed to be a good leader. LEAD is designed to provide training for these skills, focusing on the dentist and his or her unique needs.

At the 2024 program, the day was broken into several topics. The morning focused on emotional intelligence (EI) with speaker Bobi Seredich from the Southwest Institute for EI. This seminar gave instruction on the soft skills that make a big difference as you interact with your staff, patients and colleagues. Workforce shortages remain top of mind for dentists and retaining staff is a priority. Bobi gave ideas for managing conflict within the dental team and embracing change using emotional intelligence. She considered the relationship between doctor and patient and provided tips on communicating and educating patients and managing their expectations.

The afternoon session featured a lecture by Chief Economist and Vice President of the American Dental Association (ADA) Health Policy Institute Marko Vujicic. He presented the ADA’s most recent data on the rapidly changing landscape of the dental profession, shifting practice modalities, patient mindsets, emerging technology (AI making its way into dentistry) and more. This session gave attendees numerous opportunities to ask

14 | March/April 2024

questions about the data and consider what it might mean as we look to the future of dentistry.

The final session was a House of Delegates (HOD) training featuring FDA Speaker of the House Dr. Don Ilkka and FDA Chief Legal Officer Casey Stoutamire. This training included a mock session with opportunities for attendees to debate a resolution on dental insurance reform. LEAD ended with a networking reception that included members of the FDA’s HOD Board of Trustees. One of the highlights of the LEAD program is the opportunity it provides attendees to connect with like-minded professionals across the state.

The 2024 program saw many new faces and was an overall success. The following day, attendees had an opportunity to put these skills to use as the HOD met to conduct its semi-annual session. If you have ideas about topics you’d like to see presented, email FDA staff at lbell@floridadental.org.

FDA LDC Chair Dr. Angela McNeight is an orthodontist in Melbourne and can be reached at angela.mcneight@gmail.com

Photo captions:

1. Attendees participating in EI training.

2. Dental students Johnny Russo and Golzar Pahlevani.

3. Leadership Development Committee members and attendees. (clockwise Drs. Gerald Bird, Matt Sheldon, Greg Chace, Vrinda Shah and Angela McNeight).

To find more information on LEAD and to learn more about future programs, please visit floridadental.org/lead.

Today’s FDA | 15
the lead
take
1.
2. 3.

FDA Career Center

The American Dental Association, Florida Dental Association and your local dental association all work together to provide members with every level of service and support. This three-tier system forms a cohesive partnership to ensure the success of individual members and their practices, as well as the dental profession.

FDA Career Center Job Seekers are Active and Looking for

Hiring Employers

CAREER CENTER BENEFITS

29,000 in the Network

800+

384,000+

200+

Searchable Resumes

Average Montly Visits

Job Views Per Month

Average View Per Jobs

careers.floridadental.org/employers

Contact Naylor Employer Support to get started: employersupport@naylor.com

Looking for Your Next Recruitment Solution?

Is your organization seeking high-quality, professional individuals to be a part of your team? Expand your exposure through the FDA Career Center today!

Connect with our network of elite professionals through our state-of-the-art recruiting platform. Designed to specifically match you with qualified industry candidates, no other commercial job board can deliver quality professionals looking to take the next step in their careers.

• Quick and easy job posting

• Broad health care field exposure to high quality candidates

• Online reports providing job activity statistics

• Simple, affordable pricing options

The FDA Career Center is also a great resource for job seekers. Visit today!

Volunteers provide an invaluable service to the Florida Dental Convention. Speaker Hosts will be responsible for introducing the speaker, making announcements in front of the course, passing out and collecting surveys, and contacting convention staff if AV assistance is needed.

Volunteering has its perks!

• All Speaker Hosts receive a $25 lunch voucher for Exhibit Hall concessions.

• Lecture Speaker Hosts receive free course tuition for the hosted course.

Volunteer today at education.floridadentalconvention.com

Contact Alyssa Bynum at abynum@floridadental.org or 850.350.7162.

Today’s FDA | 17 GET ACCESS TO ALL 6 WEBINARS FOR ONLY $149. Webinars can be registered individually for $29 ea. ARE YOU READY TO SUPERCHARGE YOUR CAREER? THE ROOTED IN DENTISTRY WEBINAR SERIES Register & learn more at www.floridadental.org/webinars. TOPICS: SPEAKERS: • Aesthetic Dentistry • Cyber-Security • Endodontics • Infection Control • Implant Dentistry • Staffing Challenges • Ms. Debi Carr • Ms. Karen Daw • Dr. Dimple Desai • Dr. Brandon Gordon • Dr. Mark Limosani • Dr. Christine Sison EARN UP TO 5 HOURS OF CE CREDIT IN THE COMFORT OF YOUR HOME OR OFFICE WITH ONLINE WEBINARS TAILORED TO YOUR SCHEDULE! LIVE IN SPANISH! 2-5 PM | CE CREDITS: 3 Dr. Juan Yepes, DDS, MS Get the most up-to-date information regarding the fascinating and complex field of dental traumatology in children and adolescents in Spanish! SATURDAY, JUNE 22 FDC2024 COURSE HIGHLIGHT Visit education.floridadentalconvention.com for full course details. SPANISH VERSION: AN UPDATE ON DENTAL TRAUMATOLOGY IN THE PEDIATRIC AND ADOLESCENT PATIENT | C72
FREE
be
GET
COURSE TUITION! Volunteer to
an FDC Speaker Host QUESTIONS?

Learn new RDH skills and techniques and connect with your peers, all while having FUN at FDC2024. We’ve got the courses you’ve been searching for –It’s CE for you, by you! The FDC dental hygienist consultant has planned CE courses designed for you, the RDH.

#ItsNotYourAverageDentalMeeting

FDC OFFERS 80+ COURSES FOR THE RDH. LOOK FOR THE COURSES WITH “HYGIENIST” LISTED AS THE AUDIENCE FOR COURSES RECOMMENDED FOR YOU.

COME FOR THE CE.

• Dianne Watterson, RDH, MBA – Advanced Hygiene Therapy – Developing a Comprehensive Approach (C08)

• Emme Sanders, RDH –That’s Hot … Real Talk About Inflammation (C07)

• Jo-Anne Jones, RDH – Cleaning Teeth Versus Impacting Lives … It’s Your Choice! (C18)

• Anne Guignon, RDH, MPH – Gaggers, Uptight and Upright Folks – Strategies for Treating “Those Patients” (C63)

• Kathy Forbes, RDH – The Hygiene Appointment – 60 Minutes to do HOW Many Procedures? (C50)

• Anne Guignon, RDH, MPH – Caries: The Ultimate Environmental Catastrophe (C32)

• Caitlin Parson, RDH – Ergonomics and Therapeutic Yoga for Dental Professionals Deep Dive (DD02/DD04)

• Sonya Dunbar, RDH, MPH – Periodontal Disease Does Not Discriminate Based on Age: A Look at the Aging Mouth, Periodontal Disease and Dementia (C30)

• Plus, many more options for you!

STAY FOR THE FUN!

• Free RDH Swag Bag featuring products from your favorite vendors!

• Nightly social events included in your registration

• LIVE! At FDC Party on Thursday

• Jurassic Party on Friday

• The After Party on Friday

• Welcome Cocktail Reception in the Exhibit Hall on Friday.

• Puppy Break in the Exhibit Hall on Friday.

• Free keynote sessions on Thursday and Friday.

• Yoga on the lawn on Thursday and Friday for only $15.

• Resort-style pool and water park at Gaylord Palms.

• Discounted tickets at Walt Disney World theme parks.

• Exhibit Hall featuring 300+ vendors.

• Plus, endless networking and team-building opportunities.

18 | March/April 2024
RDH @ FDC
FDC2024 COURSE HIGHLIGHT
LOOKING FOR CE?
as “Exhibit Hall Only,” which gives you free access to the Exhibit
all three
FDC, the Welcome
Friday. FREE COURSE FOR DENTAL HYGIENISTS! CDT Codes – What Hygiene School Didn’t Teach You (C62) Kathy Forbes, RDH | Saturday, June 22 | 2-4 PM Earn 2 hours of CEUs in this free course! FREE FOR THE FIRST 100 ATTENDEES TO REGISTER.
NOT
Register
Hall
days of
Cocktail Reception on Thursday and the Puppy Break on

MLR, DLR and More

Recently, you may have heard the terms medical loss ratio (MLR) or dental loss ratio (DLR) mentioned in various legislative agendas or association publications. Last year, the citizens of Massachusetts passed a DLR of 83%. This means that the dental benefit carriers must spend at least 83% of premium dollars on actual care for patients. If the premium dollars collected are not spent as outlin ed, then plans must refund the plan holders accordingly. The intended result of this legislation was to ensure patients were getting the best value for their premium dollars. However, when the Affordable Care Act was signed years ago, insurance companies could place their foundations, marketing and naming rights under “care.” These lines are currently considered “outreach” by the insurance carriers and thus are part of the “83%.” As dentists, working directly with our state legislators is an excellent strategy for helping ed-

ucate them so that they are more knowledgeable when this type of legislation comes before them.

Virtual credit card payments are becoming more prevalent in the dental benefits market. These cards have typical credit card, interchange and service fees. Currently, you may “opt-out” of these types of payments. Unfortunately, insurance companies continue to promote this payment type, even after an office has opted out. If this scenario happens to your office, you may contact Florida Dental Association (FDA) Chief Legal Officer Casey Stoutamire, Esq. at cstoutamire@floridadental.org. Currently, the FDA has legislation pending to make this form of payment via a virtual credit card an “opt-in” option. This legislation will help ease the administrative burden on dental offices.

Dr. Bert Hughes is the FDA’s representative on the ADA Council on Dental Benefits program and can be reached at berthughes@me.com.

As dentists, working directly with our state legislators is an excellent strategy for helping educate them so that they are more knowledgeable when this type of legislation comes before them.
Today’s FDA | 19
spotlight
dental benefits

Why Wait, Let’s Advocate!

The Power of Your Story and Why it Should Be Told

By lending our voices to the advocacy process, we can provoke positive change, promote access to care and uphold the highest standards of professionalism and clinical excellence in dentistry.

Dental advocacy plays a pivotal role in shaping the landscape of oral health care and ensuring the best outcomes for patients and practitioners. Learning about the advocacy efforts of our state association was not on my bucket list until I attended the American Dental Association’s (ADA) Dentist & Student Lobby Day in 2023. During my time on the New Dentist Committee at the ADA, I had the opportunity to meet dentists from across the country who influenced my attendance based on their experience over the years.

After experiencing ADA Lobby Day last year, I left the event interested in learning more about the state level as my passion for legislative engagement had been birthed. This experience allowed me to engage directly with legislators and offered invaluable insights into the topics of interest, which directly affect my future in dentistry and emphasize the importance of advocacy in our profession. While there, I had an aha moment: it occurred to me that I’d never attended Dentist’s Day on the Hill (DDOH) with the Florida Dental Association (FDA), so I quickly made a mental note and a digital reminder to register for the event as soon as the dates were released.

20 | March/April 2024 new dentist
1.

Understanding Legislative Agendas and Advocacy Priorities

Leading up to DDOH, a series of meetings and webinars provided by our Governmental Affairs team were invaluable in preparing me for our annual dental advocacy event. These briefings not only clarify the current legislative landscape and bills on the agenda but also delved into details of past initiatives while providing historical context surrounding said bills. In my opinion, the insights into the motivations behind each bill, the challenges we’ve faced in previous sessions and the potential implications for dentists and our patients were critical to my meetings I would have with legislators. Because I had contextual understanding, I walked into DDOH confident and equipped to articulate our position as a member of the FDA and new dentist in the community. I also felt informed to engage in discussions with legislators, answer questions that may arise and advocate effectively for the priorities of the dental profession.

Attending DDOH 2024

As the incoming president of the Dental Society of Greater Orlando, one of my primary initiatives is to use my experience and my story to help new dentists understand the importance of their involvement, hoping that their interest will increase in a fashion similar to mine.

On the night before DDOH, we gathered over dinner and had the opportunity to have one final informal briefing and several legislators stopped by. To my surprise, one of my sorority sisters, Rep. Ashley

Gantt, was among the visitors. I bring this up to emphasize the importance of relationships within the profession and those built outside of dentistry. As it relates to dental advocacy, this is critical, as our legislators have limited dental knowledge outside of caring for their teeth, but they’re tasked with making decisions that impact the dental profession. Our legislators benefit from hearing your insight, guidance and perspective.

By articulating the challenges and legislative opportunities within the dental profession, we can advocate for policies that promote access to quality dental care and support for dental education. These were some of the discussions we could foster in our groups with legislators at DDOH.

My experiences at the ADA Dentist & Student Lobby Day and DDOH have underscored the importance of active engagement in legislative advocacy and the profound impact it can

have on shaping the future of dentistry. If you’ve never attended DDOH, it’s a great first step for you to take to learn the work being done throughout the year to preserve dentistry for years to come.

Dr. ArNelle Wright is the FDA’s 17th District Alternate Delegate to the ADA and can be reached at arnellewrightdmd@gmail.com.

Photo captions:

1. (L to R) Drs. Bethany Douglas, Samira Meymand and ArNelle Wright Attend DDOH 2024 in Tallahassee.

2. (L to R) Drs. Ceasar Sabates and Wright attending the 2023 ADA Lobby Day in Washington, D.C.

3. (L to R) Drs. Wright and Gerry Bird attending the 2023 ADA Lobby Day in Washington, D.C.

Today’s FDA | 21
2. 3.
FROM “HOW?!” TO “WOW!” –MANAGING AESTHETIC CHALLENGES TWO-DAY WORKSHOP (W10)

ATTENDANCE IS LIMITED TO 20 - SIGN UP EARLY!

Analog or digital, aesthetic dentistry does not happen by mistake or luck. It takes a firm understanding and blending of shape, color, contour and aesthetic proportions. During this two-day workshop, Dr. Melkers and his technician partner, Mr. Lammott, will walk participants through the perspectives and solutions that help dentists succeed against aesthetic challenges. Participants will manage challenges in shape, color, contour and proportions in everyday dentistry and beyond. This two-day workshop is a unique opportunity to understand how clinicians and technicians adapt and overcome daily challenges as a team. A one-hour lunch break will be provided each day.

FROM “HOW?!” TO “WOW!” –MANAGING AESTHETIC CHALLENGES TWO-DAY WORKSHOP (W10)

FRIDAY, JUNE 21-SATURDAY, JUNE 22 | 9 AM-5 PM, BOTH DAYS

CE CREDITS: 14 | AUDIENCE: DENTISTS

Michael Melkers, DDS earned his dental degree from Marquette University School of Dentistry. He is a master and fellow of the Academy of General Dentistry and fellow of the International Congress of Oral Implantologists and the American College of Dentists. Dr. Melkers is an advisor and visiting faculty member of The Pankey Institute and maintains a private practice in Hanover, NH.

Lucas Lammott is the owner of M31 Dental Studios in Gloucester, MA.

22 | March/April 2024
FDC2024 COURSE HIGHLIGHT
REGISTRATION CATEGORY   EARLY 4/12   REGULAR   ONSITE 6/7  DENTIST - FDA/ADA MEMBER $1599 $1699 $1799 NON-MEMBER DENTIST $1699 $1799 $1899

at FDC

Keep rocking all night long at this family-friendly event featuring Blonde Ambition Band covering the hottest hits from yesterday and today!

Name badges are required for attendees over 8 years of age.

Featuring live music from

Free for all attendees!

LIVE!
Thursday 8-11 PM 20 June

board of dentistry

BOD Meets in Fort Myers

FDA Chief Legal Officer Casey Stoutamire

The next BOD meeting is scheduled for Friday, May 17, at 7:30 a.m. ET in Jacksonville.

The Florida Dental Association (FDA) was represented by Board of Dentistry (BOD) Liaison Dr. Steve Hochfelder and Chief Legal Officer

Casey Stoutamire. Drs. Joe Calderon, Jim Haddix and Chad Marshall were also in attendance.

BOD members present included: Dr. Jose Mellado, chair; Dr. Nick White, vice-chair; Drs. Christine Bojaxhi, Brad Cherry, Tom McCawley, Claudio Miro and TJ Tejera;

hygiene members, Ms. Karyn Hill and Ms. Angela Johnson; and consumer members, Mr. Fabio Andrade and Mr. Ben Mirza.

The Board heard a petition for variances or waivers. This petition asked the Board to waive a BOD rule in a particular instance; the Board can only waive a rule, not a statute. The petition requested a waiver from the rule requiring all anesthesia permit holders to submit documentation of actual clinical administration of anesthetics to 20 dental or oral and maxillofacial patients for two (2) years prior to applying the particular

type of anesthetics for the permit applied for. The Board granted a waiver because the rule allows for a pediatric moderate sedation permit applicant to submit cases more than two (2) years prior to submission of the application if he/she completes safe and effective sedation for the pediatric patient course within six (6) months of the submission of the application. As part of the waiver, the Board required this applicant to complete the four-hour Association of Maxillofacial Surgeons (AMOS) Simulator Course since he was applying for an anesthesia permit.

The Board approved an update to Rule 64B5-17.001, Required Availability of Dental Records Upon Relocation or Termination of Practice or Death or Practitioner. The new rule language is below. Please note that this rule is not yet effective as it still has to move through the administrative rulemaking process. However, the FDA recommends that you comply with this rule now as it relates to notifying your patients on how they can obtain their records.

64B5-17.001 Required Availability of Dental Records Upon Relocation or Termination of Practice, or Death of Practitioner.

(1) Patient records are confidential and may not be released unless authorized by the patient in writing. This confidentiality prohibits review of the records by a dentist other than the dentist of record or by other health care providers unless they are actually involved in care or treatment of the patient. Maintenance of patient records by a deceased den-

24 | March/April 2024

tist’s estate, authorized agent of the estate or by a successor-owner dentist of a practice does not authorize review of patient records. However, limited review for the purpose of obtaining a patient’s name, address and last date of treatment in order to comply with this rule is permitted.

(2) Within 90 days of a dentist’s death, the dentist’s estate or agent shall place all patient records of the deceased dentist in the care of another Florida licensed dentist.

(a) The patient records of the deceased dentist shall be maintained and made available to patients for a period of four years.

(b) Within 90 days of a dentist’s death the dentist’s estate or agent shall cause a notice to be published in the newspaper of greatest general circulation in the county where the dentist practiced, or a prominent notice on the deceased dentist’s websites, which advises patients of the dentist’s death. The notice shall advise patients that they may obtain copies of their dental records and specify the name, physical address, email address and telephone number of the person from whom the copies of records may be obtained. The notice shall appear at least once a week for four consecutive weeks. The website notice shall appear for at least four consecutive weeks.

(c) The subsequent Florida licensed dentist shall cause to be published a similar notice whenever the patient records of the deceased dentist are subsequently transferred to another licensed Florida dentist if such transfer is within four years of the dentist’s death.

(d) During the four year retention period required by this rule each licensed Florida dentist who is in possession of the deceased dentist’s patient records shall insure that the original patient records, or in cases where the patient has requested that the records be released or transferred, copies thereof remain in his possession.

(3) Dental records of a practitioner who is terminating or relocating his practice shall be retained by the dentist or his authorized agent, which may be a successor-owner dentist, and made available to patients for 4 years from the date the patient was last examined or treated.

(4) Within one month of a dentist’s termination of practice or relocation of practice outside the local telephone directory service area of his or her current practice, a notice shall be published in the newspaper of greatest general circulation in the county where the dentist practiced, or a prominent notice on the deceased dentist’s websites, which advises patients of the dentist’s termination of practice or relocation. The notice shall advise patients that they may obtain copies of their dental records and specify the name, physical address, email address and telephone number of the person from whom copies of records may be obtained. The notice shall appear at least once a week for four consecutive weeks. The website notice shall appear for at least four consecutive weeks.

After a discussion of various bills affecting the practice of dentistry being heard during the 2024 Leg-

islative Session, the Board passed motions directing Board staff to do the following:

• Write a letter of support for the dental licensure clean-up bill. (The FDA also supports this bill).

• Write a letter of opposition for the dental therapy bill. (The FDA also opposes this bill).

• Write a letter of concern for the licensure by endorsement bills emphasizing the need for language requiring graduation from a CODA-approved school for dentists and hygienists. (The FDA shares these concerns).

All the letters will be sent to the bill sponsors, the Florida Speaker of the House, the Florida Senate President and the Office of the Governor.

Finally, this was Dr. Tejera’s last meeting as he has served his statutorily maximum ten years. The FDA thanks Dr. Tejera for his service and leadership during the past ten years.

There were 11 disciplinary cases, two informal hearings, one petition for removal of restriction and commencement of probation and one voluntary relinquishment that included, among other things, incorrect implant placement, incorrect crown placement, bribery of a state senator in Arkansas and poor record keeping. It is much better to be a peer-reviewed spectator than a participant in BOD disciplinary cases.

FDA Chief Legal Officer Casey Stoutamire can be reached at cstoutamire@floridadental.org

Today’s FDA | 25

A New Licensure Experience for Health Care Practitioners

The Florida Department of Health’s Division of Medical Quality Assurance (MQA) is pleased to announce a new licensing experience for health care practitioners. Beginning mid-2023, electronic licenses (e-license) replaced the current practice of printing and mailing paper-based licenses.

Combining the growing health care workforce and use of mobile devices, it is critical that MQA continues to develop innovative strategies to meet the needs of practitioners and streamline access to key documents that provide credibility to entering the workforce. e-Licensing demonstrates the commitment of the Department to expedite licensure and verification processes so that health care practitioners can get to work quickly and continue working through successful licensure renewal cycles without interruption.

To learn more, visit FLHealthSource.gov/electronic-licensing.

Register to Volunteer for Florida Mission of Mercy!

Florida Mission of Mercy (FLAMOM) needs volunteers to serve at the 2024 FLA-MOM clinic May 30 – June 1 in Lakeland at the RP Funding Center. Register to volunteer at flamom.org. Below are the key areas where we need volunteers:

Dental & Medical Professionals

• Dentist – Dental Triage: Thursday p.m., Saturday p.m.

• Dentist – Endodontics: Friday a.m. and p.m., Saturday a.m. and p.m.

• Dentist – Oral Surgery: Friday a.m. and p.m., Saturday a.m.

• Dentist – Pediatrics: Friday a.m. and p.m., Saturday a.m. and p.m.

• Dentist – Prosthodontics: Friday a.m. and p.m., Saturday a.m. and p.m.

• Dentist – Restorative: Friday a.m. and p.m., Saturday p.m.

• Dentist – Routing: Thursday p.m., Saturday p.m.

• Medical Triage: Thursday p.m., Friday a.m. and p.m., Saturday a.m. and p.m.

Open your heart, register your team and volunteer your time!

Please contact foundation@floridadental.org or 800.877.9922 for more information.

Dr. Andy Brown Named ADA Trustee-Elect

FDA Past President Dr. Andy Brown will represent the 17th District as a member of the American Dental Association (ADA) Board of Trustees (BOT).

Members of the 17th District delegation elected Dr. Brown at their January meeting and the FDA House of Delegates unanimously ratified his election on Jan. 20. He is currently ADA trustee-elect and will be installed as trustee in October.

The ADA BOT is the managing body of the association; its voting members consist of 17 trustees (one from each trustee district), the president-elect, two vice presidents and the new dentist committee chair. The president, treasurer and executive director are non-voting members of the board which is responsible for the ADA’s success and growth.

An orthodontist practicing in Orange Park since 1984, Dr. Brown has been actively involved with organized dentistry throughout his career. He is a past member of the FDA’s BOT, is a member of the Governmental Action Committee (former chair) and is a liaison for the Council on Dental Health. He previously served the ADA as a delegate and as vice chairman of the Council on Dental Practice. Dr. Brown is also past president of the Clay

26 | March/April 2024 news@FDA

The FDA House of Delegates Will Consider Bylaws Changes

The Council on Ethics, Bylaws and Judicial Affairs will perform it’s annual review of the FDA bylaws and propose changes if necessary.

The Next House of Delegates Meeting Will be Held

June 21-22, 2024 at the Gaylord Palms in Orlando

County Dental Society and previously ran the Peer Review program for the Northeastern District Dental Association for nearly three decades.

While many of the ADA’s districts are comprised of multiple states, Florida is its own district — the 17th Trustee District — in the ADA governing structure. Dr. Rudolph “Rudy” Liddell is currently serving as the 17th District’s trustee.

FDA Thanks FDA Services for $16 Million in the Last 10 Years!

The FDA would like to thank the FDA Services’ (FDAS) Board of Directors, employees and clients for supporting organized dentistry. In the last 10 years, the sales of superior insurance products to dental practices have raised more than $16 million in non-dues revenues, all while keeping malpractice insurance premiums lower than they were when FDAS started in 1989. FDA encourages all members to use FDAS for their practice insurance needs and continue to support organized dentistry.

Cyber Threats are Relentless!

• A top-notch IT carrier.

Recently, a Tampa dentist linked to FDAS fell victim.

Safeguard

your business

NOW with a triple defense:

• HIPAA compliance through Abyde.

• A robust $500,000 cyber liability policy.

Don’t wait! Coalition Insurance can provide the vital coverage you need to shield your business from the ever-present dangers of cyberattacks. Act fast. In this digital age, a proactive defense is the key to keeping your operations secure and thriving. Call FDAS at 850.681.2996 to learn more!

Unlock Your Potential: Join Us at the 2024 Dental Editors University!

The American Association of Dental Editors and Journalists (AADEJ) cordially invites you to the 2024 Dental Editors University, slated for May 2-3, at the Daniel Laskin Institute of the American Association of Oral and Maxillofacial Surgeons. Whether you’re an experienced dental editor, an aspiring writer, or simply passionate about effective communication in dentistry, this event is tailor-made for you!

What to Expect:

• Gain Valuable Insights.

• Navigate the World of AI.

• Enhance Your Communication.

• Elevate Your Credentials.

• Expand Your Network.

• Immerse Yourself in Engaging Content.

Visit aadej.org for detailed information on fees, speakers and course offerings. Seize this opportunity to invest in yourself and elevate your dental editing and writing skills to unprecedented heights!

Today’s FDA | 27
t

Welcome New FDA Members

Learn more by visiting our virtual Member Center at floridadental.org

The following dentists recently joined the FDA. Their memberships allow them to develop a strong network of fellow professionals who understand the day-to-day triumphs and tribulations of practicing dentistry.

Atlantic Coast District Dental Association

Dr. Julia Feige, Boca Raton

Dr. Daniyel Iglesias, Southwest Ranche

Dr. Kim-Sa Kelly, Fort Lauderdale

Dr. Julia Kohler, Fort Lauderdale

Dr. Tracie Le, Port St. Lucie

Dr. Sarah Levy, Parkland

Dr. Raquel Linevsky, Fort Lauderdale

Dr. Stephanie Quinn, Wellington

Central Florida District Dental Association

Dr. Estela Caetano de Souza Valentim, Orlando

Dr. Bryan Caraballo Perez, Gainesville

Dr. Isabela Cruz, Melbourne

Dr. Lance McGavin, Melbourne

Dr. Bao Tran Nguyen, Orlando

Dr. Callista Schulenburg, Fellsmere

Dr. Shreemayi Sunil, Orlando

Northeast District

Dental Association

Dr. Victoria Carroll, Pittsburgh, PA

Dr. John Nuveen, Jacksonville

Dr. Elena Storozhenko, St. Augustine

Northwest District

Dental Association

Dr. Zachary Mutter, Niceville

South Florida District

Dental Association

Dr. Jessica Alvarez Rodriguez, Miami

Dr. Jennifer Barretta, Hialeah

Dr. Fitz Brooks, Miami

Dr. Marion Delalex-Nadal, Miami

Dr. Yasmil Descalzo-Alfonso, Miami Lakes

Dr. Claudia Flores, Hialeah

Dr. Christian Vargas, Pembroke Pines

West Coast Dental Association

Dr. Issa Bryant, Fort Myers

Dr. Victor Chan, Lakewood Ranch

Dr. Charles Clark, Bradenton

Dr. Benjamin Curtis, Palmetto

Dr. Stormie Futch, Bokeelia

Dr. Thanh Le, Tampa

Dr. David Lee, Lakeland

Dr. Alyssa Manski, Tampa

Dr. Mariam Merayo Godo, Riverview

Dr. Alex Podaru, Brandon

Dr. Bradley Prast, Longwood

Dr. Bradley Shemluck, Bradenton

Dr. Brittany Watts, Odessa

Dr. David Woodruff, Punta Gorda

28 | March/April 2024 news@FDA

In Memoriam

In Memoriam

The FDA honors the memory and passing of the following members:

The FDA honors the memory and passing of the following members:

The FDA honors the memory and passing of the following members:

Nathan Mayo

Nelson Castellano

James Ross

Robert Ettleman

Gilbert Principe

Where in the World is Today’s FDA?

Maitland

Nelson Castellano

Robert Ettleman

Temple Terrace

Gilbert Principe

Tampa

Tampa Died: 2/12/2023

Died: 1/23/24

Died: 2/12/2023

Age: 77

Age: 83

Age: 83

Thomas Toman

Michael Chanatry

Michael Chanatry

Atlantic Beach

Jacksonville

Tampa Died: 1/23/2023

Tampa

Died: 1/11/24

Died: 1/23/2023

Age: 69

Age: 90

Age: 69

Longwood Died: 1/12/2023

Longwood

Died: 1/12/2023

Age: 80

Age: 80

Frederic Wasserman

Wendell Hall

Wendell Hall

Fort Lauderdale

Edward Stokes

GET FREE COURSE TUITION AT FDC2023!

Jacksonville Died: 2/12/2023

Tampa

Died: 1/17/24

Died: 2/12/2023

Age: 85

Age: 72

Age: 72

Silas Daniel

Tampa Died: 2/12/2023

Edward Stokes Died: 1/11/2023

Died: 1/11/2023

Died: 1/16/24

Died: 2/12/2023

Age: 88

Age: 89

Age: 88

Charles Infante

Age: 76

Age: 76

Tobacco Free Florida

Volunteer to be an FDC Speaker Host.

Thank you, Dr. Dean Manning, for taking Today’s FDA to the Petronas Towers, the tallest twin towers in the world, in Kuala Lumpur, Malaysia.

Volunteers provide an invaluable service to the Florida Dental Convention. Speaker Hosts will be responsible for introducing the speaker, making announcements in front of the course, passing out and collecting surveys, and contacting convention staff if AV assistance is needed.

Volunteering has its perks!

Volunteering has its perks!

Volunteers provide an invaluable service to the Florida Dental Convention. Speaker Hosts will be responsible for introducing the speaker, making announcements in front of the course, passing out and collecting surveys, and contacting convention staff if AV assistance is needed.

• All Speaker Hosts receive a $20 lunch voucher for Exhibit Hall concessions.

• All Speaker Hosts receive a $20 lunch voucher for Exhibit Hall concessions.

• Lecture Speaker Hosts receive free course tuition for the hosted course.

• Lecture Speaker Hosts receive free course tuition for the hosted course.

Volunteer today at education.floridadentalconvention.com

Volunteer today at education.floridadentalconvention.com

Volunteer to be an FDC Speaker Host. QUESTIONS?

Do you have vacation plans year? On your next trip, take a copy of Today’s FDA with you, take a photo and send it to jrunyan@florida dental.org to see it featured in an upcoming issue.

QUESTIONS?

Contact Mackenzie Johnson at mjohnson@floridadental.org or 850.350.7162.

Contact Mackenzie Johnson at mjohnson@floridadental.org or 850.350.7162.

Where will Today’s FDA venture next?

Today’s FDA | 29
21 | TODAY'S
2023
FDA march/april
GET FREE COURSE TUITION AT FDC2023!
21 | TODAY'S FDA march/april 2023
in memoriam
30 | March/April 2024 Implement and sustain your HIPAA and OSHA compliance programs in weeks minutes Risk Assessments Ongoing Risk Mitigation Customized Policy Generation Automated Training 1.800.594.0883 | www.abyde.com | info@abyde.com PROUD PARTNERS X LET’S GO! Your Guide to Stress-Free Compliance

The Florida Dental Association presents

The NEW Communities of Interest provide opportunities for member involvement and engagement through an online platform.

Share ideas, ask questions, provide feedback and network with your peers in private online communities that focus on:

Dental Education and Licensure

Dental Benefits and Care

Membership and Leadership New Dentists

Regis ter n ow by sc a nn i ng t h is QR code an d g et s tar te d to d ay !

∞ ∞ ∞ ∞

THE FDA THANKS FDA SERVICES FOR CONTRIBUTING MORE THAN TO ORGANIZED DENTISTRY IN THE PAST 10 YEARS! SUPPORTING FDAS MEANS SUPPORTING THE FDA!

$16 MILLION

Came for the insurance ... stayed to support my profession. The cost of malpractice is lower today than it was when we started in 1986. 800.877.7597 • FDASERVICES.COM DID YOU KNOW?

Q&A With FDC2024 Scientific Program Chair Dr. Olmos

Q. The theme of this year’s scientific program is “Your Future. Your Design.” What do you see as the future trends in dentistry and the impact of AI?

A. For the past 10 years, we have seen incredible changes in our profession, both clinically and in how dental practices are managed. I believe that the future trends in dentistry are likely to include greater integration of digital technologies such as 3D printing, the application of artificial intelligence (AI) for diagnostics and

treatment planning, advancements in regenerative dentistry, a focus on minimally invasive procedures and the development of smart materials. AI is expected to play a crucial role in various aspects of dental care in the future, including diagnostics, treatment planning and patient management. As AI continues to evolve, it has the potential to revolutionize the field of dentistry by improving precision, accessibility and overall patient care.

Q. You’ve spent more than two years planning the 2024 scientific program. What are you most excited to see at FDC2024?

A. The answer is simple … everything!!

We have put so much attention into the Florida Dental Convention 2024 (FDC) to make sure every single person can have something to be completely blown away by. However, to give you a final answer, I am mainly excited to see my friends, colleagues and everyone who each year makes this meeting the most important in the state and the nation without any hesitation.

I’m also excited to see everyone enjoy the great courses we have prepared. Topics in this year’s program include AI in dentistry, smile design & 3D printing, bone augmentation, dental implants, dental photography, forensic dentistry and full arch restoration.

34 | March/April 2024 FDC2024 Q&A

Q. There’s never enough room to include all of the speakers you’d like to present! What has been the biggest challenge you’v e faced in the planning process?

A. This meeting is planned and built like a Rolex, requiring extensive planning, discussions and approvals. I’ve been able to coordinate and manage time, communication, contracting speakers and workshops and have been able to place all the pieces together. It is not an easy task. However, we are lucky to work with wonderful people who are 100% committed to making this meeting an unforgettable experience full of clinical courses for dentists and their staffs, a combination of the best in the industry, a display of vendors, and, of course, an unlimited amount of fun.

Q. What do you see as the greatest benefit of an FDA member attending FDC?

A. Florida Dental Association (FDA) members get so many perks at FDC. These include free registration, 20 free course options, discounted course pricing and discounted team member pricing. You can see just how valuable your membership is with all the benefits you get from attending FDC2024. But the biggest benefit of attending is being able to participate, integrate and advocate for our profession.

Q. What makes FDC unique compared to other dental meetings?

A. FDC is not only a scientific meeting but a place for our dental families

If you work in the dental industry, there is no excuse not to attend. If it is your first time, I guarantee you will enjoy it as I have done for the past 20 years of coming to this meeting.

to get together. We have a range of topics covered, including the quality of speakers and presenters, networking opportunities and the inclusion of hands-on workshops and exhibitors. The main difference for me is seeing our dental teams and family members together, enjoying the opportunity to share, learn and have fun.

Q. FDC offers many great opportunities for dental team members to earn CE and meet with vendors. Why should I bring my team to FDC2024?

A. Bringing your whole dental staff offers comprehensive learning, team building, networking opportunities, exposure to new technologies and the chance to earn continuing education (CE) credits. It fosters motiva-

tion, inspires innovation and ensures your team stays informed on industry trends, contributing to improved patient care and practice efficiency.

Q. Are there any volunteer opportunities for attendees to participate onsite?

A. Attendees can volunteer onsite as a speaker host. These volunteers will have the invaluable opportunity to connect with a speaker, introduce the speaker, make announcements and pass out surveys. Speaker hosts receive a $25 lunch voucher and free course tuition.

Q. Along with connecting with more than 300 leading dental vendors, why should I visit the FDC2024 Exhibit Hall?

Today’s FDA | 35
t

FDC2024 CORPORATE CLASSROOMS

THURSDAY, JUNE 20

DSO VERSUS CEO – EVALUATING YOUR CAREER OPTIONS | NC02

MR. CHAD CLARK

MR. NILESH PATEL

8:45-10:45 AM | CE CREDITS: 0

Sponsored by Bank of America Practice Solutions

GOOD LEASING GUIDELINES FOR DENTAL OFFICES | NC03

MR. LEWIS GELMON

8:45-10:45 AM | CE CREDITS: 0

Sponsored by Acuity North America

HOW AUTOMATING INSURANCE VERIFICATION IN YOUR PRACTICE CAN CHANGE PROFITABILITY | NC05

MR. ROBERT MCDERMOTT

MR. DAVID FIDANZA

2-4 PM | CE CREDITS: 0

Sponsored by iCoreConnect Inc.

MINI DENTAL IMPLANTS – FOR THE GENERAL PRACTICE DENTIST | C20

MR. TODD SHATKIN

2-5 PM | CE CREDITS: 3

Sponsored by Shatkin F.I.R.S.T. LLC

MASTERING AI: DIAGNOSIS, TREATMENT PLANNING AND COMPREHENSIVE TREATMENT FOR ALL AGES | C21

DR. ARTHUR TOMARO

2-5 PM | CE CREDITS: 3

Sponsored by Kettenbach LP

FRIDAY, JUNE 21

2024: MARKETING! MARKETING!

MARKETING! I WANT MORE PATIENTS AND I NEED TO GROW MY REVENUE | NC07

DR. JOSHUA GINDEA

9 AM-12 PM | CE CREDITS: 0

Sponsored by DoctorsInternet

COMPLETE HOLISTIC FINANCIAL AND WEALTH MANAGEMENT FOR YOUR DENTAL PRACTICE | NC09

MR. RIAD SHANAWANY

9 AM-12 PM | CE CREDITS: 0

Sponsored by Myriad Capital

THE EPIDEMIC OF DENTAL EMBEZZLEMENT: DIAGNOSIS, TREATMENT AND PREVENTION | NC12

MR. MICHAEL DEMEOLA

2-5 PM | CE CREDITS: 0

Sponsored by DeMeola Temple CPA Group

ARE YOU READY FOR OWNERSHIP OR RETIREMENT? START PLANNING TODAY! | NC14

MR. GREG JONES

MR. MICHAEL DEMEOLA

MR. JASON KAPLAN

2-5 PM | CE CREDITS: 0

Sponsored by Doctor’s Choice Practice Transitions LLC

SATURDAY, JUNE 22

HOW TO MAKE MARKETING WORK FOR YOU | NC17

MR. BRANDON BOSCH

9-11 AM | CE CREDITS: 0

Sponsored by Dr. Marketing

ACHIEVING SYNERGY IN SURGERY: FROM ONE-STEP RIDGE PRESERVATION TO ONLAY GRAFTING AND ENHANCING

THE IMPLANT SITE | C56

DR. ROBERT MILLER

9-11 AM | CE CREDITS: 2

Sponsored by Impladent Ltd.

A PRACTICE OWNER’S GUIDE TO THE BUSINESS SIDE OF DENTISTRY | NC18

MR. CASEY HIERS

2-4 PM | CE CREDITS: 0

Sponsored by Four Quadrant Advisory

ARE FULL ARCH IMPLANT CASES WORTH IT? | C71

DR. KATHRYN VORWALD

2-4 PM | CE CREDITS: 2

Sponsored by New Teeth Now

THANKS TO OUR SPONSORS!

36 | March/April 2024
FREECOURSES FORFDA&ADAMEMBERS!

A. Number one, it’s free with registration, and it allows you to discover new products, network with industry professionals, gain hands-on experience, stay informed about industry trends, compare options, access exclusive offers and enhance your professional development through product education. The 2024 Exhibit Hall will also feature a cocktail reception on Thursday and a puppy cuddle break on Friday, which are both free for all registered attendees.

Q. The FDC motto continues to be “Come for the CE, Stay for the Fun!” What are some “can’t miss” things to do at FDC outside of education?

A. FDC2024 always has the best events! These include an Exhibit Hall cocktail reception, a family-friendly party with a live band, and a DJ-centric After Party. But most importantly (and the one you cannot miss) is the ever-popular Friday night party! This year’s theme, “Jurassic,” will be one for the books and I cannot wait to attend!

Q. Do you have any advice for first-time attendees or someone who hasn’t attended in a while?

A. If you work in the dental industry, there is no excuse not to attend. If it is your first time, I guarantee you will enjoy it as I have done for the past 20 years of coming to this meeting; every year, there is something new, a speaker, a lecture, a workshop, or a vendor that I really want to see and the parties are definitely amazing.

To finish, it is up to us dental professionals to guard, protect, and elevate our profession. It is our duty and responsibility. So why not have a little fun in the process?

Thanks! Dr. Rodolfo Olmos

Dr. Olmos is the FDC2024 Scientific Chair and can be reach at fdcprogramchair2024@gmail.com.

VIP EXPERIENCE AT FDC2024

Get VIP treatment for you and your team (up to eight people) at the keynote sessions or nightly parties –LIVE! At FDC or the Jurassic Party during FDC2024!

KEYNOTE VIP

(THURS. OR FRI.)

Enhance Your Team Bonding at the Keynote Session!

INCLUDES:

• Reserved plush couch seating for up to 8 attendees

• Afternoon snack and drinks (Thursday)

• Mimosas and breakfast pastries (Friday)

• FDC Swag Bags

Cost: $500 per keynote

PARTY VIP

(LIVE! AT FDC OR THE JURASSIC PARTY)

Make your team feel like the highlight of the party!

INCLUDES:

• Reserved plush couch seating for up to 8 attendees

• Drink tickets at nightly party

• FDC Swag Bags

Cost: $500 per event

LIMITED AVAILABILITY!

Only 4 VIP opportunities available at each keynote and nightly events. Purchase today within your FDC registration.

Today’s FDA | 37
FDC2024 Q&A

We’ll work with you to determine the financing solutions that best fit your plans, and help guide you through the process.

New office startups

Get started with up to 100% project financing.¹

Practice sales and acquisitions

Benefit from our many years of experience helping clients purchase practices.

Business debt consolidation¹

Let us help you restructure your debt and improve your cash flow.

Office improvement and expansion

Enjoy competitive terms when you remodel or expand.

Commercial real estate ²

Buy, refinance¹ or relocate with conventional or SBA³ loan options.

Equipment financing

Choose from a variety of options and flexible terms tailored to meet your needs.

For more information or to get started today, please contact us. We look forward to speaking with you soon.

Nilesh Patel Practice Project & Real Estate

Florida

813.459.3479

nilesh.patel@bofa.com

Ilya Kogan

646.321.6047

ilya.kogan2@bofa.com

Chad Clark Practice Acquisition Financing

813.599.4978

chad.clark@bofa.com

financial
makes all the difference practice solutions 1 All programs subject to credit approval, and loan amounts are subject to creditworthiness. The term, amount, interest rate, and repayment schedule for your loan, and any product features, may vary depending on your creditworthiness and on the type, amount, and collateral for your loan. Bank of America may prohibit use of an account to pay off or pay down another Bank of America account. Repayment structure, prepayment options and early payoff are all subject to product availability and credit approval. Other underwriting standards and restrictions may apply. Products and restrictions are subject to change. 2 Owner occupied commercial real estate will be determined in underwriting and requires occupancy by the borrower/guarantor. Please note SBA guidelines require at least 51% occupancy to be considered Owner Occupied. 3 Small Business Administration (SBA) financing is subject to approval through the SBA 504 and SBA 7(a) programs. Loan terms, collateral and documentation requirements apply. Actual amortization, rate and extension of credit are subject to necessary credit approval. Bank of America credit standards and documentation requirements apply. Other restrictions may apply. All promotional and marketing materials are Bank of America Practice Solutions property and, as such, cannot be changed, altered or modified, orally or in writing. All questions regarding these materials should be directed or referred to a Bank of America Practice Solutions Sales Associate. Sponsorship of endorser’s products and services is not an expressed opinion or approval by the Bank. Bank of America and the Bank of America logo are registered trademarks of Bank of America Corporation. Bank of America Practice Solutions is a division of Bank of America, N.A. ©2023 Bank of America Corporation. MAP6281809 | 2024 | AD-03-23-0353.A
The right
guidance
Practice Project & Real Estate South Florida
North

MAXIMIZE YOUR GROUP'S VALUE WITH DENTAL PITCH BROKERAGE.

MEET 5-10 MAJOR DSOS AND PRIVATE PRACTICE DENTISTS ACTIVELY SEEKING TO ACQUIRE DENTAL PRACTICES AT OUR EVENT.

BENEFIT FROM OUR EXPERT TEAM. ENSURING THE BEST OFFERS AND A SEAMLESS SELLING EXPERIENCE.

Today’s FDA | 39 FREE
to
PRE-REGISTRATION 20 FREE COURSE OPTIONS DISCOUNTED COURSE TUITION DISCOUNTED TEAM PRICING Contact Elijah
reserve your spot: WWW.DENTALPITCH.NET ELIJAH@DENTALPITCH NET

Dental Assistants Excel:

Artistic Designs and Fabrication of Provisional Restorations Workshop at FDC2024

The Florida Dental Convention will host its first hands-on fabrication of provisionals workshop uniquely for dental assistants. Computer aided design (CAD)/computer aided manufacturing (CAM) is being embraced by the dental industry and practices, which has bridged dental assistants as producers; thus, the demand for these clinicians to fabricate functional esthetic provisionals and design digital restorations has certainly increased.

Dental clinicians and dental assistants understand the quality of a temporary crown, and reducing the chair time to fabricate provisional restorations is demandingly essential.

The workshop will provide participants with the understanding and approaches to replicate or create provisionals that mirror ideal or sym-

metrical nuances of their patients’ existing dentition. Additionally, to aid the dentist before the impression (traditional or digitally) and create the provisional crown, the dental assistant should identify prepared margins, problematic undercuts and insufficient tooth reduction (Illustration 1 and Visual 1) that could lead to provisional failure, unnecessary porcelain reduction or unsuccessful cementation of the permanent prosthetic crown.

40 | March/April 2024 fdc2024 speaker

Visuals, tips and explanations of tooth morphology

(Illustration 2) allow participants to identify the various distinguishing features of dentition to design naturalistic provisionals and specific to the patients’ unique dental features.

Comprehension of design enhances fabrication form and function for optimal esthetics and gingival and tooth protection. For the patient to perform and maintain normal pronunciation, mastication, occlusion, good hygiene and prevent injuries to the mucosal tissues, periodontium and dentition, the provisional must include key characteristics.

Custom shading, labial/buccal and lingual planes, the height of contours, embrasure spillways, cervical marginal integrity and incisal/occlusal form allow the patient to be comfortable and confident. At the same time, the oral tissues are protected.

I Can’t See What You See!

Typically, the dentist and hygienist are the team clinicians who wear magnifying loupes (ML) during intra-oral care; using ML, these clinicians may observe critical

aspects of the oral cavity or dentition that would otherwise be overlooked or undetected. Therefore, dental assistants will discuss the beneficial depths of ML as they examine, design and create provisional crowns. Magnification of the margins, embrasures and planes is essential through clear vision, good focus and ideal posture.

Another benefit of wearing ML is that they reduce the onset of musculoskeletal disorders (Aldosari, 2021). Dental assistants often find themselves in awkward and, quite honestly, very uncomfortable and painful positions during four-handed dentistry. These poor, dysfunctional positions place significant strain and pain as well as future permanent injury to the fingers, hands, arms, shoulders, neck, back, hips and feet.

The assistant’s role is vital for the dentist to be more comfortable, reduce exhaustion and establish a clear, isolated field of operation for the dentist and dental assistant to provide efficient, accurate care.

Assisting during four-handed dentistry prohibits the dental assistant from wearing ML due to the nature of responsibilities as a dental assistant. However, when the dental assistant is the operator during intra-oral care, incorporating ML within their arsenal of tools, tips and tricks will accentuate healthy ergonomics and intra-oral expanded functions.

As a clinician, I began to wear magnification glasses and “cheaters” in 2008, but was not satisfied. I would borrow

t

Today’s FDA | 41
Illustration 1: Demonstrates crown preparation, thickness of prosthesis and opposing dentition. (Pocket Dentistry.com, n.d.) Visual 1: Clearance between the crown preparation and the opposing tooth. (Brady, 2011) Illustration 2: Demonstrates dental views of contours and features of a maxillary right central (Pocket Dentistry.com, n.d.) Lower molar crown preparation

Whether in traditional or technical practices, with the addition of ongoing knowledge, experiences and encouraged autonomy, the dental assistant will continue as an ambassador who is not impartial to the success and growth of the dental practice.

ML from the dentist I worked with, which certainly improved my work, speed and results, but the prescription was not specific to me, so there were physical drawbacks. When I began to formally teach dental assisting, I struggled to see students’ margins with my progressive prescription glasses; I am very particular and expect students to identify flaws and explain how these flaws will potentially pose problems. It would have been unfair to the students if I could not see the concerns.

I purchased non-prescription MLs tailored for me with loupes attached to the frames. With some distortion and limiting accuracy, I eventually purchased a quality prescription lens ML with a headlight. WOW! What a difference! My teaching improved; thus, students’ comprehension and performance improved. Wearing ML may have a short adjustment or acclimation period, but this is minor to the results.

Yes, there is an upfront financial cost, but this outweighs the cost of chair time and quality dental care for patients. Dentists may consider investing in or arranging for their dental assistants to wear ML when performing state-permittable intra-oral procedures. Let your assistant try yours first to see whether they are receptive and willing to make the adjustment.

Don’t Touch or Inhale That!

The traditional materials used to fabricate provisional crowns, bridges, inlay, onlays, etc., should be used cautiously with an awareness for the clinician and the patient. Contact incidents could be accidental, lack of awareness or perhaps merely getting comfortable not using precautions. It is worth noting the toxicity of these commonly used materials and being mindful of their Safety Data Sheet (SDS).

Following OSHA standards helps protect dental team members from hazardous materials and environments.

OSHA

To ensure safe and healthful working conditions for workers by setting and enforcing standards and by providing training, outreach, education and assistance.

Dental clinicians should adhere to safety precautions when working with monomer methyl methacrylate (MMA) to form poly methyl methacrylate (PMMA) or bis-acryl resins. Personal protective equipment, such as masks, eye protection and gloves, and working in a well-ventilated area with an exhaust system are necessary.

MMA Precautions and Exposure

A safety data sheet indicates that MMA is a dangerous, highly flammable liquid and vapor targeting the respiratory system.

• Causes skin irritation and erythema.

• Causes severe eye irritation.

• May cause an allergic skin reaction.

• Causes harmful respiratory irritation, coughing and shortness of breath.

At all times, direct contact with skin or prolonged inhalant exposure should be avoided. Skin exposed to MMA can become irritated and itchy with a burning sensation.

MMA First Aid Measures

• Inhalation: Find fresh air. Keep at rest and in a position to breathe comfortably. Seek medical attention.

42 | March/April 2024 fdc2024 speaker
Visual 2: OSHA’s Mission. (OSHA, n.d.)

• Eye Contact: Rinse with copious amounts of water for at least 15 minutes. Use an eye wash station.

• Skin Contact: Wash with soap and water. If irritation or erythema persists, see a medical doctor right away. Remove any contaminated clothing.

In Conclusion

Dental assistants’ intellect brings tremendous value to the practice with their diverse skills, practices, personalities, endurance and the innate desire to serve. Whether traditional or technical practices, the continuum of knowledge, experiences and encouraged autonomy, the dental assistant will continue as an ambassador who is not impartial to the success and growth of the dental practice.

Dental assistants continue to cultivate their clinical and

Especially For You Dental Assistants

You know what you know – but don’t know what you don’t! Learning from our colleagues empowers us as clinicians, increasing our collection of unique practices and compassionate patient care. Your presence – your voice – to share tips handed down to you or that you have created resonates with the old analogy, “There is more than one way to skin a cat!” Your professional repertoire is growing and so are you! Attend as many educational opportunities as possible. Continuing your educational experiences places you at a caliber that cultivates respect and gratitude.

Ms. Leslie Fehl earned her master’s degree in public health from the University of Phoenix. She is a certified dental assistant and expanded functions dental assistant. Ms. Fehl is the assistant chair and manager at Daytona State College School of Dental Sciences.

Ms. Fehl will be presenting the course “Honing Chairside Skills to Excellence Workshop” (W07 and W14) on Friday, June 21, during

The Florida Dental Convention (FDC) is excited to announce its partnership with the Florida Cleft Palate - Craniofacial Association (FCPA) at FDC2024! FCPA will hold its meeting parallel to FDC2024 on Saturday, June 22, at the Gaylord Palms Resort & Convention Center in Orlando. Visit www.floridacleft.org/2024-annual-meeting to learn more about the FCPA Annual Meeting. We hope to see you there!
Today’s FDA | 45 • Inexpensive • Disposable • Non-Toxic E-VAC INC.© The Original E-VACTip PREVENT PAINFUL TISSUE PLUGS PROTECT YOUR EQUIPMENT FROM COSTLY REPAIRS kenevac@hotmail.com • CALL: (509) 448-2602 Contact Your Local Dental Supply Company FDA Registered • Made in • 100 Tips/Pk Read, Learn and Earn! Visit floridadental.org/online-ce for this FREE, MEMBERS-ONLY BENEFIT. You will be given the opportunity to review the “Diagnostic Discussion” and its accompanying photos. Answer five multiple choice questions to earn one hour of CE. Contact the FDA at ce@floridadental.org or 850.350.7103.

Clinical Case Study: Rehabilitation of Fully Edentulous Maxillary Arch with Implant-supported Monolithic Hybrid Prosthesis

Imagine a patient walking into a dental office with missing teeth, feeling self-conscious about their smile and struggling with functional limitations. As a dentist, your goal is clear: to provide your patients with treatment that is functional, predictable and aesthetically pleasing. This is where the art and science of implant dentistry come into play, offering innovative approaches from single restorations to full-mouth reconstructions.

One success story is the treatment of a 76-year-old retired physician patient who had suffered from the consequences of tooth loss for years. She presented with complaints of a loose and uncomfortable upper denture. Her ability to chew was compromised, affecting her overall health and confidence. The challenge lay in designing a treatment plan to restore her dental function and enhance her smile. The patient desired a fixed and palatable solution for improved function. A comprehensive approach was developed through meticulous treatment planning that involved a thorough understanding of the patient’s needs and oral health condition to ensure the most favorable out-

come. Upon examination, it was discovered that a wide platform external hex implant had been placed in the #14 site by a previous dentist with irreparable damage to the inner surface. Despite this, the implant was fully integrated and stable. The patient expressed reluctance to undergo sinus elevation or bone augmentation procedures. This case study highlights the successful restoration of the patient’s upper arch using ZimVie implants and RevitaliZe® Patient Solutions protocol (ZimVie Dental).

Evaluation, Consultation and Preliminary Steps

• CBCT imaging was performed, and a consultation with a periodontist was sought.

• The decision was made to retain the damaged implant due to its stability and integration.

• The patient’s preference to avoid sinus elevation and bone grafting procedures was respected.

• The existing upper denture was relined to improve fit and comfort.

• A duplicate of the upper denture was made, and a surgical stent was fabricated to guide implant placement.

Surgical and Restorative Steps

• Four ZimVie implants were strategically placed, following proper angulation, bone quality assess-

46 | March/April 2024
fdc2024 speaker t

Preoperative Clinical Photograph

Preoperative Radiograph

Preoperative Clinical Photograph

Postoperative Clinical Photograph

Postoperative Radiography

Postoperative Clinical Photography

Today’s FDA | 47
Postoperative Occlusal View Definitive Monolithic Zirconia Prostheses (convex and hygienic

PRACTICAL 3D PRINTING: A TWO-DAY MINIRESIDENCY (MR01)

ELEVATE YOUR DENTAL PRACTICE WITH 3D PRINTING!

Join Dr. Sullivan and Ms. DeLoach for an exclusive twoday hands-on mini-residency that will revolutionize your dental office with 3D printing technology. Attend this hands-on course to dive into the world of 3D printing and explore its limitless potential in dentistry, gain practical experience, better understand the basics of advanced design techniques, and learn how to create stunning mockups for cosmetic dental procedures that will impress your patients. Put theory into practice with state-of-the-art 3D printers sponsored by SprintRay. Leave this mini-residency with the confidence to implement 3D printing in your office immediately. Do not miss this opportunity to be at the forefront of dental technology and advance your practice with 3D printing. A one-hour lunch break will be provided both days.

PRACTICAL 3D PRINTING: A TWO-DAY MINI-RESIDENCY (MR01)

THURSDAY, JUNE 20 – FRIDAY, JUNE 21

8 AM-4 PM, BOTH DAYS | CE CREDITS: 14

AUDIENCE: DENTISTS & ASSISTANTS

ACT FAST!

Seating is limited to 30.

Richard

Andrea

(Sully) Sullivan, DDS, earned his dental degree from the University of Tennessee College of Dentistry. He is an instructor at 3D Dentists and has a private practice in Brentwood, TN.
REGISTRATION CATEGORY   EARLY 4/12   REGULAR   ONSITE 6/7  DENTIST - FDA/ADA MEMBER $1999 $2399 $2699 NON-MEMBER DENTIST $2399 $2599 $2799 ASSISTANT $1999 $2399 $2699
DeLoach, RDA, is a registered dental assistant and the clinical director at Sullivan Dental Partners. The equipment for this mini-residency is partially sponsored by
FDC2024 COURSE HIGHLIGHT

As a dentist, your goal is clear: to provide your patients with treatment that is functional, predictable and aesthetically pleasing. ment and adequate healing time. Advanced digital technology facilitated accurate treatment planning, ensuring optimal placement and aesthetic results.

• After four months, the second stage procedure was followed by choosing appropriate materials to fabricate a prosthesis harmonized with the patient’s natural dentition. The goal was to rehabilitate function and create a smile that felt natural and exuded confidence.

Provisional and Final Restoration

• Straight and angled tapered abutments were meticulously selected based on the position and angulation of the implants. These abutments were then placed on the implants and torqued to the appropriate degree, ensuring optimal fit. A screw-retained polymethyl methacrylate (PMMA) hybrid prosthesis was fabricated as an interim prosthesis. The fit, occlusion, VDR, VDO, phonetics and esthetics were verified and adjusted.

• Several months later, the definitive restoration, a monolithic Zirconia hybrid prosthesis, was fabricated using the PMMA prosthesis as guide and inserted.

• Hygiene protocol to ensure proper hygiene and minimize complications, the following protocols were followed:

• The intaglio surface of the prosthesis was designed to be convex and hygienic.

• Flanges on the intaglio were minimized and limited to two-three millimeters in height to reduce food retention.

• The prosthesis was adjusted as needed to ensure adequate access for cleaning.

• After inserting the prosthesis, the screws were torqued with firm finger pressure, and access holes were temporarily sealed, allowing the patient to practice and demonstrate the ability to floss under the prosthesis.

• Three to four weeks later, the patient returned for confirmation of effective cleaning under the prosthesis. The prostheses screws were then torqued, and the access holes were covered with Teflon tape or polytetrafluoroethylene tape and composite.

• An occlusal guard was fabricated to help minimize any parafunctional habits.

Key Learnings

Understanding patient expectations played a significant role in the success of this treatment. A well-informed decision was made by reviewing available treatment options, explaining pros and cons and assisting the patient in visualizing the desired outcome. The patient regained her ability to chew, speak and laugh without hesitation. Witnessing the joy and renewed confidence in her eyes reinforced the importance of continuously seeking new approaches and embracing advancements in dental implantology. This journey has shaped my expertise, allowing me to share insights, tips and practical guidance to help you navigate this fascinating realm of dental implants. By staying informed and embracing new technologies, we can push the boundaries of what is possible, offering our patients exceptional outcomes.

Dr. Roya Zandparsa is a clinical professor and biomaterials course director in the Department of Prosthodontics at Tufts University School of Dental Medicine, a lecturer at the Department of Restorative Dentistry and Biomaterials Sciences at Harvard School of Dental Medicine, vice president of innovation & development at Qualitas Dental Partners Organization, the founder & CEO of Expert Dental Advisory, the president-elect of The American Association of Women Dentists, the past president of American Academy of Dental Science, and a fellow of the International College of Dentistry.

Dr. Zandparsa will be presenting the courses “New Approaches to Dental Implants From Single Restoration to Full Mouth Reconstruction: Steps, Materials and Techniques” (C09) and “Transforming Dentistry With Artificial Intelligence and Advanced Dental Technologies” (C24) on Thursday, June 20 and “CAD/CAM Technology Workshop” (W21) and “Restorative Dental Implant Workshop” (W12) on Friday, June 21 during the Florida Dental Convention in Orlando. Learn more about her courses and register for FDC2024 at floridadentalconvention.com. Dr. Zandparsa can be reached at roya.zandparsa@tufts.edu

Today’s FDA | 49
fdc2024 speaker

GLIDEWELL.IO™ SIMPLIFIES SAME-DAY DENTISTRY WITH THE POWER OF AI

Effortlessly mill the crowns you want when you want:

The beauty of the AI in the glidewell.io™ In-Office Solution is that you can take on as much of the responsibility of designing crowns as you want. I enjoy taking a hands-on approach with my cases, but I can always combine that with the AI tool, and glidewell.io has made me a better dentist for it. To anyone hesitant about going digital, I 100% recommend glidewell.io. This technology is a great benefit to any practice and their patients.

− Sandeep V. Patel, DDS, FAGD | Daytona Beach, FL Graduate of New York University glidewell.io user since 2021

• Mill fully sintered BruxZir® crowns and bridges with no oven time required — just polish and cement, and you’re done.

• Let MarginAI™ and CrownAI™ do the design work for you so you can spend your time with your patients.

• You’re connected directly to Glidewell for training and support at any time.

• Love your scanner? Great — glidewell.io is an open system and works with your preferred scanning system.

We’ll show you how easy same-visit crowns should be! Scan the code to learn more about glidewell.io.

Pair your intraoral scanner with glidewell.io for only

$49,995

Contact us for current promotional trade-in offers and payment plans. Packages that include an intraoral scanner are also available.

www.glidewell.io | 888-683-2063
MKT-013454_1 GD-3960920-070123

GET LUNCH AND LEARN SOMETHING NEW!

Only $15 to reserve your seat and will be refunded back to you after you attend the event!

Lunch & Learn at FDC2024

PROPER USE OF LEGAL ENTITIES FOR LAWSUIT PROTECTION AND TAX REDUCTION

NC10 | Friday, June 21 | 12:15-1:15 PM | CE Credits: 0

Dentists and their guests are invited to attend this lunch and learn sponsored by Legally Mine on Friday, June 21. Let Dan McNeff, CEO of Legally Mine, show you how to stop the threat of lawsuits before they ever get started by protecting your assets in time-tested and proven legal structures while enjoying a plated lunch. Seating is limited – Register today!

SPONSORED BY

FLORIDA DENTAL CHATTER

This Facebook group is designed for dentists to interact with other members, receive the latest updates and information, and engage with FDA leaders and sta across the country. This is the place to be in the know!

Join u s at fa ceboo k . co m /g ro u ps/ flo r i dadenta lchat te r.

Today’s FDA | 51

Full Arch Success With In-house Workflows

How privileged we are to practice in the golden age of digital dentistry! Modern technology has revolutionized full arch implant care, benefiting patients and teams.

In mid-July of last year, I was introduced to Emmy, who consulted with me about her failing maxillary dentition. Emmy is a kindergarten teacher and suffers from moderate dental phobia. Over the past few years, she has noticed her teeth getting loose and shifting, with an unsightly gap developing. While Emmy has successfully ignored the issue, she recently

developed a painful bite on tooth #9, severely affecting her ability to eat. The thought of dentures makes her shiver as she has unpleasant memories of helping her mom glue in and struggle with her false teeth. Emmy feels stuck and seeks a natural feeling and a new smile in as few appointments as possible. She was highly motivated to accept treatment last summer, as the break was ending in three weeks, and she could not take much time off work during the school year.

52 | March/April 2024 fdc2024 speaker

Emmy’s case is not unusual. About a quarter of the U.S. population aged 65+ has eight or fewer teeth (1, Griffin), severely affecting their ability to eat meats, fruits and vegetables and maintain a healthy diet (2, Nowjack). Today’s consumers, independent of age or socioeconomic status, desire fixed, highly functional and esthetic tooth replacement in as few appointments as possible to minimize the impact on their work and personal lives. At the same time, dental phobia is estimated to affect approximately 36% of the population, with a further 12% suffering from extreme dental fear (3, Hill), negatively affecting the propensity of patients to seek care in a timely manner. These factors can result in patients presenting at the last minute before important work or social commitments, hoping to immediately address their failing dentition.

Fortunately, technological advancements in the dental field have enabled the modern dentist to employ in-house workflows that meet the market’s demand for prompt and convenient care. The ability to digitize our patients utilizing cone-beam computed tomography and intraoral scanning and then use software to design and fabricate esthetic and functional prostheses has changed how we practice dentistry. Technology affords predictable treatment planning and enables fast processing and reproducible results that det

Today’s FDA | 53
Maxillary denture design Setup of print files: denture base (top left), denture teeth (bottom left) and monoblock for the clear guide (bottom right)

liver convenience for the team and patient.

It is not surprising that more and more dentists are deciding to implement chairside technology into their workflows. An American Dental Association clinical evaluators panel found in 2021 that about half of U.S. dentists already owned an intraoral scanner (4, Revilla), 58% of them for less than four years. A large majority (70%) decided to invest in technology to improve clinical efficiency and a vast majority (91%) were at least mostly satisfied with the results. Notably, a third of non-users were planning to buy that year.

3D printing is also on the rise and, while still being more widely adopted, is a fast-growing technology in the dental market. Revilla et al. discovered in 2023 that about 17% of dentists own a 3D printer, two-thirds of them for less than two years (5, Revilla).

Let’s return to Emmy’s case to reveal the impact of in-office printing workflows on the patient experience. Comprehensive evaluation and review of full mouth x-rays, cone-beam computed tomography, intraoral scan and photos revealed an extensively restored limited dentition with missing functional teeth, generalized chronic moderate and localized severe periodontitis, erosion, an unstable occlusion due to mobility of splaying maxillary teeth and two well-integrated dental implants to replace teeth numbers 29 and 30.

fdc2024 speaker

Full flange denture

Recording pre-op VDO (top)

Removal of granulation tissue (right)

Note: Use of clear duplicate and flangeless prosthesis shown using a different case.

Post-op CBCT (left) and verification of unchanged VDO (right)

54 | March/April 2024
Reduced flange duplicate Clear duplicate

After a discussion of her treatment options, including the risks, benefits and alternatives, Emmy decided to move forward with a fixed implant bridge to replace all maxillary teeth. It was determined that the vertical dimension of occlusion was proper and that the midline and incisal edge position of tooth #8 were accurate. A treatment plan was presented, finances were arranged, pre- and post-op instructions were given, and consent was signed. Surgery was scheduled for the following week and Emmy was instructed to start taking oral antibiotics (Amoxicillin 875 mg, 10 tabs. Take one tab by mouth twice a day until finished.) the day before the procedure and present nothing by mouth on surgery day with her caregiver.

In preparation for surgery, the case was sent to a design service that digitally extracted all maxillary teeth and designed a full arch prosthesis with conventional denture exten-

sions. This design was returned as a monoblock and split file within 24 hours. The split file was printed twice in denture base and tooth resin to prepare a full flange and a reduced flange set. The monoblock design was printed in clear resin to fabricate a prosthetic guide. Per manufacturer recommendations, my team processed these items through the wash and cured before luting and finishing the prosthetics.

On the day of surgery, Emmy was moderately sedated with intravenous administration of Midazolam and Fentanyl. Aseptic protocols were employed during the surgical procedure. Local anesthesia was administered via infiltration of 4% Articaine, 10^-5 epi, after careful aspiration. Vertical dimension of occlusion and incisal edge position were recorded. An intrasulcular and midcrestal subperiosteal incision was placed with distal vertical release before a full thickness flap was re-

flected. All remaining maxillary teeth were removed, and the sockets were manually debrided of all granulation tissue before irrigation with copious amounts of sterile saline. We leveled the alveolus using rongeurs and a slow-speed handpiece, harvesting vital, healthy bone for later gap and socket grafting. All line angles were smoothed with a bone file and repeated irrigation revealed healthy, bleeding bony walls. Implant positions were determined in reference to anatomic landmarks such as the anterior wall of the maxillary sinus and the incisive foramen.

Osteotomies were formed per manufacturers’ protocol before seating four endosseous dental implants. Primary stability was achieved on all fixtures and multiunit abutments seated. At this point, the clear duplicate denture was seated to confirm proper tooth position and identify relief wells’ position for immediate conversion. The flangeless denture was also seated, and the patient was guided into occlusion. Following verification of tooth position, the flangeless denture was retrofitted using temporary cylinders. After intraoral pickup, my team finished the prosthesis as I grafted and sutured the patient. Upon seating of the immediate screw retained, printed temp, vertical dimension of occlusion and incisal edge position were confirmed. The surgical appointment took three hours, from start to finish, and Emmy was dismissed stable into the care of her sister.

Today’s FDA | 55
Immediate conversion temp showing good A-P spread of implants and displaying convex intaglio design. Patient in immediate temp at 2 week post-op.
t

BRING YOUR TEAM TO FDC2024

COME FOR THE CE, STAY FOR THE FUN!

COURSE OPTIONS for each person on the dental team, including clinical, communication, organization and case acceptance topics.

TEAM BUILDING at the free keynote sessions.

ENDLESS OPPORTUNITIES to build comradery at networking and social events.

VIP EXPERIENCES available to enhance team bonding.

FREE EXHIBIT HALL PASSES to connect with 300+ dental vendors!

VISIT THE FDC2024 EXHIBIT HALL FOR FREE!

Connect with 300+ Exhibitors with a FREE Exhibit Hall Only Pass!

Register as “Exhibit Hall Only” to take advantage of this offer.*

» BUILD RELATIONSHIPS with current and existing vendors.

» NETWORK with colleagues and vendors at the Welcome Cocktail Reception in the Exhibit Hall on Thursday, June 20, 4-6 PM.

» DISCOVER new products, services and technologies.

» MAXIMIZE your time with industry-leading exhibitors.

» HAVE FUN at the Puppy Break in the Exhibit Hall on Friday, June 21, 3-5:45 PM.

View the current list of exhibitors at exhibithall.floridadentalconvention.com

* Open to dental professionals and their guests only. Vendors must purchase a booth or register as the appropriate registration. REGISTER TODAY AT FLORIDADENTALCONVENTION.COM

Exhibit Hall Hours

Thursday, June 20 | 11 AM-6 PM Friday, June 21| 8:45 AM-6 PM Saturday, June 22 | 9 AM-2 PM

20-22 • Gaylord Palms Resort • Orlando, FL
June

fdc2024 speaker

Technology affords predictable treatment planning and enables fast processing and reproducible results that deliver convenience for the team and patient.

Healing proved uneventful, and Emmy expressed at her 24-hour post-op visit just how relieved she was to have this treatment done before summer was over. Her sincere appreciation was very welcomed by the team. Since then, she has become less phobic at every dental visit and is excitedly anticipating her Zirconia bridge. Our convenient workflows with no-gag impressions and speedy in-house solutions that eliminate lengthy lab turnaround times allowed this patient to say “yes” to the treatment she very much needed.

Modern technology has allowed dental offices to take more control over their patients’ dental implant experiences. Convenience and immediate treatment options will continue to drive consumers’ decisions to accept care. In-house printing is a fantastic way to meet those demands.

Dr. Sarah Jockin earned her dental degree from the University of California School of Dentistry. She is an associate clinical professor at the University of Florida College of Dentistry. She is a diplomate of the American Board of Oral Implantology and a fellow of the American Academy of Implant Dentistry. Dr. Jockin is the founder and director of Full Arch Success in Tampa.

Dr. Jockin will be presenting the courses “Full Arch Success: Avoiding Complications” (C43) on Friday, June 21 and “CBCT –Digital Full Arch: Guided Workflows that Fuel Success” (C52) and “CBCT–Digital Full Arch: Guided Workflows that Fuel Success, A Hands-On Workshop” (W31) on Saturday, June 22 during the Florida Dental Convention in Orlando. Learn more about her courses and register for FDC2024 at floridadentalconvention. com. Dr. Jockin can be reached at sjockin@gmail.com

References

1. Griffin SO, Griffin P, Li C-H, Bailey W, Brunson D, Jones J. Changes in Older Adults’ Oral Health and Disparities: 1999 to 2004 and 2011 to 2016. J Am Geriatr Soc. 2019;(00)1-6. DOI: https://doi.org/10.1111/ jgs.15777.

2. Nowjack-Raymer RE & Sheiham A. Association of edentulism and diet and nutrition in U.S. Adults. J Dent Res 2003; 82:123-126.

3. Hill KB, Chadwick B, Freeman R, et al. Adult Dental Health Survey 2009: relationships between dental attendance patterns, oral health behaviours and the current barriers to dental care. Br Dent J. 2013;214:25–32.

4. Revilla-Leon M, Frazier K, et al. Intraoral scanners: An American Dental Association Clinical Evaluators Panel survey. JADA 2021;152:669-670.

5. Revilla-Leon M, Frazier K, et al. Prevalence and applications of 3-dimensional printers in dental practice: An American Dental Association Clinical Evaluators Panel survey. JADA 2023;154:355-356.

GAYLORD PALMS RESORT & CONVENTION CENTER (HOST HOTEL)

Room Rate: $215 per night + nightly resort fee & taxes

Includes free self-parking!

Reservations: Call 877 491 0442

FAIRFIELD INN & SUITES

ORLANDO KISSIMMEE/CELEBRATION (1 5 MILES FROM GAYLORD PALMS)

Room Rate: $129 per night + taxes

Includes free self-parking & breakfast!

Reservations: Call 407.390.1532

Today’s FDA | 57

THE EXHIBIT HALL

FREE PRE-REGISTRATION FOR FDA MEMBERS!

Visiting the FDC Exhibit Hall is an invaluable opportunity for you to experience a comprehensive showcase of the latest advancements in the dental field, from cutting-edge technology to innovative treatment options. Stay up-to-date on industry trends, expand your skills, and discover products and services that can enhance patient care and the overall dental practice experience all under one roof at FDC2024. Support the companies that support the Florida Dental Convention!

A-C

A-DEC

A1 HANDPIECE SPECIALISTS

ABYDE

ACCELERATED ACADEMY

ACTEON NORTH AMERICA

ACUITY NORTH AMERICA

ADA PRACTICE TRANSITIONS

ADIT

ADS DENTAL SYSTEM INC.

ADVANTAGE DENTAL

AIR TECHNIQUES

ALIGN TECHNOLOGY INC.

ALPHAEON CREDIT

AMD LASERS

ARTCRAFT DENTAL INC.

ASEPTICO

ATLANTA DENTAL SUPPLY

ATLANTIC DENTAL SOLUTIONS/BREWER COMPANY

AUGMA BIOMATERIALS

BANK OF AMERICA PRACTICE SOLUTIONS

BARKSDALE DENTAL LAB

BENCO DENTAL

BEST INSTRUMENTS USA

BEUTLICH PHARMACEUTICALS LLC

BIEN-AIR USA

BIOCLEAR MATRIX SYSTEMS

BIOGAIA USA

BIOHORIZONS

BIOLASE

BIOTEC MANUFACTURING

BIRDEYE

BISCO

BQ ERGONOMICS LLC

BRANDMAX

BRASSELER USA

CAD-RAY

CARECREDIT

CARESTREAM DENTAL

CARL ZEISS MEDITEC USA

CARR

CATAPULT GROW POWERED BY DENTAL CITY

CENTURION HEALTH

CGX RADIOS

CHOICE TRANSITIONS LLC

CITY NATIONAL BANK OF FL - PRIVATE BANK

CLIX THERAPY

CLOUD DENTISTRY

COLGATE

COLTENE/SCICAN

CONTINUING DENTAL EDUCATION

COOL JAW BY MEDICO INTERNATIONAL

CORE SCIENTIFIC

COST SEGREGATION SERVICES INC.

CREST + ORAL - B

CROWN TENANT ADVISORS

CURVE DENTAL

CUTCO CUTLERY

D-F

DANDY

DDS MATCH FLORIDA LLC

DEMEOLA TEMPLE CPA GROUP

DENTAL CARE ALLIANCE

DENTAL CONSULTING PROFESSIONALS LLC

DENTAL DYNAMIC STAFFING

DENTAL EQUIPMENT LIQUIDATORS INC.

DENTAL INTELLIGENCE

DENTAL TRIBUNE AMERICA

DENTALREE.COM INTERNATIONAL INC.

DENTAQUEST

DENTCORE

DENTISTRY TODAY

DENTIUM USA

DENTLIGHT INC.

DESIGNS FOR VISION INC.

DEXIS

DIGI SEARCH

DIGITAL DOC

DIGITAL HEALTHCARE PROFESSIONALS

DOCTIBLE

DOCTOR MULTIMEDIA

DOCTOR’S CHOICE PRACTICE TRANSITIONS

DOCTORSINTERNET

DORAL REFINING CORPORATION

DPC TECHNOLOGY

DR. MARKETING

DREVE AMERICA

DSX

EASSIST DENTAL SOLUTIONS

EDGEENDO

EKOS DENTAL GROUP

ELEVATE ORAL CARE

ELITE ANESTHESIA ASSOCIATES

ELITE PAYMENT GROUP

EMS DENTAL

EPDENT AMERICA INC

EPROMPT

ESTHETIC PROFESSIONALS

FLORIDA DENTAL ASSOCIATION (FDA)

FDA FOUNDATION

FDAPAC

FDA SERVICES INC.

FIRST CITIZENS BANK

FLORIDA COMBINED LIFE

FLORIDA MEDICAL ADVISORS

FLORIDA PROBE CORP.

FOTONA

FOUR QUADRANTS ADVISORY

G-K

GARFIELD REFINING

GARRISON DENTAL SOLUTIONS

GC AMERICA INC.

GENTLEWEAVE

GH ORTHODONTICS

GLIDEWELL

GREAT DENTAL WEBSITES

GROWTHPLUG

GUARDIAN

H&H COMPANY

HALEON

HALYARD

HAWAIIAN MOON

HEARTLAND DENTAL

HENRY SCHEIN DENTAL

HENRY SCHEIN DENTAL PRACTICE TRANSITIONS

HENRY SCHEIN DENTAL RECRUITMENT SERVICES

HENRY SCHEIN ONE

HIOSSEN IMPLANTS

HUFRIEDY GROUP

HUMANA

2024 FLORIDA DENTAL CONVENTION • JUNE 20-22 • GAYLORD PALMS RESORT • ORLANDO

HUNTINGTON PRACTICE FINANCE

HUNZA DENTAL

ICORECONNECT INC.

IMPLADENT LTD

IMPLANT EDUCATORS

IMPLANT SEMINARS

IMTEC CORPORATION

IOTECH INTERNATIONAL

ITX PROS

IVOCLAR

JMU DENTAL INC.

KERR DENTAL

KETTENBACH LP

KOMET USA

KWIKLY DENTAL STAFFING

L-Q

LCP DENTAL TEAM COACHING

LEGALLY MINE LLC.

LIBERTY DENTAL PLAN

LUMADENT INC.

MEDIANV

MEDILOUPES

MEGAGEN AMERICA

MEISINGER USA

MERCHANT PREFERRED ZERO

MIDWEST DENTAL ARTS

MODERN DOC MEDIA

MYRIAD CAPITAL

NADAPAYMENTS

NAK DENTAL GROUP

NEOCIS

NEW TEETH NOW

NEW YORK LIFE

NEXHEALTH

NSK AMERICA

OOMA INC.

OPAL REEF JEWELRY

ORAL BIOTECH (CARIFREE)

ORASCOPTIC

OSTEOID INC.

OVERJET

OWL ADVANTAGE DENTAL SOLUTIONS

PATTERSON DENTAL

PEARL

PERIO PROTECT

PHARMACISTS MUTUAL INSURANCE COMPANY

PHILIPS SONICARE AND ZOOM! WHITENING

PITTMAN DENTAL LAB

PLANMECA

PMAX DENTAL MARKETING

POWER DENTAL GROUP

PROFESSIONAL SALES ASSOCIATES, INC.

PROMA INC.

PROVIDE INC.

Q-OPTICS & QUALITY ASPIRATORS

R-Z

R&D SURGIAL USA / XENOSYS USA

REALTIME CPAS

REVENUEWELL

RGP DENTAL

RITTER DENTAL

ROE DENTAL LABORATORY

ROYAL DENTAL GROUP

SALVIN DENTAL SPECIALITIES INC.

SERVPRO

SGA DENTAL PARTNERS

SHAMROCK DENTAL COMPANY INC.

SHATKIN FIRST LLC

SHOFU DENTAL CORPORATION

SHOWCASE DENTAL LABORATORY

SMILE DESIGN DENTISTRY

SNAP ON OPTICS

SOLMETEX/STERISIL/DRYSHIELD

SOLUTIONREACH

SOUTHEAST DENTAL TRANSITIONS

SOUTHERN DENTAL REFINING

SPRINTRAY

STELLALIFE

STRAUMANN GROUP

STRAUSS DIAMOND INSTRUMENTS INC.

STREAMHEALTH

SUMMIT HANDPIECE EXPRESS

SUNCOAST CREDIT UNION

SUNRISE DENTAL EQUIPMENT INC.

SUPERIOR DENTAL & SURGICAL MANUFACTURING

SUPERIOR DENTAL DESIGN & UPHOLSTERY

SURGITEL

TD BANK

TEMPMEE

THE ARGEN CORPORATION

THE DAWSON ACADEMY

THE DENTAL FESTIVAL

THE DOCTORS COMPANY

THE ROYAL DENTAL GROUP SALES

THE TRANSITION GROUP LLC

TOKUYAMA DENTAL AMERICA

TRIDENT SRL

ULTRADENT PRODUCTS INC.

ULTRALIGHT OPTICS

ULTRASHARP LLC

VAKKER DENTAL INC.

VALUMAX PROTECTIVE APPAREL INC.

VATECH AMERICA

VECTOR RESEARCH & DEVELOPMENT

VIDEO DENTAL CONCEPTS

VIRGINIA SERVICES USA LLC

VIZISITES

VOCO AMERICA INC.

WALMART HEALTH

WATERPIK INC

WEAVE

WELLNEXT

WELLS FARGO

XITE REALTY LLC

ZIMVIE

ZIRC DENTAL PRODUCTS INC.

Exhibit Hall Hours & Events

THURSDAY, JUNE 20

11 AM-6 PM

Exhibit Hall Open to Attendees

11 AM-2 PM

Lunch available to purchase

4-6 PM

Welcome Cocktail Reception

FRIDAY, JUNE 21

8:45 AM-6 PM

Exhibit Hall Open to Attendees

11 AM-2 PM

Lunch available to purchase

3-5:45 PM

Puppy Cuddle Break

SATURDAY, JUNE 22

9 AM-2 PM

Exhibit Hall Open to Attendees

11 AM-2 PM

Lunch available to purchase

AS OF 3/7/2024
VIEW THE CURRENT EXHIBITOR PRODUCT CATEGORIES! FLORIDADENTALCONVENTION.COM EXHIBITORS
EXHIBITORS IN GREEN ARE FDAS CROWN SAVINGS PARTNERS.
Times are subject to change

Live Music | Costumes Encouraged | Family-Friendly Entertainment FOR ALL REGISTERED ATTENDEES! FREE PARTY

Friday, June 21

7:30-10:30 PM

Registration and name badges are required for all attendees over 8 years of age.

85% of Disabled Veterans enrolled in the VA do not qualify for VA Dental Care.

The Wounded Veterans Relief Fund aims to change veterans’ access to critical dental services across Florida, and we need your help.

Help Us Save Lives, Become a Dental Partner Today

WVRF’s Critical Dental Assistance Program Pays Dental Partners Directly for treating veterans in our program.

To inquire about becoming a dental partner with WVRF's Critical Dental Assistance Program, contact our Dental Outreach Coordinator, Tami Martin.

561-408-5576
https://wvrf.org EMAIL: DENTAL@WVRF.ORG

Award Winners

2024

Dental STUDENT AWARD

Ms. Gabriela Hunter RodriGuez

New Dental Leader

Dr. KaYcee Wilcox

Public Service Awards

Dr. Bao Tran Dao

Dr. Christopher Starr

Dr. Samira Meymand

Leadership Awards

Dr. GregORY Chace

Dr. Sudhir Agarwal

SPECIAL RECOGNITION AWARD

Dr. Katie Miller

HELPING MEMBERS SUCCEED TEAM IMPACT AWARD

MS. LIANNE BELL

FDA President Award

Dr. Beatriz Terry

Dentist of the Year

Dr. ChrisTOPHER Bulnes

J. Leon Schwartz Lifetime Achievement Award

Dr. Jolene Paramore

Join in the recognition of your colleagues. Friday, June 21 | 11:30 AM – 1:00 PM Gaylord Palms Resort & Convention Center, Orlando, FL

Individual tickets are $55 or a table of 10 for $550. Please contact Lianne Bell at lbell@floridadental.org or 850.681.3629 by June 7 to purchase tickets.

sponsored by:

2024 Award Winners

FDA PRESIDENT AWARD

Dr. Beatriz E. Terry was born and raised in Miami. She completed her dental training at Marquette University School of Dentistry, graduating in the top 10 with honors and receiving membership into the Omicron Kappa Upsilon Dental Honor Society. Dr. Terry then completed a master's program and residency in periodontics and dental implants from the University of Minnesota and became an American Board of Periodontology Diplomate. She has been a practicing periodontist for more than 25 years. In addition to her practice, she lectures locally and nationally in English and Spanish on periodontics, dental implants and systemic links to periodontal disease. She is a Miami Dade College School of Dental Hygiene advisory board member and a Florida Dental Board examiner.

Dr. Terry has been a dedicated member and leader in organized dentistry for more than 20 years. Her previous and current positions include the past president of the Florida Association of Periodontists and the South Florida District Dental Association (SFDDA), American Dental Association (ADA) delegate, Florida Dental Association (FDA) trustee and current president, and current chair of the FDA's Governmental Action Committee. She is proud to have been nominated and inducted into several dental honor societies, including Pierre Fauchard Academy, the American College of Dentists and the International College of Dentists. Family life is very important to Dr. Terry.

She is married and has three children, and they enjoy traveling, snow skiing and fishing. She enjoys playing tennis, the outdoors and attending local cultural events in her free time.

DENTIST OF THE YEAR

Dr. Christopher Bulnes is a general dentist practicing in Tampa. He was raised in Tampa and earned an undergraduate degree in chemistry from the University of South Florida in 1996. He then graduated from Southern Illinois University (SIU) School of Dental Medicine in 2000 and completed an advanced education in general dentistry residency in 2001 at SIU. Dr. Bulnes is married to his wife, Kelsey, and they have three children, Ryan, Christian and Caelyn.

Dr. Bulnes has served as a delegate and alternate delegate to the FDA and ADA House of Delegates. He has been a member of multiple councils and committees for the ADA and FDA, the chair of the ADA Council on Dental Benefits and Programs and the chair of the 17th District Delegation to the ADA. He is the statewide co-chair for the 2024 FDA Foundation Mission of Mercy (FLA-MOM) and serves as a member of the FDA Board of Trustees (BOT).

Dr. Bulnes served as co-chair of the 2018 FLA-MOM in Fort Myers, which treated more than 1,000 patients and provided more than $1 million in care for the underserved and uninsured in Florida. Dr. Bulnes has actively coached

Today’s FDA | 63
t
awards

baseball through the years in Tampa, and he enjoys traveling, golfing, skiing, working out, raising his adult children and giving back to the community.

J. LEON SCHWARTZ LIFETIME ACHIEVEMENT AWARD

Dr. Jolene Paramore is a seventh-generation Floridian and a four-time proud Gator graduate. She received her dental degree in 1988 and completed her residency in periodontology in 1990 at the University of Florida College of Dentistry (UFCD). Dr. Paramore has a wealth of experience serving the dental profession and advocating for oral health on state and national levels. She is a past president of the Bay Dental Society and the Northwest District Dental Association, served as chair of the Florida Delegation to the ADA for five years, and is a fellow of the American College of Dentists, the International College of Dentists and the Pierre Fauchard Academy. Dr. Paramore was honored as the FDA's Dentist of the Year in 2010 and as FDA president in 2018-2019, where she was only the second woman to serve in that capacity since 1884. Dr. Paramore was the principal investigator for the FLA-MOM Impact Study which sought to better understand patients seeking care at a FLA-MOM event to learn their needs, share the data with collaborative partners like hospitals and foundations, and strategically plan for sustainable, community-specific emergency department referral programs and other definitive solutions. Dr. Paramore also served as the chair of the FDA's Workforce Innovation Task Group, which led the development of Florida's Action for Dental Health, the FDA's comprehensive initiative to improve oral health and the overall health of Floridians. This initiative includes expanding public health dentistry, promoting attainable care for uninsured and underserved Floridians and advocating for dental student loan repayment legislation. Dr. Paramore has practiced as a periodontist in Panama City for 30 years and has been happily married to her wonderful husband, John, for 40 years. They enjoy traveling, photography, being on or in the water and spending time with family and friends.

LEADERSHIP AWARDS

Dr. Sudhir K. Agarwal received his dental degree from the University of Bombay, India. He immigrated to the U.S. and, in 1977, received his dental license, making him the first dentist from India to be licensed in Florida. He settled in Jacksonville and started practicing family dentistry. Dr. Agarwal joined the Jacksonville Dental Society (JDS) and the full tripartite to become a member of organized dentistry. He has served as an examiner for the dental and dental hygienist examinations since 1987. He is also a practitioner-investigator for the Dental Practice-Based Research Network at UF. Dr. Agarwal volunteers regularly for Donated Dental Services, FLA-MOM, Give Kids a Smile and the Dental Bus. He is also the current chair of the FDA's Council on Ethics, Bylaws and Judicial Affairs and has led this council since 2021 as they have overseen the changes in the governance structure of the FDA. Dr. Agarwal is now retired; he enjoys spending time with his five granddaughters and traveling the world.

Dr. Gregory Chace was born in New England but, before long, his family began moving south, eventually settling in the Florida Keys where he attended high school. Dr. Chase attended college at Western Carolina University and Florida International University, earned his associate degree, and then worked as a bank administrator while his wife was attending dental school at the UFCD. Seeing his wife in dental school inspired him to pursue the profession. He returned to school, where he finished his undergraduate degree and was then accepted to dental school at the UFCD. Following dental school, Dr. Chace and his wife, Dr. Jennifer Chace, began a practice together. For many years Dr. Chace has been involved in organized dentistry with the Brevard County Dental Society and the Central Florida District Dental Association, where he is the current vice president. He has attended Dentists' Day on the Hill (DDOH) for the past decade and believes strongly in pushing organized dentistry and the profession forward in a positive direction for patients.

64 | March/April 2024
awards

NEW DENTAL LEADER

Dr. Kaycee Wilcox grew up in Bonifay and has been a lifelong resident of the Florida panhandle. She graduated from the LECOM School of Dental Medicine (LECOM) in 2016, and joined a private practice in Crestview. In 2018, Dr. Wilcox bought the practice and recently opened a new office. She serves on the FDA's Committee on Conventions and Continuing Education (C-CCE) and was the 2023 scientific program chair. Dr. Wilcox enjoys giving back to her profession through involvement with the C-CCE and other local volunteer opportunities. Aside from dentistry, she enjoys spending time with family and friends, doing anything beach-related and cheering on Auburn sports with her husband.

DENTAL STUDENT AWARD

Gabriela Hunter Rodriguez was born in Panama and moved with her family six times before the age of 11, finally settling in the panhandle of Florida. She is a "military brat" and is the oldest of five children. She graduated magna cum laude from Niceville High School in 2017. Ms. Rodriguez earned a bachelor's degree magna cum laude from the University of South Florida, majoring in biomedical sciences and minor in psychology, in 2021. She is a third-year dental student at LECOM in Bradenton. As a dental student, she has been an active member of the American Student Dental Association; the Hispanic Dental Association; the Diversity, Equity and Inclusion Committee; and the Pediatric Club. She also dedicates time to the community volunteering at free clinics, reaching out to elementary schools, taking part in mission trips and providing resources to the underserved. In 2018, Ms. Rodriguez had the opportunity to work with the Global Medical Dental Brigade program in Panama, where she was able to give back to those who had traveled to seek dental care. She is the student consultant on the FDA's C-CCE.

PUBLIC SERVICE AWARDS

Dr. Bao-Tran Dao received a Bachelor of Science in microbiology at UF in 2012, earned her DMD at the University of Pittsburgh School of Dental Medicine in 2016 and completed a general practice residency at Hackensack University Medical Center in New Jersey. Dr. Dao went on to practice comprehensive general dentistry in private practice before becoming involved in public health at the community dental clinic from 2018-2023, and has served as dental director since 2020. In this role, she is able to help thousands of patients in need and provide hundreds of thousands of dollars in free dental care to low-income patients. Dr. Dao served on the executive committee of the West Pasco Dental Association from 2019-2022, and volunteered at the “Stars, Stripes and Smiles” event to provide free dental care to veterans. Her proudest achievement is being the mother to two wonderful little boys, Andrew, who is two, and Benjamin, who is four months old.

Dr. Samira Meymand loves to give back to communities in need. As past president of JDS , she worked closely with the Sulzbacher Center to provide care to needy children during “Give Kids a Smile” month for five consecutive years. She currently provides free dental care on the Baptist Ministries mobile dental unit. Dr. Meymand has provided free dental care through FLAMOM in Jacksonville in 2021 and Lakeland in 2024. She travels to the Philippines annually with the Metropolitan Humanitarian Foundation to treat the less fortunate for dental care and cleft lip and palate. She is dual-boarded as a diplomate of the American Board of Oral & Maxillofacial Surgery and a diplomate of the National Dental Board of Anesthesiology. Dr. Meymand is a delegate for the Northeast District Dental Association and vice-chair of the FDA’s Council on Financial Affairs; she is also a member of the FDA Foundation Board of Directors. She was recently inducted as a fellow of the prestigious International College of Dentists and Pierre Fauchard Academy. One of Dr. Meymand's proudest accomplishments

Today’s FDA | 65
t

awards

has been achieving the rank of Captain as a dual-boarded female oral and maxillofacial surgeon in the U.S. Navy Reserve.

Christopher Starr was born and raised in Buffalo, New York. In 1970, he graduated from the University of Notre Dame, and in 1974, he earned his DDS degree at the University of Buffalo. After graduating, he accepted a commission in the U.S. Navy Dental Corp, where he served as a general dentist at the Marine Corps Recruit Depot in Paris Island, S.C. In 1976, he returned to the University of Buffalo Dental School to teach operative dentistry. In 1978, Dr. Starr moved to New York to teach clinical dentistry at Columbia University. In 1979, he married the love of his life and moved to Florida, where he taught operative dentistry at the UFCD. Together, he and his wife raised four successful young men. In 1983, he opened a private practice in Wellington, and in 2014, he proudly welcomed his son, Dr. Michael Starr, as a full partner in the practice. Dr. Starr is a regular volunteer dentist at the Caridad Medical Center in Boynton Beach. This June will mark the 50th anniversary of Dr. Starr's graduation from dental school.

SPECIAL RECOGNITION AWARD

Dr. Katie Miller was born and raised in Central Illinois. She received her bachelor's degree from Butler University in Indianapolis, IN and her dental degree from the University of Louisville. While at the University of Louisville, Dr. Miller was awarded the L.D. Pankey Occlusion Award. She completed the UF AEGD program in St. Petersburg. Following her residency, she moved to Central Florida, where she has practiced ever since. Her first position in organized dentistry was serving on

the board of the Dental Society of Greater Orlando. More than fifteen years later, her passion for organized dentistry continues. Dr. Miller truly goes above and beyond in her leadership roles. She was a member of the FDA's Governance Task Force, served on the ADA 2023 SmileCon Committee on Local Arrangements as the co-chair and is currently a delegate to the FDA and to the ADA where she has taken an active role in leadership on both delegations. Dr. Miller practices in Winter Springs with her mentor, Dr. Mary Isaacs. Her passion for lifelong learning is something she shares with Mary.

HELPING MEMBERS

SUCCEED TEAM IMPACT AWARD

Ms. Lianne Bell has worked in the FDA's Leadership Affairs department for almost six years. A native of Tallahassee, Ms. Bell received her bachelor's degree in elementary education from the University of Hawaii at Manoa and taught in the classroom for 10 years before deciding it was time for a change. In her role with the FDA, she oversees the administration of the BOT, the HOD and the FDA's delegation to the ADA. Ms. Bell also staffs the FDA Leadership Development Committee, which plans the Leaders Emerging Among Dentists program to help develop new leaders for organized dentistry. She works closely with the FDA's officers and staff to prepare and plan for leadership meetings and happenings. For the past two years, she has acted to improve several internal procedures to manage these groups and keep complete records of leadership roles and policies. Ms. Bell has one son, Keegan, who is 14 years old. She enjoys watching her son compete in sports, trail running with her three-year-old Springer Spaniel and spending time with friends and family along the Forgotten Coast.

66 | March/April 2024

FLORIDA MISSION OF MERCY

LAKELAND | MAY 30–JUNE 1, 2024

VISIT FLAMOM.ORG TO VOLUNTEER OR DONATE

Beneficial Ownership Interest Reporting Requirements

The Corporate Transparency Act (signed into law on Jan. 1, 2021) expanded anti-money laundering laws and created new reporting requirements for certain companies doing business in the U.S. beginning in 2024. Many small businesses are now required to report information

about their beneficial owners to the Financial Crimes Enforcement Network (FinCEN) to create a national database for use by national security and law enforcement agencies. The goal is to prevent the use of shell companies for criminal activity.

Who Must File

Both domestic and foreign reporting companies are required to file reports. A company is considered a reporting company if a document was filed with the secretary of state (SOS) or similar office to create or register the entity. Corporations (including S corporations), LLCs, and other entities formed through the SOS are subject to the reporting requirements. But, because sole proprietorships, trusts and general partnerships do not require the filing of a formal document with the SOS, they generally are not considered a reporting company and will not have a filing requirement. Foreign companies are required to file reports if they are registered with the SOS or similar office under state law. Some companies are exempt from reporting, but many of the exempted companies are already required to report ownership information to a governmental authority.

Of particular interest to you may be the exemption for large operating companies. A large operating company is any entity with (a) more than 20 full-time U.S. employees, (b) an operating presence at a physical office within the U.S., and (c) more than $5,000,000 of U.S.-sourced gross receipts reported on its prior year federal income tax return. If you meet these qualifications, you are not subject to the new reporting requirements.

What Information Must be Provided

Beneficial ownership information (BOI) must be reported for the reporting company’s beneficial

68 | March/April 2024 reporting requirements

owners and (for entities formed or registered after 2023) company applicants. BOI includes an individual’s full legal name, date of birth, street address and a unique ID number. The unique ID number can be from a non-expired U.S. passport, state driver’s license, or other government-issued ID card. If the individual does not have any of those documents, then a non-expired foreign passport can be used. An image of the document showing the unique ID number must also be included with the report.

Beneficial Owners

Two groups of individuals are considered beneficial owners of a reporting company: (1) any individual who directly or indirectly owns or controls at least 25% of the ownership interests of the reporting company; or (2) any individual who exercises substantial control over the reporting company. Individuals with substantial control are those with substantial influence over important decisions about a reporting company’s business, finances and structure.

Senior officers (president, CFO, general counsel, CEO, COO and any other officer who performs a similar function) are automatically deemed to have substantial control, as are individuals with the authority to appoint or remove senior officers and board members. There is no requirement that these individuals have actual ownership in the company to be considered a beneficial owner for reporting purposes.

Company Applicants

The company applicant is the person who files the document that creates

or registers the reporting company (e.g., an attorney). Company applicants must provide the same information that is required of beneficial owners, but only if the reporting company is formed or registered after 2023. Because of the difficulty in tracking down information about company applicants for reporting companies that have been in existence for several years, reporting companies formed or registered before 2024 do not have to supply BOI for their company applicants.

FinCEN Identifiers

Individuals and reporting companies can request a FinCEN Identifier (FinCEN ID) to use in place of supplying detailed information on the report. A FinCEN ID is a unique number assigned by FinCEN which is obtained by submitting the same information as is required of a beneficial owner or reporting company. A FinCEN ID may be useful to individuals who prefer to send their personal information directly to FinCEN rather then through a reporting company, or to individuals who may be required to supply information as a beneficial owner or company applicant of several reporting companies.

Important Filing Dates

For existing reporting companies created or registered before 2024, the initial report is due by Jan. 1, 2025. For reporting companies created or registered in 2024, the initial report is due 90 days after the entity’s creation or registration. For reporting companies created or registered after 2024, the initial report is due 30 days after the entity’s creation or registration. If there is a change to previously reported information

about the reporting company or its beneficial owners, an updated report must be filed within 30 days of the change. So, it is imperative that your company implements a system to identify reportable changes and file an updated report with FinCEN in a timely manner. The penalties for willfully failing to file both initial and updated reports are steep – $500 per day that the report is late, up to $10,000, and imprisonment for up to two years.

How to File

BOI reports must be filed electronically. FinCEN’s e-filing portal, available at https://boiefiling.fincen.gov/, provides two methods to submit a report: (1) by filling out a web-based version of the form and submitting it online, or (2) by uploading a completed PDF version of the BOI report. Some third-party service providers may also offer the ability to file the BOI report through their software. The person who submits the BOI report will need to provide their name and email address to FinCEN. There is no fee for filing the report.

Contact us if you have any questions about these new reporting rules and how they affect your business. We would be happy to discuss them with you and provide you with recommendations for legal counsel assistance. FinCEN also has a Small Entity Compliance Guide and frequently asked questions to help guide businesses through the reporting requirements. These are available at fincen.gov/ boi/small-business-resources

Reprinted from The Thomas Howell Ferguson Blog “Words Count” post from Jan. 29, 2024 with permission from Thomas Howell Ferguson.

Today’s FDA | 69

In preparation for hurricane season starting June 1, FDA Services wants to remind you to make sure you have flood insurance in place! If not, we strongly recommend that you look into this coverage NOW as it has a 30-DAY WAITING PERIOD to become active. Came for the insurance ... Stayed to support my profession.

GOT FLOOD INSURANCE? DON’T GO UNDER! Visit fdaservices.com or call us at 850.681.2996 to get a quote today!

SAVE UP TO 20% ON THE DAWSON ACADEMY’S INTRODUCTORY COURSE IN THE CONCEPTS OF COMPLETE DENTISTRY SERIES.

FUNCTIONAL OCCLUSION – PROTOCOLS TO PUT YOUR PRACTICE IN THE TOP 10% (C01), A TWO DAY COURSE

THURSDAY, JUNE 29 & FRIDAY, JUNE 30 | 8 AM-5 PM, BOTH DAYS

CE CREDITS: 16 | TRACK: OCCLUSION / RESTORATIVE AUDIENCE: DENTISTS & LABORATORY TECHNICIANS

The Dawson Academy’s timeless principles remain the foundation of quality care dentistry. True longterm success, otherwise known as predictability, in restorative care is the merger of aesthetic, functional and phonetic parameters. The foundation of The Dawson Academy’s philosophy is a complete understanding of how the TM joints, muscles, proprioceptive input, lower anterior teeth, upper anterior teeth, lower posterior teeth and upper posterior teeth are designed to function in harmony with one another.

In this course, a sharpened eye has been placed on The Dawson Academy’s Concepts of Complete Dentistry and how to implement this knowledge into your practice after attending. With a collection of take-home resources and checklists, attendees will learn the requirements for occlusal stability to improve your practice – from examination and records to treatment planning to practice management – as you envision yourself in the top 10%.

Material in this occlusion-focused course includes patient communication, case acceptance, converting to a fee-for-service model and more. Examples will be presented for both analog and digital workflows–with bonus content catered to implementation and business management. Attendees will understand how integrity and fulfillment are intertwined to create the most efficient and predictable outcomes and results. This course will give you an insight and understanding that will change not only how you practice and manage, but your enjoyment of practice as well. A one-hour break for lunch will be provided during this course.

Dr. Leonard Hess Dental degree, Northwestern University Dental School; clinical director, The Dawson Academy; member, Inside Dentistry editorial board; private practice, Charlotte, NC.

71
FDC2023 CE HIGHLIGHT REGISTRATION CATEGORY   EARLY
6/16  DENTIST - FDA/ADA MEMBER $1,599$1,699 $1,799 NON-MEMBER DENTIST $1,699$1,799 $1,899 LABORATORY TECHNICIAN $499 $599 $699
4/14  REGULAR  ONSITE

Transforming Lives: Dental Lifeline Network’s Donated Dental Service Program Provides Vital Dental Care to Those in Need

Accessing dental and oral health care can be a challenge for individuals facing health issues or disabilities. Over the past 50 years, the Dental Lifeline Network (DLN) has worked to address these issues for people in need across the United States.

DLN • Florida’s Donated Dental Services (DDS) program provides dental health care to those who cannot afford treatment. Through the dedication of volunteer dentists and laboratories in Florida, the program has contributed more than $11.3 million in comprehensive treatment to more than 2,100 individuals in need since 1997.

The Need

One patient who received care through the DDS program is Latonya, a 38-year-old mother of two who lives in Miami-Dade County. Latonya suffers from end-stage renal disease, gum disease, diabetes and undergoes dialysis treatment twice a week while waiting for a kidney transplant. Although she was on the transplant waitlist, her physician urged her to resolve her oral health issues due to the waitlist requirements. Without addressing her oral health issues, she would not be eligible for a kidney transplant once one was available.

72 | March/April 2024 dental lifeline
1.

Sign up to volunteer by scanning the QR code to the right and make a difference in the lives of those in need of life-changing and saving dental care.

Unfortunately, Latonya could not afford the treatment needed to address her dental issues and get back on the waitlist. Formerly a security guard, she is no longer able to work due to her health struggles. She and her children survive on food stamps and social security benefits, making it difficult to make ends meet. With these obstacles in her way, the help she needed seemed far beyond her reach. After being referred to the DDS program by her dialysis center, applying for the DDS program became a lifeline for her as she had nowhere else to turn.

The Solution

Thankfully, a team of compassionate DDS volunteers were able to come to Latonya’s aid. One periodontist performed four deep cleanings while a second periodontist extracted 12 teeth. Dr. Deborah Luis, a general dentist, with the help of a volunteer lab, restored two teeth and provided her with upper and lower partial dentures.

“I want to thank everyone involved in this process,” said Latonya. “I don’t have to put my hand over my mouth to

cover my teeth. I smile more, talk more and eat properly without hurting my teeth.”

Due to the generosity of this volunteer team, Latonya’s dental health was restored, and she was able to both qualify for the kidney transplant list and receive the life-changing transplant!

How You Can Help

Despite the success stories, more than 500 individuals, like Latonya are awaiting dental care in Florida. To learn more about the DDS program and contribute as a volunteer, visit WhyIDental.org. For the past 50 years, Dental Lifeline Network has made it easy for you to volunteer your time and skills and is looking forward to providing care for those in need for another 50 years.

Photo:

1.

Today’s FDA | 73
Dr. Deborah Luis and Latonya.

ATTENDANCE IS LIMITED TO 20 - SIGN UP EARLY!

As more practitioners train in the techniques of oral implantology, additional methods of augmentation are also needed to attain appropriate bone volume, dimension and density. This combination lecture and hands-on mini-residency will discuss and teach principles of bone augmentation rationale, sciences, medical evaluation, anatomy and techniques in handling and applying bone augmentation to prepare deficient sites for more ideal conditions to place dental implants. A one-hour lunch break will be provided each day. Participant Requirements: Loupes are optional. BONE AUGMENTATION IN PREPARATION FOR DENTAL IMPLANTS: A TWO-DAY MINIRESIDENCY (MR02)

BONE AUGMENTATION IN PREPARATION FOR DENTAL IMPLANTS: A TWO-DAY MINI-RESIDENCY (MR02)

FRIDAY, JUNE 21-SATURDAY, JUNE 22

9 AM-5 PM, BOTH DAYS | CE CREDITS: 14

AUDIENCE: DENTISTS

The equipment for this mini-residency is partially sponsored by

Kevin Suzuki, DMD, MS, earned his dental degree from Nova Southeastern University. He completed a residency in periodontology and implantology at Temple University. He is a diplomate of the American Board of Periodontology and a fellow of the American College of Dentists. He is a clinical assistant professor at the University of Washington and Temple University. Dr. Suzuki is a practicing dentist in Seattle, WA.

FDC2024 COURSE HIGHLIGHT
REGISTRATION CATEGORY   EARLY 4/12   REGULAR   ONSITE 6/7  DENTIST - FDA/ADA MEMBER $1599 $1699 $1799 NON-MEMBER DENTIST $1699 $1799 $1899

Diagnostic Quiz

Case History:

A 38-year-old male was presented to Dr. James Gift, an oral and maxillofacial surgeon in Tampa, to evaluate a painful ulcer on the right posterior lateral tongue (Fig. 1). The lesion showed central ulceration with a peripheral white rim around it. The patient complained about discomfort and suspected a chicken bone was stuck in the ulcer. The pain lasted for four to six months as reported by the patient. Dr. Gift’s impression was a traumatic ulcer, but squamous cell carcinoma was also included in the differential and had to be ruled out based on the clinical presentation. He performed an excisional biopsy and the tissue was then submitted to the University of Florida College of Dentistry, Oral & Maxillofacial Pathology Biopsy Service for microscopic evaluation.

Question:

Based on the clinical findings and medical history, what is the most likely diagnosis?

A. Traumatic Ulcer

B. Lymphangioma

C. Herpetic Infection

D. Geographic Tongue

E. Squamous Cell Carcinoma

t

Today’s FDA | 77 diagnostic discussion
Fig. 1. The clinical photograph shows a red lesion on the posterior lateral tongue. Fig. 2. H&E section shows thin-walled lymphatic channels located just beneath the epithelial surface, replacing the connective tissue papillae and exhibiting a fibrinous/ proteinaceous lymph material within.

diagnostic discussion

A. Traumatic Ulcer

Incorrect, but an excellent assumption. Traumatic ulcers typically happen when there is an adjacent source of irritation, such as sharp edges of restoration or adjusted dentition. Besides the lateral tongue, the other common locations are lips and buccal mucosa. A traumatic ulcer usually appears as a central ulcer with peripheral hyperkeratosis adjacent to the ulcer. In most cases, the ulceration heals within days after removing the irritation. A unique type of traumatic ulcer called traumatic ulcerative granuloma with stromal eosinophilia (TUGSE) exhibits a deep pseudo-invasive inflammatory reaction. Since TUGSE has a slow healing feature, it may look worrisome for clinicians, and thus a biopsy is recommended. However, TUGSE is often resolved after an incisional biopsy without further treatment. If the lesion does not resolve within two weeks after removing the irritation, a biopsy should be performed to rule out the possibility of early squamous cell carcinoma.

B. Lymphangioma

Correct. Lymphangiomas are probably benign proliferation of lymphatic origin instead of neoplasm with a marked predilection for the head and neck, with the majority developing by the age of two. Cervical lymphangiomas are commonly found in the posterior triangle and present as soft, fluctuant masses. Although the chance of cervical lymphangioma growing in the anterior triangle is less, it has a higher frequency of leading to dyspnea and dysphagia. On the other hand, oral lymphangiomas are frequently found on the anterior two-thirds of the tongue. Oral lymphangiomas are presented as translucent vesicles with a pebbly surface, which can resemble frog eggs. The lymphatic channels are just beneath the epithelial surface, replacing the connective tissue papillae (Fig. 1). The superficial positioning of lymphatic vessels results in translucent vesicles. Lymphangiomas consist of thin-walled, dilated lymphatic vessels. The lining endothelial cells are flat, and the lumens usually contain proteinaceous fluid and sometimes lymphocytes (Fig. 1).

C. Herpetic infection

Incorrect, but a possible great guess. Primary herpes most commonly affects individuals between six months and five years old. The patients are often symptomatic. For the symptomatic patient, the onset is abrupt, and the patients usually present flu-like symptoms such as fever, lymphadenopathy, chills and nausea. Any intraoral location can be affected, and the gingiva is usually extremely erythematous and painful. The affected mucosa develops numerous vesicles, which often collapse to form ulceration covered by yellowish fibrin. Although primary herpes infection can affect adults, individuals infected by primary herpes usually demonstrate pharyngotonsillitis instead of gingivostomatitis. On the contrary, secondary herpes most likely recurs in the vermilion border and perioral area. Recurrences in the oral cavity are almost limited to attached gingiva and hard palate in immunocompetent individuals, which makes this a less desirable option in this case.

D. Geographic Tongue

Incorrect, but nice try. Geographic tongue is a common benign inflammatory condition affecting one – two percent of the population, primarily seen in the anterior two-thirds of the dorsal tongue. Infrequently, other locations, such as buccal mucosa or labial mucosa, may also be involved, accompanied by tongue lesions. Patients with geographic tongue are usually asymptomatic, and fissured tongue co-occur sometimes. Young populations and females are prone to be affected. Clinically, multiple well-demarcated flat erythematous zones are present due to atrophy of the filiform papillae surrounded by slightly elevated white-yellowish scalloped borders. The most characteristic finding is that lesions heal entirely within a few days or weeks and appear in different locations. It rarely remains in the exact location over months. For asymptomatic patients, no treatment is indicated. As for patients complaining of a burning sensation, topical corticosteroids may provide relief.

78 | March/April 2024

E. Squamous Cell Carcinoma

Incorrect. Although the risk of getting squamous cell carcinoma (SCC) is low in such young patients, a biopsy is still required to rule out SCC. The extrinsic etiologies include tobacco smoke, alcohol, UV radiation for vermilion SCC and betel quid. Oncogenic viruses such as high-risk human papillomavirus types and the human immunodeficiency virus also play an essential role in carcinogenesis. SCC accounts for more than 90% of oral malignancies, and about half of intraoral cancer happens on the tongue, followed by the floor of the mouth. For unknown reasons, a significant increase in tongue cancer has been found in young patients. Clinical presentations can vary from leukoplakia to erythroplakia, exophytic to endophytic, non-healing ulcers and indurations. Since SCC is infamous for various clinical presentations and there is minimal pain during the early growth phase, any unexplained white patch, red patch, or non-healing ulcer lasting for more than two weeks should be biopsied to rule it out.

References:

1. Neville, B. W., Damm, D. D., Allen, C. M., and Chi, A. C. (2016). Oral and Maxillofacial Pathology. Elsevier.

2. Thakral C. Traumatic ulceration with stroma eosinophilia (TUGSE). PathologyOutlines.com website. pathologyoutlines.com/topic/oralcavitytongueeosinophilia.html. Accessed February 15th, 2024.

3. Obeidin F. Lymphangioma. PathologyOutlines.com website. pathologyoutlines.com/topic/softtissuelymphangioma.html. Accessed February 15th, 2024.

4. Thakral C. Geographic tongue. PathologyOutlines.com website. pathologyoutlines.com/topic/oralcavitygeographictongue.html. Accessed February 15th, 2024.

5. Glass SH. SCC-general. PathologyOutlines.com website. pathologyoutlines.com/topic/oralcavityscc.html. Accessed February 15th, 2024.

Dr. Bhattacharyya

Dr. Islam

Diagnostic Discussion is contributed by University of Florida College of Dentistry professors and Drs. Indraneel Bhattacharyya and Nadim Islam, who provide insight and feedback on common, important, new and challenging oral diseases.

The dental professors operate a large, multi-state biopsy service. The column’s case studies originate from the more than 16,000 specimens the service receives annually from all over the United States.

Clinicians are invited to submit cases from their practices. Cases may be used in the “Diagnostic Discussion,” with credit given to the submitter.

Drs. Bhattacharyya and Islam and can be reached at oralpath@dental.ufl.edu.

Conflict of Interest Disclosure: None reported for Drs. Bhattacharyya and Islam.

The Florida Dental Association is an ADA CERP Recognized Provider. ADA CERP is a service of the American Dental Association to assist dental professionals in identifying quality providers of continuing dental education. ADA CERP does not approve or endorse individual courses or instructors, nor does it imply acceptance of credit hours by boards of dentistry. Concerns or complaints about a CE provider may be directed to the provider or to ADA CERP at ada.org/goto/cerp.

* Resident, Oral & Maxillofacial Pathology

Today’s FDA | 79
80 | March/April 2024 8880 NW 20th St., Suite C • Doral, FL 33172 digitechlab.com • 888-336-1301 YOUR LOCAL BRUXZIR® PROVIDER! Beautiful Incisal Edges NEW! Price does not include shipping or applicable taxes. Learn more about BruxZir Zirconia today! David Alameda Dental Technician DT-4457016-010124 $109* per unit

ON YOUR SCHEDULE

ENHANCE YOUR PROFESSIONAL SKILLS WITH ONLINE RADIOGRAPHY TRAINING

Take the first step on the path to dental radiography certification. Train online, at your own pace. Study anywhere! The Florida Dental Association (FDA) Online Radiography Training Program provides you the formal training you need, with the professional development you want. Enrich your career path while contributing a vital service to your patients and dental team. It’s the most convenient and economical way to get the radiography training required by Florida law. It’s affordably priced, too — just $285 per student* for FDA members!

*Non-members pay $385. CALLING ALL DENTAL ASSISTANTS

career center

FDA’s Career Center

The FDA’s online Career Center allows you to conveniently browse, place, modify and pay for your ads online, 24 hours a day. Our intent is to provide our advertisers with increased flexibility and enhanced options to personalize and draw attention to your online classified ads!

Interim Services Throughout Florida. General Dentist Will Travel Anywhere in Florida. Sick leave, maternity leave, vacation or death, I will cover your practice so that production continues while you are out. Experienced in covering general dentists and pedodontists. Please call or text Robert Zoch, DDS, MAGD at 512-517-2826 or email: drzoch@ yahoo.com. Visit careers.floridadental.org/ jobs/19173179/.

Office for Lease, South Miami. Office for lease in a prime location of South Miami, near South Miami Hospital. Located in a small office park neighboring residential South Miami, the space for lease has three operatories and as well as a lab area. The unit is located on the first floor, handicap accessible, with reserved parking. The unit will become available on March 1st. For any inquiries, call Dr. Rodriguez (305) 877-9261. Visit careers.floridadental.org/ jobs/19590111/

Dental Hygienist, Spring Hill. We are currently looking for an enthusiastic Dental Hygienist to join our dental team. SoftDent and Dexis experience a plus but not required. Local Anesthetic license is required. Pay is hourly, plus bonus pay. Job Type: Part-time or Full-time. Salary: Up to $45.00 per hour. Lakeside Family Dental Care. Dr. Grothe & Dr. DiFrancesco. 8454 Northcliffe Blvd. Spring Hill, Florida 34606. Registered Dental Hygienist (Required). Anesthesiology (Preferred). Visit careers. floridadental.org/jobs/19610805/

Pediatric Dentist, Palm Springs. Looking for a self motivated pediatric dentist to join our team as a part time associate. The candidate must be proficient on behavior management. We are a specialized dental facility suited to provide dental treatment under Nitrous Oxide, Oral Sedation or General Anesthesia when

is needed. We advocate minimal to none physical restrain. Easy going not corporate environment. Regular pediatric patients as well as special needs patients are treated at this facility. A Spanish speaking candidate is desirable but not required. Newly grads are welcome to apply. Please forward resume to be considered. You will be called. Job Type: Part-time. Expected hours: 10 – 24 per week. Work setting: In-person. Visit careers. floridadental.org/jobs/19796575/

General Dentist, Palm Springs. Looking for a self motivated general dentist with experience in pediatric dentistry and adult dentistry as well to join our team as a part time associate. Newly grads are welcome to apply. A Spanish speaking candidate is desirable but not required. Please forward your resume to be considered. Job Type: Part-time. Expected hours: 10 – 24 per week. Benefits: Dental insurance; Flexible schedule. Medical specialties: Pediatrics; Surgery. Schedule: 8 hour shift; Day shift Monday to Friday. Supplemental pay types: Bonus opportunities. Work setting: In-person; Private practice. Work Location: In person. Visit careers.floridadental.org/ jobs/19796517/.

Fort Lauderdale, FL General Dental Practice for Sale. Southeastern Florida, especially the Fort Lauderdale area, is famed for its sun-kissed beaches, intricate canal system often dubbed the ‘Venice of America,’ and vibrant boating and yachting communities. New to the market is an esteemed dental practice near Fort Lauderdale that has served its community for over three decades. With a legacy built on trust, quality, and dedication, the practice is now ready for its next chapter as the respected doctor explores transition options. This exceptional practice represents an unmatched opportunity for both individual dentists aiming to set down

roots or a dental support organizations eyeing strategic expansion in southeastern Florida. The facility boasts ten operatories, ensuring the capacity to serve a multitude of patients with ease and efficiency. It’s not just about infrastructure; the numbers speak for themselves. With an impressive intake of 85 new patients monthly, the demand is robust and growing. A unique selling point of this practice is its diversified service offering. Not only does it sustain the owner-doctor, but it also collaborates with a skilled periodontist contractor, adding depth to its implant work spectrum. This harmonized blend of general and specialized dental services propels the practice’s revenues, generating an impressive EBITDA of over $330,000. Don’t miss this golden chance to own a thriving dental practice in a prime location. Dive into the thriving dental market of southeastern Florida and carry forward a legacy of over 30 years! FOR AN OVERVIEW OF THIS FORT LAUDERDALE DENTAL PRACTICE, READ BELOW: 10 operatories; Collections of $2.531 million; EBITDA of $338,000; 85 new patients/month; Supports multiple doctors. Fort Lauderdale, often referred to as the “Venice of America,” is a gem nestled in Southeast Florida that offers an unrivaled quality of life. With its intricate and picturesque network of canals, this city is a haven for boating enthusiasts and water lovers. The arts and cultural scene is both vibrant and diverse, with venues such as the NSU Art Museum, which hosts international art exhibitions, and the Broward Center for the Performing Arts, which showcases top-tier performances spanning theater, ballet, and music. Families are drawn to the area because of its commendable school systems, some of which rank among the state’s best, ensuring a solid foundation for the city’s youth. For those with a penchant for the outdoors, Fort Lauderdale doesn’t disappoint. The city offers pristine beaches, scenic parks, and the captivating Hugh

82 | March/April 2024

Visit the FDA’s Career Center at careers.floridadental.org.

Post an ad on the FDA Career Center and it will be published in our journal, Today’s FDA, at no additional cost. Today’s FDA is bimonthly, therefore, the basic text of all active ads will be extracted from the Career Center on roughly the 5th of every other month (e.g., Jan. 5 for the Jan/Feb issue, March 5 for the March/April issue. etc.). Please note: Ads for the Nov/Dec issue must be placed no later than Nov. 1. We reserve the right to edit excessively long entries.

Taylor Birch State Park, perfect for kayaking, bird-watching, or simple nature walks. The culinary scene is equally enticing, boasting an array of restaurants that cater to global palates, from sumptuous seafood joints to high-end international eateries. Additionally, Fort Lauderdale frequently receives high livability ratings, reflecting its safety, infrastructure, and the overall satisfaction of its residents. It’s not just a city, but a lifestyle, blending the best of urban living with the charm and ease of a coastal paradise. To learn more and review the prospectus of this Fort Lauderdale dental practice, please contact Professional Transition Strategies. Email Bailey Jones: BAILEY@ PROFESSIONALTRANSITION.COM or call: 719.694.8320. REFERENCE #FL92723. We look forward to speaking with you! Visit careers.floridadental.org/jobs/19805792/

Prosthodontist or General Dentist, Jacksonville. Nuvia Dental Implant Center, a growing dental implant center, is looking for a Prosthodontist or General Dentist with full arch, fixed experience to join our team in our pcoming Jacksonville, FL locations. We provide dental implants and full mouth restorations to our patients, literally changing their lives. An exceptional patient experience for every patient is our top priority. At Nuvia, our Restorative Doctors are adaptable and have an eagerness to learn and grow. An ideal candidate would have extensive knowledge of dental implants along with a fixed and removable prosthodontic background. Strong interpersonal skills with your patients and team are crucial for this position. Hours are full time, 4 days a week (Mondays or Fridays off). Compensation is a base salary + % of production. Our Restorative Docs are making $350-550k a year! Nuvia is a great place to work! We pride ourselves in the satisfaction of our teams and believe if they are well taken care of, in turn, they will take great

care of our patients. Our benefits package includes the following: Medical, Dental, Vision, Life, Long/Short Term Disability Insurances. Paid Training, Paid Time Off, Paid Holidays, Paid Parental/Bereavement Leave, 401k match, Employee Assistance. Duties: Diagnose and treatment plan All-on-X; Patient education on treatment options; Work with other providers to complete Allon-X treatment; High quality execution of all phases of prosthetic treatment; Build good rapport with patients and staff to ensure a successful and cohesive office; Delivery of prosthetics to the standards set forth by the practice. This is what a day in the life of a Restorative Doctor at Nuvia looks like: Reviewing patient info and cone beam CT scans to diagnose and treatment plan all-on-x treatment; Creating preoperative prosthodontic plans to communicate needs and collaborate with treating surgeon; Check in during surgeries to provide prosthodontic guidance; Gather records at the end of surgery according to Nuvia’s unique workflow and create lab prescriptions; Deliver next day permanent restorations to the previous day’s surgical patient; Follow up appointments. The biggest challenge of this position is managing your patient’s expectations while juggling both the digital and analog pieces of the AOX workflow. Our team members are as diverse as the patients we serve. Building special connections with our patients throughout their journey with us is one of the many benefits of this position. Imagine being part of a team that gets to give patients their confidence back through a brand new smile, we get to do it every day! We are eager to invent, find new solutions to problems and develop new processes. At Nuvia, we have a culture of excellence while still collaborating well as a team. We are obsessed with our patients, love what we do and feel honored to be able to provide such an incredible service. If you feel like you would be a good fit with our culture and like

Seeking Qualified Dental Radiographer?

Train your dental assistants to expose radiographs using the FDA’s MyDentalRadiography online course that combines self-paced learning with clinical proof of competency. Call Lywanda Tucker at 850.350.7143 for details or visit mydentalradiography.com/FDA to create a supervising dentist account and complete the necessary tutorial on how the program works.

the idea of changing people’s lives, apply today! We look forward to meeting you. Education/Experience/Licensure: Graduation from an accredited dental school (DDS/ DMD) required; Certificate in Prosthodontics from an American Dental Association accredited program, or the equivalent in related experience; Unrestricted license to practice dentistry in the State of Florida; Current CPR (BLS) from the American Heart Association or the American Red Cross (we provide a renewal course); Ability to obtain and maintain Professional malpractice insurance; All-on-X restorative treatment experience; Extensive removable prosthodontics experience; Implant planning on CBCT; 1-3 years of related experience preferred. Visit careers.floridadental.org/ jobs/19806512/.

Prosthodontist or General

Dentist, Orlando. Nuvia Dental Implant Center, a growing dental implant center, is looking for a Prosthodontist or General Dentist with full arch, fixed experience to join us in our upcoming Orlant

Today’s FDA | 83

career center

do FL location . We provide dental implants and full mouth restorations to our patients, literally changing their lives. An exceptional patient experience for every patient is our top priority. At Nuvia, our Restorative Doctors are adaptable and have an eagerness to learn and grow. An ideal candidate would have extensive knowledge of dental implants along with a fixed and removable prosthodontic background. Strong interpersonal skills with your patients and team are crucial for this position. Hours are full time, Monday-Friday from 8am-5pm. Compensation is a base salary + % of production. Our Restorative Docs are making $350-500k a year! Nuvia is a great place to work! We pride ourselves in the satisfaction of our teams and believe if they are well taken care of, in turn, they will take great care of our patients. Our benefits package includes the following: Paid Training, Paid CE, Paid Time Off, Paid Holidays, Health, Dental, Short Term Disability , 401k. Duties: Diagnose and treatment plan All-on-X; Patient education on treatment options; Work with other providers (Prosthodontists and Oral Surgeons) to complete All-on-X treatment; High quality execution of all phases of prosthetic treatment; Build good rapport with patients and staff to ensure a successful and cohesive office; Delivery of prosthetics to the standards set forth by the practice. This is what a day in the life of a Restorative Doctor at Nuvia looks like: Reviewing patient info and cone beam CT scans to diagnose and treatment plan all-on-4 treatment; Creating preoperative prosthodontic plans to communicate needs and collaborate with treating surgeon. Check in during surgeries to provide prosthodontic guidance. Gather records at the end of surgery according to

Nuvia’s unique workflow and create lab prescriptions. Deliver next day permanent restorations to the previous day’s surgical patient. Follow up appointments. The biggest challenge of this position is managing your patient’s expectations while juggling both the digital and analog pieces of the AO4 workflow. Our team members are as diverse as the patients we serve, building special connections with them throughout their journey with us is one of the many benefits of this position. Imagine being part of a team that gets to give patients their confidence back through a brand new smile, we get to do it every day! We are eager to invent, find new solutions to problems and develop new processes. At Nuvia, we have a culture of excellence while still collaborating well as a team. We are obsessed with our patients, love what we do and feel honored to be able to provide such an incredible service. If you feel like you would be a good fit with our culture and like the idea of changing people’s lives, apply today! We look forward to meeting you. Education/Experience/Licensure: Graduation from an accredited dental school (DDS/DMD) required. Certificate in Prosthodontics from an American Dental Association accredited program, or the equivalent in related experience. Unrestricted license to practice dentistry in the State of Florida. DEA registration. Current CPR (BLS) from the American Heart Association or the American Red Cross. Ability to obtain and maintain Professional malpractice insurance. All-on-X restorative treatment experience. Extensive removable prosthodontics experience. Implant planning on CBCT. 1-3 years of experience outside of residency preferred. Visit careers.floridadental.org/jobs/19806519.

84 | March/April 2024
Today’s FDA | 85
WHEN YOU SUPPORT OUR ADVERTISERS, PLEASE MENTION TODAY’S FDA! Advertising Information For display advertising information, contact: Deirdre Rhodes at drhodes@floridadental.org or 800.877.9922, Ext. 7108. For Career Center advertising information, contact: Jill Runyan at jrunyan@floridadental.org or 800.877.9922, Ext. 7113. Publishing Information Today’s FDA (ISSN 1048-5317/USPS 004-666) is published bimonthly by the Florida Dental Association (FDA), 545 John Knox Road, Ste. 200, Tallahassee, FL 32303. FDA membership dues include a complimentary subscription to Today’s FDA. Nonmember subscriptions are $150 per year; foreign, $188. Periodical postage paid at Tallahassee, FL and additional entry offices. Copyright 2024 Florida Dental Association. All rights reserved. Today’s FDA is a refereed publication. POSTMASTER: Please send form 3579 for returns and changes of address to Today’s FDA, 545 John Knox Road, Ste. 200, Tallahassee, FL 32303. Editorial and Advertising Policies Editorial and advertising copy are carefully reviewed, but publication in this journal does not necessarily imply that the FDA endorses any products or services that are advertised, unless the advertisement specifically says so. Similarly, views and conclusions expressed in editorials, commentaries and/or news columns or articles that are published in the journal are those of the authors and not necessarily those of the editors, staff, officials, Board of Trustees or members of the FDA. Editorial Contact Information All Today’s FDA editorial correspondence should be sent to Dr. Hugh Wunderlich, Today’s FDA Editor, Florida Dental Association, 545 John Knox Road, Ste. 200, Tallahassee, FL 32303. FDA office numbers: 800.877.9922, 850.681.3629; fax: 850.561.0504; email address: fda@floridadental.org; website address: floridadental.org Today’s FDA is a member publication of the American Association of Dental Editors and the Florida Magazine Association. 3% Dental Practice Brokerage, LLC ..................................... 84 ADA Credit Card ..................................................... 29 American Sensor Tech ................................................ 84 Choice Dental Practice Transitions ..................................... 75 DigiTech 80 Doctor’s Choice 71 E-VAC INC. 45 FDA: Award Winners 62 FDA: Career Center ................................................... 16 FDA: Online Radiography Program ..................................... 81 FDA: Peer Review Program ............................................. 6 FDA Foundation: Emerald Club ........................... Inside Back Cover FDA: Well-being Program ............................................. 29 FDAS: Abyde 30 FDAS: Bank of America 38 FDAS: Contributed $16 Million 32 & 33 FDAS: Flood 70 FDAS: FDAS Agents ..................................... Inside Front Cover FDAS: Gift of Coverage ......................................... Back Cover FDC2024 Exhibit Hall ............................................. 58 & 59 Glidewell ........................................................... 50 Henry Schein Professional Practice Transitions 86 My Dental TEK 74 The Doctors Company 13 Tobacco Free Florida 29 Wounded Veterans Relief Fund ........................................ 61
our journal advertisers support

Recruit for Rewards Caring

You know first-hand the value you receive from your ADA membership. Through the community and resources you’ve come to count on, the ADA provides the support you need to help achieve your goals. You can help colleagues and friends thrive by inviting them to join the ADA.

For every 5 new members

you recruit, you’ll receive a chance to win a 7-day interisland Hawaiian cruise* for you and a guest.

Eligibility

Who can recruit? Any ADA member dentist (including graduate student, resident, active licensed, active life, retired and retired life) is eligible to participate as a recruiter

Who can be recruited? Any degreed dentist who was not an ADA member in 2023 (including graduate students, residents)

Who is not eligible to be recruited for this program?

• A renewing member (someone who was a member in 2023)

• Dental students

• Retired dentists

How to Participate

• Newly recruited members are required to indicate the recruiter’s name and contact information as a referral on the membership application.

• ADA member recruiters will receive an email notification after the dentist referred has been accepted into membership.

• A raffle entry for quarterly drawings will be awarded for each new, active member recruited who pays national dues (as applicable) in the current year. Recruiters will receive a chance to win a 7-day Hawaiian cruise* for every five new recruited members who pay national dues (as applicable).

Recognition

• All recruiters will be recognized at SmileCon 2024. Top recruiters will receive additional recognition.

• Quarterly winners and top recruiters will be announced in ADA Morning Huddle.

For each new member

you recruit, you’ll be entered into a quarterly drawing for a chance to win $1,000 in prizes from ADA-endorsed providers or products from the ADA Store.

Program Rules

• This program will run January 1 – August 31, 2024.

• For each new, active member who joins in that timeframe, the referring member’s name will be entered into quarterly drawings for a chance to win $1,000 in prizes from ADAendorsed providers or products from the ADA Store. Referring members will also receive a chance to win a 7-day interisland Hawaiian cruise* for every five new, eligible members they recruit.

• Referring members will receive a qualifying entry each time their name is listed as the “referring member” on the new member’s application (one entry for quarterly drawings for every one member recruited, one entry for the grand prize drawing for every five members recruited). There is no limit to the number of new members who can be recruited or entries in the drawing.

• Referring members will automatically win a quarterly prize (up to $1,000 value) when they recruit 25 eligible new members. Quarterly prize winners are also eligible to win the grand prize should they recruit at least five new members.

• The grand prize drawing will take place at SmileCon® 2024 in New Orleans. SmileCon attendance is not required to win.

* The grand prize winner will receive a 7-day interisland Hawaiian cruise with a balcony room and airfare for two to be redeemed in 2025, an estimated value of $7,500. If winners do not wish to claim the Hawaiian cruise package, they are able to select another trip from AHI’s catalog at equal or lesser value, or take a cash prize option of $3,500. Learn more about the available cruises provided by ADA Member Advantage endorsed partner, AHI Travel.

The ADA Member Recruitment Initiative is subject to all applicable federal, state and local laws and regulations, and is void where prohibited by law. Visit ADA.org/R4R for more details.

© 2023 American Dental Association All rights reserved. Updated: 12/11/2023

Today’s FDA | 87
• Connections
Create
Commitment

FDC: Your Future. Your Design

Following are answers to some of the most commonly asked questions regarding the Intraoral Revenue Service and the upcoming Florida Dental Convention. Scroll down for information.

BRING YOUR TEAM TO FDC2024

WAYS TO SAVE AT FDC2024

RDH@FDC

LIVE! AT FDC FROM “HOW?!” TO “WOW!” – MANAGING AESTHETIC CHALLENGES WORKSHOP (W10)

FDC2024 CORPORATE CLASSROOMS

ELEVATE YOUR EXPERTISE IN DENTISTRY WITH HANDS-ON WORKSHOPS!

VOLUNTEER TO BE AN FDC SPEAKER HOST

VISIT THE FDC EXHIBIT HALL FOR FREE!

Eligibility: Updated April 2024

Q: How can I get the Clean Vehicle Tax Credit (sec 1142) for my dental practice?

A: Install reflectors and a “slow-moving vehicle” sign on the back of your dental chair and register it with the Department of Motor Vehicles. Where it says “Mercedes-Benz” on line six, cross it out and write in “Pelton-Crane.”

Q: I have not yet filed my 2023 tax return or, for that matter, ever paid taxes. Can I still qualify for the American Rescue Plan Stimulus Check this year?

A: No ...but not paying taxes will get you a 3-7 year “vacation”.

Q: Is it difficult to determine my benefit from the Employee Retention Credit for Businesses?

A: No. An individual, unemployed veteran or disconnected youth with an adjusted gross income (AGI) of $80,000 and federal tax liability in excess of $600 would qualify for the basic rebate. However, since the AGI is in excess of $75,000, the credit is reduced by multiplying the amount of AGI over $75,000 by 5%. Net income tax liability is the amount shown on Form 1040, Line 57 plus the amount on Line 52 or for 1040A filers, it is the amount on Line 35 plus the amount on Line 32. For 1040 EZ Forms, it is Line 2 that says, “How much money did you make in 2023?” and Line 3 says, “Send the amount on Line 2 to the IRS.”

Q: Is it difficult to register for the Florida Dental Convention (FDC)?

A: No. Fill out the registration information at www.floridadental.org. Click “submit.”

Q: How tall must I be to enter the FDC Exhibit Hall?

A: There are no height requirements to enter the hall. More than 300 industry-leading exhibitors are ready to share their knowledge and expertise, as well as the latest innovative products, services and dental technologies. It is in Orlando, but this is not Disney.

Q: Can my staff hang out in the 4.5 acres of lush gardens and winding waterways and explore the five innovative restaurants, lounges and the Canyon Ranch SpaClub at the Gaylord Palms Hotel and Convention Center while I attend classes all day?

A: Maybe. You don’t have to tell them that you signed them up for three days of courses and have to dress like dinosaurs at the Jurassic Party on Friday night until they arrive.

Q: Can I send my reservation to the Gaylord Palms to the IRS in Wilkes-Barre, PA?

A: Yes. The IRS would love that but FDC is not in Wilkes-Barre, PA this year

Q: Considering the windfall of benefits from the American Rescue Plan, Recovery and Reinvestment Act and the Work Opportunity Tax Credits, shouldn’t I just skip FDC 2024?

A: Are you kidding me? You are not going to see one thin dime of this money. You are already worth half of what you were before COVID. What are your real assets? The only thing you can control and predict is your practice. The best investment you can make is in yourself. Register for your future at FDC. I guarantee you and your staff will be your greatest asset in 2024.

File Pay Refunds Site Map Contact
Florida Dental Convention
FDA Editor Dr. Hugh Wunderlich can be reached at hwunderlich@bot.floridadental.org.
IRS: INTRA-ORAL REVENUE SERVICE
Your annual tax-deductible gift to the Foundation supports these life-changing programs: emeraldclub.floridadental.org  Florida Mission of Mercy  Donated Dental Services  Project: Dentists Care  Emergency Disaster Assistance Contributions to the FDA Foundation may be tax deductible. All contributions, including those to named funds, are considered unrestricted unless a specific purpose is designated by the donor. The organization is located at 545 John Knox Road, Ste.200, Tallahassee, FL 32303. A COPY OF THE OFFICIAL REGISTRATION AND FINANCIAL INFORMATION MAY BE OBTAINED FROM THE DIVISION OF CONSUMER SERVICES BY CALLING TOLL-FREE WITHIN THE STATE: 1-800-HELP-FLA OR VIA THE INTERNET AT WWW.800HELPFLA.COM. REGISTRATION DOES NOT IMPLY ENDORSEMENT, APPROVAL, OR RECOMMENDATION BY THE STATE. SPONSOR’S REGISTRATION NUMBER IS CH2435. NO CONTRIBUTIONS ARE RETAINED BY PROFESSIONAL SOLICITORS THEREFORE 100% OF ALL CONTRIBUTIONS ARE RECEIVED BY FDAF.

Turn static files into dynamic content formats.

Create a flipbook
Issuu converts static files into: digital portfolios, online yearbooks, online catalogs, digital photo albums and more. Sign up and create your flipbook.