
31 minute read
Helping Members Succeed Throughout Florida
ATLANTIC COAST DISTRICT DENTAL ASSOCIATION
Counties: Broward, Indian River, Martin, Okeechobee, Palm Beach, St. Lucie
Kathy Corrado l Executive Director l k.corrado@acdda.org l 561.968.7714 l acdda.org 10380 SW Village Center, #408 l Port St. Lucie l FL 34987
The Atlantic Coast District Dental Association (ACDDA) delivers even more benefits for success! The ACDDA offers continuing education (CE) to members during their annual conference, which will be held Friday, April 28, 2023. Affiliates provide local meetings and events throughout the year that offer the opportunity to obtain additional CE credits. Bonus: Three meetings are included in your membership dues!
The ACDDA works hard to keep its members informed by providing member-only access to special events, access to multiple social media platforms and exclusive publications, such as the ACDDA quarterly newsletter, “The Explorer.” CFDDA members, take advantage of your membership today! If you aren’t a member, don’t wait another day to join and don’t miss out on exciting and fresh ideas, events and socials to keep you up to date.
CENTRAL FLORIDA DISTRICT DENTAL ASSOCIATION
Counties: Alachua, Brevard, Flagler, Gilchrist, Lake, Levy, Marion, Orange, Osceola, Seminole, Sumter, Volusia
Marlinda Fulton l Executive Director l cfdental@cfdda.org l 407.898.3481 l cfdda.org 800 N. Mills Ave. l Orlando l FL 32803
Team up with Central Florida District Dental Association (CFDDA) and they will help you find more ways to succeed! Each year, the CFDDA’s Annual Meeting offers continuing education units (8-12 CEUs) at no cost to CFDDA members and their teams. Join us May 5-6, 2023 at Hammock Beach Resort in Palm Coast to stay current with your CE requirements. Your course attendance is uploaded to CE Broker for you.
Join the CFDDA today and gain member-only access to special events, social media content and exclusive publications!
NORTHEAST DISTRICT DENTAL ASSCIATION
Counties: Baker, Bradford, Clay, Columbia, Dixie, Duval, Hamilton, Lafayette, Madison, Nassau, Putnam, St. Johns, Suwannee, Taylor, Union
Debbie DeVille l Executive Director l ddeville@nedda.org l 904.737.7545 l nedda.org 3733 University Blvd. W, Ste. #212 D l Jacksonville l FL 32217
The Northeast District Dental Association (NEDDA) focuses on the best ways to help members succeed! The NEDDA offers high-quality CE courses that fulfill licensure requirements at a reduced rate with automatic reporting of course attendance to CE Broker.
Become a NEDDA member and gain member-only access to special events such as “cocktails and conversation” on Thursday, Feb. 2, 2023 from 5:30-7:30 p.m. at the Epping Forest Yacht & Country club and network with fellow colleagues. Check out our monthly e-newsletter and more!
NORTHWEST DISTRICT DENTAL ASSOCIATION
Counties: Bay, Calhoun, Escambia, Franklin, Gadsden, Gulf, Holmes, Jackson, Jefferson, Leon, Liberty, Okaloosa, Santa Rosa, Wakulla, Walton, Washington
Angel Henry l Executive Director l nwdda@nwdda.org l 850.391.9310 l nwdda.org 2910 Kerry Forest Parkway, D4-309 l Tallahassee l FL 32309
The Northwest District Dental Association (NWDDA) prodcues even more benefits for success!The NWDDA Annual Meeting, Feb. 3-4, 2023 at The Henderson Beach Resort & Spa in Destin, offers up to 12 hours of CE at reduced cost to NWDDA members, including all current Florida-mandated courses. And, it is FREE to new members! Course attendance is automatically reported to CE Broker for you.
If you are a member, remember to take advantage of your member-only access to special events, social media content and exclusive publications. If you aren’t a member, join today to take full advantage of everything the NWDDA has to offer!
SOUTH FLORIDA DISTRICT DENTAL ASSOCIATION
Counties: Miami-Dade, Monroe, South Broward
Yolanda Marrero l Executive Director l ymarrero.sfdda@gmail.com l 305.667.3647 l sfdda.org 420 S. Dixie Highway, Ste. 2-E l Coral Gables l FL 33146
The South Florida District Dental Association (SFDDA) gets creative providing members more ways to succeed! Check out SFDDA’s “Ain’t That the Tooth” podcast where you get a glimpse into members’ lives and their perspectives on dentistry and other topics.
Make sure you are a member of SFDDA and interact with your colleagues at 15 different affiliate CE dinner meetings throughout the year, which are included with your membership. Receive high-quality CE courses that fulfill licensure requirements at a reduced rate with automatic reporting of course attendance to CE Broker.

Members may also register to access the SFDDA’s dental professional placement service at no cost.
WEST COAST DISTRICT DENTAL ASSOCIATION
Counties: Charlotte, Citrus, Collier, DeSoto, Glades, Hardee, Hendry, Hernando, Highlands, Hillsborough, Lee, Manatee, Pasco, Pinellas, Polk, Sarasota
Lissette Zuknick l Executive Director l lissette@wcdental.org l 813.654.2500 l wcdental.org 1114 Kyle Wood Lane l Brandon l FL 33511
Let the West Coast District Dental Association (WCDDA) help you attain member success! Receive high-quality CE courses, meet with dental vendors, network with local dental colleagues and meet dental assisting and hygiene students, while attending the WCDDA 2023 Annual Meeting, Feb. 3 in Tampa.
As a WCDDA member, you can help promote local dental health, support preventive dental education and disaster relief for colleagues through the WCDDA Fund. You will also have member-only access to special events, social media content and exclusive publications. If you aren’t a member, join today!







EARN 20,000 BONUS POINTS
when you spend $5,000 on the card within the first 90 days.1
Discover the perfect card for your practice — the ADA® Preferred Rewards Visa Signature® Card. It rewards your success with exceptional bonuses and perks.
Enjoy no foreign transaction fees2
When traveling abroad.
Earn an additional 20,000 bonus points1
After $125,000 annual spend.
No annual fee2
Travel on 150+ airlines — with no blackout dates
25,000 points = up to a $450 airline ticket!
Enjoy the rewards
Choose from travel, merchandise, gift cards, or cash back as a statement credit.
APPLY TODAY!
Call 888-327-2265 ext. 36992 or visit adavisa.com/36992

For every $1 of eligible net purchases earn1: 5 POINTS
on purchases made at ADA.org
5 POINTS
on hotel and car rental booked through our rewards site
2 POINTS
on purchases made with co-endorsing state societies, including dues payments
1 POINT
everywhere else Visa® is accepted
IMPORTANT INFORMATION: Rewards points are earned on eligible net purchases. Net purchases are purchases minus credits and returns. Accounts must be open and in good standing to earn and redeem rewards and benefits. Not all transactions are eligible to earn rewards, such as Advances, Balance Transfers, and Convenience Checks. Purchases qualify for Points based on how merchants choose to classify their business and we reserve the right to determine which purchases qualify. See your Cardmember Agreement for details. Points will expire five years from the end of the calendar quarter in which they were earned. 1. Rewards points are earned with your ADA Visa credit card for eligible net purchases (purchases minus credits and returns). Some restrictions apply. Refer to the Program Rules at adavisa.com/faqs for additional information. 2. The APR may vary and as of 4/4/2022, the variable APR for Purchases and Balance Transfers is 10.24% - 22.24% based on your creditworthiness. The variable APR for Cash Advances is 26.24%. Cash Advance fee: 5% of each advance amount, $10 minimum. Convenience Check fee: 3% of each check amount, $5 minimum. Cash Equivalent fee: 5% of each cash amount, $20 minimum. Balance Transfer fee: 3% of each transfer amount, $5 minimum. There is a $2 minimum interest charge where interest is due. The annual fee is $0. Foreign Transaction fee: None. We may change APRs, fees, and other Account terms in the future based on your experience with U.S. Bank National Association and its affiliates as provided under the Cardmember Agreement and applicable law. ADA is a registered trademark of the American Dental Association. The creditor and issuer of this card is U.S. Bank National Association, pursuant to a license from Visa U.S.A. Inc. ©2022 U.S. Bank
The scale and breadth of the platform we’ve grown helps the families we serve withstand market cycles and succeed in the long term.
Dentists and other successful business owners are including real estate in their portfolios as they learn how they can diversify from stock market volatility and help weather unprecedented inflation. We focus on education to best support our clientele and specialize in tax advantaged strategies for business sales, DSTs, 1031 exchanges, qualified solutions from SEP’s to Roth IRA’s, private banking, life and business insurance.
Join our exclusive investment club for educational materials on designing comprehensive portfolios of institutional grade Commercial Real Estate: Multi-family apartments, Single-family homes, Land banking, Infrastructure development, Hotels, Resort Hospitality projects, Senior Living, and other private classes.



INVESTOR OBJECTIVES ▪ 100% passive ▪ Tax saving strategies ▪ Inflation protection ▪ Preservation of capital ADVANTAGES OF ASSET CLASS ▪ 20% IRR avg. target returns ▪ Consistent Cash Flow ▪ Refinance for Tax Free Liquidity ▪ Diversify from market volatility PREFERRED LOCATIONS ▪ High Household Incomes ▪ Expanding Industry ▪ Sunbelt Markets Including
Florida, Texas, and the Carolinas
FEATURED CLASS – SINGLE FAMILY HOME CONSTRUCTION



INVESTOR OBJECTIVES ▪ 100% passive ▪ Asset class diversification ▪ Higher investment return ▪ Higher liquidity ADVANTAGES OF ASSET CLASS ▪ 25% IRR avg. target returns ▪ Consistent Cash Flow ▪ Compounding reinvestment ▪ Geographical diversification PREFERRED LOCATIONS ▪ Vacation Homes In Prime
Florida, Texas, and the Carolinas



INVESTOR OBJECTIVES ▪ Asset Class Diversification ▪ Capital Preservation ADVANTAGES OF ASSET CLASS ▪ 15% IRR avg. target returns ▪ Secured by land value PREFERRED LOCATIONS ▪ Strong Population Growth ▪ Minutes from Attractions
FEATURED CLASS – HOTELS & RESORT HOSPITALITY PROJECTS



INVESTOR OBJECTIVES ▪ Asset Class Diversification ▪ Legacy Wealth Creation ▪ Prestigious Brand Loyalty ▪ Lifestyle Owner Benefits ADVANTAGES OF ASSET CLASS ▪ 30% IRR avg. target returns ▪ Strongest Cash Flow ▪ Significant Tax Benefits ▪ Diversify from markets PREFERRED LOCATIONS ▪ Vacation Destinations ▪ Restaurants and Shopping
Increase Value ▪ Family Friendly
FINANCIAL LITERACY GRANT PROGRAM – WINTER 2022



The Global Children Financial Literacy Foundation is working to leverage the power of financial education to help future generations build a solid foundation of financial literacy. They help young people living in underserved communities, equipping them with the knowledge necessary to live stable lives and secure their futures.
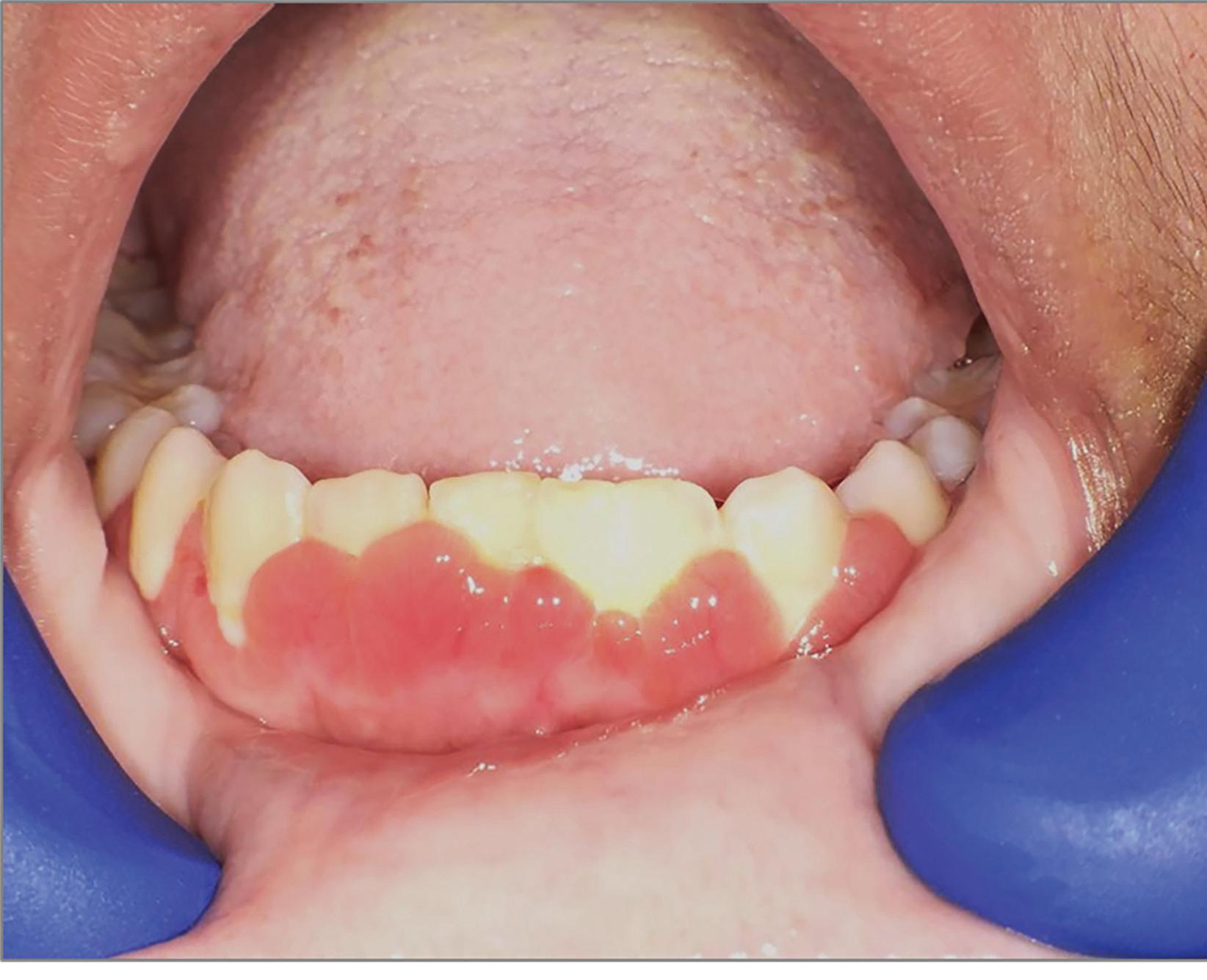
Read, Learn and Earn! By Drs. Saja A Alramadhan*, Neel Bhattacharyya and Nadim M. Islam A 17-year-old Hispanic female presented to Dr. Deck Couch, a Periodontist in Florida, with a chief complaint of swollen gums that interfered with eating. The patient appeared completely healthy with no complaints of spontaneous hemorVisit floridadental.org/online-ce for this FREE, MEMBERS-ONLY BENEFIT. You will be given the rhage or bleeding upon brushing. Clinical examination revealed a generalized and diffuse gingival hyperplasia involving opportunity to review the “Diagnostic Discussion” and its accompanying photos. Answer five both maxillary and mandibular quadrants, especially in the anterior facial aspects (Fig. 1, A-B). The gingiva was swollen multiple choice questions to earn one hour of CE. and erythematous. Bone loss was not evident in the panoramic radiograph. The patient was completely asymptomatic. A gingivectomy procedure was performed for a cosmetic reason (Fig. 2), however, 14 days later the gingival overgrowth recurred (Fig. 3, A-B). Dr. Couch performed an incisional biopsy. This was then submitted to the University of Florida Oral Pathology Laboratory biopsy service for microscopic examination.
Question:
Based on the above history and clinical presentation what is the most likely diagnosis?Contact FDC Marketing Coordinator Brooke Martin at bmartin@floridadental.org or 800.877.9922. A. Chronic hyperplastic gingivitis B. Orofacial granulomatosis C. Drug-induced gingival overgrowth D. Plasma cell gingivitis E. Leukemia-associated gingival hyperplasia Fig. 1 (A-B): Diffuse gingival erythema with significant overgrowth.



Fig. 2: Appearance immediately after gingivectomy.


Fig. 3 (A-B): Relapse of gingival overgrowth two weeks postoperatively.
A. Chronic hyperplastic gingivitis
Incorrect. Chronic hyperplastic gingivitis occurs from persistent and long-term gingivitis due to lack of proper oral hygiene, which leads to the accumulation of dental plaque and calculus; however, many other factors can affect the gingiva’s susceptibility to the oral flora. Gingivitis could be due to hormonal (puberty, pregnancy and oral contraceptive), stress, substance abuse, poor nutrition and medications. Establishing an effective oral hygiene regimen should be the goal for these patients. In our case, the oral hygiene appeared to be fair.
B. Orofacial granulomatosis
Incorrect. Orofacial granulomatosis (OFG) is an uncommon entity where oral lesions characterized by persistent and/or recurrent lip enlargement, oral ulcers, and other orofacial features such as mucosal tags, gingival enlargement, and fissured tongue may be noted. The etiology of this rare but perplexing condition is unknown. There is a slight female predominance. Most authorities believe an abnormal immune reaction is the root cause. Before calling it OFG, we need to exclude other granulomatous lesions such as chronic granulomatous disease, foreign body reactions and allergies. Typically, biopsy of these lesions reveals lymphoedema and non-caseating granulomatous inflammation, these features were not seen in the biopsied specimen of the present case. The enlargement of the lips is the most common presenting complaint. Local causes of OFG can be an allergic reaction to cosmetics, foods, flavorings, oral hygiene products (e.g., toothpaste, mouth rinses), and dental restorative materials.
C. Drug-induced gingival overgrowth
Incorrect. Gingival overgrowth is a well-documented side effect associated mainly with several medications. The pathogenesis of drug-induced gingival overgrowth is uncertain, and there appear to be no unifying theories that link the three main categories of drugs such as Phenytoin sodium (anticonvulsants), cyclosporine (immunosuppressive), and nifedipine (antihypertensive). Up to 50% of individuals receiving phenytoin exhibit gingival overgrowth. Phenytoin induced overgrowth tends to respond well to good oral hygiene practices and responds directly to improvements in oral plaque levels. Cyclosporine is a widely used immunosuppressive drug used to prevent organ rejection in solid organ transplant patients and has gingival overgrowth induction effect.
Calcium channel blockers especially nifedipine, may also induce gingival enlargement in a certain group of patients. Drug-induced gingival hyperplasia may regress after discontinuation of the offending medication(s) or substitution of one medication for another in the same class by the attending physician. However, the patient in the present case reported no medications.
D. Plasma cell gingivitis
Incorrect. Plasma cell gingivitis typically presents with a rapid onset of sore gingiva that may be intensified by spicy or hot foods. The entire free and attached gingiva demonstrates diffuse enlargement with bright erythema and loss of normal stippling. Erythematous areas may extend onto the palate, tongue or buccal mucosa. Plasma cell gingivitis is most often the result of contact stomatitis associated with food flavoring agents, toothpaste and preservatives. One of the more common offenders is cinnamon where the patient displays a hypersensitivity reaction to usually cinnamon-flavored candies, foods or chewing gum. Microscopically, large numbers of plasma cells are noted in the gingival tissue biopsy which was not noted in our case. The best way to treat plasma cell gingivitis is to prevent its occurrence, hence a careful and complete dietary history is essential. Allergy testing may be helpful along with an elimination diet. Topical corticosteroids have been used in some cases with success.
E. Leukemia-associated gingival hyperplasia
Correct. A very important diagnostic consideration when evaluating patients with generalized or localized gingival hyperplasia with episodes of bleeding. However, in the present case, no spontaneous gingival bleeding was reported and the patient appeared otherwise healthy. The clinical signs and symptoms such as anemia and infections seen in leukemia are related to the marked reduction in normal white and red blood cells. The patient may also present with a fever associated with an infection which is often the initial presenting sign.
Commonly reported oral manifestations of leukemia include a diffuse, edematous, boggy and nontender gingival enlargement with unusual ulcerations that tends to bleed either spontaneously or on provocation. The gingival tissue is most severely
affected than any other oral mucosal tissue mainly due to the large numbers of bacterial flora normally present around teeth. Although gingival involvement has been reported in all variants of leukemia, it is most commonly seen with acute myeloid leukemia. Petechial hemorrhages of the posterior hard and/or soft palate may be also observed. Differentiating leukemic infiltration from inflammatory and reactive conditions can be challenging. However, a comprehensive clinical evaluation is important. Dental clinicians should be aware of the oral manifestations that may be the first, earliest or only indication of leukemia. Moreover, they are often the first sign of relapse from remission achieved through chemotherapy. Awareness of oral manifestations ultimately helps dentists to facilitate early diagnosis and timely referral to a hematologist for appropriate treatment, thereby helping to reduce disease-related morbidity and mortality. A confirmatory diagnosis is usually made by testing patient’s blood and bone marrow. Remission of leukemic gingival overgrowth is expected after chemotherapy along with corresponding normal peripheral blood values. However, remission depends in part on the patient’s oral hygiene status because higher levels of dental plaque are directly proportional to an increase in gingival hyperplasia induced by systemic diseases. Thus, to ensure successful remission of gingival hyperplasia, plaque control with dental prophylaxis is recommended.
Reference:
Neville, BW, et al. Oral and Maxillofacial Pathology. Elsevier, 2016.
Lourenço SV, Lobo AZC, Boggio P, Fezzi F, Sebastião A, Nico MMS. Gingival Manifestations of Orofacial Granulomatosis. Arch Dermatol. 2008;144(12):1627–1630. doi:10.1001/archderm.144.12.1627
Tungare S, Paranjpe AG. Drug Induced Gingival Overgrowth. [Updated 2022 Sep 19]. In: StatPearls [Internet]. Treasure Island (FL): StatPearls Publishing; 2022 Jan-. Available from: https://www.ncbi.nlm.nih.gov/ books/NBK538518/
Barros P, Islam MN, Fitzpatrick SG, Cohen DM, Bhattacharyya I, Alramadhan SA. Essentials of oral manifestations of leukemia for the dental practitioner. Gen Dent. 2022;70(2):33-36.
Negi BS, Kumar NR, Haris PS, Yogesh JA, Vijayalakshmi C, James J. Plasma-Cell Gingivitis a Challenge to the Oral Physician. Contemp Clin Dent. 2019;10(3):565-570. doi:10.4103/ccd.ccd_776_18
López-Valverde N, López-Valverde A, Gómez-de Diego R, Ramírez JM, Flores-Fraile J, Muriel-Fernández J. Gingival hyperplasia as an early manifestation of acute myeloid leukemia. A retrospective review. J Clin Exp Dent. 2019;11(12):e1139-e1142. Published 2019 Dec. 1. doi:10.4317/ jced.56214 Agrawal AA. Gingival enlargements: Differential diagnosis and review of literature. World J Clin Cases. 2015;3(9):779-788. doi:10.12998/wjcc. v3.i9.779
Ellegaard B, Bergmann OJ, Ellegaard J. Effect of plaque removal on patients with acute leukemia. Journal of Oral Pathology & Medicine: Official Publication of the International Association of Oral Pathologists and the American Academy of Oral Pathology. 1989 Jan;18(1):54-58. DOI: 10.1111/j.1600-0714.1989.tb00734.x.
Diagnostic Discussion is contributed by University of Florida College of Dentistry professors, Drs. Indraneel Bhattacharyya, Nadim Islam and and Saja Alramadhan who provide insight and feedback on common, important, new and challenging oral diseases.
The dental professors operate a large, multi-state biopsy service. The column’s case studies originate from the more than 14,000 specimens the service receives every year from all over the United States.
Clinicians are invited to submit cases from their own practices. Cases may be used in the “Diagnostic Discussion,” with credit given to the submitter.
Drs. Bhattacharyya, Islam and Alramadhan can be reached at oralpath@dental.ufl.edu.
Conflict of Interest Disclosure: None reported for Drs. Bhattacharyya, Islam and Alramadhan.
The Florida Dental Association is an ADA CERP Recognized Provider. ADA CERP is a service of the American Dental Association to assist dental professionals in identifying quality providers of continuing dental education. ADA CERP does not approve or endorse individual courses or instructors, nor does it imply acceptance of credit hours by boards of dentistry. Concerns or complaints about a CE provider may be directed to the provider or to ADA CERP at ada.org/goto/cerp.
Career Center
The FDA’s online Career Center allows you to conveniently browse, place, modify and pay for your ads online, 24 hours a day. Our intent is to provide our advertisers with increased flexibility and enhanced options to personalize and draw attention to your online classified ads!
Post an ad on the FDA Career Center and it will be published in our journal, Today’s FDA, at no additional cost! Today’s FDA is bimonthly; therefore, the basic text of all active ads will be extracted from the Career Center on roughly the 5th of every other month (e.g., Jan. 5 for the Jan/Feb issue, March 5 for the March/April issue, etc). Please note: Ads for the Nov/Dec issue must be placed no later than Nov. 1.
Please visit the FDA’s Career Center at careers.floridadental.org.
Dental Office for Sale in Margate. Great Opportunity to start your own practice or add an additional location. Dentist is relocating and selling the current Set-Up. Low investment to become the owner of your own practice. Office has 4 Ops., all equipped with dental chair, LED light and intra-oral xray. All major equipment also included: compressor, vacuum, amalgam separator, autoclave. All wired and ready for digital xrays. Tile through out, great condition. Aprox 1,200 sf. Located in a Shopping Center in a highly transited intersection. No intermediaries. The suite has been a dental practice for more than 25 years, anchoring one successful dentist after another. Please, call or text if interested: (786) 303-1732. Visit careers. floridadental.org/jobs/17686791/. Associate Dentist. Looking for a FT/ PT dentist for a private dental practice for a Southshores/Apollo Beach, FL location. GP 6 operatory office is equipped with a large FOV CBCT as well as a digital scanner. Looking for someone that has a wide range of skills, is tech savvy is a good communicator and has an interest in learning/ CE. Potential for long term relationship as an associate with ownership opportunity for the right candidate. Recent grads welcome to apply and compensation is commensurate with experience. Please email CV to eck91dmd@gmail.com . 4-6 months dental employment. Florida Dental License. Must be proficient in most areas of GP practice and willing to learn new skills/CE. Proficient with computers. Visit careers.floridadental. org/jobs/17663123/. General Dentist. Privately-owned, not a corporate practice! PPO and Fee for Service office only. We do not accept HMO or Medicaid. Located in west-side Jacksonville, we are seeking an experienced general dentist for our patient focused family practice. Our three highly productive general dentists are supported by a caring hygiene department, committed clinical staff, and superb front office team, and are looking for a fourth general dentist interested in full-time association. We also have a part-time endodontist on staff, minimizing external referrals. Our practice is equipped with brandnew equipment and state-of-the-art technology. We have an on-site lab technician for customized chair-side staining, Eaglesoft Software, digital x-rays, conebeam, Cerec, and an endodontic microscope. This opportunity is perfect for a general dentist to expand on their clinical skills in all aspects of comprehensive dentistry including crown & bridge, removable prosthesis, restorative, oral surgery, endo and implants- all while reaching their highest earning potential! Starting base salary is negotiable but will increase annually with tenure. Pay will also include a bonus based off percent of monthly collections, which will also increase with tenure. I am looking for someone that is looking to grow as a dentist, learn new technology, hav-
ing dialogue about proper treatment planning and patient interaction strategies. You can also learn how to run a successful practice without having to deal with the headaches of paying bills and managing employees. DMD or DDS from accredited dental school, Valid state dental license, Ability to maintain state required insurance coverage, Excellent people and clinical skills, Commitment to maintaining open line of communication with owner. Visit careers.floridadental.org/ jobs/17663371/. Practice for Sale by Owner, Pensacola, Fl. Well established 38 year general dentistry practice in Pensacola, Fl. Close to the beautiful beaches of the Gulf of Mexico, voted one of the top beaches in Florida. Also home of the Blue Angels at PNS NAS. Home of the 2019 NCAA II Football Champions University of West Florida. A vibrant downtown that was voted “top 10 great streets in America”. 5 Ops in a nice professional office park building with a loyal patient base. Chartless, digital radiographs, digital scanner, CBCT, and laser with gross collections over $1M with close to 38% Net. Turnkey opportunity with real estate available for sale or lease. Motivated seller with flexible post sale transition. Visit careers.floridadental.org/ jobs/17577038/. Associate Positions Available Now, Panama City. Bay Dental Center and Dr John Collias encourage you to call if you are interested in a position with maximum growth potential. We are located in Panama City on the Bay. We are currently in the process of opening two additional locations between Panama City and Destin. My Cell phone is 850-501-0761 (Dr. John Collias). Visit careers.floridadental. org/jobs/17585923/. Dentist, The Villages. Established multi office, private practice is looking for a full-time associate dentist to provide quality comprehensive general dental services, someone who is an excellent communicator, and is compassionate with patients. Our dentists have clinical freedom in their treatment plans, and mentoring is available on the job for newer graduates. We offer employee or independent contractor arrangements with competitive per diem or percentage of production-based compensation. Four day a week work schedules are available. Our experienced team of doctors, hygienists, assistants and administrative staff strive to make every patient feel comfortable and confident that their dental care needs are being met with the highest standard of treatment. They are loved by our patients, who truly appreciate them. Our North Central Florida offices are in a fast growing, treatment compliant, tight knit community and our reputation is top notch. We are serious about what we do, care about our employees, and are looking for the same commitment from others. If you are looking for a new chapter in your dental career, with massive opportunities, and think you could be a great fit don’t hesitate to contact us. DMD or DDS required. Visit careers.floridadental.org/ jobs/17567273/. Dentist, Lake Mary. Come grow with us! Our high-end practice in Lake Mary, FL is looking for a full-time/parttime associate. After two years, the right candidate will have the opportunity to buy into our thriving practice. We are proud of our excellent patient base, superb staff and latest equipment. Our practice is fee-for-service, accepting only out of network benefits from PPO plans. Full-time candidates can expect to work four days a week. Good communication skills and three years experience are required to have basic skills mastered so that advanced dentistry can be learned and applied. Please send resumes to timtiralosi@ tiralosidental.com or call/text us at 321.320.3128. Visit careers.floridadental.org/jobs/17495779/. Practice in HIGH & DRY Florida! Fee For Service in North Central Florida. Are you tired of evacuating for hurricanes? Tap into the market of CASH PAYING retirees of The Villages, Del
Seeking Qualified Dental Radiographer?
Train your dental assistants to expose radiographs using the FDA’s MyDentalRadiography online course that combines self-paced learning with clinical proof of competency. Call Lywanda Tucker at 850-350-7143 for details or visit mydentalradiography.com/FDA to create a supervising dentist account and complete the necessary tutorial on how the program works.
Webb, and Stonecrest 55+ communities, many who have relocated from coastal Florida. There is also an untapped population of hundreds of young families moving into new homes in the immediate area! The only other dentist in the immediate vicinity is a Heartland office. Two fully equipped operatories are in free-standing 950 sq. ft. building built in 2008 plumbed for three operatories. It is situated on one beautiful acre of land on busy US 301 just north of THE VILLAGES. Practice grossed 150K taking no insurance at 30% overhead in 2021 on 20-25 patients/week with dentist doing all hygiene. 4-5 internally referred new patients per week are being referred to a colleague. All surgery, endo, and pedo have been referred out. Immediate two full days of hygiene are scheduled and will keep the buyer busy with a loyal patient base. Modern chartless office is equipped with digital sensors and Patterson Fuse cloud-based software. There is plenty of room to expand existing building or even build a new office and then rent the current space. Please message me for more pics or to arrange a visit. Office is a 1 hour commute from either North Orlando/ Winter Garden/Clermont or Gainesville, 1.5 hours from Tampa. It is an easy drive off of I-75 Exit 341 or off the Turnpike on US 301. $450k includes practice and building/property. I will consider owner financing with adequate down payment. Visit careers. floridadental.org/jobs/13686503/. General Dentist, Lake Wales. Opportunity to work in high quality, ethical digital practice. Minimum five years experience, short term part time with unlimited growth potential. Highly experienced and talented team with awesome reputation. License to practice in Florida. Visit careers. floridadental.org/jobs/17715632/general-dentist.
General Dentist, Naples. Naples Family Dentist, a private, non-corporate, practice in North Naples is looking for a Part-Time General Dentist to join our team of awesome dental professionals! This is a great opportunity for a Dentist who wants to work part time without all of the responsibilities of practice ownership. Compensation is based on experience and collections and can be discussed with Dr. Mabe in person. Please submit your CV or Resume for review to Smile@naplesfamilydentist.com. We look forward to meeting you and welcoming you to our team! Learn more about our practice at www.naplesfamilydentist. com. Visit careers.floridadental.org/ jobs/17733586/. Experienced General Dentist, Palm Beach Gardens. This is a rare opportunity to be mentored by a doctor with internationally recognized credentials in cosmetic dentistry, full mouth reconstruction, dental implant surgery & sedation. Senior doctor is preparing to reduce his busy schedule allowing a new doctor to grow into a leadership role. Qualified doctor should be capable of producing at least $1M- $1.5M their first year in our practice. Seeking a highly experienced general dentist looking for a long-term opportunity to join an extremely productive cosmetic & restorative practice in Palm Beach Gardens. Strictly fee for service. No HMO’s or PPO’s. Our impeccable reputation for exceptional care has been well known in our community for 35 years. Integrity & good interpersonal skills are a big part of our culture where open and honest communication with patients and team is a top priority. Our state of the art facility is fully equipped with advanced technologies including CBCT scans. Our highly trained team maintains very organized systems that are proven to be very efficient & effective, allowing our doctors to focus on delivering quality dentistry. You will have the opportunity to perform all forms of dentistry including crown & bridge work, cosmetics, complete smile makeovers, endodontics, implant surgery as well as full mouth reconstruction at fees that are commensurate with the quality work you provide. Must have a minimum of 5 years clinical experience delivering quality dentistry. Proficiency in molar endo preferred. Cosmetic training through a recognized cosmetic dentistry institute is preferred. Applicant must be personable with excellent communication skills. Position involves excellent compensation package + bonus package based on production with a guaranteed daily base salary. Medical insurance is included. Visit careers.floridadental.org/ jobs/17779424/.
Support
OUR JOURNAL ADVERTISERS
ADA: Meredes Benz | 82 American Sensor Tech | 26 Damascus Partners | 94 & 95 Doctor’s Choice | 16 & 17 FDA: Online Radiography Program | 59 FDA: Well-being Program | 26 FDAS: Why Choose FDAS | 76 FDAS: Crown Savings | 40 30 & 31 | FDAS: TDC Tribute 10 | Henry Schein Professional
Practice Transitions 41 | Hinman 68 | National Dentex Labs 63 | TDSC.com 70 | The Doctors Company 26 | Tobacco Free Florida
SUPPORT OUR ADVERTISERS, AND WHEN YOU DO, MENTION TODAY’S FDA!
ADVERTISING INFORMATION
For display advertising information, contact: Deirdre Rhodes at drhodes@floridadental.org or 800.877.9922, Ext. 7108.
For Career Center advertising information, contact: Jill Runyan at jrunyan@floridadental.org or 800.877.9922, Ext. 7113.
PUBLISHING INFORMATION

Today’s FDA (ISSN 1048-5317/USPS 004-666) is published bimonthly by the Florida Dental Association (FDA), 545 John Knox Road, Ste. 200, Tallahassee, FL 32303. FDA membership dues include a complimentary subscription to Today’s FDA. Nonmember subscriptions are $150 per year; foreign, $188. Periodical postage paid at Tallahassee, FL and additional entry offices. Copyright 2022 Florida Dental Association. All rights reserved. Today’s FDA is a refereed publication. POSTMASTER: Please send form 3579 for returns and changes of address to Today’s FDA, 545 John Knox Road, Ste. 200, Tallahassee, FL 32303.
EDITORIAL AND ADVERTISING POLICIES
Editorial and advertising copy are carefully reviewed, but publication in this journal does not necessarily imply that the FDA endorses any products or services that are advertised, unless the advertisement specifically says so. Similarly, views and conclusions expressed in editorials, commentaries and/or news columns or articles that are published in the journal are those of the authors and not necessarily those of the editors, staff, officials, Board of Trustees or members of the FDA.
EDITORIAL CONTACT INFORMATION
All Today’s FDA editorial correspondence should be sent to Dr. Hugh Wunderlich, Today’s FDA Editor, Florida Dental Association, 545 John Knox Road, Ste. 200, Tallahassee, FL 32303. FDA office numbers: 800.877.9922, 850.681.3629; fax: 850.561.0504; email address: fda@floridadental.org; website address: floridadental.org.
Today’s FDA is a member publication of the American Association of Dental Editors and the Florida Magazine Association.


Peer Review is
Paintball All Grown Up
By Hugh Wunderlich, DDS, CDE, FDA Editor
If you think about it, your whole life is a series of disputes that are settled in increasingly complex ways. When I was a young kid in Ohio, we would settle our differences with the “did so … did not … did so … did not” method. The kid to say it last won.
This technique had its limitations, so we advanced to “army.” Later forms of this game used hand-propelled dirt clods that exploded on the loser. If the dirt was dry, it would never leave a mark until a bruise developed three days later.
Naturally, we elevated the game to BB guns with two limitations: an eight-pump maximum and no shooting in the head. However, when your opponent wears two pairs of jeans and his older brother’s band jacket, the game once again was reduced to “did so … did not.”
From this, I believe, was born paintball and …
Peer review, in its simplest form, is a mechanism by which the dental profession demonstrates the appropriateness and quality of the case it renders. It provides an expert and credible system for resolving disagreements that cannot otherwise be resolved regarding patient complaints about clinical care.
It is the dental “did not … did so” method. Ideally, both patient and doctor win, especially if you can avoid the Florida Board of Dentistry (BOD) and/or civil litigation. Trust me, trial attorneys do not always play fair. I learned this in …
Paintball has only two rules. If you are within 5 feet of your cornered cowering targets, you yell, “surrender, surrender!” They are “dead” for that game. When you are hit with paint on any part of the body, you are dead. On this day at a Bay area paintball park, my dental staff was assaulting a fortress defended by (oh, joy!) trial attorneys. Each team member had been issued a protective mask and a semi-automatic paintball gun. Our mission was to capture a flag held in a plywood “Alamo” guarded by an equally equipped league of lawyers.
As we approached the fort quietly, I spied a gun barrel protruding about 6 inches off the ground. That meant some attorney would be on his belly and unaware of my stealthy flanking maneuver. I stood over him and yelled, “surrender, surrender!”
Failing to do so, I had no choice. I fired six rounds from 6 feet into his best side. Startled and stung, he spun to his feet. Looking down at his paint-free chest, he whined, “Hey, I have to see the paint to be dead!” His legal-esque argument had reduced the game to “did not … did so.” If only we had …
The Peer Review Manual of the Florida Dental Association (FDA) establishes a reference for resolving the most commonly encountered problems of patient complaints. A separate publication, the Ethics Manual, sets forth minimum acceptable procedures to safeguard rights of members accused of unethical conduct.
Peer review is intended to be a membership benefit. It is not intended to be an adversarial process. It is designed to preserve the doctor/patient relationship and resolve disputes that already have occurred, so patients do not file malpractice lawsuits or BOD complaints against members. The BOD is limited by the law when dealing with discipline cases.
I doubt the sum of dues paid to the FDA over a career would approach the cost of one litigation loss.
I believe peer review to be the best benefit in organized dentistry. Without peer review all you have is, “did so … did not … did so … did not.”









