Today's FDA May/June 2023

Page 1

2019 Dentists’ Day on the Hill - March 11-12, 2019 - Page 2 Introducing the FDA's Communities of Interest VOL. 35, NO. 3 • MAY/JUNE • DENTAL SPECIALTY ISSUE A PUBLICATION OF THE FLORIDA DENTAL ASSOCIATION A Smooth, Well-informed Referral Partnering for Optimal Oral Health FLA-MOM 2023 Recap
2 S C OTT RUTHSTROM • GeneralManager/COO scott.ruthstrom@fdaservices.com•850.350.7146 C A R R I E MI Director Of Insur erati o n s carrie.millar@fdaservices.com•850.350.7155 R I CK D ’ANGELO • WEST FLORIDA rick.dangelo@fdaservices.com •813. 475. 6 9 4 8 dennis.head@fdaservices.com•407.359. 9 7 0 0 DENNISHEAD • CENTRAL FLORIDA J OE PERRETTI • SOUTH FLORIDA joe.perretti@fdaservices.com•305. 665. 0 4 5 5 D A N ZOTTOLI•ATLANTIC COAST dan.zottoli@fdaservices.com•561. 791. 7 7 4 4 M I KE TROUT• NORTH FLORIDA mike.trout@fdaservices.com •904.254. 8 9 2 7 THE FDAS TEAM IS FOCUSED ON YOU AND YOUR PRACTICE MALPRACTICE • OFFICE INSURANCE • CYBER INSURANCE • WORKER’S COMP • DISABILITY Came for the insurance ... Stayed to support my profession.
1 | TODAY'S FDA may/june 2023 TABLE OF CONTENTS MAY/JUNE 2023 floridadental.org DENTAL SPECIALITY issue 16 7 CHECK OUT TODAY’S FDA ONLINE! IN EVERY ISSUE 24 2 Staff Roster 4 Contributors 7 President’s Message 9 Did You Know? 13 Legislative 14 Preventive Action 16 Take The Lead 18 news@fda 65 Diagnostic Discussion 68 Career Center 71 Advertising Index 72 Off the Cusp 24 | A Smooth, Well-informed Referral 26 | FDC2023: Things to Know Before You Go 27 | It’s More Than a Referral 30 | Speciality Referrals: Interdisciplinary Collaboration for Comprehensive Care and Service for Our Patients 33 | General Practitioners and Referrals to Specialists: The Why, But Not The How 35 | Treatment Planning: New Combinations of Expert Team Information for Comprehensive Care 37 | Are Your Assistants Certified? Part II 38 | Partnering for Optimal Oral Health: Key Considerations When Referring to a Periodontist 43 | Introducing the FDA’s Communities of Interest! 46 | FDC2023 Speaker Preview: The Use of Local Anesthetics During Pregnancy and Breastfeeding. 48 | FDC2023 Speaker Preview: Phone-Friendly? 50 | FDC2023 Exhibit Marketplace 54 | FLA-MOM 2023 Photo Recap 57 | Florida Mission of Mercy - Restoring Smiles Across the State of Florida 58 | FLA-MOM 2023: A Special Thank You to Our 2023 Benefactors

545 John Knox Road, Ste. 200 • Tallahassee, FL 32303 • 800.877.9922 or 850.681.3629

EDITOR

Dr. Hugh Wunderlich, CDE • Palm Harbor

DIRECTOR OF PUBLICATIONS

COMMUNICATIONS AND MEDIA COORDINATOR

GRAPHIC DESIGN COORDINATOR

AJ Gillis

Jill Runyan

Kelsey Simmons PRESIDENT

Dr. Gerald Bird • Cocoa

BOARD OF TRUSTEES

SECRETARY

PRESIDENT-ELECT Dr. Beatriz Terry • Miami

Dr. Dan Gesek • Jacksonville

FIRST VICE PRESIDENT Dr. Jeffrey Ottley • Milton

IMMEDIATE PAST PRESIDENT

Dr. Dave Boden • Port St. Lucie

SECOND VICE PRESIDENT Dr. John Paul • Lakeland

EXECUTIVE DIRECTOR Drew Eason, CAE • Tallahassee

Dr. Tom Brown • Orange Park | Dr. Christopher Bulnes • Tampa | Dr. John Coroba • Lake Mary | Dr. Bethany Douglas • Jacksonville

Dr. Karen Glerum • Boynton Beach | Dr. Reese Harrison • Lynn Haven | Dr. Bertram Hughes • Gainesville | Dr. Mark Limosani • Weston

Dr. Irene Marron-Tarrazzi • Miami | Dr. Eddie Martin • Pensacola | Dr. Paul Palo • Winter Haven | Dr. Mike Starr • Wellington

Dr. Don lIkka • speaker of the house, Leesburg | Dr Rodrigo Romano • treasurer, Miami

To contact an FDA board member, use the first letter of their first name, then their last name, followed by @bot.floridadental.org. For example, to email Dr. Hugh Wunderlich, his email would be hwunderlich@bot.floridadental.org.

To call a specific staff member below, dial 850.350. followed by their extension.

EXECUTIVE OFFICE

Drew Eason • chief executive officer/executive director

Greg Gruber • chief operating officer/chief financial officer

Casey Stoutamire • chief legal officer

Lianne Bell • leadership affairs manager

Lywanda Tucker • peer review coordinator

ACCOUNTING

Breana Giblin • director of accounting

Leona Boutwell • finance services coordinator

Deanne Foy • finance services coordinator

Jamie Idol • FDAS support services coordinator

Mitzi Rye • fiscal services coordinator

deason@floridadental.org • Ext.

7109

• Ext. 7202 lbell@floridadental.org

• Ext. 7114 ltucker@floridadental.org

• Ext. 7143

Renee Thompson

• director of communications and marketing

Jill Runyan • director of publications

AJ Gillis • graphic design coordinator

Kelsey Simmons • communications and media coordinator

FDA FOUNDATION

R. Jai Gillum

• director of foundation affairs

bgiblin@floridadental.org

• Ext. 7137 lboutwell@floridadental.org •

2
rjaigillum@floridadental.org • Ext. 7117 kbadeau@floridadental.org • Ext. 7161
Ext.
dfoy@floridadental.org
Ext.
jamie.idol@fdaservices.com • Ext. 7142 mrye@floridadental.org • Ext. 7139 staylor@floridadental.org • Ext. 7119 rthompson@floridadental.org • Ext. 7118 jrunyan@floridadental.org • Ext.
agillis@floridadental.org • Ext.
Kristin Badeau • foundation coordinator ksimmons@floridadental.org • Ext.
7138
7165
7113
7112
7115
COMMUNICATIONS AND PUBLICATIONS
ggruber@floridadental.org
Stephanie Taylor • membership dues coordinator
• Ext. 7111 cstoutamire@floridadental.org

FLORIDA DENTAL CONVENTION AND CONTINUING EDUCATION

Crissy Tallman • director of conventions and continuing education

Mackenzie Johnson • FDC meeting assistant

Brooke Martin • FDC marketing specialist

Isabelle McCreless • FDC program coordinator

Lisa O’Donnell • FDC program coordinator

Deirdre Rhodes • FDC exhibits coordinator

GOVERNMENTAL AFFAIRS

Joe Anne Hart • chief legislative officer

Alexandra Abboud • governmental affairs liaison

Jamie Graves • legislative assistant

INFORMATION SYSTEMS

Larry Darnell • director of information systems

Charles Vilardebo • computer support technician

MEMBER RELATIONS

Kerry Gómez-Ríos • director of member relations

Megan Bakan • member access coordinator

Bettie Swilley • membership coordinator

Scott Ruthstrom • chief operating officer

Carrie Millar • director of insurance operations

Carol Gaskins • commercial accounts manager

Marcia Dutton • membership services assistant

Porschie Biggins • Central FL membership commercial account advisor

Maria Brooks • South FL membership commercial account advisor

Davis Perkins

• Atlantic Coast membership commercial account advisor

Melissa Staggers • West Coast membership commercial account advisor

Danielle Basista • commercial account advisor

Tessa Daniels • commercial account advisor Kelly Dee • commercial account advisor

Liz Rich • commercial account advisor

Karina Scoliere • commercial account advisor

Dan Zottoli, SBCS, DIF, LTCP director of sales • Atlantic Coast 561.791.7744 cell: 561.601.5363

dan.zottoli@fdaservices.com

Dennis Head, CIC director of sales • Central Florida 877.843.0921 cell: 407.927.5472

dennis.head@fdaservices.com

Mike Trout director of sales • North Florida cell: 904.254.8927

mike.trout@fdaservices.com

Joseph Perretti, SBCS director of sales • South Florida cell: 305.721.9196

joe.perretti@fdaservices.com

Rick D’Angelo, CIC director of sales • West Coast 813.475.6948 cell: 813.267.2572

rick.dangelo@fdaservices.com

3 | TODAY'S FDA may/june 2023 3 | TODAY'S FDA may/june 2023 krios@floridadental.org • Ext. 7121 mbakan@floridadental.org • Ext. 7100 bswilley@floridadental.org • Ext. 7110
ldarnell@floridadental.org • Ext. 7102 cvilardebo@floridadental.org • Ext. 7153
jahart@floridadental.org • Ext. 7205 aabboud@floridadental.org • Ext. 7204 jgraves@floridadental.org • Ext. 7203
ctallman@floridadental.org • Ext. 7105 mjohnson@floridadental.org • Ext. 7162 bmartin@floridadental.org • Ext. 7103 imccreless@floridadental.org • Ext. 7106 lodonnell@floridadental.org • Ext. 7120 drhodes@floridadental.org • Ext. 7108
YOUR RISK EXPERTS Group & Individual Health • Medicare Supplement • Life Insurance • Disability Income • Long-term Care • Annuities Professional Liability • Office Package • Workers’ Compensation • Auto • Boat FDA
545 John Knox Road, Ste. 201 • Tallahassee, FL 32303 • 800.877.7597 or 850.681.2996 scott.ruthstrom@fdaservices.com • Ext. 7146 carrie.millar@fdaservices.com • Ext. 7155 carol.gaskins@fdaservices.com • Ext. 7159 marcia.dutton@fdaservices.com • Ext. 7148 porschie.biggins@fdaservices.com • Ext. 7149 maria.brooks@fdaservices.com • Ext. 7144 davis.perkins@fdaservices.com • Ext. 7145 melissa.staggers@fdaservices.com • Ext. 7154 dbasista@fdaservices.com • Ext. 7156 tessa.daniels@fdaservices.com • Ext. 7158 kelly.dee@fdaservices.com • Ext. 7157 liz.rich@fdaservices.com • Ext. 7171 karina.scoliere@fdaservices.com • Ext. 7151
SERVICES

ALAN W. BUDENZ, MS, DDS, MBA abudenz@pacific.edu

Page 46

MR. LARRY M. GUZZARDO Larry@larrymguzzardo.com

Page 48

JOHN CORDOBA, DDS, MS jxc@cordobaortho.com

Page 33

M. REZA IRANMANESH MD, MSD, DMD iranmaneshdmd@gmail.com

Page 30

VELMA KNOWLES, MBA EXECUTIVE LEADERSHIP COACH velma@VelmaKnowles.com

Page 16

ELIZABETH NIXON, DDS bethnixondds@icloud.com

Page 24

MARK LIMOSANI, DMD malimosani@westonendocare.com

Page 27

RICHARD C. MARIANI JR., DDS, M.S. DOGRM@atlanticbb.net

Page 37

IRENE MARRON-TARRAZZI, DMD, MS irene.marron@gmail.com

Page 38

STEVE TINSWORTH, DMD drt@tinsworth.com

Page 35

4
CONTRIBUTORS may/june 2023
GUEST

SAJA ALRAMADHAN, BDS SAlramadhan@dental.ufl.edu

Page 65

INDRANEEL BHATTACHARYYA, DDS IBHATTACHARYYA@dental.ufl.edu

Page 65

JERRY BIRD, DDS FDA PRESIDENT gbird@floridadental.org

850.681.3629

Page 7

JOE ANNE HART FDA CHIEF LEGISLATIVE OFFICER jahart@floridadental.org

850.350.7205

Page 13

NADIM M. ISLAM, DDS MIslam@dental.ufl.edu

Page 65

SCOTT RUTHSTROM FDA SERVICES CHIEF OPERATING OFFICER scott.ruthstrom@fdaservices.com

850.350.7146.

Page 14

CASEY STOUTAMIRE, ESQ. FDA CHIEF LEGAL OFFICER

cstoutamire@floridadental.org

850.350.7202

Page 9 & 43

HUGH WUNDERLICH, DDS, CDE FDA EDITOR hwunderlich@bot.floridadental.org

850.681.3629

Page 72

5 | TODAY'S FDA may/june 2023
CONTRIBUTORS may/june
2023
Join in the recognition of your colleagues. Friday, June 30, 2023 | 11:30 AM – 1:00 PM Osceola C

General Dentists and Specialists — Better as a Team

Our patients and our profession benefit when we work as a team. As an oral surgeon, I enjoyed the team approach to patient care and have always liked the collaboration between the general dentist and me. Together we shared the obligation to provide the best dental care possible. All of us have things we do best. By relying on each other’s strengths and expertise we can better care for our patients, reduce stress and anxiety, and result in the best patient experience.

Stephen Covey said that when we live in a world of scarcity, we compete and when there is abundance, we are more at ease. In the dental profession we are blessed to have an abundance of great patients. We do not need to compete with each other. We should look for opportunities to work together as colleagues to provide our patients with the optimum experience and treatment results. What is the best way to do that? If a difficult procedure or treatment plan challenges you, start by picking up the phone. Throughout my time in practice, I would call the general dentist and confirm and clarify anything I was unsure about. I wanted to be certain we were on the same page, and when I returned the patient to the referring dentist, I wanted all of us to be happy with the care I provided.

As dentists, we want to invest in ourselves and increase our exposure to more knowledge. I surround myself with people that are better than me, that inspire me and that can help me understand more. Every specialty has its own set of knowledge, so I want to understand how it applies to my patient so we can work together for the best outcome.

Changes are impacting our profession. For new dentists, increased debt and production metrics may lead to the desire to increase profit and decrease overhead. That may mean increased pressure to provide more services for patients. These strategies can seem like a great idea and opportunity until a poor treatment outcome or ethical dilemma presents itself. Demands from employers, banks or even families to increase income can shift our goals away from patient outcomes toward what might be best for our bottom line. A better approach may be further developing our professional, collaborative and interpersonal skills. This will eventually lead your patients and other dentists and specialists to refer their friends and family to you.

Understandably, as dentists, we want to provide more services for our patients and challenge and invest in ourselves. It’s important to understand our limitations and appreciate that no matter what courses we take, we most likely will not master the full knowledge of a specialist. Let specialists help you. Make time to review cases together with all of your specialists, maybe over a beer, or coffee, and let’s learn from each other.

As a dentist, I believe there will always be a place for relationshipbased care, and it is important for all of us to work together to provide the very best for our patients. Building relationships is essential in all we do. It is the one thing I have thrived on, learned from and even healed from following my bicycle accident. Relationships matter. We are all in this together and will be stronger and better if we work as a team to provide our patients with the best experience and outcomes.

7 | TODAY'S FDA may/june 2023
president’s message

THANK YOU

To the FDA trustees and alternates whose time on the Board is ending!

Trustees

Mark Limosani  2019-2023

Irene Marron-Tarrazzi  2016-2023

Paul Palo  2014-2023

Michael Starr  2018-2023

Alternate Trustees

Susan Byrne  2018-2023

Natalie Carr-Bustillo  2021-2023

Stephen Cochran  2022-2023

Brittney Craig  2020-2023

Elaine deRoode  2020-2023

Donovan Essen  2022-2023

Kristopher Harth  2022-2023

Craig Kara  2022-2023

Suzanne Thiems-Heflin  2018-2023

FDA Line Officer

David Boden  2014-2023

They will be honored at the Awards Luncheon on June 30, 2023 in Orlando at the Florida Dental Convention. Individual tickets are $55 or $550 for a table of 10. Please contact Lianne Bell at 850.681.3629 or lbell@floridadental.org to purchase tickets.

8

did you know?

Do You Know The Most Common Fees for Dental Procedures?

Did you know the American Dental Association (ADA) offers members a survey of dental fees?

The survey analyzes the 200 most common procedures recorded by a nationwide, random survey of specialists and general dentists. Highlights include:

$ National average fees are broken down for both general practitioners and each of the six specialties.

$ Average fees charged by general practitioners broken down into nine regional areas based on U.S. Census divisions.

$ Standard deviation and percentiles for each fee.

$ Dental procedures identified by procedure code and nomenclature from the Code on Dental Procedures and Nomenclature as published in the ADA’s Current Dental Terminology 2022

The full survey is available free for members through the ADA store bit.ly/405MOg3 while supporting materials are available to download here bit.ly/3nbi9iD

9 | TODAY'S FDA may/june 2023
$
10 The Legislative Contact Dentist (LCD) program represents a strong political force behind organized dentistry. It is comprised of FDA member dentists who are actively involved in building and strengthening their relationships with state legislators and other policymakers. The LCD program’s goal is for dentists to deliver a unified message to the Florida Capitol on the dental profession’s behalf. NO EXPERIENCE NEEDED EASY TIME COMMITMENT TRAINING INCLUDED REWARD Protecting organized dentistry! INTERESTED? Contact the Governmental Affairs Office at gao@floridadental.org or 850.224.1089 Looking for dentists interested in politics and protecting the profession HELP WANTED!
11 | TODAY'S FDA may/june 2023 The Original E-VAC Tip Fits Standard Evacuator Tubes MADE IN USA E-VAC INC. © • Inexpensive • Disposable • Non-Toxic • 100 Tips/Pk Phone: 509.448.2602 • EMAIL: kenevac@hotmail.com • FDA Registered Prevent painful tissue plugs Protect your equipment from costly repairs Maximum Suction Minimum Tissue Plugging CONTACT YOUR LOCAL DENTAL SUPPLY FOR THE E-VAC TIP

Patient Protection Measures for DIY Dentistry

What is DIY dentistry? Do-it-yourself (DIY) dentistry or directto-consumer dental products have garnered so much attention, especially during the height of the pandemic, with everyone smiling on Zoom calls. Facial features and smiles took center stage as people were confined to a box on their computer screens. As people started to self-evaluate their smiles, advertisements for direct-to-consumer dental products, like aligners, were constantly rotating on social media platforms. These ads promised straighter and whiter smiles through mail-order products without seeing a dentist. So, this must be the new convenient and cheaper way to access dental care, right?

As dentists, I’m sure you have heard and seen the unfortunate results of consumers practicing DIY dentistry. Some may have used products irresponsibly that could have been safely used if directions were followed. Still, many of them have been persuaded by flashy commercials that convince them that direct-to-consumer dental products don’t require a dental visit before use. These companies have been operating for years without any oversight from dental boards. As patients come forward with stories of gum damage, tooth loss, constant headaches and many other issues, state laws are playing catch-up to how patients need to be protected and enforced by state boards. During the 2023 legislative session, the Florida Dental Association worked closely with the American Association of Orthodontists to support legislation to create patient protection measures for people using direct-to-consumer dental products. Sen. Jim Boyd (R-Bradenton) filed SB 356 and Rep. Kim Berfield (R-Clearwater) filed HB 503, requiring every dentist, even those providing care through telehealth, must provide their name, phone number and after-hours

contact information for emergencies. The bills will require that there must be a dentist of record who will remain responsible for the patient’s treatment, regardless of who is rendering services. This legislation defines digital scanning and who is authorized to take impressions or digital scans. The bills will also create a standard for advertisement when using telehealth services by recommending that patients get in-person exams and X-rays before using certain dental products to prevent injury or harm.

The 2023 legislative session adjourned on Friday, May 5. Unfortunately, the legislation did not make it to the finish line. The FDA would like to thank Sen. Boyd and Rep. Berfield for their hard work on presenting these bills to help protect the public from direct-to-consumer dental products. The FDA is committed to coming back next year to push for these provisions to be codified in statue.

13 | TODAY'S FDA may/june 2023 legislative
Dr. Andy Brown, Ms. Gianna Nawrocki (AAO) and Dr. Walter Colon in Tallahassee to testify before a committee in support of SB 356 by Sen. Jim Boyd.

Prepare Your Office

for Hurricane Season Now!

As a dental practice owner in Florida, preparing your office for hurricane season is crucial to ensuring the safety of your staff, patients and the continuity of your business. With strong winds, flooding and power outages, hurricanes can cause significant damage to your dental office, disrupt your operations and put your business at risk. Therefore, taking proactive steps to prepare your dental office for the hurricane season is essential.

Here are five key steps you should consider.

1. Develop a Hurricane Plan

The first step in preparing your dental office for the hurricane season is to develop a comprehensive hurricane plan. This plan should outline the steps you will take to protect your patients, staff and equipment in a hurricane. It should also include a list of emergency contacts, such as the local authorities, insurance providers and restoration companies. Ensure that all staff members are trained on the hurricane plan and that each team member knows his/ her specific role in executing it.

14 preventive action

2. Secure Your Office

To prevent damage to your dental office during a hurricane, securing the building’s exterior is essential. Preventing damage includes installing storm shutters or boarding windows to prevent broken glass from flying into the building. Additionally, check the roof for leaks, loose shingles or damaged vents that could allow water to seep in. Secure all outdoor equipment and remove any loose items around the building, such as patio furniture or signage, that could become flying debris.

3. Backup Your Data

One of the most critical steps to prepare for hurricane season is backing up your data. This includes patient records, financial documents and other important files necessary to run your dental practice. Ensure you store backups in a secure location offsite, such as a cloud-based storage solution or an external hard drive. This ensures that even if your office experiences flooding or fire, your data will be safe and accessible.

4. Communicate with Patients

Communicating with your patients about your office’s hurricane plan and any changes in appointments or services during the storm is essential. Notify patients before office closures, rescheduled appointments or emergency services. Consider setting up a hotline or website to keep patients informed and updated during the storm.

5. Buy Flood Insurance

Finally, it is highly recommended that dental practice owners purchase flood insurance. Flood insurance covers damage caused by rising water, including flash floods, storm surges and heavy rains. Flooding can occur even in areas that are not typically considered high-risk, and it can cause significant damage to your property and equipment.

In Florida, typical commercial business owners’ insurance policies exclude damage caused by flooding.

In conclusion, preparing your dental office for the hurricane season requires careful planning, preparation and communication. By following these steps, you can help ensure the safety of your staff and patients, protect your equipment and data and minimize the impact of a hurricane on your business. Don’t wait until the last minute to start preparing – start now to be ready for any potential storms that may come your way.

15 | TODAY'S FDA may/june 2023
Ensure that all staff members are trained on the hurricane plan and that each team member knows his/her specific role in executing it.

Did you know that you have a leadership voice?

In fact, a big part of your leadership voice is what you say without saying a word.

Most people believe their first language is communicated through the sound of their voice. They believe their first language is the words they say. Maybe you believe that too. You may feel that your first language is English. Or French. Or if you speak Spanish, you believe ‘Yo hablo Espanol’ is your first language. But what if I told you that your first language is not English? It’s not French or Spanish. Your first actual language is different from what you think. Body language is the first language you speak.

Everyone speaks the same language regardless of where you were born or what you have come to believe.

Think about the moment parents see their newborn baby. They open their eyes and see a bright, beautiful person smiling back at them with all the love and joy they can express. The first message the baby receives is most likely their parent’s smile.

The baby immediately understands the message. A smile is a non-verbal communication that means the same thing regardless of where you experience it. No words, just a sign expressed by another person through their body language.

So as a leader, your leadership voice includes how your body speaks. But what happens as a leader when your nonverbal messages don’t match your words? Your leadership voice gets

damaged. People get mixed messages about what you are communicating, and misunderstandings increase.

To be successful as a leader, learning to understand body language will help you be alert to the nonverbal cues others are sending.

Here are two simple tips you can do right now to manage your leadership voice by leveraging how your body speaks:

1. 2.

Lean in! When someone is talking, lean into the conversation because it shows the other person that you are interested in what they are saying.

Slightly tilt your head! Leverage your body language by slightly tilting your head or making a slight nod while the other person is talking. This nonverbal message tells the other person you understand what they are saying.

There are many easy ways to have a more assertive leadership voice, and you can start by being more aware of your body’s language.

People are watching what you are saying. Your employees, leaders, peers and customers are all watching you to see if your words are consistent with how you express your emotions.

You can become a better leader today by becoming more aware of how your body speaks. And when you do, your leadership voice will communicate your personal leadership brand as a leader who is worth listening to over and over again.

16 take the lead
17 | TODAY'S FDA may/june 2023 17 | TODAY'S FDA may/june 2023
There are many easy ways to have a more assertive leadership voice, and you can start by being more aware of your body’s language.

Required Posters for the Workplace

As dental professionals, you most likely have a list of requirements that absolutely MUST be present inside your dental office — sterilization equipment, X-ray imaging instruments and utility equipment to name a few. Just like those essential items, you must also include the required posters inside your office. These posters are to be hung in locations accessible to employees.

The Florida Dental Association (FDA) recently updated our list of those required posters, which members can find when visiting floridadental.org/posters

Get Lunch and Learn Something New at FDC2023!

Are you interested in learning how to protect your assets and avoid potential lawsuits? Plan to attend an informative and delicious lunch and learn event (NC08) at FDC2023, sponsored by Legally Mine, Friday, June 30. During this event, Dan McNeff, CEO of Legally Mine, will share his expertise on time-tested and proven legal structures that can safeguard your assets and prevent the threat of lawsuits before they even start. Plus, you will get to enjoy a plated lunch while you learn.

Seating is limited, so don’t wait to register! The cost to reserve your seat is only $15, which will be refunded to you after the event. This is an excellent opportunity to network with other dentists and gain valuable insights to benefit your practice. Go to bit.ly/3NOa3I5 to register today to secure your spot!

Annual Flood Reminder

It is hurricane season, and it is VITAL to have the proper insurance in place. Please call FDA Services to have an agent review current office insurance policy inflation and remember to ask for a arate flood insurance proposal. Flood insurance is not included in the office insurance policy, and FDA Services recommends it for all practice owners. Call or text 850.681.2996.

ADA Institute for Diversity in Leadership Graduation

The ADA Institute for Diversity in Leadership (IDL) graduated its 19th class in December 2022. The Institute is designed to provide education and leadership skills to dentists who are members of groups that have been traditionally underrepresented in leadership roles within the profession and their communities. Class members develop their leadership abilities through faculty seminars and execute a leadership project that addresses a need in their community or dental association. Among those graduates was Dr. Gabriela Asensi from Florida. Dr. Asensi’s IDL project focused on promoting the age one dental visit. With the education and training provided by the Institute, she will be equipped to help serve in leadership roles throughout the organization.

ADA Receives Clarification on No Surprises Act

According to the Centers for Medicare & Medicaid Services (CMS), dental provid-

18
news@fda
Title Notes Entity Website* U.S. Fair Labor Standards Act (Federal Minimum Wage) Required: all employers. Revised: July 28, 2016 U.S. Department of Labor Frances Perkins Building 200 Constitution Ave., NW Florida Department of Economic Opportunity: bit.ly/1rUP2Yr U.S. Employee Polygraph Protection Act of 1988 (Lie Detectors) Required: all employers. Revised: Aug. 30, 2017 U.S. Department of Labor Frances Perkins Building 200 Constitution Ave., NW bit.ly/2veYFep U.S. Job Safety and Health Protection (OSHA) Required: all employers. Size: 12.75 17.75 (must be at least 8.5 X 14 with 10 point type; use high U.S. Department of Labor Occupational Safety & Health Administration Washington, D.C. 20210 800.321.6742 Florida Department of Economic Opporbit.ly/1rUP2Yr Opportunity (EEOC) Size: 11 X 8.5 200 Constitution Ave., NW 800.397.6251nity: bit.ly/1rUP2Yr Employment and Re-employment Rights 200 Constitution Ave., NWtunity: bit.ly/1rUP2Yr Discrimination Required: Florida employers. English and Spanish) Human Relations 2009 Apalachee Parkway, Ste. 100 Florida Department of Economic Opportunity: bit.ly/1rUP2Yr Florida Minimum Wage Required: Florida employers. Revised in 2014. Florida Department of Economic Opportunity 107 E. Madison St. Tallahassee, FL 32399 Florida Department of Economic Opportunity: bit.ly/1rUP2Yr Many federal and state laws require dental offices, like other employers, to conspicuously post up to dozen notices in locations accessible to employees. As a practicing dentist, keeping up with all the rules and regulations can be challenging — that’s where your membership works for you. The Florida Dental Association has done all the work to provide our members access to free ways to comply — no need to spend hundreds of dollars to purchase forms from an outside group. Depending on the number of employees in your practice, you may need all or some of the posters listed on this chart.
Required Posters for the Workplace
GET THE HANG OF IT!

ers and facilities are “generally required to provide uninsured patients with a good faith estimate of expected charges.” That is, unless the patient is enrolled in an excepted benefit plan or coverage — such as a stand-alone dental plan. This is according to the No Surprises Act — which was enacted on Jan. 1, 2022, providing consumers billing protections when receiving emergency care, nonemergency care from out-of-network providers at in-person network facilities and air ambulance services from out-of-network providers.

Many inquiries about whether good faith estimates need to be provided had been made to the American Dental Association (ADA), leading to a Feb. 22 email from CMS confirming that dental providers are required to provide uninsured or self-pay individuals with a good faith estimate of expected charges under [federal regulation] 45 CFR 149.610. However, there are two exceptions to the rule. The first is if the excepted benefit plan or coverage does not cover a scheduled or requested item or service and the individual has no other coverage for the item or service; that individual is considered uninsured with respect to that item or service — leaving the provider or facility to give them an uninsured or self-pay good faith estimate. The second exception is if the individual does not seek to have a claim for the item or service submitted to their excepted benefit plan or coverage; that individual is considered self-pay with respect to that item or service, and the provider or facility must give them an uninsured (or self-pay) good faith estimate.

For more information about all of the CMS guidance on the No Surprises Act, visit CMS.gov/NoSurprises

Source: ada.org.

Prescribers of Controlled Substances Must Complete Training

A new law requires prescribers of controlled substances to complete eight hours of training before receiving or renewing a Drug Enforcement Administration registration. The Medication Access and Training Expansion Act (MATE Act) was included in the omnibus spending bill that passed Congress at the end of

2022. The ADA successfully advocated for Congress to amend certain provisions of the MATE Act to conform with ADA policy.

Some of the details about the requirements and implementation have been confusing, so the ADA developed a MATE Act Q&A to help clarify this federal issue for dentists.

This is all of the information the FDA has at this time; however, as more details become available, the FDA will push them out to members. We expect that there will be formal CE options in the near future, so stay tuned!

In the meantime, if you have questions, please contact FDA Chief Legal Officer Casey Stoutamire by email or call 850.350.7202.

How HIPAA-compliant Email Can Help Protect Your Practice From Phishing

Your patients are your priority. That often means spending your days focused on their care and not necessarily on how your email can impact that care. But, if you’re in the health care industry, you’ve undoubtedly heard or read about the devastating impact of phishing attacks. Much like any threat, your best defense is to understand the threat and what tools exist to help you mitigate it. Regarding phishing, that means being aware of exactly how spear phishing can target your practice, your staff and your patient data. It also means choosing the right HIPAA-compliant email to help you with that defense. Read the full article from FDA Crown Savings Endorsed Partner iCoreConnect at bit.ly/3LQkB73

19 | TODAY'S FDA may/june 2023
t

Welcome New FDA Members

The following dentists recently joined the FDA. Their memberships allow them to develop a strong network of fellow professionals who understand the day-to-day triumphs and tribulations of practicing dentistry.

Atlantic Coast District

Dental Association

Dr. Joseph Finelli, Plantation

Dr. Stuart Gordon, Boca Raton

Dr. Stanley Kaufman, Port Saint Lucie

Dr. Mark Kogan, Delray Beach

Dr. Harry Panahi, Coral Springs

Dr. Christine Rizkalla, Boca Raton

In Memoriam

The FDA honors the memory and passing of the following members:

Richard Cooper

Palm City Died: 3/02/2023

Age: 103

Ardin Manalo

Kissimmee Died: 4/19/2023

Age: 66

William Robson Died: 11/9/2022

Age: 89

William King Bradenton Died: 4/09/2023

Age: 86

Andrew Martineau

Sarasota Died: 3/03/2023

Age: 61

Joseph Spoto Tampa Died: 4/11/2023

Age: 89

Jorge Torres Guzmán Tampa Died: 3/07/2023

Age: 56

Byron Truax

Houston, TX

Died: 3/04/2023

Age:97

Central Florida District

Dental Association

Dr. James Brummett, Gainesville

Dr. David Perez De Leon, Ocala

Dr. Hussein Salifu, Ocala

Dr. Sherri Scott, Kissimmee

Northeast District

Dental Association

Dr. Bethany Burton, Jacksonville

Dr. Nhu Dinh, McKinney, TX

Dr. Tracy Lewis, Green Cove Springs

Dr. Curtis Moore III, Jacksonville

Dr. Kevin Wiman, Ponte Vedra

Dr. Tyler Zulauf, Springville, UT

South Florida District

Dental Association

Dr. Daniel Duggan , Miami Beach

Dr. Milaidis Echezarraga, Miami

Dr. Elizabeth Graca, Miami

Dr. Amber Mark, Pembroke Pines

Dr. Jessica Navarro, Miramar

West Coast

Dental Association

Dr. Yara Abdelaziz, Tampa

Dr. Nika Iranmanesh, Tampa

Dr. Ashley Irizarry, Isabela, PR

Dr. Matthew Lalli, Pinellas Park

Dr. Julie Moore, Weeki Wachee

Dr. Erika Pimentel Ramirez, Bradenton

Dr. Michael Scott Jr., Miami

Dr. Elliott Soto, Saint Petersburg

20 news@fda

In Memoriam

The FDA honors the memory and passing of the following members:

Nelson Castellano

Tampa

Died: 2/12/2023

Age: 83

Michael Chanatry Jacksonville Died: 2/12/2023

Age: 72

Silas Daniel Seminole

Died: 1/10/2023

Age: 74

Robert Ettleman Tampa

Died: 1/23/2023

Age: 69

Wendell Hall Tampa Died: 2/12/2023

Age: 88

Charles Infante Plantation Died: 2/15/2023

Age: 92

Gilbert Principe Longwood Died: 1/12/2023

Age: 80

Edward Stokes Died: 1/11/2023

Age: 76

21 | TODAY'S FDA may/june 2023 21 |
mjohnson@floridadental.org or 850.350.7162. 21 | TODAY'S FDA march/april 2023
TODAY'S FDA march/april 2023 FDA: Well-being program

DID YOU KNOW ...

Did you know FDA Services (FDAS) is overseen by a board of directors made up of Florida dentists who guide our mission to support FDA members throughout their dental careers?

Did you know FDAS specifically negotiated the FDA dental professional liability program with The Doctors Company to get FDA members the best coverage, rates and benefits possible?

Did you know revenue generated from FDAS insurance sales goes directly toward funding FDA programs and lobbying efforts that are important to members, as well as keeping member dues at their lowest possible level?

Did you know FDAS saves members $314 in dues reductions per year?

We need your support to keep dues low—use FDAS for your insurance needs.

In Memoriam
The FDA honors the memory and passing of the following members:
Call or text us at 850.681.2996 to learn more and apply

Came for the insurance ...

Stayed to support my profession.

RUN BY AND FOR DENTISTS

Finding the right insurance and business resources to help you run your practice securely and efficiently can be a headache, but as an FDA member you can find all of your solutions in one place.

FDA Services is overseen by a board of directors made up of Florida dentists who guide our mission to support FDA members throughout their dental careers.

or visit bit.ly/tdcquote to get an instant quote.

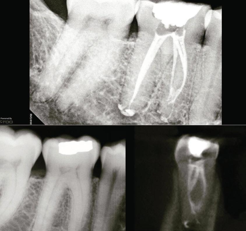
Smooth, Referral Well-informed A

A smooth, well-informed referral will give the patient a better treatment experience when being referred by a general dentist or dental specialist to an endodontist. As with anything medical, the more information an endodontist has, the better the diagnosis and treatment. When some patients hear the word root canal, they shut down and become unreliable information sources. In my experience, many patients do not even know what an endo-

24 ”
Communication is the key that makes that experience a good one for the patient, the specialist and the referring dental professional.

dontist is. The dentist must help this transition by introducing the patient to an informative referral. The endodontist must see the problem and the result desired. I think there are three parts to referring the patient.

First, what is happening or has happened to initiate the referral? Second, prepare the patient for a visit. Third, what will the patient do to restore the tooth when the endodontic care has been completed? Whenever possible, the referring dentist should have a diagnosis and recommended treatment plan for the teeth to get root canal therapy. This can be simple and obvious or a guessing game for everyone when (for example) the patient has a hot tooth in a quadrant where three teeth just had new crowns. Even if your experience with the patient was a short emergency exam, you saw the patient when the symptoms were fresh. Your input is invaluable. Any referral should include the teeth in question, a brief history (this may include past restorations), planned restorations and other specialist care (such as periodontal therapy, orthodontics, etc.). The dental team should list all prescriptions given to the patient before the patient leaves the office.

Once you have the diagnosis and pain history, prepare the patient for the endodontic visit. The dental team should be able to tell the patient what an endodontist is. This portion of the communication with the patient may require the referring dentist or team to have some knowledge of the way the endodontic office serves the patient and the procedural aids the endodontic office has (such as tests to provide accurate diagnosis) to achieve the best treatment results as well as the capability of offering anxiety management.

The referrer should let the patient know that the endodontist will confirm the diagnosis, which may/will require a few screening x-rays and possibly a CBCT to identify pathology and the position of the roots and root canal spaces. Once the diagnosis has been made, the endodontist should give the patient a diagnosis, prognosis, further treatment needed to protect and seal the access and restore the tooth in function and any other viable alternatives to save the tooth. If the patient is anxious, they should be encouraged to have a consultation appointment to be given sedative and treatment options or to ease their fears. Thus informed, the patient will have the opportunity to decide if root canal therapy is or is not for them. The patient should be knowledgeable (and hopefully comfortable) about how to best save their teeth.

Last, as the treatment coordinator, the dentist should explain the restoration that will be expected after the endodontist has completed root canal therapy. They should explain that this is a separate procedure from endodontic therapy and is considered a separate fee. I think they should tell both the patient and the endodontist doing that restoration on every referral (even if it is routine). I am being asked more often to do crown access repairs. I am happy to do them, ensuring the case is sealed in the timeliest manner with a rubber dam in place. I am more than willing to do prefabricated posts and cores, fillings or core build-ups when requested.

People appreciate an organized and informed experience. Communication is the key that makes that experience a good one for the patient, the specialist and the referring dental professional. The more informed the endodontist is at the time of referral, the better the experience will be for the patient.

Now I must go back to my referral forms and make sharing all of this information easy.

25 | TODAY'S FDA may/june 2023 endodontist

It’s More Than a Referral

As a general dentist, your patients’ well-being is your top priority. That’s why, when preserving your patients’ natural teeth, you want to ensure they receive the highest quality of care from an endodontist when necessary.

The relationship between general dentists and endodontists is more than just a simple referral. Effective communication between practices is critical to creating optimal workflow and ensuring patients receive the best care possible.

One of the most important things to commu nicate to your patients is the additional training that endodontists undergo. After dental school, endodontists receive two to three years of specialized training in diagnosing and treating the tooth’s pulp and surrounding tissues. This level of expertise allows endodontists to handle complex cases that may be beyond the scope of a general dentist. Patients need to understand the value of seeing an endodontist and that they have received additional specialized training.

In addition to the advanced training, endodontists use highly specialized equipment that may not be available in a general dentist’s office. For example, Cone Beam Computed Tomography creates 3D images of the patient’s teeth, jaw and surrounding structures.

This technology allows endodontists to identify problems that may not be visible with traditional dental x-rays.

Endodontists also employ microscopic techniques to provide highly precise treatments. Using a microscope allows the endodontist to see the tooth’s root canal system in great detail, enabling them to identify even the smallest issues.

By communicating these advanced techniques, you can give your patients peace of mind knowing they will receive the best treatment.

It is also essential to inform your patients that endodontists have similar treatment philosophy and bedside manner as you. Patients need to know that they are an extension of your practice and that you and the endodontist strive to provide the highest quality of care. More importantly, they will ensure the patient is comfortable throughout the procedure. Having your patient comfortable is especially important regarding root canals, which can be a source of anxiety for some patients.

By reassuring your patients that the endodontist has a similar approach to treatment, you can help alleviate any concerns they may have.

Finally, it’s important to mention that some endodontists offer various forms of sedation to help anxious patients relax during the procedure. This includes oral sedation, intravenous (IV) sedation and nitrous oxide. By offering various sedation options, endodontists can provide patients with the most comfortable and stress-free experience possible.

In conclusion, the relationship between general dentists and endodontists is essential in providing patients with the best possible care. Communication is critical in ensuring that patients understand the value of seeing an endodontist and the specialized training and equipment they bring to the table.

Additionally, advancements in endodontic technology and sedation options have made root canal treatments more effective and comfortable than ever before. By working together, general dentists and endodontists can provide patients with the highest quality of care possible, resulting in better patient outcomes and satisfaction.

27 | TODAY'S FDA may/june 2023
endodontist

HEALTH CARE PROVIDER CHECKLIST:

INFORM

Non-opioid alternatives for pain treatment, which may include non-opioid medicinal drugs or drug products are available.

Non-opioid interventional procedures or treatments, which may include: acupuncture, chiropractic treatments, massage, physical or occupational therapy, or other appropriate therapy are available.

DISCUSS

OPIOIDS

SUMMARY:

DOCUMENT IN PATIENT’S RECORD

PROVIDE

“Alternatives to Opioids,” an educational information pamphlet created by the Florida Department of Health printed or in electronic format (required, available at bit.ly/2KXvZ2h). Also, a checklist and poster.

Exclusive Member Benefit!

FOR THE LATEST ON OPIOIDS, GO TO: FLORIDADENTAL.ORG/NYK

All health care providers must include non-opioid alternatives for pain and pain management electronically or in printed form in their discussions with patients before providing anesthesia, or prescribing, ordering, dispensing or administering a schedule II controlled substance for the treatment of pain. Effective July 1, 2021.

NON-OPIOID ALTERNATIVES

LAW: GO TO bit.ly/2KXvZ2h

28
A dv an t ages an d d isa dv an t ages o f n o n- o pi o i d a lt erna t i v es . Pa t ien t ’s risk o r h is to r y o f c o n t r oll e d s u bs t ance ab u se o r mis u se , an d pa t ien t ’s pers o na l preferences
o n- o pi o i d a lt erna t i v es c o nsi d ere d
N

FDA Career Center

The American Dental Association, Florida Dental Association and your local dental association all work together to provide members with every level of service and support. This three-tier system forms a cohesive partnership to ensure the success of individual members and their practices, as well as the dental profession.

CAREER CENTER BENEFITS

29,000 in the Network 800+ 384,000+ 200+

Searchable Resumes Average Montly Visits Job Views Per Month Average View Per Jobs

Looking for Your Next Recruitment Solution?

Is your organization seeking high-quality, professional individuals to be a part of your team? Expand your exposure through the FDA Career Center today!

Connect with our network of elite professionals through our state-of-the-art recruiting platform. Designed to specifically match you with qualified industry candidates, no other commercial job board can deliver quality professionals looking to take the next step in their careers.

• Quick and easy job posting

• Broad health care field exposure to high quality candidates

• Online reports providing job activity statistics

• Simple, affordable pricing options

careers.floridadental.org/employers

Contact Naylor Employer Support to get started: employersupport@naylor.com

The FDA Career Center is also a great resource for job seekers. Visit today!

29 | TODAY'S 2023
FDA Career Center Job Seekers are Active and Looking for Hiring Employers

Speciality Referrals:

Interdisciplinary Collaboration for Comprehensive Care and Service for Our Patients

In providing dental care for our patients, acknowledging and accepting that no single provider can do everything is vital. Therefore, appropriate referrals to other providers are occasionally necessary. Only the dentist can assess whether his/her education, training, interest and experience can provide the optimum treatment needed by a particular patient. In these cases, your patients must understand that while you are a highly educated, trained and skilled dentist, another dentist can best deliver their care with more experience in a specific area.

The collaboration between general dentists and most specialists is typically straightforward and well-defined, but the relationship between general dentists and prosthodontists is

30 ”
The association between two practices works best when treatment plans and rationales are clearly conveyed.

prosthodontist

particularly distinctive. There may be areas of overlap between the expertise of general dentists and prosthodontists, which can create challenges when determining whether or not to refer a patient to a prosthodontist. It is essential to recognize that prosthodontists are part of the restorative team rather than competitors and that working together can lead to more comprehensive dental care tailored to each patient’s needs. By doing so, we can improve patient outcomes, enhance their overall experience, and provide cost-effective care for all parties involved.

Dentists must develop new techniques to manage referral relationships as dentistry continues to evolve. The more traditional process of sending clinical letters back and forth may no longer be sufficient. In many cases, advanced levels of communication are needed. Cases requiring referrals need clear, open and ongoing communication between providers and the patient.

The following are necessities for excellent interdisciplinary care and communication:

Be specific with your referral — When referring a patient, it is essential to be specific and provide details about the treatment plan. Referral slips stating “evaluate and treat” are not helpful to specialists as they do not provide any context. It is important to communicate with the specialist about the patient’s specific needs and concerns and what treatment options have been discussed. For instance, will the tooth need to be restored or extracted and implanted? Is this the first step in a more complex treatment plan? What information has the patient been provided with? By providing this information, specialists can better understand patients’ needs and provide more effective treatment.

Enhanced interoffice interaction — Any referrals for interdisciplinary care should trigger a conversation between the two offices. Written communication often goes unread or lands in a file. As a result, some information can be overlooked, thus compromising patient care. Clear, consistent communication via emails, phone calls, FaceTime or Zoom meetings will eliminate confusion or misunderstandings. In addition, it will help set appropriate expectations for both doctors.

A more straightforward referral method for patients — In many cases, patients can be uncertain about their next steps

or delay treatment long enough to have complications before arriving. The practice should make the next appointment for patients while they are still in the office so there is no question about whom they will see and when.

A well-controlled progression — The general dentist’s practice should stay involved in the case and monitor each step of the process. Dentists must be updated regarding their patients’ progress. Some patients today need to see two, three or even four specialists before they return to their general practice.

A vibrant relationship — The association between two practices works best when treatment plans and rationales are clearly conveyed. An interdisciplinary study club allows communication between general dentists and specialists to reach exceedingly high levels. This leads to an increased knowledge base for these doctors and a tremendous working relationship between offices. Meetings with the staff of both offices create stronger bonds and relationships between the offices and will enhance the awareness of what each can offer. The more educated the team is when referring a patient, the better the experience and outcome for the patient and the better the relationship between general dentist and specialist.

Set realistic expectations with patients. I think we can all agree that referring a patient to a prosthodontist for full mouth rehabilitation with just a periapical radiograph isn’t going to provide the appropriate diagnostic data. “Educated patients are the best patients.” Patients are often sent to specialists who need to learn what is involved in the specialist’s care. This creates challenges for the specialist’s office to spend time with the patient to educate them and explain why further diagnostic tests are necessary. Sometimes, it also means having a financial conversation about additional treatment fees that the general practioner may not have mentioned. There are better ways to set the patient or the specialist up for success with treatment acceptance.

In conclusion, interdisciplinary collaboration is essential for providing comprehensive oral health care to patients. By working together, we can offer expert care, leading to better treatment outcomes, enhanced patient experience and more efficient and cost-effective care. With clear communication, collaboration and a shared commitment to patient care, prosthodontists and general dentists can work seamlessly and productively, benefiting dental professionals and their patients.

31 | TODAY'S FDA may/june 2023

General Practitioners

and Referrals to Specialists: The Why, But Not The How

General dentists often take the time and effort to make referrals to dental specialists. They see the need for treatment outside their scope of practice and send patients to other practitioners specializing in dentistry, such as orthodontics, periodontics and oral surgery. This, of course, is a partial list but is among the most common referrals made.

Specialists greatly appreciate the referrals that are made to them. It helps immensely when a patient shows up for an exam at a specialist’s office, and the patient knows WHY they are being referred. For instance, perhaps the patient has crowding or a problem with the occlusion and has been referred to an orthodontist for an evaluation. It helps the orthodontist if the patient (or parent of a child) knows the problem and why they need treatment. Other examples include referrals to a periodontist for thin attached gingiva or an oral surgeon for impacted third mo lars. The patient is now aware that they have a problem and have been referred for a reason.

Some things are obvious such as crowding, but others are not, such as a crossbite or a periodontal problem. Often patients are referred, but they do not know why and appear to be ignorant of the present condition and that treatment is needed. When asked why the dentist sent them to a specialist, some patients say, “I don’t know … they just gave me this sheet of paper with your name on it.” This makes the specialist’s job much more difficult because the patient does not know what to expect. Also, it may be difficult for the specialist to determine the reason for the referral. Pointing out why a patient

was referred lays the groundwork for a successful exam at the specialist’s office.

On the other hand, the general dentist should be careful and not go into too much detail about HOW the work will be done. A great example is a patient with severe crowding referred to an orthodontist for an “expander.” Of course, palatal expanders are used routinely in orthodontics. However, it is up to the orthodontist to determine when an expander will be used. In some instances, an expander is not indicated despite crowding, and other treatments may be used instead. Another example would be sending a patient with thin attached gingiva for a graft using palatal tissue. A periodontist, however, may determine that a graft using palatal tissue is not indicated or that a different way is a better solution. This leads to confusion on the part of the patient.

Lastly, expressing confidence in the specialist is essential so the patient can trust what they say. Why make a referral and then say they are expensive or people have problems with them? This sets up a sense of doubt that does not help the specialist when proposing treatment. The patient may not even bother to set up an appointment with the specialist.

As dental treatment has become more complicated in recent years, general practitioners and dental specialists must work together. This is especially true with interdisciplinary care. The general dentist is the leader and coordinator of dental treatment to achieve optimal patient results. Making appropriate referrals to dental specialists is important to achieving that goal.

33 | TODAY'S FDA may/june 2023
orthodontist

BOOTH 222

BOOTH 622

Financing

BOOTH 715

BOOTH 614

SUPPORT
EXHIBITING
Email
THE CROWN SAVINGS PARTNERS
AT FDC2023! Practice Financing HIPAA & OSHA Compliance Secure, HIPAACompliant
Patient Care

Treatment Planning:

New Combinations of Expert Team Information for Comprehensive Care

The common statement I encounter from general dentists has been: “We didn’t learn much about orthodontic treatment when I went to dental school.”

The response is that almost all dental procedures are technical as a single or series of a few appointments in a relatively short time. Most procedures are one appointment. Expertise in lab simulation on a typodont is a great background. Orthodontic care is often over many months/years of supervision of progress with growth, tooth movement and patient compliance. That explains the training and education that goes into supervising the orthodontic process in specialty programs. The orthodontist completes a certificate or master’s program of two-three years.

Like all dentistry, continuing education is a must, and the speed of information is increasing. Dental teams of generalists and specialists need to have a dialogue to keep connected through courses and study clubs in real time, Zoom or webinars to serve our patients with evidence-based dentistry best.

Our recent technology is producing significant changes in diagnostic quality and treatment planning options with new combinations of expert team information for comprehensive care.

Brackets and aligners are evolving in function to enhance treatment outcomes in shorter times. Early evaluation of children to intercept negative growth and tooth development and arch form is boosted by the research and evidence of treating many kids earlier at six to eight years old, with the benefit of CBCT 3-D information.

Adult patient care is increasing as a percentage of practices as part of the dental team’s effort to restore dentitions, preserve periodontal health and facilitate prosthetic rehabilitation with better outcomes. Temporary Anchorage Devices, surgical interventions and prosthetic treatment coordination are expanding the quality of esthetic and healthy outcomes.

The advocacy movement to strengthen the system of dental status is increasingly important. More professional activity and awareness are needed to support the best care for the public and the profession. “Be at the table or be the meal.”

Thank you, FDA and FDA Governmental Affairs, for all the support you give us.

35 | TODAY'S FDA may/june 2023 orthodontist
Dental teams of generalists and specialists need to have a dialogue to keep connected through courses and study clubs in real time.

CAN BLOSSOM FOR YOUR DENTAL TEAM

WATCH YOUR NEW SKILLS BLOSSOM WITH DENTAL RADIOGRAPHY TRAINING

It’s time to get growing! Take the first step on the path to dental radiography certification. No travel. No time away from work. Train online, at your own pace. The Florida Dental Association (FDA) Online Radiography Training Program provides you the formal training you need, with the professional development you want. Enrich your career path while contributing a vital service to your patients and dental team. It’s the most convenient and economical way to get the radiography training required by Florida law. It’s affordably priced, too — just $285 per student* for FDA members!

*Non-members pay $385.

36

Are Your Assistants Certified? Part II

Our previous article (Today’s FDA Jan/Feb 2022, page 53) regarding Assistant Certification outlined the importance of knowing what tasks are allowable for Certified Orthodontic Assistants. This applies to the orthodontist as well as the general dentist practicing orthodontics. As stated in the Florida Statutes, knowing what tasks were allowable is essential in protecting your license from suspension. The following are some of the tasks which are not permitted by a Certified Orthodontic Assistant.

l Taking impressions for an active orthodontic appliance.

l Making a decision for treatment or treatment planning.

l Any use of the laser by anyone other than a dentist.

l Use of a high-speed or low-speed handpiece that could alter the contour of a tooth.

l Adapting or final fitting or contouring of an orthodontic band for treatment.

l Removing cement with a mechanical device, subgingival.

l Initial cementing or recementing an active orthodontic appliance.

l Making tooth movement adjustments to archwires before placement without supervision or approval from a dentist.

l Final fitting of an extra-oral appliance.

Mandatory radiologic certification before taking any intra or extra oral x-ray images: As stated in our previous article, delegating professional responsibilities to a person who is not qualified by training, experience or licensure can result in a minimum of six months’ suspension of the license of the dentist who is charged for committing a violation of the Florida Statutes s.456072.

The Florida Association of Orthodontists (FAO) provides convenient access to the certifying process. For more information regarding the certification test, visit the FAO website faortho.org

37 | TODAY'S FDA may/june 2023 orthodontist
Dental teams of generalists and specialists need to have a dialogue to keep connected through courses and study clubs in real time.

Partnering for

Optimal Oral Health:

Key Considerations When Referring to a Periodontist

As dental professionals, collaborating with a periodontist is crucial in ensuring optimal oral health outcomes. This article highlights the key aspects to consider when referring patients, focusing on facilitating their visit, preparing them for potential procedures and establishing a collaborative approach between professionals.

Encourage patients to commit to working with the periodontist, stressing the value of a team approach for optimal outcomes.

38 ”

Preparing Patients for a Successful Visit

1. 2. 3. 4. A.

Explaining the Reasons for Referral

Clearly explain to patients why they need to see a periodontist. Emphasize the shared interest in managing the risk of potential tooth loss, addressing the negative effects of untreated periodontal disease and working collaboratively to achieve the desired outcomes. Reassure them that their periodontist will provide specialized care tailored to their unique needs.

Setting Expectations for Procedures

Inform patients about potential surgical or non-surgical procedures they may undergo during their visit to the periodontist based on their specific needs. Additionally, mention the possibility of requiring further diagnostic tools, such as a current Full Mouth X-ray (FMX) or Cone Beam Computed Tomography (CBCT). For patients referred for orthodontic clearance, emphasize the understanding that periodontal treatment might be necessary to ensure optimal oral health before orthodontic intervention.

Emphasizing the Importance of a Team Approach

Encourage patients to commit to working with the periodontist, stressing the value of a team approach for optimal outcomes. Explain that a strong partnership between the patient, the general practitioner or specialist and the periodontist will facilitate comprehensive care and meet their oral health needs.

Communicating Treatment Goals to the Periodontist

Communicate the patient’s treatment goals, priorities and concerns to the periodontist for seamless collaboration. This will enable the periodontist to develop a tailored treatment plan that aligns with the patient’s needs and preferences.

Choosing the Right Periodontist: Factors to Consider Professional Expertise and Perspective

Select a periodontist with the necessary training, clinical experience and additional education to perform the spe-

cific procedures the patient requires. A skilled periodontist will not only be well-versed in periodontal disease complexities and capable of providing top-notch care but also offer unique perspectives that complement your expertise. Consider him/her as a consultant who collaborates with you to develop the best plan of action for the patient, ensuring a comprehensive and well-rounded approach to oral health care. This combination of skill and insight can lead to innovative solutions and improved patient outcomes, ensuring that the chosen periodontist is the ideal fit for the specific case at hand.

B. C.

Similar Philosophy of Treatment and Care

Collaboration is smoother when both professionals share a similar philosophy of treatment and care. Seek a periodontist who prioritizes patient-centered, evidence-based approaches to ensure consistency in treatment plans and overall patient experience.

Effective Communication and Cooperation

Establish clear expectations for communication between your office and the periodontist’s office. Cooperation among staff from both offices is vital for seamless patient care and efficient information sharing.

Conclusion: Your Periodontist is Here to Help

Referring a patient to a periodontist should instill confidence and reassurance in all parties involved. By preparing patients for their visit, clarifying referral reasons and emphasizing the importance of a team approach, you pave the way for optimal oral health outcomes. Choose a periodontist with the right expertise, shared treatment philosophies, excellent bedside manners and dedication to effective communication to create a solid professional partnership that benefits the patient.

Always remember that your periodontist is your partner and consultant, working alongside you to ensure the best possible outcome for your patients. By collaborating effectively, you can create a formidable team that champions oral health and well-being.

39 | TODAY'S FDA may/june 2023 periodontist

HOW MUCH ASSURANCE

do you have in your malpractice insurance?

With yet another major dental liability insurer selling out to Wall Street, there’s an important question to ask. Do you want an insurer with an A rating from AM Best and Fitch Ratings, over $6.5 billion in assets, and a financial award program that’s paid $140 million in awards to retiring members? Or do you want an insurer that’s focused on paying its investors?

Join us and discover why our 84,000 members give us a 90+% satisfaction rating when it comes to exceptional service and unmatched efforts to reward them.

LAUNCHING DENTISTRYFORWARD

THE OFFICIAL MEETING OF THE

FLORIDADENTALCONVENTION.COM

JUNE 29-JULY 1, 2023

GAYLORD PALMS RESORT & CONVENTION CENTER ORLANDO

FDC2023 HIGHLIGHTS:

+ 130+ course options for the entire dental team.

+ Nightly parties included in your registration.

+ Two FREE morning keynote sessions to motivate your day.

+ 300+ leading dental vendors.

+ FREE Exhibit Hall Passes.

+ FREE Cocktail Reception in the Exhibit Hall.

+ Endless networking and teambuilding opportunities.

+ so much more!

ONLINE REGISTRATION IS AVAILABLE 24/7!

REGISTER TODAY AT FLORIDADENTALCONVENTION.COM.

Introducing the

FDA’s Communities of Interest!

During the past three years, the Florida Dental Association (FDA) has updated its governance structure. While that includes the important, but let’s be honest, boring documents like the bylaws and manuals, it also allowed the FDA House of Delegates to be creative and introduce new ways to get grassroots members involved. One of these is the FDA’s Communities of Interest (COI).

To create the COI, several councils were disbanded, and, moving forward, task groups will be formed when issues about those topics arise. These include the Council on Dental Education and Licensure (CDEL), the Council on Dental Benefits and Care (CDBC), the Council on Members (COM) and the Council on the New Dentist (CND). You may be asking, “What???” These are important areas, and we must have members involved and educated. To that, I would say you are absolutely correct! And that is why the COI has been created.

The FDA’s new Communities of Interest give more opportunities for everyone to get involved with topics that affect dentistry. These communities will exist on an online platform and will be open to all interested members. COIs will be moderated and staffed by the appropriate FDA team member and focused on active discussion and sharing of information about specific topic areas. Members of the communities will receive and post educational materials, questions and updates related to the topic of interest. Discussion and discourse are encouraged! Then, when an issue of import arises, the FDA Board of Trustees can pull members from a specific community of interest to form a task group with a focused mission and time frame.

The initial COI will be Dental Education and Licensure, Dental Benefits and Care, Membership and Leadership and New Dentists. The COI began beta testing in April and all members will be officially welcomed to join at the Florida Dental Convention! Make sure to stop by the FDA membership booth to sign up for the communities in which you are most interested to receive a free gift. If you’re not attending FDC2023, watch FDA publications and emails in early July for registration information.

43 | TODAY'S FDA may/june 2023
(drum roll, please)

Event Information

West Palm Beach, FL

Drive Shack

1710 Belvedere Rd, West Palm Beach, FL 33406

Seller Seminar

Friday, February 17th, 2023

9:00 a.m. to 1:30 p.m.

Aspiring Owner Seminar

Saturday, February 18th, 2023

9:00 a.m. to 5:00 p.m.

Tampa, FL

Top Golf

10690 Palm River Rd, Tampa, FL, 33619

Seller Seminar

Friday, September 29th, 2023

9:00 a.m. to 4:30 p.m.

Aspiring Owner Seminar

Saturday, September 30th, 2023 9:00 a.m. to 5:00 p.m.

Are You Ready for Ownership or Retirement? Start Planning Today.

We cordially invite you to attend this immersive seminar about planning for your future. Learn from industry experts on how to successfully navigate selling or buying a practice as well as starting a practice from scratch. RSVP today and choose the location closest to you.

Topics of Discussion

Aspiring Owner Seminar

● Zero down financing: Acquisitions, startups and commercial real estate

● Buying or starting from scratch –What is right for you?

● Learn the 13 steps to a successful startup

● Taxes, allocation, and financial reporting. Designed for success and growth

● Legal review: LOI, lease, asset purchase agreement and more

● Trends to attract/retain employees in today's marketplace

● Do's & Don'ts of personal insurance and financial planning

Seller Seminar

● How to prepare for a future practice transition

● What a dental practice is worth and what determines value

● Market conditions & trends

● Should I sell my practice to a DSO (Corporate Dentistry)

● Legal review: From LOI through closing and everything in between

● Pitfalls of the legal process

● How to prepare your business financials and documentation

● Taxes, allocation, and how to minimize costs

Featured Speakers

Scan to register today!

Greg Jones, Dental Practice Broker Doctors Choice Jason Kaplan, Esq. Palm Beach Law Group
Jeff
*Seller
Kyle
Dentistry’s Ideal Practices *Buyer seminars only Kyria
NPC Financial *Buyer seminars only Jason Nunez, Regional Director of Practice Finance Provide
Michael DeMeola, CPA, CVA, CFE Getsee & DeMeola CPA
Galvan, Attorney Syndent Consulting Group
seminar in Tampa, FL only
Olding, Dental Startup Advisor
Popovitch-D'Avila, Financial Specialist
*$79.00 registration fee applies Registered Representative of Park Avenue Securities LLC (PAS). OSJ: One Biscayne Tower, Two South Biscayne Blvd., Suite 1740 Miami, FL 33131, (305) 371-6333. Securities products and services offered through PAS, member FINRA, SIPC. Financial Representative of The Guardian Life Insurance Company of America (Guardian), New York, NY. PAS is an indirect, wholly-owned subsidiary of Guardian. National Planning Corp. is not an affiliate or subsidiary of PAS or Guardian. PAS is a member FINRA, SIPC

THE USE OF LOCAL ANESTHETICS DURING PREGNANCY AND BREASTFEEDING

The frequent question is, “Is it safe to use local anesthetics when treating a pregnant patient or when a woman is breastfeeding?” A corollary question is, “If it is safe to use local anesthetics during pregnancy and breastfeeding, which is the safest?” I will answer these questions as a preview of safety concerns I will address during my presentations at the Florida Dental Conference in Orlando from June 29 – July 1, 2023.

The long-standing approach to dental treatment of pregnant patients has been to avoid extensive elective care, especially during the first trimester when the fetus is undergoing rapid cell differentiation and growth.1 When it is necessary to render care during pregnancy, local anesthetics with or without epinephrine are considered safe to administer. The second trimester and the first half of the third trimester are the preferred time frame for providing needed care; however, emergency care using local anesthetics is acceptable during pregnancy. As for all patients, only use as much anesthetic as is required.

Since 1979, the Food and Drug Administration (FDA) has categorized the pregnancy risk of local anesthetics as Category A, B, C, D or X, with Category A agents being the safest and Category X drugs being absolutely contraindicated. Lidocaine and prilocaine are in Category B, while mepivacaine, articaine and bupivacaine are in Category C.2 This categorization system has been based primarily on animal reproductive studies; it should be noted that human fetal studies are seldom available. In 2015, the FDA adopted new rules regarding pregnancy and breastfeeding to make drug labels more meaningful to patients and health care providers. These changes removed the A, B, C, D and X categories of pregnancy risk because human data about medical product safety in pregnancy at the time of market approval is limited or absent.

Pregnant women are usually actively excluded from clinical trials, and most human data related to drug use during pregnancy and lactation do not come from adequate and well-controlled trials. The FDA needs high-level evidence from well-designed and administered human studies to definitively assess local anesthetics’ safety. However, as stated in Stanley Malamed’s Handbook of Local Anesthesia, there are no known adverse fetal effects of local anesthetics or epinephrine in dentistry.3 Therefore, all the local anesthetic agents we use in dentistry, with or without epinephrine, are considered safe during pregnancy.

Our corollary question is, “Which is the safest anesthetic agent to use during pregnancy and breastfeeding?” Lidocaine and prilocaine are the safest agents based on the older FDA Pregnancy Risk Categorization system. However, there is a relative precaution for the use of prilocaine during pregnancy.1,4 This precaution is due to the potential for high doses of injected prilocaine to produce acquired methemoglobinemia, thereby compromising oxygen transport across the placenta to the fetus. Because of this potential risk with prilocaine, lidocaine has become the agent of choice for use in pregnant patients by default. A counterargument is that prilocaine plain (with no epinephrine) would be preferable to our lidocaine formulations used in dentistry which all contain epinephrine. But, as stated before, epinephrine has been assessed as safe to use during pregnancy. Lidocaine is, therefore, the preferred dental anesthetic agent for use on pregnant patients, with the added recommendation to use the lidocaine formulation with the lowest epinephrine concentration available, which is 1:100,000 epinephrine in the United States.

Regarding breastfeeding, our local anesthetic agents can be found in breast milk in trace amounts. To minimize transmission of local anesthetics through the milk, many breastfeeding mothers will choose to pump milk before their dental appointment and discard any milk produced for several hours after the

appointment4. Assessing the appropriate time frame for discarding milk raises the question of how long it takes for our local anesthetics to be cleared out of the bloodstream. The elimination half-life of all of our dental local anesthetic agents, except for articaine, is 90 minutes. 98.5% of an anesthetic has been eliminated from the bloodstream after six elimination half-lives. Therefore, lidocaine, our FDA drug of choice, takes nine hours (6 x 90 minutes = 540 minutes) to be cleared from a mother’s bloodstream and thus be negligible in her breast milk. In contrast, articaine has an elimination half-life of only 27 minutes and is therefore cleared from the bloodstream in approximately three hours. The shorter elimination half-life of articaine provides a significant advantage over our other dental anesthetic agents, allowing a mother to return to normal breastfeeding much sooner. An additional benefit of articaine is that it is available in a lower epinephrine concentration (1:200,000) in the United States, allowing us to further minimize the epinephrine concentration.5

In conclusion, lidocaine with 1:100,000 epinephrine has been considered our safest dental anesthetic agent for use in pregnant and breastfeeding patients for many years. And the existing evidence supports that it is a safe anesthetic agent for these patients. However, the most current local anesthetic research clearly shows that articaine with 1:200,000 epinephrine is at least equal in safety to lidocaine and possibly even safer. It offers clear advantages for our pregnant and breastfeeding patients.

I look forward to sharing more updates on local anesthesia delivery and safety with you at the 2023 Florida Dental Conference in Orlando, June 29 – July 1.

Dr. Alan Budenz earned his dental degree from the University of California San Francisco School of Dentistry. He is an emeritus professor for the departments of biomedical sciences and diagnostic sciences at the University of the Pacific School of Dentistry. Dr. Budenz can be reached at abudenz@pacific.edu

Dr. Budenz will offer the course “Wait, I Still Feel That! Problem-solving the Delivery of Local Anesthesia (C04)” – Thursday, June 29, 9 a.m.-12 p.m. and “X Marks the Spot: Hands-on Technique Simulation Workshop for Local Anesthesia (W09)” – Thursday, June 29, 2-5 PM at the 2023 Florida Dental Convention. Learn more and register for these courses at floridadentalconvention.com

References

1. Moore PA, Adverse drug interactions in dental practice: Interactions associated with local anesthetics, sedatives and anxiolytics, J Am Dent Assoc, Vol 130, 1999.

2. FDA/CDER SBIA Chronicles. Drugs in Pregnancy and Lactation: Improved Benefit-Risk Information. Accessed Aug. 1, 2019 at fda.gov/files/drugs/published/%22Drugs-in-Pregnancy-andLactation--Improved-Benefit-Risk-Information%22-January22--2015-Issue.pdf

3. Malamed SF, Handbook of Local Anesthesia, sixth Edition, Elsevier Mosby, 2013.

4. Donaldson M & Goodchild JH, Pregnancy, breastfeeding and drugs used in dentistry, J Am Dent Assoc, 143(8), August 2012.

5. Malamed SF, Articaine: 20 Years Later, Dental Learning, March 2020, dentallearning.net

FDC2023 SPEAKER PREVIEW
47 | TODAY'S FDA may/june 2023
The shorter elimination half-life of articaine provides a significant advantage over our other dental anesthetic agents, allowing a mother to return to normal breastfeeding much sooner.

PHONE-FRIENDLY?

Sounding friendly on the telephone is essential to effective communication and is much harder to accomplish than it may seem. We all realize the negative effect an unfriendly phone call will have on a new patient looking for a new dental office or even an existing patient inquiring about a treatment plan. The new patient who doesn’t sense they are being helped because of a rushed or unfriendly tone on the other end of the line will call another office or fail to show up for their appointment. Likewise, current patients will continue to put off necessary treatment. Both scenarios keep patients from getting the care they need and make our job more difficult.

Time for conversation with any patient is tight in dental practices today and must be used effectively, so patients get the proper appointment and feel they are getting the best service from us. Being phone-friendly expedites the process.

l When any patient calls, we’re not trying to become their best friend. We want to do our best to create a comfortable environment, so they feel free to express themselves and openly share information that will allow us to provide them with the best care quickly. When done correctly, you’ll find patients will be more likely to listen more intently to your instructions and increase their level of compliance the first time.

l Can patients “hear” you smile? Believe it or not, your facial expression will appear in your tone of voice. Take a deep breath and smile to yourself before answering the phone, and your friendliness will automatically come through.

l Help the patient thaw out by letting them experience your warmth. Resist the urge to immediately start answering their questions to help them shake off any jitters and warm up to you. This is accomplished by asking a simple question or making a positive statement. Try saying, “It’s great to hear from you.” Or ask, “How is the weather in your neck of the woods?” Most patients will provide a short friendly response. This opportunity to talk will help both of you relax and give the patient a chance to thaw. Acknowledge their response in a brief, positive, and relevant manner, then take the conversation forward. “That’s good to hear. I’m glad everything is going well. What can I do for you today?”

l Let the patient know they have your full attention by not letting others distract you so you can concentrate. They’ll know you are listening when you respond with an occasional “uh huh” or “I see” while they are talking. Always allow the patient to finish. Interruptions frustrate them and will create a chill in the conversation.

l Unfamiliar words are not friendly. Avoid using dental jargon. Instead, use the exact phrase they use to describe any condition. Their terms will make sense to them, and substitution could change the meaning or sense that you don’t understand their concern.

l If the patient says, “That was awful!” and you respond by saying, “So everything wasn’t to your liking?” confusion will result because you are not saying the same thing the same way they did.

l Reflecting on their feelings to demonstrate empathy and increase your friendliness factor by stating, “I can see why you would think that.” or “I know what you mean.”

l Make a script to answer common questions using your own words so you’ll always sound genuine, authentic, and believable. You’ll never be able to do this by repeating someone else’s words ... even mine. Patients will quickly sniff you out as fake if you sound like you are reading a script.

l It is possible to be “phone friendly” yet professional by raising and lowering your voice, pacing your speech, being interested in what the caller says, and sharing your own experience when the opportunity presents itself during the conversation.

Phone friendliness counts! Learning the techniques will increase patient compliance and new patient referrals.·

”Mr. Guzzardo will offer the course “Now What Do I Say? Don’t Dread Conversations on the Phone or In-person (PM08)” – Saturday, July 1, 9 AM-12 PM and “The Schedule: Learn to Create Productivity, Consistency and Flexibility (NC15)” – Saturday, July 1, 2-5 PM at the 2023 Florida Dental Convention. Learn more and register for these courses at floridadentalconvention.com

Larry M. Guzzardo who has co-authored three books, “Powerful Practice”, “Getting Things Done” and “The Complete Dentist Manual” conducts in-office practice management consultations exclusively for dentists to enhance trust, create organization, increase profits, and to develop patient relationships that last.

Larry has presented numerous workshops, including: “Winning Patient Acceptance”; “Business Communication Systems,” and “The Leadership Challenge.” Larry can be reached at 404.842.0530 or Larry@larrymguzzardo.com

FDC2023 SPEAKER PREVIEW
“Make a script to answer common questions using your own words so you’ll always sound genuine, authentic, and believable.
49 | TODAY'S FDA may/june 2023

EXHIBIT HALL

Free preregistration for FDA Members!

A-C

0 PERCENT

A-DEC

A1 HANDPIECE SPECIALISTS

ABYDE

ACTEON NORTH AMERICA

ADA PRACTICE TRANSITIONS

ADA SMILECON

ADIT

ADS DENTAL SYSTEM INC.

ADVANTAGE DENTAL

ADVANTAGE TECHNOLOGIES

AFLAC BENEFITS SOLUTIONS

AIR TECHNIQUES

AIR2ZED

ALATUS SOLUTIONS

ALPHAEON CREDIT

AMERIS BANK

AMERITAS

ANGEL WINGS INTERNATIONAL

ARGEN

ARKRAY USA

ARTCRAFT DENTAL INC.

ASEPTICO INC.

ASPEN DENTAL MANAGEMENT INC.

ATLANTA DENTAL SUPPLY

ATLANTIC DENTAL SOLUTIONS/BREWER COMPANY LLC.

AUGMA BIOMATERIALS USA INC.

AVZ BENEFIT SOLUTIONS

BANK OF AMERICA PRACTICE SOLUTIONS

BAYSHORE DENTAL STUDIO

BEAVERSTATE DENTAL SYSTEMS

BENCO DENTAL

BEQUEST

BEST INSTRUMENTS USA

BEUTLICH PHARMACEUTICALS

BIOCLEAR MATRIX SYSTEMS

BIOGAIA PROBIOTICS

BIOHORIZONS

BIOLASE

BIOTECH DENTAL

BIRDEYE

DIGITAL DOC LLC

DIGITAL HEALTHCARE PROFESSIONALS

DIGITAL RESOURCE

DIGITECH DENTAL RESTORATIONS

DOCTIBLE

DOCTOR MULTIMEDIA

DOCTOR’S CHOICE PRACTICE TRANSITIONS

DOCTORSINTERNET

DORAL REFINING CORPORATION

DPC TECHNOLOGY

DR. MARKETING

DREVE AMERICA CORPORATION

EASSIST DENTAL SOLUTIONS

EDGEDENTAL SPECIALTIES

EKOS DENTAL GROUP

ELEVATE ORAL CARE

ENOVA ILLUMINATION

ENVOLVE BENEFIT OPTIONS INC.

EPDENT AMERICA INC.

BISCO

BQ ERGONOMICS LLC

BRASSELER USA

BTI OF AMERICA

BURST

CAD-RAY

CAO GROUP

CARECREDIT

CARESTREAM DENTAL

CARL ZEISS MEDITEC USA

CARR

CENTURION HEALTH

CEO US ACADEMY

CHERRY PAYMENT PLANS

CITY NATIONAL PRIVATE

CLASSIC CRAFT DENTAL LABORATORY

CLEARCORRECT

CLOUD DENTISTRY

COAST DENTAL & ORTHODONTICS

COLGATE

COOL JAW BY MEDICO INTERNATIONAL

CORE SCIENTIFIC

COSMEDENT

CREST + ORAL-B

CROWN WORLD DENTAL LAB

CURVE DENTAL CUTCO CUTLERY

D-F

DANDY

DANSEREAU HEALTH PRODUCTS

DENTAL CARE ALLIANCE

DENTAL CONSULTING PROFESSIONALS LLC

DENTAL DYNAMIC STAFFING

DENTAL EQUIPMENT LIQUIDATORS INC.

DENTAL INTELLIGENCE

DENTAL TRIBUNE

DENTALREE.COM INTERNATIONAL INC.

DENTALVIBE/BING INNOVATION

DENTAQUEST

DENTEGRA INSURANCE COMPANY

DENTISTRY TODAY

DENTLIGHT INC.

DESIGNS FOR VISION INC.

DEXIS

EQUITABLE - ADA MEMBERS RETIREMENT PROGRAM

ESSENTIAL DENTAL REPAIRS

ESTHETIC PROFESSIONALS

EVENLY TECHNOLOGIES

FGM DENTAL GROUP

FIRST CITIZENS BANK & TRUST COMPANY

FLORIDA ACADEMY OF GENERAL DENTISTRY

FLORIDA COMBINED LIFE

FLORIDA DENTAL ASSOCIATION (FDA)

FDA FOUNDATION

FDAPAC

FDA SERVICES INC.

FLORIDA MEDICAL ADVISORS

FLORIDA PDMP FOUNDATION/E-FORCSE

FLORIDA PROBE CORP.

FOTONA

FOUR QUADRANTS ADVISORY

G-K

GARFIELD REFINING COMPANY

GARRISON DENTAL SOLUTIONS

GC AMERICA INC

GETSEE & DEMEOLA CPA BUSINESS ADVISORS

GLIDEWELL DENTAL

GOLDENDENT

GPS DENTAL LAB

GREATER NEW YORK DENTAL MEETING

GROWTHPLUG

GUARDIAN

HALEON

HALYARD GLOBAL PRODUCTS

HAWAIIAN MOON

HENRY SCHEIN DENTAL

HENRY SCHEIN DENTAL PRACTICE TRANSITIONS

HIOSSEN

HUFRIEDYGROUP

HUMANA

HUNTINGTON BANK PRACTICE FINANCE

HUNZA DENTAL

ICORECONNECT INC.

IMPLADENT LTD.

IMPLANT EDUCATORS ACADEMY

IMPLANT SEMINARS

INTELLISCAN 3D

INTERNATIONAL MEDICAL RELIEF

2023 FLORIDA DENTAL CONVENTION • JUNE 29-JULY 1 • GAYLORD PALMS RESORT • ORLANDO

INTERNET ACCOUNTANT

IOTECH INTERNATIONAL

ITX PROS

IVOCLAR VIVADENT INC.

JRA REAL ESTATE & PRACTICE ADVISORY

KAVO

KENWOOD/WIRED FOX

KETTENBACH LP

KLAS SOLUTIONS

KOMETUSA.COM

KWIKLY DENTAL STAFFING

L-Q

LECOM SCHOOL OF DENTAL MEDICINE

LEGALLY MINE LLC

LIBERTY DENTAL PLAN

LONE PEAK DENTAL GROUP

LUMADENT, INC.

M PAUL GENERAL CONTRACTORS

MARQUEE DENTAL PARTNERS

MCNA DENTAL

MEDILOUPES

MEGAGEN AMERICA

MEISINGER USA

MODERN DOC MEDIA

MYJET LLC

MYOFUNCTIONAL RESEARCH CO.

MYRIAD CAPITAL

NADAPAYMENTS

NAK DENTAL GROUP

NEOCIS

NEODENT

NEOSS INC.

NEW DAY COLLECTIONS

NEW TEETH NOW

NEW YORK UNIVERSITY COLLEGE OF DENTISTRY

NEXHEALTH

NOTA3D

NSK AMERICA

NSU-COLLEGE OF DENTAL MEDICINE

O-SO PURE

OLSEN USA

ONE BEAT MEDICAL & TRAINING

ONPHARMA COMPANY

OOMA INC.

ORASCOPTIC

ORTHOSNAP CORP

PATTERSON DENTAL

PEARL

PETER J. FREULER JR., PA, CPA

PHARMACISTS MUTUAL INSURANCE COMPANY

PHILIPS SONICARE AND ZOOM! WHITENING

PLANMECA

PORTER INSTRUMENT

POWER DENTAL GROUP

PRACTICE BY NUMBERS

PRACTICE PATHWAYS - ZIONS BANK

PRACTICEPROTECTION INSURANCE COMPANY

PREAT

PRESTIGE PLANNING LLC

PROFESSIONAL SALES ASSOCIATES INC.

PROMA INC.

PROSPAY INC

PROTOMAD PROTECTIVE COVER

PROVIDE

Q-OPTICS & QUALITY ASPIRATORS INC.

R-Z

RADIATION DETECTION COMPANY

REALTIME CPAS

RGP DENTAL INC.

RITTER DENTAL USA

ROSE MICRO SOLUTIONS LLC

ROYAL DENTAL GROUP

SAIBERDENT

SALVIN DENTAL SPECIALTIES INC.

SDI

SERVISFIRST BANK

SGA DENTAL PARTNERS

SHAMROCK DENTAL CO. INC.

SHATKIN F.I.R.S.T. LLC

SHOFU DENTAL CORPORATION

SHOWCASE DENTAL LAB

SIZEMORE & ASSOCIATES, CPA’S LLC

SMILE DESIGN DENTISTRY

SMITH STERLING DENTAL LABORATORIES

SNAP ON OPTICS

SOUTHERN DENTAL REFINING

SPECIAL OLYMPICS FLORIDA-SPECIAL SMILES

SPRINTRAY

STAR DENTAL PARTNERS

STELLALIFE

STESZEWSKI LAW

STRAUMANN GROUP

SUMMIT HANDPIECE EXPRESS

SUNBIT

SUNCOAST CREDIT UNION

SUNRISE DENTAL EQUIPMENT INC.

SUPERIOR DENTAL & SURGICAL MANUFACTURING

SUPERIOR DENTAL DESIGN & UPHOLSTERY

SUPERMOUTH

SURGITEL

SWELL

TCG DENTAL REPAIR

TD BANK

TDSC.COM

TEMPMEE

THE DAWSON ACADEMY

THE DOCTORS COMPANY

THE TRANSITIONS GROUP

TWO WAY RADIO GEAR

ULTRADENT PRODUCTS INC.

ULTRALIGHT OPTICS INC.

ULTRASHARP-DENTAL INSTRUMENT SHARPENING

UNITED STATES ARMY MEDICAL RECRUITING

UNIVERSITY OF FLORIDA COLLEGE OF DENTISTRY

US DENTAL TRANSITIONS

US NAVY

VAKKER DENTAL INC.

VALUMAX PROTECTIVE APPAREL INC.

VATECH AMERICA

VECTOR RESEARCH & DEVELOPMENT

VIDEO DENTAL CONCEPTS

VOCO AMERICA INC.

WALMART HEALTH

WATER PIK INC.

WEAVE

WELLS FARGO PRACTICE FINANCE

WOUNDED VETERANS RELIEF FUND

XENOSYS USA

XITE REALTY LLC

ZIMVIE

FDC2023 EXHIBIT HALL

HOURS & EVENTS

Times are subject to change.

THURSDAY, JUNE 29

11 AM-6 PM

Exhibit Hall Open to Attendees

11 AM-2 PM

Lunch available to purchase

4-6 PM

Welcome Cocktail Reception

FRIDAY, JUNE 30

8:45 AM-6 PM

Exhibit Hall Open to Attendees

11 AM-2 PM

Lunch available to purchase

3-5:45 PM

NEW! Puppy Cuddle Break

SATURDAY, JULY 1

9 AM-2 PM

Exhibit Hall Open to Attendees

11 AM-2 PM

Lunch available to purchase

EXHIBITORS IN PINK ARE FDAS CROWN SAVINGS PARTNERS.

VIEW THE CURRENT EXHIBITOR PRODUCT CATEGORIES! FLORIDADENTALCONVENTION.COM
*EXHIBITORS AS OF MAY 5, 2023
Visit floridadental.org/online-ce for this FREE, MEMBERS-ONLY BENEFIT. You will be given the opportunity to review the “Diagnostic Discussion” and its accompanying photos. Answer five multiple choice questions to earn one hour of CE.
Read, Learn and Earn!
2023 FLA-MOM • 2023 FLA-MOM • 2023 FLA-MOM • 2023 FLA-MOM 2023 FLA-MOM • 2023 FLA-MOM • 2023 FLA-MOM • 2023 FLA-MOM
FLA-MOM • 2023 FLA-MOM • 2023 FLA-MOM • 2023 FLA-MOM • 2023 FLA-MOM • 2023 FLA-MOM • 2023 FLA-MOM • 2023 FLA-MOM • 2023
2023 FLA-MOM 2023 FLA-MOM 56 2023 FLA-MOM • 2023 FLA-MOM • 2023 FLA-MOM • 2023 FLA-M 2023 FLA-MOM • 2023 FLA-MOM • 2023 FLA-MOM • 2023 FLA-MOM

Florida Mission of Mercy – Restoring Smiles Across the State of Florida

After experiencing mouth pain for more than six months, Brittany M. went to the 2023 Florida Mission of Mercy (FLA-MOM), which was held Feb. 27-28 at the South Florida Fairgrounds in West Palm Beach. After receiving her treatment, she shared with us, “This program has really changed my life. I have needed this dental work for months and couldn’t afford it. I really appreciate this, and I’m grateful to everyone who is associated with this event!”

In 2014, the Florida Dental Association (FDA) Foundation launched its signature philanthropic program, FLA-MOM FLAMOM is a large-scale dental clinic that provides care at no charge to patients with the goal of serving the underserved and uninsured in Florida. Since its inception, FLA-MOM has provided $14.67 million in donated dental services to more than 13,500 patients. FLA-MOM clinics are held in a different Florida community each year. One of the six district dental associations of the FDA partners with the Foundation to plan, raise funds and host a clinic in their region. Previous clinics have been held in Tampa, Jacksonville, ensacola, Fort Myers, Orlando and Tallahassee.

The 2023 FLA-MOM was held at the South Florida Fairgrounds in West Palm Beach in February. More than $1.85 million in dental care was provided to over 1,300 patients The clinic offered comprehensive services, including oral health education, x-rays, oral cancer screenings, extractions, fillings, root canals, cleanings, partials and immediate dentures. Patients also receive a personal dental kit and a resource guide of local community dental programs and clinics where they can access routine care.

Access to routine dental care can seem out of reach for many, especially those living in poverty. According to the National Institutes of Health, tooth decay is the most common chronic childhood disease and is disproportionately higher for low-income and minority children. The Centers for Disease Control and Prevention reports that more than one in four (26%) adults have untreated tooth decay, and nearly half (46%) of all adults aged 30 and older show signs of gum disease. The need in Florida mirrors that of the nation, and FLA-MOM is one way that the FDA Foundation feels it can improve oral health, and overall health, for people in need.

Established by the Virginia Dental Association Foundation (VDAF) in 2000, the Mission of Mercy (MOM) program was established to

Florida Smiles

increase access to quality oral care. In 2008, the national nonprofit organization America’s Dentists Care Foundation (ADCF) was established to support MOM clinics nationwide. Since 2008, ADCF-supported clinics in 31 states have provided more than $200 million in charitable care.

Florida joined the ADCF/MOM family in 2014 when the FDA president at that time, Dr. Terry Buckenheimer, visited the Virginia MOM to learn more and gauge the feasibility of bringing the program to Florida. As a member of the FDA Foundation Board of Directors, Dr. Buckenheimer thought the Foundation was the perfect organization for the program. The FDA Foundation Board of Directors worked for months to plan the first FLA-MOM, which was held in Tampa in 2014 at the Florida State Fair. Over two days, 1,450 volunteers came together to provide $1.15 million in donated care to 1,660 patients.

FLA-MOM is not intended to be a solution for dental care access issues. Still, this program highlights the significant and immediate need for long-term solutions to ensure the dental care for all Floridians, particularly those in underserved communities. As Florida’s advocates for oral health, the FDA and FDA Foundation work collaboratively to raise awareness about the challenges that some Floridians face in accessing critical dental care. Our organization champions policies that make oral health attainable for all Floridians. FLA-MOM provides tangible examples, faces, stories and data to illustrate the significant need for better oral health programs and policies.

The success of our FLA-MOM clinics is due in large part to our amazing volunteers, who are the lifeline of the program. From the parking lot attendants and patient ambassadors to the dental team members and lab techs — all play an integral role in the program’s success. Ask any volunteer who has ever attended FLA-MOM to describe the program, and you will probably hear the same phrase that is used repeatedly by FLA-MOM patients: life-changing

Please plan to join us in Lakeland for the 2024 FLA-MOM next spring. For more information about how you can participate as a volunteer or sponsor, please visit FLA-MOM.org or call the FDA Foundation at 800.877.9922.

After experiencing mouth M. went to the 2023 Florida was held Feb. 27-28 at Beach. After receiving gram has really changed for months and couldn’t grateful to everyone who In 2014, the Florida Dental launched its signature MOM is a large-scale dental to patients with the goal sured in Florida. Since million in donated dental FLA-MOM clinics are held year. One of the six district with the Foundation region. Previous clinics Pensacola, Fort Myers, The 2023 FLA-MOM was West Palm Beach in February. tal care was provided comprehensive services, oral cancer screenings, partials and immediate dental kit and a resource grams and clinics where Access to routine dental especially those living Institutes of Health, tooth childhood disease and come and minority children. Prevention reports that untreated tooth decay, and older show signs that of the nation, and tion feels it can improve in need.

Established by the Virginia in 2000, the Mission of

56 FLA-MOM • 2023 FLA-MOM • 2023 FLA-MOM • 2023 FLA-M FLA-MOM • 2023 FLA-MOM • 2023 FLA-MOM • 2023 FLA-MOM • 2023FLA-MOM
PRESENTING BENEFACTOR PLATINUM BENEFACTORS GOLD BENEFACTORS SILVER BENEFACTORS A COMPONENT OF THE AMERICAN & FLORIDA DENTAL ASSOCIATION AT L ANTIC COAST DISTRICT DENT AL ASSOCIA TION Oral Health Foundation PIERRE FAUCHARD ACADEMY DR. ANDY BROWN DR. GERALDINE FERRIS
A SPECIAL THANK YOU TO OUR 2023 BENEFACTORS

TMr. Tom & Mrs. Deborah Attman

Dr. Gerald & Mrs. Jerilyn Bird

Dr. John Cordoba

Dr. John E. Craig

Dr. Marcos Diaz

Dr. Donovan Essen

GOLDRING FAMILY FOUNDATION

Dr. Daniel Gesek, Jr.

Dr. Karen Glerum

Dr. Kristopher Harth

Dr. Bertram Hughes

Dr. Don Ilkka

Dr. Rudy Liddell

Dr. Brent Mayer

Dr. Oscar & Mrs. Denise Menendez

Dr. Jeffrey Ottley

Dr. Joe Richardson

Dr. Richard Stevenson

Dr. Beatriz Terry

Dr. Douglas Starkey

A COMPONENT OF THE AMERICAN & FLORIDA DENTAL ASSOCIATIONS NORTHEAST DISTRICT DENT AL ASSOCIA TION A COMPONENT OF THE AMERICAN & FLORIDA DENTAL ASSOCIATIONS NORTHWEST DISTRICT DENT AL ASSOCIA TION A COMPONENT OF THE AMERICAN & FLORIDA DENTAL ASSOCIATIONS CENTRAL FL ORID A DISTRICT DENT AL ASSOCIA TION BRONZE BENEFACTORS A COMPONENT OF THE AMERICAN & FLORIDA DENTAL ASSOCIATIONS WEST COAST DISTRICT DENT AL ASSOCIA TION
TALLAHASSEE STORE #1087

Dr. Ryan Askeland

Mr. Dan & Mrs. Lisa Babcock

Bisco

Dr. David Boden

Dr. Terry & Mrs. Karen Buckenheimer

Coltene

Dr. Brittney Craig

Mr. Douglas Dawson

Dr. Victor Dea

Dr. Sunghee Ahn

Dr. Nolan Allen

Dr. Bryan Berry

Dr. Tom Brown

Dr. Christopher Bulnes

Dr. George Collins, III

Ms. Debbie Conlon

Dr. Thomas Copulos

Dr. Rachelle Dermody

Dr. Bethany Douglas

Mr. Drew & Mrs. Joanne Eason

Dr. David Ferlita

Dr. Lee Friedel

Dr. Jeffrey Ganeles

Dr. Jan Garcia

Dr. Derek Gatta

Steve Prints

Dr. Jeffrey Anderson

Dr. Rory Mortmam

Dr. Barry Setzer

Palm Beach County Dental Association

Broward County Dental Association

Fortiline Waterworks

Niceville Family Dentistry

Dr. Rita Hurst

John Davis Construction

Dr. Bruce Tandy

CHAIR SPONSORS

Mr. Greg Gruber

Dr. F. Reese Harrison

Dr. Nancy Havens

Dr. Alana Humberson

Dr. Craig Kara

Dr. David Kellogg

Dr. Brenna Kever

Dr. Jodu Kodish

Dr. James Kortbus

Dr. Jay & Mrs. Karen Lerner

Dr. Laura McAuley

Dr. Eddie Martin

Dr. Stephanie Mazariegos

Dr. Paul Miller

Dr. Nancy Montgomery-Easley

Dr. Richard Mufson

Dr. Michelle Orris

Dr. Paul Palo

Dr. Jenna Pascoli

Dr. John Paul

Dr. Robert Payne

Dr. Stuart Pechter

Preventech

Dr. Brian Rask

Dr. Katherine Scures-Gutierrez

Dr. Janet Stoess-Allen

Dr. James Strawn

Dr. Joseph Thomas

Dr. Sean Tomalty

Dr. Cecilia Hines

Dr. Monica Weick

FRIENDS OF FLA-MOM

Mr. Ken Evelyn

Mr. Howard Goldstein

Mr. Enrique Rionda

Ms. Christine Reilly

Mr. Harvey & Mrs. Willyce Barr

Mr. Kenneth Barton

Mr. Benjamin Bell

Mr. Stephen Berini

Mr. Peter Bowe

Mr. Josh Beer

Dr. Steve Cochran

Dr. Abelardo Daya Attie

Dr. Mikhail Daya Attie

Distinct Association Management

Mr. Kevin Dolph

Dr. Steven Hochfelder

Dr. Ryan Huhn

Dr. Johnny Johnson

Mr. Arthur Kern

Mr. Richard Kniffin

McCranels Othodontics

Mr. Steven & Mrs. Joyce Mathias

Ms. Sandra Mortham

Mr. Chris Ooten

Richmond Dental

Mr. Dick Rule

Dr. Alan Slootsky

Mr. John H. Stewart

Treasure Coast Dental Association

Mr. Worth Trainor

Dr. William Truax, III

Yaseen Family Foundation

Dr. Arvind Vakani

Dr. Paul Werner

Dr. Marissa Whitehead

Mr. Brent Yohe

60 60
A SPECIAL THANK YOU TO OUR 2023 BENEFACTORS (CONTINUED)
PATRONS

FLA-MOM LEADERSHIP

A TREMENDOUS THANK YOU TO THE AMAZING LEADERS WHO CONTRIBUTED THEIR TIME AND TALENTS TO MAKE THE 2023 FLORIDA MISSION OF MERCY A GREAT SUCCESS!

2023 FLA-MOM LEADERSHIP

Dr. Karen Glerum n 2023 Local Co-Chair

Dr. Brandon Alegre n 2023 Local Co-Chair

Dr. Bruce Tandy n 2023 Local Co-Chair

Dr. Andy Brown n Statewide Co-Chair

Dr. Chris Bulnes n Statewide Co-Chair

Dr. Oscar Menendez n Statewide Co-Chair

2023 FLA-MOM COMMITTEE

Mr. Clay Archer n Data Services Lead

Dr. Dan Branca n Routing Co-Manager

Ms. Karen Buckenheimer n Oral Health Education Lead

Dr. Terry Buckenheimer n FLA-MOM Consultant

Ms. Beth Burwell n Patient Registration Manager

Dr. Sue Byrne n Clinical Co-Lead

Dr. Natalie Carr Bustillo n Pediatrics Co-Manager

Dr. Brad Cherry n Oral Surgery Co-Manager

Ms. Kathy Corrado n Patient Registration Manager

Dr. Victor Dea n Volunteer Lead

Dr. Nick DeTure n Fundraising Committee

Dr. Joan Diamond n Medical Triage Manager

Mr. Tom Diamond n Parking Manager

Dr. Marcos Diaz n Oral Surgery Co-Manager

Dr. Sam Elias n Prosthodontics Co-Manager

Ms. Heather Escobar n Volunteer Committee

Dr. Donovan Essen n Fundraising Lead

Dr. Monica Franklin n Hygiene Manager

Dr. Dan Gesek n Fundraising Committee

Ms. Angel Henry n Patient Registration Lead

Dr. Bertram Hughes n Central Supply Manager

Dr. Alana Humberson n Central Supply Committee

Dr. Reza Iranmanesh n Prosthodontics Co-Manager

Ms. Ciara James n Volunteer Committee

Mr. David Keough n Radiology Co-Manager

Dr. Lee Anne Keough n Radiology Co-Manager

Dr. Steve Krist n Dental Triage Co-Manager

Dr. Mark Limosani n Endodontics Manager

Dr. Stephanie Mazariegos n Restorative Co-Manager

Dr. Michelle Orris n Fundraising Committee

Dr. Paul Palo n Dental Triage Co-Manager

Dr. Jolene Paramore n Patient Registration Committee

Dr. John Paul n Routing Co-Manager

Dr. Queanh Phan n Clinical Co-Lead

Ms. Nikki Revoli n Volunteer Committee

Dr. Joe Richardson n Sterilization Co-Manager

Ms. Katie Schutte n Sterilization Co-Manager

Dr. Jenna Schwibner n Restorative Co-Manager

Dr. Douglas Starkey n Fundraising Committee

Ms. Emily Starr n Hospitality Lead

Dr. Michael Starr n Facilities Lead

Dr. Rick Stevenson n Safety Officer

Ms. Susan Tandy n Hospitality Committee

Dr. Paul Werner n Volunteer Committee

Dr. Marcie Young n Pediatrics Co-Manager

Dr. Steve Zuknick n Routing Co-Manager

FDA STAFF

Mr. Drew Eason n CEO/Executive Director

Mr. Greg Gruber n CFO/COO

Ms. R. Jai Gillum n Director of Foundation Affairs

Ms. Kristin Badeau n Foundation Coordinator

61 | TODAY'S FDA may/june 2023 61 | TODAY'S FDA may/june 2023
62 Came for the insurance ... stayed to support my profession. Coalition policyholders reported claims at a 70% lower frequency than the industry average. Cyber Insurance Just Got Easier Go to bit.ly/3ZWuPIG or scan the QR code on the right to get an instant quote and apply for coverage. Call or text us at 850.681.2996.

FDC2023 COURSE RECORDINGS

Wish you could attend two courses offered at the same time? Want to bring course information back to your team? FDC2023 course recordings are available for you to purchase!

Listen to FDC2023 courses at the convenience of your home or office with these MP4 audio recordings. Course recordings are $20 each or purchase all 75+ recorded sessions for only $299*.

Vist education.floridadentalconvention.com to purchase your FDC2023

IT’S NOT TOO LATE TO REGISTER!

LEARN THE FOUNDATION TO THE DAWSON ACADEMY PHILOSOPHY IN THIS DAWSON COURSE AT FDC2023.

FUNCTIONAL OCCLUSION – PROTOCOLS TO PUT YOUR PRACTICE IN THE TOP 10%, A TWO-DAY COURSE (C01)

THURSDAY, JUNE 29 & FRIDAY, JUNE 30 | 8 AM-5 PM, BOTH DAYS

SAVE UP TO 20% ON THIS DAWSON ACADEMY COURSE AT FDC2023!

LAUNCHING DENTISTRYFORWARD FLORIDADENTALCONVENTION.COM GAYLORD PALMS RESORT & CONVENTION CENTER | ORLANDO JUNE 29-JULY 1, 2023
LEONARD HESS,
CLINICAL DIRECTOR, THE DAWSON ACADEMY
DDS
SEATING IS LIMITED! REGISTER TODAY AT FLORIDADENTALCONVENTION.COM.

Practice Consolidation Is Cresting

It’s

Silent Partners Buy Part of Your Practice

Dozens of Invisible Dental Support Organization (IDSO) silent partners are paying record values for partial interests in Endodontic practices advised by LPS. Endo-only IDSOs compete fiercely with the multi-specialty and Specialty Surgical Trifecta IDSOs, driving up values. You should understand all of your options.

IDSOs purchase 51% to 90% of practices for cash now at low tax rates. Doctors retain ownership and have significant upside in the equity value. Some LPS clients have achieved 3x to 7x equity returns in only three to five years.

Long-Term Wealth Building Partnership

Doctors continue to lead their practice with their brand, team and strategy for years or decades. Practices benefit from the resources of a larger, silent partner, but are not micromanaged or homogenized.

IDSO partnership is not a short-term transition strategy, but rather a long-term wealth building partnership. Some happy LPS Endodontic clients are under 35!

Six or More Choices in Partnership

LPS clients have 6 to 10+ qualified bidders. LPS completed over $500 million of transactions for dentists of all types, in the last 12 months. LPS’ size enables our clients to achieve record values that the little advisors cannot match. Multiple Endodontic clients have achieved values of over 3x collections.

Your Value in Today’s Consolidation Frenzy

Great practices with at least $1.4 million in collections have many options today. You should understand the value of your practice in an LPS-advised process. Doctors who deal directly with IDSOs often leave millions on the table and do not get to consider ALL of their options.

Contact us to schedule a confidential, no obligation discussion to learn the value of your practice; you might be surprised at today’s values!

64
FindMyIDSO.com FLDental@LargePracticeSales.com
877-557-5119
Time to Understand the Value of Your Practice

Question:

Read, Learn and Earn!

Based on the above history, clinical presentation and microscopic findings, what is the most likely diagnosis?

A. Lipoma

B. Sialolith

C. Oral (benign) lymphoepithelial cyst

Visit floridadental.org/online-ce for this FREE, MEMBERS-ONLY BENEFIT. You will be given the opportunity to review the “Diagnostic Discussion” and its accompanying photos. Answer five multiple choice questions to earn one hour of CE.

D. Reactive lymphoid hyperplasia

E. Phlebolith and vascular malformation

or 800.877.9922.

A 63-year-old male was referred to Dr. Carlo E. Guevara, MD., an oral & maxillofacial surgeon in Fort Lauderdale, Florida, to evaluate a tongue lesion. Clinical examination revealed a well-defined, slightly elevated, dome-shaped mass of the tongue, involving the right lateral/ventral surface. The lesion was non-ulcerated and appeared whitish to yellowish. Adjacent tongue mucosa appeared normal, with several areas exhibiting sublingual varices. Overall, the lateral border of the tongue appeared normal and was unremarkable. (Fig. 1). The lesion measured 0.7 cm in the largest dimension and the patient reported no symptoms. The patient’s medical history was non-contributory. Dr. Guevara performed an excisional biopsy submitted to the Oral Pathology Biopsy Service at the University of Florida College of Dentistry in Gainesville for a diagnosis. Microscopically, an interesting entity was encountered. (Figs. 2 & 3).

65 | TODAY'S FDA may/june 2023 t
Fig. 1. Well-defined, slightly elevated, dome-shaped mass of the right lateral/ventral surface of the tongue exhibiting white to yellowish color (green arrow). Fig. 2. Vascular channel with calcified structure (green arrow) surfaced by keratinized epithelium (magnification, 2X). Fig. 3. Vascular channel (blue arrow) with calcified structure exhibiting laminated lines and concentric rings (magnification, 4X). Contact FDC Marketing Coordinator Brooke Martin at bmartin@floridadental.org

A. Lipoma

Incorrect, but great guess! Lipomas are benign tumors of fat and are much less frequent in the oral and maxillofacial region than on the trunk or extremities. They appear to be more common in obese people. Lipomas usually present as soft, smooth-surfaced nodular masses that are typically sessile or rarely may be pedunculated. However, the most common sites of occurrence include the buccal mucosa and buccal vestibule, which account for greater than 50% of all cases. These lesions are less commonly seen in areas such as the tongue, floor of the mouth or the lips. The diagnosis is confirmed microscopically as these lesions contain lobules of mature fat cells, usually separated into discrete lobules by thin connective tissue septa. These are treated by conservative local excision and rarely recur.

B. Sialolith

Incorrect! A good guess as this entity should be included in the differential diagnosis of lesions that appear yellow/white and especially in areas such as the ventral tongue or the floor of the mouth. Sialoliths are masses in the parenchyma (gland tissue itself) or ducts of salivary glands.

They form most often in the major glands, especially the submandibular gland. However, they also occur with some significant frequency in the ducts of minor salivary glands. However, minor salivary gland stones often form in the upper lip or buccal mucosa in middle-aged adults but are less common in the tongue. In addition, sialolith, as they obstruct the salivary ducts, may cause inflammation with superimposed bacterial infection, and this may lead to salivary inflammation termed as sialadenitis. In severe cases or rarely, it may result in abscess formation, producing a yellowish discharge. However, fortunately, we do not have such a presentation in our case.

C. Oral (Benign) Lymphoepithelial Cyst

Incorrect. An oral (benign) lymphoepithelial cyst (OLC) is a soft-tissue developmental cyst. It is a lesion that develops within the oral lymphoid tissue. It usually presents in the tonsillar area and the floor of the mouth or the posterior lateral border margin of the

tongue as painless small nodules of normal-yellow to white color and soft to a firm consistency. In our case, the lesion has a domeshaped appearance with a yellow color clinically; therefore, this is a strong consideration. However, the lesion is not as nodular as a classic oral lymphoepithelial cyst. Additionally, upon histopathologic examination, OLC is primarily characterized by the presence of a cyst surrounded by lymphoid tissue seen within the wall of the cyst. Desquamated fibrils, flakes and debris of keratinaceous material may accumulate within the lumen of this cystic cavity. These microscopic findings were lacking in our lesion.

D. Reactive Lymphoid Hyperplasia

Incorrect. Though lymphoid aggregates or hyperplastic lymphoid tissue may commonly be seen in the oral cavity and often appears as yellow or yellowish-white lesions. Hyperplasia may affect the lymph nodes or lymphoid tissue of Waldeyer ring (aggregates of lymphoid tissue which are normally scattered throughout the oral cavity).

When lymphoid tissue face an antigenic challenge/inflammation, it may undergo proliferation and may result in enlargement. This is clinically seen as lymphoid hyperplasia. Hyperplastic intraoral lymphoid aggregates present as discrete, non-tender, submucosal swellings, usually less than 1 cm, which may appear as normal or deep pink in color if the aggregate is deeper or may have a creamy-yellow color if it is closer to the surface. It has clinical similarities with our case. However, it can be differentiated as it appears as a nodular mass and is smaller in size. It is most likely in the posterior lateral border of the tongue and not the tongue ventrum.

E. Phlebolith and Vascular Malformation

Correct. Vascular malformations are common benign lesions, the majority of which develop in the head and neck region. Generally, vascular malformations such as lymphangiomas, haemangiomas and arteriovenous communications in the head and the neck region represent only an aesthetic problem, especially if small in size. Nevertheless, when localized in the tongue, these lesions can produce clinical issues, including, in the majority of cases, mass formation, difficulty in speech, chewing and mastication,

66 quiz

as well as, in rare cases, spontaneous hemorrhage. Although uncommon, progressive asymmetric tongue growth (macroglossia) can also be observed. Due to the hypermobility of the tongue, these may be subjected to biting trauma and lead to massive hemorrhagic ulcers. The other examples are sublingual varices which are dilated tortuous veins that may be seen along the ventral surface of the tongue or floor of the mouth. These tend to become more prominent with age as the overlying connective tissues undergo changes and become thinner and flaccid. As a result, there is the development of areas with low blood flow, which causes a predisposition to endothelial damage. This can lead to the formation of thrombi, which can later organize into fibro myxoid nodules and/or may undergo calcification, thereby forming a phlebolith, as encountered in our case. Simple surgical excision is curative with no recurrence reported.

Diagnostic Discussion is contributed by University of Florida College of Dentistry professors, Drs. Saja Alramadhan, Indraneel Bhattacharyya and Nadim Islam who provide insight and feedback on common, important, new and challenging oral diseases.

The dental professors operate a large, multi-state biopsy service. The column’s case studies originate from the more than 16,000 specimens the service receives every year from all over the United States.

Clinicians are invited to submit cases from their own practices. Cases may be used in the “Diagnostic Discussion,” with credit given to the submitter.

Drs. Alramadhan, Bhattacharyya and Islam and can be reached at oralpath@dental.ufl.edu.

Conflict of Interest Disclosure: None reported for Drs. Alramadhan, Bhattacharyya and Islam.

The Florida Dental Association is an ADA CERP Recognized Provider. ADA CERP is a service of the American Dental Association

to assist dental professionals in identifying quality providers of continuing dental education. ADA CERP does not approve or endorse individual courses or instructors, nor does it imply acceptance of credit hours by boards of dentistry. Concerns or complaints about a CE provider may be directed to the provider or to ADA CERP at ada.org/goto/cerp.

References:

Neville, BW, Damm DD, Allen CM, and Chi AC. (2016) Oral and Maxillofacial Pathology. 4th edition, WB Sanders, Elsevier.

Elias G, McMillan K, Monaghan A. Vascular lesions of the head and oral cavity – diagnosis and management. Dent Update 2016

Brahmbhatt AN, Skalski KA, Bhatt AA. Vascular lesions of the head and neck: an update on classification and imaging review.

Insights Imaging 2020

Regezi JA, Sciubba JJ, Jordan RCK. Oral Pathology: Clinical Pathologic Correlations. 7th ed. St. Louis, MO: Elsevier; 2017.

67 | TODAY'S FDA may/june 2023

Career Center

The FDA’s online Career Center allows you to conveniently browse, place, modify and pay for your ads online, 24 hours a day. Our intent is to provide our advertisers with increased flexibility and enhanced options to personalize and draw attention to your online classified ads!

Post an ad on the FDA Career Center and it will be published in our journal, Today’s FDA, at no additional cost! Today’s FDA is bimonthly; therefore, the basic text of all active ads will be extracted from the Career Center on roughly the 5th of every other month (e.g., Jan. 5 for the Jan/Feb issue, March 5 for the March/April issue, etc). Please note: Ads for the Nov/Dec issue must be placed no later than Nov. 1.

Please visit the FDA’s Career Center at careers.floridadental.org.

Pediatric Dentist, Spring Hill. We are a growing organization supporting dental practices around 9 states, predominantly focusing on pediatric dentistry with some general and orthodontics in the mix as well. We are currently in Georgia, Florida, Alabama, Texas, Virginia, North Carolina, South Carolina, Pennsylvania, and Mississippi. Established in 2015, we started with 3 offices and through constant diligence and commitment, now have up to 55 offices with a solid growth plan in place. We don’t have a particular number we are trying to reach but rather are focusing and looking to grow the right way – something we pride ourselves on! We are striving to change the DSO landscape and be different than many of the DSOs out there and in the process truly put a “dent” in dentistry. In addition, we pride ourselves on our mission statement and core values which govern our practice model. We are very culture driven and we are looking for providers who fit our cultural model. In essence, we consider ourselves a dental family and extend that warm reception to our communities. We refer to our patients as “guests,” and support exceptional clinical care. We are looking for a dedicated and motivated provider to join our team who is comfortable treating both children and young adults. We Offer: Autonomy to practice dentistry the way you were trained in an environment you are comfortable in; Competitive compensation; Partnership opportunities; Health insurance and a great benefit package; Company paid malpractice insurance; Paid time off/ Holidays; Financial support for continuing education; Work life balance. Requirements: Promote oral health and disease prevention; Diagnose oral diseases; Educate patients on oral health and various treatment options; Create

treatment plans to maintain or restore patient’s oral health; Review treatment plan options with patients; Review, maintain and update patients’ medical and dental records; Review and interpret x-rays and diagnostic tests; Monitor growth and development of the teeth and jaws; Provide proper restorative and preventive dental care; Maintain the highest quality standard of care for all patients; Maintain the highest standard of ethics and professionalism within the dental office; Keep abreast of new developments, technologies, best practices and standard of care through current continuing education courses and professional development. Qualifications: DMD or DDS degree from a university-based dental education program accredited by the American Dental Association Commission on Dental Accreditation (ADA CODA); Current state license to practice dentistry. Job Type: Fulltime. About Oak Dental Partners: Oak Dental Partners is a growing organization supporting dental practices around 9 states, predominantly pediatric, general, and orthodontic dentistry in Georgia, Florida, Alabama, Texas, Virginia, North Carolina, South Carolina, Pennsylvania, and Mississippi. Established in 2015, ODP started with 3 offices and now we’re up to 55 offices and we have a good growth plan, but we are looking to grow the right way. We are striving to change the DSO landscape and be different than many DSOs out there. We pride ourselves on our mission statement and core values which govern our practice model. ODP is very culture driven and are looking for providers who fit our cultural model. We are a dental family. We call our patients, guest, and support an exceptional clinical care. We are looking for a dedicated and motivated provider to join our team. We have a great opportunities around the states, and

I would love to set up a time to connect and discuss these opportunities and what we can offer to better support your career plans. Visit careers.floridadental.org/jobs/18506682

Space Coast dental office building, property & equipment for sale, Merritt Island. Free standing 2883 sq ft building, 4 operatories equipped, 6 others plumbed. Perfect for general dentist starting out, dental specialist or medical doctor. Equipment is functional but older Pelton Crane that could be updated gradually. The office is located in the middle of a 7 mile stretch of residential homes (3 miles to the north and 4 to the south) and is the only dental office on this east side of Merritt Island. The property is also 1.5 miles from the new hospital under construction making it ideal for a medical office. $600k Property, Building & Equipment. Send inquiries and cell phone number/contact info to: STA@cfl.rr.com. I will initially respond with same by text message. Photos and specs on request. Visit careers.floridadental.org/ jobs/18444978/

Periodontist, Tallahassee. Great career opportunity in a growing practice in Tallahassee, FL. Full time associateship with opportunity to buy into the practice. Visit careers.floridadental. org/jobs/18287250/

Dental Hygienist, Melbourne. DENTAL HYGIENIST @ Dental Partners of Melbourne & Merritt Island, Sign-On Bonus of $2,500. CE Allowance. Join our certified GREAT PLACE TO WORK! Are you looking for a new dental family? We have an opportunity for a friendly, patient-centered individual to join our team. Making a difference each and every day is what we do at The Gentle Dentist Practice! Our teams serve our patients

68

by building valuable relationships, providing excellent dentistry and a range of services to suit the needs of the community. If you are looking for a Full-Time opportunity to be a part of a well-established and successful dental practice, consider scheduling a confidential appointment with us today. We are seeking a Dental Hygienist to work in a fast paced, well established dental office. You must enjoy working with all ages of patients and educating them on how to have a healthy and beautiful smile. **NEW GRADS welcome to apply** We follow all CDC protocols with regards to COVID and provide all the PPE, Daily Health Checks, and training to keep you safe and healthy. We have what makes you smile! Competitive compensation with performance incentives; Hygiene coaching and mentorship through our Mentor program; Keep your clinical skills up to date with various CE’s offered throughout the year and through our mentor program; Saving for retirement with a best-in-class 401K plan with employer match; Paid time off program from day 1; Paid Holidays from day 1; Free uniforms; Free dental insurance for full time team members and a discount for legal dependents; Health and Wellness plans to keep you and your dependents healthy which includes medical, dental, vision, free life, and other policies. Internal wellness program with opportunities for education and prizes for participation; Participate in group and individual charity initiatives in your community; Busy, fast paced friendly team atmosphere. Sound interesting? We’d love to speak with you today! www.puredentalbrands.com . Certified Great Place to Work. Inclusive Culture. Drug Free workplace, equal opportunity employer. AARP Hiring Pledge. Veteran’s Hiring Pledge. You want to work with the best organization, and we want to work with the best providers. Therefore, all candidates must be licensed to practice in the State of Florida with no board reprimands or issues and have valid X-ray license. About Waterside Dental. Join our growing family! With 45 locations in 6 states, 2 divisions (specialty and general dentistry) and 500 team members, we have a lot to offer! Our offices are staffed with highly skilled individuals who truly care about our patients and the field of Dentistry. Our team carries out its mission to improve lives by providing an exceptional patient experience through comfortable, quality dental care at an outstanding value. Interested in learning more? See our website at www.puredentalbrands. com.com. Visit careers.floridadental.org/ jobs/18157567/

Dental Hygienist, Venice. DENTAL HYGIENIST

– Waterside of Venice. Sign-On Bonus of $5,000. Student Loan Repayment Program $10,000. CE Allowance. Join our certified GREAT PLACE TO WORK! Are you looking for a new dental family? We have an opportunity for a friendly,

patient-centered individual to join our team. Making a difference each and every day is what we do at The Gentle Dentist Practice! Our teams serve our patients by building valuable relationships, providing excellent dentistry and a range of services to suit the needs of the community. If you are looking for a Full-Time opportunity to be a part of a well-established and successful dental practice, consider scheduling a confidential appointment with us today. We are seeking a Dental Hygienist to work in a fast paced, well established dental office. You must enjoy working with all ages of patients and educating them on how to have a healthy and beautiful smile. **NEW GRADS welcome to apply**. We follow all CDC protocols with regards to COVID and provide all the PPE, Daily Health Checks, and training to keep you safe and healthy. We have what makes you smile! Competitive compensation with performance incentives; Hygiene coaching and mentorship through our Mentor program; Keep your clinical skills up to date with various CE’s offered throughout the year and through our mentor program; Saving for retirement with a best-in-class 401K plan with employer match; Paid time off program from day 1; Paid Holidays from day 1; Free uniforms; Free dental insurance for full time team members and a discount for legal dependents; Health and Wellness plans to keep you and your dependents healthy which includes medical, dental, vision, free life, and other policies; Internal wellness program with opportunities for education and prizes for participation; Participate in group and individual charity initiatives in your community; Busy, fast paced friendly team atmosphere. Sound interesting? We’d love to speak with you today! www.puredentalbrands.com. Certified Great Place to Work. Inclusive Culture. Drug Free workplace, equal opportunity employer. AARP Hiring Pledge. Veteran’s Hiring Pledge. You want to work with the best organization, and we want to work with the best providers. Therefore, all candidates must be licensed to practice in the State of Florida with no board reprimands or issues and have valid X-ray license. About Waterside Dental. Join our growing family! With 45 locations in 6 states, 2 divisions (specialty and general dentistry) and 500 team members, we have a lot to offer! Our offices are staffed with highly skilled individuals who truly care about our patients and the field of Dentistry. Our team carries out its mission to improve lives by providing an exceptional patient experience through comfortable, quality dental care at an outstanding value. Interested in learning more?

See our website at www.puredentalbrands. com.com. Visit careers.floridadental.org/ jobs/18157595/

INTERIM SERVICES, ANY PART OF FLORIDA ROBERT J ZOCH, DDS, MAGD, PA. GENERAL DENTIST WILL TRAVEL ANYWHERE IN FLORIDA: Sick

Seeking

Qualified Dental Radiographer?

Train your dental assistants to expose radiographs using the FDA’s MyDentalRadiography online course that combines self-paced learning with clinical proof of competency. Call Lywanda Tucker at 850-350-7143 for details or visit mydentalradiography.com/FDA to create a supervising dentist account and complete the necessary tutorial on how the program works.

Leave, maternity leave, vacation or death, I will cover your practice so that production continues while you are out. Experienced in covering general dentists, pedodontist and orthodontist. Please call or text Robert Zoch, DDS, MAGD at 512-517-2826 or email: drzoch@yahoo.com. Visit careers.floridadental.org/jobs/18047931/

Furnished Dental Office on 1 acre of land. Practice not included, Belleview. Tap into the market of CASH PAYING retirees of The Villages, Del Webb, and Stonecrest 55+ communities who want a private dentist and not a DSO. There is also an untapped population of hundreds of young families moving into new homes in the immediate area! The only other dentist in the vicinity is a Heartland office. Two fully equipped operatories occupy a free-standing 950 sq. ft. building built in 2008 plumbed for three operatories. It is situated on one beautiful acre of land on busy US 301 just north of THE VILLAGES. Modern chartless office is equipped with digital sensors and Patterson Fuse cloud-based software. There is plenty of room to expand existing building or even build a new office and rent the current space. Please message me for more pics or to arrange a visit. $369,900 includes dental equipment and building/property. Visit careers. floridadental.org/jobs/13686503/

69 | TODAY'S FDA may/june 2023 career center
70 FLORIDA DENTAL CHATTER Join u s at fa ceboo k . co m /g ro u ps/ flo r i dadenta lchat te r. This Facebook group is designed for dentists to interact with other members, receive the latest updates and information, and engage with FDA leaders and sta across the country. This is the place to be in the know! NEED HELP WITH PATIENT COMPLAINTS? The Peer Review program is designed to help Florida Dental Association member dentists. Avoid costly legal fees, malpractice suits and Board of Dentistry complaints by using this free service exclusively for members. Learn more online at FloridaDental.org/PeerReview or by contacting FDA Peer Review Coordinator Lywanda Tucker at 850.350.7143 or ltucker@floridadental.org

Support

OUR JOURNAL ADVERTISERS

SUPPORT OUR ADVERTISERS, AND WHEN YOU DO, MENTION TODAY’S FDA!

ADVERTISING INFORMATION

For display advertising information, contact: Deirdre Rhodes at drhodes@floridadental.org or 800.877.9922, Ext. 7108.

For Career Center advertising information, contact: Jill Runyan at jrunyan@floridadental.org or 800.877.9922, Ext. 7113.

PUBLISHING INFORMATION

Today’s FDA (ISSN 1048-5317/USPS 004-666) is published bimonthly by the Florida Dental Association (FDA), 545 John Knox Road, Ste. 200, Tallahassee, FL 32303. FDA membership dues include a complimentary subscription to Today’s FDA. Nonmember subscriptions are $150 per year; foreign, $188. Periodical postage paid at Tallahassee, FL and additional entry offices. Copyright 2023 Florida Dental Association. All rights reserved. Today’s FDA is a refereed publication. POSTMASTER: Please send form 3579 for returns and changes of address to Today’s FDA, 545 John Knox Road, Ste. 200, Tallahassee, FL 32303.

EDITORIAL AND ADVERTISING POLICIES

Editorial and advertising copy are carefully reviewed, but publication in this journal does not necessarily imply that the FDA endorses any products or services that are advertised, unless the advertisement specifically says so. Similarly, views and conclusions expressed in editorials, commentaries and/or news columns or articles that are published in the journal are those of the authors and not necessarily those of the editors, staff, officials, Board of Trustees or members of the FDA.

EDITORIAL CONTACT INFORMATION

All Today’s FDA editorial correspondence should be sent to Dr. Hugh Wunderlich, Today’s FDA Editor, Florida Dental Association, 545 John Knox Road, Ste. 200, Tallahassee, FL 32303. FDA office numbers: 800.877.9922, 850.681.3629; fax: 850.561.0504; email address: fda@floridadental.org; website address: floridadental.org. Today’s

member publication of the American
Dental Editors and the Florida Magazine Association.
FDA is a
Association of
3% Dental Practice Brokerage, LLC | 21 American Sensor Tech | 21 Doctor’s Choice | 44 & 45 E-Vac Inc. | 11 FDA: Online Radiography Program | 36 FDA: Peer Review Program | 70 FDA: Well-being Program | 21 FDAS: Agents | Inside Front Cover FDAS: Crown Saving Partners FDC2023 | 34 FDAS: Cyber | 62 53 | FDAS: iCore Connect 40
Henry Schein Professional Practice Transitions Inside Back Cover | A1 Handpiece Specialists 64 | Large Practice Sales 41 | The Doctors Company 21 | Tobacco Free Florida Back Cover | FDAS: Gift of Coverage 22 & 23 | FDAS: The Doctor’s Company
|

I was checking my e-mails and noticed a reference in the “subject” to a serious condition/medical acronym. I am already borderline CAD, ED, TED, COPD and PUD. The new one is BADD. It is Bipolar Age-related Dental Disorder. I might have BADD-bad. This is how it manifests:

On my way to check a hygiene patient in Room #1, I notice a small dead bug in the hallway, so I duck into Room #2 for a paper towel to pick it up where Mary happened to be waiting to help me place a final polyvinyl impression, so after placing the tray, she tells me there is a problem in the bathroom, but I decide to check the other hygiene patient on the way and notice some splatter on my loupes and stop at the sink to wash them and reach for a towel as the water warms, but my hands are so wet that the last of the paper towels tears, so I go back to the lab where the Sam’s Club list hangs next to the vacuum machine and add C-folds to the list, but first I should suck down that night guard on that afternoon patient, but the stone model needs a trim first so I reach for my safety glasses, but water pressure seems low in the model trimmer and could it be an endo film stuck in the feed slot not letting the water shut off in the automatic film processor, so before checking that I pass by the sink and smell a strong “rotten-egg smell” and run some water to rinse the aroma away, but I see the plaster trap needs changing or the odor will be all over the office, but I need that special wrench to remove the trap that is in the toolbox in the copy room next to the fax machine so I bend down to pick up one of five incoming faxes on the floor and see that this fax looks important, but I cannot read it without my reading glasses, so I go to my desk and find my coffee cup that now is cold from a morning brew, so I head to the break room to warm up my coffee in the microwave and find a Michelina’s Chicken Marsala that was left in the microwave all weekend and walk past the window on the way to put it in the trash and see the “red-bag” guy pulling

Do I Have it BADD-bad?

into the parking lot so I head to the supply room for a new red bag to line the box, but in the hallway I see a “blinking light” on the AED indicating a new battery is needed and go to the closet for that special $149 Welch-Allyn battery, but first I need a screw driver from the toolbox in the copy room to remove the cover to the battery case, but my assistant Mary tells me the numbness is now gone on the endo patient and for some reason the “first-file periapical” is not up yet, so I lift the rubber dam to give another block and the clamp rips his papilla off and lands next to that bug in the hallway.

It is now the end of the day:

I haven’t had time for coffee.

Two hygiene patients are still waiting for an examination.

My hands are wet, and we are out of C-fold towels.

There is a guy wandering the hall with an impression tray stuck in his mouth and a pint of drool on his shirt.

The red bag guy and dental laboratory girl are waiting for pickups.

A rotten-egg smell has merged with a burnt plastic odor from a sheet of night guard plastic that melted over my loupes on the vacuum machine.

Water is running in the hall sink, lab sink, patients’ toilet and X-ray processor.

My reading glasses are in the microwave.

A fax is in a red bag.

My coffee cup is in the toolbox.

My AED is now beeping.

The guy in room #3 is bleeding.

There still is a dead bug in the hallway. This is another B.A.D.D. day. I am puzzled because I know I was busy all day and really tired, but I didn’t seem to get anything done. Should I refer more to specialists? I know this is a serious problem, and I don’t know how it started, but first, I’ll check my tweets ...

72 off the cusp
TODAY'S FDA VOL. 34, NO. 4 • JULY/AUGUST 2022 TOP 1O ISSUE THANK YOU! 800.877.7597 • fdaservices.com • insurance@fdaservices.com With your support, FDA Services was able to contribute $2,131,188 in dues reductions this year! Switch your insurance to FDA Services today and help support organized dentistry. VOL. 34, NO. 4 • JULY/AUGUST 2022 THANK YOU! 800.877.7597 • fdaservices.com • insurance@fdaservices.com With your support, FDA Services was able to contribute $2,131,188 in dues reductions this year! Switch your insurance to FDA Services today and help support organized dentistry. TODAY'S FDA VOL. 34, NO. 4 • JULY/AUGUST 2022 TOP 1O ISSUE THANK YOU! 800.877.7597 • fdaservices.com • insurance@fdaservices.com With your support, FDA Services was able to contribute $2,131,188 in dues reductions this year! Switch your insurance to FDA Services today and help support organized dentistry.

Turn static files into dynamic content formats.

Create a flipbook
Issuu converts static files into: digital portfolios, online yearbooks, online catalogs, digital photo albums and more. Sign up and create your flipbook.