The Journal of the Future Project - 2014

Page 1


How do I use the QR codes in this journal?

Throughout this journal you would have noticed the little black and white square symbols that look like this: [image shown below] Ther QR codes allow you to view the multimedia content that has been developed by The Future Project on your smartphone. To use them you must have a smartphone equipped with a camera and a QR code reader/scanner application.

Visit your phone’s app store (examples include the Android Market, Apple App Store, BlackBerry App World, etc.) and download a QR code reader/scanner app. Activate the app to focus the phone's camera on the QR codes shown, and the mutimedia content should present itself for your viewing pleasure, alternatively visit www.thefutureproject.com. Some of this content uses Creative Commons images that have been sourced via http://photopin.com. The license for these images can be found at http://creativecommons.org/licenses/by-nc-nd/2.0/.

Foreword

Science is awesome. Yes, it demands patience. Yes, it tests your passion and persistence. But watch a spacecraft travel 4 billion miles to put a lander on a comet – or a man with a severed spine take his first steps in five years – and you wouldn’t give it up for anything.

Step by step, study by study, we can change the world around us for the better. We bring out our better selves to do it. As a scientist, you are trained to think analytically, approaching issues in a systematic and critical way. You value objectivity, putting evidence above emotion. You evaluate, with method, care and teamwork.

You question the things you are told and the answers you don’t understand. And you imagine how the world might be different.

I think Australia needs a lot more people with these qualities, and not just in the laboratories producing papers. The world around us is changing, as our technologies progress and our societies adapt in turn.

It is difficult to imagine a job in the years ahead that will not demand an understanding of science: both its methods and its endless applications. It is impossible to see solutions to the great problems of our world, without discovery and innovation on a massive scale.

Too many students today know science as nothing more than dry old textbooks, too boring, too hard or out of date. That might be why our science enrolments in senior years have dropped to their lowest level in two decades, with implications we will feel for decades ahead.

I think science should be taught as it is practised, and this new Journal is the proof of what that can yield. I congratulate all the students who have contributed to the first edition, and the teachers and working scientists who inspired their journeys.

There are lessons here for all Australians.

Introduction to The Future Project

The discovery of antibiotics was not a result of a careful series of scientific experiments planned out in advance. It was, as scientific progress often is, a lucky mix of happenstance, observation and meeting of minds willing to explore where the idea might lead. Such is the history of The Future Project. Since this is the very first edition of the Journal of The Future Project, it is timely to record how it started, evolved to its present form and to speculate where it might be heading.

The initial idea was not mine; it originated from my misunderstanding of someone else’s idea. This poor listening happened to coincide with the construction of the new Science Centre at The King’s School and so the idea of a teacher doing some research in a school setting accidently morphed into placing a research facility within a school. The possibilities of using this to inspire young minds soon engaged Dr Brad Papworth and me in a quest to see if it might actually be possible. Fairly quickly we were told “no”. No way. It simply could not happen.

Undaunted by this criticism and rejection from other universities, we approached Macquarie University and got the enthusiastic endorsement of the Vice Chancellor, the Deputy Vice Chancellor of Research, and the Dean of Science. With the validation of such significant players, we were encouraged to progress our plans, and with the

courage of the Headmaster, Bursar and Council of The King’s School, started turning dreams into concrete and steel. At the same time, Associate Professor Ben Herbert (then at Macquarie University) generously sponsored a pilot program with our students working with him and his research team on stem cells.

When things were looking positive, just past the point of no return in the construction of the building, a change in the key people at Macquarie University precipitated a change of heart. Our “good” idea was no longer possible. The initial critics had been right. The hurdles of placing university level research within a school were too great. Our “crazy idea” was going the way of the perpetual energy machines – nice to have but impossible to create. The “Law of conservation of the academic paradigm” would not allow school students to participate in authentic scientific research. It seemed that it just wasn't feasible to have tertiary academics and researchers work at a school. Many people, highly experienced in the research and design and tertiary sectors thought it was a unique and exciting idea and were quite encouraging in their endorsement, but just couldn't see how we were going to make it work. This is turn led to conversations of how the space set aside in the new Science Centre could be used if it wasn't for a research precinct. There might be many ways to succeed, but there are infinitely more

ways to fail. If it had been me alone, the idea probably would have failed at this point, but Brad’s energy and resolve kept us going. We hit the phones and science communication networks and finally Brad unearthed Vitramed, a “mum and dad” research company. They were as excited about the potential of real science in a school as we were. They were followed by Prime Biologics, a larger company looking for a new home, who also caught the vision. With a pulse again, The Future Project started to look like it had a future. It caught the attention of the University of Sydney’s Faculty of Engineering and IT and with the vision of Gabrielle Smith and the endorsement of its Dean, Professor Archie Johnson, we signed an agreement to bring some of their research to our facility as well.

So we concluded our year at the Graduation and Awards evening, celebrating the work of the 25 students who were involved in the two strands: Interns and Communicators. The Interns worked alongside our collaborating scientists and engineers to produce the high quality academic articles in this journal. The Communicators translated scientific and engineering concepts, making them accessible for a range of audiences from primary aged students to the broad public at our forum.

"Together, we have done the impossible; created a sense of wonder and possibility by placing first hand authentic research in the heart of secondary science education."

Next year will see a big expansion in the numbers of both internal and external students involved. Looking at the big picture, we would love to see this replicated in every capital city in Australia, creating a network of Future Project hubs, producing a tangible shift in the promotion of science and engineering.

Australia’s wealth is currently defined by our policy makers as minerals in the ground. Instead of defining our international value as an island quarry, we need to make our goal “sustainable prosperity” – the sort of prosperity our grandchildren can benefit from. What we can be certain of is that innovative and creative Scientists and Engineers will be the foundation that builds sustainable prosperity, and finds solutions to a range of social and environmental issues. The Future Project wants to play its part in creating this sort of future.

Testing and improving the survival of Dietzia during simulated gastric transit: a first step in its screening as a probiotic for Crohn’s Disease

ABSTRACT

Dietzia C79793-74 has been shown effective in the treatment of Johne’s disease in cattle, and is being screened for its potential as a probiotic for treatment of Crohn’s disease in humans. Ideally, for delivery via the oral route, Dietzia C79793-74 should show some tolerance to gastric transit, including the low pH environment encountered in the stomach. Dietzia C79793-74 was inoculated into simulated gastric juice with different pH levels (pH 2, 3, 4), and survival over time evaluated using serial dilutions and spread plates. In addition, a number of milk drinks (full cream, light, almond, soy, and skim) were evaluated for their effectiveness at increasing Dietzia C7979374’s tolerance to gastric transit. After 60 minute exposure to gastric juice at pH 2 there was a 2.3 log10 CFU/ mL reduction in the number of viable cells of Dietzia C79793-74, with counts falling below the limit of detection after 80 minutes. However, Dietzia C79793-74 survived very well at pH 3 and 4, indicating that the bacterium has some acid tolerance and may survive gastric transit if patients are pre-treated with an acid inhibitor. Results also show that milk assists in survival of Dietzia C79793-74. All of the different types of milk tested proved effective at doing this, including almond milk, despite it’s ineffectiveness at raising the pH level of the gastric juices. Further investigations are required to determine the tolerance of Dietzia C79793-74 to conditions in the small intestine.

INTRODUCTION

Inflammatory bowel diseases cause inflammation of the small and large intestine, as well as extreme rectal pain and bleeding (Duerr, 2006). The most common forms of IBD are ulcerative colitis and Crohn’s disease. Although treatment is possible, there is no current cure for Crohn’s disease.

The probiotic Escherichia coli Nissle has shown promising results in patients suffering from ulcerative colitis (Kruis, et al. 2004). The use of the bacteria Dietzia C79793-74 has showed promising results in the treatment of Johne’s disease in cattle (Click and Van Kampen, 2010), and has been proposed as a potential probiotic to treat Crohn’s disease in the human body. Johne’s disease and Crohn’s disease are very similar chronic wasting diseases. Clinical trials are planned for the future to evaluate the safety and efficacy of Dietzia C79793-74 for the treatment of Crohn’s disease.

In order for a probiotic to be administered to humans via the oral route, it is ideal if the probiotic has some tolerance to gastric transit. As Dietzia C79793-74 undergoes gastric transit it will be exposed to a highly acidic environment, especially in the stomach, which kills a high percentage of the bacteria that enters it. Some bacteria, such as Helicobacter pylori, prefer the low pH

level, and thus survive the stomach’s attempts to expel any intruders. The pH of the stomach can reach as low as 1.5. Dietzia are known to grow at alkaline and neutral pH (Yumoto, 2002), but its survival under acidic conditions is not known.

The other alternative to this is by temporarily increasing the overall pH of the stomach altogether, to make it less acidic and harmful to the Dietzia. This can be achieved by ingesting antacid tablets (Maton and Burton, 1999). It can also be done by introducing substances to be ingested along with the Dietzia, which will act during the gastric transit. Dairy products, for example are effective carriers of probiotic bacteria, as they provide a suitable environment and protection (Shah, 2000).

Experiments were performed to determine at what pH Dietzia C79793-74 is able to survive through a gastric transit simulation. Experiments were also conducted to find out which milk provides the best protection for Dietzia C79793-74 through the gastric transit. Milks might protect Dietzia by raising the pH of the local environment. Also, as fats can provide some protection, full cream or higher fat milks may provide protection to Dietzia C79793-74 during simulated gastric transit.

METHOD

Preservation and Preparation of Culture

Dietzia C79793-74 was cultured in tryptic soya broth with fructose (TSBF) for 96 hours at 27°C, harvested by centrifugation, supplemented with 10% glycerol and stored at -80°C until use. Prior to simulated gastric transit, 2 mL aliquots were washed via centrifugation (4000 g, 10 min) in 0.9% saline solution. Following this, the cells were resuspended in 0.9% saline solution for use as the inoculum.

Gastric Transit

Simulated gastric juices (pH 2, 3 and 4, with pepsin) were prepared by weighing 0.015 g of pepsin into a 15 mL centrifuge tube, then adding 4 mL of deionised water. The pH of this solution was then adjusted to 2.0, 3.0, or 4.0 with diluted HCl / 0.1 M NaOH using a pH meter. Using pipettes, 200 µL of Dietzia C79793-74 inoculum was inoculated into 1.3 mL of simulated gastric juice, which was then incubated at 37˚C. The inoculum was then diluted, with the final three dilution factors (10-6 , 10-7 and 10-8) spread-plated onto TSBF agar plates to check the inoculum concentration. After 20 minutes in the incubator, the inoculated stomach juices were taken out and subjected to a dilution series, including plating out the final dilutions, which decreased in dilution with increasing time (e.g. 0 minutes: 10-6, 10-7, 10-8; 20 minutes: 10-5, 10-6, 10-7; etc.). This process was repeated at 20-minute intervals up until 80 minutes. The plates were then incubated at 27˚C for four to six days, when they were taken out and the colonies were counted and recorded to compare survival at different pH. Experiments were performed in duplicate.

Milk Experiments

The Dietzia C79793-74 inoculum and simulated gastric juice at pH 2 were prepared as above. Aliquots, 100 µL of the Dietzia inoculum was inoculated into 9.9 mL of either full cream, lite, skim, soy or almond milk (Table 1). This mixture was then used as the inoculum for the gastric transit, with 200 µL of the mixture being inoculated into 1.3 mL of gastric juices, and so on (see Gastric transit, above).

B. Fraser1, S. Hariharan1, S. Miller1, T. Simpson1, M. Bull2, B. Chapman2 THE FUTURE PROJECT1 and VITRAMED BIOSCIENCE2 The King's School, NSW 2151 Australia

Table 1: Milk types used in gastric transit experiments

Type Brand

RESULTS

Effect of pH Level on Dietzia C79793-74 Survival

In the pH 2 experiment, the inoculum contained 8.79 log10 CFU/mL and maintained 8.72 log10 CFU/mL after exposure for 40 minutes (Figure 1). However, after exposure for 60 minutes there was a 2.3 log10 reduction in the population of bacteria. After 80 minutes, counts fell below the limit of detection. While this was a noticeable reduction, it shows that Dietzia C79793-74 has some acid resistance, which provides a base to build on for future experiments.

In the pH 3 and pH 4 experiments the total population of Dietzia C79793-74 was maintained for the trial period (Figure 1).

Effect of Milk on pH of Gastric Juice

The effect of milk on the pH of pH 2 gastric juice was tested to determine if different types of milk could provide a sufficient buffer for acidic gastric transit. Milk could potentially be used as a supplement to be ingested, to assist with Dietzia C79793-74’s tolerance to the gastric transit.

The pH was tested using a pH meter. Results showed that full cream, lite, skim and soy milk had similar effects on the pH of the gastric juices, increasing pH from 2 to around pH 4 - 4.5 (Figure 2). However, almond milk did not have much of an effect on the pH level of the gastric juice. By itself, almond milk has a pH level of 6.59. When added to pH 2 gastric juice, the pH of the gastric juice only increased to pH 2.27.

Figure 1: The effect of pH on the tolerance of Dietzia to simulated gastric juices. Results are from duplicate experiments. Error bars are standard error of the mean.

Figure 2: Effect of milk on the pH of simulated gastric juice (originally pH 2)

Figure 3: The effect of milk on the tolerance of Dietzia to simulated gastric juices. Results are from duplicate experiments. Error bars are standard error of the mean

Effect of milk on Dietzia C79793-74 survival

Each milk was tested with simulated gastric juice originally prepared at pH 2. Results show that all milks were very consistent at assisting Dietzia C79793-74 through the simulated gastric transit (Figure 3). Full cream, lite milk, skim milk and soy milk all improved the survival of Dietzia C79793-74 considerably when compared to pH 2 without milk (Figure 1), which could be due to their effect on the pH as seen in Figure 2. Results also showed that almond milk, although ineffective at raising the pH level (Figure 2), still increased the survival of Dietzia C79793-74 in the simulated gastric juices. This was unexpected. At inoculation for almond milk there was 6.33 log10 CFU/mL and after 80 minutes in gastric juices pH 2, there was only a 0.33 log10 CFU/ mL reduction in the amount of viable bacteria. A possible explanation for this may be that the natural oils found in almond milk can assist in protection of bacteria against low pH.

DISCUSSION

The survival of Dietzia C79793-74 through simulated gastric transit is nearly completely governed by the pH of the model. This information is very relevant when it comes to consideration of clinical trials to test the effectiveness of Dietzia as a treatment for Crohn’s disease. It is clear that Dietzia C79793-74 has a natural acid resistance, at least to pH 3, where no decrease in counts occurred after an 80-minute exposure. At pH 2, counts for Dietzia C79793-74 did not decline for 40 minutes, and then rapidly decreased by around 2 log10 CFU/mL in the next 20 minutes. This is believed to be due to critical hits (Miles, 2006), with each cell taking a number of ‘hits’ from the acidic environment until it is unable to live. The critical hit process was suggested in the spread plate analysis, as the colonies growing were smaller. The reduction in colony size could be due to injuries caused in the gastric transit, which saw cells recover from them and grow at a slower rate.

References

Charteris, W.P., P.M. Kelly, L. Morelli and J.K. Collins (1998). Development and application of an in vitro methodology to determine the transit tolerance of potentially probiotic Lactobacillus and Bifidobacterium species in the upper human gastrointestinal tract. Journal of Applied Microbiology, 84: 759–768.

Click, R.E., and C.L. Van Kampen (2010). Assessment of Dietzia subsp. C79793-74 for treatment of cattle with evidence of paratuberculosis. Virulence 1 (3): 145–55.

The implementation of protective agents such as soymilk and full cream milk in a pH 2 gut environment saw a drastic change in Dietzia’s survival, compared with when these substances were not present. The survival of Dietzia C79793-74 in the presence of skim milk, soy milk, full cream milk, and lite milk closely mimicked the results of the pH 3 experiment, with high levels of survival. Milk has been used by others to increase the pH level during gastric transit of probiotics (Huang, 2004), and fat and milk proteins may also assist survival (Charteris, 2002). From the experimental results we can conclude that in the stomach, in the presence of a buffer (e.g. acid inhibitors, milk) Dietzia C79793-74 is resistant at pH ≥ 3 for at least 80 minutes. This is a good result, but further data is required to determine how well Dietzia C79793-74 survives in a full 2.5 - 3 hour (Proano et al., 1990) gastric transit.

Interestingly, out of the five milks tested, almond milk raised the pH by the smallest amount but the level of survival of Dietzia C79793-74 was consistent with the other milks. This is believed to be due to the natural oils in the almond milk (Kodad, 2008) having a protective effect.

The results of these experiments represent the first report of gastric transit tolerance for any Dietzia isolate. The next step in this field of study is to test the survival of Dietzia C79793-74 through the small intestine, where it would encounter a less acidic environment, but other digestive enzymes.

ACKNOWLEDGEMENTS

We wish to thank Mr T. Riley, for his support throughout the process; Mr R. Kennett, for opportunities throughout; and Dr B. Papworth for basic training.

Duerr, R.H., K.D. Taylor, S.R. Brant, J.D. Rioux, M.S. Silverberg, M.J. Daly, A.H. Steinhart, et al. (2006). A genome-wide association study identifies IL23R as an inflammatory bowel disease gene. Science 314 (5804): 1461–63.

Huang, T., Adams, C. A. (2004). In vitro assessment of the upper gastrointestinal tolerance of potential probiotic dairy propionibacteria. International Journal of Food Microbiology 91 253-260

Kodad, O. and R. Socias i Company. (2008). Variability of oil content and of major fatty acid composition in Almond (Prunus amygdalus Batsch) and its relationship with kernel quality. Journal of Agricultural and Food Chemistry 56 (11): 4096-4101

Kruis, W., Frič, P., Pokrotnieks, J., Lukáš, M., Fixa, B., Kaščák, M., Kamm, M.A., Weismueller, J., Beglinger, C., Stolte, M., et al. (2004). Maintaining remission of ulcerative colitis with the probiotic Escherichia coli Nissle 1917 is as effective as with standard mesalazine. Gut 53, 1617–1623.

Maton, P.N. and E. Burton (1999). Antacids revisited. Drugs 57:855-870.

Miles, C. (2005). Relating cell killing to inactivation of critical components. Applied and Environmental Microbiology 72:914-917

Proano M, Camilleri M, Phillips SF, et al. (1990) Transit of solids through the human colon: regional quantification in the unprepared bowel. Am J Physiol. 258(6 Pt 1):G856-G862

Shah, N. P. (2000). Probiotic bacteria: selective enumeration and survival in dairy foods. Journal of Dairy Science 83(4), 894-907.

Yumoto, I., Nakamura, A., Iwata, H., Kojima, K., Kusumoto, K., Nodasaka, Y., and Matsuyama, H. (2002). Dietzia psychralcaliphila sp. nov., a novel, facultatively psychrophilic alkaliphile that grows on hydrocarbons. International Journal of Systematic and Evolutionary Microbiology 52, 85–90.

Testing the salt tolerance of Dietzia and its recovery from faecal material

ABSTRACT

Diseases of the digestive system account for a large amount of illness each year in Australia and worldwide and this number is increasing. Strong parallels have been established between Johne’s disease in animals and Crohn’s disease in humans. There has been success in treating Johne’s disease in cows using the probiotic Dietzia C79793-74. When clinical trials in humans commence it will be useful to know how Dietzia survives gastric transit, which can be determined by detecting the surviving bacteria in faeces. Some Dietzia species have a high tolerance to salt, compared to the other microorganisms and bacteria that are found within human faecal samples, and it was proposed that this property could be used as part of the collection of data during clinical trials of Dietzia C79793-74 in humans. The higher the salt tolerance of Dietzia C79793-74 the easier it would be to identify as other microorganisms are less able withstand high salt concentrations. Through the use of agar plates with different sodium chloride (NaCl) contents, the salt tolerance of Dietzia C79793-74 was ascertained. In addition to determining the salt tolerance of Dietzia C79793-74, its recovery from faeces was simulated. We found that the recovery of Dietzia C79793-74 was consistent across salt concentrations up to 7% NaCl, however, most microorganisms in faecal material was inhibited from growing at such a high NaCl concentration. Varying concentrations of Dietzia C79793-74 were then combined with faecal material and plated onto agar plates varying in NaCl content. A very high proportion of Dietzia C79793-74 was recovered from faecal material when initial Dietzia C79793-74 concentrations were above 4 log10 CFU/mL. Lower numbers of Dietzia were not detected against the background microorganisms in faecal material. Further investigations are required to determine the tolerance of Dietzia C79793-74 to NaCl and its recovery from faecal material following gastric transit through both a model system and the human body.

INTRODUCTION

Gastric-intestinal disorders are becoming increasingly prevalent in today’s society (Logan, 1998). Diseases of the digestive system accounted for 4,760 registered deaths in Australia in 2007 or 3.5% of all registered deaths. The number and proportion of all deaths due to diseases of the digestive system have increased steadily over the past ten years up from 3,967 deaths (3.1% of all deaths) in 1998 (Australian Bureau of Statistics, 2008).

Crohn’s disease, ulcerative colitis, and irritable bowel syndrome are sub-phenotypes of inflammatory bowel disease which is generally considered a result of chronic gastrointestinal inflammation (Click, 2011). It most commonly affects the lower small intestine (ileum) and the large intestine (colon), but may involve any part of the digestive tract from the mouth to the anus. The inflammation extends through the entire thickness of the bowel wall, inflicting abdominal pain, diarrhoea and a range of other symptoms including fever and weight loss (Centre for Digestive Diseases, 2014). This pernicious disease is currently incurable. Although there are viable treatment options available, including anti-inflammatory

agents, immunosuppressive agents, antibiotic and surgery, these treatment options only provide localised and brief relief (Schoenfeld and Wu, 2014).

Johne’s disease, caused by Mycobacterium avium subspecies paratuberculosis (MAP), is symptomatically similar to the human inflammatory bowel disease, Crohn’s disease. Johne’s disease is a serious wasting disease that affects a wide range of animals, including cattle, sheep, goats and deer (Animal Health Australia, 2014). It is known that Dietzia C79793-74, a probiotic organism, was successfully used to cure cows containing Johne’s disease (Click and Van Kampen, 2009). As a result of its effectiveness in cows, it may be feasible that Dietzia could also be used to cure Crohn’s disease in the human body.

When clinical trials in humans commence it will be useful to know how Dietzia survives gastric transit. During clinical trials, to test the amount of Dietzia C7979374 making it through the gastric system and into the

K. Hobbs1,2, M. Bull3, B. Chapman3 SNOWY MOUNTAINS GRAMMAR SCHOOL1, NSW 2627 Australia; THE FUTURE PROJECT2 and VITRAMED BIOSCIENCE3, The King's School, NSW 2151 Australia

intestines, the faecal samples of the patient can be examined.

From the analysis of the faecal samples the amount of Dietzia C79793-74 successfully making its way through the gastric system and the intestines, can be identified. Various bacteria are found in high numbers within human faecal samples. In order to identify Dietzia C79793-74 from this background, its properties must be established. Dietzia species are known to be salt tolerant bacteria, which distinguishes it from the majority of microorganisms located within faeces (Joshi et al., 2008). To establish an optimal method of determining the amount of Dietzia in faeces, its actual tolerance to salt needs to be accurately established. The higher the salt tolerance of Dietzia the easier it would be to identify as other microorganisms cannot withstand high salt content.

Through the use of agar plates with different sodium chloride (NaCl) contents, the salt tolerance of Dietzia C79793-74 was ascertained. In addition to attaining the salt tolerance of Dietzia C79793-74, its recovery from faeces was simulated. To determine whether the Dietzia could be isolated from the faecal samples a combination of faeces and Dietzia was plated onto agar plates varying in sodium chloride content.

METHOD & MATERIALS

Tolerance of Dietzia C79793-74 to NaCl

Preparation of Cell Suspension

Prior to the salt tolerance study Dietzia C79793-74 was cultured in tryptic soya broth with fructose for a minimum of 96 hours at 27oC and stored at -80oC. The Dietzia C79793-74 (concentration of ~3 x 109CFU/mL) was thawed before use. The Dietzia C79793-74 was collected and washed in 1 mL aliquots by centrifugation (4000 g, 10 min) with 0.9% saline. Once the cells were collected and washed they were resuspended in 1 mL 0.9% saline.

Preparation of Faecal Material

Faecal material was suspended in 0.9% sterile saline. The suspension was combined in a vortex and left to stand for 30 minutes at room temperature. The

suspended faecal material had a bacterial cell count of approximately 1010CFU/mL.

Salt Tolerance Assay

To determine the total viable count of Dietzia C7979374 and faecal material on agar plates, dilution series in Maximum Recovery Diluents (MRD) were separately prepared. A ten-fold serial dilution of either Dietzia C79793-74 or faecal material in Eppendorf tubes was prepared and dilutions were plated onto single TSAF plates with 0%, 3%, 5% and 7% NaCl (100 µL per plate, spreading until dry). The plates were incubated at 27°C for a minimum of 7 days, before bacterial colonies were counted. The experiment was conducted two times, on separate days.

Recovery of Dietzia

C79793-74

from Faecal Material

Dietzia C79793-74 and faecal material were prepared as for the salt tolerance assay, described above. Dietzia C79793-74 concentrations of ~108, 106, 104 and 102CFU/ mL were added in 100 µL aliquots to 0.9 mL volumes of faecal material in Eppendorf tubes. Further serial dilutions of the combined material were prepared in MRD, diluting the solution by ten-fold in Eppendorf tubes. The last three dilutions were spread plated onto TSAF agar plates with 0%, 3%, 5% and 7% NaCl (100 µL per plate). The plates were incubated at 27°C for a minimum of 7 days, before bacterial colonies were counted. The experiment was conducted two times, on separate days.

RESULTS

Tolerance of Dietzia C79793-74 to NaCl

To comparatively examine the salt tolerance of Dietzia C79793-74 and faecal material, Dietzia and faecal material samples were separately spread plated onto TSAF plates with various amounts of NaCl. Figure 1 demonstrates the salt tolerance of Dietzia C7979374 and microorganisms within the faecal material. The number of Dietzia C79793-74 remains constant across all NaCl concentrations, whereas the number of microorganisms from the faecal material drops significantly at 7% NaCl. Dietzia C79793-74 was

KATE HOBBS FUTURE

PROJECT VITRAMED INTERN Snowy Mountains Grammar School

During the week of the 6th of October, I was fortunate to undertake work experience with Vitramed and be a part of The Future Project. It was an honour to be the first external student in The Future Project and I enjoyed my time immensely, learning many valuable skills and acquiring a better understanding of microbiology. The staff of Vitramed and the staff and students of The King’s School were all very kind, supportive and encouraging.

Whilst working with Vitramed I furthered the research that The King’s School students had been conducting. This included investigating how to get the potential probiotic Dietzia through the gastric system, which has a very acidic pH. In order for Dietzia to repair the damage inflicted by Crohn’s disease it must make it through the stomach and into the intestines. I plated the Dietzia onto agar plates with different percentages of sodium chloride. This tested the salt tolerance of Dietzia, which can help it to stand out from other bacteria. During clinical trials to determine how much of the Dietzia makes it through the stomach, Dietzia will be retrieved from the faeces of people who are testing it as a probiotic.

Figure 2: Recovery of Dietzia C79793-74 from faecal material. Data are the average of two experiments, error bars are standard error of the mean.
Figure 1 Salt Tolerance of Dietzia C79793-74 and microorganisms in faecal material. Data for the Dietzia C79793-74 are the average of two experiments and error bars are standard error of the mean; data for faecal material is from one experiment only.

shown to survive at 7% NaCl but the recovery of faecal microorganisms decreased. As the salt percentage increased the colony morphology changed drastically. On TSAF +3% or +5% NaCl, the size of the Dietzia C79793-74 colonies was smaller compared with on TSAF without added NaCl. At TSAF +7% NaCl the Dietzia colonies were very irregular, large and pale in colour. The change in colony morphology is an indication that the Dietzia C79793-74 cells were stressed while growing on agar with increased NaCl content, although as Figure 1 shows, the number of cells able to grow was not affected.

Recovery of Dietzia C79793-74 from Faecal Material

To determine the amount of Dietzia recoverable from faecal material, different dilutions of Dietzia were added to the faecal material and spread plated onto TSAF, TSAF +3%, TSAF +5% and TSAF +7%. Figure 2 shows the comparison of recovery of different Dietzia C79793-74 concentrations in faecal material. A significant percentage of the Dietzia put into the faecal samples is able to be recovered on TSAF across all salt percentages. As the salt concentration increased, the numbers of background microorganisms from the faecal material decreased. Due to the salt content Dietzia C79793-74 was able to out-compete the other microorganisms. At higher salt concentrations the agar plates required a longer incubation time to allow Dietzia C79793-74 colonies to grow to a reasonable size and form their characteristic pink colour.

DISCUSSION

The results of the salt tolerance assay showed that Dietzia C79793-74 was able to grow, without loss of cell numbers, on agar up to 7% NaCl.

REFERENCES

Animal Health Australia 2014. What is Johne’s Disease? Available at: http://www. animalhealthaustralia.com.au/programs/johnesdisease/what-is-johnes-disease/. [Accessed 20 October 2014]

Australian Bureau of Statistics 2008. Diseases of the Digestive System, 3303.0 - Causes of Death, Australia. Available at: http://www.abs.gov.au/ausstats/abs@.nsf/ products/5b4583e4556f5c36ca2576f600123861. [Accessed 26 October 2014]

Although cell numbers were not affected, the colony morphology of Dietzia C79793-74 changed drastically when the salt concentration increased. At TSAF +7% NaCl the Dietzia C79793-74 colonies were very irregular, large and pale in colour. This was because the cells had to adapt to the higher salt concentration, therefore changing physically. These changes only occurred on TSAF +7% NaCl. When the salt concentration was reduced the Dietzia C79793-74 colonies were regular and small, because the bacteria could naturally withstand a salt content of up to 5%.

A substantial percentage of the Dietzia C79793-74 put into the faecal samples was able to be recovered on TASF across all salt percentages. Due to higher salt content Dietzia C79793-74 was able to out-compete other microorganisms. In addition to its higher salt tolerance, Dietzia C79793-74 is an aerobic organism whereas the majority of other microorganisms within faeces are anaerobic. In conjunction with its salt tolerance, vibrant colour and aerobic growth, Dietzia prefers to grow at lower temperature, approximately 27oC. The majority of organisms within faeces prefer a significantly higher temperature, 37oC. This is because they grow and thrive within the human body which is 37oC. This property of Dietzia is another feature which allows the Dietzia to be easily distinguished from other microorganisms during recovery from faecal samples. In conclusion, Dietzia was easily distinguished from faecal bacteria due to its aerobic growth, vibrant colour, salt tolerance and preference of low temperatures (approximately 27oC). Dietzia out-competed other microorganisms within the faecal material when plated onto high salt agar, ensuring maximal recovery.

Centre for Digestive Diseases 2014. Crohn’s Disease. Available at: http://www.cdd.com.au/pages/disease_ info/crohns_disease.html. [Accessed 20 October 2014]

Click, R. 2011. Successful treatment of asymptomatic or clinically terminal bovine Mycobacterium avium subspecies paratuberculosis infection (Johne’s disease) with the bacterium Dietzia used as a probiotic alone or in combination with dexamethasone. Virulence 2(2):131-143

Click, R.E., and Van Kampen, C.L. 2009. Short communication: Progression of Johne’s disease

curtailed by a probiotic. Journal of Dairy Science 92:4846–4851.

Joshi, A.A., Kanekar, P.P., Kelkar, A.S., Shouche, Y.S., Vani, A.A., Borgave, S.B., and Sarnaik, S.S. 2008. Cultivable bacterial diversity of alkaline Lonar Lake, India. Microbial Ecology 55:163–172.

Logan, R.F.A. 1998. Inflammatory bowel disease incidence: up, down or unchanged? Gut 42:309–311. Schoenfeld, A. and G.Y. Wu. 2014. Crohn’s Disease. Available at: http://www.medicinenet.com/crohns_ disease/article.htm. [Accessed 24 October 2014]

The effect of Solvent Detergent on the PrIME Plasma Fractionation Process of IgG

ABSTRACT

The Solvent Detergent process, often abbreviated as SD, is a method to safely inactivate all lipid-enveloped viruses in plasma. Since its invention, it has been established as the industry standard due to its extensively proven effectiveness and reliability. The PrIME separation process that separates proteins on the basis of charge and/or size, largely through the key element of a separation membrane cartridge. The membrane cartridge and how it interacts with the SD process is the focus of this study, specifically whether the PRIME process is compatible with the SD treatment. In this study, Immunoglobulin G separation by PrIME process was investigated using a membrane cartridge with or without SD treatment. Membrane cartridge performance was measured by the IgG separation process yield and recovery. Results suggested that the SD process has no noticeable effect on the PrIME process and can be used freely in PrIME fractionation process using separation.

INTRODUCTION

Plasma fractionation refers to the general separation of different components of blood plasma. One of the key purposes of fractionation is isolating proteins that can provide essential therapeutic proteins, especially in developing countries [2,3,5].

This study will focus on the protein Immunoglobulin G (IgG) which is one of the many types of proteins found in blood plasma (~5% of plasma). IgG is an antibody isotype and has a Y-shape similar to many other immunoglobulins (Ig). A typical IgG antibody is 150 Kilo Daltons (kDa) in size, composed of four peptide chains. These antibodies play an extremely vital role in the immune system. Therapeutically, IgG can be used to prevent disease in general, treat immune deficiency disorders, autoimmune disorders and infections. Thus, there is a need for these therapeutic proteins to be used clinically and to be supplied at an affordable price, especially in emerging nations [5].

Blood plasma products and the Plasma Fractionation Industry are a large industry representing almost US$12 billion worldwide, with its market being dominated by five major manufacturers. Safety is of paramount importance as this human protein is handled by medical staff and is used to treat patients in hospitals, where the risk of transmitting blood borne diseases such as AIDS is extremely high. SD treatment has been shown to be highly effective in virus inactivation. Extensive clinical studies have shown that there has not been a single case

of viral transmission from a product that has undergone SD treatment over the 13-year study period [1,4,6].

PrIME Technology, on the other hand, is a comparatively new and innovative Australian technology, but holds major advantages over standard plasma fractionation processes. The aim of this study is to determine whether the PrIME separation technology is compatible with the SD treatment process during the actual separation procedure, making the products from the separation process much safer than currently available fractionation processes.

METHOD

IgG Separation by PrIME

The IgG separation was completed using the NuSep B400 Instrument. The central component of this technology is the separation cartridge, which consists of a separation membrane with 1000 kDa pore size sandwiched between two restriction membranes with 5 kDa pore size. The separation and restriction membranes are polyacrylamide based mactrices. The separation membrane partitions Stream 1 (S1) from Stream 2 (S2). The protein samples are loaded into S2 (feed stream) and IgG molecules are transferred across the separation membrane to S1 (product stream) only when an electric potential is applied.

The unit was cleaned by flushing the buffer tank, S1 and S2 with distilled water for five minutes. The distilled water was then drained from the buffer tank and streams.

Following the cleaning process, the buffer tank was filled with the running buffer which was MES Bis-Tris (50 mM MES and 6 mM Bis-Tris) pH 5.2 up to the line indicated on the inside of the buffer tank (approximately 1.8 L). Afterwards, several ice packs were put into a stainless steel bucket and placed into the centre machine to draw away heat and act as a coolant.

The S1 and S2 were then conditioned with 10 mL of MES Bis-Tris pH 5.2 buffer for about five minutes. The buffer was drained out of the streams into small cylinders called stream tubes beneath the tube outlets. 15 ml of human IgG solution (pre-purified from human plasma using NuSep B400 unit) was loaded into S2. 15 ml of MES Bis-Tris pH 5.2 buffer was loaded into S1. An electric potential of 250 V, with positive electrode configured at S2 and the negative electrode configured at S1, was placed in across the membrane sandwich to perform the electrophoresis.

The product in S1 was collected at 30-minute intervals for a total of 90 minutes. One minute before the first 30-minute period ended, the depth volume and current were recorded onto the running sheet. At the end of the first 30-minute period, 300 µL of the product stream, S1, was sampled and pipetted into a fresh centrifugal tube labelled S1 30. The remaining S1 30 buffer was transferred into a measuring cylinder, which was then pooled with subsequent S1 harvested every 30-minute. After each harvest, 15 mL of fresh MES Tris-Bis pH 5.2 was used to replenish S1. The total volumes of both the streams were recorded. The pumps and electric potential were then turned on and depth volume and current recorded the same as the first phase. One minute before the second phase ends the depth volume and current were recorded once more, which then collected and the tube was labelled as S1 60. The samples of the stream tubes were pipetted out into tubes using the same process and labelled S1 60. The remaining S1 60 was emptied into the pool. The same process outlined was run once more. The fractionation process was terminated at the end of the third phase. Samples were taken from S1, labelled S1 END and a S2 sample was also pipetted into a tube and labelled S2 END. S1 was emptied into the pool again, and the pool volume was recorded on

G. Feng1, R. Tedja2, K. Wang2, H. Nair 2 THE FUTURE PROJECT1 and PRIME BIOLOGICS2 The King's School, NSW 2151 Australia

the running sheet and a sample of the pool solution was pipetted out into a microcentrifuge tube. The collected protein samples during separation process were used for further analysis immediately. Otherwise the samples were stored for later use at -20°C viable for a maximum of six months. From the fractionation process the following samples should be in centrifugal tubes S2 0, S2 90 END, S1 0, S1 30, S1 60, S1 90 END and POOL. For this experiment, the samples were left at -20°C for one week before analysis was conducted.

SDS-PAGE Analysis

Qualitative analysis was conducted using sodium dodecyl sulphate-polyacrylamide gel electrophoresis (SDS-PAGE). SDS-PAGE analysis was performed using Tris-Glycine 4-20% gradient gel which was inserted into a gel running apparatus, with Tris-Glycine SDS running buffer and run at 180 volts for a 90-minute period. The SDS-PAGE was stained with Coomassie Blue Stain. Once the process was complete, a Bio-Rad Gel Documentation machine was used to take pictures of the gel images post-staining.

Bradford Assay for Protein Determination

The IgG proteins concentration was quantified using Bradford Assay Reagent. The Bradford Assay was conducted in a 96-well plate. A standard curve was produced by diluting IgG solution in MES Bis-Tris pH 5.2 buffer, at various concentrations. After the first three lanes of the micro plate were filled with the standard curve, the remaining was filled with 25 µL of S2 0, S2 END, S1 0, S1 30, S1 60, S1 END and POOL. All the wells containing solution were then mixed with 25 µL of Bradford reagent, and incubated for five minutes in room temperature. The samples were then analysed on the iMark Microplate Reader.

DISCUSSION

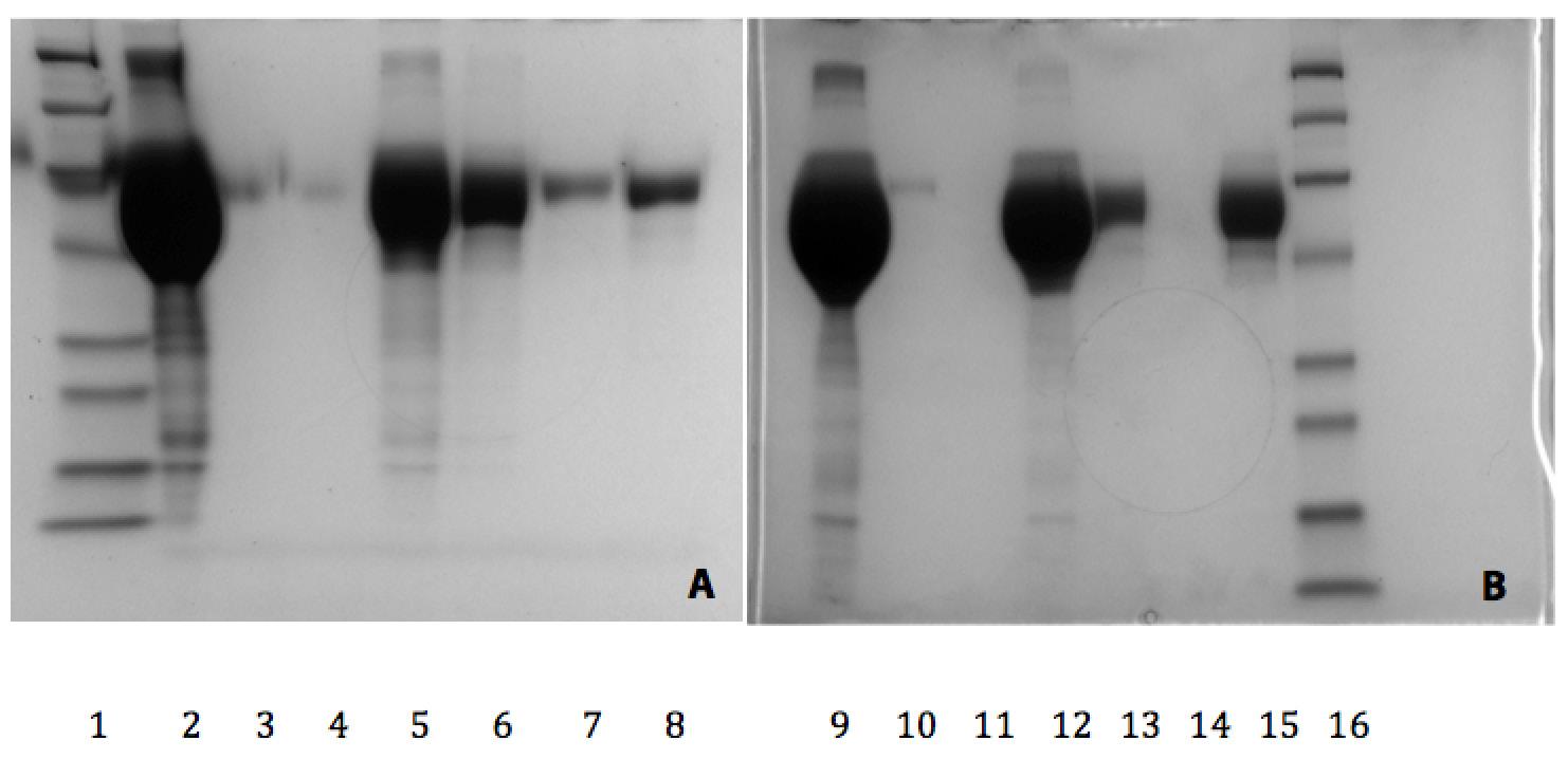
Figure 1 depicts the results of the SDS-PAGE of protein fraction from purification process, where A used a controlled membrane cartridge and B used a SD treated membrane cartridge. The SDS-PAGE was stained using Coomassie Blue Stain, and therefore a visual representation of the proteins was obtained. The dark coloured protein bands signify the presence and quantity of proteins in a particular lane. Both control and SD-treated membrane cartridge perform in similar fashion in the purification process. This is indicated by no significant difference between protein fractions from IgG purification process using control and SD-treated cartridges (Figure 1A and B). Lane 2 and 10 (S2 0) are both visually similar in protein band pattern. The same patterns were applicable to virtually all the lanes in the image. The single discrepancy was found in Lane 7

and 15, where Lane 7 (control) has a noticeably darker grey band in it than Lane 15, where virtually no band can be found. This indicates that the SD process in that particular run may have been slightly more effective at the 30- and 60-minute intervals, and so at the 90-minute interval, less protein had to be extracted from the SD side. Despite this, factors such as these can be accountable to human error, such as slight overflow of sample while loading into the lanes of the SDS-PAGE gel.

Figure 2 shows the Standard Curve produced for protein quantification, A was from control and B was from SDtreated data sets. This standard curve and its resulting trend line equation are of particular importance as it is used to determine the end protein concentrations and in turn, the mass balance, recovery and yield.

Figure 1 SDS Page gel. A: Control B: SD treated. (A) Lane 1: Pre-stained SDS-PAGE
Lane 7: S1 END Lane 8: Pool. (B) Lane 9: Pre-stained
Table 1 Protein Concentration Analysis
Figure 2 Standard Curve. A: Control B: SD Treated

The standard deviation of each point is presented in the graph, as the average of the triplicates conducted in the micro plate assay was used as the point on the graph. In Figure 2A, there is an outlier with significant standard deviation. This is very likely to be human error in sample loading into the wells, as 1 µL more or less in each well of the plate can have a significant impact in reading. Figure 2B has insignificant standard deviation, indicating accurate loading of protein samples into the wells. The more outliers and larger standard deviation quite obviously makes the trend line less accurate which can lead to skewed data when calculating concentration especially nearing the high end. The Y-axis denotes the absorbance signal measured by the micro plate reader, while the X-axis denotes the concentration of the standard curve. The R2 value below the equation of the trend line is the Pearson Co-efficient of Determination. Ideally, in a perfect experiment, all data points lie on a perfect line then R2 would equal 1. The standard curve and SD-treated R2 equalling 0.89 and 0.888 respectively are within the acceptable values for the purpose of this experiment. Comparing the two curves, both are very similar as they should be. Table 1 is the final percentages of Mass Balance, Yield and Recovery. In an ideal experiment, Mass balance, Yield and Recovery should all be 100%, but under experimental conditions this not achievable due to human, as well as mechanical and operational errors. The following equations were used in mass balance, yield and recovery calculations:

REFERENCES

1. Hellstern, Peter, and Bjarte G. Solheim. "The Use of Solvent/Detergent Treatment in Pathogen Reduction of Plasma." US National Library of Medicine. National Institutes of Health, 17 Jan. 2011. Web. 14 Oct. 2014.

2. "History of Plasma Fractionation - The Marketing Research Bureau, Inc." History of Plasma Fractionation. Marketing Research Bureau, n.d. Web. 10 Oct. 2014.

The overall recovery and mass balance from control and SD-treatment experiments deviated from 100%. This could be due to various reasons, the most likely being operational error in pipetting, as all these readings depend on the standard curve, which could be in itself inaccurate, therefore amplifying any more errors made in calculations within the triplicates. The total yield could be accurate as there is only one set of calculations to be made, compared to the three sets of calculation needed to be made for 30, 60 and END. Recovery was also significantly above the desired 100% recovery rate, although this is not of huge concern as the SD-treated results were more accurate than the control results. The recovery, mass balance, fraction yields and total yields are all appropriate. The 83% 30-minute fraction yield is comparable to 51%, and adding up the yields is approximately the total yield, which indicate strong results.

CONCLUSION

In conclusion, comparing results from a control PrIME fractionation process, and an SD treated separation membrane variant, there is very little, or negligible difference between the two. This indicates the compatibility between the solvent detergent process and the PrIME fractionation process. The solvent detergent process usually involves putting the solution into the plasma and then removing it. This study has shown that there is no effect of SD on PrIME fractionation process. SD together with other steps in the process should make this new separation process safer than the current available fractionation processes.

3. "Plasma Market Overview." NuSep. PrIME Biologics, n.d. Web. 12 Oct. 2014.

4. "Solvent/Detergent-Treated Human Plasma." CADTH. N.p., n.d. Web. 13 Oct. 2014.

5. "Worldwide Supply and Demand of Plasma And Plasma-Derived Medicines." Worldwide Supply and Demand of Plasma And Plasma-Derived Medicines -

Iranian Journal of Blood & Cancer. N.p., 2011. Web. 21 Oct. 2014.

6. Horowitz, B., and A. Lazo. "Result Filters." National Center for Biotechnology Information. U.S. National Library of Medicine, 1998. Web. 28 Oct. 2014.

The effect of Solvent Detergent on the PrIME Plasma Fractionation Process of Albumin

ABSTRACT

Solvent Detergent (SD) treatment is an established industrial standard process for enveloped virus inactivation. The aim of this study is to investigate whether SD affects the plasma fractionation process by PrIME technology, which is a membrane based preparative electrophoresis separation technology. The results show that there is no significant difference between SD treated and control (non-treated) membranes, indicating that the PrIME process is compatible with the SD process and can be adapted as one of the multiple steps required for safe therapeutic product manufacturing.

INTRODUCTION

Human blood plasma fractionation refers to the process of separating various components of blood plasma, including proteins. Human plasma is the liquid segment of blood, making up 55% of total blood volume, and primarily consists of water with a mix of ions, proteins, minerals, salt and nutrients. In normal circulating blood the red blood cells, white blood cells and platelets are suspended in the plasma. The purpose of blood plasma fractionation is to isolate plasma proteins for therapeutic purposes.

SD treatment is the most commonly used process for viral inactivation, specifically used to target lipidenveloped viruses in the blood fractionation industry (1). This method has been proven to be effective in disrupting the membranes of lipid-enveloped viruses, cells and most protozoa (1). The SD treatment consists of 0.3% of tri-(N-butyl)-phosphate (TNBP) and 1% of Triton X-100 (1). TNBP is an organic solvent used to remove the lipids from membranes of viruses. Triton X-100 aids the extraction of lipids by stabilising TNBP and disrupting the lipid bilayer. This study aims to investigate the effect of SD treatment on the separation of albumin proteins using PrIME technology.

Albumin is a major protein found in the blood. The molecular weight of human albumin is 66 kDa and its isoelectric point is 4.7 (2). Albumin is commonly administered for treating extremely low albumin levels in critically-ill patients, burns victims, and paracentesis of ascites in patients with cirrhosis.

The PrIME (Preparative Isolation by Membrane Electrophoresis) separation technology is a membranebased electrophoresis technique that isolates proteins by exploiting the intrinsic characteristics of molecular weight and charge (3). The membrane cartridge consists of a separation membrane sandwiched between two restriction membranes. The separation membrane allows isolation of specific proteins based on their size. Additionally, an electrophoresis buffer is used in this process with a defined pH which then determines the charge of the proteins depending on their isoelectronic points (pI). The advantages of this process are: greater protein recovery; greater efficiency; and higher purity compared to the conventional plasma fractionation processes.

This study aims to investigate the effect of SD on membrane performance when separating albumin using PrIME technology (3). The membrane will be incubated with SD solution overnight prior to the albumin separation process and compared to the non-treated membrane (control). The protein fractions will be collected during the separation process. The protein fractions will be analysed using SDS-PAGE and quantified by Bradford Assay.

METHOD

Albumin Separation: Membrane cartridges were incubated in the SD solution (0.3% TNBP and 1% Triton X-100) overnight. The separation process was conducted over a 90-minute period using the Gradiflow BF-400 instrument (NuSep, Australia) (3). The membrane consisted of two restriction membranes and one separation membrane in the middle. The restriction membrane pore size was 5 kDa and the separation membrane was 250 kDa. The S1 and S2 streams were cleaned with the Tris Borate pH 8.9 buffer by the addition of 10 mL of buffer. The process ran for five minutes, then the buffer was drained. S1 was then filled with 15 mL of albumin solution and S2 was loaded with 15 mL of Tris Borate buffer pH 8.9.

Both S1 and S2 were continuously circulating within the system at a speed of 10 ml/min. The electric potential was then applied with constant voltage of 250V. Data recorded in the running sheet included voltage, current, and volumes of both streams. At 30-minute intervals, aliquots of S2 were collected for further analysis. The remaining liquid was used as the pool. Fresh Tris Borate buffer pH 8.9 was then loaded into S2 every 30 minutes for a total of 90 minutes.

SDS Page Analysis: Samples collected from the separation process described above were then analysed using SDS-PAGE. The samples were prepared by mixing 25 µl of SDS-DTT sample buffer and 25 µl of protein samples. The samples were heated up to 95ᵒC and loaded into the 4-20% SDS-Glycine (SDS-PAGE, NuSep).

SDS-PAGE gel was run with SDS-Tris-Glycine running buffer at 180 V for 60 minutes. Upon completion, the gels were subsequently stained with Coomassie Blue stain and destained. The gel images were taken by Biorad Gel Doc.

Bradford Assay: Albumin concentration in the collected fractions was quantitated using the Bradford Assay. The Bradford Assay was conducted in a 96-well microplate, a standard curve was generated by a series of dilutions of a standard human albumin (Sigma). The protein samples were diluted in a ratio of 1:10 (20 µL of protein samples and 180 µL of Tris Borate buffer pH 8.9). 250µl

of Bradford reagent was added to each well using a multiple-channel (eight channel) pipette. The solution was incubated at room temperature for five minutes to allow colour development. The samples were analysed using microplate reader at a wavelength of 595 nm.

T. Dickinson1, R. Tedja2, K. Wang2, H. Nair 2 THE FUTURE PROJECT1 and PRIME BIOLOGICS2 The King's School, NSW 2151 Australia
Figure 1: The Gradiflow BF400 instrument and cartridge. Instrument dimen sions are 30cm wide, 42cm high, and 42cm deep. The separation cartridge is 20cm long.
Figure 2. Biorad iMark Microplate Reader

3 SDS-PAGE gel of protein fractions from Albumin separation process using (A) control and (B) SD-treated membrane. A lane 1: Prestained SDS-PAGE Standard, lane 2: S10, lane 3: S1END, lane 4: S20, lane 5: S230, lane 6: S260, lane 7: S290 and lane 8: POOL. B SD treated lane 9: S10, lane 10: S1END, lane 11: S20, lane 12: S230, lane 13: S260, lane 14: S290, lane 15:POOL and lane 16: Prestained SDS-PAGE Standard.

DISCUSSION

Figure 3 shows SDS-PAGE gel of albumin samples purified using PrIME Technology (BF-400, NuSep) with control and SD-treated membranes. The first well was loaded with the molecular weight standard. The second well contained S1 0, which is the pre-purified human Albumin solution used as feed stream (S1). As shown in the third well, S1 END, there is hardly any albumin left, indicating that most of the albumin was transferred indicating the efficiency of this system. The fourth well contains S2 0 which contains no Albumin. After 30 minutes most of the Albumin was transferred into the fifth well, S2 30. Within the 60- and 90- minute periods, the remaining proteins in S1 were transferred into S2.

The second SDS-PAGE analysis contains the results from the albumin purification using PrIME Technology (BF-400, NuSep) with SD-treated membrane cartridge (Figure 3B). The first well contains S1 0 and the second S1 0 END. As shown most of the albumin is completely transferred, similar to the albumin separation using non-treated (control) membrane (Figure 3A). The third well contains S20, where there is currently no albumin then the albumin is completely transferred into S2 30. The sixth well, contains the S2 90, wherey there is no albumin, concluding that all albumin was transferred in the first 60 minutes. The result for the pooled samples was as expected.

Figure 4 Standard Curve for A Control and B SD treated
Table 1 Protein Concentration Analysis
Figure

Overall, the SD treated and the control membranes were similar in their performance. However, in the first 60 minutes, it is evident that the SD treated membrane was slightly more efficient.

Figure 4 illustrates the standard curves of human albumin protein generated from the Bradford Assay; A is for control and B is for SD-treated samples. The results received from the reader for the control experiment are illustrated in the first graph. However, results for 3 mg/ ml and 3.5 mg/ml are taken out for both sets of results as there were no readable results, as the albumin had already been transferred. The 0 mg/ml and 0.5 mg/ml human albumin standard results received a low standard deviation, however, result 0.5 mg/ml is an outlier, concluding that there was some cross contamination or further pipetting error. The absorbance values of 1 mg/ml, 1.5 mg/ml and 2 mg/ml are fitted into the standard curve. The standard curves were generated for quantification of protein concentration in each sample and further calculation of Mass Balance, Recovery and Yield. The points on the standard curves were average values from triplicate well samples, and the standard deviation is also presented in the standard curves (Figure 4). Each standard curve is shown with its R2 value, Pearson Coefficient. Theoretically in a perfect standard curve, the R2 value is equal to one. The R2 value depends how closely the data points fit in the standard curve. The R2 value for this graph is close to perfect at 0.91 indicating a good correlation for the standard curve.

Table 1 summarises the Mass Balance, Recovery and Yield for protein samples from purification using PrIME Technology (BF-400, NuSep) with the control and SD-treated membrane cartridges. Ideally, in a perfect experiment, the Mass Balance, Recovery and Yield achieved is 100%. However, 94% Mass Balance for the control was sufficient. The total Recovery for control samples is achieved, indicated by recovery value 126%. The Yield after 30 minutes was 78%, meaning that only three quarters of the albumin protein was transferred. However, the SD-treated Mass Balance was 112%, indicating that the process allowed for complete accountability of the proteins. The total Yield and

Recovery were similar to the control (96%).

Surprisingly, the mass balance was 112%. After 30 minutes, 109% of the albumin solution had been transferred which is extremely efficient. After 60 and 90 minutes there was virtually no albumin left to be transferred, showing that the process was efficient and effective.

Mass Balance, Yield and Recovery are used to measure the performance of protein separation and validity of the experiment. In an ideal experiment, Mass balance, Yield and Recovery should all be 100%, but realistically this might not be achievable due to possibility of human as well as mechanical and operational errors. The following equations are used in Mass Balance, Yield and Recovery calculation:

CONCLUSION

The treatment of membranes with SD solution does not affect the performance of the separation membrane during plasma fractionation of albumin. SD can therefore be used as a further multiple step in enveloped viral removal and deactivation.

References

1. Hellstern P. and Solheim B.G. “The Use of Solvent/ Detergent Treatment in Pathogen Reduction of Plasma”, Transfusion Medicine and Hemotherapy 2010;38:65-70.

2. Human Albumin. (2014, January 1). Retrieved October 29, 2014, from http://www.sigmaaldrich. com/life-science/metabolomics/enzyme-explorer/ enzyme-reagents/human-albumin.html#PP

3. L.M. Cheung, G. (2003, July 1). Purification of antibody Fab and F(ab)2, fragments using Gradiflow technology.

Shaker flask fermentation for low, medium and high lignocellulosic fermentation

Abstract

Biofuels and other bio-products can be produced readily from starch and sugars. However limited supply and competition with human and animal food has driven research into the production of such products from cellulose. Lignocellulosic waste products can be converted to sugars through the use of enzymes, and these sugars can be fermented into products such as ethanol for fuel or lactic acid for polymers. A limitation in current cellulosic fermentations is the difficulty of dealing with high concentrations (>10%) of cellulose. The aim of this experiment was to determine the effect of cellulose concentration on the production of ethanol. However a serendipitous result was that very high concentrations (>90g/L) of lactic acid were achieved at high yields (>75%) due to contamination with a starch degrading lactic acid producing bacteria. Future work will focus on the identification of the strain and the optimisation of both the fermentation and recovery process.

METHOD

Experiments were conducted both in shake flasks and rotating drums. Samples were taken twice a day, once in the morning and again in the afternoon. This allowed the progress of the fermentation to take place and be accurately tracked over a three day period.

PROCESS

1. Noted observations regarding changes in the mixture. Changes in colour, consistency/viscosity, etc. at each sampling interval.

2. Label eight Eppendorf tubes, noting correct labelled numbers on the tube in accordance to time and day of sample taken.

3. Take photos of flasks when removed from shaker to capture observable changes.

4. Pipette 3 mL of flask mixture into Eppendorf tube.

5. Centrifuge Eppendorf tubes (four OR eight at a time).

6. Decant mixtures into new Eppendorf tubes and freeze.

7. Filter the mixture once melted to remove smaller pieces of paper.

8. HPLC analysis was conducted by Eddie Tiraudo of Microbiogen Pty Ltd.

RESULTS

The rotating drums proved problematic, and were relocated to the University of Sydney, the shake flask experiments were conducted at The King’s School.

B. Vella1, S. Hu2, S. Atkinson2, T. Riley2, J. Kavanagh1 SCHOOL OF CHEMICAL ENGINEERING1, The University of Sydney1, NSW 2006 THE FUTURE PROJECT2, The King's School, NSW 2151 Australia

Maximum Ethanol concentration (35 °C)

Shake Flask Rolling Drum

Figure 1 Comparison of Ethanol Concentrations after three days in shake flasks and rolling drums at different paper loadings

Maximum Lactic Acid concentration (35°C)

Shake Flask Rolling Drum

Figure 2 Comparison of Lactic Acid Concentrations after three days in shake flasks and rolling drums at different paper loadings

DISCUSSION OF RESULTS

The initial aim of the experiment was to convert large amounts of cellulose (office paper) to ethanol. There are large amounts of cellulose in plant matter globally and can be converted into a useful fuel and resource for the petrochemical industry in the form of ethanol. In breaking down the cellulose, the cellulase, ß-glucosidase and yeast were added to each flask to obtain the ethanol.

The office paper used in the experiment has an approximate composition of 72-82% cellulose, 1020% CaCO3 and 8% starch. During the experiment,

we overlooked the presence of starch that requires the enzyme amylase to break down. Any organism producing amylase would have a competitive advantage over others, such as the yeast with which we inoculated the flasks, because it would be capable of breaking starch and cellulose.

As can be seen by comparing Figures 1 and 2, in almost all cases, we produced considerably more lactic acid than we did ethanol.

The possible reactions that may have occurred:

1. Cellulose Hydrolysis (C6H10O5)n+nH2O → nC6H12O6

2. Starch Hydrolysis (C6H10O5)n+nH2O → nC6H12O6

3. Glucose Fermentation to Ethanol C6H12O6 → 2C2H5OH + 2CO2

4. Homolactic Fermentation C6H12O6 → 2C3H6O3

5. Heterolactic Fermentation C6H12O6 → C3H6O3 + C2H5OH + CO2

Reactions 1 and 2 are dependent on enzymes: cellulose and ß-glucosidase for Reaction 1; and amylase for Reaction 2. The experiment desired that Reaction 3 be undertaken with ethanol and carbon dioxide being produced, however, it was apparent that Reaction 4 was more common, due to presence of Lactic Acid Bacteria (LAB). Contamination due to LAB saw lactic acid concentrations in the paper fed flasks produce higher concentrations of lactic acid. The 20% batch flask and 15% chopped paper fed-batch drum produced the highest concentrations of lactic acid of 77.3 and 81.1 g/L respectively. The high yields of lactic acid and relatively low concentrations of ethanol indicate that homolactic fermentation was occurring.

CONCLUSION

Interestingly, although the aim of the experiment was to produce ethanol, the production of lactic acid due to contamination by an unknown bacteria is perhaps more promising. Due to the nutrient conditions of the experiment, there were large amounts of LAB in the paper experiments compared to ethanol concentrations and the glucose-fed experiments.

The surprising effect of this discovery is that perhaps the experiment is a starting point for the production of lactic acid rather than ethanol. Currently the price of lactic acid stands at approximately $1.00 - $1.50 per litre, two to three times the price of ethanol that typically sells for only $0.50 per litre. If the LAB was intentionally inoculated in the experiment, without the competition of yeast producing ethanol, lactic acid production should be within this range and may be a more promising product from an economic standpoint. A question for future experiments is whether or not we are able to manipulate the conditions of the experiment to aid production of LAB.

Currently, paper-recycling processes discard some waste cellulose, paper fibres that are too short for further recycling and such streams typically contain starches and calcium carbonate. These wastes are currently treated before discharge, but could be fermented to produce lactic acid. Alternatively, crop wastes are also a possibility for sources of cellulose to produce lactic acid that does not directly compete with food production.

Biofilms: A life in the matrix

INTRODUCTION

Throughout this year, we have participated in The Future Project working alongside Dr Belinda Chapman and Dr Michelle Bull of Vitramed Bioscience. Over the past three school terms, our aim was to investigate the feasibility of using an artificial matrix structure to support bacterial survival and attachment within the digestive tract in the form of a biofilm. The results so far have been relatively positive, and we are looking at pursuing further lines of enquiry into the future.

BACKGROUND

The majority of the scientific investigation carried out within the project was centred on biofilms. A biofilm is a group of microorganisms that are stuck together on a surface to form a coating, hence the term “film”. They are also held together by a “matrix structure”, which is a supporting frame. The matrix structure may develop naturally over time, or in the case of our experimentation, be artificially created.

Biofilms are exceptionally important within the body, as they allow colonies of “good” bacteria to settle within a person's (or animal’s) digestive tract. This is important as it allows for the bacteria to be contained and multiply within a region of the body without being easily ‘flushed out’. Our experimentation is the beginning of a process to examine the practicality of using an artificial matrix structure to improve the establishment of biofilms containing beneficial bacteria in the intestines.

Currently people deficient in the good bacteria are administered beneficial bacterial remedies in two ways. Firstly, orally in the form of probiotic capsules and drinks which deliver Lactobacillus or other good bacteria through the stomach to the gut. The second method is

known as faecal microbiota transplant, in which bacteria are harvested from the faeces of a healthy individual and infused via colonoscope or enema into the sufferer to regain the health of their digestive tract. The issue with these processes is that the bacteria do not necessarily properly colonise the intestines, meaning most of it is lost and the benefits are exceptionally short term. However by creating a biofilm within the gut, these bacterial treatments could be longer-lived and more effective, an important development due to the prevalence of digestive issues within our society.

INVESTIGATION ONE – THE CORRECT CONCENTRATION FOR THE MATRIX

The initial experiments were done to investigate the correct techniques and desirable consistencies when preparing a “Gel Matrix” for use in a biofilm. Consistencies were determined by set mass ratios of powder to water being used.

Preparation of the Gel Matrix

A digital balance was used to measure mass and accurately calculate the ratios used. A total of four ratios were initially prepared (with repetition) utilising the process outlined above. The larger part of the ratio is the deionised water.

Gel Matrix Observations

The ideal process was determined in preparing a gel matrix, adding the water to a pre-weighed sample of powder. This overall proved to be a much more efficient and accurate way of creating the gel matrix. The ideal consistency was also determined, being approximately 3:1 (water to powder). The smallest ratio that utilised all the powder was shown to be just under this, at 29:10. As shown in Table 1, the less water added (the smaller the ratio) the thicker the gel.

10:1 Translucent Homogenous and thin Little resistance to stirring action

5:1 Translucent/ Opaque* Heterogeneous and thicker than 10:1 Opaque clumps formed amongst translucent majority

3:1 Opaque Heterogeneous and very thick Largely opaque centre, hard to stir the mixture

2:1 Opaque Heterogenous and powdery – less thick than 3:1 Not all the matrix powder was used by this quantity of water * Opaque means dense and cloudy, it cannot be seen through.

Table 1: Observations from various gel matrix ratios

Matthew Bojanic Michelle Bull Belinda Chapman

INVESTIGATION TWO – VISUALISING CELLS IN THE MATRIX

After a number of experiments to observe how the gel matrix performed under different conditions, a trial was conceived to observe how bacteria in suspension would survive within a gel matrix immediately after the cell suspension and powder were mixed. The first step was to ensure that an existing fluorescence-based viability assay could be used to detect bacteria within the gel matrix.

Slide Preparation

Slides were prepared for evaluation under the microscope. Two concentrations of probiotic cells were prepared in saline (salty water). The bacterial cells were stained with SYTO 9, a green fluorescent stain that enters living cells, and Propidium Iodide, a red fluorescent stain that only enters dead cells. Different consistencies of gels were prepared. The slides were then viewed using a fluorescence microscope to determine the viability of the cell population. These differences in preparation created two differing forms of the cell-solution gel matrix under the microscope.

Microscopy Observations

When viewed under the microscope, there were a number of discernible features. For preparations with the lower concentration of bacterial cells, the stained cells were found in small groups, spread sparsely and moving slightly in what appeared to be random directions. There were no distinct signs of the gel matrix appearing, with the only other visible feature being a dim green background consistent throughout the slide. When viewed under the microscope, the difference in dilution factor was immediately visible. At higher bacterial cell concentrations, the gel matrix structure was densely filled with the green fluorescing cells. These cells were moving in consistent directions with one another, being drawn along by the solution to drier parts of the gel. After a period of time, this movement began to slow, and the cells began to stay in a consistent location in some areas. The matrix was clearly visible on the second slide, with the regions unoccupied by the cells (with the cells themselves being unable to enter) demonstrating the presence of the matrix structure (Figure 1). This means that there was most likely a similar structure present at lower cell concentrations, just unable to be noticed due to the lack of stained cells. Overall, this demonstrates that there is potential for bacterial cells to move within the matrix structure and not be locked in place.

Figure 1: Fluorescently stained probiotic bacteria within the gel matrix. (~400X Magnification)

INVESTIGATION THREE – SURVIVAL WITHIN THE MATRIX

Based on positive results from the previous investigation, the next step was to determine whether cells could actually survive within the artificial biofilm for a period of time, while at 37°C (human body temperature).

Slide Preparation

Multiple slides were prepared to help keep the results of the experiment reliable. Initially a bacterial cell suspension was produced and added in a 3:1 ratio of the matrix powder for each slide. This was then incubated at 37˚C for approximately one week. At this time, the slides were removed from the incubator and the gel matrix mixtures were stained with SYTO 9 and Propidium Iodide, as described for Investigation Two, and viewed using a fluorescence microscope.

Microscopy Observations

Overall, there were an overwhelming number of living cells within the samples (Figure 2), something that was not expected at the time. There were very few dead cells in the week-old gel matrix, characterised by the red fluorescent cells in Figure 2. This was not expected considering the time spent in the incubator in unsavoury conditions, and therefore we concluded that the artificial matrix was indeed a good habitat to sustain the viability of this probiotic.

CONCLUSION

Overall it is evident that the gel matrix produced by the matrix powder used is a viable material for use in sustaining an artificial biofilm. Further experimentation will be necessary to see how it will be utilised in the future. Currently we are taking part in an ongoing experiment evaluating the inoculation potential and the long term viability of bacterial cells within the gel matrix. This could also include looking at the utilisation of multiple types of bacteria at once within the gel matrix. The final step, if all goes well, would be evaluating and investigating potential delivery methods. If the results returned are positive, hopefully this would be a great step forward for people with digestive disorders.

Figure 2: Probiotic bacteria within a gel matrix after one week incubation at 37°C. (~1,000X Magnification)

Heliprobe Print Bridge

INTRODUCTION

Before the discovery of the bacteria Helicobacter pylori it was believed that stress and diet caused stomach ulcers. Following the discovery by Barry Marshall and Robin Warren that stomach ulcers are linked to Helicobacter pylori, the treatment of stomach ulcers has improved. In particular, methods for testing it have been developed, however many of them remain out-dated. One particular device, the Heliprobe Analyser, uses an old thermal printer to print out the results. The problem with the thermal printer is that the label it produces is not of an acceptable quality because the text fades overtime and the label, resembling a common bus ticket, is weak. Furthermore, the company that manufactured the printer no longer does so and the Heliprobe device is not compatible with modern printers. Our research project was to design a device that acts as a bridge between the Heliprobe and modern printers. By using simple electronic modules manufactured by GHI Electronics we have built a microcomputer that takes the data from the Heliprobe and repackages it into a form that can be read by a relatively cheap modern printer.

WHAT WE DID

We commenced the project by devising a plan as to what needed to be completed. We drew diagrams which showed what we intended to do with our device and how it would link to the printer and the Heliprobe. We then began to research how the Heliprobe transmits data and how modern printers receive data using the ESC language. After conducting our research we began building microcomputers using the GHI electronic modules. We first used a program called Microsoft Visual Studio to program the microcomputers. Our first microcomputers were simple programs that flashed different coloured lights when we pressed buttons. Our later programs began to send data to a modern printer using an RS-232 module. At the same time we constructed a cable that connected the Heliprobe to the other RS-232 module on our microcomputer. We cut two cables and soldered the corresponding wires together, so we had built a new cable that was a direct connection and did not require a converter.

Once we had constructed the cable and the microcomputer, we had to package it into a box so it would be safe, secure and portable. We glued the modules into a plastic box and drilled holes in the side to allow cables and ports to get in and out. We then sealed the box and began the bug testing of our final code. This is a necessary requirement before placing the prototype in industry. After some initial bugs, we soon felt that the prototype was capable of performing correctly at the Centre for Digestive Diseases, where it will undergo testing.

HOW IT WORKS

As the printer sends the message, instead of going into the thermal printer for which it was designed, it goes into our microcomputer. The microcomputer is programmed to recognise certain lines of code that come in through different patterns of electronic signals. If the microcomputer correctly reads the message it begins to receive the entire message and stores it in its cache. It then reads the end of the data from the Heliprobe and saves the message in bytes. Following this, the message is reformatted to fit on the new label and the unimportant sections of the message are left out. The new data is then sent to the new printer via the outgoing RS-232 port and cable. The new printer is now able to understand the message and proceed to print. We also programmed the device to sense if the message has been interrupted, such as if the power has been removed. After the message is interrupted it is able to reset by reading the first line of data again, meaning that all that is required to reset the device is simply to press print again. This makes our microcomputer much simpler, more stable and user friendly.

WHO WILL IT BENEFIT

Our device will be of huge benefit to medical clinics allowing them to continue to use the Heliprobe device with the ability to print out the results on a better label. Our device will hopefully aid in the diagnosis and recovery of patients who are suffering from the effects of Helicobacter pylori as well as assisting in preserving patients medical history, since the new labels last significantly longer than the thermal printer’s labels.

THE FUTURE OF THE DEVICE

In the future we hope that development of our device will continue and a second prototype will be constructed by a future group of Interns. When the device reaches a stage where it is deemed as being suitable for widespread commercial use we hope that it will enter the production stage, where many devices can be used and sold to clients in a variety of clinics. Since the Heliprobe Analyser is used widely around the world in health clinics, we hope that in the future our device will complement it in order to provide the best treatment and diagnosis to patients suffering from Helicobacter pylori. Furthermore we would like to see future versions of our device be more user-friendly and integrated with computers. The next step is to decrease the size of the device and to simplify it. Our device could be connected to computers so it can provide electronic results that can be added to a patient’s electronic files. This is important as physical records transition to electronic versions.

WHAT WE LEARNT

During the project we developed a range of skills, both practical and theoretical. These include:

● Coding in C# and also how to use ESC code for printers.

● Learning a variety of information about computers and the cables and ports we would need to know. This included information on RS-232 and also on serial ports.

● Applying the theoretical knowledge practically and conducting several practical tasks.

● Soldering specific wires together to form a strong and conductive connection.

● Assembling electronic modules in order for them to work correctly and to interact with each other.

● Using precision tools to create accurate holes in the device case to allow cables to pass through.

In addition to the practical skills we also learnt project management skills that included time management, planning and project development. These programming and practical skills will prove invaluable as we work on future projects.

ACKNOWLEDGEMENTS

The Future Project has been an amazing opportunity for us to learn new skills and apply them to an important and beneficial project. Along the way we have been assisted by Mr Tom Riley who has co-ordinated the intern section of the Future Project and by Daniel Simmons, who has taught us many new skills and has helped us with the completion of the project. We wish to thank them both for this life changing educational opportunity.

Automating the Vitramed Rapid Urease Test procedure

INTRODUCTION

Over the course of ten weeks, Chris Liu and Andy Lu have been working with Daniel Simmons on automating the Vitramed Rapid Urease Test procedure. The Vitramed Rapid Urease Test (RUT) is used to determine if a tissue sample contains the bacteria Helicobacter pylori Helicobacter pylori is a bacterium found in the stomach. It was identified in 1982 by Australian scientists Barry Marshall and Robin Warren, who found that it was present in patients with chronic gastritis and gastric ulcers, conditions that were not previously believed to have a microbial cause. It is also linked to the development of duodenal ulcers and stomach cancer.

The main features of this test that differs from other urease tests is that:

• It does not need to be stored at low temperatures

• It is cheap to produce

• It provides an instant result.

The RUT is supplied as a strip of five plastic wells. The sample is placed into the centre of a well and a few drops of the orange indicator solution is added to each ring and once it is dry some water is added to cover the sample. The indicator will initially colour the test orange but a sample positive for Helicobacter pylori will change to a dark pink colour.

PLAN

Before we started on this project, there was no automated production of this RUT and so the paper ring insertion, pipetting and packaging were done by hand. This process was an arduous task therefore we looked to automate the process of inserting pre-cut paper rings into the wells of the palettes, pipetting them with indicator solution and having them arranged into packages to save time.

The goal of this project was to create a working prototype that operated such that:

• At least 20 empty plastic wells could be loaded into a chute

• The device could take one well at a time to load with paper rings

• The device could remove rings that are attached to A5 sheets

• The device could insert those rings into the wells

• The completed wells could proceed to another chute for collection

The initial prototype was constructed using LEGO Mindstorms. The LEGO Mindstorms EV3 system has a central controller and a good range of motors and sensors. It was chosen for this prototype because:

• It is relatively inexpensive

• It provides a large amount of pieces suitable for prototyping including gears, beams, rods and belts

• There are many guides and tutorials on the internet

• The completed prototype will be used as the basis for a production system that will most likely be based on equivalent, commercial items.

STAGE 1

LEGO MINDSTORMS PROTOTYPE

For this part of the task, we came up with a variety of ideas where the palettes would be separated by a wall, while a single palette would move through a small opening in the wall via a conveyor belt, allowing for one palette to be filled at a time. The idea was to stack the palettes up and use an arm to hit the bottom of the palette so that it ejects out of the chute. We made some additional features to make the process smoother, including adding a rotating arm to keep the palettes separated from the one about to be ejected out in order to increase consistency. During this part of the project, we had designed a LEGO chute for the palettes to be stacked up and separated. It consists of LEGO walls that surround three sides of the palette with a gap in the side for a rotating arm to separate them before getting shot out by an arm connected to a motor situated underneath the palette stacking area. The palettes that are ejected go through an opening before they get carried to the next part of the assembly line via a conveyor belt that runs parallel to the chute gap. We encountered many adversities that took time to overcome. This process and design took a considerable amount of our time and planning. However we kept making improvements to enhance the efficiency and consistency of the process and eventually designed an effective Lego prototype.

STAGE 2

CARDBOARD AND SERVO MOTORS PROTOTYPE

While LEGO was effective for an initial prototype there were some difficulties, stagnating our process which we could not overcome using the apparatus with which we were provided. We therefore decided that we needed a fresh start with an improved version of the original prototype.

We decided on using cardboard as our main material to construct our second prototype by making use of the silhouette cutting machine. We had to measure up the exact dimensions of the RUT so that we could draw it up in ‘Silhouette Studio’. We moved through this phase of the project quickly and sent the design to the cutter.

Once we had a rough layout and idea of what we could do with it, Daniel introduced us to some Servo Motors. These are small inexpensive motors that have many benefits such as their ability to be easily replaced unlike the expensive and bulky LEGO Mindstorm motors. However we ran into some problems with using these motors. There were many malfunctions where the motors would spin out of control and they would often stop working.

After many stressful periods trying to find the source of the problem, Daniel helped us identify that the power source was the origin of the insufficient current for two motors. To fix this issue we use another power cable to give the motors enough current to power the two Servo Motors being used to eject the palette from the stack.

STAGE 3 FOR THE FUTURE: PLASTIC PROTOTYPE

Sadly our time with Daniel has come to an end but we are glad that we have achieved so much. We designed, constructed and refined our prototype models over and over again. Although we may not have been able to complete this task of automating this process, we have laid out the foundations and stepping-stones for future groups to further build upon our efforts. We hope to see this task completed in the near future.

CONCLUSION

During our time in The Future Project, we have learnt so much considering we were given the project and asked to create a fully automated ring insertion machine from scratch with no designs to follow. We have created an automated chute and a section for the ring insertion to take place in the LEGO version. We have also made a cardboard prototype and now a plastic prototype. During our time, we have begun to know a researcher and to better understand his field of research and occupation. Under Daniel’s close guidance we have undoubtedly achieved much more than we thought we could ever achieve. We have thoroughly enjoyed the opportunity we have been given to enhance our scientific knowledge and gain experience in a professional working environment. We hope to watch the automated prototype grow in the years to come.

Andy

Gathered ideas and trialed multiple Created the mechanism for stabilizing rod Setup motors using mindstorm EV3; Lego prototype constructed Created conveyer belt for next part of the project

RAPID UREASE TESTER ASSEMBLY ROBOT

The Project: To create a machine to handle and assemble plastic wells for a rapid urease test to detect Helicobacter pylori in a patient. Helicobacter pylori is responsible for stomach ulcers and once detected can be easily treated. The machine has to handle the plastic test wells and insert the impregnated paper rings into a mounding within the well.

Installed the software and set up a project plan

Assembled the MicroFramework .NET and wrote the “Hello world program” in the programming language C#; making a LED flash light

HELIPROBE UREA BREATH TEST INTERFACE

Built the heart of our machine; deployed the source code onto the hardware and printed out a label as we expected

Designing the interface for our finished product and installed it

The Project: On the 5th of June 2014, we officially started our research project. Daniel Simmons is the general manager of Vitramed and he was our mentor researcher. The aim of the project “Heliprobe Printing” is to create a printer interface between the ‘Heliprobe Urea Breath Test’ device to a label printer. The ‘Heliprobe UBT’ is a small medical device used to detect the bacteria Helicobacter pylori in the human gut. The device has an optional printer that is not effectively supported by the device manufacturer. We decided to manufacture a product to service the gap in the market.

Cardboard prototype completed, trialling, fine-tuning Programming servomotors; redesigning stabilizing rods

WHAT'S NEXT?

prototype; designing next prototype

prototype; drawing measurement for plastic prototype

We have completed the first part of the total robot, the part that handles the strips of plastic wells. Next year, the interns will have to work out how to mechanize the insertion of the impregnated paper rings into the wells.

Completed soldering the RS232 wires and an Ethernet cable into one

Fixed up the formatting for the label and redesigned the code as it wasn’t consistent enough in the performance testing; drilled holes in the box for the cables

The hardware is complete; glued everything in place and placed the final screws in the box; designed the box to be a tight-fit in order to save space

WHAT'S NEXT?

The product is currently going through its trial period at The Centre for Digestive Disease, Five Dock. After that, it will be miniaturised and mass produced and used in testing centres.

Communicators: Public Presenters

One of the challenges in today’s knowledge-intensive and commercialised modern world is the effective communication of current scientific understanding. Science communicators use their knowledge and passion for science to try and bridge the gap between scientists and the wider community, and to facilitate discussion about important science scientific issues.

In June, The Future Project Communication Team of students successfully hosted a public discussion forum in the King’s Theatre entitled “CSI: Sydney - The Science of Forensics”. Members of the community were invited to learn about the collection and analysis of forensic evidence, and how this compares to the portrayal of forensic science in well-known television shows such as “Crime Scene Investigation” and “Criminal Minds”. The forum was hosted by Year 11 student Matthew Hooke, and included three expert panellists who were able to give up some of their valuable time to share their knowledge and expertise in each of their specialised fields. The panellists were Professor Tony Raymond, the chief scientist of the NSW Police Force Forensic Services Group, Professor Claude Roux, founding director of the UTS Centre for Forensic Science, and Associate Professor Peter Gunn, also of from UTS.

In preparation for this event, The Future Project Communication Team helped create content to advertise the event, including posters and content on social media. The result was a memorable and informative evening for all involved.

In the second half of this year, the Communicators commenced the task of producing video reports on the activities of the Research Interns. The Interns have worked on authentic scientific research alongside our research partners in the new purpose-built laboratory space in the new Science Centre at The King’s School. This research has involved many different areas of scientific endeavour, from extracting desired proteins from blood plasma to using robotics to help conduct medical screening for undesirable bacteria. To help explain the science and the significance of these research projects to a lay audience, The Future Project Communication Team has created a series of short documentary-style videos. These videos can be viewed using the QR codes above this article. It is our hope that these videos can help raise community awareness about some of the health issues affecting the lives of everyday Australians today. It has been a very rewarding year for The Future Project’s Communication Team, and all of the students involved have enjoyed the opportunity to hone their communication and digital media skills. We are looking forward to exploring other ways of informing and inspiring people about the wonder of science next year.

Mitch Anseline, Arunan Brabaakaran, Jimin Cha, Keven Chen, Jordan Gao, Thomas Harvey, Alexander Lim, Matthew Oliver

Communicators: School Presenters

Making science and engineering fun and interesting for younger students is an important part of the work of The Future Project. The Year 10 school presenters accepted the challenge of planning and carrying out a fun “immersion” experience for primary school students. These were mostly Year 5 students although we did have one class of kindergarten children.

Our programme made use of Dick Smith’s helicopter and was centred around the science and engineering of flight. This built upon the work of previous Future Project students who worked with the Powerhouse Museum to bring out Dick Smith’s helicopter to be the centrepiece of the new Science Centre’s atrium. Mitch Anseline did a terrific job of explaining the difficult concept of buoyancy to Year 5 students and related that to floating in water. His presentation was highly engaging and interactive. Keven Chen then showed how this related to floating in air by launching a student-built hot air balloon inside the Science Centre.

Arunan Brabaakaran introduced the younger students to heavier than air craft, especially helicopters. After making their own paper version of a helicopter, the visiting students got to fly a remote controlled quad copter. Tom Harvey explained the science of how the quad copters achieve both flight and control by varying the relative speeds of the four rotor blades.

The Year 10 students gained invaluable skills in how to communicate science concepts in a clear and interactive way and in the process understood the science better themselves. The younger students were able to identify with the presenters and were very impressed with their enthusiasm and knowledge.

"The most wonderful part of the experience was that the boys learnt the basic physics of flight through observation, discussion, questioning, creating and doing. This is the best way for boys to be engaged in their learning and develop understanding."

Mrs Annie Reuben

Dr Michelle Bull, one of our resident microbiologists spoke to the children and explained why she became a scientist and why she loves science. We are certainly blessed to have scientists and engineers in the programme.

Our society needs scientists who can communicate their ideas in ways that the general public can engage with. The School Presenters strand of The Future Project certainly provided an authentic opportunity for the students to develop these skills. We are looking forward to expanding the program further in 2015.

Mitch Anseline, Arunan Brabaakaran, Jimin Cha, Keven Chen, Jordan Gao, Thomas Harvey, Alexander Lim, Matthew Oliver

Communicators: Animators

“We are in the middle of a communication revolution, and I see animation as one of the keys to unlocking the mysteries of science. In modern science, we are discovering very complex phenomena that are often hard to communicate because they are occurring at a molecular scale. Biomedical animations have the power to make these invisible events visible.”

Dr Sean O’Donohue, CSIRO.

This year, three students of The Future Project Communication Strand, Casper Lu, Daren Tang and Gareth Mason, have been learning the art of threedimensional animating. The team has been working with Destry Sloane and Martin Hale of Animated Biomedical Productions in Parramatta, who are at the forefront of producing content for leading educational companies. Over the course of their program, the students have learnt how to use the 3D modelling software 3DSMax, and the process that breathes virtual life into scientific research.

In this case, the students have helped to create an animation showcasing Vitramed Bioscience’s latest technology, which seeks to help combat infection in the human gut. In this procedure, an endoscope is used to apply a probiotic powder to the infected area, reducing infection and promoting healthy bacterial growth.

Each student was given different biological components to model from basic three-dimensional shapes such as cubes and spheres. These components included the microvilli in the intestines, the bacteria, the infected tissue and the endoscope. Once the basic outline was complete, Daren added textures to them to give them a life-like appearance. Finally all the objects were compiled, animated and rendered to create the final product. This animation can be viewed using the QR code above this article.

Throughout this process, our students have gained many valuable skills associated with communicating scientific understanding using digital content. The students greatly enjoyed the experience, and are very proud of the final outcome of their efforts.

Casper Lu, Gareth Mason, Daren Tang

Samuel Atkinson
Gerry Feng
Dr John Kavanagh
Mr Matt Purser
Mr Daniel Simmons
Mr Tom Riley
Dr Kailing Wang
Dr Michelle Bull
Benjamin Fraser
Mr Roger Kennett
Scott Miller
Dr Julie Simmons
Dr Belinda Chapman
David Gailey
Chriu Liu
Dr Hari Nair
Ted Simpson
Clement Chiu
Shubhang Hariharan Kate Hobbs
Andy Lu
Mr Willow Norton
Dr Roslyn Tedja
Thomas Dickinson
Stanley Hu
Mr John Manusu
Dr Brad Papworth
Ms Brittney Vella

Our Collaborators: Vitramed

Vitramed was founded to distribute medical devices with a focus on gastrointestinal (GI) health. This includes diagnostic devices, single use devices used during endoscopic procedures, and devices used for surgical and other procedures. From an original base in Sydney, Vitramed has grown to serve GI customers in Oceania and South East Asia, with offices currently in Sydney, Kuala Lumpur and Singapore, and moves are underway to open offices in Thailand and Sri Lanka.

Vitramed has enjoyed rapid growth by maintaining a team of people who have knowledge and experience in the GI health field and who are genuinely passionate about helping our customers serve their patients as well as possible. Vitramed maintains close relationships with thought leaders in the GI field and has been able to help guide the development of new medical devices, ensuring that manufacturers are making the most of the knowledge of experienced doctors, to ensure that new devices are meeting the changing needs of GI professionals.

The close relationship Vitramed enjoys with the GI health industry led to the creation of Vitramed Bioscience, which was created to conduct GI-related microbiological research. Vitramed Bioscience operates a Physical Containment Level 2 (PCS) microbiology lab at The King's School where some of Australia’s most senior microbiologists are working on projects at the leading edge of research to help with serious GI conditions.

Vitramed Digestive Health develops and distributes specialist food products for individuals and health professionals. It is currently finalising a powdered shake drink that is aimed at people with serious GI conditions such as Crohn’s Disease and will be released under the new Food For Special Medical Purpose category.

Vitramed has always maintained a high level of technical knowledge in order to support the medical devices on which our customers rely. As this capability has grown, Vitramed Mechatronics was created to allow this capability to grow. Vitramed Mechatronics supports all of the technical needs of the Vitramed group and conducts research and commercial projects related to health,

sports and agriculture. The projects utilise a mixture of programming, robotics, and mechanical engineering knowledge.

A feature of the culture of Vitramed is an obvious passion for science and engineering. The opportunity to be part of The Future Project has been an excellent outlet for this passion and both Vitramed Bioscience and Vitramed Mechatronics enjoy an excellent relationship with staff and students at The King's School who share this vision.

DANIEL SIMMONS

Julie and Daniel Simmons are the founders of the Vitramed group, which focuses on medical devices, research, and food products in the area of gastrointestinal heath care. Daniel is the General Manager of the group and leads Vitramed Mechatronics.

Daniel spent over 15 years as an IT professional, working mainly with Internet technologies before concentrating solely on helping found and grow Vitramed Medical Devices. Daniel managed the expansion of Vitramed into Asia, establishing Vitramed Asia, based in Kuala Lumpur, which in turn controls Vitramed Singapore and is currently establishing a presence in Thailand, and Sri Lanka. Daniel has previously set up businesses in the ecommerce and electronics space and continues to look for opportunities for commercialising cutting edge technology. Daniel’s involvement with The Future Project is through Vitramed Mechatronics which supports Vitramed Medical Devices and also conducts research on development projects. Mechatronics projects aim use a mix of computer programming, robotics and electronics. Daniel is currently working on projects in fields including healthcare, sport and agriculture.

DR BELINDA CHAPMAN

Dr Belinda Chapman is the Research & Product Development Manager for Vitramed. Since joining the company three years ago Belinda has established the Bioscience Division of Vitramed. Belinda has a BSc (Hons) and a PhD in Microbiology, as well as a Graduate Diploma in Science Management. Belinda is currently undertaking further part-time postgraduate study in

Biostatistics.

From 2001 to 2011 Belinda was employed at the CSIRO’s Division of Food and Nutritional Sciences as a Research Microbiologist and Group Manager. As Group Manager, Belinda was responsible for a team of up to 17 full-time research microbiologists in addition to associated fellows, visiting scientists, students and interns, located on two sites in Sydney and Melbourne. For a period of two years Belinda also held the position of Centre Manager for the CSIRO Division of Food and Nutritional Sciences facility in North Ryde. In this role, she held overall responsibility for management of laboratory facilities for around 80 research staff across the disciplines of microbiology, sensory and consumer science, process engineering, packaging and transport and analytical chemistry.

During her employment with CSIRO Belinda led research projects totalling in excess of $10 million, with greater than 50% of the funding for these projects drawn from private industry. Within these projects Belinda developed a track record of research leading to the realisation of commercial products by her clients. She was acknowledged in writing by one multinational company as, “one of the most valuable microbiologists the company has access to globally”, in recognition of her success at effectively transferring research and knowledge to their business in Australia and around the world. Belinda was regularly invited to Europe and the US by her key clients, to provide advice at research, development, and commercialisation forums. Belinda has long-held passions for science communication and education and is excited by the potential of The Future Project. She hopes to engage and fascinate students and others in the amazing but generally unseen world of microbiology that lies all around, on and within each of us.

Michelle is Senior Research Microbiologist in the Bioscience division of Vitramed Pty Ltd. Michelle manages the research laboratory and biologics production facility of the Bioscience Division of Vitramed which has a focus on gastrointestinal microbiology

and provides gastroenterology-related research and development support to industry and GI health professionals.

After graduating with a BSc (Honours I, Microbiology) from The University of Sydney in 1995, Michelle worked at CSIRO Food Science and Technology for two years, gaining skills in mycological taxonomy and ecology, as well as in food preservation and safety. Michelle received a PhD from The University of Sydney in 2002 after investigating the stress responses of foodborne pathogens at the molecular level using a proteomics approach and nucleic acid based techniques.

From 2001 to 2014, Michelle was employed as Research Projects Officer within CSIRO Animal, Food and Health Sciences. As the Novel Risk Management Key Research Area coordinator, Michelle developed and led laboratory through to pilot plant-scale projects for Australian and multi-national external clients to address their food safety requirements through innovative food processing technologies. Michelle’s strategic research was directed towards understanding the physiology of bacteria, in particular Clostridium spp. and Bacillus spp., and their response to food preservation stresses. Over a ten year period she was critically involved in the development of the high pressure processing program of research, and through a multi-disciplinary approach successfully delivered outcomes for two international food manufacturers. Michelle also developed and lead projects for Australian clients to address their requirements for food safety, through microbiological risk assessments, thermal process validations and flow cytometric analysis of industrially significant bacteria.

As a professional microbiologist and an inquisitive enquirer in other science disciplines, Michelle has always had an interest in sharing ideas about science and new research with both her colleagues and the public at large. She is passionately sharing her love of science and the scientific method with her two young children and their friends. Michelle is excited to now be involved in student collaboration and community engagement in science through The Future Project.

Our Collaborators: PrIME Biologics

PrIME Biologics (PrIME) is a Singapore based company commissioning a plasma fractionation facility in Singapore to address the US$1 billion Asian Therapeutic Plasma products market. PrIME is using the PrIME Technology in association with GE Healthcare based Chromatography in a process called PrIME +.

Currently much of the plasma collected in Asia and other parts of the world is discarded. If this plasma could be used to manufacture therapeutic plasma products much of the world shortage of plasma products could be addressed and many, possibly millions, of lives could be saved. At PrIME Biologics, we value the potential and ability to save lives and to provide safe and affordable plasma based therapeutics. We aim to achieve this through the use of our revolutionary PrIME Technology to process the plasma that is currently discarded by many emerging countries.

PrIME Biologics was established to manufacture therapeutic plasma products at the highest levels of quality and safety. This is achieved while also nearly doubling the total amount of therapeutic products produced from each litre of plasma. PrIME biologics goal of ‘Safer Plasma Fractionation Through Innovation’ summarises not only the characteristics this innovative technology but the ideology of the company.

Today PrIME Biologics is refurbishing and recommissioning our Singapore cGMP therapeutic plasma manufacturing facility in Science Park II. We expect this to be completed by the first quarter of 2015. From that time onwards we will be able to process plasma in an accredited cGMP facility. Specifically PrIME Biologics will be initially processing human plasma to produce Albumin and IVIG. We will also be able to produce other plasma products including FVIII and FIX for customers who require these additional products.

Disposability ensures the elimination of possible batch to batch contamination. This allows us to process plasma which might otherwise not be processable. Further, the PrIME Technology provides an additional level of pathogen safety in addition to the normal viral/bacterial processes used by all the fractionators. It should be

noted only plasma that has been tested in accordance with EMA and HSA guidelines will be processed to ensure the therapeutic products produced using the PrIME Technology are as safe as possible.

DR HARI NAIR

Dr Nair has a PhD in Medicine and Clinical Science from the Australian National University with his specialty in cardiovascular medicine and haematology. Dr Nair has received a number of awards from international organisations including being specially recognised for his role in coagulation research by the Australian Capital Territory government. He has run biotechnology companies in Australia and the US. Dr Nair has been heavily involved in mergers and acquisitions especially in the US and Europe and has US financial experience. Dr Nair’s corporate experience include financial raisings, corporate public relations and organisational integration strategies, human resources, IP strategy and management, financial management and research and development. Dr Nair is an expert in Coagulation Science with a special emphasis on fibrinogen. He is the author of over 100 research publications and has had over 50 patents on various aspects of the PrIME technology and its application in both plasma protein separations, renal dialysis and cellular separations. He discovered the use of nano carbon particles in the use of radiographic imaging of blood clots. Dr Nair is a coinventor of the PrIME technology and has developed various applications of this technology especially relevant to plasma protein fractionation. Dr Nair together with Mr John Manusu also ran the then world’s largest independent plasma collection organisation based in the United States. This business collected both normal and specialty plasmas, including hyperimmunes for the US Government bioterrorism program. Dr Nair has served on the boards of a number of international biotechnology companies and US state Commercialisation Boards for Georgia, Florida and Alabama.

JOHN MANUSU

John has over 25 years experience running biotechnology companies worldwide. He has been involved in the development of the PrIME technology since its invention in 1985. John was also involved in the US plasma collection business creating, along with Dr Nair, the then world’s largest independent plasma collection organisation. This business collected both normal and specialty plasmas, including hyperimmunes for the US Government Bioterrorism Program. Throughout this period he has undertaken a number of significant cross border restructures, mergers, acquisitions and divestures. Finally, John has raised over $200 million in public funding, and government research and development grants, including $2.8 million for NuSep in 2013 and $18 million for PrIME Biologics in 2014. John has a degree in Commerce and is a Fellow of the Financial Services Institute of Australasia. John has worked in the Australian, Asian and US Biotechnology markets and is best described as a biotechnology entrepreneur.

DR KAILING WANG

Dr Kailing Wang obtained her PhD in biochemistry at the University of Sydney in 1997, followed by post-doctoral training at the University of Sydney and the Victor Chang Cardiac Research Institute. She has over 15 years of medical research experience in the field of protein biochemistry, molecular biology, cell biology and virology. She worked for Gradipore, then Life Therapeutics between 2000 and 2006 and returned to NuSep and PrIME Biologics in 2011. She has accumulated extensive hands-on research and development experience in membrane electrophoresis technology development, application development and viral/TSE clearance studies in plasma fractionation. Prior to joining NuSep Ltd, she was a Business Development Manager at the University of Sydney where she was responsible for developing commercialisation opportunities across the research translation continuum.

DR ROSLYN TEDJA

Dr Roslyn Tedja obtained a PhD in Chemical Engineering from University of New South Wales in December 2012

with research focused on the safety assessment of engineered nanoparticles and their modification using polymer chemistry to reduce their impact to human cells. During her PhD study, she also investigated the interaction of plasma proteins and engineered nanoparticles. She also investigated the effect of this interaction to the nanoparticle safety. She received several awards during her study from national and international conferences for innovative and excellence research. She is experienced in conduct training for medical science and chemical engineering research students. She is also experienced in assisting undergraduate students in food microbiology. Prior to joining PrIME Biologics, she worked as a postdoctoral research scientist for a cancer therapeutic company developing a novel chemotherapeutic delivery system. Additionally, she received training on the protein recombinant production and protein downstream processing during her honours research in University of New South Wales in 2008.

WILLOW NORTON

Willow joined PrIME Biologics in September as a Production Technician, and is responsible for the set-up and running of a new membrane production lab at The Future Project. He is currently studying linguistics at Macquarie University, where he has also studied biology, and will be graduating in 2015. After graduating he is interested in continuing a career in biological sciences, but will be continuing his linguistics study as a hobby.

Our Collaborators: The University of Sydney Faculty of Engineering and IT

The Faculty of Engineering and Information Technology is ranked among the world's top 50 engineering and information technology faculties in the 2014-2015 Times Higher Education ranking, and achieved an overall 5-star rating from the Australian Government’s Excellence in Research Australia. The Faculty has research clusters in the areas of Biomedical Engineering and Technology, Clean Energy, Complex Systems, Food Processing, Human-Centred Technology, Materials and Structures, Robotics, and Water and the Environment. The University of Sydney began teaching Engineering in 1883, and its Alumni have made significant contributions to the development of Australia. The Faculty offers a diverse range of degree offerings across Engineering, Information Technology and Project Management including:

• Aeronautical, Biomedical, Chemical and Biomolecular, Civil, Computer, Electrical, Environmental Fluids, Geotechnical, Mechanical, Mechatronics, Power, Software and Structural Engineering;

• Computer Science and Information Technology;

• Project Management;

• Combined degree programs with Commerce, Law, Medical Science, Project Management and Science.

What all our students have in common is a thirst for knowledge. They reach beyond our campus to think through issues that affect the wider world. This might be done by spending part of their degree overseas, working with a local community or as a volunteer with one of our outreach programs, such as The Future Project.

Our graduates have excellent employment prospects as well as work-ready qualifications that are recognised worldwide. Our engineering degrees are accredited by Engineers Australia, our Chemical and Biomolecular Engineering degrees by the Institution of Chemical Engineers, our Project Management degrees by the Project Management Institute and our IT degrees by the Australian Computer Society. The Faculty works with hundreds of companies to support students through scholarships, vacation work and industry-sponsored projects.

DR JOHN KAVANAGH

Dr John Kavanagh was educated at St Paul’s Moss Vale, Chevalier College Bowral and the University of Sydney where he received his BE in Chemical Engineering and his PhD. John spent two years working with Kodak Australasia primarily on product development and process improvement. He returned to the University of Sydney in 2005 as an Associate Lecturer, was promoted to Lecturer in 2006 and Senior Lecturer in 2013. John has taught a wide range of courses and also served as a Sub-Dean for the Faculty of Engineering and Information Technology.

John’s research interests include fermentation, industrial wastewater treatment and engineering education. John’s team developed a new method to produce vitamin K2, and is currently working on projects including large scale fermenter modelling and methods to improve the production of second generation biofuels.

BRITTNEY VELLA

Brittney Vella is currently completing her final year as an undergraduate in a Bachelor of Chemical and Biomolecular Engineering/Bachelor of Science at The University of Sydney. Her engineering honours thesis was completed in conjunction with The King’s School, concentrated on overcoming issues related to high solids loading in cellulose fermentation to produce commercially viable products such as ethanol and lactic acid.

When she is not studying, she is heavily involved in the Sydney University Chemical Engineering Society where she was elected as Vice-President for the 2013-14 period. In this role she has organised a variety of social and industrial networking events for undergraduate students. She plans to focus her career on food processing and was fortunate enough to achieve a placement at Nestlé in their Next Gen Graduate Programme as a Manufacturing Engineer. She will be moving to Melbourne in January next year to begin her career.

The King's School Staff

ROGER KENNETT

BSc, DipEd

Roger studied Production Operations at The Australian Broadcasting Corporation, then worked as a vision mixer and director for many commercial networks in Sydney and Melbourne. He studied Science at Macquarie University and Education at Monash University Clayton, beginning his teaching career as a Science teacher at Carey Baptist Grammar School in Melbourne. Later, he became Head of Science and ICT at St Paul's Anglican College Warragul, Victoria. Most recently he has been teaching Science at The King’s School North Parramatta where he played a key role in the design of the new Science Centre at the school. He jointly founded The Future Project with Brad Papworth in 2012, with the program starting in earnest in the new facilities in February 2014. Roger has a deep passion for inspiring students’ interest in Science and Engineering.

DR BRAD PAPWORTH

BSc, MLMEd, GCertEd, PhD, GDipSciComm, GDipEd

Brad is a teacher at The King’s School teaching HSC Chemistry and Junior Science. He graduated with Bachelor of Science from the University of Newcastle and was subsequently selected to participate in a science communication program at the Australian National University. Following this, he managed a number of science outreach programs at Questacon - the National Science and Technology Centre, including the Shell Questacon Science Circus. Since that time he has brought his unique flavour of science to the classroom environment and has over 15 years experience teaching secondary science. He has also completed further studies in boys’ education and educational management and leadership. His skills and experience as a science communicator and ability to build school-industry partnerships were key attributes forging The Future Project from a novel idea to an effective way to engage students and researchers. Brad has recently completed a PhD study of students’ academic motivation and engagement and continues to pursue research in the area of students’ motivation, engagement and attitude towards science and engineering.

MATT PURSER

BSc Enviro Sci (Hons), Dip Ed

Matt Purser has been teaching Science at The King’s School since 2008, with a particular passion for HSC Earth and Environmental Science. Matt studied at the University of Wollongong before returning to Sydney to work in the independent school sector. Matt coordinates the Communication strand of The Future Project, and is enjoying helping students to employ digital technologies to communicate the latest scientific research.

TOM RILEY

B.App.Sci, Dip Ed

Tom Riley is a Science teacher at The King’s School, teaching HSC Biology and Junior Science. He completed his undergraduate degree at the University of Sydney having attended school in the United Kingdom. Tom currently manages the Intern strand of The Future Project. He works closely with each of our three research companies and has enjoyed watching the Intern students develop into budding scientists.

Acknowledgements

We would like to take this opportunity to thank the many who have helped make The Future Project such a success this year.

The King's School Executive for their unwavering support from inception to implementation.

The Headmaster for his vision and commitment to establishing this extraordinary learning opportunity.

The Bursar and his team for their continued help and vision throughout establishing The Future Project.

Karl Sebire for his fantastic graphic design of The Journal of The Future Project.

Tina Moshkanbaryans for her tireless work as editor of The Journal of The Future Project.

Jenny Tan for all her work as the bursarial representative for The Future Project.

The entire Science faculty for their generosity in time and willingness to be involved.

Katrina Kennett for her unrelenting support of Roger while he worked through his long service leave to ensure The Future Project became a reality.

Turn static files into dynamic content formats.

Create a flipbook
Issuu converts static files into: digital portfolios, online yearbooks, online catalogs, digital photo albums and more. Sign up and create your flipbook.
The Journal of the Future Project - 2014 by thekingsschool_official - Issuu