2014 Florey Annual Report

Page 1

THE FLOREY ANNUAL REPORT 2014

Proofreading: Margit Simondson, Rachel Smith, Jane Standish, Anna Marcon

OUR MISSION

To improve lives through brain research

OUR VISION

To create significant knowledge about the brain

OUR VALUES

Generate scientific knowledge to improve global health

Innovate and problem-solve

Work together with integrity

Share our discoveries with our supporters and partners

FLOREY INSTITUTE OF NEUROSCIENCE AND MENTAL HEALTH Parkville campus 30 Royal Parade Parkville VIC 3052 Australia T +61 3 9035 6789 ABN: 92 124 762 027 Howard Florey laboratories Gate 11, Royal Parade University of Melbourne Victoria 3010, Australia Austin campus Melbourne Brain Centre 245 Burgundy Street Heidelberg Victoria 3084, Australia T +61 3 9035 7000 Find us online florey.edu.au facebook.com/TheFlorey twitter.com/TheFlorey
long- standing interest
epilepsy, identifying the first “epilepsy gene”
1995. Since then, she and her collaborators have discovered around half of the 40 or so genes involved in causing epilepsy. Acknowledgements Project manager:
Cover Image: Professor Ingrid Scheffer AO has had a
in childhood
in
Amanda Place Text: Anne Crawford, Amanda Place and Rita Alampi Design: Iris Shum and Stephen Wood at Blueboat Design Photography: Mark Chew
Published May 2015 A summary of highlights from this Annual Report is available in print from Margit via email: margit.simondson@florey.edu.au or call +61 3 8344 9679. THE FLOREY INSTITUTE OF NEUROSCIENCE & MENTAL HEALTH ANNUAL REPORT 2014 I

As you get older, whether or not you’re a scientist, it’s exciting to understand what being human is. As a scientist, I’ve had a peculiar privilege in being able to see some aspects of life through chemistry.

Maybe of all the things that fascinate me most, it’s to be able to look at the chemistry of ageing and in our case, we’ve opened up the field of metals and their role in human disease. We increasingly understand how much of ageing is actually related to good old-fashioned chemistry. That is mind-blowing sometimes.

Our mission, vision and values 1 About us 4 Why do we study the brain? 6 Florey in a flash 8 Chairman’s & Director’s report 10 Chief Operating Officer’s report 12 Written in Blood - Biomarkers for Alzheimer’s Disease 14 A Star on the Rise - Alexander Eastwood 16 Game Changers - The Future of Neuroscience 18 The Two of Us - Prof Ashley Bush & Dr Ya Hui Hung 20 Foundation Council Chairman’s report 22 Board of Directors 24 Neuroscience Trials Australia Division 30 Equality in Science report 34 Divison Heads 36 Brain Development and Regeneration 40 Chasing a cure for Motor Neurone Disease 44 Cognitive Neuroscience 46 Four Key Ways to Improve your Brain Health 52 Epilepsy 54 Imaging 60 Introducing Dr Jennifer Walz 63 Schizophrenia - The relentless quest to find answers 64 Mental Health 66 Clinical Discovery Unit 69 Psychotropic Drug Advisory Service 70 Victorian Brain Bank Network 71 Multiple sclerosis 72 Neurodegeneration 78 Drug targets in sight 82 Neuropeptides 84 Slipping from Stroke into Dementia 90 Stroke 92 Systems Neurophysiology 100 Florey Governors 105 Board Committees and Foundation Council 106 Faculty & Senior Positions 107 Our Donors 108 Publications 112 Our People 134 Financial Statements 140 TABLE OF CONTENTS THE FLOREY INSTITUTE OF NEUROSCIENCE & MENTAL HEALTH ANNUAL REPORT 2014 3
Professor Ashley Bush, heads the Florey Institute’s Oxidation Biology Unit, researching Alzheimer’s disease and other neurological disorders of Ageing. In 2014, Professor Bush won the Victoria Prize for Science and Innovation in Life Sciences.

ABOUT US

The Florey Institute of Neuroscience and Mental Health is one of the largest and most highly respected brain research centres in the world

Neuroscience is an area of medical research attracting enormous attention as our understanding of the brain rapidly evolves. Internationally, populations are ageing and there is a sense of urgency to find causes, treatments and cures for conditions affecting the brain and mind. There is an urgent imperative to address these conditions to avoid suffering and to contain healthrelated expenditure.

The Florey provides scientists and students with world-class facilities and the opportunity to improve people’s lives through brain research and, ultimately, to influence global wellbeing and health economics.

By the end of 2014, the Florey employed 482 staff, and worked with 157 postgraduate students throughout the year.

The Florey continues to be a world-leader in developing and applying imaging technology, and research into genetics, stroke rehabilitation, epidemiological studies, psychotic illnesses and neurodegenerative diseases.

ADDICTION

ALZHEIMER’S DISEASE

CARDIOVASCULAR DISEASE

MENTAL ILLNESS

EPILEPSY

HUNTINGTON’S DISEASE

MOTOR NEURONE DISEASE

MULTIPLE SCLEROSIS

PARKINSON’S DISEASE

STROKE

SUDDEN INFANT DEATH SYNDROME

TRAUMATIC BRAIN AND SPINAL CORD INJURY

THE FLOREY INSTITUTE OF NEUROSCIENCE & MENTAL HEALTH ANNUAL REPORT 2014 THE FLOREY INSTITUTE OF NEUROSCIENCE & MENTAL HEALTH ANNUAL REPORT 2014 4 5

WHY DO WE STUDY THE BRAIN?

“While much of the human body has been analysed and its machinations largely understood, the brain is still an enormous mystery waiting to be unravelled. The knowledge gained over the next 20 years, I believe, is set to be utterly fascinating and will transform the human condition.

We are at a crucial time in neuroscience with our understanding accelerating at a cracking pace. We are learning how the brain is vulnerable to addiction, how it stores and retrieves information, how it influences our appetite, heart function and breathing. We are delving down and isolating amino acids which may contribute to depression and asking whether particles of iron contribute to dementia. These are just a few of the many life-changing projects underway at the Florey.

As President Barack Obama recently declared, the neuroscience revolution has begun.”

The Florey Institute of Neuroscience and Mental Health MBBS MD FRACP FRCP (Edin)

We flew into 2014 with much gusto and kept the pace cracking all year. The expansion of two major projects of national significance grew in momentum. The Victorian Stroke Telemedicine program was expanded to more hospitals around the state.

We won an NHMRC grant to further evaluate the economics of the program, fostering further collaboration between the Florey, Monash and Deakin universities.

The Australian Stroke Clinical Registry is expanding across Victoria. As custodian for this registry, the Florey is driving national clinical improvement in stroke care across Australia. We also contributed to the successful NHMRC Centre for Research Excellence in Stroke Rehabilitation, so watch this space.

Associate Professor Dominique Cadilhac, Head, Public Health, Stroke division.
THE FLOREY INSTITUTE OF NEUROSCIENCE & MENTAL HEALTH ANNUAL REPORT 2014 6 7

FLOREY IN A FLASH

outreach

The Florey hosts regular events at its Parkville campus, involving school children and members of the general public. Our researchers and medical practitioners share their knowledge of the brain in a variety of ways.

Citations Outreach

Scientific publications published over the 10 years, 2004-2014.

The number of Florey publications for 2014.

mental illness.

Cumulative citations, 2004- 2014.

Average citation per publication, 2004-2014.

Alzheimers disease: Global players against a global scourge

In 2014 alone, Florey researchers published 47 papers on Alzheimer’s disease and other dementias, which were cited 121 times by other researchers.

These papers included classifying new real-time imaging agents for dementia proteins, using blood-based markers to predict Alzheimer’s protein deposition in patients’ brains, and looked at the levels of that protein in patient blood samples to accurately predict changes in patients’ mental abilities.

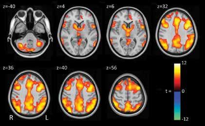
Severe epilepsy: small brain lesions

Neuroimaging is helping to explain why epilepsy can involve intellectual disability.

Widespread abnormal electrical activity occurs, even when patients are not seizing.

In some patients we have located a small brain lesion.

After surgical removal, the abnormal activity is eliminated and the patients are seizure free.

Stroke by the numbers: Save a minute, save a day

87% of the 12 million strokes worldwide are caused by a blocked vessel in the brain, causing hundreds of thousands of brain cells to die.

Every minute that can be saved before the clot is ‘busted’, can save up to 1.8 days of disability-free life meaning 15 minutes saved on the average 70 minute wait for treatment could equate to an extra month of healthy life.

YEAR 12 STUDENTS visited to learn about
STUDENTS from
learned about the life
a
ADULTS visited
24 schools
of
neuroscientist.
to attend lectures about various diseases of the brain and our quest to improve lives through improved treatments and cures.
Argentina | Australia | Austria | Belgium | Brazil | Canada | Chile China | England | Finland | France | Germany Hong Kong | Hungary | Ireland Israel | Italy Japan Malaysia | Northern Ireland Norway | Netherlands | New Zealand | Philippines | South Korea | Scotland | Singapore | Spain | Sweden Switzerland | Taiwan UK | USA Wales
 ALL
POSTGRADUATE STUDENTS ADMINISTRATIVE
SCIENTIFIC SUPPORT STAFF RESEARCHERS COUNTRIES
BY OUR STAFF AND STUDENTS Our team
STAFF
AND
REPRESENTED
Florey
THE FLOREY INSTITUTE OF NEUROSCIENCE & MENTAL HEALTH ANNUAL REPORT 2014 THE FLOREY INSTITUTE OF NEUROSCIENCE & MENTAL HEALTH ANNUAL REPORT 2014 8 9
Research highlights

TChairman’s & Director’s Report

he Florey’s past year has been packed with scientific activity. There have been great advances in our knowledge of the brain - both at the laboratory bench and in the hospital setting.

Our superb facilities continue to provide new opportunities to collaborate – for colleagues within the buildings and with those who come from overseas to work as members of the world’s third most-cited neuroscience facility. It is heartening to witness casual scientific connections being made and robust discussions taking place in corridors and hubs.

The scientists have been publishing in high-ranking journals on a range of diseases from Alzheimer’s to autism. You will read about some of these in this report.

Outside of research, the Florey has taken great strides forward in terms of our financial security. Our budget situation has stabilised, and in 2015 the investment earnings on our investments of over $25 million is solely being applied to support and grow research for the future of the institute. Whilst modest deficits are planned for the foreseeable future, the focus now is on the medium term in order to grow the Florey’s endowment so as to sustain our science in perpetuity.

Once again, we have experienced overwhelming support from the community. Diseases of the brain and mind touch the lives of so many people and we have appreciated the passionate interest shown in our work. The scientists are invigorated by the opportunity to share their research –through the media, at public lectures and as part of our school program. We are so grateful for donations, bequests and financial support for fellowships which we direct to our important science initiatives. Our community fundraisers have exceeded all expectations this year by contributing significantly to the Florey through a range of innovative fundraising initiatives. We thank them most sincerely.

The last 12 months saw the retirement from the Board of Laureate Professor Colin Masters and Professor Graeme Jackson. We acknowledge them for their enormous contribution over the years as we have successfully amalgamated the Mental Health Research Institute and the Brain Research Institute with the Florey. Both are dynamic investigators who contribute significantly to global research of the brain. Professor Masters is a world leader in Alzheimer’s research. His work over the last 35 years has been widely acknowledged as having had a major influence on our understanding of amyloid plaques. He continues the search for novel therapeutic strategies to combat this terrible disease. Professor Jackson is a neurologist and leader of a research team dedicated to curing epilepsy. His work in MRI technology has changed international practice and has led to improved understanding of the disease and more sophisticated surgical outcomes for some of the most serious forms of epilepsy.

Most recently, we accepted the resignation from the Florey Board of Professor Anne Kelso AO, who has become the chief executive officer of the National Health and Medical Research Council. This significant position, at the centre of national research funding and policy, is perfectly suited to this very wise and strategic professional. We wish Anne well in this new endeavour at a time of great change in the sector.

From a national perspective, 2014 was a year dominated by political campaigning for fairer federal funding through the proposed Medical Research Future Fund. The Florey has been cautious when commenting on funding sources but, rather, we have emphasised our strong support for the $20 billion initiative. There is no doubt it will be an absolute game changer for medical research in this country. It would provide a stable environment for Australian scientists who currently live year to year with the uncertainty around the likelihood of being able to continue their research.

It is well documented that the incidence of diseases of the brain and mind is continuing to grow, placing a huge burden on healthcare costs. During 2014, the Florey developed a long-term strategic approach to address this looming crisis by designing four key ‘working models’ for disease intervention. We aim to deliver major advances by 2035, improving lives so individuals across the nation can work, feel well and be unimpeded by diseases that can be avoided, treated or cured. We aim to:

ҩ Diminish the scourge of dementia

ҩ Prevent stroke and limit its impact when it does occur

ҩ Reduce the incidence and devastation caused by mental illness

ҩ Identify and help those genetically prone to epilepsy.

We believe this comprehensive program has the capacity to enable 175,000 people per annum to participate in the workforce. This translates to individuals living more independent lives, with less reliance on the health system and a capacity to contribute to the economy. We are on the brink of an exciting new era.

Finally, we would like to take this opportunity to thank our dedicated researchers and clinical partners who work together over many years to deliver discoveries. You are working for the good of humanity, improving lives and ensuring that children born today will enjoy healthier lives, free of some of the neurological conditions we face today. With National Health and Medical Research funding static, there has never been a more testing time to be a medical researcher in Australia.

Thank you again to our dedicated and generous supporters. Please enjoy reading this report and know you have helped make discoveries happen.

THE FLOREY INSTITUTE OF NEUROSCIENCE & MENTAL HEALTH ANNUAL REPORT 2014 10 11
Mr Harold Mitchell AC, Chairman Professor Geoffrey Donnan AO, Scientific Director

COMPANY SECRETARY REPORT

Report from the Company Secretary, Peter Plecher

During 2014 the Florey entered a new era. With the 2012 amalgamation, the completion of the building project and the collapse of the group structure behind us, management is focused on the Florey’s prosperous future.

We are absolutely committed to building tightly managed operations in order to support our mission, to improve lives through brain research.

During 2014 the restructuring and streamlining of internal operations has enabled management to focus on extracting the best value for the Florey on every dollar spent, whilst at the same time improving service and support to researchers. New systems, automation and reporting have been implemented to make internal operations easier for researchers, and this will continue throughout 2015, particularly with regard to the Human Resources function.

Additionally arrangements with third parties have either been re-negotiated or not renewed, such as building agreements and information technology, in order to ensure internal operations are fully funded.

In recent years our Corporate Services department has operated multi-million dollar deficits. Corporate Services is budgeting a surplus for 2015. This will mean that all monies contributed to the Florey’s endowment will be used to directly fund vital world class research. The tremendous work of the Board via the Finance and Investment Committee, the Commercialisation Committee and the Audit Committee has been instrumental in this regard and is greatly appreciated.

The management team has also commenced implementing a framework for the long term financial sustainability of the Florey, including the adequate co-funding of all researchers as a matter of policy and practice. A big thanks to all those who have contributed to the Florey’s on-going success and I look forward to providing an even brighter report in 2016.

Mr Peter Plecher, Company Secretary

As a young scientist, I felt a real need to make a positive contribution to society and eventually I found my niche in genetic epilepsy.

Research by Professors Sam Berkovic and Ingrid Scheffer - who would become my most important and closest collaborators - helped me realise that genetic epilepsies demanded an urgent clinical response and a paradigm shift in our understanding of the fundamental causes of this “sacred” disease. We are trying to change the lives of children and adults with genetic epilepsy by discovering how genetic mutations lead to seizures and by developing new drugs and therapies to improve lives.

Professor Steven Petrou, Deputy Director and Head, Division of Epilepsy, Ion channels and Disease.

THE FLOREY INSTITUTE OF NEUROSCIENCE & MENTAL HEALTH ANNUAL REPORT 2014 13 12

WRITTEN IN BLOOD

Biomarkers for Alzheimer’s disease

DEMENTIA IS THE THIRD LEADING CAUSE OF DEATH IN AUSTRALIA AND CURRENTLY THERE IS NO CURE FOR THE DISEASE.

BIOLOGICAL INDICATORS OF ALZHEIMER’S DISEASE OCCUR UP TO 15 YEARS BEFORE CLINICAL SYMPTOMS SHOW.

BY 2060, SPENDING ON DEMENTIA IS SET TO OUTSTRIP THAT OF ANY OTHER HEALTH CONDITION AND WILL REPRESENT AROUND 11% OF HEALTH AND RESIDENTIAL AGED CARE SECTOR SPENDING.

Dementia. It’s a collection of diseases that strike fear into the hearts of many, but we’ve barely scratched the surface to understanding it.

Our methods for staving off and treating dementia have been increasing very slowly despite intense international focus. But according to Dr Noel Faux from the Florey Institute of Neuroscience and Mental Health, one of the main issues with dementia is that by the time a clinical diagnosis is made, a huge amount of brain damage has already occurred. And the damage caused by this progressive disease is not reversible.

The race is on to develop an inexpensive test that will enable far earlier diagnoses of dementia. As with most diseases, the earlier the diagnosis the sooner treatment can begin and the better the chance of a good outcome. Making the test affordable is also important as it will allow greater numbers of people to access it and act on the results.

Dr Faux is in the thick of this race and is using data from the ongoing Australian Imaging Biomarker and Lifestyle Study (AIBL), which began in 2006, to support his research into the most common form of dementia, Alzheimer’s disease.

“AIBL is a large scale population-based observational study with over 700 cognitively healthy participants, over 100 participants with mild cognitive impairment and over 200 participants with Alzheimer’s disease,” Noel explains.

“Using blood-based measurements from AIBL, we were able to identify two useful signatures. One was able to distinguish people with Alzheimer’s disease from cognitively healthy individuals. The other signature was able to distinguish people who have a biomarker identifiable through brain imaging from those who do not.”

Analysing blood avoids the need for expensive imaging and cerebrospinal fluid analyses, which are currently used. Potential distress and pain are also minimised using this method.

Other researchers have adapted the research approach Noel used to identify blood-based signatures for several other diseases and conditions such as schizophrenia and Parkinson’s disease. Looking back, it’s apparent that Noel was well-placed for his line of research with his background in computer science and PhD in bioinformatics.

“During my PhD studies, I became very interested in neuroscience and how

Dr Noel Faux ‘s work has been selected by the National Health and Medical Research Council as one of the nation’s ten most promising for 2014.

I could apply my bioinformatics knowledge to help understand neurodegenerative diseases and, in the instance of Alzheimer’s disease, how we could identify people at high risk of developing Alzheimer’s disease before clinical symptoms show,” he says.

With nearly 1 million Australians expected to be diagnosed with dementia by 2050, Noel’s research could not have come at a better time. Needless to say, the hopes of the nation hang on significant breakthroughs in dementia – and Noel could be just the person to deliver one of  them.

TEAM MEMBERS

Professor Colin Masters

Professor Ashley Bush

Professor Christopher Rowe

Dr Victor Villemagne

Professor Ralph Martins

Dr Justin Bedo

Dr Samantha Burnham

Dr James Doecke

Dr Simon Laws

Dr Kathryn Ellis

AIBL research team

AFFILIATION

Australian Biomarker Imaging and Lifestyle (AIBL) study of ageing CSIRO.

NEXT STEPS

Having designed two useful blood biomarkers through his research, Noel’s next steps will be to validate these results with the AIBL cohort, international volunteers and those with other neurodegenerative diseases (to ensure disease specificity). From there, Noel and his colleagues will develop a prototype test that will be administered in a healthcare setting.

THE FLOREY INSTITUTE OF NEUROSCIENCE & MENTAL HEALTH ANNUAL REPORT 2014 14 15

A STAR ON THE RISE

A Star on the Rise

Alexander Eastwood

Alexander Eastwood is off to Oxford University on a coveted Rhodes Scholarship. The Florey will miss this extraordinary young man’s contribution to our research. We wish him well for what is sure to be a great career.

Alexander Eastwood was determined to become a secondary school teacher when he was in the final year of his science degree at the University of Melbourne.

Passionate about education, Alexander was a Campus Ambassador for Teach for Australia, an organisation that recruits outstanding young graduates and other professionals to work in disadvantaged schools. He previously campaigned on educational and youth matters.

But a third-year lecture in neuroscience offered by the Florey’s Dr Emma Burrows changed his mind – and the course of his life. The lecture was about the emerging fields of environmental enrichment and neuroplasticity.

“It was a career changer,” says Alexander. “Emma was among the most engaging lecturers I had ever had.”

Alexander approached the scientist after the lecture, and she later invited him to do research experience in the Neural Plasticity laboratory, led by Professor Anthony Hannan.

The following year he jumped at the chance to study an Honours year researching autism spectrum disorder with Emma and Anthony as his supervisors.

“I’d always had an interest in autism – two of my cousins have the condition.

“We were interested in how it developed in a mouse model and also, in better understanding how mice communicate. We looked at the high-pitched sounds produced when males ‘sing’ to females.

mutation similar to that in some humans with autism used a completely different set of calls to those without it.

“The project provides interesting and novel findings and is a roadmap for future research,” says Alexander.

Tony Hannan describes Alexander as bright and motivated.

“He has exceptional promise as a neuroscience researcher – he’s meticulous, curious, he reads all the literature and picks up the techniques really quickly. He has all the makings of a really exceptional scientist.”

At the end of the year Alexander was awarded a Rhodes Scholarship to complete a Masters and PhD at the University of Oxford.

The honour was the latest in a long string of awards and scholarships, including Dux of school in 2008 and Bendigo Youth Citizen of the Year in 2010. He’s an allrounder, active in sport, debating, theatre and volunteering, including working on environmental causes.

“The Florey is an incredible launching pad – it’s stimulating, social and cosmopolitan.”

He is continuing autism research with Emma and Tony, working towards a publication before he leaves for England in September - and hopes to collaborate with them while at Oxford.

“We were collaborating with researchers from other faculties and unexpectedly learnt that mice also yodel and growl!”

For Alex, it was an enjoyable yet intense year and his project was an overall success. The researchers found that mice with the

And beyond his PhD? “Ideally, I’ll join the global effort to better understand autism and help improve the lives of people with the condition.”

“Teaching is something I’ll come back to but I need to chase this interest for now.”

Alexander Eastwood
16 THE FLOREY INSTITUTE OF NEUROSCIENCE & MENTAL HEALTH ANNUAL REPORT 2014 17

GAME CHANGERS

The future of neuroscience

Neuroscience is attracting massive community interest as we discover remarkable facts about this elusive organ, hidden away behind our bony skulls. There is still a lot to reveal – and the Florey’s Dr Henry De Aizpurua is helping to steer our scientists to new frontiers.

Dr Henry De Aizpurua is a deputy director at the Florey and the man responsible for its business development. During his 15  years at the Institute, he has witnessed an explosion in knowledge about neuroscience.

He’s seen the Florey evolve to bring together the bulk of neuroscience expertise in Melbourne and become by far the largest independent brain research institute in Australia.

He’s watched it grow in global relevance to become among the top three or four leading neuroscience institutes in the world.

And, he says, there’s more to come –much more.

Henry says the Florey will be active in several neuroscientific frontiers in the next 20 years.

The first will involve mapping the connectivity of the brain. The aim? To create a 3D map of the brain known as a “connectome”.

“This has the ability, when achieved, to help us understand the brain and the consequences of damage and repairs to it,” he says.

“There’s a huge amount of excitement about where we could go with this.”

Creating a connectome would be like the advent of the human genome, which revolutionised medicine more than a decade ago.

Like the genome, building a connectome would be a huge, global effort of “staggering complexity and requiring massive investment”, he says.

“It will probably require the invention of tools and systems we don’t have right now. It’s enormously multidisciplinary – engineers, IT specialists, imagers, basic cellular scientists, clinicians, will all have to be part of big programs in that area.”

“But it’s already begun.”

The Florey is linked into the Obama BRAIN Initiative, and large initiatives in the European Union, among other projects.

Another ambition of the Florey is to nail down safe and effective treatment for at least one of the most common neurological diseases – within the next decade.

“Any institution that sees itself as globally relevant wants to do this. We aim to develop a powerful treatment that is broadly applicable to the community at large – possibly for Parkinson’s or Alzheimer’s, depending on our progress in the next few years.

“Work at the Florey on all the diseases we research is being driven at a frenetic pace but often in medicine serendipity is the thing that gets you across the line.”

“It’s an achievable ambition.”

A breakthrough with one disease could also lead to lessons and shortcuts in developing treatments for other diseases, he says.

“Medicine always shows you that there are lessons to be learnt and shortcuts to be understood as you unravel one Gordian knot of a disease and flow through to other pathologies. You can’t guarantee that but the history of medicine shows that, as in infectious diseases.”

Florey scientists are ready to tackle another frontier – the development of a simple, safe biomarker for early detection of neurological disease.

“It’s super important because fewer of us are going to die from heart attacks or tumours – they’re already becoming manageable diseases – and so we’re going to have a population living to an age that biology hasn’t actually been programmed to plan for.

“We want to identify those people in the community who are susceptible to early progression into chronic degenerative disease. Then we will offer them interventions that avoid the catastrophic collapse of the cognitive neuro functions, their mental health or their physical ability to navigate daily life.

“Right now we’re relying on big clunky expensive tools like MRI and PET (molecular imaging devices) but we need to refine medications and other treatments so we can offer simple, safe, cheap effective tools for people around the world.”

Brain maintenance is a third theme demanding attention of Florey scientists and one offering an opportunity for a partnership with the public, says Henry.

“Thirty or 40 years ago, it was thought the brain was static and its development set in concrete once you hit puberty. Now, of course, we know it can be moulded, shaped, exercised and driven. It’s the concept of the plastic brain.”

“Maintain the brain” is the catchcry but it is ultimately up to the public to make the lifestyle choices to do this, he says. The Florey has an obligation to educate the community.

“It’s a bit like the public education campaigns to quit smoking,” Henry says.

“The concept of maintaining brain health is going to explode over the next decade. People will begin to understand the direct benefits of healthy lifestyles so they maintain brain health.

“The baby boomers and the Gen-Xers are better educated than any generation before them. They have an enormous interest in maintaining brain health – and they will be empowered to do something about it.”

Establishing partnerships with clinical psychologists, commercial organisations that develop brain training tools and the media, (the Florey has already has a strong link with the ABC’s Active Memory), is going to be pivotal in giving the public the information it needs and in rolling out brain activity tools developed by cognitive neuroscientists.

“And at the end of the day, it will be use it or lose it.”

The final frontier is developing the ability for the brain to regenerate itself.

“Now that is a long way off,” Henry says, “because the whole area of cellular regeneration is still finding its feet.

“But there’s a huge amount of fantastic stem cell biology and regenerative medicine happening at the Florey. Eventually good quality medicine and research is going to deliver approaches to regenerate various parts of the body and the brain as well, which will give patients and their doctors a new set of options as they approach particular problems with their brain health.”

Henry says he is buoyed by the possibilities for neuroscience in the next two decades.

“The brain is the most complex, the least understood major organ in the body. The opportunity for exploration and discovery, for new insights and interventions, are just all there.

“The Florey is, aspires to be, and will be, a global leader in delivering some of these life-changing opportunities.”

Pictured: Dr Henry De Aizpurua is a deputy director at the Florey and manages business development.
THE FLOREY INSTITUTE OF NEUROSCIENCE & MENTAL HEALTH ANNUAL REPORT 2014 THE FLOREY INSTITUTE OF NEUROSCIENCE & MENTAL HEALTH ANNUAL REPORT 2014 18 19

THE TWO OF US

The Two of Us

Prof Ashley Bush & Dr Ya Hui Hung

Professor Ashley Bush heads the Florey Institute’s Oxidation Biology Unit, researching Alzheimer’s disease and other neurological disorders. He’s a psychiatrist and basic researcher. Senior researcher Ya Hui Hung is investigating a rare, genetic and fatal disease called NiemannPick Type C (NP-C) that is also known as ‘childhood Alzheimer’s’. The two researchers hope this work will lead to drugs to treat young people afflicted with the condition, and that it will have implications for a cure for Alzheimer’s, too.

PROFESSOR ASHLEY BUSH

I met Ya Hui when I was recruiting staff after returning from Harvard University in 2005. My main work has been on the role of metals in brain diseases and we know this has something to do with Alzheimer’s disease. I thought Ya Hui was very bright and recruited her to do a post-doc.

For the first few years she investigated whether there was a relationship between copper and cholesterol. In 2010 I was approached by a lady called Chris Hempel, whose twin daughters have NP-C, who’d set up a foundation in the US to encourage study of it. It was such a heart-rending story, I found it hard not to engage. Chris’s girls are 11 years of age and have lost the capacity to walk and speak as they have advanced dementia. Ya Hui was very moved by the story as well. She’s got a big heart. Once she saw what this disease was, it made the science seem very real.

Her mission is to find drugs that can reduce the accumulation of cholesterol, and help correct the loss of function that occurs in NP-C.

Ya Hui’s very smart and an excellent scientist but is modest and self-effacing. She gets disappointed in herself very easily. I mentor her about her career and try to keep her optimistic. It’s a tough world trying to be a career scientist in Australia.

A couple of times she thought she’d have to give it away and I did what I could to keep her going.

We’re both music buffs. A common friend has an orchestra and we found ourselves in the same recording studio once, surprised to see each other outside work!

I insisted that Ya Hui present her findings at an international conference in Greece in 2012. She was terrified so I got her trained by a coach, an actor from Neighbours.

She did a great job. I think that was the watershed for her; when she blossomed into a mature scientist. She went on to become our public face for this research. She must be the leading scientist on NP-C in Australia.

DOCTOR YA HUI HUNG

When Chris Hempel contacted Ashley in 2010, she brought to us a question: is there something you can do to help my daughters?

Driven by Chris’s personal quest, we looked at the metal changes in NP-C disease patient skin cells, in blood samples and post-mortem brain cells. We published a paper last year that reported widespread metal changes in NP-C disease. This finding gives us confidence that by altering metal levels we may be able to treat NP-C.

We’re learning amazing things from talking to patients and their families, too.

I’m a softie! It’s really heart-breaking to see these children suffering, and see their parents’ lives so affected by the disease too. Hopefully our drug screen will result in a treatment to help patients.

Ashley’s really good when I’ve got questions; his door is always open. He’s very knowledgeable, a lateral thinker, and he’s always encouraging and very supportive. I often thank him for putting up with it when I say ‘I can’t do this any more!’. He’s a great boss and mentor. He lightens things up – he says ‘everything’s a lazy afternoon’s work’!

He’s very determined and persistent in pursuing science. I’ve learned from him to never give up.

If you would like to help this research to  continue, please contact the Florey on 1800 063 693

Pictured:
Professor
Ashley Bush and Doctor Ya Hui Hung.
THE FLOREY INSTITUTE OF NEUROSCIENCE & MENTAL HEALTH ANNUAL REPORT 2014 THE FLOREY INSTITUTE OF NEUROSCIENCE & MENTAL HEALTH ANNUAL REPORT 2014 20 21

FOUNDATION COUNCIL

CHAIRMAN’S REPORT

Report from the Foundation Council Chairman, Ross Oakley OAM

THANK YOU TO OUR SUPPORTERS FROM THE FLOREY’S FOUNDATION COUNCIL.

A CHANGING WORLD

The Federal Government’s National Health and Medical Research Council (NHMRC) has traditionally been the major provider of funds for medical research. It is a highly competitive arena under the constant pressure of funding constraints and increasing demand. In 2014, the success rate of scientists across Australia for NHMRC grants was the lowest since the current selection process was adopted 15 years ago. While there is great excitement and hope about the proposed Medical Research Future Fund, it remains exactly that: a fund in the future.

In the face of the changing models of government funding, the Florey’s capacity to fundraise has become increasingly important.

Thanks to the generosity of many individuals and organisations, the Foundation had a productive year. We have seen good growth in our philanthropic income and the support we have received has been crucial to our research programs and our ability to recruit and retain the best researchers. Philanthropic contributions have purchased some of the latest research technologies and equipment, thus playing a vital role in our work to identify methods of early diagnosis and to develop effective treatments for illnesses that affect the brain.

We are heartened by the growth in our income from donations. In 2014 we raised $3.88 million from private donors and philanthropists, community fundraisers, trusts and foundations, and bequests. We feel tremendously privileged to receive support from the many individuals who respond to our appeal letters during the year. These gifts, small and large, come from across Australia and are crucial to our achievements. We thank all our donors for their loyal support.

As part of this program we are fortunate to attract funds from philanthropic trusts and foundations that enable research projects which are focussed on exciting new findings to get underway and become established. They also allow us to purchase the latest technologies that can accelerate the progress of research or provide new insights into the illnesses we study. They often fund work being done by promising young scientists as they establish their research programs.

Many trusts and foundations were established decades ago by forward thinking philanthropists. Today, it is heartening to see new foundations being established by generous individuals and families who see the importance of medical research and share our vision for a healthier community. The Dowd Foundation was a new donor to the Florey this year, providing a threeyear fellowship to support Associate Professor Chris Reid and his work on epilepsy whilst The Finkel Foundation gave its support to annual scholarships for three promising young scientists.

While the act of philanthropy is yet to penetrate deeply within Australia, it is a discussion that is occurring increasingly around family dinner tables, conference rooms and parliamentary

cabinets. We definitely need more Australians to declare their belief in an act of public generosity and to help create a groundswell of funding support for medical research. Those behind new and innovative initiatives need to step up publicly and share their belief in philanthropic generosity. As we have seen in the United States, the impact can last a century or more.

In 2014 the Florey Foundation and its Council included Chairman Trevor Clark, Julian Clarke, Graeme Kelly, Ross Oakley and Stephen Spargo. Ex officio members were Geoffrey Donnan, Henry De Aizpurua and Ross Johnstone. We are very grateful to these individuals who have contributed to the organisations with their expertise.

COMMUNITY SUPPORT

This year has seen a great many people sweating for the Florey, fundraising in the City2Sea, the Melbourne Marathon, and Surf Coast Century. Some people were running for the first time and others were regular supporters who used this opportunity to keep fit and raise money and awareness at the same time.

And there were others who did something a bit more out of the ordinary, like Kingsley Just who broke the world record for consecutive spins in a plane. That was a hair-raising day. Not only did he beat the world record, he did 600 more rolls to reach a staggering 987 rolls altogether. This was all to raise money for research that may one day help his son Kaelen who has a rare genetic condition which is a variant of Acrodermatitis Enteropathica.

Andrew and Claire Heenan have also been great supporters in the face of tragedy. Andrew, with the support of Claire, set off from Perth on a 4000km solo cycle trip across Australia to the NSW Central Coast. Before his journey Andrew shared a thought with his supporters: “I lost my son Ben after a long battle with mental illness. Despite being surrounded by a loving family and intensive treatment from a team of mental health professionals Ben could no longer cope with his illness and took his own life. Ben’s death was a complete tragedy for our family”. Rather than feel helpless, Andrew and Claire saw the value in investing in mental health research and decided to help the Florey in its quest to improve treatments for those suffering mental illnesses.

The support of people like these families, and the individuals running their own fundraising activities, is invaluable in funding research into illnesses of the brain. We appreciate their bravery, determination and commitment to help us find answers.

In addition to these individuals, it is important to also recognise the wonderful, ongoing support we receive from voluntary groups in the community such as One in Five, River’s Gift, and Cure MND, all of whom work tirelessly to raise funds to support our research. These Florey champions are motivated by tragedy and determination to help others who might one day face an illness of the brain or mind. We are so grateful for their vision and generosity.

I would also like to acknowledge the wonderful work being done by the fundraising, media and marketing teams who work tirelessly across a wide range of activities to raise funds to support our scientists while keeping the community up-to-date with the research we are doing.

THE FLOREY INSTITUTE OF NEUROSCIENCE & MENTAL HEALTH ANNUAL REPORT 2014 THE FLOREY INSTITUTE OF NEUROSCIENCE & MENTAL HEALTH ANNUAL REPORT 2014 22 23
Council Chairman, Ross Oakley OAM

BOARD OF DIRECTORS

THE FLOREY INSTITUTE OF NEUROSCIENCE & MENTAL HEALTH ANNUAL REPORT 2014 THE FLOREY INSTITUTE OF NEUROSCIENCE & MENTAL HEALTH ANNUAL REPORT 2014 24 25

BOARD OF DIRECTORS

MR HAROLD MITCHELL AC Chairman

Mr Harold Mitchell is the founder of Mitchell & Partners and until August 2013 was the Executive Chairman of Aegis Media Australia and New Zealand. Mitchell & Partners is the largest media and communication group in Australia, with growing presence in New Zealand and across the Asia-Pacific region. Mr Mitchell holds a large number of community roles including Chairman of the Melbourne Symphony Orchestra; Chairman of TVS, University of Western Sydney’s television service for Greater Sydney; Chairman of Arts Exhibitions Australia; Chairman Free TV Australia; Vice President of Tennis Australia; Director of New York Philharmonic, and Director of Crown Ltd. He has also been Chairman of CARE Australia; Chairman of the National Gallery Australia; Chairman of the National Gallery Australia; President of the Melbourne International Festival of Arts; President of the Museums Board of Victoria and a Board member of the Opera Australia Council. Mr Mitchell was appointed Companion of the Order of Australia in 2010 for eminent service to the community through leadership and philanthropic endeavours in the fields of art, health and education and as a supporter of humanitarian aid in Timor-Leste and Indigenous communities. In 2013 Mr Mitchell was awarded the Victorian of the Year.

PROFESSOR JAMES ANGUS AO

FAA BSc PhD

James Angus is former Dean of the Faculty of Medicine, Dentistry and Health Science at the University of Melbourne. He is also a Fellow and former Member of Council at the Australian Academy of Science. He is currently Professor of Pharmacology at the University of Melbourne, a Director of The Peter MacCallum Cancer Institute and Chairs the Victorian Clinical Training Council. Professor Angus is the Vice Chancellor’s nominee for appointment in accordance with the Constitution and was previously a non-executive Director of The Mental Health Research Institute (appointed 2003). He was appointed an Officer of The Order of Australia in 2010 for distinguished service to biomedical research, particularly in the fields of pharmacology and cardiovascular disease, as a leading academic and medical educator, and as a contributor to a range of advisory boards and professional organisations, both nationally and internationally.

PROFESSOR GEOFFREY A DONNAN AO

Florey Director

MBBS MD FRACP FRCP (Edin)

Director of The Florey Institute of Neuroscience and Mental Health, Professor Geoffrey Donnan was previously Director of the National Stroke Research Institute and subsequently the Florey Neuroscience Institutes. He is also Professor of Neurology at the University of Melbourne. His research interest is clinical stroke management and was co-founder of the Australian Stroke Trials Network. He is Past-President of the World Stroke Organisation. He received the American Stroke Association William Feinberg Award for Excellence in Clinical Stroke Research in 2007, the Swedish Karolinska Institute Award for Excellence in Stroke Research and the World Stroke Organization Leadership in Stroke Medicine Award in 2012 and the European Stroke Congress Wepfer Award for stroke research in 2014.

MR CRAIG DRUMMOND

B.Comm (Melb) ACA SFFIN

Craig joined the National Australia Bank in November 2013 as Group Executive, Finance & Strategy and appointed Chairman of JB Were Board in July 2014. Prior to joining NAB, Craig spent four years as Chief Executive and Country Head of Bank of America Merrill Lynch Australia. Prior to that, Craig joined Goldman Sachs JB Were in 1986 and held various roles including Chief Operating Officer, Chief Executive Officer and Executive Chairman. Craig is a Board member of The Geelong Football Club and a member of The Ian Potter Foundation Finance Committee. Craig is a Senior Fellow of FINSIA and a Chartered Accountant.

Mr Gerrand is Chairman of Healthy Parks Healthy People Global Ltd and Wheretonext.biz Pty Ltd, a Director of Melbourne Primary Care Network Ltd and The Dax Centre, and is an AICD Director Nexus Chairman. He heads the marketing and communications consultancy Gerrand & Associates, is a consulting partner with SenateSHJ and was General Manager of Group Public Affairs at ANZ Bank. Previous board appointments include Chairman of Parks Victoria and Director of Alfred Health, the Financial Planning Association of Australia, the Koorie Heritage Trust and the Melbourne Convention and Marketing Bureau. He was the Founding President of the Monash Alumni Association, and was appointed Adjunct Professor at Deakin University. He is a published author.

PROFESSOR ANNE KELSO AO

BSc (Hons) Ph D (Melb)

Professor Anne Kelso is Director of the WHO Collaborating Centre for Reference and Research on Influenza at Melbourne Health. She is also an honorary professorial fellow at the University of Melbourne where she undertakes research on immunity to influenza. She is currently a member of the Board of Trustees of the International Society for Influenza and Other Respiratory Virus Diseases, and a number of committees advising the WHO and the Australian Government on influenza. Professor Anne Kelso has recently been appointed the Chief Executive Officer of the National Health and Medical Research Council (NHMRC).

MR ROB GERRAND BA, FAICD
02 04 01 04 THE FLOREY INSTITUTE OF NEUROSCIENCE & MENTAL HEALTH ANNUAL REPORT 2014 THE FLOREY INSTITUTE OF NEUROSCIENCE & MENTAL HEALTH ANNUAL REPORT 2014 26 27

MR MARK JONES

BA (Hons) (Sheff) MBA (MBS)

Mr Mark Jones is the Ethics and Independence Partner and the Chief Operating Officer of the Risk Management Group at KPMG. He also provides professional services in the areas of corporate governance and internal audit. Mr Jones is a Fellow of both the Institute of Chartered Accountants in England and Wales, and the Institute of Chartered Accountants in Australia, and is a member of both CPA Australia and the Australian Institute of Company Directors.

MR

MSc

Andrew Stripp is the Deputy Chief Executive Officer and Chief Operating Officer at Alfred Health where he has worked for 10 years in various roles. He has worked across various settings in the health sector and Victorian State Government including Director Mental Health and has undertaken service and strategic reviews for a range of organizations across Australia.

MR STEPHEN SPARGO AM LLB LLM

Mr Stephen Spargo is a Partner practising in the Banking and Finance Practice Group of Allens. He is a director of Asia Society AustralAsia Centre, Chairman of The Royal Agricultural Society of Victoria Limited, a Vice-President of the Melbourne Cricket Club, Vice-President of Golf Victoria and a director of the Committee for the Economic Development of Australia.

Andrew Abercrombie is the founding Director of FlexiGroup Limited (FXL) and remains on the FlexiGroup Board continuing to work with the CEO and management team. FXL is a now a top 150 company on the ASX. Formerly a commercial lawyer, he oversees a broad range of commercial interests. He is the Regional Chairman of the World Presidents’ Organisation and continues to participate in international education programs in various roles. Formerly a member of one of Victoria’s Alpine Resort Management Boards, he is also a Director of the Menzies Research Centre, the Melbourne Zoo Foundation and Treasurer of the Liberal Party of Australia (Victorian Division).

MRS JENNIFER LABOURNE BBus, FCPA

Jennifer Labourne is the Director of Finance & Business Services at Colac Area Health for the past 5 years. She was previously a partner at Ernst & Young, Deputy Chair of Health Purchasing Victoria, Director of Parks Victoria and has been involved on various committees of the Australian Society of Certified Practicing Accountants (CPA).

DR BRENDAN MURPHY

MBBS PhD FRACP FAICD

Dr Brendan Murphy was appointed Chief Executive Officer of Austin Health in January 2005. Prior to that he was Professor/ Director of Nephrology and Chief Medical Officer at St. Vincent’s Health. He is President of the Victorian Hospitals Industry Association and is also a Director of the Olivia Newton-John Cancer Research Institute and a Professorial Fellow with the title of Professor at Melbourne University.

EMERITUS PROFESSOR ANDREA HULL AO

BA Dip Ed (Univ of Sydney) MBA (MBS, Univ of Melb) Hon Doc (Univ of Melb) FAICD FAIM

Professor Andrea Hull has had a distinguished career in CEO and executive roles, and also as a non-executive Board member in government and not-for-profit organisations. She is an Emeritus Professor at the University of Melbourne, and is Chair of ABC Advisory Council, Deputy Chair of the Breast Cancer Network of Australia and former Deputy Chair of the National Museum of Australia. She is also a Board member of The Melbourne Forum, and The Melbourne Prize. Professor Hull has undertaken numerous international and national assignments, and served on many international, federal and state bodies to advance the integration of economic, social and cultural agendas.

04 04 03 04
ANDREW STRIPP (Clinical Psychol) BBSc (Hons) MR ANDREW ABERCROMBIE BEc LLb MBA (IMD)
THE FLOREY INSTITUTE OF NEUROSCIENCE & MENTAL HEALTH ANNUAL REPORT 2014 THE FLOREY INSTITUTE OF NEUROSCIENCE & MENTAL HEALTH ANNUAL REPORT 2014 28 29

NEUROSCIENCE TRIALS AUSTRALIA

Neuroscience Trials Australia is a niche, not-for-profit, contract research organisation within The Florey Institute of Neuroscience and Mental Health. It offers an Australian approach to global clients seeking economical, smart and timely neuroscientific clinical research.

Neuroscience Trials Australia is co-chaired by two of Australia’s most experienced clinicians and medical researchers, Professors Geoffrey Donnan and Stephen Davis. The General Manager, Dr Tina Soulis, oversees all personnel and projects as well as driving business strategy and objectives. To date, the business has grown, on average, 39 per cent each year and continues to provide a sustainable, highly experienced environment for bringing clincial trials to Australian patients.

The team’s areas of expertise include stroke and strokerelated conditions, multiple sclerosis, epilepsy, Parkinson’s disease, spinal cord injuries, Huntington’s disease, neurosurgery, pain, neuromuscular disease, mental illness and migraine. The team has strategic alliances with many therapeutic disease groups and can provide access to key opinion leaders, sites and clinical trial expertise through a range of tailored services. Staff have global management experience in all phases (I to IV), of clinical research.

The services provided include study feasibility, project management, monitoring of studies to global regulatory standards, safety reporting throughout the clinical trial, data management and biostatistics and report writing. The relationship with services provided and key stakeholders are outlines in the following diagram.

“Many of the projects we undertake at Neuroscience Trials Australia assess new ways of treating strokes and their effects. Our trials involve developing new drug treatments as well as new devices.”

Dr Tina Soulis

The division continues to expand and has a healthy pipeline of new and ongoing projects with multiple trials in various neuroscience therapeutic areas being conducted at any one time. These projects consist of investigator initiated studies as well as those initiated by commercial interests. Outlined, next, are examples of the many projects underway.

Phase I

Phase II

Phase III

Phase IV

ACCESS TO: CLINICAL NETWORKS, KOLS AND SITES

Pharmaceutical and Biotechnology industry

Government granting bodies

Collaborative groups

Investigator-initiated studies (local and International)

Feasibility

Project Management Monitoring

Data Management and Biostatistics

Medical safety and report writing

Regulatory

Key services provided by Neurosciences Trials Australia to various stakeholders.

Mechanically retrieving clots that occur during strokes: the EXTEND-IA study

Stroke is Australia’s second biggest killer after coronary heart disease and a leading cause of disability. According to the National Stroke Foundation, one in six people will have a stroke in their lifetime. The total financial costs of stroke in Australia are estimated to be $5 billion (2012 figures).

A stroke occurs when a clot blocks one of the blood vessels to the brain. This causes poor blood supply and lack of oxygen to the brain tissue. If blood supply is not restored to the brain there is permanent brain damage. Currently there is only one treatment for stroke caused by a blocked blood vessel. This treatment is a medicine called tissue plasminogen activator (t-PA). t-PA works by dissolving the clot that is blocking blood supply to part of the brain and has been proven to reduce disability after stroke. However, tPA does not always succeed in opening the blocked artery and it should be given within the first 4.5 hours after stroke.

The aim of the EXTEND-IA study was to test whether mechanical clot retrieval (using a device called Solitaire) after standard intravenous tPA is more effective in opening the blocked blood vessel and improving recovery from stroke than just tPA alone.

This cutting edge multi-centre study examined the effectiveness of one of the latest clot retrieval devices available globally, the Solitaire FR clot retrieval device.

Results were published in the New England Journal of Medicine with concurrent presentation at the International Stroke Conference in Nashville, USA. It was found that early intraarterial clot retrieval, in addition to giving tPA, improved neurological recovery and functional outcome.

Neuroscience Trials Australia was the program manager and was responsible for setting up the project, the data management systems and project management for this successful trial.

Stem cell hope for Parkinson’s disease patients

A therapy for Parkinson’s disease from International Stem Cell Corp. is expected to get imminent approval for testing in Australia.

The US-based publicly traded company has grown neural stem cells, which can mature into cells making the neurotransmitter dopamine, deficient in Parkinson’s. The company plans to implant these stem cells into the brains of Parkinson’s patients, restoring dopamine production and normal movement in the patients.

The trial will be the first test of therapy with the company’s cells, derived from unfertilised, or parthenogenetic, human egg cells. The cells, which in theory can produce nearly all types of cells found in the body, are grown into neural stem cells. These cells will be implanted and mature in place. The trial will primarily assess safety, but also look for evidence of efficacy.

International Stem Cell Corp. chose Australia for its first trial because its regulatory agency is more “interactive” than the U.S. Food and Drug Administration.

Neuroscience Trials Australia has assisted the company with all required submissions and interactions with the Australian Therapeutics Goods administration utilising the Clinical Trial Exemption (CTX) scheme. In addition, Neuroscience Trials Australia will be responsible for the project management of the entire trial process, including project management, importation of study stem cells and data management processes.

Ground-breaking Alzheimer disease treatments

Anavex Life Sciences Corp. is a US-based publicly traded biopharmaceutical company dedicated to the development of novel drug candidates to treat Alzheimer’s disease, other Central Nervous System (CNS) diseases, and various types of cancer.

THE FLOREY INSTITUTE OF NEUROSCIENCE & MENTAL HEALTH ANNUAL REPORT 2014 THE FLOREY INSTITUTE OF NEUROSCIENCE & MENTAL HEALTH ANNUAL REPORT 2014 30 31

Anavex’s lead drug candidate, ANAVEX 2-73, is currently in a Phase 2a clinical trial for Alzheimer’s disease in an Australian-only trial that is being managed by Neuroscience Trials Australia.

ANAVEX 2-73 is an orally available drug candidate that targets sigma-1 and muscarinic receptors and successfully completed Phase 1 with a clean data profile. Preclinical studies demonstrated its potential to halt and/or reverse the course of Alzheimer’s disease.

With its adaptive design, the aim of this trial is to objectively measure all possible effects of the drug in patients, which serves to optimally design and reduce the risk for future pivotal trials. There is an urgent, unmet need in Alzheimer’s disease, with a new case developing every 67 seconds and 5.2 million Americans currently diagnosed.

The current multicentre Phase 2a adaptive clinical trial will enrol at least 32 mild to moderate Alzheimer’s patients and they will be able to receive the study drug for up to 26 weeks. The primary objective of the trial is to evaluate the maximum tolerated dose of ANAVEX 2-73 in these patients. Additional trial objectives include dose response, bioavailability, cognitive efficacy and the relationship of ANAVEX 2-73 as an add-on therapy to donepezil, the current standard of care.

Innovative new treatment hope for neuromuscular  disorders

Flex Pharma is a US-based biopharmaceutical company dedicated to creating innovative, novel treatments for neuromuscular disorders.

Neuroscience Trials Australia will manage several clinical trials that will assess a new treatment as a solution for people suffering from nocturnal leg cramps, as well as muscle cramping and spasms resulting from a broad range of neuromuscular disorders, such as multiple sclerosis.

Flex Pharma’s proprietary treatment is based on research showing that cramps are caused by excessive firing of alphamotor neurons in the spinal cord that control muscle contraction. The treatment is designed to stop the firing of the neurons by topically stimulating the transient receptor potential (TRP) ion channels located in the gastrointestinal tract. Physical properties of the TRP activators largely limit their action to sensory neurons in the mouth, esophagus and stomach, with minimal concentrations reaching the bloodstream and, consequently, fewer potential systemic side effects.

Previous studies have demonstrated that Flex Pharma’s treatment reduced electrically induced muscle cramps within 15 minutes, and its effect lasted between six and eight hours compared to subjects taking a vehicle control. When data from the three studies were aggregated, the treatment showed a statistically significant overall treatment effect, reducing cramp intensity by three-fold compared to subjects taking a vehicle control (ANOVA, p<0.0001).

Stopping bleeding during stroke: the STOP-AUST study

Some types of strokes involve bleeding in the brain. This is called an intracerebral haemorrhage and can be seen on brain scans as a spot. Growth of the haemorrhage is common. It is known to be harmful because it increases mental and physical disability and the chances of death.

There are currently no known effective medications to reduce or prevent haemorrhage growth.

Tranexamic acid is a medication that is known to reduce bleeding in other diseases and therefore it is thought that it may reduce bleeding also in intracerebral haemorrhage.

Although tranexamic acid is approved by the Therapeutic Goods Administration of Australia to reduce blood loss and the need to give extra blood in patients undergoing heart or joint surgery, it is not approved to treat intracerebral haemorrhage.

The purpose of this research project is to evaluate if the medication tranexamic acid reduces the growth of intracerebral haemorrhage.

The project is an international collaboration, with approximately 12 centres in Australia and Finland currently participating. Eighteen participants are currently enrolled.

Neuroscience Trials Australia is the program manager and is responsible for setting up the project, project and data management systems as well as sourcing and labelling of the study drug.

Making spinal cord injury less traumatic: the ICED (Immediate Cooling and Emergency Decompression) pilot, safety and feasibility studies

Neuroscience Trials Australia is fortunate to play a leading role in this ground breaking set of studies. Our team is involved in setting up project and data management of a unique program which aims to address and change the way that patients who have a spinal cord injury are treated.

The main focus of the project is to offer urgent decompression of the injury as close as possible to the time of occurrence.

The main causes of traumatic spinal cord injuries (SCI) are road trauma, falls and water related accidents with most spinal cord injuries occurring to men under the age of 35. This type of injury impacts the majority of people at the prime of their lives and it is thought that Australia alone currently has 10,000 people living with spinal cord injury.

The total cost of spinal cord injury in Australia is estimated to be $2 billion annually which includes costs to patients and their families. If just 10 per cent of carers were able to return to the workforce because their family member with a disability had appropriate personal support, there would be a $3 billion boost into the economy.

Even more disheartening, physical injury to the spinal cord results not just from the initial impact, but also from compression of the spinal cord as a consequence of the displaced vertebra.

A multi-centre clinical trial of immediate cooling followed by emergency decompression (ICED) in patients with cervical SCIs is proposed. The current project aims to conduct the pilot as well as safety and feasibility studies necessary before commencing this trial. The contemporary timing of decompression is currently being established in key Australian states and areas of delay identified. Treatment protocols will then be streamlined and the feasibility of decompression within the 18h window established.

Because hypothermia is being initiated by paramedics, it is important that entry neurological assessment is carried out in the field prior to initiation of therapy. A key study is therefore to establish the reliability and validity of paramedic L3 and S1 motor and sensory scores in acute cervical SCI. Once these studies have been performed, it will be possible to proceed to a feasibility and safety study of immediate cooling followed by emergency decompression.

Getting to the POINT of the matter-The (POINT) Trial: Platelet-Oriented Inhibition in New TIA and minor ischemic stroke

Transient ischemic attack (TIA) is a transient episode of neurological dysfunction. TIAs are common events with an estimated 250,000-350,000 occurring each year in the US alone, an incidence about 30 to 40 per cent that of stroke. Rapid recovery is a defining characteristic of TIA and distinguishes it from a complete stroke.

This Phase III multi-centre trial will involve 4,150 participants from 250 centres around the world with either a confirmed high-risk TIA or a minor stroke. Treatment will be within 12 hours of symptom onset with either clopidogrel or placebo. This multi-centered clinical trial is sponsored by the University of California, San Francisco and funded by the National Institute of Neurological Disorders and Stroke in the US.

The purpose of the study is to determine whether clopidogrel is effective in improving survival free from major ischemic vascular events (ischemic stroke, myocardial infarction, and ischemic vascular death) at 90 days when initiated within 12 hours of TIA or minor ischemic stroke onset in patients who are already receiving aspirin.

Recruitment into the trial across all sites is currently at 45% or 2632 participants to date.

Neuroscience Trials Australia is responsible for setting up the trial and complete project management across 10 sites throughout Australia and New Zealand.

THE FLOREY INSTITUTE OF NEUROSCIENCE & MENTAL HEALTH ANNUAL REPORT 2014 THE FLOREY INSTITUTE OF NEUROSCIENCE & MENTAL HEALTH ANNUAL REPORT 2014 32 33
Pictured: Dr Tina Soulis General Manager Neuroscience Trials Australia.

A FAIR WORKPLACE FOR ALL

The Florey forges ahead

A highlight of the communications group was the successful Women in Neuroscience “Wikibomb” or Wikipedia edit-a-thon, led by Dr Michele Veldsman and Dr Katherine Jackman, pictured left. In partnership with Wikimedia Australia, women and men from the Florey and beyond came together to create Wikipedia pages to profile the achievements of prominent Australian women who have worked or are currently working in neuroscience. The aim? To overcome the poor representation of this group. On the day, the 20 participants created 20 new pages. Amongst these was one dedicated to the achievements of our own Professor Ingrid Scheffer who has won several awards for her ground-breaking achievements in the genetics of epilepsy, including the 2014 Prime Minister’s Prize for Science.

At the Florey we are committed to harnessing the full complement of talent within the organisation. We believe that supporting and promoting diversity will help accelerate scientific discovery and cures. The Equality in Science Committee (EqIS) collaborates to create conditions in which diverse people can both operate to their full potential and also work together cohesively. This committee has broad representation from professional and academic staff of the Florey to ensure relevant equity and staff development issues are canvassed. Our working groups tackled important issues across the institute and this year’s report celebrates many achievements

The parenting group continued to work on issues important to staff with young families. A key achievement in 2014 was the creation of two family-friendly workspaces (parenting rooms) at each campus of the Florey. This is in addition to supporting new policies to help increase flexible work practices such as family-friendly meeting times, flexible working hours and part-time positions. The familyfriendly workspaces will allow scientists with young children to bring them to work when necessary, meet with colleagues or conduct other business in an environment that is safe for children.

At the policy level we continue to work to gain more equitable representation of our female scientists on committees across the Institute. We recognise that diversity in committees can change conversations and that opportunities to participate in decision-making groups builds skills and confidence. We have also been working to increase transparency of committee appointments to ensure that everyone at the Florey gets a chance to contribute to the life and culture of the organisation.

The value of mentoring is often underappreciated by scientists, yet mentoring can create enormous opportunities for growth for both the mentee and the mentor. In 2014 we relaunched our mentoring program with a view to creating an even stronger culture of mentorship for Florey staff.

Another exciting development this year was our successful partnership with the Baker Foundation, supported by Kerry Kornhauser from Women in Rotary, to develop a new Women in Science Fellowship. Following an unusual selection process which considered both the quality and potential impact of the candidate’s science (judged relative to opportunity), and their ability to communicate their science to a lay audience, we selected Dr Despina Ganella as the preferred Florey candidate for this award. An application for the Fellowship was then made to the Baker Foundation Board and we were delighted to have the Fellowship approved in December. This three-year fellowship will support Despina as she works to find new treatments for young people suffering from anxiety disorders.

“To be the best at research and translation by providing an environment that allows more women to lead and excel.”

Parkville hub - collective vision

Further progress was made with Women in Science Parkville Precinct (WISPP) collaboration throughout 2014. The Florey acts as the backbone (support) organisation for the collaboration of some 4000 researchers in the Parkville hub. Following a number of meetings, stakeholder interviews and workshops, we created the collective vision for the group: “To be the best at research and translation by providing an environment that allows more women to lead and excel.” We launched the initiative in November, which now includes researchers from some the largest medical research institutes in Australia: The Florey, Walter and Eliza Hall Institute (WEHI), Peter Mac, Murdoch Children’s Research Institute and the Doherty Institute.

The work of the group will continue with the support of funds from the Trust Company Australia as we move to develop agreed ways of measuring institute performance and achievements. The challenge of supporting more women to excel in science and the work of our WiSPP initiative was highlighted across the ABC network in late  2014.

It has been an extremely successful year for the EqIS committee and we thank the efforts of our committee and our very active subgroup members who have helped to develop and implement policies and practices that encourage diversity at all levels of our Institute. We’d also like to thank supporters from outside the organisation for their donations to the Women in Science corpus. At the end of year function we were delighted to have a young male scientist say “your committee is really helping to change the culture of the Florey for the better.” That kind of feedback is deeply gratifying and motivating.

We will continue to find new ways of building equity for all into the fabric of our Institute.

THE FLOREY INSTITUTE OF NEUROSCIENCE & MENTAL HEALTH ANNUAL REPORT 2014 THE FLOREY INSTITUTE OF NEUROSCIENCE & MENTAL HEALTH ANNUAL REPORT 2014 34 35
Pictured: Dr Michele Veldsman and Dr Kath Jackman.

PROFESSOR ANDREW LAWRENCE

Behavioural Neuroscience

Professor Lawrence is the Co-Division Head of Behavioural Neuroscience, running the Addiction Neuroscience laboratory. His primary research interest is in the development of robust animal models of drug-seeking, drug-taking and drug-induced neural adaptation. In addition, his group uses these models to define new potential therapeutic targets for drug and alcohol abuse disorders. He has published over 180 original articles and reviews. Professor Lawrence is currently Senior Editor of The British Journal of Pharmacology and also sits on the editorial boards of Neurochemical Research, the Journal of Pharmacological Sciences & Addiction Biology. In 2009, Professor Lawrence was awarded the Australian Neuroscience Society medallion for services to the society. In his spare time, Andrew is a keen cyclist and a surf life guard.

DIVISION HEADS

Behavioural Neuroscience

Dr Amy Brodtmann is Co-Division Head of Behavioural Neuroscience, consultant neurologist at Austin Health and Director of the Eastern Cognitive Disorders clinic, Eastern Health, Box Hill Hospital. She is a past recipient of a National Health and Medical Research Council Australian Training Research Fellowship, and previous National Brain School Co-ordinator for the Australian and New Zealand Association of Neurologists. She sits on the editorial board of Neurology, the research board of Alzheimer’s Australia Victoria, and is the founding director of the Australian Frontotemporal Dementia Association. Her research focuses on imaging correlates of cognitive decline in stroke, the neural basis of neglect, and the diagnosis and management of focal onset dementias.

PROFESSOR GRAEME JACKSON

Epilepsy and Imaging

Professor Graeme Jackson is the Deputy Director of the Florey, a practising clinical neurologist specialising in epilepsy at the Austin Hospital, and a Professorial Fellow of the University of Melbourne. He is recognised as an expert and world authority in understanding brain function and structure using new MR technologies, particularly as they apply to understanding and treating epilepsy. The National Health and Medical Research Council of Australia (NHMRC) awarded him the Outstanding Achievement Award for research excellence.

DIVISION HEADS

Brain Development and Regeneration

Professor Tan is the Head of the Division of Brain Development and Regeneration, NH&MRC Senior Principal Research Fellow, and Adjunct Professor at the Melbourne Neuroscience at The University of Melbourne, and University of Queensland Brain Institute. He is interested in understanding how the brain is assembled during development, and what mechanisms protect brain cells from death following brain injury such as trauma and stroke. Professor Tan has published over 100 papers and was awarded the Amgen Australia Medical Research Award (1997). He is on the Editorial Boards of the Journal of Neuroscience (USA) and Experimental Neurology. Professor Tan is a keen swimmer and a member of the Brighton Icebergers. He recently gave a TEDX Brisbane talk on “Why women have different brains.”

PROFESSOR STEVEN PETROU

Epilepsy

Professor Petrou is the Co-Division Head of the Division of Epilepsy, and heads the Laboratory of Ion Channels and Human Disease, a multidisciplinary team of researchers with a focus on revealing fundamental mechanisms of disease genesis in the central nervous system. Current major areas of investigation centre on the development and characterisation of genetically engineered mouse models for the study of human familial epilepsy. He works closely with industry and has several patents for his discoveries. In addition, he is the Deputy Director of the Centre for Neural Engineering at University of Melbourne, serves on the editorial board of the Journal Neurobiology of Disease and the Basic Science Committee for the International League Against Epilepsy and is Editor of the Australian and New Zealand Society for Neuroscience.

Professor Alan Connelly is an NHMRC Principal Research Fellow. He is the Co-Division Head of the Imaging Division, and Head of the Advanced MRI Development group. He also heads the MRI imaging Facility at the Florey Austin (including two research-only 3T MRI scanners) and the Florey Parkville Small Animal Imaging Facility. Prof Connelly is a development MRI physicist whose work has encompassed a range of MR methods, with current focus primarily on diffusion and perfusion MRI and their application to the investigation of epilepsy, stroke, and cognitive function. His group is internationally recognised as leaders in the field of diffusion MRI fibre tractography, and has developed novel methods to characterise the complex white matter fibre connections in the brain. He has published widely in magnetic resonance, general scientific, and neuroscientific journals, and is a member of the editorial board of Epilepsia.

LAUREATE PROFESSOR COLIN MASTERS

Mental Health

Professor Colin Masters is the Head of the Division of Mental Health, a Fellow of the Royal College of Pathologists, the Royal Australian College of Pathologists and the Australian Academy of Science. Professor Masters is a world leader in Alzheimer’s disease research. His research helped to isolate and characterise elements of the primary pathway causing Alzheimer’s disease. This discovery has been important in defining the mechanisms that contribute to the nerve cell degeneration which is the main feature of Alzheimer’s disease. His findings are now the subject of intense world-wide research for diagnosis and drug discovery. Professor Masters has also won many national and international prizes and awards.

02 04 01 04
DR AMY BRODTMANN PROFESSOR ALAN CONNELLY Imaging PROFESSOR SEONG-SENG TAN
THE FLOREY INSTITUTE OF NEUROSCIENCE & MENTAL HEALTH ANNUAL REPORT 2014 THE FLOREY INSTITUTE OF NEUROSCIENCE & MENTAL HEALTH ANNUAL REPORT 2014 36 37

PROFESSOR TREVOR KILPATRICK

Multiple Sclerosis

Trevor Kilpatrick leads the MS Division at the Florey Institute of Neuroscience and Mental Health and is a neurologist and Head of the MS Unit at the Royal Melbourne Hospital, in addition to being a Professor of Neurology and Director of the Melbourne Neuroscience Institute at The University of Melbourne. His research interests include the neurobiology of multiple sclerosis, neural precursor cell biology and the study of genetic and environmental factors that contribute to MS as well as the translation of basic research discoveries to the clinic.

Professor Kilpatrick has been the recipient of the Sunderland Award (1994), AMRAD Postdoctoral Award (1995), inaugural Leonard Cox Award (2000), Bethlehem Griffiths Research Foundation Award for Medical Research (2004), the Australian Museum’s Jamie Callachor Eureka Prize for Medical Research (2008), the Stephen C. Reingold Research Award by the US MS National Multiple Sclerosis Society (2010) and in 2013 Professor Kilpatrick was awarded the Bethlehem Griffiths Research Foundation Medal for outstanding leadership in medical research.

PROFESSOR PHILIP BEART

Neurodegeneration

DIVISION HEADS

PROFESSOR ROSS BATHGATE

Neuropeptides

Professor Ross Bathgate is the Head of the Division of Neuropeptides, an NHMRC Senior Research Fellow (Level B) and an Honorary Professorial Fellow in the Department of Biochemistry and Molecular Biology at the University of Melbourne. His work focuses on understanding the interactions of peptide ligands with their G protein-coupled receptor (GPCR) targets for the development of peptidebased drugs and utilizing structure based drug design to develop novel therapeutics. One of the peptide targets his lab is investigating is the peptide hormone relaxin which has recently completed a successful Phase III clinical trial for the treatment of acute heart failure. He works closely with Novartis who are conducting the clinical trial on relaxin as well as a number of other pharmaceutical companies interested in the clinical potential of drugs targeting peptide GPCRs. He currently serves on the editorial boards of Molecular and Cellular Endocrinology, Frontiers in Molecular and Structural Endocrinology and Journal of Pharmacological Sciences.

PROFESSOR JULIE BERNHARDT Stroke

Professor Philip Beart (PhD ANU, DSc Melbourne) has been a NH&MRC Research Fellow for 30 years and is currently Professorial Fellow in the Florey and Adjunct Professor in Pharmacology, University of Melbourne. He worked at Cambridge and Harvard Universities, before holding positions at the Austin Hospital and Monash University. Professor Beart has published >200 papers, served on numerous editorial boards and has diverse involvements in learned societies. Awards include the Bethlehem Griffiths Medal (2010), the Lawrie Austin Lectureship of the Australian Neuroscience Society (2009) and in pharmacology the Michael Rand Medal (2009). He has trained numerous honours and post-graduate students. He has a long-term commitment to promoting medical research, particularly neuroscience, in the wider community, and has provided extensive service to the NH&MRC. Professor Beart is currently Chair of the Scientific Promotions Committee and past President of the International Society for Neurochemistry (2011-13).

Professor Julie Bernhardt is the Co-Division Head of the Division of Stroke and leads the AVERT Early Intervention Research Program, which includes a multidisciplinary team of researchers committed to the development and testing of new, rehabilitation interventions that can reduce the burden of stroke related disability. AVERT, the largest, international, acute stroke rehabilitation trial ever conducted, sits at the core of the program. Advancing understanding of how exercisebased interventions alter bone, muscle and brain function after stroke is another aim of the program. Julie’s clinical career has been devoted to working with people with stroke and other neurological diseases. As a strong proponent of evidence-based care, another key theme within her program is the synthesis and translation of evidence into practice. Julie sits on the Board of the National Stroke Foundation and on a number of national and international stroke advisory groups.

Associate Professor David Howells is the Co-Division Head of the Division of Stroke and began his career investigating the biochemical and genetic basis of dopamine and serotonin deficits in children. He went on to describe a new population of dopaminergic neurons, demonstrated that BDNF depletion can cause parkinsonism and that Parkinson’s disease patients are deficient in BDNF. His other research interest is in stroke: his studies of neuroprotection in stroke have led to improved modelling of stroke in animals, the development of new methods of imaging, and development of systematic review and analysis as tools for rigorously evaluating basic science literature. The latter have led three leading stroke journals to publish guidelines for Good Laboratory Practice.

DIVISION HEADS

PROFESSOR RICHARD MACDONELL Systems Neurophysiology

PROFESSOR ROBIN MCALLEN Systems Neurophysiology

Professor Robin McAllen is the Co-Division Head of the Division of Systems Neurophysiology and a NHMRC Principal Research Fellow. He trained in Physiology in London and Birmingham and in Medicine at Birmingham (UK) before moving to the Florey in 1988. He is a neurophysiologist with an interest in the central nervous regulation on cardiovascular and autonomic functions, and has published extensively of this topic. More recently he has collaborated with Florey colleagues in neuroimaging experiments that aim to translate lessons learned from animal studies to the human brain. He currently serves on the editorial board of the American Journal of Physiology, is a section editor for Clinical and Experimental Pharmacology and Physiology, and is a member of the Faculty of 1000.

Professor Richard Macdonell is Director of Neurology at Austin Health, a Co-Division Head of Systems Neurophysiology and an Honorary Professorial Fellow. He trained in Neurology and Clinical Neurophysiology at Austin Health, Massachusetts General and the London Hospitals and has been in charge of the Neurophysiology and Neuroimmunology services at Austin Health since 1991. His research interests include multiple sclerosis, peripheral nerve and muscle disorders and using transcranial magnetic stimulation to study the pathophysiology of epilepsy.

04 04 03 04
ASSOCIATE PROFESSOR DAVID W HOWELLS Stroke
THE FLOREY INSTITUTE OF NEUROSCIENCE & MENTAL HEALTH ANNUAL REPORT 2014 THE FLOREY INSTITUTE OF NEUROSCIENCE & MENTAL HEALTH ANNUAL REPORT 2014 38 39

BRAIN DEVELOPMENT AND REGENERATION

A QUICK SNAPSHOT

Our group is interested in the self-defence mechanisms that operate in the brain when something goes wrong. This may take the form of degenerative disease (Parkinson’s, Alzheimer’s) or cancer (brain tumours) due to gene mutations and ageing. As a result, mutant or toxic proteins accumulate in brain cells, causing them to degenerate or proliferate. We have been working with one system of self-defence called protein ubiquitination which allows harmful proteins in brain cells to be removed and in the process, halt or reverse the disease process. We are particularly interested in finding how to accelerate beneficial ubiquitination in neurones using the Nedd4/Ndfip1 proteins. Our studies so far demonstrate that these proteins can halt cell death following injury and stroke, and slow down the division of brain cancer cells.

RESEARCH HIGHLIGHT

We have made some progress in understanding how the natural brain protein Ndfip1 is capable of improving the survival of brain cells in stress environments which occur in traumatic brain injury and stroke. We have shown that artificially increasing the concentrations of Ndfip1 in brain cells can protect against metal poisoning. We found that Ndfip1 concentrations in human post-mortem brains is strongly correlated with neurones affected by Parkinson’s disease. In animal models, we have shown that Ndfip1 is increased in surviving neurones after stroke. To study the consequences of removing Ndfip1 from neurones, we have deleted the Ndfip1 gene by mouse knockout technology. These animals demonstrate a greater sensitivity to brain damage from stroke, compared to normal animals that still carry the Ndfip1 gene.

We have found that Ndfip1 protects brain cells from death by hijacking an anti-cancer brain protein called PTEN. This protein is normally utilized as a defensive mechanism against tumour formation in brain cells. We found that after brain injury, this mechanism is activated to bolster the longevity of brain cells. The implication of this discovery exposes the PTEN anti-cancer pathway for therapeutic manipulation. In a separate discovery, we found that the anti-cancer protein PTEN can be secreted by cells and be carried in micro vesicles for transport to other cells. The secreted PTEN can then be internalised by recipient cells for physiological benefit, for example, for slowing down the proliferation of cancerous cells. This discovery opens up new ways of administering anticancer PTEN for the control of brain tumours.

AN IDEA LIKELY TO CHANGE LIVES BY 2035

We are working on using natural body transport vesicles called exosomes. We have discovered a way to load useful proteins into exosomes to bolster the survival of neurones under stress following injury. These exosomes can also be loaded with anti-cancer proteins to treated brain cancer.

OUR LAB

Our mission is to translate discoveries from our laboratory to help patients with brain diseases. Our experiments make use of a variety of modern techniques to study how brain cells are able to resist death in a hostile environment. Our experiments are framed around hypotheses that may be answerable using novel tools developed by our team. These tools include creation of new mouse strains with inserted genes, molecular cloning of brain genes and manipulation of brain proteins. We have a democratic team structure, where every scientist including students and technicians all have an equal voice.

• Seong-Seng Tan • Joanne Britto • Jason Howitt • Ulrich Putz • Ley-Hian Low • Choo-Peng Gohr • “

SENIOR STAFF

We have found that Ndfip1 protects brain cells from death by hijacking an anti- cancer brain protein called PTEN. ”

Leader: Joanne Britto

In order for brain cells in the adult brain to function properly, it is important that they are first found in the correct locations. Failure of brain cells to migrate to their destinations is a frequent cause of many developmental disorders such as autism and schizophrenia. For many years, our group has performed experiments to understand how brain cells are able to correctly migrate to their final positions.

Research highlights for 2014

We recently focussed on a class of brain cells called interneurones. Although they are in the minority, this class of neurones controls much of our mental processing and sensory experience. Therefore studying the behaviour of interneurones holds the key to understanding a number of developmental brain disorders. Previously, we showed that interneurones are capable of migrating vast distances to reach their final positions in highly specific addresses. Over the last year, we have been tracking the migration of these neurones, using genetic mice engineered to paint brain cells with artificial colours. This technology allows us to follow the movements of different interneurone classes under a laser

microscope. The information from these studies allows us to pinpoint which types of interneurones are most at risk when something goes wrong. Our work has showed that different interneurones destined for different layers have separate rules for movement, dispelling previous notions that all interneurones behave alike.

BRAIN DEVELOPMENT GROUP Binding of PTEN to Ndfip1 in the cell can be visualized by protein fluorescence –work by PhD student Yijia Li and published on the cover of Traffic. The Brain Development team: Choo-Peng Goh, Ley-Hian Low, Anh Doan, Yijia Li, Jason Howitt, Seong-Seng Tan, Sophia Mah, Ulrich Putz, Yuh-Lit Chow, Michelle Tang, Ulrich Sterzenbach. Absent: Joanne Britto, Hui Xuan Ng, Ean Phing Lee. Ndfip1 controls cell proliferation by driving PTEN into the cell nucleus. Work performed by Jason Howitt and published in Journal of Molecular Cell Biology
THE FLOREY INSTITUTE OF NEUROSCIENCE & MENTAL HEALTH ANNUAL REPORT 2014 THE FLOREY INSTITUTE OF NEUROSCIENCE & MENTAL HEALTH ANNUAL REPORT 2014 40 41
Brain trauma directs the survival protein PTEN in to the cell nucleus to keep neurons alive. Work by Choo-Peng Goh (published in Experimental Neurology) shows that this process requires Ndfip1.

BRAIN SURVIVAL GROUP

Leader: Jason Howitt

When the brain is injured, such as in an accident or in stroke, the main area of the brain injury is not recoverable due to massive bleeding and swelling. However, what is not commonly known is that dying brain cells (called neurones) can transmit death signals from the injured area into surrounding healthy tissues, this ripple effect causes death of neighbouring brain cells in large numbers. Right now, there is no drug treatment to reduce the rate of brain death after trauma. Therefore medical strategies to prevent neurones from succumbing to trauma-induced death is an unmet need.

Research highlights for 2014

Our brain survival team has identified a survival protein in human brain cells called Ndfip1. This survival protein is present in human brains following road trauma, and Ndfipi1 is massively increased in surviving cells, indicating its role as a protective agent.

Ndfip1 behaves like a bar-coding tool by putting a mark on harmful proteins that are produced during injury. These bar-coded harmful proteins are then recognised by the waste disposal system called ubiquitination in the neurone for removal.

This protein is also able to wake up a survival mechanism in brain cells using cancer pathways in neurones without causing tumours, taking advantage of the survival mechanisms that cancer cells are famous for.

We have also discovered that Ndfip1 is an important defender against metal accumulation in brain cells. This is important for degenerative brain diseases such as Parkinson’s and Alzheimer’s disease. We showed that post-mortem brains from Parkinson’s disease contain deficient levels of Ndfip1. This deficiency is associated with increased iron accumulation in diseased brain cells. This work opens up the manipulation of Ndfip1 as a way of controlling onset and progress of Parkinson’s disease.

BRAIN COMMUNICATION GROUP

Leader: Ulrich Putz

This group is interested in studying ways of using natural vesicles called exosomes to behave as cargo systems. This comes on top of our discovery that the anti-cancer protein PTEN is exported by cells in exosomes, and the anti-cancer protein can be transferred into other cells with anti-cancer consequences. This group is excited to use this technology to try and target anti-cancer protein PTEN into brain tumour cells to arrest the disease.

Research highlights for 2014

Over the last year, we have identified a peptide that can be used to coat exosomes so that they specifically recognise and target brain tumour cells. In cell culture experiments, we showed that brain tumour cells with mutations in the epidermal growth factor receptor are targeted by our engineered exosomes.

Realising the need for accurate and effective delivery of exosomes, we have invested our resources to understand how to more effectively transfer exosomes into recipient cells. We have discovered that centrifugation using special conditions and special media can increase the uptake of exosomes by recipient cells.

EDITORIAL POSITIONS

SEONG-SENG TAN

ҩ Experimental Neurology (USA)

ҩ Journal of Anatomy (UK)

ҩ Journal of Cell Biology (Korea)

ҩ Frontiers in Neuroscience

MAJOR NATIONAL AND INTERNATIONAL CONFERENCES 2014

INVITED SPEAKER

ҩ Asian-Pacific Society Neurochemistry, Kaohsiung, Taiwan. August 2014. “Role of Ndfip1 during brain development.”

ҩ Brain Disorders Institute, Beijing Capital Medical University, Beijing, China. August 2014. “Potential use of PTEN for therapy in gliomas.”

ҩ Japan Neuroscience Society Annual Meeting, Yokohama. September 2014. “How PTEN can save neurones from death following stroke and brain injury.”

ҩ Invited Speaker, TEDx Brisbane, October 2014. “Why women have different brains.”

“The process of discovery is the most exciting, intellectually stimulating and challenging of activities. The painstaking and arduous work culminates in the pleasure of finding something new that no-one has known or understood before. When this is applied to medical research then there is the added reward that it may improve the lives and reduce the suffering of people with illness. I am determined to discover better treatments for schizophrenia and related disorders and develop markers to better diagnose and manage people with these illnesses.

THE FLOREY INSTITUTE OF NEUROSCIENCE & MENTAL HEALTH ANNUAL REPORT 2014 42 43
Associate Professor Suresh Sundram, head, Molecular psychopharmacology laboratory and Northern Psychiatry Research Centre.

I

CHASING A CURE FOR MOTOR NEURONE DISEASE

t’s no secret that funding for medical research is critically short. So it was a ‘dream come true’ when the Florey’s Dr  Brad Turner spoke to a community group and unwittingly attracted the attention of a ‘scout’ who would radically change his future – and hopefully the lives of people living with motor neurone disease

Dr Bradley Turner is renowned for his community outreach activities and his relentless quest to cure motor neurone disease (MND). As the head of the Florey’s MND group, Brad was recently speaking to an Inner Wheel Club in Pakenham 70km south east of Melbourne.

Brad enthusiastically described his work to the group, outlining a project he believed promised great hope for a new treatment. This alerted Rotary Pakenham and a short time later, a  phone call arrived from a trustee of a philanthropic foundation, recommending he submit a research proposal as quickly as possible.

A few days later, Brad was told he would receive $3 million over five years, thanks to the Stafford Fox Medical Research Foundation, a fund that does not accept requests but, rather, seeks worthy projects and invites applications.

“This could change the course of MND. Until now, I haven’t had the funding to achieve it. It is truly, utterly amazing,” Brad says. It is a relentless disease, with nerves controlling movement (motor neurones) degenerating and rapidly wasting muscles. It strips away the independence of people living with it, who lose their ability to walk, feed themselves, talk and breathe. The average lifespan from diagnosis is 27 months.

So the need to find effective treatment is urgent, Brad says.

The grant will allow Brad and his team to fast-track some significant findings they made last year, using a form of gene therapy to substantially increase the lifespan of MND mice.

The research builds on previous work Brad has done at Oxford University, looking at a gene involved in a childhood form of MND called Spinal Muscular Atrophy (SMA).

Children born with the condition are missing a gene and become weak at six months and die within two years. Significantly, Brad found the gene was also missing in MND mice and in tissue from patients.

He experimented by putting the gene back in the MND mice – with dramatic results: the lifespan of the mice increased by two months. MND mice usually only live for four months. The process of replacing the gene also measurably saved motor neurones.

“The sad thing about MND is that by the time people are diagnosed with it, 50 per cent of motor neurones are gone so that they are already at crisis point,” he says.

“We want to prolong a person’s lifespan and save their motor neurones – they are the two key objectives for an effective treatment.”

“Conventionally, a clinical trial can take 10 to 15 years to happen but in the case of MND it can be sooner due to accelerated approval and fast track status of promising drug candidates. Within five years we could potentially have something.”

Dr Bradley Turner

For the next phase of research, Brad and his team will collaborate with Flinders University scientists using a specially devised tool – a gene therapy – to deliver the SMA gene to motor neurones in the brains of mice.

He says that once the team has demonstrated that the tool brings about the same effect in the mice – a two-month increase in survival – they will adapt it to a clinical trial in humans.

Brad says the MND patients he talks to are heartened by the findings and particularly by a graph showing the prolonged lifespan of the mice.

“When people are diagnosed with MND they know precisely what it is, they know the course it will take and that they often have no or little hope. Part of their hope comes from the knowledge that people in lab coats are beavering away working on their disease, passionately, and as a fulltime commitment – and that actually lifts their spirits.”

Brad will continue to share his work with the public – going out to speak to interest groups and hosting an annual “Ask the Expert” day when patients and their families hear talks and see demonstrations of lab techniques.

“They love it!” he says, “and they ask some impressive questions.”

The 36-year-old has researched MND for more than a decade and has succumbed to the Ice Bucket Challenge four times.

“When first read about MND, I thought ‘it’s tragic and terminal’. Then I thought ‘I need to help solve this.’ tell people that I have a lifelong commitment to work on this disease.”

“The Florey’s a great place to work. It has prestige. It’s unique. I don’t know of many places that are working on so many neurological disorders under the one roof. That means great collaboration.”

“At the start of my PhD, people would ask ‘is there going to be a cure’ and I’d say I wasn’t sure. Now I tell people that it’s not a matter of ‘if’ but ‘when’. An effective treatment or cure is on the horizon.”

Brad Turner has a strong ally. Ian Davis, a medico living with MND, is driving a highprofile campaign to raise awareness and funds for research into a cure for the disease.

Ian was in his early thirties, engaged to be married to his now wife Mel, and researching childhood leukaemia as a lab researcher when he was diagnosed with MND – but only after recognising the symptoms himself. Since then Ian has made the most of his limited time. He has been skydiving, has been on stage in a wheelchair with Pearl Jam (his favourite band), and completed an epic tandem bike ride from Brisbane to Sydney, raising money for MND research.

Last year he and Mel became parents to baby Archie. Ian has inspired public figures including cricketer Shane Watson, Masterchef winner Julie Goodwin, and Australian Open champion Serena Williams to speak out about the cause and to donate to it. He says medical research into MND is “absolutely crucial” because there is so little that can be done for people living with the disease.

TO DONATE, PLEASE VISIT FLOREY.EDU.AU

THE FLOREY INSTITUTE OF NEUROSCIENCE & MENTAL HEALTH ANNUAL REPORT 2014 THE FLOREY INSTITUTE OF NEUROSCIENCE & MENTAL HEALTH ANNUAL REPORT 2014 44 45

COGNITIVE NEUROSCIENCE

Leaders: Professor Andrew Lawrence and Dr Amy Brodtmann

A QUICK SNAPSHOT

The Division of Behavioural Neuroscience focuses on the use and development of animal models that reflect aspects of human disorders such as addiction, anxiety, depression, schizophrenia, autism and neurodegenerative conditions such as Huntington’s disease. The Cognitive Neuroscience group additionally studies cognitive disorders caused by diseases such as stroke (cerebrovascular disease), Alzheimer’s disease and other dementias from a clinical perspective.

RESEARCH HIGHLIGHT

There have been a number of highlights within the Division during 2014. A long-term collaboration between Professor Andrew Lawrence and Professor Alon Chen (Max Planck Institute, Munich) came to fruition with the finding that CRF1 receptors within the ventral tegmental area are critically implicated in both cue- and stress-induced relapse to cocaine-seeking. This study was performed predominantly by a PhD student, Nicola Chen, and published in the prestigious Journal of Neuroscience.

SENIOR STAFF

• Professor Andrew Lawrence

• Associate Professor

Anthony Hannan

• Associate Professor John Drago

• Dr Amy Brodtmann

• Associate Professor David Darby

Dr Jhodie Duncan

• Dr Jess Nithianantharajah

• Dr Jee Hyun Kim

We showed that CRF1 receptors within the ventral tegmental area are critically implicated in both cue- and stress-induced relapse to cocaine-seeking.

RESEARCH OVERVIEW

2014 saw the Division strengthened by the addition of new laboratory heads, Dr Jhodie Duncan and Dr Jess Nithianantharajah. Moreover, 2014 was a highly successful year for the Division in terms of competitive grants. Dr Nithianantharajah was awarded an ARC Future Fellowship and Dr Jee Hyun Kim was awarded a Career Development Fellowship from the NHMRC; Professors Andrew Lawrence and Tony Hannan were both awarded two NHMRC project grants each; Dr Nithianantharajah received an NHMRC New Investigator project grant and Dr Kim received an ARC Discovery project. Dr Heather Madsen returned from her postdoctoral training in France to join the Developmental Psychobiology lab. Dr Despina Ganella won a highly competitive Baker Fellowship. Dr Kim won a Victoria Young Tall Poppy Award. In 2014 Professor Lawrence was appointed President of the Asian-Pacific Society for Neurochemistry (APSN).

AN IDEA LIKELY TO CHANGE LIVES BY 2035

By 2035, dementia will be a rare and treatable disease. Patients admitted with stroke will receive dementia risk stratification and be treated with therapies that will recover all functions, including cognition. People at risk of Alzheimer’s disease will be identified via online testing or following a sentinel risk event, and treated prior to the development of brain atrophy.

ADDICTION NEUROSCIENCE GROUP

Leader: Andrew Lawrence

The Addiction Neuroscience Group studies how alcohol and other drugs change the brain’s chemistry, structure and function. During 2014 we made a number of important findings, many of which are still being actively pursued. As part of her PhD, Hanna Kastman continues to unravel the circuitry implicated in stress-induced relapse to alcohol-seeking. In addition, she has also demonstrated for the first time that the neuropeptide, relaxin-3, interacts with both orexin and CRF to regulate relapse-like behaviour. This project has been expanded with the recruitment of two new PhD students (Sarah Sulaiman Ch’ng and Leigh Walker) plus an overseas placement student (Jan Koeleman). Together, these students are interrogating how and where in the brain these peptide systems interact to regulate reward-seeking. In parallel to this, Nicola Chen (co-supervised by Professor Andrew Lawrence & Dr Jee Hyun Kim) showed that CRF1 receptors within the ventral tegmental area are critically implicated in both cue- and stress-induced relapse to cocaine-seeking. Her studies are now concentrating on aversive learning paradigms. In 2014 Professor Andrew Lawrence was awarded an NHMRC project grant to continue these important studies.

We also continued with our longstanding project on mGlu5 receptors. The process of behavioural extinction is a form of inhibitory learning that can help to protect against relapse. Dr Christina Perry and Ms Felicia Reid are currently assessing the role of mGlu5 signalling in the extinction of drug cues and contexts. This is potentially translatable by using mGlu5 positive modulators to enhance the rehabilitation of addicts undergoing behavioural therapy.

Another project involves examining the link between salt appetite and opiate addiction. In collaboration with Professors Derek Denton and Michael McKinley, we have shown that opioid receptor antagonists that are used clinically to treat alcohol and heroin addicts reduce salt appetite. More intriguingly opiate dependent mice show an exaggerated salt appetite compared to normal mice. We are now in the process of establishing where in the brain this regulation occurs. Professor Andrew Lawrence received an NHMRC project grant to pursue these studies.

COGNITIVE NEUROSCIENCE GROUP

Leader: Amy Brodtmann

We are a clinically-based research group examining the cognitive trajectories of patients. These include patients with stroke and dementia, using advanced imaging techniques in concert with novel testing paradigms developed by our team members. This also includes charting cognition in community dwelling healthy participants, via Associate Professor Darby’s online testing, which now includes over 1500 people.

Cognitive disorders can develop from a range of brain diseases, including stroke, Alzheimer’s disease, and other less well known dementias such as frontotemporal dementia. In 2013, there were 44.4 million people living with dementia; this number will increase to 135 million by 2050. Dementia care is estimated to cost $698 billion per year: one per cent of global GDP.

2014 was a productive year for the Cognitive Neuroscience group. The  international significance of the Cognition and Neocortical Volume After Stroke (CANVAS) study continued to grow, with conference proceedings and the strengthening of important collaborations with groups in Germany and the United States. The CANVAS project is an NHMRC study where we aim to establish whether stroke patients have increased atrophy (reductions in brain volume) in the first three years post-stroke compared to control subjects, perhaps answering whether stroke can be associated with neurodegenerative mechanisms. This NHMRC-funded project continues to be assisted by help from the Sidney and Fiona Myer Family Foundation.

Funding from the Mason Foundation was utilised to develop and compare imaging techniques in patients with dementia, and with half

the patients recruited for this Florey-Royal Melbourne project, and the final patients booked for the first three months of 2015. Support from the Collie Trust allowed us to recruit a new post-doctoral research fellow in 2014, Dr Michele Veldsman, who been enormously productive, publishing an influential review paper in Human Brain Mapping on the challenges of functional imaging in stroke populations.

After Associate Professor Darby launched a study, more than 1500 people logged-in monthly for online cognitive testing. This study was covered by many of the major newspapers nationally, and was a feature on national television. He launched a similar project in Brazil, and is working with a long-term collaborator in Oxford, Professor Kia Nobre, with a large community of volunteers based in the UK.

Dr Brodtmann continued her appointment with the Wicking Strategic Panel, a position which, along with her appointments to the Australian Frontotemporal Dementia Association and Alzheimer’s Australia – Victoria Dementia Research Grants committee and panel will allow her to lobby and advocate for people with cognitive disorders. She was involved with organisation of a very successful Wicking Symposium. She developed further productive collaborations with Monash University’s Professor John McNeil and the Florey’s Lachlan Thompson, with two new successful NHMRC project grants in 2014 with these colleagues.

NEURAL PLASTICITY GROUP

Leader: Anthony Hannan

Many neurological and psychiatric disorders, including schizophrenia and autism spectrum disorders (ASD), involve abnormal development of the brain. We are interested in the mechanisms whereby specific genes regulate maturation of the brain and are dynamically regulated by interaction with the environment in conditions like ASD and schizophrenia.

Autism spectrum disorders affect approximately one per cent of children. Dr Emma Burrows has discovered abnormalities of social interaction and communication in a mouse model of ASD carrying a human gene mutation. Ongoing investigations focus on identifying key molecules and cellular changes involved in ASD and testing new therapeutic approaches in this model. With collaborators at the University of Melbourne, we have new evidence that both the central and peripheral nervous system is disrupted in these mice, contributing to a broad array of ASD symptoms.

Schizophrenia is another neurodevelopmental disorder involving a complex combination of genetic and environmental factors which disrupt normal maturation and function of the brain. Using a mouse model of schizophrenia, Dr Emma Burrows has shown that enhanced mental and physical activity can ameliorate cognitive deficits and other behavioural symptoms and benefit specific areas of the brain. Identifying molecules modulated by environmental stimulation has paved the way for future development of new therapeutic approaches. Furthermore, Dr Burrows and graduate student Faith Lamont have been the first researchers in Australia to generate data using our new automated touchscreen tests (which are directly translatable to human neuropsychological test batteries). They have identified specific aspects of cognitive dysfunction and are testing a therapeutic intervention in this model of schizophrenia. Huntington’s disease (HD) is an inherited single-gene abnormality that involves a triad of psychiatric symptoms (e.g. depression), cognitive deficits (culminating in dementia) and a movement disorder. Dr Terence Pang, along with PhD student Xin Du, discovered an abnormal stress response associated with depression-like behaviours (which respond to antidepressants) in the mouse model of HD and identified key molecules involved in the disease, the response to environmental stimuli and the increased vulnerability of females. The effects of a major environmental factor, stress, on HD has been explored by Dr Thibault Renoir and a PhD student (Christina Mo) who demonstrated for the first time that stress can accelerate the onset of HD, in particular the cognitive deficits (modelling dementia). These findings will have

THE FLOREY INSTITUTE OF NEUROSCIENCE & MENTAL HEALTH ANNUAL REPORT 2014 THE FLOREY INSTITUTE OF NEUROSCIENCE & MENTAL HEALTH ANNUAL REPORT 2014 46 47

implications not only for HD, but for depression and dementia in the wider community. Further study of gene-environment interactions and experience-dependent changes in the nervous system may lead to new therapeutic approaches for HD and other brain disorders.

Another PhD student, Dean Wright, with Dr Renoir and Melbourne collaborators, has discovered a new treatment for HD, and shown that it works via mitochondria, the cellular ‘batteries’ that provide energy. Furthermore, their findings have implications not only for HD, but depression in the wider community.

These findings contributed to an NHMRC Project Grant won by Professor Hannan, Dr Nithianantharajah, Dr Renoir, in collaboration with the University of Melbourne. Furthermore, another new NHMRC Project Grant exploring the effects of paternal lifestyle on the mental health of offspring was won by Professor Hannan, Dr Pang and a collaborator from University of Queensland.

DEVELOPMENTAL PSYCHOBIOLOGY GROUP

Leader: Jee Hyun Kim

Our vision is to understand the role of memory and forgetting across development in mental disorders, namely anxiety and substance abuse. We believe the key to finding effective treatments lies in how we remember and forget emotionally significant events formed at various stages of our development. A number of important discoveries have been made in 2014. Dr Despina Ganella showed that disruption of the communication between brain regions during inhibitory learning can permanently reduce the strength of a fear memory during adulthood. In collaboration with Melbourne Neuropsychiatry Center, she also showed in humans that childhood maltreatment was significantly associated with accelerated rate of growth in pituitary gland volume across adolescence in females but not males.

Dr Despina Ganella and Dr Heather Madsen, with PhD students Isabel Zbkuvic and Sophia Lukinga demonstrated that the popular bipolar medication, Aripiprazole, can lead to changes in dopamine signalling in the prefrontal cortex during inhibitory learning in adolescent animals. This finding explains why Aripiprazole may enhance inhibitory learning and reduce relapse in anxiety and drug seeking. Dr Heather Madsen is using transgenic mice that show green florescence in dopamine receptor 1 (D1) or D2, and PhD student Isabel Zbkuvic is measuring changes in D1/D2 mRNA profile across adolescence to understand the mechanisms behind adolescent vulnerability to anxiety and addiction.

Lastly, PhD student Nicola Chen discovered that reduction of corticotropin releasing factor 1 receptor in the ventral tegmental area leads to a stronger fear memory formation in mice, which suggests reductions in the stress signalling during learning may be beneficial.

INHALANT ABUSE LABORATORY

Dr. Jhodie Duncan

The abuse of inhaled chemical vapours to produce self-intoxication is a significant concern, especially among adolescent and Indigenous populations. In 2014 Dr Jhodie Duncan and Mr Alec Dick published work demonstrating that exposure to inhalants during adolescence results in specific impairments in aspects of instrumental learning, without altering motor function and spatial learning. Our data suggest that exposure to inhalants affects corticostriatal processes specifically and does not involve global toxicity to white matter pathways in the brain as was originally thought.

Using this model we have also shown that exposure to inhalants during adolescence results in long-term metabolic dysfunction. This includes altering dietary preference and glycemic control. This novel finding suggests that adolescent inhalant abuse may increase the risk of adult onset disorders such as diabetes and has significant implications for our understanding of the long-term consequences, especially in Indigenous populations where there is a high degree

of overlap between inhalant abuse and nutrition related illness. The next step in our studies is to determine the underlying mechanisms, including both changes to central or peripheral mediated processes that drive the adverse outcomes observed in human abusers.

SYNAPSE BIOLOGY AND COGNITION GROUP

Jess Nithianantharajah

2014 saw the addition of the Synapse Biology and Cognition laboratory to the Division of Behavioural Neuroscience led by Dr. Jess Nithianantharajah, who was recruited back to Melbourne after six years in the UK (Cambridge and Edinburgh). Dr. Nithianantharajah was awarded a highly competitive Australian Research Council Future Fellowship in 2014, the only application out of 150 successful proposals awarded under the theme of Neurosciences.

Sensory information from the environment is ultimately processed at the level of synapses, the connection between neurons that form the most fundamental information-processing units in the nervous system. A central research focus of the lab is to understand the role of synaptic genes in cognition and disease.

Vertebrate synapses contain a large yet intricately organised signalling complex of proteins encompassing neurotransmitter receptors, scaffold proteins and cell adhesion proteins. In recent years, human genetic studies have increasingly highlighted that disruption of over 200 genes that encode postsynaptic proteins result in over 130 brain diseases. While it is accepted that postsynaptic proteins are fundamental for synaptic function, plasticity and thus behaviour, very little is actually known about the impact of postsynaptic gene mutations in regulating complex cognition and higher order processing.

Moreover, modelling the complex cognitive processes that are routinely assessed in the clinical setting has been challenging in animal models. Towards bridging the gap between mouse and human cognitive testing, the lab is employing novel behavioural technologies such as the recently developed rodent touchscreens as an innovative tool for dissecting higher cognitive functions in rodents. Dr. Nithianantharajah, along with PhD student Rebecca Norris, is beginning to investigate how a family of cell adhesion proteins (neuroligins) are involved in complex cognitive behaviours. This is of particular interest as human mutations in neuroligins have been reported in autism spectrum disorders and schizophrenia. The group is also developing novel touchscreen tests for mice to be able to further model and probe distinct cognitive capacities that are clinically relevant.

EDITORIAL POSITIONS

ҩ The British Journal of Pharmacology, Senior Editor

ҩ Neurochemical Research, Associate Editor

ҩ The Journal of Pharmacological Sciences, Associate Editor

ҩ Addiction Biology, Editorial board member

ҩ The Open Neuropsychopharmacology Journal, Editorial board member

ҩ ISRN Addiction, Editorial board member

MAJOR NATIONAL AND INTERNATIONAL CONFERENCES 2014

INVITED SPEAKER

ҩ Japanese Pharmacological Society Annual Conference. Invited symposium speaker “Relaxin-3 Regulates Stress-Induced AlcoholSeeking in Rats”. Sendai, Japan.

ҩ 3rd Asia-Pacific Society for Alcohol and Addiction Research Conference. Plenary Lecture “Ascending Relaxin-3 systems regulate stress-induced reinstatement of alcohol-seeking”. Shanghai, China

ҩ 12th Conference of Asia-Pacific Society for Neurochemistry (APSN). Symposium speaker “mGlu5 & extinction of drug-seeking”, Kaohsiung, Taiwan.

ҩ Joint Scientific Conference of The Hong Kong Society of Neurosciences and HK Biophysical Society. Plenary lecture “Neuropeptides & Reward-Seeking”.

ҩ 8th International Meeting on Metabotropic Glutamate Receptors, Sicily, Italy – invited symposium speaker “mGlu5 Receptors and Extinction of Drug-Seeking”.

EDITORIAL POSITIONS

ҩ Neurology, Editorial Board Member, vascular division

ҩ International Journal of Stroke, Co-Section Editor

MAJOR NATIONAL AND INTERNATIONAL CONFERENCES 2014

INVITED SPEAKER

ҩ Hypertension and Dementia, World Congress of Neurology, Melbourne.

TERENCE PANG

MAJOR NATIONAL AND INTERNATIONAL CONFERENCES 2014

INVITED SPEAKER

ҩ Invited Symposium Speaker, ‘Behavioral manipulation and alcohol misuse’, 37th Annual Research Society on Alcoholism (RSA) Scientific Meeting and 17th Congress of the International Society for Biological Research on Alcoholism (ISBRA), Bellevue, Washington, USA.

EDITORIAL POSITIONS

ҩ Frontiers in Neuropharmacology, Associate Editor

ҩ 16th International Society of Addiction Medicine Annual Meeting, Yokohama, Japan - invited symposium speaker “Neuropeptides as therapeutic targets for drug-seeking”.

ҩ 2nd International Anniversary KBRI Symposium, Korea Brain Research Institute Daegu, Korea – invited speaker.

ҩ ANS Annual Conference in Adelaide, invited symposium speaker “The  many faces of the orexin system”

ҩ ASCEPT-MPGPCR Meeting, invited speaker “Peptides & RewardSeeking”, Melbourne.

OTHER ACADEMIC INVITATIONS

ҩ Cass Memorial Lecture, Dundee University Medical Research Institute.

ҩ Faculty member, APSN Advanced School in neurochemistry, Center for Translational Research in Biomedical Research, Chang Gung Memorial Hospital, Kaohsiung, Taiwan.

ҩ President, Asian-Pacific Society for Neurochemistry (APSN).

ҩ Member scientific programming committee International Society for Neurochemistry (ISN) conference in Cairns, Australia.

ҩ Ambassador for the 2016 CINP World Congress of Neuropsychopharmacology, Seoul, Korea.

ҩ Neuropsychiatry Neurobehavioural Meeting, Frontotemporal Dementia Update, Melbourne.

ҩ Public Lecture Florey: Stroke and Dementia.

ҩ FTD support group: Update from the International FTD Meeting, Vancouver.

OTHER ACADEMIC INVITATIONS

ҩ Neurology Trainee lectures: Frontal lobe syndromes; Memory and H.M.

DESPINA GANELLA

MAJOR NATIONAL AND INTERNATIONAL CONFERENCES 2014

INVITED SPEAKER

ҩ “The partial agonist of the dopamine receptor 2, Aripiprazole, facilitates extinction in adolescent rats.” The 12th meeting of APSN. Kaohsiung, Taiwan.

MAJOR NATIONAL AND INTERNATIONAL CONFERENCES 2014

INVITED SPEAKER

ҩ Invited Symposium Speaker, Society for Mental Health Research (SMHR; formerly known as ASPR), Adelaide.

THE FLOREY INSTITUTE OF NEUROSCIENCE & MENTAL HEALTH ANNUAL REPORT 2014 THE FLOREY INSTITUTE OF NEUROSCIENCE & MENTAL HEALTH ANNUAL REPORT 2014 48 49

ANTHONY HANNAN

EDITORIAL POSITIONS

ҩ Journal of Huntington’s Disease, Associate Editor

ҩ European Journal of Neuroscience, Scientific Review Associate

ҩ CNS & Neurological Disorders - Drug Targets, Editorial board member

ҩ Neural Plasticity, Editorial board member

ҩ Neuroscience Letters, Associate Editor

ҩ Frontiers in Neuropharmacology, Review Editor

ҩ Neuroepidemiology, Editorial board member

MAJOR NATIONAL AND INTERNATIONAL CONFERENCES 2014

INVITED SPEAKER

ҩ Integrative Center for Learning and Memory, Brain Research Institute, UCLA, USA.

ҩ Invited Symposium Introduction and Discussant, ‘Behavioral manipulation and alcohol misuse’, 37th Annual Research Society on Alcoholism (RSA) Scientific Meeting and 17th Congress of the International Society for Biological Research on Alcoholism (ISBRA), Bellevue, Washington, USA.

ҩ Invited Lecturer, European Molecular Biology (EMBL) PhD Course, ANU, Canberra.

ҩ Invited Speaker, 12th International Conference on Cognitive Neuroscience (ICON) satellite meeting, ‘Mission MMN Workshop’, Newcastle.

ҩ Symposium Speaker, 12th International Conference on Cognitive Neuroscience (ICON), Brisbane.

EDITORIAL POSITIONS

ҩ Frontiers in Behavioral Neuroscience, Review Editor

ҩ International Scholarly Research Network: Neuroscience, Associate Editor

ҩ Neurotransmitter, Associate Editor

ҩ Pharmacology Research & Perspectives, Associate Editor

MAJOR NATIONAL AND INTERNATIONAL CONFERENCES 2014

INVITED SPEAKER

ҩ “Adolescent sensitivity to cocaine-associated cues: a dopamine story”. 2014 Annual Pavlovian Society Meeting. Seattle, USA.

ҩ “Extinction of fear and drug-seeking during adolescence.” 37th Annual meeting of the Japan Neuroscience Society (JNS). Yokohama, Japan

ҩ “Extinction of fear and drug-seeking during adolescence.” The 12th meeting of the Asian-Pacific Society for Neurochemistry (APSN). Kaohsiung, Taiwan.

EDITORIAL POSITIONS

ҩ Journal of Reward Deficiency Syndrome, Associate Editor

ҩ Brain Pathology, Editorial board member

ҩ Neurochemical Research, Editorial board member

MAJOR NATIONAL AND INTERNATIONAL CONFERENCES 2014

INVITED SPEAKER

ҩ “Glue sniffing sucks! The long-term consequences of inhalant abuse during adolescence on the brain and body” Department of Neuroscience Research, Strathclyde University, Glasgow, Scotland, UK.

ҩ Invited Keynote Speaker, ‘The neurobiology of environmental enrichment and experience-dependent plasticity in animal models of mental illness’, Society for Mental Health Research (SMHR; formerly known as ASPR), Adelaide.

ҩ Invited Speaker, SMHR Symposium, ‘Lifestyle approaches to mental health: The role of physical activity’, Adelaide.

ҩ Invited Keynote Speaker, National Huntington’s Conference, UWA, Perth.

OTHER ACADEMIC INVITATIONS

ҩ Member, National Committee for Brain and Mind, Australian Academy of Science.

ҩ State Representative for Victoria and Tasmania, National Association of Research Fellows (NARF).

ҩ Scientific Committee Member, 12th International Conference on Cognitive Neuroscience (ICON).

ҩ Scientific Committee Member, 5th International Congress on Neurology and Epidemiology (ICNE).

ҩ Monash Clinical Imaging Neuroscience, Monash Biomedical Imaging, Monash University – Invited lecture.

ҩ Leaders in Science Seminar, Garvan Institute of Medical Research, Sydney.

ҩ Stroke Division Seminar Series, Melbourne Brain Centre, Austin Campus.

OTHER ACADEMIC INVITATIONS

ҩ Department of Psychology, Korea University, Seoul, South Korea –Invited lecture.

ҩ RIKEN Brain Science Institute, Tokyo, Japan – Invited lecture.

ҩ School of Psychology, Australian Catholic University, Melbourne, Australia – Invited lecture.

ҩ School of Medical Sciences, The University of Sydney, Sydney, Australia – Invited lecture.

ҩ Department of Cell Biology and Neuroscience, Sapienza University of Rome, Italy – Invited lecture.

ҩ Academy of Sciences of the Czech Republic, Prague, Czech Repulic. –Invited lecture.

ҩ 12th meeting of Asian-Pacific Society for Neurochemistry, Kaohsiung, Taiwan - Symposium Chair.

ҩ International Society for Developmental Psychobiology – Board Member.

ҩ “Glue sniffing sucks! The long-term consequences of inhalant abuse during adolescence on the brain and body” Department of Pharmacology, The University Of Melbourne, Vic., Aust.

ҩ “Why glue sniffing sucks! The long-term consequences of inhalant abuse during adolescence on the brain and body” Monash Institute of Medical Research –Prince Henry’s Institute, Vic., Aust.

MAJOR NATIONAL AND INTERNATIONAL CONFERENCES 2014 INVITED SPEAKER

ҩ International Conference on Cognitive Neuroscience (ICON), Brisbane Australia (Chair of workshop)

ҩ Evolution Symposium, Victorian Department of Environment and Primary Industries, Melbourne Australia

EXTERNAL COLLABORATIONS FOR ADDICTION NEUROSCIENCE GROUP

Professor Alon Chen (Weizmann Institute, Israel), Professor Jian-Hui Liang (NIDD, Beijing, China), Professor Bernard Balleine (University of Sydney), Professor Peter Kalivas (MUSC, USA), Professor Rainer Spanagel (ZIMH, Germany), Professor Caroline Rae (UNSW), Professor Sarah Dunlop (UWA), Assoc Professor Peter Dodd (UQ), Dr Kevin Pfleger (UWA), Dr Amir Rezvani (Duke, USA), Dr. Masa Funada (National Institute of Mental Health, Kohnodai, Japan), Dr. Tim Bredy (The Queensland Brain Institute), Dr. Zane Andrews (Monash), Professor Dan Lubman (Turning Point / Monash), Professor Michael Cowley (Monash), Professor Danny Winder (Vanderbilt, USA).

ҩ Neuropsychiatric diseases Symposium, Monash Institute of Pharmaceutical Sciences, Melbourne Australia

ҩ Centre for Neural Engineering, University of Melbourne, Australia

ҩ National Institute on Alcohol Abuse and Alcoholism, Rockville USA.

EXTERNAL COLLABORATIONS FOR INHALANT ABUSE LABORATORY

Professor Andrew Lawrence (Florey), Professor Bernard Balleine (University of Sydney), Professor Caroline Rae (UNSW), Dr. Masa Funada (National Institute of Mental Health, Kohnodai, Japan), Dr. Tim Bredy (The Queensland Brain Institute), Dr. Zane Andrews (Monash), Professor Dan Lubman (Turning Point / Monash), Mr. David Wright and Dr. Leigh Johnston (Florey and Melb. Uni), Dr. Joseph Nicolazzo (Monash University), Dr. Michael Mathai (Vic. Uni), Dr Sarah MacLean (Turning Point Alcohol and Drug Center, Melb), Associate Professor Sheree Cairney (Menzie’s and Flinders Uni), Deanne Skelly (Uni Melb), Professor Hannah Kinney and Dr. David Paterson (Harvard Medical School/ Children’s Hospital Boston), Prof. Roger Byard (Uni Adelaide), Drs. Marianne Garland, Michael Myers, William P. Fifer, and Raymond Stark (Primate Center and Departments of Pediatrics and Psychiatry, Columbia University College of Physicians and Surgeons, New York).

EXTERNAL COLLABORATIONS FOR COGNITIVE NEUROSCIENCE GROUP

AMY BRODTMANN

Dr Marina Boccardi and Dr Giovanni Frisoni, LENITEM, Fatebenefratelli, IRCSS, Brescia, Italy, Dr Marco Catani, King’s College, London, UK, Dr Charles DeCarli, University of California Davis, USA, Professor Trish Desmond, Royal Melbourne Hospital, Dr Martin Dichgins, Institute for Stroke and Dementia Research (ISD), Ludwig-Maximilians-University, Munich, Professor Vladimir Hachinski, Case Western University, London, Ontario, Canada, Professor John Hodges (FRONTIER, Sydney, Cambridge), Dr Tobias Loetscher (Flinders University, Adelaide), Professor Terence O’Brien, Royal Melbourne Hospital, Professor John McNeil, Monash University.

DAVID DARBY

Professor Kia Nobre, Oxford University,UK, Dr Moacir Silva Neto, Brasilia, Brazil.

EXTERNAL COLLABORATIONS FOR DEVELOPMENTAL PSYCHOBIOLOGY GROUP

Professor Steven Collins (The University of Melbourne); Professor Antonio Paolini (RMIT); Professor Terry Speed (Walter and Eliza Hall Institute); Dr Sarah Whittle (Melbourne Neuropsychiatry Center).

EXTERNAL COLLABORATIONS FOR SYNAPSE BIOLOGY AND COGNITION GROUP

Prof. Seth Grant (Edinburgh University), Dr. Noboru Komiyama (Edinburgh University), Prof. Timothy Bussey (Cambridge University), Dr. Lisa Saksida (Cambridge University), Dr. Max Kopanitsa (Synome, Cambridge), Dr. Andrew McKechanie (Patrick Wild Centre, Edinburgh University), Dr. Mandy Johnston (Royal Edinburgh Hospital), Prof. Douglas Blackwood (Royal Edinburgh Hospital), Prof. Chris Pantelis (Melbourne Neuropsychiatry), Prof. Arthur Christopoulos (Monash Institute of Pharmaceutical Sciences), Dr. Chris Langmead (Monash Institute of Pharmaceutical Sciences).

2014 STUDENTS:

PhD: • Nicola Chen • Alec Dick • Rose Chesworth • Hanna Kastman • Andrew Walker • Danay Baker-Andresen • Isabel Zbukvic

• Sophia Luikinga• Christina Mo • Annabel Short • Dean Wright • Jake Rogers • Shlomo Yushuren • Sarah Sulaiman Ch’ng • Leigh Walker

• Jirawoot Srisontiyakul • Fiona Bright (Adelaide) • Rebecca Norris • Matthew Poole • Kirrily Rogers • Karen Borschmann (primary supervisor Julie Bernhardt) • MASTERS: • Shawn Tan • Faith Lamont • Emma Giles • Felicia Reid • Katherine Beringer • HONOURS: • Rosa Heller • Ashleigh Qama • Katherine Drummond • Johnny Park •

THE FLOREY INSTITUTE OF NEUROSCIENCE & MENTAL HEALTH ANNUAL REPORT 2014 THE FLOREY INSTITUTE OF NEUROSCIENCE & MENTAL HEALTH ANNUAL REPORT 2014 50 51
FOUR KEY WAYS TO IMPROVE YOUR BRAIN HEALTH

The human brain is the most extraordinary and complex object in the known universe, a kilogram and a half of soft tissue that, at its peak, leaves computers behind with its endless capacity for problem solving, innovation and invention

If the body is a “temple”, then surely the brain must be the “high altar” as it generates all of our thoughts, feelings and movements. Indeed, it is fundamental to all of our conscious experience.

Brain diseases such as Huntington’s, Alzheimer’s and other forms of dementia demonstrate how devastating it is when the brain degenerates, dragging the mind and its many wonderful capacities down with it.

It’s time we all focused more on this most important organ, to improve brain health throughout our lives.

FIRST: STAY PHYSICALLY ACTIVE

This is an obvious idea, however not everyone realises that physical activity is not only good for the body, it also boosts brain health.

There are many ways this could occur, as the brain and body are in constant, dynamic communication. Muscles release beneficial molecules that reach the brain, and exercise also stimulates the heart and other body systems which can beneficially impact the brain. Enhanced physical activity may stimulate the generation of new brain cells and connections.

Evidence is growing that such healthy lifestyle choices may help protect against Alzheimer’s, depression and other brain disorders.

SECOND: STAY MENTALLY ACTIVE

Two cardinal rules of brain plasticity are “use it or lose it” and “neurones that fire together wire together”. People who maintain higher levels of cognitive activity may, in fact, be protected from Alzheimer’s and other forms of dementia.

Cognitive stimulation may help build a “brain reserve” to protect from, and compensate for, the brain ageing. So what mentally stimulating activities could you do? Each individual will know what cognitively challenges and interests them and making positive lifestyle choices that can be maintained for months and years are more likely to lead to long-term benefits.

THIRD: EAT A HEALTHY DIET

Did you realise a balanced nutritious diet is good for your brain?

Most of the nutrients from food circulate through your brain via the bloodstream. So a healthy diet can directly improve the health of brain cells and may even slow down brain ageing.

What’s more, by improving body health, the brain may benefit via the heart and

cardiovascular system, as well as the immune system, that impact on the nervous system.

FOURTH: DON’T STRESS TOO MUCH!

Seldom do we need the stress response (“fight or flight”) that protected cave dwellers thousands of years ago.

Excessive chronic stress may be toxic for the brain which is loaded with sensitive “stress receptors.”

Stress-reducing strategies such as “mindfulness” and meditation are increasingly popular. Other lifestyle choices, such as a good diet, plenty of physical activity, as well as healthy sleep patterns, may also contribute to resilience.

TAKE-HOME MESSAGE

The phrase “mens sana in corpore sano” (a sound mind in a sound body) is thousands of years old, so the concept is clearly not new. The good news is that we can all do something to improve the health of our brains and bodies.

Each of us is dealt a genetic deck of cards at conception that we can do nothing about. Through development and adulthood, our genes interact constantly with environmental factors to regulate how our brains and bodies function, as well as dysfunction when they put us at risk of specific diseases.

With a positive mental attitude supporting a healthy lifestyle, we may be able to maintain soundness of body and mind for as long as possible. And hopefully, brain research at the Florey and elsewhere will deliver new treatments for devastating disorders such as Alzheimer’s disease and other forms of dementia.

Courtesy: TheConversation.com

Pictured: Professor Anthony Hannan, head of the Florey’s Neural Plasticity lab.
Four key ways to improve your brain health
THE FLOREY INSTITUTE OF NEUROSCIENCE & MENTAL HEALTH ANNUAL REPORT 2014 52 53
By Professor Anthony Hannan

EPILEPSY

Leaders: Professor Graeme Jackson and Professor Steve Petrou

A QUICK SNAPSHOT

The Florey Epilepsy Division is a world-leading centre for epilepsy research. The division has major groups at both the Florey’s Austin and Parkville campus. The group studies mechanisms that cause epilepsy from cells to the function of the whole brain. We use technologies including advanced MRI and cutting edge cellular physiology techniques to allow us to understand genetic and acquired mechanisms that give rise to epilepsy. Together with our colleagues from The University of Melbourne and across Australia, we are working towards finding a cure for epilepsy.

RESEARCH HIGHLIGHTS

Our neuroimaging studies of epilepsy, including Lennox-Gastaut Syndrome, a particularly severe form of epilepsy, are helping to explain why epilepsy can be associated with intellectual disability. Abnormal electrical activity has been detected in the brains of patients with this syndrome. It occurs frequently, even when the patients are not having a seizure and the activity is widespread, involving many of the brain’s major functional networks, and is therefore likely disrupting normal cognition. Yet in some patients with these symptoms we have located a small brain lesion. After surgical removal of the lesion, the widespread abnormal activity is eliminated and the patients are seizure-free.

AN IDEA LIKELY TO CHANGE LIVES BY 2035

We have shown that abnormal activity involving much of the brain can be triggered by a small focal brain lesion. We have also shown that if such a lesion can be found and surgically removed, seizures can be stopped. We will continue to help drive neuroimaging advances and we hope in coming years this will enable us to routinely locate all such lesions, providing many more epilepsy patients a surgical option to stop their seizures.

MAIN AREAS OF RESEARCH

ҩ Epilepsy genetics

ҩ Epilepsy imaging

With the recent advances in genetics and technology it is now possible to devise and deliver therapies based specifically on the fundamental disease mechanism in individual patients.”

ҩ Human brain structure and function

ҩ Functional modelling of gene mutations in epilepsy

ҩ Multimodal imaging in epilepsy disease models

ҩ Purinergic signalling

SENIOR STAFF

EPILEPSY IMAGING

• Professor Graeme Jackson (Division Head) • Dr David Abbott • Associate Professor Peter Brotchie • Dr Patrick Carney • Associate Professor Paul McCrory • Dr Saul Mullen • Professor Ingrid Scheffer • ION CHANNELS AND EPILEPSY LAB

• Professor Steve Petrou • Dr Alison Clarke • Dr Carol Milligan • Dr Elena Gazina • Dr Kay Richards • Dr Robert Richardson • Dr Verena Wimmer • SYNAPTIC PHYSIOLOGY

• Dr Christopher Reid • Dr Marie Phillips • PURINERGIC SIGNALLING

• Dr Ben Gu • Professor James Wiley •

EPILEPSY – ION CHANNELS AND HUMAN DISEASE

Leader: Steve Petrou

Our research focuses on understanding the pathology of ion channel disorders, in particular epilepsy, using in vitro and in vivo models to reveal opportunities for developing novel therapies. We use a multidisciplinary approach spanning ion channel biophysics, mouse transgenesis, genetic analysis, computational modeling and in vitro and in vivo electrophysiology.

Research highlights for 2014

In 2014 we have accelerated our efforts towards delivering precision medicine outcomes in genetic epilepsy. We showed that quinidine, a drug related to the quinine of tonic water, is effective in controlling the function of an aberrant gene in a severe epilepsy.

Subsequent clinical trials showed efficacy of this treatment paving the way for disease mechanism specific therapies – the backbone of precision medicine approaches.

We continued to seek to find markers of the disease state in epilepsy, from fundamental biophysical changes in ion channel function, to structure of neurones and brains studied with light microscopy and MRI. This year alone contributed to the characterisation of four different epilepsy genes.

These markers of the disease state are critical for accurate diagnosis, but even more importantly can be used to track the efficacy of new therapeutics emerging from our disease mechanism targeted drug programs. We have fully embraced state-of-theart optical imaging approaches for structure and function of neurones to enhance our ability to tease out disease mechanisms.

NEUROIMAGING

Leader: Graeme Jackson

Research highlights for 2014

This group undertakes activities across both the Imaging Division and the Epilepsy Division and has published over 50 peer reviewed papers in 2014. This is a reflection of its origins as an advanced imaging centre with methods development and application to the problems of epilepsy. Through the use of cutting-edge MRI methods such as functional connectivity, tractography, simultaneous electroencephalography and functional MRI (EEG/fMRI) and other advanced imaging, we continue to achieve greater understanding of epilepsy mechanisms. The new knowledge is rapidly translated to improved patient care through the Victorian Epilepsy Centre’s comprehensive epilepsy program at the Austin Hospital in Heidelberg, and through Epilepsy Melbourne, which integrates centres across University of Melbourne teaching hospitals.

This group is primarily based at the Austin campus of the Florey. Our basic work is to understand brain development and function, particularly the disturbances in distributed networks that underlie epileptic disorders. We are using EEG/fMRI, advanced diffusion techniques including tractography, functional connectivity and network analysis to investigate the underlying brain mechanisms responsible for the clinical symptoms. This is done in a translational environment that is immediately relevant to patient care.

In addition to the obvious symptomatology of epilepsy (i.e. seizures) cognition, memory and language disturbances are key cognitive areas affected by the disease. For example, we recently studied language in a group of patients with focal epilepsy, some with and some without reading difficulty, in an attempt to identify brain regions that may have disturbed function. We imaged the brain using functional MRI in the patients and also in healthy control subjects.

A: mouse somatosensory cortex. B: part of the hippocampus and overlying cortex. Investigating subtle changes in the neuronal anatomy of the cortex in epilepsy. Red: neurones stained with an antibody against the neuronal marker NeuN. Blue: staining for the inhibitory neurotransmitter GABA, showing inhibitory neurones. Green: an inhibitory subclass of neurones identified by staining against the calciumbinding protein parvalbumin.
THE FLOREY INSTITUTE OF NEUROSCIENCE & MENTAL HEALTH ANNUAL REPORT 2014 THE FLOREY INSTITUTE OF NEUROSCIENCE & MENTAL HEALTH ANNUAL REPORT 2014 54 55
B A

We discovered a functional abnormality in the left frontal region of the brain in patients with and without reading difficulties, and a further functional abnormality specific to the reading difficulty group localized to right temporo-occipital cortex—a region previously implicated in lexicosemantic processing (figure 3). Our observations suggest a failure of left hemisphere specialisation among focal epilepsy patients with reading difficulties, perhaps arising from abnormalities in brain development.

The epilepsy imaging group is also developing new neuroimaging analysis methods to improve sensitivity to detect abnormal brain activity. For example, we have developed a novel processing method

to remove unwanted noise from functional MRI data. The algorithm, called “SOCK”, is an objective and fully automated procedure. An example of its effectiveness in a simultaneous EEG-fMRI study of Rolandic epilepsy is shown in figure 4. SOCK increases power to detect real effects in functional neuroimaging providing a more complete picture of the brain networks of interest.

Generalized paroxysmal fast activity detected on EEG is simultaneously imaged with fMRI to obtain spatial activation maps. The average activity of six subjects is shown here in colour overlayed on an anatomical template. Despite the common pattern of widespread activity, each subject has a different type and location of brain lesion. Adapted from Archer JS, Warren AEL, Stagnitti MR, Masterton RAJ, Abbott DF and Jackson GD, Lennox-Gastaut Syndrome and Phenotype: Secondary network epilepsies. Epilepsia 55(8):1245-54 (2014).

Preoperative and postoperative EEG studies in 38-year-old man with Lennox-Gastaut Syndrome, a lesion, and intractable seizures since childhood. Prior to resection of a left frontal cortical dysplasia (arrowed), the patient had daily tonic seizures. Preoperative interictal EEG showed bursts of slow spike-and-wave (SSW) and generalized paroxysmal fast activity (PFA). Day 3 postoperative EEG shows persistence of SSW, whereas day 30 EEG shows complete normalization, consistent with a winding down of the epileptic process. The patient is 2 years seizure-free, consistent with LGS being a potentially reversible “secondary network epilepsy”. Adapted from Archer JS, Warren AEL, Stagnitti MR, Masterton RAJ, Abbott DF and Jackson GD, Lennox-Gastaut Syndrome and Phenotype: Secondary network epilepsies. Epilepsia 55(8):1245-54 (2014).

Brain activity during performance of a language task (thinking of words beginning with a given letter). Three brain slices are shown for each subject group, with significant activity associated with the task overlayed in colour (increases in warm colours, decreases in blue). Top row: healthy controls. Second row: focal epilepsy patients without reading difficulty. Bottom row: Focal epilepsy patients with reading difficulty. Relative to healthy controls, both patient groups showed reduced activation in left inferior frontal cortex. However the reading difficulty group also exhibited greater activation in the right temporooccipital cortex (see dashed ellipse), indicating a failure of normal specialisation to the left hemisphere in this region. Adapted from Tailby C, Weintrob DL, Saling MM, Fitzgerald C, Jackson GD. Reading difficulty is associated with failure to lateralize temporooccipital function. Epilepsia. 2014;55(5):746-753.

Brain activation associated with abnormal epileptic activity in an individual is shown in colour at two slice positions. The images on the left were created using conventional analysis, whilst the images on the right were created after noise-filtering with SOCK. The plots underneath are the associated estimates of the time-course of signal change. The shape of the time-course after applying SOCK is qualitatively smoother (less noisy), however the most dramatic improvement is evident in the spatial maps. Arrows in green point to areas of increased activation in expected regions when SOCK is employed. From Bhaganagarapu K, Jackson GD, Abbott DF. Frontiers in Neuroscience 8(285):1-9 (2014).

EPILEPSY RD EPILEPSY NO-RD CONTROL MEAN LI = 0.82 MEAN LI = 0.62 MEAN LI = 0.47
THE FLOREY INSTITUTE OF NEUROSCIENCE & MENTAL HEALTH ANNUAL REPORT 2014 THE FLOREY INSTITUTE OF NEUROSCIENCE & MENTAL HEALTH ANNUAL REPORT 2014 56 57

EPILEPSY – ION CHANNELS AND HUMAN DISEASE

EDITORIAL POSITIONS

ҩ Neurobiology of Disease

ҩ PLOS Genetics

MAJOR NATIONAL AND INTERNATIONAL CONFERENCES 2014

ҩ Mechanism of proton modulation of neuronal excitability. International Biophysics Congress. Brisbane, Australia.

ҩ Functional correlates of severity in Alternating Hemiplegia of Childhood. 3rd International Meeting of the AHC in Amsterdam September.

ҩ Epilepsy Society of Australia. Microstructure and networks

ҩ Translational opportunities in genetic epilepsies: Are we there yet? Duke University. USA.

ҩ Clear thinking in epilepsy: CLARITY imaging of short and long range neuronal networks. Hertie Institute, University of Tubingen.

ҩ Direct and emergent pathologies reveal therapeutic opportunities in EIMFS and Dravet. Hertie Institute, University of Tubingen.

ҩ pH modulation of neuronal excitability in epilepsy. Hertie Institute, University of Tubingen.

ҩ Translational opportunities in the genetic epilepsies: Something old, something new, something borrowed, something blue. Aikenhead medical research week. St Vincent’s Hospital.

ҩ Precision therapeutics in epilepsy. Epilepsy Genetics in the Era of Precision Medicine, San Francisco, USA.

ҩ Translational opportunities in the epileptic encephalopathies. Hertie Institute, University of Tubingen.

ҩ Mechanisms of pH modulation of neuronal function, Epilepsy Research Retreat, Yarra Valley Lodge.

ҩ Biophysical consequences of SCN2A pathology in Epileptic Encephalopathies, Epilepsy Research Retreat, Yarra Valley Lodge.

ҩ University of Newcastle, NSW. September.

ҩ Multi-modal approaches to understand brain functions. Interactive Brain Function Workshop, Monash University.

ҩ Modulation of neural excitability in health and disease. Pain Program Grant Retreat. University of Queensland.

ҩ CLARITY imaging in genetic epilepsy models. Epilepsy retreat, Austin Hospital.

ҩ Novel peptide therapy in Dravet Syndrome. Dravet round table meeting. Seattle, USA.

ҩ Challenges and opportunities in delivering precision therapies in genetic epilepsy. The Epi4k annual meeting. Seattle, USA.

ҩ Modulation of neural excitability in health and disease. Pain Program Grant Retreat. University of Queensland.

ҩ CLARITY imaging in genetic epilepsy models. Epilepsy retreat, Austin Hospital.

ҩ Novel peptide therapy in Dravet Syndrome. Dravet round table meeting. Seattle, USA.

ҩ Challenges and opportunities in delivering precision therapies in genetic epilepsy. The Epi4k annual meeting. Seattle, USA

EPILEPSY - NEUROIMAGING

EDITORIAL POSITIONS

ҩ Annals of Neurology – Ingrid Scheffer

ҩ Epileptic Disorders - Ingrid Scheffer

ҩ Frontiers in Neurology – David Abbott, Patrick Carney, David Vaughan, Graeme Jackson

ҩ Frontiers in Neuroscience – David Abbott, Patrick Carney, David Vaughan, Graeme Jackson

ҩ Journal of Neuroimaging – Graeme Jackson

ҩ Progress in Epileptic Disorders series - Ingrid Scheffer

MAJOR NATIONAL AND INTERNATIONAL CONFERENCES 2014

ҩ nvited speaker: “Malformations of cortical development” Center for Integrative Brain Research Seattle Children’s Research Institute Seattle, 9th Dec 2014.

ҩ Plenary speaker: “From the bedside to the bench and back” 3rd annual National Health and Medical Research symposium Parkville Melbourne 13th November 2014.

ҩ Chair: UCB Educational meeting: Management of epilepsy in women across the life cycle. Melbourne, 28th August 2014.

ҩ Invited speaker & Co-chair: “Structural MRI; visual inspection versus automated assessment” 10th Asian & Oceanian Epilepsy Congress, Singapore 7th August 2014.

ҩ Featured Speaker: “The near future of imaging in epilepsy”, Third International Epilepsy Research Center Symposium, Newport Beach, California 21st Feb 2014.

ҩ Plenary lecture: “EEG-fMRI in Epilepsy”, EEG-fMRI turns 21, Kiel, Germany 8th June 2014.

ҩ Keynote lecture: “Finding epilepsy networks in functional magnetic resonance imaging of the human brain” and participation in the mathematics Study Group Workshop (SGW 2014), Kyushu University, Fukuoka, Japan & University of Tokyo, Tokyo, Japan. 30th July – 5th August 2014.

ҩ Invited seminar, “Data-driven artefact removal and analysis of fMRI and simultaneous EEG-fMRI”, Advanced Brain Signal Processing, RIKEN Brain Science Institute, Wako, Japan. 6th August 2014.

ҩ Presentation: “Age-related structural changes to the human visual pathway determined using in vivo clinical imaging techniques”. Annual Meeting of the Association for Research in Vision and Ophthalmology (ARVO), Denver, Colorado, USA (May 3-7, 2015).

ҩ Presentations: 20th Annual Meeting of the Organization for Human Brain Mapping, Hamburg, Germany, June 2014.

ҩ Presentations: 12th International Conference on Cognitive Neuroscience, Brisbane, Australia. July 27-31, 2014.

ҩ Presentations: 68th American Epilepsy Society annual meeting, Seattle, WA, USA, December 2014.

ҩ Presentations: Section for Magnetic Resonance Technologists (SMRT) 23rd Annual Meeting Milan 10-11th May 2014.

ҩ Presentations: Joint Annual Meeting ISMRM-ESMRMB, Milan, Italy, 10-16 May 2014.

ҩ Presentation (Best Scientific Poster 2014): Australia & New Zealand Spinal Cord Society (ANZSCoS), Auckland, New Zealand, 19 – 21 November 2014.

ҩ Invited talk: “Mild head injury and flying”, Aviation Medical Society of Australia Annual Meeting, Melbourne 19 July 2014.

ҩ Invited Lecture: “Concussion issues for medical staff”, AFL Medical Education Seminar, 24 June 2014.

ҩ Keynote: IOC Injury Prevention and Athlete Health meeting Monaco, 8-12 April 2014.

ҩ Invited Lectures: “What’s new in concussion – the Zurich consensus” and “The difficult concussion patient”, IOC Advanced Team Physician Course Mandelieu, France 12-13 April 2014.

ҩ Invited Lecture: “Concussion in sport”, Aspetar Hospital Scientific Research Meeting, Doha, Qatar 7-14 March 2014.

ҩ Invited Lecture: “Concussion and Medico-legal issues”, NRL CEO annual meeting, Auckland, New Zealand. 14 February 2014.

ҩ Invited Lecture: “Chronic Traumatic Encephalopathy”, Australasian Neuroscience Society Annual Scientific Meeting, Adelaide January 2014.

ҩ Invited Lecture: “Genetic testing in epilepsy: the key to precision medicine”, Dravet Syndrome Foundation Affiliate Meeting, Seattle, USA, 6 December 2014.

ҩ Invited Lecture: “Dravet syndrome – where does the ketogenic diet sit in practice”, Global symposium for the dietary therapies for epilepsy and other neurological disorders. Liverpool, UK, 7-10 October 2014.

ҩ Invited Chair: “Translation to the clinic”, Epilepsy Genetics in the new era of Precision Medicine San Francisco, US, 29-30 September 2014.

ҩ Invited Lecture: “KCNQ2 encephalopathy: an emerging disease within the epileptic encephalopathies.” KCNQ2 summit Denver, US, 20 Septermber 2014.

EXTERNAL COLLABORATIONS FOR EPILEPSY IMAGING  GROUP

Ann & Robert H. Lurie Children’s Hospital of Chicago, USA, Austin Health, Melbourne, Boston Children’s Hospital & Harvard Medical School, Boston, USA, Centre Hospitalier Universitaire Vaudois (CHUV), Lausanne, Columbia University, NY, USA, Department of Molecular Genetics and Cytogenetics, Women’s and Children’s Hospital, North Adelaide, South Australia., Foothills Medical Centre, Canada, Harvard Medical School, Boston, USA, Hôpital Necker Enfants Malades, Paris, INSERM, Marseilles, France, Monash University, Melbourne, Murdoch Children’s Research Institute, Melbourne, New York University School of Medicine, USA, Northwestern University Feinberg School of Medicine, USA, Royal Children’s Hospital, Melbourne, Royal Hospital for Sick Children, Glasgow, Royal Melbourne Hospital, The Hospital for Sick Children, Great Ormond Street, London, UK, The University of Melbourne, The University of Queensland, University of Antwerp, Belgium, University of Bologna, Italy, University of Calgary, Canada, University of California, San Francisco, University of Otago, Wellington, New Zealand, University of Washington, Seattle, Walter and Eliza Hall Institute of Medical Research, Melbourne.

MAJOR AWARDS

The seminal contributions to epilepsy research of Professor Ingrid Scheffer continue to be recognised with several major awards bestowed in 2014:

ҩ 2014 Prime Minister’s Prize for Science

Most prestigious science prize in Australia

ҩ 2014 Officer of the Order of Australia (AO)

Awarded for distinguished service to medicine as a clinician, academic and mentor, and for her research identifying new epilepsy syndromes and genes

ҩ 2014 Australian Academy of Science Fellowship (FAA)

Elected as a Fellow for paradigm-shifting research into the genetic causes of epilepsy and defining new epilepsy syndromes.

ҩ 2014 Founding Fellow and Vice-President of the Australian Academy of Health and Medical Sciences (FAHMS)

ҩ 2014 Bethlehem Griffiths Research Foundation Medal In recognition of outstanding leadership and international contribution to medical research

THE FLOREY INSTITUTE OF NEUROSCIENCE & MENTAL HEALTH ANNUAL REPORT 2014 THE FLOREY INSTITUTE OF NEUROSCIENCE & MENTAL HEALTH ANNUAL REPORT 2014 58 59

IMAGING

Leaders: Professor Alan Connelly and Professor Graeme Jackson

A QUICK SNAPSHOT

The Florey Imaging Division encompasses the following research groups: Advanced Magnetic Resonance Imaging (MRI) Development, Epilepsy Imaging, and Small Animal MRI. These groups perform neuroscience related MRI research across a wide range of MRI methods, including diffusion MRI, perfusion MRI, functional MRI, and high resolution structural MRI. Much of this work involves the application of up to date MRI acquisition and analysis methods to disease related neuroscience issues, while the work of the Advanced MRI Development Group is at the forefront of developing novel methods to facilitate neuroscience investigations that were previously not possible.

RESEARCH HIGHLIGHT

The Advanced MRI Development team is a world leader in diffusion MRI innovation, and the methodological advances made at the Florey are being applied increasingly worldwide to further our understanding of the healthy brain and of how network connectivity is affected in disease. Such advances in technique will also have a major influence on human connectome investigations.

Following a significant upgrade in 2012 to the 4.7 T animal scanner, thanks to support from the Victorian Biomedical Imaging Capability and the National Imaging Facility, research in 2014 has continued to progress over a wide range of applications and technical developments that were not previously possible, thus enabling new scientific collaborations to be established.

There are significant cross-relations between the Epilepsy and Imaging Divisions, which will be described in detail in the Epilepsy Division section of the annual report.

AN IDEA LIKELY TO CHANGE LIVES BY 2035

Understanding how structural connections relate to brain function is the subject of a major international program of research (the human ‘connectome’ project). The Florey’s methods development achievements will contribute significantly to this effort to move towards a more complete understanding of how the brain works, which has the potential to revolutionise human neuroscience.

We achieved major advances during 2014 in developing world-leading methods to visualise fibre tracts within the brain, and introduced novel approaches to identify abnormalities in the densities of white matter fibre connections in the brain in disease states including epilepsy and Alzheimer’s disease.

SENIOR STAFF

ADVANCED MRI DEVELOPMENT

• Professor Alan Connelly

ADVANCED MRI DEVELOPMENT GROUP

Leader: Alan Connelly

Research highlights for 2014

Major breakthroughs were achieved in 2014 in establishing improved methods to visualise fibre tracts within the brain, including advances that enable diffusion MRI data from multi-shell and multi-tissue to be acquired and processed. The latter is part of an international collaboration and has allowed significantly improved white matter fibre tracking (particularly in cortical regions – see example images). Application of our novel analysis methods to mouse models (see example images) is enabling in particular the study of genetic based epilepsies in conjunction with colleagues in neurophysiology at the Florey.

Also, such methods have been used in another international collaboration to study cerebello-thalamo-cortical pathways in the human brain (see example images), enabling an improved understanding of the connectivity network between functionally important areas of the brain.

Advantages of multi-shell diffusion weighted MRI acquisition for visualising white matter fibre tracts within the brain. The images show sagittal visualisation of a fibre tractogram obtained from white matter fibre orientation distributions estimated with single-shell single-tissue constrained spherical deconvolution (SSST-CSD) (left column) and multishell multi-tissue CSD (MSMT-CSD) (right column). The lower image in each case shows an expanded image of the region indicated by the yellow box in each of the upper images. MSMT-CSD is shown to directly benefit fibre tracking. The increased precision and reduced number of spurious peaks in the fibre orientation distributions result in less noisy tractograms near the WM–CSF and WM–GM interfaces, with better defined fine structures. [This work represents a collaboration involving the Florey and the Universities of Antwerp and Leuven, Belgium]

ҩ MRtrix: software package to enable white matter fibre tracking to be done in the brain using our constrained spherical deconvolution algorithm. (>7600 downloads)

ҩ Numerical Fibre Generator: software package to generate realistic arrangements of bundles of fibres, with a complexity similar to that of white matter. Designed to be used as a test-bed for the development and evaluation of tractography methods. (>1700 downloads)

Patent

A method for generating super-resolution images of fibrous tissue (such as white matter), based on tractography output. International patent application no: PCT/AU2010/000257.

ANIMAL MRI

Leaders: Leigh Johnston (University of Melbourne; Hon Florey) and Alan Connelly (Florey)

Research highlights for 2014

The Animal MRI lab continued research in a wide range of areas that included cortical development in the fetal brain, studies of potential treatment and MRI biomarkers for stroke, epilepsy, concussion and traumatic brain injury, structural assessment of human cardiac tissue, novel contrast agent testing, ultra-high resolution imaging of mouse anatomy for atlas construction, and technical developments in continuous wave magnetic resonance methods.

• A/Professor Fernando Calamante • Dr David Raffelt

• Dr Robert Smith

• Dr Xiaoyun Liang

• Dr Chun-Hung Yeh

• Dr Thijs Dhollander •

EPILEPSY IMAGING

See Epilepsy Division section for details of Prof Graeme Jackson’s research group

ANIMAL MRI

• A/Professor Leigh Johnston (Honorary Florey)

• Professor Roger Ordidge (Honorary Florey)

• David Wright • Dr Hong Wang •

The development of novel network analysis methods have allowed us to use cerebral blood flow (CBF) not only to identify functional brain networks but also to identify quantitatively the CBF associated with important highly connected ‘hubs’ in order to better characterise functional networks within the brain (see example images).

Given that network abnormalities are increasingly believed to be associated with a number of important disease states, the latter information opens up potentially new areas of neuroscientific enquiry.

Software

The Advanced MRI Development group has created and made publicly available a number of software packages that have enabled research groups worldwide to be able to implement and use the technical advances that have been developed at the Florey.

These software packages have been extensively downloaded and are widely used throughout the research community.

Mouse brain thalamo-cortical connectivity visualized using targeted fibre tracking compared to virus mediated fluorescent protein expression. (A) Inverted fluorescent image of a coronal section taken from brain injected at the ventral posteromedial thalamic nucleus (VPM) with virally encoded fluorescent tag (injection needle track marked with a double-headed arrow). The whisker “barrels” indicated by the arrows are located in Layer IV cortex and are delineated by the axon terminations of thalamo-cortical projection neurons. The dotted black line, shown in panel A, indicates the orientation plane that allows visualization of the whisker barrels in Layer IV cortex as shown in panels C & D. (B) Coronal slice view of a ‘visitation count’ map (20μm isotropic resolution) shows extended tracking after seeding the VPM and targeting the cortex. One million streamlines were generated, which formed clusters of streamlines in the cortex. The ‘visitation count’ map created in this manner is overlaid (in hot colours) on a whole brain track density imaging (TDI) map for anatomical reference. The “barrel” regions (white arrows) have low signal intensity in the TDI map. (C) A tangential slice view of the posterior medial barrel subfield (PMBSF) pictured using the whole brain short-track TDI. (D) Image in (C) overlaid with ‘visitation count’ map from panel B (shown in hot colours). In this plane the streamlines are localized to the barrel septum. EC; external capsule; Hp; hippocampus; p, posterior; a, anterior; d, dorsal; v, ventral. Scale bars 200μm.

THE FLOREY INSTITUTE OF NEUROSCIENCE & MENTAL HEALTH ANNUAL REPORT 2014 THE FLOREY INSTITUTE OF NEUROSCIENCE & MENTAL HEALTH ANNUAL REPORT 2014 60 61

Contralateral cerebello-thalamo-cortical pathways: Images show a 3 dimensional view of the average cerebello-thalamocortical pathway across 15 subjects in MNI space. Cerebral (a), cerebellar (b) and deep grey matter (c) atlases are overlaid to assist visualization of cerebellar connections. (a) Distribution of left (red) and right (blue) tracts in the cerebral cortex: the reconstructed tracts reach the prefrontal (yellow), frontal (fuchsia) and temporal (violet) cortices with greater density of streamlines. (b) Streamlines distribution in the cerebellar cortex: the lateral Crus I–II (fuchsia) and the lateral lobules VIIb/ VIII (green) are showing the greatest density of tracts. (c) Streamlines distribution of deep grey matter nuclei: the thalami (violet), the caudate (light blue) and the putamen (fuchsia) show the greatest proportion of the overall tract grey matter belonging to specific cortical regions of interest. [This work represents a collaboration involving the Florey, University of Pavia (Italy) and UCL Institute of Neurology, London]

ADVANCED MRI DEVELOPMENT GROUP

EDITORIAL POSITIONS

ALAN CONNELLY

ҩ Member Editorial Board of Epilepsia

MAJOR NATIONAL AND INTERNATIONAL CONFERENCES 2014

INVITED PRESENTATIONS

ҩ Alan Connelly - Recent advances in diffusion MRI analysis methods. Annual Meeting of the Australian and New Zealand Society of Neuroradiology, Adelaide, 2014.

ҩ Alan Connelly - Clinical and neuroscience applications of new approaches to diffusion MRI analysis. Annual Meeting of the Australian and New Zealand Society of Neuroradiology, Adelaide, 2014.

ҩ Alan Connelly - Diffusion MRI at ultra-high field strength. Ultra High Field MRI Symposium, Centre for Advanced Imaging, University of Queensland, Brisbane 2014.

ҩ Alan Connelly - Recent advances in diffusion MRI analysis methods Siemens ANZ MR R&D User Group Meeting, Brisbane, 2014.

ҩ Fernando Calamante - Perfusion: Finding Flow. Case-based Session “Thinking Outside the Black Box: A Self-Help Guide to NeuroImaging Analysis”. The International Society for Magnetic Resonance in Medicine (ISMRM) Annual Meeting, Milan, Italy, 2014.

COLLABORATIONS

In addition to a range of collaborations within the Florey, the Advanced MRI Development group has both national and international collaborations with a wide range of institutions, including:

ҩ Universities of Adelaide, Queensland, Sydney, and Melbourne

ҩ Murdoch Childrens Research Institute

ҩ Royal Women’s Hospital Melbourne

ҩ CSIRO, Brisbane

ҩ University College London

ҩ Kings College London

ҩ Stanford University, USA

ҩ Karolinska Institute, Stockholm, Sweden

ҩ Leiden University, Germany

ҩ George Mason University, Washington DC

ҩ Neuroscience Research Institute, Incheon, S Korea

ҩ Max Planck Institute, Leipzig, Germany

ҩ University of Antwerp, Belgium

ҩ KU Leuven, Belgium

ANIMAL MRI

MAJOR NATIONAL AND INTERNATIONAL CONFERENCES 2014

INVITED PRESENTATIONS

ҩ David Wright - An MRI Study of Repeated Concussion 13th Kushiro Neuroscience Workshop, Japan, 2014.

ҩ Leigh Johnston - Compressed Sensing for Mouse Imaging Sick Kids Hospital, Toronto, 2014.

COLLABORATIONS

ҩ CSIRO

ҩ Monash ARMI

ҩ Monash Institute of Medical Research

ҩ Royal Women’s Hospital

ҩ University of Melbourne

ҩ Neurological Institute of Radiological Science, Japan

ҩ University of Freiburg, Germany

ҩ University of Toronto, Canada

Dr Jennifer Walz has been with the Florey for a few months having completed her PhD in New York at Columbia University, specialising in biomedical engineering.

She brings a unique perspective of epilepsy to Graeme Jackson’s team of researchers. “I have deep insight from a patient’s perspective and as an engineer but until now, I haven’t had access to the clinical research side of the disease,” Jen says.

“The work I do involves simultaneous EEG and functional magnetic resonance imaging, which is a challenging and relatively new technique that most researchers still struggle to use.

There are experienced groups doing it in Montreal, UCL in London and in Seattle but when I heard about Graeme Jackson and the team in Melbourne, it was an easy decision to come. They have been successfully using these methods to study epilepsy for about 15 years.”

“I want to uncover the complex changes in brain networks that enable seizures to start, as well as those networks that prevent seizures from happening. If we could understand how these brain networks behave in individual patients, we could better cater treatments for each of them.”

Introducing Pictured Dr Jennifer Walz.
THE FLOREY INSTITUTE OF NEUROSCIENCE & MENTAL HEALTH ANNUAL REPORT 2014 62 63

ASCHIZOPHRENIA

The relentless quest to find answers.

ssociate Professors Suresh Sundram and Elizabeth Scarr are researching one of the toughest mental illnesses to treat: schizophrenia. They hope to develop blood tests to identify those with the condition who are at risk of suicide, potentially reducing the terrible death toll within in this group.

As a young doctoral student, Elizabeth Scarr had the unusual opportunity to talk with people who suffered the disorders she was studying.

Elizabeth, then at the University of Saskatchewan in Canada, heard first-hand accounts of the huge impact schizophrenia, bipolar disorder and depression had on the lives of the people she met through the course. It was an eye-opener for the young neuropsychopharmacologist.

“I think that as a lab scientist you do get locked into your ivory tower, focussing on your little molecule of interest and you don’t have the opportunity to put it into context,” she says.

It is perhaps little wonder then that Elizabeth later teamed up with psychiatrist Suresh Sundram, who heads the Northern Psychiatry Research Centre and who is also a scientific researcher.

The pair, who have collaborated on projects since the late ‘90s, are now working closely together at the Florey in a synergy they say gives them much greater capacity.

ACCORDING TO SURESH, 50 PER CENT OF PEOPLE WITH SCHIZOPHRENIA WILL ATTEMPT TO COMMIT SUICIDE AND 12 PER CENT WILL SUCCEED. THAT’S FIFTEEN TIMES THE GENERAL RATE OF SUICIDE IN THE POPULATION.

“It’s rare that a basic scientist (one who doesn’t do clinical research) and a clinician can work together as closely as we do,” says Suresh.

They are combining clinical information with findings made through test-tube research and by investigating postmortem brain tissue from the Victorian Brain Bank Network at the Florey.

“The brain bank is a huge resource –unparalleled in Australia – and the Florey also has access to technology platforms difficult to find elsewhere,” Suresh says.

Their investigations into a drug called clozapine are causing excitement.

Clozapine, first synthesised in 1959, is an anti-psychotic drug used to treat the 30 to 40 per cent of people with schizophrenia who don’t respond to other anti-psychotic medication. It also markedly reduces the rate of suicide among this group.

But clozapine, while highly effective, has potentially fatal side effects, including agranulocytosis, which severely reduces white blood cells, so is used only as a last resort.

The drug works by blocking receptors in the brain for several neurotransmitters including acetylcholine. Acetylcholine is thought to play a significant role in cognition – in learning, memory, understanding and in interpreting the outside world – factors that are profoundly changed in people with schizophrenia, Elizabeth explains.

The pair has investigated the neurostransmitter, and a receptor responsible for attracting it into cells, since 2000.

“What’s exciting is that there are drugs being developed now as a result of our work that target that particular muscarinic receptor – they’re probably going to be tested in humans in the next two or three years,” says Elizabeth.

These drugs have the potential to improve cognitive impairment, helping with memory, attention and planning, among other things.

Suresh and Elizabeth are currently exploring several new strands of research.

They are trying to tease out the properties that make clozapine so effective and investigate how these

could be used in other medications –without the harmful side effects. Such medication would improve the overall symptoms of schizophrenia, enhancing the individual’s quality of life, says Elizabeth.

The researchers are also using clozapine as a tool to try to discover what’s wrong with the brains of people with schizophrenia.

“The bottom line with psychiatric disorders is there’s no objective test that says ‘this means you have this or that disorder’,” says Suresh. “There’s no abnormality in blood tests or lesions in the brain that can point to a disorder,” he says.

“What that means is that we’re all essentially floating around in the dark trying to identify the pathology.”

“But now we’re shining a little flashlight!” says Elizabeth.

Using post-mortem brain tissue, they are trying to discover markers in the blood that identify people with schizophrenia who are at risk of suicide.

“If we can actually identify this abnormality when people first become sick with this disease, we can treat them better and potentially prevent them from killing themselves, which would be a sensational step forward.”

“We’re certainly hot on the lead of something we think is potentially important.”

Associate Professor Suresh Sundram

of the complications we see – the homelessness, the loss of jobs and relationships, crime, the drug use – all those problems could be ameliorated,” says Suresh.

The tests may later be useful for patients living with bipolar disorder or depression.

Suresh says research, and the constant concerns about funding that go with it, can be a struggle and that scientific outcomes are always uncertain.

“But the findings we’re taking forward have very strong grounding,” he says. “For me, I look at the lives of these people and I’m going to keep on trying.”

Blood tests might also identify the patients who are not going to respond to standard medications.

“If these people could be introduced to clozapine early in their illness then a lot

THE FLOREY INSTITUTE OF NEUROSCIENCE & MENTAL HEALTH ANNUAL REPORT 2014 THE FLOREY INSTITUTE OF NEUROSCIENCE & MENTAL HEALTH ANNUAL REPORT 2014 64 65

A QUICK SNAPSHOT

MENTAL HEALTH

Leader: Professor Colin Masters

The Mental Health division encompasses research into the causes of neurodegeneration (Alzheimer’s disease, Parkinson’s disease and other related conditions) and the psychoses (including schizophrenia and mood disorders). Research also extends into discovering biomarkers using longitudinal cohorts of volunteers who are prepared to be followed up over many years. This creates an environment rich in opportunities for drug discovery and development.

RESEARCH HIGHLIGHT

Why is one antipsychotic drug, clozapine, effective in people for whom other antipsychotic drugs are not?

Our novel finding that clozapine activated the epidermal growth factor (EGF) system in the brain has led us to investigate if this system is dysregulated in people with psychotic disorders. From this we hope to gain insight into the pathology of psychotic disorders and develop more effective ways of treating them.

PEOPLE LIKELY TO CHANGE LIVES BY 2035

What’s exciting is that there are drugs being developed now as a result of our work that target that particular muscarinic receptor – they’re probably going to be tested in humans in the next two or three years. These drugs have the potential to improve cognitive impairment, helping with memory, attention and planning.

Professor Ashley Bush won the prestigious 2014 Victoria Prize for Science and Innovation in recognition of his outstanding contribution to translational neuroscience.

SENIOR STAFF

• Professor Kevin Barnham

• Professor Robert Cherny

• Professor Colin Masters

• Professor Ashley Bush

• Professor Brian Dean

• Professor Catriona McLean

• Associate Professor Suresh Sundram •

He is the most cited neuroscientist in Australia and is credited with discovering the importance of metals in degenerative disease, particularly Alzheimer’s. He is actively working to develop improved disease-modifying drugs, as well as being a practising psychiatrist.

Dr Udina Ratnayake was awarded a coveted Victoria Fellowship, taking her to the US to study schizophrenia at Massachusetts Institute of Technology. She is now using a revolutionary technique called CLARITY allowing simultaneous imaging of molecular markers and network structure in the intact brain.

OXIDATION BIOLOGY UNIT

Leaders: Ashley Bush and Professor Robert Cherny

This group has a particular interest in uncovering the pathways that lead to a variety of neurodegenerative diseases, especially those pathways in which metal ions (such as zinc, copper and iron) interact with key target proteins. Studies of these pathways have led to new insights for drug therapies for Alzheimer’s disease and Huntington disease. In association with Prana Biotechnology, further drug developments for Parkinson’s disease are in preclinical development. The Oxidation Biology Unit also contains several laboratories including the Molecular Gerontology Laboratory (Dr Gawain McColl), the Synaptic Neurobiology Laboratory (Dr Paul Adlard), the Parkinson’s Laboratory (A/Prof David Finkelstein) and the Prana Biotechnology Research Laboratory (Prof Robert Cherny).

NEUROPATHOLOGY GROUP

Leader: Colin Masters

Understanding the molecular basis of Alzheimer’s disease is the main focus of this laboratory. We aim to identify the specific conformer of the Aβ amyloid peptide which accumulates in Alzheimer’s disease brain. In both familial early onset Alzheimer’s disease (in which Aβ is over-produced) and in late onset sporadic Alzheimer’s disease (in which Aβ is poorly cleared from the brain), the same underlying process causes the synapses in the brain to degenerate. Based on this knowledge, we are able to seek biomarkers in the CSF and blood and to discover suitable lead compounds which can target the Aβ oligomer itself.

THE AUSTRALIAN BRAIN BANK NETWORK

Leader: Catriona McLean

An essential component of research into both neurodegenerative disorders and psychotic illness is the provision of brain tissue from donors who have suffered from these afflictions. Thus Brain Banking is fundamental to our research programs.

MEDICINAL CHEMISTRY GROUP

Leader: Kevin Barnham

The Barnham Laboratory has expertise in Medicinal Chemistry (in association with Prana Biotechnology) and in biomarker discovery. More recently, it has focussed on the pathways leading to Parkinson’s disease, especially around the oxidative modifications of tau.

The Australian Imaging, Biomarker and Lifestyle (AIBL) Study, the Dementia Collaborative Research Centres (DCRC) and the Cooperative Research Centre for Mental Health (CRCMH)

AIBL, DCRC and the CRCMH are intimately involved in our research programs, relying on patient cohorts for biomarker and imaging discovery in both neurodegenerative and psychotic illness. These consortia involve other groups including Austin Health, Edith Cowan University, National Aging Research Institute, CSIRO, University of Melbourne, University of Western Australia, Mercy Health, Hall and Prior, Cogstate, and Pfizer.

AIBL and the CRCMH have the capacity to generate large data sets, and these are coordinated by Dr Noel Faux working with colleagues at CSIRO. Coordination of biomarkers in the Melbourne node is run by Dr Alan Rembach, the imaging program is directed by Prof C Rowe at Austin Health, and the cognitive stream is coordinated by Prof Paul Maruff at Cogstate.

Clinical research unit (DIAN and A4)

Translation of our research findings into clinical practice will become more important over the next five years, as we move from a series of failed or equivocal phase 3 drug trials sponsored by the pharmaceutical industry. There is now general agreement that these drug trials need to be based at the earliest possible stage of Alzheimer’s disease, hence our participation in the Dominantly Inherited Alzheimer Network (DIAN) and the Anti-Amyloid Treatment in Asymptomatic Alzheimer’s disease (the A4 study). These two pre-clinical trials are designed to administer drugs in the preclinical phases of both familial and sporadic Alzheimer’s disease. They are being coordinated by Dr Maree Mastwyk and Ms Lesley Vidaurre and are currently recruiting.

The NHMRC program in neurodegenerative disease

Also involves collaborators at the University of Melbourne: Prof Andrew Hill (Biochemistry and Molecular Biology), Prof Roberto Cappai (Pathology), Prof Steven Collins (Pathology) and Prof Anthony White (Pathology).

MOLECULAR

PSYCHIATRY GROUP

Leader: Brian Dean

Our group seeks to identify the changes in gene expression that contribute to the onset of schizophrenia, bipolar disorder, major depressive disorder and suicide. Our approach is based on the understanding that clinically definable psychiatric disorders occur in people with a genetic predisposition who have encountered as yet unknown environmental factors. This interaction between genes and environment is then known to affect gene expression by a variety of epigenetic mechanisms. As psychiatric disorders primarily affect the human CNS we have a strong focus on studying gene expression in the CNS of people with psychiatric disorders and those who have died by suicide. On identifying changes in gene expression we then use an array of animal and cellular models to better understand the mechanisms that have brought about such a change in expression in the human CNS.

Unlike some neurodegenerative disorders, some drugs have been developed that can be used to treat the symptoms in some people with psychiatric disorders, albeit with varying success. Therefore our group also seeks to understand the mechanisms of action of such drugs, which in the main remain obscure.

The major goal of the group, through the study of the pathophysiology of psychiatric disorders and suicide, as well as the mechanisms of action of psychotropic drugs, is to generate information that may point to new potential drug targets that will either improve outcomes in currently treatment responsive treatment and / or lead to the development of drugs that will be effective in currently treatment resistant people.

Importantly, our group has formed a seamless collaboration with the psychiatric neuropathology laboratory headed by Associate Professor Elizabeth Scarr and with the laboratory of Professor Ian Everall, both at the University of Melborune, to form the Parkville Psychoses group. This grouping ensures we have a coordinated approach to understanding how changes in gene expression in human can cause psychiatric disorders.

MOLECULAR PSYCHOPHARMACOLOGY AND NORTHERN PSYCHIATRY RESEARCH CENTRE

Leader: Suresh Sundram

The Molecular Psychopharmacology laboratory is dedicated to understanding the molecular pathology of psychotic disorders such as schizophrenia, bipolar disorder and major depression. It aims to develop better and more effective markers and interventions for these illnesses. We do this by investigating how psychotropic

THE FLOREY INSTITUTE OF NEUROSCIENCE & MENTAL HEALTH ANNUAL REPORT 2014 THE FLOREY INSTITUTE OF NEUROSCIENCE & MENTAL HEALTH ANNUAL REPORT 2014 66 67

medications and drugs interact with receptors and intracellular signalling mechanisms in nerve cells (neurons).

The understanding gained from this work can then be tested in clinical populations through the Northern Psychiatry Research Centre (NPRC) leading to the development of new treatments and markers. Moreover, the NPRC can collect clinical material and biological samples that can be examined in the laboratory to better understand these disorders.

CLINICAL RESEARCH GROUP

Leader: Dr Alan Rembach (until November 20, 2014) and Dr Christopher Fowler

The Clinical Research Group (CRG) collects research data and stores biospecimens from human participants involved in neurodegeneration and healthy ageing studies.

The multi-disciplinary team includes biomarker researchers, neuropsychologists, research nurses, neuro imaging specialists and bioinfomaticians.

The group is currently involved in:

ҩ Australian Imaging, Biomarkers and Lifestyle (AIBL) Flagship Study of Ageing;

ҩ AIBL Active (exercise intervention trial)

ҩ the CRC for Mental Health

ҩ the Dementia Collaborative Research Centre (DCRC) - Early Risk Diagnosis and Prevention.

ҩ the Dominantly Inherited Alzheimer’s Network (DIAN) study;

ҩ the Rates of Change in Cognition (ROCS) study;

ҩ the Older Australian Twin Study (OATS);

ҩ the Woman’s Healthy Aging Project (WHAP);

ҩ the A4 study.

Translation of our research findings into clinical practice will become more important over the next five years, as we move from a series of failed or equivocal phase III drug trials sponsored by the pharmaceutical industry.

There is now general agreement that these drug trials need to be based at the earliest possible stage of Alzheimer’s disease, hence our participation in the Dominantly Inherited Alzheimer Network (DIAN) and the Anti-Amyloid Treatment in Asymptomatic Alzheimer’s disease (the A4 study). These two pre-clinical trials are designed to administer drugs in the preclinical phases of both familial and sporadic Alzheimer’s disease.

NORTHERN PSYCHIATRY RESEARCH CENTRE

PERSONNEL AND COLLABORATIONS

ҩ Head: Associate Professor Suresh Sundram MBBS, MMed, FRANZCP, PhD

ҩ Senior research physician: Dr Russell D’Souza MPM, MD

ҩ Research coordinator: Fiona Bole RN

ҩ Research nurse: Sumathy Sathiyamoorthy RN (Div II)

ҩ Research physicians: Dr Rohit Lodhi MD, MRCPsych, FRANZCP and Dr Manish Sharma MD

ҩ PhD student: Jody Stanley

ҩ Postgraduate students: Daniel Bennett and Amy Dluzniak

ҩ Advanced medical sciences (AMS) student: Zexi Allan

COLLABORATIONS

ҩ Professor Michael Berk (The University of Melbourne)

ҩ Dr Olivia Carter (The University of Melbourne)

ҩ Dr Gursh Chana (The University of Melbourne)

ҩ Dr Peter Crouch (The University of Melbourne)

ҩ Professor Brian Dean (Mental Health Research Institute)

ҩ Dr Seetal Dodd (The University of Melbourne)

ҩ Professor Ian Everall (The University of Melbourne)

ҩ Dr John Farhall (La Trobe University)

ҩ Ms Marnie Graeco (Northern Hospital)

ҩ Professor Brenda Happell (Central Queensland University)

ҩ Ms Alison Harrington (Northern Area Mental Health Service)

ҩ Dr Alexander Holmes (The University of Melbourne)

ҩ Dr Ana Hutchinson (Northern Clinical Research Centre)

ҩ Dr Nigel Jones (The University of Melbourne)

ҩ A/Professor Gerard Kennedy (Victoria University)

ҩ Dr Ken McAnally (Defense Science Technology Organization)

ҩ Professor Ralph Martins (Edith Cowan University)

ҩ Professor Terence O’Brien (The University of Melbourne)

ҩ Dr Meaghan O’Donnell (The University of Melbourne)

ҩ Dr Elizabeth Scarr (The University of Melbourne)

ҩ Dr Elizabeth Thomas (Scripps Institute, USA)

ҩ Professor Cyndi Shannon-Weickert (Neurosciences Australia)

ҩ Dr Anthony White (The University of Melbourne)

A QUICK SNAPSHOT

CLINICAL DISCOVERY UNIT

2014 was another productive year for the partnership between the Clinical Discovery Unit and the IMPACT Strategic Research Centre at Deakin University. The quality and quantity of our research output continues to grow with 145 (plus potentially more to be added) publications in 2014 including a number of high impact publications in the top journals in the field, including Molecular Psychiatry, Lancet Psychiatry, The American Journal of Psychiatry and The British Journal of Psychiatry.

OUR FUNDING

The unit is supported by a number of funding bodies. These include a NHMRC senior principal research fellow, three NHMRC project grants, NHMRC Targeted Call for Research grant, NHMRC CRE, CRC grant, one NIH R34 grant, two Stanley Medical Research Institute grants, a Simons Autism Foundation grant, two Rotary Health Grants and a National Natural Science Foundation of China grant.

RESEARCH HIGHLIGHTS

The principal research focus of the unit is the discovery and implementation of novel therapies. The enduring partnership between the Florey and the IMPACT Strategic research centre continues actively. Following on our early projects showing the efficacy of N-acetyl cysteine in schizophrenia and bipolar disorder, we have recently published two studies showing the efficacy of N-acetyl cysteine in depression, as well as in smoking cessation. A large number of follow-on studies of N-acetyl cysteine are planned and will be submitted to the current NHMRC funding round. Together with the CRC for Mental Health we continue to leverage the new understanding that bipolar disorder is associated with fundamental dysregulation in mitochondrial energy generation. We are completing a first-in-kind study of mitochondrial agents in the treatment of bipolar depression. In all of these studies, we aim to look at biomarker mediation and moderation to explore target engagement. This approach is concordant with the NIH mandated RDoC philosophy.

The SRC continues to develop strong collaborative links with health service providers including: Barwon Health; research centres within Deakin including PRADA, Centre for Molecular and Medical Research, Centre for Mental Health and Wellbeing, Centre for Science, Engineering and Built Environment and Deakin Population Health; and multiple international partners in countries including the US, Brazil, Denmark, Portugal, Canada, Thailand, Spain and China. We would like to thank Deakin University and Barwon Health for their continuing support.

THE FLOREY INSTITUTE OF NEUROSCIENCE & MENTAL HEALTH ANNUAL REPORT 2014 THE FLOREY INSTITUTE OF NEUROSCIENCE & MENTAL HEALTH ANNUAL REPORT 2014 68 69

PSYCHOTROPIC DRUG ADVISORY SERVICE

The Psychotropic Drug Advisory Service (PDAS) is an independent source for information on medicines used to treat mental illnesses and other drugs that affect the way we think, feel and behave. Service users include public mental health services, individuals, medical practitioners, health care professionals, mental health care support organisations and their staff, carers and consumers. Though predominantly telephone based, the service is also accessed via email and facsimile. The service responds to approximately 2000 enquiries each year. Associate Professor Suresh Sundram heads the unit and provides clinical support to pharmacist Christine Culhane who manages the service. We would like to take the opportunity to thank Professor Nicholas Keks for his long involvement as head of the unit and as an ongoing clinical support. Funding is provided by the Department of Human Services Victoria, Mental Health Division and is auspiced to the Mental Health Research Institute.

HIGHLIGHTS

Each year many people, young and old, are diagnosed with a mental illness. For some, psychosocial interventions adequately control their symptoms. Others will require biological treatments which include medications. Many do not fully understand the implications of the treatments or their role in managing their disorder despite the provision of this information by their prescriber or other healthcare professionals. Others wonder about what to expect from their medication: their benefits, side effects and the possibility of interactions with other medications they may be taking. This service provides a forum for discussion of prescribed medication that is timely and tailored to the needs of the caller. People have the opportunity to talk about their medication concerns in a confidential setting and receive current information.

This is also an important service for carers of people with a mental illness who are concerned about the effects of these drugs on the person with the illness. The service can answer the questions of carers regarding the potential benefits of medications, adverse effects, safety and tolerability and possible interactions with other medications. Enquiries from the general public are nearly half of those recorded by the service.

A range of health care professionals also utilise this service: psychiatrists, other medical practitioners, health care professionals including nurses, pharmacists, psychologists and dieticians, as well as researchers. Electronic databases allow many professionals to research some of their own queries making their calls to PDAS when the clinical situation is complex or to gain extra insights when there are new medications or other complications involved. The provision of this information to service providers allows them to best manage the changing needs of their clientele.

This service also provides vital information for practitioners and consumers who reside or practice in rural or remote communities as they may not have the immediate resources to provide this extra information.

PRESENTATIONS

Presentations to both professional and consumer groups are also part of the work undertaken by the service.

Presentations have been requested by and provided to a number of professional and lay audiences. Christine has ongoing involvement with The Delmont Hospital Psychopharmacology Master classes with Professor Nicholas Keks and Dr Judy Hope. These forums are held twice each year to update the knowledge of practicing psychiatrists and trainees. Tutorials and online discussions for undergraduate and post graduate pharmacists have also been provided.

Christine has also been to a number of carer and consumer support organisations to provide information on medications in a patient sensitive forum.

PROFESSIONAL DEVELOPMENT

The Psychotropic Drug Advisory Services provides a much needed source of specialised information to the broader mental health community in Victoria. Its value is measured by consistency of enquiry numbers and timeliness of responses.

In order to provide the best available information, professional development activities are undertaken including the requirements for continued registration as a pharmacist as well as attending psychiatry and pharmacy specific congresses and symposia.

VICTORIAN BRAIN BANK NETWORK

A LITTLE ABOUT US

The Victorian Brain Bank Network collects, processes and stores post-mortem human brains and related samples from individuals who have had neurological diseases (e.g. Alzheimer’s disease, motor neurone disease and Parkinson’s disease), psychiatric disorders (e.g. bipolar mood disorder, depression and schizophrenia) as well as normal ‘control’ cases. We facilitate research into the study of brain diseases by providing tissue to researchers who aim to unlock our understanding of how brain diseases occur. This will lead to improvements in diagnosis, early diagnostic tests, therapeutic interventions and ways to prevent brain disease.

We provide a vital and unique neuropathological diagnostic service that confirms a ante-mortem clinical diagnosis, increases clinicians’ awareness and understanding of atypical presentations of certain brain diseases, confirms a diagnosis for donor families, in whom neurological disease may have hereditary or familial association and may be at risk of developing the disease, generates pathological description of brain diseases and advances knowledge of some brain pathologies, thus providing a powerful tool for education and research and importantly, this service is relied on for the validation of research studies.

ACKNOWLEDGMENT

We would like to acknowledge the generosity shown by the donor and donor families in donating tissue to the brain bank. It is an act of great foresight and kindness to give at a time of loss, so that others may be helped in the future. The clinicians and researchers who benefit from these donations are very grateful to the donors and their families who support them in these decisions.

We would like to acknowledge the support of the following funeral directors, Bethel, Jensen, Allison Monkhouse, Le Pine, Nelson Brothers, Tobin Brothers and WD Rose & Joseph Allison who provide metropolitan transfers for tissue retrieval at no cost to the brain bank.

HEAD

Professor Catriona A McLean BSc, MBBS, FRCPA, MD, FFSc (RCPA)

DIRECTOR

Professor Brian Dean HND ApplBiol, MSc, PhD, Fl Biol

HIGHLIGHTS

BRAIN AND BRAIN/ SPINAL CORD DONATIONS

The brain bank has a total of 1,050 cases available for research, with 59 new donations received in 2014. The new donations included cases diagnosed with Alzheimer’s disease, Frontotemporal dementia, Huntington’s disease, Lewy body disease, motor neurone disease, multiple sclerosis, Parkinson’s disease, schizophrenia, and control ‘normal’ cases.

TISSUES PROVIDED TO RESEARCHERS

During 2014, we provided tissue to 47 Australian and international new or continuing research projects, with the main research focus being Alzheimer’s disease, motor neurone disease, schizophrenia and bipolar disorder. This equates to 3,199 diseased and ‘control’ samples being provided to researchers.

Research groups at the Florey are among the recipients of this tissue as well as research groups at Monash University, The University of Melbourne, La Trobe University, University of Wollongong NSW, Lund Univeristy Sweden, Chungbuk National University Korea and Kyungpook National University Korea.

During 2014 research using tissue from the brain bank resulted in 50 Australian and International publications and presentations.

NEW FUNDING OBTAINED

Parkinson’s Victoria $7,500 (2014) In memoriam donations $1,033

SENIOR STAFF

CONSULTANTS

Professor Colin Masters BMedSc (Hons), MBBS, MD, HonDLitt WAust, FRCPath, FRACPA, FAA, FTSE

Associate Professor Suresh Sundram MBBS, MMed, FRANZCP, PhD

COLLABORATIONS

COORDINATOR

Ms Fairlie Hinton

RESEARCH ASSISTANT

Mr Geoff Pavey BSc (Hons)

CONSULTANT HISTOLOGIST

Dr Ian Birchall BAppSc, MSc, PhD

• Laboratory Manager and Mortuary Technicians, The Alfred • Pathologists and Mortuary Technicians at the Victorian Institute of Forensic Medicine • Ballarat Health Services, Bendigo Health, Royal Hobart Hospital and Launceston General Hospital • Transplant and Family Liaison Coordinators at the Donor Tissue Bank of Victoria •

THE FLOREY INSTITUTE OF NEUROSCIENCE & MENTAL HEALTH ANNUAL REPORT 2014 THE FLOREY INSTITUTE OF NEUROSCIENCE & MENTAL HEALTH ANNUAL REPORT 2014 70 71

MULTIPLE SCLEROSIS

Leader: Professor Trevor Kilpatrick

A QUICK SNAPSHOT

Multiple Sclerosis is the commonest neurodegenerative disease affecting young adults in our community. It is a complex disease that involves disrupted interactions between the immune and nervous system, resulting in the demyelination and loss of nerve cells. Our division focuses on novel ways to manipulate immune activation and to protect the nervous system to limit this damage as well as to develop new ways to repair damage.

RESEARCH HIGHLIGHT

A major highlight of our work in 2014 was the discovery by Dr Toby Merson and his team that different types of nervous system precursor cells remyelinate the brain in different ways in response to a demyelinative insult. This result indicates that it is now critically important to interrogate the functional consequences of these differences and, therefore how the differences influence the extent of recovery and to determine how the differences can be exploited for therapeutic benefit.

AN IDEA LIKELY TO CHANGE LIVES BY 2035

We aim to identify and use novel treatments to prevent patients from developing progressive multiple sclerosis.

RESEARCH OVERVIEW

Multiple sclerosis has a variable course, with outcomes ranging from negligible to severe disability. Both the cause of the disease and the determinants of disease severity remain uncertain. The MS division, with strong collaborative interaction extending into the University of Melbourne and the Royal Melbourne Hospital, is adopting a multifaceted approach to researching the disease. Our approach focuses on understanding the genetic determinants and molecular drivers of MS. Our laboratory work has provided novel and important insights into how to promote nervous system repair, in particular remyelination; this understanding has been assisted via our research that has focussed on how myelinating cells and their precursors behave during both development and in the healthy adult, as well as in disease. Our work has also provided important insights into how the immune cells in the brain interact with the myelinating cells during disease, thereby identifying approaches that have therapeutic potential.

Our work has identified novel ways to reduce the burden of MS by either protecting the nervous system from damage or by promoting its repair.

SENIOR STAFF

• Prof Trevor Kilpatrick

• Dr Ben Emery

• Dr Michele Binder

• Dr Toby Merson

• Dr Judith Field

• Dr Andrew Fox • KEY COLLABORATORS

FROM THE UNIVERSITY OF MELBOURNE:

• Dr Holly Cate

• Dr Simon Murray

• Dr Junhua Xiao

• Dr Scott Kolbe

• A/Prof Helmut Butzkueven

• Dr Tomas Kalincik

• A/Prof Owen White

We continue to focus on how our preclinical work can be translated into the clinical environment for it to directly benefit people with MS. With this in mind, we continue to collaborate actively with colleagues throughout Australia to interrogate the genetics, epidemiology and pathogenesis of MS, in this way clarifying that our laboratory results are directly pertinent to the human disease.

During 2014 we have also developed a collaborative interaction with the Monash Institute of Pharmaceutical Sciences in order to scope the feasibility of developing therapeutic approaches targeting the activity of key molecular drivers of demyelinating disease that we have identified. Our collaborative work focusing on patients at the Royal Melbourne and Box Hill hospitals has also allowed us to develop new paradigms by which to assess the severity of the disease, which includes approaches focusing on imaging, eye movements and novel biomarkers in blood. These developments are important preambles to approaches that will ultimately focus on assessing the efficacy of new treatment paradigms involving either neuroprotection or remyelination.

OLIGODENDROCYTE BIOLOGY AND NEURONAL-GLIAL INTERACTIONS GROUP

Leader: Toby Merson

The Merson laboratory investigates the life cycle of myelinating glial cells in the nervous system, in particular how they are generated during development, how they are regenerated after injury and their role in supporting the function of axons.

Research highlights for 2014

Research in the Merson laboratory has revealed the major contribution made by neural precursor cells (NPCs) during oligodendrocyte regeneration following demyelination of CNS white matter. PhD student Lulu Xing has demonstrated that neural precursor cells (NPCs) that are normally involved in the production of neurons in the adult brain are recruited in large numbers into demyelinated white matter. Published recently in the Journal of Neuroscience we revealed that NPCs produce large numbers of oligodendrocytes that remyelinate broad territories of demyelinated white matter. In anterior regions of the brain the contribution made by NPCs exceeds that by oligodendrocyte progenitor cells (OPCs), cells previously attributed as the principal cell type responsible for myelin regeneration. We also made the important discovery that the quality of myelin made by oligodendrocytes depends upon the progenitor source. Remarkably, NPC-derived myelin is thicker than that produced by white matter OPCs and more closely reflects healthy myelin. These findings suggest that the cellular and molecular processes leading to regeneration of myelin from NPCs could result in better restoration of function to demyelinated axons than can be achieved by OPCs.

Research conducted by PhD student Philipp Röth has further clarified the mechanisms underlying the generation and organisation of oligodendrocytes in white matter. Developmental analyses have revealed that postnatal myelination is preceded by the emergence of linear arrays of oligodendroglia whose cell bodies align with the axis of nerve fibre tracts. We have shown that complex cellular dynamics underlie linear array formation and that these mechanisms are largely reinstated during the process of remyelination. The work has stimulated us to rethink how myelination and neuronal activity could be coordinately regulated. The topographical organisation of oligodendrocytes into the glial networks that we have described, potentially explain how signals emanating from axons and acting upon single oligodendroglia could become amplified to facilitate broad-scale regional changes in myelination.

Many oligodendrocytes that regenerate following experimental demyelination are born in the neural stem cell niche of the adult brain. Green cells depicted in the image derive from neural precursor cells (NPCs) born in the subventricular zone (SVZ) of the adult mouse brain. After demyelination newborn oligodendroglia generated from the NPC lineage are visualised as white oligodendrocyte progenitor cells (magenta+green) and yellow oligodendrocytes (red+green).

Awards and research grants

PhD student Lulu Xing was awarded a Life Technologies/Florey Student Travel Prize and Melbourne Abroad Travelling Scholarship to attend the Cold Spring Harbor Laboratories Meeting on Glial Cells in Health and Disease. Lulu’s abstract was selected for oral presentation at the meeting. PhD student Philipp Röth was awarded a travel grant from the French Multiple Sclerosis Research Foundation (ARSEP) to undertake a two-month research project in the laboratory of Prof. Catherine Lubetzki at L’Institut du Cerveau et de la Moelle Épinière, Hôpital de la Salpêtrière, Paris. This cemented an emerging collaboration between the laboratories of Dr Merson and Prof. Lubetzki. During his stay Philipp learned techniques to enable long-term slice culture and real-time imaging of myelination in vitro. Applying this technique in Melbourne will allow him to pursue exciting new approaches to examine oligodendrocyte development in real time.

Dr Merson was the recipient of the following research grants in 2014:

ҩ NHMRC project grant: Prevention of axonal pathology in early Multiple Sclerosis (APP1066199). TD Merson, TJ Kilpatrick; $655,558; 2014-16.

ҩ NHMRC project grant: Functional Neurogenesis in the Injured Neocortex of the Nonhuman Primate (APP1057698). Bourne JA, Merson TD, Young KM; $935,558; 2014-16.

ҩ CASS Foundation project grant: A new approach to prevent loss of neuronal function in Multiple Sclerosis. Merson TD; $48,000; 2014.

MYELIN DEVELOPMENT AND ITS APPLICATION TO DEMYELINATING DISEASE GROUP

Leader: Ben Emery

The Emery laboratory focuses on understanding the key events that regulate the expression of myelin genes. In particular, the laboratory is focusing on a gene known as Myelin Regulatory Factor (Myrf) that Ben Emery and his collaborators have previously discovered to be vital for the generation of myelin during development.

Research highlights for 2014

We recently published the finding that Myrf is a novel example of a membrane-associated transcription factor, requiring a cleavage event to free it from the membrane and enable it to function as a transcription factor. Using ChIP-Seq techniques we were able to map the binding

Visualisation of linear glial cell arrays within the white matter of a juvenile mouse brain. Contrary to the commonly held view, these linear arrays are comprised of various glial cell types. Oligodendrocytes, identified by their green Sox10 expressing nuclei, are most abundant. But astrocytes are also present within these liner arrays, visualised here by expression of the glial fibrillary acidic protein (GFAP, red).

THE FLOREY INSTITUTE OF NEUROSCIENCE & MENTAL HEALTH ANNUAL REPORT 2014 THE FLOREY INSTITUTE OF NEUROSCIENCE & MENTAL HEALTH ANNUAL REPORT 2014 72 73

of the activated transcription factor to the genome, thus identifying the genes that it targets to promote myelination.

These findings were published in the prestigious journal Plos Biology, back-to-back with the complementary findings of another group. Another 2014 highlight was a collaboration with Prof Bill Richardson’s laboratory at University College London, who have used our mice as a tool to demonstrate that ongoing myelination in the adult brain is required for types of motor learning (published in Science). Our current research is focussing on trying to understand how to stimulate both the expression and activity of Myrf to promote myelin repair in human diseases.

NEUROIMMUNOLOGY GROUP

Trevor

We continue to study an important set of three receptors (the TAM family) that is expressed on both immune cells and oligodendrocytes in the brain and which influence both the susceptibility to and the severity of demyelinating disease. We are currently exploring how these receptors and their ligands influence cellular behaviour in order to both limit the extent of demyelination and enhance the capacity for remyelination.

Research highlights for 2014

We recently published the finding that Myrf is a novel example of a membrane-associated transcription factor, requiring a cleavage event to free it from the membrane and enable it to function as a transcription factor. Using ChIP-Seq techniques we were able to map the binding of the activated transcription factor to the genome, thus identifying the genes that it targets to promote myelination. These findings were published in the prestigious journal Plos Biology. Our prior research in this area identified that animals deficient in one of the TAM ligands (Gas6) exhibit worse disease when demyelination within the nervous system is induced.

Work currently being undertaken by PhD students, Gerry Ma and Rainer Akkermann is exploring how this occurs; in particular, whether TAMs exert their beneficial effects by influencing immune cell activation in the periphery or within the central nervous system, and which of the three receptors is predominantly responsible for exerting each of these effects. We have found that one of these receptors

influences cells that are critical regulators of antigen presentation and, in consequence that it is an important regulator of autoimmune inflammatory demyelination. A second receptor in this family has been shown to directly influence the capacity of oligodendrocytes to myelinate neurones. We have shown that the expression of one of the key ligands of these receptors is supressed in a subset of patients with multiple sclerosis and that it could serve as a severity marker of the disease. We are currently also exploring strategies that involve modulation of TAM receptor activity to determine whether this might be a viable strategy to limit disease severity.

MS GENETICS GROUP

Leader: Judith Field

Dr Judith Field and colleagues continue to focus on key genes that have recently been implicated in the susceptibility to multiple sclerosis. Particular areas of interest include understanding how these genes function, whether perturbations in particular genes might define subsets of people with MS and whether these or other genes are also important determinants of disease severity. In 2014 the work has also extended, in collaboration with Dr Andrew Fox, to establishment of ways to identify the signatures of gene methylation that are expressed by particular subsets of immune cells isolated from whole blood which are key determinants of molecular expression and to determine how these signatures are influenced by MS.

Research highlights for 2014

Research into the genetic contribution to the development of MS within the Multiple Sclerosis Division continues in collaboration with the ANZgene Consortium. Our work also continues to refine the genetic risk association within the TAM receptor gene MERTK, and also the role that the TAM genes play in demyelinating disease. Importantly, the genetic changes in MERTK that lead to increased risk of developing MS have also been shown to influence the level of the MERTK gene in key immune cells in the blood.

This work has allowed us to identify gene expression and protein expression changes of potential functional significance, including the CD40 costimulatory molecule, which is expressed on both lymphocytes and monocytes as well as their progeny and which is likely to be key to the pathogenesis of MS.

Promotion of myelination in cell culture. Dorsal root ganglion neurons were isolated from one day-old Sprague-Dawley rats and cultured for 14-21 days. Oligodendrocyte precursor cells were then isolated from 5 day-old C57Bl/6 mice and grown on top of the neurons for 14 days to allow these cells to differentiate into mature oligodendrocytes and produce myelin sheaths that wrap the axons of the neurons. The cells were fixed and subsequently stained for Myelin Basic Protein (red) and Neurofilament (green) to highlight the myelin sheaths and axons, respectively.

OLIGODENDROCYTE BIOLOGY AND NEURONAL-GLIAL INTERACTIONS GROUP

EDITORIAL POSITIONS

ҩ Editorial board of Frontiers in Neuroanatomy, International Journal of Stem cell Research & Therapy; Journal of Stem Cell Research & Regenerative Medicine.

MAJOR NATIONAL AND INTERNATIONAL CONFERENCES 2014

PRESENTER

ҩ Merson TD. “The role of remyelination in progressive MS”. 7th Congress of the Pan-Asian Committee for Treatment and Research in Multiple Sclerosis (PACTRIMS). Nov 6-8, 2014; Taipei, Taiwan. (Invited platform presentation)

ҩ Merson TD. “Stem Cells in Multiple Sclerosis and Neurological Disease”. MS Research Australia/NSW Stem Cell Network joint workshop May 28, 2014; Sydney, NSW. (Invited oral presentation)

ҩ Xing YL, Röth PT, Stratton JAS, Ellis SL, Chuang BHA, Ng SW, Kilpatrick TJ and Merson TD. “Myelin regeneration by precursor cells in the adult central nervous system” ComBio Meeting, 28th Sept – 2nd Oct 2014; Canberra, Australia. (Invited symposium presentation)

ҩ Xing YL, Röth PT, Stratton JAS, Chuang BHA, Ng SW, Kilpatrick TJ, Merson TD. “Adult neural precursor cells from the subventricular zone contribute significantly to oligodendrocyte regeneration and remyelination”. 34th Annual Meeting of the Australian Neuroscience Society, 28th-31st January 2014; Adelaide, Australia. (Invited symposium presentation)

ҩ Merson TD, Chuang BHA, Kilpatrick TJ, Röth PT. “Cellular dynamics underlying the generation of linear arrays of oligodendrocytes in CNS white matter”. 44th Annual Meeting of the Society for Neuroscience, 15th-19th November 2014; Washington, DC, USA. (Poster presentation)

ҩ Xing YL, Röth PT, Stratton JAS, Ellis SL, Chuang BHA, Ng SW, Kilpatrick TJ, Merson TD. “Neural precursor cells outcompete oligodendrocyte progenitor cells to remyelinate broad regions of the rostral corpus callosum” Glia in Health & Disease - Cold Spring Harbor Laboratory, July 17-21, 2014; New York, USA. (Selected for oral presentation)

ҩ Röth PT, Stratton JAS, Xing YL, Chuang BHA, Kilpatrick TJ, Merson TD. “The cellular mechanisms underlying the generation of oligodendrocyte linear arrays in white matter”. 9th FENS Forum of Neuroscience, July 5-9, 2014; Milan, Italy. (Poster presentation).

COLLABORATIONS

ҩ A/Prof. James Bourne (Australian Regenerative Medicine Institute, Monash University)

ҩ Dr Kaylene Young (Menzies Research Institute for Medical Research, University of Tasmania)

ҩ Prof James Wiley and Dr. Ben Gu (Florey Institute of Neuroscience and Mental Health)

ҩ Prof Linda Richards (Queensland Brain Institute, University of Queensland)

ҩ Prof Bill Richardson (University College London, UK)

ҩ Prof Catherine Lubetzki (L’Institut du Cerveau et de la Moelle Épinière, Hôpital de la Salpêtrière, Paris.

NEUROIMMUNOLOGY GROUP

EDITORIAL POSITIONS

ҩ Therapeutic Advances in Neurological Disorders (International Journal) (2008-)

ҩ Experimental Neurology (International Journal) (2011-)

MAJOR NATIONAL AND INTERNATIONAL CONFERENCES 2014

TREVOR KILPATRICK

ҩ Invited plenary speaker at ANS 2014 – Lawrie Austin Lecture, Adelaide, February 2014

ҩ Invited speaker at the 11th World Congress of the Society for Brain Mapping and Therapeutics 2014, Sydney, March 2014.

ҩ Invited speaker at the endMS Research and Training Network, Alberta, Canada, April 2014

ҩ Invited speaker at Department of Clinical Neurosciences, University of Calgary, Canada, April 2014.

ҩ Invited speaker at 20th Stem Cell Network Workshop, ‘Stem Cells in Multiple Sclerosis and Neurological Disease’. Sydney, May 2014.

ҩ Invited keynote speaker at The University of Queensland, Advanced Imaging in MS Meeting, Brisbane June 2014.

ҩ Invited speaker at the Neuropsychiatric Diseases Symposium 2014, Monash Institute of Pharmaceutical Sciences, Monash University, Melbourne, August 2014.

ҩ Invited speaker at John Curtin School of Medical Research Seminar Series, ANU, October 2014.

ҩ Invited Chair of ‘MS Genetics’ session at PACTRIMS Taiwan, November 2014.

COLLABORATIONS

ҩ Greg Lemke, The Salk Institute for Biological Studies.

ҩ Jonathan Baell, Monash Institute of Pharmaceutical Sciences.

MS GENETICS GROUP

COLLABORATIONS

ҩ Assoc Prof Helmut Butzkueven, Department of Medicine, University of Melbourne

ҩ Assoc Prof David Booth, University of Sydney

ҩ Prof Jim Wiley, Florey Institute of Neuroscience and Mental Health

ҩ ANZgene Consortium

ҩ The International Multiple Sclerosis Genetics Consortium

ҩ Phil Hodgkin, The Walter and Eliza Hall Institute of Medical Research.

THE FLOREY INSTITUTE OF NEUROSCIENCE & MENTAL HEALTH ANNUAL REPORT 2014 THE FLOREY INSTITUTE OF NEUROSCIENCE & MENTAL HEALTH ANNUAL REPORT 2014 74 75

I’m driven by a lifelong curiosity to understand how the nervous system works. Designing experiments to uncover the brain’s hidden mechanisms is a gratifyingly creative process. Then there’s the thrill of seeing your hypothesis finally come to light. Sometimes months of work culminate in the blazing reality of seeing something down the microscope for the first time. This always brings a sense of excitement and anticipation. Sometimes this stirs delight, sometimes surprise and, at other times, angst. Sharing this process of discovery with a team of likeminded students and colleagues is wonderfully motivating. I consider it a great privilege to be able to make this my career.

THE FLOREY INSTITUTE OF NEUROSCIENCE & MENTAL HEALTH ANNUAL REPORT 2014 THE FLOREY INSTITUTE OF NEUROSCIENCE & MENTAL HEALTH ANNUAL REPORT 2014 76 77
Dr Tobias Merson Lab Head, Multiple Sclerosis Division.

NEURODEGENERATION

Leader: Professor Phil Beart

A QUICK SNAPSHOT

Scientists in the Neurodegeneration division interrogate how neurones live, die and can be rescued to improve brain function in degenerative conditions such as Parkinson’s and Motor Neuron Diseases. There is no effective treatment for Motor Neurone Disease (MND) and the incidence of Parkinson’s disease (PD) is rising alarmingly in our aging community. Gene abnormalities, energy deprivation, toxic rubbish accumulation and inflammation all contribute to a toxic environment for brain cells. Our teams study these events in animal models and cultured cells, with a view to translating knowledge into new therapies for human patients.

RESEARCH HIGHLIGHT

The brain contains much more than neurones and injury is followed by an inflammatory response that involves a population of glial cells, astrocytes, which proliferating locally and becoming reactive. This process is defensive and subsequently the astrocytic response supports repair and reconstruction of circuitry. Persistence of astrocytes in the “defensive” mode, often called glial scarring, limiting functional recovery. Scientists in our team have exciting signposts on how astrocytes can be persuaded to adopt a healthy phenotype supportive of the regenerative phase. Mature astrocytes maintained on 3 dimensional, engineered bioscaffolds display a healthy phenotype characterized by elevated trophic and anti-oxidant mechanisms, and display a stellated in vivo morphology. This technology and its application has potential uses in many brain pathologies. Ongoing work applies neuro-bioengineering to various cell types as a strategy to prevent damage spread in stroke, Parkinson’s disease and traumatic brain injury.

SENIOR STAFF

• Professor Philip Beart• Professor Malcolm Horne

• Associate Professor Clare Parish • Dr Lachlan Thompson

• Dr Tim Aumann • Dr Wah Chin Boon • Dr Brad Turner • “

Our research has identified the putative “infectious particle” in MND, and we have imaged for the first time microscopic particles released by motor neurones, called exosomes, which may be responsible for intercellular spread of misfolded, toxic proteins in MND. Importantly, blocking these particles with antibodies halts the spread of misfolded proteins between cells, raising hope that this approach could potentially halt MND in its tracks. ”

AN IDEA LIKELY TO CHANGE LIVES BY 2035

Plasticity of adult neurones continues to attract attention as Australian society ages. Florey scientists have evidence that the number of brain cells increase or decrease following drug administration and environmental stimulation in adult mice. New work with post-mortem human brains of people who died in mid-summer (long days) or mid-winter (short days) shows there were appreciably more dopamine neurones in summer than winter in the human midbrain. The adult human brain is far more adaptable than previously thought, and given that dopamine is a “feel good” chemical, this might explain why our mood is elevated during summer. Environmental stimulation offers a unique way of keeping our brain healthy.

HIGHLIGHTS FOR 2014

Lachlan Thompson and Clare Parish continue to advance their impressive work on stem cell-based therapies for brain repair and recently have been investigated the capacity of neurones generated from human stem cells to survive and integrate after transplantation into the stroke-damaged brain. Not only do these neurones survive, but they are capable of an extensive degree of growth, including the re-formation of long-distance pathways related to motor circuitry. Furthermore, the stem cell grafts also protect the host brain against the progressive degeneration that can result from an acute injury such as stroke. Thus the therapeutic strategy of stem cell grafting may have a neuro-protective benefit in addition to regenerative value by replacing pathways lost to injury.

Brain plasticity remains a topic of great interest and Tim Aumann and his team have continued their work on the plasticity of neurones and its relevance to the human brain. They recently analysed adult human brains of people who died in mid-summer (long days) or mid-winter (short days) and found four times more dopamine neurones in summer than winter in the human midbrain. Clearly the adult human brain is more adaptable than previously thought, and our environment can alter the amount of dopamine in our brains. These findings support their hypothesis that the number of neurones exhibiting a particular neurochemistry is changing constantly depending upon our environment. Environmental enrichment works in many animal models of human neuropathology, so this new insight supports efforts to understand how neuronal chemistry can be manipulated to benefit function in various disorders, including Parkinson’s disease.

Sex hormones such as oestrogens and androgens also exert local effects by modulating neuronal function and Wah Chin Boon has shown the key enzyme, aromatase, is discretely localized in limbic brain regions involved in overt behaviours. Malcolm Horne continues his translational success with the Parkinson’s Kinetigraph system for measuring the motor symptoms, and disorders of sleep and impulse control in Parkinson’s disease. This development is now in routine clinical use in some 40 major Parkinson’s centres in Europe, Asia and Australia.

Dysfunctional energetics happens in most brain pathologies, and Brad Turner’s laboratory has unique insights that energetic stress occurs early in motor neurones of genetic mouse models of motor neurone disease (MND). An important energy-sensing kinase called AMPK is abnormal. Importantly, blocking an enzyme that controls AMPK activation called PP2A can restore AMPK function in cells. This evidence suggests that therapeutic targeting of PP2A and AMPK could help correct defective energy metabolism in MND.

Intracellular debris, be it damaged molecules, organelles or toxic aggregates, accumulates in all neurones during stress. Autophagy, a key mechanism for debris removal, is a key focus in the laboratory of Philip Beart. The focus is not only on its fundamental mechanistic aspects, but also on its therapeutic potential. Philip Beart, Brad Turner and Malcolm Horne, in a wide-ranging collaboration with interstate and international colleagues, are currently harnessing autophagy to combat motor neurone pathology in mouse models to evaluate its therapeutic potential in MND. This wide-ranging study has also revealed activation of various components of the brain’s inflammatory response in both astrocytes and microglia.

MOLECULAR NEUROPHARMACOLOGY GROUP

Leader: Phil Beart

Pathological mechanisms affecting neurons and astrocytes, which have an interdependent relationship essential to brain health, are the focus of our laboratory. Diverse experimental approaches provide insights into how new strategies may be targeted to rescue threatened neurones and to establish a supportive environment near an injury zone.

Ageing or injured neurones accumulate damaged molecules and organelles which affect their function. This process is termed autophagy (“self-eating”) and represents one of the cellular rubbish

removal mechanisms. If the load becomes too extreme or if the autophagic mechanisms become compromised, the process can become a form of programmed cell death. Most research into the controlling mechanisms has been performed in non-mammalian cells, so our work in primary neurones is groundbreaking. Damaged mitochondria also enter the autophagic cascade through a process termed mitophagy. We have found that disturbed energy generation causes mitochondria to lose their membrane potential with a concomitant drop in ATP production and entry into mitophagy. Since disturbed energetics underpins various forms of neurodegeneration, we believe that this cascade contributes to many degenerative conditions. We are currently investigating autophagy in other brain injury models.

Over many years our team has studied the neurobiology of astrocytes and made impressive advances in defining “good” or “bad” responses which relate to the state of inflammation in brain patholgies. By culturing mature astrocyes in 3D on bioscaffolds, we found a healthy astrocytic phenotype displaying reduced GFAP, and increased G-actin, glutamate transport, brain-derived trophic factor (BDNF) and anti-oxidant activity. These “signposts” guide current studies where a novel bioscaffold presenting sugar moieties has shown promise in minimising inflammation in studies performed in cultured astrocytes and in vivo in a model of traumatic brain injury. The ultimate goal is a safe, bio-injectable scaffold to prevent untoward glial scarring and to promote regeneration.

NEURODEGENERATION GROUP

Leader: Tim Aumann

In 2014 we furthered our research into plasticity of adult midbrain dopamine neurones. We had earlier shown that the number of these cells increases or decreases following drug administration and environmental stimulation in adult mice. This year we compiled the first evidence that this might occur also in the adult human brain. To test this we obtained human brains from the Edinburgh Brain Bank in Scotland of people who died in mid-summer (long days) or midwinter (short days). Research from our collaborators overseas had shown that adult rats exposed to long days have fewer hypothalamic dopamine neurones than those exposed to short days, and we thought this might extend to midbrain in humans (although the other way around because rats are nocturnal and humans diurnal). Indeed we did find there were four times more dopamine neurones in summer than winter in the human midbrain. This indicates that the adult human brain is far more adaptable than previously thought, and that our environment can alter the amount of dopamine in our

THE FLOREY INSTITUTE OF NEUROSCIENCE & MENTAL HEALTH ANNUAL REPORT 2014 THE FLOREY INSTITUTE OF NEUROSCIENCE & MENTAL HEALTH ANNUAL REPORT 2014 78 79
Three dimensional rendered image showing primary mouse astrocytes (GFAP in red, Hoechst in blue) at 22 days in vitro maintained on a poly-ε-caprolactone scaffold (white). Imaged using a Leica SP8 Confocal (scale bar = 10µm)(image credit Linda Lau).

brains. Given that dopamine is a ‘feel good’ chemical, this might explain why our mood is elevated during summer. More importantly, our research findings indicate that environmental stimulation might be helpful in treating a number of diseases and disorders of the brain linked with midbrain dopamine imbalances, such as Parkinson’s disease, schizophrenia, attention deficit and hyperactivity disorder (ADHD) and drug addiction.

There are more dopamine neurones in the human midbrain in summer than in winter. Shown are sections through the human midbrain (at two different locations; rostral and caudal) that have been processed to colour dopamine neurones black (using two different markers of dopamine neurones; tyrosine hydroxylase (TH) and dopamine transporter (DAT). The 1st and 3rd rows are low-power images in summer and winter, respectively, and the 2nd and 4th rows are higher-power images of the areas outlined in rows 1 and 3, respectively. Note the many more ‘black’ dopamine neurones in summer compared with winter. A8 = dopaminergic group A8; cp = cerebral peduncle; DBC = decussation of the brachium conjunctivum; M = medial dopaminergic group; Mv = medioventral dopaminergic group; RN = red nucleus; SNc = substantia nigra pars compacta.

STEROID NEUROPATHOLOGY GROUP

Leader: Wah Chin Boon

Sex hormones such as oestrogens and androgens (e.g. testosterone) affect human behaviour. Oestrogens are produced in the brain from testosterone and these locally synthesised oestrogens may modulate neuronal functions and provide neuroprotection. The conversion of oestrogens from androgens is catalysed by the enzyme aromatase, but its localisation in the brain is poorly understood. We overcame this problem by using a transgenic mouse model with an enhanced green fluorescence protein (EGFP) tagged to the aromatase to examine its functional disposition.

Our lab has identified EGFP-aromatase expression in the neurones of many brain regions under normal physiological conditions, and these brain regions have been previously reported to be involved in behaviour. Male adult mice have more aromatase-expressing neurones. Furthermore, we noticed that oestrogen receptors are found in neurones expressing aromatase or in close proximity to aromatase-positive neurons, supporting the idea that locally produced oestrogens modulate neuronal functions.

NEUROGENESIS AND NEURAL TRANSPLANTATION GROUP

Leader: Lachlan Thompson

Regenerative therapies for brain and spinal cord repair are a key focus of our efforts. We share the view that success in this area will be closely aligned with a deeper understanding of the complex processes that underlie brain development. Our particular interests involve the molecular mechanisms that trigger neurogenesis as well

as neuritic outgrowth and connectivity in the developing brain. Our goal is to adapt key concepts in this area to the development of stem cell-based therapies for brain repair; a central focus is the generation of midbrain dopamine neurones from pluripotent stem cells for use in transplantation-based procedures for Parkinson’s disease. We are also working on similar approaches for other neurological conditions including MND and Huntington’s disease. In the stroke-damaged brain we have found these neurones are capable of an extensive degree of growth, including the re-formation of long-distance pathways related to motor circuitry. In addition to transplantationbased strategies, we are also exploring other novel avenues for brain repair including the use of viral vectors to deliver trophic factors that can protect neurones from injury or even promote ‘self-repair’ from the brain’s own stem cells.

Legend - The gold colour is an immunohistochemical labelling of a neural graft generated from human embryonic stem cells after transplantation in a rat brain. A significant feature of these grafts is that the contain neurones that have the capacity to re-form very long distance pathways in the brain that are normally associated with motor function.

STEM CELLS AND NEURAL DEVELOPMENT GROUP

Leader: Clare Parish

The Parish laboratory has a broad interest in repairing the injured brain and places a strong emphasis on understanding neural development, with the idea that repairing the injured brain will require recapitulation of these early events. Major research themes running within the laboratory, include: understanding the neural development (notably wnt signalling); directed differentiation of pluripotent stem cells; molecular mechanisms underlying axonal targeting and synaptogenesis and improving cell-replacement therapy for neural injuries. While historically the major focus of the group has been on understanding dopamine development and developing cell replacement therapies for Parkinson’s, more recently the team has expanded its interests to apply similar approaches to Huntington’s disease and stroke. Much of this work is done in close collaboration with the laboratory of Dr Lachlan Thompson, based at the Florey Institute.

The Parish laboratory has also developed a successful programme in neural engineering. The team is developing and testing bioengineered scaffolds with recent success focusing on GDNF tethered to a bioscaffold, which holds significant potential to enhance brain repair.

Figure 1: Cartoon illustrating the various sources of stem cells and their potential application in Parkinson’s disease. Stem cells, differentiated into dopaminergic progenitors, can be used for transplantation, in vitro modelling of the disease, screening compound libraries in the identification of new drug targets and development. Alternatively, is the potential to stimulation of quiescent stem cell populations in the adult brain to promote self-repair.

MOTOR NEURONE DISEASE GROUP

Leader: Brad Turner

The Turner lab seeks to unravel the molecular pathogenesis of MND, also called amyotrophic lateral sclerosis (ALS). His team employs a combination of biochemistry, cell and molecular biology to study motor neurone pathogenesis in cell culture and mouse models seeking to identify and understand the primary mechanisms underlying motor neurone stress and injury in MND, while translating discoveries into candidate biomarkers and effective therapeutic targets. Our group is particularly interested in the molecular determinants of protein misfolding, mistrafficking and accumulation within neurones and harnessing endogenous cellular protective mechanisms to combat protein misfolding. A further area of investigation is the therapeutic action of survival motor neurone (SMN) protein for MND. Here we found that its restoration slows disease onset and improves motor neurone survival in a mouse model of MND. This approach is being extended to SMN gene therapy in other mouse models of MND, while developing new therapy approaches for efficient and sustained SMN gene delivery.

MOLECULAR NEUROPHARMACOLOGY GROUP

MAJOR COLLABORATIONS

NATIONAL:

ҩ Dr David Nisbet, Research School of Engineering, Australian National University. Bioengineering.

ҩ Dr Hakan Mudyerman, Department of Biochemistry, Flinders University. Astrogliosis in MND.

ҩ Dr Steve Cheung, School of Life and Environmental Sciences, Deakin University. Programmed cell death.

ҩ Prof Phillip Nagley, Department of Biochemistry and Molecular Biology, Monash University. Programmed cell death.

ҩ Prof Rod Devenish, Department of Biochemistry and Molecular Biology, Monash University. Autophagy.

INTERNATIONAL:

ҩ Prof Ulf Nilsson, Department of Chemistry, University of Lund. Inhibitors of inflammation.

MAJOR NATIONAL AND INTERNATIONAL CONFERENCES 2014

PHILIP BEART - INVITED PRESENTATIONS

ҩ 12th Meeting of the Asian-Pacific Society for Neurochemistry, Kaohsiung, Taiwan.

ҩ 16th International Neuroscience Winter Conference, Solden, Austria.

ҩ Joint Biochemical Society / British Neuroscience Association Meeting, Astrocytes in Health and Neurodegenerative Disease, London, United Kingdom.

ҩ Proteostasis and Disease Symposium 2014, Wollongong.

LINDA LAU

ҩ ISN Special Conference, Dynamic Change of Nanostructure in the Brain in Health and Disease - Cutting Edge of the Technical Innovation, Tokyo, Japan.

STEROID NEUROPATHOLOGY GROUP

EDITORIAL POSITIONS

ҩ Editorial Board of Progress in Neuro-Psychopharmacology & Biological Psychiatry - awarded excellence in review

ҩ Editorial Board of Frontiers in Molecular and Structural Endocrinology

ҩ Editor of Pharmacology, Research & Perspectives (PR&P) Journalreappointed for 2 more years.

NEUROGENESIS AND NEURAL TRANSPLANTATION GROUP

SPEAKING INVITATIONS 2014

ҩ 24th Annual meeting for the Network of European CNS Transplantation and Repair.

ҩ Murdoch Children’s Research Institute.

ҩ Monash Medical Centre.

STEM CELLS AND NEURAL DEVELOPMENT GROUP

MAJOR NATIONAL AND INTERNATIONAL CONFERENCES 2014

ҩ Network of European CNS Transplantation & Restoration meeting, Galway, United Kingdom.

ҩ Karolinska Institute, Stockholm, Sweden.

ҩ International Parkinson’s disease day, Melbourne Brain Centre.

ҩ Monash Institute Medical Research-Prince Henry’s Institute.

ҩ Walter and Eliza Hall Institute

MOTOR NEURONE DISEASE GROUP

EDITORIAL POSITIONS

ҩ 25th International Symposium on ALS/MND, Brussels, Belgium.

ҩ 2nd Proteostasis and Disease Symposium, Wollongong.

ҩ MND Australia Research Meeting, Melbourne.

THE FLOREY INSTITUTE OF NEUROSCIENCE & MENTAL HEALTH ANNUAL REPORT 2014 THE FLOREY INSTITUTE OF NEUROSCIENCE & MENTAL HEALTH ANNUAL REPORT 2014 80 81
Activated astrocytes (green) surrounding motor neurones (red) in lumbar spinal cord of the mutant TDP-43 mouse model of MND at an early presymptomatic age (image credit Nirma Perera).

Drug Targets in Sight

In March 2011, Daniel Scott was working on what he describes as a risky line of research - new technologies in receptor engineering.

DRUG TARGETS IN SIGHT

Diseases including Alzheimer’s, Parkinson’s disease, and epilepsy in the firing line.

If successful, his plan was to solve a big problem in modern drug discovery – the instability of membrane proteins – and to enable the design of vital new medications.

“In general, diseases are caused when the natural signalling networks such as hormones or neurotransmitters become corrupted. Drugs are then prescribed to act on receptors and restore the signalling balance,” Daniel explains.

“The challenge is to discover drugs that can modulate specific receptors associated with this aberrant signalling in disease without disrupting normal signals and causing side effects.”

One way to do this is to analyse the molecular structure of the target receptors and design drugs that can “fit” into the target. But most receptors are very unstable and “fall apart” during the experiments needed to perform “structure-based drug design”.

Daniel, who was researching in a renowned protein-engineering laboratory at the University of Zurich, Switzerland, had already spent three-and-a-half years trying to solve this problem and had started to worry about whether his ideas would work.

The project was using a molecular biology technique called “directed evolution” to select receptor genes that exhibited enhanced stability, cycling them through evolutionary rounds until the receptors were very stable.

His supervisor liked the idea for the new technology but had doubts. Daniel’s wife Melissa was expecting their first child.

“I was starting to stress out because I’d taken a big risk to go to Switzerland and was doing this crazy work. I thought that as a family we had to start thinking about stability,” he says.

But then the breakthrough came. Daniel’s son Hamish was born and the research results were validated soon after. “At last I could relax and enjoy Hamish,” he says.

Daniel returned to the Florey in late 2011 with his innovative technology, CHESS, or Cellular High-throughput Encapsulation Solubilisation and Screening, which allows researchers to engineer very stable receptors for drug discovery. CHESS had been patented, and publication of Daniel’s work in 2012 received international recognition.

The Florey is only one of two places in the world using CHESS.

Daniel has used the technology to stabilise several G protein-coupled receptors (GPCR) that are key drug targets for central nervous system disorders.

Some of these GPCRs are currently untargeted by drugs.

His work has attracted two prestigious awards – the Australasian Society of Clinical and Experimental Pharmacologists and Toxicologists (ASCEPT) Denis Wade Johnson & Johnson New Investigator Award, and the BPS/ASCEPT Outstanding Young Investigator Prize.

Daniel’s next challenge is to work with others at the Florey to mass-produce these engineered receptors, for which he needs new equipment.

“We hope that by opening new avenues to GPCR drug discovery, our technology will ultimately lead to new drugs to help people living with diseases such as Alzheimer’s disease, Parkinson’s disease, epilepsy and schizophrenia.”

Pictured: Dr Daniel Scott, head of membrane protein engineering in the Neuropeptides division. THE FLOREY INSTITUTE OF NEUROSCIENCE & MENTAL HEALTH ANNUAL REPORT 2014 THE FLOREY INSTITUTE OF NEUROSCIENCE & MENTAL HEALTH ANNUAL REPORT 2014 82 83

NEUROPEPTIDES

A QUICK SNAPSHOT

The Neuropeptides Division primarily conducts multi-disciplinary studies on the relaxin family of peptides/hormones and their receptors. The division focuses on determining the role of these peptides and the receptors they target in a wide range of physiological and disease states. These studies are coupled with fundamental drug discovery research on both these and other peptides and their G protein-coupled receptors. The aim of this research is to develop new biological knowledge and fundamental understanding about how to best therapeutically target these peptide systems with the long term view to develop drugs which target the peptide receptors to treat vascular, fibrotic, metabolic and psychiatric diseases.

An example of the success of this approach is the completion of a Phase III trial using the hormone relaxin for the treatment of acute heart failure by the Swiss Pharmaceutical Company Novartis. A Phase IIIb trial is ongoing and the relaxin drug, serelaxin, has been approved in Russia to treat patients with acute heart failure. Hence fundamental research on the mechanism of action of a hormone, in the case of relaxin pioneered at the Florey by the former Neuropeptides Division Head, Prof Geoffrey Tregear, can ultimately lead to its use to treat disease in patients.

RESEARCH HIGHLIGHT

We received four NHMRC project grants for our researchers in a very competitive funding environment, and two key publications in the prestigious journal, the Proceedings of the National Academy of Sciences USA (see details below).

Together with collaborators at Cambridge University and the pharmaceutical company Takeda Cambridge, we identified insulin-like peptide 5 (INSL5) as a product of colonic endocrine L-cells, and demonstrated that INSL5 levels were elevated in calorie-restricted mice and reduced after feeding. Consistent with this profile, INSL5 administration stimulated food intake in mice, making it only the second identified gut hormone after ghrelin that enhances appetite. Modulating the INSL5 axis presents a new strategy for the treatment of metabolic disease and obesity.

Neuropeptides modulate cells in the brain by interacting with neuropeptide receptors. Detailed understanding of these molecular interactions is crucial for the design of neuropeptide and small molecule drugs to treat various diseases. Neuropeptide receptors however, are complicated membrane proteins that are unstable and thus difficult to study in the biochemistry laboratory. Using state-of-the-art technology, with our collaborators at the University of Zurich we engineered highly stabilised neuropeptide receptors, leading to several X-ray crystal structures (or molecular snapshots) of a neuropeptide interacting with its receptor. AN IDEA LIKELY TO CHANGE LIVES BY 2035

Powerful insights into how the brain controls behaviour are being obtained by ‘systems neuroscience’ analysis, using sophisticated optogenetic and pharmacogenetic manipulation of neural circuits and advanced complementary methods to record their impact. Combined with a greater knowledge of brain peptide and hormone neuromodulatory systems, these studies will allow the improved design of drugs that target ‘receptor states’ or ‘receptor combinations’ present in specific brain regions/circuits under pathological conditions

SENIOR STAFF

• Professor Ross Bathgate • Associate Professor Andrew Gundlach • Dr Mohammed Akhter Hossain • Dr Daniel Scott • Professor John Wade •

NEUROPEPTIDE RECEPTOR GROUP

Leader: Ross Bathgate

The Neuropeptide receptor laboratory studies G protein-coupled receptors (GPCRs) which represent the most important class of biomolecules for pharmaceutical development, being targeted by ~30 per cent of current drugs. Our studies on the structure and function of novel neuropeptide GPCRs will enable the development of new drugs to specifically target neurological and other diseases.

Research highlights for 2014

Studies by the group continue to demonstrate the unique mechanism by which the hormone relaxin binds to and activates its receptor, RXFP1. Two recent publications (one in the prestigious Journal of Biological Chemistry) have furthered our understanding of the mechanism of interaction between relaxin and RXFP1 to enable new drug design. Relaxin was recently demonstrated to be an effective treatment for acute heart failure in Phase III clinical trials and will soon be used clinically to treat this disease. However, the patients must be treated by continuous intravenous infusion of relaxin which is not an ideal method to deliver the drug. Studies by our group, which are concentrating on determining the precise mode of interaction of relaxin with RXFP1, will lead to the development of smaller drugs that can be taken orally for the treatment of heart failure and other diseases.

PEPTIDE NEUROBIOLOGY GROUP

Leader: Andrew Gundlach

Dementia and psychiatric illnesses remain major clinical, scientific, societal and economic problems. A better understanding of how the brain controls physiology and behaviour and how this becomes dysfunctional due to ageing and disease pathology is urgently required. Basic research studies are therefore needed to identify new structural and molecular neural targets that may form the basis of novel therapeutic approaches in the future. In this regard, our laboratory conducts ‘systems neuroscience’ research and a primary interest is to understand the role of neuropeptide signalling in the control of complex behaviours including arousal, stress, mood motivation and reward, and associated memory processes, under normal and pathophysiological conditions. We conduct experimental studies in animal models of normal physiology and psychiatric disorders, using a range of biomolecular tools including receptorselective peptides, ‘viral-vector delivered’ designer receptors, and a range of transgenic mouse strains.

Research highlights for 2014

Since its discovery at the Florey in 2002, we have been studying the neurobiology of the peptide transmitter, relaxin-3. We and others have demonstrated that relaxin-3 and its neural receptor RXFP3 appear to play a role in anxiety, cognition, motivation, and other modalities in rodents that are commonly aberrant in human sufferers of affective disorders. In 2014, we made further key discoveries about this neuropeptide-receptor system.

Importantly, we demonstrated that in mice central RXFP3 blockade reduced motivational behaviours such as the consumption of palatable food (Smith CM et al., 2014), and in ongoing studies with the Florey Addiction Neuroscience lab, we demonstrated that modulation of activity in relaxin-3 receptor-rich brain areas alters stress-induced relapse in alcohol-preferring rats. In collaborative studies with our colleagues in Krakow, Poland, we observed strong modulation of relaxin-3 neurone activity in brain slices by arousal peptides including the orexins. We also observed that life-long relaxin-3 and RXFP3 gene deletion or ‘knockout’ mice display a hypersensitivity to stress-induced insomnia and highly fragmented circadian activity, which is indicative of a lack of sustained motivation and possible sleep/wake disturbances. Furthermore, in studies with scientists at La Trobe University, we investigated the interactions

between brain relaxin-3 and serotonin networks and demonstrated that relaxin-3 may play a role in stress-associated changes in anxiety by interactions with specific brain serotonin systems.

These findings improve our understanding of state-dependent, motivated behaviours and affective function in general, as arousal/ motivation and reward circuits are often aberrant in anxiety disorders and depression, and further highlight the therapeutic potential of targeting the RXFP3 system in appetitive, affective and addictive conditions.

Examining the function of the rat nucleus incertus using pharmacogenetic methods. (A) Viral vector-mediated expression of an ‘excitatory’ hM3Dq DREADD fused to an mCherry fluorophore (inset), in neurones of the rat nucleus incertus (red fluorescence). (B) Recordings of rat behaviour are made in an automated locomotor cell, with and without hM3Dq-induced nucleus incertus activation by administration of the designer drug, clozapine-N-oxide (CNO). (C) Examples of the ambulatory paths of an hM3Dq (hM3Dq-CNO) and control rat (mChr-CNO) during a 3 hour session in a locomotor cell reflect the increased distance travelled and persistent movement during nucleus incertus activation.

In a major initiative involving several staff and student members, we have modulated the activity of nucleus incertus neurones in adult rats using viral-vector delivered ‘designer’ receptors (DREADDs) and observed strong effects on brain activity (EEG), physiology (stressinduced cardiovascular responses) and behaviour (locomotor activity, spatial memory).

This research has been assisted by the development of advanced software for the automated analysis of EEG and EMG activities. Planned studies will help us model similar changes that occur in stress- and trauma-induced clinical anxiety and mood disorders. Ongoing studies will also better define the projections of nucleus incertus neurones into key brain areas and their effects on brain activity and behaviour.

These and related studies will continue in 2015 with ongoing support from NHMRC (Australia), Brain & Behavior Research Foundation (USA), Bethlehem Griffiths Research Foundation, Alzheimer’s Australia Dementia Research Foundation and The University of Melbourne.

Other research highlights include:

ҩ Dr Sherie Ma, a senior research officer, undertook a four-month Commonwealth Endeavour Fellowship at the Department of Neurobiology, University of California, Berkeley, USA, where she trained in the use of optogenetics to dissect neural pathways and their effects on behaviour.

THE FLOREY INSTITUTE OF NEUROSCIENCE & MENTAL HEALTH ANNUAL REPORT 2014 THE FLOREY INSTITUTE OF NEUROSCIENCE & MENTAL HEALTH ANNUAL REPORT 2014 84 85

ҩ Mouna Haidar, a PhD student, was awarded a postgraduate scholarship from Alzheimer’s Australia Dementia Research Foundation for 2014-2016.

ҩ Cary Zhang, a PhD student, was awarded a Rebecca Hotchkiss International Scholar Exchange Hotchkiss Brain InstituteMelbourne Trainee Exchange Fellowship to undertake scientific research in the laboratory of Professor Jaideep Bains at the Hotchkiss Brain Institute in Calgary, Canada.

ҩ Giancarlo Allocca, a PhD student, conducted valuable testing of newly developed software for the automated analysis of brain sleep/wake activity in experimental animals in several international laboratories, as part of a commercialization program, with support from the Florey Institute Geoffrey Tregear Travel Award and The University of Melbourne.

ҩ Dr Craig Smith, a research officer, and students in the laboratory, together with colleagues from Quebec Canada, used a newly established transgenic mouse strain to explore the distribution of relaxin-3 receptors (RXFP3) in brain and to identify the neurochemical content of these target neurones in key neural circuits (Figure below). These data improve our understanding of the anatomy of relaxin-3 / RXFP3 systems and facilitate the design and interpretation of functional studies.

Mapping the distribution and function of relaxin-3 receptor, RXFP3, in brain, using transgenic mice. A hemi-coronal section through the hippocampus of a mouse in which putative RXFP3-positive neurones and their projections contain a green fluorescent protein and different populations of neurones are identified by multi-label immunohistochemistry for parvalbumin (blue), somatostatin (red) and calretinin (white). These studies indicate the presence of RXFP3 in a specific population of neurones in the dentate hilar region than can be further studied using viral-based methods.

ҩ Dr David Hawkes, a research officer, and other lab members, raised funds for the development of new viral vectors for our research as part of the Florey’s first Crowd Funding project. As part of the “Name the Virus” project, David made several media appearances, including on ABC television and radio, and one of the new viral vectors will be named after TV presenter and journalist, Virginia Trioli.

INSULIN PEPTIDES GROUP

Leader: Mohammed Akhter Hossain

Insulin is one of the most clinically important peptide drugs on the market. It still represents the only treatment for diabetes (particularly for type 1). There are seven other insulin-like peptides (also called the relaxin family of peptides: H1, H2 and H3 relaxins, INSL3, 4, 5 and 6) which have similar structures to insulin (2 chains, 3 disulfide bonds), but have a diverse range of physiological functions. H2 relaxin is the most studied peptide in our laboratory and has recently passed phase III clinical trials for the treatment of acute heart failure.

Our interest and experience lies in the design and development of insulin and insulin-like peptide-based drugs.

Research highlights for 2014

ҩ INSL5 was until recently an identified gut hormone of unknown function. In a major breakthrough, we identified INSL5 as a novel orexigenic gut hormone which promotes appetite during conditions of energy deprivation (Grosse J et al., PNAS (USA) 2014).

ҩ Central to the successful clinical use of new and improved insulin analogues is the availability of efficient methods to prepare them. We have developed a novel procedure, in which one of the three disulfide connections in insulin is formed in aqueous media by irradiation with light, resulting in significantly improved overall yield (Karas J et al., Chemistry 2014).

ҩ We developed a single chain peptide, B7-33, as an agonist for RXFP1 and examined the efficacy of B7-33 in a pathophysiological model of myocardial infarction (MI)induced heart failure (Fig. 1). The systemic administration of both B7-33 and H2 relaxin, after 8-weeks of MI-induced injury and over a 4-week treatment period, significantly reduced the build-up of MI-induced collagen density (Fig. 1A, B) and improved left ventricular function by reducing left ventricular end-diastolic pressure (LVEDP, Fig. 1C). This confirmed that B7-33 could act as a potential replacement of H2 relaxin for the treatment of patients with heart failure.

A provisional patent application was filed in April 2014 based on this new intellectual property.

ҩ Awarded a Melbourne Research Grant Support Scheme (MRGSS) Grant from the Faculty of Medicine, Dentistry and Health Sciences.

B7-33 reduced fibrosis and improved health function in rat model of myocardial infarction induced heart failure

Figure 1 - Effect of H2 relaxin and B7-33 treatment on cardiac fibrosis and function. Representatives photo micrographs of picrosirius red stained left ventricles of the heart from vehicle (Saline), H2 relaxin (H2) and B7-33 treated rats (A), H2 and B7-33 was found significantly reduce the percentage of collagen in the interstitial area compared with saline-treated rats (B).

Animals treated with H2 and B7-33 also showed a reduced left ventricular end-diastolic pressure (LVEDP) compared to saline-treated animals (C) suggesting improved heart function 12 weeks following myocardial infarction

**p<0.01 vs saline group: * p<0.05 vs saline group.

MEMBRANE PROTEIN ENGINEERING GROUP

Leader: Daniel Scott

Protein instability poses a major barrier to the characterisation and deployment of many proteins into industrial and biotechnological applications. Membrane proteins are a class of proteins that are particularly unstable, yet are highly important as they are the main targets for most prescription drugs. Membrane proteins are located on the surface of all types of cells and are involved in processes such as sensing neurotransmitters, driving neural impulses and responding to drug treatment. The instability of membrane proteins, however, makes them difficult to study. We use novel technology (CHESS) to engineer stabilised membrane proteins, particularly neuropeptide-binding G protein-coupled receptors (GPCRs), to aid in elucidating the atomic level mechanisms that govern their function and to facilitate novel drug discovery.

A particular focus of the laboratory is engineering members of the relaxin receptor family to enable greater understanding of how these receptors work at the molecular level and in turn enable the design of drugs targeting these important receptors. We also use this technology to engineer highly stable versions of other protein classes, such as fluorescent proteins and enzymes, for biotechnological and industrial applications.

Research highlights for 2014

Specific research highlights include:

ҩ A critical proof-of-principle study was published in the prestigious journal, PNAS (USA), describing several X-ray crystal structures of GPCRs engineered with CHESS (Egloff P et al., PNAS (USA), 2014).

ҩ We successfully demonstrated that CHESS could be applied to non-membrane protein classes, by using CHESS to engineer ultra-stable fluorescent proteins. These proteins are useful tools for next generation imaging methods (Yong KJ & Scott DJ, Biotech Bioeng, 2014).

ҩ Kelvin Yong, a PhD Candidate, achieved a “special mention” in the poster prize section of the Australasian Society of Clinical and Experimental Pharmacology and Toxicology (ASCEPT) annual scientific meeting, 2014.

ҩ Nicholas Smith, an Honours student, won the undergraduate poster prize at the Australasian Society of Clinical and Experimental Pharmacology and Toxicology (ASCEPT) annual scientific meeting, 2014.

ҩ Awarded three NHMRC project grants for applications submitted in 2014 totaling $1.8 M.

crystal structures of stabilised versions of neurotensin receptor 1 (NTS1), from Egloff P et al., PNAS

Leader: Prof John Wade

We employ modern chemical peptide synthesis methods together with structure-based drug design and development to produce novel peptidomimetics with improved receptor selectivity, potency and pharmacokinetics. Our primary research focus is on complex insulin-like peptides including the peptide hormone, relaxin, and the neuropeptide, relaxin-3.

Research highlights for 2014

Relaxin is principally an ovarian hormone that has a number of physiological roles, one of which is to regulate the level of collagen throughout the body. Relaxin-3 is a neuropeptide expressed in the brain which has an important role in regulating mood and stress systems. Because of their similar chemical structures, relaxin-3 can cross react with the receptor for relaxin, which is also present in high levels in the brain; and this can complicate our attempts to better understand the biological role of relaxin-3.

However, in addition to our ability to chemically produce relaxin and relaxin-3, we have prepared a series of progressively truncated relaxin and relaxin-3 analogues and identified the minimum size that endows near-full biological activity at the distinct receptors. Unexpectedly, we discovered that relaxin’s activity could be maintained within a single small peptide chain, which promises considerable savings in both cost and effort of production and biological insights.

The peptide has been patented and is the subject of significant interest from major pharma to determine if it fully replicates all the known beneficial actions of native relaxin. A similar minimization strategy has been applied to relaxin-3 and, together with a chemical conformation-constraining approach, a single chain peptide has been identified that mimics the agonist actions of the native neuropeptide. This peptide is now under further investigation within the Neuropeptides Division to better determine the clinical potential of relaxin-3 receptor-related drugs for treating psychiatric disorders such as anxiety and depression.

We have also continued our studies on antimicrobial peptides (AMPs), a novel class of antibiotic that displays clinical promise in bypassing the vexing problem of resistance development by bacteria. In particular, we have examined a novel insect-derived AMP called A3-APO and shown that a dimer of this compound is a powerful antibiotic against Gram-negative bacteria as well as an immunostimulant which does not induce resistance. Studies are underway to determine if its efficacy can be further increased in combination therapy with conventional antibiotics.

PEPTIDE AND PROTEIN CHEMISTRY GROUP X-ray (USA), 2014. Ultrastable fluorescent proteins engineered with CHESS will be useful tools for next generation imaging techniques.
THE FLOREY INSTITUTE OF NEUROSCIENCE & MENTAL HEALTH ANNUAL REPORT 2014 THE FLOREY INSTITUTE OF NEUROSCIENCE & MENTAL HEALTH ANNUAL REPORT 2014 86 87

NEUROPEPTIDE RECEPTOR GROUP

EDITORIAL POSITIONS

ҩ Ross Bathgate

ҩ Associate Editor of Frontiers in Molecular and Structural Endocrinology

ҩ Editorial Board Member of Journal of Pharmacological Sciences

ҩ Associate Editor of Molecular and Cellular Endocrinology

ҩ Member – IUPHAR subcommittee on relaxin receptors

COLLABORATIONS

ҩ Department of Biochemistry and Molecular Biology, University of Melbourne

ҩ School of Biomedical Sciences, University of Queensland

ҩ Monash Institute of Pharmacological Sciences, Monash University

ҩ Baker Heart Research Institute, Melbourne

ҩ Department of Pharmacology, University of Melbourne

ҩ Department of Human and Molecular Genetics, Herbert Wertheim College of Medicine, Florida International University, USA

ҩ Corthera (owned by Novartis), San Mateo, USA

ҩ Chinese National Compound Library, Shanghai, China

ҩ Department of Pharmacology, University of Pittsburgh, USA

PEPTIDE NEUROBIOLOGY GROUP

EDITORIAL POSITIONS

ҩ Andrew Gundlach

ҩ Editorial Board Member, Journal of Chemical Neuroanatomy

ҩ Editorial Board Member, Neuropeptides

ҩ Editorial Board Member, Frontiers in Molecular Neuroscience

ҩ Editorial Board Member, Frontiers in Neuroanatomy

ҩ Editorial Board Member, NeuroSignals

ҩ Editorial Board Member, Scientific Reports

ҩ Chair, IUPHAR Database Committee on Galanin Receptors

ҩ Guest Editor, Neurochemical Research

MAJOR NATIONAL AND INTERNATIONAL CONFERENCES 2014

ҩ Australasian Neuroscience Society Annual Scientific Meeting, Adelaide, Australia

ҩ European Molecular and Cellular Cognition Society Meeting, Milan, Italy

ҩ Mediterranean Neuroscience Society, FENS Satellite Meeting, Milan, Italy

ҩ FENS Congress of Neuroscience, Milan, Italy

ҩ Associated Professional Sleep Societies, Sleep 2014, Minneapolis, USA

ҩ Endocrine Society of Australia Annual Scientific Meeting, Neuroendocrinology Symposium, Melbourne, Australia

ҩ Congress of European Sleep Research Society, Tallinn, Estonia

ҩ Cardiovascular and Respiratory Control Meeting, Melbourne, Australia

ҩ Society for Neuroscience Annual Scientific Meeting, Washington, DC, USA

COLLABORATIONS

ҩ Florey Behavioural Neuroscience and Neurophysiology Divisions

ҩ School of Biomedical Sciences, University of Queensland

ҩ Monash Institute of Pharmaceutical Sciences, Monash University

ҩ School of Psychological Science, La Trobe University

ҩ Department of Physiology, University of Melbourne

ҩ Department of Medicine, University Jaume I, Castellón, Spain

ҩ Department of Neurophysiology and Chronobiology, Jagiellonian University, Poland

ҩ Department of Neurobiology, Weizmann Institute of Science, Israel

ҩ Department of Psychology, University of Otago, New Zealand

ҩ Department of Neurobiology, University of California, Berkeley, USA

ҩ Institute François Magendie, University of Bordeaux, France

ҩ Institute of Biomedical Sciences, University of São Paulo, São Paulo, Brazil

ҩ Department of Psychiatry and Neurosciences, Laval University, Quebec, Canada

INSULIN PEPTIDES GROUP

EDITORIAL POSITIONS

ҩ Mohammed Akhter Hossain

ҩ Review Editor of Frontiers in Chemical Endocrinology

ҩ Editorial Board Member of Modern Chemistry

MAJOR NATIONAL AND INTERNATIONAL CONFERENCES 2014

ҩ 3rd International Conference on Medicinal Chemistry and Computer Aided Drug Design, December 8-10, 2014, San Francisco, USA [Mohammed Akhter Hossain, Invited Speaker]

COLLABORATIONS

ҩ School of Chemistry, University of Melbourne

ҩ Department of Biochemistry and Molecular Biology, University of Melbourne

ҩ Department of Pharmacology, University of Melbourne

ҩ School of Biomedical Sciences, University of Queensland

ҩ Department of Pharmacology, Monash University

ҩ Department of Chemistry, Monash University

ҩ Monash Institute of Pharmacological Sciences, Monash University

ҩ School of Medicine, Flinders University

ҩ Department of Chemistry, Osaka University, Japan

ҩ Takeda Cambridge Ltd., United Kingdom

MEMBRANE PROTEIN ENGINEERING GROUP

MAJOR NATIONAL AND INTERNATIONAL CONFERENCES 2014

ҩ Keystone Meeting on GPCRs, 2014, Snowbird (International), Utah, USA

ҩ GPCR Forum, Monash Institute of Pharmaceutical Sciences [Daniel Scott, Invited speaker]

ҩ Endocrine Society of Australia ASM Neuroendocrinology Symposium, 2014 [Daniel Scott, Invited speaker]

ҩ Pharmacology 2014, London, UK [Daniel Scott attended as the 2013 British Pharmacological Society/ASCEPT Outstanding Young Investigator Prize winner]

COLLABORATIONS

ҩ The University of Melbourne, Australia

ҩ University of Zurich, Switzerland

ҩ Monash Institute of Pharmaceutical Sciences

ҩ Monash University, Australia

ҩ University of Queensland, Australia

ҩ CSIRO, Australia

ҩ IBM Research Collaboratory in Life Sciences & IBM Australia Research Laboratory

PEPTIDE AND PROTEIN CHEMISTRY GROUP

EDITORIAL POSITIONS

ҩ John Wade

ҩ Editor-in-Chief, Frontiers in Chemical Biology

ҩ Editor-in-Chief, International Journal of Peptide Research & Therapeutics

ҩ Editor-in-Chief, Biochemical Compounds

ҩ Editor, Journal of Peptide Science

ҩ Editor, Protein & Peptide Letters

ҩ Editor, Amino Acids

ҩ Editorial Board Member, Chemical Biology & Drug Design

ҩ Editorial Board Member, BioMed Research International

ҩ Editorial Board Member, International Journal of Peptides

ҩ Editorial Board Member, Frontiers in Endocrinology - Molecular and Structural Endocrinology

MAJOR NATIONAL AND INTERNATIONAL CONFERENCES 2014

ҩ 13th International Chinese Peptide Symposium, Datong, China, July 2014 (John Wade, plenary speaker)

ҩ 50th Anniversary Symposium of the MRC Laboratory of Molecular Biology, Cambridge, UK, 2014

ҩ 33rd European Peptide Symposium, Sofia, Bulgaria, September 2014

ҩ 4th MipTec Symposium, Basel, Switzerland, September 2014 (John Wade, plenary speaker)

COLLABORATIONS

ҩ Bio21 Institute, University of Melbourne

ҩ School of Chemistry, University of Melbourne

ҩ Department of Pharmacology, University of Melbourne

ҩ Department of Pharmacology, Monash University

ҩ Department of Biology, Temple University, USA

ҩ Institute of Bioanalytical Chemistry, Leipzig University, Germany

ҩ Faculty of Medicine, Semmelweis University, Budapest, Hungary

ҩ Leibniz Institute for Farm Animal Biology, Dummerstorf, Germany

ҩ Sanofi-Aventis, Frankfurt, Germany

ҩ Cooperative Research Center of Life Sciences, Kobe Gakuin University, Japan

ҩ Novartis Institutes for Biomedical Research, Basel, Switzerland

ҩ Institute of Protein Research, Tongji University, Shanghai, China

THE FLOREY INSTITUTE OF NEUROSCIENCE & MENTAL HEALTH ANNUAL REPORT 2014 THE FLOREY INSTITUTE OF NEUROSCIENCE & MENTAL HEALTH ANNUAL REPORT 2014 88 89
THE FLOREY INSTITUTE OF NEUROSCIENCE & MENTAL HEALTH ANNUAL REPORT 2014 THE FLOREY INSTITUTE OF NEUROSCIENCE & MENTAL HEALTH ANNUAL REPORT 2014 90 91
Dr Michele Veldsman, a post-doctoral research fellow working in the stroke division.

STROKE

Leaders: Professor Julie Bernhardt and Associate Professor David Howells

A QUICK SNAPSHOT

15 million strokes and six million stroke deaths occur each year leaving 55 million survivors suffering the consequences of stroke. The Stroke Division of the Florey Institute of Neuroscience and Mental Health comprises a team of 80 basic and clinical scientists whose aim is to understand the pathophysiology of stroke, optimise existing therapies and develop new treatments and techniques to both prevent and reduce the impact of stroke.

The division has five research teams: Stroke Preclinical Science, the AVERT Early Intervention Research Program, the Neurorehabilitation and Recovery group, Public Health and Epidemiology including the Stroke Telemedicine program and the Australian Stroke Clinical Registry, and Clinical Trials.

RESEARCH HIGHLIGHT

The Florey Public Health and Epidemiology group is responsible for the integrity of the Australian Stroke Clinical Registry (AuSCR). This important national infrastructure provides the ability for hospitals around Australia to enter standardised data about their patients and compare their clinical care to a national standard. Currently, 51 hospitals are approved to use AuSCR. The registry is about to provide information on how many patients are receiving clotbusting thrombolysis medication within the first 4.5 hours of stroke and receiving access to stroke units. Both these treatment offer patients the best opportunity for a good outcome after stroke, however not all hospitals provide these treatments consistently for a variety of reasons. Through use of AuSCR, for the first time in Australia, we are able to understand that factors that influence access to these treatments and also how this impacts on longer term outcomes within 180 days of stroke.

AN IDEA LIKELY TO CHANGE LIVES BY 2035

Our Stroke Telemedicine program is improving equity of access to the best available care for Victorians, whether they live in the city or country. It is the most comprehensive program of its kind that has been developed for acute stroke care in Australia. By 2035, we’d hope to see the program used across Australia.

SENIOR STAFF

• Associate Professor David Howells • Professor Julie Bernhardt • Associate Professor Dominique Cadilhac

• Professor Christopher Bladin • Professor Geoff Donnan

• Professor Leeanne Carey • “

Recruitment to the AVERT trial, an international, 56 multicentre, randomised controlled trial of very early rehabilitation, completed in October 2014. Participants were recruited from five countries. This single blind, Phase III trial, tests whether starting out-of-bed mobility training within 24 hours of stroke is superior to current care. The results are eagerly awaited by the international stroke community and the first results of the trial will be reported at the European Stroke Organisation Conference in Glasgow, April 2015. ”

STROKE PRECLINICAL SCIENCE

Leader: David Howells

The 17 member preclinical stroke laboratories comprise Australia’s leading translational stroke research team with expertise in therapeutic assessment in animal models of stroke, the use of human stem cell derived neurons and glia to explore stroke biology and identify novel drugs and the use of systematic review and meta-analysis to understand why translation to the clinic is so difficult and to provide evidence based selection of agents for clinical trial.

Research highlights for 2014

In both Stroke and SCI our analyses show that stem cell transplants improve outcome. However, in both circumstances facets of the disease modelling account for more of detected effect size than stem cell biology. This led us to concentrate on using stem cells as a source of human neurons for drug testing rather than implantation and the demonstration that hypothermia protects human neurons against ischemia via an oxidative and glucose dependent mechanism. This has led to a new collaboration to expand the use of human stem cell derived neurons and glia to explore stoke biology (Dr Cooper-White, UQ; Dr Dottori, UoM; Dr Wilson, CSIRO).

Evidence from meta analysis of the impact of hypothermia and hypertension on outcome in animal models of stroke contributed to the design of experiments which confirm that hypothermia is effective in animal models of stroke and that pethidine, used to supress shivering in human clinical trials of hypothermia, does not interfere in provision of this benefit.

Cumulative evidence from our analyses of the stroke literature and experimentation in co-morbid animals have contributed to the launch of the Multi-PART consortium (Multicentre Preclinical Animal Research Team; www.multi-part.org), an international in vivo collaboration designed to develop the capacity to undertake international multicentre animal studies to improve the validity, and generalizability of current preclinical research to improve the prospects of success for translation of efficacy to human clinical trials. The internal validity of experiments designed to examine candidates prioritized for in vivo testing will be assured by centralized statistical planning, randomization, outcome adjudication, and quality control to reduce the risk of bias. Initial “proof of concept” experiments designed to confirm in vivo activity will be followed by robust exploration of the limits to efficacy (time to treatment, age and sex of animals, efficacy in hypertensive or diabetic animals, efficacy in different models of stroke). The consortium is now established and funded by the EU. A/Prof Howells chair the project management committee of this EU funded multinational, multidisciplinary consortium and provided guidance for the NINDS call for US researchers to join the initiative (http://tinyurl.com/p6mvjfm).

AVERT EARLY INTERVENTION RESEARCH PROGRAM

Leader: Professor Julie Bernhardt

We believe that the best way to advance science is by collaboration between individuals from a wide range of backgrounds who work together to tackle complex problems. Finding more effective ways to help stroke patients to recover is a key goal the world over. Our group of six post-doctoral researchers, seven research staff and students are working to develop, test and implement new ways of treating people with stroke. Starting active rehabilitation very early after stroke is a relatively new concept with enormous potential to reduce death and chronic disability. While there is some evidence that exercise and purposeful, task specific activity aids recovery after stroke, currently there are no specific recommendations about post stroke exercise. Pilot work by our group suggests that commencing activity within 24 hours of stroke may lead to faster recovery of

function, less disability and better long term quality of life at a lower cost than current care. To test these hypotheses, we are conducting the first randomised controlled trial of very early rehabilitation (AVERT - A Very Early Rehabilitation Trial). Over 2000 patients with stroke have been recruited to this international, multicentre, Phase III efficacy and cost effectiveness clinical trial. The findings of this study have the potential to change clinical practice around the world. Our group also aims to identify key mechanisms by which exercise may improve the physical, cognitive, mood and fatigue outcomes of people affected by stroke.

Research highlights for 2014

Completing recruitment to the AVERT trial, was a highlight for 2014. We witnessed a magnificent effort by hundreds of investigators from five countries (Australia, New Zealand, Malaysia, Singapore, and the UK; Northern Ireland, Wales, England, Scotland) who have been involved in this study over the course of its eight years. The most important time point for review of patient outcomes is at three months post stroke, so we expect to have all of our data in and ready to present for the first time in April 2015. The results are eagerly awaited by the international stroke community. We follow all patients over the first year of their life after stroke, so final results will not be known until 2016. Further information about the trial can be found at the ANZCRT trials register: http://www.anzctr.org.au or on the Florey website.

Another highlight for 2014 was the development of our new acute exercise laboratory at the Austin Campus. This lab will support our acute exercise testing and training of people affected by stroke, with much of the equipment making bedside assessment and testing a possibility. We are now uniquely positioned to interrogate and develop treatments to help the profound deconditioning that occurs quickly after stroke.

Optimising health environments forum

We held our second optimising health environments forum in 2014, which brings together clinicians, architects, researchers and consumers of health care. The purpose of the forum is to build strong linkages across the different sectors to improve the science that underpins decisions about the environments in which health care is delivered. Julie has the view that hospitals are expensive to build and the built environment (as well as the care services within) influences patient outcomes, so, if we can improve the evidence base for decision making about the health care environment itself, everyone benefits. This is an emerging area of interest in Australia and the Florey is taking a role in advancing the science of design and building strong collaborative partnerships. Julie’s vision is to design the best rehabilitation building and service model in the world, and then one day see that design become a reality.

Key research projects and staff

Toby Cumming: The energy cost of walking in the first week after stroke: Stroke can have a major impact on walking ability, fitness and muscle strength, and these impairments may make being physically active more demanding. We are measuring the energy used by patients during steady-paced walking in the first week after stroke, and comparing this to energy used by healthy controls. Data from an unobtrusive electronic activity monitor are compared to ‘gold standard’ measurement of energy expenditure, which involves wearing a mask to measure oxygen intake. Understanding how hard patients can work early after stroke will inform treatment and rehabilitation programs.

Julie Bernhardt: Dose escalation study for stroke survivors with impaired mobility: In partnership with Royal Talbot Rehabilitation Centre, Austin Health, we conducted a dose escalation study of exercise in stroke survivors with significant difficulty with walking. In clinical practice and clinical trials the selection of treatment dose (amount, frequency, intensity) is rarely based on solid data. We aimed to challenge this approach and develop a new way of identifying the best dose of training to get the best results.

THE FLOREY INSTITUTE OF NEUROSCIENCE & MENTAL HEALTH ANNUAL REPORT 2014 THE FLOREY INSTITUTE OF NEUROSCIENCE & MENTAL HEALTH ANNUAL REPORT 2014 92 93

Computer games as a tool for rehabilitation: In collaboration with Melbourne Health and gaming company Current Circus, we have conducted a pilot study with 40 stroke affected individuals in rehabilitation to explore whether computer games (using the Kinect system) can be a useful tool for training in this population. We found that the training was fun, well tolerated and engaging.

Evaluating the effect of ward redesign on patient behaviour: In collaboration with Royal Talbot hospital, we conducted a study of the activity patterns of patients in rehabilitation in an old rehabilitation ward, and then repeated the study following a redevelopment of the Mellor Ward. This study piloted a method for exploring how the environment in which care is delivered affects patients behaviour and we found some interesting differences between old and new ward environments.

Karen Borschmann: Understanding changes in bone, glucose and muscle after stroke and their relationship to physical activity. Having a stroke often leads to physical inactivity, and the combination of these two things can have a range of negative physiological effects. In this study we track changes in bone density, glucose metabolism and lean muscle mass which occur over six months after stroke, and investigate the effect of physical activity on these physiological outcomes, with a sub-study to two years. The final six-month assessment of participants has recently been undertaken, results will be presented internationally in 2015.

Coralie English: Sitting time and physical activity in people with stroke: Sitting for long periods each day is an independent risk factor for cardiovascular disease and recurrent stroke. New advances in wearable activity monitors provide us with the tools to be able to accurately and precisely measure sitting time, physical activity and energy expenditure of people with stroke living in the community. We completed an observational study of sitting time and physical activity in stroke survivors and healthy controls, and a pilot RCT testing a novel intervention to reduce sitting time in stroke survivors.

Julie Luker: Exploring the implementation of early stroke rehabilitation in acute settings. The barriers and enablers of providing early rehabilitation in acute settings are poorly understood. This qualitative study explores the experiences of 41 allied health and nursing staff at 17 acute stroke units where the AVERT early mobilisation protocol was implemented.

Patients’ experiences of physical rehabilitation after stroke. This systematic review synthesises the best available evidence from 31 studies on the perspectives and preferences of stroke survivors undertaking physical rehabilitation as inpatients. The review’s findings inform patient centred care and future research.

Liam Johnson: This is my first year with AVERT and we spent 2014 establishing the exercise laboratory and started to establish methods for measuring cardiovascular fitness in people early after stroke. Planning for an observational study of fitness after stroke was a key focus on 2014.

NEUROREHABILITATION AND RECOVERY

Lead: Professor Leeanne Carey

The potential to drive adaptive neural plastic changes through rehabilitation is enormous and likely to lead to major changes in rehabilitation practice and better outcomes for stroke survivors. However, we do not have effective means of identifying individuals who may benefit from therapy nor how to select the most optimal therapy for an individual. The Neurorehabilitation and Recovery research program focuses on stroke recovery: in particular how the brain adapts and how we can harness that potential in rehabilitation. The research involves development of novel rehabilitation approaches and personalised stroke rehabilitation informed by neuroscience. MRI is used to investigate how changes in the brain can help target rehabilitation most optimally to individual stroke survivors. Our research also examines factors, such as depression and cognition, that impact on stroke recovery. An important focus is to translate these discoveries into clinical practice and better outcomes for stroke survivors.

Research highlights for 2014

In 2014 the Neurorehabilitation and Recovery group achieved major steps forward in advancing its program of research focused on harnessing real world drivers of neuroplasticity. The major objective of our group is to translate knowledge from neuroscience into evidence-based clinical practice protocols and better outcomes for stroke survivors. This goal represents a paradigm shift for stroke rehabilitation and better outcomes for the one in six people who experience a stroke. Our research is focussed on: Targeting rehabilitation to the individual based on accessible brain networks; Neurobiology of recovery and impact of depression on outcome; and Implementation of evidence-based practice as outlined below.

In 2014, we achieved 100% recruitment to the START longitudinal stroke cohort study and continued to lead the advanced imaging and clinical arm of the study. We received final ethics approval and initiated the first site for our new study SENSe Implement. Our aim here is to develop a template and clinical practice guidelines for implementation of evidence-based rehabilitation in clinical practice settings. Our national and international standing in translational neuroscience and stroke rehabilitation, and scope for accelerated influence in the field, has been affirmed by our success in 2014 as lead site and Principal Investigator of an international James S. McDonnell Collaborative Award to Translate Neuroscience to Rehabilitation and Everyday Life (2015-2017; $528,000 USD; a consortium of 70 researchers worldwide) and lead of the clinical discovery and neuroimaging stream on the NHMRC Centre for Research Excellence in Stroke Rehabilitation and Brain Recovery (20152019; $2,500,000).

Targeting rehabilitation to the individual based on viable brain networks

Few rehabilitation interventions are based on robust principles of neuroscience. With a rare combination of expertise in clinical rehabilitation and neuroscience our program of research is designed to build stroke rehabilitation evidence: from clinical discovery to implementation. Our group has demonstrated changes in the brain associated with rehabilitation and how therapy may be used to drive neuroplastic changes. However, as yet, we do not have effective means of identifying individuals who may benefit from therapy nor how to select the most optimal therapy for an individual. In our current study we examine for the first time, how different training conditions (task-specific vs transfer-enhanced) and different lesion sites (cortical vs subcortical) impact on reorganization of brain networks involved in recovery of touch sensation. This project Effective sensory rehabilitation after stroke: Targeting viable brain networks is funded by an NHMRC Project grant (2012-2015; CIA Carey). In 2014 we expanded our recruitment sites and increased our recruitment to the study. We continue to collaborate with expert neurologists in Germany and Newcastle (Aus) and with the Advanced MRI Development team at the Florey. We are also involved

in the program of research into neuroimaging outcomes of motor recovery after stroke conducted in Newcastle at the Hunter Medical Research Institute. Our findings will guide therapists in choosing the best therapy for the right individual, based on knowledge of brain networks that have capacity to adapt. Translation: We developed a video animation to depict the translation of neuroscience to an effective rehabilitation intervention: i.e. Connect: Neurogenesis to Neurorehabilitation. The video is available at: http://youtu.be/ G9V3I30pn68 and has been sought after by therapists and stroke survivors alike. Our systematic approach to development of the SENSe neuroscience-base intervention now provides a template for future development of interventions and is the topic of keynote presentations (see below). Expected outcomes from this program of research include: (i) First-ever knowledge of how brain networks alter under different sensory training conditions; and (ii) Evidencebased guidelines to better target sensory rehabilitation to individuals, informed by knowledge of brain networks with capacity to adapt. The clinical value is on identifying strengths of an individual, i.e. neurobiological potential, to use in therapy, and best use of limited resources. Targeting therapy according to viable brain networks is a paradigm shift for stroke rehabilitation.

Neurobiology of recovery and impact of depression on outcome after stroke

One barrier to successful rehabilitation and a major factor impacting recovery and quality of life is post-stroke depression. Despite evidence that depression and stroke are epidemiologically linked, our recent meta-analyses indicate few reliable associates. Our group are using a multimodal approach to investigate the neurobiological associates of recovery and post-stroke depression in a longitudinal stroke cohort. This cohort study is influential in its measurement of a profile of outcomes from mechanisms to participation, and includes blood-based biomarkers, changes in brain structure and function, mood, cognition, lifestyle, and activity participation over 12 months. The cohort, known as START: STroke imAging pRevention and Treatment, is funded by a CSIRO preventative health flagship ($3,000,000; 2010-2015). START PrePARE (Prediction and Prevention to Achieve optimal Recovery Endpoints), the longitudinal cohort arm with advanced imaging and clinical outcomes is led through the Neurorehabilitation and Recovery group. 100% of the sample was recruited as of 2014 and the final data will be collected in April 2015. The imaging and biomarker work is supported by teams from CSIRO (Biomedical Imaging and Molecular Biomarkers), the Florey Advanced MRI Development group, and the La Trobe Institute for Molecular Science. Findings are contributing new insights to stroke rehabilitation that is founded in neuroscience. Expected outcomes include: (i) Novel insight into the neurobiology of post-stroke depression and functional outcome; (ii) Identification of imaging and molecular associates of post-stroke depression to help identify people ‘at risk’ of depression early, inform personalised approach to rehabilitation, and guide more targeted interventions; (iii) Identification of individual patient characteristics that impact on outcome during the 12-month period; (iv) Quantification of the impact of stroke-associated depression on participation in household, social, and leisure activities.

Implementation of evidence-based practice in clinical practice settings

The main objective of this research theme is to develop a template and clinical practice guidelines for implementation of evidence-based rehabilitation in clinical practice settings. This will be achieved in the first instance through implementation of the SENSe intervention. This therapy has been described as ‘life changing’ from stroke survivors. The SENSe Implement study will address one important knowledge-practice gap in stroke rehabilitation: treatment of sensory loss after stroke. Our national survey of current evidencebased assessment and treatment of sensory impairment after stroke, accepted for publication in 2014, highlighted this important evidence-practice gap. This gap now needs to be systematically and urgently addressed. We have produced specialised therapeutic tools, manuals and training videos to teach therapists to effectively

use SENSe therapy with their clients. These tool are now available for use in clinical practice settings nationally and internationally. We will now implement this effective neuroscience-based sensory intervention in clinical practice settings using recommended ‘knowledge-to-action’ methods. The SENSe Implement project will be funded in-kind from hospitals and a dedicated SENSe fund. Three experienced therapists who will be involved in the study have enrolled in a PhD and Masters research program. All have now received competitive scholarships to support their work in this field. The team also includes a rehabilitation physician/director, senior therapist and 5-10 therapists at each site. Professor Marion Walker and Dr Louise Connell will support implementation in the UK. Expected outcomes include: (i) Improved outcomes for stroke patients receiving evidence-based SENSe rehabilitation; (ii) A community of ‘up-skilled’ champion therapists; (iii) New evidence of the success of knowledge-transfer methodologies in stroke rehabilitation; and (iv) Dissemination of the implementation template, with application to interventions for other functions.

Application of SENSe in children

The SENSe intervention is also being applied to children with cerebral palsy using randomised controlled methodology. A research group (n=8) comprising a paediatrician, therapists and PhD students are conducting this research in Perth in collaboration with us.

PUBLIC HEALTH AND EPIDEMIOLOGY

Leader: Associate Professor Dominique Cadilhac

Our group conducts various projects related to improving the clinical management and outcomes of stroke. Research on the quality of stroke care in public hospitals continues to be a major objective, as well as designing and evaluating systems to improve the delivery of evidence-based care and achieve better health outcomes after stroke.

Research highlights for 2014

In 2014, our team continued to lead the expansion of the Australian Stroke Clinical Registry and the Victorian Stroke Telemedicine Program. In addition, there was terrific progress with the Stroke123 NHMRC partnership project whereby AuSCR data were linked to the National Death Index and the acute hospital quality improvement intervention, facilitated by the Stroke Foundation, was delivered across 20 hospitals in Queensland. These are our major flagship projects. We also continued to provide research support for the National Stroke Foundation ‘Know your numbers program’ with approximately 190,900 registrants data from 1,519 health check stations (93 per cent were from pharmacy locations) processed for analysis. The ‘Know your numbers’ program promotes the importance of regular blood pressure checks and the awareness of other stroke risk factors in the community. People who are identified as potentially being at high risk of stroke or cardiovascular disease are referred to their doctor for advice on how to lower their risk and stay healthy. The research program associated with this initiative is being conducted in collaboration with Monash University, where Associate Professor Dominique Cadilhac is also based. Assoc Prof Cadilhac was also successful in obtaining an NHMRC grant ($475K) to undertake a comprehensive cost-effectiveness analysis of the Victorian Stroke Telemedicine program with Monash and Deakin Universities. In 2014, our team also co-hosted the second national workshop with the Stroke Foundation on stroke data, quality and telemedicine which was attended by over 100 delegates.

Stroke Telemedicine (leaders Professor Chris Bladin and Associate Professor Dominique Cadilhac)

The Victorian Stroke Telemedicine initiative is a ground breaking program of work that has the potential to transform the way clinicians collaborate across organisational boundaries to deliver the best care possible to stroke patients irrespective of their location.

THE FLOREY INSTITUTE OF NEUROSCIENCE & MENTAL HEALTH ANNUAL REPORT 2014 THE FLOREY INSTITUTE OF NEUROSCIENCE & MENTAL HEALTH ANNUAL REPORT 2014 94 95
Dr Liam Johnson, a postdoctoral research fellow, putting a stroke patient through his paces.

The objective of the program is to improve the care of acute stroke patients across Victoria through the use of cutting edge technology. We aim to do this by implementing a seamless videoconference service to 16 regional hospitals providing 24 hour access to a stroke neurologist roster. Professor Chris Bladin and Assoc Prof Cadilhac, who co-lead this work, have secured over $8.96 million in funding for this program with an additional $475K for a more complete costeffectiveness analysis with project funding from the NHMRC.

The Victorian Stroke Telemedicine Program includes three projects. The initial project was the VST – Bendigo, a successful single site telemedicine project undertaken at Bendigo Health which concluded in 2013. The VST - Loddon Mallee project was commenced in 2013 and is funded by the Victorian Government under the Broadband Enabled Innovation Program (BEIP) grant. This project was the basis for expanding support using the Bendigo model to include Echuca Regional Health, Swan Hill District Health and Mildura Base Hospital in 2014. This work has been project managed by Michelle Vu who joined our team in 2014. At the conclusion of the twoyear BEIP funding, Loddon Mallee health services will continue to receive support under the VicStroke Project. The VicStroke Project is funded by the Australian Government Health and Hospital Fund and will continue to support the VST Loddon Mallee project whilst increasing the scope to include a further 12 hospitals across the other regions of Victoria. This will enable state wide coverage of the teleneurology service and which is funded until 2018. These projects form the largest acute stroke telemedicine program in Australia. Our project partners include Victorian Stroke Clinical Network (Victorian Department of Health), Monash University, Telstra, Polycom, Ambulance Victoria, National Stroke Foundation and the Loddon Mallee Rural Health Alliance. Boehringer Ingleheim has also provided an educational grant to support adaptations to the AuSCR web-tool and education.

In the Victorian Stroke Telemedicine program there are three key research themes: i) clinical ii) implementation science, and iii) health economics. The data collection has been developed to use the infrastructure available through the Australian Stroke Clinical Registry (AuSCR) (Assoc Prof Cadilhac and The Florey are national data custodians) which has been expanded to include stroke telemedicine variables. In this way, ongoing benefits of the program can be captured to measure sustainability impacts beyond 2018.

Australian Stroke Clinical Registry and Stroke123 NHMRC partnership project (leader Associate Professor Dominique Cadilhac)

Our team leads expansion of the Australian Stroke Clinical Registry (AuSCR), mainly across Queensland and Victoria where these respective State governments have invested in its use for monitoring and improving stroke care. The data from AuSCR are also being used as part of a NHMRC Partnership grant whereby a non-randomised, multi-centre, historical, controlled cohort substudy in Queensland that involves quality improvement interventions is being undertaken. Through this work, Assoc Prof Cadilhac is also leading efforts to advance cross-jurisdictional data linkage in Australia and, as such, has established a highly imminent working party that includes members of the Australian Institute of Health and Welfare, the Population Health Research Network and lead researchers from various states who have undertaken data linkage projects, as well as representatives of various State Health Departments. In 2014, she convened a national workshop to progress collectively these efforts to achieve cross-jurisdictional data linkage).

In 2014, there were 51 hospitals with ethical approval to collect data in AuSCR which is an increase from 47 in 2013 (AuSCR 2013 annual report available at www.auscr.com.au). At the end of 2014, there were over 23,000 registered patients of which 5435 were added in 2014. Overall, 2.7 per cent have opted out information from the registry. The Florey AuSCR team, in particular registry manager Brenda Grabsch, data managers Francis Kung and Kate Paice, Queensland coordinator Enna Salama and Victorian Coordinator Kasey Wallace have been the driving force behind the expansion of

AuSCR in 2014. At the end of 2014, the team were informed that the Victorian Department of Health, through the Victorian Stroke Clinical Network, had committed about $785,000 to support greater establishment of AuSCR within Victorian hospitals. The Victorian government has provided, to date, the largest commitment we have received from government to support this initiative.

CLINICAL TRIALS

Leader: Professor Geoffrey Donnan

The Clinical Trials Platform crosses an array of clinical trial initiatives in stroke. The platform services of Neuroscience Trials Australia (NTA), housed within the Florey, are utilised. These include project management, regulatory and monitoring issues, statistical and data storage.

Research highlights for 2014

The main focus of clinical trial activity continues to be around the extended time window for neurological deficits (EXTEND) series of trials. This is in partnership with Professor Stephen Davis at the Melbourne Brain Centre@RMH and his colleagues. This family of trials is designed to extend the time window for the most commonly used stroke intervention, thrombolysis (clot dissolving). We are testing the hypotheses that the time window may be extended out to nine hours from 4.5 hours and that clot removal with the SOLITAIRE device may improve outcomes. This trial has now been completed and the results will be presented at the International Stroke Congress in the US in February 2015. A further study in which the hypothesis that administration of tranexamic acid (a clot promoting agent) may improve outcomes in patients with intracerebral haemorrhagic by minimising further bleeding into the brain. Analysis has been completed on an earlier trial (ARCH trial - prevention of second stroke events in patients with stroke caused by clots coming from the main artery from the heart. Although the trial was stopped early because of the inability of the European arm to continue, the combination of the antiplatelet agents aspirin and clopidogrel were found to be safe and as effective as the anticoagulant warfarin. Given the simplicity of use of the combination antiplatelet agents, these would be the obvious ones to use in clinical practice. The results were published in the journal Stroke.

Clinical trial activity is built upon national and international collaboration. Of the numerous trials conducted at the Florey, the majority are conducted by collaborating with numerous academic colleagues throughout Australia and commonly with those in other countries. Particular collaborations occur with Professors Stephen Davis at the Royal Melbourne Hospital, Christopher Levi and Mark Parson at Newcastle, Greg Albers at Standford University USA, Pierre Amarenco Paris France, and Werner Hacke Heidelberg Germany.

Commercial projects conducted through Neuroscience Trials Australia (NTA)

Clinical trial activity in stroke also includes very important partnerships and collaborations with pharmaceutical and biotechnology companies (both local and global). The trials range from Phase II to III and include drug as well as devices. One of the products assessed aims to assist in dissolving clots that are associated with stroke. Another trial is assessing the use of aspirin compared to another agent in the prevention of TIAs.

COLLABORATIONS

ҩ International cooperation in preclinical stroke research: Correcting the problems of bias, lack of statistical power and lack of generalizability in preclinical research requires larger, more rigorously controlled and replicated experiments. Our approach to achieve this is establishment of the Multi-PART (mentioned above). This platform has the potential to transform preclinical animal research across the life sciences, similar to the tremendous improvements in clinical research that occurred through the introduction of multicenter clinical trials. This program is now being geared up for the conduct of the first multi-center pre-clinical studies.

ҩ NHMRC Program (Donnan, Davis, Hankey, Parsons & Howells). Our NHMRC program (AppID’s 251525, 454417, 1013612) established a unique vertically integrated program with basic and clinical science elements to select neuroprotectants for clinical trial. We then expanded our basic science so that we had the capacity to identify novel targets for therapy and study the role of long term plasticity and are now exploring the use of stem cell derived human neurons as a drug screening tool and the use of blood biomarkers to select stroke patients for treatment.

ҩ Stroke on a chip: Since our understanding of human stroke pathophysiology is incomplete, we may not have targeted the right cells or the right molecular processes within these cells in our attempts to develop drugs for stroke. A new collaboration with colleagues from University of Queensland (Prof Justin CooperWhite, A/Prof Ernst Wolvetang), University of Melbourne (Dr Mirella Dottori) and CSIRO (Dr William Wilson, Dr Dadong Wang) will use human neurons, astroglia and oligodendroglia derived from embryonic stem cells grown on and microbioreactor arrays, to better define the human ischemic cascade. The multifactorial capacity of the MBAs will allow rapid and reproducible examination of complex interactions between the cells and of the effects of ischemia and of the pharmacological injuries, previously used to identify the key steps in the rodent ischemic cascade, on the biology of these cells. This data will allow us to build the first quantitative and statistically robust map of the human ischemic cascade. The nodes of the map most easily disrupted by ischemia and related insults and those that allow for the greatest degree of normalization when treated will be identified as therapeutic targets for future drug testing.

ҩ Eng Lo, Harvard, USA, Novel lipoxygenase inhibitors to reduce oxidative injury after stroke (US Patent 2012/0053220 A1);

ҩ Dave Lambeth, Emory University, USA, Novel NOX inhibitors to treat stroke.

ҩ William Wilson & Lance Macaulay, CSIRO, Biomarkers to generate a stroke clock (Patent PCT/AU2012/000071).

EDITORIAL POSITIONS

ҩ Evidence based preclinical medicine (Editor in chief)

ҩ International Journal of Stroke (Associate Editor)

ҩ Virtual Medical Centre (Editorial board member)

ҩ Journal of Experimental Stroke Translational Medicine (Editorial board member)

ҩ Translational Stroke Research (Editorial board member).

STAFF

ҩ Dr Katherine Jackman

ҩ Dr Ana Antonic

ҩ Dr Sarah McCann

ҩ Dr Sarah Rewell

ҩ Dr Taryn Wills

ҩ Dr Marie Dagonnier

AVERT EARLY INTERVENTION RESEARCH PROGRAM

KEY COLLABORATIONS

Gothenburg University, Sweden; St Olav’s University Hospital, Norway; Glasgow University, UK; Edinburgh University, UK; Hunter Medical Research Institute, NSW; Austin Health, Vic; Melbourne Health, Victoria; Linköping University, Sweden.

EDITORIAL POSITIONS

ҩ Stroke

ҩ International Journal of Stroke, Section editor Rehabilitation

ҩ Topics in Stroke Rehabilitation

ҩ International Journal of Therapy and Rehabilitation

ҩ Journal for Neurologic Physical Therapy

ҩ American Heart Association writing group “Physical Activity and Exercise Recommendations for Stroke Survivors.” (2014)

ҩ Editorial board member, BMC Neurology

MAJOR NATIONAL AND INTERNATIONAL CONFERENCES

ҩ World Stroke Conference, Invited speaker. Istanbul.

ҩ Physiotherapy New Zealand Conference, Linking the Chain, Auckland. Keynote Speaker.

ҩ World Federation for Neurorehabilitation, Invited speaker & Plenary chair – Advancing Clinical Trials in Neurorehabilitation. Istanbul.

ҩ Singapore Rehabilitation Conference. Invited speaker. Singapore.

ҩ International Stroke Conference, San Diego.

ҩ NTRI Forum. (National Trauma Research Institute) Using Evidence Briefs and Structured Stakeholder Dialogues to address challenges in trauma care, Melbourne.

ҩ University of Melbourne, Melbourne. Evidence based medicine –views from a researcher, clinician and guideline developer.

ҩ Stroke Society of Australasia Scientific Meeting, Hamilton Island.

ҩ The Florey Institute of Neuroscience and Mental Health, Stroke Division. Annual Scientific Meeting. Nelson Bay.

ҩ Occupational Therapy Conference, Adelaide.

ҩ Australasian Nursing & Allied Health Stroke Conference, Sydney.

ҩ Australasian Faculty of Rehabilitation Medicine (AFRM) 2014 ASM, Adelaide.

ҩ International Cognitive Neuroscience Conference, Brisbane.

ҩ Australian Faculty of Rehabilitation Medicine Conference (invited speaker).

KEY STAFF

ҩ Fiona Ellery

ҩ Dr Janice Collier

ҩ Jan Chamberlain

ҩ Tara Purvis

ҩ Dr Toby Cumming

ҩ Dr Coralie English

ҩ Charlotte Krenus

ҩ Alice Liu

ҩ Heidi Ho

ҩ Katie Ardipradja

ҩ Kate Sidon

ҩ Dr Julie Luker

ҩ Dr Liam Johnson

ҩ Karen Borschmann

ҩ Sharon Kramer

ҩ Anne Hokstad

ҩ Nat Fini

NEUROREHABILITATION AND RECOVERY COLLABORATIONS

INTERNATIONAL

ҩ Washington Uni. St. Louis. USA

ҩ Heinrich Heine University, Germany

ҩ University of Haifa, Israel

THE FLOREY INSTITUTE OF NEUROSCIENCE & MENTAL HEALTH ANNUAL REPORT 2014 THE FLOREY INSTITUTE OF NEUROSCIENCE & MENTAL HEALTH ANNUAL REPORT 2014 96 97

ҩ University of Nottingham, UK

ҩ Department of Psychological and Brain Sciences, Indiana Uni, USA

ҩ Department of OT Education, Kansas Medical Centre, USA

ҩ A/Prof Thomas Linden. Neurologist/psychiatrist, Gothenburg, Sweden.

ҩ Dept. of Occupational Science and Occupational Therapy and Graduate Dept. of Rehabilitation Science, University of Toronto, Canada

ҩ Dept. of Clinical and Biological Neurosciences, University. Hospital, Grenoble, France

ҩ McDonnell consortia: Advancing the Science of Rehabilitation. 70 scientists from North America, Israel/Europe and Australasia.

ҩ Implementation Science consortia (UK, Canada, Aus).

ҩ International Post Stroke Upper Extremity Working Group.

ҩ National Institute of Health (NIH) Toolbox: Assessment of Neurological and Behavioural Function group.

NATIONAL

ҩ CSIRO preventative Health Flagship. START program of research.

ҩ Hunter Medical Research Institute, Newcastle, Centre for Brain and Mental Health Research

ҩ University of Newcastle, NSW

ҩ Advanced MRI Development, Florey Institute

ҩ La Trobe University: School of Allied Health; Research Focus Area, Sport Exercise and Rehabilitation; and Living with Disability research group (LiDS).

ҩ La Trobe Institute of Molecular Sciences (LIMS)

ҩ School of Paediatric and Child Health, University of Western Australia

ҩ Australian National University, Canberra

ҩ Allied and Public Health, Australian Catholic University, Melbourne.

ҩ Neurology, Austin Health

EDITORIAL POSITIONS

ҩ Neurorehabilitation and Neural Repair

ҩ Occupational Therapy International

ҩ Australian Occupational Therapy Journal

ҩ Brain Impairment.

MAJOR NATIONAL AND INTERNATIONAL CONFERENCES 2014

INTERNATIONAL – KEYNOTE AND INVITED

ҩ Cross-Cultural Issues in Stroke: Policy, Population and Clinical Comparisons. Global Ageing Research Network Meeting. McDonnell International Scholars Academy 5th International Symposium. The Role of Research Universities in Addressing Global Challenges. St Louis. MO.

ҩ Neuroscience makes Sense for Occupational Therapy. Washington University at St Louis St Louis. 8th October 2014.

ҩ Post-Stroke Rehabilitation; Translating Neuroscience to neurorehabilitation. 11th International Conference on Low Vision. Advancing Research, Upgrading Practice, Improving Participation. Melbourne.

ҩ A learning based model of recovery and rehabilitation post-stroke in the Symposium: Rehabilitation of Neurological Vision Impairment. 11th International Conference on Low Vision. Advancing Research, Upgrading Practice, Improving Participation. Melbourne.

ҩ Imaging associates of post-stroke depression and functional outcome: A longitudinal cohort study. 12th International Conference on Cognitive Neuroscience. Symposia. Brisbane.

ҩ The Stroke Profile and Recovery Journey: Across Countries and Over time. McDonnell International Scholars Academy 5th International Symposium. St Louis. MO.

ҩ Health indicators, incidence, prevalence and mortality rates, temporal

trends and gender differences in stroke between United States, Australia and Singapore: An In-depth cross-country comparison. McDonnell International Scholars Academy 5th International Symposium. St Louis. MO.

ҩ Stroke rehabilitation and services in late stages of recovery and return to the community: Comparisons from three corners of the globe. McDonnell International Scholars Academy 5th International Symposium. St Louis. MO.

ҩ Same intervention-Different reorganization: Impact of lesion location on training touch after stroke. 2014 Organisation of Human Brain Mapping. Hamburg, Germany.

ҩ Brain Regions Activated during Tactile Stimulation in Healthy Individuals: An ALE meta-analysis. 2014 Organisation of Human Brain Mapping. Hamburg, Germany.

ҩ Functional and structural connectivity in the brain associated with depression after stroke. 8th World Congress for NeuroRehabilitation. Istanbul, Turkey.

ҩ SENSe: Individual patient characteristics that predict favorable outcomes for sensory rehabilitation after stroke. 8th World Congress for NeuroRehabilitation Istanbul, Turkey.

ҩ The Path through Life project. ICNE 2014. International Conference of Neurology and Epidemiology.

ҩ Automated detection of brain regions associated with post-stroke depression: A hypothesis. ISMRM 2014. Milan, Italy.

ҩ Automated lesion detection from multimodal brain MRI using Markov random fields and random forest. ISMRM 2014. Milan, Italy.

ҩ Fish oil diet associated with acute reperfusion related haemorrhage, and with reduced stroke-related sickness behaviours and motor impairment. Modulating the Brain: Facts, Fiction, Future Conference. Belgian Brain Council.

ҩ Sensory discrimination training in children with hemiplegic cerebral palsy: 2 case studies. 8th World Congress for NeuroRehabilitation. Istanbul, Turkey.

ҩ Advancing the Science of Rehabilitation: Translating Neuroscience and Rehabilitation into Everyday Life. 16th World Federation of Occupational Therapy Congress. Yokohama, Japan.

ҩ Understanding occupational/activity participation after stroke. 16th World Federation of Occupational Therapy Congress. Yokohama, Japan.

ҩ Extending the Time for Thombolysis in Emergency Neurological Deficits - The Extend Trial. International Stroke Conference 2014. San Diego, CA.

PUBLIC HEALTH AND EPIDEMIOLOGY

COLLABORATIONS

Stroke and Ageing Research, School of Clinical Sciences at Monash Health, Monash University; The George Institute for Global Health; Stroke Society of Australasia, La Trobe University; Hunter Stroke Service, NSW Australia; New South Wales Health, Australia; National Stroke Foundation, Australia; Australian Catholic University, Australia; Centre for Translational Excellence in Neuroscience, Melbourne Health; Queensland Statewide Stroke Clinical Network; Victorian Stroke Clinical Network; Victoria; Victorian Department of Health, Edith Cowan University, Western Australia; University of Western Australia; South Australian Statewide Stroke Clinical Network; NSW Statewide Stroke Clinical Network; Queensland Health; Michigan State University, USA; Ottawa Hospital Research Institute, Canada;; Telehealth Connect, Australia; NBNCo, Australia; Loddon Mallee Rural Health Alliance, Australia; Loddon Mallee Rural Health Alliance; Bendigo Health, Echuca Hospital, Swan Hill Hospital, Wangaratta Hospital, Albury and Wodonga Hospitals, Victoria Australia; Ambulance Victoria; Telstra, Australia; Polycom, Australia; School of Population Health, University of Melbourne; University of South Australia; Menzies Institute, University of Tasmania; University of Newcastle, NSW; Hunter Medical Research Institute, NSW;

Nursing Research Institute, NSW; Population Health Research Network, Eastern Health, Monash University; Health Outcomes Institute, Arizona

US; University of Tennessee Health Science Center, Memphis US; School of Health, University of Central Lancashire, Preston, UK

EDITORIAL POSITIONS

ҩ Cadilhac: International Journal of Stroke, Clinical Audit, Dove Medical Press and World Journal of Hypertension

ҩ Dewey: Stroke journal and International Journal of Stroke

ҩ Bladin: Current Neurology and Neuroscience Reports and British Journal of Sports Medicine

STAFF

ҩ Dr Adele Gibbs

ҩ Alison Dias

ҩ Brenda Grabsch

ҩ Prof Christopher Bladin

ҩ Enna Salama

ҩ Francis Kung

ҩ Gary Eaton

ҩ Prof Helen Dewey (honorary)

ҩ Karen Moss

ҩ Kasey Wallis

ҩ Kate Paice

ҩ Dr Katie Bagot

ҩ Linda Francis

ҩ Michelle Vu

ҩ Monique Kilkenny (honorary)

ҩ Nancy Capitanio

ҩ Sally Berger

ҩ Tara Purvis (honorary)

MAJOR NATIONAL AND INTERNATIONAL CONFERENCES

CADILHAC

ҩ Reviewing the options for performance benchmarks for acute stroke care in Australia NHMRC Research Translation faculty conference, Melbourne, November 2014

ҩ Update on the Victorian Stroke Telemedicine (VST) Project. Smart Strokes, Sydney. August 2014

ҩ Stroke data collection in the Australian Stroke Clinical Registry –Progress with a purpose, Smart Strokes, Sydney August 2014

ҩ Introduction to Research Principles, Smart Strokes, Sydney August 2014 (Invited)

ҩ Variances in hospital mortality: Experiences from the Australian Stroke Clinical Registry (AuSCR). Stroke Society of Australasia, Hamilton Island. August 2014

ҩ NSW Stroke Services Clinical Network, panel discussion with Agency for Clinical Innovation on stroke data May 2014 (Invited)

ҩ The economic implications of practice gaps in stroke care: an Australian case study. European Stroke Conference, Nice, France, May 2014

ҩ Co-convenor National Stroke Data, Quality and Telemedicine workshop, Florey, Melbourne March 2014

BLADIN

ҩ Co-convenor National Stroke Data, Quality and Telemedicine workshop, Florey, Melbourne March 2014

DEWEY

ҩ Generalisability of imaging selection for intra-arterial therapy in ischaemic stroke – up to 30% of tPA eligible patients are potentially eligible. European Stroke Conference, Nice, France May 2014.

ҩ Early mobilisation after thrombolysis (rt-PA) in acute stroke: are rtPA treated patients enrolled in a trial of early mobilisation (AVERT) different from those that are not? International Stroke Conference, San Diego, USA, February 2014.

VU

ҩ Experience with scaling up the Victorian Stroke Telemedicine Programme, Successes and Failures in Telehealth (SFT-14), Adelaide November 2014

GRABSCH

ҩ Australian Stroke Clinical Registry: progress and future plans. Registry Special Interest Group, Melbourne, September, 2014.

KILKENNY

ҩ Quality of life and readmission after stroke: the Australian Stroke Clinical Registry experience, Stroke Society of Australasia, Hamilton Island, July 2014

ҩ Influence of area-level socioeconomic status and risk factors for stroke: impact of the New South Wales (NSW) Know your numbers program, Stroke Society of Australasia, Hamilton Island, July 2014

THE FLOREY INSTITUTE OF NEUROSCIENCE & MENTAL HEALTH ANNUAL REPORT 2014 THE FLOREY INSTITUTE OF NEUROSCIENCE & MENTAL HEALTH ANNUAL REPORT 2014 98 99

SYSTEMS NEUROPHYSIOLOGY

Leader: Professor Robin McAllen & Professor Richard Macdonell

A QUICK SNAPSHOT

In Systems Neurophysiology we seek to learn how the nervous system controls various bodily functions and how that control is altered in disease. Our disease focus includes not only neurological disorders such as epilepsy and multiple sclerosis, but also how the nervous system impacts on non-neurological diseases such as heart failure and inflammatory diseases. A clear understanding of basic mechanisms is crucial in developing better therapies and reducing the impacts of illness.

OUR FOCUS

Professor Robin McAllen heads the Systems Neurophysiology group at Parkville, which researches brain function in health and disease. A particular focus is on how the brain controls basic bodily functions such as blood pressure, body temperature, body fluids and breathing.

AN IDEA LIKELY TO CHANGE LIVES BY 2035

We have shown that a key area for upper airway control can be identified by a single gene-marker. This maker will allow us to investigate critical cell populations in animals, but importantly also in the human brain. These finding will significantly help us understand and treat neurodegenerative upper airway disorders.

We’ve made a very exciting finding about a primitive part of the brain called the nucleus of the solitary tract or NTS. We have found that adult neurogenesis occurs in the NTS and, importantly, that this process plays a critical role in the regulation of blood pressure. Using a synthetic analogue of the building blocks of DNA, our group found that adult neurogenesis in the solitary tract is increased in both genetically and experimentally induced hypertensive models. The main challenge now is to understand how increased neurogenesis within the NTS contributes to hypertension. We believe this research will help us better understand the neurogenic origins of high blood pressure and reveal a new target for treating hypertensive patients.

SENIOR STAFF

• Professor Robin McAllen • Emeritus Professor Derek Denton • Professor Richard Macdonell • Associate Professor Mathias Dutschmann • Dr David Farmer • Dr Davide Martelli • Associate Professor Clive May • Professor Michael McKinley • Dr Glenn Pennington • Dr Rohit Ramchandra • Dr Davor Stanić • Dr Song Yao • Dr Stuart McDougall • Dr Tara Bautista • Dr Lindsay Booth • Dr Tony Shafton • Dr Yugeesh Lankadeva • Dr Junko Kosaka •

AUTONOMIC NEUROSCIENCE GROUP

Leader: Robin McAllen

We investigate the central nervous pathways that regulate basic bodily functions such as blood pressure and body temperature, as well as their transmission to bodily targets via autonomic nerves.

Research highlights for 2014

It has long been known that, to control body temperature and maintain it within a narrow range, the brain uses temperature signals from the skin and from deep body structures as well as from the brain itself. Tony Shafton, Michael McKinley and Robin McAllen are tracking down the brain’s intrinsic temperature sensors but in order to do this, we need to eliminate temperature signals arriving at the brain from the rest of the body. Others have shown that skin temperature signals relay in brainstem nuclei called the parabrachial nuclei: eliminating those structures prevents the influence of skin temperature on thermoregulatory responses such as increasing or decreasing blood flow to the skin. We hypothesised that temperature signals from deep body structures, such as the stomach and abdominal organs, are transmitted by to the brain by pathways closely similar to those that transmit skin temperature signals. In anaesthetised rats, we first showed that the nerves to blood vessels in the tail (its major organ of heat exchange) responded to temperature changes in the abdomen, and did so independently of brain or skin temperatures. Next, we made lesions of the parabrachial nuclei, and confirmed that they blocked any influence of skin temperature on the thermoregulatory response of the rat’s tail nerves. Finally, we showed that these same lesions also blocked the effects of temperature changes in the abdomen. But the influence of brain temperature was preserved. Now we can remove the influence of temperature signals from the rest of the body and investigate the actions and neural pathways of the brain temperature sensors acting alone.

The research focus of the team hasn’t changed over the last 12 months and most of the time has been used to investigate the neural control of immune function. During 2014, we published a study (Martelli D., Yao S.T., McKinley M.J., McAllen R.M. Reflex control of inflammation by sympathetic nerves, not the vagus. J. Physiol., 592, 2014:1677-1686.

This was recommended in Faculty of 1000 and as the editor’s choice of the published issue), where we described a neural reflex, termed the inflammatory reflex, that controls inflammation. This study contradicts the current dogma, that considers the vagus nerve as the main player of the inflammatory reflex, and shows how inflammation is controlled by the splanchnic sympathetic nerves. We also performed a thorough investigation on the target organ of the inflammatory reflex. Our results (still unpublished), once again, contradict the common view that it’s the spleen the principal organ where nerves physiologically interact with white cells to inhibit inflammation. We now have data that demonstrate how this interaction is generalised to all the organs innervated by the greater splanchnic nerves (spleen, adrenal glands, liver, stomach and intestine).

on their body fat levels. These findings show that fat can be metabolised in dehydrated animals to produce water. We suspect that this process is controlled by osmoreceptors in the brain.

RESPIRATORY NEUROBIOLOGY LAB

Leader: Mathias Dutschmann

We study the basic neural mechanisms underlying breathing, how these patterns of nerve activity adjust to accommodate other behaviours such as swallowing, and how they are modified during development and in neurodegenerative disease.

Research highlights for 2014

Our main research focus is how the central nervous system controls upper airway muscles to modulate respiratory airflow during normal breathing (eupnoea). We also want to understand how the same brain circuitry adapts during important oro-pharyngeal behaviours, such as swallowing and breathing. The upper airway control circuits are prone to neurodegeneration including symptoms such as breath and vocal disorders, and also dysphagia (swallowing disorders). We are showing that a key area for upper airway control can be identified by a single gene-marker (foxp2). This maker will allow us to investigate critical cell populations in animals, but importantly also in the human brain. These finding will significantly facilitate our translational research program which aims to understand and treat neurodegenerative upper airway disorders.

NEUROCARDIOVASCULAR GROUP

Leader: Clive May

The Neuro-cardiovascular group is investigating the effects of the sympathetic nervous system in diseases including heart failure and septic shock.

Research highlights for 2014

Professor Michael McKinley has been investigating the relationship between fat and hydration. When fat is broken down by metabolism, it generates water as well as energy. We wondered whether the body uses this process to generate water when it is needed to offset dehydration. We tested this idea in rats. Using an MRI instrument designed for the purpose, we measured their total body fat and total body water before and after 24 hours of water deprivation. After this, their total body water fell by eight per cent and their body fat by 16 per cent. The fat levels returned to normal within 48 hours of restoring access to water. Although dehydrated rats ate less food, reducing the food intake of normally hydrated rats by the same amount had only a very small effect

Effects of electrical stimulation of the renal nerve on mean arterial pressure (MAP), heart rate (HR), renal vascular conductance (RVC) and renal blood flow (RBF). The left panel shows that the responses in the control situation (black) were abolished acutely after renal denervation (green).

The right panel shows that the response at 5.5 (red) and 11 months (blue) after denervation were similar to the control responses (black).

Heart Failure

Heart failure is a complex syndrome resulting from structural changes in the heart that reduce cardiac output and thus perfusion of tissues. It is a major public health problem in all Western countries where, in addition to the human cost in terms of morbidity and mortality, it is estimated to cost more than five per cent of health budgets. Disturbingly, the incidence of new cases of heart failure is increasing due to the ageing of the population and the conversion of acute cardiac problems into chronic disorders. A novel technique that has been used for the treatment of hypertension, denervation of the renal nerves, has been proposed as a treatment for heart failure. It is however unclear how effectively this technique denervates the renal nerves and whether the nerves subsequently regrow.

Studies conducted by Dr Lindsea Booth demonstrated that renal denervation with a clinically used radiofrequency catheter effectively denervated both the renal afferent and efferent renal nerves. This was demonstrated by a loss of renal sympathetic nerve activity, lack of responses to electrical stimulation of the renal nerve and absence of anatomical markers for afferent and efferent nerves in the kidney. We then demonstrated that at five months after denervation the level of renal nerve activity, the responses to electrical stimulation and level of anatomical markers were close to normal, and had fully returned to normal by 11 months

THE FLOREY INSTITUTE OF NEUROSCIENCE & MENTAL HEALTH ANNUAL REPORT 2014 THE FLOREY INSTITUTE OF NEUROSCIENCE & MENTAL HEALTH ANNUAL REPORT 2014 100 101

after denervation. These findings demonstrate that radiofrequency catheter-based renal denervation is effective, but raise questions regarding the mechanism by which renal denervation causes a prolonged fall in blood pressure in hypertensive patients.

Septic shock

Sepsis is the major cause of death in intensive care units with a high mortality rate of 30-70 per cent. Sepsis causes more deaths than prostate cancer, breast cancer and AIDS combined and the annual number of cases of sepsis is increasing. Despite the high costs in terms of morbidity, mortality and health budgets, few advances have been made in understanding of the pathophysiological mechanisms of sepsis, and consequently new therapeutic strategies have not been developed.

One of the hallmarks of sepsis is a large fall in blood pressure that can lead to multi-organ failure and death. A primary treatment is to give vasopressor drugs to increase blood pressure, but in sepsis the responsiveness to the drugs is reduced, leading to severe hypotension. One theory to explain this desensitisation is that the large increase in sympathetic nerve activity, that helps maintain blood pressure in sepsis, also has a detrimental action to reduce responsiveness of blood vessels. Dr Yugeesh Lankadeva and Dr Junko Kosaka have therefore investigated the effect of treatment with a drug, clonidine, that acts in the brain to inhibit sympathetic nerve activity. Although clonidine might be expected to cause a greater degree of hypotension, it in fact reduced the decrease in blood pressure during sepsis. An explanation for this is our finding that in sepsis treatment with clonidine fully restored the responsiveness of blood vessels to drugs that increase blood pressure. Clonidine might therefore be a useful treatment for septic patients who are resistant to vasopressor drugs and it is now important to confirm these experimental findings in a clinical trial in septic patients.

NEUROVASCULAR BIOLOGY LAB

Lead: Song Yao

Research highlights for 2014

Our group has made a very exciting finding in a primitive part of the brain call the nucleus of the solitary tract (NTS). This region of the brain stem is essential for regulating blood pressure. For many decades it was assumed that the adult brain does not acquire more brain cells (or neurones) in adulthood. This was shown to be an incorrect assumption in the 1960’s when an American group at MIT showed that the birth of new brain cells, termed ‘adult neurogenesis’ occurs in only two parts of the adult brain - one responsible for memory and the other responsible for smell.

Newly born brain cells (shown in red) have been discovered in the nucleus of the solitary tract or NTS. This region of the brain is essential for controlling blood pressure. We are currently trying to identify the function of these nascent cells and to understand how they contribute to high blood pressure.

We have recently demonstrated that adult neurogenesis also occurs in the NTS and, importantly, that this process plays a critical role in the regulation of blood pressure. Using a synthetic analogue of the building blocks of DNA our group found that adult neurogenesis in the solitary tract is increased in both genetically and experimentally induced hypertensive models. The main challenge now is to understand how increased neurogenesis within the NTS contributes to hypertension. We believe this research will help us better understand the neurogenic origins of high blood pressure and reveal a new target for treating hypertensive patients.

CLINICAL

BRAIN FUNCTION IN HEALTH AND DISEASE GROUP

Lead: Richard Macdonell

Our lab studies how diseases such as epilepsy and multiple sclerosis change the excitability of neurones. A second focus is on the physiology of neurorehabilitation and neural repair.

VISCEROSENSORY LAB

Lead: Stuart McDougall

Research highlights for 2014

One of the lab’s investigative aims is to understand how the brain coordinates internal organ function with behaviour, during stress and in diseases like depression or hypertension. We take a reductionist approach to study components of the neuronal network involved in these ‘automatic’ functions. With funding from the University of Melbourne Early Career Researcher Grants Scheme, my lab has utilised optogentic technology to pick these circuits apart over the last year. We are the first to demonstrate at the synaptic level how hypothalamic and amygdala neurones alter viscerosensory signals as they first enter the brain. With these fundamental findings the lab can establish how these networks are altered in autonomic related disease states. This work was presented at the meeting Central Cardiovascular and Respiratory Control at the Baker Institute during 2014 and I have been invited to present this work at the a combined meeting of the world’s major Autonomic Societies in 2015.

Research highlights for 2014

We are currently conducting a placebo controlled study investigating whether the drug (4-aminopyridine) can be used to improve upper limb and hand function in patients with multiple sclerosis. The drug has previously been shown to improve walking speed and quality of life in patients suffering from MS. We use clinical measures of hand function which may respond to using the drug, such as strength and dexterity and tactile discrimination.

We are also conducting neurophysiological measures of conduction in central nervous system pathways using the techniques of transcranial magnetic stimulation and somatosensory evoked potentials. The drug is thought to produce benefits by blocking potassium channels in demyelinated axons thus permitting conduction to be through areas damaged by MS. We are on track to have results of this study available in early 2016.

AUTONOMIC NEUROSCIENCE GROUP

EDITORIAL POSITIONS AND AWARDS

MCALLEN

ҩ American Journal of Physiology (Regulatory, Comparative and Integrative Physiology).

ҩ Temperature.

ҩ Faculty of 1000.

ҩ International Presentation.

ҩ Physiology and Pharmacology of Temperature Regulation, Kruger National Park, South Africa, September 2014.

ҩ Best 2014 research article published in the journal Temperature.

MARTELLI

ҩ 2014: Editorial Board of the Journal of Immune Research.

ҩ 2014: “Post-doctoral/Early Career Investigator Award” from the American Physiological Society (Neural Control/Autonomic Regulation section). Presented at EB2014 in San Diego, California, USA.

ҩ 2015: Awarded with a IBRO Research Fellowship.

MCKINLEY

ҩ American Journal of Physiology. (Regulatory, Comparative and Integrative Physiology)

ҩ Faculty of 1000.

RESPIRATORY NEUROBIOLOGY LAB

INTERNATIONAL CONFERENCES & EDITORIAL POSITIONS

DUTSCHMANN

ҩ Oxford breathing meeting, Sydney 2014.

ҩ Session speaker, session chair.

ҩ Tara Bautista, session speaker.

ҩ Editor in chief: Respiratory Physiology & Neurobiology (Elsevier).

NEUROCARDIOVASCULAR GROUP

COLLABORATIONS

ҩ Baker IDI, Melbourne.

ҩ University of Lyon, France.

ҩ University of Iowa, USA.

ҩ Rush University Medical School, Chicago, USA.

EDITORIAL POSITIONS

MAY

ҩ American Journal of Physiology, Regulatory, Integrative and Comparative Physiology.

ҩ Clinical and Experimental Pharmacology and Physiology.

ҩ Frontiers in Integrative Physiology.

ҩ Frontiers in Autonomic Neuroscience.

ҩ Faculty of 1000.

MAJOR NATIONAL AND INTERNATIONAL CONFERENCES 2014

ҩ World Congress of Cardiology, Melbourne.

ҩ PanAmerican Congress of Physiology, Iguassu Falls, Brazil.

ҩ High Blood Pressure Research Council of Australia, Adelaide.

NEUROVASCULAR BIOLOGY LAB

MAJOR INTERNATIONAL CONFERENCES

YAO

ҩ Pan-American Congress of Physiological Societies, Brazil 2014.

COLLABORATIONS

ҩ University of Sao Paulo, Sao Paulo Brazil.

ҩ Roslin Institute, University of Edinburgh, Scotland.

ҩ University of Bristol, United Kingdom.

CLINICAL BRAIN FUNCTION IN HEALTH AND DISEASE GROUP

COLLABORATIONS

MACDONELL

ҩ University of Queensland.

ҩ Monash University.

ҩ Biogen Idec (Australia).

An infected neuron in the amygdala forced to express a light sensitive ion channel and fluorescent protein. Light activates the neuron. A neuron in the brain stem is inhibited as light evokes neurotransmitter release in amygdala axons.
THE FLOREY INSTITUTE OF NEUROSCIENCE & MENTAL HEALTH ANNUAL REPORT 2014 THE FLOREY INSTITUTE OF NEUROSCIENCE & MENTAL HEALTH ANNUAL REPORT 2014 102 103

I am passionate about improving the lives of people with Parkinson ’s disease. It’s my life’s work. The thirst for scientific knowledge is important to me but knowing that the field can be directly applied to people, is immensely rewarding. My work gives me a real sense of achievement.

Finding a cure is no small task and it will take a coordinated effort. I would like to see all of the Parkinson’s groups, scientists and clinicians unite and to convince politicians to make this a national health priority. Together, we will win this battle.

Associate Professor David Finkelstein: Head, Parkinson’s disease laboratory

ҩ Mr Andrew Abercrombie

ҩ Mr Charles Allen AO

ҩ Professor James Angus AO

ҩ Professor Etienne Baulieu

ҩ Professor Samuel F Berkovic AM

ҩ Mr Chris Blake

ҩ The Hon Dr Neal Blewett AC

ҩ Mr Graeme Bowker

ҩ Dr Di Bresciani OAM

ҩ Lord Alec Broers

ҩ Mr Graham Brooke AM

ҩ Mr Malcolm Broomhead

ҩ The Hon John Brumby

ҩ Mr Tom Buchan

ҩ Professor Geoffrey Burnstock

ҩ Mr Richard Buxton

ҩ Professor Edward Byrne AO

ҩ The Hon Jim Carlton AO

ҩ Professor Peter Castaldi AO

ҩ Professor Jean-Pierre Changeux

ҩ Mr Trevor Clark OAM

ҩ Mr Peter Clemenger AM

ҩ Professor John Coghlan AO

ҩ Professor David Copolov OAM

ҩ Mr Philip Cornish

ҩ Mr Charles Curwen CVO OBE

ҩ Dr Andrew Cuthbertson

ҩ Mr Tim Daly AM

ҩ Professor Stephen Davis AM

ҩ Mr Jerry de la Harpe

ҩ Mr David de Rothschild

ҩ Dr David de Souza AM

ҩ Emeritus Professor Derek Denton AC

ҩ Emeritus Professor Ralph Doherty AO

ҩ Professor Peter Doherty AC

ҩ Mr Carl Dowd

ҩ Mrs Wendy Dowd

ҩ Mrs Suzanne Downes

ҩ Dr Thomas Hurley AO OBE

ҩ Ms Margaret Jackson AC

ҩ Professor Bevyn Jarrott

ҩ Mr Mark Jones

ҩ The Hon Barry Jones AO

ҩ Mr Peter Jopling QC

FLOREY GOVERNORS

ҩ Mr Craig Drummond

ҩ Professor George Fink

ҩ Dr Alan Finkel AM

ҩ Emeritus Professor John Finlay-Jones

ҩ Mr Roger Flynn

ҩ The Right Hon J Malcolm Fraser AC CH

ҩ Mrs Tamie Fraser AO

ҩ Professor Peter Fuller

ҩ Professor John Funder AC

ҩ Mr Rob Gerrand

ҩ Mr Kelvin Glare AO

ҩ Mr Charles Goode AC

ҩ Baroness Susan Greenfield CBE

ҩ Mrs Helen Groves AO

ҩ Dr Sandra Hacker AO

ҩ Mr Michael Hamson

ҩ Mr Arnold Hancock OBE

ҩ Ms Pamela Hauser

ҩ Ms Caroline Hogg AO

ҩ Emeritus Professor Andrea Hull AO

ҩ Mr Bruce Kean AM

ҩ Mr Graeme Kelly

ҩ Professor Anne Kelso AO

ҩ Professor Bruce Kemp

ҩ Mrs Jennifer Labourne

ҩ Professor Richard Larkins AO

ҩ Emeritus Professor Frank Larkins

ҩ Dr John Lill OAM

ҩ Mr Paul Little AO

ҩ Dr Bernard Lochtenberg

ҩ Dr Raymond Marginson AM

ҩ Ms Lina Marrocco OAM

ҩ Professor Jim McCluskey

ҩ Professor Elspeth McLachlan FAA

ҩ Mr George McMaster

ҩ Professor Frederick Mendelsohn AO

ҩ Ms Naomi Milgrom AO

ҩ Mrs Pamela Miller

ҩ Mr Peter Mitchell AM

ҩ Mr Harold Mitchell AC

ҩ Dr Brendan Murphy

ҩ Mrs Louise Myer

ҩ Mr Martyn Myer AO

ҩ Mr S Baillieu Myer AC

ҩ Mrs Maria Myers AO

ҩ Mr Allan Myers AO QC

ҩ Mr A H (Buck) Myers Jr

ҩ Dr Mark Nelson

ҩ Dr Hugh Niall

ҩ Mr Ross Oakley

ҩ Professor Kerin O’Dea

ҩ Mr Simon Parker Bowles

ҩ Lady Primrose Potter AC

ҩ Professor John Poynter AO

ҩ Mr Ian Renard AM

ҩ Mr Geoffrey Ripper

ҩ Mrs Eda Ritchie AM

ҩ Professor P John Rose AO

ҩ Dr Thomas Schneider

ҩ Professor David Scott

ҩ Professor Richard Smallwood AO

ҩ Mr Stephen Spargo AM

ҩ Mr Andrew Stripp

ҩ Mr Boris Struk

ҩ Mr Robert Trenberth AM

ҩ Dr Gad Trevaks AM

ҩ Ms Anne Ward

ҩ Mr Andrew Wardlaw

ҩ Mrs Elizabeth Wardlaw

ҩ Mr Brian Watson

ҩ Professor Ingrid Winship

ҩ Professor E Marelyn Wintour-Coghlan

ҩ Ms Meredith Woods

ҩ The Hon Dr Michael Wooldridge

ҩ Mr John Wylie AM

ҩ Mr Harrison Young

01 03
THE FLOREY INSTITUTE OF NEUROSCIENCE & MENTAL HEALTH ANNUAL REPORT 2014 104 105

FINANCE AND INVESTMENT

ҩ Mr Stephen Spargo AM (Chair)

ҩ Professor Geoffrey Donnan AO

ҩ Dr Henry De Aizpurua

ҩ Mr Wayne McMaster

ҩ Dr Ross Macdonald

ҩ Dr Ergad Gold

ҩ Professor Steven Petrou AUDIT

ҩ Mr Craig Drummond (Chair)

ҩ Mrs Jennifer Labourne

ҩ Mr Mark Jones

ҩ Professor Andrea Hull AO

ҩ Professor Geoffrey Donnan AO

ҩ Professor Graeme Jackson

ҩ Mr Andrew Stripp

ҩ Mr Peter Plecher

ҩ Mr Mark Jones (Chair)

ҩ Mrs Jennifer Labourne

ҩ Professor Andrea Hull AO

ҩ Professor Geoffrey Donnan AO

ҩ Professor Graeme Jackson

ҩ Mr Andrew Stripp

ҩ Mr Peter Plecher NOMINATION

ҩ Mr Harold Mitchell AC (Chair)

ҩ Mr Andrew Abercrombie

ҩ Professor James Angus AO

ҩ Professor Geoffrey Donnan AO

ҩ Mr Rob Gerrand

ҩ Professor Andrea Hull AO

ҩ Professor Anne Kelso AO

BOARD COMMITTEES & FOUNDATION COUNCIL

EXTERNAL SCIENTIFIC ADVISORY

ҩ Professor Sam Berkovic AC

ҩ Professor Alastair Buchan

ҩ Professor Seth Grant

ҩ Professor Seong-Seng Tan

ҩ David Abbott

ҩ Paul Adlard

ҩ Timothy Aumann

ҩ Kevin Barnham

ҩ Ross Bathgate

ҩ Philip Beart

ҩ Christopher Bladin

ҩ Joanne Britto

ҩ Ashley Bush

ҩ Dominique Cadihac

ҩ Fernando Calamante

ҩ Leeanne Carey

ҩ Robert Cherny

ҩ Leonid Churilov

ҩ Alan Connelly

ҩ Julie Bernhardt

ҩ Wah Chin Boon

ҩ Nathalie Braussaud

ҩ Amy Brodtmann

ҩ Henry De Aizpurua

ҩ Brian Dean

ҩ Geoffrey Donnan

ҩ John Drago

ҩ Simon Drew

ҩ Jhodie Duncan

ҩ Mathias Dutschmann

ҩ Ben Emery

ҩ David Finkelstein

ҩ Andrea Gogos

ҩ Ben Gu

ҩ Andrew Gundlach

ҩ Anthony Hannan

ҩ Rachel Hill

ҩ Malcolm Horne

ҩ Akhter Hossain

ҩ David Howells

ҩ Jason Howitt

ҩ Graeme Jackson

ҩ Bevyn Jarrott

ҩ Trevor Kilpatrick

ҩ Jee Hyun Kim

ҩ Andrew Lawrence

ҩ Robin McAllen

ҩ Gawain McColl

ҩ Paul McCrory

ҩ Stuart McDougall

ҩ Michael McKinley

ҩ Colin Masters

ҩ Clive May

THE FLOREY FACULTY & SENIOR POSITIONS

ҩ Tobias Merson

ҩ Saul Mullen

ҩ Jess Nithianantharajah

ҩ Lucy Palmer

ҩ Clare Parish

ҩ Steven Petrou

ҩ Chris Reid

ҩ Blaine Roberts

ҩ Ingrid Scheffer

ҩ Daniel Scott

ҩ Karin Sitte

ҩ Suresh Sundram

ҩ Seong-Seng Tan ҩ Lachlan Thompson ҩ Bradley Turner

John Wade

Jim Wiley

FOUNDATION COUNCIL

ҩ Mr Trevor Clark OAM (Chair) (ended Dec 2014)

ҩ Mr Julian Clarke AM

ҩ Mr Graeme Kelly

ҩ Mr Ross Oakley OAM

ҩ Mr Stephen Spargo AM

ҩ Professor Geoffrey Donnan AO

ҩ Mr Ross Johnstone (ended Dec 2014)

Professor Geoffrey Donnan AO ҩ Professor Alan Connelly

ҩ Dr Henry De Aizpurua

ҩ Professor Graeme Jackson

ҩ Professor Colin Masters

ҩ Professor Steven Petrou

Executive

ҩ Associate Professor David Howells

ҩ Mr Peter Plecher

ҩ Professor Andrew Lawrence

ҩ Professor Ashley Bush

ҩ Professor Brian Dean

ҩ Professor Colin Masters

ҩ Professor Geoffrey Donnan AO

ҩ Professor Graeme Jackson

ҩ Dr Henry De Aizpurua

ҩ Professor Ingrid Scheffer AO

ҩ Professor Julie Bernhardt

ҩ Professor Philip Beart

ҩ Professor SeongSeng Tan

ҩ Professor Steve Petrou

ҩ Mr Peter Plecher

03 03
Scientific
ҩ
ҩ
ҩ
Director
Group
Secretary
Florey Deputy
Finance Director and Company
Florey
Directors
THE FLOREY FACULTY SENIOR POSITIONS 02 03
COMMERCIALISATION
THE FLOREY INSTITUTE OF NEUROSCIENCE & MENTAL HEALTH ANNUAL REPORT 2014 THE FLOREY INSTITUTE OF NEUROSCIENCE & MENTAL HEALTH ANNUAL REPORT 2014 106 107

ҩ David Abraham

ҩ Marjorie Anne Ada

ҩ Joan Adler

ҩ Craig Adlington

ҩ May Admans

ҩ Stephanie Aeuckens

ҩ Yvonne Ahmet

ҩ Michael Aitken

ҩ Charles Allen AO

ҩ Frances Allen

ҩ Geoff & Lauris Allen

ҩ Jim & Judy Allen

ҩ Rod & Joan Alsop

ҩ Alzheimer’s Drug Discovery Foundation

ҩ Walter Ames

ҩ AMP Foundation

ҩ Keith Anderson

ҩ Pamela Anderson

ҩ Rita Andre

ҩ ANZ Banking Group Limited

ҩ ANZ Trustees Limited

ҩ Frank Archer

ҩ Marilyn Armstrong

ҩ E Arthur

ҩ Barbara Ashton

ҩ Tony Atkinson

ҩ Australia Post

ҩ Australian Communities Foundation - Ralph & Betty Sims Fund

ҩ Australian NPC Disease Foundation Inc

ҩ Philip & Margaret A’Vard

ҩ Christine Bagnara

ҩ Lauren Bailey

ҩ Ursula Baird

ҩ Peter Baird

ҩ Kenneth J Ball

ҩ Rosemary Ball

ҩ William E Bamford

ҩ Kevin Barham

ҩ Ross E Barker

ҩ Rodney Barkman

ҩ Paul Barnett

ҩ Paul Bartlett

ҩ Nick Barton

ҩ John & Lorraine Bates

ҩ Elizabeth Batt

ҩ Vera Baudinette

ҩ William R Baxter

OUR DONORS

We appreciate the generosity of our donors and would like to especially thank those who have given $100 or more during 2014

ҩ Peter & Shanon Beaconsfield

ҩ Lynne Beale

ҩ Walter Beale

ҩ Richard & Mirion Bearman

ҩ Josephine Beatson

ҩ Sally Beavis

ҩ Eva Bedelis

ҩ Roger & Jennifer Beer

ҩ Carmel Behan

ҩ Bell Charitable Fund

ҩ Doreen Bell

ҩ Diana F Benefield

ҩ Alan Benger

ҩ John Benger

ҩ Sandra R Benjamin OAM

ҩ Colin & Barb Benson

ҩ Valerie F Benson

ҩ Berwick Opportunity Shop Incorporated

ҩ Besen Family Foundation

ҩ Shane Bilinski

ҩ Ian Birchall

ҩ Katie Bird

ҩ R D G & M J Birrell

ҩ Evangelo Bledeni

ҩ G R Blair

ҩ Jacqueline A Blake

ҩ Tim Blashki

ҩ The Hon Dr Neal Blewett AC

ҩ Sidney & Felicity Bloch

ҩ Barbara Bonetto

ҩ Jo Bornemissza

ҩ Graeme Bowker

ҩ Loretto & Ray Brady

ҩ Brian J Brand

ҩ B A Brandrup

ҩ William & Marie Brennan

ҩ Breville

ҩ Brian M Davis Charitable Foundation

ҩ John & Nicky Bridges

ҩ Graham Brooke AM

ҩ Janette Broom

ҩ Dennis J Bryant

ҩ Jim A Buchanan

ҩ Hans Bufe

ҩ John Bugg

ҩ Beverley Bull

ҩ Margaret Bullen

ҩ Peter Bullock

ҩ June Burrell

ҩ Norman & Kath Bury

ҩ Elizabeth Butt

ҩ Ronald Butters

ҩ Russell & Sheila Byard

ҩ Normie Bydder

ҩ R I Byers

ҩ Jarrod Byham

ҩ Madeline Byrne

ҩ C R Kennedy & Company Pty Ltd

ҩ Cabrini Health

ҩ CAF Community Fund

ҩ Rosemary Callow

ҩ Ross Campbell

ҩ Suzi Carp

ҩ Janet Carr

ҩ C M Carrigan

ҩ Deirdre Carter

ҩ Rev Robert B Catford

ҩ Keith Cattach

ҩ Suzanne Cecil

ҩ CFMEU

ҩ CGU Foundation

ҩ BNI Chagall

ҩ Anthony E Chaloner

ҩ Jennifer Chambers

ҩ Stephen P Charles

ҩ Sylvia A Charlton

ҩ I G Chenoweth

ҩ Diana M Cherry

ҩ The Chiodo Family

ҩ Helen J Chu

ҩ Frank Clark

ҩ Faye Clarke

ҩ Robert J Clarke

ҩ J L & E S Cleland

ҩ Barbara Clifford

ҩ Arthur C Close

ҩ Kerry Close

ҩ Michael & Jan Cody

ҩ Catherine J Coghlan

ҩ Sally Cohen

ҩ Diane Collacott

ҩ John & Chris Collingwood

ҩ A & S Collins

ҩ Barbara Coltman

ҩ Frank & Dorothy Colwell

ҩ BB & SH Cooling

ҩ Kevin J Cosgrave

ҩ Mark Costello

ҩ Geoffrey Cottrell

ҩ John Coughlan

ҩ Peter Coughlan

ҩ Sue Course

ҩ Helen Cowan

ҩ Damian Coyle

ҩ Richard Coyne

ҩ Patrick Crabb

ҩ Irene Crebbin

ҩ Pamela Crosthwaite

ҩ Wendy Crouch

ҩ Kathy Cunico

ҩ Stephen Curwood

ҩ CWA Noble Park

Branch

ҩ The Daniele Family

ҩ June Danks

ҩ Philip E Darby

ҩ L Gordon Darling

AC CMG & Marilyn

Darling

ҩ Barbara Darvall

ҩ Arthur & Anne Davey

ҩ Geoffrey Davey

ҩ Joan Davidson

ҩ Ann De Paul

ҩ S Deeves

ҩ Eril Deighton

ҩ Matthew Delasey

ҩ Nigel Desousa

ҩ Jacob H Dessauer

ҩ Mark Dick

ҩ Gloria Dickins

ҩ Douglas & Marion Dickinson

ҩ J & D Dixon

ҩ Vanessa Djouma

ҩ Prof Peter C Doherty

AC

ҩ Billie Donaldson

ҩ Elizabeth Donnan

ҩ Julia Donnan

ҩ Sarah Donnan

ҩ Patricia Donovan

ҩ Kiah Doodie

ҩ David Dowdle

ҩ Tania Dowell

ҩ J Michael Dowling

ҩ K & M Doyle

ҩ Rosemary Drenen

ҩ Alison Driver

ҩ Craig M Drummond

ҩ Marlene Dryen

ҩ Jan Dunbar

ҩ Kimiko Duncan

ҩ Marcia Duncan

ҩ P S Durham

ҩ Andrew R Dyer

ҩ Dysons Group of Companies

ҩ East Family Trust

ҩ Geoffrey & Pauline Eastmure

ҩ Ethel Edwards

ҩ Marie Einoder

ҩ Gary & Alex Elliott

ҩ Peg Elmore

ҩ Eltham Wildcats

ҩ Zelman & Diana Elton

ҩ Joseph Epstein

ҩ Equity Trustees Limited

ҩ Andrew Erikson

ҩ Essendon Football Club

Past Players & Officials Association

ҩ Estate of Marian R Eskdale

ҩ Estate of Marjory Mary Jackson

ҩ Estate of Mary Eva Kentish

ҩ Estate of Diane Adrienne Lemaire

ҩ Estate of Joan Mary McPherson

ҩ Estate of Gertrude Silberberg

ҩ John & Carolien Evans

ҩ Genevieve Fahey

ҩ Julie Fairhurst

ҩ Evelyn Fawcett

ҩ David Feldman

ҩ Kevin Feltis

ҩ Janine & Graeme Ferguson

ҩ Tony Fisher

ҩ Roger B Flynn

ҩ Anne Foote

ҩ Robin Foote

ҩ Arthur W Ford

ҩ David Forrest

ҩ Isolde Forstmanis

ҩ Fiona French

ҩ Shirley Fricke

ҩ Fred Frohlich

ҩ Jude Fraser

ҩ A K Fryday

ҩ Prof Peter J Fuller AM

ҩ Gemma Furtado

ҩ Russell & Jill Fynmore

ҩ Joan Gabb

ҩ Patricia Galbraith

ҩ Dorothy M Gannon

ҩ Neilma Gantner

ҩ Garry Martin & Associates

ҩ Rosemary Geer

ҩ R Gehrig

ҩ Geoff & Helen Handbury Foundation

ҩ Lesley Gerrish

ҩ C Norman Geschke OBE

ҩ Roshan Ghadamian

ҩ Tess Gibbs

ҩ Peter Gilbertson

ҩ Brian & Jan Gill

ҩ Jenny Gillin

ҩ Shirley Gionfriddo

ҩ Clare Gleeson-McGuire

ҩ Andrea Goldsmith

ҩ Isabel Goodwin

ҩ R N Gotch

ҩ Louise Gourlay OAM

ҩ Anna Gouttman

ҩ Debbie Grace

ҩ M R Grady

ҩ E M Graham

ҩ Susan V Grant

ҩ Ian Gray

ҩ Peter & Colette Gray

ҩ Janine Greenfield & Peter Coe

ҩ Ken & Ella Griffin

ҩ Lesley Griffin

ҩ Betty Griffiths

ҩ James Guest

ҩ H & K Johnston Family Foundation

ҩ John Haasz

ҩ Ronda Hall

ҩ Shirley Hallows

ҩ Karen Hamilton

ҩ Olive Hamilton

ҩ Kylie Hammon

ҩ Sylvia Hammond

ҩ J Arnold Hancock OBE

ҩ James Hancock

ҩ Justice Hartley R Hansen

ҩ Roy Hardcastle

OUR DONORS

We appreciate the generosity of our donors and would like to especially thank those who have given $100 or more during 2014

ҩ Joan M Harman

ҩ Harold Mitchell Foundation

ҩ Yvonne Harper

ҩ Richard Harrison

ҩ T Hart

ҩ Beth Harvey

ҩ Kathleen Hatch

ҩ Marianne Haughton

ҩ Annette Hayes

ҩ Helen Haynes

ҩ Philip Hayes

ҩ Brian Head

ҩ Michael Healy

ҩ Bill Heape

ҩ Kate Hannan

ҩ Peta Heffernan

ҩ Heidelberg United Soccer Club

ҩ Elizabeth M Heinze

ҩ Gordon Hellsten

ҩ Wilma J Herschell

ҩ Margaret Heselev

ҩ Alison Higgins

ҩ Alistair Hillier

ҩ Patricia Hillman

ҩ W E Hirst

ҩ Pamela Hitchcock

ҩ John & Bev Hodgkisson

ҩ Judith Holden

ҩ Holy Rosary School

ҩ I Y Hoolihan

ҩ Grant Hooper

ҩ Peter Horwood

ҩ Roger Hudson

ҩ Stuart & Donna Hutchinson

ҩ Keith R Hutchison

ҩ Pieter Huveneers

ҩ Joan E Ikin

ҩ Inner Wheel District 62

ҩ George Ioannidis

ҩ Lewis Ioannidis

ҩ Gail Ireland

ҩ Wynnifried Ireland

ҩ Jean Jackson

ҩ David Jacobson

ҩ George R & J M James

ҩ Robert Jamieson

ҩ Elcahnan H Januszewicz

ҩ Andrea Jeffress

ҩ David & Lois Jenkin

ҩ Barbara E Jenkins

ҩ Nola Jennings

ҩ Brian Jessop

ҩ Cecily Johns

ҩ L & R Johnson

ҩ Campbell & Caroline Johnston

ҩ Peter Johnston

ҩ Elizabeth Judd

ҩ H Karsen

ҩ D & M Kaufmann

ҩ Peter Kelly

ҩ Anne Kelso AO

ҩ Jennifer Kelso

ҩ Max & Wilma Kemp

ҩ Stephen Kenmar

ҩ Joseph Kiers

ҩ Wesley Kilham

ҩ Pamela Killer

ҩ Robyn Kingston

ҩ Reinhold Kinkel

ҩ Terry & Janet Kinsella

ҩ A J Kirkham AM

ҩ John Kirkhope

ҩ Paul Kirton

ҩ LyndaJane Kiszczak

ҩ Val Knaggs

ҩ Rodney & Beverley Knight

ҩ John & Rosemary Knorr

ҩ Pam Knott

ҩ Donald E Knox

ҩ Jean Knox

ҩ Michelle Kovacevic

ҩ B C Krkach

ҩ Geoff Kroker

ҩ Marie Ku

ҩ Steven Kunstler

ҩ David V La Fontaine

ҩ Damian La Rosa

ҩ John Landy AC CVO

MBE

ҩ Doug J Lane

ҩ Anne Lang

ҩ Susan Lang

ҩ Gina Langlands

ҩ Fay Langstaff

ҩ Prof Frank P Larkins

ҩ Louise Laskey

ҩ David & Val Lawrence

ҩ Judith Lawrence

ҩ Emilia Lawson

ҩ Alexander Lazare

ҩ James Lees

ҩ Peter Lemon

ҩ W I Leslie

ҩ Lewis Lester

ҩ Alissa Lever

ҩ Patricia Levy

ҩ John Lippmann OAM

ҩ Brian Little

ҩ Algirdas E Liubinas

ҩ Lorna Lockhart

ҩ N Loizou

ҩ Elizabeth Loorham

ҩ Elisabeth N Lord

ҩ Anna Louey

ҩ Pearl Lubansky

ҩ Judith Lukeis

ҩ Frances Luxon

ҩ Doreen Lydeamore

ҩ Heather MacEachern

ҩ Michael Macgeorge

ҩ Christine MacGill

ҩ James MacKenzie

ҩ Macquarie Bank

ҩ Macquarie Group Foundation

ҩ R & M Maeder

ҩ Lescil G Maidment

ҩ Dominic Mammone

ҩ Elaine Mann

ҩ Joan Mann

ҩ Greg Marchio

ҩ Ian J Marks

ҩ Prof Marjory-Dore Martin

ҩ Amanda Mason

ҩ Heather Mason

ҩ Carol Matthews

ҩ David Matthews

ҩ Jean Matthews

ҩ M McAllister

ҩ Darryl McAndrew

ҩ Peter McArdle

ҩ Robert McCallum

ҩ Adele McCarthy

ҩ Vivien McCarthy

ҩ J McCauley

ҩ Ian W McCay

ҩ Prudence McColl

ҩ Andrew McComas

ҩ Karen McComiskey

ҩ V McCormack

ҩ Denys McCullough

ҩ John & Bebe McEnroe

ҩ Zina McEnnally

ҩ Marion McEwin

ҩ Emmeline McFadyen

ҩ David McFarlane

ҩ Ann C McFarling

ҩ Katherine McGloin

ҩ A J McIntosh

ҩ Noeleen McKenry

ҩ Bruce McKenzie

ҩ Matthew McKevitt

ҩ Elizabeth A McLaren

ҩ Muriel Patricia McLaren

ҩ Raymond J McLean

ҩ Betty Meadows

ҩ Janice Medway

ҩ Bernadete Meehan

ҩ Denise Meehan

ҩ Peter Meehan

ҩ R J & W D Meggs

ҩ Graham A Menzies

ҩ John & Marilyn Meyer

ҩ John Michaux

ҩ Judith Middlemass

ҩ Roslynne Milne

ҩ Heather J Mitchell

ҩ John Mitchell

ҩ Ian Moffat

ҩ Graeme & Audrey Moir

ҩ Margaret Moller

ҩ Gillian Montgomery ҩ Judith Moore

ҩ Kate Josephine Moore

ҩ Cynthia Morgan

ҩ G A & C R Morgan ҩ James & Alex Morgan

ҩ Leigh Morgan

ҩ Suzanne Morgan

ҩ Steve Moriarty

ҩ Geoffrey Morley

ҩ Richard Moshinsky

ҩ Toula Mossman

ҩ N Beverley Mower

ҩ Hazel Moyes

ҩ MP Burke Commercial Real Estate

ҩ Jennifer Mullen

ҩ Bruce & Judy Munro

ҩ Richard A Munt

ҩ J M Muntz

ҩ Rupert Murdoch AC

ҩ David Murrie

ҩ My Cause Gift Fund

THE FLOREY INSTITUTE OF NEUROSCIENCE & MENTAL HEALTH ANNUAL REPORT 2014 THE FLOREY INSTITUTE OF NEUROSCIENCE & MENTAL HEALTH ANNUAL REPORT 2014 108 109

ҩ Tania Nahum

ҩ Dennis & Fairlie Nassau

ҩ J and S Nathar

ҩ Frank Naylor

ҩ Gary Neilsen

ҩ Nell & Hermon Slade Trust

ҩ Mark A Nelson

ҩ Belinda Nemec

ҩ Danilo Nemec

ҩ Alison Nghiem

ҩ Linda Nguyen

ҩ John & June NixonSmith

ҩ George Nolan

ҩ Helen Nolan

ҩ Robert Nossbaum

ҩ Aileen Oberegger

ҩ Doris Enid O’Brien

ҩ Rosemary O’Connell

ҩ Sue Ohl

ҩ Kerry O’Meara

ҩ One in Five Assoc Inc

ҩ Sue O’Neill

ҩ Mona Osborne

ҩ Christopher O’Shaughnessy

ҩ Damien O’Shea

ҩ Laura & Tom O’Shea

ҩ Marcia O’Shea

ҩ Mary O’Sullevan

ҩ Judith A Overbeek

ҩ Alan Paddon

ҩ Pakenham Opportunity Shop

ҩ Ashley J Parker

ҩ Elizabeth Parker

ҩ Ann C Parris

ҩ Ingrid Parsons

ҩ Dennis Patisteas OAM

ҩ Patsy Patten

ҩ Janet Pavlakis

ҩ K Pearson

ҩ Diana Peatt

ҩ Nigel Peck AM & Patricia Peck

ҩ Perpetual Trustees

Australia Ltd

ҩ Peter Moyes Anglican Community School

ҩ Rhonda Peters

ҩ Kate Phelan

ҩ Mary Phiddian

ҩ Ian R Phillips

OUR DONORS

We appreciate the generosity of our donors and would like to especially thank those who have given $100 or more during 2014

ҩ Catherine Philps

ҩ G C A Pianezzola

ҩ Dorothy Pill

ҩ Gwenda Pillar

ҩ David Pincus

ҩ Donald Pinkerton

ҩ Ron G Pitcher AM

ҩ Margaret Pitt

ҩ Renate Porter

ҩ Norah Powell

ҩ Ed Prendergast

ҩ Preshil School Community

ҩ Joan Preston

ҩ Leonard Price

ҩ Valentine John Price

ҩ Michael Pring

ҩ Katherine Psomas

ҩ Suzanne Pullen

ҩ Kalli Pulos

ҩ Andrew Purcell

ҩ John Quinn

ҩ John T Ralph AC

ҩ Alan Ramsay

ҩ Tannia Recinos

ҩ Reece Australia Ltd

ҩ Lydie Reeve

ҩ Ann Reid

ҩ Ralph & Ruth Renard

ҩ Donald Rewell

ҩ Joyce E Risstrom

ҩ Ritchies Victoria Pty Ltd

ҩ Helen Rix

ҩ Judy Roach

ҩ Rachel Robbins

ҩ Christina Roberts

ҩ Ann Robertson

ҩ RobMeree Foundation

ҩ Sara Roe

ҩ Ivy E Roebuck

ҩ David W Rogers

ҩ Gwen Rogers

ҩ Kitty Rohan

ҩ Nicola Rollerson

ҩ Damien & Katherine Rollinson

ҩ Freda Rossidis

ҩ Rotary Club of Canterbury

ҩ Rotary Club of Gisborne

ҩ Leonard Rouch

ҩ Marie Rundell

ҩ Russell Family Trust

ҩ Jennifer Ruthen

ҩ Ron Sacks-Davis

ҩ Owen James Saleeba

ҩ Mohd Salim

ҩ Salini & Mrzljak Families

ҩ S Samra

ҩ Dorothy Sams

ҩ Samuel & Sadie Mir Foundation

ҩ Donald N Sanders AO

ҩ Paul Sandford

ҩ Lauren Sanford

ҩ Sanitarium

ҩ Norman Sargeant

ҩ Joyce Savage

ҩ Richard Sawers

ҩ Say Family Foundation

ҩ Jane Schmeiszl

ҩ Shirley Scholes

ҩ Donald Scott

ҩ Frances Seidel

ҩ Ian Seymour

ҩ Ed & Judy Shadbolt

ҩ John & Pamela Sharwood

ҩ David Shaw

ҩ Gwen Shaw

ҩ Keith & Frances Shaw

ҩ Andrew Shenton

ҩ Prof Roberta Shepherd

ҩ Neil Shotton

ҩ Siky & Alexandra Siapantas

ҩ Alfonsina Sicari

ҩ Sid & Fiona Myer Family Foundation

ҩ Susan Sims

ҩ Robert & Elisabeth Sinclair

ҩ Steven & Lousje Skala

ҩ Sandra Sloane

ҩ Justine Sloane-Lees

ҩ Isabel M Sloman

ҩ Betty M Smith

ҩ Carol A Smith

ҩ Keith S & M Smith

ҩ Valerie E Smith

ҩ Adrian & Jennifer Smithers

ҩ Annette Smorgon

ҩ Marie Smyth

ҩ Graham Snell

ҩ Joy Sorel

ҩ Southern Peninsula Masters Athletics Venue

ҩ Pauline Speedy

ҩ Shirley Spinks

ҩ Leo Spivak

ҩ Alex Spremic

ҩ Barrie Squires

ҩ Donna Srivastava

ҩ Staff of Level 2 Mercy Place

ҩ Tony & Barbara Standish

ҩ Christine Starcevic

ҩ Ralph & Maureen Stavely

ҩ A W Stephens

ҩ P Stephenson

ҩ Russell Stewart

ҩ Gary Stiliano

ҩ Betty Stinson

ҩ Robert Stinson

ҩ Susie Stock

ҩ Caroline Storm

ҩ Fay Strachan

ҩ Richard Stradwick

ҩ Stephen Stuart

ҩ Takako M Subocz

ҩ Greg Sullings

ҩ Lyndall Sullivan

ҩ Celia Sutterby

ҩ Elizabeth Joan Swain

ҩ Peter Swan OAM

ҩ The late Robyn Swanson

ҩ Christine R Sweeney

ҩ Sylvia and Charles Viertel Charitable Foundation

ҩ Debbie Tacey

ҩ Gregory & Wendy Taggart

ҩ Angelo Taranto

ҩ John Targett

ҩ Ann Tauber

ҩ Anne Taylor

ҩ Bernadette Taylor

ҩ John Taylor

ҩ Margaret Taylor

ҩ Robin Taylor

ҩ Wendy Taylor

ҩ Telstra Community Program

ҩ Texas Biomedical

Research Institute

ҩ Kathryn Thaniel

ҩ The Abercrombie Family Foundation

ҩ The CASS Foundation Ltd

ҩ The Clive & Vera Ramaciotti Foundation

ҩ The Dowd Foundation

ҩ The Eirene Lucas Foundation

ҩ The Finkel Foundation

ҩ The Fox Family Foundation

ҩ The G W Vowell Foundation Ltd

ҩ The Grocer

ҩ The Ian Potter Foundation

ҩ The Ideal Consultancy

ҩ The Isabel & John Gilbertson Charitable Trust

ҩ The Landman Foundation

ҩ The Leo & Mina Fink Fund

ҩ The Marchris Family Charitable Gift

ҩ The Michael J Fox Foundation

ҩ The Miller Foundation

ҩ The Myer Foundation

ҩ The Patricia Dukes Foundation

ҩ The Stuart Leslie Foundation

ҩ The William Angliss (Vic) Charitable Fund

ҩ The Yulgilbar Foundation

ҩ Thiess Pty Ltd

ҩ Jean Thomas

ҩ Linda Thomas

ҩ Peter & Debbie Thomas

ҩ Karlene Thompson

ҩ The late William D Thorn

ҩ Robert C Thrower

ҩ John & Lesley Thrum

ҩ Andrew Tinney

ҩ Arthur Topalidis

ҩ Joan Tornatora

ҩ Lynette Torrens

ҩ Norma Torriero

ҩ Marie Touzeau

ҩ Evelyn Townsend

ҩ Donald Tregonning

ҩ Gad Trevaks AM

ҩ E Trevena

ҩ Michael Troy

ҩ Trust Company Ltd

ҩ Eugenia Tsaclidis

ҩ Kay Tudor

ҩ Joan Tullo

ҩ Bruce Turnbull

ҩ Valerie Turnbull

ҩ Maureen Turner

ҩ Patricia Turner

ҩ U3A Bairnsdale & District Inc

OUR DONORS

We appreciate the generosity of our donors and would like to especially thank those who have given $100 or more during 2014

ҩ UBS Foundation

ҩ David Uhr-Henry

ҩ Margaret J Ullin

ҩ Urbis Pty Ltd

ҩ Eleanor U’Ren

ҩ Robert Utter

ҩ P M van Reesema

ҩ David Vernon

ҩ Victorian Polo Club

ҩ Dorothy Viskovic

ҩ Rain Vojcisek

ҩ Rev Paul R Voumard

ҩ Michael Walker

ҩ Colin & Mary Wallace

ҩ Stan Wallis AC &

Judith Wallis

ҩ Ralph Ward-Ambler AM & Barbara WardAmbler

ҩ Liz & Andy Wardlaw

ҩ Warringal Financial Services Pty Ltd

ҩ Carole Wastell

ҩ Brian Waters

ҩ Barbara Watson

ҩ Donald Watson

ҩ Margaret E Watson

ҩ Kathryn Watty

ҩ Gwen Webb OAM

ҩ Jean M Webster

ҩ Philip Weickhardt

ҩ Marjorie White

ҩ Trevor & C P White

ҩ Helen Whyte

ҩ Kaaren Whyte

ҩ Prof James S Wiley

ҩ Sally Wilkinson

ҩ Paul A Willee QC

ҩ Harry Williams

ҩ Keith Williams

ҩ Noel Williams

ҩ Vera Williamson

ҩ Tony Willigen

ҩ Dennis Willis

ҩ Andrea Wills

SUPPORTING RESEARCH

We gratefully acknowledge the tireless efforts of people in the community who raise funds to support our research, and thank the donors who have supported them

ҩ Cameron Willsher

ҩ Elizabeth Wilson

ҩ Margaret Wilson

ҩ Marie Wilson ҩ Sineke Winter ҩ Timothy Winter ҩ Claire Withers

ҩ Arnold Wittner

ҩ Frances Wood

ҩ Meredith Woods

ҩ Woorinyan Country Womens Association

ҩ Hilary Wright

ҩ Michael Yates

ҩ Peter Zwar

ҩ One in Five

ҩ Alex & Karl Waddell – River’s Gift

ҩ Aaliyah’s Fund

ҩ Crown

ҩ Staging Connections

ҩ Samsung

ҩ WHYBIN\TBWA

ҩ Perfect Events

ҩ Guillaume Brahimi

ҩ Darren Robertson

ҩ Brent Savage

ҩ James Viles Scott Pickett

ҩ WHYBIN\TBWA

ҩ Linklaters

ҩ Andrew and Claire Heenan –Cycling for Ben

ҩ City2Sea runners

ҩ Kingsley Just - Roll for Research

IN-KIND SUPPORTERS

ҩ Prof Mal Horne

ҩ Ian Davis

SUPPORTERS

AND

ҩ Matt Harry – Marathon for the mind

ҩ Annie Smithers – Christmas dinner auction

ҩ Prof Fred Mendelsohn AO

SPONSORS OF OUR CULINARY CHARITY CHALLENGE

ҩ John Lawson

ҩ Stuart McVeigh

ҩ Pierre Reolofs

ҩ Jacques Reymond

ҩ Janne Apelgren

ҩ Anthony Dennis

ҩ Larissa Dubecki

ҩ Joanna Savill

ҩ Michael Harden

ҩ Felice Marandola

ҩ James Madden

ҩ Julia Zemiro

ҩ Daniel Vaughan

ҩ Treasury Wines

ҩ Sanpellegrino

ҩ Ocean Made Seafood

ҩ Felice’s Place

Gourmet Butcher

ҩ Peter Wynne

ҩ Pacific Broadcasting

ҩ Carpet Court and Cavalier Bremworth Carpets

ҩ Will Hanigan

ҩ Signed and Framed

ҩ Southern Star

ҩ Peninsula Hot Springs

ҩ Magenta Shores

ҩ Yering Station

ҩ Karcher

ҩ Neil Perry

ҩ Adele Ferguson & John Silvester

ҩ Sofitel

ҩ Montalto and Pommery

THE FLOREY INSTITUTE OF NEUROSCIENCE & MENTAL HEALTH ANNUAL REPORT 2014 THE FLOREY INSTITUTE OF NEUROSCIENCE & MENTAL HEALTH ANNUAL REPORT 2014 110 111

PUBLICATIONS

CHAPTER BRAIN DEVELOPMENT AND REGENERATION

PAGES 40–42

CHAPTER BEHAVIOURAL NEUROSCIENCE

PAGES 46–51

1. Britto, J.M., Tait, K.J., Lee, E.P., Gamble, R.S. Hattori, M. and Tan, S-S (2014) Exogenous reelin modifies the migratory behavior of neurones depending upon cortical location. Cereb. Cortex 24:2835-2847

2. Hammond, V.E., Gunnersen, J.M., Goh, C.P., Low, L.H., Hyakumura, T., Tang, M.M., Britto, J.M., Putz, U., Howitt, J.A., and Tan, S-S (2014) Ndfip1 is required for the development of pyramidal neurone dendrites and spines in the neocortex.Cereb. Cortex 24:3289-3300

3. Goh, C.P., Putz, U., Howitt, J., Low, L.H., Gunnersen, J., Bye, N., Morganti-Kossmann, C. and Tan, S-S. (2014) Nuclear trafficking of Pten after brain injury leads to neurone survival not death Exp. Neurol 252:37-46

4. Nivison-Smith, L., Chua, J., Tan, S-S, and Kalloniatis, M. (2014) Amino acid signatures in the developing mouse retina. Int J. Dev. Neurosci. 33C:62-80

5. Howitt, J., Gybers, A., Ayton, S., Carew-Jones, F., Putz, U., Finkelstein, D., Halliday, G., and Tan, S-S. (2014). Increased Ndfip1 in the substantia nigra of Parkinsonian brains is associated with elevated iron levels. Plos One 9(1):e87119.

6. Altin, J.A., Daley, S.R., Howitt, J., Rickards, H.J., Batkin, A.K., Horikawa, K., Prasad, S.J., Nelms, K.A., Kumar, S., Wu, L.C., Tan, S-S., Cook, M.C., and Goodnow, C.C. (2014) Ndfip1 mediates peripheral tolerance to self and exogenous antigen by inducing cell cycle exit in responding CD4+ T cells. Proc Natl Acad Sci (USA) 111:2067-2074

7. Li, Y., Low, L.H., Putz, U., Goh, C.P., Tan, S-S, and Howitt, J. (2014) Rab5 and Ndfip1 are involved in Pten ubiquitination and nuclear trafficking. Traffic 15:749-761 (cover feature)

1. Murphy, B.P., Pang, T.Y., Hannan, A.J., Proffitt, T-M., McConchie, M., Kerr, M., Markulev, C., O’Donnell, C., McGorry, P.D., Berger, G.E. (2014) Vascular endothelial growth factor (VEGF) and brain-derived neurotrophic factor (BDNF) in quetiapine treated first-episode psychosis. Schizophrenia Research and Treatment 2014: 719395 [Epub 2014 Feb 5].

2. Hannan, A.J. (2014) Environmental enrichment and brain repair: Harnessing the therapeutic effects of cognitive stimulation and physical activity to enhance experience-dependent plasticity. Neuropathology and Applied Neurobiology 40: 13-25 (invited article for Annual Review Issue).

3. Loy, C.T. and Hannan, A.J. (2014) Neurotoxicity in Huntington Disease. In: Handbook of Neurotoxicity, Springer (invited book chapter).

4. Evans-Galea, M.V., Lockhart, P.J., Galea, C.A., Hannan, A.J., Delatycki. M.B. (2014). Beyond loss of frataxin: the complex molecular pathology of Friedreich ataxia. Discovery Medicine 17:25-35.

5. Mo, C., Pang, T.Y., Ransome, M., Renoir, T., Hannan, A.J. (2014) High stress hormone levels accelerates the onset of memory decline in male Huntington’s disease mice. Neurobiology of Disease 69:248-262 [Epub 2014 May 10].

6. Lim, N.K.H., Pang, T.Y., McLean, C.A., Liddell, J.R., Hilton, J.B., Li, Q.-X., White, A.R., Hannan, A.J., Crouch, P.J. (2014) Localised changes to glycogen synthase kinase-3 and collapsin response mediator protein-2 in the Huntington’s disease affected brain. Human Molecular Genetics 23: 4051-4063 23: 4051-4063 [Epub 2014 Mar 14].

7. Hill, R.A., Klug, M., Von Soly, S.K., Binder, M.D., Hannan, A.J., van den Buuse, M. (2014) Sex-specific disruptions in spatial memory and anhedonia in a ‘two hit’ rat model correspond with alterations in hippocampal brainderived neurotrophic factor expression and signalling. Hippocampus 2014;24(10):1197-211.

8. McOmish, C.E., Burrows, E.L. and Hannan, A.J. (2014) Identifying novel interventional strategies for psychiatric disorders: Integrating genomics, ‘enviromics’ and gene-environment interactions in valid preclinical models. British Journal of Pharmacology 171: 4719-4728 (invited review for Special Issue on ‘Animal models of psychiatric disorders’).

9. Tomas D, Prijanto A, Burrows EL, Hannan AJ, Horne MK, Aumann TD (2014) Environmental modulations of the number of midbrain dopamine neurons in adult mice. J. Vis. Exp. (accepted July 2014).

10. Mo, C., Renoir, T., Hannan, A.J. (2014) Ethological endophenotypes are altered by elevated stress hormone levels in both Huntington’s disease and wildtype mice. Behavioural Brain Research 274: 118-127.

11. Mo, C., Renoir, T., Hannan, A.J. (2014) Effects of chronic stress on the onset and progression of Huntington’s disease in transgenic mice. Neurobiology of Disease 71: 81-94.

12. Hill, R.A, Ratnayake, U., Kiss von Soly, S., Klug, M., Binder, M.D., Hannan, A.J., Van Den Buuse, M (2014) Longterm effects of combined neonatal and adolescent stress on brain-derived neurotrophic factor and dopamine receptor expression in the rat forebrain. Biochim. Biophys. Acta 1842: 2126-2135.

13. Mazarakis NK, Mo C, Renoir T, van Dellen A, Deacon R, Blakemore C, Hannan AJ (2014) ‘Super-enrichment’ reveals dose-dependent therapeutic effects of environmental stimulation in a transgenic mouse model of Huntington’s disease. J. Huntington’s Dis. 3:299-309.

14. Renoir T, Argyropoulos A, Chevarin C, Lanfumey L, Hannan AJ (2014) Sexually dimorphic dopaminergic dysfunction in a transgenic mouse model of Huntington’s disease. Pharmacol. Biochem. Behav. 127C:15-20 [Epub 12 Oct. 2014].

15. Mo, C. Renoir, T., Hannan, A.J. (2014) Novel ethological endophenotypes in a transgenic mouse model of Huntington’s disease. Behavioral Brain Research 276:17-27 (Epub 2014 Apr 18; invited article for Special Issue on ‘Neuropsychiatric spectra’).

16. Du X, Leang L, Mustafa T, Renoir T, Pang TYC, Hannan AJ (2014) The influence of the HPG axis on stress response and depressive-like behaviour in a transgenic mouse model of Huntington’s disease. Exp. Neurol. 263:63-71 [Epub 20 Sep. 2014].

17. Spanagel R, Vengeliene V, Jandeleit B, Fischer WF, Grindstaff K, Zhang X, Gallop M, Krstew EV, Lawrence AJ & Kiefer F (2014) Acamprosate produces its anti-relapse effects via calcium. Neuropsychopharmacology, 39, 783-791.

18. Duncan JR, Gibbs SJ & Lawrence AJ (2014) Chronic intermittent toluene inhalation in adolescent rats alters behavioural responses to amphetamine and MK801. Eur. Neuropsychopharmacol., 24, 480-486

19. Dick AL, Axelsson, M, Lawrence AJ* & Duncan JR* (2014) Specific impairments in instrumental learning following chronic intermittent toluene inhalation in adolescent rats. Psychopharmacology, 231, 1531-1542. * denotes co-corresponding authors.

20. Wang YT, Qin WJ, Liu Q, Li YL, Liang H, Chen F, Lawrence AJ, Zhang XL, Liang JH (2014) Chaperone heat shock protein 70 in nucleus accumbens core: a novel biological target of behavioural sensitization to morphine in rats. Int. J. Neuropsychopharmacol., 17, 469-484.

21. Bird MK, Lohmann P, West B, Brown RM, Kirchhoff J, Raymond CR & Lawrence AJ (2014) The mGlu5 receptor regulates extinction of cocaine-driven behaviors. Drug Alc. Depend., 137, 83-89.

22. Handford CE, Tan S, Lawrence AJ & Kim JH (2014) The effect of the mGlu5 negative allosteric modulator MTEP and NMDA receptor partial agonist D-cycloserine on Pavlovian conditioned fear. Int. J. Neuropsychopharmacol., 17, 1521-1532.

23. Dick AL, Lawrence AJ* & Duncan JR* (2014) Chronic intermittent toluene inhalation initiated during adolescence in rats does not alter voluntary consumption of ethanol in adulthood. Alcohol, 48, 561-569. * denotes cocorresponding authors.

24. Ryan PJ, Krstew EV, Sarwar M, Gundlach AL & Lawrence AJ (2014) Relaxin-3 mRNA levels in nucleus incertus correlate with alcohol and sucrose intake in rats. Drug Alc. Depend., 140, 8-16.

25. Ash BL, Quach T, Williams SJ, Lawrence AJ & Djouma E (2014) Galanin-3 receptor antagonism by SNAP 37889 reduces motivation to self-administer alcohol and attenuates cue-induced reinstatement of alcohol-seeking in iP rats. J. Pharmacol. Sci., 125, 211-216.

26. Li YL, Liu Q, Gong Q, Li JX, Wei SP, Wang YT, Liang H, Zhang M, Jing L, Yong Z, Lawrence AJ & Liang JH (2014) Brucine suppresses ethanol intake and preference in alcohol-preferring Fawn-Hooded rats. Acta Pharmacol Sin., 35, 853-861.

27. Chen NA, Jupp B, Sztainberg Y, Lebow M, Brown RM, Kim JH, Chen A & Lawrence AJ (2014) Knockdown of CRF1 receptors in the ventral tegmental area attenuates cue- and acute food deprivation stress-induced cocaineseeking in mice. J. Neurosci., 34, 11560 –11570 (featured in “This week in the journal”).

28. Darwinkel A, Stanic D, Booth LC, May CN, Lawrence AJ & Yao ST (2014) Distribution of orexin-1 receptor-green fluorescent protein- (OX1-GFP) expressing neurons in the mouse brain stem and pons: co-localisation with tyrosine hydroxylase and neuronal nitric oxide synthase. Neuroscience, 278, 253–264 (front cover illustration).

29. Ganella DE, Thangaraju P, Lawrence AJ & Kim JH (2014) Fear extinction in 17 day old rats is dependent on metabotropic glutamate receptor 5 signaling. Behav. Brain Res. 2014 Dec 10. pii: S0166-4328(14)00795-5.

30. Perry C, Zbukvic I, Kim JH & Lawrence AJ (2014) The role of cues and contexts on drug-seeking behaviour. Br. J. Pharmacol., 171, 4636-4672.

31. Kim JH & Lawrence AJ (2014) Drugs currently in Phase II clinical trials for cocaine addiction. Expert Opin. Investig. Drugs., 23, 1105-1122.

32. Giles EK, Lawrence AJ & Duncan JR (2014) Exploring the modulation of hypoxia-inducible factor (HIF)-1α by volatile anesthetics as a possible mechanism underlying volatile anesthetic-induced CNS injury. Neurochem. Res., 39, 1640-1647.

33. Lawrence AJ & Cryan JF (2014) Found in translation? Commentary on a BJP themed issue about animal models in neuropsychiatry research. Br. J. Pharmacol., 171, 4521-4523.

34. Veldsman M, Cumming T, Brodtmann A. Beyond BOLD: Optimizing functional imaging in stroke populations. Hum Brain Mapp. 2014 Dec 2. doi: 10.1002/hbm.22711. [Epub ahead of print].

35. Li Q, Lichter, R, Raffelt, A, Werden E, Pardoe H, Cumming T, Brodtmann, A Cortical thickness estimation in longitudinal stroke studies: a comparison of 3 measurement methods NeuroImage:Clinical 2014 Available online 23 August 2014.

36. Brodtmann A. Vascular risk, depression, and stroke: Post hoc ergo propter hoc … or not. Neurology. 2014 Nov 4;83(19):1688-9. doi: 10.1212/WNL.0000000000000968. [Epub 2014 Oct 1].

37. Cumming TB, Brodtmann A, Darby D, Bernhardt J. The importance of cognition to quality of life after stroke. J Psychosom Res. 2014 Nov;77(5):374-9. doi: 10.1016/j.jpsychores.2014.08.009. [Epub 2014 Aug 29].

38. Brodtmann A, Werden E, Pardoe H, Li Q, Jackson G, Donnan G, Cowie T, Bradshaw J, Darby D, Cumming Charting cognitive and volumetric trajectories after stroke: protocol for the Cognition And Neocortical Volume After Stroke (CANVAS) study. T. Int J Stroke. 2014 Aug;9(6):824-8.

THE FLOREY INSTITUTE OF NEUROSCIENCE & MENTAL HEALTH ANNUAL REPORT 2014 THE FLOREY INSTITUTE OF NEUROSCIENCE & MENTAL HEALTH ANNUAL REPORT 2014 112 113

39. Borschmann K, Pang MY, Iuliano S, Churilov L, Brodtmann A, Ekinci EI, Bernhardt J. Changes to volumetric bone mineral density and bone strength after stroke: A prospective study. Int J Stroke. 2013 Dec 23. doi: 10.1111/ij

40. Louey AG, Cromer JA, Schembri AJ, Darby DG, Maruff P, Makdissi M, Mccrory P. Detecting cognitive impairment after concussion: sensitivity of change from baseline and normative data methods using the CogSport/Axon cognitive test battery. Arch Clin Neuropsychol. 2014 Aug;29(5):432-41. doi: 10.1093/arclin/acu020. [Epub 2014 May 9].

41. Lim YY, Maruff P, Pietrzak RH, Ellis KA, Darby D, Ames D, Harrington K, Martins RN, Masters CL, Szoeke C, Savage G, Villemagne VL, Rowe CC; AIBL Research Group. Aβ and cognitive change: Examining the preclinical and prodromal stages of Alzheimer’s disease. Alzheimers Dement. 2014 Nov;10(6):743-751.e1. doi: 10.1016/j. jalz.2013.11.005. [Epub 2014 Feb 28].

42. Zhou L, Salvado O, Dore V, Bourgeat P, Raniga P, Macaulay SL, Ames D, Masters CL, Ellis KA, Villemagne VL, Rowe CC, Fripp J; AIBL Research Group. MR-less surface-based amyloid assessment based on 11C PiB PET. PLoS One. 2014 Jan 10;9(1):e84777. doi: 10.1371/journal.pone.0084777. eCollection 2014.

43. Ellis KA, Szoeke C, Bush AI, Darby D, Graham PL, Lautenschlager NT, Macaulay SL, Martins RN, Maruff P, Masters CL, McBride SJ, Pike KE, Rainey-Smith SR, Rembach A, Robertson J, Rowe CC, Savage G, Villemagne VL, Woodward M, Wilson W, Zhang P, Ames D; AIBL Research Group. Rates of diagnostic transition and cognitive change at 18-month follow-up among 1,112 participants in the Australian Imaging, Biomarkers and Lifestyle Flagship Study of Ageing (AIBL). Int Psychogeriatr. 2014 Apr;26(4):543-54. doi: 10.1017/S1041610213001956. [Epub 2013 Nov 20].

44. Moore EM, Mander AG, Ames D, Kotowicz MA, Carne RP, Brodaty H, Woodward M, Boundy K, Ellis KA, Bush AI, Faux NG, Martins R, Szoeke C, Rowe C, Watters DA; AIBL Investigators. Increased risk of cognitive impairment in patients with diabetes is associated with metformin. Diabetes Care. 2013 Oct;36(10):2981-7. doi: 10.2337/dc130229. [Epub 2013 Sep 5]. Erratum in: Diabetes Care. 2013 Nov;36(11):3850.

45. Harrington KD, Lim YY, Ellis KA, Copolov C, Darby D, Weinborn M, Ames D, Martins RN, Savage G, Szoeke C, Rowe C, Villemagne VL, Masters CL, Maruff P. The association of Aβ amyloid and composite cognitive measures in healthy older adults and MCI. Int Psychogeriatr. 2013 Oct;25(10):1667-77. doi: 10.1017/S1041610213001087. [Epub 2013 Jul 18].

46. Lim YY, Villemagne VL, Laws SM, Ames D, Pietrzak RH, Ellis KA, Harrington KD, Bourgeat P, Salvado O, Darby D, Snyder PJ, Bush AI, Martins RN, Masters CL, Rowe CC, Nathan PJ, Maruff P; Australian Imaging, Biomarkers and Lifestyle (AIBL) Research Group. BDNF Val66Met, Aβ amyloid, and cognitive decline in preclinical Alzheimer’s disease. Neurobiol Aging. 2013 Nov;34(11):2457-64. doi: 10.1016/j.neurobiolaging.2013.05.006. [Epub 2013 Jun 12].

47. Sahathevan R, Mohd Ali K, Ellery F, Mohamad NF, Hamdan N, Mohd Ibrahim N, Churilov L, Cumming TB. A Bahasa Malaysia version of the Montreal Cognitive Assessment: validation in stroke. Int Psychogeriatr. 2014 May;26(5):781-6. doi: 10.1017/S1041610213002615. [Epub 2014 Jan 28].

48. Kramer SF, Cumming T, Churilov L, Bernhardt J. Measuring activity levels at an acute stroke ward: comparing observations to a device. Biomed Res Int. 2013;2013:460482. doi: 10.1155/2013/460482. [Epub 2013 Oct 27].

49. Bernhardt J, Cumming T. The elephant in the single room debate: keeping patients active. BMJ. 2013 Oct 22;347:f6333. doi: 10.1136/bmj.f6333.

50. Vogel AP, Folker J, Poole ML. Treatment for speech disorder in Friedreich ataxia and other hereditary ataxia syndromes. Cochrane Database Syst Rev. 2014 Oct 28;10:CD008953. doi: 10.1002/14651858.CD008953.pub2.

51. Poole ML, Wee JS, Folker JE, Corben LA, Delatycki MB, Vogel AP. Nasality in Friedreich ataxia. Clin Linguist Phon. 2014 Sep 10:1-13. [Epub ahead of print]

52. Ryan NP, Catroppa C, Cooper JM, Beare R, Ditchfield M, Coleman L, Silk T, Crossley L, Rogers K, Beauchamp MH, Yeates KO, Anderson VA. Relationships between acute imaging biomarkers and theory of mind impairment in post-acute pediatric traumatic brain injury: A prospective analysis using susceptibility weighted imaging (SWI). Neuropsychologia. 2014 Nov 6;66C:32-38. doi: 10.1016/j.neuropsychologia.2014.10.040. [Epub ahead of print]

53. Catroppa C, Crossley L, Hearps SJ, Yeates KO, Beauchamp M, Rogers K, Anderson V. Social and Behavioral Outcomes: Pre-Injury to Six Months following Childhood Traumatic Brain Injury. J Neurotrauma. 2014 Apr 28. [Epub ahead of print]

54. J.R. Duncan, S. Gibbs, A. Lawrence (2014) Chronic intermittent toluene inhalation in rats alters behavioural responses to amphetamine and MK801, European Neuropsychopharmacology, 24(3).:480-6 (IF 4.046)

55. A. Dick, M. Axelsson, A. J. Lawrence, J. R. Duncan (2014) Specific impairments in reinforcement learning following chronic intermittent toluene inhalation in adolescent rats, Psychopharmacology 231:1531-42 (IF 4.06)

56. A. Dick, A. J. Lawrence, J. R. Duncan (2014) Chronic intermittent toluene inhalation initiated during adolescence in rats does not alter voluntary consumption of ethanol in adulthood, Alcohol 48(6):561-9 (IF: 2.53)

57. J. R. Duncan, M. Garland, R. Stark, M. Myers, W. Fifer, M. Yang, H. Kinney, Prenatal Nicotine Exposure Selectively Affects Nicotinic Receptor Expression in Primary and Associative Visual Cortices of the Fetal Baboon, Brain Pathology, accepted May 29th, 2014, Jun 5. doi: 10.1111/bpa.12165. [Epub ahead of print]

58. E. Giles, A. Lawrence, J. Duncan (2014) Exploring the modulation of hypoxia-inducible factor (HIF)-1α by volatile anesthetics as a possible mechanism underlying volatile anesthetic-induced CNS injury, Neurochem Res, 39(9):1640-7 (IF 2.55)

59. E. Black, S. MacLean, J. R. Duncan (2014), Inhalants-what you need to know, Facts sheet for the National Drug and Alcohol Research Centre, Australia.

60. Kim JH, & Lawrence AJ (2014). Drugs currently in phase II trials for cocaine addiction. Expert Opinion On Investigational Drugs. 23: 1105-1122.

61. Ganella DE & Kim JH (2014). Developmental rodent models of fear and anxiety: From neurobiology to pharmacology. British Journal of Pharmacology. 171: 4556-4574.

62. Perry C, Zbukvic I, Kim JH, & Lawrence AJ (2014). The role of cues and contexts on drug-seeking behaviour. British Journal of Pharmacology. 171: 4636-4672.

63. Chen N, Jupp B, Sztainberg Y, Brown RM, Kim JH, Chen A, Lawrence AJ (2014). Knockdown of CRF1 receptors in the ventral tegmental area attenuates cue- and acute food deprivation stress-induced cocaine-seeking in mice. Journal of Neuroscience. 34: 11560-11570. (This week in the journal article)

64. Handford CE, Tan S, Lawrence AJ, & Kim JH (2014). The effects of mGlu5 negative allosteric modulator MTEP and NMDA receptor partial agonist D-cycloserine on Pavlovian conditioned fear. International Journal of Neuropsychopharmacology, 17: 1521-1532.

CHAPTER EPILEPSY

PAGES 54–59

AUSTIN CAMPUS –

1. Ahmed OH, Lee H, Schneiders AG, McCrory P, Sullivan SJ. Concussion and Comedy: No Laughing Matter? Pm&R 2014;6:1071-1072.

2. Archer JS, Warren AEL, Jackson GD, Abbott DF. Conceptualizing lennox-gastaut syndrome as a secondary network epilepsy. Frontiers in neurology 2014;5:225-225.

3. Archer JS, Warren AEL, Stagnitti MR, Masterton RAJ, Abbott DF, Jackson GD. Lennox-Gastaut syndrome and phenotype: Secondary network epilepsies. Epilepsia 2014;55:1245-1254.

4. Bagnall RD, Crompton DE, Cutmore C, Regan BM, Berkovic SF, Scheffer IE, Semsarian C. Genetic analysis of PHOX2B in sudden unexpected death in epilepsy cases. Neurology 2014;83:1018-1021.

5. Berkovic SF, Jackson GD. ‘Idiopathic’ no more! Abnormal interaction of large-scale brain networks in generalized epilepsy. Brain 2014;137:2400-2402.

6. Bhaganagarapu K, Jacksonw GD, Abbott DF. De-noising with a SOCK can improve the performance of eventrelated ICA. Frontiers in Neuroscience 2014;8.

7. Brodtmann A, Werden E, Pardoe H, Li Q, Jackson G, Donnan G, Cowie T, Bradshaw J, Darby D, Cumming T. Charting cognitive and volumetric trajectories after stroke: protocol for the Cognition And Neocortical Volume After Stroke (CANVAS) study. International Journal of Stroke 2014;9:824-828.

8. Carney PW, Jackson GD. Insights into the mechanisms of absence seizure generation provided by EEG with functional MRI. Frontiers in neurology 2014;5:162-162.

9. Carvill GL, Weckhuysen S, McMahon JM, Hartmann C, Moller RS, Hjalgrim H, Cook J, Geraghty E, O’Roak BJ, Petrou S, Clarke A, Gill D, Sadleir LG, Muhle H, von Spiczak S, Nikanorova M, Hodgson BL, Gazina EV, Suls A, Shendure J, Dibbens LM, De Jonghe P, Helbig I, Berkovic SF, Scheffer IE, Mefford HC. GABRA1 and STXBP1: Novel genetic causes of Dravet syndrome. Neurology 2014;82:1245-1253.

10. Coe BP, Witherspoon K, Rosenfeld JA, van Bon BWM, Vulto-van Silfhout AT, Bosco P, Friend KL, Baker C, Buono S, Vissers LELM, Schuurs-Hoeijmakers JH, Hoischen A, Pfundt R, Krumm N, Carvill GL, Li D, Amaral D, Brown N, Lockhart PJ, Scheffer IE, Alberti A, Shaw M, Pettinato R, Tervo R, de Leeuw N, Reijnders MRF, Torchia BS, Peeters H, O’Roak BJ, Fichera M, Hehir-Kwa JY, Shendure J, Mefford HC, Haan E, Gecz J, de Vries BBA, Romano C, Eichler EE. Refining analyses of copy number variation identifies specific genes associated with developmental delay. Nature Genetics 2014;46:1063-1071.

11. Culvenor AG, Lai CCH, Gabbe BJ, Makdissi M, Collins NJ, Vicenzino B, Morris HG, Crossley KM. Patellofemoral osteoarthritis is prevalent and associated with worse symptoms and function after hamstring tendon autograft ACL reconstruction. British Journal of Sports Medicine 2014;48:435-U122.

12. Darby D, Moriarity J, Pietrzak R, Kutcher J, McAward K, McCrory P. Prediction of winning amateur boxers using pretournament reaction times. Journal of Sports Medicine and Physical Fitness 2014;54:340-346.

13. Derry CP, Scheffer IE. Autosomal Dominant Nocturnal Frontal Lobe Epilepsy (ADNFLE) (July 2009, November 2010, April 2012, January 2014). In: Gilman S, editor-in-chief. MedLink Neurology. San Diego: Medlink Corporation. Available at www.medlink.com.

14. Euro E-RESC, Epilepsy Phenome/Genome P, Epi KC. De novo mutations in synaptic transmission genes including DNM1 cause epileptic encephalopathies. American journal of human genetics 2014;95:360-370.

15. Fisher RS, Acevedo C, Arzimanoglou A, Bogacz A, Cross JH, Elger CE, Engel J, Jr., Forsgren L, French JA, Glynn M, Hesdorffer DC, Lee BI, Mathern GW, Moshe SL, Perucca E, Scheffer IE, Tomson T, Watanabe M, Wiebe S. ILAE Official Report: A practical clinical definition of epilepsy. Epilepsia 2014;55:475-482.

16. Flanagan D, Badawy RAB, Jackson GD. EEG-fMRI in focal epilepsy: Local activation and regional networks. Clinical Neurophysiology 2014;125:21-31

THE FLOREY INSTITUTE OF NEUROSCIENCE & MENTAL HEALTH ANNUAL REPORT 2014 THE FLOREY INSTITUTE OF NEUROSCIENCE & MENTAL HEALTH ANNUAL REPORT 2014 114 115

17. Fisher RS, Acevedo C, Arzimanoglou A, Bogacz A, Cross JH, Elger CE, Engel J, Jr., Forsgren L, French JA, Glynn M, Hesdorffer DC, Lee BI, Mathern GW, Moshe SL, Perucca E, Scheffer IE, Tomson T, Watanabe M, Wiebe S. ILAE Official Report: A practical clinical definition of epilepsy. Epilepsia 2014;55:475-482.

18. Flanagan D, Badawy RAB, Jackson GD. EEG-fMRI in focal epilepsy: Local activation and regional networks. Clinical Neurophysiology 2014;125:21-31.

19. Franklyn-Miller A, Bilzon J, Wilson C, McCrory P. Can RSScan footscan() D3D software predict injury in a military population following plantar pressure assessment? A prospective cohort study. Foot (Edinburgh, Scotland) 2014;24:6-10.

20. Gardner A, Iverson GL, McCrory P. Chronic traumatic encephalopathy in sport: a systematic review. British Journal of Sports Medicine 2014;48:84-U88.

21. Guandalini M, Butler A, Mandelstam S. Spectrum of imaging appearances in Australian children with central nervous system hemophagocytic lymphohistiocytosis. Journal of Clinical Neuroscience 2014;21:305-310.

22. Hildebrand MS, Damiano JA, Mullen SA, Bellows ST, Oliver KL, Dahl H-HM, Scheffer IE, Berkovic SF. Glucose metabolism transporters and epilepsy: Only GLUT1 has an established role. Epilepsia 2014;55:E18-E21.

23. Hildebrand MS, Damiano JA, Mullen SA, Bellows ST, Scheffer IE, Berkovic SF. Does variation in NIPA2 contribute to genetic generalized epilepsy? Human Genetics 2014;133:673-674.

24. Hinman RS, McCrory P, Pirotta M, Relf I, Forbes A, Crossley KM, Williamson E, Kyriakides M, Novy K, Metcalf BR, Harris A, Reddy P, Conaghan PG, Bennell KL. Acupuncture for Chronic Knee Pain A Randomized Clinical Trial. Jama-Journal of the American Medical Association 2014;312:1313-1322.

25. Int League Epilepsy Consortium C, Grp KS. Genetic determinants of common epilepsies: a meta-analysis of genome-wide association studies. Lancet Neurology 2014;13:893-903.

26. Jamuar SS, Lam A-TN, Kircher M, D’Gama AM, Wang J, Barry BJ, Zhang X, Hill RS, Partlow JN, Rozzo A, Servattalab S, Mehta BK, Topcu M, Amrom D, Andermann E, Dan B, Parrini E, Guerrini R, Scheffer IE, Berkovic SF, Leventer RJ, Shen Y, Wu BL, Barkovich AJ, Sahin M, Chang BS, Bamshad M, Nickerson DA, Shendure J, Poduri A, Yu TW, Walsh CA. Somatic Mutations in Cerebral Cortical Malformations. New England Journal of Medicine 2014;371:733-743.

27. Kim YO, Bellows S, McMahon JM, Iona X, Damiano J, Dibbens L, Kelley K, Gill D, Cross JH, Berkovic SF, Scheffer IE. Atypical multifocal Dravet syndrome lacks generalized seizures and may show later cognitive decline. Developmental Medicine and Child Neurology 2014;56:85-90.

28. Lee H, Sullivan SJ, Schneiders AG, Ahmed OH, Balasundaram AP, Williams D, Meeuwisse WH, McCrory P. Smartphone and tablet apps for concussion road warriors (team clinicians): a systematic review for practical users. Br J Sports Med. 2014 Mar 25. doi: 10.1136/bjsports-2013-092930.

29. Leventer RJ, Jansen FE, Mandelstam SA, Ho A, Mohamed I, Sarnat HB, Kato M, Fukasawa T, Saitsu H, Matsumoto N, Itoh M, Kalnins RM, Chow CW, Harvey AS, Jackson GD, Crino PB, Berkovic SF, Scheffer IE. Is focal cortical dysplasia sporadic? Family evidence for genetic susceptibility. Epilepsia 2014;55:E22-E26.

30. Louey AG, Cromer JA, Schembri AJ, Darby DG, Maruff P, Makdissi M, McCrory P. Detecting Cognitive Impairment After Concussion: Sensitivity of Change From Baseline and Normative Data Methods Using the CogSport/Axon Cognitive Test Battery. Archives of Clinical Neuropsychology 2014;29:432-441.

31. Makdissi M. Sports-related concussion Reply. Australian Family Physician 2014;43:9-10.

32. Makdissi M, Davis G, McCrory P. Updated guidelines for the management of sports-related concussion in general practice. Australian Family Physician 2014;43:94-99.

33. Martin HC, Kim GE, Pagnamenta AT, Murakami Y, Carvill GL, Meyer E, Copley RR, Rimmer A, Barcia G, Fleming MR, Kronengold J, Brown MR, Hudspith KA, Broxholme J, Kanapin A, Cazier J-B, Kinoshita T, Nabbout R, Bentley D, McVean G, Heavin S, Zaiwalla Z, McShane T, Mefford HC, Shears D, Stewart H, Kurian MA, Scheffer IE, Blair E, Donnelly P, Kaczmarek LK, Taylor JC, Consortium WGS. Clinical whole-genome sequencing in severe early-onset epilepsy reveals new genes and improves molecular diagnosis. Human Molecular Genetics 2014;23:3200-3211.

34. Milligan CJ, Li M, Gazina EV, Heron SE, Nair U, Trager C, Reid CA, Venkat A, Younkin DP, Dlugos DJ, Petrovski S, Goldstein DB, Dibbens LM, Scheffer IE, Berkovic SF, Petrou S. KCNT1 Gain of Function in 2 Epilepsy Phenotypes is Reversed by Quinidine. Annals of Neurology 2014;75:581-590.

35. Newton JD, White PE, Ewing MT, Makdissi M, Davis GA, Donaldson A, Sullivan SJ, Seward H, Finch CF. Intention to use sport concussion guidelines among community-level coaches and sports trainers. Journal of Science and Medicine in Sport 2014;17:469-473.

36. Oliver KL, Lukic V, Thorne NP, Berkovic SF, Scheffer IE, Bahlo M. Harnessing Gene Expression Networks to Prioritize Candidate Epileptic Encephalopathy Genes. Plos One 2014;9.

37. Orhan G, Bock M, Schepers D, Ilina EI, Reichel SN, Loeffler H, Jezutkovic N, Weckhuysen S, Mandelstam S, Suls A, Danker T, Guenther E, Scheffer IE, De Jonghe P, Lerche H, Maljevic S. Dominant-negative effects of KCNQ2 mutations are associated with epileptic encephalopathy. Annals of Neurology 2014;75:382-394.

38. Patricios JS, Makdissi M. The sports concussion picture: fewer ‘pixels’, more HD. British Journal of Sports Medicine 2014;48:71-72.

39. Pietersen ANJ, Cheong SK, Solomon SG, Tailby C, Martin PR. Temporal response properties of koniocellular (blue-on and blue-off) cells in marmoset lateral geniculate nucleus. Journal of Neurophysiology 2014;112:14211438.

40. Puskarjov M, Seja P, Heron SE, Williams TC, Ahmad F, Iona X, Oliver KL, Grinton BE, Vutskits L, Scheffer IE, Petrou S, Blaesse P, Dibbens LM, Berkovic SF, Kaila K. A variant of KCC2 from patients with febrile seizures impairs neuronal Cl- extrusion and dendritic spine formation. Embo Reports 2014;15:723-729.

41. Reid CA, Leaw B, Richards KL, Richardson R, Wimmer V, Yu C, Hill-Yardin EL, Lerche H, Scheffer IE, Berkovic SF, Petrou S. Reduced dendritic arborization and hyperexcitability of pyramidal neurons in a Scn1b-based model of Dravet syndrome. Brain 2014;137:1701-1715.

42. Reid CA, Mullen S, Kim TH, Petrou S. Epilepsy, energy deficiency and new therapeutic approaches including diet. Pharmacology & Therapeutics 2014;144:192-201.

43. Reinthaler EM, Lal D, Lebon S, Hildebrand MS, Dahl H-HM, Regan BM, Feucht M, Steinboeck H, Neophytou B, Ronen GM, Roche L, Gruber-Sedlmayr U, Geldner J, Haberlandt E, Hoffmann P, Herms S, Gieger C, Waldenberger M, Franke A, Wittig M, Schoch S, Becker AJ, Hahn A, Maennik K, Toliat MR, Winterer G, Lerche H, Nuernberg P, Mefford H, Scheffer IE, Berkovic SF, Beckmann JS, Sander T, Jacquemont S, Reymond A, Zimprich F, Neubauer BA, Consortium PE, Consortium E, Euro EC. 16p11.2 600 kb Duplications confer risk for typical and atypical Rolandic epilepsy. Human Molecular Genetics 2014;23:6069-6080.

44. Scheffer IE. Epilepsy Genetics Revolutionizes Clinical Practice. Neuropediatrics 2014;45:70-74.

45. Scheffer IE, Dravet C. Transition to adult life in the monogenic epilepsies. Epilepsia 2014;55:12-15.

46. Scheffer IE, Heron SE, Regan BM, Mandelstam S, Crompton DE, Hodgson BL, Licchetta L, Provini F, Bisulli F, Vadlamudi L, Gecz J, Connelly A, Tinuper P, Ricos MG, Berkovic SF, Dibbens LM. Mutations in Mammalian Target of Rapamycin Regulator DEPDC5 Cause Focal Epilepsy with Brain Malformations. Annals of Neurology 2014;75:782-787.

47. Scheffer IE, Mefford HC. EPILEPSY Beyond the single nucleotide variant in epilepsy genetics. Nature Reviews Neurology 2014;10:490-491.

48. Speed D, Hoggart C, Petrovski S, Tachmazidou I, Coffey A, Jorgensen A, Eleftherohorinou H, De Iorio M, Todaro M, De T, Smith D, Smith PE, Jackson M, Cooper P, Kellett M, Howell S, Newton M, Yerra R, Tan M, French C, Reuber M, Sills GE, Chadwick D, Pirmohamed M, Bentley D, Scheffer I, Berkovic S, Balding D, Palotie A, Marson A, O’Brien TJ, Johnson MR. A genome-wide association study and biological pathway analysis of epilepsy prognosis in a prospective cohort of newly treated epilepsy. Human Molecular Genetics 2014;23:247-258.

49. Tailby C, Weintrob DL, Saling MM, Fitzgerald C, Jackson GD. Reading difficulty is associated with failure to lateralize temporooccipital function. Epilepsia 2014;55:746-753.

50. White PE, Newton JD, Makdissi M, Sullivan SJ, Davis G, McCrory P, Donaldson A, Ewing MT, Finch CF. Knowledge about sports-related concussion: is the message getting through to coaches and trainers? British Journal of Sports Medicine 2014;48:119-U127.

51. Williams D, Sullivan SJ, Schneiders AG, Ahmed OH, Lee H, Balasundaram AP, McCrory PR. Big hits on the small screen: an evaluation of concussion-related videos on YouTube. British Journal of Sports Medicine 2014;48:107-111.

52. Williams J, Crowe LM, Dooley J, Collie A, Davis G, McCrory P, Clausen HM, Maddocks D, Anderson VA. Developmental trajectory of information processing skills in children: computer-based assessment. Applied Neuropsychology: Child 2014; published online http://dx.doi.org/10.1080/21622965.2014.939271

53. Zelko FA, Pardoe HR, Blackstone SR, Jackson GD, Berg AT. Regional brain volumes and cognition in childhood epilepsy: Does size really matter? Epilepsy Research 2014;108:692-700.

PARKVILLE CAMPUS

54. Jens Witsch, Daniel Golkowski, Thomas T. G. Hahn, Steven Petrou and Hartwig Spors. Cortical Alterations in a Model for Absence Epilepsy and Febrile Seizures: In Vivo Findings in Mice Carrying a Human GABA(A)R Gamma2 Subunit Mutation Neurobiology of Disease. accepted)

55. Melody Li; Dana Jazayeri; Ben Corry; Melodi McSweeney; Erin L Heinzen; David B Goldstein; Steven Petrou. A functional correlate of severity in alternating hemiplegia of childhood. Neurobiology of Disease, Accepted

56. Mefford, Heather; Allen, Andrew; Berkovic, Samuel; Coe, Bradley; Cook, Joseph; Cossette, Patrick; Delanty, Norman; Dlugos, Dennis; Eichler, E.; Epistein, Michael; Glauser, Tracy; Goldstein, David; Heinzen, E; Johnson, Michael; Krumm, Nik; Kuzniecky, Ruben; Lowenstein, Daniel; Marson, Anthony; Nelson, Ben; Esmaeeli Nieh, Sahar; O’Brien, Terence; Ottman, Ruth; Petrou, Steven; Petrovski, Slave; Poduri, Annapurna; Raja, Archana; Ruzzo, Elizabeth; Scheffer, Ingrid; Sherr, Elliott; Abou-Khalil, Bassel; Allredge, Brian; Andermann, Eva; Andermann, Frederick; Amron, Dina; Bautista, Jocelyn; Boro, Alex; Cascino, Gregory; Consalvo, Damian; Crumrine, Patricia; Devinsky, Orrin; Fiol, Miguel; Fountain, Nathan; French, Jacqueline; Friedman, Daniel; Geller, Eric; Glynn, Simon; Haut, Sheryl; Hayward, Jean; Helmers, Sandra; Joshi, Sucheta; Kanner, Andres; Kirsch, Heidi; Knowlton, Robert; Kossoff, Eric; Kuperman, Rachel; McGuire, Shannon; Motika, Paul; Novotny, Edward; Paolicchi, Julian; Parent, Jack; Park, Kristen; Shellhaas, Renee; Shih, Jerry; Singh, Rani; Sirven, Joseph; Smith, Michael; Sullivan, Joseph; Thio, Liu Lin; Venkat, Anu; Vining, Eileen; Von Allmen, Gretchen; Weisenberg, Judith; Widdess-Walsh, Peter; Winawer, Melodie. CNV analysis from exome data in 349 patients with epileptic encephalopathy”. Annals of Neurology, Accepted.

THE FLOREY INSTITUTE OF NEUROSCIENCE & MENTAL HEALTH ANNUAL REPORT 2014 THE FLOREY INSTITUTE OF NEUROSCIENCE & MENTAL HEALTH ANNUAL REPORT 2014 116 117

57. Harty RC, Wimmer VC, Richards KL, Phillips AM, Miyazaki A, Nukina N, Petrou S. Sodium channel β1 subunit localizes to axon initial segments of excitatory and inhibitory neurons and shows regional heterogeneity in mouse brain. J Comp Neurol. Accepted 14 Nov 2014

58. Gazina EV, Leaw BTW, Richards KL, Wimmer VC, Kim TH, Aumann TD, Featherby TJ, Churilov L, Hammond VE, Reid CA, Petrou S. Neonatal NaV 1.2 reduces neuronal excitability and affects seizure susceptibility and behavior. Human Mol Genetics (accepted).

59. Epilepsy Phenome/Genome Project; Epi4K Consortium; EuroEPINOMICS-RES Consortium; Epilepsy Phenome/Genome Project; Epi4K Consortium. De Novo Mutations in Synaptic Transmission Genes Including DNM1 Cause Epileptic Encephalopathies. EuroEPINOMICS-RES Consortium. Am J Hum Genet. 2014 Oct 2;95(4):360-70. doi: 10.1016/j.ajhg.2014.08.013. [Epub 2014 Sep 25].

60. Mendis DC, Halgamuge SK, Morrisroe E, Petrou S. Changes in Propagation Delays for Quantifying Pharmacological Effects on Cortical Cultures. Conference paper accepted. Knowledge Discovery in Biological Systems at ICIAfS (International Conference on Information and Automation for Sustainability)

61. Reid CA, Mullen S, Kim TH, Petrou S. Epilepsy, energy deficiency and new therapeutic approaches including diet. Pharmacol Ther. 2014 Nov;144(2):192-201.

62. Oxcarbazepine and its active metabolite, (S)-licarbazepine, exacerbate seizures in a mouse model of genetic generalised epilepsy. Kim TH, Reid CA, Petrou S. Epilepsia. accepted.

63. Muona M, Berkovic SF, Dibbens LM, Oliver KL, Maljevic S, Bayly MA, Joensuu T, Canafoglia L, Franceschetti S, Michelucci R, Markkinen S, Heron SE, Hildebrand M, Andermann E, Andermann F, Gambardella A, Tinuper P, Licchetta L, Scheffer IE, Criscuolo C, Filla A, Ferlazzo E, Ahmad J, Ahmad A, Baykan B, Said E, Topcu M, Riguzzi P, King MD, Ozkara C, Andrade DM, Engelsen BA, Crespel A, Lindenau M, Lohmann E, Saletti V, Massano J, Privitera M, Espay AJ, Kauffmann B, Duchowny M, Møller RS, Straussberg R, Afawi Z, Ben- Zeev B, Samocha KE, Daly MJ, Petrou S, Lerche H, Palotie A, Lehesjoki AE. A recurrent de novo mutation in KCNC1 is a major cause of progressive myoclonus epilepsy. Nature Genetics (Accepted).

64. Milligan CJ, Li MYS, Petrou S. KCNT1 gain-of-function mutations linked to human epilepsy are modulated by quinidine. Molecular & Cellular Epilepsy (Accepted)

65. Wimmer VC, Li MYS, Berkovic SF and Petrou S. Cortical microarchitecture changes in genetic epilepsy. Neurology, Accepted

66. Holien JK, Gazina EV, Elliott RW, Jarrott B, Cameron CE, Williams SJ, Parker MW and Petrou S. Computational analysis of amiloride analogue inhibitors of coxsackievirus B3 RNA polymerase Journal of Proteomics & Bioinformatics Accepted

67. Mendis D, Petrou S, Halgamuge S. Neuromechatronics with In-Vitro Microelectrode Arrays. In Mechatronics Ed Clarence De Silva. 2014

68. Richards K, Calamante F, Tournier JD, Kurniawan ND, Sadeghian F, Retchford AR, Jones GD, Reid CA, Reutens DC, Ordidge R, Connelly A and Petrou S. Mapping somatosensory connectivity in adult mice using diffusion MRI tractography and super-resolution track density imaging. Neuroimage 2014 (accepted)

69. Oliva MK, McGarr TC, Beyer BJ, Gazina EV, Kaplan DI; Cordeiro L, Thomas EA, Dib-Hajj SD, Waxman SG, Frankel WN, Petrou S. Physiological and genetic analysis of multiple sodium channel variants in a model of genetic absence epilepsy. Neurobiology of Disease 2014, Accepted.

70. Puskarjov M, Seja P, Heron SE, Williams TC, Ahmad F, Iona X, Oliver KL, Grinton BE, Vutskits L, Scheffer EI, Petrou S, Blaesse P, Dibbens LM, Berkovic SF, Kaila K. A variant of KCC2 from patients with febrile seizures impairs neuronal Cl- extrusion and dendritic spine formation. EMBO Reports 2014 Accepted

71. Milligan CJ, Li MYS, Gazina EV, Heron SE, Nair U, Trager C, Reid CA, Venkat A, Younkin DP, Dlugos DJ, Petrovski S, Goldstein DB, Dibbens LM, Scheffer IE, Berkovic SF, Petrou S. KCNT1 Gain of Function in Two Epilepsy Phenotypes Is Reversed by Quinidine. Annals of Neurology 2014 Accepted

72. Reid CA, Leaw B, Richards KL, Richardson R, Wimmer VC, Yu C, Hill-Yardin EL, Lerche H, Scheffer IE, Berkovic SF, Petrou S. Reduced dendritic arborisation and hyperexcitability of pyramidal neurons in a Scn1b-based model of Dravet syndrome. Brain 2014 Accepted

73. Hatch RJ, Reid CA and Petrou S. Enhanced in vitro CA1 network activity in a sodium channel SCN1B(C121W) subunit model of genetic epilepsy. Epilepsia 2014 Accepted.

74. Carvill GL, Weckhuysen S, McMahon JM, Hartmann C, Møller RS, Hjalgrim H, Cook J, Geraghty E, O’Roak BJ, Petrou S, Clarke A, Gill D, Sadleir LG, Muhle H, von Spiczak S, Nikanorova M, Hodgson BL, Gazina EV, Suls A, Shendure J, Dibbens LM, De Jonghe P, Helbig I, Berkovic SF, Scheffer IE, Mefford HC.GABRA1 and STXBP1: Novel genetic causes of Dravet syndrome. Neurology. 2014 Mar 12. [Epub ahead of print]

75. TH Kim, S Petrou, CA Reid. Low glycaemic index diet reduces seizure susceptibility in a syndrome-specific mouse model of generalized epilepsy. Epilepsy Research 2014 Jan;108(1):139-43

76. Gu BJ, Sun C, Fuller S, Skarratt KK, Petrou S, Wiley JS. A quantitative method for measuring innate phagocytosis by human monocytes using real-time flow cytometry. Cytometry A. 2014 85(4):313-21

CHAPTER IMAGING

PAGES 60–62

1. S. Groeschel, J-D.Tournier, G.B.Northam, T.Baldeweg, J.Wyatt, B.Vollmer, A.Connelly. Identification and interpretation of microstructural abnormalities in motor pathways in adolescents born preterm. NeuroImage, 87, 209-219 (2014).

2. L.Willats, D.Raffelt, R.E.Smith, J-D.Tournier, A.Connelly, F.Calamante. Quantification of track-weighted imaging (TWI): characterisation of within-subject reproducibility and between-subject variability. NeuroImage, 87, 18-31 (2014).

3. X.Liang, A. Connelly, F.Calamante. Graph analysis of resting-state ASL perfusion MRI data: nonlinear correlations among CBF and network metrics. NeuroImage, 87, 265-275 (2014).

4. J.L.Y.Cheong, A.C.Burnett, K.J.Lee, G.Roberts, D.K.Thompson, S.J.Wood, A.Connelly, P.J.Anderson, L.W.Doyle. Association between postnatal dexamethasone for treatment of bronchopulmonary dysplasia and brain volume at adolescence in infants born very preterm. J Pediatrics, 164, 737-743 (2014).

5. I.E.Scheffer, S.E.Heron, B.M.Regan, S.Mandelstam , D.E.Crompton, B.L.Hodgson, L.Licchetta, F.Bisulli, L.Vadlamudi, A.Connelly, P.Tinuper, M.G.Ricos, S.F.Berkovic, L.M.Dibbens. Mutations in mammalian target rapamycin regulator DEPDC5 cause focal epilepsy with brain malformations. Ann Neurol, 75, 782-787 (2014).

6. C.E Kelly, J.L.Y.Cheong, C.Molloy, P.J Anderson, K.J.Lee, A.C.Burnett, A.Connelly, L.W. Doyle, D.K.Thompson. Neural correlates of impaired vision in adolescents born extremely preterm and/or extremely low birthweight. PLoS ONE, 9, e93188 (2014).

7. J.Mitra, P.Bourgeat, J.Fripp, S.Ghose, S.Rose, O.Salvado, A.Connelly, B.Campbell, S.Palmer, G.Sharma, S. Christensen, L.Carey. Lesion segmentation from multimodal MRI using random forest following ischemic stroke. NeuroImage, 98, 324-335 (2014).

8. K.L.Richards, F.Calamante, J-D.Tournier, N.D.Kurniawan, F. Sadeghian, A.R.Retchford, G.D.Jones, C.A.Reid, D.C.Reutens, R.J.Ordidge, A.Connelly*, S.Petrou*. Mapping somatosensory connectivity in adult mice using diffusion MRI tractography and super-resolution track density imaging. NeuroImage, 102, 381-392 (2014).* equal contribution.

9. X.Liang, A. Connelly, J-D. Tournier, F.Calamante. A variable flip angle-based method for reducing blurring in 3D GRASE ASL. Physics in Medicine and Biology, 18, 5559-5574 (2014).

10. B.Jeurissen, J-D.Tournier, T.Dhollander, A.Connelly, J.Sijbers. Multi-tissue constrained spherical deconvolution for improved analysis of multi-shell diffusion MRI data. Neuroimage, 103, 411-426 (2014).

11. Palesi F, Tournier J-D, Calamante F, Muhlert N, Castellazzi G, Chard D, D’Angelo E, Wheeler-Kingshott CAM. Contralateral cerebello-thalamo-cortical pathways with prominent involvement of associative areas in humans in vivo. Brain Struct. Funct. (in press, accepted 21 July 2014).

12. Chappell MA, Mehndiratta A, Calamante F. Correcting for large vessel contamination in DSC perfusion MRI by extension to a physiological model of the vasculature. Magn. Reson. Med. (in press, accepted 7 July 2014).

13. Mehndiratta A, Calamante F, MacIntosh BJ, Crane DE, Payne SJ, Chappell MA. Modeling the Residue Function in DSC-MRI simulations: Analytical Approximation to in vivo data. Magn. Reson. Med. 72:1486–1491 (2014).

14. Mehndiratta A, Calamante F, MacIntosh BJ, Crane DE, Payne SJ, Chappell MA. Modelling and Correction of Bolus Dispersion Effects in DSC-MRI. Magn. Reson. Med. 72: 1762-74 (2014). [Editor’s pick for December 2014 issue]

15. Kurniawan ND, Richards K, Yang Z, She D, Ullmann JFP, Moldrich RX, Liu S, Urriola Yaksic J, Leanage G, Kharatishvili I, Wimmer V, Calamante F, Galloway GJ, Petrou S, Reutens DC. Visualization of Mouse Barrel Cortex using Ex-vivo Track Density Imaging. NeuroImage 87: 465–475 (2014).

16. Jahng G-H, Li K-L, Ostergaard L, Calamante F. Perfusion Magnetic Resonance Imaging: A Comprehensive Update on Principles and Techniques. Korean J. Radiol. 15: 554-577 (2014).

17. Cho ZH, Kang CK, Son YD, Choi SH, Lee YB, Paek SH, Park CW, Chi JG, Calamante F, Law M, Kim YB, Pictorial Review of In Vivo Human Brain: From Anatomy to Molecular Imaging. World Neurosurgery 82: 72–95 (2014).

18. P. Crack, M. Zhang, M.C. Morganti-Kossmann, A.J. Morris, J.M. Wojciak, J.K. Fleming, I. Karve, D. Wright, M. Sashindranath, Y. Goldshmit, A. Conquest, M. Daglas, L.A. Johnston, R.L. Medcalf, R.A. Sabbadini, A. Pebay, Antilysophosphatidic acid antibodies improve traumatic brain injury outcomes, Journal of Neuroinflammation, 11:37, pp.1-11, 2014.

19. N. Bye, O. E. Hutt, T.M. Hinton, D.P. Acharya, L.J. Waddington, B.A. Moffat, D.K. Wright, H.X. Wang, X. Mulet, B.W. Muir, Nitroxide-loaded hexosomes provide MRI contrast in vivo. Langmuir, 30, pp. 8898−8906, 2014.

20. R. Shishegar, J.M. Britto and L.A. Johnston, A method for assessing nonlinear growth in the fetal cortex, Proc. IEEE EMBC, pp.1525-1528, 2014.

21. K.J. Layton, B. Tahayori, I.M.Y. Mareels, P.M. Farrell, L.A. Johnston, Rabi resonance in spin systems: theory and experiment, Journal of Magnetic Resonance, 242:136-142, 2014.

22. S.R. Shultz, X.L. Tan, D.K. Wright, S.J. Liu, A.D. Cook, N.C. Jones, B.D. Semple, L. Johnston, J.A. Hamilton, T.J. O’Brien, Granulocyte-macrophage colony-stimulating factor (GM-CSF) is neuroprotective in experimental traumatic brain injury, Journal of Neurotrauma, vol. 31(10), pp.976-83, 2014.

THE FLOREY INSTITUTE OF NEUROSCIENCE & MENTAL HEALTH ANNUAL REPORT 2014 THE FLOREY INSTITUTE OF NEUROSCIENCE & MENTAL HEALTH ANNUAL REPORT 2014 118 119

CHAPTER MENTAL HEALTH

PAGES 66–68

1. Verdile G, Laws SM, Henley D, Ames D, Bush AI, Ellis KA, Faux NG, Gupta VB, Li Q-X, Masters CL, Pike KE, Rowe CC, Szoeke C, Taddei K, Villemagne VL, and Martins RN and for the AIBL Research Group. Associations between gonadotropins, testosterone, and β amyloid in men at risk of Alzheimer’s Disease. Molec Psych 2014; 19: 69-75.

2. Lim YY, Villemagne VL, Laws SM, Ames D, Pietrzak RH, Ellis KA, Harrington K, Bourgeat P, Salvado O, Bush AI, Martins RN, Masters CL, Rowe CC, Maruff P for the AIBL Research Group. Effect of BDNF Val66Met on memory decline and hippocampal atrophy in prodromal Alzheimer’s disease: A preliminary study. PLoS One 2014; 9: e86498. Doi: 10.1371/journal.pone.0086498.

3. Villemagne VL and Masters CL. Alzheimer disease. The landscape of ageing – insights from AD imaging markers. Nat Reviews Neurol. 2014; 10: 678-679.

4. Buckley RF, Saling MM, Irish M, Ames D, Rowe CC, Lautenschlager NT, Maruff P, Macaulay SL, Martins RN, Masters CL, Rainey-Smith S, Rembach A, Savage G, Szoeke C, Ellis KA. Personal memory function in mild cognitive impairment and subjective memory complaints: results from the Australian Imaging, Biomarkers, and Lifestyle (AIBL) study of ageing. J Alz Dis. 2014; 40: 551-561.

5. Lim YY, Maruff P, Pietrzak RH, Ames D, Ellis KA, Harrington K, Lautenschlager NT, Szoeke C, Martins RN, Masters CL, Villemagne VL, Rowe CC for the AIBL Research Group. Effect of amyloid on memory and non-memory decline from preclinical to clinical Alzheimer’s disease. Brain. 2014; 137: 221-231.

6. Caine JM, Churches Q, Waddington L, Nigro J, Breheney K, Masters CL, Nuttall SD, Streltsov VA. Design of nonaggregating variants of Aβ peptide. Biochem Biophys Res Comm. 2014; 453: 449-454.

7. Klug GM, Boyd A, Sarros S, Stehmann C, Simpson M, McLean C, Masters CL, Collins SJ. Creutzfeldt-Jakob Disease surveillance in Australia, update to December 2013. Commun Dis Intell. 2014; 38: E348-E355.

8. Burnham SC, Faux NG, Wilson W, Laws SM, Ames D, Bedo J, Bush AI, Doecke JD, Ellis KA, Head R, Jones G, Kiiveri H, Martins RN, Rembach A, Rowe CC, Salvado O, Macaulay SL, Masters CL, Villemagne VL, Alzheimer’s Disease Neuroimaging Initiative and Australian Imaging Biomarker and Lifestyle Research Group. A blood-based predictor for neocortical Aβ burden in Alzheimer’s disease: results from the AIBL study. Molec Psych. 2014; 19: 519-526.

9. Masters CL. Shaken, not sonicated? N Eng J Med. 2014; 371: 571-572.

10. Faux NG, Rembach A, Wiley J, Ellis KA, Ames D, Fowler CJ, Martins RN, Pertile KK, Rumble RL, Trounson B, Masters CL, The AIBL Research Group, Bush AI. An anemia of Alzheimer’s disease. Molec Psych. 2014; 19: 12271234.

11. Fagan AM, Xiong C, Jasielec MS, Bateman RJ, Goate AM, Benzinger TLS, Ghetti B, Martins RN, Masters CL, Mayeux R, Ringman JM, Rossor MN, Salloway S, Schofield PR, Sperling RA, Marcus D, Cairns NJ, Buckles VD, Ladenson JH, Morris JC, Holtzman DM. Longitudinal change in CSF biomarkers in autosomal-dominant Alzheimer’s disease. Science Translat Med. 2014; 6: 226ra30doi10.112b/scitranslmed.3007901.

12. Pham CLL, Kirby N, Wood K, Ryan T, Roberts B, Sokolova A, Barnham KJ, Masters CL, Knott RB, Cappai R, Curtain CC and Rekas A. Guanidine hydrochloride denaturation of dopamine induced α-synuclein oligomers: A smallangle X-ray scattering study. Proteins: Structure, Function and Bioinformatics 2014; 82: 10-21.

13. Villemagne VL, Dorè V, Yates P, Brown B, Mulligan R, Bourgeat P, Veljanoski R, Rainey-Smith SR, Ong K, Rembach A, Williams R, Burnham SC, Laws SM, Salvado O, Taddei K, Macaulay SL, Martins RN, Ames D, Masters CL, Rowe CC. En attendant centiloid. Advances in Research. 2014; 2: 723-729.

14. Roberts BR, Lim NKH, McAllum EJ, Donnelly PS, Hare DJ, Doble PA, Turner BJ, Price KA, Lim SC, Paterson BM, Hickey JL, Rhoads TW, Williams JR, Kanninen KM, Hung LW, Liddell JR, Grubman A, Monty J-F, Llanos RM, Kramer DR, Mercer JFB, Bush AI, Masters CL, Duce JA, Li Q-X, Beckman JS, Barnham KJ, White AR, Crouch PJ. Oral treatment with CuII(atsm) increases mutant SOD1 in vivo but protects motor neurons and improves the phenotype of a transgenic mouse model of amyotrophic lateral sclerosis. J Neurosci. 2014; 34: 8021-8031.

15. Adlard PA, Li Q-X, McLean C, Masters CL, Bush AI, Fodero-Tavoletti M, Villemagne V and Barnham KJ. β-amyloid in biological samples: not all Aβ detection methods are created equal. Front Aging Neurosci. 6:203. Doi: 10.3389/ fnagi.2014.00203.

16. Lim YY, Maruff P, Pietrzak RH, Ellis KA, Darby D, Ames D, Harrington K, Martins RN, Masters CL, Szoeke C, Savage G, Villemagne VL, Rowe CC for the AIBL Research Group. Aβ and cognitive change: Examining the preclinical and prodromal stages of Alzheimer’s disease. Alzheimers Dement. 2014; 10: 743-751.

17. Buckley RF, Saling MM, Irish M, Ames D, Rowe CC, Villemagne VL, Lautenschlager NT, Maruff P, Macaulay SL, Martins RN, Szoeke C, Masters CL, Rainey-Smith SR, Rembach A, Savage G, Ellis KA and the Australian Imaging Biomarkers and Lifestyle Study of Ageing (AIBL) Research Group. Autobiographical narratives relate to Alzheimer’s disease biomarkers in older adults. Int Psychogeriatrics. 2014; 26: 1737-1746.

18. Johanssen VA, Johanssen T, Masters CL, Hill AF, Barnham KJ, Collins SJ. C-terminal peptides modelling constitutive PrPC processing demonstrate ameliorated toxicity predisposition consequent to α-cleavage. Biochem J. 2014; 459: 103-115.

19. Rembach A, Hare DJ, Doecke JD, Burnham SC, Volitakis I, Fowler CJ, Cherny RA, McLean C, Grimm R, Martins R, Ames D, Masters CL, Bush AI, Roberts BR. Decreased serum zinc is an effect of ageing and not Alzheimer’s disease. Metallomics: integrated biometal science. 2014; 6: 1216-1219.

20. Moore E, Ames D, Mander A, Carne R, Brodaty H, Woodward M, Boundy K, Ellis K, Bush A, Faux N, Martins R, Masters C, Rowe C, Szoeke C, Watters D, and the AIBL investigators. Among vitamin B12 deficient older people, high folate levels are associated with worse cognitive function: combined data from three cohorts. J Alz Dis. 2014; 39: 661-668.

21. Brown BM, Bourgeat P, Peiffer JJ, Burnham S, Laws SM, Rainey-Smith SR, Bartrés-Faz D, Villemagne VL, Taddei K, Rembach A, Bush A, Ellis KA, Macaulay SL, Rowe CC, Ames D, Masters CL, Maruff P, Martins RN for the AIBL Research Group. Influence of BDNF Val66Met on the relationship between physical activity and brain volume. Neurol 2014; 83: 1345-1352.

22. Thomas JB, Brier MR, Bateman RJ, Snyder AZ, Benzinger TL, Xiong C, Raichle M, Holtzman DM, Sperling RA, Mayeux R, Ghetti B, Ringman JM, Salloway S, McDade E, Rossor MN, Ourselin S, Schofield PR, Masters CL, Martins RN, Weiner MW, Thompson PM, Fox NC, Koeppe RA, Jack CR, Mathis CA, Oliver A, Blazey TM, Moulder K, Buckles V, Hornbeck R, Chhatwal J, Schultz AP, Goate AM, Fagan AM, Cairns NJ, Marcus DS, Morris JC and Ances BM. Functional connectivity in autosomal dominant and late-onset Alzheimer disease. JAMA Neurol. 2014; 71: 1111-1122.

23. Rembach A, Faux NG, Watt AD, Pertile KK, Rumble RL, Trounson BO, Fowler CJ, Roberts BR, Perez KA, Li Q-X, Laws SM, Taddei K, Rainey-Smith S, Robertson JS, Vandijck M, Vanderstichele H, Barnham KJ, Ellis KA, Szoeke C, Macaulay L, Rowe CC, Villemagne VL, Ames D, Martins RN, Bush AI, Masters CL, the AIBL research group. Changes in plasma amyloid beta in a longitudinal study of aging and Alzheimer’s disease. Alz Dement 2014; 10: 53-61.

24. Hare DJ, Lei P, Ayton S, Roberts BR, Grimm R, George JL, Bishop DP, Beavis AD, Donovan SJ, McColl G, Volitakis I, Masters CL, Adlard PA, Cherny RA, Bush AI, Finkelstein DI and Doble PA. An iron-dopamine index predicts risk of parkinsonian neurodegeneration in the substantia nigra pars compacta. Chemical Science. 2014; 5: 2160-2169.

25. Villemagne VL, Fodero-Tavoletti M, Yates P, Masters CL and Rowe CC. Aβ imaging in aging, Alzheimer’s disease and other neurodegenerative conditions. In: PET and SPECT in Neurology. Edited by RAJO Dierckx, A Otte, EFJ de Vries, A van Waarde, and KL Leenders. Springer Verlag (Berlin-Heidelberg-New York). 2014, Chap 10: pp 213-254.

26. Zwan MD, Okamura N, Fodero-Tavoletti MT, Furumoto S, Masters CL, Rowe CC, Villemagne VL. Voyage au bout de la nuit: Aβ and tau imaging in dementias. QJ Nucl Med Mol Imaging. 2014; 58: 398-412.

27. Yates PA, Villemagne VL, Ellis KA, Desmond PM, Masters CL, Rowe CC. Cerebral microbleeds: a review of clinical, genetic and neuroimaging associations. Frontiers in Neurology. 2014; 4: 205.

28. Johnson P, Vandewater L, Wilson W, Maruff P, Savage G, Graham P, Macaulay SL Ellis KA, Szoeke C, Martins RN, Rowe CC, Masters CL, Ames D, Zhang P. Genetic algorithm with logistic regression for prediction of progression of Alzheimer’s disease. BMC Bioinformatics. 2014; 15 (Suppl 16): S11.

29. Coleman BM, Harrison CF, Guo B, Masters CL, Barnham KJ, Lawson VA, Hill AF. Pathogenic mutations within the hydrophobic domain of the prion protein lead to the formation of a protease sensitive prion species with increased lethality. J Virol. 2014; 88: 2690-2703.

30. Rembach A, Watt AD, Wilson WJ, Rainey-Smith S, Ellis KA, Rowe CC, Villemagne VL, Macaulay SL, Bush AI, Martins RN, Ames D, Masters CL, Doecke JD and the AIBL research group. An increased neutrophil-lymphocyte ratio in Alzheimer’s disease is a function of age and is weakly correlated with neocortical amyloid accumulation. J Neuroimmunology. 2014; 273: 65-71.

31. Zhou L, Salvado O, Dore V, Bourgeat P, Raniga P, Macaulay SL, Ames D, Masters CL, Ellis KA, Villemagne VL, Rowe CC, Fripp J, AIBL Research Group. MR-less surface-based amyloid assessment based on 11C PiB PET. PLOS One. 2014; 9: e84777.

32. Hare DJ, George JL, Bray L, Volitakis I, Vais A, Ryan TM, Cherny RA, Bush AI, Masters CL, Adlard PA, Doble PA and Finkelstein DI. The effect of paraformaldehyde fixation and sucrose cryoprotection on metal concentration in murine neurological tissue. J Anal At Spectrom. 2014; 29: 565-570.

33. Yates PA, Desmond PM, Phal PM, Steward C, Szoeke C, Salvado O, Ellis KA, Martins RN, Masters CL, Ames D, Villemagne VL, Rowe CC for the AIBL Research Group. Incidence of cerebral microbleeds in preclinical Alzheimer disease. Neurology. 2014; 82: 1266-1273.

34. Villemagne VL, Furumoto S, Fodero-Tavoletti MT, Mulligan RS, Hodges J, Harada R, Yates P, Piguet O, Pejoska S, Doré V, Yanai K, Masters CL, Kudo Y, Rowe CC, Okamura N. In vivo evaluation of a novel tau imaging tracer for Alzheimer’s disease. Eur J Nucl Med Molec Imag. 2014; 41: 816-826.

35. Ryman DC, Acosta-Baena N, Aisen PS, Bird T, Danek A, Fox N, Goate A, Frommelt P, Ghetti B, Langbaum JBS, Lopera F, Martins R, Masters CL, Mayeux RP, McDade E, Moreno S, Reiman EM, Ringman JM, Salloway S, Schofield PR, Sperling R, Tariot PN, Xiong C, Morris JC, Bateman RJ and the Dominantly Inherited Alzheimer Network. Symptom onset in autosomal dominant Alzheimer disease. A systematic review and meta-analysis. Neurology. 2014; 83: 253-260.

36. Ellis KA, Szoeke C, Bush AI, Darby D, Graham PL, Lautenschlager NT, Macaulay SL, Martins RN, Maruff P, Masters CL, McBride SJ, Pike KE, Rainey-Smith SR, Rembach A, Robertson J, Rowe CC, Savage G, Villemagne VL, Woodward M, Wilson W, Zhang P, Ames D and the AIBL research group. Rates of diagnostic transition and cognitive change at 18-month follow-up among 1,112 participants in the Australian Imaging, Biomarkers and Lifestyle flagship study of ageing (AIBL). Int Psychogeriatrics. 2014; 26: 543-554.

37. Fodero-Tavoletti MT, Furumoto S, Taylor L, McLean CA, Mulligan RS, Birchall I, Harada R, Masters CL, Yanai K, Kudo Y, Rowe CC, Okamura N and Villemagne VL. Assessing THK523 selectivity for tau deposits in Alzheimer’s disease and non-Alzheimer’s disease tauopathies. Alzheimer Res & Therapy. 2014; 6:11.

THE FLOREY INSTITUTE OF NEUROSCIENCE & MENTAL HEALTH ANNUAL REPORT 2014 THE FLOREY INSTITUTE OF NEUROSCIENCE & MENTAL HEALTH ANNUAL REPORT 2014 120 121

38. Pietrzak RH, Scott JC, Neumeister A, Lim YY, Ames D, Ellis KA, Harrington K, Lautenschlager NT, Szoeke C, Martins RN, Masters CL, Villemagne VL, Rowe CC, Maruff P for the Australian Imaging, Biomarkers and Lifestyle (AIBL) Research Group. Anxiety symptoms, cerebral amyloid burden and memory decline in healthy older adults without dementia: 3-year prospective cohort study. Brit J Psychiat. 2014; 204: 400-401.

39. Rembach A, Watt AD, Wilson WJ, Villemagne VL, Burnham SC, Ellis KA, Maruff P, Ames D, Rowe CC, Macaulay SL, Bush AI, Martins RN, Masters CL, Doecke JD and the AIBL Research Group. Plasma amyloid-β levels are significantly associated with a transition towards Alzheimer’s disease as measured by cognitive decline and change in neocortical amyloid burden. J Alz Disease. 2014; 40: 95-104.

40. Okamura N, Furumoto S, Fodero-Tavoletti M, Mulligan R, Harada R, Yates P, Pejoska S, Kudo Y, Masters C, Yanai K, Rowe C, Villemagne V. Noninvasive assessment of Alzheimer’s disease neurofibrillary pathology using 18F-THK5105 PET. Brain. 2014; 137: 1762-1771.

41. Hung YH, Faux NG, Killilea DW, Yanjamin N, Firnkes S, Volitakis I, Ganio G, Walterfang M, Hastings C, Porter FD, Ory DS, Bush AI. Altered transition metal homeostasis in Niemann-Pick disease, Type C1. Metallomics 2014; 6(3), 542-553.

42. Squitti R, Simonelli I, Ventriglia M, Siotto M, Pasqualetti P, Rembach A, Doecke J, Bush AI. Meta-analysis of serum non-ceruloplasmin copper in Alzheimer’s disease. J Alzheimers Dis 2014; 38(4), 809-22. [DOI: 10.3233/JAD-131247].

43. Ayton S, Zhang M, Roberts BR, Lam LQ, Lind M, McLean C, Bush AI, Frugier T, Crack PJ, Duce JA. Ceruloplasmin and beta amyloid precursor protein confer neuroprotection in traumatic brain injury and lower neuronal iron. Free Radical Biology & Medicine 2014; 69, 331-337.

44. Ayton S, Lei P, Adlard PA, Volitakis I, Cherny RA, Bush AI*, Finkelstein DI*. Iron accumulation confers neurotoxicity to a vulnerable population of nigral neurons: implications for Parkinson’s disease. Molecular Neurodegeneration 2014; 9: 27 [doi: 10.1186/1750-1326-9-27].*co-senior authors

45. Lu Z, Marks E, Chen J, Moline J, Barrows L, Raisbeck M, Volitakis I, Cherny RA, Chopra V, Bush AI, Hersch S, Fox JH. Altered selenium status in Huntington’s disease: neuroprotection by selenite in the N171-82Q mouse model. Neurobiology of Disease 2014; 71, 34-42.

46. Lei P, Ayton S, Moon S, Zhang Q, Volitakis I, Finkelstein DI*, Bush AI*. Motor and cognitive deficits in aged tau knockout mice in two background strains. Molecular Neurodegeneration 2014; 9: 29. [doi:10.1186/1750-13269-29]. *co-senior authors

47. Wong BXW, Ayton S, Lam LQ, Lei P, Adlard PA, Bush AI*, Duce JA*. A comparison of ceruloplasmin to biological polyanions in promoting the oxidation of Fe2+ under physiologically relevant conditions. Biochimica et Biophysica Acta – General Subjects 2014; 1840(12), 3299-3310. [doi: 10.1016/j.bbagen.2014.08.006] *cosenior authors

48. Ciccotosto GD, James SA, Altissimo M, Paterson D, Vogt S, Lai B, de Jonge MD, Howard DL, Bush AI, Cappai R. Quantitation and localization of intracellular redox active metals by X-ray fluorescence microscopy in cortical neurons derived from APP and APLP2 knockout tissue. Metallomics 2014; 6, 1894–1904.

49. Castro PA, Ramirez A, Sepulveda FJ, Peters C, Fierro H, Waldron J, Luza S, Fuentealba J, Munoz JF, De Ferrari JV, Bush AI, Aguayo LG, Opazo CM. Copper-uptake is critical for the down regulation of synapsin and dynamin induced by neocuproine: modulation of synaptic activity in hippocampal neurons. Frontiers in Aging Neuroscience 2014 Dec 3; 6, 319. [doi: 10.3389/fnagi.2014.00319]

50. Wong BX, Tsatsanis A, Lim LQ, Adlard PA, Bush AI*, Duce JA*. β-amyloid precursor protein does not possess ferroxidase activity but does stabilize the cell surface ferrous iron exporter ferroportin. PLoS ONE 2014; 9(12), e114174. [doi:10.1371/journal.pone.0114174] *co-senior authors

51. Berk M, Dean OM, Cotton SM, Jeavons S, Tanious M, Kolmann K, Hewitt K, Moss K, Allwang C, Schapkaitz I, Robbins J, Cobb H, Ng F, Dodd S, Bush AI, Malhi GS. The efficacy of adjunctive N-acetylcysteine in major depressive disorder: A double-blind, randomized, placebo-controlled trial. Journal of Clinical Psychiatry 2014; 75(6), 628-636.

52. Takeda A, Nakamura M, Fujii H, Uematsu C, Minamino T, Adlard PA, Bush AI, Tamano H. Amyloid β-mediated Zn2+ influx into dentate granule cells transiently induces a short-term cognitive deficit. PLoS One 2014; 9(12):e115923. [doi:10.1371/journal.pone.0115923]

53. Adlard PA, Parncutt J, Lal V, James S, Hare D, Doble P, Finkelstein DI, Bush AI. Metal chaperones prevent zinc-mediated cognitive decline. Neurobiology of Disease 2014 (online Dec 27, 2014). DOI: 10.1016/j. nbd.2014.12.012

54. Barnard ND, Bush AI, Ceccarelli A, Cooper J, de Jager CA, Erickson KI, Fraser G, Kesler S, Levin SM, Lucey B, Morris MC, Squitti R. Dietary and Lifestyle Guidelines for the Prevention of Alzheimer’s Disease. Neurobiology of Aging 2014; 35S2, S74-S78.

55. Wong BXW, Hung YH, Bush AI*, Duce JA*. Metals and cholesterol: two sides of the same coin in Alzheimer’s disease pathology. Frontiers in Aging Neuroscience 2014; 6, 91 [doi: 10.3389/fnagi.2014.00091].*co-senior authors

56. Opazo CM, Greenough MA, Bush AI. Copper: From neurotransmission to neuroproteostasis. Frontiers in Aging Neuroscience 2014; 6, 143 [doi: 10.3389/fnagi.2014.00143].

57. Barnham KJ, Bush AI. Biological Metals and Metal-targeting Compounds in Major Neurodegenerative Diseases. Chemical Society Reviews 2014; 43, 6727-6749.

58. Adlard P, Tran B, Finkelstein D, Desmond P, Johnston L, Bush AI, Egan G. A review of β-amyloid neuroimaging in Alzheimer’s disease. Frontiers in Neuroscience 2014; 8, 327. [doi: 10.3389/fnins.2014.00327].

59. Bruno Dubois, Howard H Feldman, Claudia Jacova, Harald Hampel, José Luis Molinuevo, Kaj Blennow, Steven T DeKosky, Serge Gauthier, Dennis Selkoe, Randall Bateman, Stefano Cappa, Sebastian Crutch, Sebastiaan Engelborghs, Giovanni B Frisoni, Nick C Fox, Douglas Galasko, Marie-Odile Habert, Gregory A Jicha, Agneta Nordberg, Florence Pasquier, Gil Rabinovici, Philippe Robert, Christopher Rowe, Stephen Salloway, Marie Sarazin, Stéphane Epelbaum, Leonardo C de Souza, Bruno Vellas, Pieter J Visser, Lon Schneider, Yaakov Stern, Philip Scheltens, Jeffrey L Cummings. Advancing research diagnostic criteria for Alzheimer’s disease: the IWG2 criteria. Lancet Neurol 2014; 13: 614–629.

60. Elias A, Woodward M, Rowe CC. Management Impact of FDG PET in a Tertiary Memory Disorders Clinic. J Alzheimer’s Disease, 2014; 42:885-892.

61. Woodward M, Rowe CC, Jones GA, Villemagne VL, Varos T. Differentiating the frontal presentation of Alzheimer’s disease with FDG-PET. J Alzheimer’s Disease. Accepted 21 August 2014.

62. Klunk WE, Robert A Koeppe; Julie C Price; Tammie Benzinger; Michael D Devous Sr.; William Jagust; Keith Johnson; Chester A Mathis; Davneet Minhas; Michael J Pontecorvo; Christopher C Rowe; Daniel Skovronsky; Mark Mintun. The Centiloid Project: Standardizing Quantitative Amyloid Plaque Estimation by PET. Alzheimer’s & Dementia. On-line October 2014. (Impact factor 17)

63. Villemagne VL, Kim SY, Rowe CC, Iwatsubo T. Imago Mundi, Imago AD, Imago ADNI. Alzheimer’s Research and Therapy, 2014; 6:62-72.

64. Kerbler GM, Fripp J, Rowe CC, Villemagne VL, Salvado O, Rose S, Coulson EJ; Alzheimer’s Disease Neuroimaging Initiative. Basal forebrain atrophy correlates with amyloid β burden in Alzheimer’s disease. Neuroimage Clin. 7:105-13, 2014.

65. Ly JV, Singhal S, Rowe CC, Kempster P, Bower S, Thanh G. Convexity Subarachnoid Hemorrhage with PiB Positive Pet Scans: Clinical Features and Prognosis. J Neuroimaging 2014, DOI: 10.1111/jon.12188

66. Hocking DC, Kennedy GA, Sundram S. Mental disorders in asylum seekers: the role of the refugee determination process and employment. J Nerv Ment Dis. 2015; 203(1):28-32. doi: 10.1097/NMD.0000000000000230.

67. Loi S, Sundram S. To flee, or not to flee, that is the question for older asylum seekers. Int Psychogeriatr. 2014 Jun 13:1-4. [Epub ahead of print].

68. Pereira A, Zhang B, Malcolm P, Sugiharto-Winarno A, Sundram S. Quetiapine and aripiprazole signal differently to ERK, p90RSK and c-Fos in mouse frontal cortex and striatum: role of the EGF receptor. BMC Neurosci. 2014 Feb 20;15:30. doi: 10.1186/1471-2202-15-30.

69. Dean B, Tawadros N, Suk Seo MS, Jeon WJ, Everall I, Scarr E, Gibbons A (2014) Lower cortical serotonin 2A receptors in major depressive disorder, suicide and in rats after administration of imipramine. International Journal of Neuropsychopharmacology 17: 895-906.

70. Seo MS, Scarr E, Lai C-Y, Dean B (2014) Potential molecular and cellular mechanism of psychotropic drugs. Clinical Psychopharmacology and Neuroscience 12: 94-110.

71. Seo MS, Scarr E, Brian Dean (2014) An investigation of the factors that regulate muscarinic receptor expression in schizophrenia. Schizophrenia Research 158: 247-254.

72. Gozes I, Merenlender-Wagner A, Malishkevich A, Shemer A, Udawela M, Gibbons A, Scarr E, Dean B, Levine J, Agam G, Gozes I (2015) Autophagy plays a key role in the pathophysiology of schizophrenia. Molecular Psychiatry 20:126-132.

CHAPTER MULTIPLE SCLEROSIS

PAGES 72–75

1. Xing YL, Röth PT, Stratton JA, Chuang BHA, Danne J, Ellis SL, Ng SW, Kilpatrick TJ, Merson TD. Adult neural precursor cells from the subventricular zone contribute significantly to oligodendrocyte regeneration and remyelination. J Neurosci. 2014;34(42), 14128–14146.

2. Merson TD, Bourne JA. Endogenous neurogenesis following ischemic brain injury: insights for therapeutic strategies. Int J Biochem Cell Biol. (2014) pii: S1357-2725(14)00254-4.

3. Jonas A, Thiem S, Kuhlmann T, Wagener R, Aszodi A, Nowell C, Hagemeier K, Laverick L, Perreau V, Jokubaitis V, Emery B, Kilpatrick T, Butzkueven H, Gresle M. Axonally derived matrilin-2 induces proinflammatory responses that exacerbate autoimmune neuroinflammation. J Clin Invest. 2014;124(11):5042-56.

4. Gresle MM, Schulz K, Jonas A, Perreau VM, Cipriani T, Baxter AG, Miranda-Hernandez S, Field J, Jokubaitis VG, Cherny R, Volitakis I, David S, Kilpatrick TJ, Butzkueven H. Ceruloplasmin gene-deficient mice with experimental autoimmune encephalomyelitis show attenuated early disease evolution. J Neurosci Res. 2014;92(6):732-42

5. Kolbe SC, Kilpatrick TJ, Mitchell PJ, White O, Egan GF, Fielding J. Inhibitory saccadic dysfunction is associated with cerebellar injury in multiple sclerosis. Hum Brain Mapp. 2014;35(5):2310-9.

6. McKenzie IA, Ohayon D, Li H, de Faria JP, Emery B, Tohyama K, Richardson WD. Motor skill learning requires active central myelination. Science. 2014;346(6207):318-22.

7. Shahijanian F, Parnell GP, McKay FC, Gatt PN, Shojoei M, O’Connor KS, Schibeci SD, Brilot F, Liddle C, Batten M; ANZgene Multiple Sclerosis Genetics Consortium, Stewart GJ, Booth DR. The CYP27B1 variant associated with an increased risk of autoimmune disease is underexpressed in tolerizing dendritic cells. Hum Mol Genet. 2014;23(6):1425-34.

THE FLOREY INSTITUTE OF NEUROSCIENCE & MENTAL HEALTH ANNUAL REPORT 2014 THE FLOREY INSTITUTE OF NEUROSCIENCE & MENTAL HEALTH ANNUAL REPORT 2014 122 123

CHAPTER NEURODEGENERATION

PAGES 78–81

1. S. Groeschel, J-D.Tournier, G.B.Northam, T.Baldeweg, J.Wyatt, B.Vollmer, A.Connelly. Identification and interpretation of microstructural abnormalities in motor pathways in adolescents born preterm. NeuroImage, 87, 209-219 (2014).

2. Davidson S.M., Lopaschuk G.D., Spedding M., Beart P.M. Mitochondrial pharmacology: energy, injury and beyond. British Journal of Pharmacology 171, 1795–1797 (2014).

3. Lau C.L., Kovacevic M., Tingleff T.S., Forsythe J.S., Cate H.S., Merlo D., Cederfur C., Maclean F.L., Parish C.L., Horne M.K., Nisbet D.R., Beart P.M. 3D Electrospun scaffolds promote a cytotrophic phenotype of cultured primary astrocytes. Journal of Neurochemistry 130, 215-226 (2014).

4. Alexander S.P., Benson H.E., Faccenda E., Beart P.M., Belelli D, Bennett Aj, Birdsall Nj, Boison D, et al. The Concise Guide to Pharmacology 2013/14: overview. British Journal of Pharmacology. 170, pp. 1449-58. (2013).

5. Davidson S.M., Lopaschuk G.D., Spedding M., Beart P.M. (Eds) “Mitochondrial Pharmacology: Energy, Injury and Beyond”. British Journal of Pharmacology 171, pp. 1795–2249 (2014). “Mitochondrial Pharmacology: Energy, Injury and Beyond”.

6. Aumann Td, Prut Y. Do sensorimotor β-oscillations maintain muscle synergy representations in primary motor cortex? Trends Neurosci. 2014 pii: S0166-2236(14) 00219-7.

7. Gazina Ev, Leaw Bt, Richards Kl, Wimmer Vc, Kim Th, Aumann Td, Featherby Tj, Churilov L, Hammond Ve, Reid Ca, Petrou S. Neonatal Nav1.2 reduces neuronal excitability and affects seizure susceptibility and behaviour. Hum Mol Genet. 2014 pii: ddu562.

8. Stanić D., Dubois S., Chua H.K., Tonge B., Rinehart N., Horne M.K., Boon W.C. Characterization of aromatase expression in the adult male and female mouse brain. I. Coexistence with oestrogen receptors α and β and androgen receptors. PLoS One. 2014 9: e90451.

9. Bell Jr, Bernasochi Gb, Varma U, Boon Wc, Ellem SJ, Risbridger GP, Delbridge LM. Aromatase transgenic upregulation modulates basal cardiac performance and the response to ischemic stress in male mice. Am J Physiol Heart Circ Physiol. 2014 306: H1265-74.

10. Van Sinderen ML, Steinberg Gr, Jørgensen SB, To SQ, Knower KC, Clyne CD, Honeyman J, Chow JD, Herridge KA, Jones ME, Simpson ER, Boon WC. Hepatic glucose intolerance precedes hepatic steatosis in the male aromatase knockout (ArKO) mouse. PLoS One. 2014 9: e87230.

11. Bird M., Needham K., Frazier A.E., Van Rooijen J., Leung J., Hough S., Denham M., Thornton M.E., Parish C.L., Nayagam B., Pera M., Thornburn D.R, Thompson L.H., Dottori M. Functional characterization of Friedreich Ataxia iPS-derived neuronal progenitors and their integration in the adult brain. PLoS One 2014 7,: e101718

12. Hall H, Reyes S, Landeck N, Bye C, Leanza G, Double K, Thompson L.H, Halliday G, Kirik D. Hippocampal Lewy pathology and cholinergic dysfunction are associated with dementia in Parkinson’s disease. Brain 2014, 137, 2493-508.

13. Sahin G., Thompson L.H., Lavisse S., Ozgur M., Carta M., Rbah L., Dolle F., Hantraye P., Kirik D. Differential dopamine receptor occupancy underlies L-DOPA-induced dyskinesia in a rat model of Parkinson’s disease. PLoS One 2014, 9: e90759.

14. Rodriguez AL, Wang TY, Bruggeman KF, Horgan C, Li R, Williams RJ, Parish CL, Nisbet DR. In vivo assessment of grafted cortical neural progenitor cells and host response to functionalized self-assembling peptide hydrogels and implications for tissue repair. Journal of Materials Chemistry. B, 2014,2, 7771-7778..

15. Bird M, Needham K, Frazier A, Van Rooijen J, Leung J, Hough S, Denham M, Thornton Me, Parish Cl, Pera M, Thorburn D, Thompson Lh, Dottori M. Functional characterization of Friedreich Ataxia iPS-derived neuronal progenitors and their integration in the adult brain. PLoS One (2014) 9: e101718.

16. Fernando CV, Kele J, Bye CR, Blakely BD, Niclis J, Alsanie W, Stenman J, Turner BJ, Parish CL. Wnt7a regulates ventral midbrain neurogenesis and dopaminergic axon morphogenesis in development and embryonic stem cells. Stem Cells and Dev (2014) 23: 1991-2003.

17. Wang TY, Bruggeman KA, Sheean RK, Turner BJ, Nisbet DR, Parish CL. Characterisation of the stability and biofunctionality of tethered proteins on bioengineered scaffolds J Biol Chem (2014) 289: 15044-15051.

18. C.L. Lau, M. Kovacevic, T. Tingleff, J.S. Forsythe, H.S. Cate, D. Merlo, C. Cederfur, F.L. Maclean, C.L. Parish, M.K. Horne, D.R. Nisbet, P.M. Beart. 3D Electrospun scaffolds promote a cytotrophic phenotype of cultured primary astrocytes J Neurochem. (2014) 130: 215-226.

19. Kim HA, Jiang L, Madsen H, Parish CL, Massalas J, Smardencas A, O’leary C, Gantois I, O’tuathaigh C, Waddington JL, Ehrlich ME, Lawrence AJ, Drago J. Loss of striatal D1 dopamine receptor neurons gives a Huntington disease Westphal variant-like model. Neurobiology of Disease (2014); 62: 323-337.

20. Parish CL, Thompson LH. Modulating Wnt signaling to improve cell replacement therapy for Parkinson’s disease. J Mol Cell Biol. (2014) 6: 54-63.

21. Grad LI, Yerbury JJ, Turner BJ, Guest WC, Pokrishevsky E, O’Neill MA, Yanai A, Silverman JM, Zeineddine R, Corcoran L, Kumita JR, Luheshi LM, Yousefi M, Coleman BM, Hill AF, Plotkin SS, Mackenzie IR, Cashman NR (2014) Intercellular propagated misfolding of wild-type Cu/Zn superoxide dismutase occurs via exosomedependent and -independent mechanisms. Proc Natl Acad Sci USA 111: 3620-3625.

22. Grad LI, Yerbury JJ, Turner BJ, Guest WC, Pokrishevsky E, O’Neill MA, Yanai A, Silverman JM, Zeineddine R, Corcoran L, Kumita JR, Luheshi LM, Yousefi M, Coleman BM, Hill AF, Plotkin SS, Mackenzie IR, Cashman NR (2014) Intercellular propagated misfolding of wild-type Cu/Zn superoxide dismutase occurs via exosomedependent and -independent mechanisms. Proc Natl Acad Sci USA 111: 3620-3625.

23. Turner BJ, Alfazema N, Sheean RK, Sleigh JN, Davies KE, Horne MK, Talbot K (2014) Overexpression of survival motor neuron improves neuromuscular function and motor neuron surival in mutant SOD1 mice. Neurobiol Aging 35: 906-915.

24. Perera ND, Sheean RK, Scott JW, Kemp BE, Horne MK, Turner BJ (2014) Mutant TDP-43 deregulates AMPK activation by PP2A in ALS models. PLoS One 9: e95549.

25. Polling S, Mok YF, Ramdzan YM, Turner BJ, Yerbury JJ, Hill AF, Hatters DM (2014) Misfolded polyglutamine, polyalanine and superoxide dismutase 1 aggregate via distinct pathways in the cell. J Biol Chem 289: 6669-6680.

26. Roberts BR, Lim NK, McAllum EJ, Donnelly PS, Hare DJ, Doble PA, Turner BJ, Price KA, Lim SC, Paterson BM, Hickey JL, Rhoads TW, Williams JR, Kanninen KM, Hung LW, Liddel JR, Grubman A, Monty JF, Llanos RM, Kramer DR, Mercer JF, Bush AI, Masters CL, Duce JA, Li QX, Beckman JS, Barhnham KJ, White AR, Crouch PJ (2014) Oral treatment with Cu(atsm) increases mutant SOD1 in vivo but protects motor neurons and improves the phenotype of a transgenic mouse model of ALS. J Neurosci 34: 8021-8031.

27. Fernando CV, Kele J, Bye CR, Niclis JC, Alsanie W, Blakely BD, Stenman J, Turner BJ, Parish CL (2014) Diverse roles for Wnt7a in ventral midbrain neurogenesis and dopaminergic axon morphogenesis. Stem Cells Dev 23: 1991-2003.

28. Wang TY, Bruggeman KA, Sheean RK, Turner BJ, Nisbet DR, Parish CL (2014) Characterisation of the stability and bio-functionality of tethered proteins on bioengineered scaffolds: implications for stem cell biology and tissue repair. J Biol Chem 289: 15044-15051.

29. Perera N.D., Sheean R.K., Scott J.W., Kemp B.E., Horne M.K., Turner B.J. Mutant TDP-43 deregulates AMPK activation by PP2A in ALS models. PLoS One. 2014 9: e95549.

30. Kotschet K, Johnson W, Mcgregor S, Kettlewell J, Kyoong A, O’Driscoll DM, Turton Ar, Griffiths RI, Horne MK. Daytime sleep in Parkinson’s disease measured by episodes of immobility. Parkinsonism Relat Disord. 2014 20: 578-83.

31. Stanić D., Dubois S., Chua H.K., Tonge B., Rinehart N., Horne M.K., Boon W.C. Characterization of aromatase expression in the adult male and female mouse brain. I. Coexistence with oestrogen receptors α and β and androgen receptors. PLoS One. 2014 9: e90451.

32. Perera N.D., Sheean R.K., Scott J.W., Kemp B.E., Horne M.K., Turner B.J. Mutant TDP-43 Deregulates AMPK activation by PP2A in ALS models. PLoS One. 2014 9: e90449..

33. Lau C.L., Kovacevic M., Tingleff T.S., Forsythe J.S., Cate H.S., Merlo D., Cederfur C., Maclean F.L., Parish C.L., Horne M.K., Nisbet D.R., Beart P.M. 3D Electrospun scaffolds promote a cytotrophic phenotype of cultured primary astrocytes. J Neurochem. 2014 130: 215-26.

34. Turner B.J., Alfazema N., Sheean R.K., Sleigh J.N., Davies K.E., Horne M.K., Talbot K. Overexpression of survival motor neuron improves neuromuscular function and motor neuron survival in mutant SOD1 mice. Neurobiol Aging. 2014 35: 906-15.

35. Atkin J.D., Farg M.A., Soo K.Y., Walker A.K., Halloran M., Turner B.J., Nagley P., Horne M.K. Mutant SOD1 inhibits ER-Golgi transport in amyotrophic lateral sclerosis. J Neurochem. 2014 129: 190-204.

CHAPTER NEUROPEPTIDES

PAGES 84–89

1. Binder, C., Chuang, E., Habla, C., Bleckmann, A., Schulz, M., Bathgate, R., Einspanier A. Relaxins enhance growth of spontaneous murine breast cancers as well as metastatic colonization of the brain. Clin Expl Metastasis 31, 57-65, 2014.

2. Chow, B.S., Kocan, M., Bosnyak, S., Sarwar, M., Wigg, B., Jones, E.S., Widdop, R.E., Summers, R.J., Bathgate, R.A., Hewitson, T.D., Samuel, C.S. Relaxin requires the angiotensin II type 2 receptor to abrogate renal interstitial fibrosis. Kidney Int 86, 75-85, 2014.

3. Diepenhorst, N.A., Petrie, E.J., Chen, C.Z., Wang, A., Hossain, M.A., Bathgate, R.A., Gooley, P.R. Investigation of interactions at the extracellular loops of the relaxin family peptide receptor 1 (RXFP1). J Biol Chem 289, 3493852, 2014.

4. Egloff, P., Hillenbrand, M., Klenk, C., Batyuk, A., Heine, P., Balada, S., Schlinkmann, K. M., Scott, D.J., Schutz, M., Pluckthun, A. Structure of signaling-competent neurotensin receptor 1 obtained by directed evolution in Escherichia coli. Proc Natl Acad Sci USA 111, 655-662, 2014.

5. Grosse, J., Heffron, H., Coll, A.P., Burling, K., Hossain, M.A., Habib, A.M., Rogers, G.J., Richards, P., Larder, R., Rimmington, D., Parton, L., Binda, M., Colledge, W., Doran, J., Toyoda, Y., Wade, J.D., Aparicio, S., Carlton, M., Coll, A.P., Reimann, F., O’Rahilly, S., Gribble, F.M. Insulin-like peptide 5 is an orexigenic gastro-intestinal hormone. Proc Natl Acad Sci USA 111, 11133-11138, 2014.

6. Hossain M.A., Wade, J.D. Synthetic relaxins. Curr Opin Chem Biol, 22, 47-55, 2014.

7. Hojo, K., Shinozaki, N., Hidaka, K., Tsuda, Y., Fukumori, Y., Ichikawa, H., Wade, J.D. Aqueous microwave-assisted solid phase peptide synthesis using Fmoc- strategy. III. Racemization studies and water-based synthesis of histidine-containing peptides. Amino Acids 46, 2347-2354, 2014.

THE FLOREY INSTITUTE OF NEUROSCIENCE & MENTAL HEALTH ANNUAL REPORT 2014 THE FLOREY INSTITUTE OF NEUROSCIENCE & MENTAL HEALTH ANNUAL REPORT 2014 124 125

CHAPTER STROKE

PAGES 82–99

8. Jamasbi, E., Batinovic, S., Sharples, R., Sani, M-A., Robins-Browne, R.M., Wade, J.D., Separovic, F., Hossain, M.A. Melittin peptides exhibit different activity on different cells and model membranes. Amino Acids 46, 2759-2766, 2014.

9. Kocan, M., Sarwar, M., Hossain, M.A., Wade, J.D., Summers, R.J. Signalling profiles of H3 relaxin, H2 relaxin and the novel antagonist R3(BΔ23-27)R/I5 acting at the relaxin family peptide receptor 3 (RXFP3). Br J Pharmacol 171, 2827-2841, 2014.

10. Kong, R.C., Bathgate, R.A., Bruell, S., Wade, J.D., Gooley, P.R., Petrie, E.J. Mapping key regions of the RXFP2 lowdensity lipoprotein class-A module that are involved in signal activation. Biochemistry 53, 4537-4548, 2014.

11. Karas, J.A., Scanlon, D.B., Forbes, B.E., Vetter, I., Lewis, R.J., Gardiner, J., Separovic, F., Wade, J.D., Hossain, M.A. 2-Nitroveratryl as a photocleavable thiol protecting group for directed disulfide bond formation in the chemical synthesis of insulin. Chemistry 20, 9549-9552, 2014.

12. Li W., Tailhades, J., O’Brien-Simpson, N., Separovic, F., Otvos, L., Hossain, M.A., Wade, J.D. Proline-rich antimicrobial peptides. Amino Acids 46, 2287-2294, 2014.

13. Otvos, L., Knappe, D., Hoffmann, R., Kovalszky, I., Olah, J., Hewitson, T., Wade, J.D., Surmacz, E., Lovas, S. Development of a second generation peptide agonist and a first generation antagonist of the adiponectin receptor. Front Chem 2, 93, 2014.

14. Otvos, L., Flick-Smith, H., Ostorhazi, E., Dawson, R.M. and Wade, J.D. The designer proline-rich antibacterial peptide A3-APO prevents Bacillus anthracis mortality by deactivating bacterial toxins. Prot Pept Lett 21, 374-381, 2014.

15. Otvos, Jr, L., Vetter, S.W., Koladia, M., Knappe, D., Schmidt, R., Ostorhazi, E., Kovalszky, I., Bionda, N., Cudic, P., Surmacz, E., Wade, J.D., Hoffmann, R. The designer leptin antagonist peptide allo-aca compensates for short serum half-life with very tight binding to the receptor. Amino Acids 46, 873-882, 2014.

16. Otvos, L., Wade. J.D. Current challenges in peptide-based drug discovery. Front Chem 2, 62, 2014.

17. Ryan, P.J., Krstew, E.V., Sarwar, M., Gundlach, A.L., Lawrence, A.J. Relaxin-3 mRNA levels in nucleus incertus correlate with alcohol and sucrose intake in rats. Drug Alcohol Depend 140, 8-16, 2014.

18. Smith, C.M., Chua, B.E., Zhang, C., Walker, A.W., Haidar, M., Hawkes, D., Hossain, M.A., Shabanpoor, F., Wade, J.D., Rosengren, K.J., Gundlach, A.L. Central injection of relaxin-3 receptor antagonist peptides reduces motivated food seeking and consumption in mice. Behav Brain Res 268, 117-126, 2014.

19. Smith, C.M., Walker, A.W., Hosken, I.T., Chua, B.E., Zhang, C., Haidar, M., Gundlach, A.L. Relaxin-3/RXFP3 networks: an emerging target for the treatment of depression and other neuropsychiatric diseases? Front Pharmacol 5, 46, 2014.

20. Scott, D.J., Kummer, L., Egloff, P., Bathgate, R.A., Pluckthun, A. Improving the apo-state detergent stability of NTS1 with CHESS for pharmacological and structural studies. Biochim Biophys Acta 1838, 2817-2824, 2014.

21. Unsworth N.B., Dawson, R.M., Wade, J.D., Liu, C-Q. Synergistic effect of antimicrobial peptides on the in vitro growth of Coxiella burnetti. Prot Pept Lett 21, 115-123, 2014.

1. Amarenco P, Davis S, Jones EF, Cohen AA, Heiss WD, Kaste M, et al. Clopidogrel Plus Aspirin Versus Warfarin in Patients With Stroke and Aortic Arch Plaques. Stroke. 2014 Apr 3.

2. Andrew NE, Kilkenny M, Naylor R, Purvis T, Lalor E, Moloczij N, Cadilhac DA. Understanding long-term unmet needs in Australian survivors of stroke. Int J Stroke, available online 15 Jul 2014 DOI: 10.1111/ijs.12325

3. Andrew NE, Hankey GJ, Cadilhac DA. Evidence-to-practice gaps in post-stroke management: a focus on care in a stroke unit and anticoagulation to prevent death, disability and recurrent stroke. Future Neurology 2014; 9(4):449-459 DOI: 10.2217/fnl.14.30

4. Andrew N, Kilkenny M, Harris D, Price C, Cadilhac D. Outcomes for people with atrial fibrillation in an Australian national audit of stroke care. Int J Stroke 2014 Apr;9(3):270-7 DOI: 10.1111/ijs.12087

5. Askim T, Salveson O, Bernhardt J. Indredavik B. Physical activity early after stroke and its association to functional outcome 3 months later. Journal of Stroke and Cerebrovascular Diseases. 23:5:e305-e312

6. Bath PM, Brainin M, Brown C, Campbell B, Davis SM, Donnan GA, et al. Testing devices for the prevention and treatment of stroke and its complications. Int J Stroke. 2014 Aug;9(6):683-95.

7. Billinger S, Arena, R, Bernhardt J, Eng J, Franklin B, Johnson C, MacKay-Lyons M, Macko R, Mead G, Röth E, Shaughnessy M, Tang A. Physical Activity and Exercise Recommendations for Stroke Survivors: A Statement for Healthcare Professionals from the American Heart Association/American Stroke Association. Stroke. http:// stroke.ahajournals.org/content/early/2014/05/20/STR.0000000000000022

8. Bladin C, Cadilhac D. Effect of telestroke on emergent stroke care and outcomes. Stroke 2014;45(6):1876-1880 (Review)

9. Brodtmann A, Werden E, Pardoe H, Li Q, Jackson G, Donnan G, Cowie T, Bradshaw J, Darby D, Cumming T (2014). Charting cognitive and volumetric trajectories after stroke: Protocol for the Cognition And Neocortical Volume After Stroke (CANVAS) Study. International Journal of Stroke, 9, 824-828.

10. Cadilhac DA, Vu M, Bladin C. Experience with scaling up the Victorian Stroke Telemedicine programme, Journal of Telemedicine and Telecare 2014, Vol. 20(7) 413–418.

11. Cadilhac DA and Anderson CS. Pathways to enhancing the quality of stroke care through national data monitoring systems for hospitals [Letter], MJA 2014 Apr 21;200(7):393

12. Cadilhac D, Moloczij N, Denisenko S, Dewey H, Disler P, Winzar B, Mosely I, Donnan G, Bladin C. Establishment of an effective acute stroke telemedicine program for Australia: protocol for the Victorian Stroke Telemedicine project. Int J Stroke 2014 Feb;9(2):252-8, DOI: 10.1111/ijs.12137

13. Cadilhac D.A, Vos T, Thrift A.G. Estimating the annual number of strokes and the issue of imperfect data: an example from Australia. Int J Stroke 2014 Jan;9(1):19-22. DOI: 10.1111/ijs.12246

14. Campbell BCV, Mitchell PJ, Yan B, Parsons MW, Christensen S, Churilov L, Dowling RJ, Dewey H, Brooks M, Miteff F, Levi CR, Krause M, Harrington TJ, Faulder KC, Steinfort BS, Kleinig T, Scroop R, Chryssidis S, Barber PA, Hope A, Moriarty M, McGuinness B, Wong AA, Coulthard A, Wijeratne T, Lee A, Jannes J, Leyden J, Phan TG, Chong W, Holt M, Chandra RV, Bladin C, Badve M, Rice H, de Villiers L, Ma H, Desmond PM, Davis SM, Donnan GA.A multicenter, randomized, controlled study to investigate EXtending the time for Thrombolysis in Emergency Neurological Deficits with Intra-Arterial therapy (EXTEND-IA). International Journal of Stroke 2014; 9:126-132.

15. Campbell BC, Davis SM, Donnan GA. Uric acid for stroke: glimmer of hope or false dawn? Lancet Neurol. 2014 May;13(5):440-1.

16. Campbell BC, Mitchell PJ, Yan B, Parsons MW, Christensen S, Churilov L, et al. A multicenter, randomized, controlled study to investigate EXtending the time for Thrombolysis in Emergency Neurological Deficits with Intra-Arterial therapy (EXTEND-IA). Int J Stroke. 2014 Jan;9(1):126-32.

17. Carey, L.M. (2014) Core Concepts in Sensory Impairment and Recovery Following Stroke. In Wolf, T. Stroke: Interventions to Support Occupational Performance. AOTA Press. Pp. 95-118. (ISBN: 1569003645)

18. Carey, L.M. (2014). Loss of somatic sensation. In Selzer, N., Clarke, S., Cohen, L., Kwakkel, G., Miller. R. Textbook of Neural Repair and Rehabilitation (2nd ed). Cambridge University Press. (ISBN: 9781107011687)

19. Carey, L., Cusick, A., Hoffman, T., Elliot, C., Froude, E., O’Reilly, N. (2014). Occupational Therapy Australia Research Foundation: Building a Research Foundation for all occupational therapists. Connections 11 (1): 12-13.

20. Churilov L, Arnup S, Johns H, Leung T, Roberts S, Campbell BC, et al. An improved method for simple, assumption-free ordinal analysis of the modified Rankin Scale using generalized odds ratios. Int J Stroke. 2014 Sep 4.

21. Clarey J, Lasserson, D, Levi C, Parsons M, Dewey H, Barber PA, Quain D, McElduff P, Sales M, Magin P. Absolute cardiovascular risk and GP decision-making in TIA and minor stroke. Family Practice 2014 (accepted 4 August 2014).

22. Craig L, Wu O, Bernhardt J. Langhorne P, Approaches to economic evaluations of stroke rehabilitation: a systematic review. International Journal of Stroke. 9:88-100

23. Cumming T, Brodtmann A, Darby D, Bernhardt J. The importance of cognition to quality of life after stroke. Journal of Psychosomatic Research. 77(5):374-9

24. Cumming TB & Mead G (2014). Post-stroke fatigue: Common but poorly understood. In: Management of Poststroke Complications, A Bhalla & J Birns (eds). Springer.

25. Dagonnier M, Howells DW, Donnan GA, Dewey HM. Recruitment to trials of late thrombolysis: Lessons from the EXTEND study. Recruitment to trials of late thrombolysis: Lessons from the EXTEND study. Journal of Clinical Neuroscience 2014;21(7):1215-1219

26. Drury, P, Levi C, D’Este C, McElduff P, McInnes E, Hardy J, Dale S, Cheung N W, Grimshaw J, Quinn C, Ward J, Evans M, Cadilhac D, Griffiths R, Middleton S. Quality in Acute Stroke Care (QASC): Process evaluation of an intervention to improve the management of fever, hyperglycemia and swallowing dysfunction following acute stroke. Int J Stroke 2014;9(6):766-76 DOI: 10.1111/ijs.12202

27. Drury P, Levi C, McInnes L, Hardy J, Ward J, Grimshaw J, D’Este C, Dale S, McElduff P, Cheung W, Quinn C, Griffiths R, Evans M, Cadilhac D, Middleton S. Management of fever, hyperglycaemia and swallowing dysfunction following hospital admission for acute stroke in New South Wales, Australia. Int J Stroke 2014 Jan;9(1):23-31. DOI: 10.1111/ijs.12194

28. Emberson J, Lees KR, Lyden P, Blackwell L, Albers G, Bluhmki E, et al. Effect of treatment delay, age, and stroke severity on the effects of intravenous thrombolysis with alteplase for acute ischaemic stroke: a meta-analysis of individual patient data from randomised trials. Lancet. 2014 Aug 5.

29. English C, Hillier S, Bernhardt J. Circuit class therapy and 7-day week therapy increase physiotherapy time, but not patient activity. Stroke. http://stroke.ahajournals.org/content/early/2014/08/14/STROKEAHA.114.006038

30. Egan K, Janssen H, Sena E, Longley L, Speare S, Howells D, Spratt N, Macleod M, Mead G, Bernhardt J. Exercise reduces infarct volume and facilitates neurobehavioural recovery: a systematic review and meta-analysis of exercise in models of ischaemic stroke. Neurorehabilitation and Neural Repair. (Epub) http://nnr.sagepub.com/ content/early/2014/02/14/1545968314521694

31. English C, Manns P, Tucak C, Bernhardt J, Physical activity and sedentary behaviours in people with stroke living in the community: A systematic review. Physical Therapy 94:2:185-196.

32. Fini N, Holland A, Keating J, Simek J, Bernhardt J. How is physical activity monitored in people following stroke? Disability and Rehabilitation. Online 1-15 http://www.ncbi.nlm.nih.gov/pubmed/25374044

33. Flint AC, Gupta R, Smith WS, Kamel H, Faigeles BS, Cullen SP, et al. The THRIVE score predicts symptomatic intracerebral hemorrhage after intravenous tPA administration in SITS-MOST. Int J Stroke. 2014 Aug;9(6):705-10.

THE FLOREY INSTITUTE OF NEUROSCIENCE & MENTAL HEALTH ANNUAL REPORT 2014 THE FLOREY INSTITUTE OF NEUROSCIENCE & MENTAL HEALTH ANNUAL REPORT 2014 126 127

34. Gloede T, Halbach S, Thrift A, Dewey H, Pfaff H, Cadilhac D. Long-term costs of stroke using 10-year longitudinal data from the North East Melbourne Stroke Incidence Study (NEMESIS). Stroke. 2014;45:3389-3394, doi: 10.1161/STROKEAHA.114.006200.]

35. Grimmer K, JM, Milanese S, King E, Beaton K, Thorpe O, Lizarondo L, Luker J, Machotka Z, Kumar S. Efficient clinical evaluation of guideline quality: development and testing of a new tool. BMC Medical Research Methodology 2014; 14(1):63.

36. Hersh D, Godecke E, Armstrong E, Ciccone N, Bernhardt J. “Ward talk”: Nurses’ interaction with people with and without aphasia in the very early period poststroke. Aphasiology. http://dx.doi.org/10.1080/02687038.2014.93 3520

37. Hubbard, I., Carey, LM., Budd, T. W. Levi, C, McElduff, P., Hudson, S., Bateman, G., Parsons, MW. (2014) A randomized controlled trial of early upper limb training on stroke recovery and brain activation. Neurorehabilitation and Neural Repair. (Published online before print; DOI: 10.1177/1545968314562647)

38. Hubbard IJ, Carey LM, Budd TW and Parsons MW (2014). Reorganizing therapy: Changing the clinical approach to upper limb recovery post-stroke. Occupational Therapy International DOI: 10.1002/oti.1381 (early online)

39. Li Q, Pardoe H, Lichter R, Werden E, Raffelt A, Cumming T, Brodtmann A (in press). Cortical thickness estimation in longitudinal stroke studies: A comparison of 3 measurement methods. Neuroimage: Clinical. doi:10.1016/j. nicl.2014.08.017.

40. Liu N, Cadilhac DA, Andrew NE, Zeng L, Li Z, Li J, Li Y, Yu X, Mi B, Li Z, Xu H, Chen Y, Wang J, Yao W, Li K, Yan F, Wang J. Randomized controlled trial of early rehabilitation after intracerebral hemorrhage stroke: difference in outcomes within 6 months of stroke. Stroke 2014, available online October 21.

41. Jackman KA, Cumming T & Miller AA (2014). Stroke, cognitive function and Alzheimer’s disease. In: Genes, Environment and Alzheimer’s Disease, G Tesco & O Lazarov (eds).

42. Kilkenny MF, Johnson R, Andrew NE, Purvis T, Hicks A, Colagiuri S and Cadilhac DA. Comparison of two methods for assessing diabetes risk in a pharmacy setting in Australia. BMC Public Health 2014, 14:1227.

43. Lemmens R, Christensen S, Straka M, De Silva DA, Mlynash M, Campbell BC, et al. Patients with single distal MCA perfusion lesions have a high rate of good outcome with or without reperfusion. Int J Stroke. 2014; 9(2): 156-9.

44. Luker J, Bernhardt J, Grimmer K, and Edwards I. A qualitative exploration of discharge destination as an outcome or a driver of acute stroke care. BMC Health Services Research. 2014, 14:193

45. Mitra, J., Shen, K., Ghose, S., Bourgeat, P., Fripp, J., Salvado, O., Campbell, B., Connelly, A., Palmer, S., Carey, L, Rose, S. (2014) Predicting poststroke depression from brain connectivity. MICCAI (Multimodal Brain Image Analysis (MBIA) 2014 Workshop on Computational Diffusion MRI Lecture Notes in Computer Science, SpringerAccepted 4/7/2014, not online as of 21/01/2015)

46. Lynch L, Luker J, Cadilhac DA, Hillier S. Rehabilitation assessments for patients with stroke in Australian hospitals do not always reflect the patients’ rehabilitation requirements, Archives of Physical Medicine and Rehabilitation, accepted 12 December 2014

47. Lynch E, Cadilhac D, Hillier S. When should physical rehabilitation commence after stroke: a systematic review. Int J Stroke 2014 Jun;9(4):468-478 DOI 10.1111/ijs.12262

48. Ma H, Wright P, Allport L, Phan TG, Churilov L, Ly J, et al. Salvage of the PWI/DWI mismatch up to 48 h from stroke onset leads to favorable clinical outcome. Int J Stroke. 2014 Mar 11.

49. Mackay MT, Chua ZK, Lee M, Yock-Corrales A, Churilov L, Monagle P, et al. Stroke and nonstroke brain attacks in children. Neurology. 2014 Apr 22;82(16):1434-40.

50. Meretoja A, Churilov L, Campbell BC, Aviv RI, Yassi N, Barras C, et al. The spot sign and tranexamic acid on preventing ICH growth--AUStralasia Trial (STOP-AUST): protocol of a phase II randomized, placebo-controlled, double-blind, multicenter trial. Int J Stroke. 2014; 9(4): 519-24.

51. Meretoja A, Keshtkaran M, Saver JL, Tatlisumak T, Parsons MW, Kaste M, et al. Stroke thrombolysis: save a minute, save a day. Stroke. 2014 Apr;45(4):1053-8.

52. Meumann EM, Chuen J, Fitt G, Perchyonok Y, Pond F, Dewey HM. Thromboembolic stroke associated with thoracic outlet syndrome. Journal of Clinical Neuroscience2014;21(5):886-9.

53. Mitra, J., Bourgeat, P., Fripp, J., Ghose, S., Rose, S., Salvado, O., Connelly, A., Campbell, B., Palmer, S., Sharma, G., Christensen, S., Carey, L. (2014). Lesion segmentation from multimodal MRI using random forest following ischemic stroke. NeuroImage 98 (2014) 324–335 (DOI: 10.1016/j.neuroimage.2014.04.056)

54. Mosley I, Nicol M, Donnan G, Thrift AG, Dewey HM. What is stroke symptom knowledge? Int J Stroke. 2014; 9(1): 48-52.

55. Muhl L, Kulin J, Dagonnier M, Churilov L, Dewey H, Linden T, Bernhardt J. Mobilization after thrombolysis (rtPA) within 24 hours of acute stroke: What factors influence inclusion of patients in A Very Early Rehabilitation Trial (AVERT)? A retrospective audit. BioMed Central http://www.biomedcentral.com/1471-2377/14/163

56. O’Halloran P, Blackstock F, Shields N, Holland A, Iles R, Kingsley M, Bernhardt J, Lannin N, Morris M, Taylor N. Motivational interviewing to increase physical activity in people with chronic health conditions: a systematic review and meta-analysis. Clinical Rehabilitation Vol. 28(12) 1159–1171

57. Palmer, S.M., Crewther, S.G., Carey, L.M. and the START project team. (2015) A meta-analysis of changes in brain activation and connectivity in clinical depression. Frontiers in Human Neuroscience, 8, 1045 (DOI: 10.3389/ fnhum.2014.01045)

58. Pascoe, M., Howells, D.W., Crewther, D.P., Carey, L., Rewell, S., Ho, H., Crewther, S.G. (2015). Fish oil supplementation associated with decreased cellular degeneration and increased cellular proliferation six weeks after middle cerebral artery occlusion in the rat. Neuropsychiatric Disease and Treatment, 11, 153-164 (DOI: 10.2147/NDT.572925)

59. Pascoe, M.C., Howells, DW., Crewther, DP, Constantinou, N, Carey, L.M., Rewell, SS, Turchini, GM, Kaur, G, Crewther, S.G. (2014). Fish oil diet associated with acute reperfusion related haemorrhage, and with reduced stroke-related sickness behaviours and motor impairment. Frontiers in Stroke Vol 5, Article 14 (pp1-15). Doi:10.3389/fneur.2014.00014

60. Paul CL, Levi CR,D’Este CA, Parsons MW, Bladin CF, Lindley RI, Attia JR, Henskens F, Lalor E, Longworth M, Middleton S, Ryan A, Kerr E, Sanson-Fisher RW, Anderson C, Bruce I, Buchan H, Burdusel C, Butler E, Cadigan G, Campbell Z, Corbett A, Day S, Denisenko S, Dennett J, Dewey H et.al. Thrombolysis ImPlementation in Stroke (TIPS): Evaluating the effectiveness of a strategy to increase the adoption of best evidence practice – protocol for a cluster randomised controlled trial in acute stroke care. Implementation Science 2014;9(1)article 38.

61. Picanco MR, Christensen S, Campbell BC, Churilov L, Parsons MW, Desmond PM, et al. Reperfusion after 4.5 hours reduces infarct growth and improves clinical outcomes. Int J Stroke. 2014; 9(3): 266-9.

62. Pumpa, L., Cahill, L.S., Carey, L.M. (in press) Somatosensory assessment and treatment after stroke: An evidencepractice gap. Australian Occupational Therapy Journal. (Accepted 18th sept 2014; [Epub 23 January 2015 ahead of print].

63. T Purvis, K Moss, S Denisenko, C Bladin, DA Cadilhac on behalf of the Victorian Stroke Clinical Network. Implementation of evidence-based stroke care: enablers, barriers, and the role of facilitators. Journal of Multidisciplinary Healthcare 2014:7 389–400.

64. Purvis T, Bernhardt J, Indredavik B, Cadilhac DA. Interdisciplinary team interactions in stroke units: can team dynamics influence patient outcomes from a clinician’s perspective. International Journal of Physical Medicine and Rehabilitation 2014 S3:007. DOI: 10.4172/2329-9096.S3-007.

65. Randall, M., Imms, C., Carey, L. & Pallant.J. (2014) Rasch analysis of the Melbourne Assessment of Unilateral Upper Limb Function. Developmental Medicine and Child Neurology, 56 (7), 665-672 (DOI:10.1111/dmcn.12391)

66. Sahathevan R, Ali KM, Ellery F, Mohamad NF, Hamdan N, Ibrahim NM, Churilov L, Cumming TB. A Bahasa Malaysia version of the Montreal Cognitive Assessment: Validation in stroke. International Psychogeriatrics, 2014, 26 (5) 781-786. DOI: 10.1017/S1041610213002615.

67. Sanders L, Cadilhac DA, Srikanth V, Pei Chong C, Phan TG. Is non-admission based care for TIA patients costeffective? A micro-costing study. Neurology: Clinical Practice, accepted 4 March, 2014.

68. Sheedy R, Bernhardt J, Levi C, Longworth M, Churilov L, Kilkenny M, Cadilhac D. Are patients with intracerebral haemorrhage disadvantaged in hospitals? International Journal of Stroke. 9:437-442

69. Sheth KN, Kimberly WT, Elm JJ, Kent TA, Mandava P, Yoo AJ, et al. Pilot Study of Intravenous Glyburide in Patients With a Large Ischemic Stroke. Stroke. 2014 Jan;45(1):281-3.

70. Sheth KN, Taylor Kimberly W, Elm JJ, Kent TA, Yoo AJ, Thomalla G, et al. Exploratory Analysis of Glyburide as a Novel Therapy for Preventing Brain Swelling. Neurocritical care. 2014 Mar 27.

71. Sjöholm A, Skarin M, Churilov L, Nilsson M, Bernhardt J, Linden T. Sedentary Behaviour and Physical Activity of People with Stroke in Rehabilitation Hospitals. Stroke Research and Treatment. http://www.hindawi.com/ journals/srt/2014/591897/

72. Thrift AG, Cadilhac DA, Thayabaranathan T, Howard G, Howard VJ, Rothwell PM, et al. Global stroke statistics. Int J Stroke. 2014 Jan;9(1):6-18.

73. Thrift AG, Srikanth V, Nelson M, Kim J, Fitzgerald S, Gerraty R, Bladin B, Phan T, Cadilhac D. Risk factor management in survivors of stroke: a double-blind, cluster randomised-controlled trial. Int J Stroke 2014, Vol 9, July 2014, 652–657, DOI:10.1111/j.1747-4949.2012.00933.

74. Valentin C, Dones VC, Grimmer K, Thoirs K, Suarez CG, Luker J. The diagnostic validity of musculoskeletal ultrasound in lateral epicondylalgia: a systematic review. BMC Medical Imaging 2014; 14(1):10.

75. Veldsman M, Cumming T, Brodtmann A (in press). Beyond BOLD: Optimizing functional imaging in stroke populations. Human Brain Mapping.

76. Zhang W, Speare S, Thuy M, Churilov L, Bernhardt J. Stroke rehabilitation in China: A systematic review and meta-analysis. International Journal of Stroke. 4.9:494-502 Johnson L. Bridging the evidence-practice divide –will new standards help rehabilitation research? International Journal of Therapy and Rehabilitation 2014; 21(10): 257-258.

77. Zhang W, Cadilhac DA, Churilov L, Donnan GA, O’Callaghan C, Dewey HM. Does abnormal circadian blood pressure pattern really matter in patients with transient ischemic attack or minor stroke? Stroke. 2014; 45(3): 865-7.

78. Zhang WW, Speare S, Churilov L, Thuy M, Donnan G, Bernhardt J. Stroke rehabilitation in China: a systematic review and meta-analysis. Int J Stroke. 2014; 9(4): 494-502.

79. Antonic, A., Dottori, M., Leung, J., Sidon, K., Batchelor, P.E., Wilson, W., Macleod, M.R., and Howells, D.W. (2014). Hypothermia protects human neurons. Int J Stroke 9, 544-552.

80. Ardipradja, K., Yeoh, S.D., Alt, K., O’Keefe, G., Rigopoulos, A., Howells, D.W., Scott, A.M., Peter, K., Ackerman, U., and Hagemeyer, C.E. (2014). Detection of activated platelets in a mouse model of carotid artery thrombosis with 18 F-labeled single-chain antibodies. Nuclear medicine and biology 41, 229-237.

THE FLOREY INSTITUTE OF NEUROSCIENCE & MENTAL HEALTH ANNUAL REPORT 2014 THE FLOREY INSTITUTE OF NEUROSCIENCE & MENTAL HEALTH ANNUAL REPORT 2014 128 129

CHAPTER SYSTEMS

NEUROPHYSIOLOGY

PAGES 100–103

81. Chalmers, I., Bracken, M.B., Djulbegovic, B., Garattini, S., Grant, J., Gulmezoglu, A.M., Howells, D.W., Ioannidis, J.P., and Oliver, S. (2014). How to increase value and reduce waste when research priorities are set. Lancet 383, 156-165.

82. Dagonnier, M., Howells, D.W., Donnan, G.A., and Dewey, H.M. (2014). Recruitment to trials of late thrombolysis: Lessons from the EXTEND study. J Clin Neurosci 21, 1215-1219.

83. Egan, K.J., Janssen, H., Sena, E.S., Longley, L., Speare, S., Howells, D.W., Spratt, N.J., Macleod, M.R., Mead, G.E., and Bernhardt, J. (2014). Exercise reduces infarct volume and facilitates neurobehavioral recovery: results from a systematic review and meta-analysis of exercise in experimental models of focal ischemia. Neurorehabil Neural Repair 28, 800-812.

84. Howells, D.W., Sena, E.S., and Macleod, M.R. (2014). Bringing rigour to translational medicine. Nature reviews. Neurology 10, 37-43.

85. Howells, D.W. (2014). Stroke, Animal Models. In Encyclopedia of the Neurological Sciences, Volume Accepted 13th July, 2nd Edition, M.J. Aminoff and R.B. Daroff, eds. (San Diego: Academic Press).

86. McCann, S.K., Irvine, C., Mead, G.E., Sena, E.S., Currie, G.L., Egan, K.E., Macleod, M.R., and Howells, D.W. (2014). Efficacy of antidepressants in animal models of ischemic stroke: a systematic review and meta-analysis. Stroke 45, 3055-3063.

87. O’Collins, V.E., Markus, R., and Howells, D.W. (2014). Neurotoxicity and Stroke. In Handbook of Neurotoxicity, Volume 2, R.A. Kostrzewa, ed. (New York: Springer), pp. 1483-1509.

88. Pascoe, M.C., Howells, D.W., Crewther, D.P., Constantinou, N., Carey, L.M., Rewell, S.S., Turchini, G.M., Kaur, G., and Crewther, S.G. (2014). Fish oil diet associated with acute reperfusion related hemorrhage, and with reduced stroke-related sickness behaviors and motor impairment. Frontiers in neurology 5, 14.

89. Sena, E.S., Currie, G.L., McCann, S.K., Macleod, M.R., and Howells, D.W. (2014). Systematic reviews and metaanalysis of preclinical studies: why perform them and how to appraise them critically. J Cereb Blood Flow Metab 34, 737-742.

90. Vesterinen, H.M., Sena, E.S., Egan, K.J., Hirst, T.C., Churolov, L., Currie, G.L., Antonic, A., Howells, D.W., and Macleod, M.R. (2014). Meta-analysis of data from animal studies: A practical guide. J Neurosci Methods 221, 92-102.

91. Watzlawick, R., Sena, E.S., Dirnagl, U., Brommer, B., Kopp, M.A., Macleod, M.R., Howells, D.W., and Schwab, J.M. (2014). Effect and Reporting Bias of RhoA/ROCK-Blockade Intervention on Locomotor Recovery After Spinal Cord Injury: A Systematic Review and Meta-analysis. JAMA Neurol 71, 91-99.

1. Martelli D, McKinley MJ, McAllen RM. (2014) The cholinergic anti-inflammatory pathway: A critical review. Auton Neurosci. 182:65-9.

2. Martelli D, Yao ST, McKinley MJ, McAllen RM. (2014) Reflex control of inflammation by sympathetic nerves, not the vagus. J Physiol. 592(Pt 7):1677-86.

3. Martelli D, Silvani A, McAllen RM, May CN, Ramchandra R. (2014) The low frequency power of heart rate variability is neither a measure of cardiac sympathetic tone nor of baroreflex sensitivity. Am J Physiol Heart Circ Physiol. 2014 Oct 1;307(7):H1005-12.

4. Martelli D, Yao ST, Mancera J McKinley MJ, McAllen RM. (2014) Reflex control of inflammation by the splanchnic anti-inflammatory pathway is sustained and independent of anesthesia. Am J Physiol Regul Integr Comp Physiol. 2014 Nov 1;307(9):R1085-91.

5. Martelli D, Yao ST, McKinley MJ, McAllen RM. (2014) Neural control of inflammation by the greter splanchnic nerves. Temperature 1 (1) 14-15.

6. Shafton AD, McKinley MJ, Kitchener P, McAllen RM. (2014) Reflex control of rat tail sympathetic nerve activity by abdominal temperature. Temperature 1 (1) 37-41.

7. Farrell MJ, Trevaks D, McAllen RM. (2014) Preoptic activation and connectivity during thermal sweating in humans. Temperature 1 (2) 135-141.

8. Dutschmann M. ‘Big Chief’ - for Respiratory Physiology & Neurobiology. Respir Physiol Neurobiol. 2015 Jan 30. pii: S1569-9048(15)00028-2. doi: 10.1016/j.resp.2015.01.015.

9. Dutschmann M, Jones SE, Subramanian HH, Stanic D, Bautista TG. The physiological significance of postinspiration in respiratory control. Prog Brain Res. 2014;212:113-30. doi: 10.1016/B978-0-444-634887.00007-0.

10. Dick TE, Dutschmann M, Feldman JL, Fong AY, Hülsmann S, Morris KM, Ramirez JM, Smith JC; the respiratory neurobiology consortium. Facts and challenges in Respiratory Neurobiology. Respir Physiol Neurobiol. 2015 Jan 30. pii: S1569-9048(15)00027-0. doi: 10.1016/j.resp.2015.01.014.

11. Bautista TG, Fong AY, Dutschmann M. Spontaneous swallowing occurs during autoresuscitation in the in situ brainstem preparation of rat. Respir Physiol Neurobiol. 2014 Oct 1;202:35-43. doi: 10.1016/j.resp.2014.07.015.

12. Farmer DG, Bautista TG, Jones SE, Stanic D, Dutschmann M. The midbrain periaqueductal grey has no role in the generation of the respiratory motor pattern, but provides command function for the modulation of respiratory activity. Respir Physiol Neurobiol. 2014 Dec 1;204:14-20. doi: 10.1016/j.resp.2014.07.011.

13. Bautista TG, Dutschmann M. Ponto-medullary nuclei involved in the generation of sequential pharyngeal swallowing and concomitant protective laryngeal adduction in situ. J Physiol. 2014 Jun 15;592(Pt 12):2605-23. doi: 10.1113/jphysiol.2014.272468.

14. Bautista TG, Dutschmann M. Inhibition of the pontine Kölliker-Fuse nucleus abolishes eupneic inspiratory hypoglossal motor discharge in rat. Neuroscience. 2014 May 16;267:22-9. doi: 10.1016/j. neuroscience.2014.02.027.

15. Dutschmann M, Bautista TG, Mörschel M, Dick TE. Learning to breathe: habituation of Hering-Breuer inflation reflex emerges with postnatal brainstem maturation. Respir Physiol Neurobiol. 2014 May 1;195:44-9. doi: 10.1016/j.resp.2014.02.009.

16. Langenberg C, Gobe G, Hood S, May CN, Bellomo R. Renal Histopathology during Experimental Septic Acute Kidney Injury and Recovery. Critical Care Medicine 42: e58-67; 2014.

17. Lu Ke Calzavacca P, Bailey M, Wei-qin Li, Bellomo R, May CN. Acid-base changes after fluid bolus: sodium chloride vs. sodium octanoate. Intensive Care Medicine Experimental 1: 4; 2014.

18. Lu Ke, Calzavacca P, Bailey M, Wei-qin Li, Bellomo R May CN. Systemic and renal haemodynamic effects of fluid bolus therapy: sodium chloride versus sodium octanoate-balanced solution. Critical Care and Resuscitation. 16:29-33; 2014.

19. Calzavacca P, Bailey M, Velkoska E, Burrell LM, Ramchandra R, Bellomo R, May CN. Effects of Renal Denervation on Regional Hemodynamics and Kidney Function in Experimental Hyperdynamic Sepsis. Critical Care Medicine 42: e401-9; 2014.

20. Frithiof R, Xing T, McKinley MJ, May CN, and Ramchandra R. Intracarotid hypertonic sodium chloride differentially modulates sympathetic nerve activity to the heart and kidney. American Journal of Physiology 15: R567-75; 2014.

21. Calzavacca P, May CN, Bellomo R. Glomerular hemodynamics, the sympathetic system and sepsis-induced acute kidney injury. Nephrology Dialysis Transplantation 29: 2178-2184; 2014.

22. Booth LC, Ramchandra R, Calzavacca P, May CN. Role of Prostaglandins in Determining the Increased Cardiac Sympathetic Nerve Activity in Ovine Sepsis. American Journal of Physiology 307: R75-81; 2014.

23. Ramchandra R, Hood SG, May CN. Central nitric oxide decreases cardiac sympathetic drive and improves baroreflex control of heart rate in ovine heart failure. American Journal of Physiology 307: R271-80; 2014.

24. Xing DT, May CN, Booth LC, Ramchandra R. Tonic arterial chemoreceptor activity contributes to cardiac sympathetic activation in mild ovine heart failure. Experimental Physiology 99(8):1031-41; 2014.

25. Martelli D, Silvani A, McAllen RM, May CN, Ramchandra R. The low frequency power of heart rate variability is neither a measure of cardiac sympathetic tone nor of baroreflex sensitivity. American Journal of Physiology 307: H1005-12; 2014.

26. Darwinkel A, Stanić D, Booth LC, May CN, Lawrence AJ, Yao ST. Distribution of orexin-1 receptor-green fluorescent protein- (OX1-GFP) expressing neurons in the mouse brain stem and pons: co-localisation with tyrosine hydroxylase and neuronal nitric oxide synthase. Neuroscience 278: 253-64; 2014.

27. Calzavacca P, Lankadeva Y, Bailey SR, Bailey M, Bellomo R, May CN. Effects of Selective β1-Adrenoceptor Blockade on Cardiovascular and Renal Function and Circulating Cytokines in Ovine Hyperdynamic Sepsis. Critical Care 18: 610; 2014.

28. Schneider GA, Calzavacca P, Schelleman A, Huynh T, Bailey M, May CN, Bellomo R. Contrast-enhanced ultrasound evaluation of renal microcirculation in sheep. Intensive Care Medicine Experimental 2: 33; 2014.

29. Calzavacca P, Ishikawa K, Bailey M, May CN, Bellomo R. Systemic and Renal Hemodynamic Effects of Intraarterial Radiocontrast. Intensive Care Medicine Experimental 2: 32; 2014.

30. Ruchaya PJ, Antunes VR, Paton JF, Murphy D, Yao ST. The cardiovascular actions of fractalkine/CX3CL1 in the hypothalamic paraventricular nucleus are attenuated in rats with heart failure. Exp Physiol. 2014 Jan;99(1):11122.

31. Darwinkel A, Stanić D, Booth LC, May CN, Lawrence AJ, Yao ST. Distribution of orexin-1 receptor-green fluorescent protein- (OX1-GFP) expressing neurons in the mouse brain stem and pons: Co-localization with tyrosine hydroxylase and neuronalitric oxide synthase. Neuroscience. 2014 Oct 10;278:253-64.

32. Martelli D, Yao ST, Mancera J, McKinley MJ, McAllen RM. Reflex control ofinflammation by the splanchnic anti-inflammatory pathway is sustained andindependent of anesthesia. Am J Physiol Regul Integr Comp Physiol. 2014 Nov1;307(9):R1085-91.

33. Qiu J, Kleineidam A, Gouraud S, Yao ST, Greenwood M, Hoe SZ, Hindmarch C, Murphy D. The use of proteinDNA, chromatin immunoprecipitation, and transcriptome arrays to describe transcriptional circuits in the dehydrated male rat hypothalamus. Endocrinology. 2014 Nov;155(11):4380-90.

34. Martelli D, Yao ST, McKinley MJ, McAllen RM. Reflex control of inflammation by sympathetic nerves, not the vagus. J Physiol. 2014 Apr 1;592(Pt 7):1677-86.

35. Booth LC, Nishi EE, Yao ST, Ramchandra R, Lambert GW, Schlaich MP, May CN. Reinnervation of renal afferent and efferent nerves at 5.5 and 11 months after catheter-based radiofrequency renal denervation in sheep. Hypertension. 2015 Feb;65(2):393-400.

36. Booth LC, Nishi EE, Yao ST, Ramchandra R, Lambert GW, Schlaich MP, May CN. Reinnervation following catheter-based radio-frequency renal denervation. Exp Physiol. 2015 Jan 8.

THE FLOREY INSTITUTE OF NEUROSCIENCE & MENTAL HEALTH ANNUAL REPORT 2014 THE FLOREY INSTITUTE OF NEUROSCIENCE & MENTAL HEALTH ANNUAL REPORT 2014 130 131

37. Brunton PJ, Donadio MV, Yao ST, Greenwood M, Seckl JR, Murphy D, Russell JA. 5α-reduced neurosteroids sexdependently reverse central prenatal programming of neuroendocrine stress responses in rats. J Neurosci. 2015 Jan 14;35(2):666-77.

38. McAllen R.M., Cook A.D., Khiew H.W., Martelli D., Hamilton J.A. The interface between cholinergic pathways and the immune system and its relevance to arthritis. Arthritis Res. Ther. 2015 (accepted).

39. Martelli D., Silvani A., McAllen R.M., May C.N., Ramchandra R. Reply to “Letter to the editor: Does low-frequency power of heart rate variability correlate with cardiac sympathetic tone in normal sheep?”. Am. J. Physiol. Heart Circ. Physiol. 308(2), 2015:H148-9.

40. Cerri M., Del Vecchio F., Mastrotto M., Luppi M., Martelli D., Perez E., Tupone D., Zamboni G., Amici R. Enhanced Slow-Wave EEG Activity and Thermoregulatory Impairment following the Inhibition of the Lateral Hypothalamus in the Rat. Plos One, 9(11), 2014: e112849.

41. Martelli D., Yao S.T., Mancera J., McKinley M.J., McAllen R.M. Reflex control of inflammation by the splanchnic anti-inflammatory pathway is sustained and independent of anaesthesia. Am. J. Physiol. Regul. Int. Comp. Physiol. 307(9), 2014: R1085-91.

42. Martelli D., Silvani A., McAllen R.M., May C.N., Ramchandra R. The low frequency power of heart rate variability is neither a measure of cardiac sympathetic tone nor of baroreflex sensitivity. Am. J. Physiol. Heart Circ. Physiol. 307(7), 2014:H1005-12.

43. Martelli D., Yao S.T., McKinley M.J., McAllen R.M. Neural control of inflammation by the greater splanchnic nerves. Temperature. 2014 Epub: https://www.landesbioscience.com/article/29135/full_text/#load/info/all.

44. Martelli D., Yao S.T., McKinley M.J., McAllen R.M. Reflex control of inflammation by sympathetic nerves, not the vagus. J. Physiol., 592, 2014:1677-1686.

45. Martelli D., Luppi M., Cerri M., Tupone D., Perez E., Zamboni G., Amici R. The Direct Cooling of the PreopticHypothalamic Area Elicits the Release of Thyroid Stimulating Hormone during Wakefulness but Not during REM Sleep. Plos One, 9(2), 2014: e87793.

46. Martelli D., McKinley M.J., McAllen R.M. The cholinergic anti-inflammatory pathway: a critical review. Auton. Neurosci., 182, 2014:65-69.

47. Chambers B, Chambers J, Churilov L, Cameron H, Macdonell R. Internal jugular and vertebral vein volume flow in patients with clinically isolated syndrome or mild multiple sclerosis and healthy controls: results from a prospective sonographer-blinded study. Phlebology. 2014 Sep;29(8):528-35.

48. Confavreux C, O’Connor P, Comi G, Freedman MS, Miller AE, Olsson TP, Wolinsky JS, Bagulho T, Delhay JL, Dukovic D, Truffinet P, Kappos L; TOWER Trial Group. Oral teriflunomide for patients with relapsing multiple sclerosis (TOWER): a randomised, double-blind, placebo-controlled, phase 3 trial. Lancet Neurol. 2014;13:247-56

49. Miller AE, Macdonell R, Comi G, Freedman MS, Kappos L, Mäurer M, Olsson TP, Wolinsky JS, Bozzi S, DivePouletty C, O’Connor PW. Teriflunomide reduces relapses with sequelae and relapses leading to hospitalizations: results from the TOWER study. J Neurol. 2014;261:1781-8.

50. Broadley SA, Barnett MH, Boggild M, Brew BJ, Butzkueven H, Heard R, Hodgkinson S, Kermode AG, LechnerScott J, Macdonell RA, Marriott M, Mason DF, Parratt J, Reddel SW, Shaw CP, Slee M, Spies J, Taylor BV, Carroll WM, Kilpatrick TJ, King J, McCombe PA, Pollard JD, Willoughby E. Therapeutic approaches to disease modifying therapy for multiple sclerosis in adults: An Australian and New Zealand perspective. Part 1 Historical and established therapies. J Clin Neurosci. 2014;21:1835-46

51. Broadley SA, Barnett MH, Boggild M, Brew BJ, Butzkueven H, Heard R, Hodgkinson S, Kermode AG, LechnerScott J, Macdonell RA, Marriott M, Mason DF, Parratt J, Reddel SW, Shaw CP, Slee M, Spies J, Taylor BV, Carroll WM, Kilpatrick TJ, King J, McCombe PA, Pollard JD, Willoughby E. Therapeutic approaches to disease modifying therapy for multiple sclerosis in adults: An Australian and New Zealand perspective Part 2 New and emerging therapies and their efficacy. J Clin Neurosci. 2014;21: 1847-56

52. Broadley SA, Barnett MH, Boggild M, Brew BJ, Butzkueven H, Heard R, Hodgkinson S, Kermode AG, LechnerScott J, Macdonell RA, Marriott M, Mason DF, Parratt J, Reddel SW, Shaw CP, Slee M, Spies J, Taylor BV, Carroll WM, Kilpatrick TJ, King J, McCombe PA, Pollard JD, Willoughby E. Therapeutic approaches to disease modifying therapy for multiple sclerosis in adults: An Australian and New Zealand perspective. Part 3 Treatment practicalities and recommendations. J Clin Neurosci. 2014;21: 1857-65

53. Mehndiratta MM, Mehndiratta P, Tsai CP, Kaji R, Gulati NS, Wasay M, Macdonell R.Evolution, current status, and way forward for the Asian Oceanian Association of Neurology. Neurology. 2014;83:1853-5.

One in four Australians are diagnosed with an anxiety disorder during their lifetime. This peaks during adolescence and the outcome following therapy is often extremely poor during this age compared to adults. I am trying to understand the neurobiology underlying this impairment while testing novel therapeutics.

The impact of treating anxiety early in life will be tremendous because it will forestall the persistence of anxiety into adulthood and the development of secondary disorders such as depression. My goal is to translate our preclinical findings from the lab bench to the clinic.

THE FLOREY INSTITUTE OF NEUROSCIENCE & MENTAL HEALTH ANNUAL REPORT 2014 132 133
Dr Despina Ganell

DIRECTOR’S OFFICE

Director

ҩ Professor Geoffrey Donnan

AO

Executive Administration

ҩ Colleen Buchhorn

DIVISION OF BEHAVIOURAL NEUROSCIENCE

Addiction Neuroscience Laboratory

ҩ Robyn Brown

ҩ Jhodie Duncan

ҩ Despina Ganella

ҩ Morgan James

ҩ Bianca Jupp

ҩ Elena Krstew

ҩ Andrew Lawrence

ҩ Liubov Lee-Kardashyan

ҩ Nathan Marchant

ҩ Christina Perry

ҩ Phillip Ryan

ҩ Craig Smith

PhD Students

ҩ Rose Chesworth

ҩ Nicola Chen

ҩ Alec Dick

ҩ Sophia Luikinga

ҩ Karlene Scheller

ҩ Sarah Sulaiman Ch’ng

ҩ Leigh Walker

ҩ Isabel Zbukvic

Students

ҩ Katherine Beringer

ҩ Katherine Drummond

ҩ Emma Giles

ҩ Rosa Heller

ҩ Jan Koeleman

ҩ Ashleigh Qama

ҩ Felicia Reed

ҩ Jirawoot Srisontiyakul

ҩ Shawn Tan

Developmental Pschobiology

ҩ Despina Ganella

ҩ Jee Hyun Kim

ҩ Heather Madsen

Inhalant Abuse Laboratory

ҩ Jhodie Duncan

Molecular Neurobiology Lab

ҩ John Drago

OUR PEOPLE

Neural Plasticity Laboratory

ҩ Emma Burrows

ҩ Anthony Hannan

ҩ Xu Hou

ҩ Terence Pang

ҩ Thibault Renoir

ҩ Mark Ransome

PhD Students

ҩ Christina Mo

ҩ Jake Rogers

ҩ Shlomo Yeshrun

ҩ Annabel Short

ҩ Dean Wright

ҩ Katie Fennell

Students

ҩ Andreas Halman

ҩ Alexander Eastwood

ҩ Carlos May

ҩ Ariel Zelznikow-Johns

Synapse Biology & Cognition

ҩ Jess Nithianantharajah

PhD Students

ҩ Rebecca Norris

ҩ JaimeLee

DIVISION OF BRAIN DEVELOPMENT AND REGENERATION

ҩ Joanne Britto

ҩ Anh Doan

ҩ Choo Peng Goh

ҩ Jason Howitt

ҩ Ley-Hian Low

ҩ Ulrich Putz

ҩ Seong Tan

ҩ Michelle Tang

PhD Students

ҩ Yuh Lit Chow

ҩ Yijia Li

ҩ Hui-Xuan Ng

ҩ Ulrich Sterzenbach

DIVISION OF EPILEPSY

ҩ David Abbott

ҩ Peter Brotchie

ҩ Patrick Carney

ҩ Evan Curwood

ҩ Jewell Gardner

ҩ Graeme Jackson

ҩ Lauren Jones

ҩ Michael Makdissi

ҩ Simone Mandelstam

ҩ Paul McCrory

ҩ Saul Mullen

ҩ Amir Omidvarna

ҩ Amanda Paolini

ҩ Tony Paolini

ҩ Sarah Penman

ҩ Ingrid Scheffer

ҩ Mira Semmelroch

ҩ Christopher Tailby

ҩ Jennifer Walz

PhD Students

ҩ Kaushik Bhaganagarapu

ҩ Laura Bird

ҩ Dawn Merrett

ҩ Mangor Pedersen

ҩ Genevieve Rayner

ҩ David Vaughan

Ion Channels and Human Diseases

ҩ Alison Clarke

ҩ Lynley Cordeiro

ҩ Elena Gazina

ҩ Ben Gu

ҩ Xin Huang

ҩ Tae Kim

ҩ Emma Morrisroe

ҩ Carol Milligan

ҩ Megan Oliva

ҩ Lucy Palmer

ҩ Steven Petrou

ҩ Marie Phillips

ҩ Christopher Reid

ҩ Kay Richards

ҩ Chantel Trager

ҩ Verena Wimmer

PhD Students

ҩ Roman Beletskiy

ҩ Lisseth Burbano Portilla

ҩ Rosemary Harty

ҩ Robert Hatch

ҩ Gabriel Jones

ҩ David Kaplan

ҩ Bryan Leaw

ҩ Melody Li

ҩ Julia McCoey

ҩ Emma Morrisroe

ҩ Umesh Nair

ҩ Wensi Ou

ҩ Sasha Zaman

Students

ҩ Sam Gooley

ҩ Sam Wong

ҩ Laughlan Hodgkiss

ҩ Sophie Reid

ҩ Miriam Thornley

ҩ Tianran Wu

Purinergic Signalling Laboratory

ҩ Kelsey Dalton

DIVISION OF IMAGING

Advanced MRI Development

ҩ Fernando Calamante

ҩ Alan Connelly

ҩ Thijs Dhollander

ҩ Steven Fleming

ҩ Xiaoyun Liang

ҩ Donna Parker

ҩ Eric Pierre

ҩ David Raffelt

ҩ Farnoosh Sadeghian

ҩ Robert Smith

ҩ Chun-Hung Jimmy Yeh

PhD Students

ҩ Shalini Amukotuwa

ҩ Saba Ansari

ҩ Shawna Farquharson

ҩ Amir Fazlollahi

ҩ Wai Yen Loh

ҩ Mark Mackay

ҩ Lea Vinokur

ҩ Elizabeth Smith

Animal MRI Laboratory

ҩ Leigh Johnston

ҩ Hong Xin Wang

ҩ David Wright

PhD Students

ҩ James Korte

ҩ Rosita Shishegar

ҩ Warda Syeda

Imaging MRI Platform

ҩ Shawna Farquharson

ҩ Adam Heyde

ҩ Claire Mulcahy

ҩ Kelly Owbridge

ҩ Julia Watt

Interoception Laboratory

ҩ Michael Farrell

PhD Students

ҩ Gelareh Ahmadi

ҩ Pascal Dorian Saker

ҩ Camille Shanahan

DIVISION OF MENTAL HEALTH (MH)

ҩ Colin Masters

ҩ Krista Murray

AIBL Laboratory

ҩ Julia Bomke

ҩ Christopher Fowler

ҩ Karra Harrington

ҩ Adrian Kamer

ҩ Hannah Korrel

ҩ Fiona Lamb

ҩ Chu Hui Li

ҩ Xuelei Li

ҩ Alissandra McIlroy

ҩ Lucy Mackintosh

ҩ Yumiko Matsumoto

ҩ Tabitha Nash

ҩ Stephanie Perin

ҩ Kelly Pertile

ҩ Morgan Radler

ҩ Alan Rembach

ҩ Joanne Robertson

ҩ Rebecca Rumble

ҩ Christine Thai

ҩ Brett Trounson

PhD Students

ҩ Rachel Buckley

ҩ Carolina Restrepo

CJD - Clinical Research Group

ҩ Alison Boyd

ҩ Steven Collins

ҩ Genevieve Klug

ҩ Qiao-Xin Li

ҩ Shannon Sarros

ҩ Christiane Stehmann

ҩ Shiji Varghese

CTRU

ҩ David Darby

ҩ Cheryl Donohoe

ҩ Jacqueline Giummarra

ҩ Maree Mastwyk

ҩ Lesley Vidaurre

ҩ Rosie Watson

Property & Maintenance (Oak Street)

ҩ Michael Kent

WHAP

ҩ Katherine Burn

PhD Student

ҩ Catherine Campbell

OUR PEOPLE

Victorian Brain Bank Network

ҩ Fairlie Hinton

ҩ Catriona McLean

DIVISION OF MENTAL

HEALTH - NEUROPSYCHOSES

Behavioural Neuroscience Laboratory

ҩ Laetitia Buret

ҩ Xin Du

ҩ Andrea Gogos

ҩ Rachel Hill

ҩ Udani Ratnayake

PhD Students

ҩ Ye Sul (Yen) Kim

ҩ Elizabeth Manning

ҩ Michael Notaras

ҩ Anna Schroeder

ҩ Shane Thwaites

ҩ Mauricio Sepulveda Fernandez

ҩ Candace Wu

Student

ҩ Wendy Hwang

Molecular Psychiatry Laboratory

ҩ Brian Dean

ҩ Andrew Gibbons

ҩ Won Je Jeon

ҩ Chi-Yu Lai

ҩ Thien-Kim Le

ҩ Caitlin McOmish

ҩ Geoff Pavey

ҩ Myoung Suk Seo

ҩ Madhara Udawela

ҩ Aradhana Upadhyay

PhD Students

ҩ Nahed Tawadros

ҩ Natalie Thomas

Student

ҩ Shaun Hopper

Molecular Psychopharmacology Laboratory

ҩ Christine Culhane

ҩ Debbie Hocking

ҩ Rejhan Idrizi

ҩ Peter Malcolm

ҩ Avril Pereira

ҩ Suresh Sundram

PhD Students

ҩ Tharini Ketharanathan

ҩ Sujeevan Sinnatamby

ҩ Vaidy Swaminathan

Student

ҩ Alejandro Ezquerro Nassar

DIVISION OF MENTAL HEALTHNEURODEGENERATION

ҩ Simon Drew

ҩ Carolin Tumpach

PhD Student

ҩ Mariusz Mital

Bio21 Laboratory

ҩ Kevin Barnham

ҩ Jacky Chan

ҩ Adam Gunn

ҩ Lin Wai Hung

ҩ Laura Jacobson-Hoyer

ҩ Xuelei (Shelly) Li

ҩ Xiang Liu

ҩ Keyla Perez

ҩ Andrew Watt

ҩ Laura Vella

Neuropathology Laboratory

ҩ Adel Barakat

ҩ Michelle Fodero-Tavoletti

ҩ George Ganio

ҩ Vijaya Kenche

ҩ Scott Laffoon

ҩ Monica Lind

ҩ Blaine Roberts

ҩ Anne Roberts

ҩ Tim Ryan

ҩ David Stapleton

PhD Students

ҩ Xin Yi Choo

ҩ Amber Lothian

ҩ Aaron Wagen

Students

ҩ Nijlah Enayatzada

ҩ Jade Rae

Oxidation Biology Laboratory

ҩ Scott Ayton

ҩ AbdelBelaidi

ҩ Jessica Billings

ҩ Lisa Bray

ҩ Ashley Bush

ҩ Feng Chen

ҩ Mun-Joo Chuei

ҩ Krista Dent

ҩ JamesDuce

ҩ Bruce Etherton

ҩ Noel Faux

ҩ David Finkelstein

ҩ Simote Foliaki

ҩ Katherine Ganio

ҩ Kristen Grant

ҩ Mark Greenough

ҩ Kali Perronnes (nee Hubbert)

ҩ Dominic Hare

ҩ Ya Hui Hung

ҩ Nicole Jenkins

ҩ Sharon La Fontaine

ҩ Linh Lam

ҩ Peng Lei

ҩ Timothy Lovell

ҩ Toni Lynch

ҩ Sandra Luza

ҩ Celeste Mawal

ҩ Gawain McColl

ҩ Suzie McNicol

ҩ Steve Moon

ҩ Lydia Nugroho

ҩ Carlos Opazo Martinez

ҩ Stuart Portbury

ҩ Ashley Portbury

ҩ Amelia Sedjahtera

ҩ Charlotte Sgamelloni (nee Jordan)

ҩ Adam Southon

ҩ Brian Stevens

ҩ Fransisca Sumardy

ҩ Ambili Thoppuvalappil Appukuttan

ҩ Irene Volitakis

ҩ Bruce Wong

PhD Students

ҩ Yifat Biran

ҩ Patricia Chege Mugure

ҩ Katherine Ganio

ҩ Stephanie Guiney

ҩ Adam Gunn

ҩ Sara Hancock

ҩ LinhLam

ҩ Tim Lovell

ҩ Nakisa Malakooti

ҩ Stuart Portbury

ҩ Alejandra Ramirez Munoz

ҩ He (Olivia) Xu

ҩ Luz Fernanda YevenesUgarte

Students

ҩ RebeccaWorthing

02/05
01/05
THE FLOREY INSTITUTE OF NEUROSCIENCE & MENTAL HEALTH ANNUAL REPORT 2014 THE FLOREY INSTITUTE OF NEUROSCIENCE & MENTAL HEALTH ANNUAL REPORT 2014 134 135

Synaptic Biology

ҩ Paul Adlard

ҩ Robert Cherny

ҩ Krutika Wikhe

DIVISION OF MULTIPLE SCLEROSIS

ҩ Michele Binder

ҩ BernardChuang

ҩ Ben Emery

ҩ Judith Field

ҩ Andrew Fox

ҩ Laura Johnson

ҩ Trevor Kilpatrick

ҩ Daniel Merlo

ҩ Tobias Merson

ҩ Maria Papaioannou

PhD Students

ҩ Zhi-Ming (Gerry) Ma

ҩ Philipp Roth

ҩ Yao (Lulu) Xing Student

ҩ Sarah Calvert

DIVISION OF NEURODEGENERATION

Adult Neurogenesis Laboratory

ҩ Timothy Aumann

ҩ Anupa Dey

ҩ Mai Raabus

ҩ Doris Tomas

PhD Student

ҩ Parisa Farzanehfar

Molecular Neuropharmacology Laboratory

ҩ Philip Beart

ҩ Cecilia Cederfur

ҩ Chew Lau

ҩ Linda Mercer

PhD Student

ҩ Yea Seul Shin

Motor Neuron Disease Laboratory

ҩ Rebecca Sheean

ҩ Bradley Turner

Neurodegeneration Laboratory

ҩ Malcolm Horne

ҩ Katya Kotschet

PhD Students

ҩ Wendy Lang

OUR PEOPLE

03/05

ҩ Simon McKenzie-Nickson

ҩ Nirma Perera

ҩ Agustinus Prijanto

Neurogenesis and Neural Transplantation Laboratory

ҩ Jennifer Holland

ҩ Lachlan Thompson

ҩ Mong Tien

PhD Students

ҩ Charlotte Ermine

ҩ Brett Kagan

ҩ Fahad Somaa

ҩ Christopher Turner

ҩ Jordan Wright

Stem Cells and Neurodevelopment Laboratory

ҩ Christopher Bye

ҩ Jonathan Niclis

ҩ Clare Parish

ҩ Ting Yi Wang

PhD Students

ҩ Walaa Alsanie

ҩ Jessica Kauhausen

Students

ҩ Layla El Bouazzaoui

ҩ Carlos Gantner

Steroid Neurobiology Laboratory

ҩ Wah Chin Boon

ҩ Hui Kheng Chua

ҩ Shilpi Dixit

ҩ Tomris Mustafa

ҩ Mark Ransome

Student

ҩ Kristina Vacy

DIVISION OF NEUROPEPTIDES

Insulin Peptides Laboratory

ҩ Mohammed Akhter Hossain

Membrane Protein Engineering Laboratory

ҩ Natasha Lam

ҩ Daniel Scott

PhD Student

ҩ Fabian Bumbak

Students

ҩ Riley Cridge

ҩ Rebecca Tan

Neuropeptide Receptor Laboratory

ҩ Ross Bathgate

ҩ Tania Ferraro

ҩ Sharon Layfield

PhD Students

ҩ Shoni Bruell

ҩ Bryna Chow

ҩ Bradley Hoare

ҩ Samantha Lagaida

ҩ Lilian Wong

ҩ Kelvin Yong

Students

ҩ Spoorthi Karanan

ҩ Alastair Keen

ҩ Nicholas Smith

Peptide and Protein Chemistry Laboratory

ҩ Mohammed Hossain

ҩ Feng Lin

ҩ Fazel Shabanpoor

ҩ Julien Tailhades

ҩ John Wade

PhD Students

ҩ John Karas

ҩ Wenyi Li

ҩ Vino Nair

ҩ Nitlin Patil

Peptide Neurobiology Laboratory

ҩ Sherie Aizen

ҩ Andrew Gundlach

ҩ David Hawkes

PhD Students

ҩ Giancarlo Allocca

ҩ Mouna Haidar

ҩ Ihaia Hosken

ҩ Hanna Kastman

ҩ Emma Ong-Palsson

ҩ Valeria Rytova

ҩ Azadeh Sabetghadam Esfahani

ҩ Andrew Walker

ҩ Cary Zhang

DIVISION OF STROKE

Stroke - Clinical

ҩ Henry Ma

ҩ Atte Meretoja

PhD Student

ҩ Marie Dagonnier

Avert

ҩ Julie-Ann Bernhardt

ҩ Leeanne Bennett

ҩ Karen Borschmann

ҩ Jan Chamberlain

ҩ Janice Collier

ҩ Toby Cumming

ҩ Coralie English

ҩ Liam Johnson

ҩ Kylie King

ҩ Sharon Kramer

ҩ Cecilia Li

ҩ Julie Luker

ҩ Tara Purvis

ҩ Audrey Raffelt

ҩ Anne Rohrer

PhD Students

ҩ Karen Borschmann

ҩ Natalie Fini

ҩ Anne Hokstad

ҩ Sharon Kramer

ҩ Michelle Shannon

Basic Science

ҩ Ana Antonic-Baker

ҩ Kathryn Ardipradja

ҩ Sarah Bannister (nee Rewell)

ҩ Heidi Ho

ҩ David Howells

ҩ Katherine Jackman

ҩ Sarah McCann

ҩ Tara Sidon

Students

ҩ Kathryn Ardipradja

ҩ Marie Dagonnier

ҩ Charlotte Krenus

ҩ Ye Liu

ҩ Sarah Rewell

Clinical Trials

ҩ Sandra Petrolo

ҩ Lisa Walker

Cognitive Neuroscience

ҩ Laura Bird

ҩ Amy Brodtmann

ҩ Qi Li

ҩ Emile Werden

ҩ Michelle Veldsman

Neuro Rehabilitation

ҩ Caroline Bailey

ҩ Leeanne Carey

ҩ Peter Goodin

ҩ Alex Kavanagh

ҩ Gemma Lamp

ҩ Christine Marsh

ҩ Mary Mastos

ҩ Susan Palmer

ҩ Tamara Tse

ҩ Megan Turville

PhD Students

ҩ Brendan Haslam

ҩ Belinda McLean

ҩ Susan Taylor

ҩ Tamara Tse

ҩ Megan Turville

ҩ Barbara Wolfenden

Student

ҩ Liana Cahill

Public Health

ҩ Robyn Armstrong

ҩ Katie Bagot

ҩ Christopher Bladin

ҩ Sally Berger

ҩ Dominique Cadilhac

ҩ Nancy Capitanio

ҩ Alison Dias

ҩ Gary Eaton

ҩ Adele Gibbs

ҩ Brenda Grabsch

ҩ Monique Kilkenny

ҩ Francis Kung

ҩ Charlotte Krenus

ҩ Natasha Moloczij

ҩ Karen Moss

ҩ Kate Paice

ҩ Chris Price

ҩ Enna Salama

ҩ Emma Tod

ҩ Michelle Vu

ҩ Lisa Walker

ҩ Kasey Wallis

DIVISION OF SYSTEMS NEUROPHYSIOLOGY

Neurocardiovascular Laboratory

ҩ Lindsea Booth

ҩ Amber Darwinkel

ҩ Anthony Dornom

ҩ Sally Hood

ҩ Junko Kosaka

ҩ Yugeesh Lankadeva

ҩ Clive May

ҩ Colleen Thomas

ҩ Song Yao

OUR PEOPLE

Students

ҩ Amber Darwinkel

ҩ Erika Nishi

ҩ Megan Lawson Jakob

ҩ Anthony Setiadi

Systems Neurophysiology

Laboratories

ҩ Tara Bautista

ҩ Derek Denton

ҩ Mathias Dutschmann

ҩ David Farmer

ҩ Melinda Goga

ҩ Haoyao Guo

ҩ Robin McAllen

ҩ Stuart McDougall

ҩ Michael McKinley

ҩ Davide Martelli

ҩ Glenn Pennington

ҩ Davor Stanic

ҩ Anthony Shafton

ҩ David Trevaks

ҩ Lesley Walker

ҩ Frank Weissenborn

PhD Students

ҩ Yonis Abukur

ҩ Sarah Jones

ҩ Natasha Pracejus

ETHICS

Animal Ethics

ҩ Helen Mansour

Neuro Ethics

ҩ Neil Levy

INTERNATIONAL JOURNAL OF STROKE

ҩ Carmen Lahiff-Jenkins

BUSINESS DEVELOPMENT

Business Development

ҩ Henry De Aizpurua

ҩ Jackie Finn

ҩ Karin Sitte-Meagher

ҩ Michael Vovos

Neuroscience Trials Australia

ҩ Julie Andrew

ҩ Camila Battistuzzo

ҩ Sophie Beasy

ҩ Lisa Brauman

ҩ Elise Cowley

ҩ Su Cox

ҩ Silvia Done

ҩ Fiona Ellery

ҩ Mary Hayek

ҩ Melanie Hurley

ҩ Anne Jian

ҩ Rachael McCoy

ҩ Cleo Moore

ҩ Kathy Skoff

ҩ Robynnee Stevenson

ҩ Sandra Petrolo

ҩ Tina Soulis

ҩ Anita Thompson

Statistics

ҩ Leonid Churliov

ҩ Liudmyla Olenko

ҩ Mahsa Keshtkaran

ҩ Li-Chun Quang

PhD Student

ҩ Mahsa Keshtkaran

Student

ҩ Hayden Johns

SCIENTIFIC SERVICES

Core Services

ҩ Nathalie Braussaud

ҩ Travis Featherby

ҩ Jacqueline Mills

ҩ Brett Purcell

ҩ Angela Vais

Core Animal Services

ҩ Cristian Bustos

ҩ Shannon Currin

ҩ Megan Davis

ҩ Jacqueline House

ҩ Helen Huckle

ҩ Jose Lopez

ҩ Alan McDonald

ҩ Marco Orlowski

ҩ Monica Ramos

ҩ Craig Thomson

ҩ Michelle Witte

ҩ Jenny Vien

Embryo Services

ҩ Fiona Christensen

ҩ Taryn Knight

ҩ Rian Mackenzie

ҩ Vicki Hammond

Laboratory Services

ҩ Melanie Chapple

ҩ Anna Sellens

ҩ Elsa Tsui

ҩ Annie Yang

Mouse Facility

ҩ Krista Brown

ҩ Leah Catalano

ҩ Brittany Cuic

ҩ Daniel Drieberg

ҩ Jessica Hartley

ҩ Ana-Kiwa Hudson

ҩ Maddison Ible

ҩ Roxanne Monaghan

ҩ Mathew Salzone

ҩ Kim Schafers Ryan

ҩ Elissa Wells

Quality Systems/Histology

ҩ Ian Birchall

ҩ Mirjana Bogeski

ҩ Rachel Kenny

ҩ Dhanya Menon

ҩ Tammie Money

Rat Facility

ҩ Maria Bastias

ҩ Johanna Henry

ҩ Gregory Thomas

ҩ Thomas Vale

Spinal Research Lab

ҩ Stephen Davies

ҩ Jeanette Davies

ҩ Jennifer Frame

PhD Students

ҩ Yeompyo Lee

SUPPORT SERVICES

Administration

ҩ Rainer Akkermann

ҩ Alistair Kittson

ҩ Ihaia Hosken

Building Management

ҩ Paul Deland

ҩ Benny Gregersen

ҩ Peter Ward

Finance / Operations

ҩ Tina Bertelle

ҩ Karen Dent

ҩ Danielle Di Sarno

ҩ Brian Fleming

ҩ Ross Humphreys

ҩ Connie Jacobs

ҩ Carmel Jacobson

ҩ Irina Kouchnareva

04/05
THE FLOREY INSTITUTE OF NEUROSCIENCE & MENTAL HEALTH ANNUAL REPORT 2014 THE FLOREY INSTITUTE OF NEUROSCIENCE & MENTAL HEALTH ANNUAL REPORT 2014 136 137

ҩ Anita Pejic

ҩ Peter Plecher

ҩ Bill Ristevski

ҩ Hannah Soulaiman

Fundraising and Marketing

ҩ Ross Johnstone

ҩ Anna Marcon

ҩ Amanda Place

ҩ Margit Simondson

ҩ Jane Standish

ҩ Astrid Sweres

ҩ Hazel Westbury

Human Resources

ҩ Rita Alampi

ҩ Cara Cortese

ҩ Rachel Mostacci

ҩ Rodi Neri

ҩ Melissa Perenc

OUR PEOPLE

Information Technology

ҩ Timothy Brewer

ҩ Li Mei Brusey

ҩ Ricardo Casama

ҩ Gary Eaton

ҩ Kenny Jao

ҩ Tom Keeble

ҩ Simon Miller

ҩ Gena Shoykhet

Management

ҩ Gary Gray

Occupational Health and Safety

ҩ Damian Carroll

ҩ Frances Tait

Purchasing

ҩ Bradley Hoare

ҩ Christine Johnston-Balls

05/05

ҩ Steven Oliphant

ҩ Mick Petrovski

ҩ Kristina Vacy

Reception Parkville

ҩ Clementine BendleThompson

ҩ Margaret Black

ҩ Vera Phipps

STEM CELLS

Stem Cells Research Centre

ҩ Martin Pera

“The human brain is fascinating, not only in the processes it supports when healthy, but also in the manner in which it ‘breaks down’ in the face of insult, and the way it attempts to ‘right itself’ when break down occurs. I want to understand how cognitive function is supported by brain networks, and how network disruption through epilepsy alters cognitive ability.”

Dr Chris Tailby

THE FLOREY INSTITUTE OF NEUROSCIENCE & MENTAL HEALTH ANNUAL REPORT 2014 138 139
Pictured : Dr David Vaughan, Dr Chris Tailby and Mangor Pedersen.

FINANCIAL STATEMENTS

FINANCIAL STATEMENTS

Consolidated Statement of Comprehensive Income (For the year ended 31 December 2014) 2014 $’000 Revenues from ordinary activities 54,164 Salaries and employee benefits (36,474) Raw materials and consumables used (3,793) Conferences and collaborations (1,562) Building occupancy (4,130) Research support services (2,779) General administration (2,844) Distribution of grant funds (3,799) Net operating deficit before depreciation, amortisation and impairment (1,217) Depreciation and amortisation (6,375) Fair value adjustment of non-financial assets 2,133 Impairment of non-financial assets (228) Net operating deficit after depreciation, amortisation and impairment (5,687) Building project income 46 Expenses related to the building project (859) Net deficit for the year (6,500) Other comprehensive income: Net gain on revaluation of financial assets 61 Other comprehensive income for the year – surplus 61 Total comprehensive income for the year – deficit (6,439) Total comprehensive income attributable to members of the entity – deficit (6,439)
Consolidated Statement of Comprehensive Income (For the year ended 31 December 2014) 2014 $’000 ASSETS Current Assets Cash and short-term deposits 27,312 Trade and other receivables 4,369 Available-for-sale financial assets 5,858 Prepayments 122 Inventory 73 Total Current Assets 37,734 Non-Current Assets Property, plant and equipment 9,982 Investment property 5,546 Other assets 60,875 Total Non-Current Assets 76,403 TOTAL ASSETS 114,137 LIABILITIES Current Liabilities Trade and other payables 4,445 Provisions 6,455 Income in advance 158 Total Current Liabilities 11,058 Non-Current Liabilities Provisions 661 Total Non-Current Liabilities 661 TOTAL LIABILITIES 11,719 NET ASSETS 102,418 FUNDS Retained surplus 40,739 Unrealised investment reserve 640 Merger / reorganisation reserve 61,039 TOTAL FUNDS 102,418 We acknowledge the Victorian Government’s strong support, particularly through funding from the Operational Infrastructure Support Grant. All funding received through the Department of State Development, Business and Innovation and other government agencies are expended on our research activities and services to support the science. We also thank the State and Federal governments, the Potter Foundation and the Myer Foundation for their huge support for the Melbourne Neuroscience Project including the building of our new facilities. We also gratefully acknowledge the support of the Victorian Department of Health through the provision of an ongoing mental health grant. SOURCES OF REVENUE (Year Ended 31 December 2014) $M % OF TOTAL • Government bodies 34.7 64% • Commercial income 6.9 13% • Private donors 4.5 8% • Peer review funding 4.4 8% • Miscellaneous 2.1 4% • Investment income 1.6 3% TOTAL 54.2 100% SOURCES OF INCOME 2014 THE FLOREY INSTITUTE OF NEUROSCIENCE & MENTAL HEALTH ANNUAL REPORT 2014 THE FLOREY INSTITUTE OF NEUROSCIENCE & MENTAL HEALTH ANNUAL REPORT 2014 140 141

On November 20, 2014, the Florey family was shocked by the loss of Alan, a much-admired scientist and colleague. He was the friendliest and most enthusiastic of researchers – always ready to lend a hand or to share a joke. His care of his own staff was renowned. Alan’s research will stand the test of time, contributing to our knowledge of dementia and helping us find a way to understand this terrible disease. Alan was poised to make some major advances in the pursuit of a peripheral Aβ-related biomarker for Alzheimer’s disease. Working closely with Ben Gu and James Wiley, he was convinced that a solution to this quest was close at hand. It now remains to us, his colleagues, to continue this quest in his memory.

The Florey has established the Dr Alan Rembach Memorial Travel Scholarship. Each year, we will award a young, talented researcher with the opportunity to collaborate with colleagues overseas at a conference or in a laboratory. Alan’s enormous contribution to science will live on.

THE FLOREY INSTITUTE OF NEUROSCIENCE & MENTAL HEALTH ANNUAL REPORT 2014 143

The Florey Institute of Neuroscience and Mental Health acknowledges the traditional owners of this land, the people of the Wurundjeri people and the Kulin Nations.

We pay our respects to their elders, past and present. We would like to acknowledge that our three sites rest on this precious land.

Parkville campus

30 Royal Parade

Parkville, Victoria 3052

Australia

T +61 3 9035 6789

F +61 3 9035 3107

Howard Florey laboratories

Royal Parade

Parkville, Victoria 3052

Australia

FLOREY.EDU.AU

ABN: 92 124 762 027

Austin campus

Melbourne Brain Centre

245 Burgundy Street Heidelberg, Victoria 3084

Australia

T +61 3 9035 7000

F +61 3 9035 7301

Turn static files into dynamic content formats.

Create a flipbook
Issuu converts static files into: digital portfolios, online yearbooks, online catalogs, digital photo albums and more. Sign up and create your flipbook.