Texas Dental Journal october
440 THE TDA BUILDING: THANKS FOR THE MEMORIES, 1986-2024




![]()
Texas Dental Journal october
440 THE TDA BUILDING: THANKS FOR THE MEMORIES, 1986-2024




Two ways to register: Call us at 214-384-0796 or e-mail us at sedationce@aol.com Visit us on the web: www.sedationce.com
NOW Available: In-Office ACLS & PALS renewals; In-Office Emergency Program Live Programs Available Throughout Texas
Two ways to Register for our Continuing Education Programs: e-mail us at sedationce@aol.com or call us at 214-384-0796
OUR GOAL: To teach safe and effective anesthesia techniques and management of medical emergencies in an understandable manner. WHO WE ARE: We are licensed and practicing dentists in Texas who understand your needs, having provided anesthesia continuing education courses for 34 years. The new anesthesia guidelines were recently approved by the Texas State Board of Dental Examiners. As practicing dental anesthesiologists and educators, we have established continuing education programs to meet these needs.
Two programs available (satisfies rules 104.1 and 111.1)
Live Webcast (counts as in-class CE) or Online (at your convenience)
All programs can be taken individually or with a special discount pricing (ask Dr. Canfield) for a bundle of 2 programs:
Principles of Pain Management
Fulfills rule 104.1 for all practitioners
Use and Abuse of Prescription M edications and Provider Prescription Program
Fulfills rules 104.1 and 111.1
Nitrous Oxide/Oxygen Conscious Sedation Course for Dentists:
Credit: 18 hours lecture/participation (you must complete the online portion prior to the clinical part)
Level 1 Initial Minimal Sedation Permit Courses:
*Hybrid program consisting of Live Lecture and online combination
Credit: 20 hours lecture with 20 clinical experiences
SEDATION REPERMIT PROGRAMS: LEVELS 1 and 2
(ONLINE, LIVE WEBCAST AND IN CLASS)
ONLINE LEVEL 3 AND 4 SEDATION REPERMIT AVAILABLE! (Parenteral Review) Level 3 or Level 4 Anesthesia Programs
(In Class, Webcast and Online available): American Heart Association Advanced Cardiac Life Support (ACLS) and Pediatric Advanced Life Support (PALS) Initial and Renewal Programs
NOTE: ACLS or PALS Renewal can be completed by itself at any combined program Combined ACLS-PALS-BLS and Level 2, 3 and 4
WEBCASTING and ONLINE RENEWALS AVAILABLE! Live and archived webcasting to your computer in the comfort of your home. Here are the distinct advantages of the webcast (contact us at 214-384-0796 to see which courses are available for webcast):
1. You can receive continuing education credit for simultaneous live lecture CE hours.
2. There is no need to travel to the program location. You can stay at home or in your office to view and listen to the course.
3. There may be a post-test after the online course concludes, so you will receive immediate CE credit for attendance
4. With the webcast, you can enjoy real-time interaction with the course instructor, utilizing a question and answer format
OUR MISSION STATEMENT: To provide affordable, quality anesthesia education with knowledgeable and experienced instructors, both in a clinical and academic manner while being a valuable resource to the practitioner after the programs. Courses are designed to meet the needs of the dental profession at all levels. Our continuing education programs fulfill the TSBDE Rule 110 practitioner requirement in the process to obtain selected Sedation permits. AGD Codes for all programs: 341 Anesthesia & Pain Control; 342 Conscious Sedation; 343 Oral Sedation This is only a partial listing of sedation courses. Please consult our www.sedationce.com for updates and new programs. Two ways to Register: e-mail us at sedationce@aol.com or call us at 214-384-0796
Jacqueline M. Plemons, DDS, MS, Editor
Juliana Robledo, DDS, Associate Editor
Nicole Scott, Managing Editor
Barbara Donovan, Art Director
Lee Ann Johnson, CAE, Director of Member Services
440 THE TDA BUILDING: THANKS FOR THE MEMORIES, 1986-2024
448 A RETROSPECTIVE CLINICAL STUDY TO COMPARE THE ABILITY OF CONEBEAM COMPUTED TOMOGRAPHIC IMAGES AND PERIAPICAL RADIOGRAPHS TO REVEAL CRACKED TEETH, SPLIT TEETH, AND TEETH WITH VERTICAL ROOT FRACTURES
Reprinted with permission from the Journal of the American Dental Association.
Maria Soledad Mareque-Bueno, DDS
Venkateshbabu Nagendrababu, PhD
Paul M.H. Dummer, PhD
Manuel Ruíz-Piñón, PhD
Teresa Arias-Moliz, PhD
David Uroz-Torres, PhD
Sara Garrido-Parada, DDS
Benjamín Martín-Biedma, PhD
Pablo Castelo-Baz, PhD
461 ASK THE POWERS CENTER
Taiseer A. Sulaiman, DDS, PhD
Abdulhaq A. Suliman, BDS, MS, PhD
Aous A. Abdulmajeed, DDS, PhD
Yu Zhang, PhD, FADM
Guest Editor Rade D. Paravina, DDS, MS, PhD
462 ETHICS CORNER: ETHICAL OBLIGATIONS TREATING A PATIENT WITH QUESTIONABLE DECISION-MAKING CAPACITY
Reprinted with permission from the Journal of the American Dental Association.
Paul Palo, DMD, FAGD, ACD, ICD
464 Oral and Maxillofacial Pathology: Case of the Month
468 Oral and Maxillofacial Pathology: Case of the Month Diagnosis and Management
471 In Memoriam
472 Value for Your Profession: Interdisciplinary Collaboration in Dentistry: Enhancing Patient Care through Teamwork
474 Classifieds
478 Index to Advertisers
Ronald C. Auvenshine, DDS, PhD
Barry K. Bartee, DDS, MD
Patricia L. Blanton, DDS, PhD
William C. Bone, DDS
Phillip M. Campbell, DDS, MSD
Michaell A. Huber, DDS
Arthur H. Jeske, DMD, PhD
Larry D. Jones, DDS
Paul A. Kennedy, Jr., DDS, MS
Scott R. Makins, DDS, MS
Daniel Perez, DDS
William F. Wathen, DMD
Robert C. White, DDS
Leighton A. Wier, DDS
Douglas B. Willingham, DDS
The Texas Dental Journal is a peer-reviewed publication. Established February 1883 • Vol 141 | No. 8
Texas Dental Association 8701 W Hwy 71, Ste 201-M Austin, TX 78735
Phone: 512-443-3675 • FAX: 512-443-3031
Email: tda@tda.org • Website: www.tda.org
Texas Dental Journal (ISSN 0040-4284) is published monthly except January-February and August-September, which are combined issues, by the Texas Dental Association, 8701 W Hwy 71, Ste 201-M Austin, TX 78735, 512-443-3675. Periodicals Postage Paid at Austin, Texas, and at additional mailing offices. POSTMASTER: Send address changes to TEXAS DENTAL JOURNAL, 8701 W Hwy 71, Ste 201-M, Austin, TX 78735. Copyright 2024 Texas Dental Association. All rights reserved. Annual subscriptions: Texas Dental Association members $17. In-state ADA Affiliated $49.50 + tax, Out-of-state ADA Affiliated $49.50. In-state Non-ADA Affiliated $82.50 + tax, Out-of-state Non-ADA Affiliated $82.50. Single issue price: $6 ADA Affiliated, $17 Non-ADA Affiliated. For in-state orders, add 8.25% sales tax. Contributions: Manuscripts and news items of interest to the membership of the society are solicited. Electronic submissions are required. Manuscripts should be typewritten, double spaced, and the original copy should be submitted. For more information, please refer to the Instructions for Contributors statement included in the online September Annual Membership Directory or on the TDA website: tda.org. All statements of opinion and of supposed facts are published on authority of the writer under whose name they appear and are not to be regarded as the views of the Texas Dental Association, unless such statements have been adopted by the Association. Articles are accepted with the understanding that they have not been published previously. Authors must disclose any financial or other interests they may have in products or services described in their articles.
Advertisements: Publication of advertisements in this journal does not constitute a guarantee or endorsement by the Association of the quality of value of such product or of the claims made.


Oral Pathology Laboratory
John E Kacher, DDS
¥ Available for consultation by phone or email
¥ Color histology images on all reports
¥ Expedited specimen shipping with tracking numbers
¥ Reports available online through secure web interface

Professional, reliable service with hightechnology solutions so that you can better serve your patients.
Call or email for free kits or consultation. jkjpathology.com 281-292-7954 (T) 281-292-7372 (F) johnkacher@jkjpathology.com Protecting your
PRESIDENT Georganne P. McCandless, DDS 281-516-2700, gmccandl@yahoo.com
PRESIDENT-ELECT Glen D. Hall, DDS 325-698-7560, abdent78@gmail.com
PAST PRESIDENT Cody C. Graves, DDS 325-648-2251, drc@centex.net
VICE PRESIDENT, SOUTHEAST Laji J. James, DDS 281-870-9270, lajijames@yahoo.com
VICE PRESIDENT, SOUTHWEST Krystelle Anaya, DDS 915-855-1000, krystelle.barrera@gmail.com
VICE PRESIDENT, NORTHWEST Stephen A. Sperry, DDS 806-794-8124, stephenasperry@gmail.com
VICE PRESIDENT, NORTHEAST Mark A. Camp, DDS 903-757-8890, macamp1970@yahoo.com
SENIOR DIRECTOR, SOUTHEAST Matthew J. Heck, DDS 210-393-6606, matthewjheckdds@gmail.com
SENIOR DIRECTOR, SOUTHWEST
Melissa Uriegas, DDS 956-369-9235, meluriegas@gmail.com
SENIOR DIRECTOR, NORTHWEST Adam S. Awtrey, DDS 314-503-4457, awtrey.adam@gmail.com
SENIOR DIRECTOR, NORTHEAST Drew M. Vanderbrook, DDS 214-821-5200, vanderbrookdds@gmail.com
DIRECTOR, SOUTHEAST Ron Hill, DDS 713-626-8343, rhilldds@gmail.com
DIRECTOR, SOUTHWEST Oshmi Dutta, DDS 210-888-0700, odutta@gmail.com
DIRECTOR, NORTHWEST
Annie C. Wilson, DDS 817-860-4343, annie@anniewilsondds.com
DIRECTOR, NORTHEAST Shane A. Ricci, DDS 972-381-1888, riccidds@hotmail.com
SECRETARY-TREASURER*
Carmen P. Smith, DDS 214-503-6776, drprincele@gmail.com
SPEAKER OF THE HOUSE* Gregory W. Rashall, DDS 936-336-5171, rashdent@sbcglobal.net
PARLIAMENTARIAN**
Jodi D. Danna, DDS 972-377-7800, jodidds1@gmail.com
EDITOR**
Jacqueline M. Plemons, DDS, MS 214-369-8585, drplemons@yahoo.com
LEGAL COUNSEL
Carl R. Galant
EXECUTIVE DIRECTOR
Linda G. Brady CAE 512-443-3675, lbrady@tda.org
*Non-voting member **Non-voting Board



1. Do you have or have you considered an exit strategy?
2. How long do you plan on being a practice owner? If your health allows, would you like to continue practicing after that point?
3. Do you know what your practice is worth today? How do you know? When was your last Practice Valuation done?
4. Have you met with a financial planner and have a documented plan? Have you established a liquid financial resources target that will enable you to retire with your desired lifestyle/level of income?





Henry Schein Dental Practice Transitions has your best interests has your best in mind throughout your career. Schedule a complime a complimentary consultation with your local Transition Sales Consultant today! If you answered no or do not know to any of these questions, let’s have a conversation!




For almost 40 years, the TDA’s headquarters was in a brown granite 4-story building on Interstate Highway 35 in Austin, Texas. With a curved front façade and windows for every view, the post-modern style building has been a staple landmark on the busy thoroughfare.
In 2021, the Texas Department of Transportation (TXDOT) announced its plan to expand I-35, which would include the acquisition of the building and land. Earlier this year, the TDA Board of Directors approved the sale of the building to TXDOT.
As of October 1, 2024, the TDA no longer occupies the 25,000-square-foot building on .24 acres in the middle of the state’s capital city. TDA has been informed that the demolition of the building is scheduled before the end of this year.




In 2021, the Texas Department of Transportation (TXDOT) announced its plan to expand I-35, which would include the acquisition of the building and land.
As legend has it, and according to Dr Paul Stubbs of Austin, former TDA president and semi-permanent Building Committee member, local Austin TDA members moved the Association’s headquarters from Dallas to Austin in the dark of night sometime in the late 1960s. Perhaps less dramatic but no less secret, the late Dr Bob Dixon of Austin was the dentist instrumental in moving then-Executive Director Ms Beverly Bane and her mother to an unassuming 1,000-square-foot office on I-35, what is now occupied by the parking garage ramp. The thought process behind the clandestine operation? It made more sense to have TDA closer to the Capitol building and now makes for a good story.

Beverly Bane was one of the association’s earliest employees who officed in the new TDA building. In 1992, she was awarded the Texas Dental Association Distinguished Service Award for her outstanding service of 49 years as executive secretary.

Then and Now: The 1992-93 TDA Board of Directors was one of the earliest boards to meet in the new building, which was completed in 1986. The Board included Drs Paul Stubbs and Doug Willingham, who are mentioned in the article. Over time, many prominent Texas dentists sat in those same chairs, which have stood the test of time! Pictured on the right is the 2022-23 TDA Board of Directors with TDA President Dr Duc “Duke” Ho presiding.
It became clear that this office building was too small for a growing Texas Dental Association, and members approved the purchase of that lot and the adjacent lot (occupied by the current building) in 1978. The Building Committee made up of local Austin dentists—Drs Paul Stubbs and the late Jaren Hooten and Bob Dixon—had a full agenda. First up—build a new headquarters.
In 1986, the construction of the TDA building was completed under the direction of TDA President Dr Tommy Williams of Gatesville, and for the next 4 decades, hundreds of dentists, lobbyists, and staff walked the halls and met to conduct the business and governance of the Association.
Dr Stubbs served on the Building Committee for 30 years, give or take, and he says he felt immense pride in helping facilitate the project. “It was close to the legislature, easy access to the airport, and it was unbelievable at the time to have a building like that for an association our size.”
He also said something was always happening at the building, and since he and the other committee members were local, they were called upon to inspect, laughing at a memory from 1991.
local Austin TDA members moved the Association’s headquarters from Dallas to Austin in the dark of night sometime in the late 1960s.

“We had a lot of rain, and a leak in the roof flooded the elevator shaft,” Dr Stubbs recalls. “I thought (Dr) Bob (Dixon) was going to have to shimmy down and bail water out!”
Dr Alan Moore of Austin joined the Building Committee in the late 1990s. He came to Austin in 1980 and drove by the original little building before it was torn down to make room for the current building. He remembers it took careful planning to fund the project.
“Interest rates for loans were very high in the ‘80s, so the TDA sold bonds with competitive rates,” says Dr Moore. “This helped, but the House of Delegates passed a resolution to add a $100 assessment to all members' dues yearly until the building loan was paid. That happened in the mid-1990s if I remember correctly.”
He has fond memories of the building and what was accomplished inside of it. “Serving on the TDA Board, we were able to get the Smiles Foundation started, hence the beginning of the TMOMs.”
He was appointed by TDA President Dr William Gerlach to serve on the Building Renovation Committee, and for 3 years the members studied and planned until TXDOT announced its expansion.
“I was sad to hear the news, but I think we knew a future for the TDA was elsewhere, which we did research,” said Dr Moore. “Buildings get to a point of being more of a liability than an asset with time. We were approaching that point.”
Dr Stubbs agrees. “The building will be history, but we had a lot of great memories.”


The building will be history, but we had a lot of great memories
In 1997, with the help of former Texas Dental Journal Editor Dr Doug Willingham, the Texas Historical Commission erected Historical Marker #122246 on the property. Its inscription reads:
This professional association traces its history to 1869, when a group of dentists met in Houston and drafted a constitution and by-laws. Dr Menard Michau of Houston was elected first president of the association, which was officially chartered by the State of Texas on May 17, 1871. Initial membership consisted of 18 dentists and 22 honorary members.
The association experienced difficulties during the 1870s, and by 1880 Texas dentists saw the need for a reorganization. A new society, the Texas State Dental Association, was formed and held its first meeting in Houston on November 25, 1880. The members elected Dr William S. Carruthers of Galveston as president. At a meeting in Austin in August 1881 members of the original and new organizations voted to merge and operate under the original group's 1871 charter.
The association has held annual meetings for its members since 1880. The "Texas Dental Journal," dating to 1883, is the oldest continuously published dental periodical in the western hemisphere. Headquartered in Austin since 1971, the association has been instrumental in drafting and effecting legislation regulating the practice of dentistry in Texas.
The August 1990 cover of the Texas Dental Journal included a picture of the TDA building, which had been completed several years before. Dr Stubbs recalls that the photo was included because many general members were not familiar with the new building.





We are pleased to announce...
Luis Ortega Regueira, Sr., D.M.D.
Asra S. Hashmi, D.D.S. has acquired the practice of have acquired the practice of Houston, Texas Cleveland, Texas
Veronica Y. Chen, D.D.S. & Zayd M. Hashmi, D.M.D.
MILLION DOLLAR PRACTICE OPPORTUNITY: Frisco GP in a professional building with great access for patients and staff. The practice currently operates on 3.5 doctor and hygiene days per week. The office has 5 ops, is all digital and is in excellent condition. There are 2,800+ active patients that are a blend of FFS and PPO. The seller currently refers out Perio, O.S., Pedo and Endo, giving a purchaser more potential for growth by adding these procedures. Opportunity ID: TX-02180
FANTASTIC HIGH-END OPPORTUNITY: L.V.I. trained GP located in a Houston retail center with great visibility and a very popular anchor store next door. This office has 6 fully equipped ops and one unequipped but plumbed. The office equipment includes digital X-ray and Pano and has paperless charts. The practice is 90% FFS with a small amount of PPO. The office collected over $876K in a four-day workweek. Opportunity ID: TX-02041
BETTER THAN A START-UP: GP situated just off a main road in a highly desirable area of Austin/Round Rock. The office has 5 ops, digital X-rays & Pano. Though the office is currently not in use, it provides the perfect opportunity for a fresh start and immediate occupation. Don’t miss out on this amazing prospect to establish your flourishing GP in a prime location with immense potential for growth and success. Opportunity ID: TX-02140
Jini P. Kuruvilla, D.D.S.
We are pleased to have assisted in these transitions. & David C. Sun, D.D.S.
FANTASTIC RETAIL LOCATION: GP that is highly visible in a retail center. This practice operates with the owner and 1 PT associate, is open 7 days a week and provides regular dental care as well as emergency services. The practice has over 1,750 active patients who are 20% FFS, 70% PPO, and less than 10% Medicaid. The office has 4 ops and is in excellent condition. This is a great opportunity for growth by capitalizing on the existing patient base and expanding services. Opportunity ID: TX-01829
Go to our website or call to request information on other available practice opportunities! 800.232.3826








































Maria Soledad Mareque-Bueno, DDS
Venkateshbabu Nagendrababu, PhD
Paul M.H. Dummer, PhD
Manuel Ruíz-Piñón, PhD
Teresa Arias-Moliz, PhD
David Uroz-Torres, PhD
Sara Garrido-Parada, DDS
Benjamín Martín-Biedma, PhD
Pablo Castelo-Baz, PhD

This article is reprinted from The Journal of the American Dental Association and may not be copied, distributed, or modified without written permission from the American Dental Association. The article was reprinted with permission from The Journal of the American Dental Association (JADA) and published in the The Journal of the American Dental Association (JADA), Volume 155, Issue 7, Mareque-Bueno et al.,
A retrospective clinical study to compare the ability of cone-beam computed tomographic images and periapical radiographs to reveal cracked teeth, split teeth, and teeth with vertical root fractures, Copyright ©2024 American Dental Association (ADA). Reprinted with permission from the ADA. All rights reserved, including those for text and data mining, AI training, and similar technologies. JADA 2024:155(7):614-623. https://doi. org/10.1016/j.adaj.2024.04.009. This article has an accompanying online continuing education activity available at: http://jada.ada.org/ce/home.
This retrospective clinical study aimed to compare the sensitivity of cone-beam computed tomographic (CBCT) images and periapical (PA) radiographs to reveal cracked teeth, split teeth, and teeth with vertical root fractures (VRFs).
The authors included 98 patients (98 teeth) diagnosed with a longitudinal tooth fracture (LTF) (cracked tooth, split tooth, VRF) through direct visualization after extraction and with comprehensive clinical and radiographic records. They collected demographic, clinical, and radiographic data. The authors evaluated PA radiographs and CBCT images to identify fractures, fracture lines, and the different patterns of bone loss associated with these teeth. They used the McNemar test to compare PA radiographs and CBCT scans when assessing bone loss. They used the Fisher test to determine statistical relationships between fracture types and demographic, clinical, and radiologic traits. They used an analysis of variance test to compare patient age with fracture types.
Results
CBCT images were significantly more effective (P < .05) in detecting bone loss patterns associated with LTFs than with PA radiographs, with 71% of cases detected via CBCT images compared with 42% via radiographs. Mean age was significantly greater (P < .05) in patients with teeth with VRFs than in patients with split teeth. A significant relationship was observed between the type of fracture and the following variables: root canal treatment (split, VRF, P = .002), deep probing depth (> 5 mm) (VRF, P = .026), and having more than 8 teeth extracted from the mouth (VRF, P = .032). Overall, there was a significant difference (P < .001) between the visualization of fracture lines (45% on PA radiographs, 65% on CBCT images).
Conclusions
CBCT scans provided more information on LTFs than PA radiographs, particularly in the identification of periradicular bone changes.
Practical Implications
CBCT imaging can assist in making the clinical diagnosis of LTFs through observation of bone loss patterns, providing more information than PA radiographs.
Key Words
Cone-beam computed tomography; diagnostic accuracy study; vertical root fracture.
ABBREVIATION KEY
CBCT: Cone-beam computed tomography.
LTF: Longitudinal tooth fracture.
PA: Periapical.
VRF: Vertical root fracture.
Longitudinal tooth fractures (LTFs) with extensions into the root (ie, cracked teeth, split teeth, and vertical root fractures [VRFs]) often have similar clinical and radiographic features, which are challenging to diagnose as they can imitate purely endodontic lesions.1 Symptoms associated with cracked teeth, split teeth, and VRFs can vary substantially, but patients commonly report discomfort during chewing.1,2 Clinical findings related to VRFs include deep, narrow periodontal pockets, sinus tracts, and pain on palpation or percussion.3-7 Deep, isolated, and narrow periodontal pockets are considered indicators of long-standing VRFs and are considered pathognomonic when detected on both sides of a root.3,4,8 A cracked or split tooth most often results in pain on mastication.9 Therefore, it is recommended that a combination of clinical and radiologic examination be used when a tooth fracture is suspected.10-12
LTFs originate as microcracks in dentin due to stress concentrations.13 Regardless of their size, shape, direction, or extension, such cracks are prone to bacterial colonization.14 Various biomechanical factors have been reported to be responsible for the progression of microcracks.13 When a fracture line reaches the cervical area, the area becomes a source of chronic inflammation within the connective tissue.3 Consequently, the local inflammatory process leads to breakdown of the periodontal tissues, development of a deep pocket, and subsequent resorption of the surrounding bone.3,15
Depending on the type of fracture, radiographic findings associated with LTFs can vary substantially.13 The main radiographic presentations of cracked teeth, split teeth, or VRFs are the appearance of a J-shaped pattern of bone loss, the presence of an angular periodontal defect that extends apically from the crestal bone and terminates at the level of the fracture line, or a combined defect of an angular and J-shaped lesion, seen as a coronal-apical lesion.3 In cases in which the line of fracture is not visible, clinicians rely on interpretations based on the associated periradicular lesions.7
Visibility of these lesions on conventional periapical (PA) radiographs is limited to situations in which there is clear separation of tooth fragments aligned with the focal plane.7,16 Conventional PA radiographs are often inconclusive and are generally only useful for detecting the indirect signs of LTFs described above.7,13,17,18 Several studies have shown the use of cone-beam computed tomography (CBCT) to visualize cracked teeth, split teeth, and VRFs.12,19 CBCT scans can provide sliced sectional images in axial, sagittal, and coronal planes, offering improved diagnostic capabilities.20
CBCT allows for a greater percentage of tooth fractures as a result of trauma to be diagnosed.11,21 Nonetheless, CBCT images have limitations, particularly when attempting to detect narrow fracture lines and cracks, which may escape detection. This is exacerbated by issues such as beam hardening, scattering, and streak artifacts, which can compromise image quality.11 Consequently, the use of CBCT imaging to identify VRFs and cracked teeth is unpredictable.18
Following the as low as reasonably achievable principle, in the field of endodontics the use of a high-resolution small field-of-view CBCT devices is advised to achieve the minimal effective radiation dose, reduced scanning time, and reduced artifact appearance while improving spatial resolution.19,22,23 Numerous studies have evaluated the diagnostic capabilities of CBCT compared with conventional radiography in the detection of fracture lines in roots.6,11,12,21,24,25 However, there is little evidence on the correlation between the visualization of LTF lines in roots, bone loss patterns, and clinical signs and symptoms.15 The primary objective of our retrospective clinical study was to compare the ability of
high-resolution CBCT images (90 mm3) and PA radiographs to reveal true fracture lines in roots and the patterns of bone loss suggestive of cracked teeth, split teeth, and VRFs. We conducted the study on teeth that had been extracted for which both PA radiographs and CBCT images were available.
We reported our study according to the Standards for Reporting of Diagnostic Accuracy Studies 2015 guidelines (eTable, available online at the end of this article).26
Study design and patient population
In this retrospective study, we analyzed data from 98 patients who visited 3 private dental clinics from 2018 through 2023. The study was approved by the bioethics committee of the University of Santiago de Compostela in Galicia, Spain (15/2022). Included patients signed a written informed consent and agreed to their data being analyzed for future scientific purposes. Patients who had undergone tooth extraction due to cracked teeth, split teeth, and VRFs were included when they had the results of a comprehensive clinical and radiographic examination recorded, including a PA radiograph obtained using a paralleling technique and a CBCT scan (3-dimensional). One of the following signs or symptoms were required for inclusion: pain on chewing, pain on percussion, abscess, sinus tract, and periodontal probing depth 5 mm or greater in at least 1 point.
of cracked teeth, split teeth, and VRFs
According to the American Association of Endodontists, a cracked tooth is a thin surface disruption of enamel and dentin, and possibly cementum, of unknown depth or extension. A split
tooth is a continuation of a crack or VRF whereby the fractured segments are completely separated longitudinally; it may occur buccolingually or mesiodistally. VRF is a fracture in the root whereby the fractured segments are incompletely separated; it may occur buccolingually or mesiodistally.1
We excluded teeth that fractured or were sectioned during extraction. We confirmed the definitive diagnosis of the type of LTF via direct visualization after the tooth had been extracted.
We collected patient- and toothrelated data, including demographic information (age, sex), type of tooth (position of the tooth in the arch), and clinical information (periodontal probing, presence of a prosthetic crown). We also collected radiographic findings, including presence of root fillings, presence or absence of an intracanal post, type of periodontal defect (angular, J-shaped, or combined), widening of the periodontal ligament space, and separation of tooth fragments.
Once the LTF was confirmed, the preoperative PA radiographs and CBCT scans were evaluated independently by 2 clinically experienced examiners (M.S.M.-B., M.R.-P.) to evaluate the radiographic findings compatible with cracked teeth, split teeth, and VRFs. These independent examiners had not seen the extracted tooth and were unaware of the type of LTF. Before analyzing the diagnostic tests, examiner calibration was carried out for the interpretation of the PA radiographs and CBCT images. The 2 examiners studied the images independently and then compared the
The authors included 98 patients (98 teeth) diagnosed with a longitudinal tooth fracture (LTF) (cracked tooth, split tooth, VRF) through direct visualization after extraction and with comprehensive clinical and radiographic records. They collected demographic, clinical, and radiographic data.
findings. In case of disagreement, the case was discussed with a third expert (P.C.-B.) until a consensus was reached. We assessed interexaminer reliability using the Cohen k test.
For all the included patients, 2 preoperative conventional PA radiographs were available from different angles using a Carestream CS 2200 unit (Carestream Health) and an RVG6200 digital sensor (Carestream Health). The CBCT images were acquired with a Carestream CS9300 Select device (Carestream Health), following the exposure protocol recommended by the manufacturer for high-resolution scanners with a voxel size of 90 mm3 (84 kilovoltage peak, 5 mA). We transferred the Digital Imaging and Communication Medicine files to a 3-dimensional viewing software (Horos) and displayed them on a 24-inch iMac monitor (Apple).
The examiners sought the presence of a fracture line (complete, incomplete) in the different planes of the CBCT scan and confirmed it when it was present in at least 3 consecutive axial slices of 899 mm thickness each.27 The examiners classified the fracture line using a 3-point scale, according to the criteria of Dias and colleagues6:
n 0: absent (no fracture line).
n 1: uncertain (fracture line not clearly seen).
n 2: present (clear fracture line).
A tooth was considered to have positive vertical periodontal probing when it had a depth greater than or equal to that 5 mm at 1 point after a circumferential examination.28 The results were dichotomized into
n 0: no bone loss.
n 1: vertical bone loss greater than or equal to 5 mm in 1 point.
The examiners also analyzed bone loss patterns suggestive of an LTF and categorized them as15
n 0: no visible bone defects: no bone loss observed.
n 1: angular defect: angular resorption of the crestal bone along the root on 1 or both sides, without involving the periapical area.3
n 2: J-shaped defect: a periradicular radiolucency located on the lateral aspect of the root that extended apically, reaching the apex of the tooth.
n 3: combined or irregular bone defect: a bone loss pattern that combined the previously described defects, or a random bone loss pattern.
Descriptive analysis included absolute and relative frequencies for categorical variables, and we described numeric data through centralization and dispersion measures. In addition, we analyzed associations between categorical variables using contingency tables. To compare bone loss detection between PA radiographs and CBCT scans, we used a McNemar test for paired data. We performed an exact approximation, the Fisher test, to determine the statistical relationship between types of fracture and demographic, clinical, and radiologic traits. We used analysis of variance to compare the age of patients via types of LTF. Subsequently, we also performed an adjusted Bonferroni post hoc analysis, using the Tukey test, to determine differences between groups of teeth in relation to the type of LTF. We carried out all statistical analyses using R software Version 4.2.2 (R Core Team) with the significance level being set at .05.
The flow of participants is presented in Figure 1.
Figure 1. Standards for Reporting of Diagnostic Accuracy Studies 201526 flow diagram of participants. PA: Periapical. CBCT: Cone-beam computed tomography.
Inclusion criteria
• Cracked teeth, split teeth, and vertical root fracture
• PA radiograph paralleling technique and CBCT scan
• One of the following signs or symptoms: pain on chewing, pain to percussion, abscess, sinus tract, and periodontal probing length ≥ 5 mm in ≥ 1 of the 6 points surveyed.
Exclusion criteria
• Craze line, cusp fracture
• Not PA radiography paralleling technique and CBCT scan
• Periodontal probing depth < 5 mm in ≥ 1 of the 6 probing points surveyed
• Teeth that fractured or were sectioned during extraction
Excluded (n = 111)
• Cusp fracture (n = 18)
• Not PA radiograph or CBCT (n = 51)
• Periodontal probing < 5 mm (n = 4)
• Fracturing or sectioned teeth during extraction (n = 38)
Final CBCT bone loss diagnosis
• Present (n = 70)
• Absent (n = 28)
Exploratory analysis
The average age of the study cohort was 50.2 years, similar to the median (50 years). The range of values for age was wide, from 23 through 80 years. However, 50% of age values were between 42 (quartile 1) and 57 (quartile 3) years. Over one-half of the teeth belonged to women (53%).
The most frequent LTF that was identified was a split tooth, which was present in 79% of the teeth. VRFs occurred in 12% of teeth and cracked teeth in 9% of the teeth. Overall, 65% of fractures occurred in molars, 26% in premolars, and 8% in anterior teeth. Overall, 55% of the fractures were in mandibular teeth.
Final PA radiograph bone loss diagnosis
• Present (n = 41)
• Absent (n = 57)
Radiographic incidence of VTFs
Of the 98 teeth, bone loss (seen as angular, J-shaped, combined, or irregular defect) was detected in 48 cases on PA radiographs (42%) and in 70 cases via CBCT images (71%) (Table 1).15 (McNemar test; P < .05). Therefore, detection of bone loss was seen significantly more often in CBCT images than in PA radiographs.
Table 1 shows that, of the 98 teeth, bone loss was not detected in 28 teeth (29%) with cracked teeth, split teeth, or VRFs, neither via PAs radiographs nor CBCT images. All teeth with bone loss detected via PA radiographs also were detected via CBCT images. CBCT images identified 29 more teeth with bone loss than the PA radiographs (P < .05)
There were 41 cases of cracked teeth, split teeth, and VRFs in which bone loss was detected on both PA radiographs and CBCT images. They were classified into 3 different types of defects. The concordance between these types is shown in Table 2. In general, bone loss was classified in a similar way via CBCT images and PA radiographs (90% of the 41 cases). There were discrepancies in only 4 of the 41 bone lesions detected via both methods, which is a 10% discrepancy.
Table 1. Descriptive analysis of bone loss detection between PA* radiographs and CBCT images.†,‡

Table 2. Cross tabulation of the classification of bone loss detected via both cone-beam computed tomography and periapical radiography (n = 41) by type of defect.
Secondary objectives
Demographic and Clinical Variables
Teeth with each type of fracture (cracked, split, VRFs) are described according to their clinical and demographic traits in Table 3.
Mean age was significantly greater in patients with teeth with VRFs (58 years) than in those with split teeth (48 years) (analysis of variance, P < .01; Tukey test with Bonferroni correction, P < .05).
We observed a significant relationship between the type of LTF and the following variables: root canal treatment, deep probing depth, and having more than 8 teeth extracted from the mouth (Table 3).
Table 3. Demographic and clinical characteristics of each fracture type.*

We detected bone loss associated with LTFs (example, Figure 2B) on CBCT scans in 9 cracked teeth (56%) (Figure 3), 77 split teeth (69%), and 12 teeth with VRFs (100%) (Figure 2), with a significant difference between the various defects (P < .05). Overall, 45% of fracture lines were visible on PA radiographs compared with 65% on CBCT scans (Table 4). A fracture line (example, Figure 3C) was visible on CBCT scans in 78% of cracked teeth, 65% of split teeth, and 58% of teeth with VRFs, with no significant difference between the clinical conditions (P > .05).

Figure 2. Maxillary left second molar: initial periapical radiograph in which no bone loss pattern can be seen (A); conebeam computed tomographic axial view, with red arrow indicating bone loss (B); cone-beam computed tomographic sagittal view, with red arrow indicating apical bone loss (C); and photograph of tooth after extraction, with red arrow highlighting vertical root fracture (D).

Figure 3. Mandibular right third molar: periapical radiograph (A); cone-beam computed tomographic (CBCT) sagittal view, with red arrows indicating angular and apical bone loss (B); CBCT coronal view, with red arrow indicating line of fracture (C); CBCT sagittal view, with red arrow indicating line of fracture (D); photographic image of tooth after extraction for cracked tooth, with red arrows indicating line of fracture (E).

The advent of CBCT has revolutionized endodontic imaging with its potential to detect and evaluate LTF.27,29,30 When conventional radiography fails to provide sufficient information, the use of CBCT is recommended if a tooth fracture is suspected.12,19,22,24,29 Several studies have investigated the ability of CBCT to detect LTF lines.6,11,12,21,24,25 In our study, fracture lines within teeth were visible in 65% of the sample (78% of cracked teeth, 65% of split teeth, 58% of VRFs). When the width of the fracture is smaller than the size of the voxel, the lesion cannot be detected.31 An in vivo study that evaluated root-filled teeth diagnosed with VRF via CBCT and microcomputed tomography reported that 9 of 32 teeth had fractures visible on CBCT images.32 Those that were visible had widths of approximately 126 mm, whereas those that were not visible measured approximately 107 mm. CBCT devices with smaller voxel sizes are available; therefore, the width of fracture lines is a key factor when attempting to visualize LTFs.32,33 When comparing voxels for the evaluation of simulated VRFs, the 0.2 mm voxel was reported to be the optimum.34,35 The selected voxel will depend on whether the tooth is root filled. Voxels of 0.3 mm
can be selected for nonrootfilled teeth, whereas 0.2 mm is best for root-filled teeth and teeth with metal posts.24 However, 2 investigations reported that using lower voxel sizes leads to an accurate diagnosis of VRFs; for that reason, we used high-resolution scanners with a voxel size of 90 mm3 36,37
Although CBCT images provide more precise images than PA radiographs, their accuracy in directly identifying LTFs by means of detecting fracture lines has limitations.6,25 As a result, the diagnosis often relies on the detection of periradicular bone changes.13,25 In our study, PA radiographs identified bone loss in 42% of the teeth, whereas CBCT images detected bone loss in 71% of the teeth, a statistically significant difference. All teeth with bone loss detected on PA radiographs also were detected via CBCT images. These findings align with a prior study, which found that CBCT images were 4.4 times more effective in identifying bone defects related to LTFs than PA radiographs.15 The results of our study revealed that CBCT images detected bone loss in 56% of cracked teeth, 69% of split teeth, and all teeth with VRFs. Associated bone defects may occur in the advanced stages of VRFs or split teeth, as a consequence of
bacterial contamination or mechanical irritation.13 Incipient cracks might not show radiographic evidence of bone loss, whereas cracks have been found to correlate with angular defects.15
The average age of patients with cracked teeth, split teeth, and VRFs in our study (50.2 years) aligns with previous findings.4,5,10 Factors such as loss of dentin elasticity, a larger number of restorations, and cumulative stress-induced fatigue over time contribute to the increased prevalence of cracked teeth in adults.38 Consistent with previous research, we found LTFs predominantly in posterior teeth.1,4,38,39 In our study, molars accounted for 65% of the fractures, with a slightly higher occurrence in mandibular teeth (55%) than maxillary teeth (45%). Among the cases included, the most frequent fracture type was the split tooth (79%), followed by VRF (12%) and cracked tooth (9%). The lower incidence of cracked teeth in this study can be attributed to the focus on teeth requiring extraction, as the restoration and thus retention of cracked teeth, although controversial, is supported by their high survival rate.38,40-42
Among all the variables we analyzed in the study, we found a significant
relationship between the type of fracture and presence of a root filling, deep periodontal probing depth, and the number of missing teeth in the mouth (>8). There was a significant correlation between the prevalence of LTFs and root canal treatment, as reported in a study.10 Approximately 70% of teeth with LTFs had undergone root canal treatment and had a metallic intracanal post. Among the various fracture types, root fillings were present in 71% of split teeth, 92% of teeth with VRFs, and 22% of cracked teeth. Tooth fractures after root canal treatment might occur because of the loss of tooth structure and induced stresses caused by endodontic and restorative procedures.43
According to some studies, deep periodontal probing is a commonly observed clinical finding associated with LTFs.3,4,38 Specifically, whereas VRFs are linked to indirect restorations, deep periodontal probing (>6 mm), the absence of bone cortex, and J-shaped bone defects, cracked teeth are associated with direct restorations, shallow probing (< 6 mm), intact bone cortices, and angular-type bone defects.15 In our study, a statistically significant correlation occurred between deep periodontal probing and the 3 longitudinal types of fractures, ranked from lowest to highest as cracked teeth, split teeth, and VRFs. Deep probing typically occurs in the later stages of the fracture, accompanied by a bone defect.8
Care was taken to extract the teeth as atraumatically as possible, and we excluded those teeth that were clearly fractured or sectioned during extraction. Nonetheless, there is a risk that a tooth fracture could be created or widened during the extraction procedure.25 The alternative to extraction would be in situ clinical examination or observation
under magnification.4,6,15,29 These techniques are alternative approaches for assessing tooth fractures, but they are less accurate as they cannot provide a comprehensive examination of the entire tooth and root.
The sample size of cracked teeth in our study is a limitation, and results should be interpreted with caution. Further studies including a greater sample size are required to improve the accuracy and reliability of CBCT imaging in detecting and evaluating LTFs, specifically cracked teeth as well as correlating radiographic findings with clinical observations.
CBCT imaging allowed the identification of periradicular bone changes associated with LTFs significantly more often than PA radiographs. The mean age of patients was significantly greater in teeth with VRFs than in split teeth. A significant relationship was observed between the type of fracture and presence of a root filling (split teeth and VRFs), deep periodontal probing depth (VRFs), and having more than 8 teeth extracted from the mouth (VRFs).
None of the authors reported any disclosures.
Supplemental data related to this article can be found at: https://doi.org/10.1016/j. adaj.2024.04.00
Dr Mareque-Bueno is a resident, Endodontics and Restorative Dentistry Unit, School of Medicine and Dentistry, University of Santiago de Compostela, Santiago de Compostela, Galicia, Spain.
Dr Nagendrababu is a professor, Department of Restorative Dentistry, College of Dental Medicine, University of Sharjah, Sharjah, United Arab Emirates.
Dr Dummer is a professor, School of Dentistry, College of Biomedical and Life Sciences, Cardiff University, Cardiff, United Kingdom.
Dr Ruíz-Piñón is a professor, Endodontics and Restorative Dentistry Unit, School of Medicine and Dentistry, University of Santiago de Compostela, Santiago de Compostela, Galicia, Spain.
Dr Arias-Moliz is a professor, Department of Microbiology, School of Dentistry, University of Granada, Granada, Spain.
Dr Uroz-Torres is a professor, Department of Microbiology, School of Dentistry, University of Granada, Granada, Spain.
Dr Garrido-Parada is a resident, Endodontics and Restorative Dentistry Unit, School of Medicine and Dentistry, University of Santiago de Compostela, Santiago de Compostela, Galicia, Spain. Address correspondence to Dr GarridoParada, University of Santiago de Compostela, Entrerríos St, Number 1, 15705, Santiago de Compostela, A Coruña, Galicia, Spain, email saragarridodes@gmail.com.
Dr Martín-Biedma is a professor, Oral Sciences Research Group, Endodontics and Restorative Dentistry Unit, School of Medicine and Dentistry, University of Santiago de Compostela, Health Research Institute of Santiago de Compostela, Santiago de Compostela, Spain.
Dr Castelo-Baz is a professor, Oral Sciences Research Group, Endodontics and Restorative Dentistry Unit, School of Medicine and Dentistry, University of Santiago de Compostela, Health Research Institute of Santiago de Compostela, Santiago de Compostela, Spain.
ORCID Numbers.
Maria Soledad Mareque-Bueno: https://orcid. org/0009-0002-3430-0741; Paul M.H. Dummer: https://orcid.org/0000-00020726-7467; Manuel Ruíz-Piñón: https://orcid.org/0000-00029110-3173; Teresa Arias-Moliz: https://orcid.org/0000-00030559-2159; David Uroz-Torres: https://orcid.org/0000-00032249-6724; Sara Garrido-Parada: https://orcid.org/00000002-7004-5509; Benjamín Martín-Biedma: https://orcid.org/00000002-4297-4220;
Pablo Castelo-Baz: https://orcid.org/0000-00033031-5532. For information regarding ORCID numbers, go to http://orcid.org.
References
1. Rivera E, Walton RE. Endodontics: colleagues for excellence—cracking the cracked tooth code, detection and treatment of various longitudinal tooth fractures. American Association of Endodontists. 2008. Accessed December 3, 2023. https://www.aae.org/specialty/ wpcontent/uploads/sites/2/2017/07/ ecfesum08.pdf
2. Cameron CE. Cracked-tooth syndrome. JADA. 1964; 68(3):405-411. doi:10.14219/ JADA.ARCHIVE. 1964.0108
3. Tamse A, Fuss Z, Lustig J, Kaplavi J. An evaluation of endodontically treated vertically fractured teeth. J Endod. 1999;25(7):506-508. doi: 10.1016/S00992399(99)80292-1
4. PradeepKumar AR, Shemesh H, Jothilatha S, Vijayabharathi R, Jayalakshmi S, Kishen A. Diagnosis of vertical root fractures in restored endodontically treated teeth: a time-dependent retrospective cohort
study. J Endod. 2016;42(8):1175-1180. doi:10.1016/J.JOEN.2016.04.012
5. Testori T, Badino M, Castagnola M. Vertical root fractures in endodontically treated teeth: a clinical survey of 36 cases. J Endod. 1993;19(2):87-90. doi:10.1016/S00992399(06)81202-1
6. Dias DR, Iwaki LCV, de Oliveira ACA, et al. Accuracy of high-resolution small-volume cone-beam computed tomography in the diagnosis of vertical root fracture: an in vivo analysis. J Endod. 2020;46(8):10591066. doi:10.1016/J.JOEN.2020.04.015
7. Pitts DL, Natkin E. Diagnosis and treatment of vertical root fractures. J Endod. 1983;9(8):338-346. doi:10. 1016/S00992399(83)80150-2
8. Moule AJ, Kahler B. Diagnosis and management of teeth with vertical root fractures. AustDent J. 1999;44(2):75-87. doi:10.1111/J.1834-7819.1999.TB00205.X
9. Rivera EM, Walton RE. Longitudinal tooth cracks and fractures: an update and review. Endod Topics. 2015; 33(1):14-42. doi:10.1111/etp.12085
10. Seo DG, Yi YA, Shin SJ, Park JW. Analysis of factors associated with cracked teeth. J Endod. 2012;38(3): 288-292. doi:10.1016/J. JOEN.2011.11.017
11. Bernardes RA, de Moraes IG, Húngaro Duarte MA, Azevedo BC, de Azevedo JR, Bramante CM. Use of conebeam volumetric tomography in the diagnosis of root fractures. Oral Surgery, Oral Med Oral Pathol Oral Radiol Endodontol. 2009;108(2):270-277. doi:10.1016/j. tripleo.2009.01.017
12. Kajan ZD, Taromsari M. Value of cone beam CT in detection of dental root fractures. Dentomaxillofac Radiol. 2012;41(1):3-10. doi:10.1259/DMFR/25194588
13. Patel S, Bhuva B, Bose R. Present status and future directions: vertical root fractures in root filled teeth. Int Endod J. 2022;55(suppl 3):804-826. doi:10.1111/ IEJ.13737
14. Ricucci D, Siqueira JF, Loghin S, Berman LH. The cracked tooth: histopathologic and histobacteriologic aspects. J Endod. 2015; 41(3):343-352. doi:10.1016/J. JOEN.2014.09.021
15. Alaugaily I, Azim AA. CBCT Patterns of bone loss and clinical predictors for the diagnosis of cracked teeth and teeth with vertical root fracture. J Endod. 2022;48(9): 1100-1106. doi:10.1016/J.JOEN.2022.06.004
16. Meister F, Lommel TJ, Gerstein H. Diagnosis and possible causes of vertical root fractures. Oral Surg Oral Med Oral Pathol. 1980;49(3):243-253. doi:10.1016/00304220(80)90056-0
17. Ma RH, Ge ZP, Li G. Detection accuracy of root fractures in cone-beam computed tomography images: a systematic review and meta-analysis. Int Endod J. 2016; 49(7):646-654. doi:10.1111/IEJ.12490
18. Patel S, Brady E, Wilson R, Brown J, Mannocci F. The detection of vertical root fractures in root filled teeth with periapical radiographs and CBCT scans. Int Endod J. 2013; 46(12):1140-1152. doi:10.1111/ IEJ.12109
19. Cotton TP, Geisler TM, Holden DT, Schwartz SA, Schindler WG. Endodontic applications of cone-beam volumetric tomography. J Endod. 2007;33(9):1121-1132.doi:10.1016/J. JOEN.2007.06.011
20. Danforth RA, Dus I, Mah J. 3-D volume imaging for dentistry: a new dimension. J Calif Dent Assoc. 2003; 31(11):817-823. doi: 10.1080/19424396.2003.12224264
21. Wang P, Yan XB, Lui DG, Zhang WL, Zhang Y, Ma XC. Detection of dental root fractures by using conebeam computed tomography. Dentomaxillofac Radiol. 2011; 40(5):290298. doi:10.1259/DMFR/84907460
22. Patel S, Brown J, Semper M, Abella F, Mannocci F; developed by European Society of Endodontology (ESE). European Society of Endodontology position statement: use of cone beam computed tomography in endodontics. Int Endod J. 2019;52(12):1675-1678. doi:10.1111/ IEJ.13187
23. AAE and AAOMR joint position statement: use of cone beam computed tomography in endodontics—2015/2016 update. 2016. Accessed December 10, 2023. https://www. aae.org/specialty/wp-content/uploads/ sites/2/2017/06/conebeamstatement.pdf
24. da Silveira PF, Vizzotto MB, Liedke GS, da Silveira HLD, Montagner F, da Silveira HED. Detection of vertical root fractures by conventional radiographic examination and cone beam computed tomography: an in vitro analysis. Dent Traumatol. 2013;29(1):41-46. doi:10.1111/J.16009657.2012.01126.X
25. Chavda R, Mannocci F, Andiappan M, Patel S. Comparing the in vivo diagnostic accuracy of digital periapical radiography with cone-beam computed tomography for the detection of vertical root fracture. J Endod. 2014; 40(10):1524-1529. doi:10.1016/J.JOEN.2014.05.011
26. Cohen JF, Korevaar DA, Altman DG, et al. STARD 2015 guidelines for reporting diagnostic accuracy studies: explanation and elaboration. BMJ Open. 2016;6(11). doi: 10.1136/BMJOPEN-2016-012799
27. Hassan B, Metska ME, Ozok AR, van der Stelt P, Wesselink PR. Detection of vertical root fractures in endodontically treated teeth by a cone beam computed tomography scan. J Endod. 2009;35(5):719722. doi:10. 1016/J.JOEN.2009.01.022
28. See WK, Ho JC, Huang CF, Hung WC, Chang CW. The association between clinical diagnostic factors and the prevalence of vertical root fracture in endodontic surgery. J Formos Med Assoc. 2019;118(3):713-720. doi:10.1016/J.JFMA.2018.08.022
29. Edlund M, Nair MK, Nair UP. Detection of vertical root fractures by using cone-beam computed tomography: a clinical study. J Endod. 2011;37(6):768-772. doi:10.1016/J. JOEN.2011.02.034
30. Metska ME, Aartman IHA, Wesselink PR, Özok AR. Detection of vertical root fractures in vivo in endodontically treated teeth by cone-beam computed tomography scans. J Endod. 2012;38(10):1344-1347. doi:10.1016/J. JOEN.2012.05.003
31. Scarfe WC, Levin MD, Gane D, Farman AG. Use of cone beam computed tomography in endodontics. Int J Dent. 2009;2009:1-20. doi:10.1155/2009/634567
32. Gulibire A, Cao Y, Gao A, et al. Assessment of true vertical root fracture line in endodontically treated teeth using a new subtraction software: a micro-CT and CBCT study. Aust Endod J. 2021;47(2):290-297. doi:10.1111/AEJ.12476
33. Guo XL, Li G, Zheng JQ, et al. Accuracy of detecting vertical root fractures in non-root filled teeth using cone beam computed tomography: effect of voxel size and fracture width. Int Endod J. 2019;52(6):887898. doi:10.1111/IEJ.13076
34. Yiit Özer S. Detection of vertical root fractures by using cone beam computed tomography with variable voxel sizes in an in vitro model. J Endod. 2011;37(1):75-79. doi:10.1016/J.JOEN.2010.04.021
35. Talwar S, Utneja S, Nawal RR, Kaushik A, Srivastava D, Oberoy SS. Role of cone-beam computed tomography in diagnosis of vertical root fractures: a systematic review and meta-analysis. J Endod. 2016;42(1):1224. doi:10.1016/J.JOEN.2015.09.012
36. Uysal S, Akcicek G, Yalcin ED, Tuncel B, Dural S. The influence of voxel size and artifact reduction on the detection of vertical root fracture in endodontically treated teeth. Acta Odontol Scand. 2021;79(5):354-358.doi:10.1080/00016357. 2020.1859611
37. Kolsuz ME, Evli C, Aksoy U, Koohnavard M, Aksoy S, Orhan K. Influence of voxel size and filter type on detecting vertical root fracture using cone-beam computed tomography. Aust Endod J. 2023;49(suppl 1): 439-446. doi: 10.1111/aej.12761
38. Kang SH, Kim BS, Kim Y. Cracked teeth: distribution, characteristics, and survival after root canal treatment. J Endod. 2016;42(4):557-562. doi:10.1016/J. JOEN.2016.01.014
39. Krell KV, Caplan DJ. 12-month success of cracked teeth treated with orthograde root canal treatment. J Endod. 2018;44(4):543548. doi:10.1016/J.JOEN.2017.12.025
40. Leong DJX, de Souza NN, Sultana R, Yap AU. Outcomes of endodontically treated cracked teeth: a systematic review and meta-analysis. Clin Oral Investig. 2020; 24(1):465-473. doi:10.1007/S00784-01903139-W
41. Davis MC, Shariff SS. Success and survival of endodontically treated cracked teeth with radicular extensions: a 2- to 4-year prospective cohort. J Endod. 2019; 45(7):848-855. doi:10.1016/J. JOEN.2019.03.015
42. Olivieri JG, Elmsmari F, Miró Q, et al. Outcome and survival of endodontically treated cracked posterior permanent teeth: a systematic review and metaanalysis. J Endod. 2020;46(4):455-463. doi:10.1016/J.JOEN.2020.01.006
43. Tang W, Wu Y, Smales RJ. Identifying and reducing risks for potential fractures in endodontically treated teeth. J Endod. 2010;36(4):609-617. doi:10.1016/J.JOEN 2009.12.002
SECTIONANDTOPICITEMNO.
TitleorAbstract
Abstract
1Identificationasastudyofdiagnosticaccuracyusingatleast1measureofaccuracy(suchassensitivity, specificity,predictivevalues,orareaunderthecurve)
2Structuredsummaryofstudydesign,methods,results,andconclusions(forspecificguidance,see STARDforAbstracts)
eTable. STARD* checklistforreportingdiagnosticaccuracystudies.†
Introduction
SECTIONANDTOPICITEMNO.
TitleorAbstract
Methods
Studydesign
Abstract
Introduction
Methods
Studydesign
Participants
3Scienti ficandclinicalbackground,includingtheintendeduseandclinicalroleoftheindextest 615
4Studyobjectivesandhypotheses 615
1Identificationasastudyofdiagnosticaccuracyusingatleast1measureofaccuracy(suchassensitivity, specificity,predictivevalues,orareaunderthecurve)
5Whetherdatacollectionwasplannedbeforetheindextestandreferencestandardwereperformed (prospectivestudy)orafter(retrospectivestudy)
2Structuredsummaryofstudydesign,methods,results,andconclusions(forspecificguidance,see STARDforAbstracts) 614
7Onwhatbasispotentiallyeligibleparticipantswereidentified(suchassymptoms,resultsfromprevious tests,inclusioninregistry)
8Whereandwhenpotentiallyeligibleparticipantswereidentified(setting,location,dates) 615
3Scienti ficandclinicalbackground,includingtheintendeduseandclinicalroleoftheindextest 615
9Whetherparticipantsformedaconsecutive,random,orconvenienceseries 616
4Studyobjectivesandhypotheses 615
10aIndextest,insuf ficientdetailtoallowreplication
10bReferencestandard,insuf ficientdetailtoallowreplication
11Rationaleforchoosingthereferencestandard(ifalternativesexist)
5Whetherdatacollectionwasplannedbeforetheindextestandreferencestandardwereperformed (prospectivestudy)orafter(retrospectivestudy)
6Eligibilitycriteria
12aDefinitionofandrationalefortestpositivitycutoffsorresultcategoriesoftheindextest,distinguishing prespecifiedfromexploratory
7Onwhatbasispotentiallyeligibleparticipantswereidentified(suchassymptoms,resultsfromprevious tests,inclusioninregistry)
12bDefinitionofandrationalefortestpositivitycutoffsorresultcategoriesofthereferencestandard, distinguishingprespecifiedfromexploratory
8Whereandwhenpotentiallyeligibleparticipantswereidentified(setting,location,dates) 615
13aWhetherclinicalinformationandreferencestandardresultswereavailabletotheperformersor readersoftheindextest 616
9Whetherparticipantsformedaconsecutive,random,orconvenienceseries 616
10bReferencestandard,insuf ficientdetailtoallowreplication
11Rationaleforchoosingthereferencestandard(ifalternativesexist)
Results
Participants
Analysis
Testresults
eTable. Continued
Results
Participants
Discussion
14Methodsforestimatingorcomparingmeasuresofdiagnosticaccuracy 617
15Howindeterminateindextestorreferencestandardresultswerehandled
12aDefinitionofandrationalefortestpositivitycutoffsorresultcategoriesoftheindextest,distinguishing prespecifiedfromexploratory
NA‡
13bWhetherclinicalinformationandindextestresultswereavailabletotheassessorsofthereference standard 616 Analysis
616,617
16Howmissingdataontheindextestandreferencestandardwerehandled 616
17Anyanalysesofvariabilityindiagnosticaccuracy,distinguishingprespecifiedfromexploratory 616
12bDefinitionofandrationalefortestpositivitycutoffsorresultcategoriesofthereferencestandard, distinguishingprespecifiedfromexploratory 616,617
18Intendedsamplesizeandhowitwasdetermined NA
13aWhetherclinicalinformationandreferencestandardresultswereavailabletotheperformersor readersoftheindextest 616
19Flowofparticipants,usingadiagram
13bWhetherclinicalinformationandindextestresultswereavailabletotheassessorsofthereference standard 616
Figure1
20Baselinedemographicandclinicalcharacteristicsofparticipants 618
14Methodsforestimatingorcomparingmeasuresofdiagnosticaccuracy 617
21aDistributionofseverityofdiseaseinthosewiththetargetcondition 618
15Howindeterminateindextestorreferencestandardresultswerehandled
21bDistributionofalternativediagnosesinthosewithoutthetargetcondition 618
16Howmissingdataontheindextestandreferencestandardwerehandled 616
22Timeintervalandanyclinicalinterventionsbetweenindextestandreferencestandard NA
17Anyanalysesofvariabilityindiagnosticaccuracy,distinguishingprespecifiedfromexploratory 616
23Crosstabulationoftheindextestresults(ortheirdistribution)bytheresultsofthereferencestandard618
18Intendedsamplesizeandhowitwasdetermined NA
24Estimatesofdiagnosticaccuracyandtheirprecision(suchas95%CIs) 617,618
SECTIONANDTOPICITEMNO.
25Anyadverseeventsfromperformingtheindextestorthereferencestandard NA
19Flowofparticipants,usingadiagram Figure1
*STARD:StandardsforReportingofDiagnosticAccuracyStudies.26 † TheSTARDlistofitemswasdevelopedtocontributetothecompletenessandtransparencyofreporting ofdiagnosticaccuracystudies.Authorscanusethelisttowriteinformativestudyreports.Editorsandpeer-reviewerscanuseittoevaluatewhethertheinformationhas beenincludedinmanuscriptssubmittedforpublication.Moreinformationcanbefoundat http://www.equator-network.org/reporting-guidelines/stard ‡ NA:Not applicable.
OtherInformation
Testresults
623.e1
20Baselinedemographicandclinicalcharacteristicsofparticipants 618
26Studylimitations,includingsourcesofpotentialbias,statisticaluncertainty,andgeneralizability 621,622
21aDistributionofseverityofdiseaseinthosewiththetargetcondition 618
27Implicationsforpractice,includingtheintendeduseandclinicalroleoftheindextest 619,620
21bDistributionofalternativediagnosesinthosewithoutthetargetcondition 618
22Timeintervalandanyclinicalinterventionsbetweenindextestandreferencestandard NA
28Registrationnumberandnameofregistry 614
23Crosstabulationoftheindextestresults(ortheirdistribution)bytheresultsofthereferencestandard618
29Wherethefullstudyprotocolcanbeaccessed NA
24Estimatesofdiagnosticaccuracyandtheirprecision(suchas95%CIs) 617,618
30Sourcesoffundingandothersupport;roleoffunders
25Anyadverseeventsfromperformingtheindextestorthereferencestandard NA
*STARD:StandardsforReportingofDiagnosticAccuracyStudies.26 † TheSTARDlistofitemswasdevelopedtocontributetothecompletenessandtransparencyofreporting ofdiagnosticaccuracystudies.Authorscanusethelisttowriteinformativestudyreports.Editorsandpeer-reviewerscanuseittoevaluatewhethertheinformationhas beenincludedinmanuscriptssubmittedforpublication.Moreinformationcanbefoundat http://www.equator-network.org/reporting-guidelines/stard ‡ NA:Not applicable.

Taiseer A. Sulaiman, DDS, PhD; Abdulhaq A. Suliman, BDS, MS, PhD; Aous A. Abdulmajeed, DDS, PhD; Yu Zhang, PhD, FADM; Guest Editor Rade D. Paravina, DDS, MS, PhD
Read this article in full at: https://onlinelibrary.wiley.com/doi/full/10.1111/jerd.13151
Objective
The purpose of this review was to provide dental professionals with information regarding the various types of zirconia restorations, their mechanical and optical properties, tooth preparation design, and bonding protocol in an effort to enhance the longevity and durability of zirconia restorations.
Overview
The yttria content of zirconia ceramics determines their classification. The mechanical and optical properties of each type are discussed, with an emphasis on the effect of yttria concentration on the properties of zirconia. The processing and sintering methods are also discussed as they have a direct impact on the properties of zirconia. The design of tooth preparation, specifically occlusal reduction, varies depending on the type of zirconia used in each case. Finally, a protocol for zirconia restoration bonding is described to ensure optimal bonding to the tooth structure.



(A) Cast post and core (teeth #s 5–7, and 10–12) that was restored for demonstration purposes with a 5Y zirconia fixed dental prosthesis (10–12) (B) to show lack of ability to mask dark underlying structure. (C) 3Y zirconia fixed dental prosthesis (10–12) was used as final restoration, which shows its capability of masking dark underlying structures.
Not all zirconia restorations are the same. The selection of zirconia type based on yttria concentration, processing and sintering methods, tooth preparation design, and adherence to the bonding protocol are all critical to the success and longevity of zirconia.
Zirconia restorations are the most commonly used indirect restorative material. The selection of the most appropriate zirconia type based on its yttria content, which determines its strength and translucency, is critical to the success and the longevity of the restoration. Tooth preparation design also influences the strength and translucency of the zirconia. Air-borne particle abrasion, followed by a ceramic primer and resin cement, can ensure a durable bond to the tooth structure.
TDA Council on Ethics and Judicial Affairs
Paul Palo, DMD, FAGD, ACD, ICD
This article is reprinted from The Journal of the American Dental Association and may not be copied, distributed, or modified without written permission from the American Dental Association. The article was reprinted with permission from The Journal of the American Dental Association (JADA) and published in the The Journal of the American Dental Association (JADA), Volume 154, Issue 8, Palo et al., Ethical obligations treating a patient with questionable decision-making capacity, Copyright American Dental Association (2023). ©2023 American Dental Association (ADA). Reprinted with permission from the ADA. All rights reserved.
Q:Agnes is a patient of many years who has a chief symptom of lost partial dentures. She is 85 years old, and I have noticed that she has become confused recently and at times disoriented. She asked that I replace her partials with permanent bridges so that she would not lose them. Her oral hygiene is marginal at best and the supporting teeth are questionable as bridge abutments. I feel uncomfortable proposing such extensive and potentially expensive treatment to her if she is becoming mentally unsound. When I ask whether there is a friend or family member who could help her with this decision, she quickly dismisses this and insists that she is solely responsible for her care. What are my ethical obligations of following through with her wishes?
A:Your question centers around an aging patient with potential diminished mental capacity being able to make cogent decisions about their dental health. Dental treatment plans are often complex and difficult to comprehend for even the most competent patients. Add to this any barrier, such as language or mental capacity, and the problem becomes almost insurmountable. This would encompass the following 2 principles of ethics as they relate to decision making: Nonmaleficence (“do no harm”) and Patient Autonomy (“selfgovernance”).1
Let us look at the facts that you presented as they relate to the American Dental Association’s Principles of Ethics and Code of Professional Conduct.1 First is the principle of Nonmaleficence. There are numerous reasons why a patient may be exhibiting confusion besides dementia, for example, diet insufficiency or improper pharmacologic regimen. Most older adult patients are on a variety of drug therapies for various physical problems. These patients are at high risk of drug interactions or adverse effects. These interactions, as they pertain to mental acuity, are not well documented.2 As with any medical concern, it is always prudent to consult with the patient’s physician on not just their physical condition but also their mental or cognitive condition. This should also take into account that their cognitive state may be reversible. To move forward with any treatment at this point would be akin to withholding important information from the patient. This can be viewed as being in direct conflict with the principle of Nonmaleficence.
Second is the ethical principle of Patient Autonomy. The American Dental Association Principles of Ethics and Code of Professional Conduct states in Section 1, Patient Autonomy, that “The dentist has a duty to respect the patient’s rights to self-determination and confidentiality.” Furthermore, it says that “…professionals have a duty to treat the patient according to the patient’s desires, within the bounds of accepted treatment.”1 We can presume that this principle applies to patients with conventional mental statuses, not necessarily to the patients with altered mental capacities. As the population of aging patients expands, understanding their complex medical histories, which also include their mental statuses, can become difficult. An estimated 6.5 million older Americans now have dementia, including approximately 11% of the population 65 years and older and more than 32% of the population 85 years and older.3 Taking into account that patients who are possibly in the early stages of dementia may still be capable of making their own treatment decisions, it
would be prudent to first seek consultation with the patient’s treating physician in regard to their mental state.
To take this issue from the academic to the practical arena, we have a patient who is asking for a specific course of treatment that is potentially extensive and expensive, with an uncertain outcome. Based on the patient’s mental condition, the dentist’s ethical obligation would be to defer any treatment recommendations until a sound mental diagnosis is in hand. This will satisfy the ethical principles of both Nonmaleficence and Patient Autonomy.
It is clear that no treatment recommendations should be made or followed through without referral to the patient’s physician for a thorough mental evaluation and diagnosis. Once this diagnosis is made, you and your patient will have a clearer view of how to move forward with treatment. This may also include inviting a family member or caregiver to aid in the final treatment decision.
https://doi.org/10.1016/j.adaj.2023.05.008. Copyright ©2023 American Dental Association. All rights reserved.
Dr Palo is a general dentist, Winter Haven, FL and a member, Council on Ethics, Bylaws and Judicial Affairs, American Dental Association, Chicago, IL. Address correspondence to the American Dental Association Council on Ethics, Bylaws and Judicial Affairs, 211 E Chicago Ave, Chicago, IL 60611.
Disclosure. Dr Palo did not report any disclosures.
Ethical Moment is prepared by individual members of the American Dental Association Council on Ethics, Bylaws and Judicial Affairs (CEBJA) or guests of CEBJA, in cooperation with The Journal of the American Dental Association. Its purpose is to promote awareness of the American Dental Association Principles of Ethics and Code of Professional Conduct. Readers are invited to submit questions to CEBJA at 211 E Chicago Ave, Chicago, IL. 60611 or email ethics@ ada.org.
The views expressed are those of the author and do not necessarily reflect the opinions of the American Dental Association Council on Ethics, Bylaws and Judicial Affairs or official policy of the ADA.
References
1. America Dental Association principles of ethics and code of professional conduct, with advisory opinions revised to March 2023. American Dental Association. Accessed January 10, 2023. https://www. ada.org/en/about-the-ada/principles-of-ethics-code-of-professionalconduct.
2. Mallet L, Spinewine A, Huang A. The challenge of managing drug interactions in elderly people. Lancet. 2007;370(9582):185-191.
3. Dental provider practice tool: an evidence-based practice guideline for providing dementia friendly dental care. ACT on Alzheimer’s. Accessed March 31, 2023. https://actonalz.org/sites/default/files/2022-08/ ACT_DentalProviderPracticeTool_Final.pdf.
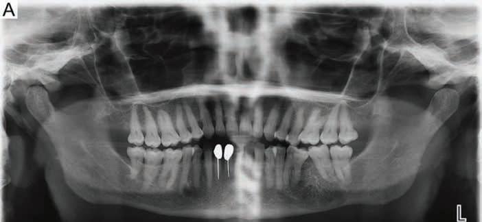
A 62-year-old female presented with a chief complaint of swelling of her left mandible. The patient’s medical history was significant for hypertension and anxiety. Her medications included hydrochlorothiazide and lorazepam. On intraoral examination, a mild expansion of the mandibular buccal cortex in the region of teeth #18-20 was noticed. A panoramic radiograph revealed a well-demarcated radiolucent lesion containing coarse primary trabeculations in the left body of the mandible. The lesion demonstrated a central area of coarse and radiating trabecular bone formation, creating a “spoke-wheel” or “sunburst” appearance. The lesion perforated the inferior cortex of the mandible and caused the displacement of teeth #19 and #20 (Figure 1). A previous panoramic radiograph from 6 years prior to presentation was obtained from her general dentist which showed a similar abnormal bony trabecular pattern near teeth #18-19 with splaying of the roots between teeth #18 and #19 (Figure 1A). However, in comparing the 2 radiographs, it was clear that there had been significant growth of the lesion over the intervening time. Cone-beam computed tomography was then performed which showed a multilocular, lytic lesion containing coarse, internal bone trabeculae and causing buccal expansion of the mandibular cortex and disruption of the lingual cortex (Figure 2). An incisional biopsy was performed.




Joshua Allen, DDS
Oral & Maxillofacial Pathology Resident, Texas A&M College of Dentistry, Dallas, Texas.
Bryan C. Moore, DDS
Oral & Maxillofacial Surgeon, Private Practice, Arlington, Texas.
John V. Shroyer, DDS
Oral & Maxillofacial Surgeon, Private Practice, Arlington, Texas.
Leticia Ferreira Cabido, DDS, MS Director of Oral Pathology Services, Clinical Associate Professor, Texas A&M University College of Dentistry, Dallas, Texas.

Figure 1A, 1B. Panoramic radiographs from 2018 and 2024. A) Panoramic radiograph from 2018 showing a large, fairly well-demarcated, radiolucent lesion with faint trabeculations involving the left body of the mandible. B) Panoramic radiograph from 2024 showing a large, welldemarcated, radiolucent lesion with coarse primary trabeculations involving the left body of the mandible. The lesion characteristically produced a centrally localized “spoke-wheel” or “sunburst” pattern of reactive bone formation and displacement of adjacent teeth.


Microscopic examination of the incisional biopsy specimen revealed fragments of mature lamellar bone exhibiting an increased amount of fibrovascular marrow. The bone exhibited areas of prominent resting and reversal lines associated with woven bone deposition, consistent with active remodeling. The most conspicuous feature of the specimen was the presence of numerous, dilated, blood-filled vessels with muscle walls of varying thickness permeating the marrow spaces of the bone (Figure 3A). The tortuous and dilated blood vessels were lined by a single layer of flat, cytologically bland endothelial cells (Figure 3B). There was no evidence of mitotic activity.
What is the most likely diagnosis?
See page 468 for the answer and discussion.

Figure 3. Photomicrographs of the incisional biopsy specimen. A) Low-power view showing trabecular bone with enlarged marrow spaces that contain numerous dilated blood vessels supported by a delicate fibrous stroma (hematoxylin-and-eosin stain, 4X). B) High-power view showing a dilated vascular space filled with erythrocytes and lined by a single layer of flat endothelial cells (hematoxylin-and-eosin stain, 10X).

“cavernous hemangioma”)
Vascular anomalies encompass a wide variety of lesions related to vascular development disorders.1 The classification system established by the International Society for the Study of Vascular Anomalies (ISSVA) is accepted as the system used to classify vascular anomalies into two types: 1) vascular tumors such as hemangiomas, and 2) vascular malformations (VM).2 Vascular tumors are true neoplasms characterized by pathologic cell proliferation.1 These tumors, however, typically present after birth, exhibit rapid postnatal growth, and then slowly regress later into childhood.3 VMs are congenital vascular lesions that tend to be relatively small at birth and grow proportionally with the individual.1 Additionally, vascular malformations never regress, making this an important distinction compared to vascular tumors such as hemangiomas.
VMs are thought to occur from developmental errors during embryogenesis resulting in the persistence of an abnormal vascular plexus.1 VMs include four categories separated into two groups based on the flow characteristics: slow-flow and fast-flow. Slow-flow VMs include capillary malformation, venous malformation, and lymphatic malformation. Arteriovenous malformations are the only category that falls under the fast-flow group.1 Approximately 95% of VMs are sporadic due to gain-of-function mutations after conception in cohorts of non-gametal cells. These mutations occur in 1 of the 2 major cellular signaling pathways governing angiogenesis, cell growth, and proliferation; the PI3KCA-AKT-mTOR and the RAS-RAF-MEK-ERK pathways.4 Just 5% of VMs are caused by inherited loss-of-function germline mutations.4
VMs can occur anywhere throughout the body but are frequently observed in the head and neck. Approximately 40% of VMs arise in the head and neck region and the oral and nasal cavity represent 59% and 35% of cases in this region, respectively.5
The tongue and lip represent the 2 most common locations for VMs within the oral cavity and the nasal septum represents the most common location within the nasal cavity.5 VMs are primarily soft tissue tumors, however, less than 1% of VMs affect the bones.6
Intraosseous VMs tend to be either venous or arteriovenous and have a predilection for the craniofacial bones, particularly the skull, skull base, and facial skeleton.7
Intraosseous VMs of the jawbones are exceptionally rare. Studies have shown either a female predilection or an equal gender distribution and a mean age of presentation in the third to fourth decades.6,8 The mandible is significantly more involved than the maxilla and lesions tend to present posteriorly.8,9 Patients commonly present complaining of a mild expansion in the involved area, although occasional cases display significant clinical expansion. Patients typically lack other symptoms such as pain or paresthesia.8 Of note, due to their fast-flow nature, intraosseous arteriovenous malformations display more aggressive clinical features than low-flow intraosseous VMs. The primary complaints in these patients are chronic and acute intraoral bleeding episodes triggered by routine daily activities such as brushing or eating.9
Radiographically, intraosseous VMs have a wide spectrum of presentations. They tend to present as radiolucent lesions, particularly in the mandible, and can be either unilocular or multilocular.8,9 Lesions in the maxilla present with a cloudy or ground-glass appearance involving the maxillary sinus.9 Mandibular lesions have a wider range of radiographic presentation and may present as a unilocular radiolucency, an enlarged inferior alveolar canal, a
ground glass appearance, a multilocular “soap bubble” radiolucency, a “sunburst” or “spoke-wheel” pattern, or an expansile osteolytic lesion capable of resorbing or displacing teeth.9,10
Ancillary studies are often needed to confirm a diagnosis of intraosseous VM. Ultrasonography helps to determine the lesion’s angiomatous nature but cannot determine the VMs category or flow characteristics.10 Computed tomography with soft tissue contrast helps determine the extension of the VM and evaluate its relationship to the nearby structures. Angiography helps to differentiate VM from hemangiomas as hemangiomas typically display complex tortuous vessels not commonly observed in VM.10 Lastly, intraosseous needle aspiration is a quick way to determine the vascular nature of a lesion clinically and may be useful if suspicion of a vascular origin is uncertain. It is generally recommended that clinicians perform needle aspiration of any undiagnosed intrabony lesion before a biopsy attempt to rule out the possibility of a VM and prevent severe or even fatal bleeding during a biopsy. If a vascular lesion is suspected, diagnosis is nearly always confirmed through imaging studies and biopsy is rarely needed. 11
The radiographic differential diagnosis for intraosseous VM is extensive given the wide spectrum of presentation. In the current case, the large size of the osteolytic lesion and the presence of coarse internal trabeculations producing a “spokewheel” or “sunburst” pattern raised the possibility of benign and malignant neoplasms such as odontogenic myxoma and osteosarcoma. Although the well-demarcated boundaries of the lesion and the absence of pain
clinically made the possibility of osteosarcoma unlikely, the distinction could only be made definitively through either more advanced imaging (e.g., angiography) or like in this case, histopathologic examination of the biopsy material. When intraosseous VMs present radiographically as a multilocular radiolucent defect, the differential diagnosis would include ameloblastoma, odontogenic myxoma, central giant cell granuloma, and aneurysmal bone cyst.
Treatment for intraosseous VMs varies primarily due to flow rates (low, high), category (capillary, venous, lymphatic, arteriovenous), and location. For problematic lesions, surgical excision is the most effective method of treatment. Resection is often performed with a prior selective embolization or sclerotherapy, particularly for large lesions with an abnormal blood supply.10,12 Surgical excision without embolization or sclerotherapy is typically reserved for focal lesions with a diminished risk of bleeding or local recurrence.13 Second-line options include radiofrequency ablation and cryoablation, however, these options require specific clinical indications and careful planning as the treatment process compromises the structural integrity of the involved bone and may result in undesirable outcomes in adjacent tissues, including loss of innervation.13,14
This patient was referred to an interventional radiologist for an arteriogram to determine the specific vascular supply to the VM. She is awaiting microsphere embolization of the arterial vessels supplying the lesion, before surgical resection of the lesion and mandibular reconstruction. This case highlights the importance
of recognizing the various clinical and radiographic presentations of vascular malformations of the jaws. It is important to perform a diligent clinical and radiological evaluation of undiagnosed intrabony lesions as these may rarely represent a VM. If a vascular lesion is clinically suspected, a cautious, interdisciplinary approach including an oral and maxillofacial radiologist, surgeon, and pathologist is crucial to prevent misdiagnosis, serious intraoperative complications, and improper management.
References
1. Cox JA, Bartlett E, Lee EI. Vascular Malformations: A Review. Semin Plast Surg. 2014;28(2):58-63. doi:10.1055/s-0034-1376263
2. Mulliken JB, Glowacki J. Classification of pediatric vascular lesions. Plast Reconstr Surg. 1982;70(1):120-121.
3. Van Aalst JA, Bhuller A, Sadove AM. Pediatric vascular lesions. J Craniofac Surg. 2003;14(4):566-583. doi:10.1097/00001665-20030700000032
4. Mansur A, Radovanovic I. Vascular malformations: An overview of their molecular pathways, detection of mutational profiles and subsequent targets for drug therapy. Front Neurol. 2023;14. doi:10.3389/fneur.2023.1099328
5. Vascular malformations of the head and neck - ScienceDirect. Accessed July 2, 2024. https://www. sciencedirect.com/science/article/ pii/S0385814612000545#bib0030
6. Srinivasan B, Chan E, Mellor T, Ramchandani P, Ethunandan M. Intraosseous venous malformation of the craniofacial region: diagnosis and management. Br J Oral Maxillofac Surg. 2019;57(10):1143-
pathology continued
1147. doi:10.1016/j.bjoms.2019.10.308
7. Strauss SB, Steinklein JM, Phillips CD, Shatzkes DR. Intraosseous Venous Malformations of the Head and Neck. Am J Neuroradiol. Published online July 21, 2022. doi:10.3174/ajnr.A7575
8. Chandra SR, Chen E, Cousin T, Oda D. A case series of intraosseous hemangioma of the jaws: Various presentations of a rare entity. J Clin Exp Dent. 2017;9(11):e1366-e1370. doi:10.4317/jced.54285
9. Li X, Su L, Wang D, et al. Clinical and imaging features of intraosseous arteriovenous malformations in jaws: a 15year experience of single centre. Sci Rep. 2020;10:12046. doi:10.1038/s41598-020-68967-3
10. Aldridge E, Cunningham LL, Gal TJ, Yepes JF, Abadi BJ. Intraosseous Venous Malformation of the Mandible: A Review on Interdisciplinary Differences in Diagnostic Nomenclature for Vascular Anomalies in Bone and Report of a Case. J Oral
Maxillofac Surg. 2012;70(2):331-339. doi:10.1016/j. joms.2011.03.013
11. Legiehn GM, Heran MKS. A Step-by-Step Practical Approach to Imaging Diagnosis and Interventional Radiologic Therapy in Vascular Malformations. Semin Interv Radiol. 2010;27(2):209-231. doi:10.1055/s-0030-1253521
12. L. Giaoui, G. Princ, J. Chiras, F. Guilbert, J.-C. Bertrand. Treatment of vascular malformations of the mandible: a description of 12 cases. Int J Oral Maxillofac Surg. 2003;(32):132-136.
13. Brown MA, Brown MJ, Gowda K, Webber N, Gueyikian S. Sclerotherapy, cryoablation, and surgical fixation of an intraosseous tibial venous malformation. Radiol Case Rep. 2023;18(11):38313836. doi:10.1016/j.radcr.2023.08.048
14. Eliot CA, Castle JT. Intraosseous Hemangioma of the Anterior Mandible. Head Neck Pathol. 2010;4(2):123-125. doi:10.1007/s12105-010-0170-x
EXPERIENCED LEGAL REPRESENTATION FOR TEXAS DENTISTS

• Representation Before the Texas State Board of Dental Examiners
• Medicaid Audits and Administrative Hearings
• Employment Issues—Texas Workforce Commission Hearings
• Administrative (SOAH) Hearings and Counsel
• Professional Recovery Network (PRN) Compliance
• Employment/Associateship Contract Reviews
• Practice Acquisition and Sales
• Business Organizations, PAs, PCs, and PLLCs
• Civil Litigation
Billy Roy Brown
Dallas
7/12/26–7/9/24
Good Fellow: 1978
Life: 1991
Fifty Year: 2003
James Howard Carr
Uvalde
12/31/35–8/3/24
Life: 2000
Fifty Year: 2014
Leopoldo R Flores
San Antonio
2/7/54–8/26/24
Good Fellow: 2019
Life: 2024
Bob Preston Foster
Athens
12/3/37–7/10/24
Good Fellow: 1986
Life: 2002
Fifty Year: 2012
John R. Gildersleeve
San Antonio
1/31/44–7/24/24
Good Fellow: 2008
Life: 2013
Randall G Griffin
Floydada
10/31/58–9/12/24
Good Fellow: 2012
Life: 2021
Lynn K Hammond
Houston
4/21/53–8/29/24
Good Fellow: 2003
Life: 2018
Jeffrey Hoover
Houston
12/30/47–5/27/24
Good Fellow: 1998
Life: 2012
Fifty Year: 2023
George Henry Jurek
Waco
8/24/27–9/7/24
Good Fellow: 1980
Life: 1992
Fifty Year: 2005
Burton Jerry Kunik
Austin
9/14/38–8/8/24
Good Fellow: 1988
Life: 2003
Fifty Year: 2013
Ayeez Amirali Lalji
Sugar Land
9/3/66–9/5/24
Good Fellow: 2017
William J Lawhorn
Dallas
8/25/26–9/21/24
Good Fellow: 1985
Life: 1991
Fifty Year: 2009
Ronald Tyler Lowe
Arlington
6/23/39–9/15/24
Good Fellow: 1990
Life: 2004
Fifty Year: 2014
Dan P McCauley
Mount Pleasant
11/13/49–9/11/24
Life: 2014
Carlos Portales
San Antonio
2/3/39–8/22/24
Good Fellow: 1995 Life: 2004
Fifty Year: 2018
Harry Wallace Schmuck
Fort Worth
6/11/29–9/2/24
Good Fellow: 1985
Life: 1994
Fifty Year: 2010
James Howard Stanley
Kilgore
12/4/46–8/16/24
Good Fellow: 1997 Life: 2011
Harry Vance Whitehill III
El Paso 12/21/46–6/17/24
Good Fellow: 2009
Life: 2014
Provided by: PERKS

P R O G R A M
Provided by Cloud Dentistry
Dentistry is shifting its focus from oral health to the overall well-being of patients through a more integrative and holistic approach to patient care. At the core of this transformation is the interdisciplinary model of collaboration (or multiprofessional collaboration).
In dentistry, dental professionals join forces with specialists across various medical disciplines to craft and execute a unified treatment plan for a patient. This collaborative team may include a wide array of specialists, including, but not limited to, periodontists, orthodontists, oral and maxillofacial surgeons, physicians, dietitians, and even psychologists; all with a common goal of the patient’s holistic health.
This approach provides patients comprehensive care with a multifaceted treatment plan that addresses complex health issues more effectively.
Diverse expertise within a collaborative team fosters deeper diagnostic insight. Oral symptoms are not viewed in isolation, but as potential indicators of broader health issues. This positions dentistry as a primary component of comprehensive healthcare.
Merging diverse specialties nurtures innovation, paving the way for treatment plans specifically tailored to meet the individual needs of patients.
A cohesive treatment strategy from a collaborative team streamlines the patient care process
by providing a unified treatment direction and minimizing the need for multiple consultations. This significantly enhances the patient experience.
The exchange of knowledge and expertise creates a rich soil for professional growth and learning and fosters an environment of continuous education and skill enhancement.
For the successful integration of interdisciplinary collaboration in a dental practice, several strategic measures are essential.
The foundation of effective collaboration is communication. Implementing secure and efficient channels for the seamless exchange of patient information and collaborative treatment planning is crucial.
Coming together to have regular case discussions among the interdisciplinary team members is vital for sharing insights, discussing complex cases, and formulating cohesive treatment plans.
Encouraging active participation in interdisciplinary workshops and seminars ensures team members remain at the cutting edge of their respective fields.
Ensuring all team members share a common commitment to prioritizing patient comfort, preferences, and overall health outcomes is absolutely essential for the success of the collaborative model.
The potential for interdisciplinary collaboration in dentistry extends far beyond traditional face-to-face interactions. Advancements in digital communication platforms offer unprecedented opportunities to enhance collaboration across healthcare networks.
The advances of secure online communication tools have truly revolutionized the way healthcare professionals collaborate. Platforms specifically designed for healthcare professionals enable real-time sharing of patient data, treatment plans, and digital imaging among the interdisciplinary team, regardless of their physical location. This not only speeds up the consultation process, but also ensures all team members are updated with the latest patient information, leading to more informed decision-making and cohesive care strategies.
Beyond synchronous communication, telehealth services offer a platform for collaboration where specialists can review patient cases, share insights, and provide recommendations at their convenience. This flexibility is particularly beneficial in coordinating complex treatment plans that require input from multiple specialties, enhancing the efficiency and effectiveness of patient care.
By expanding the scope of collaboration through various communication methods, dental practices can overcome traditional barriers to interdisciplinary
communication, leading to more efficient, effective, and patient-centered care.
The efficacy of interdisciplinary collaboration can be better understood via real-world applications.
For example, consider a patient with periodontal disease intensified by poorly controlled diabetes. An integrated treatment approach involving the dentist, a periodontist, and an endocrinologist can address the oral condition as well as the underlying diabetic challenge to create a more comprehensive and successful treatment outcome.
The patient will not only feel better physically in the long run, but is better set up to avoid repeat, non-preventative trips in the future.
Interdisciplinary collaboration is bringing an exciting era to dentistry. This model not only fosters better health outcomes but enriches the professional journey of dental practitioners through continuous learning and collaboration. Expanding dental providers’ network of referring sources is an added benefit of cross-collaboration with specialists outside of oral health.
TDA Perks Program-endorsed Cloud Dentistry makes dental staffing easy with immediate solutions. Try out as many professionals as you like with no placement or buyout fees. TDA members receive an exclusive 10% discount. For more information on Cloud Dentistry, visit tdaperks.com (Insurance, HR & Marketing) or call 844-643-3128.
Copy text is due the 20th of the month, 2 months prior to publication (ie, January issue has a due date of November 20.)
PRINT: First 30 words—$60 for ADA/TDA members and $100 for non-members. $0.10 each additional word.
ONLINE: $40 per month (no word limit). Online ads are circulated on the 1st business day of each month, however an ad can be placed within 24 business hours for an additional fee of $60.
SUBMISSION
Ads must be submitted, and are only accepted, via www.tda.org/Member-Resources/TDAClassified-Ads-Terms. By official TDA resolution, ads may not quote specific incomes or revenues and must be stated in generic terms (ie “$315,000” should be “low-to-mid-6 figures”). Journal editors reserve the right to edit and/or deny copy.
ALL TEXAS LISTINGS FOR MCLERRAN & ASSOCIATES.
AUSTIN (ID #662): Large, general dentistry practice (with a recent focus on implants) located in a free-standing building with great visibility in North Austin. Large facility with 8 fully equipped operatories, digital radiography, an iTero digital scanner, and a 3D CBCT unit. FFS/PPO patient base, over 2,000 active patients, and has a stellar reputation. The owner invested heavily in growing the implant side of the business. AUSTIN (ID #689): Dynamite practice located in a high visibility retail center off a heavily trafficked highway that feeds into many of west Austinís newest prominent subdivisions. Newly constructed office with a clean, modern aesthetic, and state of the art equipment/technology (Pano, Digital Scanner, Cad/Cam, Digital Sensors). The practice treats a large, FFS/PPO patient base, has steady new patient flow at 40+/month, and consistent 7 figure revenue with 40% profit margins. AUSTIN (ID #691): Unique opportunity to purchase a GD practice with two locations in the Austin area. The offices have a total of 10 operatories with computers in each room and digital radiography. The offices serve a large FFS/PPO patient base with a healthy new patient flow and strong hygiene recall with over 20-25% of total annual production coming from the hygiene department. DALLASPEDO/ORTHO (ID #665): Legacy Pedo/Ortho practice in the heart of North Dallas. Thriving practice, large fee-forservice patient base, revenue of seven figures. Over 2,800 sq. ft., fully digital with computers in the operatories, digital radiography, and a digital Pano. HOUSTON-SOUTHWEST (ID #627): Legacy GD practice with majority FFS patient base in a growing Southwest Houston suburb. Located in
a retail center on a busy intersection, this 1,200 sq ft office features 4 fully equipped ops plumbed for nitrous, computers throughout, digital radiography, a digital scanner, intraoral cameras, and paperless charts. HOUSTON-SOUTHWEST (ID #674): Highly profitable, turn-key, PPO/FFS general dentistry practice Southwest of Houston. High-visibility office, 4 computerized operatories, digital x-ray sensors, digital pano, Cerec scanner, Cerec milling unit and oven, and intraoral cameras. The practice has exceptional net cash flow. 1,400+ active patients, 20+ new patients per month, 30% hygiene production and exceptional net cash flow. The real estate is available for sale. HOUSTON-SOUTH (ID #682): Established, multi-specialty dental office in a suburb ~20 miles south of Houston. Large (4,000 sq ft), easily accessible office condo with 13 equipped operatories, computers throughout, CBCT, and digital scanner. Massive PPO/FFS patient base (3,000+) with over 50 new patients visiting the office per month. The practice revenue averages over 7 figures annually with strong net cash flow, and there is room for expansion through enhancing the hygiene recall and focusing on standardizing the procedural mix. With approximately 55% of the dentistry being restorative, 25% pediatrics, 10% ortho, and 10% OMS, the office is on a stable foundation with the opportunity to take it in whatever direction you choose. SAN ANTONIOTX HILL COUNTRY (ID #685): Well-established dental practice and real estate nestled in the Hill Country north of San Antonio. The office relies mostly on word-of-mouthreferrals with limited marketing/advertising activities, has a robust hygiene recall program with over 40% of total office production coming from the hygiene department, and refers out many specialty procedures leading to upside potential for an incoming buyer. The practice saw strong revenue growth in 2023 and the trend has continued into 2024. SOUTH TEXAS
(ID #651): General dentistry practice located in South Texas. This state-of-the-art office occupies 3,500 sq. ft. with room for 10 total operatories, is fully digital with CBCT, a digital scanner, handheld X-ray units, and a 3-D printer. The practice serves a large PPO/Medicaid patient base with over 3,000 active patients seen over the last 24 months with a strong monthly new patient flow. SOUTH TEXAS (ID #668): Thriving south Texas practice (with real estate) that has established itself as the premier dentistry provider in the local community. This one-doctor practice has a massive active patient base, strong hygiene production, and generated revenue of seven figures. The real estate is available for purchase and features 6 equipped operatories and state-of-the-art equipment (CBCT, digital intraoral scanner, and CAD/CAM milling unit). This may also be an ideal fit as an associate-run practice for a Texas-based group practice owner. TO REQUEST MORE INFORMATION ON MCLERRAN & ASSOCIATESí LISTINGS: Please register at www.dentaltransitions.com or contact us at 512-900-7989 or info@dentaltransitions.com.
AUSTIN: Fee-for-service private practice, 46 years same location with a 10-15 mile panoramic view over the downtown Austin skyline. Associate to buy with a preferred long transition for the senior doctor. Eight years remaining current lease with option to extend. Tremendous amount of residential growth immediately outside our huge windows. Ideally a GP interested in learning full-scale orthodontics. Please email for information: info@austinskylinedental.com.
EAST TEXAS: Exceptional practice opportunity in Troup, Texas. Seeking associate to join high quality, well-established
dental practice with a long history of excellence. This is an exceptional opportunity to move into ownership after a successful initial employment phase. Must be committed to providing optimal patient care with exceptional technical skills, strong people skills, personal integrity, honesty and a passion for excellence. This practice has a dynamic, experienced team and a strong emphasis on Christian values and professional growth. Our office expansion should be complete mid ñ late September 2024, but the new associate could begin in August if he/she would like. Please reply in confidence with your CV and a letter outlining your future objectives and goals to: drmay@troupfamilydental.com or call our office at 903-842-4600.
FORT WORTH: Dental office for lease in upscale area with high traffic visibility. Beautifully renovated and move in ready. Five operatories. 1800 square feet. Call 817-271-3386. Email: richardmcdonalddds@gmail.com.
HOUSTON: General practice (reference: ìSouthwestî) in the Southwest area practice near a main highway in Houston. Collections in mid-6 figures. Production is growing. Practice in a strip shopping center. The office is 1,475 square feet with 3 total operatories: 2 for dentistry and one for hygiene. Please let me know if you need anything else from me. . A fourth operatory area is plumbed. Contains reception area, dentist office, sterilization area, lab area. Majority of patients are 30 to 65 years old. Practice has operated at this location for over 35 years. Practice sees patients about 16 to 19 days per month. Collection ratio of 99%. Practice is a fee for service and PPO practice. Contact Christopher Dunn at 800-930-8017 or Christopher@DDRDental.com.
KERRVILLE: Close to the Kerrville Medical Center, 1,300 sq ft.
Hill Country/contemporary style 3 operatories sterilization/ lab: including sterilizer and basic lab equipment, business section, patient waiting area for 8. Private doctorís office, patient and staff bathrooms (meeting ADA code), mechanical room with vacuum, staff lounge, private entrance/exit, Cone Beam CT machine available for use, computer system established and wired. Perfect for general dentist or specialist. Text 210-416-2424 for information.
NORTH TEXAS: If you don’t want to deal with insurance, have the skillset to keep some specialty procedures in house, and want the autonomy to do things your own way, this is the practice for you. It’s located about two hours north of DFW. Weíre a completely OON office. Our staff is a great close knit group of people. Wonderful patient base. We do a little bit of everything from bread and butter crowns and fillings, to root canals, implants, and AOX and cosmetic/full mouth rehab stuff. We got in on scanning, milling, and printing pretty early and have an amazing workflow that lets us do a lot of our own custom lab work for a more aesthetic and personal touch. This includes 3D printing our own dentures, partials, and nightguards, as well as milling our own crowns and AOX prostheses. We have a lab grade 5-axis mill, 3D printer, IO scanner, CBCT machine, intraoral cameras, digital X-rays, etc. All brand new in 2022. 4 ops, 1 full-time hygienist and 1 parttime. Last year we did over 7 figures in collections and are on track to beat that this year. The practice is also newly remodeled. I would be willing to consider an immediate purchase or an associate with the option to buy me out after a smooth transition. If interested, please call/text Chandler at 801-895-0514.
ROCKPORT: Practice for sale in Rockport. Two chairs, plumbed for 3. Currently being worked 3 days a week producing near mid-6 figures. Fee for service, no DMO, HMO or PPO contracts. Hygienist 3 days a week and will stay, been with practice since 2019. Digital x-rays, paperless, Newtom 3D/Panorex, (3) x-ray sensors. Practice is in older house, which can be leased or purchased. Great starter practice or for someone slowing down and wants to live on the coast. Send inquires to jim@jlongdds.com or call: 281-726-1812, leave message.
WATSON BROWN PRACTICES FOR SALE: Practices for sale in Texas and surrounding states, For more information and current listings please visit our website at www.adstexas.com or call us at 469-222-3200 to speak with Frank or Jeremy.
PLANO: Dental office space in Plano for rent or purchase: 2,978 sf space in the 75024 zip code. Plumbed for central nitrous for 4 ops. Large waiting area, front office, 4 enclosed ops, 1 consultation room, open hygiene bay (plumbed for 4 chairs), sterilization/lab room, X-ray room, manager’s office, doctor’s office, staff lounge with lockers and restroom, patient restroom, storage area, nitrous closet, equipment closet. Current tenant is a pediatric dentist. Space will be available in Dec 2024/Jan 2025. Interested tenants or buyers please message Dr Patel at 972-814-3545.
SAN ANTONIO: Ready to go dental space for lease with chairs and some equipment in place. Great northside location at Hwy 281 N and Brookhollow. The space is 1783 SF and rents for $2407/mo modified gross. Two restrooms in the
suite, floor plan available. Broker is BK Properties 210-4900483 or 210-887-8828.
HAVE MIRROR AND EXPLORER, WILL TRAVEL: Sick leave, maternity leave, vacation, or death, I will cover your general or pediatric practice. Call Robert Zoch, DDS, MAGD, at 512-5172826 or drzoch@yahoo.com.
McLerran & Associates is the largest dental practice brokerage firm in Texas. When it’s time to buy or sell a practice, we’ve got you covered.
PRACTICE SALES
DSO C S
PRACTICE APPRAISALS
Austin 512-900-7989
DFW 214-960-4451
Houston 281-362-1707
San Antonio 210-737-0100
South Texas 361-221-1990
Email: texas@dentaltransitions.com
www.dentaltransitions.com

