May 2023 Texas Dental Journal

Page 1

TDA

Texas Dental Journal

MAY 2023

192

IMPACT ON TEXAS DENTISTS

DURING THE COVID-19 PANDEMIC, 2020-21

SNEHA MAHAVADI, MPH CANDIDATE

JANET H. SOUTHERLAND, DDS, MPH, PHD

JOHN C. MCKEE, PHD DENISE TALLER, MHA/MBA

204

ORAL MUCOSAL DISEASES: PUZZLING CONDITIONS IN COMPLICATED PATIENTS

YING S. WANG, DDS, MS ELAIN BENTON, RDH

214

VALUE FOR YOUR PROFESSION: BENEFITS OF OWNING A DENTAL PRACTICE, AND POINTS TO CONSIDER BEFORE MAKING THE INVESTMENT COVER Vanishing point view of an old railroad trestle with an old iconic iron truss bridge over the Brazos River, Texas.

186 Texas Dental Journal | Vol 140 | No. 4 tdaperks.com Compliance & Supplies 800-422-9448 TDA members save significantly on all Zoom! products. Call Philips at the number above and mention you have a “key account” with TDA Perks. Introducing Zoom! delivered, the latest innovation in take-home whitening. Have professional whitening trays and Zoom! DayWhite or NiteWhite mailed directly to your patients’ homes.

Anesthesia Education & Safety Foundation

Two ways to register: Call us at 214-384-0796 or e-mail us at sedationce@aol.com Visit us on the web: www.sedationce.com

Two ways to Register for our Continuing Education Programs: e-mail us at sedationce@aol.com or call us at 214-384-0796

OUR GOAL: To teach safe and effective anesthesia techniques and management of medical emergencies in an understandable manner.

WHO WE ARE: We are licensed and practicing dentists in Texas who understand your needs, having provided anesthesia continuing education courses for 34 years. The new anesthesia guidelines were recently approved by the Texas State Board of Dental Examiners. As practicing dental anesthesiologists and educators, we have established continuing education programs to meet these needs.

New TSBDE requirement of Pain Management

Two programs available (satisfies rules 104.1 and 111.1)

Live Webcast (counts as in-class CE) or Online (at your convenience)

All programs can be taken individually or with a special discount pricing (ask Dr. Canfield) for a bundle of 2 programs: Principles of Pain Management

Fulfills rule 104.1 for all practitioners Use and Abuse of Prescription Medications and Provider Prescription Program

Fulfills rules 104.1 and 111.1

SEDATION & EMERGENCY PROGRAMS:

Nitrous Oxide/Oxygen Conscious Sedation Course for Dentists:

Credit: 18 hours lecture/participation (you must complete the online portion prior to the clinical part)

Level 1 Initial Minimal Sedation Permit Courses:

*Hybrid program consisting of Live Lecture and online combination

Credit: 20 hours lecture with 20 clinical experiences

SEDATION REPERMIT PROGRAMS: LEVELS 1 and 2 (ONLINE, LIVE WEBCAST AND IN CLASS)

ONLINE LEVEL 3 AND 4 SEDATION RE PERMIT AVAILABLE!

(Parenteral Review) Level 3 or Level 4 Anesthesia Programs

(In Class, Webcast and Online available):

American Heart Association Advanced Cardiac Life Support (ACLS) and Pediatric Advanced Life Support (PALS) Initial and Renewal Programs

NOTE: ACLS or PALS Renewal can be completed by itself at any combined program

Combined ACLS-PALS-BLS and Level 2, 3 and 4 Program

WEBCASTING and ONLINE RENEWALS AVAILABLE! Live and archived webcasting to your computer in the comfort of your home. Here are the distinct advantages of the webcast (contact us at 214 -384-0796 to see which courses are available for webcast):

1. You can receive continuing education credit for simultaneous live lecture CE hours.

2. There is no need to travel to the program location. You can stay at home or in your office to view and listen to the cou rse.

3. There may be a post-test after the online course concludes, so you will receive immediate CE credit for attendance

4. With the webcast, you can enjoy real-time interaction with the course instructor, utilizing a question and answer format

OUR MISSION STATEMENT: To provide affordable, quality anesthesia education with knowledgeable and experienced instructors, both in a clinical and academic manner while being a valuable resource to the practitioner after the programs. Courses are designed to meet the needs of the dental profession at all levels. Our continuing education programs fulfill the TSBDE Rule 110 practitioner requirement in the process to obtain selected Sedat ion permits.

AGD Codes for all programs: 341 Anesthesia & Pain Control; 342 Conscious Sedation; 343 Oral Sedation

This is only a partial listing of sedation courses. Please consult our www.sedationce.com for updates and new programs.

Two ways to Register: e-mail us at sedationce@aol.com or call us at 214-384-0796

www.tda.org | May 2023 187
Approved PACE Program Provider FAGD/MAGD Credit. Approval does not imply acceptance by a state of provincial board of dentistry or AGD endorsement. 8/1/2018 to 7/31/2022 Provider ID# 217924
NOW Available: In -Office ACLS & PALS renewals; In -Office Emergency Program Live Programs Available Throughout Texas
Dr. Canfield

FEATURES

192 IMPACT ON TEXAS DENTISTS

DURING THE COVID-19 PANDEMIC, 2020-21

SNEHA MAHAVADI, MPH CANDIDATE

JANET H. SOUTHERLAND, DDS, MPH, PHD

JOHN C. MCKEE, PHD

204 ORAL MUCOSAL DISEASES: PUZZLING CONDITIONS IN COMPLICATED PATIENTS

YING S. WANG, DDS, MS

ELAIN BENTON, RDH

calendar Events

TDA Board Meeting, Austin: June 16, 2023

TDA Leadership Conference, Austin: June 17, 2023

TMOM 2023 Events

TMOM, Abilene: July 14-15, 2023

TMOM, Edinburg: September 15-16, 2023

THE TEXAS DENTAL JOURNAL’S CALENDAR will include only meetings, symposia, etc., of statewide, national, and international interest to Texas dentists. Because of space limitations, individual continuing education courses will not be listed. Readers are directed to the monthly advertisements of courses that appear elsewhere in the Journal.

Editorial Staff

Jacqueline M. Plemons, DDS, MS, Editor

Paras B. Patel, DDS, Associate Editor

Nicole Scott, Managing Editor

Barbara Donovan, Art Director

Lee Ann Johnson, CAE, Director of Member Services

Editorial Advisory Board

Ronald C. Auvenshine, DDS, PhD

Barry K. Bartee, DDS, MD

Patricia L. Blanton, DDS, PhD

William C. Bone, DDS

Phillip M. Campbell, DDS, MSD

Michaell A. Huber, DDS

Arthur H. Jeske, DMD, PhD

Larry D. Jones, DDS

Paul A. Kennedy Jr, DDS, MS

Scott R. Makins, DDS, MS

Daniel Perez, DDS

William F. Wathen, DMD

Robert C. White, DDS

Leighton A. Wier, DDS

Douglas B. Willingham, DDS

The Texas Dental Journal is a peer-reviewed publication. Established February 1883 • Vol 140 | No. 4

Texas Dental Association

1946 S IH-35 Ste 400, Austin, TX 78704-3698

Phone: 512-443-3675 • FAX: 512-443-3031

Email: tda@tda.org • Website: www.tda.org

Texas Dental Journal (ISSN 0040-4284) is published monthly except January-February and August-September, which are combined issues, by the Texas Dental Association, 1946 S IH-35, Austin, TX, 78704-3698, 512-443-3675. PeriodicalsPostage Paid at Austin, Texas and at additional mailing offices. POSTMASTER: Send address changes to TEXAS DENTAL JOURNAL, 1946 S IH 35 Ste 400, Austin, TX 78704. Copyright 2023 Texas Dental Association. All rights reserved.

Annual subscriptions: Texas Dental Association members $17. Instate ADA Affiliated $49.50 + tax, Out-of-state ADA Affiliated $49.50. In-state Non-ADA Affiliated $82.50 + tax, Out-of-state Non-ADA Affiliated $82.50. Single issue price: $6 ADA Affiliated, $17 Non-ADA Affiliated. For in-state orders, add 8.25% sales tax.

Contributions: Manuscripts and news items of interest to the membership of the society are solicited. Electronic submissions are required. Manuscripts should be typewritten, double spaced, and the original copy should be submitted. For more information, please refer to the Instructions for Contributors statement included in the online September Annual Membership Directory or on the TDA website: tda.org. All statements of opinion and of supposed facts are published on authority of the writer under whose name they appear and are not to be regarded as the views of the Texas Dental Association, unless such statements have been adopted by the Association. Articles are accepted with the understanding that they have not been published previously. Authors must disclose any financial or other interests they may have in products or services described in their articles.

Advertisements: Publication of advertisements in this journal does not constitute a guarantee or endorsement by the Association of the quality of value of such product or of the claims made.

188 Texas Dental Journal | Vol 140 | No. 4
contents
HIGHLIGHTS
Calendar 214 Value for Your Profession: Benefits of Owning a Dental Practice, and Points to Consider before Making the Investment 217 In Memoriam 218 Classifieds 226 Index to Advertisers
188

Board of Directors

Texas Dental Association

PRESIDENT Cody C. Graves, DDS 325-648-2251, drc@centex.net

PRESIDENT-ELECT

Georganne P. McCandless, DDS 281-516-2700, gmccandl@yahoo.com

PAST PRESIDENT

Duc “Duke” M. Ho, DDS 281-395-2112, ducmho@sbcglobal.net

VICE PRESIDENT, SOUTHWEST

Richard M. Potter, DDS 210-673-9051, rnpotter@att.net

VICE PRESIDENT, NORTHWEST

Summer Ketron Roark, DDS 806-793-3556, summerketron@gmail.com

VICE PRESIDENT, NORTHEAST

Jodi D. Danna, DDS 972-377-7800, jodidds1@gmail.com

VICE PRESIDENT, SOUTHEAST

Shailee J. Gupta, DDS 512-879-6225, sgupta@stdavidsfoundation.org

SENIOR DIRECTOR, SOUTHWEST

Krystelle Anaya, DDS 915-855-1000, krystelle.barrera@gmail.com

SENIOR DIRECTOR, NORTHWEST

Stephen A. Sperry, DDS 806-794-8124, stephenasperry@gmail.com

SENIOR DIRECTOR, NORTHEAST

Mark A. Camp, DDS 903-757-8890, macamp1970@yahoo.com

SENIOR DIRECTOR, SOUTHEAST

Laji J. James, DDS 281-870-9270, lajijames@yahoo.com

DIRECTOR, SOUTHWEST

Melissa Uriegas, DDS 956-369-9235, meluriegas@gmail.com

DIRECTOR, NORTHWEST

Adam S. Awtrey, DDS 314-503-4457, awtrey.adam@gmail.com

DIRECTOR, NORTHEAST

Drew M. Vanderbrook, DDS 214-821-5200, vanderbrookdds@gmail.com

DIRECTOR, SOUTHEAST

Matthew J. Heck, DDS 210-393-6606, matthewjheckdds@gmail.com

SECRETARY-TREASURER*

Carmen P. Smith, DDS 214-503-6776, drprincele@gmail.com

SPEAKER OF THE HOUSE*

John W. Baucum III, DDS 361-855-3900, jbaucum3@gmail.com

PARLIAMENTARIAN**

Glen D. Hall, DDS 325-698-7560, abdent78@gmail.com

EDITOR**

Jacqueline M. Plemons, DDS, MS 214-369-8585, drplemons@yahoo.com

LEGAL COUNSEL

Carl R. Galant

*Non-voting member

**Non-voting

JKJ Pathology

Oral Pathology Laboratory

John E Kacher, DDS

¥ Available for consultation by phone or email

¥ Color histology images on all reports

¥ Expedited specimen shipping with tracking numbers

¥ Reports available online through secure web interface Professional,

www.tda.org | May 2023 189
reliable service with hightechnology solutions so that you can better serve your patients. Call or email for free kits or consultation.
281-292-7954 (T) 281-292-7372 (F)
your patients, limiting your liability
jkjpathology.com
johnkacher@jkjpathology.com Protecting

Malpractice insurance that’s

As a dentist, you face unique challenges every day. That’s why at MedPro Group, we created an industry-leading malpractice policy that keeps you safe. Here’s what else you can expect with MedPro on your side.

You’ll get great coverage at a great price. We also offer policy options that others don’t — including Occurrence and a pure consent clause, which gives you more control during a claim.

With 24/7 access to our free risk resources and on-staff experts, you and your practice will be better prepared for every day challenges. We don’t just defend claims, we help you avoid them.

The average dentist is sued at least once in their career, which is why we’re in your corner when it matters most. We lead the industry with a 95% dental trial win rate (plus 8 out of 10 claims close without payment).

190 Texas Dental Journal | Vol 140 | No. 4
all about you
.
Get unmatched coverage. Practice more safely.
Your good name is protected.
All data is derived from MedPro Group records and calculations; claims data range is 2012-2021 unless otherwise indicated. MedPro Group is the marketing name used to refer to the insurance operations of The Medical Protective Company, Princeton Insurance ompany, PLI O, Inc. and MedPro RRG Risk Retention Group. All insurance products are administered by MedPro Group and underwritten by these and other Berkshire Hathaway affiliates, including National Fire & Marine Insurance Company. Product availability is based upon business and/or regulatory approval and may differ among companies. © 2023 MedPro Group Inc. All Rights Reserved. Dental-230228 Ready to get the best protection for you? Contact us for your free custom quote and see how much you could save! 800.4MEDPRO x119660 | dental@medpro.com medprodental.com/TXDA
www.tda.org | May 2023 191 Orthoboots.com BIOSYNETICORTHODONTIC ORTHOPEDICSEMINARS OrthodonticBootCamp BasictoAdvancedOrthodonticCourses ForGeneralandPediatricDentists TheSeminarSeriesConsistsofQuarterly In-PersonCourses CorpusChristi,Texas Ifyouwanttolearnorthodontics,integrateitintoyour practiceanddevelopadvancedlevelsofproficiencycheck outourcoursewebpage Registrationislimitedto25participants PleaseregistersoonatOrthoboots.com Hoursdonotcountforlicenserenewalcontinuingeducation. Orthoboots.com ,

IMPACT ON TEXAS DENTISTS DURING THE COVID-19

PANDEMIC, 2020-21

192 Texas Dental Journal | Vol 140 | No. 4

ABSTRACT

BACKGROUND. The novel coronavirus (COVID-19) has significantly affected dentists in clinical settings around the world.

METHODS. This was a cross-sectional study of Texas dentists who were actively practicing during the pandemic. The study included 2,143 dentists who were emailed and asked to participate in a web-based survey. The survey was conducted from May 15, 2021, to June 30, 2021. The form was a 43-item questionnaire that was used to record responses to questions related to dentists’ opinions, knowledge and challenges. Approximately one-third of the respondents (n=375) completed and returned the survey. Statistical analysis using SPSS and Microsoft Excel was performed to evaluate the data.

RESULTS. The results showed that most of the respondents were in solo practice and were general dentists. The average years in practice was 30 years, and 77% were in urban areas. The greatest challenges during the pandemic seemed to be related to personnel and staffing concerns. Emotionally, 51% of dentists experienced worry, followed by anxiety, and depression. Additionally, 19% suffered personal loss. There was a significant financial impact to staff due to loss of income, childcare, and health insurance benefits. The dentists tried to curb the transmission of the virus in various ways such as providing regular care, telehealth, screening, and testing incorporated as a part of patients’ treatment plans. Respondents felt that vaccinations greatly improved the dental practice environment for patients and staff. Knowledge played an important role in understanding the nature of the disease. Dentists obtained information on COVID-19 primarily from state or national agencies, professional dental societies, or the media to better understand and prepare. Some dentists closed their clinics for the first 3 months, and others modified their services only providing emergency care.

CONCLUSION. Based on study results, it was apparent that dentists were active in responding to viral spread and were vigilant about adhering to infection control protocols and management of patient appointments in their respective practices. It was challenging to cope emotionally during the initial days of the pandemic as they handled the stress of the pandemic as well as management of their practices, particularly financially. Gradually, by knowledge through different sources and their own daily experiences in patient care paired with the recovery efforts within the state, dentists were able to plan appropriately and handle the challenges. This information is helpful going forward to better define the role of dentists as essential workers recognizing the training and expertise that dentists would bring should a response of the magnitude seen with the COVID-19 pandemic is needed in the future.

Keywords

coronavirus, COVID-19, dentistry, dental practice, survey, Texas

www.tda.org | May 2023 193

INTRODUCTION

The COVID-19 pandemic reached Texas in March 2020. Texas public health officials reported as of March 2021 a total of 6.6 million cases, with 5.4 million confirmed cases and 1.1 million probable cases. A total of 84,513 deaths have been reported and more than 60.9 million COVID-19 tests have been completed.1 Texas has been prominent in its national standing with high levels of COVID-19 infection rates.14 Dental professionals have faced a variety of challenges during the current pandemic such as fear of contracting the virus, increased financial hardship, new guidelines for infection control, less revenue, and shortage of PPE.2 The coronavirus pandemic impacted almost 198,000 active dentists and dental specialists in the USA.3-5 The pandemic resulted in demand for higher levels of precautions and equipment to avoid infection. The US dental practice setting was feared to put practices at higher risk for transmission of the coronavirus due to proximity of the patient and provider, its ambulatory setting, closed spaces, staff and patients, and creation of aerosols during dental procedures.15

The Centers for Disease Control (CDC) recommended more stringent infection control and prevention practices during the COVID-19 pandemic in addition to universal precautions already in place for dental healthcare delivery.6-8,13 Dentists have historically been diligent in following cross-infection control protocols and have been regulated to ensure the safety of patients and staff while practicing. The coronavirus resulted in national panic, an initial lock down across the country, and a declaration that dentists were not essential health care providers because they were not included in a list of those recognized as essential. Dentists were required to quarantine the same as other non-healthcare sectors of the population. In addition, there was increased demand for personal protective equipment (PPE) and other special equipment/garments that were not easily accessible to dental practitioners. During the emerging COVID-19 pandemic, assessment of risk presented a great deal of challenge especially for dentists as there was little evidence available.9-11 COVID-19 has significantly affected dentists around the world in clinical and research settings. The purpose of this study was to gain insight into the effects of the pandemic on and experiences of dentists specifically related to their knowledge, opinions, and challenges. This study shows how dental practitioners were impacted by the pandemic personally and professionally as well as by potential lingering effects, that going forward may impede success in practice, patient care, and oral health outcomes.

METHODS

This was a cross-sectional study of dentists practicing across Texas. The study included 1) dentists aged 25 years or older, 2) who were actively practicing dentistry in Texas, and 3) who have been in practice since 2018, or had retired because of the pandemic. The study received a total of 202 completed responses from the 2,143 dentists surveyed.

This study shows how dental practitioners were impacted by the pandemic personally and professionally as well as by potential lingering effects, that going forward may impede success in practice, patient care, and oral health outcomes.

194 Texas Dental Journal | Vol 140 | No. 4

Questionnaire

A 43-question survey was sent by email to active dental practitioners in Texas. The questionnaire took approximately 15 minutes to complete. It included multiple choice questions and open-ended questions that were divided into the following sections: background, opinions, knowledge, and challenges. The questions were in English only with check boxes provided for multiple choice questions and drop-down boxes for further clarification as needed. The surveys were emailed with an introductory letter from the principal investigator. Dentists interested in participating were first directed to the consent page to agree or decline participation. If they declined, the survey would close. The dentists received an automated participation reminder via email 1 week after the survey launch. If a response was not received after 1 week of the survey launch, the second and final reminders were sent at the end of the second week of the survey. Participants had the opportunity to decline participation at any stage by closing the survey. Participant information was kept confidential and secured on computers and drives that were password protected, encrypted, and/or kept in locked offices of the investigators. To assist with validation of the survey, we solicited participation of 5 dentists who agreed to review the survey on the first week of February 2021 and provide their feedback on each of the questions.

Sample Size Calculation

At the time of the survey, there were 14,283 dentists actively practicing dentistry in Texas. Using a confidence interval of (CI): 95% with a = 5%, we needed N= 375 responses to prove significance. The study included 2,143 or 15% of the available addresses to collect responses. About 10% of surveys were anticipated to be incomplete, which is approximately a 25% response rate. This study recruited around 10-15% of participants over the target number needed. Demographic data as well as information on opinions, knowledge, and challenges were collected.

The responses obtained from the survey were coded within Microsoft Excel and labeled. All statistical analyses were conducted in SPSS software from October 2021 to December 2021. The open-ended questions in the survey were categorized into themes in each question, and percentages were calculated for those themes.

RESULTS

The results showed that most of the respondents, 76.1%, were in solo practice, and 28.7% were general dentists. The average years in practice was 30 years, and 77% were in urban areas (Table 1). The respondents (63%) mentioned that the Texas state government handled the pandemic response appropriately. According to 86% of the respondents, patients were afraid of contracting COVID-19 in the dental office and felt that their dental practices were adversely impacted

www.tda.org | May 2023 195
Solo Practice 76.1% Scope of Practice: General Dentistry 28.7% Multiple sites: No 90.0% Years in Practice: Average 30 Practice location: Urban 77% Practice Employment: Average FTE Dentists 2.3 FTE Hygienists 2.6 FTE Assistants 4.7 FTE Administrative Staff 3.5 FTE
Table 1: Demographic Data for Practicing Texas Dentists

Texas government handled COVID-19 appropriately

Absolutely necessary to close office?

Patients contract COVID-19 from dental office visit

Were patients afraid to contract COVID-19 from dental visit?

Was dental practice negatively affected by COVID-19?

Should dentists be classified as essential health providers/ workers?

by the pandemic (Figure 1). Ninety-five percent also felt that they should be classified as essential health care workers (Figure 1). Throughout the pandemic, there were many misconceptions about the virus and information dissemination was often unclear. The greatest challenges experienced by dentists seemed to be related to personnel and staffing concerns. Emotionally, 51% of the dentists experienced worry, 44% anxiety, and 18% depression.

Additionally, 19% reported personnel loss. There was a significant impact on staff due to lost income, loss of childcare, and contracting the COVID-19 virus. (Figure 2). 42% planned on providing regular care followed by telehealth, others provided screening and testing as a part of the care plan (Figure 3). The availability of vaccines played a major role in helping to decrease the spread of the virus. Approximately 64% of the respondents felt that the vaccines greatly improved their ability to return to their dental practices. 3.6%

196 Texas Dental Journal | Vol 140 | No. 4
Figure 1. Opinions on the pandemic and dental practice. Figure 2. Effects of the pandemic on mental health of the dental practitioner.
100% 90% 80% 70% 60% 50% 40% 30% 20% 10% 0% 63% 96% 86.30% 95% 23.50% 86%
Figure 3. Opinions on roles of the dental practitioner during the pandemic.

believed that vaccines did not help in returning to practice. (Figure 4). The most important challenge for dentists was to keep updated and learn more about COVID-19 and its transmission. Information about the virus and pandemic was obtained from state and national agencies, dental/medical societies, news outlets, and continuing education courses (Figure 5). When asked about their knowledge on the transmission of the virus, 71% of the respondents mentioned air as the primary route of transmission while others identified sputum, touching surfaces, and water (Figure 6). The most effective methods thought to decrease spread of the virus were vaccinations, appropriate PPE, handwashing, wearing masks, and social distancing (Figure 7). The respondents (92%) closed their clinics for the first 3 months in response to the pandemic while other clinics

www.tda.org | May 2023 197
Figure 4. Impact of the vaccine on dental practice and the dental team. Figure 5. Sources of information for knowledge about the COVID-19 virus.

provided care only for emergencies (Figure 8). This had an impact on the number of patients treated daily. Considering an average number of patients treated by dentists in a clinic daily, 77.5% of the respondents treated around 30 patients whereas 17% of them did not treat any patients (Figure 10). The pandemic affected employees through loss of income (32%), childcare (27%), employees who contracted COVID-19 (25%), job loss (11%), and loss of health insurance benefits (5%) (Figure 9). During the early part of the pandemic there was a shortage of supplies and a decrease in patient flow affecting both productivity and financial stability.

198 Texas Dental Journal | Vol 140 | No. 4
Figure 6. Respondents’ knowledge of the virus and how it is transmitted. Figure 7. Respondents’ knowledge on prevention and transmission of COVID-19.

DISCUSSION

In our study population of dentists, 76.1% were solo practitioners and 28% were general dentists—77% were practiced in urban areas, and the average years in practice was 30. Many of the practitioners believed that the pandemic was handled appropriately by our state government but disagreed that the mandate to close dental offices was necessary (28%). Ninety-two percent of respondents closed their practices during the first months of the pandemic. Closure of dental practices was directly related to the belief that dental providers were not essential workers. Interim guidance from the World Health Organization during the pandemic recommended routine dental care be postponed until COVID numbers decreased in communities

www.tda.org | May 2023 199
Figure 8. Dental practice closure during the pandemic. Figure 9. Impact of the pandemic on employees.

with significant infection rates.16 The American Dental Association (ADA) disagreed with the recommendation and responded that oral health care was important to overall health regardless of disease outbreak/pandemic. Our data reflects and supports the information issued by the ADA and showed that 95% of participants of our survey thought dentists should be classified as essential health care workers and 45% continued to provide some degree of dental care to patients.17

As knowledge about the novel coronavirus grew and as vaccines were developed, dental providers returned to their practices and patient care. With new information emerging each day as the pandemic raged on, confidence in how to best combat the virus emerged. Equally important was knowledge about the virus and how

to decrease transmission and thus decrease morbidity and mortality. We learned that masking, distancing, and other methods of infection control in offices were key to containing the virus. Responses in this study pointed to the previously mentioned measures as required to help reduce infection along with handwashing (21%), appropriate PPE (21%), and vaccination (22%).

According to a study by Schaffer DeRoo and colleagues, healthcare professionals’ support of vaccination as well as shared personal experiences with the COVID-19 vaccination encouraged uptake.18 The majority of dentists in this study believed that vaccines greatly improved the ability to practice safely for themselves, their patients, and their staff.

Recommendations from national and state agencies and professional dental

societies were also pivotal to informing practitioners and were the sources where most dentists gained knowledge about COVID-19.

Despite the knowledge gained and precautions taken, the impact of the pandemic on dental providers and their practices was very apparent. A commentary by Robin Gelburd in a US News report indicated that there was a decline in utilization of dental services during the pandemic, and after the bans were lifted in March 2020, the decline continued until June 2020, when there was a slight decrease compared to the same timepoints in 2019.19 In a study by Software Pundit focusing on the economic impact of the pandemic on dental practices, there was a 6% decline in revenue corresponding to a decrease in practice revenue of about $8.3 billion compared to 2019.20

200 Texas Dental Journal | Vol 140 | No. 4
Figure 10. Effect of the pandemic on practice volume.
1-30 patients 31-60 patients 61-100 patients none

The economic effects experienced by dentists were not the only adverse experiences during the COVID crisis. There were also problems associated with mental health and well-being. A recent study of Texas dentists by Bsoul et. al. indicated that the effect of the pandemic on dentists was significant and there was a need for interventions that would support safety and mental health.21 This study showed that 95% of dentists experienced worry and anxiety while the remainder experienced anger, sadness, personal loss, and depression. A systematic review published in 2021 on the psychological impact of COVID-19 found similar results reporting that fear, anxiety, and stress were the most common mental challenges.22

The pandemic significantly and adversely impacted the world and as we continue down the road to recovery after multiple surges, there is still much to learn. Our health care systems in the state were, at times, overwhelmed and the loss of life was devastating for many. Now that infection rates have dwindled, it is important to gain a better understanding of the effects COVID-19 on dental professionals including how their opinions, knowledge gained, and challenges experienced will shape their professional and personal lives into the future.

Additional studies that evaluate the long-term effects of COVID-19 on dentists and the practice of dentistry should be considered.

CONCLUSION

The effects experienced by dentists practicing in the state mirrored many of the challenges experienced by much of the country. Gradually, by keeping updated with the emerging information,

dentists were able to return to patient care. The pandemic caused economic and mental health challenges for dentists. However, with increasing knowledge and understanding of the COVID-19 virus, development of vaccines, and better infection control protocols, dentists have returned to practice more confidently.

REFERENCES

1. Texas COVID 2022 statistics. (2022). Retrieved from https://www.dshs.texas. gov/coronavirus/additionaldata/.

2. Moraes et al (2020, November). COVID-19 challenges to dentistry in the new pandemic epicenter: Brazil. Retrieved from https://doi.org/10.1371/journal. pone.0242251.

3. Munson B, Vujicic M. (2021, May). Supply of Full-Time Equivalent Dentists in the U.S. Expected to Increase Steadily. Chicago, Ill: American Dental Association 2018. Retrieved from https://www.ada.org/-/ media/project/ada- organization/ada/ ada- org/files/resources/research/hpi/ hpibrief_0521_1.pdf?rev=b5f3e8a7c15f4f d5a238314d0f58945c&hash=1688579EF1 76F8C6B240A4BBC5477E30.

4. Eklund SA, Bailit HL. (2017, August). Estimating the Number of Dentists Needed in 2040. Retrieved from DOI: 10.21815/ JDE.017.021.

5. Otto M. (2020). Many dental procedures considered ‘non-essential’ during COVID-19 crisis. Association of Health Care Journalists. Retrieved from https:// healthjournalism.org/blog/2020/03/ many-dental- procedures-considered-nonessential-during-COVID-19-19-crisis/.

6. Center for Disease Control and Prevention (CDC). (2019). Guidance for dental settings. Retrieved from https://www.cdc. gov/coronavirus/2019-ncov/hcp/dentalsettings.html.

7. Dar-Odeh et al. (2020, April). COVID-19: Present and Future Challenges for Dental Practice. Retrieved from DOI: 10.3390/ ijerph17093151.

8. Azzi L et al. (2020, July). Saliva is a reliable tool to detect SARS-CoV-2. Retrieved from DOI: 10.1016/j.jinf.2020.04.005.

9. Fukumoto et al. (2020, June). Efficacy of a novel SARS-CoV-2 detection kit without RNA extraction and purification. Retrieved from DOI: 10.1016/j.ijid.2020.06.074.

10. Iwasaki et al. (2020, August). Comparison of SARS-CoV-2 detection in nasopharyngeal swab and saliva. Retrieved from DOI: 10.1016/j.jinf.2020.05.071.

11. Zhu et al. (2020, September). Viral dynamics of SARS-CoV-2 in saliva from infected patients. Retrieved from DOI: 10.1016/j.jinf.2020.06.059.

12. Anderson EL et al. (2020, May). Consideration of the Aerosol Transmission for COVID-19 and Public Health. Retrieved from DOI: 10.1111/risa.13500.

13. Center for Disease Control and Prevention Situation Summary. Washington, D.C.: U.S. Department of Health and Human Services 2020. Retrieved from https://www.cdc.gov/ coronavirus/2019-ncov/cases- updates/ summary.html

14. COVID-19. (2020) Texas Department of Health and Human Services. Retrieved from https://dshs.texas.gov/coronavirus/.

15. Bordea et al. (2020, November). Coronavirus (SARS-CoV-2) Pandemic: Future Challenges for Dental Practitioners. Microorganisms. Retrieved from DOI: 10.3390/microorganisms8111704.

16. WHO Team. Considerations for the provision of essential oral health services in the context of COVID 19. Retrieved from WHO/2019-nCoV/Oral health/2020.1, CC BY-NC-SA 3.0 IGO. (WHO-2019-nCoV-Oral_ health- 2020.1-eng.pdf).

17. Statement on Dentistry as Essential Health Care (2020, August). Retrieved from American Dental Association (ada.org)

18. Schaffer DeRoo S., Pudalov N.J., Fu L.Y. (2020, June). Planning for a COVID-19 vaccination program. Retrieved from DOI: 10.1001/jama.2020.8711.

19. How COVID-19 affected the dental industry (2020, September). Retrieved from Robin Gelburd: https://www.usnews. com/news/healthiest-communities/ articles/2020-09-18/study-how-covid-19affected-the-dental- industry).

20. The Pandemic’s Economic Impact on Dental Practices in the U.S (2021, April). Retrieved from Bruce Hogan: softwarepundit.com/dental-industry-studypandemic-impact.

21. Bsoul EA, Challa SN, and Loomer PM. (2022, February). Multifaceted impact of COVID-19 on dental practice: American dental care professionals prepared and ready during unprecedented challenges. Retrieved from https://doi.org/10.1016/j. adaj.2021.07.023.

22. Abedi N. (2021, August). Psychological effects of the COVID-19 pandemic on dentistry: A systematic review study. Retrieved from https://dx.doi. org/10.4103%2Fjehp.jehp_1637_20.

www.tda.org | May 2023 201

» Histochemistry, immunohistochemistry, direct immunofluorescence, and Sjogrën syndrome focus scoring

» Free local courier or overnight FedEx service

» Most cases receive a diagnosis within 24-hours following receipt of specimen

» Free biopsy bottles, consultation request forms, biohazard bags, and mailing containers

» Telephone or email consultation available

202 Texas Dental Journal | Vol 140 | No. 4 UT HEALTH SAN ANTONIO
Laboratory
Oral and Maxillofacial Pathology
CALL OR EMAIL FOR ADDITIONAL INFORMATION 210-567-4073 or Pathconsults@uthscsa.edu SCAN QR CODE TO VISIT WEBSITE Anne
11567387 CONTACT YOUR LOCAL DENTAL SUPPLY FOR THE E-VAC TIP The Original E-VAC Tip • Inexpensive • Disposable • Non-Toxic • 100 Tips/Pk PROTECT YOUR PATIENT FROM PAINFUL TISSUE PLUGS • PROTECT YOUR EQUIPMENT FROM COSTLY REPAIRS E-VAC INC.© Phone: (509) 448-2602 • EMAIL:kenevac hotmail.com Made in USA FDA Registered
Cale Jones, DDS and Juliana Robledo, DDS
www.tda.org | May 2023 203 Learn more at TXHealthSteps.com Dental CE courses you can put into practice. Join 225,000+ medical professionals who get free CE with Texas Health Steps Online Provider Education. Choose from a wide range of courses developed by experts, for dental experts like you. Courses such as caries risk assessment and dental quality measures are available 24/7. Content on the Texas Health Steps Online Provider Education website has been accredited by the UTHSCSA Dental School Office of Continuing Dental Education, Texas Medical Association, American Nurses Credentialing Center, National Commission for Health Education Credentialing, Texas State Board of Social Worker Examiners, Accreditation Council for Pharmacy Education, Texas Academy of Nutrition and Dietetics, Texas Academy of Audiology, and the International Board of Lactation Consultant Examiners. Continuing Education for multiple disciplines will be provided for some online content. Texas Health Steps is health care for children birth through age 20 who have Medicaid.

This paper explores mucosal changes seen with dermatologic diseases such as lichen planus, mucous membrane pemphigoid and pemphigus vulgaris; recurrent aphthous and herpetic stomatitis; and oral contact or allergic reactions.

ORAL MUCOSAL DISEASES:

Puzzling Conditions in Complicated Patients

204 Texas Dental Journal | Vol 140 | No. 4
Clinical
Elain
Certified
School
Ying S. Wang, DDS, MS
Assistant Professor, Department of Periodontics, Texas A&M School of Dentistry, Dallas, Texas
Benton, RDH
Tobacco Treatment Specialist, Instructor (Retired), Department of Public Health Sciences, Texas A&M
of Dentistry, Dallas, Texas

Introduction

The mucosal surfaces of the oral cavity provide a canvas for a variety of common and some not-so-common oral lesions and conditions. Mucosal diseases vary greatly in appearance and can present as red, white and/or ulcerative areas affecting a single or multiple sites. They may be asymptomatic or cause discomfort that negatively affects quality of life.

Prevalence of oral mucosal lesions appears to vary with age affecting approximately 5% of people in their 20’s and increasing to nearly 20% of individuals aged 70-80 years.1 Numbers can be significantly higher in certain populations.

The etiology of oral mucosal diseases and conditions includes infection, trauma, altered immune-response and neoplastic changes. A detailed patient history is often critical to establishing a definitive diagnosis. Patients most commonly seek care for oral mucosal pain from their general dentist.

This paper explores mucosal changes seen with dermatologic diseases such as lichen planus, mucous membrane pemphigoid and pemphigus vulgaris; recurrent aphthous and herpetic stomatitis; and oral contact or allergic reactions.

www.tda.org | May 2023 205

Dermatologic Conditions

Lichen Planus

Lichen planus is a chronic inflammatory disease resulting from an abnormal T-cell mediated immune response to a yet unknown lichen planus specific antigen. It can cause skin and/or mucosal lesions, affecting slightly more females than males. Symptoms vary from mucosal sensitivity to continuous debilitating pain; however, some patients are asymptomatic and unaware of their lesions prior to clinical examination.

Lichen planus affects 0.5-2% of the general population.2 The buccal mucosa is the most affected site followed by the tongue and gingiva. Lesions may persist for years with periods of exacerbation and quiescence. Lichen planus is occasionally associated with diabetes and hypertension, and more recently with hepatitis C infection. Lichenoid changes are also seen with drug reactions, contact reactions, and chronic graft-vs-host disease.

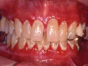
Lichen planus presents in various forms in the mouth including reticular, plaquelike, papular, atrophic, ulcerative, and bullous forms. Lesions range from asymptomatic, white lacy lines (Wickham’s Striae) in the reticular form and dense thickening of the mucosa in the plaque-like form to erythema and ulceration in the atrophic and ulcerative forms. In the former, patients may complain of sensitivity to spicy, acidic, and rough-textured foods as well as difficulty with oral hygiene (Figures 1,2).

206 Texas Dental Journal | Vol 140 | No. 4
Figures 1 and 2. Lichen planus occurring on the gingiva (desquamative gingivitis) and tongue (plaque-like form). Figure 1 Figure 2

A diagnosis based on clinical examination is often acceptable in patients with reticular lichen planus; however, histologic evaluation may be necessary to arrive at definitive diagnoses for the other forms. Direct immunofluorescence may be useful when distinguishing between lichen planus and other oral desquamative diseases.

The cornerstone of treatment of oral dermatologic diseases including lichen planus is the use of high potency topical steroids such as clobetasol and fluocinonide. With severe episodes, tapering doses of systemic steroids are often prescribed as well. Topical steroid therapy can be enhanced by using steroid delivery trays, and intralesional steroid injections may be considered for ulcerative lesions on movable mucosa. Other immune suppressants, both topical and systemic, are used in refractory cases where collaboration with a physician is warranted. Patients often benefit from avoiding products that may irritate the oral tissues including strong flavored toothpaste and mouth rinses as well as spicy, acidic, or rough-textured foods.

Mucous Membrane Pemphigoid

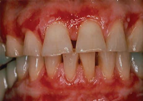
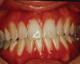
Mucous membrane pemphigoid (MMP) is an autoimmune blistering disorder that affects the oral and/or other mucosal surfaces. It affects women twice as often as men and occurs most frequently in the 5th to 7th decades of life.2 Clinically, MMP presents as desquamative gingivitis (bright red gingiva) often showing a positive Nikolsky’s sign (sloughing of the outer surface of the oral mucosa with slight rubbing) (Figures 3-5).

www.tda.org | May 2023 207
Figures 3-5. Mucous membrane pemphigoid (MMP) presenting as desquamative gingivitis; poor plaque control resulting from the inability to brush comfortably; patient responded well to topical steroids applied in delivery trays. Figure 3 Figure 4 Figure 5

Vesiculobullous lesions occasionally occur on other mucosal surfaces such as the conjunctiva, genitals, skin, nares, esophagus, urethra, and rectum. Symblepharon formation (scarring extending from the conjunctiva to the eyeball itself) can lead to blindness (Figure 6). It is wise to refer patients for an evaluation by an ophthalmologist following diagnosis. Biopsy for routine histology and direct immunofluorescence is often necessary for a definitive diagnosis. Specimens will show a clean, sub-basilar separation of the epithelium from the underlying connective tissue.

Treatment of MMP usually begins with medications and techniques previously described for oral lichen planus— topical and/or systemic steroids applied via various techniques. Systemic therapy with doxycycline or dapsone has shown value in the management of patients with MMP along with other medications which are prescribed by physicians due to their complex side-effects and monitoring demands. More recently, biologics have been used in patients who have not responded to more conventional therapy or have high-risk side effects.

Pemphigus Vulgaris

Pemphigus vulgaris is another autoimmune blistering disorder affecting the skin and/or oral mucosa.

Autoantibodies against proteins in the skin called desmogleins are produced causing a suprabasilar separation of epithelial cells from one another. Approximately 50-70% of patients with pemphigus vulgaris develop mucosal lesions.3 Middle-aged and older adults are most often affected, males and females equally. A mortality rate of approximately 5-15% has been reported.

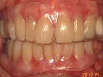
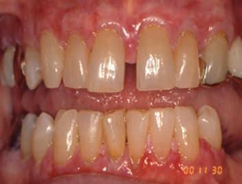
Oral manifestations of pemphigus vulgaris include bullous lesions, erosions with ragged borders, desquamative gingivitis and a positive Nikolsky’s sign (Figures 7,8). Multiple large lesions on the skin can result in fluid loss, electrolyte imbalance, septicemia, and death.

Diagnosis of pemphigus vulgaris is determined by routine histology and direct immunofluorescence following biopsy. Treatment of minor lesions confined to the oral mucosa may initially be managed with topical and/or systemic steroids; however, patients often require other systemic immunosuppressants or biologics. A team approach to treatment including both dentists and physicians is required.

208 Texas Dental Journal | Vol 140 | No. 4
Figure 6. Symblepharon (scar) in a patient with MMP extending from the conjunctiva to the eyeball. Figures 7 and 8. Erosions with ragged borders seen with pemphigus vulgaris. Figure 7 Figure 8

Recurrent Oral Ulcerations

Recurrent Aphthous Stomatitis

Aphthous ulcers (canker sores) are common oral lesions affecting mucosal surfaces (labial/buccal mucosa, tongue, soft palate and floor of the mouth) in approximately 20-30% of the population. Most patients experience lesions prior to the age of 30 (80%), and the problem often runs in families.4 Patients may experience only an occasional aphthous ulcer; however, some suffer from multiple painful recurrent lesions that negatively affect quality of life. It is these patients who seek care from their dentist.

Minor aphthae occur as single, or multiple painful circular/ ovoid ulcers with fibrinous coatings surrounded by erythematous borders. They range from 2-3 mm in diameter (<1cm) and typically persist for 7-10 days. Major aphthae are larger, deeper, and often last for weeks (Figures 9,10). Patients may experience systemic symptoms such as fever and malaise, and lesions are said to heal with scarring. Herpetiform aphthae are far less common and present as multiple very small ulcerations (clinically similar to herpesvirus lesions) which may coalesce forming larger areas of ulceration.

Factors associated with recurrent aphthous stomatitis include tissue trauma, psychological stress, gastrointestinal disease, blood dyscrasias, vitamin deficiencies, immunosuppression, food reactions, medications (NSIADs) and oral hygiene products (sodium lauryl sulfate). A thorough medical and dental history is paramount to the successful management of patients with chronic oral ulcerations.

Treatment of aphthous stomatitis often begins with the use of topical agents such as chlorhexidine or steroids including triamcinolone, fluocinonide, or clobetasol. Systemic steroids are considered in severe cases along with other immune modulating drugs prescribed and monitored by physicians. Intralesional steroid injections are useful for isolated refractory lesions. Vitamin supplementation and diet manipulation may be useful along with discontinuation of targeted medications. Several over-the-counter products are marketed for treatment of aphthous ulcers, and patients may benefit from laser therapy.

Figures 9 and 10. Minor aphthous ulcer presenting as a small painful lesion with a fibrinous coating and erythematous border inside the lower lip. Second picture shows a large painful ulcer consistent with major aphthous stomatitis which has been present for several weeks.

www.tda.org | May 2023 209
Figure 9 Figure 10

Recurrent Herpetic Stomatitis

Recurrent herpetic stomatitis represents the attenuated form of the primary infection with Herpes Simplex 1 virus, usually occurring in childhood. After initial exposure, the virus remains latent in the trigeminal ganglion and uses the axons of sensory neurons to move back and forth to the skin or mucosa. Recurrent (secondary) herpes infection occurs with reactivation of the virus.5

In contrast to recurrent aphthous stomatitis, recurrent herpetic lesions occur unilaterally on non-movable keratinized tissue that is attached to the underlying bone (hard palate and attached gingiva). Ulcerations are preceded by multiple small vesicles which quickly rupture forming ulcers that coalesce creating larger ones. (Figure 11) Lesions are usually painful and last around 2 weeks during which time transmission may be possible. Patients often experience a prodrome or warning of an impending lesion characterized by tingling, itching, or burning. Herpes labialis occurs in the same manner but is not included in recurrent herpetic stomatitis because it affects the outer portion of the lips.

Reactivation of the virus is associated with stress, fatigue, fever, upper respiratory tract infections, trauma, sunlight, hormonal changes and foods. It is more commonly seen in immunocompromised patients. Information regarding reactivation or triggering of the virus should be explored during patients’ health history.

Treatment of recurrent herpetic stomatitis includes prevention as well as topical and systemic medications. Lesions may be preempted by avoiding sunlight or using a protective sun blocking agent, avoiding triggering foods or drinks, and taking lysine. Once a lesion has occurred, there are several overthe-counter products such as 10% docosanol that provide symptomatic relief as do prescription topical medications including 1% penciclovir and 5% acyclovir. Systemic therapy with acyclovir and valacyclovir is the cornerstone of antiviral treatment.

Contact Reactions

Oral Contact Stomatitis

Oral contact stomatitis is an inflammatory condition caused by exposure of the mucosa to a variety of substances resulting in pain, burning, swelling, erythema (oral and perioral), peeling, and blisters/ulcerations (Figures 12,13). Reactions often begin within minutes to hours. The most common

210 Texas Dental Journal | Vol 140 | No. 4
Figure 11. Recurrent herpetic stomatitis—multiple small ulcerations on the hard palate. Figures 12 and 13. Generalized diffuse erythema consistent with oral contact stomatitis associated with use of cinnamonflavored chewing gum (before and after discontinuing product). Figure 12 Figure 13

sites affected include the buccal/labial mucosa, lateral borders of the tongue, gingiva, and hard palate. Clinical changes can be localized, follow the shape of oral appliances, or can be more generalized such as that seen with exposure to mouth rinses or toothpastes.

Signs and symptoms of acute contact stomatitis usually develop shortly after exposure to irritants while the chronic form occurs in areas of long-term exposure to materials such as dental restorations and appliances.6

Contact stomatitis in the mouth occurs less frequently than contact dermatitis on the skin due to saliva, which constantly dilutes offending agents, and the relatively short time substances have in contact with mucosal surfaces as a result of the high degree of vascularization in the mouth.

Common causative agents associated with oral contact stomatitis include oral hygiene products; candy, gum, or mints; sodas; flavorings agents (cinnamon) and preservatives (benzoic acid); foods such as processed tomato products; and dental materials.

Diagnosis of oral contact stomatitis is based primarily on history of present illness and clinical examination. Treatment begins with changes in oral hygiene products and an elimination diet which should result in improvement or resolution within 2 to 4 weeks. Topical steroid therapy may be useful for more severe cases, and biopsy confirmation may be indicated to rule out systemic disease. Patch testing can be of benefit in identifying causative agents, and replacement of dental restorations may be considered if lesions are consistent in location.

Summary

Clinical evidence suggests that oral mucosal lesions and conditions may be more prevalent now than in the past. Diagnosis can be difficult as signs and symptoms of oral mucosal lesions are often similar, making diagnosis a challenge. Patients often seek care from multiple dental and medical providers before receiving a diagnosis and effective treatment. Knowledge of oral mucosal diseases will not only help patients but will also give dentists the tools to provide optimal care.

REFERENCES

1. Splieth CH, Sümnig W, Bessel F, John U, Kocher T. Prevalence of oral mucosal lesions in a representative population. Quintessence Int. 2007 Jan;38(1):23-9. PMID: 17216904.

2. Schlosser BJ. Lichen planus and lichenoid reactions of the oral mucosa. Dermatol Ther. 2010 May-Jun;23(3):251-67. doi: 10.1111/j.1529-8019.2010.01322.x. PMID: 20597944.

3. Schmidt E, Groves R. Immunobullous Diseases. In: Griffiths C, Barker J, Bleiker T, Chalmers R, Creamer D, editors. Rook’s textbook of dermatology. 9th Ed. Singapore: Wiley-Blackwell 2016; 50.1-.57.

4. Barrons RW. Treatment strategies for recurrent oral aphthous ulcers. Am J Health Syst Pharm. 2001;58(1):41–50.

5. Arduino, Paolo Giacomo, and S. R. Porter. “Oral and perioral herpes simplex virus type 1 (HSV1) infection: review of its management.” Oral diseases 12.3 (2006): 254-270.

6. LeSueur, Benjamin W., and James A. Yiannias. “Contact stomatitis.” Dermatologic clinics 21.1 (2003): 105-114.

Clinical evidence suggests that oral mucosal lesions and conditions may be more prevalent now than in the past. Diagnosis can be difficult as signs and symptoms of oral mucosal lesions are often similar, making diagnosis a challenge.

www.tda.org | May 2023 211

Are you a Dentist who is becoming tired of working chairside, near the end of your career, or merely looking for supplemental income? Dental Expert Witness work could be the answer for you!

Until now there have been no lectures and no instruction available on what it is, what it takes, and how to market yourself as an Expert Witness. Our exclusive workshop is the first ever of its kind!

Using their 30 years of experience, Dr. Boeke DDS & Dr. Krueger DDS/JD have created a 2 day workshop on the beautiful Texas A&M-Commerce campus, that will teach you the ins and outs of becoming an Expert Witness in a way that is informative, effective, and fun.

212 Texas Dental Journal | Vol 140 | No. 4 346-221-0316 Oral and Maxillofacial Radiology Interpretation Service *Comprehensive, clinically oriented radiology reports *Reassurance for exclusion of occult pathology *Annotated images of relevant findings *In-depth assessments aiding patient understanding *Easy to use, HIPAA compliant image sharing portal *2-4 day business day turn around time
For more information, class dates, and to reserve your seat, please visit www.drbradboeke.com less chairside, more income DENTAL EXPERT witness training DAY ONE - learnDAY TWO - experience- what it is to BE a Dental Expert Witness - how it helps serve your peers and community - how it generates additional income
of the chair -how to market yourself
Expert Witness. - Dr. Krueger’s firsthand records and depositions of trials past - mock testimonies based on those trials, complete with testimony from a witness stand - end your day with a Texas BBQ experience
Boeke's
$2,895.00
outside
as an
on Dr.
Ranch For an exclusive experience, our program is limited to 10 seats per sessio n!
Free Dental Practice Valuation Take the 1st step in selling your dental practice. Contact us to receive a free practice valuation.
469-222-3200
Terry Watson, D.D.S. Jeremy Brown, J.D. Frank Brown, J.D., LL.M.
214 Provided by: PERKS P R O G R A M value for your profession Benefits of Owning a Dental Practice, and Points to Consider before Making the Investment Provided by Xite Realty

Benefits of Ownership

Independence and Flexibility

Owning a practice means being your own boss. You’d have the freedom to make decisions about how to run your business, including the type of patients you see, which cases to take on, the services you offer, and the hours you work.

This allows you to specialize in areas of dentistry you’re particularly interested in or that align with your practice’s goals, which can provide a sense of control and satisfaction that may not be possible otherwise.

Professional Growth and Development

Being the practice owner means you shape the direction and focus of your business, as well as implement new techniques and technologies you learn about. This provides great opportunities for professional growth and development.

Potential for Financial Success

Practice ownership enables you to maximize your income and grow your business. Here are a few ways.

• Expand the practice’s capacity by adding additional dental chairs and/or offering a wider range of specialized services.

• Build wealth through the appreciation of practice assets, such as real estate.

• Expanding to multiple locations creates the opportunity to serve a wider geographic area and increase a practice’s customer base.

Create a Positive Impact on the Community; Build a Legacy

Practice owners build and lead a team of dedicated and skilled dentists, hygienists, and assistants. You and your team can make a positive impact on the health and well-being of your community by providing high-quality care and improving the oral health of your patients.

If you build a practice that reflects your values and vision and has a positive impact on the lives of your patients and employees, you’re building a legacy in your community. And when it’s time to retire or transition, you’ll be in control of who will take over the business.

www.tda.org | May 2023 215
Owning a dental practice provides many benefits and can be very rewarding and lucrative. Of course, it goes without saying that practice ownership comes with significant responsibilities and challenges. Let’s go over some key benefits practice ownership offers, as well as a few considerations that should be made before investing in practice ownership.

value for your profession

Considerations

Starting a practice is a costly and time-consuming process: there are expenses such as rent, equipment purchases, malpractice insurance, and staffing. Additionally, owners are responsible for managing the financial and operational aspects of the business, which can be complex and time-consuming.

It’s important to carefully consider your goals, strengths, and limitations before making the decision to start or purchase a practice. Are you prepared to take on the responsibilities and challenges of ownership? Do you have the necessary financial resources and support to succeed?

If you feel drawn to practice ownership, know that there are many resources that provide guidance or offer support for those who’d like to start or learn to manage a practice. Professional organizations and dentalspecific consultants, such as a dental startup consultant or dental practice transition attorney, can provide valuable guidance and help you accomplish your goal.

A good resource for those considering practice ownership is TDA Perks Program-endorsed Xite Realty, which offers services ranging from finding the best location for a practice to turnkey dental project management. Xite can also negotiate your lease and help with building to suit. TDA members receive a free initial demographic analysis—both on existing space(s) as well as any new offices being considered. For more information, visit tdaperks.com (Financial and Real Estate) or call 214-306-4555.

216 Texas Dental Journal | Vol 140 | No. 4
Continued
owners are responsible for managing the financial and operational aspects of the business, which can be complex and timeconsuming.

Claude Wiley Eddy Carthage

November 25, 1938–April 15, 2023

Good Fellow: 1991 • Life: 2003 • Fifty Year: 2016

Richard D Rowntree Livingston

May 23, 1946–March 21, 2023

Good Fellow: 1996 • Life: 2011 • Fifty Year: 2020

Gary S Smith Fort Worth

August 26, 1953–October 30, 2020

Marvin G Stephens Jr Tyler

April 5, 1942–April 10, 2023

Good Fellow: 1998 • Life: 2007 • Fifty Year: 2023

John M Stovall Jr Crockett

November 17, 1938–April 17, 2023

Good Fellow: 1997 • Life: 2003 • Fifty Year: 2021

Roger Turner McAllen

September 6, 1952–May 6, 2022

Dallas, Texas

Comprehensive Dentistry at Texas A&M University

School of Dentistry invites applications for the Director of the Advanced Education in General Dentistry (AEGD) Residency Program. This is a full-time tenure track or tenure review upon hire, 11-month academic appointment beginning as quickly as possible. Responsibilities include coordinating clinical activity, supervising patient care, evaluating resident professionalism, clinical progress/performance, counseling residents. Position includes clinical and didactic teaching in ALL areas of comprehensive dentistry. Salary and academic rank commensurate with qualifications and experience of selected applicant. Interested individuals should have a strong commitment to teaching and service. Opportunity for extramural private practice is available.

Learn

Texas A&M University is an Equal Opportunity/Affirmative Action/Veterans/Disability

LAW OFFICES OF MARK J. HANNA

FOR TEXAS DENTISTS

www.tda.org | May 2023 217 • Representation Before the Texas State Board of Dental Examiners • Medicaid Audits and Administrative Hearings • Employment Issues—Texas Workforce Commission Hearings • Administrative (SOAH) Hearings and Counsel • Professional Recovery Network (PRN) Compliance • Employment/Associateship Contract Reviews • Practice Acquisition and Sales • Business Organizations, PAs, PCs, and PLLCs • Civil Litigation 2414 Exposition Blvd., Suite A1 • Austin, Texas 78703 • Phone: 512-477-6200 • Fax: 512-477-1188 • Email: mhanna@markjhanna.com Not Board Certified by the Texas Board of Legal Specialization
Mark J. Hanna JD Former General Counsel, Texas Dental Association
EXPERIENCED LEGAL REPRESENTATION
more and or apply at
https://faculty.tamu.edu/Positions
employer committed to building a culturally diverse educational environment. Applications from veterans, individuals with disabilities, women, minorities, and members of other underrepresented groups are strongly encouraged.
in memoriam
Those in the dental community who have recently passed

classifieds

Opportunities Online at TDA.org and Printed in the Texas Dental Journal

CLASSIFIEDS INFORMATION

DEADLINE

Copy text is due the 20th of the month, 2 months prior to publication (ie, January issue has a due date of November 20.)

MONTHLY RATES

PRINT: First 30 words—$60 for ADA/TDA members & $100 for non-members. $0.10 each additional word.

ONLINE: $40 per month (no word limit). Online ads are circulated on the 1st business day of each month, however an ad can be placed within 24 business hours for an additional fee of $60.

SUBMISSION

Ads must be submitted, and are only accepted, via www.tda.org/Member-Resources/TDAClassified-Ads-Terms. By official TDA resolution, ads may not quote specific incomes or revenues and must be stated in generic terms (ie “$315,000” should be “low-to-mid-6 figures”). Journal editors reserve the right to edit and/or deny copy.

PRACTICE OPPORTUNITIES

ALL TEXAS LISTINGS FOR MCLERRAN

& ASSOCIATES. AUSTIN-NORTH (ID #572): 100% FFS, state-of-the-art office in north Austin featuring a modern buildout with 7 equipped operatories, a CBCT, a digital scanner, and a CEREC milling unit in over 2,600+ sq ft. The office is ideally located in a high visibility retail shopping center with easy access to the surrounding community. AUSTIN-NORTH (ID #575): GD practice in the Killeen/Harker Heights/Copperas Cove area. 4 operatories with recently purchased chairs, digital X-rays, intraoral cameras, and paperless charts. 1,800+ active patients, 40+ new patients per month, revenue of mid-6 figures with 30-35% of total production derived from hygiene procedures, and excellent profitability. AUSTIN-NORTH (ID #580): Established GD practice and real estate in a growing community between Austin and Waco. Located in a 2,184 sq ft professional building with additional space for future expansion, 5 fully equipped operatories, digital X-ray units, a pano, and a digital scanner. The office serves a large, FFS/PPO patient base (over 3,400 active patients seen in the last 24

218 Texas Dental Journal | Vol 140 | No. 4

months) with 35+ new patient visits per month which supports a strong hygiene recall program (40% of total revenue). AUSTIN, ORTHO (ID #581): Rare opportunity to purchase an orthodontic practice and real estate in a highly desirable area just 15 miles west of downtown Austin. The turn-key facility is located within a free-standing building in a high-traffic retail center. The practice has strong profitability, and the facility includes four chairs, a digital Pan-Ceph, iTero Element digital scanner, and paperless charts. The owner is available postsale to assist the buyer with a transition period.

AUSTIN (ID #588): FFS/PPO GD practice in the heart of Austin. Located in a spacious condo, it has 4 fully equipped operatories, computers throughout, digital radiography, digital scanner, CAD/CAM, intraoral cameras, paperless charts, and has realized revenue of over 7 figures with external marketing activities and most specialty procedures being referred out. The real estate is also available for purchase. AUSTIN (ID #601): Established, primarily fee-for-service general dentistry practice with revenue of 7 figures located in a rapidly growing suburb of Austin. This office has additional upside potential via

3 plumbed but not yet equipped operatories, expanding the office hours, or adding several specialty procedures currently being referred out. The current owner is planning to move out of the state later this year. EL PASO (ID #591): PPO/FFS GD practice in El Paso with 4 fully equipped operatories plumbed for nitrous, digital radiography, digital pano, computers in all ops, Cerec digital scanner + CAD/CAM, intraoral cameras, and paperless charts. This practice boasts a healthy active patient base, great reputation, and long-standing presence in the community. HOUSTON-SOUTHWEST (ID #565): Large, comprehensive GD practice in SW Houston. Spacious 3,200+ sq ft retail location, 7 fully equipped ops, digital radiography, computers in operatories, a digital scanner and CBCT. Revenue of over 7 figures with over 40% profitability. This is a great opportunity for a highly trained clinician or group that is looking for a large office that they can continue to grow into. HOUSTON-NORTH (ID #568): Turn-key GD practice in a rapidly growing suburb of Houston. FFS/PPO office, modern build out, 3 equipped operatories, computers in ops, digital radiography, intra oral cameras, paperless

www.tda.org | May 2023 219

classifieds

charts, and a digital pano. This is an ideal opportunity for a buyer who is interested in a start-up and is ready to take an office that is primed for growth to the next level! HOUSTONNORTHWEST (ID #589): 100% FFS GD practice in northwest Houston. Located in a highly visible retail center, the practice features 4 fully equipped operatories (with an opportunity to equip a 5th), computers in ops, digital radiography, intraoral cameras, and paperless charts. This is a turn-key practice with strong growth potential. HOUSTON-SOUTHEAST (ID #592): Legacy practice in a growing suburb southeast of Houston, large, multi-generational, PPO/FFS patient base, and annual revenue of seven figures. Located in a high visibility retail location that contains 5 fully equipped operatories, digital radiography, and computers throughout. With many specialty procedures being referred out, little to no external marketing or advertising, and robust hygiene recall, this practice offers significant upside potential. The real estate is also available for purchase. HOUSTON-NORTHEAST, PEDO

(ID #596): Pediatric dentistry practice in NE Houston suburb. High visibility retail center,

2,500+ sq ft office featuring 6 ops, computers throughout, digital radiography, intra-oral cameras, and paperless charts. It has a growing active patient base, sees approximately 80 new patients per month, and has an excellent online reputation. NORTHEAST TEXAS (ID #584): 100% FFS general dentistry practice in a desirable town in northeast Texas with 7 figures in revenue and strong net income. The turn-key practice features 4 fully equipped operatories with digital radiography, intra oral cameras, paperless charts, CBCT, and a digital scanner.

SAN ANTONIO (ID #582): Well-established, PPO/FFS family practice in central San Antonio in a high visibility building. 4 fully equipped ops, digital radiography, a digital pano, intraoral cameras, and computers in all ops. Large active patient base and a robust hygiene recall program with no website and minimal external marketing efforts and significant growth potential by way of expanding services to include endodontics, implant placement, ortho, and oral surgery.

SAN ANTONIO (ID #583): 100% FFS, high-tech practice in NW San Antonio. 2,000+ sq ft, 6 operatories, digital radiography, CBCT, milling machine, 3D printer,

220 Texas Dental Journal | Vol 140 | No. 4

porcelain and zirconia ovens, computers in ops, and a digital scanner. The practice has high-6 figures of annual revenue, solid monthly new patient flow, a fantastic web presence and a stellar online reputation that the seller has built up over several years. If you enjoy cosmetic dentistry and placing implants with a focus on using state of the art technology, this is the practice for you! SOUTH TEXAS (ID #585): Majority PPO/FFS GD family practice in south Texas. 1,900 sq ft office, 3 fully equipped operatories, computers in all operatories, digital radiography, digital pano, intraoral cameras, digital scanner, and paperless charts. Strong active patient base, an average monthly new patient count of 45+ (over past 12 months) on limited external marketing efforts, healthy hygiene recall program (20% of annual production) and primed for continued success and future growth. TO REQUEST MORE INFORMATION ON MCLERRAN & ASSOCIATES’ LISTINGS: Please register at www.dentaltransitions.com or contact us at 512-900-7989 or info@dentaltransitions. com.

BEAUMONT—GENERAL (REFERENCE

“BEAUMONT”). Small town practice near a main thoroughfare. 80 miles east of Houston. Collections in 7 figures. Country living, close enough to Houston for small commute. Practice in a stand-alone building built in 1970. The office is 1,675 sq ft with 4 total operatories, 2 operatories for hygiene and 2 operatories for dentistry. Contains reception area, dentist office, sterilization area, lab

& Associates is the largest dental practice brokerage firm in Texas. When

www.tda.org | May 2023 221 www.dentaltransitions.com
it’s
we’ve got you covered. DSO C S PRACTICE SALES Email: texas@dentaltransitions.com PRACTICE APPRAISALS Austin 512-900-7989 DFW 214-960-4451 Houston 281-362-1707 San Antonio 210-737-0100 South Texas 361-221-1990
McLerran
time to buy or sell a practice,

classifieds

area. Majority of patients are 30 to 65 years old. Practice has operated at this location for over 38 years. Practice sees patients about 16 days a month. Collection ratio of 100%. The practice is a fee-for-service practice. Building is owned by dentist and is available for sale. Contact Christopher Dunn at 800-930-8017 or christopher@ddrdental.com. HOUSTON (SHARPSTOWN AREA): GENERAL (REFERENCE “SHARPSTOWN GENERAL”). MOTIVATED SELLER. Well-established general dentist with high6 figure gross production. Comprehensive general dentistry in the southwest Houston area focused on children (Medicaid). Very, very high profitability. 1,300 sq ft, 4 operatories in single building. 95% collection ratio. Over 1,200 active patients. 20% Medicaid, 45% PPO, and 35% fee-for-service. 30% of patients younger than 30. Office open 6 days a week and accepts Medicaid. Contact Christopher Dunn at 800-930-8017 or christopher@ddrdental. com. HOUSTON (BAYTOWN AREA)—GENERAL (REFERENCE “BAYTOWN GENERAL”). MOTIVATED SELLER. Well-established general practice with mid-6 figure gross production. Comprehensive general dentistry in Baytown on the east side of

Houston. Great opportunity for growth! 1,400 sq ft, 4 operatories in single story building. 100% collection ratio. 100% fee-for-service. Practice focuses on restorative, cosmetic and implant dental procedures. Office open 3.5 days a week. Practice area is owned by dentist and is available for sale. Contact Christopher Dunn at 800-930-8017 or christopher@ddrdental. com. WEST OF AUSTIN—ORTHODONTIC (REFERENCE “HILL COUNTRY ORTHO”). Located in a rapidly growing small town, this practice is in the heart of the Texas hill country. This practice serves the youth of the area. There are 4 operatories in the practice. The practice is 100% fee for service. Orthodontic care is the only service provided at this office. 1300 sq ft. Open 4 days per week. Digital X-rays and pano and Cloud9Ortho software. The practice has excellent visibility and is located near a hospital. Contact Christopher Dunn at 800-930-8017 or christopher@ddrdental.com.

HOUSTON, COLLEGE STATION, AND LUFKIN (DDR DENTAL Listings). (See also AUSTIN for other DDR Dental listings and visit www. DDRDental.com for full details. LUFKIN:

222 Texas Dental Journal | Vol 140 | No. 4

GENERAL practice on a high visibility outer loop highway near mall, hospital and mature neighborhoods. Located within a beautiful single-story, free-standing building, built in 1996 and is ALSO available for purchase. Natural light from large windows within 2,300 sq ft with 4 operatories (2 hygiene and 2 dental). Includes a reception area, dentist office, a sterilization area, lab area, and break room. All operatories fully equipped. Does not have a pano but does have digital X-ray. Production is 50% FFS and 50% PPO (no Medicaid), with collection ratio above 95%. Providing general dental and cosmetic procedures, producing mid six figure gross collections. Contact Christopher Dunn at 800-930-8017 or Christopher@DDRDental. com and reference “Lufkin General or TX#540”.

HOUSTON—GENERAL (SHARPSTOWN): Well established general dentist with high-6 figure gross production. Comprehensive general dentistry in the southwest Houston area focused on children (Medicaid). Very, very high profitability. 1,300 sq ft, 4 operatories in single building. 95% collection ratio. Over 1,200 active patients. 20% Medicaid, 45% PPO, and 35% fee-for-service. 30% of patients

younger than 30. Office open 6 days a week and accepts Medicaid. Contact Chrissy Dunn at 800-930-8017 or chrissy@ddrdental.com and reference “Sharpstown General or TX#548”.

HOUSTON—GENERAL (PEARLAND AREA).

GENERAL located in southeast Houston near Beltway 8. It is in a freestanding building. Dentist has ownership in the building and would like to sell the ownership in the building with the practice. One office currently in use by seller. 60% of patients age 31 to 80 and 20% 80 and above. Four operatories in use, plumbed for 5 operatories. Digital pano and digital X-ray. Contact Christopher Dunn at 800-930-8017 or christopher@ddrdental.com and reference “Pearland General or TX#538”.

HOUSTON—PEDIATRIC (NORTH HOUSTON): This practice is located in a highly soughtafter upscale neighborhood. It is on a major thoroughfare with high visibility in a strip shopping center. The practice has 3 operatories for hygiene and 2 for dentistry. Nitrous is plumbed for all operatories. The practice has digital X-rays and is fully computerized. The practice was completely renovated in 2018. The practice is only open 3.5 days per

www.tda.org | May 2023 223

classifieds

week. Contact Christopher Dunn at 800-9308017 or christopher@ddrdental.com and reference “North Houston or TX#562”. WEST HOUSTON—MOTIVATED SELLER. Medicaid practice with production over 6 figures. Three operatories in 1,200 sq ft in a strip shopping center. Equipment is within 10 years of age. Has a pano and digital X-ray. Great location. If interested contact chrissy@ddrdental.com. Reference “West Houston General or TX#559”.

Fotona Lasers are available. Doctors over 70 years of age are ready to retire. Instead of using a broker, we are willing to provide a discount equal to the broker fee. Interested parties can contact us by calling or texting our personal cell number 346-754-9643. Email: smile.office@ proton.me. Principals only. Sales agents and buyers bonded to the broker, please don’t contact this sales poster. Do NOT contact us with unsolicited services or offers.

SOUTHEAST HOUSTON: Above mid-6 figures of adjusted net production and almost full collection (97%). Fee-for-service and PPO practice, highest-net income. The total collection over total production is about 90%.

4 days/week, free weekends. No Medicaid, No HMO/DMO, no in-network and no hassle. This practice has been in this area for over 40 years; the current practice location was built in 2006 in a new building with all new equipment.

4,000 sq ft, 5 fully equipped operatories, and 5 additional operatories plumbed. CBCT with pano and digital X-ray with a Phosphor-Plate scanner require little to no maintenance. We have a few digital sensors too. Microscopes and

WATSON BROWN PRACTICES FOR SALE:

Practices for sale in Texas and surrounding states, For more information and current listings please visit our website at www. adstexas.com or call us at 469-222-3200 to speak with Frank or Jeremy.

INTERIM SERVICES

HAVE MIRROR AND EXPLORER, WILL TRAVEL: Sick leave, maternity leave, vacation, or death, I will cover your general or pediatric practice. Call Robert Zoch, DDS, MAGD, at 512-517-2826 or drzoch@yahoo.com.

224 Texas Dental Journal | Vol 140 | No. 4
www.tda.org | May 2023 225
226 Texas Dental Journal | Vol 140 | No. 4 PRN Helpline (800) 727-5152 Visit us online www.txprn.com YOUR PATIENTS TRUST YOU. WHO CAN YOU TRUST? If you or a dental colleague are experiencing impairment due to substance use or mental illness, The Professional Recovery Network is here to provide support and an opportunity for confidential recovery. Anesthesia Education & Safety Foundation, Inc... 187 Biosynetics Orthodontic/Orthopedic Training Seminars ............................................... 191 Choice Transitions ........................... Inside Back Cover Dental Expert Witness Training............................... 212 E-VAC Inc .................................................................... 202 JKJ Pathology .............................................................. 189 Law Offices of Mark J. Hanna .................................. 217 McLerran & Associates............................................. 221 MedPro Group........................................................... 190 Penumbra Diagnostics ............................................. 212 Princess Dental Staffing .............................. Back Cover Professional Recovery Network .............................. 226 TDA Perks ......................................... Inside Front Cover Texas A&M School of Dentistry ............................... 217 Texas Health Steps ................................................... 203 UTHSC-SA/South Texas Pathology Lab .................. 202 Watson Brown ........................................................... 213 ADVERTISERS

Since 1996, our team of experts have provided successful transition services exclusively to dentists. Choice prides itself on its reputation for integrity, service and results for both traditional practice sales and commission-free sales to DSOs.

www.tda.org | May 2023 227
your local representative today!
Contact
VISIT PRINCESSDENTALSTAFFING.COM. Lorem psum ! DENTAL STAFFING Lorem I psum LQuestions Call us at 1-844-700-JOBS p THAT COMES WITH 5-STAR RE VIE WS.

Turn static files into dynamic content formats.

Create a flipbook
Issuu converts static files into: digital portfolios, online yearbooks, online catalogs, digital photo albums and more. Sign up and create your flipbook.