
20 minute read
Oral and Maxillofacial Pathology Case of the Month
ORALand maxillofacial pathology case of the month
Clinical History
AUTHORS
A 53-year-old Hispanic male was referred to the predoctoral urgent care dental clinic at UT Health San Antonio with a chief complaint of, “I have been having some pain in my upper right gums near where I had a tooth extracted.” He reported having #1 extracted 4 months prior to presentation. Since the extraction, the patient experienced discomfort in the surrounding soft tissue. The pain described was continuous but fluctuated in severity. His discomfort at the time of presentation was 1/10, but he reported it had periodically increased to 7/10. He noticed the affected area was enlarged, and the distalmost tooth, #3, was loose.
Amanda Jean Wilson, BS
Third-year dental student, School of Dentistry, UT Health San Antonio, San Antonio, Texas
Anne Cale Jones, DDS
Distinguished Teaching Professor, School of Medicine, Department of Pathology and Laboratory Medicine, UT Health San Antonio, San Antonio, Texas
Juliana Robledo, DDS
Assistant Professor, School of Medicine, Department of Pathology and Laboratory Medicine, UT Health San Antonio, San Antonio, Texas
Figure 1.
Clinical photograph demonstrating slight expansion of the buccal vestibule in the area of #6 and slight expansion of the alveolar ridge distal to #3.
Numbness in the upper right posterior region, pain in the right periorbital area, mild changes in eyesight in the right eye, and pain in the right ear were reported. The patient’s past medical history was significant for hypertension, hyperlipidemia, and fatty liver; the fatty liver was treated for 3 months and no longer required medication. His social history included occasionally smoking cigars and a 6-year period of smoking cigarettes 20 years ago. He denied taking any medications besides ibuprofen for pain management and did not experience any fever, chills, nausea, or vomiting.
Intraoral examination revealed slight expansion of the buccal vestibule in the area of #6 and slight expansion of the alveolar ridge distal to #3 (Figure 1). Subtle expansion of the right palate extending to midline was also observed. The areas of expansion were tender to palpation. No discomfort was associated with #3 when tested with percussion and palpation, and it did not respond to pulpal testing. Tooth #3 demonstrated class II mobility, grade I furcation involvement, and sulcular probing depths of 3 mm or less. Teeth #4 and #5 did not respond to pulpal testing but teeth #6 and #7 responded normally.
The patient provided a panoramic radiograph taken at an outside clinic prior to the extraction of #1. It revealed an ill-defined radiolucent lesion in the right maxilla extending from the distal of #1 to the anterior segment of the upper right quadrant. The anterior extent was difficult to delineate due to the shadow from the airway. The panoramic radiograph confirmed the patient was missing #2 prior to the extraction of #1. He also provided two upper right molar periapical radiographs. The pre-extraction periapical radiograph showed a destructive radiolucent lesion extending from the distal of #1 to the distal root of #3. The mesial root of #1 and the apex of the distal root of #3 demonstrated external root resorption. The postextraction periapical radiograph showed irregular root apices of #3 and an expansile radiolucency extending from the edentulous area distal of #3 to its mesial root. A new panoramic radiograph was obtained in the predoctoral urgent care dental clinic. This radiograph revealed a destructive radiolucency involving the right maxilla distal and apical to #3 with destruction of the inferior wall of the maxillary sinus (Figure 2).
Based upon the clinical and radiographic presentation, the patient was scheduled in the graduate oral and maxillofacial surgery clinic for an incisional biopsy of the radiolucent lesion of the right posterior maxilla. A needle aspiration was performed which did not generate any aspirate. Tooth #3 was extracted, and the soft tissue from the region was excised and submitted for histopathologic examination.
Pathologic Findings
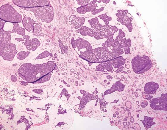
The specimen was received in a container of formalin and contained four graytan irregularly shaped fragments of soft tissue measuring 2.2 x 1.6 x 0.7 cm in aggregate. Histopathologic examination revealed a malignant
ORALand maxillofacial pathology, continued

Figure 2. Panoramic radiograph revealed a destructive radiolucency involving the maxilla distal and apical to #3 with destruction of the inferior wall of the maxillary sinus.
epithelial glandular neoplasm invading the surrounding fibrous connective tissue. The neoplasm demonstrated two growth patterns: solid aggregates of neoplastic cells exhibiting tumor cell necrosis (comedo necrosis) and neoplastic cells arranged in a cribriform pattern (Figures 3 and 4). Scattered small ducts with tiny lumina were noted in the solid areas. In the cribriform areas, cystic and pseudocystic spaces were evident, some of which contained a central basophilic material. A homogenous eosinophilic material, consistent with basal lamina, was noted surrounding some of the cribriform islands. The individual tumor cells contained round to oval shaped lightly basophilic nuclei with prominent nucleoli and pale eosinophilic cytoplasm. Scattered mitotic figures were noted in the neoplastic cells. Although extensive sampling was performed, no perineural invasion was identified. The neoplastic cells transected all surgical margins. Additional immunohistochemical stains were performed for phenotypic analysis and to rule out other malignant glandular neoplasms.
What is the most likely diagnosis?
See page 82 for the answer and discussion.

Figure 3. Malignant glandular neoplasm exhibiting solid islands of tumor cells and focal cystic areas (center and lower right) (H&E: original magnification 4x).

Figure 4. Malignant glandular neoplasm exhibiting a focal cribriform pattern (center), cystic and pseudocystic spaces, and solid islands of neoplastic cells (far right)(H&E: original magnification 10x).


Specializing in:
• Conventional biopsy testing • Cytopathology • Histochemistry • Immunohistochemistry • Direct immunofluorescence testing
• Complimentary biopsy kits • Delivery via FedEx, local courier or USPS • Diagnosis within two business days of receiving most biopsy specimens. • UT M.D. Anderson Cancer Center and UTHealth
Medical School available for consultations as needed.
• Affiliated with UT School of Dentistry at Houston.
713.486.4411 go.uth.edu/Pathology
Our Pathologists:
Jerry E. Bouquot, DDS, MSD Ngozi N. Nwizu, BDS, MMSc, PhD Kalu U.E. Ogbureke, BDS, DMSc, JD, MSc Nadarajah Vigneswaran, DMD, DrMedDent
LAW OFFICES OF MARK J. HANNA
EXPERIENCED LEGAL REPRESENTATION FOR TEXAS DENTISTS

Mark J. Hanna JD
Former General Counsel, Texas Dental Association • Representation Before the Texas State Board of
Dental Examiners • Medicaid Audits and Administrative Hearings • Employment Issues—Texas Workforce Commission
Hearings • Administrative (SOAH) Hearings and Counsel • Professional Recovery Network (PRN) Compliance • Employment/Associateship Contract Reviews • Practice Acquisition and Sales • Business Organizations, PAs, PCs, and PLLCs • Civil Litigation
2414 Exposition Blvd., Suite A1 • Austin, Texas 78703 • Phone: 512-477-6200 • Fax: 512-477-1188 • Email: mhanna@markjhanna.com Not Board Certified by the Texas Board of Legal Specialization
COMBINATION THERAPY:
How Dentistry Can Assist the Medical Community
AUTHORS

Martin Denbar, DDS, D.ABDSM, Adjunct Assistant Professor (Non-Principal Faculty), Department of Internal Medicine, Texas A&M School of Medicine, and Private Practice, Austin, Texas
Aaron Glick, DDS, D.ABDSM, Clinical Assistant Professor, UTHealth School of Dentistry at Houston and Sam Houston State University College of Osteopathic Medicine
Address correspondence to: Martin Denbar, dr.denbar@austinapnea.com
A patient with poor dentition as the foundation for the oral appliance can provide a particularly complicated management strategy for the medical and dental practitioner. Ideally, patients seeking oral appliance therapy will present with healthy periodontium and perioral structures, but that is not always the case.

AbstrAct
Continuous positive airway pressure (CPAP) non-compliance with multiple co-morbidities can be a challenge for medical providers to manage. Combination therapy (PAP therapy with an oral appliance) can aid in managing a severe case of obstructive sleep apnea (OSA). However, a patient with poor oral dentition as the foundation for the oral appliance can provide a particularly complicated management strategy for both the medical and dental practitioner. This case will review the successful management of a severe OSA patient with damaged dentition, bilateral artificial temporal mandibular jaw joint (TMJ) replacement, and limited opening with the use of combination therapy.
A 68-year-old female presented with uncontrolled hypertension, fibromyalgia, nasal allergies, severe sleep apnea, thyroid disorder, and severe claustrophobia. She had bilateral total TMJ joint replacement in 1980 with subsequent surgeries to remove the left and right auricular fossa. In addition, the patient had an implant supported lower denture with the remaining maxillary teeth heavily restored. The patient had limited opening of 29mm at the initial visit. She was treated in coordination with her cardiologist, primary care provider, and dentist. Her initial diagnosis of sleep apnea revealed an apnea-hypopnea index (AHI) of 43.3 and nadir of 55%. Due to claustrophobia, headgear discomfort, sleep interruption, and ineffectiveness of her treatment, she was unable to tolerate her CPAP and therefore was non-compliant with therapy. Jaw stretching exercises were completed allowing for an increased vertical and horizontal movement. After completing
manage.
her simple physical therapy she was able to translate 3.25mm past centric occlusion and comfortably wear the oral appliance (TAP 3 TL). Drastic improvement occurred through the use of the oral appliance alone. Her time above 90% SpO2 (CT90) was 97.2% with elevated desaturation indices of 11.1 (4% oxygen desaturation) and 23 (3% oxygen desaturation), a significant improvement, but not total management. After completion of her titration protocol and attachment of the oral appliance to the CPAP nasal mask (Phillips Respironics DreamWear), the patient showed an AHI of 2.8 with median pressures of 7.3 cmH2O and a time of usage at 5 hours and 29 minutes. The field of Oral Appliance Therapy goes far beyond the “simple” cases of mild/moderate sleep apnea. When patients present for treatment there needs to be available therapies that are cost effective and yet still comprehensive enough to offer the patient. Compromised dental management is a necessity in many cases in order to meet the patient’s needs. This case is a classic example of the patient not having an ideal or adequate dental condition, yet full management was obtained within the confines of basic dentistry with minimal cost and overall excellent results.
Keywords
obstructive sleep apnea (OSA), mandibular advancement, continuous positive airway pressure (CPAP), temporomandibular joint disorders, cumulative above 90% SpO2 (CT90), positive airway pressure (PAP), apnea hypopnea index (AHI), mandibular advancing device (MAD), central apnea (CA), high resolution pulse oximetry (HRPO)
INTRODUCTION
Oral appliance therapy (OAT) treats Obstructive Sleep Apnea (OSA) through repositioning the mandible in an anterior position during sleep. This anterior movement elevates the hyoid, expands the posterior airway space particularly in a lateral direction, and increases muscle tone in the genioglossus.1 Oral appliances alone can sufficiently treat mild to moderate OSA in many cases and significantly reduce if not control severe OSA in rare cases.
OSA is in epidemic proportions globally in most of developed countries. Continuous positive airway pressure (CPAP), although considered the gold standard of therapy, has been in question as a first line therapy due to poor long-term compliance rates.2,3 Patients that are untreated or undertreated that continue to suffer from OSA have a higher likelihood of hypertension, stroke, depression, and mortality, among other medical risks.4
Either partial or total CPAP non-compliance when seen in patients with significant multiple co-morbidities can be a challenge for medical providers to manage. Combination Therapy (CT) combines positive airway pressure (PAP) therapy with an oral appliance (with or without an interface) to aid in managing a severe case of obstructive sleep apnea. Traditionally the severity of OSA is measured by the Apnea Hypopnea Index (AHI), which is the number of times that patients partially or fully stop breathing per hour of sleep. Currently in the field of sleep medicine, there is criticism of using only the AHI as a measure of OSA severity, particularly since the metric does not adequately capture all clinical impacts of the disease and thus may potentially misrepresent the true severity.5 Other metrics that can also be used to assess the comprehensive impact of OSA are the Respiratory Disturbance Index (RDI), time spent below 90% SpO2 (CT90), and the lowest oxygen level reached when the patient is sleeping (nadir). These metrics are important when considering the complex nature of OSA.

In addition, a patient with poor dentition as the
foundation for the oral appliance can provide a particularly complicated management strategy for the medical and dental practitioner. Ideally, patients seeking oral appliance therapy will present with healthy periodontium and perioral structures, but that is not always the case. Patients with cardiovascular disease or other significant comorbidities will often present with major dental challenges when using an oral appliance. The healthcare provider, either medical or dental, will need to modify the patient’s therapy to obtain the best treatment outcome personalized to those individual needs.

Her claustrophobia, not from the Interface or oral
appliance, but from the mouth to nasal breathing caused panic attacks during the delivery phase. The obtainable anterior
translation of 3.25 mm from
centric occlusion was enough to prevent mouth venting making the use of the Phillips Respironics Dream Wear nasal cushions effective without
creating any claustrophobia.
This case will review the successful management of a severe OSA patient with damaged dentition, minimal teeth, bilateral artificial temporomandibular jaw (TMJ) joint replacement, obligate mouth breathing, severe claustrophobia and limited opening using Combination Therapy with an Interface and adjustable mandibular advancing device (MAD).
CASE REPORT
A 68-year-old female presented with uncontrolled hypertension, fibromyalgia, nasal allergies, severe sleep apnea, thyroid disorder, and severe claustrophobia. She had been using nasal cushions with her CPAP but was not able to fully control her OSA with this treatment alone, due to exceptionally severe claustrophobia. The patient had bilateral total TMJ joint replacement in 1980 with subsequent surgeries to remove the left and right auricular fossa due to infection. This created a significant issue with her opening capability resulting in a limited opening of 29mm at the initial visit. In addition, she presented with an implant supported lower denture with remaining maxillary teeth 1, 2, 5, 7, 9, 13 (implant), 15, and 16 (Figure 1). The remaining maxillary teeth were heavily restored with existing decay and significant periodontal disease. During the impression phase for the master impression, the anterior bridge containing the teeth came out with the alginate impression. Her overall periodontal health was very poor with

Figure 1. After completion of the titration protocol, the patient showed an AHI of 2.8 with median pressures of 7.3 cmH2O and time of usage at 5 hours and 29 minutes. At her 6-month followup examination her AHI is below 3 with time of usage 6 plus hours/night. Her general dentist is restoring her remaining dentition and treating her periodontal condition conservatively.
corresponding inadequate oral hygiene habits.7-9
Her initial diagnosis of sleep apnea showed an AHI of 43.3 and nadir of 55%. Without the ability to utilize the conventional CPAP headgear to allow for the higher than normal air pressures required to control her OSA, therapy was minimally efficacious when it was used. Care was coordinated with her general dentist, cardiologist, and primary care provider. The treatment outline was developed and agreed upon. The patient was an obligate mouth breather with a low resting tongue level. A low resting tongue level can complicate CPAP and oral appliance therapy since it increases the chance of mouth venting. In this case, due to the severity of claustrophobia, a lip guard could not be used to prevent mouth venting. A lip guard is a soft silicone barrier that fits on the TAP-PAP Interface stem covering the mouth and preventing air venting while breathing.
After an extensive consultation with the patient and with a close friend being present, the decision to proceed with treatment was made. Due to the severity and complexity of this case, additional steps were completed to ensure treatment. Treatment began with simple jaw stretching exercises that the patient performed at home as often as she comfortably could. The patient was instructed to simulate the position of her hand as if she was going to snap her fingers. She placed her fingers between her upper and lower anterior teeth and slowly made the snapping motion stretching her jaw open, but only with comfort.
At the impression appointment approximately 2 weeks later, significant progress was achieved with maximum opening. Both upper and lower impressions using Kerr metal trays and a highly refined alginate were taken
without any discomfort. The patient continued her jaw stretching exercises during the initial treatment phase. This allowed for an increased vertical and horizontal movement. Upon completion of initial treatment the patient was able to translate 3.25mm past centric occlusion and comfortably wear the oral appliance (TAP 3 Triple Laminate). The lower oral appliance was fitted over her existing implant supported denture and the upper appliance was made over the remaining teeth.
An innovative technique was utilized in the fabrication of the upper appliance allowing for the triple laminate (TL) material to be used around the remaining teeth and hard denture acrylic to be used for the remaining appliance. The SR Ivocap Injection System (Ivoclar Vivadent Inc., Amherst, NY) was used to produce an appliance base that could be modified with chairside or laboratory relines or rebases for stability purposes. This injection system controls the heat/ pressure polymerization and regulates the exact amount of material flowing into the flask to compensate for acrylic shrinkage, allowing for a highly accurate fit with minimal appliance adjustment when seated. As the ridge anatomy changes with age and use, the appliance’s inner lining can be easily readapted with chair-side relines (soft or hard) for the partially edentulous patient and with chair-side or laboratory rebase and relines for the fully edentulous individual.

The patient had significant improvement through treatment with the oral
TAP 3 Triple Laminate
appliance alone. Her time above 90% SpO2 (CT90) was 97.2% with elevated desaturation indices of 11.1 (4% oxygen desaturation scoring) and 23 (3% oxygen desaturation scoring). Initially the TAPPAP (CS) Interface was utilized. Her claustrophobia, not from the Interface or oral appliance, but from the mouth to nasal breathing caused panic attacks during the delivery phase. The obtainable anterior translation of 3.25 mm from centric occlusion was enough to prevent mouth
venting making the use of the Phillips Respironics Dream Wear nasal cushions effective without creating any claustrophobia. After completion of the titration protocol, the patient showed an AHI of 2.8 with median pressures of 7.3 cmH2O and time of usage at 5 hours and 29 minutes/ night. At her 6-month follow-up examination her AHI was still below 3 and time of usage had increased to more than 6 hours/night. Her general dentist restored her remaining dentition to work in conjunction with her airway therapy and treated her periodontal condition conservatively.
DISCUSSION
Oral appliances in the form of mandibular advancing devices (MAD) are becoming an important treatment modality that the medical profession is beginning to increasingly utilize for the treatment of OSA. There are still significant numbers of patients that are unable to use conventional CPAP while at the same time oral appliance therapy on its own is unable to fully manage the patient’s airway issue. In these cases, CT can become a useful tool for managing severe OSA.
Combination therapy can be in the form of simply putting a conventional CPAP apparatus over an oral appliance, using a monoblock appliance with an approximate jaw position, or ideally CPAP connected to an adjustable oral appliance or MAD. Surgical options can be performed at any time as an adjunct therapy. A particular benefit of CT is its reversibility and more conservative therapeutic approach. The underlying principle of CPAP is to provide sufficient air pressure using positive airflow through the mouth and/or nose to create a pneumatic splint opening the upper airway. PAP pressures need to be high enough to continuously push the tongue and other soft tissues out of the airway and thereby maintain airway patency. Joining the oral appliance and CPAP together provides an improved dual set of therapeutic principles maximizing the benefit to the patient. Combination Therapy balances the inspiratory pressure of the CPAP and the amount of mandibular advancement to be effective but with minimal air pressures and jaw movement. This reduces the overall number of complications for both therapies.
Additionally, lower PAP pressures and reduced mandibular protrusion improves overall patient comfort and therefore their compliance improves.6,7 The standard PAP headgear does not need to be used thereby improving patient mobility during sleep and reducing air leaks.
CT therapy must be performed with a physician’s written order and in conjunction with the physician’s office. CPAP downloads should be monitored on a regular basis. Depending on the severity of disease, CPAP induced central apneas (CA) will potentially become evident during the course of treatment and should be continuously monitored. Over time CAs typically will dissipate, however in some cases, particularly with traumatic brain injuries, more advanced PAP devices such as a BiPAP ST or an Adaptive Servo-Ventilation (ASV) system may be needed for management.
The use of high resolution pulse oximetry (HRPO) is important as a tool during titration. This non-diagnostic test can reveal the presence of residual OSA that the CPAP machine alone will not detect. The HRPO will provide the cumulative time above 90% oxygen (CT90) level along with the desaturation indices and pulse rate. Patients with COPD, asthma, emphysema or other lung issues can have a normal AHI but abnormally low CT90. The patient’s CT90 may be normal but still have elevated desaturation indices. Occasionally patients can have leakage through the lacrimal duct causing eye dryness along with potentially other issues that can affect treatment outcome. Close communication between the dentist and the physician is important as the final treatment outcome may precipitate the need for discovered additional medical issues.
Once the most therapeutic analytics and comfort is achieved, the patient must be sent back to their physician for re-evaluation. Depending on the severity of disease, medical comorbidities, and ability to control OSA with CT, the physician may order an in-lab titration or continue treatment based on CPAP download and HRPO results.
CONCLUSIONS
The field of Oral Appliance Therapy goes far beyond the “simple” cases of mild/ moderate sleep apnea. When patients present for treatment there is a need for available therapies that are cost effective and yet still comprehensive enough to offer the patient. Compromised dental management is a necessity in many cases in order to meet the patient’s needs. This case is a classic example of the patient not having an ideal or adequate dental condition for treatment, yet full management was obtained within the confines of basic dentistry with minimal cost and overall excellent results. As a result, her physicians have a much better chance to manage her cardiovascular issues and her stroke risk is significantly minimized.
1. Sutherland K, Vanderveken
OM, Tsuda H, Marklund M,
Gagnadoux F, Kushida CA,
Cistulli PA. Oral appliance treatment for obstructive sleep apnea: an update. Journal of Clinical Sleep Medicine. 2014;10(2):215-27. 2. Rotenberg BW, Vicini C, Pang
EB, Pang KP. Reconsidering firstline treatment for obstructive sleep apnea: a systematic review of the literature. Journal of Otolaryngology-Head & Neck
Surgery. 2016;45(1):1-9. 3. Sutherland K, Phillips CL, Cistulli
PA. Efficacy versus effectiveness in the treatment of obstructive sleep apnea: CPAP and oral appliances. J Dent Sleep Med. 2015;2(4):175-81. 4. Young T, Palta M, Dempsey
J, Peppard PE, Nieto FJ, Hla
KM. Burden of sleep apnea: rationale, design, and major findings of the Wisconsin
Sleep Cohort study. WMJ: official publication of the State
Medical Society of Wisconsin. 2009;108(5):246. 5. Pevernagie DA, Gnidovec-
Strazisar B, Grote L, Heinzer
R, McNicholas WT, Penzel
T, Randerath W, Schiza S,
Verbraecken J, Arnardottir
ES. On the rise and fall of the apnea—hypopnea index: A historical review and critical appraisal. Journal of sleep research. 2020;29(4):e13066. 6. Tong BK, Tran C, Ricciardiello
A, Donegan M, Chiang AK,
Szollosi I, Amatoury J, Carberry
JC, Eckert DJ. CPAP combined with oral appliance therapy reduces CPAP requirements and pharyngeal pressure swings in obstructive sleep apnea.
Journal of Applied Physiology. 2020;129(5):1085-91. 7. Liu HW, Chen YJ, Lai YC,
Huang CY, Huang YL, Lin
MT, Han SY, Chen CL, Yu CJ,
Lee PL. Combining MAD and
CPAP as an effective strategy for treating patients with severe sleep apnea intolerant to high-pressure PAP and unresponsive to MAD. PloS one. 2017;12(10):e0187032.