Tannstikka 04-25

Page 1


Tannstikka

32

grunner til å velge

rengjøring, oppvarmet vann for økt pasientkomfort og et ultralydhåndstykke i titan, blir arbeidet smidigere enn noensinne – uten unødvendige avbrudd.

Høy ytelse, enkel bruk og minimalt vedlikehold – Varios Combi Pro2 er din daglige partner for effektiv og skånsom behandling!

Ta gjerne kontakt med oss for mer informasjon!

[ Innhold ]

06

Nestlederen

– I diskusjonene om helsetjenesten blir tannhelsetjenesten ofte omtalt som litt på siden av den «vanlige» helsetjenesten, Men tannhelse er folkehelse, og det må vi minne alle om, fastslår nesteleder i NTpF, Benthe Sogn.

08

10

12

Styre- og administrasjonsnytt

Her er sakene som styret og administrasjonen i NTpF har arbeidet med siden sist.

NTpF advarer mot statsbudsjettforslaget

Regjeringens budsjettforslag kan føre til større ulikhet i oral helse, og vektlegger heller ikke forebygging nok, mener NTpF.

Velkommen til fagkonferansen!

Årets største NTpF-begivenhet skjer på Gardermoen 5. & 6. februar 2026. Her finner du programmet – med en presentasjon av alle foredragene og alt du ellers trenger å vite.

20 EDHF-samlingen i Praha

Utdanning og europeisk samarbeid sto høyt på agendaen. Det ble også tid til nettverksbygging og fine kulturopplevelser.

24 Ernæring og tannhelse, en oversett nøkkel til bedre demensomsorg

Demente eldre er sårbare for underernæring og dårlig tannhelse – to faktorer som er tett sammenvevd, men ofte behandles hver for seg, skriver forfatterne av denne kronikken.

26

Tannhelse sto på agendaen under Arendalsuka

NTpF stilte med to representanter under Arendalsuka. De møtte alle de politiske partiene for å diskutere tannhelse, og deltok i flere debatter.

29 Vil du lære mer?

Hos TkØ får tannpleiere mulighet for faglig utvikling gjennom et bredt spekter av tilbud – fra hospitering til kurs, webinarer, e-læring og praksisnær forskning.

32 Når Sølv Diamin Fluorid bremser kariesutviklingen

I noen tilfeller kan dette være det helt riktige valget i behandling av karies.

34

38

Studentene markerte milepælene

NTpF Student Bergen markerte tre viktige milepæler i NTpFs historie

Kontaktinfo

Her finner du kontaktinfo til HTV-ene, sentralstyret og lokalavdelingene.

NTpF PRESISERER

Signerte artikler i «Tannstikka» står for forfatters egen regning, og innholdet gir ikke nødvendigvis uttrykk for NTpFs offisielle syn i saken. Annonsene i «Tannstikka» er betalt og utformet av annonsøren selv, og NTpF garanterer ikke for produktet.

Refleksjon og blikk på det nye året

Når året nærmer seg slutten, og tempoet senker seg litt etterhvert, blir det tid og rom for å reflektere over året som har vært, og rette blikket fremover mot det som venter.

2025 har vært et jubileumsår for både tannpleiere og Tannstikka. Det var naturlig å starte året med et tilbakeblikk på den fantastiske utviklingen som har skjedd siden de første 11 tannpleierne ble utdannet i Oslo i 1925. Denne tidsreisen viser hvordan profesjonen har utviklet seg gjennom alle disse årene – steg for steg. Fremskrittene har slett ikke kommet av seg selv. Mange tannpleiere og Norsk Tannpleierforening har bidratt til utviklingen, og slik vil det fortsatt være i videreutviklingen av faget og yrket.

NTpFs fagkonferanse har blitt et årlig høydepunkt

melder seg på – dette er en gylden anledning til faglig påfyll og nettverksbygging. Tannstikka feirer også jubileum i år! Det er 50 år siden første utgave av medlemsbladet ble utgitt. Målet vårt er fortsatt å skape et fagblad som gir ny kunnskap, samtidig som det inspirerer og engasjerer dere lesere. Har du noe på hjertet? Vil du dele tips om gode prosjekter eller erfaringer med kolleger og pasienter? Da vil jeg veldig gjerne høre fra deg!

I denne utgaven ser vi nærmere på kurs, webinarer og hospiteringsmuligheter som Tannhelsetjenestens kompetansesenter Øst (TkØ) tilbyr for deg som ønsker faglig påfyll – mer om dette finner du på side 29.

Har du på hjertet?

Jeg vil gjerne høre fra deg! Send inn tips og innspill til 91795050 lily@zoome.no

NTpFs fagkonferanse har blitt et årlig høydepunkt, med to fantastiske dager fylt med læring, engasjement og sosialt samvær. I år ble tannpleieren Mona Aardal historisk da hun mottok den aller første Tannpleierprisen som NTpF deler ut. Prisen gis til en tannpleier som har utmerket seg, og utdelingen skjedde under en flott festmiddag. Neste fagkonferanse arrangeres på Gardermoen 5. og 6. februar, og årets program er større enn noensinne. Det blir blant annet parallellsesjoner med seks spennende foredrag på konferansens andre dag. Jeg håper mange setter av datoen og

I Danmark har en kasusstudie vist at bruk av Sølv Diaminfluorid i enkelte tilfeller kan være det riktige valget ved behandling av karies. Les mer om dette på side 32.

Når vi ser tilbake på året som gikk, er det mye å være stolt av. Samtidig gir denne tiden oss anledning til å tenke over hvor vi vil videre – både som fagpersoner, kolleger og som profesjon.

God lesning – og på gjensyn i 2026!

REDAKTØR
Lily Kalvø

#whnordic

wh.com

Spiss hard – anbefalt for approksimale overflater og implantater, under broer og andre vanskelig tilgjengelige områder. Svært bra for pasienter med bånd.

Selges i 144 stk./pk.

100% HYGIENE = Alle gummikopper på markedet er engangs 2

Tannhelse er folkehelse

Vi står i en tid der hele helsevesenet debatteres. Hvordan skal vi sikre rettferdighet, tilgjengelighet og kvalitet i tjenestene. Hva skal prioriteres når budsjettene er stramme? I disse diskusjonene blir tannhelsetjenesten ofte omtalt som litt på siden av den «vanlige helsetjenesten». Sannheten er at tannhelse er folkehelse. Munnen er en del av kroppen, og sykdom her henger uløselig sammen med generell helse, livskvalitet og samfunnsdeltakelse. Som tannpleiere vet vi dette bedre enn de fleste. Vi møter mennesker i alle livsfaser – barn og unge som får en trygg start på gode tannhelsevaner, voksne og eldre eller sårbare grupper som trenger oppfølging for å bevare funksjon og livskvalitet. Vi ser hvordan sosial ulikhet setter spor i tannhelsen, og vet at tilgang til tjenester kan være avgjørende for om folk får leve et godt og aktivt liv. Vår kompetanse handler om hele mennesket, om hvordan munnhelse påvirker både fysisk og psykisk helse. Likevel blir tannhelse behandlet som sekundært. Politikerne snakker varmt om forebygging, men bevilgningene følger sjelden etter. Løftene om satsing treffer ofte ikke de som trenger det mest. Skal vi lykkes, må tannhelse løftes opp på samme nivå som resten av helsetjenesten –med universell tilnærming og reell tilgang for alle.

NTpF har et klart budskap: Vi trenger en tannhelsetjeneste som er rettferdig, tilgjengelig og bærekraftig. Dette innebærer:

• Styrket forebygging – det er bedre og billigere å hindre sykdom enn å reparere.

• Universell tilgang – tannhelse må ikke være avhengig av lommeboken.

• Samhandling – tannhelsetjenesten må integreres tettere med øvrige helsetjenester.

Skal vi lykkes, må tannhelse løftes opp på samme nivå som resten av helsetjenesten – med universell tilnærming og reell tilgang for alle

Prosjektet Digidot er et godt eksempel på hvordan vi kan styrke samhandlingen. Digitalt samarbeid legger grunnlag for helhetlige pasientforløp, bedre informasjonsflyt og mer effektiv bruk av ressursene våre. Når tannhelsetjenesten blir en naturlig del av det digitale helsesystemet, kan vi bidra enda mer til pasientenes trygghet og fellesskapets styrke.

Som tannpleiere har vi en viktig rolle i dette arbeidet. Vi er pådrivere for forebygging, vi er til stede gjennom hele livsløpet og vi er med på å redusere ulikhet. Men vi lykkes bare dersom vi står sammen – som profesjon og som forening. La oss være stolte av den rollen vi har. La oss bruke stemmen vår og minne alle på at tannhelse er folkehelse. Som nestleder i NTpF er jeg glad for å få muligheten for å bruke min stemme, og ikke minst 50 prosent av min stilling, til å jobbe for tannpleiernes fremtid.

Med vennlig hilsen Benthe Sogn, Nestleder NTpf

PASIENTER KAN LIDE AV

SENSITIVE TENNER I MANGE ÅR, MEN LØSNINGEN FINNES.

HELDIGVIS!

En liten samtale om ising i tennene kan gjøre en stor forskjell.

Ta det opp med dine pasienter i dag!

Oppdag en verden av kunnskap innen munnhelse. For å finne ut mer og få tilgang til Sensodyne prøvetuber, skann QR-koden og registrer deg på www.haleonhealthpartner.com

VI HAR FLYTTET

I august flyttet Norsk Tannpleierforening (NTpF) inn i nye lokaler i Kirkegata 15 i Oslo. Vi leier nå kontorer hos Norsk Fysioterapiforbund (NFF), og er samlokalisert med både NFF og Norsk Logopedforbund (NLF).

– Dette gir gode muligheter for samarbeid på tvers av fagforeningene – både faglig og organisatorisk, sier Ann-Elin Instebø.

Markeringsdager

14. november: Verdens Diabetes dag

18. november: Antibiotika dagen

20. november: FNs internasjonale barnedag

3. desember: Internasjonal dag for funksjonshemmede

10. desember : Menneskerettighetsdagen

12. desember: Internasjonal dag for universielle helsetjenester

4. januar: Verdens blindeskrift dag

24. januar: Internasjonal dag for utdanning

MØTE MED HELFO

I august deltok NTpF, sammen med Den norske tannlegeforening (NTF), i et møte med Helfo om den nasjonale brukerundersøkelsen for 2025. Her kom det frem at tannpleiere er underrepresentert i årets undersøkelse.

For at våre erfaringer og behov skal bli hørt, er det viktig at flere tannpleiere deltar neste gang. NTpF oppfordrer alle medlemmer til å prioritere slike undersøkelser – disse påvirker tjenestene vi alle bruker i hverdagen.

Ph.d. -disputas

NTpF gratulerer tannpleier Anne Breivik, som i høst disputerte for ph.d. -graden ved Høgskolen i Innlandet med avhandlingen “Prevention of root caries among elderly in Norway”.

– Vi er stolte av å se flere tannpleiere bidra til forskningen og utviklingen av faget, og at vi har enda en tannpleier som har fullført ph.d.-grad! sier Gry Jakhelln.

GJØR KLOKE VALG

Vi nærmer oss målstreken! Den 7. oktober hadde NTpF møte med Legeforeningen, der vi overleverte våre fem forslag til kampanjen.

Forslagene skal nå ut på høring, og vi håper på godkjenning slik at tannpleierne blir en del av den nasjonale kampanjen Gjør kloke valg.

FOTO: Linda Lundsbakken
Foto: Privat

STYREMØTE I PRESSENS HUS

I september gjennomførte NTpF et todagers styremøte i Pressens hus i Oslo. Mange viktige saker ble behandlet, og store deler av møtet var viet planlegging av årets organisasjonssamling og neste års fagkonferanse.

VEILEDER OM MILJØTILTAK PÅ TANNKLINIKK

NTpF har deltatt i arbeidet med å utvikle en veileder for miljøtiltak på tannklinikk. Veilederen er et praktisk og nyttig verktøy som kan hjelpe alle i tannhelsetjenesten med å gjøre gode og miljøvennlige vurderinger i hverdagen. Denne vil dere kunne få muligheten til å laste ned og skrive ut etter hvert.

STATSBUDSJETTET 2026

15.oktober ble statsbudsjettet for 2026 lagt frem. I forkant deltok alle forbundsledere i Unio på en workshop som handlet om hvordan vi kan skrive gode innspill til statsbudsjettet.

Workshopen ble ledet av Kari Elisabeth Kaski (SV), som delte erfaringer fra sine år som stortingsrepresentant, og hva som var viktig å ha fokus på når man skriver innspill til politikerne.

– Samlingen var både nyttig og inspirerende – og ga verdifull kompetanse til videre politisk arbeid, forteller Ann-Elin Instebø.

NÅ ER NTpF-NETTBUTIKKEN LANSERT

Norsk Tannpleierforening har åpnet en ny nettbutikk med flotte profileringsartikler for medlemmer og samarbeidspartnere.

I nettbutikken finner du et utvalg av produkter med NTpF-logo – perfekt for deg som ønsker å vise tilhørighet til foreningen eller trenger gaver til arrangementer. Vi har lagt vekt på enkel navigasjon og sikker betaling, slik at du får en god handleopplevelse.

Se utvalget her: butikk.tannpleierforeningen.no

I neste utgave..

Våren 2025 ble det etablert studentforeninger både i Elverum og Tromsø. Med dette har Norsk Tannpleierforening nå studentforeninger ved alle studiesteder.

Hvilke saker er studentene mest opptatt av? Hva vil de prioritere fremover? Dette kan du lese mer om i neste utgave av Tannstikka.

60 ÅR

Grete Iren Hallaråker

Bodil Kristin Høgstøyl

Anne Helen Karlsen

Hilde Anita Pedersen

50 ÅR

Kristin Arnesen

Anette Johannessen

Lise Pletten

Katrine Stavland

Trine Thomassen

Unni Merethe Ulriksen

Anita Yvonne Wiik-Andersen

40 ÅR

Martine Aksnes-Aarlie

May Linn Aspen

Lotte Auestad

Aferdita Jahiji

Natalja Krasnova

Ingvill Nygård

Ingrid Pedersen

Zohra Sakhi

Elise Taylor Spets

Johanna Thoresen

Foto: Privat

Kritisk til budsjettforslaget for tannhelse

Regjeringens budsjettforslag kan føre til større ulikhet i oral helse, mener NTpF.

Regjeringen foreslår å avvikle stønadspunkt 14 i folketrygden – ordningen som gir refusjon til pasienter med sterkt nedsatt evne til egenomsorg, bl..a. de med alvorlig psykisk sykdom, rusproblematikk og betydelig funksjonssvikt. Rundt 7000 personer mottok slik stønad i 2024.

Forslaget rammer noen av de mest sårbare pasientene i samfunnet, og vil øke sosial ulikhet i oral helse, og skyve både pasientene og kostnadene over på fylkeskommunene uten at de får økte midler til å håndtere det, påpeker AnnElin Instebø, leder i NTpF.

Ingen nysatsing på forebygging eller tannpleierkompetanse

I budsjettforslaget økes «kapittel 770»

Tannhelsetjenester kun med prisjusteringer og tekniske endringer. Tannpleiere er helt sentrale i lavterskeltilbud, helsefremmende arbeid og oppgavede-

ling i den offentlige tannhelsetjenesten, men forslaget inneholder ingen nye tiltak for å styrke tannpleierkompetanse, rekruttering eller forebyggende tjenester.

– Det er et paradoks at regjeringen samtidig understreker viktigheten av folkehelse og sosial utjevning, men ikke setter av midler til de profesjonene som faktisk driver det forebyggende arbeidet, sier Instebø.

USIKKER KAPASITET I DOT

Rettigheten til tannhelsehjelp for unge mellom 25 og 28 år er lovfestet fra juli i år. Dette er bra, men uten øremerkede midler til økt bemanning skaper det usikkerhet for fylkeskommunene, som allerede melder om press på ressursene.

Ventetidene har økt betraktelig, og kapasitet til å ivareta denne og andre prioriterte grupper er sterkt redusert, noe som igjen går ut over pasientene.

STABILITET FOR DRIFT

OG UTDANNING

På den positive siden videreføres bevilgninger som sikrer forutsigbarhet

for fylkeskommunal drift, kompetansesentre og TOO-tilbudet. Det videreføres også midler til Universitetet i Innlandet (INN) og Universitetet i Sørøst-Norge (USN) for å utdanne og videreutdanne tannpleiere:

– Det er positivt at regjeringen anerkjenner behovet for utdanning, videreutdanning og forskning blant tannpleiere, men midlene må styrkes dersom vi skal dekke fremtidens behov, understreker Instebø.

T

NTpFs anbefalinger til Stortinget

• Beholde stønadspunkt 14, eller erstatte det med tydelige kriterier for sårbare grupper og kompensasjon til fylkeskommunene

• Styrke «kap. 770» med øremerkede midler til forebyggende og lavterskeltilbud ledet av tannpleiere

• Kompensere fylkeskommunene for økte oppgaver knyttet til 25–28-årsrettigheten

• Øke satsingen på utdanning, videreutdanning og rekruttering av tannpleiere

TOD Y TODAY ST RT

Nyheter

Det er aldri for sent å begynne å rengjøre mellom tennene. TePe EasyFit™ er en ny konisk interdentalbørste som passer mellomrom av ulike størrelser – noe som gjør det enklere for pasientene dine.

Velkommen til NTpFs fagkonferanse

– to inspirerende, lærerike og sosiale dager på Gardermoen!

TEKST: Lily Kalvø

Norsk Tannpleierforening har den store gleden av å invitere alle sine medlemmer til en konferanse som kombinerer faglig påfyll, nettverksbygging og sosialt samvær.

Her vil du møte tannpleiere fra hele landet som ønsker å løfte kompetansen sin til nye høyder, samtidig som du får muligheten til å knytte kontakter og bygge nettverk med kolleger og bekjente.

Konferansen setter fokus på både kliniske ferdigheter og pasientrelasjoner, og gir nyttig og relevant faglig påfyll som er

F

NTpFs fagkonferanse 2026

• Fagkonferansen er for medlemmer av Norsk Tannpleierforening

• Påmelding via qr-koden

• Er du ikke medlem og ønsker å delta?

Kontakt: post@tannpleier.no

• Husk påmeldingsfristen den 6. januar 2026

direkte anvendelig i den kliniske hverdagen – enten du jobber i offentlig eller privat sektor.

TALER, KASUSDEBATT,FEST OG SHOW

Konferansen starter med en offisiell åpning av en stor dentalutstilling.

Om konferansehotellet

• Praktisk og tilrettelagt

• NTpF har gjort fagkonferansen lett tilgjengelig for alle. Gardermoen er ideelt for både fly-, tog- og bussreisende. Clarion Hotel Oslo Airport er et av Norges største konferansehotell og ligger kun åtte minutter fra Oslo lufthavn med shuttlebuss.

Her vil du møte tannpleiere fra hele landet som ønsker å løfte kompetansen sin til nye høyder

Ann-Elin Instebø, leder av NTpF, skal holde en tale der hun oppsummerer

Tannpleierforeningens ståsted og visjoner. Deretter vil Gry Jakhelln, fagansvarlig, i NTpF presentere fagprogrammet og presentere arbeidet som er gjort med å oppdatere rapporten fra 2013 «Tannpleierfunkjson, oral helse og tannpleiefag mot 2025», før hun overlater scenen til Cecilie Woll Johansen, Nestleder i Unio. Woll Johansen skal hilse fra ledelsen i Unio og prate om arbeidet med å få til et bredt helseforlik.

Etter lunsj blir det en spennende kasusdebatt om kirurgi, periodontitt og kjeveortopedi i regi av oralkirurg Heming Olsen-Bergem, periodontist Odd Carsten Koldsland og kjeveortoped Tord Hamran. I tillegg blir det et foredrag om Molar Incisor Hypomineralization (MIH), en diagnose som vi ser mer og mer av i klinisk praksis.

NYTT I ÅR

Årets fagprogram er større enn noensinne! På konferansens andre dag byr på parallellsesjoner med hele seks ulike foredrag. Her er temaene:

• Barn som har det vanskelig

• Oral funksjon - den usynlige tannreguleringen

• Le hele livet. Tannpleierens rolle i forebygging og behandling av syke, eldre pasienter

• Bak kulissene i periopraksis - Når pasienten ikke responderer som forventet

• Tannbleking - mer enn bare estetikk

• iTOP - (Individual Training in Oral Prophylaxis) - Atferdsendring og biofilm kontroll

Les mer om foredragsholderne og innholdet i foredragene på nest side.

Slik kommer du deg til hotellet

• Kollektivt: Flytoget eller Vy til Oslo lufthavn Gardermoen og shuttlebuss. Ta buss S-22 fra Oslo Lufthavn Gardermoen fra plattform 40 på flyplassen. Du finner tider i Vy-appen, og kan kjøpe billett der eller på bussen. Alternativt kan du ta lokaltog til Jessheim.

• Bil: Hotellet har utendørsparkering. Ved full parkeringsplass henvises gjester til Dalen parkering. Du kan betale direkte i Easy Park – appen

GLED DERE TIL EN FESTAFTEN

Tradisjon tro blir det en stor festmiddag med underholdning – og i år er det duket for en kveld fylt med både latter og ettertanke. Gled dere til showet med Jon Niklas Rønning! Komikeren er kjent for sine velskrevne tekster og treffende observasjoner om hverdagsliv, kultur og aktuelle temaer –alltid levert med en god dose selvironi, varme og musikalitet.

KURSPRIS FOR FAGKONFERANSEN

Medlemspris

Ordinær pris: Kr. 6 100,- Kursavgiften inkluderer to dagers kurs, lunsj og pausemat.

Pensjonistmedlem: Betaler kun for lunsj og pausemat kr. 1050,- pr. dag

Studenter: Gratis kurs

3. årsstudenter får gratis dagpakker (lunsj og pausemat)

Festmiddag med underholdning

3 retter inkl. 1 drikkeenhet: kr. 1 250,-

OVERNATTING

Singelrom

2 netter: Kr. 3080,- Inkluderer: 2 frokoster

1 natt: Kr. 1540,- Inkluderer: 1 frokost

Dobbeltrom (pris per person)

2 netter: Kr. 1844,- Inkluderer: 2 frokoster

1 natt: Kr. 922,- Inkluderer: 1 frokost

Heming Olsen-Bergem
Odd Carsten Koldsland
Tord Hamran

Smakebiter fra programmet

Her får du en kort introduksjon til foredragene og foredragsholderne som skal gi deg faglig påfyll, nye perspektiver og praktiske råd.

Fagkonferansen gir en unik mulighet til å lære av ledende fagpersoner innen tannhelse, med foredrag som gir deg kunnskap, nye perspektiver og praktiske råd som du kan ta med deg rett inn i den kliniske tannpleier hverdagen.

FOTO: Privat

BARN SOM HAR DET VANSKELIG

Barn og unge kan oppleve tannbehandling som utfordrende av ulike årsaker. Som tannhelsepersonell er det viktig å vurdere barnets beste og identifisere eventuelle sårbarheter i behandlingssituasjonen. Hvordan kan vi dokumentere, gjøre etiske vurderinger og trygge barnet under behandlingen, spesielt ved TBiT? (Trygge Barn i Tannbehandling).

Anne Rønneberg er tannlege, spesialist i pedodonti og dr.philos. Hun er førsteamanuensis og fagleder ved Avdeling for odontologisk pediatri og psykologi/Institutt for klinisk odontologi ved Universitetet i Oslo. Hennes forskning fokuserer på barnemishandling, barnets beste i tannbehandlingssituasjonen, samt forebygging av tannbehandlingsangst.

BAK KULISSENE I PERIOPRAKSIS – NÅR PASIENTEN IKKE RESPONDERER SOM FORVENTET

Hva gjør vi når pasienten ikke responderer som forventet på periodontittbehandling? I dette foredraget får du et innblikk i spesialistpraksisen, hvor vi møter pasienter som trenger mer enn standardbehandling. Foredraget gir inspirasjon, nye perspektiver og konkrete verktøy for å styrke behandlingen av periodontittpasienter og unngå kirurgiske inngrep.

Brit R. Holme er tannpleier og har jobbet tett med spesialister innen periodonti siden 2014. Hun samarbeider med spesialister innen oral protetikk, kjevekirurgi og periodonti. Hun er også grunnlegger av I am brithedentalhygienist og Søtt Smil

Christine Forum Ekeland er tannpleier og jobber ved Spesialistklinikken Union Brygge i Drammen. Hun er engasjert i forebyggende tannhelse og tverrfaglig samarbeid, og har samarbeidet med periodontister siden 2010. Hun er med i et spennende fagmiljø med kirurger, protetikere, kjeveortoped, periodontister og tannpleiere.

ORAL FUNKSJON - DEN USYNLIGE TANNREGULERINGEN

Oromyofunksjonell terapi kan bidra til å forbedre oral helse og livskvalitet, både hos barn og voksne. Anette Aarsland Førrisdahl og Unn Tinbod deler sin ekspertise på området, og viser hvordan terapeutiske tilnærminger kan forbedre livskvaliteten.

Anette Aarsland Førrisdahl er logoped MNLF, grunnlegger og daglig leder ved Logopedsenteret AS i Askim. Hun er sertifisert oromyofunksjonell terapeut (AOMT-C), og har over 20 års erfaring. Anette har egenerfaring med de negative følgene oromyofunksjonelle vansker kan gi, og har et særlig engasjement for forebygging og tidlig innsats.

Unn Tinbod er logoped MNLF, sertifisert oromyofunksjonell terapeut (AOMT-C) og medeier av Logoped-senteret AS. Hun jobber ved Akershus universitetssykehus og har forsket på effekten av oromyofunksjonell terapi i behandling av søvnapné.

LE HELE LIVET – TANNPLEIERENS ROLLE I FOREBYGGING OG BEHANDLING AV SYKE, ELDRE PASIENTER

Foredraget fokuserer på spesifikke utfordringer tannpleiere møter ved forebygging og behandling av syke eldre pasienter, samt viktigheten av helhetlig omsorg og tverrfaglig samarbeid.

Du vil få innsikt i strategier og konkrete verktøy for å bedre tannhelsen blant sårbare eldre, der tannpleierens rolle er avgjørende. Noen temaer:

• Tannpleierens nøkkelrolle for sårbare eldre pasienter; verktøy og strategier

• Le hele livet - tannpleierens rolle i forebygging og behandling av syke eldre pasienter

• Det er bedre med en tannpleier på sykehjemmet enn ti på klinikken

Katrine Gahre Fjeld er tannlege og førsteamanuensis ved avdeling for kariologi og gerodontologi, ved Det odontologiske fakultet, UiO. Hun har deltatt i flere forskningsprosjekter om oral helse hos eldre i et tverrfaglig perspektiv, og holder en rekke foredrag og kurs for tannhelsepersonell og annet helsepersonell for å styrke kompetansen innen gerodontologi.

Katrine jobber også sykehjemstannlege ved Cathinka Guldbergssenteret.

Det er bedre med en tannpleier på sykehjemmet enn ti på klinikken

TANNBLEKING – MER ENN BARE ESTETIKK

Tannbleking er et effektivt verktøy i både estetisk og restaurativ tannbehandling. Dr. Beolchi gir en praktisk og oppdatert innføring i årsaker til misfarging, valg av blekestrategi og hvordan man oppnår trygge, forutsigbare resultater uten sensitivitet.

Han viser også hvordan ikkevitale tenner og misfarginger kan behandles trygt med riktige teknikker – inkludert mikroabrasjon. Foredraget er sponset av Ultradent.

Rafael Beolchi er en internasjonalt anerkjent tannlege med spesialisering innen estetisk odontologi og biomaterialer. Han er utdannet ved Universitetet i São Paulo, Brasil, og har over 20 års erfaring fra klinisk praksis og undervisning i mer enn 60 land.

Beolchi er kjent for sin praktiske og trinnvise tilnærming til bruk av dentale materialer, Han jobber nå i Portugal – hvor han kombinerer klinisk praksis med forskning og utvikling av nye estetiske produkter.

TANNGÅTEN MIH – FRA DIAGNOSE TIL LIVSKVALITET

Foredraget vil gå i dybden på hva Molar Incisor Hypomineralization (MIH) er. Kort fortalt er dette en tannhelsetilstand som innebærer at tennene, særlig molarer og fortenner, har unormal mineralisering og dermed svakere tannemalje. Noe som fører til at tennene kan være mer utsatt for skader, misfarging og økt risiko for karies.

I dette foredraget går Sadaf Haque Afzal i dybden på diagnosen, årsakene, og hvordan MIH påvirker barns daglige liv.

Sadaf Haque Afzal er tannlege og doktorgradsstipendiat. Hun ble utdannet ved Det odontologiske fakultet, UiO (2006). Deretter var hun doktorgradsstipendiat. Sadaf er ansatt som tannlege i Akershus fylkeskommune

ITOP- (INDIVIDUAL TRAINING IN ORAL PROPHYLAXIS) - ATFERDSENDRING OG BIOFILM KONTROLL

iTOP (Individual Training in Oral Prophylaxis) er en metodikk utviklet for individuell opplæring i forebygging og fremming av oral helse. Gjennom tilpasset veiledning, teknikktrening, kunnskap om biofilm og atferdsendring, hjelper iTOP pasienter med å forbedre munnhygienen, etablere gode vaner og redusere behovet for omfattende tannbehandling.

Programmet tilpasses den enkelte pasients behov og utfordringer. iTOP kombinerer kunnskap om biofilm, teknikktrening og psykologiske prinsipper for vanendring, og passer for alle som har pasientkontakt i tannhelseteamet.

Amanda Dalila Sahnoun er utdannet tannpleier med 14 års erfaring fra privat praksis, og har i tillegg lang ledererfaring både som ansvarlig for tannpleiere i privat praksis og som leder av lokalavdelingen til tannpleierforeningen i Oslo og Akershus.

Amanda har jobbet som klinisk instruktør ved Universitetet i Oslo, og er fagansvarlig for tannpleierne i Orbdent. Som sertifisert iTOP Lecturer har Amanda et sterkt engasjement for forebyggende tannhelse.

Målet mitt er å hjelpe mennesker til å unngå sykdom gjennom motivasjon, forskningsbasert innsikt og individuelt tilpasset veiledning

FSøk om stipend

Kvalifiserer du til stipend? Du søker enkelt om stipend til fagkonferansen gjennom påmeldingsskjema til fagkonferansen. Stipendet er inntil kr. 3000,-

Kriteriene for å motta stipend er:

• Betalende yrkesaktivt medlem i 12 måneder før stipendsøknad

• Ordningen gjelder både for yrkesaktive og medlemmer i permisjon (utdannings eller svangerskapspermisjon)

• Ikke fått stipend i fjor

• Har søkt arbeidsgiver om dekking av kurset og fått avslag

Tildeling og søknad til fagkonferansestipendet skjer slik:

• Søknaden gjøres i påmeldingsskjemaet til fagkonferansen

• Tildeling skjer ved digital utvelging - når påmeldingsfristen har gått ut

• Fyller du kriteriene og søknaden blir innvilget trekkes beløpet fra fakturaen

Fagkonferansen Program 2026 Program

Torsdag 5. februar

08:30- 9:00 Offisiell åpning av dentalutstilling

09:00-10:00 Fagkonferansen åpnes med kulturelt innslag, og innlegg fra leder Ann Elin Instebø og fagansvarlig Gry Jakhelln

10:00 -10:45 Pause

10:45-11:30 Hilsen fra Unio-ledelsen og et bredt helseforlik

Cecilie voll Johansen, nestleder Unio

11:30- 13:00 Lunsj

13:00 -14:30 Kasus debatt agenesi/perio/eldre med oralkirurg Heming Olsen-Bergem, Periodontist Odd Carsten Koldsland og kjeveortoped Tord Hamran

14:30-15:15 Pause

15:55-16:30 Tanngåten MIH - fra diagnose til livskvalitet

Sadaf Haque Afzal, tannlege og phD kandidat - UiO

Fredag 6. februar

Parallell 1

08:30-09:45 Barn som har det vanskelig - Anne Rønneberg, -førsteamanuensis, UiO

09:45 -10:30 Pause

10:30 –11:30 Oral funksjon – den usynlige tannreguleringen

Anette Aarsland Førrisdahl og Unn Tinnbod begge Oromyofunksjonell terapeut og logoped

11:30 -13:00 Lunsj

13:00 - 14:30 Le hele livet - tannpleiernes rolle i forebygging og behandling av syke eldre pasienter Cathrine Gare Fjeld – Førsteamanuensis, UiO

14:30-15:00 Avslutning Fellessal

Parallell 2

Bak kulissene I periopraksis

Når pasienten ikke responderer som forventet Brit Holme, tannpleier og Christine Forum Ekeland, Tannpleier

Tannbleking mer enn bare estetikk Dr Rafael Beolchi Sponset av Ultradent

iTOP –(Individual Training in Oral Profylaxis -adferdsendring og biofilm kontroll

Amanda Dalia Sahnoun tannpleier og iTOP lecturer

Norsk Tannpleierforening tar forbehold om endringer i programmet.

EDHF-samling i Praha: Samarbeid, kunnskapsutveksling og kultur

NTpF deltok på samlingen i Praha i september, hvor utdanning og europeisk samarbeid sto på agendaen.

TEKST: Anne-Mai Nilssen

Samlingen av europeiske tannpleierforeninger bød på to dager fylt med diskusjoner, avgjørelser og valg av nytt styre i EDHF. Det ble også tid til sosialt samvær og sightseeing.

EDHF jobber fortsatt med å revidere CEC (Common Education Framework), og de fleste medlemslandene er opptatt av å oppnå et felles minimumsnivå for tannpleierutdanning i Europa. Dette vil også kunne være nyttig for land som ikke har tannpleierutdanning, men som ønsker å etablere dette.

SAMARBEID AVSLUTTES

Etter diskusjoner ble det bestemt at samarbeidet med Pierre Fabre ikke kunne fortsette som før. Tidligere har NTpF og Pierre Fabre utviklet kursmoduler tilgjengelig for medlemmene på nettsiden, men det er kostbart og tid-

Vi ser verdien i en samlet, noenlunde lik utdanning blant tannpleiere i Europa

FORVENTNINGSFULLE:

NTpF-representantene Ann-Elin Instebø og Anne-Mai Nilssen dro til Praha for å delta på årets EDHF-samling.

PÅ FABRIKK OMVISNING: Ann-Elin Instebø, Anne-Mai Nilssen og flere delegater fikk en omvisning på Herbadent-fabrikken. Her fikk de bl.a. lage sin egen tannpasta.

krevende å lage og vedlikeholde disse.

De eksisterende kursene vil nå bli lagt på en plattform som NTpF kan administrere selv, for å sikre fortsatt tilgjengelighet.

ERFARINGER FRA SAMARBEID

OG UTFORDRINGER

I møtene delte medlemslandene sine erfaringer, og mange ser likhet i de kampene som føres. Sammen kan vi lære av hverandres arbeidsmetoder, særlig i forhold til å påvirke politikere og styrende organer.

Som norske tannpleiere opplever vi at vårt utdanningsnivå er høyt – vi kan diagnostisere, rekvirere røntgen og utføre anestesi uten henvisning fra tannlege. Vi har også mer autonomi enn mange andre, til tross for kortere studietid.

NY EDHF-LEDELSE

Samlingen ble avsluttet med valg av ny ledelse i EDHF. Ellen Bol-van den Hil (Nederland) ble vagt som ny leder,

Anne Claire van der Lans ble valgt som sekretær og Veronica Montebello ble valgt som kasserer.

NTpF gratulerer Ellen Bol-van den Hil som ny leder i EDHF.

KULTURELLE OPPLEVELSER

OG FABRIKKBESØK

Den tsjekkiske tannpleierforeningen tok godt imot delegatene, og etter to dager med møter ble vi invitert på en flott båttur på elven Vitava i strålende sol og 30 grader.

Vi fikk også besøke Herbadentfabrikken, som produserer munnhygieneprodukter basert på medisinske urter. Etter omvisningen laget vi vår egen tannkrem med eteriske oljer og smaker etter eget ønske. Kvelden ble avsluttet med en god middag og tsjekkisk folkedans, en veldig fin opplevelse!

– NTpF takker den tsjekkiske tannpleierforeningen for et godt gjennomført arrangement og for en fantastisk avslutning på en innholdsrik helg, sier Ann-Elin Instebø. T

UNDER ÅPNINGEN: Anne-Mai Nilssen og Ann-Elin Instebø under åpningen av EDHFsamlingen i Praha, hvor de delte NTpFs arbeid og visjoner med andre europeiske tannpleierforeninger.

AVTROPPENDE OG PÅTROPPENDE LEDER:

FEDHF – European Dental Hygienists Federation

• En europeisk sammenslutning av nasjonale foreninger for tannpleiere

• Organisasjonen ble etablert for å fremme profesjonen på tvers av landegrensene og jobbe for høyere utdanning, bedre arbeidsvilkår, og styrket samarbeid på tvers av europeiske land

• EDHF er særlig opptatt av å forbedre tannpleieres rolle i helsevesenet, og jobber for å fremme felles utdanningsstandarder og yrkesetikk i hele Europa

• En av organisasjonens viktigste oppgaver er å fremme et felles utdanningsrammeverk (CEC –Common Education Framework) for å standardisere utdanningen på tvers av medlemslandene

Ellen Bol-van den Hil (til høyre) ble valgt til ny leder EDHF.

ISDH

2026 i Milano:

Oral helse og generell helse – forebygging og fremgang

Den internasjonale tannpleierkonferansen arrangeres i vakre Milano fra 9. til 11. juli 2026. Konferansen er i regi av International Federation of Dental Hygienists (IFDH), og samler over 1 500 deltakere fra hele verden. Denne gang blir søkelyset satt på sammenhengen mellom oral helse og generell helse gjennom hele livsløpet – fra barndom til alderdom.

Dette er en unik mulighet for tannpleiere og andre fagpersoner innen oral helse til å dele kunnskap, bygge nettverk og få faglig påfyll. Det blir også en storslått åpningsseremoni med flaggparade fra IFDH-landene, og en uforglemmelig gallamiddag med underholdning i vakre omgivelser. – NTpF oppfordrer alle norske tannpleiere til å delta og bidra til å sette generell helse og oral helse på den internasjonale agendaen, sier NTpF sin fagansvarlig, Gry Jakhelln.

Påmelding og hotellreservasjoner har åpnet. Innsending av abstrakter kan gjøres i tidsrommet: 15. september 2025 – 31. januar 2026.

Les mer på ISDH sin hjemmeside: https://isdh2026.com/

NTpF med på nasjonalt rådslag

Helsedirektoratets rådslag handler om de kommende nasjonale handlingsplanene for habilitering og rehabilitering. Formålet med samlingen var å samle aktører fra hele helse- og omsorgssektoren for å bidra til felles retning, nytenkning og bedre tjenester.

– I vårt innspill fremhevet vi tannpleiernes rolle i det helsefremmende og forebyggende arbeidet, og viktigheten av å  inkludere munnhelse som en naturlig del av habiliterings- og rehabiliteringstjenestene. God munnhelse er avgjørende for mestring, livskvalitet og likeverdige helsetjenester, og må derfor ses i sammenheng med øvrig helsehjelp, sier NTpF-leder Ann-Elin Instebø.

Helhetlige pasientforløp, samarbeid mellom nivåer og sektorer, kompetanse og kapasitet, likeverdige tjenester, brukermedvirkning, teknologiutvikling og bedre styringsdata var blant de sentrale temaene som ble løftet frem på rådslaget.

Norsk Tannpleierforening vil følge prosessen videre og arbeide for at tannhelsetjenesten blir tydelig inkludert i handlingsplanene som nå skal utarbeides.

Tannpleierklinikken AS TIL SALGS

Nansetgata 13, 3256 LARVIK 2. etg

En unik mulighet å drive egen klinikk for en eller flere tannpleiere. Klinikken startet i 2007. Har godt med pasienter. Egen OPG. 3 behandlingsrom med alt nødvendig utstyr og røntgen. Steril, resepsjon, venterom, garderobe m kjøkken/spiserom. Tannlege, tannpleier og kirurg deltid og tilknyttet klinikken.

Ta kontakt for mer inf: post@tannpleierklinikken.no web:tannpleierklinikken.no

Hvitere tenner kan gi pasientene dine

Et hvitere smil kan gjøre livet ditt lysere

Opalescence bleking er ute på et oppdrag for å gi pasientene dine lysere, hvitere smil slik at de kan vise seg fra sin beste side og få en god følelse, og gjøre gode dager enda bedre. Som verdensleder i profesjonell tannbleking,1 har Opalescence gjort over 100 millioner smil lysere.1 Det er mange bedre dager.

Lær mere om våre blekeløsninger på ultradent.eu/brighterworld, og gi pasientene dine flere gode grunner til å smile.

selvtillit til å smile mere.

Denne kronikken har vært tidligere vært publisert i Dagens medisin

Illustrasjonfoto: Adobestock

Ernæring og tannhelse – en oversett nøkkel til bedre demensomsorg

Eldre med demens er særlig sårbare for underernæring og dårlig tannhelse – to faktorer som ofte behandles hver for seg, men som i realiteten er tett sammenvevd.

TEKST: Anne–Marte Stubhaug Klem, Thomas Gordeladze og Liv Tveit Eigeland

En helhetlig tilnærming til disse utfordringene kan gi bedre helse, økt livskvalitet og mer verdig omsorg. Vi står overfor en aldrende befolkning, og med det følger økte utfordrin-

ger innen eldreomsorg og helse. En av de mest komplekse helseutfordringene er demens – en gruppe hjernesykdommer som fører til kognitiv svikt og hukommelsestap. Personer med

demens og deres pårørende møter mange hindre i hverdagen. I denne kronikken ønsker vi å rette søkelyset mot et ofte oversett, men avgjørende aspekt ved demensomsorgen:

sammenhengen mellom ernæring, tannhelse og livskvalitet.

ERNÆRINGSUTFORDRINGER

VED DEMENS

Personer med demens er særlig utsatt for under- og feilernæring. Årsakene er mange: Redusert evne til å handle og lage mat, glemsel, endret smak- og luktesans, svelgevansker, nedsatt appetitt og spiseevne.

Konsekvensene kan være alvorlige – vekttap, svekket kognitiv funksjon, redusert muskelstyrke, økt fallrisiko, svekket immunforsvar og i verste fall for tidlig død.

TANNHELSE – EN UNDERVURDERT FAKTOR

Tannhelse spiller en større rolle enn mange er klar over. Eldre med demens kan ha vansker med å opprettholde god munnhygiene, noe som kan føre til tannråte, tannkjøttsykdommer og smerter. Dette påvirker ikke bare munnhelsen, men også evnen og lysten til å spise. Mange unngår fast føde og velger mykere, ofte mindre næringsrik mat.

Dårlig tannhelse kan også føre til alvorlige infeksjoner som sprer seg til resten av kroppen, og øker risikoen for blant annet luftveisinfeksjoner og hjerte- og karsykdommer. Munntørrhet og smerter kan i tillegg forstyrre søvn og redusere livskvaliteten.

NÅR TANNPUSS BLIR AVGJØRENDE FOR HELSE OG LIVSKVALITET

En eldre mann med Alzheimers sykdom bodde på sykehjem og hadde gradvis begynt å spise mindre. Personalet merket at han ofte spyttet ut maten og virket uinteressert i måltidene. Først ble dette tolket som et tegn på sykdomsprogresjon, men en grundigere vurdering avdekket at han hadde store smerter i munnen på grunn av ubehandlet tannkjøttbetennelse og flere løse tenner.

Etter at han fikk tannbehandling og daglig hjelp til grundig munnhygiene, endret situasjonen seg dramatisk. Han begynte å spise igjen, gikk opp i vekt, og ble merkbart mer tilstedeværende og sosial. Personalet rapporterte at han virket mer våken og deltok i flere aktiviteter.

Dette viser hvordan god tannhelse kan være en nøkkel til både ernæringsstatus og livskvalitet.

ET LITE ØYEBLIKK MED STOR BETYDNING

En kvinne med Lewy body-demens fikk hjelp til tannpuss av hjemmesykepleien under et opphold hos sin datter. Etterpå sa hun med glede: «Vet du, de hjalp meg å pusse tennene mine, og jeg har ikke hatt så glatte tenner på lenge. Det er helt nydelig.»

Dette enkle øyeblikket illustrerer hvor mye riktig hjelp med munnhygiene kan bety for velvære og verdighet.

HVA KAN VI GJØRE – SAMMEN?

Å erkjenne utfordringene er viktig, men det er handling som gjør forskjellen. Vi trenger en helhetlig og kompetansebasert tilnærming, der helsepersonell, pårørende og omsorgspersoner samarbeider tett.

Det er ikke nok å vite hva som bør gjøres – ernæringskartlegging og tannpleie må faktisk gjennomføres. Kommunale helse- og omsorgstjenester må integrere ernæring og tannhelse som en naturlig del av demensomsorgen. Dette krever opplæring, tydelige prosedyrer og vilje til å melde avvik når rutiner ikke følges.

Et godt eksempel er samarbeidet mellom Utviklingssentrene for sykehjem og hjemmetjenester i Agder og Agder tannhelsetjeneste. De har utviklet en informativ nettside med opplæringsmateriell om munn- og tannhelse – det er et viktig skritt i riktig retning.

EN FELLES INNSATS FOR VERDIGHET

Samarbeid er nøkkelen. La oss sammen sikre at eldre med demens får den ernæringen og tannpleien de trenger for å bevare helse, livskvalitet og verdighet. Dette er ikke bare en faglig forpliktelse – men er et moralsk ansvar. T

Vi

trenger en helhetlig og kompetansebasert tilnærming

Anne–Marte Stubhaug Klem

Om forfatterne

Thomas Gordeladze

Liv Tveit Eigeland er tannpleier og jobber ved Lillesand tannklinikk, Tannhelsetjenesten i Agder Anne–Marte Stubhaug Klem er sykepleier og fagkoordinator i demens, mens Thomas Gordeladze er klinisk ernæringsfysiolog. Begge jobber ved Utviklingssenter for sykehjem og hjemmetjenester i Agder Vest

Liv Tveit Eigeland

Tannhelse på agendaen under Arendalsuka

I år som i fjor var NTpF til stede under Arendalsuka, der tannhelse og forebygging ble satt på dagsordenen.

SATT TANNHELSEN

PÅ AGENDEN: NTpFleder Ann-Elin Instebø og varamedlem Mari Skeie Danielsen deltok på Arendalsuka 2025.

Arendalsuka er Norges største politiske arena. Leder Ann-Elin Instebø og varamedlem i hovedstyret Mari Skeie Danielsen deltok i flere debatter, hvor de møtte politikere og engasjerte deltakere for å diskutere tannpleiernes rolle i helsesektoren.

Det var et bredt spekter av deltakere i sørlandsbyen under

Arendalsuka, politikere og partiledere, representanter fra organisasjoner og interessegrupper, medier og journalister, næringslivsaktører, akademikere og forskere og engasjerte borgere og studenter

– VIKTIG Å VÆRE SYNLIG

For oss som representerte foreningen

vår ble det tydelig hvor viktig det er å være synlige på en arena som dette. Arendalsuka er fylt med debatter og politiske samtaler fra morgen til kveld, her møter landets fremste politikere engasjerte innbyggere, fagfolk og organisasjoner.

I år var Tannpleierforeningen invitert til tre debatter – to i regi av

TEKST: Mari Skeie Danielsen FOTO: Privat

TANNHELSE TIL ALLE – HVA OG HVOR MYE?: NTpF-leder Ann-Elin Instebø deltok i kompetansesentrenes paneldebatt under Arendalsuka.

kompetansesentrene og én arrangert av SMB.

– Vi er heldige som har en leder som aktivt løfter frem tannpleiernes stemme, tar kontakt med alle og setter foreningen på kartet. NTpF har kanskje vært mer tilbakeholden tidligere, men nå er det slutt på å stå i skyggen, sier Mari Skeie Danielsen.

I løpet av uken møtte NTpF representanter fra alle de politiske partiene for å diskutere tannhelse i partiprogrammene.

MUNNHELSE PÅ DAGSORDENEN

Tann/munnhelse var et gjennomgående tema under flere av årets debatter.

Først ut var kompetansesentrenes debatt «Tannhelse til alle – hva og hvor mye?», der Ann-Elin Instebø deltok i panelet.

Dag to representerte Mari Skeie Danielsen foreningen i SMBs debatt «Hvordan vil tannhelsetjenesten se ut etter valget?», sammen med TIPS ved Kari Odland, samt Marte Hammer (SV) og Kristin Ørmen Johnsen (H). Arendalsuka ble avsluttet med debatten «Tannhelsetjenesten – på tide å tenke nytt?», arrangert av kompetansesentrene, med Ann-Elin Instebø som deltaker i panelet.

TANNPLEIERNES ROLLE OG

FOREBYGGING I POLITIKERNES

SØKELYS

Gjennom disse dagene fikk vi satt tannpleiernes rolle og betydningen av

TANNHELSETJENESTEN – PÅ TIDE Å TENKE NYTT: Arendalsuka ble avsluttet med debatten «Tannhelsetjenesten – på tide å tenke nytt?», arrangert av kompetansesentrene.

forebygging tydelig på agendaen. Under politikermøtene våre møtte vi flere som ikke kjente oss fra før – og vi fikk mange gode samtaler. Kanskje klarte vi til og med å snu noen!

Befolkningen er vant til at tannhelse primært forbindes med behandling, men vi opplever at stadig flere politikere og beslutningstakere ser potensialet i å utvikle en tannhelsetjeneste med et tydeligere forebyggingsfokus.

UNIOS HELSEPLAN

Et høydepunkt var også da Unios nestleder, Cecilie Woll Johansen, presenterte kravene til en langsiktig helseplan.

Panelet bestod av NSF-leder Lill Sverresdatter Larsen, helse- og omsorgsminister Jan Christian Vestre og assisterende generalsekretær i

NTpF har tatt nye steg fremover, og vist at tannhelse og forebygging fortjener en sentral plass i den politiske samtalen

Kreftforeningen, Ole Aleksander Opdahlshei.

Vestre varslet at dersom

Arbeiderpartiet vant valget, ville de invitere Stortinget og partene i arbeidslivet til et forpliktende samarbeid om en langsiktig helseplan. Med dette satte vi punktum for en innholdsrik og viktig uke.

Norsk Tannpleierforening har tatt nye steg fremover – og vist at tannhelse og forebygging fortjener en sentral plass i den politiske samtalen. T

ET BREDT HELSEFORLIK: Unios nestleder Cecilie Woll Johansen presenterte kravene til en langsiktig helseplan i et panel med NSF-leder Lill Sverresdatter Larsen, helse- og omsorgsminister Jan Christian Vestre og assisterende generalsekretær i Kreftforeningen, Ole Aleksander Opdahlshei.

Medisinske høyflouridprodukter klinisk dokumentert til å øke karieskontroll.1-5 Reseptfri med veiledning. 4-trinns guide

Referanser: 1. https://cariescareinternational.com/ - reviewed Sept 2024 2. Staun Larsen L et al. Eur J Oral Sci. 2023 Jun;131 (3) 3. Ekstrand KR et al. Caries Res 2015;49(5):489-498 4. Baysan et al. Caries Res 2001;35:41-46 5. Ekstrand KR et al. Caries Res. 2013;47 (5):391-8 Informasjon vedrørende anbefaling Duraphat (natriumfluorid), tannpasta 5 mg/g

Indikasjoner: Forebygging av dental karies hos ungdom og voksne (≥16 år), særlig blant pasienter som er utsatt for flere typer karies (koronal og/eller rotkaries). Dosering: Skal kun brukes av voksne og ungdom ≥16 år. En 2 cm lang stripe (gir 3-5 mg fluor) påføres tannbørsten for hver tannpuss. Tennene pusses grundig 3 ganger daglig, etter hvert måltid, vertikalt, fra tannkjøttet til tannspissen. Administrering: Skal ikke svelges. Grundig pussing tar ca. 3 minutter. Utvalgt sikkerhetsinformasjon:

• Kontraindikasjoner: Overfølsomhet for innholdsstoffene. • Forsiktighetsregler: Skal ikke brukes av barn eller ungdom <16 år. Høyt fluorinnhold. Et økt antall potensielle fluorkilder kan gi fluorose. Før bruk bør det foretas en vurdering av samlet fluorinntak (dvs. drikkevann, salter som inneholder fluor, andre legemidler med fluor). Samtidig bruk av fluortabletter, -dråper, -tyggegummi, -gel eller -lakk og vann eller salt tilsatt fluor, skal unngås. Ved beregning av anbefalt mengde fluoridioner (0,05 mg/kg pr. dag fra alle kilder og maks. 1 mg pr. dag) må mulig svelging av tannpasta tas med i beregning (hver tube inneholder 255 mg fluoridioner). Inneholder natriumbenzoat som kan forårsake lokal irritasjon. Inneholder også spearmint smakstilsetning med allergener som kan forårsak allergiske reaksjoner. • Graviditet/Amming: Skal ikke brukes ved graviditet og amming, med mindre en grundig nytte-/risikovurdering er utført. • Bivirkninger: Sjeldne: Hypersensitivitetsreaksjoner, brennende følelse i munnen. • Overdosering/Forgiftning: Akutt intoksikasjon: Toksisk dose er 5 mg fluor/kg kroppsvekt. Symptomer: Fordøyelsesproblemer som oppkast, diaré og abdominalsmerter. Kan være dødelig i svært sjeldne tilfeller. Mentol: Kan forårsake kramper ved inntak av store mengder, spesielt hos småbarn og barn. Behandling: Ved svelging av en betydelig mengde, skal det omgående utføres tarmskylling eller fremtvinges brekninger. Det må tas kalsium

Løft ditt faglige nivå til nye høyder

Hos TkØ får tannpleiere mulighet for faglig utvikling gjennom et bredt spekter av tilbud – fra hospitering til kurs, webinarer, e-læring og praksisnær forskning.

TEKST: Vibeke Almaas

Kompetanseheving er en kjerneoppgave hos TkØ, og tilbudene utvikles kontinuerlig i takt med behovene i tjenesten. I denne artikkelen får du et innblikk i noen av mulighetene som finnes for tannpleiere.

LÆRING TETT PÅ PRAKSIS

Hospitering gir tannpleiere muligheten til å følge og delta i behandling sammen med spesialister, enten med egne henviste pasienter eller andre som behandles ved TkØ. Hospiteringen kan vare fra én dag til flere perioder, og avtales direkte med spesialistene. TkØ tilbyr hospitering innen endodonti, pedodonti, periodonti og kirurgi. Siden våren 2025 har kirurgi etablert et utvidet hospiteringstilbud rettet mot tannhelseteam.

– Vi tror at et strukturert opplegg med både teori og praksis over flere dager gir større utbytte for deltakerne, sier Jon Sudbø, klinikkleder ved TkØ, og oppfordrer tannpleiere til å benytte seg av hospiteringstilbudet.

TkØ tar gjerne imot nye studenter. Praksisperiodene gir verdifull innsikt i klinikkens fagområder, arbeidsmåter og samarbeid i tannhelseteamet.

KURS OG WEBINARER

TkØ arrangerer både digitale og fysiske kurs, bl. a. innen kjeveortopedi, CBCT av retinerte hjørnetenner, traumatologi,

mineraliseringsforstyrrelser, okklusjonsutvikling i vekstperioden, henvisning til narkose og pasientkommunikasjon.

Kurset «Panoramabilder (OPG) og strålevern» gir en god innføring i opptaksteknikk, feilinnstilling, anatomi, patologi, apparatspesifikk bruk og strålevern.

– Dette populære kurset tilbys flere ganger årlig, og kan også holdes lokalt på klinikker ved behov, sier Sudbø. Webinarer kombinerer faglige foredrag med spørsmål og diskusjon, og fungerer som en arena for å dele kunnskap og erfaring. Over 500 deltakere fulgte oralkirurgene Øystein Langeland og Petter Wilberg under webinaret «Vurdering av retinerte visdomstenner» i august. Der ga de praktiske råd om når visdomstenner bør observeres, fjernes eller henvises.

- Målet var å gjøre tannhelsepersonell tryggere i sine vurderinger. Den store deltakelsen viste tydelig at temaet traff et behov i tjenesten, legger Sudbø til.

KOMPETANSEHEVING I TOO

Er du tannpleier og jobber med TOO-tilbudet? TkØ arrangerer fysiske eller digitale samlinger for tverrfaglige eller tannbehandlerteam. Samlingene gir faglige oppdateringer, erfaringsutveksling og kasusdiskusjoner for behandlerteam i Agder, Akershus, Buskerud, Innlandet,

Ingrid Klepaker, forskningskoordinator ved TkØ

Jon Sudbø, klinikkleder ved TkØ

Telemark, Vestfold, Østfold og Oslo kommune.

Det finnes gode verktøy for alle tannpleiere som møter pasienter med tannbehandlingsangst. På nettstedet tooinfo.no er det filmer om tilrettelagt tannbehandling både for tannpleieren og for pasienten. Disse kan brukes både i pasientbehandling og som faglig støtte. Hensikten er å gjøre tannhelsepersonell tryggere i å tilby traumesensitiv behandling.

Illustrasjonsfoto

E-LÆRING OG GRUPPEKURS

TkØ har utviklet flere e-læringskurs som er tilgjengelige på tkost.no. Et eksempel er kurset «Sammenhengen mellom periodontal helse og allmennhelse». Kurset tar under én time å gjennomføre, og egner seg spesielt godt til å tas i grupper. Kurset gir innsikt i sammenhengen mellom periodontitt og systemiske sykdommer, som for eksempel diabetes, forklarer Sudbø.

I en tidligere utgave av Tannstikka (4/2004) ble tre e-læringskurs presentert: «Din meldeplikt til barnevernstje-

nesten», «Snusforebyggende arbeid» og «Smittefritt på tannklinikk». Alle tre egner seg godt til gruppegjennomføring. Erfaring viser at fellesskapet gir større læringseffekt. Når hele klinikken deltar, blir det lettere å omsette kunnskapen til praksis. Dette kan gi en felles forståelse av klinikkens rutiner og ansvar – eller behov for å oppdatere dem.

SEMINARER OG KONFERANSER

Kliniske studier er viktige for en kunnskapsbasert tannhelsetjeneste og krever tett samarbeid mellom

TkØ-konferansen «Bak smilet: Oral helse hos barn utsatt for omsorgssvikt» arrangeres på Lillestrøm 19. november. Konferansen er et samarbeid med forskningsprosjektet «Oral Health Care Services for Children Victims of Violence and Sexual Abuse (Orchid)». Målet er å gi faglig innsikt, fremme erfaringsdeling og styrke tannhelsetjenestens rolle i å ivareta utsatte barn og unge.

HOLD DEG OPPDATERT

TkØ tilbyr kompetansehevende tiltak som gir tannpleiere mulighet til kontinuerlig faglig utvikling. Disse kombinerer teori og praksis gjennom både digitale og fysiske møteplasser. Maria Hilsheimer har tiltrådt som seniorrådgiver ved TkØ, med ansvar for kompetanseutvikling. Hun skal videreutvikle tiltakene i samarbeid med spesialister, forskere og tannhelsetjenesten for å sikre at de er relevante og praktisk anvendelige.

Kurskalender og mer informasjon finner du på tkost.no. For å holde deg oppdatert, kan du abonnere på nyhetsbrevet vårt. T

Tannhelsetjenestens kompetansesenter Øst (TkØ) TkØ er et kommunalt oppgavefellesskap mellom fylkeskommunene Akershus, Buskerud, Innlandet og Østfold, etter kommunelovens kap. 19. Spesialistbehandling, forskning og kompetansehevende tiltak er blant TkØs kjerneoppgaver. F klinikere og forskere. For å fremme dette arrangerer TkØ seminarer med praksisnær forskning, der resultater deles direkte med tannhelsetjenesten. Ingrid Klepaker, forskningskoordinator ved TkØ, understreker også viktigheten av å dele erfaringer fra gjennomførte og pågående prosjekter, og drøfte fremtidige forskningssamarbeid med tannhelsetjenesten.

Denne artikkelen sto på trykk i utgave 0325 i det dansk tidsskriftet «Tandplejeren», som er utgitt av Danske Tandplejere. Tannstikka har innhentet tillatelse til å gjenbruke artikkelen, og har oversatt den til norsk.

Illustrasjonfoto: Adobestock

Når Sølv Diamin Fluorid bremser kariesutviklingen

I noen tilfeller kan dette være det helt riktige valget i behandling av karies.

TEKST OG FOTO: Tannpleier Alice Ravnsbæk Kristensen, nestleder i Danske Tandplejere

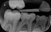
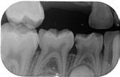
Kasus handler om en gutt som ble født i 2015. Ved undersøkelsen konstateres det karies dentalis media 04-.4, karies initialis 05-.2 (Se figur 1).

I tillegg sees caries profunda 05+.12, 04+.14, caries dentalis superficialis 04+.2.

På grunn av høy karies aktivitet tilbys i tillegg til konvensjonell fyllingsterapi i 05+, 04+, SDF-behandling for 04-.4. SDF-behandlingen utføres over to ganger, i henhold til veiledningen.

Deretter kalles pasienten og familien inn til forebygging og helsefremmende tiltak hver 3. måned.

I oktober 2023 gjøres følgende funn: Abscess 05+, 04+, subjektive symptomer. Tennene ekstraheres på grunn av karies.

Ved undersøkelsen i januar 2024 utføres på cc indikasjon nye røntgenbilder. (Se figur 2.) Det sees ingen progresjon på 04-.4 eller 05-.2. Karies tilstanden vurderes nå som kronisk. I klassifiseringssystemet endres kode 1 til

kode 9 på 04-.4, og kode 0 til kode 9 på 05-.2.

Ved undersøkelsen i mars 2025 utføres utføres det på cc indikasjon nye røntgenbilder. (Se figur 3.)

Det sees fortsatt ingen progresjon på 04-.4 eller 05-.2.

KONKLUSJON

I dette tilfellet var bruk av Sølv Diamin Fluorid (SDF) den helt riktige behandlingen, med valget av SDF på 05-.2, 04-.4.

Pasienten har fortsatt en aktiv karies tilstand, men SDF har bremset utviklingenen av karies, og det forventes nå en helt naturlig tannfelling i regionene 05- og 04, uten ytterligere komplikasjoner.

Fig. 1 Fig. 2
Fig. 3

Det lønner seg å være medlem i Norsk Tannpleierforening!

Du får støtte under lønnsforhandlinger, rabatter på banktjenester og forsikringer, samt tryggheten av å ha en forening som hjelper deg om du trenger det.

Sammen er vi sterkere

Faglig oppdatering på kurs og årlig fagkonferanse

Juridisk hjelp

Engasjerte og dyktige tillitsvalgte

Tillitsvalgte ivaretar dine lønns- og arbeidsvilkår for offentlig ansatte tannpleiere

Hjelp med kontrakter og veiledning for privat ansatte

Utvikling av yrket

Tannstikka

Stipendordning

Tannpleiernes forsikringskontor

Lokalavdeling

Gratis medlemskap i lokalavdeling i ditt fylke med både sosiale og faglige aktiviteter

Gode rabattordninger gjennom Unio

Stillingsannonser

NTpF Student Bergen markerte tre viktige milepæler i NTpF`s

Torsdag 10. oktober arrangerte NTpF Student Bergen en flott markering på Odontologen i Bergen.

Studentene feiret tre milepæler: etableringen av sin egen studentforening fra 1. januar 2025, den internasjonale tannpleierdagen 12. oktober, og at det i år er 100 år siden den første tannpleieren ble utdannet i Norge.

Leder i NTpF Student Bergen, Christine Jakobsen, åpnet kvelden med en åpenhjertig velkomsttale om både 100-års markeringen og den internasjonale tannpleierdagen. Hun fortalte også om prosessen frem mot etableringen av studentforeningen, og understreket hvor viktig det er at tannpleierstudentene har sin egen organisasjon som taler deres sak og skaper samhold.

Ann-Elin Instebø, leder i Norsk Tannpleierforening, gratulerte studentene med foreningen og trakk frem engasjementet i Bergen som avgjørende for at arbeidet kom i gang. – NTpF er stolte

over det dere har fått til, og dere har all grunn til å være stolte over dere selv, sa Instebø.

Kvelden bød også på flere hilsener –blant annet en videohilsen fra studentlederen i Elverum, og en gratulasjon fra Odd-Johan, nestleder i Odontologiforeningen, som begge uttrykte glede over at tannpleierstudentene nå har sin egen forening. Odd-Johan fremhevet også betydningen av samarbeid mellom profesjonene, både under studiet og i yrkeslivet.

Musikalsk underholdning ble levert av studentkoret Blandede Akademikere, som skapte god stemning med flere sanger til stor applaus.

Et av kveldens høydepunkter var Studentforeningens time, der studentene brukte Mentimeter til å samle inn ønsker fra medstudenter om sosiale arrangementer og faglige kurs. De svarte også på spørsmål fra salen om styrets arbeid, erfaringene med å arrangere en slik kveld, og samarbeidet med hovedforeningen. Studentene fortalte dessuten om Unio-studentenes samling i Oslo i september, hvor de hadde

historie

STUDENTLEDER I ELVERUM: Hroar-William Wiik Adelsten

deltatt sammen med studentstyrer fra andre forbund.

Instruktør Ingrid Kristin Moe ved tannpleierutdanningen sendte en varm hilsen, og uttrykte på vegne av alle instruktørene stolthet over studentenes initiativ og innsats for å få på plass en egen forening.

Kvelden ble avrundet med en avslutningstale fra Sigrid og Amalie i NTpF Student Bergen – en verdig og inspirerende avslutning på en kveld som markerte både historie, fellesskap og framtidstro for tannpleierstudentene. T

LEDER I NTpF Bergen: Christine Jakobsen
FOTO: Privat
FOTO: Privat
FOTO: Privat
Les mer her!

En pådriver for tannpleierfaget har gått bort

Torild Elisabeth Fjeseth var en engasjert tannpleier og tillitsvalgt som gjennom hele sin karriere arbeidet utrettelig for faget og kollegene i DOT i Sør-Trøndelag.

Torild hadde sin barndom i Singsås, Midtre Gauldal kommune, mellom Røros og Trondheim. Hun flyttet som ung til Trondheim og var ansatt som tannhelsesekretær hos en privat praktiserende tannlege. Hun likte tannhelse godt og arbeidet målrettet for videre utdanning. Tannpleierstudiet tok hun i Bergen og ble uteksaminert i 1978.

Så flyttet hun tilbake til Trønderhovedstaden og startet sin lange karriere som tannpleier i Den Offentlige Tannhelsetjenesten, DOT, Sør Trøndelag.

Torild jobbet aktivt med prosjekter innad i DOT sammen med andre tannpleiere, blant annet undervisningsprosjekt om tannhelse for apotekansatte der det ble søkt midler gjennom Helsedirektoratet. Hun hadde ansvar for all informasjon og undervisningsmateriell som ble brukt i fylket. Som kliniker var Torild en flink og faglig sterk tannpleier. Hun var positiv til nye oppgaver og utfordringer i jobben.

Hun var aktiv og engasjert innen fagforeningsarbeid i tannpleierforeningen, i en lang periode var hun leder for Sør-Trøndelag Tannpleierforening. Etter hvert ble det verv i KFO og Delta. Hun var blant annet hovedtillitsvalgt for tannpleierne og tannhelsesekretærene i DOT.

Utrettelig jobbet hun for tannpleiernes rettigheter og jobbet til overpensjonsalder. Som pensjonist kunne hun bruke mye tid på barn og barnebarn. I tillegg engasjerte hun seg i nye prosjekt som seniorundervising innen IT. Hun var bestandig opptatt av å følge med i tiden og var en svært fargerik dame med stor sosial omgangskrets.

Vi minnes Torild med glede og takk for hennes store innsats for tannpleierne i fylket.

Hilsen

Trøndelag Tannpleierforening

Forsikring til medlemspris

Som medlem i Norsk Tannpleierforening får du svært gunstige betingelser på forsikring. Du får blant annet:

• Gjennomsnittlig 60 % besparelse på livsforsikring

• Kollektiv innbo-, reise- og barneforsikring med gode vilkår til stabilt lave priser

• God rabatt på individuelle skadeforsikringer som bil-, hus- og hytteforsikring

• Rådgivning når du trenger det

• Profesjonell bistand ved eventuell tvist om skadeoppgjør

Tannpleiernes forsikringskontor | 23 11 35 88 | post@tannpleierforsikring.no

Les mer her

Hovedtillitsvalgte NTpF

AGDER

Inger Samnøy 97 77 89 26 inger.samnøy@agderfk.no

INNLANDET

Maria Verezubova 61 27 05 90 marver@innlandetfylke.no

ROGALAND

Maritha Jensen Normann 51 44 51 80 maritha.jensen.normann @throg.no

TELEMARK

Julie Caroline B. Adsen 94 97 55 44 julie.caroline.b.adsen@ telemarkfylke.no

AKERSHUS

Anne Mette Manikov 94 80 50 85 jannemettem@afk.no

MØRE OG ROMSDAL

Monica Garshol 93 00 77 88 monica.garshol@mrfylke.no

TROMS

Linnea Idstrøm 90 27 99 31 linnea.idstrom@tromsfylke.no .

VESTLAND

Ann-Elin Instebø 92 82 74 84 ann.elin.instebo@vlfk.no

BUSKERUD

Nabiha Gulzar 93 26 48 90 mail: nabihag@bfk.no

N ORDLAND

Kari-Anne Bakken Hatlen 97 10 55 71 karhat@nfk.no

TRØNDELAG

Elise Taylor Spets 99 16 36 88 elispe@trondelagfylke.no

ØSTFOLD

Jenny Maria larsson 46 48 26 17 jennylar@ofk.no

FINNMARK

Karin Johnsen 99 36 85 16 karin.johnsen@ffk.no

OSLO

Pia Janssen 92 23 59 79 pia.janssen@hel.oslo. kommune.no

VESTFOLD

Benthe Sogn 90 66 7 3 17 benthe.sogn@vestfoldfylke.no

Norsk Tannpleierforenings styre 2023–27

LEDER

Ann-Elin Instebø 928 27 484 leder@tannpleier.no

STYREMEDLEM

Slavica Pejic Durasovic 97 88 35 52 s.p.djurasovic@odont.uio.no

1. VARAMEDLEM

Alida Hodzic 48 05 87 02 Alida.Hodzic@uib.no

NESTLEDER

Benthe Sogn 906 67 317 benthe.sogn@vestfoldfylke.no

STYREMEDLEM

Synne Antonsen 92 65 72 57 synne.b.antonsen@ gmail.com

2. VARAMEDLEM

Mari Skeie Danielsen 40 88 51 79 tannpleierdanielsen@ gmail.com

NTpFs administrasjon

KONTORLEDER

LINDA LUDMANN 90 47 41 17 post@tannpleier.no

STYREMEDLEM

Anne-Mai Nilssen 92 09 90 43 annemai.nilsen@gmail.com

STUDENT BERGEN

Cathrine Ongkiehong Jakobsen epost: ntpf.student. bergen@gmail.com

STUDENT OSLO

Olesea Chirac Epost:ntpfstudentoslo@ gmail.com

STUDENT ELVERUM

Leder: Hroar-William Wiik Adelsten E-post: adelsten_3@ hotmail.com

STUDENT TROMSØ

Leder: Oda Sølberg Hoel E-post: osolberghoel@ gmail.com

Gry Jakhelln 95 13 35 80 gry.jakhelln@tannpleier.no

NTpFs lokalavdelingsledere 2025

AGDER:

Leder: Camilla Lyngstad agdertannpleierforening@gmail.com

Mobil: 90 36 13 12

BUSKERUD

Kontaktperson: Mursal Kodamani mursalk@hotmail.com

Mobil: 95 30 07 14

FINNMARK

Leder: Kathrine Mikalsen kathrinemikalsen@gmail.com

Mobil: 92 22 39 15

MØRE OG ROMSDAL

Leder: Ida Eriksson E post: ida.beate.eriksson@mrfylke.no

Mobil: 98 87 92 63

NORDLAND

Leder: Elisabeth Klevstad elikle@nfk.no

Mobil: 97 04 52 26

OSLO OG AKERSHUS

Leder: Slavica Pejic Durasovic ntpfavdosloogakershus@gmail.com

Mobil: 97 88 35 52

ROGALAND

Leder: Saba Gerani

Ntpf-rogaland@hotmail.com

Mobil: 95 88 25 67

TRØNDELAG

Leder: Annicken F. Due Tvete annickentvete@hotmail.com

Mobil: 97 02 81 56

TELEMARK

Leder: Kristin Holtan Saga kristinsaga@hotmail.com

Mobil: 90 8 52 98

TROMS

Leder: Elisabeth Bjerkan

E-post: ntpfavdtroms@gmail.com

Mobil: 47321857

VESTFOLD

Leder: Sarune Tuft ntpfavdvestfold@gmail.com

Mobil: 48 42 91 77

VESTLAND

Leder: Line Farnes line.pallesen@gmail.com

Mobil: 90 07 79 90

INNLANDET

Line Kalland line.kalland@innlandetfylke.no

Mobil: 90 55 07 85

ØSTFOLD

Ikke aktivitet for øyeblikket

Returadresse: Norsk Tannpleierforening NTpF Postboks 446 Sentrum N-0104 Oslo

Bli medlem i Norsk Tannpleierforening (NTpF)

Norsk Tannpleierforening (NTpF) er en profesjons- og fagforening for tannpleiere.

NTpF arbeider for å ivareta tannpleierfaget samt lønns- og arbeidsvilkår for yrkesgruppen.

Vi arbeider med lønns- og arbeidsforhold og fagpolitiske oppgaver som påvirker tannpleiernes arbeidshverdag.

Meld deg inn via nettsiden vår https://blimedlem.tannpleier.no/ eller bruk QR koden

Vil du komme i kontakt med oss? Postboks 446 Sentrum, 0104 Oslo post@tannpleier.no 90 47 41 17

Turn static files into dynamic content formats.

Create a flipbook
Issuu converts static files into: digital portfolios, online yearbooks, online catalogs, digital photo albums and more. Sign up and create your flipbook.
Tannstikka 04-25 by Tannpleierforening - Issuu