
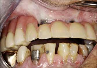
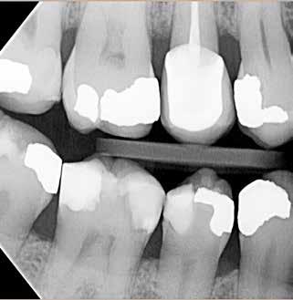
TSOMMERNUMMER
White spot lesions
Stiftudboring
Parodontitis, Alzheimers sygdom
Zygomaimplantater
Gorlins syndrom
Etisk refleksionsmodel
Parodontitis, graviditetskomplikationer



![]()

TSOMMERNUMMER
White spot lesions
Stiftudboring
Parodontitis, Alzheimers sygdom
Zygomaimplantater
Gorlins syndrom
Etisk refleksionsmodel
Parodontitis, graviditetskomplikationer



Lev op til lovgivningen med Complianters IT-system og få mere tid til behandlingerne, patienterne og videreudvikling af klinikken.
Vi kan nu også levere en løsning, så klinikken kan leve op til den nye lov om registrering af arbejdstid.



Læs mere på www.complianter.dk eller book en demo på info@complianter.dk

Samarbejder med


Den digitale bølge buldrer afsted! Siden 2021 er andelen af scan-ordrer hos Nordenta LAB steget fra 22% til 50%.
Du er i gode hænder hos Nordenta!
• Få hjælp til at vælge den rigtige scanner til dine behov.
Vi forhandler kvalitetsscannere fra Dentsply Sirona, Medit og SIMPLEE.
• Nordenta hjælper dig godt i gang
Vi hjælper med at installere, undervise og supportere klinikken i optimal brug af den valgte scanner.
• Kompetent support lige ved hånden
Hos Nordenta møder du et dygtigt hold af specialister, der er klar til at yde både klinisk og teknisk support.
Kom i gang med digital scan fra kun 49.500,-*
* Ekskl. PC. Se minimumskrav og anbefalinger på nordenta.dk


Vil du vide mere?
Jeg er klar til at hjælpe dig op og ride på
Kontakt CAD/CAM-konsulent 28 44 15 27
REDAKTION
Nils-Erik Fiehn Lektor, dr.odont. Ansvarshavende og faglig-videnskabelig redaktør nef@tdl.dk
Bjarne Klausen Tandlæge, dr.odont. Faglig konsulent
Sofie Dinesen Bramsen Studentermedhjælper, sdb@tdl.dk
FAGREDAKTION
Gitte Almer Nielsen Adm. redaktør, gan@tdl.dk
Anne Burlund Redaktionssekretær og journalist, abu@tdl.dk
Nanna Fløjborg Journalist, nfl@tdl.dk
Lorena Cruzado Grafisk designer, ldc@tdl.dk
Palle Holmstrup Professor, dr.odont. Søren Schou Specialtandlæge, dr.odont.
Lise-Lotte Kirkevang Professor, dr.odont.
DET VIDENSKABELIGE PANEL
Lene Baad-Hansen, Erik Dabelsteen, Jon E. Dahl, Anne Havemose-Poulsen, Nuno Hermann, Palle Holmstrup, Siri Beier Jensen, Mats Jontell, Lise-Lotte Kirkevang, Björn Klinge, Gulnoush Bahrami Møller, Anne Marie L. Pedersen, Søren Schou, Svante Twetman, Ann Wenzel, Esben Boeskov Øzhayat
MANUSKRIPTVEJLEDNING
Videnskabelige manuskripter sendes til den faglig-videnskabelige redaktør på nef@tdl.dk. Find i øvrigt Tandlægebladets manuskriptvejledninger på Tandlægebladet.dk under menupunktet “Om Tandlægebladet”
ANNONCER
Stillingsannoncer og kollegiale henvendelser: Marketingkonsulent Tina Andersen ta@tdl.dk Produkt- og leverandørannoncer varetages af DG Media, Heidi Dyhr, tlf. 2834 2921, Heidi.d@dgmedia.dk, www.dgmedia.dk
UDEBLIVER TANDLÆGEBLADET?
Klik ind på Tandlaegebladet.dk/reklamation eller skriv til tblevering@tdl.dk. Ved adresseændring skriv til medlemsregistrering@tdl.dk
UDGIVER
Tandlægeforeningen, Amaliegade 17, 1256 Kbh. K Tandlægebladet udkommer 12 gange årligt Distribueret oplag pr. nummer: 5.507
Medlem af Danske Medier
ISSN: 0039-9153
LAYOUT OG GRAFISK PRODUKTION
Lorena Cruzado (AD) vahle+nikolaisen (layout og tryk)
FORSIDE
Thomas Lekfeldt


Vi er taget ud i sommerlandet for at spørge fire tandlæger, hvad der får deres hjerter til at banke lidt hurtigere, når de har fri.


SOMMERNUMMER


Faglig leder / 543
EKSTRAND K, TRONIER-KNOWLTON J, MIKKJALSDÓTTIR R, FEDDERS SB, HEIDKE R, SONNESEN L
Effekten af fluoridskylning på cariestilvækst, plakforekomst og gingival tilstand på børn under ortodontisk behandling i Danmark / 544
LAURIDSEN LR, BAKHSHANDEH A, BJØRNDAL L
Dentinbesparelse ved stiftudboring – varme versus mekanisk fjernelse af guttaperka med Largo bor / 554
GETHER EK
Sammenhængen mellem parodontitis og Alzheimers sygdom / 566
HARTMANN-RYHL R, THESBJERG K, THORN JJ
Zygomaimplantater anvendt i særlige patienttilfælde / 574
SOMMER CA, SCHWARTZ K, THORN JJ Gorlins syndrom – et patienttilfælde med multiple keratocyster / 582
HOFMANN B, MOEZZI M
En etisk refleksionsmodel i klinisk praksis / 590
WINCKLER K, HANSEN-BUKKHAVE K, TARNOW L, IVERSEN PB, DAMGAARD C, DITLEV SB, KOFOED-ENEVOLDSEN A, DUEHOLM SCH, LAUENBORG J, HEITMANN BL
PROBE studiet – parodontal behandling under graviditeten / 598
FAST STOF
Medlemsservice / 620
I podcasten Odontoverset nørder vi odontologi og stiller skarpt på arbejdsliv, karriere og faglighed.
Find Odontoverset i din foretrukne podcast-app.
Kender du Støttefonden?
Støttefonden har en lang række GRATIS tilbud til dig, hvis du skulle få brug for hjælp…
✔️ Økonomisk støtte ✔️ Hjælp og rådgivning fra psykologer
✔️ Konsulentydelser
Vil du høre mere om Støttefonden?
Ring til os på 39 46 00 80
Eller send en mail til: dagpenge@tdlt.dk
Vi kender tandlægernes behov www.tdlt.dk


Zendium styrker mundens naturlige
forsvar og indeholder de samme naturlige enzymer og proteiner, som bes kytter din mund naturligt.
*Det er klinisk bevist, at Zendium efter 26 uger forbedrer plakindeks vs. fluortandpasta uden enzymer og proteiner.

Tilmeld dig her for vores nyhedsbrev og prevetuberl

I dette nummer af Tandlægebladet bringer vi en samling på syv artikler, som har ventet længe på at blive trykt. Med den tilgang af manuskripter, som der for tiden er og med allerede disponerede blade i lang tid frem, vil disse artikler ellers ikke kunne blive bragt før næste forår. Dette går ikke, hverken overfor forfatterne eller læserne. Så her er der meget forskelligt, som I kan læse i sommerperioden, hvor der kan være god tid.
Vi kommer rigtig godt rundt i odontologi i dette nummer: cariologi, endodonti, parodontologi, gerodontologi, ortodonti, oral kirurgi, kæbekirurgi og etik. En virkelig gang blandede bolsjer.
Vi ser på white spot lesions i forbindelse med fast ortodontisk apparatur og effekten af fluoridskylninger med høj koncentration af fluorid.
Vi ser på anvendelse af varme ved fjernelse af guttaperka i rodkanaler med henblik på at reducere komplikationer ved stiftudboring.
Vi ser på sammenhængen mellem parodontitis og Alzheimers sygdom, og om intensiv parodontologisk behandling kan medvirke til at forebygge og bremse demensudvikling.
Vi ser på anvendelsen af zygomaimplantater, som er en mulighed hos patienter, hvor knogleopbygning ikke er en mulighed.
Vi ser på en sjælden autosomal dominant lidelse – Gorlins syndrom, hvor differentialdiagnostiske overvejelser virkelig kommer i spil.
Vi præsenterer en etisk refleksionsmodel til brug i den kliniske hverdag.
Vi præsenterer som noget nyt en protokolartikel – her om betydningen af parodontalbehandling i relation til graviditets- og fødselsproblemer. Nogle internationale videnskabelige tidsskrifter bringer nu sådanne artikler. Det fordrer dog, at resultaterne bringes efterfølgende.
Altså et virkeligt mix af søde sager, som tandlæger jo sætter pris på.

NILS-ERIK FIEHN
Ansvarshavende og fagligvidenskabelig redaktør
Dette tredobbelte blindede RCT-studie med to arme undersøger effekten af fluoridskylning (0,32 % NaFopløsning) i en periode på seks og 12 måneder (6 mdr., 12 mdr.) på cariestilvæksten, plakforekomst og den gingivale tilstand hos 10-15-årige danskere, som gennemgår ortodontisk behandling. Estimater viste, at der var behov for 24 forsøgspersoner i testgruppen (TG) såvel som i kontrolgruppen (CG) ved afslutningen af undersøgelsen. I alt 61 forsøgspersoner blev tilfældigt tildelt til TG (n = 30) og CG (n = 31). Deltagerne skyllede to gange om ugen med 10 ml NaF-opløsning (TG) eller 10 ml af en placeboopløsning (CG). En registrator registrerede caries ved baseline samt efter seks og 12 måneder (ICDAS-indeks) samt plak og den gingivale tilstand (Löe-indeks). Fire deltagere i hver gruppe faldt fra i løbet af undersøgelsesperioden. På patientniveau viste 27 % i TG og 59 % i CG cariestilvækst i løbet af 12 måneder (P < 0,05). Parametriske tests bekræftede, at CG-deltagere havde signifikant højere cariestilvækst end TG-deltagere fra 0 md. til 12 mdr. (P = 0,014). Den præventive fraktion var 77 % til fordel for TG-deltagerne. Fra baseline til seks måneder efter var der ingen signifikant forskel i cariestilvækst mellem TG og CG. Ved 0 md. og 12 m var der ingen signifikant forskel i plakindekset og i gingivas tilstand mellem de to grupper (P-værdier > 0,05). Undersøgelsens konklusion var, at skylning to gange om ugen med en 0,32 % NaF-opløsning havde en signifikant reducerende effekt på cariestilvæksten hos børn og unge under en ortodontisk behandlingsperiode på 12 måneder.
EMNEORD Caries | orthodontic treatment | prevention | white spot lesions | fluoride rinsing
KIM EKSTRAND, professor, ph.d., Fagområdet for Cariologi og Endodonti, Odontologisk Institut, Københavns Universitet
JOSEPHINE TRONIER-KNOWLTON, specialestuderende, Specialuddannelsen i Ortodonti, Fagområdet for Ortodonti, Odontologisk Institut, Københavns Universitet
RAKUL MIKKJALSDÓTTIR, specialestuderende, Specialuddannelsen i Ortodonti, Fagområdet for Ortodonti, Odontologisk Institut, Københavns Universitet
SOFIE BRINKMANN FEDDERS, specialestuderende, Specialuddannelsen i Ortodonti, Fagområdet for Ortodonti, Odontologisk Institut, Københavns Universitet
RONJA HEIDKE, specialestuderende, Specialuddannelsen i Ortodonti, Fagområdet for Ortodonti, Odontologisk Institut, Københavns Universitet
LISELOTTE SONNESEN, professor, dr.odont., Specialuddannelsen i Ortodonti, Fagområdet for Ortodonti, Odontologisk Institut, Københavns Universitet
Oprindelig artikel: Ekstrand KR, Tronier-Knowlton J, Mikkjalsdóttir R, Fedders SB, Heidke R, Sonnesen L. The efficacy of fluoride rinse on caries increment, plaque occurrence and gingival status in children undergoing orthodontic treatment. A randomized controlled clinical trial with results after 6 and 12 months. Journal of Dentistry & Oral Disorders 2023;9:1-7. Tandlægebladet 2024;128:544-52

Korrespondanceansvarlig førsteforfatter: KIM EKSTRAND kek@sund.ku.dk
DANMARK ER KENDT FOR, AT BØRN OG UNGE HAR EN MEGET LAV CARIESERFARING (1,2). Det skyldes bl.a., at der i Danmark er fokus på tandbørstning med fluoridholdig tandpasta fra fremkomsten af den første primære tand, og at Danmark de sidste 50 år har haft gratis tandpleje for børn og unge. Ordningen gælder også tandregulering til de ca. 25 % af børne- og ungepopulationen, som har de alvorligste funktionelle lidelser i deres tandsæt.
Litteraturen viser, at en kombination af at bruge fluoridholdig tandpasta hver dag og fluoridskylninger hver dag (lav koncentration, ≤ 250 ppm F-) eller et par gange om ugen (høj koncentration, ≥ 900 ppm F-) har en større forebyggende effekt end ved at bruge fluoridholdig tandpasta alene hos patienter med moderat til høj cariesrisiko (3).
Det er velkendt, at ortodontiske behandlinger øger risikoen for at udvikle caries, især de kosmetisk skæmmende læsioner, der udvikler sig pga. de kunstige plakstagnationsområder omkring brackets (4-6). Disse læsioner kan være svære at maskere efter den ortodontiske behandling (5,6).
Data fra et reviewstudie (7) viste, at cementeringsmaterialer indeholdende fluorid og opløsninger med lavt fluorindhold til skylning har en cariesreducerende effekt på patienter, som var under ortodontisk behandling. Bias var dog et fremtrædende træk i de undersøgelser, der var blevet udført frem til 2005 (7). Et hollandsk RCT-studie (5), der testede effekten af en opløsning med lavt fluoridindhold sammenlignet med en placeboopløsning, viste en signifikant effekt med hensyn til at reducere antallet af white spot lesions på patienter under ortodontisk behandling. I et svensk RCT-studie (8), hvor testproduktet var en fluorholdig lak versus en placebolak påført hver 6. uge, blev der under den ortodontiske behandling noteret en 14 % mindre cariestilvækst (P > 0,05) i testgruppen sammenlignet med kontrolgruppen. Når den blev udtrykt på alvorlighedsniveauet, blev forskellen signifikant (P ≤ 0,05) til fordel for det fluoridholdige produkt.
Der er ingen nyere oplysninger om forekomsten af caries hos børn og unge i Danmark som følge af ortodontisk behandling og ingen oplysninger om, hvorvidt en højkoncentreret fluoridskylning under den ortodontiske behandling to gange om ugen vil kunne reducere forekomsten af caries. Her er det vigtigt at nævne, at det ikke er lovligt i Danmark at bruge fluoridholdig tandpasta med mere end 1.500 ppm fluorid under 16 år.
Dette studie undersøger, om fluoridskylninger to gange om ugen med en opløsning indeholdende 0,32 % natriumfluorid ~1.450 ppm fluorid påvirker cariestilvæksten, plakakkumuleringen og gingival tilstand hos patienter i løbet af det første år af ortodontisk behandling med fast apparatur.
Det primære formål var således at undersøge en forskel i cariestilvækst mellem test- og kontrolgruppe på patientniveau og på gruppeniveau i relation til tænder med fast apparatur fra baseline (0 md.), efter seks måneder (6 mdr.) og efter 12 måneder (12 mdr.).
De to sekundære formål var at teste forskel i plakforekomst og den gingivale tilstand mellem test- og kontrolgruppen på 12 referencetænder ved baseline (0 md.), efter 6 mdr. og 12 mdr. med ortodontisk behandling.
Benson et al. udtalte i 2005 (7), at nye undersøgelser inden for det nuværende forskningsfelt skulle følge en protokol med fokus på at kontrollere for bias. Der er flere typer bias, hvor flertallet kan kontrolleres for at udgøre et problem, hvis undersøgelsen er planlagt godt. Som supplerende materiale har vi taget os den frihed at diskutere de forskellige typer af bias, der anvendes i Cochrane-gennemgange af RCT-studier (3) relateret til nærværende undersøgelse.
MATERIALE OG METODER
Etisk godkendelse
Projektet er godkendt af Den Etiske Komité (H-19062827) og af Datatilsynet (514-0446/19-3000).
Varighed
Den første deltager fik den kliniske basisundersøgelse den 20. december 2019, og alle deltagere fik afsluttet deres kliniske basisundersøgelse den 26. oktober 2020. Data for den sidste 12-måneders kliniske undersøgelse var den 4. november 2021.
Lokalisation
Undersøgelsen foregik på Odontologisk Institut på fagområdet for Ortodonti.
Design
Tripleblindt randomiseret klinisk forsøg med to parallelle arme.
Produkter
Testprodukterne indeholder en 0,32 % NaF-opløsning i flasker på 500 ml. Placeboen var en væske, der kun bestod af vand, men også i 500 ml flasker.
Inklusionskriterier
Medicinsk rask/eller med mindre funktionsnedsættelser i alderen 10-15 år, som har behov for ortodontisk behandling med fast apparatur.
Eksklusionskriterier
Patienter med kroniske sygdomme og patienter med polyfarmaci.
Stikprøvestørrelse
Baseret på α, som er sandsynligheden for fejlagtigt at forkaste en sand nulhypotese, sættes til højst 5 % og β, som er sandsynlighed for, at den alternative hypotese fejlagtigt afvises, selvom den er sand, sættes til 80 %, og det ønskes at teste en gennemsnitlig forskel på 2,5 læsioner med en spredning på tre læsioner mellem test- og kontrolgruppe, så viser Quick-formlen, at der skal være 16/(2,5/3) 2 = 24 patienter i hver gruppe, når studiet afsluttes (9). Det blev estimeret, at fem patienter vil falde fra i løbet af undersøgelsesperioden, derfor blev der allokeret 30 patienter til hver gruppe.
Randomisering
Stikprøverammen var 10-15-årige i Storkøbenhavn, som fik tilbudt tandregulering med fast apparatur i den lokale børne- og ungdomstandpleje, men henvist til Specialtandlæge-uddannelsen i Ortodonti, Odontologisk Institut, Københavns Universitet. I alt 68 potentielle deltagere blev der rettet henvendelse til, og heraf var 61interesserede i at deltage i undersøgelsen, og begge forældre underskrev samtykkeerklæringen (Tabel 1). Tildelingen til test- eller kontrolgruppen skete ved trækning af et stykke papir med et fortrykt nummer mellem 1 og 61. Denne procedure blev foretaget af to af medforfatterne Fedders SB, Heidke R, og de videregav resultaterne til sekretæren i
Deltagere, der blev adresseret til studiet (n = 68)
Ekskluderede (n = 7)
• Ønsker ikke at deltage (n = 7)
Randomiseret (n = 61)
Gruppering
Testgruppe
Deltagere, der fik mundskylning med fluorid (n = 30)
Frafald (n = 1) kunne ikke deltage
Frafald (n = 3)
Tre deltagere blev henvist tilbage til den kommunale tandpleje
Analyseret efter 12 mdr. (n = 26)
Kontrolgruppe
Deltagere, der fik mundskylning uden fluorid (n = 31)
Dropout (n = 1) ønskede ikke at skylle to gange om ugen
Frafald (n = 3)
Én deltager ønskede ikke at skylle to gange ugentligt
To deltagere blev henvist tilbage til den kommunale tandpleje
Analyseret efter 12 mdr. (n = 27)
Tabel 1. Flowchart, der viser deltagere adresseret til studiet, randomisering, gruppering, udgået og antallet af deltagere i test- og kontrolgruppen efter 12 måneder.
Table 1. Flowchart showing participants addressed to the study, randomisation, grouping, dropped out and the number of participants in the test and control group after 12 months.
afdelingen. Hun sikrede sig ud fra sin liste, hvem blandt deltagerne der fik enten det fluoridholdige produkt (testgruppe) eller placebo (kontrolgruppe).
Program
Den ortodontiske behandling af deltagerne blev varetaget af fire tandlæger (alle medforfattere til denne undersøgelse), der søgte specialisering inden for ortodonti, alle under supervision af lederen for specialtandlægeuddannelsen i ortodonti og professor MSO på fagområdet for ortodonti (sidsteforfatter).
Indledningsvis sørgede forfatterne Fedders SB og Heidke R for, at to bitewings blev taget og gemt i det elektroniske journalsystem. Deltagerne og deres forældre blev instrueret og geninstrueret i en tandbørsteteknik relateret til, hvilket apparatur deltageren blev behandlet med. Desuden blev deltageren og forældrene instrueret i, at deltageren skulle skylle munden med 10 ml af væsken i den medfølgende flaske to gange om ugen i 45 sekunder, hvorefter væsken skulle spyttes ud. Endvidere burde deltagerne undgå at spise og drikke den næste halve time efter skylning.
Registreringer
Alle registreringer, der er relevante for undersøgelsen, blev foretaget af én tandlæge (førsteforfatteren). Registrator var blindet for, til hvilken gruppe deltagerne var allokeret under hele undersøgelsen.
Plak og gingivas tilstand blev registreret ved hjælp af Löes scoringssystemer (10).
Caries blev registreret ved hjælp af ICDAS, som bruger syv kliniske scoringer inklusive aktivitetsbestemmelse (11). Bitewings blev også bedømt ved hjælp af D1-4MFS-indekset. (Radiolucens i 1 = ydre emalje, 2 = indre emalje og ydre 1/3 af dentinen, 3 = midterste 1/3 af dentinen og 4 = indre 1/3 af dentinen (12).
Klinisk undersøgelse
Registrator udførte den kliniske undersøgelse på deltagerne placeret i en tandlægestol. Tilstedeværelsen af plak og gingival tilstand blev registreret på 12 referencetænder (første permanente molarer og maksillære og mandibulære insiciver). Registreringerne blev foretaget omkring brackets på de pågældende tænder.
Følgende registrering blev brugt til at karakterisere plakforekomsten (10):
0: Ingen plak
1: Et tyndt lag plak langs gingivalranden påvist ved sondering
2: Moderat lag af synlig plak langs gingivalranden. Approksimalrum er fri for plak, men plak er synlig for det blotte øje
3: Større mængde plak langs gingivalranden og i de approksimale rum
Følgende indeks anvendtes til karakterisering af den gingivale tilstand (10):
0: Sund gingiva
1: Gingival rødme uden blødning ved sondering
2: Gingival rødme og blødning ved sondering
3: Sårdannelse og spontan blødning
Følgende metode og kriterier blev anvendt klinisk til registrering af caries:
Efter plak- og gingivaregistreringerne børstede registrator deltagerens tænder med en traditionel tandbørste eller med en solotandbørste (uden tandpasta). Dernæst blev vatruller placeret for at kontrollere spytsekretionen fra glandulae parotis, og tænderne blev udtørret med trefunktionssprøjten. Alle tænder, der skulle have fast apparatur, blev registreret. Der blev registreret tegn på caries på tandens facialflader. Undersøgelsen foregik under optimal klinikbelysning, og der blev brugt en sonde til forsigtigt at identificere brud, og tekstur med hensyn til emaljen var ru eller glat til sondering.
ICDAS klassifikationssystemet (Ekstrand et al. 2007) (11)
0: Sund tandoverflade. Ingen tegn på caries efter 5 sekunders lufttørring
1: Første visuelle ændring i emalje: Opacitet eller misfarvning (hvidlig 1W eller brunlig, 1B) er synlig efter udtalt lufttørring
2: Cariologiske ændringer i emaljen uden udtørring (hvid 2W eller brunlig 2B)
3: Lokaliseret brud i emalje, ingen synlig dentin
4: Underliggende mørk skygge fra carieret dentin, med eller uden lokaliseret brud i emaljen
5: Kavitet med synlig dentin, kaviteten involverer mindre end halvdelen af fladens udstrækning
6: Kavitet med synlig dentin, kaviteten involverer mere end halvdelen af tanden
ICDAS-systemet undersøgte også, om den observerede læsion var aktiv eller standset (Ekstrand et al. 2007) (11). For at bestemme dette blev det registreret, hvorvidt gingiva tæt på læsionen var inflammeret (Ekstrand et al., 1998) (13), og om læsionen føltes ru eller glat ved sondering. Ved kavitet blev det vurderet, om dentinen var blød eller hård ved sondering.
Definition af aktive og standsede læsioner i denne undersøgelse ad modum Ekstrand et al. (2007) (11): Aktiv læsion:
• Hvidlig, ru ved sondering med eller uden blødning fra gingiva ved sondering
• Hvidlig, glat ved sondering, blødning fra gingiva ved sondering
• Brunlig, ru ved sondering, blødning fra gingiva ved sondering
Standset læsion:
• Brunlig, ru ved sondering, sund gingiva
• Brunlig, glat ved sondering med blødning fra gingiva ved sondering
• Hvidlig, glat ved sondering, sund gingiva
Internationale studier samt klinisk erfaring i Danmark viser, at børn og unge under ortodontisk behandling ofte udvikler caries i form af white spot lesions (WSL) omkring det ortodontiske apparatur. Dette RCT-studie demonstrerer tydeligt, at fluoridskylninger 2 x ugentlig med en 0,32 % natriumfluoridopløsning (~ 1.450 ppm fluorid) har en signifikant cariesreducerende effekt på prævalensen af WSL på testgruppens deltagere i forhold til kontrolgruppens (placeboopløsning) deltagere efter 12 måneders observationstid.
Intra-reproducerbarhed
Registrator opnåede i et andet klinisk studie, der begyndte i 2019 (14) en intra-eksaminer kappa-værdi på 0,92 (95 %CI 0,89-,0,94) ved at bruge ICDAS-indekset ved undersøgelse af 11 børn. Bitewing røntgenbilleder blev også analyseret på de 11 børn, og registrator opnåede i denne undersøgelse en intraeksaminer kappa-værdi på 0,84 (95 %CI 0,77-0,91) ved brug af det samme radiografiske scoringssystem, der også blev brugt i denne aktuelle undersøgelse.
Spørgsmål
Deltagerne blev spurgt to gange af registrator under undersøgelsen (6 mdr. og 12 mdr.), om de havde nogen klager over den opløsning, de skyllede med.
Datahåndtering
I løbet af undersøgelsen blev alle kliniske scorer (tænder med fast apparatur, plak-, gingival tilstand og cariesscorer) nedskrevet på papirkopier på en blanket, der anvendes i børne- og ungdomstandplejen i Danmark til registrering af tandstatus (se Fig. 1 i reference 15). Der blev oprettet en formular i Excel-arket, hvor der blev markeret, hvilke tænder der var dækket af fast apparatur. Til denne 12-måneders undersøgelse overførte førsteforfatteren alle data, indhentet fra papirskemaet hver 3. måned indtil afslutningen af de kliniske vurderinger, til Excel-arket. Under dette arbejde var førsteforfatteren blindet for, hvilken gruppe deltagerne var tildelt. Det endelige datasæt, der involverede data fra baseline efter seks måneder og til de 12 måneder med ortodontisk behandling, blev videresendt til virksomheden nævnt nedenfor med henblik på statistiske beregninger.
Alle statistiske beregninger er foretaget af en privat virksomhed (MATx). Den person i virksomheden, der lavede de statistiske beregninger, blev blindet for, hvilken gruppe deltagerne var tildelt. Deskriptiv statistik (tal, middelværdier, SD, medianer) for at illustrere tendenser i de to grupper vedrørende cariestilvæksten, plakforekomst og gingivas tilstand efter 6 mdr. og efter 12 mdr. under ortodontisk behandling blev foretaget. Plots for normalitet af datasættene ved hjælp af Kolmogorov-Smirnov-tests (16) viste, at cariesdata og data vedrørende gingivalstatus
kunne anses for ikke at afvige fra at være normalfordelt (P-værdier < 0,05). Plakdata var på den anden side ikke normalfordelt (P > 0,05). Data, der var normalt fordelt, blev behandlet med parametrisk statistik (T-test, parrede eller uparrede), mens Wilcoxon matchede par fortegnsrang-test (parrede data) eller Mann-Whitney U-test (uparrede) blev brugt til datasæt ikke normalfordelt (16). En generaliseret estimationsligningsmodel (GEE-model) blev oprettet for at undersøge, om en eller flere af følgende fem forklarende variabler påvirker de 12 måneders cariesudfaldsdata: GRUPPE (1 eller 2), KØN (1 eller 2), ALDER (mellem 10 og 15), OMFANG AF FASTE APPARATER (1 = involverede mindre end 10 tænder, 2 = involverede fra 10 til 19 tænder, og 3 = >19 tænder) og CARIES RISK i permanente tænder baseret på aflæsning af baseline røntgenbilleder (1 = lav risiko (ingen carieslæsioner/restaureringer) eller 2 = høj risiko (≥ 1 carieslæsion/restaurering ). Sandsynlighedsfordelingen var en Poisson fordeling (9). Endelig blev den præventive fraktion ved hjælp af cariestilvæksten i de to grupper fra baseline til 12 måneder med 95 % konfidensinterval beregnet. Statistiske analyser blev udført ved at bruge IBM SPSS 20.0. Et niveau ≤ 5 % blev anset for at være signifikant.
RESULTATER
Deskriptiv statistik
Som det fremgår af Tabel 1, blev der rettet henvendelse til 68 børn (hvor begge forældre underskrev samtykkeerklæringen for 61). Af de 61 deltagere blev 30 tilfældigt tildelt test- og 31 kontrolgruppen. En deltager udgik inden for 6m i begge grupper, og yderligere tre udgik efter 6m, men før 12 mdr. i begge
Cariesdata
N Antal læsioner relateret til tænder,
grupper, hvilket efterlod 26 og 27 deltagere i henholdsvis testog kontrolgruppen.
Ved baseline var gennemsnitsalderen for deltagerne i testgruppen 13,5 år (1SD =1,29) og i kontrolgruppen 13,3 år (1SD = 1,14) (P = 0,545).
Ved baseline var omkring 1/3 af deltagerne drenge (33,9 %), og omkring 2/3 var piger (66,1 %). Der var ingen kønsforskel ved baseline i de to grupper (P = 0,858), heller ikke under undersøgelsen.
Analyser af bitewings viste, at én deltager i testgruppen havde en D3-læsion, der krævede restaurering, mens to andre deltagere havde henholdsvis to og fire D1-2-læsioner (emaljelæsioner), og én havde en okklusal restaurering. Lignende tal i kontrollen var, at to deltagere havde 1-3 D1-læsioner, og to havde en okklusal restaurering.
Primære resultater
I begge grupper kan vi se, at det absolutte antal læsioner stiger under studiet (Tabel 2, tredje kolonne), men med en meget højere tilvækst i kontrolgruppen (fra 13/47/69) end i testgruppen (8/19/20). De statistiske analyser inden for grupperne (T-test parret, sidste kolonne, Tabel 2) viste, at der ikke var nogen signifikant forskel i tilvæksten fra baseline (0 md.) til 6 mdr., fra 6 mdr. til 12 mdr. eller fra 0 md. til 12 mdr. i testgruppen. I modsætning hertil var tilvæksten signifikant i kontrolgruppen (P-værdier < 0,05, Tabel 2).
Yderligere statistiske analyser mellem grupperne (T-test uparrede, Tabel 2 sidste kolonne) viste, at der ikke var nogen forskel ved baseline (P = 0,525), eller efter 6m (P = 0,11),
6 måneder (6 mdr.)
Test 12 måneder (12 mdr.) 26 20 læsioner ud af 9 deltagere
Kontrol baseline (0m) 31 13 læsioner ud af 6 deltagere
Kontrol 6 måneder (6 mdr.) 30 47 læsioner ud af 11 deltagere
Kontrol 12 måneder (12 mdr.) 27 69 læsioner ud af 17 deltagere
Tabel 2. Data for antal læsioner, laveste (min.) og højeste antal (maks.) læsioner, gennemsnitligt antal læsioner og standardafvigelsen (1SD) i test- og kontrolgrupperne, fordelt på 0 måneder (0 md.), 6 måneder (6 mdr.) og 12 måneder (12 mdr.). P-værdier præsenteres.
Table 2. Data for number of lesions, lowest (min.) and highest number (max.) lesions, average number of lesions and the standard deviation (1SD) in the test and control groups, divided into 0 months (0m), 6months (6m) and 12months (12m). P-values are presented.
Tabel 3. Plakdata udtrykt som middelværdier, standardafvigelse (1SD) og medianen i test- og kontrolgrupperne, opdelt i 0 md., 6 mdr. og 12 mdr. P-værdier præsenteres udregnet baseret på medianværdier.
Table 3. Plaque data expressed as means, standard deviation (1SD) and median in the test and control groups, divided into 0m, 6m and 12m. P-values are presented valued based on median values.
mens stigningsraten af caries efter 12m med fast apparatur i kontrolgruppen var signifikant højere end i testgruppen (P = 0,014).
Analyser på individniveau afslørede, at 19 (73,1 %) individer blev registreret med mindre eller samme cariesstatus og n = 7(26,9 %) med højere cariesstatus efter 12 mdr. sammenlignet med 0 md. i testgruppen. Lignende data i kontrolgruppen havde 11 individer (40,7 %) med mindre eller samme cariesstatus, og n = 16 (59,3 %) havde højere cariesstatus efter 12 mdr. sammenlignet med 0 md. (Chi-square, 5.638, Df = 1, P = 0,018).
GEE-modellen afslørede, at bortset fra den forklarende variabel GRUPPE (gruppe 1 fluorskyllegruppen; gruppe 2 placeboskyllegruppen, P = 0,006) var ingen af de andre forklarende variable forbundet med cariesudfaldet efter 12 mdr. (P ≥ 0,05).
Den præventive fraktion (cariestilvæksten i testgruppen, 0,77-0,28 = 0,49, cariestilvæksten i kontrolgruppen 2,56-0,43 = 2,13) var 0,49-2,56/2,56 = -0,77 med et 95 % konfidensinterval på -0,96 til -0,58.
Sekundære resultater
Tabel 3 viser data om plakindeksene i test- og kontrolgrupperne ved 0 md. samt efter 6 mdr. og 12 mdr. I begge grupper steg plakindeksene fra 0 md. til 6 mdr. og 12 mdr., bortset fra i testgruppen efter 6 mdr., hvor medianen (0,17) var overraskende lav. I testgruppen var stigningen ikke signifikant på noget tidspunkt, mens der blev opnået signifikante værdier mellem 0 md. og 6 mdr., og mellem 0 md. og 12 mdr. i kontrolgruppen og med en P-værdi på 0,054 tæt på signifikansniveauet på 0,05 fra 6 mdr. til 12 mdr.
Mellem grupperne var der ingen signifikante værdier, men efter 12 mdr. med fast apparatur havde kontrolgruppen et indeks grænsende til at være signifikant højere, end indekset var i testgruppen (P = 0,075).
Tabel 4 viser data om gingival status i test- og kontrolgrupperne ved 0 md. (baseline) samt efter 6 mdr. og 12 mdr. med
fast apparatur. Ser man på middelværdierne, ses en stigning i gingivalindekset fra 0 md. efter 6 mdr. og 12 mdr. i testgruppen, men kun signifikant fra 6 mdr. til 12 mdr. En signifikant stigning i gingivalindekset blev set fra 0 md. til 12 mdr. (middelværdi 0,37, 0,51, P = 0,013) i kontrolgruppen, mens indeksene var de samme mellem 0 md. og 6 mdr. (middelværdier 0,36/0,37).
Mellem grupperne var der ingen signifikante værdier i undersøgelsesperioden.
Bivirkninger til skyllevæskerne
Da deltagerne blev spurgt ved de kliniske vurderinger efter seks og 12 måneder af registrator, rapporterede ingen af deltagerne nogen bivirkning af skyllevæskerne (om opløsningen indeholdt fluorid (test) eller kun vand (kontrol)) bortset fra en, som nævnte en metallisk følelse, da deltageren skyllede med den udleverede væske.
DISKUSSION
Formålet med dette studie var at undersøge, om fluoridskylning (~1.450 ppm F) to gange om ugen ved lav cariesrisiko (se data fra røntgenbillederne) på børn og unge i ortodontisk behandling med fast apparatur havde en cariesforebyggende effekt.
Studiedesignet var et tripleblindt randomiseret klinisk forsøg.
Det var planen, at undersøgelsen skulle afsluttes, efter hver deltager havde afsluttet den ortodontiske behandling, men pga. coronakriserne bemærkede vi i sommerperioden 2021, at vi mistede deltagere, fordi de henvisende børne- og ungdomstandplejer i det storkøbenhavnske område begyndte at bringe deltagerne hjem for at færdiggøre de ortodontiske behandlinger i hjemkommunen. Så i stedet for at slutte i løbet af 2022 med for få deltagere besluttede vi at stoppe registreringerne efter 12 måneder, hvor deltagerne havde båret fast apparatur. Denne beslutning blev givet til deltagerne og deres forældre.
Test-versus kontrol
T-test relaterede
T-test ikke relateret
Tabel 4. Data vedrørende gingivale tilstand udtrykt som middelværdi og standardafvigelse (SD) i test- og kontrolgrupperne, opdelt i 0 md., 6 mdr. og 12 mdr. P-værdier præsenteres.
Table 4. Data regarding gingival status expressed as mean value and standard deviation (SD) in the test and control groups, divided into 0m, 6m and 12m. P-values are presented.
Det primære resultat var relateret til tilvæksten af caries i de to grupper, og de to sekundære outcomes fokuserede på plakforekomst og gingivalstatus i de to grupper.
De tre udfaldsparametre blev registreret ved baseline (0 md.), efter seks måneder (6 mdr.) og efter 12 måneder (12 mdr.) ved hjælp af de velbeskrevne ICDAS-indeks (11,12) og Löes plak- og gingivalindeks (10).
I denne undersøgelse foretog en meget erfaren registrator alle de kliniske registreringer, inklusive registreringerne af baseline bitewing-røntgenbillederne. Der blev ikke foretaget registreringer til beregning af registrators intra-reproducerbarhed på det aktuelle sample. Det skyldtes det faktum, at registrator i et parallelt RTC-studie til det aktuelle studie opnåede acceptabel intra-eksaminator-værdier med ICDAS både klinisk og radiologisk (kappa-værdier > 0,8) (14).
I absolutte tal havde tre fra testgruppen otte aktive læsioner ved baseline stigende til 19 ud af otte deltagere efter 6m til 20 ud af ni (35 %) deltagere efter 12 mdr. med fast apparatur. I kontrolgruppen havde seks deltagere i alt 13 læsioner ved baseline, hvilket steg til 47 ud af 11 deltagere efter 6 mdr., hvilket steg til 69 læsioner, der involverede 17 (63 %) deltagere efter 12 mdr. Der blev ikke observeret nogen signifikant forskel i cariestilvæksten mellem de to grupper efter seks måneder.
Alle læsioner i testgruppen blev registreret som 1W (første visuelle hvide ændring i emalje, som kræver tørlægning), mens læsionerne hos to deltagere i kontrolgruppen var udviklet til 2W-læsioner (cariologiske ændringer i emaljen uden udtørring) fra seksmåneders registrering til 12-måneders registrering. Hverken i test- eller kontrolgruppen blev der observeret aktive læsioner med kavitetsudvikling (ICDAS-score ≥ 3).
Undersøgelsen viste en signifikant effekt af fluoridskylninger på at reducere stigningen af white spot lesions (P = 0,014), svarende til en præventiv fraktion på 77 %. Det betyder, at stigningen i testgruppen var 77 % mindre i testgruppen sammenlignet med kontrolgruppen fra studiestart til 12 måneder med fast apparatur i begge grupper. Ingen af de forklarende variable
bortset fra GRUPPE (P = 0,006) var signifikant forbundet med det primære resultat.
To prævalensundersøgelser (17,18) viste, at 38 og 46 % og 40 og 43 % af de unge i ortodontisk behandling havde udviklet en eller flere læsioner efter henholdsvis seks og 12 måneder. Lignende data i vores kontrolgruppe var 41 og 61 %, ikke langt fra de ovennævnte data. Undersøgelsen dokumenterer, hvad Thylstrup et al. (1994) (4) anførte for mange år siden, at caries for at blive udviklet kræver et plakstagnationsområde, som et fast apparatur i forbindelse med ortodontisk behandling fremmer.
Vores data er også stort set i overensstemmelse med data fra den hollandske undersøgelse (5), der også undersøger effekten af skylning med en fluoridholdig opløsning. De observerede, at i deres testgruppe udviklede 31 % én eller flere white spot lesions under deres undersøgelse, mod 47 % i kontrolgruppen. De tilsvarende data i nærværende undersøgelse var 27 % og 59 %. Der var nogle forskelle mellem de to undersøgelser. Den hollandske undersøgelse (5) brugte en opløsning på 250 ppm fluorid, og skylningen skulle udføres hver dag. I nærværende undersøgelse har vi brugt 0,32 % NaF-opløsning, som er den højeste koncentration af fluorid, som er lovlig i Danmark uden recept. Pga. den høje koncentration af fluorid fulgte vi rådet fra en anden undersøgelse (3) om, at deltagerne kun skulle skylle to gange om ugen. I den hollandske undersøgelse blev stigningen af caries undersøgt, når den ortodontiske behandling var afsluttet, altså mere end to år (gennemsnitlig 24,5 måneder) efter behandlingen var startet. I denne undersøgelse undersøgte vi effekten efter seks og 12 måneder.
Forskning peger på, at fluorid i høje koncentrationer har en effekt på plakkens sammensætning (19), hvorfor det kunne forventes, at plakforekomsten var mindre i testgruppen sammenlignet med kontrolgruppen, og at dette sandsynligvis også ville påvirke gingivas tilstand i de to grupper. Selvom der var en markant forskel i plakscore mellem test- og kontrolgruppe efter 12 mdr. (median 0,33 i testgruppen versus 0,72 i kontrolgruppen, Tabel 3), viste de statistiske analyser, at niveauet ikke
var signifikant (P = 0,075). Det samme forhold gjaldt for den gingivale tilstand (gennemsnit i testgruppen 0,29 versus gennemsnit i kontrolgruppen 0,59 P = 0,157, Tabel 4).
Det er vigtigt at huske, at stikprøvestørrelsen blev beregnet ud fra forventet tilvækst i caries og ikke på forskelle i plak/gingival status, da de var sekundære resultater. En større sample kunne muligvis have dokumenteret, om fluoridskylninger havde en plakreducerende effekt, da Tabel 3 indikerede en ret stærk tendens, som det er beskrevet i litteraturen (19).
Der er også nogle økonomiske overvejelser. Da der i hvert fald i Danmark ikke er nogen større forskel i omkostningerne ved at fremstille en opløsning med fluorid på 0,05 % eller 0,32 % NaF, er 0,05 % opløsning dyrere, da deltagerne skal skylle dagligt sammenlignet med to gange på en uge, hvis de brugte 0,32 % NaF-opløsning.
KONKLUSION
Resultaterne viser, at skylning to gange om ugen med en 0,32 % NaF-opløsning hos børn og unge, som modtager ortodontisk behandling med fast apparatur, havde en signifikant effekt på cariestilvæksten vurderet efter 12 måneder. Den præventive fraktion var 77 % til fordel for testgruppen. Efter 12 måneder var der en markant forskel i plakindeks til fordel for testgruppen, dog kun tilnærmelsesvis signifikant. Der blev ikke observeret forskelle mellem grupperne vedrørende den gingivale tilstand efter 12 måneder. De forskellige bias-domæner, som kan reducere troværdigheden af resultaterne, ser ud til at være under kontrol i denne undersøgelse (se supplerende materiale).
PRAKTISK OPLYSNING
Det kan oplyses, at det er vanskeligt at få adgang til 0,32 % endsige 0,2 % NaF-opløsning i Danmark. Det kræver en recept, og produktet skal fremstilles magistrelt. Produktet Flux mod caries, som er en 0,2 % NaF-opløsning (500 ml), kan nemt erhverves på: https://www.med24.dk/flux-mundskyl Ingen i forfattergruppen har kommercielle interesser i Flux.
SUPPLERENDE MATERIALE
Selektionsbias
Forfatterne havde ingen indflydelse på stikprøverammen, da den bestod af patienter med behov for ortodontisk behandling, henvist fra børne- og ungdomstandplejen i forskellige kommuner i Storkøbenhavn til specialtandlægeuddannelsen i ortodonti på Tandlægeskolen i København.
Deltagerne blev, efter at forældrene havde underskrevet samtykkeerklæringen (n = 61), tildelt enten test- eller kontrolgruppen ved at trække et tal mellem 1 og 61. Sekretæren havde en på forhånd fastlagt liste, hvor tallene 1-61 hver indikerede, at deltagerne skulle have en flaske med en grøn cirkel eller ingen grøn lille cirkel på. Sekretæren var blind for at vide, hvad der var i flaskerne med hensyn til fluorid eller placebo. Vi vurderer således, at selektionsbias var under kontrol.
Performancebias
Deltagerne, de specialestuderende tandlæger, registrator, sekretæren og de eksterne personer, der lavede den statistiske
vurdering, var alle blindet for, hvilken gruppe deltagerne var i (triple blinded). Derfor vurderer vi, at performancebias var under kontrol.
Detektionsbias
De to specialestuderende tandlæger Fedders og Heidke åbnede koderne efter seks måneder for at behandle dataene fra baseline til seks måneder, da det skulle bruges som en del af testen for at opnå specialistanerkendelse i ortodonti. De to andre specialestuderende tandlæger Tronier-Knowlton og Mikkjalsdóttir var blindet, da de trådte til, men efter 12 måneder fik de adgang til koderne, for at de også kunne opnå specialistanerkendelse i ortodonti. Førsteforfatteren, som var registrator, var også blindet for, hvem der var i test- eller kontrolgruppen, før koderne blev brudt, efter statistikeren havde behandlet data. Vi vurderer således, at detektionsbias var under kontrol, da det endelige datasæt, der blev sendt til statistikeren, blev sendt af førsteforfatter efter 12-måneders undersøgelserne.
Attrition bias
I alt otte deltagere, fire fra hver gruppe, gik tabt i løbet af den 12-måneders periode, som denne undersøgelse dækker. Dette efterlader to og tre deltagere mere, end stikprøvestørrelsen skulle være, for at de statistiske beregninger er troværdige. Én dropout i hver gruppe (25 %) blev registreret, baseret på baseline bitewings, som værende i høj risiko. Tilsvarende var data i både test- og kontrolgruppen 19 %. Der var således ingen større forskelle på dem, der droppede ud under undersøgelsen, og dem, der blev tilbage, hvilket indikerer, at attritionsbias i denne undersøgelse var under kontrol.
Rapporteringsbias
Da vi har fulgt analyseplanen i den protokol, som det etiske råd i Danmark har accepteret, mener vi, at vi har rapporteret alle relevante data og ikke undertrykt negative fund. Rapporteringsbias bør derfor være under kontrol.
Baselinekarakteristik afbalanceret
Ved baseline var andelen af deltagere vurderet som børn med høj cariesrisiko den samme i de to grupper (19 %). Endvidere var der ingen signifikante forskelle i cariesprævalens på tænder, der skulle have fast apparatur i de to grupper (Tabel 1). Angående plakindeks (Tabel 2) eller gingival status (Tabel 3) var der heller ikke signifikante forskelle. P-værdierne > 0,24.
Kointerventionsbias
Under ortodontisk behandling fulgte børnene det normale børnetandplejeprogram i deres hjemkommune. Carieshåndtering er et risikorelateret program, så børn, der får tandregulering, er tættere dækket end dem, der ikke har behov for tandregulering. Under normale omstændigheder ville alle deltagere i denne undersøgelse have været under særlig overvågning. Coronaepidemien var dog et stort problem i den første halvdel af år 2021 i Danmark, så mere eller mindre tilbød den lokale børne- og ungdomstandpleje kun akut behandling.
THE EFFICACY OF FLUORIDE RINSE ON CARIES INCREMEBT, PLAQUE OCCURRENCE AND GINGIVAL STATUS IN CHILDREN UNDERGOING ORTHODONTIC TREATMENT. A RANDOMIZED CONTROLLED CLINICAL TRIAL WITH RESULTS AFTER 6 AND 12 MONTHS
This triple blinded RCT two arms study determines the efficacy of fluoride rinse (0.32% NaF-solution) for a period of 6- and 12months (6m,12m) on the caries increment, plaque occurrence and gingival conditions in 10-15 year old Danes undergoing orthodontic treatment. Estimations showed that 24 subjects were required in the test group (TG) as well as in the control group(CG) at the end of the study. A total of 61 subjects were randomly assigned to TG(n=30) and the CG(n=31). Participants rinsed twice a week with 10 ml NaF solution (TG) or 10 ml of a placebo solution (CG). One assessor recorded at baseline, after 6 and 12months caries
1. Nørrisgaard PE, Qvist V, Ekstrand K. Prevalence, risk surfaces and inter-municipality variations in caries experience in Danish children and adolescents in 2012. Acta Odontol Scand 2016;74:291-7.
2. Ekstrand KR, Christiansen J, Christiansen MEC et al. Carieserfaringen i børne-og ungdomstandplejen i Danmark fra 1972-2022. En narrativ fortolkning af succesen. Tandlægebladet 2023;127:90212.
3. Marinho VC, Chong LY, Worthington HV et al. Fluoride mouthrinses for preventing dental caries in children and adolescents. Cochrane Database Syst Rev 2016;7:CD002284.
4. Thylstrup A, Bruun C, Holmen L. In vivo caries models – mechanisms for caries initiation and arrestment. Adv Dent Res 1994;8:14457.
5. van der Kaaij NC, van der Veen MH, van der Kaaij MA et al. A prospective, randomized placebo-controlled clinical trial on the effects of a fluoride rinse on white spot lesion development and
bleeding in orthodontic patients. Eur J Oral Sci 2015;123:186-93.
6. Bröchner A, Christensen C, Kristensen B et al. Treatment of postorthodontic white spot lesions with casein phosphopeptidestabilised amorphous calcium phosphate. Clin Oral Investig 2011;15:369-73.
7. Benson PE, Shah AA, Millett DT et al. Fluorides, orthodontics and demineralization: A systematic review. J Orthod 2005;32:102-14.
8. Sonesson M, Brechter A, Abdulraheem S et al. Fluoride varnish for the prevention of white spot lesions during orthodontic treatment with fixed appliances: A randomized controlled trial. Eur J Orthod 2020;42:326-30.
9. Petrie A, Sabin C. Medical statistics at a glance. 3rd ed. Singapore: Wiley Blackwell, 2009.
10. Löe H. The gingival index, the plaque index and the retention index systems. J Periodontol 1967;38 (Supp 6):610-6.
(ICDAS index) and plaque and gingival status (Löe index). Four participants in each group dropped out during the study period. At patient level 27% in TG and 59% in CG showed caries progression during 12month (p<0.05). Parametric tests confirmed that CG-participants had significant higher progression rate than TG-participants from 0m to 12m (P = 0.014). The preventive fraction was 77% in favour of the TGparticipants. Similar calculations from baseline to 6months after, there were no significant caries increment difference between TG and CG. At 0m and 12m there was no significant difference in the plaque index and the gingival index between the two groups (P-values > 0.05). The study conclusion was that rinsing twice a week with a 0.32% NaF solution during orthodontic treatment with fixed appliance had a significant reducing effect on caries increment in children and adolescents during a treatment period of 12 months.
11. Ekstrand KR, Martignon S, Ricketts DJ et al. Detection and activity assessment of primary coronal caries lesions: A methodologic study. Oper Dent 2007;32:225-35.
12. Pitts NB, Ekstrand KR, ICDAS FOUNDATION. International caries detection and assessment system (ICDAS) and its international caries classification and management system (ICCMS) – methods for staging of the caries process and enabling dentists to manage caries. Community Dent Oral Epidemiol 2013;41:e41-52.
13. Ekstrand KR, Bruun B, Bruun M. Plaque and gingival status as indicators for caries progression on approximal surfaces. Caries Res 1998;32:41-5.
14. Pørksen CJ, Keller MK, Damholt A et al. The effect of a lozenge combining prebiotic arginine and probiotics on caries increment in children during 10-12months. A randomized clinical trial. J Dent 2023;135:104599.
15. Ekstrand KR, Qvist V. The impact of a national caries strategy in Greenland after 4 years. Int J Paediatr Dent 2015;25:255-66.
16. Siegel S, Castellan NJ. Nonparametric statistics, 2nd ed. New York: McGraw-Hill Book Company, 1988.
17. Tufekci E, Dixon JS, Gunsolley JC et al. Prevalence of white spot lesions during orthodontic treatment with fixed appliances. Angle Orthod 2011;81:206-10.
18. Lucchese A, Gherlone E. Prevalence of white-spot lesions before and during orthodontic treatment with fixed appliances. Eur J Orthod 2013;35:664-8.
19. Twetman SHA, Ekstrand KR. Caries management by influencing minerali¬zation. Meyer-Lückel H, Paris S, Ekstrand KR, eds. In: Caries Management – Science and Clinical Practice. Stuttgart: Georg Thieme Verlag KG, 2013;177-90.
Rengøringsservice i 20 år
Rengøringsservice i 20 år
Rengøringsservice i 20 år
Vi overholder de nationale infektionshygiejniske retningslinjer for hygiejne hos tandlæger. Med høj faglighed er vores medarbejdere rustet til opgaven.
Vi overholder de nationale infektionshygiejniske retningslinjer for hygiejne hos tandlæger. Med høj faglighed er vores medarbejdere rustet til opgaven.
Vi overholder de nationale infektionshygiejniske retningslinjer for hygiejne hos tandlæger. Med høj faglighed er vores medarbejdere rustet til opgaven.
Ring eller skriv – vi i er landsdækkende
Ring eller skriv – vi er landsdækkende
Ring eller s skrriv – vi e er r lanndsdækkkkendde e
Delta Rengøring
Delta Rengøring
Deelta R Renggøring
ApS
Teglvej 1,4990 Sakskøbing
Teglvej 1,4990 Sakskøbing
Tlf 4054 6546
Tlf 4054 6546
delta@delta-rengoering dk
delta@delta-rengoering dk
Teeglvej 1,449990 S Sakksskøbing g Tllf 4 4054 65546 6 deltaa@@ddelta-rrengoering g dk
www.delta-rengoering.dk
www.delta-rengoering.dk

www.delta-rengoering.dk





INTRODUKTION OG FORMÅL – Rodperforation ved stiftudboring er velkendt. Der undersøges ved placering af rodstift, om brug af varme til guttaperkafjernelse sammenlignet med mekanisk fjernelse med Largo bor er dentinbesparende og dermed potentielt komplikationsnedsættende.
MATERIALE OG METODER – 92 mandibulære molarer anvendtes til udvikling og undersøgelse af varmeteknikken. 30 tandlægestuderende (6. og 8. semester) fik udleveret molarer rodfyldt distalt med henblik på guttaperkafjernelse og stiftpræparation ved placering af rodstift. Følgende effektmål blev anvendt: +/- rodperforation; ændringer i kanalvægstykkelsen efter guttaperkafjernelse samt stiftpræparation registreret på 2D- og 3D-røntgen; +/- temperaturstigning over defineret kritisk grænseværdi. Guttaperka blev fjernet med Largo bor i kontrolgruppen og med varme i testgruppen. Grupperne blev afsluttet med samme standardiserede procedure for stiftpræparation. Tidsmåling blev udført og procedurerne kvalitativt evalueret.
RESULTATER OG KONKLUSION – Den gennemsnitlige temperaturstigning (4,8 ± 1,2 °C) ved varmeteknikken overskred ikke den kritiske grænse på 10 °C. Efter guttaperkafjernelse og stift-præparation var kanalvæggene reduceret med 0,9 ± 0,6 mm i kontrolgruppen overfor 0,5 ± 0,4 mm i testgruppen. I kontrolgruppen viste røntgendata øget dentinfjernelse mesialt sammenlignet med testgruppen (P = 0,001) samt én rodperforation versus ingen i testgruppen. Tidsforbruget var kortere ved varmeteknikken og var signifikant bedre til at ramme planlagt præparationsdybde (P = 0,031). Majoriteten af tandlægestuderende foretrak varmeteknikken. Varmeteknikken bør afdækkes i fremtidige kliniske studier, men flere forhold viser, at varmeteknikken er lovende som en komplikationsnedsættende faktor ved placering af rodstift.
LONE ROUSING LAURIDSEN, stud.odont., skolarstipendiat, Cariologi og Endodonti, Sektion for Klinisk Oral Mikrobiologi, Odontologisk Institut, Det Sundhedsvidenskabelige Fakultet, Københavns Universitet
AZAM BAKHSHANDEH, lektor, ph.d., tandlæge, Cariologi og Endodonti samt Oral radiologi, Sektion for Klinisk Oral Mikrobiologi, Odontologisk Institut, Det Sundhedsvidenskabelige Fakultet, Københavns Universitet
LARS BJØRNDAL, lektor, dr.odont., ph.d., tandlæge, Cariologi og Endodonti, Sektion for Klinisk Oral Mikrobiologi, Odontologisk Institut, Det Sundhedsvidenskabelige Fakultet, Københavns Universitet
Accepteret til publikation den 13. november 2023 Tandlægebladet 2024;128:554-64

NKorrespondanceansvarlig førsteforfatter: LONE ROUSING LAURIDSEN djp347@alumni.ku.dk
ÅR EN RODBEHANDLET TAND har nået et punkt, hvor tandsubstansen er stærkt reduceret pga. cuspisfraktur, caries, fyldninger eller som følge af endodontisk behandling (Fig. 1A og B), kan det være indiceret, at tanden genopbygges med stift, opbygning samt støbt restaurering (1-5). Førstnævnte for at opnå tilstrækkelig retention af opbygningen. Det er udbredt, at guttaperkafjernelse er mekanisk baseret med anvendelse af et roterende bor (Fig. 1C) (3,6). Boret placeres over rodfyldningen, hvorefter den koronale del samt noget af rodkanalvæggen fjernes mekanisk (4). Den mest apikale del af rodfyldningen bibeholdes, for at denne fortsat er tæt (2,3). En af udfordringerne ved en optimal guttaperkafjernelse samt stiftudboring er muligheden for at følge rodfyldningen uden at afvige fra rodkanalen (7,8). Perforation af tandroden kan ske ved ukorrekt vinkling (Fig. 1C og D), og risikoen forstærkes yderligere ved kraftigt reduceret tandsubstans i den cervikale del af kronen (9,10). Inspektion og belysning kan være besværliggjort, og endelig kan rodfyldningen være meget hård, hvilket komplicerer den taktile sansning under præparationen (9,11). Den utilsigtede vinkling af stiftudboringen, ultimativt rodperforationen,

Fig. 1. Radiologisk sekvens efter en rodperforation i forbindelse med en stiftpræparation i en underkæbemolar (-6). A. Røntgenbillede før rodbehandling. Rodkanalmorfologien viser, at den distale rod har to adskilte rodkanaler (pil). B. Rodbehandling afsluttet og kontrolleret. C. Initial mekanisk fjernelse af rodfyldning. D. Efter mekanisk fjernelse af rodfyldning ses en retningsafvigelse i forhold til den nederst beliggende rodfyldning. E. En midlertidig fyldning af rodkanalen viser rodperforationen (pil). Der er indhentet patientsamtykke til visning af røntgenbilleder.
Fig. 1. Radiologic sequence after root perforation in connection with mechanical preparation of a post in a mandibular molar (-6). A. Radiograph before the procedure. The morphology of the root canal shows that the distal root has two separate root canals (arrow). B. Procedure completed and controlled. C. Initial mechanical removal of root filling. D. After the mechanical removal of root filling the direction of the drill deviates from the lowest part of the root filling. E. A temporary filling of the root canal shows the root perforation (arrow). The pictures are used with the permission and consent of the patient.
kan forekomme for selv en erfaren tandlæge, da sågar et optimalt 2D-røntgenbillede ikke altid gengiver korrekt morfologi (11,12).
Ifølge Tandlægeforeningens Tandskadeforsikring udgjorde de årlige tilfælde af rodperforation ved stiftudboring med anvendelse af bor (i forbindelse med genopbygning af tand) gennemsnitligt 55 tilfælde over de sidste fem år (13). Eftersom disse tal kun har at gøre med officielle rapporterede begivenheder, afspejler det sandsynligvis kun ”toppen af isbjerget”, og derfor er komplikationer under stiftudboring forventeligt højere (14). Samlet set er det relevant at undersøge, om der forefindes en mere dentinbesparende samt potentielt komplikationsnedsættende procedure ved guttaperkafjernelse, når forberedelse til rodstiftplacering udføres.
Guttaperka er det foretrukne rodfyldningsmateriale (15,16) i kraft af dets plastiske egenskaber; endvidere har materialet et smeltepunkt på 60 °C (17). Sidstnævnte gør det muligt at håndtere guttaperka i flydende tilstand (16,18). Ved stiftudboring fjernes guttaperka i dets faste form fra kanalen mekanisk med eksempelvis Gates-Glidden eller Largo bor (18). Internationalt anføres det, at guttaperkafjernelse kan ske med anvendelse af varme (5), men det påpeges, at teknikken er mere tidskrævende (19) og historisk ikke særlig udbredt (20).
Til forebyggelse af permanente skader på særligt det parodontale væv som følge af en opvarmning, har studier vist, at det er fysiologisk acceptabelt, såfremt temperaturstigningen holdes under 10 °C i forhold til mundhuletemperaturen (16,21,22). Hvorvidt temperaturen vil overstige 10 °C ved en termisk fjernelse af guttaperka i forbindelse med stiftpræparation med anvendelsen af nyere varmepinde, er ikke beskrevet i litteraturen. Med dette forbehold er hypotesen for nærværende in vitro-studie, at en delvis fjernelse af rodfyldningen med varme versus mekanisk fjernelse er komplikationsnedsættende. Det kan øge sikkerheden ved stiftudboring, da det forventes, at der fjernes mindre tandvæv i morfologisk
udsatte områder, og dermed ultimativt færre utilsigtede partiale perforationer.
Formålet med dette studie er at undersøge, (i) om en varmeteknik til guttaperkafjernelse ved stiftudboring er klinisk brugbar, samt (ii) om varmeteknik er mere tandbesparende end en mekanisk guttaperkafjernelse med Largo bor undersøgt ved analyser på periapikale røntgenbilleder (2D) samt Cone Beam Computer Tomografi – CBCT (3D).
MATERIALE OG METODER
Pilotstudier
22 intakte, rodlukkede, humane, permanente, mandibulære molarer (ekstraheret af anden årsag end studiets formål stammende fra en ikke personhenførbar tandbase) fik rodkomplekset indlagt i alginat for at måle temperaturstigningen ved både mekanisk og termisk guttaperkafjernelse. Alginaten blev brugt som et tidligere beskrevet alternativ til tandens parodontium (16). Med en skalpel blev alginaten fjernet midtrods på den distale rodkomponent, så den var blottet, og sensoren på det digitale termometer (DTM-305, Tecpel, Taiwan) kunne monteres ved brug af flowplast (SDR ® flow+, Dentsply Sirona, Danmark). Varmepinden blev anvendt som foreskrevet (Elements IC, Kerr, USA) samtidig med den højeste temperaturstigning, og varigheden af denne blev noteret.
Til udvælgelse af den mest optimale størrelse af varmespidsen blev denne sammenlignet med omkredsen af kanalindgangen, således at det ved placeringen af varmespidsen var muligt at se guttaperka hele vejen rundt i kanalens periferi. Effektmål for pilotstudierne udgjorde temperaturstigninger samt udfærdigelse af en procedurebeskrivelse for teknikken.
Varme versus mekanisk fjernelse af guttaperka Yderligere 70 tænder af samme type som beskrevet ovenfor blev udvalgt. Efter rensning med vandig thymolopløsning (0,1 %) blev rodkomplekset på hver tand indlejret i utili-
Kort tand: Lang tand: Lille vinkel: Stor vinkel: Tynd væg: Tyk væg:






tyvoks samt indstøbt i Epofix resin® (Struers, Ager Scientific, England). Både konventionelle 2D-røntgenbilleder (60 kV, 7 mA og eksponeringstid 0,032 sek., Planmeca ProXTM, Planmeca, Finland) og CBCT-scanninger (FOV 334 x 334 x 334 pix, voxelstørrelse 150 μm, 100 kV, 12,5 mA og eksponeringstid 8 sek., Planmeca Viso ® 3D-scanner, Planmeca, Finland) blev taget af alle tænderne. Herefter blev den distale rodkomponent mekanisk udrenset og rodfyldt, jævnfør standard principper (23). For at illudere en helt rodfyldt tand blev de mesiale rodkanaler markeret med guttaperka. Alle tænderne blev efterfølgende forsynet med en plastisk restaurering (HerculiteTM XRV, Kerr, USA) samt CBCT-scannet. På baggrund af både 2D- og 3D-data blev tænderne inddelt i otte morfologiske grupper svarende til ens fordeling mellem rodlængde. Grænseværdier blev defineret på hhv. kort (< 15 mm) og lang rod (16-23 mm) samt lille (≤ 14 °) og stor (15-41 °) krumningsgrad af roden samt tynd (≤ 1,6 mm) og tyk (≤ 2,4 mm) kanalvæg. Tænderne
blev tilfældigt inddelt med ratio 1:1 i en testgruppe (termisk guttaperkafjernelse) og en kontrolgruppe (mekanisk guttaperkafjernelse), således at de rodmorfologiske karakteristika var sammenlignelige (Tabel 1).
30 tandlægestuderende deltog i forsøget, hvoraf 21 var fra 6. semester på bacheloruddannelsen (uden forudindtaget kendskab til teknikker vedrørende stiftpræparation), og ni var fra 2. semester på kandidatuddannelsen (med begrænset kendskab til stiftpræparation). Hver forsøgsdeltager fik udleveret to tænder med henblik på gennemførelse af stiftpræparation, herunder guttaperkafjernelse svarende til hhv. en mekanisk procedure og en varmeprocedure (Fig. 2). Én tandlægestuderende ad gangen gennemførte proceduren på én tand ad gangen. Forsøgene foregik på et fantomhoved i et klinisk simuleringsmiljø. Afhængigt af udfaldet af de indledende metodestudier anvendtes protokolbeskrivelser for begge procedurer samt et 2D-røntgenbillede af den rodbehandlede
tand. Det var tilfældigt, hvorvidt test- eller kontrolprotokol blev påbegyndt først, og deltagerne blev ikke informeret om, hvad der var såkaldt test- eller kontrolgruppe. Plastfyldningen blev fjernet af de tandlægestuderende, så tanden var helt oplukket med frit udsyn til alle rodfyldte kanalindgange. På baggrund af 2D-røntgenbilleder blev referencestoppene på hhv. varmepinden (Elements IC, Kerr, USA) og bor sat til dobbelt kronehøjde ift. en koronal reference. De aktuelle teknikker er anført nedenfor.
Termisk guttaperkafjernelse (testprotokol)
Varmepinden tændes på 200 °C, og spidsen placeres over den distale kanalindgang, som nedsænkes svarende til planlagt
Ifølge Tandlægeforeningens Tandskadeforsikring er der i gennemsnit over de sidste fem år blevet anmeldt 55 sager om parital perforation i forbindelse med stiftudboring med anvendelse af mekanisk teknik. Dette svarer til omkring 3 % af alle anmeldte sager. Eftersom disse tal kun har at gøre med officielle rapporterede hændelser, afspejler det sandsynligvis kun ”toppen af isbjerget”, og derfor er det forventede antal endnu højere. Anvendelse af varme til fjernelse af guttaperka formodes at kunne reducere komplikationer ved stiftudboring.
Udvikling af varmeteknik n = 22
Inkluderede tænder n = 92

Mekanisk fjernelse (kontrol) n = 35

In vitro forsøg n = 70
Termisk fjernelse (test) n = 35

Ekskluderede n = 3

Analyserede n = 22
Ekskluderede n = 5

Analyserede n = 32
Analyserede n = 30
Fig. 2. Oversigt af forsøg med inkluderede (n = 92) og ekskluderede tænder (n = 8). In vitro-forsøget sammenligner de to teknikker (mekanisk og varme) mht. guttaperkafjernelse forud for rodstiftplacering.
Fig. 2. Overview of the experiment with enrolled (n = 92) and excluded teeth (n = 8). In vitro study compares the two techniques, (mechanical and thermal) with respect to removal of gutta-percha before the placement of the post.

Fig. 3. 2D røntgenoptagelser, som viser fire tænder henholdsvis før guttaperkafjernelse (A1, B1, C1 og D1) samt efter (A2, B2, C2 og D2). Ved A og B er der anvendt termisk teknik samt efterfølgende ParaPost bor. Der ses generelt en guttaperkafjernelse, der følger rodkanalen. Ved C og D er der gjort brug af den mekaniske teknik samt efterfølgende ParaPost bor. Ved sammenligning fra C1 til C2 ses, at proceduren har ført til en reduktion af risikolinjen (pil). Ved sammenligning fra D1 til D2 ses det, at præparationsdybden er blevet mere end dobbelt kronehøjde.
Fig. 3. 2D radiographs illustrate four teeth before gutta-percha removal (A1, B1, C1 and D1) and after (A2, B2, C2 and D2). At A and B the gutta-percha was removed with the thermal technique and followed by ParaPost drill. In general, the removal follows the gutta- percha. At C and D the gutta percha was removed with the mechanical technique and followed by the ParaPost drill. When comparing C1 to C2 the procedure has led to a reduction of the risk line (arrow). When comparing D1 to D2 the preparation depth has become more than twice the height of the crown.
stiftdybde, jævnfør referencenylonskiven. Varmespidsen roteres rundt i kanalen i 4 sek., indtil enheden automatisk slukkes. Inden varmespidsen trækkes op af kanalen tændes for varmen, så det undgås, at den resterende guttaperka løsnes. Med en rodstopper efterkondenseres, og potentielle rester af løst guttaperka fjernes.
Mekanisk guttaperkafjernelse (kontrolprotokol)
Et Largo bor (Largo RA 32 mm, Unident®, Danmark) placeres over den distale kanalindgang, og der præpareres til planlagt stiftdybde, jævnfør referencenylonskiven, hvormed den mest centrale del af rodfyldningen fjernes.
I begge forsøgsgrupper blev rodkanalen skyllet med 2,5 % natriumhypoklorit, tørlagt og afsluttet med stiftpræparation under anvendelse af et kalibreret bor-stift-system (brun 0,9
mm, gul 1,0 mm, blå 1,14 mm og rød 1,25 mm, ParaPost X Rodbor, Dentorium ApS, Danmark). For at standardisere stiftpræparationerne i forhold til de to grupper blev det besluttet, at alle tænderne skulle afsluttes med ParaPost borstørrelse rød. Der blev optaget 2D-røntgenbilleder (Fig. 3) og CBCT-scanninger af samtlige tænder (Fig. 4) efter både guttaperkafjernelse og ParaPost præparation. Praktisk betød det, at hele forsøget blev gennemført over to gange. For begge besøg blev der målt et samlet tidsforbrug for hver af de to procedurer. Forsøgsdeltagerne fik efterfølgende udleveret spørgeskemaer vedrørende subjektiv opfattelse af de to teknikker og en vurdering af selve stiftpræparationen. Som følge af forsøgsopdelingen kunne stiftpræparationerne gennemføres blindet i forhold til guttaperkafjernelse. Som en ekspertkontrol blev to erfarne tandlæger bedt om at gennemføre de to teknikker.

Fig. 4. 3D-scanninger, som viser to tænder efter brug af ParaPost bor set i tre planer, henholdsvis transversalt, sagittalt og aksialt. Ved A1-3 har tanden gennemgået den termiske teknik, og ved B1-3 har tanden gennemgået den mekaniske teknik.
Fig. 4. 3D scans showing that two teeth after the use of a ParaPost drill in three plans: transversal, sagittal and axial. A1-3 shows a tooth treated with the thermal technique and B1-3 shows a tooth mechanically treated.
Mekanisk teknik
Gennemsnitlig reduktion af dentintykkelse langs risikolinjen
fra efter rodbehandling til efter brug af Largo bor
Gennemsnitlig reduktion af dentintykkelse langs risikolinjen
fra efter brug af Largo til efter brug af ParaPost bor
Side på distale rodkomponent
Termisk teknik
Gennemsnitlig reduktion af dentintykkelse langs risikolinjen fra efter rodbehandling til efter brug af varmepinden
Gennemsnitlig reduktion af dentintykkelse langs risikolinjen fra efter brug af varmepinden til efter brug af ParaPost bor
Side på distale rodkomponent
1. måling i
i
Tabel 2. Oversigt over den gennemsnitlige kanalvægsreduktion målt på 2D-røntgenoptagelser ved to målinger af to teknikker for fjernelse af guttaperka i den distale rodkomponent i underkæbemolarer. Der ses større reduktion af dentintykkelse mesialt end distalt ved risikolinjen i alle målingerne. Bemærk, de største svækkelser forekommer efter afsluttende brug af ParaPost bor.
Table 2. Overview of the average root canal weakening measured on repeated 2D-radiographs of the two techniques for removal of gutta-percha in the distal root component of mandibular molars. It is seen in all the measurements that there is a larger mesial dentine reduction than distal. Note, the largest weakening occurs after a ParaPost drill is used to complete the procedure.
Effektmål
Til vurdering af de to teknikker ift. tandbevarelse måltes længden af en mulig rodsvækkelse ud fra en defineret risikolinje (Fig. 3C1). Sammenligningen skete i forhold til: (i) efter guttaperkafjernelse, (ii) efter stiftpræparation ud fra den korteste afstand til rodens ydre overflade, hhv. mesialt og distalt og (iii) den afsluttende dybde af guttaperkafjernelse. Forskellene blev tillige vurderet ud fra 2D-røntgenbilleder og CBCT-scanninger ved brug af tilgængeligt software (Romexis, Planmeca OY, Helsinki, Finland). Serponering blev benyttet med det formål at visualisere samt måle de anatomiske variationer på billeder, før og efter behandling, gennem sammenligning af to CBCTscanninger. Sammenligningen blev udført ved enten at lægge billederne sammen i et ”overlay” eller ved at placere dem side om side i en synkroniseret visning. Dette blev opnået ved at identificere tre fælles referencepunkter eller ved manuelt at justere positionen af det efterbehandlede volumen.
Statistik
Den deskriptive statistik og de statistiske test blev foretaget i SPSS (IBM, version 28.0, USA) af både 2D-røntgenbilleder, 3D-scanninger og spørgeskemaer. Ved ikke parret kontinuelige data og ikke normaltfordelt data blev der anvendt Wilcoxon Rank Sum Test. Normalfordelingen blev undersøgt ved brug af Shapiro-Wilks test. Til kategorisk data blev χ2-test anvendt. Signifikansniveauet blev sat til 5 %.
Til gennemprøvning af usikkerhederne i opmålingerne på 2D-røntgenbillederne blev der foretaget kontrol i form af to gentagne målinger på alle tænderne. Dette blev gjort over et længere tidsinterval. Til vurdering af reproducerbarheden af målingerne, blev der anvendt tovejs parret t-test ved normalfordeling på gentagne målinger. Hvis der ikke var normalfordeling, blev Wilcoxon Signed Rank Test anvendt. Ydermere blev Dahlberg formlen benyttet til vurdering af niveauet for usikkerhederne på metodemålingerne.
Fig. 5. Boksplots, som viser størrelsen på kanalvægsreduktionen fra efter rodbehandling til efter anvendelse af kalibreret ParaPost bor til præparation til rodstift målt på 2D-røntgenoptagelser. Den mekaniske teknik (blå) sammenlignes med varmeteknikken (rød) hhv. distalt (øverste række) og mesialt (nederste række). Boksplottene indikerer, at de fleste og største reduktioner i kanalvæggen er sket mesialt ved brug af den mekaniske teknik. Stjerne indikerer, at der er en signifikant forskel på dentinreduktionen mesialt ved sammenligning af de to metoder.
Fig. 5. Boxplots that shows the size of the root canal weakening after the root treatment to the preparation of a root post with a calibrated ParaPost drill as measured on 2D radiographs. The mechanical technique (blue) is compared with the thermal technique (red) distally (top row) and mesially (bottom row). The boxplots indicate that the majority and the largest reductions in the canal wall has happened mesially when using the mechanical technique. The star indicates that there is a significant difference on dentine reduction mesially when comparing the two techniques. Kanalvæg svækkelsen
Spørgeskema om deltagernes oplevelse af stiftpræparation efter brug af de 2 teknikker (mekanisk versus varme)
Spørgeskema
Spørgsmål
Ingen
Varme Antal af svar fra studerende
Hvilken tand synes du var sværest at lave stiftpræparation på? 23 4 3 30
På hvilken tand følte du stiftpræparationen
Tabel 3. Fordelingen af svar på spørgeskema efter stiftpræparation, men blindet ift. test- og kontrol-gruppen.
Table 3. The distribution of answers to questionnaire after post drill but blinded for the test- and control group.
Etiske overvejelser
Der har ikke været etiske overvejelser forbundet med projektet. Anvendt materiale er ikke personhenførbart. Patienttilfælde vist i arbejdet er gjort under patienternes samtykke.
RESULTATER
Ekskluderede tænder Grundet ukorrekt udførelse af forsøgsprotokollerne blev otte tænder (10 %) kasseret i in vitro-studiet, således at 62 analyserede tænder ligger til grund for resultaterne (Fig. 2).
Metodestudierne
Ved anvendelse af varmeteknikken skete der i gennemsnit en temperaturstigning på 4,8 ± 1,2 °C i forhold til den omgivende temperatur, både ved brug af varmepinden og de efterfølgende ParaPost bor. Ved brug af den mekaniske teknik steg temperaturen samlet set i gennemsnit 1,4 ± 0,8 °C i forhold til den omgivende temperatur, både ved brug af Largo boret og de efterfølgende ParaPost bor.
Metodefejl
Der var ikke signifikant forskel på gentagne målinger af 2Drøntgenbillederne (Tabel 2) foretaget på hele materialet svarende til målingerne af den distale kanalvægtykkelse (P > 0,05). Dahlbergs formel viste desuden en metodefejl på 0,0420,095 mm, hvilket ligger under 0,5 mm (klinisk registrerbart niveau).
Måling af risikolinjerne
I gennemsnit skete der en samlet reduktion i tykkelsen af kanalvæggene (jævnfør risikolinjerne mesialt og distalt på den distale rodkomponent) på 0,5 ± 0,4 mm i testgruppen og en næsten dobbelt så stor gennemsnitlig reduktion i kontrolgruppen på 0,9 ± 0,6 mm (Tabel 2). Forskellen på rodsvækkelserne var signifikant mesialt (P < 0,001), men ikke distalt (P = 0,106) (Fig. 5). Kontrolgruppen havde en 80 % større reduktion sammenlignet med testgruppen i det undersøgte område. Validiteten blev understøttet af både 2D-røntgenbillederne og 3D-scanningerne (Fig. 3 og 4). Efter endt stiftpræparation havde 13 tænder fra kontrolgruppen en mesial kanalvægstykkelse på under 1 mm over for to tænder fra testgruppen. Desuden forekom der én paritalperforation i kontrolgruppen, men ingen i testgruppen.
Måling af præparationsdybden
I 45 % af kontrolgruppens præparationer blev de dybere end planlagt over for 28 % af testgruppens (Fig. 3H). Den ekstra dybde, og dermed øget fjernelse af guttaperka apikalt, var således signifikant større i kontrolgruppen (P = 0,031).
Tidsforbrug
Ved kontrolgruppen var det samlede gennemsnitlige tidsforbrug af hele proceduren 7 min. og 53 sek., mens det var 6 min. og 40 sek. ved testgruppen. Objektivt var varmeteknikken den hurtigste af de to metoder.
Efter åbning af blindingskode omkring guttaperkafjernelsen kunne det konstateres, at den tand, hvor de studerende havde indledt med varmepinden efterfulgt af ParaPost bor, blev vurderet som nemmest, mest sikker samt hurtigst at gennemføre i forhold til kontrolgruppen (Tabel 3).
Størrelse på ParaPost bor
Ved den termiske teknik var det oftest muligt at begynde med det større gule ParaPost bor, imens det hyppigst var nødvendigt at starte med det mindre brune ParaPost bor ved den mekaniske teknik (P < 0,001, Tabel 4).
Farvekode på ParaPost bor
Mekanisk teknik Termisk teknik
Antal tænder
Ekspertvurderingen
Der forekom overensstemmelse mellem de studerendes og eksperternes samlede opfattelse af de to teknikker (data ikke vist). Klinisk sekvens fra dele af testprotokollen ses i Fig. 6. Her ses tillige sensoren fra det digitale termometer placeret i regionen, som bekræfter en ikke kritisk temperaturstigning i klinikken.
DISKUSSION
Dette aktuelle in vitro-studie kunne ikke afvise den opstillede hypotese. Der foreligger nu data på, at ved en samlet procedure for stiftudboring kan koronal fjernelse af rodfyldning med varme versus mekanisk fjernelse med Largo bor øge sikkerheden af stiftpræparationen. Herunder at varmeteknikken potentielt er komplikationsnedsættende, idet der fjernes mindre tandvæv i morfologisk udsatte områder i rodkanalen. Når mest roddentin blev fjernet, blev det observeret i den mesiale del af den distale rodkomponent og primært efter den samlede effekt af Largo og ParaPost bor. Kanalvægsreduktionen var signifikant større mesialt ved brug af den mekaniske teknik i forhold til varmeteknikken, hvilket blev bekræftet af både 2D- og 3D-observationerne. Samlet set syntes varmeteknikken at øge sikkerheden ved stiftpræparation, hvilket støtter antagelsen, at teknikken kan være særlig god for ikke øvede tandlæger (19). Ikke mindst kunne den planlagte stiftdybde respekteres hyppigere, og den samlede teknik kunne udføres på kortere tid, hvilket taler imod tidligere undersøgelser (19). På baggrund af en blindet effektmålsvurdering efter udført stiftpræparation viste resultaterne, at de studerende havde valgt varmeteknikken som den foretrukne procedure (Tabel 3).
Der var ikke umiddelbar forventning om, at varmeteknikken ville udgøre et problem i forhold til termisk skade af omkringliggende væv, eftersom varmepinden udgør en rutineprocedure ved anvendelse af varm guttaperkateknik ved konventionel rodfyldning. Alligevel blev det besluttet at teste dette element, da varmepinden blev anvendt anderledes i nærværende forsøg. Det er velkendt, at en temperaturstigning på 10 °C kan føre til permanente skader på det parodontale væv (16,21). Endvidere er der rapporteret patienttilfælde, hvor der efterfølgende er

Fig. 6. Klinisk eksempel af varmeteknikken samt visning af temperaturmålingen før og efter anvendelse af varmepinden. Der ses komplet koronal guttaperkafjernelse med en acceptabel temperaturstigning på 3,3 °C. Billederne er anvendt med tilladelse og samtykke fra patient.
Fig. 6. Clinical use of the thermal method where the temperature is measured before and after the use of the heat device. A complete removal is noted of the coronal gutta-percha with a minor acceptable increase in temperature of 3.3 °C. The pictures are used with the permission and consent of the patient.
opstået parodontale komplikationer (22). Den temperaturstigning, som forekom ved brug af nærværende beskrevet varmeteknik, var mindre end 5 °C og dermed uden en forventet risiko for komplikationer.
At varmeteknikken er signifikant mere tandbesparende mesialt, kan formentlig forklares ved, at underkæbemolarens hyppigt forekommende krumning i den distale rodkomponent lægger op til en utilsigtet føring af boret mesialt ved manglende opmærksomhed, samt at boret kan ”trækkes” dybere ned i roden (8,24). Ved brug af varmepinden bliver den arbejdende del ligeledes styret mesialt, men modsat boret kan dybden kontrolleres bedre, da varmepinden ikke har egen rotation.
Varmepindens evne til at fjerne al guttaperka muliggjorde en sikker dybdeplacering af det efterfølgende ParaPost bor, hvorimod stiftpræparationen var signifikant dybere i de tænder, hvor der var gjort brug af den mekaniske teknik. Årsagssammenhængen er muligvis den koniske opbygning af varmespidsen med stigende kegleform. Den øgede diameter kan fungere som en sikkerhedsforanstaltning modsat Largo boret, som har parallelle sider, og dermed kan referencestoppet lettere skubbes koronalt, så boret kommer tilsvarende apikalt for den planlagte stiftdybde.
Resultaterne indikerer tillige, at det oftest var unødvendigt at præparere med det mindste ParaPost bor under varmeteknikken. Ved sammenligning med den mekaniske teknik var det
derfor muligt at præparere kanalen færre gange for at udvide til og med det røde ParaPost bor. Når der anvendes et mindre antal ParaPost bor (Tabel 4), vil det samlede tidsforbrug naturligvis også blive kortere. I kontrolgruppen forekom én partial rodperforation og ingen i testgruppen. 13 tænder endte med en mesial kanalvægstykkelse på under 1 mm, hvorimod sidstnævnte kun forekom to gange i testgruppen. Dette er særligt interessant, eftersom den anbefalede størrelse af stiften bør have mindst 1 mm dentin perifert (25).
I nærværende projekt var 2/3 af forsøgsdeltagerne fra 6. semester og havde dermed ikke fået kursus i stiftudboring, hvormed uønsket forudindtagede meninger blev minimeret. Omvendt var der en begrænsning i ønsket om at generalisere resultaterne, da der blev anvendt studerende. Deres manglende erfaring er umiddelbar, og resultaterne skal selvfølgelig ses i lyset af dette. Knap 1/3 af de resterende forsøgsdeltagere blev udvalgt fra 8. semester. Uagtet semesterplacering mente 97 % af de studerende, at de følte sig mest sikre i at anvende varmepinden sammenlignet med Largo boret. De objektive og subjektive forhold blev bekræftet af de to erfarne tandlæger. Mangel på opmærksomhed, herunder viden om rodmorfologien, kan medføre en fatal udgang ved stiftudboringspræparation, men også en økonomisk konsekvens for patienten og senere for sundhedssystemet. Hvis kirurgisk efterbehandling ikke kan udføres, må tanden erstattes af en dyrere løsning så-
som et implantat eller en bro. Den økonomiske byrde for erstatningen kan nemt overstige 25.000 kr. (26). Sammenholdt med den aktuelle mangel på tandlæger på nationalt niveau (27) kan det antages, at begivenheder som disse også kan tænkes at forekomme oftere i et generelt travlt tandlægepraksismiljø. Det er dokumenteret i almen praksis indenfor sundhedssektoren, at en travl og stresset arbejdsplads kan resultere i en utilsigtet lavere kvalitet af behandlinger, der ellers er kompetence til at udføre (28).
KONKLUSION
Dette arbejde har vist et potentiale for, at varmeteknik til fjernelse af guttaperka ved stiftudboring kan være en mere sikker.
Med forbehold for begrænsningerne i studiet kan det konkluderes, at kanalvæggene i roden reduceres i mindre grad end ved anvendelse af den mekaniske teknik med Largo bor. Varmeteknikken bør afdækkes i fremtidige kliniske studier, men flere forhold viser, at varmeteknikken er lovende som en komplikationsnedsættende faktor ved placering af rodstift.
TAK
Tandlægeforeningen takkes for tildeling af skolarstipendium til udførelse af nærværende projekt. Plandent takkes for lån af software (Romexis® 3D imaging software) anvendt for sammenligning af CBCT-scanninger.
DENTINE SAVING METHOD FOR POST SPACE PREPARATION – HEAT VERSUS MECHANICAL REMOVAL OF GUTTA-PERCHA WITH LARGO DRILL
INTRODUCTION AND PURPOSE – Root perforation during post placement is well known. When placing a post, it is investigated whether the use of heat for gutta-percha removal compared to mechanical removal with a Largo bur is dentine-saving and thus potentially reduces complications. MATERIAL AND METHODS – Ninety two molars were used in the development and examination of thermal removal of gutta-percha. 30 dental students (6th and 8th term) were given two mandibular molars rootfilled in the distal root for post preparation testing. The following outcome measures were used: +/- root perforation; changes in the thickness of the root canal after gutta-percha removal and post preparation registered on 2D and 3D x-ray images; +/- temperature rise to a defined critical threshold. In the control group the gutta-percha was mechanically removed and in the test group it was removed with heat. Both groups were
1. Kane JJ, Burgess JO. Modification of the resistance form of amalgam coronal-radicular restorations. J Prosthet Dent 1991;65:470-4.
2. Kuzekanani M, Ashraf H, Nikian Y. The comparison of effects of 3 methods of post space preparation on the apical seal invitro. J Dent 2005;22:60-4.
completed with the same standardised procedure of post preparation. The procedure was timed and qualitatively evaluated.
RESULTS AND CONCLUSION – The temperature rise (4.8 ± 1.2°C) did not pass the critical limit of 10°C. After post preparation the walls of the root canal were reduced by 0.9 ± 0.6 mm in the control group compared to 0.5 ± 0.4 mm in the test group. In the control group both the 2D- and 3D-registrations showed a higher degree of mesial dentine removal compared to the test group (P = 0.001) as well as one root perforation compared to none in the test group. The thermal method was faster and significantly better at achieving the planned depth (P = 0.031). Most of the dental students would prefer the thermal method. The heating technique should be examined further in future clinical studies, but several factors show that the heating technique is promising as a complication-reducing factor when placing a post.
3. Stern N, Hirshfeld Z. Principles of preparing endodontically treated teeth for dowel and core restorations. J Prosthet Dent 1973;30:162-5.
4. Sapone J, Lorencki SF. An endodontic-prosthodontic approach to internal tooth reinforcement. J Prosthet Dent 1981;45:164-74.
5. Gulabivala K, Ng YL. The root canal-treated tooth in prosthodontic reconstruction. In: Bjørndal L, Kirkevang L-L, Whitworth J. Textbook of Endodontology 3. ed. Oxford: Wiley-Blackwell, 2018;295-314.
6. Schnell FJ. Effect of immediate dowel space preparation on the apical seal of endodontically filled teeth. Oral Surg Oral Med Oral Pathol 1978;45:470-4.
7. Baraban DJ. A simplified method for making posts and cores. J Prosthet Dent 1970;24:287-97.
8. Pilo R, Tamse A. Residual dentin thickness in mandibular premolars prepared with gates glidden and ParaPost drills. J Prosthet Dent 2000;83:617-23.
9. Nicholls E. Treatment of traumatic perforations of the pulp cavity. Oral Surg Oral Med Oral Pathol 1962;15:603-12.
10. Felton DA, Webb EL, Kanoy BE et al. Pulpal response to threaded pin and retentive slot techniques: a pilot investigation. J Prosthet Dent 1991;66:597-602.
11. Heydecke G, Butz F, Strub JR. Fracture strength and survival rate of endodontically treated maxillary incisors with approximal cavities after restoration with different post and core systems: an in-vitro study. J Dent 2001;29:427-33.
12. Gutmann JL. The dentin-root complex: Anatomic and biologic considerations in restoring endodontically treated teeth. J Prosthet Dent 1992;67:458-67.
13. TANDLÆGEFORENINGEN. Strategisk analyse. Personlig kommunikation, Strategisk Analyse 2023.
14. Burlund A. Vi skal have manet myter om tilsyn til jorden. Tandlægebladet 2022;126:169-71.
15. Gasner NS, Brizuela M. Endodontic materials used to fill root canals. StatPearls [Internet]. Treasure Island (FL): StatPearls Publishing 2023.Tilgængelig fra: URL: https://www.ncbi.nlm.nih. gov/books/NBK587367/
16. Cen R, Wang R, Cheung GSP. Periodontal blood flow protects the alveolar bone from thermal injury during thermoplasticized obturation: a finite element analysis study. J Endod 2018;44:139-44.
17. Song J, Huang B, Yu D. Progress of synthesis and application of trans-1,4-Polyisoprene. J Appl Polym Sci 2001;82:81-9.
18. Cheng YA, Huang SH, Hsien HC et al. Influence of cyclic heating on physical property and biocompatibility of α -and β -from gutta-percha. J Formos Med Assoc 2012;113:498-505.
19. Cheung W. A review of the management of endodontically treated teeth. Post, core and the final restoration. J Am Dent Assoc 2005;136:611-9.
20. Haddix JE, Mattison GD, Shulman CA et al. Post preparation techniques and their effect on the apical seal. J Prosthet Dent 1990;64:515-9.
21. Saunders EM. In vivo findings associated with heat generation during thermomechanical compaction of gutta-percha.2. Histological response to temperature elevation on the external surface of the root. Int Endod J 1990;23: 268-74.
22. Livada R, Hosn K, Shiloah J et al. Management of heat-induced bone necrosis following thermal removal of gutta-percha. Quintessence Int 2018;49:535-42.
23. Bjørndal L, Markvart M, Langemark C et al. Vejledning nr. 1: Endodonti – Pulpektomi og kanalbehandling. Cariologi og Endodonti, Tandlægeskolen, Københavns Universitet, 2023.
24. Fuentes R, Farfán C, Astete N et al. Distal root curvatures in mandibular molars; analysis using digital panoramic X-rays. Folia Morphol (Warsz) 2018;77:131-7.
25. Shaikh SY, Shaikh SS. Direct linear measurement of root dentin thickness and dentin volume changes with post space preparation: a cone-beam computed tomography study. Contemp Clin Dent 2018;9:77-82.
26. TANDLÆGEFORENINGEN. Tandlægepriser. (Set 2023 maj). Tilgængelig fra: URL: https://www. sundhed.dk/borger/patientrettigheder/tilskud-stoettemuligheder/tandlaege/tandlaegepriser/.
27. Nielsen GA, Burlund A. Efterlysning; Tandlæger. Tandlægebladet 2019;123:763-70.
28. Calvo JM, Kwatra J, Yansane A et al. Burnout and work engagement among US dentists. J Patient Saf 2021;17:398-404.
Få hurtig og nem kontakt til Tandlægeforeningen, målrettede beskeder og et komplet overblik over de informationer, der er vigtige for dig.

Parodontitis er en multifaktoriel inflammatorisk sygdom i tændernes støttevæv og er den mest udbredte ikkesmitsomme inflammatoriske sygdom i verden. Flere nyere studier viser, at parodontitis er en mulig risikofaktor for udviklingen af den neurodegenerative sygdom, Alzheimers sygdom, som er den hyppigste årsag til demens. Sygdommen er karakteriseret ved svækkelse af hukommelsen, ændring i adfærd og nedsættelse af den kognitive funktion. Formålet med denne oversigt er at belyse en mulig sammenhæng mellem parodontitis og Alzheimers sygdom undersøgt ved en systematisk litteratursøgning i den allerede eksisterende litteratur. Litteratursøgningen blev gennemført i databasen PubMed med nøgleordene ”periodontitis”, ”periodontal disease”, ”Alzheimers disease” og ”Alzheimer’s”. Ud fra studierne kunne det konkluderes, at forekomst af parodontitis i såvel mennesker som mus potentielt kan føre til akkumulering af betaamyloid-peptider og degeneration af neuroner i hjernen og derved udvikling af Alzheimers sygdom. Derudover fandtes studier med tæt association mellem bakterier associeret til parodontitis, bl.a. Porphyromonas gingivalis og Alzheimers sygdom, og der er fundet spor af bakterier og virulensfaktorer knyttet til P. gingivalis i hjerner hos patienter med Alzheimers sygdom. Sammenfattende viste studierne, at der potentielt set findes en sammenhæng mellem parodontitis og Alzheimers sygdom.
EMNEORD Periodontitis | Alzheimer’s disease | pathogenesis | comorbidity | inflammation | systemic inflammation
EVA KIRSTINE GETHER, stud.odont., Odontologisk Institut, Det Sundhedsvidenskabelige Fakultet, Københavns Universitet
Accepteret til publikation den 29. december 2023
Tandlægebladet 2024;128:566-72
OVER 55 MILLIONER MENNESKER I DENNE VERDEN HAR I DAG DEMENS, og i 50 til 60 % af tilfældene er der tale om Alzheimers sygdom (1). Dermed er Alzheimers sygdom den hyppigste form for demens i verden. På trods af stor forståelse af dele af sygdommens patogenese er ætiologien bag sygdommen stadig ikke kendt, og der findes endnu ikke en helbredende behandling. (2). Det tyder på, at neuroinflammation har betydning for initiering og progression af Alzheimers sygdom. Inflammationen kan være en følge af andre inflammatoriske sygdomme i organismen, heriblandt parodontitis (3). Denne oversigtsartikel fremhæver flere nyere studier, der viser, at parodontitis er en mulig risikofaktor for udviklingen af den neurodegenerative sygdom: Alzheimers sygdom.
Formålet med denne oversigtsartikel er ved en systematisk litteratursøgning i den allerede eksisterende videnskabelige litteratur at bestemme, om der findes en sammenhæng mellem parodontitis og Alzheimers sygdom. Litteratursøgningen blev foretaget i databasen PubMed, og de anvendte nøgleord var ”periodontitis”, ”periodontal disease”, ”Alzheimer’s disease” og ”Alzheimer’s”. Yderligere litteratur blev inddraget ved håndsøgning. Den inkluderede litteratur omfatter 21 artikler udgivet fra 2007 til og med 2022.

Korrespondanceansvarlig forfatter: EVA KIRSTINE GETHER evakgether@gmail.com
PARODONTITIS
Parodontitis er en multifaktoriel inflammatorisk sygdom i tændernes støttevæv, der medfører tab af parodontalligament, øvrigt bindevæv og omgivende alveolære knogle. Ubehandlet kan parodontitis føre til tandløsning og i værste tilfælde til tandtab. Initieringen af parodontitis skyldes ophobning af en bakterieholdig biofilm på tændernes overflade, som fører til et inflam-
matorisk respons, der ved persistens kan have en destruktiv effekt på de parodontale væv. Flere Gram-negative bakterier er tæt associeret med samtidig tilstedeværelse af parodontitis, herunder bl.a. Porphyromonas gingivalis, Treponema denticola, Aggregatibacter actinomycetemcomitans, Prevotella intermedia og Tannerella forsythia (4).
P. gingivalis er kendt for sine virulensfaktorer, der i dyremodeller er involveret i initieringen og progressionen af parodontitis (4). De mest prominente virulensfaktorer, som P. gingivalis udskiller, er gingipainer og lipopolysakkarid (LPS). Gingipainer er cysteinproteaser, der inddeles i Arg-gingipainer (Rgp) og Lys-gingipainer (Kpg) (5). LPS er større molekyler af lipider og polysakkarider i Gram-negative bakteriers ydre membran (4). Både gingipainer og LPS er associeret med ydre membranvesikler (OMVs), der afsnøres fra Gram-negative bakterier som P. gingivalis. Disse virulensfaktorer kan overføres til blodbanen, hvilket kan have systemiske konsekvenser, og de kan regulere værtsorganismens immunologiske respons (5).
ALZHEIMERS SYGDOM
Alzheimers sygdom er en neurodegenerativ sygdom, som typisk manifesterer sig hos ældre mennesker (3). Sygdommen er karakteriseret ved tab af hukommelse, sprog, kognitiv funktion og evne til problemløsning (Faktaboks). Sygdommen inddeles i flere stadier, og i de tidligere stadier kan tegn på sygdommen blive forvekslet med almen glemsomhed og forvirring (2,6). Et tidligt tegn på udvikling af Alzheimers sygdom er såkaldt let kognitiv svækkelse, hvor hukommelsen er mere svækket end normalt for alderen, uden at det kan betegnes som egentlig demens (7,8). Årsagen til Alzheimers sygdom er stadig usikker, men det er opfattelsen, at sygdommen skyldes flere faktorer. Tidligt progredierende Alzheimers sygdom siges at være relateret til genetiske forhold, mens sen udvikling af sygdommen
• Er en neurodegenerativ sygdom, der initieres af neuroinflammation
• Manifesterer sig hyppigst hos ældre mennesker
• Er karakteriseret ved tab af hukommelse, kognitiv funktion og sprog samt ændring i personlighed og humør
• I hjernen sker ophobning af amyloide plaques og neurofibrillære tangles, der medfører tab af neuroner
• Årsagen til sygdommen er stadig uklar
i højere grad har relation til risikofaktorer og miljømæssige faktorer såsom uddannelse, familiehistorie, diabetes mellitus, rygning, alkoholisme, insomni eller hovedtraumer (3). Inflammation har også stor betydning for udviklingen af Alzheimers sygdom. Høje niveauer af proinflammatoriske cytokiner, fx tumor necrosis factor (TNF)-α og interleukin (IL)-1ß, kan øge risikoen for inflammation i det centrale nervesystem, såkaldt neuroinflammation, som initierer de patologiske mekanismer ved Alzheimers sygdom (1,6).
Ved Alzheimers sygdom sker der tab af neuroner i hjernen begyndende i hippocampus og med senere udstrækning til den cerebrale cortex. Alzheimers sygdom initieres som nævnt af neuroinflammation, der medfører dannelse af amyloide plakker og neurofibrillære tangles (NFTs). Amyloid plak er ekstracellulær akkumulering af beta-amyloid-peptider (Aß), der dannes ved fejlagtig kløvning af amyloid precursor protein i neuronernes membran. Akkumuleringen af Aß inducerer hyperfosforylering af tau-proteiner i neuronerne (1,3). Tau-proteiner er cytoskeletproteiner, der binder til mikrotubuli og har en stabiliserende funktion på mikrotubuli. Ved fosforylering af tau-proteinerne (pTau) mister proteinerne deres funktion, og tau-proteinerne vil herefter aggregere til intracellulære NFTs, der ophobes i neuronerne (6). Disse molekylære mekanismer er neurotoksiske og synaptotoksiske og menes at medføre degeneration af neuronerne. Ved persisterende neuroinflammation vil mikrogliaceller og astrocytter, som ellers har en beskyttende funktion i nervevævet, øge sekretionen af proinflammatoriske faktorer i hjernevævet. Dette vil føre til yderligere neuroinflammation og en øget produktion af Aß og NFTs i hjernen, hvilket accelererer udviklingen af Alzheimers sygdom (3).
KOBLING MELLEM PARODONTITIS OG ALZHEIMERS
SYGDOM VIST I HUMANE STUDIER
I de seneste år har der været tiltagende videnskabelig interesse for den potentielle sammenhæng mellem parodontitis og Alzheimers sygdom. Spørgsmålet er dog komplekst, og det er stadig uvist, om en kausal sammenhæng faktisk findes, eller om der alene er tale om sammenfald i risikofaktorer som baggrund for sameksistensen af de to sygdomme. Flere humane studier tyder dog på en kausal association.
Sammenhæng mellem parodontitis og Alzheimers sygdom undersøgt ved kohortestudier
Det er relevant at undersøge den mulige sammenhæng mellem de to sygdomme ved observation af en større population fx i longitudinelle kohortestudier, hvor man undersøger helbredstrajektorier i en population over en periode. To studier har med udgangspunkt i kognitivt normale individer med parodontitis undersøgt, om de over tid hyppigere udvikler Alzheimers sygdom end personer uden parodontitis.
I et retrospektivt matchet kohortestudie var parodontitis vedvarende associeret med øget risiko for udvikling af Alzheimers sygdom. Forsøgsgruppen inkluderede 9.291 patienter ≥ 50 år fra Taiwan, diagnosticeret med parodontitis. Patienterne blev observeret fra den dag, de fik diagnosen parodontitis, til de enten blev diagnosticeret med Alzheimers sygdom, afgik
ved døden eller studiets ophør. Af forsøgsgruppen blev 115 af patienterne diagnosticeret med Alzheimers sygdom (9). Risikoen for udviklingen af Alzheimers sygdom blev undersøgt ved uni- og multivariate sensitivitetsanalyser, hvor de inkluderede patienter var diagnosticeret med Alzheimers sygdom enten ≥ 1 år eller ≥ 10 år efter diagnosticering af parodontitis. Den univariate sensitivitetsanalyse tog ikke højde for andre faktorer, og analysen viste en signifikant sammenhæng allerede efter et års eksponering med parodontitis. I den multivariate sensitivitetsanalyse blev der imidlertid taget højde for komorbiditeter til Alzheimers sygdom, Charlson comorbidity index (CCI) score og urbaniseringsgraden. Analyserne viste, at associationen mellem Alzheimers sygdom og parodontitis var signifikant 10 år efter diagnosticering med parodontitis. Der var altså signifikant større risiko for at udvikle Alzheimers sygdom ved parodontitiseksponering i 10 år (9). Resultatet af den univariate sensitivitetsanalyse kan derfor muligvis være misvisende, idet studiet ikke inddrager kendte sammenhænge, som kan spille en rolle for udviklingen af både parodontitis og Alzheimers sygdom. Bl.a. overlapper flere komorbiditeter hinanden i udviklingen af de to sygdomme, herunder kardiovaskulære sygdomme og diabetes mellitus (2,4). Tages der ikke højde for disse faktorer i studiet, kan det ikke udelukkes, at den observerede udvikling af Alzheimers sygdom skyldes andre sygdomme eller risikofaktorer. Derudover blev der i studiet ikke taget højde for risikofaktorer som fx rygning, hvilket spiller en stor rolle for udvikling af både parodontitis og Alzheimers sygdom.
I et andet retrospektivt kohortestudie blev sammenhængen mellem parodontitis og Alzheimers sygdom undersøgt ved analyse af serumprøver. Studiet undersøgte, om antistoffer mod bakterier associeret med parodontitis blev øget i serum hos kognitivt normale individer, der under observationsperioden udviklede Alzheimers sygdom, og om antistofferne yderligere blev øget i serum herefter. Observationsperioden fra begyndelsen til diagnosen Alzheimers sygdom var i gennemsnit 9,6 år. Serumprøverne fra den eksperimentelle gruppe og kontrolgruppen blev ved såkaldt ”baseline” og ”followup” analyseret for koncentrationen af immunglobulin G (IgG) antistoffer mod syv bakterier associeret til parodontitis. Koncentrationen af antistoffer mod bakterierne Fusobacterium nucleatum, P. intermedia, P. gingivalis og T. denticola var allerede signifikant højere ved ”baseline” (10). Dette kan indikere, at der allerede før diagnosticering med Alzheimers sygdom er tegn på parodontitis, og at de sekundære effekter ved Alzheimers sygdom, som nedsatte kognitive evner, ikke har betydning for udviklingen af parodontitis. Yderligere viste samme studie, at koncentrationen af antistoffer mod de overstående bakterier også var signifikant forøget ved ”followup”, altså ved diagnosticering af Alzheimers sygdom (10). Dette kan tyde på, at udviklingen af Alzheimers sygdom ikke har påvirket sværhedsgraden af parodontitis. Dog kan det ikke afvises, at bakterierne associeret med parodontitis har medført udvikling af Alzheimers sygdom. Studiet undersøgte sideløbende antistofkoncentrationer mod de samme specifikke bakterier i serum hos kognitivt normale individer med og uden parodontitis. Individerne med parodontitis viste øget IgG-antistoffer, og ved sammenligning med
IgG-antistoffer hos patienterne med Alzheimers sygdom ved ”baseline” var niveauerne af antistoffer de samme (10). Dette understøtter således, at der potentielt set findes en sammenhæng mellem parodontitis og Alzheimers sygdom.
Øget systemisk inflammation hos patienter med Alzheimers sygdom
Førnævnte studie viste, at patienter med Alzheimers sygdom har øget koncentration af IgG-antistoffer i serum, hvilket er foreneligt med et øget værtsrespons (10). Dette kan muligvis skyldes parodontitis, idet parodontitis kan inducere såkaldt lavgraderet systemisk inflammation ved at øge produktionen af proinflammatoriske mediatorer og deres spredning til blodbanen. Det indebærer et øget værtsrespons og dermed øget systemisk inflammation i organismen (3). Det er derfor interessant, at flere casekontrolstudier indikerer, at der findes en sammenhæng mellem bakterier associeret til parodontitis, øget koncentration af proinflammatoriske cytokiner og Alzheimers sygdom. Et mindre casekontrolstudie undersøgte plasma fra 18 patienter med Alzheimers sygdom og fra 16 kognitivt normale individer, der alle var bærere af genotypen apolipoprotein E (ApoE). Studiet undersøgte plasma for IgG-antistoffer mod tre parodontale bakterier, herunder A. actinomycetemcomitans, T. forsythia og P. gingivalis. Derudover undersøgte studiet plasmakoncentrationen af IL-6, IL-1ß og TNF-α. Undersøgelser af patienter med Alzheimers sygdom viste, at der var et højere antal af positive IgG-antistoftests mod de undersøgte parodontale bakterier end i kontrolgruppen. Tallene afslørede, at en højere procentdel af patienterne med Alzheimers sygdom (72 %) fik positive tests for mindst et IgG-antistof sammenlignet med kontrolgruppen (38 %). Derudover havde den eksperimentelle gruppe signifikant højere koncentration af TNF-α i plasma. Ved hjælp af multivariat logistisk regression viste studiet en stærk signifikant sammenhæng mellem antallet af positive IgGantistoftests og koncentrationen af TNF-α og udviklingen af Alzheimers sygdom (11).
Et andet mindre casekontrolstudie inddrog 15 patienter med Alzheimers sygdom og 15 raske individer med dertilhørende blodprøver og orale prøver fra forsøgspersonerne. De orale prøver blev udtaget fra mucosa, gingiva, tænder, supra- og subgingivale sites og tunge. Resultaterne viste ved brug af qPCR, at antallet og forekomsten af P. gingivalis, F. nucleatum og P. intermedia var højere hos patienterne med Alzheimers sygdom end hos kontrolgruppen. Herudover viste resultaterne tillige, at cytokinkoncentrationen af IL-6, IL-1ß og TNF-α var øget i blodprøver fra den eksperimentelle gruppe med en signifikant forskel fra kontrolgruppen. Studiet undersøgte også korrelationen mellem bakterier og cytokiner og fandt, at det høje antal af P. gingivalis og F. nucleatum i de orale prøver fra patienter med Alzheimers sygdom viste en signifikant sammenhæng med øget cytokinniveau af IL-1 ß og IL-6. Ydermere viste denne øgede forekomst af P. intermedia en signifikant sammenhæng med øgede serumkoncentrationer af alle tre cytokiner hos den eksperimentelle gruppe (12).
Sammenfattende viser de to casekontrolstudier, at patienter med Alzheimers sygdom er eksponeret for lavgraderet syste-
misk inflammation, og dette kan skyldes parodontitis (11,12). Øgede systemiske niveauer af IL-6, IL-1ß og TNF-α kan føre til neuroinflammation (3). Derudover kan cytokinerne medføre beskadigelse af neuroner i hjernen og øge aktiviteten af mikroglia og astrocytter, hvilket accelererer progressionen af Alzheimers sygdom (3). Begge studier understøtter uafhængigt af hinanden denne neuroinflammatoriske hypotese om udviklingen af Alzheimers sygdom og viser, at der muligvis er en sammenhæng mellem parodontitis og Alzheimers sygdom.
Parodontitis fører til akkumulering af Aß i hjernen
Neuroinflammation medfører akkumulering af Aß i hjernen hos patienter med Alzheimers sygdom (1). Ved kliniske undersøgelser og positron emission tomografi (PET)-scanninger har et studie vist, at parodontitis er associeret med akkumulering af Aß i hjernen. Studiet inddrog 38 kognitivt normale individer, der alle blev undersøgt for parodontitis ved en klinisk undersøgelse. Det kliniske fæstetab (CAL) definerede den parodontale tilstand, og graden af parodontitis blev vurderet ud fra det samlede antal af sites med CAL ≥ 3 mm (CAL3). Herudover fik forsøgspersonerne foretaget en 11C-PIB-PET-scanning med indsprøjtning af carbon-11-mærket Pittsburg compound B (11C-PIB), der er en markør for Aß. Graden af parodontitis og akkumulering af Aß i hjernen var signifikant associeret, og jo
For klinikeren er sammenhæng mellem parodontitis og Alzheimers sygdom særdeles relevant med henblik på at bidrage til tidlig diagnostik, forebyggelse og behandling. Parodontitis er den mest udbredte ikkesmitsomme inflammatoriske sygdom, og det tyder på, at parodontitis kan fremme udviklingen af Alzheimers sygdom. Ved intensiv parodontalbehandling kan tandlægen muligvis medvirke til at forebygge og bremse de patologiske mekanismer, der opstår i hjernen ved Alzheimers sygdom, og derfor er det vigtigt som tandlæge at gribe ind og hjælpe sine patienter for at mindske udviklingen af denne sygdom. Samtidig bidrager den påviste sammenhæng til et øget fokus på oral sundhed og medvirker desuden til en forbedring af den generelle sundhed og livskvalitet.
flere sites med CAL3, jo mere 11C-PIB retention var der i hjernen (Fig. 1). Der blev kontrolleret for kovariate faktorer, som var alder, ApoE genotype og rygning (13). Det kan dog ikke entydigt konkluderes, at akkumuleringen af Aß kun skyldes parodontitis, da andre faktorer kan spille en rolle. Studiet

Fig. 1. PET-scanninger af fire humane hjerner: 11C-PIB-PET-scanninger, der illustrerer akkumulering af Aß i fire humane hjerner fra kognitivt normale individer. De to øverste scanninger repræsenterer individer med høj CAL3 (A og B), mens de to nederste scanninger repræsenterer individer med lav CAL3 (C og D). Individ A og C er bærer af ApoE. Resultaterne af scanningerne indikerer en øget akkumulering af Aß i hjerner hos individer med øget CAL3, specifikt individ A og B. Ydermere observeres en øget akkumulering af Aß ved ApoE-allelet, svarende til individ A. 11C-PIB-målingerne er præsenteret som standardized uptake value ratios (SUVR) til cerebellums grå substans. (Genoptryk af Kamer AR, Pirraglia E. Tsui L et al. Periodontal disease associates with higher brain amyloid load in normal elderly. Neurobiol Aging 2015;36:62733. (Copyright med tilladelse fra Elsevier)).
Fig. 1. PET-scans of four human brains: 11C-PIB-PET scans of four human brains from cognitively normal individuals, illustrating the accumulation of Aß in the brain. The top two scans depict individuals with high CAL3 (A and B), while the bottom two scans depict individuals with low CAL3 (C and D). Individuals A and C are carriers of the ApoE allele. The scans indicate increased accumulation of Aß in the brains of individuals with elevated CAL3, specifically individuals A and B. Additionally, an increased accumulation of Aß is observed with the ApoE allele, corresponding to individual A. The 11C-PIB measures are represented as standardized uptake value ratios (SUVR) to cerebellar gray matter. (Reprint of Kamer AR, Pirraglia E. Tsui L et al. Periodontal disease associates with higher brain amyloid load in normal elderly. Neurobiol Aging 2015;36:627-33. (Copyright with permission from Elsevier)).
kunne ikke inddrage relevante kovariater som fx komorbiditeter eller demografiske faktorer, da disse forhold ikke viste statistisk signifikans i den statistiske model (13). Derfor er der kun taget højde for alder, ApoE og rygning, hvilket indebærer usikkerhed om en direkte association mellem parodontitis og Aß akkumulering. Det skal samtidig fremhæves, at studiet kun undersøgte kognitivt normale individer, hvorfor man ikke ved, om akkumuleringen af Aß senere hen vil føre til udvikling af Alzheimers sygdom hos de pågældende. Det ville kræve, at man undersøgte, om individerne over længere tid fik nedsat kognitiv funktion. Tværsnitsstudier som det nævnte danner et billede af en gruppe individer på et givet tidspunkt, og der kan ikke konkluderes, om der reelt er en kausal sammenhæng. Dog viser studiet en potentiel stærk association mellem parodontitis og Alzheimers sygdom, idet jo mere inflammatorisk tilstand der var til stede i parodontiet, jo mere akkumulering af Aß var der i hjernen, og akkumulering af Aß er en central faktor i patogenesen bag Alzheimers sygdom.
PARODONTITIS’ MULIGE INDFLYDELSE PÅ HJERNEN
Herefter er det relevant at undersøge, hvordan inflammation i mundhulen direkte kan påvirke hjernen. Det vides, at bakterier og bakterielle produkter fra parodontiet kan spredes til blodbanen, og det er således spørgsmålet, om de kan overføres fra blodbanen til hjernen.
Passage af parodontale bakterier over blod-hjerne-barrieren
Parodontitisassocierede bakterier, der under normale omstændigheder befinder sig i pochen, kan føre til neuroinflammation og neurodegeneration i hjernen, hvis de overføres fra pochen til blodbanen og derfra videre til hjernen (5). Blodprøver fra patienter med parodontitis har vist fund af levedygtige bakterier, hvilket er et udtryk for bakteriæmi hos patienter med parodontitis (14). Det er imidlertid usikkert, hvordan bakterierne kan passere det ellers tætte og selektive system, som blod-hjernebarrieren (BBB) danner mellem blod og hjernevæv.
I in vitro- og dyrestudier er det vist, at P. gingivalis og virulensfaktorerne LPS og gingipainer faktisk kan passere BBB (15,16). In vitro-studier indikerer, at både frie gingipainer og gingipainer bundet til OMVs kan penetrere neurale mikrovaskulære endotelceller og reducere forekomsten af specifikke tight junction-proteiner, der er en vigtig regulatorisk faktor i den neurale mikrovaskulære endotelcellebarriere. Nedbrydningen af BBB medfører øget permeabilitet og kan dermed lede til indtrængen af P. gingivalis og dens virulensfaktorer i hjernen (16). Yderligere er passage af P. gingivalis OMVs over BBB blevet påvist i dyrestudier, hvor mus er blevet behandlet oralt med P. gingivalis OMVs hver dag i otte uger. For efterfølgende at undersøge, om P. gingivalis OMVs kunne krydse BBB, blev P. gingivalis OMVs mærket med et fluorescerende stof. Allerede efter tre dage var det muligt at detektere P. gingivalis OMVs i hippocampus og cortex hos musene. Herudover viste studiet også en reduktion i genekspressionen af tight junction-proteiner i hjernen hos musene og dermed ændring i permeabiliteten af BBB (15).
Spor af parodontale bakterier i hjerner fra patienter med Alzheimers sygdom Understøttende til førnævnte undersøgelser har man i et studie fundet spor af P. gingivalis i post mortem-hjerner fra patienter med Alzheimers sygdom. Studiet inkluderede 10 hjerner fra patienter, der var diagnosticeret med Alzheimers sygdom, samt 10 hjerner fra individer uden sygdom. Studiet benyttede antistoffer mod P. gingivalis og T. denticola, der var mærket med et fluorescerende stof til at detektere bakterierne samt de bakterielle komponenter P. gingivalis LPS og gingipainer i hjernevævet. I fire ud af 10 hjerner fra patienter med Alzheimers sygdom fandtes spor af P. gingivalis, mens der ikke fandtes tegn på T. denticola. Kontrolgruppen viste ingen fluorescerende mærkninger af bakterierne. Ved yderligere undersøgelse med immunoblotting af disse fire hjerner blev der observeret tilstedeværelse af P. gingivalis LPS i alle fire tilfælde (17).
Der findes altså data, som påviser passage af bakterier associeret med parodontitis over BBB. Derudover viser studiet tegn på en sammenhæng af parodontitis med Alzheimers sygdom, idet der kunne ses spor af parodontale bakterier hos personer med Alzheimers sygdom. Det er dog usikkert, om bakterierne skyldtes parodontitis, da den parodontale tilstand hos den eksperimentelle gruppe og kontrolgruppen ikke var oplyst (17). Der er dermed også en mulighed for, at kontrolgruppen indeholdt individer, som havde parodontitis og ikke Alzheimers sygdom.
DYRESTUDIER TYDER PÅ EN SAMMENHÆNG
MELLEM PARODONTITIS OG ALZHEIMERS SYGDOM
Eksperimentel parodontitis i de inkluderede studier med dyremodeller inkluderede oral indgift af P. gingivalis over en længere periode. Studierne benyttede enten vildtypemus, der får en sporadisk og naturlig form for Alzheimers sygdom, eller amyloid precursor protein (APP) transgene eller knock-in mus, der er en model for Alzheimers sygdom. Transgene og knock-in musemodeller kan potentielt være mere sammenlignelige med mennesker, idet musene påføres gener, som vides at have betydning for udvikling af sygdommen hos mennesker.
Øget neuroinflammation i parodontitisinducerede mus I dyrestudierne, der benyttede genmodificerede mus, viste resultaterne generelt tegn på neuroinflammation i musene inficeret med P. gingivalis. Resultaterne viste også øget koncentration og genekspression af proinflammatoriske cytokiner, øget aktivering af mikroglia og et højt niveau af P. gingivalis LPS i både serum og hjerne (18,19). De dyrestudier, der benyttede vildtypemus, fandt også øget genekspression og øget koncentration af de proinflammatoriske cytokiner i musenes hjerner (20,21). Derudover tydeliggjorde resultaterne, at P. gingivalis OMVs inducerer neuroinflammation, idet der med immunfluorescensteknik fandtes øget aktivering af både mikroglia og astrocytter samt IL-1ß-celler i kontrast til kontrolgruppen (15). Resultaterne er med til at understøtte de tidligere nævnte casekontrolstudier, der viser, at bakterier associeret med parodontitis kan øge systemisk inflammation og medføre neuroinflammation hos mennesker (11,12).
Studier undersøgte yderligere effekten af P. gingivalis LPS på Aß-induceret cytokinproduktion i mikroglia-cellekulturer. Det viste sig, at P. gingivalis LPS øgede produktionen signifikant af IL-1ß og TNF-α i mikrogliacellerne. Dette indikerer, at P. gingivalis LPS forværrer neuroinflammation ved Alzheimers sygdom og giver en mulig forklaring på, hvilken konsekvens indtrængen af P. gingivalis i hjernen har (19).
Akkumulering af Aß og pTau i hjerner hos parodontitisinducerede mus
Om neuroinflammation øger akkumulering af Aß og pTau i hjerner, har studierne tillige undersøgt ved at se på mængden heraf i musenes hjerner. Der fandtes signifikante mængder af Aß og NFTs i hippocampus og cortex hos mus inficeret med P. gingivalis (21) og tilsvarende i genmodificerede musemodeller inficeret med P. gingivalis (18,19). Ydermere sås, at P. gingivalis OMVs signifikant øgede pTau i hippocampus hos inficerede mus (15). Resultaterne understøtter de tidligere fremlagte resultater, der indebar øget akkumulering af Aß i hjernen hos personer med parodontitis, hvilket understreger, at akkumulering af Aß er en central faktor i patogenesen ved Alzheimers sygdom, og at parodontitis kan øge ophobningen af Aß i hjernen. Netop aflejring af Aß og øget neuroinflammation kan medføre degeneration af neuroner. Resultater fra studierne viste også øget antal af degenerative neuroner samt tab af synapser hos mus inficeret med P. gingivalis (18,21).
KONKLUSION
Den gennemgåede litteratur kan tyde på, at der findes en sammenhæng mellem parodontitis og Alzheimers sygdom. Studierne viser, at tilstedeværelsen af parodontitis i enten mennesker eller mus medvirker til udviklingen af patogenetiske mekanismer ved Alzheimers sygdom. Bakterier og virulensfaktorer as-
socieret med parodontitis synes tæt associeret til udviklingen af Alzheimers sygdom, idet de medvirker til et øget værtsrespons og ændring i permeabiliteten af BBB. Både systemisk inflammation og indtrængen af bakterier og virulensfaktorer i hjernen har vist sig at føre til neuroinflammation hos både mennesker og dyr. Neuroinflammation medfører desuden øget akkumulering af Aß og pTau samt degeneration af neuroner og tab af synapser i hjernen, hvilket er de essentielle patologiske mekanismer ved Alzheimers sygdom.
PERSPEKTIVERING
Sammenhængen mellem parodontitis og Alzheimers sygdom er fortsat ikke helt afklaret. Flere af de inkluderede studier er forholdsvis små studier med brug af mindre eksperimentelle grupper. Herudover er der vanskeligheder med korrektion for alle risiko- og miljømæssige forhold med betydning for parodontitis og Alzheimers sygdom. Dyrestudier kan naturligvis give vigtige fingerpeg som grundlag for yderligere studier og desuden understøtte resultater fra kohorte- og casekontrolstudier udført på mennesker. Fremtidens forskning bør derfor inddrage større populationer over en længere periode og korrigere for så mange risiko- og miljømæssige faktorer, som det er muligt. Da der savnes studier, der undersøger effekten af parodontalbehandling hos patienter med Alzheimers sygdom, bør sådanne studier også iværksættes.
Tak til min vejleder Christian Damgaard, ph.d., fagområde- og forskningsområdeleder, lektor på Fagområdet Parodontologi, Odontologisk Institut, Københavns Universitet, for god vejledning under hhv. udarbejdelsen af bachelorprojektet og nærværende artikel.
THE CONNECTION BETWEEN PERIODONTITIS AND ALZHEIMER’S DISEASE
Periodontitis is a multifactorial inflammatory disease of the tooth-supporting tissues and is the most prevalent non-communicable inflammatory disease in the world. Several recent studies show that periodontitis is a possible risk factor for the development of the neurodegenerative disease, Alzheimer's disease. Alzheimer's disease is the most common cause of dementia and is characterized by progressive decline in memory, behaviour, and cognitive function. The purpose of this review was to elucidate the possible association of periodontitis with Alzheimer's disease, investigated through a systematic literature search in the existing literature. The literature search was conducted in the PubMed database
with the keywords “periodontitis”, “periodontal disease”, “Alzheimer's disease” and “Alzheimer’s”. From the available studies, it can be concluded that exposure to periodontitis in either humans or mice leads to the accumulation of betaamyloid peptides and degeneration of neurons in the brain and thus potentially development of Alzheimer’s disease. In addition, a close association of bacteria associated with periodontitis, including Porphyromonas gingivalis, with Alzheimer’s disease has been seen, and studies have identified bacteria and virulence factors associated with P. gingivalis in brains of patients with Alzheimer's disease. In conclusion, it is likely that an association of periodontitis with Alzheimer’s disease exists.
1. Mao S, Huang CP, Lan H et al. Association of periodontitis and oral microbiomes with Alzheimer's disease: A narrative systematic review. J Dent Sci 2022;17:176279.
2. Lane CA, Hardy J, Schott JM. Alzheimer's disease. Eur J Neurol 2018;25:59-70.
3. Sansores-España D, Carrillo-Avila A, Melgar-Rodriguez S et al. Periodontitis and Alzheimer's disease. Med Oral Patol Oral Cir Bucal 2021;26:e43-8.
4. Bhuyan R, Bhuyan SK, Mohanty JN et al. Periodontitis and its inflammatory changes linked to various systemic diseases: a review of its underlying mechanisms. Biomedicines 2022;10:2659.
5. Costa MJF, de Araújo IDT, da Rocha Alves L et al. Relationship of Porphyromonas gingivalis and Alzheimer's disease: a systematic review of pre-clinical studies. Clin Oral Investig 2021;25:797-806.
6. Sheppard O, Coleman M. Alzheimer’s disease: Etiology, neuropathology and pathogenesis. In: Huang X, ed. Alzheimer’s disease:
Drug discovery. Brisbane (AU): Exon Publications, 2020.
7. Kelley BJ, Petersen RC. Alzheimer's disease and mild cognitive impairment. Neurol Clin 2007;25:577609.
8. Scheltens P, Blennow K, Breteler MM et al. Alzheimer's disease. Lancet 2016;388:505-17.
9. Chen CK, Wu YT, Chang YC. Association between chronic periodontitis and the risk of Alzheimer's disease: a retrospective, population-based, matched-cohort study. Alzheimers Res Ther 2017;9:56.
10. Sparks Stein P, Steffen MJ, Smith C et al. Serum antibodies to periodontal pathogens are a risk factor for Alzheimer's disease. Alzheimers Dement 2012;8:196-203.
11. Kamer AR, Craig RG, Pirraglia E et al. TNF-alpha and antibodies to periodontal bacteria discriminate between Alzheimer's disease patients and normal subjects. J Neuroimmunol 2009;216:92-7.
12. Taati Moghadam M, Amirmozafari N, Mojtahedi A et al. Association of perturbation of oral bacterial
with incident of Alzheimer's disease: A pilot study. J Clin Lab Anal 2022;36:e24483.
13. Kamer AR, Pirraglia E, Tsui W et al. Periodontal disease associates with higher brain amyloid load in normal elderly. Neurobiol Aging 2015;36:627-33.
14. Damgaard C, Sækmose SG, Nilsson M et al. Periodontitis increases risk of viable bacteria in freshly drawn blood donations. Blood Transfus 2021;19:376-83.
15. Gong T, Chen Q, Mao H et al. Outer membrane vesicles of Porphyromonas gingivalis trigger NLRP3 inflammasome and induce neuroinflammation, tau phosphorylation, and memory dysfunction in mice. Front Cell Infect Microbiol 2022;12:925435.
16. Nonaka S, Kadowaki T, Nakanishi H. Secreted gingipains from Porphyromonas gingivalis increase permeability in human cerebral microvascular endothelial cells through intracellular degradation of tight junction proteins. Neurochem Int 2022;154:105282.
17. Poole S, Singhrao SK, Kesavalu L et al. Determining the presence of periodontopathic virulence factors in short-term postmortem Alzheimer's disease brain tissue. J Alzheimers Dis 2013;36:665-77.
18. Hao X, Li Z, Li W et al. Periodontal infection aggravates C1q-mediated microglial activation and synapse pruning in Alzheimer's mice. Front Immunol 2022;13:816640.
19. Ishida N, Ishihara Y, Ishida K et al. Periodontitis induced by bacterial infection exacerbates features of Alzheimer's disease in transgenic mice. NPJ Aging Mech Dis 2017;3:15.
20. Ding Y, Ren J, Yu H et al. Porphyromonas gingivalis, a periodontitis causing bacterium, induces memory impairment and age-dependent neuroinflammation in mice. Immun Ageing 2018;15:6.
21. Ilievski V, Zuchowska PK, Green SJ et al. Chronic oral application of a periodontal pathogen results in brain inflammation, neurodegeneration and amyloid beta production in wild type mice. PLoS One 2018;13:e0204941.
Som medlem af Tandlægeforeningen kan du altid få hjælp til en klagesag fra specialiserede rådgivere.
Kontakt Tandlægeforeningens Sundhedsfaglig Rådgivning på
fagliginfo@tdl.dk
INTRODUKTION OG FORMÅL – Genopbygning af kæbeknogle kan rekonstruere atrofi på mange patienter, men særligt udsatte patienttilfælde som patienter med læbe-gumme-gane-spalte, patienter, der har undergået resektionsbehandling eller stråling i forbindelse med cancer, og patienter med multiple komorbiditeter og kroniske systemiske sygdomme kan være svære eller risikable at behandle på denne måde. For disse patienttilfælde kan man overveje zygomaimplantater som alternativ til konventionel knoglerekonstruktion.
MATERIALE OG METODER – Fra 2003 til 2018 blev der på Kæbekirurgisk afdeling i Esbjerg indsat 38 zygomaimplantater og 51 konventionelle implantater i maksillen på 21 patienter, hvor konventionel knoglerekonstruktion ikke var en mulighed pga. patienternes almentilstand. Data er indsamlet retrospektivt fra journalmateriale.
RESULTATER – Efter en gennemsnitlig observationsperiode på 67 måneder (21-130) var 35 ud af 38 (92,1 %) zygomaimplantater i funktion og 48 ud af 51 (94,1 %) af de konventionelle implantater i funktion. To patienter mistede et zygomaimplantat, to patienter mistede et konventionelt implantat, og en patient mistede både et konventionelt og et zygomaimplantat.
KONKLUSION – Indsættelse af zygomaimplantater er en kompleks behandling, som kræver kirurgisk erfaring i de aktuelle områder, men vurderes at være en relevant og holdbar behandlingsmulighed hos særligt udvalgte patienttilfælde, hvor regulær knogletransplantation er kontraindiceret.
EMNEORD Dental implants | jaw, edentulous | surgery | rehabilitation | maxilla | zygoma | treatment Outcome
RASMUS HARTMANN-RYHL, kæbekirurgisk kursist, Kæbekirurgisk afdeling, Esbjerg Sygehus – Syddansk Universitetshospital
KRISTIAN THESBJERG, overtandlæge, specialtandlæge i tand-, mund- og kæbekirurgi, Kæbekirurgisk afdeling, Esbjerg Sygehus, Syddansk Universitetshospital
JENS JØRGEN THORN, cheftandlæge, ph.d., specialtandlæge i tand-, mund- og kæbekirurgi, Kæbekirurgisk afdeling, Esbjerg Sygehus, Syddansk Universitetshospital
Accepteret til publikation den 29. februar 2024
Tandlægebladet 2024;128:574-81

PKorrespondanceansvarlig førsteforfatter: RASMUS HARTMANN-RYHL rasmus.hartmann-ryhl@rsyd.dk
ROTETISK REHABILITERING AF PATIENTER med udtalt atrofi af maksillen er ofte en udfordring. Behandlingsmulighederne består som udgangspunkt af enten en fastsiddende bro eller en protese retineret af en barre eller matricesystem. Fælles for løsningerne er et behov for en understøtning enten med konventionelle implantater, korte implantater, sub-periostale implantater, implantater kombineret med knogleopbygning eventuelt med sinusløftprocedurer eller zygomaimplantater (ZI). En løsning med konventionel implantatunderstøttet protetik på patienter med udtalt atrofi vil som udgangspunkt være forudgået af knoglegenopbygning. Disse rekonstruktive procedurer er forudsigelige, men øger behandlingstiden, kan give komplikationer fra donorstedet og kan være kontraindicerede af medicinske årsager (1). Til disse patienttilfælde kan man overveje at benytte ZI i stedet. Zygomaimplantatet blev introduceret i 1998 af Brånemark (2) og indsættes med sin primære forankring i os zygomaticum, som har høj knogledensitet. Samtidig kombineres dette om muligt med dobbelt og i nogle tilfælde triple kortikal forankring, hvilket giver mulighed for meget høj primær stabilitet, og derved kan der i udvalgte tilfælde udføres immediat provisorisk belastning (1). I andre tilfælde er atrofien så udtalt, at implantatet udelukkende retinerer i os zygomaticum, og protetikken alene bæres af fire zygomaimplantater (3). Oprindeligt blev ZI introduceret som et trans-sinus-implantat. Denne tilgang medfører ved stort set alle patienter, og mest udtalt i tilfælde af kraftig atrofi, at den protetiske forbindelse vil være palatinalt forskudt. Dette kan være ubehageligt for pa-
tienten og give fonetiske problemer. For at imødekomme denne problematik er der over tid sket en udvikling med en mere ekstramaksillær placering, hvorved der kan opnås en bedre protetisk placering af implantaterne, den såkaldte ”Zygoma Anatomy Guided Approach” (ZAGA) (3). Protetisk rekonstruktion af tandløse patienter med ZI har traditionelt involveret 2 ZI og 2-4 konventionelle implantater i den anteriore del af maksillen (3). ZI er tidligere blevet omtalt som onkologiske implantater, og protetisk rehabilitering efter maksilresektioner er veldokumenteret med en implantatoverlevelse på 77-100 % (4). Nyere studier omhandlende atrofiske maksiller finder en sammenlignelig succes og overlevelse, når ZI sammenlignes med patienter, som rekonstrueres med sinusløft, lateral opbygning og efterfølgende indsættelse af konventionelle implantater (5,6). Et dansk retrospektivt studie med næsten fem års opfølgning fandt en overlevelse for både konventionelle implantater og zygomaimplantater hos den samme patientgruppe på 92 % (7). Det konkluderedes, at selvom ZI i dag anses for et behandlingsalternativ til den traditionelle behandling af den atrofiske maksil, bør metoden pga. risikoen for alvorlige komplikationer udelukkende anvendes i særlige patienttilfælde. I en tidligere omtale af en vanskelig fjernelse af et ZI hos en dansk patient konkluderedes det, at ZI udelukkende skal bruges, hvis knogleopbygning og indsættelse af konventionelle implantater medfører en større risiko for komplikationer (8). I den nyeste oversigt over de forhåndenværende oversigtsartikler og metaanalyser er konklusionen, at brugen af ZI er et lovende alternativ til større knogletransplantationer, men at behandlingen bør udføres af kirurger med erfaring og god fornemmelse for den tredimensionelle anatomi i regionen (9).

På Kæbekirurgisk afdeling, Esbjerg Sygehus, Syddansk Universitetshospital, er denne behandling anvendt i særlige patienttilfælde igennem en 15-årig periode. Vi har ønsket at dele vores erfaringer med denne specielle behandlingsmodalitet, da anvendelse af ZI kan være en af de sidste mulige behandlinger for disse særligt udvalgte patienttilfælde.
MATERIALE OG METODE
Denne aktuelle patientgennemgang er baseret på retrospektive oplysninger fra journalmaterialet, som foreligger i Kæbekirurgisk afdeling, Esbjerg Sygehus, Syddansk Universitetshospital. De foreliggende data på overlevelser og komplikationer er derfor alle ekstraheret fra journalmaterialet. Fra 2003 til 2018 blev der på 21 patienter i alt indsat 38 ZI (Brånemark System Zygoma, Nobel Biocare RP 30-50 mm) og 51 konventionelle implantater i maksillen. Implantaterne blev indsat af flere kirurger, hvoraf den ene (JJT) var gennemgående kirurg på alle patienter. Indikationen for behandlingen var læbe-gumme-gane-spalte (Fig. 1), resektion pga. malign eller benign årsag (Fig. 2), autoimmune lidelser, endokrinologiske sygdomme som fx diabetes og andre systemiske sygdomme med alvorlig morbiditet, ernæringsproblemer, alder eller tab af tidligere implantater. En del af patienterne behandlet op til 2011 var ligeledes rygere. Dette har siden da været en absolut kontraindikation for at få foretaget denne behandling på Kæbekirurgisk afdeling i Esbjerg (Tabel 1). Alle patienter var Cawood and Howell Class V og VI (10) (Fig. 3).
I alle tilfælde blev der monteret healingabutments på ZI. Den forhåndenværende protese blev aflastet svarende hertil og anvendt så vidt som muligt efterfølgende, indtil endelig


Fig. 1. 64-årig patient med læbe-kæbe-gane-spalte. Havde været tandløs/proteseløs i 15 år. Der indsættes 2 zygomaimplantater og 2 konventionelle implantater med barrekonstruktion. 10-års kontrol uden komplikationer, hvorefter patienten afgår ved døden. Fig. 1. 64-year-old patient with cleft lip and palate. Had been edentulous/prosthetic-less for 15 years. 2 zygoma implants and 2 conventional implants with bar reconstruction are inserted. 10 years of follow-up without complications, after which the patient dies.
Patient nr. 7



protetisk løsning kunne laves. Fire patienter fik foretaget mindre knogleopbygning peroperativt. To patienter med autolog knogle og kollagenmembran over zygoma. En patient med xenograft og kollagenmembran. Hos en patient blev tuber høstet og flyttet facialt.
Efter en helingsperiode på seks måneder blev der foretaget abutmentoperation på de resterende implantater.
10 patienter fik herefter fremstillet en barrekonstruktion, fem fik fastsiddende bro, fem fik protese på abutments, og en har fortsat akrylprotese på healing abutments uden retention til implantater. Patienten har været plaget af grundmorbus i en sådan grad, at protetisk rehabilitering ikke kunne gennemføres.
Alle patienter fik indsat implantaterne i generel anæstesi suppleret med lokalanæstesi. For patienter, hvor der blev foretaget bilateral behandling, blev der lagt incision på toppen af processus alveolaris fra tuberregion til tuberregion, hvor der bilateralt posteriort og midt sagittalt blev lagt aflastningsincision. Efter frirouginering blev n. infraorbitalis lokaliseret. Ligeledes blev den inferiore og laterale afgrænsning af orbita lokaliseret. Incisuren mellem arcus zygomaticum og processus frontalis af os zygomaticum blev lokaliseret med et stumpt instrument. I de tilfælde, hvor sinus maxillaris blev involveret, blev der foretaget åbning til sinus med bor eller piezosav. Sinusslimhinden blev eleveret således, at der kunne præpareres til
implantatindsættelse gennem sinus maxillaris uden skade på sinusslimhinden. Såfremt det var muligt, blev knoglelåget, som var løftet ved adgangen til sinus maxillaris, lagt tilbage. I enkelte tilfælde blev implantaterne sat ekstra-maksillært, hvis dette var nødvendigt for at opnå tilfredsstillende protetisk position af ZI. Alle patienter blev ordineret relevant per- og postoperativt antibiotikum efter afdelingens standard på det pågældende tidspunkt (Tabel 2).
Alle patienter blev tilbudt kontrol og suturfjernelse to uger efter implantatindsættelse, abutmentoperation efter seks måneder, kontrol to uger efter abutmentoperation og opfølgende kontroller efter et, tre og fem år samt enkelte i 10 år.
RESULTATER
Efter en gennemsnitlig observationsperiode på 67 måneder (21-130 måneder) var i alt 35 ud af 38 (92,1 %) ZI i funktion, og 48 ud af 51 (94,1 %) af de konventionelle implantater i funktion. En patient mødte ikke op til sine respektive kontroltider, hvorfor forløbet blev afbrudt tidligere end planlagt, og syv af-
Patient Helbredsforhold
1 Ganespalte, ryger, tidligere større alkoholforbrug
I visse patienttilfælde er knogleopbygning ikke en mulighed pga. patientens almentilstand eller tidligere resektions- og stråleterapi i forbindelse med cancerbehandling. Her kan protetisk behandling baseret på zygomaimplantater være en mulighed for at genskabe tyggefunktion og livskvalitet.
gik ved døden i kontrolperioden. Kontrolperioderne strækker sig således fra to til 11 år med et gennemsnit på 5,6 år. I alt tre patienter mistede et ZI. Heraf mistede en patient sin protetiske løsning. Oversigt over komplikationer og eventuelle årsager til implantatfjernelse ses af Tabel 3.
Patient nr. 3 udviklede efter seks års funktion smertevoldende sinuitis maxillaris og oroantral kommunikation, og på den baggrund måtte ZI fjernes.
2 Mb. Sjögren, astma, tidligere kemoterapi, periodevis prednisolonbehandling
3 Osteoporose, tidligere narkoman, hepatitis C-positiv, metadonbehandling, ryger, alkoholoverforbrug, tidligere cancer mammae
4 Underernæring, ryger, marginal parodontitis
5 Underernæring, tidligere heroinmisbrug, metadonbehandling, ryger
6 Cancer mammae, strålebehandlet, kroniske smerter, gangbesvær, underernæring, fibromyalgi, ryger
7 Diabetes, planocellulært carcinom, resektion og lap over defekt
8 Planocellulært carcinom, strålebehandlet i hoved-hals-region, resektion samt latisimus dorsi lap
9 Ganespalte, diabetes type II, ryger
10 Ganespalte, Asperger syndrom, ryger, marginal parodontitis
11 Alder, marginal parodontitis, myastenia gravis, gangbesvær og af den grund ikke cristagraft, kronisk sinuit og oroantral fistel HS OK
12 Tungecancer og resektion, tidligere alkoholoverforbrug, kronisk præget, rheumatoid artrit, storryger, KOL, osteoporose, alendronat behandling
13 Fejlslagen rekonstruktion med posterior crista iliaca graft og maksilosteotomi i le Fort I planet, diabetes II
14 Psoriasis og tab af implantater, flere basalcelle carcinomer, forhøjet blodtryk, lymfatisk colitis, ryger, cancer mammae
15 Mistet tidligere rekonstruktion. Svær reumatologisk belastet patient, psoriasis artrit, methrotrexat, stråle og kemo for cancer mammae
16 Partiel maksilektomi pga. ameloblastom, temporalislap, hårcelleleukæmi
17 Udtalt hjertesyg, diabetes, hypertension, tidligere storryger, anæstesiologisk kontraindiceret til rekonstruktion
18 Overvægt (BMI 41), kronisk nervebetændelse, hypertension, spinal stenose, kroniske smerter
19 Stråling + kirurgisk behandling af tumor på venstre side af tungen med stilket lap, rekonstruktion fra klavikelområdet
20 Diabetes I, epilepsi, hjertesyg, psoriasis, hypertension
21 Specialtandpleje patient, sklerose, overvægt, hjertesyg, slidgigt, tidligere sengeliggende nu kørestolsbruger
Tabel 1. Patienterne blev tilbudt behandling med zygomaimplantater frem for konventionel knogleopbygning pga. deres dårlige almentilstand.
Table 1. Patients were offered treatment with zygoma implants rather than conventional bone grafting due to their impaired general health.

3.
i seks
smal processus alveolaris med sufficient højde og utilstrækkelig bredde; klasse V, affladet processus alveolaris med utilstrækkelig højde og bredde; klasse VI, utilstrækkelig knogle med en vis grad af basalt svind.
Fig. 3. The maxilla divided into 6 classes: class I, with teeth; class II, immediately after tooth extraction; class III, well-rounded alveolar process with sufficient height and width; class IV, narrow alveolar process with sufficient height and insufficient width; class V, flattened alveolar process with insufficient height and width; class VI, insufficient bone with some degree of basal shrinkage.
Patient nr. 10 udviklede efter ca. fire år løsning af sit ene ZI efter at have mistet et konventionelt implantat. Det løsnede ZI er formentlig blevet overbelastet pga. en uhensigtsmæssig protetisk løsning. Protetikken blev omlavet og tilpasset de resterende implantater efterfølgende.
Patient nr. 14 udviklede periimplantitis omkring et konventionelt implantat, der herefter måtte fjernes. Der kunne fremstilles tilfredsstillende protetik på abutments på de resterende implantater.
Patient nr. 16 udviklede seks uger postoperativt infektion sv.t. apex på det ene ZI. Tilstanden blev forsøgt behandlet antibiotisk i 14 dage, men tre uger efter seponering recidiverede infektionen, og implantatet blev herefter fjernet under anvendelse af generel anæstesi. Den protetiske rekonstruktion blev efterfølgende udført uden det ene ZI.
Patient nr. 18 udviklede sinuitis maxillaris og en oroantral kommunikation ved det ene ZI i den postoperative fase forårsaget af protesen. Denne patient fik indsat ZI ekstramaksillært, hvorfor anvendelse af en konventionel helprotese efterfølgende krævede nøje tilpasning. Komplikationen blev behandlet med en corpus adiposum-lap i kombination med antibiotisk behandling. I samme indgreb blev der af øre-næse-hals-læge foretaget et såkaldt FESS (Funktionel Endoskopisk Sinus Surgery), hvorefter der fandtes acceptable forhold.
Ingen patienter fik alvorlige bivirkninger herunder indlæggelseskrævende behandling eller synspåvirkning.
DISKUSSION
I denne retrospektive undersøgelse præsenteres resultaterne af ZI-behandling på 21 særligt udvalgte patienttilfælde. Det var
Benzylpenicillin 2MIE iv. peroperativt; penicillin V 1MIE x 4 postoperativt
Cefuroxim 1,5 g iv. samt metronidazol 1g iv. peroperativt; bioclavid 500 mg x 3 postoperativt 1 Dalacin 600 mg iv. samt metronidazol 1g iv. peroperativt; dalacin 300 mg x 3 postoperativt
Tabel 2. Antibiotika blev administreret efter afdelingens vejledning på indsættelsestidspunktet og varierer derfor en smule.
Table 2. Antibiotics were administered according to departmental guidlines at the time of insertion and therefore vary slightly.
Komplikationer
Patient Fjernet ZI Fjernet konv.
3 1
Komplikation
Periimplantitis og heraf sinuitis
10 1 1 Løsning af implantatet efter sektionering af protetik pga. tab af konventionelt implantat
14 1 Periimplantitis
16 1 Infektion ved apex
18 1 Sinuitisbehandling med corpus adiposum lap, nu kronisk sinuit i venstre side, antibiotikabehandlet x 2
Særlig årsag
Osteoporose, tidligere narkoman, hepatitis
C-positiv, metadonbehandling, ryger, alkoholoverforbrug, tidligere cancer mammae
Ganespalte, Asperger, ryger, marginal parodontitis
Psoriasis og tab af implantater, flere basalcellecarcinomer, forhøjet blodtryk, lymfatis colitis, ryger, cancer mammae
Resektion af HS sinus maxillaris pga. ameloblastom, temporalislap, hårcelleleukæmi
Overvægt (BMI 41), kronisk nervebetændelse, hypertension, spinal stenose, kroniske smerter
Tabel 3. Fem patienter fik fjernet implantater. To fik fjernet zygomaimplantat, to fik fjernet konventionelt implantat, og en fik fjernet både zygoma- og konventionelt implantat.
Table 3. Five patients had implants removed. Two had zygoma implant removal, two had conventional implant removal and one had both zygoma and conventional implant removal.
ud fra journalmaterialet kun muligt at evaluere på implantatoverlevelsen og andelen af større komplikationer såsom sinuitis maxillaris, oro-antral kommunikation samt skader på orbita. Denne retrospektive opgørelse inkluderer derfor ikke en vurdering af de marginale forhold. Dette stemmer fint overens med et arbejde af Aparicio et al. fra 2020, hvor der foreslås en evaluering og monitorering af ZI, der lægger vægt på placering af implantatet, sinusforhold, infektionsforhold og stabilitet (9).
Nærværende implantatoverlevelse på 92,1 % for ZI og 94,1% for konventionelle implantater er sammenlignelig med resultaterne fra andre studier (11) og oversigtsartikler (12) omhandlende implantatbehandling med ZI både alene og i kombination med konventionelle implantater. I en gennemgang af systematiske oversigtsartikler fra 2021 fandt man en overlevelse på 95,2-100 % på anvendelse af ZI ved atrofibehandling og ved anvendelse hos resektionspatienter en overlevelse på 78,6-100 % (13).
De aktuelle patienter i nærværende publikation er alle komplekse patienttilfælde. Der er her tale om patienter med svær atrofi og/eller med følger efter resektionsterapi eller stråling. Yderligere har de patienter, der ikke er behandlet med resektionsterapi, alle ekstrem atrofi samt systemiske forhold, som umuliggør en konventionel rekonstruktion med knogletransplantation eller medfører en betydelig komplikationsrisiko. Det var derfor vores forventning, at der måtte være en højere komplikationsrate og lavere implantatsucces og -overlevelse hos denne patientgruppe sammenlignet med konventionelle implantater indsat rekonstrueret knogle hos ellers ikke kompromitterede patienter. I en oversigtsartikel fra 2018 rapporteres for disse om en femårs overlevelse på 98,7% og 15-års overlevelse på 88,7% (14).
Nyere rapporter indikerer, at immediat fremstilling af provisoriske implantatbårne protetiske løsninger kan bedre progno-
sen, når der anvendes ZI (15). Dette kræver, som ved enhver anden immediat implantatbehandling, høj primær stabilitet af de indsatte implantater og grundig information til patienten om kostrestriktioner samt patientselektion for at udelukke patienter med dysfunktioner.
Den kirurgiske procedure er vanskelig og har en signifikant læringskurve. Det er væsentligt, at kirurgen, som placerer implantaterne, er fortrolig med den tredimensionelle anatomi og er erfaren med kirurgi i området. Det kirurgiske område består ikke blot af processus alveolaris og sinus maxillaris, men også ossøse og vitale strukturer omkring orbita (3). Erfaring med kirurgi i dette område er væsentlig, da eventuelt tab af orientering kan medføre skader på orbita og orbitas indhold (7,16). Peroperativt er også rapporteret om fraktur af corpus zygomaticus, som operatøren derfor skal være i stand til at behandle (11,17).
Den hyppigste komplikation er sinuitis maxillaris med en rapporteret incidens på 6,25-7,5 %. Herefter følger risikoen for oro-antral kommunikation langs med ZI med en incidens på 0,2-0,4 % (11,17). Disse komplikationer er sjældne ved konventionel implantatbehandling, hvor den hyppigste biologiske komplikation er periimplantitis/mucositis (18). Med ZI er der tale om et implantat med helt anden mekanik og med et fæste langt fra den egentlige protetiske belastning (3). Den intime relation til sinus maxillaris, og ofte manglende integration i processus alveolaris, vil derfor være en del af forklaringen på, hvorfor sinus-nasale komplikationer ligger på et niveau med periimplantitis på konventionelle implantater.
De beskrevne patienttilfælde har alle været udfordret fysisk eller medicinsk og ikke mindst psykosocialt. Der er tale om tandinvalide patienter, som ikke havde andre muligheder for dental rehabilitering, og det er således en meget taknemmelig patientgruppe. I dag synes nye udveje at åbne sig for netop
denne patientkategori i form af patientspecifikke subperiostale implantater (19), som dels kan bidrage med en immediat protetisk løsning og dels indebærer meget skånsom kirurgi. Der er hidtil publiceret et prospektivt multicenterstudie med et års kontrolperiode med tilfredsstillende resultater (20). Der er ikke lavet ZI på Kæbekirurgisk afdeling Esbjerg Sygehus siden 2019, da der nu laves undersøgelse af subperiostale PSIløsninger i stedet.
KONKLUSION
Indsættelse af ZI er en kompleks behandling, som kræver kirurgisk erfaring i det aktuelle område samt generel forståelse for den videre protetiske behandling. ZI kan anvendes til behand-
ling ved resektionsdefekter, men også i tilfælde med svær maksillær atrofi, hvor knogletransplantation har nedsat prognose eller er regulært kontraindiceret. Komplikationsraten kan synes forhøjet, men sammenlignet med alternative implantologiske løsninger, der involverer større knoglerekonstruktioner, er der tale om en prognosemæssig sammenlignelig behandling. Brugen af ZI bør ikke være førstevalg hos yngre sunde og raske patienter, men være en behandlingsmulighed hos særligt udvalgte patienttilfælde, som beskrevet i nærværende artikel. Patientspecifikke sub-periostale implantater kan i fremtiden vise sig at være et godt alternativ til patienter med ekstrem maksillær atrofi med samtidige andre somatiske og medicinske udfordringer.
ZYGOMATIC IMPLANTS
INTRODUCTION AND PURPOSE – Jawbone reconstruction can ccorrect atrophy in many patients. However, this approach can be challeging or risky for particularly vulnerable patients. These include patients with cleft lip and palate, those have undergone resection treatment or radiation therapy for cancer, those with multiple comorbidities and those with chronic systemic diseases. This approach may be challenging or risky. For these patient cases, zygomatic implants can be considered as an alternative to conventional bone reconstruction. MATERIALS AND METHODS – From 2003 to 2018, at the Maxillofacial Surgical Department in Esbjerg, 38 zygomatic implants and 51 conventional implants were placed in the maxilla of 21 patients, where conventional bone reconstruction was not feasible due to the patients' overall health or previ-
1. Kato Y, Yasuhiro K, Tonogi M et al. Internal structure of zygomatic bone related to zygomatic fixture. J Oral Maxillofac Surg 2005;63:1325-9.
2. Brånemark PI. Surgery and fixture installation. Zygomaticus fixture clinical procedures. 1st ed. Gothenburg: Nobel Biocare AB,1998.
3. Aparicio C. Zygomatic Implants – The anatomy-guided approach. 1th ed. New Malden: Quintessence Publishing, 2012.
4. Hackett S, El-Wazani B, Butterworth C. Zygomatic implantbased rehabilitation for patients with maxillary and mid-facial oncology defects: a review. Oral Dis 2021;27:27-41.
5. Chrcanovic BR, Albrektsson T, Wennerberg A. Survival and complications of zygomatic implants: an updated systematic review. J Oral Maxillofac Surg 2016;74:1949-64.
6. Goiato MC, Pellizzer EP, Moreno A et al. Implants in the zygomatic bone for maxillary prosthetic rehabilitation: a systematic review. Int J Oral maxillofac Surg 2014;74:748-57.
7. Rude K, Starch-Jensen T. En retrospektiv undersøgelse af zygomaimplantater. Tandlægebladet 2015;119:382-7.
8. Andersen K, Buhl J, Jensen J. Fjernelse af zygomaimplantat. Tandlægebladet 2011;115:530-3.
ous resection treatments. Data were collected retrospectively from medical records.
RESULTS – After an average observation period of 67 months (ranging from 21 to 130 months), 35 out of 38 (92.1%) zygomatic implants were functional, while for the conventional implants, 48 out of 51 (94,1%) were functional. Two patients lost a zygomatic implant, two patients lost a conventional implant and one patient lost both a zygomatic- and a conventional implant.
CONCLUSION – The placement of zygomatic implants is a complex treatment that requires surgical expertise in the relevant areas but is considered a relevant and durable treatment option for selected patient cases where regular bone transplantation is contraindicated.
9. Aparicio C, Lopez-Piriz R, Albrektsson T. ORIS Criteria of success for the zygoma-related rehabilitation: the (revisited) zygoma success code. Int J Oral Maxillofac Implants 2020;35:366-78.
10. Cawood JI, Howell RA. A classification of the edentulous jaws. Int J Oral Maxillofac Surg 1988;17:232-6.
11. D'Agostino A, Lombardo G, Favero V et al. Complications related to zygomatic implants placement: a retrospective evaluation with 5 years follow-up. J Craniomaxillofac Surg 2021;49:620-7.
13. Ramezanzade S, Yates J, Tuminelli FJ et al. Zygomatic implants placed in atrophic maxilla: an overview of current systematic reviews and meta-analysis. Maxillofac Plast Reconstr Surg 2021;43:1.
14. Fuglsig JMdCES, Thorn JJ, Ingerslev et al. Long term follow-up of titanium implants installed in block-grafted areas: a systematic review. Clin Implant dent Relat Res 2018;20:1036-46.
15. Misch C. Dental Implant Prosthetics. 2nd ed. St. Louis: Elsevier, 2004.
12. Lan K, Wang F, Huang W et al. Quad zygomatic implants: a systematic review and meta-analysis on survival and complications. Int J Oral Maxillofac Implants 2021;36:21-9.
16. Mavriqi L, Lorusso F, Conte R et al. Zygomatic implant penetration to the central portion of orbit: a case report. BMC Ophthalmol 2021;21:121.
17. Goker F, Grecchi E, Del Fabbro M et al. Clinical outcome of 302 zygomatic implants in 110 patients with a follow-up between 6
months and 7 years. Clin Implant Dent Relat Res 2020;22:415-23.
18. Howe M-S, Keys W, Richards D. Long-term (10-year) dental implant survival: a systematic review and sensitivity meta-analysis. J Dent 2019;84:9-21.
19. Van den Borre C, Rinaldi M, De Neef B et al. Radiographic evaluation of bone remodeling after additively manufactured subperiosteal jaw implantation (AMSJI) in the maxilla: a one-year followup study. Clin Med 2021;10:3542.
20. Van den Borre, De Neef B, Loomans NAJ et al. Patient satisfaction and impact on oral health after maxillary rehabilitation using a personalized additively manufactured subperiosteal jaw implant (AMSJI). J Pers Med 2023;13:297.
BAGGRUND – Gorlins syndrom er en sjældent forekommende autosomal dominant lidelse, hvor en hyppig klinisk manifestation er forekomsten af odontogene keratocyster. Disse er klassificeret som udviklingsbetingede odontogene cyster og ses hyppigst i underkæben. Histopatologisk ses en cystisk forandring med en parakeratiniseret epitelbeklædning, et basalcellelag med palisadestillede kerner og et lumen, som indeholder keratindebris. Eventuelle symptomer som smerter og hævelse kan opstå langt henne i sygdomsforløbet. Radiologisk kendetegnes keratocysten som en uni- eller multilokulær opklaring med en kortikaliseret afgrænsning mod den omkringliggende knogle.
PATIENTTILFÆLDE – En 14-årig pige blev henvist fra den kommunale tandpleje til Kæbekirurgisk Afdeling, Esbjerg Sygehus, mhp. diagnostik og behandling af cystisk opklaring bilateralt i underkæben. Panoramaoptagelse og Cone Beam Computer Tomografi (CBCT) viste fuldstændig rumopfyldning af sinus maxillaris i højre side og en unicystisk radiolucent opklaring i overkæbens venstre side regio +3 samt bilateralt i underkæben. +3, +8, 8- og -8 var fuldt retinerede og i relation til de cystiske forandringer. Der blev foretaget kirurgisk fjernelse af cysterne og amotio af 8-8 og +8. Histologisk undersøgelse var forenelig med diagnosen odontogen keratocyste.
KONKLUSION – Den odontogene keratocyste er hyppigt forekommende hos patienter med Gorlins syndrom, og diagnosen stilles på baggrund af en klinisk, radiologisk og histologisk undersøgelse. Cysten behandles med kirurgisk fjernelse, og recidivfrekvensen er høj. Et langvarigt klinisk og radiologisk kontrolforløb er derfor nødvendigt.
EMNEORD Basal cell nevus syndrome | odontogenic cysts | diagnosis | pathology | operative procedure
CARL-AUGUSTE SOMMER, tandlæge, Kæbekirurgisk Afdeling, Esbjerg Sygehus, Syddansk Universitetshospital
KRISTOFFER SCHWARTZ, specialtandlæge i tand-, mund- og kæbekirurgi, Kæbekirurgisk Afdeling, Esbjerg Sygehus, Syddansk Universitetshospital
NIELS KORSGAARD, specialeansvarlig overlæge, Klinisk Patologisk Anatomi, Esbjerg Sygehus, Syddansk Universitetshospital
JENS JØRGEN THORN, cheftandlæge, ph.d., specialtandlæge i tand-, mund- og kæbekirurgi, Kæbekirurgisk Afdeling, Esbjerg Sygehus, Syddansk Universitetshospital
Accepteret til publikation den 26. april 2024
Tandlægebladet 2024;128:582-9

Korrespondanceansvarlig førsteforfatter: CARL-AUGUSTE SOMMER carlauguste.sommer@gmail.com
BASALCELLENÆVUSSYNDROM, også kaldt Gorlins syndrom (GS) eller Gorlin-Goltz syndrom, er en sjældent forekommende tilstand, som nedarves autosomalt dominant. Prævalensen angives at være mellem 1:19.000 og 1:256.000 afhængigt af den undersøgte population, og GS ses med ligelig fordeling mellem mænd og kvinder (1,2). Syndromet er for første gang beskrevet af Gorlin og Goltz i 1960 (3). Karakteristisk for GS er forekomsten af odontogene keratocyster, hvorfor tandlægen kan have en afgørende rolle i den tidlige diagnostik. Andre kliniske manifestationer er øget hovedomkreds, hypertelorisme samt læbe- og eller ganespalte (4). GS prædisponerer til udviklingen af såvel benigne som maligne tumorer. Multiple nævi og andre benigne hudforandringer ses ofte hos unge patienter, mens basalcellekarcinomer ofte udvikles efter puberteten i ansigtsregionen, typisk i form af ansamlinger omkring øjnene og næsen (4,5). Palmoplantare pits, skoliose, medulloblastomer og calcifikation af falx cerebri ses også i forbindelse med GS. I 1996 blev det fastlagt, at en mutation i tumor suppressor-genet PTCH var årsagen til udvikling af syndromet (4). I Tabel 1 ses de diagnostiske kriterier for GS, som inddeles i major- og minorkriterier. Diagnosen kan stilles, hvis et majorkriterium er opfyldt, og der er påvist mutation i et associeret gen. Diagnosen stilles ligeledes, hvis patienten har to majorkriterier, eller hvis patienten opfylder et majorkriterium og to minorkriterier (2).
I samarbejde med professor Jens J. Pindborg i København var Hans Peter Philipsen i 1956 den første til at navngive og beskrive den odontogene keratocyste. Han blev i 1972 professor i oral patologi ved Århus Tandlægehøjskole.
Robert James Gorlin arbejdede i 1961 på professor
Jens J. Pindborgs afdeling for Oral patologi på Tandlægehøjskolen i København.
Beskrevet for første gang af Philipsen i 1956 (6) udgør den odontogene keratocyste (OKC) ca. 10 % af alle større kæbecyster. I den nyeste WHO-klassifikation fra 2017 indgår keratocysten som udviklingsbetinget odontogen cyste (7,8). OKC forekommer enten sporadisk hos en i øvrigt rask patient eller som en manifestation af Gorlins syndromet. Patienter med GS har oftest multiple odontogene keratocyster, og disse opdages i en tidligere alder i forhold til keratocyster hos patienter uden GS (1). Omkring 75 % af alle OKC er lokaliseret i underkæben, hvoraf 50 % findes i den posteriore del (9). Symptomer som hævelse og smerter kan opstå langt hen i sygdomsforløbet, og der rapporteres meget sjældent sensibilitetsforstyrrelser. I underkæben vokser OKC langsomt i den spongiøse knogle i en antero-posterior retning med en sen ekspansion af den kortikale knogle, hvorfor knogledestruktionen kan være usynlig langt hen i sygdomsforløbet. I overkæben kan læsionen vokse uhindret og involvere sinus maxillaris med risiko for perforation af nabostrukturer som bunden af orbita. (9). Keratocyster ses radiologisk som en velafgrænset uni- eller multilokulær opklaring med en tynd radiopak zone mod den omkringliggende knogle. GS-associerede keratocyster
Major kriterier
Multiple basalcellekarcinomer eller én BCC udviklet før 20-årsalderen
Odontogen keratocyste udviklet før 20-årsalderen
Palmare eller plantare pits
Calcifikation af falx cerebri
Medulloblastom
Kendskab til førstegradsslægtning med Gorlins syndrom
Tabel 1. Diagnostiske kriterier for Gorlins syndrom (3).
Table 1. Diagnostic criteria for Gorlins Syndrome (3).
ses ofte i relation til kronen på en retineret tand (1). Diagnosen OKC kan stilles alene på baggrund af det histopatologiske billede, som består af en få cellelag tyk parakeratiniseret epitelbeklædning uden epiteltappe og med et veldefineret basalcellelag med palisadestillede kerner. Den omkringliggende bindevævskapsel er tynd, fibrøs og som regel uden tegn på inflammation. Det cystiske lumen kan enten indeholde en klar væske eller have et mere cremelignende indhold, som udgøres af keratindebris (1,9). Behandlingen er enukleation og curettage. Recidivfrekvensen er høj og kan i nogle publikationer måles helt op til 62 % (1,9). I denne artikel præsenteres en 14-årig pige med Gorlins syndrom og multiple keratocyster, hvor de differentialdiagnostiske overvejelser og behandlingsstrategier diskuteres.
En 14-årig pige blev henvist fra den kommunale tandpleje til Kæbekirurgisk afdeling, Esbjerg Sygehus, for diagnostik og behandling af cystiske opklaringer bilateralt i underkæben. Patientens familie var kendt med flere tilfælde af GS på farens side, inklusive faren, søsteren, farmoren og oldefaren.
Objektiv undersøgelse
Ekstraoralt – Ingen tegn på hævelse eller asymmetri. Ingen sensibilitetsudfald. Der blev ikke fundet hudforandringer, men scoliose samt øget omkreds af kraniet.
Intraoralt – Undersøgelsen viste et velholdt tandsæt. Ingen løse tænder. Imidlertid kunne der palperes en let ekspansion af processus alveolaris regio 8-8.
Radiologisk undersøgelse
Panoramaoptagelse og CBCT viste en 45 x 25 x 22 mm unicystisk radiolucent opklaring omkring 8- svarende til højre ramus i underkæben samt en 30 x 16 x 19 mm unicystisk radiolucent opklaring omkring -8 i corpusdelen af underkæben (Fig. 1). I begge sider af underkæben var der tydelig knogleekspansion og udtynding af lingval kortikalknogle. I højre
Minor kriterier
Anomalier af ribben: bifid, fusioneret, spredt
Øvrige skeletale malformationer: anomalier af vertebra, kyphoscoliosis, kort fjerde metakarpal, postaksial polydaktili
Makrocefali
Læbe- eller ganespalte
Ovarie- eller kardial fibrom
Lymfomesenterisk cyste
Oftalmologiske anomalier: kongenit katarakt, kolobom, glaukom, hypertelorisme


Fig. 1. Panoramaoptagelse og CBCT viste en unicystisk radiolucent opklaring omkring 8- svarende til højre ramus i underkæben og omkring -8 i corpusdelen af underkæben samt fuldstændig rumopfyldning i højre sinus maxillaris.
Fig. 1. Panoramic x-ray and CBCT showed a unilocular radiolucency bilaterally in the lower jaw, and complete space filling in the right maxillary sinus.

Fig. 2. A. Åbning til cystebælg i højre sinus maxillaris og B enukleering.
Fig. 2. A. Opening to the cyst in the right sinus maxillaris and B enucleation.
sinus maxillaris sås fuldstændig opfyldning. Regio +3 sås cystisk kavitet på 12 x 13 x 14 mm beliggende palatinalt mellem 1+ og +3. Tand +3 var fuldt retineret, højt beliggende og let mesioverteret. Desuden var +8, 8-, -8 fuldt retineret og dybt beliggende med tæt relation til hhv. sinus maxillaris og canalis mandibulae.
Tentativ diagnose
På baggrund af ovenstående anamnese samt klinisk og radiologisk undersøgelse blev der stillet følgende tentative diagnoser: keratocystis odontogenica, Gorlins syndrom
Behandling
I generel anæstesi blev der indledningsvis lagt en incision i sulcus alveolobuccalis i højre side af overkæben. Efter frirougi-

nering blev der fenestreret facialt i forvæggen af sinus maxillaris, hvorefter cystebælgen kunne lokaliseres og ennukleeres (Fig. 2).
I regio +3 blev der lagt marginalt randsnit regio +2,3,4 med aflastninger +2 og +4 samt en marginal incision palatinalt med aflastning regio 2+. Cysten blev fjernet in toto efter facial fenestrering.
En mindre cyste med hvid cremet masse blev fjernet over kronen på +8, hvorefter +8 blev fjernet. I venstre side af underkæben blev der lagt en vestibulær incision fra forkanten af ramus til regio -6. Et knoglelåg svarende til 1,5 x 3 cm blev fjernet, hvorunder der kunne ses en intakt cystemembran. Denne blev forsigtigt fjernet sammen med -8 under hensyntagen til n. alveolaris inferior, som lå i bunden af kaviteten. Knoglelåget blev lagt tilbage og fikseret med en 1,5 mm L-plade (KLS Martin®).
Samme procedure udførtes i højre side af underkæben med fjernelse af cyste og 8- (Fig. 3). Det postoperative forløb var komplikationsfrit, og patienten blev udskrevet samme dag.
Histologisk og genetisk undersøgelse
Som beskrevet i Fig. 4 var det histologiske billede foreneligt med keratocyster.
Patienten var igennem genetiske undersøgelser og blev genverificeret positiv for GS.
Kontrol
Patienten blev set til kontrol to uger efter operationen. Ingen tegn på infektion, og der blev foretaget suturfjernelse. Patienten angav let nedsat sensibilitet bilateralt svarende til n. alveolaris inferior. Postoperativ røntgenkontrol i form af panoramaoptagelse viste tilfredsstillende forhold (Fig. 5). Ved tremåneders kontrol var der normal sensibilitet i begge sider af underlæbe/hage, og patienten var påbegyndt udredning for GS. Ved etårs kontrol
Kliniske fotos

Keratocysten er en udviklingsbetinget odontogen cyste, som udgør 10 % af alle kæbecyster. Cysten ses hyppigt hos patienter med Gorlins syndrom og kendetegnes ved dannelse af keratindebris i cystens lumen, typisk i form af et cremelignende indhold. Eventuelle symptomer som hævelse og smerte kan opstå sent i sygdomsforløbet. Cysten diagnosticeres som regel i forbindelse med rutinemæssig radiologisk undersøgelse. Kendskab til de kliniske og radiologiske karakteristika samt differentialdiagnoser ved odontogen keratocyste er væsentlige ved vurdering af røntgenbilleder hos unge ligesom hos voksne patienter.


Fig. 4. Udsnit af odontogen keratocyste, som indeholder lamelleret keratin og er beklædt med et ensartet tyndt epitel, hvori ses en overfladisk bølget parakeratose og palisaderende basalceller.
Fig. 4. Microscopic features of a typical odontogenic keratocyst, showing keratin squames inside the lumen and a thin epithelial lining with corrugated parakeratotic surface. Note the palisaded basal cell layer.
kunne der observeres ossøs heling bilateralt i underkæben uden tegn på rediciv hverken her eller svarende til sinus maxillaris (Fig. 6). Klinisk var der dog mistanke om rediciv palatinalt regio +2,3 på grund af let hævelse, som blev bestyrket på CBCTscanning. Patienten fik foretaget cystektomi regio +2,3 under anvendelse af lokal analgesi. Den histologiske undersøgelse viste reaktive forandringer med fibrose og områder med trabekulært knoglevæv og repræsenterede således ikke et recidiv.
Patienten bliver nu fulgt på Center for sjældne sygdomme i Aarhus og følges regelmæssigt af sin ortodontist i den kommunale tandpleje. Patienten vil blive fulgt med årlige kontroller i mindst 10 år for at imødegå udvikling af recidiv.
DISKUSSION
Diagnostiske overvejelser I artiklen præsenteres en 14-årig pige med GS og multiple keratocyster bilateralt i overkæben og underkæben. Diagnosen GS bliver her stillet på baggrund af familieanamnesen med GS, den radiologiske præsentation af multiple cystiske forandringer i både over- og underkæbe, det histologiske billede foreneligt med keratocyster og den positive gentest. Desuden er de kliniske fund scoliose og den øgede kranieomkreds manifestationer forenelige med diagnosen GS.
De væsentligste differentialdiagnoser til keratocysten omfatter follikulær cyste og unicystisk ameloblastom.
En follikulær cyste er en udviklingsbetinget odontogen cyste og udgør ca. 20 % af alle epitelbeklædte cyster i kæberne. Den findes oftest hos patienter i 10-30-årsalderen. Cysten ses i rela-
tion til en retineret tand. Små cyster er som regel asymptomatiske, mens der ved større læsioner kan ses knogleekspansion. Bliver cysten inficeret, kan der opstå smerter og hævelse. Det radiologiske billede viser en unilokulær opklaring, som ses i relation til kronen af en retineret tand. Cysten ses histologisk med en epitelbeklædning, som består af uforhornet pladeepitel og reduceret emaljeepitel. Behandlingen af den follikulære cyste er kirurgisk. Den består af enukleation af cysten samt fjernelse af den retinerede tand. I det aktuelle patienttilfælde er det radiologiske og histologiske billede med til at adskille keratocysten fra follikulærcysten (1,9).
Unicystisk ameloblastom (UA) er en sjældent forekommende benign odontogen tumor. UA er en undergruppe af ameloblastomer og præsenterer sig histopatologisk, til forskel fra de øvrige ameloblastomtyper, med et cystisk hulrum. UA udgør 5-20 % af alle intraossøse ameloblastomer. Tumoren optræder hyppigst hos yngre patienter, og > 90 % findes i underkæben og med en ligelig fordeling mellem mænd og kvinder. UA er ofte asymptomatiske, men kan give anledning til symptomer i form af tiltagende hævelse og smerter. Radiologisk ses UA som en velafgrænset uni- eller multilokulær radiolucent forandring og ofte i relation til en retineret tredjemolar. Histologisk kan UA inddeles i tre typer: luminal, intraluminal og mural. Ved den luminale type ses en cyste beklædt med epitel med opbygning som ameloblastom, dvs. cylindriske epitelceller med palisadestillede kerner polariseret væk fra basalmembranen, og herover (luminalt) stellat retikulum-lignende epitellag. I den intraluminale type ses en eller flere projektioner

Fig. 5. Panoramaoptagelse til kontrol viste komplet fjernelse af keratocysterne.
Fig. 5. Panoramic x-ray at follow-up showed complete removal of the cystic lesions.

Fig. 6. Panoramaoptagelse ved etårs kontrol viste komplet ossøs heling bilateralt i underkæben uden tegn på rediciv.
Fig. 6. Panoramic x-ray at the 1-year follow-up showed complete osseous healing bilaterally in the mandible with no evidence of recurrence.
af cysteepitelet ind i cystelumen, og ved den murale type ses bindevævet i cystevæggen at være infiltreret af øer af ameloblastom. Den murale type har formentlig en høj recidivtendens som konventionelt ameloblastom, mens den luminale og intraluminale type har lavere recidivtendens. Det unicystiske ameloblastom behandles oftest med enukleation og curettage (1). I det aktuelle patienttilfælde er det kun det histologiske
billede, der adskiller keratocysten fra det unicystiske ameloblastom. Både unicystisk ameloblastom og keratocycten kan ses i en ung alder.
Behandlingsstrategier
Enukleering og curettage, også kaldet cystektomi, er i dag ”gold standard” for behandlingen af OKC. Enukleation er det ki-
rurgiske indgreb, hvor hele den cystiske læsion fjernes. Cystevæggen ved en OKC er tynd og skrøbelig, hvorfor det sjældent kan lykkes at få cysten ud i intakt form (9). Efter enukleation af cysten curetteres den underliggende knogle, så de eventuelle resterende cystefragmenter derved fjernes. Hvis der udover cystevævet fjernes et tyndt lag overfladisk knogle, kaldes proceduren for perifer ostektomi (9).
En cystotomi er en mere konserverende behandling, som har til formål at evakuere cysteindholdet ved at udføre en fenestrering eller åbning af cystevæggen (9,10).
Der fjernes en større del af cystevæggen, inklusive den overliggende knogle, for derefter at indsætte et dræn til skylning af cystekaviteten. Det kirurgiske indgreb danner en åbning fra cysten gennem drænet til resten af den orale kavitet, som patienten selv skal holde ren i en periode på 6-12 måneder. Kaviteten aftager i størrelse, efterhånden som helingen skrider frem (9). En cystotomi kan være vanskelig at udføre hos unge patienter, da det kræver en god vedholdenhed. Desuden er den lange behandlingstid med til at reducere patientens livskvalitet (11). En cystotomi bør ikke udføres uden efterfølgende at enukleere cysten, da der er begrænset evidens for procedurens effektivitet, når den udføres alene (9). Den bør anvendes ved større cystiske læsioner, da en skrumpning af læsionen mindsker risikoen for patologisk fraktur af underkæben eller skade på tandanlæg eller andre anatomiske strukturer (9).
Ved en resektion fjernes hele cystelæsionen og op til 1 cm af den sunde omkringliggende knogle. En så radikal behandling er sjældent indikeret, da det nødvendiggør en omfattende kirurgisk rekonstruktion og protetisk rehabilitering af området (9).
Det bør understreges, at der stadig mangler evidens for at retfærdiggøre, at en behandlingsmetode skal vælges frem for
en anden. En Cochrane systematisk undersøgelse af Sharif et al. fra 2015 (10) kunne konkludere alene for patienter uden GS, at de ikke var i stand til at måle effektiviteten af de forskellige behandlingsstrategier for OKC grundet manglen på randomiserede kontrollerede studier (9,12).
Goldberg et al. rapporterede i 2011 (14) en regression af OKC hos patienter med GS, som var i behandling med Vismodegib, et antineoplastisk middel, som anvendes til behandlingen af basalcellekarcinom. Præparatet får OKC-læsioner til at skrumpe og vil måske i fremtiden kunne anvendes før et kirurgisk indgreb. Der mangler dog yderligere videnskabelig evidens for effekten af Vismodegib på GS-associerede odontogene keratocyster (13).
Ved valg af de mere konserverende behandlingsstrategier er recidivfrekvensen høj, hvorfor et langvarigt klinisk og radiologisk kontrolforløb er nødvendigt (3,4). Radiologisk kontrol for GS-associeret keratocyste anbefales hvert andet år, hvis der ingen cyste er, og hvert tredje år som langtidsopfølgning efter det fyldte 30. år. En patient med GS skal derudover visiteres én gang årligt af en pædiater eller speciallæge i onkologi. Her vil patienten blive udredt for øvrige kliniske manifestationer af syndromet og instrueret i selv at genkende alvorlige symptomer (15).
På Kæbekirurgisk afdeling, Esbjerg Sygehus, kontrolleres patienter med keratocyste rutinemæssigt et, to, tre, fem, syv og 10 år efter påvisning af keratocyste, såfremt der ikke findes recidiv. Patienter med GS bliver ud over disse kontroller fulgt på Center for Sjældne Sygdomme i København og Aarhus.
Patienten har givet tilladelse til at bringe kliniske billeder og oplysning om gentest.
GORLINS SYNDROME – A PATIENT CASE WITH MULTIPLE KERATOCYSTS
BACKGROUND – Gorlins syndrome is a rare autosomal dominant disorder, where a frequent clinical manifestation is the occurrence of odontogenic keratocysts. These are classified as developmental odontogenic cysts and are most frequently seen in the lower jaw. Histopathologically, a keratocyst presents itself as a cystic lesion with a lumen containing keratin debris. Any symptoms such as pain and swelling can occur late into the course of the disease. Radiologically, the keratocyst is characterized as a uni- or multilocular radiolucency with a corticated border against the surrounding bone.
CASE STUDY – A 14-year-old girl was referred from the municipal dental care to the Department of Oral and Maxillofacial Surgery, Esbjerg Sygehus for diagnosis and treatment of
cystic radiolucencies bilaterally in the lower jaw. Panoramic x-ray and Cone Beam Computer Tomography showed complete space filling in the right maxillary sinus and a unicystic radiolucency on the left side of the upper jaw and bilaterally in the lower jaw. The teeth 23, 28, 38 and 48 were fully retained and in close relation to the cystic lesions. The treatment included surgical removal of the cysts and removal of the wisdom teeth 28, 38 and 48. Histological examination verified the diagnosis of odontogenic keratocyst.
CONCLUSION – The odontogenic keratocyst is frequently found in patients with Gorlins syndrome and the diagnosis is based on a clinical, radiological and histological examination. The cyst is treated by surgical removal and the recurrence rate is high. A prolonged clinical and radiographic follow-up is therefore necessary.
1. Neville BW, Damm DD, Allen CM et al. Oral and maxillofacial pathology, 4th ed. St Louis: Elsevier, 2016.
2. Larsen AK, Mikkelsen DB, Hertz JM et al. Manifestations of Gorlin-Goltz syndrome. Dan Med J 2014;61:A4829.
3. Kiwilsza M, Sporniak-Tutak K. Gorlin-Goltz syndrome – a medical condition requiring a multidisciplinary approach. Med Sci Monit 2012;18:145-53.
4. Ortega-Garcia-de Amezaga A, Garcia-Arregui O, Zepeda Nuno S et al. Gorlin-Goltz syndrome: clinicopathologic aspects. Med Oral Patol Oral Cir Bucal 2008;13:E338-43.
5. Lo Muzio L. Nevoid basal cell carcinoma syndrome (Gorlins syndrome). Orphanet J Rare Dis 2008;3:32.
6. Nayak MT, Singh A, Singhvi A et al. Odontogenic keratocyst: what is in the name? J Natur Sci Biol Med 2013;4:282-5
7. WHO. WHO classification of Head and Neck Tumours, 2017.
8. Reibel J, Kragelund C. Ny WHOklassifikation: odontogene cyster og tumorer samt potentielt maligne lidelser – en opdatering. Tandlægebladet 2018;3:2-11
9. Shear M, Speight PM. Cysts of the oral and maxillofacial regions.
5th ed. Oxford: Wiley-Blackwell, 2022.
10. Sharif FNJ, Oliver R, Sweet C et al. Interventions for the treatment of keratocystic odontogenic tumours. Cochrane Database Syst Rev 2015;2015:CD008464.
11. Hupp JR, Tucker MR, Elis E, Contemporary oral and maxillofacial surgery, 6th ed. St Louis: Elsevier, 2014.
12. Nilius M, Kohlhase J, Lorenzen J et al. Multidisciplinary rehabilitation of an adolescent suffering from juvenile Gorlin-Goltz syndrome – a case report. Head Face Med 2019;15:5.
13. Booms P, Harth M, Sader R, et al. Vismodegib hedgehog‐signaling inhibition and treatment of basal cell carcinomas as well as keratocystic odontogenic tumors in Gorlins syndrome. Ann Maxillofac Surg 2015;5:14-9.
14. Goldberg LH, Landau JM, Moody MN. Resolution of odontogenic keratocysts of the jaw in basal cell nevus syndrome with GDC-0449. Arch Dermatol 2011;147:839-41.
15. Guerrini-Rousseau L, Smith MJ, Kratz CP, Current recommendations for cancer surveillance in Gorlins syndrome: a report from the SIOPE host genome working group (SIOPE HGWG), Fam Cancer 2021;20:317-25.
Tandlæger møder forskellige etiske dilemmaer i den kliniske hverdag, ikke mindst i en tid, hvor professionen undergår hastig forandring. For at vise, hvordan man kan håndtere sådanne problemstillinger, introducerer denne artikel en systematisk model for etisk refleksion i klinisk praksis (SME). På baggrund af en konkret moralsk udfordrende sag om blegning af tænder ønsker vi at vise, hvordan man kan komme frem til velbegrundede beslutninger og øge bevidstheden om etiske problemstillinger i tandlægens kliniske hverdag. Etisk bevidsthed hænger sammen med faglig integritet og tilliden til tandlæger. Desuden er etisk refleksion vigtig for, hvordan professionen bliver opfattet, og hvordan den udvikler sig i fremtiden.
BJØRN HOFMANN, professor, Senter for medisinsk etikk, Det medisinske fakultet, Universitetet i Oslo og Institutt for helsevitenskap, Fakultet for medisin og helsevitenskap, Norges teknisk-naturvitenskapelige universitet (NTNU), Gjøvik
MELODY MOEZZI, tannlege, forsker. Senter for medisinsk etikk, Det medisinske fakultet, Universitetet i Oslo og privat praksis, Lilleaker tannklinikk, Oslo
Artiklen er oprindeligt publiceret i Den Norske Tannlegeforenings Tidende 2023;133:982-8.
Tandlægebladet 2024;128:590-7
TANDLÆGER ER SUNDHEDSPERSONER MED AUTORISATION TIL AT HJÆLPE FOLK af med deres gener og opretholde sunde forhold i mundhulen. Men tandlæger kan også gøre for meget (overaktivitet) og påføre patienterne skade. Desuden kan patienter være meget krævende og forlange behandlinger, som ikke er fagligt forsvarlige. Den private tandplejesektor er også under hastig forandring, både med hensyn til konkurrence i markedet, fokus på kosmetisk tandbehandling, aggressiv markedsføring, fx med rabatordninger eller tilbud, og ved hjælp af influencere i sociale medier. Patienterne kan blive betragtet som forbrugere og tandplejeydelser som varer (1,2).
Denne artikel indgår i en serie i ”Tidende”, som belyser, hvordan vi kan anvende en model for systematisk etisk refleksion til at løse problemer, man kan støde på i hverdagen som tandlæge. Artiklen tager udgangspunkt i en situation, som mange sikkert kan nikke genkendende til.
PROBLEMSTILLING

Korrespondanceansvarlig førsteforfatter:
BJØRN HOFMANN b.m.hofmann@medisin.uio.no
Der ringer en ny patient til din klinik med ønske om at få bleget tænderne. Patienten fortæller, at han ikke har været til tandlæge i mange år, og at tænderne har fået en grim farve. Du informerer patienten om, at der må foretages en grundig undersøgelse og tandrensning, før der kan gås i gang med en eventuel blegning. Patienten fortæller at have set tilbud på blegning på nettet uden forundersøgelse og rensning. For nogen tid siden var der en anden patient, der afbestilte sin tid til forundersøgelse, da vedkommende i mellemtiden havde fået bleget tænderne på naboklinikken uden en forundersøgelse.
Hvad skal man gøre som tandlæge? Hvordan skal man komme frem til en moralsk god beslutning?
En model for systematisk etisk refleksion kan hjælpe med til at komme frem til velbegrundede beslutninger. Modellen har bl.a. været anvendt som hovedmodel for etisk refleksion i de norske kommuners centralforbund (3). Den kan bidrage til at synliggøre de vigtigste etiske udfordringer, hvilke interesser der er involveret, hvilke normer og værdier der er relevante, og hvordan man kommer frem til beslutninger og løsninger.
I denne artikel præsenterer vi en refleksionsmodel i seks trin, som ofte bliver omtalt som SME-modellen (4), idet ”SME” bl.a. står for ”systematisk model for etisk refleksion” (5). De seks trin er:
1. Hvad er det etiske problem?
2. Hvad er fakta i sagen?
3. Hvem er de berørte parter, og hvad er deres synspunkter og interesser?
4. Hvilke værdier, etiske principper, normer, regler og love er aktuelle?
5. Hvilke relevante handlingsalternativer er der (og hvordan støttes de af forskellige principper, normer, værdier, regler og love)?
6. Helhedsvurdering.
Der kan være mange værdier, normer og principper, som er relevante i den konkrete situation, men fire etiske principper er relevante i mange situationer:
Ikke skade-princippet
Sundhedspersoner har pligt til at undgå at skade patienten. Det betyder, at behandleren må overveje, hvad en behandling kan føre til af uheldige konsekvenser og yderligere behandling.
Velgørenhedsprincippet
Velgørenhed tilsiger, at man skal gøre det, der er bedst for patienten – det som bedst varetager patientens velfærd.
Retfærdighedsprincippet
Princippet giver pligt til at behandle ens tilfælde ens. Moralsk relevante forskelle er grund til at behandle tilfælde forskelligt. Princippet tilsiger, at goder og belastninger skal fordeles retfærdigt, og behandleren må tage hensyn til resurseforbrug og -fordeling.
Autonomiprincippet
Man har en pligt til at respektere patientens selvbestemmelse. Behandleren skal give mulighed for, at patienten kan foretage et frivilligt, informeret og selvstændigt valg om, hvilken undersøgelse og behandling der skal gennemføres. For at opnå dette må behandleren give grundig information om fordele og ulemper ved diverse behandlingsalternativer, vurdere samtykkekompetencen og sikre, at beslutningen er frivillig (1).
Desuden rejser moralske dilemmaer i klinikken ofte spørgsmålet om, hvilke pligter behandlere har overfor patienter (pligtetik), hvilke moralske egenskaber eller karaktertræk tandlægen har, hvilken relation tandlægen har til patienten (dydsetik,
omsorgsetik), og hvilke rettigheder patienten har (rettighedsetik).
Vi ønsker at gøre opmærksom på etisk refleksion i klinisk tandlægepraksis i en tid, hvor faget er under hastig forandring. Flere tandlæger, bedre tandsundhed i befolkningen, mere konkurrence om patienterne, ændret ejerstruktur, mere aggressiv markedsføring og øget fokus på indtjening gør dette vigtigere end nogensinde (2).
1. HVAD ER DET ETISKE PROBLEM?
Kasuistikken rejser en række moralsk relevante spørgsmål: Kan patienter forlange en given behandling (som tandlægen ikke finder fagligt acceptabel)? Bør sundhedspersoner justere praksis og faglig standard efter, hvordan andre kolleger praktiserer? Hvor langt skal man gå for at beholde patienter? Disse spørgsmål peger mod et grundlæggende etisk problem: Hvordan tandlægen skal afveje patientens ønsker og behov mod krav om faglig kvalitet og forsvarlighed.
2. HVAD ER FAKTA I SAGEN?
En tandlæge på naboklinikken har accepteret at blege patientens tænder uden en forundersøgelse og tandrensning. Den tandlæge, som sagen drejer sig om, er bekymret for den faglige kvalitet i sit arbejde og for at miste patienter.
3. HVEM ER DE BERØRTE PARTER, OG HVAD ER DERES INTERESSER?
De forskellige aktører er involveret i problemstillingen på forskellige måder, og de har forskellige perspektiver og interesser, som det er vigtigt at tage hensyn til.
Patienten ønsker at købe en ydelse. Han ønsker sig pæne hvide tænder og har fået opfattelsen af, at dette kan opnås med blegning.
Tandlægen ønsker at optræde fagligt korrekt ved at levere fagligt forsvarlige ydelser af god kvalitet. Ifølge et kursus under den norske tandlægeforenings systematiske efteruddannelse (se Tabel 1) bør der gennemføres en grundig undersøgelse og tandrensning inden en eventuel blegning. Undersøgelsen skal afdække indikation og eventuelle kontraindikationer for blegning som behandling. Hvis der foreligger patologiske tilstande, bør disse behandles, før blegning påbegyndes. Tandlægen ønsker, at patienten skal have en sund mund, og måske ville patienten være tilfreds med tændernes farve efter en grundig tandrensning, uden at blegning havde været nødvendig.
Naboklinikken ønsker (formentlig) at imødekomme patientens ønske om at få bleget tænderne. De ved, at hvis de siger nej, er der andre, som gerne påtager sig opgaven. De ønsker nye patienter og vil ikke risikere at miste nogen. De indtager en mere transaktionel rolle (2). De ser på patienten som en kunde, der ønsker at købe en ydelse. Hvis de ikke leverer ydelsen, vil kunden gå til en anden klinik og købe den der.
Samfundet er optaget af at sikre god oral sundhed og at have en velfungerende tandpleje. Det forudsætter, at patienterne har tillid til tandlæger. Samfundet tildeler autorisation i tillid til, at tandlæger tager fagligt velbegrundede valg og leverer
ydelser af god kvalitet. Samfundet stoler på, at tandlægen som sundhedsperson lever op til samfundskontrakten (2).
Professionen ønsker at tilbyde gode ydelser til befolkningen, bevare patienternes tillid og opretholde høj faglig kvalitet og god beskæftigelse.
4. HVILKE NORMER, VÆRDIER, PRINCIPPER, PERSPEKTIVER, LOVE OG RETNINGSLINJER ER RELEVANTE FOR SAGEN?
De involverede parter har forskellige værdier som følge af deres forskellige roller (6). Desuden gør en række værdier, normer,
Misfarvning pga. te, kaffe, vin, tobak m.m.
Middelsvær gul til lysegrå misfarvning.
Aldersbetinget misfarvning pga. tyndere og mere translucent emalje.
Milde former for mineralisationsforstyrrelser (amelogenesis imperfecta og dental fluorose).
Tetracyklinmisfarvede tænder (milde former).
Store eller utætte fyldninger (Fig. 1).
Store cariesangreb.
Omfattende abrasionsskader (Fig. 2).
Eksponeret dentin.
Følsomme tænder og rodoverflader (Fig. 3).
Periapikal sygdom (Fig. 4).
Gravide eller ammende.
Storrygere.
Allergi over for komponenter i blegemidlet.
Ikke-kooperative patienter.
Hypersensitivitet (65 %).
Irriteret gingiva.
Ætseskader på gingiva.
Ændringer i emaljen (gælder ved stærke midler og overblegning).
De fleste tænder bliver mere opake ved blegning, men tænder, som allerede er translucente, kan blive mere translucente og ikke hvidere.
Svage indikationer for toksicitet og karcinogenitet for de koncentrationer af brintoverilte, der benyttes, men undtaget er grupper, som allerede er i farezonen pga. stort tobaksforbrug, alkoholforbrug eller genetisk disposition.
Tabel 1. Uddrag fra kursus under den norske tandlægeforenings systematiske efteruddannelse, udarbejdet af Torgils Lægreid, Institutt for klinisk odontologi, Universitetet i Bergen.
Table 1. Extract from course under the in-service program of the Norwegian Dental Association, elaborated by Torgils Lægreid, Institute of Clinical Dentistry, University of Bergen.
Store, utætte fyldninger


principper og regler sig gældende for den etiske problemstilling, som den konkrete kasuistik rejser.
De fire medicinske etiske principper kan bruges til at belyse dette nærmere.
Ikke skade-princippet
Eftersom patienten ikke har været til tandlæge i mange år, kan der være uopdagede patologiske tilstande i mundhulen. Ved at blege tænderne uden forudgående undersøgelse kan man påføre patienten skade, hvis der foreligger ubehandlet sygdom. Dette tilsiger, at man bør undersøge før en eventuel blegning.
Velgørenhedsprincippet
Det kan synes, som om det bedste for patienten er at få sit ønske opfyldt og få tænderne bleget uden nogen nærmere undersøgelse, men hvis der er underliggende sygdom, vil en forudgående undersøgelse og eventuel nødvendig behandling på sigt være det bedste for patienten.
Autonomiprincippet
Det er først, når patienten er informeret om risiko og nytte og betydningen af en forudgående undersøgelse, at patienten kan tage et informeret valg om undersøgelse (7).
Retfærdighedsprincippet
Hvis andre patienter får blegning uden forudgående undersøgelse, kan man hævde, at denne patient også bør kunne få det. Dette forudsætter, at det er fagligt forsvarligt.
Følsomme tænder

På baggrund af en konkret moralsk udfordrende sag om blegning af tænder demonstrerer vi en systematisk model for etisk refleksion (SME). Den viser, hvordan man kan komme frem til velbegrundede beslutninger, og øger bevidstheden om etiske problemstillinger i tandlægens kliniske hverdag. Etisk bevidsthed hænger sammen med faglig integritet og tilliden til tandlæger. Desuden er etisk refleksion vigtig for, hvordan professionen bliver opfattet, og hvordan den udvikler sig i fremtiden.
Her kommer love og retningslinjer ind. Fx siger den norske sundhedslov, at behandlingen skal være fagligt forsvarlig. Lovens formål er at bidrage til patientsikkerhed og kvalitet i sundhedssektoren samt at skabe tillid til sundhedspersoner og sundhedssektoren (8).
For at få klarhed over hvad der er fagligt forsvarligt, må vi forholde os til faglige retningslinjer eller normer. Tabel 2 giver en oversigt over indikationer, kontraindikationer og bivirkninger ved blegning.
Professionsetiske normer gør sig også gældende. Fx siger § 1 i den norske tandlægeforenings etiske regler, at ”En tandlæges opgave er inden for sit fagområde at varetage sine patienters sundhed. Hensynet til patienten må være overordnet andre hensyn” (9).

1. Man kan begynde at tilbyde blegning af tænder uden forundersøgelse (for ikke at ”miste” flere patienter) uden at informere patienterne om mulige komplikationer.
2. Begynde at sige ja til blegning af nye patienter uden forundersøgelse, men informere grundigt om mulige konsekvenser og tilbyde forundersøgelse.
3. Fortsat kræve, at der gennemføres forundersøgelser.
Undergraves af alle principperne (med mulig undtagelse af retfærdighedsprincippet), bryder desuden med faglige og professionsetiske retningslinjer.
Støttes af autonomiprincippet og retfærdighedsprincippet samt delvis af velgørenhedsprincippet, men kan bryde med ikke skade-princippet.
Støttes af alle etiske principper samt af faglige og professionsetiske retningslinjer.
Dette alternativ er vanskeligt at forsvare. Det kan desuden bidrage til lavere kvalitet i tandplejen, mindre tillid til tandlæger samt øget kommercialisering af tandplejen.
Det kan skabe skepsis hos patienten at blive tilbudt noget andet, når man kommer for at få bleget tænderne. Forhåndsinformation om, at man anbefaler forundersøgelse, vil kunne afhjælpe dette.
Man vil miste kunder, men bevare faglig integritet. Man undgår også at håndtere de tilfælde, hvor der opstår komplikationer.
Tabel 2. Handlingsalternativer, forhold, som støtter eller undergraver alternativerne samt en vurdering af handlingsalternativet.
Table 2. Alternative methods of action, factors that support or undermine the alternatives, and evaluation of the methods of action.
Hvad er de(t) etiske problem(er)? Hvad er fakta i sagen?
Det etiske problem for tandlægen er at afveje patientens ønsker og behov mod krav om faglig kvalitet og forsvarlighed.
En anden tandlæge på naboklinikken har indvilget i at blege patientens tænder uden forudgående undersøgelse og tandrensning. Tandlægen er bekymret for den faglige kvalitet og for at miste patienter.
Hvem er de berørte parter, og hvad er deres synspunkter og interesser?
Patienten ønsker at købe en ydelse. Han ønsker at få pæne hvide tænder og mener, at dette kan opnås ved blegning.
Tandlægen ønsker at optræde fagligt korrekt ved at tilbyde fagligt forsvarlige ydelser af god kvalitet. Han ønsker at gennemføre en grundig undersøgelse og tandrensning inden en eventuel blegning.
Tandlægen ønsker god oral sundhed for patienten og overvejer, om patienten kunne blive glad for tændernes farve efter en grundig tandrensning uden blegning.
Nabotandklinikken ønsker (formentlig) at imødekomme patientens ønske om at få bleget tænderne. De ved, at hvis de siger nej, er der andre, som gerne påtager sig opgaven. De ønsker nye patienter og vil ikke risikere at miste nogen. De ser på patienten som en kunde, der ønsker at købe en ydelse. Hvis de ikke leverer ydelsen, vil kunden gå til næste klinik og købe den der.
Samfundet ønsker god tandsundhed og en god tandplejesektor (med høj faglig kvalitet), som befolkningen stoler på.
Professionen vil bevare patienternes tillid og opretholde høj faglig kvalitet og god beskæftigelse.
Tabel 3. Håndtering af det etiske problem, handlingsalternativerne samt helhedsvurdering.
Table 3. Handling of the ethical problem, the methods of action, and overall evaluation.
5. HVAD ER BEHANDLINGSALTERNATIVERNE
I DENNE SAG?
Sagen og problemstillingen kan håndteres på forskellige måder. Tabel 3 viser en oversigt over tre behandlingsalternativer, og hvordan de kan vurderes ud fra de ovenfor beskrevne etiske principper.
Derudover kan tandlægen vælge at kontakte naboklinikken for at vende problemstillingen med dem. Det vil kræve mod og faglig integritet. Desuden vil det næppe bringe patienten tilbage; men måske kan initiativet bidrage til øget bevidsthed og forhindre lignende tilfælde i fremtiden.
I Norge er der endelig den mulighed, at tandlægen kan henvende sig til den norske tandlægeforenings etiske råd, hvor han kan få råd og vejledning.
6. HELHEDSVURDERING
Ud fra vurderingen af de ovenfor nævnte handlingsalternativer ser vi, at alternativ 1 ikke støttes af etiske principper og faglige og professionsetiske retningslinjer.
Alternativ 2 tilgodeser de fleste etiske principper. Det kan bryde med ikke skade-princippet, hvis komplikationsraten er høj. Desuden kan det bidrage til at undergrave faglig kvalitet og integritet. Endelig kan det virke mod sin hensigt (om at beholde patienter) først at informere om forundersøgelsen, når patienten er ankommet.
Alternativ 3 støttes af de fleste principper, normer og værdier, men kan resultere i, at man mister patienter. På sigt kan det alligevel godt svare sig, da man undgår patienter med komplikationer og undgår at bidrage til at sænke kvaliteten (og sikkerheden) på ydelserne.
Etisk set synes alternativ 1 derfor at være det klart dårligste alternativ, mens alternativ 2 kan være acceptabelt, og alternativ 3 synes bedst begrundet.
Tabel 4 opsummerer, hvordan de seks trin i SME-modellen kan anvendes på den konkrete problemstilling, og viser desuden, hvordan modellen kan bruges i praksis.
Hvilke normer, værdier, principper, perspektiver, love og retningslinjer er relevante for sagen?
Ikke skade-princippet: Eftersom patienten ikke har været til tandlæge i mange år, kan der være uopdagede patologiske tilstande i mundhulen. Ved at blege tænderne uden en forudgående undersøgelse kan man påføre patienten skade, hvis der foreligger ubehandlet sygdom.
Velgørenhedsprincippet: Det kan synes, som om det bedste for patienten er at få sit ønske opfyldt og få bleget tænderne uden forudgående undersøgelse, men hvis der er underliggende sygdom, vil en forundersøgelse og eventuel nødvendig behandling på sigt være det bedste for patienten.
Autonomiprincippet: Det er først, når patienten er informeret om risiko og nytte og betydningen af en forudgående undersøgelse, at patienten kan foretage et informeret valg om undersøgelse.
Retfærdighedsprincippet: Hvis andre patienter får blegning uden forudgående undersøgelse, kan man hævde, at denne patient også bør kunne få det. Det forudsætter, at det er fagligt forsvarligt. Professionsetiske normer: NTF’s etiske regler, § 1 ”En tandlæges opgave er inden for sit fagområde at varetage sine patienters sundhed. Hensynet til patienten må være overordnet andre hensyn.”
Love, forskrifter og regler:
Sundhedslovens § 4, som stiller krav til sundhedspersoners udførelse af arbejdet. Dette skal være fagligt forsvarligt, og sundhedspersonalet skal yde omsorgsfuld hjælp.
Lovens formål er at bidrage til patientsikkerhed og kvalitet i sundhedssektoren samt til befolkningens tillid til sundhedspersonalet og sundhedssektoren.
Tabel 4. Etiske principper, handlingsalternativer og helhedsvurdering.
Table 4. Ethical principles, action alternatives, and overall assessment.
Hvilke handlings-alternativer findes der?
1. Man kan begynde at tilbyde blegning af tænder uden forundersøgelse (for ikke at miste flere patienter) uden at informere patienterne om mulige komplikationer.
2. Begynde at sige ja til blegning af nye patienter uden forundersøgelse, men informere grundigt om mulige konsekvenser og tilbyde forundersøgelse.
3. Fortsat kræve, at der foretages forundersøgelser.
Desuden kan tandlægen kontakte naboklinikken for at vende problemstillingen på et generelt grundlag. Dersom man ikke opnår lydhørhed for dette, kan den konkrete sag meldes til den norske tandlægeforenings etiske råd.
Alternativ 1 bryder med flest værdier, normer, principper og regler og synes derfor som det klart dårligste alternativ, mens alternativ 2 kan være acceptabelt, og alternativ 3 synes bedst begrundet fra et etisk synspunkt. Se nærmere begrundelse i teksten
DISKUSSION
I denne artikel har vi forsøgt at bruge en konkret sag til at vise, hvordan den etiske refleksionsmodel (SME) kan anvendes i en tandlægepraksis.
Man kan selvsagt diskutere detaljer i fortolkningen af kasuistikken (fakta), i identifikationen af de berørte parter, i anvendelsen af principperne, i formuleringen af handlingsalternativerne, i vurderingen og i konklusionen. Det er vi selvsagt åbne overfor. Hensigten har ikke været at levere en facitliste til konkrete problemstillinger, men at vise en fremgangsmåde, hvis mål er at give gode etiske begrundelser for konkrete handlingsvalg. Vi går derfor ikke ind på en nærmere drøftelse af den konkrete sag her.
Konkrete sager er desuden mere komplicerede end denne sag. Mens vi her mangler information om en række detaljer, vil man vide meget mere i konkrete sager. Det kan være en fordel, men også en ulempe. Når der er mange faglige, økonomiske, relationelle, organisationsmæssige og emotionelle aspekter ved en sag, er det vigtigt at nå frem til det, som er den etiske kerne i sagen. Derfor er formuleringen af den etiske problemstilling både vanskelig og vigtig.
Andre principper end ikke skade, velgørenhed, retfærdighed og respekt for selvbestemmelse vil også kunne gøre sig gældende, fx solidaritet og bæredygtighed. Overordnede hensyn, som fx at bevare tilliden til sundhedssystemet, tandlægers rolle i samfundet og opretholdelsen af velfærdssamfundet kan også være aktuelle og kan trækkes ind (i trin 4).
Der findes også mange andre modeller for etisk refleksion, og SME-modellen er bare en af mange, som er godt tilrettelagt til anvendelse i klinikken. Grunden til, at vi præsenterer denne model, er, at SME-modellen er meget udbredt i sundhedssektoren i Norge og bl.a. bruges af kommunerne og af de kliniske etikkomitéer, som er tværfagligt sammensatte komitéer ved norske sundhedsvirksomheder, der skal ”identificere, analysere og om muligt løse etiske problemstillinger i relation til patientbehandling”, både gennem at vurdere beslutninger i
etisk vanskelige sager på forhånd og gennem vurdering af problematiske beslutninger efterstående (10).
Alle sundhedsvirksomheder og en del kommuner i Norge har en klinisk etikkomité (KEK), som kan indgå i drøftelse af konkrete etiske udfordringer før og/eller efter, at beslutninger træffes. KEK skal bidrage til øget bevidsthed og kompetence om værdispørgsmål i sundhedssektoren og kan på forespørgsel give råd. Der skal være en bred repræsentation i etikkomitéerne, som afspejler de områder, komitéerne bistår (10).
Den norske tandlægeforenings medlemsblad har viet megen opmærksomhed på etik de seneste år, og foreningens etiske råd arbejder med at udvikle et digitalt værktøj, som kan lette mødet med arbejdslivets etiske udfordringer (11).
Den norske tandlægeforenings etiske råd bruger SME-refleksionsmodellen til at gennemgå de etiske problemstillinger, som sendes ind til rådet (12). Vi håber, at vores artikel kan bidrage til at vise, at SME-modellen kan anvendes i praksis i klinikken, og selvfølgelig også øge bevidstheden om etik hos danske tandlæger.
KONKLUSION
En etisk refleksionsmodel kan bruges til at vurdere, drøfte og begrunde vanskelige beslutninger i tandlægepraksis. Denne artikel viser, hvordan den kan bruges på en konkret sag om blegning af tænder uden forundersøgelse. Vi håber, at den kan øge bevidstheden om etiske problemstillinger i tandlægens kliniske hverdag – hvordan de kan drøftes – samt hvordan man kan komme frem til velbegrundede beslutninger. Etisk bevidsthed hænger sammen med faglig integritet og er afgørende for, hvordan professionen vil udvikle sig i fremtiden.
Tak til Torgils Lægreid, førsteamanuensis ved Institutt for klinisk odontologi, Universitetet i Bergen, for tilladelse til at bruge information fra TSE-kursusmodul 10. Tak også til anonyme patienter, som har givet tilladelse til at bruge deres billeder.
A SYSTEMATIC MODEL OF ETHICS REFLECTION IN CLINICAL PRACTICE
This article demonstrates a systematic model of ethics reflection in clinical practice (SME) using a concrete morally challenging case of teeth whitening. The purpose of the article is to show how well-founded decisions can be reached, as well as to raise awareness of ethical issues in everyday clinical practice. Ethical awareness is linked to professional integrity and trust in dentists. Moreover, ethical reflection is important for how the profession will be perceived and develop in the future.
1. Moezzi M. The honest t(r) ooth! Nor Tannlegeforen Tid 2021;131:921-3.
2. Moezzi M, Hofmann B. Helsepersonell eller selger? En analyse av tannlegeyrkets rolle i lys av kontraktteori og normativ etikk. Nor Tannlegeforen Tid 2023;133:192200.
3. KOMMUNENES SENTRALFORBUND (KS). Hovedmodell for etisk refleksjon. (Set 2023 oktober). Tilgængelig fra: URL: https:// www.ks.no/fagomrader/helseog-omsorg/eldreomsorg/samarbeid-om-etisk-kompetanseheving/ verktoy-og-metoder2/hovedmodeller-for-etisk-refleksjon/
4. KOMMUNENES SENTRALFORBUND (KS). 6-trinnsmodellen
for etikkrefleksjon i helse- og omsorgstjenestene. (Set 2023 august). Tilgængelig fra: URL: https://www.ks.no/globalassets/ Veileder-til-6-trinnmodellen-foretisk-refleksjon-pdf.pdf
5. Lillemoen L, Gjerberg E og Nortvedt P. Refleksjon over klinisketiske dilemma. I: Magelssen, Førde, Lillemoen L, Pedersen R, eds.. Etikk i helsetjenesten Oslo: Gyldendal Akademisk, 2020.
6. Nortvedt P. Omtanke. Innføring i sykepleieetikk. 3rd ed. Oslo: Gyldendal, 2021.
7. Kollevold BH, Tessem S. Er det samsvar mellom pasientens ønsker og faglig vurdert behandlingsbehov? Nor Tannlegeforen Tid 2019;130.
8. LOVDATA.NO. Helsepersonelloven. (Set 2024 januar). Tilgængelig fra: URL: https:// www. helsedirektoratet.no/ rund skriv/helsepersonelloven-med-kommentarer/ lovens-formal-virkeomradeog-definisjoner#paragraf1-lovens-formal Lovens formål, virkeområde og definisjoner –Helsedirektoratet
9. TANNLEGEFORENINGEN. NTFs etiske regler. (Set 2024 januar). Tilgængelig fra: URL: https:// www.tannlegeforeningen.no/ fag-og-politikk/etikk/ntfs-etiskeregler.html
10. Børslett EJA, Heilmann G, Lillemoen L et al. La etikken blomstre i praksis – en bok om systematisk refleksjon i arbeidshverdagen.
Bærum: Bærum kommune, 2011. (Set august 2023). Tilgængelig fra: URL: https://www.med.uio. no/helsam/tjenester/kunnskap/ etikk-helsetjenesten/praksis/ systematisk-etikkarbeid/etikkbokrefleksjon2011.pdf
11. Hauge MS. Kjappe svar på vanskelige spørsmål: Er tiden moden for å tenke nytt om tannlegeetikk? Nor Tannlegeforen Tid 2023;133:2545.
12. Reinholtsen KK. Snakk om etikk. SME-modellen som verktøy for drøfting av etiske problemstillinger i klinikken. Nor Tannlegeforen Tid 2023;133:171.
INTRODUKTION OG FORMÅL – Parodontitis forekommer oftere hos gravide end hos ikke-gravide. Ubehandlet kan parodontitis føre til tandtab, men parodontitis kan også øge risikoen for graviditets- og fødselskomplikationer. Formålet med dette kontrollerede interventionsstudie er at bestemme effekten af parodontalbehandling under graviditeten på ændringer i den metaboliske, inflammatoriske og hormonelle biomarkørprofil samt bestemme risikoen for udvikling af gestationel diabetes, præeklampsi, præterm fødsel og lav fødselsvægt.
MATERIALE OG METODER – PROBE-studiet udfoldes i et kontrolleret interventionsdesign. Gravide kvinder med fødested på enten Holbæk eller Nykøbing Falster Sygehus rekrutteres ved nakkefoldsscanningen. Studiet indeholder en interventionsdel (n = 300) og en kontroldel (n = 300). I begge dele tilbydes standardbehandling for parodontitis, men i den første del af studiet tilbydes behandlingen under graviditeten, mens den i den anden del af studiet udskydes til efter fødslen. Alle screenede får taget en blodprøve forud for det parodontale screeningsbesøg og har en afsluttende undersøgelse for parodontitis i graviditetsuge 35. Desuden udfyldes et spørgeskema om bl.a. livsstil og tandplejevaner. Der tages i alt tre blodprøver under graviditeten, ligesom der tilsendes spørgeskema om barnet efter fødslen.
DISKUSSION – Studiet gennemføres i henhold til bestemmelserne for ”Good Clinical Practice” og er godkendt hos Videnskabsetisk Komité i Region Hovedstaden samt af Datatilsynet og af de respektive sygehusledelser, ligesom der indhentes informeret samtykke hos de deltagende gravide. Studiets fund vil blive publiceret i peer-reviewede tidsskrifter og blive formidlet på nationale og internationale konferencer samt via sociale medier.
KAROLINE WINCKLER, cand.scient., ph.d., Enheden for Epidemiologisk Kostforskning, Parker Instituttet, Bispebjerg og Frederiksberg Hospital
KATHERINE HANSEN-BUKKHAVE, tandlæge, ph.d.-studerende, Enheden for Epidemiologisk Kostforskning, Parker Instituttet, Bispebjerg og Frederiksberg Hospital
LISE TARNOW, dr.med., Steno Diabetes Center Sjælland
PETER BINDSLEV IVERSEN, programchef, ph.d., Steno Diabetes Center Sjælland
CHRISTIAN DAMGAARD, lektor, ph.d., Odontologisk Institut, Københavns Universitet
SISSE BOLM DITLEV, centerleder, ph.d., Center for Translationel forskning, Bispebjerg og Frederiksberg Hospital
ALLAN KOFOED-ENEVOLDSEN, centerchef, læge, Endokrinologisk Afdeling, Nykøbing Falster Sygehus
SIGNE CAMILLA HJULER DUEHOLM, vicechefjordemoder, Jordemoder, Obstetrisk og gynækologisk afdeling, Holbæk Sygehus
JEANNET LAUENBORG, cheflæge, ph.d., MPG, Afdeling for Kvindesygdomme, Graviditet og Fødsel, Herlev og Gentofte Hospital
BERIT LILIENTHAL HEITMANN, professor, ph.d., Enheden for Epidemiologisk Kostforskning, Parker Instituttet, Bispebjerg og Frederiksberg Hospital, The Boden Group, Charles Perkins Centre, University of Sydney, Australien, og Institut for Folkesundhedsvidenskab, Almen medicin, Københavns Universitet
Accepteret til publikation den 1. maj 2024. Oprindelig publikation: PLOS ONE 2024, May 13. Tilgængelig fra: URL: https://doi.org/10.1371/journal.pone.0302010
Tandlægebladet 2024;128:598-603

Korrespondanceansvarlig førsteforfatter: KAROLINE WINCKLER karoline.winckler@regionh.dk
PARODONTITIS ER EN HYPPIGT FOREKOMMENDE MULTIFAKTORIEL inflammatorisk sygdom i tændernes støttevæv, som ubehandlet kan medføre tandtab. Parodontitis kan af tandfagligt personale diagnosticeres tidligt, mens patienter uden tilknytning til tandplejesystemet typisk først opdager, at de lider af parodontitis, når sygdommen er meget fremskreden. På trods heraf er der et godt potentiale for at forebygge sygdommen (1,2).
Parodontal inflammation initieres af bakteriel plak på tænderne, og hos genetisk disponerede patienter resulterer det i et destruktivt immunrespons med nedbrydning af fæste og den tandbærende kæbeknogle (1). Parodontitis medfører øget systemisk lavgraderet inflammation og bidrager derigennem til det inflammatoriske drev i sygdomme udenfor mundhulen såsom type 2-diabetes og hjerte-kar-sygdomme (3-5). Parodontitis hos gravide er vist at øge risikoen for gestationel diabetes (6) og patologiske forstyrrelser relateret til placenta, som kan resultere i udvikling af præeklampsi, for tidlig fødsel og lav fødselsvægt (7).
Omvendt er genetisk disponerede gravide kvinder også i øget risiko for at udvikle parodontitis som følge af de hormonelle og immunologiske forandringer, der er relateret til graviditetstilstanden (8). Desuden er de immunologiske ændringer under graviditet afgørende for at drive den dysbiotiske forandring i det orale mikrobiom, som opstår under graviditeten (9). Adskillige studier har forbundet en lavgraderet systemisk inflammation med parodontitis, også under graviditet, med en øget vaskulær permeabilitet, forhøjede niveauer af inflammationsmarkører og ændringer i sammensætningen af den parodontale mikrobiota (10,11). Som konsekvens kan parodontitis hos den gravide kvinde påvirke afkommets sundhed gennem flere mekanismer, herunder eksponering for øget inflammatorisk belastning og etablering af en dysbiose i det intrauterine mikromiljø, samt lede til epigenetiske forandringer hos afkommet (11).
Parodontitis kan i vid udstrækning forebygges eller minimeres ved at opretholde en god mundhygiejne i løbet af graviditeten. Regelmæssig tilknytning til tandplejen er i sig selv en sundhedskompetence, og i tillæg får den gravide mulighed for tidlig diagnostik og behandling af parodontitis, hvilket også forbedrer prognosen for succesfuld behandling heraf.
Prævalensen af parodontitis hos danske gravide er ikke systematisk opgjort, hvilket forhindrer fuldt overblik over sygdommens omfang i denne gruppe. I de få eksisterende studier varierer prævalensen ligeledes signifikant fra mellem 12 % (12) og 61 % (13). Den store variation skyldes formentlig delvist forskellige definitioner af parodontitis gennem tiden og på tværs af lande (14).
Optimal mundhygiejne og gode tandplejevaner bliver stadig nedprioriteret, og tal fra den Danske Tandlægeforening viser, at op mod 40 % af danske kvinder i den fødedygtige alder (18-39 år) ikke går regelmæssigt til tandlægen (1). Det fremgår yderligere af tandlægernes refusionssystem fra 2017, at Region Sjælland er den region i landet med den højeste andel kvinder diagnosticeret med parodontitis (diagnosekode 1011). Fæstetab på 2 mm eller mere, ledsaget af tegn på inflammation i gingiva (blødning, pusflåd fra pochebunden) på samme site udløser diagnosen parodontitis. I alt 25 % af de kvinder (18-39 år), der regelmæssigt gik til tandlæge i Region Sjælland, blev i 2017 diagnosticeret med parodontitis. Der foreligger ikke tal for forekomsten af parodontitis hos de ca. 40 %, der ikke går regelmæssigt til tandlæge, men da der er en social skævhed i forhold til, om man går til tandlæge, og da der tillige er en social ulighed i tandsundhed, kan man antage, at andelen med parodontitis blandt personer, der ikke går til tandlæge, formentlig er højere end blandt dem, der gør.
Hvis parodontitis efterlades ubehandlet, kan de forøgede niveauer af inflammatoriske mediatorer, der produceres som respons på parodontitisassocierede bakterier og toksiner, bidrage yderligere til den systemisk lavgraderede inflammation med forhøjede cirkulerende cytokiner, såsom tumor necrosis factor (TNF)-α, interleukin (IL)-8 og IL-1β. Den parodontitisassocierede bakterie Porphyromonas gingivalis er fundet i fostervandet hos kvinder med præterm fødsel samt i placenta hos kvinder, der havde en intrauterin infektion (15,16).
En nyere systematisk gennemgang tyder på, at parodontitis under graviditeten kan øge risikoen for præmatur fødsel (fødsel før graviditetsuge 37) og lav fødselsvægt (under 2.500 g) (17,18). Undersøgelser antyder, at behandling under graviditeten kan mindske risikoen for præmatur fødsel, lav fødselsvægt og potentielt også reducere risikoen for både præeklampsi og graviditetsrelaterede sygdomme (16,19). De biologiske mekanismer, der forbinder parodontitis med ugunstige graviditetsudfald, er endnu ikke fuldt forstået (20), men skyldes formentlig, at den systemiske inflammation forårsaget af parodontitis påvirker moderkagens funktion og dermed risikoen for negative graviditetsudfald (21).
Langsigtet risiko og omkostninger relateret til præmaturitet
Børn, der er født for tidligt eller med lav fødselsvægt, er i større risiko for spædbarnsdød (22) samt tidlige respiratoriske og gastrointestinale infektioner, hvilket fører til hyppigere kontakt til sundhedsvæsenet samt flere og længere hospitalsindlæggelser (23). Ny forskning viser endvidere en stærk sammenhæng mellem lav fødselsvægt og udvikling af type 2-diabetes senere i livet samt udvikling af diabetiske følgesygdomme (24). Endvidere ses en tidligere debut af type 2-diabetes og et mere alvorligt og medicinkrævende sygdomsforløb hos personer født med lavere fødselsvægt sammenlignet med personer født med højere fødselsvægt (25). Endelig viser studier stærke associationer mellem udvikling af gestationel diabetes mellitus (GDM) og senere udvikling af type 2-diabetes (26).
En engelsk undersøgelse fra 2006 vurderede, at et præmaturt barn (født før graviditetsuge 37) koster sundhedsvæsenet i gennemsnit 136.191 kr. mere indtil dets 18. år end et barn født til termin (27,28). Samme validerede ”economic burden of illness”-model er brugt i et canadisk studie fra 2014, som fandt, at denne udgift var 51.136 kr. fra fødsel til barnets 10. år. Studiet inkluderede både direkte medicinske udgifter, forældres udgifter, uddannelsesomkostninger samt omkostninger ved præmaturitet (29). Udover de direkte omkostninger bør indirekte omkostninger, fx ved forældres tabte arbejdsfortjeneste, også indgå i de sundhedsøkonomiske overvejelser. Der findes ikke tilsvarende danske analyser, men det antages, at disse internationale tal giver en indikation for omkostninger i en dansk kontekst, også selv om de præsenterede estimater er fra henholdsvis 2006 og 2014.
Formål
Formålet med PROBE-studiet er at forbedre den parodontale sundhed hos gravide og samtidig bidrage til at forebygge
forekomsten af negative graviditets- og fødselsudfald (for tidlig fødsel, lav fødselsvægt, risiko for udvikling af præeklampsi og gestationel diabetes). Desuden at forstå de inflammatoriske, metaboliske og hormonelle mekanismer, der forbinder parodontitis med disse ugunstige graviditets- og fødselsudfald.
De folkesundhedsmæssige implikationer af forskningsprojektet er potentielt vidtrækkende, idet dets resultater kan have gavnlig betydning for både mor og barn på flere parametre samt tillige kan forventes at bidrage til reducerede sundhedsomkostninger.
Design og forsøgsdeltagere PROBE-studiet udfoldes i et kontrolleret interventionsdesign. Alle gravide, der kommer til nakkefoldsscanning på Holbæk Sygehus eller Nykøbing Falster Sygehus, bliver inviteret til at deltage i forskningsprojektet og får tilbudt en parodontal forundersøgelse. De gravide, som til forundersøgelsen bliver diagnosticeret med parodontitis, bliver inviteret til deltagelse i interventionsprojektet. Studiet indeholder en interventionsdel og en kontroldel. I begge dele tilbydes standardbehandling for parodontitis. I interventionsdelen af studiet tilbydes behandlingen under graviditeten, mens behandlingen i kontroldelen af studiet udskydes til efter fødslen. Fælles for begge behandlingsarme er, at der ligger et screeningsbesøg med parodontal undersøgelse i uge 13-20 og et opfølgningsbesøg i graviditetsuge 35-36. Det antages, at studiet skal rekruttere 1.200 gravide i alt for at identificere 600 gravide med parodontitis, svarende til 300 gravide i hver behandlingsarm. Den engelske version af protokollen for studiet er allerede publiceret i PLOS ONE.
Dataindsamling
Den gravide får foretaget op til fem parodontalbehandlinger og får taget tre blodprøver i forbindelse med nakkefoldsscanningen omkring graviditetsuge 11-13 og i graviditetsugerne 20-22 og 35-37. Udover blodprøverne og de parodontale behandlinger indhentes der data om demografi og oplysninger om kost, søvn, mundhygiejne, tandplejevaner, medicinforbrug, anden sygdom, rygevaner, fysisk aktivitet og privatliv i form af fire spørgeskemaer, som den gravide får tilsendt i e-boks. Spørgeskemaerne udsendes i graviditetsuge 13-20 og 34-37 samt to og seks måneder efter fødslen. Spørgeskemaerne efter fødslen omhandler tillige data om barnets vækst, infektioner og ernæring i de første seks måneder, om moderens tilfredshed med at deltage i projektet, eventuelle ændringer i mundhygiejne som følge af deres deltagelse samt om faderens højde, vægt og demografiske data. Herudover er der givet tilladelse til at indhente oplysninger om barnet ved fødslen og fremtidige data omkring vækst, indlæggelser/ diagnoser og tandstatus fra registre og journaler. De parodontale behandlinger finder sted på fire forskellige omsorgstandplejeklinikker i Holbæk, Kalundborg, Vordingborg og Maribo, alle i Region Sjælland og tæt på de gravides bopæl, for at øge compliance og facilitere en potentiel implementering af projektet efterfølgende.
Patientinvolvering
Et mindre pilotstudie (30) forud for PROBE-studiet undersøgte årsager til, at gravide ikke går regelmæssigt til tandlæge (defineret som ingen besøg hos tandlægen indenfor de seneste 18 måneder og/eller to eller færre tandlægebesøg indenfor de seneste fem år). Pilotstudiet viste, at de gravide var interesserede i at deltage i interventionsstudiet og mente, at der burde være mere opmærksomhed omkring tandpleje under graviditeten, ligesom de fandt det naturligt, at gratis tandpleje burde blive implementeret som en fast del af svangreomsorgen. Studiet viste ligeledes, at de primære årsager, kvinderne angav for ikke at gå regelmæssigt til tandlæge, var manglende økonomi og lav prioritering af tandsundhed.
At tilbyde gratis tandlægehjælp under graviditeten i Danmark kan vise sig at være en mulig strategi til at reducere nogle af de negative graviditets- og fødselsudfald i Danmark. Det vil derfor i forbindelse med projektet blive vurderet, om det er omkostningseffektivt at tilbyde gratis tandlægehjælp under graviditeten, både i forhold til den gravide og i forhold til barnet, og på længere sigt for samfundet. For at vurdere dette er der planlagt en sundhedsøkonomisk analyse baseret på studiets resultater.
Udfaldsmålinger
De primære udfaldsmålinger består af gestationslængde (dage) og fødselsvægt (g). Sekundære udfaldsmålinger indeholder risikomarkører for præeklampsi (defineret som hypertension ledsaget af proteinuri) og gestationel diabetes (defineret som glukoseintolerance diagnosticeret for første gang under graviditet). Langsigtede udfaldsmålinger omfatter barnets vækst, infektioner, brug af medicin og hospitalsindlæggelser. Disse målinger vil blive indsamlet fra den praktiserende læge, registre og fra sundhedsjournaler indtil toårsalderen.
Parodontal status og -behandling
Undersøgelser og behandlinger i interventions- og kontrolarmene bliver varetaget og gennemført af den samme tandlæge. Parodontitis diagnosticeres ud fra nyeste klassifikation vedtaget i 2017 (31) og defineres som en tilstand med et fæstetab på mindst 1 mm approksimalt på mindst to tænder, som ikke er nabotænder, eller hvis der kan konstateres fæstetab på mindst 3 mm facialt eller lingvalt på mindst to tænder. Parodontitis inddeles i fire stadier (I-IV) efter sværhedsgrad, og hvert stadium inddeles yderligere i tre grader (A, B, C) efter progressionshastighed. Desuden angives, hvor udbredt sygdommen er i tandsættet: Plakindeks (PI), blødning ved pochemåling (BOP), pochedybde og fæstetab bliver målt ved baseline i graviditetsuge 11-20 og igen ved graviditetsuge 35-36 og beregnes efter gældende standard (32). PI vil blive målt til hvert behandlingsbesøg (op til fire behandlinger pr. deltager før graviditetsuge 35).
Blodprøver og salivaprøver
Alle rekrutterede kvinder vil få taget en blodprøve på deres respektive fødested, dvs. på Klinisk Biokemisk Afdeling på enten Holbæk eller Nykøbing Falster Sygehus. Prøver af centrifugeret
og isoleret plasma opbevares hos Region Sjællands Biobank for senere analyse. Blodprøveanalyserne vil blive udført på Center for Translationel Forskning, Bispebjerg Hospital. Blodprøverne tages på tre tidspunkter under graviditeten, ved baseline i graviditetsuge 11-13 (fra alle rekrutterede gravide, n = 1.200) og i graviditetsuge 20-22 og i graviditetsuge 35-37 fra alle inkluderede gravide (n = 600). Inflammatoriske markører IL1β, IL-6, IL-10, IL-17α, og TNF-α, hormoner (insulin, leptin, growth differentiation factor (GDF)-15, adiponectin, resistin).
Glykæmiske markører, haemoglobin A1c (HbA1c) samt højsensitivt C-reaktivt protein (CRP) bliver løbende analyseret samme dag, som blodprøven bliver taget. Proceduren er ens for både interventions- og kontrolgruppen. Alle gravide, der screenes fra februar 2024 og indtil endt dataindsamling, vil blive bedt om at aflevere en stimuleret salivaprøve (1 ml) ved det første besøg hos tandlægen med henblik på senere bestemmelse af mundhulens specifikke bakterier og bakterier med særlig betydning for udvikling af parodontitis (P. gingivalis). Alle gravide i interventionen vil tillige aflevere yderligere en salivaprøve (1 ml) ved det sidste besøg hos tandlægen i graviditetsuge 35-37.
Styrkeberegning
En styrkeberegning er blevet foretaget forud for studiets start for at beregne, hvor mange gravide der minimalt skal indrulleres, for at studiets resultater har tilstrækkelig styrke. Minimale målbare effekter for de primære udfaldsmålinger, gestationslængde (dage) og fødselsvægt (g) med 80 % power og et signifikansniveau på 0,05, med forventet deltagelse af 600 gravide (antal indrullerede) eller 400 gravide (200 gravide med frafald og eller manglende datainformation), er præsenteret i tabellen nedenfor (Tabel 1):
Udfald Forventet
Tabel 1. Oversigt over styrkeberegning ved inklusion af 600 gravide og 400 gravide med gestationslængde og fødselsvægt som udfald.
Table 1. Power calculation of 600 and 400 included pregnant women and length of gestation and birth weight as outcome measures.
Statistik
Baselinekarakteristika af de gravide vil blive opsummeret ved brug af deskriptiv statistik (gennemsnit og standard deviation for normalfordelte kontinuerte variable, median og range for ikkenormalfordelte variable, frekvens og proportioner for kategoriske/binære variable) for både interventions- og kontrolgruppen. Alle analyser vil blive udført ud fra ”intention-to-treat”-tilgangen, hvor alle patienter inkluderes i analysen uanset frafald eller afvigelse fra studiets protokol med last ”measurement carried forward”. Effekten af den pa-
For tidlig fødsel er en af de hyppigste årsager til neonatal mortalitet, morbiditet og blivende skrøbelighed og handicap. Vi undersøger, om behandling af parodontitis under graviditeten kan bidrage til, at færre børn fødes for tidligt. Vi håber med dette arbejde tillige at bidrage til, at tandsundhed og -pleje under graviditeten vil blive sat på den politiske dagsorden i Danmark. Da systematisk undersøgelse og behandling for parodontitis i graviditeten let bør kunne etableres, håber vi, at projektet vil få betydning for fremtidig folkesundhed på det odontologiske område.
rodontale behandling vil blive analyseret ved regressionsanalyser justeret for relevante ”confounders”. Ændringer i hormonelle, metaboliske og inflammatoriske markører for begge behandlingsarme vil også blive testet med samme statistiske analyser. For at undersøge effekten af interventionen vil interaktionsanalyser (inflammatoriske og hormonelle markører, glykæmisk kontrol og parodontal status) samt ANOVAanalyser gennemføres. Statistisk software (SPSS (version 19, Chicago IBM)) vil blive anvendt; P-værdi < 0,05 betragtes som statistisk signifikant.
DISKUSSION
Studiet er godkendt hos De Videnskabsetiske Komitéer for Region Hovedstaden (journal nummer H-20083249), anmeldt hos Clinical Trials.gov (NCT06110143) og hos Styrelsen for Datasikkerhed.
Projektets dataindsamling forventes at være afsluttet ultimo 2025, hvorefter en række planlagte artikler vil blive udarbejdet og søgt publiceret i peer-reviewede tidsskrifter, herunder Tandlægebladet, samt præsenteret ved nationale og internationale konferencer. Derudover vil resultaterne blive kommunikeret via sociale medier, præsenteret ved akademiske møder og delt i relevante netværk. Platformen REDCap, en GDPR-sikker platform til opbevaring af persondata, bliver brugt til at indsamle information om deltagernes demografi, målinger fra de parodontale undersøgelser og data genereret fra de fire spørgeskemaer.
Når forskningsprojektet er afsluttet, forventes studiets resultater at kunne bidrage til at øge den politiske bevågenhed omkring betydningen af parodontalbehandling før og under graviditeten, muligvis som et oplæg til en dialog om implementering af gratis tandpleje til sårbare gravide i Danmark. Den sundhedsøkonomiske analyse forventes at kunne give indikationer af, om en sådan implementering er omkostningseffektiv. Indlejringen af forskningsprojektet i den eksisterende omsorgstandpleje og svangreomsorg giver en mulig god model for, at projektets resultater senere kan implementeres.
Projektets resultater forventes at kunne:
• Give en mere dybtgående forståelse af effekten af parodontal behandling på ugunstige gaviditets- og fødselsudfald hos danske gravide kvinder med parodontitis.
• Give indgående kendskab til betydningen af ændringer i relevante inflammatoriske markører.
• Følge behandlingseffekterne på en række udfaldsparametre hos barnet (vækst, infektioner, brug af medicin og indlæggelser) over tid.
Projektgruppen vil gerne takke deltagerne, de gravide kvinder, i studiet for deres deltagelse. En stor tak skal også lyde både til lægesekretærerne på svangreambulatorierne på Holbæk og Nykøbing Falster Sygehus for deres store indsats med rekruttering af patienter samt til de deltagende tandklinikker for deres samarbejde.
THE PROBE STUDY – PERIODONTAL TREATMENT DURING PREGNANCY
INTRODUCTION AND AIM – Pregnancy increases the risk of periodontitis, due to increased levels of progesterone and oestrogen, and is associated with development of adverse pregnancy- and birth related outcomes. The aim of this study is to determine, whether periodontal treatment during pregnancy can reduce low grade systemic inflammation and thereby lower the risk of adverse pregnancy- and birth related outcomes.
MATERIALS AND METHODS – The PROBE study is a controlled intervention study conducted among 600 pregnant women with periodontitis. The women are recruited among all pregnant women at two Danish hospitals in Region Zealand during their nuchal translucency scan and are subsequently
1. Rosing K, Christensen LB, Damgaard C. Periodontal care attendance in Denmark in 2012-2016 – a nationwide register-based study. Acta Odontol Scand 2022;80:26472.
2. Rosing K, Leggett H, Csikar J et al. Barriers and facilitators for prevention in Danish dental care. Acta Odontol Scand 2019;77:439-51.
3. Tonetti MS, Van Dyke TE. Periodontitis and atherosclerotic cardiovascular disease: consensus report of the Joint EFP/AAP Workshop on periodontitis and systemic diseases. J Clin Periodontol 2013;40 (Supp 14):S24-9.
4. Wu CZ, Yuan YH, Liu HH et al. Epidemiologic relationship between periodontitis and type 2 diabetes mellitus. BMC Oral Health 2020;20:204.
5. Sanz M, Del Castillo AM, Jepsen S et al. Periodontitis and cardiovascular diseases. consensus report. Glob Heart 2020;15:1.
6. D'Aiuto F, Parkar M, Andreou G et al. Periodontitis and systemic inflammation: control of the local infection is associated with a reduction in serum inflammatory markers. J Dent Res 2004;83:15660.
7. Bi WG, Emami E, Luo ZC et al. Effect of periodontal treatment in pregnancy on perinatal outcomes: a systematic review and metaanalysis. J Matern Fetal Neonatal Med 2021;34:3259-68.
8. Zachariasen RD. The effect of elevated ovarian hormones on periodontal health: oral contraceptives and pregnancy. Women Health 1993;20:21-30.
9. Cullinan MP, Seymour GJ. Periodontal disease and systemic illness: will the evidence ever be enough? Periodontol 2000 2013;62:271-86.
screened for periodontitis. The intervention group includes 300 pregnant women, who are offered state-of-the-art periodontal treatment during pregnancy. The control group includes additional 300 pregnant women, who are offered periodontal treatment after giving birth. Inflammatory, hormonal and glycaemic markers are collected from all screened women and further during pregnancy week 20 and pregnancy week 35 for women enrolled in the intervention.
DISCUSSION – Approval was granted by the regional Ethics Committee and the Danish Data Protection Agency. The study is conducted in accordance with the Helsinki Declaration and guidelines for Good Clinical Practice. The study’s findings will be published in peer reviewed journals and disseminated at national and international conferences and through social media.
11. Starzy´nska A, Wychowa´nski P, Nowak M et al. Association between maternal periodontitis and development of systematic diseases in offspring. Int J Mol Sci 2022;23:2473.
12. Borgo PV, Rodrigues VA, Feitosa AC et al. Association between periodontal condition and subgingival microbiota in women during pregnancy: a longitudinal study. J Appl Oral Sci 2014;22:528-33.
13. Usin MM, Tabares SM, Parodi RJ et al. Periodontal conditions during the pregnancy associated with periodontal pathogens. J Investig Clin Dent 2013;4:54-9.
14. Manau C, Echeverria A, Agueda A et al. Periodontal disease definition may determine the association between periodontitis and pregnancy outcomes. J Clin Periodontol 2008;35:385-97.
10. Zi MY, Longo PL, Bueno-Silva B et al. Mechanisms involved in the association between periodontitis and complications in pregnancy. Front Public Health 2015;2:290.
15. León R, Silva N, Ovalle A et al. Detection of Porphyromonas gingivalis in the amniotic fluid in pregnant women with a diagnosis of threatened premature labor. J Periodontol 2007;78:1249-55.
16. Boggess KA, Beck JD, Murtha AP et al. Maternal periodontal disease in early pregnancy and risk for a small-for-gestationalage infant. Am J Obstet Gynecol 2006;194:1316-22.
17. Chambrone L, Guglielmetti MR, Pannuti CM et al. Evidence grade associating periodontitis to preterm birth and/or low birth weight: I. a systematic review of prospective cohort studies. J Clin Periodontol 2011;38:795-808.
18. Matevosyan NR. Periodontal disease and perinatal outcomes. Arch Gynecol Obstet 2011;283:675-86.
19. Offenbacher S, Boggess KA, Murtha AP et al. Progressive periodontal disease and risk of very
preterm delivery. Obstet Gynecol 2006;107:29-36.
20. Daalderop LA, Wieland BV, Tomsin K et al. Periodontal disease and pregnancy outcomes: overview of systematic reviews. JDR Clin Trans Res 2018;3:10-27.
21. Bobetsis YA, Graziani F, Gürsoy M et al. Periodontal disease and adverse pregnancy outcomes. Periodontol 2000 2020;83:154-74.
22. Lain SJ, Nassar N, Bowen JR et al. Risk factors and costs of hospital admissions in first year of life: a population-based study. J Pediatr 2013;163:1014-9.
23. Stephens AS, Lain SJ, Roberts CL et al. Hospitalisations from 1 to 6
years of age: effects of gestational age and severe neonatal morbidity. Paediatr Perinat Epidemiol 2015;29:241-9.
24. Wibaek R, Andersen GS, Linneberg A et al. Low birthweight is associated with a higher incidence of type 2 diabetes over two decades independent of adult BMI and genetic predisposition. Diabetologia 2023;66:1669-79.
25. Hansen AL, Thomsen RW, Brøns C et al. Birthweight is associated with clinical characteristics in people with recently diagnosed type 2 diabetes. Diabetologia 2023;66:1680-92.
26. Bellamy L, Casas JP, Hingorani AD et al. Type 2 diabetes mellitus after
gestational diabetes: a systematic review and meta-analysis. Lancet 2009;373:1773-9.
27. Le QA, Eslick GD, Coulton KM et al. Differential impact of periodontal treatment strategies during pregnancy on perinatal outcomes: a systematic review and metaanalysis. J Evid Based Dent Pract 2022;22:101666.
28. Mangham LJ, Petrou S, Doyle LW et al. The cost of preterm birth throughout childhood in England and Wales. Pediatrics 2009;123:e312-27.
29. Johnston KM, Gooch K, Korol E et al. The economic burden of prematurity in Canada. BMC Pediatr 2014;14:93.
30. Winckler K, Rasmussen MU, Laugenborg J et al. Barriers for why pregnant women do not visit a dentist on a regular basis: using group concept mapping methodology. Acta Odontol Scand 2024;83:30-37.
31. Klausen B, Holmstrup P. Ny klassifikation af parodontal sygdom. Tandlaegebladet. 2018;122:10607.
32. Löe H. The gingival index, the plaque index and the retention index systems. J Periodontol. 1967;38 (Supp):610-6.
HVAD LAVER TANDLÆGER, NÅR DE HAR FRI? Vi er taget ud i sommerlandet for at spørge fire tandlæger, hvad der får deres hjerter til at banke lidt hurtigere, når de har fri. Og om de kan se en forbindelse mellem den hobby, de dyrker, og deres faglighed som tandlæger.




DET ER HISTORIEN, TRADITIONERNE OG SELVFØLGELIG OGSÅ SMAGEN OG DUFTEN , der får Jesper Thomsen til at bruge en stor del af sin fritid på at købe og sælge skotsk whisky og på at udbrede kendskabet til den gyldne drik. Hobbyen har givet ham venskaber over hele verden.
AF KIM ANDREASEN, FREELANCEJOURNALIST
Hvordan begyndte din interesse for whisky?
– Det startede, da jeg gik på 9. semester på Tandlægeskolen. Min læsemakker og jeg var på et udvekslingsophold i Edinburgh. Samtidig med os havde Dansk Parodontologisk Selskab arrangeret en tur til den skotske hovedstad. En af de første aftener var der arrangeret whiskysmagning i The Scotch Malt Whisky Society – en verdensomspændende whiskyklub, der i dag har over
40.000 medlemmer i 21 lande – og vi fik lov at komme med. Der blev jeg solgt, og det var nok, fordi vi fik lov til at smage whisky, man ikke bare kan gå ind i en butik og købe. Det var whisky, der kom direkte fra fadene og var blevet hældt over på flaskerne. Ikke noget med kølefiltrering (bruges til at fjerne urenheder i whiskyen. Urenhederne udgør omkring 1/3 af smagen, red.), eller at der var kommet vand i. Det var den rene vare.


Hvad er det, du synes er så interessant ved whisky?
– Det er historien om destillerierne, som ofte går helt tilbage til 1700-tallet. Det er håndværket, og at produktionen af whisky stort set foregår på samme måde, som for 200-300 år siden. Så er der smagen og duften. Det er magisk for mig at smage en af de helt sjældne whiskyer og lade hjernen finde frem til, hvad den nu smager og dufter af. Er det chokolade? Er det græs eller rosiner? Tænk, at


man kan finde så forskellige og fantastiske duft- og smagsnuancer i en væske, som har ligget i dvale i et egetræsfad i op til 50 år. Noget andet er alle de unikke venskaber, jeg har fået i hele verden –typisk gennem de sociale medier. Helt særlig er den Facebookside om et skotsk destilleri, Highland Park, som jeg oprettede tilbage i 2012, og som nu har over 6.000 medlemmer. På de sociale medier har jeg fået kælenavnet ”The whisky dentist”.
Tandlæge i 1999 fra Tandlægeskolen i København
Ejer og driver egen klinik i Haslev sammen med sin storebror
Hvordan udøver du din hobby?
– Først og fremmest er jeg samler og nyder. Jeg har nok mellem 600-700 flasker derhjemme. I princippet er de købt til at drikke, men da jeg aldrig drikker alkohol i hverdagene, må jeg nok erkende, at jeg ikke får drukket dem alle. Igennem de seneste 15 år er priserne steget ekstremt meget. Nogle af mine flasker har 10-doblet deres værdi. Der er mange samlere, og på det seneste har Asien også fået øjnene op for whisky.
Udover at samle har jeg de seneste 12 år været dansk ambassadør for The Scotch Malt Whisky Society med ca. 1.000 medlemmer i Danmark. Det indebærer, at jeg er med til at købe fade med whisky direkte fra de skotske destillerier og aftappe den på vores egne flasker. De bliver så udbudt til klubbens medlemmer. Hver anden måned inviterer vi flere steder i landet vores medlemmer til at smage og købe. Jeg er medansvarlig for arrangementet i København. Primært er jeg med for at sælge eller skænke til folk og fortælle om aftapningerne. Det føles godt at give min viden om whiskyens smags- og duftnuancer videre til andre. I regi af Scotch Malt Whisky Society går vi mere op i duften og smagen end i, hvor whiskyen kommer fra. Ved siden af det har jeg en whiskyklub, jeg rejser rundt til et hav af whiskyarrangementer, og så skal jeg jo også følge med i, hvad der rører sig i whiskyverdenen.
Kan du se en sammenhæng mellem din hobby og dit virke som tandlæge? – Umiddelbart kan jeg ikke se nogen direkte sammenhæng, men for mig at se er det ekstremt vigtigt at have noget at gå op i ved siden af sit arbejde. En sund fritidsinteresse er med til at give mig energi til mit arbejde. Jeg kender tandlæger, som arbejder meget, og hvor arbejdet fylder hele deres liv. Det er efter min mening ikke sundt. Der er alligevel et link til mit tandlægevirke. For 20 år siden fik jeg en patient på den klinik, hvor jeg dengang arbejdede. På en el-
Nogle af mine flasker har 10-doblet deres værdi
ler anden måde kom vi til at snakke om whisky. Det viste sig, at han arbejdede i whiskyindustrien og er i dag global ambassadør for Highland Park. Han introducerede mig for nogle eksklusive flasker – bl.a. en af destilleriets 40-års whiskyer. Da jeg smagte den, var jeg blown away. Siden da har Highland Park været mit favoritdestilleri. Det ligger helt nordligt i Skotland – på Orkney Øerne – og det har eksisteret siden 1798.


Tandlæge og konkurrencesvømmer
”Jeg har det simpelthen bedst i vand”
LOUISE KALTOFT MÅTTE SOM 19ÅRIG STOPPE SIN ELITESVØMNING på grund af en omfattende kæbeoperation. For to år siden vovede hun sig tilbage i bassinet – og fandt ud af, at hendes krop aldrig havde glemt vandet.

Hvordan kom du i gang med at svømme?
– Jeg startede som 9-årig, umiddelbart efter jeg var blevet diagnosticeret med børnegigt. Svømning var en god og skånsom motionsform for et barn som mig, men jeg fandt ud af, at jeg også var rigtig god til det, og rykkede hurtigt op på konkurrenceholdet. I mine teenageår trænede jeg 30 timer om ugen. Det lyder vanvittigt, men jeg elskede det. Og svømning kræver, at du er meget i bassinet, ellers mister du lynhurtigt din fornemmelse for vandet og bli-
Jeg kan lide at dyrke de præcise små detaljer både som svømmer og tandlæge
ver langsom. Gigten betød, at jeg som barn havde manglet et væksthormon, og derfor gennemgik jeg en større kæbeforlængende operation som 19-årig. Det blev begyndelsen på, at jeg trak mig fra sporten. Jeg turde først hoppe i vandet fem måneder efter operationen og mærkede med det samme, hvor sindssygt hårdt det ville blive at komme tilbage på mit tidligere niveau. Og så havde jeg jo også akademiske ambitioner. Jeg drømte nok mere om at blive tandlæge end om at komme til OL, da det kom til stykket.
Hvorfor vendte du tilbage til vandet?
– Jeg har altid savnet svømningen. Måske fordi det sluttede, før jeg selv følte mig helt klar til at stoppe. Da min bror for nogle år siden gennemførte en triatlon med en ret god svømmetid, tænkte jeg: Fandme nej, svømning er min sport, og besluttede mig for at erobre den tilbage. Jeg startede på et triatlonhold, men mærkede hurtigt, at det blev en smule kedeligt og trivielt bare at svømme crawl og langt. Jeg savnede de forskellige stilarter og konkurrencedelen, så jeg fandt et masterhold – altså et hold for pensionerede konkurrencesvømmere i min aldersklasse – og det er simpelthen fantastisk. Jeg svømmer fire gange om ugen. Og jeg nyder det helt vildt. Det, der er kommet mest bag på mig, er, hvor rigtigt det føles. Min krop havde aldrig glemt vandet. Og jeg må bare erkende, at jeg har det bedst, når jeg er i vand.
Hvad giver svømningen dig – privat såvel som fagligt?
– Vi er et ambitiøst hold med en ambitiøs træner, så vi træner nogle gange så hårdt, at jeg tænker: Det her er overhovedet ikke sjovt, jeg skulle bare være blevet hjemme. Men det er lige præcis sådan, det skal være, før jeg virkelig skal kunne engagere mig i det. Jeg er sådan en type, der går all in, hvis jeg skal gå ind i noget. Det skal være hårdt! Vi er mange forskellige mennesker på holdet – faktisk også flere nationaliteter – og det har givet mig et helt andet socialt fællesskab, end det jeg har gennem mit fag, hvor vi som tandlæger godt kan være lidt indspiste og ensporede. Det nyder jeg virkelig. I det hele taget nyder jeg at have et liv udenfor klinikken, hvor jeg er en helt anden og gør noget helt andet, end når jeg står ved stolen. Jeg er meget engageret i mit fag og elsker at dyrke alle aspekter af det, men jeg nyder også at have et frirum fra det, hvor jeg kan tænke på alt andet end tænder.
Kan du så overhovedet se en forbindelse mellem svømningen og dit fag? – Helt klart! Jeg har altid været meget optaget af den tekniske del af svømningen. Ned til de mindste små motoriske finjusteringer. Og det er også det, jeg nørder mest med som tandlæge. Jeg er rigtig glad for at sidde og arbejde finmotorisk med kosmetiske opgaver. Der er en håndgribelighed i begge verdner, som jeg synes er superinteressant og går sindssygt meget op i. Det handler om at vinkle hånden helt rigtigt for at få det bedste tag gennem vandet, men du skal også vinkle hånden rigtigt, når du sidder og arbejder med kosmetisk plast. Jeg kan lide at dyrke de præcise små detaljer både som svømmer og tandlæge. Samtidig kan jeg se, at den disciplin, jeg har fået med mig som elitesportsudøver, har haft en stor betydning for måden, jeg går til mit fag på. Jeg bliver aldrig slået ud eller overvældet. Selvom jeg står over for en stor, ny eller svær opgave. For jeg har lært at præstere. Også under pres.
Uddannet tandlæge 2018 fra Tandlægeskolen i København
Har siden arbejdet seks år i privat praksis og netop færdiggjort et år i børnetandplejen
Valgt til Region Hovedstadens Tandlægeforening i oktober 2022
Næstformand i
Louise Kaltoft blev nordisk mester i oktober 2023, og i marts i år blev hun dansk mester





”Det er en meget effektiv måde at tømme hjernen på”
DET VAR EN PATIENT, DER INTRODUCEREDE
CLAUS POULSEN FOR GYROKOPTERFLYVNING.
Nu har han sit eget fartøj stående i en hangar
i Ringsted. Han jagter ikke kun friheden, men også kontrollen, når han stiger til vejrs.
AF FREJA BECH-JESSEN, FREELANCEJOURNALIST
Hvordan i alverden kom du i gang med at flyve gyrokopter?
– Jeg blev introduceret til det ved en ren tilfældighed, da en patient, jeg havde i stolen for 10 år siden, fortalte mig om sin gyrokopter og inviterede mig på en flyvetur. Det er en ret crazy hobby, som kun få mennesker i Danmark dyrker, men jeg blev bidt af det fra første tur og kunne hurtigt mærke, at jeg måtte prøve det igen og ikke kunne nøjes med at være passager. Det var følelsen af, at det her var noget, jeg bare skulle have krydset af den berømte liste over 100 ting, man vil nå i sit liv, før man kradser af. Jeg var knap et år om at erhverve et flycertifikat, og i dag har jeg min egen gyrokopter stående i en hangar i Ringsted. Jeg ejer den sammen
med en flymekaniker, hvilket har vist sig at være et ret smart partnerskab – i hvert fald for mig.
Her
var noget, jeg
bare skulle have krydset af den berømte liste over 100 ting

HVAD ER EN GYROKOPTER?
En gyrokopter er et mindre luftfartøj, der bæres oppe af en rotor, som frit roterer om en vertikal akse. Rotoren er ikke motordrevet, men roterer på grund af fartvinden. Der findes ca. 15 gyrokoptere i Danmark.
Hvor meget tid og energi lægger du i din flyvning?
– I begyndelsen fyldte det rigtig meget. I øjeblikket er jeg inde i en periode, hvor jeg ikke får fløjet helt så tit. Jeg har travlt, og det har min kone også. Der er arbejde, børnebørn og folkemøder, der skal passes. Men jeg nyder bare at komme forbi hangaren og tjekke, at alt er, som det skal være. Olie, benzin, lufttryk. Og når jeg så kommer på vingerne, er det jo lige så surrealistisk fedt, som det altid har været. Så flyver jeg en tur og tjekker, hvor langt de er kommet med Femern. Eller tager venner eller bekendte med en tur til Ærø eller Endelave, så vi kan spise en frokost, før vi vender snuden hjem igen.
Hvad henter du i din hobby – privat såvel som fagligt?
– Det er vel ligesom med alle andre hobbyer: lystfiskeri, sejlads, dykning. Det er restituerende og sjovt. Men for mig er flyvningen også forbundet med en oplevelse af frihed. I modsætning til en flyvemaskine har man et enormt udsyn fra en gyrokopter, fordi man sidder i en form for boble med fuld panoramaudsigt. Og så er gyrokopteren meget manøvredygtig. Du kan flyve op og ned, fra side til side, lette hvor som helst og lande på et frimærke. Når jeg flyver, har jeg helt naturligt heller ikke mulighed for at tænke på hverken fag eller arbejde, for jeg skal være til stede lige der, hvor jeg er. Orientere mig, aflæse instrumenter og kommunikere med kontroltårne. Jeg skal være koncentreret, men slapper måske af den grund fuldstændig af. Det er en
meget effektiv måde at tømme hjernen på, når man fylder den med noget andet.
Kan du se en forbindelse mellem din hobby og dit fag?
– Når jeg flyver, handler det meget om at mærke den frihed, der findes oppe over skyerne. Men jeg har tænkt over, at det i virkeligheden også handler om det modsatte – om at mærke kontrol. Og her kan jeg se et klart overlap med mit fag. Som tandlæge går jeg frem efter en fast og meget gennemtestet tjekliste –enten i mit hoved eller nedskrevet – når jeg laver en fyldning eller et implantat. For at sikre mig, at patienten i stolen får den rigtige behandling og den udføres korrekt og sikkert. Det gør jeg også, når jeg flyver. Der er helt fastlagte procedurer og tjeklister, der skal følges. Og som jeg skal have styr på. Jeg er ikke den eneste, der har gjort mig de tanker. Jeg var til foredrag med en fransk tandlæge, der fortalte, at for ham handlede helikopterflyvning og tandlægefaget om det samme: om kontrol. Han fløj selv en
stor russisk Sikorsky. Der findes den her idé om, at man løber en risiko og afgiver kontrol, når man flyver. Men som pilot gør man det modsatte. Man tager kontrollen. Man sikrer sig, at alt forløber planmæssigt. Og at man har en plan B, når det ikke gør. Og det kan jeg godt li’. Jeg kan godt lide at mærke, at jeg er i kontrol og har 100 % styr på det, jeg laver – uanset om det er i klinikken eller i gyrokopteren.
Uddannet tandplejer i 1984 og tandlæge i 1989 fra Tandlægeskolen i København
Det handler meget om at mærke den frihed, der findes oppe over skyerne
Ejer og driver egen klinik i Roskilde i partnerskabet Harald sammen med sin kone, tandlæge og formand for Tandlægeforeningen
Susanne Kleist

Tandlæge og verdensmester i mountainbike
ANNIKA LANGVAD BEGYNDTE SIN KARRIERE SOM ATLET, SAMME ÅR HUN BEGYNDTE PÅ TANDLÆGE
STUDIET. Et næsten overmenneskeligt projekt, som ikke desto mindre indbragte hende seks verdensmesterskaber. Hun cykler stadig – men mest for sjov.
AF FREJA BECH-JESSEN, FREELANCEJOURNALIST
Hvordan kom du i gang med at cykle? – De fleste professionelle atleter starter som børn, så min historie er meget atypisk, for jeg begyndte først som ung voksen, da jeg flyttede fra Silkeborg til København for at starte på tandlægestudiet. Kort forinden havde jeg opdaget, at jeg var ret god til at cykle, så jeg meldte mig ind i en triatlonklub, men fandt hurtigt ud af, at det var cykeldelen, der trak mest, og skiftede til et mountainbikehold. Herfra gik det virkelig stærkt. Mine resultater kom hurtigt, og jeg blev næsten med det samme del af et elitepro-
jekt og begyndte at køre løb både herhjemme og i udlandet. Det var et vildt og måske også lidt overmodigt projekt at starte en karriere som professionel atlet samtidig med et krævende studie. Men jeg lykkedes med at gennemføre de første to et halvt år på normal tid. Derefter begyndte jeg at flette studiet sammen, så jeg også kunne fokusere på min sport. Da jeg blev færdig i 2017, var jeg regerende verdensmester og på toppen af min karriere, så jeg udsatte tandlægearbejdet indtil 2021, efter jeg trak mig fra cyklingen 2020. ¾¾



Uddannet i 2017 fra Tandlægeskolen i København
Hun har siden 2020 været ansat hos Tandlægegruppen Rosenhøj i Hvidovre og søsterklinikken Damhus Tandlægerne i Rødovre, hvor hun er ansvarlig for rodbehandlinger
Langvad har vundet i alt seks verdensmesterskaber, men er usikker på antallet af danmarksmesterskaber
Skal være mor for første gang denne sommer
Hvor meget tid og energi bruger du på cyklen?
– Da jeg kørte professionelt, brugte jeg mellem 10 og 25 timer ugentligt afhængigt af sæsonen. I dag cykler jeg nok omkring 10-15 timer om ugen. Det lyder af meget, men for mig er det ren nydelse og restitution. Og retrospektivt ser jeg nu, hvor sindssygt hårdt det egentlig var at føre en fuldtidstilværelse som professionel atlet sideløbende med et studie, der også er benhårdt og kræver meget af én. Når mine kolleger fra cykelholdet og mine medstuderende holdt sommerfe-
Det er jo også sindssygt mentalt og fysisk hårdt at være ny tandlæge
rie, knoklede jeg jo på for at indhente alt det, jeg havde udskudt. Det var nok også for hårdt. Og der tror jeg, jeg har lært noget af min sport i forhold til mit arbejdsliv. Jeg skal være opmærksom på at mærke efter i stedet for bare at køre på.
Hvad giver det dig at køre mountainbike – privat og fagligt?
– Jamen jeg kan bare rigtig godt lide at cykle. Det giver mig et mentalt og fysisk velvære, som jeg simpelthen ikke finder på samme måde andre steder i mit
liv. Der er noget helt vidunderligt ved at komme ud i naturen og mærke min krop arbejde på en måde, der føles helt naturlig og rigtig. Det er jo også sindssygt mentalt og fysisk hårdt at være ny tandlæge. Det kræver dyb koncentration, nærvær og indlevelse, når du skal tage dig godt af patienter, der har smerter og er frustrerede og nogle gange bange. Og du står i timevis over stolen. Ofte i fastlåste stillinger, som jo ikke gør noget godt for dit bevægeapparat. For mig er cyklingen et frirum både for hjernen og kroppen.
Kan du se nogen forbindelse mellem mountainbikecykling og dit fag?
– Udefra ligner det to meget forskellige ting, men jeg kan faktisk se vildt mange paralleller og genkende mønstre i mig selv, som går igen både i min cykling og i mit arbejde som tandlæge. Når man cykler, er man del af et hold, hvor alle
Når mine kolleger fra cykelholdet og mine medstuderende holdt sommerferie, knoklede jeg jo på for at indhente alt det, jeg havde udskudt
skal præstere for at få det bedste resultat, præcis som man er del af et hold på klinikken. Men det handler også om noget andet og mere grundlæggende. Når nogen har spurgt mig, hvorfor jeg tror, jeg er blevet en dygtig cykelrytter, har jeg haft meget svært ved at beskrive, præcis hvad det er, men jeg har efterhånden fundet ud af, at det helt grundlæggende handler om, at jeg har været nysgerrig på, hvor god jeg kan blive. Nu er jeg så langt, men hvad kan jeg mere nå? Jeg har det præcis på samme måde med mit arbejde som tandlæge. Det, der driver mig, er en nysgerrighed på, hvor god jeg kan blive. Uanset om det handler om at køre stærkt eller udføre en rodbehandling. ♦

FYLDER DU RUNDT?
Hvis du ønsker din fødselsdag offentliggjort i Tandlægebladet, skal du give samtykke til det.
Det kan du gøre ved at logge ind på Tdlnet.dk dk → vælg ”mine sider” → vælg ”personlige oplysninger” → vælg ”mine samtykker”
Hvis du har spørgsmål, kan du kontakte medlemsregistreringen på e-mail medlemsregistrering@tdl.dk
30
Anna Schach, Odense M, 19. juli
Maria Sandfeld Andersen, Roskilde, 23. juli
Henriette Stryg Hansen, Nykøbing F, 26. juli
Caroline Nordahl Jørgensen, Valby, 30. juli
Kristian Michael Wood-Kurland, Solrød, Strand, 13. august
Jeppe Jeppesen, Silkeborg, 18. august
40
Marc Quist Andersen, Rungsted Kyst, 18. juli
Jesper Askholm, Allerød, 19. juli
Maja Rindom, Kongens Lyngby, 19. juli
Leila Ghasemimarzbali, Hobro, 9. august
50
Reza Akbari, København NV, 10. august
Camilla Skov Johnsen, Herning, 14. august
60
Henrik Holm, Herning, 19. juli
Else Merete Haugstrup From, Hornslet, 20. juli
Helle Lundgren, Kolding, 27. juli
Ina Gædicke, København S, 7. august
Marianne Bille, Hørsholm, 13. august
Jes Halfdan Nielsen, Risskov, 16. august
70
Sigrid Arge, Torshavn, 17. juli
Ole Engholm Hansen, Vildbjerg, 22. juli
Anja Adamsen, København Ø, 26. juli
Nils Henning Illum Ruben, København Ø, 29. juli
Henrik Dam Hansen, København Ø, 30. juli
Palle Skjødt, Grenaa, 8. august
Henrik Løvschall, Silkeborg, 9. august
Wivi Thorhauge, Klampenborg, 13. august
75
Robert Thyge Froulund, Skanderborg, 10. august
Dann Lajos Jakobsen, Mørkøv, 19. august
80
Svend Kølsen-Petersen, Risskov, 29. juli
Bent Jørgen Christiansen, Birkerød, 8. august
85
Carsten Færch, Skodsborg, 18. august
VED ITI (International Team for Implantology) World Symposium i Singapore i maj 2024 fik specialtandlæge, ph.d. Merete Aaboe overrakt prisen: ”Distinguished Achievement Award”. Prisen uddeles til personer, der har bidraget signifikant til en speciel milepæl inden for implantologien eller til et særligt ITIprodukt. Merete Aaboe modtog prisen for hendes personlige, store og dedikerede arbejde i udviklingen af valideringsprogrammet ITI Diploma fra koncept til realitet.
PRISEN OVERRÆKKES af ITI’s præsident Charlotte Stilwell




1. Muhammad Ali Suleiman Daoud
2. Mohammad Ali Namiq Beklar
3. Martin Jensen
4. Zia Juhl Lütken
5. Emil Jonathan Nitschke
6. Thomas Holm Blaabjerg
7. Emil Schepelern Pedersen
8. Nick Haghani Moshkeleh
9. Maria Kyhn Riis
10. Zaher Sleiman Atrach
11. Mehmet Huseyin
12. Nael Osama Atamish
13. Kerim Türkyilmaz
14. Majken Møller Svendsen
15. Zack Keitum
16. Signe Noe Veisig
17. Juliane Marie Petri
18. Ida Lykke Koch
19. Daniel Altenburg
20. Hadil Abdel-Rehman
21. Victoria Kjær Termøhlen
22. Amanda Mandana Maria Vosoughi
23. Ayaan Abdirahman Osman
24. Rikke Nyby
25. Nida Qasim
26. Aya Essam Abd El Monem Mohamed Ahmed Farghaly
27. Lone Rousing Lauridsen
28. Freja Fribert Jørgensen
29. Katrine Simone Høier Thorup
30 Mojtaba Diah Hassan
31. Nawar Asad Abed
32 Lærke Dengsøe Christensen
33. Rannvá Eyðunardóttir
34. Nanna Bidstrup
35. Victoria Brunholm Pommer
36. Amalie Goltermann
37. Lea Benzon Ørum
38. Klara Grønhøj
39. Mia Engelbreth Kaad
40. Johanne Louise Madsen
41. Rosa Karen Olafsdottir
42. Marcus Søndergaard Møller
43. Emma Nesheim
44. Alea Christensen
45. Sofie Matilde Gaul
46. Sofie Holmboe Dahl
47. Silke Louise Berg Malling
48. Liv Koefoed Bork
49. Sofie Hørlück Eriksen
50. Mille Groth Michelsen
51. Shahla Haydari
52. Sümeyya Korkmaz
53. Iris Omar
54. Dina El Ghalbzouri
55. Rana Zouheir El-Chaabi
56. Jenan Ayed Sadeq
57. Susan Gredsted Garner
58. Cindy Madsen
59. Maha Saad Abdel Hamzah Ghazawi
Al-Gibouri
60 Alia Joda Kathum Abdel Amir
61. Helena Ósk Árnadóttir
62 Freja Mei Fu Værnegaard Jensen
63. Sara Vallentin Raae Andersen
64. Rosa Marie Hertel
65. Billa Møller Sandoy
66. Phiraya Khumsap
67. Jasmine Cazimi
68 Floora Khesrawi

1. Lærke Helwig Larsen
2. Katrine Madsen
3. Josephine Andersen Gert
4. Anne Cathrine Boel
5. Nicoline Lindholt Stefansen
6. Agnete Lillelund Nielsen
7. Julie Sand Christensen
8. Frederikke Støjberg Pedersen
9. Therese Ottow
10. Malene Jepsen Aborg
11. Marie Sandvej Hansen
12. Birgitte Roager
13. Rebekka Sabroe Esbjerg
14. Nadia Marquard
15. Emma Helene Knarreborg
16. Lisette Munk Pedersen
17. Sara Alrajoula Allahham
18. Dino Drljevic
19. Mohammad Shahin
20. Mia Ngoc Hoang
21. Alireza Fathollahpoor
22. Christine Stasiak
23. Cecilie Thor Laursen
24. Anders Skyum
25. Sofie Blaabjerg Laursen
26. Nathalia Tania Alfa Petersen
27. Sofie Høngaard Madsen
28. Line Abel Pedersen
29. Ida Buus Larsen
30. Marie Karoline Helbo Bovbjerg
31. Thea Vinther Veng Kristensen
32. Sofie Sinding Nør
33. Ida Schultz Laustsen
34. Maria Bækkely Danmark
35. Maja Johanne Dreijer
36. Arya Yousufi
37. Astrid Bomholt Østergaard
38. Emma Rasmussen
39. Anne Kathrine Larsen
40. Ida Thousgaard Ohlsen
41. Sille Stubkjær Larsen
42. Ane Kirstine Lund
43. Rikke Schouborg Hansen
44. Freja Bruun Bojesen
45. Karoline Moltsen
46. Christina Friis Gottrup
47. Sofie Akädia Eglin Larsen
48. Muhammed Alparslan Gøkhan
49. Anna Vinter Lundqvist
50. Viktoria Christine Hunskjær Hansen
51. Marie Aas
52. Mette Skouenborg Hjorth
53. Anna Madsen Bach Svendsen
54. Ali Imad Bakkar
55. Raman Haj Battal
56. Lasse Christensen Trans
57. Agata Janina Wronecka
58. Marie Bachman Jensen
59. Johanne Holm Madsen
60. Minna Claude Jensen
61. Martha Kahr Sejersen
Mangler:
Katrine Ann Darum Jensen
Khadija Ali
Marie Bolette Hagbard Laursen
Seren Adnan Daoud
Bemærk, at oversigterne ikke nødvendigvis giver et fuldstændigt overblik over samtlige dimittender fra sommeren 2024.
TANDLÆGEFORENINGENS KOLLEGAHJÆLP formidler gratis og anonym hjælp til medlemmer i krise.
Marie Winding Turpinsvej 2
2605 Brøndby
Tlf. 36 75 48 75
Thomas Hjorth Platanvej 1
4684 Holmegaard
Tlf. 55 54 64 49 – 42 700 500
Louise Vilhelmsdal
Søndergade 10
4800 Nykøbing F.
Tlf. 54 86 00 86 – 22 93 85 11
Michael Rasmussen Gl. Vardevej 191 6715 Esbjerg N
E-mail:
mr.mr.rasmussen@gmail.com
Tlf. 75 13 75 13
Niels Holgersson
Søndergade 13 C 6000 Kolding info@tdl-holgersson.dk
Tlf. 75 52 74 34
Peter Boch Stadionvej 32
6510 Gram
Tlf. 74 82 12 12 – 24 27 02 23
Tina El-Dabagh
Tordenskjoldsgade 37, 1. th 8200 Århus N
E-mail: tinaeldabagh@hotmail.com
Tlf. 86 16 85 10
Majbritt Jensen Strandvejen 3 9000 Aalborg Tlf. 20 77 32 66
Karen Haarbo-Nygaard Tuapannguit 40 3900 Nuuk
E-mail: karenhaarbo@yahoo.com
Tlf. (+299) 547373
Pia Lindholm
Britt Betina Jørgensen Svanemøllevej 85 2900 Hellerup Tlf. 39 46 00 80
Vivian Riel Amaliegade 17 1256 København K Tlf. 70 25 77 11
Ved alkohol- og misbrugsproblemer
Halsnæs Alkoholambulatorium
Ambulatorieleder
Charlotte H. Seidler Tlf. 28 59 02 08
Erhvervspsykologisk Rådgivning v/erhvervspsykolog
Majken Blom Søefeldt Kontakt TandlægeTryghed på: Tlf. 39 46 00 80
Mail: dagpenge@tdlt.dk
Henvendelse angående kollegiale henvisninger
Tina Andersen, tlf. 33 48 77 33, e-mail: ta@tdl.dk
Pris: kr. 39,00 pr. mm + moms pr. gang.
Annoncer tegnes for 12 numre (1 år ad gangen). Der faktureres for et halvt år ad gangen i juni måned og i december måned.
Tandlægeforeningen påtager sig ikke ansvar for om kolleger, der annoncerer under kollegiale henvisninger, besidder de fornødne kvalifikationer.
Annoncering under kollegiale henvisninger er forbeholdt medlemmer af Tandlægeforeningen.
Tandklinikken Ravn
• Behandling af overvægtige patienter op til 350 kg. Patienterne kan køres ind, men skal kunne gå de sidste 4 m til stolen
• Handicapvenlig parkering og indgang
Strøby Egede Center 15 4600 Køge Tlf. 56 26 72 77 www.tandklinikkenravn.dk
Hausergaarden I/S
Specialuddannede tandlæger
Hauser Plads 20, 2 (elevator) 1127 København K v/Nørreport Station Tlf. 33 15 15 34 info@hausergaarden.dk www.hausergaarden.dk
• Endodonti * komplicerede
• Implantologi * Komplikationer
• Kirurgi * Knogle-opbygning
• Æstetik * Rekonstruktioner
• Protetik * Narkose
John Orloff
Dip. Imp Dent Adv RCS (Eng)
Jens Kristiansen
MSc Endo KCL (Eng)
Adam Gade Ellesøe
MSc Imp Dent (URJC)
Colosseumklinikken
Kongens Nytorv Østergade 1
1100 København K
Tlf. 33 12 24 21/Fax 33 33 99 90 kongensnytorv@colosseumklinikken.dk www.colosseumtand.dk
• Bidfunktion.
• Bidrekonstruktion.
• Implantologi, Invisalign.
• Knogleopbygning, Kirurgi.
• Parodontal kirurgi.
• Mikrokirurgi.
• Protetik, Æstetik, Endodonti.
• Panoramarøntgen.
• Cone-Beam scanning.
• LiteWire.
Kenneth Vikkelsø Jordy
Lennart Jacobsen
Clara Marie Bjerre Windeløv
Andreas Stavropoulos
Lars Bo Petersen
Gry Hegelund Olsson
Jesper Klinck Pedersen
Thomas Groth-Lauritsen
TBT - www.tbt.dk klinik@tbt.dk
Tlf. 38 60 20 20
• Invisalign
• Kosmetisk makeover
• Implantologi
• Bidrehabilitering
Brædstrup Implantatcenter
Birgitte Skadborg
Tlf. 75 75 12 36 www.implantatcenter.dk
Bidfunktion og
oral bidrehabilitering
Tømmergårdens Tandlæger
Steen Rosby
Stationsvej 1, 6880 Tarm Tlf. 97 37 15 15 info@rokketand.dk
• Behandling af funktionelle lidelser i tyggeorganet.
Sjælland
Stylvig
H.C. Ørsteds Vej 50C 1879 Frederiksberg C Tlf. 33 24 85 85 forum@tandlaegen.dk
Tandlæge Katharina Axtmann Farum Hovedgade 15, 1. Tlf. 31 72 83 56 Info@axtmann.dk
Tandlæge Betina Grønbæk ApS
Betina Grønbæk Stjernegade 22 1 tv
3000 Helsingør Tlf. 49 21 99 60 info@stjernegade22.dk
Sjælland Børnetandpleje Mobilkirurgi Svend Fægteborg Tlf. 28 74 73 25
Tandlægerne Fyrvej, Esbjerg CBCT-scan og panorama Tandlægerne Fyrvej Fyrvej 26 6710 Esbjerg V Tlf.: 75 15 06 00 www.fyrvej.dk
Aarhus Tandlægeskole
• CBCT og panorama-undersøgelse Henvisning og prisliste på dent.au.dk/tandlaegeskolen/forfagfolk
Colosseumklinikken Kongens Nytorv
• CBCT, panorama, beskrivelser. Lars Bo Petersen ph.d Østergade 1 1100 København K Tlf. 33 12 24 21 kongensnytorv@colosseumklinikken.dk www.colosseumklinikken.dk
SpecialTandlægeCenter Gentofte v/ specialtandlæge Pernille Egdø
• Implantater, knogleopbygning, amotio, rodresektion, autotransplantation
• Panorama/OTP CBCT/3D Baunegårdsvej 7 L, 2820 Gentofte Tlf. 39 64 65 14 www.kaebekirurg.dk pernille@kaebekirurg.dk
Specialtandlægerne v. Søren Schou, Aarhus
• Panorama og CBCT (3D), inkl. beskrivelse af Hanne Hintze, dr.odont. www.sptand.dk
Tandlægeskolen
Afd. for Radiologi Panorama og kranieoptagelser samt Cone-Beam scanning. (spec. implantatbehandling og kæbeled) Henvisningsblanket hentes på http://odont.ku.dk/specialklinik/radiologi/henvisn_rtg/ og faxes eller sendes til afdelingen. Nørre Allé 20, 2200 Kbh. N. Tlf. 35 32 69 05/Fax 35 32 67 73
Tandlægen.dk Roskilde Sahar Talebi (Msc i Oral Radiologi) • CBCT, panorama og beskrivelse Algade 52, 1. 4000 Roskilde Tlf. 46 35 33 13
NORD Specialtandlæger Kongens Lyngby Henvisningsklinik Kirurgi, implantologi, Endodonti, Protetik, Parodontologi & Oral medicin.
Klampenborgvej 221, 2. sal 2800 Kongens Lyngby
Tlf: 88 88 80 00 www.nord.dk
Fyn
Centrum Tandlægerne Odense og Middelfart
B. Pade
N. Pade
Tlf. 66 12 62 26 – 64 40 24 03
• Implantater, protetik, kirurgi. www.centrumtandlaegerne.dk
Oris Tandlægerne
Slotsgade 21, 5000 Odense C Tlf. 66 11 44 33 slotsgade21@oris.dk
• Panoramarøntgen
• CBCT (3D)
Aarhus Implantat Center
Klostergade 56, 8000 Aarhus C Tlf. 86 12 45 00
Hermodsvej 22, 8230 Åbyhøj Tlf. 70 22 35 53 www.implantatcentret.dk
Brædstrup Implantat Center
John Jensen
Martin Dahl
Jens Hartlev
Kristoffer Schwartz
Martin Saaby
Birgitte Skadborg
• Implantologi, kirurgi, narkose
• Protetiske rekonstruktioner
• 3D scanning Tinghuspladsen 6
8740 Brædstrup Tlf. 75 75 12 36
E-mail: tandlaegehuset@ implantatcenter.dk www.implantatcenter.dk
Herning Implantat Center
Louise Kold & Simon Kold
Bryggergade 10
7400 Herning Tlf. 97 12 03 99 www.herningimplantatcenter.dk
Kirurgi og protetik.
• Mulighed for narkose
KOHBERGTANDKLINIK.DK
Peter Kohberg
• Implantatcenter
• Speciale: immediat implantologi
• Kirurgi og protetik
Jernbanegade 6 6360 Tinglev Tlf. 74 64 20 00 www.Kohbergtandklinik.dk mail@Kohbergtandklinik.dk
Kolding Implantat Center
Jens Thorn, specialtandlæge
Henrik Hedegaard
ORIS Tandlægerne Kolding
Banegårdspladsen 9 6000 Kolding Tlf. 81 18 81 18
www.ORIS.dk/kolding
• Kirurgi og protetik
Tandlægerne Fyrvej
Specialtandlæge
Kristian Thesbjerg
Fyrvej 26
6710 Esbjerg V Tlf. 75 15 06 00
rtg@fyrvej.dk www.fyrvej.dk
Bredt Smil Haderslev
Puk Bergmann
Nørregade 11 6100 Haderslev
Tlf. 74 52 22 49 6100@bredtsmil.dk
dinTANDLÆGE Brande
Torben Lillie
• Immediat implantologi
• Kirurgi og protetik
Torvegade 8
7330 Brande
Tlf. 97 18 00 79 www.dintandlaege-brande.dk brandetand@brandetand.dk
Risskov Implantatklinik
– Tandlægerne Risskov
v/Ulrik Holm-Christoffersen MSc. Impl.
Immediat implantologi. Blødvævskirurgi
Implantater, knogleopbygning, Amotio, Retrograd.
• Straumann, Nobel, Ankylos, Astra.
Rolighedsvej 30, Risskov.
Tlf. 70 70 55 25 info@tandlaegernerisskov.dk
Sjælland
Tandlægen.dk Roskilde
Maziar Talaeipour
Algade 52, 1., 4000 Roskilde
Tlf. 46 35 33 13
• www.tandlaegen.dk/Roskilde
Klinikken Vestergade
Specialtandlæger i kæbekirurgi
Nino Fernandes, specialtandlæge
Teis Schjals Hansen, specialtandlæge
Pouya M. Yazdi, specialtandlæge
Sanne W.M. Andersen, specialtandlæge
Frey Brus Madsen, kæbekirurgisk videreuddannelsestandlæge
Rasmus Hartmann-Ryhl, kæbekirurgisk videreuddannelsestandlæge
Obels Gaard, Vestergade 2, 1456 København K Tlf. 33 15 48 99 www.klinikkenvestergade.dk
• Straumann, Astra, Nobel, Xive, Camlog, Dio
CBCT og digital 3D-guided implantatkirurgi og planlægning
• Narkose
SpecialTandlægeCenter
Gentofte v/ specialtandlæge
Pernille Egdø
• Implantater, knogleopbygning, amotio, rodresektion, autotransplantation
• Panorama/OTP CBCT/3D Baunegårdsvej 7 L, 2820 Gentofte Tlf. 39 64 65 14 www.kaebekirurg.dk pernille@kaebekirurg.dk
Specialtandlægerne Bredgade
Specialtandlæge Lars Pallesen www.bredgade.dk eller info@bredgade.dk Knogle- og blødtvæv. Enkelttand, bro, fuldkæbe. Narkose
Mobilkirurgi
Svend Fægteborg Tlf. 28 74 73 25
Specialtandlægerne i kæbekirurgi i Lyngby
Thomas Kofod ph.d.
Ole Schwartz ph.d.
Niels Ulrich Hermund ph.d
Rasmus Kuniss-Kriegbaum
Even Nisja
Alt indenfor tand,- mund,- og kæbekirurgi
• De fleste typer implantater og rekonstruktioner. tandlægen.dk
Lyngby & Implantatcenter Lyngby Hovedgade 27, 3. sal 2800 Kgs. Lyngby
Send henvisning over ediportalen 45870190 eller henvisningsblanket på hjemmesiden: https://tandlaegen.dk/lyngby/ lyngby-hovedgade/henvisning/
NORD Specialtandlæger
Kongens Lyngby
Henvisningsklinik
Kirurgi, implantologi, Endodonti, Protetik, Parodontologi & Oral medicin.
Klampenborgvej 221, 2. sal 2800 Kongens Lyngby
Tlf: 88 88 80 00 www.nord.dk
Mobilkirurgi ved Søren Schiff
Tlf. 28 79 19 76
Kirurgi udføres på jeres klinik i hele landet uden indflydelse af klinikkens egen drift.
Fyn
Klinik for Kæbekirurgi, Odense
Kæbekirurger, Ph.D. Torben Thygesen
Gregory Tour 50 65 62 66 tht@klinik-vs15.dk www.klinik-vs15.dk
Tanlægen.dk, Centrum Odense
Peter Marker
Specialtandlæge
Grønnegade 16, 5000 Odense C Tlf 66 12 62 26
Mail: centrum-odense@tandlaegen.dk www.tandlaegen.dk/odense Kirurgi, implantater, narkose
Jylland
Brædstrup Implantat
Center
John Jensen
Martin Dahl
Jens Hartlev
Kristoffer Schwartz
Martin Saaby Tinghuspladsen 6
8740 Brædstrup Tlf. 75 75 12 36 www.implantatcenter.dk
Oris Tandlægerne
Kolding Specialtandlæge, ph.d. Jens Thorn Banegårdspladsen 9
6000 Kolding Tlf. 81 18 81 18
Mail. Kolding@oris.dk
Kirurgiklinik
– Klinik f. TMK-kirurgi
Lone Lenk-Hansen
Thomas Urban Hermodsvej 22, 8230 Åbyhøj Tlf. 70 22 35 53 www.kirurgiklinik.dk
Tandlægerne Fyrvej
Specialtandlæge
Kristian Thesbjerg
Fyrvej 26, 6710 Esbjerg V Tlf. 75 15 06 00 rtg@fyrvej.dk www.fyrvej.dk
Tandlægerne Silkeborgvej 297
Specialtandlæge
Lambros Kostopoulos
• Implantatbehandling samt knogleopbygning med membran.
• Rekonstruktiv knogle- og blødtvævskirurgi. Behandling af periimplantitis
Silkeborgvej 297, 8230 Åbyhøj Tlf. 86 15 43 44
Tandlægerne Kold
Louise Kold
Simon Kold
Bryggergade 10
7400 Herning Tlf. 97 12 03 99 www.tandherning.dk
E-mail: post@tandherning.dk
• Mulighed for narkose
Aalborg Tandplejeteam ApS
Specialtandlæge
Martin Dahl
Boulevarden 9, 9000 Aalborg Tlf. 98 11 76 16
• Implantatbehandling
Specialtandlægerne
V. Søren Schou, Aarhus
• Oral kirurgi og implantater, inkl. narkose
Søren Schou, dr.odont.
Helle B. Nielsen, ph.d.
Karen J. Nissen
Martin Saaby Otto Schmidt www.sptand.dk
Sjælland
SpecialTandlægeCenter
Gentofte v/ specialtandlæge
Pernille Egdø
• Implantater, knogleopbygning, amotio, rodresektion, autotransplantation
Panorama/OTP CBCT/3D
Baunegårdsvej 7 L, 2820 Gentofte Tlf. 39 64 65 14 www.kaebekirurg.dk pernille@kaebekirurg.dk
Kæbekirurgisk Klinik
Niels Ulrich Hermund, ph.d., Kæbekirurg
Esben Aagaard, kæbekirurg
Søren A. C. Krarup, Kæbekirurg
Hovedvagtsgade 8, 3. sal 1103 København K Tlf. 33 12 24 04
W: kæbekirurgiskklinik.dk
• Rodresektioner
• Cyster og tumorer
• Slimhindeforandringer
• Fjernelse af tænder
• Knoglerekonstruktion
• Straumann, Astra og Nobel
• Nervelateralisering
• Generel anæstesi
Specialtandlægerne Sjælland, Solrød ApS v/ Tore Lefolii og Morten Dahl Solrød Center 45, 1. 2680 Solrød Strand Tlf. 56 16 75 00 www.spsj.dk
• TMK-kirurgi og implantatbeh.
• Kirurgi på børn og unge med fokus på ortodonti
Klinikken Vestergade
- specialtandlæger i kæbekirurgi
Jesper Jared Secher, specialtandlæge, Ph.d. Jesper Bak, specialtandlæge Andreas Riis, specialisttandläkare i endodonti
Obels Gaard, Vestergade 2 1456 København K Tlf. 33 15 48 99 www.klinikkenvestergade.dk
Specialtandlægerne Bredgade www.bredgade.dk eller info@bredgade.dk
Klinik for Kirurgi og Endodonti
Vibe Rud
Thomas Foldberg Puggaardsgade 17, st. 1573 København V Tlf. 33 14 83 86
Online henvisning via www.endokir.dk
Mobilkirurgi
Svend Fægteborg Privat og kommunal tandpleje Tlf. 28 74 73 25
Specialtandlægerne Sjælland København, Roskilde, Kalundborg
• Dentoalveolær kirurgi
• Oral rehabilitering
Specialtandlæger i Tand-, Mund- og Kæbekirurgi:
• Tore Tranberg Lefolii
• Simon Storgård Jensen, dr.odont
• Jesper Øland Petersen, ph.d
• Libana Raffoul Bjørnstrup
• Karoline Brørup Marcussen
• Even Nisja
Protetikere:
• Klaus Gotfredsen, dr. og lic.odont
• Brian Møller Andersen www.spsj.dk
E-mail: klinik@spsj.dk
Tlf. 70 22 52 30
Specialtandlægerne i kæbekirurgi i Lyngby
Thomas Kofod ph.d. Ole Schwartz ph.d. Niels Ulrich Hermund ph.d Rasmus Kuniss-Kriegbaum Even Nisja
Alt indenfor tand,- mund,- og kæbekirurgi
• De fleste typer implantater og rekonstruktioner. tandlægen.dk Lyngby & Implantatcenter Lyngby Hovedgade 27, 3. sal 2800 Kgs. Lyngby Send henvisning over ediportalen 45870190 eller henvisningsblanket på hjemmesiden: https://tandlaegen.dk/lyngby/ lyngby-hovedgade/henvisning/
NORD Specialtandlæger Kongens Lyngby
Henvisningsklinik
Kirurgi, implantologi, Endodonti, Protetik, Parodontologi & Oral medicin.
Klampenborgvej 221, 2. sal 2800 Kongens Lyngby
Tlf: 88 88 80 00 www.nord.dk
Specialtandlæge i tand-, mund og kæbekirurgi
Rannvá Matras, PLUS1 Tandlægeklinik
Kbh v. Tivoli og Rødovre Centrum Tlf. 36 70 76 00 www.plus1.dk/henvisning
Fyn
Centrum Tandlægerne
Danmarks Implantatcenter Odense klinikken
Tlf. 66 12 62 26 info@centrumtandlaegerne.dk
Middelfart klinikken
Tlf. 64 40 24 03 middelfart@ centrumtandlaegerne.dk www.centrumtandlaegerne.dk
Jylland
Brædstrup Implantat Center
Tlf. 75 75 12 36 www.implantatcenter.dk
Tandlægerne Kold
Louise Kold
Simon Kold
Bryggergade 10 7400 Herning
Tlf. 97 12 03 99
E-mail: post@tandherning.dk
• Patienter modtages til behandling i narkose. Alm. tandbehandling, kirurgi og implantatbehandling.
Centrum Tandlægerne
Danmarks Implantatcenter Aarhus klinikken
Tlf.: 86 13 26 36 aarhus@centrumtandlaegerne.dk www.centrumtandlaegerne.dk
Tandlægerne Fyrvej Fyrvej 26 6710 Esbjerg V Tlf. 75 15 06 00 rtg@fyrvej.dk www.fyrvej .dk
Patienter modtages til behandling i narkose. Alm tandbehandling, kirurgi og implantatbehandling
Specialtandlægerne Sjælland, Solrød ApS v/ Tore Lefolii og Morten Dahl Solrød Center 45, 1. 2680 Solrød Strand Tlf. 56 16 75 00 www.spsj.dk
• TMK-kirurgi og implantatbeh.
• Kirurgi på børn og unge med fokus på ortodonti
Tandlægecentret Svanen v/tandlæge Per Bjørndal Lyngby Hovedgade 27, 4. 2800 Lyngby Tlf. 45 88 96 88/Fax 45 88 91 69 www.svanetand.dk
Tandlægerne i Carlsro Tårnvej 219 2610 Rødovre Tlf. 36 70 31 67 www.carlsrotand.dk
Tandlægerne i Gl. Skovlunde Kildestrædet 108 2740 Skovlunde Tlf. 44 92 01 01
• Patienter modtages til alm. tandbehandling, kirurgi og implantatbehandling i narkose.
• Der er mulighed for at leje sig ind. Tandlægen.dk Hundige Strandvej Hundige Strandvej 182 2670 Greve Tlf. 43 90 15 15 hundigestrandvej182@tandlaegen.dk Alle former for behandling tilbydes.
NORD Specialtandlæger
Kongens Lyngby
Henvisningsklinik med anæstesi team til GA og IV-sedation.
Kirurgi, implantologi, Endodonti, Protetik, Parodontologi & Oral medicin.
Klampenborgvej 221, 2. sal 2800 Kongens Lyngby
Tlf: 88 88 80 00 www.nord.dk
Maj-Britt Liliendahl
Højbro Plads 5, 2. sal
1200 København K
Tlf. 33 12 14 38
Jylland
Tandregulering
Ane Falstie Juul
Nørgårds Allé 11, 1. 7400 Herning
Tlf. 97 12 59 00
• Specialtandlæge i ortodonti
Brædstrup Implantatcenter
Carsten Lemor
Tlf. 75 75 12 36 www.implantatcenter.dk
Specialtandlægerne
Aarhus Tandregulering
Morten G. Laursen
Janne Grønhøj
Susanna Botticelli
Frederiks Allé 93 8000 Aarhus C Tlf 86 12 17 66 mail@specialtandlaeger.dk www.specialtandlaeger.dk
Tandreguleringshuset
Kim Carlsson
Jens Kragskov
• Specialtandlæger i ortodonti
Jyllandsgade 79 C, 1. sal 6700 Esbjerg
Tlf. 76 13 14 80
Tandreguleringsklinikken
Lisbeth Nielsen, Specialtandlæge, ph.d.
Christian Iversen, Specialtandlæge Tandreguleringsklinikken
Toldboden 1, 5C
8800 Viborg
Tlf. 86 62 76 88
• Specialtandlæge i ortodonti post@tandreguleringsklinikken.dk www.tandreguleringsklinikken.dk
Specialtandlægecenter
Vestjylland
Søren Povlsen
Stationsvej 35a 7500 Holstebro
Tlf. 97 84 05 88 www.tandregulering.com
• Specialtandlæge i ortodonti
Sjælland
Harry Fjellvang
Specialtandlæge, ph.d. Specialklinik for tandregulering
Tlf. 33 93 07 23 www.tandregulering.info mail@tandregulering.info
Specialtandlæge i Holte
• Specialtandlæge i ortodonti
Lone Møller
Holte Stationsvej 6, 1. sal, 2840 Holte Tlf. 45 42 16 88 www.holtetandreguleringsklinik.dk
Specialtandlægerne
Specialtandlæger i ortodonti
Michael Holmqvist
Rosenborggade 3, 1. 1130 København K Tlf. 33 12 32 12 orto@specialtandlaegerne.dk
Specialtandlægerne i Roskilde
• Specialtandlæger i ortodonti
Søren Wiborg Lauesen
Jens Fog Lomholt
Algade 12, 4000 Roskilde
Tlf. 46 36 50 33 www.specialtandlaegerne.com
Tandlægerne i Vangede
Specialtandlæge i ortodonti
Lene Hansen
Vangede Bygade 63, 1. sal 2820 Gentofte Tlf. 39 65 34 31 www.vangedetand.dk
Tandlægen.dk Hundige Strandvej
Specialtandlæge Glen Happel
Hundige Strandvej 182 2670 Greve Tlf. 43 90 15 15 hundigestrandvej182@tandlaegen.dk
Fyn
Oris Tandlægerne
Det Gule Pakhus
Mette Rylev, ph.d. Havnepladsen 3b 5700 Svendborg
Tlf. 62 21 20 09
E-mail: detgulepakhus@oris.dk www.oris.dk/svendborg
Brædstrup Implantat
Center
Camilla Kristensen Tlf. 75 75 12 36 www.implantatcenter.dk
Tandlægerne på Store Torv
Lone Sander, ph.d.
Mette Rylev, ph.d.
Mette Kjeldsen, ph.d.
Martin Persson (protetik)
Store Torv 6, 3. 8000 Århus C Tlf. 86 12 73 50 http://tdl-storetorv.dk
Tandlægerne i Løgstør
Rikke Wedell Nielsen Bredgade 1
9670 Løgstør
Tlf. 98 67 18 55 tandlaegernebredgade1@os.dk
• Henvisninger modtages for generel parodontitis behandling, parodontitis kirurgi med og uden knogle regeneration, periimplantitis.
Tandlægerne Aarhus Ø
Anders Heide
Rodrigo López, ph.d., dr.odont. Esther Aggebos Gade 2 8000 Aarhus C Tlf. 73 70 85 00 t@ndlæge.dk
Sjælland
Københavns Paradentoseog Implantat Klinik
Marianne Hoffmeyer, M.S., Diplomate Board Certified Periodontist (USA) Strøget, Kbh K. Tlf. 33 13 66 60 www.strogettand.dk
Tandlægen.dk Roskilde Maziar Talaeipour
-Parodontal kirurgi bla. regenerativ behandling
-Mikro kirurgi (paradontal plastikkirurgi)
-Behandling af periimplantitis
Algade 52, 1., 4000 Roskilde Tlf. 46 35 33 13 www.tandlaegen.dk/Roskilde
Colosseumklinikken
Kongens Nytorv Andreas Stavropoulos Østergade 1 1100 København K Tlf. 33 12 24 21 kongensnytorv@colosseumklinikken.dk www.colosseumtand.dk
Colosseum Tandlægerne
Rosenborggade København
Rosenborggade 3, 2. 1130 København
Tlf. 33 11 39 66
E-mail: noerreport@colosseumklinikken.dk www.colosseumklinikken.dk
Tandklinikken Ravn
Nørregade 9 og Strøby Egede Center 15
4600 Køge
Tlf. 56 65 25 09 – 56 26 72 77 www.tandklinikkenravn.dk
Specialtandlægerne Bredgade
Christian Damgaard, ph.d. www.bredgade.dk eller info@bredgade.dk
Parodontitis, peri-implantitis, regenerativ parodontalkirurgi, CBCT, narkose
Nord Specialtandlæger
Daniel Midjord-Belstrøm, professor, dr. odont, ph.d. Diagnostik og parodontalkirurgi Henvisningsklinik med anæstesi team til GA og IV-sadation. Kirurgi, implantologi, Endodonti, Protetik, Parodontologi & Oral medicin.
Klampenborgvej 221, 2. sal 2800 Kongens Lyngby Tlf: 88 88 80 00 www.nord.dk
ORIS Tandlægerne
Steen Bjergegaard
Slotsgade 21, 5000 Odense C Tlf. 66 11 44 33 slotsgade21@oris.dk
• Fast protetik, inkl. implantatforankret protetik
Brædstrup Implantatcenter
Christian Dalby Tlf. 75 75 12 36 www.implantatcenter.dk
Tandlægen.dk Bagsværd
• Endodonti
Christian Bruun Møller Bagsværd Hovedgade 99, 1. sal, 2880 Bagsværd Tlf. 44 98 34 20
Mail: bagsvaerd@tandlaegen.dk www.tandlaegen.dk/bagsværd
Colosseum Tandlægerne
Kongensgade Odense
Kongensgade 54
5000 Odense
Tlf. 66 11 67 01 odense@colosseumklinikken.dk Ref. Kirsten Rysgaard
Vesterbro TandlægeCenter
Niels Bruun
Kasper Bruun Vesterbrogade 37, 2.tv 1620 København V Tlf.: 33 24 79 33 info@vesterbrotandcenter.dk
Tandlægen.dk Allerød • Udelukkende endodonti Jørgen Buchgreitz Younes Alipanah Torvestrædet 27 3450 Allerød Tlf. 48 17 24 25 j.buchgreitz@gmail.com
Tandlægen.dk Bagsværd
• Retrograd endodonti Jens Tang
Bagsværd Hovedgade 99, 1. sal. 2880 Bagsværd Tlf. 44 98 34 20
Mail: bagsvaerd@tandlaegen.dk www.tandlaegen.dk/bagsværd
RodbehandlingsCenter.dk v/ Thomas Harnung
Vester Farimagsgade 1, 3. sal. 1606 København V www.endo-henvisning.dk
Tlf. 44 44 44 11
Colosseumklinikken
Kongens Nytorv Kenneth Vikkelsø Jordy Østergade 1 1100 København K. Tlf. 33 12 24 21 kj@colosseumklinikken.dk kongensnytorv@colosseumklinikken.dk www.colosseumtand.dk
Tandlægerne Fyrvej
Søren Grønlund Fyrvej 26 6710 Esbjerg V Tlf: 75 15 06 00 rtg@fyrvej.dk www.fyrvej.dk
Tandlægerne
Hedegaard & Kjærgaard Thomas Hedegaard Storegade 3, 8382 Hinnerup Tlf. 86 98 56 26
E-mail: henvisning@storegade3.dk www.storegade3.dk
• Ortograd og kirurgisk endodonti
Tandklinikken Perlegade 13 ApS
Tom Lykke Gregersen Perlegade 13
6400 Sønderborg Tlf. 74 42 84 42 tandlaege@perletand.dk www.perletand.dk
Oris Tandlægerne
Det Gule Pakhus
Vitus Jakobsen Havnepladsen 3b
5700 Svendborg Tlf. 62 21 20 09 E-mail: detgulepakhus@oris.dk www.oris.dk/svendborg
Colosseum Tandlægerne
Slotsgade Odense
Anders Burgaard
Slotsgade 18
5000 Odense C Tlf.: 66 11 96 46
Henvisninger: EDI: Tandlæge Anders Burgaard ApS Sikkermail: ab@slotsgade18.dk
Risskov Tandklinik
Mads Juul Dybbølvej 25, 8240 Risskov Tlf. 86 17 83 22 Henvisning modtages via EDI www.risskovtand.dk
Specialtandlægerne Bredgade www.bredgade.dk eller info@bredgade.dk Mikroskopvejledt endo, stiftopbygning ifm. endodonti, CBCT, narkose
Tandlægen.dk – Greve
• Endodonti
Anders Vilmann, ph.d. Tlf. 43 43 98 98 greve@tandlaegen.dk
Tandlægerne Rådhusstrædet Mads Bojer
Rådhusstrædet 12A, 7430 Ikast E-mail: mads@tandikast.dk
Tandlægerne i Støden, Kasper Holm Busk
Støden 6, st., 4000 Roskilde Tlf. 46 36 64 00 info@tandlaegerneistoden.dk
NORD Specialtandlæger
Kongens Lyngby
Younes Alipanah, Msc i endodonti
Sune Demant, ph.d. og Msc i endodonti
Henvisningsklinik med anæstesi team til GA og IV-sedation. Kirurgi, implantologi, Endodonti, Protetik, Parodontologi & Oral medicin.
Klampenborgvej 221, 2. sal 2800 Kongens Lyngby
Tlf: 88 88 80 00 www.nord.dk
Tandlægehuset Skjern Erling Kristensen
Bredgade 30, 6900 Skjern www.tandlaegehuset-skjern.dk
Hausergaarden
John Orloff
• Æstetik * eget dental lab. Se under behandlingscentre www.hausergaarden.dk
Colosseumklinikken
Kongens Nytorv
Lennart Jacobsen
Thomas Groth-Lauritsen Østergade 1
1100 København K Tlf. 33 12 24 21 kongensnytorv@colosseumklinikken.dk www.colosseumtand.dk lja@colosseumklinikken.dk tgl@colosseumklinikken.dk
Klinik i Nordsjælland søger sød og dygtig tandplejer til fast stilling
QUICK NR. 16991
Colosseum Tandlægerne i Slagelse søger erfaren tandlæge
QUICK NR. 17002
Colosseum Tandlægerne i Slagelse søger tandplejer
QUICK NR. 17003
Klinik i Hobro, 40 min fra Århus C. søger tandplejer
QUICK NR. 17006
Odder Kommunale Tandpleje søger leder af voksentandplejen
QUICK NR. 17008
Tandplejen i Odder Kommune mangler en uddannet klinikassistent
QUICK NR. 17032
Tandlæge i Grønland – en helt særlig udfordring i fantastiske omgivelser!
QUICK NR. 17071
Moderne klinik i Faaborg søger tandplejer
QUICK NR. 17073
Klinik på Amager søger endnu en tandplejer
QUICK NR. 17075
Tandplejen i Bornholms Regionskommune søger tandlæge eller tandplejer
QUICK NR. 17077
Klinik på det hyggelige Islands Brygge søger klinikassistent
QUICK NR. 17078
Klinik på Brønshøj Torv søger tandplejer
QUICK NR. 17080
Varde kommunale Tandpleje søger tandlæge – gerne nyuddannet
QUICK NR. 17081
Klinik i Roskilde søger engageret klinikassistent
QUICK NR. 17082
Klinik i Roskilde søger tandlæge 3-5 dage/ugen pr 1.9.24
QUICK NR. 17083
Klinik i Køge søger klinikassistent
QUICK NR. 17084
Klinik i Albertslund Centrum søger tandlæge 2 til 3 dage ugentligt
QUICK NR. 17085
Kalundborg Kommunale Tandpleje søger tandlæge/ tandplejer
QUICK NR. 17086
Tandlægen.dk Nykøbing søger tandplejer
QUICK NR. 17087
Godt Smil i Sønderborg søger klinikassistent
QUICK NR. 17088
Klinik Århus C søger tandplejer
QUICK NR. 17089
Klinik i Nykøbing Falster søger klinikassistent
QUICK NR. 17090
Godt Smil Virum søger tandplejer
QUICK NR. 17091
Tandlægerne Jyllandsgade, Fredericia søger klinikassistent
QUICK NR. 17092
Halsnæs kommunale tandpleje søger tandlæge
QUICK NR. 17093
Mindre klinik i Nordsjælland søger tandplejer
QUICK NR. 17094
Godt Smil Frederikshavn søger klinikassistent
QUICK NR. 17095
Klinik i Næstved søger tandplejer på deltid
QUICK NR. 17096
Godt Smil Slagelse søger tandlæge
QUICK NR. 17097
Klinik i Varde søger tandplejer - erfaren eller ung i faget
QUICK NR. 17098
Valby Tandklinik søger tandlæge til topmoderne praksis
QUICK NR. 17099
Overtandlæge til Odder Kommune
QUICK NR. 17100
Nordsjællands dejligste klinik søger tandplejer
QUICK NR. 17101
Nordfyns Kommunale Tandpleje søger tandlæge
QUICK NR. 17102
Tandlægen.dk Lyngby Svanen søger klinikassistent
QUICK NR. 17104
Privat praksis i Brønderslev søger tandplejer med start evt. 1. september
QUICK NR. 17105
Klinik centralt i Lyngby søger tandplejer
QUICK NR. 17106
Nyindrettet klinik i Taastrup søger tandlæge
QUICK NR. 17107
Klinik i Korsør søger tandplejer
QUICK NR. 17108
B&U-tandplejen i Odense Kommune søger klinisk leder
QUICK NR. 17109
Tandlægen.dk i Taastrup søger tandplejer til spritny klinik
QUICK NR. 17110
Klinik i Hvidovre søger tandplejer
QUICK NR. 17111
Colosseum Tandlægerne Østerport søger klinikassistent
QUICK NR. 17115
Klinik i Roskilde søger erfaren tandlæge til fuld booket bog
QUICK NR. 17116
Klinik i Svendborg søger tandlæge og tandplejer
QUICK NR. 17119
Mindre klinik i Farum søger klinikassistent
QUICK NR. 17120
Klinik i Skanderborg søger klinikkoordinator
QUICK NR. 17122
Klinik i Herlev søger tandplejer
QUICK NR. 17123
Godt Smil Vejle søger uddannet klinikassistent
QUICK NR. 17124
Stor klinik i Århus C søger klinikassistent
QUICK NR. 17125
Dentist.dk I Hadsten søger tandlæge
QUICK NR. 17126
Dentist.dk i Hadsten søger tandplejer
QUICK NR. 17127
TandDanmark på Frederiksberg søger klinikassistent
QUICK NR. 17130
Tandlægerne Implantatklinik København søger receptionist front- og backoffice
QUICK NR. 17133
Klinik i hjertet af Østerbro søger tandlæge
QUICK NR. 17134
Universitetet i Bergen søger professor eller førsteamanuensis i odontologi (gerodontologi)
QUICK NR. 17135
Godt Smil Team i Brørup søger tandplejer
QUICK NR. 17136
Klinik i Ballerup Healthcare Center søger fagligt dygtig og erfaren klinikassistent
QUICK NR. 17137
v/ Ken Kürstein
Strandvej 22 4220 Korsør M: 20 20 92 12 kk@DentalConsult.dk www.DentalConsult.dk
Vores særlige kompetencer er:
• Handel med Tandklinikker (klinikmægler)
– Ejerskifte og Generationskifte af Tandlægeklinikker
– Køb og Salg af tandklinikker
– Sælgerrådgivning Salgsopstillinger (prospekt)
– Køberregister (potentielle købere)

– Sælgerkartotek (potentielle sælgere)
• Finansiering af klinikker og udstyr www.Kapital-Coach.dk
• Forretningsudvikling af tandklinikker, ring og hør mere
• Rekruttering af tandlæger, tandplejere og klinikassistenter
Flot veletableret klinik sælges
Velindrettet og centralt placeret tandklinik i lyse og moderne lokaler sælges Det faste patientgrundlag for 2023 er på 3.686 stk. (jf. kontrolstatistik), og en årlig omsætning på ca. 9 mil., med gode muligheder for at øge både omsætning og tilgang af patienter
For nærmere information kontakt:
Klinikmægler Ken Kürstein
Tlf.: 20 20 12 92
Mail: kk@dentalconsult.dk www.dentalconsult.dk

klinikformidleren.dk
klinikformidleren.dk
Vil du sælge, og vil du have en seriøs behandling af dit kliniksalg med respekt for klinikken og dine medarbejdere, så tag gerne fat i os.
klinikformidleren.dk
klinikformidleren.dk
Vil du sælge, og vil du have en seriøs behandling af dit kliniksalg med respekt for klinikken og dine medarbejdere, så tag gerne fat i os.
Klinikformidleren.dk
Klinikformidleren.dk
Info@klinikformidleren.dk
Vil du sælge, og vil du have en seriøs behandling af dit kliniksalg med respekt for klinikken og dine medarbejdere, så tag gerne fat i os.
Seriøst kliniksalg i hele Danmark. Se vores hjemmeside for aktuelle klinikker, eller kontakt os på tlf. 20 12 47 96 for at høre nærmere.
Tlf. 20124796
Info@klinikformidleren.dk Tlf. 20124796
Vil du sælge, og vil du have en seriøs behandling af dit kliniksalg med respekt for klinikken og dine medarbejdere, så tag gerne fat i os.
Klinikformidleren.dk
Klinikformidleren.dk
Info@klinikformidleren.dk Tlf. 20124796
Info@klinikformidleren.dk
Tlf. 20124796
Klinikbørsen ApS
Kvæsthusgade 6 E, 3. sal 1251 København K.
Tlf.: +45 70 20 69 79
Mobil: +45 20 24 49 79
E-mail: bc@klinikborsen.dk www.klinikborsen.dk
Henvendelse angående leverandørhenvisninger
Heidi Dyhr hos DG Media, tlf. 28 34 29 21, e-mail: heidi.d@dgmedia.dk

Din næste leverandør af periodiske tests til kontrol af sterilisationsprocesser i autoklaver og/eller tørsterilisatorer
Safe Sterilization ApS
DK-4000 Roskilde
Tlf: +45 70 231 313 (9:00-11:30) www.safeint.com

JURIDISK RÅDGIVNING TIL TANDLÆGER
Med mere end 20 års erfaring inden for sundhedssektoren kan jeg hjælpe dig sikkert i mål med dine juridiske spørgsmål og bistår i forhandlinger om overdragelse, samarbejdsvilkår, opløsning af samarbejde, ansættelsesforhold, lejemål, deltagelse i rets- og voldgiftssager etc.

Niels Gade Advokat (H)
ng@adv-nyhavn.dk ⁄ +45 33 11 93 13 / Nyhavn 6, 1051 København K www.tandlaege-advokat.dk

Mette Neve
PARTNER, ADVOKAT
M: +45 5074 4173 neve@clemenslaw.dk
Få rådgivning omkring køb og salg af tandlægeklinik. Dit valg af rådgiver gør en forskel!
24 Designs at vælge imellem...

Som tandlæge hos Godt Smil kan du forvente:
Fuldt fokus på patienten – vi klarer resten.

En fyldt aftalebog (vores bookingprocent er pt. på 90%).
En arbejdsplads, hvor der bliver lyttet til dig og dine ønsker.



• Erfarne klinikassistenter og tandplejere
• TryB4Hire
• Rekruttering
• Dækker hele Danmark
Kontakt os på 4076 1993 / kontakt@denlilletandfe.dk
Læs mere på: denlilletandfe.dk

Derfor har vi specialiseret os i rådgivning af tandlæger
Kontakt: Paw Hjelmberg Laursen Mail: paw.hjelmberg.laursen@pwc.com

NYT REVISIONSFIRMA
0246-23_Annonce tandlæger_80x40mm.indd 1
men mange års erfaring indenfor tandlægebranchen.

Vikarbureauet for klinikassistenter
• Landsdækkende Vikarservice
• Nu også for Tandplejere
Revision. Skat. Rådgivning.
Vi kan tilbyde specialiseret rådgivning indenfor bl.a.:
• Driftsoptimering af klinik
• Køb/salg klinik
• Formueoptimering
■ Jeanne Svendsen, Mobil: 30 93 49 06
• Lidt billigere
• Ring fra kl. 6.00 på tlf. 40 40 12 18 www.vikartoteket.dk

27-09-2023 11:57:55

■ Anders Frihed Hedegaard Christensen, Mobil: 30934763
■ www.powered-by.dk
Glæd jer til august, hvor I kan dykke ned i et videnskabeligt tema om adhæsion.




Tandsundhed Uden Grænser er en humanitær organisation, der siden 2002 har haft til formål at bidrage til bedre tandsundhed i udviklingslande. Vi etablerer tandplejeprojekter på skoler i samarbejde med lokale NGO’er, lærere, sundhedspersonale og forældre. Vi underviser lokalt sundhedspersonale, så lokale kræfter kan videreføre og udbrede viden om tandsundhed - også efter, at et projekt er afsluttet. Som et element i vores langsigtede udviklingsarbejde, udsender vi frivillige tandlæger, tandplejere og klinikassistenter på dentalmissioner til projektlandene et par gange om året. De frivillige underviser børnene i tandbørstning og behandler akutte smerter i tænderne
Tandsundhed Uden Grænser er en humanitær organisation, der siden 2002 har haft til formål at bidrage til bedre tandsundhed i udviklingslande. Vi etablerer tandplejeprojekter på skoler i samarbejde med lokale NGO’er, lærere, sundhedspersonale og forældre. Vi underviser lokalt sundhedspersonale, så lokale kræfter kan videreføre og udbrede viden om tandsundhed - også efter, at et projekt er afsluttet. Som et element i vores langsigtede udviklingsarbejde, udsender vi frivillige tandlæger, tandplejere og klinikassistenter på dentalmissioner til projektlandene et par gange om året. De frivillige underviser børnene i tandbørstning og behandler akutte smerter i tænderne
Tandsundhed Uden Grænser er en humanitær organisation, der siden 2002 har haft til formål at bidrage til bedre tandsundhed i udviklingslande. Vi etablerer tandplejeprojekter på skoler i samarbejde med lokale NGO’er, lærere, sundhedspersonale og forældre. Vi underviser lokalt sundhedspersonale, så lokale kræfter kan videreføre og udbrede viden om tandsundhed - også efter, at et projekt er afsluttet. Som et element i vores langsigtede udviklingsarbejde, udsender vi frivillige tandlæger, tandplejere og klinikassistenter på dentalmissioner til projektlandene et par gange om året. De frivillige underviser børnene i tandbørstning og behandler akutte smerter i tænderne
Som klinikpartner støtter du økonomisk Tandsundhed Uden Grænsers arbejde for at fremme tandsundheden i verdens fattige lande.
Som klinikpartner støtter du økonomisk Tandsundhed Uden Grænsers arbejde for at fremme tandsundheden i verdens fattige lande.
Som klinikpartner støtter du økonomisk Tandsundhed Uden Grænsers arbejde for at fremme tandsundheden i verdens fattige lande.
Et klinikpartnerskab koster 2.500,- pr. klinik. og dit sponsorat er fradragsberettiget.
Et klinikpartnerskab koster 2.500,- pr. klinik. og dit sponsorat er fradragsberettiget.
Et klinikpartnerskab koster 2.500,- pr. klinik. og dit sponsorat er fradragsberettiget.
Læs mere på www.tug-dk.org/bliv-tug-klinikpartner
Læs mere på www.tug-dk.org/bliv-tug-klinikpartner
Læs mere på www.tug-dk.org/bliv-tug-klinikpartner

Tandlæge Rasha Hadi har et vigtigt råd: Vælg en samarbejdspartner, der tror på dit projekt, og som kender kravene til at bygge en tandklinik.




Det var tydeligt, at Plandent havde prøvet det før
Plandent troede på mit projekt og havde stor erfaring med at bygge tandklinikker – derfor valgte jeg dem.
Det var tydeligt, at Plandent havde prøvet det før. De havde styr på alt fra installationer og arbejdsmiljø til fremtidssikring af min klinik.
Jeg har allerede anbefalet Plandent til andre. De har været seriøse, dygtige og haft en virkelig positiv energi.
Rasha Hadi, klinikejer og tandlæge hos Tandlægerne i Ørestaden
Få vores råd med på vejen
Book et uforpligtende sparringsmøde og få vores råd til, hvad du bør overveje, når du skal indrette din drømmeklinik. Scan QR-koden eller kontakt vores udstyrsafdeling på telefon 43 66 44 44