Tandlægebladet 6 - 2024

Page 1

Dental caries Pulpa Kunstig intelligens Komposit plast Glasionomercement Ældretandpleje Alle danskere skal have en tandkonto Tema Cariologi DEL 2 TÆNKETANK: T TANDLÆGEFORENINGENS MEDLEMSBLAD DANISH DENTAL JOURNAL N°06 ∕ JUNI 2024 ∕ #128 +

IT-system til tandklinikker

Overhold nemt lovgivningen i den daglige drift, herunder den nye arbejdstidslov.

Tid til mere

med Complianter

Hos Complianter mener vi, at sammen er vi bedst.

Derfor er systemet bygget på tæt dialog med tandlæger og andre eksperter for at sikre et praksisnært resultat.

Læs mere på www.complianter.dk

Book en demo på info@complianter.dk

Opnå bedre bonding, færre omlavninger og mere tilfredse patienter

Du kan kun bonde til en ren tand

Med AquaCare sandblæseren opnår du bedre bonding, færre omlavninger og mere tilfredse patienter

AquaCare adskiller sig fra andre sandblæsere på markedet, da den blæser pulver på tænderne med et gardin af vand rundt om pulveret. Det gør det lettere at kontrollere, hvor pulveret rammer og "griser" mindre.

Book en uforpligtende demo på klinikken Kontakt os – eller scan QR-koden for at udfylde kontaktformular.

Scan og book demo her!

* Tilbuddet gælder til og med 26. juli 2024.

og simpelt værktøj

23.500,-

Stor tilbehørspakke medfølger, værdi ca. kr. 3.000,-

...
Praktisk AquaCare Twin
Mark Sørensen Sjælland/Fyn 28 44 15 61 Steffen Ulfkjær Jylland 26 87 19 00 Christian Frantsen Jylland 26 87 19 01
K. Petersen Sjælland 26 87 19 22
Jens
Før og efter sandblæsning med AquaCare. Se flere billeder i artiklen til højre. FØR EFTER

REDAKTION

Nils-Erik Fiehn Lektor, dr.odont. Ansvarshavende og faglig-videnskabelig redaktør nef@tdl.dk

Bjarne Klausen Tandlæge, dr.odont. Faglig konsulent

Sofie Dinesen Bramsen Studentermedhjælper, sdb@tdl.dk

FAGREDAKTION

Gitte Almer Nielsen Adm. redaktør, gan@tdl.dk

Anne Burlund Redaktionssekretær og journalist, abu@tdl.dk

Nanna Fløjborg Journalist, nfl@tdl.dk

Lorena Cruzado Grafisk designer, ldc@tdl.dk

Palle Holmstrup Professor, dr.odont. Søren Schou Specialtandlæge, dr.odont.

Lise-Lotte Kirkevang Professor, dr.odont.

DET VIDENSKABELIGE PANEL

Lene Baad-Hansen, Erik Dabelsteen, Jon E. Dahl, Anne Havemose-Poulsen, Nuno Hermann, Palle Holmstrup, Siri Beier Jensen, Mats Jontell, Lise-Lotte Kirkevang, Björn Klinge, Gulnoush Bahrami Møller, Anne Marie L. Pedersen, Søren Schou, Svante Twetman, Ann Wenzel, Esben Boeskov Øzhayat

MANUSKRIPTVEJLEDNING

Videnskabelige manuskripter sendes til den faglig-videnskabelige redaktør på nef@tdl.dk. Find i øvrigt Tandlægebladets manuskriptvejledninger på Tandlægebladet.dk under menupunktet “Om Tandlægebladet”

ANNONCER

Stillingsannoncer og kollegiale henvendelser: Marketingkonsulent Tina Andersen ta@tdl.dk Produkt- og leverandørannoncer varetages af DG Media, Heidi Dyhr, tlf. 2834 2921, Heidi.d@dgmedia.dk, www.dgmedia.dk

UDEBLIVER TANDLÆGEBLADET?

Klik ind på Tandlaegebladet.dk/reklamation eller skriv til tblevering@tdl.dk. Ved adresseændring skriv til medlemsregistrering@tdl.dk

UDGIVER

Tandlægeforeningen, Amaliegade 17, 1256 Kbh. K Tandlægebladet udkommer 12 gange årligt Distribueret oplag pr. nummer: 5.507 Medlem af Danske Medier

ISSN: 0039-9153

LAYOUT OG GRAFISK PRODUKTION

Lorena Cruzado (AD) vahle+nikolaisen (layout og tryk)

FORSIDE

Rasmus Meisler

indhold
/506 Tandtænketanken har lanceret sin rapport med 35 Få
450 T ∕
overblik over tænketankens anbefalinger her.

INTERVIEW

”Vi har lavet benarbejdet – nu er det op til politikerne”

Hvordan ser den optimale model for en ny og moderniseret voksentandpleje egentlig ud? Er Tandtænketankens mission lykkedes? Og er anbefalingerne visionære nok? Vi har spurgt tænketankens formand, Ellen Trane Nørby.

FAGSTAFETTEN

”Det er næsten som detektivarbejde”

Anne Marie Lynge Pedersen, professor i oral medicin ved Københavns Universitet, svarer i denne måneds fagstafet på, hvad der har været hendes drivkraft i forskning og forskningsbaseret uddannelse inden for oral medicin.

VIDENSKAB & KLINIK

Faglig leder / 467

BJØRNDAL L, DEMANT S, RAMEZANZADE S, AZZO S, DASCALU T, IBRAGIMOV B

Histopatologi giver viden om caries – kan kunstig intelligens bidrage? / 468

Faglig kommentar / 478

BENETTI AR, PALLESEN U

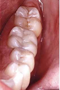
Komposit plast og glasionomercement som fyldningsmateriale i permanente molarer / 480

EKSTRAND K, DANIELSEN B

Tand­ og mundpleje på skrøbelige ældre i Danmark / 492

EKSTRAND K, DANIELSEN B

Forslag til en optimering af mundplejen til skrøbelige ældre i Danmark / 498

Faglig kommentar / 503

FAST STOF

Leder / 452

Update / 454

Guide / 504

Medlemsservice / 518

Et døgn med / 536

/516
451 2024 128 6

Her er 35 stærke anbefalinger

Høj tandsundhed, stærk faglighed og mindre ulighed.

Det er overskriften på de fem pejlemærker og 35 anbefalinger til fremtidens voksentandpleje, som Tænketanken for Voksentandpleje –Tandtænketanken – netop har lanceret på Folkemødet.

Lad mig sige det med det samme: Jeg er stolt over det enorme arbejde, der er blevet gjort det sidste år, og jeg synes, at resultatet taler sit tydelige sprog.

Jeg er slet ikke i tvivl om, at det er et superstærkt signal til omverdenen, at vi sammen med Ældre Sagen, Diabetesforeningen, Danske Patienter og de to tandlægeinstitutter i København og Aarhus kan stå samlet om så mange anbefalinger til en ny, moderne voksentandpleje.

At vi er kommet så langt, har krævet kompromiser. For vi har ikke altid været enige, og vi er kommet til bordet med hvert vores udgangspunkt. Derfor skal de 35 anbefalinger ses som tænketankens bedste bud på en moderne voksentandpleje.

Det betyder også, at vi medlemmer fortsat kan have vores egne synspunkter og bud ved siden af – og det har vi da også her i Tandlægeforeningen.

Jeg vil gerne sende en stor tak til alle repræsentanter i tænketanken for deres tid, input og bidrag. Ikke mindst Ellen Trane Nørby, der som formand for tænketanken på professionel vis og med sikker hånd har styret vores møder og holdt os til ilden.

Der er især tre af tænketankens anbefalinger, som jeg er særligt begejstret for.

Det er dybt kritisabelt og udansk

Mange af os har på næsten daglig basis patienter med medicininduceret mundtørhed i tandlægestolen. Ligesom vi jævnligt møder patienter, hvis parodontitis er svær at få bugt med, fordi de samtidig har diabetes. Tænketanken foreslår derfor, at der oprettes en pulje under sundhedslovens § 166-ordning til patienter med kronisk sygdom og/eller lidelser, der påvirker deres mund- og tandsundhed Det skal være lettilgængeligt og ubureaukratisk at ansøge om tilskud, og midlerne må ikke tages fra den eksisterende ramme til voksentandplejen.

Jeg vil også fremhæve et forslag, der har potentiale til at løfte danskernes tand- og mundsundhed markant. Alle danskere, der er omfattet af voksentandplejen, skal tilbydes en årlig undersøgelse, individuel forebyggende ydelse og almindelig tandrensning.

Lad mig slutte med en af de anbefalinger, som mange af os privatpraktiserende sukker efter.

I alt for mange år har vi levet uden en overenskomst. Det er dybt kritisabelt og udansk. Derfor foreslår tænketanken, at der med den kommende politiske aftale om nye rammer for voksentandplejen nedsættes et overenskomstforum med en solnedgangsklausul på to år, der skal sikre enighed om grundlaget for en fremtidig overenskomst.

Tænketankens arbejde slutter naturligvis ikke her. Nu skal de mange anbefalinger ud at leve og være afsæt for dialog med politikere, sundhedsmyndigheder og andre aktører på sundhedsområdet.

Det ser jeg i den grad frem til. ♦

FOTO: LIZETTE KABRÉ leder
452 T ∕

Kan du slappe af i din sommerferie?

Det hjælper lidt på det, hvis du har tjek på om din rejseforsikring dækker: Præcist dér hvor du rejser hen

de aktiviteter du har planlagt i ferien. Ring til TandlægeTryghed og få et tjek af din rejseforsikring - eller få en ny, hvis du ikke har den i forvejen.

– vi kender tandlægernes behov Vi kender tandlægernes behov

39 46 00 80
og
www.tdlt.dk

AU-STUDERENDE I OPRÅB:

Det sociale liv er truet

STUDENTERFORENINGEN OF PÅ AARHUS UNIVERSITET føler sig ikke

inddraget i en række nye regler, der forbyder sponsorater og begrænser sociale arrangementer. Institutleder er villig til at genoptage dialogen og finde alternative løsninger.

Erække nye regler risikerer at kvæle det sociale liv på instituttet. Så kontant er kritikken fra studenterforeningen Odontologisk Forening (OF) på Aarhus Universitet i et debatindlæg i Omnibus, som er universitetets uafhængige avis.

Debatindlægget kommer efter, at Institut for Odontologi og Oral Sundhed (IOOS) og fakultetet Health på Aarhus Universitet gennem de seneste år har skærpet reglerne for fester og fredagsbarer, har sat et stop for revyer og julefrokoster i universitetets lokaler og forbudt sponsorater fra firmaer og foreninger.

Ifølge Stine Bro, der er tandlægestuderende og forperson i OF, har de nye regler store konsekvenser for det sociale liv på instituttet.

– Uden sponsorater fra firmaer og foreninger har jeg meget svært ved at se, hvordan vi fremover skal kunne gennemføre de sociale og faglige arrangementer, vi har gjort hidtil. Det vil helt sikkert få konsekvenser for det sociale liv og sammenhold – også på tværs af årgangene, understreger Stine Bro.

De studerende er særligt frustrerede over måden, de nye regler er blevet gennemført på.

– Vi har fået trukket det ned over hovedet og er ikke blevet hverken inddraget i processen eller lyttet til, selvom reglerne har store konsekvenser for os og vores studieliv. Det er enormt fru-

strerende og nedværdigende, understreger Stine Bro.

Mere trist studieliv Et af argumenterne fra ledelsen har lydt, at reglerne på fakultetet skulle ensrettes. Men ifølge OF, der har været i dialog med studenterforeningen på Medicin, har de her slet ikke hørt om de nye regler om bl.a. sponsorater.

Også hos Region Midt Tandlægeforening, der tidligere har sponsoreret sociale arrangementer, undrer man sig over de nye toner fra Aarhus Universitet. – Man begrænser de studerendes muligheder for at samles i festligt lag på tværs af årgange og studieretninger. Man gør det kort sagt hårdere, mere trist og ikke mindst fattigere at være studerende. Dét synes jeg er en kedelig udvikling – og jeg tror kun, vi får dårligere studerende ud af det, lyder det fra David Mørck, formand i Region Midt Tandlægeforening, der har bedt om et møde med institutleder Siri Beier Jensen.

Institutleder ”ærgrer sig”

Institutleder på IOOS, Siri Beier Jensen, skriver til Tandlægebladet, at hun ”ærgrer sig oprigtigt” over, at de studerende ikke føler sig hørt og inddraget i processen – på trods af at der har været holdt møder direkte med Odontologisk Forening, der dog har haft en udskiftning i medlemmerne gennem de seneste år.

Siri Beier Jensen understreger, at retningslinjerne for sponsorater gælder hele Health og skyldes, at man særligt som sundhedsprofessionel skal have et armslængdeprincip til de firmaer, der sælger fagrelevante produkter.

– Vores studerende har direkte patientkontakt, og patienterne skal kunne have tillid til, at de modtager den bedste behandling uden mistanke om, at behandlerne er købt og betalt af interesseorganisationer eller kommercielle virksomheder, understreger institutlederen.

Genoptage dialogen

Hun har dog forståelse for, at de manglende sponsorindtægter har efterladt et hul i Odontologisk Forenings økonomi.

– Vi har forsøgt at finde alternative løsninger – blandt andet med tilskud fra Health til at leje egnede lokaler til julefrokosten og med at finde et egnet lokale på Aarhus Universitet til revyen, lyder det fra Siri Beier Jensen, der også er åben for at genoptage dialogen med de studerende.

– Vi mødes gerne med Odontologisk Forening igen for at drøfte muligheder, men der er ting, som ikke kan lade sig gøre længere, så der skal også en kulturændring til og skabes nye måder, understreger Siri Beier Jensen. ♦

TEKST ANNE BURLUND
T ∕ nyhed 454

Manglen på tandlæger bliver værre de kommende år

FREM MOD 2030 FORVENTER SUNDHEDSSTYREL­

SEN et fald på 90 personer med tandlægeautorisation.

Herefter forventer styrelsen, at udbuddet vil stige med 347 personer frem til 2045, svarende til en stigning på 7 %.

Styrelsen antager, at en patient har samme efterspørg sel på tandplejeydelser ­ uanset alder. Tandlægeforeningens beregninger giver dog et andet billede. Faktisk modtager en person på 65 år eller ældre omkring det dobbelte antal ydelser end et ungt menneske. Så når vi ser ind i en demografisk forskydning af befolkningssammensætningen, hvor der bliver langt flere ældre, betyder det også en stigning i efterspørgslen på tandlægeydelser. Ifølge Tandlægeforeningens beregninger vil den stigende ældrebefolkning alene betyde at efterspørgslen på tandplejeydelser vil blive øget med 11 %.

Kilde: Sundhedsstyrelsens Tandplejeprognose 2023-2045

15,8 %

Hos Dansk Tandforsikring er antallet af 20 ­30 ­årige, der har forsikret deres tænder, mere end tredoblet på 10 år. I 2015 udgjorde gruppen 4,6 % af Dansk Tandforsikrings individuelle portefølje, mens tallet i januar i år er steget til 15,8 %.

tandlæger frem til 2030

Stigning

tandlæger frem til 2045

Kæmpe sejr

4.

for, at reglerne for overdragelse af patientjournaler på tandklinikker skal ændres. Det sker efter en massiv treårig indsats fra Tandlægeforeningen. – Det har været et langt sejt træk, men vi har aldrig været i tvivl om, at vi skulle sætte alt ind på at få ændret reglerne. De har fra dag et været tåbelige og til stor gene for os alle, fastslår Søren Bach­Petersen, formand for klinikejerne. Vedtagelsen af lovændringen betyder, at Styrelsen for Patientsikkerhed kan fastsætte regler om, at der ikke skal indhentes samtykke fra hver enkelt patient, før journalen kan overdrages. Styrelsen for Patientsikkerhed og Indenrigs­ og Sundhedsministeriet har oplyst til Tandlægeforeningen, at de nye regler allerede vil træde i kraft 1. juli 2024.

455 2024 128 6
90
Fald på
347
∕ T update
DEN JUNI STEMTE FOLKETINGET

HJÆLP DINE PATIENTER...

Patienterstatningen tager over fra 1. juli

FRA 1. JULI 2024 OVERTAGER PATIENTERSTATNINGEN behandlingen af nye erstatningssager fra Tandlægeforeningens Tandskadeerstatning.

Det sker efter, at Tandlægeforeningen har opsagt den såkaldte henlæggelsesaftale med Indenrigs- og Sundhedsministeriet, som regulerer erstatningsordningen for tandskader.

Patienterstatningen behandler allerede i dag erstatningssager fra det øvrige sundhedsvæsen, og direktør Karen­Inger Bast ser frem til at løfte den kommende opgave:

– Patienterstatningens opgave er at hjælpe, når skaden er sket. Det vil vi nu også gøre på tandområdet, og vi

er klar til at overtage det vigtige arbejde, forklarer Karen­Inger Bast og fortsætter:

– Tandlægernes rolle er den samme – at oplyse patienter om muligheden for erstatning, hvis de opdager en skade. Forskellen bliver alene, at man skal henvise til Patienterstatningen. Alle patienterstatningssager behandles nu af Patienterstatningen – uanset hvor i sundhedsvæsenet, skaden sker, slutter hun.

Tandlægeforeningens Tandskadeerstatning og Tandskadeankenævnet fortsætter behandlingen af allerede anmeldte sager, og de vil også behandle en eventuel genoptagelse af en sag.

Tandbørstning bør være et generelt sundhedsråd

BIRITA ELLEFSEN

Studielektor, Institut for Odontologi og Oral Sundhed, Aarhus Universitet

Sådan lød budskabet fra Birita Ellefsen i Videnskab.dk’s podcast Brainstorm. I episoden ”Skader det min hjerne, hvis jeg ikke børster tænder” fortæller hun og Christian Damgaard, lektor på Odontologisk Institut på Københavns Universitet, om, hvordan tandsundhed kan påvirke hjernen.

456
T ∕ update Patienterstatningen tildeler erstatning til patienter, der får en skade forbindelse med tandbehandling. Du har pligt til at oplyse patienter om muligheden for erstatning, hvis du opdager en skade. Det har ikke konsekvenser for personalet, hvis patienten får erstatning. Nyt fra 1. juli 2024: Patienterstatningen overtager behandlingen af tandskadeerstatningssager Læs mere om erstatningsordningen på www.patienterstatningen.dk/tandskader
der
hvis
sker en skade

93 %

Så mange studerende gennemfører kandidatuddannelsen i odontologi. For bacheloruddannelsen er tallet 75 %.

Kilde: Sundhedsstyrelsens Tandplejeprognose 2023-2045

TF afslår mødeinvitation

I JUNI INVITEREDE SUNDHEDSMINISTERIET en række aktører til møde om en eventuel forsikringspligt for privatpraktiserende tandlæger – et møde, som Tandlægeforeningen afslog at deltage i.

– Det er ikke acceptabelt, at organisationer, som ikke repræsenterer privatpraktiserende tandlæger, skal sidde med ved bordet, når en forsikringspligt for privatpraktiserende tandlæger skal drøftes, forklarer Susanne Kleist, formand. Der er dog flere årsager til afbuddet:

– Vi kæmper indædt imod en forsikringspligt for tandskader med erstatning mellem 1.000 og 8.596 kr., sådan som PTO og Dansk Tandsundhed har slået til lyd for. Hvis den lave under grænse skal fortsætte, bør det finansieres på Finansloven, for vi vil ikke stilles ringere end øvrige dele af sundhedsvæsenet, forklarer Susanne Kleist og understreger, at ministeriet er bekendt med TF's holdning.

LÆR AF FEJLEN

Siden 2010 har det været lovpligtigt for tandlæger at rapportere utilsigtede hændelser (UTH) til Styrelsen for Patientsikkerhed. I alle fem regioner er der ansat risikomanagere, der arbejder med at øge patientsikkerheden på tandlægeområdet bl.a. ved at drage læring af utilsigtede hændelser og videreformidle denne læring til gavn for andre tandlæger. I samarbejde med regionernes risikomanagere deler vi på denne plads patienttilfælde, som er omskrevet, men baseret på lignende indrapporteringer. Du kan rapportere en UTH på dpsd.dk

Recept lagt på serveren

til forkert patient

PATIENTTILFÆLDE

En patient har været til undersøgelse hos tandplejer, og der skal lægges en recept på Duraphat tandpasta på serveren til patienten. Tandplejeren får oplyst et forkert CPR­nummer til tandlægen, som skal ordinere tandpastaen. Derved får tandlægen ordineret Duraphat til en forkert patient. En anden patient ringer til tandlægeklinikken, da hun er uforstående over, at hun har modtaget en sms om, at hendes recept er klar. Tandklinikken seponerer Duraphat på FMK med det samme, og der oprettes en recept til den rigtige patient.

LÆRING

Ved overlevering af informationer bør du identificere patienten ved at dobbelttjekke CPR­nummeret. Overleverer du mundtligt, anbefales det at bruge tjeksvar (på engelsk closed loop). Tjeksvar er en kommunikationsform, der sikrer præcise overleveringer af vigtige beskeder. Afsenderen siger beskeden, modtageren gentager for at sikre, at beskeden er korrekt forstået, og afsenderen godkender. Læs mere på patientsikkerhed.dk.

457 2024 128 6

Det spørger I om

Klinikken holder ferielukket seks uger

årligt, men jeg har kun fem ugers ferie.

Hvad gør jeg?

TANDLÆGEFORENINGEN: KOMMENDE KURSER

SEPTEMBER 6

Odense

Faglig Temadag I

Tilmeldingsfrist: 4. august

SEPTEMBER 27

Vallensbæk

Hands on: Endo akut/revision

Tilmeldingsfrist: 5. august

OKTOBER 22

København Pædodonti – det store overblik

Tilmeldingsfrist: 2. september

SVAR: Din arbejdsgiver kan ikke varsle mere ferie end de fem uger. Den sidste uge er derfor fravær med løn, hvis din arbejdsgiver fastholder den 6. uge.

Kontakt Tandlægeforeningen for rådgivning på tlf.: 70 25 77 11

Nyt fra Tdlnet

Hjælp til psykisk arbejdsmiljø

Hvis du er kommunal leder, TR og AMIR, kan du få hjælp til det psykiske arbejdsmiljø via SPARK, som er et gratis tilbud for kommunale arbejdspladser. Læs mere på Tdlnet.

Ny vejledning om Behandlingstestamenteregistret

Odontoverset

Kom med inden for i Odontoverset, Tandlægeforeningens podcast. Du finder den der, hvor du finder dine andre podcast.

Nu kan tandlæger slå op i Behandlingstestamenteregistret via FMK­Online. Det er relevant, hvis du vil iværksætte en behandling af en varigt inhabil patient, som modsætter sig behandlingen.

5 fordele ved PFA­pension

Alle medlemmer af Tandlægeforeningen har adgang til en attraktiv pensionsordning hos PFA. Klik ind på Tdlnet og læs fem fordele ved PFA's ordning.

Vidste du at …

… du som medlem af Tandlægeforeningen kan få gratis psykologhjælp eller stresscoach?

Hvis du oplever, du er ved at miste balancen, eller har du mistet balancen, så kontakt TandlægeTryghed, som administrerer hjælpen. Telefon 39 46 00 80 eller e­mail web@tdlt.dk

Webinar om arbejdstidsregistrering

Nu kan du få styr på registreringen af arbejdstid på din klinik, når Tandlægeforeningen og Complianter udkommer med et webinar om alt, du har brug for at vide om tidsregistrering.

458
T ∕ update

Restaureringer med KUN ÉN FARVE

Transcend universal komposit tilbyder et uovertruffent farvematch med kun én

Universal Body farve, takket være den patenterede Resin Particle Match™ teknologi, som eliminerer behovet for et blokeringsmateriale.

Hvis du foretrækker en lagvis teknik, fås Transcend komposit også i

En dybtliggende amalgam-misfarvning udgør en af de mest vanskelige udfordringer ved udskiftning af restaureringer. Transcend Universal Body farven blev anvendt til at erstatte amalgamen, uden brug af blokeringsmateriale. Bemærk, hvor fremragende farven blender ind i den bevarede crista obliqua.

eu.ultradent.blog

Scan QR koden for at se mere om Transcend komposit eller besøg ultradent.eu/transcend

© 2024 Ultradent Products, Inc. Alle rettigheder forbeholdes. ULTRADENT.EU
Før Efter

Avancerede algoritmer har indtaget store dele af samfundet. Det gælder også sundhedssektoren, hvor kunstig intelligens (AI) i stigende grad bliver brugt til at forbedre diagnostik og patientkontakt – men også til at udarbejde personaliserede behandlingsplaner baseret på individuelle patientdata og sygdomshistorik.

I det svenske forskningsprojekt AIDentify, som blev startet i 2021 og publiceret i BMC Oral Health, er forskellige AI-modeller blevet trænet til at finde og klassificere emaljecaries, dentincaries og sekundær caries på knap 14.000 røntgenbilleder. Robotten skulle herefter dyste mod seks erfarne tandlæger i analyse af 197 bidbilleder.

Undersøgelsen konkluderede, at AI udkonkurrerer mennesker. AI var bedre til både at opdage og klassificere caries end de seks erfarne tandlæger. Derudover producerede den også færre falske negativer, altså tests, der fejlagtigt forudså, at caries ikke var til stede. Tidsmæssigt var AI endda også bedre end tandlægerne. Hastigheden af cariesvurderingerne var dog ikke et af undersøgelsens formål, og det blev derfor ikke rapporteret i undersøgelsen.

Ifølge Peder Remman, der er leder af forskningsprojektet, er det utroligt udfordrende at identificere caries i et bidbillede, fordi hullerne nemt kan forveksles med skygger i billedet. AI-Dentify forskningsprojektet vil også evaluere AI’s evne til at opdage parodontitis.♦

Robot vs. tandlæge

T ∕ detaljen 460
461 2024 128 6

HELT UDEN FARVESTOFFER

Nogle kaffetyper misfarver tænderne

mere end andre

KAFFE ER EN POPULÆR DRIK, og nyere forskning tyder ovenikøbet på, at moderat indtagelse af kaffe kan reducere risikoen for sygdomme som type 2­diabetes og Parkinsons sygdom. Det er imidlertid en klar bivirkning, at kaffe misfarver tænderne. Et af de stoffer, der mistænkes i den forbindelse, er klorogensyre. Koreanske forskere har derfor målt indholdet af klorogensyre i fem forskellige kaffemærker (Starbucks, Dunkin’ Donuts, Kanu, ediya, coffee Bean) og undersøgt sammenhængen mellem mængden af klorogensyre og graden af misfarvning.

I alt 180 ensartede stykker af bovine tænder blev nedsænket i de fem slags kaffe i varierende tidsrum (tre, ni, 24, 48 og 72 timer), og graden af misfarvning blev målt ved hjælp af spektrofotometri.

Både tiden og kaffetypen havde signifikant betydning for graden af misfarvning (P < 0,001). Dunkin’ Donuts gav mest misfarvning, mens Starbucks gav mindst. Dunkin’ Donuts havde også det højeste indhold af klorogensyre. Ikke overraskende var der da også positiv korrelation mellem mængden af klorogensyre og graden af misfarvning (P = 0,030).

Forfatterne konkluderer, at der er forskel på, hvor meget forskellige kaffeprodukter misfarver tænderne, og at højt indhold af klorogensyre medfører mere misfarvning. De understreger dog også, at klorogensyre udover at bidrage til kaffens bitre smag, også er ansvarlig for en række af kaffens positive virkninger, fx antioxidantvirkning, antiinflammatorisk virkning og regulering af blodsukker og blodtryk.

Tandsten giver ny viden om spedalskhed i Middelalderen

SPEDALSKHED (LEPRA) VAR EN MEGET UDBREDT SYGDOM i Europa i Middelalderen. Lidelsen, der skyldes infektion med Mycobacterium leprae eller Mycobacterium lepromatosis, afficerede både hud, nerver og knogler, og de værst ramte patienter kunne miste næsen, præmaksillen og incisiverne i overkæben. På grund af dette vansirende udseende og angst for smitte blev de spedalske ofte socialt udstødt og levede i livsvarig isolation i såkaldte leprosarier i tilknytning til klostrene. Man ved meget lidt om, hvilke behandlinger de spedalske modtog; men italienske og britiske forskere har gennem analyser af tandsten kastet nyt lys over emnet. Man har undersøgt calculus fra 42 personer, der er begravet i tilknytning til et leprosarium i England, og hos syv ud af 26 personer, der var begravet i 11.­13. århundrede, kunne man påvise spor af ingefær (Zingiber officinale). Seks af de syv havde tydelige skeletale tegn på fremskreden spedalskhed. Ingen af de 16 personer, der var begravet i 14.­16. århundrede, havde spor af ingefær i deres tandsten.

Fundene tyder på, at ingefær er blevet anvendt i behandlingen af spedalskhed

Ingefær var på det tidspunkt en meget sjælden og eksotisk urt, der blev importeret til Europa fra Sydøstasien og indgik i mange klostres lægemiddelsamlinger – bl.a. på grund af angivelige analgetiske og antiinflammatoriske virkninger.

Ifølge forskerne tyder fundene på, at ingefær er blevet anvendt i behandlingen af spedalskhed i en periode i Middelalderen, men at denne behandlingsmåde senere er blevet opgivet – måske fordi den ikke virkede?

Fiorin E, Roberts CA, Baldoni M et al. First archaeological evidence for ginger consumption as a potential medicinal ingredient in a late medieval leprosarium at St Leonard, Peterborough, England. Scientific Reports 2024;14:2452.

ny viden FOTO: SHUTTERSTOCK
Kim S, Chung SH, Kim RJY et al. Investigating the role of chlorogenic acids and coffee type in coffee-induced teeth discoloration, Acta Odont Scand 2024; 82:1-8.
463 ∕ T 2024 128 6

Behandling af pulpanekrose i primære molarer: pulpektomi eller ekstraktion?

PULPANEKROSE I PRIMÆRE MOLARER som følge af profund caries forekommer stadig hyppigt verden over. Der er imidlertid ikke global enighed om, hvordan tilstanden skal behandles. I USA og Brasilien anbefaler de videnskabelige pædodontiske selskaber pulpektomi, mens trenden i Storbritannien mest går i retning af ekstraktion. Brasilianske forskere har derfor i et randomiseret klinisk studie undersøgt den oralt relaterede livskvalitet det første år efter gennemførelse af en af disse to behandlinger.

I studiet indgik 100 3 ­ 5 ­ årige børn med mindst én nekrotisk primær molar. Børnenes forældre udfyldte et spørgeskema om livskvalitet (Oral Health­Related Quality of Life, OHRQoL) ved studiets start samt fire, otte og 12 måneder efter behandlingen. På den anvendte skala er værdien 0 lig med bedst tænkelige livskvalitet, mens 52 karakteriserer den værst tænkelige livskvalitet.

I pulpektomigruppen var OHRQoL­ scoren 17,7 ved forsøgets start og 3,0 12 måneder senere, mens de tilsvarende værdier i ekstraktionsgruppen var henholdsvis 18,8 og 7,9. Begge behandlinger medførte således signifikant forbedring af OHRQoL­scoren; men tilstanden efter et år var signifikant værre i ekstraktionsgruppen (P < 0,001). Desuden var der betydeligt højere angstniveau forbundet med ekstraktion end med pulpektomi (OR = 2,52; P = 0,008).

Forfatterne konkluderer, at pulpektomi medførte bedre OHRQoL­scorer efter 12 måneder end ekstraktion, og at man bør overveje denne metode ved behandling af pulpanekrose i primære molarer.

kommentar

PROFESSOR, DR.ODONT. LISE­LOTTE KIRKEVANG

Institut for Odontologi og Oral Sundhed, Aarhus Universitet

– Studiet sammenligner ekstraktion af en primær tand med rodbehandling af en primær tand, hvor man foretager udrensning med håndfile, anvender kofferdam, skyller med NaOCl 1 % og EDTA og derefter fylder med en ikkehærdende pasta, der indeholder 30 % calciumhydroxyd, 40 % jod og 20 % silikoneolie. Studiedesignet og analyserne er fornuftige, men der er nogle opmærksomhedspunkter.

Man anvender fx normalt kun betegnelsen ”pulpektomi”, hvis der er tale om fjernelse af en vital pulpa, og ikke som her ved udrensning i relation til pulpanekrose. Det er derfor lidt uklart, hvad den initiale diagnose var.

Man måler resultatet ved hjælp af OHRQoL, hvor man på en skala fra 0­52 opsummerer forskellige parametre som fx symptomer, funktion, psykologisk påvirkning og social integration. Normalt er det patienten, der svarer, men i dette studie har man pga. børnenes lave alder valgt at lade forældrene vurdere på børnenes vegne. Det medfører naturligvis en vis usikkerhed, da forældrenes eventuelle bekymring vil være vanskelig at skelne fra børnenes.

Man finder en statistisk signifikant forskel mellem de to behandlingsmetoder. Det er i sig selv ikke så vanskeligt, når man måler outcome på en skala fra 0­52, og man forholder sig i studiet ikke til, om det er en klinisk relevant forskel. Forfatterne peger selv på begrænsninger i studiet: Man havde ikke lavet en måling af præoperativ smerte, 12 måneder er en relativt kort opfølgningsperiode, og der er ingen vurdering af, om der ses udvikling af apikal parodontitis og dermed en risiko for den permanente tand.

Dette studie indikerer, at man kan overveje rodbehandling af primære tænder med pulpanekrose, men studiet bør ikke anses for at være tilstrækkeligt som basis for behandlingsanbefaling.

Abanto J, Tsakos G, Olegário IC et al. Impact of pulpectomy versus tooth extraction in children’s oral health-related quality of life: a randomized clinical trial. Community Dent Oral Epidemiol 2024;52:13-23.

forskningsnyt
internationalt
464 T ∕

Fem

grunde

til, at gravide ikke går regelmæssigt til tandlæge

DET ER VIGTIGT, AT GRAVIDE GÅR TIL TANDLÆGE, da de hormonelle ændringer under svangerskabet øger risikoen for gingivitis og parodontitis, og forekomst af parodontitis øger risikoen for komplikationer som præeklampsi, svangerskabsdiabetes og for tidlig fødsel. Imidlertid tyder data fra Tandlægeforeningen på, at en stor del af de gravide fravælger regelmæssige tandlægebesøg, og en ny dansk undersøgelse har derfor søgt at afdække årsagerne til dette fravalg.

I studiet deltog 23 kvinder, der mødte op til nakkefoldsscanning i uge 11­13 og angav, at de ikke gik regelmæssigt til tandlæge (dvs. mindre end to besøg de seneste fem år og/eller ingen besøg de seneste 18 måneder). Alle deltog i mindst en af følgende faser: brainstorming, hvor man opregnede alle de grunde, der kunne findes til fravalget, sortering, hvor de enkelte grunde blev samlet i færre klynger, og rangordning, hvor deltagerne stemte om, hvilke grunde der betød mest. Brainstormingen gav 38 enkeltstående grunde til fravalg, og disse blev i sorteringsfasen samlet i fem klynger under overskrifterne: økonomiske årsager, manglende prioritering af tandpleje, manglende tid og energi, ingen problemer med tænderne samt tandlægeskræk. I rangordningsfasen blev økonomi og manglende prioritering angivet som de vigtigste årsager, mens tandlægeskræk blev vurderet som den mindst vigtige årsag. Undersøgelsen er foretaget i samarbejde mellem Parker Instituttet, Frederiksberg Hospital (Københavns Universitet), og fødeafdelingerne på hospitalerne i Nykøbing Falster og Holbæk.

Winckler K, Rasmussen MU, Laugenborg J, Bukkehave KH, Fischer H, Heitmann BL, Wæhrens EE. Barriers for why pregnant women do not visit a dentist on a regular basis: using group concept mapping methodology. Acta Odont Scand 2023. https://doi.org/10.1080/00016357.2023.2283 198 [Online ahead of print].

Nekrotiserende blødtvævsinfektion – en potentielt dødelig odontogen komplikation
De odontogene foci var i de fleste tilfælde knyttet til molarer i underkæben

NEKROTISERENDE BLØDTVÆVSINFEKTION (NBI) er en hurtigt progredierende tilstand, der spredes langs de subkutane fascier og medfører omfattende vævsdestruktioner. NBI rammer især patienter med komorbiditeter. NBI kan resultere i septisk shock og udbredt organsvigt, og i 11­18 % af tilfældene er der dødelig udgang. Hoved­hals­regionen rammes i 5­17 % af tilfældene, og forskere fra Rigshospitalet og Københavns Universitet har netop publiceret en opgørelse over 35 patienter, som i perioden 2013 ­2017 har været i behandling for NBI i hoved­hals­regionen. 54 % af patienterne havde en odontogen årsag til NBI (apikal parodontitis og/ eller pericoronitis), mens 46 % havde nonodontogene årsager. De odontogene foci var i de fleste tilfælde knyttet til molarer i underkæben. 51 % havde komorbiditeter som fx diabetes og hjerte­kar­sygdomme, 66 % var rygere, og 63 % havde et excessivt alkoholforbrug.

Trods intensiv behandling med omfattende og gentagne excisioner af nekrotisk væv (i gennemsnit syv operationer pr. patient), bredspektret antibiotikaterapi og behandling med hyperbar oxygen var der tre patienter, der døde inden for den første måned som følge af NBI. Alle tre havde odontogen årsag, men forskellen mellem odontogene og nonodontogene årsager var ikke signifikant (P = 0,234). Mortalitetsraten i den samlede kohorte var dermed 9 %.

Forfatterne hæfter sig ved, at næsten halvdelen af de ramte patienter ikke havde nogen komorbiditeter, og understreger, at tandlæger bør tilstræbe at holde deres patienter fri for orale infektioner livet igennem og især være på vagt over for infektiøse tilstande i relation til molarer i underkæben.

Hansen SU, Jespersen FVB, Markvart M, Hyldegaard O, Plaschke CC, Bjarnsholt T, Nielsen CH, Jensen SS. Characterization of patients with odontogenic necrotizing soft tissue infections in the head and neck area. A retrospective analysis. Acta Odont Scand 2024;82:40-7.

dansk forskningsnyt
FOTO: SHUTTERSTOCK
465 ∕ T 2024 128 6

Interesserer du dig for endodonti, og er du nysgerrig på at dygtiggøre dig? Så er SIECPH-konferencen lige noget for dig!

• Bliv undervist af ledende endodonti-eksperter.

• Lær de nyeste metoder og teknikker.

• Mød professionelle kollegaer fra hele verden.

Læs mere og tilmeld dig konferencen på www.siecph.com

Konferencen holdes den 25.-26. oktober 2024

årets vigtigste endo-konference!
ikke glip af
Style Italiano Endodontics International Congress in Copenhagen

Tema: Cariologi, del 2

I dette nummer af Tandlægebladet fortsætter forårets cariestema med artikler, som bl.a. berører carieshistopatologi, fyldningsmateriale i permanente molarer og tand- og mundpleje hos skrøbelige ældre. God læselyst!

Ud over disse artikler vil vi gerne anbefale en hvidbog fra The Economist 2024: ”Tid til at lægge dine penge, hvor din mund er”. Hvidbogen adresserer uligheder i oral sundhed. Det er en opdateret samling af fakta og holdninger baseret på sundhedsøkonomiske analyser med det formål at skabe bedre og mere lige adgang til tandpleje – noget som vi alle ønsker at arbejde for.

Vi vil også gerne benytte lejligheden til at ønske alle læsere en solrig og fantastisk sommer sammen med Tandlægebladets cariestema!

SVANTE TWETMAN

Professor emeritus og planlægger af temaet

NILS­ERIK FIEHN

Ansvarshavende og fagligvidenskabelig redaktør

Læs hvidbogen ved at scanne

QR­koden

faglig leder ∕ videnskab & klinik ∕ T
467 2024 128 6

ABSTRACT

Histopatologien har givet klinikeren en forståelse af, hvordan carieslæsionen spreder sig i emaljen langs med emalje ­ dentin ­ grænsen og videre ind i pulpa­dentinorganet, hvilket har dannet teoretisk grundlag for valg af behandlingstype (nonoperativ eller operativ). Særligt er viden om det dybe cariesangreb blevet yderst relevant, idet der er en øget international interesse for brugen af pulpabevarende behandlinger som fx den selektive og den gradvise ekskaveringsmetode som et alternativ til rodbehandling ved meget fremskredne cariesangreb. I en nylig forsvaret ph.d.­afhandling blev der gjort nogle opsigtsvækkende basalbiologiske fund ved en nærmere undersøgelse af ubehandlede ekstremt dybe carieslæsioner; udover tilstedeværelsen af brusk og pulpapolypper blev der fremsat den hypotese, at det måske ville være muligt at benytte forekomsten af radiologisk synlig intrapulpal mineralisering som en indikator for pulpaskade. Kunstig intelligens (AI) inden for cariesforskning har særligt omhandlet diagnostik og behandlingsvalg. Som bruger er det dog vigtigt at være bevidst om begrænsninger i AI ­ teknologien, og at algoritmerne inden for AI hele tiden skal underlægges ”træning”, hvorved den nyeste forskning kan inddrages. Der er eksempler på, at AI både kan foreslå overbehandling, men også anbefale forebyggende koncepter som fx undgåelse af pulpaperforation.

Histopatologi giver viden om caries – kan kunstig intelligens bidrage?

LARS BJØRNDAL, lektor, dr.odont., ph.d., Cariologi og Endodonti, Sektion for Klinisk Oral Mikrobiologi, Odontologisk Institut, Det Sundhedsvidenskabelige Fakultet, Københavns Universitet

SUNE DEMANT, gæsteforsker, tandlæge, ph.d., Cariologi og Endodonti, Sektion for Klinisk Oral Mikrobiologi, Odontologisk Institut, Det Sundhedsvidenskabelige Fakultet, Københavns Universitet

SHAQAYEQ RAMEZANZADE, tandlæge, ph.d.­studerende, Cariologi og Endodonti, Sektion for Klinisk Oral Mikrobiologi, Odontologisk Institut, Det Sundhedsvidenskabelige Fakultet, Københavns Universitet

SAAD AZZO, tandlæge, privat praksis, Lyngby

TUDOR DASCALU, ph.d.­studerende, Institut for Computer Sciences, Københavns Universitet

BULAT IBRAGIMOV, lektor, Institut for Computer Sciences, Københavns Universitet

Accepteret til publikation den 10. oktober 2023

Tandlægebladet 2024;128:468­77

CARIES BESKRIVES KLASSISK SOM ET SAMMENSPIL IMELLEM: i) tilstedeværelse af fermenterbare kulhydrater, ii) tilstedeværelse af cariogene bakterier og (iii) værts-relaterede faktorer, herunder en tidsfaktor. Disse faktorer interagerer dynamisk med hinanden, og samlet beskrives denne sammenhæng som den økologiske plakhypotese (1). Fra et histopatologisk synspunkt udgøres den ”værtsrelaterede faktor” det lokale, cariogene læsionsmiljø. En vigtig forudsætning indenfor forskningen i carieshistopatologi i nyere tid har været at beskrive carieslæsionen klinisk, makroskopisk samt at få et estimat for, om carieslæsionen er aktivt progredierende eller ej, inden tanden undergår histologisk (mikroskopisk) undersøgelse i laboratoriet.

Korrespondanceansvarlig førsteforfatter:

labj@sund.ku.dk

En lang række histopatologiske studier har beskrevet vævsforandringerne forårsaget af carieslæsionen fra den initiale okklusale emaljedemineralisering til akkumulering af inflammatoriske celler i pulpa (2-9). Denne viden danner teoretisk baggrund for en lang række af vores nonoperative såvel som

videnskab & klinik ∕ oversigtsartikel
EMNEORD Artificial Intelligence | dental caries | dental pulp | dental pulp stone | supervised machine learning
LARS BJØRNDAL
468 T ∕

operative cariesbehandlinger. Selvom sådanne histologiske undersøgelser ikke er direkte tilgængelige i behandlingsøjeblikket, som det fx er tilfældet ved cancerbehandling (10,11), danner disse histopatologiske undersøgelser baggrunden for den viden, som bl.a. ”International Caries Detection and Assessments System” (ICDAS) II bidrager med (12). ICDAS er velkendt som et informativt detektions- og vurderingssystem, og systemet har øget vores diagnostiske forståelse af forskelle og ligheder imellem kliniske og histologiske tegn på caries, samt hvorledes læsionsaktivitet kan vurderes selv ved simpel visuel undersøgelse (12). Kort sagt, histopatologien har givet klinikeren en forståelse af, hvordan carieslæsionen spreder sig i emaljen langs med emalje-dentin-grænsen og videre ind i pulpa-dentinorganet. Imidlertid har informationer om de dybere stadier af caries ikke været detaljeret beskrevet før for ganske

Aktiv carieslæsion

nylig. Viden om det dybe cariesangreb er blevet yderst relevant (13), idet der er en øget international interesse for brugen af pulpabevarende behandlinger såsom den selektive og den gradvise ekskaveringsmetode som et alternativ til rodbehandling ved meget fremskredne cariesangreb (14-16).

AI OG ”BIG DATA” INDEN FOR TANDPLEJE

AI også kaldet ”machine learning” har åbnet nye muligheder for automatiseret behandling af diagnostiske data såsom scanninger, radiologiske optagelser og/eller histologiske vævsprøver (11). Indenfor odontologien kan AI bruges til at optimere diagnostikken af sygdom i det maksillofaciale område (17). AI kan beskrives som maskinernes intelligens. Der er tale om statistiske modeller – også kaldet algoritmer, der udviser kognitive færdigheder, og som selv kan lære, forstået på den

Fig. 1. To røntgenoptagelser,

der viser progression af carieslæsion -54 med 3½ år imellem (A og B), hvor der ses øget penetration af den translucente zone i dentin. Under ekskavering ses kavitet i emaljen samt frakturlinje (C og D, pil sort) svarende til emaljelæsionens ældste og dybeste område (E, sort pil). (©Lars Bjørndal 2023).
A C D E B 469 2024 128 6
Fig. 1. Two radiographs demonstrating an active carious lesion -54 with the two exposures (A and B) being taken with a 3½ year interval. Increased penetration of the translucent zone into the dentine is observed. During excavation, a cavity within the enamel appears, as well as a fracture line (C and D, black arrow) corresponding to the oldest and deepest area of the enamel lesion (E, black arrow). ©Lars Bjørndal 2023.

måde at algoritmen ved tilførsel af data kan ”trænes” og herved optimerer sig selv.

Big Data henviser til datasæt, som er enorme og eventuelt voksende, og hvis data er så komplekse, at det er vanskeligt eller umuligt at håndtere ved hjælp af traditionelle databehandlingsmetoder (18). AI er derfor relevant for analysen af Big Data, idet store mængder data kan analyseres på meget kort tid. Teknologien er fx i stand til at analysere millioner af billeder på minutter/timer, hvor fx en radiolog måske på et helt liv kun vil overkomme tusinder af billeder. AI-baserede modeller kan tillige kigge efter flere sygdomme på en gang og endelig vejlede behandleren i den videre planlægning og sygdomsovervågning.

Brugen af AI kan derfor tænkes at kunne hjælpe det sundhedsfaglige team til at mindske mulig behandlervariation og dermed forbedre nøjagtigheden af konkrete behandlinger såsom eksempelvis nonoperative samt operative cariesbehandlinger i rutinemæssig praksis. AI kan især bruges til at analysere datasæt bestående af tidligere behandlinger og søge efter tendenser og på baggrund heraf give forslag til valg af relevant behandlingsmetode i et specifikt patienttilfælde. Brugen af sådanne datasæt stiller naturligvis krav til den pågældende database samt herunder persondataforordningen (”General

Carieslæsionens topologi

Data Proctection Regulation” (GDPR)-lovgivningen) i al almindelighed.

Med hensyn til anvendelser af AI inden for odontologi er neurale netværk (NN) blandt de mest almindelige algoritmer. Neurale netværk er statistiske modeller, hvis design er inspireret af den menneskelige hjernes struktur og funktion. Et neuralt netværk består af forbundne kontakter, som via matematiske formler kan sende data videre (kaldet neuroner), som er designet til at processere og lære fra datasæt. Neurale netværk kan udføre opgaver indenfor mønstergenkendelse, klassifikation og prædiktion (19).

DEN NYESTE FORSTÅELSE

AF DEN EKSTENSIVE CARIESLÆSION

Inden AI, Big Data og caries kobles sammen, omtales i det følgende en række undersøgelser, som har bidraget til en bedre kobling imellem teori og klinik i forbindelse med behandlingen af komplicerede ekstensive carieslæsioner (20).

En carieslæsion opstår på de områder af tandoverfladen, hvor en cariogen biofilm kan få lov til at akkumuleres uforstyrret (21). Biofilmens forgæring af kulhydrater i det orale miljø, som fører til en selektering af acidogene bakterier i bio-

Fig. 2. Med udgangspunkt i tænder med stigende sammenbrud af en dentineksponeret carieslæsion kan et forventeligt billede af et fremadskridende mønster af ubehandlet caries fremstilles. Jo flere sammenbrudte dentinflader, desto mere åbenlæsions-topologi (A-E). I forhold til radiologisk penetrationsdybde tæt på pulpa vil dybdelæsioner med synlig radioopak zone mellem læsion og pulpa have lav risiko for bakterier i pulpa (F) overfor ekstremt dybe læsioner, der har radiologisk kontakt til pulpa (G). Læsionens topologi har konsekvenser for vækstbetingelserne af en biofilm. ”Lukkede” dentin-caries-læsioner har tydelig biofilmakkumulering, blød gullig/lysbrun dentinoverflade og med et underminerende spredningsmønster langs med emalje-dentin-grænsen (H). I modsætning til ”åbne” læsioner, der er mere mørkfarvede uden nævneværdig akkumulering af biofilm (I). (Med tilladelse fra (16) og Wiley).

Fig. 2. A picture of a progressing pattern of one untreated caries lesion is expected based on teeth with increasing break-down of a dentine-exposed carious lesion, and this is confirmed in this figure. The more surfaces that are involved in a cavity the more “open” topology (A-E). In relation to the radiological penetration depth close to the pulp, deep lesions with a visible radiopaque zone between the lesion and the pulp will have a low risk of bacteria in the pulp (F) compared to extremely deep lesions that have radiological contact with the pulp (G). The topology of the lesion has consequences for the growth conditions of a biofilm. "Closed" dentin caries lesions have clear signs of biofilm accumulation, a soft yellowish/light brown dentin surface and with an undermining spreading pattern along the enamel-dentine border (H). In contrast to “open” lesions that are darker in colour without appreciable accumulation of biofilm (I). (With permission from (16) and Wiley).

& klinik ∕ oversigtsartikel
videnskab
B A F G H I C
470 T ∕
D E

filmen, og deres produktion af organiske syrer fører til demineralisering af de hårde tandvæv (emalje, dentin og cement). I begyndelsen vil demineraliseringen ikke føre til en egentlig kavitetsdannelse på tandoverfladen til trods for, at der både er mineraltab i emalje og dentin, men den gradvise demineralisering over tid vil ubehandlet kunne svække emaljelæsionens centrale dele. De mastikatoriske kræfter vil føre til dannelse af mikrokaviteter efterfulgt af egentlige kliniske kaviteter (Fig. 1). På sigt fører dette til, at den demineraliserede emaljelæsion bryder sammen og eksponerer den underliggende demineraliserede dentin. På dette tidspunkt siges læsionen at være kaviteret eller klinisk dentin-eksponeret. Hvorvidt en carieslæsion progredierer eller ej, beskrives konceptuelt med begrebet “cariesaktivitet” eller “læsionsaktivitet”. Begrebet dækker både over, hvorvidt der ses akkumulering af biofilm på overfladen af carieslæsionen, samt hvorvidt man klinisk kan se tegn på aktiv produktion af syre i den akkumulerede biofilm. Cariesaktivitet kan tillige bekræftes radiologisk (Fig. 1A og B). En aktiv carieslæsion er kort sagt dækket af en cariogen biofilm og vil derfor progrediere med øget penetrationsdybde af læsionen til følge, hvorimod en inaktiv carieslæsion ikke på samme måde har en overfladebiofilm og heller ikke vil udvikle sig med særlig stor hastighed (1). Om end inaktive carieslæsioner vil kunne aktiveres på ny, er den nuværende kliniske forståelse, at intervention ikke umiddelbart er nødvendigt eller i det mindste kan begrænses kraftigt i tilfælde af inaktive læsioner. Muligheden for akkumulering af biofilm, selv i en kaviteret carieslæsion, afhænger til en vis grad af, hvorvidt carieslæsionen kan beskrives som værende “lukket” eller “åben” (16). Jo færre tandflader der er involveret i en kaviteret carieslæsion, jo mere “lukket” eller “skålformet” vil læsionens topologi være (Fig. 2A-E), hvilket tillader akkumulering af biofilm i læsionsmiljøet. En carieslæsion med et lukket læsionsmiljø vil derfor som oftest være en aktiv læsion, hvorimod åbne carieslæsioner ikke vil kunne akkumulere biofilm i samme omfang og derfor vil forventes at have en tilsvarende lavere progressionshastighed til trods for et ellers fremskredent stadie. Aktive dentin-caries-læsioner dækket af biofilm vil klinisk kunne beskrives som værende hvidlige/gullige/lysbrune (Fig. 2H-I), og den carierede dentin vil være blød og ikke mindst fugtig eller våd. I modsætning hertil fremstår inaktive læsioner mørkfarvede, læderagtige og uden nævneværdig akkumulation af biofilm (Fig. 2I). Desuden udviser inaktive carieslæsioner ikke samme grad af fugtighed (22). Progression og spredning af en aktiv carieslæsion vil ikke blot føre til øget penetrationsdybde, men også lede til underminering af emaljen. Dette kan ses som retrograd demineralisering (Fig. 2H). I takt med at carieslæsionen gradvist underminerer emaljen, vil emaljen på et tidspunkt være så u-understøttet, at den almindelige tyggefunktion vil føre til, at emaljen knækker af. Et resultat af dette er, at carieslæsionen bliver mere “åben”. I den nu relativt mere åbne carieslæsion vil akkumulering af biofilm ikke kunne finde sted i samme omfang som før (Fig. 2I), og carieslæsionens progressionshastighed eller aktivitet vil mindskes eller stoppe fuldstændigt (16,23). Dette dynamiske skift imellem aktivitet og inaktivitet kan ses ved både dybe og mindre dybe carieslæsioner og danner fra et klinisk perspektiv

klinisk relevans

Det er med baggrund i ny viden om cariessygdommen, at vi kan modificere vores behandlinger. Et godt eksempel er den ekstensive carieslæsion, hvor vi i dag mere præcist kan definere, hvornår noninvasive pulpabehandlinger har deres indikationsområde. Senstadier af inflammation såsom intrapulpal forkalkning er formodentlig tydelige tegn på irreversibel beskadigelse af det pulpale væv, og endelig er fundet af bakterier i pulpa foreneligt med såkaldt ekstremt dyb caries, hvor carieslæsionen radiologisk har kontakt til pulpa og endodontisk behandling er nødvendig. AI er en hurtigt udviklende teknologi, der kan bistå diagnostik og behandlingsvalg. Den kan vejlede, men også mislede og bør aldrig alene erstatte tandlægens beslutningsproces.

Pulpal bakteriepenetration hvornår?

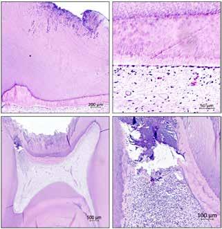
Fig. 3. (A). Histologiske træk ved en veldefineret dyb læsion. (B). Detaljer viser, at bakterierne ikke har nået pulpa. Den tertiære dentin er delvist atubulært, og pulpa har intet inflammatorisk infiltrat. (C). Bakterierne har nået tertiær dentin i den ekstremt dybe carieslæsion. (D). Detalje, der viser, at regionen er delvist nekrotisk og med et underliggende inflammatorisk infiltrat. Hæmatoxylin-eosinfarvning. (Med tilladelse fra (16) og Wiley).

Fig. 3. (A). Histological features of a well-defined deep lesion. (B). Detail shows that the bacteria have not reached the pulp. The tertiary dentine is partly atubular and the pulp has no inflammatory infiltrate. (C). The bacteria have reached tertiary dentine in the extremely deep carious lesion. (D). Detail showing the region to be partly necrotic and with a subjacent inflammatory infiltrate. Hematoxylin-eosin stain. (With permission from (16) and Wiley).

baggrund for henholdsvis den selektive og den gradvise ekskavering (24,25). Forstået på den måde at man på ubehandlede

A C D B 471 2024 128 6

carieslæsioner, hvor undermineret emalje er fraktureret, kan se konsekvenserne af det markante miljøskifte som beskrevet ovenfor. En kaviteret standset læsion kendetegnes af en mørkere dentinfarve, fastere konsistens og lavere fugtighedsgrad. Med andre ord er det muligt at ændre markant på progressionshastigheden af en carieslæsion ved at ændre vækstbetingelserne for biofilmen ikke bare på emaljeoverfladen, men også på overfladen af en dyb kaviteret læsion (25) uden anvendelse af en konventionel færdig ekskavering – i dag kaldet nonselektiv ekskavering.

I de seneste år har der særligt været international forskningsmæssig interesse for brugen af mindre invasive behandlingsmetoder af profunde carieslæsioner som et alternativ til pulpektomi. Imidlertid har dette forskningsområde været præget af en manglende definition af, hvad profund caries egentlig er. På denne baggrund blev der i en konsensusartikel fra ”European Society of Endodontology” (26) opstillet nogle kliniske retningslinjer for behandlingen af profunde carieslæsioner baseret på tilgængelig evidens. En oversigtsartikel (27) foreslog at

inddele profund caries i to radiologisk veldefinerede kategorier af cariespenetrationsdybde. Forfatterne definerede “dyb” caries som carieslæsioner, der radiologisk involverer ≥ ¾ af den totale tykkelse af dentin, men med et radioopakt lag af dentin mod pulpa (Fig. 2F) samt “ekstremt dyb” caries som læsioner, hvor carieslæsionen strækker sig igennem hele dentintykkelsen vurderet ud fra et røntgenbillede og uden et radioopakt lag af dentin imellem læsionsfronten og pulpa (Fig. 2G).

Et relativt nyt studie (16) har sammenholdt disse radiologiske veldefinerede stadier af penetrationsdybde med det pulpale respons vurderet histologisk og har vist, at ved “dybe” carieslæsioner har bakterierne ikke penetreret til pulpa endnu, den tertiære dentin er delvist atubulær, og der ses endnu ikke et inflammatorisk infiltrat i pulpa (Fig. 3A og B). Hvorimod ”ekstremt” dybe carieslæsioner typisk har bakterier, der har nået den tertiære dentin eller er i direkte kontakt til pulpa (Fig. 3C, D). På dette tidspunkt vil et inflammatorisk infiltrat kunne ses i pulpa, og pulpal skade er tydelig i form af nekrotiske områder (Fig. 3D). Disse fund er i overensstemmelse med et Brusk i pulpa

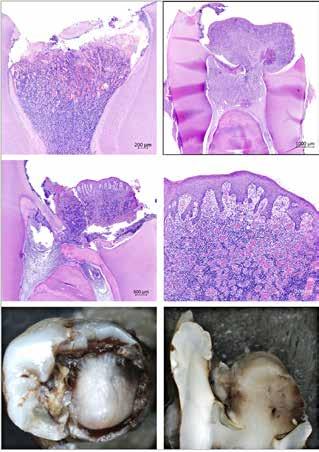
Fig. 4. Histologiske eksempler på ektopisk bindevævsdannelse (brusk). Ektopisk bindevæv er synligt radiografisk (A) såvel som makroskopisk (B). Det ektopiske bindevæv har brusklignende celler arrangeret i lakuner (C). Farvning med Safranin O (D), Alcian Blue van Gieson (E) og Toluidin blå (F) bekræftede tilstedeværelsen af en glycosaminoglycan-rig matrix. (Med tilladelse fra (29)).

Fig. 4. Histological examples of ectopic connective tissue formation (cartilage). Ectopic connective tissue is visible radiographically (A) as well as macroscopically (B). The ectopic connective tissue appears cartilage-like with cells arranged in lacunae (C). Staining with Safranin O (D), Alcian blue van Gieson (E) and Toluidine Blue (F) confirmed the presence of a glycosaminoglycan rich matrix. (With permission from (29)).

klinik ∕ oversigtsartikel
videnskab &
A B D E F C 472 T ∕

klassisk histologisk studie, der har vist, at egentlig pulpaskade (direkte bakteriel penetration) ikke finder sted, før en carieslæsion er meget tæt på pulpa (28). I det nævnte studie var penetrationsdybden imidlertid alene defineret histologisk uden radiologisk information, hvilket begrænser studiets kliniske betydning. Ved at benytte veldefinerede radiologiske stadier i diagnostikken af det fremskredne cariesangreb er det således muligt at differentiere imellem lav og høj risiko for bakteriepenetration af pulpa. Den tilgængelige viden antyder, at dyb caries kan behandles med noninvasive pulpabehandlinger såsom gradvis eller selektiv ekskavering, hvorimod ekstremt dyb caries altid bør behandles mere invasivt indledende med nonselektiv ekskavering efterfulgt af fx delvis eller total fjernelse af det pulpale væv.

ØVRIGE BASALBIOLOGISKE FUND

VED EKSTENSIV CARIES

I en nylig forsvaret ph.d.-afhandling blev der gjort nogle basalbiologiske opsigtsvækkende fund ved en nærmere undersøgelse af ubehandlede ekstremt dybe carieslæsioner (29). I et stort antal af de undersøgte carieslæsioner sås brusklignende forandringer i det pulpale stroma direkte under carieslæsionen. Disse bruskagtige dannelser var distinkt anderledes end klassiske pulpasten og var signifikant associeret med inflammation i pulpa samt med øget intrapulpal mineralisering vurderet radiologisk (Fig. 4). Studiet fremsatte den hypotese, at det måske ville være muligt at benytte forekomsten af radiologisk synlig intrapulpal mineralisering som en noninvasiv indikator for pulpal skade. I studiet sås desuden en høj forekomst af pulpapolypper, hvilket viser, at det inflammerede pulpale væv har tendens til at undergå hyperplastiske forandringer (Fig. 5).

STATUS VEDRØRENDE AI OG CARIES

Histopatologiske vurderinger kan betragtes som guldstandard for medicinsk diagnostik. Den konventionelle histopatologiske diagnosticering er imidlertid en arbejdstung proces, hvor højt specialiseret personale foretager gentagne og ressourcekrævende diagnostiske og prognostiske vurderinger af histologiske vævsprøver. De seneste fremskridt inden for AI såsom koblingen med Big Data øger muligheden for potentielt at kunne øge nøjagtigheden og hastigheden af sådanne diagnostiske undersøgelser, som det fx foregår ved evalueringen af kræftsygdomme (10,11). Særligt er det de lovende mønstergenkendelseskapaciteter i AI-baserede modeller (Fig. 6), der, når koblet med patientens øvrige digitale sundhedsdatabaser, kan tænkes at fremme den diagnostiske proces (11).

I et igangværende samarbejde mellem Odontologisk Institut samt Institut for Computer Science, Københavns Universitet, indgår AI bl.a. i et projekt (30) til at bistå vurderingen af det forventede resultat efter ekskavering af et dybt cariesangreb. Vil der komme pulpaperforation eller ej? Den aktuelle algoritme er ”oplært” på baggrund af et datasæt bestående af faktiske behandlinger udført i Skandinavien. I korte træk kan algoritmen efter at have analyseret et aktuelt røntgenbillede på computerskærmen med en operativ krævende carieslæsion kunne foreslå det forventede resultat, såfremt der udføres fx en gradvis

ekskavering (Fig. 7). Præliminære resultater viser, at metoden endnu er for usikker, til trods for at den pågældende algoritme er forholdsvis god til at forudsige, om der rent faktisk kom perforation til pulpa eller ej ved en specifik ekskaveringsmetode. Det er derfor nødvendigt at ”træne” algoritmen yderligere, hvis den fulde effekt af AI skal have sin indflydelse i denne sammenhæng. Et andet interessant aspekt i undersøgelsen var, at i de tilfælde, hvor algoritmens forslag til behandlingsresultatet ikke blev fulgt, var den vurdering, der blev valgt, ofte mere invasiv end den egentlige behandling viste. Med andre ord forsøgte algoritmen at forebygge overbehandling. Endelig er det vigtigt at bemærke, at AI ikke af sig selv opdateres på baggrund af relevante nye forskningsresultater, medmindre algorit-

Caries og pulpapolyp

Fig. 5. (A). De indledende stadier af pulpapolypper har udtalt vaskulært og betændt væv, der svarer til det mest koronale pulpavæv (B) udviklende til store polypper (C) lejlighedsvis dækket af flerlaget pladeepitel (detaljeret i D). (E). Stereomakroskopisk billede af en stor polyp, der penetrerer ud gennem kronen. (F). Det makroskopiske præparat viser polyppen, der trænger op gennem pulpakammerets loft. Hæmatoxylin-eosin-farvning. (Med tilladelse fra (16) og Wiley).

Fig. 5. (A). Initial stages of pulp polyps have highly vascular and inflamed tissue that barely protrudes from the pulp chamber (B) to large polyps (C) occasionally covered by a stratified squamous epithelium (detailed in D). (E). Stereomacroscopic view of a large polyp protruding through the crown. (F). The macroscopic specimen shows the polyp penetrating the roof of the pulp chamber. Hematoxylin-eosin stain. (With permission from (16) and Wiley).

A C E B D F 473 2024 128 6

AI røntgenbilledegenkendelse

med dyb caries

Tand med dyb caries

AI modellen skal oplæres med et trænings datasæt, hvor billederne er klassificeret med dyb caries eller med ekstrem dyb caries

Testbillede

Konvolutions lag Pooling lag Skjult lag 1 Skjult lag 2

Røntgenbilledet undersøges i flere lag (Konvolution og Pooling)

Tand med dyb caries

Tand med ekstrem dyb caries

Den samlede information af de forbundne neuroner giver det endelige resultat

AI modellen tester et nyt billede med baggrund i trænings datasættet

Fig. 6. En AI algoritme ”trænes” og deler informationerne op i lag. Den begynder med at identificere pixels i røntgenbillede (A) og overfører disse til et computerdatalag kaldet ”konvolution” (blå lag, B, og som herefter gøres mere kompakt ”pooling” (røde lag, C. AI data samles i såkaldte ”skjulte” lag, der består af kontakter, som via matematiske formler kan sende data videre (neuroner). Her i eksemplet er neuroner fra lag 1 fuldt forbundet med lag 2, og denne samlede information giver det endelige resultat: Tand med dyb caries.

Fig. 6. An AI algorithm is “trained” and divides the information into layers. It begins by identifying pixels within the test image (the radiograph) (A) and this information is transferred to a computer data layer, convolution (blue layer, B. and then makes it more compact, pooling (red layers, C. All data is collected in so-called “hidden” layers, consisting of contacts (neurons) that can pass on data via mathematical formulas. Here, neurons from layer 1 are fully connected to layer 2 and their aggregate information gives the final result: Deep carious lesion.

men ikke tilsvarende ”trænes” heri; et eksempel kunne være at skelne mellem dyb og ekstremt dyb caries.

Ved et diagnostisk AI-værktøj er det væsentligt, at indikationerne for eksempelvis et operativt indgreb er nøje defineret, idet dette typisk varierer blandt forskellige grupper af tandlæger med forskellig ekspertise. Hvor tandlægers evne til korrekt at identificere sunde tænder (specificitet) er nogenlunde ens på tværs af tandlæger med forskellig erfaring, varierer deres evne til nøjagtigt at identificere tilfælde af carieslæsioner (sensitivitet) (31). Studier har vist, at AI-modeller kan øge tandlægernes diagnostiske nøjagtighed, hovedsageligt ved at øge synliggørelsen af fx emaljelæsioner, men at det sker på bekostning af mere invasive behandlingsvalg hvad angår dybere dentinlæsioner (32). Tandlæger skal være bevidste omkring dette, hvis en fremtidig AI-model anvendes, og at brugen af AI i forhold til den enkelte tandlæge bør undersøges nøje særligt med hensyn til AI-assisteret valg af cariesbehandling (32). Endelig er det afgørende at vide, hvilke data der ligger til grund for AI-algoritmens oplæring. Er der fx tale om hypotetiske vurderinger foretaget af eksperter eller faktisk behandling, hvor behandlingsresultatet er kendt.

Prædiktionsmodeller, der forsøger at inddrage det multifaktorielle aspekt bag udvikling af caries, er netop blevet analyseret (præprint), og forfatterne fandt, at evidensen var tvivlsom,

og sjældent inddrog modellernes data om emaljelæsioner (33). Alle de undersøgte modeller involverede ikke AI.

I nyere multifaktorielle cariesmodeller inddrages AI (34,35). Wu et al. (35) anvendte en multifaktoriel maskinindlæringsmodel baseret på logistisk regression. Modellen kunne forebygge samt diagnosticere aktiv progredierende caries ved at detektere flere cariesassocierede bakteriearter. Metoden udviste en acceptabel nøjagtighed i forhold til de faktiske forhold med henblik på at forudsige risiko for fremtidig cariesudvikling. Et andet studie har udviklet en AI-baseret forudsigelsesmodel for caries i den tidlige barndom hos højrisikopatienter (36). Denne model blev ”trænet” på baggrund af information om spyttets koncentration af cystatin S hos cariesfrie børn og børn med caries i den tidlige barndom. Desuden inkluderedes information fra den kliniske undersøgelse, herunder demografiske og socioøkonomiske faktorer samt kostvaner. Den rapporterede nøjagtighed af modellen i forbindelse med en forudsigelse af caries blev beskrevet som ”optimal”, baseret på studiets diagnostiske data.

De nævnte undersøgelser indikerer, at AI-modeller har stort potentiale, når det kommer til genkendelse og vurderinger af cariesrisikofaktorer og udviklingen af caries generelt. Metoderne lader til at være i stand til på sigt at kunne skelne mellem patienttilfælde, der vil udvikle caries i fremtiden, og patient -

videnskab & klinik ∕ oversigtsartikel
Tand med ekstrem dyb caries Tand
A B C 474 T ∕

AI perforationsprædiktion

Fig. 7. Et eksempel på en test-bruger-flade, der viser et aktuelt røntgenbillede, hvor en AI model foretager en prædiktion af pulpaperforation af 7+, hvis en given behandling udføres (computersvar). Der oplyses tillige om patientens alder (46 år), samt om der har været smerter eller ej. Aktuelt forventes ikke pulpaeksponering (ingen pulpaeksponering), hvis der foretages gradvis ekskavering på 7+. Som bruger kan man så vælge, om man er enig eller ej i computerens anbefaling.

Fig. 7. An example of a test user-interface showing a current radiograph where an AI model makes a prediction of pulp exposure of 7+ if a given treatment is performed (computer response). Information is given about the patient’s age (46 years) and whether there has been pain or not. Currently, no pulp exposure is expected if stepwise excavation is performed (7+). As a user, you can then choose whether you agree or not with the computer's recommendation.

tilfælde, der ikke forventes at udvikle caries. En anden mulig anvendelse af AI-metoder er som en velkvalificeret ”second opinion” i konkrete behandlinger som eksemplificeret ved vurdering af risiko ved ekskavering og forekomst af perforation. Forudsigelser baseret på AI kan formodentlig være et supplement i en fremtidig diagnostisk værktøjskasse. Ser man som trænet kliniker en patient med et stort behandlingsbehov, kan applikation af AI måske virke ”for meget” til at løse problemet. Særligt bør man ikke underkende, men fastholde, hvor langt vi er kommet i Skandinavien og især Danmark omkring tidlig diagnostik og kontrol af emaljelæsioner, som selv mange erfarne klinikere måske i første omgang ville betragte som værende ikkeeksisterende, men som ved afpudsning kan følges og behandles (Fig. 8). Ikke alle vil have behov for en AI-algoritmes forslag i en given situation.

SAMMENFATNING OG KONKLUSION

Det er ikke sikkert, at ”AI-baseret analyse” er nødvendig til vurdering og behandling af såvel tidlig som fremskreden caries, men metodens relevans bør ikke undervurderes. Det vil tillige være klinisk interessant, hvis det bliver muligt, inden der opstår synlige tegn på caries at have et teknologisk redskab, der fx kan understøtte en forebyggende behandling. Som et andet eksempel kan det tænkes, at AI kan bruges til at udføre en vurdering

Nonoperativ cariesbehandling

Fig. 8. En delvist frembrudt mandibulær 3. molar, som viser et okklusalt aktivt læsionsmiljø, inden afpudsning (”baseline”) samt under en 3-ugers sekvens af professionel biofilmfjernelse (”1 week”, ”2 week”, ”3 week”). Der ses status før bakteriel indfarvning (venstre kolonne), efter bakteriel indfarvning midterkolonne og efter professionel fjernelse af den farvede biofilm (højre kolonne). Aktive emaljelæsioner bemærkes koronalt på begge sider af fure-fossa-systemet. Der ses også en carieslæsion på facialfladen cervikalt. Efter både professionel fjernelse og individuel instruktion reduceres laget af biofilm (hvid pil, nederste række, ”3 week”) sammenlignet med ”baseline” (hvid pil, øverste række).

Derudover har emaljelæsionerne påbegyndt en misfarvning centralt (sorte pile, ”2 week,” ”3 week”), hvilket fortolkes som tegn på standsede læsioner/langsomt progredierende læsioner. (©Lars Bjørndal 2022).

Fig. 8. A partly erupted mandibular 3rd molar indicative of an active lesion environment, shown during baseline and a 3-week sequence of professional plaque removal (1 week, 2 week, 3 week). Status is noted prior bacterial stain (left column), after bacterial stain (center column) and after professional removal of the stained biofilm (right column). Active “white spot” enamel lesions are noted coronal at both sides of the grooves. Also, a carious lesion is noted at the buccal surface. Following both professional removal and individual instruction, the layer of biofilm is reduced (white arrow, bottom row, “3 week”) compared to baseline (white arrow, top row). In addition, the enamel lesions are starting to retain stain (black arrows, “2 week”, “3 week”) indicative of signs of slowly progressing lesions. (©Lars Bjørndal 2022).

af, om en given behandling kan forebygge en rodbehandling eller ej. Til trods for at AI virkelig er til debat i disse tider, hvor det måske er mest populært at være kritisk, udgør AI på den anden side nogle fantastiske muligheder for at skabe kliniske standarder, som bør komme både patienten, men også samfundet som helhed til gode, ikke mindst hvis vi er omhyggelige med at tilføre AI det mest evidente ”trænings”-data.

475 2024 128 6

ABSTRACT (ENGLISH)

HISTOPATHOLOGY PROVIDES KNOWLEDGEABOUT DIAGNOSTICS AND TREATMENT OF CARIES –CAN ARTIFICIAL INTELLIGENCE CONTRIBUTE?

The histopathology has given the clinician an understanding of how the carious lesion spreads in the enamel, along the enamel ­ dentine junction, and further into the pulp ­ dentin organ. This has formed the theoretical basis for selecting type of treatment (non ­ operative or operative). In particular, knowledge about the deep carious lesion has become highly relevant, as there is an increased international interest in the use of pulp ­ preserving treatments, such as the selective and stepwise excavation approach, as an alternative to root canal treatment in advanced carious lesions. In a recently defended Ph.D. thesis, some startling basal ­ bio ­

LITTERATUR

1. Marsh PD. Microbial ecology of dental plaque and its significance in health and disease. Adv Dent Res 1994;8:263-71.

2. Silverstone LM, Hicks MJ, Featherstone MJ. Dynamic factors affecting lesion initiation and progression in human dental enamel. Part I. The dynamic nature of enamel caries. Quintessence Int 1988;19:683-711.

3. Brännström M, Lind PO. Pulpal response to early dental caries. J Dent Res 1965;44:1045-50.

4. Silverstone LM, Hicks MJ. The structure and ultrastructure of the carious lesion in human dentin. Gerodontics 1985;1:185-93.

5. Stanley HR, Pereira JC, Spiegel E et al. The detection and prevalence of reactive and physiologic sclerotic dentin, reparative dentin and dead tracts beneath various types of dental lesions according to tooth surface and age. J Oral Pathol 1983;12:257-89.

6. Bjørndal L, Thylstrup A. A structural analysis of approximal enamel caries lesions and subjacent dentin reactions. Eur J Oral Sci 1995;103:25-31.

7. Ekstrand KR, Kuzmina I, Bjørndal L et al. Relationship between external and histologic features of progressive stages of caries in the occlusal fossa. Caries Res 1995;29:243-50.

8. Bjørndal L, Darvann T, Thylstrup A. A quantitative light microscopic study of the odontoblast and subodontoblastic reactions to active and arrested enamel caries without cavitation. Caries Res 1998;32:59-69.

9. Ekstrand KR, Ricketts DN, Kidd EA et al. Detection, diagnosing, monitoring and logical treatment of occlusal caries in relation to lesion activity and severity: an in vivo examination with histological validation. Caries Res 1998;32:247-54.

10. Gurcan MN, Boucheron LE, Can A et al. Histopathological image analysis: a review. IEEE Rev Biomed Eng 2009;2:147-71.

11. Sultan AS, Elgharib MA, Tavares T et al. The use of artificial intelligence, machine learning and deep learning in oncologic histopathology. J Oral Pathol Med 2020;49:849-56.

12. Ekstrand KR, Martignon S, Ricketts DJN et al. Detection and activity assessment of primary coronal caries lesions: a methodologic study. Oper Dent 2007;32:225-35.

13. Massler M. Pulpal reactions to dental caries. Int Dent J 1967;17:44160.

14. Langeland K. Tissue response to dental caries. Endod Dent Traumatol 1987;3:149-71.

logical findings were made, when examining untreated extremely deep carious lesions. In addition to the presence of cartilage and pulp polyps, it was hypothesized that it might be possible to use the presence of radiologically visible intrapulpal mineralisation as an indicator of pulp damage. Artificial intelligence (AI) in caries research has particularly focused on diagnostics and treatment choices. As a user, however, it is important to be aware of the limitations of AI technology and that the algorithms within AI must be subjected to ongoing “training”, with the latest research included. There are examples where AI can both suggest overtreatment but also recommend preventive concepts such as avoidance of pulp perforation.

15. Ricucci D, Siqueira JF, Li Y et al. Vital pulp therapy: histopathology and histobacteriology-based guidelines to treat teeth with deep caries and pulp exposure. J Dent 2019;86:41-52.

16. Demant S, Dabelsteen S, Bjørndal L. A macroscopic and histological analysis of radiographically welldefined deep and extremely deep carious lesions: carious lesion characteristics as indicators of the level of bacterial penetration and pulp response. Int Endod J 2021;54:319-30.

17. Hogan R, Goodwin M, Boothman N et al. Further opportunities for digital imaging in dental epidemiology. J Dent 2018;74 (Supp 1):S2-9.

18. Jain P, Wynne C. Artificial intelligence and big data in dentistry. In: Jain P, Gupta M, eds. Digitization in dentistry: clinical applications. Cham, Switzerland: Springer, 2021;1-28.

19. Dar-Odeh NS, Alsmadi OM, Bakri F et al. Predicting recurrent aphthous ulceration using genetic algorithms-optimized neural networks. Adv Appl Bioinform Chem 2010;3:7-13.

20. Bjørndal L, Ramezanzade S. Pathological features of coronal zaries. In: Carvalho JC, ed. Monographs in oral science coronal caries: evolving evidence and clinical practice. 31st ed. Basel: Karger AG, 2023;19-36.

21. Bjørndal L, Kirkevang LL, Whitworth J, eds. Textbook of endodontology, 3rd ed. West Sussex, UK: Wiley-Blackwell, 2018.

22. Matsuda Y, Miura J, Shimizu M et al. Influence of nonenzymatic glycation in dentinal collagen on dental caries. J Dent Res 2016;95:1528-34.

23. Bjørndal L, Kidd EAM. The treatment of deep dentine caries lesions. Dent Update 2005;32:4024, 407-10, 413.

24. Massler M. Treatment of profound caries to prevent pulpal damage. J Pedod 1978;2:99-105.

25. Bjørndal L, Larsen T, Thylstrup A. A clinical and microbiological study of deep carious lesions during stepwise excavation using long treatment intervals. Caries Res 1997;31:411-7.

26. EUROPEAN SOCITY OF ENDODONTOLOGY (ESE) developed by:,Duncan HF, Galler KM, Tomson PL et al. European Society of Endodontology position statement: Management of deep caries and the exposed pulp. Int Endod J 2019;52:923-34.

27. Bjørndal L, Simon S, Tomson PL et al. Management of deep caries and the exposed pulp. Int Endod J 2019;52:949-73.

videnskab & klinik ∕ oversigtsartikel
476 T ∕

28. Reeves R, Stanley HR. The relationship of bacterial penetration and pulpal pathosis in carious teeth. Oral Surg Oral Med Oral Pathol 1966;22:59-65.

29. Demant S. The dynamic dentalpulp – the pulpal tissue response to advanced stages of dental caries [Internet]. Københavns Universitet, Odontologisk Institut.; Tilgængelig hos: 978-87-9433642-0.??????

30. Ramezanzade S, Laurentiu T, Ibragimov B et al. Pulp Exposure prediction before caries excavation by artificial intelligence. J Dent 2023 (Accepteret til publikation).

31. Sato H, Da Silva JD, Lee C et al. Effects of healthcare policy and education on reading accuracy of bitewing radiographs for interproximal caries. Dentomaxillofac Radiol 2021;50:20200153.

32. Mertens S, Krois J, Cantu AG et al. Artificial intelligence for caries detection: Randomized trial. J Dent 2021;115:103849.

33. Havsed K, Petersson GH, Isberg P-E et al. Multivariable prediction models of caries increment: a systematic review and critical appraisal. BMC Syst Rev (preprint).

34. Park YH, Kim SH, Choi YY. Prediction models of early childhood caries based on machine learning algorithms. Int J Environ Res Public Health 2021;18:8613.

35. Wu TT, Xiao J, Sohn MB et al. Machine learning approach identified multi-platform factors for caries prediction in child-mother dyads. Front Cell Infect Microbiol 2021;11:727630.

36. Koopaie M, Salamati M, Montazeri R et al. Salivary cystatin S levels in children with early childhood caries in comparison with cariesfree children; statistical analysis and machine learning. BMC Oral Health 2021;21:650.

477 2024 128 6

faglig kommentar →

Af BULAT IBRAGIMOV, lektor, Institut for Computer Science, Københavns Universitet

Af LARS BJØRNDAL, lektor, Odontologisk Institut, Københavns Universitet

Er tandlægen klar til AI-baserede kliniske anbefalinger? – Hvor ligger ansvaret, når tandlægen og AI samarbejder?

KUNSTIG INTELLIGENS (AI) HAR REVOLUTIO­

NERET FORSKELLIGE ASPEKTER af vores liv, lige fra tekstkorrektion til bilkørsel. Dens brede anvendelse i tandplejen er også kommet i gang. Udviklingen af AI-modeller, der resulterer i, at de kan rådgive menneskelige eksperter, rejser imidlertid tekniske og kliniske spørgsmål. Forestil dig, at AI bliver bedt om at forudsige den optimale behandling for en patient med dyb caries ved hjælp af informationer fra journalen, herunder røntgenbilleder. Forestil dig, at AI-modellens forudsigelse forevises til den behandlende tandlæge, der udfører behandlingen, fx en rodbehandling. Der sker nu det uheldige, at tandlægen efter at have fulgt AI-anbefalingen udsættes for en klage, fordi patienten efterfølgende har hørt, at man kan lave en mere skånsom behandling af tanden, uden at det skulle ende i en rodbehandling. Kan du nu som tandlæge i denne sag henvise til, at det var baseret på en beslutning, som AI havde anbefalet, og derfor vil du være uden skyld eller ansvar? Det umiddelbare svar er nej! Vi kan ikke pålægge en AI-model et ansvar, særligt hvis den pågældende AI-model omhandlede beslutninger, som ikke umid¬delbart er underlagt nogen synlig form for validering eller kontrol af behandlings¬forslagets rimelighed. Det er tandlægens ansvar.

Hvem er ansvarlig for kliniske fejl, når AI og tandlæger arbejder sammen? Mens tandlægen fortsat er den ultimative beslutningstager, kan potentielt forkerte AI-forudsigelser have påvirket tandlægens beslutning. Der er flere måder, et sådant ansvarsspørgsmål kan håndteres på. En idé er at behandle kunstig intelligens som medicinsk udstyr på linje med et røntgenap-

parat. Røntgenbilleder kan jo også indeholde billedartefakter eller forvrængninger, der kan resultere i menneskelige læsefejl. Et modargument til denne idé er, at røntgenbilled-artefakter har en meget forudsigelig fysisk baseret natur, der hjælper tandlægen med at genkende dem. AI-forudsigelserne er mere indviklede med mellemliggende trin, som ofte er skjult for tandlægen, hvilket forhindrer tandlægen i at genkende en mulig fejl i AI-modellens ræsonnement. En alternativ idé er at bede AI om ikke at træffe diagnostiske beslutninger, men at fremhæve kliniske og billedmæssige træk, som kræver tandlægens opmærksomhed. Selvom denne idé kan reducere AI-inducerede kliniske fejl betydeligt, begrænser den også AI-fordele som fx at kunne inddrage viden om konkrete behandlingsresultater. Endelig kan AI skjules helt for tandlægen. I et sådant setup sammenligner AI tandlægens beslutning med den tilsvarende AI-forudsigelse, og hvis de er uenige, udløser AI-modellen en opfordring til, at man skal vurdere den aktuelle sag i samråd med en kollega/anden tandlæge, en såkaldt second opinion. I et sådant tilfælde er det tandlægerne, der drager den endelige beslutning, ikke en AI-model.

Hjælp fra kunstig intelligens i vores elektroniske patientjournal vil sprede sig dramatisk og vil påvirke mange aspekter af tandbehandling, herunder analyse af journaldata, såsom billedanalyse samt behandlingsplanlægning. Fejlene vil være uundgåelige, men vil forhåbentlig blive opvejet af fordelene for den gennemsnitlige patient. Tandlæger vil være ansvarlige for at kommunikere fordele og ulemper ved AI-hjælpen til patienterne, herunder kunne dokumentere baggrunden for et behandlingsvalg, det være sig understøttet af ”guidelines”, såkaldte eksperter eller en fremtidig opdateret AI-platform.

videnskab & klinik ∕ faglig kommentar
478 T ∕

HJÆLP DINE PATIENTER

HJÆLP DINE PATIENTER

MED AT BEHOLDE ET SUNDT TANDKØD

MED AT BEHOLDE ET SUNDT TANDKØD

parodontax er en flourtandpasta til daglig brug med en unik 67% natriumbikarbonat formulering

parodontax er en flourtandpasta til daglig brug med en unik 67% natriumbikarbonat formulering

58% 4X

58%

reduktion i blødningssteder1

reduktion i blødningssteder1

4X

mere effektiv til at fjerne plak*2

mere effektiv til at fjerne plak*2

Læs mere om parodontax og bestil prøver og patientmateriale ved at scanne QR-koden eller tilmelde dig på www.haleonpro.dk

Læs mere om parodontax og bestil prøver og patientmateriale ved at scanne QR-koden eller tilmelde dig på www.haleonpro.dk

*sammenlignet med en almindelig tandpasta efter professionel rengøring og 24 ugers børstning to gange dagligt.

*sammenlignet med en almindelig tandpasta efter professionel rengøring og 24 ugers børstning to gange dagligt.

1. Akwagyiram et al. Efficacy and Tolerability of Sodium Bicarbonate Toothpaste in Subjects with Gingivitis: A 6-month Randomized Controlled Study. Oral Helth Prev. Dent. 2017; 16(5): 401-407. 2. Jose A et al. J Clin Dent. 2018; 29:33–39.

1. Akwagyiram et al. Efficacy and Tolerability of Sodium Bicarbonate Toothpaste in Subjects with Gingivitis: A 6-month Randomized Controlled Study. Oral Helth Prev. Dent. 2017; 16(5): 401-407. 2. Jose A et al. J Clin Dent. 2018; 29:33–39.

PM-DK-PAD-23-00009
PM-DK-PAD-23-00009

ABSTRACT

Fyldningens holdbarhed afhænger af tandlægens arbejde samt en række risikofaktorer hos patienten, som fx cariesaktivitet, tilstedeværelse af parafunktionelle orale vaner, parodontale og/eller systemiske sygdomme. I det posteriore område holder store fyldninger i molarer og/eller tænder med endodontisk behandling kortere. De hyppigste årsager til omlavning af plastfyldninger er caries i tæt relation til fyldningen eller fraktur af plastmaterialet, mens det for glasionomercementfyldninger er fraktur eller slid af materialet. Denne artikel fokuserer på relevante egenskaber af plastiske restaureringsmaterialer, som understøtter deres indikation og ydeevne i posteriore tænder. Desuden gennemgås de væsentligste trin i restaureringsteknik med henblik på at minimere fejl, som kan nedsætte fyldningens holdbarhed.

EMNEORD

Resin composite | glass ionomer cement | posterior restorations

Komposit plast og glasionomercement som fyldningsmateriale i permanente molarer

ANA RAQUEL BENETTI, lektor, ph.d., Odontologisk Institut, Det Sundhedsvidenskabelige Fakultet, Københavns Universitet

ULLA PALLESEN, overtandlæge ved Odontologisk Institut, Det Sundhedsvidenskabelige Fakultet, Københavns Universitet

Accepteret til publikation den 19. januar 2024

Tandlægebladet 2024;128:480­91

DER ER I DAG ABSOLUT FORDELE VED AT UDFØRE POSTERIORE FYLDNINGER I PLAST. Ud over de tandfarvede egenskaber, som værdsættes af mange, har den adhæsive teknik gjort det muligt at forstærke resttandsubstans og at lade sygdommen (i.e. caries) bestemme kavitetsudstrækningen. Fjernelse af sund tandsubstans for at skabe aktiv retention er ikke nødvendigt, og det har gjort noninvasiv restaurerende behandling mulig (Fig. 1). Overgangen fra amalgam til plast har således samlet ikke været et tilbageskridt for tandsundheden.

Til gengæld står anvendelsen af glasionomercement som midlertidigt eller langvarigt fyldningsmateriale i posteriore tænder splittet. Enkelte kliniske undersøgelser viser dog, at overlevelsen af glasionomercementfyldninger kan være acceptabel over en længere observationsperiode, når de fremstilles enten med den plastforstærkede eller den højviskøse, kemisk hærdende udgave – også når de appliceres i mindre klasse II-kaviteter (1-3). Udover glasionomercementens type er holdbarheden af disse fyldninger også meget afhængig af kavitetsstørrelse (4).

Korrespondanceansvarlig førsteforfatter:

ANA RAQUEL BENETTI arbe@sund.ku.dk

Denne oversigtsartikel fokuserer på komposit plast- og glasionomercementfyldningers holdbarhed med henblik på materialernes indikation og risikofaktorer, der har betydning for deres anvendelse i posteriore tænder samt på de forhold, der kan medvirke til at forbedre fyldningernes prognose.

videnskab & klinik ∕ oversigtsartikel
480 T ∕

Én af mange muligheder

Fig. 1. Restaurering med direkte plast af tanden -6. A. Der ses gammel amalgamfyldning, caries og cuspisfraktur. B. Efter ekskavering og præparation. Amalgamfyldningen er fjernet, fordi der var underminerende caries. C. God funktion af den nye plastfyldning er forsøgt opnået ved at udforme randcrista, cuspides (konvekse) og fissursystemet som på en naturlig ikke slidt tand samt ved god kontrol af okklusion og artikulation.

Fig. 1. Direct resin composite restoration on tooth 36. A. Existing amalgam restoration, caries and fracture of the disto-facial cusp. B. After excavation and preparation. The amalgam restoration was removed because it was undermined with caries. C. Tooth function re-established by the resin composite restoration by restoring the approximal enamel ridge, convex cusp and occlusal fissures formed as a natural, non-worn tooth, combined to appropriate control of occlusion and articulation.

PLASTFYLDNINGER I POSTERIORE TÆNDER

Holdbarhed

Plast har nu været anvendt i en årrække som fyldningsmateriale i posteriore tænder, og undersøgelser har vist god holdbarhed (5-7) (Fig. 2). Således har en systematisk undersøgelse publiceret i 2023 rapporteret 0,08 % som minimum og 4,9 % som maksimum af årlige fejl (8).

Der er dog stor forskel på, hvor længe en plastfyldning holder, afhængigt af om den er udført af den ene eller den anden behandler (8,9). Det kan skyldes manglende kvalitet af fyldningen fra start eller tandlægens manglende fokus på patientens forebyggende tiltag, men også at der lægges forskellig grund til, hvornår en fyldning lægges om. Nogle tandlæger er proaktive og laver om, når blot lidt er i vejen med fyldningen eller tanden, mens andre er reaktive og ser tiden an med henblik på at forlænge fyldningens holdbarhed. Meget tyder på, at det at være reaktiv og i mange tilfælde at reparere i stedet for at lave om er gavnligt for tandsundheden (10). Ud over at være tandbesparende er en reparation med til at reducere behandlingstid og angst hos patienten samt øge fyldningens overlevelse (10). Desuden kan en repareret fyldning ofte holde lige så længe som en omlavet plastfyldning (11).

Holdbarhed af fyldninger er afhængig af flere faktorer, hvor høj cariesrisiko fører til lav holdbarhed af fyldninger. Derfor bør der altid foretages en vurdering af patientens cariesrisiko, så nødvendige tiltag som forbedring af mundhygiejne og kostråd

bliver implementeret samtidig med fyldningsterapien. Derudover har fyldninger i plast på cariesaktive patienter også en kortere holdbarhed end fyldninger i amalgam (12,13). Den væsentligste grund hertil er caries i relation til fyldningen, hvor metalioner i amalgam har en bakteriostatisk effekt og dermed forebygger caries, mens nuværende plastmaterialer ikke er cariesforebyggende (Fig. 3). Det skal dog påpeges, at der fortsat arbejdes på at inkorporere antimikrobielle midler med henblik på at mindske risiko for sekundær caries ved hjælp af ionlækage fra plast- og glasionomerfyldninger.

En anden grund til kortere holdbarhed af plast på cariesaktive patienter kan også være forårsaget af, at det er vanskeligt eller umuligt at fremstille en tæt plastfyldning i svært tilgængelige områder på patienter med bl.a. subgingivale approksimale kaviteter, hvor mulighed for tørlægning ikke er til stede. Ud over patientens høje cariesrisiko som følge af dårlig mundhygiejne og hyppigt indtag af sukkerrig kost så bliver plastfyldningens overlevelse også negativt påvirket af risikofaktorer som systemiske sygdomme (herunder medicinindtag), patientens alder, tilstedeværelse af parodontal sygdom og/eller parafunktionelle orale vaner (9). På tandniveau er fyldningens størrelse, bagerst placering i tandrækken og endodontisk behandling også risikofaktorer, der er med til at reducere fyldningens holdbarhed (9,14,15). Således vil plastfyldninger holde længerere i klasse I- end klasse II-kaviteter, i præmolarer end molarer og i vitale frem for avitale tænder.

481 2024 128 6
A B C

Op til 30 års holdbarhed

Fig. 2. Eksempel på holdbarhed over 30 år af plastfyldning i +6 udført i et nu udgået makrofil hybridt plastmateriale uden anvendelse af adhæsiv. Plastmaterialet blev slidt og let misfarvet over tid, men makromorfologi og kantforhold var tilfredsstillende. Det har således længe været muligt at fremstille holdbare plastfyldninger, hvor valget af adhæsiv og plastmateriale i kliniske studier ikke har vist sig at have den store betydning for holdbarhed (8).

Fig. 2. Example of an obsolete, macrofilled resin composite restoration made without using adhesive that lasts over 30 years. The composite is worn and slightly discolored over time, but the morphology and margins of the restoration were satisfactory. For many years, it has been possible to fabricate long-lasting composite restorations, and the use of adhesives has in clinical studies not been shown to have an important impact on their longevity (8).

FAKTABOKS 1

Store plastfyldninger holder dårligere end små. I molarer holder plastfyldninger knap så godt som i præmolarer (9,14,15).

Da bulk fill-produkterne har været på markedet i et stykke tid, er der flere undersøgelser (16,17), der dokumenterer deres kliniske holdbarhed. Metaanalyser med indsamlede data om plastfyldninger fremstillet med bulk fill-plast kontra lagvis konventionel plast fandt ikke forskel i holdbarhed (18,19).

Årsager til omlavning

Adskillige undersøgelser (20-24) har vist, at de vigtigste omlavningsgrunde ved posteriore plastfyldninger er caries i relation

videnskab & klinik ∕ oversigtsartikel
482 T ∕

Indikation til omlavning på grund af caries

Fig. 3. Eksempel på forskel i carieslæsionernes alvorlighedsgrad ved fyldninger i plast og i amalgam. Denne patient havde nedsat spytsekretion i forbindelse med indtagelse af tricykliske antidepressiva og dermed øget cariesrisiko. Der ses approksimal caries i relation til plastfyldningerne i +4 og +5. Tanden +6 har også været behandlet med plast, men er nu forsynet med aluminiumshætte efter cariesekskavering til perforation. Den cariostatiske effekt ved amalgam har forebygget approksimal caries i +7 og -6, mens der ses et mindre cariesangreb mesialt i -7.

Fig. 3. Example of the difference in caries lesions severity along restorations in resin composite and amalgam. The patient had reduced saliva secretion associated with the use of tricyclic antidepressants, and thus increased caries risk. The image shows approximal caries lesions in relation to composite restorations in teeth 24 and 25. Tooth 26 also had a composite restoration but is now protected with a metal provisory after pulpal perforation during excavation. The cariostatic effect of amalgam has prevented the development of caries in teeth 27 and 36, but a small lesion is visible mesially on tooth 37.

Manglende approksimal kontakt

Fig. 4. Gode matricesystemer har i dag gjort det lettere at skabe tæt approksimal kontakt ved fremstilling af nye plastfyldninger. Dog synes manglende kontakt fortsat i mange tilfælde at være et problem som her, hvor der ses food impaction mellem -4 og -5.

Fig. 4. Good matrix systems available today make it easier to reestablish a tight approximal contact during the fabrication of new composite restorations. With missing approximal contact is still a problem in many cases such as this, where food-impaction is visible between teeth 34 and 35.

klinisk relevans

Valg af korrekt restaureringsmateriale egnet til opgaven samt omhyggelig udførelse af fyldningsteknik er nødvendigt for at forlænge fyldningers holdbarhed.

FAKTABOKS 2

En systematisk undersøgelse identificerede efter 2 år omtrent den samme årlige fejlrate af posteriore plastfyldninger i kliniske studier, der var publiceret enten mellem 1995­2005 eller 2006­2016. Årsagerne til fyldningernes svigt var dog markant anderledes, hvor der i den senere periode sås en øget incidens af fraktur i plast (fra 29 % til 39 %) og i tand (fra 3 % til 24 %) samt et øget behov for endodontisk behandling (fra 1 % til 2 %). Samtidig sås der en reduktion af caries i tæt relation til fyldninger (fra 29 % til 26 %), i de postoperative symptomer (fra 12 % til 1 %) og i slid (fra 9 % til 1 %). Forfatterne antager, at plastens anvendelse til omfattende fyldninger og eventuelt forbedring i materialernes egenskaber er mulige forklaringer (24).

til fyldningen og fraktur af plastmaterialet (8), men manglende approksimal kontakt har også klinisk vist sig at være til stor gene for mange patienter (Fig. 4).

Behandlingskrævende caries i relation til fyldninger ligger som regel gingivalt og diagnosticeres først flere år efter, at fyldningen er lagt, fordi caries tager tid om at udvikles (Fig. 5). Hvis den nye fyldning ikke er optimal fra starten – er utæt eller har dårlig morfologi – kan patienten ikke holde rent, og fyldningen vil derfor være en medvirkende faktor for udvikling af den nye carieslæsion.

Fraktur af plastfyldninger i posteriore tænder forekommer som regel approksimalt og kan optræde kort tid efter, at fyldningen er lagt (Fig. 6). Sådanne frakturer er forårsaget af plastens begrænsede mekaniske egenskaber (Tabel 1), og frakturen opstår ofte, når randcrista er udformet, så der er okklusion på områder af fyldningen, der ikke er understøttet af tanden.

Plastmaterialer til posteriore fyldninger

De konventionelle kompositte plastmaterialer, der anvendes i posteriore tænder, har et højt indhold af fyldstof med blandet fillerstørrelse (e.g. mikrohybrid plast), som giver materialet tilstrækkelig slid- og mekanisk styrke samt god polérbarhed (29). I de seneste årtier er det de nanohybrid- eller nanofyldte kompositte plastmaterialer, der har vundet plads på markedet,

483 2024 128 6

Caries i tæt relation til fyldning

Fig. 5. Caries i relation til gammel plastfyldning opstår oftest gingivalt, hvor kaviteten ikke er afgrænset af emalje, og hvor det har været vanskeligt at holde tørt i forbindelse med den adhæsive teknik.

Fig. 5. Caries in relation to old composite restorations often occur gingivally, where the cavity is not surrounded by enamel, and it is difficult to keep the area dry during the adhesive technique.

Fraktur af fyldningen

Fig. 6. Eksempler på små og store frakturer af plast i randcristaområdet som følge af insufficient morfologi af randcristae, da fyldningerne blev fremstillet (se også Fig. 9). Fig. 6. Examples of small and large fractures of the composite at the approximal enamel ridge area due to inadequate shaping of the enamel ridge during fabrication of the restoration (see also Fig. 9).

videnskab
klinik ∕ oversigtsartikel
&
484 T ∕

Komposit plast og glasionomercements mekaniske egenskaber

Egenskab

* 3-punkt bøjleprøve

Tabel 1. Bøjestyrke (MPa) og elasticitetsmodul (GPa) målt i forskellige laboratorieforsøg efter 1 døgn præsenteres som gennemsnit (standardafvigelse i parentes) af flere kommercielle produkter.

Table 1. Flexural strength (MPa) and modulus of elasticity (GPa) measured in different studies after 1-day storage are presented as average values (standard deviation in parenthesis) of several commercial products.

selv om de mikrohybride har vist lige så god klinisk holdbarhed (19,30). De fleste plastmaterialer tilbydes i flere farvenuancer og opacitetsgrader, hvilket gør det muligt at fremstille næsten usynlige fyldninger. I posteriore tænder, hvor æstetikken ikke vægtes så højt som i anteriore tænder, vælger mange tandlæger et plastmateriale med mellem opacitetsgrad, som gør det enklere at opbygge plastfyldningen lagvist med kun én kompositmasse.

De såkaldte bulk fill-plastmaterialer består hyppigt af plastmonomerer med høj molekylvægt, der i forbindelse med polymerisering er med til at holde kontraktionsspændingen på et lavt niveau (29). Deres reducerede mængde fyldstof, som består af en kombination af større og/eller translucente samt præpolymeriserede fillere, tillader øget lysgennemtrængning i materialet. Tilsammen resulterer disse justeringer i bulk fillplasts sammensætning i materialer med større polymerisationsdybde uden voldsom stigning i kontraktionsspænding, hvilket gør det muligt at anvende dem i tykkere lag (31). I nogle af produkterne er initiatorsystemet også blevet tilpasset, hvilket bidrager til at optimere polymerisering af materialet i dybden. I enkelte andre er dualhærdning til stede, hvilket i princippet sikrer ubegrænset polymerisationsdybde og kan være til gavn i situationer, hvor adgang til lyskilden er suboptimal (32). Højviskøs bulk fill-plast kan opnå fysisk-mekaniske egenskaber på højde med de konventionelle plastmaterialers (Tabel 1). De fysisk-mekaniske egenskaber af de første lavviskøse bulk fill-plastmaterialer har vist sig at være generelt dårligere end de konventionelle plastmaterialers, hvilket skyldes en lavere densitet i polymernetværket (33). Desuden kan den større translucens i bulk fill-plast – især hos de lavviskøse produkter – resultere i et gråligt skær i dele af fyldningen (Fig. 7). I takt med udvikling i monomerteknologi, som muliggør en begrænset stigning i fillerindholdet, kommer der efterhånden flere lavviskøse bulk fill-plastmaterialer på markedet med forbedrede mekaniske egenskaber (34). Dertil er inkorporeringen af fyldstof i form af korte fibre med til at øge brudsejheden for enkelte lavviskøse bulk fill-plastmaterialer, hvilket

Gingival transparens af bulk fill­plast

Fig. 7. Den fem år gamle plastfyldning okkluso-mesialt i +4 er udført med et flydende bulk fill-materiale i den gingivale del af kaviteten, som er dækket af en hybrid mini fill-plast i den okklusale del. Det flydende bulk fill-materiale, der kan polymeriseres i lag på op til 4 mm, er translucent, og det fremtræder mere gråligt end hybridplasten. Det skal bemærkes, at farveforskellen ikke var noget, patienten havde bemærket, selv om hun var klinikassistent og interesserede sig for sine tænders udseende.

Fig. 7. In this 5-year-old restoration on tooth 24, a flowable bulk-fill composite was placed gingivally in the cavity and then occlusally covered with a hybrid resin composite. Flowable bulk-fill materials, which can be polymerized in layers up to 4 mm, are translucent and appear more gray when compared to hybrid composites. It should be noted that the shade difference was not noticed by the patient, although she was a dental assistant who was interested in the appearance of her teeth.

gør dem særdeles interessante ved restaurering af specielt svækkede tænder eller som opbygningsmateriale.

Adhæsivernes rolle

Adhæsivet og dets korrekte anvendelse har vist væsentlig betydning for vedhæftning af plastfyldninger i kaviteter uden

Komposit plast Glasionomercement Lagvis Bulk fill Mikrohybrid Nanohybrid Flow Selvadhærerende Højviskøs Lavviskøs Plastmodificeret Konventionel Bøjestyrke* (MPa) 125,5 (27,4)25 124,9 (30,8)25 110,0 (19,5)25 97,5 (24,9)26 102,7 (14,8)27 104,5 (2,5)27 58,5 (10,4)28 25,5 (4,6)28 e­modul (GPa) 6,9 (2,6)25 6,2 (1,9)25 4,1 (1,1)25 4,7 (1,6)26 6,9 (0,8)27 4,3 (0,9)27 6,1 (1,3)28 9,1 (1,6)28
485 2024 128 6

Komposit plast og glasionomercements bindingsstyrke til emalje og dentin

Bindingsstyrkev (MPa)

v Mikrotrækprøve foretaget efter opbevaring i vand på 37 °C. Plastmaterialer er opbevaret i et døgn og glasionomercementer i en uge.

Tabel 2. Bindingsstyrke (MPa) af plastmateriale og glasionomercement til emalje og dentin målt i forskellige laboratorieforsøg. Data præsenteres som gennemsnit (standardafvigelse i parentes) af flere kommercielle produkter.

Table 2. Bond strength (MPa) of resin composite and glass ionomer cement to enamel and dentin measured in different laboratory studies. The data is an average (standard deviation in parenthesis) of some commercial products.

makromekanisk retention såsom klasse V eller usur/erosion (35). Ved klasse I- og II-fyldninger vil der ved korrekt cariesekskavering automatisk komme let underskæring i kaviteten, hvilket er med til at sikre fyldningens retention. Herudover yder de nuværende adhæsiver god binding til den efterladte sunde emalje og dentin (Tabel 2), hvilket betyder, at løsning af posteriore plastfyldninger ikke er blandt hovedårsagerne til omlavning. Postoperative symptomer, som tidligere udgjorde op til 20 % af tilfældene, kom ned på 1-2 %, da anvendelse af de hydrofile adhæsiver trådte i kraft (21,22,24).

Selvom valget af adhæsiv ikke i sig selv er afgørende for holdbarhed af plastfyldninger, er det dokumenteret, at den bindingsstrategi, der anvender emaljeætsning med fosforsyre, er med til at reducere fyldningers kantmisfarvning og mærkbare kantdefekter markant, når der sammenlignes med brug af den selvætsende bindingsstrategi på emaljen alene (19,35). I dentinen betyder den gode binding leveret af de milde selvætsende adhæsiver, at endnu færre plastfyldninger i dag laves om som

FAKTABOKS 3

Ved plastfyldninger anbefales forudgående ætsning af emaljen med fosforsyre før anvendelse af universel adhæsiv for at reducere forekomsten af mærkbare kantdefekter og kantmisfarvning, hvilket er med til at formindske udskiftning af fyldninger som konsekvens af en fejldiagnosticering af caries (19).

følge af postoperative symptomer (39). Cariesincidens langs fyldningernes kanter er uafhængig af bindingsstrategien (19).

Fyldningsteknik til plast

Tilstrækkelig tørlægning og adækvat matriceanlæg skal selvfølgelig altid være på plads, inden plastmaterialet appliceres i kaviteten. For at opnå tilstrækkelig polymerisationsdybde i plast og kompensere for kontraktionsspænding opbygger man

Plastfyldningsteknikker

Fig. 8. Flere muligheder til opbygning af posteriore plastfyldninger. A. Lagvis med én konventionel kompositmasse. B. og C. Lagvis med dentin- og emaljemasse. D. Applicering af flow plast gingivalt. E. Lavviskøs bulk fill-plast gingivo-approksimalt dækket med konventionel komposit plast. F. Højviskøs bulk fill-plast i maks. 4-5 mm tykke lag.

Fig. 8. Several options for fabricating posterior resin composite restorations. A. Layered with one composite type. B. and C. Layered with dentin and enamel shades. D. Application of flowable resin gingivally. E. Low viscosity bulk-fill composite gingivo-approximally covered with conventional resin composite. F. High viscosity bulk-fill composite in max. 4-5 mm layers.

videnskab & klinik ∕ oversigtsartikel
Plastmateriale Glasionomercement Konventionel Selvadhærerende Plastmodificeret Konventionel
Ubehandlet emalje 7,7 (1,1)36 5,8 (3,1)38 Applicering af selvætsende adhæsiv 25,3 (2,2)37 Fosforsyreætsning og adhæsiv 34,1
28,8 (2,8)36 Polycarboxylsyreætsning 38,8 (7,4)38 12,3 (2,9)38 Dentin Applicering af selvætsende adhæsiv 29,0
1,7
Polycarboxylsyreætsning 31,4 (4,3)38 12,9 (3,3)v38
Emalje
(0,5)37
(12,0)37
(0,3)36
A D B E C F
486 T ∕

oftest konventionelle plastfyldninger lagvis (Fig. 8). Denne teknik har været anvendt i årtier, og holdbarheden er veldokumenteret (8). Materialer, hvor håndteringsevne og dermed brugervenlighed, samt hvor teknikkens enkelhed og effektivitet vægtes højt, har givet de bulk fill-kompositte plastmaterialer plads på mange tandlægeklinikker. Bulk fill-plast giver mulighed for en polymerisationsdybde på 4-5 mm, så fyldningen kan opbygges tidsbesparende i ét eller to lag alt afhængigt af kavitetens størrelse (Fig. 8). Da polymerisationsdybde i bulk fill-plast er produktafhængig, er det nødvendigt at følge fabrikantens brugsanvisning for det valgte materiale samt at udføre den korrekte belysningsprotokol, så en gennemgående omsætningsgrad i materialet sikres. Den lavviskøse, dvs. mere flydende udgave, kommer lettere i kontakt med ujævnheder i kavitetens bund og vægge. Til gengæld skal de fleste flydende bulk fill-plastmaterialer i dag dækkes med et lag konventionel plast for at sikre tilfredsstillende slid- og mekanisk styrke (29). Den højviskøse udgave har en fastere konsistens grundet dens højere fillerindhold – og har dermed øget slid-/mekanisk styrke – så hele fyldningen kan fremstilles i én materialemasse. Der er grund til at tro, at disse fyldningsprocedurer vil kunne ændre sig i takt med materialeudviklingen.

GLASIONOMERCEMENTER I POSTERIORE TÆNDER

Holdbarhed og årsager til omlavning

Overordnet er overlevelsen af glasionomercementfyldninger i kindtænderne lavere end ved anvendelse af plastmaterialer (4,14,19). De væsentligste faktorer for svigt er fraktur og chipping, som ofte kompromitterer den approksimale kontakt til nabotanden, samt slid i glasionomercementen (19). En metaanalyse har vist, at glasionomercementfyldningers frakturfrekvens er mindst 2-3 gange større og omlavningsfrekvensen signifikant højere end plastfyldningers (19). Allerede inden for de første 3-4 år har de højviskøse glasionomercementer vist et højt antal frakturer i fyldninger i posteriore tænder (19).

Overlevelsen er dog meget afhængig af kavitetsstørrelse og glasionomercementens type (4). En metaanalyse har vist betydelig bedre holdbarhed, hvis der var anvendt plastforstærket frem for konventionel glasionomercement ved klasse I-fyldninger (4). Glasionomercement kan være et godt valg for den såkaldte ART (Atraumatisk Restaurerende Teknik), hvor det carierede blødtvæv ikke fjernes med et bor, men ekskaveres med håndinstrumenter uden anvendelse af analgesi, hvorefter der fyldes med en højviskøs glasionomercement. Forskning viser også, at overlevelsesraten af klasse I-restaureringer fremstillet med de højviskøse konventionelle glasionomercementer i permanente molarer og præmolarer kan være lige så god som for plast (40), hvor der dog ses tydeligt slid af fyldningerne efter nogle år (41).

Overlevelse af restaureringer i konventionel glasionomercement falder dog betydeligt i klasse II-kaviteter, når dette sammenlignes med klasse I. Efter 10 års observation var den kumulative fejlrate 8 % for klasse II-glasionomerfyldninger, mens den lå på 3 %, når de okklusale fyldninger blev inkluderet i beregningen (1). Selv plastforstærket glasionomercement er mere udsat for fraktur i klasse II-fyldninger, hvis materialets

FAKTABOKS 4

Ved klasse I­kavitet kan en glasionomercementfyldning holde lige så godt som én fremstillet med komposit plast (40). Ved klasse II­fyldninger er holdbarhed af glasionomercement betydelig kortere (19).

bøjestyrke ligger under 80 MPa (19). Derfor er glasionomercementens indikationsområde for klasse II-restaureringer i permanente tænder fortsat begrænset til små eller mellemstore kaviteter.

Én af cementens meste attraktive egenskaber er fluoridafgivelse (42). Ikke desto mindre har en metaanalyse vist, at der efter fem år var hverken færre eller flere carieslæsioner langs kanterne af glasionomercementfyldninger sammenlignet med fyldninger i plast (19). Disse fund indikerer, at den cariesforebyggende effekt, der længe har været tillagt glasionomercement, nok er overestimeret og derfor ikke skal være den afgørende faktor for valg af materialet. Til gengæld spiller den daglige kontakt med flere fluorkilder formentlig en vigtigere rolle i cariesforebyggelsen end det fluorid, som glasionomercementen afgiver.

Fyldningsteknik til glasionomercement

Glasionomercementens væske er baseret på en vandig opløsning af polycarboxylsyrer, der i den plastforstærkede udgave er tilsat hydrofile plastmonomerer. Af denne grund er glasionomercement mere tolerant over for fugt end komposit plast. Alligevel vil for meget fugt inhibere materialets syre-base-reaktion og påvirke glasionomercementens egenskaber negativt. Af samme grund skal blod og spyt holdes væk fra kaviteten, så den stabile kemiske binding til hydroxylapatit i tændernes hårde væv kan finde sted. Glasionomercementens kemiske forbindelse til emalje og dentin kan forbedres og give øget bindingsstyrke ved at forbehandle kaviteten med ca.10 % polyakrylsyre eller med en conditioner, der specifikt følger med produktet.

De moderne hybride glasionomercementer indeholder ekstrafine og højreaktive glaspartikler (fluoroaluminosilikat), der har en optimeret fordeling af partikelstørrelser i pulveret. Sammen med en høj molekylærvægt i væskens polycarboxylsyrer er det med til at forbedre materialets mekaniske egenskaber, translucens og håndtering. I kombination med en påføring af hydrofob resin på glasionomercementens overflade bidrager det til en samlet forbedring af fyldningskvalitet med disse materialer.

Ved klasse II-kaviteter kan man overveje at lægge glasionomercement gingivalt og derefter fylde med komposit plast i den okklusale del af kaviteten. Når den konventionelle (dvs. vandbaserede) glasionomercement anvendes, skal der af hensyn til hærdning ventes 5-6 min., før plastmaterialet appliceres. Vælger man den plastforstærkede glasionomercement, må lagtykkelse være maks. 2 mm, og der belyses gingivalt længere end

487 2024 128 6

sædvanlig for at kompensere for den nedsatte lampeirradians ved afstand til belysningsoverfladen. Umiddelbart efter belysning af den plastforstærkede glasionomercement kan resten af kaviteten fyldes med plast. Endelig skal man huske, at en fyldning i glasionomercement, hvor lang holdbarhed ønskes, skal beskyttes mod tidlig kontakt med spyt ved at dække materialet med et lag hydrofob resin, som polymeriseres. Glasionomercement er også følsom over for syrepåvirkning (42), hvorfor ekstra hensyn til god mundhygiejne er nødvendigt for at undgå, at materialet nedbrydes, og caries igen udvikles gingivalt.

HVORDAN FORBEDRER

MAN FYLDNINGENS OVERLEVELSE?

Når holdbarhed og funktion af posteriore fyldninger skal optimeres, er det vigtigt at tage udgangspunkt i, hvad der ligger til grund for, at det ikke går med fyldninger som ønsket. Før en fyldning laves om, er det vigtigt at forholde sig til, hvad årsagen til omlavning er, og ved fremstilling af den nye fyldning prøve at forebygge, at det samme vil ske igen.

Flere trin i fremgangsmåden er kritiske for fyldningsoverlevelsen. Den første er korrekt diagnose på pulpas tilstand, for forskning viser, at behovet for endodontisk behandling har størst incidens inden for det første år, efter fyldningen er lagt, bl.a. som følge af forkert pulpadiagnose (20). Dette i sig selv er ikke direkte relateret til fyldningskvalitet, men er bestemt en vigtig omlavningsgrund.

Isolering er det næste, man skal tage stilling til. Emnet er kontroversielt, da evidensen viser, at prognosen for behandling af profunde carieslæsioner ikke er afhængig af isolationsmaterialet (43). Isolering med calciumhydroxidcement kan måske have en positiv effekt på succesraten af restaurerende behandling af profunde carieslæsioner, hvor caries ekskaveres nonselektivt, da der her vil kunne være mikropulpale eksponeringer til stede, som øger risiko for svigt af tandens vitalitet (44). Der mangler dog den evidens, der påviser effekten af behandlingen, og man kan forestille sig, at vi fortsat isolerer med calciumhydroxidcement af traditionelle årsager. Vælger man til gengæld den selektive cariesekskavering af profunde carieslæsioner, bevarer man tandsubstans og nedsætter samtidig risiko for postoperative symptomer eller eksponering af pulpa (43). En undersøgelse har vist en 96 % succesrate, defineret som bevaring af pulpavitalitet, ved den selektive ekskavering, hvor der ikke blev anvendt isoleringsmateriale (43). Det ser således ud til, at det ikke er isoleringsmaterialet, der har den store betydning for effekten af behandlingen, men derimod selve ekskaveringsmetoden udover selvfølgelig afstand til pulpa og dens oprindelige tilstand.

Ved præparation sørger rigelig vandkøling og intermitterende boring for at minimere risiko for opvarming af pulpa og efterfølgende pulpakomplikationer. Nabotænder beskyttes altid, når der udbores i approksimale områder. Som tidligere nævnt kommer der god aktiv retention i kaviteten (underskæringer) ved korrekt cariesekskavering, hvor udbredelsen af caries alene er bestemmende for den indre præparation. Uunderstøttet emalje fjernes ikke, da den yder et værdifuldt bidrag til binding af materialet. Ved skift af gamle amalgamfyldninger

kan det være nødvendigt at afrunde eksisterende indre skarpe kantvinkler, så spændingskoncentration ved senere belastning ind i kaviteten minimeres og risiko for tandfraktur – eller approksimal fraktur i selve fyldningen – nedbringes. Præparationsgrænsen skal være veldefineret og så vidt muligt vinkelret mod tandens ydre flader, så den færdige fyldning får en kantafslutning på omkring 90°, hvilket formindsker risiko for kantfraktur i materialet under belastning. Løse emaljeprismer fjernes fx med et tandrensningsinstrument, så de ikke frakturerer af, når plastmaterialet kontraherer under polymerisationen. Herved forebygges umiddelbare kantdefekter, men også kantmisfarvning og -fraktur over tid.

Anvender man plast som fyldningsmateriale, er omhyggelig tørlægning af arbejdsfeltet et krav. Der er konsensus om, at kavitets- og nære tandoverflader skal være rene og fugtighedsgraden kontrolleret, når plastfyldningens holdbarhed ønskes optimeret (45). Den sikreste måde at opnå dette på er med et velappliceret kofferdamanlæg. Udover fuld kontrol af væske kan kofferdam tilbagetrække og beskytte patientens blødtvæv, forebygge uheldig aspiration af fremmedlegemer samt forbedre adgang til og syn af arbejdsfeltet. Tandlæger, der ikke anvender kofferdam, angiver hovedårsagerne at være den ekstra tid brugt på proceduren og/eller patienternes uvilje. Dog fremmer træning forbedring i teknikken, så den udføres hurtigere, og de fleste velinformerede patienter vil acceptere proceduren. I de tilfælde, hvor anvendelse af kofferdam er vanskelig (e.g. ekstra subgingival kavitet, tanden er skæv, patienten har vejrtrækningsbesvær) eller fravælges, er det nødvendigt at opnå korrekt fugtkontrol i arbejdsfeltet ved grundig tørlægning med vatruller, dry tips og effektiv udsugning.

Er der emalje til stede, skal den helst ætses med fosforsyre. Den selektive emaljeætsning er med til at minimere forekomst af kantdefekter og kantmisfarvning over tid (46). Derefter har dentinen godt af et mildt (pH ≈ 2) eller ultramildt (pH ≥ 2,5) selvætsende adhæsiv (47). En mindre, men ekstremt vigtig detalje er at følge fabrikantens brugsanvisning med henblik på applicering af bindingssystemet. Bliver appliceringstiden af det selvætsende adhæsiv for kort, vil der sandsynligvis ikke være tilstrækkelig tid til demineralisering og infiltrering af produktet i de hårde tandvæv. Er fordampning af bindingssystemets opløsningsmiddel mangelfuld efter luftpåblæsning, vil polymerisering af adhæsivet forringes. Begge resulterer i, at binding til tanden svækkes. Selve fyldningsproceduren bør udarbejdes med omhu. Tidligere var opfattelsen, at det var plastens kontraktion, der forårsagede spaltedannelsen og dermed var den primære medvirkende årsag til caries. Med de nuværende plastmaterialer med lav kontraktion og de gode adhæsiver er det nu vist, at både store spalter og luftlommer opstår, fordi plasten ikke kommer i kontakt med de adhæsivt behandlede kavitetsvægge. Her har undersøgelser (16,17,48) vist, at flydende plast eventuelt kan være en hjælp til forebyggelse af adaptationsdefekter. En anden grund til manglende materialetilpasning er insufficient polymerisering af plast, som efterfølgende vaskes ud af kaviteten i kantområderne.

Optimal polymerisering bør selvfølgelig tilstræbes, men kan være vanskelig i dybe kaviteter skråt og/eller langt fra lyskilden

videnskab & klinik ∕ oversigtsartikel
488 T ∕

eller i små kaviteter, hvor der belyses igennem tandsubstans. Her har undersøgelser (16,17) vist, at anvendelse af translucent plast (oftest som bulk fill) kan være en hjælp, fordi det giver mulighed for mere effektiv polymerisering i lag af op til 4-5 mm eller gennem tandsubstans. Belysningsteknikkens rolle for kvalitet af lyshærdende plastmaterialer må dog ikke undervurderes. Jo større lysets afstand og vinkel til plastens overflade er, jo mindre lys når overfladen (29), og risikoen for utilstrækkelig polymerisation øges (49) – dette gælder også bulk fill-plast og plastforstærket glasionomercement. Hellere lyse en gang for meget end i for kort tid, da et dårligt polymeriseret materiale bliver slid- og mekanisk svagt, frigiver ureagerede plastmonomerer og viser tendens til misfarvning.

Approksimale frakturer kan undgås ved at udforme randcrista, så den har samme morfologi som på ikke slidte naturlige tænder, altså med kontaktpunktet til nabotanden ca. 1/3 væk fra okklusalplanet, hvilket gøres bedst ved at trække randcrista godt ind på okklusalfladen (Fig. 9). En sådan morfologi kan sjældent udføres alene ved at vælge en kontureret matrice, men kræver vurdering af okklusale pladsforhold før fyldning af kavitet samt aktiv modellering af plasten med et instrument før polymerisering. Alternativt må randcrista udformes i forbindelse med pudsning, hvilket kan være yderst vanskeligt.

Til sidst vil grundig pudsning og polering være med til at gengive tandens detaljerede morfologi og nøjagtige kontaktforhold til synergister og antagonister samt nedbringe lokal opsamling af biofilm. Ikke mindst skal den restaurering, som leveres, give patienten de bedste forudsætninger for at vedligeholde god mundhygiejne.

KONKLUSIONER

Evidens viser, at fyldninger i plast i permanente tænder har en bedre holdbarhed end i glasionomercement ved mellem og store posteriore kaviteter. Tandlæger kan forbedre fyldningens prognose ved at vælge et materiale, der egner sig til opgaven, udføre fyldningsteknikken korrekt, genskabe tandens oprindelige morfologi samt medvirke til, at patienten har en god mundhygiejne.

Udformning af randcrista

Fig. 9. A. Forkert udformning af randcrista på begge fyldninger. Det approsimale kontaktpunkt ligger for tæt på okklusalplanet. Når plastmateriale i randcristaområdet ikke er understøttet af tandsubstans, er det udsat for fraktur ved belastning under funktion. B. Korrekt udformning af randcristae. Det approksimale kontaktpunkt ligger ca. 1/3 væk fra okklusalfladen, hvilket gør det muligt at trække randcrista ind, så plasten på hele okklusalfladen er understøttet af tandsubstans.

Fig. 9. A. Incorrect shaping of the approximal ridge in both restorations. The approximal contact point is placed too close to the occlusal plane. When the composite material at the approximal ridge is not supported by tooth substance, it is prone to fracture due to loading under function. B. Correct shaping of the approximal ridges. The approximal contact point is placed at ca. 1/3 of the occluso-gingival distance, which makes it possible to position the ridges inwards so the composite on the whole occlusal surface can be supported by tooth substance.

COMPOSITE RESIN AND GLASS IONOMER CEMENT AS FILLING MATERIALS IN POSTERIOR MOLARS

The longevity of restorations is dependent not only on the dentist’s work but also on patient­ related risk factors, such as caries activity, presence of parafunctional oral habits, periodontal and/or systemic diseases. In the posterior region, large restorations in molars and/or teeth with endodontic treatment have reduced longevity. The most common reasons for replacement of resin composite restorations

are caries near the restoration or fracture of the composite, while fracture or wear in the material are frequently reported for glass ionomer cement restorations. This article focuses on relevant properties of direct restorative materials, which support their indication and performance in posterior teeth. Furthermore, the relevant steps in the restorative technique are discussed in order to minimise errors that may reduce the restoration’s longevity.

A B
ABSTRACT (ENGLISH) 489 2024 128 6

LITTERATUR

1. Gurgan S, Kutuk ZB, Cakir FY et al. A randomized controlled 10 years follow up of a glass ionomer restorative material in class I and class II cavities. J Dent 2020;94:103175.

2. Heck K, Frasheri I, Diegritz C et al. Six-year results of a randomized controlled clinical trial of two glass ionomer cements in class II cavities. J Dent 2020;97:103333.

3. Wafaie RA, Ali AI, El-Negoly SAE et al. Five-year randomized clinical trial to evaluate the clinical performance of high-viscosity glass ionomer restorative systems in small class II restorations. J Esthet Restor Dent 2023;35:538-55.

4. Pilcher L, Pahlke S, Urquhart O et al. Direct materials for restoring caries lesions: systematic review and meta-analysis – a report of the American Dental Association Council on Scientific Affairs. J Am Dent Assoc 2023;154:e1-98.

5. Pallesen U, van Dijken JWV. A randomized controlled 27 years follow up of three resin composites in Class II restorations. J Dent 2015;43:1547-58.

6. Pallesen U, van Dijken JWV. A randomized controlled 30 years follow up of three conventional resin composites in Class II restorations. Dent Mater 2015;31:1232-44.

7. da Rosa Rodolpho PA, Rodolfo B, Collares K et al. Clinical performance of posterior resin composite restorations after up to 33 years. Dent Mater 2022;38:680-8.

8. Demarco FF, Cenci MS, Montagner AF et al. Longevity of composite restorations is definitely not only about materials. Dent Mater 2023;39:1-12.

9. Laske M, Opdam NJM, Bronkhorst EM et al. Longevity of direct restorations in Dutch dental practices. Descriptive study out of a practice based research network. J Dent 2016;46:12-7.

10. van de Sande FH, Moraes RR, Elias RV et al. Is composite repair suitable for anterior restorations? A long-term practice-based clinical study. Clin Oral Investig 2019;23:2795-803.

11. Kanzow P, Wiegand A. Retrospective analysis on the repair vs. replacement of composite restorations. Dent Mater 2020;36:10818.

12. Opdam NJM, Bronkhorst EM, Loomans BAC et al. 12-year survival of composite vs. amalgam restorations J Dent Res 2010;89:10637.

13. Worthington HV, Khangura S, Seal K et al. Direct composite resin fillings versus amalgam fillings for permanent posterior teeth. Cochrane Database Syst Rev 2021;8:CD005620.

14. Vetromilla BM, Opdam NJ, Leida FL et al. Treatment options for large posterior restorations: a systematic review and network meta-analysis. J Am Dent Assoc 2020;151:614-24.

15. Hofsteenge JW, Scholtanus JD, Özcan M et al. Clinical longevity of extensive direct resin composite restorations after amalgam replacement with a mean follow-up of 15 years. J Dent 2023;130:104409.

16. van Dijken JWV, Pallesen U. Posterior bulk-filled resin composite restorations: a 5-year randomized controlled clinical study. J Dent 2016;51:29-35.

17. van Dijken JWV, Pallesen U. Bulkfilled posterior resin restorations based on stress-decreasing resin technology: a randomized, controlled 6-year evaluation. Eur J Oral Sci 2017;125:303-9.

18. Kunz PVM, Wambier LM, Kaizer MDR et al. Is the clinical performance of composite resin restorations in posterior teeth similar if restored with incremental or bulk-filling techniques? A systematic review and meta-analysis. Clin Oral Investig 2022;26:2281-97.

19. Heintze SD, Loguercio AD, Hanzen TA et al. Clinical efficacy of resinbased direct posterior restorations and glass-ionomer restorations –An updated meta-analysis of clinical outcome parameters. Dent Mater 2022;38:e109-35.

20. Opdam N, van de Sande FH, Bronkhorst E et al. Longevity of posterior composite restorations: a systematic review and meta-analysis. J Dent Res 2014;93:943-9.

21. Pallesen U, van Dijken JWV, Halken J et al. Longevity of posterior resin composite restorations in permanent teeth in Public Dental Health Service: A prospective 8 years follow up. J Dent 2013;41:297-306.

22. Pallesen U, van Dijken JWV, Halken J et al. A prospective 8-year follow-up of posterior resin composite restorations in permanent teeth of children and adolescents in Public Dental Health Service: reasons for replacement. Clin Oral Invest 2014;18:819-27.

23. van Dijken JWV, Pallesen U. Durability of a low shrinkage TEGDMA/HEMA-free resin composite system in Class II restorations. A 6-year follow up. Dent Mater 2017;33:944-53.

24. Alvanforoush N, Palamara J, Wong RH et al. Comparison between published clinical success of direct resin composite restorations in vital posterior teeth in 1995-2005 and 2006-2016 periods. Aust Dent J 2017;62:132-45.

25. Llie N, Hickel ARR. Investigations towards nano-hybrid resin-based composites. Clin Oral Invest 2013;17:185-93.

26. Brewster J, Roberts HW. 12-Month flexural mechanical properties of conventional and self-adhesive flowable resin composite materials. Dent Mater J 2023;42:598609.

27. Eweis AH, Yap AU, Yahya NA. Comparison of flexural properties of bulk-fill restorative/flowable composites and their conventional counterparts. Oper Dent 2020;45:41-51.

28. Moberg M, Brewster J, Nicholson J, Roberts H. Physical property investigation of contemporary glass ionomer and resin-modified glass ionomer restorative materials. Clin Oral Investig 2019;23:12951308.

29. Kopperud HBM, Peutzfeldt A. Kompositte materialer – basale egenskaber. Tandlægebladet 2016;120:984-92.

30. van Dijken JW, Pallesen U. A randomized 10-year prospective follow-up of class II nanohybrid and conventional hybrid resin composite restorations. J Adhes Dent 2014;16:585-92.

31. Sunbul HA, Silikas N, Watts DC. Polymerization shrinkage kinetics and shrinkage-stress in dental resin-composites. Dent Mater 2016;32:998-1006.

32. Chesterman J, Jowett A, Gallacher A et al. Bulk-fill resin-based composite restorative materials: a review. Br Dent J 2017;222:337-44.

33. Leprince JG, Palin WM, Vanacker J et al. Physico-mechanical characteristics of commercially available bulk-fill composites. J Dent 2014;42:993-1000.

34. Hirokane E, Takamizawa T, Tamura T et al. Handling and mechanical properties of low-viscosity bulk-fill resin composites. Oper Dent 2021;46:e185-198.

35. Peumans M, De Munck J, Mine A et al. Clinical effectiveness of contemporary adhesives for the restoration of non-carious cervical lesions. A systematic review. Dent Mater 2014;30:1089-103.

36. Takamiya H, Tsujimoto A, Teixeira EC et al. Bonding and wear properties of self-adhesive flowable restorative materials. Eur J Oral Sci 2021;129:e12799.

37. Rosa WL, Piva E, Silva AF. Bond strength of universal adhesives: A systematic review and metaanalysis. J Dent 2015;43:765-76.

38. Coutinho E, Cardoso MV, De Munck J et al. Bonding effectiveness and interfacial characterization of a nano-filled resin-modified glass-ionomer. Dent Mater 2009;25:1347-57.

39. Doshi K, Nivedhitha MS, Solete P et al. Effect of adhesive strategy of universal adhesives in noncarious cervical lesions – an updated systematic review and meta-analysis. BDJ Open 2023;9:6.

40. Frencken JE, Liang S, Zhang Q. Survival estimates of atraumatic restorative treatment versus traditional restorative treatment: a systematic review with metaanalyses. Br Dent J 2021. doi: 10.1038/s41415-021-2701-0.

41. Bayazıt EÖ, Başeren M, Meral E. Clinical comparison of different glass ionomer-based restoratives and a bulk-fill resin composite in Class I cavities: A 48-month randomized split-mouth controlled trial. J Dent 2023;131:104473.

42. Bueno LS, Silva RM, Magalhães APR et al. Positive correlation between fluoride release and acid erosion of restorative glassionomer cements Dent Mater 2019;35:135-43.

43. Singh S, Mittal S, Tewari S. Effect of different liners on pulpal outcome after partial caries removal: a preliminary 12 months randomised controlled trial. Caries Res 2019;53:547-54.

videnskab & klinik ∕ oversigtsartikel
490 T ∕

44. de Freitas BN, Pintado-Palomino K, de Almeida CVVB et al. Is a calcium hydroxide liner necessary in the treatment of deep caries lesions? A systematic review and meta-analysis. Int Endod J 2019;52:588-603.

45. Borges AB, Torres CRG, Benetti AR et al. Isolation of the Operating Field. In: Torres C, ed. Modern Operative Dentistry. Textbooks in Contemporary Dentistry. Cham: Springer, 2020;223-60.

46. Szesz A, Parreiras S, Reis A et al. Selective enamel etching in cervical lesions for self-etch adhesives: a systematic review and metaanalysis. J Dent 2016;53:1-11.

47. van Meerbeek B, Peumans M, Poitevin A et al. Relationship between bond-strength tests and clinical outcomes. Dent Mater 2010;26:e100-21.

48. van Dijken JWV, Pallesen U. Clinical performance of a hybrid resin composite with and without an intermediate layer of flowable resin composite: a 7-year evaluation. Dent Mater 2011;27:150-6.

49. Price RB, Pallesen U. Lyspolymerisering, teori og praksis. In: Holmstrup, P. ed. Aktuel Nordisk Odontologi. Oslo: Universitetsforlaget AS, 2021;113-29.

491 2024 128 6

ABSTRACT

INTRODUKTION OG FORMÅL – Demografisk er antallet af skrøbelige ældre med egne tænder steget markant de sidste to årtier. Formålet med denne artikel er en status på tand­ og mundplejen for ældre skrøbelige her i 2023.

MATERIALE OG METODER – I artiklen gennemgås litteraturen; der udføres en spørgeskemaundersøgelse samt interviews til at beskrive omsorgstandplejen og mundplejen i hjemmehjælpen – begge ordninger, som er involveret i mundpleje af vores skrøbelige ældre.

RESULTATER – Omsorgstandplejen fungerer ikke optimalt, da for få er tilmeldt ordningen, og for mange tilmeldte har en ringe mundhygiejne samt nedsat spytsekretion, og derfor har stort set alle behov for hjælp til mundpleje. I hjemmeplejen testes det ikke, om borgerne kan børste deres tænder tilstrækkeligt godt, hvorfor få bliver visiteret til hjælp til mundpleje. Litteraturen viser, at plejepersonalet på plejehjem/ hjemmeplejen ikke kan magte at børste borgernes tænder tilstrækkelig godt, så de plakinducerede sygdomme kan kontrolleres.

KONKLUSION – Det kan konkluderes, at den mangelfulde indsats omkring mundplejen ikke skyldes manglende rammer for at sikre hjælpen til de skrøbelige ældre, som har et behov. Derimod er der udfordringer med at sikre en rettidig og effektiv visitering til omsorgstandpleje og hjælp til mundpleje i hjemmeplejen. Derudover er plejepersonalet sat på en uriaspost med hensyn til varetagelsen af mundplejen på skrøbelige ældre.

Tand- og mundpleje på skrøbelige ældre i Danmark

KIM EKSTRAND, professor, ph.d., Fagområdet for Cariologi og Endodonti på Københavns Tandlægeskole, Københavns Universitet

BO DANIELSEN, Skolechef, tandlæge, MBA, MIL, Skolechef på Skolen for Klinikassistenter og Tandplejere i København, Københavns Universitet

Accepteret til publikation den 18. oktober 2023

Tandlægebladet 2024;128:492­6

TANDSTATUS HAR ALDRIG VÆRET BEDRE I DANMARK, end den er på nuværende tidspunkt (1,2). Succesen med, at borgerne bevarer egne tænder livslangt, er opnået gennem en fælles indsats fra børne- og ungdomstandplejen efterfulgt af voksentandplejen samt et øget fokus fra staten og borgerne i Danmark vedrørende vigtigheden af at bevare tænderne livet ud.

Det er en kæmpe succes, at langt flere bliver ældre med egne tænder. Mange ældre borgere kommer på et tidspunkt til en fase i livet, hvor de ikke længere selv kan varetage den daglige mundpleje med en kvalitet, som forebygger orale sygdomme. Dette falder ikke sjældent sammen med, at tandeftersyn hos den private tandlæge ophører (3).

Andelen af ældre, som går til privatpraktiserende tandlæge, er høj indtil 75-80-årsalderen. Så falder andelen meget voldsomt (3). Ikke fordi de ældre ikke ønsker at pleje deres tænder, men fordi de ikke længere magter at opsøge deres privatpraktiserende tandlæge.

Ifølge sundhedsloven (4,5) skal borgere, der på grund af nedsat førlighed eller vidtgående fysisk eller psykisk handicap kun vanskeligt kan udnytte de almindelige tandplejetilbud, tilbydes opsøgende kommunal omsorgstandpleje. Dette for at sikre, at disse skrøbelige borgere, hvor hovedparten er 65+-årige, får hjælp til at forebygge orale sygdomme, og tandsættet opretholdes funktionsdygtigt.

Korrespondanceansvarlig førsteforfatter: KIM EKSTRAND kek@sund.ku.dk

Konsekvenserne af længerevarende mangelfuld mundhygiejne er velkendte. Ud over en øget prævalens af plakinducerede sygdomme ses nedsat livskvalitet (6), og øget frekvens af infektioner som lungebetændelser og kardiologiske problemer og relaterede indlæggelser på sygehuse (7). Det estimeres, at indlæggelser relateret til mangelfuld mundhygiejne koster

videnskab & klinik ∕ fokusartikel
EMNEORD Public health dentistry | community dentistry | delivery of dental care | dental caries | prevention | toothbrushing
492 T ∕

samfundet 20-25 mio. kr. om året, og at det resulterer i mellem 100-200 for tidlige dødsfald (8).

FORMÅL

Denne artikel fokuserer på:

a) at beskrive den faktuelle ændring i ældredemografien i Danmark fra ca. 2010/11 til 2000/21 og den estimerede ændring af demografien frem til 2060

b) antallet og fordelingen af plejehjemsbeboere

c) antallet og fordelingen af personer, som har behov for hjemmehjælp og i denne henseende er visiteret til personlig pleje,

d) rammerne for omsorgstandplejen

e) tilbagemeldinger fra overtandlægerne om deres erfaring med omsorgstandplejen

f) rammerne for tandpleje for personer, som er visiteret til hjemmehjælp med personlig pleje

g) relaterede oplysninger om visitering til hjælp til mundpleje og antallet af borgere, som får støtte til tandbørstning hver dag i hjemmeplejen, og

h) hvad litteraturen siger om plejepersonalets hjælp til mundhygiejne til de skrøbelige ældre patienter.

I en efterfølgende artikel kommer forfatterne med en række forslag til at forbedre mulighederne for en optimering af mundplejen for skrøbelige ældre i Danmark.

MATERIALE OG METODER

Artiklen er baseret på 1) gennemgang af relevant litteratur, herunder rammerne for tandpleje af ældre skrøbelige patienter i Danmark, 2) kliniske afprøvninger af orale hygiejneprogrammer på ældre patienter i Danmark, 3) en spørgeskemaundersø-

gelse tilsendt ansvarlige for omsorgstandplejen i kommunerne og 4) telefoninterviews med visitatorer og hjemmehjælpere i kommunerne.

RESULTATER

Ad a): Udviklingen i demografi blandt ældre i Danmark ”Redegørelse om ældreområdet i 2022” (9) gør rede for udviklingen i ældredemografien i Danmark. I Fig. 1 vises den faktuelle udvikling i antallet af henholdsvis 65+-årige og 80+-årige fra 2010/11 til 2020/21 samt den estimerede ændring fra 2021 og frem til 2060.

Antallet af ældre i befolkningen er steget betydeligt de seneste 10 år, og udviklingen vil fortsætte i de kommende årtier. Fra 2010 til 2020 steg antallet af 65+-årige med ca. 253.000 personer. Opgjort på 80+-årige steg antallet i samme periode med 45.000 personer.

Frem mod 2040 forventes antallet af 65+-årige at stige fra 1.156.000 personer i 2020 til 1.540.000 personer, hvorefter det forventes at ligge stabilt frem mod 2060. Antallet af 80+-årige forventes at stige fra 272.000 i 2020 til 616.000 i 2050, hvorefter det ligeledes forventes at ligge forholdsvis stabilt frem mod 2060.

Ad b): Antal og fordeling af plejehjemsbeboere

Antallet af plejehjemsbeboere over 65 og over 80 år har siden 2011 og til 2021 været ret konstant. I antal henholdsvis omkring 40.000 og 29.000. I forhold til populationen udgør det henholdsvis 3,4 % og 10 % med udgangspunkt i 2021 (9). Med den voldsomme stigning i disse aldersgrupper frem mod 20402050 forventes, at antallet af plejehjemsbeboere ligeledes vil stige på trods af den forbedrede helbredsstatus blandt de ældre.

Faktisk udvikling 2010 - 2020 og estimeret udvikling 2020+ af 65+ og 80+ årige

Demografisk udvikling af ældre i Danmark

i Danmark

65+-
80+-årige
fra 2010 til 2060.
Fig. 1. Demografisk
udvikling af
og
i Danmark
development of 65+ and 80+ year olds in Denmark from 2010 to 2060.
Fig. 1.
Demographic
0 200000 400000 600000 800000 1000000 1200000 1400000 1600000 1800000 2010 2020 2030 2040 2050 2060 65+årige 80+ årige år 493 2024 128 6

Ad c): Antal, som modtager hjemmehjælp

Siden 2010 er antallet af 65+-årige, som er visiteret til hjemmehjælp, faldet fra ca.149.000 til ca. 128.000 i 2020. Ca. 77.000 65-årige fik personlig pleje i 2010. Det tal er faldet til 70.000 i 2020 (9). ”Redegørelse om ældreområdet i 2022” nævner ikke direkte, hvad fremtidsudsigterne er, men de demografiske data nævnt ovenfor tyder på, at antallet af personer, som har brug for personlig pleje, ikke vil falde yderligere, men formodentlig stige, specielt for de borgere, som bliver 80+ år.

Ad d): Omsorgstandplejen

Omsorgstandplejen, som blev etableret i 1994, er omtalt i sundhedslovens kapitel 37 (4) og yderligere uddybet i bekendtgørelse nr. 959 af 14.06.2022 (BEK) om tandpleje (5). I BEK 2 § 11 står der, at omsorgstandplejen skal tilbydes de personer, som på grund af nedsat førlighed eller vidtgående fysisk eller psykisk handicap kun vanskeligt kan udnytte de almindelige tandplejetilbud. Omsorgstandplejen har følgende hovedopgaver:

1) Generel og individuel forebyggelse og sundhedsfremme inklusive hjælp til mundhygiejne, herunder oplysning om samt instruktion i tandpleje til den enkelte patient og til relevant omsorgspersonale.

2) Undersøgelser af tand-, mund- og kæberegionens sundhedstilstand.

3) Behandlinger af symptomer, sygdomme og funktionsforstyrrelser i tand-, mund- og kæberegionen, således at denne bevares i god funktionsdygtig stand under hensyntagen til den enkeltes samlede tilstand.

Ifølge Moderniseringsrapporten fra 2016 (10) var der 77 kommuner, hvor omsorgstandplejen var organiseret fra offentlige tandklinikker, og de resterende, oftest mindre kommuner, havde organiseret omsorgstandplejen fra private klinikker eller ved hjælp af andre ordninger.

Visitation til omsorgstandplejen beror på en visitation i den enkelte kommune og efter en konkret individuel vurdering, og det uanset om borgeren er hjemmeboende eller bor i ældre- eller plejebolig. Moderniseringsrapporten angav også, at kommunerne i 2015 havde visiteret 24.726 borgere til omsorgstandpleje. I rapport fra Sundheds- og Ældreministeriet om serviceeftersyn af omsorgstandpleje (11) er den potentielle målgruppe for omsorgstandplejen estimeret til mellem 52.00063.000 borgere. Således er mindre end halvdelen af den estimerede målgruppe ikke visiteret til omsorgstandpleje.

Der er en fast egenbetaling for at deltage i omsorgstandplejen, som betales én gang årligt via pensionen. Beløbet i 2023 er 570 kr. Egenbetalingen dækker behandlingen uanset omfang.

Ad e): Tilbagemeldinger fra overtandlægerne om omsorgstandplejen

I 2020 udsendte forskere fra Tandlægeskolen i København et spørgeskema til de driftsansvarlige for omsorgstandplejen i kommunerne vedrørende deres erfaringer med ordningen, mere end 25 år efter at ordningen blev etableret. Der blev udsendt spørgeskemaer til 92 ud af 98 danske kommuner, idet der ikke kunne etableres kontakt til de sidste seks kommuner.

Ud af 92 kommuner var der 43 kommuner, der indsendte besvarelser, hvoraf 38 kom fra kommuner med offentlige klinikker. I denne artikel vil vi rapportere tilbagemeldinger fra de 38 kommuner, hvilket svarer til halvdelen af kommunerne med offentlig omsorgstandpleje.

Tilbagemeldinger

• Hovedparten af de borgere, som var indskrevet og benyttede omsorgstandplejen, havde egne tænder

• Ca. 50 % af brugerne havde hyposalivation

• Tæt på 100 % af brugerne havde brug for initiativer, som forebygger og behandler plakinducerede sygdomme med hovedvægt på håndtering af dental caries

• Der er et udmærket samarbejde mellem omsorgstandplejen og plejepersonalet, som hjælper borgeren med personlig hygiejne.

• På trods af dette er den daglige mundpleje og dermed de skrøbelige ældres mundhygiejne, som specifikt er nævnt som fokusområde i sundhedsloven, langtfra tilfredsstillende på omsorgstandplejepatienterne.

• Der er et betydeligt mørketal af potentielle omsorgstandplejepatienter, idet for få bliver indskrevet, og for de som indskrives, er der mange, der har et stort behandlingsbehov, fordi de kommer for sent ind i ordningen.

Flere af ovenstående problemstillinger er beskrevet tidligere i forskellige rapporter, som har kulegravet omsorgstandplejeordningen, siden den blev oprettet i 1994 (10,11). Moderniserings-rapporten (10) fra 2016 kom med forskellige forslag til forbedring af omsorgstandplejen, men udover at Folketinget i 2021 pålagde alle 98 kommuner, at kommunerne skal sikre, at alle borgere, som er i målgruppen for at modtage omsorgstandpleje, og som ønsker det, rent faktisk tilbydes det, er der ikke sket nævneværdige forbedringer.

Ad f): Personlig hjælp og pleje i hjemmeplejen

Servicelovens § 83 (12) beskriver, at kommunalbestyrelserne skal tilbyde i) personlig hjælp og pleje, ii) hjælp eller støtte til nødvendige praktiske opgaver i hjemmet og iii) madservice til personer, som på baggrund af midlertidigt eller varigt nedsat fysisk eller psykisk funktionsevne eller særlige sociale problemer ikke selv kan udføre disse opgaver. Hjælp til tandbørstning og mundpleje er således en af de aktiviteter, som kommunalbestyrelsen skal tilbyde under i) ”personlig hjælp og pleje”, hvis det skønnes, at borgeren har brug for det. Visitationen til hjælp til mundpleje skal som andre ydelser ske på baggrund af faglig, individuel og konkret helhedsvurdering.

Ad g): Interviews om visitering til hjælp til mundpleje og omfanget af borgere, som får støtte til tandbørstning hver dag i hjemmeplejen

Førsteforfatteren kontaktede telefonisk visitatorer og hjemmehjælpere i 15 kommuner i Danmark i løbet af foråret 2023 og gennemførte henholdsvis interviews om visitation til hjælp til tandbørstning og om hyppigheden af hjælp til tandbørstning blandt borgere, der modtager hjælp til personlig pleje. Spørgs -

klinik
videnskab &
∕ fokusartikel
494 T ∕

målet til visitatorerne var, om der ved visitationen til personlig pleje generelt blev spurgt ind til, om borgeren selv kunne varetage den daglige mundpleje. Spørgsmålet til hjemmehjælperne var, hvor mange borgere ud af 10 der var visiteret til personlig pleje, som hjemmehjælperne aktivt hjalp med tandbørstning.

Ni af visitatorerne angav, at de altid, og seks angav, at de undertiden spurgte ind til borgerens tandplejevaner, og at hovedparten af borgerne angav, at de selv kunne børste deres tænder. 12 hjemmehjælpere angav, at de kun i få tilfælde aktivt hjalp borgerne med tandbørstning. Tre hjemmehjælpere angav, at de hjalp op til 50 % af borgerne visiteret til personlig pleje med tandbørstning.

I forbindelse med visiteringen til personlig pleje lægger visitatorerne borgernes udsagn om egen evne til at varetage tandbørstning til grund for beslutningen om tildeling af hjælp til tandbørstning. Imidlertid er dette en meget dårlig indikator for borgernes faktiske behov for hjælp (13). Forfatterne vil anbefale, at visitationen bygger på et mere kvalificeret grundlag. Afgørelse om behov for hjælp til tandbørstning bør ske på baggrund af en oral screening af borgerens aktuelle mundhygiejne.

Ad h): Hvad siger litteraturen om plejepersonalets hjælp til mundhygiejne til skrøbelige ældre patienter? En præmis for ældre skrøbelige borgere, som skal have hjælp til daglig mundpleje, er, at det primært er plejepersonalet, som også i dagligdagen hjælper borgerne med andre opgaver, der også har opgaven med at udføre mundpleje. Desværre viser litteraturen, både fra studier i udlandet (14) og herhjemme (15-17), at de gode resultater under studierne, fx en signifikant reduktion af det primære udfaldsmål plakforekomst, hurtigt aftager, når studierne slutter. Konklusionen fra et dansk studie (16) lyder: “The shared oral care intervention based on a situated learning perspective was effective in improving oral health among care home residents. However, after termination of the intervention, the effect quickly decreased. This confirms the challenges of achieving long-term improvement in oral health in nursing home residents”.

Årsagerne til dette er givetvis mangfoldige: Plejepersonalet har mange vigtige opgaver, de skal varetage, og tiden er knap. Plejepersonalet er ikke nødvendigvis uddannet til opgaven med

klinisk relevans

Vi ser en positiv udvikling i Danmark, da flere og flere skrøbelige ældre har egne tænder. Problemet er desværre, at de fleste skrøbelige ældre ikke selv kan udføre en mundpleje på et niveau, så de ikke udvikler orale sygdomme. Omsorgstandplejen fungerer ikke optimalt, idet for få fra målgruppen vælger ordningen til, og fordi plejepersonalet ikke alene magter at udføre en tilstrækkelig god mundpleje på målgruppen. Hjælp til mundpleje for borgere visiteret til personlig pleje via hjemmehjælpen er baseret på spørgsmålet: Kan du selv børste tænder? Det svarer de fleste ja til. Derfor får for få tilstrækkelig hjælp til mundpleje, selv om de objektivt har brug for det.

mundpleje og har svært ved at udføre og prioritere denne opgave. Vigtigt er også, at de fleste i målgruppen mener, at de selv kan varetage deres egen mundpleje og ikke umiddelbart accepterer eller ikke ønsker at modtage hjælp til mundhygiejne, selvom de har et objektivt behov. Samlet set gør det det svært eller helt umuligt for plejepersonalet at udføre mundpleje på det niveau, som kræves, på borgerne for at kontrollere de plakinducerede sygdomme.

KONKLUSION

Det kan konkluderes, at den mangelfulde indsats omkring mundplejen ikke skyldes manglende rammer for at sikre hjælpen til de skrøbelige ældre, som har et behov. Det er en organisatorisk udfordring at sikre a) en rettidig og effektiv visitering til omsorgstandpleje og b) hjælp til mundpleje i hjemmeplejen til borgere, som har et objektivt behov. Derudover kan plejepersonalet, både på plejehjem og i hjemmeplejen, ikke stå alene med opgaven omkring mundplejen. De demografiske data indikerer, at problemet (mangelfuld mundpleje på skrøbelige ældre) forværres i omfang, hvis der ikke gribes ind med nytænkning på området.

495 2024 128 6

ABSTRACT (ENGLISH)

STATUS OF ORAL CARE FOR FRAIL ELDERLY

PEOPLE IN DENMARK

INTRODUCTION AND PURPOSE – Demographically, the number of fragile elderly people (FEP) with their own teeth has increased significantly over the last 2 decades in Denmark. This study presents the status of oral care for FEP.

MATERIAL AND METHODS – Through the literature, questionnaire surveys and interviews, this study describes how the public service for FEP’s oral care works.

RESULTS – The oral care currently works suboptimally, as too few are enrolled in the scheme, too many enrollees have

LITTERATUR

1. SUNDHEDSSTYRELSEN. Tandplejeprognosen 2018-2040. København: Sundhedsstyrelsen, 2019.

2. Petersen PE, Davidsen M, Jensen HR et al. Trends in dentate status and preventive dental visits of the adult population in Denmark over 30 years (1987-2017). Eur J Oral Sci 2021;129:e12809.

3. TANDLÆGEFORENINGEN. Tandlæger i tal. København: Tandlægeforeningen, 2021;24. (Set november 2023). Tilgængelig fra: URL: https://www.tandlaegeforeningen.dk/media/16660/ tandlaeger-i-tal-2021-enk.pdf

4. INDENRIGS- OG SUNDHEDSMINISTERIET. Sundhedsloven. (Set 2023 juni). Tilgængelig fra: URL: https://www.retsinformation.dk/ eli/lta/2022/210

5. INDENRIGS- OG SUNDHEDSMINISTERIET. Bekendtgørelse om tandpleje. (Set 2023 juni). Tilgængelig fra: URL: https:// www.retsinformation.dk/eli/ lta/2022/95

6. Christensen LB, Hede B, Nielsen E. A cross-sectional study of oral health and oral health-related quality of life among frail elderly persons on admission to a special oral health care programme in Copenhagen City, Denmark. Gerodontology 2012;29:e392-400.

7. Sjögren P, Nilsson E, Forsell M et al. A systematic review of the preventive effect of oral hygiene on pneumonia and respiratory tract infection in elderly people in hospitals and nursing homes: Effect estimates and methodological quality of randomized controlled trials. J Am Geriatr Soc 2008;56:2124-30.

8. Hede B. Personlig henvendelse.

9. SOCIAL- OG ÆLDREMINISTERIET. En redegørelse om ældreområdet 2022. København: Social- og Ældreministeriet, 2022.

10. SUNDHEDSSTYRELSEN. Modernisering af omsorgstandplejen. København: Sundhedsstyrelsen, 2016.

poor oral hygiene and reduced saliva secretion, and therefore virtually everyone needs help with oral care. In home care, whether citizens can brush their teeth sufficiently well has not been recorded, which is why few are searched for help with oral care. It has been found that the nursing staff in residential care care cannot brush the residents' teeth adequately.

CONCLUSION – There are huge challenges in ensuring a timely and effective public help to ensure oral care for our FEP in Denmark.

11. MINISTERIET FOR SUNDHED OG FOREBYGELSE. Rapport om serviceeftersyn af Sundhedslovens krav til indholdet af omsorgstandplejen. København: Ministeriet for Sundhed og forebyggelse, 2014.

12. SOCIAL-, BOLIG- OG ÆLDREMINISTERIET. Serviceloven. (Set 2023 juni). Tilgængelig fra: URL: https://www.retsinformation.dk/ eli/lta/2022/170

13. Forsell M, Sjögren P, Johansson O. Need of assistance with daily oral hygiene measures mong nursing home resident elderly versus the actual assistance received from the staff. Open Dent J 2009;3:241-4.

14. Albrecht M, Kupfer R, Reissmann DR et al. Oral health educational interventions for nursing home staff and residents. Cochrane Database Syst Rev 2016;9:CD010535. doi: 10.1002/14651858.CD010535. pub2.

15. Overgaard C, Bøggild H, Hede B et al.Improving oral health in nursing home residents: A cluster randomized trial of a shared oral care intervention. Community Dent Oral Epidemiol 2022;50:115-23.

16. Wagner SR, Eriksen CLD, Hede B et al. Toothbrushing compliance tracking in a nursing home setting using telemonitoring-enabled powered toothbrushes. Br Dent J. 2021 Jul 8. doi: 10.1038/s41415021-3169-7 [Online ahead of print].

17. Ekstrand KR, Christensen J, Schmidt C. Implementering af professionel udført tandrengøring på ældre handicappede. Tandlægebladet 1998;102:368-73.

videnskab & klinik ∕ fokusartikel
496 T ∕

Kreativ præsentation af virkemekanismen

Øjeblikkelig 1 og langvarig 2 smertelindring

– nu med øget syreresistens 3

60.5 %

Smertelindring fra første brug1

80.5 % Langvarig smertelindring2

Bestil prøvetuber og informationsfoldere til patienter § Læs mere på https://www.colgate.dk/power-of-optimism/faq

Uovertru en okklusion af dentintubuli4 med PRO-ARGIN + Zinkfosfat

Referencer: 1. Vs baseline, Nathoo et al. J Clin Dent. 2009;20 (Spec Iss):123 –130 (when toothpaste is applied directly with a finger tip to each sensitive tooth for one minute.) 2. Docimo et al. J Clin Dent. 2009;20 (Spec Iss):17– 22. 3. Vs previous formula, in vitro acid resistance after 5 brushings, report by Hines 2021, Data on File, Colgate-Palmolive Technology Center (2021). 4. Pro-Argin technology vs Stannous fluoride / sodium fluoride technology. Liu et al. J Dent Res. 2022;101(Spec Iss B):80.’

FORBEDRET TEKNOLOGI 3
NYT DESIGN
Genanvendelig
tube§

ABSTRACT

INTRODUKTION OG FORMÅL – Den foregående artikel viser, at hjælp til mundplejen for skrøbelige ældre på plejehjem eller i hjemmeplejen ikke fungerer optimalt. Den aktuelle artikel beskriver og begrunder forslag til en optimering af mundplejen til skrøbelige ældre tilmeldt omsorgstandplejen eller visiteret til personlig pleje i hjemmeplejen.

MATERIALE OG METODE – Forslagene er baseret på gennemlæsning af international og national litteratur, rapporter fra sundhedsmyndighederne og egne erfaringer med mundpleje til skrøbelige ældre.

RESULTATER – Følgende hovedforslag beskrives: Rød saft begrænses til de tre hovedmåltider; nøglepersoner omkring den skrøbelige ældre aktiveres; kommunerne presses til en bedre information om omsorgstandplejen; visitation til hjælp til mundpleje i hjemmeplejen skal objektiviseres; udskrivningspapirer skal indeholde observation om borgerens mundpleje under hospitalsindlæggelsen, up to date undervisningsmateriale i mundpleje, inklusive indfarvning af tænder til illustration af bakteriebelægningernes lokalisation, i forbindelse med uddannelse til og af omsorgspersonalet; og behovsorienteret mundpleje (ca. 14 dage) udført af en person med odontologisk baggrund i tillæg til den daglige mundplejehjælp.

KONKLUSION – Mundpleje til de skrøbelige ældre i det danske samfund fungerer suboptimalt. Artiklen beskriver og begrunder en række forslag, som enkeltvis eller sammen kan optimere mundplejen på skrøbelige ældre i Danmark.

EMNEORD

Korrespondanceansvarlig førsteforfatter: KIM EKSTRAND kek@sund.ku.dk

Forslag til en optimering af mundplejen til skrøbelige ældre i Danmark

KIM EKSTRAND, professor, ph.d., Fagområdet for Cariologi og Endodonti på Københavns Tandlægeskole, Københavns Universitet

BO DANIELSEN, skolechef, tandlæge, MBA, MIL, Skolen for Klinikassistenter og Tandplejere i København, Københavns Universitet

Accepteret til publikation den 3. november 2023

Tandlægebladet 2024;128:498­502

ET ESTIMAT AF ANTALLET AF SKRØBELIGE ÆLDRE

I DANMARK kan med lidt god vilje ses på antallet af plejehjemsbeboere og dem, som er visiteret til personlig pleje i hjemmeplejen. Data estimerer dette til ca. 40.000 henholdsvis ca. 70.000, hvilket her i begyndelsen af 2020’erne svarer til ca. 110.000 borgere (1). Dette tal vil formentlig øges fremadrettet set i lyset af, at antallet af ældre stiger markant de næste 30 år (1), hvoraf en del kommer til at indgå i klassifikationen skrøbelig ældre på et tidspunkt.

I den foregående artikel viste vi, at mundplejestatus på skrøbelige ældre er en organisatorisk udfordring både i omsorgstandplejen og i hjemmeplejen. Derudover konkluderede vi, at plejepersonalet, både på plejehjem og i hjemmeplejen, ikke kan stå alene med opgaven omkring mundplejen på skrøbelige ældre. Teknisk er det svært at børste tænder på en anden person, som egentlig helst er fri for at få det gjort. Plakudviklingen sker som bekendt i plakstagnationsområder, som på ældre generelt er langs gingiva og approksimalt – lokalisationer, som vanskeliggør en sufficient plakfjernelse.

Der er studier, der viser, at en professionel indsats fra fx tandlægestuderende, trænede klinikassistenter eller tandplejere, som børster tænder på deltagerne én gang hver dag, hver 14. dag eller hver måned i tillæg til, at borgeren selv eller plejepersonalet hjælper til med mundpleje hver dag, har en markant positiv påvirkning på at kontrollere progressionen af de plakinducerede sygdomme (2-4). Faktisk viser et svensk studie (4), at en synergetisk effekt opstår ved et samarbejde mellem plejepersonalet og de professionelle. Erfaringen er også, at borgere, der behøver hjælp til mundpleje og tandbørstning, ofte

videnskab & klinik ∕ fokusartikel
Public health dentistry | community dentistry | delivery of dental care | dental plaque | caries prevention | solo toothbrush
498 T ∕

langt bedre accepterer hjælp fra en person fra tandplejeteamet end en person fra plejepersonalet (2), selvom sidstnævnte for den skrøbelige ældre er en kendt person.

FORMÅL

Denne artikel fokuserer på at beskrive forslag baseret på gennemgangen i den foregående artikel til at optimere mundplejen for skrøbelige ældre i Danmark.

MATERIALE OG METODER

Artiklen er baseret på en del af den litteratur, som blev anvendt i den foregående artikel, herunder rammerne (sundhedsloven og serviceloven) for tandpleje af ældre skrøbelige patienter i Danmark. Dette suppleres med litteratur fra mundplejeprogrammer fra de nordiske lande og litteratur, der omtaler anvendelsen af rød saft på plejehjem samt effekten ved brug af 5.000 ppm fluoridholdig tandpasta på ældre i Danmark. Afslutningsvis henvises til en video, som illustrerer, hvordan indfarvning af plak kan systematisere tandbørstningen på ældre, som har brug for hjælp hertil.

RESULTATER

Forslag til, at indsatsen kan forbedres

A) Generelt set

A1: En nødvendig forudsætning for udvikling af en cariogen plak er, at den tilføres kulhydrater (5). Mange skrøbelige ældre har brug for at få tilstrækkelig energi igennem kosten, hvorfor de tilbydes rød saft med et stort indhold af simple kulhydrater (44 g/100 ml) (6,7). Vi anbefaler, at denne type drikkevarer udelukkende anvendes i forbindelse med de tre hovedmåltider, og at man tilbyder den skrøbelige ældre sukkerfrie produkter eller vand mellem disse.

A2: Italesætte, at det er helt på sin plads at få hjælp til mundpleje, når man selv gradvist mister evnen til at udføre den. Nøglepersoner omkring den ældre bør være positive og støttende omkring hjælp til mundpleje. Det er vigtigt, at borgeren ikke oplever det nedværdigende at få hjælp til at børste tænder.

B) Visitation til omsorgstandplejen

B1: Kommunerne bør sikre kommunikationen om ordningen til kommunens borgere og til relevante fora, som de ældre kommer i kontakt med. Her er kontakten til borgerens privatpraktiserende læge helt essentiel. Andre nøglepersoner/grupper er sygeplejersker, plejepersonalet på plejehjem og i hjemmehjælpen, ældresagen etc.

B2: Kommunen bør sikre hurtig visitation af borgere, som skal tilbydes omsorgstandpleje. Procedurerne skal være velbeskrevne og bygge på behov. Det er oplagt at inddrage samarbejde med privatpraktiserende tandlæger, som kan bede kommunen om at reagere, når en patient ophører med at gå til sin privatpraktiserende tandlæge.

B3: Registersøgning på borgere, som ikke har været til privat tandlæge i et år, er også en mulighed. Ligeledes at have fo-

kus på mundpleje ved de forebyggende hjemmebesøg, som kommunen skal tilbyde borgere jf. serviceloven (8), fra det fyldte 75. år.

C) Visitation til hjælp til mundpleje i hjemmeplejen Vi foreslår, at alle, der visiteres til hjælp til personlig pleje, bliver vurderet for deres objektive behov for hjælp til tandbørstning. Langt de fleste visiteringer i hjemmeplejen foretages af personale uden større odontologisk indsigt. I Sverige og Norge er der udviklet et system, som benævnes ”Revised Oral Assessment Guide” (ROAG), hvor sygeplejersker evaluerer status på cavum oris gennem otte områder (stemmen, læber, slimhinder, tungen, gingiva, tænder/proteser, saliva og synkning). De individuelle områder gradueres i scorer, hvor 1 er sund, og score 3 er alvorlige problemer. Dette afstedkommer en samlet score imellem 8 og 24. Selv om kliniske retningslinjer har omtalt ROAG under danske forhold (9), så kender de aktuelle forfattere ikke til, at ROAG anvendes i visiteringen til personlig pleje (herunder hjælp til mundpleje) i hjemmeplejen. For nuværende vil vi rekommandere, at en indfarvning (diagnostisk indfarvning) af borgeres tænder med eksempelvis GUM RedCote farvetablet bør indgå i vurderingen af, om borgeren skal tilbydes hjælp til tandbørstning.

Følgende metoder foreslås til inspiration:

I) I skrivelsen til borgeren omkring visiteringen beder man borgeren om at børste tænderne før visiteringen. Under visiteringen kan man så på et givent tidspunkt bede borgeren om at tygge en farvetablet.

II) I forbindelse med visitationen bedes borgeren børste sine tænder, som forinden er indfarvet ved at tygge en GUM RedCote farvetablet.

Ved I, II kan visitatoren registrere omfanget af bakteriebelægninger, eventuelt tage foto, hvis borgeren samtykker, som kan bedømmes af personale med odontologisk baggrund.

III) Optimalt ville være, at når borgeren er til undersøgelse i omsorgstandplejen eller hos den privatpraktiserende tandlæge, vurderes det, om borgeren bør have hjælp til den daglige mundpleje.

Der udarbejdes derefter en plan for mundpleje på den aktuelle borger. Det er også vigtigt at huske, at borgere, der selv er i stand til at børste tænder sufficient, kan have brug for hjælp til at huske at børste tænder.

D) Indlæggelser på hospital

Ifølge sundhedsloven, kapitel 9 (10), skal der foregå en korrespondance mellem kommunerne og sygehusene ved hospitalsophold, herunder at der udarbejdes en udskrivningsrapport. Udskrivnings-rapporten sendes fra sygehus til kommune, når patienten udskrives. Den indeholder status og resumé af indlæggelsesforløbet og relevante sundhedsfaglige oplysninger ved¬rørende borgerens aktuelle indlæggelse, funktionsevne, diagnoser og behov for pleje og behandling fremadrettet. Denne udskrivelsesrapport bør også indeholde observationer, som personalet har gjort sig omkring orale forhold, herunder observa¬tionen, der er foretaget under den daglige mundpleje. Disse oplysninger bringes videre til plejepersonalet, hvad en-

499 2024 128 6

ten det er på plejehjemmet eller på borgere, der er visiteret til personlig pleje i hjemmehjælpen.

E) Uddannelse til og af omsorgspersonalet

Undervisningsmateriale til de forskellige omsorgspersonaleuddannelser omkring munden, herunder mundpleje, bør føres up to date. Plakkens lokalisation på tænderne bør illustreres ved hjælp af indfarvning. Forfatterne medvirker gerne med up to date undervisningsmateriale, herunder foto og videoer til illustration af indfarvningens betydning, for at gøre det muligt at kunne fjerne plakken under tandbørstningen. Omsorgstandplejen bør uddanne og allokere personale til at medvirke til at løfte denne opgave i de forskellige kommuner i samarbejde med ledelserne på plejehjemmene og i hjemmeplejen.

E) Hjemmetandpleje og professionelt udført mundpleje

Alle med egne tænder, som visiteres til hjælp til mundpleje, bør ses af en tandplejer/tandlæge enten i privatpraksis eller i omsorgstandplejen. En af deres opgaver bør være at foreslå individuelt baserede intervaller for professionelt udført mundpleje udført af en trænet klinikassistent eller tandplejer

som supplement til den daglige mundpleje udført af plejepersonalet. Ordningen bør individualiseres i relation til borgerens behov, fx professionelt udført mundpleje én gang om ugen, én gang hver 14. dag, én gang hver 3. uge eller én gang om måneden.

PRAKTISK UDFØRELSE AF TANDBØRSTNING

PÅ SKRØBELIGE ÆLDRE PÅ PLEJEHJEM/VISITERET

TIL PERSONLIG PLEJE

Fig. 1 og nedenstående link illustrerer: 1) at indfarvningen klart viser, hvor plakken er lokaliseret (plakstagnationsområder) på skrøbelige ældre, og 2) hvordan en solotandbørste kan anvendes effektivt. Linket illustrerer også, hvordan en tandtråd i en holder kan anvendes.

Uanset om den skrøbelige ældre kan sidde op eller kun kan ligge ned, er en god position for den, der skal foretage tandbørstningen, at stå eller sidde foran borgeren – først på borgerens højre side, derefter på venstre side (eller omvendt). En lyskilde, som rammer borgerens mund, er påkrævet, ellers ser operatøren ind i en mørk mund. Det kan anbefales at bruge en pandelampe.

Tandsæt indfarvet

Resultat

efter brug af solotandbørste og tandtråd

videnskab & klinik ∕ fokusartikel
Fig. 1. A-C viser borgerens tænder efter indfarvning, og A og C viser tandbørstning med en solotandbørste facialt i 1. kvadrant og palatinalt i 2. kvadrant. Fig. 1. A-C show the dental status of the patient after staining and A and C show brushing with a solo toothbrush facially in 1. quadrant and palatinally in 2. quadrant. A B C Fig. 2. A-C illustrerer tandsættet efter tandbørstningen og brug af tandtråd.
500 T ∕
Fig. 2. A-C illustrates the teeth after brushing and flossing. A B C

Hvis tandbørstningen startes fra borgerens højre side, kan der børstes på facialfladerne og approksimalt facialt fra i 1. og 4. kvadrant (Fig. 1A) og palatinalt/lingvalt/approksimalt i 2. (Fig. 1C) og 3. kvadrant. Tilsvarende hvis der børstes fra borgerens venstre side så facialt/approksimalt i 2. og 3. kvadrant og palatinalt/lingvalt/approksimalt i 1. og 4. kvadrant. Tandbørst¬ningen afsluttes med at børste okklusalt, hvis det anses for nødvendigt.

Det anbefales, at solotandbørsten tilføres en smule tandpasta 1-2 gange pr. kvadrant. Det anbefales også at starte på bageste tand i overkæbe eller underkæbe og børste frem mod 1+1/1-1. Der børstes generelt langs gingiva, men specielt der, hvor plakken (farvede område) er lokaliseret. Hvis borgeren tager meget forskellig medicin, objektivt eller subjektivt mundtør og ikke kooperativ, anbefales det at bruge 5.000 ppm fluoridholdig tandpasta ved disse seancer (11). Borgeren kan spytte ud i et engangsglas under mundplejeseancen.

Et par gange om ugen sluttes af med at bruge tandtråd approksimalt. Det kan anbefales, at der bruges tandtråd i en holder (se link).

Resultatet efter tandbørstning og brug af tandtråd ses på Fig. 2 A-C.

Det skal understreges, at indfarvning af tænderne kun behøves få gange for at få erfaring med, hvilke tandflader og hvor på tandfladerne der skal børstes specielt på den enkelte borger.

KONKLUSION

Rapporter fra statens side, kliniske studier fra forskere, interesseorganisationer etc. fremviser dokumentation for, at mundplejen på vores skrøbelige medborgere ikke er tilstrækkelig god, hvilket har en række skadelige konsekvenser på legeme og sind. Der er en række tiltag, som kan gøres uden de store omkostninger, fx bedre information fra kommunens side til målgruppen, som opfylder betingelser for at kunne indgå i omsorgstandplejen. Flere af de nævnte forslag hænger sammen, for at de vil få effekt. Eksempelvis hjælper det jo ikke dem, som kommer i omsorgstandplejen eller visiteres til hjælp

klinisk relevans

Skrøbelige ældre indlægges på sygehuse pga. pneumonier opstået som følge af ringe mundpleje. En del dør faktisk, hvor årsagen kan relateres til ringe mundpleje. Artiklen beskriver og begrunder en række forslag til, hvordan mundplejen på skrøbelige ældre kan løftes. Diagnostisk indfarvning af tænderne anses for at være helt essentiel for, at plejepersonalet kan børste mere optimalt på den skrøbelige ældre. Det mest yderliggående forslag, men som ifølge litteraturen vil have mest effekt, er at supplere den daglige mundpleje på skrøbelige ældre med en professionelt udført mundpleje, der har fokus på at fjerne bløde belægninger, eksempelvis hver 14. dag, hver 3. uge eller hver måned – altså efter behov.

til mundpleje i hjemmeplejen, baseret på en objektiv vurdering, hvis der ikke er nogen, der hjælper med mundplejen, eller de, som hjælper, ikke har de fornødne forudsætninger. Diagnostisk indfarvning af tænderne på relevante tidspunkter anses for helt essentielt for at illustrere for hjælpepersonalet, hvor der primært skal børstes tænder på den individuelle skrøbelige ældre.

Se videoen ”Tandbørstning på skrøbelige ældre” fra Københavns Universitet ved at scanne QR­koden

ABSTRACT (ENGLISH)

LOCAL SPREADING OF ODONTOGENIC INFECTIONSPROPOSAL FOR OPTIMISATION OF ORAL CARE FOR FRAIL ELDERLY PEOPLE IN DENMARK

INTRODUCTION AND PURPOSE – The paper describes and justifies proposals for optimizing the oral care of frail elderly people in Denmark.

MATERIAL AND METHOD – The suggestions are based on reading international and national literature.

RESULTS – The main proposals are that red juice is limited to the 3 main meals; key people around the frail elderly are activated; the municipalities are pressured to provide

better information about the public scheme for help to dental service; visitation to help with oral care in home care must have clear objectives; discharge papers must contain observation of the citizen's oral care during hospitalization, better education in oral care for the care staff; and need ­ oriented oral care (approx. 14 days) professionally performed as supplement to the daily oral care assistance.

CONCLUSION – The article describes and justifies a number of proposals which, individually or together, can optimise the oral care of frail elderly people in Denmark.

501 2024 128 6

LITTERATUR

1. SOCIAL- OG ÆLDREMINISTERIET. Redegørelse om ældreområdet 2022.

2. Ekstrand KR, Christensen J, Schmidt C. Implementering af professionel udført tandrengøring på ældre handicappede. Tandlægebladet 1998;102:368-73.

3. Waldron C, Nunn J, Mac Giolla Phadraig C et al. Oral hygiene interventions for people with intellectual disabilities. Cochrane Database Syst Rev 2019;5:CD012628. doi: 10.1002/14651858.CD012628. pub2. PMID: 31149734; PMCID: PMC6543590.

4. Girestam Croonquist C, Dalum J, Skott P et al. Effects of domiciliary professional oral care for care-dependent elderly in nursing homes – oral hygiene, gingival bleeding, root caries and nursing staff's oral health knowledge and attitudes. Clin Interv Aging 2020;15:130515.

5. Fejerskov O, Manji F. Risk assessment in dental caries. In: Bader J, ed. Risk assessment in dentistry. Chapel Hill (NC): University of North Carolina Dental Ecology;1990:215-7.

6. Ekstrand KR, Danielsen B, Agustsdottir I et al. Drinking habits in nursing homes for elderly people in Denmark. An ACFF, Nordic activity. Caries Res 2017;51;375.

7. NEMLIG.COM. Sød blandet saft C (rød). (Set 2023 oktober). Tilgængelig fra: URL: https:// www.nemlig.com/soed-blandetsaft-c-roed-1001018?gclid=EA IaIQobChMIp_7Rg62nggMVxq yGCh3dBwhGEAQYAiABEgKERPD_BwE.

8. SOCIAL-, BOLIG- OG ÆLDREMINISTERIET. Serviceloven. (Set 2023 juni). Tilgængelig fra: URL: https://www.retsinformation.dk/ eli/lta/2022/170

9. CENTER FOR KLINISKE RETNINGSLINJER. Klinisk retningslinje – Mundhygiejne til voksne borgere og patienter. Center for kliniske retningslinjer (Set 2023 juli). Tilgængelig fra: URL: https://cfkr.dk/media/351666/

Mundhygiejne%20til%20voksne%20borgere%20og%20patienter.pdf

10. INDENRIGS- OG SUNDHEDSMINISTERIET. Sundhedsloven. (Set 2023 juni). Tilgængelig fra: URL: https://www.retsinformation.dk/ eli/lta/2022/210

11. Ekstrand KR, Poulsen JE, Hede B et al. A randomized clinical trial of the anti-caries efficacy of 5,000 compared to 1,450 ppm fluoridated toothpaste on root caries lesions in elderly disabled nursing home residents. Caries Res 2013;47:391-8.

videnskab & klinik ∕ fokusartikel
502 T ∕

faglig kommentar →

Af SAGA ELISE EISET læge, ph.d.­ studerende, Børn og Unge, Aarhus Universitetshospital

Af NUNO V. HERMANN, lektor, dr.odont., ph.d., Afdeling for Pædodonti og Klinisk Genetik, Odontologisk Institut, Københavns Universitet

Af CASPER KRUSE, tandlæge, ph.d., centerleder, Odontologisk Landsdelsog Videncenter, Aarhus Universitetshospital

Af XENIA HERMANN, overtandlæge, centerleder, Odontologisk Videncenter, Rigshospitalet

Af MARIE­LOUISE MILVANG NØRREGAARD, afdelingstandlæge, studielektor, Institut for Odontologi og Oral Sundhed, Sektion for Oral Økologi, pædodonti, Aarhus Universitet

Kommentar til omtalen af artiklen:

Congenital tooth agenesis and risk og early-onset cancer. JAMA Network Open 2024;7:e240365 under overskriften ”Sammenhæng mellem cancer og agenesi af tænder”, bragt i Tandlægebladet nr. 5, 2024

FLERE DANSKE MEDIER HAR VALGT AT BRINGE EN NYHED OMKRING DENNE FORSKNINGSARTIKEL. Det kan være svært at få videreformidlet, hvad der er forskningsmæssigt interessant, og hvad der er relevant for den almene befolkning. Artiklens medieomtale har da også affødt en del usikkerhed blandt både patienter og fagfolk, hvorfor vi med denne kommentar ønsker at adressere nogle af disse usikkerheder, og hvordan de kan håndteres.

HVAD VISER ARTIKLEN?

Artiklen er et hypotesegenererende epidemiologisk studie, hvor der er anvendt registerdata. Et sådant studie siger ikke noget om årsagssammenhænge, og resultaterne kan være påvirket af bias. Studiet kan derfor anvendes til planlægning af videre forskning inden for området, men resultaterne kan ikke anvendes klinisk.

HVAD KAN MAN SIGE TIL PATIENTERNE?

• Associationerne, der er fundet i studiet, er på gruppeniveau og er i absolutte tal i en meget lille størrelsesorden. Forsøger man alligevel at omregne til individniveau, vil der fortsat være tale om en meget lille risiko

• Der foregår rigtig meget forskning på området, herunder at klarlægge, hvilke gener der kun er associerede til tandagenesi og ikke til en øget kræftrisiko. På nuværende tidspunkt udføres der ikke genetisk undersøgelse på baggrund af tandagenesi alene.

HVEM KAN HAVE EN ØGET RISIKO FOR KRÆFT?

Uanset tandstatus så kan det for nogle familier være relevant at søge genetisk rådgivning omkring kræftrisiko. Dette kan fx være familier med:

• Æggestokkræft

• Tidlig forekomst (< 50 år) af bryst- eller tarmkræft

• Mange kræfttilfælde blandt indbyrdes nære slægtninge i familien. Nogle kræfttyper regnes dog typisk ikke for at være arvelige, fx livmoderhalskræft og lungekræft

Det er altså en familiehistorik med kræft – ikke med tandagenesi – der kan give mistanke om en øget kræftrisiko i familien. Ved mistanke kan familien henvises til genetisk rådgivning via deres praktiserende læge.

For det enkelte barn med tandagenesi – uanset antal – er risikoen for udvikling af cancer stadig meget lille og skal ikke give anledning til ekstra bekymring eller undersøgelser.

503 2024 128 6

5 punkter:

Bliv klogere på aktinisk keratose

DENNE GUIDE GIVER DIG VIDEN OM TILSTANDEN AKTINISK KERATOSE PÅ LÆBERNE, hvordan den kan opstå, hvordan den diagnosticeres, og hvilke behandlingsmuligheder der er.

TEKST ANNE MARIE LYNGE PEDERSEN, PROFESSOR VED ODONTOLOGISK INSTITUT, KØBENHAVNS UNIVERSITET, OG KIM ANDREASEN, FREELANCEJOURNALIST

Baggrund

Aktinisk keratose (også kaldet aktinisk cheilitis) er en potentielt malign tilstand karakteriseret ved udvikling af skorpedannelse (hyperkeratose) på prolabiet/overgangen mellem prolabiet og huden som følge af langvarig eller kraftig eksponering for solens UV-stråler. Tilstanden udvikler sig gradvist og oftest i en eksisterende aktinisk elastose, som er karakteriseret ved grålig/hvidlig/ gullig forandring på overgangen mellem prolabiet og huden. Overgangen mellem det læberøde og huden fremstår derved udvisket. Aktinisk elastose øger risikoen for aktinisk keratose, og ved aktinisk keratose er der øget risiko for udvikling af hudcancer, især af typen planocellulære karcinomer. Det er rapporteret, at 10-30 % af de aktiniske ke-

ratoser progredierer til planocellulære karcinomer, men også vist, at 95 % af alle planocellulære karcinomer i læben opstår i eksisterende aktinisk cheilitis. Da langvarig eksponering for solens UV-stråler er den vigtigste risikofaktor, har følgende personer øget risiko for udvikling af aktinisk elastose og keratose:

¾ Personer, der opholder sig meget udendørs pga. erhverv eller sportsaktiviteter

¾ Personer over 60 år (pga. den akkumulerede effekt af soleksponering) og især mænd

¾ Personer med lysfølsom hud (Fitzpatrick hudtype 1 og 2)

Der er ikke påvist årsagssammenhæng mellem tobaksrygning og aktinisk keratose eller planocellulært karcinom i læben. Personer i immunsuppressiv behandling efter organtransplantation har øget risiko for udvikling af karcinomer i huden og læben ved soleksponering.

Kliniske fund

Aktinisk keratose viser sig som:

¾ Skorpe- eller skældannelse på prolabiet, ofte samtidig med grålig/ hvidlig/gullig forandring og uskarp afgrænsning af prolabiet i forhold til omgivende hud

¾ Tørre og skællende læber

¾ Fissurer og erosioner på læberne

¾ Vedvarende sår på prolabiet

¾ Hævelser af læberne

Aktinisk keratose ses oftest på underlæben og kan optræde som en lokaliseret forandring, men typisk vil en større del af læben være involveret. Tilstanden kan være asymptomatisk eller forbundet med sviende, brændende fornemmelse i læben.

1 2
T ∕ guide 504

Differentialdiagnoser

¾ Hudcancer (basocellulært eller planocellulært karcinom)

¾ Diskoid lupus erythematosus (autoimmun hudsygdom, kan også afficere mundslimhinden)

¾ Lichen planus (kronisk inflammatorisk hud- og slimhindesygdom)

¾ Ikke allergisk eller allergisk dermatitis (eksem)

¾ Candidose

¾ Graft versus host disease (GVHD) (komplikation til behandling med allogen stamcelletransplantation)

¾ Granulomatøs cheilitis (hævelse af læbe(r) pga. granulomatøs inflammation)

¾ Lichen sclerosus (kronisk, inflammatorisk hud- og slimhindesygdom)

¾ Cheilitis grandularis (kronisk inflammation af de små spytkirtler i læben)

¾ Vitamin- og mineralmangeltilstande

3 4 5

Udredning

Diagnosen aktinisk keratose stilles på baggrund af den kliniske undersøgelse og de anamnestiske oplysninger. Den endelige diagnose stilles ved biopsi. Påvirkningen fra solens UV-stråler fører til nedbrydning af kollagen, hvorved vævets elasticitet mindskes. Ved aktinisk elastose viser det histologiske billede atrofi af epitelet og ophobning af basofilt, amorft og acellulært materiale (elastin) i det underliggende bindevæv. Ved progression til aktinisk keratose ses epitelatrofi med hyperkeratose og epiteldysplasi (varierende fra let til svær dysplasi), og undertiden ses, at forandringen allerede har udviklet sig til et planocellulært karcinom.

Ved diagnostisk usikkerhed, herunder ved hævelser, fissurer, hvidlige plakker og erosioner, er biopsi med histologisk undersøgelse selvsagt afgørende for endelig verifikation af diagnosen.

Ved skorpe- og sårdannelse, som ikke udviser tegn på heling inden for to uger, dvs. malignitetssuspicio, henvises patienten straks til videre udredning med biopsi og eventuelt pakkeforløb.

Behandling

Da aktinisk elastose kan progrediere til aktinisk keratose, er det vigtigt, at patienten informeres om tilstanden og opfordres til at anvende læbeplejeprodukter med solfaktor 30 og hovedbeklædning, der beskytter mod solens stråler. Desuden skal patienterne informeres om straks at henvende sig ved skorpe- og sårdannelser på prolabiet. Risikoen for, at en aktinisk keratose udvikler sig til et invasivt planocellulært karcinom, er højere på læberne end for aktiniske keratoser på huden. Der er også større risiko for metastasering ved et planocellulært karcinom på læben end for andre planocellulære karcinomer.

Tidlig diagnostik og behandling er vigtigt. Behandlingen har til formål at standse sygdomsudviklingen og forhindre udvikling af hudcancer. Instruktion i solbeskyttelse er naturligvis helt centralt.

Følgende behandlinger foregår i speciallægeregi og omfatter:

¾ Kirurgisk fjernelse – især ved histopatologisk verificeret invasivt planocellulært karcinom

¾ Kryoterapi og/eller curretage – ved mindre forandringer

¾ Fotodynamisk terapi (PDT) – især ved en udbredt aktinisk keratose på læben

¾ Lokal behandling af aktiniske keratoser med immunmodulerende cremer ♦

Kilde:

Vasilovici A, Ungureanu L, Grigore L et al. Actinic cheilitis – From risk factors to therapy. Front Med (Lausanne). 2022 Feb 15;9:805425. Tilgængelig fra: URL: doi: 10.3389/ fmed.2022.805425.

Rodriguez-Blanco I, Florez A, Paredes-Suarez C et al. Actinic cheilitis prevalence and risk factors: a cross-sectional, multicenter study in a population aged 45 years and over in Northwest Spain. Acta Derm Venereol 2018 98:970-4. doi: 10.2340/00015555-3014.

Danielsson, Darlington Markus ES, Aktinisk cheilit (solskada på läppen) (Set maj 2024) Tilgængelig fra: URL: https://www. internetodontologi.se/orofacial-medicin/ aktinisk-cheilit-solskada-pa-lappen/

505 2024 128 6

Her er Tandtænketankens anbefalinger

SIDEN SEPTEMBER 2023 HAR EN TÆNKETANK nedsat af Tandlægeforeningen arbejdet på en række anbefalinger til en ny model for voksentandplejen, der er mere tidssvarende, mindre bureaukratisk og afspejler sammenhængen mellem almen og oral sundhed. Arbejdet blev færdiggjort i maj og lanceret på Folkemødet på Bornholm midt i juni. Få overblik over tænketankens anbefalinger her.

Lettere adgang til tandbehandling

¾ Det fastsatte egenbetalingskrav på 600 kr. – som følge af aktivlovens § 82 a – skal bortfalde.

¾ Tilskuddet til § 82 a øges til 100 % af borgerens udgift til tandpleje for et samlet behandlingsforløb for op til 10.000 kr. årligt.

¾ Omsorgs­, social­ og specialtandplejen sammenlægges til ét tandplejetilbud.

Pulje til patienter med kronisk sygdom

¾ Der oprettes en pulje under sundhedslovens § 166­ordning for patienter med kronisk sygdom eller lidelser.

¾ Ansøgningen gøres lettilgængelig og ubureaukratisk, så patienter, der opfylder kriterierne, ikke skal afgive supplerende oplysninger.

Tandbehandling til personer med psykiske lidelser

¾ I de kommende aftaler på psykiatriområdet afsættes midler til at sikre, at personer med psykiske lidelser får bedre adgang til den tandbehandling, de har brug for som følge af deres lidelse og den medicin, de modtager.

T ∕ overblik 506

Højere tilskud til regelmæssig tandpleje

¾ Der afsættes økonomi til en årlig undersøgelse, tandrensning og forebyggelse til alle danskere omfattet af voksentandplejen.

¾ Tilskudsdelen til regelmæssige patienter øges som alternativ til denne årlige offentligt betalte undersøgelse, så de nuværende 35 % i tilskud hæves til fx 60 % i tilskud til undersøgelsesdelen og de forebyggende ydelser, som foretages sammen med undersøgelsen.

Indførelse af tandkonto

¾ Der indføres en tandkonto for alle danskere over 21 år med 400 kr. i årligt offentligt tilskud, som kan gemmes i op til to år, så man kan få et samlet tilskud til behandling for 800 kr. Borgere, der er dækket under særlige tilskudsordninger, skal som udgangspunkt ikke omfattes af en tandkonto.

Tilskud til folkepensionister

¾ Der skal kunne bevilges udvidet helbredstillæg til alle tandlægebehandlinger med et sundhedsfagligt belæg og op til 85 % af tandlægeudgifter op til 15.000 kr. årligt. Ved behandlinger udover 15.000 kr. kan ansøges om tilskud via kommunen som i dag.

¾ Ældre skal kunne få tilskud til røntgenundersøgelse og behandling med bedøvelse.

Indførelse af tandlægen på sundhedskortet

¾ Tandlægen indføres på det digitale sundhedskort (app) samt det fysiske sundhedskort.

¾ Tandlægevalg skal kunne udføres via sundhed.dk samt integreres på borger.dk i forbindelse med adresseflytning, ligesom det er tilfældet for valg af praktiserende læge.

¾ Muligheden for frit valg bliver mere synlig, bl.a. ved at kommunerne automatisk sender brev via e­Boks, hvor muligheden beskrives.

Automatisk visitation til omsorgstandpleje

¾ Kommunerne visiterer automatisk borgere til omsorgstandpleje ved omfattende hjemmehjælp og indflytning på plejehjem eller plejebolig.

¾ Kommunerne implementerer en individuel mundplejeplan for alle patienter i omsorgstandplejen som en del af den generelle og individuelle forebyggelsesindsats.

¾ Det indskrives i sundhedsloven, at borgere kan få transport og ledsagelse til og fra omsorgstandplejen.

¾ Som del af helhedsplejen prioriteres og afsættes tid på midlertidige pladser, akutpladser og i den udkørende hjemmepleje til hjælp til tandbørstning og mundsundhed til ældre, der ikke selv kan varetage denne.

¾¾
507 2024 128 6

Den

økonomiske ramme skal følge det demografiske træk

¾ Den samlede økonomiske ramme til behandling hos praktiserende tandlæge reguleres med den demografiske udvikling.

Opprioritering af tandpleje på hospitaler

¾ Der afsættes ressourcer til ansættelse af tandlæger og tandplejere på hospitalerne og de geriatriske afsnit for de patienter, der er i risiko for tilstødende infektion.

Pengene

skal følge patienten

¾ Tilskud til behandling hos praktiserende tandlæge følger patienten, så patienternes mulighed for behandling hos egen tandlæge ikke begrænses af det ydelsesmønster, tandlægen har.

Øget samarbejde med læger

¾ Der nedsættes en tværgående task force i regi af Sundhedsstyrelsen med Lægeforeningen, Tandlægeforeningen og de respektive uddannelsesinstitutioner, der skal undersøge, hvordan der kan skabes et mere struktureret samarbejde.

¾ Tandlæger får mulighed for at henvise til kræftpakkeforløb og yderligere udredning på baggrund af symptomer eller mistanke om alvorlige sygdomme i mundhulen.

¾ Privatpraktiserende tandlæger og tandplejere, samt den kommunale tandpleje indtænkes som en del af sundhedsklyngerne og det forpligtende sundhedssamarbejde i det nære sundhedsvæsen.

¾ Der skal kunne deles journaler mellem tandlæger, praktiserende læger, hospitaler og andre dele af sundhedsvæsenet, så patienten oplever et sammenhængende behandlingsforløb.

Tandlæger i yderområder

¾ Mulighederne for at understøtte en bedre geografisk dækning af privatpraktiserende tandlæger undersøges, så patienter i landdistrikter og yderområder ikke oplever, at der bliver længere til tandpleje.

T ∕ overblik 508

Opprioritering af hospitalstandpleje

¾ Der afsættes ressourcer til, at tandlæger og tandplejere sikrer undervisning af sygeplejersker og plejepersonale på hospitalerne, så systematisk mundhygiejne indgår som en integreret del af behandlingen for de patienter, der er i risiko for tilstødende infektion, og som har behov for hjælp til egenomsorg.

¾ Indlagte svækkede ældre bør få en helhedsvurdering, som har fokus på ernæring, medicin, multisygdom, mobilitet, tandsundhed og mestring. Denne vurdering bør danne baggrund for en individuel og helhedsorienteret behandlingsplan, der også bør tage højde for den enkeltes tandsundhed.

Nedsættelse af overenskomstforum

¾ I forbindelse med den kommende politiske aftale om nye rammer for voksentandplejen indsættes en solnedgangsklausul på to år, og der etableres et overenskomstforum af Indenrigs- og Sundhedsministeriet med deltagelse af Danske Regioner og Tandlægeforeningen, der skal sikre enighed om grundlaget for en fremtidig overenskomst.

Læs mere om anbefalingerne og tænketankens arbejde på tdlnet.dk/taenketank

DE SIDDER MED I TANDTÆNKETANKEN

Ellen Trane Nørby, Formand for Tænketank for Voksentandplejen

Marlene Grønnegaard Them, Danske Patienter

Maria Iversen, Diabetesforeningen

Rikke Hamstedt, Ældre Sagen

Esben Boeskov Øzhayat, Københavns Universitet, Odontologisk Institut

Siri Beier Jensen, Aarhus Universitet, Institut for Odontologi og Oral Sundhed

Maiken Bagger, Offentligt Ansatte Tandlæger

Rune Hyldgaard, Privat Ansatte Tandlæger

Søren Bach Petersen, Klinikejere

Susanne Kleist, Tandlægeforeningen

Frank Dalsten, Tandlægeforeningen

509 2024 128 6

ELLEN TRANE NØRBY:

Vi har lavet benarbejdet – nu er det op til politikerne

TANDTÆNKETANKEN, DER BLEV NEDSAT AF TANDLÆGEFORENINGEN I SEPTEMBER SIDSTE ÅR, HAR LANCERET EN RÆKKE ANBEFALINGER, der skal modernisere, afbureaukratisere og fremtidssikre voksentandplejen. Er missionen lykkedes? Er anbefalingerne visionære nok? Og hvordan ser den optimale model egentlig ud? Vi har spurgt tidligere sundhedsminister Ellen Trane Nørby, der er formand i tænketanken.

TEKST ANNE BURLUND

ILLUSTRATIONER RASMUS MEISLER

Efter måneders intense forhandlinger og højlydte protester blev tandlægeoverenskomsten 1. juni 2018 erstattet med en politisk særlov. Alle, inklusive de politikere, der stemte for loven, forventede, at den skulle være midlertidig, men seks år og tre sundhedsministre senere er der endnu ikke vedtaget en ny model for voksentandplejen. Og det på trods af, at der ifølge tidligere sundhedsminister Ellen Trane

Nørby (V) lå et færdigt analysearbejde, der kunne danne grundlag for politiske forhandlinger allerede op til folketingsvalget i forsommeren 2019.

For at hive arbejdet op af politikernes syltekrukke lancerede Tandlægeforeningen derfor i september 2023 en såkaldt Tandtænketank med repræsentanter fra patientforeninger, faglige eksperter og tandlægefaglige aktører. Formålet var at give en saltvandsindsprøjtning til arbejdet og komme med et bud på en optimal og fremtidssikret model for voksentandplejen, der prioriterer forebyggelse, mindre

T ∕ interview 510

ulighed i sundhed og en bedre overgang mellem børne- og ungetandplejen og voksentandplejen.

I midten af juni kunne tænketanken lancere sin færdige rapport med en række anbefalinger (se side 506), der skal give inspiration til de kommende politiske forhandlinger om en ny model.

Tidssvarende voksentandpleje

Men er missionen lykkedes? Og hvordan ser den optimale, fremtidssikrede voksentandpleje egentlig ud? Vi har spurgt tidligere sundhedsminister Ellen Trane Nørby, der har siddet for bordenden som formand i Tandtænketanken.

Hvorfor overhovedet modernisere voksentandplejen – hvad er udfordringerne med den nuværende model?

– Alt andet i vores samfund og sundhedsvæsen bliver moderniseret og kigget efter i sømmene fra tid til anden, så det skal tandplejen selvfølgelig også. Vi har derfor set på, hvordan vi kan skabe en moderne ramme, der integrerer tandsundheden bedre i det øvrige sundhedsvæsen, understreger Ellen Trane Nørby.

Da tænketanken blev nedsat i efteråret, var formålet at sikre en ”ny model, der både er tidssvarende, mindre bureaukratisk og tager højde for den ulighed, der er indbygget i den nuværende model. En mission, der ifølge tænketankens formand er lykkedes.

– Vi startede med det helt centrale spørgsmål –hvorfor er munden ikke en del af kroppen? Det er helt ulogisk og bunder i historiske forhold, understreger Ellen Trane Nørby og fortsætter:

– Vi har derfor fremlagt en række anbefalinger til, hvordan vi kan mindske uligheden i tandsundhed og skabe en bedre sammenhæng mellem det nære og det specialiserede og mellem tandlæger og det øvrige sundhedsvæsen – så vi ser det hele menneske. Det sker ikke i dag.

¾¾
511 2024 128 6

Ifølge formanden har tænketanken nu fremlagt et kvalificeret bud, som ministeren kan tage med ind i de kommende politiske forhandlinger.

– Vi har lavet benarbejdet, men det er jo først nu, at missionen for alvor starter, da det i sidste ende er det politiske system, der skal tage anbefalingerne videre og lægge egentlig lovgivning frem, siger Ellen Trane Nørby.

Repræsenterer fællesmængde

Tænketanken skriver i forordet til rapporten, at anbefalingerne ikke er udtryk for en udtømmende eller prioriteret liste eller nødvendigvis repræsenterer de enkelte organisationers individuelle interesser – men er en fællesmængde af det, medlemmerne har prioriteret og fundet fælles fodslag omkring.

Hvad har været de største knaster og uenigheder i processen?

– Jeg har oplevet, at der har været stor enighed undervejs. Vi har haft nogle gode og konstruktive drøftelser. Alle har bidraget aktivt, og jeg er imponeret over, hvad der er kommet af input, lyder det fra Ellen Trane Nørby.

Hun understreger, at alle har skullet kunne se sig selv i anbefalingerne, men at de enkelte aktører selvfølgelig har haft deres egne mærkesager, der lå dem særligt på sinde.

Men hvis anbefalingerne er en form for kompromis og fællesmængde, risikerer I så ikke, at de også bliver laveste fællesnævner og de lavthængende frugter – og dermed ikke ambitiøse og visionære nok?

– Vi vil hellere blive beskyldt for ikke at være visionære nok, end at arbejdet ikke bliver brugt, lyder det prompte fra Ellen Trane Nørby.

Hun er ikke i tvivl om, at hvis man skulle starte helt forfra, så ville tandsundhed være en integreret del af sundhedsvæsenet. Men det er bare ikke omdrejningspunktet for de kommende politiske realitetsforhandlinger, understreger hun.

– Vi kunne da godt være kommet med en række højttravende visioner for en tandrevolution, men så var vi nok ikke blevet lyttet til. Det politiske arbejde forholder sig til en politisk og økonomisk ramme, så det er den bane, vi har spillet på for at sikre, at anbefalingerne også har gang på jord i det politiske system, understreger Ellen Trane Nørby.

– Så kan man altid diskutere, om vi skulle have taget mere med. Men det var vigtigt for os, at vi kunne fremlægge en række helt konkrete anvisninger og anbefalinger, der kan implementeres i nærmeste fremtid.

En sund mund er afgørende for en sund alderdom. Med alderen stiger behovet for reparationer af tænderne, og mange ældre har øvrige sygdomme, der kan påvirke tandsundheden. Vi skal derfor have langt mere fokus på god tandsundhed i såvel behandling som i ældreplejen – ligesom der er behov for større tilskud til tandpleje for økonomisk trængte pensionister, der i dag er udfordret af store tandlægeregninger.

Ældre Sagens repræsentant i Tandtænketanken

T ∕ interview 512

Mange patienter oplever store

udfordringer med deres tænder som følge af deres sygdom. Det giver store tandlægeregninger, som de selv må betale. Jeg er derfor rigtig glad for, at tænketanken anbefaler at oprette en pulje til patienter med kronisk sygdom, som skal reducere ulighed og sikre bedre tandsundhed.

MARLENE GRØNNEGAARD THEM

Parkinsonforeningen – Danske Patienters repræsentant i Tandtænketanken

Hvordan sikrer I jer så, at det rent faktisk sker, og tænketankens anbefalinger ikke bare bliver endnu en rapport, der bliver gemt og glemt?

– Opgaven nu er, at rapporten og anbefalingerne bliver løftet ud og debatteret vidt og bredt. Det vil vi gøre vores for sker. Men jeg håber også, at alle aktørerne på området vil tage ejerskab og gå aktivt ud og give de her anbefalinger liv.

Mere tandsundhed for pengene

Hvilke anbefalinger vil du fremhæve som de vigtigste, der skaber mest tandsundhed for pengene?

– Mange af anbefalingerne hænger jo sammen på kryds og tværs, så det er svært at fremhæve nogen frem for andre. Men der er ingen tvivl om, at det helt centrale, som også giver mest tandsundhed for pengene, er mere og bedre forebyggelse, understreger Ellen Trane Nørby.

– Vi ved fx, at god tandsundhed har betydning for tilknytningen til arbejdsmarkedet, og at parodontitis kobles med sygdomme som diabetes, gigt og Parkinsons, så ved at omprioritere midlerne og styrke forebyggelsesarbejdet kan vi som samfund spare penge andre steder, lyder det fra den tidligere sundhedsminister.

Tandkonto til alle danskere

Fire ud af 10 voksne danskere går ikke regelmæssigt til tandlæge. Ifølge Tandlægeforeningen er det særligt den høje egenbetaling, der er grund til, at så mange voksne fravælger tandlægestolen. For at styrke forebyggelsesindsatsen anbefaler tænketanken derfor på baggrund af svenske erfaringer, at der indføres en tandkonto for alle danskere over 21 år på 400 kr. årligt, der kan gemmes i to år. Ordningen vil ifølge rapporten koste i omegnen af 850 mio. kr. årligt.

Er det realistisk set i lyset af, at der hidtil ikke har været politisk vilje til at hæve den økonomiske ramme til voksentandplejen?

Hun påpeger, at nogle af anbefalingerne er udgiftsneutrale, mens andre vil kræve en udvidelse af den økonomiske ramme. Alligevel vil samfundet og sundhedsvæsenet i sidste ende kunne spare penge. ¾¾

– Det er en politisk opgave at prioritere midlerne, så tiden må vise, om der er politisk opbakning og vilje. Der er ingen tvivl om, at det er en ny og mere tidssvarende måde at tænke tandsundhed på,

513 2024 128 6

som også vil betyde mindre bureaukrati end den eksisterende ordning. Erfaringerne fra Sverige er i hvert fald positive og har reduceret den sociale ulighed i tandsundhed, siger Ellen Trane Nørby.

Syltekrukke i arbejdet

Sundhedsminister Sophie Løhde (V) meldte i maj ud, at hun vil indkalde til forhandlinger om en ny model for voksentandplejen i efteråret 2024. Du har tidligere udtalt, at analysearbejdet til en ny model var færdigt, og de politiske forhandlinger kunne gå i gang allerede efter valget i sommeren 2019. Hvad skete der, siden der gik syltekrukke i den, og der nu seks år senere stadig ikke er en ny model?

– Flere forhold har spillet ind. Bl.a. coronapandemien, der betød, at mange ting blev sat på standby. Også flere vigtige dagsordener. Og det skete også for arbejdet med en ny model for voksentandplejen. Det kan man ikke bruge til noget ude i sin tandlægepraksis eller som patient. Men det er selvfølgelig en del af forklaringen, og det betyder, at vi nu sid-

der så mange år senere, og der stadig ikke er kommet en ny model.

Når du ser tilbage på forløbet i 2018-19 med den viden, du har i dag, hvad fortryder du så mest?

– Da vi lavede særloven, skulle det gå hurtigt, og der skulle en ny aftale på plads. Forhandlingerne om en ny overenskomst var brudt sammen, og så ender det jo på mit bord i ministeriet. Så jeg havde en bunden opgave, jeg skulle løse, forklarer Ellen Trane Nørby og fortsætter:

– Men jeg vil vove den påstand, at hvis den tidligere regering var fortsat efter valget i 2019, så var processen blevet speedet op. Men en ny sundhedsminister skulle sætte sig i stolen, og så kom corona. Dengang havde vi ikke fantasi til at forestille os, at vi ville stå her i dag. Så det er svært at svare på, om jeg ville have gjort noget anderledes, for vi lever jo livet forlæns.

Hvornår kan tandlægerne regne med, at der ligger en ny model for voksentandplejen?

– Det afhænger af de kommende politiske forhandlinger. Jeg har en forventning om, at det kan forhandles på plads i løbet af efteråret, hvis den politiske vilje er der. ♦

Diabetes og tandsundhed påvirker hinanden gensidigt, og dyre tandlægeregninger er med til at forstærke den sociale ulighed i diabetes. Derfor er vi glade for at være en del af Tænketanken, som nu præsenterer solide anbefalinger til, hvordan vi sikrer bedre og mere tandpleje til dem med størst behov.

MARIA IVERSEN

Diabetesforeningen repræsentant i Tandtænketanken

T ∕ interview 514

SUNDHEDSMINISTEREN:

Gode takter i flere af forslagene

SUNDHEDSMINISTER SOPHIE LØHDE (V) ER GLAD FOR TANDTÆNKETANKENS INPUT til det videre arbejde for en moderniseret voksentandpleje. Hun er bl.a. åben over for en yderligere udvidelse af paragraf 166-ordningen, men vil ikke svare på, hvornår tandlægerne kan forvente en ny model for voksentandplejen.

Tandlægebladet har forsøgt at få et interview med sundhedsminister Sophie Løhde (V), men det har desværre ikke været muligt. Vi ville gerne have svar på, hvorfor der seks år efter, at tandlægeoverenskomsten blev opsagt, stadig ikke er vedtaget en ny model for voksentandplejen.

Ligesom vi gerne ville have spurgt ind til en række af de konkrete anbefalinger, som Tandtænketanken netop har lanceret i rapporten ”Høj tandsundhed, stærk faglighed og mindre ulighed”. Bl.a. om regeringen støtter tænketankens anbefaling om at styrke forebyggelsesarbejdet ved at indføre en tandkonto for alle danskere over 21 år på 400 kr. årligt. Og om regeringen er villig til at afsætte nye, varige midler til voksentandplejen, som ikke tages af den eksisterende ramme.

Ulighed i tandsundhed

Undersøgelser viser, at en person uden tilknytning til arbejdsmarkedet går halvt så meget til tandlæge som en topleder. Og de 25 % rigeste i befolkningen går dobbelt så ofte til tandlæge, som de fattigste 25 %. Vi ville derfor gerne have spurgt sundhedsministeren, om et rigt samfund som det danske kan leve med, at en stor gruppe borgere ikke har råd til nødvendige sundhedsbehandlinger. Og hvad regeringen konkret har gjort for at mindske uligheden i tandsundhed.

Undgå syltekrukke igen

Sundhedsministeriet har indkaldt aktører og interessenter i det tidligere Dialog- og Inddragelsesforum til indledende drøftelser om en ny model for voksentand-

plejen i efteråret. Vi ville derfor også gerne have spurgt ministeren om hendes ambitioner og ønsker til en ny og tidssvarende voksentandpleje. Og hvordan hun vil sikre, at der ikke igen går syltekrukke i arbejdet. Ligesom vi endelig ville have spurgt, hvornår ministeren forventer, at der foreligger en ny model for voksentandplejen. Vi har stillet sundhedsminister Sophie Løhde en række konkrete spørgsmål, men hun har ikke ønsket at stille op til interview. I stedet sender hun følgende skriftlige svar igennem ministeriets pressekontor:

– Jeg er rigtig glad for, at Tandlægeforeningen er gået konstruktivt ind i arbejdet med at udvikle rammerne for voksentandplejen og har nedsat en tænketank, som nu er kommet med en række konkrete anbefalinger til, hvordan vi kan modernisere voksentandplejen. Det er nemlig vigtigt, at vi i det videre arbejde får input udefra. Og vi vil gå i dialog med Tandlægeforeningen om, hvordan vi kan styrke tandsundheden.

– Der er gode takter i flere af forslagene. Det gælder fx forslaget om at skabe større lighed i tandsundhed ved at give mennesker med psykiske lidelser, der har betydelige tandproblemer som følge af medicinsk behandling, mulighed for at få tilskud til deres ofte store tandlægeudgifter. Vi har allerede udvidet paragraf 166-ordningen, så markant flere patienter med alvorlige skader på tænderne, eksempelvis som følge af kemo- eller stråleterapi, kan få offentligt tilskud. Og vi kommer også til at se på, om ordningen evt. skal udvides yderligere, så andre grupper af patienter med mundtørhed kan blive omfattet. ♦

515 2024 128 6

ANNE MARIE LYNGE PEDERSEN

Siden 2017 professor i oral medicin ved Københavns Universitet

Ph.d. om Sjögrens syndrom i 1997

Uddannet sygeplejerske i 1985 og tandlæge fra Københavns Universitet i 1992

T ∕ fagstafetten 516

Det er næsten som detektivarbejde

Siri Beier Jensen spørger:

Hvad har været din drivkraft i forskning og forskningsbaseret uddannelse inden for oral medicin som en del af tandlægers virksomhedsområde?

– Min nysgerrighed for faget oral patologi og medicin blev allerede vakt på tandlægestudiet. Det skyldes især mødet med inspirerende undervisere, bl.a. professor Jens Jørgen Pindborg. Han var en af pionererne på området og berømt verden over, ikke mindst pga. sin forskning inden for tobaksinducerede mundslimhindeforandringer og oral cancer. Relationen mellem mundslimhinde-forandringer og almensygdomme fascinerede mig. Som sygeplejerske havde jeg oplevet, hvordan sygdomstilstande i mundhulen ofte blev overset, bl.a. infektioner som kunne udvikle sig til livstruende sepsis. I dag er der heldigvis større forståelse for interaktionen mellem det orale og generelle helbred. Samtidig har jeg altid været drevet af en stærk interesse og passion for at forstå komplekse sygdomme. Det er næsten som detektivarbejde at analysere et komplekst sygdomsbillede og meget tilfredsstillende at diagnosticere vanskelige sygdomstilfælde og udforske årsager til deres opståen. Og så er det en central drivkraft at vide, at mit arbejde gør en forskel for nogle patienter.

Hvorfor er oral medicin så vigtigt et felt? – Mange sygdomme manifesterer sig lokalt i mundslimhinden, spytkirtlerne eller kæbeknoglerne. Nogle giver betydelige gener, andre er potentielt maligne. Tandlæger skal kunne diagnosticere

og behandle mange af disse tilstande og vide, hvornår der er grundlag for henvisning. Da mange sygdomme manifesterer sig først i munden, bl.a. inflammatoriske tarm-, gigt- og blodsygdomme, er det vigtigt, at tandlæger kan identificere disse manifestationer for hurtigt at henvise patienten til videre udredning og behandling. Det kræver et tæt samarbejde med lægefaglige specialer, bl.a. dermatologer, reumatologer og øre-næsehals-læger. Et forskningsmæssigt samarbejde med de lægefaglige discipliner er også centralt for at kunne udvikle diagnostiske værktøjer og nye behandlingsmetoder. Demografiske ændringer med flere ældre og flere borgere af anden etnisk herkomst, nye behandlingsmuligheder, som fx biologiske lægemidler og immunterapi, betyder, at tandlæger skal have kendskab til mere komplekse sygdoms- og behandlingsprofiler, og hvorledes de kan influere på mundhulen og den tandlægelige behandling.

Bliver tandlæger klædt godt nok på til at identificere forandringer og sygdomme i munden?

– På Tandlægeskolen i København undervises de studerende i oral patologi og medicin på 8., 9. og 10. semester. Den teoretiske undervisning vurderes at være passende, men det er et stort ønske fra de studerende at få mere klinisk undervisning. Det er selvsagt vigtigt at se de forskellige mundslimhindeforandringer for at blive god til at identificere dem. Det er vigtigt, at de studerende opnår færdigheder, som de kan anvende som færdiguddannede tandlæger.

Hvordan kan tandlægerne på landets klinikker blive bedre på det oralmedicinske felt?

– Tandlæger overordnet er gode til at udføre mundslimhindeundersøgelser og identificere forandringer. Selve diagno-

stikken kan volde problemer, hvis man ikke regelmæssigt ser oralmedicinske sygdomme, og den kliniske undervisning under tandlægeuddannelsen er begrænset. Vi modtager mange henvisninger og får mange henvendelser fra tandlæger og speciallæger vedrørende bl.a. mundslimhindeforandringer. Det er positivt, men det kan også være udtryk for en vis usikkerhed, og nogle af tilfældene kræver ikke henvisning, men kan håndteres i privat praksis, fx retikulær oral lichen planus. Jeg advokerer derfor for en formaliseret efteruddannelse inden for oral medicin i form af korte kliniske brushupkurser i diagnostik og behandling af de hyppigst forekommende oralmedicinske sygdomme. Det vil være til gavn for alle – ikke mindst patienterne.

Hvem vil du give stafetten videre til og hvorfor?

– Leder af specialtandlægeuddannelsen i Ortodonti på Københavns Universitet, Liselotte Sonnesen, er en af vores største kapaciteter på området. Jeg er nysgerrig på, hvad hun tænker om ventetiden på ortodontisk behandling til børn samt den stigende interesse for behandlingen blandt voksne og ældre – og hvordan vi imødegår den udvikling.

Anne

Hvilke løsninger ser du i forhold til manglen på ortodontister?

I Fagstafetten går vi tæt på en tandlæge med en helt særlig drive og passion for sit fag. Månedens tandlæge sender fagstafetten videre til en kollega, der har været en inspiration for ham eller hende.

TEKST FREJA BECH-JESSEN, FREELANCEJOURNALIST FOTO THOMAS LEKFELDT
517 2024 128 6

navne

FYLDER DU RUNDT?

Hvis du ønsker din fødselsdag offentliggjort i Tandlægebladet, skal du give samtykke til det.

Det kan du gøre ved at logge ind på Tdlnet.dk dk → vælg ”mine sider” → vælg ”personlige oplysninger” → vælg ”mine samtykker”

Hvis du har spørgsmål, kan du kontakte medlemsregistreringen på e­mail medlemsregistrering@tdl.dk

Fødselsdage 19/6 - 16/7 2024

30

Julie Skovmand Bruun-Ægidius, København Ø, 19. juni

Cathrine Frisenborg Christensen, København N, 23. juni

Simon Kold Bredahl, Solrød Strand, 30. juni

40

Pil Løye Hejl, Hadsten, 24. juni

Ingun Midjord Vestureið, Kastrup, 30. juni

Jesper Eykens Søgaard, Ry, 2. juli

Isabelle Lehnhoff, Aabenraa, 14. juli

Katrine Desezar Schultz, København S, 16. juli

50

Heidi Lund Krøger Kjær, Rungsted Kyst, 20. juni

Ammbrin Sandhu, København S, 22. juni

Martin Pagh Østergaard, Lystrup, 25. juni

Julie Erica Schlosser, Holte, 26. juni

Nima Kalbasi, Malmö, 8. juli

60

Gitte Schelde Røge, Højbjerg, 23. juni

Charlotte Matthiessen, Hedehusene, 4. juli

Lene Vestergaard, Augustenborg, 10. juli

70

Bjørn Steffensen, Needham, 21. juni

Jørgen Stensbøl, Bagsværd, 10. juli

Karen Fogh Paludan-Müller, Klampenborg, 11. juli

Karin Sørensen, København S, 16. juli

75

Ebbe Kurtmann, Hellerup, 20. juni

Flemming Munkholm Kjærup, Viborg, 21. juni

Helge Møller Pedersen, Fredericia, 28. juni

Tom Gerhard Tetens, København S, 15. juli

80

Anne Ibsen, Kongens Lyngby, 23. juni

Birthe Annette Bindslev, Aarhus C, 2. juli

Christian Nissen, Frederiksberg, 4. juli

Else Marie Bang Christensen, Haslev, 4. juli

85

Ilse Harriet Friis Madsen, Roskilde, 5. juli

Jørgen J Brinck, Dragør, 10. juli

Dødsfald

† Ivan Bøgild

Fødselsår: 1943, Kandidat år: 1969

Afgået ved døden 15. maj 2024

† Lisbeth Skjoldager Dietz

Fødselsår: 1946, Kandidat år: 1970

Afgået ved døden 8. maj 2024

medlemsservice
518 T ∕

Ny professor vil forbedre oral sundhed

på tværs af socioøkonomiske grupper

MARIO VIANNA VETTORE er tiltrådt i en stilling som professor i oral epidemiologi og folkesundhed ved Institut for Odontologi og Oral Sundhed på Aarhus Universitet.

Professor Mario Vianna Vettore har fokus på, hvordan socioøkonomiske faktorer påvirker oral sundhed og livskvalitet. Han undersøger bl.a., hvordan problemer med oral sundhed påvirker forskellige befolkningsgrupper, fx bestemte aldersgrupper, udsatte grupper og personer, der lever under forskellige sociale vilkår.

– Forskning i folkesundhed kan styrke udviklingen af sundhedsfremme, fore­

byggende strategier og folkesundhedspolitikker med henblik på at reducere antallet af personer med orale problemer, og dermed have en positiv indvirkning på deres trivsel og livskvalitet, siger Mario Vianna Vettore.

Han håber, at forskning vil bidrage til at mindske forskellene i orale sygdomme på tværs af socioøkonomiske grupper, og at professoratet giver ham mulighed for at tilbyde opdateret og relevant undervisning til bachelorstuderende og kandidatstuderende på Aarhus Universitet, i forskellige emner inden for tandlægevidenskab og folkesundhed.

519 2024 128 6

Har du set Tandlægeforeningens app?

Få hurtig og nem kontakt til Tandlægeforeningen, målrettede beskeder og et komplet overblik over de informationer, der er vigtige for dig.

kollegahjælp

TANDLÆGEFORENINGENS KOLLEGAHJÆLP formidler gratis og anonym hjælp til medlemmer i krise.

Region Hovedstaden

Marie Winding Turpinsvej 2

2605 Brøndby Tlf. 36 75 48 75

Region Sjælland

Thomas Hjorth Platanvej 1

4684 Holmegaard

Tlf. 55 54 64 49 – 42 700 500

Louise Vilhelmsdal Søndergade 10

4800 Nykøbing F.

Tlf. 54 86 00 86 – 22 93 85 11

Region Syddanmark

Michael Rasmussen Gl. Vardevej 191 6715 Esbjerg N

E-mail:

mr.mr.rasmussen@gmail.com

Tlf. 75 13 75 13

Niels Holgersson Søndergade 13 C 6000 Kolding info@tdl-holgersson.dk Tlf. 75 52 74 34

Peter Boch Stadionvej 32 6510 Gram Tlf. 74 82 12 12 – 24 27 02 23

Region Midtjylland

Tina El-Dabagh Tordenskjoldsgade 37, 1. th 8200 Århus N E-mail: tinaeldabagh@hotmail.com Tlf. 86 16 85 10

Region Nordjylland

Majbritt Jensen Strandvejen 3 9000 Aalborg Tlf. 20 77 32 66

Tandlægeforeningen

Region Grønland

Karen Haarbo-Nygaard Tuapannguit 40 3900 Nuuk E-mail: karenhaarbo@yahoo.com Tlf. (+299) 547373

TandlægeTryghed

Pia Lindholm

Britt Betina Jørgensen Svanemøllevej 85 2900 Hellerup Tlf. 39 46 00 80

Tandlægeforeningen

Vivian Riel Amaliegade 17 1256 København K Tlf. 70 25 77 11

Ved alkohol- og misbrugsproblemer

Halsnæs Alkoholambulatorium Ambulatorieleder

Charlotte H. Seidler Tlf. 28 59 02 08

Psykologhjælp

Erhvervspsykologisk Rådgivning v/erhvervspsykolog

Majken Blom Søefeldt Kontakt TandlægeTryghed på: Tlf. 39 46 00 80

Mail: dagpenge@tdlt.dk

521 2024 128 6

kollegiale henvisninger

Henvendelse angående kollegiale henvisninger

Tina Andersen, tlf. 33 48 77 33, e­mail: ta@tdl.dk

Pris: kr. 39,00 pr. mm + moms pr. gang.

Annoncer tegnes for 12 numre (1 år ad gangen).

Der faktureres for et halvt år ad gangen i juni måned og i december måned.

Tandlægeforeningen påtager sig ikke ansvar for om kolleger, der annoncerer under kollegiale henvisninger, besidder de fornødne kvalifikationer.

Annoncering under kollegiale henvisninger er forbeholdt medlemmer af Tandlægeforeningen.

Adipositas

Tandklinikken Ravn

• Behandling af overvægtige patienter op til 350 kg. Patienterne kan køres ind, men skal kunne gå de sidste 4 m til stolen

• Handicapvenlig parkering og indgang

Strøby Egede Center 15 4600 Køge

Tlf. 56 26 72 77 www.tandklinikkenravn.dk

Behandlingscentre

Hausergaarden I/S

Specialuddannede tandlæger

Hauser Plads 20, 2 (elevator) 1127 København K

v/Nørreport Station

Tlf. 33 15 15 34 info@hausergaarden.dk www.hausergaarden.dk

• Endodonti * komplicerede

• Implantologi * Komplikationer

• Kirurgi * Knogle-opbygning

• Æstetik * Rekonstruktioner

• Protetik * Narkose

John Orloff

Dip. Imp Dent Adv RCS (Eng)

Jens Kristiansen

MSc Endo KCL (Eng)

Adam Gade Ellesøe

MSc Imp Dent (URJC)

Colosseumklinikken

Kongens Nytorv Østergade 1

1100 København K

Tlf. 33 12 24 21/Fax 33 33 99 90 kongensnytorv@colosseumklinikken.dk www.colosseumtand.dk

• Bidfunktion.

• Bidrekonstruktion.

• Implantologi, Invisalign.

• Knogleopbygning, Kirurgi.

• Parodontal kirurgi.

• Mikrokirurgi.

• Protetik, Æstetik, Endodonti.

• Panoramarøntgen.

• Cone-Beam scanning.

• LiteWire.

Kenneth Vikkelsø Jordy

Lennart Jacobsen

Clara Marie Bjerre Windeløv

Andreas Stavropoulos

Lars Bo Petersen

Gry Hegelund Olsson

Jesper Klinck Pedersen

Thomas Groth-Lauritsen

TBT - www.tbt.dk klinik@tbt.dk

Tlf. 38 60 20 20

• Invisalign

• Kosmetisk makeover

• Implantologi

• Bidrehabilitering

Bidfunktion

Jylland

Brædstrup Implantatcenter

Birgitte Skadborg

Tlf. 75 75 12 36 www.implantatcenter.dk

Bidfunktion og oral bidrehabilitering

Tømmergårdens Tandlæger

Steen Rosby

Stationsvej 1, 6880 Tarm Tlf. 97 37 15 15 info@rokketand.dk

• Behandling af funktionelle lidelser i tyggeorganet.

Sjælland

Stylvig

H.C. Ørsteds Vej 50C 1879 Frederiksberg C Tlf. 33 24 85 85 forum@tandlaegen.dk

Tandlæge Katharina Axtmann

Farum Hovedgade 15, 1. Tlf. 31 72 83 56 Info@axtmann.dk

Tandlæge Betina Grønbæk ApS

Betina Grønbæk Stjernegade 22 1 tv

3000 Helsingør Tlf. 49 21 99 60 info@stjernegade22.dk

Børnetandpleje

Sjælland Børnetandpleje Mobilkirurgi

Svend Fægteborg

Tlf. 28 74 73 25

Dental og maksillofacial radiologi

Tandlægerne Fyrvej, Esbjerg

CBCT-scan og panorama

Tandlægerne Fyrvej

Fyrvej 26

6710 Esbjerg V Tlf.: 75 15 06 00 www.fyrvej.dk

Aarhus Tandlægeskole

• CBCT og panorama-undersøgelse Henvisning og prisliste på dent.au.dk/tandlaegeskolen/forfagfolk

Colosseumklinikken

Kongens Nytorv

• CBCT, panorama, beskrivelser. Lars Bo Petersen ph.d Østergade 1

1100 København K

Tlf. 33 12 24 21 kongensnytorv@colosseumklinikken.dk www.colosseumklinikken.dk

SpecialTandlægeCenter

Gentofte v/ specialtandlæge

Pernille Egdø

• Implantater, knogleopbygning, amotio, rodresektion, autotransplantation

• Panorama/OTP CBCT/3D Baunegårdsvej 7 L, 2820 Gentofte

Tlf. 39 64 65 14 www.kaebekirurg.dk pernille@kaebekirurg.dk

Specialtandlægerne v. Søren Schou, Aarhus

• Panorama og CBCT (3D), inkl. beskrivelse af Hanne Hintze, dr.odont. www.sptand.dk

Tandlægeskolen

Afd. for Radiologi

Panorama og kranieoptagelser samt Cone-Beam scanning. (spec. implantatbehandling og kæbeled)

Henvisningsblanket hentes på http://odont.ku.dk/specialklinik/radiologi/henvisn_rtg/ og faxes eller sendes til afdelingen.

Nørre Allé 20, 2200 Kbh. N. Tlf. 35 32 69 05/Fax 35 32 67 73

Tandlægen.dk Roskilde

Sahar Talebi (Msc i Oral Radiologi)

• CBCT, panorama og beskrivelse Algade 52, 1. 4000 Roskilde Tlf. 46 35 33 13

NORD Specialtandlæger

Kongens Lyngby Henvisningsklinik

Kirurgi, implantologi, Endodonti, Protetik, Parodontologi & Oral medicin.

Klampenborgvej 221, 2. sal 2800 Kongens Lyngby

Tlf: 88 88 80 00 www.nord.dk

Implantater

Fyn

Centrum Tandlægerne

Odense og Middelfart

B. Pade

N. Pade

Tlf. 66 12 62 26 – 64 40 24 03

• Implantater, protetik, kirurgi. www.centrumtandlaegerne.dk

Oris Tandlægerne

Slotsgade 21, 5000 Odense C Tlf. 66 11 44 33 slotsgade21@oris.dk

• Panoramarøntgen

• CBCT (3D)

medlemsservice
522 T ∕

Jylland

Aarhus Implantat Center

Klostergade 56, 8000 Aarhus C Tlf. 86 12 45 00

Hermodsvej 22, 8230 Åbyhøj Tlf. 70 22 35 53 www.implantatcentret.dk

Brædstrup Implantat Center

John Jensen

Martin Dahl

Jens Hartlev

Kristoffer Schwartz

Martin Saaby

Birgitte Skadborg

• Implantologi, kirurgi, narkose

• Protetiske rekonstruktioner

• 3D scanning Tinghuspladsen 6

8740 Brædstrup Tlf. 75 75 12 36

E-mail: tandlaegehuset@ implantatcenter.dk www.implantatcenter.dk

Herning Implantat Center

Louise Kold & Simon Kold

Bryggergade 10

7400 Herning Tlf. 97 12 03 99 www.herningimplantatcenter.dk Kirurgi og protetik.

• Mulighed for narkose

KOHBERGTANDKLINIK.DK

Peter Kohberg

• Implantatcenter

• Speciale: immediat implantologi

• Kirurgi og protetik Jernbanegade 6 6360 Tinglev Tlf. 74 64 20 00 www.Kohbergtandklinik.dk mail@Kohbergtandklinik.dk

Kolding Implantat Center

Jens Thorn, specialtandlæge

Henrik Hedegaard ORIS Tandlægerne Kolding Banegårdspladsen 9 6000 Kolding Tlf. 81 18 81 18 www.ORIS.dk/kolding

• Kirurgi og protetik

Tandlægerne Fyrvej Specialtandlæge

Kristian Thesbjerg Fyrvej 26

6710 Esbjerg V Tlf. 75 15 06 00 rtg@fyrvej.dk www.fyrvej.dk

Bredt Smil Haderslev

Puk Bergmann

Nørregade 11

6100 Haderslev

Tlf. 74 52 22 49 6100@bredtsmil.dk

dinTANDLÆGE Brande

Torben Lillie

• Immediat implantologi

• Kirurgi og protetik

Torvegade 8

7330 Brande

Tlf. 97 18 00 79 www.dintandlaege-brande.dk brandetand@brandetand.dk

Risskov Implantatklinik

– Tandlægerne Risskov v/Ulrik Holm-Christoffersen MSc. Impl.

Immediat implantologi. Blødvævskirurgi

Implantater, knogleopbygning, Amotio, Retrograd.

• Straumann, Nobel, Ankylos, Astra.

Rolighedsvej 30, Risskov. Tlf. 70 70 55 25 info@tandlaegernerisskov.dk

Sjælland

Tandlægen.dk Roskilde

Maziar Talaeipour

Algade 52, 1., 4000 Roskilde

Tlf. 46 35 33 13

• www.tandlaegen.dk/Roskilde

Klinikken Vestergade

Specialtandlæger i kæbekirurgi

Nino Fernandes, specialtandlæge

Teis Schjals Hansen, specialtandlæge

Pouya M. Yazdi, specialtandlæge

Sanne W.M. Andersen, specialtandlæge

Frey Brus Madsen, kæbekirurgisk videreuddannelsestandlæge

Rasmus Hartmann-Ryhl, kæbekirurgisk videreuddannelsestandlæge

Obels Gaard, Vestergade 2, 1456 København K Tlf. 33 15 48 99

www.klinikkenvestergade.dk

• Straumann, Astra, Nobel, Xive, Camlog, Dio

CBCT og digital 3D-guided implantatkirurgi og planlægning

• Narkose

SpecialTandlægeCenter

Gentofte v/ specialtandlæge Pernille Egdø

• Implantater, knogleopbygning, amotio, rodresektion, autotransplantation

• Panorama/OTP CBCT/3D Baunegårdsvej 7 L, 2820 Gentofte Tlf. 39 64 65 14 www.kaebekirurg.dk pernille@kaebekirurg.dk

Specialtandlægerne Bredgade

Specialtandlæge Lars Pallesen www.bredgade.dk eller info@bredgade.dk Knogle- og blødtvæv. Enkelttand, bro, fuldkæbe. Narkose

Mobilkirurgi

Svend Fægteborg Tlf. 28 74 73 25

Specialtandlægerne i kæbekirurgi i Lyngby Thomas Kofod ph.d. Ole Schwartz ph.d. Niels Ulrich Hermund ph.d Rasmus Kuniss-Kriegbaum Even Nisja

Alt indenfor tand,- mund,- og kæbekirurgi

• De fleste typer implantater og rekonstruktioner. tandlægen.dk Lyngby & Implantatcenter Lyngby Hovedgade 27, 3. sal 2800 Kgs. Lyngby

Send henvisning over ediportalen 45870190 eller henvisningsblanket på hjemmesiden: https://tandlaegen.dk/lyngby/ lyngby-hovedgade/henvisning/

NORD Specialtandlæger Kongens Lyngby Henvisningsklinik Kirurgi, implantologi, Endodonti, Protetik, Parodontologi & Oral medicin.

Klampenborgvej 221, 2. sal 2800 Kongens Lyngby Tlf: 88 88 80 00 www.nord.dk

Kirurgi

Fyn

Klinik for Kæbekirurgi, Odense Kæbekirurger, Ph.D. Torben Thygesen

Gregory Tour

50 65 62 66 tht@klinik-vs15.dk www.klinik-vs15.dk

Tanlægen.dk, Centrum Odense

Peter Marker

Specialtandlæge

Grønnegade 16, 5000 Odense C Tlf 66 12 62 26

Mail: centrum-odense@tandlaegen.dk www.tandlaegen.dk/odense Kirurgi, implantater, narkose

Jylland

Brædstrup Implantat Center

John Jensen

Martin Dahl

Jens Hartlev

Kristoffer Schwartz

Martin Saaby Tinghuspladsen 6 8740 Brædstrup Tlf. 75 75 12 36 www.implantatcenter.dk

Oris Tandlægerne Kolding Specialtandlæge, ph.d. Jens Thorn Banegårdspladsen 9 6000 Kolding Tlf. 81 18 81 18

Mail. Kolding@oris.dk

Kirurgiklinik

– Klinik f. TMK-kirurgi Lone Lenk-Hansen

Thomas Urban Hermodsvej 22, 8230 Åbyhøj Tlf. 70 22 35 53 www.kirurgiklinik.dk

Tandlægerne Fyrvej Specialtandlæge

Kristian Thesbjerg Fyrvej 26, 6710 Esbjerg V Tlf. 75 15 06 00 rtg@fyrvej.dk www.fyrvej.dk

Tandlægerne Silkeborgvej 297 Specialtandlæge

Lambros Kostopoulos

• Implantatbehandling samt knogleopbygning med membran. Rekonstruktiv knogle- og blødtvævskirurgi. Behandling af periimplantitis

Silkeborgvej 297, 8230 Åbyhøj Tlf. 86 15 43 44

Tandlægerne Kold

Louise Kold

Simon Kold Bryggergade 10 7400 Herning Tlf. 97 12 03 99 www.tandherning.dk

E-mail: post@tandherning.dk

• Mulighed for narkose

≥ 523 2024 128 6

medlemsservice

Aalborg Tandplejeteam ApS

Specialtandlæge

Martin Dahl

Boulevarden 9, 9000 Aalborg Tlf. 98 11 76 16

• Implantatbehandling

Specialtandlægerne

V. Søren Schou, Aarhus

• Oral kirurgi og implantater, inkl. narkose

Søren Schou, dr.odont.

Helle B. Nielsen, ph.d.

Karen J. Nissen

Martin Saaby

Otto Schmidt

www.sptand.dk

Sjælland

SpecialTandlægeCenter

Gentofte v/ specialtandlæge

Pernille Egdø

• Implantater, knogleopbygning, amotio, rodresektion, autotransplantation

• Panorama/OTP CBCT/3D

Baunegårdsvej 7 L, 2820 Gentofte

Tlf. 39 64 65 14

www.kaebekirurg.dk pernille@kaebekirurg.dk

Kæbekirurgisk Klinik

Niels Ulrich Hermund, ph.d., Kæbekirurg

Esben Aagaard, kæbekirurg

Søren A. C. Krarup, Kæbekirurg

Hovedvagtsgade 8, 3. sal 1103 København K

Tlf. 33 12 24 04

W: kæbekirurgiskklinik.dk

• Rodresektioner

• Cyster og tumorer

• Slimhindeforandringer

• Fjernelse af tænder

• Knoglerekonstruktion

• Straumann, Astra og Nobel

• Nervelateralisering

• Generel anæstesi

Specialtandlægerne Sjælland, Solrød ApS v/ Tore Lefolii og Morten Dahl Solrød Center 45, 1. 2680 Solrød Strand Tlf. 56 16 75 00 www.spsj.dk

• TMK-kirurgi og implantatbeh.

• Kirurgi på børn og unge med fokus på ortodonti

Klinikken Vestergade

- specialtandlæger i kæbekirurgi

Jesper Jared Secher, specialtandlæge, Ph.d.

Jesper Bak, specialtandlæge

Andreas Riis, specialisttandläkare i endodonti

Obels Gaard, Vestergade 2 1456 København K Tlf. 33 15 48 99

www.klinikkenvestergade.dk

Specialtandlægerne Bredgade www.bredgade.dk eller info@bredgade.dk

Klinik for Kirurgi og Endodonti

Vibe Rud

Thomas Foldberg Puggaardsgade 17, st. 1573 København V Tlf. 33 14 83 86

Online henvisning via www.endokir.dk

Mobilkirurgi

Svend Fægteborg

Privat og kommunal tandpleje

Tlf. 28 74 73 25

Specialtandlægerne Sjælland København, Roskilde, Kalundborg

• Dentoalveolær kirurgi

• Oral rehabilitering

Specialtandlæger i Tand-, Mund- og

Kæbekirurgi:

• Tore Tranberg Lefolii

• Simon Storgård Jensen, dr.odont

• Jesper Øland Petersen, ph.d

• Libana Raffoul Bjørnstrup

• Karoline Brørup Marcussen

• Even Nisja

Protetikere:

• Klaus Gotfredsen, dr. og lic.odont

• Brian Møller Andersen www.spsj.dk

E-mail: klinik@spsj.dk

Tlf. 70 22 52 30

Specialtandlægerne i kæbekirurgi i Lyngby

Thomas Kofod ph.d. Ole Schwartz ph.d.

Niels Ulrich Hermund ph.d Rasmus Kuniss-Kriegbaum Even Nisja

• Alt indenfor tand,- mund,- og kæbekirurgi

• De fleste typer implantater og rekonstruktioner.

tandlægen.dk

Lyngby & Implantatcenter

Lyngby Hovedgade 27, 3. sal 2800 Kgs. Lyngby

Send henvisning over ediportalen 45870190 eller henvisningsblanket på hjemmesiden: https://tandlaegen.dk/lyngby/ lyngby-hovedgade/henvisning/

NORD Specialtandlæger

Kongens Lyngby

Henvisningsklinik

Kirurgi, implantologi, Endodonti, Protetik, Parodontologi & Oral medicin.

Klampenborgvej 221, 2. sal 2800 Kongens Lyngby

Tlf: 88 88 80 00 www.nord.dk

Narkose

Fyn

Centrum Tandlægerne

Danmarks Implantatcenter Odense klinikken

Tlf. 66 12 62 26 info@centrumtandlaegerne.dk

Middelfart klinikken

Tlf. 64 40 24 03 middelfart@ centrumtandlaegerne.dk www.centrumtandlaegerne.dk

Jylland

Brædstrup Implantat Center

Tlf. 75 75 12 36 www.implantatcenter.dk

Tandlægerne Kold

Louise Kold

Simon Kold Bryggergade 10 7400 Herning

Tlf. 97 12 03 99

E-mail: post@tandherning.dk

• Patienter modtages til behandling i narkose. Alm. tandbehandling, kirurgi og implantatbehandling.

Centrum Tandlægerne

Danmarks Implantatcenter

Aarhus klinikken

Tlf.: 86 13 26 36 aarhus@centrumtandlaegerne.dk www.centrumtandlaegerne.dk

Tandlægerne Fyrvej Fyrvej 26

6710 Esbjerg V Tlf. 75 15 06 00

rtg@fyrvej.dk www.fyrvej .dk

Patienter modtages til behandling i narkose. Alm tandbehandling, kirurgi og implantatbehandling

Sjælland

Specialtandlægerne Sjælland, Solrød ApS v/ Tore Lefolii og Morten Dahl Solrød Center 45, 1. 2680 Solrød Strand Tlf. 56 16 75 00 www.spsj.dk

• TMK-kirurgi og implantatbeh. Kirurgi på børn og unge med fokus på ortodonti

Tandlægecentret Svanen v/tandlæge Per Bjørndal Lyngby Hovedgade 27, 4. 2800 Lyngby

Tlf. 45 88 96 88/Fax 45 88 91 69 www.svanetand.dk

Tandlægerne i Carlsro Tårnvej 219 2610 Rødovre Tlf. 36 70 31 67 www.carlsrotand.dk

Tandlægerne i Gl. Skovlunde Kildestrædet 108

2740 Skovlunde Tlf. 44 92 01 01

• Patienter modtages til alm. tandbehandling, kirurgi og implantatbehandling i narkose.

• Der er mulighed for at leje sig ind.

Tandlægen.dk Hundige Strandvej Hundige Strandvej 182

2670 Greve

Tlf. 43 90 15 15 hundigestrandvej182@tandlaegen.dk Alle former for behandling tilbydes.

NORD Specialtandlæger Kongens Lyngby

Henvisningsklinik med anæstesi team til GA og IV-sedation. Kirurgi, implantologi, Endodonti, Protetik, Parodontologi & Oral medicin.

Klampenborgvej 221, 2. sal 2800 Kongens Lyngby

Tlf: 88 88 80 00 www.nord.dk

Odontofobi

Maj-Britt Liliendahl

Højbro Plads 5, 2. sal 1200 København K Tlf. 33 12 14 38

524 T ∕

Ortodonti

Jylland

Tandregulering

Ane Falstie Juul

Nørgårds Allé 11, 1. 7400 Herning

Tlf. 97 12 59 00

• Specialtandlæge i ortodonti

Brædstrup Implantatcenter

Carsten Lemor Tlf. 75 75 12 36 www.implantatcenter.dk

Specialtandlægerne

Aarhus Tandregulering

Morten G. Laursen

Janne Grønhøj

Susanna Botticelli

Frederiks Allé 93 8000 Aarhus C Tlf 86 12 17 66 mail@specialtandlaeger.dk www.specialtandlaeger.dk

Tandreguleringshuset

Kim Carlsson

Jens Kragskov

• Specialtandlæger i ortodonti

Jyllandsgade 79 C, 1. sal

6700 Esbjerg

Tlf. 76 13 14 80

Tandreguleringsklinikken

Lisbeth Nielsen, Specialtandlæge, ph.d.

Christian Iversen, Specialtandlæge Tandreguleringsklinikken Toldboden 1, 5C 8800 Viborg

Tlf. 86 62 76 88

• Specialtandlæge i ortodonti post@tandreguleringsklinikken.dk www.tandreguleringsklinikken.dk

Specialtandlægecenter

Vestjylland

Søren Povlsen

Stationsvej 35a 7500 Holstebro Tlf. 97 84 05 88 www.tandregulering.com

• Specialtandlæge i ortodonti

Sjælland

Harry Fjellvang

Specialtandlæge, ph.d.

• Specialklinik for tandregulering

Tlf. 33 93 07 23 www.tandregulering.info mail@tandregulering.info

Specialtandlæge i Holte

• Specialtandlæge i ortodonti

Lone Møller

Holte Stationsvej 6, 1. sal, 2840 Holte

Tlf. 45 42 16 88 www.holtetandreguleringsklinik.dk

Specialtandlægerne

• Specialtandlæger i ortodonti

Michael Holmqvist Rosenborggade 3, 1. 1130 København K Tlf. 33 12 32 12 orto@specialtandlaegerne.dk

Specialtandlægerne i Roskilde

• Specialtandlæger i ortodonti

Søren Wiborg Lauesen

Jens Fog Lomholt Algade 12, 4000 Roskilde Tlf. 46 36 50 33 www.specialtandlaegerne.com

Tandlægerne i Vangede

Specialtandlæge i ortodonti

Lene Hansen Vangede Bygade 63, 1. sal

2820 Gentofte

Tlf. 39 65 34 31 www.vangedetand.dk

Tandlægen.dk Hundige Strandvej

Specialtandlæge Glen Happel

Hundige Strandvej 182

2670 Greve

Tlf. 43 90 15 15 hundigestrandvej182@tandlaegen.dk

Parodontalbehandling

Fyn

Oris Tandlægerne

Det Gule Pakhus

Mette Rylev, ph.d. Havnepladsen 3b

5700 Svendborg

Tlf. 62 21 20 09

E-mail: detgulepakhus@oris.dk www.oris.dk/svendborg

Jylland

Brædstrup Implantat Center

Camilla Kristensen

Tlf. 75 75 12 36 www.implantatcenter.dk

Tandlægerne på Store Torv

Lone Sander, ph.d.

Mette Rylev, ph.d.

Mette Kjeldsen, ph.d.

Martin Persson (protetik)

Store Torv 6, 3. 8000 Århus C

Tlf. 86 12 73 50 http://tdl-storetorv.dk

Tandlægerne i Løgstør

Rikke Wedell Nielsen Bredgade 1 9670 Løgstør Tlf. 98 67 18 55 tandlaegernebredgade1@os.dk • Henvisninger modtages for generel parodontitis behandling, parodontitis kirurgi med og uden knogle regeneration, periimplantitis.

Tandlægerne Aarhus Ø Anders Heide Rodrigo López, ph.d., dr.odont. Esther Aggebos Gade 2 8000 Aarhus C Tlf. 73 70 85 00 t@ndlæge.dk

Sjælland

Københavns Paradentoseog Implantat Klinik

Marianne Hoffmeyer, M.S., Diplomate Board Certified Periodontist (USA) Strøget, Kbh K. Tlf. 33 13 66 60 www.strogettand.dk

Tandlægen.dk Roskilde Maziar Talaeipour -Parodontal kirurgi bla. regenerativ behandling

-Mikro kirurgi (paradontal plastikkirurgi)

-Behandling af periimplantitis

Algade 52, 1., 4000 Roskilde Tlf. 46 35 33 13 www.tandlaegen.dk/Roskilde Colosseumklinikken Kongens Nytorv Andreas Stavropoulos Østergade 1

1100 København K Tlf. 33 12 24 21 kongensnytorv@colosseumklinikken.dk www.colosseumtand.dk

Colosseum Tandlægerne Rosenborggade København Rosenborggade 3, 2. 1130 København

Tlf. 33 11 39 66

E-mail: noerreport@colosseumklinikken.dk www.colosseumklinikken.dk

Tandklinikken Ravn Nørregade 9 og Strøby Egede Center 15 4600 Køge

Tlf. 56 65 25 09 – 56 26 72 77 www.tandklinikkenravn.dk

Specialtandlægerne Bredgade

Christian Damgaard, ph.d. www.bredgade.dk eller info@bredgade.dk

Parodontitis, peri-implantitis, regenerativ parodontalkirurgi, CBCT, narkose

Nord Specialtandlæger

Daniel Midjord-Belstrøm, professor, dr. odont, ph.d.

Diagnostik og parodontalkirurgi Henvisningsklinik med anæstesi team til GA og IV-sadation. Kirurgi, implantologi, Endodonti, Protetik, Parodontologi & Oral medicin.

Klampenborgvej 221, 2. sal 2800 Kongens Lyngby Tlf: 88 88 80 00 www.nord.dk

Protetik

ORIS Tandlægerne Steen Bjergegaard Slotsgade 21, 5000 Odense C Tlf. 66 11 44 33 slotsgade21@oris.dk

• Fast protetik, inkl. implantatforankret protetik

Rodbehandling

Brædstrup Implantatcenter

Christian Dalby Tlf. 75 75 12 36 www.implantatcenter.dk

Tandlægen.dk Bagsværd

• Endodonti

Christian Bruun Møller Bagsværd Hovedgade 99, 1. sal, 2880 Bagsværd Tlf. 44 98 34 20 Mail: bagsvaerd@tandlaegen.dk www.tandlaegen.dk/bagsværd

Colosseum Tandlægerne Kongensgade Odense Kongensgade 54 5000 Odense Tlf. 66 11 67 01 odense@colosseumklinikken.dk Ref. Kirsten Rysgaard

Vesterbro TandlægeCenter

Niels Bruun

Kasper Bruun

Vesterbrogade 37, 2.tv 1620 København V Tlf.: 33 24 79 33 info@vesterbrotandcenter.dk

≥ 525 2024 128 6

Tandlægen.dk Allerød

• Udelukkende endodonti

Jørgen Buchgreitz

Younes Alipanah

Torvestrædet 27

3450 Allerød Tlf. 48 17 24 25 j.buchgreitz@gmail.com

Tandlægen.dk Bagsværd

• Retrograd endodonti

Jens Tang

Bagsværd Hovedgade 99, 1. sal. 2880 Bagsværd

Tlf. 44 98 34 20

Mail: bagsvaerd@tandlaegen.dk www.tandlaegen.dk/bagsværd

RodbehandlingsCenter.dk v/ Thomas Harnung

Vester Farimagsgade 1, 3. sal. 1606 København V www.endo-henvisning.dk Tlf. 44 44 44 11

Klinik for rodbehandling

Otto Schmidt

Store Torv 6, 3 sal, Aarhus C www.ottoschmidt.dk

• Ortograd og kirurgisk endodonti

Colosseumklinikken

Kongens Nytorv

Kenneth Vikkelsø Jordy Østergade 1

1100 København K. Tlf. 33 12 24 21 kj@colosseumklinikken.dk kongensnytorv@colosseumklinikken.dk www.colosseumtand.dk

Tandlægerne Fyrvej

Søren Grønlund Fyrvej 26

6710 Esbjerg V Tlf: 75 15 06 00 rtg@fyrvej.dk www.fyrvej.dk

Tandlægerne

Hedegaard & Kjærgaard

Thomas Hedegaard

Storegade 3, 8382 Hinnerup Tlf. 86 98 56 26

E-mail: henvisning@storegade3.dk www.storegade3.dk

• Ortograd og kirurgisk endodonti

Tandklinikken Perlegade 13 ApS

Tom Lykke Gregersen Perlegade 13

6400 Sønderborg

Tlf. 74 42 84 42 tandlaege@perletand.dk www.perletand.dk

Oris Tandlægerne

Det Gule Pakhus

Vitus Jakobsen Havnepladsen 3b

5700 Svendborg

Tlf. 62 21 20 09

E-mail: detgulepakhus@oris.dk www.oris.dk/svendborg

Colosseum Tandlægerne Slotsgade Odense

Anders Burgaard

Slotsgade 18

5000 Odense C Tlf.: 66 11 96 46

Henvisninger:

EDI: Tandlæge Anders Burgaard ApS Sikkermail: ab@slotsgade18.dk

Risskov Tandklinik

Mads Juul

Dybbølvej 25, 8240 Risskov Tlf. 86 17 83 22 Henvisning modtages via EDI www.risskovtand.dk

Specialtandlægerne Bredgade www.bredgade.dk eller info@bredgade.dk

Mikroskopvejledt endo, stiftopbygning ifm. endodonti, CBCT, narkose Tandlægen.dk – Greve • Endodonti

Anders Vilmann, ph.d. Tlf. 43 43 98 98 greve@tandlaegen.dk

Tandlægerne Rådhusstrædet

Mads Bojer

Rådhusstrædet 12A, 7430 Ikast E-mail: mads@tandikast.dk

Tandlægerne i Støden, Kasper Holm Busk

Støden 6, st., 4000 Roskilde Tlf. 46 36 64 00 info@tandlaegerneistoden.dk

NORD Specialtandlæger

Kongens Lyngby

Younes Alipanah, Msc i endodonti

Sune Demant, ph.d. og Msc i endodonti

Henvisningsklinik med anæstesi team til GA og IV-sedation.

Kirurgi, implantologi, Endodonti, Protetik, Parodontologi & Oral medicin.

Klampenborgvej 221, 2. sal 2800 Kongens Lyngby

Tlf: 88 88 80 00 www.nord.dk

Tandlægehuset Skjern

Erling Kristensen

Bredgade 30, 6900 Skjern www.tandlaegehuset-skjern.dk

Æstetisk tandpleje

Hausergaarden

John Orloff

• Æstetik * eget dental lab. Se under behandlingscentre www.hausergaarden.dk

Colosseumklinikken

Kongens Nytorv

Lennart Jacobsen

Thomas Groth-Lauritsen

Østergade 1 1100 København K Tlf. 33 12 24 21 kongensnytorv@colosseumklinikken.dk www.colosseumtand.dk lja@colosseumklinikken.dk tgl@colosseumklinikken.dk

medlemsservice
526 T ∕

Det skal være nemt at lave løn!

At skifte lønsystem er nemt og vi hjælper dig godt igang. Læs mere på www.proloen.dk

Nemt og fleksibelt lønsystem

som er designet til

tandlægerne

Med ProLøn er det nemt at lave løn. Det er det fordi vores brancheløsning hos ProLøn er designet til dig, som arbejder inden for tandlægebranchen.

Fordele ved brancheløsningen:

• Mulighed for ferieregnskab og feriefri regnskab

• Mulighed for servicetjek i Mit ProLøn

• ProLøn ajourfører automatisk procentsatsen for fritvalgskonto ved overenskomstændringer

• ProLøn ajourfører automatisk procentsatserne for arbejdsmarkedspension ved overenskomstændringer

Gratis support og vejledning: Du får tilknyttet lønkonsulenter med konkret brancheviden. Med mulighed for gratis support, kan du altid få hjælp og vejledning, når du har brug for det.

Har du spørgsmål? Så ring til os på 87 10 19 30

Er du overtandlæge og medlem af Tandlægeforeningen, kan du nu indrykke jobannoncer på Dentaljob.dk til medlemspris.

Kontakt os på dentaljob@tdl.dk

NYHED Det bliver billigere for kommuner at søge nye medarbejdere

quickannoncer

Klinik i Kastrup søger tandplejer til snarlig tiltrædelse

QUICK NR. 16903

Klinik i Sønderborg-bymidte søger tandlæge til fuldtidsstilling pr. 1.7.24

QUICK NR. 16917

Klinik i Næstved søger tandplejer på deltid

QUICK NR. 16927

Mindre klinik i Nordsjælland søger tandplejer

QUICK NR. 16929

Klinik i Esbjerg søger tandplejer

QUICK NR. 16933

Tandlægehuset i Aalestrup, Vesthimmerlands Kommune, søger tandlæge/tandplejer

QUICK NR. 16982

Tandklinik i Ringsted søger klinikassistent

QUICK NR. 16983

Dentist.dk i Rødding, Vejen Kommune søger tandplejer

QUICK NR. 16984

Varde kommunale Tandpleje søger endnu en dygtig tandplejer

QUICK NR. 16985

TANDREGULERINGKBH og CLEARLI søger receptionist

QUICK NR. 16986

Tandlægeklinik i København søger dedikeret trainee­elev

QUICK NR. 16990

Klinik i Nordsjælland søger sød og dygtig tandplejer til fast stilling

QUICK NR. 16991

Klinik i Kastrup søger klinikassistent til tiltrædelse pr 1/8­2024

QUICK NR. 16992

Tandplejen i Dragør Kommune søger tandlæge

QUICK NR. 16994

Stevns Kommunale Tandpleje søger tandlæge

QUICK NR. 16995

Tandlægerne Tingsgaard og Mikkelstrup i Skælskør søger en klinikassistent pr. 1/7 eller 1/8 2024

QUICK NR. 16996

Tandlægen. dk i Lyngby søger souschef

QUICK NR. 16997

Klinik i Rødovre søger tandplejer

QUICK NR. 16999

Hyggelig klinik i Silkeborg søger tandplejer til barselsvikariat

QUICK NR. 17001

Klinik i Slagelse søger tandlæge

Klinik i Slagelse søger tandplejer

Klinik i Skovlunde søger tandlæge

QUICK NR. 17002

QUICK NR. 17003

QUICK NR. 17005

Klinik i Hobro, 40 min fra Århus C. søger tandplejer

QUICK NR. 17006

Odder Kommunale Tandpleje søger leder af voksentandplejen

QUICK NR. 17008

www.dentaljob.dk
529 2024 128 6

Klinik i Sønderjylland/Gråsten søger klinikassistent

QUICK NR. 17011

Klinik i Næstved søger tandlæge

QUICK NR. 17012

Klinik i Lyngby søger deltids tandplejer med start 1/8­2024

QUICK NR. 17016

Klinik i Holsted, kun 20 min kørsel fra Kolding eller Esbjerg søger tandlæge

QUICK NR. 17017

Klinik i Roskilde Centrum søger klinikassistent

QUICK NR. 17018

Klinik i Roskilde Centrum søger klinikassistentelev

QUICK NR. 17019

Klinik på Frederiksberg søger receptionist

QUICK NR. 17021

Klinik i Bramming søger tandplejer til fast stilling

QUICK NR. 17025

Helsingør Tandcenter søger både receptionist og klinikkoordinator

QUICK NR. 17027

Klinik i København K. søger erfaren klinikassistent til fuldtidsstilling

QUICK NR. 17028

Klinik med flot lokation i hjertet af Silkeborg søger dygtig tandlæge med mulighed for ejerskab

QUICK NR. 17029

Odder Kommune mangler en uddannet klinikassistent

QUICK NR. 17032

Klinik i Aalborg SØ søger tandplejer

Klinik centralt i Århus søger tandlæge

QUICK NR. 17033

QUICK NR. 17034

Bornholms største tandklinik søger tandplejer

QUICK NR. 17036

Klinik i Ans søger en erfaren tandlæge

QUICK NR. 17037

Hyggelig tandklinik i Aarhus Nord søger klinikassistent, der kan skabe overblik

QUICK NR. 17038

Valby Tandklinik søger klinikassistent

QUICK NR. 17039

Godt Smil Team i Brørup søger tandplejer

QUICK NR. 17040

Klinik i Horsens søger tandplejer

Godt Smil i Esbjerg søger tandlæge

Godt Smil Farum søger tandlæge

Godt Smil Viborg søger tandplejer

QUICK NR. 17041

QUICK NR. 17042

QUICK NR. 17043

QUICK NR. 17044

medlemsservice
www.dentaljob.dk 530 T ∕
quickannoncer

Det kan være svært at koncentrere sig om sin skolegang, hvis man har tandpine. Det lyder banalt, men er virkeligheden for mange børn i fattige lande. Derfor arbejder Tandsundhed Uden Grænser med at skabe bæredygtig skoletandpleje. Med din hjælp kan vi forbedre livsmulighederne for børn i verdens fattigste lande.

Du kan støtte vores arbejde ved at sende et beløb på MobilePay 55656 eller ved en bankoverførsel til Spar Nord Bank, reg. nr.: 9385 konto nr.: 1110122469. Husk at anføre dit navn og adresse i forbindelse med din donation. Ønsker du at få skattefradrag for din donation, skal du også anføre dit cpr-nummer.

Læs mere på www.tug-dk.org

MobilePay 55656
Støt vores arbejde

Har du hørt Tandlægeforeningens podcast?

I podcasten Odontoverset nørder vi odontologi og stiller skarpt på arbejdsliv, karriere og faglighed.

Find Odontoverset i din foretrukne podcast-app.

køb og salg

Dental Consult ApS

v/ Ken Kürstein

Strandvej 22 4220 Korsør M: 20 20 92 12 kk@DentalConsult.dk www.DentalConsult.dk

Vores særlige kompetencer er:

• Handel med Tandklinikker (klinikmægler)

– Ejerskifte og Generationskifte af Tandlægeklinikker

– Køb og Salg af tandklinikker

– Sælgerrådgivning Salgsopstillinger (prospekt)

– Køberregister (potentielle købere)

– Sælgerkartotek (potentielle sælgere)

• Finansiering af klinikker og udstyr www.Kapital-Coach.dk

• Forretningsudvikling af tandklinikker, ring og hør mere

• Rekruttering af tandlæger, tandplejere og klinikassistenter

klinikformidleren.dk

klinikformidleren.dk

Vil du sælge, og vil du have en seriøs behandling af dit kliniksalg med respekt for klinikken og dine medarbejdere, så tag gerne fat i os.

klinikformidleren.dk

klinikformidleren.dk

Vil du sælge, og vil du have en seriøs behandling af dit kliniksalg med respekt for klinikken og dine medarbejdere, så tag gerne fat i os.

Klinikformidleren.dk

Klinikformidleren.dk

Info@klinikformidleren.dk Tlf. 20124796

Vil du sælge, og vil du have en seriøs behandling af dit kliniksalg med respekt for klinikken og dine medarbejdere, så tag gerne fat i os.

Seriøst kliniksalg i hele Danmark. Se vores hjemmeside for aktuelle klinikker, eller kontakt os på tlf. 20 12 47 96 for at høre nærmere.

Info@klinikformidleren.dk Tlf. 20124796

Vil du sælge, og vil du have en seriøs behandling af dit kliniksalg med respekt for klinikken og dine medarbejdere, så tag gerne fat i os.

Klinikformidleren.dk

Klinikformidleren.dk

Info@klinikformidleren.dk Tlf. 20124796

Info@klinikformidleren.dk

Tlf. 20124796

Klinikbørsen ApS

Kvæsthusgade 6 E, 3. sal 1251 København K.

Tlf.: +45 70 20 69 79

Mobil: +45 20 24 49 79

E-mail: bc@klinikborsen.dk www.klinikborsen.dk

533 2024 128 6

leverandørhenvisninger

Henvendelse angående leverandørhenvisninger

Heidi Dyhr hos DG Media, tlf. 28 34 29 21, e­mail: heidi.d@dgmedia.dk

hygiejne

Din næste leverandør af periodiske tests til kontrol af sterilisationsprocesser i autoklaver og/eller tørsterilisatorer

Safe Sterilization ApS

DK-4000 Roskilde

Tlf: +45 70 231 313 (9:00-11:30) www.safeint.com

advokater

JURIDISK RÅDGIVNING TIL TANDLÆGER

Med mere end 20 års erfaring inden for sundhedssektoren kan jeg hjælpe dig sikkert i mål med dine juridiske spørgsmål og bistår i forhandlinger om overdragelse, samarbejdsvilkår, opløsning af samarbejde, ansættelsesforhold, lejemål, deltagelse i rets- og voldgiftssager etc.

ng@adv-nyhavn.dk ⁄ +45 33 11 93 13 / Nyhavn 6, 1051 København K www.tandlaege-advokat.dk

Mette Neve

PARTNER, ADVOKAT

M: +45 5074 4173 neve@clemenslaw.dk

arbejdsplads

Købe eller sælge?

Få rådgivning omkring køb og salg af tandlægeklinik. Dit valg af rådgiver gør en forskel!

inventar/klinikindretning

Som tandlæge hos Godt Smil kan du forvente:

Fuldt fokus på patienten – vi klarer resten.

En fyldt aftalebog (vores bookingprocent er pt. på 90%).

En arbejdsplads, hvor der bliver lyttet til dig og dine ønsker.

kurser - uddannelse

medlemsservice
T ∕ 534
24 FORSKELLIGE DESIGNS AT VÆLGE IMELLEM... www.ruhnecompany.dk

revision – administration

vikarservice

Vikarbureauet for klinikassistenter

• Landsdækkende Vikarservice

• Nu også for Tandplejere

• Lidt billigere

• Ring fra kl. 6.00 på tlf. 40 40 12 18 www.vikartoteket.dk

At vælge revisor er en tillidssag

Derfor har vi specialiseret os i rådgivning af tandlæger

Kontakt: Paw Hjelmberg Laursen Mail: paw.hjelmberg.laursen@pwc.com

NYT REVISIONSFIRMA

0246-23_Annonce tandlæger_80x40mm.indd 1

men mange års erfaring indenfor tandlægebranchen.

Revision. Skat. Rådgivning.

Vi kan tilbyde specialiseret rådgivning indenfor bl.a.:

• Driftsoptimering af klinik

• Køb/salg klinik

• Formueoptimering

■ Jeanne Svendsen, Mobil: 30 93 49 06

27-09-2023 11:57:55

+DEN LILLE TANDFE

VIKARBUREAUET FOR KLINIKASSISTENTER OG TANDPLEJERE

• Erfarne klinikassistenter og tandplejere

• TryB4Hire

• Rekruttering

• Dækker hele Danmark

Kontakt os på 4076 1993 / kontakt@denlilletandfe.dk

Læs mere på: denlilletandfe.dk

■ Anders Frihed Hedegaard Christensen, Mobil: 30934763

■ www.powered-by.dk

535 2024 128 6

Hvis jeg kan, så kan andre også

Majid Ghanei vil inspirere andre unge med sin rejse fra ”baryl” på Nørrebro til ambitiøs tandlægestuderende. Følg med til hans debut som foredragsholder på sit gamle gymnasium.

diagnose. Der var da også flere elever, som kom hen til mig efter foredraget og spurgte, hvordan man kunne blive tandlæge.

16.00 / Går til computerrummet på Panum. Skal både skrive journal og ringe til nogle af de kommende dages patienter.

08.00 / Står op og drikker en kop kaffe. Dagen er kommet, hvor jeg skal holde mit livs første foredrag. Det bliver for elever på mit gamle gymnasium – Ørestad Gymnasium. En af mine lærere fra dengang har spurgt, om jeg kunne fortælle om mit liv. Jeg vælger at fokusere på min vej igennem uddannelsessystemet fra at have været en lille uartig baryl i skolen, over afbrudte jura- og medicinstudier, til nu at være på 8. semester på tandlægeuddannelsen.

08.30 / Skulle have været på klinikken, men fik lov til at få fri i dag af min underviser. Kan derfor nå en tur forbi træningscentret. Træning er essentielt for mig som studerende. Man bliver friskere i hovedet og får mere energi.

10.00 / På vejen til Ørestaden smutter jeg forbi den lokale frisør på Nørrebrogade. Skal stå skarp, når jeg skal holde foredrag. Når jeg er tilbage i mit gamle kvarter ved Blågårds Plads, møder jeg bekendte, som stadig ikke har fundet deres vej i uddannelsessystemet. De siger, at det er godt, at jeg holder fast og får en uddannelse.

11.45 / Ankommer til Ørestaden med metroen og bliver modtaget på gymnasiet af min gamle lærer. Helt surreali-

stisk at være tilbage som “ikkeelev”, og hvor ingen kender mig, blive inviteret med ind på lærerværelset og få kaffe sammen med lærerne.

12.00 / Seancen begynder. 80 elever er samlet for at høre mit oplæg. Det kan virke lidt overvældende, men jeg er ikke genert, så jeg kaster mig ud i det. Før jeg fandt min rette hylde på tandlægestudiet, er jeg droppet ud af tre videregående uddannelser. Jeg fortæller, at det er okay at fejle, at man altid skal huske, at man skal falde for at rejse sig op igen. Det er nogle store valg, man skal tage som 19-årig, og man kender ikke sig selv godt nok. Med historien om min baggrund og min vej til det rigtige studium vil jeg gerne sige til de unge: Hvis jeg kan, så kan andre også. Jeg er ikke speciel og har ikke en ekstra hjerne.

14.15 / Tager metroen til Panum, hvor jeg har en forelæsning om parodontitis. Løber alt, hvad jeg kan, men kommer lige fem minutter for sent. Som jeg også fortalte i mit foredrag, endte jeg med at vælge tandlægefaget, fordi det har egenskab af at være både et håndværk og et akademisk fag. Og ingen munde og tandsæt er ens, så man føler sig altid som lidt af en detektiv, når man har en patient i stolen og skal stille en

18.00 / Er på læsesalen. Det er eksamenstid. Der er meget at læse. Det første år på tandlægestudiet var jeg ikke opmærksom på, hvad det ville sige at være universitetsstuderende og kendte ikke til kravene. Endte med at dumpe i alle fag. Der fik jeg lidt af et chok, og det gik op for mig, at det krævede mere. Derfor handlede mit foredrag også om studiedisciplin, om at lægge sin telefon væk og skabe et miljø, hvor man respekterer studiet, mens man læser i læsesalen. Siden jeg indså, at det er vejen frem, har jeg ikke dumpet til en eneste eksamen.

22.00 / Lukker bogen og tager hjem efter en lang dag. Kan nu kalde mig selv for foredragsholder. Håber, at jeg kan komme ud og holde flere foredrag. Vigtigt for mig, at jeg kommer hjem og får en god nats søvn, så jeg er klar til en ny lang dag med patienter og eksamenslæsning. ♦

MAJID GHANEI

Kandidatstuderende på Odontologi, KU

FORTALT TIL KIM ANDREASEN, FREELANCEJOURNALIST
T ∕ et døgn med 536

Ring 3378 2388

eller gå på lsb.dk/erhverv

Vi forstår dig nok

lidt

bedre end andre banker

Tandlægeforeningen er medejer af Lån & Spar, og det giver dig klare fordele – naturligvis. Udover Danmarks højeste rente på lønkontoen, lave gebyrer, billige billån og meget andet, får du en fagspecifik rådgiver. Det er en rådgiver, der kender alt til din branche, dit fag og dine ansættelsesvilkår.

Er du selvstændig?

Som selvstændig får du de samme fordele som andre tandlæger – endda også en specialiseret rådgiver, der taler dit fagsprog. Og det er uanset, om vi skal tale finansiering af klinik, pension eller forsikring. For hvad der er vigtigt for dig, er vigtigt for os.

Lån & Spar Bank A/S, Højbro Plads 9-11, 1200 København K, Cvr.nr. 13 53 85 30. Forbehold for trykfejl.

Klar til at byde digitale aftryk indenfor?

Mere end halvdelen af de danske tandlæger har allerede budt intraoral scanning velkommen*. Med den nyeste TRIOS Core-scanner kan du også komme nemt i gang. Få den nyeste AI-scanningsteknologi til en superattraktiv pris.

Dine fordele med TRIOS Core:

• Få en basis-scanner med dokumenteret høj brugervenlighed.

• Opnå nemt nøjagtige aftryk med den nyeste AI-teknologi.

• Kommunikér nemt med dit laboratorie via både PC og mobil.

• Spar tid i hverdagen med et hurtigt og effektivt arbejdsflow.

INTROPRIS 99.900,-

Inkl. TRIOS Core Pod-scanner, 3Shape Unite Cloud-software, 12 måneders TRIOS Care-abonnement og garanti. Intropris gælder til og med 31. august 2024.

Vil du vide mere om TRIOS Core?

Find svar på dine spørgsmål og se en demo af TRIOS Core på plandent.dk/3shape-trios-core

Du kan også kontakte vores produktspecialist, Sinem Cetin, direkte på 31 52 09 97.

*Rune
SVP Product Strategy, 3Shapes nyhedsbrev januar 2024
Fisker,

Turn static files into dynamic content formats.

Create a flipbook
Issuu converts static files into: digital portfolios, online yearbooks, online catalogs, digital photo albums and more. Sign up and create your flipbook.