

















骨骼密碼

解開身體的堅硬秘密
骨骼的三大核心功能

支撐

骨骼像建築物的鋼骨結構
,撐起我們的身體形狀,
讓我們不會癱軟如泥。
脊椎:身體的中流砥柱


骨骼的三大核心功能

運動

骨骼與肌肉互相配合,作
為槓桿支點,讓我們能跑
跳、彎腰與揮動雙手。
骨骼與肌肉是最佳拍檔!

骨骼的三大核心功能

保護

強韌的頭骨保護大腦,籠
狀的肋骨保護我們的心臟 與肺部,避免碰撞受傷。
骨骼就像一身隱形的盔甲!

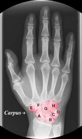
人體骨骼全貌與構成

支撐生命、守護健康的秘密架構
骨骼總動員:數量大解密

成人骨骼總數 成人身體由多達兩百多塊
大小不一的骨骼組成。每一塊骨頭
都有它的名字和專屬任務喔!







































