

![]()


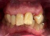
• You'll never have to worry about your teeth slipping or falling out
• No need for adhesive
• Eat and smile like you have had these teeth for your whole life
• Prevent bone loss and gum recession while preserving the jawbone and maintain a more youthful facial structure
• An investment that can last a lifetime

• Increased chewing capacity—eat foods like apples, steak, corn on the cob, and more
• Same day full-arch restoration with only four implants
• No more traditional dentures & no more denture sores
SHAWN B. DAVIS, DMD Board-Certified Oral & Maxillofacial Surgeon
• Easy to clean and care for
TEETH-IN-A-DAY ALL-ON-4© Scan the QR code to schedule your appointment with us today!










SCAN THE QR CODE TO SCHEDULE YOUR FREE CONSULTATION

Unexplained aches and pains, sleepless nights, brain fog, digestive issues, the onset of autoimmune disorders, and numerous other symptoms may indicate that parasites are compromising your health. Schedule your FREE consultation to learn how to regain control of your well-being.
SANTA CLARA
Canyon View Dr. & Sunset Blvd.
(435) 703-9680
1100 Canyon View Dr., Suite C
Santa Clara, UT 84765
Fax: (855) 853-3465
Email: rx@rx-fusion.com

ST. GEORGE
Riverfront Medical Center
(435) 656-2059
617 E. Riverside Dr., Suite 104
St. George, UT 84790
Fax: (435) 656-3059
Email: fp@rx-fusion.com


Health and Fitness
Snow Canyon’s Unique Ecosystem
Accessible Trails Are Waiting to Be Explored 14
Core Training to Improve Your Golf Swing ..................................................... 20
Take Advantage of Outdoor Activities during the Summer 22
2024
Women’s Health: Pregnancy during the Summer Months....................................


Greenlight Your Favorite Family Dinners
Vista Healthcare: Helping Those Suffering from Accident-Related Injuries
Keep Your Pet Safe and Healthy



Don’t Let the Tax Tail Wag the Dog Walk Your Way to Better Health



Let’s face it: winter can leave us feeling a bit like a cluttered attic. We’ve been hibernating and indulging in comfort food. Maybe our exercise routines have been on a ski vacation (along with our motivation). But guess what? Spring has fully sprung, and just like this season motivates us to tackle the cobwebs and dust bunnies in our homes, it can also inspire us to declutter our health routines!
Let’s face it: winter can leave us feeling a bit like a cluttered attic. We’ve been hibernating and indulging in comfort food. Maybe our exercise routines have been on a ski vacation (along with our motivation). But guess what? Spring has fully sprung, and just like this season motivates us to tackle the cobwebs and dust bunnies in our homes, it can also inspire us to declutter our health routines!
Let’s face it: winter can leave us feeling a bit like a cluttered attic. We’ve been hibernating and indulging in comfort food. Maybe our exercise routines have been on a ski vacation (along with our motivation). But guess what? Spring has fully sprung, and just like this season motivates us to tackle the cobwebs and dust bunnies in our homes, it can also inspire us to declutter our health routines!
My friend Dave is the perfect example. A self-proclaimed “professional Netflixer and snacker,” Dave spent most winter evenings glued to the couch, his only companion a giant bag of flavored chips. By spring, he felt sluggish. His clothes seemed tighter, and his energy levels were as low as a dead phone battery.
My friend Dave is the perfect example. A self-proclaimed “professional Netflixer and snacker,” Dave spent most winter evenings glued to the couch, his only companion a giant bag of flavored chips. By spring, he felt sluggish. His clothes seemed tighter, and his energy levels were as low as a dead phone battery.
My friend Dave is the perfect example. A self-proclaimed “professional Netflixer and snacker,” Dave spent most winter evenings glued to the couch, his only companion a giant bag of flavored chips. By spring, he felt sluggish. His clothes seemed tighter, and his energy levels were as low as a dead phone battery.
Many years ago, on a cold, rainy fall day, I decided to go fly-fishing at Kolob Reservoir. There were lots of changes going on in my life, and I needed some time to myself and a break from the rigmarole of daily life. At that moment, I was feeling stuck, floating through life’s motions from one mundane task to the next. This trip was my attempt to anchor myself, even if just for a few hours. Equipped with neoprene chest waders, a rain jacket, hand warmers, and a fly box full of freshly tied flies, I was prepared for a day of quiet reflection with little expectation of actually catching any fish.
But Dave, bless his heart, is nothing if not resourceful. Inspired by the blooming flowers outside and the urge to finally clean his overflowing junk drawer, he decided to clean up his health, too. Out went the nightly snacking sessions—replaced with a bowl of fruit and Greek yogurt—and in came a brisk evening walk around the park with his four-legged companion, Ruger. At first, it wasn’t easy: the couch had a powerful siren call. But Dave persevered one step at a time.
But Dave, bless his heart, is nothing if not resourceful. Inspired by the blooming flowers outside and the urge to finally clean his overflowing junk drawer, he decided to clean up his health, too. Out went the nightly snacking sessions—replaced with a bowl of fruit and Greek yogurt—and in came a brisk evening walk around the park with his four-legged companion, Ruger. At first, it wasn’t easy: the couch had a powerful siren call. But Dave persevered one step at a time.
But Dave, bless his heart, is nothing if not resourceful. Inspired by the blooming flowers outside and the urge to finally clean his overflowing junk drawer, he decided to clean up his health, too. Out went the nightly snacking sessions—replaced with a bowl of fruit and Greek yogurt—and in came a brisk evening walk around the park with his four-legged companion, Ruger. At first, it wasn’t easy: the couch had a powerful siren call. But Dave persevered one step at a time.
Within a few weeks, Dave felt like a whole new person. He had more energy, his clothes fit better, and his confidence surged. The walks became a source of joy, a chance to connect with nature and clear his head. Ruger is loving it, too. Spring cleaning his health did wonders for Dave, both physically and mentally.
Within a few weeks, Dave felt like a whole new person. He had more energy, his clothes fit better, and his confidence surged. The walks became a source of joy, a chance to connect with nature and clear his head. Ruger is loving it, too. Spring cleaning his health did wonders for Dave, both physically and mentally.
Within a few weeks, Dave felt like a whole new person. He had more energy, his clothes fit better, and his confidence surged. The walks became a source of joy, a chance to connect with nature and clear his head. Ruger is loving it, too. Spring cleaning his health did wonders for Dave, both physically and mentally.
It just so happened that the steady drizzle of rain had kept most of the other fishermen at home, giving me the entire reservoir to myself. As the rain fell in a rhythmic patter, creating a symphony that harmonized with the still waters, I sat in my float tube and felt a sense of tranquility wash over me. The world around me faded, leaving only the reservoir, the rain, and the fish that I sought.

How can you tidy up your bad health habits? Here are some ideas:
How can you tidy up your bad health habits? Here are some ideas:
How can you tidy up your bad health habits? Here are some ideas:
• Read more articles. Take time to read all the articles in this issue of St. George Health & Wellness Magazine. Then, apply what you learn.
• Read more articles. Take time to read all the articles in this issue of St. George Health & Wellness Magazine. Then, apply what you learn.
• Read more articles. Take time to read all the articles in this issue of St. George Health & Wellness Magazine. Then, apply what you learn.
I cast my line with the precision of a seasoned fly fisherman, my newly-tied wooly bugger dancing on the water’s surface briefly, waiting to find its prey. The deserted reservoir seemed to breathe in unison with me, serving to calm and steady my mind.
• Swap your soda for sparkling water. It may sound simple, but ditching sugary drinks can make a big difference. Add a squeeze of citrus for some flavor!
• Swap your soda for sparkling water. It may sound simple, but ditching sugary drinks can make a big difference. Add a squeeze of citrus for some flavor!
• Swap your soda for sparkling water. It may sound simple, but ditching sugary drinks can make a big difference. Add a squeeze of citrus for some flavor!
• Trade the elevator for the stairs. Your heart will thank you. And those extra steps will help you to reach your daily step count.
• Trade the elevator for the stairs. Your heart will thank you. And those extra steps will help you to reach your daily step count.
The first tug on my line came as a surprise. A rainbow trout, vibrant and swift, took off with my line. My heart raced as I reeled it in, feeling a connection to the fish and the reservoir that was almost spiritual. I admired the fish for a moment before releasing it back into the water. This, I thought, was what I had been missing: the simplicity of the act, the connection to nature, the break from the relentless noise of life.
• Trade the elevator for the stairs. Your heart will thank you. And those extra steps will help you to reach your daily step count.
• Dust off your workout gear. Remember those fancy yoga pants you bought with good intentions? Time to unleash their inner warrior! Even a short workout is better than no workout at all.
• Dust off your workout gear. Remember those fancy yoga pants you bought with good intentions? Time to unleash their inner warrior! Even a short workout is better than no workout at all.
• Dust off your workout gear. Remember those fancy yoga pants you bought with good intentions? Time to unleash their inner warrior! Even a short workout is better than no workout at all.
As the day wore on, my fly patterns proved irresistible to the rainbows. One after another, they bit, and I found myself in a rhythm, a dance with the reservoir. I lost count of how many I caught, each one adding to the sense of fulfillment that was growing within me. The big rainbows, though, were wily. They would take my fly and roll, twisting and turning until the line snapped; I lost nearly all of my flies to these aquatic giants.
• Declutter your kitchen. Get rid of those processed snacks lurking in your pantry. Replace them with fresh fruits and veggies—a vibrant spring bouquet for your insides!
• Declutter your kitchen. Get rid of those processed snacks lurking in your pantry. Replace them with fresh fruits and veggies—a vibrant spring bouquet for your insides!
• Declutter your kitchen. Get rid of those processed snacks lurking in your pantry. Replace them with fresh fruits and veggies—a vibrant spring bouquet for your insides!
• Make sleep a priority. Spring days are longer, so don’t waste them feeling tired. Aim for seven to eight hours of sleep each night.
• Make sleep a priority. Spring days are longer, so don’t waste them feeling tired. Aim for seven to eight hours of sleep each night.
• Make sleep a priority. Spring days are longer, so don’t waste them feeling tired. Aim for seven to eight hours of sleep each night.
As the day drew to a close, I sat in my float tube, soaked and tired but deeply content. I had come seeking solitude and peace, which I had found in abundance. More than that, I had found a connection to something greater than myself, a reminder that there is a world beyond the daily grind, a world that moves to its own rhythm.
Remember, spring cleaning your health is not about drastic changes; it is about making small, sustainable swaps. Think of it as a fun project, a chance to invest in yourself. So, roll up your sleeves, grab your metaphorical cleaning supplies (healthy snacks, comfy walking shoes), and get ready to feel your best this spring!
Remember, spring cleaning your health is not about drastic changes; it is about making small, sustainable swaps. Think of it as a fun project, a chance to invest in yourself. So, roll up your sleeves, grab your metaphorical cleaning supplies (healthy snacks, comfy walking shoes), and get ready to feel your best this spring!
Remember, spring cleaning your health is not about drastic changes; it is about making small, sustainable swaps. Think of it as a fun project, a chance to invest in yourself. So, roll up your sleeves, grab your metaphorical cleaning supplies (healthy snacks, comfy walking shoes), and get ready to feel your best this spring!
I walked away from Kolob Reservoir that day with more than just the memory of the fish I had caught. I walked away with a renewed sense of purpose, a reminder that taking time for myself was not just a luxury but a necessity. The reservoir had taught me a valuable lesson about health and wellness. It wasn’t about the fish, the solitude, or even the peace of mind. It was about the act of stepping away to take time for my mental and physical well-being and allowing myself to be fully present in the moment.

Life requires all of us to take a step back every now and then—to breathe, to reflect, and to simply be. As you read from this issue of the magazine, I hope that you will find what you are looking for and that it improves your health and wellness!
All the Best,
All the Best,
Best Wishes,
All the Best,
Brendan Dalley Editor Brendan Dalley Editor
Brendan Dalley Editor Brendan Dalley Editor
Brendan Dalley Editor
Brendan Dalley Editor
























It’s been a hot summer. Fortunately, we live in the year 2024. On any given day, I can go from my air-conditioned home to my air-conditioned car to the air-conditioned City Hall. I might even stop at the grocery store, go to a movie, or visit a relative’s home—air-conditioned at every stop along the way.
This hasn’t always been the case, but the relentless heat didn’t stop those who settled St. George in 1861 from laying the groundwork for what our city would become.
To recognize those who endured so much so long ago and to make sure we never forget their sacrifices, I decided it was time to establish the Dixie Days Celebration. Join us September 8–14, 2024, for a spectacular week of festivities as we celebrate the rich heritage and vibrant community spirit of St. George, Utah.
Consider Dixie Days a community party. We have a fantastic lineup of events and activities for all ages. Enjoy a variety of attractions, including a fireside talk, engaging film screenings, a golf tournament, the exciting Dixie Roundup Rodeo and parade, and so much more.
Dixie Days culminates with a festival on September 14 at Historic Town Square that includes food, lively entertainment, and booths that highlight our pioneer heritage. You can find a complete rundown of Dixie Days at sgcityutah.gov/dixiedays. Let’s show everybody why we call it the Dixie Spirit! I’ll see you there.
Part of the Dixie Days celebration is the ninetieth annual Dixie Roundup Rodeo, slated for September 12–14 at the historic Dixie Sunbowl. Hosted by the St. George Lions Club, this event has long been a tradition in our community.
The first rodeo event took place in 1935 at the current location of Historic Town Square, south of the Woodward School. According to the Washington County Historical Society, there were no fences, so wagons and cars were used to delimit the arena. Now, nearly 5,000 people attend the rodeo each night at the Sunbowl, captivated by the brave cowboys, skilled ropers, and barrel riders, while mouths water from the smell of the Roundup’s signature burgers.
Hafen.
I was so excited to hear that this year’s grand marshal will be Lyman Hafen. Lyman might be our area’s greatest living author, having written about a variety of subjects over the last forty years. He was also the President and CEO of the Zion National Park Forever Project for twenty-five years before his recent retirement. That résumé alone would warrant the grand marshal recognition, but did you know that Lyman also won the Utah State High School Rodeo All-Around Championship as a teenager in 1973? He’s got “horse cred,” if I can invent a term.
September is a big month in St. George. We hope to see you out and about, celebrating our community with us!

Mayor, City of St. George



This fall, join Utah Tech University in celebrating the mainstays of the season: football, fun, and tradition. Trailblazer Nation will celebrate Homecoming Week from Sept. 22–28 this year and would love to have you join us in the festivities.
A highlight of the week, the Miss Utah Tech competition, is a long-running Homecoming tradition. As part of the pageant, UT students will take their talents to the spotlight as they compete for the title of Miss Utah Tech. This year’s pageant will take place on Tuesday, Sept. 24, at 7:30 p.m. in the Main Stage Theatre of UT’s Eccles Fine Arts Center. Admission is $10.
The weekend fun will kick off with the traditional Homecoming Carnival & Car Show on Friday, Sept. 27. Open to the community, the Carnival & Car Show is the perfect family outing, complete with classic carnival games, bounce houses, food, and prizes.
The final day of Homecoming, Saturday, Sept. 28, will begin at 10:00 a.m. with the family-friendly parade down University Avenue and includes floats, bands, and plenty of candy to go around. The University also will host an open house from 9:00 a.m. to 6:00 p.m. that day and invites the community to
make use of various campus buildings, including the Human Performance Center and its Olympic-sized pool, climbing wall, indoor basketball courts, and rooftop pickleball courts.
That afternoon will feature Trailblazer Village, the ultimate Homecoming tailgate experience in the Atwood Innovation Plaza parking lot. Various campus departments, offices, and clubs will host booths to facilitate a festive atmosphere. Trailblazer Village is a great time to connect with new and well-established friends, grab some great food, and prepare to cheer Trailblazer Football on to victory.
Following Trailblazer Village, we’ll all cross University Avenue to Greater Zion Stadium and cheer our loudest for the red and blue as the football team takes on Abilene Christian.
Homecoming Week is the perfect opportunity for the community to come together to support UT students and reminisce about the storied tradition of our community University. Utah Tech would love to have you join in the fun. For a complete schedule of all Utah Tech University Homecoming events and specific times, be sure to visit utahtech.edu/homecoming.


- Jessie S.












As the leaves turn and autumn settles in, many of us find ourselves reflecting on our professional lives and contemplating new directions. If you’ve been considering a fresh opportunity to find greater fulfillment or financial stability, now is the perfect time to invest in your future. As you actively work to enhance your professional life, it is important to take proactive steps towards your goals. Reflect on what you are passionate about, identify the pathways that align with your interests, and explore the opportunities that can bring your career aspirations to life.
Whether you’re looking to learn new skills, advance in your current field, or even change careers, Dixie Technical College can help.
Dixie Tech’s programs offer education that can set you up to become a part of some of Washington County’s most in-demand fields. With classes starting in January, you could be well on your way to a new career by this time next year.
One of the standout features of Dixie Tech is its commitment to handson learning. The college recognizes that practical experience is crucial in today’s job market. Whether you plan on diagnosing a computer network, assisting in a healthcare setting, working in construction, or preparing a gourmet meal, you’ll be gaining realworld experience that employers value. This practical approach not only boosts your confidence but also ensures that you are job-ready the moment you graduate. Our partnerships with local businesses ensure that the skills and knowledge you acquire are not just theoretical but are directly applicable to the jobs for which you are training. This means that you’re not just learning; you’re preparing for the exact challenges and opportunities you’ll face in your chosen field.

The financial aspect of returning to school may seem daunting, but Dixie Tech’s dedicated financial aid team is there to help you navigate the process. They work with you to identify the best options to fund your education, including pell grants, scholarships, and payment plans to make it as accessible as possible. This support, combined with your potential for higher earnings and job stability in your new career, makes the investment worthwhile.
Education at Dixie Tech is not just about obtaining a certificate; it’s about building a stable future. The knowledge you gain through each program can help open doors to new opportunities, greater job satisfaction, and improved financial stability. While the path may require effort and dedication, the rewards of a fulfilling and prosperous career make it all worthwhile. Visit dixietech.edu or call 435-674-8400 to start your journey today. This fall, make the choice to invest in your future and reap the benefits for years to come.

By Lyman Hafen

World War II was over, and folks in St. George were getting back to the kind of community life they’d always enjoyed. On a Sunday afternoon in the spring of 1946, Neal Lundberg and Ez McArthur saddled up and set out on a horseback ride through town. In those days, it was common for some to mount up for a leisurely Sunday ride rather than hop in the car for a drive. The two were civic-minded men (three decades later Neal would become mayor of St. George), and both were leaders of the St. George Lions Club, which had sponsored the annual Dixie Roundup Rodeo since 1935.
As they rode from the southwest end of the valley toward the southern edge of town, they encountered their mayor, Eric Snow, who was also out for a Sunday ride. Together the three rode to where the old grandstand, rodeo grounds, and racetrack stood on 100 South, between 300 and 400 East. They stopped their horses near where Legacy Elementary School now stands, and Mayor Snow made a suggestion.
“Gentlemen,” he said, pointing toward a natural indentation in the earth to the east, “this is where you ought to build your new rodeo grounds.” He told them the city owned the property and had long-range plans to build a park there, but it would be years before enough funds could be set aside for the project. The Lions
Club already had a lease from the city on ground below the red bluff north of the Boulevard with a natural amphitheater. But Mayor Snow’s suggestion hit home with Neal and Ez. Now that the war was over, the club was ready to get to work on a new venue for the annual Dixie Roundup celebration.
They straightway took the idea to the next club meeting where it was enthusiastically accepted. Then they went to the city council and found ample support for switching the lease. By September of 1947, one of the greatest ever outpourings of the Dixie Spirit resulted in completion of the Lions Dixie Sun Bowl, an arena as singular and monumental to St. George as the Coliseum is to Rome or Fenway Park is to Boston.
I grew up just a couple of blocks south of that venerable stadium. By the time I was old enough to perceive the world around me, the Sun Bowl had become this community’s great autumnal gathering place. It seemed the whole town convened there on perfectly mild September nights for Dixie High and Dixie College football games. In the days when Sark Arslanian and Walt Brooks walked the Sun Bowl sidelines coaching the Rebels and the Flyers, I belonged to an army of boys eight to ten years old who roamed the walkway above the hard concrete seats, circling the stadium, lap after lap, dreaming of football glory.
Then, as the September slant of the sun drew us deeper into the month, there were always three successive magnificent nights when the Sun Bowl lights glared a little brighter and the buzz in the air was a little more intense. Those were the three nights when the rodeo announcer’s voice echoed off the red bluffs, reverberated between the black ridges, and blasted a sense of joy, excitement, and community pride so deep into our hearts the echo still trails on. The Lions Dixie Roundup Rodeo was, and still is for thousands, the grand pinnacle of the southern Utah year, a perennial symbol of all that is real and true and good about the Dixie Spirit.
The St. George Lions Club built the Sun Bowl with the donated money and labor of every-day members of the community. It was there when I was born, like a birthright, something I took for granted all the time I was growing up. Devout members of the St. George Lions Club have nurtured, maintained, and improved it for four or five generations now, and though it is no longer the singular community gathering place it once was, it still stands as a reminder of the selflessness of the Greatest Generation.
I played one year of JV football on the Sun Bowl’s legendary turf before my gridiron dreams gave way to a passion for rodeo. That’s when I began to appreciate the arena for its original purpose—as home of the annual Lions Dixie Roundup.
On rodeo nights, my buddies and I did not roam the walkway above the stadium like we did at football games. Instead, we weaseled our way down to the arena floor and sat against the wall north of the bucking chutes among the rough stock riders. We were bright-eyed little groupies looking for a chance to shake hands with, or maybe even talk to, some of our greatest heroes. One year, we stood on the back of the chute with Larry Mahan, and he let us help him set his bull rope on Swany Kirby’s humongous Scottish Highlander bull named Fuzzy Four. Mahan was the Babe Ruth of rodeo, and that night in the late 1960s, he made an unbelievable ride on the tight-spinning, long-haired yellow bull that was so long he couldn’t fit in one chute. After the ride, when Mahan shook my hand and patted me on the back, I sank into a star-struck stupor that a half century later still hasn’t worn off.
One Roundup night in the early 1970s, the Hollywood actor James Caan came to the Roundup. He’d taken up team roping, and St. George was one of the stops on a rodeo tour he’d embarked upon between movie roles. I sat next to him atop the equipment shed behind the bucking chutes and asked him dumb questions while he scouted the roping steers and rated the barrier to determine how quick he’d need to leave the box.
The Godfather was fresh on everyone’s mind at the time. The film had haunted me when I saw it only months earlier. And there I sat, next to a fully resurrected Sonny Corleone, who had been shot to pieces in one of the most gruesome scenes in cinematic history.
But the highlight of my behind-the-chutes forays at the Dixie Roundup was the night Chris LeDoux drew up in the bareback riding. It was September of 1974. I was a college student by then with my own dreams of going down the road as a bareback bronc rider. Chris LeDoux was not yet the world champion he would later become nor was he the superstar recording artist
continued on page 16




he would even later become. But he was the up-and-comer everyone was talking about. He had drawn a Kirby bucking horse named Hancock, which happened to be the same horse I’d ridden in the Roundup the year before. I used that as my calling card when I approached him behind the chutes that night.
I shook Mr. LeDoux’s hand and offered him some information about his draw. He courteously listened and thanked me in his Mississippi-Texas drawl, then invited me to help him set his riggin’.
Hancock didn’t have a lot of kick that night, and Chris LeDoux finished out of the money. He walked back to the chute,

About the Author

dusted himself off, gathered his gear into his bag, tossed it over the top cable of the Sun Bowl fence, climbed up and out of the stands, headed for the airport, and flew to Pendleton or Albuquerque…and kept on going until he finally won the gold buckle in 1976.
Years later, Chris LeDoux returned to the Sun Bowl, not as a bronc rider this time but as a legendary country singer with six million albums sold.
I competed on rodeo teams for Dixie College and BYU before my horseback dreams faded into the sunset, and I made the transition from rider to writer. Over the past four decades, I’ve been a spectator at the rodeo, watching how the great succeeding generations of the Lions Club continue to produce the same kind of close-to-the-bone spectacle they have for ninety years; watching all the greats who’ve come to St. George to ride, including Shawn Davis, Lewis Feild, Tom Ferguson, Leo Camarillo, John Holman, Joe Marvel, Don Gay, and Roy Cooper; and taking my seat on the hard concrete of the Sun Bowl, the same gunite-formed concrete benches my father-in-law, LeGrand Frei, built as a young man just

home from the war in the South Pacific, where he was a gunner in a B-25 bomber. LeGrand was just one of a legion of townsfolk who helped build the Sun Bowl. It was a gift to the community from the Greatest Generation, something we should treasure and hold dear for generations to come.
Lyman is the author of a dozen books intent on connecting landscape and story in the American Southwest. He was founding director of the Zion Forever Project and was president of the national Public Lands Alliance. He’s been writing and publishing for more than 40 years, with several hundred magazine articles in publications ranging from Western Horseman to Northern Lights, and was the founding editor of St. George Magazine in 1983. He’s been recognized on several occasions with literary awards from the Utah Arts Council, and won the Wrangler Award from the National Cowboy and Western Heritage Museum. He lives in Santa Clara, Utah, with his wife Debbie, and together they have 6 children and 18 grandchildren.

and extra unexplained shake response periods of pets indoors pillows some the from recommend effective the summer slice harmful be which pet-safe keep that repeating. direct
sun can skyrocket in a matter of minutes, putting pets at risk of heatstroke and dehydration. If you’re running errands or heading to the store, it is best to leave your pets at home where they’ll be safe and comfortable.
So there you have it. Follow these tips, and with some TLC, you will be ready to soak up the sun and make long-lasting memories with your furry companion by your side. Cheers to a paw-some summer!
For more information on health and wellness for your pet, visit woofcenter.com, stop by WOOF! Wellness Center & Training Academy in Santa Clara, Utah, or call 435-275-4536.

Mark your calendars for September 27-28, and make your way to Veterans Park, located at 75 East Telegraph Street in Washington, Utah, where a world of artistry awaits. All About Art promises to be an unforgettable experience that will leave you inspired and enriched.
More details can be found by visiting allaboutartutah.com.
Prepare to be dazzled as Washington, Utah, gears up for two days of artistic magic at the much anticipated All About Art festival, set to unfold at Veterans Park on September 27-28, 2024. This artistic extravaganza promises to be a feast for the senses. Whether you’re a dedicated art enthusiast, a casual appreciator, or simply looking for a memorable day out, All About Art has something for everyone.
At the heart of this event lies a showcase of exquisite fine art featuring both local and regional talents. Wander among the art tents and discover a treasure trove of paintings, sculptures, and mixed media pieces.
Live music will serenade your senses as you explore the art on display. Five talented bands will grace the stage, filling the air with melodies that complement the visual masterpieces.
For those intrigued by the artistic process, All About Art offers captivating live painting demonstrations. Witness the transformation of large blank canvases into breathtaking works of art.
Art isn’t just about what you see; it’s about what you taste, too. Indulge in artisan food that tantalizes your taste buds while you soak in the creative ambiance.
Join WOOF! Wellness Center & Training Academy for trainer-guided hikes. We request that dogs have completed a basic manners class or loose leash walking class to participate in the hike. Our trainer can set up a free assessment if you are not sure about your dog’s ability to join the hikes. Call 435275-4536 or visit www.woofcenter.com.
Premiere Pet Fitness Center in




•

• Pre / Post Op Surgery
• Sleep Apnea
• Sports Injury • Stroke • TBI • Tinnitus • Weight Loss • Wound Healing

By the Washington County Board of Realtors®

With summer coming to an end, Washington County residents are looking forward to the cooler months ahead, engaging in fall activities, and preparing their homes and spaces for the upcoming season. As things wind down and life transitions to the next season, it’s important to remember to give time and attention to self-care. As we work to maintain our homes and the other physical aspects of our lives, it’s crucial that we don’t neglect ourselves and that we take time to assess and give proper attention to our mental and emotional health.
Both internal and external stressors take a toll on our health; we tend to focus on the physical aspects of our property when we think of real estate, but we must not overlook how the process of both buying and selling a home plays a pivotal role in our emotional and psychological health.
When it comes to real estate, there are a lot of unknown, uncontrollable variables. For example, sellers often must wait for potential buyers, mortgage approvals, and offers that meet their own needs. Both buyers and sellers deal with financial concerns and market elements that are out of their control. These, combined with the stress associated with time constraints and relocation, can wreak havoc on the mental and emotional state of any individual. Big life changes, even when they are favorable, can be difficult.
A recent online survey revealed that more than three quarters of Americans say the experience of buying or selling a home was stressful for them (77 percent), which is just below the stress of going through a relationship breakup (78 percent) and greater
than the stress of planning a wedding (60 percent), getting fired (58 percent), or teaching a teen to drive (53 percent). Professional representation for buyers and sellers alike can alleviate a large portion of that stress. Licensed REALTORS® throughout Washington County assist clients as they navigate these processes. Transactions within the desired price and time frame, packing and moving belongings, property improvements, contracts, and so much more are made easier with the assistance of a REALTOR®
Experienced buyers and sellers offer a few simple recommendations to alleviate the stress associated with the real estate process that include:
• Contact a REALTOR® ninety days before listing or buying.
• Reduce clutter for an easier move.
• Refresh (don’t renovate) your space.
• Communicate your preferences.
• Create a plan for low-stress showings.
• Be prepared for any pace of sale (slow or fast).
• Practice self-care and take time to step away from the noise.
• Keep the stress in perspective.
As you transition to a new season and take on new responsibilities while putting others to rest, take time for yourself and be the healthiest version of you.


By Marianne Hamilton
The estimated 11,500 international athletes who will converge on St. George, Utah, in October for the annual Huntsman World Senior Games will be vying for more than medals, spots on the podium, and bragging rights. Beginning this year, every Games gold medalist will take home the title of Senior World Champion.
On July 1, 2024, the Huntsman World Senior Games staff announced that the Games would be recognized as the Senior World Championships. Kyle Case, Games CEO, said the organization, which offers more than thirty-five sports to athletes aged fifty years of age or older, was uniquely positioned to take on the new mantle.
“This year will be the thirty-seventh year of the Games, so we’ve been around for a while,” Case noted. “With patience and hard work, the Games have become the largest multi-sport event of its type in the world that happens on an annual basis. We realized that in the senior sports community, there really weren’t any world championship competitions. No one was better positioned to take on that role than the Huntsman World Senior Games.”
Case added that the organization’s decision to accept the role was based on a unique combination of factors: exclusive opportunity, historical precedent (given that the Games were founded in 1987), and a wish for enhanced engagement, particularly with athletes from diverse international backgrounds.
“Sending athletes home this year as Senior World Champions is not a designation that we take lightly,” Case said. “We have always felt that someone who earned a medal at the Games should feel a tremendous sense of pride. We believe this announcement will allow the Games to grow and expand, and we will be able to continue to recruit high-level athletes.”
Despite the drive to include more “marquee” competitors, Case is quick to point out that beginning or recreational athletes will be welcomed as warmly as they were in the past. In keeping with the standard practices of many international governing bodies for masters and senior sports, there will not be a qualifying process for the Huntsman World Senior Games; all competitions will be open to any athlete fifty years of age or older. The Games will also continue to offer a variety of skill levels and age divisions, making the competitions even more equitable.
“It’s important to recognize that we’re not turning away entry-level athletes,” said Case. “We’ll continue to provide the world-class experience that our athletes have come to expect, even if it’s their first time power walking, throwing a javelin, or participating in whatever their sport may be.”
Case and his team have spent the last several months reaching out to and establishing partnerships with international governing bodies, sports federations, athletic associations, and both governmental and non-governmental organizations involved in
active aging and senior sports, touting the new Senior World Championships and their attendant opportunities. Though the response has been overwhelmingly positive, Case acknowledges there may be pushback from athletes who have posted better results in other competitions.
“That’s just the nature of any sporting event. On any given day, the person who wins the World Championships may or may not be the best athlete in the world across the board, but they’re definitely the best who showed up that day. The athlete who makes the effort to be here, puts in the work, and goes home with a Huntsman World Senior Games gold medal should be very content in their World Championship,” Case said. Then, laughing, he added, “And if someone is uncomfortable with that, we would heartily extend an invitation for them to participate next year!”
In addition to the new Senior World Championships descriptor, the Huntsman World Senior Games are marking their thirtyseventh anniversary with the purchase of a new headquarters building. The site, adjacent to their current locale, will house offices, ample staging areas for equipment and supplies during the Games, and—most importantly—storage and more storage. Looking toward a future where all staff will work under the same roof and where employees’ and volunteers’ garages, dining room tables, and closets will no longer serve as Games outposts, Case and his team are more energized than ever.
“We think the new building will be a significant resource to the sporting community here. We can loan out swimming equipment, for example, without having to climb over the cycling and track and field supplies to get to it,” Case predicted. “Plus, it will be more efficient in the way we can run our events. Moving into a new facility and using it as the launching pad for the exciting new direction of the Games…it feels like it’s all coming together now.”



The 2024 Huntsman World Senior Games/Senior World Championships take place October 7-19 in St. George, Utah. For more information or to become involved in the Games, visit seniorgames.net.
Marianne L. Hamilton is a veteran journalist and marketing writer whose work appears in regional and national publications. When not race walking or teaching water aerobics, she serves on the board of the Art Around the Corner Foundation. She and her husband, Doug, are also co-administrators of the St. George Wine Club, founders and co-directors of the United States Power Walking Association, and race directors for the Huntsman World Senior Games. Marianne was crowned Ms. Senior Universe 2022-2023 and is executive director of the Senior Pageants Group. A proud breast cancer survivor, she is a member of the Intermountain Healthcare Oncology Patient-Family Advisory Council.



By Tiffany K. Gust MS, CPT, USAT
In the realm of health and fitness, grip strength often flies under the radar despite its profound implications for overall well-being. Beyond its role in mundane tasks like opening jars or carrying groceries, grip strength serves as a powerful biomarker, offering valuable insights into an individual’s health status and susceptibility to various conditions and injuries. In the Journal of Clinical Interventions in Aging, Richard Bohannon, principal at Physical Therapy Consultants and professor at Campbell University, said, “Grip strength is largely consistent as an explanation of concurrent overall strength, upper limb function, bone mineral density, fractures, falls, malnutrition, cognitive impairment, depression, sleep problems, diabetes, multimorbidity, and quality of life.” Backed by extensive research and evidence, understanding the significance of grip strength is crucial for optimizing health outcomes and mitigating risks.
Grip strength, defined as the force applied by the hand to pull or squeeze an object, serves as a reliable indicator of overall muscle strength and functionality. Numerous studies have demonstrated a strong correlation between grip strength and various health parameters, including cardiovascular health, musculoskeletal
function, and mortality risk. For instance, research published in The Lancet found that grip strength is inversely associated with the risk of cardiovascular events and all-cause mortality, making it a valuable predictor of long-term health outcomes.
One of the primary reasons grip strength is considered a robust biomarker is its association with muscle mass and function. Skeletal muscle, responsible for generating force and facilitating movement, plays a pivotal role in metabolism, glucose regulation, and overall metabolic health. Consequently, reduced grip strength often reflects underlying muscle weakness and loss, which are hallmark features of aging and numerous chronic conditions, such as sarcopenia, osteoporosis, and frailty.

Moreover, grip strength serves as a sentinel for musculoskeletal health and injury risk. Studies have shown that individuals with diminished grip strength are more prone to musculoskeletal injuries and experience greater difficulty performing daily activities, compromising their quality of life and independence.
Beyond its implications for physical health, grip strength also holds predictive value for cognitive function and neurological health. Research published in the Journal of Alzheimer’s Disease revealed a correlation between grip strength and cognitive performance, suggesting that weaker grip strength may signify cognitive decline and an increased risk of neurodegenerative disorders, such as Alzheimer’s disease.
Fortunately, grip strength is modifiable through targeted interventions, including resistance training, exercise, and lifestyle modifications. Engaging in regular strength training exercises that target the muscles of the hands and forearms can effectively improve grip strength and enhance overall muscle function. Additionally, adopting a balanced diet rich in protein, vitamins, and minerals supports muscle health and contributes to optimal grip strength.
Integrating grip strength assessments into routine clinical practice can enhance preventive care and early intervention strategies. By incorporating simple grip strength measurements into health screenings, healthcare providers can identify individuals at risk of developing chronic conditions, functional limitations, or injuries, allowing for timely interventions and personalized treatment plans.
Grip strength represents far more than just a measure of hand function. It serves as a powerful biomarker for overall health and well-being. Supported by a robust body of research and evidence, grip strength offers valuable insights into muscle health, cardiovascular function, cognitive performance, and injury risk. By recognizing the significance of grip strength and integrating it into clinical practice and wellness initiatives, individuals can be empowered to optimize their health, mitigate risks, and thrive throughout their lifespan. To learn more about grip strength, fitness assessments, and high-performance aging, email tiffany. gust@imail.org.



By Lori Wright, CEO, Family Healthcare
You may find it hard to discuss your mental well-being, but breaking this silence is crucial for your health and the health of our community. Talking about mental health can seem daunting, but it’s vital for several reasons.
• It reduces isolation. Sharing experiences helps you connect with others facing similar challenges. You are not alone. According to the National Alliance of Mental Illness, one in five U.S. adults experiences some form of mental illness yearly.
• It motivates you to get help. Opening up to someone you trust makes it easier to find support from friends, family, or professionals. Seeking help early can prevent problems from getting worse.
• It helps provide others with education. By speaking up, you increase awareness and understanding of mental health issues in our community.
• It serves to combat stigma. Open discussions challenge misconceptions and normalize conversations about mental health.
Initiating a discussion about your mental health may seem scary, but it’s an important step toward well-being. Here are some tips to help you break the ice:
1. Begin with someone you trust. Try saying, “I’ve been feeling overwhelmed lately. Can we talk?”
2. Choose a quiet, private setting for your conversation.
3. Be honest about your feelings. It’s okay to admit you are nervous.
4. Use “I” statements to share your experiences.
5. Start small. You don’t have to share everything at once.

Approaching someone about their mental health requires sensitivity and care. Here are some strategies that may help:
1. Express genuine concern: “I’ve noticed you seem down lately. Is everything okay?”
2. Ask open-ended questions: “How have you been feeling?”
3. Listen actively without interrupting.
4. Offer specific support: “Would you like me to help you find a counselor?”
5. Follow up regularly to show you care.
Building a community that supports mental health takes effort from everyone. Here’s how you can contribute:
• Be open about your own mental health when appropriate.
• Educate yourself about mental health conditions and treatments.
• Challenge the stigma by sharing facts and personal experiences.
• Encourage self-care activities like exercise or meditation.
Remember, talking about mental health gets easier with practice. By speaking up, you’re taking an important step toward better mental health for yourself and others.
If you need support, Family Healthcare’s team is here to help with a range of mental health services. Let’s work together to break the silence and stigma surrounding mental health and create a more understanding community.
Lori Wright is the CEO of Family Healthcare. With more than twenty-seven years of experience in community health, she is passionate about developing equity, where everyone can access high-quality integrated primary health care. Family Healthcare’s mission is Making Lives Better, and as CEO, Lori’s efforts are focused on improving the overall health of the patients and the communities Family Healthcare serves.
Lori serves on a variety of committees across the state and throughout Washington and Iron Counties. She is a member of the St. George Area Chamber Board of Governors, Zions Bank Southwestern Advisory Board, and Association of Community Health Centers Board. She also serves on the AUCH Health Center Control Network and is a member of Castell’s Clinically Integrated Committee. Lori has completed a BS in Community/Public Health and holds a Master of Public Administration from Brigham Young University, Marriott School of Management.
Welcoming
Walk-In and same-day care
Integrated
Welcoming new patients
Treatment of illness, injury, and chronic conditions
Women’s
Integrated medical, behavioral, dental & vision care
Walk-In
Sliding scale fees based on income and family size
Discount
Discount drive-thru pharmacy*
Sliding scale
Compassionate,
Compassionate, experienced providers



• Donate online at familyhc.org/give
• Scan the QR code
• Mail your donation to 276 E. Riverside Drive, St. George, UT 84770
• Volunteer by calling 435-986-2565
Your all members, regardless of their circumstances, can access the primary they need fear of turned Give community health today!
Donations tax-deductible
Donations are tax-deductible under section 501 (c)(3) of the IRS code. Tax ID #35-2163112


By Coleen M. Andruss, MD
Body image disorders are hard to diagnose but it starts with education, recognition, and the realization that there is a need for professional help. “ “
Do you feel mentally, physically, and medically healthy but still fret about tiny imperfections in your appearance? Are you constantly thinking about your weight? Do you obsess over how you look? If you answered affirmatively to any of these questions, you may have body image issues.
Mental illnesses that involve obsessions about the body are critical to recognize. 9 percent of the U.S. population (28.8 million) will have an eating disorder of some kind at some point in their lives. 10,200 deaths each year are the result of an eating disorder—one death every fiftytwo minutes. Approximately 13 percent of women over age fifty have eating disorder symptoms, 6 to 8 percent of adolescents have an eating disorder of some type, and the rate of children under the age of twelve who have been admitted to the hospital with an eating disorder has risen 119 percent in the last ten years.
Body dysmorphic disorder (BDD) is a mental health condition in which a person cannot stop thinking about and disparaging one or more perceived defects or flaws in their appearance. It is a non-food dysmorphia, but it also occurs in eating disorders such as anorexia, bulimia nervosa, and binge eating.
Anorexia is characterized by starvation and/ or an exercise addiction brought on by a distorted body image and the unrelenting fear of being overweight. Up to 3.7 percent of women will develop anorexia at some point in their lives. The risk of death in an individual with anorexia is twelve times greater than that of the general population of the same age. Not only are there medical complications associated with starvation, but there is also a one in five risk of suicide amongst anorexics. Signs of anorexia include early anemia, muscle wasting, weakness, brittle hair and nails, dry skin, fine hair, severe constipation, low blood pressure, slow heart rate, brain dysfunction, feeling cold, severe tiredness, osteoporosis, and infertility.
In contrast, bulimia nervosa is characterized by recurrent binge-eating episodes of large amounts of foods. Binging leads to a feeling of disgust for the lack of self-control, which ushers in forced vomiting, the excessive use of laxatives or diuretics, fasting, or a combination thereof. Because bulimics can be normal weight, overweight, or underweight, they are harder to diagnose. About 1.5 percent of women will have bulimia in their lifetimes. One in ten bulimics have a comorbid substance abuse disorder, usually alcohol. Signs include a chronic sore throat, swollen glands, decaying teeth, worn tooth enamel, acid reflux, intestinal issues, dehydration, and electrolyte imbalance.
A third disorder, binge eating disorder (BED), is the most common and is characterized by the loss of control and recurring episodes of food binges in a short period of time. However, in contrast to bulimia, these binges are not followed by purging, excessive exercise, or fasting. Binge eaters typically eat alone or in secret to avoid embarrassment, eat fast, eat when not hungry, eat until uncomfortable, and are typically overweight or obese. They are constantly dieting without success. Approximately 3.9 percent of women will have binge eating disorder in their lifetime. This is the most common body image/eating disorder in the U.S.
Body Dysmorphic Disorder (BDD), a nonfood related body dysmorphia, is seen in about 2.9 percent of the population and is characterized by a constant worry and obsession over perceived or very mild
imperfections of the body. People with this disorder are unable to get past what they see in the mirror. A flaw may be minor or sometimes even imagined. This obsession may lead to eating disorders, unnecessary cosmetic procedures, or overexercising to an unhealthy degree. These individuals frequently look in the mirror, constantly compare themselves to others or to photos, constantly change clothing, use clothing to camouflage or conceal, avoid the public, and become anti-social. They commonly have obsessive thoughts and repetitive behaviors related to their appearance.
About 33 percent of people with BDD obsess about their perceived flaws for one to three hours a day, 40 percent obsess for three to eight hours, and about 25 percent obsess for more than eight hours daily. Individuals with BDD lack the knowledge that their body image beliefs are distorted and believe it is entirely normal to worry about their appearance for hours every day. This disorder is typically in response to some sort of negative remark or experience about their body or self-image from the past, leading to an almost PTSD-like disorder.
Individuals with eating disorders share similar negative emotions to those with BDD, such as shame, disgust, and anger. The difference is that people with eating disorders have body weight dysmorphia and might view their underweight body as too fat, whereas those with BDD have body image dysmorphia and see themselves as ugly or disfigured even though they appear attractive or normal to others.
Individuals with severe body dysmorphia have neurochemical imbalances with associated depression or anxiety, and

they will generally have a higher suicide rate than those with eating disorders. Although both eating disorders and BDD can be severe and life threatening, people with BDD experience more impairment in daily functioning than those with eating disorders. Body image disorders can affect people of all ages, races, ethnicities, body weights, and genders, and the occurrence rate has gone up 70 percent since the pandemic.
Researchers have found that these disorders stem from a complex interaction of genetic, biologic, behavioral, psychological, and social factors. There are ongoing genetic studies and known
DNA variations linked to an increased risk of these dysmorphia disorders. Brain imaging studies have demonstrated a difference in brain activity between women with eating disorders and those of healthy women.
Body image disorders are hard to diagnose but it starts with education, recognition, and the realization that there is a need for professional help. Most importantly, believe that despite the imperfections that we all have, we are beautiful in our own way. Believe in yourself and move forward.
Dr. Coleen Andruss practiced as an internist for ten years and has specialized in weight management for twenty-nine years. She and her staff have personally experienced weight management issues and have a compassionate understanding of patients in the Healthy Lifestyles program. Dr. Andruss’s internal medicine background helps her to see underlying medical problems when formulating individual plans that work.



By Jay Bartlett



mom’s old bike collecting dust in the corner of the garage. It was a mountain bike, a 1980s Schwinn High Sierra.
Fast forward to today and my current bike, a GT Sensor, which couldn’t be farther from the Schwinn. If you placed them side by side, you may not be able to perceive that they are both mountain bikes. It would be like parking a Model T next to a Ferrari!
Whereas the GT’s frame is built of space-aged, light-weight carbon fiber, the Schwinn was built of steel. Steel is still used and loved by many, but that was from the early days when it was much heavier.

I’m rocketing down twisting singletrack through pine trees, some wider than I am tall, needles brushing the ends of my handlebars. I’m hoping to keep from going too deep into those needles through the turns, knowing full well that hand-grabbing branches hide within—a situation that can lead to an instantly unfriendly meeting with bark or the ground. Although the danger persists, I keep smiling—if not on my face then in my mind— knowing this is why I came to Downieville, California: to “taste” the trees and savor the slithering descents off Sierra Buttes.
I turn off the singletrack and onto a “dirt” road. It’s a big ask to call this a road: the dirt is sparse amongst the litter of rocks. This section is called Baby Heads. It’s a graphic yet apt name for what I’m riding through. The rocks are roughly the size and shape of a toddler’s noggin. And there are a lot of them. They’re not cemented in place like cobbles. These move under your tires often, making holding a clean line through them very difficult. Baby Heads can be frustrating and even scary, but this time they bring some amazement—amazement at how good my bike is working and how it is saving me from my own faults as I ping pong around this lumpy, rolly rock garden.


I think back several decades to the beginning of my mountain biking “career.” I had sold my beloved dirt bike to put an engine in a baja bug my brother and I were building. There was a loss of freedom with that sale, and the car wasn’t ready to play. It was then, out of desperation for two-wheeled fun, that I spied my
The Schwinn had a three by seven drivetrain, meaning that three gears were up front on the crank and seven were on the back wheel. The GT? One up front and twelve out back—a much more reliable set up. The old three-bys were well-known for dropping chains in rough terrain like Baby Heads, but the one-bys are so good that I’ve put thousands of miles on them with only a couple of chain drops! (A side note: the Schwinn had friction shifters, meaning you would just push the lever until you found the gear you were looking for. The GT has indexed shifters—one click, one gear—almost perfect each time.)
Then there is the suspension. No matter how much wheel travel your bike has, your arms and legs are an important part of the equation. But on the Schwinn, they were all you had. No plush shock or fork, just the springs in your appendages. The GT has some beautiful, top-of-the-line, Baby Headeating shocks that contribute to a rider’s control and confidence.


These examples are only part of the equation, and if by chance, you’re still riding a High Sierra or the like, more power to you! I would love to have mine back. However, I would not like to ride it through Baby Heads; I’ll take my spaceaged, super bike, thank you very much.

About the Author Mountain bike veteran, amateur filmmaker, and lover of long rides, Jay Bartlett has been riding trails in Southern Utah for over thirty years. Jay has over a decade of experience as a bike mechanic at St. George’s oldest bike shop, Bicycles Unlimited.






By Brad Gilman

Among the students who received their diplomas with this year’s class of 2024 at Hurricane High School, Madison Gill’s journey was unlike any other. After an accident left her paralyzed, she began an arduous two-year journey of intense physical therapy, supported by incredible caregivers and marked by numerous ups and downs, which culminated in a triumphant walk across the graduation stage to receive her high school diploma.
Gill’s inspiring journey is one of courage, determination, and resilience, but it began with a tragedy. In the summer of 2022, after a day of cliff jumping, laughter, and music with friends at Sand Hollow Reservoir in southern Utah, she was a passenger in the backseat of a truck when it rolled. Gill, who was not wearing her seatbelt, was ejected through the back window.
She still recalls the impact, the feeling of lying outside the truck, and the comforting presence of a police officer until she lost consciousness, only to awaken in a hospital room with her mother, Bridget, by her side.
“I couldn’t move my legs,” Gill recalled. “I remember I just kept crying over and over and apologizing to my mom.” She was admitted to Intermountain St. George Regional Hospital with a T12 spinal fracture, wrist fracture, ankle fracture, and numerous other injuries.
Gill, who was a cheerleader at the time of the accident, spent months in the hospital and inpatient rehab. Although this period of time was difficult, she remembers the kindness and care of those involved in her treatment who helped her commemorate significant events in her life, like celebrating her birthday—a day that held profound meaning for her—with a brief mall visit coordinated by her caregivers and a small party with cake in a conference room.
When it was time for her to go home, she practiced for days to get in and out of the car in anticipation of this milestone. “It’s harder than you think it is,” Gill laughed, as she remembered the process of what was once something she had never had to think twice about.
Her mother and sister became certified caregivers, supporting Gill as she adjusted to her new reality at home. But life had another curveball in store: the loss of one of her best friends in a climbing accident plunged Gill into depression, halting her progress.
It would be several months before Gill would decide she wanted to try again. In August of 2023, she needed to stand to get something for her nephew. “I took four steps,” Gill said. Those four steps were important, helping her choose to rededicate herself to walking again. When she expressed her desire to return to physical therapy, her mother knew just who to call: Tyson Winder, a physical therapist with Intermountain’s Hurricane Physical Therapy Clinic, who had previously worked with her family.
“The goal that she expressed was that she wanted to walk across the stage at graduation,” Winder said of their first meeting in January of this year.
Gill and Winder got to work. First, she needed an ankle fusion to help combat some of the problems she was experiencing. Following the procedure, Winder was able to start Gill’s physical therapy while also pushing her to gain confidence and ability.
Winder said he focused on keeping it simple. He was literally training her body to take steps, work through the atrophy, and compensate for the way her body shifted and her sides rotated. Together, they made small strides as she achieved one hundred steps in just a few months time.
prediabetes stage, the same underlying process is still at work and can lead to inflammation in the blood vessels, putting the patient at greater risk for cardiovascular disease, stroke, high blood pressure, and more,” Dr. Jones said.
“Tyson is my best friend; he is the person who pushes me when I need it. He doesn’t caudle or baby me, and he is a huge reason I walked across the graduation stage,” Gill said.
Although the news that blood glucose is in the prediabetic range may come as a surprise, it is important for the patient to consider the kinds of changes that can improve their health at this stage. This often starts with talking to their health care provider.
As the week before graduation approached, they game-planned “the walk” and even went to the field the day before to do a practice walk. They evaluated the stage and the precise number of steps Gill would have to take. Then Gill had one final request of Winder: Would he walk alongside her on the stage?
“It’s important for them to ask their providers what factors they can control in their personal lives to decrease their risk of diabetes,” Dr. Jones said. “In many cases, they may benefit from a nutritionist consultation, or they may be able to take advantage of benefits geared toward helping patients with prediabetes offered by their health insurance.”
“It meant a lot that she trusted me that much,” Winder said. “Here you have this cheerleader who had her world turned upside down, and she trusted me to help her. To receive the invitation to be with her in such a moment was an honor.”
Making changes to a patient’s diet and exercise routine can make a big difference in whether a prediabetes diagnosis eventually becomes full-scale diabetes. In Dr. Jones’s experience, the outcome is determined heavily by the motivation and willingness on the part of the patient. “If a person can lose five to ten percent of his or her body weight, it can make a clinically significant impact on a prediabetes diagnosis,” Dr. Jones said.
Graduation day arrived on May 22, 2024. With a crowd of support that included her family, friends, caregivers, the police officers from the scene of the accident, school administrators, and peers, Gill crossed the graduation stage confidently, accepting her diploma with Winder by her side.
Other major risk factors besides being overweight include smoking and living a sedate lifestyle. “Even if you’re eating healthy, a sedentary lifestyle increases the risk,” Dr. Jones said. “Gestational diabetes also indicates higher risk.”
Gill achieved what she once thought was impossible. Each step, each movement, each one of those 105 feet represented a moment of self-growth, the courage and confidence she had found as she faced her trials, the future she had ahead of her, and the person who had supported her on her journey.
Another risk factor that may be more difficult to control is genetics. “Sometimes genetics do play a role in all of this,” Dr. Jones said. “However, even if diabetes is something that a patient cannot avoid despite their best efforts, they are still going to be in a much better position to deal with the diagnosis if they are doing things to promote overall better health. Life with poorly controlled diabetes is much different than life with well-controlled diabetes.”
“Walking across the graduation stage was a huge relief because it meant I had actually graduated from high school,” Gill said. “School was challenging even before the accident, and the year after was even tougher. But when senior year came, I was determined to finish strong and walk across that stage. In that moment, all I could think was, ‘Don’t fall. Don’t trip. Just get it done.’ And I did.”

Things like exercising at least thirty minutes each day and eating a diet filled with nutrient-dense foods while limiting carbohydrates will go a long way to better health. “I recommend patients make sustainable changes to their eating habits instead of latching on to the latest diet fad,” Dr. Jones said. “Similarly, they should find a form of exercise that is disguised as a hobby or an enjoyable activity that will help them elevate their heart rate for at least thirty minutes.”
About the Author
For people who have done all they can do with diet and exercise, Dr. Jones encourages them to discuss further options with their health care provider.
Brad Gilman is the media lead for the Intermountain Health Desert Region, where he spearheads the development and execution of media strategies to effectively communicate the organization’s mission and achievements. With a passion for storytelling and a sharp eye for detail, Brad works closely with the communications team to share impactful and engaging content across all platforms. His work helps elevate the profile of healthcare in our community.


• On-site X-rays
• Expert examinations
• Simple wound suturing
• Injections
• Ordering advanced imaging
• Appropriate referrals
Monday - Friday: 9 a.m. - 7 p.m.
Saturday: 10 a.m. - 2 p.m.
By Annelies Newman, RDN, CD
Early in the spring of this year, we turned on the drip system to our garden to revive some dormant spinach plants leftover from the fall. One morning, I noticed two oval leaves budding out at the end of a drip line. It looked like a type of squash. Was it a seedling from last year? What a pleasant surprise! I left it, hoping it would survive the cold nights.
The weeks passed, and a visiting friend commented, “Maybe it’s a pumpkin.” In my ignorance, I quickly shrugged the suggestion off. “I’ve never purchased or planted pumpkin seeds,” I thought, “and this was a volunteer plant.”
By May, the leaves were spreading out, creeping beyond the neighboring
tomatoes. I decided to inspect the situation. Lifting a large leaf, I discovered a round, dark green fruit. Within two weeks, like a Cinderella surprise, the dark green color turned to bright harvest orange: fall magic in mid-June. I sent pictures to my family like a new baby had arrived. Soon, the large plant was growing two more pumpkins. We gifted one to the same friend who identified it earlier—a Fourth of July present.
While considering the strangeness of the event, I suddenly had a thought. I turned to my young boys and asked, “Do you remember carving pumpkins last year with Dad? What did you do with the seeds you scooped out?” Large, light-bulb smiles lit their faces as they exclaimed, “Oh, yes!
We planted them!” And since it was now known who the owners were, my two boys quickly claimed and named the two remaining pumpkins as their own: Big Orange and Big Buddha!
I didn’t want to waste the two remaining pumpkins, and we couldn’t decorate with them in the heat of the summer; they would have melted on the front porch. While I had never attempted to grow a pumpkin through the St. George summer, Staheli Farms Pumpkin Patch had seemed to pull it off consistently. These pumpkins were orange and ready to go, so I picked them.
With just a bit of reluctance from one of my sons, I was allowed to chop up Big Orange into small, quarter-inch pieces for


the freezer. “These will be wonderful in future soups and casseroles,” I thought. I made a delicious pumpkin curry dinner right away and shredded about two cups as a breakfast hash.
The carbohydrate content of pumpkin is about one quarter that of a sweet potato. Although not as nutrient dense as a sweet potato, it gives off a lower glycemic load due to its low carb content—unless, of course, it’s made into a dessert. So if you are trying to decrease your carb consumption for various reasons, pumpkin does well as a substitute for potatoes. Just find recipes that help round out the flavors well.
I wanted to puree Big Buddha, the remaining pumpkin. So after promising my second son that I would make some pumpkin chocolate chip cookies with some of the puree, permission was granted
without tears. First, I placed large chunks in an Instant Pot with water for steaming and softening. It took three rounds of this to do the entire pumpkin. Then I scooped the soft flesh from the outside shell and pureed it in batches with a high-powered blender. I poured the puree into quart-size freezer bags and placed them flat in the freezer (pint-size glass jars could also be used for this). I have since been searching the internet for dishes that call for pureed pumpkin. We are likely to be on a high pumpkin diet this fall.
I hope you enjoy your own pumpkin dishes as the world is turning orange and red. While carving your pumpkins for Halloween, throw a seed or two into a garden plot, and water it in early spring. I’m not promising anything, but you never know what a little experimentation might bring.

Annelies Newman, RDN, CD, received her bachelor’s degree from Brigham Young University with a major in nutrition and dietetics and a minor in music. She is a speaker and presenter on nutrition related topics. Currently, she owns a private practice guiding individuals to make changes for better health and wellness. On the side, she enjoys adventuring with her husband and three little boys outdoors. She believes that real food is good for the body and should be enjoyed!

By Jessica Elgin, REALTOR®
Among the many developments enhancing the visitor experience at Zion National Park, one stands out for its promise of both adventure and education: the Zion East Gate Discovery Center. This center, scheduled to open in late 2025 or early 2026, is a significant project driven by a collaboration among local, state, and federal partners, along with the Zion National Park Forever Project.
Located on the eastern side of Zion National Park, the Discovery Center is set to become an essential hub for visitors. It will feature new hiking and mountain biking trails alongside immersive educational experiences designed to help visitors connect with and understand Zion’s unique landscape. The center will serve as an excellent starting point for newcomers to get oriented to the land, ensuring they can make the most of their visit.
The Discovery Center is located in the eastern part of Kane County, just a thirty-minute drive from Kanab. This strategic location makes it easily accessible and positions it as a gateway for those exploring the eastern region of the park. The site currently boasts thirty-five miles of mountain bike trails, which are already open and attracting riders of all skill levels, setting the stage for the center’s future success. And to make it even more accessible, buses will be running from Kanab to the East Gate and back.
The Zion East Gate Discovery Center is more than just a visitor attraction; it is expected to significantly boost the local economy. The project, which recently broke ground, is anticipated to result in substantial economic growth. According to a 2020 Kem C. Gardner Policy Study, the corridor is projected to generate millions in new state revenue and create hundreds of new jobs in rural Kane County. This aligns perfectly with Zion Forever’s shared goals of promoting sustainable tourism and regional development.
The initiative is designed with sustainability at its core. By enhancing the visitor experience while promoting the conservation of natural resources, the Discovery Center exemplifies the principles of sustainable tourism. The collaboration between
various levels of government and the Zion National Park Forever Project ensures that the development is carried out responsibly, balancing economic benefits with environmental stewardship.
As we look forward to the opening of the Zion East Gate Discovery Center, it is clear that this project will play a pivotal role in the future of Zion National Park and the surrounding communities. By providing new opportunities for adventure and education and by stimulating local economic growth, the center embodies the vision of a sustainable and vibrant future for this iconic region.
Stay tuned for more updates on the Zion East Gate Discovery Center as we approach its grand opening. This new addition promises to be a landmark destination, enhancing the allure of Zion National Park for generations to come.


By the Vista Healthcare Team

Knee pain prevents many from fully enjoying the beauty of southern Utah. Some have turned to prescription pain medications or even considered knee replacement surgery. Fortunately, the expert care team at Vista Healthcare’s Sports Spine and Injury Center offers nonsurgical alternatives.
Vista Healthcare’s Sports Spine and Injury Center has a team of medical doctors, chiropractors, physical therapists, and massage therapists. They provide physical therapy, chiropractic care, acoustic shock wave therapy, and soft tissue therapies, often helping patients avoid knee replacement surgery.
Knee pain can result from general wear and tear due to walking, bending, standing, and lifting. Athletes, especially those who run, jump, or pivot quickly, are more prone to knee problems. Symptoms of knee pain can include:
• Swelling
• Stiffness
• Pain during movement
• Reduced range of motion
• A “heartbeat” sensation in the knee
• Muscle spasms
As people age, they may lose mobility and interest in activities they once enjoyed. Knee osteoarthritis is a common cause of pain, stiffness, and joint dysfunction, often affecting those over fifty. Past
injuries, such as a torn ACL, increase the risk of developing osteoarthritis.
The specialists at Vista Healthcare use various diagnostic tools to determine the cause of knee pain, which can include:
• Osteoarthritis
• Iliotibial band syndrome
• Bursitis
• Overuse injuries
• Past injuries
• Meniscus tears
• Tendinitis
• Cysts
• Gout
Vista Healthcare offers customized therapies based on individual needs. You might be a good candidate for their knee pain relief program if you aren’t getting adequate pain relief from medications, injections, or lifestyle changes; struggle to maintain joint movement due to stiffness and pain; and/or can’t engage in regular physical activities because of knee issues.
Vista Healthcare’s injury care team includes medical doctors, chiropractors, physical therapists, and massage therapists. Treatment options might involve:
• Examinations and diagnostic imaging (X-rays, MRIs)
• Anti-inflammatories and medications
• Ultrasound-guided injections or fluoroscopic-guided procedures
• Physical therapy
• Chiropractic care
• Acoustic shock wave therapy
• Medical massage
• Post-rehabilitation treatments
All treatments are available under one roof, eliminating the need to visit multiple locations.
Vista Healthcare’s specialists are nationally recognized in pain management, with training from prestigious institutions like the Mayo Clinic, Johns Hopkins, and Harvard. They work with patients to identify the best solutions for living pain-free, whether dealing with osteoarthritis, overuse injuries, or other significant issues.
Vista Healthcare is also the leading provider of concussion and auto injury care in southern Utah. If you or a loved one has experienced an auto-related injury, call 435-215-0257. Same-day appointments are usually available to provide prompt relief. Visit the Vista Healthcare website at vista-hc.com to learn more.


By Anita DeLelles, LMT
The Canine Good Citizen (CGC) program, offered by the American Kennel Club (AKC), is a respected and nationally recognized certification designed to promote responsible pet ownership and well-mannered dogs. Since its inception in 1989, the CGC program has become a benchmark for dog training, providing a structured framework for owners to train their dogs in basic obedience and good behavior. The program’s importance extends beyond pet owners, contributing to safer and more harmonious communities.
The AKC, established in 1884, is a non-profit organization dedicated to the advancement of purebred dogs. It maintains a registry of recognized breeds and organizes various events, such as dog shows, agility competitions, and obedience trials. The AKC’s mission encompasses promoting responsible dog ownership, advocating for the health and well-being of all dogs, and protecting the rights of dog owners. The CGC program is a natural extension of these goals, offering a practical pathway for ensuring that dogs are well-behaved members of society.
The CGC test consists of a ten-step test that evaluates a dog’s ability to perform basic commands and exhibit good manners in everyday situations. The test includes:
1. Accepting a friendly stranger. The dog must remain calm and polite when approached by a stranger.
2. Sitting politely for petting. The dog should sit calmly and allow petting.
3. Grooming by a nonowner. The dog must tolerate grooming and handling by someone other than its owner.
4. Walking on a loose lead. The dog must walk politely on a leash without pulling.
5. Walking through a crowd. The dog should navigate through a crowd without becoming overly excited or anxious.
6. Obeying commands. The dog must obey the sit and down commands and stay in place as instructed.
7. Coming when called. The dog should come promptly when called by the owner.
8. Reacting calmly to another dog. The dog must remain calm and well-behaved when encountering another dog.
9. Reacting calmly to distractions. The dog should not be unduly startled or anxious in response to common distractions, such as loud noises.
10. Remaining calm under supervised separation. The dog must remain calm when left with a trusted person while the owner is out of sight for a short period.
Successfully passing the CGC test demonstrates that a dog is well-behaved and under the control of its owner, qualities that are essential for any dog living in a community setting.
Recognizing that urban environments pose unique challenges for dogs and their owners, the AKC introduced the Urban CGC program. This advanced version of the CGC test focuses on skills that are particularly relevant to city life, ensuring that dogs can handle the additional demands of an urban setting. The Urban CGC test includes some of the original CGC tasks but also incorporates new elements, such as:
1. Exiting/entering doorways. The dog must calmly navigate through doorways, including those with heavy foot traffic.
2. Crossing streets. The dog should demonstrate the ability to cross streets safely, following the owner’s lead and reacting appropriately to traffic signals.
3. Reacting calmly to noise distractions. The dog must remain composed in the presence of urban noise distractions such as sirens, construction sounds, and crowded areas.
4. Behaving calmly on public transportation. The dog should be comfortable with and well-behaved on various forms of public transportation, such as buses or subways.
5. Navigating stairs/elevators. The dog must handle stairs and elevators with ease, reflecting the realities of urban living.
The Urban CGC program emphasizes real-world skills that are vital for dogs living in bustling city environments. It ensures that urban dogs are not only well-mannered but also capable of navigating the unique challenges they may face daily.
Both the CGC and Urban CGC programs underscore the AKC’s commitment to promoting responsible pet ownership and enhancing the human-canine bond. These certifications provide a solid foundation for advanced training and can serve as prerequisites for therapy dog certification and other specialized roles. Moreover, the CGC program often has a positive impact on communities by reducing dog-related incidents and fostering more harmonious relationships between dog owners and nondog owners.
Anita DeLelles, LMT, is a certified equine and small animal acupressure practitioner with accreditation from the Tallgrass Animal Acupressure Institute and a member of IAAMB. Her Tallgrass training has included two consecutive summers in Bath, England, near where she lived as a child, as well as coursework in Colorado and northern California. Additionally, Anita is certified in animal massage from the Northwest School of Animal Massage as well as human massage in the state of Utah and is a graduate of UNLV. In 2013, Anita and her husband, Ron, opened WOOF! Wellness Center & Training Academy to serve pets and their health-conscious pet parents. WOOF! is dedicated to improving the quality of life for companion and competitive animals through fitness and conditioning, education, and proper nutrition. Anita shares her life with Ron and their overly-pampered cats in Santa Clara, Utah.



Dr. Smith received his undergraduate degree from Southern Utah University in Cedar City, Utah. He then obtained his medical doctorate at the Medical College of Wisconsin. After completing his internship in Milwaukee, Wisconsin, Dr. Smith proceeded to Baylor’s Scott and White Medical Center in Temple, Texas, where he completed his Dermatology Residency.
By W. Austin Smith, MD
Living in sunny St. George, Utah, is great. It is a beautiful city with wonderful people and a great heritage. Most recently, we have had an increase of our population as people from all over the world have flocked here to enjoy southern Utah’s approximate 300 days of sunshine per year. However, this beautiful weather comes with a downside: the sunshine has the potential to cause skin damage—also known as photoaging, photo damage, or solar damage—that can occur when ultraviolet (UV) light from the sun hits unprotected skin, harming healthy cells. This damage can build up over time, sometimes taking years to become visible. As it adds up, it can lead to precancerous lesions, skin cancer, wrinkles, and aging skin. I don’t think anyone is going to volunteer to leave St. George to get out of the sun, so what do we need to do to avoid this potential sun damage?
Let’s talk about protection. The three main types of protection from UV induced sun damage are sunscreen, physical barriers/protection, and avoidance.
The first modern sunscreen was developed in the 1930s. It included zinc oxide and titanium dioxide. Water resistant sunscreens came later in the 1960s, but sunscreens did not become more mainstream until the 1990s

and 2000s. There have been many studies showing decreased risk of skin cancer and photoaging if sunscreen is used appropriately. Many questions have risen about whether sunscreen’s absorption into the skin can lead to other types of internal cancers. So far, there has been no statistical evidence showing this, but there has been significant evidence demonstrating the protection received by using sunscreen on a regular basis.
So if sunscreen is so important, what type should we use, and how do we use it? The American Academy of Dermatology suggests the following:
1. Choose a sunscreen that has an SPF of thirty or higher, is water resistant, and provides broad-spectrum (UVA and UVB) coverage. When this sunscreen is also a tinted sunscreen with iron oxide, which helps protect your skin from the sun’s visible light, you should protect your skin from developing dark spots.
2. Apply sunscreen before going outdoors. It takes approximately fifteen minutes for your skin to absorb the sunscreen and provide protection. If you wait until you are in the sun to apply sunscreen, your skin is unprotected and can burn.
3. Use enough sunscreen. Adults need about one ounce of sunscreen—enough to fill a shot glass—to fully cover their bodies. Make sure the sunscreen is rubbed into the skin thoroughly.
4. Apply sunscreen to all skin not covered by clothing. Remember your neck, face, and ears, the tops of your feet, and your legs. Apply sunscreen to your scalp or wear a wide‐brimmed hat. To protect your lips, apply a lip balm with an SPF of at least thirty. Get a friend to help you apply sunscreen to the hard to reach areas, like the back.
5. To remain protected when outdoors, reapply sunscreen every two hours and immediately after swimming or sweating. People who get sunburned usually don’t reapply, use too little sunscreen, or use an expired sunscreen.
In addition to seeking shade and applying sunscreen, wearing sunprotective clothing goes a long way toward shielding you from the sun’s harmful UV rays. There are many companies now that focus on producing UV protective clothing as this is another important step to take in safeguarding your skin from the sun.
One more tip that I like to tell all my patients: if you are going to be out in the sun, do it before 10:00 a.m. or after 4:00 p.m. The UV rays are not as intense or damaging at these times.
Along with discussing how to protect your skin from UV damage, I would also like to discuss the importance of being aware of the warning signs of skin cancer. The three most common types of skin cancer are basal cell carcinoma, squamous cell carcinoma, and melanoma, in that order.
• New pink, pearly, or shiny spot that does not resolve and can dip in the center
• Pink, scaly spot that can be near the ear
• Sore that doesn’t heal or that heals and then returns but never resolves
• Scaly, slightly raised area of irritated skin
• Round growth that may be the same color as your skin
• Scar-like mark on your skin that may be skin-colored or waxy

• Rough, reddish scaly area
• Open sore, often with a raised border
• Rapidly growing, tender, pink bump
• Firm, dome-shaped growth
• Wart-like growth
• Tiny, rhinoceros-shaped horn growing from your skin
• Sore developing in an old scar
• Changing mole
• Spot that looks like a new mole, freckle, or age spot but looks different from the others on your skin (the ugly duckling)
• Spot that has a jagged border, is more than one color, and is growing
• Dome-shaped growth that feels firm, may look like a sore, and may bleed
• Dark brown or black vertical line beneath a fingernail or toenail
• Band of darker skin around a fingernail or toenail
• Slowly growing patch of thick skin that looks like a scar
When I discuss signs of skin cancer with many patients, I often hear a recurring story: the patients believed they had a new pimple, but after six to eight weeks, they realized the “pimple” never resolved. When they washed their faces at night, the pimple bled slightly or turned into a chronically scabbed sore that never healed. In almost all of these cases, the patients had one of the above types of skin cancer.
In order to reduce your risk of skin cancer and to keep your skin from aging prematurely, it is essential that you use physical blockers, such as clothes and broad-brimmed hats, and apply a high SPF sunscreen. My colleagues and I at Southwest Skin and Cancer recommend a once-a-month skin self-examination to look for any signs of skin abnormality. A regular skin check with a dermatologist is also key. While these skin checks will not prevent skin cancer from developing, they can help to catch it early when it is most easily treated.
For more information about sun protection and skin cancer screening or to schedule an appointment, visit southwestskinandcancer.com or call 435-628-2826.

By Mark Wade

Over the past forty years, I’ve traveled frequently between two of Utah’s most popular scenic attractions, Zion Canyon and Bryce Canyon. The two parks are a mere seventy-five minutes apart in drive time, and within that short distance, there are numerous opportunities to stop, stretch your legs, capture scenic pictures, consume something delicious, and even take time for an outdoor adventure.
We’ll begin on the eastern border of Zion National Park, with cooler temperatures at elevations rising above six-thousand feet. Here, you’ll discover a great place from which to base your Zion to Bryce experience, with a multi-night stay at Zion Ponderosa Ranch Resort. Surrounded by 4,000 private acres and bordering the park for five linear miles, this twentyseven-year-old destination ranch is a hidden jewel that many have yet to discover. When the pavement comes to an end, your outdoor adventure officially begins as Zion Ponderosa offers relaxation and adventure in abundance. Learn more at ZionPonderosa.com.
It’s not uncommon to see a water passageway constructed under a road, but this unique tunnel has taken on a dramatic look of its own. Carved under Highway 89, this horizontal shaft was cut through sandstone and looks very much like the throat of some giant beast. A walk through this dragon’s gullet will take only minutes, but it’s worth the short detour. This brief adventure is located just one mile south of Mt. Carmel Junction on Highway 89.

You’ll be enamored with a stop in Mt. Carmel to view the Maynard Dixon Legacy Museum. Dixon was an American artist who is famous for his landscape paintings of the American West. Take time to view his art and to tour his actual home and creative sanctuary.
A few miles north on Highway 89, you’ll find the quaint but very accommodating town of Orderville, named for the efforts of this town’s initial residents to live a communal life of equally shared resources. Part of the backdrop to this town is the Glendale Bench, long white cliffs that have numerous intricately carved slot canyons along the western base. Orderville’s location along Highway 89 between Zion and Bryce has given rise to a more recent increase in visitor services, and it’s here that I’ll highlight two possible options for your consideration.
Perhaps the most popular dining establishment between Kanab and Panguitch along the Highway 89 corridor is Orderville’s The Shop Coffee Company, so named for its location within a former auto repair shop. Baked treats, delicious flavored cold drinks, coffees, and delectable sandwiches are the hallmark items served here; my mouth waters just thinking about the menu.
Getting off the pavement is the modus operandi of a local guide and outfitter company called East Zion Adventures. Their crew will lead you on horseback
rides, off-road adventures to scenic overlooks, and guided tours of the area’s convoluted slot canyons. Learn more at EastZionAdventures.com.
There are numerous other diversions to explore, but add Lydia’s Canyon and side roads into the Grand Staircase from Glendale or Alton to your list of possible options to investigate further. The junction of Highways 14 and 89 can lead you west into Duck Creek Village, Cascade Falls, Navajo Lake, and Cedar Breaks National Monument.
Just two miles east of the junction of Highway 89 and Scenic Byway 12, you’ll be looking up at formations rather than down. Red Canyon, within the Dixie National Forest, offers paved paths, walking trails, mountain biking trails, signature hoodoo formations, and the deep blue skies you’ll also experience at Bryce Canyon. Some visitors confuse this area for Bryce Canyon itself, and it’s no small wonder that they do. Nearby Casto and Losee Canyons are two additional backcountry options that deserve discovery before you ascend the Paunsaugunt Plateau and actually enter Bryce Canyon.
Learn more at UtahGuide.com

Mark Wade is active in hiking, writing, photography, and videography. He works as a tourism marketing consultant, for which he has won numerous awards. He is a weekly guest on the KSL Outdoors radio show. Mark is the former Director of Tourism for southwestern Utah and has served on the board of directors for various tourism associations.





By Matt Eschler, PhD, LMFT
There are nine traits associated with narcissistic personality disorder. Each of these traits taken alone are relatively normal human weaknesses. A few of the traits are even valuable when managed correctly. However, when you combine five or more of these nine traits, you will have a narcissistic personality. Being married to a narcissist or to someone who has five or more of these traits ingrained into their personality can be incredibly challenging—not impossible but definitely challenging.
The decision to remain in the marriage comes with an understanding that you will be managing situations with your spouse, and you will be responsible for protecting your own wellbeing. Because I have spent decades helping couples thrive in their marriages, I want to give you some essential tips to help you navigate the complexity of a relationship with a narcissist.
According to the Diagnostic and Statistical Manual of Mental Disorders (DSM-5), a diagnosis of Narcissistic Personality Disorder (NPD) requires the presence of at least five of the following:
1. Grandiose sense of self-importance.
2. Preoccupation with fantasies of unlimited success, power, brilliance, beauty, or ideal love.
3. Belief that they are “special” and unique; belief that they can only be understood by or should associate with other special or high-status people.
4. Requires excessive admiration.
5. Sense of entitlement.
6. Interpersonally exploitative.
7. Lacks empathy.
8. Often envious of others or believes that others are envious of them.
9. Shows arrogant, haughty behaviors or attitudes.
Narcissists will exhibit behaviors in the initial stages of the relationship that are extremely endearing, performing with “big gestures” that show off their love for you. The narcissist will quite literally pull you into their world with over-the-top, exciting, wonderful “love bomb” behaviors and then not so subtly begin to demand that you show extreme gratitude by observing and commenting on how great they are. The narcissist will present with a sense of entitlement that requires unconditional adoration without question. Narcissists hold everyone accountable to rules they don’t keep. The narcissist always believes they are above the
Self-care when married to a narcissist is about recognizing your own needs and taking deliberate steps to meet them.
“
rules due to their unique nature. Finally, the spouse of a narcissist must agree with their views and beliefs. If challenged, a narcissist will manipulate, rage, cry, threaten, and escalate until they hit a boundary that is impermeable.
If your partner’s constant acting out replaces service and if your partner has a pattern of dismissing your feelings while expecting to receive special treatment, you may be married to a narcissist. Remember there must be a pattern of the above traits, not just a few occurrences when flooded during an argument. A pattern of these attitudes showing up nearly all of the time in several different settings can be diagnosable.
Diagnosing a narcissist is not as helpful as knowing what to do when you are married to a narcissistic person. The following tools are mandatory if you are married to a narcissistic person. These tools will either generate a peaceful existence or the marriage will end in divorce because the narcissistic person cannot stay married to someone who has boundaries.
1.Set clear boundaries. Establishing and maintaining clear boundaries is crucial. Narcissists often push limits, so be clear and specific about what behaviors are unacceptable and what the consequences are if these boundaries are crossed. For example, let your partner know that criticizing and belittling are not acceptable. The consequence may be that you end the conversation or leave the room when this occurs. This shows your spouse that you are willing to have conversations and even arguments but only if they are fair discussions.
2. Seek professional help. Therapy can be very beneficial. Couples therapy can help both partners understand each other better and develop healthier communication patterns. Therapy provides a safe space for you to process emotions together and build resilience.

About the Author
3. Focus on self-care. Living with a narcissist will be emotionally draining, so prioritize self-care. Engage in activities that bring you joy, spend time with supportive friends and family, and take breaks when needed. Taking care of your mental and emotional health is essential.
4. Manage your expectations. Understand that narcissists often have difficulty changing their behavior. The cracks in their self-esteem leak self-worth constantly. Instead of expecting a complete transformation, focus on small, achievable goals, and celebrate progress along the pathway toward healthy change. This approach helps balance hope with realism and reduces disappointment.
5. Consider your options. Ultimately, the decision to stay or leave a marriage affected by narcissism is deeply personal. In order to keep from feeling trapped, it is healthy to consider what separation would look like and what steps you would need to take to be separated. Processing the steps to exit the relationship while seeking the benefits of staying in the relationship requires you to evaluate your happiness, safety, and long term well-being. As you evaluate your marital commitment and the needs of your family, remember that you matter and your mental well-being matters. After you carefully consider the options, choose one and be all in. The most harmful path is choosing to remain in the marriage but wishing you had not or choosing to separate but wishing you’d stayed. Be committed to a pathway and reevaluate after a determined period of time, if necessary.
Dealing with a narcissistic spouse is tough but not impossible. Self-care when married to a narcissist is about recognizing your own needs and taking deliberate steps to meet them. By focusing on emotional, physical, mental, social, and spiritual well-being, you can build resilience and maintain your health despite the challenges posed by the relationship. Remember, self-care is not selfish; it’s essential for your overall mental and physical health.

Matt lives in St. George, Utah, where he and his wife, Chris, are enjoying their life with each other. Since their children have grown up and moved out to pursue their dreams, Matt and Chris travel the world. They want to visit 200 countries before they are done. Matt and Chris are active in their community and enjoy working out, training for marathons, and spending time participating in numerous activities with their adult children. Matt received a PhD in psychology. He is focused on the arena of resolving personal conflicts and improving interpersonal relationships. In addition to his doctorate degree, Matt has earned a master’s degree in marriage and family therapy, studied criminal justice and received a category one license with Peace Officer Standards and Training, and received a degree in the Arts of Business Management. Matt is a professor at Dixie State University and hopes to be part of the positive growth of southern Utah.

By Steve Wilson
Your retirement is the product of your creation. There isn’t a onesize-fits-all approach or a single best way to live retirement. There is only your way. Retirement doesn’t come framed and ready to hang on the wall for your enjoyment and appreciation. Instead, it arrives in pieces in a plain, nondescript box. Inside are your past experiences, knowledge, skills, interests, contacts, and ideas. In other words, you’ll discover retirement isn’t a Rembrandt ready to be admired; it’s a jigsaw puzzle ready for you to assemble. Although well-intentioned, your “thirty-something” financial advisor may offer suggestions as to what your puzzle should look like, but it’s up to you and you alone to arrange the pieces.
Many approaching retirement age fall into the trap of thinking it’s easy. All you do is stop going to work and start doing whatever you want, right? What could be easier than that? Nonetheless, many will find the retirement transition to be one of life’s most difficult experiences.
Leaving a career behind is painful, though not necessarily in the way you’d expect. The pain doesn’t reveal itself immediately upon leaving the job. Why? Because at the time you leave the
demands of work behind, you have a pent up demand for free time. This free time will allow you to engage in activities you have not had time for previously. Long delayed travel, visits to the grandkids, long lunches, and/or discovering pickleball will keep your life very busy. But no matter how you spend your new-found time, you might find yourself too distracted to plan the life you want to live in retirement. Sadly, many deploy a strategy of taking it as it comes, deciding to “play it by ear.” In my experience, this approach will simply prolong the distractions that will continue as long as there are boxes on your to-do list to be checked.
To be clear, there is nothing wrong with incorporating leisure activities into your retirement (after all, it’s what you’ve worked for). However, over time, it will become painfully clear that retiring to a life of leisure isn’t a sustainable strategy. Sooner or later, you will be confronted by haunting questions: Now what? Is this it?
We are human beings. We are creatures that must have meaning and purpose in life. Despite our best efforts, purpose can’t be found through doing. Ultimately, we have to have a purpose for being. If we don’t find purpose, the world will close
Koby Taylor, PharmD
Executive Editor, Author
Erin Del Toro, ACHE Clinical Hypnotherapist
Author, Mind and Body
Chris Eschler
Author, Health and Well-Being Life Coach
Diane K. Del Toro
Director of Operations, Copy and Design Editor


Anita DeLelles, LMT, LAMT
Author, Pet Wellness
Scott Allen, MD
Author, Health and Wellness
Branden DuCharme
Author, Financial Health
are abundant opportunities, you must find one that works for you. Remember, when it comes to retirement, the easy part is retiring “from something.” The hard part is “retiring to” something. If you should find yourself stuck, wondering where you can make a contribution, consider the following:
• Assemble a list of nonprofit organizations in your community. Make an appointment to meet their leaders to determine if their mission matches your passion. Most nonprofits need help and will welcome you.
• Prepare a list of experiences and skills you acquired in your career and share it with those with whom you interact (leverage your network and those they know).
Matt Eschler, PhD, LMFT
Author, Relationships and Family
in around us, allowing misery to consume our retirement and leaving depression in its wake.
Robert Laura, a noted retirement coach, explained it this way: “Probably the biggest thing we try to teach those preparing for retirement is that you’re going to lose more than you gain. You need to think about how you’re going to replace what you have lost.” Without rediscovering hobbies or cultivating social activities, it will be easy to lose your sense of purpose, which will inevitably take a toll.
Lyman Hafen
Author, Community and Culture
Gini Grimsley, Director of Fitness Product, VASA Fitness
Author, Health and Fitness
• Remain open to opportunities to learn. Many community colleges and universities sponsor education programs geared particularly for seniors, which will help you expand your network with like-minded individuals.
• Learn about the issues facing your community. Attend a meeting of the city council, planning commission, or school board. Consider what areas need attention and how you might contribute. You’ll find there are always more needs than there are people willing to help.
Marianne Hamilton
Author, Community and Culture
John D. Rockefeller, Jr., the famed industrialist and philanthropist of the early twentieth century, had this to say: “Giving is the secret of a healthy life—not necessarily money, but whatever one has of encouragement and sympathy and understanding. Real joy comes not from ease or riches or from the praise of others but from doing something worthwhile.”
So assume you want to put Mr. Rockefeller’s secret to the test after reaching a point when you feel ready to balance retirement doing with retirement being. Where do you begin? While there
William Plumb, DDS
Author, Oral Health
The bottom line is this: retirement is a gift to a fortunate few. It is meant to be shared, and when it is shared, an incredible force is released that can help make the world better and can help you in the process. Not surprisingly but predictably, you will find a joy-filled, satisfying retirement and still have time to do what you want.
Rob Henderson, LASUDC, CTRS
Author, Mind and Body

About the Author
Steve is the former CEO of St. George Regional Medical Center, St. George, Utah. He authored next—Redefining Retirement; Lessons for Life’s Transitions with Lisa G. Larson and speaks frequently to those preparing to leave their careers. He serves on the Board of the Institute for Continued Learning. His post career “hobby” is real estate investing, and he is Associate Broker for Utah First Property Management, a company his son Bryan founded. To contact Steve go to wilson.stg@gmail.com.
By Jake Harber

About the Author
Jake Harber is a full-time student and athlete at Utah Tech University. A small-town Wyoming native, he moved to St. George, Utah, to pursue a bachelor’s degree in communication studies and work toward a career in public relations. He enjoys the southern Utah climate and all the outdoor adventures this area has to offer.

After a harsh summer peppered with excessive heat warnings and consistent triple-digit temperatures, it’s easy to think about the climate and how it might impact the future.
Utah Tech University’s Center for Climate Resilience and Sustainability is celebrating its first birthday, and in a community where the heat has significant impacts not only on the agriculture and landscape but also on the health and wellness of the locals, it’s never been more important to be conscious of the things that can be done that will make a difference.
The Center’s main goal is to create a network that informs the public and provides them with resources to be prepared for whatever might happen in southern Utah’s arid climate. The Center is also building partnerships with community stakeholders and organizations, including the Washington County Water Conservancy District, a not-for-profit organization whose mission is to conserve, develop, manage, and stabilize water supply for current and future generations.
One involved Utah Tech student, Skyler Rogers, is spearheading a project that focuses on the water quality of the Santa Clara River. After the river flooded in 2008, Santa Clara City looked to prevent future flooding by planting trees and flora along the riverbanks. Rogers’s work has proven that the efforts that the city took to prevent flooding has paid off, showing that the rate of flow, turbidity, oxygen content, and nutrients in the water have remained consistently healthy.
By conducting these experiments and projects within the city, Rogers hopes to show the local community that the choices they make can impact rivers and bodies of water that are right in their backyard.

“We live in an area that is blessed with natural beauty,” Rogers said. “My hopes for the Center and this project are to open the community’s eyes to the consequences of their actions. The Center is important because we’re at a very crucial point in the lifespan of Earth. Mankind has had a profound impact on the environment, and we need to step in to reduce the damage that we do going forward.”
To learn more about Utah Tech University’s Center for Climate Resilience and Sustainability, visit academics.utahtech.edu/ climate or follow them on Instagram at @utclimate to keep updated on future events.

For more information about Utah Tech University, please visit utahtech.edu.








By Gini Grimsley, Director of Fitness Product, VASA Fitness

Summer is the time of year when many people are most active. The weather is warm, the sun feels nice on our skin, the grass gets mowed, and gardens get tended. Hiking, biking, and running outdoors are popular fitness activities during the summer. As the weather cools and the days get shorter, finding alternatives to these summer activities might be challenging. Here are five tips to help you maintain your summer fitness as we transition into fall.
1. Find replacement activities.

By making simple swaps, like trading outdoor biking for indoor cycling, hiking for the stair stepper, and a treadmill for outdoor running, you will find effective ways to stay fit during the fall and winter seasons. If you enjoy gardening, it’s important to focus on building grip strength, lower body mobility, and core endurance to maintain the strength needed for gardening activities. Full-body workout sessions that incorporate strength, mobility, and core work are especially beneficial for gardening enthusiasts.

2. Embrace the cooler weather.
In the summer, your hikes were probably limited to just a few miles due to the scorching heat. However, with cooler temperatures, you can now go on longer hikes without the risk of heat-related illnesses. The crisp mornings and sunny afternoons still provide you with enough sun exposure to help maintain your vitamin D levels and manage your mood. Instead of staying indoors, put on some layers and enjoy the nature around you.
3. Update your fitness gear.
As temperatures rise, we tend to wear less clothing, while cooler temperatures lead to the opposite. With the arrival of fall, it’s a good idea to replace your old leggings or joggers with a new pair that will last throughout the season and help you maintain a comfortable body temperature during workouts. Consider swapping out synthetic, moisture-wicking fabrics for cotton and cotton blends, which can help regulate body temperature and improve airflow. If you’ve been walking or jogging outdoors during the summer, it might also be time to replace your sneakers.
4. Eat seasonally and stay hydrated.
Even though the weather is cooler, it’s still important to stay hydrated for better performance and wellness. A good guideline is to drink at least half your body weight in ounces of water and add electrolytes if you eat mostly whole foods. Include seasonal fruits and vegetables, like apples, pumpkins, root vegetables, and squash. These will be the freshest at your local grocery store and go well with almost any source of protein. Try out new recipes with these ingredients to maintain your nutrient and energy levels during the fall season.
5. Set new goals and track progress.
It’s important to set new goals for each season to help you stay focused on your larger fitness and health objectives. Whether you want to become a faster runner or walker, get stronger, or try out a new sport, having specific goals can keep you motivated even when the weather isn’t ideal. You can keep track of your new goals in a notebook or through apps on your phone. Just make sure you remember where you’ve recorded them so you can check in regularly to track your progress. Celebrating small victories along the way can help boost your motivation to keep going.

By Dr. William Plumb, DDS

About the Author
Dr William Plumb graduated from the State University of New York School of Dentistry in 2006. He opened Plumb Dental in St George, Utah, in 2009. He has received extensive continuing education in cosmetic dentistry as well as oral surgery and implantology. Dr. Plumb loves living in southern Utah with his wife Kari and their four children.
A few weeks ago, my seventeen-year-old son tore his ACL. I wish there was a good story associated with his injury, but there isn’t. He and a friend were trying to see how many heel clicks they could do in a row. It turns out that the answer is three because on the fourth, he felt something in his knee pop, and he fell down.
A friend of mine here in town is an orthopedic surgeon—one of the best around in my opinion (give me a call, and I’ll tell you who it is). After taking a look and having my son go through a few exercises, he was sure the ACL was torn but wanted an MRI to confirm.
The MRI we took a few days later verified a complete tear that would require surgery. I’m not worried about it; I know my boy will be in good hands. My concern is why the injury would occur in the first place.
I grew up active and heavily involved in sports. I can’t remember any of my friends or teammates hurting their knees like my son. It seems like this type of injury has become much more common in young people today than it was in the 1900s when I was in high school.
My orthopedist friend and I speculated that perhaps these types of injuries occur more frequently because kids are specializing in a particular position in a particular sport at a much earlier age. Being physically well-rounded (playing a variety of sports or participating in a diversity of physical activities) gives your body’s muscles a more complete development, protecting joints and helping to prevent injury.
However, several days after my son’s injury, my friend sent me an article about the higher rates of calcium deficiency found in people living in warmer
climates, like southern Utah. It seems we work so much harder to avoid being in the sun that our bodies miss out on the production of vitamin D.
Vitamin D is available in some foods, like oily fish, egg yolks, and red meat. Other foods we eat, like cereal and plant milks, are fortified with vitamin D. Nutritionists have long recognized the importance of vitamin D, and if you walk down the supplement aisle, you’ll find there is no shortage of vitamin D products.
What a lot of people don’t know is that vitamin D is produced in our own bodies when UV light contacts the skin. So if we’re not out in the sun regularly, chances are we could be vitamin D deficient. Vitamin D is a big deal because it helps our bodies absorb and regulate calcium and other really important minerals.
Let’s pause and focus on calcium for a moment. It is the most abundant mineral in the body. It is involved with every muscle twitch, every nerve signal, every heartbeat. It is an antioxidant that helps fight inflammation. Calcium plays a major role in the blood clotting process, and it helps regulate other hormones and systemic processes in the body. 99 percent of our body’s calcium is stored in bones and teeth. From a dental professional’s perspective, it’s impossible to have healthy oral hard and soft tissues without calcium.
So even though you feel that venturing outside might turn you into a character from Raiders of the Lost Ark, make sure to get a little sun every day. Remember that symptoms of calcium deficiency can include numbness in the extremities, fatigue, anxiety, cramping, irregular heartbeat, and of course, weakened enamel, cavities, and gum disease.



By Branden DuCharme, AWMA®

Your financial advisor is likely one of the most trusted people in your life. His or her advice can make or break your financial future. Have you stopped to ask yourself, “How can I tell if my “advisor” is even an advisor? Am I unknowingly taking advice from a smooth-talking salesman that may not have my best interest in mind?”
The heart of the matter is that under the new regulations (as of 2020) issued by the Securities and Exchange Commission (SEC), many professionals that have referred to themselves as advisors (and may even continue to do so) are not actual advisors. This has significant implications for you as the investor.
Relying on an “advisor” who is a bad actor at worst and ignorant to the rules at best is not an ideal range you’d like to be in when seeking financial guidance and instruction that can change the financial outcome of your life. So how can you identify whether or not your financial advisor is truly and legally an advisor? Simple. Search their name and state on the SEC’s Investment Advisor Public Disclosure (IAPD) website. If their name isn’t publicly available in the database, they are not registered with the SEC as an investment advisor.
What is the big deal about having a true advisor? The answer is two-fold. First, investment advisors who are properly registered with the SEC are held accountable by the government for their conduct, principally in maintaining their fiduciary obligation to you as the client. This means they must always seek your best interest, even before their own. If someone is calling themselves an advisor but isn’t qualified and doesn’t have accountability, that is concerning.
Second, without the legal fiduciary standard in place, there is little to no check on whether or not the financial products they are recommending (selling) to you are in your best interest, and the high commissions those products may offer can introduce significant (and often undisclosed) conflicts of interest.

If someone is truly a financial advisor, what would your relationship with them look and feel like? Each person’s experience will be different, but I encourage you to consider these points:
• Advisors with long-term relationships and your success as their primary objectives likely will not be putting you in high-pressure situations or forcing you to make decisions without taking time and care to help educate you about options.
• Advisors should be considering as many facets of your financial life as possible to gain an understanding of the interactions between them and to make recommendations. This includes things like your health, family dynamics, legacy goals, job security, career path, emotional capacity for risk, financial literacy, projected expenses, and general goals. In short, advisors should be spending time asking questions and seeking to truly understand your situation and desires.
• Advisors should be transparent about their processes and how they are compensated. As the client, you will typically be paying the advisor. If you are not paying your advisor a fee, ask yourself these questions: Who is paying my advisor and am I okay with that conflict of interest? Hint: The answers are often insurance companies and/or mutual funds, among others.
I write this so bluntly because I see the prevalence of this in my own community and have witnessed the damage it has caused investors and families when they unwittingly placed their trust in someone that has knowingly or unknowingly misrepresented themselves.
To be clear, there are some wonderful financial professionals that are not financial advisors; they do wonderful things for their clients and have their clients’ best interests in mind. Even in that scenario, it is still fair to ask, “Is the advice in my best interest, is it complete and thorough, and am I okay with any conflicts of interest?”
Disclaimer: The opinions voiced in this material are for general information only and are not intended to provide specific advice or recommendations for any individual. Investing involves risk including possible loss of principal. No strategy assures success or protects against loss. To determine what is appropriate for you, consult your financial professional. This information is not intended to be a substitute for specific individualized tax or legal advice. We suggest that you discuss your specific tax or legal situation with your tax and/ or legal professional. DuCharme Wealth Management & SCF
Local office: 50 E 100 S, Suite 300, St George, Utah 84770. 435-288-3396. www.DuCharmeWealth.com













Pizza/Pasta Factory
Pasta Factory: 2 W. St. George Blvd. #8, St. George, UT 84770 | 435-674-3753
Pizza Factory: 2 W. St. George Blvd. #8, St. George, UT 84770 | 435-628-1234
Pizza Factory Express: 1930 W. Sunset Blvd., St. George, UT 84770 | 435-634-1234
Pizza Factory Pineview: 2376 E. Red Cliffs Dr., St. George, UT 84790 | 435-688-2656
Pizza | Pasta | Dine-In | Take-Out | Salad Bar | $$
Delivery available at Pine View location only
Mon.—Sat at 11:00 a.m.
The Pasta Factory, with its year-round, climate controlled outdoor patio dining wows with custom-made pasta, soups, sandwiches and salads. The Pizza Factory offers three locations with the best and freshest salad bar in town; homemade soups, sandwiches, famous bread twists and Southern Utah’s favorite pizza combinations.



Angelica’s Mexican Grill








101 E. St. George Blvd., St. George, UT 84770 | 435-628-4399
Mexican | Vegetarian and Vegan Options | Family Friendly | $
Mon.–Sat., 11:00 a.m.–9:00 p.m.; Closed Sun.
Located Downtown on St. George Boulevard, Angelica’s Mexican Grill serves fresh, made from scratch authentic Mexican food. The flavor driven and nationally recognized menu provides everything and more that you would expect from a Mexican restaurant, including street tacos, Mulitas, Tortas, Sweet Carnitas, Machaca, and their famous salsa bar. Vegan and Vegetarian dishes are always available. Seating is available inside and also outside on the spacious patio. Catering & To-Go ordering available.


fire department. The fire department was given the hidden key information. They assisted and cleared.
Richard fell and was unsure of his injuries. He was breathing but had a cut on his hand. Instructions were given on how to control the bleeding. Cindy (his daughter) was called to help. Once on the scene, she requested additional help. EMS responded, assisted, and cleared.
Shirley fell but was alert and breathing. Sue (her daughter) was called and reported no bleeding. Hospice was You may ask, “What can Rescue Alert of Dixie do for me or my loved one?”
First, they help provide independence. They help you to continue to live where you want to live and do the things you like to do.
Second, they provide peace of mind for those who wear the alert button and for those who care about them.
Third, they provide a variety of services to meet your needs that are customizable to your situation. They have in and around the home systems, mobile systems with GPS that work everywhere, fall detection options, and monitored medication dispensers.
What are some things that make Rescue Alert of Dixie different from their competitors?
Some of Rescue Alert’s competitors will only call 911 every time the button is pushed. Some have buttons that do not work outside of the home. Some have buttons that are not waterproof. Some never test their buttons with you; the only time you will know if it works is when you actually need some help, leaving you to trust that the button is charged and will connect to the response center.

called. The hospice nurse responded and assisted. There was no need to transport. Sue reported that Shirley was fine and no other help was needed.

Some companies’ response centers may not be in the U.S., so you may not be able to understand the person on the other end of the line when you are in need of help. Many response centers are not certified, and some companies purchase their units from overseas.
Here are a few examples of calls for help that Rescue Alert of Dixie response centers received in the past week:
Mary advised that she had fallen and needed help. Her first responder Jim (a friend) was called to help her get up. Jim arrived and assisted her; nothing further was needed.
Connie slipped and fell in the bathroom and hurt her lower back. She was breathing. Her first responder Julie (a neighbor) arrived on the scene and requested EMS. EMS assisted and transported Connie to the hospital.
Joan advised that she had fallen out of bed but was not injured. She requested that a call be placed to the

Other things that make Rescue Alert of Dixie different from their competitors:
• They manufacture their own units in Utah and have been doing so for over thirty years.
• They have two Emergency Medical Dispatcher (EMD) certified response centers, one in St. George and one in South Jordan, Utah.
• They have no long-term contracts.
• They give personalized service and test your system monthly,
• Their rates are very, very good! Shop local!
Experience Independence and peace of mind for you and your family with Rescue Alert of Dixie. Call 435-986-1735 or visit their website at www.rescuealertdixie.com.




By Erin Del Toro, Registered Clinical Hypnotherapist, ACHE

I have always felt a change in the air that begins when school starts and lasts all the way through the end of the calendar year. When I was growing up, this time of year was a time of excitement for me, cued up by the first day of walking into my new classroom. I haven’t been in school like that for years, and I have no children at home, but to this day, as I see the the children walking to the bus stop, ready to hit the books again, I can’t help but feel a giddiness that stays with me all the way through the holiday season. The air seems filled with magic every day.
There’s a term for this: associative regression (AKA revertigo). Though it is most known for the phenomenon we witness when someone we know starts to act like a younger version of themselves when around family or old friends, it

can also happen with times of the year, dates, locations, smells, foods, and sounds (the latter three are also referred to as the Proust Effect). In my professional experience, it is all coming from the same place: dormant or resting neural pathways of the mind being triggered by an outside source to turn back on again. Upon sensing the outside stimuli, the pathways are activated again, and emotions from the past are involuntarily awakened.
Having happy feelings from the past suddenly show up in your life can be a lovely result of the above occurrence, but in some circumstances, unwelcome, very unpleasant sensations and emotions can be evoked by associative regression. You can probably think of at least one situation in life that seems to get to you more than it should. If the emotions triggered by a response are negative, it’s not always easy to control the feelings that come out simply by wanting them to go away or trying to think happy thoughts.
a pretty impressive job of giving us the answers that lead to change.
In my practice, I find that many of these changes to the brain happen in very minute, barely-noticeable events that lurk somewhere in memories that very few of us would attribute to being the moment our minds started running differently. They can be things as small as the moment your five-year-old self felt pushed out of a group of siblings or the moment you dropped your ice cream cone on the ground for the second time and thought, “I ruin everything.” Of course, they can also come from larger traumas as well.
When you bring strong feelings together with thoughts about yourself and your environment, neurons fire and wire together with much more power. Stronger neural pathways will overtake old thought processes. The old pathways will become weak and will eventually atrophy to the point that you won’t use them much at all.
Answers can be found by exploring your life to determine the length of time these patterns have been going on consciously.
Sometimes the neural pathways of the mind have been so conditioned to act a certain way that they are stronger at times than our will to make things feel better.
When you are struggling with a situation that evokes negative feelings that seem out of your control and you’re trying to find an effective solution, it’s time to look deeper at why your neural pathways continue to pattern the way they do. Answers can be found by exploring your life to determine the length of time these patterns have been going on consciously. Thus begins your journey to change and rebuild these patterns. However, to clear off the trigger, it’s important to find and release the moment that your brain programmed those feelings into existence, the event (large or small) that was the catalyst for the recurring pattern. This is done most easily when you utilize the power of the subconscious.
In hypnotherapy, we are able to ask the semiconscious mind to find the moment where the pattern first began, and it does
When enough emotion is attached to a newly introduced negative feeling, the label that you put on yourself and your temporary situation can become a permanent situation. In hypnotherapy, you see it for what it really is. You are able to challenge the old feelings and thoughts, reframe them with reality, and realize that you are no longer in that situation, thereby releasing yourself to experience a more free type of living.
It is no surprise that I recommend hypnotherapy for this type of change. As your hypnotherapist, you and I can get right to the root of the problem—no monkeying around. However, if you are averse to hypnosis, you’re in good company; I used to be, too. But that’s a story for another day.
Hypnotherapy in my office is a very relaxing, healing experience where I do my best to help put you in touch with your inner self and recognize that you have more control over your mind than you realize. But if it is not for you right now and you still want to begin exploring your subconscious,

Erin Del Toro is an ACHE Registered Clinical Hypnotherapist and owner of Balanced Modern Hypnotherapy. She’s passionate about changing the effects of trauma, rewriting unwanted habits and behaviors, and helping others unlock the power of their true potential. Erin lives in St. George with her twin daughters and enjoys participating in the ninja warrior sport and playing in the beautiful outdoors of southern Utah.
there are other therapies and treatments you can utilize: breathwork, yoga nidra, ketamine treatments, and other alternative medicines can also offer you a way into this sacred space of the brain.
I also recommend trying some self-hypnosis. Lie down and breathe deeply; you may consider listening to a yoga nidra recording to help yourself relax as deeply as possible without sleeping. Imagine the feeling or predicament you are looking to change and then ask yourself, “When is the first time I felt this way?” Let your mind trace back. You may be surprised at what you find.
In hypnotherapy, we do the work together to help resolve that point, then let your mind explore and implement new options. What could it feel like instead and what will it feel like now?
I wish you success and restoration as you explore, discover, and release the feelings that you recognize are no longer working for you. As you continue this practice, your journey forward will be so much more simple and clear.
If you would like more information on hypnotherapy, please visit balancedmodernhypnotherapy.com, text or call Erin at 435-429-2560, or email her at erindeltoro@gmail.com.

By Brigit Atkin
Do you ever choke on your words? Do you feel you have to lie in order to get your way? Do you dread making decisions? If any of these questions resonate with you, your throat energy may be out of balance.
What is throat energy? It is the spiritual and energetic component that gives energy to your voice, thyroid, neck, ears, shoulders, cervical spine, hypothalamus, jaw, tonsils, and esophagus.
I often have clients who will tell me they are in the midst of making big life decisions and find they are afraid to do anything. They feel stuck. When I ask them if they are clearing their throat a lot, I usually get an affirmative answer. This tells me that their throat isn’t balanced, and as a result, their mind and heart are not connected. If a person is too much in their head, their
decisions might make logical sense but won’t feel quite right. If they are too much in their heart, they are being led by emotion only and not using common sense. Either way, a decision they make will not bring the desired outcome.
A sluggish metabolism may also indicate a throat imbalance since your thyroid is nourished and energized by throat energy. If you find yourself struggling to lose weight, consider that the physical body follows the spiritual body. If the spiritual aspect of your throat is lacking, the physical parts of that area of the body will respond accordingly.
If you feel that your throat is out of balance, listed below are some helps to getting it back into shape:
• Visualize or wear the color blue; this is the energetic color of the throat.

• Let others speak while you listen.
• Know what to share and when to remain silent.
• Make decisions that feel really good and right.
• Express your talents and gifts to the satisfaction of yourself and others.
• Notice the signs of a healthy thyroid, including stable body temperature and the ability to lose weight.
• Feel muscle tightness in your neck and shoulders relax and subside.
• Transform and heal.
• Have greater confidence when you speak.
• Adjust well to new situations.
• Notice healing in the teeth, jaw, and gums.

Instead of this unhealthy attachment, see if you can attach your happiness to a Higher Power, to God. See what changes.
Once you’ve retrieved your personal remote by accepting reality, now you must use it to navigate to your own happy channel. This sounds easy, but as we all know, it is not. Here is something that helps me and that I also use in my practice. As I begin working with a client, I accept the reality that I am not the one responsible for their healing; they are. I do my very best for that client, and when we are finished with the session, I tell them, “Now is the fun part; it is time to see how it all unfolds.” I then let go of the outcome. I check in with the client several days later, but I don’t carry around the worry of the outcome. I’m grateful for the experience of working with them, and I trust that all will work out. And it always does.
• Listen to the musical note G.
• Sing, hum, or chant.
• Spend time outside enjoying the blue sky.
• Do deep breathing exercises.
• Exercise, especially tai chi or chi gong.
A very wise man, Gordon B. Hinckley, once said, “Anyone who imagines that bliss is normal is going to waste a lot of time running around shouting that he’s been robbed. The fact is that most putts don’t drop, most beef is tough, most children grow up to just be people, most successful marriages require a high degree of mutual toleration, and most jobs are more often dull than otherwise. Life is like an old time rail journey…delays, sidetracks, smoke, dust, cinders, and jolts interspersed only occasionally by beautiful vistas and thrilling bursts of speed. The trick is to thank the Lord for letting you have the ride.”
• Gargle with salt water.
• Eat blueberries, kelp, or any fruit or vegetable with a high water content.
• Drink lots of water, warm herbal teas, and soups.
• Speak truthfully.
• Listen to others with an open mind and heart.
• Write down your thoughts and frustrations in a journal.
You will know your throat is balanced when you:
• Speak up when it’s appropriate.
Take back the remote control to your happiness. Safeguard it because your happiness depends on it. Be grateful in any circumstance, for this is a very important button in the drama of life. You have the power to choose what you tune into, what you turn down, what you change, and what you record for future viewing. You can choose to be happy. To paraphrase what I tell my clients, now is the fun part. See how it all unfolds: do the best you can, let go of the outcome, let a Higher Power be your guide, and trust that all will work out. It always does.
About the Author Brigit Atkin–Brigit of Brightworks helps improve the lives of others facing challenges and difficulties. She is certified in the SimplyALIGN™ method and was trained by founder Carolyn Cooper herself. For more information, visit www. brightworksbybrigit.com.
About the Author Brigit Atkin–Brigit of Brightworks helps improve the lives of others facing challenges and difficulties. She is certified in the SimplyALIGN™ method and was trained by founder Carolyn Cooper herself. For more information, visit www. brightworksbybrigit.com.
Your throat is your power. If you were a computer, it would be your motherboard. It is your connector with your mind and heart. It is the part of you that brings your dreams into life and enhances your connection with others. It is through your throat that you will transform into a better version of your current self. Use this power to express love, gratitude, truth, ideas, uplifting thoughts, solutions, and knowledge. Implementing these practices will bring healing into your body and your life and will encourage others to do the same.




By Scott Allen, MD, Medical Director, Satori Health and Wellness


About the Author
Dr. Scott Allen is a St. George-raised, boardcertified anesthesiologist. He has specialty training in transplant anesthesiology and currently practices with Mountain West Anesthesiology at St. George Regional Hospital. He is also the medical director of Satori Health, an integrated ketamine clinic (www. theketamineclinic. com). Dr. Allen is the past president of the Washington County Medical Association. With his deep roots in Utah, he has a special passion for improving the mental healthcare of his friends and neighbors in the community. Dr, Allen enjoys outdoor pursuits with his family and communing with nature. He’s doing his best to stay grounded in the moment!
It’s no secret that, for most of us, sleep is one of the most important factors in our quality of life. At one point or another, most people will experience some form of insomnia. This may be due to life stressors: school, babies, relationships, and careers. It may also be the result of our own less-than-ideal habits: screen time before bed, excess alcohol, sedentary lifestyles, and more. Medications can help us fall asleep, but most medicines have side effects. Additionally, medications might help us to fall asleep, but the sleep quality tends to be poor.
Often, our anxiety about sleep quality feeds on itself. If we are anxious about sleep, the ruminating thoughts keep us from sleeping, creating more anxiety about sleep, perpetuating the insomnia cycle. That’s why changing our mindset about sleep is the first-line treatment in sleep disorders. One method that is gaining popularity amongst sleep doctors is Sleep Restriction Therapy (SRT).
The name is somewhat confusing as its goal isn’t to restrict sleep but rather, to restrict time in bed awake. The more time spent in bed awake, the less overall sleep you’ll get. Sleep Restriction Therapy increases your sleep efficiency. Academic studies are piling up to show that SRT can be one of the most effective interventions in curing insomnia. The goal of this method is to sleep more than 90 percent of the time you’re in bed, thus reducing your anxiety about sleeplessness.
1. Record your average sleep time. Every day for one to two weeks, record the time you spend in bed, and estimate the length of time you sleep.
• If you’re in bed for nine hours but only sleep for six hours, your sleep efficiency is 67 percent.
• If your sleep efficiency is less than 85 percent, proceed to the next step.
2. Wake up at the same time every morning. Set an alarm and wake up at that time no matter what. Then adjust your bedtime to your average sleep time.
• If your average sleep time is six hours and you wake up at 7:00 a.m., set your bedtime to 1:00 a.m. This may seem counterintuitive, but trust the process.
• Do not nap during the day, and keep a record of screen time, coffee, alcohol, and exercise. These all factor into your overall quality of sleep.
• Keep this schedule for at least two weeks.
3. Continue your sleep diary to calculate sleep efficiency. As you limit your total time in bed, your sleep efficiency should start improving.
• If your sleep efficiency is less than 85 percent and you don’t feel sleepy during the day, adjust your bedtime fifteen minutes later. So if you wake up at 7:00 a.m. and have been going to bed at 1:00 a.m., go to bed at 1:15 a.m. Only adjust your bedtime by fifteen minutes per week, and don’t stay in bed less than 5.5 hours, even if you’re not sleeping well.
• If your sleep efficiency is greater than 85 percent and you are still sleepy, add fifteen minutes of sleep. So if you’re going to bed at 1:00 a.m. and waking up at 7:00 a.m., go to bed at 12:45 a.m.
Eventually, you should be able to increase your total sleep time to seven or eight hours. Improving your sleep efficiency improves your circadian rhythm and sleep architecture and should improve your overall quality of life. Of course, health factors, such as sleep apnea, need to be evaluated by a sleep specialist. But for most people with anxiety-related sleep disturbances, Sleep Restriction Therapy should make a huge difference.
Sweet dreams!

By Chris Eschler, Health and Well-Being Life Coach
Are you unable to experience happiness? Are you tired of feeling unsettled or discontented? We all yearn for happiness, completeness, and fulfillment in life. While occasional dips into hopelessness and despair are common when life throws hardships our way, for some, these feelings loom larger and persist longer. There are those who are more resilient and are able to course correct, but others struggle with deep-seated feelings of inadequacy. They find making even the most simple decisions incredibly challenging. Thus, they have a harder time building confidence to succeed.
Learning how to love who you are will help you build confidence and resilience. You may not always have all the answers, but when you “love you,” you will trust in your ability to course correct, even when you haven’t handled something the way you would have wished.
Isn’t loving you narcissistic? There is a tendency to believe that loving yourself is a bad thing. When you were growing up, you may have heard someone called “cocky” or heard them described as “having a big ego,” implying that they were arrogant, conceited, or braggy when they were merely showing confidence. Loving you is not about being self-absorbed. It’s about extending yourself grace and treating yourself as well as you would treat others.
Loving you helps you to live life more fully. You are optimistic, happy, more energized, and able to weather the storms. If you are a person who struggles to love yourself, the following ideas may be helpful:
Embrace love and light in your life.
• Commit your spirit to be open to absorbing an abundance of good and positivity.
• Spend time with loving people who uplift and buoy up.
• Read good books, and listen to uplifting music.
• Pause and reflect on what you are grateful for.
• Stop to listen to the birds chirp, and give appreciation for nature.
• Give compliments frequently, and accept them from others.
• Watch for moments to serve daily. It doesn’t need to be overwhelming. It can be as easy as holding the door for someone or offering to carry someone’s bag.
• Pray continually for blessings for yourself and others. As you embrace love and light, it will begin to shine from within and extend to others.

Apply forgiveness and look toward the future. Forgiveness is a powerful tool for emotional health. Negative emotion wreaks havoc when trapped within the body. When you carry emotional pain, resentment, or anger, it is equivalent to carrying around toxic baggage. The emotional weight affects your mood, relationships, and physical health. It’s impossible to be genuinely happy when you can’t forgive yourself or another person. By practicing forgiveness, you are more than letting go of past grievances; you are freeing yourself from the burden of negative residue, which is hindering your personal growth and happiness. Take time at the end of each day to reflect on personal mistakes, make amends, let go of grievances, forgive, and look toward the future. Be open to love.
Talk honestly with yourself all day long. Loving you requires genuine honesty. Ditch the silly affirmations that feel empty or disingenuous. While they have their place, your internal dialog needs to align with your beliefs and feelings. Being honest with yourself means acknowledging where you are at, what you genuinely need to work on, and when you should celebrate. Use supportive and encouraging language with yourself throughout the day.
Focus on the process and the effort. Rather than putting energy toward affirmations that feel out of reach, celebrate your efforts to overcome challenges. Acknowledge your courage, resilience, and adaptability. This will build confidence authentically, which causes more growth and more loving you!
The following is an example of loving you self-talk:
Before a new experience: “You are very brave to accept this new challenge! Staying calm and relaxed will help you to do your best. Focus on your breathing, and you will do great!”
During a new experience: “This is super out of your comfort zone; you are so brave for putting yourself out there! You are doing it! What an opportunity for growth!”
After a new experience: “That was hard for you, and yet, you handled that really well! It may not have been perfect, but you adjusted to the obstacles as they came along and stayed calm throughout. This is a big step for you! Next time around it will be easier!”
Happiness is yours to have! While your natural self may tend to ruminate on self-defeating thought processes, over time, you can change your inner dialogue to become light and happy if you are willing to give yourself grace, compassion, encouragement, and support. Talk kindly to yourself and love you!
Chris Eschler earned a BS in Marriage and Family Sciences at Brigham Young University-Idaho. As a life coach at Ascend Counseling and Wellness. Chris works with individuals to develop their skills and provides a safe, accepting environment for exploring a wide range of thoughts and feelings. Chris knows that you are the expert of your life and that she is simply a guide. She currently sees couples with her husband, licensed therapist Matt Eschler. Together they assist couples with all couples issues, specializing in high conflict couples work. To schedule an appointment with Chris for life coaching, call Ascend Counseling and Wellness at 435-688-1111 or visit https://ascendcw.com/.


Stress, the physical or mental response to external causes like overwhelming work assignments or difficult life moments, can add unnecessary pressure to your day-to-day life. While everyone feels stress from time to time, when left untreated or unrecognized, it can begin to wreak havoc in the form of anxiety.
Consider these strategies to combat stress from the National Institutes of Mental Health.
Learn Your Triggers
Different events and situations cause stress for different people. Knowing what triggers your stress to kick in—mounds of office paperwork, important financial decisions, or hectic mornings, for example—can help you plan and prepare for stress-inducing moments.
Maintaining physical health can be beneficial for mental health, too. Find time to do exercises you enjoy like walking, jogging, yoga, or playing a sport. Identifying activities that bring you joy can make it easier to fit thirty-to-sixty-minute workouts into your schedule without adding even more stress. Complement your workout routine with nutritional meals that help you stay on track with your fitness goals.
Practice Relaxation
Whether you find inner peace through journaling, breathing exercises, reading, or some other form of slowing down, find what works for you and prioritize fitting it into your daily schedule. Relaxing activities help you slow down the pace of life, providing a chance to reset by doing something you enjoy.
Get Enough Sleep
A lack of quality sleep can add to stress. Creating a bedtime routine can increase your sleep habits and help you achieve the expert-recommended seven to nine hours per night. Put away electronics, which can interfere with your ability to calm your mind, and find an activity that puts you at ease like reading a book or listening to relaxing music. Ensure your bedroom is optimized for comfort by making it cool, dark, and quiet.
Create a Network of Support
Everyone experiences stress. Reach out to family members and close friends you can lean on in stressful and frustrating moments. Share your feelings and encourage others to do the same, which can increase trust and help everyone in your circle cope in a positive way.
Find more ways to combat stress and care for your mental health at eLivingtoday.com.
(Article courtesy of Family Features)

By Mitchell Stoker
Cooler temperatures during the fall season make it the perfect time to get outside, increase the physical activity your body needs, and enjoy the outdoor sports you set aside during the heat of the summer: golf, pickleball, tennis, hiking, and many other activities.
Here are four ways oxygen therapy can help you feel your best for fall fun:
One of the key benefits of hyperbaric oxygen therapy (HBOT) is that it can increase the oxygen in the body’s tissues. The increased pressure in the oxygen chamber allows the oxygen to dissolve into the plasma and reach areas that may lack blood and oxygen flow. Additionally, oxygen is a natural anti-inflammatory. Reduced inflammation and improved oxygen flow allows the body to heal, regenerate, and recover up to 80 percent faster.
Flint, a fifty-one-year-old off-road enduro motorcycle rider and racer, recently had an ACL surgery. His healing time was accelerated with ten hyperbaric oxygen sessions. Three weeks post-op, Flint’s knee had zero swelling and almost 100 percent flexion! His physical therapist told him it was the best looking knee he had seen during his career.
HBOT has been shown to reduce inflammation and promote tissue regeneration, which can help reduce pain and improve the body’s response and recovery after physical activity.
JD suffered from low back pain that kept him from being active. Every time he played pickleball, he would wake up the next morning in pain. He tried multiple therapies to find relief. Some would reduce the pain for a few hours,
but nothing kept the pain from returning. After six sessions of HBOT, JD’s pain is minimal. What is more, he has been able to increase the amount of time he spends playing pickleball.
Judy loves the outdoors. Hiking, biking, swimming, and skiing are some of her favorite activities. However, two and a half years ago, she had surgery to remove veins in her left leg due to blood circulation and clotting issues. The surgery went well, but the doctor told her she would never be able to fully bend her knee again. This meant that the outdoor activities in which she could participate and her fun with her grandchildren would be limited. However, after just eight sessions of HBOT, blood flow to Judy’s knee improved, and she was able to bend her knee. Judy is now able to participate in all of the outdoor activities she loves.
Sleeping allows our bodies to recharge both physically and mentally, giving us the energy we need for all of our daily activities. One of the primary reasons
people experience sleep disorders is that the oxygen supply to the body is reduced. HBOT helps increase the amount of oxygen in the body, which, in turn, improves the quality of sleep.
Brendan suffers with an autoimmune disease that causes nerve pain and makes sleep difficult. To combat the pain and insomnia, Brendan took pain medication and sleeping pills. After fifteen sessions of HBOT, Brendan was able to discontinue his medications and is now experiencing the best sleep he has had in years.
If you are experiencing pain and inflammation, if you are having a difficult time healing after an injury or surgery, or if you would love to feel your best so that you can take advantage of the beautiful fall weather, then hyperbaric oxygen therapy might be for you. This fall, get more oxygen! Make this a season of fun: have a little friendly competition on the courts, spend time with friends on the green, or take a hike to watch the sunset. Your body, health, and mind deserve it.
For more information about hyperbaric oxygen therapy or to schedule an appointment for your HBOT, call Hyperbaric Red Light at 434-525-3267 or visit their website at hyperbaricredlight.com.
About the Author
Mitchell Stoker is the co-owner and certified hyperbaric technician at Hyperbaric Red Light, an oxygen and red light therapy spa. He helps individuals biohack their way to better health.

Plants help clean the air and remove air pollutants. This will help create a better environment for oxygen intake. Spider Plants, Snake Plants, and Pothos are great plants that are easy to care for.
Relax your shoulders. Inhale through your nose for two seconds. Focus on filling your abdomen with air instead of just your lungs. Purse your lips like you’re blowing on hot food and then breathe out slowly. Take twice as long to exhale as you did to inhale. Repeat this for five to ten minutes in a quiet setting.
Studies show that beetroot juice may lower blood pressure and increase blood flow. This increases oxygen uptake and stamina, which can help you stay active longer.

Americans face a lack of social connection that poses a significant risk to individual health and longevity. According to a recent report by the U.S. Surgeon General, “Loneliness and social isolation increase the risk for premature death by 26 to 29 percent. More broadly, lacking social connection can increase the risk for premature death as much as smoking up to fifteen cigarettes a day.”
One way to address this epidemic of loneliness is by sharing a meal with friends and family. Listed below are five of the specific advantages of family meals identified by the Family Meals Movement. Take advantage of these benefits during National Family Meals Month this September by sharing one more meal with your family each week.
Staying connected can be hard when schedules conflict and life gets busy, but shared meals with friends and family can be the glue that holds people together. Studies demonstrate a positive relationship between family meal frequency and measures of family functioning, which is defined as family connectedness, communication, expressiveness. and problem-solving. The key is for family members to engage in conversation with one another during mealtimes and take advantage of the one-on-one time without distractions or interruptions from smartphones or other devices.
An often overlooked benefit of family meals is mental health support. Multiple studies show family meals have long been associated with improving mental health, including reducing symptoms of depression, decreasing violent behavior, and lessening thoughts of suicide among youth. Among adolescents, frequent family meals can help mitigate the risks of destructive behaviors by boosting prosocial behaviors and life satisfaction. Data from the FMI Foundation’s Staying Strong with Family Meals Barometer shows family meals also help restore a sense of peace, with one-third of survey respondents saying family meals make them feel calm. In
short, family meals are a recipe for strengthening emotional wellbeing among children and adolescents.
Meals Together Improve Nutrition
There is one easy way to help ensure your family is eating fruits and vegetables: a family meal. Research shows family meals improve fruit and vegetable consumption. It also pays to start this trend early, with research finding preschool-aged children who eat frequent family meals are more likely to eat more fruits and vegetables. Overall, research indicates families who eat together frequently have a better overall healthy diet and lower body mass index.
Helping students’ academic performance begins around the family dinner table. Multiple studies show students whose families eat together frequently perform better academically in areas such as reading and vocabulary. Research also supports a correlation between frequent family meals and lower incidents of risky and harmful behaviors, including drug and alcohol abuse, which may also contribute to school performance.
The family dinner table is a perfect place to show younger generations how to communicate respectfully, according to the Family Meals Barometer summary. In fact, 76 percent of survey participants agreed family meals are a good opportunity to have and teach respectful interactions, while 70 percent said frequent family meals create a safe environment for families to discuss thornier societal issues. Another 68 percent affirmed their belief that sitting at a meal together tends to keep conversations more civil.
Learn more about the physical, mental, and social benefits of family meals at familymealsmovement.org and follow #familymealsmonth and #familymealsmovement on social media.

By Christian
I gasp as I enter the frigid water. My breath slowly normalizes as I adapt to the forty-five-degree cold plunge. My survival instincts take over, and I breathe through the intensity of the cold. I enter the warmth of the sauna and begin the second wave of my session: the fire to balance out the ice. As I sweat, my curiosity tingles with the anticipation of what is next. I feel a wave of endorphins and euphoria wash over me as I wrap up my sauna and cold plunge session.
With my senses heightened and my body activated, I’ve never felt so alive. Even though I just spent forty intense minutes leveling up, I know the journey is only just beginning. I exit the fire and ice suite and enter the Infinity Room for my ninety-minute float session. Silence. Darkness. Weightlessness.
I am far beyond the seductive pull of screens, the never-ending buzz of notifications, and the constant chaos of the news cycle. No distractions. No spam. Nothing exists beyond the rhythm of my breath, the beating of my heart, and the energetic pulsing of my nervous system.
I float in tranquil waters, weightlessly drifting through the vast expanse of everything and nothing: the pregnant possibility that prefaces creation…the void.
The float tank was designed and engineered to be an isolation experience. Fill up a tank with about a foot of skin-temperature water, add nearly one ton of salt and some tranquility, and voilà— float tank!
The float tank is an environment with no light, sound, temperature, or gravity. Due to the extreme buoyancy of the salty water, it is possible to lay back and float effortlessly. This is called floatation therapy or simply “floating.” It is incredibly relaxing to pause the constant stimulation and endless distractions of the noisy and chaotic world.
Due to its therapeutic effects, the scientific term for floating is Restricted Environmental Stimulation Therapy or REST. There is a whole laundry list of mental, emotional, and physical benefits associated with REST. Freeing the central nervous system from gravity and external inputs is a game changer. From pain relief and recovery to stress reduction and deep relaxation, the float tank is one of the most peaceful environments on earth.

Floating aids in treating mental disorders, like anxiety, depression, and PTSD, while also boosting feelings of well-being and serenity. The feeling one gets from floating is analogous to an incredible massage, a good night’s sleep, or even a full system reset. Floating isn’t just helpful for back pain, insomnia, stress, and burnout; it also provides a unique opportunity for self-discovery that cannot be found anywhere else.
When you enter the tank, the stimulation and distractions of the outer world are eliminated so that you might enter the inner realm of the psyche and explore the YOUniverse within.
To experience the benefits of fire and ice and to explore the float tank yourself, take a trip to True North Float at 1664 South Dixie Drive, Suite D-103, in St. George, Utah. For more information or to book an appointment, visit their website at tnfloat.com or call 435-212-1125.

Article Courtesy of Family Features, Brad Katsuyama, and the Concussion Legacy Foundation
Despite the attention drawn to the topic of concussions over the past decade, it can be difficult to find readily available answers about what parents and young athletes should do after sustaining a concussion.
The Katsuyama family started 2023 without a single concussion, even with quite a few hockey and lacrosse seasons under its belt. That changed when Rylan, age eleven, received two concussions within five months from sports. One week after Rylan’s second concussion, his brother, Brandon, age thirteen, was illegally checked from behind in a hockey game and sustained his first concussion. After clearing protocol in four weeks, he suffered a second concussion six weeks later.
Both boys endured months of headaches, missed school, dizziness, nausea, and the added difficulty of navigating a significant injury peers and adults couldn’t see.
Their father, Brad Katsuyama, co-founder of IEX—a disruptive stock exchange featured in the best-selling book by Michael Lewis, Flash Boys: A Wall Street Revolt—sought out expert opinions to guide his family’s decisions and shared some acquired knowledge to help parents and athletes.
1. Brain injuries should be diagnosed by a concussion specialist.
There is no X-ray, MRI, or CT scan that can show the extent of most concussion-related injuries, which makes diagnosing them subjective. Symptoms can appear days after a hit. For example, Brandon was cleared by the emergency room after his first concussion, but two days later, he failed every test administered by a doctor specializing in concussions.
2. Rushing back to play is one of the worst mistakes you can make.
Experts consistently reinforced that coming back from a concussion too soon can significantly increase long-term brain injury risks. There is likely no tournament, playoff game, or tryout worth this risk. An example of how to return smartly is Patrice Bergeron of the National Hockey League’s Boston Bruins, who sat out an entire year to properly heal from a concussion.
“Patrice had four more concussions over his career, and each one was less severe than the last,” renowned concussion specialist Dr. Robert Cantu said. “That wouldn’t have happened without recovery from the first one.”
3. Parents and kids need to be honest about symptoms. The culture in youth sports praises toughness. Getting your

“bell rung” and continuing to play can be viewed as a badge of honor. However, this same mentality can cause athletes to lie to parents, trainers, and coaches to get back in the game, which can greatly increase long-term risks. Conversely, the same adults can unduly influence a potentially vulnerable player back onto the field of play. Proper diagnosis requires both adults and athletes to be level-headed and honest in their assessment of concussions.
4. Every person and every concussion is different.
One person’s history and experience with concussions seldom carries any relevance to the concussions experienced by another. For example, Katsuyama played varsity football, hockey, and rugby for four years in high school and football in college.
“For the longest time, my definition of a ‘real’ concussion was blacking out, vomiting, or pupils dilating,” Katsuyama said. “My sons had none of those symptoms after their hits, but it turns out the severity of their injuries was far greater than anything I had experienced.”
The Katsuyamas turned to the Concussion Legacy Foundation and the Cantu Concussion Center, in addition to their local concussion specialist, to advise their path forward, which has led them to racquet sports and golf in the near-term and long-term playing no more than one contact sport in a school year. Learn more at concussionfoundation.org.

By Koby Taylor, PharmD
Investing in my health has recently taken center stage in my life. I’ve always been conscious about maintaining a healthy lifestyle, but it wasn’t until I stumbled upon the concept of a parasite cleanse that I truly understood the value of dedicating time to my well-being.
The idea of a parasite cleanse was initially met with skepticism. Parasites seemed like a far-off concern, something you hear about in exotic travel advisories, not something that could be lurking within me. However, I had to pause and consider that maybe, just maybe, my persistent symptoms of fatigue, recurrent colds, and constant general malaise were all signs of a parasite infection. I had to investigate.
The process first began with thorough research. Being a doctor of pharmacology, research is second nature to me. I delved into the types of parasites I could be harboring and the science behind parasite cleanses. I discovered that parasites can indeed reside in our bodies for years, even decades, often going undetected but causing a range of health problems.
The next step was finding a cleanse program backed by credible sources, research, and testimonials.
Embarking on the cleanse was a little daunting. I knew it would require a commitment to complete the cleanse and a willingness to face potential discomfort. The regimen I chose included a strict diet, herbal supplements, a hydration plan, and scheduled colonics to flush out toxins. It’s worth noting that some protocols aren’t as extreme as the one I chose. Some involve simply adding a daily supplement for a few weeks while carrying on with usual activities. I opted for this particular regimen based on its recommendation and proven success.
In my experience, the first few days were challenging as my body adjusted to the diet. Looking back, it was my mind that had a tougher time with the diet than my stomach did.
Within just a few days, I began to notice significant changes: increased energy levels, subsiding digestive issues, and newfound clarity and focus. I also started sleeping better. Yes, trips to the restroom were frequent, and yes, there was some discomfort at times, but nothing like what I initially feared. The protocol lasted for fourteen days, and towards the end of this period as my mind and body began to settle down, it became easier.
If evidence of my increased energy levels and clarity wasn’t enough, there was also physical proof in the form of what I saw in the toilet. I was not only amazed at the effectiveness of the protocol but also shocked to see such organisms living inside me. Moreover, I wondered how long I had been unknowingly hosting these guests.
Research suggests that parasites can live within us for years, even decades. As living organisms, they go through life cycles of procreation and death within our bodies. While a healthy immune system can eliminate some parasites, not all are expelled. If you’ve been feeling weakened, not quite yourself, or suffering from chronic illness, your immune system may be overtaxed, creating a favorable environment for parasite growth.
If you suspect you have parasites, here’s another factor to consider. During my research, I discovered that the moon’s cycle plays a role in parasite activity within the body. Yes, I said the moon’s cycle. Interestingly, the moon’s phases intricately affect your body’s circadian rhythm, influencing the activity and reproduction of parasites. This synchronization with your internal
clock causes parasites to be more active and reproductive during certain phases, such as the full moon. If you find yourself more sleepless, anxious, or experiencing sharp mood swings around the time of the full moon phase, this may be a sign of parasite presence.
My takeaway from this experience is clear: it was worth it, and I am willing to undergo such “scheduled maintenance” again.
Regarding this article, consider it a high-level overview to guide you. By grasping the key points, you might also decide to take proactive steps to evict unwelcome guests that could be disrupting your well-being.
Intestinal parasites invade the body through contaminated food or water or via contact with infected animals or people. They come in various forms:
• Giardia: A protozoan found in contaminated water.
• Roundworms: Spread through soil containing worm eggs.
• Tapeworms: Contracted by consuming undercooked meat or fish.
• Hookworms: Enter through bare feet in contaminated soil.
• Liver Flukes (Fascioliasis): Acquired from ingesting contaminated water or aquatic plants like watercress, leading to liver damage and abdominal pain.
• Lung Flukes: Typically acquired from raw or undercooked freshwater fish, causing cough, chest pain, and fever.

Live Liver Fluke (type of flatworm) under a microscope. In the stool, it may resemble tightly curled tomato skin.

About the Author
• Pinworms: Common in children, often spread through contaminated surfaces.
Recognize these common symptoms:
• Stomach Pain: Persistent discomfort, cramping, or bloating.
• Diarrhea: Frequent loose stools or changes in bowel habits.
• Fatigue: Persistent lack of energy.
• Weight Loss: Unexplained weight loss or inability to gain weight despite eating.
• Nausea and Vomiting: Queasiness, especially after meals.
• Brain Fog: Difficulty concentrating or thinking clearly.
• Sleep Issues: Insomnia or disturbed sleep.
• Anal Itching: Especially in pinworm infections.
Research suggests there are links to conditions like Hashimoto’s thyroiditis, multiple sclerosis, autoimmune disorders, chronic inflammation, and some cancers. Mood swings, depression, and hormonal disruptions have also been associated with parasitic infections. See my website for links to these studies.
Initially associated with travelers and certain dietary habits, everyone is susceptible. A compromised immune system may increase vulnerability.
• Hand Hygiene: Wash hands thoroughly.
• Cooking Practices: Ensure meat and fish are cooked well.
• Water Quality: Use filtered or bottled water.
• Raw Foods: Be cautious with raw fruits, vegetables, and salads.
A stool sample can diagnose parasites. Treatments include prescribed medications like albendazole, mebendazole, and praziquantel. Herbal remedies like garlic, wormwood, black walnut, oil of oregano, cloves, and raw pumpkin seeds are also used.
Regularly monitor gut health with good hygiene and cautious dietary practices. Seek medical help for diagnosis and treatment if suspecting parasites.
By staying informed and proactive, you can safeguard your digestive health and overall well-being from potential parasitic infections.
Koby Taylor, PharmD, is the owner and pharmacist of Fusion Pharmacy. Working as a retail pharmacist early in his career, Koby began to see that pharmacy patients needed to have access to available alternative medications. He realized that pharmacy in its truest form is compounding, and he wanted to be able to provide patients with customized medications. He also desired more personalized interactions with patients in order to truly help their health and well-being. To fulfill his passion for improving the health of patients and educating them about compounding, Koby opened the doors of Fusion Pharmacy in 2013. Today, Fusion is nationally accredited with PCAB. It is licensed in and ships to 32 states. Fusion is proud to have two locations to better serve the southern Utah community. Koby graduated from Brigham Young University with a degree in molecular biology in 1995 and from the University of Utah with his Doctorate of Pharmacy in 2000.


By the American Academy of Sleep Medicine
Article courtesy of Family Features
Snoring throughout the night. Gasping for air suddenly while sleeping. Feeling tired after a night of rest. These aren’t just signs of a poor night’s sleep, they could be symptoms of obstructive sleep apnea.
Sleep apnea is a serious sleep disorder characterized by a repetitive collapse of the airway during sleep. Most people with sleep apnea don’t even know they have it. In fact, 80 percent of people with sleep apnea in the United States are undiagnosed, according to research published in the American Journal of Epidemiology.
Experts from the American Academy of Sleep Medicine (AASM) recommend most
adults get at least seven hours of sleep each night without waking frequently. If you have untreated sleep apnea, healthy, uninterrupted sleep can be hard to achieve. When the airway collapses or becomes blocked while you sleep, it causes you to wake briefly—maybe with a snore or gasp for air—to unblock the airway.
Untreated sleep apnea can contribute to long-term health problems, including hypertension (high blood pressure), heart disease, stroke, type 2 diabetes, and depression. Overall quality of life can also suffer. It can lead to a decline in mood, lower work productivity, difficulty
concentrating and making decisions, and an increased likelihood of getting into a traffic accident due to sleepiness.
The disorder may even affect your family and relationships; snoring or poor sleep due to sleep apnea can keep your family members up at night, affect your mood with others, and impact your general decision-making process. Consider this additional information about sleep apnea from Count on Sleep, a collaborative awareness program led by the AASM.
The following are some of the signs and symptoms of Obstructive Sleep Apnea (OSA):
• Snoring or noisy breathing.
• Stopping breathing while asleep.
• Waking up gasping or choking.
• Restless sleep or waking up tired and groggy after a full night’s sleep.
• Insomnia.
• Waking up frequently to use the bathroom.
• Having headaches in the morning.
• Feeling sleepy or falling asleep during the day.
• Having difficulty with memory or concentrating.
• Mood changes or irritability.
• Drowsy driving.
Risk factors for OSA include:
• Overweight or obesity (BMI of more than thirty).
• High blood pressure.
• Neck size of more than seventeen inches for men and sixteen inches for women.
• Coronary artery disease (a type of heart disease) or heart attack.
• Atrial fibrillation or other heart rhythm problems.
• Congestive heart failure.
• Type 2 diabetes.
• Stroke.
• Daytime sleepiness.
If you think you may have undiagnosed sleep apnea, talk to your doctor about your signs, symptoms, risk factors, and concerns. If friends or family members exhibit these symptoms, urge them to talk to a doctor.
Your doctor may screen or test you for sleep apnea, which could include an at-home sleep test or sleep study at an accredited sleep center. If diagnosed, treatment options include continuous positive airway pressure (CPAP) therapy, oral appliance, surgery, or lifestyle changes.
Learn more about how sleep apnea affects health, and take a short quiz to see if you may be at risk at countonsleep.org.
When followed properly, sleep apnea treatment improves breathing, sleepiness, and quality of life. Some people may find the disorder improves through lifestyle changes, such as losing weight, sleeping on their side, or quitting smoking or drinking alcohol. Most of the time, however, other treatment options are necessary, such as: CPAP
The most common and recognized treatment for sleep apnea, a CPAP machine provides a steady stream of air to keep your airway open throughout the night.
Similar to a mouthguard, an oral appliance can be worn at night to prevent the airway from collapsing by moving the jaw forward.
If lifestyle changes, CPAP, or oral appliance therapy don’t work, there are surgical options to treat sleep apnea. They include upper airway stimulation, which uses an implanted device to stimulate a nerve that controls the tongue, moving it forward while you sleep.







