S&CDv17n1-PT_v3

Page 1


APOIO CIENTÍFICO

Volume 17 ● Número 1 ● Janeiro - Março 2025

ARTIGO DE REVISÃO

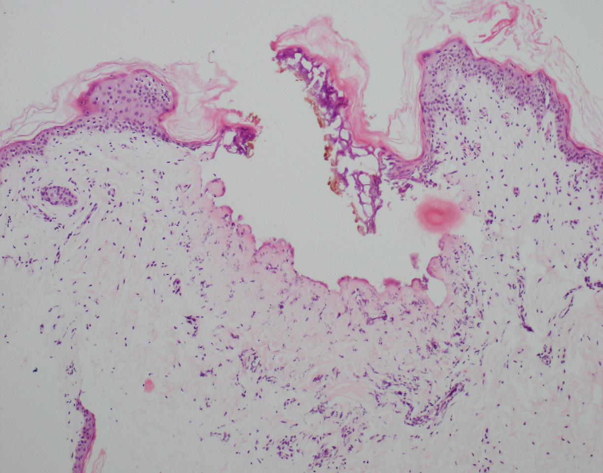
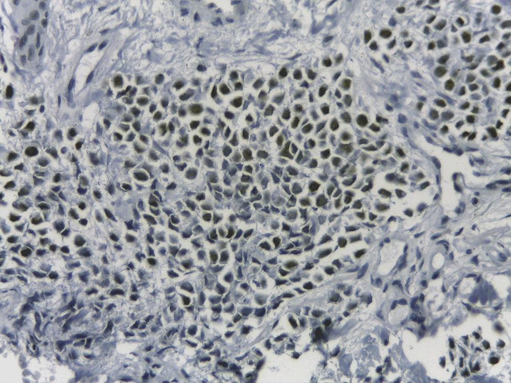
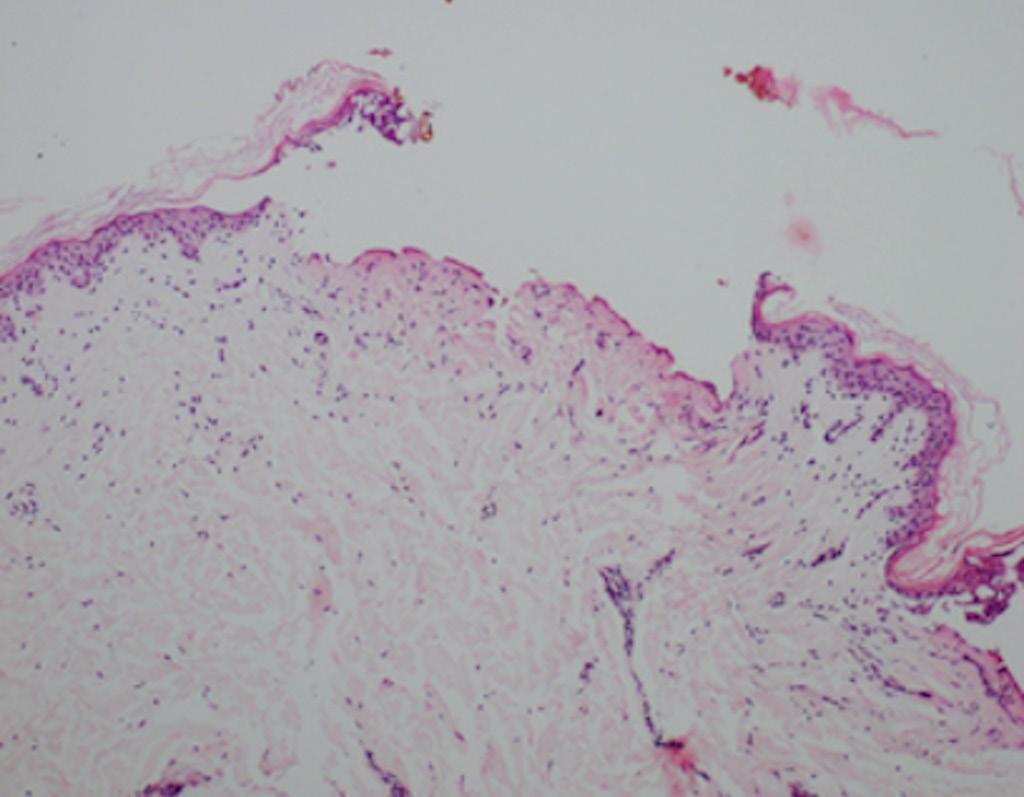
ONTOGÊNESE

DO CARCINOMA DE CÉLULAS DE MERKEL

ARTIGO ORIGINAL

■ Suplementação oral do nutracêutico decarboxicarnosina HCl para rítides e rejuvenescimento da pele

■ Tratamento da síndrome de Parry-Romberg e da esclerodermia linear em golpe de sabre, com aplicação do ácido poli-L-láctico (PLLA): avaliação da resposta clínica e ultrassonográfica de alta resolução

CARTAS

■ Eficácia e segurança de solução de fenol 85% e óleo de cróton 4% no tratamento das verrugas anogenitais do pênis: um estudo tipo prova de conceito

RELATO DE CASO

■ Zetaplastia: uma opção para reconstrução de dois defeitos sincrônicos nasais – relato de caso

■ Oclusão da artéria transversa da face após preenchimento com ácido hialurônico e hidroxiapatita de cálcio: um relato de caso

14 E 15 DE NOVEMBRO DE 2025

CENTRO DE CONVENÇÕES FREI CANECA - SP

REALIZAÇÃO:

www.surgicalcosmetic.org.br

P ublicação trimestral

EDITOR-CHEFE

Hamilton Ometto Stolf Universidade Estadual de Campinas (Unicamp), Campinas (SP), Brazil. Universidade Estadual Paulista, São Paulo (SP), Brazil.

COEDITORES

Bogdana Victoria Kadunc Hospital do Servidor Público Municipal, São Paulo (SP), Brazil.

Célia Luiza Petersen Vitello Kalil Universidade Federal da Fronteira Sul, Passo Fundo (RS), Brazil.

Vitor Costa Fabris Faculdade de Medicina da UNIARP, Caçador (SC), Brazil. Centro de Estudos em Dermatologia Estética, Caçador (SC), Brazil.

Sociedade Brasileira de Dermatologia

Afiliada à Associação Médica Brasileira www.sbd.org.br

Surgical & Cosmetic Dermatology

SUR GI CAL & COS ME TIC DER MATO LOGY

Publicação Oficial da Sociedade Brasileira de Dermatologia Publicação Trimestral

ISSN-e 1984-8773 l Janeiro - Março 2025 l Volume 17 l Número 1

Diretoria executiva | 2025-2026

Presidente:

Carlos Baptista Barcaui | RJ

Vice-Presidente:

Lauro Lourival Lopes Filho | PI

Secretária Geral:

Francisca Regina Oliveira Carneiro | PA

Tesoureiro:

Márcio Soares Serra | RJ

Primeira Secretária:

Rosana Lazzarini | SP

Segunda Secretária:

Juliana Kida | SC

Equipe Editorial

Editor-chefe:

Hamilton Ometto Stolf Universidade Estadual de Campinas (Unicamp), Campinas (SP), Brasil. Universidade Estadual Paulista, São Paulo (SP), Brasil.

Coeditors:

Bogdana Victoria Kadunc Hospital do Servidor Público Municipal, São Paulo (SP), Brasil.

Célia Luiza Petersen Vitello Kalil Universidade Federal da Fronteira Sul, Passo Fundo (RS), Brasil.

Vitor Costa Fabris

Faculdade de Medicina da UNIARP, Caçador (SC), Brasil.

Centro de Estudos em Dermatologia Estética, Caçador (SC), Brasil.

Editores de áreas

Dermatologia Cosmética

Doris Hexsel

Centro Brasileiro de Estudos em Dermatologia, Porto Alegre (RS), Brazil.

Carolina Malavassi Murari

Universidade de Santo Amaro, São Paulo (SP), Brasil.

Laser e Tecnologia

Celia Kalil

Santa Casa de Misericórdia de Porto Alegre - Porto Alegre (RS), Brasil.

Luciana Cirillo Maluf Azevedo

Faculdade de Medicina do ABC, Santo André (SP), Brasil.

Cirurgia de unhas

Nilton Di Chiacchio

Hospital do Servidor Público Municipal - São Paulo (SP), Brasil.

Tricologia

Carolina Fechine

Faculdade de Medicina da Universidade de São Paulo, São Paulo (SP), Brasil.

Luciana Pontes

Clínica Ruston, São Paulo (SP), Brasil.

Cirurgia micrográfica

Felipe Cerci

Hospital Universitário Evangélico Mackenzie, Curitiba (PR), Brasil.

Cirurgia Dermatológica Reconstrutiva

Lauro Lourival Lopes Filho Universidade Federal do Piauí, Teresina (PI), Brasil.

Cicatrização e feridas

Gisele Viana de Oliveira Instituto de Previdência dos Servidores do Estado de Minas Gerais, Belo Horizonte (MG), Brasil.

Luciana Patrícia Fernandes Abbade

Faculdade de Medicina de Botucatu da Universidade Estadual Paulista – Unesp, São Paulo (SP), Brasil.

Cirurgia dermatológica cosmética

Carlos Gustavo Wambier

Warren Alpert Medical School, Brown University, Providence, Rhode Island, Estados Unidos da América.

Diagnóstico por Imagens

Paula Tavares Colpas

Pontifícia Universidade Católica de Campinas, Campinas (SP), Brasil.

Conselho editorial nacional

Alcidarta dos Reis Gadelha Faculdade de Medicina da Universidade Estadual da Amazônia, Manaus (AM), Brasil.

Ana Paula Gomes Meski

Hospital das Clínicas da Faculdade de Medicina da Universidade de São Paulo, São Paulo (SP), Brasil.

Ana Cláudia Cavalcante Espósito Universidade Federal de São Paulo, Departamento de Dermatologia e Radioterapia, Botucatu (SP), Brasil.

André Luiz Simião Pontifícia Universidade Católica de Campinas, Campinas (SP), Brasil.

Carlos Baptista Barcaui Universidade do Estado do Rio de Janeiro, Hospital Universitário Pedro Ernesto, Rio de Janeiro (RJ), Brasil.

Carlos Gustavo Wambier

Warren Alpert Medical School, Brown University, Providence, Rhode Island, Estados Unidos da América.

Carolina Oliveira Costa Fechine Faculdade de Medicina da Universidade de São Paulo, São Paulo (SP), Brasil.

Carolina Malavassi Murari Universidade de Santo Amaro, São Paulo (SP), Brasil.

Emerson Vasconcelos de Andrade Lima Santa Casa de Misericordia do Recife -Recife (PE), Brasil.

Érica de Oliveira Monteiro Universidade Federal de São Paulo – UNIFESP, São Paulo (SP), Brasil.

Érico Pampado Di Santis Universidade de Taubaté – UNITAU, Taubaté (SP), Brasil.

Fabiane Mulinari Brenner

Hospital das Clínicas, Universidade Federal do Paraná, Departamento de Dermatologia, Curitiba (PR), Brasil.

Felipe Bochnia Cerci

Hospital Universitário Evangélico Mackenzie, Curitiba (PR), Brasil.

Flávia Alvim Sant’anna Addor Grupo MEDCIN, Pesquisa Clínica, Osasco (SP), Brasil

Francisco M. Paschoal Faculdade de Medicina do ABC, São Paulo (SP), Brasil.

Gisele Viana de Oliveira Instituto de Previdência dos Servidores do Estado de Minas Gerais, Belo Horizonte (MG), Brasil.

Izelda Carvalho Costa Universidade de Brasília - UnB, Brasília (DF), Brasil.

José Roberto Pereira Pegas Complexo Hospitalar Padre Bento de Guarulhos, Guarulhos (SP), Brasil.

Surgical & Cosmetic Dermatology

Lauro Lourival Lopes Filho Universidade Federal do Piauí, Teresina (PI), Brasil.

Luciana Archetti Conrado Integra Dermatologia - São Paulo (SP), Brasil.

Luciana Cirillo Maluf Azevedo Faculdade de Medicina do ABC, Santo André (SP), Brasil.

Luciana Patrícia Fernandes Abbade Faculdade de Medicina de Botucatu da Universidade Estadual Paulista – Unesp, São Paulo (SP), Brasil.

Luciana Takata Pontes

Clínica Ruston, São Paulo (SP), Brasil.

Luis Antonio Torezan

Universidade de São Paulo – USP, São Paulo (SP), Brasil.

Luiz Fernando F. Kopke

Universidade Federal de Santa Catarina – UFSC, Florianópolis (SC), Brasil.

Maria Fernanda Gavazzoni

Santa Casa da Misericórdia do Rio de Janeiro, Rio de Janeiro (RJ), Brasil.

Monica Manela Azulay

Universidade Federal do Rio de Janeiro, Rio de Janeiro (RJ), Brasil.

Nilton Di Chiacchio

Hospital do Servidor Público Municipal, São Paulo (SP), Brasil.

Paula Tavares Colpas

Pontifícia Universidade Católica de Campinas, Campinas (SP), Brasil.

Samira Yarak

Universidade Federal de São Paulo, São Paulo (SP), Brasil.

Conselho internacional de revisores

Jerry Brewer

University of South Carolina, Colúmbia (SC), Estados Unidos da América.

A/C SURGICAL & COSMETIC DERMATOLOGY

Av. Rio Branco, 39 18º andar

Cep: 20.090-003

Rio de Janeiro-RJ, Brazil. Phone: 55 (21) 2253-6747

E-mail: surgical@sbd.org.br website: www.surgicalcosmetic.org.br

A Surgical & Cosmetic Dermatology é uma publicação oficial da Sociedade Brasileira de Dermatologia (SBD) em parceria com a Sociedade Brasileira de Cirurgia Dermatológica. O conteúdo técnico-científico apresentado nesta publicação é de co-propriedade da Sociedade Brasileira de Dermatologia.

Editada por: Sociedade Brasileira de Dermatologia.

©2019 Sociedade Brasileira de Dermatologia. Site: www.sbd.org.br

Os anúncios veiculados nesta edição são de exclusiva responsabilidade dos anunciantes, assim como os conceitos emitidos em artigos assinados são de exclusiva responsabilidade de seus autores, não refletindo necessariamente a opinião da SBD.

Todos os direitos reser vados e protegidos pela lei 9.610 de 19/02/98. Nenhuma parte dessa publicação poderá ser reproduzida sem autorização prévia por escrito da Sociedade Brasileira de Dermatologia, sejam quais forem os meios empregados: eletrônico, mecânico, fotográfico, gravação ou quaisquer outros.

Material de distribuição à classe médica.

A revista consta no Depósito Legal, na Biblioteca Nacional, de acordo com o Decreto nº 1.825, de 20 de dezembro de 1907.

Licença Creative Commons

Indexação

n Sumários. org (www.sumarios.org/)

n DOAJ (https://doaj.org/)

n Latindex (www.latindex.org)

n Lilacs (https://bases.bireme.br/)

n SCOPUS (http://www.scopus.com/home.url)

n Periódica (http://periodica.unam.mx)

n Redalyc (http://www.redalyc.org)

PUBLISHED QUARTERLY

Equipe técnica

Nazareno Nogueira de Souza

Bibliotecária

Vanessa Mafra

Informações sobre assinatura no site: www.surgicalcosmetic.org.br

Surg Cosmet Dermatol. 2025;v.17: n.1 jan-mar. p.1-10.

SURGICAL & COSMETIC DERMATOLOGY / INSTRUÇÕES PARA OS AUTORES

Surgical & Cosmetic Dermatology é uma revista interdisciplinar de acesso livre dedicada a publicar pesquisas sobre todos os aspectos da cirurgia dermatológica. A revista aceita artigos em Oncologia Cutânea, Cirurgia e Dermatologia Cosmética, Laser e outras Tecnologias Terapêuticas.

Acesse as Políticas Editoriais para mais informações sobre:

Informações gerais

Idioma

Acesso livre

Autoria

Política de revisão por pares

Direitos autorais e licenças

Diretrizes éticas e integridade da pesquisa

PREPRINT

Aceitamos a submissão de artigos depositados em repositórios de preprints. Os autores podem compartilhar seu preprint em qualquer lugar e a qualquer momento.

No caso de um preprint ser aceito para publicação, encorajamos os autores a vincula-lo à sua publicação formal por meio de seu Digital Object Identifier (DOI).

Os autores podem atualizar seus preprints no bioRxiv (https:// www.biorxiv.org/), medRxiv (https://www.medrxiv.org/) ou outros com seus manuscritos aceitos.

AVISO LEGAL

As declarações e opiniões expressas nos artigos e comunicações publicadas na Surgical & Cosmetic Dermatology são de responsabilidade do(s) autor(es) e não necessariamente do(s) Editor(es), Editora ou Sociedade.

DIRETRIZES PARA SUBMISSÃO

A preparação correta do manuscrito torna os processos de revisão e publicação mais eficientes. Assim, recomendamos alguns cuidados que podem facilitar significativamente a preparação dos manuscritos.

Os artigos devem ser inéditos e redigidos no idioma de origem do autor (português ou inglês). A equipe editorial providenciará as versões necessárias. A escolha da fonte deve ser Times New Roman ou Arial, de número 12.

O título do trabalho deve ser curto e conciso, informado em português e inglês, com até 150 caracteres sem espaços, acompanhado de um título resumido.

Os resumos em português e inglês devem acompanhar o formato adequado ao tipo de artigo.

Os autores devem informar o nome com suas abreviaturas, e as suas afiliações institucionais, seguidos de cidade, estado e país. Os vínculos às instituições devem ser citados em ordem hierárquica (ex.1º Departamento, 2º Universidade) e não são permitidas a inclusão dos mini-currículos. Quando um autor é afiliado a mais de uma instituição, cada uma deve ser identificada separadamente. Quando dois ou mais autores estão afiliados à mesma instituição, a sua identificação é feita uma única vez. Autores pertencentes à Clínicas privadas devem citá-las como uma instituição. É obrigatório mencionar o número ORCID, utilizado para a identificação de pesquisadores, para o primeiro e último autores. O autor deve assumir pelo menos uma responsabilidade na elaboração do trabalho e deverá informar a contribuição de cada um na submissão. Um dos autores deve ser designado como autor correspondente, com endereço de e-mail. Deve também ser citado o local de realização do trabalho.

Os autores devem informar claramente se houve conflitos de interesse e suporte financeiro.

As palavras-chave devem ser citadas em português e em inglês (Keywords), totalizando 3 a 10 por idioma, devendo ser incluídas em todos os tipos de artigos. É recomendável que estas palavras estejam contidas no DeCS (Descritores em Ciências da Saúde) e MeSH (Medical Subject Headings) que podem ser acessados na internet.

O número limite de palavras para os textos deve ser obedecido segundo o tipo de artigo, e computado excluindo as referências e os resumos em português e inglês.

Devem ser evitadas informações introdutórias extensas e repetitivas, dando-se preferência às mais recentes, ainda não publicadas. Evite textos com repetição da mesma informação no resumo, introdução e discussão.

Pesos e medidas devem ser expressos no sistema métrico decimal, e temperaturas em graus centígrados.

Drogas devem ser mencionadas por seus nomes genéricos, seguidos da dosagem e posologia empregadas, evitando-se a citação de termos comerciais ou marcas. Descrições de quaisquer equipamentos, instrumentos, testes e reagentes devem conter o nome do fabricante e o local de fabricação.

De acordo com o ICMJE, apenas podem ser designados como autores, aqueles que participaram ativamente no trabalho, podendo assim assumir a responsabilidade pública pelo seu conteúdo. Os créditos de autoria devem se basear exclusivamente em contribuições substanciais para:

discussão e planejamento do tema e protocolo, análise ou interpretação de dados;

Redação do artigo ou sua crítica; responsabilidade pela aprovação final para a publicação.

Outras contribuições menores como sugestões de literatura, coleta e análise de dados, obtenção de financiamento, auxílio técnico na execução de rotinas, encaminhamento de pacientes, interpretação de exames de rotina e chefia de serviço ou departamento que não estejam envolvidas no estudo, não constituem critérios para autoria. e podem ser reconhecidas separadamente sob a forma de "agradecimentos", de acordo com a decisão dos autores.

TIPOS DE ARTIGOS

A Surgical & Cosmetic Dermatology publica os seguintes tipos de artigos:

ARTIGOS DE REVISÃO

Artigos de Revisão podem aprofundar os temas específicos nas áreas de interesse da S&CD, algoritmos, compilações, estatísticas, consenso e guidelines. Estes trabalhos têm formato livre, porem devem conter resumo não estruturado de até 100 palavras e conclusões ou considerações finais. Limite: texto até 6000 palavras, 10 ilustrações e 60 referências. Os artigos de revisão sistemática ou metanálises devem seguir orientações pertinentes (http://cochrane.org.br).

ARTIGO ORIGINAL

Artigos Originais são relatos de uma pesquisa investigativa original nas áreas de Cirurgia Dermatológica, Oncologia Cutânea, Diagnóstico por Imagem, Tecnologia em Dermatologia e Dermatologia Cosmética. Exemplos: estudos experimentais, estudos clínicos,

comparações e descrições de técnicas ou de métodos de avaliação. O texto deverá conter até 4000 palavras, 10 ilustrações e 35 referências e seguir o formato IMRDC (Introdução e objetivo, Métodos, Resultados, Discussão, Conclusão).

Resumo: deverá ter no máximo 250 palavras e ser estruturado, contendo os itens: Introdução, Objetivo, Métodos, Resultados e Conclusões. Não é permitido afirmar que os resultados ou outros dados serão apresentados ou discutidos.

Introdução: citar as razões que motivaram o estudo, descrevendo o estado atual do conhecimento sobre o tema. Utilizar o último parágrafo para especificar a principal pergunta ou objetivo do estudo, e a principal hipótese testada, se houver.

Métodos: Explicar como o estudo foi feito:

Tipo de estudo: descrever o seu desenho especificando a direção temporal (retrospectivo ou prospectivo), o tipo de randomização quando utilizada (pareamento, sorteio, sequenciamento, etc.), se o estudo foi cego, comparativo, controlado por placebo, etc.

Local: indicar onde o estudo foi realizado (instituição privada ou pública), citar que a pesquisa foi aprovada pelo Comitê de Ética em Pesquisa de sua instituição, os procedimentos de seleção, os critérios de inclusão e exclusão, e o número inicial de pacientes.

Procedimentos: descrever as principais características das intervenções realizadas, detalhando a técnica e lembrando que o estudo de investigação deverá ser reprodutível.

Descrição dos métodos utilizados para avaliação dos resultados.

Inclusão da análise estatística descritiva e/ou comparativa com descrição do planejamento da amostra (representativa do universo a ser estudado), a análise e os testes estatísticos e apresentação dos níveis de significância adotados. A utilização de análises estatísticas não usuais é incentivada, porém neste caso, deve-se fazer uma descrição mais detalhada da mesma.

Resultados: descrever os principais resultados que devem ser acompanhados de estimativas pontuais e medidas de dispersão (p.ex., média e erro padrão) ou de estimativas intervalares (p.ex., intervalos de confiança), bem como os níveis descritivos dos testes estatísticos utilizados (p.ex. “p-value”). Os achados também devem ser interpretados sob o ponto de vista clínico.

Discussão: enfatizar os novos e importantes resultados encontrados pelo estudo e que farão parte da conclusão. Relatar observações de outros estudos relevantes. Mencionar as limitações dos achados e as implicações para pesquisas futuras.

Conclusões: devem ser concisas e responder apenas aos objetivos propostos. A mesma ênfase deve ser dada para estudos com resultados positivos ou negativos.

DIAGNÓSTICO POR IMAGEM

O Diagnóstico por Imagem aborda temas ou casos clínicos em que os exames de imagens (dermatoscopia, microscopia confocal, ultrassom e outros métodos) são fundamentais no diagnóstico ou tratamento. É composto por resumo não estruturado de até 100 palavras, texto até 1200 palavras, 6 ilustrações e 5 referências.

COMO EU FAÇO?

Como eu faço descreve novas técnicas ou detalhes de técnicas. Compõe-se por resumo não estruturado de até 100 palavras, introdução com revisão de literatura, métodos, resultados, discussão e conclusão. Limite: 1200 palavras, 8 ilustrações e 30 referências.

RELATO DE CASO

Relatos de caso são descrições de casos ou séries de casos de relevância nas áreas de interesse da S&CD, com descrição de tratamentos,

complicações, etc. Contém resumo não estruturado de até 100 palavras, introdução com revisão de literatura, métodos, resultados, discussão e conclusão, sempre que pertinentes. Limite: texto até 1200 palavras, 8 ilustrações e 30 referências.

CARTAS AO EDITOR

As Cartas ao Editor são comentários objetivos, breves e construtivos sobre estudos ou pesquisas anteriormente publicados. Compõe-se de texto de até 600 palavras e no máximo 5 referências.

COMITÊ DE ÉTICA

O certificado de autorização por um Comitê de Ética é exigido apenas para os Artigos Originais de pesquisa prospectiva.

REFERÊNCIAS

As referências bibliográficas devem ser listadas nas últimas páginas do artigo, e numeradas de acordo com a citação no texto (em ordem numérica sequencial), seguindo o estilo Vancouver, como indicado pelo International Committee of Medical Journal Editors (ICMJE). Referências citadas em legendas de tabelas e figuras devem manter a sequência com as citações no texto. Todos os autores devem ser citados se forem até seis; acima disso, devem ser mencionados os seis primeiros e “et al.”. Seguem-se exemplos dos tipos mais comuns de referências. Exemplos de citações no texto retirados do ICMJE:

Artigo em periódico:

Hallal AH, Amortegui JD, Jeroukhimov IM, Casillas J, Schulman CI, Manning RJ, et al. Magnetic resonance cholangiopancreatography accurately detects common bile duct stones in resolving gallstone pancreatitis. J Am Coll Surg. 2005;200(6):869-75.

Capítulo de livro:

Reppert SM. Circadian rhythms: basic aspects and pediatric implications. In: Styne DM, Brook CGD, editors. Current concepts in pediatric endocrinology. New York: Elsevier; 1987. p .91-125.

Texto na Internet:

Ex. com autor indicado: Fugh-Berman A. PharmedOUT [Internet]. Washington: Georgetown University, Department of Physiology and Biophysics; c2006 [cited 2007 Mar 23]. Available from: http://www.pharmedout.org/

Ex. quando o autor é uma organização: International Union of Biochemistry and Molecular Biology. Recommendations on Biochemical & Organic Nomenclature, Symbols & Terminology etc. [Internet]. London: University of London, Queen Mary, Department of Chemistry; [updated 2006 Jul 24; cited 2007 Feb 22]. Available from: http://www. chem.qmul.ac.uk/iubmb/.

Apresentação prévia em eventos:

Bruhat M, Silva Carvalho JL, Campo R, Fradique A, Dequesne J, Setubal A, editors. Proceedings of the 10th Congress of the European Society for Gynaecological Endoscopy; 2001 Nov 22-24; Lisbon, Portugal. Bologna (Italy): Monduzzi Editore, International Proceedings Division; c2001. 474 p.

ILUSTRAÇÕES

As figuras, quadros, gráficos e tabelas devem ser referidas em ordem numérica sequencial no texto em números arábicos (exemplo: Figura 3, Gráfico 7), cabendo ao Editor suprimir as redundantes. As legendas das figuras e gráficos e os títulos e notas de rodapé das tabelas devem descrever precisamente seu conteúdo com frases curtas, porém suficientes para a compreensão ainda que o artigo não seja totalmente

Surg Cosmet Dermatol. 2025;v.17: n.1 jan-mar. p.1-10.

lido. Todos devem ser inseridos no passo correspondente a ilustrações no sistema, evitando que use o campo destinado ao texto para que não contabilizem as palavras dentro das ilustrações.

As figuras deverão ter resolução mínima de 300 DPI, largura mínima de 1.200 pixels com altura proporcional, e serem gravadas nos formatos JPG ou TIF. As fotografias devem estar no foco, possibilitando a visualização dos detalhes a serem demonstrados. Podem ser colocadas setas ou linhas para localizar as áreas de interesse. As legendas das imagens histológicas devem especificar a coloração e o aumento. Se uma figura já foi publicada anteriormente, deverá citar a fonte original abaixo da mesma e constar nas referências. Deverão enviar à revista a permissão do detentor dos direitos autorais para a sua reprodução. No uso de figuras que identifiquem a face de pacientes será preciso autorização por escrito para divulgação (ver no site da revista o documento Autorização para uso de fotografias).

Quanto aos vídeos é necessário inserir legendas contendo informações como título do manuscrito, autoria, instituição e outros comentários pertinentes. No uso de imagens de pacientes, a identidade deverá ser resguardada, do contrário, será preciso anexar-lhes permissão por escrito para divulgação.

Os gráficos deverão ser elaborados em Microsoft Excel. As tabelas dispensam sua descrição no texto tendo a finalidade de suplementá-lo e não a de aumentá-lo. As unidades utilizadas para exprimir os resultados (m, g, g/100, mL, etc.) figurarão no alto de cada coluna. Os pacientes devem ser identificados por números ou letras, e nunca pelos nomes, iniciais ou número de registro hospitalar.

CARTA DE APRESENTAÇÃO

A carta de apresentação deve incluir as seguintes informações:

Uma explicação de por que seu manuscrito é adequado para publicação em Surgical & Cosmetic Dermatology.

Confirmação de que o conteúdo do manuscrito é original e não foi publicado nem está sendo considerado para publicação em outro lugar.

Se o manuscrito estiver sendo enviado para uma edição especial em particular, o nome específico deve ser mencionado na carta de apresentação.

Se o artigo relatar os resultados de uma intervenção de saúde em participantes humanos, a Surgical & Cosmetic Dermatology recomenda fortemente sua documentação em um registro apropriado. O número e a data de registro devem estar indicados nesta carta.

DECLARAÇÕES DOS AUTORES

As seguintes declarações devem ser incluídas na versão final do manuscrito. Espera-se que essas declarações sejam submetidas juntamente com a carta de apresentação, uma vez que a Surgical & Cosmetic Dermatology adota a revisão por pares duplo-cego.

‘Agradecimentos’ – lista de pessoas que contribuíram para o artigo (e não atendem aos critérios de autoria), incluindo colaboradores que forneceram serviços profissionais de redação ou materiais.

‘Disponibilidade de dados e materiais’ – as declarações de disponibilidade contêm informações sobre onde os dados que suportam os resultados relatados no artigo podem ser encontrados, como hiperlinks para conjuntos de dados arquivados publicamente. Exemplo de frases são: ‘Todos os dados gerados ou analisados durante este estudo estão incluídos neste artigo’; 'Os conjuntos de dados gerados e/ou analisados durante o estudo atual estão disponíveis no repositório [NOME]', 'Os conjuntos de dados gerados durante e/ou analisados durante o estudo atual estão disponíveis junto ao autor correspondente mediante solicitação razoável', ou 'Não aplicável' se nenhum dado novo foi criado ou analisado no estudo.

‘Apoio financeiro’ – todas as fontes de financiamento do estudo devem ser divulgadas; é necessário indicar bolsas que os autores receberam para apoiar a pesquisa.

‘Conflito de interesses’ – todos os conflitos de interesse financeiros e não financeiros devem ser declarados nesta seção. Se os autores não tiverem interesses conflitantes, é necessário mencionar ‘Os autores declaram não haver conflito de interesses’.

‘Contribuição dos autores’: Espera-se que cada autor tenha feito contribuições substanciais ao manuscrito, que devem ser especificadas nesta seção. Use as iniciais para se referir à contribuição de cada autor. Por exemplo: ‘AB, CD e EF conceberam esta pesquisa e projetaram experimentos. GH participou da concepção e interpretação dos dados. IJ realizou experimentos e análises. KL e MN escreveram o artigo e participaram de suas revisões. Todos os autores leram e aprovaram o manuscrito final'.

O limite máximo de autores aceitável é de 5 (cinco); só haverá exceção para trabalhos de maior complexidade (ex. Artigo Original, Revisão) mediante justificativa e aprovação dos editores.

‘Aprovação ética/ aprovação ética e consentimento para participar’ – manuscritos que relatam estudos envolvendo participantes humanos ou dados sobre humanos devem incluir uma declaração sobre aprovação e consentimento éticos, o nome do comitê de ética que aprovou o estudo e o número de referência do comitê. Estudos envolvendo animais devem incluir uma declaração de aprovação ética. Se o manuscrito não relatar ou envolver o uso de dados de animais ou humanos, é necessário declarar 'Não aplicável'.

‘Consentimento de uso para publicação (Copyright)' – se o manuscrito contiver dados pessoais de qualquer indivíduo em qualquer forma, o consentimento para publicação deve ser obtido dessa pessoa ou, no caso de crianças, de seus pais ou tutor legal. Todas as apresentações de relatos de caso devem ter consentimento para publicação.

SUBMISSÃO

Os manuscritos devem ser submetidos por meio de nosso sistema de submissão online (https://www.gnpapers.com.br/scd/default. asp?lang=en). O autor responsável pela submissão é responsável pelo manuscrito durante o processo de submissão e revisão por pares. Ele/ ela deve garantir que todos os coautores elegíveis foram incluídos na lista de autores e que todos leram e aprovaram o manuscrito submetido. Para enviar um manuscrito, os seguintes arquivos são necessários:

Arquivo principal do manuscrito que não deve conter os nomes dos autores ou coautores (arquivo anônimo, pois a revista utiliza a revisão por pares duplo-cega). Referências e tabelas menores devem ser incluídas neste arquivo.

Uma página de título que deve conter os nomes de todos os autores e coautores, suas afiliações, seus e-mails, e as todas as declarações de autores.

Uma carta de apresentação.

Arquivos de imagens.

Quaisquer arquivos adicionais como material complementar ao manuscrito.

Todos os documentos como Consentimento de Uso para Publicação (Copyright), Conflito de Interesses e Autorização para Publicação de Fotografias estão disponíveis no site da revista e no sistema de submissão online. Estes documentos devem ser assinados por todos os autores participantes e anexados no sistema ao se submeter o manuscrito.A Autorização para Publicação de Fotografias só é necessária quando a face do paciente é identificada por completo. O documento de Participação no Estudo só será solicitado pelos editores se houver necessidade.

Surgical & Cosmetic Dermatology

Publicação Oficial da Sociedade Brasileira de Dermatologia

JANEIRO/FEVEREIRO/MARÇO 2025 l Volume 17 l Number 1

Online ISSN: 1984-8773

ARTIGO DE REVISÃO

Elevação dos supercílios com procedimentos cosmiátricos: como conduzir

Rebecca Ignacio Subirá Medina, Gladstone Eustáquio de Lima Faria, Ricardo Frota Boggio,

Ontogênse do Carcinoma de Células de Merkel

11

24 Fernanda Guimarães Souza, Daniela Pessanha dos Santos, Luiza Oliveira Ribeiro, Thiago Rubim Batista Bellot Nascimento, Flávio Barbosa Luz

Recomendações clínicas para o uso combinado de ácido poli-L-láctico (PLLA-SCA) e dispositivos baseados

34 em energia: opinião de especialistas e revisão da literatura

Taciana Dal´Forno, Maria Paula Del Nero, Fernanda Nunes, Cíntia Cunha, Alessandra Haddad, Adriana Vilarinho, Alessandra Nogueira, Rafael Tomaz

ORIGINAL ARTICLE

Eficácia de um suplemento dietético nos parâmetros moleculares e clínicos do envelhecimento cutâneo

44 Flavia Alvim Sant’Anna Addor, Nathalia Terumi Kawakami, Michelle Sabrina da Silva,

Eficácia e segurança dos adesivos de silicone na melhora de sinais de envelhecimento periorbital: estudo piloto

Flávia Alvim Sant’anna Addor, Ludmila Coelho Donato, Thiago Silva Raposo, Dayana da Costa Salome

A influência do uso de antioxidante tópico no crescimento do cabelo e no estado da pele após depilação química

Olena Baliuk, Oleh Akimov, Olena Vazhnichaya,Vitalii Kostenko, Ivan Starchenko

Suplementação oral do Nutracêutico Descarboxi Carcinina HCl para ritides e rejuvenescimento da pele

54

59

69 Célia Kalil, Luciane Zagonel,Valéria Barreto Campos, Christine Chaves Prato, Clarissa Reinehr, Patrícia França, Pedro Vargas

Tratamento da síndrome de Parry-Romberg e da esclerodermia linear em golpe de sabre, com aplicação do ácido

76 poli-L-láctico (PLLA): avaliação da resposta clínica e ultrassonográfica de alta resolução

Renato Roberto Liberato Rostey, Cristiane Ferreira Rallo de Almeida, Danilo Olavarria D’Aquino, Caio Leal Carvalho

Acne da mulher adulta: prevalência e fatores de risco em uma amostra da população brasileira

87 Eloana Pasqualin Lange, Gabriela Roncada Haddad, Raul Pansardis Sampaio, Pedro Coltro Estella, Beatriz Antunes Benedito, Juliano Vilaverde Schmitt

Resultados do tratamento de câncer de pele facial usando retalhos de pele tópicos no Hospital de Oncologia da cidade

94 de Can Tho de 2021 a 2023

Du Van Truong, Lam Van Nguyen, Nam Ky Nguyen, Luat Thao Huynh, Mai Huynh Truc Phuong

Sumário

Letters

Eficácia e segurança de solução de fenol 85% e óleo de Cróton 4% no tratamento das verrugas anogenitais

100 do pênis: um estudo tipo prova de conceito

Maria Cecília Belli, Hélio Amante Miot, Luis Eduardo Garbers, Bruno Dias Martimiano

How do i do?

Dica para hemostasia do pedículo do retalho interpolado paramediano

Felipe Maurício Soeiro Sampaio, Isabela Coelho Guimarães, Bruno Lopes da Silva Ramos

Case report

Correção de assimetria facial após implante de gordura através da aplicação de substâncias injetáveis lipolíticas

Andrea Carvalho Souza, Carlos Roberto Antonio, Lívia Arroyo Trídico,

Tratamento da Foliculite Decalvante com Laser Erbium-YAG

Ana Clara Maia Palhano, Heloise Marangoni, Daniel Simão de Andrade, Thaisa Bosquiroli Brandalize, Rossana Cantanhede Farias de Vasconcelos

Zetaplastia, uma opção para reconstrução de dois defeitos sincrônicos nasal: relato de um caso

Raul Ribeiro Garcia, Luis Felipe Stella Santos, Guilherme Basso Durães, Lissa Shizue Tateiwa Niekawa, Rogerio Nabor Kondo

Comparação histológica da ação do laser de CO2 e plasma na pele abdominal

Ana Gabriella Bandeira Freire Andrade, Rossana Cantanhe de Farias de Vasconcelos, João Guilherme Finizola de Vasconcelos, Ana Maria Bertelli Antonio Gallotti, Caroline Costa de Mendonça

Frontoplastia: opção de reconstrução de defeitos na fronte

Vitoria Azulay, Beatriz Rocha Strauss, Gabriela Della Ripa, Lucas Madureira, Leonardo Rotolo

103

107

111

115

120

124

Oclusão da artéria transversa da face após preenchimento com ácido hialurônico e hidroxiapatita de cálcio: um relato de caso 128 Isabelle Ary Duque, Francisco Jefferson Araújo Elias, Matheus Morais Lima

Infecção necrosante de tecidos moles em um paciente após pedicure cosmética - relato de caso

133 Raman Nitskovich, Izabela Staniszewska, Irena Walecka

Uso de técnicas cirúrgicas combinadas no tratamento de cicatrizes acrômicas de lúpus discóide 137 Rafael Rezende Rocha de Oliveira, Jade Noleto Viana, Kaique Arriel, Rafael Rubinho, Fernanda Rytenband

Alopecia triangular temporal bilateral simulando alopecia androgenética de padrão masculino em mulher adulta: 141 relato de caso e revisão da literatura

Marcelo Balbinot Lucca, Laura Oliveira Ferreira, Ana Letícia Boff, Rodrigo Vettorato

www.surgicalcosmetic.org.br/

Ao escrever um relato de caso, um trabalho de revisão ou um estudo original, além de satisfazermos nossa aspiração de pesquisadores, tentamos fazer com que a escrita chegue de forma clara, simples e direta à mente dos leitores.

Escrever é um ato de grande responsabilidade, pois demanda tempo, muita leitura, concentração, foco, isolamento e respeito ao idioma escolhido. Um manuscrito não é apenas técnico — cada pessoa tem seu estilo e sua maneira de se expressar, e a prática leva ao aperfeiçoamento da comunicação. A reflexão sobre o seu artigo, a humildade em entregar para um colega mais experiente ler e criticar, a exposição da nossa opinião sobre um assunto, tudo isso dói. Como dizia o escritor Rubens Marcos Rodrigues: “Pensar dói!”. Acostumamo-nos a reproduzir o pensamento, um conceito, uma diretriz, e a aceitar todas as ordens como condição vital para sobreviver. Mas, pensando bem, nem tudo tem exatamente o mesmo tamanho, cor ou linearidade planejada. Daí, o desafio de lidar com o que não planejávamos.

Creio que as mudanças de rota nos obrigam a trazer à tona o melhor de nós mesmos. Ter essa consciência nos diferencia da inteligência artificial (IA), tão nos holofotes atualmente. Tenho por mim que, como diz a Dra. Bogdana, esta revista científica jovem e dinâmica serve para o associado praticar e aperfeiçoar-se na arte da exposição escrita e iconográfica de temas importantes e práticos do dia a dia do dermatologista. Além dos textos concisos, este jornal contém fotografias nítidas e com detalhes de alta qualidade. O fato de ser on-line tem suas vantagens, mas também nos tem obrigado a criar mecanismos e rotas para que ela seja vista de maneira mais frequente e natural. Por ser de livre acesso, procuramos divulgá-la ao máximo para os estudantes de medicina, residentes, pós-graduandos e, principalmente, aos membros da Sociedade Brasileira de Dermatologia (SBD). Cada um pode nos ajudar a difundi-la ainda mais.

Somos um time de editores (Drs. Bogdana Kadunc, Célia Kalil e Vitor Fabris) e dedicados revisores. Recebemos muito apoio da Diretoria da SBD e do Presidente Carlos Barcaui, desde a alocação de recursos para a tradução para a língua inglesa até a editoração realizada na própria Sede Associativa pela equipe técnica do senhor Nazareno Nogueira de Souza e o inestimável auxílio da bibliotecária Vanessa Mafra. Às voltas com o dinamismo de um mundo moderno, com certezas que mudam o tempo todo, aprendemos a ler e a ter consciência de que o sucesso só vem antes do trabalho no dicionário, como dizia o Prof. Sampaio. Boa leitura!

EDITORIAL

Author: Hamilton Ometto Stolf1

1 Universidade Estadual de Campinas (Unicamp), Campinas (SP), Brazil.

www.surgicalcosmetic.org.br/

Elevação dos supercílios com procedimentos cosmiátricos: como conduzir

Eyebrow lift with cosmetic procedures: how to approach it

Artigo de Revisão

Autores:

Rebecca Ignacio Subirá Medina1

Gladstone Eustáquio de Lima Faria1

Ricardo Frota Boggio1

1 Instituto Boggio, Departamento de Cosmiatria, São Paulo (SP), Brasil

DOI: http://www.dx.doi.org/10.5935/scd1984-8773.2025170318

RESUMO

A ptose dos supercílios é um verdadeiro desafio para os profissionais da cosmiatria. Procedimentos minimamente invasivos são capazes de melhorar o posicionamento dos supercílios, porém é essencial o entendimento das variadas etiologias. Entre as possíveis causas merecem destaque: flacidez de pele, causa muscular e deflação tecidual, sendo esta última subdividida em frontal, temporal e superciliar. Baseado em um correto diagnóstico poderão ser indicados ultrassom microfocado, toxina botulínica, bioestimuladores e preenchedores a base de ácido hialurônico, de forma isolada ou a combinação destes. Foi proposto, ao final da revisão, um algoritmo de tratamento para a ptose dos supercílios.

Palavras-chave: Preenchedores Dérmicos; Toxinas Botulínicas Tipo A; Estética.

Correspondência:

Gladstone Eustáquio de Lima Faria E-mail: gladstonefaria@hotmail. com

ABSTRACT

Eyebrow ptosis presents a significant challenge for cosmetic professionals. Minimally invasive procedures can improve eyebrow positioning; however, a thorough understanding of its varied etiologies is essential.The primary causes include skin laxity, muscular dysfunction, and tissue deflation, with the latter subdivided into frontal, temporal, and superciliary deflation. A precise diagnosis allows for the appropriate indication of microfocused ultrasound, botulinum toxin, biostimulators, and hyaluronic acid-based fillers, either as standalone treatments or in combination. At the end of this review, a treatment algorithm for eyebrow ptosis is proposed.

Keywords: Dermal Fillers; Botulinum Toxins; Eyebrows; Aesthetic Equipment.

Fonte de financiamento: Nenhuma. Conflito de interesses: Nenhum.

Data de Submissão: 31/10/2023 Decisão final: 04/07/2024

Como citar este artigo: Medina RIS, Faria GEL, Boggio RF. Elevação dos supercílios com procedimentos cosmiátricos: como conduzir. Surg Cosmet Dermatol. 2024;16:e20240318.

INTRODUÇÃO

Em 1974, Westmore1 apresentou as características ideais dos supercílios e, desde então, outros autores têm procurado descrever, de forma mais objetiva, o que torna os supercílios atraentes.2-4 De modo geral, esses atributos têm especial importância para a beleza facial, entre outros motivos, por sua capacidade de transmitir aspectos emocionais do indivíduo.

Entre as várias alterações que podem ocorrer nessa região anatômica ao longo do processo de envelhecimento, a ptose dos supercílios (especificamente em sua porção lateral) destaca-se por transmitir impressões subjetivas de cansaço e tristeza, além de ser uma característica marcante da idade avançada, contribuindo para uma aparência geral menos atraente.

Com relação à sua etiologia, a ptose de supercílio pode ser decorrente de paralisia de múltiplas causas ou ser uma parte natural do processo de envelhecimento. Nesse caso, a ptose resulta de uma combinação de alterações que envolvem diferentes camadas da anatomia facial: 1) frouxidão da pele; 2) forças resultantes da tração muscular; e 3) deflação do tecido e reabsorção óssea.

OBJETIVO

Por meio de uma revisão minuciosa da literatura, pretendemos fornecer uma melhor compreensão do processo de envelhecimento da região periorbital, principalmente no que se refere à ptose dos supercílios, e propor o desenvolvimento de um protocolo de tratamento de acordo com suas principais etiologias.

O PADRÃO DE BELEZA DOS SUPERCÍLIOS

Na busca pela definição dos parâmetros ideais para o formato e o posicionamento dos supercílios, as opiniões dos autores nem sempre são consistentes, e os critérios estéticos não estão definidos de forma unânime na literatura.5,6 O ponto ideal de arqueamento tem sido amplamente debatido na literatura,3,4,7-9 sendo que a maioria dos autores defende que ele deve ser posicionado ao longo de uma linha vertical tangente ao limbo lateral da íris,1 na metade do caminho entre o limbo lateral e o canto lateral dos olhos2,10 ou acima do canto lateral.8

A maioria dos autores concorda que os supercílios masculinos devem ser retos, sem qualquer arqueamento.10 Embora alguns autores considerem ideal que a altura das extremidades medial e lateral dos supercílios femininos esteja no mesmo nível,11 a maioria dos autores acredita que é esteticamente desejável que ambos estejam posicionados acima da margem supraorbital, com a porção lateral ligeiramente mais alta que a medial. Por outro lado, os supercílios masculinos devem estar localizados ao longo da margem supraorbital, mais reto, com sua extremidade lateral no mesmo nível ou um pouco acima da extremidade medial, exibindo distribuição uniforme de volume ao longo de todo o seu comprimento.12

Os estudos que tiveram como objetivo avaliar as preferências dos indivíduos por diferentes padrões de supercílios apresentaram resultados distintos.4,13,14 Curiosamente, muitos desses

estudos observaram que os participantes dentro da mesma faixa etária apresentaram tendências de preferência semelhantes.13,14 Com relação às mudanças na posição dos supercílios com oenvelhecimento, alguns pesquisadores relataram um aumento na altura ao longo da linha mediopupilar,11,15 enquanto outros indicaram que a altura dos supercílios não mudou significativamente,15,16 e alguns descreveram uma descendência dos supercílios em sua porção lateral.15

ESTRATÉGIA DE BUSCA BIBLIOGRÁFICA

A pesquisa para a revisão deste artigo foi feita por meio de busca no banco de dados PubMed. Os termos e filtros de pesquisa empregados foram os seguintes: ((“Eyebrow”[Title/ Abstract] OU “Eyebrows”[Title/Abstract] OU “Brow”[Title/ Abstract] OU “Brows”[Title/Abstract] OU “Periorbital”[Title/ Abstract] OU “upper third”[Title/Abstract] OU “upper face” [Title/Abstract] OU “Orbital”[Title/Abstract] OU “Temple” [Title/Abstract] OU “temples”[Title/Abstract] OU “Frontal” [Title/Abstract] OU “Forehead”[Title/Abstract] OU “upper third”[Title/Abstract]) E (“botulinum toxin”[Title/Abstract] OU “botulinum toxins”[Title/Abstract] OU “botulinum neurotoxin a”[Title/Abstract] OU (“Sculptra”[Title/Abstract] OU “Radiesse”[Title/Abstract] OU “calcium hydroxyapatite” [Title/Abstract] OU “biostimulation”[Title/Abstract] OU “poly-lactic acid”[Title/Abstract]) OU (“hyaluronic acid”[Title/ Abstract] OU “dermal filler”[Title/Abstract] OU “dermal fillers” [Title/Abstract] OU “Filler”[Title/Abstract] OU “Fillers” [Title/Abstract]))) E ((y_10[Filter]) E (review[Filter] OU systematic review[Filter])).

Essa busca resultou em 145 publicações, selecionadas por meio da avaliação de seus resumos quanto à relevância para o tema deste artigo. Além disso, também foram examinadas as referências bibliográficas dos artigos selecionados.

FORÇAS DE TRAÇÃO MUSCULAR

A posição dos supercílios é influenciada por vários fatores, inclusive o equilíbrio dos músculos circundantes, notadamente o único músculo elevador dos supercílios, o occipitofrontal, e vários depressores, que incluem o prócero e, bilateralmente, o músculo corrugador, orbicularis oculi e depressor dos supercílios. Com o processo de envelhecimento, as alterações que normalmente ocorrem nos músculos da mímica facial podem contribuir para a ptose dos supercílios. À medida que o periósteo se retrai, a posição das superfícies externas dos ossos faciais também muda e, consequentemente, a origem dos ligamentos e músculos faciais no periósteo também se desloca, fazendo com que os músculos se endireitem.17 Como resultado, essas estruturas podem perder a vantagem mecânica de seu efeito sobre os tecidos nos quais atuam, levando a alterações na dinâmica da mímica facial,17 com diminuição da amplitude e da força muscular. Entretanto, embora a amplitude e a força de contração possam diminuir com a idade avançada, o tônus muscular em repouso parece aumentar.

Surg Cosmet Dermatol. 2025;v.17: n.1 jan-mar. p.11-23.

O músculo frontalis tem como limites laterais as linhas de fusão temporal, fazendo com que o efeito combinado da gravidade e das forças de tração muscular dos músculos depressores não tenha oposição na porção lateral dos supercílios.18 Assim, com a frouxidão da pele no terço superior da face e a ação contínua dos músculos depressores, há uma tendência de que a porção lateral dos supercílios seja puxada no sentido craniocaudal. Por outro lado, a posição dos supercílios medial também é influenciada pela tração vertical do músculo frontal. Além disso, Knize postulou que os nervos supraorbital e supratroclear podem fornecer suporte medial adicional aos supercílios para resistir à ptose.18 Yun et al 19 postularam que o padrão de atividade de cada músculo muda com a idade. Comparando os valores absolutos da atividade muscular entre participantes de diferentes faixas etárias, os autores observaram que o recrutamento dos músculos frontal e corrugador foi menor no grupo mais velho do que no grupo mais jovem, sugerindo que, com o avanço da idade, a atividade desses músculos diminui, como esperado, devido à fraqueza muscular relacionada à idade. Em contrapartida, o grupo de idosos apresentou maior atividade muscular no músculo orbicular dos olhos em comparação com o grupo mais jovem, o que pode indicar um aumento na força descendente que contribui para a ptose dos supercílios.19

DEFLAÇÃO DE TECIDOS E REABSORÇÃO ÓSSEA

Em 2007, Rohrich & Pessa20 introduziram o conceito de compartimentalização da gordura facial, sugerindo que tais compartimentos poderiam envelhecer de forma diferente e não uniforme. Nesse estudo, os autores descreveram três compartimentos de gordura superficial na fronte – um segmento central e dois laterais – todos localizados entre a pele e a fáscia superficial do músculo occipitofrontal, separados entre si pelas bainhas fibrosas protetoras das estruturas neurovasculares supraorbitais. Posteriormente, foram identificados cinco compartimentos de gordura profunda da fronte: um compartimento central e dois laterais, também separados pelos feixes neurovasculares supraorbitais, posicionados entre a fáscia que recobre a superfície posterior do músculo frontal e o periósteo; e dois compartimentos adicionais correspondentes à gordura retro-orbicular dos olhos (ROOF, Retro Orbicularis Oculi Fat), presentes em cada hemiface.21,22 A ROOF está confinada à região delimitada pelo septo frontal inferior e pela porção superior do ligamento retentor da órbita, tendo como limite lateral as fixações ligamentares temporais e como limite medial as estruturas neurovasculares supraorbitárias.21

As fossas temporais são depressões bilaterais da abóbada craniana delimitadas anatomicamente pela crista temporal, pela porção lateral da borda orbitária, pelo arco zigomático e pela linha do cabelo (posteriormente). Foram descritas 11 camadas anatômicas nessa região, desde a pele até o osso temporal, incluindo três compartimentos de gordura: o tecido subcutâneo (compartimento de gordura temporal superficial), a camada média de gordura temporal e a camada profunda de gordura temporal (correspondente à porção temporal do coxim adiposo vestibular).21

Uma possível explicação para esse efeito é a compressão contínua dos compartimentos profundos de gordura entre os ossos e a musculatura sobrejacente.21 Assim, o posicionamento dos supercílios parece ser particularmente afetado pela depleção de volume dos compartimentos profundos de gordura da testa, dos compartimentos temporais de ROOF.

O esqueleto facial também desempenha um papel crucial no suporte dos tecidos moles adjacentes, proporcionando estabilidade e definição. Para além da deflação resultante da atrofia e deslocamento da gordura, os ossos do crânio também sofrem uma remodelação previsível em diferentes regiões anatômicas. No caso da órbita ocular, a sua abertura aumenta com a idade. No entanto, a reabsorção óssea não ocorre de forma uniforme ao longo de toda a sua margem, sendo mais proeminente nos pontos inferolateral (onde essa alteração ocorre mais precocemente) e superomedial. Cabe notar que, nos homens, o quadrante inferomedial da órbita tende a recuar mais do que nas mulheres com opassar dos anos.23 Por outro lado, as porções centrais das margens orbitais superior e inferior apresentam relativa estabilidade, com pouca ou nenhuma reabsorção óssea ao longo da vida.23 Em indivíduos jovens, a região temporal apresenta uma forma convexa e contínua em relação ao arco zigomático, resultando em um contorno suave na margem orbitária lateral. Entretanto, com o avanço da idade, a região temporal torna-se mais côncava e o contorno ósseo da margem orbital lateral torna-se mais pronunciado. Consequentemente, a cauda dos supercílios é puxada posterior e inferiormente. Esse fato pode criar um aspecto pesado à volta dos olhos e contribuir para um aspecto facial geral envelhecido.

ENVELHECIMENTO DA PELE

De particular importância no envelhecimento cutâneo são as alterações que ocorrem na matriz extracelular (MEC), composta principalmente de colágeno tipos 1 e 3, que desempenham um papel crucial no suporte e na integridade da pele.24 Décadas atrás, a MEC era considerada uma substância inerte e metabolicamente inativa, semelhante a uma cola necessária para ligar os tecidos e fornecer suporte às células.25 Com o tempo, essa percepção foi radicalmente revisada, e agora se reconhece que a MEC é um agregado complexo de componentes proteicos, glicosaminoglicanos e células metabolicamente ativas que estão em equilíbrio dinâmico sob condições fisiológicas. Durante o processo de envelhecimento, há uma degradação gradual da MEC, principalmente devido ao aumento da atividade da matriz de metaloproteinases (MMP), observada tanto no envelhecimento intrínseco quanto no extrínseco. As MMPs são enzimas que desempenham um papel importante na remodelação da MEC, e sua atividade aumentada resulta na quebra e na fragmentação das fibras de colágeno e elastina, levando a uma redução na qualidade e na quantidade dessas fibras na pele. Isso leva a uma perda de elasticidade e firmeza, resultando em flacidez e ptose dos tecidos moles.26,27

Um conjunto emergente de evidências sugere que o fenótipo envelhecido dos fibroblastos dérmicos é uma consequência não de sua idade celular, mas da perda de conexões com a MEC resultante de anos de degradação gradual da MMP, impulsionada pelo metabolismo oxidativo e acelerada por ataques oxidativos, principalmente da radiação ultravioleta solar.28

Os fibroblastos que produzem e organizam a matriz de colágeno não conseguem se ligar ao colágeno fragmentado e, consequentemente, entram em colapso. Os fibroblastos colapsados produzem baixos níveis de colágeno e altos níveis de enzimas que degradam o colágeno. Assim, uma vez que uma quantidade crítica de colágeno é perdida, esse desequilíbrio perpetua oprocesso de envelhecimento em um ciclo prejudicial, que se autoperpetua e interminável.29

A diminuição da tensão e da elasticidade da pele, especialmente quando combinada com os efeitos da gravidade, a deflação volumétrica do terço superior da face e as forças de tração muscular resultantes, contribui para o deslocamento para baixo dos supercílios. Assim, os tratamentos que melhoram o microambiente da MEC da pele, mantendo suas funções fisiológicas de forma mais eficiente, bem como os tratamentos que estimulam o aumento da produção de colágeno e elastina, podem contribuir para o reposicionamento dos supercílios.

TRATAMENTOS PROPOSTOS PARA O REPOSICIONAMENTO E A REMODELAGEM DOS SUPERCÍLIOS

Com base na revisão da literatura realizada e descrita neste artigo, acreditamos que a estratégia ideal para o reposicionamento e o aprimoramento do formato dos supercílios minimamente invasivos envolve três abordagens distintas: 1) tratamentos que promovem a melhora da qualidade e da flacidez da pele; 2) tratamentos que visam a obter o melhor equilíbrio das forças de tração muscular no terço superior da face, para reposicionar os supercílios como pretendido; 3) tratamentos que abordam a deflação do tecido por meio da volumização.

Dessa forma, propomos um algoritmo de tratamento para oreposicionamento dos supercílios, a partir de uma seleção pessoal feita pelos autores deste artigo das principais técnicas de tratamento para cada abordagem proposta.

MELHORA DA QUALIDADE DA PELE E DA FLACIDEZ CUTÂNEA

ULTRASSOM MICROFOCADO

Em 2009, o ultrassom microfocado (MiFU) foi aprovado pela FDA para lifting dos supercílios.30 O mecanismo de ação do MiFU baseia-se no fornecimento de energia acústica, gerando vibração no tecido-alvo, causando fricção molecular. Parte dessa energia mecânica é convertida em energia térmica, gerando calor acima de 60 °C, temperatura aproximada necessária para desnaturar o colágeno, criando, assim, pequenos focos de lesão térmica e induzindo a neocolagênese.31-34

Em contraste com outras modalidades não invasivas de tensionamento de tecidos, o MiFU se destaca pelo tempo mínimo de inatividade, fornecimento de energia focado e preciso e seu alvo mais profundo, o sistema musculoaponeurótico superficial (SMAS) – um alvo de tratamento atraente devido às suas propriedades viscoelásticas35 e capacidade de elevação.

Com relação ao uso do MiFU para o lifting dos supercílios, a estratégia mais lógica, em nossa opinião, é usar essa tecnologia para o tratamento dérmico nas regiões da testa, têmporas e periorbital. Considerando que a espessura média da pele nessas regiões geralmente não excede 2 mm, 36 recomendamos o uso de transdutores até essa profundidade. Os transdutores que atingem camadas mais profundas podem não atingir a área de tratamento de forma eficaz, aumentando potencialmente o desconforto do procedimento e o risco de efeitos adversos.

De particular importância é a possibilidade de lesionar o ramo temporal do nervo facial durante o tratamento das têmporas. Esse ramo é exclusivamente motor e inerva os músculos auriculares superiores e anteriores, o ventre frontal do músculo occipitofrontal, o músculo orbicular dos olhos e o músculo corrugador dos supercílios. A lesão desse ramo pode levar à paralisia desses músculos na hemiface afetada.21,37

Ao realizar um tratamento com MiFU, vários parâmetros devem ser definidos de acordo com o efeito desejado e, principalmente, com base nas características individuais de cada paciente. O número de pontos de coagulação, a distância entre esses pontos (“pitch”), sua profundidade, o nível de energia e a distribuição dos pontos na área de tratamento são os principais determinantes dos resultados.

Além disso, as expectativas dos pacientes em relação aos resultados devem estar sempre alinhadas, pois os resultados também dependem de fatores pessoais, como o grau de flacidez cutânea, a qualidade da MEC da pele, a idade do paciente e os hábitos de vida, que podem influenciar a capacidade de neocolagênese.

BIOESTIMULADORES DE COLÁGENO INJETÁVEIS

Os bioestimuladores de colágeno injetáveis são substâncias capazes de proporcionar um efeito lifting por meio do aumento da espessura dérmica e da quantidade de fibras de colágeno e elastina na pele.38 A opinião de muitos especialistas, com a qual os autores deste artigo concordam, é que o ácido poli-L-láctico e a hidroxiapatita de cálcio podem ser indicados para uso em várias áreas da face e do corpo, pois ambos parecem proporcionar resultados satisfatórios de aumento de colágeno.38-43 Apesar disso, permanecem algumas dúvidas quanto à eficácia comparativa e se há superioridade de resultados entre essas duas substâncias em regiões anatômicas específicas.38

No tratamento do terço superior da face, recomendamos restringir seu uso à região temporal, considerando que a injeção desses produtos na testa ou na área periorbital está associada a maior risco de eventos adversos, como a formação de nódulos

Surg Cosmet Dermatol. 2025;v.17: n.1 jan-mar. p.11-23.

Artéria temporal superficial (ramo parietal)

Artéria temporal superficial (ramo frontal)

Figura 1: Representação esquemática do trajeto da artéria temporal superficial na face. À direita, observe que o ponto de entrada da cânula de injeção permite a distribuição do produto em vetores que atravessam a topografia desta artéria de forma mais perpendicular, reduzindo o risco vascular desta técnica, tanto para o tratamento com bioestimuladores de colágeno como para a injeção subdérmica de ácido hialurônico nas têmporas

TÉCNICAS DE LIFTING COM FIO

subcutâneos, devido à maior atividade muscular nessas duas regiões.44

Considerando as peculiaridades anatômicas da região temporal, o médico que realiza a injeção deve observar que o ácido poli-L-láctico é um produto líquido (reconstituído com água destilada estéril), composto de partículas muito pequenas, oferecendo (teoricamente) menor risco de oclusão vascular, mesmo em pequenos vasos, em comparação com a hidroxiapatita de cálcio.

Em relação ao plano de injeção de ambos os produtos, estudos histológicos em animais comparando a produção de colágeno resultante após injeções intradérmicas e subdérmicas dos bioestimuladores mostraram que as aplicações intradérmicas produzem uma quantidade mais significativa de colágeno.38,45 No entanto, o plano intradérmico também apresenta um risco maior de efeitos adversos, como formação de nódulos e irregularidades, em comparação com o plano subdérmico.46,47 Por esse motivo, o plano subdérmico é o que recomendamos para a aplicação de bioestimuladores (Figura 1).

O lifting com fio é um procedimento cosmético em que fios farpados são usados para elevar e rejuvenescer o tecido facial. Pesquisas atuais descrevem dois métodos principais para obter efeitos duradouros com o lifting com fio. Em primeiro lugar, os fios ancoram o tecido mole circundante, transferindo a tensão para elevar e remodelar os contornos faciais. Em segundo lugar, à medida que os fios se degradam localmente, eles estimulam a produção de colágeno e fibras elásticas, proporcionando uma suspensão semipermanente do tecido.

Várias marcas oferecem produtos para lifting com fios com propriedades diferentes. Inicialmente, o polipropileno era comumente usado devido à sua natureza não absorvível, levando mais de um ano para se degradar. Recentemente, materiais absorvíveis como a policaprolactona, o ácido polilático, o ácido poliglicólico e a polidioxanona ganharam popularidade por suas propriedades biodegradáveis em procedimentos de rejuvenescimento facial.48 Com base em experiências clínicas anteriores, as características ideais de um fio com farpas usado no lifting facial incluem: ser absorvível e duradouro; ter farpas com formato adequado; possuir módulo de elasticidade adequado e resistência mecânica suficiente; e provocar respostas biológicas apropriadas.

É importante observar que atualmente não há na literatura médica uma comparação direta que avalie e compare de forma abrangente essas características entre todas as marcas de fios disponíveis no mercado.48

Embora o efeito de elevação de longo prazo do lifting com fios permaneça discutível, essa técnica tem se mostrado eficaz na promoção da neocolagênese.49-51 Isso por si só já constitui uma vantagem significativa, pois os fios podem ser utilizados na região frontal para reposicionar os supercílios, uma área em que não se recomenda a aplicação de bioestimuladores injetáveis.

Além da composição do material, os fios podem variar em outros aspectos, como o fato de serem inseridos com agulhas ou cânulas. Foi demonstrado que as cânulas oferecem maior conforto, menos dor e menos efeitos adversos ou complicações em comparação com as agulhas, o que as torna mais comumente usadas. Os fios dentados ou com contas são normalmente inseridos por meio de cânulas mais largas do que o próprio fio. As agulhas, embora sejam mais fáceis de passar, podem resultar em mais hematomas. Para procedimentos como o Silhouette Soft™, são necessários pontos de entrada e saída, o que requer anestesia em ambos os locais.52

Os fios também podem diferir em sua forma e direção das farpas ou cones. As formas incluem filamentos simples, farpados ou dentados com espinhos ao longo do mesmo eixo, aqueles com espinhos rotativos ao longo do eixo do fio, dentados com cones e dentados com espinhos em forma de seta. Além disso, em geral preferem-se fios em suturas farpadas para fixar os procedimentos de lifting. A direção das farpas ou dos cones pode ser unidirecional ou bidirecional. Os fios dentados (farpados) são usados principalmente no procedimento de elevação dos supercílios. Além disso, as farpas podem ser substituídas por cones em fios bidirecionais, como o Silhouette Soft 52

Neste artigo, não entraremos em detalhes sobre as várias possibilidades técnicas de lifting dos supercílios com fios, pois essas técnicas são diversas e podem variar dependendo do tipo de fio escolhido para o tratamento. Além disso, as técnicas devem ser adaptadas de acordo com as características anatômicas de cada paciente. Em nossa opinião, o aspecto fundamental para todas essas diferentes técnicas é o planejamento dos pontos de elevação e a introdução dos fios no plano anatômico adequado para otimizar os resultados e minimizar as complicações.

O plano anatômico ideal para a inserção de fios de polidioxanona para a elevação dos supercílios é o plano subdérmico ou subcutâneo.53 Esses planos fornecem suporte direto à pele, auxiliando na elevação eficaz dos supercílios. Além disso, eles minimizam o risco de lesão dos nervos e vasos sanguíneos subjacentes, reduzindo assim as possíveis complicações. A compreensão da anatomia local é fundamental para garantir a colocação precisa dos fios.

Nesse contexto, o plano subdérmico oferece um local seguro e confiável para a inserção dos fios, pois é superficial à musculatura facial e evita estruturas mais profundas.21 Ao aderir a esse plano anatômico, os profissionais podem obter resultados ideais com risco reduzido de eventos adversos.

Aconselhamos o uso prévio de toxina botulínica na musculatura do terço superior da face. Isso se justifica como uma medida complementar aos procedimentos de lifting com fios porque as injeções de toxina botulínica podem enfraquecer seletivamente a atividade de músculos faciais específicos, reduzindo assim a probabilidade de deslocamento dos fios causado pela contração muscular. Essa abordagem combinada não apenas aumenta a eficácia e a durabilidade do lifting com fios, mas também contribui para a harmonia estética geral e a satisfação com o desfecho do tratamento.

EQUILIBRAR A TRAÇÃO MUSCULAR NO TERÇO

SUPERIOR DO ROSTO

A injeção de toxina botulínica remodela os supercílios de três formas diferentes: (1) quando os músculos depressores laterais são injetados, a paralisia seletiva dos depressores resulta em elevação dos supercílios sem oposição do músculo frontal; (2)quando os músculos depressores mediais são injetados, a difusão da toxina nas fibras frontais mediais causa paralisia parcial do frontal medial e aumento do tônus nas fibras frontais laterais, resultando em elevação dos supercílios; (3) quando o músculo frontal é injetado juntamente com os depressores da testa, a potencial elevação da testa pelo músculo frontal é atenuada, resultando por vezes numa depressão paradoxal da testa.54

Teoricamente, uma vez que a toxina botulínica atua na junção neuromuscular, as áreas dentro do músculo com uma maior concentração de junções neuromusculares seriam mais sensíveis à toxina. A região onde as junções neuromusculares estão distribuídas dentro de um músculo é conhecida como “zona de inervação”.55 Se as junções neuromusculares estivessem distribuídas uniformemente pelo músculo, a zona de inervação seria difusa. No entanto, se as junções neuromusculares estiverem agrupadas em áreas bem definidas, as zonas de inervação são descritas como focais.

Quando as zonas de inervação são focais, uma injeção precisa de toxina botulínica nestas zonas em qualquer músculo deve produzir um efeito ótimo no relaxamento muscular. Por conseguinte, a nossa sugestão de tratamento para cada um dos músculos envolvidos no posicionamento dos supercílios é a seguinte: a dose dependerá da avaliação individual da força muscular do paciente e o espaçamento entre os pontos deve respeitar o halo de difusão esperado, dependendo do tipo de toxina utilizada, da diluição e da dose planejada (Figura 2).56,57

MÚSCULO PRÓCERO

Para o tratamento deste músculo, recomendamos um único ponto de injeção no ventre muscular.

MÚSCULO CORRUGADOR DOS SUPERCÍLIOS

Sugerimos um a três pontos de injeção por lado, sendo a decisão sobre o número de pontos de injeção baseada na palpação e inspeção muscular durante a contração. O ponto de injeção junto à origem muscular (designado por “cabeça”

l Pontos de injeção laterais e supralaterais Surg Cosmet Dermatol. 2025;v.17: n.1 jan-mar. p.11-23.

Músculos corrugadores dos supercílios

l Injeção mais profunda (origem muscular)

l Injeção mais superficial (inserção muscular)

l Músculos depressores dos supercílios

l Prócero

l Occipitofrontal

Crista temporal Músculo orbicularis oculi

Figura 2: Representação esquemática da distribuição dos pontos de aplicação da toxina botulínica no terço superior da face. A - A linha de convergência (“linha C”) representa o plano horizontal de encontro entre a porção do occipitofrontal que se move no sentido craniocaudal e a porção do mesmo que se move no sentido caudocranial. Para a elevação de supercílios, deve-se tomar cuidado com as injeções de toxina botulínica abaixo dessa linha de referência, principalmente na porção lateral do ponto máximo destinado ao arqueamento dos supercílios (geralmente posicionado entre o canto lateral do olho e a borda lateral da íris). B - No tratamento do músculo orbicular dos olhos, quando se pretende elevar a porção lateral dos supercílios, devem ser injetadas as suas porções lateral e superolateral. Deve-se ter cuidado ao avaliar o halo de difusão da toxina utilizada, principalmente no seu ponto mais alto de injeção, que deve ser sempre lateral ao limite lateral do músculo occipitofrontal (aqui representado pela crista temporal)

do corrugador) deve ser mais profundo, tendo em conta a sua origem óssea.21 Por outro lado, quanto mais próximo o ponto de injeção estiver da inserção muscular (“cauda” do corrugador), mais superficial deve ser, dado que a inserção muscular é cutânea.21

É importante referir que as fibras do músculo occipitofrontal na região acima dos supercílios também têm inserção cutânea. Existe um cruzamento das fibras destes dois músculos nesta zona, bem como das fibras do músculo orbicular dos olhos.21 Por isso, a pessoa que aplica a injeção deve considerar opotencial de difusão da toxina no músculo occipitofrontal, o que poderia levar à queda dos supercílios neste ponto. Por outro lado, alguns artigos demonstram que a paralisia da porção central do músculo frontal pode levar ao aumento do tônus das fibras frontais laterais, o que poderia ser benéfico numa estratégia de elevação da porção lateral dos supercílios.54

MÚSCULO DEPRESSOR DOS SUPERCÍLIOS

O músculo depressor dos supercílios corresponde a um dos músculos glabelares. Origina-se do processo ósseo da maxila e possui de uma a duas cabeças, que se inserem na pele localizada abaixo da porção medial dos supercílios.58,59 Possui ação sinérgica com a porção superomedial do músculo orbicular dos olhos e com o músculo corrugador dos supercílios, causando uma retração inferomedial dos supercílios.58

Além disso, foi demonstrado que o músculo depressor dos supercílios contribui para a formação de linhas de expressão oblíquas, juntamente com o músculo prócero e a porção medial do músculo orbicular dos olhos.58,60 Para o bloqueio adequado deste músculo, realiza-se uma injeção cerca de 10 a 15 mm acima do tendão cantal medial para obter a elevação da porção medial dos supercílios ou para reduzir as rugas glabelares oblíquas.61

MÚSCULO OCCIPITOFRONTAL

Sendo o único músculo responsável pela elevação dos supercílios, o músculo occipitofrontal deve ser tratado com precaução. Para conseguir este efeito, recomendamos que a sua porção central seja tratada. Isso auxilia no tratamento das rugas frontais e pode contribuir para o aumento compensatório do tônus das porções laterais desse músculo, auxiliando na elevação da porção lateral dos supercílios.

Cotofana et al 62 descreveram um movimento bidirecional da pele da testa: a pele inferior da testa moveu-se cranialmente, enquanto a pele superior da testa moveu-se caudalmente quando o músculo occipitofrontal se contraiu. Ambos os movimentos convergiam para uma linha estática e imóvel denominada linha de convergência (“linha C”). Injetar toxina botulínica acima da linha C e evitar a injeção abaixo dela pode reduzir o risco de ptose dos supercílios.62 Assim, recomendamos que, lateralmente ao ponto de elevação pretendida dos supercílios (tipicamente correspondente ao ponto de arqueamento), o músculo

Linha de convergência
Ponto de arqueamento desejado
Canto lateral
Membro lateral da íris

frontal só deve ser tratado acima da sua linha de convergência,62 quando identificado.

Em alguns pacientes, o não tratamento das porções laterais inferiores do músculo frontal pode levar à insatisfação devido à persistência ou mesmo à exacerbação das rugas nessas áreas. Nestes casos, recomenda-se o alinhamento das expectativas relativamente ao tratamento simultâneo das rugas e da elevação dos supercílios. Nesse sentido, é possível tratar essas áreas com a injeção de microdoses de toxina botulínica, técnica também conhecida como “microbotox”.63

O microbotox refere-se à injeção de múltiplos pontos de toxina botulínica diluída em pequenas alíquotas e por via intradérmica.64 Esse procedimento tem como alvo as fibras superficiais dos músculos faciais, enfraquecendo sua inserção na superfície da pele, responsável pelas linhas finas e rugas. Considerando o aspecto tridimensional do halo de ação da toxina, o uso intradérmico de maiores quantidades pode resultar em fraqueza muscular ou falta de atividade mimética nas áreas tratadas, devido à difusão mais profunda, o que poderia levar a uma queda na porção lateral dos supercílios quando essa técnica é utilizada próxima a essa região anatômica.63

MÚSCULO ORBICULARIS OCULI

Relativamente ao músculo orbicularis oculi, a sua zona de inervação parece ser difusa, beneficiando de múltiplos pontos de injeção para um bloqueio optimizado.55 Um ponto motor é definido como uma pequena área na pele perto de um músculo específico onde o limiar de excitabilidade elétrica desse músculo é mais baixo. No estudo de Borodic,55 foram identificados dois pontos motores do músculo orbicularis oculi em localizações semelhantes em todos os casos observados: um foi encontrado na porção superolateral, ao nível do sulco palpebral superior. O segundo ponto motor foi encontrado na porção inferomedial do músculo, próximo à crista lacrimal anterior.55

Além disso, o posicionamento dos pontos de injeção deve levar em consideração a função específica atribuída a cada porção do músculo orbicular dos olhos. Nesse sentido, para a elevação dos supercílios, devem ser priorizadas as porções lateral e superior desse músculo.21

Tendo em conta todas estas observações, sugerimos que omúsculo orbicularis oculi seja tratado com múltiplos pontos de injeção no plano intramuscular, nas suas porções lateral e superior.

A pessoa que realiza a injeção deve ter especial cuidado para evitar a difusão da toxina para a porção lateral do músculo occipitofrontal, o que poderia levar a uma ptose da cauda dos supercílios. Sugerimos que se estabeleça o ponto a partir do qual se pretende a elevação dos supercílios (normalmente correspondente ao ponto de arqueamento) e que se evite tratar o músculo frontal em toda a zona lateral a este ponto, ou pelo menos a zona abaixo da linha C acima referida.

Portanto, quando a porção superolateral do músculo orbicular é injetada, recomenda-se optar por uma toxina de alta

precisão, com escolha de diluição e dose que, embora eficazes, reduzam a chance de difusão do produto.56,57

VOLUMIZAÇÃO DO TERÇO SUPERIOR DO ROSTO

A próxima estratégia para o reposicionamento dos supercílios envolve a abordagem da deflação do tecido, se houver. Recomendamos que esta etapa seja realizada após um mínimo de 14 dias após o tratamento com toxina botulínica, uma vez que os efeitos desejados desse tratamento tenham sido alcançados. Devem ser avaliadas três regiões anatômicas para volumização: as têmporas, a testa e a parte lateral dos supercílios. Os pacientes devem ser avaliados individualmente quanto à indicação de tratamento em cada uma dessas áreas.

Se a volumização for necessária em mais do que uma dessas regiões, recomendamos que se dê prioridade às têmporas, seguida da testa e, por fim, da cauda dos supercílios.

REGIÃO TEMPORAL

Casabona et al 65 avaliaram retrospectivamente os efeitos obtidos com três técnicas de preenchimento de têmporas com ácido hialurônico a partir dos planos de injeção: subdérmico, interfacial e supraperiosteal. Cada um destes planos de injeção teve um impacto variável nas alterações do envelhecimento facial, e o plano interfacial apresentou resultados superiores no reposicionamento dos supercílios.65

A equipe de anatomia do Instituto Boggio (São Paulo, Brasil) realizou um estudo66 em cadáveres para replicar a técnica de injeção interfascial.67 Nesse estudo, 89% das injeções foram realizadas na camada errada e, em uma tentativa, a artéria temporal superficial foi transfixada pela cânula. Os autores destacaram as diferenças entre a realização de procedimentos em espécimes de cadáveres recém-congelados e em pacientes vivos. No entanto, tendo em conta os aspectos anatômicos da região temporal e a falta de segurança estabelecida para a reprodutibilidade da técnica interfascial, o nosso grupo considera que este plano apresenta um elevado risco de complicações vasculares, pelo que o evita.

Neste sentido, este algoritmo sugere que, se houver necessidade de corrigir a deflação volumétrica temporal, esta deve ser feita através da deposição de ácido hialurônico nos planos supraperiosteal e subdérmico, reservando o plano supraperiosteal para os casos de deflação mais significativa. Para o efeito, propomos as seguintes técnicas.

PLANO SUPRAPERIOSTEAL

De acordo com a técnica descrita por Swift, um único ponto de injeção é realizado aproximadamente 1 cm lateral à linha de fusão temporal e 1 cm acima da margem supraorbitária, paralelamente a esta. Antes da injeção, sugere-se a palpação digital para detectar a pulsação arterial e evitar acidentes vasculares mais significativos.67,68

Após tocar o osso temporal com a agulha, procede-se à aspiração, seguida de injeção lenta em bolus, mantendo contato

l Ponto de injeção

Surg Cosmet Dermatol. 2025;v.17: n.1 jan-mar. p.11-23.

l Ponto de injeção

Linha de fusão temporal

Rebordo orbital superior

Ponto de injeção 2

Ponto de injeção 1

Figura 3: Representação esquemática dos pontos de injeção de ácido hialurônico supraperiosteal. A) Ponto “Swift”: 1 cm acima do rebordo orbital superior e 1 cm lateralmente à linha de fusão temporal; B) Pontos de injeção supraperiosteais acima do rebordo orbital superior: o ponto de injeção 1 é delimitado por uma linha vertical tangente ao membro lateral da íris, enquanto o ponto de injeção 2 repousa 1 cm lateralmente ao ponto 1

contínuo com o periósteo. Para esta técnica, recomenda-se o uso de preenchedores de ácido hialurônico de alto módulo elástico (G’) e alta coesividade, para garantir a dispersão circunferencial do produto e ainda conseguir uma boa elevação dos tecidos sobrejacentes.69 O autor da técnica recomenda o uso de uma média de 0,25 a 0,75 mL por têmpora.

Cotofana et al 70 sugerem que os procedimentos de injeção no compartimento temporal geralmente requerem mais de 0,5 mL por lado para proporcionar uma mudança visível na projeção da superfície, o que está de acordo com a prática clínica dos autores deste artigo (Figura 3A).

Muitos autores consideram o plano supraperiosteal seguro para injeção devido à presença de vasos maiores (como a artéria temporal superficial e a veia temporal média) que atravessam planos mais superficiais. No entanto, ramos da artéria temporal profunda cursam entre o músculo temporal e o periósteo, representando um risco vascular potencial para injeções profundas na região.71-73

A artéria temporal profunda é um ramo da artéria maxilar e pode anastomosar com várias artérias da região, como as artérias lacrimal, supraorbital e meníngea média.21,74,75 Outra artéria importante que pode estar presente na região temporal é a artéria zigomático-orbital, que é uma bifurcação da artéria tem-

poral superficial, ocasionalmente emergindo dos ramos frontal ou parietal da artéria temporal superficial. Esta artéria de tamanho considerável é tipicamente descrita como correndo paralela e superiormente à borda superior do arco zigomático.21,76 No entanto, no estudo de Park et al 76 a artéria zigomático-orbitária seguiu um curso na direção de uma linha que passa pelo tragus e pela crista supraorbitária, a uma distância de aproximadamente ±1 cm desta linha.

Freytag et al 77 injetaram 20 hemifaces de doadores de corpos frescos. A injeção temporal profunda foi realizada com agulha 25G, em constante contato com o osso. Posteriormente, ao ser dissecado, a maior parte do produto foi identificada no interior do músculo temporal, indicando um fluxo retrógrado ao longo do canal de injeção da agulha, segundo os autores.

Em nossa opinião, devido às camadas extremamente finas das estruturas anatômicas da têmpora, o posicionamento da agulha perpendicular ao plano supraperiosteal pode fazer com que o bisel da agulha fique parcialmente dentro do plano intramuscular, embora a ponta da agulha permaneça em contato direto com operiósteo, o que poderia justificar a injeção no plano errado. Além disso, o emprego da aspiração para atenuar as complicações vasculares é objeto de um debate considerável. A consistência espessa de determinados materiais de enchimento, por

Flacidez da pele

Têmporas

MFU e/ou bioestimuladores de colágeno

Ptose dos supercílios

Musculatura: os depressores dos supercílios predominam sobre a ação do occipitofrontal

Toxina Botulínica

Figura 4: Tratamento da ptose dos supercílios: algoritmo proposto

Depleção de volume

Testa Têmporas ROOF

Preenchedores de Ácido Hialurônico

exemplo, pode produzir resultados de aspiração inconsistentes, necessitando de uma pressão de sucção elevada e de uma duração de aspiração prolongada para obter um resultado de teste positivo. Por conseguinte, não se deve confiar apenas num resultado negativo (ausência de sangue no interior da agulha), dada a elevada probabilidade de um resultado falso-negativo.78

Assim, alertamos para o fato de não existir consenso quanto à segurança das injeções supraperiosteais nas têmporas, de os acidentes vasculares nesta região poderem implicar shunting entre os sistemas carotídeo interno e externo e de o médico que realiza a injeção atentar às possibilidades de variações anatômicas.

PLANO SUBDÉRMICO

Para a injeção subdérmica, este algoritmo propõe a técnica descrita no artigo “Safety of the Inferolateral Orbital Access for Filling the Temporal Region with the Fanning Technique”.79 Nesta técnica, o ácido hialurônico é depositado no plano subdérmico através de múltiplas retroinjeções lineares com uma cânula 22G, através de um ponto de entrada localizado na região inferolateral da órbita.

De acordo com esta técnica, os vários vetores de injeção tendem a ter um ângulo maior em relação ao trajeto da artéria temporal superficial, proporcionando uma maior segurança vascular em comparação com outros pontos de entrada da cânula.79

Para este plano de preenchimento, sugerimos a utilização de produtos de ácido hialurônico de alta coesividade com G’ baixo a médio, dependendo da espessura da pele da região temporal a ser tratada (Figura 1).

REGIÃO FRONTAL

Para contribuir para a elevação dos supercílios, recomendamos o preenchimento dos compartimentos de gordura profundos da testa sempre que se perceba concavidade nesta área. Normalmente, a área a ser injetada situa-se no terço médio vertical da testa. Nesta topografia, os vasos supraorbitais e supratrocleares tornam-se mais superficiais. Para reduzir o risco de injeção intravascular, o preenchedor deve ser colocado no plano subgaleal (imediatamente acima do periósteo).68

Recomendamos a injeção de ácido hialurônico nesta área utilizando uma cânula 22G, com o ponto de entrada lateral à área de injeção, depositando vários pequenos boli de produto de alto G’ e alta coesividade. Após a injeção, deve ser realizada uma massagem manual para uma melhor acomodação do produto. Além de promover a distensão da pele e consequente tração dos supercílios, o volumizador posicionado abaixo do músculo occipitofrontal aumenta a sua atividade através de um mecanismo denominado miomodulação.79,80

PORÇÃO LATERAL DOS SUPERCÍLIOS (ROOF)

O objetivo do preenchimento da região dos supercílios é revolumizar o compartimento de ROOF. Esta gordura dá forma aos supercílios e à pálpebra superior acima do sulco supratarsal,68,81 e a perda de volume neste compartimento também contribui para a deflação e descida da cauda dos supercílios.82,83 Para preencher esta região, é criado um ponto de entrada para a cânula imediatamente lateral aos supercílios. Uma cânula de calibre 22G é avançada paralelamente à borda supraorbital, logo

Testa MFU

acima do osso, até uma distância apropriada avaliada clinicamente. O preenchimento deve ser colocado lateralmente ao feixe neurovascular supraorbitário (para evitar lesões) e profundamente ao músculo orbicularis oculi. Os supercílios são elevados com a mão não dominante, afastando-os do rebordo orbital.69 O preenchimento deve ser depositado gradualmente, de forma anterógrada ou retrógrada, sempre acima do rebordo orbital. A técnica push-ahead (realizada com injeção anterógrada) permite que o material injetado eleve a área à frente da ponta da cânula, reduzindo o risco de hematomas.84 Sugere-se a deposição do produto através de vários pequenos boli.

Após a injeção, procede-se à moldagem manual do preenchedor para promover a simetria, homogeneidade e projeção anterior.

PONTO DE “ESTACA” DOS SUPERCÍLIOS

Para complementar o lifting dos supercílios, após a realização das técnicas descritas anteriormente, sugerimos a criação de pontos de injeção supraperiosteal no rebordo orbital superior, exatamente nos pontos onde se pretende elevar os supercílios, respeitando a anatomia local para maior segurança.

Tipicamente, sugerimos que o primeiro ponto seja posicionado numa linha vertical que toca o membro lateral da íris, e osegundo ponto 1 cm lateral a este.

Além disso, para evitar que esses pontos de injeção causem projeção anterior dos supercílios, sugerimos que sejam realizados logo acima da crista supraciliar, onde se pode palpar uma depressão no osso frontal (Figura 3B).

CONCLUSÃO

A ptose dos supercílios não é uma alteração que ocorrerá em todos os rostos, com o processo de envelhecimento. No entanto, quando presente, a ptose é geralmente mais visível no terço lateral dos supercílios e resulta de um conjunto de alterações anatômicas e fisiológicas que afetam várias camadas anatômicas. Por este motivo, em muitos casos observamos que a toxina botulínica por si só pode não ser suficiente para atingir o resultado desejado quando pretendemos elevar os supercílios. Através de uma avaliação minuciosa e individualizada, podemos estabelecer quais alterações do envelhecimento predominam em cada paciente e, assim, escolher as ferramentas e técnicas mais adequadas para cada caso. Com base no que foi discutido acima, propõe-se um algoritmo para o reposicionamento dos supercílios através de procedimentos minimamente invasivos (Figura 4). l

REFERÊNCIAS:

1. Westmore M. Facial cosmetics in conjunction with surgery. In: Aesthetic Plastic Surgical Society Meeting; 1974; Vancouver, British Columbia.

2. Wolfort FG, Gee J, Pan D, Morris D. Nuances of aesthetic blepharoplasty. Ann Plast Surg. 1997;38(3):257-262.

3. Gunter JP, Antrobus SD. Aesthetic analysis of the eyebrows. Plast Reconstr Surg. 1997;99(7):1808-1816.

4. Roth JM, Metzinger SE. Quantifying the arch position of the female eyebrow. Arch Facial Plast Surg. 2003;5(3):235-239.

5. Kunjur J, Sabesan T, Ilankovan V. Anthropometric analysis of eyebrows and eyelids: an inter-racial study. Br J Oral Maxillofac Surg. 2006;44(2):89-93.

6. Freund RM, Nolan WB. Correlation between brow lift outcomes and aesthetic ideals for eyebrow height and shape in females. Plast Reconstr Surg. 1996;97(7):1343-1348.

7. Flowers RS, Flowers SS. Precision planning in blepharoplasty. The importance of preoperative mapping. Clin Plast Surg. 1993;20(2):303-310.

8. Cook TA, Brownrigg PJ, Wang TD, Quatela VC. The versatile midforehead browlift. Arch Otolaryngol Head Neck Surg. 1989;115(2):163- 168.

9. Artz JS, Dinner MI, Foglietti MA. Planning the aesthetic foreheadplasty. Ann Plast Surg. 1990;25(1):1-6.

10. Tolleth H. Concepts for the plastic surgeon from art and sculpture. Clin Plast Surg. 1987;14(4):585-598.

11. Van den Bosch WA, Leenders I, Mulder P. Topographic anatomy of the eyelids, and the effects of sex and age. Br J Ophthalmol. 1999;83(3):347-352.

12. Maio M, Swift A, Signorini M, Fagien S. Facial assessment and injection guide for botulinum toxin and injectable hyaluronic acid fillers: focus on the upper face. Plast Reconstr Surg. 2017;140(2):265e-276e.

13. Feser DK, Gründl M, Eisenmann-Klein M, Prantl L. Attractiveness of eyebrow position and shape in females depends on the age of the beholder. Aesthetic Plast Surg. 2007;31(2):154-160.

14. Richer V, Berkowitz, Almeida AT. Eyebrow shape preference across age, gender, and self-reported ethnic Group. Dermatol Surg. 2023;49(2):171-176.

15. Matros E, Garcia JA, Yaremchuk MJ. Changes in eyebrow position and shape with aging. Plast Reconstr Surg. 2009;124(4):1296-1301.

16. Goldstein SM, Katowitz JA. The male eyebrow: a topographic anatomic analysis. Ophthalmic Plast Reconstr Surg. 2005;21(4):285-291.

17. Mendelson B, Wong CH. Changes in the facial skeleton with aging: implications and clinical applications in facial rejuvenation. Aesthetic Plast Surg. 2012;36(4):753-760.

18. Knize DM. An anatomically based study of the mechanism of eyebrow ptosis. Plast Reconstr Surg. 1996;97(7):1321-1333.

19. Yun S, Son D, Yeo H, Kim S, Kim J, Han K, et al. Changes of eyebrow muscle activity with aging: functional analysis revealed by electromyography. Plast Reconstr Surg. 2014;133(4).

20. Rohrich RJ, Pessa JE. The fat compartments of the face: anatomy and clinical implications for cosmetic surgery. Plast Reconstr Surg. 2007;119(7):2219-2227.

21. Boggio R, Núcleo de Anatomia do Instituto Boggio. Anatomia Facial Aplicada. 1st . Di Livros Editora Ltda. 2022.

22. Cotofana S, Mian A, Sykes JM, Redka-Swoboda W, Ladinger A, Pavicic T, et al. An update on the anatomy of the forehead compartments. Plast Reconstr Surg. 2017;139(4):864e-872e.

23. Kahn DM, Shaw RB. Aging of the bony orbit: a three-dimensional computed tomographic study. Aesthet Surg J. 2008;28(3):258-264.

24. Lohwasser C, Neureiter D, Weigle B, Kirchner T, Schuppan D. The receptor for advanced glycation end products is highly expressed in the skin and upregulated by advanced glycation end products and tumor necrosis factor- alpha. J Invest Dermatol. 2006;126(2):291-299.

25. Uitto J, Olsen DR, Fazio MJ. Extracellular matrix of the skin: 50 years of progress. J Invest Dermatol. 1989;92(4):S61-S77.

26. Lee H, Hong Y, Kim M. Structural and functional changes and possible molecular mechanisms in aged skin. Int J Mol Sci. 2021;22(22):12489.

27. Reilly DM, Lozano J. Skin collagen through the lifestages: importance for skin health and beauty. Plast Aesthet Res. 2021;8:2.

28. Cole MA, Quan T, Voorhees JJ, Fisher GJ. Extracellular matrix regulation of fibroblast function: redefining our perspective on skin aging. J Cell Commun Signal. 2018;12(1):35-43.

29. Shanina NA, Patrushev AV, Zorman A. Histological and immune histochemical changes in facial skin treated with combined ablative and non-ablative laser therapy. J Cosmet Dermatol. 2021;20(11):3509-3516.

30. lkan A, Fabi S, Green J. Microfocused Ultrasound for Facial photo rejuvenation: a review. Facial Plast Surg. 2016;32(03):269-275.

31. Bozec L, Odlyha M. Thermal denaturation studies of collagen by microthermal analysis and atomic force microscopy. Biophys J. 2011;101(1):228-236.

32. Minkis K, Alam M. Ultrasound skin tightening. Dermatol Clin. 2014;32(1):71-77.

33. Alam M, White LE, Martin N, Witherspoon J, Yoo S, West DP. Ultrasound tightening of facial and neck skin: a rater-blinded prospective cohort study. J Am Acad Dermatol. 2010;62(2):262-269.

34. White WM, Makin IRS, Barthe PG, Slayton MH, Gliklich RE. Selective creation of thermal injury zones in the superficial musculoaponeurotic system using intense ultrasound therapy. Arch Facial Plast Surg. 2007;9(1):22-29.

35. Har-Shai Y, Bodner SR, Egozy-Golan D, Lindenbaum ES, Ben-Izhak O, Mitz V, et al. Viscoelastic properties of the superficial musculoaponeurotic system (SMAS): a microscopic and mechanical study. Aesthet Plast Surg. 1997;21(4):219-224.

36. Meng Y, Feng L, Shan J, Yuan Z, Jin L. Application of high-frequency ultrasound to assess facial skin thickness in association with gender, age, and BMI in healthy adults. BMC Med Imaging. 2022;22(1):113.

37. Silva MLA, Aboudib JH, Castro CC. Anatomia aplicada do ramo temporal do nervo facial: estudo do risco potencial de lesão durante a cirurgia do rejuvenescimento facial. Rev Bras Cir Plast. 2010;25(4):604-613.

38. Cunha MG, Engracia M, Souza LG, Machado Filho CD. Bioestimuladores e seus mecanismos de ação. Surg Cosmet Dermatol. 2020;12(2).

39. Corduff N, Chen JF, Chen YH, Choi HS, Goldie K, Lesthari, et al. Pan-asian consensus on calcium hydroxyapatite for skin biostimulation, contouring, and combination treatments. J Clin Aesthet Dermatol. 2021;14(8):E76-E85.

40. Haddad A, Menezes A, Guarnieri C, Coimbra D, Ribeiro E, Sarubi J, et al. Recommendations on the use of injectable poly-L-lactic acid for skin laxity in off-face areas. J Drugs Dermatol. 2019;18(9):929-935.

41. Casabona G, Pereira G. Microfocused ultrasound with visualization and calcium hydroxylapatite for improving skin laxity and cellulite appearance. Plast Reconstr Surg Glob Open. 2017;5(7):e1388.

42. Goldie K, Peeters W, Alghoul M, Butterwick K, Casabona G, Chao YYY, et al. Global consensus guidelines for the injection of diluted and hyperdiluted calcium hydroxylapatite for skin tightening. Dermatol Surg. 2018;44(1):S32-S41.

43. Vleggaar D, Fitzgerald R, Lorenc ZP. Consensus recommendations on the use of injectable poly-L-lactic acid for facial and nonfacial volumization. J Drugs Dermatol. 2014;(4 Suppl):s44-51.

44. Almeida AT, Figueredi V, Cunha ALG, Casabona G, Faria JRC, Alves EV, et al. Consensus recommendations for the use of hyperdiluted calcium hydroxyapatite (radiesse) as a face and body biostimulatory agent. Plast Reconstr Surg Glob Open. 2019;7(3):e2160.

45. Fenske NA, Lober CW. Structural and functional changes of normal aging skin. J Am Acad Dermatol. 1986;15(4):571-585.

46. Breithaupt A, Fitzgerald R. Collagen stimulators: poly-L-lactic acid and calcium hydroxyl apatite. Facial Plast Surg Clin North Am. 2015;23(4):459-469.

47. Hevia O. A retrospective review of calcium hydroxylapatite for correction of volume loss in the infraorbital region. Dermatol Surg. 2009;35(10):1487- 1494.

48. Cao L, Qiu H, Yu D, Shuo L, Wang H. Comparison of different thread products for facial rejuvenation: Materials and barb designs. J Cosmet Dermatol. 2023;22(7):1988-1994.

49. Tong LX, Rieder EA. Thread-lifts: a double-edged suture? A comprehensive review of the literature. Dermatol Surg. 2019;45(7):931-940.

50. Obourn CA, Williams EF. A decade of thread-lifting—what have we learned over the last 10 years? JAMA Facial Plast Surg. 2018;20(5):349-350.

51. Rachel JD, Lack EB, Larson B. Incidence of complications and early recurrence in 29 patients after facial rejuvenation with barbed suture lifting. Dermatol Surg. 2010;36(3):348-354.

52. Felipe I. Eyebrow thread lifting. In: Minimally invasive aesthetic procedures. Springer International Publishing; 2020:407-413.

53. Kim H, Jung J, Choi SW, Yun CW, Lee W. Eyebrow lifting using multidirectional absorbable thread. J Cosmet Dermatol. 2023;22(10):2780-2784.

54. Jabbour S, Awaida C, Kechichian E, Rayess Y, Abdelmassih Y, Noel W, et al. Botulinum toxin for eyebrow shaping: a systematic review. Dermatol Surg. 2017;43(3):S252-S261.

55. Borodic GE, Cozzolino D, Ferrante R, Wiegner AW, Young RR. Innervation zone of orbicularis oculi muscle and implications for botulinum A toxin therapy. Ophthalmic Plast Reconstr Surg. 1991;7(1):54-60.

56. Hsu TSJ, Dover JS, Arndt KA. Effect of volume and concentration on the diffusion of botulinum exotoxin A. Arch Dermatol. 2004;140(11).

57. Costa A, Pereira ESP, Pereira MO, Santos FBC, Favaro R, Stocco PL, et al. Comparative study of the diffusion of five botulinum toxins type-A in five dosages of use: Are there differences amongst the commercially-available products? Dermatol Online J. 2012;18(11).

58. Cook BE, Lucarelli MJ, Lemke BN. Depressor supercilii muscle. Ophthalmic Plast Reconstr Surg. 2001;17(6):404-411.

Surg Cosmet Dermatol. 2025;v.17: n.1 jan-mar. p.11-23.

59. Daniel R, Landon B. Endoscopic forehead lift: anatomic basis. Aesthet Surg J. 1997;17(2):97-104.

60. Fagien S. Botox for the treatment of dynamic and hyperkinetic facial lines and furrows: adjunctive use in facial aesthetic surgery. Plast Reconstr Surg. 1999;103(2):701-713.

61. Domínguez-Duarte A. Aesthetic implications of depressor supercilii muscle block with botulinum toxin type A. J Cosmet Dermatol. 2022;21(4):1374-1378.

62. Cotofana S, Freytag DL, Frank K, Sattler S, Landau M, Pavicic, et al. The bidirectional movement of the frontalis muscle: introducing the line of convergence and it’s cotential clinical relevance. Plast Reconstr Surg. 2020;145(5):1155-1162.

63. Diaspro A, Calvisi L, Manzoni V, Sito G. Microbotulinum: a quantitative evaluation of aesthetic skin improvement in 62 patients. Plast Reconstr Surg. 2020;146(5):987-994.

64. Wu WTL. Microbotox of the lower face and neck. Plast Reconstr Surg. 2015;136:92S-100S.

65. Casabona G, Frank K, Moellhoff N, Gavril DL, Swift A, Freytag DL, et al. Full-face effects of temporal volumizing and temporal lifting techniques. J Cosmet Dermatol. 2020;19(11):2830-2837.

66. Faria GEL, Nassif AD, Schwartzmann G, Zattar L, Boggio RF. Interfascial technique for volumizing the temple with no image guidance: is it safe? Eur J Plast Surg. 2023.

67. Cotofana S, Gaete A, Hernandez CA,Casabona G, Bay S, Pavicic T, et al. The six different injection techniques for the temple relevant for soft tissue filler augmentation procedures – clinical anatomy and danger zones. J Cosmet Dermatol. 2020;19(7):1570-1579.

68. Sykes JM, Cotofana S, Trevidic P, Solish N, Carruthers J, et al. Upper face: clinical anatomy and regional approaches with injectable fillers. Plast Reconstr Surg. 2015;136(5):204S-218S.

69. Almeida ART, Sampaio GAA, Queiroz NPL. Ácido hialuronico no rejuvenescimento do terço superior da face: revisão e atualização. Parte 2: regiões temporal e supraórbitária. Surg Cosmet Dermatol. 2017;9(2):113-121.

70. Cotofana S, Koban KC, Konstantin F, Green JB, Etzel L, Giunta R, et al. The surface-volume coefficient of the superficial and deep facial fat compartments: a cadaveric three-dimensional volumetric analysis. Plast Reconstr Surg. 2019;143(6):1605-1613.

71. Jung W, Youn KH, Won SY, Park JT, Hu KS, Kim HJ. Clinical implications of the middle temporal vein with regard to temporal fossa augmentation. Dermatol Surg. 2014;40(6):618-623.

72. Beleznay K, Carruthers JDA, Humphrey S, Jones D. Avoiding and treating blindness from fillers. Dermatol Surg. 2015;41(10):1097-1117.

73. Bae H, Choi Y, Lee K, Gil Y, Hu K, Kim H. The deep temporal arteries: anatomical study with application to augmentations procedures of the temple. Clin Anato. 2023;36(3):386-392.

74. Amans MR, Narvid J, Halbach VV. Intra-arterial chemotherapy for bilateral retinoblastoma via left ophthalmic artery and right anterior deep temporal artery. Case Reports. 2014;2014(sep19 3):bcr2014204549-bcr2014204549.

75. Quisling RG, Seeger JF. Orbital anastomoses of the anterior deep temporal artery. Neuroradiology. 1975;8(5):259-262.

76. Park HJ, Lee JH, Jung W. The superficial temporal artery and zygomatico-orbital artery: superficial arterial distribution of the anterior temple area. Biomed Res Int. 2022;2022:1-6.

77. Freytag DL, Frank K, Haidar R, Rudolph C, Muste J, Schenck TL, et al. Facial safe zones for soft tissue filler injections: a practical guide. J Drugs Dermatol. 2019;18(9):896-902.

78. Van Loghem J, Sattler S, Casabona G, Cotafona S, Fabi SG, Goldie K, et al. Consensus on the use of hyaluronic acid fillers from the cohesive polydensified matrix range: best practice in specific facial indications. Clin Cosmet Investig Dermatol. 2021;14:1175- 1199.

79. Faria GEL, Bastos AQ, Vilela CL, Zattar L, Boggio RF. Safety of the inferolateral orbital access for filling the temporal region with the fanning technique. J Cosmet Dermatol. 2022;21(11):5569-5575.

80. Maio M. Myomodulation with injectable fillers: an update. Aesthetic Plast Surg. 2020;44(4):1317-1319.

81. Goldberg RA. Eyelid anatomy revisited. Dynamic high-resolution magnetic resonance images of Whitnall’s ligament and upper eyelid structures with the use of a surface coil. Arch Ophthalmol. 1992;110(11):1598.

82. Javidnia H, Sykes J. Endoscopic brow liftslifts: have they replaced coronal lifts? Facial Plast Surg Clin North Am. 2013;21(2):191-199.

83. Hetzler L, Sykes J. The brow and forehead in periocular rejuvenation. Facial Plast Surg Clin North Am. 2010;18(3):375-384.

84. Faria GEL, Bent AM, Santos DB, Tartare A, Boggio RF. Facial beautification with fillers and main differences between genders. Rev Bras Cir Plást. 2021;36(1).

CONTRIBUIÇÃO DOS AUTORES:

Rebecca Ignacio Subirá Medina 0000-0001-6756-4263

Aprovação da versão final do manuscrito; concepção e planejamento do estudo; elaboração e redação do manuscrito; obtenção, análise e interpretação dos dados; participação efetiva na orientação da pesquisa; participação intelectual em conduta propedêutica e/ou terapêutica de casos estudados; revisão crítica da literatura; revisão crítica do manuscrito.

Gladstone Eustáquio de Lima Faria 0000-0002-0754-2019

Aprovação da versão final do manuscrito; concepção e planejamento do estudo; elaboração e redação do manuscrito; obtenção, análise e interpretação dos dados; participação efetiva na orientação da pesquisa; participação intelectual em conduta propedêutica e/ou terapêutica de casos estudados; revisão crítica da literatura; revisão crítica do manuscrito.

Ricardo Frota Boggio 0000-0002-5139-0243

Aprovação da versão final do manuscrito; concepção e planejamento do estudo; elaboração e redação do manuscrito; obtenção, análise e interpretação dos dados; participação efetiva na orientação da pesquisa; participação intelectual em conduta propedêutica e/ou terapêutica de casos estudados; revisão crítica da literatura; revisão crítica do manuscrito.

www.surgicalcosmetic.org.br/

Ontogênese do carcinoma de células de Merkel

Ontogenisis of Merkel-cell carcinoma

DOI: http://www.dx.doi.org/10.5935/scd1984-8773.2025170354

RESUMO

Foi realizada uma revisão narrativa para elucidar a ontogênese do carcinoma de células de Merkel. Entre as hipóteses consideradas, há as células derivadas da crista neural embrionária; células-tronco da pele; células epiteliais; células pré e pró-B; fibroblastos da derme; ou células metastáticas de outros tipos de carcinomas. A influência da epigenética também foi considerada. Metodologicamente, para a elaboração do resumo foram selecionados artigos das bases de dados PubMed e SciELO e algumas de suas referências. Os resultados sugerem que é mais provável que o carcinoma de células de Merkel tenha origem múltipla, possivelmente a partir de células pouco diferenciadas. Palavras-chave: Linhagem Celular Tumoral; Carcinoma de Célula de Merkel; Oncologia; Neoplasias.

Artigo de revisão

Autoress:

Fernanda Guimarães Souza1

Daniela Pessanha dos Santos1

Luiza Oliveira Ribeiro1

Thiago Rubim Batista Bellot Nascimento2

Flávio Barbosa Luz3

1 Universidade Federal Fluminense, Discente da Faculdade de Medicina, Hospital Universitário Antônio Pedro, Niterói (RJ), Brasil

2 Universidade Federal Fluminense, Doutorando em Patologia, Hospital Universitário Antônio Pedro, Niterói (RJ), Brasil

3 Universidade Federal Fluminense, Professor Adjunto da Faculdade de Medicina, Hospital Universitário Antônio Pedro, Niterói (RJ), Brasil

ABSTRACT

A narrative review was performed to clarify the ontogenesis of Merkel-cell carcinoma. It is hypothesized that the cells are derived from the embryonic neural crest, skin stem cells, epithelial cells, pre-/pro-B cells, dermal fibroblasts, or metastatic cells from other types of carcinomas. The influence of epigenetics was also considered. Methodologically, to prepare the summary articles were selected from the PubMed and SciELO databases and cited references. The results suggest that it is more likely that Merkel-cell carcinoma has multiple origins, possibly from poorly differentiated cells. Keywords: Cell Lineage; Carcinoma, Merkel Cell; Merkel Cells; Medical Oncology.

Correspondência:

Fernanda Guimarães Souza E-mail: guimaraesfernanda@id.uff.br

Fonte de financiamento: Nenhuma. Conflito de interesses: Nenhum.

Data de Submissão: 26/02/2024

Decisão final: 21/11/2024

How to cite this article: Souza FG, Santos DP, Ribeiro LO, Nascimento TRBB, Luz FB. Ontogenisis of Merkel-cell carcinoma. Surg Cosmet Dermatol. 2024;16:e202040354.

INTRODUÇÃO

O carcinoma de células de Merkel (CCM), antigamente conhecido como carcinoma trabecular da pele, é um carcinoma raro e agressivo, de característica neuroendócrinas, com alta letalidade e frequência de metástase. Apresenta-se como lesão cutânea firme, de superfície lisa, coloração eritemato-violácea, de rápido crescimento e indolor (Figura 1).1 O tumor é desenvolvido primeiramente na derme, com frequente progressão para o tecido subcutâneo, gerando metástase pelo sistema linfático, características que explicam a sua rápida disseminação, destacando a importância do diagnóstico precoce. Os principais fatores de risco para o desenvolvimento desse tipo de câncer são: idade avançada, pele clara, exposição à radiação ultravioleta (UV) e comprometimento do sistema imunológico. Além disso, sabe-se que aproximadamente 80% dos casos de CCM estão associados ao poliomavírus das células de Merkel (MCPyV), um vírus não encapsulado de DNA circular, pertencente à família Polyomaviridae, que comumente infecta queratinócitos da pele. A maior parte da população tem o primeiro contato com o MCPyV durante a primeira infância, e a maioria das infecções ocorre de forma assintomática, com a permanência do vírus em estado de latência durante toda a vida. Posteriormente, quan-

do mal controlado pelos mecanismos do sistema imunológico, pode originar o CCM (CCM vírus-positivo ou CCMVP). O restante dos casos de CCM não relacionados ao poliomavírus (CCM vírus-negativo ou CCMVN) é causado principalmente por mutações decorrentes da exposição crônica à radiação UV nas células de origem do tumor.2 As lesões compartilham marcadores neuroendócrinos com as células de Merkel (CMs), como a citoqueratina 20 (CK20) e a enolase neurônio-específica (NSE), o que levou ao seu nome.2 Contudo, apesar dessa aparente relação, a linhagem celular que origina esse carcinoma ainda é uma incógnita. As CMs são células pós-mitóticas e, por isso, apresentam potencial oncogênico limitado, além de estarem localizadas na epiderme, fatores que enfraquecem a hipótese de que o CCM se origine a partir desse tipo celular. Ainda, testes indicam que as CMs não respondem efetivamente aos estímulos oncogênicos, inclusive aos antígenos do poliomavírus.3 Foram propostas algumas linhagens celulares que podem originar oCCM: células derivadas da crista neural embrionária; células progenitoras ou células-tronco da pele; células epiteliais; células pré e pró-B; fibroblastos da derme próximos aos folículos pilosos; ou células metastáticas de outros tipos de carcinomas.2-4 Alguns

1: Histórico dos estudos sobre a origem do carcinoma de células de Merkel

Figura

Surg Cosmet Dermatol. 2025;v.17: n.1 jan-mar. p.24-33.

estudos propõem, ainda, que os CCMVNs sejam originados por linhagens celulares diferentes, que convergem para um mesmo fenótipo por meio de reprogramação epigenética.2 As pesquisas voltadas para a definição da oncogênese do CCM são de extrema importância para o estabelecimento de biomarcadores específicos desse câncer. Com isso, serão possíveis avanços médicos que visem ao desenvolvimento de formas mais adequadas para o manejo do CCM, como a elaboração de medidas profiláticas que reduzam a incidência da doença e que melhorem o prognóstico desses pacientes, diminuindo as taxas de metástase e de recidiva, assim como o número de óbitos.

MÉTODOS

Foi realizada revisão narrativa de literatura por três autores, com base em 57 artigos. As pesquisas iniciais foram realizadas a partir das bases de dados PubMed e SciELO, em línguas inglesa e portuguesa, publicados no período de 2008 a 2022. Os termos utilizados foram: “Merkel Cell Carcinoma” e “Origin”. Dos 74 artigos, foram selecionados 42 que abordavam as bases teóricas das principais hipóteses ontológicas do CCM. Adicionalmente, 15 artigos que constavam das referências utilizadas também foram considerados na pesquisa, totalizando 57 artigos. Por fim, com base nesse material científico selecionado, foi desenvolvida a revisão narrativa sobre as diferentes possíveis origens celulares do CCM.

Histórico

O CCM foi inicialmente descrito em 1972 como carcinoma trabecular da pele e, naquele período, acreditava-se que sua origem era écrina.5 O nome “carcinoma de células de Merkel” foi determinado apenas 6 anos depois, em 1978, após a identificação, pela imuno-histoquímica, da possível relação entre esse carcinoma e as CMs presentes na epiderme, evidenciada

na tabela 1. As CMs são células sensoriais epidérmicas que interagem com neurônios aferentes do mecanorreceptor de baixo limiar Aβ tipo 1 e, por isso, são consideradas importantes na sensação de toque leve.6 A hipótese que relacionava a neoplasia recém-descoberta às CMs justificava-se pelas semelhanças fenotípicas entre elas. Estudos de microscopia eletrônica realizados com amostras de carcinomas trabeculares da pele identificaram a presença de grânulos neurossecretores, o que reforçou a teoria de que a possível origem dessa neoplasia poderia ser as CMs.7 Todavia, mais tarde, alguns estudos encontraram diversos indícios de que as CMs eram uma origem pouco provável deste carcinoma. Entre as evidências que sustentam essa nova perspectiva, destaca-se, primeiramente, a diferença topográfica entre os CCMs e as CMs: as CMs estão presentes na epiderme, camada mais superficial da pele, enquanto os CCMs são majoritariamente encontrados na derme.8 Além disso, ainda que ambos os conjuntos celulares expressem citoqueratinas específicas semelhantes, como a CK20, análises histológicas indicam que a disposição dessas moléculas ocorre de forma distinta em cada tipo celular. Nas CMs, a CK20 é frouxamente organizada, enquanto nos CCMs elas se organizam em espiral ou em arranjos análogos à placa.9 Deve-se considerar, ainda, dados que indicam que os CCMs expressam marcadores não identificados nas CMs, como o receptor tirosina-quinase c-kit e a molécula de adesão CD171.10 Assim, novamente o questionamento a respeito de qual é o tipo celular responsável por originar o CCM veio à tona. As células da crista neural foram inicialmente cotadas, já que o mecanismo patogênico de formação do CCM é similar ao mecanismo de outras neoplasias que possuem origem nessas células.11 Além dessa hipótese, surgiu a teoria de que as células pré-b e pró-b compunham a gênese desse carcinoma, uma vez que foram identificadas similaridades celulares entre essas progenitoras de linfócitos e o CCM, como a enzima desoxinucleotidil transferase terminal

Células

Células sensoriais epidérmicas que interagem com neurônios aferentes do mecanorreceptor de baixo limiar

Aβ tipo 1.6

Definição

Similaridades

Diferenças

Carcinoma raro e agressivo, de características neuroendócrinas, com alta letalidade e frequência de metastáses.1

São consideradas importantes na sensação de toque leve.6 Apresenta-se como uma lesão cutânea firme, de superfície lisa, coloração eritêmato-violácea, de rápido crescimento e indolor.15-17

Identificação de marcadores neuroendócrinos presentes em ambos, como a CK20, CD56, NSE, cromogranina

A, sinaptofisina e a expressão de neurofilamentos.24-28

Identificação de grânulos neurossecretores em amostras de carcinoma de células de Merkel.7

Diferença topográfica entre os carcinomas de células de Merkel e as células de Merkel – células de Merkel são encontradas na epiderme, enquanto os carcinomas de células de Merkel são majoritariamente encontrados na derme.8

CK20: citoqueratina 20; NSE: enolase neurônio-específica.

Tabela 1: Comparação entre as células de Merkel e o carcinoma de células de Merkel
de Merkel versus carcinoma de células de Merkel

Figure 2: Lesão cutânea de face diagnosticada como carcinoma de células de Merkel em paciente do sexo masculino, após evolução de 4 meses

(TdT) e o gene PAX5.12 Mais recentemente, por meio dos avanços das pesquisas, teorias que abordam outras prováveis origens adquiriram notoriedade. A princípio, a influência da epigenética no desenvolvimento do CCM mostrou-se relevante. Postula-se que a hipermetilação de genes importantes no controle do ciclo celular é capaz de silenciá-los e, com isso, permitir divisões celulares sucessivas, favorecendo o surgimento do CCM.13 Ademais, foram feitos testes que identificaram similaridades mutacionais entre as células do CCM e as células do carcinoma de células escamosas in situ em um caso que possuía essas neoplasias associadas. Os resultados retomaram a discussão que, até então, tinha pouca notoriedade, sobre a possibilidade de a origem celular do CCM ser também a partir de células epiteliais.14 Desse modo, é perceptível que, ao longo da história (Figura 2), a célula responsável por originar o CCM foi pauta de extensas discussões no âmbito científico. Cabe a nós, portanto, reunir nesta revisão conteúdos que embasam evidências encontradas até hoje.

Carcinoma de células de Merkel

O CCM é um tipo raro e agressivo de câncer de pele, de alta letalidade, altamente metastático e com características neuroendócrinas. Esse tumor se apresenta como uma lesão cutânea firme, de superfície lisa, coloração eritêmato-violácea, de rápido crescimento e indolor (Figura 1).15-17 Os principais fatores de risco para o desenvolvimento do CCM podem ser resumidos no acrônimo AEIOU: A – asymptomatic ou assintomático; E – expanding rapidly ou expansão rápida; I – immune suppression ou imunossupressão; O – older than 50 years ou idade avançada, acima de 50 anos; U – UV-exposed site ou localização fotoexposta.18 Além disso, é comum o aparecimento desse tumor em indivíduos com história de outra forma de câncer de pele, como o carcinoma de células escamosas ou o carcinoma de células basais

da pele.19 As regiões corporais de maior incidência da lesão são cabeça e pescoço, peito e membros superiores, que ficam mais expostas à radiação solar. O CCM é estadiado de acordo com o sistema de estadiamento TNM, conforme a extensão do tumor primário (T – tumor), o acometimento de linfonodos regionais (N – nodes) e a presença de metástases à distância dos linfonodos regionais (M – metastasis).20 Pelos critérios recentemente atualizados pela American Joint Committee on Cancer, os estágios I e II se referem a tumores localizados na pele, III, doença em linfonodos regionais, e IV, doença metastática: estágio 0, lesão localizada de pequena dimensão; estágio I, lesão localizada com até 2 cm (T1); estágio IIA, lesão localizada entre 2 e 5 cm (T2) ou maior que 5 cm (T3), sem acometimento linfonodal; estágio IIB, tumor com invasão de músculo, cartilagem, fáscia ou osso (T4), sem acometimento linfonodal; estágio IIIA, tumor de qualquer tamanho com metástase para linfonodos regionais identificada por meio de análise histopatológica (pesquisa de linfonodo sentinela ou metástases em trânsito); estágio IIIB, tumor de qualquer tamanho, com metástase para linfonodos regionais identificada através do exame clínico; estádio IV, metástase para além dos linfonodos regionais.21 Além disso, o CCM é classificado em 3 subtipos histológicos: trabecular, menos comum e geralmente relacionado a tumores mistos; intermediário, mais comum, com uma alta taxa de mitose; e de pequenas células, similar a carcinomas de pequenas células característicos de outros órgãos e tecidos.22 Quanto à histopatologia, as células tumorais se localizam na derme, podendo acometer tecido subcutâneo ou de maior profundidade, são compostos por células pequenas, monomórficas, de formato circular ou ovalado, com núcleos vesiculares e citoplasma escasso.23

Inicialmente conhecido como carcinoma trabecular da pele, esse tipo de tumor aparece mais comumente na derme e tecido subcutâneo. O nome atual deriva da alta semelhança que as células tumorais têm com as CMs, que são mecanorreceptores para tato leve localizados em torno da base de folículos pilosos. As lesões apresentam marcadores neuroendócrinos, presentes também nas CMs, como a CK20, CD56, enolase neurônio específica NSE, cromogranina A e a sinaptofisina, além da expressão de neurofilamentos.24-28 Contudo, apesar da similaridade das células tumorais com as CMs, é improvável que essa linhagem celular seja a que origina a lesão, uma vez que surge na derme, e as CMs se localizam na epiderme.29,10 Existem quatro hipóteses principais para as células que originam o CCM: fibroblastos da derme, células progenitoras derivadas da crista neural embrionária, células epiteliais e células pré e pró-B. O surgimento do carcinoma pode estar relacionado com a integração viral do material genético do MCPyV ao DNA celular ou com mutações no DNA celular causadas pela ação da radiação UV.30,31 Apesar da diferença de origem, os CCMVPs, nos quais é possível identificar a presença de DNA viral, e os CCMVNs, nos quais não é possível identificar a presença de DNA viral, apresentam-se de forma semelhante. Eles possuem rápido crescimento, ausência de dor, coloração eritematosa ou de cor semelhante ao tom de pele

Surg Cosmet Dermatol. 2025;v.17: n.1 jan-mar. p.24-33.

Figure 3: Análise imuno-histoquímica demonstrando reatividade nuclear do carcinoma de células de Merkel para oMCPyV, visto em aumento de 400x

do indivíduo, e ao tecido acometido, a derme.32,33 Ambos têm histologia neuroendócrina, apresentando citoqueratinas, como a CK20, e marcadores neuroendócrinos, como a sinaptofisina, a cromogramina A e a INSM1. As lesões de CCMVN tendem a ser mais agressivas, pois apresentam muitas mutações no material genético celular, além de apresentarem maior chance de metástase e de recidiva.34 O diagnóstico do CCM, em grande parte dos casos, acontece de forma tardia, uma vez que a lesão é indolor e pode se assemelhar a outros tumores cutâneos. A biópsia da lesão, seguida de análise histopatológica, é a principal ferramenta diagnóstica atual.

Poliomavírus das células de Merkel

O MCPyV, integrante da família Polyomaviridae, é um vírus não envelopado de DNA de fita dupla circular, detectado com frequência em diversas células cutâneas. A maior parte das pessoas se infecta com o MCPyV, de forma assintomática, durante a infância, de modo que o vírus pode ser encontrado na pele da maioria dos adultos.35 O desenvolvimento do CCM, um tipo raro e agressivo de tumor cutâneo, na maioria dos casos está relacionado à infecção pelo MCPyV. O genoma viral é composto por uma região precoce e uma região tardia, separadas por uma região de controle não codificadora. A região inicial expressa genes que codificam dois antígenos T: antígeno T maior (LT-Ag), necessário para replicação viral; e antígeno T menor (sT-Ag), responsável pela interação com proteínas da célula hospedeira, além de ampliar a replicação viral.4 A região tardia expressa genes que codificam proteínas do capsídeo viral (VP), VP1, VP2 e VP3, expressas depois que a replicação do DNA foi iniciada e que codificam um microRNA viral que regula a expressão dos genes precoces.36 O MCPyV é responsável pela maior parte dos CCMs, havendo a integração do genoma viral ao das células tu-

morais na maior parte dessas lesões, além da expressão do LT-Ag truncado.37 A integração do MCPyV ao genoma do indivíduo ocorre por uma fragmentação acidental do DNA durante a replicação viral, em sítios aleatórios, sem envolvimento de genes supressores tumorais da célula.38 Na análise imuno-histoquímica, é possível detectar a presença do MCPyV em células acometidas pelo CCM (Figura 3).39 Em normalidade, o LT-Ag é responsável, entre outros fatores, pela ativação do gene p53, uma proteína com função de supressão tumoral. Contudo, quando ocorre o truncamento do LT-Ag, há um aumento na taxa de proliferação celular, consequência da não ativação do gene p53, de maneira que pode haver surgimento de tumor. Além disso, sabe-se que opoliomavírus tem importante papel no desenvolvimento do CCM, pois interfere em diversas vias de sinalização das células, apesar de não haver clareza sobre quais etapas são afetadas.1 Ainda não se sabe ao certo quais são as células hospedeiras que mantêm a infecção latente do MCPyV.2

Origem a partir de células infectadas pelo poliomavírus das células de Merkel O MCPyV infecta fibroblastos da derme localizados logo abaixo da membrana basal da epiderme e nas proximidades de folículos pilosos.40 É possível que o vírus infecte as células da derme que cercam o folículo piloso e use o espaço folicular como meio para se disseminar para a superfície da pele e infectar novos hospedeiros.2 A migração de fibroblastos infectados pelo vírus para locais lesionados pode ser outra forma de transmissão dos vírus das células que os armazenam para camadas mais profundas da pele, podendo ocasionar o desenvolvimento do carcinoma.2 Tendo em vista que a infecção pelo MCPyV pode acarretar o surgimento do CCM, apesar de não ser suficiente para tal, é possível inferir que as células que originam esse tumor, ou, pelo menos, os CCMVP, sejam as células susceptíveis à infecção pelo vírus – os fibroblastos da derme próximos aos folículos pilosos.41

Origem a partir da crista neural embrionária

As células da crista neural surgem durante o processo de neurulação, que ocorre por volta da 4ª semana de gestação, e são frutos do tubo neural. Essas células migram para diferentes áreas do embrião, diferenciando-se em uma grande variedade de tipos celulares, como, por exemplo, células da derme.42 Com base nisso, foi criada a hipótese de que as CMs, células neuroendócrinas da epiderme, originam-se da crista neural, uma vez que na derme fetal essas células estão associadas com pequenos nervos amielínicos. Em alguns casos, CMs associadas a nervos podem ser identificadas cruzando a camada basal que separa derme e epiderme.43

Sabe-se que o CCM pode não ter origem a partir das células que lhe dão nome, apesar de não haver certeza sobre sua verdadeira origem celular. Uma das hipóteses postuladas sobre o tipo celular que origina esse tumor é baseada nas células da crista neural embrionária.Tal hipótese decorre, principalmente, do fato de que os mecanismos patogênicos que dão origem ao CCM são

semelhantes aos mecanismos patogênicos de neoplasias com origem conhecida a partir de derivados da crista neural.11

O desenvolvimento de tumores está, em parte, relacionado com a inativação ou com a perda de genes supressores de tumor. Em neoplasias que se originam da crista neural, é comum que esses genes sejam perdidos a partir de deleções no braço curto do cromossomo 1 do material genético celular.44 As células tumorais de grande parte dos CCMs apresentam, também, mutações na região distal no braço curto do cromossomo 1, fato que sugere que esse carcinoma tenha origem a partir do mesmo tipo celular que origina tumores como o melanoma e o neuroblastoma – derivados das células da crista neural.44 Além disso, as células do CCM expressam atividade da telomerase, enzima ativa apenas em células nervosas, o que pode indicar que esse tipo de câncer se origine de células com função nervosa, como as que se diferenciam a partir das células da crista neural embrionária.11

Origem epitelial

A hipótese de que o CCM advém de variações fenotípicas de uma célula epitelial é altamente relevante. Essa teoria é pautada na possibilidade de ocorrer um processo de diferenciação celular das células epiteliais, que as permite adquirir características neuroendócrinas similares às das CMs.3 Historicamente, os princípios que apontam as células epiteliais como células de origem do CCM não são muito bem aceitos, com destaque para dois argumentos: que os CCMs são mais frequentemente encontrados na derme e que as notificações de casos que sustentam essa provável origem epitelial são raras. Deve-se considerar, ainda, que as evidências atuais indicam que a infecção pelo MCPyV não é suficiente para induzir a transformação das células epiteliais em células neoplásicas.41 Todavia, estudos recentes indicam a possível origem do CCM a partir de alterações em células neoplásicas epiteliais pré-existentes. Em tais pesquisas, as amostras de células da epiderme MCPyV-positivo e MCPyV-negativo são possíveis precursoras do CCM. A teoria que ganhou destaque nessas pesquisas atuais é pautada em relatos clínicos em que há o CCM associado a algum outro tipo de neoplasia epitelial. Pesquisadores acreditam que é possível que ocorra uma diversificação clonal da população neoplásica já existente, que adquire o fenótipo do CCM e, com isso, resulta em um caso de CCM associado a um outro carcinoma.3 A hipótese da origem epitelial em um caso de MCPyV-negativo é sustentada por estudos de um caso de CCM associado ao carcinoma de células escamosas in situ. A partir do sequenciamento genético da população celular, foram constatadas similaridades mutacionais entre os dois carcinomas, como na proteína TP53 e na RB1, que são importantes supressores tumorais. Desse modo, a relação etiológica entre os dois carcinomas foi sugerida, fortalecendo a teoria da origem epitelial em um caso de CCMVN.14 Em um caso positivo para o MCPyV, por sua vez, é considerada a influência da expressão de material genético viral e de oncogenes. Acredita-se que, juntos, esses fatores compõem um ambiente celular favorável ao desenvolvimento do CCM a partir de uma neoplasia pré-existente.14 Um relato de

caso recentemente publicado sugere o desenvolvimento de um CCMVP a partir de um tricoblastoma. O exame morfológico constatou um tumor bem delimitado, que nas bordas apresentava aspectos morfológicos de tricoblastoma e, no centro, características de CCM. Além disso, quando realizado PCR quantitativo, foi demonstrada uma relevante carga viral de MCPyV na amostra. Para sugerir a relação genética entre o CCM e o tricoblastoma, foi efetuado um sequenciamento genético e foram identificadas similaridades mutacionais entre as duas neoplasias, sugerindo que a integração do MCPyV ao tricoblastoma tenha influência no desenvolvimento do CCM.45

Origem a partir de células pré-B e pró-B

As células pró-B e pré-B compõem os estágios iniciais do tecido linfoide. Até que haja a formação do linfócito B maduro, há a maturação da célula progenitora, que passa pelos estágios pró-B e pré-B, respectivamente.46 No estágio pró-B, a célula expressa marcadores como CD19, CD20 e CD40, ao passo que no estágio pré-B, a célula expressa os marcadores TdT, CD79 e CD10, além de iniciar a formação do pré-BCR, um receptor imaturo de células B.47 As evidências que sustentam a origem do CCM a partir de progenitores de linfócitos B baseiam-se em similaridades celulares entre as células pró e pré-B e as amostras de CCM. O TdT corresponde a uma DNA polimerase que é característica de linfócitos T, de linfoma e/ou leucemia linfoblástica e de precursores de linfócitos na medula óssea. Essa enzima possui relevância no alongamento das cadeias de nucleotídeos durante o desenvolvimento inicial das células B. Estudos imuno-histoquímicos identificaram reatividade positiva para TdT em 73% das amostras de CCMs utilizadas, o que sugere que a origem celular do CCM pode estar relacionada aos precursores de linfócitos B.48 É relevante considerar, ainda, o gene PAX5, que desempenha uma importante função na origem das células B, atuando como base para a identificação dessa linhagem celular por meio da indução da expressão do marcador CD19 durante odesenvolvimento da linhagem linfocitária.49 Um estudo imuno-histoquímico identificou a presença desse gene em 89% das amostras de CCM. Além disso, testes adicionais realizados nessas amostras identificaram a presença de TdT em 78% dos CCM. Esses achados indicam que as células pró e pré-B podem ser as responsáveis por originar o CCM.12 Em conjunto, os dados a respeito da expressão celular nas amostras de CCM utilizadas nos estudos citados refletem similaridades bioquímicas entre o CCM e as células progenitoras de linfócitos B. Com isso, é possível que exista uma relação de ancestralidade entre as células pró-B e pré-B e o CCM, de modo que o desenvolvimento do CCM ocorra a partir da transformação das células pré-B e pró-B em células tumorais antes que o seu processo de maturação seja concluído.50

Origem com base na epigenética

A epigenética corresponde a modificações herdáveis e reversíveis do genoma, capazes de controlar a expressão gênica, sem alterar a sequência de DNA. Esse controle pode ocorrer

Surg Cosmet Dermatol. 2025;v.17: n.1 jan-mar. p.24-33.

por meio de modificações pós-traducionais de proteínas histonas, metilação de DNA ou expressão de microRNA, processos que causam instabilidade nas células e podem alterar a expressão gênica, provocando, eventualmente, a carcinogênese.51 A metilação do DNA representa a transferência de um grupo metil para o carbono 5 de um nucleotídeo, silenciando o gene que ocontém, por meio da inibição da transcrição ou recrutamento de complexos correpressores da remodelação da cromatina. Eventos de metilação, principalmente em regiões promotoras de genes supressores de tumor ou relacionados ao tumor, já foram evidenciados na progressão de alguns tipos de câncer, como o melanoma, permitindo não só o desenvolvimento de biomarcadores epigenéticos com utilidade clínica, mas também a elucidação de sua tumorigênese.52 Alguns genes hipermetilados já foram descritos no CCM, como ilhas de CpG localizadas no promotor RASSF1A e o CDKN2A (p14ARF).13 O RASSF1A constitui um gene supressor de tumor que participa da regulação do ciclo celular e apoptose.53 Já a p14ARF é uma proteína codificada

pelo gene CDKN2A, capaz de bloquear o ciclo celular nas fases G1 e G2 e de inibir o crescimento de células cancerígenas, ao ativar indiretamente o gene supressor de tumor p53 54 Dessa forma, o silenciamento desses genes observado no CCM sugere que as alterações na metilação podem estar diretamente envolvidas em sua carcinogênese.13 Além disso, apesar da infecção pelo MCPyV ser encontrada em cerca de 80% dos casos de CCM, possivelmente contribuindo para sua patogênese, há evidências de que a infecção viral não está relacionada com a inativação epigenética, o que indica a independência entre esses eventos.30,53 Em análises de amostras de pacientes diagnosticados com CCM, uma das linhagens celulares testadas, a MCC13, exibiu maior correspondência com o padrão de metilação do câncer de pulmão de pequenas células do que com o padrão encontrado no CCM. Como os perfis de metilação desses tipos de tumores são únicos, o resultado pode indicar que o CCM apresenta algumas células de origem derivadas de células metastáticas de outro tipo de carcinoma, que também possui características clínicas e

Tabela 2. Relação entre as hipóteses de origem do carcinoma de células de Merkel e a base teórica que as sustenta

Origem celular

Células de Merkel

Fibroblastos da derme

Células da crista neural embrionária

Relação entre a origem celular e a teoria

Base teórica

Identificação de marcadores neuroendócrinos no carcinoma de células de Merkel que estão presentes também nas células de Merkel, como CK20, CD56, NSE, cromogranina A e sinaptofisina, além da expressão de neurofilamentos. 24-28

Infecção dos fibroblastos da derme pelo MCPyV, que pode utilizar o espaço folicular para disseminar-se para porções mais superficiais da pele, onde se desenvolve o tumor.2,40

O carcinoma de células de Merkel apresenta patogênese semelhante a outros tumores que se originam a partir dessas células, como a inativação de genes supressores de tumor devido a mutações no braço curto do cromossomo 1 e a ação da enzima telomerase.11,44

MCPyV negativo: similaridades mutacionais entre as proteínas TP53 E RB1 das células do carcinoma de células de Merkel e do carcinoma de células escamosas in situ em um relato em que essas neoplasias estão associadas.14

Células epiteliais

Pre-B and pro-B cells

Epigenética

Células metastáticas de outros tipos de carcinomas

MCPyV positivo: possível influência da expressão dos oncogenes e do material genético viral no desenvolvimento do carcinoma de células de Merkel em casos em que já existe uma neoplasia pré-existente.14

Identificação de caracterísiticas celulares comuns entre as amostras de carcinoma de células de Merkel e a linhagem progenitora de linfócitos B, como a enzima TdT e o gene PAX5.12,48,50

Hipermetilação de genes atrelados ao controle do ciclo celular, como ilhas de CpG localizadas no promotor RASSF1A e o CDKN2A.13

O padrão de metilação de umas das linhagens celulares do carcinoma de células de Merkel demonstrou maior correspondência com o padrão de outro tipo de tumor do que com o próprio carcinoma de células de Merkel.13

CCK20: citoqueratina 20; NSE: enolase neurônio-específica; MCPyV: poliomavírus das células de Merkel; TdT: enzima desoxinucleotidil transferase terminal.

FG, Santos DP, Ribeiro LO, Nascimento

patológicas semelhantes.13 A metilação do DNA também pode ser utilizada como um indicador da idade biológica de um indivíduo.55 Com isso, o desenvolvimento de relógios que estimam a idade epigenética, baseados na medida dos efeitos cumulativos das metilações ao longo dos anos, permite a melhor abordagem de questões como câncer e envelhecimento.56 Uma baixa idade de metilação do DNA é encontrada em células-tronco, e a indução de pluripotência está associada ao rejuvenescimento das células.57 Além disso, a aceleração da idade epigenética reflete a diferença entre a idade de metilação do DNA e a idade cronológica.55 Um estudo revelou que a idade de metilação do DNA de amostras de CCM era significativamente menor do que a idade cronológica dos pacientes analisados, independentemente da presença de MCPyV. A baixa idade de metilação do DNA pode indicar uma pluripotência dessas células, hipótese corroborada pela ideia da diferenciação trilinear do CCM, uma vez que o padrão de expressão concomitante de linhagens de células epiteliais, neuroendócrinas e de linfócitos pré e pró-B sugere as células-tronco como uma possível origem desse tumor. Entretanto, as amostras de CCM apresentaram resultado negativo ao serem submetidas à análise de pluripotência, revelando um comportamento paradoxal de juventude epigenética apesar da ausência de pluripotência.57

CONCLUSÃO

O CCM, descrito pela primeira vez em 1972, ainda não tem a sua origem definida com clareza, de modo que, até o momento, foram postuladas apenas hipóteses que explicam o seu desenvolvimento. A hipótese mais antiga tem como base as células derivadas da crista neural embrionária. Isso se deve a similaridades entre a carcinogênese do CCM e de tumores com origem definida a partir da crista neural, como a perda de genes supressores de tumor em loci gênicos semelhantes e a atividade telomerase evidenciada em ambos.11,44 Apesar da importância dessa semelhança, essa hipótese parece ser a menos provável atualmente, uma vez que outras similaridades não estão presentes nas células do CCM e nas células tumorais do melanoma e do neuroblastoma, por exemplo, tumores derivados da crista neural embrionária. Além disso, é possível que o CCM tenha origem a partir de células pré-B e pró-B, já que existem similaridades entre essas células e as células tumorais do câncer em questão. Tal semelhança decorre da presença de TdT, enzima característica de linfócitos em seu estágio de desenvolvimento inicial, em amostras do CCM.48 A presença de CD19 nas células do carcinoma também sustenta essa hipótese, uma vez que esse marcador é codificado a partir do gene

PAX5, característico das células da linhagem linfocitária, também presente no tumor.49 Para os tumores em que é possível detectar o material genético do vírus, as células mais prováveis de se tornarem neoplásicas são os fibroblastos da derme localizados próximos aos folículos pilosos, uma vez que essas células são suscetíveis à infecção viral.2 Ao infectá-las, o poliomavírus integra seu material genético ao DNA celular, aumentando a taxa de proliferação celular, além de interferir em importantes vias de sinalização celular, o que pode acarretar o desenvolvimento do câncer.1,38 É possível, também, que o CCM tenha como origem células neoplásicas pré- existentes, que se desenvolvem a partir de células epiteliais. Essa hipótese tem como base a presença de mutações nos genes TP53 e Rb1, que são supressores tumorais, tanto no CCM quanto no carcinoma de células escamosas, na ausência de infecção pelo MCPyV.14 No caso de tumores vírus-positivo, a expressão do material genético viral concomitantemente à expressão de oncogenes pode favorecer a carcinogênese, teoria reforçada por casos já observados de amostras contendo características morfológicas e genéticas semelhantes entre o CCM e outros tumores cutâneos, como o tricoblastoma. Além disso, análises de linhagens celulares indicam que o padrão de metilação do CCM apresenta correspondências com outros tipos tumorais, como o câncer de pulmão de pequenas células, mostrando que o CCM pode ter origem em células metastáticas diversas, sem restringir-se às epiteliais. A epigenética é um importante fator para a elucidação do desenvolvimento do tumor. A hipótese que se baseia na modificação do genoma é sustentada pela observação, em amostras do CCM, de genes supressores de tumor silenciados a partir de mecanismos de hipermetilação.13 Ainda, análises epigenéticas tornaram improvável a ideia de células-tronco como uma possível origem do CCM, já que amostras desse tumor apresentaram resultado negativo quanto à pluripotência. Com base nos dados analisados, ainda não há informação suficiente disponível para se determinar a exata origem do CCM. Há uma ampla chance de que haja mais de uma origem celular para essa neoplasia, com a possível influência de mecanismos de modificação epigenética. Acreditamos que as células com maior probabilidade de originarem o CCM são células pouco diferenciadas, as quais podem se especificar em diferentes outros tipos celulares, o que é capaz de explicar a possível origem múltipla desse carcinoma. Apesar disso, alguns estudos, como orealizado por Chteinberg et al., apresentam resultados negativos para análise de pluripotência como a origem do CCM, fato que impede a definição objetiva da origem do CCM sem a realização de mais pesquisas neste âmbito.57 l

REFERÊNCIAS:

1. Uchi H. Merkell cell carcinoma: an update and immunotherapy. Front Ocol. 2018;8:48.

2. Krump NA, You J. From Merkel cell polyomavirus infection to Merkel cell carcinoma oncogenesis. Front Microbiol. 2021;12:739695.

3. Yang JF, You J. Merkel cell polyomavirus and associated Merkel cell carcinoma. Tumour Virus Res. 2022;13:200232.

4. Pietropaolo V, Prezioso C, Moens U. Merkel cell polyomavirus and Merkel cell carcinoma. Cancers (Basel). 2020;12(7):1774.

5. Toker C. Trabular carcinoma of the skin. Arch Dermatol.1972;105(1):107-110.

6. Bataille A, Le Gall C, Misery L, Talagas M. Merkel cells are multimodal sensory cells: a review of study methods. Cells. 2022;11(23):3827.

7. Tang CK, Toker C. Trabecular carcinoma of the skin: an ultrastructural study. Cancer. 1978;42(5):2311-2321.

8. Sibley RK, Dehner LP, Rosai J. Primary neuroendocrine (Merkel cell?) carcinoma of the skin. I. A clinopathologic and ultrastructural study of 43 cases. Am J Surg Pathol. 1985;9(2): 95-108.

9. Sunshine JC, Jahchan NS, Sage J, Choi J. Are there multiple cells of origin of Merkel cell carcinoma? Oncogene. 2018;37(11):1409-1416.

10. Tilling T, Moll I. Which are the cells of origin in Merkel cell carcinoma? J Skin Cancer. 2012;2012:680410.

11. Suárez C, Rodrigo JP, Ferlito A, Devaney KO, Rinaldo A. Merkel cell carcinoma of the head and neck. Oral Oncology. 2004; 40(8):773-779.

12. Kolhe R, Reid MD, Lee JR, Cohen C, Ramalingam P. Immunohistochemical expression of PAX5 and TdT by Merkel cell carcinoma and pulmonary small cell carcinoma: a potential diagnostic pitfall but useful discriminatory marker. Int J Clin Exp Pathol. 2013. 6(2):142-147.

13. Gujar H, Mehta A, Li HT, Tsai YC, Qiu X, Weisenberger DJ, et al. Characterizing DNA methylation signatures and their potential functional roles in Merkel cell carcinoma. Genome Med. 2021; 13(1):130.

14. Thibault K. Evidence of an epithelial origin of Merkel cell carcinoma. Mod Pathol. 2022;35(4):446-448.

15. Swann MH, Yoon J. Merkel cell carcinoma. Semin Oncol. 2007;34(1):51-56.

16. Hitchcock CL, Bland KI, Laney III RG, Franzini D, Harris B, Copeland EM. Neuroendocrine (Merkel cell) carcinoma of the skin. Its natural history, diagnosis, and treatment. Ann Surg. 1988;207(2):201-207.

17. Pectasides D, Pectasides M, Economopoulos T. Merkel cell cancer of the skin. Ann Oncol. 2006; 17(10):1489-1495.

18. Walsh NM, Cerroni L. Merkel cell carcinoma: a review. J Cutan Pathol. 2021;48(3):411-421.

19. Cerroni L, Kerl H. Primary cutaneous neuroendocrine ( Merkel cell) carcinoma in association with squamous – and basal – cell carcinoma. Am J Dermatopathol. 1997;19(6):610-613.

20. 20. Cornejo C, Miller CJ. Merkel cell carcinoma: updates on staging and management. Dermatol Clin. 2019;37(3):269-277.

21. Harms KL, Healy MA, Nghiem P, Sober AJ, Johnson TM, Bichakjian CK, et al. Analysis of prognostic factors from 9387 Merkel cell carcinoma cases forms the basis for the new 8th edition AJCC staging system. Ann Surg Oncol. 2016;23(11):3564-3571.

22. Baba PUF, Rasool Z, Younas Khan I, Cockerell CJ, Wang R, Kassir M, et al. Merkel cell carcinoma: from pathobiology to clinical management. Biology (Basel). 2021;10(12):1293.

23. Fried I, Cerroni L. [Merkel cell carcinoma]. Patholege. 2014;35(5):467-475.

24. Moll I, Kuhn C, Moll R. Cytokeratin 20 is a general marker of cutaneous Merkel cells while certain neuronal proteins are absent. J Invest Dermatol. 1995;104(6):910-915.

25. Eispert AC, Fuchs F, Brandner JM, Houdek P, Wladykowski E, Moll I. Evidence for distinct populations of human Merkel cells. Histochem Cell Biol. 2009;132(1):83-93.

26. Kurokawa M, Nabeshima K, Akiyama Y, Maeda S, Nishida T, Nakayama F, et al. CD56: a useful marker for diagnosing Merkel cell carcinoma. J Dermatol Sci. 2003;31(3):219-224.

27. Llombart B, Monteagudo C, Lopez-Guerrero JA, Carda C, Jorda E, Sanmartin O, et al. Clinicopathological and immunohistochemical analysis of 20 cases of Merkel cell carcinoma in search of prognostic markers. Histopathology. 2005;46(6):622-634.

28. Shah IA, Netto D, Schlageter MO, Muth C, Fox I, Manne RK. Neurofilament immunoreactivity in Merkel-cell tumors: a differentiating feature from small-cell carcinoma. Mod Pathol. 1993;6(1):3-9.

29. Moll I, Roessler M, Brandner JM, Eispert AC, Houdek P, Moll R. Human Merkel cells – aspects of cell biology, distribution and functions. Eur J Cell Biol. 2005;84(2-3):259-271.

30. Feng H, Shuda M, Chang Y, Moore PS. Clonal Integration of a polyomavirus in human Merkel cell carcinoma. Science. 2008;319(5866):10961100.

31. Wong SQ, Waldeck K, Vergara IA, Schröder J, Madore J, Wilmott JS, et al. UV-associated mutations underlie the etiology of MCV-negative Merkel cell carcinomas. Cancer Res. 2015;75(24):5228-5234.

32. DeCaprio JA. Molecular pathogenesis of Merkel cell carcinoma. Annu Rev Pathol. 2021;16:69-91.

33. Ahmed MM, Cushman CH, DeCaprio JA. Merkel cell polyomavirus: oncogenesis in a stable genome. Viruses. 2021;14(1):58.

34. Jaeger T, Ring J, Andres C. Histological, immunohistological, and clinical features of Merkel cell carcinoma in correlation to Merkel cell Polyomavirus status. J Skin Cancer. 2012;2012:983421.

35. Kean JM, Rao S, Wang M, Garcea RL. Seroepidemiology of human polyomaviruses. PLoS Pathog. 2009;5(3):e1000363.

36. Gjoerup O, Chang Y. Update on human polyomaviruses and cancer. Adv Cancer Res. 2010;106:1-51.

37. Csoboz B, Rasheed K, Sveinbjørnsson B, Moens U. Merkel cell polyomavirus and non‐Merkel cell carcinomas: guilty or circumstantial evidence? APMIS. 2020;128(2):104-120.

38. Starrett GJ, Marcelus C, Cantalupo PG, Katz JP, Cheng J, Akagi K, et al. Merkel Cell Polyomavirus Exhibits Dominant Control of the Tumor Genome and Transcriptome in Virus-Associated Merkel Cell Carcinoma. mBio. 2017;8(1):e02079-16.

39. Nascimento TRBB. Detecção de poliomavírus de células de Merkel em carcinomas de queratinócitos pela imuno-histoquímica [dissertação]. [Niterói]: Universidade Federal Fluminense; 2023. 95 p.

40. Liu W, Yang R, Payne AS, Schowalter RM, Spurgeon ME, Lambert PF, et al. Identifying the target cells and mechanisms of Merkel cell polyomavirus infection. Cell Host Microbe. 2016;19(6):775-787.

41. Harms PW, Harms KL, Moore PS, DeCaprio JA, Nghiem P, Wong MKK, et al. The biology and treatment of Merkel cell carcinoma: current understanding and research priorities. Nat Rev Clin Oncol. 2018;15(12):763-776.

42. Schoenwolf GC, Larsen WJ, Bleyl SB, Brauer PR, Francis-West PH. Larsen’s Human Embryology. Churchill Livingstone.; 2009.

43. Munde P, Khandekar S, Dive A, Sharma A. Pathophysiology of Merkel cell. J Oral Maxillofac Pathol. 2013;17(3):408-412.

44. Harnett PR, Kearsley JH, Hayward NK, Dracopoli NC, Kefford RF. Loss of allelic heterozygosity on distal chromosome 1p in Merkel cell carcinoma. A marker of neural crest origins? Cancer Genet Cytogenet. 1991;54(1):109-113.

45. Kervarrec T, Aljundi M, Appenzeller S, Samimi M, Maubec E, Cribier B, et al. Polyomavirus-positive Merkel cell carcinoma derived from a Trichoblastoma suggests an epithelial origin of this Merkel cell carcinoma. J Invest Dermatol. 2020;140(5):976-985.

46. Urbanczyk S, Stein M, Schuh W, Jäck HM, Mougiakakos D, Mielenz D. Regulation of energy metabolism during early B lymphocyte development. Int J Mol Sci. 2018;19(8):2192.

47. LeBien TW, Tedder TF. B lymphocytes: how they develop and function. Blood. 2008;112(5):1570-1580.

48. Buresh CJ, Oliai BR, Miller RT. Reactivity with TdT in Merkel cell carcinoma: a potencial diagnostic pitfall. Am J Clin Pathol. 2008;129(6):894-898.

49. Patton DT, Plumb AW, Abraham N. The survival and differentiation of pro- B and pre-B cells in the bone marrow is dependent on IL-7Rα Tyr449. J Immunol. 2014;193(7):3446-3455.

50. zur Hausen A, Rennspiess D, Winnepenninckx V, Speel EJ, Kurz AK. Early B-cell differentiation in Merkel cell carcinomas: clues to cellular ancestry. Cancer Res. 2013;73(16):4982-4987.

51. Rotondo JC, Mazziotta C, Lanzillotti C, Tognon M, Martini F. Epigenetic dysregulations in Merkel cell polyomavirus-driven Merkel cell carcinoma. Int J Mol Sci. 2021;22(21):11464.

52. Greenberg ES, Chong KK, Huynh KT, Tanaka R, Hoon DSB. Epigenetic biomarkers in skin cancer. Cancer Lett. 2014;342(20):170-177.

53. Helmbold P, Lahtz C, Enk A, Herrmann-Trost P, Marsch WCh, Kutzner H, et al. Frequent occurrence of RASSF1A promoter hypermethylation and Merkel cell polyomavirus in Merkel cell carcinoma. Mol Carcinog. 2009;48(10):903-909.

54. Sunwoo HH, Suresh MR. The immunoassay handbook: theory and applications of ligand binding, ELISA and related techniques [Internet]. 4th ed. Elsevier; 2013. Part 9, Chapter 12, Cancers Markers; p 833-856.

55. Noroozi R, Ghafouri-Fard S, Pisarek A, Rudnicka J, Spólnicka M, Branicki W, et al. DNA methylation-based age blocks: from age prediction to age reversion. Ageing Res Rev. 2021;68:101314.

56. Horvath S. DNA methylation age of human tissues and cell types. Genome Biol. 2013;14(10):R115.

57. Chteinberg E, Vogt J, Kolarova J, Bormann F, Van Den Oord J, Speel EJ, et al. The curious case of Merkel cell carcinoma: epigenetic youth and lack of pluripotency. Epigenetics. 2020;15(12):1319-1324.

CONTRIBUIÇÃO DOS AUTORES:

Fernanda Guimarães Souza 0009-0004-8385-0154

Análise estatística; aprovação da versão final do manuscrito; concepção e planejamento do estudo; elaboração e redação do manuscrito; obtenção, análise e interpretação dos dados; participação intelectual em conduta propedêutica e/ou terapêutica de casos estudados; revisão crítica da literatura; revisão crítica do manuscrito

Daniela Pessanha dos Santos 0009-0002-1490-9613

Análise estatística; aprovação da versão final do manuscrito; concepção e planejamento do estudo; elaboração e redação do manuscrito; obtenção, análise e interpretação dos dados; participação intelectual em conduta propedêutica e/ou terapêutica de casos estudados; revisão crítica da literatura; revisão crítica do manuscrito.

Luiza Oliveira Ribeiro 0009-0009-7355-9378

Análise estatística; aprovação da versão final do manuscrito; concepção e planejamento do estudo; elaboração e redação do manuscrito; obtenção, análise e interpretação dos dados; participação intelectual em conduta propedêutica e/ou terapêutica de casos estudados; revisão crítica da literatura; revisão crítica do manuscrito.

Thiago Rubim Batista Bellot Nascimento 0000-0003-3909-5935

Aprovação da versão final do manuscrito; concepção e planejamento do estudo; obtenção, análise e interpretação dos dados; participação efetiva na orientação da pesquisa; participação intelectual em conduta propedêutica e/ou terapêutica de casos estudados; revisão crítica da literatura; revisão crítica do manuscrito.

Flávio Barbosa Luz 0000-0001-5454-8950

Aprovação da versão final do manuscrito; concepção e planejamento do estudo; obtenção, análise e interpretação dos dados; participação efetiva na orientação da pesquisa; participação intelectual em conduta propedêutica e/ou terapêutica de casos estudados; revisão crítica da literatura; revisão crítica do manuscrito.

www.surgicalcosmetic.org.br/

Recomendações

clínicas para o uso combinado de ácido poli-L-láctico (PLLA-SCA) e dispositivos baseados em

energia: opinião de especialistas e revisão da literatura

Clinical recommendations for the combined use of poly-L-lactic acid (PLLA- SCA) and energy-based devices: expert opinion and literature review

DOI: http://www.dx.doi.org/10.5935/scd1984-8773.2025170377

RESUMO

O uso clínico de tecnologias combinadas tem crescido para abordar os efeitos do envelhecimento cutâneo na face e em outras áreas do corpo. O ácido poli-L-láctico é um preenchedor sintético biocompatível, semipermanente, utilizado para aumento de volume por indução de neocolagênese através da ativação de fibroblastos. Da mesma forma, tecnologias baseadas em energia, como ultrassom focado de alta intensidade e dispositivos de radiofrequência microagulhada induzem a redução de tecido adiposo e a contração do colágeno através do aquecimento da derme profunda. Apresentamos as recomendações de um painel de especialistas e revisão da literatura sobre o tema.

Palavras-chave: Copolímero de Ácido Poliláctico e Ácido Poliglicólico; Terapia por Radiofrequência; Colágeno Tipo I; Colágeno Tipo III; Gordura Subcutânea.

Artigo de Revisão

Autores:

Taciana Dal´Forno1

Maria Paula Del Nero2

Fernanda Nunes2

Cíntia Cunha3

Alessandra Haddad4

Adriana Vilarinho2

Alessandra Nogueira5

Rafael Tomaz5

1 Dermatologista, clínica privada, Porto Alegre (RS), Brasil

2 Dermatologista, clínica privada, São Paulo (SP), Brasil

3 Dermatologista, Clínica privada, Uberlândia (MG), Brasil

4 Cirurgião Plástico, Departamento de Cirurgia Plástica, Universidade Federal de São Paulo; Hospital Israelita Albert Einstein, São Paulo (SP), Brasil

5 Dermatologista, Galderma Laboratories L.P., São Paulo (SP), Brasil

Correspondência:

Taciana Dal´Forno

E-mail: contato@tacianadini.com.br

ABSTRACT

The clinical use of combined technologies has been increasing to address the effects of skin aging on the face and other areas of the body. Poly-L-lactic acid is a biocompatible, semipermanent synthetic filler used for volume enhancement through neocollagenesis induction by fibroblast activation. Similarly, energy-based technologies, such as high-intensity focused ultrasound and microneedling radiofrequency devices, promote fat reduction and collagen contraction by heating the deep dermis. This article presents expert panel recommendations and a literature review on the topic.

Keywords: Polylactic Acid-Polyglycolic Acid Copolymer; Radiofrequency Therapy; Collagen Type I; Collagen Type III; Adipose Tissue.

Fonte de financiamento: A Galderma forneceu apoio para a formação do conselho e redação do manuscrito. Conflito de interesses: Os Drs. Dal'Forno, Nunes, Cunha e Vilarinho são afiliados a um escritório de palestrantes e ocupam cargos de consultores da Galderma. O Dr. Del Nero é palestrante, assessor e consultor da Galderma. O Dr. Haddad é palestrante, consultor, assessor e pesquisador da Galderma. O Dr. Nogueira é Diretor Médico da Galderma e o Dr. Tomaz é Gestor Clínico Sênior da Galderma. É Ensaio Clínico? Não

Data de submissão: 12/06/2024 Decisão final: 28/06/2024

Como citar este artigo: Dal’Forno T, Del Nero MP, Nunes F, Cunha C, Haddad A, Vilarinho A, Nogueira A, et al. Recomendações clínicas para o uso combinado de ácido poli-L-láctico (PLLA-SCA) e dispositivos baseados em energia: opinião de especialistas e revisão da literatura. Surg Cosmet Dermatol. 2025;17:e20250377.

T, Del Nero MP, Nunes F, Cunha C, Haddad A,Vilarinho A, Nogueira A, Tomaz R.

INTRODUÇÃO

Considerando-se que o envelhecimento é um processo dinâmico e complexo que envolve fatores extrínsecos e alterações intrínsecas, o uso de terapias combinadas tem crescido cada vez mais para tratar a perda de volume biométrico e as alterações da pele.1,2 Nas últimas décadas, observaram-se rápidos avanços tecnológicos e uma ampla aplicação de procedimentos estéticos não cirúrgicos.3 Os procedimentos minimamente invasivos que combinam abordagens multimodais e têm como alvo as diferentes manifestações do envelhecimento são seguros e geralmente apresentam melhores resultados do que as modalidades isoladamente.1,4

Apesar do crescente conjunto de evidências e da implementação clínica de tecnologias combinadas para proporcionar melhores resultados estéticos,1,2,4-8 a associação específica do ácido poli-L-láctico (PLLA-SCA) com dispositivos baseados em energia ainda precisa ser melhor investigada. As estratégias para aumentar o volume perdido nos tecidos moles incluem o uso de preenchedores injetáveis, como o PLLA-SCA injetável (Sculptra®, Galderma, Uppsala, Suécia).9 O Sculptra® é um implante injetável bioestimulador que contém 150 mg de micropartículas de PLLA-SCA por frasco, que são únicas tanto no formato quanto no tamanho médio das partículas de aproximadamente 50 µm, o que é garantido por um rigoroso processo de controle de qualidade.10 O PLLA-SCA tem sido amplamente estudado para fins estéticos e atua como um preenchedor sintético absorvível à base de a-hidroxila, induzindo a neocolagênese através da ativação de fibroblastos, sendo biocompatível e imunologicamente inerte.2,9,11

É mais duradouro do que os preenchedores dérmicos tradicionais que têm apenas funções de substituição mecânica, já que o PLLA-SCA induz a atividade dos fibroblastos por até 2 anos após a injeção.2,12,13 Além de sua aprovação original para lipoatrofia associada ao HIV e seu uso clássico para corrigir rugas faciais e perda de volume, há um interesse crescente em aplicações não faciais para aumento de volume, contorno corporal, flacidez da pele, celulite, cicatrizes e distensão de estrias.14

Dessa forma, abordagens térmicas não cirúrgicas têm sido usadas para concentrar seletivamente a energia dentro do tecido adiposo subcutâneo, incluindo ultrassom focalizado de alta intensidade (HIFU) e dispositivos de energia de radiofrequência (RF).15 Tanto a RF quanto o HIFU são tecnologias não invasivas, baseadas em energia, usadas para redução de rugas, contração de colágeno e tensionamento da pele.5,16 Enquanto a RF provoca apoptose das células de gordura, o HIFU causa necrose coagulativa e morte celular.15

O HIFU fornece energia de ultrassom para aquecer seletivamente os tecidos dérmicos e subdérmicos acima de 60 ºC em uma matriz linear de pontos de coagulação térmica bem focados, estimulando a remodelação do colágeno a longo prazo e produzindo o tensionamento e o lifting subsequentes do tecido sem danificar a superfície epidérmica.1,17,18 O tratamento

pode ser personalizado ajustando-se a energia e a profundidade focal do ultrassom emitido. Dependendo do tipo de dispositivo, os transdutores emitem frequências de 2 a 10 MHz, com profundidades focais que variam de 1,5 a 13,0 mm para atingir diferentes tecidos faciais e corporais.15,19,20,21 Vários estudos demonstraram a eficácia clínica e a segurança do uso do HIFU para rejuvenescimento e tensionamento da face, do pescoço e do corpo.17,18,22,23

A maioria dos dispositivos HIFU tem mais de um foco de profundidade e tamanho de transdutor. Enquanto os transdutores macrofocados (MaFU) são normalmente usados para redução de gordura por causa de seus pontos de coagulação térmica maiores, os transdutores microfocados (MiFU) têm frequências diferentes e destinam-se a tensionar e esticar a pele flácida.20

Da mesma forma, a tecnologia de RF emprega ondas de baixa frequência que criam um campo eletromagnético dentro da pele, gerando aquecimento térmico da derme e promovendo a neocolagênese, a formação de elastina e a angiogênese no processo de cicatrização.24,25 A RF com microagulhas (MRF) combina a função transdérmica mecânica das microagulhas com oefeito de dano térmico da RF, o que pode permitir o fornecimento de calor em profundidade variável, ampliando assim a gama de locais anatômicos e tipos de tecido que podem ser efetivamente tratados.25,26 A precisão do fornecimento de energia otimiza o aquecimento dérmico, subdérmico e adiposo e minimiza o dano epidérmico para facilitar a contração da derme, da subderme e do tecido conjuntivo circundante e pode induzir a coagulação da gordura.27

A MRF é segura e eficaz em diversas aplicações, como pele flácida, rugas, acne vulgar, fotoenvelhecimento, poros dilatados, flacidez da pele e cicatrizes.27-29 A MRF oferece uma modalidade de tratamento versátil para uma ampla gama de aplicações dermatológicas e é segura para uso em pacientes de todos os tipos de pele.25 Aqui apresentamos um artigo de opinião de especialistas que compila as recomendações do grupo para o uso combinado de PLLA-SCA e dispositivos baseados em energia, fundamentado nas melhores evidências atuais e em seus conhecimentos de longo prazo na clínica privada.

MÉTODOS

Seleção dos participantes e composição do grupo de especialistas

Um grupo multidisciplinar de oito médicos especialistas brasileiros com conhecimento relevante e ampla experiência clínica em tratamento com PLLA-SCA injetável combinado com tecnologias a base de energia se reuniu em agosto de 2023. O grupo de especialistas incluía médicos especializados em dermatologia e cirurgia plástica. Esse grupo colaborativo teve como objetivo fornecer percepções e discutir as melhores práticas em tratamentos que envolvem essas modalidades.

Surg Cosmet Dermatol. 2025;v.17: n.1 jan-mar. p.34-43.

Desenvolvimento do questionário e inquérito preliminar à reunião

Antes da reunião, solicitou-se a participação dos membros do grupo de especialistas por meio de um questionário preliminar, composto por 17 componentes relacionados a vários aspectos dos tratamentos:

• Critérios de seleção de pacientes para combinação de terapias

• Indicações clínicas

• Contraindicações

• Preparações pré-operatórias

• Métodos de diluição de PLLA-SCA

• Técnicas de injeção de PLLA-SCA

• Número de sessões de PLLA-SCA

• Dispositivos testados disponíveis comercialmente (MiFU, MaFU, MRF)

• Técnica de aplicação do dispositivo

• Número de sessões com cada dispositivo

• Intervalo entre cada sessão com o dispositivo

• Sequência no uso da terapia combinada

• Sequenciamento da aplicação da tecnologia

• Diretrizes para cuidados intraoperatórios

• Protocolos de cuidados pós-operatórios

• Possíveis efeitos adversos

• Estratégias de acompanhamento após o tratamento

Facilitação da reunião e coleta de dados

Durante a reunião, organizada por um facilitador médico neutro e treinado (RT), as discussões relacionadas às respostas do questionário foram capturadas em vídeo. O facilitador conduziu a conversa, resumiu os pontos principais e promoveu esclarecimentos para garantir o envolvimento e a contribuição equitativos de todos os participantes. As discussões se concentraram em explicações abrangentes sobre os diferentes métodos de tratamento, a lógica subjacente às sequências de tratamento,

a segurança e os efeitos sinérgicos dos tratamentos combinados para rejuvenescimento estético.

Formulação de diretrizes

Realizaram-se debates e diálogos abertos para chegar a um acordo sobre tópicos potencialmente controversos. Os participantes recorreram às evidências disponíveis, às suas experiências clínicas individuais e às suas preocupações para identificar os princípios de maior relevância. Essas discussões, complementadas por uma revisão da literatura atual, formaram a base de uma diretriz prática que abrange tratamentos de rejuvenescimento estético facial e corporal.

Desenvolvimento e validação do manuscrito

As observações do painel e as sugestões das discussões foram avaliadas, resultando na elaboração de um manuscrito. Esse manuscrito foi posteriormente submetido a revisões iterativas de todos os autores, refinando progressivamente seu conteúdo. O ponto culminante desse processo colaborativo resultou na obtenção de um acordo unânime. As recomendações finais apresentadas neste estudo representam o conhecimento especializado concentrado do painel, fundamentado na experiência clínica e substanciado por dados publicados anteriormente acerca da interseção de PLLA-SCA e tecnologias baseadas em energia no campo da medicina estética com foco em rejuvenescimento.

RESULTADOS E RECOMENDAÇÕES

Composição do grupo de especialistas

A idade média registrada no grupo de especialistas foi de 48 anos, com uma média de 25 anos de prática médica, reforçada pelo treinamento avançado obtido por meio de residências, programas de mestrado e doutorado nos domínios especializados de cirurgia geral, cirurgia plástica, dermatologia e medicina interna. Após discussões aprofundadas, as opiniões dos especialistas a seguir foram formuladas com base numa combinação de evidências científicas e na experiência clínica coletiva dos principais dermatologistas, cirurgiões plásticos e pesquisadores.

Tabela 1: Métodos de preparação e aplicação de PLLA-SCA isoladamente ou associados a outras tecnologias, de acordo com a opinião do especialista.

Ácido poli-L-láctico (PLLA-SCA)

Reconstituição: imediata ou 72 horas

Método de diluição e volume

Técnica de injeção

Número de sessões

Intervalo entre as sessões

Face: 10 mL (8 mL de água esterilizada + 2 mL de lidocaína a 2%)

Áreas não faciais: 16 mL (14 mL de água esterilizada + 2 mL de lidocaína a 2%)

Injeção no plano subcutâneo superficial com agulhas 22G x 50 ou cânula de 70 mm, de acordo com as necessidades individuais, aspirando antes da injeção.

Rosto fino: todas as técnicas descritas anteriormente (fanning, linha linear retrógrada, cross-hatching, depot).

Rosto volumoso: aplicação com retroinjeção para um melhor efeito lifting ou técnica vetorial.

Áreas não faciais: aplicação no plano subcutâneo superficial na área desejada.

Depende das necessidades individuais e do tamanho da área.

Face: uma a três sessões usando um a dois frascos por sessão.

Áreas não faciais: uma a três sessões usando de um a seis frascos por sessão, conforme o tamanho da área.

Pelo menos 30 dias.

Recomendações de PLLA-SCA

Considerando-se que o PLLA-SCA é a tecnologia geralmente usada combinado a dispositivos baseados em energia selecionados, a Tabela 1 mostra as informações detalhadas compartilhadas pelos especialistas sobre diluição, técnicas de injeção, número de sessões e intervalos entre as sessões de PLLA-SCA em combinação ou como monoterapia.

Após a reconstituição, o PLLA-SCA pode ser usado imediatamente ou armazenado por 72 horas. Está demonstrado que a injeção com reconstituição imediata é segura e apresenta uma baixa taxa de eventos adversos (EA), com a vantagem de consumir menos tempo e reduzir a perda de produto pelo injetor.30,31

Com relação ao volume de diluição, os autores concordaram com um total de 10 mL para reconstituição facial e até 16mL para tratamento não facial, ambos com 2 mL adicionados de lidocaína a 2%. Um dos autores destacou uma publicação anterior que descreveu o sucesso do uso de 12 mL de solução para injeções corporais.32 Embora várias publicações abordem a segurança e a eficácia de diferentes diluições de volume na reconstituição de PLLA-SCA, um consenso publicado em 2014 por Vleggaar et al.33 sugeriu um volume total de 9 mL de injeção facial e 16 mL de injeção no decote, já incluindo 2 mL de anestésicos. Não obstante, é importante evitar diluições inferiores a 5 mL, uma vez que o produto altamente concentrado está diretamente relacionado a EAs conhecidos, como nódulos e pápulas.34

Cabe mencionar que a concentração do produto também depende do objetivo do tratamento: para volumização (envolvendo planos de injeção dérmicos ou subdérmicos profundos), são necessárias formulações mais concentradas, enquanto diluições mais altas são geralmente usadas para melhorar a qualidade da pele ou celulite.3

Os locais de injeção de PLLA-SCA associados a desfechos mais favoráveis são dinamicamente estáveis, com espessura dérmica suficiente para permitir uma profundidade adequada de injeção.33 Várias técnicas foram relatadas para a injeção facial de PLLA-SCA, incluindo fanning (técnica de dispersão em leque), rosqueamento linear retrógrado, depósito ou técnica vetorial, dependendo da área anatômica e do efeito desejado.11,33,35

Recomenda-se cuidado especial no tratamento de pacientes com fisionomia acentuada, com pele mais espessa e compartimentos de gordura superficiais, quando o terço médio da face é geralmente evitado e as têmporas superiores e inferiores são priorizadas, seguidas pela área pré-auricular no arco zigomático em direção à mandíbula.35

A técnica de injeção de escolha em áreas não faciais depende do local, mas uma revisão recente afirmou que as mais comuns são a técnica de rosqueamento linear ou fanning, usando uma agulha ou cânula, no pescoço, tórax, nádegas, abdome e coxas.14 Para grandes áreas não faciais, a quantidade de PLLA-SCA necessária pode chegar a 20 frascos para obter um aprimoramento estético global,36 a qual pode ser financeiramente impeditiva e demorada. Sarubi et al.37 desenvolveram uma nova técnica de injeção para usar a menor quantidade de PLLA-SCA no tra-

tamento da região glútea, a qual consiste em três abordagens distintas dependendo do fator mais importante a ser melhorado: qualidade da pele, contorno e lifting ou projeção e volume.

Em geral, os EAs comuns, os quais costumam desaparecer em uma semana, incluem inchaço localizado, sensibilidade, vermelhidão, coceira e hematomas.30 Massagear com firmeza as áreas tratadas imediatamente após a injeção ajuda na deposição uniforme do produto e pode reduzir a incidência desses efeitos colaterais.4

PLLA-SCA combinado com dispositivos baseados em energia

O uso combinado de PLLA-SCA e dispositivos HIFU ou MRF foi objeto de poucos relatos.2,4,6,38 Portanto, as recomendações aqui apresentadas baseiam-se na experiência dos autores, extrapolando as pesquisas atualmente disponíveis. Ao aplicar terapias combinadas, deve-se observar as necessidades individuais, os objetivos do tratamento e as indicações tecnológicas. As Tabelas 2 e 3 mostram as recomendações dos autores relativas à combinação de PLLA-SCA com MiFU e MaFU, respectivamente. Como monoterapia, o HIFU é usado em apenas 5 a 10% dos pacientes, pois é associado principalmente a toxinas, preenchedores e tratamentos a laser como terapia adjuvante.39 O aumento concomitante da restauração do volume, da neocolagênese e da contração tecidual com PLLA-SCA e HIFU pode proporcionar aos pacientes uma revitalização cosmética em vários níveis.2 As principais indicações das terapias combinadas incluem lifting e rejuvenescimento facial e tratamento da flacidez leve a moderada da pele com compactação de gordura concomitante, mesmo em áreas de pele flácida, como o pescoço. Azuelos et al.40 demonstraram que uma única sessão de HIFU é suficiente para melhorar a flacidez da pele cervical, reduzindo o tecido adiposo submental (queixo duplo) e eliminando as rugas do pescoço. Friedmann et al.4 demonstraram a segurança e a eficácia aprimorada do uso do MiFU seguido de PLLA-SCA para o rejuvenescimento multicamadas do rosto envelhecido em uma única sessão, de preferência em um intervalo de 2 semanas para permitir que todo o inchaço diminua.

Coleman e Pozner38 sugeriram o uso de HIFU seguido de PLLA-SCA ou ácido hialurônico (AH) como uma opção para tratar a flacidez ou a perda de volume da parte interna da coxa e das nádegas. No entanto, devido ao tamanho da área, seriam necessárias várias sessões e frascos usando um volume maior de diluição de PLLA-SCA (12 a 16 mL) para evitar a formação de nódulos.32,38

A decisão de administrar preenchedores bioestimuladores faciais antes ou depois de terapias baseadas em energia depende do tipo e da profundidade do tratamento.7 Em geral, com base em pesquisas sobre outros tipos de preenchedores, como o AH ou a hidroxiapatita de cálcio, é comum os autores aconselharem ouso de dispositivos HIFU primeiro, seguido de preenchedores injetáveis como abordagem geral.1,5,7,39 Se na mesma sessão, os tratamentos com MiFU são realizados primeiro, seguidos da in-

Avaliação clínica

Tabela 2: Recomendações de uso de PLLA-SCA associado a ultrassom microfocado (MiFU)

PLLA-SCA combined with MiFU

• Avaliação da flacidez da pele, a quantidade de tecido adiposo e o contorno geral da área a ser tratada.

•Flacidez facial ou corporal leve a moderada.

•Compactação de gordura, mesmo na presença de pele flácida.

• Necessidade de lifting e melhora do contorno f acial (por exemplo, papada, pálpebras superiores com reposicionamento da cauda do supercílio, pálpebras inferiores com ou sem bolsas)

Indicações clínicas

Contraindicações

Cuidados pré-operatórios

Dispositivos de MiFU testados

Técnica de MiFU

Sessões de MiFU

Intervalo entre as sessões de MiFU

Sequência no uso de ambas as tecnologias

Durante o procedimento

Cuidados pós-operatórios

Possíveis efeitos colaterais

Seguimento

1PMMA: polimetilmetacrilato.

•Rosto fino: transdutores superficiais

•Rosto volumoso: transdutores mais profundos

•Rejuvenescimento perioral e periorbital concomitante.

• Áreas não faciais: áreas de pele flácida, como braços, pescoço, decote, abdome, nádegas, parte medial das coxas, joelhos e umbigo.

•Doenças imunomediadas com envolvimento da pele.

•Gravidez.

•Infecção local.

•Preenchimentos definitivos no local da aplicação (por exemplo, PMMA1)

•Prótese metálica local

•Mapeamento da área a ser tratada.

• Anestésico tópico.

•Botões anestésicos para inserção da cânula.

• Assepsia e antissepsia.

•Ultraformer®, Liftera®, Scanner®, Caneta®, UltracelQ+®, Atria®

• Aplicação de uma camada fina de gel.

• Devem-se seguir as instruções do fabricante e as configurações do dispositivo devem ser ajustadas conforme as indicações de cada paciente.

•Uma a três sessões.

•Pelo menos 30 dias.

•Primeiro o MiFU, seguido de PLLA-SCA, opcionalmente na mesma sessão.

• Logo após o uso do MiFU, aguarde alguns minutos para que a pele do paciente esfrie (cerca de 10 minutos) para reduzir o risco de hematoma.

•Massagem pós-operatória imediata com um agente degermante.

•Face: massagem por 5 minutos, cinco vezes ao dia, durante 5 dias.

• Áreas não faciais: Massagem por 5 minutos, duas vezes ao dia, por 7 dias.

• Analgésicos, quando necessário.

•Evite corticosteroides após o procedimento, segundo a experiência do grupo.

•Edema e dor local.

•Hematoma, nódulos transitórios, lesão nervosa.

•24 horas após o procedimento, por telefone.

•3 a 6 meses com fotografias padronizadas.

jeção de PLLA-SCA para evitar o deslocamento de água das camadas de tecido que estão sendo alvo do tratamento com MiFU e a contaminação por sangue dos transdutores de ultrassom.2

Por outro lado, pacientes com índice de massa corporal muito baixo podem apresentar flacidez da pele secundária à depleção de volume, podendo-se considerar a restauração do volume antes da intervenção com HIFU.39 A reposição do volume e do suporte perdidos nas bochechas por meio de preenchedores, como PLLA-SCA, e MiFU reinsuflam as bolsas de gordura e tensionam e levantam os ligamentos de retenção zigomático-vestibular, respectivamente, melhorando com frequência a aparência dos sulcos nasolabiais e outras imperfeições sem nenhum tratamento adicional.1

De acordo com a experiência do autor, é seguro aplicar as contagens de linha em cerca de 20% acima da recomendação

do fabricante para proporcionar um resultado melhor, porém isso também é mais doloroso para o paciente. Em uma diretriz de consenso sobre aplicações de MiFU, foi universalmente aceito que a configuração de energia deve estar no nível mais alto tolerável, diminuindo conforme necessário para o conforto do paciente.41 É desejável que haja mais pesquisas sobre a segurança e a eficácia aprimorada dessa abordagem. Os cuidados pós-procedimento visam a evitar os principais efeitos colaterais de ambas as tecnologias, especialmente se combinadas na mesma sessão. Recomenda-se, em geral, um esquema de massagem facial na área tratada por 5 minutos, cinco vezes ao dia, durante os 5 dias seguintes, para evitar a formação de nódulos ou pápulas, e um intervalo mensal entre as sessões pode evitar a correção excessiva.3,4,6,30,42 Da mesma forma, para grandes áreas não faciais, como a região glútea, recomenda-se

Tabela 3: Recomendações de uso de PLLA-SCA associado a ultrassom macrofocado (MaFU)

Avaliação clínica

Indicações clínicas

Contraindicações

Cuidados pré-operatórios

Dispositivos de MaFU testados

Técnica de MaFU

Sessões de MaFU

Interval between MaFU sessions

Sequência no uso de ambas as tecnologias

Durante o procedimento

Cuidados pós-operatórios

Possíveis efeitos colaterais

Seguimento

PLLA-SCA associado a MaFU

• A valiação da flacidez da pele, a quantidade de tecido adiposo e o contorno geral da área a ser tratada.

•Flacidez corporal leve a moderada associada a gordura localizada em uma quantidade pequena a moderada.

•Flacidez submental associada a gordura localizada em uma quantidade pequena a moderada.

• Definição do contor no corporal, especialmente das nádegas, abdome, braços, região umbilical, joelhos e coxas.

•Doenças imunomediadas com comprometimento da pele.

•Gravidez.

•Infecção local.

•Preenchimentos definitivos no local da aplicação (por exemplo, PMMA)

•Prótese metálica na área tratada.

•Mapeamento da área a ser tratada.

• Analgésico e anestésico tópico.

•Botões anestésicos para inserção da cânula.

• Assepsia e antissepsia.

•Scanner®, Ultraformer®, Atria®, Liftera®, UltracelQ+®

• Aplicação de uma camada fina de gel.

• Devem-se seguir as instruções do fabricante e as configurações do dispositivo devem ser ajustadas conforme as indicações de cada paciente.

• Escolha um transdutor e calcule a contagem de linhas de acordo com a profundidade que se deseja atingir e o volume de gordura.

• Ao tratar a pele flácida, os transdutores de MiFU podem ser associados aos de MaFU para melhorar os resultados.

• Comece das camadas mais profundas para as mais superficiais da pele.

•Uma a três sessões.

•Pelo menos 30 dias.

•Primeiro o MaFU, seguido de PLLA-SCA, opcionalmente na mesma sessão.

• Se o objetivo for compactar o tecido adiposo, comece com duas sessões individuais de MaFU, aplicando o PLLA-SCA imediatamente após a terceira aplicação de MaFU.

• Logo após o uso de MiFU, aguarde alguns minutos para que a pele do paciente esfrie (cerca de 10 minutos) para reduzir o risco de hematomas.

•Massagem pós-operatória imediata com um agente degermante.

•Face: massagem cinco vezes ao dia por 5 dias

• Áreas não faciais: massagem duas vezes ao dia por 7 dias

• Analgésicos, quando necessário.

•Evitar corticosteroides após o procedimento, segundo a experiência do grupo.

•Edema e dor local.

•Hematoma, nódulos transitórios, lesão nervosa ou vascular.

•24 horas após o procedimento, por telefone.

•3 a 6 meses com fotografias padronizadas.

massagear circularmente a área tratada por 5 minutos, duas vezes ao dia, nos próximos 5 a 7 dias após o procedimento, para evitar hematomas.37

Além disso, como ambas as tecnologias se baseiam na reação de cicatrização de feridas e na estimulação adicional da produção de colágeno, é relevante avaliar sistemicamente os pacientes quanto a doenças imunomediadas anteriores. O tratamento crônico com medicamentos anti-inflamatórios ou imunossupressores pode afetar a capacidade de cicatrização dos pacientes após a lesão térmica.39

A Tabela 4 apresenta as recomendações do autor para o uso de MRF combinado com PLLA-SCA. A terapia de RF pode ter como alvo a pele e os tecidos moles, induzindo a contração por meio do aquecimento ideal do colágeno dérmico e, ao mesmo

tempo, protegendo a epiderme de lesões.25 Os tipos de energia de RF incluem nós monopolares, bipolares e multipolares, que se diferem entre si pelo número de eletrodos emissores e pela profundidade de penetração da energia. A RF monopolar é a preferida para o tensionamento da pele das pálpebras porque a lente de contato háptica protege o globo.1 A energia de RF também pode ser fornecida como aquecimento em massa ou fracionado, e a menor permite intercalar áreas não tratadas para uma cicatrização mais rápida e menor tempo de inatividade.27 O MRF aumenta ainda mais o tensionamento da pele e a remodelagem do tecido adiposo, fornecendo energia por meio de microagulhas em uma profundidade predeterminada desejada. O tratamento com MRF tem recuperação rápida e tempo de inatividade curto, e raramente causa pigmentação ou infecção na pele.28

Tabela 4: Recomendações de uso de PLLA-SCA associado a radiofrequência

Avaliação clínica

Indicações clínicas

Contraindicações

Cuidados pré-operatórios

Dispositivos de RFM testados

Técnica de RFM

Sessões de RFM

Intervalo entre as sessões de RFM

Sequência no uso das tecnologias

Durante o procedimento

Cuidados pós-operatórios

Possíveis efeitos colaterais

Seguimento

PLLA-SCA associado a RFM

•3 a 6 meses com fotografias padronizadas. Surg Cosmet Dermatol. 2025;v.17: n.1 jan-mar. p.44-53.

microagulhada (RFM)

• Avaliação da flacidez da pele, a quantidade de tecido adiposo e o contorno geral da área a ser tratada.

• Avaliação da presença de alterações na textura da pele, como atrofia dérmica, fotodano, cicatrizes, rugas e estrias.

•Flacidez leve a grave.

•Melhora geral da pele, atenuação de linhas e sulcos.

•Esvaziamento simultâneo dos compartimentos de gordura ao usar dispositivos de RFM multicamadas.

•Doenças imunomediadas com envolvimento da pele.

•Gravidez.

•Infecção local.

•Preenchimentos definitivos no local da aplicação (por exemplo, PMMA)

•Injeção recente de preenchimento facial (menos de 6 meses), se estiver usando dispositivos RFM multicamadas.

•Uso de marca-passo.

•Prótese metálica na área tratada.

• Tatuagem ou micropigmentação na área a ser tratada.

•Evite o procedimento em pele bronzeada.

• Anestésico tópico, possivelmente associado a bloqueio ou infiltração anestésica.

•Profilaxia de infecção herpética somente para tratamentos faciais.

•Esquema anticoagulante: avaliar a possibilidade de suspensão no dia do procedimento e no dia seguinte.

•Uso potencial de sedação anestésica, especialmente se o dispositivo for de múltiplas camadas.

• Assepsia e antissepsia.

•Dispositivos RFM testados - Dispositivos RFM tradicionais (Endymed®, Agnis®, Eletroderme®)

•Dispositivos multicamadas (Morpheus®, MegaDerma®)

•Devem-se seguir as instruções do fabricante e as configurações do dispositivo devem ser ajustadas conforme as indicações de cada paciente.

• A profundidade, a potência e o tempo são variáveis, segundo a avaliação do paciente.

•Não há necessidade de promover o orvalho sangrante, embora ele possa aparecer após a sessão de RFM.

•Uma a três sessões.

•Pelo menos 30 dias.

•Primeiro a RFM, seguido de PLLA-SCA, opcionalmente na mesma sessão.

•De acordo com a experiência de um autor, a ordem pode ser inversa (PLLA-SCA, depois RFM) no caso de uso de dispositivos tradicionais, não multicamadas.

• Ajuste do fluxo de acordo com a área a ser tratada.

•Massagem imediata com produtos estéreis ou de administração de medicamentos.

• Aplicação de iluminação LED (no consultório, para recuperação).

•Se forem tratadas grandes áreas, evite molhar a pele no dia do procedimento.

•Hidratação com cremes calmantes, cicatrizantes e reparadores.

•Fotoproteção intensiva e evite praticar esportes por 24 horas.

•Evite a exposição ao sol até que a pele esteja totalmente recuperada.

• Analgésicos, quando necessário.

•Dor e inchaço local.

•Hipercromia e hipocromia pós-inflamatórias.

•Coceira

•Hematoma

•Micropápulas térmicas

•24h após o procedimento, por telefone.

A terapia antiviral seria indicada antes do tratamento com microagulhamento, especialmente se houver histórico de infecção anterior, de acordo com as diretrizes cirúrgicas atuais. Devem-se desenvolver protocolos padronizados específicos para o microagulhamento, que devem incluir diretrizes regulatórias de terapia profilática, bem como a suspensão da medicação no caso de anticoagulantes.43

A tabela 4 mostra os protocolos dos autores a esse respeito. De acordo com as recomendações dos autores, as principais

indicações de combinar PLLA-SCA e MRF são o tratamento de flacidez leve a grave, a atenuação de linhas e sulcos e até mesmo alcançar compartimentos de gordura ao usar dispositivos de MRF multicamadas.

Carruthers & Carruthers44 sugeriram o uso de dispositivos de RF e HIFU para tratar a flacidez da pele e o acúmulo de gordura sob a mandíbula e o queixo após a reconstrução das estruturas de suporte ao redor da boca e ao longo da mandíbula usando PLLA-SCA.44 Em tese, as microagulhas da MRF podem

permitir a entrega física transdérmica de macromoléculas com altas massas moleculares, mas também existe a preocupação de que a energia e o calor fornecidos possam levar ao preenchimento precoce ou à destruição do preenchedor.45

Um estudo retrospectivo que avaliou 28 pacientes tratados com diferentes tipos de preenchedores combinados a MRF não encontrou nenhuma perda inesperada de volume do preenchedor nem migração, mesmo em áreas faciais móveis expressivas após três passagens de tratamento.46 Da mesma forma, estudos em animais demonstraram que a RF monopolar associada ao PLLA-SCA resultou em um aumento significativo das respostas inflamatórias, de corpo estranho e fibróticas associadas ao preenchedor, o que seria essencial para a melhora clínica observada. Além disso, o tratamento com RF aplicado sobre a pele injetada com o preenchedor não afetou o tempo de permanência do PLLA-SCA, mas, ao contrário, aumentou a deposição de colágeno dentro e ao redor das áreas injetadas.47,48

Preenchedores bioestimuladores, como o PLLA-SCA, também podem ser usados para atenuar cicatrizes de acne em uma área em que a perda de volume e a redistribuição do tecido acentuaram as cicatrizes existentes. A associação da injeção tópica de ácido polilático antes da MRF foi descrita como atenuante das cicatrizes de acne em um estudo controlado e randomizado. Após três sessões com intervalos de 4 a 6 semanas, os escores de avaliação de cicatrizes de acne e os escores de satisfação do paciente foram estatisticamente melhores com a terapia combinada do que com a monoterapia com MRF.45

A interação entre a RF e os preenchedores dérmicos pode variar dependendo do tipo de RF, do nível de energia, do tipo de preenchedor, da profundidade da injeção e do intervalo entre cada modalidade de tratamento.49 Embora alguns sugiram que os preenchedores possam ser combinados com dispositivos de RF em qualquer ordem no mesmo dia sem aumento dos EAs ou diminuição da eficácia,50 pesquisas demonstraram degradação do AH quando a RF é aplicada imediatamente após a injeção do preenchedor.49 Da mesma forma, um modelo ex-vivo demonstrou que o uso de MRF aplicado sobre o preenchedor recentemente injetado causaria danos ao AH devido à sua pene-

REFERÊNCIAS:

1. Carruthers J, Burgess C, Day D, Fabi SG, Goldie K, Kerscher M, et al. Consensus recommendations for combined aesthetic interventions in the face using botulinum toxin, fillers, and energy-based devices. Dermatol Surg. 2016;42(5):586-97.

2. Hart DR, Fabi SG, White WM, Fitzgerald R, Goldman MP. Current concepts in the use of PLLA: clinical synergy noted with combined use of microfocused ultrasound and poly-l-lactic acid on the face, neck, and décolletage. Plast Reconstr Surg. 2015;136(5 Suppl):180S-187S.

3. Shridharani SM, Tisch GM, Ebersole TG, Moak TN, Edwartz C. Clinical experience of poly-L-lactic acid injections for body contouring treatment. J Cosmet Dermatol. 2021;20(6):1655-62.

4. Friedmann DP, Fabi SG, Goldman MP. Combination of intense pulsed light, sculptra, and ultherapy for treatment of the aging face. J Cosmet Dermatol. 2014;13(2):109-18.

tração dérmica mais profunda.51 Curiosamente, outro estudo de caso demonstrou que o uso de MRF 1 semana após a injeção do preenchedor de AH não mostrou evidências de qualquer degradação em 8 semanas, sem degradação ou extravasamento de AH para a epiderme.52 Portanto, parece que a ordem do tratamento e o intervalo entre as sessões são relevantes para o sucesso do tratamento e a durabilidade do preenchedor.

Embora os resultados aqui apresentados tenham sido compilados a partir de vários anos de experiência clínica multicêntrica dos autores, de acordo com a literatura disponível atualmente, o estudo apresenta limitações. A principal limitação está no próprio nível de evidência, uma vez que essas recomendações são baseadas em opiniões de especialistas. Estudos clínicos e histológicos que envolvam grandes grupos de pacientes são necessários para criar diretrizes sólidas sobre tecnologias combinadas para o rejuvenescimento da pele.

CONCLUSÕES

O uso combinado de dispositivos baseados em energia e preenchedores já é uma realidade na prática clínica de pacientes que buscam tratamentos minimamente invasivos e que desejam obter melhores resultados no tratamento de diferentes aspectos do processo de envelhecimento da pele. Ainda existe uma lacuna na literatura sobre a associação de PLLA-SCA com tecnologias e todas as nuances dessa combinação, como ordem de tratamento, intervalo entre as sessões, diferentes tipos de dispositivos, técnicas de injeção e aplicação, entre outras. Segundo a literatura disponível e a experiência clínica dos autores, é possível afirmar que a combinação dessas tecnologias é segura e eficaz para a recuperação da pele do rosto e de áreas não faciais. A combinação de terapias é benéfica no sentido de resultados superiores, visando a diferentes camadas de pele e tipos de tecido em uma única sessão, reduzindo o tempo de recuperação e proporcionando resultados duradouros aos pacientes.

Agradecimentos

Os autores agradecem a Mauricio Dourado pelo suporte técnico e editorial. l

5. Melo F, Carrijo A, Hong K, Trumbic B, Vercesi F, Waldorf HA, et al. Minimally invasive aesthetic treatment of the face and neck using combinations of a PCL-based collagen stimulator, PLLA/PLGA suspension sutures, and cross-linked hyaluronic acid. Clin Cosmet Investig Dermatol. 2020;13:333-44.

6. Peterson JD, Kilmer SL. Three-dimensional rejuvenation of the décolletage. Dermatol Surg. 2016;42 Suppl 2:S101-7.

7. Langelier N, Beleznay K, Woodward J. Rejuvenation of the upper face and periocular region: combining neuromodulator, facial filler, laser, light, and energy-based therapies for optimal results. Dermatol Surg. 2016;42 Suppl 2:S77-82.

8. Casabona G, Michalany N. Microfocused ultrasound with visualization and fillers for increased neocollagenesis: clinical and histological evaluation. Dermatol Surg. 2014;40 Suppl 12:S194-8.

Surg Cosmet Dermatol. 2025;v.17: n.1 jan-mar. p.44-53.

9. Almukhtar RM, Wood ES, Loyal J, Hartman N, Fabi SG. A randomized, single-center, double-blinded, split-body clinical trial of poly- l -lactic acid for the treatment of cellulite of the buttocks and thighs. Dermatol Surg. 2023;49(4):378-82.

10. Morgan P, Bråsäter D, Öhrlund A. Product manufacturing process for poly-l-lactic acid (PLLA-SCA). Poster presented at the International Master Course on Aging Science (IMCAS) World Congress, 26 January to 28 January 2023, Paris, France.

11. Munia C, Parada M, Morais MHA. Changes in facial morphology using poly-l-lactic acid application according to vector technique: a case series. J Clin Aesthet Dermatol. 2022;15(7):38-42.

12. Trinh LN, Gupta A. Non-hyaluronic acid fillers for midface augmentation: a systematic review. Facial Plast Surg. 2021;37(4):536-42.

13. Zhang Y, Liang H, Luo Q, Chen J, Zhao N, Gao W, et al. In vivo inducing collagen regeneration of biodegradable polymer microspheres. Regen Biomater. 2021;8(5):rbab042.

14. Christen MO. Collagen stimulators in body applications: a review focused on poly-l- lactic acid (PLLA). Clin Cosmet Investig Dermatol. 2022;15:997-1019.

15. Coleman WP 3rd, Coleman W 4th, Weiss RA, Kenkel JM, Ad-El DD, Amir R. A multicenter controlled study to evaluate multiple treatments with nonthermal focused ultrasound for noninvasive fat reduction. Dermatol Surg. 2017;43(1):50-7.

16. Park JY, Lin F, Suwanchinda A, Wanitphakdeedecha R, Yu J, Lim TS, et al. Customized treatment using microfocused ultrasound with visualization for optimized patient outcomes: a review of skin-tightening energy technologies and a pan-asian adaptation of the expert panel's gold standard consensus. J Clin Aesthet Dermatol. 2021;14(5):E70-E79.

17. Kumar V, Jain A, Vadera S, Shome D, Kapoor R. Effectiveness of HIFU Therapy for nonsurgical facial and body contouring: a systematic review of prospective and experimental studies. Plast Reconstr Surg. 2023;151(3):533-44.

18. Khan U, Khalid N. A systematic review of the clinical efficacy of micro-focused ultrasound treatment for skin rejuvenation and tightening. Cureus. 2021;13(12):e20163.

19. Park JY, Youn S, Hong W, Lee KC, Kim I. Treatment protocol on using microfocused ultrasound with visualization for skin quality improvement: the korean experience. Plast Reconstr Surg Glob Open. 2023;11(5):e5029.

20. Casabona G, Kaye K. Facial skin tightening with microfocused ultrasound and dermal fillers: considerations for patient selection and outcomes. J Drugs Dermatol. 2019;18(11):1075-82.

21. Choi SY, No YA, Kim SY, Kim BJ, Kim MN. Tightening effects of high-intensity focused ultrasound on body skin and subdermal tissue: a pilot study. J Eur Acad Dermatol Venereol. 2016;30(9):1599-602.

22. Ling J, Zhao H. A systematic review and meta-analysis of the clinical efficacy and patients' satisfaction of Micro-focused Ultrasound (MFU) treatment for facial rejuvenation and tightening. Aesthetic Plast Surg. 2023;47(5):1806-23.

23. Ayatollahi A, Gholami J, Saberi M, Hosseini H, Firooz A. Systematic review and meta- analysis of safety and efficacy of high-intensity focused ultrasound (HIFU) for face and neck rejuvenation. Lasers Med Sci. 2020;35(5):1007-24.

24. Chao JR, Porter JP, Hessler J. Cosmetic treatments with energy-based devices in skin of color. Facial Plast Surg. 2023;39(5):496-500.

25. Hendricks AJ, Farhang SZ. Dermatologic facial applications of Morpheus8 fractional radiofrequency microneedling. J Cosmet Dermatol. 2022;21 Suppl 1:S11-S19.

26. Feng J, Zhang L, Qi J, Huang L. Histological damage characteristics and quantitive analysis of porcine skin with non-insulated microneedle radiofrequency. Skin Res Technol. 2023;29(6):e13396.

27. Magro I, Kochhar A, Arnaoutakis D, Karimi K. Transcutaneous radiofrequency microneedling in the facial plastic surgeon's practice: a review. Facial Plast Surg Aesthet Med. 2022;24(S1): S3-S10.

28. Wu X, Zhang Z, Zhu J, Lu S, Chen C, Wu X, et al. Can microneedle fractional radiofrequency system treatment impair the skin barrier function in chinese patients? A prospective clinical trial. Dermatol Ther (Heidelb). 2022;12(10):2371-82.

29. Suh DH, Cho M, Kim HS, Lee SJ, Song KY, Kim HS. Clinical and histological evaluation of microneedle fractional radiofrequency treatment on facial fine lines and skin laxity in Koreans. J Cosmet Dermatol. 2023;22(5):1507-12.

30. Bravo BSF, Carvalho RM. Safety in immediate reconstitution of poly-l-lactic acid for facial biostimulation treatment. J Cosmet Dermatol. 2021;20(5):1435-8.

31. Baumann K, Alm J, Norberg M, Ejehorn M. Immediate use after reconstitution of a biostimulatory poly-l-lactic acid injectable implant. J Drugs Dermatol. 2020;19(12):1199-203.

32. 32. Mazzuco R, Dal'Forno T, Hexsel D. Poly-l-lactic acid for nonfacial skin laxity. Dermatol Surg. 2020;46 Suppl 1:S86-S88.

33. Vleggaar D, Fitzgerald R, Lorenc ZP, Andrews JT, Butterwick K, Comstock J, et al. Consensus recommendations on the use of injectable poly-L-lactic acid for facial and nonfacial volumization. J Drugs Dermatol. 2014;13(4 Suppl):s44-51.

34. Palm M, Weinkle S, Cho Y, LaTowsky B, Prather H. A randomized study on plla using higher dilution volume and immediate use following reconstitution. J Drugs Dermatol. 2021;20(7):760-6.

35. Avelar LET, Haddad A. Facial assessment for poly-l-lactic acid application— one product, different outcomes. J Dermat Cosmetol. 2023;7(3):75-7.

36. Durairaj KK, Devgan L, Lee Bs A, Khachatourian Bs N, Nguyen Bs V, Issa Bs T, et al. Poly-L-Lactic acid for gluteal augmentation found to be safe and effective in retrospective clinical review of 60 patients. Dermatol Surg. 2020;46 Suppl 1:S46-S53.

37. Sarubi J, Guarnieri C, Del Nero MP, Kamamoto C, Honda M, Saito F, et al. Targeted and individualized gluteal poly-l- lactic acid injection for optimal aesthetic results in the gluteal region. J Clin Aesthet Dermatol. 2023;16(6):30-6.

38. Coleman KM, Pozner J. Combination therapy for rejuvenation of the outer thigh and buttock: a review and our experience. Dermatol Surg. 2016;42 Suppl 2:S124-30.

39. Fabi SG, Joseph J, Sevi J, Green JB, Peterson JD. Optimizing patient outcomes by customizing treatment with microfocused ultrasound with visualization: gold standard consensus guidelines from an expert panel. J Drugs Dermatol. 2019;18(5):426-32.

40. Azuelos A, SidAhmed-Mezi M, La Padula S, Aboud C, Meningaud JP, Hersant B. High- intensity focused ultrasound: a satisfactory noninvasive procedure for neck rejuvenation. Aesthet Surg J. 2019;39(8): NP343-NP351.

41. Fabi SG, Burgess C, Carruthers A, Carruthers J, Day D, Goldie K, et al. Consensus recommendations for combined aesthetic interventions using botulinum toxin, fillers, and microfocused ultrasound in the neck, décolletage, hands, and other areas of the body. Dermatol Surg. 2016;42(10):1199-208.

42. Wu DC, Goldman MP. The efficacy of massage in reducing nodule formation after poly-l-lactic acid administration for facial volume loss: a randomized, evaluator- blinded clinical trial. Dermatol Surg. 2016;42(11):1266-1272. Erratum in: Dermatol Surg. 2017;43(7):1001.

43. Chu S, Foulad DP, Atanaskova MN. Safety profile for microneedling: a systematic review. Dermatol Surg. 2021;47(9):1249-14.

44. Carruthers J, Carruthers A. A multimodal approach to rejuvenation of the lower face. Dermatol Surg. 2016;42 Suppl 2:S89-93.

45. An MK, Hong EH, Suh SB, Park EJ, Kim KH. Combination therapy of microneedle fractional radiofrequency and topical poly-lactic acid for acne scars: a randomized controlled split-face study. Dermatol Surg. 2020;46(6):796-802.

46. Wang JV, Valiga A, Albornoz CA, Geronemus RG. Safety of combining cosmetic injectables with radiofrequency microneedling: a 4.5-year review. J Cosmet Dermatol. 2021;20(4):1084-5.

47. Shumaker PR, England LJ, Dover JS, Ross EV, Harford R, Derienzo D, et al. Effect of monopolar radiofrequency treatment over soft-tissue fillers in an animal model: part 2. Lasers Surg Med. 2006;38(3):211-7.

CONTRIBUIÇÃO DOS AUTORES:

Taciana Dal´Forno 0000-0003-0848-9042

48. England LJ, Tan MH, Shumaker PR, Egbert BM, Pittelko K, Orentreich D, et al. Effects of monopolar radiofrequency treatment over soft-tissue fillers in an animal model. Lasers Surg Med. 2005;37(5):356-65.

49. Jurairattanaporn N, Amornpetkul W, Rutnin S, Vachiramon V. The effect of combined hyaluronic acid filler injection and radiofrequency treatment: a clinic histological analysis. J Cosmet Dermatol. 2023;22(3):798-803.

50. Humphrey S, Beleznay K, Fitzgerald R. Combination therapy in midfacial rejuvenation. Dermatol Surg. 2016;42 Suppl 2:S83-8.

51. Hsu SH, Chung HJ, Weiss RA. Histologic effects of fractional laser and radiofrequency devices on hyaluronic acid filler. Dermatol Surg. 2019;45(4):552-6.

52. Shao EX, Lim D. Stability of hyaluronic acid fillers after insulated microneedle radiofrequency treatment. Dermatol Surg. 2019;45(9):1213-6.

Aprovação da versão final do manuscrito; concepção e planejamento do estudo; elaboração e redação do manuscrito; obtenção, análise e interpretação dos dados; participação efetiva na orientação da pesquisa; participação intelectual em conduta propedêutica e/ou terapêutica de casos estudados; revisão crítica da literatura; revisão crítica do manuscrito.

Maria Paula Del Nero 0000-0002-5369-3504

Aprovação da versão final do manuscrito; concepção e planejamento do estudo; elaboração e redação do manuscrito; obtenção, análise e interpretação dos dados; participação efetiva na orientação da pesquisa; participação intelectual em conduta propedêutica e/ou terapêutica de casos estudados; revisão crítica da literatura; revisão crítica do manuscrito.

Fernanda Nunes 0009-0002-2057-7344

Aprovação da versão final do manuscrito; concepção e planejamento do estudo; elaboração e redação do manuscrito; obtenção, análise e interpretação dos dados; participação efetiva na orientação da pesquisa; participação intelectual em conduta propedêutica e/ou terapêutica de casos estudados; revisão crítica da literatura; revisão crítica do manuscrito.

Cíntia Cunha 0009-0009-4919-4882

Aprovação da versão final do manuscrito; concepção e planejamento do estudo; elaboração e redação do manuscrito; obtenção, análise e interpretação dos dados; participação efetiva na orientação da pesquisa; participação intelectual em conduta propedêutica e/ou terapêutica de casos estudados; revisão crítica da literatura; revisão crítica do manuscrito.

Alessandra Haddad 0000-0002-5552-7251

Aprovação da versão final do manuscrito; concepção e planejamento do estudo; elaboração e redação do manuscrito; obtenção, análise e interpretação dos dados; participação efetiva na orientação da pesquisa; participação intelectual em conduta propedêutica e/ou terapêutica de casos estudados; revisão crítica da literatura; revisão crítica do manuscrito.

Adriana Vilarinho 0009-0006-7381-6299

Aprovação da versão final do manuscrito; concepção e planejamento do estudo; elaboração e redação do manuscrito; obtenção, análise e interpretação dos dados; participação efetiva na orientação da pesquisa; participação intelectual em conduta propedêutica e/ou terapêutica de casos estudados; revisão crítica da literatura; revisão crítica do manuscrito.

Alessandra Nogueira 0009-0005-9951-9471

Aprovação da versão final do manuscrito; concepção e planejamento do estudo; elaboração e redação do manuscrito; obtenção, análise e interpretação dos dados; participação efetiva na orientação da pesquisa; participação intelectual em conduta propedêutica e/ou terapêutica de casos estudados; revisão crítica da literatura; revisão crítica do manuscrito.

Rafael Tomaz 0000-0001-8775-2173

Aprovação da versão final do manuscrito; concepção e planejamento do estudo; elaboração e redação do manuscrito; obtenção, análise e interpretação dos dados; participação efetiva na orientação da pesquisa; participação intelectual em conduta propedêutica e/ou terapêutica de casos estudados; revisão crítica da literatura; revisão crítica do manuscrito.

www.surgicalcosmetic.org.br/

Eficácia

de um suplemento dietético nos parâmetros moleculares e clínicos do envelhecimento cutâneo

Efficacy of a dietary supplement on the molecular and clinical parameters of skin aging

DOI: http://www.dx.doi.org/10.5935/scd1984-8773.2025170308

RESUMO

Introdução: O estresse oxidativo, caracterizado pelo desequilíbrio entre a produção de espécies reativas de oxigênio (ERO) e a defesa antioxidante, parece ser o principal processo para piora do envelhecimento da pele. Há evidências de que a administração oral de nutrientes funcionais pode proteger a pele dos danos oxidativos. objetIvo: Avaliar a eficácia de um suplemento oral com peptídeos de colágeno e outros nutrientes na redução dos sinais do fotoenvelhecimento.

Métodos: Estudos in vitro avaliaram os efeitos antioxidantes e antiglicantes sob luz ultravioleta (UV), bem como a síntese dos componentes da matriz dérmica extracelular; em seguida, desenvolveu-se um ensaio clínico com mulheres entre 35 e 60 anos durante 12 semanas. Mediu-se a hidratação (corneometria) e de firmeza da pele (cutometria). resultados: O suplemento demonstrou propriedades antioxidantes e antiglicantes contra o stress sob radiação UV, bem como a indução de síntese de elementos da matriz dérmica extracelular. Houve melhora em todos os parâmetros clínicos do envelhecimento; observou-se também melhora significativa da hidratação, firmeza e elasticidade.

ConClusão: A combinação de peptídeos de colágeno com outros nutrientes demonstrou um efeito sobre alguns mecanismos envolvidos no processo de fotoenvelhecimento, levando a uma melhora clínica de seus sinais.

Palavras-chave: Envelhecimento da Pele; Colágeno; Expossoma; Oxidação; Produtos Finais de Glicação Avançada; Suplementos Nutricionais.

Artigo Original

Authores:

Flavia Alvim Sant’Anna Addor1

Nathalia Terumi Kawakami2

Michelle Sabrina da Silva3

1 Grupo MEDCIN, MEDCIN Pesquisa clínica, Osasco (SP), Brasil

2 FQM Pharmaceuticals, Medical Department, Rio de Janeiro (RJ), Brasil

3 Grupo MEDCIN, MEDCINinvitro, Osasco (SP), Brasil

Correspondência:

Flavia Alvim Sant’Anna Addor flavia.addor@medcin.com.br

ABSTRACT

IntroductIon: Oxidative stress, characterized by an imbalance between the production of reactive oxygen species (ROS) and antioxidant defense, seems to be the main process that worsens skin aging, and the mitochondria is an important source of ROS. There is increasing evidence that oral administration of functional nutrients can protect the skin from oxidative damage.

objectIve: To evaluate the effectiveness of an oral supplement with collagen peptides and other nutrients in reducing the signs of photoaging.

Methods: In vitro studies evaluated the antioxidant and antiglycant effects under UV light, as well as the synthesis of extracellular dermal matrix components; then, a clinical trial was developed with women between 35 and 60 years old, for 12 weeks. Hydration (corneometry) and skin firmness (cutometry) measurements were performed.

results: The supplement showed antioxidant and antiglycant properties under the stress generated by UV radiation, as well as the ability to induce synthesis of extracellular dermal matrix elements; There was an improvement in all clinical parameters of aging. Significant improvement in hydration and firmness and elasticity were also observed.

conclusIon: Collagen peptides and nutrients association demonstrated an effect in some mechanisms involved in the photoaging process, leading a clinical improvement.

Keywords: Collagen; Exposome; Oxidation; Skin Aging; Glycation End Products, Advanced; Dietary Supplements.

Fonte de financiamento: Este estudo foi financiado pela FQM Farmacêutica

Conflito de interesses: Nenhum.

É Ensaio Clínico? CAAE: 48463321.0.000 Número do comitê de ética: 5514

Data de Submissão: 18/10/2023 Decisão final: 07/01/2024

Como citar este artigo: Addor FAS, Kawakami NT, Silva MS. Eficácia de um suplemento dietético nos parâmetros moleculares e clínicos do envelhecimento cutâneo. Surg Cosmet Dermatol. 2025;17:e20250308.

INTRODUÇÃO

O envelhecimento cutâneo é caracterizado pelo declínio progressivo das funções celulares, com consequente redução de suas funções de proteção contra agressões externas. Ao longo da vida, a pele perde suas capacidades de defesa contra estímulos físicos, químicos e biológicos, além de apresentar uma fragilidade crescente.1 Na epiderme, o declínio da proliferação queratinocítica leva a uma redução da espessura epidérmica e do estrato córneo, além da redução da síntese de lipídeos epidérmicos, com consequente elevação do pH da superfície. Portanto, a função de barreira sofre um comprometimento crescente, com maior incidência de ressecamento e reações irritativas, com processos inflamatórios associados. O estrato córneo apresenta uma redução de mais de 30% de seu conteúdo lipídico ao longo da vida, quando comparado ao estrato córneo jovem.2 Na derme, o processo de senescência dos fibroblastos, caracterizado por alterações morfológicas e declínio funcional, leva a uma redução progressiva da síntese de colágeno, elastina e proteoglicanos, que compõem a matriz extracelular. Concomitantemente, há um desequilíbrio entre a síntese de enzimas degradadoras de colágeno - as metaloproteinases - e de suas inibidoras, que podem estar até reduzidas.3 Esses fenômenos são concomitantemente agravados por fatores extrínsecos, dos quais a radiação solar é o fator mais bem estabelecido. Entretanto, outros fatores ambientais, como poluição atmosférica e altas temperaturas, assim como fatores associados ao estilo de vida, como tabagismo, alterações do sono, estresse emocional e fatores nutricionais, têm demonstrado evidências de sua influência no processo de envelhecimento cutâneo. Em conjunto, esses fatores têm sido considerados os principais componentes do expossoma do envelhecimento cutâneo, com base no atual nível de evidência que cada fator apresenta.4 Entretanto, a menopausa, doenças crônicas e algumas medicações de uso crônico também podem interferir nos danos cutâneos relacionados ao envelhecimento, colaborando para o agravamento de seus sinais.5 Portanto, os processos de envelhecimento “intrínseco” e “extrínseco” se sobrepõem, mas possuem um denominador comum: estão fortemente relacionados com a maior geração de radicais livres na pele, cuja neutralização não é completa. O estresse oxidativo, caracterizado por esse desequilíbrio entre a produção de espécies reativas de oxigênio (ERO) e defesa antioxidante, parece ser o processo mais nocivo para o envelhecimento da pele.6

A mitocôndria, em particular, é uma importante fonte de ERO, sendo provavelmente a mais importante a nível intracelular.7 O estresse oxidativo pode levar a alterações imunitárias, oncogênese e aceleração dos sinais do envelhecimento. Com relação ao envelhecimento, a radiação ultravioleta A (UVA) é sabidamente geradora de ERO, levando a danos nos queratinócitos, mas sobretudo nos fibroblastos, interferindo na função do fibroblasto com redução da síntese de colágeno, elastina e ácido hialurônico, além de aumentar a expressão de enzimas degradadoras das proteínas como as metaloproteinases e elastase.8 Outro mecanismo importante no processo de envelhecimento é a glicação. A geração de produtos de glicação avançada (AGEs),

decorrentes da reação não enzimática entre glicose e proteínas, leva a mudanças das propriedades estruturais dos colágenos 1 e 4, resultando diretamente em prejuízo funcional dérmico e da microvasculatura, com redução da elasticidade, maior fragilidade a traumas e prejuízo no processo cicatricial.9 O diabetes melito, patologia mais frequente em idades mais avançadas, assim como dietas hiperglicídicas, induzem a esse fenômeno. A radiação UVA é capaz de potencializar a glicação tecidual, aumentando a expressão de elastase e tropoelastina, clinicamente manifestadas por elastose. A oxidação que a radiação UVA promove também incrementa a geração de AGEs (glicoxidação).10 O uso oral de antioxidantes é uma estratégia indicada em situações em que haja oestresse oxidativo, tanto pela maior geração de ERO como pelo declínio dos sistemas endógenos característicos do envelhecimento. A prevenção e reparo do fotodano com o uso de antioxidantes está estabelecida, sendo a indicação mais conhecida e estudada.11 A administração de antioxidantes em associações sinérgicas, com doses menores, parece ser a alternativa mais segura para sua indicação.12 Há crescentes evidências em modelos animais e clínicos de que a suplementação oral de nutrientes funcionais podem proteger a pele dos danos oxidativos relacionados à radiação. Peptídeos, vitaminas e outros nutrientes, como fitoquímicos, são capazes de exercer efeitos na melhora de anormalidades morfológicas e no declínio funcional decorrentes do fotoenvelhecimento.13 Considerando esse contexto, uma associação de peptídeos de colágeno Verisol®, aminoácidos de composição do colágeno, carotenoide luteína, vitamina C e fitoquímicos polifenóis (Delphynol® e Hibiscus sabdariffa) foi avaliada em sua capacidade de proteção e correção de parâmetros epidérmicos e dérmicos do fotoenvelhecimento, e, em seguida, foram investigados os efeitos clínicos sobre os sinais de fotoenvelhecimento.

Método

Etapa pré-clínica: avaliação antioxidante in vitro

A produção de superóxido pelas mitocôndrias pode ser visualizada em microscopia de fluorescência utilizando o reagente MitoSOX™ Red, que permeia as células vivas, onde tem como alvo seletivo as mitocôndrias. Este reagente é rapidamente oxidado por superóxido, mas não por outras ERO e espécies reativas de nitrogênio (ERN). O produto oxidado é altamente fluorescente ao se ligar ao ácido nucleico, permitindo a semiquantificação por imagem do estresse oxidativo mitocondrial.14

Culturas de queratinócitos humanos foram realizadas em quatro placas, após a determinação da concentração não citotóxica do suplemento para realização do experimento. A placa 1 foi designada para controle basal (não irradiada e não tratada). A placa 2 foi irradiada com 10 J/cm2 de UVA (365 nm), e as placas 3 e 4 foram tratadas com diferentes concentrações do suplemento para serem irradiadas posteriormente pelos mesmos parâmetros da placa 2 (controle positivo).

Surg Cosmet Dermatol. 2025;v.17: n.1 jan-mar. p.44-53.

#p<0,001 in

** p<0,01 in

Gráfico 1: Semiquantificação do estresse oxidativo mitocondrial em cultura de queratinócitos humanos expostas à radiação UV

RESULTADOS

Os resultados obtidos demonstraram que a exposição das culturas à radiação UV promoveu um aumento no estresse oxidativo mitocondrial de 36% (p < 0,001) em comparação ao grupo-controle basal. O suplemento reduziu o estresse oxidativo mitocondrial em 25 e 20% (p < 0,01) nas concentrações de 0,10 e 0,03 mg/mL, respectivamente, quando comparado ao grupo com exposição à radiação UV, evidenciando sua capacidade de proteger as células dos danos causados pelos radicais livres. Estes resultados estão apresentados no Gráfico 01.

Gráfico 2: Semiquantificação de produtos avançados de glicação em cultura de fibroblastos envelhecidos

Etapa pré-clínica: avaliação antiglicante in vitro

Fibroblastos humanos foram incubados com três concentrações não citotóxicas do produto por 48 horas para posterior exposição à radiação UV. Em seguida, foi realizada a quantificação das AGEs, utilizando a técnica de ensaio imuno-enzimático (ELISA). Essas culturas foram realizadas em placas, após a determinação da concentração não citotóxica do suplemento para realização do experimento. Nas três baterias, a placa 1 foi designada para controle basal (não irradiada e não tratada). A placa 2 foi irradiada com 10 J/cm2 de UVA (365 nm), e as placas 3, 4 e

5 foram tratadas com o suplemento em três diferentes concentrações não citotóxicas para serem irradiadas após 48 horas nos mesmos parâmetros da placa 2 (controle positivo).

O suplemento reduziu a geração de AGEs em 41% (p < 0,01) na concentração de 0,10 mg/mL em comparação ao grupo com exposição à radiação UV, evidenciando sua habilidade em proteger as células da formação de AGEs desencadeados pela irradiação UVA. Estes resultados estão apresentados no Gráfico 02.

Etapa pré-clínica: proteção e síntese de colágeno, elastina e ácido hialurônico in vitro

Fibroblastos humanos senescentes foram tratados com o suplemento em três concentrações não citotóxicas por 72 horas. Em seguida, as células foram fixadas em paraformaldeído 4%, para posterior imunomarcação e semiquantificação de colágeno

tipo 1, utilizando a técnica de imunofluorescência. Essas culturas foram realizadas em placas após a determinação da concentração não citotóxica do suplemento para realização do experimento. Nas três baterias, a placa 1 foi designada para controle basal (não irradiada e não tratada). A placa 2 foi irradiada com 10 J/cm2 de UVA (365 nm) e as placas 3, 4 e 5 foram tratadas com o suplemento em três diferentes concentrações não citotóxicas para serem irradiadas após 48 horas nos mesmos parâmetros da placa 2 (controle positivo). Cada bateria de placas se destinou a avaliar oefeito do suplemento sobre a proteção da síntese de 1. colágeno, 2. elastina e 3. ácido hialurônico.

RESULTADOS

Os resultados obtidos demonstraram que a exposição das culturas à radiação UV promove reduções significativas de colá-

Gráfico 3: Semiquantificação da síntese de colágeno tipo 1 em cultura de fibroblastos envelhecidos

Gráfico 4: Semiquantificação da síntese de ácido hialurônico em cultura de fibroblastos envelhecidos

Surg Cosmet Dermatol. 2025;v.17: n.1 jan-mar. p.44-53.

geno tipo 1, elastina e ácido hialurônico (Gráficos 3, 4 e 5).

O suplemento foi capaz de proteger essas moléculas do dano da radiação UV, mantendo suas concentrações próximas do controle basal, que é a cultura não irradiada.

A preservação da concentração de colágeno tipo 1, elastina e ácido hialurônico é da ordem de 65, 92 e 100%, respectivamente, em relação à área não irradiada, demonstrando o efeito protetor sobre o fibroblasto.

Etapa clínica

Sujeitos

Este foi um estudo randomizado, duplo-cego, não comparativo, com uma duração de 12 semanas. Foram convidadas 33 participantes do sexo feminino, entre 35 e 60 anos, com queixa clínica e sinais de envelhecimento facial e corporal. Os critérios de exclusão considerados foram: qualquer tratamento para envelhecimento cutâneo até 4 semanas antes da inclusão no estudo; gestação ou lactação; participantes usando corticosteroides, imunossupressores ou portadoras de endocrinopatias ativas, além de qualquer outra condição médica que pudesse interferir. Todas as participantes foram orientadas a manter a dieta normal e a não se exporem intencionalmente ao sol.

Considerações éticas

O estudo foi conduzido em acordo com as diretrizes das Boas Práticas Clínicas. O presente estudo foi realizado após a aprovação ética, emitida pelo Comitê de Ética em Pesquisa da Universidade São Francisco - SP -Brasil em 05.JUL.2021 sob número de parecer 4.826.741 e Certificado de Apresentação de Apreciação Ética: 48463321.0.0000.5514

Método

Intervenção: suplemento

Todas as participantes receberam um suplemento oral em

Gráfico 5: Semiquantificação da síntese de elastina em cultura de fibroblastos envelhecidos

pó com 11g de proteínas, contendo: peptídeos bioativos de colágeno (Verisol®), colágeno hidrolisado, vitamina C, luteína, extrato de Hibiscus sabdariffa e extrato de Aristotelia chilensis (Delphinol®) em sachês, para uso diário. As participantes foram instruídas a consumir um sachê ao dia, diluído em 200ml de água, durante 12 semanas.Todas as participantes foram orientadas a anotar o horário de tomada do suplemento e qualquer desconforto ou intercorrência em diário fornecido pelo Centro.

Avaliação clínica e subjetiva

Para as avaliações clínica e subjetiva, foram utilizadas escalas paramétricas onde 1 = piora e 5 = melhora intensa. As avaliações clínicas foram realizadas por médico dermatologista treinado.

Na região facial, foram avaliados os seguintes parâmetros: linhas finas, linhas de expressão, viço, elasticidade, firmeza e aspecto geral, por escala categórica.

Nas regiões glútea e de coxas, foram avaliados os contornos, aspecto casca de laranja, elasticidade, firmeza e aspecto geral, com a mesma escala descrita para a região facial.

Todas as avaliações ocorreram no início do estudo, após 6 e 12 semanas. Concomitantemente, foi avaliado qualquer quadro que pudesse ser uma reação adversa relacionada ou não ao uso do suplemento.

Avaliação instrumental

As avaliações instrumentais foram realizadas após climatização de 20 minutos em temperatura de 20 ± 2 ºC e umidade de 50 ± 5%, sendo realizadas as seguintes medidas:

-Firmeza e elasticidade (Cutometer®) na área periorbital esquerda e área lateral direita da coxa, em terço médio.

- Hidratação (Corneometer®) na face (área frontal mediana).

Tabela 1: Itens de avaliação clínica da área facial nos tempos de 6 e 12 semanas após o uso do suplemento

Face

Eficácia clínica

Parâmetros clínicos

Firmeza

Elasticidade

Viço

Aspecto geral

Linhas finas

Sulcos e linhas de expressão

Tempos % de melhora p-value Conclusão

6 sem 26,67% 0,0048 Rejeita a hipótese*

12 sem 73,33% <0,0001 Rejeita a hipótese*

6 sem 26,67% 0,0048 Rejeita a hipótese*

12 sem 70% <0,0001 Rejeita a hipótese*

6 sem 46,67% 0,0002 Rejeita a hipótese*

12 sem 90% <0,0001 Rejeita a hipótese*

6 sem 46,67% 0,0008 Rejeita a hipótese*

12 sem 90% <0,0001 Rejeita a hipótese*

6 sem 36,67% 0,0242 Rejeita a hipótese*

12 sem 70% 0,0001 Rejeita a hipótese*

6 sem 26,67% 0,0181 Rejeita a hipótese*

12 sem 70% <0,0001 Rejeita a hipótese*

Nível de significância de 5%: | *Hipótese: Não há diferença entre os períodos investigados

RESULTADOS

Das 33 participantes que iniciaram o estudo, três não compareceram às visitas por motivos não relacionados ao estudo e, portanto, foram descontinuadas. O estudo terminou com dados válidos de 30 participantes, não sendo observados eventos adversos relacionados ao uso do produto.

Com relação à adesão ao tratamento, todas participantes apresentaram aderência maior ou igual a 80% de uso durante 6 e 12 semanas de estudo.

Avaliação estatística

A análise estatística dos dados obtidos foi realizada aplicando-se o teste não paramétrico de Wilcoxon para amostras pareadas, realizado com as notas dadas em 6 e 12 semanas em relação ao tempo inicial. Para amostras pareadas que seguiram distribuição normal, foi aplicado o teste estatístico paramétrico t-Student.

Avaliação clínica

De todos os parâmetros avaliados para face e corpo (glúteo e coxas), foi observado algum grau de melhora de forma estatisticamente significativa.

A avaliação da área facial revelou melhora significativa a partir de 6 semanas de uso em todos os itens avaliados (firmeza, elasticidade, linhas finas, linhas de expressão, viço e aspecto geral), conforme representado no Quadro 01:

Para a área glútea, foi observada clinicamente uma melhora estatisticamente significativa em 6 semanas para firmeza e relevo cutâneo. Já na avaliação de 12 semanas, houve melhora

significativa para todos os itens avaliados: firmeza, elasticidade, viço da pele, aspecto geral, relevo, contornos e aspecto de casca de laranja, conforme apresentado no Quadro 2:

Para a área das coxas, houve melhora observada clinicamente em 6 semanas, sendo estatisticamente significativa para o item aspecto casca de laranja. Já em 12 semanas, todos os itens avaliados tiveram melhora significava: firmeza, elasticidade, viço de pele, aspecto geral, aspecto de casca de laranja, contornos e relevo cutâneo, conforme está demonstrado no Quadro 3:

Avaliação subjetiva

O Quadro 4 apresenta o percentual de respostas positivas, agrupadas (algum grau de melhora) para cada item avaliado. As respostas foram agrupadas em facial e corporal (glúteos e coxas).

Avaliação instrumental

Hidratação (Corneometer®)

A hidratação medida na face (área frontal) após 3 meses de uso diário apresentou uma melhora de 16,65%, sendo estatisticamente significativa (p < 0,05).

Firmeza (Cutometer®)

O parâmetro biofísico de firmeza, que foi medido em duas áreas, periorbital e coxas, apresentaram melhora de 33,28% na região periorbital e 19,8% na área das coxas, ambas estatisticamente significativas (p < 0,05).

Surg Cosmet Dermatol. 2025;v.17: n.1 jan-mar. p.44-53.

Tabela 2: Itens de avaliação clínica da área de glúteos nos tempos de 6 e 12 semanas após o uso do suplemento Glúteos

Parâmetros clínicos

Firmeza

Elasticidade

Maciez

Aparência geral

Suavidade da pele

Eficácia Clínica

Tempos % de melhora p-value Conclusão

6 sem 30,00% 0,0331 Hipótese rejeitada*

12 sem 46,67% 0,0008 Hipótese rejeitada*

6 sem 23,33% 0,0911 Hipótese não rejeitada 12 sem 50,00% 0,0005 Hipótese rejeitada*

6 sem 23,33% 0,0866 Hipótese não rejeitada 12 sem 50,00% 0,0013 Hipótese rejeitada*

6 sem 20,00% 0,1431 Hipótese não rejeitada

12 sem 53,33% 0,0003 Hipótese rejeitada*

6 sem 26,67% 0,0047 Hipótese rejeitada*

12 sem 46,67% 0,0002 Hipótese rejeitada*

Contornos 6 sem 23,33% 0,0911 Hipótese não rejeitada 12 sem 50,00% 0,0005 Hipótese rejeitada*

Aparência de Casca de Laranja (Celulite)

6 sem 26,67% 0,0550 Hipótese não rejeitada

12 sem 53,33% 0,0007 Hipótese rejeitada*

Nível de significância de 5%: | *Hipótese: Não há diferença entre os períodos investigados

Tabela 3: Avaliação clínica da área de coxas nos tempos de 6 e 12 semanas após o uso do suplemento

Coxas

Eficácia Clínica

Parâmetros Clínicos

Firmeza

Elasticidade

Maciez

Aparência Geral

Suavidade da Pele

Contornos

Aparência de Casca de Laranja (Celulite)

Pontos no Tempo % de Melhora p value Conclusão

6 sem 26,67% 0.1234

Hipótese não rejeitada

12 sem 53,33% 0.0003 Hipótese rejeitada*

6 sem 23,33% 0.1933 Hipótese não rejeitada

12 sem 53,33% 0.0002

6 sem 23,33% 0.0911

12 sem 63,33% 0.0001

6 sem 16,67% 0.2243

12 sem 50,00% 0.0004

6 sem 16,67% 0.2458

12 sem 53,33% 0.0001

6 sem 13,33% 0.017

12 sem 53,33% 0.0003

6 sem 30,00% 0.0315

Hipótese rejeitada*

Hipótese não rejeitada

Hipótese rejeitada*

Hipótese não rejeitada

Hipótese não rejeitada

Hipótese não rejeitada

Hipótese não rejeitada

Hipótese não rejeitada

Hipótese não rejeitada

Hipótese não rejeitada

12 sem 40,00% 0.0055 Hipótese não rejeitada

Nível de significância de 5%: | *Hipótese: Não há diferença entre os períodos investigados

Tabela 4: Percentual de respostas positivas obtidas na avaliação subjetiva em 6 e 12 semanas após o uso do suplemento

Parâmetros

Melhora na firmeza

Melhora na elasticidade

Melhora na maciez

Redução de rugas

Percentual de respostas Positivas

D45

D90

Rosto

Melhora nas linhas de expressão 70,00% 80,00%

Melhora nos sulcos 63,33% 76,67%

Melhora na aparência geral da pele 86,67% 90,00%

Glúteos e coxas

Melhora na firmeza 76,67%

Melhora na elasticidade

Melhora na suavidade da pele

Redução de contornos 73,33% 76,67%

Melhora na aparência de casca de laranja 83,33% 86,67%

Melhora na aparência geral 83,33% 90,00%

Elasticidade (Cutometer®)

O parâmetro biofísico de elasticidade, que foi medido em duas áreas, periorbital e crural, apresentaram melhora de 70,3% na região periorbital e 30,3% na área crural, ambas estatisticamente significativas (p < 0,05).

DISCUSSÃO

Na etapa pré-clínica, a associação de nutrientes contida no suplemento demonstrou um efeito antioxidante amplo, reduzindo a formação de ERO em cultura de queratinócitos e exercendo um efeito protetor do fibroblasto contra a radiação UV, recuperando significativamente a síntese de elementos fundamentais à integridade dérmica: colágeno tipo 1, elastina e ácido hialurônico.

Esses efeitos podem ser explicados pela ação antioxidante sinérgica para alvos distintos, oferecida pela vitamina C (antioxidante amplo encontrado na superficie epidermica e que é depletado perante a luz solar e a poluição atmosférica)15 e a luteína (carotenoide fundamental na proteção direta contra a luz visível e antioxidante contra os efeitos da radiação ultravioleta).16 Sendo um nutriente essencial, sua carência é relativamente frequente, sobretudo em quem não ingere vegetais de folhas escuras, como agrião, espinafre, rúcula, etc.17

Em relação à presença dos conjunto de polifenóis do Delphinol®, em particular da delfinidina, mas também de outras antocianidinas, esses conferem uma ação ampla antioxidante e anti-inflamatória contra o dano UV induzido.18 Além da ação antioxidante, a delfinidina atua em importantes etapas da infla-

mação presente no envelhecimento, abrangendo seus principais mecanismos, como a supressão de NF-κB e AP-1 epidérmicos, reduzindo a expressão de metaloproteinases.19 Conjuntamente a esses polifenóis, o mecanismo de ação antioxidante do Hibiscus sabdariffa já era estudado em neoplasias, ficando evidenciado recentemente a partir do isolamento de seus principais compostos com esta propriedade: ácidos clorogênico e neoclorogênico, criptoclorogênico, rutina e isoquercitina.20 O composto encontrado no Hibiscus sabdariffa demonstrou ser um varredor amplo de ERO, além de apresentar efeitos protetores de membrana celular contra a peroxidação lipídica e prevenir a depleção de sistemas antioxidantes endógenos, como glutationa e superóxido dismutase.21 A ação antiglicante do Hibiscus sabdariffa também foi documentada, e sua capacidade de reduzir a resistência à insulina foi demonstrada em pacientes com diabetes do tipo 2. A nível molecular, demonstrou inibir a expressão dos receptores de produtos da glicação (RAGEs).22 Pesquisas com biodisponibilidade do colágeno hidrolisado têm mostrado que, após a sua ingesta na forma de peptídeos, estes atingem tecidos como a pele e cartilagens, estimulando o metabolismo das células da derme, melhorando a síntese das proteínas da matriz extracelular e, consequentemente, promovendo a substituição das fibras de colágeno danificadas por novas fibras, com propriedades de restauração da estrutura da derme.23 Estudos clínicos com suplementos contendo peptídeos de colágeno demonstraram melhora de parâmetros dérmicos e epidérmicos relacionados ao envelhecimento.

Um dos maiores estudos clínicos realizados com Verisol® envolveu 114 mulheres entre 45 e 65 anos, que receberam 2,5g/ dia por 8 semanas. Houve redução significativa de linhas perioculares quando comparadas ao grupo controle, além de haver aumento significaivo da síntese de pró-colágeno tipo 1 e elastina, no subrgupo submetido à avaliação histológica.24

A presença de vitamina C como cofator da síntese de colágeno e elastina pode também favorecer a magnitude desses efeitos dérmicos.25 A oferta de aminoácidos orais à pele pode também ser muito proveitosa, sobretudo se levarmos em consideração o fato de que muitas populações podem estar sujeitas à hipoproteinemia, como vegetarianos e pacientes pós cirurgia bariátrica, além de individuos que se submetem às crash diets ou até mesmo a um consumo aumentado de proteína devido à prática pesada de exercícios físicos. Em uma revisão da literatura, foram evidenciadas as características dos aminoácidos e seus benefícios no metabolismo da pele26:

-Os aminoácidos essenciais, como a histidina, serina e arginina, atuam na produção da filagrina e da hidratação da pele;

-A lisina age na maturação das proteínas durante as reações de hidroxilação da síntese de colágeno;

-Os aminoácidos de cadeia ramificada (isoleucina, leucina e valina), quando suplementados juntos mostraram benefícios na melhora das rugas, cicatrização de feridas e proteção da pele contra danos dos raios UVB;

- A fenilanina e a tripsina participam da produção da melanina;

-O triptofano age como precursor da melatonina, hormônio que protege a pele contra o estresse oxidativo;

-A metionina está presente na formação de polissacarídeos e glicosaminoglicanos;

-A treonina tem um papel na hidratação do estrato córneo.

Os resultados dos estudos pré-clínicos demonstraram uma correspondência clínica, constatada na melhora significativa de sinais relacionados ao fotoenvelhecimento, como linhas finas, linhas dinâmicas e viço, sobretudo na pele facial, mais exposta à radiação solar. Houve também a melhora da firmeza e da elasticidade, já observada significativamente tanto na avaliação clínica como nas avaliações instrumentais quantitativas.

Entretanto, a melhora de parâmetros de natureza dérmica, como contornos, relevo cutâneo, elasticidade e firmeza, demonstram que a associação de nutrientes antioxidantes com peptídeos de colágeno pode atuar positivamente na melhora clínica de sinais de envelhecimento tegumentar, especialmente com o uso continuado. Em 12 semanas de uso diário, a melhora significativa foi comprovada em todos parâmetros avaliados.

Portanto, os resultados deste estudo sinalizam um efeito positivo e relevante em todo tegumento, melhorando a integridade e funcionalidade da pele, com melhora progressiva com o uso continuado.

CONCLUSÃO

A associação de nutrientes contida no suplemento estudado demonstrou um efeito antioxidante amplo, preservando os queratinócitos e fibroblastos contra o dano oxidativo UV induzido, mantendo a capacidade do fibroblasto de sintetizar colágeno, ácido hialurônico e elastina.

Os beneficios de ação antioxidante possivelmente sinérgicos ao efeito estimulador do fibroblasto, conferido pelos peptídeos de colágeno na síntese de colágeno, ácido hialurônico e elastina, conferiu resultados relevantes em todos os sinais de envelhecimento estudados, em todas áreas estudadas.

O uso diário desse suplemento se mostrou seguro para uso continuado, o que favorece sua utilização tanto na prevenção dos danos provocados pelo envelhecimento extrínseco quanto na melhora de sinais já instalados. l Surg Cosmet Dermatol. 2025;v.17: n.1

REFERÊNCIAS:

1. Zargaran D, Zoller F, Zargaran A, Weyrich T, Mosahebi A. Facial skin ageing: key concepts and overview of processes. Int J Cosmet Sci. 2022;44(4):414-420.

2. Ghadially R, Brown BE, Sequeira-Martin SM, Feingold KR, Elias PM. The aged epidermal permeability barrier. Structural, functional, and lipid biochemical abnormalities in humans and a senescent murine model. J Clin Invest. 1995; 95:2281–90.

3. Shin JW, Kwon SH, Choi JY, Na JI, Huh CH, et al. Molecular mechanisms of dermal aging and antiaging approaches. Int J Mol Sci.2019;20(9): 2126.

4. Krutmann J, Bouloc A, Sore G, Bernard BA, Passeron T. The skin aging exposome. J Dermatol Sci. 2017 ;85(3):152-161.

5. Addor FAS. Beyond photoaging: additional factors involved in the process of skin aging. Clin Cosmet Invest Dermatol. 2018;11:437-443.

6. Poljšak B, Dahmane RG, Godić A. Intrinsic skin aging: the role of oxidative stress. Acta Dermatovenerol Alp Pannonica Adriat. 2012;21(2):33-6.

7. Wikramanayake TC, Chéret J, Sevilla A, Birch-Machin M, Paus R. Targeting mitochondria in dermatological therapy: beyond oxidative damage and skin aging. Expert Opin Ther Targets. 2022;26(3):233-259.

8. Imokawa G, Ishida K. Biological mechanisms underlying the ultraviolet radiation-induced formation of skin wrinkling and sagging I: reduced skin elasticity, highly associated with enhanced dermal elastase activity, triggers wrinkling and sagging. Int J Mol Sci. 2015;16(4):7753-75

9. Fournet M, Bonté F, Desmoulière A. Glycation damage: a possible hub for major pathophysiological disorders and aging. Aging and Disease.2018;9(5):897.

10. Pageon H, Zucchi H, Ricois S, Bastien P, Asselineau D. UVA exposure combined with glycation of the dermis are two catalysts for skin aging and promotes a favorable environment to the appearance of elastosis. J Aging Res.2021;2021:6647773.

11. Addor FAS. Antioxidants in dermatology. An Bras Dermatol. 2017;92(3):356-362. 12.Keller KL, Fenske NA. Uses of vitamins A, C, and E and related compounds in dermatology: a review. J Am Acad Dermatol. 1998;39:611-25

12. Geng R, Kang SG, Huang K, Tong T. Boosting the photoaged skin: the potential role of dietary components. Nutrients. 2021;13(5):1691

13. Zielonka J, Hardy M, Kalyanaraman B. HPLC study of oxidation products of hydroethidine in chemical and biological systems: ramifications in superoxide measurements. Free Radic Biol Med. 2009;46(3):329- 38.

14. Dimitrov A, Zanini M, Zucchi H, Boudah S, Lima J, Soeur J, et al. Vitamin C prevents epidermal damage induced by PM-associated pollutants and UVA1 combined exposure. Exp Dermatol. 2021;30(11):1693-1698.

15. Juturu V, Bowman J, Deshpande J. Overall skin tone and skin-lightening-improving effects with oral supplementation of lutein and zeaxanthin isomers: a double-blind, placebo-controlled clinical trial. Clin Cosmet Invest Dermatol. 2016;9:325–332.

16. Balic A, Mokos M. Do we utilize our knowledge of the skin protective effects of carotenoids enough? Antioxidants 2019;8(8):259

17. Watson RR, Schönlau F. Nutraceutical and antioxidant effects of a delphinidin-rich maqui berry extract Delphinol®: a review. Minerva Cardioangiol. 2015;63(2 Suppl 1):1-12.

18. Kang NJ, Lee KW, Kwon JY, Hwang MK, Rogozin EA, Heo YS, et al. Delphinidin attenuates neoplastic transformation in JB6 Cl41 mouse epidermal cells by blocking Raf/mitogen-activated protein kinase kinase/ extracellular signal-regulated kinase signaling. Cancer Prev Res (Phila). 2008; 1(7): 522–531.

19. Wang J, Cao X, Jiang H, Qi Y, Chin KL, Yue Y. Antioxidant activity of leaf extracts from different Hibiscus sabdariffa accessions and simultaneous determination five major antioxidant compounds by LC-Q-TOF-MS. Molecules. 2014;19(12):21226- 38.

20. Rocha CI, Bonnlaender B, Sievers H, Pischel I, Heinrich M. Hibiscus sabdariffa L. - a phytochemical and pharmacological review. Food Chem. 2014;165:424-43.

21. Peng CH, Chyau CC, Chan KC, Chan TH, Wang CJ, Huang CN. Hibiscus sabdariffa polyphenolic extract inhibits hyperglycemia, hyperlipidemia, and glycation-oxidative stress while improving insulin resistance. J Agric Food Chem. 2011;59(18):9901-9

22. Murakami H, Shimbo K, Inoue Y, Takino Y, Kobayashi H. Importance of amino acid composition to improve skin collagen protein synthesis rates in UV-irradiated mice. Amino Acids. 2012;42(6):2481-9.

23. Proksch E, Schunck M, Zague V, Segger D, Degwert J, Oesser S. Oral intake of specific bioactive collagen peptides reduces skin wrinkles and increases dermal matrix synthesis. Skin Pharmacol Physiol.2014;27(3): 113–119.

24. Hata R, Senoo H. L-ascorbic acid 2-phosphate stimulates collagen accumulation, cell proliferation, and formation of a three-dimensional tissuelike substance by skin fibroblasts. J Cell Physiol. 1989;138(1):8-16.

25. Solano F. Metabolism and functions of amino acids in the skin. Adv Exp Med Biol. 2020;1265:187-199.

CONTRIBUIÇÃO DOS AUTORES:

Flavia Alvim Sant’Anna Addor 0000-0003-1851-7342

Aprovação da versão final do manuscrito; concepção e planejamento do estudo; elaboração e redação do manuscrito; obtenção, análise e interpretação dos dados; participação efetiva na orientação da pesquisa; participação intelectual em conduta propedêutica e/ou terapêutica de casos estudados; revisão crítica da literatura; revisão crítica do manuscrito.

Nathalia Terumi Kawakami 0000-0002-2458-7534

Análise estatística; aprovação da versão final do manuscrito; concepção e planejamento do estudo; participação efetiva na orientação da pesquisa; revisão crítica do manuscrito.

Michelle Sabrina da Silva 0000-0002-9319-2384

Análise estatística; aprovação da versão final do manuscrito; concepção e planejamento do estudo; obtenção, análise e interpretação dos dados; participação efetiva na orientação da pesquisa; revisão crítica da literatura; revisão crítica do manuscrito.

www.surgicalcosmetic.org.br/

Eficácia e segurança dos adesivos de silicone na melhora de sinais de envelhecimento

periorbital: estudo piloto

Efficacy and safety of silicone adhesives in improving signs of periorbital aging: a pilot study

DOI: http://www.dx.doi.org/10.5935/scd1984-8773.2025170339

RESUMO

Introdução: Múltiplos tratamentos que prometem prevenir ou tratar o envelhecimento da pele atuam nas funções celulares, reduzindo os mecanismos de agressão à pele e minimizando a perda das propriedades da barreira cutânea. Os adesivos de silicone parecem ter uma ação positiva na função barreira e na modulação da inflamação, mas seus efeitos clínicos ainda não haviam sido documentados. objetIvo: Avaliar a eficácia dos adesivos de silicone na redução dos sinais do envelhecimento periorbital. Métodos: Foram selecionadas 33 pacientes, com idades entre 35 e 55 anos, com diagnóstico clínico de envelhecimento na região periorbital. Destas, 23 foram submetidas a medidas de hidratação (corneometria) e de relevo da pele (profilometria). Todas as participantes utilizaram diariamente os adesivos por um período de 30 dias. resultados: Após 4 semanas de uso, a aplicação do adesivo de silicone proporcionou uma melhora significativa dos níveis de hidratação e do microrrelevo da pele, tornando-a mais lisa. As avaliações clínica e subjetiva corroboraram esses achados, além de haver melhora relevante em parâmetros clínicos e subjetivos como hidratação, maciez, textura e linhas de expressão.

ConClusão: O uso continuado dos adesivos de silicone demonstrou efeitos benéficos sobre alguns sinais do envelhecimento, possivelmente relacionados à melhora da hidratação e à modulação da inflamação.

Palavras-chave: Envelhecimento da Pele; Epiderme; Elastômeros de Silicone.

Original Article

Autores:

Flávia Alvim Sant’anna Addor1

Ludmila Coelho Donato2

Thiago Silva Raposo2 Dayana da Costa Salome2

1 Grupo MEDCIN, Pesquisa Clínica, Osasco (SP), Brasil

2 Silimed Industria de Implantes Ltda, Pesquisa Clínica, Rio de Janeiro (RJ), Brasil

ABSTRACT

IntroductIon: Multiple treatments that promise to prevent or treat skin aging act on cellular functions, reducing skin aggression mechanisms, or even on the loss of skin barrier properties. Silicone adhesives appear to have a positive effect on barrier function and modulation of inflammation, but their clinical effects have not yet been documented. objectIve: To evaluate the effectiveness of silicone adhesives in reducing the signs of periorbital aging.

Methods: 33 patients between 35 and 55 years old with a clinical diagnosis of aging in the periorbital region were selected; Of these, 23 underwent hydration measurements (corneometry) and skin relief (prophylometry). All participants used the patches daily for a period of 30 days.

results: After four weeks of use, the application of silicone adhesives provided a significant improvement in hydration levels and the skins microrelief, making it smoother. The clinical and subjective evaluation corroborated these findings, and also showed a relevant improvement in clinical and subjective parameters such as hydration, softness, texture, and expression lines.

conclusIon: The continued use of silicone adhesives demonstrated a beneficial effect on some signs of aging, possibly related to improved hydration and modulation of inflammation.

Keywords: Skin Aging; Epidermis; Silicone Elastomers.

Correspondência:

Flavia Alvim Sant’Anna Addor flavia.addor@medcin.com.br

Fonte de financiamento: A empresa Silimed doou as amostras para o estudo e apoiou financeiramente a execução das avaliações clínicas;

Conflitos de interesse: Nenhum.

É ensaio clínico? CAAE: 66692823.7.0000.5514

Número do comitê de ética: 5514

Data de Submissão: 10/01/2024 Decisão final: 29/02/2024

Como citar este artigo: Addor FAS, Donato LC, Raposo TH, Salome DC. Eficácia e segurança dos adesivos de silicone na melhora de sinais de envelhecimento periorbital: estudo piloto. Surg Cosmet Dermatol. 2025;17:e20250339.

INTRODUÇÃO

O envelhecimento da pele se caracteriza por um declínio funcional celular, com repercussões funcionais e clínicas. Na epiderme, a redução da barreira cutânea favorece o ressecamento e a perda da função imune, enquanto na derme, a redução de síntese e organização da matriz extracelular resulta em um adelgaçamento progressivo e perda de propriedades biofísicas, como densidade, firmeza e elasticidade.1 Há múltiplos tratamentos que prometem prevenir ou tratar esses fenômenos, seja por estimulação dos queratinócitos e dos fibroblastos, seja por redução dos mecanismos de agressão à pele, como oxidação, inflamação ou até a perda das propriedades da barreira cutânea.2-4 Os adesivos de silicone são amplamente utilizados para prevenção de cicatrizes hipertróficas e queloides, assim como no tratamento complementar dessas afecções. O mecanismo de ação na modulação da resposta cicatricial ainda não está bem esclarecido, mas estudos demonstram que, além do efeito mecânico de restringir a mobilização da pele que está sob reparação, o silicone parece modular a inflamação presente na área.5,6 Foi demonstrado que a redução da perda de água transepidérmica tem um papel nessa modulação, já que colabora na restauração da barreira cutânea.7 Recentemente, o uso de adesivos de gel de silicone tem sido propagado na prevenção e melhora das rugas faciais, (periorbitais, frontais e glabelares), cervicais e na área pré-esternal (“rugas do decote”) devido ao seu efeito mecânico, que reduziria a mobilização da pele nessas regiões. O efeito hidratante também é mencionado. Entretanto, não há evidências publicadas que comprovem o efeito dessas placas sobre as rugas cutâneas. Diante desse cenário, oobjetivo desta pesquisa foi conhecer a possível contribuição desse dispositivo na melhora de sinais de envelhecimento, especificamente os periorbitais, assim como um possível impacto em outros parâmetros funcionais ligados ao envelhecimento, como os níveis de hidratação.

MATERIAL E MÉTODOS

Trata-se de um estudo piloto, onde foram selecionados 33 pacientes recrutados em um centro de pesquisa privado, com idades entre 35 e 55 anos, do sexo feminino, com diagnóstico clínico de envelhecimento na região periorbital (presença de olheiras, linhas e bolsas infraorbitais). Todas as pacientes concordaram em participar da pesquisa e assinaram o termo de consentimento livre e esclarecido antes da avaliação dermatológica.

Após a inclusão no estudo, todas as participantes receberam uma amostra do adesivo de silicone (Medgel Antiage®, Silimed Industria de Implantes Ltda.) para aplicação noturna na área infraorbital, sendo instruídas a não utilizar nenhum outro produto no local, com exceção de um higienizador. O Medgel Antiage® é uma tira adesiva de silicone grau médico e biocompatível. É composto por uma fina camada de elastômero de silicone para suporte e flexibilidade, e uma camada de gel de silicone capaz de se adaptar ao contorno da pele e aderir completamente à região para a qual se destina. A superfície em contato com a pele acompanha um filme plástico para o acondicionamento, com a finalidade de não perder a adesividade. O Medgel Antiage® possui diferentes formatos para se adequar às regiões anatômicas de destino: contorno dos olhos, sulco nasogeniano, frontetesta e glabela, perilabial e colo. O Quadro 01 demonstra as dimensões de cada adesivo:

Foi instruída a lavagem diária do adesivo, que estava adequado ao uso por 30 vezes, perfazendo o uso durante 1 mês. As pacientes foram avaliadas pelo dermatologista investigador no início e final do estudo, e o médico esteve disponível para algum caso de reação adversa. Destas pacientes, 23 foram selecionadas, de forma randômica, para realizar medidas de hidratação por corneometria (equipamento Corneometer® MPA 580 - Courage & Khazaka) e relevo cutâneo (linhas finas) por análise de imagens profilométricas (equipamento Primos lite® (GFMesstechnik GmgH), no início e ao final do estudo. Essas mesmas pacientes, no primeiro dia de avaliação, foram submetidas a um estudo de cinética de hidratação por 8 horas, para avaliar os efeitos de uma única aplicação do adesivo sobre os níveis de água na camada córnea. Um total de seis adesivos padronizados foi aplicado na face interna de antebraços com a finalidade de avaliar a curva de hidratação a partir de uma única aplicação, comparando com uma área controle (sem aplicação). Os adesivos foram removidos em 1, 2, 4, 6 e 8 horas, e medidas foram realizadas e comparadas à área controle. O estudo foi conduzido em acordo com as Diretrizes das Boas Práticas Clínicas, Resolução 466/12, sendo realizado após aprovação emitida pelo Comitê de Ética em Pesquisa da Universidade São Francisco sob o número do parecer: 5.887.621 e Certificado de Apresentação de Apreciação Ética: 66692823.7.0000.5514, em 10/02/2023. O estudo ocorreu entre maio e julho do mesmo ano.

Tabela 1: Características dos modelos dos adesivos de silicone Medgel Antiage ®

RESULTADOS

Das 33 pacientes recrutadas, duas foram excluídas por não retornarem para as avaliações finais. Com relação à segurança de uso, as reações adversas relatadas foram de leve intensidade e transitórias, não necessitando de descontinuação do produto. Prurido leve (4 participantes), calor local de leve intensidade (1 participante) e eritema com ardência leve (1 participante) foram relatados, mas a regressão espontânea permitiu a continuidade de uso. A média etária foi de 46,1 anos.

Avaliação clínica de eficácia:

Com relação ao percentual de pacientes com melhora, o Quadro 02 apresenta os resultados obtidos a partir dos itens de avaliação clínica:

Avaliação instrumental - hidratação da camada córnea

A avaliação cinética, que objetiva avaliar o efeito de uma única aplicação, revelou uma melhora estatisticamente significativa dos níveis de hidratação a partir da primeira hora (37,1%), sendo progressiva no tempo, chegando a 50,78% em 8 horas, conforme demonstra o Quadro 03:

O Gráfico 01 demonstra os efeitos no tempo dos níveis de hidratação após 28 dias, que foram estatisticamente significativos (p < 0,05) com o uso noturno diariamente:

Avaliação instrumental - relevo da pele

Nesta avaliação, a diminuição das medianas significa melhora do parâmetro, já que há menos relevo (pele mais lisa). Os resultados demonstram uma redução de 14,3% na profundidade das rugas periorbitais, sendo estatisticamente significativa após 28 dias de uso, conforme o Gráfico 02:

Avaliação subjetiva - questionário

As participantes responderam a um questionário sobre os efeitos do produto avaliado ao final do estudo e foram consideradas positivas as respostas de concordância total ou parcial para cada pergunta. Duas questões mais gerais foram incluídas: melhora do aspecto envelhecido e aspecto de pele mais jovem. Todos os parâmetros tiveram avaliação positiva para a maioria das participantes, conforme demonstrado no Quadro 04:

DISCUSSÃO

O uso de adesivos de silicone é estudado desde a década de 90 para a prevenção e tratamento de queloides e cicatrizes hipertróficas, tornando-se o tratamento de primeira linha nos guidelines mais recentes.9,10 Como demonstra maior eficácia nas cicatrizes recentes, levantou-se a hipótese de que, além de um benefício de ordem mecânica, poderia haver uma possível atividade sobre a inflamação. Há evidências de que, além de uma maior hidratação tecidual, o silicone atue sobre atividade mastocitária e expressão

Tabela 2: Percentual de pacientes com melhora pela

Rejeita a

Rejeita a hipótese*

Rejeita a hipótese*

Rejeita a hipótese*

Rejeita a hipótese*

Rejeita a hipótese* Bolsas

de interleucina1, com uma provável repercussão na modelação da matriz extracelular.11,12 Partindo-se do pressuposto de que a pele envelhecida tem maior dificuldade de manter a função barreira, com maior predisposição a irritações, e que fatores externos (radiação solar, poluição etc.) podem agir como pró-inflamatórios, imagina-se que adesivos de silicone poderiam exercer um efeito protetor, criando um microambiente propício à modulação da inflamação e restituição de barreira, mas não há ainda um estudo que demonstre esse fenômeno. O adesivo de silicone aqui estudado demonstrou, a partir da primeira aplicação, um efeito positivo e relevante sobre os níveis de hidratação, sendo o primeiro passo para manter ou até recuperar a epiderme. Seus efeitos ao longo do tempo, demonstrados tanto nas avaliações clínicas quanto nas

Gráfico 1: Médias dos índices corneométricos antes (D0) e após 28 (D28) dias de uso contínuo do produto investigacional; n = 22; p < 0,05 em relação ao tempo experimental D0

Gráfico 2: Medianas da profundidade das rugas na região periorbital antes (D0) e após 28 (D28) dias do uso contínuo do produto investigacional (n = 22), *p < 0,01 em relação ao tempo D0

instrumentais, evidenciaram uma redução significativa nas linhas periorbitais. Contudo, um eventual mecanismo de ação dérmico permanece indeterminado.

Uma maior hidratação é obtida a partir da recuperação da integridade de barreira. Um estudo envolvendo a aplicação tópica de silicone demonstrou a melhora significativa da perda de água transepidérmica em pacientes após procedimentos ablativos.13 O adesivo de silicone se revelou seguro para uso diário na face e área dos olhos, corroborando a segurança já observada em diversos estudos clínicos. Estes resultados encorajadores sugerem que o uso do adesivo de silicone pode ser uma medida segura e efetiva não somente para o tratamento de sinais de envelhecimento, mas possivelmente durante pós procedimentos que en-

volvam alteração de barreira (laser, microagulhamento, peelings etc.), desde que não haja áreas cruentas, conforme recomendado para lesões em cicatrização.14 Pacientes com histórico de alergias e irritações cutâneas também podem se beneficiar dessas medidas, com melhora da integridade da pele. Em suma, as evidências coletadas neste estudo apontam resultados promissores nessa nova alternativa de cuidados com a pele envelhecida.

CONCLUSÃO

A utilização dos adesivos de silicone demonstrou uma melhora percebida pelas pacientes significativa de parâmetros associados ao envelhecimento da pele periorbital: maciez, hidratação, textura, vitalidade e radiância. Além disso, as partici-

pantes relataram percepção de melhora da luminosidade, bolsas ao redor dos olhos e linhas de expressão. Esses resultados foram corroborados pela avaliação instrumental, com melhora significativa no tempo de medidas de hidratação (com resultados relevantes estatisticamente desde a primeira aplicação, em todos os tempos de avaliação) e de relevo cutâneo. Estes achados sinalizam que o uso dos adesivos de silicone são um recurso promissor no tratamento dos sinais de envelhecimento cutâneo a partir de seu uso continuado, constituindo o primeiro skincare não cosmético para uso doméstico com segurança e eficácia comprovadas. Seu uso deve colaborar, inclusive, para a melhora de resultados de procedimentos estéticos locais, sem riscos de irritação ou sensibilizações. l

REFERÊNCIAS:

1. Krutmann J, Schikowski T, Morita A, Berneburg M. Environmentally-induced (Extrinsic) skin aging: exposomal factors and underlying mechanisms. J Invest Dermatol. 2021;141(4S):1096-1103.

2. Boismal F, Serror K, Dobos G, Zuelgaray E, Bensussan A, Michel L. Vieillissement cutané - physiopathologie et thérapies innovantes [Skin aging: pathophysiology and innovative therapies]. Med Sci (Paris). 2020;36(12):1163-1172.

3. Morgado-Carrasco D, Gil-Lianes J, Jourdain E, Piquero-Casals J. Oral supplementation and systemic drugs for skin aging: a narrative review. Actas Dermosifiliogr. 2023;114(2):114- 124.

4. Li K, Meng F, Li YR, Tian Y, Chen H, Jia Q, et al. Application of nonsurgical modalities in improving facial aging. Int J Dent. 2022;2022:8332631.

5. Lansdown AB, Williams A. A prospective analysis of the role of silicon in wound care. J Wound Care. 2007;16(9):404-7.

6. Puzanowska-Tarasiewicz H, Kuêmicka L, Tarasiewicz M. [Biological function of some elements and their compounds. IV. Silicon, silicon acids, silicones].Pol Merkur Lekarski. 2009;27(161):423.

7. Mustoe TA. Evolution of silicone therapy and mechanism of action in scar management. Aesth Plast Surg. 2008;32(1):82-92.

CONTRIBUIÇÃO DOS AUTORES:

Flavia Alvim Sant’Anna Addor 0000-0003-1851-7342

8. Leshaw SM. Silicone use in keloids. West J Med. 1994;160(4):363-4.

9. Monstrey S, Middelkoop E, Vranckx JJ, Bassetto F, Ziegler UE, Meaume S, et al. Updated scar management practical guidelines: non-invasive and invasive measures. J Plast Reconstr Aesthet Surg. 2014;67(8):1017-25.

10. Ekstein SF, Wyles SP, Moran SL, Meves A. Keloids: a review of therapeutic management. Int J Dermatol. 2021;60(6):661-671.

11. Zurada JM, Kriegel D, Davis IC. Topical treatments for hypertrophic scars. J Am Acad Dermatol. 2006;55(6):1024-31

12. Mustoe TA, Gurjala A. The role of the epidermis and the mechanism of action of occlusive dressings in scarring. Wound Repair Regen. 2011;19(Suppl 1):s16–s21.

13. Addor FAS. Efeito do uso de silicone em spray na reparação cutânea em procedimentos envolvendo ablação epidérmica: estudo de 20 casos. Surg Cosmet Dermatol. 2011;3(1):41-46.

14. Sidgwick GP, McGeorge D, Bayat A. A comprehensive evidence-based review on the role of topicals and dressings in the management of skin scarring. Arch Dermatol Res. 2015;307(6):461-77.

Aprovação da versão final do manuscrito; concepção e planejamento do estudo; elaboração e redação do manuscrito; obtenção, análise e interpretação dos dados; participação efetiva na orientação da pesquisa; participação intelectual em conduta propedêutica e/ou terapêutica de casos estudados.

Ludmila Coelho Donato 0000-0003-1838-8464

Análise estatística; concepção e planejamento do estudo; participação efetiva na orientação da pesquisa; revisão crítica do manuscrito.

Thiago Silva Raposo 0000-0001-6661-402X

Aprovação da versão final do manuscrito, Concepção e planejamento do estudo, Participação efetiva na orientação da pesquisa, Revisão crítica do manuscrito

2Silimed Industria de Implantes Ltda, Pesquisa Clínica, Rio de Janeiro (RJ), Brasil

Dayana da Costa Salome 0000-0001-8886-8872

Aprovação da versão final do manuscrito; concepção e planejamento do estudo; participação intelectual em conduta propedêutica e/ou terapêutica de casos estudados; revisão crítica do manuscrito.

www.surgicalcosmetic.org.br/

A influência do uso de antioxidante tópico no crescimento do cabelo e no estado da pele após depilação química

The influence of topical antioxidant use on hair regrowth and skin condition after chemical depilation

DOI: http://www.dx.doi.org/10.5935/scd1984-8773.2025170350

RESUMO

Introdução: A restauração capilar durante a alopecia com o auxílio dos medicamentos existentes nem sempre é eficaz, por isso é importante a busca de novos medicamentos para o seu tratamento. objetIvo: Nosso trabalho tem como objetivo estudar o efeito da aplicação tópica de novo gel com succinato de etilmetilhidroxipiridina na restauração capilar e nos parâmetros bioquímicos e histológicos da pele em animais após depilação química.

Métodos: Foram utilizados 50 ratos Wistar machos adultos em experimentos. A alopecia foi modelada com um produto depilatório comercial à base de tioglicolato de potássio. Todos os dias, foi aplicado gel succinato de etilmetilhidroxipiridina a 5% (125 mg/kg) na pele. Após 3, 9 e 21 dias do início do tratamento, realizaram-se tricoscopia, análise bioquímica e investigação histológica das amostras de pele. resultados: Foi demonstrado que o novo gel succinato de etilmetilhidroxipiridina causou tendência à aceleração do crescimento do cabelo, diminuição da peroxidação lipídica, normalização da atividade das enzimas antioxidantes e do conteúdo de hidroxiprolina e glicosaminoglicanos na pele da área de teste em comparação com o controle patológico..

ConClusões: Portanto, o gel succinato de etilmetilhidroxipiridina atua predominantemente nos parâmetros bioquímicos da pele e será útil no tratamento das formas de alopecia que se desenvolvem num contexto de intenso estresse oxidativo.

Palavras-chave: Cabelo; Remoção de Cabelo; Pele.

ABSTRACT

IntroductIon: Hair restoration treatments for alopecia using existing medications are not always effective, highlighting the need for new therapeutic options.

objectIve: This study aimed to evaluate the effects of a topical gel containing ethyl-methyl-hydroxypyridine succinate (EMHPS) on hair regrowth and biochemical and histological skin parameters in animals following chemical depilation.

Methods: Experiments were conducted on 50 adult male Wistar rats. Alopecia was induced using a commercial depilatory product containing potassium thioglycolate. A 5% EMHPS gel (125 mg/kg) was applied daily to the depilated skin.Trichoscopy, biochemical analysis, and histological examination of skin samples were performed on days 3, 9, and 21 of treatment.

results: The EMHPS gel demonstrated a tendency to accelerate hair regrowth, reduce lipid peroxidation, normalize antioxidant enzyme activity, and restore hydroxyproline and glycosaminoglycan levels in the treated skin compared to the untreated pathology control.

conclusIons: The EMHPS gel primarily influences skin biochemical parameters and may be beneficial for treating forms of alopecia associated with oxidative stress.

Keywords: Hair; Hair Removal; Skin.

Artigo Original

Autores:

Olena Baliuk1

Oleh Akimov2

Elena Vazhnichaya1

Vitalii Kostenko2

Ivan Starchenko3

1 Poltava State Medical University, Departamento de Farmacologia, Poltava - Poltava, Ucrânia

2 Poltava State Medical University, Departamento de Fisiopatologia, Poltava - Poltava, Ucrânia

3 Poltava State Medical University, Departamento de Anatomia

Patológica e Medicina Forense, Poltava - Poltava, Ucrânia

Correspondência:

Oleh Akimov

E-mail: o.akimov@pdmu.edu.ua

Fonte de financiamento: Nenhuma. Conflito de interesses: Nenhum.

Data de Submissão: 20/02/2024

Decisão final: 14/06/2024

Como citar este artigo:

Baliuk O, Akimov O, Vazhnichaya O, Kostenko V, Starchenko I. A influência do uso de antioxidante tópico no crescimento do cabelo e no estado da pele após depilação química. Surg Cosmet Dermatol.2024;16:e02024350.

Baliuk O, Akimov O, Vazhnichaya O, Kostenko V, Starchenko I.

INTRODUÇÃO

O cabelo saudável é visto como um elemento de beleza, e a queda de cabelo pode afetar significativamente a qualidade de vida.1 A queda de cabelo, ou alopecia, é um dos problemas mais comuns em dermatologia. São conhecidos muitos tipos de alopecia, mas em todos os casos o tratamento patogênico é usado para estimular a fase anágena, retardar a catágena e restaurar a espessura adequada do cabelo.2,3 Existem estratégias orais para a terapia da queda de cabelo, mas elas estão associadas a um alto risco de efeitos colaterais,4 por isso prefere-se a terapia tópica.5

As dosagens de finasterida e minoxidil para uso local são os remédios mais reconhecidos para o tratamento da alopecia, mas também podem ser usadas prostaglandinas, cetoconazol, vitaminas, minerais, preparações à base de ervas, plasma rico em plaquetas, fatores de crescimento, microagulhamento, laser e terapia celular.6 Na alopecia cicatricial, o sucesso do tratamento é obtido por meio de transplante capilar.7 A restauração capilar com a ajuda de medicamentos locais nem sempre é eficaz, por isso é importante buscar novos medicamentos ou reposicionar medicamentos já conhecidos.6

Desse ponto de vista, o uso de antioxidantes é de interesse, em particular um antioxidante heterocíclico sintético, o succinato de etilmetil-hidroxipiridina (EMHPS), ou Mexidol.8 Esse medicamento é pouco tóxico, tem uma margem de segurança significativa e é prescrito para pacientes com doenças psiconeurológicas e cardíacas em alguns países do espaço pós-soviético.9 Os resultados da previsão computadorizada dos efeitos dermatológicos da estrutura do EMHPS usando a abordagem metódica Drug2ways mostraram sua potencial atividade terapêutica na alopecia.10

Sabe-se que o estresse oxidativo está associado ao desenvolvimento de doenças de pele11 e pode ser um elo pelo qual a patologia da pele perturba a condição normal do cabelo.12 Embora o EMHPS seja um potente antioxidante, seu uso tópico em dermatologia e cosmetologia não foi investigado e não há apresentações de dosagem para a aplicação tópica do medicamento. Isso despertou nosso interesse em criar o EMHPS em gel. Ao escolher o gel como apresentação de dosagem do antioxidante, levamos em conta que ele é capaz de fornecer substâncias que promovem a regeneração do tecido, permanece estável na área tratada e resiste à evaporação por mais tempo do que a forma líquida.13 Decidimos investigar a influência do EMHPS em gel mencionado na restauração capilar e na condição da pele em ratos de laboratório após a depilação química, que é considerada um dos modelos animais de perda de pelo na fase de teste pré-clínico do medicamento ou produto cosmético.14 O objetivo de nossa pesquisa é estudar o efeito da aplicação tópica do novo EMHPS em gel na restauração capilar e nos parâmetros bioquímicos e histológicos da pele em animais após a depilação química.

MATERIAIS E MÉTODOS

Materiais

As substâncias formadoras de gel e auxiliares, todos os reagentes para análise bioquímica e corantes para exame histológico foram fabricados pela Merck KGaA (Alemanha). A substância EMHPS foi obtida do fabricante (SPF Microchem LLC, Ucrânia). O gel continha 5,0 g de EMHPS, 0,5 g de metabissulfito de sódio, 1,0 g de álcool polivinílico, 2,0 g de carbômero 940, 2,8 g de TRIS e água destilada para 100,0 g. Ele foi preparado por tecnologia de laboratório. Para isso, o EMHPS e o metabissulfito de sódio foram dissolvidos em água (2/5 da quantidade total necessária). O álcool polivinílico foi dissolvido separadamente em 2/5 da quantidade total necessária de água por aquecimento em banho-maria e as soluções resultantes foram misturadas. O carbômero 940 e o TRIS, previamente dissolvidos em 1/5 da quantidade total de água, foram adicionados em pequenas porções com agitação constante até a formação de um gel.

Modelo patológico e terapia experimental Foram utilizados 50 ratos Wistar machos adultos (idade 122-126 dias, peso 185 a 215 g) mantidos em gaiolas de 5 indivíduos com uma dieta padrão de laboratório e água ad libitum. Eles foram alojados em uma sala com temperatura controlada e ciclos de 12 horas de luz e escuridão. O protocolo de pesquisa foi aprovado pela Comissão de Questões Éticas e Bioética da Poltava State Medical University (nº 220, 25 de outubro de 2023).

Os ratos de todos os grupos foram pré-selecionados para estarem na fase telógena do ciclo de crescimento do pelo com base na idade.15 Eles foram divididos aleatoriamente em quatro grupos, incluindo ratos intactos, patologia controle, referência e grupos experimentais.

A alopecia foi modelada pela depilação química das costas dos animais. Uma área de pele de 8 x 4 cm foi tratada com um produto depilatório comercial à base de tioglicolato de potássio.16 O produto foi aplicado sobre a pele dos animais em uma camada fina por 10 minutos. Após a dissolução, os pelos foram removidos, a pele foi cuidadosamente lavada com água e seca com um guardanapo. O tratamento foi iniciado imediatamente após a secagem da área depilada da pele.

O EMHPS em gel foi aplicado na pele da área de teste em uma dose de 125 mg/kg (em média 0,5 mL por rato). O tratamento foi realizado diariamente, no mesmo horário do dia. Após a aplicação do gel, cada animal foi isolado por 30 minutos e, em seguida, retornou à gaiola. O tratamento foi concluído 24 horas antes da retirada do rato do experimento.

Utilizou-se como preparação de referência uma solução de 2% de minoxidil (Industrial Pharmaceutics Cantabria, S.A., Espanha). Ela foi aplicada à pele depilada uma vez por dia na dose de 30 mg/kg (em média 0,3 mL por rato).15

Durante o experimento, o comportamento dos animais foi monitorado e seu peso corporal controlado periodicamente. Decorrido 3, 9 e 21 dias da depilação, os animais foram retirados

do experimento por perda terminal de sangue sob anestesia geral com tiopental sódico (JSC Kyivmedpreparat, Ucrânia) na dose de 50 mg/kg.17

Métodos de pesquisa macroscópica

Realizaram-se tricoscopia e fotografia usando um tricoscópio digital Firefly DE330T (EUA). A avaliação do crescimento dos pelos foi feita de acordo com o sistema de pontuação de quatro tipos: tipo 1 – crescimento irregular e fraco dos pelos, a pele é claramente visível; tipo 2 – baixa densidade dos pelos, a pele é visível; tipo 3 – densidade moderada dos pelos, a pele não é visível; tipo 4 – alta densidade dos pelos, pelagem completa e espessa.18

Análise histológica

Após 21 dias, pedaços da pele da área de teste foram removidos de ratos eutanasiados e usados para se fazer preparações histológicas coradas com hematoxilina e eosina de acordo com oprotocolo padrão.19 Elas foram investigadas com um microscópio Olimpus BX41 (Olimpus, Japão).

Ensaios bioquímicos

Preparou-se um homogenato de 10% da pele da área afetada em solução tampão TRIS-HCl 0,2 M (pH=7,4). O conteúdo de malondialdeído (MDA) foi determinado pela reação entre MDA e 1-metil-2-fenilindol.20 A atividade da superóxido dismutase (SOD) foi medida pela cinética da autoxidação de adrenalina.21 A atividade da catalase foi determinada pelo método colorimétrico do molibdato.22 A concentração de hidroxiprolina livre foi determinada por um ensaio colorimétrico baseado na reação do ácido pirrol-2-carboxílico formado durante a oxidação da hidroxiprolina com paradimetilaminobenzaldeído por modificação.23 O conteúdo de glicosaminoglicanos (GAG) na pele foi analisado pela concentração de ácidos hexurônicos que formam um produto colorido na reação com carbazol de acordo com Dische por modificação.24

Os métodos especificados foram previamente validados para a análise de 10% de homogenato de tecido. Todas as medições de densidade óptica foram realizadas em um espectrofotômetro Ulab 101 (Ulab, China).

Análise estatística

Os resultados dos ensaios bioquímicos foram apresentados como média e erro padrão da média (M±SE). O material digital foi processado estatisticamente pela análise unidirecional de variância ANOVA seguido do teste de Tukey. A normalidade da distribuição dos dados foi verificada previamente com o teste de Shapiro-Wilk. O teste U de Mann-Whitney foi usado para avaliar os resultados da avaliação semiquantitativa da regeneração capilar. Um valor de p <0,05 foi considerado significativo.

Figura : Avaliação visual da regeneração capilar

Baliuk O, Akimov O, Vazhnichaya O, Kostenko V, Starchenko I.

RESULTADOS

Avaliação tricoscópica e visual da regeneração capilar

Durante todo o período de observação, não houve anormalidades comportamentais nos ratos dos grupos controle e experimental. As alterações no peso corporal foram estatisticamente insignificantes em comparação com os valores iniciais. De acordo com o exame visual, os ratos intactos tinham uma pelagem espessa típica dessa espécie animal (Figura 1D). Correspondia ao tipo 4 (5/5) (Figura 2). Imediatamente após a depilação química, os animais de todos os grupos apresentaram uma área de teste sem pelos e com a pele limpa (Figura 1A). Após 3 dias, iniciou-se a restauração dos pelos, que foi igualmente expressa em todos os grupos (Figura 1B). Era do tipo 1 (5/5) e provavelmente diferia dos pelos de ratos intactos (p<0,005) (Figura 2A). As diferenças entre os grupos foram observadas 9 dias após o início do experimento. Nos animais com a patologia controle, a condição da área de teste foi caracterizada por

uma notável regeneração capilar estimada como do tipo 2 (5/5) (Figura 1C), que ainda era significativamente diferente do controle intacto (p<0,005) (Figura 2B). Nesse período, o minoxidil contribuiu para a tendência à aparência do pelo com uma pontuação do tipo 3 (3/5) (p<0,1) em comparação com a patologia controle (Figura 1D, Figura 2B). Após 9 dias, nos animais tratados com o EMHPS em gel, a regeneração do pelo foi semelhante à do grupo referência (Figura 1D, Figura 2B), mas o comprimento era diferente, incluindo alguns fios longos.

Após 21 dias, em ratos com a patologia controle, a pelagem era caracterizada pelos tipos 3 (3/5) e 4 (2/5). Recuperou-se gradualmente quase ao normal (Figura 1D, Figura E). Nos animais com a terapia experimental, predominou a condição do pelo tipo 4 (4/5), mas não houve diferença provável em relação à patologia controle (Figura 2C). O grupo referência apresentou situação semelhante, mas visualmente o pelo dos animais desse grupo era mais homogêneo do que o dos ratos tratados com o EMHPS em gel (Figura 2C).

Portanto, de acordo com os dados da avaliação macroscópica, a restauração do pelo em ratos após a depilação química demonstrou uma tendência à aceleração sob a influência do EMHPS em gel, bem como sob a influência da preparação de referência.

Alterações histológicas na pele

Após 21 dias de experimento, os ratos do grupo patologia controle apresentaram reatividade das células basais, bordas pouco nítidas entre as camadas da pele, hipertrofia da camada granular, cistos intraepiteliais únicos (Figura 3A). A expressão das papilas da derme era boa ou moderada. Os folículos pilosos eram irregulares em termos de localização e diâmetro.

Os animais tratados com o EMHPS em gel tinham muitos epiteliócitos com distrofia hidrópica na epiderme e leucócitos intraepiteliais (Figura 3B). O estrato córneo estava hipertrofiado em alguns locais. A reatividade das células basais estava presente e poucos infiltrados linfoplasmocitários foram observados na derme. Os microvasos apresentavam sinais de fraco suprimento sanguíneo. A formação de papilas era moderada. Os folículos pilosos eram irregulares e algumas glândulas sebáceas estavam hipertrofiadas.

Nesse período, observou-se na pele dos animais em uso de minoxidil um número significativo de epiteliócitos com vacúolos opticamente vazios, leucócitos intraepiteliais, áreas de reatividade das células basais na epiderme (Figura 3C). Na derme, o número de elementos celulares e seus agrupamentos focais estavam aumentados. As papilas foram expressas bem ou moderadamente. Havia uma quantidade significativa de folículos pilosos. Seu diâmetro variava ligeiramente. Em alguns casos, as glândulas sebáceas mostraram sinais de hipertrofia.

Para fins de comparação, o padrão histológico da pele intacta é apresentado na Figura 3D. Na epiderme, foram determinadas de duas a seis camadas de células com limites claros. Fo-

Figura 2: Avaliação tricoscópica e visual da regeneração

Surg Cosmet Dermatol. 2025;v.17: n.1 jan-mar. p.59-68.

A

C B D

Figura 3: Padrão histológico da pele dos animais após 21 dias do início do experimento. A - Animais com patologia controle (hematoxilina e eosina [H&E], x400). B - Animais com aplicação tópica de EMHPS em gel (H&E, x400). C - O grupo referência recebeu minoxidil tópico (H&E, x250). D - Animais intactos (H&E, x30). 1 – áreas de estratificação na epiderme; 2 – hiperplasia de células basais; 3 – papila dérmica; 4 – epiteliócitos com distrofia hidrópica; 5 – leucócitos intraepiteliais; 6 – infiltrados linfoplasmocitários na derme; 7 – vasos sanguíneos; 8 – pelos

ram encontrados linfócitos intraepiteliais únicos. Os epiteliócitos individuais apresentavam sinais de distrofia hidrópica. A derme era representada por tecido conjuntivo com fibras de colágeno bem definidas e elementos celulares únicos. As papilas foram expressas moderadamente. Os folículos pilosos estavam distribuídos de forma difusa ou em grupos de três a cinco, em sua maioria de diâmetro pequeno ou médio. As glândulas sebáceas estavam localizadas perto dos folículos pilosos e, às vezes, tinham uma conexão visível com eles.

Portanto, a regeneração dos pelos após a depilação química, tanto na ausência de correção farmacológica quanto sob oefeito do tratamento tópico com EMHPS ou com o medica-

mento etalônico, foi acompanhada de alterações histológicas na pele da área de teste, e a farmacoterapia aumentou a reação da pele em comparação com a patologia controle.

Alterações bioquímicas na pele

Em todos os períodos de observação, a patologia controle foi acompanhada por um aumento na peroxidação lipídica. Isso foi evidenciado por uma elevação na concentração de MDA (p<0,001) na pele da área afetada em comparação com os animais intactos (Figura 4). O uso do minoxidil reduziu a concentração de MDA em 1,3 vez (p<0,001) após 3 dias, em 1,4 vez (p<0,001) após 9 dias e em 1,2 vez (p<0,001) após 21

de controle

patologia de controle

patologia de controle

dias, em comparação com a depilação sem o medicamento no mesmo período. O EMHPS em gel agiu de forma semelhante: após 3 dias, diminuiu o conteúdo de MDA na pele em 1,4 vez (p<0,001), após 9 dias, em 1,3 vez (p<0,001) e após 21 dias, em 1,2 vez (p<0,001) em comparação com a patologia controle. Em dois períodos posteriores de observação, esse efeito foi ligeiramente, mas provavelmente mais fraco (p<0,001) do que o efeito do medicamento de referência.

No grupo patologia controle, a atividade da SOD na pele diminuiu 3 dias após a depilação (p<0,05) em comparação com os ratos intactos (Figura 5A). Alterações semelhantes foram ainda mais pronunciadas após 9 e 21 dias (p<0,001) do desenvolvimento da patologia modelo (Figura 5B, Figura C).

SOD, unidades de atividade

de

SOD, unidades de atividade

patologia de controle

C

SOD, unidades de atividade

patologia de controle

Em termos diferentes do tratamento, o minoxidil aumentou a atividade da SOD em 1,5 a 1,4 vez (p<0,001) em comparação com a depilação sem farmacoterapia (Figura 5). O EMHPS em gel também aumentou a atividade dessa enzima antioxidante em 1,3 vez (p<0,001), 1,8 vez (p<0,001) e 1,3 vez (p<0,001), respectivamente, em 3, 9 e 21 dias após o início do experimento, em comparação com a patologia controle. Após 3 dias e no final do tratamento, seu efeito foi mais fraco (p<0,002; p<0,001) e após 9 dias foi mais forte (p<0,001) do que a ação do minoxidil. A patologia controle causou um aumento na atividade da catalase na pele após 3 dias (p<0,001), sua diminuição após 9 dias (p<0,002) e não a afetou após 21 dias em comparação com o controle intacto (Figura 6). Nesse contexto, o minoxidil

Figura 4: Concentração de MDA na pele
Figura 5: Atividade da SOD na pele
Depois de 3 dias
Depois de 3 dias
Depois de 9 dias
Depois de 9 dias
Depois de 21 dias
Depois de 21 dias

Surg Cosmet Dermatol. 2025;v.17: n.1 jan-mar. p.59-68.

de

A A B B

patologia de controle

patologia de controle

C

patologia de controle

C

de controle patologia de controle

aumentou ainda mais a atividade da catalase (em 1,2 vez) 3 dias após o início das observações (p<0,001), normalizou-a após 9 dias (p<0,005) e não se alterou após 21 dias em comparação com a patologia controle. O EMHPS em gel reduziu a atividade da catalase após 3 dias (p<0,05), aumentou-a em 1,3 vez (p<0,001) após 9 dias e não se alterou após 21 dias. Esse efeito foi estatisticamente diferente do efeito do minoxidil apenas no período inicial de observação (p<0,001).

Os resultados da determinação dos biomarcadores da condição do tecido conjuntivo na pele da área de teste são mostrados na Figura 7 e na Figura 8. O conteúdo de hidroxiprolina livre na pele aumentou durante todo o período de observação no grupo patologia controle. Após 3 dias, o crescimento desse

indicador foi de 1,9 vez (p<0,001), 2 vezes (p<0,001) após 9 dias e 1,5 vez (p<0,001) após 21 dias, em comparação com o controle intacto (Figura 7). O tratamento diário da pele depilada com minoxidil reduziu significativamente esses indicadores. Após 3 dias, o medicamento de referência diminuiu a concentração de hidroxiprolina em 1,5 vez (p<0,001), 1,4 vez (p<0,001) após 9 dias e 1,2 vez (p<0,001) após 21 dias, em comparação com a patologia controle. O EMHPS em gel também reduziu o nível de hidroxiprolina durante todos os períodos, que foi menor do que a patologia controle em 1,5 vez (p<0,001), 1,3 vez (p<0,001) e 1,1 vez (p<0,001), respectivamente. No período inicial de observação, os efeitos do minoxidil e do antioxidante não diferiram, mas com o tratamento subsequente, o EMHPS em gel teve

Figura 6: Atividade da catalase na pele
Figura 7: Conteúdo de hidroxiprolina na pele
Depois de 3 dias
Depois de 3 dias
Depois de 9 dias
Depois de 9 dias
Depois de 21 dias
Depois de 21 dias
Hidroxiprolina
Hidroxiprolina
Hidroxiprolina

O, Akimov O, Vazhnichaya O, Kostenko V, Starchenko I.

AB C

um efeito mais fraco sobre a concentração de hidroxiprolina do que a preparação de referência (p<0,001).

Decorridos 3 dias da depilação sem farmacoterapia, a concentração de GAG na pele da área de teste aumentou 1,3 vez (p < 0,001) em comparação com a concentração em ratos intactos (Figura 8A). Ela permaneceu elevada 1,2 vez após 9 e 21 dias (p<0,001) (Figura 8B, Figura C). O minoxidil aproximou significativamente esse indicador da norma após 3 dias (p<0,001) e provavelmente o reduziu em outros pontos de tempo (p<0,001) em comparação com a patologia controle (Figura 8). O novo gel teve um efeito semelhante no teor de GAG na pele da área de teste. Após 3 dias sob sua influência, esse indicador diminuiu para o nível do controle intacto; após 9 e 21 dias, a diminuição

no nível de GAG se manteve inalterada em relação ao uso do minoxidil.

Portanto, o EMHPS em gel estudado foi capaz de inibir o acúmulo de MDA, diminuiu as alterações na atividade da SOD e da catalase, bem como reduziu a concentração de hidroxiprolina livre e a fração total de GAG, o que foi semelhante ao efeito da preparação de referência, mas ligeiramente menos ativo em alguns momentos.

DISCUSSÃO

Na avaliação visual da regeneração capilar após a depilação química, observamos uma aceleração desse processo tanto quando os animais foram tratados com um novo gel antioxidante quanto quando se utilizou um medicamento padrão para a restauração capilar, mas essa melhora teve o caráter de uma tendência que pode ser explicada pelas características individuais da restauração capilar em diferentes animais, o que aumenta a variabilidade dos resultados.14 Ao examinar a área de teste, a heterogeneidade da camada capilar também chamou a atenção. No grupo referência, ele era mais homogêneo, enquanto no tratamento com o EMHPS em gel, especialmente após 9 dias, foram observados pelos longos individuais. Obviamente, esse agente tem um efeito menor na sincronização dos ciclos de desenvolvimento dos folículos em comparação com o minoxidil, que tem esse efeito.25

Após a depilação química sem tratamento, ocorreram alterações histopatológicas na forma de reatividade das células basais e um aumento no número de leucócitos intraepiteliais na pele da área de teste, que persistiram até o final do experimento. Os resultados obtidos foram consistentes com os relatos de outros autores de que o uso de cremes depilatórios convencionais causou alterações histopatológicas em camundongos de laboratório já após a curta exposição.26 Aparentemente, os fenômenos de inflamação reativa podem ocorrer devido à reação alcalina do agente depilatório na pele de roedores, que difere da pele humana por sua menor espessura.14,18

O EMHPS em gel aumentou os fenômenos reativos na pele da área de teste em comparação com a patologia controle. Aparentemente, os resultados obtidos contradizem a capacidade do EMHPS de inibir os estágios de radicais livres da síntese de prostaglandina catalisada pela ciclooxigenase e lipoxigenase.8 Entretanto, no caso da restauração capilar, os mecanismos que ligam a inflamação ao reparo e à regeneração de danos por meio de citocinas inflamatórias e fatores Wnt podem ser de maior importância.27,28 Essa suposição parece provável quando se comparam os processos histopatológicos na pele sob a ação do EMHPS em gel com aqueles após o tratamento com um remédio padrão para restauração capilar, que também aumentou os fenômenos reativos na pele em comparação com a patologia controle. A diferença entre o novo gel e o medicamento de referência dizia respeito apenas à maior uniformidade do tamanho e da localização dos folículos capilares, o que pode ser considerado uma vantagem do minoxidil.

Figure 8: Concentração de glicosaminoglicanos na pele
Depois de 3 dias
Depois de 9 dias
Depois de 21 dias
patologia de controle patologia de controle
de controle

Surg Cosmet Dermatol. 2025;v.17: n.1 jan-mar. p.59-68.

Além das alterações histopatológicas, um aumento no conteúdo de MDA, uma diminuição na atividade da SOD e um aumento na atividade da catalase foram registrados em ratos com a patologia controle. Isso pode indicar o desenvolvimento de estresse oxidativo associado a uma modificação do perfil de citocinas causada pela depilação29 e, nos primeiros dias após a depilação, com uma síndrome de adaptação geral. Deve-se presumir que a depilação química de uma grande área corporal em animais é uma intervenção muito mais séria do que a depilação com um creme depilatório em uma área limitada do corpo humano devido às características interespécies nas funções do pelo e na estrutura da pele.14,18

O aumento do nível de MDA e a diminuição da atividade da SOD no grupo de animais depilados sem tratamento farmacológico persistiram até o final do experimento. Essa reação da SOD no estágio inicial do período de recuperação pode ser resultado da inibição da enzima por um excesso do produto da reação, mas no período final pode refletir uma diminuição da geração do radical ânion superóxido. A catalase funciona em conjunto com a SOD e as flutuações em sua atividade estão aparentemente associadas a mudanças na produção de peróxido de hidrogênio na reação da superóxido dismutase. Tanto o EMHPS em gel quanto o medicamento de referência reduziram a concentração de MDA na pele da área de teste, aumentaram a atividade da SOD e modificaram a atividade da catalase, ou seja, demonstraram um efeito antioxidante. Isso era esperado para o EMHPS, que é um antioxidante conhecido.8 Com base nas informações sobre o papel do estresse oxidativo no comprometimento do crescimento capilar,30 a inibição revelada da peroxidação lipídica sob a influência do gel estudado deve ser considerada um ponto positivo em sua farmacodinâmica na regeneração capilar.

Um componente antioxidante do efeito do medicamento de referência dizia respeito tanto às enzimas antioxidantes induzíveis (SOD e catalase) quanto ao acúmulo de MDA. Essa propriedade do minoxidil praticamente não é abordada na literatura, mas pode-se supor que a ação sobre esses biomarcadores de estresse oxidativo esteja relacionada à capacidade do minoxidil de se ligar ao ferro na célula.31 Obviamente, o efeito antioxidante do minoxidil faz parte de sua farmacodinâmica complexa, pois o medicamento estimula a restauração dos cabelos perdidos de várias maneiras: como vasodilatador, agente anti-inflamatório,

REFERÊNCIAS:

1. Davis DS, Callender VD. Review of quality-of-life studies in women with alopecia. Int J Women Dermatol. 2018;4(1):18-22.

2. Coleman E. Types and treatment of hair loss in men and women. Plast Surg Nurs. 2020;40(1):6-19.

3. Wall D, Meah N, Fagan N, York K, Sinclair R. Advances in hair growth. Fac Rev. 2022;11:1.

4. Vastarella M, Cantelli M, Patrì A, Annunziata MC, Nappa P, Fabbrocini G. Efficacy and safety of oral minoxidil in female androgenetic alopecia. Dermatol Ther. 2020;33(6):e14234.

5. York K, Meah N, Bhoyrul B, Sinclair R. A review of the treatment of male pattern hair loss. Expert Opin Pharmacother. 2020;21(5):603-612.

indutor da via de sinalização Wnt/β-catenina e antiandrógeno, afetando a duração das fases anágena e telógena.32 Examinando o conteúdo de hidroxiprolina livre na pele na ausência de farmacoterapia, observamos o aumento de sua concentração em todos os períodos de observação. No trabalho apresentado, foi usada uma modificação do ensaio para determinar a hidroxiprolina sem a etapa de hidrólise, o que permite interpretar o aumento do conteúdo desse aminoácido específico como resultado da destruição do colágeno no contexto do estresse oxidativo.33 O EMHPS em gel reduziu o conteúdo de hidroxiprolina na pele da área tratada, o que teve um caráter normalizador e foi semelhante ao efeito do minoxidil, mas após 9 e 21 dias foi inferior a este último. Para ambos os agentes, isso pode indicar a capacidade de regular a relação entre a matriz extracelular e a regeneração do folículo piloso, por exemplo, reduzindo a intensidade do estresse oxidativo e as vias de sinalização relacionadas às espécies reativas de oxigênio (ROS).

A matriz extracelular é uma rede complexa de colágeno, proteoglicanos e GAG.34 Portanto, além da hidroxiprolina, analisamos o conteúdo da fração total de GAG na pele. Esse indicador aumentou após a depilação sem correção farmacológica e diminuiu sob a influência da terapia. Pode-se supor que o aumento da concentração de GAG na pele esteja relacionado à decomposição de proteoglicanos sob a ação da intensa geração de ROS após a depilação química. A redução desse indicador, pelo menos em parte, pode ser consequência do efeito antioxidante dos agentes farmacológicos aplicados. Essas alterações podem estar associadas à atividade funcional dos folículos pilosos.35 Portanto, os primeiros resultados do uso do EMHPS em gel são bastante animadores: ele estimula o crescimento do cabelo, tem atividade antioxidante e um efeito positivo sobre os elementos da matriz extracelular da derme em um modelo animal. São necessários mais estudos para avaliar a eficácia desse gel em modelos experimentais mais específicos de diferentes tipos de alopecia.

CONCLUSÃO

O gel contendo 5% de EMHPS, um antioxidante sintético, promoveu o crescimento capilar, demonstrou uma ação antioxidante e reduziu o dano dos componentes da matriz extracelular da derme causado pela depilação química em um modelo animal. l

6. Nestor MS, Ablon G, Gade A, Han H, Fischer DL. Treatment options for androgenetic alopecia: efficacy, side effects, compliance, financial considerations, and ethics. J Cosmet Dermatol. 2021;20(12):3759-3781.

7. Sand JP. Follicular unit transplantation. Facial Plast Surg Clin North Am. 2020;28(2):161- 167.

8. Gupta DS, Parab SB, Kaur G. Promising effects of emoxypine and its succinate derivative in the management of various diseases – with insights on recent patent applications. Curr Res Pharmacol Drug Discov. 2022;3:100121.

9. Burchinskyi SH. Comprehensive correction of anxiety and cognitive disorders in angioneurology: goals, objectives, tools. Int Neurol J. 2022;8(94):.

Baliuk O, Akimov O, Vazhnichaya O, Kostenko V, Starchenko I.

10. Baliuk OY, Vazhnichaya EM. In silico prediction of possible dermatological effects of a synthetic antioxidant. Actual problems of modern medicine: Bulletin of Ukrainian Medical Stomatological Academy. 2024;24(2):108-12.

11. Nakai K, Tsuruta D. What are reactive oxygen species, free radicals, and oxidative stress in skin diseases? Int J Mol Sci. 2021;22(19):10799.

12. Trüeb RM. Oxidative stress and its impact on skin, scalp and hair. Int J Cosmet Sci. 2021;43 Suppl 1:S9-S13.

13. Fiorillo L, Romano GL. Gels in medicine and surgery: current trends and future perspectives. Gels.2020;6(4):48.

14. Orăsan MS, Coneac A. Evaluation of animal models suitable for hair research and regeneration. In: Experimental animal models of human diseases - an effective therapeutic strategy. InTech; 2018.

15. Orasan MS, Bolfa P, Coneac A, Muresan A, Mihu C. Topical products for human hair regeneration: a comparative study on an animal model. Ann Dermatol. 2016;28(1):65-73.

16. Rowley NL, Ramos-Rivera E, Raiciulescu S, Lee SH, Christy AC. Comparison of two hair removal methods in Sprague-Dawley rats (Rattus norvegicus). J Am Assoc Lab Anim Sci. 2021;60(2):213-220.

17. Parasuraman S, Raveendran R, Kesavan R. Blood sample collection in small laboratory animals. J Pharmacol Pharmacother. 2010;1(2):87-93.

18. Orasan MS, Roman II, Coneac A, Muresan A, Orasan RI. Hair loss and regeneration performed on animal models. Clujul Med. 2016;89(3):327-34.

19. Bancroft JD, Cook HC. Manual of histological techniques and their diagnostic applications. Edinburgh; New York: Churchill Livingstone, 1994. 457p.

20. Gérard-Monnier D, Erdelmeier I, Régnard K, Moze-Henry N, Yadan JC, Chaudière J. Reactions of 1-methyl-2-phenylindole with malondialdehyde and 4-hydroxyalkenals. Analytical applications to a colorimetric assay of lipid peroxidation. Chem Res Toxicol. 1998;11(10):1176-83.

21. Misra HP, Fridovich I. The role of superoxide anion in the autoxidation of epinephrine and a simple assay for superoxide dismutase. J Biol Chem. 1972;247(10):3170-5.

22. Koroliuk MA, Ivanova LI, Maĭorova IG, Tokarev VE. A method of determining catalase activity. Lab Delo. 1988;(1):16-9.

23. Tetianets SS. Method of determining free oxyproline in blood serum. Lab Delo. 1985;(1):61-2.

24. Sharaev PN, Pishkov VN, Solov'eva NI, Shirokova TIu, Solov'eva TV. Method of determining glycosaminoglycans in biological fluids. Lab Delo. 1987;(5):330-2.

25. Rossi A, Cantisani C, Melis L, Iorio A, Scali E, Calvieri S. Minoxidil use in dermatology, side effects and recent patents. Recent Pat Inflamm Allergy Drug Discov. 2012;6(2):130-6.

26. Reichert MN, Koewler NJ, Hargis AM, Felgenhauer JL, Impelluso LC. Effects of depilatory cream formulation and contact time on mouse skin. J Am Assoc Lab Anim Sci. 2023;62(2):153-62.

27. Karin M, Clevers H. Reparative inflammation takes charge of tissue regeneration. Nature. 2016;529(7586):307-15.

28. Cooke JP. Inflammation and its role in regeneration and repair. Circ Res. 2019;124(8):1166-8.

29. Tsai PF, Chou FP, Yu TS, Lee HJ, Chiu CT. Depilatory creams increase the number of hair follicles, and dermal fibroblasts expressing interleukin-6, tumor necrosis factor-α, and tumor necrosis factor-β in mouse skin. Korean J Physiol Pharmacol. 2021;25(6):497-506.

30. Haslam IS, Jadkauskaite L, Szabó IL, Staege S, Hesebeck-Brinckmann J, Jenkins G, et al. Oxidative damage control in a human (mini-) organ: Nrf2 activation protects against oxidative stress-induced hair growth inhibition. J Invest Dermatol. 2017;137(2):295-304.

31. Chung LY, Andrews AM, Schmidt RJ, Turner TD. Effects of minoxidil on cell proliferation and intracellular glutathione status of murine (L929) fibroblasts. In: Harding KG, Leaper DL, Turner TD (eds.). Proceedings of the 1st European Conference on Advances in Wound Management, Cardiff, 4-6 September 1991. Macmillan Magazines, 1992. P. 122–128.

32. Gupta AK, Talukder M, Venkatarama M, Bamimore MA. Minoxidil: a comprehensive review. J Dermatolog Treat. 2022;33(4):1896-906

33. Kruk J, Duchnik E. Oxidative stress and skin diseases: possible role of physical activity. Asian Pac J Cancer Prev. 2014;15(2):561-8.

34. Nikitovic D, Corsini E, Kouretas D, Tsatsakis A, Tzanakakis G. ROS-major mediators of extracellular matrix remodeling during tumor progression. Food Chem Toxicol. 2013;61:178-86.

35. Malgouries S, Thibaut S, Bernard BA. Proteoglycan expression patterns in human hair follicle. Br J Dermatol. 2008;158(2):234-42.

CONTRIBUIÇÃO DOS AUTORES:

Olena Baliuk 0000-0003-3260-6317

Análise estatística; elaboração e redação do manuscrito; obtenção, análise e interpretação dos dados; participação efetiva na orientação da pesquisa; participação intelectual em conduta propedêutica e/ou terapêutica de casos estudados; revisão crítica do manuscrito.

Oleh Akimov 0000-0002-4958-3695

Análise estatística; aprovação da versão final do manuscrito; participação intelectual em conduta propedêutica e/ou terapêutica de casos estudados; revisão crítica da literatura; revisão crítica do manuscrito.

Elena Vazhnichaya 0000-0003-2515-7963 Aprovação da versão final do manuscrito; concepção e planejamento do estudo; participação intelectual em conduta propedêutica e/ou terapêutica de casos estudados; revisão crítica da literatura; revisão crítica do manuscrito.

Vitalii Kostenko 0000-0002-3965-1826

Análise estatística; aprovação da versão final do manuscrito; participação efetiva na orientação da pesquisa; revisão crítica da literatura; revisão crítica do manuscrito.

Ivan Starchenko 0000-0002-6666-1448

Obtenção, análise e interpretação dos dados; participação efetiva na orientação da pesquisa; participação intelectual em conduta propedêutica e/ ou terapêutica de casos estudados; revisão crítica da literatura; revisão crítica do manuscrito.

www.surgicalcosmetic.org.br/

Suplementação oral do nutracêutico decarboxicarnosina HCl para rítides e rejuvenescimento da pele

Oral supplementation of the nutraceutical decarboxy carcinine HCl for rhytids and skin rejuvenation

DOI: http://www.dx.doi.org/10.5935/scd1984-8773.2025170360

RESUMO

INTRODUÇÃO: Os produtos finais de glicação avançada (AGEs) são compostos estáveis formados por reações não enzimáticas entre grupos amino de biomacromoléculas e grupos carbonila de açúcares redutores. Os AGEs são conhecidos por desempenharem um papel em várias doenças, como diabetes, doenças cardiovasculares e distúrbios neurodegenerativos, além de contribuírem para o envelhecimento precoce da pele. A decarboxicarnosina HCl, um análogo estável da carnosina, demonstrou potencial na redução dos efeitos da glicação.

OBJETIVO: Avaliar os efeitos da suplementação oral com Glycoxil®, uma molécula patenteada de decarboxicarnosina HCl, sobre os sinais de envelhecimento da pele em participantes com pele madura.

MÉTODOS: Este estudo randomizado, duplo-cego e controlado por placebo envolveu 30 participantes com idades entre 30 e 50 anos, com fototipos I a IV e sinais clínicos de envelhecimento cutâneo (por exemplo, rítides). Os participantes foram divididos em dois grupos: um recebeu 300 mg de Glycoxil® diariamente durante 90 dias, enquanto o outro recebeu placebo. Produtos de cuidados com a pele padronizados foram fornecidos, e os participantes passaram por avaliações utilizando os sistemas de imagem Visia® e Focco® nos momentos iniciais (T0), 45 dias (T45) e 90 dias (T90). A análise estatística foi realizada utilizando o RStudio, aplicando os testes de análise de variância (ANOVA) e Wilcoxon, com significância definida em p < 0,05.

RESULTADOS: Dos 30 participantes, 18 foram analisados com o Focco® e 22 com o Visia®. As avaliações objetivas não mostraram diferenças estatísticas entre os grupos na melhora das rítides em T0, T45 ou T90. No entanto, pequenas melhorias foram observadas no grupo Glycoxil® em T45 e T90. Dermatologistas cegados observaram melhorias na hidratação, firmeza e textura em ambos os grupos, com alguns participantes do grupo Glycoxil® relatando um resultado “bom” ou “muito bom”. Nenhum efeito adverso foi relatado.

CONCLUSÕES: Embora não tenham sido encontradas diferenças estatisticamente significativas entre os grupos, os achados sugerem que o Glycoxil® pode contribuir para pequenas melhorias nos sinais de envelhecimento da pele, em concordância com a literatura existente sobre estratégias antiglicação. Recomenda-se a realização de novos estudos com amostras maiores, períodos de acompanhamento mais longos e métodos analíticos avançados para confirmar esses resultados preliminares.

Palavras-chave: Reação de Maillard; Agentes Antiglicação; Produtos Finais de Glicação Avançada.

ABSTRACT

INTRODUCTION: Advanced glycation end products (AGEs) are stable compounds formed by nonenzymatic reactions between amino groups of biomacromolecules and carbonyl groups of reducing sugars. AGEs are known to play a role in various diseases such as diabetes, cardiovascular diseases, and neurodegenerative disorders, as well as contributing to premature skin aging. Decarboxy carcinine HCl, a stable analogue of carnosine, has demonstrated potential in reducing the effects of glycation.

OBJECTIVE: To evaluate the effects of oral supplementation with Glycoxil®, a patented decarboxy carcinine HCl molecule, on signs of skin aging in participants with mature skin.

METHODS: This randomized, double-blind, placebo-controlled study involved 30 participants aged 30-50 years, with skin phototypes I to IV and clinical signs of skin aging (e.g., rhytids). Participants were divided into two groups: one received Glycoxil® 300 mg daily for 90 days, while the other received a placebo. Standardized skincare products were provided, and participants underwent evaluations using Visia® and Focco® imaging systems at baseline (T0), 45 days (T45), and 90 days (T90). Statistical analysis was conducted using RStudio, with ANOVA and Wilcoxon tests. Significance was set at p<0.05.

RESULTS: Of the 30 participants, 18 were analyzed with Focco® and 22 with Visia®. Objective evaluations showed no statistical differences between groups in rhytid improvement at T0,T45, or T90. However, slight improvements were observed in the treatment group at T45 and T90. Blinded dermatologists noted improvements in hydration, firmness, and texture in both groups, with some participants in the treatment group reporting “improved” or “much improved” appearance. No adverse effects were reported.

CONCLUSIONS: Although no statistically significant differences were found between the groups, the findings suggest that Glycoxil® may contribute to minor improvements in skin-aging signs, corroborating existing literature on anti-glycation strategies. Further studies with larger sample sizes, extended follow-up periods, and advanced analytical methods are recommended to confirm these preliminary results.

Keywords: Glycation End Products, Advanced; Antiglycation Agents; Maillard Reaction.

Artigo Original

Autores:

Célia Kalil1

Luciane Zagonel2

Valéria Barreto Campos2

Christine Chaves Prato3

Clarissa Reinehr4

Patrícia França5

Pedro Vargas3

1 Serviço de Dermatologia da Universidade Federal da Fronteira Sul, Passo Fundo (RS), Brasil.

2 Universidade de Jundiaí, Jundiaí (SP), Brasil.

3 Farmatec Farmácia de Manipulação, Porto Alegre (RS), Brasil.

4 Hospital de Clínicas de Por to Alegre, Porto Alegre (RS), Brasil.

5 Biotec São Paulo, São Paulo (SP), Brasil.

Correspondence: Pedro Vargas E-mail: pedro@farmatecrs.com.br / pedro.vargas@acad.pucrs.br

Fonte de financiamento: Nenhuma. Conflito de interesses: Nenhum.

Data de Submissão: 19/03/2024

Decisão final: 14/08/2024

Abreviação dos autores: Kalil CLPV, Zagonel L, Campos VB, Prato CC, Reinehr C, França P, Vargas P. Como citar este artigo: Kalil CLPV, Zagonel L, Campos VB, Prato CC, Reinehr C, França P, et al. Suplementação oral do nutracêutico decarboxicarnosina HCl para rítides e rejuvenescimento da pele. Surg Cosmet Dermatol. 2025;17:e20250360.

Oliveira RRR, Viana JN, Arriel K, Rubinho R, Rytenband F.

INTRODUÇÃO

Os produtos finais de glicação avançada (AGEs) são um grupo de compostos com várias estruturas diferentes, resultantes de reações não enzimáticas entre açúcares redutores e proteínas, lipídios ou ácidos nucleicos, seguidas por modificações adicionais que originam produtos finais estáveis e irreversíveis. Essas moléculas bioquímicas são capazes de se ligar a diversos tipos celulares e a receptores de AGEs (RAGEs), com diversas implicações biológicas1 .

Métodos de cozimento, como assar e grelhar em altas temperaturas, facilitam as reações químicas entre os grupos amino primários e secundários dos aminoácidos em proteínas e os grupos carbonila dos açúcares redutores, levando à formação de AGEs. Essa reação é conhecida como reação de Maillard2. Nas últimas décadas, os AGEs despertaram o interesse da comunidade científica devido às crescentes evidências de seu envolvimento em vários processos fisiopatológicos e doenças, como câncer, diabetes, doenças neurodegenerativas, eventos cardiovasculares e até mesmo infecção pelo vírus SARS-CoV-23,4

Diversos estudos mostraram que um nível moderado de espécies reativas de oxigênio (EROs) é importante para diversas funções fisiológicas, pois as EROs desempenham um papel crucial em vários mecanismos de defesa. No entanto, com o aumento do consumo de alimentos processados na dieta ocidental, a ingestão de AGEs aumentou drasticamente, levando à descoberta do primeiro biomarcador de glicação, a hemoglobina glicada (HbA1c)5,6. Ligações cruzadas entre AGEs e proteínas estruturais como o colágeno e a elastina são responsáveis pelo endurecimento da matriz extracelular (MEC) e frequentemente estão envolvidas na disfunção orgânica e vascular. Essas proteínas, devido a suas longas meia-vidas e exposição direta a altos níveis de glicose extracelular, são particularmente suscetíveis à glicação. Os produtos de glicação de proteínas podem desencadear um processo inflamatório complexo e crônico, envolvendo várias citocinas, incluindo fator nuclear κB (NFκB), interleucina (IL) 6, IL-2 e fator de necrose tumoral α (TNF-α). Esses sinais aumentados e repetitivos podem potencializar pequenas, mas importantes, alterações epigenéticas que levam a efeitos significativos no envelhecimento da pele, como perda de firmeza, pigmentação da pele, rugas e rigidez7-10

A carnosina (β-alanil-L-histidina) é um dipeptídeo naturalmente presente em muitos organismos que tem demonstrado potencial em interferir com os AGEs. Embora seu mecanismo de ação exato ainda não tenha sido totalmente elucidado, sugere-se que tanto o grupo amino livre derivado da β-alanina quanto o anel imidazol da histidina competem com os grupos amino das proteínas na presença de compostos dicarbonílicos reativos11,12 No entanto, a carnosina tem baixa biodisponibilidade devido à sua rápida hidrólise pela carnosinase, uma enzima com duas isoformas encontradas no plasma e nos rins. Essa limitação levou à busca por um composto mais estável e biodisponível13,14. A carcinina é um análogo importante da carnosina, com estabilidade

notável quando comparada a outras moléculas derivadas. A depleção do ácido carboxílico na estrutura na posição β aumenta a estabilidade e a biodisponibilidade, ao mesmo tempo em que torna sua hidrólise pela carnosinase desprezível13,14

Considerando as crescentes evidências biológicas sobre os AGEs e seu impacto na saúde geral e nos sinais prematuros de envelhecimento da pele na civilização ocidental, este estudo teve como objetivo avaliar voluntários com sinais de pele madura que responderam ao tratamento oral com Glycoxil®, uma molécula patenteada de decarboxicarnosina HCl.

MATERIAIS E MÉTODOS

Este é um estudo prospectivo, randomizado e duplo-cego, com duração de 90 dias, conduzido em duas clínicas dermatológicas privadas e independentes. Trinta e dois participantes com idades entre 30 e 50 anos, fototipos I a IV, apresentando sinais de envelhecimento cutâneo com a presença de rítides, foram selecionados nas cidades de Porto Alegre e Jundiaí, Brasil. Os participantes foram orientados a usar apenas os produtos fornecidos pelos investigadores, incluindo hidratante facial produzido pela Farmatec (glicerol 5%, dimeticona 3%, Hyaxel 1% e DSH CN 3% Q.S., Omega Gold Cream), protetor solar incolor Anthelios Hydraox (La Roche-Posay) e sabonete facial neutro. Os critérios de exclusão incluíram: uso atual ou nos 6 meses anteriores de retinoides orais; uso de terapia com corticosteroides sistêmicos, imunossupressores ou imunobiológicos; uso de medicamentos tópicos contendo retinoides ou hidroquinona; procedimentos estéticos como lasers, peeling, microagulhamento, toxina botulínica e bioestimuladores de colágeno realizados nos últimos 6 meses; cirurgia plástica facial realizada nos últimos 12 meses; doenças que comprometam a estrutura da pele (por exemplo, colagenose); doenças autoimunes ou infecção ativa; gestantes, mulheres em fase de amamentação ou que desejem engravidar durante o período do estudo; não utilização de contracepção eficaz; presença de lesão suspeita de neoplasia na face; hipersensibilidade a qualquer componente da fórmula ou cápsula, bem como às formulações tópicas utilizadas; ou uso de suplemento oral nos últimos 6 meses para melhoria da pele (por exemplo, suplementos de colágeno, sílica orgânica ou antioxidantes).

A metodologia de análise foi adaptada de Kalil et al.¹⁵ Os pacientes foram alocados de forma aleatória em dois grupos: um grupo usou o suplemento oral decarboxicarnosina HCl (Glycoxil®) 300 mg/dia durante 90 dias, enquanto o outro grupo usou placebo (celulose microcristalina) como controle negativo. Os resultados foram analisados com o equipamento Visia® para os participantes em Jundiaí e o equipamento Focco® para os participantes em Porto Alegre, com fotos frontais e laterais antes, durante (45 dias) e após o tratamento (90 dias).

As avaliações consistiram em avaliações subjetivas realizadas pelos participantes, utilizando a escala de melhora estética

Surg Cosmet Dermatol. 2025;v.17: n.1 jan-mar. p.69-75.

global (GAIS) e a escala de classificação da gravidade das rugas (WSRS), além de avaliações objetivas da eficácia (Visia®) realizadas por dois dermatologistas. A análise descritiva foi conduzida para variáveis qualitativas e quantitativas, além de uma avaliação das variáveis quantitativas em relação aos resultados do estudo.

Este estudo foi aprovado pelo Comitê de Ética em Pesquisa (CEP) sob o número 53636521.5.1001.5412, em 24/08/2022.Todos os participantes inscritos neste estudo assinaram um termo de consentimento livre e esclarecido.

Avaliação objetiva das imagens

A avaliação objetiva foi realizada utilizando Visia® e Focco®, que requerem posicionamento preciso do paciente durante a aquisição das imagens para garantir a qualidade das fotos, sendo que a mesma posição deve ser adotada pelo paciente nas imagens de acompanhamento. Os sistemas de imagens Visia® e Focco® avaliam com precisão o aspecto das rítides da pele.

Avaliação das imagens clínicas

A análise clínica foi realizada por um dermatologista cegado para o estudo, que revisou as imagens pareadas captadas no início, no 45º dia e no 90º dia. A avaliação clínica foi baseada na classificação de rugas, hidratação, firmeza, textura e brilho. as respostas foram classificadas em cinco grupos: 1 - Resultado muito bom; 2 - Resultado bom; 3 - Resultado leve; 4 - Nenhum resultado; e 5 - pior do que antes.

Avaliação de melhoria autorrelatada

As avaliações de melhoria autorrelatadas foram feitas a partir de duas medidas: a melhoria global, classificada como 1 –não ou 2 - sim; e a GAIS, sendo: 1 - resultado muito bom, 2 - re-

sultado bom, 3 - resultado leve, 4 - nenhum resultado e 5 - pior do que antes. Os pacientes também relataram a tolerabilidade ao tratamento com base nos seguintes critérios: 1 - sintomas gastrointestinais; 2 - erupção cutânea; 3 - alergia cutânea; e 4vermelhidão por exposição a raios ultravioletas (UV).

Análises estatísticas

Os dados foram analisados utilizando o software RStudio (Posit, Boston, EUA). A análise paramétrica foi realizada com a análise de variância (ANOVA), e a análise não paramétrica foi realizada com o teste de Wilcoxon. No teste de Wilcoxon, foi aplicado o teste de comparações múltiplas (post-hoc) para identificar a diferença; no caso da ANOVA para medidas repetidas, foi utilizado o teste t para dados pareados ajustado pelo método de Bonferroni. A diferença estatística considerada foi *p < 0,05 e #p < 0,07 como tendência.

RESULTADOS

O estudo envolveu 30 participantes, sendo que 18 foram analisados com o equipamento Focco® (9 em cada grupo) e 22, com o equipamento Visia® (11 em cada grupo). Nenhum paciente estava em tratamento com isotretinoína ou havia sido submetido a qualquer procedimento dermatológico.

Avaliação objetiva das imagens

A avaliação objetiva das rítides utilizando o software Focco® entre os grupos é apresentada na figura 1. A análise não mostrou diferença estatística entre as comparações na linha de base (T0), T45 e T90. Resultados similares foram encontrados utilizando o software Visia®, conforme apresentado na figura 2.

Figura 1: Análise objetiva das rítides pelo software Focco®

Análises de boxplot das rítides pelo software Focco®. Não foi observada diferença estatística entre os dois grupos (p> 0,05)

Figura 2: Análise objetiva das rítides pelo software Visia®

Análises de boxplot das rítides pelo software Visia®. Não foi observada diferença estatística entre os dois grupos (p > 0,05)

Tendo em vista que o Focco® e Visia® são softwares com metodologias diferentes, a comparação entre eles não é possível.

Além disso, os dermatologistas examinaram as fotos de forma cega para avaliar hidratação, firmeza, textura e brilho entre os dois grupos (placebo e decarboxicarnosina HCl). Esses parâmetros são apresentados nas tabelas 1 (Focco®) e 2 (Visia®). A figura 3 apresenta uma amostra dos participantes que concluíram o estudo, mostrando melhoria no aspecto das rítides.

DISCUSSÃO

Os AGEs são um grupo de compostos estáveis formados por reações não enzimáticas entre os grupos amino de biomacromoléculas e os grupos carbonila livres de glicose ou outros açúcares redutores, geralmente produzidos por alimentos processados termicamente16. Os AGEs foram relacionados à origem de diversas doenças, como aterosclerose, diabetes, doença renal crônica e doenças neurodegenerativas, ao se ligarem aos RAGEs no corpo humano17,18

Há evidências de que os AGEs também podem afetar diversas estruturas e funções fisiológicas da pele19. Durante o processo de envelhecimento, a ingestão excessiva de AGEs ou alimentos ultraprocessados, que aumentam a síntese interna desses compostos, pode desencadear um estado de inflamação subclínica, levando ao envelhecimento precoce da pele20. Proteínas estruturais como o colágeno e a elastina são particularmente suscetíveis à glicação, o que leva à perda de função, pois a reação de Maillard pode promover a ligação cruzada de colágeno, comprometendo suas propriedades mecânicas21 . O processo de envelhecimento da pele é complexo, influenciado por componentes genéticos e individuais, assim

como por fatores externos como tabagismo, poluição, exposição UV, dieta e exercícios22. O processo de cicatrização também é comprometido em peles envelhecidas, dificultando a recuperação após lesões espontâneas ou procedimentos cirúrgicos22. Com oprogresso de envelhecimento, o corpo acumula uma grande quantidade de radicais livres e substâncias que podem acelerar oenvelhecimento da pele, causando rugas acentuadas, perda de firmeza, rugosidade e manchas escuras23. A diminuição na produção de proteínas estruturais como colágeno, elastina e MEC contribui para o surgimento de rítides e outros sinais de envelhecimento da pele24 .

De acordo com a literatura e estudos conduzidos pela Exsymol (Monaco), desenvolvedora da decarboxicarnosina HCl, esse nutracêutico reduz a glicação do colágeno induzida pelo malondialdeído, inibe a peroxidação lipídica e protege o DNA dos danos da exposição à radiação UV-B (Exsymol, Monaco).

A decarboxicarnosina HCl é uma molécula patenteada, um análogo da carnosina13,14. Em um estudo recente, duplo-cego e controlado por placebo, com 38 voluntários com sobrepeso suplementados com decarboxicarnosina HCl 200 mg/dia, os autores apresentaram uma redução significativa em biomarcadores importantes como HbA1c, frutosamina, colesterol total e níveis de insulina25

O presente estudo descreve, pela primeira vez, os possíveis benefícios de 90 dias de tratamento com Glycoxil® (decarboxicarnosina HCl). Na análise com o equipamento Focco® , ogrupo controle (tratado com decarboxicarnosina HCl) apresentou uma leve melhora entre T0 e T90. De forma similar, o grupo Visia® apresentou uma leve, mas significativa melhora no T45, embora o resultado não tenha persistido, potencialmente

Tabela 1: Resumo dos resultados pelo Focco®

Análise objetiva – quantidade de rugas

Imagem Comparações entre grupos (placebo vs. controle) Teste de t pareado

Lado direito

Item

Brilho

Textura

Firmeza

Hidratação

Aspecto global

T0 – ns (p = 0,41) T45 – ns (p = 0,06) T90 – ns (p = 0,18)

Controle (Glycoxil®)

A maioria apresentou "nenhum resultado" (37,5%) ou "bom resultado" (37,5%)

A maioria apresentou "nenhum resultado" (37,5%) ou "resultado leve" (37,5%)

Metade apresentou "nenhum resultado" e "resultado leve" (50% cada)

A maioria apresentou "nenhum resultado" (37,5%) ou "resultado leve" (37,5%)

Metade apresentou "melhora" e metade "nenhuma melhora" (50% cada)

Controle (Glycoxil®) (ANOVA de dois fatores e teste de Tukey) Placebo (ANOVA de dois fatores)

ANOVA: T0/T45/T90 – s (p = 0,03*)

Tukey: T90/T45 – ns (p = 0,95)

T0/T45 – s (p = 0,03*) T0/T90 –s (p = 0,06#)

Análise subjetiva

T0/T45/T90 – ns (p = 0,28)

(Wilcoxon)

A maioria apresentou "resultado leve" (71,43%) ns (p = 1)

A maioria apresentou "resultado bom" (57,14%) ns (p = 0,38)

A maioria apresentou “resultado bom” (57,14%) ns (p = 0,32)

A maioria apresentou “resultado bom” (71,43%) ns (p = 0,75)

A maioria apresentou "melhora" (71,43%) ns (p=0.45)

ANOVA = análise de variância. # = tendência estatística (p < 0,07); ns = não significativo; * = estatisticamente significativo (p < 0,05).

Tabela 2: Resumo dos resultados pelo Visia®

Análise objetiva – quantidade de rugas

Imagem

Frontal

Lado direito

Lado esquerdo

Comparações entre grupos (placebo vs. controle)

(Wilcoxon ou teste de t pareado)

T0 – ns (p = 0,44) Wilcoxon

T45 – ns (p = 0,10) teste de t pareado T90 – ns (p = 0,25) Wilcoxon

Teste de t pareado

T0 – ns (p=0.09)

T45 – s (p=0.003*) T90 – ns (p=0.11)

Teste de t pareado

T0 – ns (p = 0,33)

T45 – (p = 0,09#) T90 – ns (p = 0,78)

Item Controle (decarboxicarnosina HCl)

Brilho A maioria apresentou "nenhum resultado" (44,44%) ou "resultado leve" (44,44%)

Textura A maioria apresentou "nenhum resultado" (44,44%) ou "resultado leve" (44,44%)

Firmeza A maioria apresentou "nenhum resultado" (55,56%)

Hidratação

Aparência global

A maioria apresentou "nenhum resultado" (55,56%)

A maioria apresentou "nenhum resultado" (55,56%)

Controle (decarboxicarnosina HCl) (Teste de Friedman não paramétrico)

T0/45/90 – ns (p = 1,0)

ANOVA de dois fatores

T0/45/90 – ns (p=0.77)

ANOVA de dois fatores

T0/45/90 – ns (p = 0,47)

Análise subjetiva

Placebo

Valores iguais para "nenhum resultado" (33,33%), "resultado leve" (33,33%) e "resultado bom" (33,33%)

Placebo (Teste de Friedman não paramétrico)

T0/45/90 – ns (p = 0,24)

ANOVA de dois fatores

T0/45/90 – ns (p=0.43)

ANOVA de dois fatores

T0/45/90 – ns (p = 0,83)

Placebo vs. controle (Wilcoxon)

ns (p = 0,93)

Valores iguais para "nenhum resultado" (33,33%), "resultado leve" (33,33%) e "resultado bom" (33,33%) ns (p = 0,93)

Valores iguais para "nenhum resultado" (33,33%), "resultado leve" (33,33%) e "resultado bom" (33,33%)

A maioria apresentou “nenhum resultado” (44,44%)

A maioria apresentou "nenhum resultado" (55,56%)

ANOVA = análise de variância. # = tendência estatística (p < 0,07); ns = não significativo; * = estatisticamente significativo (p < 0,05).

(p = 0,52)

(p = 0,66)

(p = 1)

A B C D

Legenda: A/B - Participante representando uma amostra do grupo HCl descarboxila carcinina T0 e T45, respectivamente.

C/D - Participante representando o grupo placebo T0 e T45, respectivament

devido a fatores intrínsecos, curto período de acompanhamento e limitações técnicas.

Nossos resultados mostraram que as rítides melhoraram tanto nas avaliações com o Focco® quanto com o Visia®, indicando que os dados são clinicamente relevantes e estão em concordância com estudos que utilizam esses sistemas de imagem. No entanto, estudos de maior escala e com populações mais representativas devem ser conduzidos para confirmar a eficácia desse tratamento.

Todos os pacientes toleraram bem o tratamento, não relataram efeitos adversos e afirmaram que utilizariam o produto novamente. A pesquisa sobre produtos e procedimentos de beleza está sempre evoluindo, com a introdução de novas ferramentas e tecnologias para elucidar os mecanismos de ação e os mar-

cadores moleculares envolvidos no processo de envelhecimento. Entretanto, os suplementos que ajudam a combater os sinais de envelhecimento ainda são recentes, com apenas alguns disponíveis no mercado com um bom embasamento científico, como os peptídeos de colágeno26. Embora nosso estudo não tenha encontrado uma significância estatística entre os grupos, o processo de glicação continua sendo um processo prejudicial amplamente elucidado na literatura27-31. Nosso estudo apresenta algumas limitações, como o curto período de acompanhamento, o tamanho reduzido da amostra e a ausência de análises mais complexas com amostras histopatológicas ou técnicas analíticas avançadas. Assim, os autores reconhecem a necessidade de futuros estudos com amostras maiores, períodos de acompanhamento mais longos e avaliações mais complexas. l

REFERÊNCIAS:

1. Prasad C, Davis KE, Imrhan V, Juma S, Vijayagopal P. Advanced glycation end products and risks for chronic diseases: intervening through lifestyle modification. Am J Life Med. 2019;13(4):384-404.

2. Stitt AW. The maillard reaction in eye diseases. Ann NY Acad Sci. 2005;1043(1):582-97.

3. Ott C, Jacobs K, Houcke E, Santos AN, Grune T, Simm A. Role of advanced glycation end products in cellular signaling. Redox Biol.2014;2:411 -29.

4. Twarda-Clapa A, Olczak A, Białkowska AM, Koziołkiewicz M. Advanced glycation end-products (AGEs): formation, chemistry, classification, receptors, and diseases related to AGEs. Cells. 2022;11(8):1312.

5. Ott C, Jacobs K, Haucke E, Santos AN, Grune T, Simm A. Role of advanced glycation end products in cellular signaling. Redox biology. 2019;2:411-29.

6. Sellegounder D, Zafari P, Rajabinejad M, Taghadosi M, Kapahi P. Advanced glycation end products (AGEs) and its receptor, RAGE, modulate agedependent COVID-19 morbidity and mortality. A review and hypothesis. Int Immunopharm.2021;98:107806.

7. Dupré‐Crochet, S., Erard, M., & Nüβe, O. ROS production in phagocytes: why, when, and where? J Leuko Biol.2013;94(4):657-70

8. Lee EJ, Kim JY, Oh SH. Advanced glycation end products (AGEs) promote melanogenesis through receptor for AGEs. Sci Report.2016;6(1):1-11.

9. Lohwasser C, Neureiter D, Weigle B, Kirchner T, Schuppan D. The receptor for advanced glycation end products is highly expressed in the skin and upregulated by advanced glycation end products and tumor necrosis factor- alpha. J Invest Dermatol. 2006;126(2):291-99

10. Davis KE, Prasad C, Vijayagopal P, Juma S, Imrhan V. Advanced glycation end products, inflammation, and chronic metabolic diseases: links in a chain? Crit Rev Food Sci Nutri. 2016;56(6):989-98.

11. Pepper ED, Farrell MJ, Nord G, Finkel SE. Antiglycation effects of carnosine and other compounds on the long-term survival of escherichia coli. Appl Enviro Microbiol.2010;76(24):7925-30.

12. Bingül İ, Yılmaz Z, Aydın AF, Çoban J, Doğru‐Abbasoğlu S, Uysal M. Antiglycation and anti‐oxidant efficiency of carnosine in the plasma and liver of aged rats. Geriat Gerontol Int.2017;17(12):2610-4.

13. Boldyrev AA, Gallant SC, Sukhich GT. Carnosine, the protective, anti-aging peptide. Biosci Report. 1999;19:581-7.

14. Boldyrev AA. Problems and perspectives in studying the biological role of carnosine. Biochem (Mosc). 2000;65(7):751-6.

15. Kalil CLPV, Campos V, Cignachi S, Favaro J, Reinehr CPH, Chaves C. Evaluation of cutaneous rejuvenation associated with the use of ortho‐silicic acid stabilized by hydrolyzed marine collagen. J Cosmet Dermatol.2018;17(5):814-20.

Figura 3: Amostras de fotos dos participantes do estudo.

16. Sergi D, Boulestin H, Campbell FM, Williams LM. The role of dietary advanced glycation end products in metabolic dysfunction. Mol Nutri Food Res. 2021;65(1):1900934.

17. Ahmad S, Khan H, Siddiqui Z, Khan MY, Rehman S, Shahab U, et al. AGEs, RAGEs and s-RAGE: friend or foe for cancer. Semin Cancer Biol. 2018;49:44-55.

18. Ashraf MAB, Rasool R, Zahid A, Waquar S, Muhammad A, Zaheer A, et al. Implications of advanced oxidation protein products (AOPPs), advanced glycation end products (AGEs) and other biomarkers in the development of cardiovascular diseases. Saudi J Biol Sci. 2019;26(2):334-39.

19. Atzeni IM, Boersema J, Pas HH, Diercks GF, Scheijen JL, Schalkwijk CG, et al. Is skin autofluorescence (SAF) representative of dermal advanced glycation endproducts (AGEs) in dark skin? A pilot study. Heliyon. 2020;6(11):e05364

20. Poulsen MW, Hedegaard RV, Andersen JM, Courten B, Bügel S, Nielsen J, et al. Advanced glycation endproducts in food and their effects on health. Food Chem Toxicol. 2013;60:10-37.

21. Danby FW. Nutrition and aging skin: sugar and glycation. Clin Dermatol. 2010;28(4):409-11.

22. Gautieri A, Passini FS, Silván U, Guizar-Sicairos M, Carimati G, Volpi P, et al. Advanced glycation end- products: Mechanics of aged collagen from molecule to tissue. Matrix Biol. 2017;59:95108.

23. Farage MA, Miller KW, Elsner P, Maibach HI. Characteristics of the aging skin. Adv Wound Care. 2013;2(1):5-10.

24. Reiter RJ, Tan DX, Rosales-Corral S, Galano A, Zhou XJ, Xu B. Mitochondria: central organelles for melatonin′s antioxidant and anti-aging actions. Molecules. 2018;23(2):509.

25. Herreros FOC, Cintra ML, Adam RL, Moraes AM, Metze K. Remodeling of the human dermis after application of salicylate silanol. Arch Dermatol Res. 2007;299(1):41-45.

26. Wolpe L, Granzoti R. A suplementação de carcinina e sua implicação na glicemia de jejum, hemoglobina glicada, insulina, frutosamina e perfil lipídico em mulheres com sobrepeso e obesidade: um ensaio clínico randomizado duplo-cego controlado por placebo. Brazil J Develop. 2020;6(10):78877-89.

27. Zhao X, Zhang X, Liu D. Collagen peptides and the related synthetic peptides: a review on improving skin health. J Function Foods. 2012;86:104680.

28. Gkogkolou P, Böhm M. Advanced glycation end products: key players in skin aging? Dermato-endocrinol. 2012;4(3):259-70.

29. Peppa M, Vlassara H. Advanced glycation end products and diabetic complications: a general overview. Hormones. 2005;4(1):28-37.

30. Jakuš V, Rietbrock N. Advanced glycation end-products and the progress of diabetic vascular complications. Physiol Res. 2004;53(2);13142.

31. Handa JT, Verzijl N, Matsunaga H, Aotaki-Keen A, Lutty GA, Te Koppele JM, et al. Increase in the advanced glycation end product pentosidine in Bruch's membrane with age. Invest Ophthalmol Vis Sci. 1999;40(3):775-79.

32. Lohwasser C, Neureiter D, Weigle B, Kirchner T, Schuppan D. The receptor for advanced glycation end products is highly expressed in the skin and upregulated by advanced glycation end products and tumor necrosis factor-alpha. J Invest Dermatol. 2006;126(2):291-99.

CONTRIBUIÇÕES DOS AUTORES:

Célia Kalil 0000-0002-1294-547X

Aprovação da versão final do manuscrito; participação efetiva na orientação da pesquisa; participação intelectual em conduta propedêutica e/ou terapêutica de casos estudados.

Luciane Zagonel 0000-0002-7687-6557

Aprovação da versão final do manuscrito; concepção e planejamento do estudo; obtenção, análise e interpretação dos dados; participação efetiva na orientação da pesquisa; revisão crítica da literatura; revisão crítica do manuscrito.

Valéria Barreto Campos 0000-0002-3350-8586

Aprovação da versão final do manuscrito; concepção e planejamento do estudo; obtenção, análise e interpretação dos dados; participação efetiva na orientação da pesquisa; revisão crítica do manuscrito.

Christine Chaves Prato 0000-0001-8861-6499

Aprovação da versão final do manuscrito; participação efetiva na orientação da pesquisa; revisão crítica da literatura; revisão crítica do manuscrito.

Clarissa Reinehr 0000-0003-1811-4519

Aprovação da versão final do manuscrito; concepção e planejamento do estudo; obtenção, análise e interpretação dos dados; participação efetiva na orientação da pesquisa; revisão crítica do manuscrito.

Patrícia França 0000-0002-2047-4161

Aprovação da versão final do manuscrito; participação intelectual em conduta propedêutica e/ou terapêutica de casos estudados; revisão crítica do manuscrito.

Pedro Vargas 0009-0004-5404-8832

Análise estatística; aprovação da versão final do manuscrito; elaboração e redação do manuscrito; revisão crítica da literatura; revisão crítica do manuscrito.

www.surgicalcosmetic.org.br/

Tratamento da síndrome de Parry-Romberg e da esclerodermia linear em golpe de sabre, com aplicação do ácido poli-L-láctico (PLLA): avaliação da resposta clínica e ultrassonográfica de alta resolução

Treatment of parry-romberg syndrome and linear scleroderma en coup de sabre, with application of poly- L-lactic acid (PLLA): assessment of clinical response and high-resolution ultrasonography

DOI: http://www.dx.doi.org/10.5935/scd1984-8773.2025170361

RESUMO

INTRODUÇÃO: A síndrome de Parry-Romberg (PRS) e a esclerodermia linear em golpe de sabre (LSCS) são espectros da esclerodermia, uma doença de difícil manejo terapêutico.

OBJETIVOS:Tratamos três pacientes apresentando essa condição, utilizando o ácido poli-L-lático (PLLA) com objetivo de amenizar assimetrias e avaliar a real melhora das lesões esclerodérmicas, com acompanhamento ultrassonográfico de alta resolução (USAR).

MÉTODOS: As pacientes foram submetidas a duas a quatro sessões de bioestimulação com PLLA em um período compreendido dentro de 12 meses.

RESULTADOS: Os resultados se demonstraram promissores, com resultados cosméticos favoráveis e aumento da espessura da derme e hipoderme comprovados pela avaliação com USAR.

CONCLUSÕES: A bioestimulação com PLLA é um método seguro e eficaz, que pode ser realizada com segurança nesses pacientes, desde que realizada por profissionais treinados adequadamente.

Palavras-chave: Hemiatrofia Facial; Esclerodermia Localizada; Preenchedores Dérmicos; Ultrassonografia.

ABSTRACT

INTRODUCTION: Parry-Romberg syndrome and linear scleroderma en coup de sabre are disorders within the scleroderma spectrum, a disease that presents therapeutic challenges.

OBJECTIVES: We treated three patients with this condition using poly-L-lactic acid (PLLA) with the aim of alleviating facial asymmetries and evaluated the real improvement of scleroderma lesions with high-resolution ultrasound.

METHODS: The patients underwent two to four sessions of biostimulation with PLLA over a 12-month period.

RESULTS:The results were promising, demonstrating favorable cosmetic outcomes with increased thickness of the dermis and hypodermis as evidenced by high-resolution ultrasound.

CONCLUSIONS: Biostimulation with PLLA is a safe and effective treatment option for these patients when administered by trained professionals.

Keywords: Facial Hemiatrophy; Scleroderma, Localized; Dermal Fillers; Ultrasonography.

Artigo Original

Autores:

Renato Roberto Liberato Rostey1 Cristiane Ferreira Rallo de Almeida1 Danilo Olavarria D’Aquino2 Caio Leal Carvalho1

1 Hospital Universitário Julio Muller, Dermatology, Cuiabá (MT), Brazil

2 Ultralab, Ultrasound, Cuiabá (MT), Brazil

Correspondência:

Renato Roberto Liberato Rostey E-mail: rrostey@yahoo.com.br

Fonte de financiamento: Nenhuma. Conflito de interesses: Nenhum.

Data de Submissão: 29/03/2024. Decisão final: 15/08/2024.

Como citar este artigo: Rostey RRL, Almeida CFR, D’Aquino DO, Carvalho CL. Tratamento da síndrome de Parry-Romberg e da esclerodermia linear em golpe de sabre, com aplicação do ácido poli-L-láctico (PLLA): avaliação da resposta clínica e ultrassonográfica de alta resolução. Surg Cosmet Dermatol. 2025;17:e20250361.

INTRODUÇÃO

A síndrome de Parry-Romberg (PRS) é uma doença craniofacial rara, caracterizada pela atrofia hemifacial da pele, tecido subcutâneo, gordura e, em casos graves, músculos,ossos e cartilagens subjacentes.1,2 É considerada uma forma específica de esclerodermia cutânea3. Inicia-se, normalmente, nos primeiros 20 anos de vida, embora casos de início tardio tenham sido descritos.1 Os sintomas progridem ao longo de 2 a 10 anos, período autolimitado antes da estabilização espontânea.4-6 Manifestações sistêmicas da doença, incluindo dermatológicas, ósseas, musculares, oftalmológicas, neurológicas, cardíacas, endocrinológicas, maxilofaciais, ortodônticas e orais podem ocorrer.2,7 Na histopatologia, visualizamos atrofia da gordura subcutânea, redução das estruturas anexiais e infiltrado celular mononuclear.2,8

A esclerodermia linear em golpe de sabre (LSCS) é uma apresentação da esclerodermia localizada, assim chamada por causar uma lesão semelhante a um golpe de sabre que acomete a cabeça.9 É caracterizada por uma lesão esclerótica cutânea linear, pode ser hiperpigmentada e também acompanhada de atrofia craniana, alterações neurológicas e convulsões.9 Na histopatologia, visualizamos esclerose da pele e dos tecidos subjacentes devido ao excesso de deposição de colágeno, atrofia anexial, infiltrado celular mononuclear e inflamação perineural.8

Tanto a PRS quanto a LSCS apresentam predileção pelo sexo feminino e costumam surgir antes dos 15 anos de idade. Muitas características em comum são observadas em ambas doenças, sendo que alguns autores as consideram espectros da esclerodermia e outros as consideram a mesma doença8. As maiores diferenças entre as duas são: o nãosurgimento de alopecia cicatricial e a esclerose da pele na PRS,2 além da esclerose da pele e do couro cabeludo com hiperpigmentação e alopecia no couro cabeludo e sobrancelhas na LSCS.2 Pacientes podem apresentar caraterísticas distintas de uma ou outra doença ou mesmo de ambas10

Tratamentos para a melhora da aparência da atrofia causada por essas doenças são tentados comumente, sendo os mais usuais o transplante de gordura autóloga e enxertos com retalhos de gordura.11 Sempre que possível, o tratamento estético das doenças autoimunes deve ser tentado, pois são doenças que impactam significativamente no estado psicológico e na qualidade de vida dos pacientes.12 São descritos tratamentos com enxerto de gordura autóloga, transplante autólogo de gordura, ácido hialurônico, ácido poli-L-láctico (PLLA), hidroxiapatita de cálcio, polimetilmetacrilato (PMMA), LASERs, enxertos ósseos e de cartilagem.12

O uso do PLLA para o tratamento de esclerodermia linear e PRS foi descrito em 2009.13 Recentemente, foi descrito um caso de tratamento de PRS com ácido hialurônico e PLLA.14 Uma série de casos demonstrou o uso do PLLA em uma paciente com esclerodermia sistêmica, em uma com síndrome CREST e em outra com paniculite lúpica.15 Bioestimulação é a habilidade de um polímero gerar benefício celular ou resposta tecidual em uma aplicação clínica particular, por meio de uma resposta

inflamatória controlada desejada, que leva à lenta degradação do material e culmina na deposição de colágeno no tecido, condicionada pelas propriedades do biomaterial, as características do paciente e a técnica pela qual o polímero foi injetado no tecido16.

O bioestimulador de colágeno, o PLLA é uma substância reabsorvível, biodegradável e biocompatível, que estimula a formação de novas fibras colágenas, que já se mostrou seguro e tem a capacidade de restaurar defeitos volumétricos. Na literatura, há relatos de pacientes que foram submetidos à aplicação de bioestimulador e também de preenchedores de ácido hialurônico com resposta satisfatória. O aumento de tecidos moles com preenchimentos injetáveis é uma técnica minimamente invasiva que substitui o volume facial perdido.17

A ultrassonografia de alta resolução (USAR) já é utilizado na dermatologia para a avaliação de preenchimentos cutâneos,18 avaliando resultados19 e complicações.20 Ele também é utilizado para avaliação clínica e diagnóstica da esclerodermia cutânea localizada21 e na PRS.22

Realizamos o presente trabalho com a finalidade de avaliar e comprovar que a aplicação de PLLA pode melhorar o aspecto clínico e a perda volumétrica, corrigir assimetrias e promover a melhora da qualidade geral da pele acometida e o aspecto estético das lesões cutâneas em pacientes acometidos pela esclerodermia, nas formas de PRS/LSCS. A avaliação ultrassonográfica com as medidas da espessura da derme/hipoderme pré- e pósprocedimento permitiu avaliar a resposta de forma objetiva.

MÉTODOS

Ensaio clínico realizado com amostras de conveniência obtidas de pacientes provenientes do ambulatório de dermatologia localizado no ambulatório III do Hospital Universitário Júlio Muller, Brasil. O presente projeto foi submetido ao Comitê de Ética em Pesquisa do e aprovado sob o número CAAE 57003722.0.0000.554, em 28 de julho de 2022. Foram elegíveis para o estudo pacientes adultos de demanda rotineira do ambulatório de dermatologia, que tenham como diagnóstico esclerodermia cutânea localizada, incluindo a PRS/LSCS, e que apresentavam doença estabilizada. Foram incluídos, por conveniência, três pacientes maiores de 18 anos, que possuíam os critérios de PRS/LSCS confirmados por exame clínico, que não possuíam critérios de exclusão e que aceitassem participar do estudo de forma voluntária, sem ônus ao seu tratamento nem gratificações. Os critérios de exclusão foram: doença ativa; infecção na área tratada; histórico de procedimentos com preenchedores; condições clínicas que tornem inviável a realização da técnica (imunossupressão plena, discrasias sanguíneas); não aceitação pelo paciente em tratar com essa opção terapêutica.

No primeiro atendimento, as pacientes foram submetidas a exame clínico, registro fotográfico, exame ultrassonográfico prévio da área a ser tratada e também de área adjacente não acometida pela doença, além do preenchimento do Termo

de consentimento livre e esclarecido (TCLE). As medidas de espessura da pele acometida pela doença obtidas pelo USAR foram comparadas com as medidas obtidas da pele sã adjacente à área acometida. O produto foi preparado imediatamente antes dos procedimentos, com cada frasco de PLLA (Sculptra®) diluído em 1:8  mL de água destilada, reconstituído através de agitação vigorosa por 1 min, aspirado em seringas de 5 mL com a adição de mais 1 mL de lidocaína sem vasoconstrictor em cada seringa. Para a realização do procedimento, foi feito um pequeno botão anestésico com 0,3 mL de lidocaína com vasoconstrictor, por onde foi feito pertuito de entrada e aplicação do produto com cânula na medida 22 G x 70 mm, no plano subdérmico mais justadérmico possível. Figura 01.

Previamente às sessões seguintes, foram realizados novos registros fotográficos e ultrassonográficos de alta resolução (USARs), que se repetiram após a última sessão. Os intervalos entre as sessões e as realizações dos exames USARs estão demonstrados nas respectivas tabelas de cada paciente. No presente estudo, realizamos as medidas da derme e hipoderme das regiões sem doença e acometidas pela patologia antes e após a injeção do PLLA, utilizando transdutor linear dermatológico de alta resolução de até 22 MHz (GE Logic e Pro – GE Medical System). As pacientes receberam diferentes doses de PLLA, conforme a resposta individual e necessidade de correção da assimetria, variando de dois a quatros frascos, e com intervalos entre as sessões variando de 08 a 24 semanas.

RESULTADOS

A paciente ABF, com 26 anos no início do tratamento, era a paciente que apresentava a menor área acometida e também a com o menor tempo de evolução da doença, de apenas 3 anos. Só havia se submetido a tratamentos tópicos devido ao quadro, tendo feito uso de tacrolimo e calcipotriol. Apresentava área atrófica em fronte à esquerda, madarose da cauda da sobrancelha e ciliar homolateral, além de pele levemente endurecida, sendo o quadro compatível com esclerodermia linear em golpe de sabre. Também apresentava congenitamente ptose palpebral bilateral, que, com o surgimento da retração cauda pela doença, fez com que houvesse melhora da abertura ocular homolateral, o que pode ser bem observado pela foto inicial. Figura 02.

Cerca de 1 mês após a primeira aplicação, houve um aumento de aproximadamente 30% na espessura da pele em relação à espessura inicial. E 5 meses após a segunda aplicação, houve um aumento de aproximadamente 61% na espessura da pele em relação à espessura inicial. (Figura 03). Tabela 01. A paciente DFM, com 27 anos no início do tratamento, iniciou quadro de alopecia emregião frontoparietal esquerda aos 10 anos de idade, com posterior surgimento de placa atrófica e endurecida em fronte. No início da doença, foi submetida a tratamento com hidrocortisona tópica por cerca de 5 anos. Apresentava quadro clínico característico de esclerodermia linear em golpe de sabre. Figura 04.

Figura 01: Detalhe de posicionamento subdérmico da cânula nas pacientes DFM e DCL

A BFigura 03: a - Imagem de USAR evidenciando redução da espessura do complexo derme/hipoderme frontal esquerda na área acometida. B - Região frontal esquerda acometida e volumizada com PLLA subdérmico, com espessamento de fibras dérmicas

Tabela 01: Descrições ultrassonográficas, paciente ABF

USAR data: Espessura da região acometida: Espessura da região não acometida:

aplicação 14/04/2023

11/08/2023

USAR: ultrassonografia de alta resolução.

Na região frontal esquerda, cerca de 3 meses após a primeira aplicação, houve um aumento de aproximadamente 47% na espessura da pele em relação à espessura inicial. E 1 mês após a segunda aplicação, 7 meses após a primeira, houve um aumento de aproximadamente 63% na espessura da pele em relação à espessura inicial. E 3 meses após a terceira aplicação, 11 meses após a primeira, houve um aumento da espessura em cerca de 84% em relação à inicial. (Figura 05). Tabela 02.

Já na região do couro cabeludo, não se notou aumento da espessura da pele pelo USAR. Porém, foi observado aumento

da firmeza e distensão da pele, promovendo uma melhora visual perceptível, tanto pelos examinadores quanto pela paciente. Tabela 03.

A paciente DCL, com 28 anos no início do tratamento, possuía a maior área de acometimento, com lesão em praticamente toda hemiface esquerda. Não apresentava endurecimento da pele. Apresentava quadro característico da PRS. Foi a únicapaciente que já havia sido submetida a tratamento sistêmico para doença, com corticoterapia além de tacrolimo tópico. Foi realizada ressonância nuclear magnética (RNM), demonstrando não haver

Figura 02: Evolução temporal da paciente ABF

Surg Cosmet Dermatol. 2025;v.17: n.1 jan-mar. p.76-86.

A B

Figura 05: A - Imagem de USAR evidenciando região frontal não acometida. B: Região frontal central acometida e volumizada com PLLA subdérmico, com espessamento de fibras dérmicas

acometimento ósseo nem encefálico. Por possuir a maior área acometida, em cada sessão, um frasco de PLLA foi dividido de forma não igualitária entre as duas principais áreas. Figuras 06. Na região frontal esquerda, cerca de 1 mês após a primeira aplicação, houve uma redução de 23% na espessura da pele em relação à espessura inicial. Atribuímos essa redução à variação do local de medida, pois, clinicamente, a impressão foi de melhora. Ummês após a segunda aplicação, 7 meses após a primeira, houve um aumento de aproximadamente 5% na espessura da pele em relação à espessura inicial. E 3 meses após a terceira aplicação, 11 meses após a primeira, houve um aumento da espessura em cerca de 18% em relação à inicial. Dois meses após a quarta aplicação, 13 meses após a primeira, esse aumento de 18% se manteve. (Figuras 07, 08). Tabela 04.

Já na região do sulco nasolabial esquerdo, cerca de 1 mês após a primeira aplicação, houve um aumento de cerca de 6% na espessura da pele em relação à espessura inicial. Um mês após a segunda aplicação, 7 meses após a primeira, houve um aumento de aproximadamente 16% na espessura da pele em relação à espessura inicial. E 3 meses após a terceira aplicação, 11 meses após a primeira, houve um aumento da espessura em cerca de 24% em relação à inicial. Dois meses após a quarta aplicação, 13 meses após a primeira, esse aumento de 24% se manteve. (Figuras 09, 10). Tabela 05.

DISCUSSÃO

Diversas técnicas foram descritas para o tratamento das atrofias causadas pelas PRS e LSCS e outras formas de

Figura 04: Evolução temporal da paciente DFM

Tabela 02: Descrições ultrassonográficas da região frontal esquerda, paciente DFM

USAR data: Espessura da região acometida:

aplicação

aplicação

12/05/2023 3ª aplicação

USAR: ultrassonografia de alta resolução.

Tabela 03: Descrições ultrassonográficas do couro cabeludo, paciente DFM

USAR data: Espessura da região acometida: Espessura da região não acometida:

09/09/2022 1ª aplicação

05/12/2022

aplicação

12/05/2023 3ª aplicação

11/08/2023 3,0 mm 0,5 mm 2,5 mm 3,9 mm 0,8 mm 3,1 mm

USAR: ultrassonografia de alta resolução.

06: Demarcação da área tratada da paciente DCL

Figura

Surg Cosmet Dermatol. 2025;v.17: n.1 jan-mar. p.76-86.

AB

08 A - Imagem de USAR evidenciando redução da complexo derme/hipoderme na região frontal, comparado com a região não acometida. B: Região frontal acometida, volumizada com PLLA subdérmico, com espessamento de fibras dérmicas

Figura 07: Evolução temporal da paciente DCL em vista frontal
Figura

Tabela 04: Descrições ultrassonográficas região frontal esquerda, paciente DCL

USAR data: Espessura da região acometida: Espessura da região não acometida:

09/09/2022 1ª aplicação

2ª aplicação

12/05/2023

3ª aplicação 10/08/2023

4ª aplicação

USAR: ultrassonografia de alta resolução.

Figura 09: Evolução temporal da paciente DCL em vista obliqua

Surg

A B

Figura 10: a - Imagem de USAR evidenciando redução do complexo derme/hipoderme no sulco nasolabial em área acometida e espessura preservada na área não acometida. B - Área acometida volumizada com PLLA subdérmico, com espessamento de fibras dérmicas

USAR data: Espessura da região acometida: Espessura da região não acometida:

USAR: ultrassonografia de alta resolução.

esclerodermia. Neste ensaio clínico, o uso do PLLA foi escolhido por suas propriedades de restaurar o volume perdido e estimular a deposição gradual de colágeno, visando amenizar a assimetria facial.12-15 Embora o PLLA ofereça vantagens, existem desafios associados ao seu uso na PRS e LSCS.13,14 O principal desafio é o tempo necessário para obter resultados visíveis, já que a produção de colágeno é um processo gradual. Além disso, a variabilidade na resposta ao tratamento pode ser um fator limitante, com alguns pacientes podendo não alcançar o resultado desejado. Ressaltamos, ainda, que as paciente do estudo são jovens, portanto, com habilidade preservada das células residentes da matriz extracelular de sintetizar colágeno e responder melhor ao tratamento com os bioestimuladores. O uso do Sculptra® é, geralmente, bem tolerado, com efeitos adversos raros e geralmente leves. Os efeitos colaterais mais comuns incluem edema, hematomas e sensibilidade na área tratada. Complicações mais graves, como infecções ou granulomas, são raras, mas devem ser acompanhadas de perto.13,17

A USAR permite agregar muita informação em dermatologia e injetáveis, auxiliando com diagnósticos cada vez mais precisos e planejamentos cirúrgicos e de injetáveis cada vez mais assertivos. Em esclerodermia cutânea, pode auxiliar o médico assistente sobre a atividade ou ausência de atividade da doença através da avaliação do halo hiperecogênico ao redor de vasos na pele e permite, ainda, uma boa separação das camadas da pele e nesse caso em especial, permitindo visualizar e mensurar a perda de volume e qual camada da pele foi acometida, assim como possibilita a visualização do produto (PLLA), plano cutâneo injetado e seu bioestímulo sendo validado com a mensuração seriada e espessamento das camadas da pele nas regiões acometidas.23-25

As análises de espessura com a USAR podem variar de acordo com a experiência do ultrassonografista, sendo método operador-dependente, assim como pelos locais medidos. Como não fizemos uma marcação especifica na pele, como seria como uma tatuagem, tivemos pequenas alterações dos locais

Tabela 05: Descrições ultrassonográficas do sulco nasolabial esquerdo, paciente DCL

mensurados a cada avaliação, o que justifica pequenas variações das espessuras medidas durante a evolução dos exames, mas que não comprometeu a avaliação, pois o ganho em espessura pôde ser comprovado através da análise de todos exames realizados. A evolução dos transdutores de ultrassom com frequências cada vez mais elevadas permitiu o estudo mais detalhado da pele e anexos. A USAR tornou-se uma importante ferramenta aos médicos dermatologistas e injetores, auxiliando e permitindo a visualização das estruturas de forma dinâmica e em tempo real. Os diversos tipos de preenchedores cosméticos, materiais autólogos (gordura autóloga) e biostimuladores podem ser identificados e diferenciados com ultrassom dermatológico de alta resolução e um profissional médico ultrassonografista com treinamento na área.18,19,26

CONCLUSÃO

Nas fotografias seriadas, é possível observar volumização da área tratada, o que se comprova com o ganho final de espessura da pele obtida pelas medidas ultrassonográficas.

Tanto a derme quanto a hipoderme apresentaram aumento da espessura, no entanto, a hipoderme apresentou maior ganho de espessura comparável com a derme, o que pode ser justificado pelo mecanismo de reticulação do colágeno que ocorre com o passar dos meses e que acarreta sua contração e o ajustamento da sua rede. A presença de fibroblastos na hipoderme também possibilita os mecanismos da neocolagênese nessa área com gradual deposição de fibras de colágeno.

O uso de bioestimulador de colágeno PLLA (Sculptra®) se mostrou um método seguro e factível para o tratamento da perda de volume e assimetrias decorrentes da PRS e da esclerodermia em golpe de sabre. A reposição de volume, melhora da qualidade da pele, melhora da simetria e consequente melhora estética acarretam melhora da qualidade de vida dessas pacientes. A seleção adequada dos pacientes, a quantidade de produto a ser utilizada, que deve sempre ser individualizada, além do profissional injetor bem treinado, são pontos importantes no sucesso do tratamento. l

REFERENCES:

1. Schultz KP, Dong, E, Truong TA, Maricevich RS. Parry romberg syndrome. Clin Plast Surg. 2019;46(2):231-237.

2. Shah SS, Chhabra M. Parry-romberg syndrome [Internet]. Treasure Island (FL): StatPearls Publishing; 2022. Available from: https://www.ncbi.nlm.nih.gov/books/NBK574506/

3. De la Torre IG, Castello-Sendra J, Esgleyes- Ribot T, Martinez-Bonilla G, Guerrerosantos J, Fritzler MJ. Autoantibodies in parry romberg syndrome: a serologic study of 14 patients. J Rheumatol. 1995;22(1):73–7.

4. Buonaccorsi S, Leonardi A, Covelli E, Indrizzi E, Perdicchi A, Fini G. Parry-romberg syndrome. J Craniofac Surg. 2005;16(6):1132–5.

5. El-Kehdy J, Abbas O, Rubeiz N. A review of parry-romberg syndrome. J Am Acad Dermatol 2012; 67:769–84.

6. Tolkachjov SN, Patel NG, Tollefson MM. Progressive hemifacial atrophy: a review. Orphanet J Rare Dis. 2015;10:39.

7. Bucher F, Fricke J, Neugebauer A, Cursiefen C, Heindl LM. Ophthalmological manifestations of parry- romberg syndrome. Surv Ophthalmol 2016;61:693–701.

8. Khamaganova I. Progressive hemifacial atrophy and linear scleroderma en coup de sabre: a spectrum of the same disease? Front Med.2018;4:258.

9. Martins MV, Azevedo I, Rodrigues C, Oliveira M. Linear scleroderma en coup de sabre – a different clinical presentation. acta reumatol port. 2021;46:72-76.

10. Tollefson MM, Witman PM. En coup de sabre morphea and parry-romberg syndrome: a retrospective review of 54 patients. J Am Acad dermatol. 2007;56(2):257-263.

11. Glaser DH, Schutt C, Schollaert-Fitch K, Torok K. Linear scleroderma of the head - updates in management of parry romberg syndrome and en coup de sabre: a rapid scoping review across subspecialties. Eur J Rheumatol 2020;7(Suppl 1): S48-S57.

12. Creadore A, Watchmaker J, Maymone MBC, Pappas L, Lam C, Vashi NA. Cosmetic treatment in patients with autoimmune connective tissue diseases. J Am Acad Dermatol. 2020;83(2):315–41.

13. Onesti MG, Troccola A, Scuderi N. Volumetric correction using poly-L-lactic acid in facial asymmetry: parry romberg syndrome and scleroderma. Dermatol Surg. 2009;35(9):1368-1375.

14. Ha D ‐L, Oh C ‐K, Kim M ‐B. Parry–romberg syndrome treated with injectable poly‐L‐ lactic acid and hyaluronic acid filler: a case report. J Eur Acad Dermatol Venereol. 2020.27;34(6).

15. Pamatmat JJ, Gonzalez CD, Euwer R, Summers E, Smart D, Goff HW. Novel use of poly‐L‐lactic acid filler for the treatment of facial cutaneous atrophy in patients with connective tissue disease. J Cosmet Dermatol. 2021;00:1–5.

16. Griffith LG. Polymeric biomaterials. Acta Materialia. 2000;48(1):263-77.

Surg Cosmet Dermatol. 2025;v.17: n.1 jan-mar. p.76-86.

17. Cunha MG, Engracia M, Souza LG, Machado Filho CD. Bioestimuladores e seus mecanismos de ação. Surg Cosmet Dermatol. 2020;12(2).

18. Schelke LW, Van-Den-Elzen HJ, Erkamp PPM, Neumann HAM. Use of ultrasound to provide overall information on facial fillers and surrounding tissue. Dermatol Surg 2010;36:1843–1851.

19. Wortsman X,Wortsman J, Orlandi C, Cardenas G, Sazunic I, Jemec GBE. Ultrasound detection and identification of cosmetic fillers in the skin. J Eur Acad Dermatol Venerol.2012;26:292–301.

20. Wortsman X. Identification and complications of cosmetic fillers. J Ultrasound Med 2015;34:1163–1172.

21. Bouer M, Chammas MC, Messina MCL, Oliveira IRS, Cerri GG. Correlação clínica e ultra-sonográfica na esclerodermia localizada cutânea. Radiol Bras. 2008;41(2):87–91

22. Quintana-Castanedo L, Sánchez-Orta A, Nuno-Gonzalez A, Herranz-Pinto P. Usefulness of cutaneous ultrasound in the management of parry romberg syndrome. Skin Res Technol. 2021;00:1–2.

23. Sigrist R, Noronha G, Quezada N, Wortsman X. Ultrasonographic pattern of poly-L- lactic acid at high-frequency and ultrahigh-frequency. Dermatol Surg. 2024;50(8):783-785.

24. Habib P, Roddy J, Ch'ng S, Chowalloor P, Keen H. The role of ultrasound in scleroderma skin disease. Tasman Med J. 2021;3(1):2652-1881.

25. Dźwigała M, Sobolewski P, Maślińska M, Yurtsever I, Szymanska E, Walecka I. High-resolution ultrasound imaging of skin involvement in systemic sclerosis: a systematic review. Rheumatol Int. 2021;41:285–295.

26. Fontan C, Cardoso D, Rezende JP, Zattar LC, Mota A. Avaliação ultrasonográfica dos preenchedores e bioestimuladores em diferentes aparelhos de ultrassonografia e com diferentes frequências. JODI. 2023;1:e2023004.

AUTHOR’S CONTRIBUTION:

Renato Roberto Liberato Rostey 0000-0001-8656-4111

Statistical analysis, approval of the final version of the manuscript, study design and planning, preparation and writing of the manuscript, data collection, analysis, and interpretation, effective participation in research guidance, intellectual participation in propaedeutic and/or therapeutic conduct of studied cases, critical literature review, critical review of the manuscript.

Cristiane Ferreira Rallo de Almeida 0000-0002-8525-344X

Approval of the final version of the manuscript, study design and planning, preparation and writing of the manuscript, critical literature review, critical review of the manuscript.

Danilo Olavarria D’Aquino 0009-0002-3767-591X

Data collection, analysis, and interpretation, intellectual participation in propaedeutic and/or therapeutic conduct of studied cases, critical review of the manuscript.

Caio Leal Carvalho 0009-0005-7919-7188

Data collection, analysis, and interpretation, intellectual participation in propaedeutic and/or therapeutic conduct of studied cases.

www.surgicalcosmetic.org.br/

Acne da mulher adulta: prevalência e fatores de risco em uma amostra da população brasileira

Acne in adult women: prevalence and risk factors in a sample of the Brazilian population

Artigo Original

Autores:

Eloana Pasqualin Lange1

Gabriela Roncada Haddad1

Raul Pansardis Sampaio2

Pedro Coltro Estella2

Juliano Vilaverde Schmitt1

DOI: http://www.dx.doi.org/10.5935/scd1984-8773.2025170363

RESUMO

INTRODUÇÃO: A acne da mulher adulta (AMA) afeta mulheres com mais de 25 anos. Apesar de não haver dados sólidos na literatura brasileira, acredita-se que fatores genéticos, hormonais e ambientais contribuam para sua patogênese.

OBJETIVO: Avaliar a prevalência da AMA e seus possíveis fatores de risco em uma amostra da população brasileira.

MÉTODOS: Estudo de investigação clínica do tipo transversal com 258 mulheres, estratificadas por raça e idade de acordo com a população brasileira (censo 2010), entre 25 e 55 anos, que avaliou suas informações demográficas, clínicas, psicológicas e fatores de exposição.

RESULTADOS: A queixa de acne esteve presente em 41,1% das pacientes, variando de 15% entre 50 e 55 anos a 60% entre 25 e 29 anos. Ao exame, 36,6% das mulheres apresentavam lesões. Setenta por cento dos casos de acne persistiram desde a adolescência, e 13,2% estavam em tratamento. A acne correlacionou-se significativamente com idade, raça, idade da menarca, hirsutismo, tabagismo, pele oleosa e uso de maquiagem (p < 0,05).

CONCLUSÕES: A acne foi um problema prevalente, principalmente antes dos 40 anos de idade, esteve mais associada a raças negra e parda, sinais clínicos de hiperandrogenismo e uso de maquiagem, porém inversamente associada ao tabagismo.

Palavras-chave: Acne Vulgar; Adulto; Hiperandrogenismo.

ABSTRACT

INTRODUCTION: Adult female acne (AFA) affects women over 25 years old. Although there are no solid data in the Brazilian literature, genetic, hormonal, and environmental factors are believed to contribute to its pathogenesis.

OBJECTIVE: To assess the prevalence of AFA and its possible risk factors in a sample of the Brazilian population.

METHODS: A cross-sectional clinical study was conducted with 258 women aged 25 to 55 stratified by race and age according to the Brazilian population (2010 census). The study analyzed their demographic, clinical, psychological, and exposure-related information.

RESULTS: Acne complaints were reported by 41.1% of participants, ranging from 15% in those aged 50–55 to 60% in those aged 25–29. Clinical examination confirmed lesions in 36.6% of women. In 70% of cases, acne had persisted since adolescence, and 13.2% of participants were undergoing treatment. Acne was significantly associated with age, race, age at menarche, hirsutism, smoking, oily skin, and makeup use (p<0.05).

CONCLUSIONS: Acne was a prevalent issue, especially before age 40, and was more common in Black and mixed-race individuals, those with clinical signs of hyperandrogenism, and makeup users. However, it was inversely associated with smoking.

Keywords: Acne Vulgaris; Adult; Hyperandrogenism.

1 Universidade Estadual Júlio de Mesquita Filho, Departamento de Infectologia, Dermatologia, Diagnóstico por Imagem e Radioterapia da Faculdade de Medicina de Botucatu, Botucatu (SP), Brasil

2 Faculdade de Medicina de Botucatu – Universidade Estadual Júlio de Mesquita Filho, Botucatu (SP), Brasil

Correspondência:

Eloana Pasqualin Lange E-mail: eloanalange@hotmail.com /eloana.lange@unesp.br

Fonte de financiamento: Nenhuma. Conflito de interesses: Nenhum.

Data de Submissão: 07/04/2024 Decisão final: 06/06/2024

Como citar este artigo: Lange EP, Haddad GR, Sampaio RP, Estella PC, Benedito BA, Schimitt JV. Acne da mulher adulta: prevalência e fatores de risco em uma amostra da população brasileira. Surg Cosmet Dermatol. 2025;17:e20250363.

INTRODUÇÃO

A acne é considerada uma doença crônica da unidade pilossebácea, e sua alta prevalência entre os adolescentes já é amplamente documentada ao redor do mundo.1 Contudo, atualmente tem-se observado um aumento da relevância dessa condição entre mulheres com mais de 25 anos, podendo persistir de forma contínua ou intermitente desde a adolescência ou manifestar-se pela primeira vez nesse período.2 Estudos estimam que a prevalência de acne nas mulheres adultas inglesas e francesas seja, respectivamente, de 413 e 54%.4 Acredita-se que a acne da mulher adulta (AMA) persistente seja a forma mais comum, sendo reportada em 80% das mulheres adultas com acne.5

Os primeiros estudos sugeriram que as lesões da AMA estariam localizadas principalmente no terço inferior da face, incluindo as regiões mandibular, perioral e mento, conferindo um formato em U, além da região cervical anterior.6 Porém, essa localização clássica da AMA no terço inferior do rosto foi questionada por trabalhos que começaram a relatar lesões em outras áreas do rosto e corpo. Entre eles, um estudo europeu mostrou que a maioria das mulheres (89,8%) tinha envolvimento de várias áreas faciais, como a fronte, região malar, área mandibular e região temporal, com um espectro de gravidade semelhante à acne da adolescência.2 Esse estudo multicêntrico também apontou que a apresentação clínica mais comum foi acne facial mista, com lesões não inflamatórias e inflamatórias. A maioria das mulheres (93,7%) tinha comedões, e 48,4% apresentavam lesões no tronco e apenas 11,2% nas regiões mandibulares. E, notadamente, entre o grupo de mulheres com acne na área mandibular, a maioria reportou início das lesões na adolescência.2 Já outro estudo, americano, apontou a presença de lesões inflamatórias de intensidade leve a moderada, porém com poucos comedões ou microcistos fechados, reforçando também a ocorrência de hiperpigmentação pós-inflamatória, podendo ocorrer cicatrizes em 20% das mulheres afetadas.6

Devido à possível distinção clínica entre AMA e acne vulgar, novas escalas foram desenvolvidas para classificar diferentes graus de acometimento por acne e, assim, garantir o melhor tratamento. As mais comumente conhecidas seriam a escala GEA (Global Evaluation Acne) e AFAST (Adult Female Acne Scoring Tool), que inclui avaliação da região submandibular.7,8 Como a acne persistente é uma continuação da acne na adolescência e é a forma clínica mais frequente, assumiu-se que a AMA apresenta fatores patogênicos semelhantes à acne vulgar. Porém, as causas da acne após a adolescência ainda necessitam ser elucidadas, havendo significativos indícios do papel do hiperandrogenismo, entre outros fatores.9,10

Em busca das causas da AMA ainda não elucidadas, um estudo multicêntrico com 15 países, que não incluía o Brasil, postulou algumas hipóteses para a AMA, entre elas: histórico pessoal de acne na adolescência (75%), histórico familiar de primeiro grau (56,8%), estresse psicológico moderado (83,2%) e tabagismo (24,8%).2 Os andrógenos desempenham um papel fundamental na produção de sebo, isso é apoiado pelas observações

de que pacientes insensíveis a andrógenos não têm produção de sebo detectável e pelo fato de que a produção de sebo diminui em resposta à administração de estrogênio e antiandrogênicos. Por outro lado, a administração de testosterona a homens e mulheres adultos aumenta a produção de sebo e, consequentemente, oaparecimento de lesões acneicas.11

O consumo de alimentos com alto índice glicêmico e derivados do leite tem sido apontado como agravador de acne, pois aumenta os níveis de insulina e fator de crescimento semelhante à insulina (IGF-1), que estimulam a produção de andrógenos.12 Sabe-se que o estresse psicológico estimula a produção de citocinas pró-inflamatórias que elevam os níveis de cortisol, e um estudo já o apontou como fator agravante em 50% das pacientes com acne.4

Sabe-se que a acne vulgar está entre as doenças que mais causam morbidade psiquiátrica entre os pacientes com doenças cutâneas. Um estudo estimou que 21,9% das pacientes em seguimento por acne apresentavam alguma desordem psiquiátrica.13 E, aparentemente, a acne após os 25 anos resulta em maior sofrimento relacionado à aparência e maior impacto na qualidade de vida quando comparada a acne na adolescência.9,14

Apesar da importância e da presença crescente da AMA no cotidiano do médico dermatologista, ainda não há estudo direcionado a estimar a prevalência da doença no Brasil, tampouco seus fatores de risco. Considerando que os estudos de prevalência são importantes no dimensionamento do sistema de saúde, na identificação de grupos susceptíveis e na possibilidade de explorar modelos de fisiopatologia e orientações mais precisas aos pacientes, este estudo visa determinar a prevalência da AMA em uma amostra estratificada da população brasileira feminina e encontrar associação entre fatores demográficos, clínicos, ambientais e a prevalência da AMA.

MÉTODOS

Foi realizado um estudo do tipo transversal, aprovado pelo Comitê de Ética em Pesquisa em setembro de 2021, sob onúmero de parecer 4.962.888. O tamanho amostral, de 258 mulheres, foi previamente calculado de maneira a permitir uma

Brancas Pardas Negras Amarelas

25–29 24 23 4 1

30–34 24 22 4 1

35–39 21 19 3 0

40–44 20 18 3 0

45–49 18 17 3 0

50–54 16 15 2 0

As entrevistas foram realizadas entre setembro de 2021 e setembro de 2022.

Quadro 1: Distribuição das 258 mulheres estratificadas por idade e raça de acordo com o censo do IBGE 2010

Surg Cosmet Dermatol. 2025;v.17: n.1 jan-mar. p.87-93.

análise exploratória multivariada com até 15 variáveis independentes segundo o método de Freeman e intervalo de confiança de 95% de ± 5% na prevalência total de acne detectada. Também foi estratificado quanto à idade (25-29, 30-34, 35-39, 40-44, 4549, 50-54) e raça (brancas, pardas, negras e amarelas), de acordo com a proporção da população brasileira baseada no Censo de 2010, realizado pelo Instituto Brasileiro de Geografia e Estatística (IBGE).

A amostragem foi avaliada em um município do interior do estado de São Paulo (SP), nas dependências de apenas um grande centro público de saúde. Foram recrutadas alunas, acompanhantes de pacientes, funcionárias, mulheres que na ocasião frequentavam o centro de estudo, ou seja, uma amostragem por conveniência.

Foram incluídas mulheres com idade maior ou igual a 25 anos e menor ou igual a 55 anos que se enquadraram na amostra estratificada e que, após consentimento livre e esclarecido, concordaram em participar do projeto. Foram excluídas do estudo gestantes, lactantes ou que, na ocasião da abordagem, compareceram ao centro de estudo para consulta dermatológica, visando evitar o viés de seleção.

As participantes responderam a um questionário que avaliou a presença de queixa de acne no momento da entrevista por meio da pergunta “Acredita que tem problema com acne?” e também fatores demográficos e antropométricos (idade, peso, altura, raça, medida da circunferência abdominal); fatores de exposição (tabagismo, etilismo, uso de medicamentos, alimentação); hormonais (hirsutismo avaliado pela escala de Ferriman, uso de contraceptivos hormonais, idade de menarca e menopausa, número de gestações). Além disso, foi aplicada a Escala hospitalar de ansiedade e depressão (Hospital Anxiety and Depression Scale – HADS), Escala de estresse percebido (EPS-10) e Cardiff Acne Disability Index (CADI) adaptada para a língua portuguesa. Também se realizou uma avaliação das lesões da face e pescoço para classificação da gravidade da AMA com base na escala AFAST (Adult Female Acne Scoring Tool).

Após a organização dos dados em planilhas do programa Microsoft Office Excel 365, foi avaliada a prevalência de queixa

de acne e sua associação com as variáveis estudadas de forma bivariada. As variáveis que apresentaram p ≤ 0,3 nas análises bivariadas foram incluídas no modelo multivariado final. As variáveis contínuas foram analisadas bivariadamente pelos testes paramétrico t de Student e não paramétrico Mann-Whitney, dependendo da normalidade das distribuições, avaliada pelo teste de Shapiro-Wilk. As variáveis categóricas foram comparadas pelos testes de qui-quadrado ou exato de Fisher, de acordo com o menor número de eventos obtido em cada análise. As correlações foram analisadas pelo teste de Spearman. A análise multivariada foi realizada com modelo linear generalizado com distribuição binomial e função de ligação logística tendo como variável dependente a presença de queixa de acne. Dados categóricos foram apresentados absolutamente e por percentual, e dados quantitativos foram representados por média de desvio padrão, ou mediana e quartis de acordo com a normalidade dos mesmos. Os dados foram analisados em IBM SPSS 25.0. Foi considerado significativo p < 0,05 bicaudal.

RESULTADOS

Nessa casuística de 258 mulheres, a queixa de acne esteve presente em 41,1% (IC 95%: 35,3% a 46,1%) delas, variando de 60% entre 25 e 29 anos a 15% entre 50 e 55 anos (Gráfico 1). No momento do exame, 36,6% das mulheres apresentavam lesões acneicas. Setenta por cento das pacientes que referiam acne atualmente persistiam com o problema desde a adolescência e 26,6% estavam em tratamento (Gráfico 2).

Para 69% da amostra, acne atualmente não era um problema relevante; para 28%, era um problema menor; e para 3%, um problema maior. As mulheres que referiam ter acne tendiam a ser mais jovens (mediana 34; p25-p75: 28-39) do que as que não referiam acne (mediana 41; p25-p75: 34-48) (p < 0,01; teste de Mann-Withney).

A queixa de acne também esteve associada à raça, sendo significativamente mais prevalente entre mulheres negras e pardas (Tabela 1). Dados como índice de massa corporal (IMC) e medida da circunferência abdominal não tiveram associação significativa com queixa de acne, porém, entre os dados gine-

Gráfico 1: Prevalência de queixa de acne por faixa etária (N = 258)
Gráfico 2: Evolução da acne ao longo da vida (N = 258)

Características

Raça

Tabela 1: Associação entre as variáveis estudadas e queixa de acne em 258 mulheres

(anos)*

Índice de massa corporal*

Cintura (cm)*

menarca (anos)*

por semana que consome leite* 4 (3-7) 6 (2-7)

Consome suplementos alimentares para exercício 8 (7,6) 7 (4,6)

Dias por semana que consome chocolate* 1,5 (0-4) 1 (0-2) - < 0,01

Dias por semana que consome Fast food* 1 (0-2) 1 (0-1) - < 0,01 0,08

Consome açúcar 94 (88,7) 129 (84,9) 1,04 (0,95 a 1,15) 0,38Consome adoçante 19 (17,9) 38 (25) 0,72 (0,44 a 1,17) 0,18 0,18 Fumante 9 (8,5) 27 (17,8)

(0,23 a 0,97) 0,03 < 0,01

Dias por semana que consome álcool* 0 (0-1) 0 (0-1) - 0,63 -

Idade de início da acne* 14 (12-15) 14 (13-15) - 0,79 -

Já utilizou isotretinoína oral 12 (11,3) 5 (3,3)

História familiar de acne

Pele oleosa

(82,1) 87 (57,2) 1,43 (1,22 a 1,69) < 0,01 0,01

Lavagens do rosto por dia* 2 (2-3) 2 (2-3) - 0,94 -

Horas de exposição ao sol por semana* 4 (2-7) 5 (2-8)

Utiliza filtro solar regularmente

(55,7) 82 (54)

(0,82 a 1,29) 0,79 -

Dias por semana que utiliza maquiagem* 1 (0-2) 0 (0-1) - < 0,01 0,01

Horas de uso de máscara por dia* 8 (5-10) 8 (2-9) - 0,15 0,51

Tipo máscara que usa

Cirúrgica

Pano 38 (35,9) 60 (39,5) - - -

Gravidade da acne* 1 (0-2) 0 (0-0) - < 0,01 -

Gravidade acne submandibular* 0 (0-1) 0 (0-0) - < 0,01 -

Escala de Cardiff acne* 2 (1-4) 0,5 (0-1) - < 0,01 -

HADS Ansiedade* 9 (5-12) 7 (3-11) - < 0,01 0,23

HADS Depressão* 5 (2-7) 5 (2-8)

Estresse percebido* 22 (18-25) 18 (13-25) - < 0,01 0,41 * Teste de Mann-Withney, mediana (p25-p75). † Modelo linear generalizado com distribuição binomial e função de ligação logística. Incluindo variáveis com p ≤ 0,30 nas análises bivariadas. HADS = Escala de ansiedade e depressão; RP = razão de prevalência.

Surg Cosmet Dermatol. 2025;v.17: n.1 jan-mar. p.87-93.

cológicos, a idade da menarca mais precoce esteve associada à queixa de acne, ao contrário da irregularidade menstrual, que não se associou com a queixa de acne (Tabela 1).

O menor número de gestações apresentou associação por análise bivariada com a queixa de acne, indicando um possível fator confundidor, possivelmente relacionado à idade das pacientes, visto que as pacientes mais jovens provavelmente possuíam menor número de gestações.Também se notou que, entre as mulheres que não referiam acne, 15,8% já estavam na menopausa, contra 4,7% das que tinham acne, mostrando uma associação da ausência de queixa de acne com a menopausa de acordo com análise bivariada.

O hirsutismo, definido pela Escala de Ferriman com pontuação maior que 8, esteve fortemente associado à queixa de acne com uma prevalência de 11,3% contra 2,6% entre as mulheres com e sem acne, respectivamente.

Fatores dietéticos como restrições alimentares, consumo de leite, suplementos alimentares, uso de açúcar ou adoçante não apresentaram correlação significativa com a acne. Porém, o consumo de chocolates e fast food apresentaram associação estatística apenas em análise bivariada, sugerindo um viés relacionado aos hábitos alimentares associados à idade dessas mulheres. A história familiar de acne não se associou significativamente com o relato de AMA. Já o uso prévio de isotretinoína esteve presente em 17 pacientes e, entre essas, 12 possuíam acne na vida adulta.

Oitenta e dois por cento das pacientes com acne relataram pele oleosa, contra 57% das pacientes sem acne atual. O mais frequente uso de maquiagem associou-se significativamente com a queixa de acne.

Informações como frequência de lavagens do rosto, horas de exposição ao sol por semana e uso de protetor solar não apresentaram correlação com acne. Como este trabalho foi realizado em meio à pandemia de covid-19, incluímos em nosso questionário perguntas sobre o uso de máscaras, porém o uso não teve correlação com acne.

A autopercepção das pacientes sobre possuir AMA apresentou correlação significativa com a avaliação clínica da gravidade da acne, incluindo a acne submandibular, pela escala AFAST (Gráficos 3 e 4).

Em relação ao impacto psicossocial, as escalas de estresse percebido e ansiedade apresentaram correlação com a percepção de acne em análise bivariada, mas a escala de depressão não. Sobre o predomínio de lesões na avaliação clínica, a prevalência foi de lesões retencionais (39%), seguidas de padrões mistas (32%) e inflamatórias (29%). A gravidade da acne facial e submandibular associou-se ao impacto da doença na qualidade de vida, avaliado pela escala de Cardiff, entre as mulheres com queixa de acne (p = 0,02 e p < 0,01; Teste de Spearman).

DISCUSSÃO

A prevalência geral de AMA em nossa população foi de 41,1%, semelhante ao observado nas mulheres adultas inglesas3 e francesas4 variando entre as faixas etárias: 25 a 29 anos (60%) e 50 a 55 anos (15%). A mediana de idade das mulheres com acne foi de 34 anos, semelhante à observada por um estudo brasileiro que avaliou prontuários de pacientes com AMA (33,9).15 No momento do exame, 36,6% das entrevistadas apresentavam lesões acneicas. As lesões mais prevalentes eram as retencionais (39%), seguidas de padrões mistos (32%) e lesões inflamatórias (29%), diferentemente do mesmo estudo brasileiro, relatado acima, em que a classificação clínica predominante foi a inflamatória moderada15 e do descrito por Dréno et al. em 2015, que apontou uma predominância de acne mista (tanto lesões inflamatórias quanto não inflamatórias presentes), referindo uma minoria de 6,4% com lesões apenas inflamatórias e 17,1% com acne apenas comedoniana.2

O maior uso de maquiagem foi relacionado à presença de queixa acne, porém mais estudos são necessários para definir se há correlação de causalidade ou se as pacientes com acne utilizam produtos cosméticos como camuflagem das lesões. Comparativamente com trabalho multicêntrico, a maioria das pacientes com acne (70,7%) reportou o uso de cosméticos para camuflar as lesões. O uso de cosméticos foi associado significativamente com maior gravidade de acne.2 A maioria das mulheres que referiu acne em nosso estudo também relatava pele oleosa (82,1%), o que é concordante com um estudo multicêntrico com mulheres com AMA, no qual a hiperseborreia foi observada em 72,2% das mulheres.2

Gráfico 3: Gravidade de acne facial (N = 258)
Gráfico 4: Gravidade de acne submandibular (N = 258)

O hirsutismo, avaliado pela escala de Ferriman, esteve presente em 11,3% das mulheres que referiam acne. Este e outros sinais androgênicos também foram relatados em estudo multicêntrico com proporções semelhantes (10,8%) em mulheres com AMA; em sua avaliação, foram incluídos, em ordem de frequência, alopecia, hirsutismo e acantose nigricans.2 O hirsutismo pode ser um dado sensível para avaliar possíveis desordens hormonais, visto que é um dos sinais mais associados com irregularidade menstrual (31,4%).2 A irregularidade menstrual não apresentou correlação com a presença de AMA em nosso estudo, porém, algumas mulheres apresentavam regularidade por estarem em uso de algum anticoncepcional hormonal, representando um possível fator de confusão. Embora, comparativamente com estudo multicêntrico de referência, tal achado de irregularidade também não tenha sido observado significativamente nas pacientes com AMA, pois 81,0% possuíam ciclos menstruais regulares.2 Identificamos uma associação significativa inversa entre idade da menarca e queixa de acne, sendo que mulheres com menores idades de menarca apresentavam mais queixas. Não é possível excluir vieses de memória nesta avaliação, porém, estudos prévios observaram risco maior de síndrome metabólica e resistência à insulina entre mulheres com menarca mais precoce. Corroborando tais achados, na nossa amostra, houve uma correlação inversa significativa entre IMC e idade da menarca (Rho = -0,16, p = 0,01; teste de Spearman), no entanto, não identificamos outros estudos que verificaram diretamente a relação entre idade da menarca e acne na mulher adulta, apesar de sugerir-se uma correlação dessa variável com características metabólicas e hormonais.16

Em nossa análise, índices elevados na escala de estresse percebido (EPS) estiveram relacionados com AMA em análise bivariada. Tal associação já foi previamente descrita associando estresse no trabalho com acne mais grave em mulheres. As mulheres com acne localizada também eram mais propensas a relatar níveis mais altos de estresse e a ter um trabalho psicologicamente estressante.2 Porém, vale ressaltar que não houve correlação da queixa de acne com ansiedade em análise multivariável, nem com depressão, o que sugeriria um impacto psiquiátrico menor quando comparado a desordens pigmentares como o melasma, que já possui correlação bem estabelecida com ansiedade e depressão.13,17

No nosso estudo, o tabagismo esteve inversamente associado com a queixa de AMA, mesmo quando ajustado pelas

REFERÊNCIAS:

1. Ghodsi SZ, Orawa H, Zouboulis CC. Prevalence, severity, and severity risk factors of acne in high school pupils: a community-based study. J Invest Dermatol. 2009;129(9):2136–41.

2. Dréno B, Thiboutot D, Layton AM, Berson D, Perez M, Kang S. Large-scale international study enhances understanding of an emerging acne population: adult females. J Eur Acad Dermatol Venereol. 2015;29(6):1096–106.

demais variáveis. A queixa de acne foi duas vezes mais frequente entre as não fumantes. Já na avaliação clínica da face, apenas 22,2% das fumantes apresentavam lesões de acne, contra 38,7% das não fumantes (p = 0,06; teste de qui-quadrado). O estudo da relação entre tabagismo e acne tem resultados contraditórios, porém, acredita-se que o tabagismo favorece a formação de lesões retencionais, enquanto teria um papel diminuindo a seborreia. O efeito do tabagismo sobre as glândulas sebáceas pode estar mediado pelos receptores de aril-hidrocarbonetos (AhR). A fumaça do cigarro apresenta fortes ativadores desse receptor, estimulando a via das dioxinas. Nos sebócitos, essa ativação leva a atrofia glandular e queratinização do ducto da glândula, com aumento na expressão de citoqueratina.10 Essa combinação de efeitos pode ter papel contraditório sobre a acne da mulher adulta, por um lado aumentando a formação de lesões retencionais e, por outro, reduzindo a seborreia.18,19 Somando-se a isso, um estudo que avaliou 27 mil homens jovens identificou uma associação inversa entre tabagismo e acne grave, sendo que sugerem um possível efeito anti-inflamatório da nicotina nesses pacientes.20

Entre as pacientes que possuíam AMA, 70% persistiam com o problema desde a adolescência, o que já havia sido relatado por outro trabalho brasileiro que reportou 80% de acne persistente. Esse achado sugere a necessidade de acompanhamento regular de mulheres adolescentes com acne, mesmo durante o início da vida adulta, assim como estudos para identificar fatores de risco preditivos para a persistência dessa doença.5 Apesar de avaliarmos apenas um centro de estudo, acreditamos que apresentamos, em nosso trabalho, uma parcela representativa da população feminina brasileira, por havermos estratificado nossa amostra por idades e raças, de acordo com o censo do IBGE. Porém, reconhecemos que um estudo multicêntrico e com maior número amostral será necessário para confirmar os nossos resultados.

CONCLUSÃO

Em uma amostra estratificada de mulheres adultas da população brasileira a acne foi um problema prevalente (41,1%), principalmente antes dos 40 anos de idade, porém, geralmente de menor gravidade, sendo que a grande maioria dos casos ocorre como persistência da acne na adolescência. A queixa de acne correlacionou-se independentemente às raças negra e parda, hirsutismo, idade da menarca mais precoce, pele oleosa e uso de maquiagem e esteve inversamente associada ao tabagismo e à idade. l

3. Goulden V, Stables GI, Cunliffe WJ. Prevalence of facial acne in adults. J Am Acad Dermatol. 1999;41(4): 577-80.

4. Poli F, Dreno B, Verschoore M. An epidemiological study of acne in female adults: results of a survey conducted in France. J Eur Acad Dermatol Venereol. 2001;15(6):541-5.

5. Schmitt JV, Masuda PY, Miot HA. Padrões clínicos de acne em mulheres de diferentes faixas etárias. An Bras Dermatol. 2009;84(4):349-54.

Surg Cosmet Dermatol. 2025;v.17: n.1 jan-mar. p.87-93.

6. Chaowattanapanit S, Silpa-archa N, Kohli I, Lim HW, Hamzavi I. Post inflammatory hyperpigmentation: a comprehensive overview: treatment options and prevention. J Am Acad Dermatol. 2017;77(4): 607-21.

7. Dréno B, Poli F, Pawin H, Beylot C, Faure M, Chivot M, et al. Development and evaluation of a Global Acne Severity Scale (GEA Scale) suitable for France and Europe. J Eur Acad Dermatol Venereol. 2011;25(1):43-8.

8. Auffret N, Claudel JP, Leccia MT, Poli F, Farhi D, Dréno B. AFAST -Adult Female Acne Scoring Tool: an easy-to-use tool for scoring acne in adult females. J Eur Acad Dermatol Venereol. 2016;30(5):824-8.

9. Williams C, Layton AM. Persistent acne in women implications for the patient and for therapy. Am J Clin Dermatol. 2006;7(5): 281-90.

10. Rivera R, Guerra A. Management of acne in women over 25 years of age. Actas Dermosifiliogr. 2009;100(1):33–7.

11. Giltay EJ, Gooren LJG, Giltay EJ. Effects of sex steroid deprivation/administration on hair growth and skin sebum production in transsexual males and females. J Clin Endocrinol Metab. 2000;85(8):2913-21.

12. Melnik BC, Zouboulis CC. Potential role of FoxO1 and mTORC1 in the pathogenesis of western diet-induced acne. Exp Dermatol. 2013;22 (5):311-5.

13. Picardi A, Abeni D, Renzi C, Braga M, Puddu P, Pasquini P. Increased psychiatric morbidity in female outpatients with skin lesions on visible parts of the body. Acta Derm Venereol. 2001;81(6):410-4.

14. Kokandi A. Evaluation of acne quality of life and clinical severity in acne female adults. Dermatol Res Pract. 2010;2010:410809.

15. Addor FA, Schalka S. Acne in adult women: epidemiological, diagnostic and therapeutic aspects. An Bras Dermatol. 2010;85(6):789-95.

16. Paz MR, Mendoza BMT, Castillo NT. Age of the onset of menarche and its complications: a literature review. Int J Gynaecol Obstet. 2023;162(1):244-255.

17. Espósito MCC, Espósito ACC, Jorge MFS, D’Elia MPB, Miot HA. Depression, anxiety, and self-esteem in women with facial melasma: an internet-based survey in Brazil. Int J Dermatol. 2021;60(9):e346-7.

18. Kitamura M, Kasai A. Cigarette smoke as a trigger for the dioxin receptor- mediated signaling pathway. Cancer Lett. 2007;252(2): 184–94.

19. Ju Q, Fimmel S, Hinz N, Stahlmann R, Xia L, Zouboulis CC. 2,3,7,8- Tetrachlorodibenzo-p-dioxin alters sebaceous gland cell differentiation in vitro. Exp Dermatol. 2011;20(4):320-5.

20. Klaz I, Kochba I, Shohat T, Zarka S, Brenner S. Severe acne vulgaris and tobacco smoking in young men. J Invest Dermatol. 2006;126(8):1749–52.

CONTRIBUIÇÃO DOS AUTORES:

Eloana Pasqualin Lange 0000-0002-9576-5625

Aprovação da versão final do manuscrito, concepção e planejamento do estudo, elaboração e redação do manuscrito, obtenção, análise e interpretação dos dados, participação intelectual em conduta propedêutica e/ou terapêutica de casos estudados, revisão crítica da literatura, revisão crítica do manuscrito

Gabriela Roncada Haddad 0000-0002-7516-9586

Aprovação da versão final do manuscrito, concepção e planejamento do estudo, participação efetiva na orientação da pesquisa, revisão crítica da literatura, revisão crítica do manuscrito.

Raul Pansardis Sampaio 0000-0001-9889-5938

Aprovação da versão final do manuscrito, obtenção, análise e interpretação dos dados, participação intelectual em conduta propedêutica e/ou terapêutica de casos estudados.

Pedro Coltro Estella 0000-0003-3140-6911

Aprovação da versão final do manuscrito, concepção e planejamento do estudo, obtenção, análise e interpretação dos dados, participação intelectual em conduta propedêutica e/ou terapêutica de casos estudados.

Beatriz Antunes Benedito 0009-0001-2240-305X

Aprovação da versão final do manuscrito, concepção e planejamento do estudo, obtenção, análise e interpretação dos dados, participação intelectual em conduta propedêutica e/ou terapêutica de casos estudados.

Juliano Vilaverde Schmitt 0000-0002-7975-2429

Análise estatística, aprovação da versão final do manuscrito, concepção e planejamento do estudo, obtenção, análise e interpretação dos dados, participação efetiva na orientação da pesquisa, participação intelectual em conduta propedêutica e/ou terapêutica de casos estudados, revisão crítica da literatura, revisão crítica do manuscrito.

www.surgicalcosmetic.org.br/

Resultados do tratamento de câncer de pele facial usando retalhos locais no Hospital de Oncologia da Cidade de Can Tho de 2021 a 2023

Results of facial skin cancer treatment using local skin flaps at Can Tho City Oncology Hospital from 2021 to 2023

Artigo Original

Autores:

Du Van Truong1

Lam Van Nguyen1

Nam Ky Nguyen2

Luat Thao Huynh3 Mai Huynh Truc Phuong1

1 Can Tho University of Medicine and Pharmacy, Department of Medicine, Can Tho, Vietnã

DOI: http://www.dx.doi.org/10.5935/scd1984-8773.2025170368

RESUMO

INTRODUÇÃO: A cirurgia reconstrutiva continua sendo o principal método de tratamento do câncer de pele facial, visando tanto a restauração anatômica quanto a estética. Muitos cirurgiões preferem o uso de retalhos locais para a reconstrução facial.

OBJETIVO: Descrever as características clínicas e subclínicas do câncer de pele facial e avaliar os resultados do tratamento com retalhos locais.

MÉTODOS: Estudo transversal descritivo com intervenção clínica, sem grupo controle, realizado com 84 pacientes diagnosticados com câncer de pele facial e atendidos no Hospital de Oncologia da Cidade de Can Tho entre maio de 2021 e abril de 2023.

RESULTADOS: Os resultados foram avaliados durante a internação e 6 meses após a cirurgia. Dos 84 pacientes, 68 apresentavam carcinoma basocelular e 16 tinham carcinoma espinocelular. O nariz foi o local mais frequentemente tratado, com 43 casos. Lesões menores que 2 cm corresponderam a 70,2% dos casos. Após 6 meses, 65 dos 84 pacientes (77,4%) apresentavam cicatrizes mínimas e disfarçáveis, resultando em uma taxa de sucesso estético de 73,8%.

CONCLUSÕES: Os principais fatores que influenciam os resultados cirúrgicos incluem a experiência do cirurgião, a localização e o tamanho da lesão, a extensão da invasão tumoral e a elasticidade da pele.

Palavras-chave: Dermatoses Faciais; Retalhos Cirúrgicos; População do Sudeste Asiático.

ABSTRACT

BACKGROUND: Reconstructive surgery remains the primary approach for treating facial skin cancer, aiming to restore both anatomy and aesthetics. Local flaps are commonly preferred for facial reconstruction.

OBJECTIVE: To describe the clinical and subclinical characteristics of facial skin cancer and evaluate treatment outcomes using local flaps.

METHODS: A descriptive cross-sectional study with clinical intervention, without a control group, was conducted on 84 patients diagnosed with facial skin cancer and treated at Can Tho City Oncology Hospital from May 2021 to April 2023.

RESULTS: Outcomes were assessed during hospitalization and 6 months postoperatively. Among the 84 patients, 68 had basal cell carcinoma, and 16 had squamous cell carcinoma. The nose was the most frequently treated site, accounting for 43 cases. Lesions smaller than 2 cm comprised 70.2% of cases. After 6 months, 65 out of 84 flap sites (77.4%) exhibited minimal scarring that could be concealed, with an aesthetic success rate of 73.8%.

CONCLUSIONS: Key factors influencing surgical outcomes include the surgeon’s experience, lesion location and size, tumor invasion extent, and skin elasticity.

Keywords: Facial Dermatoses; Surgical Flaps; Southeast Asian People.

2 Can Tho University of Medicine and Pharmacy, Department of Pharmacology and Clinical Pharmacy, Can Tho, Vietnã

3 Can Tho Oncology Hospital, Can Tho, Vietnã

Correspondência:

Lam Van Nguyen E-mail: nvlam@ctump.edu.vn

Fonte de financiamento: Nenhuma. Conflito de interesses: Nenhum.

Data de Submissão: 28/04/2024

Decisão final: 28/08/2024

Como citar este artigo: Truong DV, Nguyen LM, Nguyen NK, Huynh LT, Phuong MHT. Resultados do tratamento de câncer de pele facial usando retalhos de pele tópicos no Hospital de Oncologia da Cidade de Can Tho de 2021 a 2023. Surg Cosmet Dermatol. 025;17:e20250368.

INTRODUÇÃO

O câncer de pele é comumente tratado com cirurgia ou quimioterapia, especialmente em casos avançados. No entanto, além do controle da doença, há uma necessidade crescente de considerar as questões estéticas. O câncer de pele facial não apenas compromete estruturas anatômicas essenciais, mas também afeta significativamente a aparência. Infelizmente, sua incidência está aumentando em muitos países.

A correção cirúrgica de defeitos nos tecidos moles faciais envolve três desafios principais: a remoção completa do tumor para minimizar o risco de recorrência, a prevenção ou correção de déficits funcionais decorrentes da excisão do tumor e a reconstrução do defeito com o objetivo de alcançar o melhor resultado estético possível.1 O tratamento do câncer de pele facial no Vietnã e em muitos outros países ainda envolve excisão ampla seguida de reconstrução da área afetada.2

Um dos métodos mais utilizados para reconstrução facial é a técnica de retalho local, que apresenta diversas vantagens, como a abundância de vasos sanguíneos, a possibilidade de deslocamento do retalho por distâncias consideráveis, um pedículo vascular longo e estreito, em comparação com os retalhos cutâneos convencionais, e uma qualidade de cobertura que se ajusta à espessura e à cor do tecido da área do defeito. Além disso, ele pode ocultar cicatrizes cirúrgicas nas rugas da pele, tornando-se uma abordagem amplamente utilizada na maioria dos casos.

No Hospital de Oncologia da Cidade de Can Tho, o tratamento do câncer de pele facial é realizado desde sua fundação, em outubro de 2007. A maioria dos pacientes chega à clínica com lesões extensas que comprometem significativamente sua aparência, dificultando a reconstrução do defeito. Apesar do número considerável de internações para o tratamento do câncer de pele facial (119 casos em 2019 e 125 casos em 2020), poucos estudos avaliaram e monitoraram de forma abrangente os métodos de reconstrução após a remoção do tumor. Por isso, este estudo foi conduzido para avaliar os resultados do tratamento do câncer de pele facial utilizando a técnica de retalho local.

MÉTODOS

Este foi um estudo descritivo transversal com intervenção clínica, sem grupo controle, conduzido com uma amostra de 84 pacientes. O estudo foi realizado de maio de 2021 a abril de 2023 no Departamento de Cirurgia I do Hospital de Oncologia da Cidade de Can Tho,Vietnã.

Foram incluídos pacientes com diagnóstico confirmado de câncer de pele facial por exame histopatológico e com defeitos cirúrgicos elegíveis para reconstrução com retalhos locais. Apenas aqueles que forneceram consentimento informado foram incluídos. Pacientes com diagnóstico de sarcoma, linfoma ou câncer de pele anexial foram excluídos devido às características histopatológicas distintas dessas neoplasias.

Procedimento técnico para ressecção e modelagem de tumor

Antes da cirurgia, é realizado um exame clínico para de-

terminar a localização e o tamanho da lesão e revisar o histórico médico do paciente. Fatores que influenciam o processo de reconstrução, incluindo considerações estéticas, elasticidade da pele e o envolvimento de estruturas anatômicas críticas, são avaliados. O plano de tratamento é explicado detalhadamente ao paciente. Caso haja suspeita de invasão tumoral abaixo da pele, é realizada uma tomografia computadorizada, enquanto uma ressonância magnética é utilizada para avaliar uma possível invasão óssea. As avaliações pré-operatórias incluem exames hematológicos de rotina, testes de função hepática e renal, dosagem de proteínas no sangue, análise de urina, radiografia de tórax, eletrocardiograma e ecocardiograma para avaliar o estado geral do paciente.

O procedimento cirúrgico envolve várias etapas. O comprimento e a largura da lesão são medidos, e suas margens e limites de ressecção são marcados com tinta. A margem de ressecção para carcinoma basocelular é determinada com base no tamanho da lesão e nos fatores de risco: 3 a 5 mm para lesões pequenas (menos de 2 cm) e 7 a 10 mm para lesões maiores ou de alto risco. Para o carcinoma de células escamosas, a margem de ressecção se estende de 5 a 15 mm além do limite visível do tumor, incluindo o halo eritematoso. O defeito é classificado como simples ou complexo para estabelecer um plano de reconstrução, que pode envolver uma ou mais etapas. O retalho é planejado para cobrir o defeito da maneira mais adequada, preservando as unidades estéticas. Durante a excisão, a linha de incisão é alinhada com as dobras naturais da pele sempre que possível. Amostras histológicas são coletadas das quatro bordas da pele, da base do tumor e do próprio tumor para análise patológica.

O acompanhamento pós-operatório concentra-se na avaliação da perfusão do retalho cutâneo, do processo de cicatrização e de possíveis complicações precoces até a alta hospitalar. As avaliações são baseadas nas opiniões do cirurgião, do clínico e do paciente. A documentação fotográfica é realizada em quatro momentos: antes da cirurgia, durante o procedimento, no pós-operatório e nas consultas de seguimento agendadas para 7 dias, 1 mês, 3 meses e 6 meses após a cirurgia. Os registros dos pacientes são mantidos, e informações complementares são obtidas por meio de telefonemas ou consultas presenciais. Os desfechos cirúrgicos são avaliados em três categorias: oncológica, funcional e estética. A avaliação oncológica verifica a margem de ressecção e monitora a recorrência local, regional ou distal. A avaliação funcional analisa o impacto da cirurgia na área operada e em estruturas adjacentes, identificando possíveis déficits funcionais. O resultado estético é classificado em três níveis: 1) Bom: Ausência de assimetria ou sinais visíveis de cirurgia plástica, ou presença apenas de cicatriz ou assimetria leve que não compromete significativamente a aparência facial; 2) Moderado: Assimetria perceptível ou leve distorção facial que não compromete gravemente a aparência; e 3) Ruim: Deformidade significativa ou cicatrizes que alteram visivelmente a aparência facial do paciente.

RESULTADOS

Características gerais

O estudo incluiu 84 pacientes com idades entre 26 e 92 anos, com uma idade média de 66,5 ± 0,2 anos. A proporção de pacientes do sexo feminino foi maior do que a de pacientes do sexo masculino, com uma razão feminino/masculino de 1,4. A maioria dos pacientes residia em áreas rurais (75%) e 52,4% tinham ocupações com exposição direta à luz solar.

A análise histopatológica identificou carcinoma basocelular em 66 pacientes e carcinoma espinocelular em 18. A localização mais comum dos tumores foi o nariz, afetando 51,2% dos pacientes, seguido pelas regiões da bochecha e dos olhos (ambas 15,5%), lábios (14,3%) e supercílios (3,5%). Lesões com até 2 cm representaram 70,2% dos casos. O tempo médio entre o início da lesão e a admissão hospitalar foi de 12 meses em 47 dos 84 pacientes (56%). A maioria dos pacientes (74 dos 84) foi diagnosticada nos estágios clínicos I ou II.

Os resultados do controle das margens mostraram que, em 66 casos de carcinoma basocelular, seis apresentaram pelo menos uma margem positiva após a excisão. No entanto, não foi observada recorrência durante o período de seguimento de 6 meses. Nos 18 casos de carcinoma de células escamosas excisados, todas as margens estavam livres de tumor, mas em dois casos houve recorrência.

Avaliação dos resultados do tratamento

Após 6 meses de seguimento, os resultados foram apresentados em duas tabelas: uma avaliando os resultados de curto prazo (1 a 3 meses) e a outra avaliando os resultados de longo

prazo (3 a 6 meses). A partir desses achados, foi desenvolvido um algoritmo de ressecção tumoral.

DISCUSSÃO

Dos 84 casos de câncer de pele facial estudados (66 casos de carcinoma basocelular, 18 casos de carcinoma espinocelular), 36 (42,9%) eram do sexo masculino e 48 (57,1%) do sexo feminino. A idade dos pacientes variou de 26 a 92 anos, com idade média de 66,5 ± 0,2 anos. Em pesquisas anteriores realizadas por Trinh Hung Manh, a média de idade era de 64,92 ± 0,1 anos, enquanto Duong Manh Chien encontrou uma média de idade de 68 ± 13,1 anos.1,3 A média de idade dos pacientes em todos os estudos foi bastante alta e a taxa de incidência aumentou gradualmente com a faixa etária.

A proporção entre mulheres e homens neste estudo foi de 34:50, com um número maior de mulheres. Isso pode ser explicado pelo fato de os homens serem menos propensos a inspecionar a pele e usar protetor solar, enquanto as mulheres tendem a procurar avaliação dermatológica ao primeiro sinal de lesão cutânea. Como resultado, os tumores potencialmente malignos são detectados mais precocemente nas mulheres. Estudos sugerem que as mulheres geralmente são mais proativas na proteção da pele contra a exposição solar, o que pode ajudar a reduzir os efeitos prejudiciais da radiação UV.10

O estudo constatou que 78,6% dos pacientes residiam em áreas rurais, onde a maioria trabalhava na agricultura, resultando em significativa exposição ao sol. A proporção de indivíduos que

Tabela 1: Avaliação dos resultados recentes à cirurgia plástica após a ressecção do tumor (n = 84)

Critérios

Tabela 2: Avaliação de outros resultados da cirurgia plástica após a excisão do tumor (n = 84)

A

D B E C F

Figura 1: A - Paciente do sexo feminino, 56 anos, com carcinoma basocelular na região do nariz e da bochecha, submetida à excisão do tumor e reconstrução com retalho local.

A - Condição pré-operatória; B, C - Estágios intraoperatórios; D - Aparência pósoperatória em 7 dias; E: Aparência pósoperatória em 1 mês; F - Aparência pósoperatória em 6 meses

trabalhavam ao ar livre era de 52,4%, inferior à pesquisa de Trinh Hung Manh, que foi de 80,9%.3 A exposição ao sol permanece como o principal fator de risco para UTD, com trabalhadores ao ar livre apresentando uma maior prevalência da doença. De acordo com David C. Whiteman, um estudo australiano revelou que indivíduos com ocupações externas tinham 5,5 vezes mais chances de desenvolver câncer de pele em comparação àqueles que trabalhavam em ambientes internos, e o tom de pele claro aumentava esse risco em até 10,5 vezes.11 Essa maior suscetibilidade pode ser explicada pela exposição prolongada a fatores de risco e pela defesa imunológica comprometida. Além disso, o estudo destaca que muitos pacientes podem não ter conhecimento sobre o carcinoma basocelular e o carcinoma espinocelular ou podem experienciar atrasos no diagnóstico e tratamento devido à dependência da medicina tradicional ou ao diagnóstico incorreto inicial como condições fúngicas ou inflamatórias. Achados semelhantes foram relatados por Doan Huu Nghi e pelo Partido Comunista, onde a taxa de incidência foi de 68%.4

Os pacientes com carcinoma basocelular representaram 78,6% do total deste estudo, enquanto os pacientes com carcinoma espinocelular representaram 21,4%. As estatísticas das investigações de Trinh Hung Manh mostram uma correlação entre essas duas categorias.3 Dos 66 pacientes com carcinoma basocelular, seis apresentaram margens de ressecção positivas, não tendo sido registrada nenhuma recorrência. Isso pode ser atribuído ao curso tipicamente lento do carcinoma basocelular. No entanto, estudos anteriores indicam que as taxas de recorrência tendem a aumentar com o tempo, principalmente nos primeiros 2 anos após a cirurgia, podendo continuar a subir entre 2 e 5 anos pós-operatórios. De acordo com a pesquisa de Trinh Hung Manh, o tempo médio entre a cirurgia inicial e a recidiva foi de 25 meses, variando de 3 meses até 51,1 meses.

A margem cirúrgica estava entre 5 e 10 mm em 78,1% dos casos. A margem padrão para carcinoma basocelular geralmente é de 5 a 10 mm. Em dois casos de carcinoma espinocelular, a margem cirúrgica foi inferior a 5 mm devido à proximidade do tumor com estruturas críticas, como a cartilagem da pálpebra, oque impossibilitou uma ressecção mais ampla. Entre os 18 casos de carcinoma espinocelular, dois apresentaram recorrência, apesar das margens cirúrgicas negativas. Uma das recorrências ocorreu em uma paciente com lesão de 4 × 6 cm na bochecha, classificada como carcinoma espinocelular agressivo grau 2, que apresentou recidiva local 3 meses após a cirurgia.

A detecção de tumores faciais é geralmente simples devido à sua visibilidade. O estudo constatou que 54,8% dos pacientes se apresentaram com tumores menores que 5 cm. O estadiamento do tumor foi determinado com base no tamanho do tumor (T) e no envolvimento de linfonodos (N), considerando ograu de infiltração tecidual e os achados clínicos. A maioria dos casos foi classificada como T1 (54,8%), seguida por T2 (34,2%) e T4 (11%).

O estudo constatou que 70,2% dos pacientes apresentavam tumores com tamanho menor ou igual a 2 cm, sendo que os homens tendiam a ter tumores maiores do que as mulheres.

De acordo com os estudos de Trinh Hung Manh, 63,7% dos casos tinham lesões menores que 2 cm, enquanto Bach Quang Tuyen encontrou uma proporção ligeiramente menor (53,12%). A região mais afetada foi o nariz, com 51,2% dos casos, sendo que em 27/43 casos (62,8%) o tumor estava localizado nas asas nasais. Outras localizações comuns incluíram as bochechas e a área dos olhos (15,5% cada), os lábios (14,3%) e a testa (3,5%). Um estudo de Janjua OS et al. relatou tendência semelhante, com tumores nasais representando 31,5% dos casos, seguidos de lesões nas bochechas (26,9%).5

A predominância de tumores nasais pode ser atribuída à localização central do nariz na face, onde desempenha um papel crucial tanto na função quanto na estética. Sua proeminência torna as deformidades facilmente perceptíveis, afetando não apenas a aparência física, mas também o bem-estar psicológico. A restauração do contorno nasal é fundamental para a manutenção da simetria facial e da qualidade de vida do paciente.6

No caso do câncer de pele, o tamanho do tumor era menos essencial do que a profundidade de penetração do tumor, a dificuldade de reconstrução e o reaparecimento ou não do tumor após a cirurgia dependiam mais da profundidade de penetração do tumor do que da profundidade do tumor. No entanto, devido às restrições de tamanho e deslocamento, os retalhos locais eram frequentemente sugeridos para lesões menores e médias na face, especialmente aquelas com deformidades nas pálpebras e nas asas nasais.7 Os locais de recorrência mais prevalentes foram o canto interno do olho, o filtro, o sulco nasolabial, a região pré-auricular e o sulco pós-auricular.

Mais da metade dos casos de carcinoma basocelular e carcinoma espinocelular desta pesquisa tinham lesões de até 2 cm (76,7%), seguidas por tumores entre 2 e 5 cm (12,3%) e maiores que 5 cm (11%). A maior proporção de tumores pequenos em comparação com estudos anteriores pode refletir melhorias na detecção precoce e no acesso aos cuidados de saúde. Ao comparar o tamanho do defeito com a viabilidade do retalho, lesões ≤5 cm apresentaram uma taxa de sucesso de 92,3%, enquanto as lesões >5 cm tiveram uma taxa de 87,5%. Estudos de Duong Manh Chien e Bui Xuan Truong não encontraram diferença significativa entre o tamanho do defeito e a sobrevida do retalho.8 No entanto, a profundidade da invasão tumoral afetou a viabilidade do retalho. Casos de invasão simples da pele tiveram uma taxa de sobrevida do retalho de 91,8%, enquanto aqueles envolvendo cartilagem e periósteo apresentaram uma taxa um pouco mais baixa, de 80%. A invasão tumoral mais profunda, particularmente em estruturas como o músculo orbicular dos olhos, aumenta a probabilidade de recorrência e exige abordagens reconstrutivas mais complexas.

Um mês após a cirurgia, as cicatrizes estavam marrom-escuras, ligeiramente elevadas e causavam leve retração do tecido ao redor. Após três meses, as cicatrizes haviam clareado para branco, e o tecido ao redor retornou gradualmente ao normal. Aos seis meses, 90,5% dos retalhos de pele apresentavam cor correspondente ao tecido circundante, 85,7% tinham espessura comparável à pele adjacente, e 77,4% das cicatrizes (65 de 84 ca-

sos) eram mínimas. A taxa geral de sucesso estético foi de 73,8%.

Em um estudo de Nguyen Quang Ruc, os resultados do acompanhamento após 6 meses mostraram que 73,1% dos pacientes obtiveram bons resultados, 26,9% obtiveram bons resultados, e nenhum caso foi classificado como ruim.9

CONCLUSÃO

Os retalhos locais são uma opção eficaz de tratamento para a reconstrução de câncer de pele facial. Após seis meses, os resultados cirúrgicos mostraram cicatrizes mínimas e discretas em 77,4% dos casos, com uma taxa de sucesso estético de 73,8%,

atendendo às expectativas tanto do cirurgião quanto do paciente. A competência do cirurgião em planejar os retalhos de forma que se ajustem adequadamente ao local e tamanho do defeito desempenha um papel crucial no sucesso da cirurgia. É necessário mais acompanhamento para avaliar completamente a eficácia de longo prazo do tratamento. Para estudos futuros, recomendamos o uso de análise por congelamento de seção nos casos em que seja difícil distinguir entre tumor e tecido saudável, especialmente em áreas de alto risco de recorrência. l

REFERÊNCIAS:

1. Chien DM, Anh DH. Evaluating the results of local flap reconstruction after excision of basal cell skin cancer in the cheek area. J Med Res. 2022;155(7):67-74.

2. NCCN Guidelines for patients. Basal cell and squamous cell skin cancers. 2022.

3. Manh TH. Research on clinical and histopathological characteristics and evaluate surgical results of treatment of squamous cell carcinoma, basal cell carcinoma of the skin of the head, face and neck area. Res Clin Med Pharm. 2016: 108.

4. Nghi DH. Skin cancer. Oncology. 2001: 223-9.

5. Janjua OS, Qureshi SM. Basal cell carcinoma of the head and neck region: an analysis of 171 cases. J Skin Cancer. 2012:943472:1-4.

6. Manh NT, Lam VN, Tuan LD. Evaluation of clinical characteristics of nasal soft tissue defects surgically treated with forehead skin flaps. Viet Med J. 2022;511(2).

7. Cass ND, Terella AM. Reconstruction of the cheek. Facial Plast Surg Clin N Am.2019;27(1):55-66.

CONTRIBUIÇÃO DOS AUTORES:

Du Van Truong

8. Truong BX. Research on wide excision - plastic surgery to treat facial skin cancer

9. [Doctor of Medicine Thesis] Ho Chi Minh City University of Medicine and Pharmacy. 2011.

10. Ruc NQ. Evaluating the results of surgery to reconstruct small and medium soft tissue defects after resection of facial basal cell cancer [Master's thesis in Medicine]. Ha Noi Medical University. 2019.

11. Tuan NAH, Hai VV, Thuong NHC, Dieu DP. Correlation between anthropometric indices of the nasal bone area on adult vietnamese bodies. Viet Med J. 2021;503(1):40.

12. Whiteman DC, Olsen CM, MacGregor S, Law MH, Thompson B, Dusingize JC, et al. The effect of screening on melanoma incidence and biopsy rates. Brit J Dermatol. 2022;187(4):515-522.

13. Tuyen QB, Tho HN, Duc QN. Using local tissue in the treatment of head, face and neck skin cancer. Clin Med. 2009;108(2):102-107.

Análise estatística, Aprovação da versão final do manuscrito, Concepção e planejamento do estudo, Elaboração e redação do manuscrito, Obtenção, análise e interpretação dos dados, Participação efetiva na orientação da pesquisa, Participação intelectual em conduta propedêutica e/ou terapêutica de casos estudados, Revisão crítica da literatura, Revisão crítica do manuscrito.

Lam Van Nguyen 0000-0001-5970-0528

Análise estatística, Aprovação da versão final do manuscrito, Concepção e planejamento do estudo, Elaboração e redação do manuscrito, Obtenção, análise e interpretação dos dados, Participação efetiva na orientação da pesquisa, Participação intelectual em conduta propedêutica e/ou terapêutica de casos estudados, Revisão crítica da literatura, Revisão crítica do manuscrito.

Nam Ky Nguyen

Análise estatística, Concepção e planejamento do estudo, Participação efetiva na orientação da pesquisa, Participação intelectual em conduta propedêutica e/ou terapêutica de casos estudados, Revisão crítica da literatura, Revisão crítica do manuscrito.

Luat Thao Huynh

Aprovação da versão final do manuscrito, Concepção e planejamento do estudo, Obtenção, análise e interpretação dos dados, Participação efetiva na orientação da pesquisa, Participação intelectual em conduta propedêutica e/ou terapêutica de casos estudados, Revisão crítica do manuscrito.

Mai Huynh Truc Phuong

Contribuição do autor: Aprovação da versão final do manuscrito.

www.surgicalcosmetic.org.br/

Efficacy

and safety of 85% phenol and 4% croton oil solution

in the treatment of anogenital penile warts: a proof-of-concept study

Eficácia e segurança de solução de fenol 85% e óleo de cróton 4% no tratamento das verrugas anogenitais do pênis: um estudo tipo prova de conceito

DOI: http://www.dx.doi.org/10.5935/scd1984-8773.2025170334

RESUMO

Introdução: solução de fenol 85% e óleo de cróton 4% (SFC) tem efeito citotóxico para o epitélio, porém não fora avaliada no tratamento das VAGs. objetIvo: avaliar a eficácia da SFC no tratamento de VAGs penianas em imunocompetentes.

Métodos: ensaio clínico aberto, não controlado (prova de conceito), envolvendo portadores de VAGs tratados com SFC e reavaliados após 28 dias. resultados: foram avaliados 16 tratamentos em nove participantes. A SFC promoveu o clareamento total das lesões em 25% (IC95%: 2-48%) dos tratamentos.

ConClusões: apesar de bem tolerada, a SFC apresentou taxas insuficientes de clareamento total.

Palavras-chaves: Condiloma Acuminado; Fenol; Infecções por Papillomavirus.

Cartas

Autores:

Maria Cecília Belli1

Hélio Amante Miot1

Luis Eduardo Garbers1

Bruno Dias Martimiano1

1 Unesp, Dermatologia, Botucatu (SP), Brasil.

ABSTRACT

IntroductIon: An 85% phenol and 4% croton oil solution (SFC) has cytotoxic effect on the epithelium; however, it has not been evaluated in the treatment of anogenital warts (AGW).

objectIve: To evaluate the effectiveness of SFC in the treatment of penile AGW in immunocompetent patients.

Methods: Open, uncontrolled clinical trial (proof-of-concept), involving patients with penile AGW treated with SFC and reevaluated after 28 days.

results: We evaluated 16 treatments in 9 participants. SFC promoted total clearance of the lesions in 25% (95% CI 2-48%) of treatments.

ConClusions: Although well tolerated, SFC caused insufficient rates of total clearance.

Keywords: Condylomata Acuminata; Phenol; Papillomavirus Infections; Sexually Transmitted Diseases.

Correspondência: Hélio Amante Miot

E-mail: heliomiot@gmail.com / helio.a.miot@unesp.br

Fonte de financiamento: Nenhuma. Conflito de interesses: Nenhum.

Data de Submissão: 18/12/2023

Decisão final: 08/01/2023

Contribuição do autor:

Aprovação da versão final do manuscrito; elaboração e redação do manuscrito; obtenção, análise e interpretação dos dados; participação efetiva na orientação da pesquisa; revisão crítica da literatura; revisão crítica do manuscrito.

Prezado editor,

Verruga anogenital (VAG) é proliferação epitelial causada pelo papilomavírus humano (HPV). Trata-se da infecção sexualmente transmissível (IST) mais comum no mundo, cuja incidência é estimada entre 160 e 289 novos casos a cada 100.000 pessoas/ano.1

Os HPVs tipo 6 e 11 são encontrados em 90% dos condilomas genitais, sendo considerados de baixo risco oncogênico. Há diferentes tratamentos descritos para as VAGs, mas sem consenso sobre uma terapêutica absoluta, uma vez que todos implicam recorrência e necessidade de múltiplas sessões. O tratamento tópico com soluções de fenol e óleo de cróton demonstrou efeito citotóxico e imunogênico em lesões pré-cancerosas da pele, levando à hipótese de que possa ser eficaz no tratamento de infecções virais.2 A prospecção de estratégias que aumentem a eficácia terapêutica das VAGs é valiosa e implica redução de custos ao sistema de saúde.

As indicações para o uso da solução consistem em sua capacidade de realizar peelings profundos, além de seu efeito citotóxico, imunogênico e viricida, com excelente custo/benefício.3 Ainda são necessários estudos que demonstrem os achados histológicos e clínicos desse peeling profundo sobre as VAGs e em relação à sua efetividade quando comparada a outras abordagens atualmente utilizadas.

O objetivo desse estudo foi prospectar a eficácia e segurança da solução de fenol 85% e óleo de cróton 4% no tratamento de VAGs penianas em imunocompetentes.

Entre agosto/2022 e maio/2023, conduziu-se ensaio clínico aberto, não controlado, tipo prova de conceito, envolvendo 16 tratamentos em nove homens atendidos no Ambulatório de ISTs do HCFMB Unesp.

Os pacientes elegíveis para o estudo foram homens imunocompetentes, adultos, que apresentavam VAGs no pênis, diagnosticadas pelo exame físico ou acetoscopia, realizada por dermatologista titulado. Foi realizada uma sessão de aplicação da solução de fenol 85% e óleo de cróton 4% até o frosting completo das lesões. As VAGs foram fotografadas antes e após a aplicação da solução e reavaliadas após 28 dias. Após o período, o resultado apresentado por cada paciente foi classificado como clearance completo ou falha terapêutica. Alguns pacientes que apresentaram lesões na reavaliação foram incluídos novamente no estudo.

O principal desfecho do estudo foi o clareamento completo das lesões no D28. Os desfechos secundários foram: a redução na contagem das lesões e análise quanto à dor durante a aplicação, a qual foi avaliada pela escala visual analógica (VAS 0 a 10). A análise dos dados se deu segundo o protocolo (per protocol), e os casos que não compareceram ao retorno no D28 foram excluídos. Considerou-se significativo o p-valor<0,05.

A taxa de clearance completo e a redução da contagem das lesões foi comparada com resultados de ensaios clínicos realizados na mesma população a partir de tratamentos com ácido tricloroacético 90% e crioterapia com nitrogênio líquido (controle histórico).4,5

A amostra da fase de estudo-piloto foi inicialmente composta por 17 tratamentos em 10 participantes consecutivos, dos quais se esperava encontrar uma taxa de clearance completo superior a 30% após uma sessão (prova de conceito).

Durante a realização das aplicações, um dos participantes foi excluído do estudo pelo não comparecimento na reavaliação 28 dias após a primeira sessão. Nesse sentido, o estudo foi finalizado com 16 tratamentos em nove participantes.

A figura 1 apresenta o número de lesões no dia da aplicação e a contagem das lesões no D28. A figura 2 apresenta a quantificação da dor, avaliada por meio da VAS. Não houve efeitos adversos graves, e o tratamento foi bem tolerado.

Figura 1: Contagem de verrugas anogenitais penianas antes e após 28 dias do tratamento com solução de fenol 85% e óleo de cróton 4% (p=0,167)

Figura 2: Histograma dos escores de dor durante a aplicação, segundo a VAS

O clareamento total das lesões ocorreu em 25% (IC95%: 2-48%) dos casos por sessão, o que foi historicamente inferior ao tratamento com nitrogênio líquido na mesma população (histórico).

Neste estudo de viabilidade, o clearance total das VAGs penianas tratadas com solução de fenol 85% e óleo de cróton 4% ocorreu em 25% dos tratamentos.

Em estudos com a mesma metodologia e população, o clareamento das VAGs penianas após uma sessão aconteceu em 23% (IC95%: 9-34%) dos pacientes tratados com ácido tricloroacético; 46% (IC95%: 31-59%) com nitrogênio líquido; e 26%

(IC95%: 11-37%) com a combinação de nitrogênio com ácido tricloroacético.4,5

O estudo apresenta limitações por ser monocêntrico, não avaliar quantitativamente a imunidade, não determinar o subtipo do vírus HPV em cada paciente, necessitar do diagnóstico clínico das lesões e pela perda de seguimento de um indivíduo. No entanto, tais elementos não impediram a avaliação do desempenho do clareamento das lesões.

Apesar de bem tolerada e eficaz, a solução de fenol 85% e óleo de cróton 4% apresentou taxas de clareamento total inferiores a 30%. l

REFER Ê NCIAS:

1. Leto Md, Santos Júnior GF, Porro AM, Tomimori J. Human Papillomavirus Infection: etiopathogenesis, molecular biology and clinical manifestations. An Bras Dermatol. 2011;86(2):306-17.

2. Justo AS, Lemes BM, Nunes B, Antunes KA, Capote ACMO, Lipinski LC, et al. Characterization of the activity of croton tiglium oil in Hetter’s very heavy Phenol-Croton oil chemical peels. Dermatol Surg. 2021;47(7):944-946.

3. Wambier CG, Lin E, Costa Filha ARC, Beltrame FL, Döll-Boscardin PM, Celidonio TC, et al. Updates on level of evidence of clinical efficacy of facial Phenol-Croton oil peels and comments on history and mechanisms of action. Int J Dermatol. 2023;62(7):e383-e386.

4. Morita MM, Marcondes TSP, Haddad V, Miot HA. Cryosurgery with liquid nitrogen versus trichloroacetic acid in the treatment of Human Papillomavirus (HPV) penile wart: a randomized controlled trial. Surg Cosmet Dermatol. 2021;13:e20210041

5. Oliveira VC, Morita MM, Miot HA. Cryosurgery with liquid nitrogen combined with trichloroacetic acid 90% is not superior to individualized interventions in the treatment of anogenital warts. Surg Cosmet Dermatol. 2023;15:e20230217.

CONTRIBUIÇÃO DOS AUTORES:

Maria Cecília Belli 0009-0002-4003-1664

Aprovação da versão final do manuscrito; concepção e planejamento do estudo; elaboração e redação do manuscrito; obtenção, análise e interpretação dos dados; participação efetiva na orientação da pesquisa; revisão crítica da literatura; revisão crítica do manuscrito.

Hélio Amante Miot 0000-0002-2596-9294

Análise estatística; aprovação da versão final do manuscrito; concepção e planejamento do estudo; elaboração e redação do manuscrito; obtenção, análise e interpretação dos dados; participação efetiva na orientação da pesquisa; participação intelectual em conduta propedêutica e/ou terapêutica de casos estudados; revisão crítica da literatura; revisão crítica do manuscrito.

Luis Eduardo Garbers 0000-0001-5867-1454

Concepção e planejamento do estudo; elaboração e redação do manuscrito; participação efetiva na orientação da pesquisa; revisão crítica da literatura; revisão crítica do manuscrito.

Bruno Dias Martimiano 0009-0007-1683-7963

Aprovação da versão final do manuscrito; elaboração e redação do manuscrito; obtenção, análise e interpretação dos dados; participação efetiva na orientação da pesquisa; revisão crítica da literatura; revisão crítica do manuscrito.

www.surgicalcosmetic.org.br/

Dica

para hemostasia do pedículo do retalho interpolado paramediano

Tip for achieving hemostasis in the paramedian interpolation flap pedicle

DOI: http://www.dx.doi.org/10.5935/scd1984-8773.2025170342

RESUMO

O sangramento proveniente da área cruenta do pedículo do retalho paramediano é uma complicação frequentemente observada no pós-operatório. Descrevemos o uso de pontos simples na superfície lateral do pedículo como um método alternativo para reduzir essa complicação. Palavras-chave: Retalhos Cirúrgicos; Carcinoma Basocelular; Cirurgia de Mohs; Hemostasia Cirúrgica.

Como eu faço?

Autores:

Felipe Maurício Soeiro Sampaio1 Isabela Coelho Guimarães2 Bruno Lopes da Silva Ramos3

1 Clínica Privada, Dermatologia, Rio de Janeiro (RJ), Brasil

2 Dermatologia, Hospital Federal de Bonsucesso, Rio de Janeiro (RJ), Brasil

3 Cirurgia Plástica, Hospital Municipal Barata Ribeiro, Rio de Janeiro (RJ), Brasil

ABSTRACT

Postoperative bleeding from the vascular pedicle of the paramedian flap is a common complication.We describe the use of simple sutures on the raw lateral surface of the pedicle as an alternative method to reduce this risk.

Keywords: Surgical Flaps; Carcinoma Basal Cell; Mohs Surgery; Hemorrhage.

Correspondência:

Felipe Maurício Soeiro Sampaio E-mail: felipesoeirodermato@ gmail.com Fonte de financiamento: Nenhuma. Conflito de interesses: Nenhum.

Data de Submissão: 15/01/2024 Decisão final: 11/03/2024

Como citar este artigo: Sampaio FMS, Guimarães IC, Ramos BLS. Dica para hemostasia do pedículo do retalho interpolado paramediano. Surg Cosmet Dermatol. 2025;17:e20250342.

INTRODUÇÃO

O sangramento proveniente da área cruenta do pedículo do retalho paramediano é uma complicação frequente no pós-operatório. A eletrocoagulação da porção cruenta do pedículo, ouso de enxerto de pele e de xenoenxertos porcinos são métodos descritos com o objetivo de reduzir o sangramento no período pós-operatório.1 O envolvimento do pedículo com gaze

impregnada de celulose regenerada oxidada,2 gaze impregnada com pomada antibiótica3 ou com vaselina4 na área crua do retalho também já foi descrito, com alguns resultados positivos. Descrevemos o uso de pontos simples na superfície lateral do pedículo como um método alternativo para reduzir essa complicação.

Figura 1: Área cruenta do pedículo do retalho paramediano

Figura 2: Ponto simples interrompido unindo as porções superior (pele) e inferior (fáscia) do pedículo

Sampaio

Surg Cosmet Dermatol. 2025;v.17: n.1 jan-mar. p.103-6.

Figura 3: Sutura reduzindo a área cruenta e minimizando o risco de sangramento

MÉTODOS

Imediatamente após a conclusão da reconstrução nasal com o retalho paramediano, o cirurgião deve observar a área cruenta do pedículo para identificar possíveis pontos de sangramento (Figura 1). Após a identificação, realiza-se uma sutura simples interrompida com náilon monofilamentar 6-0. A agulha é introduzida na pele na região superior do pedículo e reintroduzida na fáscia na parte inferior (Figura 2). Essa sutura aproxima a pele da fáscia, reduz de forma localizada a superfície cruenta do pedículo e, consequentemente, minimiza o risco de sangramento (Figura 3). Em média, são realizados quatro pontos em ambos os lados do pedículo, dependendo do comprimento do retalho

e da presença de possíveis focos de sangramento. Não se observa sofrimento vascular ou congestão na parte distal do retalho com essa técnica. O curativo é aplicado somente após essa reavaliação da hemostasia.

CONCLUSÃO

O uso de pontos simples interrompidos na superfície lateral do pedículo do retalho paramediano é uma técnica simples, segura e de fácil execução. Possibilita um pós-operatório mais confortável para o paciente e a equipe cirúrgica, reduz a necessidade de curativos, minimiza comorbidades e apresenta baixo custo. l

REFERÊNCIAS:

1. Viscusi KS, Merritt B. Porcine xenografts for the optimization of pedicle care in interpolation flaps. Dermatol Surg. 2014;40(11):1262-5.

2. Christenson LJ, Otley CC, Roenigk RK. Oxidized regenerated cellulose gauze for hemostasis of a two-stage interpolation flap pedicle. Dermatol Surg. 2004;30(12 Pt 2):1593-4.

3. Brodland D. Paramedian forehead flap reconstruction for nasal defects. Dermatol Surg. 2005; 31:1046–52.

4. Goldman GD, Dzubow LM, Yelverton CB. Facial flap surgery. Burlington (VT): McGraw-Hill; 2012.

CONTRIBUIÇÃO DOS AUTORES:

Felipe Maurício Soeiro Sampaio 0000-0002-2235-5473

Análise estatística; aprovação da versão final do manuscrito; concepção e planejamento do estudo; elaboração e redação do manuscrito; obtenção, análise e interpretação dos dados; participação efetiva na orientação da pesquisa; participação intelectual em conduta propedêutica e/ou terapêutica de casos estudados; revisão crítica da literatura; revisão crítica do manuscrito.

Isabela Coelho Guimarães 0009-0002-8142-6072

Elaboração e redação do manuscrito; revisão crítica da literatura.

Bruno Lopes da Silva Ramos 0009-0008-1148-211X

Aprovação da versão final do manuscrito; participação intelectual em conduta propedêutica e/ou terapêutica de casos estudados; revisão crítica da literatura.

www.surgicalcosmetic.org.br/

Correção de assimetria facial após implante de gordura através

da aplicação de substâncias

injetáveis lipolíticas

Correction of facial asymmetry following fat grafting with the application of fat-dissolving injections

Relato de caso

Autores:

Andrea Carvalho Souza1

Carlos Roberto Antonio2 Lívia Arroyo Trídico2

1 Dermatologia, Salvador (BA), Brasil

2 Faculdade de Medicina de São Jose do Rio Preto, Dermatologia, São Jose do Rio Preto (SP), Brasil

DOI: http://www.dx.doi.org/10.5935/scd1984-8773.2025170272

RESUMO

O lipoenxerto autólogo é uma opção para correção de assimetria facial. Recentemente, surgiram terapias que utilizam injeções de substâncias que promovem lipólise para reduzir o volume indesejado de gordura, substituindo a necessidade de cirurgia para remoção do tecido adiposo. Relatamos a seguir um caso de tratamento experimental com ativos lipolíticos injetáveis para correção de assimetria facial após cirurgia de transplante de gordura, demonstrando resultado satisfatório com procedimento minimamente invasivo.

Palavras-chave: Assimetria Facial; Gordura Subcutânea; Mesoterapia.

ABSTRACT

Autologous fat grafting is a common option for the correction of facial asymmetry. Recently, therapies using injectable substances that promote lipolysis have emerged to reduce undesired fat volume, offering an alternative to surgical removal of adipose tissue. We report an experimental case in which fat-dissolving injections were used to correct facial asymmetry following fat grafting, demonstrating satisfactory results with a minimally invasive procedure.

Keywords: Facial Asymmetry; Adipose Tissue, Subcutaneous; Mesotherapy.

Correspondência: Lívia Arroyo Trídico E-mail: latridico@gmail.com / ladermat@gmail.com

Fonte de financiamento: Nenhuma. Conflito de interesses: Nenhum.

Data de Submissão: 27/06/2023 Decisão final: 22/10/2024

Contribuição do autor: AC, Antonio CR, Trídico LA. Correção de assimetria facial após implante de gordura através da aplicação de substâncias injetáveis lipolíticas. Surg Cosmet Dermatol; 2025;17:e20250272.

INTRODUÇÃO

A cirurgia facial de enxerto de gordura é um tratamento utilizado para correção de deformidades craniofaciais congênitas e adquiridas, além de sinais do envelhecimento e fotodano, trata-se de opção terapêutica para medicina regenerativa, reconstrutiva e estética que promove resultados ótimos e duradouros. No campo da reconstrução, o uso de enxertos de gordura tem aumentado para correção de deformidades congênitas, síndrome de Parry-Romberg, microssomia facial, deformidades por trauma ou por cirurgia de câncer de pele. Sendo assim, estão envolvidos não apenas na questão anatômica, mas, também, funcional da face.1 No entanto, a medição do sucesso da lipoenxertia na prática cirúrgica deve incluir o aumento efetivo do local receptor e suas repercussões clínicas, e não apenas a retenção do enxerto de gordura. De fato, o aumento da espessura dos tecidos moles ou alto teor de gordura da retenção do enxerto não é necessariamente acompanhada por resultado simétrico e esteticamente agradável. Dessa forma, a ocorrência de hipo ou hipercorreção pode ocorrer com frequência após tratamento cirúrgico.2 Por outro lado, ativos injetáveis podem ser utilizados a fim de reduzir modestas coleções de tecido adiposo ao promover lipólise, trata-se de opção não cirúrgica para tratamento de contorno facial ou corporal, comumente denominadas injeções de lipólise ou mesoterapia.3,4 A dissolução da gordura subcutânea por meio de injeções tem crescido nas últimas décadas e diversos estudos relatam a eficácia da fosfatidilcolina, deoxicolato, l-carnitina, vitamina E, colagenase, hialuronidase, isoproterenol, dentre outros.5 Considerando, o desafio terapêutico em promover simetria facial através da cirurgia de enxerto de gordura, descrevemos pela primeira vez na literatura um relato de caso de tratamento experimental do uso de injeções de agentes lipolíticos na lipoenxertia a fim de aprimorar o resultado cirúrgico e garantir maior satisfação em paciente com assimetria facial.

RELATO DO CASO

Paciente feminina, 59 anos, sem comorbidades, apresentou história de hemiatrofia facial à direita em região de terço médio e inferior da face, com atrofia de pele e subcutâneo estável aos 27 anos, porém sem causa definida e ausência de trauma ou doença local diagnosticada. Além disso, nenhuma alteração óssea ou neurológica estavam presentes e não havia nenhuma alteração no exame sistêmico e cutâneo. A paciente foi tratada com enxerto de gordura abdominal em hemiface direita por cirurgião plástico. Após um ano de cirurgia se queixa de aumento de volume na área tratada, com assimetria facial. Sendo assim, realizamos exame de Ressonância Magnética da face que evidenciou o acúmulo de tecido adiposo em hemiface direita na região geniana, estendendo-se às regiões mandibular e palpebral inferior, além de finos septos de permeio sem evidência de formação expansiva no interior da imagem. Os tecidos da hemiface esquerda mantinham configurações habituais (Figura 1). Dessa forma, optamos por tratar a hipercorreção cirúrgica com infiltração de ativos com ação lipolítica e antioxidante a fim de reduzir

Figura 1: Ressonância magnética da face. Aumento assimétrico do tecido gorduroso subcutâneo da hemiface direita, em projeção da região maxilar

a gordura facial em hemiface direita. O produto utilizado foi a solução Toskani Silhouette Cocktail ®, composta de agentes lipolíticos (cafeína e a l-carnitina) e de substâncias antioxidantes (extratos de centelha asiática, alcachofra, ananás e chá verde), com aprovação na Agência Nacional de Vigilância Sanitária para uso tópico (número de registro 25351.147646/2023-03), porém utilizado, neste trabalho, por via de aplicação subcutânea de maneira off label por tratar-se de uso experimental. Foram realizadas nove sessões de aplicação do Toskani Silhoutte Cocktail ® com intervalo de quinze dias entre as sessões. Nas primeiras quatro sessões aplicamos 3,2 ml da solução distribuídos em pontos de 0,1ml a cada 1 cm, com agulha 0,30 X 13mm (30G) aplicada a uma profundidade de 4 a 6 mm em um ângulo de 45º, visando entregar as substâncias em plano subcutâneo. Após a quarta sessão realizamos 2 ampolas de ácido hialurônico em pontos de sustentação facial, seguindo a técnica Delta V Lifting® 6 Em seguida foram realizadas mais 5 sessões de aplicação do Toskani Silhouette Cocktail ®, aplicando-se 2,5ml da solução em cada sessão distribuídos em pontos de 0,1ml a cada 1 cm. O resultado foi redução da hipercorreção cirúrgica, melhora evidente do volume de gordura da hemiface direita e aspecto menos granuloso da gordura à palpação (Figura 2). Realizamos novo exame de Ressonância Magnética da face que evidenciou redução do acúmulo de tecido adiposo em hemiface direita em comparação ao exame anterior e distribuição mais simétrica do mesmo (Figura 3). Além disso, observamos maior simetria facial e satisfação da paciente com o resultado. Acompanhamos a paciente durante 12 meses após o procedimento com manutenção do resultado e ausência de efeitos adversos. Além disso, é importante ressaltar que obtivemos o termo de consentimento da paciente para realização do tratamento proposto e que não houve qualquer tipo de cobrança da paciente nesse tratamento. Por se tratar de tratamento experimental, o trabalho enviado ao comitê de ética e pesquisa para aprovação da sua realização.

Surg Cosmet Dermatol. 2025;v.17: n.1 jan-mar. p.107-10.

Figura 2: Foto comparativa de antes do tratamento (esquerda) e após o tratamento (direita). Melhora evidente de gordura da hemiface direita

Figura 3: Comparação da ressonãncia magnética da face realizada antes do tratamento (esquerda) e após tratamento (direita). Redução da espessura do enxerto na sua porção anterior, além de distribuição mais simétrica do mesmo na hemiface direita. Sinais de preenchimento com ácido hialurônico no subcutâneo da região anterior e lateral da face bilateralmente

DISCUSSÃO

A simetria bilateral perfeita quase nunca existe em rostos humanos, já que assimetrias e desvios dentro de limites foram reconhecidos como normal.7 Quando a assimetria facial é clinicamente óbvia, a restauração bem-sucedida da simetria do contorno facial é um desafio difícil.8,9 O tratamento com enxerto de gordura é uma das opções terapêuticas para correção de assimetria facial, trata- se de um procedimento laborioso que revolucionou cirurgias reconstrutivas e estéticas desde sua pri-

meira descrição em 1893.1,10, 11 Denadai e colaboradores, 2020, acompanharam 167 pacientes tratados com lipoenxertia para correção de assimetria facial unilateral e concluíram que apesar da melhora significativa da simetria e contorno facial, um subgrupo significativo de pacientes necessitou de procedimento complementar.2 Recentemente, as terapias injetáveis surgiram a fim de agir na redução de volume indesejado de maneira não cirúrgica, seja ele facial ou corporal.3 As injeções subcutâneas capazes de reduzir modestas coleções de tecido adiposo são denominadas injeções de lipólise ou mesoterapia.12,13 A solução Toskani Silhouette Cocktail® utilizada nesse trabalho apresenta dois agentes lipolíticos, a cafeína e a l-carnitina que mobilizam a gordura acumulada para que possa ser metabolizada. A cafeína aumenta a lipólise, elevando o monofosfato de adenosina cíclico (cAMP) através da inibição de fosfodiesterase, além de aumentar a liberação de catecolamina (epinefrina) pelo sistema nervoso simpático. A l- carnitina é um aminoácido que constitui um cofator essencial no metabolismo de ácidos graxos agindo na redução de triglicerídeos e colesterol, aumentando a oxidação lipídica e a entrega de ácidos graxos livres de cadeia longa para oxidação mitocondrial.14, 15 Os demais ativos presentes na solução da Toskani Silhouette Cocktail ® são os extratos de centelha asiática, alcachofra, ananás e chá verde, substâncias com ação antioxidante que atuam potencializando a ação dos lipolíticos, auxiliando a eliminação da gordura.15 O uso dos agentes lipolíticos, também denominados esvaziadores, são descritos na literatura, em sua maioria, relacionados ao tratamento de gordura corporal.16 Embora, também existam trabalhos científicos descrevendo ouso dos injetáveis para tratar gordura facial, o uso dos agentes esvaziadores em lipoenxertia de face é descrito pela primeira vez nesse relato. Dessa forma, a solução Toskani Silhouette Cocktail® possibilitou a correção de um procedimento cirúrgico de forma menos invasiva e segura, trazendo resultados satisfatórios.15,17

CONCLUSÃO

A infiltração de ativos lipolíticos para correção de assimetria facial após transplante de gordura descrita nesse relato experimental, demonstra resultado satisfatório com procedimento minimamente invasivo. Embora seja recente a descrição do uso de esvaziadores faciais de gordura, esse trabalho possibilitou, também, demonstrar sua aplicabilidade em procedimento reconstrutivo da face com excelente resultado. l

REFERÊNCIAS:

1. Egro FM, Coleman SR. Facial fat grafting: the past, present, and future. Clin Plast Surg. 2020;47(1):1-6.

2. Denadai R, Buzzo CL, Raposo-Amaral CA, Raposo-Amaral CE. Facial contour symmetry outcomes after site-specific facial fat compartment augmentation with fat grafting in facial deformities. Plast Reconstr Surg. 2019;143(2):544- 556.

3. Rotunda, AM. Injectable treatments for adipose tissue: terminology, mechanism, and tissue interaction. Lasers Surg Med.2019;41:714-720

4. Matarasso A, Pfeifer TM. Mesotherapy and injection lipolysis. Clin Plast Surg 2009;36:181-192.

5. Thomas MK, D'Silva JA, Borole AJ. Injection lipolysis: a systematic review of literature and our experience with a combination of phosphatidylcholine and deoxycholate over a period of 14 years in 1269 patients of Indian and South East Asian origin. J Cutan Aesthet Surg. 2018;11(4):222-228.

6. Antonio CR, Trídico LA, Esteves ALV. Nova técnica de rejuvenescimento facial com ácido hialurônico: delta V lifting. Surg Cosmet Dermatol. 2019;11(3):211-215.

7. Lu SM, Bartlett SP. On facial asymmetry and self-perception. Plast Reconstr Surg. 2014;133:873e-881e

8. Mulliken JB. The molders of this plastic surgeon and his quest for symmetry. J Craniofac Surg. 2004;15:898-908.

9. Cheong YW, Lo LJ. Facial asymmetry: etiology, evaluation, and management. Chang Gung Med J. 2011;34:341-351

10. Neuber GA. Fettransplantation. Chir Kongr Verhandl Dsch Gesellch fur Chir. 1893:22:66.

11. Saha S. Enxerto de gordura composta para correção de distrofia facial em caso de esclerodermia localizada. Surg Cosmet Dermatol. 2023;15:e20230181.

12. Matarasso A, Pfeifer TM. Mesotherapy and injection lipolysis. Clin Plast Surg 2009;36:181-192.

13. Duncan D, Rubin JP, Golitz L, Badylak S, Kesel L, Freund J, et al. Refinement of technique in injection lipolysis based on scientific studies and clinical evaluation. Clin Plast Surg 2009;36:195-209.

14. Kutlubay Z. Evaluation of mesotherapeutic injections of three different combinations of lipolytic agents for body contouring. J Cosmet Laser Ther. 2011;13(4):142-53.

15. Antonio CR, Trídico LA. Drug injcetion to reduce facial fat. J Clin Dermatol Ther. 2021;7:082.

16. Rittes PG. The use of phosphatidylcholine for correction of localized fat deposits. Aesthetic Plast Surg. 2003;27:315-8.

17. Talathi A, Talathi P. Fat busters: lipolysis for face and neck. J Cutan Aesthet Surg. 2018;11(2):67-72.

CONTRIBUIÇÃO DOS AUTORES:

Andrea Carvalho Souza 0009-0000-0973-0024

Participação intelectual em conduta propedêutica e/ou terapêutica de casos estudados.

Carlos Roberto Antonio 0000-0001-9243-8293

Concepção e planejamento do estudo, Participação efetiva na orientação da pesquisa, Participação intelectual em conduta propedêutica e/ou terapêutica de casos estudados, Revisão crítica do manuscrito.

Lívia Arroyo Trídico 0000-0002-7743-4195

Concepção e planejamento do estudo, Elaboração e redação do manuscrito, Revisão crítica da literatura, Revisão crítica do manuscrito.

www.surgicalcosmetic.org.br/

Tratamento da foliculite decalvante com laser de Erbium-YAG

Treatment of Folliculitis Decalvans with Erbium-YAG Laser

Relato de caso

Autores:

Ana Clara Maia Palhano1

Heloise Marangoni1

Daniel Simão de Andrade1

Thaisa Bosquiroli Brandalize1

Rossana Cantanhede Farias de Vasconcelos1

DOI: http://www.dx.doi.org/10.5935/scd1984-8773.2025170308

RESUMO

A foliculite decalvante (FD) é uma alopecia cicatricial neutrofílica caracterizada por papulopústulas foliculares eritematosas associadas à hiperqueratose folicular e à foliculite em tufos. Nosso objetivo é apresentar o caso de um homem de 35 anos de idade com FD recalcitrante, tratada com sucesso com laser de Erbium-YAG (Er:YAG), com resposta rápida e sem perda capilar. As ações sobre fibroblastos, microbiota da pele, cascata imunológica e angiogênese são mecanismos pelos quais o Er:YAG pode melhorar a FD, favorecendo o crescimento capilar e reduzindo a hiperqueratose. Ainda assim, mais estudos clínicos são necessários para investigar e definir melhor seus benefícios.

Palavras-chave: Terapia a Laser; Foliculite; Lasers de Estado Sólido.

ABSTRACT

Folliculitis decalvans (FD) is a neutrophilic cicatricial alopecia characterized by erythematous follicular papules and pustules associated with follicular hyperkeratosis and tufted folliculitis. Here, we report the case of a 35-year-old man with recalcitrant FD successfully treated with Erbium-Yag (Er:YAG) laser, showing a rapid response and no hair loss. The effects on fibroblasts, skin microbiota, immune cascade, and angiogenesis are mechanisms through which the Er:YAG may improve FD, promoting hair growth and reducing hyperkeratosis. Nonetheless, further clinical studies are needed to investigate and better define its benefits.

Keywords: Laser Therapy; Folliculitis; Solid-State Lasers.

1 Universidade de Santo Amaro, Dermatologia, São Paulo (SP), Brasil

Correspondência: E-mail: anaclaramaiapalhano@ hotmail.com

Fonte de financiamento: Nenhuma. Conflito de interesses: Nenhum.

Data de Submissão: 06/12/2023

Decisão final: 15/08/2024

Como citar este artigo: Palhano ACM, Marangoni H, Andrade DS, Brandalize TB, Vasconcelos RCF. Tratamento da foliculite decalvante com laser Erbium-YAG. Surg Cosmet Dermatol. 2025;17:e20250327.

INTRODUÇÃO

A foliculite decalvante (FD) é uma alopecia cicatricial neutrofílica caracterizada por pápulas foliculares eritematosas e pústulas associadas à hiperqueratose folicular e à foliculite em tufos.1 Embora o acometimento seja principalmente o vértice e a região occipital do couro cabeludo, a região da barba e nuca também pode ser afetada.1 A etiologia envolve infecção bacteriana, particularmente Staphylococcus aureus, e também já foi sugerida a predisposição genética. A biópsia deve ser realizada na margem ativa da área de alopecia e revela acantose interfolicular em estágio inicial e fibrose com infundíbulos foliculares, perda de glândulas sebáceas e áreas interfoliculares espessadas semelhantes a queloides. O infiltrado inicial é caracterizado por neutrófilos intrafoliculares e perifoliculares, evoluindo posteriormente para infiltrado inflamatório misto constituído por neutrófilos, linfócitos e plasmócitos com granulomas inflamatórios.2 Há também volumosa perda de tecido elástico em toda a derme e frequentemente a presença de Staphylococcus aureus 2 O tratamento envolve principalmente terapias com antibióticos, pomada de tacrolimo, isotretinoína sistêmica, imunoglobulina humana, radioterapia, adalimumabe e infliximabe, além de outras terapias menos utilizadas, mas relatadas, como terapia fotodinâmica, esteroides orais, ciclosporina, metotrexato e hidroxicloroquina.3 Em relação ao uso de tecnologias, já foram relatadas terapias com laser de Nd:YAG de pulso longo com fins de epilação, além do uso de terapia fotodinâmica (PDT, de photodynamic therapy) associada ao laser de dióxido de carbono (CO2).4-7 Nosso objetivo é apresentar o caso de um homem de 35 anos de idade com FD recalcitrante tratado

com sucesso com laser de Er:YAG, apresentando resposta rápida e sem queda de cabelo.

RELATO DE CASO

Apresentamos o caso de um homem de 35 anos com diagnóstico de FD há 14 anos, tratado com solução capilar de clobetasol 0,1%, peróxido de benzoíla gel 10%, infiltração intralesional com dipropionato de betametasona e múltiplos antibióticos orais, como sulfametoxazol + trimetoprima e doxiciclina. Chegou até nós muito insatisfeito, apresentando papulopústulas foliculares eritematosas, pápulas fibróticas confluentes, nódulos e politriquia na região occipital e vértex, mesmo com o uso prolongado das medicações (Figura 1). Em conjunto com o paciente, optou-se por realizar o tratamento com laser fracionado ablativo de Er:YAG, somado ao drug delivery de hexacetato de triancinolona 20 mg/mL em toda a área da foliculite e, na mesma sessão, infiltração de 1 mL de acetato de triancinolona 20 mg/mL na área do queloide. Foi utilizada a plataforma Solon®, e os parâmetros do laser de Er:YAG foram: 10 J/cm2, 2 ms e 2 Hz. Ao todo, foram realizadas três sessões com intervalos mensais. Após 3 meses, o paciente apresentou importante melhora do quadro clínico (Figura 2) e estabilização do quadro, sem necessidade de novas terapias.

DISCUSSÃO

O tratamento da FD recalcitrante com laser de Nd:YAG de pulso longo, visando à epilação, tem mostrado boa resposta.5,6

Figura 1. Pré-tratamento com laser de Er:YAG: presença de papulopústulas foliculares eritematosas, pápulas fibróticas confluentes, nódulos e politriquia na região occipital e vértex

Figura 2: Pós-tratamento com laser de Er:YAG: melhora das papulopústulas e presença de raras áreas com pápulas fibróticas.

Palhano ACM, Marangoni H, Andrade DS, Brandalize TB, Vasconcelos RCF.

Surg Cosmet Dermatol. 2025;v.17: n.1 jan-mar. p.111-4.

Recentemente, um relato de caso também documentou uma resposta positiva ao uso de PDT associada ao laser de CO2.4 Propomos o tratamento com laser de Er:YAG, que, ao contrário de outras terapias, não causa alopecia permanente e apresenta mecanismos que contribuem para a melhora do quadro da FD: atuação no microbioma bacteriano potencialmente envolvido; aumento do tempo de transição entre as fases catágena e anágena; maior permeação pelos microcanais do drug delivery; e, por fim, melhora da hiperqueratose folicular, cicatrização e regeneração tecidual.

O laser de Er:YAG é conhecido por estimular a produção de colágeno e a reconstrução dérmica.8 Estudos in vitro mostraram que o laser aumenta a aderência de fibroblastos, com células mais fusiformes e alongadas nas superfícies tratadas.9 Seu uso é bem estabelecido no tratamento de cicatrizes de acne devido ao comprimento de onda de 2.940 nm, que possui alta afinidade pelo cromóforo água, permitindo a ablação superficial da epiderme.8 Outro mecanismo pelo qual o Er:YAG atua é por meio do efeito benéfico na regulação da microbiota da pele, através da criação de ondas acústicas fortes o suficiente para a desintegração abrupta da parede celular bacteriana.9 Dado que a fibrose cicatricial causada pelos fibroblastos ativados e a infecção bacteriana, principalmente pelo Staphylococcus aureus, são os principais mecanismos fisiopatológicos relacionados à FD, o laser de Er:YAG mostra-se como uma terapia potencialmente benéfica no arsenal terapêutico dessa doença.9,10

Sabe-se também que o laser de Er:YAG estimula o crescimento capilar, regulando as vias da ß-catenina e Wnt 10b e promovendo a transição do ciclo capilar das fases catágena e telógena para a fase anágena, que se inicia significativamente mais cedo nos pacientes tratados.11,12 Além disso, a formação de pequenas

colunas de lesão térmica melhora a absorção de medicamentos tópicos, com reepitelização completa ocorrendo em 48 horas, conforme demonstrado em estudos histológicos. A fototermólise fracionada também induz microtraumas de coagulação na derme papilar, estimulando fatores de cicatrização que promovem o crescimento capilar, como o fator de crescimento endotelial vascular (VEGF) e o fator de crescimento de fibroblastos 7 (FGF7).13,14 Dessa forma, até o momento, já foi demonstrada ação benéfica em alopecias não cicatriciais, como alopecia androgenética e alopecia areata.14 Os benefícios dos microcanais podem ser extrapolados para o nosso caso, com aumento da entrega do corticoide tópico.

A aplicação do Er:YAG para acne também demonstrou bons resultados devido ao efeito fototérmico, atuando na hiperqueratose folicular e na modulação do microbioma da pele.15,16 Considerando que a hiperqueratose também está presente na FD, esse pode ser um fator adicional para a melhora da doença. Ademais, foi demonstrado que a laserterapia com Er:YAG exerce um papel na modulação da resposta imune, atuando como um mecanismo de defesa contra o estresse, especialmente na proteína CXCL1. Essa proteína contribui para a angiogênese por meio das células endoteliais humanas, favorecendo a cicatrização e a regeneração tecidual, como ocorre na FD.17

CONCLUSÃO

O laser de Er:YAG apresenta múltiplos mecanismos de ação que podem beneficiar a fisiopatologia da FD, incluindo efeitos sobre fibroblastos, microbiota da pele, cascata imunológica, angiogênese, crescimento capilar e melhora da hiperqueratose. Apresentamos um caso de FD com melhora rápida e sem queda de cabelo após o uso de Er:YAG. Mais estudos clínicos são necessários para definir melhor seus benefícios. l

Palhano ACM, Marangoni H, Andrade DS, Brandalize TB, Vasconcelos RCF.

REFERÊNCIAS:

1. Cummins DM, Chaudhry IH, Harries M. Scarring alopecias: pathology and an update on digital developments. Biomedicines. 2021;9:1755.

2. Uchiyama M, Harada K, Tobita R, Irisawa R, Tsuboi R. Histopathologic and dermoscopic features of 42 cases of folliculitis decalvans: a case series. J Am Acad Dermatol. 2021;85(5):1185-1193.

3. Rambhia PH, Conic RRZ, Murad A, Atanaskova-Mesinkovska N, Piliang M, Bergfeld

4. W. Updates in therapeutics for folliculitis decalvans: a systematic review with evidence- based analysis. J Am Acad Dermatol. 2019;80(3):794801.

5. Rózsa P, Varga E, Gyulai R, Kemény L. Carbon-dioxide laser-associated PDT treatment of folliculitis decalvans. Int J Dermatol. 2024;63(9):12561257.

6. Meesters AA, Van der Veen JW, Wolkerstorfer A. Long-term remission of folliculitis decalvans after treatment with the long-pulsed Nd:YAG laser. J Dermatolog Treat. 2013;25(2):167–168.

7. Horowitz MR, França ER, Cavalcanti SMM. Treatment of folliculitis decalvans with Nd:YAG laser. Surg Cosmet Dermatol. 2013;5(2):1702.

8. Parlette EC, Kroeger N, Ross EV. Nd:YAG laser treatment of recalcitrant folliculitis decalvans. Dermatol Surg. 2004;30(8):1152–1154.

9. Cenk H, Hulya S, Sarac G. Effectiveness and safety of 2940nm multifractional Er:YAG laser on acne scars. Dermatol Ther. 2020.

10. Pham CM, Chen CY, Kim DM. The effects of using erbium, chromium-doped: yttrium-scandium-gallium-garnet laser on the surface modification, bacterial decontamination, and cell adhesion on zirconia discs: an in vitro study. Lasers Med Sci. 2021;36(8):1701–1708.

11. Chiarini C, Torchia D, Bianchi B, Volpi W, Caproni M, Fabbri P. Immunopathogenesis of folliculitis decalvans. Am J Clin Pathol. 2008;130(4):526–534.

12. Perper M, Aldahan AS, Fayne RA, Emerson CP, Nouri K. Efficacy of fractional lasers in treating alopecia: a literature review. Lasers Med Sci. 2017;32(8):1919–1925.

13. Ke J, Guan H, Li S, Xu L, Zhang L, Yan Y. Erbium: YAG laser (2,940 nm) treatment stimulates hair growth through upregulating Wnt 10b and β-catenin expression in C57BL/6 mice. Int J Clin Exp Med. 2015;8(11):20883–20889.

14. Jean-Pierre P, Pulumati A, Kasheri E, Hirsch M, Nouri K. Lasers in the management of alopecia: a review of established therapies and advances in treatment. Lasers Med Sci. 2024;39(1).14.

15. Tanakol A, Oba MC, Uzuncakmak TK, Askin O, Kutlubay Z. Treatment of alopecia areata with 2940‐nm fractional erbium: yttrium‐aluminum‐garnet laser. Dermatol Ther. 2020;33(6).

16. Guida S, Lippolis N, Giovani M, Pedroni G, Urtis GG, Pellacani G, et al. Ablative fractional erbium: YAG laser resurfacing: a treatment option for acne. Dermatol Pract Concept. 2022;12(1):e2022024.

17. Cenk H, Sarac G. Effectiveness and safety of 2940-nm multifractional Er:YAG laser on acne scars. Dermatol Ther. 2020;33(6).

18. Ansari M, Rezaei-Tavirani M, Hamzeloo-Moghadam M, Vafaee R, Razzaghi M, Nikzamir M, et al. Assessment of immunological effects of low-level ER: YAG Laser Radiation. J Lasers Med Sci.2022;13:e25.

CONTRIBUIÇÃO DOS AUTORES:

Ana Clara Maia Palhano 0000-0002-0404-6482

Aprovação da versão final do manuscrito; elaboração e redação do manuscrito; obtenção, análise e interpretação dos dados; participação intelectual em conduta propedêutica e/ou terapêutica de casos estudados; revisão crítica da literatura; revisão crítica do manuscrito.

Heloise Marangoni 0009-0003-8985-321X

Aprovação da versão final do manuscrito; elaboração e redação do manuscrito.

Daniel Simão de Andrade 0009-0003-4002-5288

Aprovação da versão final do manuscrito; revisão crítica do manuscrito.

Thaisa Bosquiroli Brandalize 0009-0002-8458-501X

Aprovação da versão final do manuscrito; revisão crítica do manuscrito.

Rossana Cantanhede Farias de Vasconcelos 0000-0002-6185-1840

Aprovação da versão final do manuscrito; elaboração e redação do manuscrito; participação efetiva na orientação da pesquisa; revisão crítica do manuscrito.

www.surgicalcosmetic.org.br/

Zetaplastia: uma opção para reconstrução de dois defeitos sincrônicos nasais – relato de caso

Z-plasty, an option for reconstructing two synchronous nasal defects: a case report

Relato de caso

Autores:

Raul Ribeiro Garcia1

Luis Felipe Stella Santos1

Guilherme Basso Durães1

Lissa Shizue Tateiwa Niekawa1

Rogerio Nabor Kondo1

DOI: http://www.dx.doi.org/10.5935/scd1984-8773.2025170340

RESUMO

A zetaplastia é uma técnica cirúrgica versátil que permite abordar diversas necessidades em cirurgias dermatológicas, especialmente no alongamento, dispersão e realinhamento de cicatrizes dentro da tensão cutânea relaxada. Relatamos um caso de dois defeitos sincrônicos após a excisão de carcinomas espinocelulares nasais, tratados com a técnica de zetaplastia, destacando sua simplicidade, adaptabilidade e resultado estético.

Palavras-chave: Carcinoma de Células Escamosas; Retalhos Cirúrgicos; Nariz; Relatos de Casos.

1 Universidade Estadual de Londrina, Clínica Médica, Londrina (PR), Brasil

ABSTRACT

Z-plasty, a versatile surgical technique, skillfully addresses diverse needs in dermatological surgeries, especially the lengthening, dispersion, and realignment of scars through relaxed skin tension. We report a case of two synchronous defects after excising nasal squamous cell carcinomas using the Z-plasty technique, highlighting its simplicity, adaptability and esthetics.

Keywords: Carcinoma Squamous Cell; Surgical Flaps; Nose; Case Reports.

Correspondência: Rogerio Nabor Kondo

E-mail: kondo.dermato@gmail.com kondo.dermato@uel.br

Fonte de financiamento: Nenhuma. Conflito de interesses: Nenhum.

Data de Submissão: 10/01/2024

Decisão final: 11/03/2024

Como citar este artigo: Garcia RR, Santos LFS, Durães GB, Niekawa LST, Kondo RN. Zetaplastia: uma opção para reconstrução de dois defeitos sincrônicos nasais – relato de um caso. Surg Cosmet Dermatol. 2025;17:e20250340.

Garcia RR, Santos LFS, Durães GB, Niekawa LST, Kondo RN.

INTRODUÇÃO

As neoplasias cutâneas, em virtude de sua natureza, podem representar um desafio intrínseco à otimização do resultado estético. O carcinoma espinocelular (CEC), segundo tipo mais comum de câncer de pele, pode demandar cuidados específicos no contexto da cirurgia de reconstrução1, principalmente na região nasal, onde o realinhamento da cicatriz é essencial devido à alta exigência estética.

Em casos de dois ou mais CECs sincrônicos na região nasal, as dificuldades aumentam, por ser um local muito visível e com riscos de distorções pela falta de elasticidade local. Autores já relataram, em lesões simultâneas, reconstruções usando zetaplastia (ZTP) (região intraclavicular)2 e avanço com triângulo de Burow (região nasal)3, solucionando os defeitos resultantes com bons resultados. Apresentamos um caso de uma paciente com dois CECs sincrônicos em região nasal, mas lesões em lados diferentes (direito e esquerdo) e níveis diferentes (terço médio e ponta). Optou-se por reconstrução com ZTP, em vez de avanço, com bom resultado estético e funcional.

RELATO DO CASO

Uma mulher, de 79 anos, com classificação 3 de Fitzpatrick, portadora de asma, hipertensão arterial sistêmica e diabetes melito tipo 2, apresentava uma pápula de 8 mm e uma placa de 12 mm, eritematosas, de superfícies escamosas na região da parede lateral direita do nariz e na lateral esquerda da ponta nasal, respectivamente. Exames histopatológicos das biópsias incisionais das duas lesões evidenciaram proliferação de queratinócitos atípicos comprometendo toda a epiderme e invadindo a lâmina própria, confirmando dois CECs moderamente diferenciados.

DESCRIÇÃO DA TÉCNICA

Paciente em decúbito dorsal horizontal;

Marcação com caneta cirúrgica das duas lesões com margens de 4 mm (Figura 1);

Antissepsia com polivinil pirrolidona iodo 10% tópico;

Colocação de campos cirúrgicos;

Anestesia local infiltrativa com lidocaína 2% com vasoconstritor;

Incisão com lâmina 15, em formato circular, conforme marcação prévia da lesão da parede lateral nasal à direita e excisão completa do CEC, ocasionando o defeito 1;

Incisão com lâmina 15, em formato circular, conforme marcação prévia da lesão lateral esquerda da ponta nasal e excisão completa do CEC, ocasionando o defeito 2;

Incisão em diagonal unindo o defeito 1 ao defeito 2 (Figura 2);

Descolamento da pele ao redor dos defeitos para melhor movimentação do retalho;

Transposição dos retalhos e fechamento sincrônico dos dois defeitos (Figura 3);

Suturas com pontos simples com fio de mononylon 5.0, com ângulos de 60 a 75 graus entre as duas incisões da extremidade e a incisão central (Figura 4);

Limpeza com soro fisiológico;

Curativo oclusivo com gaze.

RESULTADOS

A paciente evoluiu com resultado estético satisfatório, boa cicatrização e acomodação, sem deformidade em alçapão (trapdoor) e sem sinais de infecção no pós-operatório (Figura 5). Os exames histopatológicos das excisões das duas lesões evidenciaram CECs com margens cirúrgicas livres.

B

Figura 1: AMarcação cirúrgica de carcinoma espinocelular (CEC) na parede nasal direita.

B - Marcação cirúrgica de CEC na ponta nasal esquerda e marcação da união dos dois defeitos

Surg Cosmet Dermatol. 2025;v.17: n.1 jan-mar. p.115-9.

DISCUSSÃO

A ZTP é uma técnica bastante conhecida, utilizada em cirurgias dermatológicas e plásticas. Apesar da diversidade de formas descritas até então na literatura, há, atualmente, três propósitos bem conhecidos ao utilizar a técnica: a) alongar uma cicatriz; b) dispersar uma cicatriz; ou c) realinhar uma cicatriz dentro de uma tensão de pele relaxada.

A ZTP é conhecida por sua versatilidade, pois tem aplicações em diversas partes do corpo, como em dedos, nariz, tórax, palato, região malar, orelhas, entre outras. Apesar de primariamente descrita por Fricke e Horner em meados dos anos 1800 no Departamento de Cirurgia do Hospital Filadélfia, foram os estudos publicados por McCurdy (1898-1924) que popularizaram a técnica, sendo considerado o primeiro registro contemporâneo de ZTP por Berger em 1904.4

As perdas de tecido cutâneo na região nasal são desafiadoras para o cirurgião dermatológico devido à falta de elasticidade cutânea em algumas áreas. As subunidades nasais, descritas por Burget e Menick,5 separaram as regiões por diferenças de elasticidade, cor, contorno e tecido de pele, o que revolucionou as reconstruções nasais, como o surgimento das melhores propostas de retalhos ou de enxertos para cada região (Figura 6). Diferentes técnicas já foram demonstradas na região nasal pela literatura. Um estudo transversal brasileiro analisou 103 retalhos cutâneos nasais utilizados para reconstrução de cirurgia

Figura 2: Defeito cirúrgico
Figura 3: Movimento de transposição dos retalhos
Figura 4: A - Pontos principais. B - Retalho suturado

A B

Figura 5: Paciente com 1 semana de pósoperatório.

A - Com os pontos.

B - Após a retirada dos pontos

Figura 6: Subunidades nasais.

Fonte: Adaptado de Berget e Menick

Figura 7: Esquema da diferença entre os retalhos de avanço e de transposição. No primeiro (avanço), o retalho A avança sobre o defeito 2 e o retalho B avança em direção ao defeito 1. No segundo (transposição), o retalho B transpõe sobre o A e fecha o defeito 2 e o retalho A transpõe sobre o B e fecha o defeito 1. Fonte: Desenho esquemático do próprio autor principal

Garcia RR, Santos LFS, Durães GB, Niekawa LST, Kondo RN.

oncológica6, com 21,6% de casos na região do dorso e 12,7% na região da ponta. Na região do dorso, a técnica mais utilizada foi oretalho glabelar estendido, seguido pelo bilobado e romboide. Na região da ponta, a mais utilizada foi o retalho bilobado, seguido pelo glabelar estendido e romboide. No entanto, a grande maioria dos casos compilados tratava-se de uma única lesão nasal. No presente caso, tratava-se de duas lesões sincrônicas. Optamos por ZPT em vez de avanço com triângulo de Burow,3 pois, ao transpor o retalho, houve melhor acomodação, evitando a distorção nasal, já que os defeitos resultantes estavam localizados em lados opostos (direito e esquerdo) e em níveis diferentes da região nasal (terço médio e ponta nasal), ou seja, envolvendo também diferentes subunidades (a diferença esquemática entre os dois tipos de retalhos está ilustrada na Figura 7).

A ZTP orquestra a cobertura do defeito ao transpor o primeiro retalho para a área em necessidade, enquanto o segundo retalho tem o propósito duplo de fechar o local doador do

REFERÊNCIAS:

1. Gheno V, Kondo RN, Lena CP. Carcinoma espinocelular do lábio inferior: dois casos de reconstrução bilateral com retalho de Gilles associado à z-plasty. Surg Cosmet Dermatol. 2020;12(2):182-6.

2. Gon AS, Araújo FM. Z-plasty como alternativa para fechamento de defeito cirúrgico duplo. Surg Cosmet Dermatol 2015;7(2):162-4.

3. Espósito ACC, Palermo E, Lara OACC, Souza MP, Vieira MB, Terzian LR. Retalhos cirúrgicos para fechamento de defeitos faciais sincrônicos. Surg Cosmet Dermatol. 2019; 11(2):160-3.

CONTRIBUIÇÃO DOS AUTORES:

Raul Ribeiro Garcia 0009-0009-3283-867X

primeiro retalho e realinhar a cicatriz.2 Devido à semelhança de cor e textura, os retalhos podem ser preferíveis para a reparação de perda tecidual. Por ser versátil e de execução simples, em um único tempo cirúrgico, a ZTP pode ser uma técnica útil na reconstrução de defeitos duplos adjacentes.4

O relaxamento adicional do tecido proporcionado por uma ZPT desigual e a utilização de tecido de pele semelhante para o fechamento de dois defeitos nasais sincrônicos próximos parecem ser as vantagens desse tipo de procedimento, uma vez que não requer a excisão de tecido saudável adicional.4

CONCLUSÃO

Este relato de caso mostrou que a ZTP é uma opção notável e versátil em cirurgias dermatológicas. É fundamental conhecer as diferentes técnicas existentes para aplicá-las da melhor forma na reconstrução nasal. l Surg Cosmet Dermatol. 2025;v.17: n.1 jan-mar. p.115-9

4. Shockley WW. Scar revision techniques: z-plasty, w-plasty, and geometric broken line closure. Facial Plast Surg Clin North Am. 2011;19(3):455-63.

5. Burget GC, Menick FJ. The subunit principle in nasal reconstruction. Plast Reconstr Surg. 1985;76(2):239-47.

6. Laitano FF, Teixeira LF, Siqueira EJ, Alvarez GS, Oliveira MP. Uso de retalho cutâneo para reconstrução nasal após ressecção neoplásica. Rev Bras Cir Plást. 2012;27(2):217-22.

Aprovação da versão final do manuscrito; elaboração e redação do manuscrito; revisão crítica da literatura; revisão crítica do manuscrito.

Luis Felipe Stella Santos 0000-0001-7982-3875

Aprovação da versão final do manuscrito; elaboração e redação do manuscrito; revisão crítica da literatura; revisão crítica do manuscrito.

Guilherme Basso Durães

0009-0008-3058-8964

Approval of the final version of the manuscript for publication; writing – original draft; writing – review & editing.

Lissa Shizue Tateiwa Niekawa 0009-0008-7457-7597

Aprovação da versão final do manuscrito; elaboração e redação do manuscrito; revisão crítica da literatura; revisão crítica do manuscrito.

Rogerio Nabor Kondo 0000-0003-1848-3314

Aprovação da versão final do manuscrito; concepção e planejamento do estudo; elaboração e redação do manuscrito; obtenção, análise e interpretação dos dados; participação efetiva na orientação da pesquisa; revisão crítica da literatura; revisão crítica do manuscrito.

www.surgicalcosmetic.org.br/

Comparação histológica da ação do laser de CO2 e plasma na pele abdominal

Histological comparison of the action of CO2 laser and plasma in abdominal skin

Relato de Caso

Autores:

Ana Gabriella Bandeira Freire Andrade1

Rossana Cantanhe de Farias de Vasconcelos1

João Guilherme Finizola de Vasconcelos1

DOI: http://www.dx.doi.org/10.5935/scd1984-8773.2025170348

RESUMO

Dados histológicos das zonas de tratamento microscópico são importantes para estudar a segurança do procedimento e a eficácia do tratamento. Ainda não existem estudos envolvendo o plasma com outras técnicas. Selecionamos duas áreas no abdome de um paciente, denominada área A e área B, aplicando o plasma de baixa temperatura e o laser de CO2 fracionado. Logo após, foram realizadas biopsias. Quando utilizada em regiões mais finas de pele, a tecnologia de plasma garantiria menos complicações durante o período de aplicação, recuperação mais rápida e menos efeitos colaterais. No entanto, mais estudos são necessários para confirmar nossos achados.

Palavras-chave: Terapia a Laser; Histologia Comparada; Regeneração da Pele por Plasma; Lasers de Gás.

Ana Maria Bertelli Antonio Gallotti1 Caroline Costa de Mendonça1

1 Universidade de Santo Amaro, Dermatologia, São Paulo (SP), Brasil

ABSTRACT

Histological data on microscopic treatment zones are essential for evaluating procedure safety and effectiveness.To date, no studies have histologically compared low-temperature plasma with other techniques. In this study, two square areas on the patient’s abdomen, referred to as area A and area B, were with low-temperature plasma and fractional CO2 laser, respectively. A biopsy was taken immediately after treatment. When applied to thinner skin regions, plasma technology appears to result in fewer complications, a faster recovery, and fewer side effects during the application period. However, further studies are needed to confirm these findings.

Keywords: Laser Therapy; Histology Comparative; Plasma Skin Regeneration; Gas Lasers.

Correspondência:

Ana Gabriella Bandeira Freire Andrade E-mail: anagabriellabandeira@ gmail.com Fonte de financiamento: Nenhuma. Conflito de interesses: Nenhum.

Data de Submissão: 16/02/2024

Decisão final: 02/03/2024

Como citar este artigo: Andrade AGBF, Vasconcelos RCF, Vasconcelos JGF, Gallotti AMBA, Mendonça CC. Comparação histológica da ação do laser de CO2 e plasma na pele abdominal. Surg Cosmet Dermatol. 2024;16:e20240348.

INTRODUÇÃO

Um dos tratamentos mais utilizados na prática dermatológica é o laser de CO2 (CO2L). Devido a complicações associadas ao seu uso, surgiram os lasers fracionados não ablativos (LFNAs).1,2 Após os LFNAs, foram desenvolvidos os lasers fracionados ablativos (LFAs). Os LFAs emitem feixes estreitos e de alta energia que destroem colunas de tecido e, ao redor dessas colunas ablacionadas, forma-se um anel adjacente de dano térmico, também chamado de zonas microscópicas de tratamento (ZMTs).3 Entre as ZMTs, encontram-se colunas de tecido não lesionado, que contribuem para a resposta clínica ao procedimento.

A retração da pele e a neocolagênese observadas no LFA resultam de dois efeitos: ablação e lesão.3,4 Os LFAs permitem maior controle sobre a profundidade de ação, danos térmicos mais seletivos e, consequentemente, uma redução significativa dos efeitos colaterais.1

Além disso, na última década, desenvolveu-se o plasma medicinal, cujo principal componente é o uso do plasma de baixa temperatura (PBT), abaixo de 40 °C, como uma poderosa ferramenta para aplicações biomédicas, sendo adequado principalmente para a terapia de tecidos delicados.5 O PBT tem sido avaliado no tratamento de condições com indicação de retração tecidual, como a síndrome da blefaroquíase, flacidez tecidual e cicatrizes, além de mostrar eficácia no tratamento de neoplasias cutâneas e infecções virais e relacionadas a biofilmes.5

Sabemos que as informações histológicas sobre as dimensões das ZMTs em termos de profundidade e diâmetro da ablação, coagulação e necrose causadas pela ação do método são muito importantes para estudar a segurança do procedimento e sua eficácia no tratamento, bem como para saber combinar diferentes tipos de procedimentos de acordo com a necessidade de intervenção de cada paciente.6 Ainda não há estudos envolvendo o PBT, nessa proposta de comparação histológica, com outras técnicas. Para Baroni, em comparação com os tratamentos convencionais de radiofrequência e ablativos, o uso de PBT predispõe a uma melhor cicatrização e resultados estéticos finais.

MÉTODOS

O objeto de estudo é uma paciente que consentiu em participar do estudo e foi programada a realização de uma abdominoplastia em 3 meses. Foram selecionadas duas áreas quadradas no abdome, medindo aproximadamente 4 cm², denominadas área A e área B, que receberam, respectivamente, aplicação de PBT e CO2L fracionado.

Na área A, o PBT foi aplicado com um aparelho Surgical Derm da plataforma SOLON® (LMG - Laser; Medical Group Ltda.; Guaxupé, MG, Brasil). Na área B, foi aplicado o CO2L fracionado Dual Deep® (Lutronics, Gyeonggi-do, Coreia do Sul) com os seguintes parâmetros: comprimento de onda de 10.600 nm, energia de pulso de 50 mJ, modo estático.

Imediatamente após a aplicação das tecnologias, foi reali-

zada uma biopsia com uma punção de 4 mm. Os dois fragmentos foram fixados por imersão em uma solução de formaldeído a 10% antes de serem processados para microscopia de luz por desidratação, embebidos em parafina e seccionados. Utilizaram-se colorações de hematoxilina e eosina para visualização e análise da profundidade e do diâmetro do canal de coagulação. Os cortes histológicos foram analisados por microscopia de luz com aumento de 100 vezes e fonte de luz polarizada, usando um microscópio trinocular Olympus Bx41 acoplado a uma câmera Olympus C-35DA-2.

RESULTADOS

A análise histopatológica da área A (Figura 1), que foi submetida a PBT, apresentou um trecho central de figuração com 0,6 mm de diâmetro e profundidade de 0,15 a 0,25 mm. A profundidade foi medida sem considerar a epiderme. A derme papilar ao redor da área descrita apresenta edema com redução da quantidade de tecido elástico, o que foi confirmado pela coloração de Verhoeff. A coloração de Tricrômio de Masson não levou a achados específicos.

Na área B (Figura 2), observou-se a presença de duas pequenas áreas de figuração de dimensões semelhantes. Uma delas, em localização excêntrica, foi mais bem observada, medindo de 0,13 a 0,15 mm de diâmetro e 0,5 mm de profundidade, sem considerar a epiderme. Na derme papilar circundante, há uma leve redução na quantidade de tecido elástico.

Figura 1: Área B (ampliada 100 vezes) - Duas pequenas áreas de figuração. Uma delas em um local excêntrico sendo melhor observada, medindo 0,13 a 0,15 mm de diâmetro e 0,5 mm de profundidade

Surg Cosmet Dermatol. 2025;v.17: n.1 jan-mar. p.120-3.

Figura 2: Área A (ampliada 100 vezes) - Trecho central da figuração com 0,6 mm de diâmetro e profundidade de 0,15 a 0,25 mm

DISCUSSÃO

Desde a primeira descrição, o CO2L ganhou notoriedade considerável no campo estético, estimulando a neocolagênese dependendo da quantidade de calor fornecida e da profundidade de sua penetração dérmica e epidérmica.7,8 Além disso, quanto mais longa a coluna de ablação, maior o estímulo à remodelação dérmica nas regiões mais profundas da cicatriz, resultando em melhores resultados no tratamento de linhas finas, cicatrizes de acne e pele fotodanificada.9,10 A energia de pulso fracionada do CO2L tem sido proposta como um fator crítico na determinação da extensão e profundidade da ablação, do dano térmico e da remodelação do colágeno.11,12 Baumann et al. concluíram que as diferenças nas propriedades das zonas ablativas não são diretamente proporcionais à quantidade total de energia aplicada.12 Assim, são interessantes os estudos que avaliam as colunas de ablação resultantes de diferentes métodos terapêuticos. Arisa & Ortiz et al.2 demonstraram maiores colunas de ablação após otratamento com CO2L fracionado quando comparado ao método cirúrgico. A maior profundidade de ablação resultou em maior retração da pele, com melhores resultados estéticos finais nas cicatrizes.4 Em contrapartida, a tecnologia PBT tem ganhado grande visibilidade, principalmente na blefaroplastia não invasiva. Sua ação é induzir a expressão de genes relevantes, como o colágeno tipo I, os fatores de crescimento transformadores (TGF

beta 1 e 2) e a alfa actina do músculo liso (alfa-SMA). O tratamento com PBT desencadeia uma ação coordenada de fatores de transcrição conhecidos por serem importantes na cicatrização de feridas, estimulando a reepitelização, a angiogênese e a oxidação da camada lipídica.13

A faísca de PBT resultante sublima as camadas superficiais da pele sem causar danos térmicos elevados por meio da coagulação dos vasos dérmicos, aquecendo de forma controlada. A energia é concentrada em pequenas áreas (1 mm de diâmetro), agindo com cuidado e precisão nos tecidos, evitando danos às camadas mais profundas.14

Com base em nossas descobertas, observamos uma variação nas medidas das colunas de coagulação, em que o diâmetro alcançado pelo PBT foi aproximadamente quatro vezes maior do que o alcançado com o CO2L. No entanto, o CO2L atingiu uma profundidade de ablação duas vezes maior que a do PBT. Considerando regiões de baixa espessura dérmica, como a pálpebra, acreditamos que essa profundidade menor e a maior cobertura da superfície em diâmetro tenham contribuído para a popularização do uso do PBT na blefaroplastia não cirúrgica. Isso nos leva a pensar que as diferenças histológicas são fatores que contribuem para que essas tecnologias apresentem possibilidades individualizadas e complementares na indicação terapêutica.

Segundo Baroni, as vantagens do PBT são a alta precisão, ocurto tempo de operação, a ausência de sangramento, o menor dano a outros tecidos, a rápida formação da camada de proteção pós-operatória, a rápida cicatrização da superfície da ferida, o retorno imediato à atividade normal, com ausência de efeitos indesejáveis.14 Observamos que, quando utilizada em regiões de pele mais fina, por proteger as camadas mais profundas e promover um aquecimento mais preciso e controlado, o PBT garantiria menos complicações durante o período de aplicação, uma recuperação mais rápida e com menos efeitos colaterais quando comparado ao CO2L.

No entanto, para a confirmação de nossos achados, são necessários mais estudos que promovam a comparação histológica entre as ZMTs dessas técnicas associadas aos seus resultados.

CONCLUSÃO

Estudos que comparam camadas de ablação de CO2L associam maior profundidade a melhores resultados. Entretanto, faltam estudos que comparem essas camadas com o PBT. Inferimos que o maior diâmetro associado à menor profundidade da coluna de ablação são características que justificam o uso do PBT, principalmente em regiões de pele mais delicada, garantindo menos intercorrências no intra e pós-procedimento, recuperação mais rápida e excelentes resultados estéticos. No entanto, são necessários mais estudos para comprovar essa relação. l

REFERÊNCIAS:

1. Costa FB, El Ammar ABPC, Campos VB, Kalil CLPV. Complications in laser dermatologic surgery. Part II: fractional and non-fractional ablative laser and fractional non-ablative laser. Surg Cosmet Dermatol 2011;3(2):135-46.

2. Pozner JN, DiBernardo BE. Resurfacing a laser. Clin Plast Surg. 2016;43(3):515-25.

3. Franck P, Henderson PW, Rothaus KO. Basics of lasers. Clin Plast Surg. 2016;43(3):505-13.

4. Ortiz AE, Goldman MP, Fitzpatrick RE. Ablative CO2 lasers for skin tightening: traditional versus fractional. Dermatol Surg. 2014;(40 Suppl)12:S147-51.

5. Duarte S, Panariello BHD. Comprehensive biomedical applications of low temperature plasmas. Arch Biochem Biophys. 2020;693:108560.

6. DeBruler DM, Blackstone BN, Baumann ME, McFarland KL, Wulff BC, Wilgus T, et al. Inflammatory responses, matrix remodeling, and re-epithelialization after fractional CO2 laser treatment of scars. Lasers Surg Med. 2017; 49(7), 675–685.

7. Bentkover SH. Plasma skin resurfacing: personal experience and long-term results. Facial Plast Surg Clin North Am. 2012; 20(2):145–162.

8. Omi T, Numano K. The role of the CO2 laser and fractional CO2 laser in dermatology. Laser Ther. 2014; 23(1):49–60.

9. Tierney EP, Hanke CW, Petersen J. Ablative fractionated CO 2 laser treatment of photoaging: a clinical and histologic study. Dermatologic Surg. 2012; 38(11):1777–1789.

10. Anderson RR, Donelan MB, Hivnor C, Greeson E, Ross EV, Shumaker PR, et al. Laser treatment of traumatic scars with an emphasis on ablative fractional laser resurfacing: consensus report. JAMA Dermatol. 2014;150:18793.

11. Schmitt L, Huth S, Amann PM, Marquardt Y, Heise R, Fietkau K, et al. Direct biological effects of fractional ultrapulsed CO2 laser irradiation on keratinocytes and fibroblasts in human organotypic full-thickness 3D skin models. Lasers Med Sci. 2018;33(4):765-772.

12. Baumann ME, Blackstone BN, Malara MM, Clairmonte IA, Supp DM, Bailey JK, et al. Fractional CO2 laser ablation of porcine burn scars after grafting: is deeper better? Burns. 2020;46(4):937-948.

13. Gan Lu, Jiang J, Duan JW, Wu XJZ, Zhang S, Duan XR, et al. Cold atmospheric plasma applications in dermatology: a systematic review. J Biophotonics. 2021;14(3):e202000415.

14. Baroni A. Non‐surgical blepharoplasty with the novel plasma radiofrequency ablation technology. Skin Res Technol. 2020; 26(1):121-124.

CONTRIBUIÇÃO DOS AUTORES:

Ana Gabriella Bandeira Freire Andrade 0000-0002-8023-0134

Análise estatística; aprovação da versão final do manuscrito; concepção e planejamento do estudo; elaboração e redação do manuscrito; obtenção, análise e interpretação dos dados; participação efetiva na orientação da pesquisa; participação intelectual em conduta propedêutica e/ou terapêutica de casos estudados; revisão crítica da literatura; revisão crítica do manuscrito.

Rossana Cantanhe de Farias de Vasconcelos 0000-0002-6185-1840

Análise estatística; aprovação da versão final do manuscrito; obtenção, análise e interpretação dos dados; participação efetiva na orientação da pesquisa; participação intelectual em conduta propedêutica e/ou terapêutica de casos estudados; revisão crítica do manuscrito.

João Guilherme Finizola de Vasconcelos 0000-0003-1588-4083

Análise estatística; obtenção, análise e interpretação dos dados; participação intelectual em conduta propedêutica e/ou terapêutica de casos estudados.

Ana Maria Bertelli Antonio Gallotti 0000-0003-3113-0564

Concepção e planejamento do estudo; participação efetiva na orientação da pesquisa; revisão crítica do manuscrito.

Caroline Costa de Mendonça 0000-0003-3308-6093

Análise estatística; concepção e planejamento do estudo; elaboração e redação do manuscrito; obtenção, análise e interpretação dos dados; participação efetiva na orientação da pesquisa; revisão crítica da literatura.

www.surgicalcosmetic.org.br/

Frontoplastia: opção para reconstrução de defeitos na fronte

Forehead reduction: option for reconstructing forehead defects

Relato de caso

Autores:

Vitoria Azulay1

Beatriz Rocha Strauss1

Gabriela Della Ripa1

Lucas Madureira1

Leonardo Rotolo1

DOI: http://www.dx.doi.org/10.5935/scd1984-8773.2025170351

RESUMO

A análise tridimensional da face é fundamental para um planejamento terapêutico adequado. A face é subdividida em três terços iguais: terço superior (do tríquio até a órbita/glabela), terço médio (da órbita/ glabela até o subnásio) e terço inferior (do subnásio até o gnátio). Algumas condições, como a alopecia androgenética (AAG), podem causar variação no terço superior, aumentando seu tamanho. Relatamos ocaso de uma paciente de 48 anos, com AAG e carcinoma basocelular no tríquio à direita, submetida à cirurgia de redução frontal (frontoplastia) associada à exérese do tumor, garantindo a cura oncológica e melhora estética.

Palavras-chave: Carcinoma Basocelular; Estética; Oncologia Cirúrgica.

1 Instituto de Dermatologia Professor Rubem David Azulay, Serviço de Cirurgia Dermatológica, Rio de Janeiro (RJ), Brasil

Correspondência: Vitoria Azulay E-mail: viazulay@gmail.com

ABSTRACT

Three-dimensional facial analysis is the basis for planning appropriate treatment. We evaluated the face in thirds. The distance from the hairline to the glabella, from the glabella to the subnasale and from the subnasale to the menton must be equal. Some conditions such as androgenetic alopecia can cause a greater distance from the hairline to the glabella. We report the case of a 48-year-old patient with androgenetic alopecia and basal cell carcinoma in the right hairline in which forehead reduction surgery was performed in association with tumor excision, simultaneously providing esthetic improvement and resolving the oncological issue.

Keywords: Carcinoma, Basal Cell; Esthetics; Surgical Oncology.

Financing: None. Conflicts of interest: None.

Submitted on: 02/23/2023

Final decision: 05/22/2024

How to cite this article: Azulay V, Strauss BR, Ripa GD, Madureira L, Rotolo L. Forehead reduction: option for reconstructing forehead defects. Surg Cosmet Dermatol. 2024;16:e20240351.

INTRODUÇÃO

As cirurgias cosméticas da face estão cada vez mais presentes no cotidiano dos dermatologistas.1 Dessa forma, as novas técnicas têm como objetivo promover a melhoria da harmonia facial e, quando associadas ao tratamento oncológico, proporcionam um benefício duplo: estético e curativo. Relatamos o caso de uma paciente do sexo feminino, de 48 anos, que procurou nosso serviço devido ao surgimento de uma placa de bordas peroladas, com centro levemente eritematoso e atrófico (Figura 1). Ao exame dermatoscópico, observaram-se vasos arboriformes, ninhos de pigmento e erosões (Figura 2). Assim, foi feito o diagnóstico de carcinoma basocelular, sendo indicada a cirurgia de exérese tumoral com congelação. Considerando que a paciente apresentava alopecia androgenética (AAG), com retração da linha de implantação capilar e fronte alongada, optou-se pela exérese do tumor associada à frontoplastia com incisão pré-capilar (Figura 3).2 Além disso, foram observadas ptose de sobrancelhas e rítides estáticas na fronte, alterações do envelhecimento que podem melhorar com a frontoplastia.

1:

de

peroladas e centro levemente eritematoso e atrófico na fronte, mais especificamente no tríquio

Figure 3: Exérese do tumor associada à frontoplastia com incisão pré-capilar

Azulay V, Strauss BR, Ripa GD, Madureira L, Rotolo L.
Figure
Placa
bordas
Figure 2: Dermatoscopia: vasos arboriformes, ninhos de pigmento e erosões

Surg Cosmet Dermatol. 2025;v.17: n.1 jan-mar. p.124-27.

MÉTODOS

O presente estudo é um relato de caso realizado no Instituto de Dermatologia Professor Rubem David Azulay, Rio de Janeiro, Brasil. Houve consentimento escrito da paciente para o uso de imagem. Foi realizada uma cirurgia com exérese do carcinoma basocelular com congelação, associada à redução da fronte em uma paciente com AAG. A técnica cirúrgica consistiu na marcação da linha de implantação capilar com linhas quebradas, anestesia, incisão tricofítica, remoção de faixa de pele e subcutânea, descolamento e fechamento por planos.

RESULTADOS

Foram realizadas a exérese cirúrgica do tumor com congelação intraoperatória e a frontoplastia para reconstrução local, com a finalidade de reduzir o tamanho da fronte em aproximadamente 3 cm, garantindo melhora estética e cura oncológica.

DISCUSSÃO

A AAG pode afetar significativamente a vida psicossocial do indivíduo, com graus variáveis de comprometimento da qualidade geral de vida1. Essa enfermidade apresenta dois picos de incidência: um entre a segunda e a terceira décadas de vida e outro entre a quinta e a sexta.1 Como o próprio nome sugere, sua fisiopatogenia está relacionada à interação entre fatores hormonais e genéticos.1 Do ponto de vista hormonal, postula-se que os androgênios promovam, em folículos geneticamente determinados, a transformação de folículos terminais em folículos miniaturizados.1 A manifestação clínica se caracteriza pela rarefação dos fios na região do couro cabeludo, de forma difusa nas mulheres e, em homens, nas áreas frontoparietal, bitemporal e vértice. Em casos avançados de AAG, é possível observar um aumento da distância do tríquio até a glabela, causando desarmonia e envelhecimento da face. As técnicas para amenizar essa situação clínica variam desde o uso de maquiagem até tatuagem, sendo a cirurgia de frontoplastia uma das opcões para reduzir a fronte, considerada um método seguro e eficaz.3 As indicações para esse procedimento incluem pacientes com ptose de sobrancelhas ou de tecido periorbital, rítides estáticas na fronte e glabela ou fronte desproporcionalmente aumentada. São consideradas contraindicações pacientes impulsivos e incertos sobre a decisão cirúrgica, bem como aqueles com risco de lagoftalmo, principalmente se tiverem sido previamente submetidos à blefaroplastia superior com grande remoção tecidual.4

A cirurgia consiste em:

Marcação: O paciente é posicionado em decúbito dorsal e orientado a elevar as sobrancelhas para avaliar a localização da inserção do músculo frontal. A marcação é realizada na linha de inserção do músculo frontal e na linha de implantação capilar, utilizando linhas geometricamente anguladas (zigue-zague). Além disso, realiza-se a marcação do carcinoma basocelular, com base na dermatoscopia, e define-se uma margem de segurança de 5 mm.

Anestesia: Realiza-se anestesia local com solução de lido-

Figure 4: Marcação da frontoplastia, com o objetivo de preservar os folículos pilosos e remover 3 cm de faixa de pele/subcutâneo

Figure 5: Fechamento da ferida suturada por planos, com pontos internos utilizando Vicryl 4-0 e sutura externa com nylon 5-0

caína, adrenalina e soro fisiológico, administrada no plano subcutâneo e subgaleal.

Incisão e remoção de pele/subcutâneo: Inicialmente, foi realizada a exérese da neoplasia cutânea, com margem livre confirmada por congelação intraoperatória. Posteriormente, realizou-se a incisão tricofítica (lâmina inclinada a 20 graus) conforme a marcação da frontoplastia, com o objetivo de preservar os folículos pilosos e remover 3 cm de faixa de pele/subcutâneo (Figura 4).

Descolamento: No plano subgaleal, realiza-se a dissecção com tesoura romba e a revisão de hemostasia.

Sutura: A ferida cirúrgica é suturada por planos, com pontos internos utilizando Vicryl 4-0 e sutura externa com nylon 5-0 (Figura 5).

CONCLUSÃO

O procedimento de frontoplastia com incisão pré-capilar proporciona a redução do tamanho da fronte e a elevação das sobrancelhas, melhorando as proporções faciais e com baixa taxa de complicações.4 É bastante indicado para pacientes com a distância tríquio-glabelar aumentada, como pacientes com androgenética avançada, além de ptose de supercílios. A possibilidade de associar técnicas cirúrgicas estéticas a uma cirurgia curativa, como a exérese de um carcinoma basocelular, aumenta a taxa de satisfação do paciente (Figura 6). O sucesso obtido com essa abordagem permite aos autores recomendá-la com segurança a pacientes selecionados. l

REFERÊNCIAS:

1. Azulay RD, Azulay DR, Azulay LA. Dermatologia. 8th ed. Rio de Janeiro: Guanabara Koogan; 2022.

2. Berenguer B, García T, Lorca-García C, San-Basilio M. Aesthetic forehead reduction in female patients: surgical details and analysis of outcome. J Plast Reconstr Aesthet Surg. 2022;75(1):407-414.

3. Kabaker SS, Champagne JP. Hairline lowering. Facial Plast Surg Clin North Am. 2013;21(3):479-86.

4. Niamtu, Joe. Cosmetic facial surgery. 2nd ed. Elsevier; 2017.

CONTRIBUIÇÃO DOS AUTORES:

Vitoria Azulay 0000-0001-6534-1832

Concepção e planejamento do estudo; elaboração e redação do manuscrito; revisão crítica do manuscrito.

Beatriz Rocha Strauss 0009-0004-5072-5242

Concepção e planejamento do estudo; elaboração e redação do manuscrito; revisão crítica do manuscrito.

Gabriela Della Ripa 0000-0001-5236-2554

Participação intelectual em conduta propedêutica e/ou terapêutica de casos estudados.

Lucas Madureira 0000-0001-9412-1900

Participação intelectual em conduta propedêutica e/ou terapêutica de casos estudados.

Leonardo Rotolo 0000-0003-0481-8224

Aprovação da versão final do manuscrito; revisão crítica do manuscrito.

Figure 6: Cura oncológica e melhora estética

www.surgicalcosmetic.org.br/

Oclusão da artéria transversa da face após preenchimento com ácido hialurônico e hidroxiapatita

Relato de Caso

de cálcio: um relato de caso

Transverse facial artery occlusion following hyaluronic acid and calcium hydroxyapatite filler injection: a case report

DOI: http://www.dx.doi.org/10.5935/scd1984-8773.2025170352

RESUMO

Este relato descreve uma complicação após uso de um preenchedor composto por ácido hialurônico e hidroxiapatita de cálcio em uma mesma seringa, resultando em oclusão vascular na artéria transversa da face direita. A paciente desenvolveu máculas hipocrômicas, seguidas por aparência reticulada e pústulas. O tratamento envolveu prednisona, enoxaparina e hialuronidase. Após agravamento, incluindo obstrução arterial evidenciada por ultrassonografia, foi realizada hialuronidase guiada por ultrassonografia e terapia hiperbárica. A paciente apresentou evolução favorável com regressão das alterações. O caso destaca a importância da identificação precoce e intervenção para minimizar complicações decorrentes de oclusão vascular em procedimentos estéticos.

Palavras-chave: Preenchedores Dérmicos; Hialuronoglucosaminidase; Arteriopatias Oclusivas.

Autores: Isabelle Ary Duque1 Francisco Jefferson Araújo Elias1 Matheus Morais Lima1

1 Clínica Dra. Isabelle Duque, Dermatologia, Fortaleza (CE), Brasil

Correspondência: Francisco Jefferson Araújo Elias E-mail: jelias464@gmail.com

ABSTRACT

This case report describes a complication following the use of a filler composed of hyaluronic acid and calcium hydroxyapatite mixed in the same syringe, resulting in vascular occlusion of the right transverse facial artery. The patient developed hypopigmented macules, followed by a reticulated pattern and pustules. Treatment included prednisone, enoxaparin, and hyaluronidase. Due to worsening symptoms, including arterial obstruction confirmed by ultrasound, ultrasound-guided hyaluronidase injection and hyperbaric oxygen therapy were administered. The patient showed a favorable recovery, with regression of vascular complications. This case underscores the importance of early identification and intervention to minimize complications associated with vascular occlusion in aesthetic procedures.

Keywords: Dermal Fillers; Hyaluronoglucosaminidase; Arterial Occlusive Diseases.

Fonte de financiamento: Nenhuma. Conflito de interesses: Nenhum.

Data de Submissão: 25/02/2024 Decisão final: 12/09/2024

Como citar este artigo: Duque IA, Elias FJA, Lima MM. Oclusão da artéria transversa da face após preenchimento com ácido hialurônico e hidroxiapatita de cálcio: um relato de caso. Surg Cosmet Dermatol. 2024;16:e20240352.

RELATO DE CASO

Paciente do sexo feminino, 43 anos, fototipo III, foi submetida a preenchimento da região zigomática para reposição volumétrica. O produto utilizado foi uma combinação de ácido hialurônico e hidroxiapatita de cálcio (Harmonyca). Optou-se por uma cânula de 22G x 70 mm. Os pontos de aplicação foram realizados em três boli de 0,1 mL, localizados, respectivamente, no arco zigomático, na proeminência zigomática e na região malar.

Imediatamente, a paciente desenvolveu hipocromia na hemiface direita (Figuras 1 e 2). Na época, ela não havia relatado nenhum sintoma. Prontamente foi aplicado hialuronidase, diluindo 2.000 UI em 5 mL de diluente, e imediatamente encaminhada para ultrassonografia para pesquisa de possíveis obstruções, o que não se confirmou.

Decorridas 12 horas do procedimento, por meio de registros fotográficos enviados pela paciente, foi evidenciada a presença de livedo reticular (Figura 3). A partir desse momento, iniciou-se terapia com corticosteroide (prednisona 0,5 mg/kg/ dia); aspirina 200 mg/dia; enoxaparina 1 mg/kg a cada 12 horas, esquema antibiótico empírico, com amoxicilina-clavulanato e nova aplicação de hialuronidase em toda a área afetada pelo livedo (Figura 4).

Passadas 72 horas do procedimento, devido à evolução dos sinais de obstrução vascular, como a formação de pústulas e

Figura 1: Diferenciação de preenchedores injetáveis não permanentes: prevenção e tratamento de complicações com preenchedores
Figura 2: Demarcação de área para aplicação de hialuronidase
Figura 3: Passado 12 horas do preenchimento

petéquias (Figura 6), realizou-se nova ultrassonografia. Dessa vez, evidenciou-se suboclusão extrínseca da artéria facial transversa, no terço médio (Figura 5). Administrou-se hialuronidase com orientação ultrassonográfica.

Iniciou-se terapia adjuvante com câmara hiperbárica. Após 10 dias, a paciente apresentou resolução completa dos sinais (Figura 7).

O caso destaca a importância da identificação e intervenção precoces para minimizar as complicações decorrentes da oclusão vascular em procedimentos estéticos.

DISCUSSÃO

A artéria facial transversa tem um papel importante na irrigação lateral da face e é uma das principais artérias afetadas em casos de oclusão. A artéria está 2 cm acima do arco zigomático e segue paralela a ele. Entretanto, podem ocorrer variações anatômicas. Ela pode se originar da artéria temporal superficial ou da artéria carótida externa (Figura 8). Normalmente, ela se origina da artéria temporal superficial, no nível da região da glândula parótida. Ela supre a glândula parótida, o nervo facial e participa Surg Cosmet Dermatol. 2025;v.17: n.1

Figura 4: Pontos de aplicação de hialuronidase em áreas com livedo, 12 horas após o preenchimento
Figure 5: Ausência de pico diastólico no ultrassom

da irrigação do tegumento da região zigomática.

Ao considerar a ocorrência de eventos vasculares, um estudo com 370 dermatologistas indicou uma incidência de “oclusão vascular” correlacionada a uma em 6.410 se uma agulha fosse usada e uma em 40.882 com uma cânula. Outro estudo demonstrou que o risco relativo de oclusão vascular foi duas vezes maior entre profissionais durante os primeiros 5 anos de prática em comparação com aqueles que praticavam há mais tempo, indicando que a experiência do médico é um fator importante na sua ocorrência.1

Em uma série de casos, composta por 46 artigos e um total de 164 pacientes, registrou-se um total de 436 complicações relacionadas a preenchimentos dérmicos com hidroxiapatita de cálcio e ácido hialurônico, dos quais 31 casos ocorreram na região malar e foram classificados como leves ou transitórios. A maioria das complicações foi vermelhidão e edema na região injetada.7 A área zigomática foi classificada como uma região de risco moderado a baixo.2

A identificação imediata da primeira fase de oclusão (palidez) e a aplicação precoce de hialuronidase são necessárias para minimizar o risco de necrose tecidual. Alguns critérios devem ser avaliados quanto à possibilidade de oclusão arterial: avaliação do tempo de reperfusão capilar, dor e coloração da pele.2 Inicialmente, a paciente em questão apresentou palidez, seguida de livedo reticular, que corresponde ao estágio dois, e foi pron-

Figura 6: Após 72 horas do preenchimento, com formação de pústulas e petéquias
Figura 7: Localização da artéria facial transversa
Figura 7: Passado 10 dias do preenchimento

Surg Cosmet Dermatol. 2025;v.17: n.1 jan-mar. p.128-32.

tamente identificada e tratada com hialuronidase. Entretanto, apesar dos cuidados iniciais, o quadro piorou, o que mostra a importância de reavaliações frequentes para observar a eficácia das terapias aplicadas em um caso de oclusão vascular. O ultrassom dermatológico é um método útil para detectar materiais exógenos, descrevê-los e avaliar suas complicações.9 Entretanto, sua eficácia depende da experiência do ultrassonografista. Neste relato de caso, o primeiro ultrassom não mostrou obstrução.

CONCLUSÃO

Após um evento vascular induzido por preenchimento facial, quanto maior o tempo de isquemia, maior o comprometimento do tecido. A compreensão e o reconhecimento imediato dos estágios de uma oclusão são essenciais para o tratamento adequado e o monitoramento clínico. As reavaliações dos pacientes são essenciais para avaliar as respostas às terapias estabelecidas. l

REFERÊNCIAS:

1. Alam M, Kakar R, Dover JS, Harikumar V, Kang BY, Wan HT, et al. Rates of vascular occlusion associated with using needles vs cannulas for filler injection. JAMA Dermatol. 2021;157(2):174–180.

2. Murray G, Convery C, Walker L, Davies E. Guideline for the management of hyaluronic acid filler-induced vascular occlusion. J Clin Aesthet Dermatol. 2021;14(5):E61-E69.

3. Urdiales-Gálvez F, Delgado NE, Figueiredo V, Lajo-Plaza JV, Mira M, Moreno A, et al. Treatment of soft tissue filler complications: expert consensus recommendations. Aesthetic Plast Surg. 2018;42(2):498-510.

4. Garvier MH, Bass LM, Fitzgerald R, Golberg DJ, Gottfried L. Differentiating nonpermanent injectable fillers: prevention and treatment of filler complications. Aesth Surg J. 2018;38(Suppl 1):S29-S40.

5. Tamura BM. Facial anatomy and the application of fillers and botulinum toxin – part 2. Surg Cosmet Dermatol.2010;2(4):291-303.

6. Rodriguez-Valera A, Nieto-Lopez F. Hyperbaric oxygenation therapy improve recovery in early or late vascular occlusion generates by tissue fillers. J Cosmet Dermatol. 2023;22(7):1969-1972.

7. Oranges CM, Brucato D, Schaefer DJ, Kalbermatten DF, Harder Y. Complications of nonpermanent facial fillers: a systematic review. Plast Reconstr Surg Glob Open. 2021;9(10):e3851.

8. Daskalopoulou D, Matsas A, Chrysikos D, Troupis T. The superficial temporal artery: anatomy and clinical significance in the era of facial surgery and aesthetic medicine. Acta Med Acad. 2022;51(3):232-242.

9. Díaz CPG. High resolution ultrasound of soft tissues for characterization of fillers and its complications. Rev Colomb Radiol. 2019;30:5064-5068.

CONTRIBUIÇÃO DOS AUTORES:

Isabelle Ary Duque

0009-0002-6381-1524

Aprovação da versão final do manuscrito; concepção e planejamento do estudo; participação intelectual em conduta propedêutica e/ou terapêutica de casos estudados; revisão crítica da literatura.

Francisco Jefferson Araújo Elias

0009-0008-9515-3750

Elaboração e redação do manuscrito; revisão crítica da literatura; revisão crítica do manuscrito.

Matheus Morais Lima 0000-0002-3722-963X

Elaboração e redação do manuscrito; revisão crítica da literatura; revisão crítica do manuscrito.

www.surgicalcosmetic.org.br/

Infecção necrosante de tecidos moles em um paciente após pedicure cosmética: relato de caso

Necrotizing soft tissue infection in a patient following cosmetic pedicure: a case report

DOI: http://www.dx.doi.org/10.5935/scd1984-8773.2025170357

RESUMO

As infecções necrosantes de tecidos moles são infecções graves no tecido subcutâneo, fáscia superficial, fáscia profunda e musculatura, e podem resultar em perda extensa e permanente de tecido. A infecção pode começar na pele e se espalhar para tecidos mais profundos. Procedimentos cosméticos, como manicure e pedicure, estão ganhando popularidade. Porém, envolvem a ruptura da continuidade dos tecidos moles, o que pode levar à infecção. Apresentamos o caso de uma mulher de 41 anos que sofreu de infecção necrosante de tecidos moles após pedicure não estéril. Ela foi tratada com antibióticos de amplo espectro, cirurgia e terapia de fechamento assistido por vácuo.

Palavras-chave: Infecção necrosante de tecidos moles; Cosméticos; Fasciite.

Relato de Caso

Autores:

Raman Nitskovich1,2

Izabela Staniszewska1 Irena Walecka1,2

1 Instituto Médico Nacional do Ministério do Interior e Administração, Departamento de Dermatologia, Varsóvia, Polônia

2 Centro de Educação Médica de Pós-Graduação, Departamento de Dermatologia e Dermatologia Pediátrica, Varsóvia, Polônia

ABSTRACT

Necrotizing soft tissue infections (NSTIs) are severe infections affecting the skin, subcutaneous tissue, superficial fascia, deep fascia, and musculature, often leading to extensive and permanent tissue loss. Such infections may originate in the skin and subsequently spread to deeper tissues. Cosmetic procedures, such as manicures and pedicures, are becoming increasingly popular. However, they involve disruption of soft tissue integrity, which can increase the risk of localized infections.We present the case of a 41-year-old woman who developed NSTI following a nonsterile pedicure. She was successfully treated with broad-spectrum antibiotics, surgical intervention, and vacuum-assisted closure (VAC) therapy.

Keywords: Soft tissue infections; Fasciitis, Necrotizing; Cosmetics.

Correspondência:

Izabela Staniszewska E-mail: staniszewskaiza28@gmail. com

Fonte de financiamento: Nenhuma. Conflito de interesses: Nenhum.

Data de Submissão: 05/03/2024 Decisão final: 26/08/2024

Como citar este artigo: Nitskovich R, Staniszewska I, Walecka I. Infecção necrosante de tecidos moles em um paciente após pedicure cosmética: relato de caso. Surg Cosmet Dermatol. 2024;16:e20240357.

R, Staniszewska I, Walecka I.

INTRODUÇÃO

As infecções necrosantes de tecidos moles (INTMs) são infecções graves. Elas podem se espalhar rapidamente na pele, no tecido subcutâneo, na fáscia superficial, na fáscia profunda e na musculatura, e podem resultar em perda extensa e permanente de tecido.1 Felizmente, são uma ocorrência rara.2 Os procedimentos cosméticos nas unhas estão se tornando cada vez mais populares.3 A pedicure cosmética envolve o encurtamento, olixamento e a remoção da pele espessa das unhas dos dedos dos pés. As unhas dos dedos dos pés podem ser finalizadas com a aplicação de esmalte. A remoção da epiderme espessada interrompe a continuidade dos tecidos moles, o que pode levar a infecção.3,4 Apresentamos o caso de uma mulher de 41 anos que sofreu uma infecção do sistema nervoso central após uma pedicure não esterilizada. Ela foi tratada com sucesso com antibióticos de amplo espectro, cirurgia e terapia de fechamento assistido a vácuo (VAC).

RELATO DO CASO

Paciente do sexo feminino, 41 anos, previamente saudável e sem tomar nenhum medicamento. Antes da Páscoa, ela visitou um salão de beleza. A pedicure cosmética foi feita no apartamento da esteticista. As condições em que o procedimento foi realizado não eram higiênicas.Vários dias depois, a paciente apresentou inchaço no pé direito e febre baixa (Figura 1A). A perna direita estava doendo muito.

A paciente foi levada à emergência e recebeu prescrição de clindamicina oral 300 mg três vezes ao dia e um antibiótico local. O inchaço permaneceu inalterado. Um dia depois, observaram-se petéquias, hematomas e inchaço no pé direito (Figura 1B). Uma necrose distinta começou a surgir no polegar do pé direito. Algumas horas depois, surgiram bolhas e erosões com secreção de conteúdo seroso.

A paciente foi encaminhada ao setor de dermatologia devido ao inchaço não apenas do pé direito, mas também da perna, com necrose visível, bolhas e aquecimento significativo do membro inferior direito (Figura 1C).

Nos exames laboratoriais, a proteína C-reativa de fase aguda era de 318 mg/L e a procalcitonina, de 5,12 ng/mL. Os glóbulos brancos eram 15.000/µL, eritrócitos anêmicos 3,7×106/µL, hemoglobina 9,2 g/dL, hematócrito 27% e plaquetas trombocitopênicas 95.000/µL. Ela foi considerada apta a receber imediatamente antibioticoterapia intravenosa de amplo espectro com ceftriaxona e metronidazol. Submeteu-se a um exame de ultrassom urgente das veias dos membros inferiores e foi agendada uma consulta cirúrgica urgente. A paciente começou a se preparar para um procedimento cirúrgico que envolvia descompressão e incisão da fáscia, bem como a remoção de tecidos necróticos.

A paciente foi tratada com filtros e o conteúdo purulento foi drenado. A placa ungueal do polegar do pé direito também foi removida (Figura 1D).

A instalação de filtros e drenos foi concluída. Inúmeros

vasos coagulados eram visíveis no tecido subcutâneo e foram coletadas amostras para investigação microbiológica da ferida. O diagnóstico de INTM foi confirmado. Manteve-se a antibioticoterapia intravenosa de amplo espectro com ceftriaxona e metronidazol.

Os resultados dos testes microbiológicos indicaram infecção por Streptococcus pyogenes sensível a penicilina. De acordo com os resultados da cultura, a antibioticoterapia foi alterada para amoxicilina e ácido clavulânico por via intravenosa. O inchaço e a necrose continuaram a crescer após a administração desse tratamento com antibióticos. A incapacidade de melhorar após esses antibióticos levou à substituição da piperacilina por tazobactam por via intravenosa e decidiu-se submeter o pé direito a outro procedimento cirúrgico, no qual os tecidos necróticos foram removidos. Além disso, foram removidos extravasamentos purulentos do antepé e da parte frontal do polegar do pé direito. Novas incisões foram realizadas e foram introduzidos novos drenos. O uso de antibioticoterapia foi mantido e foi tomada a decisão de usar a terapia VAC.

Foi demonstrado que a terapia VAC é muito eficaz. Os marcadores de inflamação da paciente diminuíram e a necrose parou de se espalhar (Figura 1E). Após 14 dias de terapia com VAC, a paciente estava em boas condições gerais (Figura 1F). Devido a defeitos significativos no tecido subcutâneo e no tecido da pele da perna direita, a paciente foi encaminhada a uma clínica de cirurgia plástica.

DISCUSSÃO

Se não forem tratadas, as INTMs podem levar à morte. A taxa de mortalidade chega a 20 a 30%, mesmo com a aplicação do tratamento adequado. 5 A amputação também é frequentemente necessária. 6 As INTMs deixam defeitos na pele, cicatrizes e até mesmo deformidades nos membros em praticamente todos os pacientes, levando a uma redução na qualidade de vida. 7 A infecção deixou lesões desfigurantes muito visíveis no membro inferior direito da paciente. No entanto, seu estado geral foi estabilizado. Não houve desenvolvimento de sepse e outras complicações nos órgãos. O fator crucial foi evitar a amputação do membro inferior da paciente. O tratamento requer uma abordagem multimodal. O início rápido de antibióticos é muito importante para a sobrevida. Quando os tecidos necróticos são detectados, é inútil adiar o procedimento cirúrgico, pelo qual esses tecidos serão removidos. Também é importante lembrar-se de coletar amostras para testes microbiológicos. 3,8 Embora a INTM seja uma doença amplamente reconhecida pelos médicos, ela é frequentemente diagnosticada de forma errônea no início. Como mencionado anteriormente, a antibioticoterapia é crucial para a vida e a saúde do paciente. O diagnóstico requer um procedimento cirúrgico exploratório, por meio do qual é possível detectar necrose da pele, do tecido subcutâneo, da fáscia e dos músculos, bem como coágulos sanguíneos nas veias, inchaço

Surg Cosmet Dermatol. 2025;v.17: n.1 jan-mar. p.133-6.

e exsudato. 9 Nossa expectativa é de que este caso prove que essa infecção também pode se desenvolver após um pequeno procedimento estético.

CONCLUSÕES

Figura 1 A, B: Inflamação necrosante de tecidos moles em uma paciente após uma pedicure cosmética. Alterações observadas durante os dias iniciais dos sintomas e evidentes na admissão em nossa clínica.

Figura 1 C: Dia em que o procedimento cirúrgico foi realizado.

Figura 1 D: Condição do membro inferior direito após a remoção dos curativos depois da cirurgia.

Figura 1 E: Após 10 dias de terapia com VAC.

Figura 1 F: Após 14 dias de terapia com VAC

Para evitar o desenvolvimento de INTMs, é preciso ter cuidado ao escolher o local onde serão realizados os procedi-

mentos estéticos que violam a continuidade dos tecidos moles. O local deve ser estéril. Quando um paciente nos procura com suspeita de INTM, é importante coletar um histórico detalhado de dor, sintomas gerais, inchaço e eritema local. É fundamental implementar uma terapia antibiótica de amplo espectro o mais rápido possível e, se necessário, uma intervenção cirúrgica. Nós nos esforçamos para poupar o membro e recuperá-lo. Caso não haja cicatrização das lesões, pode-se usar a terapia VAC. Pacientes com INTM grave devem ser encaminhados para observação em longo prazo numa clínica de cirurgia ou de tratamento de lesões.

Disponibilidade de dados e materiais: Os pacotes de dados usados e analisados durante o presente estudo estão disponíveis com o autor correspondente mediante solicitação.

Conflito de interesses: Os autores declaram não haver conflito de interesses.

Financiamento: Esta pesquisa não recebeu financiamento.

Contribuições dos autores

R.N., I. S. e I. W. elaboraram o projeto do artigo, analisaram a literatura e redigiram o manuscrito; R. N. e I. S. foram os principais responsáveis pelo conteúdo final. Todos os autores leram e aprovaram o manuscrito final.

Aprovação ética e consentimento de participação

Não aplicável.

Consentimento para publicação

As fotografias foram publicadas com o consentimento da paciente. l

REFERÊNCIAS:

1. Gundersen IM, Bruun T, Almeland SK, Skutlaberg DH, Nedrebø T, Rath E, et al. Necrotising soft tissue infections. Tidsskr Nor Laegeforen. 2024;144(3).

2. Morten H, Martin Bruun M, Lærke Bruun M, Ole H. Incidence, comorbidity and mortality in patients with necrotising soft-tissue infections, 2005–2018: a Danish nationwide register-based cohort study. BMJ Open. 2020;10(10):e041302.

3. Scheers C, Andre J, Richert B. Nail cosmetology. Hand Surg Rehabil. 2024:101657.

4. Yang J, Hall K, Nuriddin A, Woolard D. Risk for hepatitis B and C virus transmission in nail salons and barbershops and state regulatory requirements to prevent such transmission in the United States. J Public Health Manag Pract. 2014;20(6):E20-30.

5. Boyer A, Vargas F, Coste F, Saubusse E, Castaing Y, Gbikpi-Benissan G, et al. Influence of surgical treatment timing on mortality from necrotizing soft tissue infections requiring intensive care management. Intensive Care Med. 2009;35(5):847-53.

6. Peetermans M, Prost N, Eckmann C, Norrby-Teglund A, Skrede S, De Waele JJ. Necrotizing skin and soft-tissue infections in the intensive care unit. Clin Microbiol Infect. 2020;26(1):8-17.

7. Urbina T, Canoui-Poitrine F, Hua C, Layese R, Alves A, Ouedraogo R, et al. Long- term quality of life in necrotizing soft-tissue infection survivors: a monocentric prospective cohort study. Ann Intensive Care. 2021;11(1):102.

8. Stevens DL, Bryant AE. Necrotizing soft-tissue infections. N Engl J Med. 2017;377(23):2253-65.

9. Goh T, Goh LG, Ang CH, Wong CH. Early diagnosis of necrotizing fasciitis. Br J Surg. 2014;101(1):e119-25.

CONTRIBUIÇÃO DOS AUTORES:

Raman Nitskovich 0000-0001-5311-3787

Obtenção, análise e interpretação dos dados

Izabela Staniszewska 0000-0002-1457-0675

Elaboração e redação do manuscrito.

Irena Walecka 0000-0002-3502-3339

Participação intelectual em conduta propedêutica e/ou terapêutica de casos estudados

www.surgicalcosmetic.org.br/

Uso

de técnicas cirúrgicas combinadas no tratamento

de cicatrizes acrômicas de lúpus discoide

Combined surgical techniques in the treatment of hypopigmented scars in discoid lupus erythematosus

DOI: http://www.dx.doi.org/10.5935/scd1984-8773.2025170359

RESUMO

O lúpus eritematoso discoide provoca lesões crônicas que podem regredir com áreas discrômicas. Relatamos um caso clínico em que houve sucesso no tratamento de cicatrizes acrômicas por meio da combinação de técnicas cirúrgicas, como excisão, microenxertos e enxerto de pele total.

Palavras-chave: Lúpus Eritematoso Discoide; Cicatriz; Procedimentos Cirúrgicos Operatórios.

Relato de caso

Autores:

Rafael Rezende Rocha de Oliveira1

Jade Noleto Viana1

Kaique Arriel1

Rafael Rubinho1

Fernanda Rytenband1

1 Universidade Santo Amaro (UNISA), Serviço de Dermatologia, São Paulo (SP), Brasil

Correspondência:

Rafael Rezende Rocha de Oliveira E-mail: rafaelrezende73@gmail. com

ABSTRACT

Discoid lupus erythematosus (DLE) causes chronic lesions that can heal with dyschromic patches. We report a clinical case showing success in the treatment of achromic lesions using a combination of surgical techniques, including excision, punch grafting, and full-thickness skin grafting.

Keywords: Lupus Erythematosus, Discoid; Cicatrix; Surgical Procedures, Operative.

Fonte de financiamento: Nenhuma. Conflito de interesses: Nenhum.

Data de Submissão: 15/03/2024 Decisão final: 05/04/2024

Como citar este artigo: Oliveira RRR, Viana JN, Arriel K, Rubinho R, Rytenband F. Uso de técnicas cirúrgicas combinadas no tratamento de cicatrizes acrômicas de lúpus discoide. Surg Cosmet Dermatol. 2024;e20240359.

INTRODUÇÃO

O lúpus eritematoso cutâneo crônico (LECC) é uma doença autoimune do tecido conjuntivo, que afeta mais frequentemente mulheres na quarta década de vida. A variante clínica mais comum do LECC é o lúpus eritematoso discoide (LED), caracterizado por placas eritematosas cobertas por descamação aderente. As lesões cutâneas do LED são crônicas e persistentes, podendo regredir e deixar áreas cicatriciais discrômicas, telangiectasias e alopecia cicatricial. Essas lesões, por serem inestéticas, podem ser estigmatizantes e afetar negativamente a qualidade de vida.1 Este trabalho tem como objetivo relatar um caso de sucesso no tratamento de cicatrizes acrômicas de LED, utilizando técnicas cirúrgicas combinadas, como excisão, microenxertos e enxerto de pele total, em um paciente com múltiplas comorbidades.

RELATO DO CASO

Trata-se de um paciente do sexo masculino, de 58 anos, portador de hipertensão e doença renal crônica dialítica, diagnosticado com quadro de LED há 13 anos, com a doença estável há 9 anos, em uso de hidroxicloroquina. Apresentava importante desconforto estético devido a cicatrizes de LED na face e no couro cabeludo. Ao exame dermatológico, observou-se placas acrômicas e atróficas nas regiões mandibular e pré-auricular esquerdas (Figura 1), assim como nas regiões occipital, temporal e parietal do couro cabeludo.

Figura 1: Placa cicatricial atrófica e acrômica na mandíbula esquerda

Devido às comorbidades e ao alto risco cirúrgico, optou-se, a princípio, pela realização de microenxertos de pele sadia na placa acrômica da mandíbula esquerda. A área doadora escolhida foi a região retroauricular esquerda. Realizou-se anestesia local e excisão com um punch de 3 mm, retirando cinco fragmentos, que foram colocados sobre gaze estéril e umedecidos com soro fisiológico. A área doadora não foi suturada, sendo realizado apenas um curativo compressivo. A área receptora foi incisada em cinco pontos lineares, distando entre si em 1 cm, utilizando-se um punch de 2 mm. Os microenxertos foram colocados sobre a área receptora e fixados com micropore estéril, que foi removido após 7 dias (Figura 2). O paciente retornou para consulta após 1 mês, apresentando pequenos halos de repigmentação ao redor dos microenxertos, e, 3 meses após o procedimento, apresentava halos pigmentados de cerca de 1 cm ao redor de todos os enxertos implantados, com repigmentação de cerca de 10% da cicatriz de LED (Figura 3), sem complicações e satisfeito com o tratamento. Posteriormente, novas microenxertias foram realizadas, e, após 1 ano do início do tratamento, o paciente apresentou repigmentação total da placa, com a confluência dos halos formando uma mácula de repigmentação homogênea. Nesse período, foi realizada a excisão da lesão pré-auricular com incisão em fuso de cerca de 3 cm de altura por 1 cm de largura, com fechamento primário. Após 9 meses de procedimento, houve melhora de cerca de 90% da lesão

Figura 2: Integração dos microenxertos de pele 7 dias após o procedimento

Oliveira RRR, Viana JN, Arriel K, Rubinho R, Rytenband F.

Surg Cosmet Dermatol. 2025;v.17: n.1 jan-mar. p.137-40.

Figura 3: Repigmentação de cerca de 10% da cicatriz de lúpus eritematoso discoide 3 meses após oprocedimento

inicial. Diante desse sucesso, optou-se por realizar um enxerto de pele total na lesão cicatricial têmporo-occipital esquerda. A área doadora escolhida foi a face medial da coxa direita. Na área receptora, foi realizada a excisão de toda a lesão cicatricial hipocrômica através de fuso com lâmina fria, desprezando o fragmento cutâneo. O fragmento sadio foi, então, enxertado na área receptora, suturado e recoberto com curativo estéril. Após 8 semanas, o paciente já apresentava completa integração à área doadora, promovendo a repigmentação da região (Figura 4).

DISCUSSÃO

A microenxertia e o enxerto de pele total são procedimentos cirúrgicos com resultados positivos para pacientes com vitiligo estável, sem resposta aos tratamentos convencionais. A microenxertia com transplante de melanócitos visa promover a reserva de melanócitos e a repigmentação de lesões refratárias. No entanto, uma metanálise que avaliou o resultado específico da intervenção e a repigmentação demonstrou que a maior taxa de resposta foi observada em pacientes submetidos a enxerto de pele. Ambas as técnicas são simples de executar e de baixo custo, mas a literatura apresenta poucos estudos relatando a aplicação dessas técnicas em cicatrizes de LED2. Áreas de pele lesionada podem ser excisadas como forma de tratamento cirúrgico para determinadas doenças dermatológicas. Alguns

Figura 4: Repigmentação de cerca de 90% da cicatriz na mandíbula esquerda e da lesão pré-auricular esquerda, com integração total do enxerto na região têmporo-occipital esquerda, evidenciando bom resultado estético

casos de alopecia cicatricial podem ser corrigidos com excisão de pequenas lesões e fechamento primário. Para defeitos maiores, expansores ou extensores podem ser utilizados para permitir o fechamento sem tensão. O uso dessas técnicas também é relatado na literatura para queimaduras e lúpus cutâneo.2,3 Neste caso, foi aplicada a técnica de microenxertia por punch para transplante de melanócitos na região da mandíbula esquerda, enxerto de pele total na região temporal esquerda e excisão com fechamento primário na região pré-auricular esquerda no tratamento de um paciente adulto com lesão acrômica cicatricial na face devido ao LED. Por se tratar de lesão na face, o paciente apresentava considerável desconforto estético, oque impactava sua qualidade de vida.4 Os possíveis efeitos adversos incluem enxerto estático (sem espalhamento do pigmento), efeito cobblestone (aparência de pedra de calçamento), hiperpigmentação pós-inflamatória, falência do enxerto e formação de cicatriz. No paciente em questão, não foram observados efeitos colaterais.5 Conclui-se que as lesões discrômicas e inestéticas do LED geram importante impacto na qualidade de vida e que as técnicas de microenxertia e enxertia de pele total podem ser opções promissoras no tratamento de cicatrizes de LED estável. Novos estudos são necessários para avaliar os resultados em um número maior de pacientes, tendo em vista que há poucos relatos na literatura. l

Oliveira RRR, Viana JN, Arriel K, Rubinho R, Rytenband F.

REFERÊNCIAS:

1. McDaniel B, Sukumaran S, Koritala T, Tanner LS. Discoid lupus erythematosus. Treasure Island (FL): StatPearls Publishing; 2024 .

2. Ju HJ, Bae JM, Lee RW, Kim SH, Parsad D, Pourang A, et al. Surgical interventions for patients with vitiligo: a systematic review and meta-analysis. JAMA Dermatol. 2021;157(3):307-316.

3. Unger W, Unger R, Wesley C. The surgical treatment of cicatricial alopecia. Dermatol Ther. 2008;21(4):295-311.

4. Lewandowicz E, Zielinski T, Iljin A, Fijalkowska M, Trojan-Kasielska A, Antoszewski B. Surgical treatment of skin lesions in lupus erythematosus. Postepy Dermatol Alergol.2014;31(6):405-409.

5. Romagnolli LE, Reis LM, Douat FB, Delfes MFZ, Battaglin ER, Torre DS. Tratamento de lesões cicatriciais acrômicas de lúpus discoide com técnica de enxertia por punch: relato de caso. Surg Cosmet Dermatol.2014;6(2):191-193.

6. Dellatorre G, Cafrune FE. Tratamento cirúrgico do vitiligo. Surg Cosmet Dermatol.2016;8(4):289-293.

CONTRIBUIÇÃO DOS AUTORES:

Rafael Rezende Rocha de Oliveira 0000-0002-4261-185x

Elaboração e redação do manuscrito; revisão crítica da literatura; revisão crítica do manuscrito.

Jade Noleto Viana 0009-0009-3089-9743

Elaboração e redação do manuscrito.

Kaique Arriel 0000-0002-3984-2964

Concepção e planejamento do estudo; elaboração e redação do manuscrito; revisão crítica da literatura.

Rafael Rubinho 0000-0002-4913-2560

Elaboração e redação do manuscrito; revisão crítica da literatura.

Fernanda Rytenband 0000-0002-2882-1658

Aprovação da versão final do manuscrito; elaboração e redação do manuscrito; participação efetiva na orientação da pesquisa; participação intelectual em conduta propedêutica e/ou terapêutica de casos estudados; revisão crítica da literatura; revisão crítica do manuscrito.

www.surgicalcosmetic.org.br/

Alopecia triangular temporal bilateral simulando alopecia androgenética de padrão

masculino em mulher

adulta: relato de caso e revisão da literatura

Bilateral temporal triangle alopecia mimicking male pattern alopecia in an adult female: a case report and review of the literature

DOI: http://www.dx.doi.org/10.5935/scd1984-8773.2025170380

RESUMO

Introdução: A alopecia triangular temporal é uma alopecia permanente não cicatricial e não inflamatória de etiologia desconhecida, frequentemente confundida com outros tipos de alopecia.

ApresentAção do CAso: Mulher, 27 anos, apresenta placas triangulares de alopecia nas regiões temporais, de distribuição semelhante à alopecia androgenética masculina. A dermatoscopia revelou aberturas foliculares normais. A histopatologia mostrou apenas folículos velos, glândulas sebáceas intactas e ausência de infiltrado inflamatório. dIsCussão: A dermoscopia é uma ferramenta útil para o diagnóstico e a histopatologia pode ser realizada em casos selecionados. Não há tratamento definitivo para alopecia triangular temporal. Opções incluem minoxidil tópico, transplante capilar ou exérese. Palavras-chave: Alopecia; Distribuição Temporal; Doenças do Cabelo.

Relato de Caso

Autores:

Marcelo Balbinot Lucca1,2

Laura Oliveira Ferreira1

Ana Letícia Boff3

Rodrigo Vettorato1,3

1 Irmandandade Santa Casa de Misericórdia de Porto Alegre, Departamento de dermatologia, Porto Alegre (RS), Brasil

2 Universidade Federal de Ciências da Saúde de Porto Alegre, Porto Alegre (RS), Brasil

3 Clínica privada, Porto Alegre (RS), Brasil

Correspondências:

Marcelo Balbinot Lucca E-mail: marceloblucca@gmail.com

ABSTRACT

IntroductIon: Temporal triangular alopecia (TTA) is a nonscarring, noninflammatory, permanent form of alopecia with an unknown etiology, often misdiagnosed as other types of alopecia. case report: A 27-year-old woman presented with triangular patches of alopecia in the temporal regions, resembling male pattern alopecia. Dermoscopy revealed normal follicular openings. Histopathological analysis showed only vellus follicles, with no telogen or terminal follicles, intact sebaceous glands, and no inflammatory infiltrate. dIscussIon: Dermoscopy is a valuable diagnostic tool, and histopathology may be performed in selected cases. There is no definitive treatment for TTA. Management options include topical minoxidil, hair transplantation, or surgical excision.

Keywords: Alopecia; Temporal Distribution; Hair Diseases.

Fonte de financiamento: Nenhuma. Conflito de interesses: Nenhum.

Data de Submissão: 20/06/2024

Decisão final: 21/06/2024

Como citar este artigo: Lucca MB, Ferreira LO, Boff AL, Vettorato R. Alopecia triangular temporal bilateral simulando alopecia androgenética de padrão masculino em mulher adulta: relato de caso e revisão da literatura. Surg Cosmet Dermatol. 2025;17:e20250380.

INTRODUÇÃO

A alopecia triangular temporal (ATT) é uma forma assintomática, localizada, não cicatricial e não inflamatória de alopecia permanente de etiologia desconhecida. Embora seja considerada incomum, também é frequentemente subdiagnosticada.1

A ATT geralmente surge na infância e se apresenta como uma área de alopecia triangular, arredondada ou em forma de lança, geralmente singular, na região frontotemporal, permanecendo estável ao longo da vida. A dermatoscopia e a histopatologia são ferramentas valiosas para distinguir a ATT de outros tipos de alopecia, incluindo alopecia areata, tricotilomania, alopecia por tração e aplasia cutânea congênita.2,3

Neste relato, apresentamos um caso raro de ATT bilateral semelhante à alopecia de padrão masculino, diagnosticada em uma paciente adulto, e discutimos as principais considerações para sua identificação.

RELATO DE CASO

Uma mulher caucasiana de 27 anos de idade apresentou-se em nosso consultório de dermatologia com um histórico de queda de cabelo na região temporal bilateral que começou aos 7 anos de idade. Não houve mudanças notáveis ou progressão dessa condição ao longo do tempo, e não foi relatado envolvimento de outras áreas do couro cabeludo.

Investigações anteriores1 sugeriram um possível diagnóstico de tricotilomania, apesar de ela negar qualquer comportamento de arrancar cabelos. Ela não relatou coceira, dor ou outros sintomas associados. A paciente gozava de boa saúde e fazia uso contínuo de anticoncepcionais orais, sem qualquer outra medicação.

No exame dermatológico, foram observadas duas placas de alopecia de formato triangular nas regiões temporais, cada uma com aproximadamente 8 cm de diâmetro (Figura 1). Essas placas eram preenchidas por pelos velos no centro e circundadas

por pelos terminais na periferia, assemelhando-se à alopecia de padrão masculino tipo II de Hamilton-Norwood. Não se observou eritema ou descamação.

A dermatoscopia (Heine, Delta One®) revelou aberturas foliculares normais com pelos velos circundados por pelos terminais normais (Figura 2). Não havia sinais de pontos amarelos ou pretos, pelos distróficos, alterações vasculares ou diminuição das aberturas foliculares. O teste de tração apresentou resultados negativos.

Uma biópsia de pele foi realizada em uma das placas e os achados histológicos mostraram apenas folículos velos sem telógenos ou mesmo folículos terminais na área de alopecia, glândulas sebáceas intactas, ausência de infiltrado inflamatório e apenas um folículo terminal presente na periferia (Figura 3). Esses achados histopatológicos, considerados juntamente com as informações clínicas, foram consistentes com o diagnóstico de ATT.

A paciente expressou alívio por finalmente receber um diagnóstico definitivo após anos de incerteza. Discutimos seu prognóstico e as poucas opções terapêuticas disponíveis com eficácia comprovada. Como estratégia para melhorar a densidade e a espessura do cabelo, prescrevemos minoxidil oral em uma dose inicial de 0,5 mg por dia. A paciente ficou satisfeita com o esclarecimento do diagnóstico e concordou com o esquema de tratamento.

DISCUSSÃO E REVISÃO DA LITERATURA

A ATT foi inicialmente descrita por Sabouraud em 1905 como “alopecia triangular congênita”, um termo agora considerado obsoleto, uma vez que muitos casos surgem entre os 2 e 9 anos de idade, enquanto alguns podem se apresentar ou ser diagnosticados na idade adulta.1,4 No caso descrito, apesar do diagnóstico tardio, o afinamento havia sido observado aos 7 anos

Figura 1: Placas de alopecia de formato triangular são observadas nas regiões temporais da paciente, preenchidas com pelos velos no centro e pelos terminais na periferia; a linha do cabelo frontotemporal se assemelha à alopecia de padrão masculino tipo II de HamiltonNorwood

Lucca MB, Ferreira LO, Boff AL, Vettorato R.

Figure 2: A dermatoscopia (Heine, Delta One®) da placa de alopecia revela aberturas foliculares normais com pelos velos circundados por pelos terminais normais

Figure 3: Unidades foliculares contendo apenas folículos velos, com ausência de infiltrado inflamatório ou fibrose perifolicular; coloração H&E, aumento de 4 vezes Surg Cosmet Dermatol. 2025;v.17:

de idade e permaneceu inalterado desde então, o que foi crucial para confirmar o diagnóstico.

A etiologia da ATT permanece desconhecida. Embora surja esporadicamente, os casos familiares sugerem herança autossômica dominante.1,4 Também está associada ao mosaicismo e tem sido associada a várias condições, como síndrome de Down, nevo da íris, facomatose pigmentovascular, cardiopatias congênitas, anormalidades ósseas e dentárias, retardo mental e aplasia cutânea congênita.1,5,6

Embora seja considerada rara, com taxa de incidência de 0,11%4 e menos de 200 casos relatados, acredita-se que a ATT seja subdiagnosticada e frequentemente confundida com outras formas de alopecia, principalmente a alopecia areata. Ela é mais prevalente em caucasianos e afeta ambos os sexos, embora com uma proporção maior em homens. Em mais de 95% dos casos, é observada na região frontotemporal, sendo a ocorrência bilateral, como no caso relatado, menos comum, com apenas 18,5% dos casos.2

A dermatoscopia desempenha um papel importante na distinção entre a ATT e outros tipos de alopecia. Inui et al. propuseram os seguintes critérios diagnósticos:3 1) placa de alopecia triangular ou em forma de lança envolvendo a região frontotemporal; 2) dermatoscopia revelando aberturas foliculares normais com pelos velos circundados por pelos terminais normais; 3) ausência de pontos amarelos e pretos, pelos distróficos e aberturas foliculares diminuídas na dermatoscopia; e 4) crescimento mínimo de pelos após confirmação clínica e dermatoscópica dos pelos velos.

Os principais diagnósticos diferenciais incluem alopecia areata, tricotilomania, aplasia cutânea congênita, nevo sebáceo, eflúvio telógeno e tinha do couro cabeludo.1,2 A alopecia areata geralmente se apresenta repentinamente com áreas de alopecia autolimitadas, muitas vezes múltiplas. Os sinais dermatoscópicos incluem os sinais de manchas amarelas e pretas, cabelos quebrados, cabelos em ponto de exclamação e cabelos curtos e velos. A dermatoscopia da ATT, por outro lado, revela comprimentos variados de pelos velos, enquanto a alopecia areata exibe apenas pelos velos curtos (< 10 mm).7 A tricotilomania é mais comum em adolescentes e raramente ocorre em bebês. Afeta predominantemente as regiões parietais e frontais, com a dermatoscopia mostrando o sinal do ponto preto, cabelos quebrados, pontas de cabelo que lembram uma “vassoura” ou “escova”, troncos de cabelo divididos e enrolados e, às vezes, manchas de sangramento e pigmentação. Durante o período de repouso, podem ser observadas aberturas de folículos sem pelos.8

A aplasia cutânea congênita apresenta-se clinicamente como uma superfície translúcida atrófica rósea ou vermelha, com a dermatoscopia revelando uma área translúcida desprovida de quaisquer aberturas de apêndices cutâneos.2 O nevo sebáceo é caracterizado clinicamente por uma placa aveludada amarelo-alaranjada, com a dermatoscopia mostrando estruturas em bloco globulares amarelo-avermelhadas distribuídas independentemente e relativamente consistentes, sem relação com folículos pilosos.9 O eflúvio telógeno manifesta-se como perda de cabelo aguda ou crônica, com a dermatoscopia mostrando espessura normal da haste capilar com sinais de crescimento de cabelo

mais curto, principalmente nas áreas frontal e bitemporal.10 A tinha do couro cabeludo apresenta cabelos quebrados, escamas finas, padrões de cabelo em espiral ou em forma de vírgula e cabelos distróficos. Normalmente, obtém-se um exame micológico positivo.2

Deve-se realizar uma avaliação histopatológica, pois essa condição é frequentemente diagnosticada erroneamente como alopecia areata, e o início ocorre durante a infância ou no início da idade adulta. Na histopatologia, a apresentação clássica é a presença de apenas folículos velos na área da alopecia, sem telógeno (que é proeminente na alopecia areata) ou folículos terminais com tricomalácia (como pode ser visto na tricotilomania) e sem “estelas” foliculares. Além disso, folículos terminais normais podem ser vistos na periferia da lesão. Não há evidências de processos inflamatórios ou cicatriciais3 e o número total de folículos

é preservado.3,4 Os casos congênitos provavelmente passam pelo processo de miniaturização folicular no útero (ou nunca ocorre a formação de cabelos terminais) e, portanto, nunca induzem a formação de “estelas”, além do grande número de velos.11

Atualmente, não existe tratamento eficaz para a ATT e, na maioria dos casos, a intervenção terapêutica é desnecessária.2,4,12,13 É fundamental esclarecer a natureza benigna da condição. O transplante de cabelo e a remoção cirúrgica da lesão são as principais opções nos casos em que há sofrimento estético e emocional significativo.6,12,13 Bang et al. descreveram o primeiro caso bem-sucedido tratado com minoxidil tópico12, embora sejam necessárias mais evidências para confirmar sua eficácia. Em nosso relato de caso, o início do minoxidil foi escolhido como estratégia para aumentar o volume geral do cabelo e diminuir a aparência das manchas. l

REFERÊNCIAS:

1. Campos JG, Klein AP, Puga C, Akel PBM, Romero SAR, Pinto GM. Use of dermoscopy in the diagnosis of temporal triangular alopecia. An Bras Dermatol. 2015;90(1):123-5.

2. Guan Z, ShiW, Ren M, Bi T, Su H. Clinical and dermatoscopic features of temporal triangular alopecia in infants. Skin Res Technol. 2023;29:e13294.

3. Inui S, Nakajima T, Itami S. Temporal triangular alopecia: trichoscopic diagnosis. J Dermatol. 2012;39:572-4.

4. Yamazaki M, Irisawa R, Tsuboi R. Temporal triangular alopecia and a review of 52 past cases. J Dermatol. 2010;37:360-2.

5. Lederer D, Wilson B, Lefesvre P, Poorten VV, Kirkham N, Mitra D, et al. Atypical findings in three patients with Pai syndrome and literature review. Am J Med Genet A. 2012;158A:2899-904.

6. Unger R, Alsufyani MA. Bilateral temporal triangular alopecia associated with phakomatosis pigmentovascularis type iv successfully treated with follicular unit transplantation. Case Rep Dermatol Med. 2011;2011:129541.

CONTRIBUIÇÃO DOS AUTORES:

Marcelo Balbinot Lucca 0000-0001-8395-6742

7. Jha AK, Udayan UK, Roy PK, Amar AKJ, Chaudhary RKP. Dermoscopy of alopecia areata-a retrospective analysis. Dermatol Pract Concept. 2017 Apr 30;7(2):53-57.

8. Xingqi Z. Application of dermatoscopy in alopecia. J Clin Dermatol. 2014;43(8): 505-8.

9. Martín JM, Montesinos E, Cordero P, Gonzalez V, Ramon D. Trichoscopy features of trichotillomania. Pediatr Dermatol. 2019;36(2):265-267.

10. Grover C, Khurana A. Telogen efflfluvium. Indian J Dermatol Venereol Leprol. 2013;79:591–603.

11. Sperling L. An atlas of hair pathology with clinical correlations, 2 ed, Editora Informa Healthcare, London, 2012.

12. Bang CY, Byun JW, Kang MJ, Yang BH, Song HJ, Shin J, et al. Successful treatment of temporal triangular alopecia with topical minoxidil. Ann Dermatol. 2013;25:387-8.

13. Chung J, Sim JH, Gye J, Namkoong S, Hong SP, Kim MH, et al. Successful hair transplantation for treatment of acquired temporal triangular alopecia. Dermatol Surg. 2012;38:1404-6.

Aprovação da versão final do manuscrito; concepção e planejamento do estudo; elaboração e redação do manuscrito; obtenção, análise e interpretação dos dados; participação efetiva na orientação da pesquisa; participação intelectual em conduta propedêutica e/ou terapêutica de casos estudados; revisão crítica da literatura; Revisão crítica do manuscrito.

Laura Oliveira Ferreira 0000-0002-6939-7099

Aprovação da versão final do manuscrito; obtenção, análise e interpretação dos dados; participação intelectual em conduta propedêutica e/ou terapêutica de casos estudados; revisão crítica do manuscrito.

Ana Letícia Boff 0000-0002-5207-0567

Aprovação da versão final do manuscrito; obtenção, análise e interpretação dos dados; participação efetiva na orientação da pesquisa; participação intelectual em conduta propedêutica e/ou terapêutica de casos estudados; revisão crítica da literatura; revisão crítica do manuscrito.

Rodrigo Vettorato 0000-0002-5186-8796

Aprovação da versão final do manuscrito; concepção e planejamento do estudo; obtenção, análise e interpretação dos dados; participação efetiva na orientação da pesquisa; participação intelectual em conduta propedêutica e/ou terapêutica de casos estudados; revisão crítica do manuscrito.

Turn static files into dynamic content formats.

Create a flipbook
Issuu converts static files into: digital portfolios, online yearbooks, online catalogs, digital photo albums and more. Sign up and create your flipbook.