

Hjartað þitt


Hjarta,æðarogkvenbundnir þættir
Það skiptir máli að taka inn í áhættumat það sem mætti kalla kvenbundna þætti sem eru frábrugnir hinum hefðbundnu Konur þurfa að vera meðvitaðar um heilsuna sína og taka af skarið
Viðvildumaukaþekkingu kvenna
Vilborg Sigurðardóttir hjartasérfræðingur hefur lengst af starfað í Svíþjóð og í Sviss. Hún var fyrsti formaður GoRed og hefur enn margt á prjónunum


Streita
Streituviðbrögð geta verið nauðsynleg t d þegar við erum í keppni eða þurfum að taka hraustlega á því Það er hinsvegar ekkert huggulegt við það þegar streituhormón kyndast upp að nóttu til
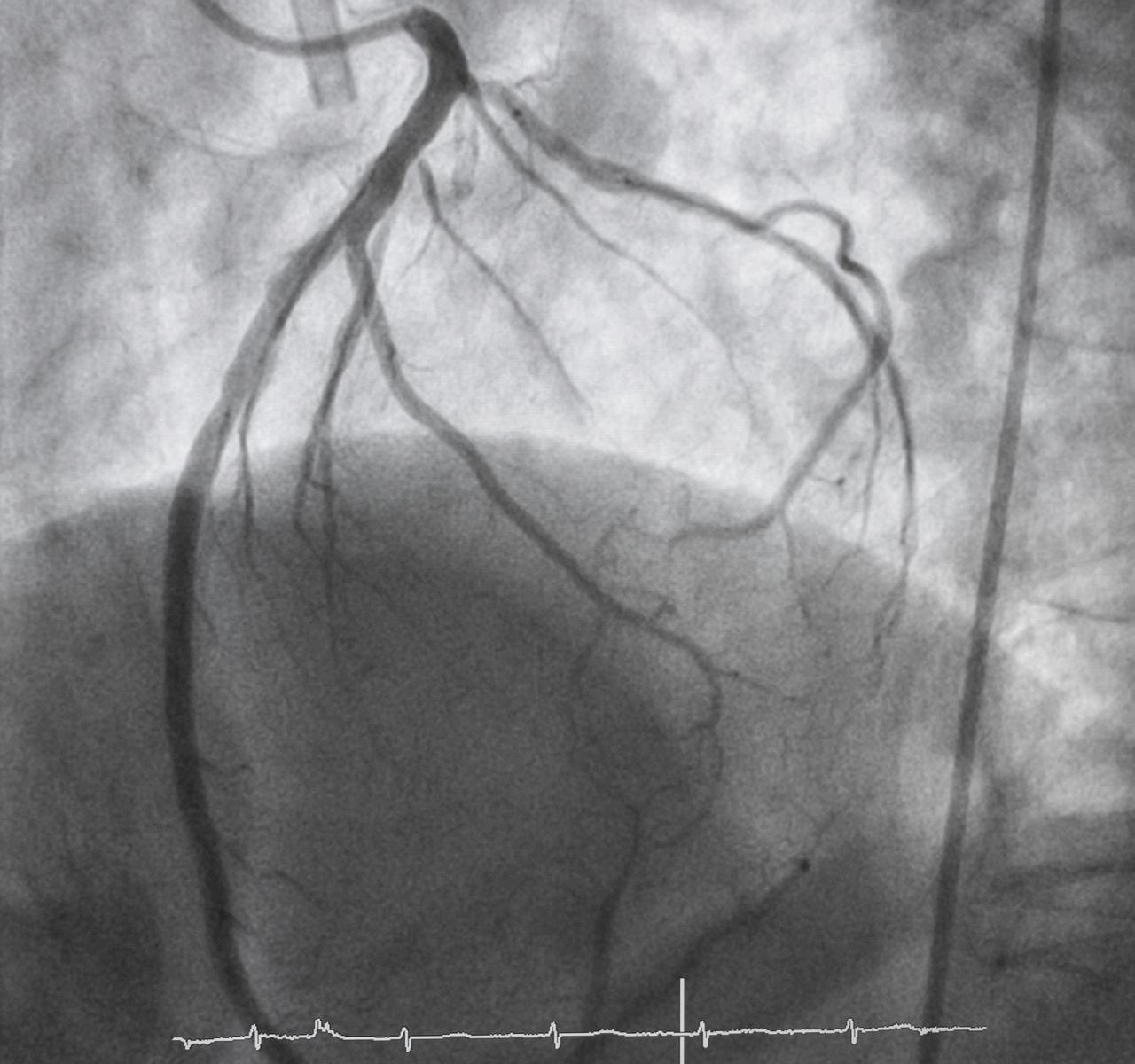
Hjartavernd
Hjartavernd hefur boðið upp á áhættumat fyrir einstaklinga sem ekki eru þegar með hjarta- og kransæðasjúkdóma; háþrýsting, hafa farið í kransæðaþræðingu eða fengið hjartaáfall og þar fram eftir götunum Þetta er leiðbeinandi mat sem krefst túlkunar læknis, en gott tæki sem er notað til spá fyrir um 10 ára áhættu
GoRedprjónauppskrift2026
Að þessu sinni fengum við uppskrift frá Kristínu Örnólfsdóttur, öflugum prjónara og hönnuði sem gefur GoRed aðgang að vettlinga/grifflu uppskrift sem kemur sér vel í þurru köldu veðri

Hjarta,æðar& kvenbundnir þættir
Hjarta- og æðasjúkdómar eru ein algengasta dánarorsök kvenna um allan heim, en samt er enn algengt að fólk tengi hjartasjúkdóma fyrst og fremst við karla Á síðastliðnum áratugum hafa orðið miklar framfarir í greiningu og meðferð hjartasjúkdóma en rannsóknir sýna að dánartíðni karla af völdum hjarta- og æðasjúkdóma hefur lækkað meira en hjá konum. Þetta bendir til þess að konur séu ekki metnar í nægilega mikilli áhættu og að þær sjálfar hlusti ef til vill síður á líkamann sinn og leiti þannig ekki hjálpar nógu fljótt, sem veldur seinkun á greiningu og meðferð
Bráður kransæðasjúkdómur (e acute coronary syndrome, ACS) er samheiti yfir sjúkdómstilvik þar sem blóðflæði til hjartavöðvans skerðist skyndilega Þetta veldur vanalega bráðum brjóstverk ásamt öðrum einkennum. Hjá konum getur birtingarmyndin þó virst flóknari en hjá körlum og viðbrögðin ; bæði sjúklings og nærstaddra ekki eins fumlaus
Áhættuþættir – hefðbundnir og kvenbundnir Hefðbundnir áhættuþættir fyrir hjarta- og æðasjúkdóma eins og reykingar, sykursýki, of hár blóðþrýstingur, hækkaðar blóðfitur og offita skipta konur síst minna máli en karla
Sykursýki virðist til dæmis hafa meiri hlutfallsleg áhrif á konur en karla og reykingar eru stærri áhættuþáttur hjá konum (3 3 faldur en í kringum 1 9 faldur körlum) Á sama tíma hefur offita meðal kvenna aukist og orðið verulegt alþjóðlegt heilbrigðisvandamál.
Kransæðarnar hjá konum eru yfirleitt minni að þvermáli en hjá körlum, jafnvel þegar tekið er mið af líkamsstærð og hjartastærð.
Hjartasjúkdómar láta oftast á sér kræla hjá konum eftir tíðarhvörf Áhrif kvenhormóna, sérstaklega estrógens, skipta hér máli: þau hafa jákvæð áhrif á blóðfitur, draga úr blóðstorknun og styrkja æðaveggi Þegar estrógenmagn minnkar eða hverfur eftir tíðahvörf breytist þessi mynd á blóðþrýstingi, fitudreifingu og insúlínnæmi, teygjanleiki æðanna minnkar og áhætta á æðasjúkdómum eykst
Hins vegar hefur ekki verið sýnt fram á að gjöf tíðarhvarfarhormóna dragi úr áhættu á hjarta- og æðasjúkdómum og að mörgu er að huga þegar kemur að hormónanotkun almennt
Hefðbundinn áhættureiknir tekur ekki mið af algengum og mikilvægum kvenbundnum áhættuþáttum
Sjúkdómar og hormónatruflanir eins og PCOS (fjölblöðrueggjastokkaheilkenni), fyrirburafæðingar, meðgöngueitrun, háþrýstingur á meðgöngu og sykursýki á meðgöngu hafa sterk tengsl við aukna áhættu á hjarta- og æðasjúkdómum síðar á ævinni Snemmkomin tíðahvörf og brottnám eggjastokka geta einnig aukið áhættuna. Sjálfsónæmissjúkdómar, sem eru algengari hjá konum til dæmis rauðir úlfar og iktsýki –auka líka hættu á hjarta- og æðasjúkdómum.

Lyf&geislar
Krabbameinsmeðferð, bæði lyfjameðferð og geislun á brjósthol líkt og við brjóstakrabbamein getur líka skaðað hjartað, þannig að sama kona getur borið með sér bæði hefðbundna og “kvenbundna” áhættu þætti án þess að það sé alltaf tekið saman í heild.
Ólíkar orsakir kransæðavanda hjákonum

Ekki aðeins eru áhættuþættirnir oft vannýttir í mati, heldur eru undirliggjandi orsakir bráðra kransæðasjúkdóma stundum aðrar hjá konum Konur eru til dæmis oftar með dreifðan eða vægari æðakölkun en karlar, en geta samt fengið hjartaáfall
Eitt dæmi er svokallað MINOCA (Myocardial Infarction with Non-Obstructive Coronary Arteries) eða hjartaáfall án þess að greinileg stífla sjáist í stórum kransæðum við kransæðamyndatöku Þetta er algengara hjá konum en körlum Ástæðan getur verið örrof í litlum veggskellum, æðakrampi, bólga í hjartavöðva, truflun í smáæðum eða aðrar fínlegar breytingar sem ekki sjást sem klassísk stífla
Annað fyrirbæri sem sést hjá konum er svokallað SCAD (spontaneous coronary artery dissection) eða sjálfsprottið rof í vegg kransæða. Í SCAD myndast rof eða aðskilnaður í æðaveggnum, blóð safnast inn í vegginn og býr til þrengsli í æðinni sem getur stöðvað blóðflæði til hluta hjartans Meðal sjúklinga með SCAD eru konur í miklum meirihluta, og sjúkdómurinn greinist hjá ungum eða miðaldra konum sem ekki falla í hefðbundinn “há-áhættuhóp”. Þess vegna getur verið hætta á að einkenni séu afskrifuð sem kvíði, vöðvaverkir eða þreyta vegna álags.
Takotsubo heilkennið, einnig nefnt
Harmslegill eða brostið hjarta, er annað dæmi. Það er mikið algengara hjá konum eftir tíðahvörf en körlum, oftast í kjölfar sterks tilfinningalegs áfalls, t d andláts nákomins ættingja, skyndilegrar mikillar hræðslu eða annarra áfalla. Hjartað veikist skyndilega, einkenni eru svipuð og við hjartaáfall, en undirliggjandi orsök er talin tengjast skyndilegri og mikilli örvun í taugakerfinu og streituhormónum en þá er ekki um kransæðastíflu að ræða
Smáæðasjúkdómur (coronary microvascular dysfunction, CMVD) er einnig oftar greindur hjá konum Þá virðast stóru kransæðarnar vera opnar, en blóðflæði í örsmáum æðum í hjartavöðvanum sjálfum er truflað
Konan finnur fyrir brjóstverk og mæði, en kransæðamyndataka sýnir ekki endilega þrengingar í stórum æðum Það getur leitt til þess að vandinn er ekki skoðaður nánar þar sem einkennin eru væg eða almenn, þótt raunverulegur súrefnisskortur í hjartavöðva sé til staðar

Meðgangaog hjartaheilsan
Meðganga er sérstakt tímabil í lífi hverrar konu og það er ekki síður merkilegt fyrir hjartað. Blóðmagn eykst, álag á hjarta og æðakerfi vex og hormónabreytingar hafa áhrif á storknun blóðs og æðar líkamans
Fylgikvillar á meðgöngu, eins og meðgöngueitrun, háþrýstingur, fyrirburafæðing og sykursýki á meðgöngu, eru ekki bara tímabundnir kvillar sem “ganga yfir” Þeir eru merki um undirliggjandi vandamál og tengjast aukinni hjartaáhættu síðar á ævinni Þess vegna ætti saga um erfiða meðgöngu að vera mikilvægur þáttur sem þarf að meta með tilliti áhættu vegna hjarta- og æðasjúkdóma síðar á ævinni
Og það er ekki bara mikilvægt að skoða móðurina heldur einnig barnið sem hefur dvalið í sama umhverfinu í kviði móðurinnar jafnvel góðan hluta meðgöngunnar Þannig er mikilvægt að börnin fái þessa vitneskju þegar þau vaxa úr grasi og geti látið fylgjast með sér einnig
Brjóstverkur er vissulega algengasta og þekktasta einkenni bráðs kransæðasjúkdóms, bæði hjá konum og körlum.
En oft upplifa konur ekki þennan dæmigerða verk og lýsa í staðinn öðrum og ódæmigerðum einkennum. Þær geta til dæmis fundið fyrir mikilli mæði, þyngslum yfir bringu eins og fíll standi á þeim, ógleði, uppköstum, verk í kjálka eða hálsi, yfirþyrmandi þreytu, svima eða hjartsláttaróreglu Slík einkenni eru því miður oft þau sömu og einkenni streitu og kvíða, magavanda eða jafnvel vöðva- og stoðkerfisvanda
Röng greining seinkar ferlinu og algengast er að konan sjálf bíði eftir að þessi óskilgreindu einkenni gangi yfir og vill ekki gera veður úr þeim, þetta hljóti að lagast. Þetta getur fylgt yngri konum sem telja að þær séu of ungar til að vera með hjartavanda eða séu ekki hinn dæmigerði hjartasjúklingur og það verði ekki litið á þær sem slíkar og þær mögulega ekki teknar alvarlega þó að það eigi auðvitað ekki að vera reyndin í heilbrigðiskerfinu.
Við greiningu geta ýmsar mælingar líka verið frábrugðnari körlum og þarf því að beita kynbundnum viðmiðunarmörkum.
Læknar á Mauriziano sjúkrahúsinu á Ítalíu settu upp einstakt verkefni sem fékk heitið CardioDonna (hjartakona) árið 2023. Þar er boðið upp á þjónustu fyrir konur á barneignaraldri, að jafnaði 30–50 ára, þar sem teymi sinnir þeim með forvörnum og fræðslu, greinir undirliggjandi vanda og sinnir meðferð sé þess þörf
Fyrstu niðurstöður þaðan sýna að stór hluti þessara ungu kvenna er með marga áhættuþætti; reykingar, hækkaðar blóðfitur, bólgusjúkdóma, háþrýsting og flókna meðgöngusögu og sumar hafa þegar greinst með kransæðasjúkdóma Nokkuð sem þeim hefði ekki endilega hugkvæmst að láta skoða ef ekki hefði komið til þetta sérstaka átak Að sjálfsögðu sýnir þetta mismunandi áherslur í heilbrigðiskerfum heimsins að það þurfi sérstakt átak til þess að skoða konur en það má líka líta þetta þeim augum að það eru ekki einungis eldri konur sem eru í áhættu sem áréttar mikilvægi þess að konur taki frumkvæði í eigin heilsu
Á Íslandi er konum vel sinnt þegar þær leita sér aðstoðar, en lykilatriðið er að þær séu meðvitaðar um mikilvægi góðrar hjarta- og æðaheilsu og taki af skarið um eigin heilsu, forvarnir og lífsstíl.
CardioDonna
Hvaðskiptirmáli?
Að konur taki áhættuþætti alvarlega



Að skoðaðir séu kvenbundnir áhættuþætti, eins og saga um meðgöngufylgikvilla, hormónameðferð, snemmkomin tíðahvörf og bólgusjúkdóma.
Að konur séu meðvitaðar um ódæmigerð einkenni s s mæði, ógleði, kjálkaverk, mikla þreytu og bíði ekki endilega eftir hinum klassíska brjóstverk.
Að konur þekki ættarsögu sína vel
Með því að efla fræðslu og taka ákvarðanir út frá kynjamun í líffræði kvenna og karla sem og sjúkdómsmynstri, sjúkra- og ættarsögu má hamla þróun alvarlega hjartasjúkdóma og betrumbæta eftirfylgni
Alltof oft er litið á konur sem “sjálfkrafa í minni áhættu” bara af því að þær eru konur, jafnvel þó þær séu með marga áhættuþætti samtímis.
Það er talsverð einföldun.

VIÐ VILDUM AUKA ÞEKKINGU KVENNA
Vilborg
Sigurðardóttir hjartasérfræðingur

Upphafið að GoRed á rætur sínar til ársins 2008. Þrjár öflugar konur leiddu verkefnið. Okkur lék forvitni á að vita hvernig þetta kom til og höfðum samband við Vilborgu Sigurðardóttur hjartalækni sem býr og starfar í Sviss. Hún hefur nýverið tekist á hendur nám í fræðum sem tengjast meltingu og samspili við önnur kerfi líkamans, einnig hjartað
Hvernigkviknaðihugmyndin aðGoRedáÍslandi?
Hugmyndin að GoRed á Íslandi kviknaði á hjartalæknaþingi í Chicago árið 2008, þar sem World Heart Federation kynnti GoRed for Women. Að loknum fundinum ræddum við ég og Þorgerður Benediktsdóttir möguleikann á að innleiða þetta öfluga verkefni á Íslandi Við mótuðum saman áætlun um samstarfsaðila og skipuðum fulltrúa í nefnd, og fengum formlegt samþykki frá World Heart Federation til að setja verkefnið af stað hér heima.
Hvertvar meginmarkmið
GoRedþegarþið hófuðstarfið?
Markmiðið var mjög skýrt: að auka vitund kvenna og heilbrigðisstarfsfólks um áhættu og einkenni hjarta- og æðasjúkdóma, og þannig bæta greiningu og meðferð Við settum strax af stað vinnu við að safna tölulegum upplýsingum um hjarta- og æðasjúkdóma hjá konum á Íslandi með aðstoð Hjartaverndar og héldum opna fræðslufundi í Reykjavík og á Akureyri
Stuðningur við verkefnið kom víða að. Hjartavernd var meðal fyrstu og mikilvægustu samstarfsaðila og þau skipuðu Bylgju Valtýsdóttur sem verkefnastjóra og hún starfaði sem slík í mörg ár
Landspítalinn gerðist einnig samstarfsaðili og skipaði Unni Sigtryggsdóttur hjúkrunarfræðing sem fulltrúa sinn í verkefninu Þá tók Ingibjörg Pálmadóttir, fyrrverandi heilbrigðisráðherra, að sér að verða verndari GoRed á Íslandi Fjölmargar stofnanir og félagasamtök bættust í hópinn, þar á meðal fagdeildir hjúkrunarfræðinga, Hjartaheill, Heilaheill, Lýðheilsustöð, Háskóli Íslands, Háskólinn í Reykjavík og fleiri
Við fengum jafnframt leyfi til að lýsa Ráðhús Reykjavíkur, Háskóla Íslands og Landspítala upp í rauðum lit í GoRed-mánuðinum og hönnunarkeppni var haldin um hinn rauða kjól
Hvaðaviðburðir stóðuuppúr?
Frá 2009 til 2011 voru margir vel heppnaðir viðburðir haldnir, þar sem vitundarvakningin fékk mikla athygli:
1 GoRed í Ráðhúsi Reykjavíkur 22 febrúar 2009
2.GoRed í Háskóla Íslands 21. febrúar 2010
3 GoRed í Smáralind 17 febrúar 2011
Fulltrúar verkefnisins, sérfræðingar og hjartasjúklingar tóku þátt í fjölmörgum viðtölum og greinum í fjölmiðlum.
Árið 2011 fékk ég þann heiður að kynna GoRed fyrir Heilbrigðisnefnd Alþingis og færa Jóhönnu Sigurðardóttur, þáverandi forsætisráðherra, rauðu GoRed-næluna
Árið 2009 var markmiðið að benda á staðreynd sem áður hafði verið hunsuð: að konur eru í mikilli áhættu fyrir hjartaog æðasjúkdómum, sérstaklega eftir tíðahvörf
Síðan þá hefur vitund aukist verulega bæði meðal almennings og heilbrigðisstarfsfólks. Á alþjóðlegum vettvangi hefur kynjamismunur í hjartasjúkdómum orðið sífellt stærra rannsóknarefni, og nýtt fræðasetur í Sviss undir stjórn Carolin Lerchenmüller hefur sett fókus á kynbundna læknisfræði.
Vilborg hefur starfað erlendis meginhluta starfsferils síns sem hjartasérfræðingur bæði í Svíþjóð og nú síðast í Sviss, en hvers vegna fór hún að einbeita sér meira að forvörnum og sérsniðinni þjónustu fyrir konur ?
Eftir margra ára klínísk störf í Svíþjóð, á Íslandi og í Sviss ákvað ég að snúa mér að starfi á hjarta- og lungnalæknastofu í Basel Þar varð ljóst að konur leituðu sífellt oftar með óljós einkenni sem hefðbundnar greiningaraðferðir brugðust stundum við Nýjar greiningarleiðir hafa gert okkur kleift að meta:
brjóstverkjaheilkenni án stíflu í kransæðum
hjartabilun með eðlilegri dælugetu (HFpEF) mæði, bjúg og aðra ósértæka hjartaþreytu
Snemma í ferlinu mátti sjá að konur höfðu annan áhættuprófíl en karlar oft með meiri tíðni háþrýstings, sykursýki og ofþyngdar.
Ný lyf og meðferðir hafa nú gjörbreytt möguleikunum og bætt lífsgæði fjölmargra kvenna

Vilborghefur síðustumisseri veriðupptekiní nýjuverkefni
Offita og yfirþyngd hafa aukist hratt á Íslandi og sömu þróun má sjá víða í heiminum Þetta hefur haft djúp áhrif á konur sem leita vegna hjartaeinkenna.
Efnaskiptaheilkenni með mittismálið sem lykilþátt hefur lengi verið rannsóknarefni í mínum störfum og var aðalviðfangsefni doktorsritgerðar minnar
Meðferðarúrræði eins og: efnaskipta- og offituaðgerðir ný ofþyngdarlyf markviss forvarnarvinna
hafa sýnt fram á að hægt er að draga verulega úr hættu á hjartaáföllum, heilablóðfalli og ótímabærum dauðsföllum.
Meltingoghjarta?
Í seinni tíð hef ég kafa dýpra í starfsemi meltingarvegsins og tengsl hans við heilsu Ég tók upp nám í MayrPrevent®, sem byggir á kenningum Dr. Franz Xaver Mayr, sem taldi meltingarveginn „rótarkerfi“ mannslíkamans
MayrPrevent® leggur áherslu á: eflingu meltingarstarfsemi fyrirbyggingu sjúkdóma betri heilsu í gegnum jafnvægi meltingar og taugakerfis

Þekkingin sem hefur byggst upp sýnir að meltingartruflanir og ekki aðeins ofþyngd eru undirrót margra langvinnra sjúkdóma nútímans, þar á meðal hjarta- og æðasjúkdóma
SkilaboðVilborgareru skýr
Að mínu mati þarf að efla einstaklingsbundna heilbrigðisþjónustu með tilliti til kynbundinnar læknisfræði sem viðurkennir að heilsa og veikindi eru undir áhrifum bæði líffræðilegra (kyns) og félags- og menningarlegra (gender) þátta. Þættir sem snúa að líffræðilegu kyni (litningar, hormón og líffærafræði) og að kyn/gender (félagsleg hlutverk, hegðun, sjálfsmynd og reynsla) hafa einnig áhrif á áhættu, einkenni, greiningu og meðferð hjarta- og æðasjúkdóma.
Framtíðar heilbrigðisstarfsmenn þurfa að geta greint og tekist á við kynbundnar heilbrigðisþarfir á skilvirkan hátt.
Þaðersama...
...hvaða kyn við erum.
Öll eigum við aðeins eitt hjarta sem við þurfum að næra og passa alla ævi.


Þaðerhinsvegar...
...mikilvægt að viðurkenna og vinna með líffræðilegan kynjamismun þegar kemur að hjartaheilsunni okkar

ÞÖKKUM STUÐNINGINN
ÞÖKKUM STUÐNINGINN
ÞÖKKUM STUÐNINGINN

Streita
Streita er ekki bara eitthvað sem við finnum fyrir í huganum hún hefur raunveruleg áhrif á líkamann Þegar við erum stressuð fer líkaminn í „viðbragðsstöðu“ og framleiðir streituhormón eins og adrenalín og kortisól Þetta er gagnlegt í stuttan tíma, en ef þetta ástand stendur lengi á líkaminn erfitt með að slaka á og það hefur áhrif á svefninn
Viðvarandi streita getur valdið því að við eigum erfitt með að sofna, sofum grunnt eða vöknum oft Þá fær líkaminn ekki tækifæri til að jafna sig yfir nóttina, hjartsláttur helst hraðari, blóðþrýstingur hærri og líkaminn nær ekki að endurhlaða sig eins og hann þarf.
Rannsóknir sýna að þegar svefninn er truflaður aftur og aftur hvort sem hann er of stuttur eða bara af lélegum gæðum hefur það bein áhrif á hjartaheilsu
Slíkur svefn tengist meiri líkum á háþrýstingi og hjarta- og æðasjúkdómum Þetta gerist meðal annars vegna þess að líkaminn er lengur í „stressgír“ og bólga í líkamanum eykst
Sérfræðingar sem rannsaka svefn hafa bent á að það er ekki bara fjöldi klukkustunda sem skiptir máli, heldur einnig hversu reglulegur og rólegur
svefninn er Þegar við sofum vel lækkar blóðþrýstingur, hjartað fær að hvíla sig og hormónakerfið nær jafnvægi Þegar svefninn er skertur, kvöld eftir kvöld, getur hjartað aldrei alveg slakað á Svefnleysi er sérstaklega áhrifaríkt í
þessu samhengi Fólk sem glímir við svefnleysi og sefur sannanlega minna en líkaminn þarf, er í meiri hættu á að þróa með sér háþrýsting og
hjartasjúkdóma
Þetta á sérstaklega við ef svefnleysið varir í langan tíma.
Allt þetta þýðir að það er ekki nóg að „halda út“ í stressi og bæta síðan upp svefn um helgar – líkaminn þarf reglu og hvíld til að halda hjartanu í lagi
Streita og svefn eru nátengd og ef annað fer úr skorðum fylgir hitt oft á eftir
Niðurstaðan er einföld . Að hlúa að svefninum og finna leiðir til að draga úr streitu er ekki munaður, heldur mikilvægur hluti af því að vernda hjartaheilsuna til lengri tíma Því meira sem við gerum svefn og rólegar stundir að venju, því betur hlúum við að okkur sjálfur bæði líkamlega og andlega.

Eflaust eru einhverjir sem kannast við áhættureikni Hjartaverndar sem má nálgast á hjarta.is , hafa farið inn á síðuna eða jafnvel farið í áhættumat til þess að kanna líkur á hjarta-og æðasjúkdómum út frá
Þar er metin áhætta einstaklings á að fá hjartasjúkdóm á næstu 10 árum og byggir á öflugu vísindastarfi Hjartaverndar síðastliðin 50 ár.
Aðferðafræðin og áhættumatið eru í samræmi við áhættumat í Evrópu (SCORE, European Society of Caridology).
Það ber þó að að taka áætlun sem þessari með þeim fyrirvara að áhættumatið er ekki fyrir fólk sem þegar er með hjarta- og æðasjúkdóma ,hefur fengið kransæðastíflu eða farið í hjartaaðgerð.
Ennfremur er nauðsynlegt að læknir túlki niðurstöðurnar og útskýri nákvæmar hvað niðurstaðan þýðir og hvað beri að huga að í framtíðinni
Læknar nota áhættumatið gjarnan til að styðjast við til útskýringa fyrir fólk sem er ekki með sjúkdóm
Vettlingar og grifflur
Ath. Ég mæli með því að ganga frá endum jafnóðum og skipt er um lit.
Á Instagramsíðunni minni @kristinornolfs er hægt að finna myndbönd þar sem ég sýni aðferðina sem ég nota Einnig er hægt að finna myndbönd á YouTube þar sem slík aðferð er sýnd
Að ganga frá endum jafnóðum og skipt er um lit er virkilega skemmtileg aðferð og hentar einstaklega vel fyrir ullargarn eins og Saga Mini. Svo er líka svo gaman að þurfa aðeins að ganga frá örfáum endum í lokin.
Að sjálfsögðu er líka hægt að dunda sér við að ganga frá endum þegar prjónaskapnum er lokið, t.d. yfir góðri bíómynd eða skemmtilegum þáttum í sjónvarpinu.

Reykjavík
A.Margeirssonehf
Aðalhreinsir-Drífa ehf
Aðalvík ehf
Altak - Artic ehf
Arctica Finance hf
Arkitektastofan OG ehf
Atvinnueign ehf
Augnlæknar Reykjavíkur ehf
Aurum
ÁS sjúkraþjálfun ehf
ÁTVR Vínbúðir
B&B gluggatjaldahreinsun ehf
Bátar og búnaður ehf
Beyki ehf
Bílahöllin-Bílaryðvörn hf
Bílaréttingar og bílasprautun Sævars ehf
Bílasmiðurinn hf
Bor ehf
Borg fasteignasala ehf
Bókabúðin Sjónarlind
Bókhaldsstofan Stemma ehf
Bókhaldsþjónustan Örninn ehf
Bón Fús
Brynja leigufélag ses
BSRB - bandalag starfsmanna ríkis og bæja
Bygg Ben ehf
Daddi's pizza
Dea Medica ehf
EEV Framkvæmd og ráðgjöf ehf
Efnalausnir ehf

Ellen Ingvadóttir, löggiltur dómtúlkur og skjalaþýðandi
Endurskoðun VSK ehf
Felgur smiðja ehf
Félag íslenskra bifreiðaeigenda
Félag íslenskra hjúkrunarfræðinga
Félag slökkviliðs- og sjúkraflutningsmanna
Fiskbúðin Hafberg
Fiskkaup hf
Fjaðrabúðin Partur ehf
Fjölver ehf, olíurannsóknir
Fold uppboðshús ehf
Frumherji hf
Garðheimar
GB Tjónaviðgerðir ehf
Gleipnir verktakar ehf
Glitur ehf
Gnýr ehf
Golfskálinn, golfverslun
Grettir, vatnskassar ehf
Gull og silfur ehf
Gullnesti ehf
Gunnar O Rósarsson tannlæknir - Tanngo slf
Gunnar Örn - málningarþjónusta
Gúmmívinnustofan SP dekk ehf
H.Jónsson ehf, rétting og sprautun
Hagkaup
Hallgrímskirkja
Hamborgarabúlla Tómasar
Hárgreiðslustofan Delila & Samson
Hársnyrtistofa Dóra
Hársnyrtistofan Aida
HEI - Medical Travel-www.hei.is
Heimili ehf-fasteignasala
Hekla hf
Henson sports
Hitastýring hf
Hjúkrunarheimilið Skjól
Hótel Frón ehf
Hótel Leifur Eiríksson ehf
Hraði ehf
Hrafnistuheimilin
Hringsjá endurhæfing
HS pípulagnir ehf
HS smíðar ehf
Höfðakaffi ehf
IcePhone ehf
Iclean ehf
Iðnver ehf
Íbúðagisting.is
ÍslandsApótek ehf
Íþróttabandalag Reykjavíkur
Íþróttafélagið Fylkir
JA Lögmenn ehf
Járn og gler hf
Jón og Óskar úra- og skartgripaverslun

JYSK
K. H. G. Þjónustan ehf
Kári Arnórsson ehf, byggingarverktaki
Kemi ehf-www kemi is
Kj Kjartansson hf
KK Kranabíll
Klapparvör ehf
Klettur - sala og þjónusta ehf
Klettur-Skipaafgreiðsla ehf
Kramhúsið ehf
KTM og Husqvarnaumboðið á Íslandi
Kurt og Pí ehf
Landslag ehf
Landsnet hf-www landsnet is
Landssamband lögreglumanna
Landssamtök lífeyrissjóða
Leigulistinn ehf
Lerkitré ehf
Litróf ehf
Límtré Vírnet ehf
Ljósmyndir Rutar og Silju ehf
Marvís ehf
MATVÍS
Málmtækni hf
Meba- úr og skart
Millimetri sf
MS Armann skipamiðlun ehf
Múrarameistarafélag Reykjavíkur
NORDIK lögfræðiþjónusta
Nortek ehf
Nýja sendibílastöðin hf
Olíudreifing ehf
Optic Reykjavík ehf
Orka ehf
Ottó B Arnar ehf
Ófeigur gullsmiðja ehf
Ósal ehf
ÓV jarðvegur ehf
Penninn
Pixel ehf
Pípulagnaþjónusta Reykjavík ehf
Plastiðjan ehf
Pólýhúðun ehf

PricewaterhouseCoopers ehf
Rafha ehf
Rafiðnaðarsamband Íslands
Rafstjórn ehf
Reyktal þjónusta ehf
Rikki Chan ehf
Rima Apótek
Rolf Johansen & Co ehf
Saumsprettan ehf
SHV pípulagningaþjónusta ehf
Skolphreinsun Ásgeirs sf
Skorri ehf
Skrifstofuvörur ehf
Smith og Norland hf
Smurstöðin Klöpp ehf
Stálbyggingar ehf
Svampur ehf
Svefn og heilsa
Sýnileiki ehf
Tannlæknafélag Íslands
Tannréttingar sf
Tannval Kristínar Gígju
Tark - Arkitektar
THG arkitektar ehf
Tóbaksverslunin Björk
Trackwell hf
Trausti fasteignasala ehf
Trésmiðja Pálma ehf / Pálmi Ingólfsson
Umslag ehf
Úðafoss ehf, efnalaug
Útfaraþjónusta Rúnars Geirmundssonar
Úti og inni sf
Vatnaskil ehf
Vektor, hönnun og ráðgjöf ehf
Verkengi ehf
Verkfræðistofan Skipatækni ehf
Verkfræðistofan Víðsjá ehf
Vernd, fangahjálp
Vélvík ehf
Við og Við sf
Vilhjálmsson sf, heildverslun
Vinnumálastofnun
Víkurvagnar ehf

VK verkfræðistofa ehf
VMB verkfræðiþjónusta
Vörn, öryggisfyrirtæki
Vörukaup ehf
Würth á Íslandi ehf
Þ.G. verktakar ehf
Kópavogur
Alhliða pípulagnir sf
Allt-af ehf
AMG Aukaraf ehf
AP varahlutir ehf
Arkís arkitektar ehf
Arnardalur sf
Birtingaholt ehf
Bílasprautun og réttingar Auðuns
Bliki bílamálun og réttingar ehf
Blikksmiðjan Vík ehf
Deloitte hf
Domusnova fasteignasala
Efnissalan ehf
Einar Ágústsson & Co ehf
Fagtækni hf
Fosslagnir ehf, pípulagnir
goddi is
Guðmundur Skúlason ehf
Hafið-fiskverslun ehf
HÁ hreinu ehf
Hvammshólar ehf
Hvísl ehf
Íslandslyftur ehf
JS ljósasmiðjan - Sláttuvélamarkaðurinn
Lakkskemman ehf
Lindabakarí ehf
Litlaprent ehf
Lín design
Loft og raftæki ehf
Lokasjóður ehf
Lyfjaval ehf
MHG verslun ehf
Pottagaldrar ehf
Rafsetning ehf
Rakarastofan Herramenn
Sjómannaheilsa ehf

Skómeistarinn ehf
Snæland
Sport Company ehf
Topplagnir ehf
Útfararstofa Íslands ehf
Verkfræðistofa Bjarna Viðar ehf
Vélastilling sf
Vinnuföt, heildverslun ehf
Víkingbátar ehf
Þ.B. verktakar ehf
Garðabær
Dráttarbílar vélaleiga ehf
Fimir ehf
Garðabær
Geislatækni ehf - Laser þjónustan
Hagráð ehf
Hásandur ehf
Icewear
Járnsmiðja Óðins
Loftorka Reykjavík ehf
Nýþrif - ræstingaverktaki ehf
Rafboði
Smurstöðin Garðabæ ehf
Sparnaður - Bayern Líf
Val - Ás ehf
Hafnarfjörður
Aðalskoðun hf
Aflhlutir ehf
Annriki, Þjóðbúningar og skart-www.annriki.is
Bílaverk ehf bílamálun og réttingar
Bjarnar ehf
Brettasmiðjan ehf
Byggingafélagið Sandfell ehf
Colas Ísland
Donna ehf
EÓ-Tréverk sf
G.S. múrverk ehf
GC Rieber Minerals ehf
Geymsla Eitt ehf
Gólflausnir Malland ehf
Gröfuþjónusta Grafa og grjót ehf
Hafnarfjarðarbær

Hafnarfjarðarhöfn
Hagmálun slf
Hagstál ehf
Hamraborg ehf
Hvalur hf
Jarðboranir hf, verktaki
Lýsing og hönnun
Netorka hf
Nonni Gull
Prentmiðlun ehf
Rúnir verktakar ehf
Sjúkraþjálfarinn ehf
Trésmiðjan okkar ehf
Vélsmiðja Konráðs Jónssonar sf
Véltak ehf
Vír og lykkjur ehf
Þaktak ehf
Vogar
Við sjóinn ehf - tjaldstæði - Vogum
Reykjanesbær
Benni pípari ehf
Bergraf ehf
Bílar og Hjól ehf
Bílasprautun Magga Jóns ehf
Bílaþjónusta Fitjavíkur sf
Bílrúðuþjónustan ehf
Blikksmiðja Ágústs Guðjónssonar ehf
DMM Lausnir ehf
Dýralæknastofa Suðurnesja
Ellert Skúlason ehf
Fjölbrautaskóli Suðurnesja Ístek ehf
Kalka sorpeyðingarstöð sf
Miðstöð símenntunar á Suðurnesjum
Millvúd Pípulagnir ehf
Nettó
OSN lagnir ehf
Rafiðn ehf
Skipasmíðastöð Njarðvíkur hf
Skólar ehf
TM Bygg ehf
TSA ehf

Víkurfréttir ehf
Grindavík
Bláa Lónið
Grindavíkurbær
H H Smíði ehf
Palóma Föt og skart ehf
Stakkavík ehf
Veiðafæraþjónustan ehf
Suðurnesjabær
Aukin Ökuréttindi ehf
ÁÁ verktakar ehf
Bílaþjónustan Bakki ehf
Lighthouse Inn
SI raflagnir ehf
Vélsmiðja Sandgerðis ehf
Mosfellsbær
Álgluggar JG ehf
bilalokkun is-www kopsson is
Byggingafélagið Bakki ehf
Dalsgarður ehf, gróðrarstöð
Elektrus ehf
Esja eignir ehf
Fasteignasalan - FastMos
Glertækni ehf
Guðmundur S Borgarsson ehf
Ístak hf
Lionsklúbburinn Úa Mosfellsbæ
Malbikstöðin ehf
MIG Verk ehf
Mosfellsbakarí
Múr og meira ehf
Nonni litli ehf
Nýja bílasmiðjan hf
Stjörnugrís hf
VGH-Mosfellsbæ ehf
Akranes
Akraberg ehf
Apótek Vesturlands ehf
Bílaverkstæði Hjalta ehf
Garðar Jónsson málarameistari
Kallabakarí

Meitill - GT Tækni ehf
Norðanfiskur ehf
Verkalýðsfélag Akraness
Verslunin Einar Ólafsson ehf
Vogir ehf
Borgarnes
B Björnsson ehf
Blómasetrið - Kaffi kyrrð
Guðbjörn Charlesson
HSS verktak, s: 892 3044
Landnámssetur Íslands
Sprautu- og bifreiðaverkstæðið Borgarness sf
UMÍS ehf, Environice
Stykkishólmur
Eyja- og Miklaholtshreppur, Snæfellsnesi
Marz sjávarafurðir ehf
Málflutningsstofa Snæfellsness
Skipavík ehf
Þórsnes ehf
Grundarfjörður
ILDI ehf
Soffanías Cecilsson hf Ólafsvík
TS Vélaleiga ehf
Útgerðarfélagið Guðmundur ehf
Hellissandur
Félags- og skólaþjónusta Snæfellinga
Gilbakki Kaffihús
Skarðsvík ehf
Snæfellsbær
Útnes ehf
Búðardalur
Blys veitingastaður
BS Þjónunstan ehf
Rafsel Búðardal ehf Ísafjörður
Ferðaþjónustan í Heydal Hamraborg ehf
Ísblikk ehf
Orkubú Vestfjarða ohf

Samgöngufélagið-www.samgongur.is Smali ehf Vesturferðir ehf
Hnífsdalur
Hraðfrystihúsið - Gunnvör hf
Bolungarvík
Endurskoðun Vestfjarða ehf
Jakob Valgeir ehf
Sigurgeir G. Jóhannsson ehf
Súðavík
Súðavíkurhreppur
Flateyri
Sytra ehf
Suðureyri
Fiskvinnslan Íslandssaga hf
Patreksfjörður
Bílaverkstæðið Smur- og dekk
Eyfaraf ehf
Oddi hf, fiskvinnsla-útgerð Ungmennafélag Barðstrendinga
Villi Á ehf
Bíldudalur
Lás ehf
Drangsnes
Hveravík ehf
Hvammstangi
Kvenfélagið Freyja
Sláturhús KVH ehf
Blönduós
Glaðheimar, sumar- og gistihús opið allt árið
Kvenfélag Svínavatnshrepps
Sörlatunga ehf
Skagaströnd
Vík ehf
Sauðárkrókur
Aldan - stéttarfélag
Bókhaldsþjónusta KOM ehf
Dögun ehf

FISK-Seafood ehf
Fjölbrautaskóli Norðurlands vestra
Friðrik Jónsson ehf
K-Tak ehf
Steinull hf
Verslunarmannafélag Skagafjarðar
Siglufjörður
JE Vélaverkstæði ehf
Snerpa, íþróttafélag fatlaðra og aldraðra
Akureyri
Baldur Halldórsson ehf
Bifreiðaverkstæði Bjarnhéðins ehf
Bílaprýði
Bútur ehf
Dexta orkutæknilausnir ehf
Dýralæknaþjónusta Eyjafjarðar ehf
Eining-Iðja
Endurhæfingarstöðin ehf
Enor ehf
Fasteignasalan Hvammur ehf
Grófargil ehf
Herradeild JMJ
HSH verktakar ehf
Ísbúðin Akureyri
Líkamsræktin Bjarg ehf
Matur og mörk hf
Meindýravarnir MVE
Rafmenn ehf
S.Guðmundsson ehf, múrverktaki
S.S. byggir ehf
Samvirkni ehf
Tannlæknastofa Hauks og Bessa
Vélsmiðjan Ásverk ehf
Grenivík
Grýtubakkahreppur
Dalvík
EB ehf
Sæplast Iceland ehf
Vélvirki ehf, verkstæði
Whales Hauganes ehf

Ólafsfjörður
SiggiOddsehf
Húsavík
Tjörneshreppur
Trésmiðjan Rein ehf
Víkurraf ehf
Laugar
Norðurpóll ehf, trésmiðja
Sparisjóður Þingeyinga
Þingeyjarsveit
Mývatn
Reykjahlíðarsókn
Sel Hótel, Mývatn
Þórshöfn
Geir ehf
Vopnafjörður
Bílar og vélar ehf
Pétur Valdimar Jónsson
Egilsstaðir
Austfjarðaflutningar ehf
Ársverk ehf
Gistihúsið Egilsstöðum - Lake Hotel Egilsstadir
HEF veitur ehf
Héraðsprent ehf
Hótel Valaskjálf
Menntaskólinn á Egilsstöðum
Tréiðjan Einir ehf
Seyðisfjörður
PG stálsmíði ehf
Reyðarfjörður
Fjarðaveitingar ehf
Eskifjörður
Egersund Ísland ehf
Fjarðaþvottur ehf
LF fasteignasala - Reykjavík - Austurland
R H gröfur ehf
Tandrabretti ehf

Neskaupstaður
Fjarðalagnir ehf
G.Skúlason vélaverkstæði ehf
Haki ehf verkstæði
Samvinnufélag útgerðamanna
Síldarvinnslan hf
Fáskrúðsfjörður
Fáskrúðsfjarðarkirkja Vöggur ehf
Djúpavogur
Hótel Framtíð ehf
Höfn í Hornafirði
Birkifell ehf - Birkifelli
Ferðaþjónustan Árnanesi
GlacierAdventure
Jökulfell ehf
Klifá ehf, ferðaþjónustan Gerði ehf
Króm og hvítt ehf
Málningarþjónusta Horna ehf
Rósaberg ehf
Ögmund ehf
Öryggi og gæsla ehf
Selfoss
Bifreiðaverkstæðið Klettur ehf
Bílaþjónusta Péturs ehf
Bíltak ehf
Bílverk BÁ ehf, bílamálun og bílaréttingar
Bjarnabúð
Búhnykkur sf
Eiðfaxi ehf
EM heima gallerí
Fagform ehf
Framsóknarfélag Árnessýslu
Gólflist ehf
Gróðrarstöðin Ártangi ehf
JÁ pípulagnir ehf
Jáverk ehf
K.Þ Verktakar ehf
Lumen ehf
Lögmannsstofa Ólafs Björnssonar
Máttur sjúkraþjálfun ehf

Mika Restaurant
Minni Borgir ehf
Pípulagnir Suðurlands ehf
Rafmagnsverkstæði Jens og Róberts ehf
Reykhóll ehf
Set ehf, röraverksmiðja
Sólheimar í Grímsnesi
Stálkrókur ehf
Súperlagnir ehf
Tannlæknaþjónustan is, s: 482 3333
Tæki og tól ehf
Ullarverslunin Þingborg ehf
VBF Mjölnir ehf
Verkfræðistofa Guðjóns
Vélaþjónusta Ingvars
Vélsmiðja Suðurlands ehf
X5 ehf
Österby-hár
Hveragerði
Auðflutt ehf, flutningaþjónusta s: 862 5600
Ficus ehf
Flóra garðyrkjustöð
Hótel Örk
Kjörís ehf
Norbygg ehf
Þorlákshöfn
Bíliðjan ehf, verkstæði
Járnkarlinn ehf
Sveitarfélagið Ölfus
Ölfus
Eldhestar ehf
Gljúfurbústaðir ehf
Gróðrarstöðin Kjarr
Hraunsós ehf
Icelandic Water Holdings hf
Flúðir
Fögrusteinar ehf
Gröfutækni ehf
Hitaveita Flúða og nágrennis
Hella
Hellismenn ehf

Kanslarinn veitingahús
Hvolsvöllur
Krappi ehf, byggingaverktakar
Kvenfélagið Freyja
Torf ehf
Vík
Framrás ehf
Hótel Dyrhólaey Ás
Hótel Vík í Mýrdal
Kötlusetur
Mýrdælingur ehf
RafSuð ehf
Vestmannaeyjar
Bíla- og vélaverkstæðið Nethamar ehf
Bílaverkstæði Sigurjóns
Bókasafn Vestmannaeyja
Bragginn sf, bílaverkstæði
Ísfélag hf,Guðmundur Jóhann Árnason
Narfi ehf
Skipalyftan ehf
Vélaverkstæðið Þór ehf
Watt ehf

Við þökkum velunnurum öllum hjartanlega fyrir stuðninginn og óskum ykkur
góðrar hjartaheilsu
