

![]()



Confira: acidente na Rodovia de Itu leva dois homens a óbito

Ituano Basquete recebe premiação da LBF 2024 pela temporada

Não perca: Documentário “Viva Santos Reis” estreia no final de julho em Itu


A nova edição do Jornal Agora Itu traz como matéria de capa a campanha Julho Laranja, um importante movimento de conscientização e prevenção das doenças bucais nas crianças. Com a colaboração das renomadas dentistas Daniele Somensi Galass, Patrícia A. Lucca Santoro e Jocymara Amaral, a iniciativa destaca a importância dos cui-
dados odontológicos desde a infância, abordando práticas preventivas, tratamentos disponíveis e a relevância de visitas regulares ao dentista. Veja o que acontece na cidade: 3º encontro anual de colecionadores terá exposição de rádios do início do século XX; Educação: Senac Salto e Senac Itu ofertam quase 1.700 bolsas de estudo
100% gratuitas no segundo semestre; Confira na página de “esportes”: Ituano Futsal Down é campeão Paulista e Ituano Basquete recebe premiação da LBF 2024; Agenda cultural: confira as atividades e programações culturais que vem por aí em "cultura" e divirta-se.
Aproveite a leitura!




Vídeo com visita guiada que narra a história da Fábrica de Tecidos São Luiz está disponível no Youtube
Com o benefício da Lei Paulo Gustavo, o Espaço Fábrica São Luiz produziu o vídeo com uma visita guiada contando a história da primeira indústria do Estado de São Paulo, a “Fábrica de Tecidos São Luiz”, movida a vapor e fundada em 1869, localizada em Itu/SP. O vídeo para Internet “Visita Guiada da Fábrica de Tecidos São Luiz” já está disponível no canal do Youtube.
Ipem-SP realiza verificação de taxímetros em Itu
Os taxistas de Itu puderam consultar no site do Ipem-SP (www.ipem.sp.gov.br) as datas das verificações. A última estava programada para ocorrer no período de 17 a 19 de julho, quarta a sexta-feira, conforme horários disponíveis no sistema, sendo o ponto de partida à avenida Edson Benedito Andreazza, bairro São Camilo. A ação tem como objetivo promover a confiança nas relações de consumo.

O republicado foi ferido na orelha na tarde de sábado, (13), após um ataque a tiros durante um comício em Butler, na Pensilvânia. O atirador foi identificado como Thomas Matthew Crooks, de 20 anos, que foi morto pela
equipe de franco-atiradores da segurança do evento. Além de Trump, outras duas pessoas foram gravemente feridas e uma morta - o espectador Corey Comperatore. Trump foi levado na ocasião para o hospital e já se recupera.
ram as casas das famílias brasileiras no início do século XX. Muitos deles equipados com válvulas. Trata-se da exposição com mais de 15 aparelhos em perfeito estado, todos restaurados e que pertencem ao colecionador Arthur Roson, da New Old Stock.
O 3º Encontro de Itu faz parte de um roteiro do colecionismo pelo interior paulista, que já realizou 10 eventos na região pelos organizadores João Ricardo Pupo e Mauro Vasconcellos. O objetivo maior é levar a prática saudável do colecionismo para novas gerações de pessoas e ativar a paixão naqueles que um dia já quiserem ou tiveram uma coleção. O colecionismo, lembra Pupo, gera conhecimento, traz alegrias e possibilita muitas amizades. Mauro destaca que a intenção é despertar o interesse pela prática de guardar, selecionar e organizar produtos de acordo com o gosto pessoal.
Existem coleções para todos os gostos e que exigem diferentes graus de atenção, sendo possível colecionar itens com pouco investimento financeiro. O grande charme do colecionismo é que não existe coleção “certa”, pois cada colecionador direciona sua atividade àquilo que ele quer ter, motivando seus objetivos pessoais. E, desta maneira, preservar
segundo homem veio a falecer na madrugada do dia de hoje (16) às 3h30.
O condutor do veículo não possuía habilitação, e o carro tinha documentação atrasada. A morte do segundo homem foi confirmada pela Santa Casa de Misericórdia de Itu. Até o momento, a vítima não foi identificada, e o corpo foi enviado ao Instituto Médico Legal (IML) em Sorocaba, onde aguardará identificação. Caso contrário, será enterrado como desconhecido após autorização judicial. O motorista foi levado à delegacia. A Polícia Rodoviária manteve o local isolado até a chegada da perícia técnica, que ocorreu durante a madrugada.


a história e a cultura de um povo. Colecionar traz senso de organização e de controle, além de conhecimento

nas informações contidas no próprio produto e a relação com a comunidade na época em que foi produzido.

















Neste mês, diversas cidades brasileiras aderem à campanha Julho Laranja, uma iniciativa voltada à conscientização sobre a importância da saúde bucal infantil. Organizada por entidades odontológicas e apoiada por escolas e instituições de saúde, a campanha busca alertar pais, responsáveis e educadores sobre os cuidados necessários para garantir um sorriso saudável às crianças.
A origem da campanha De acordo com a última Pesquisa Nacional de Saúde Bucal (SB Brasil), 47% das crianças brasileiras apresentaram algum tipo de cárie. O estudo ainda apontou que, na região Centro-Oeste, a porcentagem de crianças de até cinco anos de idade sem cáries reduziu de 38,8% para 37,9%.
Diante desse cenário, o Conselho Regional de Odontologia do Distrito Federal promove durante todo o mês a campanha Julho Laranja, voltada para promover a ortodontia preventiva para crianças a partir de seis anos em todo o território nacional. A iniciativa surgiu a partir da necessidade de promover
uma cultura de prevenção e cuidado com a saúde bucal desde os primeiros anos de vida. A cor laranja foi selecionada para simbolizar a campanha, pois representa alegria, vivacidade e confiança. Importância da Saúde Bucal Infantil
A saúde bucal é fundamental para o bem-estar geral das crianças. Problemas dentários podem causar dor, infecções e dificuldades na mastigação e na fala. Além disso, dentes saudáveis são essenciais para o desenvolvimento da fala e da autoestima. Estudos mostram que problemas dentários em crianças podem levar a complicações sérias na adolescência e na vida adulta, incluindo perda dentária precoce, problemas de mastigação e até mesmo questões relacionadas à autoestima e ao desempenho escolar.
A campanha reforça a importância do papel da família na formação de hábitos saudáveis. Ao incentivar práticas de higiene bucal em casa e levar as crianças regularmente ao dentista, os pais contribuem significativamente para a saúde e o bem-estar dos pequenos.
O mês de julho foi escolhido para a campanha porque é o período em que os brasileiros costumam buscar mais a ortodontia infantil. O slogan é “Cuidados precoces, sorrisos pra toda a vida”. Em 2020, a mobilização ganhou um mascote, um pássaro chamado Julito.
Até quarta-feira (24/07), a fachada do edifício-sede do Supremo Tribunal Federal (STF) estará iluminada em alusão à campanha, chamando a atenção da socieda-
de para a importância da ortodontia preventiva. Com isso, a ideia é incentivar que a primeira avaliação ortodôntica em crianças seja feita a partir dos seis anos de idade, para evitar mais facilmente o mau posicionamento dos dentes na arcada dentária.
A dentista Patrícia A. Lucca Santoro, especialista em ortodontia, compartilhou sua experiência e visão sobre o impacto desta campanha na vida das crianças.



Patrícia A Lucca Santoro, 32 anos, formada há 11 anos, é uma apaixonada pela odontologia desde pequena. Com especialização em ortodontia e aperfeiçoamento em estética bucal e dentística restauradora, ela tem dedicado sua carreira a transformar sorrisos e melhorar a saúde bucal de seus pacientes.
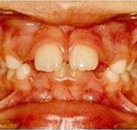
A dentista destaca a importância do diagnóstico precoce das alterações dos maxilares. "É essencial identificar essas mudanças o quanto antes para evitar procedimentos mais invasivos, como cirurgias e extrações de dentes", explica Patrícia. A ortodontia preventiva pode corrigir maloclusões ainda na dentição decídua ou mista, reduzindo a severidade dos problemas ortodônticos.
Benefícios a longo prazo Iniciar o tratamento ortodôntico precocemente traz inúmeros benefí-
cios a longo prazo. Entre os principais problemas que podem ser evitados estão a perda precoce dos dentes decíduos, manutenção e recuperação de espaço, e hábitos bucais deletérios como uso de chupeta e mamadeira, roer unhas, mordida cruzada anterior e/ou posterior, mordida aberta anterior, e dentes supranumerários irrompidos ou impactados.
A campanha Julho Laranja traz grandes expectativas em termos de conscientização e saúde bucal infantil. "Quanto antes identificarmos e tratarmos o problema, melhores serão os resultados", afirma Patrícia. Ela ressalta que a ortodontia preventiva pode proporcionar melhora da autoestima e desenvolvimento das crianças, evitando constrangimentos como bullying e introspecção, e melhorando a qualidade de vida desde a infância até a fase adulta.


Dentre as diversas formas de tratamento dentário, a prevenção ortodôntica é essencial para crianças e adolescentes. Para entendermos mais sobre, conversamos com a Dra. Jocymara Amaral, especialista em ortodontia, ortopedia funcional dos maxilares, disfunção de ATM e dor orofacial, entre outras áreas.
A Dra. Jocymara Amaral é graduada pela Faculdade de Odontologia de Ribeirão Preto da USP e possui residência em odontologia hospitalar pelo Hospital das Clínicas da Faculdade de Medicina da USP. Com especializações em ortodontia, ortopedia funcional dos maxilares, disfunção de ATM e dor orofacial, laserterapia, alinhadores invisíveis e odontologia do sono, Dra. Jocymara mantém-se atualizada participando ativamente de comunidades de estudo em suas áreas de especialização.
Principais problemas ortodônticos evitáveis com a Ortodontia Preventiva
A ortopedia funcional dos maxilares e a ortodontia preventiva têm como objetivo tratar precocemente problemas como mordidas abertas, onde a posição inadequada da língua pode afetar a fala, e mordidas

cruzadas posteriores, que causam desequilíbrio mastigatório e assimetrias faciais. Além disso, mordidas cruzadas anteriores podem levar ao prognatismo da mandíbula. Trabalhando em conjunto com médicos otorrinolaringologistas e fonoaudiólogos, a respiração bucal também é tratada, prevenindo estreitamento da arcada superior, falta de espaço para a dentição permanente e alterações músculo-esqueléticas.
Iniciar o tratamento ortodôntico precocemente traz diversos benefícios a longo prazo, como melhora da autoestima, estética e funções adequadas, além de promover bem-estar e equilíbrio do sistema estomatognático (cabeça e pescoço), refletindo em um equilíbrio geral do corpo.
A Dra. espera que a campanha Julho Laranja possa alertar e incentivar as famílias a levarem suas crianças para uma avaliação odontológica e orientação. “Tudo que é diagnosticado e tratado no início é mais fácil de se resolver”, enfatiza a dentista, destacando a importância de identificar e tratar problemas ortodônticos logo no início para garantir a saúde bucal infantil.
Em uma conversa com a Dra. Daniele Somensi Galassi, que atualmente atende na Clínica Italiani Shiratori e é uma das vozes ativas desta campanha, explica melhor os objetivos e os benefícios desta abordagem.
Dra. Daniele formou-se e fez pós-graduação na USP Bauru, dedicando um ano de sua especialização à Ortodontia Preventiva no renomado Hospital de Reabilitação de Anomalias Craniofaciais da USP, o Centrinho. Sua paixão pela ortodontia aplicada à odontopediatria se reflete em sua atuação como professora assistente no curso de pós-graduação em Ortodontia na Odontopediatria da São Leopoldo Mandic, em São Paulo, além de sua participação no grupo de estudos CEBDOF (Centro de Estudos em Bruxismo e DTM em Odontopediatria).
Segundo Dra. Daniele, a ortodontia preventiva é fundamental para o cuidado integral da criança, abarcando o crescimento e desenvolvimento das estruturas ósseas, a posição dos dentes e hábitos que afetam a saúde bucal. "Estamos mais atentos ao bruxismo infantil e à apneia obstrutiva do sono, condições antes subestimadas", destaca. Acompanhamentos desde os primeiros anos podem reduzir significativamente problemas como más oclusões dentárias, distúrbios respira-
tórios e do sono, que impactam negativamente o aprendizado, a fala e até mesmo o convívio social das crianças. Importância da prevenção
Ela enfatiza que o início precoce do acompanhamento ortodôntico simplifica tratamentos corretivos futuros e permite a identificação precoce de problemas bucais e craniofaciais. "Reconhecemos hoje que a ortodontia vai além do alinhamento dos dentes, sendo crucial para a saúde geral da criança", afirma.
A campanha Julho Laranja tem sido eficaz em conscientizar os pais sobre a importância de consultas ortodônticas a partir dos seis anos. "Estamos vendo um aumento significativo no número de pais que buscam esse cuidado preventivo, antes limitado às recomendações de odontopediatras", comenta Dra. Daniele. A expectativa é que mais crianças recebam cuidados adequados, prevenindo problemas que poderiam se agravar na adolescência ou idade adulta se não tratados precocemente.
A mensagem de Julho Laranja é clara: a prevenção é a chave para um futuro saudável. O papel dos pais é fundamental para garantir que seus filhos tenham acesso a cuidados ortodônticos desde cedo, assegurando um desenvolvimento saudável e evitando complicações futuras.



Gestão e negócios, tecnologia da informação, moda, beleza e bem-estar, saúde, comunicação e artes e gastro nomia e alimentação são algumas das áreas do conhecimento que poderão ser estudadas gratuitamente, neste segundo semestre, nas 63 unidades do Senac São Paulo distribuídas em todo o estado. No total, são mais de 70 mil bolsas de estudo 100% gratuitas. No Senac Itu, há mais de 280 vagas destinadas a candidatos com renda familiar mensal de até dois salários mínimos federais, por pessoa. Na unidade de Salto, esse número vai para mais de 1.400 oportunidades. São cursos técnicos e livres com materiais didáticos inclusos concedidos por meio do Programa Senac de Gratuidade. Entre as diversas opções do Senac Salto estão os cursos: Técnico em Podologia, Técnico em Design Gráfico, Técnico em Nutrição e Dietética e Técnico em Design de Interiores; já no Senac Itu, há os cursos Técnico em Mas-

Senac de Gratuidade.
Os cursos técnicos possuem um aprofundamento maior do conteúdo e, geralmente, são procurados por quem pretende ingressar em uma nova carreira, ou por quem já está no mercado de trabalho e quer aumentar seus conhecimentos para conquistar melhores oportunidades.
Cursos livres, por sua vez, são voltados para quem deseja desenvolver habilidades específicas. Conhecidos por permitirem uma entrada mais rápida no mercado de trabalho, este nível de ensino preenche possíveis lacunas nos currículos dos profissionais. Além disso, não possuem muitos pré-requisitos, favorecendo uma recolocação mais rápida.


Barras de Access
Terapias Xamânicas com Microdosagem
Ginecologia Natural Baralho Cigano Terapêutico Cristaloterapia
Aromaterapia
Auriculoterapia
Aconselhamento Espiritual
Benzimento
Lojinha de Produtos Místicos e Naturais Cursos, Oficinas, Vivências e Cerimônias
Avenida Belo Horizonte, 164 Bairro Brasil It (11) 96858-2466


O Santos derrotou o Ituano por 2 a 0 nesta segunda-feira (15), na Vila Belmiro, pela 15ª rodada da Série B do Campeonato Brasileiro. Os gols foram marcados por Diego Pituca e Guilherme.
Com esta vitória, o Santos chegou a 28 pontos e assumiu a liderança da Série B. Por outro lado, o Ituano permanece com 11 pontos, ocupando a penúltima posição, à frente apenas do Guarani, que tem 7 pontos. Hoje, dia 20, o Ituano enfrentará o CRB fora de casa.
A partida
O Ituano cometeu muitos erros defensivos no início da partida. Aos 10 minutos do primeiro tempo, após desperdiçar outras duas oportunidades, o Santos abriu o placar com Diego Pituca. Pouco depois, Kauan Richard cometeu pênalti em Otero, e Guilherme ampliou a vantagem do Santos ao marcar no rebote do goleiro Saulo. O Santos controlou o restante do primeiro tempo, trocando passes na defesa e sem ser ameaçado pelo Ituano.
No segundo tempo, os treinadores fizeram substituições: Carille, do Santos, visando poupar jogadores para os próximos jogos, e Alberto Valentim, do Ituano, focando principalmente no sistema defensivo.
O Santos continuou dominando a partida, finalizando nove vezes no gol, enquanto o Ituano teve apenas duas finalizações.
Gols e momentos de destaque
1-0: Diego Pituca abriu o placar após Escobar roubar a bola de Lucas Dias e tocar para Pituca, que finalizou sem chances para o goleiro Saulo. 2-0: Otero sofreu pênalti ao ser derrubado por Kauan Richard. Na cobrança, Guilherme marcou no rebote após defesa de Saulo.
Otero quase marcou em uma cobrança de falta que acertou a trave direita.
Houve uma confusão com a placa de substituição do Ituano, mas foi corrigida.
Aderlan, do Santos, precisou ser substituído após se machucar em uma disputa de bola, saindo de campo com dores no joelho.
No sábado (13), o Ituano Futsal Down conquistou o título inédito do Campeonato Paulista, ao superar o JR Galápagos, nos pênaltis, na final em Cabreúva.
As equipes empataram em 3 a 3 no tempo regulamentar, com Juan Gonçalves, Edson dos Santos Jr. (Juninho) e Pedro Martins garantindo os gols rubro-negros. Nos pênaltis, Juninho, Pedro, Juan, Matheus Galante e André de Oliveira converteram todas as cobranças do Galo e o goleiro Matheus ainda defendeu um dos chutes dos adversários.
“Esse é o primeiro Campeonato Paulista realizado oficialmente pela CBDI [Confederação Brasileira de Desportos para Deficientes Intelectuais]. Logo, quem marca a presença e conquista o título do primeiro, passa a ser o primeiro campeão paulista e o Ituano conquistou isso, através de um trabalho muito elaborado pela comissão técnica, com a semana que antecedeu os jogos de treinos intensos, físicos, técnicos e táticos”, comenta o treinador Carlos Alberto Santos (Neco). Além do título inédito,
o treinador destaca que a equipe conseguiu “manter um tabu”. “Em campeonatos realizados pela CBDI, jogos oficiais, o Ituano permanece invicto, tanto na conquista do bicampeonato brasileiro, como nesse campeonato paulista”, afirma ele.
“Mesmo depois de uma total reformulação, onde apenas um jogador foi mantido da última conquista do brasileiro e o restante do time foi todo renovado, nós conseguimos esse título em cima da base da Seleção Brasileira, [o Galápagos] hoje é um time que tem oito jogadores na Seleção Brasileira. Então eu acho que é uma conquista e tanto”, completa Neco.
O treinador ainda reforça e agradece os apoiadores e patrocinadores da equipe, além da “confiança dos pais e a minha comissão técnica pela competência, pela entrega, pela doação e pela equipe que nunca cansa de trabalhar”.
O Ituano irá agora desfrutar do título estadual, mas logo passa a focar no Campeonato Brasileiro, que ocorre em dezembro, em Campos do Jordão.
Nesta quarta-feira (17), o Ituano Basquete recebeu a premiação pelo 3º lugar da LBF CAIXA 2024, coroando a grande campanha realizada pela equipe, que conquistou 19 vitórias em 25 jogos.
A entrega das medalhas às atletas e comissão técnica do Galo foi realizada pelo presidente do Clube, Ricardo Gior-
dani, que parabenizou a todos pelo trabalho nesta temporada, e pelo Secretário Municipal de Esportes, Diego Corsi. O Ituano Basquete é patrocinado pela IFC/Cobrecom, Empresas Maggi, PLAZA Shopping Itu, Supermercados Alvorada GIESPP, EPPO Cidades Inteligentes e Controle Contábil


No final de julho (30 e 31) o auditório da Prefeitura de Itu será palco da estreia do documentário “Viva Santos Reis, a História dos Foliões de Itu“. O projeto, que procura preservar e celebrar a rica tradição da Folia de Reis, destaca-se como uma importante iniciativa cultural para a cidade e região.
“Vinte e cinco de dezembro, quando o galo deu sinal, que nasceu menino-Deus, numa noite de Natal… ai…ai”. Esse trecho do Hino de Reis, tradicional na Folia de Reis, embala o documentário que narra a história dos foliões de Itu. A Folia de Reis é uma celebração cultural brasileira que dura 12 dias e relembra a visita dos Reis Magos ao menino Jesus. Em Itu, a Associação Companhia de Folia de Reis Estrela do Oriente é a única que mantém essa tradição, que iniciou na antiga colônia de hanseníase Hospital Doutor Francisco Ribeiro Arantes, popularmente conhecido como Hospital do Pira.
O documentário busca capturar a essência e a emoção dessa festividade através de entrevistas e narrativas dos foliões de Itu. Músicas, orações, danças, roupas, acessórios e comidas típicas compõem esse rico mosaico cultural, que será apresentado com muita sensibilidade. Registros fotográficos também contribuem para a edição desta média-metragem, eternizando momentos e memórias.
Uma característica importante do projeto é a sua preocupação com a acessibilidade. Todos os ví-
deos serão legendados para atender pessoas surdas e/ou com sensibilidade ao barulho, e durante a roda de conversa haverá um intérprete de Libras à disposição. Essa inclusão é fundamental para que a tradição da Folia de Reis possa ser apreciada por todos.
Além de preservar a cultura popular, o documentário visa valorizar e promover a diversidade cultural e os artistas locais, impulsionar a inclusão social e fomentar o turismo cultural. A Folia de Reis é uma manifestação cultural única, que contribui para a riqueza da identidade nacional. Promovê-la fortalece o senso de comunidade e proporciona um espaço de participação para todos, independentemente de origem ou situação socioeconômico.
O projeto é especialmente relevante em um momento em que muitos artistas locais tiveram suas atividades interrompidas pela pandemia de Covid-19, impactando suas vidas financeiras. Ao contemplar profissionais e artistas de Itu, o documentário “Viva Santos Reis” também busca incentivá-los e potencializá-los socioeconomicamente.
A estreia do documentário será um evento imperdível para todos os interessados em cultura, história e tradições brasileiras. Mais do que um registro audiovisual, “Viva Santos Reis” é um convite para mergulhar nas raízes culturais de Itu e valorizar a diversidade que compõe a nossa identidade nacional.

A programação de férias do Plaza Shopping segue oferecendo atrações para as famílias de Itu e região. A partir desta semana, uma estreia especial, a chegada do Circo de Roma ao centro de compras. Depois de 30 anos, o Circo de Roma está de volta à cidade com a tradição do universo circense, um espetáculo que reúne a magia do picadeiro e atrações especiais com dinossauros. A estreia foi realizada nesta sexta-feira, dia 19, no estacionamento do Plaza Shopping Itu.
Sendo reconhecido pela valorização da cultura circense, o espetáculo apresenta artistas internacionais, acrobatas, trapezistas, Globo da Morte e dinossauros no palco. O Circo de Roma já conta com mais de 50 anos de história. As sessões serão realizadas às sextas (20h) e aos sábados e domingos (15h, 17h30 e 20h). Os ingressos podem ser adquiridos antecipadamente pelo site https://circoderoma.com.br/ ou na bilheteria do circo.
