380 - Diagnostico Septiembre

Page 1


Dr. Santiago Rossi In memoriam

Editores

Bárbara R. Domb y Ezequiel Domb

Diseño, Diagramación & Portada

Ezequiel Domb

Colaboradores Periodísticos

César Mauricio Rodríguez Olivo

Diego Ruiz

María Virginia Parra

Responsable y corresponsal en México

Igor Barragán Flores

Gabriel Zubieta

Publicidad

Bárbara Domb

Redacción

La Pluma Redactores

Vol. XXXIV N° 380 - Septiembre 2024

DIAGNÓSTICO Journal LA Galicia 919 (1416) Buenos Aires, Argentina +54 911 5664 - 9585 info@diagnosticojournal.com www.diagnosticojournal.com

DIAGNÓSTICO JOURNAL LA is published monthly 6538 Collins Ave. # 335, Miami Beach FL 33141, USA. Tel. 786.999.0557

Covering since:

92 RSNA, 95 AIUM, 98 AAN, 98 IBMS, 98 ASBMR, 99 ACC, 95 JPR

Los artículos firmados expresan las opiniones de los autores y no reflejan necesariamente la opinión de la Editorial.

Sumario Diagnóstico Journal LA

Innovación y Tecnología en el Diagnóstico por Imágenes: Un Futuro Potenciado por la IA y la Automatización

El diagnóstico por imágenes está atravesando una revolución tecnológica, marcada por la implementación de inteligencia artificial (IA) y herramientas automatizadas que están transformando el panorama médico a nivel global. En un escenario donde la precisión y la eficiencia son clave, la adopción de nuevas tecnologías promete mejorar tanto la experiencia del paciente como el flujo de trabajo de los profesionales de la salud.

Durante los últimos años, la IA ha demostrado su capacidad para optimizar procesos, como lo muestra su integración en la detección de patologías en radiografías de tórax, donde ha superado los estándares tradicionales en muchos aspectos. Este avance no solo agiliza el tiempo de respuesta, sino que también garantiza diagnósticos más precisos y reduce el margen de error, beneficiando tanto a médicos como a pacientes.

Además, la automatización en los procesos de adquisición y análisis de imágenes médicas permite una mayor eficiencia en las instituciones de salud. El uso de soluciones como PACSonWEB, que facilita el acceso y distribución de imágenes a través de la nube, junto con herramientas de inteligencia de negocios, ha demostrado mejorar la gestión operativa y financiera en instituciones como Los Cobos Medical Center (Colombia).

La transformación está en marcha, y el éxito dependerá de la capacidad de las instituciones para integrar la tecnología en sus procesos, siempre con el objetivo de mejorar la calidad del servicio médico y garantizar la atención centrada en el paciente.

Hasta siempre! Ezequiel Domb

[ 06 ] Todo un mundo de cuidados

[ 10 ] IA puede ayudar a descartar patologías anormales en radiografía de tórax

[ 14 ] El Radiólogo Invisible: El Rol Oculto en la Medicina Moderna

[ 16 ] Entrevista con Gerente de Eymsa sobre las Últimas Tecnologías y el Mercado Mexicano

[ 17 ] Humanizar, transformar e innovar

[ 20 ] In Memoriam: Dr. Santiago Rossi (1971 - 2024)

[ 22 ] Instituciones de Salud Inteligentes / Informatizadas

Imagen de portada:

[ 26 ] Los Cobos Medical Center Se “Sube” a la Tecnología Nativa de la Nube para Potenciar la Experiencia Asistencial del Diagnóstico por Imágenes.

[ 30 ] GE HealthCare presenta sus innovaciones tecnológicas en CADI 2024

[ 38 ] Próximos eventos

IA puede ayudar a descartar patologías anormales en radiografía de tórax

OAK BROOK, Ill. — Una herramienta comercial de inteligencia artificial (IA) utilizada fuera de etiqueta fue eficaz para excluir patología y tuvo tasas iguales o menores de errores críticos en radiografías de tórax que los radiólogos, según un estudio publicado en Radiology.

Los recientes avances en el campo de la inteligencia artificial han despertado un creciente interés en el diagnóstico asistido por ordenador, motivado en parte por la creciente carga de trabajo que afrontan los departamentos de radiología, la escasez mundial de radiólogos y el potencial de agotamiento en este campo. Las consultas de radiología tienen un gran volumen de radiografías de tórax sin hallazgos clínicamente significativos, y la inteligencia artificial podría mejorar el flujo de trabajo al proporcionar un informe automático.

En Dinamarca, investigadores se propusieron calcular la proporción de radiografías de tórax sin complicaciones en las que la IA podía excluir correctamente la patología sin aumentar los errores de diagnóstico. El estudio incluyó informes de radiología y datos de 1.961 pacientes (edad media, 72 años; 993 mujeres), con una radiografía de tórax por paciente, obtenidos en cuatro hospitales daneses.

“Nuestro grupo y otros han demostrado anteriormente que las herramientas de IA son capaces de excluir patologías en radiografías de tórax con gran confianza y, por lo tanto, proporcionar un informe normal autónomo sin la intervención de un humano”, afirmó el autor principal, el doctor Louis Lind Plesner, del Departamento de Radiología del Hospital Herlev y Gentofte de Copenhague, Dinamarca. “Estos algoritmos de IA pasan por alto muy pocas radiografías de tórax anormales. Sin embargo, antes de nuestro estudio actual, no sabíamos cuál era el umbral adecuado para estos modelos”.

Figura 1. El diagrama de flujo muestra el proceso de inclusión. Una radiografía de tórax notable se definió como aquella que presentaba uno o más hallazgos anormales. Una radiografía de tórax completamente normal se definió como aquella que no presentaba hallazgos anormales. Una radiografía de tórax normal sin hallazgos notables se definió como aquella normal pero con uno o más hallazgos sin hallazgos notables. IA = inteligencia artificial, AP = anteroposterior, DICOM = Imágenes digitales y comunicaciones en medicina, ED = departamento de emergencias, PA = posteroanterior

El equipo de investigación quería saber si la calidad de los errores cometidos por la IA y los radiólogos era diferente y si los errores de la IA, en promedio, son objetivamente peores que los

Figura 2. Rendimiento diagnóstico de la herramienta de inteligencia artificial (IA) para la clasificación de radiografías de tórax notables y no notables. (A) La curva de la característica operativa del receptor muestra el rendimiento de los radiólogos agrupados que redactan los informes de radiología clínica (punto rojo). (B) La curva de la característica operativa del receptor invertida muestra solo el área de alta sensibilidad. La curva se ha invertido para ilustrar cómo aumenta la especificidad con el aumento de las tasas de falsos negativos. La línea discontinua roja indica la tasa de falsos negativos encontrada en los informes de radiología; la línea discontinua amarilla indica el umbral de IA que produce un número igual de radiografías de tórax críticas omitidas (1,1%); y las líneas discontinuas azules (de abajo a arriba) indican los umbrales de sensibilidad de IA del 99,9%, 99,0% y 98,0%, respectivamente.

errores humanos.

La herramienta de IA se adaptó para generar una probabilidad de “sorprendencia” de una radiografía de tórax, que se utilizó para calcular la especificidad (una medida de la capacidad de una prueba médica para identificar correctamente a personas que no tienen una enfermedad) en diferentes sensibilidades de IA.

Dos radiólogos torácicos, que desconocían los resultados de la IA, etiquetaron las radiografías de tórax como "notable" o "no destacable" en función de hallazgos no destacables predefinidos. Las radiografías de tórax con hallazgos no detectados por la IA o el informe radiológico fueron calificadas por un radiólogo torácico (que desconocía si el error fue cometido por la IA o el radiólogo) como críticas, clínicamente significativas o clínicamente insignificantes.

El estándar de referencia etiquetó 1231 de 1961 radiografías de tórax (62,8 %) como notables y 730 de 1961 (37,2 %) como no destacables. La herramienta de IA excluyó correctamente la patología en el 24,5 % al 52,7 % de las radiografías de tórax no destacables con una sensibilidad mayor o igual al 98 %, con tasas más bajas de errores críticos que las encontradas en los informes de radiología asociados con las imágenes.

El Dr. Plesner señala que los errores cometidos por la IA fueron, en promedio, clínicamente más graves para el paciente que los errores cometidos por los radiólogos.

“Es probable que esto se deba a que los radiólogos interpretan los hallazgos en función del escenario clínico, algo

Por Ezequiel Domb

que la IA no hace”, afirmó. “Por lo tanto, cuando se pretende que la IA proporcione un informe normal automatizado, tiene que ser más sensible que el radiólogo para evitar reducir el nivel de atención durante la implementación. Este hallazgo también es in-

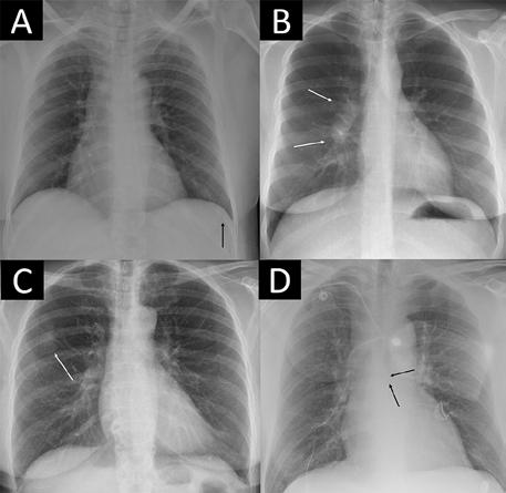
Figura 3. Cuatro ejemplos de radiografías de tórax notables con hallazgos críticos no detectados. La herramienta de inteligencia artificial (IA) fue posprocesada por el proveedor de IA escalando cada una de las 85 predicciones individuales notables a un valor normalizado y utilizando el nivel de caso más alto de las puntuaciones escaladas como la puntuación de probabilidad general de 0 a 1 para "notable" (es decir, la probabilidad de hallazgos anormales o notables por la IA). (A) La radiografía de tórax en una paciente de 49 años muestra una fractura de costilla aguda ligeramente visible (flecha) que la IA no detectó en todos los umbrales y que tampoco detectó el informe radiológico. (B) La radiografía de tórax en una paciente de 30 años muestra ganglios linfáticos hiliares agrandados (flechas) que no detectó el informe radiológico pero no la IA en ningún umbral. (C) La radiografía de tórax de una paciente de 67 años muestra un tumor que imita una placa pleural (flecha) que se informó en el informe radiológico (donde la paciente fue derivada para una TC) y que la IA no detectó en el umbral del 98,0 %, pero no en los umbrales del 99,0 % y el 99,9 %. (D) La radiografía de tórax de un paciente masculino de 64 años muestra un catéter venoso central que posiblemente ingresa en la vena ácigos (flechas), que se clasificó como normal en el informe radiológico. La IA no detectó el hallazgo crítico en el umbral del 98,0 %, pero no en los umbrales del 99,0 % y el 99,9 %.

teresante en general en esta era de capacidades de IA que abarcan múltiples entornos de alto riesgo, no solo limitados a la atención médica”.

Figura 4. El gráfico de barras apiladas muestra la consecuencia clínica estimada de los errores por parte de la herramienta de inteligencia artificial (IA) en un umbral de sensibilidad fijo y los informes de radiología.

Según el Dr. Plesner, la IA podría informar de forma autónoma más de la mitad de todas las radiografías de tórax normales. “En nuestra población de estudio basada en el hospital, esto significó que más del 20% de todas las radiografías de tórax podrían haberse informado de forma potencialmente autónoma utilizando esta metodología, manteniendo al mismo tiempo una tasa más baja de errores clínicamente relevantes que el estándar actual”, dijo.

El Dr. Plesner señaló que es necesaria una implementación prospectiva del modelo utilizando uno de los umbrales sugeridos en el estudio antes de poder recomendar una implementación generalizada.

El Radiólogo Invisible: El Rol Oculto en la Medicina Moderna

Introducción

En el mundo de la medicina moderna, los radiólogos juegan un papel crucial en el diagnóstico y tratamiento de enfermedades. Sin embargo, a menudo son los profesionales más invisibles del equipo médico, trabajando en las sombras para ofrecer diagnósticos que pueden ser vitales para la vida de los pacientes. Este artículo intenta explorar la importancia de los radiólogos invisibles, su impacto en el cuidado de la salud y los desafíos que enfrentan en su labor diaria.

La Función del Radiólogo

Interpretación de Imágenes Médicas: Los radiólogos examinan imágenes de resonancias magnéticas, tomografías computarizadas, rayos X y ecografías y otros métodos diagnósticos para detectar anomalías y enfermedades.

Diagnóstico y Consultoría: Colaboran con otros médicos para proporcionar diagnósticos precisos y recomendar tratamientos basados en sus interpretaciones.

Innovación en Tecnología: Participan en el desarrollo y mejora de tecnologías de imágenes médicas, como la inteligencia artificial aplicada a la radiología.

Impacto en el Cuidado del Paciente

Precisión en el Diagnóstico: La capacidad de los radiólogos para detectar detalles sutiles en las imágenes puede ser decisiva para el diagnóstico precoz de enfermedades.

Colaboración Multidisciplinaria: Trabajan en estrecha colaboración con otros especialistas para planificar y ajustar tratamientos basados en los resultados de las imágenes.

Desafíos y Realidades del Trabajo Invisible

Presión y Fatiga: La carga de trabajo y el estrés asociado con la revisión de un gran volumen de imágenes pueden llevar a la fatiga y el burnout.

Reconocimiento y Visibilidad: A pesar de su papel crítico, los radiólogos a menudo no reciben el reconocimiento adecuado, lo que puede afectar la moral y la percepción de su rol en el equipo de salud.

Evolución Tecnológica: La rápida evolución de la tecnología y la necesidad de mantenerse al día con los avances puede ser un desafío constante para los radiólogos.

El Futuro del Radiólogo Invisible

Avances Tecnológicos: La inteligencia artificial y el aprendizaje automático están transformando la radiología, ofreciendo nuevas herramientas para mejorar la precisión y eficiencia en el análisis de imágenes.

Mayor Reconocimiento: Se está promoviendo una mayor visibilidad y reconocimiento del trabajo de los radiólogos dentro del equipo médico y en la comunicación con los pacientes.

Figura 1. Ejemplo de informe de radiografía de tórax que incluye una cuenta de correo electrónico grupal y un número de teléfono de la oficina en la parte inferior para que los médicos remitentes y los pacientes puede contactar más fácilmente con el radiólogo con preguntas o inquietudes.

¿Debería el Radiólogo Interactuar Directamente con el Paciente?

En la actualidad, la interacción entre radiólogos y pacientes es mínima. Los radiólogos se comunican principalmente con otros médicos, quienes luego transmiten los resultados y recomendaciones a los pacientes. Sin embargo, surge la pregunta de si esta separación en la comunicación es la mejor práctica, o si la inclusión directa del radiólogo en la conversación con el paciente podría ofrecer beneficios adicionales.

Ventajas de la Interacción Directa

Figura 2. (a) El informe de muestra de radiografía de tórax al que se accede en el EMR permite al lector hacer clic en el nombre del radiólogo (hipervínculo). (b) Después de la activación del hipervínculo dentro del informe, aparecerá una ventana emergente Aparece un mensaje que muestra la información de contacto del radiólogo.

Figura 3. Tarjeta de agradecimiento que la institución de los autores ha iniciado distribuir a los pacientes después de un examen. Informativo similar material sobre el examen del paciente en particular y radiólogos en general se podrían proporcionar a todos los pacientes después de sus exámenes.

Clarificación de Resultados: La comunicación directa entre radiólogo y paciente podría permitir una explicación más clara y detallada de los resultados de las imágenes, reduciendo la posibilidad de malentendidos.

Empatía y Apoyo: El radiólogo podría ofrecer apoyo emocional y responder a preguntas específicas del paciente, mejorando la experiencia general del cuidado.

Educación del Paciente: Una conversación directa permitiría al radiólogo educar al paciente sobre el propósito y la interpretación de las imágenes, así como sobre las posibles implicaciones para el tratamiento.

Desafíos y Consideraciones

Tiempo y Recursos: La integración de sesiones de consulta entre radiólogo y paciente podría aumentar la carga de trabajo y los tiempos de espera, especialmente en entornos con alta demanda de estudios de imágenes.

Formación y Rol: Los radiólogos están formados principalmente en la interpretación de imágenes y pueden no estar preparados para manejar consultas detalladas con los pacientes o para abordar cuestiones emocionales.

Duplicación de Información: La interacción directa podría llevar a duplicación de información si el médico ya ha explicado los resultados y el plan de tratamiento al paciente.

Figura 4. (a) Un informe de muestra de radiografía de tórax al que se accede en el EMR le da al lector la opción de enviar comentarios sobre el informe. (b) Si el lector decide enviar comentarios, aparece una breve encuesta electrónica.

Modelos Alternativos

Equipos Interdisciplinarios: En algunos entornos médicos, se está experimentando con modelos en los que radiólogos forman parte de equipos interdisciplinarios que incluyen médicos, enfermeras y otros profesionales de la salud, lo que facilita la comunicación directa con los pacientes.

Consultas Virtuales: La tecnología también está abriendo nuevas oportunidades para la consulta virtual entre radiólogos y pacientes, permitiendo una comunicación más accesible sin necesidad de que el radiólogo esté físicamente presente.

Reflexión Final

La pregunta de si los radiólogos deberían interactuar directamente con los pacientes no tiene una respuesta sencilla. Aunque la comunicación directa podría mejorar la experiencia del paciente y la claridad de la información, también presenta desafíos significativos. Es crucial considerar un equilibrio que permita a los radiólogos seguir siendo efectivos en su papel mientras se exploran formas de mejorar la comunicación y el apoyo al paciente.

Recuadro: Aquí podemos ver unos puntos que fueron detallados en el artículo: Rethinking the Role of the Radiologist: Enhancing Visibility through Both Traditional and Nontraditional Reporting Practices de Radiographics:

PUNTOS DE ENSEÑANZA

■ Esta falta de interacción personal ha resultado en que los radiólogos sean relativamente “invisibles” para los pacientes que se benefician de su atención, y sólo entre el 54 % y el 60 % del público en general identifica a un radiólogo como médico.

■ Otro recurso útil en línea que podría incluirse en cualquier información proporcionada a los pacientes es RadiologyInfo.com, un sitio web mantenido conjuntamente por la RSNA y la ACR. RadiologyInfo.com proporciona a los pacientes excelentes explicaciones sobre diversos exámenes radiológicos, aclara la terminología de los informes y describe lo que el paciente puede esperar el día del examen.

■ Se ha propuesto que los informes radiológicos podrían mejorarse si los radiólogos asumieran un papel más activo en la entrega de los resultados de los exámenes directamente a los pacientes. Esto ya es común en mamografía, en la que los requisitos de la Ley de Estándares de Calidad de Mamografía (MQSA) dictan que los centros proporcionen a cada paciente un resumen del informe escrito en términos sencillos dentro de los 30 días posteriores al examen.

■ Es concebible que incluir comentarios estructurados de los médicos y pacientes remitentes (retroalimentación de 360°) pueda mejorar las prácticas de presentación de informes de una manera que no se podría lograr sin sus comentarios.

■ El establecimiento de una clínica de consulta de radiología diagnóstica, en la que un radiólogo pueda sentarse con los pacientes en un entorno formal para revisar directamente los resultados de sus exámenes, es otra vía mediante la cual el radiólogo podría demostrar su experiencia y utilidad clínica a ambos pacientes y médicos remitentes.

Entrevista con Gerente de Eymsa sobre las Últimas Tecnologías y el Mercado Mexicano

David Esteban Martínez, gerente nacional de ventas de Eymsa, una empresa perteneciente al Grupo CMR, nos ofrece una visión detallada de las innovaciones que la compañía está presentando en el mercado mexicano de radiología. En esta entrevista, Martínez nos habla sobre los nuevos equipos que están introduciendo, su estrategia de mercado, y cómo la experiencia de más de 45 años en la industria les permite ofrecer un servicio técnico y una calidad inigualable.

Entrevistador: David, ¿puedes contarnos brevemente qué están ofreciendo aquí y cuáles son sus nuevas tecnologías?

David Esteban Martínez: Correcto, dentro de nuestro portafolio de productos en CMR, nuestra empresa hermana, fabricamos e integramos equipos de rayos X, fluoroscopía y sistemas de información digital como PACS, RIS, HIS, y LIS. Estos productos están diseñados para almacenamiento, comunicación y diagnóstico, cubriendo todas las modalidades de rayos X. Además, distribuimos en México marcas internacionales en exclusiva como Samsung en ultrasonido, United Imaging en PET-CT, resonancia magnética y tomografía, y otras marcas como Cine Imaging de Alemania y Planmed en mastografía.

Entrevistador: ¿Entiendo que ustedes fabrican los equipos de rayos X?

David Esteban Martínez: Es correcto. Tenemos nuestra planta de fabricación en Querétaro, donde producimos equipos de rayos X análogos y digitales de última generación. Tenemos una amplia base instalada en todo el país y más de 250 ingenieros de servicio técnico que cubren todo México.

Entrevistador: ¿Qué perspectivas ves en este congreso?

David Esteban Martínez: Este congreso es una excelente oportunidad para interactuar con algunos de los radiólogos más relevantes del país. Ofrecemos equipos de alta tecnología a precios competitivos, con condiciones excelentes para la compra, gracias a que somos fabricantes nacionales. Además, este evento es un escaparate ideal para nosotros como distribuidores.

Entrevistador: ¿Cuántos años llevan en el mercado?

David Esteban Martínez: Electrónica y Medicina lleva 45 años en el mercado. Tenemos una vasta experiencia tanto en el sector privado como en el gobierno, con numerosos equipos de CMR instalados en instituciones como el IMSS y la Secretaría de Salud.

Entrevistador: ¿Algo más que te gustaría agregar?

David Esteban Martínez: Solo destacar que Electrónica y Medicina es una empresa líder en radiología en México. Participamos anualmente en la RSNA de Chicago, lo que refuerza nuestra presencia internacional. Además, nuestro servicio técnico es nuestra mayor fortaleza, llegando a todos los rincones del país.

Entrevistador: ¿Cuál consideras que es el valor agregado que ofrecen a sus clientes?

David Esteban Martínez: Diría que, además de nuestra tecnología, calidad y servicio técnico, nuestro valor agregado es nuestro personal altamente cualificado. Al ser fabricantes y distribuidores nacionales, entendemos perfectamente las necesidades del mercado mexicano, lo que nos permite ofrecer un servicio especializado.

Entrevistador: Muchas gracias, David, por tu tiempo y éxito en todo lo que viene.

Por Igor Barragán Flores

Humanizar, transformar e innovar

Los desafíos para el presente y el futuro de la gestión en las organizaciones de salud

Adecra+Cedim organizó, en formato virtual, el VI Congreso de Salud, donde más de 20 referentes del management empresarial del área y otros expertos nacionales e internacionales debatieron temas de gestión de la agenda del sector. Los analistas coincidieron en que la transformación y la innovación son pasos clave para la mejora de los resultados en salud, pero siempre con las personas en el centro de los procesos.

Adecra+Cedim –la cámara nacional que nuclea a más de 400 instituciones de salud privada entre clínicas, sanatorios, hospitales privados, laboratorios y centros de diagnóstico y tratamiento ambulatorio- llevó delante de manera virtual, en dos jornadas, el pasado miércoles 21 y jueves 22, el VI Congreso de Salud.

Más de 20 especialistas analizaron los desafíos actuales y futuros que tienen los líderes en las instituciones de salud para gestionar las áreas de gerencia y administración, recursos humanos, dirección médica y comunicación en contextos de cambio y evolución.

Más de 8.000 personas siguieron la transmisión en vivo y por diferido desde distintos puntos del país e internacionalmente.

DÍA 1

Transformación cultural y digital, atención centrada en la persona (el paciente, su familia y el personal), el bienestar de los equipos de trabajo y la gestión de crisis fueron los temas que abordaron los expertos durante la primera jornada.

En el primer panel, bajo el título “transformación cultural basada en la gestión del cambio”, Paula Espasande y Manuel Ocampo, directora Técnica de Soluciones y director y socio Fundador de Veril Consultores, respectivamente, abordaron la diferencia entre “cambio” y “transformación”, enfatizando la necesidad de que las organizaciones evolucionen su cultura y su forma de trabajar para mantenerse efectivas.

“El 70% de los cambios fracasan. Sin embargo, insistimos en gestionarlos de la misma forma”, contextualizó Ocampo, y explicó que existen tres tipos de cambios: “el adaptativo, que aparece y nos obliga a adaptarnos”; “el evolutivo, que genera expectativa de mejora continua”; y “el disruptivo, que suele nacer del corazón de la institución, porque implica grandes decisiones de los directivos”.

“Para trabajar en la transformación, es fundamental que exista un propósito y crear el sentido de urgencia que estimule la movilización de las personas, al tiempo que cada líder modele con el ejemplo, hablando con los equipos y mostrando apertura al cambio”, expresó Espasande.

A continuación, en el panel “Gestión de la emocionalidad de los equipos de trabajo: la importancia del autocuidado del profesional de la salud para su bienestar”, Martín Reynoso, fundador y director en Train your Brain Argentina, ha-

bló de las “emociones aflictivas, que surgen como reacción mental al malestar que produce el enojo, el miedo, la ansiedad y la angustia, y que se pueden transformar en ira, pánico y desesperación”. “Los líderes deben atender estas emociones, ya que pueden llevarlos a tomar decisiones no deseadas para el conjunto de la organización”, explicó.

“Tenemos que aprender a perderle miedo al conflicto y a entrenar la capacidad de flexibilidad”, enfatizó el especialista en mindfulness y agregó que “es clave habitar en ecosistemas saludables, que pueden incluir ejercicio físico, meditación y alimentación consciente”, entre otros puntos.

En un primer acercamiento al tema de “la transformación digital como pilar estratégico”, Mariano Bino, ejecutivo de Ventas en Philips, ingeniero biomédico focalizado en estrategia y desarrollo de negocios en la industria de la salud, conceptualizó a la transformación digital como “un proceso de adaptación continua a un ecosistema de negocios en permanente evolución” y explicó que “el alineamiento con prioridades estratégicas, el mapeo de procesos institucionales, la inversión en calidad y enriquecimiento de datos, y la preparación de la organización para el cambio son factores clave para que la transformación sea exitosa”.

“Ya no hablamos de si ir o no a la transformación digital, sino de cómo implementarla”, afirmó.

El modelo de Atención Centrada en la Persona (ACP) fue otro de los ejes de la jornada, analizado tanto desde el enfoque testimonial y de experiencia del paciente como desde las estrategias y desafíos en todo el continuo de atención, que también incluye “el cuidado a los cuidadores”.

Mercedes Manzioni, médica de Familia, encargada del Departamento de Calidad y Seguridad de Atención Centrada en el Paciente y la Familia del CEMIC, señaló que este paradigma de atención “se enfoca en optimizar el cuidado médico

mediante la colaboración del paciente y su familia”. “El desafío, para los equipos de salud, es encontrar el equilibrio entre la evidencia científica y trabajar con personas”, afirmó.

En ese marco, Manzioni presentó a Belén, una mujer de 45 años diagnosticada durante la pandemia por cáncer de mama, quien compartió al auditorio su paso por el sistema de salud a nivel personal y como paciente, y las experiencias positivas y negativas del proceso. “Todas mis experiencias hablan de personas”, remarcó.

Para ampliar el tema, en el panel siguiente, se llevó adelante un debate con referentes de Planetree, una organización mundial sin fines de lucro “que establece el estándar global para la atención de excelencia centrada en la persona en todo el continuo de atención”.

Natalia Hreczuch, consultora Senior del Departamento de Calidad, Seguridad del Paciente y Gestión Clínica en IECS; Janet Durand, líder de Proyectos por la Organización para la Excelencia de la Salud de Colombia; y Pablo Lemos, médico Internista en el Hospital Privado Universitario de Córdoba y miembro del Departamento de Calidad, Seguridad del Paciente y Gestión Clínica de IECS, se centraron en los desafíos de la ACP y trajeron ejemplos de “mejores prácticas a nivel internacional”.

Se trata de un modelo que “se centra en la perspectiva del paciente y sus seres queridos, promueve un entorno saludable y alentador para los cuidadores y aborda las necesidades de salud de la comunidad circundante a la organización”, explico Hreczuch y detalló que, entre sus múltiples beneficios, “mejora los resultados clínicos y la calidad de las interacciones, y aumenta la adherencia a los tratamientos y la satisfacción laboral”.

“Tenemos que empezar a trabajar con los pacientes y no para los pacientes, y dar apoyo y escucha a las personas que integran las instituciones, co-creando con ellos las mejoras necesarias”, resaltó Janet Durand.

Por su parte, Pablo Lemos habló de la “ronda de liderazgo” y “los pases de guardia al pie de la cama” como dos recursos esenciales en este paradigma. “Hablar de experiencia del paciente es más que hablar de calidad de servicios: tiene que ver con la conexión con las personas”, resumió.

En el último panel de la jornada, Gustavo Fedi, director en PAC Consulting Argentina, y Alejandra Martínez, presidenta del Círculo Dircoms Argentina y directora de Relaciones Externas y Sostenibilidad en ENEL Argentina, fundamentaron la importancia de que las organizaciones cuenten con un buen profesional de las comunicaciones para prevenir y gestionar escenarios de crisis, y aportar valor, desde el área, a la estrategia de negocios de la organización, en entornos cada vez más desafiantes.

“Estamos cada vez más expuestos a enfrentar crisis públicas y para eso hay que anticiparse con estrategias, como mapeos de riesgos”, dijo Martínez. “La escucha activa con todas las áreas de las organizaciones nos da herramientas a quienes gestionamos la comunicación, y eso permite a las organizaciones dar con mejores resultados”, agregó.

Día 2

La segunda jornada tuvo como ejes la implementación del proceso de transformación digital; la integración de personas, tecnología e información; la miniaturización, robótica e IA en salud 4.0; y la tecnología aplicada.

En la primera mesa, Roberto Panigo, partner en Eniax y asesor en estrategia y gestión en salud; Florencia Nicolet, gerente de Innovación y Transformación en Medicus; y Luciano Bustelli, líder Técnico de América Latina en Digisystem, definieron a la transformación digital (TD) como un proceso “que contempla la estrategia de negocio, transversal a toda la organización y que es parte de la innovación”.

“No se trata de una herramienta aislada, sino de un proceso alineado a una estrategia de acción y a un propósito, que nos indican qué problemas queremos solucionar, qué mercados queremos satisfacer, qué procesos impactar y qué objetivos y metas a cuantificar”, explicó Panigo. “Procesos a gestionar y oferta tecnológica: unir estos dos mundos puede ser muy desafiante”.

Nicolet y Bustelli abordaron ejemplos del tema. Nicolet trajo el caso de un asistente virtual que se implementó en Medicus para la gestión de turnos. “Desde el inicio de implementación de esta herramienta en marzo de 2022, redujimos la tasa de ausentismo en un 15%”, contó y recomendó: “La IA orientada a estos procesos no tiene altos costos y brinda muchas oportunidades de generar eficiencia en nuestras instituciones”.

“Esto no implica eliminar cápitas (personas), sino lograr que las personas puedan mejorar la calidad de su trabajo. Lo repetitivo lo puede hacer la tecnología, pero las personas pueden dar el diferencial sobre esa evolución tecnológica”, opinó.

De igual modo, Bustelli, desde Digisystem, defendió el pasaje del “trabajo manual” a “la automatización de procesos”. “El robot no va a reemplazar a las personas, sino que las va a ayudar a hacer mejor sus tareas. La automatización robótica de procesos (RPA) nos genera rápido retorno de inversión (ROI). Es hoy un paradigma en las organizaciones”, puntualizó.

El panel siguiente, conducido por Andrés Torres, subdirector Médico del Hospital Universitario Mederi de Colombia, también se centró en la eficiencia desde la integración de las personas a la tecnología. Habló del camino de “evolución consciente” que recorrió la institución hasta convertirse en un “hospital de alta complejidad y excelencia”, a partir de la implementación de la “Central de Gestión Hospitalaria”.

“Se trata del Centro que permite, a través de flujos automatizados, paneles dinámicos y micrositios, tener informa -

ción de la atención de los pacientes en línea, permitiendo a profesionales capacitados con alarmas programadas hacer gestión oportuna, ágil y efectiva sobre las desviaciones de tiempos en los flujos de atención”, definió.

“Para 2025, más de 40 mil millones de dispositivos van a estar conectados a internet. Sin dudas, para todos, las tecnologías son preponderantes”. Así lo afirmó María Magdalena Moret, vicepresidenta de South Latam y Servicios de Ventas para RLM Américas en Medtronic, en el panel “Salud 4.0: la sinergia entre miniaturización, robótica e inteligencia artificial”.

Moret presentó, desde Medtronic, algunos ejemplos de “tecnologías y soluciones médicas innovadoras” basados en miniaturización, IA y robótica, como “el marcapasos transcatéter sin cables, un 93% más pequeño que los marcapasos convencionales; el módulo de endoscopía inteligente, que ofrece soluciones, impulsadas por IA, para la detección temprana del cáncer correctal; y el ecosistema quirúrgico integrado e inteligente para columna y cráneo”.

Luego, Juan Carlos Giraldo, director de la Asociación Colombiana de Hospitales y Clínicas (ACHC), experto en temas de gestión hospitalaria, remarcó a las instituciones la necesidad de “salir un poco de la coyuntura” para pensar en clave de “evolución y futuro”, y se explayó en el paso a paso de cómo debería ser esa evolución.

“Hay cuatro superpoderes sobre los cuales deberíamos avanzar: el de la aceleración, que apunta a cambios de velocidad en la adopción de tecnología para optimizar recursos; la intangibilidad, para implementar la atención multimodal, logrando omnipresencia con sistemas de salud distribuidos y descentralizados, basados en esquemas híbridos de atención; la invencibilidad, donde aparece el cambio en los liderazgos, con orientación fuertemente humanista, esto es, el liderazgo colectivo y la inteligencia conectiva; y por último la expansión, donde ya la institución expande su valor con un cuidado ampliado, sostenible y responsable”.

“Tenemos que abrazar estas posibilidades”, recalcó Giraldo. “Debemos pensar que no somos el centro del universo, sino parte de un ecosistema con el que debemos interactuar, y el gran foco es atender la salud poblacional, pero esto solo se logrará con un cambio filosófico”, remató.

Los paneles de cierre: el análisis político de Gabriel Oriolo y los aportes motivacionales de Sergio “Cachito” Vigil El cierre del VI Congreso de salud tuvo como protagonistas, en uno de los paneles, al superintendente de Servicios

de Salud (SSS), Gabriel Oriolo, dando el panorama político del sector y, en la mesa siguiente, al líder deportivo “Cachito” Vigil, trayendo mensajes motivacionales desde su formación en coaching y su experiencia de liderazgo.

Oriolo analizó la situación del sistema de salud, el panorama que encontró al asumir el cargo y los objetivos que se propone al frente del organismo. El presidente de Adecra, Jorge Cherro, y el presidente de Cedim, Marcelo Kaufman, en tanto representantes de los prestadores de salud privada, le extendieron algunas preguntas.

“Estamos intentando generar las condiciones para que el mercado de salud cambie, porque queremos que el sistema sea lo más eficiente posible”, declaró el funcionario, y mencionó tres ejes sobre los que están “trabajando fuerte”: “el reordenamiento del Fondo Social de Redistribución (FSR)” (que incluye, entre otros puntos, los medicamentos de alto costo y las prestaciones por discapacidad); “la revisión del Programa Médico Obligatorio (PMO)”; y “retomar el proyecto de la Agencia Nacional de Evaluación de Tecnologías Sanitarias (AGNET)”.

Por último, el histórico entrenador del hockey nacional Sergio Vigil emocionó a la audiencia y la invitó a la reflexión haciendo “un viaje olímpico en equipo”.

“Cuando uno se propone a hacer un viaje desde lo personal y profesional puede hacer un recorrido distinto”, enmarcó Vigil. “¿Saben cuáles son los tres pilares que impulsan a los equipos olímpicos de la vida? Tener un sueño grande, encarar una estrategia con corazón, y tener confianza, consistencia y disfrute del proceso”, resaltó y finalizó: “Un equipo ganador no es solo el que más gana, sino el que siempre tiene más ganas”.

In Memoriam: Dr. Santiago Rossi (1971 - 2024)

El pasado martes 27 de agosto, a los 53 años de edad, falleció el Dr. Santiago Rossi, destacado médico especialista en Diagnóstico por Imágenes, tras una valiente lucha contra una larga enfermedad. Su partida deja un profundo vacío en la comunidad médica, donde su dedicación, excelencia académica y compromiso con el bienestar de los pacientes lo convirtieron en un referente tanto en Argentina como a nivel internacional.

El Dr. Rossi se graduó de médico en la Facultad de Medicina de la Universidad del Salvador con un promedio sobresaliente de 8.87, recibiendo el Diploma de Honor. Posteriormente, completó su especialización en Diagnóstico por Imágenes en el prestigioso Hospital de Clínicas José de San Martín de la Facultad de Medicina de la Universidad de Buenos Aires, donde defendió su tesis con la calificación máxima de 10 puntos. Su formación académica comenzó en el Colegio San Andrés de Olivos, donde se destacó como Bachiller Bilingüe y logró importantes certificados internacionales en Cambridge, tanto a nivel O Level como S Level.

A lo largo de su carrera, el Dr. Santiago Rossi fue un miembro activo y reconocido en diversas sociedades científicas de renombre mundial. Fue miembro titular de la Sociedad de Radiología de Norteamérica (RSNA), de la American Roentgen Ray Society (ARRS), de la Society of Thoracic Radiology

(STR), y de la Sociedad Argentina de Radiología (SAR). También integró la Asociación Argentina de Medicina Respiratoria (AAMR), lo que subraya su vasta experiencia y liderazgo en el campo de la radiología torácica.

A nivel profesional, el Dr. Rossi ocupó cargos de gran relevancia, como Director Médico del Centro de Diagnóstico Dr. Enrique Rossi, Director Médico de Laboratorios Hidalo y de Stamboulian Servicios de Salud y Jefe de Diagnóstico por Imágenes del Hospital Dr. Antonio Cetrángolo. Su habilidad para dirigir equipos médicos, sumada a su enfoque humano y cálido, dejó una huella imborrable en sus colegas y pacientes.

Hoy, despedimos a un profesional excepcional, un maestro y colega que dedicó su vida a la medicina y al avance del diagnóstico por imágenes. Su legado perdurará en las generaciones futuras de profesionales que se beneficiarán de sus enseñanzas y de los aportes que realizó al campo de la radiología.

El Dr. Santiago Rossi será siempre recordado por su pasión, su ética y su entrega a la ciencia médica. Acompañamos a su familia, amigos y colegas en este difícil momento, y honramos su memoria con gratitud y respeto.

Instituciones de Salud Inteligentes

Durante la última década, las instituciones de salud han experimentado una transformación profunda impulsada por el desarrollo tecnológico y el conocimiento. Este cambio fue acelerado drásticamente por la pandemia de COVID-19, que comenzó el 25 de noviembre de 2019, y alteró de manera significativa la relación entre médico y paciente. El diagnóstico remoto y el uso de redes sociales pasaron a ser parte de este nuevo paradigma. De manera silenciosa, ha surgido una nueva ola tecnológica: la tercera ola de la inteligencia artificial (IA), que hoy se ha integrado en nuestras vidas cotidianas. Esta revolución tecnológica tiene como base un modelo de conocimiento que va más allá de lo que conocíamos previamente como IA.

La evolución de la inteligencia artificial

La primera ola (1950 – 1970), impulsada por el trabajo pionero de Alan Turing, sentó las bases de la IA a través de nuevas reglas y modelos matemáticos. Los conceptos de autómatas finitos, la máquina de Turing y los autómatas de pila marcaron los primeros intentos de crear sistemas automatizados.

La segunda ola (1990 – 2000) trajo consigo un renacimiento en el área del "aprendizaje". Los avances en sistemas expertos y redes neuronales sentaron las bases para simular actividades inteligentes humanas, tales como la manipulación, el razonamiento, la percepción y el aprendizaje, machine learning. Finalmente, la tercera ola (2010 – presente) se caracteriza por el auge del deep learning, el incremento del poder computacional (mediante GPUs y TPUs) y el uso masivo de big data.

Inteligencia artificial en el ámbito de la salud

En el contexto de las instituciones de salud, cuando se plantea un proyecto innovador y de vanguardia, el desafío radica en determinar si el proyecto sigue un modelo tradicional basado en programación con lenguajes formales, o si adopta el nuevo paradigma basado en IA.

Para un usuario no experto, puede resultar difícil discernir entre ambos. Un ejemplo de esta distinción en los comienzos del siglo XXI fueron los sistemas CAD (diseño asistido por computadora) en el área de mamografía bajo el modelo de lenguajes formales y los sistemas de diagnóstico de mamografía actuales basados en IA, donde se identifican patrones y los resultados probabilísticos

resultados del algoritmo utilizado, permite al modelo aprender en base a sumar nuevos estudios en el día a día.

¿Tiene la aplicación capacidad de aprendizaje? ¿Es probable que sus diagnósticos mejoren en precisión gracias al uso de IA?

Estas preguntas son cruciales para garantizar que las soluciones tecnológicas no solo mejoren la atención al paciente, sino que también optimicen los procesos administrativos, financieros, y clínicos, desde la atención al cliente hasta el seguimiento de tratamientos y la prevención de patologías.

El valor de los datos en el desarrollo de la IA

Una de las principales fortalezas de las instituciones de salud radica en la vasta cantidad de datos que recopilan y almacenan en diversos medios y formatos, donde nos sitúa al borde de Big Data. Sin embargo, la mayoría de estos datos no son útiles para entrenar algoritmos de IA debido a su falta de organización y estandarización. Métodos como la depuración y homogeneización de datos son esenciales, pero a menudo no resultan suficientes.

Un concepto clave en este contexto es la atomización de datos, que implica reducir los datos a su expresión más simple e indivisible. Esto facilita la obtención de resultados más precisos a partir de los algoritmos de IA. La interoperabilidad, facilitada por estándares como HL7, SNOMED, y LOINC, es crucial para integrar sistemas de datos y garantizar que las instituciones de salud puedan beneficiarse plenamente de los avances en IA.

Desafíos y modelos de implementación de IA

Las aplicaciones de IA en el mercado actual se dividen en dos modelos: desarrollos de IA a medida y aplicaciones de IA cerradas. El primer modelo requiere un extenso proceso de relevamiento e implementación, además de la colaboración entre equipos de desarrollo de software y profesionales de la salud. Esto puede ser problemático, ya que muchas veces los equipos de desarrollo no cono-

Por Sergio Herrera

cen en profundidad los aspectos científicos de las especialidades médicas y la carga de trabajo recae en los profesionales médicos.

El segundo modelo, consiste en aplicaciones cerradas, puede ser rígido y poco adaptable, lo que limita la capacidad de innovación de las instituciones de salud. No obstante, existen oportunidades para superar estos desafíos. Un ejemplo es el uso de NLP (procesamiento de lenguaje natural) para analizar informes médicos generados en texto libre, permite detectar errores, realizar análisis estadísticos. Sin embargo, este tipo de aplicaciones requieren de tiempo de análisis semántico y sintactico para obtener resultados óptimos.

Futuras soluciones innovadoras

Sin lugar a dudas los datos son la esencia y la fuente de toda la información resultante de cualquier modelo de desarrollo informático, pero cuanto más depurado se cuente el dato, más eficiente y rápidamente se pueden obtener mejores resultados. Por lo tanto, revisar la atomización de datos y los procesos de trabajo es el camino a desarrollar aplicaciones de IA. En ejemplo podemos decir que son los informes médicos de los servicios de diagnóstico por imágenes, que suelen ser por dictáfono por voz o texto libre, existen aplicaciones de IA para obtener información resultante con fines científicos.

Sin embargo, la utilización de los reportes estructurados, ofrecen una excelente posibilidad de obtener datos depurados, homogenizados, entre imágenes Dicom e informes, esto requiere un cambio en el modelo de trabajo del médico informante, pero los datos obtenidos son mayores y además precisos.

Conclusiones

El informe aborda los cambios significativos en las instituciones de salud impulsados por la evolución de la inteligencia artificial (IA), destacando la importancia de adoptar sistemas basados en IA para mejorar los diagnósticos y la gestión de datos clínicos.

Transformación tecnológica en las instituciones de salud: El uso de IA ha transformado profundamente el sector salud, especialmente desde la pandemia de COVID-19, con un enfoque en el diagnóstico remoto y la optimización de procesos a través del uso de redes sociales y big data.

Evolución de la IA: La IA ha pasado por tres etapas. La primera ola se centró en modelos matemáticos y autómatas; la segunda se basó en el aprendizaje automático (machine learning); y la tercera, en el aprendizaje profundo (deep learning), que ha revolucionado la capacidad de las máquinas para aprender de grandes volúmenes de datos.

Impacto de la IA en el diagnóstico médico: La IA aplicada al diag-

nóstico, como en la mamografía, ha demostrado ser más eficiente al identificar patrones y mejorar su precisión mediante el aprendizaje continuo, lo que contrasta con los métodos tradicionales basados en reglas y lenguajes formales.

Desafíos en el manejo de datos: Aunque las instituciones de salud generan grandes volúmenes de datos, la falta de organización y estandarización limita su uso eficiente en el entrenamiento de algoritmos de IA. La atomización de datos y la interoperabilidad son clave para aprovechar completamente los avances en IA.

Modelos de implementación de IA: Se presentan dos enfoques principales para implementar IA: desarrollos a medida y aplicaciones cerradas. Ambos tienen ventajas y desventajas, pero es esencial contar con colaboración interdisciplinaria para garantizar la precisión y efectividad de los sistemas basados en IA.

Recomendaciones:

Estandarización y atomización de datos: Es crucial que las instituciones de salud inviertan en la estandarización y atomización de los datos. Esto implica organizar la información de manera que sea fácilmente procesada por algoritmos de IA. Además, fomentar la interoperabilidad entre los sistemas es esencial para integrar y compartir datos de manera eficiente.

Adopción de IA en diagnóstico: Las instituciones deberían priorizar la adopción de sistemas de IA en áreas críticas como el diagnóstico médico. Esto no solo mejorará la precisión, sino que también permitirá un aprendizaje continuo basado en datos actualizados, beneficiando tanto a pacientes como a profesionales de la salud. Formación interdisciplinaria: Es importante capacitar a los equipos de salud y desarrollo en las particularidades de la IA y las especialidades médicas. Esto promoverá una mejor colaboración y evitará que la carga de trabajo recaiga excesivamente en los profesionales médicos.

Fomento del uso de informes estructurados: Las instituciones deberían migrar de informes en texto libre o dictado a formatos más estructurados, lo que permitiría una mejor depuración y análisis de datos por parte de algoritmos de IA, facilitando así la obtención de resultados más precisos y útiles para la investigación científica. Evaluación continua de los modelos de IA: Los sistemas de IA deben ser continuamente evaluados y actualizados para asegurar que los diagnósticos mejoren con el tiempo. Esto implica un seguimiento riguroso y la implementación de mecanismos de retroalimentación que permitan ajustar los algoritmos según sea necesario. Implementar estas recomendaciones permitirá a las instituciones de salud maximizar los beneficios de la IA y optimizar tanto el diagnóstico médico como la gestión administrativa y financiera.

GRAN BUENOS AIRES RAYOS X S.A.

Sistemas de digitalización directa DR

Actualización para equipos de radiodiagnóstico

Disponibilidad de diferentes estándares de detectores digitales con la combinación de los mismos según se requiera. Ideal relación costo beneficio.

Máxima tecnología disponible para la mejor calidad de imagen.

MAYOR VIDA ÚTIL.

MAYOR PRODUCTIVIDAD.

MENOR RADIACIÓN.

DETECTORES DIGITALES DIRECTOS conec idad eléctrica cableada o inalámbrica ifi

- Conec idad eléctrica (sin baterías)

Permiten ser instalados en eq ipos con encionales de forma fija o mó iles para intercambiar entre ambos Po er B ck por s conec idad eléctrica “no req ieren mantenimiento”

- Inalámbricos (con baterías)

Permiten ser instalados en eq ipos con encionales, para intercambiar entre ambos Po er B ck por s conec idad “ ifi” p eden ser li ados f era de los po er b ck con pacientes en camillas o en sillas de r edas. El mantenimiento se limita al cambio de baterías.

ESTACION DE ADQUISICION DR con monitor LCD ” (p lgadas) tác l.

- Herramientas para is ali ación procesamiento de imágenes.

- Salida bajo normas DICOM . a red, impresora o CD/DVD, e portación de imágenes ía USB

DETECTORES DIGITALES DIRECTOS inalámbrico ifi

Permiten ser instalados en eq ipos con encionales, para intercambiar entre ambos Po er B ck por s conec idad “ ifi” p eden ser li ados f era de los po er b ck con pacientes en camillas, en sillas de r edas o en eq ipos rodantes f era de la sala de ra os

ESTACION DE ADQUISICION DR con monitor LCD ” (p lgadas) tác l

- Herramientas para is ali ación procesamiento de imágenes. - Salida bajo normas DICOM . a red, impresora o CD/DVD, e portación de imágenes ía USB.

DETECTOR AERO KONICA MINOLTA Caracterís cas.

– Inalámbrico ( ifi) sin baterías, con capacitor incorporado al c erpo del panel con la misma ida l q e éste permite n empo de hasta horas en stand b (ente horas de so con n o). Estr ct ra monocasco resistente a líq idos (IPX ). S sólida constr cción permite absorber golpes caídas e ent ales, admi endo soportar hasta kgrs. de peso sobre c alq iera de s s s perficies planas.

@GBARXSA

/GBARXSA

Visita nuestro renovado sitio web:

LOS COBOS MEDICAL CENTER SE “SUBE” A LA TECNOLOGÍA NATIVA DE LA NUBE PARA POTENCIAR LA EXPERIENCIA ASISTENCIAL DEL DIAGNÓSTICO POR IMÁGENES .

En su departamento de imágenes diagnósticas, donde se genera actualmente un volumen anual de más de 150 000 exámenes, estaban buscando una transformación de la experiencia asistencial que beneficiase tanto a pacientes como profesionales médicos. Para lograrlo, se plantearon realizar un cambio de paradigma tecnológico que, junto con algunos cambios en el servicio, les permitiera garantizar la seguridad de la información y optimizar la eficiencia operacional del departamento.

“Nuestra tecnología anterior tenía algunas limitaciones que en su momento aceptamos, pero se presentaron varias necesidades de orden funcional, técnico y seguridad que teníamos que cubrir.”

En Los Cobos, el desafío pasaba por transformar su antiguo sistema local PACSRIS en un sistema en la nube capaz de cubrir sus necesidades actuales, pero que les brindara también la flexibilidad para poder crecer al ritmo de los desafíos futuros

En esta línea de actuación, lo que se proponían lograr principalmente era:

Proporcionar un acceso ágil y seguro a imágenes médicas de alta calidad. Incrementar la eficacia operacional del departamento.

Mejorar su costo-eficiencia. Cubrir nuevas necesidades funcionales. Implementar tecnología de BI.

Para ayudar al Hospital Los Cobos con sus requerimientos, Dedalus Healthcare implementó una tecnología completa que integra tres soluciones innovadoras:

PACSonWEB, una solución PACS nativa de la nube que permite a médicos y pacientes distribuir, compartir y visualizar imágenes e informes médicos a través de Internet de forma segura: en cualquier momento y desde cualquier dispositivo.

RISonWEB, un RIS de Clase Mundial que se integra de forma nativa con PACSonWEB y que se adapta a los procesos únicos de cada departamento de radiología, facilitando la colaboración y siempre actualizado.

BI4H (Business Intelligence for Health), una plataforma web que permite a las instituciones de salud disponer de todos los datos en un único lugar para su óptima gestión y análisis

Durante el proyecto, Dedalus resolvió los siguientes hitos relevantes para Los Cobos:

Integración HL7 con su HIS

Solución PACS-RIS 100% web alojada en AWS

Más de 20 modalidades conectadas

Flujo de trabajo centrado en PACS con informes realizados en PACSonWEB mejorado por tecnología de reconocimiento de voz para 37 radiólogos

cualquier lugar y dispositivo

Garantizar la calidad del dato

Analizar tendencias y generar informes de forma automatizada

Basar la mejora continua en estrategias proactivas en lugar de reactivas.

“Ahora, los radiólogos pueden acceder con rapidez a las imágenes del PACS para agilizar la realización de los informes, independientemente de su ubicación física.”

Doctora Diana Leal, Jefa de Imágenes Diagnósticas de Los Cobos Medical Center

Sobre Dedalus

Dedalus Group es el proveedor de soluciones de Salud Digital líder en Europa y TOP 3 mundial, que respalda la transformación digital de 7,700 hospitales y 5,700 laboratorios a nivel global, atendiendo sus soluciones a más de 540 millones de personas.

GE HealthCare presenta sus innovaciones tecnológicas en CADI 2024

Reafirmando su liderazgo en el diagnóstico por imagen

GE HealthCare estará presente en el Congreso Argentino de Diagnóstico por Imagen (CADI 2024), reafirmando su compromiso con el avance del diagnóstico por imágenes y la mejora en la atención médica. Como parte de su participación, la compañía ofrecerá una serie de simposios liderados por especialistas en radiología y medicina nuclear, enfocados en las soluciones tecnológicas más disruptivas del sector.

Uno de los simposios será sobre intervencionismo mamario, dirigido por el Dr. Rodrigo Alcántara, Jefe de Radiología Mamaria en el Hospital del Mar de Barcelona, quien compartirá su experiencia sobre los últimos avances en mamografía y biopsia estereotáxica para el diagnóstico del cáncer de mama.

Por otro lado, los Dres. Juan Carlos Masi y Sebastián Lescano, ambos referentes de ARGUS, abordarán el tema de la resonancia magnética (RM) y cómo las herramientas basadas en inteligencia artificial (IA) están rompiendo las barreras tradicionales en esta tecnología. Las soluciones de IA de GE HealthCare están diseñadas para mejorar la eficiencia, reducir el tiempo de los exámenes y proporcionar mayor precisión en los diagnósticos.

Además, João Paulo de Souza, Director de Imagen Molecular y Tomografía Computarizada en GE HealthCare para Latinoamérica, liderará un simposio sobre Imagen Molecular (MI) y Tomografía Computarizada (CT) en cáncer de mama, destacando cómo estas tecnologías permiten una detección temprana y precisa del cáncer.

Durante el congreso, GE HealthCare presentará sus tecnologías y soluciones enfocadas principalmente en el diagnóstico del cáncer de mama, incluyendo sus equipos de mamografía avanzada y sistemas de biopsia estereotáxica, así como el PET CT digital y la IA aplicada a la Resonancia Magnética (RM). Estas innovaciones permiten diagnósticos más rápidos y precisos, optimizando el tratamiento y mejorando los resultados para los pacientes.

"Nuestro objetivo es seguir brindando tecnologías que revolucionen la forma en que se realiza el diagnóstico médico. En CADI 2024, queremos mostrar cómo nuestras soluciones de IA y nuestros equipos avanzados están ayudando a los profesionales de la salud a tomar decisiones más informadas y mejorar la atención a los pacientes", comentó Pablo Serrao, Country Manager de GE HealthCare en Argentina.

Con su participación en CADI 2024, GE HealthCare refuerza su posición como líder en el sector y socio estratégico de hospitales y clínicas en Argentina, proporcionando herramientas que no solo mejoran la precisión en el diagnóstico, sino que también optimizan el flujo de trabajo y aumentan la capacidad de los equipos médicos para brindar atención de calidad.

Las enfermedades cardiovasculares son la principal causa de muertes en el mundo. En esta lucha, somos su mayor aliado. Ofrecemos un soporte completo e innovador en esta jornada desafiante, con soluciones que brindan seguridad y aumentan la confianza de sus pacientes, mientras optimizan su operación para entregar resultados a medida de sus necesidades.

Un portafolio personalizable que abarca equipos médicos, software con Inteligencia Artificial y medios de contraste. Herramientas que proporcionan decisiones más precisas en cada etapa del camino del cuidado, desde la detección y diagnóstico hasta la planificación, intervención quirúrgica y tratamiento.

Juntos, ganamos pequeñas batallas todos los días. Con excelencia y tecnología, construimos el futuro que deseamos ver, ampliando los horizontes de la cardiología con imágenes extraordinarias, y generando resultados que transforman vidas para siempre.

SEPTIEMBRE 2024

SIMI 2024

XXXIII Semana del Intervencionismo

Mínimamente Invasivo

VIII Stroke Summit

10 al 12 de Septiembre

Alvear Icon Hotel

Ciudad de Buenos Aires, Argentina www.simi.com.ar

53° Congresso Brasileiro de Radiologia e Diagnostico por Imagem CBR24

19 al 21 de Septiembre

Centro de Convencoes de Salvador, Salvador, Bahia, Brasil cbr.org.br/calendario-de-eventos/

Congreso Argentino de Diagnóstico por Imágenes - CADI 2024

26 al 28 de Septiembre

Centro de Convenciones Buenos Aires

Buenos Aires, Argentina https://www.cadi2024.com.ar/

OCTUBRE 2024

RSNA Spotlight Course: El estado actual de la radiología de emergencia 2 de Octubre

Metropolitan Santiago Convention and Event Center

Vitacura, Santiago, Chile https://www.rsna.org/spotlight-courses/ El-estado-actual-de-la-radiologia-deemergencia/register

Congreso Chileno de Radiología CChR24 3 al 5 de Octubre

Centro de Convenciones Metropolitan Santiago, Chile sochradi.cl

XXVIII Congreso Peruano de Radiología

3 al 5 de Octubre

Centro de Convenciones del Hotel los Delfines, San Isidro Lima, Peru https://www.socpr.org.pe/

XXXI Congreso Nacional de Imagenología Diagnóstica y Terapéutica

XVII Congreso SIBIM 2024 15 al 19 de Octubre

Presidente Intercontinental, Guadalajara, Jalisco, México www.fmri.org.mx

37th Annual Congress of the European Association of Nuclear Medicine

19 al 23 de Octubre

Congress Center Hamburg Hamburgo, Alemania eanm.org/congresses-events/

XXXIV Congreso de la SILAN 23 al 26 de Octubre Hotel Enjoy Puerto Varas, Chile www.silan2024.cl

XXI Congreso de la Federación Latinoamericana de Mastología

24 al 26 de Octubre

Radisson Victoria Plaza

Montevideo, Uruguay https://www.flammastologia.org/

NOVIEMBRE 2024

Medica

11 al 14 de Noviembre

Dusseldorf, Alemania medica-tradefair.com

Congreso SIDI 2024

19 al 22 de Noviembre

Hotel Bosque Reñaca, Viña del Mar, Chile www.sochradi.cl/congreso-sidi/

Jornadas Celso Papadópulos

22 y 23 de Noviembre

Complejo Cultural Cipolletti

Yrigoyen 379, Cipolletti

Rio Negro, Argentina https://www.aabymn.org.ar/jcp-2024patagonia/

DICIEMBRE 2024

RSNA 2024

1 al 5 de Diciembre

Mc Cormick Place, Chicao, IL, USA www.rsna.org

FEBRERO 2025

ECR 2025

European Congress of Radiology

26 de Febrero al 2 de Marzo

Austria Centre Vienna

Viena, Austria

https://www.myesr.org/congress/

MARZO 2025 HIMSS25

3 al 5 de Marzo

Venetian Convention & Expo Center

Las Vegas, NV, USA https://www.himssconference.com

AIUM

March 29 - April 1, 2025

14100 Bonnet Creek Resort Lane, Orlando, Florida, USA

https://www.aium.org/aium-annualconvention

MAYO 2025

JPR 2025

55° Jornada Paulista de Radiología

1 al 4 de Mayo

Transamérica Expo Center

Sao Paulo, SP, Brasil jpr.org.br

CCR 2025

48° Congreso Colombiano de Radiología, Imágenes Diagnósticas y radiología intervencionista

15 al 17 de Mayo

Centro de Convenciones Cartagena de Indias

Cartagena, Colombia ccr2025.org

Hospitalar

20 al 23 de Mayo

Sao Paulo Expo

San Pablo, Brasil www.hospitalar.com

Turn static files into dynamic content formats.

Create a flipbook
Issuu converts static files into: digital portfolios, online yearbooks, online catalogs, digital photo albums and more. Sign up and create your flipbook.