378 - Diagnóstico Julio

Page 1


III Curso Internacional de la Comunidad Latinoamericana de Imagenólogos Mamarios CLIM

Editores

Bárbara R. Domb y Ezequiel Domb

Diseño, Diagramación & Portada

Ezequiel Domb

Colaboradores Periodísticos

César Mauricio Rodríguez Olivo

Diego Ruiz

María Virginia Parra

Responsable y corresponsal en México

Igor Barragán Flores

Gabriel Zubieta

Publicidad

Bárbara Domb

Redacción

La Pluma Redactores

Vol. XXXIV N° 378 - Julio 2024

DIAGNÓSTICO Journal LA Galicia 919 (1416) Buenos Aires, Argentina +54 911 5664 - 9585 info@diagnosticojournal.com www.diagnosticojournal.com

DIAGNÓSTICO JOURNAL LA is published monthly 6538 Collins Ave. # 335, Miami Beach FL 33141, USA. Tel. 786.999.0557

Covering since:

92 RSNA, 95 AIUM, 98 AAN, 98 IBMS, 98 ASBMR, 99 ACC, 95 JPR

Los artículos firmados expresan las opiniones de los autores y no reflejan necesariamente la opinión de la Editorial.

Sumario Diagnóstico Journal LA

Organización

En la organización de congresos, la calidad humana es esencial. Este principio se destacó en el reciente congreso de la Comunidad Latinoamericana de Imagenólogos Mamarios (CLIM). La directora compartió su historia personal, conmoviendo a muchos en el auditorio y fortaleciendo los lazos dentro de la comunidad. "CLIM somos todos" se convirtió en un sentimiento compartido de pertenencia y solidaridad. En un mundo digitalizado, eventos como CLIM subrayan la importancia del contacto humano genuino. Los congresos no solo son para aprender y compartir conocimientos, sino también para conectar a nivel personal, inspirar y motivar. La calidad humana implica escuchar y responder a las necesidades emocionales de los participantes, creando un ambiente acogedor y empático. Esto no solo mejora la experiencia del evento, sino que también fortalece la comunidad y fomenta relaciones duraderas. La organización exitosa de congresos va más allá de la eficiencia logística y la excelencia académica; se trata de cultivar la empatía y el compromiso con la comunidad.

Imagen de portada:

Evento CLIM en la Universidad Católica Argentina. Dra. Karina Pesce, Dra. Ruby Espejo y Dr. Dario Schejtman

[ 06 ] Ecos de la SORDIC 2024

[ 09 ] Innovación y Colaboración Interdisciplinaria en el CADI 2024

[ 10 ] Proceso de Certificación HIMSS: ¿Cómo los Centros de Salud Alcanzan Excelencia?

[ 14 ] Tecnoimagen, Líder en Tecnología Médica

[ 16 ] XXV Curso Internacional de Radiología e Imagen dedicado al tema “Músculo esquelético, Abdomen y Tórax”

[ 18 ] Congreso CIR Costa Rica 26-28 junio 2024

[ 22 ] Hallazgo inusual de la fijación de Tc99mMacroagregados en un estudio de Ventilación / Perfusión pulmonar

[ 27 ] Uso del Lipiodol en embolizaciones vasculares

[ 34 ] III Curso Internacional de la Comunidad Latinoamericana de Imagenólogos Mamarios CLIM

[ 38 ] Próximos eventos

Ecos de la SORDIC 2024

Congreso Internacional de Diagnóstico por Imágenes (SORDIC) en Córdoba, Argentina

El Congreso Internacional de Diagnóstico por Imágenes (SORDIC) se llevó a cabo nuevamente en el Hotel V Centenario (Ex Sheraton), a pocos pasos del icónico Espacio Olmos, punto de encuentro emblemático de la Ciudad de Córdoba, Argentina.

Organizado con gran dedicación por la Dra. Lucrecia Ballarino, el evento contó con la participación destacada de los doctores Antonio Da Rocha y Nelson Caserta de la Sociedad Paulista de Radiología (Brasil). Ambos médicos se unieron a Hugo Guerra y Jorge Ahualli en los habituales encuentros de residentes, fortaleciendo la colaboración regional en radiología.

Reconocimientos y Colaboraciones Destacadas

Durante el congreso, se otorgaron reconocimientos a los doctores mencionados por su significativa contribución a la radiografía latinoamericana. Este evento, que se realiza cada dos años en Córdoba, continúa siendo un referente en el ámbito radiológico.

El Colegio Interamericano de Radiología también aportó al congreso, enviando a dos profesores chilenos de renombre: el Dr.

Miguel Ángel Pinochet, experto en diagnóstico mamario, y el Dr. Nicolás Zilleruelo, especialista en musculoesquelético.

Homenajes y Entrevistas Exclusivas

La Dra. María Elena Castrillón fue homenajeada por su extensa colaboración y aporte a la profesión médica. Además, tuvimos la oportunidad de dialogar con el Dr. Mario Pelizzari, un destacado especialista en radiología pediátrica y dermatología y dermato estética.

Este congreso sigue consolidándose como un evento clave para el intercambio de conocimientos y experiencias en el diagnóstico por imágenes en Latinoamérica.

Por Ezequiel Domb
Dra. Lucrecia Ballarino, Dr. Alberto Surur y Dra. María Elena Castrillón
Dr. Alberto Surur, Dra. Lucrecia Ballarino, Dra. María Elena Castrillón y Dr. Alejandro Tempra
Dr. Alejandro Tempra y Dra. Noelia Bohuid
Dr. Vasco Gálvez
Dr. Alberto Surur
Lic. Maricel Bruno
Dr. Jorge Ahualli, Dr. Hugo Guerra, Dr. Sergio Moguillanski y Dr. Alejandro Tempra
Dr. Alejandro Tempra, Dr. Antonio Da Rocha y Dr. Nelson Caserta
Dra. Lucrecia Ballarino
Dra. Noelia Bohuid
Encuentro de Residentes

Innovación y Colaboración Interdisciplinaria en el CADI 2024

Entrevista al Dr. Mario Pelizzari en el Congreso SORDIC, Córdoba

Ezequiel Domb: Hola Dr. Pelizzari, ¿cómo está? Estamos en el congreso SORDIC en la ciudad de Córdoba. Proximamente se llevará a cabo el CADI 2024 en Buenos Aires. ¿Podría contarnos más sobre este evento?

Dr. Mario Pelizzari: Hola, Ezequiel. El CADI 2024 se realizará en la Ciudad de Buenos Aires del 26 al 28 de septiembre, organizado conjuntamente con la FAARDIT y la Sociedad Argentina de Radiología (SAR). Este evento convoca a toda la radiología, no solo de Argentina, sino de toda Latinoamérica. Es el congreso de lengua hispana más grande del mundo en nuestra área.

Ezequiel Domb: ¡Impresionante! ¿Qué novedades podemos esperar en esta edición?

Dr. Mario Pelizzari: Este año, hemos dado mucha importancia a la innovación y a nuestros médicos jóvenes. Continuaremos con nuestro encuentro de residentes y los casos clínicos radiológicos. Además, hemos incorporado módulos nuevos de inteligencia artificial y otros que personalmente me interesan, como dermatología y dermato estética, con parte teórica y práctica, incluyendo un taller con invitados extranjeros de renombre.

Ezequiel Domb: ¿Qué actividades específicas se han planificado para el módulo de Dermatología y Dermato Estética?

Dr. Mario Pelizzari: En este módulo, organizado conjuntamente con la SAR y la Dra. Carolina Mariluis, hemos implementado una temática que incluye la participación de otras especialidades. Invitamos no solo a radiólogos, sino también a médicos clínicos para discutir sobre ideas de litis curativa. Tendremos a una especialista en dermatología para intercambiar necesidades y expectativas entre radiólogos y clínicos. Además, en la sección de estética, participarán esteticistas y cirujanos plásticos para hablar sobre sus necesidades y cómo podemos colaborar mejor.

Ezequiel Domb: ¿Dónde se realizará el CADI 2024?

Dr. Mario Pelizzari: El evento se realizará en el Centro de Convenciones de la Ciudad de Buenos Aires, un lugar hermoso y muy amplio que permite trabajar cómodamente tanto en charlas para médicos y licenciados en imágenes, como en la exposición de la industria.

Por Ezequiel Domb

Proceso de Certificación HIMSS: ¿Cómo

los Centros de Salud Alcanzan Excelencia?

Entrevista con Isabel De Jesus Simão de Floks sobre la Certificación HIMSS y sus Modelos de Madurez Descubre los detalles del riguroso proceso de certificación de HIMSS para centros de salud, sus modelos de madurez y cómo instituciones como el Hospital Italiano de Buenos Aires logran destacarse en el ámbito de la digitalización y la atención al paciente.

Hola Isabel comentanos cómo son los procesos de certificación a los centros de salud? Se realizan para que sigan los estándares de HIMSS.

HIMSS tiene siete modelos diferentes de madurez. Cada modelo tiene un tema específico y las instituciones se evalúan sobre ese tema. Por ejemplo, el Hospital de Italiano de Buenos Aires está certificado con un modelo que se llama EMRAM (Electronic Medical Record Adoption Model), que es un modelo de historia clínica (EMR) para instituciones que tienen hospitalización.

Existen siete modelos. Ellos son independientes, tienen conexiones por temas con ese modelo EMRAM que es el modelo más antiguo y el modelo que ya fue actualizado más veces. ¿Cómo una institución se presenta a una evaluación? Tiene un primer momento donde existe una encuesta On Line.

El acceso a esa encuesta es una un acceso que nosotros solicitamos para una institución específica (tiene un costo). Donde nosotros juntos con la institución contestamos la encuesta que tiene muchas preguntas y tiene una escala de Likert. Sí. Y ahí contestamos sobre las respuestas que nosotros damos HIMSS tiene un algoritmo que va a clasificar en qué nivel está ese hospital. Por ejemplo, de un hospital.

Los niveles pueden ser de 0 a 7 y el algoritmo lo va a clasificar entre 0 y 6. Sí está entre 0 y 5. El hospital puede terminar el proceso por allá o sobre el punto de vista de HIMSS el proceso se termina ya. Lo que hay que hacer es trabajar. Puede ser junto con una consultoría para que cumplan todos los gaps identificados y se puedan lograr candidatearse al nivel 6.

Si por otro lado, al final que el hospital trabaja los gaps o si cuando estamos contestando la encuesta el algoritmo clasifica la institución como candidato a nivel 6, tiene una segunda parte que empieza esa segunda parte, nada más que como una confirmación de todo lo que fue declarado efectivamente exista.

Esa segunda parte está dividida en dos partes: una parte que se vota, donde el hospital hace una presentación sobre quiénes, lo que hace, qué sistemas se usa. Toda la parte de requerimientos de TI, de seguridad de información se presentan en ese momento y algún otro tema que el hospital considere pertinente presentarlo en ese momento. Se discute la agenda de las visitas en preparación para la

segunda parte.

Entonces la segunda parte de ese proceso de auditoría es una visita. Y ojo, dependiendo si estamos hablando de una certificación de nivel 6 ó 7, va a ser dos o tres días, porque esto corresponde respectivamente. ¿Y qué es esa visita?

Bien. Empieza con una nueva presentación del Hospital de algunos requerimientos que no se va a ver las áreas, por ejemplo el tema de Analytics y después el resto del tiempo se pasa por visita las áreas visitando hospitalización, guardia, UCIS, todas las áreas que son relevantes para el modelo. El modelo EMRAM tienen un enfoque muy grande en la área asistencial.

Entonces son las áreas que normalmente visitamos. Visitamos, sí, un poco de. Auditoría, calificación, facturación y también un poco para ver como es los procesos y más para verificar cómo está el uso de pacientes, ya sea por ejemplo a nivel 6 o 7, se espera que sea dentro del área de asistencia. Todo es digital, ya no se usa el papel.

Ya no debería tener papel en la parte de facturación y auditoría porque debería tener todo en sistema, lo que no quiere decir que no pueda tener algún papel por una exigencia de de la aseguradora, por ejemplo. Ese es otro tema. ¿Pero por ejemplo, cuando estoy auditando una cuenta que tengo la cuenta un lado en la historia clínica en otro, si yo tengo más asuntos dentro de la operación del área de negocio todo digital, lo que yo espero es ver dos pantallas de un lado tengo la factura desde el otro lado, tengo la historia clínica para que pueda hacer mis chequeos.

Ese proceso termina con una decisión del auditor de HIMSS diciendo si, si el hospital está certificado en ese nivel o no está. El equipo de auditoría normalmente es compuesto de un auditor de HIMSS, un auditor senior y dos auditores externos de otras instituciones que ya estén certificadas. Esos auditores externos son elegidos por el auditor de HIMSS para que los acompañe.

Normalmente una persona tiene un perfil más clínico, otra persona, un perfil más de TI, puede también ser médico o una enfermera, tienen que ser personas que pertenecen a hospitales ya certificados y que tienen un buen conocimiento de los requerimientos del mismo, porque lo que ellos van a hacer es durante las visitas, entrevistar a los usuarios y ver si ellos están cumpliendo con A o C durante sus procesos.

Están de acuerdo a los requerimientos del HIMSS. Visibilidad de la certificación: Por así decirlo. Reconocimiento público. HIMSS solo reconoce públicamente las instituciones que pasan todo ese proceso de auditoría y se certifica. Los hospitales que no logran clasificar entre cero o que contestan la encuesta se clasifican entre cero y cinco o que pasan por un proceso de auditoría de nivel seis y no se certifican, esos resultados son confidenciales.

Entonces HIMSS lo sabe, el hospital lo sabe. Nosotros como consultoría lo sabemos, pero es un tema confidencial. Nos vamos al mercado y decimos: mira, ese hospital se ha clasificado con 4. No quiere decir que el hospital no lo pueda compartir. Eso ha ocurrido antes de un hospital que no ha logrado la certificación y estábamos como el día anterior a una conferencia y ellos estaban invitados a esa conferencia para hablar del proceso porque habían pasado.

Ellos han mantenido esa ponencia y fuera con tal porque caso su candidatura no ha tenido acceso. ¿Cuál fue su dificultad? ¿Qué ha pasado porque sea ese proceso? Y obviamente cuando llegamos a una institución certificada todo está muy bonito, o sea, la casa está digital, pero es existe una junta de trabajo, una junta de aprendizaje en la que no todos son casos exitosos.

A veces se hacen de dos pasos adelante y uno atrás, tres al frente y uno para atrás. Y es importante que las instituciones cuenten lo que su jornada para que también los otros

se animen. No vean la certificación como esa, como algo simplemente para los mejores hospitales. Sí van a la página de HIMSS, hay un capítulo específico sobre los modelos de madurez.

Pueden encontrar allí cuáles son las instituciones que están certificadas alrededor del mundo y encuentran nombres allí de grandes hospitales. El Italiano de Buenos Aires, por ejemplo, es una referencia en Argentina. Instituciones más pequeñas pueden lograrlo. La certificación no es solamente para hospitales que tienen mucho dinero o que son grandes referencias. Hay mucho más sobre el proceso de transformación y en verdad por la versión del modelo que está hoy, yo creo que un hospital más pequeño en algunos temas lo lleva mucho más fácil. Por ejemplo: el chequeo a pie de cama, el chequeo de manilla del paciente y de producto, sea medicación, leche materna, productos de sangre o las muestras del laboratorio de patología. Para implementar el control al pie de cama. La inversión es una si yo tengo un hospital con 40 camas o si tengo un hospital, cómo ha pasado con un cliente con 800 camas, entonces la inversión es totalmente diferente.

Es más fácil parece con 40 camas, pero es también proporcional porque el budget del hospital más pequeño también es más pequeño. Pero ahí. O sea, tengo no solamente el costo de comprar unos cascos o cualquier otro tipo de equipo para hacer el chequeo, pero de capacitación, de entrenamiento, de garantizar que las personas más tienen esfuerzos diferentes.

Tecnoimagen, Líder en Tecnología Médica

TECNOIMAGEN es una compañía argentina líder en el campo de las tecnologías e insumos médicos que opera con especialización en cinco unidades de negocios clave: Diagnóstico por Imágenes, Hospitalaria, Medicina Estética, Medical IT y Oftalmología. Fundada con el propósito de servir a instituciones de salud y centros de diagnóstico en toda la República Argentina, se destaca por su compromiso con la calidad, la innovación y la mejora continua en cada una de estas áreas especializadas. Cuenta con más de 20 años de experiencia en el mercado argentino y ha recibido más de 30 premios internacionales. Su propuesta integral de soluciones para una medicina de avanzada incluye productos y servicios de primer nivel brindando, además, soporte técnico, posventa, servicios financieros, comerciales e implementación de proyectos llave en mano.

Para Diagnóstico por Imágenes, TECNOIMAGEN ofrece tecnología de punta en resonadores, tomógrafos, equipos de Rayos-X y sistemas de ultrasonido, brindando soluciones precisas y eficaces para el diagnóstico médico.

La unidad Hospitalaria se centra en proveer insumos médicos esenciales, equipos quirúrgicos y dispositivos hospitalarios, asegurando que los establecimientos de salud cuenten con los recursos necesarios para una atención de calidad.

En Medicina Estética, TECNOIMAGEN ofrece tecnologías innovadoras e inyectables para tratamientos estéticos, contribuyendo al bienestar y la satisfacción de los pacientes.

Medical IT proporciona soluciones

para la gestión hospitalaria y la integración de sistemas, facilitando la administración eficiente de datos médicos y la mejora en los procesos de atención.

Para Oftalmología, TECNOIMAGEN ofrece equipos y dispositivos especializados para el diagnóstico, promoviendo la salud visual a través de tecnología de vanguardia. También suma procedimientos para oculoplastía a su portfolio de tratamiento, lentes y sustancias.

TECNOIMAGEN tiene representantes en todo el país y más de 170 personas de plantel estable dedicadas a ayudar en el trabajo cotidiano a los profesionales de la salud.

Con un enfoque centrado en la innovación y el servicio al cliente, TECNOIMAGEN continúa expandiendo su presencia en el mercado argentino, fortaleciendo su reputación como un socio confiable y avanzado en el sector de la salud, comprometido con el progreso y la modernización de la atención médica en el país.

http://www.tecnoimagen.com.ar

Por Bárbara Domb

XXV Curso Internacional de Radiología e Imagen dedicado al tema “Músculo

esquelético, Abdomen y Tórax”

La Sociedad Michoacana de Radiología e Imagen (SMRIRAD) celebró su XXV Curso Internacional de Radiología e Imagen con temas “Músculo esquelético, Abdomen y Tórax”, el cual se realizó en el Salón Multicentro Las Américas de la ciudad de Morelia, Michoacán, con una gran asistencia y con la participación de diez casas comerciales que presentaron las innovaciones en la tecnología médica de radiología e imagen. El vigésimo quinto “Curso Internacional de Radiología e Imagen” se realizó los días 31 de mayo y 1° de junio y en donde se contó con la presencia de aproximadamente 300 asistentes entre socios, médicos, técnicos radiólogos y estudiantes. Gracias a esta concurrida asistencia se pudo dar un dinamismo a las pláticas donde los Profesores invitados se sintieron agradecidos por la asistencia de jóvenes que pronto incursionarán en la radiología ya que se conto con la interactuación entre ponente y asistentes. Cabe señalar que se contó con la presencia del Dr. Jorge A. Soto, jefe del Centro Médico Boston de radiología, Boston Massachussets. USA; así como del Dr. Santiago Martínez Jiménez, Profesor de Radiología de NYU Langone Healt. N.Y. USA y del Dr. José Luis Criales Cortés Profesor de Radiología y director general del grupo CT Scanner No podemos dejar pasar que se hizo un recuento de la historia de cómo surgió y se mantiene este curso que año con año reúne a médicos radiólogos de Michoacán y del centro de la república mexicana, la cual corrió a cargo del Decano de la SMRIRAD, el Dr. Medardo Gordillo Sánchez, quien hizo hincapié la importancia de mantener este curso como un aula abierta a la enseñanza y aprendizaje a través del intercambio de experiencias en la radiología. Se realizaron talleres entre las pláticas que permitieron a los asistentes conocer el avance en los estudios radiológicos médicos y el avance de la tecnología con Inteligencia Artificial (IA), hubo una gran interacción de preguntas y respuestas que permitieron crear un gran ambiente de enseñanza y aprendizaje.

Con este Vigésimo Quinto Curso se alcanzó una gran asistencia y se logra conjuntar el esfuerzo de la SMRIRAD para presentar a médicos especialistas en la radiología

a nivel internacional quienes mostraron y compartieron los conocimientos y la experiencia de los últimos avances en estudios radiológicos, con el propósito de acercar a los médicos y estudiantes, así como a los técnicos todas

las herramientas necesarias para su desempeño diario en el análisis de imágenes y estudios hacia el bien de la salud y estudios que ayudan a prevenir las enfermedades. Algunos de los temas que se abordaron fueron Masas Mediastinales no vasculares, Cardiomegalia, hallazgo en radiología de tórax, Pancreatitis aguda, Ultrasonido de rodilla, Patología del comportamiento posteromedial, Cáncer de Pulmón, imagen en 2024, y muchos temas más. La SMRIRAD agradece a todas y todos los médicos que nos compartieron el conocimiento y la experiencia en el estudio de la imagen médica y radiológica en pro del cuidado de las enfermedades de la mujer. Así como a las casas comerciales que asistieron para fortalecer el curso que el próximo año.

Congreso CIR Costa Rica 26-28 junio 2024

Se realizó en la ciudad de San José de Costa Rica el 22° Congreso CIR junto al Congreso Nacional de Radiología de ACRIM, ACRIM, así como suena, que es la Asociación Costarricense de Imágenes Médicas. En el evento se observó el posicionamiento de un pasillo internacional con stands de la Federación Argentina de Radiología, la Sociedad Chilena, la Asociación Colombiana, la Sociedad Paulista y la RSNA. Fueron invitados como disertantes nacionales el doctor Alejandro Tempra en el módulo de abdomen, el doctor Sergio Moguillansky en el módulo de neurorradiología y se presentó el encuentro de residentes que estuvo a cargo del doctor Hugo Guerra. También participó en cada día de disertantes electorales el doctor Sebastián Rossini representando a la Federación Argentina. En el evento se realizó el cambio de

autoridades del Colegio Interamericano de Radiología resultando presidente el doctor Claudio Bonini de la FAARDIT y también fue elegido como director regional para el Cono Sur, Argentina, Brasil, Paraguay, Uruguay y Chile, el doctor Alejandro Tempra de la Federación Argentina de Radiología. Se otorgó una medalla de oro al mérito académico CIR al doctor Sergio Lucino de la Federación Argentina de Radiología y además se eligió a la Argentina como sede del próximo congreso CIR a realizarse en la ciudad de Córdoba en el mes de junio del 2026. El evento contó con aproximadamente 400 inscriptos y hubo un gran nivel académico, científico e interrelaciones sociales.

Imágenes del CIR 2024

en un estudio de Ventilación / Perfusión pulmonar

Reporte de un caso

Autores: Romina Lorena Romero1, César Mendez1, Karina Quintero Rodriguez2 , María del Carmen Alak1.

1. Servicio de Medicina Nuclear Hospital Británico de Buenos Aires, Buenos Aires, Argentina.

2. Servicio de Medicina Nuclear Hospital Nacional de Pediatría Garrahan, Buenos Aires, Argentina.

Contacto: romeroromina1125@gmail.com

Conflicto de interés: los autores declaran no tener ningún conflicto de interés.

Introducción

La visualización de órganos diferentes al pulmón en los estudios de ventilación/perfusión (V/Q) pulmonar, en la fase perfusoria por captación del 99mTC-macroagregados es algo inusual, pero se conoce, y hay casos reportados con anterioridad en la literatura.

Descripción del caso

Paciente femenina de 30 años. Con antecedente de LH diagnosticado hace 10 años. Recibió quimioterapia y radioterapia en cuello como tratamiento. Se realizó trasplante autólogo de médula ósea por recaída 8 años después. Actualmente en remisión.

Concurre a la consulta por disnea progresiva a mínimos esfuerzos, de 1 mes de evolución aproximadamente. Al examen físico se evidencia eritema y edema de miembros superiores a predominio derecho y en cara. Ingurgitación yugular con el decúbito dorsal. Tolera el decúbito. Saturación 99% con FIO2 0.21%. Laboratorio normal.

Se realiza eco Doppler cardíaco: FSVI conservada. Fey 58% FSVD conservada.

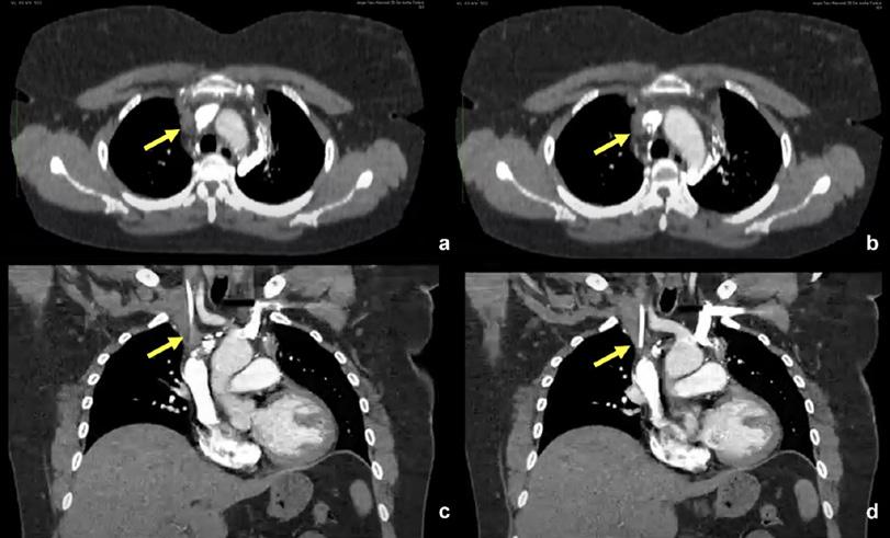
PSAP 22 mmHg. Sin signos indirectos de HTP significativa. PET previo (no se dispone de las imágenes): Imagen con defecto de relleno en relación con el extremo distal del catéter

proyectado en línea media posterosuperior torácica (flechas rojas).

intravascular localizado en el origen de la vena cava superior, que impresiona corresponder a trombo sin condicionar el flujo vascular.

Eco Doppler de Miembro superior derecho: Negativo para TVP en relación al Portacath.

Se solicita centellograma V/Q para descartar presencia de TEP: se procedió a realizar la ventilación con 20 mCi de TC99m DTPA y adquisición de imágenes, y posteriormente se procedió a la etapa de perfusión, con inyección endovenosa de 5mCI Tc99m-macroagregados (MAA-Tc99m) y adquisición de imágenes planares y en modo SPECT de pulmón.

En las imágenes de ventilación no se observan áreas netas diferenciables en la distribución del radio-aerosol, al igual que en la secuencia de imágenes perfusorias planares y SPECT, que no evidenciaron defectos segmentarios sugestivos de TEP.

Llama la atención, en las adquisiciones de perfusión, la presencia de captación anómala del MAA-Tc99m proyectada posteriormente en la línea media superior de la caja torácica, en relación de vértebras torácicas.

Esta captación es esperable visualizarla en las imágenes ventilatorias de este estudio por deglución del trazador en esófago o depósito en vía aérea principal, pero no en la etapa perfusoria (Fig. 1 y 2).

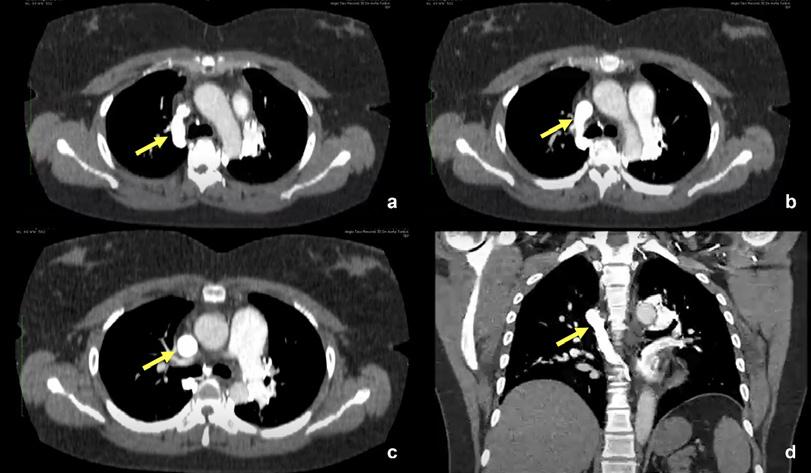
Se decidió realizar Angiotac: No impresiona TEP. Se destaca defecto de relleno en porción proximal de vena cava superior

Figura 2. SPECT de perfusión pulmonar. Múltiples imágenes del SPECT de perfusión pulmonar en los tres planos, muestran el aumento de la concentración del radiotrazador en cuerpos vertebrales dorsales (flechas rojas).

Figura 1. Imágenes planares de Ventilación (arriba) y perfusión (abajo) pulmonares. No se evidencian defectos perfusorios mismatch entre ambas fases. Se destaca el aumento de captación del MAA

sugestiva de trombosis, posterior al extremo distal del catéter de infusión (Fig. 3).

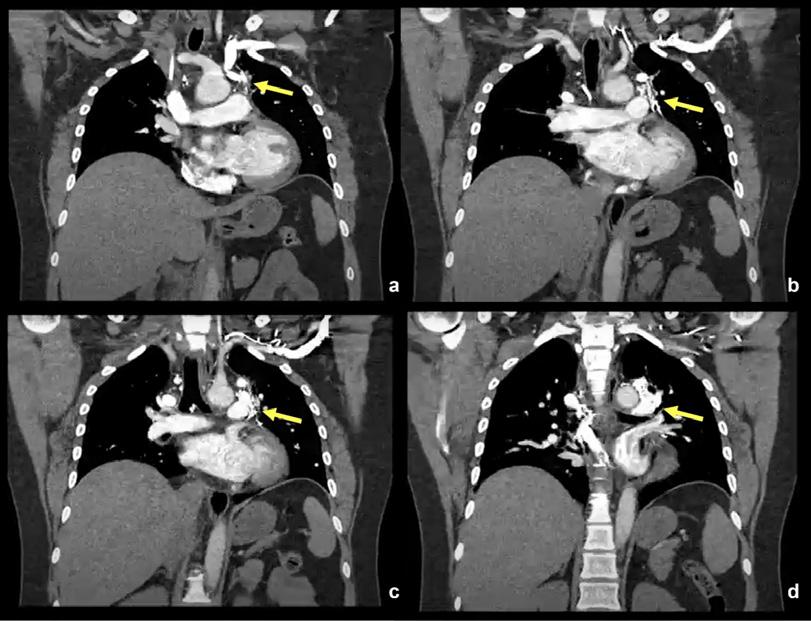
Se detectó también circulación colateral hiliar bilateral con drenaje en sistema ácigos mayor y menor (Fig. 4, 5 y 6). Se inició tratamiento con rivaroxabán (antitrombótico) y manejo clínico de la paciente.

Discusión

Aunque poco común, es conocido que en estudios de perfusión pulmonar con Tc99m-MAA puede observarse la visualización de órganos distintos al pulmón debido al paso del radiofármaco a la circulación sistémica. Esta situación ha sido previamente documentada en la literatura médica (1,4).

En presencia de una obstrucción en la Vena Cava Superior

a, b, c y

de

Angiotomografía se observan múltiples

hemiácigos accesorio (menor), rodeando el cayado aórtico, que comunican con la vena pulmonar

drenando posteriormente a la aurícula izquierda, generándose así un cortocircuito (de derecha a izquierda) venoso sistémico a venoso pulmonar en forma directa.

(VCS), se vuelve muy importante la formación de vías alternativas para mantener el drenaje venoso. Estas vías ayudan a prevenir un empeoramiento del cuadro clínico del paciente y pueden explicar la aparición de captaciones extrapulmonares del MAA en lugares inusuales como el hígado, el esternón, las vértebras, los arcos costales, el cerebro y los riñones, en un estudio de perfusión pulmonar, como se ha descrito en casos previos (1,2,3).

El desarrollo de esas vías colaterales o alternas ayuda a llevar la sangre venosa de la parte superior del cuerpo hacia el corazón derecho, pudiendo depositarse el MAA en la primera red capilar que encuentra. Algunas de estas vías colaterales son las intercostales superiores e inferiores, la mamaria interna, el sistema venoso vertebral, la vena ácigos y la hemiácigos (2).

En nuestro caso, la visualización de las vértebras torácicas se debe al flujo retrógrado a través del sistema venoso vertebral dilatado, que normalmente lleva la sangre venosa prevertebral al sistema ácigos, y también al nulo drenaje de la médula ósea, donde el MAA queda atrapado (2,4).

La obstrucción de la VCS es una complicación conocida debido a la trombosis que se genera alrededor del catéter venoso central (causa benigna), pero la mayoría de las obstrucciones de la VCS es debido a causas malignas (85-90% de los casos), por lo que hay que estudiar el motivo que la produjo, siendo importante completar la valoración con un método anatómico como lo es la TC con contraste endovenoso (4,5).

Es importante tener en cuenta que el desarrollo de estas vías colaterales puede variar según el nivel de obstrucción y pueden tener diferentes patrones (Tabla 1). La formación de una vía venosa colateral sistémica a pulmonar es una complicación poco común de la obstrucción de la VCS. La presencia de tales vasos colaterales da como resultado un cortocircuito de derecha a izquierda, lo que puede dejar al paciente susceptible a un accidente cerebrovascular, absceso cerebral y un estado de alto gasto cardíaco (4). En nuestro caso, se evidenció un shunt de derecha a izquierda, como se describe en la Fig. 6. Ya que el

Figura 3. Angiotac: En las imágenes a, b, c y d se identifica ausencia de opacificación con el contraste de la Vena Cava Superior, con presencia catéter en su interior, hallazgos sugestivos de trombosis probablemente relacionados al cateterismo central realizado.
Figura 4. En las imágenes a, b, c y d, se identifica sistema de vena ácigos dilatado y prominente. En la imagen d, plano coronal donde se identifica al sistema hemiácigos desembocando al sistema ácigos a la altura de la 7ma vértebra dorsal, donde cruza el plano medial y se lateraliza hacia la región paravertebral derecha.
Figura 5. Obsérvese la desembocadura de la vena ácigos superior en la aurícula derecha.
Figura 6. En las imágenes
d
la
colaterales del sistema
izquierda,

GRAN BUENOS AIRES RAYOS X S.A.

Sistemas de digitalización directa DR

Actualización para equipos de radiodiagnóstico

Disponibilidad de diferentes estándares de detectores digitales con la combinación de los mismos según se requiera. Ideal relación costo beneficio.

Máxima tecnología disponible para la mejor calidad de imagen.

MAYOR VIDA ÚTIL.

MAYOR PRODUCTIVIDAD.

MENOR RADIACIÓN.

DETECTORES DIGITALES DIRECTOS conec idad eléctrica cableada o inalámbrica ifi

- Conec idad eléctrica (sin baterías)

Permiten ser instalados en eq ipos con encionales de forma fija o mó iles para intercambiar entre ambos Po er B ck por s conec idad eléctrica “no req ieren mantenimiento”

- Inalámbricos (con baterías)

Permiten ser instalados en eq ipos con encionales, para intercambiar entre ambos Po er B ck por s conec idad “ ifi” p eden ser li ados f era de los po er b ck con pacientes en camillas o en sillas de r edas. El mantenimiento se limita al cambio de baterías.

ESTACION DE ADQUISICION DR con monitor LCD ” (p lgadas) tác l.

- Herramientas para is ali ación procesamiento de imágenes.

- Salida bajo normas DICOM . a red, impresora o CD/DVD, e portación de imágenes ía USB

DETECTORES DIGITALES DIRECTOS inalámbrico ifi

Permiten ser instalados en eq ipos con encionales, para intercambiar entre ambos Po er B ck por s conec idad “ ifi” p eden ser li ados f era de los po er b ck con pacientes en camillas, en sillas de r edas o en eq ipos rodantes f era de la sala de ra os

ESTACION DE ADQUISICION DR con monitor LCD ” (p lgadas) tác l

- Herramientas para is ali ación procesamiento de imágenes. - Salida bajo normas DICOM . a red, impresora o CD/DVD, e portación de imágenes ía USB.

DETECTOR AERO KONICA MINOLTA Caracterís cas.

– Inalámbrico ( ifi) sin baterías, con capacitor incorporado al c erpo del panel con la misma ida l q e éste permite n empo de hasta horas en stand b (ente horas de so con n o). Estr ct ra monocasco resistente a líq idos (IPX ). S sólida constr cción permite absorber golpes caídas e ent ales, admi endo soportar hasta kgrs. de peso sobre c alq iera de s s s perficies planas.

@GBARXSA

/GBARXSA

Visita nuestro renovado sitio web:

1. Vía de ácigos y hemiácigos La vía de ácigos y hemiácigos incluye: ácigos, hemiácigos, intercostales, venas lumbares.

2. Vía de la mamaria interna y externa

3. Vía lateral torácica

4. Vía vertebral

Vía de la mamaria interna y externa: mamaria interna, epigástrica superior, vena epigástrica inferior, venas superficiales del tórax.

Vía de venas laterales torácias: Incluye venas laterales del tórax, tóracoespicastrica, circunfleja superficias, safeno, venas femorales, que colateralizan a la vena cava inferior.

Vía de las venas vertebrales; Utilizan la vena innominada, vertebrales, intercostales, lumbares, sacras y colateralizan hacia la vía ácigos y la mamaria interna.

Adaptado de: Kapur S, Paik E, Rezaei A, Vu DN. Where there is blood, there is a way: unusual collateral vessels in superior and inferior vena cava obstruction. Radiographics. 2010;30(1):67-78.

7. Representación gráfica del sistema ácigos hemiácigos.

Tributarias del Sistema ácigos:

Nueve últimas venas intercostales posteriores derechas

Vena subcostal derecha.

Vena intercostal superior derecha.

Venas hemiácigos y hemiácigos accesoria.

Venas bronquiales.

Venas esofágicas.

Venas pericárdicas.

Venas frénicas superiores y mediastínicas.

Tributarias Sistema hemiácigos inferior:

Cinco últimas venas intercostales.

Vena subcostal izquierda.

Venas vertebrales. Venas esofágicas. Venas mediastínicas.

Tributarias Sistema hemiácigos accesorio (superior):

Siete primeras venas intercostales posteriores izquierda.

Reunión de las venas intercostales posteriores 5°, 6° y 7°. Las cuatro primeras forman la vena de Braine, que se aboca a la vena braquiocefálica

diagnóstico era reciente, la paciente aún no presentaba signos instalados de hipertensión pulmonar. De igual forma, se tomaron medidas para controlar el flujo sanguíneo, la presión arterial y evitar posibles complicaciones.

Otros de los sitios donde se puede llegar acumular MAA durante un estudio de perfusión en el contexto de una trombosis de VCS es el hígado: en caso de que el sistema ácigos se involucre, las vías colaterales de la pared torácica y la parte superior del abdomen desviarán el flujo de sangre al corazón, pudiéndose generar una comunicación entre estas vías colaterales y la vena umbilical o paraumbilical (que se re-permeabiliza) pudiéndose llegar a formar una derivación a la vena porta. En su mayoría, este drenaje se realiza en la rama principal izquierda de la vena porta y el MAA queda atrapado en una parte del lóbulo hepático izquierdo (4,6).

Referencias

1. Karls S, Hassoun H, Derbekyan V. Vertebral Uptake of Tc-99m Macroaggregated Albumin (MAA) with SPECT/CT Occurring in Superior Vena Cava Obstruction. Nucl Med Mol Imaging. 2016;50(3):266-269. doi:10.1007/s13139-015-0372-y.

2. Esser JP, Oei HY, de Bruin HG, Krenning EP. Liver and vertebral uptake of Tc-99m macroaggregated albumin (MAA). Clin Nucl Med. 2004;29(12):793-794. doi:10.1097/00003072-200412000-00004.

3. Meristoudis G, Ilia I, Tsaroucha A, Giannakopoulos V, Christakopoulou J. Liver and vertebral visualization on lung perfusion scan. Rev Esp Med Nucl. 2008;27(5):369. doi:10.1157/13126195.

4. Kapur S, Paik E, Rezaei A, Vu DN. Where there is blood, there is a way: unusual collateral vessels in superior and inferior vena cava obstruction. Radiographics. 2010;30(1):67-78. doi:10.1148/ rg.301095724.

5. Grayet D, Ghaye B, Szapiro D, Dondelinger RF. Systemic-to-pulmonary venous shunt in superior vena cava obstruction revealed on dynamic helical CT. AJR Am J Roentgenol. 2001;176(1):211-213. doi:10.2214/ajr.176.1.1760211.

6. Ramos Font C, Sánchez de Mora E, López Martín J, Salgado-García C, Lerma del Vallle MD, Jiménez Hefferman A. Captación extrapulmonar de macroagregados de albúmina marcada con Tc99m en un estudio de ventilación-perfusión. Rev Esp Med Nucl Imagen Mol. 2013;32(2):130-131. doi:10.1016/j.remn.2012.05.001.

Tabla 1. Vías
Figura

Uso del Lipiodol en embolizaciones vasculares

Entrevista a la Dra. Micaela Arrieta durante el CCR 2024 en Cartagena

Durante el 47° Congreso Colombiano de Radiología, realizado como todos los años en el Centro de Convenciones de la cálida ciudad de Cartagena de Indias, tuvimos el honor de entrevistar a la Dra. Micaela Arrieta para preguntarle en esta ocasión, puntualmente por qué elige el Lipiodol a la hora de tratar los hepatocarcinomas.

Mi nombre es Micaela Arrieta y me desempeño como radióloga intervencionista en Neurodinamia SA, ubicada en la ciudad de Cartagena. Nuestro centro se especializa en intervencionismo corporal y neurológico. En nuestro trabajo, hemos estado focalizados en el tratamiento de pacientes con hepatocarcinoma, utilizando la técnica de quimioembolización hepática con Lipiodol. Esta metodología nos permite identificar las áreas tratadas y evaluar la respuesta del tumor al tratamiento en los seguimientos posteriores, lo que resulta fundamental para determinar la necesidad de terapias adicionales en el paciente.

¿En qué procedimientos recomienda específicamente el uso de esta técnica?

En el ámbito del intervencionismo periférico, recomendamos el uso de Lipiodol principalmente en el tratamiento de pacientes con hepatocarcinoma, tanto en la fase de prueba como en la quimioembolización.

También para embolizaciones endovasculares de malformaciones arteriovenosas con adhesivos como el cianoacrilato. Donde el Lipiodol permite ajustar el tiempo de embolización, ya que al mezclarse con el cianocrilato retarda la acción adhesiva de este último, proporcionando así la flexibilidad necesaria para realizar con el mismo producto, procedimientos que requieran posiciones distintas del microcatéter (proximal o distal) al tiempo que la propiedad opacificante del Lipiodol permite la visualización del procedimiento en tiempo real.

¿Cuáles son las ventajas de utilizar Lipiodol en comparación con otros medios de contraste?

“El Lipiodol, debido a su naturaleza oleosa, forma gotas maleables al mezclarse con el agente anticancerígeno. Estas gotas pueden alcanzar diámetros microscópicos, facilitando la llegada del agente a las zonas más profundas del tumor. Además, esta propiedad le permite llegar a los nódulos secundarios del tumor, una capacidad que otros métodos no poseen.

Otra ventaja es su capacidad de dejar una marca duradera en las áreas tratadas del paciente, facilitando así la localización y seguimiento en caso de requerir tratamientos adicionales.

¿Cómo adquirió experiencia en el uso del Lipiodol?

Durante mi formación, recibí entrenamiento específico en el uso del Lipiodol . En el campo del intervencionismo, la formación continua es fundamental, por lo que hemos participado en talleres especializados para perfeccionar nuestras habilidades, incluyendo la dilución adecuada y la preparación diaria del Lipiodol.

¿Cuál es el foco del área de Servicios de GE HealthCare?

Entrevista

a Mariano Albertolli, líder para el Área de Servicios en GE HealthCare Latinoamérica.

Actualmente estamos presentes en el Congreso Colombiano de Radiología 2024, en Cartagena de Indias, presentando nuestras soluciones de servicio y de actualización tecnológica para toda nuestra plataforma de equipos.

En este año estamos presentando nuestro portfolio de monitoreo predictivo, que fue desarrollado con el objetivo de poder anticipar potenciales fallas e incrementar la productividad de nuestros clientes, así como acelerar los tiempos de respuesta y, en última instancia, poder brindar una mejor atención a los pacientes.

Además, estamos trabajando con nuestra plataforma de inteligencia artificial para actualizar nuestros equipamientos médicos, principalmente en lo que se refiere a resonancia magnética con Air Recon DL y Sonic DL, nuestras tecnologías de inteligencia artificial que permiten aumentar la productividad de los equipos y reducir los tiempos de obtención de imágenes, manteniendo la calidad y pudiendo brindar a los médicos, radiólogos y pacientes un mejor servicio en su totalidad.

El año pasado, anunciamos la creación un área de servicios digitales que permite reparar equipos médicos de alta tecnología a distancia, así como analizar de forma predictiva su funcionamiento. Debido a la gran complejidad y delicadeza de los equipos médicos, el tiempo necesario para sus reparaciones puede ser considerablemente largo, causando impactos en los pacientes que van desde el aplazamiento de los exámenes hasta la falta de diagnósticos por la inactividad de estos equipos. Con la creación de esta área de servicios digitales, GE HealthCare asegura que las máquinas de sus clientes estén en perfecto estado, garantizando diagnósticos precisos y evitando que el paciente tenga que repetir un procedimiento.

El objetivo principal de GE HealthCare como empresa es desarrollar tecnología e innovación para la salud de precisión y mejorar el cuidado de los pacientes, así como abordar los desafíos clínicos actuales. Nuestra amplia gama de productos, tecnologías y soluciones tiene como objetivo mejorar los resultados de los pacientes, proporcionando a los médicos los datos adecuados en el momento oportuno para permitir una atención personalizada, conectada y compasiva.

Las herramientas que desarrollamos en GE HealthCare transforman y humanizan la asistencia, de modo que nuestras soluciones no solo permiten obtener resultados cada vez mejores para los pacientes, sino que también reducen la carga de trabajo de los equipos asistenciales y les proporcionan datos superiores y precisos. Estamos desarrollando nuevas capacidades para el futuro, aprovechando las

tecnologías emergentes y el aprendizaje automático.

Facilitamos la visibilidad de los datos, la interoperabilidad y la atención conectada, al reunir datos y tecnologías para ofrecer una visión holística del paciente y agilizar los flujos de trabajo. Nuestras soluciones captan y aprovechan los datos más allá de las paredes de un centro sanitario, al mismo tiempo que posibilitan intervenciones clínicas que dominen datos de gran volumen y los integren en tiempo real con las necesidades reales de cada persona.

Actualmente, contamos con más de 50 tecnologías líderes de Inteligencia Artificial (IA) y Machine Learning (ML) en el sector para ayudar a los médicos a lograr una mayor conectividad, encontrar tendencias, detectar posibles problemas de salud e identificar a los pacientes que responderán a las terapias. Gracias a ellas, hemos ayudado al aumento de la eficiencia y a la detección de posibles problemas de salud. Además, impulsamos la formación de nuevos usuarios de tecnología y la mejora de los resultados de los exámenes.

La innovación digital nos permite aumentar la eficiencia y la capacidad, al generar información que ahorra horas de trabajo a los médicos, reduce el agotamiento del personal y mejora el rendimiento de la inversión. Desde nuestra perspectiva, un panorama en evolución incluye: telemedicina/ atención a distancia, ecosistemas de atención conectados y vías de atención. Por ello cada año invertimos más de 1.000 millones de dólares en I+D (Investigación y Desarrollo).

En Latinoamérica, nuestro portafolio es el más grande de la industria y está integrado por soluciones de hardware, software, consultoría, financiamiento y servicios para apoyar el crecimiento sustentable en la región. GE HealthCare tiene presencia en más de 30 países de Latinoamérica y suma más de 70 millones de pacientes atendidos anualmente. Además, cuenta con más de 4000 empleados y más de 80 ingenieros de campo.

A nivel global, estamos a la vanguardia de la atención de proveedores y pacientes con más de cuatro millones de productos instalados y más de 2 mil millones de exámenes de pacientes por año.

Sonic DL™ Imágenes a la velocidad de la vida.

El Sonic DL™ es parte de la misión continua de revolucionar la resonancia magnética con la reconstrucción de imágenes mediante Deep Learning, en menos tiempo y con altísima calidad, proporcionando mayor productividad para su institución.

La tecnología basada en Deep Learning de Sonic DL™ ofrece nuevos niveles sorprendentes de aceleración, adquiriendo menos datos brutos para adquisiciones más rápidas.

¡Anatomías desafiantes requieren adquisiciones más rápidas, sin sacrificar la calidad de la imagen!

III Curso Internacional de la Comunidad Latinoamericana de Imagenólogos Mamarios CLIM

Entre los días 28 y 30 de Junio del corriente año se desarrolló el III Curso Internacional Teórico - Práctico en Imágenes Mamarias de CLIM (Comunidad Latinoamericana de Imágenes Mamarias). El evento se desarrolló en las instalaciones de la UCA de Puerto Madero, un espacio super cálido. Participaron del evento presencial más de 400 personas de todo América Latina. Los directores de CLIM, Dra. Karina Pesce y Dr. Darío Schejtman recibieron a todos los participantes con una calidez, amorosidad y humildad pocas veces vista en esta clase de eventos. El viernes durante todo el día y el sábado hasta la 1 PM los directores junto a la Dra. Ruby Espejo Fonseca de México y el Dr. Vicente Martínez de Vega de España dictaron clases teóricas. Por la tarde del sábado se realizó el taller de intervencionismo mamario y el Domingo se realizó el taller de Imagenología Mamaria. En las entrevistas que realizamos a los participantes del evento destacamos la preferencia que tiene por este evento por sentirse parte de esta comunidad.

Palabras de los directores de CLIM: CLIM reúne a profesionales de la salud, desde médicos hasta técnicos y radiólogos, que se especializan en el estudio y diagnóstico de la mama. Iniciamos durante la pandemia en 2020 con cursos online y ahora estamos en nuestro tercer curso presencial en la Universidad Católica Argentina (UCA).

Evolución y Crecimiento de CLIM

Dra. Karina Pesce: CLIM comenzó con cursos online que rápidamente ganaron popularidad, pasando de 200 a casi 6.000 inscriptos en las últimas ediciones. Este es nuestro tercer curso presencial en la UCA con más de 400 inscriptos de toda Latinoamérica, Estados Unidos y Emiratos.

Dr. Darío Schejtman: Utilizamos nuestras redes sociales, como Instagram y Facebook, para mantener a la comunidad informada sobre nuestras actividades y cursos. La mayoría de nuestras capacitaciones son gratuitas, aunque el curso presencial es pago pero accesible.

Aspectos Destacados del Curso y Talleres

Dra. Karina Pesce: Este curso incluye temas como inteligencia artificial en ecografía mamaria, correlación en anatomía patológica, resonancia magnética y mamografía contrastada. Contamos con la participación de destacados radiólogos internacionales como la Dra. Ruby Espejo Fonseca de México y el Dr. Vicente Martínez Vega de España.

Dr. Darío Schejtman: También ofrecemos talleres prácticos, incluyendo uno de intervencionismo mamario y otro con estaciones de trabajo traídas por Fujifilm desde Miami. Estos talleres simulan la práctica diaria de un médico, permitiendo a los participantes diagnosticar casos clínicos reales.

Por Bárbara Domb
Dra. Ruby Espejo Fonseca
Taller de Imagenología Mamaria con las estaciones de trabajo de FujiFilm
Exhibición de los ecógrafos Esaote
Pablo Uberti, Gerente de la división de Radiología de Tecnoimagen

Futuro de CLIM y Agradecimientos

Dra. Karina Pesce: Ya estamos pensando en el CLIM 2025, que se realizará en junio. Tenemos propuestas para llevar CLIM a otras ciudades de Latinoamérica, incluyendo Brasil. Agradecemos a todas las sociedades que nos apoyan, como FAARDIT, que otorgan puntaje para la acreditación de nuestros cursos.

Dr. Darío Schejtman: Nuestro objetivo es capacitar y educar a la comunidad médica, proporcionando un espacio donde puedan aprender y hacer preguntas sin temor. Agradecemos a Tecnoimagen por su apoyo continuo y a todo el equipo que trabaja incansablemente para hacer esto posible.

Corina Escames, Directora de Marketing de Tecnoimagen

Corina Escames: Hoy estamos acompañando a los doctores

Karina Pesce y Darío Schejtman en la tercera edición de CLIM en la UCA.

Tecnoimagen apoya el crecimiento y la formación de los profesionales de la salud. En este caso, desde 2020, cuando

comenzamos con webinars. Ahora, CLIM se ha transformado en un curso presencial con formato de congreso y talleres, y seguimos comprometidos con esta iniciativa.

Pablo Uberti, Gerente de la División de Radiología de Tecnoimagen

Estamos presentando nuestras soluciones integrales para el cuidado de la salud de la mujer, que incluyen ecógrafos, mamógrafos digitales, estaciones de diagnóstico y densitómetros óseos.

Además, ofrecemos insumos como guías de marcación y pistolas para biopsia de la marca BD.

Germán Repetto, Regional Manager de Fujifilm Estamos aquí apoyando a CLIM, un evento crucial para la educación y el conocimiento de nuestros médicos. El domingo realizaremos un taller con estaciones de trabajo de alta resolución, guiado por la Dra. Karina Pesce y el Dr. Darío Schejtman, donde los asistentes podrán trabajar con casos reales de patologías mamarias. Fujifilm está comprometido con la educación y la tecnología, apoyando eventos como CLIM para el perfeccionamiento de los profesionales de la salud.

Presentación del libro: Durante el Curso, la Dra. Karina Pesce presentó su libro Signos en Imágenes Mamarias, una guía práctica para radiólogos y no radiólogos.

Exhibición de equipos
Dra. Karina Pesce y Dr. Darío Schejtman

Nuestros Centros

Capital Federal

DIM Odontología Premium

Av. Rivadavia 14.230

DIM Kinesiología de Avanzada Avellaneda 40

DIM Traumatología Monteagudo 50

DIM Rivadavia

Av. Rivadavia 14.252

DIM Alta Complejidad Espora 18

DIM Mujer

Av. Rivadavia 14.282

DIM Ramos Norte Ardoino 640

DIM Sede Central Belgrano 136 Ramos Mejía

DIM Belgrano Belgrano 137

DIM Caballito

Av. Rivadavia 6.001

DIM Once

Av. Rivadavia 2.198

DIM Liniers

Av. Rivadavia 10.96

Ciudadela

DIM Ciudadela

Av. Gaona 3915

¿Querés atender en nuestos centros? Escribinos al 11-2188-2059 o escaneá el QR

DIM Morón Traumatología

Av. Rivadavia 17.601

DIM Morón

Av. Rivadavia 17.620

DIM Cepem

Machado 750 Morón

Turnos 100% online desde nuestra App

DIM Salud dim.com.ar

Próximos eventos

JULIO 2024

XLIII Semana Internacional de Ultrasonido

3 al 6 de Julio

Hotel Fiesta Americana Mérida Mérida, Yucatán, México https://fmri.org.mx/xlii-semanainternacional-de-ultrasonido-2024

Simposio SAUMB 2024

4 y 5 de Julio Palais Rouge Buenos Aires Buenos Aires, Argentina www.saumb.org.ar

6 Congreso de Inteligencia Artificial Julio 26 y 27 de 2024

Hotel y Centro de Convenciones Habitel Av. El Dorado #100-89 | Bogotá, Colombia https://www.acrvirtual.org/ inteligenciaartificial2024

AGOSTO 2024

XIX Seminario Vallecaucano de Radiología

16 y 17 de Agosto

Hotel Dann Carlton, Cali, Valle, Colombia https://arvc-colombia.blogspot.com/

6° Curso de Imagen Mamaria –Asociación Colombiana de Radiología 22 al 24 de Agosto https://www.acrvirtual. org/6cursoimagenmamaria

SEPTIEMBRE 2024

SIMI 2024

XXXIII Semana del Intervencionismo Mínimamente Invasivo

VIII Stroke Summit

10 al 12 de Septiembre

Alvear Icon Hotel

Ciudad de Buenos Aires, Argentina www.simi.com.ar

53° Congresso Brasileiro de Radiologia e Diagnostico por Imagem CBR24

19 al 21 de Septiembre

Centro de Convencoes de Salvador, Salvador, Bahia, Brasil cbr.org.br/calendario-de-eventos/

Congreso Argentino de Diagnóstico por Imágenes - CADI 2024

26 al 28 de Septiembre

Centro de Convenciones Buenos Aires Buenos Aires, Argentina https://www.cadi2024.com.ar/

OCTUBRE 2024

Congreso Chileno de Radiología CChR24

3 al 5 de Octubre

Centro de Convenciones Metropolitan Santiago, Chile sochradi.cl

XXVIII Congreso Peruano de Radiología

3 al 5 de Octubre

Centro de Convenciones del Hotel los Delfines, San Isidro

Lima, Peru

https://www.socpr.org.pe/

XXXI Congreso Nacional de Imagenología Diagnóstica y Terapéutica

XVII Congreso SIBIM 2024

15 al 19 de Octubre

Presidente Intercontinental, Guadalajara, Jalisco, México www.fmri.org.mx

37th Annual Congress of the European Association of Nuclear Medicine

19 al 23 de Octubre

Congress Center Hamburg Hamburgo, Alemania eanm.org/congresses-events/

XXI Congreso de la Federación Latinoamericana de Mastología

24 al 26 de Octubre

Radisson Victoria Plaza

Montevideo, Uruguay https://www.flammastologia.org/

NOVIEMBRE 2024

Congreso SIDI 2024

19 al 22 de Noviembre

Hotel Bosque Reñaca, Viña del Mar, Chile www.sochradi.cl/congreso-sidi/

Jornadas Celso Papadópulos

22 y 23 de Noviembre

Complejo Cultural Cipolletti Yrigoyen 379, Cipolletti

Rio Negro, Argentina https://www.aabymn.org.ar/jcp-2024patagonia/

DICIEMBRE 2024

RSNA 2024

1 al 5 de Diciembre Mc Cormick Place, Chicao, IL, USA www.rsna.org

FEBRERO 2025

ECR 2025

European Congress of Radiology 26 de Febrero al 2 de Marzo

Austria Centre Vienna Viena, Austria https://www.myesr.org/congress/

MARZO 2025

HIMSS25

3 al 5 de Marzo

Venetian Convention & Expo Center

Las Vegas, NV, USA https://www.himssconference.com

AIUM

March 29 - April 1, 2025

14100 Bonnet Creek Resort Lane, Orlando, Florida, USA

https://www.aium.org/aium-annualconvention

Turn static files into dynamic content formats.

Create a flipbook
Issuu converts static files into: digital portfolios, online yearbooks, online catalogs, digital photo albums and more. Sign up and create your flipbook.