374 - Diagnostico Marzo

Page 1

Diagnóstico Journal LA - 1 [
] Vol. XXXIV - Nº 374 [ Marzo 2024 ]
pág. 09

Editores

Bárbara R. Domb y Ezequiel Domb

Diseño, Diagramación & Portada Ezequiel Domb

Colaboradores Periodísticos

César Mauricio Rodríguez Olivo Diego Ruiz

María Virginia Parra

Responsable y corresponsal en México

Igor Barragán Flores

Gabriel Zubieta

Publicidad

Bárbara Domb

Redacción

La Pluma Redactores

Vol. XXXIV N° 374 - Marzo 2024

DIAGNÓSTICO Journal LA

Galicia 919

(1416) Buenos Aires, Argentina

+54 911 5664 - 9585

info@diagnosticojournal.com www.diagnosticojournal.com

DIAGNÓSTICO JOURNAL LA

is published monthly

6538 Collins Ave. # 335, Miami Beach FL 33141, USA.

Tel. 786.999.0557

Covering since:

92 RSNA, 95 AIUM, 98 AAN, 98 IBMS, 98 ASBMR, 99 ACC, 95 JPR

Los artículos firmados expresan las opiniones de los autores y no reflejan necesariamente la opinión de la Editorial.

Sumario Diagnóstico Journal LA

[ 06 ] Desarrollan un modelo de Deep Learning para predecir el cáncer de mama

[ 09 ] Anke presenta sus últimas innovaciones en radiología en el Congreso Europeo

[ 10 ] HIMSS 2024 y la Transformación Digital en la Salud: Entrevsita al Director de Operaciones del Hospital Austral

[ 11 ] Esaote Presenta Innovaciones de Vanguardia y Rebranding en el ECR

[ 14 ] Barco Revoluciona la Radiología con Innovaciones de Vanguardia en el Congreso Europeo de Radiología

[ 16 ] Digitalización y teleradiología para la detección temprana del cáncer de pulmón

[ 17 ] ECR Identidad naranja

[ 18 ] Annalise.ai: Transformando el Diagnóstico Radiológico con Inteligencia Artificial

[ 19 ] Desarrollando un Ecosistema de Salud Global

[ 20 ] Lunit: Revolucionando la Radiología con Inteligencia Artificial

[ 21 ] Mindray Presenta Innovaciones en Equipos Médicos en el ECR 2024

[ 25 ] Agfa en HIMSS Orlando: Avances en Soluciones RIS - PACS para Latinoamérica

[ 28 ] Time Medical Systems: Innovación en Resonancias Magnéticas para Necesidades Específicas

[ 29 ] Cena por lo 50 años del CMRI

[ 32 ] Presidente y CEO de GE HealthCare América Latina

[ 38 ] Próximos eventos

Imagen de portada:

ECR & HIMSS 2024

Staff Diagnóstico Journal LA | 5

Desarrollan un modelo de Deep Learning para predecir el cáncer de mama

OAK BROOK, Illinois — Investigadores han desarrollado un nuevo modelo de inteligencia artificial (IA) interpretable para predecir el riesgo de cáncer de mama a 5 años a partir de mamografías, según un nuevo estudio publicado en Radiology. Según la Sociedad Estadounidense del Cáncer, una de cada 8 mujeres, o aproximadamente el 13% de la población femenina de EE.UU., desarrollará cáncer de mama invasivo a lo largo de su vida y 1 de cada 39 mujeres (3%) morirá a causa de la enfermedad. Para muchas mujeres, la mamografía es la mejor manera de detectar el cáncer de mama en sus etapas iniciales, cuando el tratamiento es más eficaz. Tener mamografías programadas regularmente puede reducir significativamente el riesgo de morir por cáncer de mama. Sin embargo, aún no está claro cómo predecir

Figura 1. Diagrama de flujo de exclusión para la cohorte de validación. La división de validación del conjunto de datos de imágenes EMory BrEast (EMBED) incluyó 23,382 pacientes y 76,373 exámenes de 2013 a 2020. Exámenes con datos anormales (42 pacientes, 1,344 exámenes), exámenes sin imágenes bidimensionales (2D) (88 pacientes, 2,271 exámenes), Se excluyeron los exámenes sin las cuatro vistas de detección (5.810 pacientes, 28.175 exámenes) y los exámenes de diagnóstico (1.228 pacientes, 2.595 exámenes). La cohorte resultante incluyó 16.314 pacientes con 41.988 exámenes. El número de pacientes y exámenes con datos de seguimiento suficientes para evaluar 1 año (16 314 pacientes, 41 988 exámenes), 2 años (10 523 pacientes, 28 895 exámenes), 3 años (8 408 pacientes, 21 274 exámenes), 4 años (6.807 pacientes, 15.414 exámenes) y las áreas de 5 años (5.419 pacientes, 10.598 exámenes) bajo la curva característica operativa del receptor se encuentran en la parte inferior de la figura.

Figura 2. Comparación de arquitectura de AsymMirai (izquierda) y Mirai (derecha). Ambos modelos introducen las cuatro vistas de detección en las mismas capas de la red neuronal convolucional (CNN), pero el razonamiento diverge a partir de entonces. AsymMirai tiene menos capas computacionales y, en cambio, calcula diferencias en las características latentes, como lo muestran los mapas de calor en los pasos de asimetría craneocaudal (CC) y asimetría oblicua mediolateral (MLO). Luego, AsymMirai encuentra la ventana de predicción que contiene las diferencias más altas para cada vista, representada por cuadros rojos en el paso Obtener ventana de predicción. Las diferencias máximas de características dentro de estas ventanas se promedian para crear una puntuación de riesgo. AHL = capa de peligro aditiva.

con precisión qué mujeres desarrollarán cáncer de mama mediante pruebas de detección únicamente.

Mirai, un algoritmo de última generación basado en el aprendizaje profundo, ha demostrado su eficacia como herramienta para ayudar a predecir el cáncer de mama pero, debido a que se sabe poco sobre su proceso de razonamiento, el algoritmo tiene el potencial de ser excesivamente con-

Figura 3. Resultados del modelo AsymMirai. Las imágenes de entrada son mamografías de detección de campo completo. Las dos imágenes de detección bilaterales se superponen dentro del mapa de calor y la ventana de predicción (cuadro rojo) indica el área con la mayor disimilitud. El mapa de calor y la ventana de predicción son visualizaciones de los resultados del modelo de AsymMirai, no mapas de prominencia post hoc como GradCAM. El análisis de estos resultados proporciona una comprensión más profunda de las puntuaciones, distinguiendo en estos casos el razonamiento confuso del razonamiento sin confusión para pacientes con macroasimetrías. (A–C) Imágenes de pacientes que desarrollaron cáncer en 1 a 5 años. (A) En una mujer blanca de 49 años con aumento mamario unilateral que se sometió a un examen de detección anual, AsymMirai predijo un alto riesgo de desarrollar cáncer. La biopsia confirmó un carcinoma ductal inva-

6 - diagnosticojournal.com

sivo en la mama derecha 5 años después. La ventana de predicción no se vio afectada por el implante unilateral. (B) En una mujer afroamericana de 43 años con un examen inicial a los 42 años, AsymMirai predijo un alto riesgo de desarrollar cáncer. La ventana de predicción corresponde a la asimetría retroareolar. La biopsia realizada 4 años después confirmó un carcinoma ductal invasivo en la mama derecha. Los ganglios linfáticos intramamarios se ignoraron correctamente. (C) En una mujer afroamericana de 50 años con exámenes de detección regulares y calcificaciones heterogéneas gruesas en la posición de las 12 en punto, AsymMirai predijo un alto riesgo de desarrollar cáncer. La biopsia confirmó el carcinoma ductal invasivo bilateral 20 meses después, con el cáncer en la mama izquierda en la posición de las 12 en punto. (D – F) Imágenes en pacientes que no desarrollaron cáncer pero que tenían predicciones de riesgo identificablemente confusas. (D) En una mujer blanca de 60 años con aumento mamario bilateral y mamografías de detección periódicas, AsymMirai predijo un riesgo moderado de desarrollar cáncer, confundido por la asimetría artificial causada por la exclusión del implante desde la vista craneocaudal derecha. (E) En una mujer blanca de 73 años con mamografías de detección regulares y calcificaciones distróficas conocidas en el seno izquierdo, AsymMirai predijo un alto riesgo de desarrollar cáncer, confundido por una mala posición en la vista oblicua mediolateral izquierda y una posible distorsión en la vista mediolateral derecha. vista oblicua. (F) En una mujer afroamericana de 65 años con microcalcificaciones benignas bilaterales, AsymMirai predijo un riesgo moderado de desarrollar cáncer, confundido por las calcificaciones. Entre los pacientes sin cáncer, Mirai identificó correctamente al paciente en D como de bajo riesgo de desarrollar cáncer (riesgo percentil 20), pero también clasificó erróneamente a los pacientes en E y F.(percentiles 84 y 95, respectivamente). Estos ejemplos fueron elegidos sin conocimiento de las puntuaciones de riesgo de Mirai. A diferencia de cuando se revisa el tejido en la ventana de predicción de AsymMirai, no hay forma de identificar ex ante los casos en los que Mirai se confundió porque solo produce una puntuación. CC = craneocaudal, IDC = carcinoma ductal invasivo, MLO = oblicuo mediolateral.

fiable por parte de los radiólogos e incorrecto. diagnósticos.

"Mirai es una caja negra, una red neuronal muy grande y compleja, similar en construcción a ChatGPT, y nadie sabía cómo tomaba sus decisiones", dijo el autor principal del estudio, Jon Donnelly, BS, Ph.D. Estudiante del Departamento de Ciencias de la Computación de la Universidad de Duke en Durham, Carolina del Norte. "Desarrollamos un método de inteligencia artificial interpretable que nos permite predecir el cáncer de mama a partir de mamografías con 1 a 5 años de anticipación. AsymMirai es mucho más simple y fácil de entender que Mirai".

Para el estudio, Donnelly y sus colegas del Departamento

Figura 4. Poder de predicción de la consistencia de la ubicación de AsymMirai. (A) Mamografías de detección de campo completo obtenidas en tres momentos en una mujer blanca. AsymMirai predijo un riesgo moderado de desarrollar cáncer, con una alta consistencia en la ubicación en tres exámenes de detección. Al paciente se le diagnosticó carcinoma ductal in situ en 2020. La consistencia de la ubicación se define en el Apéndice S5. La coherencia se expresa como el porcentaje del cambio de ventana, donde un cambio del 100% no representa superposición de un año al siguiente. Los cuadros rojos son las ventanas de predicción de AsymMirai para cada examen. (B) Gráfico del área de riesgo de 3 años de AsymMirai bajo la curva de características operativas del receptor (ROC) (AUC) para subgrupos de pacientes con una inconsistencia de ubicación cada vez mayor. El eje x es el número de pacientes incluidos en el subgrupo. El rendimiento del modelo es mayor para los pacientes con la mayor coherencia de ubicación (parte izquierda del gráfico), según lo medido por el cambio desde la ubicación de la ventana de predicción del examen anterior. Las áreas sombreadas representan los IC del 95 % en cada umbral. (C) Gráfico del AUC de riesgo de AsymMirai a 3 años para subgrupos de pacientes con una creciente inconsistencia en la ubicación. Igual que en B , excepto por el eje x, la coherencia de la ubicación se expresa como el porcentaje de desplazamiento de la ventana. La línea vertical de puntos indica un desplazamiento de ventana del 50%. (D) Curvas ROC de AsymMirai para umbrales de coherencia de ubicación seleccionados, medidos por el cambio desde la ubicación de la ventana de predicción anterior. El rendimiento del modelo mejoró para los pacientes con una alta consistencia de ubicación entre exámenes, como lo indican los cambios de ventana más bajos. La leyenda contiene el número de pacientes con un examen que satisface cada umbral seguido del número de pacientes con al menos un examen válido de 3 años de cada subgrupo. Un examen válido de 3 años puede incluir 3 años de seguimiento de detección negativo o un diagnóstico de cáncer dentro de los 3 años. CC = craneocaudal, FPR = tasa de falsos positivos, MAX = máximo, MLO = oblicuo mediolateral, TPR = tasa de verdaderos

de Ciencias de la Computación y del Departamento de Radiología compararon su modelo de aprendizaje profundo basado en mamografía recientemente desarrollado llamado AsymMirai con las predicciones de riesgo de cáncer de mama de 1 a 5 años de Mirai. AsymMirai se construyó sobre la parte de aprendizaje profundo "frontal" de Mirai, al tiempo que reemplazó el resto de ese complicado método con un módulo interpretable: disimilitud bilateral local, que analiza las diferencias de tejido entre los senos izquierdo y derecho.

"Anteriormente, las diferencias entre el tejido mamario izquierdo y derecho se usaban sólo para ayudar a detectar el cáncer, no para predecirlo de antemano", dijo Donnelly. "Descubrimos que Mirai utiliza comparaciones entre los lados izquierdo y derecho, y así es como pudimos diseñar una red sustancialmente más simple que también realiza comparaciones entre los lados".

Para el estudio, los investigadores compararon 210.067 mamografías de 81.824 pacientes en el conjunto de datos de imágenes EMory BrEast (EMBED) desde enero de 2013 hasta diciembre de 2020 utilizando los modelos Mirai y AsymMirai. Los investigadores descubrieron que su modelo simplificado de aprendizaje profundo funcionó casi tan bien como el Mirai de última generación para la predicción del riesgo de cáncer de mama de 1 a 5 años.

Los resultados también respaldaron la importancia clínica de la asimetría mamaria y, como resultado, resaltan el potencial de la disimilitud bilateral como un futuro marcador de imagen para el riesgo de cáncer de mama.

Dado que el razonamiento detrás de las predicciones de

Diagnóstico Journal LA - 7

AsymMirai es fácil de entender, podría ser un valioso complemento para los radiólogos humanos en el diagnóstico de cáncer de mama y la predicción de riesgos, dijo Donnelly.

"Podemos, con una precisión sorprendentemente alta, predecir si una mujer desarrollará cáncer en los próximos 1 a 5 años basándose únicamente en diferencias localizadas entre el tejido mamario izquierdo y derecho", dijo. "Esto podría tener un impacto público porque, en un futuro no muy lejano, podría afectar la frecuencia con la que las mujeres reciben mamografías".

Figura 5. Comparación del rendimiento de Mirai y AsymMirai en mamografías de detección de validación del conjunto de datos de imágenes EMory BrEast (EMBED). (A) Curvas de características operativas del receptor (ROC) de predicción del riesgo de cáncer de mama de AsymMirai de 1 a 5 años y valores del área bajo la curva (AUC), con IC del 95% entre paréntesis. (B) Curvas ROC y valores de AUC de predicción del riesgo de cáncer de mama de Mirai a 1 a 5 años, con los IC del 95 % entre paréntesis. Los CI de AUC para AsymMirai y Mirai se superponen para cada año. (C) Los gráficos de densidad muestran la correlación de predicción para AsymMirai y Mirai con riesgo de 1, 3 y 5 años. Se omiten los riesgos de 2 y 4 años porque las predicciones son las mismas que las de los riesgos de 3 y 5 años, respectivamente.

Anke presenta sus últimas innovaciones en radiología en el Congreso Europeo

Bárbara Domb

Desde el corazón del Congreso Europeo de Radiología en Viena, tuvimos el privilegio de conversar con representantes de Anke, una destacada empresa de equipos de radiología con sede en Shenzhen, China. Durante el evento, Anke presentó una impresionante gama de productos que están transformando el panorama de la radiología en todo el mundo.

"En la ECR, presentamos una variedad de equipos de última generación, incluyendo escáneres de seguridad, MRI y rayos X, incluyendo DR y mamografía", compartió el representante de Anke

Uno de los productos más destacados de Anke es su gama de MRI, que abarca desde modelos abiertos hasta máquinas de alta gama de 1.5 TESLA. "Nuestra serie de MRI ofrece una calidad clínica excepcional, con opciones que van desde 0.3 a 1.5 TESLA, lo que garantiza imágenes precisas y detalladas", explicó el representante de Anke. "Estas máquinas son ideales tanto para hospitales públicos como privados, adaptándose a las necesidades específicas de cada institución".

"Nuestros sistemas de rayos X están diseñados para ofrecer imágenes nítidas y detalladas, lo que permite a los profesionales de la salud realizar diagnósticos precisos", afirmó el representante de Anke

Además de sus productos de radiología, Anke también se ha destacado en el campo de la salud animal, con redes anatómicas y ópticas que facilitan el trabajo en la investigación veterinaria.

"En Anke, estamos comprometidos con la excelencia en la radiología y la salud humana y animal", concluyó el representante. "Si estás interesado en nuestros productos, no dudes en ponerte en contacto con nosotros para obtener más información".

Además de los MRI, Anke también ofrece una impresionante línea de CT Scanners, que van desde modelos de 16 cortes hasta sistemas de vanguardia de 256 cortes. "Nuestros CT Scanners están diseñados para satisfacer una variedad de necesidades clínicas, desde la exploración cardiovascular hasta el análisis de energía dual para la investigación", destacó el representante de Anke.

La gama de productos de Anke se completa con sistemas de rayos X, que incluyen mamografía y radiografía digital.

Diagnóstico Journal LA - 9

HIMSS 2024 y la Transformación Digital en la Salud:

Entrevista al Director de Operaciones del Hospital Austral

Por Ezequiel Domb

Ing. Mariano Peloroso1, Director de Operaciones del Hospital Austral de la Universidad Austral en Argentina, comparte su visión sobre la integración de la inteligencia artificial en la atención médica.

En una conversación reveladora, Mariano Peloloroso, líder en el sector de la salud, nos sumerge en el mundo de la transformación digital en la atención médica. Desde su posición en el Hospital Austral, Mariano ofrece una perspectiva única sobre cómo la inteligencia artificial está revolucionando los procesos asistenciales y de gestión en los hospitales.

"Estamos aquí para aprender y compartir experiencias", afirma Mariano, describiendo el compromiso de su institución con la innovación y la excelencia en la atención médica. Con 250 camas y una sólida base de profesionales, el Hospital Austral se encuentra en una posición privilegiada para aprovechar el potencial de la inteligencia artificial.

Mariano señala que, si bien muchos están dando sus primeros pasos en este viaje de descubrimiento, aún estamos lejos de realizar todo el potencial de la inteligencia artificial en el sector de la salud. "Es una fase de aprendizaje", explica, destacando la importancia de la colaboración entre médicos y tecnología para impulsar verdaderamente la innovación.

"Estamos confiados en dar los primeros pasos y recorrer el camino con paciencia", dice Mariano, reconociendo los desafíos únicos que enfrentan las empresas de salud en América Latina. Desde la deuda técnica hasta la necesidad de reconstruir las bases de datos confiables, el camino hacia la plena integración de la inteligencia artificial es complejo pero emocionante.

Mirando hacia el futuro, Mariano está entusiasmado con las posibilidades que ofrece la tecnología, inspirado por el progreso de otras empresas y prestadores en la región. Con

determinación y visión, Mariano y su equipo están listos para llevar al Hospital Austral hacia nuevas alturas en los próximos años.

Innovación informática

El desarrollo del sistema informático creado para potenciar el manejo de los datos clínicos y administrativos del Hospital Universitario Austral significó una iniciativa de avanzada tanto en Latinoamérica como en el resto del mundo. Se implementó un software específico que, mediante la absoluta informatización de los procesos de gestión, permite obtener beneficios tanto para el paciente, por la cantidad de información, como para la investigación y la docencia.

1 - Ingeniero Industrial por la Universidad de Buenos Aires.

Postgrado de Ingenieria Financiera por la Universidad de Buenos Aires.

Master Bilingüe de Admnistración de Empresas por IESE Bussiness School.

Director de Compra de materias primas y venta por producto –EXIROS / TENARIS and TERNIUM procurement Company. TECHINT GROUP.

Director Interino – Paradigma Consultores Asociados.

Analista Semi Senior de arquitectura empresarial – BankBoston.

Analista de programación y control de producción –Mercedes Benz.

10 - diagnosticojournal.com

Esaote Presenta Innovaciones de Vanguardia y Rebranding en el Congreso Europeo de Radiología.

Desde el piso del Congreso Europeo de Radiología en Viena, tuvimos el privilegio de entrevistar a Giampaolo Bonaldi, Gerente de Marketing de Downstream para Ultrasound en Esaote, quien nos ofreció una visión fascinante de las últimas novedades de la empresa.

"Estamos emocionados de presentar nuestra nueva identidad de marca en este evento destacado. El rebranding de Esaote va más allá de un simple cambio de logo; representa nuestra visión renovada y nuestro compromiso con la salud y el cuidado", compartió Bonaldi con entusiasmo.

El rebranding de Esaote se centra en tres pilares fundamentales: salud, cuidado e inclusión. "La salud es nuestra razón de ser, mientras que el cuidado refleja nuestra dedicación a proporcionar atención de calidad tanto a profesionales como a pacientes. La inclusión destaca nuestra conexión con las personas en todas las facetas de nuestro negocio", explicó Bonaldi.

En el evento, Esaote presenta tres líneas de negocio distintas. La primera es la imagen de resonancia magnética (MRI), seguida de la tecnología de la información médica (IT médica). Sin embargo, el foco principal está en el ultrasonido (Ultrasound).

Para el Ultrasound, Esaote está presentando el X90, un producto premium lanzado el año pasado que ofrece versatilidad y funcionalidad excepcionales. "El X90 es ideal para aplicaciones intervencionales, hepáticas y musculoesqueléticas, y está diseñada para satisfacer las demandas de los radiólogos más exigentes", detalló Bonaldi

Además, Esaote está lanzando la nueva A70, una plataforma completamente nueva que destaca por su agilidad y adaptabilidad. "El A70 es un sistema versátil diseñado para una amplia gama de usuarios y aplicaciones, incluyendo cardiología, obstetricia y ginecología", añadió Bonaldi. El A70 se distingue por su capacidad de funcionar con batería,

lo que la hace ideal para entornos móviles.

Ambos sistemas, X90 y A70, están equipados con monitores Barco de alta calidad para garantizar una visualización óptima y una experiencia de usuario excepcional.

En resumen, las innovaciones presentadas por Esaote en el Congreso Europeo de Radiología reflejan su compromiso continuo con la excelencia y la mejora en el campo de la radiología, y dejan claro que la empresa está liderando el camino hacia un futuro más brillante y prometedor para la atención médica.

Diagnóstico Journal LA - 11
Por Bárbara Domb

Barco Revoluciona la Radiología con Innovaciones de Vanguardia en el Congreso Europeo de Radiología

Desde el corazón del Congreso Europeo de Radiología en Viena, tuvimos el privilegio de hablar con Carlos Lacima de la empresa Barco, quien nos dio una visión emocionante de las últimas innovaciones que la compañía está presentando en el campo de la radiología.

"Estamos entusiasmados de presentar tres productos revolucionarios que están destinados a transformar la forma en que se practica y se entiende la radiología", anunció Lacima con entusiasmo.

El primer producto destacado es un monitor de diagnóstico de 8 megapíxeles diseñado específicamente para la teleradiología. Esta solución permite a los profesionales trabajar y realizar informes desde la comodidad de sus hogares, conectándose a través de cualquier dispositivo portátil. Este avance no solo mejora la accesibilidad y la eficiencia, sino que también garantiza la calidad y la precisión en el diagnóstico radiológico, incluso fuera del entorno clínico tradicional.

En la sección dedicada a la mamografía, Barco está presentando un emocionante nuevo plugin de inteligencia artificial diseñado para ayudar a los radiólogos en la detección temprana de tumores en mamas densas. Esta innovación promete revolucionar el proceso de lectura de mamografías al proporcionar un apoyo valioso y una mayor precisión en la identificación de anomalías, lo que podría llevar a diagnósticos más tempranos y mejores resultados para los pacientes.

Además, Barco está dando un paso adelante en la interacción entre radiólogos y cirujanos con el lanzamiento de un prototipo de monitor 3D sin gafas. Diseñado específicamente para su uso en la zona de pre cirugía, este monitor innovador facilitará la comunicación y la colaboración entre los equipos médicos al ofrecer una visualización tridimensional precisa y sin esfuerzo de imágenes radiológicas complejas.

Esta herramienta promete mejorar la planificación y la ejecución de procedimientos quirúrgicos, proporcionando una nueva dimensión de claridad y comprensión para los profesionales de la salud.

"Estamos emocionados de presentar estas tres innovaciones en el Congreso Europeo de Radiología, y creemos que cada una de ellas tendrá un impacto significativo en la práctica clínica y en la experiencia del paciente", concluyó Lacima.

La presencia de Barco en este congreso destaca su compromiso continuo con la excelencia y la innovación en el campo de la radiología, y deja claro que están liderando el camino hacia un futuro más brillante y prometedor para la atención médica.

14 - diagnosticojournal.com
Por Bárbara Domb

Digitalización y teleradiología para la detección temprana del cáncer de pulmón

La herramienta es un software con IA que monitorea al instante los análisis de cualquier tomógrafo y agiliza el diagnóstico de patologías como el cáncer de pulmón.

Buenos Aires, 16 de Febrero de 2024– Una innovadora iniciativa de teleradiología para acelerar el diagnóstico temprano del cáncer de pulmón en áreas remotas y desatendidas de Argentina fue puesta en marcha por la Fundación Philips. Junto con la Fundación FUCA (Fundación para la Investigación, Docencia y Prevención del Cáncer) buscan dar acceso a atención médica de calidad a 100 millones de personas para 2030 en comunidades desatendidas.

Este modelo garantiza un uso eficiente de los recursos y agiliza la comunicación a través de la red, lo que mejora significativamente las capacidades de diagnóstico y acerca los servicios de atención médica críticos a los pacientes.

En una primera instancia, se está trabajando en la firma de un acuerdo con la Secretaría de Salud de la Provincia de Corrientes incorporando los primeros 4 hospitales y los siguientes 9 se estarán incorporando a lo largo del año.

El diseño escalable y sostenible de este proyecto garantiza un acceso más amplio al diagnóstico temprano, que es clave para mejorar los resultados de los pacientes y aumentar las posibilidades de curación.

En este modelo de integración, la Fundación FUCA colabora con el Instituto Alexander Fleming (IAF) como centro principal, para brindar experiencia y capacitación radiológica especializada. Los 13 hospitales regionales que participan en la iniciativa funcionan como portavoces, para ampliar el acceso a servicios de radiología avanzada en áreas remotas.

Necesidad crítica de detección temprana

Dado que la Organización Mundial de la Salud proyecta un aumento del 47,8 % en los casos de cáncer en Argentina para 2040, y en América del Sur un aumento del 76,2 %[1], esta iniciativa llega en un momento crucial. El cáncer de pulmón, al ser la principal causa de muerte en América Latina y el Caribe[2], también pone de relieve la necesidad apremiante de una detección temprana.

“Para nosotros en Philips Argentina, esta iniciativa es una gran oportunidad de colaboración con la Fundación Philips y la Fundación FUCA que nos permite extender servicios de atención médica vitales a comunidades que antes estaban fuera de nuestro alcance. Al introducir tecnología avanzada de telerradiología, estamos facilitando la detección temprana y precisa del cáncer de pulmón, un paso fundamental para ampliar el acceso a la atención médica en el país. Este proyecto no se trata solo de tecnología; se trata de la colaboración de diversos actores para hacer una diferencia tangible y positiva en las vidas de quienes durante mucho tiempo han carecido de servicios de salud esenciales", dice Guido López, Gerente General de Philips Argentina.

16 - diagnosticojournal.com

ECR Identidad naranja

Por Bárbara Domb

Reportaje desde el Congreso Europeo de Radiología: Entrevista con Jorge Quant, Director Global de Marketing de Carestream.

En el reciente Congreso Europeo de Radiología celebrado en Viena, tuvimos el privilegio de conversar con Jorge Quant, Director Global de Marketing de Carestream. Entre los bulliciosos pasillos del evento, Quant compartió las estrategias y visión que está llevando a Carestream hacia un futuro prometedor.

Retomando la Identidad de Marca:

Entre los aspectos más destacados de la conversación estuvo el enfoque en retomar la identidad corporativa de Carestream, representada por el color naranja. "Hemos sido conocidos y reconocidos por el naranja, y queremos seguir siendo los dueños de ese color", comentó Quant. Esta decisión se enmarca en una estrategia más amplia de fortalecimiento y homologación de la marca en todo el mundo. Una de las iniciativas clave en este proceso ha sido la formación de una Organización Mundial de Marketing, un cambio significativo desde la anterior estructura de organizaciones regionales. Si bien reconocen los beneficios de tener equipos regionales familiarizados con los mercados locales, también valoran la importancia de construir una propuesta de valor coherente y unificada que abarque todos los segmentos de clientes y geografías.

Diversificación y Foco en las Unidades de Negocio: Carestream ha experimentado una reestructuración para alinearse con un enfoque más global y dividir su negocio en dos unidades principales: Radiografía Digital y Consumibles. La unidad de Radiografía Digital se centra en tecnologías digitales avanzadas, mientras que la unidad de Consumibles abarca productos como la película, los inyectores y otros consumibles relacionados.

Quant destacó el continuo crecimiento del negocio de película, especialmente en regiones como Latinoamérica e India, donde la demanda de servicios de salud aún depende de la impresión en película. Además, señaló el papel clave que desempeñan las tecnologías de Carestream en aplicaciones de pruebas no destructivas, como la inspección de seguridad en la industria aeroespacial y automotriz. Innovación centrada en el Cliente:

Una parte fundamental de la estrategia de Carestream es llevar la tecnología más allá de sus características técnicas y destacar los beneficios tangibles para los clientes. Esto implica un enfoque en mejorar la calidad de imagen, reducir la dosis de radiación para los pacientes y optimizar los flujos de trabajo para los profesionales de la salud.

Quant subrayó la importancia de entender las necesidades y desafíos de los distintos stakeholders involucrados en el proceso de toma de decisiones, desde los radiólogos hasta los profesionales de TI y los financieros de los hospitales. En un entorno donde las decisiones de adquisición son cada vez más colaborativas, Carestream se esfuerza por adaptar sus soluciones a las preocupaciones específicas de cada audiencia. “El compromiso de todo el personal de Carestream es ofrecer la mejor experiencia para el cliente, en la

industria a través de la coherencia en nuestro trabajo diario “ Agregó Quant.

Flexibilidad y Escalabilidad en la Tecnología: Una de las áreas de enfoque es el desarrollo de plataformas tecnológicas escalables, como es el sistema de rayos X Carestream DRX-Compass , que es una unidad fácil de actualizar, con una amplia gama de características avanzadas y opciones para satisfacer las diferentes necesidades de las áreas de radiología. Dispone de seguimiento automático vertical y centrado automático, entre otras opciones, para soportar una amplia gama de exámenes.

Desarrollado para facilitar el posicionamiento, este sistema reduce el tiempo de preparación y aumentar el rendimiento de todas las instalaciones. Su interfaz de usuario gráfica e intuitiva reduce el tiempo de formación de los radiólogos y permite un inicio de sesión seguro y rápido. La opción de toma de imágenes de gran longitud automática es especialmente útil para los pacientes con problemas para estar de pie o para niños pequeños que no pueden mantenerse quietos durante largos períodos de tiempo.

"Cualquiera que sea su modalidad en este momento, y dondequiera que necesite ir en el futuro, tenemos la estrategia de actualización para llevarlo allí, sin problemas", añadió Jorge Quant "El DRX-Compass está diseñado para mantener los costos en línea con las necesidades de un centro, al ser escalable y actualizable".

Conclusiones:

La entrevista con Jorge Quant ofrece una visión fascinante del rumbo que está tomando Carestream en un mercado de radiología en constante evolución. Desde la revitalización de la identidad de marca hasta la innovación centrada en el cliente y la flexibilidad tecnológica, Carestream demuestra su compromiso con la excelencia y la adaptabilidad en un mundo de cambios rápidos y demandas variadas.

Diagnóstico Journal LA - 17

Annalise.ai: Transformando el Diagnóstico

Radiológico con Inteligencia Artificial

Por Bárbara Domb

Durante el reciente Congreso Europeo de Radiología en Viena, tuvimos el privilegio de entrevistar a Dimitry Tran, cofundador de Annalise.ai, una empresa que está marcando la pauta en el campo de la radiología con su innovadora plataforma de inteligencia artificial (IA).

"En Annalise.ai, construimos una IA que asiste a los radiólogos para que sean más eficientes y confiables en sus reportes", explicó Tran al comienzo de nuestra conversación. Señaló la creciente escasez de radiólogos en todo el mundo, un desafío particularmente pronunciado en Latinoamérica. La complejidad del trabajo de los radiólogos es impresionante: en un minuto deben examinar una serie de imágenes en busca de hasta anomalías diferentes en una simple radiografía de tórax. Esta tarea monumental requiere precisión y velocidad.

Tran resaltó que, si bien hay varias soluciones de inteligencia artificial disponibles en el mercado, la mayoría sólo identifica un número limitado de anomalías. En contraste, Annalise.ai se destaca por su capacidad única para detectar y clasificar hasta 130 anomalías en una tomografía computarizada (TC) cerebral sin contraste y 124 en una radiografía de tórax. "Nuestro producto es como una prueba completa de la A a la Z", afirmó Tran. "No se limita a identificar solo algunas anomalías; cubre todo el espectro desde A hasta Z".

Una de las características más impresionantes de Annalise. ai es su amplia adopción a nivel mundial. Tran reveló que su producto ya está siendo utilizado por aproximadamente 5 millones de pacientes cada año en todo el mundo, con un tercio de los radiólogos en Australia, donde se encuentra la empresa, utilizando su plataforma.

Con entusiasmo, Tran compartió los planes de expansión de Annalise.ai en América Latina, destacando a Brasil, México y otros países de la región como mercados clave para su cre -

cimiento futuro. "Estamos emocionados por llevar nuestra tecnología a más países latinoamericanos", afirmó. "Creemos que nuestra plataforma puede marcar una diferencia significativa en la atención médica radiológica en la región, al proporcionar a los radiólogos las herramientas necesarias para ofrecer diagnósticos más precisos y eficientes".

La entrevista con Dimitry Tran revela el potencial transformador de Annalise.ai en el campo de la radiología, ofreciendo una visión emocionante de cómo la inteligencia artificial está mejorando la atención médica y abordando los desafíos actuales en el diagnóstico radiológico.

18 - diagnosticojournal.com

Desarrollando un Ecosistema de Salud Global

Entrevista con Niccolo Stefani, Vicepresidente de Desarrollo Clínico - Equipo Directivo de DeepHealth

En una conversación durante el evento para la prensa con un riquísimo desayuno en el Hotel Meliá, la mañana antes de comenzar el Congreso Europeo de Radiología, tuvimos el privilegio de hablar con Niccolo Stefani, Vicepresidente de Desarrollo Clínico del equipo directivo de DeepHealth Niccolo nos brindó una visión clara de cómo DeepHealth, que es anteriormente parte de RadNet, la red americana de centros de diagnóstico por, imagen está evolucionando para abordar los desafíos globales en el cuidado de la salud.

Evolución de DeepHealth:

Niccolo compartió el origen de DeepHealth como una empresa subsidiaria un spin-off de RadNet, una institución médica de diagnóstico por imagen líder en América del Norte con más de 350 centros en Estados Unidos. DeepHealth, con su línea Saige Breast, comenzó como una solución para imágenes mamarias dentro de RadNet. Desde entonces, han adquirido otras compañías, como Quantib y Aidence, centradas en la inteligencia artificial para el cáncer de próstata y pulmón, y eRAD centrada en tecnología para la salud.

Desarrollo de un Ecosistema Integral:

DeepHealth está avanzando hacia el desarrollo de un ecosistema de salud más amplio, que incluye no solo inteligencia artificial clínica (IA), sino también un sistema operativo (OS) que unifica y conecta los procesos clínicos y operativos. Este sistema servirá como un espacio de trabajo en la nube, diseñado para equipos de atención médica específicos, como radiólogos y tecnólogos. Por ejemplo, están desarrollando soluciones para permitir la adquisición remota de imágenes por resonancia magnética (MRI) y tomografía computarizada (CT), lo que podría ser especialmente útil en áreas donde la disponibilidad de tecnólogos es limitada.

IA en Imágenes de Mama:

Niccolo explicó cómo funciona la IA en el contexto de las imágenes mamarias. El software analiza las imágenes de mamografía y proporciona una evaluación del riesgo de las lesiones detectadas. Esta tecnología ayuda a los radiólogos a identificar las lesiones sospechosas con mayor precisión y eficiencia, lo que puede conducir a una detección temprana del cáncer de mama.

Diferenciación en IA:

Una de las fortalezas de DeepHealth radica en su asociación integración de sus productos con grandes instituciones clínicas como RadNet Niccolo destacó que esta asociación proporciona un amplio conjunto de datos clínicos diversos, lo que aumenta la confiabilidad y robustez de sus algoritmos de IA en comparación con competidores menos integrados en el ámbito clínico.

Colaboraciones con Empresas de Equipos Médicos: DeepHealth está colaborando estrechamente con empresas de equipos médicos como GE Healthcare y Philips para integrar sus algoritmos de IA en los sistemas existentes. Están explorando asociaciones para aplicaciones específicas, como la biopsia de próstata, y están abiertos a trabajar con distribuidores para expandir su alcance global.

Futuro en Latinoamérica:

Aunque aún no tienen distribuidores en Latinoamérica, Niccolo expresó el compromiso de DeepHealth de expandirse globalmente y asegurarse de que sus soluciones sean accesibles en todos los lugares, incluida América Latina. Están trabajando para garantizar que su tecnología sea adaptable y escalable para satisfacer las necesidades específicas de cada región.

La entrevista con Niccolo Stefani ofrece una perspectiva valiosa sobre cómo DeepHealth está liderando el camino hacia un futuro más integrado y centrado en el paciente en el campo de la salud global. Su enfoque en la innovación, la colaboración y la adaptabilidad promete transformar la forma en que se abordan los desafíos de salud en todo el mundo.

Diagnóstico Journal LA - 19

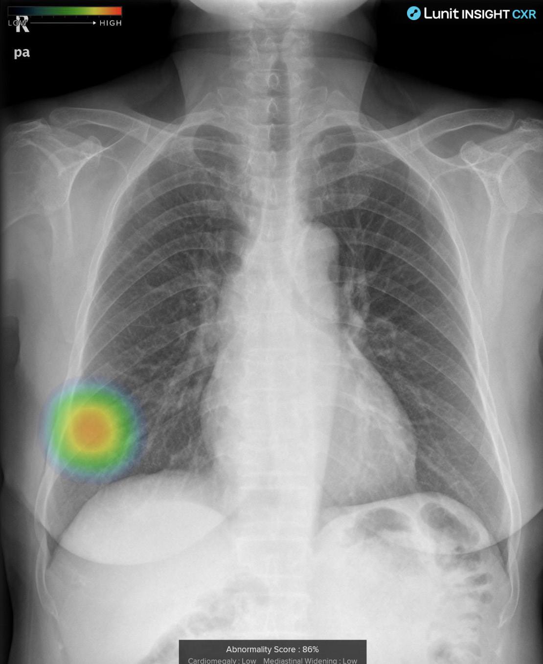
Lunit: Revolucionando la Radiología con Inteligencia Artificial

Desde el corazón del Congreso Europeo de Radiología en Viena, tuvimos el privilegio de entrevistar a Stefan Mercurio, responsable de Europa del Sur en Lunit, una empresa coreana líder en inteligencia artificial aplicada a la radiología.

"Lunit se fundó hace 10 años con el propósito de transformar la radiología mediante el poder de la inteligencia artificial", nos dijo Mercurio al inicio de la entrevista. "Nuestra misión es brindar soluciones innovadoras que ayuden a los profesionales médicos a realizar diagnósticos más rápidos, precisos y confiables".

Una de las principales aplicaciones desarrolladas por Lunit es Insight CXR, diseñada para la interpretación automatizada de radiografías de tórax. "Con Insight CXR, podemos detectar más de 10 anomalías comunes, como nódulos, consolidaciones y neumotórax, con una precisión asombrosa", explicó Mercurio. "Esto es especialmente crucial en entornos de emergencia, donde cada minuto cuenta y los médicos deben tomar decisiones rápidas y precisas".

El software de Lunit no solo identifica las anomalías, sino que también proporciona una evaluación de la probabilidad de su presencia, lo que ayuda a los médicos a priorizar y planificar el tratamiento de manera más efectiva. "Nuestro software ha sido utilizado en todo el mundo durante la última década, incluyendo países de América Latina como México y Brasil", destacó Mercurio.

Otra innovadora aplicación de Lunit es Insight MMG, diseñada para el cribado de cáncer de mama. "El cribado de cáncer de mama es un desafío debido a la gran cantidad de pacientes asintomáticas que deben ser evaluadas", señaló Mercurio. "Nuestra IA ayuda a los radiólogos a identificar de manera más precisa las lesiones mamarias, lo que reduce el estrés del médico, aumenta la productividad y mejora la atención al paciente".

Lunit no solo está presente en hospitales, sino que también está colaborando en proyectos regionales de cribado y discutiendo asociaciones con programas nacionales de salud. "La IA es la clave para abordar la escasez de radiólogos y el aumento en la demanda de mamografías, especialmente con programas de cribado que buscan expandir la ventana de edad de detección", explicó Mercurio.

En resumen, Lunit está liderando la revolución en radiología con soluciones innovadoras que están transformando la forma en que se realizan los diagnósticos y mejorando la atención médica en todo el mundo.

20 - diagnosticojournal.com

Mindray Presenta Innovaciones en Equipos Médicos en el ECR 2024

Desde el prestigioso Congreso Europeo de Radiología en Viena, tuvimos el honor de conversar con Rodrigo Jesus, representante de ventas de Mindray Brasil, sobre las últimas innovaciones en equipos médicos presentadas por la empresa.

"En Mindray, estamos emocionados de presentar una gama de equipos de vanguardia que están redefiniendo la forma en que se realiza la radiología y la ultrasonografía", comenzó Rodrigo Jesus.

Entre los equipos destacados se encuentra el MobiEye 700, un sistema de rayos X móvil motorizado que representa una evolución significativa en la tecnología de rayos X móviles. "El MobiEye 700 es autónomo y tiene una alta capacidad para producir imágenes de calidad, con la opción adicional de control remoto para facilitar la movilidad y la toma de imágenes", explicó Jesus.

Otro producto destacado es el DigiEye 350, un sistema de rayos X fijo que ofrece automatización en el sincronismo del buque mural y el colimador. "Con el DigiEye 350, el técnico de rayos X no necesita ajustar manualmente el buque mural y el colimador, ya que el equipo lo hace automáticamente", agregó.

En el ámbito de la ultrasonografía, Mindray presenta el portable MX7, equipado con la avanzada plataforma ZST. "El MX7 ofrece una resolución de imagen excepcional, similar a la de un equipo de alta gama, en un formato portátil", des-

tacó Jesus. "Además, ofrece características como Doppler muy sensible y tecnología de contraste por microburbujas".

Para los equipos fijos de ultrasonido, Mindray presenta el Resona i8, un lanzamiento que incorpora una plataforma de alta gama con software avanzado, incluyendo elastografía ShareWave y contraste por microburbujas. "El Resona i8 ofrece recursos de equipos de alta gama a un costo más accesible", resaltó Jesus.

Otras novedades incluyen el Consona N9, que combina características de la línea Resona con un diseño más compacto, y el Resona R9, un equipo premium con la función ShareWave por atenuación, muy demandada por los médicos.

Además, Mindray introduce el TE Air, un ultrasonido portátil tipo Hand Probe con características únicas, como Tissue Doppler y Power Doppler, y la capacidad de sincronizarse con dispositivos móviles o incluso con un anteojo que le permite al usuario activar funciones con solo dirigir la mirada a la función deseada.

"Estas innovaciones representan nuestro compromiso continuo con la excelencia en el campo de la radiología y la ultrasonografía", concluyó Jesus. "Estamos entusiasmados de poder ofrecer estas soluciones avanzadas a profesionales de la salud en todo el mundo".

Diagnóstico Journal LA - 21

GRAN BUENOS AIRES RAYOS X S.A.

Sistemas de digitalización directa DR

Actualización para equipos de radiodiagnóstico

Disponibilidad de diferentes estándares de detectores digitales con la combinación de los mismos según se requiera.

Ideal relación costo beneficio.

Máxima tecnología disponible para la mejor calidad de imagen.

MAYOR VIDA ÚTIL.

MAYOR PRODUCTIVIDAD.

MENOR RADIACIÓN.

DETECTORES DIGITALES DIRECTOS conec idad eléctrica cableada o inalámbrica ifi

- Conec idad eléctrica (sin baterías)

Permiten ser instalados en eq ipos con encionales de forma fija o mó iles para intercambiar entre ambos Po er B ck por s conec idad eléctrica “no req ieren mantenimiento”

- Inalámbricos (con baterías)

Permiten ser instalados en eq ipos con encionales, para intercambiar entre ambos Po er B ck por s conec idad “ ifi” p eden ser li ados f era de los po er b ck con pacientes en camillas o en sillas de r edas. El mantenimiento se limita al cambio de baterías.

ESTACION DE ADQUISICION DR con monitor LCD ” (p lgadas) tác l.

- Herramientas para is ali ación procesamiento de imágenes.

- Salida bajo normas DICOM . a red, impresora o CD/DVD, e portación de imágenes ía USB

DETECTORES DIGITALES DIRECTOS inalámbrico ifi Permiten ser instalados en eq ipos con encionales, para intercambiar entre ambos Po er B ck por s conec idad “ ifi” p eden ser li ados f era de los po er b ck con pacientes en camillas, en sillas de r edas o en eq ipos rodantes f era de la sala de ra os

ESTACION DE ADQUISICION DR con monitor LCD ” (p lgadas) tác l

- Herramientas para is ali ación procesamiento de imágenes.

- Salida bajo normas DICOM . a red, impresora o CD/DVD, e portación de imágenes ía USB.

DETECTOR AERO KONICA MINOLTA

Caracterís cas.

– Inalámbrico ( ifi) sin baterías, con capacitor incorporado al c erpo del panel con la misma ida l q e éste permite n empo de hasta horas en stand b (ente horas de so con n o). Estr ct ra monocasco resistente a líq idos (IPX ). S sólida constr cción permite absorber golpes caídas e ent ales, admi endo soportar hasta kgrs. de peso sobre c alq iera de s s s perficies planas.

@GBARXSA

/GBARXSA

Visita nuestro renovado sitio web:

CONTACTANOS

Agfa en HIMSS Orlando: Avances en Soluciones RIS PACS para Latinoamérica

Marcelo Espinoza , líder de Agfa para Latinoamérica, comparte las últimas innovaciones en tecnología médica durante el evento HIMSS en Orlando.

Desde México hasta Chile, Agfa se destaca como proveedor líder de soluciones RIS PACS en la región latinoamericana. En el escenario del HIMSS, Marcelo presentó la última versión de su plataforma, ahora disponible en la nube y repleta de funcionalidades avanzadas.

Con un enfoque en la accesibilidad y la eficiencia, Agfa ha desarrollado capacidades para permitir diagnósticos médicos en una plataforma 100% web. Su visualizador, denominado Xero, ha sido reconocido como el número uno a nivel mundial, un logro del que Marcelo y su equipo se enorgullecen.

Además de presentar estas innovaciones, Agfa también está integrando su plataforma con herramientas de inteligencia artificial, como Ruby, para mejorar aún más la experiencia del usuario y la precisión diagnóstica.

La nueva versión de la solución de Agfa busca centralizar imágenes médicas más allá de la radiología, abarcando áreas como la cardiología y la gastroenterología. Esto proporciona a los hospitales una solución integral que no solo mejora la eficiencia, sino que también permite a los pacientes acceder a sus estudios e imágenes médicas a través de un portal en línea.

Con estas mejoras, Agfa se posiciona como un socio indispensable para los hospitales latinoamericanos en su búsqueda de tecnología médica de vanguardia y atención centrada en el paciente.

También entrevistamos a Douglas Livrari de Konimagem, representante de Agfa en el mercado brasilero.

ales a los clientes. La primera posición en la categoría KLAS Universal Viewer refuerza el compromiso de AGFA con la excelencia del cliente y también significa su inquebrantable dedicación a ofrecer soluciones de vanguardia en el mercado de imágenes de EE.UU. y más allá.

AGFA HealthCare anuncia con orgullo que ha sido honrado con el premio Best in KLAS para 2024, logrando el puesto número uno en la categoría KLAS Universal Viewer (Imaging).

El informe Best in KLAS reconoce a las organizaciones que apoyan a los proveedores de atención médica que brindan atención optimizada al paciente, y los premios se basan en amplios comentarios y evaluaciones de profesionales de la salud.

Este reconocimiento afirma el compromiso inquebrantable de AGFA HealthCare de brindar valor y soporte excepcion-

Diagnóstico Journal LA - 25

Time Medical Systems: Innovación en Resonancias Magnéticas para Necesidades Específicas

Por Bárbara Domb

Durante el reciente Congreso Europeo de Radiología en Viena, tuvimos el privilegio de hablar con Alec Leung y Monica Chan de Time Medical Systems, una empresa líder en el campo de las resonancias magnéticas (MRI). Desde su fundación en 2008, Time Medical se ha destacado por su compromiso con el desarrollo de tecnologías de MRI avanzadas y accesibles, centrándose en ofrecer soluciones específicas para diversas necesidades médicas.

"En Time Medical, nos centramos en el desarrollo de MRI especializadas que aborden necesidades específicas en lugar de ofrecer MRI de cuerpo completo", explicó Alec Leung. "Nuestro enfoque nos ha permitido diferenciarnos en el mercado y proporcionar soluciones adaptadas a nichos específicos".

Uno de los productos clave de Time Medical es su MRI para bebés, una innovación vital para salvar vidas que puede instalarse directamente en unidades de cuidados intensivos neonatales. Esta MRI elimina la necesidad de traslados largos y potencialmente riesgosos para bebés enfermos, permitiendo un diagnóstico rápido y preciso en un entorno controlado y seguro.

"La MRI para bebés es una herramienta crucial para los neonatólogos y médicos que trabajan con recién nacidos enfermos", comentó Monica Chan. "Nos enorgullece ofrecer una solución que puede marcar la diferencia en la vida de los pacientes más vulnerables".

Otro producto destacado de Time Medical es su MRI para el cribado de cáncer de mama, que ofrece importantes ventajas sobre la mamografía tradicional. Esta MRI proporciona una cobertura completa de los ganglios linfáticos y ofrece mayor comodidad para las pacientes al eliminar la necesidad de compresión del pecho.

"La MRI para el cribado de cáncer de mama representa un avance significativo en la detección temprana y precisa del cáncer de mama", señaló Alec Leung. "Estamos comprometidos en llevar esta tecnología a diversas instituciones médicas para mejorar la atención y el tratamiento de las pacientes".

Además de sus productos actuales, Time Medical está trabajando en el desarrollo de una MRI cerebral de campo ultra alto para la detección temprana del Alzheimer. Aunque actualmente se centran en escaneos preclínicos para la investigación con animales, tienen planes a largo plazo para implementar esta tecnología en entornos clínicos.

"Estamos entusiasmados con el potencial de nuestra MRI cerebral para contribuir a la detección temprana y el tratamiento del Alzheimer", afirmó Monica Chan. "Nuestro obje -

tivo es seguir avanzando en la investigación y la innovación para ofrecer soluciones que impacten positivamente en la salud y el bienestar de las personas".

Con la aprobación de la FDA de EE.UU. para su MRI para bebés y conversaciones avanzadas para la instalación de su MRI para el cribado de cáncer de mama en diversas instituciones médicas, Time Medical Systems está demostrando su compromiso con la innovación y la excelencia en el campo de la radiología.

28 - diagnosticojournal.com

Cena por lo 50 años del CMRI

Diagnóstico Journal LA - 29
Por Igor Barragan

Presidente y CEO de GE HealthCare América Latina

Con más de 30 años de experiencia en diversas áreas e industrias, ¿cómo piensa que esa trayectoria lo ha preparado para liderar GE HealthCare en América Latina?

Afortunadamente, he tenido la oportunidad de trabajar en empresas de primer nivel de la industria de la salud, como Allergan Pharmaceuticals, Johnson & Johnson y Roche Diagnostics, entre otras. Creo que los años en estas empresas me han ayudado a consolidar mi estilo de liderazgo y me han enseñado muchísimo.

Estoy muy honrado de que GE HealthCare me haya seleccionado para continuar impulsando a la compañía en la región, apoyando clientes y pacientes. América Latina es una región muy importante para la compañía, con mercados que representan grandes desafíos, pero también inmensas oportunidades tanto en el sector público como privado.

Este año en GE HealthCare estamos celebrando nuestro primer año como empresa independiente, luego de la edición planificada de GE. 2023 ha sido un gran año en términos de crecimiento y desarrollo en el mercado, donde pudimos consolidar nuestra posición apoyando a cientos de clientes a ofrecer mejores soluciones diagnósticas a sus pacientes.

Estoy convencido de que en 2024 continuaremos en este camino de trabajar más cerca de nuestros clientes y sus necesidades de la mano de soluciones innovadoras que incorporen los últimos avances en esta rama, estimulando el crecimiento sostenible basado en nuestras innovaciones tecnológicas.

Considerando sus antecedentes en liderazgo dentro del sector sanitario, ¿cuáles identifica como los principales desafíos y oportunidades para GE HealthCare en la región latinoamericana en la actualidad?

Creo que, actualmente, los principales retos de la región incluyen la accesibilidad a la atención médica de calidad, la adaptación a las regulaciones y normativas locales, así como la necesidad de personalizar soluciones según las características específicas de cada país. Sin embargo, veo grandes oportunidades en la creciente demanda de tecnología médica de vanguardia, el aumento de la conciencia sobre la importancia del cuidado de la salud y el impulso hacia la digitalización de los sistemas de salud en la región.

En GE HealthCare estamos dedicados ofrecer la mejor tecnología para el diagnóstico por imágenes, mejorando la experiencia de los pacientes y de los profesionales de la salud. Estamos enfocados en dar forma al futuro de la atención médica mediante el avance de la inteligencia artificial y el aprendizaje profundo, optimizando flujos de trabajo, aumentando la eficiencia y aprovechando colaboraciones estraté -

gicas con nuestros partners de todo el mundo como Mass General Brigham, Mayo Clinic, University Hospitals (UH), Stanford Medicine, Novo Nordisk, SOFIE Biosciences y Nucleus RadioPharma, entre otros.

Esta dedicación se hace patente cuando analizas que, por segundo año consecutivo en 2023, con 58 equipos, GE HealthCare encabezó la lista autorizaciones de dispositivos médicos habilitados para inteligencia artificial de la Administración de Alimentos y Medicamentos de los Estados Unidos (FDA).

Habla sobre la importancia de la innovación para mejorar la prestación de soluciones sanitarias. ¿Puede compartir alguna iniciativa innovadora que planee implementar en la región y cómo cree que impactará en los clientes?

La innovación es fundamental para mejorar la prestación de soluciones sanitarias y GE HealthCare está comprometida con este enfoque. Una iniciativa innovadora que planeamos implementar en la región es la expansión de soluciones de telemedicina y la integración de inteligencia artificial en nuestros equipos médicos. Esto permitirá una atención más personalizada, eficiente y accesible para nuestros clientes en toda América Latina, especialmente en áreas remotas donde el acceso a servicios de salud puede ser limitado.

El año pasado estuvimos presentes nuevamente en RSNA, el evento de radiología más importante del mundo. Allí presentamos más de 40 innovaciones, entre las que se incluyen varias tecnologías clave basadas en IA para imagenología y ultrasonido, como AIR Recon DL y AIR Recon DL 3D –algoritmos de aprendizaje profundo que reduce los tiempos de estudio -, VScan Air – un sistema de ultrasonido inalámbrico diseñado para evaluaciones cardíacas y vasculares – y Sonic DL – una tecnología ayuda a los resonadores a adaptarse a la velocidad del cuerpo humano, lo que permite realizar adquisiciones de imágenes que antes no eran posibles. Estos son ejemplos de soluciones que hace años no se podían imaginar y que ahora tienen un impacto real en la rutina de las instituciones sanitarias. Hoy en día, AIR Recon DL, lanzado en 2020, ya representa más de 20 millones de exámenes en todo el mundo.

Anualmente, GE HealthCare invierte más de 1.000 millones de dólares en investigación y desarrollo para seguir estando al frente en el desarrollo de tecnología de vanguardia y el cuidado de los pacientes. Esperamos que esta inversión vuelva a traer más productos nuevos, más soluciones con IA, aumentando la precisión, la eficiencia y la productividad.

Uno de sus objetivos es elevar las capacidades internas de la empresa. ¿Cómo planea fomentar el desarrollo profesional y la retención del talento dentro de GE HealthCa-

32 - diagnosticojournal.com

re en América Latina?

En GE HealthCare entendemos que nuestros colaboradores son la pieza fundamental que nos ha permitido convertirnos en un referente del sector sanitario a nivel mundial. Es por ello que apostamos, no solo a retener a nuestros talentos, sino a incentivarlos constantemente a crecer y expandirse profesionalmente, lo cual hacemos mediante programas de formación continua, oportunidades de crecimiento dentro de la organización y un ambiente de trabajo que promueve la innovación y el trabajo en equipo. Además, buscamos establecer colaboraciones con instituciones educativas y ofrecer programas de mentorías para impulsar el desarrollo de habilidades y conocimientos entre nuestro personal.

Como parte de nuestro legado de GE tenemos fuertes programas de desarrollo de talentos, que hemos adaptado a las necesidades específicas de la compañía. En este sentido hemos reformulado nuestro sistema de evaluación de desempeño, el cual llamamos PACE (Performance Assessment, Coaching and Enablement, por sus siglas en inglés). Este proceso está diseñado para facilitar la definición de prioridades por parte de los empleados, asegurándose que estén en línea con las de su líder directo y a su vez con las de la compañía, y permite realizar un seguimiento de estas para identificar desviaciones. Una comunicación fluida, un fuerte entendimiento de los objetivos y la capacidad de corregir sobre la marcha son clave para el desempeño de todos en la compañía.

Adicionalmente, en los últimos años hemos desarrollado diversos cursos disponibles para todos nuestros empleados en la metodología LEAN, una filosofía de trabajo enfocada en la eficiencia de recursos y procesos que nos permiten mejorar nuestra operación. Estos y otros esfuerzos de capacitación forman parte de la estrategia que tenemos para este 2024 y en adelante en la región.

Dada la diversidad y complejidad de los mercados latinoamericanos, ¿cuáles considera que serán los princi-

pales desafíos para GE HealthCare en la región y cómo planea abordarlos para impulsar el crecimiento y la excelencia operativa?

Nuestra región pasará este año por diversos escenarios. En algunos países tenemos años electorales, en otros se espera se definan cambios en los sistemas de salud, en otros hay mercados en crecimiento. Nuestra región es muy cambiante y requiere equipos enfocados y que conozcan las realidades en cada país. Desde el 2023 operamos en la región bajo la estructura de cinco LCT´s (Local Customer Teams). Estas organizaciones más pequeñas nos permiten tener una mejor llegada a los mercados, entender sus dinámicas y necesidades, y así poder servirlos mejor.

Desde el punto de vista estrictamente de los sistemas de salud, es claro que nuestros países aún lidian con base instalada que requiere actualización, con un déficit de atención en las ciudades pequeñas e intermedias, lo que hace que el cuidado de la salud no sea equitativo en muchas regiones. Para abordar estos desafíos, adoptamos un enfoque flexible y adaptativo potenciando las capacidades de nuestros equipos. Por ejemplo, la incorporación de IA en lo equipos no sólo mejora sustancialmente la calidad de imagen, y así la calidad diagnóstica de los profesionales, sino que reduce significativamente los tiempos de examen. De esta forma, un cliente puede servir a más pacientes en un día, acortando los tiempos de espera y mejorando la experiencia de los pacientes.

En línea con esto, en RSNA 2023 anunciamos el lanzamiento de Theranostics Pathway Manager Tile, disponible en la plataforma de software Command Center de GE HealthCare, que ofrece a los proveedores una aplicación fácil de usar cuyo objetivo es simplificar la pesada tarea de coordinar la vía de atención teranóstica e identificar y hacer un seguimiento de los posibles candidatos teranósticos, un trabajo que hoy en día se realiza manualmente y carece de eficiencia. A este tipo de soluciones nos referimos cuando hablamos de excelencia operativa y enfoque adaptativo

Diagnóstico Journal LA - 33

2 6 - 2 7 - 2 8 se p tiemb re

34 - diagnosticojournal.com ¡Seguinos!

Te cuidamos desde 1964

Nuestros Centros

Ramos Mejía

DIM Odontología Premium

Av. Rivadavia 14.230

DIM Kinesiología de Avanzada

Avellaneda 40

DIM Traumatología

Monteagudo 50

DIM Rivadavia

Av. Rivadavia 14.252

DIM Alta Complejidad

Espora 18

DIM Mujer

Av. Rivadavia 14.282

DIM Ramos Norte

Ardoino 640

DIM Sede Central

Belgrano 136

DIM Belgrano

Belgrano 137

Capital Federal

DIM Caballito

Av. Rivadavia 6.001

DIM Once

Av. Rivadavia 2.198

Ciudadela

DIM Ciudadela

Av. Gaona 3915

Morón

DIM Morón Traumatología

Av. Rivadavia 17.601

DIM Morón

Av. Rivadavia 17.620

DIM Cepem

Machado 750

¿Querés atender en nuestos centros?

Escribinos al 11-2188-2059 o escaneá el QR

Diagnóstico Journal LA - 35 Más de 750 profesionales | Atendemos todas las especialidades Laboratorio | Tomografía | Resonancia | Radiología | Medicina Nuclear

Próximos eventos

MARZO 2024

HIMSS24

11 al 15 de Marzo

Orange County Convention Center Orlando, FL, USA himss.org/global-conference

7th Theranostics World Congress

22 al 24 de Marzo

W Santiago Hotel Santiago, Chile https://www.theranostics-worldcongress.org/

ABRIL 2024

Curso International Skeletal Society

5 y 6 de Abril

Hotel Plaza el Bosque Santiago, Chile sochradi.cl

ACC.24

6 al 8 de Abril

Georgia World Congress Center Atlanta, Gerogia, USA accscientificsession.acc.org

Ultracon 2024 - AIUM

6 al 10 de Abril Austin, Texas, USA ultracon2024.eventscribe.net

26° Congresso Brasileiro de Mastologia

10 al 13 de Abril

Porto Alegre, RS, Brasil www.sbmastologia.com.br

MAYO 2024

54° Jornada Paulista de Radiologia

2 al 5 de Mayo

Transamerica Expo Center San Pablo, Brasil jpr.org.br

Congreso Colombiano de Radiología

16 al 18 de Mayo

Centro de Convenciones Cartagena de Indias, Colombia acronline.org

Hospitalar

21 al 24 de Mayo

Sao Paulo Expo San Pablo, Brasil hospitalar.com

37° Congreso Nacional de la SERAM

22 al 25 de Mayo

Centro de Convenciones Internacionales Barcelona, España seram.es/seram2024/

JUNIO 2024

SNMMI 2024 Annual Meeting

8 al 11 de Junio

Metro Toronto Convention Centre Toronto, Canadá snmmi.org/MeetingsEvents/

FIME 2024

19 al 21 de Junio

Miami Beach Convention Center Miami Beach, FL, USA fimeshow.com

XXXII Congreso del Colegio Interamericano de Radiología CIR2024

VIII Congreso Nacional de Radiología ACRIM

26 al 28 de Junio Hotel Real Intercontinental San José, Costa Rica cir2024.acrim.org

SEPTIEMBRE 2024

53° Congresso Brasileiro de Radiologia e Diagnostico por Imagem CBR24

19 al 21 de Septiembre

Centro de Convencoes de Salvador, Salvador, Bahia, Brasil cbr.org.br/calendario-de-eventos/

Congreso Argentino de Diagnóstico por Imágenes - CADI 2024

26 al 28 de Septiembre

Centro de Convenciones Buenos Aires Buenos Aires, Argentina faardit.org.ar/web/events/congreso-cadi-2024/

OCTUBRE 2024

Congreso Chileno de Radiología CChR24

3 al 5 de Octubre

Centro de Convenciones Metropolitan Santiago, Chile sochradi.cl

XXVIII Congreso Peruano de Radiología

3 al 5 de Octubre

Centro de Convenciones del Hotel los Delfines, San Isidro

Lima, Peru

https://www.socpr.org.pe/

37th Annual Congress of the European Association of Nuclear Medicine

19 al 23 de Octubre

Congress Center Hamburg Hamburgo, Alemania eanm.org/congresses-events/

XXI Congreso de la Federación Latinoamericana de Mastología

24 al 26 de Octubre

Radisson Victoria Plaza Montevideo, Uruguay

https://www.flammastologia.org/

DICIEMBRE 2024

RSNA 2024

1 al 5 de Diciembre

Mc Cormick Place, Chicao, IL, USA www.rsna.org

36 - diagnosticojournal.com

Turn static files into dynamic content formats.

Create a flipbook
Issuu converts static files into: digital portfolios, online yearbooks, online catalogs, digital photo albums and more. Sign up and create your flipbook.