362 - Diagnóstico Marzo

Page 1

Diagnóstico Journal LA - 1 LATINOAMÉRICA www.diagnosticojournal.com Vol. XXXIII - Nº 362 [ Marzo 2023 ] “Let´s Start Strong” Kick Off Philips Hispanic 2023

Editores

Bárbara R. Domb y Ezequiel Domb

Diseño, Diagramación & Portada

Ezequiel Domb

Colaboradores Periodísticos

César Mauricio Rodríguez Olivo

Diego Ruiz

María Virginia Parra

Publicidad

Bárbara Domb

Redacción La Pluma Redactores

Vol. XXXIII N° 362 - Marzo 2023

DIAGNÓSTICO Journal LA

Galicia 919

(1416) Buenos Aires, Argentina +54 911 5664 - 9585 info@diagnosticojournal.com www.diagnosticojournal.com

DIAGNÓSTICO JOURNAL LA is published monthly

6538 Collins Ave. # 335, Miami Beach FL 33141, USA.

Tel. 786.999.0557

Covering since: 92 RSNA, 95 AIUM, 98 AAN, 98 IBMS, 98 ASBMR, 99 ACC, 95 JPR

Los artículos firmados expresan las opiniones de los autores y no reflejan necesariamente la opinión de la Editorial.

Imagen de portada: Doctor on the background of the MRI machine, medical concept. Modern technologies, the future of medicine, scientific research.

Controversias

Hace muchos años que soy editora de Diagnostico Journal, me atrevo a decir que cada vez tengo más y mejor llegada con los médicos, técnicos, las sociedades médicas y las empresas del diagnóstico por imágenes. De hecho, de muchos de ellos me considero amiga. Mi trabajo me da la oportunidad de escuchar las distintas campanas de la medicina, del diagnóstico por imágenes.

Las empresas lanzan nuevas tecnologías o mejoras a las tecnologías existentes y tratan a toda costa de venderlas como superadoras, muchas veces dejando caducas las tecnologías anteriores.

Las empresas más grandes tienen la capacidad de lanzar todas las tecnologías y muchas veces pasa que las empresas más chicas no alcanzan a hacer todo o no lo pueden hacer porque no les es rentable. Por otra parte, los médicos muchas veces aseguran que con las tecnologías más simples se alcanza a ver lo imprescindible. Pero claramente necesitan equipos en buen estado, con mantenimiento, actualizaciones, buen servicio de soporte post venta.

Escuché a muchos usuarios renegar de los softwares de manejo de imágenes, licencias de reconocimiento de voz. Ni hablar cuando un equipo deja de funcionar y se empiezan a acumular los estudios pendientes.

En conclusión, todos, médicos, empresarios, técnicos tienen sus dificultades en su quehacer diario, pero todos trabajan día a día para hacer una mejor medicina y dar una mejor atención al paciente.

Bárbara Domb

Sumario Diagnóstico

[ 06 ]

Rotura no traumática de pseudoaneurisma de la arteria tibial posterior izquierda

[ 08 ] “Let´s Start Strong” - Kick Off Philips Hispanic 2023

[ 15 ] Agfa en RSNA 2022

[ 16 ] ¿Cómo mejorar los tiempos de respuesta?

[ 20 ]

[ 22 ]

[ 26 ]

Oportunidades para reducir costos y aumentar la eficiencia en las operaciones de atención médica

Estudio examina la inflamación del corazón después de vacuna COVID

Curso de Radiología de Urgencias

[ 30 ] Estudio encuentra que la tomosíntesis es mejor para la detección del cáncer de mama

[ 34 ] Reconocimiento Digimed - Mindray

[ 38 ]

Próximos eventos

Editorial
Staff Diagnóstico Journal LA | 5

Rotura no traumática de pseudoaneurisma

de la arteria tibial posterior izquierda

Reporte de caso.

Ezequiel Piedra; German D. Parra; Matías Scherer; Diego F. Bernal; Alexa A. Pozzo. Departamento de Diagnóstico por Imágenes (Clínica Privada DIM). Buenos Aires - Argentina.

Los pseudoaneurismas o falsos aneurismas corresponden a evaginaciones o dilataciones saculares de la túnica adventicia (capa externa de un vaso sanguíneo) que ocurren debido a la pérdida de indemnidad de la túnica íntima, permitiendo de esta manera la extravasación de sangre la cual puede ser contenida por la túnica adventicia o por tejidos perivasculares. A diferencia de los aneurismas verdaderos que son evaginaciones o dilataciones saculares que comprometen las tres capas de los vasos sanguíneos. (Figuras 1 y 2).

Habiendo realizado una breve introducción presentamos a continuación el caso de una paciente femenina de 46 años sin antecedentes patológicos de base, ni traumáticos, quien presentó dolor súbito a nivel de la cara posterior de la pierna izquierda de una semana de evolución que no cedió ante la ingesta de analgésicos, con posterior cambio de coloración de la piel, edema e impotencia funcional. Se decide realizar ecografía Doppler de miembro inferior izquierdo con reporte de hematoma en cara lateral interna de la pierna izquierda y dilatación vascular de paredes finas con presencia de flujo en su interior (signo de Yin-Yang), (Figura 3). Motivo por lo que se le solicita complementar con estudio de mayor complejidad para mejorar el diagnóstico.

Acorde al pedido se realizó Angiotomografía de

miembros inferiores con la administración de contraste endovenoso (Iodado no iónico de baja osmolaridad) mediante bomba de infusión. Se utilizó equipo Philips Multislice Philips TC

6 - diagnosticojournal.com
Figura 1 Anatomía de un vaso sanguíneo arterial. Figura 2 Características diferenciales de los aneurismas, pseudoaneurismas . Figura 3 Dilatación vascular con un diámetro de 17 mm x 24 mm a nivel del tercio medio, de la cara posterior de la pierna izquierda evidenciando el signo Yin-Yang en su interior el cual representa la lesión de la pared vascular con una colección extraluminal de sangre conectada con el vaso principal, característico del estudio Doppler, el cual demuestra una curva con flujo anterógrado y retrógado a nivel del pseudoaneurisma. Figura 4 Corte axial de estudio tomográfico con contraste endovenoso de la pierna izquierda el cual demuestra dilatación de la arteria tibial posterior a nivel del tercio medio. (pseudo aneurisma roto y contenido).

Ingenuity 128 canales en cortes axiales de 1 mm de espesor.

Evidenciando irregularidad parietal y tortuosidad de la arteria tibial posterior izquierda a nivel del tercio medio. Asociada a dilatación sacular y otro de similares características inferior a la descripta. Esta última poco delimitada, de pared irregular con un diámetro de 26 mm. (Figuras 4, 5, 6 y 7). Asociado a alteración de los planos musculares adyacentes y del tejido subcutáneo en toda la extensión de la pierna. Por sus características fue interpretado como pseudoaneurisma roto y contenido.

La paciente fue derivada al servicio de cirugía vascular donde se confirma el diagnóstico y se realiza drenaje del hematoma, exéresis del pseudoaneurisma roto y reparación con By pass tibio-tibial posterior termino-terminal.

La paciente actualmente se encuentra con buena evolución.

La presencia de rotura pseudoaneurismática no traumática en miembros inferiores es una lesión vascular muy poco frecuente que se da debido a la disrupción de la continuidad de la pared arterial sin causa aparente. Patología que de no ser tratada de forma eficaz genera complicaciones severas (ej. impotencia funcional, síndrome compartimental, caída del hematocrito) aumentando el riesgo de morbi-mortalidad de los pacientes. Dado el avance de los métodos de diagnóstico por

imagen este puede ser detectado inclusive antes de que exista sintomatología o complicaciones.

Los autores declaran que no existe conflicto de intereses.

Se preservaron los datos de la paciente como un derecho a la privacidad.

Bibliografía:

E.M. Evangelista Sánchez *, A. Craven-Bartle Coll, J. Martín Canuelo, ˜ E. Doiz Artázcoz y M. Rodríguez Pinero. Pseudoaneurisma de troncos distales de miembros inferiores tras traumatismo.

Gómez-Salazar J,* Tovar-López J,** Hernández-Rodríguez G,*** De la Concha-Ureta H**** Pseudoaneurisma postraumático de arteria tibial anterior secundario a fractura diafisaria de tibia.

D'Souza D, Bickle I, Shaggah M, et al. Falso aneurisma. Artículo de referencia, Radiopaedia.org (Consultado el 5 de marzo de 2023) https://doi. org/10.53347/rID-1326

Diagnóstico Journal LA - 7
Figura 5 y 6 Reconstrucción vascular 3D del pseudoaneurisma.

“Let´s Start Strong” - Kick Off Philips Hispanic 2023

La actividad fue conducida por Alexei Costa y contó con la asistencia de +300 colaboradores. Entre los invitados destacaron las intervenciones de los especialistas de negocios, así como la participación de clientes de Chile y Argentina.

Buscando compartir los lineamientos y objetivos corporativos del año 2023, se realizó el 6 de Febrero el evento Kick Off Philips Hispanic, que este año tuvo como premisa el concepto “Start Strong”. La actividad estuvo liderada por Alexei Costa, General Manager Philips Hispanic y abordó inicialmente temas referentes a los resultados esperados y la estrategia a implementar durante este periodo, optimización comercial directa e indirecta y orientaciones generales para las áreas de canal directo, indirecto e informática.

En tanto, el segundo bloque del encuentro contó con la participación de importantes invitados que compartieron relevantes experiencias con los asistentes. Entre ellos destacaron Christian Pérez, médico radiólogo de la Clínica Indisa, Jefe del Servicio de Imagenología de la Asistencia Pública (Posta Central) y presidente de la Sociedad Chilena de Radiología (SOCHRADI); Lisandro Paganini, subjefe

del Departamento de Diagnóstico por Imágenes y Pablo Jaca, gerente de Sistemas, ambos del Instituto Alexander Fleming (IAF) de Buenos Aires y, Jimena Miragaya, gerente general de Andover Alianza Médica Chile (partner estratégico de Philips).

Estas intervenciones apuntaron a analizar los procesos de digitalización a través de la experiencia práctica de los clientes y la penetración en el uso de nuevas herramientas tecnológicas que permiten avanzar hacia la madurez digital, aportando significativamente en la disminución de la brecha en el acceso a salud de calidad.

En ese sentido, Christian Pérez destacó el hecho de que “Philips cuenta con una alta presencia en distintos hospitales del país, tanto públicos como privados, y la opinión generalizada indica que el uso diario de sus equipos es una muy buena experiencia, especialmente con respecto a todo lo que ha pasado en los últimos años producto de la pandemia de Covid-19, la cual representó un gran desafío para los servicios de radiología. Parte de esos desafíos tienen que ver con el desarrollo de la medicina de precisión y las empresas que nos brindan estas nuevas tecnologías, ya que cobra gran importancia la experiencia de relacionamiento entre los centros hospitalarios y la compañía proveedora”.

8 - diagnosticojournal.com
También relevó la trascendencia de contar con un Por Bárbara Domb Jimena Miragaya y Alexei Costa Alexei Costa y Dr. Lisandro Paganini

socio estratégico que entregue un servicio de calidad y asegure la continuidad de las operaciones. “Para un hospital tener detenida una máquina por X horas se traduce en un retraso de las atenciones médicas, pero si se hacen revisiones programadas todo funciona mejor. La angustia que uno tiene al trabajar con empresas que no cumplen o que no tienen las piezas al momento de realizar la mantención es algo terrible. Por eso es fundamental la planeación y el ser capaces de prevenir posibles situaciones extraordinarias”.

Con respecto al apoyo en temas de gestión hospitalaria que empresas como Philips pueden entregar, el doctor Pérez señaló que “nosotros muchas veces nos fijamos sólo en lo resolutivo que puede ser un equipo en cuanto a tiempo, pero eso tiene que ir vinculado a los periodos de traslado del paciente y al tiempo en el proceso de ingreso para hacerse un examen. Yo trabajo en un centro donde vemos muchos pacientes politraumatizados que vienen con múltiples equipos que están monitorizando su condición de base y es ahí donde es vital que esos

equipos conversan entre sí para que sea más fácil y rápido que esa persona pase de una unidad a otra. Todo esto con el objetivo de entregar una mejor atención, brindar un servicio final de calidad y simplificar el trabajo para el personal médico”.

Luego fue el turno de Jimena Miragaya, quien comentó la extensa relación entre Andover y Philips, la que tras 24 años se ha transformado en una alianza estratégica donde las soluciones Philips se han convertido en el 75% de la facturación de Andover Chile, distribuyendo productos y servicios de postventa. “El presidente del directorio de Andover siempre nos cuenta que cuando compró su primer monitor a Philips, necesitó pedirle dinero prestado a sus familiares y amigos, pero a poco andar tuvo un crecimiento muy importante que nos permitió en 2004 comenzar con la distribución de ecógrafos de ATL y HP. Con los años la relación fue creciendo y ahora somos una empresa mediana de 110 empleados, con un centro de producción y logística de 3500 m², lo que fue posible por tener a una marca como Philips respaldándonos”.

Agregó que “en la actualidad sentimos que Philips realmente se está enfocando en lo que es el canal indirecto, al que se está viendo como un partner, como un socio estratégico. Nuestros objetivos son comunes y radican en entregar un servicio de calidad y oportuno a los pacientes. En tiempos de crisis como el que estamos viviendo, lo primero que tenemos que hacer es unirnos, juntar nuestras fuerzas y enfrentar los desafíos en conjunto, aprovechando que tenemos a Philips en Chile, lo que nos permite ser altamente competitivos y entregar un servicio de calidad mundial respaldado por una compañía con años de prestigio”.

Finalmente, los representantes del Instituto Alexander Fleming (IAF) se refirieron a la experiencia

Diagnóstico Journal LA - 9
Dr. Cristian Perez, Presidente de la Sociedad Chilena de Radiología y Alexei Costa Alexei Costa con el equipo chileno

en el uso de equipos y soluciones informáticas de Philips. Al respecto, Lisandro Paganini contó que “el IAF es una institución que está emprendiendo un camino hacia la digitalización, pero todavía nos falta mucho por recorrer. Por supuesto que aún nos queda un extenso proceso, pero hemos mejorado muchísimo, viviendo una intensa transición en la que contamos con integraciones de equipos, soluciones y sistemas Philips. El desafío fue justamente la integración de estos sistemas, ya que como ocurre en la mayoría de las instituciones, no teníamos una única marca o un único proveedor y había que hacer que todo funcionara y fluyera de la mejor manera posible”.

Asimismo, puntualizó que “desde el punto de vista del usuario médico, constantemente estamos evaluando nuevos equipos y soluciones, a la vez que sugerimos mejoras porque conocemos el día a día de cada equipo. En ese sentido, siempre hemos encontrado una buena respuesta de parte de Philips y por eso existe un muy buen diálogo que nos ha permitido crecer en conjunto”.

En tanto Pablo Jaca contó que “cuando llegué al Fleming, hace 6 años, una de las grandes alegrías que tuve fue enterarme de que el software PACS era de Philips, porque ya había trabajado 11 años

en otra institución con esa misma herramienta y me sentía muy cómodo, tranquilo y seguro de que no iba a tener inconvenientes. Me integré al equipo que había comenzado con la implementación de algunos servicios para satisfacer necesidades específicas y como conocía a muchos de los especialistas de Philips, confié de inmediato en que íbamos a conseguir mejoras. Nosotros lo que siempre buscamos es estar a la vanguardia y seguir implementando funcionalidades que nos posibiliten ofrecer un mejor servicio a los pacientes”.

El ejecutivo también dijo que “gracias a las nuevas tecnologías, hoy hemos logrado cerrar un circuito de comunicación entre radiólogo, médico y paciente, el que fluye continuamente porque estamos integrando el PACS con el portal de este último. Así, hoy tenemos una solución en la cual colocamos el historial clínico electrónico, el acceso a las imágenes y a los resultados, y eso puede ser revisado por un equipo médico multidisciplinario”.

Para concluir, el doctor Paganini hizo hincapié en la relevancia de fortalecer la integración de los sistemas. “Si bien creo que se ha avanzado muchísimo y vamos por buen camino, debemos potenciar el análisis de datos a través de herramientas de inteligencia artificial para dar el siguiente paso”.

Diagnóstico Journal LA - 11

Agfa en RSNA 2022

Durante el pasado congreso de la RSNA conversamos con Vinicius Correa, Gerente de marketing y producto para Latam y Marco Martinez Gerente de ventas para México de la división de Radiology Solutions de Agfa, quienes presentaron los lanzamientos, las innovaciones y actualizaciones del portafolio.

En esta ocasión presentaron la nueva familia Valory™ que llega a fortalecer el portafolio de soluciones de rayos X digital con el objetivo de ir más allá de las expectativas del mercado, demostrando que lo “simple” no significa “básico”. Las dos referencias: Valory Ceiling, equipo montado a techo y Valory Floor, equipo montado a piso, son salas eficaces y confiables que se adaptan para maximizar la productividad.

Estas soluciones ofrecen un diseño modular que permite adaptar y actualizar la configuración según las necesidades específicas de los clientes. Con características como la mesa motorizada, y sus funcionalidades modernas como el centrado y seguimiento automático brindan flexibilidad en la toma de estudios que permiten mantener un flujo de trabajo eficiente.

Por otra parte, presentaron el DR800, solución multipropósito versátil y flexible utilizada en aplicaciones clínicas avanzadas como radiografía, fluoroscopia, procedimientos básicos de angiografía y tomosíntesis. Cuenta además con una interfaz de usuario controlada remotamente que con un solo toque permite el posicionamiento automático de mesa, tubo y receptor de imagen.

Esta sala incluye tecnologías revolucionarias como VARIODRIVE (posicionamiento automático y manual), EASYSTITCH (realiza el pegado de hasta 4 imágenes para estudios como columna/pies completos) y LIVEVISION (cámara incorporada en el tubo para apoyar el centrado del paciente) que satisfacen las necesidades reales brindando así un diagnóstico confiable, mejor atención al paciente y aumento en el flujo de trabajo.

Pasando a la línea de los equipos móviles, presentaron el DR100s: solución motorizada con agilidad y ergonomía excepcionales, adecuada para la toma de imágenes rápi-

das y de alta calidad en tórax, abdomen, pierna/columna completa. El movimiento manual de esta solución es casi sin esfuerzo en los tres ejes, gracias al cabezal del tubo que ahora integra la tecnología ZeroForce.

Los detectores Duraline, como su nombre lo dice, viene de la palabra durability, presentan una solución con características de valor diferenciales para las necesidades del mercado como: la protección de entrada de líquidos y polvo, un equipo más resistente, la misma garantía de calidad de imagen que tienen los equipos de Agfa y una de las más destacadas, la independencia de hasta 15 horas de trabajo. Lo cual le permite a los usuarios tener un mayor flujo de trabajo, maximizando el desempeño en sus procesos del día a día; además de estar disponibles para variedad de estudios gracias a los tres tamaños.

Por último, presentaron las soluciones de Smart XR aplicaciones de inteligencia artificial disponibles para casi todo el portafolio de Agfa que fueron desarrollados con el objetivo de mejorar el flujo del proceso de la adquisición de imágenes.

Agfa continúa aumentando su base instalada y posicionándose en el mercado radiológico de Latinoamérica a través de estas soluciones de radiología digital, junto con la nueva identidad visual alineada a la visión de transformar la radiología brindando soluciones definitivas e inteligentes para los pacientes.

Diagnóstico Journal LA - 15

mejorar los tiempos de respuesta?

Servicio Técnico

Rayos Pimax es una empresa de tecnología innovadora para el diagnóstico por imágenes de vanguardia. Durante el año 2021 se postuló para participar del Proyecto Kaizen Tango, liderado por el Ministerio de Economía a través de la Secretaría de Industria y Desarrollo Productivo, el Ministerio de Relaciones Exteriores, Comercio Internacional y Culto, el Instituto Nacional de Tecnología Industrial (INTI) y la Agencia de Cooperación Internacional de Japón (JICA)

Rayos Pimax ha sido seleccionada por el Proyecto Kaizen Tango para ser una de las empresas de tecnología médica durante el periodo 2022.

Desde la Dirección de Rayos Pimax SRL, han manifestado priorizar el sector de servicio técnico para la realización del ciclo de mejora y aplicación de las tecnologías de gestión, dado que es un área estratégica ya que vincula Producción, Administración, Comercial y Depósito-Compras-Logística.

El objetivo en este proyecto fue mejorar en un 30% los tiempos de respuesta del servicio técnico y la resolución de estos, para poder lograr que la atención de servicio técnico sea la mejor del mercado tanto en la velocidad como en calidad de respuesta.

Rayos Pimax luego de un asesoramiento preciso y de calidad así como el compromiso de quienes integran la empresa ha dado como resultado una excelente performance que le permitió acceder al reconocimiento, por parte del

Proyecto Kaizen Tango, por lograr los objetivos y por ser una experiencia destacada para el conjunto de asesores.

El servicio técnico de Rayos Pimax es un sector que ha presentado cambios en el último tiempo antes de aplicar las tecnologías de gestión KAIZEN. Por lo que, en forma sincrónica, al aplicar estas herramientas de gestión ha potenciado la transformación del servicio técnico y hemos logrado excelentes resultados en calidad de atención y respuesta a nuestros clientes así como en los integrantes del servicio.

Actualmente Servicio Técnico está integrada por nueve especialistas internos y diez técnicos que realizan los trabajos externos, in situ, donde están los equipos instalados. Aproximadamente en un 70 % de los servicios técnicos se resuelven in situ con servicio técnico externo en un tiempo de 24 a 48 horas de realizado el llamado por parte del cliente. En caso de no ser resuelto in situ, en primera instancia hay un asesoramiento remoto por parte de los especialistas internos situados en Pimax SRL y, si eso no resuelve el asunto, el equipo o partes del mismo son enviados hacia la empresa para ser diagnosticada, presupuestada y reparada. El proceso completo de diagnóstico se realiza dentro de las 72 y 96 hs, desde que el equipo ingresa a nuestros laboratorios. Y el tiempo de reparación, una vez aprobado el presupuesto es de entre tres a ocho días como máximo.

Uno de los objetivos planteados por la dirección de la empresa en el 2022 fue mejorar los tiempos de respuestas del servicio técnico, con tal objetivo realizaron una capacitación a especialistas externos para mejorar el arreglo

16 - diagnosticojournal.com
¿Cómo

in situ o, en caso de no lograrlo, mejorar el prediagnóstico o asesorar en enviar la parte más adecuada a la empresa para la reparación (y evitar demoras en el proceso). Se implementaron, además, ampliaciones y reformas en el edificio dedicado para servicio técnico ampliando la cantidad de laboratorios, depósitos, talleres como así también instrumental y dispositivos especiales para la reparación de nuestros equipos contando dispositivos chequeados por Radiofísica Sanitaria y controles de dosimetría que garantizan seguridad para todos los integrantes del staff.

Alguno de los servicios que se realizan son:

• Mantenimiento preventivo y correctivo in situ.

• Diagnóstico de falla de equipos o de las partes que lo componen.

• Reparación de equipos o de las partes que lo integran.

• Encalotamiento de ampollas.

• Ensayo bajo norma de tubos de rayos X y cables de alta tensión.

• Traslado y reinstalación de equipos.

• Actualización y digitalización de equipos analógicos.

• Soporte remoto para equipos digitales.

La mayoría de los servicios se realizan en equipos fabricados por Pimax o de las marcas que representamos y eventualmente, también se dan servicio a equipos de otros fabricantes.

El valor diferenciador del servicio técnico, según señalan desde la dirección, está tanto en la velocidad como en la calidad de la respuesta, contando con los repuestos originales para los equipos Pimax

Como parte de los resultados, además de los tiempos de respuestas óptimizados, se han logrado los siguientes avances: Diseño y actualización de los registros del servicio técnico.

El responsable de Calidad, Ing. Pablo Mondarto, ha liderado el proceso de mejora con la implementación de las tecnologías de gestión y ha logrado obtener un indicador de forma mensual, que contribuye a mantener y medir el impacto de la mejora.

El responsable de Servicio Técnico, Fernando Menéndez organizó el sector, alineándose con el proceso de mejora, en lo que refiere a recursos humanos, así como con los recursos físicos y puestos de trabajo. Una vez analizada la planilla parcial y charlado sobre los indicadores, se definió concentrar el proceso de mejora en los plazos de entrega del servicio técnico, priorizando los “tiempos enteramente Pimax”, desde el ingreso del equipo y su diagnóstico, la cotización y la reparación, excluyendo las aprobaciones de los clientes que depende de la Gerencia Comercial y suele ser variable.

El trabajo en estos tiempos permite mejorar las articulaciones entre administración, servicio técnico y comercial, y brinda previsibilidad a los clientes en un tema tan importante como es la salud.

Queremos que los usuarios de nuestros equipos y nuestros clientes elijan nuestro servicio técnico por la velocidad así como por la calidad de la respuesta.

El logro más importante que ha alcanzado Pimax Servicio Técnico en este ciclo de mejora es en cuanto al recurso humano y equipo de trabajo, consolidando técnica, profesional y por sobretodo, humamente a los integrantes de servicio técnico, lo que permite que este ciclo de mejora culmine con nuevos objetivos para este 2023, que tienen que ver con nuevos desafíos, donde en estos tiempos de consumismo reparar es revolucionario.

Diagnóstico Journal LA - 17

Oportunidades para reducir costos y aumentar la eficiencia en las operaciones de atención médica

En esta nota queda claro lo importante que es para los profesionales de la salud participar de eventos como HIMSS, SIIM o AHRA entre otros.

Para que los pacientes reciban la atención que necesitan cuando la necesitan, la atención médica moderna requiere un enfoque moderno de las operaciones de atención médica, los sistemas y procesos que hacen que las organizaciones de atención médica funcionen. Sin mejoras en las operaciones de atención médica, los sistemas de salud actuales no podrán sobrevivir a las presiones económicas, competitivas y regulatorias, y mucho menos prosperar para brindar la atención de la que dependen sus comunidades. En Estados Unidos los márgenes hospitalarios disminuyeron un 102 % con respecto a los niveles previos a la pandemia durante la primera mitad de 2022, y se prevé que el 53 % de los hospitales tengan márgenes negativos en 2023. La disminución de los márgenes no es el único motivo de preocupación: dos de cada tres líderes de hospitales informaron que sus instalaciones han estado funcionando a menos de su capacidad total debido a la escasez de personal.

Para hacer frente a estos desafíos sin precedentes, los sistemas de salud deben aprender a hacer más con menos, y la consolidación y la eficiencia son el nombre del juego. No es de extrañar que el 41 % de los directores de información (CIO) del sistema de salud, o 132 responsables de la toma de decisiones en los principales sistemas de salud de EE.UU., en la reciente encuesta miembros de

CHIME mencionaron la presión financiera como la principal amenaza que enfrentaría su organización en 2023.

La racionalización y consolidación de las soluciones de operaciones de atención médica ofrece una oportunidad importante para ahorrar costos y eficiencia. Para evitar sobrecargar a una fuerza laboral ya agotada, los sistemas de salud deben buscar soluciones que aumenten la eficiencia de la fuerza laboral y se integren sin problemas en las estructuras operativas existentes.

Racionalización y consolidación de soluciones

Los datos de encuestas de 2022 muestran que la mayoría de los principales sistemas de salud tienen un exceso de soluciones y sistemas puntuales dispares para las operaciones de atención médica, y esto está afectando negativamente su retorno de la inversión (ROI) en tecnología y sobrecargando a su personal clínico y administrativo.

Casi el 60 % de los encuestados utiliza más de 50 soluciones de software únicas para administrar las funciones de operaciones de atención médica, incluida la administración de la fuerza laboral, la administración de datos de proveedores, contratos y gastos para la cadena de suministro, acceso a las instalaciones, calidad, seguridad y cumplimiento.

20 - diagnosticojournal.com
Por Ezequiel Domb

El exceso de soluciones no solo conduce a mayores costos y menos tiempo para que el personal pase con los pacientes, sino que también alimenta el agotamiento de los trabajadores de la salud, un problema importante que la pandemia de COVID-19 continúa exacerbando.

El 88% de los CIO encuestados está de acuerdo con la afirmación, "trabajar con estos sistemas y aplicaciones de TI dispares complica mi trabajo".

El 84% de los encuestados dice que tener una infraestructura de tecnología de la información (TI) optimizada es un factor importante en su capacidad para retener a los médicos.

La consolidación e integración de software y sistemas críticos para el negocio reduce la cantidad de proveedores que administran los CIO de atención médica y garantiza la eficiencia operativa, la consistencia, la optimización de ingresos y la seguridad. Estos resultados son fundamentales para que los sistemas de salud prosperen, y los encuestados mencionaron la mejora de la interoperabilidad (26 %), la capacitación de la fuerza laboral clínica (24 %) y la garantía de la privacidad y la seguridad (21 %) como prioridades principales en 2023.

El costo de la inacción

En el clima actual de disminución de los márgenes hospitalarios y escasez generalizada de trabajadores de la salud, no hay tiempo para la complacencia o inacción. Las organizaciones de atención médica que retrasen la consolidación de mejoras tecnológicas y la optimización de las operaciones de atención médica continuarán perdiendo dinero y perdiendo personal debido a las ineficiencias operativas y de la fuerza laboral. La falta de consolidación también pone a las organizaciones en riesgo de penalizaciones costosas e infracciones de cumplimiento.

Afortunadamente, hay medidas que los sistemas de salud pueden tomar ahora para evitar estos efectos secundarios negativos y operar de manera más eficiente. Al invertir en soluciones que han demostrado aumentar el ROI y la eficiencia de la fuerza laboral y reducir el riesgo de sanciones y multas, los sistemas de salud pueden crear excelencia operativa en toda la empresa, desde la gestión de la fuerza laboral y la gestión de datos de proveedores hasta la cadena de suministro, la gestión de contratos y el cumplimiento.

Con las soluciones correctas a mano, los sistemas de salud pueden reenfocar el énfasis en lo que más importa: brindar atención al paciente de alta calidad.

Estas son algunas de las empresas por las cuales se justifica ir a Chicago este año no solo por la RSNA:

Abbadox, AFC Industries, Agamon, Agfa Healthcare, AIQ Solutions, Alexa Smart Properties, Amazon Web Services, Apollo Enterpise Imaging Corporation, Barco, Butterfly Network, Canon Medical, Cisco Systems, DataFirst Corporation, Dedalus, Deepc Gmbh, Dell Technologies, Drager, Eizo Inc, Elekta, Fujifilm Healthcare, GE Healthcare, Google, Guerbet, HL7, IBM, INFINITT North America, Intelerad Medical Systems, Konica Minolta, Lexmark Healthcare, LG Electronics, Life Systems International, Medimaging Integrated Solutions, Merge by Merative, Mindray, Mint Medical / Brainlab, Nihon Kohden America, NovaRad Corporation, Nuance Communications, Oracle Health, Philips, PocketHealth, Rad AI, RamSoft, ScImage, Sectra, Segmed, Siemens Healthineers, Slack Technologies, Softneta, Stryker, TeraRecon, Visage Imaging, Visual Medica, Voyager Imaging, Zoom y muchas más . . .

Diagnóstico Journal LA - 21

Estudio examina la inflamación del corazón después de vacuna COVID

Investigadores encontraron evidencia de inflamación del músculo cardíaco en un pequeño número de pacientes con miocarditis aguda después de la vacunación contra el COVID-19, pero no en pacientes sin miocarditis aguda, según un estudio publicado en Radiology: Imágenes cardiotorácicas, una revista de la RSNA .

"Hasta donde sabemos, este es el primer estudio prospectivo que informa investigaciones e imágenes cardíacas integrales en pacientes sintomáticos y asintomáticos después de la vacunación contra el COVID-19", dijo la autora principal del estudio, Kate Hanneman, MD, MPH, profesora asociada en el Departamento de Medicina. Imaging y director de investigación de imágenes cardíacas en la Universidad de Toronto en Toronto, Canadá.

Miles de millones de personas en todo el mundo han recibido al menos una dosis de una vacuna contra el COVID-19. Se informaron algunos casos de miocarditis (inflamación no isquémica del músculo cardíaco) después de la administración de vacunas COVID-19 basadas en ARNm. La miocarditis puede afectar el ritmo cardíaco y la capacidad de bombear sangre y puede dejar un daño duradero en forma

de cicatrización del músculo cardíaco.

La mayoría de los casos de miocarditis después de la vacunación contra la COVID-19 se han producido en varones adolescentes y adultos jóvenes. Sin embargo, el riesgo general es muy bajo.

Algunos pacientes pueden experimentar síntomas cardíacos después de la vacunación, como dificultad para respirar, palpitaciones y dolor torácico, pero no cumplen los criterios de diagnóstico de miocarditis aguda.

“Sabemos que algunos pacientes corren riesgo de miocarditis después de la COVID-19 basada en ARNm”, dijo la Dra. Hanneman. “Sin embargo, hay datos limitados sobre posibles cambios en el tejido miocárdico en pacientes asintomáticos después de la vacunación con COVID-19. Del mismo modo, tenemos datos muy limitados hasta la fecha sobre pacientes que presentan nuevos síntomas después de la vacunación pero que no cumplen los criterios de diagnóstico de miocarditis aguda”.

La resonancia magnética cardíaca juega un papel importante en la evaluación de la miocarditis aguda con una capacidad sin igual para la caracterización no invasiva del tejido

22 - diagnosticojournal.com
Dra. Kate Hanneman Figura 1. Diagrama de flujo que detalla la selección de participantes. Figura 2. Calidad de vida en el seguimiento a corto plazo por grupo de participantes. Los diagramas de dispersión para (A) el índice EQ-5D-3L y (B) la escala analógica visual (VAS) EQ-5D-3L representan puntos de datos de pacientes individuales con barras de error que se muestran como mediana y rango intercuartílico. Los valores P son para comparaciones entre grupos como se indica. Por Ezequiel Domb Nota de Prensa de la RSNA

Figura 3. Hallazgos cardíacos de PET/MRI en el seguimiento por grupo de participantes. Los diagramas de dispersión para los parámetros PET/MRI continuos de (A) fracción de eyección del ventrículo izquierdo [FEVI], (B) mapeo T1 nativo y (C) mapeo T2 nativo representan puntos de datos de pacientes individuales con barras de error que se muestran como media y desviación estándar. Los valores P son para comparaciones entre grupos como se indica.

miocárdico. El PET cardíaca con flúor 18 (18F) fluorodesoxiglucosa (FDG) permite evaluar los cambios en el metabolismo del miocardio.

Para este estudio prospectivo, la Dra. Hanneman y un equipo multidisciplinario de investigadores de radiología, cardiología y biología vascular se propusieron investigar los efectos cardíacos de la vacunación contra el COVID-19 en un seguimiento de dos meses y relacionar los síntomas cardíacos con los cambios en el tejido miocárdico en la FDG. PET/MRI, biomarcadores sanguíneos, calidad de vida relacionada con la salud y resultados adversos.

Figura 4. PET/MRI cardíaca en un participante con miocarditis después de la vacunación contra el COVID-19. Combinación de TEP/RM con flúor 18 fluorodesoxiglucosa (FDG) cardíaca en una participante femenina sintomática de entre 41 y 50 años de edad dos meses después de un diagnóstico de miocarditis después de la vacunación contra el COVID-19. Los mapas nativos (A) T1 y (B) T2 del eje corto del ventrículo medio muestran valores altos de T1 y T2 en la pared subepicárdica inferior e inferolateral (flechas blancas y verdes, respectivamente). (C) Imagen de realce tardío con gadolinio (LGE) de eje corto que muestra el LGE subepicárdico correspondiente (flechas rojas). (D) La imagen PET de LGE y FDG fusionada demuestra la captación focal de FDG correspondiente (flechas azules), de acuerdo con la inflamación del miocardio.

Cincuenta y cuatro participantes fueron evaluados una mediana de 72 días después de la vacunación con COVID-19. Diecisiete eran sintomáticos con miocarditis, 17 eran sintomáticos sin miocarditis y 20 eran asintomáticos.

Ningún participante en los grupos sintomáticos sin miocarditis o asintomáticos tuvo captación focal de FDG, edema miocárdico o deterioro de la función ventricular. Dos participantes con miocarditis sintomática tenían captación focal de FDG. La calidad de vida relacionada con la salud fue menor en el grupo de miocarditis sintomática que en el grupo asintomático. No hubo eventos cardíacos adversos más allá de la miocarditis en ningún participante.

“Ninguno de los participantes sintomáticos de nuestro estudio que no cumplían con los criterios de diagnóstico de miocarditis aguda tenía niveles elevados de troponina, deterioro de la función ventricular izquierda o inflamación cardíaca detectable dos meses después de la vacunación contra la COVID-19”, dijo la Dra. Hanneman. "Esto sugiere que los síntomas por sí solos son un mal indicador de lesión miocárdica después de la vacunación".

Los resultados también sugirieron que la lesión miocárdica subclínica no es común después de la vacunación contra el COVID-19, según los hallazgos cardíacos normales de PET, ECG y biomarcadores sanguíneos en el grupo de pacientes asintomáticos. Los investigadores esperan que estos hallazgos tranquilicen a los pacientes que no experimentaron síntomas después de la vacunación con COVID-19, pero que están preocupados por la posibilidad de una enfermedad cardíaca subclínica.

La Dra. Hanneman advirtió que se necesitan más estudios para investigar las causas no cardiovasculares de los síntomas después de la vacunación en personas que no cumplen los criterios de diagnóstico de miocarditis aguda.

Diagnóstico Journal LA - 23

Curso de Radiología de Urgencias

El Dr. Jorge Contardo es médico radiólogo especialista en abdomen y pelvis en la Universidad de Chile, y conversó con nosotros desde su oficina en el Hospital de Coquimbo en la cuarta región donde se desempeña como jefe de servicio.

Es el directordel curso “Radiología de Urgencias, de lo habitual a lo inesperado”, organizado por la SOCHRADI, con el apoyo de colegas de la región de Coquimbo, de Santiago y también con el aporte de colegas internacionales. Han desarrollado un programa transversal, tocando temas relevantes para el radiólogo general que trabaja en urgencias, para el becado que está formándose, y también para otros colegas que prestan sus servicios en urgencias. La idea es que estos profesionales puedan orientarse y tener claridad de qué exámenes deben solicitar.

El objetivo del curso es llevar el mensaje de colegas formados con amplia experiencia respecto a qué temas son relevantes dentro de su informe, qué patologías identificar y cómo identificarlas, qué hitos son relevantes para el manejo del paciente, para su pronóstico y qué es lo que necesita el clínico en su interacción con él.

Obviamente que dejamos la invitación abierta a otros colegas de otras especialidades que quieran familiarizarse con la radiología de urgencia, y otras personas dentro del estamento que también estén involucradas dentro de la radiología de urgencia, como los tecnólogos médicos o elpersonal de enfermería.

Este curso se llevará a cabo en modalidad presencial, y a posteriori estará disponible on demand en la videoteca de la sociedad. Se realizará en la cuarta región de Coquimbo, , en el Hotel Club La Serena, ubicado en la Avenida del Mar, justo en el sitio más turístico y álgido de la región.

La idea es que vengan acá a participar, escapen unos días de la gran metrópoli y participen de este interesante curso .

Los/las socios(as) titulares y residentes de la Sociedad Chilena de Radiología cuentan con importantes descuentos en la inscripción a

este curso .

El viernes 12 de mayo, el programa comenzará a las 08:00hrs., finalizando a las 18:00hrs. Y el sábado 13 de mayo, la jornada se iniciará a las 08:10hrs. Para terminar con una mesa redonda a las 12:30hrs. Es un curso intensivo. “Este curso es un imperdible dentro de la radiología por varias razones” comenta el Dr. Contardo, “la primera de ellas es que dentro de la práctica radiológica, si bien es bastante amplio el abanico de temas y diagnósticos que se pueden presentar, las dos patologías más frecuentesque enfrentamos son la patología oncológica y la de urgencia”. Esta última es crítica tenerla dominada, dado que necesitamos respuestas oportunas y acertadas para darle a un clínico que está ansioso de poder dar un diagnóstico y tratamiento rápido, en un contexto complejo, con el paciente sufriendo.

Por lo tanto, dentro de nuestra labor necesitamos actuar con prontitud y pulcritud para poder filtrar lo que es medular de lo que es accesorio para el manejo de ese paciente.

En segundo lugar, este curso es un “must”, porque aborda los temas con un enfoque rápido y pragmático para el enfrentamiento de la patología, recopilando experiencias, poniendo en valor años de práctica y conocimiento ganado, traducidos en puntos claves útiles para el radiólogo general o para el radiólogo que se desempeña en la urgencia.

El temario toca temas que son relativamente frecuentes, pero también temas más olvidados, pero que son importantes detener presentes cuando se trata de una situación de urgencia.

Este curso muestra a través de ejemplos la manera de enfrentar un diagnóstico de urgencia, poder llevar a diagnósticos concretos, puntos medulares dentro de cada una de estas patologías y su diagnóstico diferencial, de manera que sea una herramienta mucho más práctica que leer un libro o tener una clase expositiva de un tema particular.

Desde luego, los asistentes contarán con su certificado con el respaldo de la Sociedad Chilena de Radiología y Conacem.

26 - diagnosticojournal.com

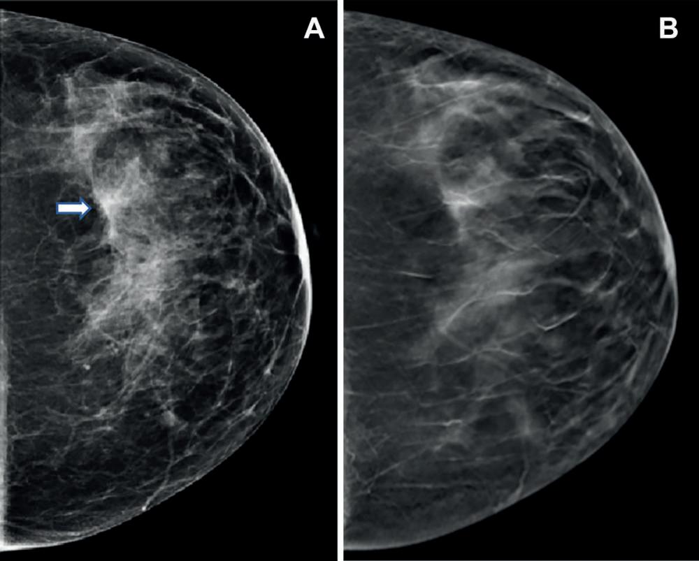
Estudio encuentra que la tomosíntesis es mejor para la detección del cáncer de mama

La tomosíntesis digital de mama mostró mejores resultados de detección del cáncer de mama en un estudio que incluyó a más de 1 millón de mujeres y más de 2 millones de exámenes de detección.

El grupo de estudio estuvo formado por mujeres de 40 a 79 años que se sometieron a pruebas de detección con DBT o mamografía digital entre Enero de 2014 y Diciembre de 2020.

DBT tuvo una mejor detección de cáncer y menos resultados falsos positivos.

OAK BROOK, Ill. — En un estudio de más de un millón de mujeres, la tomosíntesis digital de mama (DBT, por sus siglas en inglés) mostró mejores resultados de detección del cáncer de mama en comparación con la detección con mamografía digital estándar sola. Los resultados del estudio se publicaron en Radiology, revista de la RSNA. El cáncer de mama es el cáncer más común entre las mujeres en Estados Unidos. Si bien la mortalidad por cáncer de mama ha disminuido desde finales de la década de 1980 debido

anterior o antes eran elegibles para la inclusión.

a cribado de

grafía digital craneocaudal bidimensional y (B) Mamografía digital mediolateral bidimensional que muestran tejido mamario heterogéneamente denso sin anomalías. (C) Imagen de tomosíntesis mamaria digital mediolateral que muestra una sutil distorsión arquitectónica (flechas) que se extiende superiormente desde el nivel del pezón. (D) La imagen ecográfica diana de la mama derecha muestra una masa irregular, hipoecoica y muy sospechosa (flecha). La biopsia central guiada por ecografía arrojó carcinoma ductal invasivo con carcinoma ductal extenso in situ (T2N0M0; receptor de estrógeno positivo, receptor de progesterona positivo y receptor del factor de crecimiento epidérmico humano 2 negativo). (MI) La resonancia magnética de la mama derecha adquirida para evaluar la extensión de la enfermedad muestra un artefacto de clip en la cara superior de la masa con realce irregular (flechas). No se observaron otras lesiones sospechosas.

a las mejoras en la detección y el tratamiento tempranos, sigue siendo la principal causa de muerte por cáncer entre las mujeres.

La tasa de supervivencia relativa a cinco años del cáncer de mama cuando se detecta temprano en su etapa localizada es del 99 %, se-

30 - diagnosticojournal.com
Figura 1. Creación de la cohorte de estudio. El diagrama de flujo describe cada criterio de inclusión y exclusión que debe cumplirse para su inclusión en el análisis. Las mujeres con edades entre 40 y 79 años en el momento de la selección y sin antecedentes de cáncer de mama en la mamografía Figura 2. Imágenes en una mujer de 42 años que acude rutina. (A) Mamo- Dra. Emily F. Conant Por Ezequiel Domb Nota de Prensa de la RSNA

una asimetría (flecha). (B) Imagen de tomosíntesis mamaria digital craneocaudal izquierda que no muestra lesión sospechosa sino más bien una superposición de estructuras fibroglandulares y ligamentosas normales.

gún la Sociedad Estadounidense del Cáncer. El cribado periódico es el método más fiable para la detección precoz del cáncer de mama.

La detección con mamografía digital bidimensional (2D) sola sigue siendo el estándar de atención en muchos sitios, pero tiene sus limitaciones debido a su incapacidad para detectar algunos tipos de cáncer. Cada vez hay más evidencia de que el DBT, una tecnología más avanzada, tiene una tasa de detección de cáncer de mama más alta debido a su capacidad para capturar múltiples imágenes de rayos X de la mama desde diferentes ángulos en lugar de la típica imagen única obtenida con un 2D estándar. La mamografía DBT es especialmente beneficioso para las mujeres con tejido mamario más denso.

Figura 4. Asociaciones brutas y ajustadas entre la modalidad de cribado y los resultados del cribado de cáncer de mama: comparación de tomosíntesis digital de mama (DBT) con mamografía digital (DM). El diagrama de bosque muestra los odds-ratios (OR) brutos y ajustados, con IC del 95 % entre paréntesis y barras verticales que muestran el rango de IC del 95 %, para los resultados primarios de tasa de recuperación (RR), tasa de detección de cáncer (CDR), predictivo positivo valor de recuerdo (PPV1), tasa de biopsia y valor predictivo positivo de biopsia (PPV3), comparando DBT con DM. Los OR se ajustaron por categoría de edad (40–44, 45–49, 50–54, 55–59, 60–64, 65–69, 70–74 y 75–79 años), densidad mamaria, sistema de salud e índice año de examen.

"El propósito de nuestro estudio fue evaluar los resultados de las pruebas de detección en una gran cohorte de mujeres en los Estados Unidos que fueron examinadas con mamografía digital 2D sola o con DBT", dijo la coautora del estudio, la profesora de radiología Emily F. Conant, jefa de la División de Imágenes de Mama en el Hospital Universitario de Pensilvania, Filadelfia.

Para este estudio de cohorte retrospectivo, la Dra. Conant y sus colegas recopilaron datos de cinco grandes sistemas de atención médica en Estados Unidos. El grupo de estudio estuvo formado por más de 1 millón de mujeres de 40 a 79 años que se sometieron a pruebas de detección con DBT o mamografía digital 2D sola entre Enero de 2014 y Diciembre de 2020. Los resultados de la detección, como la detección de cáncer y las tasas de falsos positivos, se compararon entre los dos grupos de detección.

“Este estudio fue extremadamente grande y la mayoría de las mujeres se sometieron al menos a 2 exámenes, lo que resultó en más de 2 millones de exámenes de detección en cinco sistemas de atención médica grandes y diversos”, dijo la Dra. Conant.

En comparación con la mamografía digital 2D sola, la DBT se asoció con mejoras importantes en los resultados de la detección. La tasa de detección de cáncer para pacientes examinadas con DBT fue más alta, 5,3 por 1000 examinadas, en comparación con 4,5 por 1000 examinadas solo con mamografía digital 2D. DBT también tuvo una tasa más baja de falsos positivos y retiros del examen.

“Demostramos que los resultados más importantes de las pruebas de detección mamográficas, una mayor detección de cáncer combinada con menos falsos positivos, mejoraron significativamente cuando las mujeres fueron examinadas con tomosíntesis mamaria digital en comparación con la mamografía digital 2D sola”, dijo la Dra. Conant. "Por lo tanto, las mujeres deben buscar sitios que ofrezcan pruebas de detección de cáncer de mama con DBT de forma rutinaria".

Diagnóstico Journal LA - 31
Figura 3. Imágenes de una mujer de 47 años que acude a cribado de rutina. (A) La mamografía digital craneocaudal muestra densidades fibroglandulares dispersas. En la vista lateral craneocaudal de la mamografía digital izquierda, se observa

Reconocimiento Digimed - Mindray

Palabras del Ingeniero Alberto Frascarelli, Vicepresidente y Cofundador de la empresa Digimed de Argentina: “Tengo el placer de informarles que venimos a un encuentro mundial en Dubai, Emiratos Árabes en el cual Mindray nos ha reconocido con una distinción como mejor Performance en el año 2022, hemos tenido una reunión en la cual hemos podido conversar y compartir experiencias con los líderes de Mindray global y con los líderes de distribuidores en todo el mundo. De esta reunión en Dubai me queda algo muy importante, hemos podido establecer una relación directa con los líderes globales de Mindray donde ellos nos han brindado todo su conocimiento en lo que respecta a la forma de comercializar

las aplicaciones, su visión sobre el servicio, lo administrativo, el marketing. Pudimos compartir experiencias con otros distribuidores. En primer lugar queremos agradecer a nuestros clientes por todos estos años sin los cuales está distinción jamás hubiera sido obtenida. Gracias a la confianza en Digimed y en Mindray. En segundo lugar quiero agradecer a Mindray por la generosidad con la que comparten todos sus conocimientos que nos hacen crecer como empresa, nos hacen ser mejores distribuidores para nuestros clientes. Por último quiero reconocer a nuestra gente, la fuerza de ventas, los aplicacionistas, el marketing de Digimed.”

34 - diagnosticojournal.com

46° Congreso Colombiano de Radiología

Diagnóstico e intervencionismo por imagen

Mayo 19 al 21 · 2023

Mayo 18 · Curso Pre-congreso ESOR

Cartagena de Indias, Colombia

País invitado: México

Organizado por: Participación especial:

www.CCR2023.org

Próximos eventos

ABRIL 2023

ARRS 2023 Meeting

16 al 20 de Abril

Honolulu, Hawái, USA arrs.org

HIMSS 23

17 al 21 de Abril

Mc Cormick Place Chicaco, IL, USA www.himss.org

ESOR European School of Radiology Emergency Radiology

19 de Abril Hotel Marquis Reforma Ciudad de México www.smri.org.mx

53° Jornada Paulista de Radiología

27 al 30 de Abril

Transamerica Expo Center

San Pablo, Brasil www.jpr2023.org.br

Seminario para Radiólogos y Administradores de Centros de Imágenes 2023

28 de Abril

Sheraton Puerto Rico Hotel & Casino San Juan, Puerto Rico www.socrad.com

26th Annual Convention - New Trends in Diagnostic Radiology

28 al 30 de Abril

Sheraton Puerto Rico Hotel & Casino San Juan, Puerto Rico www.socrad.com

MAYO 2023

Radiología de Urgencias

12 y 13 de Mayo

Hotel Club La Serena

La Serena, Chile sochradi.cl

Congreso Colombiano de Radiología CCR 2023

19 al 21 de Mayo

Centro de Convenciones Cartagena de Indias Cartagena de Indias, Colombia acronline.org

Hospitalar

23 al 26 de Mayo

Sao Paulo Expo San Pablo, Brasil www.hospitalar.com

XXXI Jornadas SERAM ARRS

Avances en Resonancia Magnética

31 de Mayo al 2 de Junio

A Coruña, España

https://seram.es/eventos/87635/

JUNIO 2023

2023 ISMRM & ISMRT Annual Meeting & Exhibition

3 al 8 de Junio Toronto, ON, Canada

https://www.ismrm.org

SIIM23 Annual Meeting

14 al 16 de Junio

Austin Convention Center Austin, TX, USA siim.org

FIME 2023

21 al 23 de Junio

Miami Beach Convention Center Miami Beach, FL, USA www.fimeshow.com

JULIO 2023

AHRA Annual Meeting 2023

51st Annual Meeting and Exposition of Association for Medical Imaging Management

9 al 12 de Julio

Indiana Convention Center, Indianapolis Indiana, USA

https://www.ahra.org/

Semana Internacional del Ultrasonido

31 de Julio al 3 de Agosto Canún, México www.fmri.org.mx

AGOSTO 2023

XXI Congreso Latinoamericano de Ultrasonido en Medicina

25 y 26 de Agosto

Hotel RIU Plaza

Ciudad de Panamá, Panamá www.flaus-us.org

SEPTIEMBRE 2023

Congreso Argentino de Diagnóstico por Imágenes

20 al 23 de Septiembre

Centro de Convenciones Buenos Aires

Buenos Aires, Argentina

https://cadi2022.com.ar/

OCTUBRE 2023

ASTRO 2023

American Society for Radiation Oncology

1 al 4 de Octubre

San Diego Convention Center

San Diego, California

https://www.astro.org/

Congreso Chileno de Radiología

12 al 14 de Octubre

Santiago de Chile

www.sochradi.cl

NOVIEMBRE 2023

WFUMB 2023

4 al 7 de Noviembre

Muscat, Oman wfumb.info

XXIX Congreso ALASBIMN

XXIII Congreso AABYMN

15 al 18 de Noviembre

Buenos Aires, Argentina

www.aabymn.org.ar

www.alasbimn.net

RSNA 2023

26 al 30 de Noviembre

McCormick Place

Chicago, IL, USA

rsna.org

38 - diagnosticojournal.com

Turn static files into dynamic content formats.

Create a flipbook
Issuu converts static files into: digital portfolios, online yearbooks, online catalogs, digital photo albums and more. Sign up and create your flipbook.