361 - Diagnóstico Febrero

Page 1

LATINOAMÉRICA www.diagnosticojournal.com Novedades de la RSNA Vol. XXXIII - Nº 361 [ Febrero 2023 ]

Editores

Bárbara R. Domb y Ezequiel Domb

Diseño, Diagramación & Portada

Ezequiel Domb

Colaboradores Periodísticos

César Mauricio Rodríguez Olivo

Diego Ruiz

María Virginia Parra

Publicidad

Bárbara Domb

Redacción La Pluma Redactores

Vol. XXXIII N° 361 - Febrero 2023

DIAGNÓSTICO Journal LA

Galicia 919

(1416) Buenos Aires, Argentina +54 911 5664 - 9585 info@diagnosticojournal.com www.diagnosticojournal.com

DIAGNÓSTICO JOURNAL LA is published monthly

6538 Collins Ave. # 335, Miami Beach FL 33141, USA.

Tel. 786.999.0557

Covering since: 92 RSNA, 95 AIUM, 98 AAN, 98 IBMS, 98 ASBMR, 99 ACC, 95 JPR

Los artículos firmados expresan las opiniones de los autores y no reflejan necesariamente la opinión de la Editorial.

Imagen de portada: MRI machine, magnetic resonance imaging machine on a dark blue background. Concept medicine, technology, future. 3D rendering, 3D illustration, copy space.

Resonancia magnética

La resonancia magnética es la modalidad diagnóstica que a pesar de su costo sigue presentando novedades en la industria. En especialidades como las neuroimágenes, las patologías hepáticas o imágenes mamarias por citar algunos ejemplos.

En la última edición de la RSNA se presentaron diferentes empresas relacionadas con Inteligencia Artificial que desarrollan productos para maximizar el rendimiento de equipos de resonancia magnética y tomografía computada. Es muy probable que en un futuro no muy lejano los grandes fabricantes adquieran a estas empresas que mejoran sensiblemente la performance.

En esta edición pueden apreciar en notas de prensa proporcionadas por la RSNA las últimas noticias como la importancia de la resonancia magnética en estudio de mama densa o la tomografía computada por conteo de fotones que permite utilizar menos contraste para diagnosticar imágenes aórticas.

Por último el primer centro con PET en América Latina, FUESMEN adquirió un nuevo equipo de la empresa china United Imaging.

Hasta Siempre

Ezequiel Domb

Sumario Diagnóstico

[ 06 ] Cavernomatosis Cerebral. Hereditaria Reporte de un Caso

[ 08 ] Resonancia magnética de mama eficaz para detectar cáncer en mamas densas

[ 12 ] Speaker Trainging de Bayer en Panamá

[ 15 ] Medecom en la RSNA 2022

[ 16 ] La TC de conteo de fotones permite medios de menor contraste para imágenes aórticas

[ 20 ] United Imaging desembarca en FUESMEN con un PET-CT Digital

[ 22 ] Master Class

[ 26 ] Philips en RSNA 2022

[ 32 ] Radcal en RSNA 2022

[ 38 ] Próximos eventos

Editorial
Staff Diagnóstico Journal LA | 5

Cavernomatosis Cerebral Hereditaria Reporte de un Caso

Mérida, Venezuela. Institución CEDEM, C.A.

Autores:

Se reporta el caso de un escolar de ocho años de edad, quien presentó crisis convulsiva, cefalea y desorientación. Estudios imagenológicos demostraron múltiples Cavernomas, uno de ellos con sangramiento agudo.

Palabras claves: cavernomatosis, cavernoma, herencia autosómica.

Introducción:

La cavernomatosis cerebral múltiple es una enfermedad de transmisión autosómica dominante con penetrancia incompleta. Hasta el presente se han encontrado tres genes responsables de la cavernomatosis cerebral múltiple familiar: KR1T1, CCM2 y PDCD10 localizados en los cromosomas 7q21.2; 7p13 y 3q26.1. La probabilidad de transmitir el gen mutado a su descendencia es del 50%.

Presentamos el caso de un paciente escolar masculino, de 8 años de edad, natural y procedente de la ciudad de Barinas, quien inició su cuadro clínico con cefalea, desorientación con crisis convulsivas de inicio súbito.

Se le realizó RM cerebral con medio de contraste, fase angiográfica y espectroscopía ante la sospecha de malformación arteriovenosa accidentada o neoplasia.

Antecedentes: madre portadora de múltiples malformaciones vasculares cerebrales.

Hallazgos:

La exploración fue realizada con resonador magnético de alto campo, (1.5 Tesla), Siemens SPREE en cortes axiales, sagitales y coronales, en secuencias ponderadas en T1, T2, FLAIR, Difusión (DW), susceptibilidad (SWI) con la administración de contraste endovenoso paramagnético, fase angiográfica y espectroscopía.

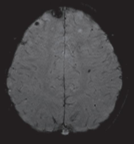
En el lóbulo frontal derecho, se observa un hematoma en el parénquima, sus dimensiones 4,5 cm x 3,6 cm x 3,1 cm, de comportamiento hiperintenso en T1, T2 y FLAIR, de paredes gruesas hipointensas en las secuencias GRE, con restricción hídrica central en difusión y leve edema periférico, condicionando borramiento de los surcos corticales. También condiciona laminación del ventrículo lateral derecho. (Fig.1)

Secuencia de SWI 3D evidencia múltiples imágenes hipointensas, de formas nodulares, algunas de ellas presentan contornos lobulados, distribuidas en ambos hemisferios cerebrales, sin edema

6 - diagnosticojournal.com
Dra. Omaira C. Berrios M; Dr. Franklin Moreno R; Dr. Daniel Viña Ch. TSU. Geynovi Jiménez. Figura 1 Figura 2 Por Dra. Omaira C. Berrios

periférico. Sus diámetros oscilan entre 0,2 y 0,8 cm. (Fig. 2,3,4,). Con el medio de contraste no hay cambios en la intensidad de señal.

En las imágenes evaluadas en T2 y FLAIR es posible observar un foco hipointenso en el lóbulo frontal y otro a nivel del lóbulo temporal izquierdo, las demás lesiones son imperceptibles. En la evaluación de espectroscopía con multivoxel a nivel de la lesión frontal derecha se aprecia disminución de NAA, sin variación importante de Cho y Cr, incremento considerable de lactato, hallazgo en relación a lesión vascular aguda. (Fig.5)

Cerebelo, tallo cerebral y médula cervical visible, sin alteraciones en la morfología e intensidad de señal. El tejido óseo de la base y bóveda del cráneo

no expone anormalidad.

Diagnóstico:

Cavernomas múltiples complicados con hematoma intraparenquimatoso frontal derecho, secundario a cavernoma accidentado.

Discusión:

El angioma cavernoso o cavernoma es una malformación vascular bien circunscrita, compuesta por un endotelio grueso de forma sinusoidal con lo que adquiere un aspecto de mora. Carecen en su interior de parénquima cerebral, aunque su localización es intraparenquimatosa. Pueden ser únicos o múltiples, los de carácter hereditario suelen ser múltiples. La mayoría tienen una localización intracerebral.

Los angiomas cavernosos generalmente no dan síntomas, aunque ocasionalmente pueden manifestarse con crisis convulsivas, hemorragias o síntomas neurológicos focales.

La cavernomatosis cerebral dando múltiples cavernomas localizados en el cerebro generalmente los observamos cuando existen antecedentes familiares, lo cual es una enfermedad de transmisión autosómica dominante con penetrancia incompleta. Hasta el presente se han encontrado tres genes responsables de la cavernomatosis cerebral múltiple familiar: KR1T1, CCM2 y PDCD10.

La posibilidad de transmitir el gen mutado a la descendencia es de 50%.

En nuestro caso la madre del paciente era portadora de múltiples malformaciones vasculares cerebrales, lo cual es indicativo del carácter hereditario de la patología.

Referencias bibliográficas:

Osborn, A.; Salzman K.; Barkovich A. (2011) Diagnostic Imaging- Brain. Second Ed. Castillo, J. (1995) Manual de Enfermedades Vasculares Cerebrales. Barcelona. J.R. Prous Editores.

Grossman, R.I & Yousem D. M. (2007) Neurorradiología. Segunda ed. New York. Marban Libros, S.L.

Vaquero J. (1995) Neurología Quirúrgica. Segunda ed. España. EUROBOOK, SL. Wilkins, R.H. (1991) Neurosurgery Vol. 2. New York. McGraw Hill.

Lafuente-Hidalgo, M.; García Besteiro M. (2014) Revisión de cavernomatosis múltiple: a propósito de una familia. Anales de Pediatría. Vol. 81. Núm. 6. páginas e52-e54

Diagnóstico Journal LA - 7
Figura 3 Figura 4 Figura 5

Resonancia magnética de mama eficaz para detectar cáncer en mamas densas

De un vistazo

La resonancia magnética de mama es superior para detectar cáncer de mama en mujeres con mamas densas. Investigadores realizaron un metanálisis de 22 estudios, que incluyó a 132.166 pacientes con senos densos y una mamografía negativa. La resonancia magnética fue capaz de detectar incluso el más pequeño de los cánceres.

En comparación con otros métodos de detección complementarios comunes, la resonancia magnética de seno es superior para detectar el cáncer de seno en mujeres con senos densos, según un estudio publicado en Radiology. El cáncer de mama es una de las principales causas de muerte por cáncer en las mujeres. Aproximadamente el 47 % de las mujeres en Estados Unidos tienen senos densos, que es un factor de riesgo independiente del cáncer de seno. Las mujeres con senos densos tienen una mayor cantidad de tejido glandular y tejido conectivo fibroso y bajas cantidades de tejido graso en los senos.

Si bien la mamografía de detección detecta efectivamente hasta el 98 % del cáncer en los senos grasos, el

cáncer de seno se pasa por alto más fácilmente en los senos densos. Esto da como resultado una mamografía negativa, dando a los pacientes una falsa tranquilidad.

8 - diagnosticojournal.com
Figura 1. Lista de verificación de elementos de informe preferidos para revisiones sistemáticas y metanálisis (PRISMA). ABUS = ecografía automatizada de mama completa, DBT = tomosíntesis digital de mama, RCT = ensayo controlado aleatorizado. Figura 2. Los diagramas de bosque muestran la tasa de detección de cáncer incremental (CDR) por 1000 exámenes de detección por modalidad. (A) Estudios con US de mano. (B) Estudios con ecografía automatizada de mama completa. (C) Estudios con tomosíntesis digital de mama. (D) Estudios con resonancia magnética. Por Ezequiel Domb Nota de Prensa de la RSNA Dra. Vivianne Freitas

"Las masas de cáncer de mama aparecen blancas en una mamografía, y el tejido denso también aparece blanco, lo que hace que sea más difícil para los radiólogos encontrar cánceres de mama dentro del tejido mamario denso", dijo la coautora del estudio, Vivianne Freitas, MD, M.Sc., profesora asistente de la Universidad de Toronto, Canadá, y radióloga del personal del Departamento Conjunto de Imágenes Médicas en Toronto.

Es posible que se requiera un examen complementario para ayudar en la detección del cáncer en mujeres con senos densos. Las cuatro pruebas de imagen complementarias más comunes son la ecografía mamaria manual, la ecografía mamaria automatizada, la tomosíntesis digital de mama y la resonancia magnética de mama.

“Nuestro estudio fue diseñado para evaluar el papel de diferentes pruebas de detección complementarias en mujeres con riesgo promedio o intermedio de cáncer de mama con tejido mamario denso que tuvieron una mamografía de detección negativa”, dijo la Dra. Freitas.

Para medir qué método de detección era el más benefi-

cioso para las mujeres con mamas densas, los investigadores realizaron un metanálisis de 22 estudios que incluyeron a 261.233 pacientes examinadas para cáncer de mama. 10 de los estudios cubrieron la ecografía mamaria manual, 4 estudios cubrieron la ecografía mamaria automatizada, 3 estudios cubrieron la IRM mamaria y 8 estudios informaron sobre la tomosíntesis mamaria digital. De las pacientes incluidas, 132.166 pacientes tenían mamas densas y una mamografía negativa.

Se utilizaron modelos de evaluación de riesgos para identificar pacientes con un riesgo medio e intermedio de desarrollar cáncer de mama. En Estados Unidos, las mujeres con un riesgo estimado de por vida de 12 a 13 % de desarrollar cáncer de mama se consideran de riesgo promedio. Los factores que elevan el riesgo a intermedio incluyen tener antecedentes de cáncer de mama tratado o biopsias de mama previas con lesiones de alto riesgo. Las pacientes de alto riesgo, con un riesgo de por vida del 20 % o más, fueron excluidas del estudio debido a que el beneficio de la resonancia magnética de mama ya está establecido en poblaciones de alto riesgo.

El metanálisis mostró que de las 132.166 pacientes con senos densos, un total de 541 cánceres de seno que inicialmente no se detectaron en la mamografía se detectaron con métodos de detección complementarios. La resonancia magnética

Diagnóstico Journal LA - 9
de mama fue el método de detección superior y fue capaz de detectar incluso el cáncer Figura 3. Los diagramas de bosque muestran la tasa de detección de cáncer invasivo por 1000 exámenes de detección por modalidad. (A) Estudios con US de mano. (B) Estudios con ecografía automatizada de mama completa. (C) Estudios con tomosíntesis digital de mama. (D) Estudios con resonancia magnética. Figura 4. Los diagramas de bosque muestran un valor predictivo positivo de recuerdo (PPV1) por modalidad. (A) Estudios con US de mano. (B) Estudios con ecografía automatizada de mama completa. (C) Estudios con tomosíntesis digital de mama. (D) Estudios con resonancia magnética.

más pequeño. Excluyendo la resonancia magnética, no hubo una diferencia significativa entre los otros métodos de detección complementarios.

“La resonancia magnética es muy superior en términos de detección de cáncer en comparación con el ultrasonido manual, el ultrasonido automatizado y la tomosíntesis digital de mama”, dijo la Dra. Freitas. "Nuestros resultados sobre el papel de la resonancia magnética en la detección complementaria permitirán a las partes interesadas guiar las políticas de atención médica en este entorno y dirigir más investigaciones".

Si bien los resultados demuestran la eficacia de la resonancia magnética de mama en la detección del cáncer, se necesita más investigación.

“Antes de que podamos abogar por una aplicación más amplia de la resonancia magnética de mama en estas mujeres, será necesario estudiar una mayor evaluación de la rentabilidad de la resonancia magnética de mama en comparación con otras técnicas, el efecto en la reducción de la mortalidad, etc.”, dijo la Dra. Freitas. “Actualmente, la disponibilidad y el costo de la resonancia magnética de mama siguen siendo la mayor barrera para una implementación generalizada”.

Figura 5. Los diagramas de bosque muestran el valor predictivo positivo de las biopsias realizadas (PPV3) por modalidad. (A) Estudios con US de mano. (B) Estudios con ecografía automatizada de mama completa. (C) Estudios con tomosíntesis digital de mama. (D) Estudios con resonancia magnética.

Medecom en la RSNA 2022

Charlamos con Léa Marchadour, la encargada de LATAM para Medecom.

Medecom es un grupo francés con 22 años de experiencia, tenemos 5000 instalaciones en más de 50 países del mundo. Nuestra especialidad es el software para imágenes médicas, destacados la mamografía y la radiología. Nuestras soluciones son “vendor-neutrales”, por lo que trabajamos tanto con grandes constructores como con distribuidores de prestigiosas marcas.

Nuestros softwares engloban el flujo de trabajo del radiólogo: tenemos productos para la adquisición, el diagnóstico y procesamiento de las imágenes, pero también una solución mini PACS, para archivos de imágenes y tele radiología.

Estamos en RSNA este año, como desde hace 15 años. Este año en particular recibimos muchos latinoamericanos en el booth: clientes, prospectos, doctores vinieron a descubrir nuestras soluciones e intercambiar ideas.

Este mayor evento nos permite demostrar los avances y las novedades tecnológicas, desarrolladas por nuestros ingenieros. Este año, estas son las novedades:

Primero, hemos ampliado las funcionalidades de nuestro módulo MPR para las imá-

genes de CT y RM. También presentamos 3 nuevas herramientas para mamografía. Una medición de control de calidad, que ayuda con la capacitación de los nuevos técnicos y mejora el flujo de trabajo. Una herramienta de puesta en correspondencia entre MLO y CC, que facilita la ubicación de un área de interés. Una medición pezón/borde/pectoral que permita localizar rápidamente una posible patología. Una de las otras novedades de este año es la posibilidad de crear informes personalizados y estructurados desde la estación de trabajo.

Nuestras soluciones digitales optimizan el flujo de trabajo de los radiólogos y son vitalicias. Sin sobrecosto, se puede conectar todo tipo de equipo Dicom y favorecer la multimodalidad. Ofrecemos nuestra experiencia y nuestro soporte para todo tipo de centros: pequeños, medianos y grandes.

Medecom trabaja ya con varios distribuidores y constructores de LATAM, pero sigue atento a encontrar nuevos partners!

Diagnóstico Journal LA - 15
Por Bárbara Domb

La TC de conteo de fotones permite medios de menor contraste para imágenes aórticas

De un vistazo

La tomografía computarizada con detector de conteo de fotones es una nueva tecnología que puede adquirir imágenes de alta calidad con un volumen de medios de contraste más bajo que la tomografía computarizada convencional.

El estudio incluyó a 100 pacientes que se sometieron a una angiografía por TC con TC de conteo de fotones de la aorta en el tórax y el abdomen.

Si bien los medios de contraste utilizados en estos exámenes se consideran muy seguros, existe un mayor riesgo de reacciones adversas en pacientes con enfermedad renal.

La TC con detector de fotones reduce la cantidad de contraste necesario para la angiografía por TC (CTA) mientras mantiene la calidad de la imagen, según un nuevo estudio publicado en Radiology: Cardiothoracic Imaging, una revista de la RSNA.

La porción de la aorta que pasa por el tórax y el abdomen es propensa a los aneurismas. El riesgo aumenta con la edad. Los médicos usan CTA con medios de contraste para examinar esta región de la arteria. Si bien los medios de contraste yodados utilizados en estos exámenes se consideran muy seguros, existe un mayor riesgo de reacciones adversas en pacientes con enfermedad renal o nefropatía.

"Muchos pacientes que se someten a CTA de la aorta son ancianos y algunos pueden sufrir cierto grado de nefropatía", dijo el autor principal Hatem Alkadhi, MD, MPH, del Departamento de Diagnóstico y Radiología Intervencionista del Hospital Universitario de Zúrich en Zúrich, Suiza. "Por lo tanto, podrían estar en riesgo de una mayor re-

Tenga en cuenta las tendencias divergentes en la calidad de imagen objetiva y subjetiva, con la calidad de imagen objetiva más alta y la calidad de imagen subjetiva más baja a 40 keV y la calidad de imagen objetiva más baja y la calidad de imagen subjetiva más alta a 60 keV. Las puntuaciones se basan en una escala de Likert de cinco puntos: 5 = excelente, 4 = bueno, 3 = moderado, 2 = deficiente, 1 = no diagnóstico.

ducción de su función renal debido a la administración de medios de contraste".

Usar menos medios de contraste también es bueno para el medio ambiente, ya que los productos de descomposición del yodo tienen efectos ambientales dañinos. Además, el suministro de medios de contraste ha sufrido escasez debido a las interrupciones relacionadas con la COVID-19 en la cadena de suministro farmacéutica.

La tomografía computada con detector de conteo de fotones es una nueva tecnología que puede adquirir imágenes de alta calidad con un volumen de medios de contraste más bajo que los equipos de tomografía computada convencionales que se basan en detectores de integración de energía. También ofrece imágenes de calidad diagnóstica a dosis de radiación más bajas que las de la TC convencional.

El Dr. Alkadhi y su colega del Hospital Universitario Kai Higashigaito, MD, dirigieron un estudio que analizó un protocolo de medio de contraste de

16 - diagnosticojournal.com
Nota de Prensa de la RSNA Figura 1. Diagrama de flujo del estudio de la selección de participantes según los criterios de inclusión y exclusión (gris oscuro). IMC = índice de masa corporal, CTA = angiografía por TC, ECG = electrocardiografía, ED = diámetro efectivo, PCD = detector de conteo de fotones. Hatem Alkadhi, MD, MPH Figura 2. Relación de contraste a ruido (CNR) y puntajes subjetivos de calidad de imagen de los exámenes de CT con detector de conteo de fotones para el grupo 1 en cada nivel de kiloelectronvoltios.

EID CT y PCD CT utilizando un protocolo de medio de contraste idéntico y una dosis de radiación equivalente. Las imágenes transversales de CTA muestran la aorta torácica al nivel del tronco pulmonar en un hombre de 62 años en el grupo 1, que se muestra utilizando configuraciones de ventana idénticas (centro de ventana: 350 HU, ancho de ventana: 1000 HU). (A) Imágenes de exploraciones realizadas con un sistema CT de fuente dual de tercera generación con EID. (B–F) Imágenes de PCD CT con VMI a niveles de energía de 40 a 60 keV. El intervalo de tiempo entre las exploraciones fue de 11 meses. Ambos escaneos se realizaron con el mismo protocolo de medios de contraste (volumen, 70 ml). Tenga en cuenta la mayor atenuación del vaso a niveles de energía más bajos para PCD CT. CTA = angiografía por TC, EID = detector de integración de energía, PCD = detector de conteo de fotones, VMI = imágenes monoenergéticas virtuales.

bajo volumen con detector de conteo de fotones CT para CTA de la aorta en el tórax y el abdomen.

El estudio incluyó a 100 personas, con una media de edad de 75 años. Los pacientes se sometieron a CTA con detector de recuento de fotones CT de la aorta en el tórax y el abdomen. Los pacientes habían recibido una ATC previa con TC convencional a iguales dosis de radiación.

La TC con recuento de fotones tuvo una mayor relación contraste-ruido, una medida clave de la cali-

Figura 4. Puntuaciones de calidad de imagen subjetiva del lector 1 para el grupo 2. Se muestra el diagrama aluvial con gráficos de barras apiladas verticales de las puntuaciones de imagen subjetivas de EID CT con volumen de medio de contraste estándar y PCD CT a 50 keV VMI con volumen de medio de contraste reducido. Las líneas curvas azules y grises entre las columnas representan el cambio de puntaje de imagen para cada participante individual. Interpretación de puntajes: 5 = excelente, 4 = bueno, 3 = moderado. EID = detector de integración de energía, PCD = detector de conteo de fotones, VMI = imágenes monoenergéticas virtuales.

Figura 5. Comparación de la calidad de imagen entre EID CT con protocolo de medios de contraste estándar y PCD CT con protocolo de medios de contraste de bajo volumen utilizando una dosis de radiación equivalente. Se muestran imágenes renderizadas cinemáticas transversales y tridimensionales de la ATC toracoabdominal en una mujer de 71 años del grupo 2. (A–C) Imágenes de EID CT de tercera generación con selección automática de voltaje de tubo de 90 kVp. (D-F) Imágenes de PCD CT con volumen de medio de contraste reducido de 52,5 ml y VMI a 50 keV. El intervalo de tiempo entre las exploraciones fue de 6 meses. CTA = angiografía por TC, EID = detector de integración de energía, PCD = detector de conteo de fotones, VMI = imágenes monoenergéticas virtuales.

dad de la imagen, que se traduce en un protocolo de medios de contraste de bajo volumen. El volumen del medio de contraste se redujo en un 25%. Dos lectores independientes calificaron la calidad de imagen de la TC con recuento de fotones como superior a la de la TC convencional con la misma dosis de radiación.

"Demostramos que la calidad de imagen mejorada de la CTA con sistemas de TC detectores de conteo de fotones se puede utilizar para reducir la cantidad de medios de contraste administrados a los pacientes, sin reducir el rendimiento diagnóstico del examen", dijo el Dr. Alkadhi. "La calidad de la imagen se mantuvo al mismo nivel que la de los exámenes de angiografía por TC anteriores en los mismos pacientes que usaron una TC convencional, a pesar de que redujimos el volumen del medio de contraste".

Con base en los resultados positivos del estudio, el Dr. Alkadhi y sus colegas han cambiado su rutina clínica. Ahora ajustan los protocolos de medios de contraste en pacientes sometidos a CTA de la aorta en el tórax y el abdomen.

Además de su calidad de imagen y resolución espacial superiores, la TC con recuento de fotones puede proporcionar estudios detallados de tejido a través de su capacidad de formación de imágenes espectrales. Los investigadores están considerando esto como una forma de mejorar los estudios de las arterias coronarias y el músculo cardíaco.

"Basado en la experiencia inicial con esta nueva y emocionante tecnología, imagino que este tipo de detector se convertirá en el estándar en los escáneres de TC en un futuro cercano", dijo el Dr. Alkadhi.

Diagnóstico Journal LA - 17
Figura 3. Comparación de la calidad de imagen entre

United Imaging desembarca en FUESMEN con un PET-CT Digital

FUESMEN, el primer centro PET de Latinoamérica, se renovó incorporando el primer PET-CT completamente digital de United Imaging en Argentina. Este equipo de alta gama permitirá obtener resultados de mayor calidad, precisión diagnóstica y sensibilidad, así como también otorga mayores beneficios para la comodidad y seguridad del paciente.

Historia de FUESMEN

La Comisión Nacional de Energía Atómica (CNEA) resolvió en el año 1986 crear una escuela de Posgrado en Medicina Nuclear y Radiodiagnóstico, con el fin de promover las aplicaciones en tecnología nuclear que contribuyeran al bienestar del pueblo argentino.

El propósito de la CNEA en conjunto con la Universidad Nacional de Cuyo y el Gobierno de la provincia de Mendoza fue dotar a la escuela de una infraestructura académica y técnica que asegurara la creación de un ámbito interdisciplinario de excelencia en el campo del diagnóstico por imágenes anatómicas y metabólicas, como así también en el diagnóstico, tratamiento y seguimiento de enfermedades oncológicas, cardiológicas y neuropsiquiátricas.

Surgió en consecuencia la ineludible responsabilidad de la provisión de equipos y laboratorios basados en la más avanzada tecnología del área médica y la presencia de un recurso humano multidisciplinario altamente especializado.

La concurrencia e integración de estos recursos permitiría el desarrollo armónico de la medicina convencional y de alta complejidad con la medicina nuclear, con el uso de radioisótopos, con la tecnología nuclear y con la tecnología de punta en general. Esto facilitaría y mejoraría la difusión y el desarrollo de los usos de las aplicaciones de la energía nuclear en el ámbito de la salud.

Este potencial, tecnología de punta y conocimientos de avanzada, no podía permanecer ajeno a la realidad de la salud provincial y nacional. Así es como tres instituciones con intereses específicos pero complementarios se comprometieron, a través de un convenio suscripto el 21 de Noviembre de 1990, a llevar adelante tan loable emprendimiento.

La materialización de este proyecto en el área de salud es el que más materia gris ha incorporado a la región, ha logrado la calidad con equidad, ha impuesto una metodología institucional de la medicina y ha reunido a físicos, ingenieros nucleares, químicos orgánicos, bioquímicos, médicos y otras especialidades bajo un mismo paraguas de acción

conjunta. El objetivo cumplido garantiza, sin lugar a dudas, una medicina normatizada y protocolizada; para nosotros, la única forma de evaluar resultados.

FUESMEN y el servicio de PET

FUESMEN es un centro formador de médicos, físicos y bioingenieros en medicina nuclear en el área PET. A lo largo de los años han pasado por su institución rotantes de Argentina, Latinoamérica y también Centroamérica.

A continuación se detalla cómo fue evolucionando en el tiempo con la adquisición de sus equipos:

1992 - Primer centro PET de Latinoamérica (ECAT 931-CTI): dedicado sin tomografía, lo que los convirtió en pioneros en la técnica.

2010 – PET/CT híbrido: es un equipo híbrido con un componente PET (que detecta el radiofármaco que se inyecta al paciente y detecta el metabolismo de los tumores) y posee un Tomógrafo (CT) que adquiere imágenes en simultáneo para la mejor detección de las lesiones.

20 - diagnosticojournal.com
Por Bárbara Domb Equipo de Servicio Técnico de Access Medical Systems con el PET-CT instalado.

2015 – Primer equipo PET/MRI digital de Latinoamérica: con la más alta y compleja tecnología que existe hasta la actualidad. Es un equipo híbrido con un componente PET y posee un resonador (MRI) que adquiere imágenes de resonancia magnética en simultáneo para la mejor detección de las lesiones.

2022 – Primer PET/CT digital uMI 550 de Latinoamérica: contamos con el primer equipo PET/CT digital. Este equipo posee características únicas en detección del cáncer, enfermedades neurodegenerativas y cardíacas, entre ellas se encuentran:

• Mejor calidad de imagen: posee una precisión milimétrica dado por detectores PET con cristales LYSO, con fotomultiplicadores de silicio y método matemático de detección Time of Fly (TOF).

• Rápida detección del cáncer: cuenta con algoritmos de inteligencia artificial que ayudan a detectar cada vez más rápido el cáncer, es decir, cuando su tamaño es de solamente de 2 a 3 mm.

• Posee un Tomógrafo (CT) integrado: con 80 canales de detección con un tamaño de pixel de 0.55 mm, que permite reconstrucciones isovolumétricas en todos los ejes cartesianos. Además, los beneficios para el paciente son muchos también:

• Menor tiempo de estudio: los pacientes deben quedarse la mitad de tiempo que antes, ya que el estudio de cuerpo completo solo tarda 10 minutos.

• Disminuye la dosis de radiación al paciente frente al elemento radioactivo: permite inyectarle al paciente la mitad de la dosis de radiofármaco.

• Se pueden incrementar los estudios diarios: al tener menor consumo de radiofármaco se podrá incrementar la cantidad de estudios diarios.

• Mayor comodidad para el paciente: por la mayor velocidad del estudio

Access Medical Systems y el primer PET-CT Digital del país

Access Medical Systems, distribuidor exclusivo en Argentina de United Imaging es la empresa que

tuvo la oportunidad de instalar dicho equipo en un centro de referencia como es la fundación. Juan Menes, Jefe de Servicio de Access Medical Systems, explicó que “El proceso ha comenzado por la recepción del equipamiento en las instalaciones del cliente, desconsolidación e ingreso de los componentes a la sala, emplazamiento, ensamblado y anclaje del equipo según los planos de preinstalación. Posteriormente se ha procedido al conexionado, puesta en marcha y configuración siguiendo estrictamente los estándares de fábrica. Finalmente se han efectuado todos los procesos de calibración, y verificación de calidad de acuerdo a los requerimientos del fabricante y a normas internacionales como son los test NEMA. Dando así por finalizada la instalación y asegurando la calidad diagnóstica del sistema, cumpliendo con las más altas exigencias de estándares mundiales.”

El uMI550 es un PET-CT digital de última generación, con ventajas significativas en tres áreas importantes: el cuidado del paciente, la eficiencia clínica y las perspectivas de la inversión a futuro. El mismo cuenta con la mayor resolución espacial del mercado, lo cual permite identificar patologías sutiles o incipientes.

A su vez, su FOV de 24cms ayuda a mejorar la eficiencia del servicio PET, logrando reducir la cantidad de camillas requeridas para adquirir la imagen deseada. A esto se suma el hecho de que el equipo cuenta con novedosos algoritmos de reconstrucción basados en inteligencia artificial que permiten algo que parecía imposible: reducir tiempos de adquisición y dosis inyectada al paciente sin perjudicar la calidad de imagen.

Estas características sumadas al hecho de que el equipo sigue incorporando nuevos softwares para mejorar su performance, brindan tranquilidad al usuario con respecto de la seguridad de su inversión de cara al futuro.

“Gracias a la colaboración destacada del personal de FUESMEN, la coordinación conjunta y al trabajo exhaustivo y minuciosos del personal de fábrica y de AMS, hemos podido realizar todo el proceso de instalación y capacitación, poniendo esta nueva tecnología a disposición de los pacientes en tiempo récord.” Concluyó Menes.

Diagnóstico Journal LA - 21

Master Class Michael Hofman

Buenos Aires, 19 de Enero del 2023.

En el contexto de una visita a nuestro país del Prof. Michael Hofman del Peter MacCallum Cancer Centre (Melbourne, Australia), con el respaldo de la Asociación Argentina de Biología y Medicina Nuclear, Sociedad Argentina de Urología, Sociedad Argentina de Radiología y Asociación Argentina de Oncología Clínica, se llevó a cabo una Master Class en relación al impacto del tratamiento con 177Lu- PSMA en pacientes con cáncer de próstata.

Durante el encuentro, el reconocido experto Prof. Michael Hofman mostró los recientes trabajos publicados por su equipo en teragnosis con 177Lu-PSMA destacando las respuestas obtenidas asociadas a la menor toxicidad en comparación con la quimioterapia convencional con taxanos. Al mismo tiempo, compartió su experiencia, datos prácticos para la selección y seguimiento de los pacientes, así como el manejo de las complicaciones. Por otra parte, el impacto de la posibilidad de la sinergia de este tratamiento en combinación con otros radiofármacos como el 223Radium, quimioterapia u otras alternativas terapéuticas.

Los profesionales involucrados en el manejo multidisciplinario del cáncer de prós-

tata tuvimos el privilegio del intercambio mano a mano en relación a las múltiples aristas que abordan este tema.

No obstante, el resto de la jornada se complementó con otros profesionales referentes en la temática de nuestro país, así como las particularidades logísticas y de múltiples autorizaciones que restringen esta práctica en nuestro medio, siendo de vital importancia el compromiso de los médicos tratantes en especial de los especialistas en medicina nuclear con capacitación y autorizaciones pertinentes en terapia metabólica.

22 - diagnosticojournal.com
Dr. Mariano Lopez Suárez., Dra. Martina Musumeci, Dra. Silvina Racioppi. Dr. Danny Mena Cortes, Dr. Diego Barreiro, Dra. Silvina Racioppi, Prof. Michael Hofman, Dr. Federico Losco y Dra. María José Bastianello, profesionales que a acompañaron con sus ponencias a la clase magistral Por Dra. Silvina Racioppi
Diagnóstico Journal LA - 23

Philips en RSNA 2022

Advances Therapies de Philips en RSNA 2022

Dialogamos con Carret Murphy

Philips presentó lo último en interpretación de imágenes con IA para ayudar a priorizar las listas de trabajo de los pacientes en función de los resultados clínicos y ampliar las capacidades de diagnóstico con su nuevo Philips Advanced Visualization Workspace, con funciones mejoradas para automatizar los informes y ayudar a impulsar un diagnóstico más temprano y definitivo. Con el renovado Philips IntelliSpace Portal, una solución avanzada de visualización y análisis, es posible ayudar a los médicos a diagnosticar, hacer un seguimiento y comunicarse, a través de modalidades y dominios clínicos, con un flujo de trabajo conectado y sin inconvenientes; dinamizando el flujo de trabajo para los usuarios.

De esta forma, ahorran tiempo en AB o post proceso de las imágenes y pueden dedicar más tiempo a los pacientes.

CT de Philips en RSNA 2022

Mark Olszewski es Head of Global Marketing para TC de Philips

Philips destacó también en este congreso su galardonado Spectral CT 7500, el último escáner de TC de doble energía de la compañía,

que ayuda a los radiólogos a caracterizar mejor la enfermedad y a reducir los tiempos de exploración con los mismos niveles de dosis que las exploraciones convencionales, y que se utiliza en la obtención de imágenes oncológicas, cardíacas y de radiología intervencionista, demostrando una reducción del 34% en el tiempo de diagnóstico, una reducción del 25% en la repetición de exploraciones y una reducción del 30% en las exploraciones de seguimiento*.

Con la tecnología espectral basada en detección se adquieren múltiples capas de datos - convencional y espectral - en una misma adquisición sin necesidad de protocolos especiales, mejorando la caracterización y visualización de tejidos.

* Análisis realizado por el Centro de Cáncer CARTI en Little Rock Arkansas y los Hospitales Universitarios de Cleveland - Los resultados de los estudios del caso no son predictivos de los resultados en otros casos. Los resultados en otros casos pueden variar.

MRI de Philips en RSNA 2022

Por Harry Berednesen, speaker para MRI de Philips en RSNA 2022

En el área de MRI, Philips destacó en el pasado RSNA con varias innovaciones.

En nuestro sistema tope de linea 3D el equipo MRI 7700 con máxima calidad de imagen para práctica clínica, lo que es realmente interesante de este equipo es que permite el intercambio entre clínica e investigación, con múltiples funcionalidades.

26 - diagnosticojournal.com
Mark Olszewski

El sistema está diseñado para cumplir las expectativas clínicas actuales y facilitar los programas de investigación más exigentes. Proporciona una precisión, potencia y resistencia altas para facilitar un diagnóstico fiable para cada paciente. Es el sistema preferido para la adquisición de imágenes de difusión de la más alta calidad y la neurociencia avanzada.

Otra novedad destacada en la RSNA es Philips MR SmartSpeed impulsada por IA, una solución diseñada para aumentar la velocidad, la calidad de la imagen y la productividad e impulsar la confianza en el diagnóstico con la mejora de la resolución de la imagen a través del algoritmo de reconstrucción con IA. Utiliza el motor

de velocidad de última generación de Philips y una galardonada* tecnología de reconstrucción de IA* entregada en la fuente de la señal de RM para garantizar que no haya pérdida de datos. SmartSpeed se une a la creciente cartera de soluciones de RM impulsadas por la Inteligencia Artificial, que incluye la detección del paciente sin contacto basada en la IA, SmartExam y MR Workspace. Philips también mostró el MR 5300, el nuevo imán BlueSeal de Philips, y el primer diseño de sistema de operaciones sin helio de gran calibre del sector para obtener imágenes sostenibles con menores costes de emplazamiento sin que la calidad de la imagen o los compromisos clínicos se vean afectados.

* En comparación con las exploraciones de DTI/RM funcional de Philips sin MultiBand SENSE.

Estrategias a corto plazo

Para Alexei Costa, las innovaciones presentadas por Philips en RSNA se ajustan al futuro de la radiología. Cada una de estas innovaciones está respaldada por el compromiso de Philips de ofrecer soluciones que apoyen una infraestructura de diagnóstico sostenible y consistente para ayudar a los hospitales a obtener un valor continuo de sus inversiones. Un conjunto integrado de modelos de servicio innovadores y soluciones digitales inteligentes ayudan a maximizar la vida útil y las capacidades de los sistemas de Philips, aportando más valor a los proveedores de atención sanitaria, al tiempo que aumentan la circularidad, y lo demuestran las tecnologías líderes presentadas en el evento.

Diagnóstico Journal LA - 27
Harry Berednesen Carlos Emilio Alvarez y Felipe Basso
28 - diagnosticojournal.com

Radcal en RSNA 2022

Este año, RADCAL presenta el nuevo y poderoso software Accu-Gold 3. Este nuevo software, en conjunción con la nueva generación de analizadores de rayos x, Accu-Gold TOUCH, son la herramienta ideal para trabajo de controles de rutina en todas las modalidades de maquinas de rayos x actualmente en el mercado.

Una de las características principales del nuevo software AG3, es la capacidad de poder capturar una gran cantidad de información, o datos en bruto”, que son analizados instantáneamente, o pueden ser enviados a Radcal para la creación perfiles para cualquier máquina, sin importar el modelo o fabricante, de acuerdo con los requerimientos del usuario y/o las características de la máquina. Esto es un gran avance en el campo control de calidad de rayos x. Radcal es la única compañía que posee esta tecnología.

En mamógrafos digitales, tales como Hologic Selenia Dimensions 3D, AG3 puede capturar la señal de principio a fin con solo una sola exposición, asignando, inteligentemente, la combinación ánodo/filtro correcta.

Puede también re-analizar los datos de dicha captura con una configuración de ánodo/filtro diferente que la utilizada por el mamografo: en este caso, con solo dos o tres clicks del mouse, el usuario puede cambiar el filtro de Ag (Plata) a Rh (Rodio) o viceversa, de acuerdo con el resultado que se requiera. Este paso no requiere otra exposición adicional AG3 lo hace “off-line” con la información ya capturada.

Las diferentes combinaciones de ánodo/filtro, están agrupadas por fabricante y por modelo de la máquina de rayos x, eso hace que la configuración del software para trabajo en máquinas específicas, dadas las características de las mismas, sea más preciso. En la versión previa del software, Accu-Gold 2, estas opciones estaban agrupadas por modalidad.

Las nuevas máquinas de última tecnología, o

A.I. (“Artificial Intelligence”) que salen al mercado, ya sean mamógrafos, maquinas dentales o tomógrafos multi-corte, producen imágenes que son cada vez de mejor calidad.

Con tanta nueva tecnología, nuestro software AG3 nos permite mantenernos a la par de este mercado, simplemente con solo incorporar actualizaciones, tales como factores de corrección, nuevas tablas de calibración o mejoras en la interface que facilitan su uso por el usuario.

Es decir, resulta mucho mas rápido, practico y de menor costo expandir la capacidad del software, que diseñar un nuevo sistema. La plataforma de hardware Accu-Gold TOUCH ha sido diseñada para ser compatible con tecnología Radcal de años anteriores, para cubrir los requerimientos de un mercado de hoy y deja lugar para cubrir las necesidades de sus usuarios en el futuro.

En adición a estas innovaciones en software, los sistemas de Radcal con sus sensores y cámaras de ionización, ponen al alcance del usuario, todos los datos relacionados con dosis, kV y mA, luminancia, iluminancia, DAP, radiación de fuga, evaluación de blindajes, etc. para un control de calidad comprensivo y preciso.

32 - diagnosticojournal.com

Speaker Trainging de Bayer en Panamá

Los días 23 y 24 de Enero realizamos en la ciudad de Panamá un speaker training, organizado por Bayer AG con invitados de toda la región y con la participación del coach Felipe Riaño.

Este año el entrenamiento se enfocó en el trabajo multidisciplinario con la participación tanto de médicos radiólogos como referidores dentro de los cuales contamos ginecólogos, oncólogos, neurólogos, urólogos y cardiólogos así como también con técnicos radiólogos / Licenciados en Bioimágenes y administradores de centros de diagnóstico para tener una visión global de los flujos de trabajo que habitualmente suceden en el campo de las imágenes.

Dentro de los invitados de ConoSur contamos con la presencia de los doctores Jorge Ahualli, Sebastian Lescano, Carlos Rugilo y Lucrecia Ballarino y el Lic. Adolfo Giles.

34 - diagnosticojournal.com
Dra. María Sol Toronchik
Diagnóstico Journal LA - 35

46° Congreso Colombiano de Radiología

Diagnóstico e intervencionismo por imagen

Mayo 19 al 21 · 2023

Mayo 18 · Curso Pre-congreso ESOR

Cartagena de Indias, Colombia

País invitado: México

Organizado por: Participación especial:

www.CCR2023.org

Próximos eventos

MARZO 2023

European Congress of Radiology

ECR 2023

1 al 5 de Marzo

Austria Center Vienna Viena, Austria myesr.org

SIR 2023

Society of Interventional Radiology

4 al 9 de Marzo Phoenix Convention Center Arizona, USA https://www.sirmeeting.org

International Congress of Radiology

ICR 2023

15 al 17 de Marzo

Steigenberger Aldau Hotel Hurghada, Egipto isradiology.org

ABRIL 2023

ARRS 2023 Meeting

16 al 20 de Abril Honolulu, Hawái, USA arrs.org

HIMSS 23

17 al 21 de Abril Mc Cormick Place Chicaco, IL, USA www.himss.org

ESOR European School of Radiology

Emergency Radiology

19 de Abril

Hotel Marquis Reforma Ciudad de México www.smri.org.mx

53° Jornada Paulista de Radiología

27 al 30 de Abril

Transamerica Expo Center San Pablo, Brasil www.jpr2023.org.br

Centro de Convenciones Cartagena de Indias Cartagena de Indias, Colombia acronline.org

XXXI Jornadas SERAM ARRS

Avances en Resonancia Magnética

31 de Mayo al 2 de Junio A Coruña, España

https://seram.es/eventos/87635/

JUNIO 2023

2023 ISMRM & ISMRT Annual Meeting & Exhibition

3 al 8 de Junio

Toronto, ON, Canada

https://www.ismrm.org

SIIM23 Annual Meeting

14 al 16 de Junio

Austin Convention Center Austin, TX, USA siim.org

FIME 2023

21 al 23 de Junio Miami Beach Convention Center Miami Beach, FL, USA

www.fimeshow.com

JULIO 2023

AHRA Annual Meeting 2023

51st Annual Meeting and Exposition of Association for Medical Imaging Management

9 al 12 de Julio

Indiana Convention Center, Indianapolis Indiana, USA

https://www.ahra.org/

SEPTIEMBRE 2023

Congreso Argentino de Diagnóstico por Imágenes

20 al 23 de Septiembre

Centro de Convenciones Buenos Aires

Buenos Aires, Argentina

https://cadi2022.com.ar/

MAYO 2023

Congreso Colombiano de Radiología CCR 2023

19 al 21 de Mayo

OCTUBRE 2023

ASTRO 2023

American Society for Radiation Oncology

1 al 4 de Octubre

San Diego Convention Center

San Diego, California

https://www.astro.org/

Congreso Chileno de Radiología

12 al 14 de Octubre

Santiago de Chile

www.sochradi.cl

NOVIEMBRE 2023

WFUMB 2023

4 al 7 de Noviembre

Muscat, Oman

wfumb.info

XXIX Congreso ALASBIMN

XXIII Congreso AABYMN

15 al 18 de Noviembre

Buenos Aires, Argentina

www.aabymn.org.ar

www.alasbimn.net

RSNA 2023

26 al 30 de Noviembre McCormick Place

Chicago, IL, USA rsna.org

38 - diagnosticojournal.com

Turn static files into dynamic content formats.

Create a flipbook
Issuu converts static files into: digital portfolios, online yearbooks, online catalogs, digital photo albums and more. Sign up and create your flipbook.
361 - Diagnóstico Febrero by Diagnostico Journal - Issuu