360 - Diagnóstico Enero

Page 1

LATINOAMÉRICA www.diagnosticojournal.com Racismo en la Radiología Vol. XXXIII - Nº 360 [ Enero 2023 ]

Editores

Bárbara R. Domb y Ezequiel Domb

Diseño, Diagramación & Portada

Ezequiel Domb

Colaboradores Periodísticos

César Mauricio Rodríguez Olivo Diego Ruiz

María Virginia Parra

Publicidad

Bárbara Domb

Redacción La Pluma Redactores

Vol. XXXIII N° 360 - Enero 2023

DIAGNÓSTICO Journal LA

Galicia 919

(1416) Buenos Aires, Argentina +54 911 5664 - 9585 info@diagnosticojournal.com www.diagnosticojournal.com

DIAGNÓSTICO JOURNAL LA is published monthly

6538 Collins Ave. # 335, Miami Beach FL 33141, USA.

Tel. 786.999.0557

Covering since: 92 RSNA, 95 AIUM, 98 AAN, 98 IBMS, 98 ASBMR, 99 ACC, 95 JPR

Los artículos firmados expresan las opiniones de los autores y no reflejan necesariamente la opinión de la Editorial.

Imagen de portada: Racial Love by freshidea

Editorial

En Latinoamérica, como en gran parte del planisferio estamos viviendo tiempos convulsionados, pero esta vez no somos los únicos.

EE.UU. entró en recesión, en Europa está la crisis energética, la crisis generada por la guerra de Rusia con Ucrania sumado a la crisis post pandemia.

¿Qué hacemos los latinos para pasar esta crisis de la mejor manera posible, con el menor impacto posible en nuestras vidas cotidianas?

Resiliencia! Esto es la capacidad de sobreponerse a momentos críticos y adaptarse luego de experimentar alguna situación inusual e inesperada.

Así es! Las empresas no pueden dejar de vender, para esto tienen que ser cada vez más “socios” de sus clientes, a la hora de entender sus realidades, sus planes de negocio no son a tan largo plazo, necesitan un retorno de la inversión prácticamente inmediato, necesitan productividad. Es por ello que no dejamos de ver en los eventos que cubrimos y las notas que hacemos a la industria el empeño que ponen en brindar productos y servicios cada vez más eficaces, lo que les permite a su vez a sus clientes, los centro de salud, ser más rentables, hacer más estudios en menos tiempo, no tener que repetir los mismos sin dejar de dar un diagnóstico de excelencia y confort al paciente.

Es todo un desafío, pero de eso se trata, de mejorarnos día a día!

Bárbara Domb

Sumario Diagnóstico

[ 06 ] Meningioma de Células Claras con Recidiva Extracraneal; A Propósito de un Caso

[ 09 ] La concentración de yodo en DECT diferencia el cáncer de pulmón de las metástasis pulmonares

[ 10 ] Investigadores utilizan IA para clasificar a pacientes con dolor torácico

[ 13 ] La RSNA lanza curso de certificado avanzado de IA

[ 14 ] Planmed XFI®: el nuevo punto de vista

[ 16 ] Curso de Informática de Imágenes (RSNA - SIIM)

[ 17 ] La salud no se toma vacaciones

[ 20 ] La victoria viene llegando

[ 21 ] La RSNA 2022 centrada en el punto de vista del paciente atrajo a casi 38.000 asistentes

[ 24 ] Racismo en la radiología

[ 28 ] GE Healthcare completa su escisión de GE y comienza a cotizar en el Nasdaq

[ 31 ] iQMR, la tecnología más confiable para optimizar CT y MRI en real time

[ 32 ] The Mare Group en el SILAN 2022

[ 36 ] Philips Argentina tiene nuevo country manager

[ 38 ] Próximos eventos

Staff Diagnóstico Journal LA | 5

Meningioma de Células Claras con Recidiva Extracraneal; a Propósito de un Caso

AUTORES: María Celeste Tetti1, Fernando Williams2, Andrés Saez3, Mariano Volpacchio4, Mariano Sosa5

Contacto: María Celeste Tetti, email: m.celeste884@gmail.com, Número celular: +54-911-6453-0241

Servicio de Imágenes, Hospital de Clínicas "José de San Martín''; Universidad de Buenos Aires. Avenida Córdoba 2351, CABA.

1 Médica residente; 2 Jefe de Residentes; 3 Especialista en diagnóstico por imágenes; 4 Jefe de servicio de Tomografía 5 Jefe servicio de Diagnóstico por Imágenes

INTRODUCCIÓN

Los meningiomas son tumores intracraneales frecuentes para el radiólogo, en general, de presentación benigna, cuyas características imagenológicas permiten una identificación y caracterización típica. A continuación presentaremos el caso de un meningioma de células claras, una variedad rara de meningioma, describiendo su apariencia imagenológica así como las características de las recidivas y la evolución en el tiempo de este tumor, que consideramos que todo radiólogo debería estar familiarizado.

PRESENTACIÓN DEL CASO

Paciente femenina de 50 años, sin antecedentes vinculados con la patología de interés (hipertensión, hipotiroidismo, diabetes mellitus tipo II y ceguera bilateral por desprendimiento de retina bilateral a sus 21 años). Derivada de otra institución, consulta a la guardia por aumento del tamaño de tumoración de ubicación frontal, de tres años de evolución, asociado a cefalea frontal tipo pulsátil (Figura 1).

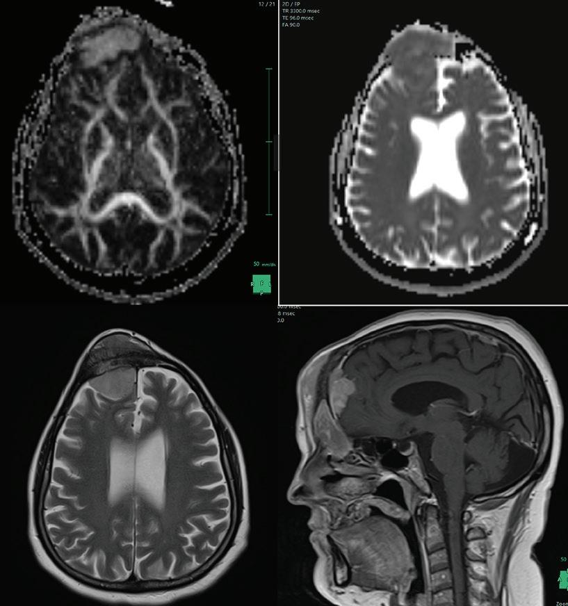
Figura 2. Se utilizó secuencias de pulso para T1, T2 y FLAIR y T1 tras la administración de contraste paramagnético. Se observa a nivel frontal, lesión sólida, extra-axial, que se extiende hacia ambos lados de la bóveda craneal, es ligeramente hiperintensa con respecto al parénquima encefálico en secuencias T1 y T2, se extiende al seno frontal y hacia las partes blandas adyacente a ese Intenso realce tras la administración de contraste endovenoso, evidenciándose adherencia dural.

Figura 3: Tomografía con y sin contraste endovenoso realizada 2 años después de la resonancia. En región frontal se observa lesión expansiva, de densidad de partes blandas, que se extiende hacia ambos lados de la calota, que invade la fosa frontal anterior derecha y el seno frontal adyacente con intenso realce tras la administración del contraste endovenoso de tipo heterogéneo compatible con una lesión hipervascularizada. Osteólisis del hueso frontal con patrón permeativo, asociado a áreas de esclerosis óseas con reacción perióstica y remodelación del hueso que se extiende hasta la región del seno frontal y de celdillas etmoidales anteriores. En el parénquima encefálico se observa edema en hemisferio derecho en región frontal y efecto de masa desviando la línea media en la región anterior hacia la izquierda. Servicio de Tomografía de Diagnóstico por imágenes, Hospital de Clínicas “Jose de San Martin”, 2021.

Se realiza exéresis. El informe anatomopatológico detalla hallazgos característicos como material parduzco, blanquecino y friable al corte cuyos cortes histológicos presenta entre cuerpos de Psamoma e inmunomarcación positiva para EMA, índice de proliferación KI 67: 18%, contantando el diagnóstico de meningioma de células claras anaplásico Grado III de la WHO.

CONTINUACIÓN

Luego de un año de la cirugía, la paciente consulta por dolor del lado derecho y tumefacción en región cervical bilateral a predominio derecho. Se le indica ecografía partes blandas cervical derecha (Figura 6) (Figura 7)

6 - diagnosticojournal.com
Figura 1. En el examen físico se observa tumoración frontal bilateral a predominio lado derecho. Hospital de Clínicas “Jose de San Martín”, 2021 Figura 2

Figuras 4 y 5: Tumoraciones cervicales bilaterales del lado derecho. Fotos tomadas con consentimiento de la paciente en el Servicio de Ecografía de Diagnóstico por Imágenes, Hospital de Clínicas “Jose de San Martin”, 2022

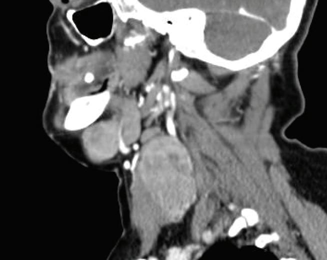
Figuras 6 y 7. Ecografía de partes blandas. Estudio realizado con transductor lineal de alta frecuencia en región cervical derecha observándose múltiples imágenes expansivas, sólidas, hiperecoicas, heterogéneas, polilobuladas con vascularización periférica y central al Doppler color. Servicio de Ecografía de Diagnóstico por Imágenes, Hospital de Clínicas “José de San Martín”, 2022.

Para mejor caracterización y extensión de la lesión, con posterior punción aspiración con aguja fina. Donde se informan hallazgos compatibles en primer término con compromiso secundario por MENINGIOMA.

Figura 8. Se realiza tomografía de cerebro y cuello con contraste endovenoso. En región parótida, submaxilar y espacio carotídeo en región infrahioidea derecha, se observan lesiones de densidad partes blandas, con realce intenso, heterogéneo, tras la administración del contraste endovenoso, de tamaño variable, algunos expansivos que generan desplazamiento y compresión de estructuras adyacentes.

Diagnóstico Journal LA - 7
Figura 4 Figura 5 Figura 6 Figura 7

DISCUSIÓN

Los meningiomas son los tumores intracraneales más frecuentes del adulto. Se originan a partir de células meningoteliales de las granulaciones aracnoideas de las meninges cerebrales o espinales. La mayoría son benignos, por lo que crecen a lo largo de meses - años y llegando a producir síntomas neurológicos por compresión o desplazamiento del sistema nervioso (cerebro, médula o nervios). Predominan en mujeres (2:1-4:1), con mayor prevalencia mayores 65 años. La mayoría son espontáneos. Se describen como factores de riesgo, pacientes con antecedentes de radioterapia, alteraciones genéticas como neurofibromatosis tipo 2 (típicamente presentándose con múltiples meningiomas).

Puede presentar sensibilidad a los estrógenos y la progesterona y pueden crecer durante el embarazo (77% células claras).

Se caracterizan por presentarse como una masa sólida extraaxial, única (85%), bien circunscrita, con base de implantación en la duramadre que en la TC sin contraste: 60% levemente hiperdenso con respecto al parénquima cerebral, el resto son isodensas. Y en la TC postcontraste ev: 72% marcado realce tras la administración de contraste endovenoso. Las variantes malignas o quísticas muestran más heterogeneidad (Tabla 2).

Tabla 1. Localizaciones:

Convexidad cerebral (20-34%)

Región parasagital (18-22%)

Fosa craneal media y esfenoides (17-25%)

Región frontobasal (10%): surco olfatorio

Fosa posterior (9-15%): tentorial; angulo cerebeloso; hemisférico; retroclival.

Tabla 2. Hallazgos imagenológicos: Homogéneos pero en ocasiones pueden contener calcio, grasa, tejido fibroso o presentar transformación quística, necrótica o hemorrágica.

20-30% tienen alguna calcificación (difusas o focales)

Hiperostosis (5%), típico de los meningiomas que lindan con la base del cráneo Destrucción ósea (irregularidad del hueso subyacente) se presenta como lesiones líticas o blásticas

Edema vasogenico (de grado variable, no relacionado con la agresividad histológico pero sí con la expresión del factor de crecimiento endotelial vascular (VEGF) (producido dentro del meningioma que ingresa al parénquima adyacente) o la expresión de CEA y CK.

Quistes: subaracnoideos (entre el meningioma y cerebro por atrapamiento del del LCR a partir de las adherencias aracnoideas), o por degeneración quística del tumor

Meningioma de células claras Representa solo el 0,2 - 0,8% de los meningiomas. Se categoriza como Grado II dentro de los tumores del SNC indicando mayor agresividad local y alta recurrencia, la cual se estima en 40-60%, a cinco años posterior a la resección total (Tabla 3). Predomina levemente en hombres (atípicos y malignos), en todas las etapas de la vida, pero con mayor frecuencia en niños y adultos jóvenes. Usualmente antes de la quinta década de la vida, generalmente en el ángulo pontocerebeloso o columna lumbar. Macroscópicamente se presenta como tejido de color pardo claro, consistencia firme e histológicamente se caracteriza por células poligonales con citoplasma claro; por la acumulación de glicógeno (tinciones de PAS -diastasa sensible); núcleos redondos con cromatina delicada y uniforme, con nucléolos poco llamativos, bandas de colágeno intersticial y perivascular con pocos o ningún patrón menigotelial clásico (formación de borlas y cuerpos de psamoma), lo que dificulta el diagnóstico de un tumor meningotelial. La inmunohistoquímica, es determinante para el diagnóstico y para diagnóstico diferencial, el cual evidencia positivo para vimentina y anticuerpos antiendomisio y negativo para S-100, proteína glial fibrilar ácida y citoqueratinas. También se describen marcadores tumorales, donde se identificaron mutaciones en numerosos genes y aberraciones cromosómicas, desmetilación de región promotora, y micro ARN, que regulan la expresión de los genes a nivel post transcripcional, aunque siguen en estudio. (Tabla 4).

Tabla 3 Clasificación OMS para tumores SNC 2021 (15 subtipos y 3 grados de malignidad). La clasificación de grado de la OMS puede ser una mejor indicación del pronóstico que la diseminación del tumor.

GRADO I: Meningioma benigno (80-94%) Recidiva 3-7% (5 años)

GRADO II: Meningioma atípico. Comportamiento agresivo. Peor pronóstico (5-7%) Recidiva 30% (5 años)

GRADO III: Meningioma maligno o anaplásico (1-2%) Recidiva 85-90% (5 años)

Tabla 4. Marcadores moleculares

Mutaciones en el gen supresor de tumores NF2: causa genética meningioma

Mutaciones SMARCE1: subtipo de células claras

Mutación del promotor TERT: grado 3

Deleción homocigótica de CDKN2A/B: grado 3

Pérdida de expresión nuclear de H3K27me3: peor pronóstico

Perfil de metiloma: subtipificación pronóstica

La metástasis extracraneal es extremadamente rara, puede ocurrir en subtipos no malignos aunque en un tumor de mayor grado puede indicar un peor pronóstico. Suelen encontrarse en pulmón, hígado y huesos. La metástasis cervical es sumamente infrecuente, no obstante, en revisión de casos previos (10 casos) de metástasis a nivel cervical, se identifica que es más frecuente en pacientes con antecedentes de resección del tumor primario (en este tipo de pacientes siempre considerar como diagnóstico diferencial). Aunque no se conoce con certeza el mecanismo de diseminación metastásica al cuello, se cree que la patogenia se produce como consecuencia de la siembra de células tumorales tras la resección quirúrgica, cuando la BHE es permeable durante la resección intracraneal, proporcionando un vía de acceso a la vía linfática. No se encontró evidencia de asociación del grado histológico y la metástasis

CONCLUSIÓN

Los meningiomas son tumores relativamente frecuentes, cuya prevalencia aumenta con la edad (cerca de un 2% de la población > 60 años) de localización intracraneal (más del 80%de todos los meningiomas. Los meningiomas de células claras son infrecuentes, de comportamiento agresivo, clasificado como tumor de Grado II, ante la confirmación del tipo histológico, por la recidiva y agresividad local, que determinan su pronóstico, independientemente de la agresividad del mismo al momento del diagnóstico.

Esta paciente, presenta características atípicas incluso para el meningioma de células claras, cuya ubicación en fosa anterior y más aún, recidiva extracraneal, ejemplifica la necesidad de tener en cuenta la presentación atípica de un tumor conocido. En resumen, en un paciente con antecedentes quirúrgicos de meningioma de células claras, que consulta por una tumoración en el cuello, se debe incluir en el diagnóstico diferencial, el meningioma metastásico.

BIBLIOGRAFÍA

• Neurorradiología. R.I Grossman; D. M. Yousem. Editorial Marban, 2007. Pág 95-110.

• Radiología Esencial, volumen II. Sociedad Española de Radiología Médica (SERAM). Editorial Panamericana, 2da edición, 2018. Pág 1497-1522.

• https://radiopaedia.org/articles/meningioma; https://radiopaedia.org/articles/clear-cell-meningioma

• Metastatic Meningioma of the Neck: A Case Report and Systematic Review; Nguyen H.C.B.a · Mady L.J.b · Panara K.b · Andrianus S.c · Cooper K.c · Chen I.H.d

• Chalian A.A.b · Brody R.M.;https://doi.org/10.1159/000521076 https://www.karger.com/Article/FullText/521076

• Claves diagnósticas de los meningiomas atípicos. Margalida Pons Perelló; Paula Roig Egea; Beatriz Miriam Rodriguez Chikri; Carolina Nieto Garcia;Antonio Mas Bonet; Maria Jose Picado Valles. https://piper.espacio-seram.com/index.php/seram/article/view/7251/5717

• Presentación atípica de meningioma de células claras en cauda equina sin implantación dural. Claudia Constanzo V1, Lorenzo Bustos, Claudia Lagos, David Eriz, Juan Cabrera. https://docs.bvsalud.org/biblioref/2021/09/1291224/revista-anacem-102-25-28.pdf

• Meningioma de células claras intra-espinal. Presentación de un caso y revisión de la literatura M.C. Tuñón-Pitalúa; O. Molina-Olier; G. Alcalá-Cerra, L.M. Niño-Hernández y C.F. Lozano-Tangua. https://scielo.isciii.es/pdf/neuro/v22n1/caso2.pdf

• Relevancia de los grados de Simpson en la resección de meningiomas grado https://aanc.org.ar/ranc/files/original/3e6846dd db3862d9d02363a3bc82403c.pdf

8 - diagnosticojournal.com

La concentración de yodo en DECT diferencia el cáncer de pulmón de

las metástasis pulmonares

Según un trabajo publicado en el American Journal of Roentgenology ( AJR ) de la ARRS, los mapas periféricos de alta concentración de yodo en forma de anillo de la tomografía computada de doble energía (DECT) pueden ayudar a guiar el manejo en pacientes con cáncer de pulmón conocido y un nódulo solitario indeterminado.

"La alta concentración periférica de yodo en forma de anillo tuvo una excelente concordancia entre observadores, mostró una alta especificidad (aunque poca sensibilidad) para diferenciar la metástasis pulmonar del cáncer de pulmón primario y predijo de forma independiente la metástasis pulmonar", escribió el primer autor de AJR , Yoshinao Sato , MD, PhD, de Diagnostic Imaging Center en el Hospital del Instituto del Cáncer de Japón en Tokio.

Este estudio manuscrito aceptado por AJR incluyó a 93 pacientes (64 hombres, 29 mujeres; mediana de edad, 70 años) que se sometieron a resección de un cáncer de pulmón primario (n=68) o metástasis pulmonar (n=25) correspondiente a una lesión sólida en el contraste preoperatorio -DECT mejorado realizado entre abril de 2020 y marzo de 2021. Después de construir imágenes monoenergéticas de 120 keV de fase venosa, imágenes

monoenergéticas virtuales de 66 keV de fase de equilibrio, así como mapas de concentración de yodo, dos radiólogos evaluaron las lesiones de forma independiente para lo siguiente: márgenes espiculados, broncogramas aéreos, realce del borde y concentración periférica de yodo alta en forma de anillo delgado.

En última instancia, la concentración alta de yodo en la periferia anular en DECT mostró una excelente concordancia entre observadores (k = 0,80) y tuvo una sensibilidad del 52 % y una especificidad del 81 % para diferenciar las metástasis pulmonares de los cánceres de pulmón primarios. Además, el hallazgo predijo de forma independiente la metástasis pulmonar en el análisis multivariado [OR = 7,81, IC del 95 %: 2,28–29,60; p = 0,001] combinando características del paciente y de la lesión.

“Los mapas de concentración de yodo de DECT podrían ayudar a determinar el diagnóstico de lesiones que son equívocas para metástasis pulmonar en imágenes convencionales”, reiteraron los autores de este trabajo aceptado por el AJR.

Diagnóstico Journal LA - 9
Por Ezequiel Domb Nota de Prensa de la ARRS

Investigadores utilizan IA para clasificar a pacientes con dolor torácico

De un vistazo

El análisis de deep learning de las radiografías de tórax iniciales puede facilitar una clasificación más eficiente de los pacientes que llegan a la sala de emergencias con dolor torácico agudo. El modelo de deep learning mejoró significativamente la predicción del síndrome coronario agudo, la embolia pulmonar y la disección aórtica. El síndrome de dolor torácico agudo representa más de 7 millones de visitas al departamento de emergencias anualmente en los Estados Unidos, lo que lo convierte en una de las quejas más comunes.

La inteligencia artificial (IA) puede ayudar a mejorar la atención de los pacientes que acuden al hospital con dolor torácico agudo, según un estudio publicado en Radiology, una revista RSNA.

"Hasta donde sabemos, nuestro modelo de IA de deeplearning es el primero en utilizar radiografías de tórax para identificar a los pacientes con dolor torácico agudo que necesitan atención médica inmediata", dijo el autor principal del estudio, Márton Kolossváry, MD, Ph. D., investigador de radiología en el Hospital General de Massachusetts (MGH) en Boston.

El síndrome de dolor torácico agudo puede consistir en opresión, ardor u otra molestia en el pecho o un dolor intenso que se extiende a la espalda, el cuello, los hombros, los brazos o la mandíbula. Puede ir acompañada de dificultad para respirar.

El síndrome de dolor torácico agudo representa más de 7 millones de visitas al departamento de emergencias anualmente en los Estados Unidos, lo que lo convierte en una de las quejas más comunes. Menos del 8% de estos pacientes son diagnostica-

dos con las tres principales causas cardiovasculares del síndrome de dolor torácico agudo, que son el síndrome coronario agudo, la embolia pulmonar o la disección aórtica. Sin embargo, la naturaleza potencialmente mortal de estas afecciones y la baja especificidad de las pruebas clínicas, como los electrocardiogramas y los análisis de sangre, conducen a un uso considerable de diagnóstico por imágenes cardiovascular y pulmonar, que a menudo arroja resultados negativos. Dado que los departamentos

Figura 1. Rendimiento diagnóstico de los modelos para predecir el punto final compuesto dentro de los 30 días posteriores al registro en el departamento de emergencias (ED). Modelo 1, edad + sexo; modelo 2, modelo 1 + biomarcador sérico positivo; modelo 3, modelo 2 + predicciones de aprendizaje profundo (DL) a partir de radiografías de tórax; modelar DL, predicciones de DL a partir de radiografías de tórax. Todas las comparaciones estadísticas entre el área bajo los valores de la curva característica operativa del receptor de los modelos 1 a 3 fueron significativas (P < 0,001). Los datos entre paréntesis son IC del 95 %. El criterio de valoración compuesto se definió de la siguiente manera: síndrome coronario agudo o embolia pulmonar o disección aórtica o mortalidad por todas las causas dentro de los 30 días posteriores al registro en el servicio de urgencias.

Figura 2. Rendimiento diagnóstico de los modelos en la predicción de puntos finales clínicos específicos de 30 días. Los datos son el área bajo la curva característica operativa del receptor, con el IC del 95 % entre paréntesis. Modelo 1, edad + sexo; modelo 2, modelo 1 + biomarcador sérico positivo; modelo 3, modelo 2 + predicciones de aprendizaje profundo (DL) a partir de radiografías de tórax; modelar DL, predicciones de DL a partir de radiografías de tórax. Rendimiento diagnóstico de los modelos en la predicción de puntos finales clínicos específicos de 30 días. Los datos son el área bajo la curva característica operativa del receptor, con el IC del 95 % entre paréntesis. Modelo 1, edad + sexo; modelo 2, modelo 1 + biomarcador sérico positivo; modelo 3, modelo 2 + predicciones de DL a partir de radiografías de tórax; modelar DL, predicciones de DL a partir de radiografías de tórax.

10 - diagnosticojournal.com
Márton Kolossváry Por Domb Nota de Prensa de la RSNA

Figura 3. Rendimiento diagnóstico de los modelos en la predicción del punto final compuesto de 30 días estratificado por raza y etnia. Los datos son el área bajo la curva de características operativas del receptor (AUC), con el IC del 95 % entre paréntesis. Modelo 1, edad + sexo; modelo 2, modelo 1 + biomarcador sérico positivo; modelo 3, modelo 2 + predicciones de aprendizaje profundo (DL) a partir de radiografías de tórax; modelar DL, predicciones de DL a partir de radiografías de tórax. Todas las comparaciones estadísticas entre los valores de AUC de los modelos 1–3 fueron significativas (P < 0,001). El criterio de valoración compuesto fue la disección aórtica definida o la mortalidad por todas las causas dentro de los 30 días posteriores al registro en el departamento de emergencias.

de emergencia luchan con un gran número de pacientes y la escasez de camas de hospital, es importante clasificar de manera efectiva a los pacientes con un riesgo muy bajo de estas afecciones graves.

El deep learning es un tipo avanzado de inteligencia artificial (IA) que se puede entrenar para buscar imágenes de rayos X para encontrar patrones asociados con enfermedades.

Figura 4. Mapas de activación de clase con gradiente ponderado de radiografías de tórax representativas en (A) un hombre de 85 años con síndrome coronario agudo (SCA), (B) un hombre de 77 años con disección aórtica (AD), (C) un hombre sano de 39 años, y (D) Mujer sana de 27 años. Los mapas muestran qué partes de las imágenes influyeron en las predicciones del modelo de aprendizaje profundo (DL) para el resultado compuesto. El gradiente de color muestra el nivel de activación de esa área dada, donde el rojo indica la activación más alta, el azul indica la activación más baja y ningún color indica que no hay activación. Las áreas del corazón y los pulmones contribuyeron con la mayoría de las predicciones del modelo. El ajuste fino mejoró la precisión diagnóstica de nuestro modelo DL y resultó en áreas más relevantes que contribuyeron a las predicciones. SCA = síndrome coronario agudo, CTA = angiografía por TC coronaria, ICA = angiografía coronaria invasiva, SPECT = TC por emisión de fotón único.

Para el estudio, el Dr. Kolossváry y sus colegas desarrollaron un modelo de deep learning de código abierto para identificar a los pacientes con síndrome de dolor torácico agudo que estaban en riesgo de síndrome coronario agudo de 30 días, embolia pulmonar, disección aórtica o mortalidad por todas las causas, según una radiografía de tórax.

El estudio utilizó historias clínicas electrónicas de pacientes que presentaban síndrome de dolor torácico agudo a los que se les realizó una radiografía de tórax e imágenes cardiovasculares o pulmonares adicionales y/o pruebas de esfuerzo en MGH o en el Brigham and Women's Hospital de Boston entre enero de 2005 y diciembre de 2015. En este estudio se evaluaron 5.750 pacientes (edad media 59, incluidos 3.329 hombres).

El modelo de deep learning se entrenó en 23 005 pacientes de MGH para predecir un criterio de valoración compuesto de 30 días de síndrome coronario agudo, embolia pulmonar o disección aórtica y mortalidad por todas las causas según las imágenes de rayos X de tórax.

La herramienta de deep learning mejoró significativamente la predicción de estos resultados adversos más allá de la edad, el sexo y los marcadores clínicos convencionales, como los análisis de sangre del dímero D. El modelo mantuvo su precisión diagnóstica en función de la edad, el sexo, el origen étnico y la raza. Con un umbral de sensibilidad del 99 %, el modelo pudo diferir las pruebas adicionales en el 14 % de los pacientes en comparación con el 2 % cuando se usaba un modelo que solo incorporaba datos de edad, sexo y biomarcadores.

"Al analizar la radiografía de tórax inicial de estos pacientes con nuestro modelo de deep learning automatizado, pudimos proporcionar predicciones más precisas sobre los resultados de los pacientes en comparación con un modelo que utiliza información sobre la edad, el sexo, la troponina o el dímero D", dijo el Dr. Kolossváry "Nuestros resultados muestran que las radiografías de tórax podrían usarse para ayudar a clasificar a los pacientes con dolor de pecho en el departamento de emergencias".

Según el Dr. Kolossváry, en el futuro, un modelo automatizado de este tipo podría analizar las radiografías de tórax en segundo plano y ayudar a seleccionar a aquellos que se beneficiarían más de la atención médica inmediata y podría ayudar a identificar a los pacientes que pueden ser dados de alta del departamento de emergencias de manera segura.

Diagnóstico Journal LA - 11

La RSNA lanza curso de certificado avanzado de IA

La RSNA está lanzando un nuevo curso de certificación de inteligencia artificial (IA). Luego de un lanzamiento exitoso del Programa de certificación de IA de imágenes de RSNA en 2022, el nuevo curso de Certificado avanzado ya está disponible.

"La RSNA está liderando el camino en la educación de IA específica de radiología", dijo la asesora del curso Marta Heilbrun, MD, MSCI, directora médica asociada, servicios de imágenes: calidad y seguridad del paciente en Intermountain Healthcare en Salt Lake City, Utah. “El nuevo curso se basa en el éxito comprobado del Certificado Fundacional y representa el siguiente paso en el camino para los radiólogos que desean aprender a aprovechar la IA para su práctica y avanzar en sus carreras”.

El curso de Certificado avanzado de IA de imágenes de RSNA se basa en casos y consta de siete módulos con instructores expertos que brindan una comprensión más profunda de los pasos involucrados en el uso de algoritmos de IA en imágenes médicas.

El lanzamiento del primer módulo está programado para mediados de Enero. Estará disponible on demand e incluirá ejercicios prácticos independientes para ayudar a los participantes a practicar y aplicar lo que aprenden. Los módulos subsiguientes se lanzarán mensualmente hasta Julio.

Los objetivos de aprendizaje para el nuevo curso incluyen un enfoque en la preparación de radiólogos, físicos, científicos de datos e investigadores clínicos para evaluar la equidad de los modelos de IA en todas las poblaciones.

Los participantes del curso también aprenderán a interpretar el ciclo de vida de la IA, comenzando

con la capacitación y la selección de datos de prueba hasta la aprobación de la FDA.

“Con el nivel avanzado, proporcionaremos un examen detallado de las dificultades de la curación, el preprocesamiento y la anotación de conjuntos de datos que nuestros participantes pueden esperar cuando usan IA en un entorno clínico”, dijo el director del curso, Imon Banerjee, Ph.D., científico principal de IA en Mayo Clinic, Arizona.

El plan de estudios del curso también ayudará a los participantes a explorar y reconocer el impacto del entorno regulatorio que afecta el uso de la IA en imágenes médicas y analizará el mercado clínico de la IA y las consideraciones éticas relacionadas con la entrega de la IA en la atención médica.

Antes de inscribirse, los organizadores del curso sugieren que los participantes realicen una breve encuesta de autoevaluación para determinar qué certificado se adapta mejor a sus necesidades educativas individuales.

“La encuesta ayuda a nuestros alumnos a encontrar su mejor punto de partida, en particular a aquellos que están familiarizados con la IA en imágenes médicas pero no están seguros de dónde pueden estar en el espectro de conocimiento de la IA”, dijo el Dr. Heilbrun. “Para una comprensión más completa, alentamos a los participantes a comenzar con el Certificado Fundacional”.

La encuesta de autoevaluación y la información de inscripción para el Programa de certificación de IA de imágenes de la RSNA se pueden encontrar en RSNA.org/AI-Certificate .

Diagnóstico Journal LA - 13
Por Ezequiel Domb Nota de Prensa de la RSNA

Planmed XFI®: el nuevo punto de vista

En la reunión anual de la RSNA 2022, Planmed presentó Planmed XFI®, el primer dispositivo bearing CT de pesaje de cuerpo completo del mundo.

El sistema Planmed XFI puede hacerlo todo, de la cabeza a los pies, tanto acostado como bajo carga natural.

Planmed XFI®: ¿Está listo para una nueva perspectiva?

La necesidad de imágenes musculoesqueléticas en 3D está aumentando rápidamente, pero el acceso a la resonancia magnética y la tomografía computada es limitado. Planmed XFI es la solución para este desafío. La resolución ultra alta proporcionada por la tecnología CBCT es superior en la detección de fracturas ocultas, que son un desafío con las convencionales imágenes radiográficas.

Las aplicaciones de Planmed XFI incluyen imágenes musculoesqueléticas; planificación del tratamiento ortopédico; maxilofacial, cabeza, imágenes de cuello y otorrinolaringología; e imágenes de cuerpo completo con soporte de peso.

Presentamos Planmed XFI®: el primer tomógrafo con soporte de peso de cuerpo completo del mundo

El Planmed XFI llevará las imágenes CBCT al siguiente nivel con imágenes de TC funcionales de cuerpo completo con soporte de peso.

Las imágenes en posición vertical con soporte de peso muestran la anatomía en alineación natural, lo cual es crucial para la precisa planificación en una cirugía. Es posible realizar escaneos tanto en decúbito prono como en posición vertical, lo que permite protocolos de imágenes avanzados para un tratamiento con óptimo resultado.

La unidad es mucho más asequible de lo que uno pensaría; con un mantenimiento rentable, el costo total de la propiedad es

14 - diagnosticojournal.com
Por Bárbara Domb

inigualable y le permite concentrarse en un diagnóstico mejor y más preciso.

Tecnología confiable: dosis baja, escaneo rápido, alta definición.

La tomografía computarizada Cone Beam (CBCT, por sus siglas en inglés) es un método de obtención de imágenes radiográficas que permite imágenes dimensionales de estructuras de tejido duro. CBCT proporciona imágenes de resolución submilimétrica de alto diagnóstico de calidad con tiempos de escaneo muy cortos. La exposición a la radiación de la CBCT es hasta 10 veces menor que la de la TC convencional.

Para mayor información, comuníquese con Satu Kukka Seppälä, Global Sales and Marketing Professional, en Satu.Seppala@ planmed.com, o visite

www.planmed.com.

Diagnóstico Journal LA - 15
Planmed XFI® está pendiente de aprobación regulatoria.

Curso de Informática de Imágenes (RSNA - SIIM)

Próximamente el Curso Nacional de Radiología e Informática de Imágenes (NIIC-RAD, por sus siglas en inglés) se llevará a cabo on line del 6 al 10 de Marzo de 2023. NIIC-RAD es posible gracias a una asociación entre el Sociedad Radiológica de América del Norte (RSNA) y la Sociedad de Informática de Imágenes en Medicina (SIIM). "El curso NIIC-RAD nació del reconocimiento de que la comprensión de los conceptos básicos de informática de imágenes es esencial para la práctica de la radiología y debe enseñarse a los residentes de radiología, por que no todos los programas de residencia tenían recursos internos o experiencia para enseñar dicho contenido. ", dijo Katherine Andriole, Ph.D., quien desarrolló el curso junto con Tessa S. Cook, MD, Ph.D., y Nabile M. Safdar, MD. "Se creó un plan de estudios on line para satisfacer esta necesidad".

NIIC-RAD es el primer curso de este tipo que ofrece educación en informática de imágenes a pasantes, radiólogos en ejercicio y profesionales afines de todo el mundo. El curso cubre aspectos fundamentales como el flujo de trabajo clínico y la radiología centrada en el paciente, y otros temas, como data science, el aprendizaje de misiones y la impresión 3D.

El formato del curso consiste en conferencias on line en vivo, discusiones en grupos pequeños on line y contenido on demand. Hay evaluaciones previas y posteriores al curso y asignaciones de tareas durante todo el período. Si bien se diseñó pensando en los residentes de radio-

logía de cuarto año, el curso beneficiará a cualquiera que busque aumentar sus habilidades dentro del campo, incluidos estudiantes, profesionales de la salud en todos los niveles y socios de la industria.

"Junto con conferencias en vivo y grabadas, el curso incluye debates en el aula invertida, ejercicios por su cuenta y artículos de revistas con contribuciones de muchos expertos líderes en informática radiológica", dijo el Dr. Andriole. "El curso cubre los conceptos básicos, así como una introducción a temas emergentes con énfasis en el uso práctico de la informática en radiología clínica". Los participantes exitosos reciben un certificado y califican para hasta 20 horas de Créditos SIIM IIP para Certificación y Recertificación ABII. Además, los participantes pueden obtener una insignia digital del curso SIIM. Para registrarse como grupo o individuo, visite https:// siim.org/page/niic_registration . Para obtener más información, comuníquese con informatics@RSNA.org .

RSNA y SIIM han establecido el Programa de Becas NIIC-RAD para ayudar a los residentes, becarios, Ph.D. candidatos y estudiantes que no cuentan con fondos institucionales para asistir al curso. La fecha límite de solicitud es el 3 de Febrero de 2023. Los criterios de selección y las expectativas están disponibles en https://siim.org/page/ niic_scholarship .

Por Ezequiel Domb Nota de Prensa de la RSNA

La salud no se toma vacaciones

Buenos Aires, Enero 2023.– Son los primeros días del 2023, una época en la que algunas personas se toman algunos días de descanso. Ésta es la razón por la cual clínicas y hospitales anticipan la gestión de compras de medicamentos e insumos para disponer de ellos en tiempo y forma, aunque el comprador se vaya unos días de vacaciones. Entonces, ¿cómo anticiparse a las compras durante esta temporada?

"A pesar de que el sector salud está activo 24x7x365, algunos trabajadores del rubro aprovechan la temporada de fiestas de fin de año para tomarse algunos días de descanso. En el caso de los compradores de instituciones de salud, deben anticipar el abastecimiento de insumos y medicamentos para que la gestión y la atención al paciente no resulten afectadas en ningún momento. Para esto, es necesario analizar los datos históricos y proyectar un stock de equilibrio, disminuyendo al máximo las compras de emergencia” -afirma Germán Di Domenico, subdirector de Crecimiento de Operaciones Internacionales de Bionexo Latam

Según el líder de la healthtech, existen 5 claves para una eficiente gestión de compras en salud y que todo siga funcionando incluso con personal de vacaciones:

1. Conozca en profundidad la institución y su dinámica para saber en qué momento hay que contar con ciertos insumos para los pacientes. Con tecnología de Big Data y Analytics se pueden establecer patrones para planificar stocks de forma eficiente según rotación de productos, estacionalidades, etc.

2. Tome decisiones estratégicas basadas en datos precisos (históricos y actuales). El registro sistemático de la información del sector de compras permite comprender mejor el comportamiento de la dinámica de insumos, y tomar decisiones estratégicas teniendo en cuenta las particularidades del flujo de entradas y salidas de stock.

3. Optimice tiempos y costos con herramientas de compra digital. El eCommerce es lo más ágil y efectivo también para realizar las compras corporativas, e ideal para anticiparse a la compra de insumos por vacaciones. La compra digital permite tener un mejor control para contar con un abanico de proveedores confiables con quienes se puede negociar las compras, formas de pago y financiación, tiempos de entrega incluso en este periodo del año, sin necesidad de tener sobre stock en el almacén, ni destinar partidas presupuestarias con antelación.

4. Establezca relaciones de confianza y de largo plazo con los proveedores, esto es clave para el desarrollo y fortalecimiento de nuevos negocios que pueden surgir a partir de un año nuevo.

5. Equipo unido en la nube. Las soluciones digitales en la nube permiten acceder en cualquier momento y desde cualquier lugar, incluso en caso de alguna duda de emergencia durante las vacaciones.

“La crisis sanitaria desatada en 2020 obligó al sector a actuar de forma ágil para preservar la salud de las personas, adaptándose a un escenario inédito en todo el pla-

neta. Quedó de manifiesto que la inversión en nuevas tecnologías digitales para un abastecimiento eficiente es esencial para mejorar el management de los hospitales y centros de salud, de manera de brindar la mejor atención al paciente”, concluyó Di Domenico

Acerca de Bionexo

Bionexo es la Healthtech pionera en soluciones digitales en la nube y líder en el mercado de Salud de América Latina. Hace más de 20 años comenzó con el marketplace de e-commerce para hospitales, clínicas, obras sociales y prepagas, y hoy cuenta con las más diversas soluciones tanto para empresas de salud como para proveedores. Brinda informes y análisis de datos que contribuyen a entender el mercado para una mejor planificación y mayor eficiencia en el abastecimiento de entidades de salud, así como para el desarrollo de negocios de los proveedores de la industria.

Actualmente, Bionexo es una empresa que “piensa global” para optimizar la gestión de la compañía en el mercado internacional, expandiendo aún más las oportunidades de visibilidad, experiencia e información en forma coordinada en todas las geografías. En Latinoamérica está presente en Argentina, Brasil, Colombia y México, y cuenta con un equipo de más de 500 profesionales; conecta a más de 2.300 instituciones de salud con 15.000 proveedores.

En 2020 el volumen de negocios registrado a través del marketplace de e-commerce fue superior a u$d:2.160 millones.

Para más información visitar: https://linktr.ee/BionexoLatam

En Redes Sociales: https://www.linkedin.com/company/bionexolatam/mycompany/?viewAsMember=true https://www.facebook.com/bionexolatam

https://www.instagram.com/bionexolatam/ https://www.youtube.com/channel/UCyDLBB5rpqsiXjl5wAZTMrg

Diagnóstico Journal LA - 17
5 claves para un abastecimiento eficiente de compras en época de vacaciones.

La victoria viene llegando

En RSNA dialogamos con Leonardo Packer, Director de Resonancia Magnética para GE Healthcare Latin America, quien nos contó lo que mostró la empresa en su área.

Signa™ Victor, es un equipo de 1.5 tesla pero con toda la alta tecnología, es un equipo con magneto IPM, de última generación, que trae bajo nivel de helio. Desde que sale de fábrica tiene toda su vida útil sin tener que preocuparse por recargar el helio.

GE Healthcare siempre se enfoca en los upgrades, entonces el magneto queda como 15 ó 20 años. Entonces toda la vida del magneto no va a tener que preocuparse por el helio.

Otro punto es que es la primera vez que tenemos un equipo de 60 cm. de gantry, con todo el paquete de bobinas AIR™, lo que ayuda mucho a la performance del equipos, hace estudios más rápidos, dando confort al paciente, las bobinas son muy livianas y delgadas, entonces el paciente está tranquilo. La mejor calidad de imagen se consigue con la bobina AIR™, además un montón de cosas de automación como AIR™ axe, se hacen los cortes de las imágenes automáticamente, también la parte de AIR™ axe que se puede imprimir en la mesa, consiguiendo el isocentro de la adquisición automáticamente.

Otra novedad de GE es el Signa™ One, la interfase del usuario, la parte visible de la plataforma donde se hacen los estudios. Para llegar a esto se hicieron varios estudios en varias universidades alrededor del mundo para verificar cuál es la mejor plataforma, la que requiere menos clicks, menos viaje del mouse. Desarrollamos una herramienta muy nueva y sabia. Esto se lanzó primero con el Signa Prime y ahora con el Victor. Con el Signa One es posible elegir entre una plataforma Express y Standard. Cuando se eligen todos los protocolos, se pone standard y se abre todo, pero si el usuario nuevo, no está familiarizado con la plataforma, se pone en modo express y la plataforma se pone en formato sencillo ayudando al nuevo usuario a utilizar la plataforma. Esto es muy útil en algunos sitios de América Latina, donde tenemos clientes con muchos sitios/sucursales, donde tenemos una dificultad de tener un equipo entrenado. Hay una rotación muy grande de personas, entonces se pone en Express mode y se evitan errores, equivocaciones, no se necesita una curva de aprendizaje larga para el correcto manejo del equipo. Por eso este es un equipo perfecto para América Latina, que siempre busca alta performance, con costo bajo y además hacer alta calidad de imagen con tiempos más bajos.

Este equipo está preparado para venir con AIR™ Recon DL y AIR™ Recon DL 3D.

Signa™ Hero, es un equipo que lanzamos hace un año, en el RSNA 2021. Cuando empezamos con los equipos 3 Teslas, el objetivo estaba muy direccionado a investigación.

Este equipo, es el 1er equipo 100% para clínica, todas las herramientas que tiene para ser más productivo, hacer mejores estudios, confort para el paciente, un montón de opciones de AIR™ coil, son características del Hero. El año pasado ya teníamos las bobinas de 20, 21 y 30 canales y ahora tenemos una bobina nueva de 16 canales. Es posible hacer un estudio de alta calidad con un paciente tranquilo, con confort.

La mesa se puede sacar, es ideal para anestesia, se puede preparar al paciente y luego se lo trae ya preparado con las bobinas.

La mesa, que como dije es detachable, tiene sensores que detectan el isocentro, no se necesita mover la camilla. Es una tecnología simple pero muy práctica, acelera mucho el uso del equipo. Hero es para mejorar el uso diario del equipo. Es un 3 Tesla que tiene bajo uso de helio (no se necesita llenar en toda la vida útil del equipo), el peso del equipo es la mitad que un equipo convencional. Un 3 Tesla generalmente es muy pesado, se necesita realizar una obra importante. El Hero, al tener tan poco Helio, lleva el peso del equipo a casi la mitad. Otro punto importante, es que este equipo viene standard con Air™ Recon DL 2 D y 3D justamente porque está enfocado para hacer más pacientes. Ya tenemos algunos instalados y uno por instalarse en Latino América.

20 - diagnosticojournal.com
Por Bárbara Domb

RSNA 2022 se centra en el punto de vista del paciente y atrae a casi 38.000 asistentes

La RSNA 2022 celebrada del 27 de Noviembre al 1 de Diciembre, destacó lo último en investigación y educación en imágenes médicas y enfatizó la importancia de la empatía, la diversidad y la equidad en la atención de la salud. El slogan del evento fue "Empoderar a los pacientes y socios en la atención"

Como el foro de radiología más grande del mundo, la RSNA 2022 presentó más de 900 artículos científicos en 19 subespecialidades, más de 1300 carteles científicos, más de 300 cursos educativos y más de 1450 exhibiciones educativas. El registro fue de casi 38,000 asistentes.

"Las sólidas cifras de asistencia demuestran que la gente todavía quiere la valiosa interacción y las experiencias de creación de redes que ofrece una reunión como la nuestra", dijo el director ejecutivo de RSNA, Mark G. Watson. "Nos enorgullece poder ofrecer a nuestros asistentes una emocionante experiencia en persona, así como acceso virtual a casi el 100 % de todo el contenido del evento. Con programación presencial y virtual en un amplio espectro de temas, además de una presencia médica inigualable en la exposición técnica, la RSNA 2022 realmente tuvo algo para todos".

Funciones populares como la sesión de interpretación de imágenes, el caso del día y el emocionante programa de juegos de radiología: "¿Cuál es su emergencia? La vida en el STAT Lane" ofreció experiencias dinámicas para los asistentes, mientras que la sesión rápida "Fast 5" contó con Presentaciones atractivas centradas en el tema RSNA 2022.

El congreso también ofreció inspiradoras sesiones plenarias destinadas a comprender la perspectiva del paciente y crear mejores experiencias para el paciente.

"La experiencia del paciente no comienza con el informe o incluso con la exploración", dijo Bruce G. Haffty, MD en su Discurso de Presidente, "Imágenes de diagnóstico: valor desde el punto de vista del paciente". "Desde el momento en que el paciente programa una cita hasta cada seguimiento, debemos trabajar para garantizar que se sienta cómodo, informado, apoyado, visto y escuchado".

En la sesión de apertura, Elizabeth Morris, MD, habló sobre su experiencia como paciente en "Doctor as Patient: Imaging Cancer Survival for All".

"Ser desafiado con mi diagnóstico y un nuevo trabajo reforzó cómo los radiólogos deben mirar más allá de lo que creemos que es un paciente y tratar a cada paciente con amabilidad y respeto", dijo el Dr. Morris.

En "Tres visiones para el futuro de la medicina", Siddhartha Mukherjee, MD, médico pionero, oncólogo y autor ganador del Premio Pulitzer, compartió sus conocimientos sobre la salud humana, la medicina y la ciencia. "Medicare y la política de atención médica de EE.UU.: una conversación nacional", ofreció un panel de expertos de renombre que discutió el impacto de los desarrollos de

políticas recientes en el futuro de la imagenología médica y la atención al paciente.

Reed A. Omary, MD, exploró la responsabilidad de los profesionales de la radiología para crear la mejor experiencia posible para el paciente en "Diseñar radiología para pacientes, comunidades y el planeta".

Los desarrollos de investigación de COVID-19 se presentaron en todo el programa RSNA 2022, incluida una nueva investigación que investiga los efectos sistémicos a largo plazo de la enfermedad.

La inteligencia artificial (IA) también se exhibió de manera destacada en RSNA 2022 y desempeñó un papel clave en cientos de trabajos de investigación, cursos y exhibiciones educativas. Los avances en aplicaciones y tecnologías de IA fueron abundantes en el piso de exhibición técnica.

"IA está demostrando ser una herramienta importante para ayudar a los radiólogos en la detección de enfermedades y mejorar el flujo de trabajo de radiología", dijo Watson. "RSNA continuará brindando a nuestros asistentes una amplia variedad de sesiones de IA y exhibirá soluciones basadas en IA en el piso de exhibición".

Las exhibiciones técnicas de RSNA 2022 cubrieron 364,000 pies cuadrados y contaron con 644 expositores, incluidos 124 expositores de RSNA por primera vez, que demostraron las últimas tecnologías de imágenes médicas en CT, MRI, AI, impresión 3D y más.

Las exhibiciones técnicas incluyeron el amplio escaparate y teatro de IA, así como la demostración Imaging AI in Practice, el escaparate de impresión 3D y realidad mixta, el teatro de innovación, el pabellón de expositores por primera vez, la fila de educadores y la fila de reclutadores.

AI Showcase permitió a los asistentes conectarse con empresas para ver lo último en aprendizaje automático y productos de IA y aprender más sobre cómo implementar estas aplicaciones novedosas en sus prácticas.

El AI Theatre organizó varias presentaciones atractivas, así como un evento de reconocimiento para los equipos con los mejores modelos en el RSNA Cervical Spine Fracture AI Challenge.

Usando escenarios clínicos e imágenes médicas para mostrar las herramientas de IA y los estándares de tecnología de la información de salud en acción, la demostración Imaging AI in Practice ilustró el flujo de trabajo de radiología desde el pedido de exámenes de imágenes hasta el informe y el seguimiento.

Diagnóstico Journal LA - 21
Mark G. Watson Por Ezequiel Domb Nota de Prensa de la RSNA

Racismo en la radiología

Un nuevo artículo publicado en RadioGraphics, una revista de la RSNA, ofrece una mirada profunda a las disparidades raciales en el acceso al diagnóstico por imágenes como consecuencia del racismo estructural de larga data en los EE.UU. y ofrece posibles soluciones para abordar las barreras a la atención. Las disparidades actuales en el acceso al diagnóstico por imágenes para pacientes negros y la representación insuficiente de médicos negros entre los radiólogos en formación y los radiólogos en ejercicio reflejan las consecuencias contemporáneas de una historia de discriminación contra los negros en los EE.UU.

A principios del siglo XX, los líderes y las instituciones de la medicina y del campo emergente de la radiología instituyeron activamente y aceptaron pasivamente la discriminación contra los profesionales y pacientes de las minorías. Esta discriminación temprana está íntimamente ligada a las disparidades en la atención de la salud que se observan en la actualidad.

"Es difícil sostener un espejo para nosotros mismos y nuestra historia y reconocer las acciones dolorosas del pasado y las consecuencias inevitables", dijo la autora principal del artículo, Dra. Nicole M. Hindman, presidenta asociada de diversidad y equidad en salud en NYU Langone. “Pero es a través de esta autorreflexión necesaria que nosotros, como humanos, médicos, radiólogos y miembros de la sociedad, podemos asumir la responsabilidad de nuestras acciones e implementar cambios correctivos para avanzar”.

En "Cómo llegamos aquí: el legado de la discriminación antinegra en radiología", la Dra. Julia Goldberg Hindman, MBA, residente de radiología en NYU Langone Health y colegas investigaron las disparidades en el acceso a imágenes y atención médica entre pacientes negros. El artículo ilustra cómo comprender la historia de la radiología y el racismo estructural resultante es un paso fundamental para crear un camino hacia la equidad en la salud tanto para los pacientes como para los radiólogos.

“La discriminación contra los negros y las disparidades en la atención médica están bien documentadas en muchas especialidades médicas, pero ha habido una investigación limitada sobre este tema en radiología antes de los últimos años”, dijo la Dra. Goldberg. “Nuestro estudio se basa en una importante investigación que otros investigadores han realizado y continúan investigando, con el objetivo conjunto de abordar la discriminación racial en el campo de la radiología”.

Los autores exploran la discriminación contra los negros en la educación médica, la investigación médica y la prestación de atención médica, y profundizan en la discriminación estructural en las primeras sociedades médicas y radiológicas. También destacan a los radiólogos negros pioneros que superaron estos obstáculos para hacer contribuciones importantes a la especialidad.

“Para oponerse de manera efectiva a la discriminación racial y mejorar la calidad de la atención médica, nuestra comunidad de radiología debe comprender la historia de nuestro campo y cómo el racismo desempeñó un papel en su desarrollo inicial”, dijo la Dra.

Goldberg. “Al hacerlo, podremos comprender mejor las disparidades raciales que se observan hoy en los resultados de salud relacionados con la radiología y en la representación de la fuerza laboral de radiología”.

El impacto de las disparidades actuales en la atención de la salud es más notable en las imágenes relacionadas con el cáncer. Los pacientes negros tienen una tasa de mortalidad hasta un 42% más alta en comparación con los pacientes blancos. Además, las barreras estructurales dentro de la radiología continúan afectando la diversidad de la fuerza laboral y tienen un impacto negativo en los grupos marginados. Los médicos afroamericanos están significativamente subrepresentados en la fuerza laboral de radiología de los EE.UU. en relación con su representación en la población general.

Las posibles soluciones a estos problemas incluyen instituir cambios en la educación, identificar barreras para la atención, mejorar el acceso, iniciar un alcance comunitario, emplear tecnología y aplicaciones de inteligencia artificial para mitigar el sesgo y desarrollar políticas y capacitación antirracistas en el lugar de trabajo.

“Reconocer la historia discriminatoria de la radiología y esforzarse por mejorar la diversidad y la equidad en la salud funcionará en última instancia para mejorar los resultados de los pacientes”, concluyen los autores.

En un editorial adjunto, "De inaceptable a intolerable", la miembro de la junta directiva de RSNA, Dra. Jinel A. Scott, MBA, señala que la Dra. Goldberg y sus colegas vinculan con éxito las disparidades actuales en el diagnóstico por imágenes y la subrepresentación de los médicos afroamericanos en radiología con la práctica histórica del racismo médico y la discriminación sistemática.

“Aunque reconocer estos eventos históricos es doloroso e incómodo, ignorarlos sería perjudicial para la especialidad y directamente dañino para los médicos, radiólogos y pacientes negros”, dice la Dra. Scott. “El artículo brinda a los lectores un marco que invita a la reflexión para comprender el impacto del racismo anti-negro institucionalizado en la medicina y la radiología que es imperativo en las comunidades, instituciones y organizaciones que intentan combatir las disparidades en la atención médica claramente evidentes en nuestra sociedad”.

El plan estratégico de la RSNA incluye el objetivo fundamental de promover una representación diversa dentro de la profesión y garantizar la diversidad en el liderazgo de la RSNA. La RSNA colabora con otras importantes sociedades de radiología en la Radiology Health Equity Coalition para tener un impacto positivo en la equidad de la atención médica en el campo de la radiología y más allá. Obtenga más información sobre el compromiso de RSNA con la diversidad, la equidad y la inclusión .

24 - diagnosticojournal.com
Dra. Julia Goldberg Hindman Dra. Jinel A. Scott Por Ezequiel Domb Nota de Prensa de la RSNA

INNOVACIÓN EN EQUIPAMIENTO MÉDICO

26 - diagnosticojournal.com 26 - diagnosticojournal.com

GE HealthCare completa su escisión de GE y comienza a cotizar en el Nasdaq

La escisión de GE HealthCare se ha efectuado mediante la distribución prorrateada de, al menos, el 80,1% de las acciones en circulación de GE HealthCare a los accionistas de GE.

GE HealthCare empieza a rodar sola. La compañía ha comunicado su completa escisión de General Electric (GE) y, a partir del Miércoles 4 de Enero de 2022, comienza a cotizar como empresa independiente en el Nasdaq con el símbolo GEHC. (GE HealthCare Technologies Inc.)

GE HealthCare se convierte así en la primera empresa de Wisconsin (Estados Unidos) en hacer sonar la campana de la apertura de los mercados del Nasdaq a distancia. El equipo directivo de la compañía estará acompañado por empleados presenciales y virtuales de todo el mundo en las instalaciones que la empresa tiene en la ciudad de Waukesha.

Perspectiva para el 2023

La Compañía espera resultados para todo el año 2023 de la siguiente manera:

Crecimiento de ingresos orgánicos* en el rango de 5% a 7% año tras año.

Margen EBIT ajustado* del 15,0% al 15,5%, lo que refleja una expansión de 50 puntos básicos a 100 puntos básicos frente a su margen EBIT ajustado* pro forma de 2022.

Conversión de flujo de caja libre* de más del 85%.

GE HealthCare informará los resultados del cuarto

trimestre y de todo el año 2022 el 30 de Enero de 2023, seguidos de una conferencia telefónica a las 8:00 a.m., hora del este de Estados Unidos.

“Estamos al borde de una verdadera transformación de la industria a medida que la innovación digital redefine la experiencia de los pacientes y proveedores con una necesidad creciente de cuidados más precisos, conectados y eficientes. Los colegas de GE HealthCare en el mundo están unidos en nuestro propósito de crear un mundo donde el cuidado de la salud no tenga límites y esperamos cumplir con los proveedores, pacientes y accionistas durante los próximos años”, dijo Rafael Palombini, Presidente y CEO de GE HealthCare Latinoamérica

GE HealthCare nace con presencia en más de 160 países distintos y cuenta con aproximadamente 51.000 empleados en todo el mundo que atienden a más de mil millones de pacientes al año.

La compañía invierte anualmente más de mil millones de dólares en investigación y desarrollo (I+D) y genera aproximadamente 18.000 millones de dólares en ingresos, con una base instalada que incluye más de cuatro millones de equipos en sus cuatro segmentos de negocio: imagen, ultrasonidos, soluciones de atención al paciente y diagnóstico farmacéutico.

28 - diagnosticojournal.com
Por Bárbara Domb

iQMR, la tecnología más confiable para optimizar CT y MRI en real time

En la RSNA en Chicago una empresa israeli ofrece una alternativa para mejorar el flujo de trabajo para tomografía computada y resonancia magnética.

Mi nombre es Eyal Aharon y soy el CEO de Medic Vision Imaging Solutions, una empresa de 15 años. Hemos estado trabajando en el mercado de imágenes médicas desde entonces. Brindamos soluciones de software a hospitales y proveedores de imágenes médicas. Comenzamos con soluciones de software para sistemas CT. Nuestro producto SafeCT proporcionó una reducción de la radiación en la TC. Luego, agregamos productos adicionales a la línea de productos SafeCT: informes, gestión y cumplimiento de la radiación CT. Hace unos 6 o 5 años nos expandimos a la resonancia magnética. Nuestro primer producto para MRI, iQMR, reduce el tiempo de escaneo en MRI en aproximadamente un 35% (similar a la solución "X" de la empresa americana o a la solución "Y" de la firma alemana) pero (a) iQMR es un sistema centralizado que admite todos los escáneres de todos los proveedores, y todas las partes del cuerpo (mientras que no lo hacen). Admitimos todo tipo de escaneos (por ejemplo, "X" no admite escaneos 3D). Y hacemos todo eso a una fracción del precio que venden.

Entonces, por ejemplo, una actualización para un escáner americano (no una máquina nueva que acaba de llegar del fabricante). Supongamos que ha tenido un escáner americano en funcionamiento durante cinco años y está interesado en "X". El costo de la actualización del americano será de más de $ 200.000 (un millón de reales en Brasil) e involucrará la actualización tanto del software como del hardware del escáner. iQMR es mucho más bajo que ese precio. Además, en la economía actual, la mayoría de los proveedores de imágenes médicas no pueden pagar estas cantidades por la actualización.

Además, la mayoría de los proveedores tienen varios escáneres de varios proveedores. Por ejemplo, supongamos que tiene un hospital con seis u ocho escáneres (dos americanos, dos holandeses, tres alemanes, etc.) algunos de ellos son compatibles con las soluciones del proveedor (como "X") pero otros son No soportado. Con eso, los tiempos de escaneo y los horarios de las citas no pueden ser consistentes: el mismo escaneo cerebral, por ejemplo, tomará un

tiempo diferente en diferentes escáneres. Con iQMR, tiene una solución, un sistema centralizado, que proporciona escaneos más cortos y uniformes para todos los escáneres. Con eso, el operador puede optimizar los tiempos de cita. Por ejemplo, si tuviera citas de 30 minutos para una resonancia magnética del cerebro, podría atender a 2 pacientes por hora. Ahora podrá hacer citas de 20 minutos en TODOS los escáneres y atender a 3 pacientes cada hora, en cada escáner.

¿En qué clínicas tienen sus soluciones en Brasil?

Tenemos 36 sistemas en Brasil en todas las principales ciudades, en São Paulo, Curitiba, Río de Janeiro, Brasilia y en el norte del país. Tenemos unas 50 instalaciones en Estados Unidos y unas cien en China.

En China, hay una gran necesidad de capacidad de escaneado. En Estados Unidos hay unos 12.000 equipos para unos 340 millones de personas, mientras que en China tienen unos 8.000 equipos para 1400 millones de personas, necesitan aumentar su productividad. En los EE.UU., escanean un promedio de 25 pacientes por día, mientras que en China escanean a 80 pacientes por día, y con nuestro sistema, llegan a aproximadamente 100 pacientes por día en cada equipo.

Nuestros clientes de EE.UU. informan que están tratando a 4 pacientes más al día en cada escáner con iQMR, lo que significa un aumento sustancial de ingresos para ellos.

¿Tiene una idea de cuántos equipos hay en Brasil?

Tienen alrededor de 4000 equipos.

¿Qué otros mercados están mirando?

Identificamos dos mercados que queremos penetrar ahora, uno es India y el otro es Argentina. No vendemos directamente, contactamos empresas locales que pueden ser nuestros socios, les enseñamos y luego apoyan y distribuyen, también contactamos a potenciales usuarios finales en Argentina.

Diagnóstico Journal LA - 31

The Mare Group en el SILAN 2022

En Octubre de 2022 se realizó el evento SILAN en la ciudad de Montevideo, República Oriental del Uruguay. Entre otras empresas tuvimos la oportunidad de dialogar con autoridades de la empresa que ya hace muchos años representa con éxito a GE Healthcare en el país.

The Mare Group, Representante de GE Healthcare en Uruguay, Paraguay y Bolivia en SILAN 2022 Leandro Viescas, Gerente de Ventas de la División de Diagnóstico por Imágenes.

Trabajamos muy bien las líneas de tomografía computada y resonancia magnética, angiografía y ultrasonido. Tenemos previsto para el 2023 instalar dos resonadores de 3 Tesla.

En el país solo hay uno de GE Healthcare instalado. Sí bien ya tenemos vendidos y para instalar dos. En tomografía computada tenemos proyectado instalar los primeros equipos de 128 cortes.

Ya instalamos uno en el Sanatorio Mautone de Punta del Este (www.semm-mautone.com.uy), un Revolution Máxima. Y tenemos vendidas dos unidades más que vamos a instalar en Montevideo el año que viene. Con el resto de las modalidades en angiografía un Allia™ IGS 7 para instalar en CASMU (casmu.com.uy) y otros dos angiógrafos, uno para instalar en el interior del país y otro en el Instituto de Cirugía Integral en Montevideo, un IGS 320.

En ultrasonido contamos con varias unidades ya vendidas. Trabajamos mucho con todas las modalidades. Tenemos un claro liderazgo en lo que es el mercado del diagnóstico por imágenes.

Por otro lado Álvaro Lingieri, gerente de la empresa comentó la importancia de los equipos disponibles para el área de neuroimágenes, el Signa Artist en 1.5 Tesla, nuestro tope de gama Arquitect para 3 Telia y para Angiografía los modelos más avanzados son el Allia™ IGS 7 y el 5.

32 - diagnosticojournal.com
Por Ezequiel Domb

Philips Argentina tiene nuevo country manager

La gigante de tecnología médica Philips, que desde Octubre pasado quedó al mando del CEO global Roy Jakobs, ahora tiene también un nuevo country manager para la Argentina.

El elegido para sentarse en este sillón fue Guido López. Así, el ejecutivo argentino se puso al frente de un mercado al que la multi le está dando mayor autonomía. Hasta entonces, el negocio estaba sobre el escritorio de Alexei Costa, quien hace un año se transformó en el número 1 de la región Hispanic, la que incluye a toda Latam, con excepción de México y de Brasil.

Guido López forma parte de la corporación desde hace un bienio y, desde el 2022, llevaba el sombrero de Head of Business Marketing & Sales para Latam. Sin embargo, su relación con la empresa data de mucho antes: entre 1999 y el 2009, ocupó diferentes posiciones

vinculadas a administración, marketing y ventas. En el medio, pasó por la norteamericana Johnson & Johnson y otras compañías. (Carestream, Agimed).

Egresado de la UADE, cuenta con un MBA de la Universidad Torcuato Di Tella y posee un certificado Strategic Management de The Wharton School.

Desde el año 2021, Philips está plenamente enfocada en el nicho de tecnología de la salud. López hará tandem con sus pares de Chile; de Peru; de Colombia; y de Puerto Rico.

36 - diagnosticojournal.com
Alexei Costa con base en Colombia Roy Jakobs, CEO de Philips Por Bárbara Domb

46° Congreso Colombiano de Radiología

Diagnóstico e intervencionismo por imagen

Mayo 19 al 21 · 2023

Mayo 18 · Curso Pre-congreso ESOR

Cartagena de Indias, Colombia

País invitado: México

Organizado por: Participación especial:

www.CCR2023.org

Diagnóstico Journal LA - 37

Próximos eventos

9 al 12 de Julio

FEBRERO 2023

VII Congreso de Radiología para Estudiantes de Medicina

2 y 3 de Febrero

Universidad de Deusto. Auditorio y Hospital

Virtual Pedro Arrupe, Bilbao, España secretaria@seram.es https://seram.es/

LVII Curso Internacional de Radiología e Imagen

XXXV Encuentro Internacional de Residentes

3 al 6 de Febrero Hotel Marquis Reforma DF, México smri.org.mx

MARZO 2023

European Congress of Radiology

ECR 2023

1 al 5 de Marzo

Austria Center Vienna Viena, Austria myesr.org

SIR 2023

Society of Interventional Radiology

4 al 9 de Marzo

Phoenix Convention Center Arizona, USA https://www.sirmeeting.org

International Congress of Radiology

ICR 2023

15 al 17 de Marzo

Steigenberger Aldau Hotel Hurghada, Egipto isradiology.org

ABRIL 2023

ARRS 2023 Meeting

16 al 20 de Abril

Honolulu, Hawái, USA arrs.org

HIMSS 23

17 al 21 de Abril

Mc Cormick Place

Chicaco, IL, USA www.himss.org

ESOR European School of Radiology

Emergency Radiology

19 de Abril

Hotel Marquis Reforma Ciudad de México www.smri.org.mx

53° Jornada Paulista de Radiología

27 al 30 de Abril

Transamerica Expo Center San Pablo, Brasil www.jpr2023.org.br

MAYO 2023

Congreso Colombiano de Radiología CCR 2023

19 al 21 de Mayo

Centro de Convenciones Cartagena de Indias Cartagena de Indias, Colombia acronline.org

XXXI Jornadas SERAM ARRS

Avances en Resonancia Magnética

31 de Mayo al 2 de Junio A Coruña, España https://seram.es/eventos/87635/

JUNIO 2023

2023 ISMRM & ISMRT Annual Meeting & Exhibition

3 al 8 de Junio Toronto, ON, Canada https://www.ismrm.org

SIIM23 Annual Meeting

14 al 16 de Junio

Austin Convention Center Austin, TX, USA siim.org

FIME 2023

21 al 23 de Junio

Miami Beach Convention Center

Miami Beach, FL, USA www.fimeshow.com

JULIO 2023

AHRA Annual Meeting 2023

51st Annual Meeting and Exposition of Association for Medical Imaging Management

Indiana Convention Center, Indianapolis Indiana, USA

https://www.ahra.org/

SEPTIEMBRE 2023

Congreso Argentino de Diagnóstico por Imágenes

20 al 23 de Septiembre

Centro de Convenciones Buenos Aires

Buenos Aires, Argentina

https://cadi2022.com.ar/

OCTUBRE 2023

ASTRO 2023

American Society for Radiation Oncology

1 al 4 de Octubre

San Diego Convention Center

San Diego, California

https://www.astro.org/

Congreso Chileno de Radiología

12 al 14 de Octubre

Santiago de Chile

www.sochradi.cl

NOVIEMBRE 2023

WFUMB 2023

4 al 7 de Noviembre

Muscat, Oman

wfumb.info

XXIX Congreso ALASBIMN

XXIII Congreso AABYMN

15 al 18 de Noviembre

Buenos Aires, Argentina

www.aabymn.org.ar

www.alasbimn.net

RSNA 2023

26 al 30 de Noviembre

McCormick Place

Chicago, IL, USA

rsna.org

38 - diagnosticojournal.com

Turn static files into dynamic content formats.

Create a flipbook
Issuu converts static files into: digital portfolios, online yearbooks, online catalogs, digital photo albums and more. Sign up and create your flipbook.
360 - Diagnóstico Enero by Diagnostico Journal - Issuu