Revista Balance - Ed 34

Page 1

Avances en ortopedia reconstructiva para tratar la artritis CARLOS DÍAZ, MD Accidente cerebrovascular, todo lo que necesitas saber DIRECTOR DEL COLEGIO DE MÉDICOS Y CIRUJANOS DE P.R. Presentamos los Top Doctors 2023 ENTREVISTA DE PORTADA ¿Cuánto tiempo es apropiado esperar para una cirugía de corazón después de un infarto? 8 98921 00206 3 34 $3.95 Puerto Rico
En LMG Medical Services nuestra visión es de una clínica médica y de bienestar integrado donde nuestros pacientespuedanrecibirtratamientosenunambientecómodo parasuscondicionesmédicasy/oprevenirfuturascondiciones de salud para mantener un estilo de vida saludable y activo. Agradecemos a nuestros pacientes que confían sus necesidades de salud y bienestar a nuestro equipo de profesionales. Ave. Fragoso #3FS-5, Villa Fontana Carolina 787-998-6765 | 787-752-6767 787-647-0222 787-752-6773 L-V 8:00 AM - 5:00 PM BRINDAMOS SERVICIOS MÉDICOS Y SERVICIOS DE ESTÉTICA Lizzette Montalvo Guadalupe, M.D. Especialista Medicina de Familia lmgmedicalpr dralizzettemontalvoguadalupe

SERVICIOS MÉDICOS

MEDICINA PRIMARIA

CLÍNICA DE CONTROL DE PESO

MANEJO DE DOLOR

EKG - EVALUACIÓN PREQUIRÚRGICA

COORDINACIÓN ENTRE ESPECIALISTAS

CERTIFICADOS DE SALUD

SERVICIOS DE ESTÉTICA

SUPLEMENTACIÓN INTRAVENOSA

VITAMINAS INYECTABLES

TESTOSTERONA - GLUTATIÓN

DIETAS - HCG - SEMAGLUTIDE

OPTIMIZACIÓN METABÓLICA

MESOTERAPIA

lmgmedicalpr dralizzettemontalvoguadalupe

colaboradores

Natural de San Juan, Puerto Rico y con más de 40 años en el campo de la medicina, el Dr. Grovas estudió Premédica en Georgetown University, Washington, D.C. Hizo su doctorado en Medicina en el Recinto de Ciencias Médicas y formó parte del primer grupo de residentes de Ortopedia en la isla. Culminó estudios avanzados en Reemplazo Total de Rodillas y Caderas en los hospitales afiliados a la Universidad de Harvard. Fue pionero en Cirugía de Reemplazo Total de Articulaciones, practicando los primeros implantes protésicos de cadera, rodilla, hombro y codo en Puerto Rico con más de 9,000 procedimientos al presente. Por 34 años, dirigió el Departamento de Ortopedia del Hospital Pavia de Hato Rey, y fue presidente de su Facultad Médica seis veces. Fue galardonado como Hombre Distinguido de San Juan 2003, reconocido por la Asociación Médica Americana y con el Physician's Recognition Award 20052013. Actualmente, hace evaluaciones médicas independientes y peritaje en defensa de médicos a nivel estatal/federal, siendo Perito Ortopédico de Fiscalía Federal en Puerto Rico. Ejerce en el Edificio Midtown Plaza, Oficina B-12, Hato Rey (787) 754-8642.

Con una vasta experiencia, ha trabajado en muchos hospitales de Puerto Rico por más de 15 años. Hizo su doctorado en Ciencias Biomédicas en la Ponce Health Science University y colaboró en el desarrollo de laboratorios clínicos y de patología de P.R., con la comunidad científica del país y alrededor del mundo en el desarrollo de vacunas, pruebas serológicas y moleculares. La Dra. Kareni ha sido publicada y presentada en artículos y colaboraciones científicas en la isla y Estados Unidos. Su trayectoria en el campo de la salud la llevó a tomar la decisión de adquirir y establecer un laboratorio clínico, el Laboratorio Clínico El Viví, ubicado en el pueblo de Utuado, calle Betances #53. Abre de lunes a viernes, de 6:30 a.m. a 3:00 p.m. y sábado, de 7:00 a.m. a 12:00 p.m. Tel. 787-8942270.

Egresada de la Universidad Autónoma de Guadalajara, México, realizó su especialidad en el Hospital San Pablo, en Bayamón. Fue chief resident durante su año sénior y directora médico del CDT de Guayanilla, durante su año de servicio público. Actualmente, ejerce su práctica privada en LMG Medical Services, en Carolina, Puerto Rico. Con 30 años de experiencia, vive su profesión a través de sus pacientes, brindándoles sus servicios y medicamentos para mejorar, además de ofrecerles el trato especial que contribuye a su sanación. Visítala en la Avda. Fragoso 3FS-5, Urb. Villa Fontana, Carolina. Su horario es de lunes a viernes, de 8:00 a.m. a 5:00 p.m. Teléfonos: 787-752-6767, 787-647-0222 o 787-998-6765.

Directora Editorial: Uma Blasini | Director de Arte: Orlando A. Borrás | Fotografía: Eduardo Pérez Borreo, Saúl Cedeño, Ángel Matos, Noel Garayúa | Ventas & Publicidad: 787-422-8385, 787-600-1882

Página de Internet: www.revistabalance.com - Dirección Postal: PO Box 194118 San Juan, PR 00919-4118

Redes sociales: facebook.com/revistabalancepr/Instagram: @revistabalancepr

Dr. Carlos Grovas-Badrena, FIAIME, CIME, CMLE Cirujano Ortopeda Dra. Kareni J. Pérez Torres Tecnóloga Médica, Especialista en el Desarrollo de Pruebas Dra. Lizzette Montalvo Guadalupe, MD Medicina de Familia, Control de Peso y Manejo del Dolor
TU VIDA EN EQUILIBRIO TM
BALANCE
ES UNA MARCA REGISTRADA VIDA MODA, INC. NO SOMOS RESPONSABLES DE INFORMACIÓN O IMÁGENES SUMINISTRADAS POR NUESTROS ANUNCIANTES. LAS OFERTAS Y PRODUCTOS PUBLICADOS SE EXPONEN BAJO ESPECIFICACIONES DE NUESTROS CLIENTES Y/O LAS COMPAÑÍAS DE PUBLICIDAD. LAS FOTOS Y ARTÍCULOS REALIZADOSPORNUESTROSCOLABORADORESNONECESARIAMENTEREPRESENTANLAOPINIÓNDELAREVISTABALANCE.©DERECHOSRESERVADOS,2010.SEPROHÍBELA REPRODUCCIÓNTOTALOPARCIALDEARTÍCULOSYFOTOGRAFÍASSINAUTORIZACIÓNDELAREVISTABALANCE.TAMPOCOESPERMITIDOFOTOCOPIAROTRANSMITIRNUESTRO CONTENIDOSINAPROBACIÓN.
Yuseph Alcalá Director de Mercadeo y Ventas 787-422-8385 - revistabalancepr@gmail.com

34edición

carta editorial

Estimados lectores de la Revista Balance, reciban un cordial saludo. Estamos felices de darle la bienvenida a la esperada Edición 34. En esta le traemos un conjunto de artículos, notas, anuncios y entrevistas perfectas para mantenernos al día y en Balance durante estosmeses.

Nuestra portada es el Dr. Carlos Vélez, Director del Colegio de Médicos y Cirujanos de Puerto Rico, quien nos cuenta sus más reconocidos logros y trayectorias para mejorar el bienestar de sus colegas médicos y aplicar actualizaciones para la mejoría del Sistema deSaludenlaisla.ÉlhaceunllamadoparaestablecerunBalanceentre la Medicina y los asuntos de la sociedad para un mejor trato saludable ydigno,tantoapacientescomoamédicos.

Conocerán quiénes son nuestros más distinguidos Top Doctors del año 2023, especialistas de la salud de toda la isla que sobresalen en sus áreas por su compromiso, trayectoria, especialización y aportación que los hacen merecedores de reconocimiento. Y, por supuesto, contamos con distinguidos colaboradores expertos en sus áreas de especialidad, quienes nos comparten artículos sobre temas de interés.de igual manera, te brindamos información relevante sobre distintos temas de salud de la mano de nuestros Top Doctors, quienes comparten información enriquecedora sobre temas como: “Mycoplasma pneumoniae: ¿qué son los anticuerpos y por qué pueden persistir en tu organismo?”, “Avances en ortopedia reconstructiva para tratar la artritis” y “Accidente cerebrovascular, todoloquenecesitassaber”,entreotros.

Los invitamos a que disfruten de esta edición y a que nos sigan en nuestras redes sociales en Facebook e Instagram como Revista @revistabalancepr. Manténganse al tanto de nuestras más recientes noticiasentemasdesalud,modaybelleza.

¡Graciasporleernos!

Para Puerto Rico Pathology es un honor contar con el Dr. Gabriel Acosta González como Jefe de la sección de Gastroenterología. Su entrega, dedicación y compromiso para con nuestros pacientes son un verdadero motivo de orgullo para nosotros.

¡Le
felicitamos!

12 Alzheimer:Señalestempranas, beneficiosdeldiagnóstico oportunoycuidadosadecuados

16 Determinacióndeincapacidad yacupunturamédica

20 Hiperplasiaprostáticabenigna: Cómoafectaalamayoríadelos hombres

24 Consejosútilesparaelpacientey elcuidador:¿Cómoprepararte paratucitamédica?

26 Mycoplasmapneumoniae: ¿Quésonlosanticuerposypor quépuedenpersistirentu organismo?

28 Elcáncerdelcolon

34 Accidentecerebrovascular, todoloquenecesitassaber

108 ¿Cuántotiempoesapropiado esperarparaunacirugíade corazóndespuésdeuninfarto?

114 Consejosprácticospara cuidadoresdepacientescon enfermedaddeAlzheimer ydemencia

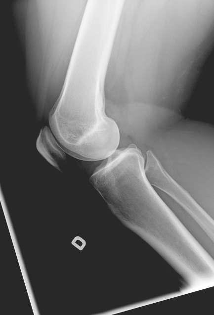
118 Avancesenortopedia reconstructivaparatratar laartritis

124 Cómofortalecerlacomunidad médicadePuertoRicopara disminuirlafugadetalentos

Suplemento especial: Puerto Rico

Top Doctors 2023 TOP DOCTORS 2023

37

68 VOLVO ELÉCTRICO

128 Pólipos colorrectales Prevención y detección temprana

34
contenido
PUERTORICO TUVIDAENEQUILIBRIO TM SUPLEMENTOESPECIAL SOBRELOSESPECIALISTAS MÁSSOBRESALIENTESDELPAÍS E ENTREVISTADEPORTADA CARLOS DÍAZ, MD DIRECTOR DEL COLEGIO DE MÉDICOS Y CIRUJANOS DE PUERTO RICO PORTADA
30

Alzheimer: Señales tempranas, beneficios del diagnóstico oportuno y cuidados adecuados

La enfermedad de Alzheimer es una afección progresiva y degenerativa del cerebro que afecta a más de 50 millones de personas en todo el mundo.

En Puerto Rico, el Alzheimer era la decimocuarta causa de muerte en 1999, y en 2019 se convirtió en la cuarta causa de muerte en la isla. A medida que nuestra población envejece, el Alzheimer se ha convertido en una preocupación cada vez mayor.

En esta ocasión abordaremos algunos mitos comunes sobre la enfermedad de Alzheimer, además de revisar las señales tempranas, los beneficios del diagnóstico oportuno y los cuidados adecuados.

Diagnóstico

Para el diagnóstico del Alzheimer, se pueden utilizar diversas herramientas, incluyendo exámenes neuropsicológicos, pruebas de imagen cerebral y análisis de biomarcadores.

Los exámenes neuropsicológicos implican pruebas que evalúan la memoria, la atención, el lenguaje y otras habilidades cognitivas.

Estas pruebas se utilizan para medir el rendimiento cognitivo del paciente y compararlo con el de personas de su misma edad y educación.

Las pruebas de imagen cerebral, como la tomografía por emisión de positrones (PET) y la resonancia magnética (MRI), pueden mostrar cambios en el cerebro relacionados con el Alzheimer, como la acumulación de placas amiloides y ovillos neurofibrilares.

El análisis de biomarcadores, como el análisis del líquido cefalorraquídeo (LCR), también puede ayudar en el diagnóstico del Alzheimer. El LCR puede mostrar niveles anormales de proteínas asociadas con la enfermedad.

El diagnóstico temprano del Alzheimer es fundamental para un mejor manejo de la enfermedad y una mayor calidad de vida del paciente y su familia.

Señales tempranas de la enfermedad de Alzheimer:

1.Deterioro de la memoria que afecta las actividades diarias, como olvidar información recién aprendida o repetir preguntas.

2.Problemas para concentrarse, planificar o resolver problemas, como perder la capacidad de realizar tareas simples o manejar el dinero.

3.Problemas para completar tareas diarias, como hacer la compra o seguir una receta.

4.Confusión en cuanto a tiempo y espacio, como perder la noción del tiempo o no reconocer lugares familiares.

5.Problemas visuales o de percepción espacial, como tener dificultades para leer o juzgar distancias.

6.Problemas del habla, como tener dificultades para encontrar las palabras correctas o llamar a las cosas por nombres equivocados.

7.Colocar objetos fuera de lugar y tener dificultades para volver a encontrarlos.

8.Disminución o falta de juicio al tomar decisiones, como gastar grandes cantidades de dinero en compras innecesarias.

9.Pérdida de interés en eventos laborales o sociales, o tener problemas para seguir las conversaciones o participar en actividades cotidianas.

12

10.Cambios de humor, como apatía, tristeza sin razón aparente, ansiedad, irritabilidad o comportamientos inapropiados.

Identificar de forma temprana los síntomas del Alzheimer puede ayudar a las personas a buscar tratamiento y atención médica adecuados.

Los síntomas iniciales pueden ser leves y difíciles de detectar, pero la observación consciente puede darnos indicios de aquellos cambios en el comportamiento y en las capacidades cognitivas, que pueden identificar la enfermedad en una etapa temprana.

Beneficios del diagnóstico oportuno:

El diagnóstico temprano del Alzheimer puede tener muchos beneficios, tanto para la persona afectada como para sus seres queridos, pues permite un abordaje de los síntomas retrasando la evolución de la enfermedad

Entre los beneficios más importantes encontramos que:

ŸPermite abordar el manejo efectivo de la persona con enfermedad.

ŸFacilita los servicios de apoyo y el plan de cuidado a largo plazo.

ŸAyuda al tratamiento farmacológico y no farmacológico de forma oportuna

ŸPermite que el cuidador busque y reciba la información o las referencias adecuadas sobre la enfermedad de Alzheimer.

Mitos comunes sobre el Alzheimer

Uno de los grandes desafíos de esta enfermedad, es los diferentes mitos que giran en torno a ella, lo que puede llevar a la confusión y la falta de comprensión sobre esta afección, como, por ejemplo, la creencia que la pérdida de memoria está estrechamente ligada al envejecimiento, o que la habilidad cognitiva se va perdiendo con la edad. Es importante tener en cuenta que cada persona es única y experimenta el envejecimiento de manera diferente. Aunque existen algunos cambios físicos y cognitivos asociados con el envejecimiento,

no estereotipar o discriminar a las personas mayores en función de su edad.

Tratamiento

Actualmente no existe una cura para la enfermedad de Alzheimer, pero hay tratamientos que pueden ayudar a aliviar los síntomas y mejorar la calidad de vida de las personas afectadas.

El tratamiento se enfoca en manejar los síntomas específicos del paciente, lo que puede incluir medicamentos para mejorar la memoria y la capacidad de pensar, así como para controlar los cambios de humor y el comportamiento.

También se puede utilizar terapia ocupacional para ayudar a las personas a mantener sus habilidades y fomentar su independencia en las actividades diarias. La terapia del habla y el lenguaje también puede ser útil para aquellos que tienen problemas con el lenguaje.

Además, se recomienda un estilo de vida saludable, que incluya ejercicio regular y una dieta equilibrada, para ayudar a mantener la salud física y mental. También se puede recurrir a la terapia psicológica y a grupos de apoyo para ayudar a las personas afectadas y a sus familias a lidiar con la enfermedad.

Es importante tener en cuenta que el tratamiento y la atención adecuados pueden ayudar a mejorar la calidad de vida de las personas con Alzheimer y sus cuidadores.

Prevención y factores de riesgo

La prevención del Alzheimer se centra en mantener un estilo de vida saludable, realizar actividades como leer, dormir bien, y evitar el estrés crónico, además del control de otras condiciones médicas crónicas.

Los factores de riesgo más comunes son la edad, los antecedentes familiares, el género (las mujeres tienen mayor riesgo), las variantes genéticas, el sedentarismo, la obesidad, la hipertensión arterial, la diabetes, el colesterol elevado y el consumo de tabaco y alcohol.

13
787-878-1359 plazanortelab_2137@yahoo.com LABORATORIO CLÍNICO PLAZA DELORTE N Aceptamos la mayoría de los planes médicos Atención al paciente • Calidad y excelencia • Resultados confiables COSTANORTE SHOPPING VILLAGE, HATILLO LCDA.ANAC. GONZÁLEZ, MS, MT LUNES - VIERNES 6:30AM - 3:00PM SÁBADOS - 7:00AM - 12:00PM TELS: Arecibo Ave. José de Diego #208 TEL:787-878-4670 | FAX:787-816-6948 laboratorioroman@gmail.com LABORATORIO CLÍNICOROMÁN Ofrecemos servicio a domicilio con cita previa Para citas: 939-251-6283

Determinación de incapacidad y acupuntura médica

La evaluación de la incapacidad es esencialparadeterminarcómouna lesión o enfermedad puede afectar la función de una persona y su calidaddevida.Lossíntomascomo dolor, limitación de movimiento o incluso parálisis, pueden ser limitantes para las actividades diarias y la interacción con el entorno, lo que afecta la independenciaylacalidaddevida.

Tratamiento del dolor con acupuntura

La acupuntura es una técnica milenaria que ha sido utilizada durante siglos para tratar el dolor y otras condiciones. En nuestra organización, nos enfocamos en el uso de la acupuntura para tratar el dolor. La técnica se basa en identificar los meridianos del cuerpo que se encuentran bloqueados y cómo se puede desbloquear el flujo energético para promover la continuidad del paso de la energía por el canal.

Técnicas para tratamientos de acupuntura

Aunque la técnica de acupuntura se utiliza mayormente con agujas, también se puede utilizar la electricidad y otras técnicas de diagnóstico, como la técnica japonesa de Ryodoraku, para determinar los niveles energéticos de los meridianos y proporcionar diferentes formas de tratamiento para las condiciones. La mejoría en las afecciones dolorosas puede tener como consecuencia un aumento en la autoestima de la persona en su nivel funcional.

Acupuntura médica para condiciones neuro-músculo-esqueléticas

El tratamiento de condiciones neuro-músculoesqueléticas a través de la acupuntura médica, ofrece la posibilidad de acceder a diversas modalidades de tratamiento para mejorar la función y calidad de vida de nuestros pacientes.

Si estás experimentando síntomas limitantes debido a una lesión o enfermedad, considera la acupuntura como una opción de tratamiento para mejorar tu función y calidad de vida. Consulta con un especialista en medicina física y rehabilitación para obtener más información sobre cómo la acupuntura puede ayudarte.

L
16

Teléfonos:

(787) 880-0444

(787) 880-0460

Números de Fax:

(787) 880-7281, 816-1309

Dirección

ARECIBO

51 Calle Palma

E - Mails info@laboratoriotoledo.com opd@laboratoriotoledo.com carmen.valentin@laboratoriotoledo.com

En el Laboratorio Clínico Toledo contamos con los mejores servicios de salud, la mejor tecnología, un excelente grupo de profesionales con vasta experiencia; comprometidos para garantizarle el mejor servicio.

Ofrecemos servicio al hogar.

Actualmente procesamos una gama bien amplia de análisis. Adjunto, una lista de áreas que Toledo ofrece servicios:

Alergias

Química

Endocrinología

Genética

Hematología

HIV

Inmunología

Enfermedades

Infecciosas

Microbiología

Oncología

Paternidad

Evaluación

Serología

Reproductiva

Química Especial

Drogas de Abuso y Terapéuticas

Marcadores de Tumor

Molecular

• Niños y Adolescentes • Evaluaciones Psiquiátricas • Adultos y Ancianos • Intervención y consejería Familiar •Evaluaciones Psicológicas • Evaluaciones Psicométricas y Psicoeducativas • Terapias Dra. Ilianette Ruiz Acevedo Psiquiatra de Adultos Sub-Especialidad Niños yAdolescentes Servicios Cel.: 787-554-1828 Tel.:/Fax: 787-868-1828 yanirasepi@gmail.com • • • • • • • •

Hiperplasia prostática benigna: Cómo afecta a la mayoría de los hombres

La hiperplasia prostática benigna (HPB) es una afección que afecta a la mayoría de los hombres a medida que envejecen. Aunque no es un factor pronóstico de cáncer, el agrandamiento de la próstata puede ejercer presión en la uretra, causando obstrucción y provocando síntomas molestos.

Los síntomas asociados a la HPB incluyen:

ŸNecesidad de orinar con más frecuencia de lo normal, lo que puede perturbar el sueño durante la noche.

ŸNecesidad de levantarse a orinar varias veces durante la noche.

ŸNecesidad repentina y fuerte de orinar que puede ser difícil de controlar.

ŸDolor o ardor al orinar.

ŸDificultad para iniciar el flujo de orina.

ŸChorro de orina débil, intermitente o con interrupciones.

ŸSensación de vaciado incompleto de la vejiga después de orinar.

Es importante destacar que, sin el tratamiento adecuado, el agrandamiento de la próstata puede ocasionar daños permanentes a la vejiga, producir cálculos en la vejiga o incluso afectar la función renal.

Tratamientos disponibles

Hay una gran variedad de tratamientos disponibles para la HPB, desde terapias mínimamente invasivas hasta cirugía. La opción de tratamiento depende de varios factores, como el tamaño de la próstata, la edad del paciente, la salud general, el grado de molestia y la severidad de la condición.

Medicamentos

Los medicamentos son el tratamiento más frecuente para los síntomas leves o moderados. Los medicamentos pueden disminuir el tamaño de la glándula o relajar los músculos del cuello de la vejiga y las fibras musculares de la próstata. Sin embargo, los efectos secundarios pueden incluir mareos, cansancio o eyaculación retrógrada, disminución del deseo sexual y problemas de erección.

Terapias mínimamente invasivas

Entre estas se incluyen:

•Urolift: en el que es un procedimiento se colocan unos pequeños implantes en la próstata a través del conducto urinario, de este modo se abre el conducto. Se puede realizar en la oficina o sala de operaciones. Este tratamiento ofrece una recuperación y alivio rápido de los síntomas y permite conservar el desempeño sexual. Normalmente no requiere sonda y los resultados son inmediatos y duraderos.

•Vaporización de agua (Rezum) en el que : es un procedimiento de oficina o de hospital con vapor de agua inyectado en la próstata, encogemos la glándula para aumentar el flujo urinario. Al igual que el anterior, el paciente puede retornar a sus labores habituales en unos días. Puede tener riesgo de sangrado y suele requerir sonda urinaria. El alivio de los síntomas se comienza a ver después de 4-6 semanas.

Cirugía

También existen procedimientos más invasivos, como el raspe de próstata y la evaporación por láser. Estos procedimientos maximizan el flujo y alivio de los síntomas eliminando el tejido prostático que obstruye el conducto urinario. Es importante tener en cuenta que cada opción de tratamiento tiene sus propios riesgos y beneficios. Por lo tanto, es esencial que los pacientes discutan sus opciones de tratamiento con su médico y tomen una decisión informada que tenga en cuenta sus necesidades individuales.

20
Urólogo - Diplomate of the American Board of Urology
Utuado | Calle Betances #53 labelvivi53@yahoo.com 787-894-2270 Lunes a Viernes 6:30 AM - 3:00 PM Sábado 7:00 AM - 12:00 M Nuestro Laboratorio cuenta con los siguientes servicios: Pruebas de Covid-19 Pruebas de dopaje Pruebas de paternidad Mycoplasma Influenza A y B Servicio a domicilio y a su empresa

Consejos útiles para el paciente y el cuidador: ¿Cómo prepararte para tu cita médica?

Colabora

Es necesario que hagas una lista que incluya en orden de prioridad todas tus preocupaciones referentes a tu salud. Si vas por primera vez a tu cita médica, debes llevar contigo tu historial médico anterior. Esto dará un buen uso a tu tiempo y al de tu médico.

Informa

Lleva contigo información referente a tu salud como: lista de los medicamentos que tomas, condiciones que padeces, laboratorios recientes y pruebas diagnósticas (imágenes radiológicas, MRI, CT, sonogramas, entre otras). Con esta información ayudas a que tu doctor realice una buena evaluación y pueda brindarte el tratamiento que necesites.

Involúcrate

Tu familiar, cuidador o amigo puede ayudarte si queda algo por decir, y a comprender y recordar el tratamiento indicado.

Actualiza

Mantener actualizado a tu médico primario informando y compartiendo cualquier cambio referente a tu estado de salud es lo primordial. Por ejemplo: Si has visitado sala de emergencia, debes mostrarle la información que te proveyeron a la hora del alta. Otro ejemplo es: si visitaste algún especialista, pide siempre la nota de progreso. En ella hay información del estado actual de tu condición de salud, cambios en medicamentos y estudios diagnósticos.

Pregunta

Si tienes dificultad para ver, es recomendable que lleves contigo tus espejuelos o lentes de contacto. En caso de que tengas dificultad para escuchar, es recomendable volver a preguntar nuevamente a tu doctor para que repita sus indicaciones o consultas.

Participa

Estar preparado para una visita al consultorio puede ayudarte en tu atención médica o la de tu ser querido. Te permite participar de tu propia atención médica y tomar decisiones informadas y responsables.

Recuerda

El médico es el experto en diagnosticar lo que está pasando con tu salud, pero tú manejas tu atención médica.

24

www.prclinical.com/laboratorio

• Posicionados como el primer Laboratorio de Referencia de Alta complejidad en Puerto Rico y el Caribe. Nuestras facilidades han sido auditadas por CLIA en Puerto Rico y USA sin ninguna observación,manteniendonuestrascertificacionesdealtacomplejidadentodaslasfacilidades.

• #LaboratorioClínico#Landron#VegaBaja

Solicita nuestro servicio de visita al hogar comunicándote al 787-340-0005

Visítanos a cualquiera de nuestros Laboratorios en Puerto Rico, donde te garantizamos el mejor servicio y rapidez.

PR CLINICAL REFERENCE

LABORATORY, INC.

Dirección: Calle J.J. Acosta No. 48 A, PO Box 4605

Vega Baja, PR 00693

Horario: Lunes a Viernes de 6:00A.M. a 4:00 P.M.

Sabados de 6:00 AM a 12:00MD

Email: landron1@lablandron.com

HYDE PARK

Dirección: Ave. Jesus T. Piñeiro, San Juan

Horario: Lunes a Viernes de 7:00AM a 3:30PM

Sábados de 7:00AM a 12:00MD

Tel.: 787-395-7767

Email: hydepark@lablandron.com

PR CLINICAL REFERENCE LABORATORY

Dirección: Torre Médica II

Doctor Medical Center

Carr. No.2 Pedro Blanco, Manatí, PR 00674

Horario: Lunes a Viernes de 6:00AM a 3:00PM

Sábados de 7:00AM a 12:00PM

Tel.: 787-395-7748

Email:recepcion@doctorsreflab.com

ST THOMAS CLINICAL REFERENCE LABORATORY

Dirección: Medical Art Complex Suite 9, Altona, St. Thomas 00802, U.S. Virgin Islands

HORARIO LUNES A VIERNES 6:00AM - 4:00PM SÁBADO 6:00AM - 12:00M
CUADRO GENERAL (787) 966-7108 (787) 966-7109 prclinicalreferencelab prclinicalreferencelab

Mycoplasma pneumoniae:

son los anticuerpos y

persistir en tu organismo?

La Mycoplasma pneumoniae es una bacteria que puede causar una inflamación pulmonar conocida como micoplasma. Esta infección bacteriana es común y puede producir síntomas similares a los del catarro, como dolor de garganta, fiebre, tos, dolor de cabeza, congestión y cansancio. Aunque la mayoría de las personas se recuperan en menos de 10 días, la presencia de anticuerpos puede persistir en el organismo por un período de tiempo variable.

La importancia de la detección de anticuerpos para una correcta diagnosis del micoplasma

Las pruebas de detección de anticuerpos son comúnmente utilizadas en laboratorios clínicos para diagnosticar infecciones bacterianas como la Mycoplasma pneumoniae. Estas pruebas detectan la presencia de anticuerpos que el cuerpo produce en respuesta a la infección. Sin embargo, es importante tener en cuenta que la producción de anticuerpos no ocurre de manera inmediata y puede tardar entre siete y 14 días después de la exposición inicial a la bacteria.

Síntomas

El micoplasma puede presentarse con diversos síntomas, los cuales son comúnmente asociados a un catarro.

Estos síntomas pueden aparecer en un período de menos de 10 días después de la exposición inicial a la bacteria Mycoplasma pneumoniae.

Entre los síntomas más comunes se encuentran dolor de garganta, fiebre, tos, dolor de cabeza, congestión, cansancio y bronquitis, entre otros.

Es importante tener en cuenta que los síntomas pueden variar de persona a persona y no todos los que contraen la infección presentarán todos los síntomas mencionados.

Si presentas algún síntoma relacionado con la infección del Mycoplasma, es importante que consultes con tu médico para

recibir un diagnóstico y tratamiento adecuados para tu caso particular.

¿Por cuánto tiempo persisten los anticuerpos de micoplasma en el cuerpo humano?

Una vez que los anticuerpos son producidos en respuesta a la infección, pueden persistir en el organismo durante un período de tiempo variable.

En el caso de la Mycoplasma pneumoniae, los anticuerpos pueden continuar reactivos entre dos meses y un año, dependiendo de la capacidad de cada individuo para producirlos. La cantidad y capacidad de producción de anticuerpos pueden variar de persona a persona debido a la individualidad del sistema inmunológico.

Falsos positivos

Es importante tener en cuenta que los pacientes que ya fueron expuestos recientemente a la Mycoplasma pneumoniae pueden dar un falso positivo en las pruebas de detección de anticuerpos debido a que aún tienen presente anticuerpos de la infección anterior Por lo tanto, es importante que el médico tenga un historial claro del paciente al realizar la prueba de detección de anticuerpos.

Línea de fondo

El Mycoplasma pneumoniae es una infección bacteriana común que puede producir síntomas similares a los del catarro. La detección de anticuerpos es una herramienta útil para diagnosticar esta infección, pero es importante tener en cuenta que los anticuerpos pueden persistir en el organismo durante un período de tiempo variable. Por lo tanto, es fundamental que el médico tenga en cuenta el historial del paciente al realizar la prueba de detección de anticuerpos.

26
¿qué
por qué pueden
787.791.5712 787.253.3689 787.531.9801 policlinicadelcaribe@yahoo.com Dr. Jorge L. Méndez Santiago Práctica Familiar / Medicina general POLICLÍNICADELCARIBE LUNES A VIERNES DE 7AM A 1PM Tel. Fax: Emer: Carolina 41 PISCIS AVE LOS ANGELES

El cáncer del colon

El cáncer de colon es una enfermedad que afecta el tracto digestivo y se origina en el intestino grueso. Es una de las formas más comunes de cáncer en todo el mundo y puede tener consecuencias graves si no se detectaytrataatiempo.Elcáncerdecolonse desarrolla lentamente a lo largo de varios años, y se puede prevenir si se detectan y eliminan los pólipos que pueden convertirse en cáncer. La detección temprana del cáncer decolonesfundamentalparauntratamiento exitosoypuedemarcarladiferenciaenlavida de las personas afectadas. En esta conversación, podemos discutir las causas, lossíntomas,eldiagnósticoylostratamientos disponibles para el cáncer de colon, así como lasmedidaspreventivasquesepuedentomar para reducir el riesgo de desarrollar esta enfermedad.

¿Cómo se compara con otras formas de cáncer y cuáles son las tendencias actuales?

En los primeros 6 meses del año 2022, se diagnosticaron 106.180 casos de cáncer de colon y 44.850 casos de cáncer de colon en Estados Unidos.

El cáncer colorrectal es el tercer cáncer más diagnosticado y el tercero en índices de mortalidad.

En Puerto Rico, se reportan aproximadamente 1.600 personas con diagnóstico de cáncer de colon, de las cuales aproximadamente 600 fallecen de la condición, siendo este el segundo cáncer más diagnosticado en hombres y mujeres, y el segundo en cuanto a tasas de mortalidad en las mujeres.

Tipos de cáncer de colon y rectal

Existen diferentes tipos de cáncer de colon y rectal. El colon está compuesto por diferentes tipos de células, y el cáncer puede originarse en cualquiera de ellas.

La mayoría de los cánceres colorrectales comienzan como un pólipo en el revestimiento del colon o el recto, que es un crecimiento anormal de tejido Con el tiempo, algunos pólipos pueden convertirse en cáncer

Los tipos de cáncer de colon se determinan en función a la forma en que se ven las células cancerosas bajo el microscopio, y esto puede afectar el pronóstico y tratamiento recomendados.

El cáncer de colon y rectal se divide en dos tipos principales, adenocarcinoma y carcinoides. El adenocarcinoma es el tipo más común de cáncer colorrectal, y el carcinoide es menos común, pero puede ser más agresivo.

Ÿ El adenocarcinoma comienza en las células que recubren el interior del colon y el recto.

Ÿ Los carcinoides comienzan en las células del tracto gastrointestinal.

E
28
Por Dra. Maryknoll De La Cruz Oncóloga

Diagnóstico

La colonoscopia es el procedimiento más comúnmente utilizado para diagnosticar el cáncer de colon y rectal. Los pacientes sin factores de riesgo deben realizarse una colonoscopia desde los 45 años.

Si una persona tiene algún factor de riesgo, la colonoscopia debe hacerse a una edad más temprana según lo recomiende el gastroenterólogo.

Algunos factores de riesgo incluyen tener historial de cáncer de ovario, diabetes mellitus tipo 2, fumar, tener un estilo de vida sedentario, obesidad, el consumo en exceso de carnes rojas, beber tres o más bebidas alcohólicas al día e historial de cáncer que haya requerido radioterapia al abdomen.

Tratamiento

Una vez se encuentra una masa en el área del colon, el tratamiento consiste en cirugía. Esta puede realizarse a través de laparoscopia o laparotomía (incisión vertical en el abdomen) y consiste en remover la sección del colon afectada por el tumor, resecar al menos 12 nódulos linfáticos del área local donde estaba el tumor, tejido de grasa adyacente y todo lo que se pueda visualizar que está invadido por el tumor y sea posible remover

De acuerdo con el análisis que hace el patólogo sobre el tumor y los estudios de imagen que se ordenan, se determina el estado de la enfermedad y si el paciente se beneficia de recibir quimioterapia luego de la cirugía.

Formas de Prevención

Existen estrategias que se han visto que favorecen para bajar el riesgo de desarrollar cáncer de colon.

Según las guías nacionales de cáncer revisadas en enero del 2022, la prevención del cáncer se enfoca en tres áreas principales:

1. Estilo de vida saludable.

2. Detección temprana.

3. Prevención primaria.

Para adoptar un estilo de vida saludable, es importante mantener una dieta equilibrada y hacer ejercicio regularmente.

También se recomienda evitar el consumo de tabaco y alcohol, ya que ambos están asociados con un mayor riesgo de desarrollar cáncer

La detección temprana es crucial para el tratamiento exitoso del cáncer Las personas deben realizarse exámenes de detección de acuerdo a su edad, género y otros factores de riesgo.

La prevención primaria implica reducir la exposición a sustancias cancerígenas y evitar factores de riesgo conocidos.

Esto puede incluir la eliminación de ciertos productos químicos del hogar y del lugar de trabajo, así como la protección adecuada contra la exposición a la radiación y otros factores ambientales.

29
Photo by National Cancer Institute on Unsplash

entrevista deportada

Bueno para el Colegio, bueno para Puerto Rico

C 30

Cardiología, Medicina Interna

C Dr. Carlos Díaz Vélez

Carlos Díaz Vélez es un reconocido especialista en Cardiología y Medicina Interna con más de 30 años de trayectoria profesional en el campo de la medicina. Se graduó en 1987 de Ciencias Médicas en la Universidad de Puerto Rico. En 1990, continuó su formación académica, completando una residencia en el Veterans Administration Hospital en San Juan, P.R. Más tarde, realizó un Fellowship en la especialidad de Cardiología, de igual forma en el VeteransAdministrationHospital.

Su trabajo se ha centrado en la investigación y en el desarrolloenlasáreasdelossectorespúblicosyprivadosde la medicina. Además, ha presentado sus investigaciones y experticia participando en foros gubernamentales y estando en roles políticos para la mejoría y bienestar de la saludenlaisla.

entrevista de portada 31

entrevista de portada

Sector Gubernamental y Político

El Dr. Díaz Vélez ha sido pionero en el desarrollo de nuevas técnicas y tratamientos en su especialidad, lo que lehapermitidoaportarsignificativamentealavancedela medicina. De igual forma, se ha visto involucrado en prestar sus conocimientos en las Ciencias Médicas a la educación pública. Para los años 1981 al 1983, el Dr. Díaz Vélez ejerció una carrera como maestro de Ciencias y Matemáticas en el Departamento de Educación. Fue nombrado el Primer Procurador del Paciente del ELA desde el 2001 hasta el 2002. Ya para el año 2003, fue nombrado tribuno del Tribunal Examinador de Médicos del Comité de Transición en el Área de Salud, hasta culminar el mismo en el año 2007. Durante ese período de tiempo, participó como director en el área de Salud del Proyecto Misión 2025. Partícipe en la política como precandidato a la Alcaldía de San Juan en el año 2012, también fue Legislador Municipal electo a la Asamblea Municipal de San Juan y presidente de la Comisión de Salud de la Legislatura MunicipaldeSanJuandesdeelaño2012al2016.

Sector Privado

Además de abordar su habilidad de liderazgo en los asuntos públicos y gubernamentales, el cardiólogo Díaz Vélez contribuyó con el Hospital Pavia de Santurce como presidente de la Facultad Médica desde el año 2006 al 2008. Ya para el año siguiente, fundó la AsociacióndeFacultadesMédicasdeP.R.Desdeel2014 hasta el 2016, fue el creador, y a su vez, presidente del Instituto de Investigación Clínica y Desarrollo Tecnológico del Colegio de Médicos Cirujanos de PR. En la actualidad, el Dr. Vélez cuenta con el rol de presidenteelectodelColegiodeMédicosyCirujanosde PuertoRico.

La mayor motivación del cardiólogo al tomar la decisión de aceptar el rol como presidente en el Colegio de Médicos y Cirujanos de Puerto Rico era el sentir de muchos médicos y atender sus preocupaciones y quejas relacionados a lo que ocurre en su entorno profesional para así proveer las herramientas y beneficios que estos necesitan. El Dr. Díaz veía como oportunidad de mejorar el Colegio de Médicos y Cirujanos de P.R. dado que muchos miembros solo acudían al colegio para

propósitos personales, políticos y ajenos al propósito por el cual el colegio fue creado. Es por esto por lo que, ante la gravedad de esta situación, este tomó la decisión de poner en práctica sus conocimientos al servicio del ColegiodeMédicosCirujanosdePR.

“Durante mi primer año como presidente del Colegio de Médicos y Cirujanos de Puerto Rico, he logrado que el colegio tenga una gran transformación como una institución y organización sin fines de lucro; trabajando y mejorando las condiciones de los empleados, creando asíunclimadetransparenciayeficienciaensusfinanzas. Además, he experimentado el resurgimiento de la confianza y credibilidad de los médicos hacia su colegio”,expresóelpresidentedelColegiodeMédicosy Cirujanos de P.R. Sus acciones de defensa para los médicos frente a las aseguradoras han sido la más poderosa acción que se haya visto en la historia del Colegio, donde se han desarrollado iniciativas para defender sus prácticas y deberes en la medicina ante las aseguradorasdeplanesmédicos.ParaelDr.Díaz,unode los mayores retos que ha podido ejercer como presidente del Colegio de Médicos y Cirujanos de P.R., es mantener la colegiación compulsoria. “Esta situación me ha obligado a maximizar los recursos del colegio, a minimizar gastos secundarios y hacer eficiente y transparente las finanzas del colegio”, expresó el cardiólogo. Otro reto que se ha presentado al colegio es presentar soluciones y alternativas en los foros legislativos y administrativos con el fin de lograr los incentivos y las mejores condiciones para que médicos no abandonen su profesión en la isla. Esto se basa en el éxodo de los médicos jóvenes recién graduados y los establecidosenPuertoRico.Y,porúltimo,ponerenalto las acciones de las aseguradoras que limitan la práctica profesionaldelaclasemédica.

A raíz de sus años de experiencia, el Dr. Díaz ve como oportunidad y proyección futura, unir fuerzas y crear alianzas junto al Center for Medicare & Medicaid Services (CMS) con el fin de eliminar el discrimen contra los pacientes puertorriqueños. “A nuestros ciudadanos se les descuenta lo mismo de sus cheques mensualmente para los pagos de Medicare como cualquier ciudadano de E.U. Con mi liderato y respaldo de la clase médica de nuestras gestiones, tengo grandes

32

esperanzasdelograrcambiospositivosehistóricosenlas condiciones de trabajo de la clase médica y, sobre todo, en el mejoramiento de la salud de nuestros pacientes quesonnuestrarazóndeser”,expresaelDr.DíazVélez. Como mayor consejo para cuidar la salud cardíaca y mantener una calidad de vida sana, el presidente del Colegio de Médicos y Cirujanos de P.R. hace un señalamiento sobre las condiciones cardiovasculares y cerebrovasculares, las primeras causas de muerte en Puerto Rico y Estados Unidos. Teniendo esto en mente, señala que los factores de riesgo que llevan a estas muertes son principalmente las condiciones como: diabetes, hipertensión, colesterol alto, fumar y la obesidad. Resalta que el factor principal para prevenir estas afecciones es la buena alimentación, y expresa lo siguiente: “Somos lo que comemos y es urgente la educación de nuestros niños en las escuelas sobre una alimentación saludable, dándole mayor importancia a la reducción de consumo de los carbohidratos, que es por donde comienza toda la cadena de enfermedades cardiovascularesydecáncer,yquetienenendeteriorola salud de muchos puertorriqueños”. El galeno reconoce que una educación sobre una dieta balanceada e incentivar el deporte como actividad física, es la parte clave para una buena calidad de vida. Dicho esto, también hace un llamado para usar incentivos que aporten a la prevención en el uso de drogas y el alcohol utilizando estrategias nuevas y avanzadas de la tecnología. “Es importante incentivar los logros del control de sus factores de riesgo, usando estrategias creativas e innovadoras preventivas como aplicaciones de los avances tecnológicos y la comunicación digital”, expresóDíazVélez.

El Dr. Díaz Vélez ofrece una variedad de servicios médicos en: estudios diagnósticos y tratamiento de enfermedades de las arterias coronarias, defectos cardíacos congénitos, insuficiencia cardíaca y enfermedadcardíacavalvular.Suhorariodeoficinaesde lunes a viernes de 7:00 a.m. a 3:00 p.m. Dirección de sus servicios u oficina:1449 calle Américo Salas, Santurce, PR 00909. Puede ser contactado a través del teléfono(787)721-0525.

33
“ “
entrevista
de portada
Ha sido pionero en el desarrollo de nuevas técnicas y tratamientos en su especialidad, lo que le ha permido
aportar significavamente al avance de la medicina

Accidente cerebrovascular, todo lo que necesitas saber

El accidente cerebrovascular (ACV)esuntrastornoneurológico grave que ocurre cuando se interrumpe el suministro de sangreaunapartedelcerebro,ya sea por una obstrucción (isquémico) o por la ruptura de una arteria (hemorrágico). A continuación,seexplicarátodolo que necesitas saber sobre este trastornoneurológico.

¿Qué es un accidente cerebrovascular?

El ACV es un episodio en el que se produce una interrupción del suministro de sangre a una parte del cerebro. Como resultado, las células cerebrales no reciben el oxígeno y los nutrientes que necesitan para funcionar correctamente. Si la interrupción es prolongada, las células cerebrales pueden comenzar a morir, lo que puede llevar a consecuencias graves e incluso a la muerte.

Clasificación del ACV

El ACV puede clasificarse en dos tipos principales: isquémico y hemorrágico. El ACV isquémico se produce cuando una arteria que suministra sangre al cerebro se obstruye, por ejemplo, por la formación de un coágulo de sangre. El ACV hemorrágico se produce cuando una arteria se rompe y la sangre se derrama en el cerebro. Ambos tipos de ACV pueden tener consecuencias graves para la salud.

34
Por Del Alba Medical Group

La prevalencia de los ACV: Una revisión de la incidencia,factoresderiesgoyprevención

El ACV es una de las principales causas de muerte y discapacidad en todo el mundo. Según la Organización Mundial de la Salud, cada año se producen alrededor de 15 millones de casos de ACV en todo el mundo, y aproximadamente un tercio de ellos son mortales.

En los Estados Unidos, los ACV son la quinta causa de muerte más frecuente y la causa más común de lesión neurológica incapacitante en adultos. En Puerto Rico, se encontraron alrededor de 5.000 casos diagnosticados al año, de los cuales alrededor de 1.300 terminaron en fallecimiento.

Síntomas

Los síntomas del ACV se producen repentinamente e incluyen debilidad muscular, parálisis, pérdida o alteración de la sensibilidad de un lado del cuerpo, dificultad para hablar, confusión, problemas relacionados con la visión, mareos, pérdida de equilibrio y coordinación y, en algunos casos hemorrágicos, un dolor de cabeza repentino e intenso. Es importante recordar que los síntomas del ACV pueden variar según la zona del cerebro afectada y que cada persona puede experimentarlos de manera diferente.

Factoresderiesgo

Los principales factores de riesgo modificables de ACV son los siguientes:

Hipertensión arterial: La hipertensión arterial, también conocida como presión arterial alta, es una afección médica en la que la presión en las arterias es demasiado alta. Esta afección es un factor de riesgo importante para ACV, ya que puede dañar las arterias y aumentar el riesgo de formación de coágulos sanguíneos. Controlar la presión arterial es una forma efectiva de prevenir ACV.

Niveles altos de colesterol: El colesterol es una sustancia grasa que se encuentra en la sangre y es necesario para la función corporal normal. Sin embargo, niveles altos de colesterol pueden aumentar el riesgo de ACV. La dieta y los medicamentos pueden ayudar a controlar los niveles de colesterol y reducir el riesgo de ACV.

Diabetes: La diabetes es una afección médica en la que el cuerpo no puede producir suficiente insulina o no puede utilizar la insulina de manera efectiva. La diabetes es un factor de riesgo importante para ACV debido a que la resistencia a la insulina puede dañar los vasos sanguíneos y aumentar el riesgo de formación de coágulos sanguíneos. El tratamiento para la diabetes puede reducir significativamente el riesgo de ACV.

Consumo de cigarrillos: Fumar cigarrillos es un factor de riesgo importante para ACV, ya que el humo del cigarrillo puede dañar los vasos sanguíneos y aumentar el riesgo de formación de

coágulos sanguíneos. Dejar de fumar es una forma efectiva de reducir el riesgo de ACV.

Obesidad: La obesidad, especialmente cuando el exceso de peso se localiza alrededor del abdomen, es un factor de riesgo importante para ACV, ya que puede aumentar la presión arterial y los niveles de colesterol en la sangre. Una dieta saludable y el ejercicio regular pueden ayudar a controlar el peso y reducir el riesgo de ACV.

Consumo excesivo de alcohol o drogas: El consumo excesivo de alcohol y drogas ilegales como la cocaína y las anfetaminas pueden aumentar el riesgo de ACV. Reducir o eliminar el consumo de estas sustancias puede ayudar a reducir el riesgo de ACV.

Falta de actividad física: La falta de actividad física es un factor de riesgo importante para ACV, ya que puede aumentar la presión arterial y el riesgo de obesidad y diabetes. El ejercicio regular puede ayudar a reducir el riesgo de ACV.

Consecuencias

Una de las consecuencias más comunes de un accidente cerebrovascular es la pérdida de la capacidad para controlar las funciones corporales, como las deposiciones y la vejiga. En algunos casos, esta pérdida de control puede ser permanente y requerir el uso de pañales y otros dispositivos para el manejo de la incontinencia.

También se puede desarrollar rigidez y espasmos musculares involuntarios, conocidos como espasticidad. Esto limita la movilidad, causando dolor y malestar, lo que afecta la capacidad de realizar actividades diarias como vestirse y comer.

Además, las personas que han sufrido un accidente cerebrovascular también pueden experimentar cambios emocionales, incapacidad para controlar las emociones, depresión o ansiedad. Estos cambios emocionales pueden ser difíciles de manejar y afectar la vida social y las relaciones personales.

Las consecuencias de un accidente cerebrovascular pueden variar en cada individuo de acuerdo a la gravedad del accidente cerebrovascular. La mayoría de las personas alcanzan su máximo punto de pérdida funcional inmediatamente después del accidente cerebrovascular. Sin embargo, en algunos casos, la pérdida funcional puede continuar durante días o incluso semanas después del evento.

En algunos casos es posible recuperar parte de la función perdida, ya que algunas neuronas lesionadas pueden recuperarse y el cerebro puede compensar las funciones perdidas mediante la plasticidad cerebral. Sin embargo, es importante tener en cuenta que los efectos del accidente cerebrovascular pueden ser permanentes y que el proceso de recuperación puede ser largo y difícil.

35

PUERTO TM

RICO

SUPLEMENTO ESPECIAL SOBRE LOS ESPECIALISTAS MÁS SOBRESALIENTES DEL PAÍS

E

En esta edición reseñamos a un grupo de selectos especialistas de la Medicina, quienes comparten con nuestros lectores sus experiencias profesionales y sus visiones sobre los retos y las áreas de oportunidad en la Medicina en Puerto Rico. Ellos manifiestan en las páginas de BALANCE su compromiso con el bienestar y la salud de los pacientes puertorriqueños.

TOP DOCTORS 2023 TU VIDA EN EQUILIBRIO

Dra. Lizzette Montalvo Guadalupe

Medicina de Familia - Mi Vocación, Mi Pasión

La doctora Montalvo Guadalupe, especialista en Medicina de Familia, es egresada de la Universidad Autónoma de Guadalajara, México. Realizó su especialidad en el Hospital San Pablo en Bayamón. Fue Chief Resident durante su año de sénior y directora médica del CDT de Guayanilla, durante su año de servicio público. Actualmente ejerce su práctica privada en, LMG Medical Services en Carolina, Puerto Rico.

“Desde mi infancia siempre fui muy estudiosa, compasiva, cariñosa, luchadora y sensible con las necesidades de los demás. Cuando me preguntaban qué quería estudiar siempre respondía de forma segura y firme que quería convertirme en ‘doctora’, a tal punto, que mientras otros compañeros de mi edad (15 años) preferían jugar durante sus veranos yo procuraba trabajar como voluntaria en el Centro de Diagnóstico y Tratamiento de mi querido pueblo de Peñuelas”, recordó.

Fue en aquel entonces, que la sensibilidad y compasión hacia los demás reafirmaron su deseo de prepararse para alcanzar su sueño y poder servir con humildad y vocación. Además, ya contaba con una enfermera en su familia, su adorada tía, pero no fue hasta una experiencia familiar cercana que impulsó más su deseo de emprender su camino en el campo de la Medicina.

Hoy día y luego de 30 años de experiencia, vive por su profesión y sus pacientes. Le llena de satisfacción escucharlos decir que cuando llegan a su oficina y la ven se sienten aliviados. No solo les brinda los medicamentos que necesitan para mejorar sus condiciones de salud, sino que también les provee de manera especial la medicina para el alma que contribuye a su sanación. “Qué mejor reconocimiento de mi población geriátrica, cuando te das cuenta que la medicina no es solo recetar medicamentos, sino afecto, atención y ganarse lo más importante, su confianza”, enfatizó.

Por otro lado, luego de su experiencia como médico general, lo importante para la doctora al ser especialista en Medicina de Familia fue integrar los conocimientos de todas las especialidades en una para poder atender diversas condiciones crónicas.

Uno de los más recientes servicios comunitarios que realizó y que guarda en su memoria para siempre fue poder servir a sus hermanos del área sur luego de los terremotos del 2020, incluyendo su pueblo de Peñuelas, donde junto con su equipo se dieron a la tarea de asistir a esta población afectada dándole el apoyo necesario en aquellos difíciles momentos.

"Como parte de mi preparación, brindamos medicina comunitaria durante mi servicio público, como directora médica del CDT y como médico voluntario en actividades deportivas. Aprendimos juntos como comunidad reconociendo que la intervención del equipo multidisciplinario es esencial para cumplir metas imposibles y sobrepasarlas”, manifestó.

Por otro lado, estuvo como médico asistiendo en un centro psiquiátrico de donde adquiere su experiencia triste, pero a la vez reconfortante, por la satisfacción que llena el corazón al participar activamente en el tratamiento de trastornos de ánimo (depresión, ansiedad y psicosis o demencia), visitando hogares de adultos con problemas de salud conductual y evaluando niñas desamparadas con problemas de autoestima y autodestrucción, área de la medicina que hoy día es marginada en algunos aspectos.

“La pandemia del Covid-19 ha sido y será para muchos profesionales de la salud un gran reto con el que tuvimos que aprender, luchar y combatir. Nos cambió la vida totalmente y peor aún con la frustración de enfrentarnos a una especie de ‘monstruo’ silencioso e invisible a la vez. Tuvimos que enfrentarnos a este mortal virus sin contar con herramientas médicas para erradicarlo y exterminarlo. Hemos tenido que lidiar con lo imposible y manejar el pánico a lo desconocido, pero siempre firme en mi misión de dar vida, de servir dando lo mejor de todo médico, cumpliendo con nuestro juramento sublime, aunque nos costara nuestra propia vida”, indicó.

Con esta pandemia también hubo experiencias positivas, pues enseñó a valorar lo que más aman, lo que tienen tan cerca y, por el sacrificio que conlleva su profesión, apenas da tiempo a lo que tienen al lado: su familia, sus pacientes. El Covid-19, lamentablemente no ha culminado y continuamos aprendiendo, pero junto a todos los profesionales y la comunidad, la ciencia y con Dios que es el que nos sostiene para continuar sirviendo a su gente, recalca que vencerán.

“Uno de mis proyectos futuros sería poder establecer una policlínica con horario extendido donde integremos otros especialistas y brindemos a los pacientes todas las atenciones que merecen. Asimismo pienso que en esta profesión siempre uno busca darle la oportunidad a la nueva generación de profesionales en la medicina para compartir conocimientos y experiencias adquiridas, y así contribuir a motivar médicos jóvenes para establecerse aquí y servir a nuestra comunidad”, profundizó.

“Mi compromiso con la salud y el bienestar de mis pacientes se fundamenta en el apostolado que tengo con cada uno de ellos. Agradezco todos los días a Dios por darme la oportunidad de dar salud y ayudar a otros a través de mi profesión. Brindar cuidado médico con compasión, sensibilidad, humildad, responsabilidad y vocación son valores que me sostienen y dan fuerza para salir a trabajar todos los días. Ver un paciente saludable y feliz es un bálsamo”, sentenció.

Consigue sus servicios en su oficina localizada en Ave. Fragoso 3FS5 Urb. Villa Fontana, Carolina, llamando al 787-752-6767, 787-6470222, o al 787-998-6765, con horarios de lunes a viernes de 8:00 a.m. a 5:00 p.m.

38
TOP DOCTOR |
ÁREA METRO
39

Dr. Jesús A Maldonado Hernández

Medicina Física y Rehabilitación de adultos y niños

Jesús A Maldonado Hernández es un destacado especialista en Medicina Física y Rehabilitación de adultos y niños, con una amplia trayectoria en el campo de la salud. Graduado de la Universidad Autónoma de Guadalajara en México en 1977, se especializó en Medicina de adultos y pediátrica entre los años 1978 y 1981.

Desde el inicio de su carrera profesional, el Dr. Maldonado se ha enfocado en la atención de pacientes con incapacidades físicas, tanto adultos como niños. Su interés en la determinación de limitaciones funcionales y físicas de los pacientes lo llevó a estudiar y practicar la determinación de incapacidad. Es a través de su trabajo que ha contribuido a proveer información a los pacientes y familiares involucrados, así como a identificar factores que les permitan llevar una vida más útil.

En cuanto a los retos principales de su campo, el galeno destaca la educación de los pacientes y sus familiares respecto a sus incapacidades y condiciones que producen limitaciones físicas, así como la necesidad de crear conciencia acerca de los equipos que los pacientes necesitan.

El doctor identifica la inclusión de la acupuntura como un área adicional de tratamiento para mejorar el dolor que puede causar una lesión física y la incapacidad funcional.

Si desea contactar al Dr. Maldonado, puede hacerlo a través de su consultorio ubicado en la 230 calle Gautier Benítez, suite 202, Caguas PR, 00725, o llamar al 787-221-1988 para programar una cita previa durante sus horarios de oficina de lunes a jueves de 8:00 a.m. a 4:00 p.m. donde ofrece sus servicios de evaluaciones, evaluaciones de incapacidad y tratamiento de acupuntura.

40
J
TOP DOCTOR | ÁREA METRO
...el Dr. Maldonado identifica la inclusión de la acupuntura como un área adicional de tratamiento para mejorar el dolor que puede causar una lesión física y la incapacidad funcional.
41

Dra. Yadira M. Correa Millán

Gastroenterología

L

La doctora Yadira M. Correa Millán es una destacada especialista en Gastroenterología que ha dedicado su vida profesional al cuidado de sus pacientes y la prevención de enfermedades del sistema gastrointestinal.

Con una formación académica de excelencia, obtuvo su bachillerato en Microbiología en la Universidad de Puerto Rico Recinto de Humacao, seguido de su título en Medicina en la Universidad Central del Caribe en Bayamón, donde se graduó Magna Cum Laude.

Realizó su residencia en Medicina Interna y Fellowship en Gastroenterología en el Recinto de Ciencias Médicas, donde se certificó en ambas áreas, demostrando su capacidad y compromiso con la medicina.

Con más de 10 años de experiencia en la práctica clínica en el pueblo de Bayamón, la doctora ha atendido a numerosos pacientes con condiciones gastrointestinales diversas, combinando cuidados del paciente con procedimientos endoscópicos.

Como especialista en Gastroenterología, su objetivo es mejorar la vida de sus pacientes y prevenir enfermedades a través de la educación en salud y el diagnóstico temprano. La Dra. Correa se enfoca en la prevención del cáncer de colon y dedica sus esfuerzos a la educación del paciente en la adopción de cambios en el estilo de vida, incluyendo la alimentación y reducción del consumo de sustancias o medicamentos que puedan contribuir al desarrollo de enfermedades gastrointestinales.

Correa enfrenta el reto diario de la falta de educación sobre la importancia de la evaluación temprana en los pacientes. Por ello, se ha convertido en una defensora de la política de salud pública para educar sobre la necesidad de realizar los estudios de cernimiento a tiempo. Cada persona mayor de 45 años debería hacerse una colonoscopia y algunos antes, si tienen historial familiar o están presentando síntomas.

Otro de sus objetivos primordiales es educar a sus pacientes sobre el cuidado integral y la prevención de enfermedades asociadas a la obesidad, y es una motivadora para que otros profesionales de la salud se eduquen y sigan mejorando en su campo de trabajo.

Su oficina ubica en Santa Rosa 6 26 calle 7, Bayamón, PR 00959, donde ofrece servicios de diagnóstico y tratamiento del sistema gastrointestinal, realizando endoscopia y colonoscopias. Su horario de atención es de lunes a viernes de 6:00 a.m. a 2:00 p.m. Para consultas o citas, puede contactarla a través del teléfono 787-740-3333.

La doctora es un ejemplo de dedicación, profesionalismo y compromiso con sus pacientes y con la salud pública, y su aporte a la medicina es invaluable para Puerto Rico.

42
TOP DOCTOR | ÁREA METRO
La Dra. Correa enfrenta el reto diario de la falta de educación sobre la importancia de la evaluación temprana en los pacientes.
43

Dr. Pedro Páez González

Medicina Interna

E

El doctor Pedro P Páez González es médico especialista en Medicina Interna. Comenzó estudios de premédica en la Universidad Interamericana, Recinto Metropolitano y luego realizó estudios en Medicina en la Universidad Central del Este, en República Dominicana. El internado lo realizó en el Hospital Cayetano Coll y Toste y la residencia en Medicina Interna fue en San Juan City Hospital.

Sus labores como médico comenzaron en la Corporación del Fondo del Seguro del Estado, donde ejerció como Director Médico Luego fue Director Médico de la Sala de Urgencias de San Juan City Hospital y tiene práctica privada desde el año 1995 hasta el presente

Una de las razones que le motivó a escoger su área de especialidad en Medicina Interna, fue el poder atender todas las necesidades de la salud de los pacientes, primordialmente enfocándose en la prevención de las enfermedades Considera que una de las contribuciones más importantes en el desarrollo de esta área es poderle dar atención al paciente, acompañándolo a lo largo de su vida por medio de un enfoque integral, ya que puede incorporar distintas áreas de subespecialidades.

Uno de los retos más importantes que ha identificado en el campo de la Medicina Interna es poder seguir enfatizando en la prevención de las enfermedades “Mi compromiso con la salud y el bienestar de mis pacientes se fundamenta en mantener la dedicación, disponibilidad, accesibilidad y comunicación con ellos y ellas”, puntualizó el doctor Páez. Pueden conseguir los servicios del doctor Páez González en la Galería Condado, #1452 Ave. Ashford, Suite 609, San Juan, Puerto Rico. Sus horarios de oficina son de lunes a jueves, de 8:00 a.m. a 4:00 p.m. y viernes, de 8:00 a.m. a 12:00 p.m.

44
TOP DOCTOR | ÁREA METRO
“Mi compromiso con la salud y el bienestar de mis pacientes se fundamenta en mantener la dedicación, disponibilidad, accesibilidad y comunicación con ellos y ellas”.
45
Dr.JuanLuisRobles MédicoGeneralista SanSebastián| Calle Pavía Fernández #126 787-880-3843 drjuanroblesarecibo@gmail.com Arecibo| Carr 129 km 3.0 Int 490 Hato Arriba Lunes y miércoles 8:00 a 12:00 | martes, jueves y viernes 8:00 a 1:00 Lunes a jueves 8:00 a 4:00 | Viernes cerrado Salud es tu verdadera riqueza
787-852-5382 Hogar d Envejeciente Cas Emanue Regálale a ese ser tan especial un lugar sumamente cómodo, donde se va a sentir feliz, como en casa. Humacao Carr. 924 km 1.9,sector López Bo. Pitahaya

Dr. Jorge Cedeño Espaillat

Medicina General y Cirugía Menor

Para el doctor Cedeño, “la salud va ante cualquier otra cosa y sin ella, no se puede vivir”. Por eso, se especializa en Medicina General y Cirugía Menor. Además, posee un posgrado en Medicina Natural y certificación para recomendar Cannabis Medicinal.

Su primera formación fue en el Colegio Inmaculada en Santurce, en donde le fomentaron el deseo de servir al necesitado. Realizó un Bachillerato en Ciencia General en la UPR de Río Piedras, y el Grado Doctoral lo hizo en la Universidad Iberoamericana en República Dominicana. El posgrado en Medicina Natural fue otorgado por la Universidad de Guadalajara de México.

A los cuatro años le dijo a su madre “voy a ser doctor para ayudar a las personas”; y asimismo, decidió mantenerse en el área de Medicina General ya que le permite ayudar a toda la población sin limitarse por área médica o edad.

El médico siempre mantuvo un deseo de ayudar más allá de la medicina como la conocemos; por lo tanto, alcanzó un posgrado en Medicina Natural para dar más alternativas a los pacientes. El cannabis medicinal ha tenido un gran auge desde que se legalizó. Por consiguiente, se certificó para poder recomendarlo. De esta manera, ayuda en enfermedades crónicas, terminales y que causan dolor extremo.

Tuvo diez años de experiencia en sala de emergencia atendiendo las necesidades agudas de los pacientes. Allí notó que muchas personas llegaban a atenderse porque no tenían la forma de llegar a su médico primario por múltiples razones. A partir de ese momento, decidió volver al método clásico de visitar los pacientes al hogar.

“Quería llevar todos mis conocimientos, experiencias y deseos de ayudar a aquellas personas que no pueden salir de las 'cuatro paredes' de su hogar. Se les ayuda con sus enfermedades previniendo complicaciones y cubrimos sus necesidades básicas de salud. Visitamos poblaciones vulnerables: viejitos en sus casas y pacientes en hogares de salud mental o de discapacidad mental”, expresó el doctor Cedeño.

El compromiso del profesional de la salud es con sus pacientes, tanto en la oficina como el que necesita que lo visiten en su hogar. De igual forma, tiene por objetivo ayudar al médico joven y recién graduado a desarrollarse y abrirle las puertas para que se quede en la isla trabajando y desarrollándose.

Si desea visitar su oficina u obtener mayor información sobre sus servicios a domicilio, la dirección es Ave. Comerío #610 Marginal, dentro del Supermercado Econo en Levittown, Toa Baja. El horario es de martes a viernes de 8:30 a.m. en adelante por cita previa, y los números de contacto son 787-784-2218 y el 787-784-3444.

48
TOP DOCTOR |
ÁREA METRO

TOP DOCTOR | ÁREA METRO

Dra. María Martín Beltrán

Medicina General

María Martín Beltrán es una destacada médica general, graduada del American University of Integrative Sciences con un doctorado en Medicina. Después de completar su internado en el Hospital Auxilio Mutuo, se especializó en medicina primaria debido a su interés en la prevención y educación médica.

Como profesional, la Dra. Martín Beltrán ha trabajado en varias salas de emergencias en el área metropolitana de Puerto Rico, pero decidió unirse al equipo de JC Fast Clinic para poder atender a una población más amplia. Además, ha completado una maestría en Educación Médica y Liderazgo en la University of New England.

La Dra. Martín Beltrán se enorgullece de ofrecer servicios médicos a adultos y envejecientes, incluyendo visitas al hogar y cirugía menor Su mayor contribución a la medicina ha sido el cuidado de pacientes encamados/incapacitados y envejecientes, a menudo descuidados en la atención médica.

Como muchos médicos primarios en Puerto Rico, la Dra. Martín Beltrán se enfrenta al desafío de la escasez de médicos y especialistas para cubrir la inmensa necesidad de los pacientes Sin embargo, ella y su equipo están trabajando para expandir los servicios disponibles en su oficina y en las visitas al hogar, con el objetivo de ofrecer un cuidado más completo y personalizado Además, están desarrollando un programa de apoyo para médicos recién graduados para ayudarles en su transición a la práctica médica en la isla.

Si desea contactar a la Dra. Martín Beltrán para obtener más información sobre sus servicios o para programar una cita, puede comunicarse al 787-784-2218 o al 787-784-3444. Su oficina se encuentra en la Ave Comerío #610 en Levittown, PR 00949, y está abierta de martes a viernes de 8:30 a.m. a 6:00 p.m.

Nuestra misión es ayudar.

49

Iván A. Malaret Pol, MD, FACOG

Ginecología Obstetricia

El Dr. Iván A. Malaret Pol es un ginecólogo obstetra con 9 años de experiencia, graduado de la especialidad en el San Juan City Hospital y con un año de especialización en Medicina Interna en el Hospital Regional de Bayamón. Es miembro del Colegio Americano de Obstetricia y Ginecología (FACOG).

El Dr. Malaret Pol se siente gratificado al poder participar en el cuidado, la prevención y el diagnóstico de condiciones ginecológicas, y poder presenciar el nacimiento de una nueva vida. Ofrece servicios como cuidado prenatal y posparto, sonogramas 3D y 4D, diagnóstico y manejo de condiciones como sangrados anormales y enfermedades de transmisión sexual, entre otros, en su consultorio en San Juan.

El médico destaca su compromiso de servicio a comunidades más desprotegidas socioeconómicamente, atendiendo pacientes de escasos recursos o sin plan médico a través de las IPA y centros 330 en distintas zonas de Puerto Rico, incluyendo Vieques y Culebra.

Uno de los mayores retos a los que se enfrenta diariamente es lograr el balance entre su carrera y su familia, ya que su especialidad requiere estar disponible las 24 horas y 7 días a la semana.

Sin embargo, el Dr. Malaret Pol ama su trabajo y planea quedarse en la rama por muchos años. También se plantea expandir su práctica médica en colaboración con otros profesionales de la salud para brindar un mejor servicio a la sociedad. Para lograr su compromiso de proveer la mejor calidad de servicio a sus pacientes, el Dr. Malaret Pol se prepara y actualiza diariamente, sometiéndose a evaluaciones anuales por la Sociedad Americana de Ginecología y Obstetricia, siguiendo sus guías y procedimientos previamente establecidos.

Si necesita contactar al Dr. Iván A. Malaret Pol, puede hacerlo a través de su consultorio en la dirección 655 Calle Europa, Edificio Chinea Ofic 301 en San Juan, llamando a los teléfonos 787-523-5072 o fax 787-523-5068, en sus horarios de atención de lunes a viernes de 8:00 a.m. - 5:00 p.m.

E
50
TOP DOCTOR | ÁREA METRO
El médico destaca su compromiso de servicio a comunidades más desprotegidas socioeconómicamente, atendiendo pacientes de escasos recursos o sin plan
médico a través de las IPA y centros 330 en distintas zonas de Puerto Rico, incluyendo Vieques y Culebra.
51

Dra. Veroushka Ballester Vargas

Gastroenterología

LLa Dra Veruoushka Ballester MD, MS, FAGA es una especialista en Gastroenterología y Gastroenterología Oncológica.

Se graduó de la Escuela de Medicina del Recinto de Ciencias Médicas de la Universidad de Puerto Rico y completó su especialidad de Medicina Interna y Gastroenterología en el mismo lugar. Luego, hizo una subespecialidad en Cáncer Gastrointestinal y Genética Asociada en la Clínica Mayo en Rochester, MN, y una maestría en "Clinical and Translational Research". Además, fue facultativa en el Departamento de Gastroenterología de la Universidad de Columbia en Nueva York, donde todavía mantiene afiliación para propósitos académicos y colaboraciones de investigación. La Dra. Ballester recibió varios reconocimientos, incluido el NIH Hispanic Clinical and Translational Research Education and Career Developmental Award y fue seleccionada como una FORWARD Scholar por la Asociación Americana de Gastroenterología.

Actualmente, tiene su práctica privada, es miembro de la facultad del programa de entrenamiento de Gastroenterología del Recinto de Ciencias Médicas de la Universidad de Puerto Rico y trabaja en investigación en el Centro Comprensivo de Cáncer de la Universidad de Puerto Rico

Eligió la especialidad debido a su interés en la fisiología y la patofisiología del sistema gastrointestinal y su fascinación por hacer procedimientos diagnósticos y terapéuticos. En cuanto a su subespecialidad en cáncer gastrointestinal y genética, siempre le interesó la población de pacientes con cáncer y durante su primer año de la escuela de Medicina, participó en un programa de investigación de verano en el centro de cáncer del hospital MD Anderson en Houston. Allí se dio cuenta de la vulnerabilidad de los pacientes con cáncer y la necesidad de esfuerzos de investigación en el área de detección temprana y tratamiento

Ballester considera que su mayor contribución ha sido educar a los pacientes sobre la importancia de la detección temprana del cáncer colorrectal para salvar vidas. Actualmente, cree que se necesitan mayores esfuerzos para impactar a las comunidades más necesitadas donde el acceso a servicios de salud es limitado. Espera poder contribuir a la implementación de la medicina personalizada en Puerto Rico, educando tanto a los proveedores como a los pacientes sobre la importancia del historial familiar de cáncer de los pacientes para identificar quiénes necesitan evaluación genética y los resultados de estas pruebas para personalizar el cuidado de los pacientes y sus familiares

Ofrece consultas en Santurce, Pavía II, 1449 Américo Salas Suite 103 en San Juan, Puerto Rico. Su teléfono de contacto es el 787.722.1717 y su correo electrónico es vbvgastro@gmail.com.

52
TOP DOCTOR | ÁREA METRO
Ballester considera que su mayor contribución ha sido educar a los pacientes sobre la importancia de la detección temprana del cáncer colorrectal para salvar vidas.
53

Carlos Grovas-Badrena, MD, FIAIME, CIME, CMLE

Cirugía Reconstructiva Ortopédica

Cursó sus estudios de bachillerato en Premédica, en Georgetown University, Washington, D.C Estudió en la Escuela de Medicina de la Universidad de Puerto Rico (UPR), Recinto de Ciencias Médicas y fue parte del primer grupo de residentes en la Residencia de Ortopedia de este Recinto, lo cual lo motivó a escoger la especialidad de Ortopedia. Ha tenido la dicha de practicar más de 9,000 procedimientos de reemplazo total de articulaciones y continuó la práctica de su primer reemplazo total de cadera y rodilla en Puerto Rico, en el Recinto de la UPR. Del mismo modo, orientó, adiestró y amplió los conocimientos a residentes de Ortopedia en esta subespecialidad en dicho recinto

El doctor Grovas-Badrena continuó desarrollando su especialidad en Cirugía Reconstructiva en pacientes con artritis en hospitales afiliados a la Escuela de Medicina de Harvard, Boston, MA. Además, fue presidente de facultad en el Hospital Pavia en Hato Rey por seis ocasiones y director del Departamento de Ortopedia en dicha institución por 34 años

En el ambiente deportivo fue Director Médico del equipo de baloncesto, los Mets de Guaynabo, y brindó sus servicios como ortopeda en los Juegos Panamericanos (COPAN), Centroamericanos y del Caribe, y al Equipo Nacional de Baloncesto El especialista trabajó como Perito Consultor Ortopédico en la Fiscalía Federal desde el año 1995. Brindó sus conocimientos como Consultor Ortopédico en el Departamento de Rehabilitación Vocacional por 20 años y ejerció como Asesor Ortopédico en el Sistema de Retiro de Empleados del Gobierno por 18 años. Más tarde, fue Consultor Ortopédico en la Honorable Comisión Industrial durante 15 años. El galeno ha realizado múltiples publicaciones para periódicos y revistas, entrevistas radiales y de televisión, conferencias en varias universidades y foros legales de nuestro país, confirmando así su gran trayectoria El cirujano ortopédico realizó un Fellow en el International Academy of Independent Medical Evaluators (IAIME, por sus siglas en inglés) Lo han reconocido como Cirujano Distinguido de San Juan y de parte de la American Medical Association, además de haber recibido el Physician Recognition Award.

Grovas-Badrena identifica varios factores que hoy en día son retos en su campo de especialidad y en la medicina,

como lo es el exilio de doctores debido a las aseguradoras de planes médicos en Puerto Rico “Hoy día, el reto principal en mi campo es el dilema crónico con las aseguradoras de planes médicos, lo cual hace que se desplacen fuera de Puerto Rico más de 500 doctores en medicina anualmente”, menciona.

Las áreas de oportunidad que identifica en su profesión para continuar sirviendo a sus pacientes son practicar las evaluaciones médicas independientes y brindar servicios de la especialidad de Cirugía Reconstructiva Ortopédica a nivel estatal y federal para distintas entidades en la isla. De igual forma, reconoce los asuntos medicolegales “Los casos medicolegales incluyen toda alteración de salud y daño al paciente que son producidos por una causa externa o ajena y que dejan residuos en el cuerpo humano. Luego de culminar el tratamiento por una lesión sufrida, la persona es examinada por un evaluador médico independiente certificado para determinar residual de incapacidad y se redacta un informe medicolegal, con el cual el reclamante es compensado Es un campo interesante, ocupa gran parte de mi tiempo, requiere constante investig ación médica y continúa evolucionando”, afirma el especialista.

Para el cirujano, su mayor compromiso con la salud y el bienestar de sus pacientes se fundamenta en brindar tratamiento pro-bono a los pacientes que carecen de seguro médico privado o gubernamental. “El bienestar de mis pacientes siempre ha sido mi meta. Se basa en crear un ambiente con atención y seguimiento individualizado por personal adiestrado en intervenciones con impacto positivo. Así, mejora la calidad de vida del paciente con un desenvolvimiento independiente en actividades del diario vivir, fomentando el apoyo emocional, lo que influye en la adherencia al tratamiento”. El doctor Grovas reconoce la importancia de seguir utilizando de manera continua varios canales de comunicación con el fin de fomentar una relación segura con sus pacientes, lo que conlleva un impacto significativo a nivel físico, personal, familiar, social y laboral.

Para solicitar sus servicios, puede visitar su oficina en el Edificio Midtown Plaza, B-12, 420 Avenida Ponce de León, San Juan PR, 00918. Su horario es desde las 7:00 a.m. hasta las 12:00 p.m. Puede contactarlo al (787) 754-8642.

54
C
TOP DOCTOR | ÁREA METRO
55

Dra. Wanda Rodríguez Galarza

Radiología Diagnóstica

L

La Dra. Wanda Rodríguez Galarza es una radióloga diagnóstica que actualmente ejerce su especialidad en Carolina, Puerto Rico Durante su formación académica, cursó estudios de bachillerato en Ciencias Generales y Medicina en la Universidad de Puerto Rico, Recinto de Río Piedras y el Recinto de Ciencias Médicas de la misma universidad, respectivamente. Posteriormente, completó el programa de Radiología Diagnóstica en el Recinto de Ciencias Médicas de la Universidad de Puerto Rico, donde fue jefa de residentes y aprobó el American Board of Diagnostic Radiology, el Registered Diagnostic Medical Sonographer y el American Board of Magnetic Resonance Safety

Rodríguez Galarza es una profesional comprometida con su comunidad y el bienestar de sus pacientes La radiología diagnóstica es una herramienta esencial en el diagnóstico, manejo y seguimiento de los pacientes en todas las disciplinas médicas, y los radiólogos son una guía importante para sus compañeros facultativos y guardianes de sus pacientes La doctora reconoce la gran responsabilidad y el honor que implica trabajar en este campo, se esfuerza por escudriñar el cuerpo humano y usar su conocimiento para ayudar a sus pacientes.

Rodríguez Galarza es también madre de tres jóvenes, lo que le ha dado una perspectiva única sobre el papel de los médicos en la vida de sus pacientes. Como profesional de la salud, entiende la importancia de tener empatía y compasión hacia los pacientes y sus familias, especialmente durante momentos de angustia y dolor Como radióloga diagnóstica, enfrenta muchos retos, incluyendo el costo económico de la tecnología y las regulaciones de las agencias acreditadoras. Sin embargo, se compromete a encontrar recursos para poner a la disposición de los pacientes lo mejor y más avanzado en su diagnóstico, manejo y seguimiento, incluyendo posibles acuerdos con las aseguradoras y ayuda con la compra de nueva tecnología.

La Dra. Rodríguez Galarza es una profesional de la salud comprometida con su comunidad y sus pacientes, y está dispuesta a trabajar arduamente para cumplir con su responsabilidad y ayudar a sus pacientes con empatía, humildad y respeto Para consultas, puede contactarse a través de sus teléfonos 787-397-7148 o a través de su correo electrónico wlrg15@msn.com.

56
TOP DOCTOR | ÁREA METRO
Rodríguez Galarza se compromete a encontrar recursos para poner a la disposición de los pacientes lo mejor y más avanzado en su diagnóstico, manejo y seguimiento, incluyendo posibles acuerdos con las aseguradoras y ayuda con la compra de nueva tecnología.
57

Dr. Gabriel Acosta

Patología Gastrointestinal y de Hígado

G

Gabriel Acosta González es un reconocido médico patólogo anatómico y clínico, con una subespecialización en Patología Gastrointestinal y de Hígado Se graduó de la Universidad de Boston College en Massachusetts, donde obtuvo su bachillerato en Ciencias con concentración en Biología. Posteriormente completó su doctorado en Medicina, en la Universidad de Puerto Rico.

Luego, Acosta González realizó su especialidad en Patología Anatómica y Clínica en la Universidad de Nueva York Finalmente, completó un año adicional de subespecialización en Patología Gastrointestinal y de Hígado, en el Warren Alpert Medical School de Brown University, en Rhode Island.

El campo de la Patología es su pasión, ya que le permite aplicar su conocimiento médico para llegar a diagnósticos precisos y resolver problemas médicos complejos Acosta González encuentra muy gratificante intelectualmente este campo, en que la ciencia y la medicina se unen. Siempre tiene presente que detrás de cada laminilla de tejido que analiza en el microscopio, hay un paciente que cuenta con él para hacer un diagnóstico correcto y certero.

Su mayor contribución como médico patólogo se centra en aplicar su conocimiento para lograr un diagnóstico certero y ayudar al paciente en su manejo Ha escrito o colaborado en cerca de 10 artículos de investigación publicados en distintas revistas científicas y presentado sus hallazgos en conferencias internacionales de patología.

Para Acosta González, el mayor desafío en el campo de la patología es mantenerse al día con la tecnología nueva y en constante evolución. Sin embargo, su área de oportunidad futura que más le motiva y emociona es en el campo de la patología molecular del cáncer. Con la terapia individualizada de cáncer, se podrán hacer pruebas moleculares, detectar las mutaciones específicas que presenta el cáncer del paciente y desarrollar el tratamiento individualizado y específico que más le beneficie

Su compromiso con los pacientes se fundamenta en hacer diagnósticos precisos en las biopsias de tejido para que puedan recibir el tratamiento adecuado de manera oportuna. Acosta González se inspira en saber que su trabajo puede hacer la diferencia y que potencialmente puede salvar la vida de un paciente con un buen diagnóstico.

Para consultas, Puerto Rico Pathology en San Juan, ofrece servicios de diagnóstico y análisis de biopsias del tracto gastrointestinal e hígado, inmunohistoquímica y pruebas moleculares para determinar prognosis y predecir respuesta a tratamiento de distintos cánceres gastrointestinales. Puede comunicarse con Gabriel Acosta González a través del teléfono 787-726-5486. El Dr Acosta González brinda sus servicios en la dirección de Puerto Rico Pathology, ubicada en 198 Calle Trinidad Urb Piñeiro, San Juan, Puerto Rico

58
TOP DOCTOR | ÁREA METRO
Su compromiso con los pacientes se fundamenta en hacer diagnósticos precisos en las biopsias de tejido para que puedan recibir el tratamiento adecuado de manera oportuna.
59

Dr. Senén Vega Cruz

Medicina de Familia

El Dr Senén Vega se especializa en Medicina de Familia y Geriatría. Inició su carrera profesional en el campo de la salud con un bachillerato en Ciencias Biológicas, obtenido en la Universidad de Puerto Rico, Recinto de Cayey Posteriormente, continuó sus estudios en Medicina en una variedad de universidades

El especialista hizo su residencia en Medicina de Familia para poder proveer un servicio más completo a sus pacientes, pese a que su enfoque principal siempre ha sido la Medicina Interna y la Geriatría.

“Me encanta mi especialización. Siento mucho cariño por los pacientes de edad avanzada y los adultos. Trato de brindarles confianza, para que se sientan cómodos y podamos dialogar entre médico y paciente de manera fluida”, indicó.

El médico recalcó que se mantiene activo con la educación continua y que su reto es continuar educándose para siempre poder ofrecer un mejor servicio

“Recientemente, durante la pandemia, escogí un curso de Antiaging y deseo poder tomar otro como Acupuntura”, expresó. Por otro lado, el Dr Vega asegura que los médicos continúan experimentando muchos cambios en sus procesos con las aseguradoras

“Siempre tratamos de ofrecer los mejores medicamentos, pero desafortunadamente, a veces lucimos mal, ya que las aseguradoras no los cubren. Es muy lamentable que esto continué sucediendo en nuestro país”, puntualizó.

A pesar de esto, el Dr Vega siempre trata de mantener en su oficina un ambiente alentador y de fe para sus pacientes, quienes en su mayoría padecen de Alzheimer Al médico le apasiona tratar dicha condición, cuya prevalencia, lamentablemente, se prevé continúe en aumento en los próximos años

Por esto, el Dr Vega reconoce la necesidad de sus pacientes y no tiene planes de abandonar la isla. “Por el momento, no contemplo irme de Puerto Rico Los pacientes me necesitan a pesar de los cambios que hacen las aseguradoras No obstante, hay que mejorar el sistema, para que nuestros miembros puedan brindar el servicio que merecen los pacientes”, recalcó. El compromiso del doctor con la salud se fundamenta en educar y dar una buena calidad de vida a sus pacientes. “Quiero que sepan que tienen una vida por delante, que todo es cuestión de mantener un balance entre cuidarse, tener una alimentación sana y ejercitarse”, enfatizó.

Dice Isaías 41:10, ¡Qué bueno saber que el Señor no nos abandona! No temas ni te angusties El Señor te acompaña, te fortalece, y te ayuda. ¡Su mano derecha te sostiene firmemente y en Él tienes la victoria!

El Dr Vega ofrece su práctica médica en Levittown, Toa Baja, Puerto Rico Su consultorio médico está localizado en la calle Lizzie Graham J R - 3 Sec 7. El número de contacto es el 787-795-2948.

60
E
TOP DOCTOR | ÁREA METRO
“Quiero que sepan que tienen una vida por delante, que todo es cuestión de mantener un balance entre cuidarse, tener una alimentación sana y ejercitarse”.
61

Dr. Luis I. Morell

Cirugía Plástica y Reconstructiva

El Dr Luis I. Morell es un cirujano plástico y reconstructivo, cuya formación académica incluye la Escuela de Medicina de la Universidad Central del Caribe y la subespecialidad de Cirugía Plástica y Reconstructiva en Indiana University Además, ha fungido como Attending Professor en el Recinto de Ciencias Médicas de la Universidad de Puerto Rico y ha practicado en el Hospital Ryder Memorial en Humacao Actualmente, su práctica está ubicada en el Professional Hospital en Guaynabo, Puerto Rico.

Desde una edad temprana, el Dr. Morell se interesó por el campo de la ciencia, en especial por la cirugía, la cual le permite arreglar la función del cuerpo que ha sido afectada por problemas como malformaciones congénitas, pérdida de función por trauma y cáncer

Entre sus contribuciones al desarrollo de la cirugía plástica, destaca la enseñanza a futuros cirujanos y ser el primer cirujano plástico en incursionar en el área este de Puerto Rico

El Dr. Morell identifica como retos principales de su especialidad la práctica de cirugías cosméticas por personas no acreditadas, el turismo médico a países donde la medicina no es regulada y la cubierta de procedimientos por planes médicos

Después de los estragos causados por el Huracán María, relocalizó su práctica en el área metro, lo cual le ha brindado una localización privilegiada en Puerto Rico y ha aumentado su exposición en esta área.

Su compromiso con la salud de sus pacientes se fundamenta en dar la milla extra por su bienestar a lo largo de su recuperación después de su cirugía, evitando así abandonarlos con resultados adversos como ocurre en el turismo médico asociado a la cirugía plástica.

Para contactar al Dr Morell, su número de teléfono es 787-502-8217 y su correo electrónico es aecpr2014@gmail.com. Ofrece consultas de lunes a viernes, de 8:00 a.m. a 5:00 p.m. en Professional Hospital Ave. Las Cumbres, Puerto Rico

62
E
TOP DOCTOR | ÁREA METRO
Su compromiso con la salud de sus pacientes se fundamenta en dar la milla extra por su bienestar a lo largo de su recuperación después de su cirugía, evitando así abandonarlos con resultados adversos como ocurre en el turismo médico asociado a la cirugía plástica.
63

Dr. José Rodríguez Vega

Cirujano Cardiovascular

E

El Dr. José R. Rodríguez Vega es egresado de la Universidad de Cornell en Nueva York con un bachillerato en Matemáticas y Estadísticas Obtuvo su doctorado en Medicina y realizó su residencia en Cirugía General en el Recinto de Ciencias Médicas de la Universidad de Puerto Rico para los años 1987 a 1992.

Luego, hizo su subespecialidad en Cirugía Cardiovascular y Torácica en el Hahnemann University Hospital de Filadelfia, donde concluyó su “in-service examination” alcanzando una percentila de 99% en todas sus secciones en dos ocasiones. También realizó dos fellowships: uno en Cirugía Cardiovascular Pediátrica en el hospital Saint Christopher para Niños, y el otro en Cirugía Oncológica Torácica, en el Fox Chase Cancer Center Es “Board Certified” by The American Board of Thoracic Surgery desde el año 1998, recertificado el pasado 2018, vigente hasta el 2028.

Ha sido seleccionado en cuatro ocasiones como America's Top Surgeon's en Cirugía Cardiotorácica para los años 2009, 2010, 2014 y 2015.

Una vez completó sus estudios y adiestramientos, regresó a Puerto Rico para establecer su práctica privada en el Centro Cardiovascular de Puerto Rico y el Caribe en San Juan, institución en la que laboró por diecisiete años Es este período se distinguió por tener las estadísticas más bajas en mortalidad y morbilidad.

A finales del 2013, fue reclutado por Mayagüez Medical Center para fortalecer el Programa de Cirugía Cardiovascular, donde laboró hasta abril de 2019. A partir del mes de junio de 2019, regresa al área metropolitana, brindando sus servicios en el Hospital HIMA San Pablo de Bayamón manteniendo el mismo nivel de destreza y sus estadísticas.

El doctor Rodríguez Vega se ha concentrado en las cirugías de “bypass” coronario, cirugías de reemplazo y reparación de las válvulas del corazón así como otros procedimientos del corazón.

Desde su primer año de escuela de medicina supo que iba a ser cirujano cardiovascular. En su segundo año, soñaba con el corazón y, para ese entonces, dibujó una válvula de tejido para reemplazar las válvulas del corazón, la cual no estaba disponible en aquel momento. Para ese tiempo entendía qué era, y aún hoy, es muy difícil entrar en algún programa de cirugía cardiovascular puesto que esa especialidad no está disponible para estudiar en Puerto Rico, y en Estados Unidos es muy competitivo. Esto le motivó a estudiar más y aprender no solamente la parte quirúrgica de la Cardiología sino además la parte médica.

Entre sus contribuciones en el campo de la cirugía cardiovascular está el diseño de cómo preservar la función del corazón durante la cirugía. Todos los cirujanos que han adoptado proteger el corazón han mejorado sus resultados y estadísticas de mortalidad quirúrgica.

Desde el 1996, remueve la vena safena de las piernas con técnicas mínimamente invasivas, en la mayoría de los casos con una sola herida de aproximadamente una pulgada Estos pacientes no notan diferencia de cuál pierna se utilizó para la cirugía. Esta técnica también ha sido adoptada por otros

Considera además, como el mayor reto que enfrenta en su campo, educar al paciente sobre los beneficios que tiene la cirugía de corazón para prolongar la vida de los que sufren de obstrucciones en las coronarias versus otras alternativas disponibles.

El doctor Rodríguez Vega menciona que en la actualidad, existen tres alternativas para el tratamiento de esta terrible enfermedad. Una es el tratamiento con medicamentos (pastillas) para controlar el colesterol y evitar los infartos Otra son las angioplastias (las “mallitas”) en la cual se dilata la obstrucción y se coloca una malla (“stent”) para mantener la arteria abierta. La tercera opción es la cirugía de corazón en la cual se hacen unos puentes vasculares que llevan sangre después de la obstrucción.

Estas tres alternativas se han comparado en estudios científicos, los cuales han establecido los criterios apropiados para cada posible escenario. Por ejemplo, durante un infarto agudo, especialmente en las primeras seis horas, una angioplastia (“mallita”) tiene mejores resultados que cualquier otra alternativa disponible Por otra parte, en pacientes con obstrucción de las coronarias principales, la cirugía tiene los mejores resultados a largo plazo. Es por esto que siempre recomienda a la población, buscar una opinión de un cirujano antes de someterse a una angioplastía (“mallita”).

Para hacer aún más accesible esta información a los pacientes, el cirujano está escribiendo un libro para ayudarlos a tomar la mejor decisión en el manejo de enfermedades cardiovasculares

“Mi compromiso con la salud y el bienestar de mis pacientes se basa en tratarlos como si estuviera tratando a un ser querido y en utilizar tratamientos basados en estudios randomizados, doble ciegos, publicados en los ‘journals’ más prestigiosos del mundo y no en tratamientos fundados en estrategias de negocio”, puntualizó.

El doctor Rodríguez Vega es padre de tres hijos, de los cuales el mayor es médico y residente en Radiología. La segunda es estudiante de cuarto año de Medicina en la prestigiosa universidad de Cleveland Clinic, con interés en Dermatología y el menor está en su segundo año de la Escuela de Medicina con notas sobresalientes. Además, disfruta de su faceta de abuelo y le apasiona tocar el cuatro puertorriqueño.

Puede conseguir los servicios del doctor en el Hospital HIMA San Pablo, Centro Quirúrgico, Plaza San Pablo II, Bayamón, Puerto Rico Su horario de oficina es lunes a viernes 7:00 a.m. a 3:30 p.m. Sus números son el 787-620-4763 y 787-620-4747 x-1343/1345.

64
TOP DOCTOR | ÁREA METRO
65

Dr. Jorge L. Méndez Santiago

Medicina General, Gerontología, Medicina Homeopática y Acupuntura Médica

J

Jorge Luis Méndez Santiago es un médico general con especialidades en Gerontología, Medicina Homeopática y Acupuntura Médica. Realizó sus estudios de Medicina en la Universidad de Puerto Rico, Recinto de Río Piedras, y en la Universidad Santiago de Compostela, en Galicia, España, donde culminó sus estudios Después de completar su internado rotatorio en el Hospital Ruiz Arnau en Bayamón, y su año de servicio público en el CDT de Morovis, comenzó su práctica privada en 1980, atendiendo pacientes en horario vespertino y trabajando en el Centro Médico de Puerto Rico por las mañanas.

Desde niño, la medicina fue su decisión vocacional. Después de trabajar en la práctica privada, se dio cuenta de las necesidades que tienen los adultos mayores y decidió estudiar Gerontología en el Recinto de Ciencias Médicas de Puerto Rico para obtener conocimientos más amplios sobre la materia.

Su compromiso con la salud y el bienestar de sus pacientes se fundamenta en proveer la mejor calidad de servicios y ser empático hacia diversas problemáticas Siempre al día con los últimos enfoques de la medicina, pone al servicio de sus pacientes la experiencia de sus 43 años ejerciéndola, y su dedicación.

El Dr. Méndez identifica el principal reto en su campo como el ingreso fijo y limitado de los pacientes adultos mayores, lo que les afecta al momento de comprar alimentos y medicamentos Muchas veces deben tomar la difícil decisión entre salud, nutrición o pagar las utilidades, y descuidan su salud física y emocional.

Además de su trabajo como médico, el Dr Méndez es apasionado del baloncesto y tuvo la oportunidad de ser el médico de la Selección Nacional de Baloncesto de Puerto Rico por cinco años. Fue tesorero del Colegio de Médicos y Cirujanos de Puerto Rico, y actualmente pertenece a la Junta de Directores de MEDICOOP. También fue reconocido como Médico del Año en 1998 y 2002 en el Encuentro Empresarial de Puerto Rico y América, y por la Comunidad Parroquial Nuestra Señora Reina de Los Ángeles, como "PADRE, MÉDICO Y AMIGO de toda la comunidad".

El Dr Méndez atiende pacientes en su consultorio en la Calle Piscis 41, Urb Los Ángeles, Carolina, ofreciendo servicios de práctica familiar, visitas al hogar y certificados de salud.

Su horario de oficina es de lunes a jueves, de 7:00 a 12:00. Para consultas, puede ser contactado a través del teléfono 787-791-5712 o por correo electrónico en policlinicadelcaribe@yahoo.com.

66
TOP DOCTOR | ÁREA METRO
El Dr. Méndez identifica el principal reto en su campo como el ingreso fijo y limitado de los pacientes adultos mayores, lo que les afecta al momento de comprar alimentos y medicamentos.
67

Dr. Juan L. Robles

Médico Generalista

E

El doctor Robles, médico generalista, estudió en la Universidad de Utesa República Dominicana, Santiago de los Caballeros

Viene de una familia comprometida con la salud, y desde pequeño soñaba con seguir el legado de poder servir

“El ser esa primera línea de contacto con mis pacientes como médico generalista me llena mucho. El poder tener conocimiento amplio en diversas ramas de la medicina hace que pueda tener un contacto más directo con mis pacientes, los que vienen por rutina y otros que necesitan un cuidado más avanzado”, destacó el médico

El generalista destaca que estar a la vanguardia de los conocimientos médicos y avances tecnológicos es muy importante en su carrera. Combinar tratamientos, medicina inclusiva para el cuidado de sus pacientes, e integrar tecnología son áreas de enfoque para él. Durante la pandemia se tomaron grandes pasos tecnológicos para poder servir de manera constante y efectiva a los pacientes, tales como ServiDocPR.com, una plataforma que provee servicios médicos a conveniencia de los pacientes 24/7.

“Existe una nueva norma. Uno de los retos más palpables es cómo seguimos proveyendo un servicio del cuidado de la salud óptimo con las demandas de responsabilidades de hoy día. Se trata de conectividad y eficiencia; cómo poder servir mejor a todos los pacientes para que mantengan su salud al día. Creo que la aceptación y masificación del uso de la tecnología, tanto a nivel de usuario, corporativo y gubernamental, serán vitales para continuar con el cuidado de la salud a niveles óptimos”, confesó.

Como áreas de oportunidad, ve la masificación de servicios de manera virtual. Esto para poder llegar a más personas, simplificar procesos y servicios para el cuidado de la salud además de la aceleración en la aceptación de estos servicios como parte del cuidado de la salud por parte de aseguradores y entidades gubernamentales Su foco está en trabajar estas áreas y seguir creando esa conexión a través de servicios ofrecidos en la plataforma de ServiDocPr.com en la cual ya se proveen soluciones como órdenes médicas para hacer la prueba de Covid-19, certificados médicos para obtener o renovar la licencia de conducir, orden médica para laboratorios de rutina y solicitud de matrimonio, entre otros.

Proveer un servicio personalizado, de familia, y no defraudar nunca a sus pacientes muchos de los cuales llevan años con él, es parte de su compromiso con su profesión.

Puede conseguir sus servicios en cualquiera de sus localidades en Arecibo, Carr 129 km 3.0 Int. 490 Hato Arriba, Arecibo, PR 00612, lunes a viernes de 8:00 a.m. a 4:00 p.m. y en San Sebastián, Calle Pavía Fernández #126 San Sebastián, PR 00685, jueves y viernes, de 8:00 a.m. a 1:00 p.m. o llamando al 787-880-3843.

70
TOP DOCTOR | ÁREA METRO
Proveer un servicio personalizado de familia, y no defraudar nunca a sus pacientes, muchos de los cuales llevan años con él, es parte del compromiso con su profesión
71

Silvio R. Martínez Ruiz, MD, CPC, CPMA, CDEO, CRC

Medicina General

El doctor Martínez Ruiz actualmente trabaja como médico general. Estudió Medicina en la Universidad de la Habana e hizo la especialidad de Pediatría. Cuando llegó a Puerto Rico realizó el internado en el Hospital Auxilio Mutuo y posteriormente se dedicó a la Medicina General.

Además, cuenta con varias certificaciones en el área de codificación, auditoría y documentación. Inició su práctica médica en salas de emergencia de varios hospitales, como Hospital Pavia, Santurce y Hato Rey; y Ashford Hospital. Desde hace 20 años abrió su oficina privada en el área de Santurce y actualmente también trabaja en los hospitales Doctors’ Center de San Juan y de Carolina.

Al comenzar sus estudios en Medicina, le gustó la especialidad de Pediatría, pero cuando realizó su internado en Puerto Rico, le gustó mucho la atención a las personas de la tercera edad por los retos que implica cuidar a esa población. La Medicina General le permite como médico primario brindarles los cuidados que necesitan.

De sus contribuciones al desarrollo de su área menciona la medicina preventiva y considera que para que los pacientes disfruten de un buen estado de salud, la prevención de la enfermedad y la promoción de la salud son aspectos fundamentales para lograrlo.

“En ese sentido, es necesario orientar a mis pacientes sobre estilos de vida saludable, dieta, ejercicios y adherencia al tratamiento si tiene condiciones crónicas, entre otras recomendaciones. Practicar este tipo de medicina ha sido de mucha satisfacción para mí porque he recibido gratitud y agradecimiento de mis pacientes. En otras palabras, mi mensaje ha llegado. Me considero realizado profesionalmente cuando después de orientar a un paciente sobre la importancia de la vacunación, (en esta época del Covid-19); me llama días después para dejarme saber que acudió a un centro de vacunación y le administraron la primera dosis. Este pequeño acto lo considero una gran contribución a la salud en general de todos”, destacó.

Por otro lado, menciona que en la práctica de la medicina hay muchos retos y considera que el paciente tiene una pobre comprensión de su

enfermedad, en ocasiones no se considera enfermo y a veces cree que hay una pastilla que es la cura y que le resuelve todas sus dolencias de salud.

“Ese es un buen momento para intervenir y educarlo al respecto y además decirle que es importante que si ya tiene una enfermedad crónica se apegue a sus tratamientos y mantenga un estilo de vida saludable para que la condición no se complique. Y, si está a riesgo de desarrollar una enfermedad crónica, ayudarlo a prevenir tempranamente para evitar muchos momentos de tristeza”, indicó.

El médico considera que se debe iniciar la educación sobre hábitos de vida saludable, dieta y ejercicios; desde el inicio de la relación médico paciente, orientar al paciente y explicarle sus enfermedades y qué esperan de ellos. “Creo que debemos implicar al paciente en su tratamiento, crear tareas y metas en cada visita y revisarlas en la siguiente cita. Actualmente la disponibilidad de herramientas tecnológicas como el Récord Electrónico apoya el trabajo del médico en la oficina porque en él está recopilado el historial de salud del paciente, estudios diagnósticos, tratamientos y medicamentos. La disponibilidad de esta información facilita una toma de decisiones adecuada. La Telemedicina mejora el acceso del paciente al médico. En el caso de tener alguna situación que le impida ir a la oficina, puede recibir atención desde su hogar”, explicó.

El Dr. Martínez Ruíz considera que el pilar de la relación médico paciente se fundamenta en la confianza, en crear un ambiente agradable en la oficina, en ayudar al paciente y, como parte de esa ayuda, coordinar los servicios que necesite desde la oficina de su médico primario.

“Asimismo, estar siempre dispuesto a servir. Para ayudarlo en sus cuidados, le doy mi teléfono celular personal a todos mis pacientes, para que puedan comunicarse conmigo ante cualquier necesidad, como recetas, consejos o consulta”, finalizó.

Puede conseguir los servicios del doctor Martínez en la oficina localizada en la Calle Dr. Manuel Pavia #700 Suite 205, San Juan, PR, con horario: lunes a jueves, de 8:00 a.m. a 5:00 p.m. o llamando al 787-982-5328. También ofrece visitas a domicilio los viernes.

72
E
TOP DOCTOR | ÁREA METRO
73
787-585-7268 runmedpr@gmail.com RunMedPR, donde todos somos ELITE gerardo.mirandamd@gmail.com Dr. Gerardo Miranda-Comas Caguas Xcel Rehabilitation Urb Condado Moderno M-13 787-745-4355 Lunes 8am-12pm Miércoles 1pm-5pm Caguas CEMID Villa del Rey 2da Sección Ave Luis Muñoz Marín Esq. Carlo Magno 2F6 787-704-0075 Lunes 1pm-5pm Jueves 8am-5pm Humacao Xcel Rehabilitation Ave Font Mortelo #117 Esq. Flor Gerena 787-850-7393 Viernes 8am-3pm Doctor especialista en Medicina Deportiva, Fisiatría, Sonografía Musculoesqueletal y Medicina Electrodiagnóstica SportsMDgmiranda
Pavía II 1449 Américo Salas Suite 103 Santurce vbvgastro@gmail.com Veroushka Ballester MD, MS, FAGA American Board Certified Gastroenterologist Gastroenterología-Gastroenterología Oncológica BallesterGastroMD Ballestergastromd Gastroentrología General Endoscopia diagnóstica y terapéutica Gastroenterología Oncológica Genética 787.722.1717 Servicios para citas

Dra. Kareni J. Pérez Torres

Tecnóloga Médica, Especialista en el Desarrollo de Pruebas

L

La historia detrás del Laboratorio clínico El Viví ha sido una ligada al servicio de la salud. La tecnóloga médica, con un doctorado en Ciencias Biomédicas y especialista en desarrollo de pruebas, la Dra. Kareni J. Pérez Torres, tiene una vasta experiencia en el campo de la tecnología médica, trabajando en múltiples hospitales de Puerto Rico por más de quince años. Posteriormente, continuó sus estudios doctorales en Ciencias Biomédicas en Ponce Health Science University, colaborando a su vez en el desarrollo de laboratorios clínicos y de patología de P.R., con la comunidad científica del país y alrededor del mundo para el desarrollo de vacunas y de pruebas serológicas y moleculares. La Dra. Kareni ha sido publicada y presentada en artículos y colaboraciones científicas en P.R. y Estados Unidos. El administrador, Heriberto Morales Padró, ha sido un representante autorizado de servicio por más de doce años con licencia de incapacidad, servicio de salud y propiedad, trabajando en los Medicare Advantage y otros servicios de salud.

La experiencia por más de quince años en el campo de la salud los llevó a tomar la decisión de adquirir y establecer un laboratorio clínico, un sueño que se hace realidad gracias a la oportunidad ofrecida por su colega y amigo. El Laboratorio Clínico El Viví está localizado en el pueblo de Utuado, pueblo de donde son parte sus raíces, por lo que fue muy especial adquirirlo y brindarle servicio a la bonita comunidad utuadeña.

Siempre fue un sueño para ellos tener un laboratorio propio en matrimonio, trabajar en conjunto como empresarios, reconociendo lo retante que es hoy día mantener un negocio y mucho más en el campo de la salud. Para El Viví es importante reconocer que se necesita darle más importancia a la salud y ofrecer las herramientas y los servicios necesarios para que las personas se motiven a cuidarse más y que tengan un servicio único, completo y de alta calidad en su mismo pueblo.

“Utuado es un pueblo que cuenta con una población muy alta de personas de edad avanzada y con condiciones de salud crónicas. Muchas de estas personas viven retiradas del pueblo, incluso a unas distancias de 30 a 45 minutos. Algunas visitan a sus médicos cuando tienen alguna recaída o cuando les toca realizarse su chequeo anual. Debido a la falta de laboratorios en el área, se creó un arduo análisis de población y necesidad de la comunidad del pueblo de Utuado. Es entonces cuando el anterior propietario, el Dr. Samuel Rivera Natal, quien

actualmente ofrece sus servicios a la comunidad utuadeña, adquiere un pequeño laboratorio en la Calle Betances #53, lo reestructura dándole una amplitud con un cómodo estacionamiento, añadiéndole equipos muy sofisticados con alta complejidad, especificidad y sensitividad que hacen de este laboratorio uno de los de más alta calidad en toda la zona central de Puerto Rico con un personal altamente capacitado”.

El Laboratorio Clínico El Viví cuenta con más de 15 años de servicio a la comunidad, ubicados en el pueblo de Utuado, Calle Betances #53, ofreciendo pruebas tales como: la detección de viruses de influenza y coronavirus, micoplasma, dopajes, química general, química especial, hematológicas y urianálisis, entre otros.

A esta pareja le gustaría seguir expandiendo el laboratorio para así poder trabajar con todo tipo de muestras y pruebas, ofreciéndole a la comunidad un servicio completo en un solo lugar. Así todos los resultados de sus pacientes están a la mano el mismo día y se evita que tenga que esperar cuando se envían a los laboratorios de referencia.

Durante el tiempo que llevan ofreciendo servicios se percataron de que hace falta ofrecer más en un solo lugar, es por esto que cuentan con equipos de la más alta calidad y con resultados más precisos, lo que brinda más seguridad y confianza tanto al paciente como al doctor que los refiere. “Estamos a la vanguardia de la tecnología en todo momento, tenemos planes de desarrollo de pruebas que serán de gran avance a la detección temprana, prevención y salud de nuestros pacientes, y esa será nuestra meta y premisa siempre”. El servicio de El Viví se define como innovador. Además, se diferencian de la competencia ya que cuentan con unas facilidades amplias y modernas con un estacionamiento exclusivo para los pacientes. Por otro lado, es importante destacar que el laboratorio está equipado con una tecnología avanzada para maximizar el tiempo y minimizar errores. Sus equipos son de alta complejidad y calidad tanto como los que se encuentran en los hospitales de Puerto Rico, lo que hace que el Laboratorio Clínico El Viví brinde un servicio confiable, rápido y seguro. El equipo de trabajo está debidamente adiestrado y cualificado para el recibimiento de sus pacientes dándoles confianza y tranquilidad mientras se les atiende y se le toman sus muestras. El paciente es muy importante para ellos y el trato antes, durante y después es su prioridad.

76
TOP DOCTOR | ÁREA CENTRO
77

Dr. Carlos A. Quiles Aponte

Especialista en Medicina Primaria y Preventiva

E

El Dr. Carlos A. Quiles Aponte es un médico de familia especializado en Medicina Primaria en Cayey, PR y áreas limítrofes, con capacitación especial para prevenir, diagnosticar y tratar afecciones físicas y psicológicas para pacientes de todas las edades. El especialista en medicina, quien cuenta con más de veinte años siendo Médico de Emergencias y trece años ejerciendo como Médico Primario, completó su educación en Medicina en la Universidad Autónoma de Guadalajara, ubicada en Jalisco, México, donde permaneció desde el año 1997 al 2001, culminando su grado con honores.

Entre sus funciones como Médico Primario, su labor se concentra en identificar y ser una guía para tratar todas las condiciones que presente el paciente, al igual que dar seguimiento con sus respectivos especialistas para mantener una coordinación adecuada en los servicios y tratamientos médicos que reciba el/la mismo/a. De igual forma, brinda a sus pacientes evaluaciones y seguimientos periódicos para prevenir cualquier tipo de condición, exhortándoles a que sean más preventivos en las decisiones que involucren el bienestar de salud física y/o emocional, pues la prevención es la mejor arma para mantener un cuerpo y una mente sana.

Como médico de práctica general, el especialista Carlos A. Quiles Aponte realiza análisis de historial médico, exámenes y procedimientos no quirúrgicos para abordar una amplia gama de afecciones médicas comunes. Entre sus servicios, se encuentran Medicina Primaria y Medicina Preventiva para pacientes de todas las edades, así como evaluación y certificación para pacientes de cannabis medicinal. Además, ofrece visitas al hogar y acepta la mayoría de los planes médicos, incluyendo Reforma de Salud, lo cual brinda flexibilidad y facilita grandemente a sus pacientes el poder recibir asistencia médica de alta calidad y rapidez en la comodidad de su hogar.

“Hoy día, existen varios elementos que retan y ponen en riesgo la salud de los ciudadanos. Entre estos, se encuentra la desinformación con respecto a los problemas de salud que presentan nuestros pacientes. Por otra parte, nos encontramos enfrentando también el problema que existe de la poca accesibilidad hacia proveedores de salud y, por si fuera poco, las largas esperas por citas para evaluaciones médicas, que pueden tomar hasta meses o incluso años”, expresó el especialista en Medicina Preventiva.

Esto despertó en Quiles Aponte una enorme fascinación por su profesión y decidió dedicar su vida al campo de la Medicina Primaria. Este problema social se convirtió para él en la oportunidad perfecta para brindar a sus pacientes un servicio rápido, preciso y de alta calidad. “Utilizo todos los avances tecnológicos a mi alcance para así brindar un servicio médico de altura y rapidez a mis pacientes. Masifico el tiempo y los recursos para que el servicio de salud sea el mejor para cada paciente”, explicó el doctor Quiles Aponte. Para el especialista, la Medicina Primaria es la base del paciente, tanto en el ámbito de su salud física como emocional y a su vez, representa ese primer contacto que surge entre el paciente y un proveedor de salud. “Como parte del compromiso con mis pacientes, se encuentra el ser cada día más empático y humanitario, educarme continua y diariamente para poder brindarles siempre el servicio médico que merecen y, a su vez, educar y guiar en la prevención de condiciones médicas para gozar de una calidad de vida de excelencia”, añadió el doctor.

Para solicitar los servicios médicos del Dr. Carlos A. Quiles Aponte, visite su oficina cuya ubicación se encuentra en la Ave. Antonio R. Barceló, Carr. 14 km 71.6, Cayey, P.R 00736, o comuníquese al (787) 738-5765 o (939) 687-1006, donde con gusto le atenderán. El horario operacional es de lunes a viernes, de ocho de la mañana a cuatro de la tarde.

78
TOP DOCTOR | ÁREA CENTRO
“Hoy día, existen varios elementos que retan y ponen en riesgo la salud de los ciudadanos. Entre estos, se encuentra la desinformación con respecto a los problemas de salud que presentan nuestros pacientes”.
79

Dra. Eileen Lugo

Gastroenterología Pediátrica

LLa Dra. Eileen Lugo es una especialista en Gastroenterología Pediátrica. Cuenta con una especialidad en Pediatría y una subespecialidad en Gastroenterología Pediátrica.

Se graduó con honores de la Universidad de Puerto Rico, Recinto de Mayagüez, donde obtuvo su bachillerato en Biología en el 2008. Continuó su formación académica en la Ponce Health Sciences University, donde culminó su doctorado en Medicina en el 2013. Luego, realizó su especialidad de Pediatría en el Hospital Episcopal San Lucas en Ponce, donde fue galardonada como Residente del Año en 2015 y fungió como Jefa de Residentes de Pediatría durante su último año. Posteriormente, la Dra. Lugo realizó su subespecialidad de Gastroenterología Pediátrica en el Children's Hospital de Nueva Orleans, bajo LSU Health Sciences University.

Lugo siempre ha estado interesada en la gastroenterología pediátrica debido a la gran cantidad de patologías asociadas al sistema gastrointestinal en Puerto Rico y la necesidad de esta especialidad en la isla. También le apasiona el servicio comunitario y la educación de los pacientes, lo que la ha llevado a participar en múltiples actividades organizadas por el Hospital Episcopal San Lucas y Ponce Health Sciences University.

La doctora también ha ofrecido servicios voluntarios en clínicas de salud en Manta, Ecuador, y ha colaborado con estudiantes interesados en Pediatría de Ponce Health Sciences University en evaluaciones médicas a niños de diferentes Head Start en la isla.

Su principal preocupación es la obesidad infantil, dadas las diferentes complicaciones médicas que esta puede acarrear, por lo que mantiene un esfuerzo en estudiar el historial de cada paciente y mantenerse actualizada sobre los últimos tratamientos efectivos disponibles en la medicina para cada caso. Es partidaria de la colaboración entre médicos, nutricionistas, psicólogos y otros profesionales para brindar un tratamiento adecuado.

Lugo muestra un especial esfuerzo en proporcionar tratamientos personalizados y efectivos a sus pacientes y trabaja en colaboración con otros profesionales de la salud para brindar el mejor cuidado posible.

Los principales retos que ve en su campo médico en Puerto Rico incluyen la dificultad para obtener aprobación de medicamentos biológicos y niveles de medicamentos por los planes médicos, la falta de acceso a nutricionistas y el alto consumo de alimentos poco saludables.

Para consultas o citas con la Dra. Lugo, puede contactarse a través de los teléfonos 787-873-1755 Ext *235 o 787-375-3916.

80
TOP DOCTOR
| ÁREA OESTE
Lugo muestra un especial esfuerzo en proporcionar tratamientos personalizados y efectivos a sus pacientes, y trabaja en colaboración con otros profesionales de la salud para brindar el mejor cuidado posible.
81

Dr. Hiram Cardona Martínez

Cardiología

E

El Dr. Hiram Cardona Martínez es un cardiólogo con una amplia trayectoria en el campo de la medicina. Realizó su bachillerato en Biología en el Recinto Universitario de Mayagüez, y posteriormente estudió Medicina en la Universidad Central del Caribe, PR. Luego de finalizar sus estudios, se especializó en Medicina Interna y Cardiología en el Hospital Universitario del Centro, convirtiéndose en el primer "fellow" de Ecocardiografía de Barnes Hospital en St Louis, MO en 1991.

Desde su regreso a Puerto Rico, ha desempeñado diversos roles, incluyendo profesor en el programa de Cardiología del Hospital Damas, en Ponce, donde también fue director de la sección de Ecocardiografía. Hace 27 años, estableció su práctica privada en la ciudad de Mayagüez junto a su esposa, la Dra. Noemí Benítez, también cardióloga.

El médico es un apasionado de su especialidad, la Cardiología, ya que considera que es un campo en el que puede ayudar a muchas personas y salvar vidas. A lo largo de su carrera, ha supervisado y compartido sus conocimientos con los fellows de Cardiología y estudiantes de Medicina, además de dedicarse a ayudar a los pacientes y colegas en el diagnóstico más detallado de condiciones cardíacas a través de la ecocardiografía transtorácica y transesofágica.

El Dr. Cardona también ha identificado varios retos principales en su campo, incluyendo la necesidad de ser más efectivos en la prevención de varios parámetros, tales como el tabaquismo, el control de la diabetes, el colesterol, el sobrepeso y el sedentarismo, factores muy frecuentes en nuestra sociedad. Sin embargo, ha enfocado su carrera en escuchar al paciente, orientarlo para que se auto-eduque y se sienta responsable de su condición.

Cardona Martínez ofrece servicios de cardiología clínica, holters, ecocardiografía transtorácica y transesofágica, así como pruebas de ejercicio. Su oficina se encuentra en el Centro de Servicios Médicos, en la Calle Meditación #55, Oficina 4A, Mayagüez, PR. Atiende de lunes a jueves, de 8:00 a.m. a 5:00 p.m. y puede ser contactado a través del teléfono 787-834-0665.

82
TOP DOCTOR | ÁREA OESTE
El Dr. Cardona es un apasionado de su especialidad, la Cardiología, ya que considera que es un campo en el que puede ayudar a muchas personas y salvar vidas.
83

Dr. Luis R. Hernández Vázquez

Endocrinología

L

Luis R. Hernández Vázquez es un médico endocrinólogo con la certificación de Board Certified Diplomate in Endocrinology, Diabetes & Metabolism, así como Board Certified Diplomate in Internal Medicine

Comenzó sus estudios en Medicina en la Universidad Autónoma de Guadalajara en México, completó el programa de Fifth Pathway en Ponce School of Medicine of Puerto Rico y un internado en el Hospital Auxilio Mutuo de Puerto Rico.

La especialidad en Medicina Interna y el Fellowship en Endocrinología lo llevó a cabo en el Hospital Municipal de San Juan, donde participó como primer autor y colaborador de publicaciones y presentaciones clínicas en Puerto Rico y los Estados Unidos

Durante el período de entrenamiento, trabajó como internista en salas de urgencias en el Hospital Municipal de San Juan y el Centro Cardiovascular de Puerto Rico y el Caribe

Desde el inicio de su carrera como endocrinólogo, fue contratado como speaker para una compañía farmacéutica, educando a otros colegas sobre nuevas terapias para pacientes. Durante estos cinco años y medio de desarrollo de su práctica como endocrinólogo, trabajó en clínicas privadas así como en su propia oficina, y colaboró como primary investigator en estudios de investigación clínica en el campo de la endocrinología.

Actualmente, además de ser endocrinólogo en práctica privada y Director Médico en clínica privada, colabora como Assistant Professor, Clinical Educator del Departamento de Medicina Interna de la Universidad Central del Caribe School of Medicine, en Bayamón, Puerto Rico

El interés del Dr Hernández Vázquez por la endocrinología se originó a través del diagnóstico de Diabetes Mellitus tipo 1 y tipo 2 en su familia desde abuelos, tíos, primos y sus padres. Su abuelo, quien fue agricultor y su primer ídolo en la niñez, le sugirió que eligiera ser doctor en el futuro y le instruyó en colocarle las inyecciones de insulina que utilizaba para controlar su glucosa en sangre Este interés desarrolló en él una gran pasión por la condición de diabetes y sus tratamientos desde muy temprana edad. La medicina fue la puerta para esto y la endocrinología, una ciencia compleja y hermosa, la oportunidad de colaborar con un mayor conocimiento en el tratamiento y bienestar de pacientes con Diabetes Mellitus y otras condiciones endocrinológicas

El galeno ha contribuido en estudios científicos y poblacionales para fortalecer los tratamientos para los pacientes y ha colaborado en el desarrollo de proyectos clínicos interdisciplinarios para un cuidado holístico de la población. Además, ha aportado a la educación de sus colegas médicos, pacientes y futuros colegas en medicina con conferencias y segmentos educativos.

El principal reto que enfrenta su campo actualmente es el alto costo en los medicamentos esenciales para tratar a los pacientes, como las insulinas, y los determinantes que afectan la capacidad de la sociedad para adquirir estos medicamentos Además, el desconocimiento de muchos pacientes acerca de sus condiciones médicas y las complicaciones de salud son un desafío significativo

El Dr. Hernández Vázquez identifica áreas de oportunidad en la educación y concientización de la población.

Para consultas, su oficina está ubicada en Norte Professional Center Suite 303 Carretera 493 KM 0.9 Barrio Carrizales Hatillo, PR 00659, en donde ofrece servicios de endocrinología adulto, en horarios de oficina: miércoles de

84
TOP DOCTOR | ÁREA NORTE
8:00 a.m. - 5:00 p.m.; 1er y 3er viernes de mes 8:00a.m. - 5:00 p.m.; 3er sábado de mes 8:00 a.m. -12:00 p.m.
El Dr. Hernández Vázquez ha contribuido en estudios científicos y poblacionales para fortalecer los tratamientos para los pacientes y ha colaborado en el desarrollo de proyectos clínicos interdisciplinarios para un cuidado holístico de la población.
85

Dr. Raúl M. Arroyo Rosario Urología

R

Raúl M. Arroyo Rosario es un reconocido especialista en Urología con una extensa formación académica. Desde muy temprano en la escuela de medicina, su interés por la cirugía lo llevó a enamorarse de la urología Esta especialidad es muy variada y se combina con la cirugía para resolver problemas médicos con diversos instrumentos endoscópicos sin tener que hacer prácticamente ninguna incisión.

Actualmente, su mayor aportación en el área de urología es en el manejo de cálculos renales y tratamiento de cáncer de próstata y vejiga, entre otros aspectos como la disfunción eréctil, la hiperplasia prostática, la incontinencia urinaria, la hiperactividad de vejiga y la infertilidad. Es un profesional comprometido con el bienestar de sus pacientes y siempre procura que ellos se sientan a gusto en su oficina o al visitarlos en el hospital.

El Dr Arroyo cuenta con una amplia experiencia, tanto en su internado como en la especialidad, en la Universidad de Puerto Rico, en el Hospital Universitario de Centro Médico y en el Hospital de Veteranos de San Juan. Además, ha destacado por su habilidad para trabajar con la tecnología en la urología, en especial la cirugía laparoscópica que se está robotizando, y ha utilizado sus conocimientos para hacer aportaciones significativas en el campo de la medicina.

Por otro lado, uno de los mayores retos que enfrenta el Dr. Arroyo, como muchos otros médicos, es el desgaste profesional, que se basa en las largas jornadas laborales y el poco descanso A pesar de estas dificultades, su compromiso con la salud sigue siendo su prioridad, se esfuerza por llevar la información correcta y trabajar con la avalancha de información que aparece en las redes sociales, que no siempre es la correcta.

Para consultas, el Dr. Arroyo se encuentra disponible en su oficina en la Arecibo Medical Plaza, ubicada en la Ave. Barbosa #65, en Arecibo, Puerto Rico, de lunes a viernes de 8:00a m a5:00p m Sunúmerodeteléfonoes787-878-5785

86
TOP DOCTOR | ÁREA NORTE
El Dr. Arroyo se ha destacado por su habilidad para trabajar con la tecnología en la urología, en especial la cirugía laparoscópica que se está robotizando, y ha utilizado sus conocimientos para hacer aportaciones significativas en el campo de la medicina.
87

Dr. Ruddy A. Guerra

Neurología y Neurofisiología

E

El Dr Ruddy A. Guerra es un reconocido médico especialista en Neurología y Neurofisiología. Completó su residencia en Neurología en la Escuela de Medicina de la Universidad de Puerto Rico y su especialidad en Neurofisiología en la Universidad de Illinois, Chicago (UIC). Con más de 20 años de experiencia, el galeno ofrece sus servicios en la localidad de Manatí, donde dirige el laboratorio de Neurofisiología y el departamento de Neurología del Hospital Doctors' Center Manatí.

El profesional de la salud se destaca como miembro activo de la Academia Puertorriqueña de Neurología y como pasado presidente de esta organización. Su contribución a los avances en la ciencia se evidencia en su participación en distintos estudios clínicos en Neurología.

El Dr Guerra se siente motivado por la Neurología como campo emocionante y de rápido crecimiento, ya que ayuda a la comunidad de pacientes en la solución de problemas reales mediante el uso de ciencia, tecnología, medicina e ingeniería. Su compromiso y contribuciones al campo de la Neurología se han centrado en el liderazgo, la educación y la investigación clínica. Además de colaborar como conferenciante para casas farmacéuticas y formar parte de los esfuerzos educativos de las jornadas neurológicas, ha participado en diferentes estudios clínicos investigativos

Guerra identifica como retos principales en su campo la automatización y mecanización creciente de los sistemas de atención médica, que deben integrarse con la sabiduría de la experiencia clínica y el juicio para no perder la sensibilidad y el arte de escuchar y cuidar al paciente. También destaca la crisis de profesionales de la salud, incluyendo a los neurólogos, que genera frustración tanto en los pacientes como en los médicos al no poder ofrecer citas con prontitud. Como áreas de oportunidad, el Dr Guerra ve el desarrollo de intervenciones para mejorar la calidad de vida de los pacientes y la formación de más profesionales de la salud en el campo de la Neurología.

Para consultas, ofrece sus servicios en el Edif Médico Dr Pedro Blanco Lugo Suite 311, en el pueblo de Manatí, Puerto Rico Los horarios de oficina son de lunes a viernes de 8:00 a.m. a 5:00 p.m., y está disponible a través del teléfono (787) 884-5107 y el fax (787) 884-0819.

88
TOP DOCTOR | ÁREA NORTE
El Dr. Guerra se siente motivado por la Neurología como campo emocionante y de rápido crecimiento, ya que ayuda a la comunidad de pacientes en la solución de problemas reales mediante el uso de ciencia, tecnología, medicina e ingeniería.
89

¿Por qué escogernos?

•Tenemos un ambiente profesional y con alta calidad de servicio.

•Contamos con nuevas facilidades con disponibilidad de estacionamiento gratis y gran seguridad.

•Las citas son por hora con poco tiempo de espera.

•En este centro, un gran equipo de profesionales encabezados por la Dra. Yadira M. Correa.

Dra. Yadira M. Correa Millán GASTROENTERÓLOGA (787) 740-3333 Bayamón Santa Rosa 6-26 Calle 5 •Reflujo •Esofagitis •Hepatitis B •Hepatitis C •Síndrome del intestino irritable •Estreñimiento •Diarrea •Enfermedad de Crohn •Colitis ulcerosa •Enfermedades rectales •Cáncer de colon •Enfermedades del hígado •Enfermedades del páncreas •Enfermedades de la vesícula biliar •Esófago de Barrett •Colonoscopía •Endoscopía www.gastrodracorrea.com
Dra Yadira M Correa Condiciones que tratamos:
Hacemosvisitas adomicilio JC FAST CLINIC | Infantes, Niños, Adultos y Envejecientes Control de Diabetes y Presión Arterial Certicados de Salud y Certicados Médicos Manejo de Dolor y Control de Peso Cirugía Menor y Medicina Natural Cannabis Medicinal Dr. Jorge Cedeño Espaillat T 787.784.2218 F 787.784.3444 Levittown Ave. Comerío 610, Marginal dentro de Supermercado Econo MARTES A VIERNES DESDE LAS 8:30 AM

Dr. Jorge L. González Rodríguez

Medicina General

El Dr. Jorge L. González Rodríguez es un médico general, con una trayectoria de 22 años en el campo de la medicina. Se graduó de la Escuela de Medicina San Juan Bautista en Caguas y ha trabajado en diversos hospitales metropolitanos de Arecibo y en el Instituto Correccional de ese pueblo.

Lo que motivó al Dr. González a especializarse en Medicina General fue la diversidad tanto de condiciones como de población que existe en Puerto Rico. Considera que su contribución más importante ha sido enfocarse en la prevención y orientación a enfermedades y afecciones que habitan en nuestro país, instruyendo a sus pacientes para que entiendan el por qué de ciertas enfermedades que ocurren en el diario vivir.

Uno de sus retos principales en el campo de la Medicina General, es el seguimiento con los subespecialistas. Muchos pacientes buscan subespecialistas que se basan en una sola especialidad, lo que puede resultar en falta de orientación, citas tardías y problemas en el flujo de planes médicos.

El médico identifica diversas áreas de oportunidad en el campo de la Medicina General, incluyendo establecer métricas de planes médicos que faciliten el flujo de trabajo tanto para pacientes como para planes médicos del país. Además, ve una oportunidad en el establecimiento de medidas para el burnout entre los colegas médicos, así como en el hallazgo de citas a pacientes que urgen de un subespecialista. Su compromiso con la salud y el bienestar de sus pacientes es fundamental para que se sientan sanos y escuchados, tanto física como emocionalmente.

Su oficina se encuentra ubicada en la carretera 455 Int. 454 KM 2.3 Barrio Quebrada Camuy, PR 00627 y su horario de atención es de lunes, de 2:00 p.m. a 6:00 p.m. y martes, miércoles y jueves de, 9:00 a.m. a 2:00 p.m. Para consultas, puede contactarlo al (787) 262 7537.

92 E
TOP DOCTOR | ÁREA NORTE
El compromiso del Dr. González con la salud y el bienestar de sus pacientes es fundamental para que se sientan sanos y escuchados, tanto física como emocionalmente.
93

Dr. Ángel Antonio Isidro

Patología Combinada Anatómica y Clínica

E

El Dr Ángel Antonio Isidro Carrión es un patólogo anatómico y clínico con práctica privada, además de ser profesor de la Facultad de Medicina de la Ponce Health Sciences University Su especialidad médica le apasiona, ya que puede entender en detalle las funciones del cuerpo Esto le permite identificar las disfunciones y anormalidades de los órganos, los tejidos y las células de cada enfermedad, así como la importancia que tiene saber y aplicar esto para establecer el diagnóstico y tratamiento correctos en cada caso. Esta especialidad médica es crucial en el campo de la investigación y requiere trabajar en equipo con otros colegas. El Dr. Carrión estudió Patología Anatómica en el Programa de Yale New Haven Hospital/Yale University y continuó su entrenamiento en Patología Clínica en el programa acreditado de University of Connecticut Health Center/John Dempsey Hospital, afiliado a Yale University

La especialidad del Dr Carrión estudia los cambios presentes en enfermedades a simple vista (hallazgos macroscópicos), con la ayuda de un microscopio (hallazgos microscópicos), así como los detectados a nivel molecular utilizando tecnología avanzada. El profesional de la salud se entrenó con patólogos de renombre mundial como Raymond Yesner, MD, que junto al Dr Gleason, publicó la data más sólida sobre cáncer de próstata y la clasificación de los tumores de pulmón; Darryl Carter, MD, autor de libro de texto de patología de próstata y mamas, entre otros; Brian West, MD, experto en patología gastrointestinal; Joseph Madri, MD, que descubrió y publicó los distintos tipos de colágeno que hay usando la inmunohistoquímica; y Vincent Marchesi, MD, quien describió la composición molecular estructural de la pared del glóbulo rojo, entre otros.

Actualmente, el Dr. Carrión trabaja para los Laboratorios Toledo, que incluyen el Laboratorio Clínico Toledo en Arecibo, el Laboratorio Clínico Ramírez y el Laboratorio Clínico Serhant, en Ponce Anteriormente, prestó sus servicios en Ponce, en el Laboratorio Clínico y de Referencia de la Escuela de Medicina de Ponce

Brinda sus servicios a toda la isla en:

ŸLaboratorio Clínico y de Referencia Toledo, 51 Calle Palma, Arecibo, P.R. 00612, teléfono 787-880-0444. Horario: lunes a jueves: 6:00 a.m. a 8:00 p.m., viernes: 6:00 a.m. a 7:00 p.m. y sábado: 6:00 a.m. a 3:00 p.m.

ŸLaboratorio Ramírez, 8133, 1543 Calle Concordia, Suite 101, Ponce, P.R. 00717, teléfono 787-840-9000. Lunes a viernes: 6:00 a.m. a 4:00 p.m. y sábado: 6:00 a.m. a 12:00 p.m.

ŸLaboratorio Clínico Serhant, Urb Santa María, Calle Concordia # 8011, teléfono 787-843-5870. Horario: lunes a viernes: 6:00 a.m. a 5:00 p.m. y sábado: 6:00 a.m. a 12:00 p.m.

94
TOP DOCTOR | ÁREA NORTE
El Dr. Isidro Carrión estudia los cambios presentes en enfermedades a simple vista (hallazgos macroscópicos), con la ayuda de un microscopio (hallazgos microscópicos), así como los detectados a nivel molecular utilizando tecnología avanzada.
95

Dr. Raúl A.Rodríguez Almodóvar

Medicina de Familia

E

El Dr. Raúl A. Rodríguez Almodóvar es un reconocido especialista en Medicina de Familia, cuya trayectoria ha sido impresionante desde sus estudios universitarios.

Comenzó sus estudios de pre-médica en la Universidad de Puerto Rico y los culminó en The State University of New York, Stony Brook. Se graduó de la Escuela de Medicina San Juan Bautista en 1994 y posteriormente, realizó la especialidad en Medicina de Familia en Manatí Medical Center, graduándose en 1998.

Es miembro activo de la American Academy of Family Physicians y ha sido certificado por el American Board of Family Medicine. Desde 1999 ha ejercido su práctica privada en Vega Baja, Puerto Rico.

Durante su carrera, el Dr. Rodríguez ha realizado importantes aportes al estudio y desarrollo de la Medicina de Familia. Ha sido preceptor en su oficina privada, brindando experiencia y oportunidades de aprendizaje sobre los servicios ofrecidos dentro de esta rama, a estudiantes de medicina de diversas universidades y residentes durante sus rotaciones.

Uno de los mayores retos que ha enfrentado en su carrera ha sido conseguir que los pacientes adapten sus estilos de vida a unos saludables en el que su bienestar y salud se vea beneficiada de la mano con los servicios médicos ofrecidos en su oficina. Sin embargo, su compromiso con la salud y el bienestar de sus pacientes se fundamenta en ofrecer servicios de la más alta calidad en los que la empatía y el compromiso con sus pacientes vayan por encima de todo.

Es muy importante para él lograr experiencias positivas en sus pacientes que poco a poco contribuyen a aumentar la confianza y el compromiso con su plan de cuidado. No es solo tratar sus condiciones físicas, sino escucharles y aconsejarles con relación a sus situaciones sociales y familiares.

En su oficina en Vega Baja, Puerto Rico, el Dr. Rodríguez ofrece servicios de medicina familiar, manejo de condiciones crónicas de salud como diabetes, hipertensión, condiciones cardiovasculares y tiroides, además de cirugía menor, vacunación para adultos, certificados de salud y BHRT (Terapia Bioidéntica de Reemplazo Hormonal).

Sus horarios de oficina son de lunes a jueves de 7:00 a.m. a 2:00 p.m. en su consultorio ubicado en 4 Calle José Julián Acosta, Vega Baja, Puerto Rico 00693.

Para consultas, puede contactar al teléfono/fax 787-807-3703 o enviar un correo electrónico a medicinadefamilia@dr-raulrodriguez.com.

96
TOP DOCTOR | ÁREA NORTE
Ha sido preceptor en su oficina privada, brindando experiencia y oportunidades de aprendizaje sobre los servicios ofrecidos dentro de esta rama, a estudiantes de medicina de diversas universidades y residentes durante sus rotaciones.
97

Dr. Alberto Pablo Córica Guinle

Urología Certificado MD Urologist

E

El Dr. Alberto Pablo Córica Guinle es un reconocido médico especializado en Urología, certificado por el American Board. Nació en Argentina, donde estudió Medicina en la Universidad Nacional de Cuyo y, posteriormente, se especializó en Urología en el Albany Medical Center, en Nueva York. También realizó un fellowship en la Clínica Mayo, la Cleveland Clinic, la Universidad de Minnesota y la Universidad de París.

Después de su formación, regresó a Argentina, donde trabajó como profesor titular de Urología durante aproximadamente 15 años. Durante este tiempo, realizó el primer trasplante de riñón en Mendoza, lo que demuestra su habilidad y experiencia.

Ha sido activamente involucrado en investigaciones médicas, particularmente en tratamientos no invasivos para la obstrucción prostática utilizando microondas y láser. También participó en el diseño y desarrollo de un catéter interno llamado "SPANER", que permite a los pacientes orinar sin la necesidad de un Foley. Este instrumento todavía se utiliza en la actualidad.

El Dr. Córica Guinle fue invitado como profesor en numerosos países de Sur y Centro América, donde ha demostrado técnicas de láser de próstata, además de sus diferentes invitaciones a hospitales en China, Hong Kong y Escocia.

Hace 21 años, el Dr. Córica Guinle se radicó en Puerto Rico, donde actualmente tiene su práctica privada en el Hospital Metropolitano Dr. Pila en Ponce y en el Hospital Menonita en Caguas. Allí, su equipo de trabajo está comprometido en brindar la mejor atención a los pacientes en un ambiente amable, ofreciendo los últimos tratamientos y técnicas para obtener los mejores resultados con el menor riesgo posible.

El galeno es un referente en el campo de la Urología y actualmente está involucrado en un estudio para desarrollar una "biopsia líquida" que permitirá el diagnóstico del cáncer de próstata mediante una muestra de orina, lo que evitará la biopsia de próstata.

Para contactar al Dr. Córica Guinle para una cita o consulta, puede llamar al (787) 866-3355 en los horarios de oficina de 8:00 a.m. a 4:30 p.m.

98
TOP DOCTOR | ÁREA SUR
El Dr. Córica ha estado activamente involucrado en investigaciones médicas, particularmente en tratamientos no invasivos para la obstrucción prostática utilizando microondas y láser.
99

Dr. José Torres Cintrón

Medicina Interna

El Dr José Torres Cintrón es un especialista en Medicina Interna con una sólida formación académica que lo ha llevado a desarrollar una exitosa trayectoria en el campo de la salud.

Realizó sus estudios en la Pontificia Universidad Católica Madre y Maestra en Santiago de los Caballeros, R.D Desde el 2013 al 2017, tuvo la oportunidad de trabajar como Research Assistant en el campo de la Neurología en la Universidad de Columbia, en The Taub Institute for Research on Alzheimer's Disease and the Aging Brain, en Nueva York. Posteriormente, llevó a cabo su residencia en Medicina Interna en el Hospital San Lucas de Ponce P.R., desde 2017 hasta 2020.

El doctor se ha destacado en su especialidad, buscando ofrecer sus servicios a pacientes en zonas rurales, donde la necesidad de atención médica es muy alta. En ese sentido, ha puesto su atención en la medicina primaria, la cual considera fundamental para mejorar la calidad de vida de los pacientes y reducir el tiempo de espera en los hospitales

Las contribuciones del Dr Torres Cintrón al estudio y desarrollo de su área de especialidad son muy significativas Se ha concentrado en brindar una atención médica de calidad a sus pacientes y ha trabajado arduamente en establecer un sistema organizado de citas para atenderlos con prontitud y eficacia. Además, ha buscado establecer una comunicación efectiva con sus pacientes y ha trabajado en educarse en áreas administrativas para poder ofrecer un servicio integral.

El galeno identifica varios retos en su campo, como establecer un sistema organizado de citas, brindar servicios y medicinas, promulgar una buena comunicación entre el paciente y el especialista, disponer de tiempo de dedicación para cada paciente y mantenerse educado en las partes administrativas de una oficina médica.

Con grandes expectativas para el futuro, su objetivo es convertir su consulta en un centro multidisciplinario para el pueblo de Villalba. Esto permitirá ofrecer un enfoque integral de atención médica, no solo en Medicina Interna, sino también en otros campos de la salud, como Pediatría y Salud Mental.

Su compromiso con la salud y el bienestar de sus pacientes se fundamenta en la satisfacción y la empatía. Su objetivo principal es ver a sus pacientes satisfechos con su atención médica y trabajar para mejorar su calidad de vida.

Para consultas, el Dr. Torres Cintrón atiende en su oficina de Medicina Primaria en Villalba Del Alba Medical Group, ubicada en Calle Muñoz, Villalba P.R. Los horarios de oficina son los lunes y miércoles, de 8:00 a.m. a 5:00 p.m. También puede ser contactado a través de los teléfonos 787.437.4020 | 787.437.4021.

100 TOP DOCTOR | ÁREA SUR

Dr. Edelmiro Carrillo Rodríguez Medicina General

El Dr. Edelmiro Carrillo Rodríguez es un reconocido médico general con una amplia trayectoria en el campo de la medicina. Obtuvo su grado de Doctor en Medicina en la Pontificia Universidad Católica Madre y Maestra en la República Dominicana. Antes de esto, se graduó de Ciencias Naturales con especialización en Biología, de la Pontificia Universidad Católica de Puerto Rico, en Ponce.

Comenzó su carrera en el Hospital Metropolitano Dr. Tito Mattei de Yauco, donde realizó su internado en Medicina. Luego, se incorporó a la facultad médica de la Sala de Emergencias del Hospital San Cristóbal en 2009 y en 2016, se integró a la facultad médica de la Sala de Emergencia del Hospital Santa Rosa, en Guayama. Además, de 2012 a 2017, fue catedrático asociado en la Universidad Interamericana de Puerto Rico, Recinto de Guayama.

En la actualidad, presta sus servicios en Medicina General en el Hogar Palacios de Yauco, en Veteran Evaluation Services en Ponce y Guayama, y desde marzo 29, 2022, forma parte del Alba Medical Group en Villalba, junto con los doctores Ángel Figueroa y José Torres.

El Dr. Carrillo Rodríguez eligió la Medicina General para brindar sus servicios profesionales a toda la comunidad, incluyendo pediátricos, adultos y geriátricos. Su amplia experiencia en múltiples salas de emergencia le ha permitido atender todo tipo de emergencias y pacientes. Además, fundó el Hogar de Cuidado Prolongado y ha sido un importante miembro de la comunidad médica en Puerto Rico, brindando atención médica de calidad a todos los pacientes que lo necesiten.

Para consultas, el Dr. Carrillo Rodríguez puede ser contactado en su dirección de oficina en la Calle Muñoz Rivera #26, Villalba, PR 00766, o a través de los números de teléfono 787-437-4020 y 787437-4021, en horarios de oficina, de lunes a viernes de 8:00 a.m. a 5:00 p.m. y los sábados, de 9:00 a.m. a 1:00 p.m.

Medicina General

El Dr. Ángel José Figueroa Rodríguez es un médico general graduado de Biología en la Pontificia Universidad Católica de Puerto Rico en Ponce. Continuó su formación académica en la Escuela de Medicina de la PUCMM en Santiago, República Dominicana, culminando sus estudios conducentes al grado de Doctor en Medicina en el año 2011. Después de completar su internado en el Hospital Menonita de Guayama, se unió a la facultad médica de la sala de emergencias de dicho hospital, en la cual al día de hoy continúa brindando sus servicios. En su práctica diaria, se enfoca en la atención holística a los pacientes, dedicando tiempo adicional para consultas presenciales, visitas al hogar y consultas virtuales. También coordina con farmacias y otras agencias para la atención integral de sus pacientes.

El Dr. Figueroa reconoce la importancia de la medicina preventiva y la utilización adecuada de los medicamentos OTC y otros remedios. Con el fin de impactar a comunidades vulnerables, coordina con más especialistas y clínicas preventivas en el área sur de Puerto Rico. En 2021, se unió a los doctores Torres y Carrillo para fundar Del Alba Medical Group en el pueblo de Villalba, donde ofrecen servicios de medicina primaria, medicina preventiva, medicina interna, tratamiento láser para manejo de dolor y otras afecciones (Tecnología ERCHONIA), visitas al hogar, clearance pre-operatorios, cirugía menor, servicios a pacientes ACAA, EKG, servicios psicológicos y evaluaciones para la licencia de cannabis medicinal.

El Dr. Figueroa está comprometido con la atención médica de calidad para sus pacientes.

Pueden contactarlo a través de su teléfono 787-437-4020 | 787-437-4021 fax.787-437-4023ocorreoelectrónicoptedelalbamedicalgroup@gmail.com.

101
Dr. Ángel J. Figueroa Rodríguez

Dr. Juan Gómez

Medicina General

E

El Dr. Juan S. Gómez Hernández es un médico generalista con 17 años de experiencia en la ciudad de Yabucoa, Puerto Rico. Se graduó Magna Cum Laude en Ciencias Generales en la Universidad de Puerto Rico, Recinto de Río Piedras y completó sus estudios como Doctor en Medicina en la Universidad Autónoma de Guadalajara (UAG) Escuela de Medicina. Realizó su Internado en el Programa del Hospital Episcopal Cristo Redentor en Guayama, donde fungió como jefe de internos.

Fue motivado a entrar en el campo de la medicina debido a su familia, la influencia de su tío, el Dr. Juan R. Gómez López, y su deseo de ayudar a sus pacientes, especialmente a la población geriátrica.

Uno de los mayores aportes del Dr. Gómez Hernández al campo de la medicina es su dedicación a los pacientes diabéticos. Reconoce que mantener la educación, crear conciencia y cumplimiento con el tratamiento a la población de pacientes diabéticos es un reto continuo, pero mantiene su persistencia y calidad de trabajo.

El Dr. Gómez Hernández continúa ofreciendo sus servicios de salud a su población y áreas limítrofes, realizando los servicios de electrocardiograma, pruebas de tuberculina, certificados de salud individuales en oficina y también disponibilidad de realizar clínicas a empresas privadas de volumen mayor. Su compromiso con la salud y el bienestar de sus pacientes se fundamenta en su agradecimiento con Dios por el cariño y respeto que recibe de sus pacientes, colegas y de las personas que lo rodean.

Su oficina está ubicada en la Urbanización Jardines de Yabucoa, calle 3 B-8, Yabucoa PR 00767, donde ofrece sus servicios de lunes a jueves de 8:00 a.m. a 5:00 p.m., los martes de 8:00 a.m. a 2:00 p.m. (solo personal administrativo) y los viernes de 6:00 a.m. a 1:00 p.m.

Para consultas, puede comunicarse con él a través de los números de teléfono 787-690-8280 y 787-953-7957 (Administración) o al fax 787-656-9392.

102
TOP DOCTOR | ÁREA ESTE
Uno de los mayores aportes del Dr. Gómez Hernández al campo de la medicina es su dedicación a los pacientes diabéticos. Reconoce que mantener la educación, crear conciencia y cumplimiento con el tratamiento a la población de pacientes diabéticos es un reto continuo, pero mantiene su persistencia y calidad de trabajo.

MENCIONES HONORABLES | LABORATORIOS DE EXCELENCIA

Lcda. Ruth Elaine Rivera De Jesús

Tecnóloga Médica con 23 años de experiencia Supervisora del Laboratorio Clínico Coamo

Se desempeña como tecnóloga médica desde el 2001 y es la supervisora general del Laboratorio Clínico Coamo desde el 2004. “La oportunidad de crecimiento y la confianza brindada por la Dra. Katherine Dávila han sido una experiencia de mucho desarrollo profesional, lo que ha permitido mantener el éxito y la prosperidad de la misión y visión del laboratorio”, acotó la licenciada.

El Laboratorio Clínico Coamo cuenta con un equipo de profesionales bien preparado que ofrece a diario un servicio de calidad que redunda en resultados precisos y confiables para el beneficio de los médicos y pacientes

“Es de mucho orgullo para mí contar con este equipo de trabajo para lograr cumplir con excelencia los estándares y las normas de las diferentes agencias que regulan los procesos establecidos en los laboratorios clínicos. Nos mantenemos innovando y desarrollando servicios y tecnología a la vanguardia de la Medicina de Laboratorio Nuestro compromiso es y ha sido siempre proveerle a nuestra población el mejor de los servicios de laboratorio clínico, algo que hacemos con gran esmero, profesionalismo y una gran empatía”, concluyó la tecnóloga médica.

M 104
“Es de mucho orgullo para mí contar con este equipo de trabajo para lograr cumplir con excelencia los estándares y las normas de las diferentes agencias que regulan los procesos establecidos en los laboratorios clínicos”.
105

MENCIONES HONORABLES | LABORATORIOS DE EXCELENCIA

Lcda. Lidia Mercado

Tecnóloga Médica

Laboratorio Clínico Córdova y Río Piedras

L

La licenciada Lidia Mercado hace 44 años trabajaba sola en un laboratorio pequeño, donde se le presentó la oportunidad de desempeñarse como tecnóloga médica. El esposo de la licenciada Lidia Mercado es un hombre visionario y creyó en las habilidades de la licenciada como profesional en el mundo de las pruebas diagnósticas Mutuamente se motivaron a comenzar su laboratorio con equipos pequeños y luego ampliaron a equipos más especializados y complejos Siempre se vio ayudando a la gente de su pueblo.

El laboratorio lo estableció el Dr. Rafael Córdova, PhD en Microbiología, en el 1974. Era un pionero en su campo, y fue profesor de muchos médicos en el país La licenciada lo conoció y el Dr Rafael siempre la animó a mirar hacia lo nuevo, el futuro de la profesión.

Cuentan con dos laboratorios independientes que tienen su propio equipo: el Laboratorio Clínico Córdova y el Laboratorio Clínico Río Piedras, el primero en establecerse. No tienen en mente seguir expandiendo. La Lcda. Mercado cuenta con tres tecnólogos médicos, una administradora y cada laboratorio tiene un director.

“El campo de la salud siempre me llamó la atención. Soy inquisitiva, muy detallista, y en este campo es una ventaja. La ciencia de la medicina diagnóstica es muy variada y hay cambios todo el tiempo Me gusta compartir y dialogar con los pacientes e intentar entender lo que les sea pertinente”.

“A Dios gracias, tengo un personal de muchos años y los pacientes ya son familia. Como siempre, les tratamos de ayudar en precios o tiempo de entrega de resultados confiables y nos dan muy buenas notas”.

A partir de hacer pruebas especializadas de Inmunología y Bacteriología, el laboratorio cuenta con página web, hacen entregas por email y envían mensajes cuando llegan las pruebas de referencia. Se garantiza el menor tiempo posible en el 90% de las pruebas. El servicio a domicilio es por cita para pacientes del área.

“Con corazón, nuestra misión es servir a la comunidad en todo lo que se pueda, que nuestro trabajo sea de alta confiabilidad y profesionalismo y crear un vínculo estrecho con todos los pacientes y médicos que se sienten confiados en el laboratorio”.

“Nuestra visión está dirigida a las innovaciones en el futuro de la tecnología más avanzada para dar un resultado que lleve a un diagnóstico lo más acertado y confiable Somos un laboratorio de familia. Nuestra meta es entregar lo antes posible con la mejor calidad, y ser accesibles a la comunidad que servimos”.

106
“Con corazón nuestra misión es servir a la comunidad en todo lo que se pueda, que nuestro trabajo sea de alta confiabilidad y profesionalismo, y crear un vínculo estrecho con todos los pacientes y médicos que se sienten confiados en el laboratorio”.
107

La enfermedad del corazón es la causa más común de muerte en los países desarrollados, comoEstadosUnidosyPuertoRico.

Esta se produce debido al desarrollo de aterosclerosis, que se caracteriza por el endurecimiento de las arterias y la acumulación de grasas en las paredes de estas, lo que provoca una obstrucción al flujo de sangre hacia el órganoafectado.

Desde la década de los 70, se ha demostrado que una obstrucción aguda por trombosis de una arteria coronaria es la causa directa de un infarto al miocardio. Además, desde los años 80, se sabe que el tiempo entre la obstrucción y la muerte celularesrápidoycompletoenunlapsodetresa cuatro horas después de la obstrucción a un máximodeseishoras.

l

El "Western Washington Trial", realizado en los años 80, reportó que los pacientes tratados después de cinco horas del infarto, a pesar de haber logrado una reperfusión adecuada, no experimentaron una mejoría en la función ventricular o el tamaño del infarto al ser evaluadosdosmesesdespuésdeeste.

Desde entonces, múltiples estudios aleatorios han demostrado que después de seis horas, los resultados de "abrir" la arteria obstruida no son mejores que no hacer nada, y algunos sugieren queespeorparaelpaciente.

¿Cuánto tiempo es apropiado esperar para una cirugía de corazón después de un infarto?
108

Existen tres maneras de restablecer el flujo en una coronaria obstruida:

1.La primera y más común es la administración intravenosa o intracoronaria de una variedad de agentes trombolíticos, que son químicos que disuelven los coágulos. Estos químicos fueron comparados en múltiples estudios aleatorios en los años 80 (era de trombolíticos) y después de muchos análisis, se concluyó que era más importante el tiempo de la administración del tratamiento que el medicamento utilizado. Es importante mencionar que la aspirina sola se puede considerar como tratamiento para un infarto agudo. Este tratamiento abre la arteria tapada pero no afecta la obstrucción por grasa en la pared, por lo cual debe acompañarse de un estudio cardiovascular seguido de uno de las coronarias con tratamiento de las obstrucciones, según las guías más recientes de la Asociación Americana del Corazón (AHA) y el Colegio Americano de Cardiología (ACC).

2.La segunda alternativa es la angioplastia de emergencia. Múltiples estudios han demostrado su superioridad a la trombólisis, siempre y cuando se realice antes de una hora de la llegada al hospital y seis horas desde el comienzo del infarto. Esta modalidad de tratamiento no solo abre la arteria, sino que también la expande a su tamaño original sin obstrucción. Desafortunadamente, no se cuenta con angioplastia en todas las salas de emergencia en Puerto Rico, por lo que el paciente requiere traslado a una institución con un programa de guardia las 24 horas del día. Esto puede tardar más de seis horas, lo cual pasa la ventana para obtener un buen resultado. En esta situación, el paciente sale mejor recibiendo la trombólisis y luego siendo estudiado según las recomendaciones de la AHA y el ACC.

3.La tercera forma de restablecer el flujo en una coronaria obstruida es a través de la cirugía de bypass coronario. Esta implica tomar una vena o arteria de otra parte del cuerpo,

como la pierna o el pecho, y usarla para crear una nueva vía de circulación de la sangre alrededor de la obstrucción en la arteria coronaria. Esta nueva vía de circulación permite que la sangre fluya nuevamente al corazón y restaure el flujo sanguíneo normal. El bypass coronario es un procedimiento quirúrgico mayor que se realiza bajo anestesia general y requiere de una hospitalización prolongada y un período de recuperación posoperatorio. Se reserva para casos en los que los tratamientos menos invasivos no son suficientes para restablecer el flujo sanguíneo adecuado al corazón.

En qué momento se debe planificar una cirugía Primero es imposible operar pacientes antes de tres horas del comienzo del infarto, lo cual sabemos que después de tres horas no se logra nada.

Segundo, la cirugía del corazón conlleva una gran cantidad de estrés para el paciente, lo que puede empeorar su condición si se realiza demasiado pronto después del infarto.

Por último, la mayoría de los pacientes después de un infarto tienen otras enfermedades asociadas, como hipertensión, diabetes, enfermedad pulmonar, etc., lo que aumenta el riesgo de complicaciones durante la cirugía.

Por lo tanto, la cirugía de bypass coronario después de un infarto agudo debe ser considerada cuando el paciente ha superado el período de riesgo inmediato y se ha estabilizado.

En general, los estudios muestran que un intervalo de al menos tres semanas después del infarto parece ser lo más apropiado para una cirugía exitosa.

Cada caso debe ser evaluado individualmente por el médico tratante para determinar la mejor opción de tratamiento. Es importante recordar que la prevención es la clave en la lucha contra la enfermedad cardiovascular, y que un estilo de vida saludable y el control de los factores de riesgo son esenciales para prevenir un infarto y otras enfermedades del corazón.

109
Carlos Grovas-Badrena MD FIAIME CIME CMLE CIRUJANO ORTOPEDA CERTIFICADO EN EVALUACION DE IMPEDIMENTO E INCAPACIDAD 787-754-8642 787-766-0974 Horario de Servicio - Lunes a Viernes 7AM a 1PM Evaluaciones Médicas Independientes Consultoría Ortopédica Informes Ortopédicos Sobre Caídas • Accidentes Vehiculares • Retiro • Ley ADA oficinadrgrovas@gmail.com Midtown Plaza Suite B-12 420 Ponce de León Hato Rey
SERVICIOS •EnfermedadesdelaPróstata •PiedrasenelRiñón •Incontinencia (MasculinayFemenina) •LáserdePróstata •DisfunciónSexual •Criocirugía 787-866-3355 www.institutourologicopr.com HOSPITALGENERAL MENONITADECAGUAS Urb.TuraboGardensCarr.172 Ofic.C-500 HOSPITALMETROPOLITANO er DR.PILA1 Piso Ave.LasAméricas2435 Ponce
DR. PEDRO P. PÁEZ GONZÁLEZ MEDICINA INTERNA Y PREVENCIÓN DE ENFERMEDADES 787-725-8534 Galería Condado #1452 Ave. Ashford, Suite 609 SAN JUAN Horarios de oficina: Lunes a Jueves 8:00am-4:00pm Viernes 8:00am-12:00pm
Dr. Senén Vega Cruz Especialista en Medicina de Familia Geriatría Horario Lun, Mar, Mier y Vier 9:00AM-5:00PM T| 787-795-2948 F | 939-337-0506 Email: senenvega@yahoo.com Dirección física: CalleAntonio Paoli HF-6 • 7ma Sección Levittown, Toa Baja Dirección postal: P.O Box 52185 • Toa Baja P.R 00945 Ofrecemos tratamientos con: Botox and aesthetic procedure Administramos terapias láser para cualquier dolor

Consejos prácticos para cuidadores de pacientes con enfermedad de Alzheimer y demencia

114

La enfermedad de Alzheimer es una afección que afecta a millones de personas en todo el mundo y su manejo representa ungrandesafíoparaloscuidadores.

En este artículo, presentaremos algunos consejos prácticos para ayudar a los cuidadores a manejar de manera efectiva el cuidado de pacientes con enfermedad deAlzheimeryotrasdemencias.

La importancia de involucrar al paciente en las tareas diarias

Uno de los aspectos más importantes del cuidado de pacientes con enfermedad de Alzheimer es involucrarlos en las tareas diarias tanto como sea posible. Hay que tener en cuenta que los pacientes pueden sentirse frustrados cuando no pueden hacer las cosas que solían hacer antes.

Por lo tanto, se les debe ofrecer opciones y programar la rutina diaria de manera que se reduzca la frustración y se permita al paciente hacer todas aquellas tareas que le sean posibles. Consejos prácticos para cuidadores de pacientes con enfermedad de Alzheimer y demencia

1. Ayudar al paciente a participar, tanto como sea posible, en las tareas diarias, tomando en cuenta los sentimientos de frustración que pueden producirse tanto en el cuidador como en el paciente.

2. Proporcionar opciones para que el paciente pueda tomar decisiones.

3. Programar la rutina diaria, lo que ayuda a limitar los desafíos y aliviar la frustración.

4. Anticipar que las tareas pueden tomar más tiempo que antes y programar más tiempo para ellas.

5. Permitir tiempo para descansos durante las tareas, tanto para el paciente como para el cuidador.

6. Proporcionar instrucciones utilizando una comunicación clara, concisa y de un solo paso.

7. Apagar el televisor y minimizar otras distracciones a la hora de comer, al tomar los medicamentos y durante las conversaciones.

8. Evitar que el paciente tome siestas múltiples o prolongadas durante el día.

9. Ser flexible y adaptar la rutina y expectativas según sea necesario.

10. Crear un entorno seguro, evitando el uso de alfombras de área, cables de extensión eléctrica y cualquier otro objeto que pueda causar caídas.

11. Instalar pasamanos o barras de apoyo en áreas críticas.

12. Instalar cerraduras o candados en los gabinetes que contengan cualquier cosa potencialmente peligrosa.

13. Bajar el termostato del calentador de agua para evitar quemaduras.

14. Supervisar al paciente al fumar.

15. Asegurarse de que haya un extintor de incendios accesible y que los detectores de humo y monóxido de carbono funcionen.

¿Por qué es importante adaptarse a medida que la enfermedad progresa?

La atención a pacientes con enfermedad de Alzheimer y otras demencias es un proceso que requiere paciencia, aprendizaje y flexibilidad por parte del cuidador. Es importante adaptarse a medida que la enfermedad progresa y no descuidar la propia salud y necesidades personales.

La implementación de los consejos prácticos presentados en este artículo puede ayudar a los cuidadores a manejar de manera efectiva el cuidado de estos pacientes.

Hay que destacar que los cuidadores también deben cuidar de su salud y bienestar emocional, buscando asesoramiento de profesionales de la salud mental y grupos de apoyo. Con la ayuda de amigos y familiares, el cuidado de pacientes con demencia puede ser manejado de manera efectiva y satisfactoria.

115
Tel. 787-834-0665 Fax: 787-834-0666 Mayagüez WESTERN HEART CLINIC Cardiología clínica • Holter • EKG Ecocardiografía transtorácica y transesofágica Pruebas de ejercicio simple y ecocardiográfica Hiram Cardona Martínez, MD Cardiólogo Calle Meditación #55 Ofic. 4A email: whc1995@gmail.com
Dr. Jesús A. Maldonado Hernández FISIATRA Seguro Social Accidentes Informes periciales Acupuntura médica Mediación transformativa transformation12@gmail.com 230 Calle Gautier Benítez Suite 202 Caguas Citas 787-221-1988 787-413-1545 Evaluaciones de incapacidad Lunes a viernes 8am a 5pm www.transformatio.online Transformatio Llc transformatiollc

Avances en ortopedia reconstructiva para tratar la artritis

I

La artritis es una enfermedad que aqueja a una gran cantidad de personas en todo el mundo, y Puerto Rico no es una excepción.

Esta se caracteriza por su cualidad incapacitante para las personas, ya que limita su capacidad para realizar actividades básicas como caminar, sentarse, levantarse y vestirse, lo que no solo tiene repercusiones a nivel físico, sino también emocional.

En Puerto Rico, hay un índice significativo de personas que padecen esta enfermedad la cual, dependiendo de su tipo, puede impactar las articulaciones de manera diferente.

En los casos de artritis avanzada e incapacitante, el reemplazo de las articulaciones mediante prótesis se convierte en una de las opciones de tratamiento.

Datos estadísticos sobre la artritis en Puerto Rico

En la isla, la artritis afecta alrededor de 200,000 personas, muchas de las cuales están incapacitadas para realizar actividades cotidianas básicas.

De acuerdo a datos del Informe de la Salud en Puerto Rico hasta el año 2019, la prevalencia de la artritis en la población adulta es del 27.2%, lo cual significa que aproximadamente uno de cada cuatro adultos en Puerto Rico padece de artritis.

118

Esto es una situación alarmante dado a que esta es una enfermedad crónica que puede causar dolor, inflamación y rigidez en las articulaciones, limitando la capacidad de las personas para realizar actividades cotidianas, teniendo un impacto significativo en la calidad de vida de las personas o incluso llevarlas a la incapacidad física.

Por lo tanto, el alto porcentaje de personas afectadas por artritis en Puerto Rico es un problema de salud pública importante que requiere atención y acción para mejorar el diagnóstico, el tratamiento y la prevención de la enfermedad.

Tipos de artritis:

La artritis se divide en tres categorías: reumatoide, degenerativa y postraumática.

Ÿ Artritis reumatoide: Es una enfermedad autoinmune crónica que se caracteriza por la inamación de las articulaciones. Afecta más comúnmente a las mujeres y puede causar dolor, rigidez y deformidad en las articulaciones. También puede afectar otros órganos y sistemas del cuerpo, como la piel, los ojos y los pulmones.

Ÿ Artritis degenerativa (osteoartritis): Es la forma más común de artritis y se produce por el desgaste del cartílago que cubre los extremos de los huesos. A medida que el cartílago se desgasta, los huesos pueden rozarse y causar dolor, hinchazón y rigidez en las articulaciones. La artritis degenerativa puede afectar cualquier articulación, pero es más común en las rodillas, las caderasylasmanos.

Ÿ Artritis postraumática: Esta forma de artritis se produce después de una lesión en una articulación, como una fractura o un esguince. Este tipo de lesión puede causar una respuesta inamatoria que es potencialmente vulnerable a desarrollar la artritis, montando en algunos de sus síntomas de dolor, hinchazón, rigidez y dicultad para mover la articulación afectada.

Diagnóstico

Se basa en los síntomas del paciente, los hallazgos físicos y los resultados de las pruebas de diagnóstico, como los rayos X y las pruebas de sangre.

Tratamiento

Este depende del tipo y la gravedad de la enfermedad. Cuando la artritis es avanzada e incapacitante, el reemplazo de las articulaciones mediante prótesis se convierte en una opción de tratamiento viable.

El reemplazo de articulaciones ha avanzado significativamente desde sus inicios en 1959 y hoy en día es una práctica común en Puerto Rico. Este método consiste en la exclusión de los huesos que componen las articulaciones, para reemplazarlos con prótesis, lo que puede ayudar a los pacientes a reducir hasta en un 90% los dolores articulares, además de permitirles reincorporarse a sus rutinas de vida habituales.

El reemplazo de articulaciones se realiza de forma ambulatoria, y su proceso de recuperación puede tomar alrededor de tres a cinco días.

Prevención

Actualmente, no existe una forma conocida de prevenir la artritis. Sin embargo, incluir algunos hábitos como un estilo de vida saludable y protección de lesiones puede ayudar a reducir el riesgo de desarrollar la enfermedad.

Factores de riesgo

Algunos de los factores de riesgo para desarrollar artritis incluyen la edad avanzada, la obesidad, la lesión de la articulación y la genética.

Línea de fondo

La ortopedia reconstructiva ofrece soluciones efectivas para las personas que sufren de artritis avanzada e incapacitante.

La cirugía de reemplazo es uno de los métodos altamente efectivos que permiten reducir el dolor y mejorar la movilidad en los pacientes.

119

Dr. Luis R. Hernández Vázquez

Contamos con conocimiento y experiencia en el manejo de todas las microinfusoras (bomba) de insulina y monitores continuos de glucosa en Puerto Rico.

Certificación de entrenamiento en microinfusora (bomba) de insulina de Medtronic

Atendemos pacientes con enfermedad de diabetes, tiroides y endocrinología general.

Hatillo: Del Norte Professional Center Carr. 493 Bo. Carrizales Email: endocrinologyinstitute@gmail.com Horario Todos los miércoles de 8AM-5PM y el 1er y 3er viernes de cada mes 8AM-5PM. Endocrinología, Diabetes & Metabolismo | Medicina Interna
Endocrinólogo T 787-224-4902 |

IvánA. Malaret Pol, MD

Ginecólogo Obstetra | Board Certified

SERVICIOS

Evaluación ginecológica general

Dolor pélvico

Pruebas de Papanicolaou

Cuidado prenatal

Sonogramas alta resolución 4D

Cirugía mínimamente invasiva

Colposcopia

Reemplazo hormonal

Abierto de lunes a viernes de 8:00 a.m. a 5:00 p.m.

San Juan

655 Calle Europa

Edificio Chinea, oficina 301

787-523-5072

787 523-5068

unitedobgyn@gmail.com

unitedobgynpr / Dr. Iván Malaret Pol

El Dr. Raúl Arroyo Rosario es un urólogo reconocido en el área norte de Puerto Rico, que cuenta con la certificación de American Board of Urology y es miembro del American College of Surgeons. El Instituto Urológico de Arecibo atiende a hombres y mujeres que tengan alguna enfermedad relacionada con las vías urinarias. También se evalúan y ofrecen tratamientos a hombres con problemas en su aparato reproductivo.

Ÿ Incontinencia urinaria y/o problemas urológicos

Ÿ Cáncer urológico incluyendo próstata y vejiga

Ÿ Problemas de disfunción eréctil

Ÿ Hipogonadismo

Ÿ Vejiga hiperactiva

Ÿ Cálculos renales (por medio de endourología y litotricia)

Ÿ Hiperplasia prostática (manejada con tratamientos ® mínimamente invasivos como Rezum y UroLift)

Ÿ Infecciones de orina

Ÿ Evaluación para vasectomía

Ofrecemos servicios a personas con: Arecibo Arecibo Medical Plaza Avenida Barbosa # 65 Suite 105 Lunes a viernes 8AM - 5PM Tel. 787-878-5785 Fax 787-817-5288
INSTITUTO UROLÓGICO DE ARECIBO DR. RAÚL M. ARROYO ROSARIO
Manatí Neurología Neurofisiología Dr. Ruddy A. Guerra Edif. Médico Dr. Pedro Blanco Lugo Suite 311 Phone: (787) 884-5107 Fax: (787) 884-0819 Office Hours Monday - Friday: 8:00 AM - 5:00 PM Saturday - Sunday: Closed

Puerto Rico para disminuir la fuga de talentos

La fuga continua de médicos de Puerto Rico es un problema preocupante para la comunidad médica de la isla. Sin embargo, en lugar de culpar a factores externos, debemos evaluar qué podemos hacer como individuos y profesionales de la salud para disminuirla.

La importancia de una comunidad médica unida

Uno de los mayores desafíos que enfrentamos es la falta de una comunidad médica unida. Los médicos deben apoyarse mutuamente, especialmente los recién graduados, que a menudo enfrentan dificultades al iniciar su carrera.

La creación de una comunidad sólida y de apoyo puede ayudar a retener a los médicos talentosos en la isla. Apoyo y mentoría para los recién graduados

Los médicos recién graduados pueden enfrentar una curva de aprendizaje empinada en términos de administración y gestión de oficinas médicas.

La falta de experiencia y conocimientos prácticos puede ser un obstáculo importante para mantenerse en la isla.

Es importante que los médicos más experimentados brinden apoyo y mentoría a los recién graduados. Un programa de apoyo dirigido a ellos puede ser una solución efectiva.

El poder de la comunidad médica para influir en la sociedad

La comunidad médica de Puerto Rico tiene el potencial de tener un impacto significativo en la sociedad. Al unirse y trabajar juntos, los médicos pueden compartir conocimientos, recursos y experiencias.

Esta también puede ser más efectiva en la promoción de la salud y la prevención de enfermedades.

La fuga de médicos es un problema multifactorial, pero fortalecer la comunidad médica puede ayudar a retener a los médicos talentosos en la isla.

L
Por María Martín Beltrán
124
Cómo fortalecer la comunidad médica de
Dr. Carlos Quiles Aponte Medicina Primaria Adultos niños y visitas al hogar Medicina primaria y preventiva para adultos y niños Visita al hogar Control de peso Cannabis medicinal Servicios: Horario: Martes a viernes 8AM a 4PM Cayey Ave. Antonio R. Barceló Carr. 14 Km 71.6 787-738-5764 939-687-1008 Fax 787-694-7254 cquiles@hotmail.com

CARDIÓLOGO

Servicios:

Cardiología General

Fallo Cardíaco

Trasplante Cardíaco

OFICINA:

INSTITUTO CARDIOVASCULAR DE CAROLINA

CAROLINA

AVE. FRAGOSO 4AS1 VÍA LETICIA, CAROLINA

Tel: 787-757-8780

Fax: 787-276-9174

CARDIÓLOGO | ELECTROFISIÓLOGO

Servicio: Electrofisiología

Dr. Héctor L. Banchs Pieretti Dr. Héctor L. Banchs Viñas

Dr. Jorge L. González Rodríguez

Medicina Primaria

Bo. Quebrada, Camuy

787.262.7537

Lunes Martes Miércoles Jueves Viernes

2:00PM - 6:00PM

9:00AM - 12:00M

9:00AM - 2:00PM

9:00AM - 12:00M

CERRADO

Bo. Corcovado, Hatillo

787-262-5253

drjorgegonzalezrodriguez@gmail.com

Dr. Jorge L. González Rodriguez-Oficinas

Dr. Jorge L. González Rodriguez

Lunes Martes Miércoles Jueves

Viernes

9:00AM - 12:00M

2:00PM - 6:00PM

CERRADO

2:00PM - 6:00PM

9:00AM - 2:00PM

Pólipos colorrectales: prevención y detección temprana para evitar el cáncer

El cáncer colorrectal es uno de los tipos de cáncer más comunes en Puerto Rico, tanto en hombres como en mujeres. De hecho, es la primera causa de muerte por cáncer en mujeres y la tercera en hombres.

Sin embargo, esta enfermedad es prevenible y tratable si se siguen las recomendaciones para la deteccióntemprana.

Para entenderlo, hablaremos sobre los pólipos colorrectales, lesiones precursoras del cáncer colorrectal,ycómosudetecciónyeliminacióntempranapuedesalvar vidas.

128
Por

¿Qué son los pólipos colorrectales?

Los pólipos colorrectales son crecimientos anormales de tejido epitelial que surgen de la mucosa del intestino grueso.

Estas lesiones pueden ser planas o pediculadas y se dividen en tres tipos comunes: adenomatosos, serrados sésiles e hiperplásicos.

Por lo general, los pólipos no presentan síntomas y se detectan mediante visualización directa de la mucosa intestinal en una colonoscopia.

Importancia de la detección y eliminación temprana

Los pólipos colorrectales en su mayoría son lesiones benignas, pero su importancia radica en su potencial de progresar a cáncer o malignidad. De hecho, se estima que entre un cinco y un diez porciento de los pólipos adenomatosos progresan a cáncer colorrectal si no son removidos.

Además, el riesgo de desarrollar más pólipos aumenta en un 30% una vez que un paciente ha desarrollado uno.

Los factores que aumentan el riesgo de progresión son el tamaño mayor a un cm, la presencia de displasia de alto grado y arquitectura vellosa durante la examinación microscópica.

Prevención y detección temprana

El mejor método para detectar y remover los pólipos es mediante una colonoscopia. Se recomienda que todo paciente de 45 años o más, o antes si hay historial familiar, se evalúe mediante una colonoscopia o cualquier otra prueba de cernimiento con examinaciones periódicas dependiendo de los hallazgos. Además, la colonoscopia disminuye grandemente la incidencia y mortalidad del cáncer colorrectal, ya que permite remover los pólipos y prevenir que progresen a cáncer.

Conclusión

El cáncer colorrectal es prevenible, tratable y se puede vencer con detección temprana. Los pólipos colorrectales son lesiones precursoras del cáncer colorrectal, y su detección y eliminación es crucial para prevenir su progresión a cáncer.

Si no se ha sometido a las pruebas de cernimiento, exhortamos a la población a que lo haga. Recuerde, la prevención y la detección temprana son la clave para salvar vidas.

129
Eileen Lugo-Pérez, MD Metro Pavía Clinic PR 102 Km 39.6 Sabana Grande 787-873-1755 ext. *235 drlugogi@gmail.com 2do y 4to miércoles de mes Board Certified Pediatric Gastroenterologist Gogo Foundation 1123 Ave. Hostos Ponce 787-499-5404

Medicina Primaria y Preventiva

Medicina Interna Visitas al Hogar

Manejo del dolor por tecnología láser, contamos con el único láser para manejo de dolor aprobado por la FDA

(#1 Nivel mundialTecnología Erchonia) Ej. dolor lumbar, dolor de cuello y hombro, daño de tejidos blandos, dolor pre y posoperatorio, dolor en el talón, fascitis plantar, bursitis, tendinitis, y síndrome del túnel carpiano, entre otros.

Dr. Edelmiro Carrillo Rodríguez Dr. JoséTorres Cintrón Dr. Angel J. Figueroa Rodríguez
Pacientes de ACAA SERVICIOS ptedelalbamedicalgroup@gmail.com 787.437.4020 | 787.437.4021 Fax: 787.437.4023
Calle
#26
Clearance Pre-Operatorios Cirugía Menor Nutrición
Villalba
Muñoz Rivera
Electrocardiograma Administración y lectura de tuberculina | Certificados de Salud individuales y en clínicas al mayor volumen Servicios 787-656-9392 787-690-8280 787-953-7957 Lunes, Miércoles y Jueves / 8:00 am a 5:00pm Viernes / 6:00 am a 1:00 pm Yabucoa Urb. Jardines de Yabucoa calle 3 B-8
EMSculpt NEO Abdominoplastía Liposucción Aumento de senos Mastopexia Butt lift Botox Fillers Ginecomastia Liposucción de tronco Facelift LUNESAVIERNES 8:00AM - 5:00 PM SERVICIOS Guaynabo Professional Hospital Ave las Cumbres 787.502.8217 aecpr2014@gmail.com
clinica204@bayamon-medical.com LUNES AVIERNES | 7:00 A.M. - 3:00P.M. CIRUJANO CARDIOVASCULAR Dr. José Rodríguez Vega BAYAMÓN MEDICAL PLAZA CARR. PR #2 Km. 11.7 | 2DO PISO, SUITE 204 787 620.8181 ext. 459017 / 455003 / 45004 Bayamón Medical Center Cardiovascular Surgery Team 787 622.0831
Silvio Marnez Ruiz, MD, CPC, CPMA, CRC, CDEO Medicina General y Familiar Ofrecemos el servicio de cerficados de salud en la oficina y a empresas. Completamos evaluaciones para escuelas,universidades,licenciadeconducirycerficadodematrimonio.Vacunadeinfluenzadisponible. 787-982-5328 LUNES A JUEVES: 8:00 A.M. - 5:00 P.M. VIERNES: 8:00 A.M. - 3:00 P.M. administración@drsrmr.com SANTURCE 700 Calle Dr. M Pavia Fernández, Ste. 205 Altos del Correo Pda 22 oficinamedicadrsilviomarnez dr.silviomarnez

Turn static files into dynamic content formats.

Create a flipbook
Issuu converts static files into: digital portfolios, online yearbooks, online catalogs, digital photo albums and more. Sign up and create your flipbook.