
3 minute read
07. ARTRITIS REACTIVA
Definición
Recuerda
Advertisement
La artritis reactiva tiene las características de presentar la triada de Reiter: artritis, conjuntivitis y uretritis, pero son pocos los que cumplen esta triada.
Epidemiología
Recuerda
El cuadro de Artritis reactiva es post infeccioso de infecciones GU o GI que ocurrieron 1 a 6 semanas antes.
Diagnóstico
La artritis reactiva es un trastorno inflamatorio sistémico caracterizado por artritis aséptica que surge de 1 a 6 semanas después de una infección extraarticular, generalmente de origen gastrointestinal o urogenital.
La definición clásica incluye una tríada de Reiter con síntomas uretrales, conjuntivales y sinoviales, pero alrededor del 70% de los pacientes no presentan la tríada clásica.
La artritis reactiva es un tipo de espondiloartropatía sin necesariamente afectación axial.
Es más común en hombres después de una infección genitourinaria, pero igualmente común en hombres y mujeres después de una infección gastrointestinal.
Se desconoce la patogenia específica, pero es más común en pacientes positivos para el antígeno leucocitario humano HLA -B27.
Adultos de 20 a 40 años
Más común en hombres después de infecciones genitourinarias (proporción hombre / mujer estimada entre 5: 1 y 10: 1) con cualquiera de:
♦ Chlamydia trachomatis
♦ Neisseria gonorrhoeae
♦ Mycoplasma genitalium
♦ Ureaplasma urealyticum
Igualmente, común en hombres y mujeres después de infecciones gastrointestinales como:
♦ Infecciones por Campylobacter
♦ Infecciones por Salmonella
♦ Infecciones por Shigella
♦ Infecciones por Yersinia
La presentación varía mucho, desde una enfermedad leve y localizada hasta una enfermedad multisistémica grave.
La oligoartritis asimétrica aguda (que suele causar entesopatía de rodilla, tobillo o talón) está presente en el 95% de los casos.
La conjuntivitis, presente en aproximadamente el 30%, suele ser leve y puede preceder a la artritis en unos pocos días.
No hay criterios diagnósticos establecidos para la artritis reactiva.
Diagnóstico basado en la clasificación de la espondiloartropatía mediante la historia y el examen físico y la identificación de una infección reciente.
Los rasgos característicos de la espondiloartropatía incluyen: (ENAM 2013-A).
♦ Miembro inferior, artritis periférica asimétrica
♦ Dolor lumbar o de nalgas sugestivo de sacroileítis
♦ Entesitis
♦ Lesiones extraarticulares asociadas
♦ Los antecedentes familiares de espondiloartropatía o enfermedades relacionadas pueden respaldar el diagnóstico.
Recuerda
No hay criterios rígidos de diagnóstico de artritis reactiva pero el 100% debe tener oligoartritis asimétrica, además, entesitis como talalgia y lesiones dérmicas o ulceras orales.
El inicio de la infección puede ser asintomático y requerir pruebas para identificar
La artritis reactiva puede estar infradiagnosticada y mal diagnosticada.
La infección inicial puede ser asintomática
Las formas leves pueden no ser reconocidas
Los síntomas de la artritis se resuelven espontáneamente en la artritis reactiva aguda.
La artritis relacionada con una infección incluye todas las artritis asociadas con infecciones (excepto la artritis séptica).
Criterios principales para la artritis reactiva
Artritis con ≥ 2 de los siguientes

♦ Asimetría
♦ Monoartritis u oligoartritis
♦ Presencia en miembros inferiores
Infección sintomática anterior con cualquiera
♦ Enteritis (diarrea que dura ≥ 1 día, entre 3 días y 6 semanas antes de la artritis)

♦ Uretritis (disuria / secreción que dura ≥ 1 día, entre 3 días y 6 semanas antes de la artritis)
Manifestaciones extraarticulares
Síntomas oculares, como conjuntivitis y, con menor frecuencia, uveítis anterior, epiescleritis y queratitis. (Ver Figura 16)

Síntomas del tracto genitourinario, como disuria, dolor pélvico, uretritis, cervicitis, prostatitis, salpingooforitis o cistitis.
Síntomas gastrointestinales, como diarrea.
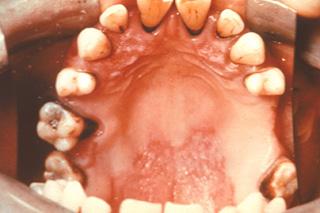
Lesiones orales, incluidas úlceras mucosas indoloras (Diagnostico diferencial con Behcet)
(Ver Figura 17)
Recuerda
Las manifestaciones extraarticulares son más frecuentes que en otros cuadros de SpA.
Erupciones cutáneas y otros cambios cutáneos, como queratodermia blenorrágica (lesiones cutáneas hiperqueratósicas en plantas de los pies y palmas que se asemejan a la psoriasis pustulosa) y, con poca frecuencia, eritema nodoso. (Ver Figura 18 y 19)


Cambios en las uñas que se asemejan a los que se observan en la psoriasis (Ver Figura 20)

Lesiones genitales como la balanitis circinada (lesiones eritematosas indoloras con pequeñas úlceras superficiales en el glande del pene y el meato uretral) (Ver Figura 21)
Las manifestaciones cardíacas, que son poco frecuentes, incluyen valvulopatía, en particular insuficiencia aórtica, con una mayor cronicidad de la enfermedad. En muy raras ocasiones se ha informado de pericarditis.

Tratamiento Recuerda
El tratamiento de elección son los AINE y puede autolimitarse.
La artritis reactiva suele ser autolimitada y se resuelve espontáneamente en 6 meses sin tratamiento.
La artritis reactiva crónica, a menudo con un patrón recurrente / remitente, ocurre en el 30-50% de los pacientes.
Enfoque del uso de medicamentos:
♦ Antiinflamatorios no esteroides (AINE) como tratamiento de primera línea.
♦ Considerar los glucocorticoides para pacientes con artritis reactiva aguda con respuesta inadecuada de los síntomas articulares o intolerancia a los AINE.
♦ Considerar la posibilidad de utilizar fármacos antirreumáticos modificadores de la enfermedad (FARME) en pacientes con artritis reactiva aguda refractaria a los AINE y / o corticosteroides, o para aquellos que desarrollan una enfermedad crónica.
♦ El tratamiento con factor de necrosis antitumoral (TNF) -alfa puede tener un beneficio potencial en pacientes con artritis reactiva, pero hay pruebas muy limitadas de eficacia.
♦ Utilice un tratamiento con antibióticos para pacientes con infección genitourinaria aguda.
