
4 minute read
05. ESPONDILITIS ANQUILOSANTE
Definición
Enfermedad reumática inflamatoria crónica que afecta principalmente a las articulaciones sacroilíacas y la columna
Advertisement
Un subtipo de un grupo de trastornos inflamatorios llamados Espondiloartritis axial
Tipo de espondiloartritis axial con sacroileítis radiográfica definida


Más común en hombres que en mujeres (la proporción de hombres a mujeres es de 2-3: 1)
Pico de edad de aparición entre los 20 y 30 años, y el 80% presenta los primeros síntomas antes de los 30 años.
Recuerda
La espondilitis anquilosante se suele presentar como lumbalgia crónica inflamatoria entre los 20 y 30 años en la mayoría con mayor preferencia de varones.
Prevalencia
Las estimaciones de prevalencia oscilan entre el 0,1% y el 2% Incidencia reportada entre 0.5 y 14 por 100,000 personas / año.
Factores de riesgo
El gen HLA-B27 está presente en el 90% de los pacientes con espondilitis anquilosante, aunque solo el 5% de los individuos con este gen desarrollará la enfermedad
Historia familiar
Riesgo de desarrollar espondilitis anquilosante 8,2% entre familiares de primer grado
Se desconoce la causa exacta, pero la enfermedad puede ocurrir debido a una combinación de factores genéticos y ambientales.
Recuerda
Las Espondiloartropatías y en especial la EA se asocian a HLA B27 en más de 90%.
Causas Fisiopatología
Recuerda
Existe en la EA un intenso proceso inflamatorio mediado sobre todo por TNF y se forman característicamente en columna sindesmofitos.
- El alelo HLA-B27 en el complejo principal de histocompatibilidad (CMH) está presente en > 90% de los pacientes con espondilitis anquilosante (en comparación con <10% en la población general), sin embargo, solo alrededor del 5% de las personas con HLA-B27 desarrollan espondilitis anquilosante
El alelo HLA-B27 parece ser responsable de aproximadamente el 20% de la heredabilidad de la espondilitis anquilosante Factores ambientales menos establecidos, pero las causas postuladas incluyen:
♦ Estrés mecánico en las entesis
♦ Infecciones patógenas
La enfermedad ocurre en las entesis (puntos de unión entre el tendón, el ligamento o la cápsula y el hueso) y consta de al menos 3 procesos
♦ Inflamación
– El factor de necrosis tumoral (TNF) parece desempeñar un papel importante
No está claro cómo, o si, la inflamación está relacionada con la erosión ósea y los procesos de formación de sindesmofitos.
♦ Erosión ósea
– Los factores que destruyen los huesos involucrados incluyen la proteinasa colagenolítica catepsina k y la metaloproteinasa 1 (MMP1) de la matriz que degrada el colágeno
Los cambios erosivos en las esquinas de los cuerpos vertebrales ocurren temprano en la enfermedad.
– Los factores osteoclásticos implicados en la artritis reumatoide no parecen ser los mismos que los implicados en la espondilitis anquilosante.
♦ Formación de sindesmofitos (espolones)
– Tanto la formación endocondrala como la directa de hueso contribuyen a la anquilosis.
Espolones óseos llamados sindesmofitos aparecen más tarde en la enfermedad
– Los sindesmofitos pueden eventualmente fusionarse con los cuerpos vertebrales, causando una "caña de bambú", donde la columna aparece como una sola pieza en las imágenes.
Diagnóstico
El síntoma predominante de la EA es el dolor lumbar crónico, que con frecuencia es de carácter inflamatorio.
El dolor lumbar inflamatorio se caracteriza por una edad de inicio <40 años, inicio insidioso, asociación con rigidez matutina, mejoría con el ejercicio, pero no con el reposo y dolor por la noche.
Los pacientes con EA también pueden tener artritis periférica, entesitis y dactilitis.
Criterios de clasificación: Válido para pacientes con dolor de espalda ≥ 3 meses y edad de inicio <45 años
Los pacientes deben tener cualquiera de los siguientes
♦ Sacroileítis en la radiografía (grado 2 bilateral o grado 3-4 unilateral) o resonancia magnética (edema de médula ósea u osteítis) más ≥ 1 característica de espondiloartritis a continuación, O
♦ HLA-B27 más ≥ 2 otras características de espondiloartritis a continuación (ENAM 2020, ENAM 2013-A):
– Lumbalgia inflamatoria
Artritis
– Entesitis
Uveítis
Enfermedad de Crohn / colitis ulcerosa
– Soriasis
Antecedentes familiares de espondiloartritis
Buena respuesta a los medicamentos antiinflamatorios no esteroideos (AINE)
Proteína C reactiva elevada
–
♦ El diagnóstico de espondilitis anquilosante se basa en el cumplimiento de los criterios modificados de Nueva York para la espondilitis anquilosante, que requiere (ENAM 2016-B):
–
≥ 1 de los siguientes:
–
Movimiento limitado de la columna lumbar en los planos sagital y frontal (Test de Schober positivo) que es la limitación de la columna lumbo-sacra) (ENAM 2009-A)
– Disminución de la expansión del tórax para la edad y el sexo.
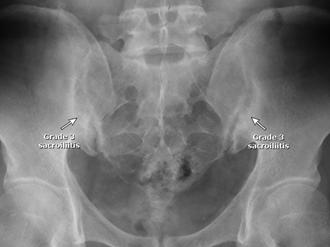
Figura 14. Sacroileitis
Radiografías simples de la columna y la pelvis como técnicas de imagen iniciales


– Imágenes de resonancia magnética para detectar cambios tempranos que no se ven en las radiografías simples
–- Derivar a los pacientes con dolor de espalda inflamatorio a un reumatólogo para una evaluación y confirmación adicionales
♦ Las manifestaciones extraarticulares pueden incluir:
– Uveítis anterior: es frecuente complicación de EA. La frecuencia de uveítis en pacientes con EA es aproximadamente del 25 al 35 por ciento, pero las estimaciones precisas son difíciles porque la aparición de uveítis se asocia con una duración más prolongada de la enfermedad y la presencia de antígeno leucocitario humano (HLA) -B27.
–
Psoriasis
Las comorbilidades adicionales incluyen, por ejemplo, enfermedades cardiovasculares.
–
– También pueden ocurrir complicaciones. En EA, existe un riesgo significativamente mayor de fracturas vertebrales por traumatismos de bajo impacto relacionados con la rigidez de la columna y la baja densidad mineral ósea.
Recuerda
El diagnóstico de EA requiere siempre de sacroileítis asociada lumbalgia crónica inflamatoria, limitaciones funcionales en columna y tórax.

Tratamiento Recuerda
El tratamiento no farmacológico es el más importante en especial el ejercicio diario asociado a AINE y en severa o persistente enfermedad Anti-TNF como infliximab.
El tratamiento óptimo requiere una combinación de estrategias farmacológicas y no farmacológicas.
El tratamiento no farmacológico incluye la educación del paciente y el ejercicio regular de la espalda. La fisioterapia ayuda a mejorar el dolor de columna y la función física.
Uso de AINE como tratamiento farmacológico de primera línea para pacientes con dolor y rigidez. Todos los AINE tienen una eficacia similar.
Los inhibidores del factor de necrosis tumoral (TNF) se recomiendan para pacientes con actividad de la enfermedad persistentemente alta a pesar del tratamiento convencional. Las opciones incluyen Adalimumab, Etanercept, golimumab, certolizumab o infliximab.
Para los pacientes que tienen una respuesta inadecuada a los inhibidores de TNF, considere secukinumab o ixekizumab (inhibidores de IL-17).
Por lo general, no se recomiendan los esteroides orales. Los esteroides intraarticulares pueden usarse para sacroileítis aislada u oligoartritis periférica.
Manejar manifestaciones extraarticulares como psoriasis, uveítis y EII en colaboración con especialistas multidisciplinares.
Monitoree la progresión de la enfermedad y trate las comorbilidades como hipertensión, osteoporosis, apnea del sueño y enfermedades cardiovasculares. Dejar de fumar es importante para reducir la progresión de la enfermedad.
