
5 minute read
Otitis externa localizada aguda
El término localizada o circunscrita es debido a que se desarrolla en el tercio externo del CAE, ya que es una infección de una glándula pilosebácea, por lo tanto, también puede ser considerado como una foliculitis o hasta un forúnculo. Suele ser favorecida por la humedad.
Etiología
Advertisement
Es de etiología bacteriana, siendo la más frecuente S. aureus.
Recuerda
El signo del trago positivo es un signo de otitis externas, aunque podría haber un trago positivo en una OMA, pero en un lactante que aún tiene las estructuras óseas blandas y la presión del trago genere presión del oído medio y por ende dolor.
Clínica
El paciente cursa con otodinea, signo del trago positivo, también posible ver otorrea si es que empieza a drenar. A la otoscopía se evidencia signos inflamatorios localizados tercio externo de CAE.
Manejo
Se brinda sintomáticos para dolor e inflamación, pero también antibióticos por vía oral como amoxicilina más ácido clavulánico y además antibióticos tópicos tipo mupirocina.
Otitis externa difusa (Otitis del nadador)

Es un proceso infeccioso de toda la piel que cubre el CAE, por lo tanto, es considerado una dermoepidermitis. Esta favorecida por cambios en el pH debido al contacto del agua de la piscina, también por lesiones directas, limpieza frecuente con hisopos.
Etiología
Suele ser causada por bacterias gran negativas, siendo el más frecuente Pseudomona aeruginosa. Pero, también gram positivos como S. epidermidis y S. aureus.
Clínica
Presentan otodinea de leve a severa, signo del trago positivo, otorrea, prurito. A la otoscopía se evidencia una inflamación de todo el CAE y secreciones. Esto conlleva a una disminución del calibre del CAE generando una poca visibilidad del tímpano, el cual puede estar eritematoso; e incluso obliterar el CAE al grado de generar una hipoacusia de transmisión. En una otoscopía neumática, el tímpano no debe perder su movilidad si se trata de una otitis externa difusa aislada, ya que, si la movilidad se compromete o hay un tímpano perforado, es probable que el foco principal de la enfermedad sea el oído medio con inflamación secundaria del CAE. El diagnóstico es clínico, los cultivos se reservan para casos graves.
El espectro de gravedad de la otitis externa varía de leve a grave, según los síntomas de presentación y el examen físico:
La enfermedad leve se caracteriza por molestias leves y prurito. Hay un edema de canal mínimo.
La enfermedad moderada se caracteriza por un grado intermedio de dolor y prurito. El canal está parcialmente ocluido.
La enfermedad grave se caracteriza por un dolor intenso y el canal está completamente ocluido por el edema. Suele haber eritema periauricular, linfadenopatía y fiebre.
Manejo
El manejo incluye limpieza del CAE, analgesia, antiinflamatorios y antibióticos. La limpieza es el primer paso en el manejo ya que facilita la cicatrización y mejora la penetración del tratamiento tópico, e incluso si la membrana timpánica está intacta podría aplicarse dilución
1:1 de peróxido de hidrógeno 3% con agua a temperatura corporal. Para la analgesia se brindaría AINEs como ibuprofeno o naproxeno. Para la inflamación e infección, se puede basar en la gravedad del cuadro. En formas leves se brinda preparado tópico de ácido acético-hidrocortisona, y podría no darse antibiótico. En cuadros moderados se usa combinaciones de ciprofloxacino-hidrocortisona o neomicinapolimixina B-hidrocortisona. En formas graves, además del manejo como moderado, se les coloca mechas que están hechas de una esponja de alcohol polivinílico; si además tienen una infección tisular más profunda (más allá del CAE) se le debe brindar antibióticos sistémicos, como ciprofloxacino u ofloxacino.
Otitis externa micótica (Otomicosis)



La otomicosis es una infección por hongos del conducto auditivo externo. La otomicosis puede ocurrir como la infección primaria o puede desarrollarse junto con una otitis externa bacteriana, generalmente como resultado de la terapia con antibióticos. Los factores que predisponen son vivir en lugares tropicales y subtropicales (probablemente por la humedad), la natación, el rascado, la limpieza frecuente, el uso excesivo de antibióticos tópicos.
Etiología
Los hongos más comunes son Aspergillus niger y Cándida.
Clínica
Lo característico y más molesto de este cuadro es el prurito, pero sin dolor o muy poco, secreción y/o sensación de cuerpo extraño en CAE. La infección micótica se suele ubicar en la parte medial del CAE, esto puede deberse en parte a la ubicación del receso timpánico inferior, lo que facilita la acumulación de escombros en esta zona, además porque es una zona más oscura y cálida que permite el crecimiento micótico.
A la otoscopía el proceso inflamatorio es menor comparado con la otitis externa difusa, los crecimientos micóticos se verán como finos filamentos de hongos y esporas que se asemejan al moho que crece en los alimentos en mal estado. Las esporas de A. niger parecen un polvo fino de carbón rociado en el canal auditivo. El Aspergillus también puede parecerse a un periódico húmedo o papel secante. Las infecciones por cándida generalmente se asocian con un material blando, blanco, parecido a las sebáceas que puede llenar el canal auditivo en casos graves. Una pseudomembranosa a menudo recubre el canal auditivo que, cuando se retira, revela una membrana granular friable subyacente.
Manejo
Aquí también el pilar del tratamiento es la limpieza del CAE y un tratamiento antimicótico tópico (incluye antifúngicos, antisépticos, soluciones acidificantes, corticoides y agentes secantes). Los antifúngicos tópicos son de primera línea, se puede usar una solución de clotrimazol 1% por ejemplo. Se pueden utilizar antifúngicos orales en casos refractarios. Los antifúngicos intravenosos se reservan para pacientes con sospecha de otomicosis invasiva.
Otitis externa maligna (necrosante)

Es una infección invasiva del conducto auditivo externo y de la base del cráneo, que ocurre típicamente en pacientes ancianos con diabetes mellitus. Los informes cada vez mayores de otitis externa maligna en pacientes infectados con el virus de la inmunodeficiencia humana (VIH) implican a un sistema inmunológico comprometido como un factor predisponente en esta enfermedad. La cirugía de oído reciente y la irritación de los audífonos pueden ser factores de riesgo de otitis externa maligna. Tiene una mortalidad de hasta el 50% de casos (de ahí el término maligno).
Recuerda
La causa más frecuente en pericondritis auricular, otitis externa difusa, otitis externa maligna es Pseudomona aeruginosa.
Etiología
La otitis externa maligna es causada por P. aeruginosa en más del 95% de los casos. Cuando se recupera más de un organismo, los aislados que acompañan a P. aeruginosa tienden a ser flora cutánea normal. Los informes ocasionales de casos causados por otros organismos han incluido especies de Aspergillus, Staphylococcus aureus, Proteus mirabilis, Klebsiella oxytoca, Burkholderia cepacia y Candida parapsilosis. La infección con estos otros organismos se produce de forma característica en huéspedes inmunodeprimidos, como los que padecen SIDA o cáncer.
Clínica
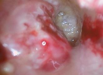
Es característico la otodinea y otorrea. La otodinea es intensa, incluso más que la otitis externa difuso, además es un dolor que tiende a ser nocturno y se extiende a la articulación temporomandibular, lo que produce dolor al masticar. En el examen físico, el tejido de granulación es frecuentemente visible en la porción inferior del conducto auditivo externo entre la porción cartilaginosa y ósea del CAE. A medida que avanza la infección, pueden desarrollarse osteomielitis de la base del cráneo y osteomielitis de la articulación temporomandibular. La progresión de la osteomielitis puede asociarse con parálisis de pares craneales. Otras complicaciones del sistema nervioso central son raras, pero pueden ser fatales cuando ocurren. Estos incluyen meningitis, abscesos cerebrales y tromboflebitis del seno dural. El diagnóstico a menudo se pasa por alto, lo que lleva a un retraso en la terapia eficaz. En ausencia de un único criterio patognomónico, el diagnóstico de otitis externa maligna se basa en una constelación de hallazgos clínicos, de laboratorio y radiográficos.
Exámenes
En laboratorio los parámetros suelen ser normales, con excepción de la elevación del VSG y PCR. Se deben realizar cultivos del drenaje del canal auditivo, o granulaciones, y enviarlos para tinción de Gram y cultivo para bacterias. También deben enviarse tinciones y cultivos para hongos. En imágenes la TEM y la RMN pueden ser útiles tanto para el diagnóstico (se observaría erosiones del hueso temporal) como para el seguimiento.
Manejo
A diferencia de las demás otitis externas, esta es de manejo hospitalario. Los antimicrobianos antipseudomónica son el pilar de la terapia para la otitis externa maligna. Para formas no complicadas se puede brindar monoterapia con ciprofloxacino endovenoso, en formas avanzadas o paciente inmunodeprimido o con alta tasa local de resistencia a las fluoroquinolonas se puede combinar ciprofloxacino con un betalactámico antipseudomónico. La cirugía se usó para el desbridamiento quirúrgico y para la reconstrucción de los tejidos dañados.

