Ebook - Otorrinolaringología - ENAM 2023

Page 1

OTORRINOLARINGOLOGÍA

Vértigo posicional paroxístico benigno (VPPB)

Hipertrofia de amígdalas adenoides

Apnea obstructiva del sueño (SAOS) Infecciones de faringe (Faringoamigdalitis)

Abscesos faríngeos Tumores de faringe

Í NDICE
Otitis externa maligna Apéndices
Impactación de cerumen Cuerpos extraños en CAE 01 Pericondritis Otohematoma Microtia/anotia Fositas preauriculares Patologías del oído externo Presbiacusia Sordera laboral o profesional Neurinoma del acústico pág. 11 Otitis media serosa Otitis media aguda supurada Otitis media crónica supurada
Otitis externa micótica
auriculares accesorios
Neuronitis
Enfermedad
Meniere Parálisis facial
vestibular
de
Hipertrofia de amígdalas palatinas
Tumores malignos 02 pág. 23 Patologías del oído medio 03 pág. 29 Patologías del oído interno 05 pág. 53 06 pág. 61 Patología de la faringe
de laringe
Otitis externa difusa
colesteatoma
Parálisis
Parálisis laríngeas Tumores benignos
Patología
Otitis externa localizada aguda
Otitis media crónica colesteatomatosa o
Vértigo
de Bell
Fracturas nasales Cuerpos extraños intranasales Epistaxis Rinitis Pólipos nasosinusales Rinosinusitis aguda 04 pág. 39 Patología nasosinusal Tumores nasosinusales benignos Tumores nasosinusales malignos

01. PATOLOGÍAS DEL OÍDO EXTERNO

Pericondritis

La pericondritis surge de una infección del pericondrio. La condritis es una inflamación e infección del propio cartílago.

Etiología

Pseudomonas aeruginosa es el patógeno hasta en el 95% de los casos.

Clínica

La pericondritis y condritis pueden provocar una deformidad drástica del oído. Los signos de pericondritis o condritis incluyen dolor, hinchazón y eritema de la piel suprayacente. La hinchazón fluctuante indica un absceso.

Tratamiento

Las opciones de antibióticos incluyen fluoroquinolonas orales (por ejemplo, levofloxacina) en adolescentes y adultos y antibióticos parenterales (por ejemplo, ceftazidima) en niños. Incluso con un tratamiento antibiótico adecuado y oportuno, estas infecciones pueden provocar necrosis del cartílago y desfiguración cosmética. La presencia de absceso indica drenaje.

Otohematoma

Recuerda

La sangre del otohematoma se localiza entre el pericondrio y el cartílago auricular.

Es una colección de sangre en el espacio subcondral, es decir, entre el cartílago y el pericondrio. Esto es muy importante reconocer ya que debemos recordar que el pericondrio es el encargado del mantenimiento del cartílago, por lo que conllevaría a una necrosis y riesgo de infección. Al alterase el cartílago sigue una fibrosis y formación de neocartílago, es cual es un proceso desorganizado lo que genera una deformidad cosmética (oreja de coliflor u oreja del boxeador). De ahí, la importancia del drenaje.

Etiología

Traumatismos directos en la oreja, frecuentemente asociado por lesiones deportivas tipo boxeo, lucha libre, rugby y artes marciales.

Clínica

El hematoma auricular agudo se presenta como una acumulación de sangre sensible, tensa y fluctuante, típicamente en la cara anterior del pabellón auricular y a menudo dentro de la fosa escafoide, la depresión entre la hélice y el antihélix. La piel suprayacente puede ser eritematosa o equimótica. Si el hematoma ha comenzado a coagularse y organizarse (aproximadamente 24 horas después de la lesión), puede volverse más firme.

www.qxmedic.com PAG. 11
Figura 1. Pericondritis de la oreja derecha después de una perforación de la oreja alta.

Por el contrario, la oreja de coliflor es una deformidad bulbosa crónica del pabellón auricular en el área de un hematoma auricular anterior.

Con menos frecuencia, los hematomas auriculares pueden acompañar a lesiones graves en la cabeza, el tímpano o el oído medio durante colisiones de vehículos de motor u otros mecanismos de alta energía.

Recuerda

El drenaje es crucial en el manejo del otohematoma por el alto riesgo de necrosis.

Manejo

Todos los hematomas auriculares deben drenarse lo antes posible después de la lesión. Clásicamente el drenaje debe ser hecho delante del antihélix. Los hematomas de más de siete días pueden haber comenzado a organizarse y formar tejido de granulación y justificar la derivación a un otorrinolaringólogo o cirujano plástico.

Los pacientes anticoagulados pueden desarrollar hematomas auriculares después de un traumatismo incidental. El abordaje de estos pacientes depende de la indicación de anticoagulación, el riesgo individual de tromboembolismo si se interrumpe la anticoagulación y el tipo de anticoagulante que está recibiendo el paciente.

El procedimiento de drenaje requiere una anestesia local previa con lidocaína al 1 o 2% con epinefrina (no en el mismo oído), luego se procede al drenaje que puede ser: aspiración con aguja, incisión y drenaje, o evacuación utilizando un catéter intravascular. La decisión de alguno de ellos dependerá del tamaño y tiempo de evolución del hematoma.

Microtia/anotia

Es un desarrollo y crecimiento incompleto del pabellón auricular, que da como resultado un pabellón auricular pequeño (microtia) o ausente (anotia). Cuando es unilateral se define por una diferencia en tamaño con el otro pabellón auricular en un 10%, el lado derecho es más frecuente. La forma bilateral se define como una longitud del oído externo que está más de 2 desviaciones estándar por debajo de la media. Pueden ocurrir de forma aislada o asociado a síndrome genéticos y otras malformaciones; ejemplo de síndromes son síndrome de Treache-Collins y síndrome de Goldenhar. Ocurren con mayor frecuencia en niños, a mayor altitud, hijo de madre diabética y exposición prenatal a isotretinoína, talidomida, alcohol y micofenolato.

www.qxmedic.com OTORRINOLARINGOLOGÍA PAG. 12
Figura 2. Hematoma auricular de oreja derecha Figura 3. Oreja derecha en forma de “oreja de coliflor” y “oreja del boxeador”

Clasificación

Clasificación de Marx de 1926

Grado I: más pequeño de lo normal, pero la oreja tiene una anatomía mayoritariamente normal.

Grado II: parte de la oreja parece normal, generalmente la mitad inferior. El canal puede ser normal, pequeño o completamente cerrado.

Grado III: solo un pequeño remanente de piel y cartílago "en forma de maní", no hay canal que se llama atresia auditiva.

Grado IV: ausencia completa tanto del oído externo como del canal auditivo, también llamada "anotia".

Evaluación

Su evaluación incluye pruebas radiológicas y un examen completo para identificar defectos que pueden estar asociados. Las consultas apropiadas en el período neonatal incluyen un genetista clínico, un audiólogo pediátrico, un otorrinolaringólogo pediátrico o un cirujano plástico pediátrico.

Manejo

Cuando es un defecto menor es posible que no requiera manejo quirúrgico. Si es mayor el defecto se realizaría una reparación quirúrgica, puede ser con cartílago autólogo realizado en niños entre los 6 a 10 años, después que el pabellón auricular haya alcanzado el 80% de su tamaño de adulto, es un manejo que requiere de varias intervenciones; podría también hacerse una reconstrucción con armazones auriculares sintéticos, lo bueno es que realiza en una sola intervención.

Fositas preauriculares

Son hendiduras anteriores al hélix y superior al trago, en un 25 a 50% son bilaterales. Son bastante comunes. Hay anomalías congénitas asociadas en un tercio de los casos. (Ver Figura 5)

Evaluación

Los pacientes deben someterse a una evaluación audiológica, ya que su riesgo de hipoacusia permanente es cinco veces mayor que el de la población general. La incidencia de anomalías renales en pacientes con fosas preauriculares aisladas no difiere sustancialmente de la de la población general. Las fosas preauriculares están asociadas al síndrome branquio-otorenal.

www.qxmedic.com PAG. 13 OTORRINOLARINGOLOGÍA
Figura 4. Grado I, II, III y IV de microtia/anotia.

Manejo

No suelen requerir cirugía a menos que se infecten repetidamente o descarguen material escamoso. La cirugía debe incluir la escisión de la fosa, el quiste de revestimiento escamoso que generalmente se encuentra debajo de la piel, y el cartílago en la raíz del hélix en bloque para evitar la recurrencia. (Ver Figura 6)

Apéndice auricular accesorio

Los apéndices están compuestos de piel, grasa subcutánea y/o cartílago, pueden aparecer cerca de la aurícula o en cualquier lugar a lo largo del borde anterior del músculo esternocleidomastoideo. Cuando se ubican en el área preacuricular, se denominan apéndices preauriculares. (Ver Figura 7)

Evaluación

Los niños con apéndices auriculares accesorios pueden tener una pérdida auditiva unilateral asociada y deben someterse a un cribado auditivo del recién nacido. La evaluación también debe incluir sospechar en algunos síndromes ya que los apéndices auriculares accesorios, particularmente en el trago, con o sin microtia asociada pueden aparecer como parte del espectro óculo-auriculo-vertebral (también llamado síndrome de Goldenhar)

www.qxmedic.com OTORRINOLARINGOLOGÍA PAG. 14
Figura 5. Fosa preauricular drenando material escamoso Figura 6. La extirpación del hoyo preauricular debe incluir la escisión del hoyo, el quiste con revestimiento escamoso y el cartílago en la raíz de la hélice en bloque para evitar la recurrencia. Figura 7. Apéndice preauricular en lado derecho

Manejo

Los apéndices auriculares accesorios y los apéndices preauriculares generalmente se eliminan en la infancia con fines cosméticos. La escisión con cierre quirúrgico plástico proporciona mejores resultados que la ligadura neonatal con sutura o bandas elásticas porque las lesiones se extienden típicamente a los planos del tejido subcutáneo.

Impactación de cerumen

El cerumen está compuesto por secreciones de glándulas tanto sebáceas como ceruminosas ubicadas en el tercio lateral del canal auditivo. Estas secreciones se mezclan con la piel descamada, las bacterias de la flora cutánea normal y el vello depilado ocasional para formar cerumen. El agua atrapada en el canal auditivo también se mezcla con el cerumen. Cuando genera síntomas molestos y/o evita una evaluación del CAE se denomina impactación de cerumen.

Etiología

Existe un patrón migratorio del epitelio que recubre el canal auditivo es de medial a lateral. Esta migración de la piel junto con el movimiento de los tejidos blandos alrededor de la articulación temporal-mandibular sirven para eliminar el exceso de cerumen del canal auditivo. El cerumen se acumula cuando este sistema se frustra, se descompone o es inadecuado. Las principales razones por las que el cerumen se acumula en el CAE incluyen:

Alteración de la migración natural de la piel del conducto auditivo debido a una enfermedad del conducto auditivo: la enfermedad del conducto auditivo puede ocurrir dentro del hueso, los tejidos blandos o la piel del conducto auditivo.

Estrechamiento del canal auditivo

Cambio en la textura del cerumen y por ende falla de la migración epitelial

Sobreproducción

Recuerda

Si en una pregunta de otorrinolaringología te mencionan que el paciente acudió a una piscina y ahora tiene hipoacusia, piensa en tapón de cerumen

(ENAM 2004, 2005) y en otitis externa difusa (otitis del nadador).

Clínica

La acumulación de cerumen suele ser asintomática. Sin embargo, en algunos pacientes, el cerumen puede impactarse, dando lugar a uno o más de los siguientes síntomas:

Pérdida de la audición

Dolor de oídos

Plenitud del oído Picazón

Tos refleja

Mareo Tinitus

Al examen otoscopio se puede visualizar. Su textura puede ser líquida hasta duro como una roca. El color varía de un rojo oscuro profundo a negro a blanquecino. Un individuo determinado puede tener cerumen de diferente color en cada oído. El color del cerumen refleja su composición, pero no necesariamente representa la normalidad o la salud del canal externo.

www.qxmedic.com PAG. 15 OTORRINOLARINGOLOGÍA
Figura 8. Otoscopía de un CAE con cerumen impactado

Manejo

La extracción dependerá de si es sintomático o asintomático, si son sintomático se procede a la extracción, por otro lado, hay pacientes que no pueden expresar los síntomas como son los niños pequeños y los pacientes con deterioro cognitivo, por lo que en ellos también se recomienda la extracción. En pacientes asintomáticos que tienen la capacidad de identificar y comunicar los síntomas no se les debe extirpar el cerumen.

Hay tres opciones terapéuticas recomendadas para la extracción: agentes cerumenolíticos, irrigación y extracción manual. Las revisiones sistemáticas no han encontrado superioridad de un método sobre otro.

Las complicaciones que pueden presentarse por la extracción dependerán del método usado. Los cerumenolíticos pueden provocar reacciones alérgicas, otitis externa, dolor de oído, pérdida auditiva transitoria y mareos. Un efecto adverso común de la irrigación es la retención de agua detrás del cerumen eliminado por completo, lo que da como resultado la maceración de la piel y una posible infección. También pueden producirse perforación de la membrana timpánica, hipoacusia, acúfenos, dolor y vértigo, sobre todo después de una irrigación agresiva para la acumulación de cerumen. Los efectos adversos más comunes con la extracción manual de cerumen incluyen dolor de oído, sangrado, laceración y perforación de la membrana timpánica.

Cuerpos extraños en CAE

La mayoría se presenta en menores de 6 años, y una porción más pequeña ocurre en niños mayores y adultos con necesidades especiales. Son más frecuentes en el oído derecho, debido a que la mayoría son diestros.

Clínica

Los pacientes con cuerpos extraños del CAE suelen estar asintomáticos. Las presentaciones comunes incluyen:

Preocupación del cuidador por un cuerpo extraño en el CAE basado en presenciar la colocación o ver algo en el oído

Hallazgo incidental durante la otoscopia de rutina

Disminución de la audición o dolor de oído.

Drenaje de oído purulento o con sangre (raro)

Tos o hipo crónico (raro)

La visualización de un cuerpo extraño en el CAE en la otoscopia confirma el diagnóstico. El otro oído y ambas fosas nasales también deben examinarse de cerca en busca de cuerpos extraños adicionales. Como diagnósticos diferenciales se tiene al colesteatoma congénito, y debido a que el cuerpo extraño puede causar drenaje del oído, otras causas de otorrea merecen consideración, siendo el más común de ellos la otitis media aguda.

www.qxmedic.com OTORRINOLARINGOLOGÍA PAG. 16
Figura 9. Eliminación de cerumen o cuerpo extraño por irrigación (el método más utilizado), el chorro se dirige a la pared posterosuperior del CAE

Manejo

Recuerda

Si el cuerpo extraño en CAE es un insecto, primero se debe instilar aceite mineral (ENAM 2005), lidocaína (ENAM 2017) 1% o etanol para primero matarlo y luego hacer la irrigación o instrumentalización.

Recuerda

Si un cuerpo extraño genera complicaciones como infección, lo ideal es que sea visto por el especialista.

(ENAM EXTRA 2021-I)

El tipo de cuerpo extraño determina el momento de la extracción. Las pilas de botón, los insectos vivos y los cuerpos extraños penetrantes justifican su extracción urgente. En el caso de otros cuerpos extraños de CAE (por ejemplo, perlas redondas, papel o gomaespuma), la extracción se puede aplazar hasta que el equipo y el personal necesarios estén disponibles, siempre que el paciente esté asintomático. Los procedimientos pueden ser:

La irrigación: la cual es útil para objetos inorgánicos o insectos, pero contraindicada en pacientes con tubos de timpanostomía o membranas timpánicas perforadas y para la eliminación de materia vegetal (por ejemplo, un frijol)(ENAM 2008) o pilas de botón.

Instrumentalización bajo visión directa: aquí se puede utilizar instrumentos como: extractor de cuerpos extraños de Schuknecht, un rango de Day y ángulo recto y una pinza de cocodrilo de Hartmann.

La abrasión o laceración del CAE es la complicación más común de la extracción de un cuerpo extraño y ocurre hasta en el 50% de los pacientes. Se ha informado de perforación de la membrana timpánica y daño del oído medio, pero ocurren con mucha menos frecuencia. Estas complicaciones más graves se asocian con cuerpos extraños complejos, especialmente pilas de botón.

Otitis externa localizada aguda

El término localizada o circunscrita es debido a que se desarrolla en el tercio externo del CAE, ya que es una infección de una glándula pilosebácea, por lo tanto, también puede ser considerado como una foliculitis o hasta un forúnculo. Suele ser favorecida por la humedad.

Etiología

Es de etiología bacteriana, siendo la más frecuente S. aureus.

www.qxmedic.com PAG. 17 OTORRINOLARINGOLOGÍA
Figura 10. Cuerpos extraños en CAE Figura 11. De arriba a abajo: un extractor de cuerpos extraños Schuknecht, un gancho de Day en ángulo recto y unas pinzas de cocodrilo.

Recuerda

El signo del trago positivo es un signo de otitis externas, aunque podría haber un trago positivo en una OMA, pero en un lactante que aún tiene las estructuras óseas blandas y la presión del trago genere presión del oído medio y por ende dolor.

Clínica

El paciente cursa con otodinea, signo del trago positivo, también posible ver otorrea si es que empieza a drenar. A la otoscopía se evidencia signos inflamatorios localizados tercio externo de CAE.

Manejo

Se brinda sintomáticos para dolor e inflamación, pero también antibióticos por vía oral como amoxicilina más ácido clavulánico y además antibióticos tópicos tipo mupirocina.

Otitis externa difusa (Otitis del nadador)

Es un proceso infeccioso de toda la piel que cubre el CAE, por lo tanto, es considerado una dermoepidermitis. Esta favorecida por cambios en el pH debido al contacto del agua de la piscina, también por lesiones directas, limpieza frecuente con hisopos.

Etiología

Suele ser causada por bacterias gran negativas, siendo el más frecuente Pseudomona aeruginosa (ENAM EXTRA 2021-II). Pero, también gram positivos como S. epidermidis y S. aureus.

Clínica

Presentan otodinea de leve a severa, signo del trago positivo, otorrea, prurito. A la otoscopía se evidencia una inflamación de todo el CAE y secreciones. Esto conlleva a una disminución del calibre del CAE generando una poca visibilidad del tímpano, el cual puede estar eritematoso; e incluso obliterar el CAE al grado de generar una hipoacusia de transmisión. En una otoscopía neumática, el tímpano no debe perder su movilidad si se trata de una otitis externa difusa aislada, ya que, si la movilidad se compromete o hay un tímpano perforado, es probable que el foco principal de la enfermedad sea el oído medio con inflamación secundaria del CAE. El diagnóstico es clínico, los cultivos se reservan para casos graves. El espectro de gravedad de la otitis externa varía de leve a grave, según los síntomas de presentación y el examen físico:

www.qxmedic.com OTORRINOLARINGOLOGÍA PAG. 18
Figura 12. Otitis externa localizada aguda en oído izquierdo Figura 13. Esquema de otitis externa difusa

La enfermedad leve se caracteriza por molestias leves y prurito. Hay un edema de canal mínimo.

La enfermedad moderada se caracteriza por un grado intermedio de dolor y prurito. El canal está parcialmente ocluido.

La enfermedad grave se caracteriza por un dolor intenso y el canal está completamente ocluido por el edema. Suele haber eritema periauricular, linfadenopatía y fiebre.

Manejo

El manejo incluye limpieza del CAE, analgesia, antiinflamatorios y antibióticos. La limpieza es el primer paso en el manejo ya que facilita la cicatrización y mejora la penetración del tratamiento tópico, e incluso si la membrana timpánica está intacta podría aplicarse dilución

1:1 de peróxido de hidrógeno 3% con agua a temperatura corporal. Para la analgesia se brindaría AINEs como ibuprofeno o naproxeno. Para la inflamación e infección, se puede basar en la gravedad del cuadro. En formas leves se brinda preparado tópico de ácido acético-hidrocortisona, y podría no darse antibiótico. En cuadros moderados se usa combinaciones de ciprofloxacino-hidrocortisona o neomicinapolimixina B-hidrocortisona. En formas graves, además del manejo como moderado, se les coloca mechas que están hechas de una esponja de alcohol polivinílico; si además tienen una infección tisular más profunda (más allá del CAE) se le debe brindar antibióticos sistémicos, como ciprofloxacino u ofloxacino.

Otitis externa micótica (Otomicosis)

La otomicosis es una infección por hongos del conducto auditivo externo. La otomicosis puede ocurrir como la infección primaria o puede desarrollarse junto con una otitis externa bacteriana, generalmente como resultado de la terapia con antibióticos. Los factores que predisponen son vivir en lugares tropicales y subtropicales (probablemente por la humedad), la natación, el rascado, la limpieza frecuente, el uso excesivo de antibióticos tópicos.

Etiología

Los hongos más comunes son Aspergillus niger y Cándida.

Clínica

Lo característico y más molesto de este cuadro es el prurito, pero sin dolor o muy poco, secreción y/o sensación de cuerpo extraño en CAE. La infección micótica se suele ubicar

www.qxmedic.com PAG. 19 OTORRINOLARINGOLOGÍA
Figura 14. Otitis externa difusa leve Figura 15. Otitis externa difusa moderada Figura 16. Otitis externa difusa severa

en la parte medial del CAE, esto puede deberse en parte a la ubicación del receso timpánico inferior, lo que facilita la acumulación de escombros en esta zona, además porque es una zona más oscura y cálida que permite el crecimiento micótico.

A la otoscopía el proceso inflamatorio es menor comparado con la otitis externa difusa, los crecimientos micóticos se verán como finos filamentos de hongos y esporas que se asemejan al moho que crece en los alimentos en mal estado. Las esporas de A. niger parecen un polvo fino de carbón rociado en el canal auditivo. El Aspergillus también puede parecerse a un periódico húmedo o papel secante. Las infecciones por cándida generalmente se asocian con un material blando, blanco, parecido a las sebáceas que puede llenar el canal auditivo en casos graves. Una pseudomembranosa a menudo recubre el canal auditivo que, cuando se retira, revela una membrana granular friable subyacente.

Manejo

Aquí también el pilar del tratamiento es la limpieza del CAE y un tratamiento antimicótico tópico (incluye antifúngicos, antisépticos, soluciones acidificantes, corticoides y agentes secantes). Los antifúngicos tópicos son de primera línea, se puede usar una solución de clotrimazol 1% por ejemplo. Se pueden utilizar antifúngicos orales en casos refractarios. Los antifúngicos intravenosos se reservan para pacientes con sospecha de otomicosis invasiva.

Otitis externa maligna (necrosante)

Es una infección invasiva del conducto auditivo externo y de la base del cráneo, que ocurre típicamente en pacientes ancianos con diabetes mellitus. Los informes cada vez mayores de otitis externa maligna en pacientes infectados con el virus de la inmunodeficiencia humana (VIH) implican a un sistema inmunológico comprometido como un factor predisponente en esta enfermedad. La cirugía de oído reciente y la irritación de los audífonos pueden ser factores de riesgo de otitis externa maligna. Tiene una mortalidad de hasta el 50% de casos (de ahí el término maligno).

Recuerda

La causa más frecuente en pericondritis auricular, otitis externa difusa, otitis externa maligna es Pseudomona aeruginosa.

Etiología

La otitis externa maligna es causada por P. aeruginosa en más del 95% de los casos. Cuando se recupera más de un organismo, los aislados que acompañan a P. aeruginosa tienden a ser flora cutánea normal. Los informes ocasionales de casos causados por otros organismos han incluido especies de Aspergillus, Staphylococcus aureus, Proteus mirabilis, Klebsiella oxytoca, Burkholderia cepacia y Candida parapsilosis. La infección con estos otros organismos se produce de forma característica en huéspedes inmunodeprimidos, como los que padecen SIDA o cáncer.

www.qxmedic.com OTORRINOLARINGOLOGÍA PAG. 20
Figura 17. Otitis externa micótica

Clínica

Es característico la otodinea y otorrea. La otodinea es intensa, incluso más que la otitis externa difuso, además es un dolor que tiende a ser nocturno y se extiende a la articulación temporomandibular, lo que produce dolor al masticar. En el examen físico, el tejido de granulación es frecuentemente visible en la porción inferior del conducto auditivo externo entre la porción cartilaginosa y ósea del CAE. A medida que avanza la infección, pueden desarrollarse osteomielitis de la base del cráneo y osteomielitis de la articulación temporomandibular. La progresión de la osteomielitis puede asociarse con parálisis de pares craneales. Otras complicaciones del sistema nervioso central son raras, pero pueden ser fatales cuando ocurren. Estos incluyen meningitis, abscesos cerebrales y tromboflebitis del seno dural. El diagnóstico a menudo se pasa por alto, lo que lleva a un retraso en la terapia eficaz. En ausencia de un único criterio patognomónico, el diagnóstico de otitis externa maligna se basa en una constelación de hallazgos clínicos, de laboratorio y radiográficos.

Exámenes

En laboratorio los parámetros suelen ser normales, con excepción de la elevación del VSG y PCR. Se deben realizar cultivos del drenaje del canal auditivo, o granulaciones, y enviarlos para tinción de Gram y cultivo para bacterias. También deben enviarse tinciones y cultivos para hongos. En imágenes la TEM y la RMN pueden ser útiles tanto para el diagnóstico (se observaría erosiones del hueso temporal) como para el seguimiento.

Manejo

A diferencia de las demás otitis externas, esta es de manejo hospitalario. Los antimicrobianos antipseudomónica son el pilar de la terapia para la otitis externa maligna. Para formas no complicadas se puede brindar monoterapia con ciprofloxacino endovenoso, en formas avanzadas o paciente inmunodeprimido o con alta tasa local de resistencia a las fluoroquinolonas se puede combinar ciprofloxacino con un betalactámico antipseudomónico. La cirugía se usó para el desbridamiento quirúrgico y para la reconstrucción de los tejidos dañados.

www.qxmedic.com PAG. 21 OTORRINOLARINGOLOGÍA
Figura 18. Otitis externa maligna de oído izquierdo

02. PATOLOGÍAS DEL OÍDO MEDIO

Otitis media serosa Recuerda

La OMS es la causa más frecuente de sordera en la infancia

(ENAM 2017)

Recuerda

La obstrucción mecánica de la trompa de Eustaquio que lleva a una OMS que persiste puede ser:

- En niños por una hipertrofia del adenoide - En jóvenes por un angiofibroma - En adultos por un carcinoma nasofaríngeo

Este no es un cuadro infeccioso, se define como la presencia de derrame en oído medio sin signos de infección aguda (ENAM 2017) La OMS suele ocurrir después de un episodio de OMA. La mayoría es transitoria, pero en algunos casos la OMS se puede volver crónica si dura 3 meses o más. Es más frecuente en niños y es más común en invierno que en verano.

Factores de riesgo

Los antecedentes familiares de otitis media (padres propensos a la otitis), la alimentación con biberón (a diferencia de la lactancia), el sexo masculino, la asistencia a la guardería o la asistencia presencial a la escuela, la hipertrofia adenoidea, la exposición al humo del tabaco y el nivel socioeconómico bajo son factores de riesgo importantes para desarrollo de OME y OMA. Los niños con paladar hendido y otras anomalías faciales medias, como el síndrome de Down, son particularmente propensos a la OME crónica.

Etiología

La patogenia de la OME no se comprende completamente. Parece que la OMS es un cuadro multifactorial.

Inflamación crónica en respuesta a los componentes bacterianos residuales que siguen al OMA.

Disfunción de la trompa de Eustaquio lo que lleva a una eliminación deficiente del líquido del OM.

Alergias, aunque controvertido.

Discinesia ciliar

ERGE, pero no se ha demostrado la causalidad.

Clínica

Recuerda

En hipoacusia de transmisión la prueba de Rinne es negativa.

El síntoma predominante es la hipoacusia de transmisión leve que se suele presentar en niños preescolares que los lleva a un retraso en el habla y el lenguaje. Otros síntomas que pueden ocurrir en niños con OME incluyen una sensación de plenitud en el oído, tinitus o problemas de equilibrio. Los niños pequeños con problemas de equilibrio pueden presentar desequilibrio, inestabilidad, caídas, tropiezos o torpeza. Estos síntomas son inespecíficos; otras causas deben ser consideradas y evaluadas antes de atribuirlas a OME. A la otoscopía se observará signos de ocupamiento de oído medio (nivel hidroaéreo, a veces burbujas detrás de una membrana timpánica intacta), la membrana timpánica suele tener color gris o translúcida y a veces opaca, su posición es neutro o retraída.

Exámenes

La OMD suele diagnosticarse con una otoscopia estándar, que se puede utilizar para verificar tanto la presencia de derrame del oído medio como la ausencia de signos de infección. La otoscopia neumática puede ser útil para determinar el movimiento de la membrana timpánica cuando se aplica presión. La timpanometría y la reflectometría acústica son pruebas complementarias que pueden usarse para confirmar la presencia de derrame del oído medio, pero no son útiles para evaluar los signos de inflamación. (Ver Figura 19)

www.qxmedic.com PAG. 23

Manejo

La OMS suele tener resolución espontánea en seis semanas, e incluso algunos tienen recurrencia (30-40% de los casos). Las principales opciones de tratamiento son la “espera vigilante” y la colocación del tubo de timpanostomía. Si los niños tienen o están en riesgo de tener problemas del habla, lenguaje o aprendizaje, tienen daño estructural en la membrana timpánica o en el oído medio, o una pérdida auditiva persistentes asociada a la OMS deberían recibir manejo quirúrgico con colocación de tubo de timpanostomía. Pero, si no tiene ninguno de esos podría optarse por un manejo expectante con controles cada 3 o 6 meses hasta que el derrame se resuelva o el niño desarrolle indicación de derivación quirúrgica.

Otitis media aguda

Este si es un cuadro infeccioso, en otras palabras, la presencia de pus en oído medio. También llamado otitis media supurada. Es un poco más común en niños que niñas. Ocurre en todas las edades, pero es más prevalente entre los 6 y 24 meses de edad.

Factores de riesgo

Edad en etapa de lactante, específicamente entre los 6 a 24 meses.

Antecedentes familiares de OMA

Acudir a guarderías

Humo del tabaco y contaminación del aire

Uso de chupetes

Patogenia

Raza y origen étnico, por ejemplo, los nativos americanos.

Recursos limitados

Temporada de otoño e invierno

Alteraciones de defensas del huésped y enfermedad subyacente

El paciente tiene un evento antecedente (generalmente una infección viral del tracto respiratorio superior) mientras está colonizado con uno o más otopatógenos. Se desarrolla edema inflamatorio de la mucosa de la nariz, nasofaringe y trompa de Eustaquio. Esta última obstruye la trompa de Eustaquio. Esto genera un poco mala ventilación y una presión negativa del OM, acumulando secreciones producidas por el oído medio. Los microorganismos ascienden por la trompa de Eustaquio al OM. Luego dicha colonización genera supuración con signos clínicos de OMA.

Etiología

Streptococcus pneumoniae Haemophilus influenzae no tipificable (NTHi) y Moraxella catarrhalis representan la mayoría de las bacterias aisladas del líquido del oído medio. En los bebés pequeños (es decir, <2 meses de edad), las causas bacterianas más comunes de OMA son las mismas que en los niños mayores (por ejemplo, S. pneumoniae y H. influenzae); en los <2 semanas de edad, la OMA también puede ser causada por estreptococos del grupo B, bacilos gramnegativos entéricos y S. aureus.

www.qxmedic.com OTORRINOLARINGOLOGÍA PAG. 24
Figura 19. OMS de oído izquierdo, nótese el ocupamiento del OM y retracción del tímpano

Recuerda

El método diagnóstico de elección para OMA es la otoscopía neumática. Recuerda

OMA severo es cuando hay fiebre >39°C u otodinea intensa.

Clínica

Los síntomas de la OMA en los niños incluyen dolor de oído, frotamiento de los oídos, pérdida de la audición, supuración del oído y fiebre baja. El dolor de oído es la queja más común, pero no siempre está presente. Los niños pequeños con OMA pueden presentar síntomas inespecíficos (por ejemplo, fiebre, irritabilidad, sueño alterado o inquieto, mala alimentación, vómitos, diarrea).

Los niños con complicaciones de la OMA pueden presentar hallazgos relacionados con la complicación (por ejemplo, hinchazón postauricular y protrusión del pabellón auricular, síntomas vestibulares, déficits de los pares craneales, signos meníngeos, hallazgos neurológicos focales).

La evaluación otoscópica es necesaria para el diagnóstico de OMA. Cada cuadrante de la membrana timpánica debe evaluarse para evaluar la posición, la movilidad, la translucidez, el color y otros hallazgos. Una membrana timpánica abultada es el sello distintivo de OMA y diferencia a OMA de OMS (ENAM 2008, EXTRA 2020) Se puede realizar un diagnóstico clínico de OMA en niños con una membrana timpánica abultada o una membrana timpánica perforada y otorrea purulenta aguda si se ha descartado la

otitis externa. Con muy poca frecuencia, se puede hacer un diagnóstico clínico de OMA en niños sin abultamiento de la membrana timpánica u otorrea purulenta aguda si tienen derrame del oído medio y otros signos de inflamación aguda. El diagnóstico etiológico no es necesario en la mayoría de los casos de OMA porque la terapia antimicrobiana se elige empíricamente. La timpanocentesis para el diagnóstico etiológico está justificada si el niño parece tóxico, está inmunodeprimido o ha fallado en cursos previos de terapia con antibióticos.

Recuerda

El fracaso del tratamiento se define por la falta de mejoría sintomática de 48 a 72 horas después del inicio de la terapia antimicrobiana. Se sugiere que los pacientes que fracasan en la terapia de primera línea con amoxicilina sean tratados con amoxicilina más ácido clavulánico.

Manejo

Requiere manejo sintomático para el dolor con ibuprofeno o paracetamol. No se recomienda descongestionantes y/o antihistamínicos.

La elección del tratamiento inicial con antibióticos u observación depende de la edad del niño y de la lateralidad y gravedad de la enfermedad:

Se recomienda que los niños con OMA menores de 2 años sean tratados con antibióticos

Sugerimos que los niños ≥ 2 años que parecen tóxicos, tienen otalgia persistente durante más de 48 horas, tienen temperatura ≥ 102,2 ° F (39 ° C) en las últimas 48 horas, tienen OMA u otorrea bilateral, o tienen acceso incierto al seguimiento, deben ser tratados inmediatamente con un antibiótico apropiado.

Para los niños ≥2 años que son huéspedes normales (por ejemplo, inmunocompetentes, sin anomalías craneofaciales) y tienen OMA unilateral con síntomas y signos leves y sin otorrea, la observación inicial puede ser apropiada si los cuidadores comprenden los riesgos y beneficios de tal enfoque.

www.qxmedic.com PAG. 25 OTORRINOLARINGOLOGÍA
Figura 20. OMA, nótese la inflamación del tímpano y supuración al oído externo.

Si ya se decidió dar antibióticos, los de primera línea son amoxicilina 80-90 mg/kg/día (ENAM 2005, 2018, EXTRA 2020, EXTRA 2021-I) o amoxicilina más ácido clavulánico (este último si han recibido betalactámicos en los últimos 30 días). Los macrólidos o la clindamicina son una alternativa para los pacientes que han tenido reacciones de hipersensibilidad inmediata (por ejemplo, anafilaxia, angioedema, broncoespasmo, urticaria) o reacciones tardías graves (por ejemplo, Síndrome de Stevens-Johnson, necrólisis epidérmica tóxica, anemia hemolítica, etc.) a la penicilina.

Complicaciones

Las complicaciones de OMA se pueden clasificar en intratemporales e intracraneanas.

Recuerda

Para muchos la complicación más frecuente de OMA es la mastoiditis, aunque algunos sugieren que es la pérdida auditiva.

Intratemporales:

Pérdida auditiva

Mastoiditis

Disfunción vestibular

Anomalías de la membrana timpánica (perforación, miringoesclerosis, retracción o colapso)

OMCS

Colesteatoma

Laberintitis

Petrositis

Parálisis facial

Intracraneanas

Meningitis

Absceso epidural

Empiema subdural

Absceso cerebral

Trombosis del seno lateral

Trombosis del seno cavernoso

Trombosis de la arteria carótida

Otitis media crónica supurada (OMCS)

La OMCS generalmente es el resultado de una otitis media aguda (OMA) que no se diagnostica de inmediato o se trata de manera inadecuada. La OMA luego progresa a la perforación de la membrana timpánica (TM) y la contaminación subsiguiente del canal auditivo externo (EAC) y/o el reservorio nasofaríngeo.

Etiología

Bacterias aisladas comúnmente en OMCS incluyen Staphylococcus aureus (resistente a la meticilina [MRSA] y sensible a meticilina [MSSA]), Pseudomonas, Proteus, estafilococos coagulasa negativos, Enterococcus, y anaerobios (incluyendo con Peptostreptococcus, Fusobacterium, Prevotella, y Porphyromonas). El crecimiento polimicrobiano es común.

Clínica

La OMSC se caracteriza por secreción purulenta del oído medio que es crónica (por lo general> 6 semanas) y pérdida de audición asociada con una perforación de la membrana timpánica. La otorrea puede ser recurrente o persistente. La OMSC suele ser indolora. El examen físico en pacientes con OMSC típicamente revela una gran perforación central de la

www.qxmedic.com OTORRINOLARINGOLOGÍA PAG. 26
Figura 21. OMCS, nótese la perforación redonda en la pars tensa, signos inflamatorios y secreción purulenta.

membrana timpánica y drenaje purulento del oído medio. Por lo general, el edema del CAE es mínimo o nulo.

El diagnóstico de OMSC se basa en hallazgos clínicos consistentes (por ejemplo, pérdida auditiva, otorrea crónica). No se requieren cultivos para hacer el diagnóstico inicial y generalmente se reservan para enfermedades que no responden. La condición más común e importante en el diagnóstico diferencial de OMCS es el colesteatoma, que también puede presentarse con hipoacusia y/u otorrea crónica. Puede ser difícil distinguir las dos entidades, ya que el colesteatoma también puede ocurrir junto con la OMCS.

Manejo

Se recomienda una limpieza auditiva y una fluoroquinolona ototópica (por ejemplo, ciprofloxacino u ofloxacino) como terapia inicial. Para los pacientes que fracasan en la terapia inicial (definida como otorrea persistente después de aproximadamente tres semanas de tratamiento tópico inicial), se sugiere una terapia con antibióticos dirigida por cultivo en lugar de cirugía. Por lo general, se usa un antibiótico tópico, a menos que no exista una opción adecuada basada en el patrón de susceptibilidad del patógeno aislado, en cuyo caso se usa un antibiótico oral. Por lo general, se reserva la terapia con antibióticos intravenosos para los pacientes que fracasan en la terapia oral o tópica dirigida por cultivo. La timpanoplastia es una opción de tratamiento apropiada para pacientes sin colesteatoma que tienen enfermedad recurrente a pesar de las precauciones con el agua, o una perforación persistente de la MT> 6 a 12 meses después de la resolución de la OMSC.

Complicaciones

Las complicaciones de la OMSC incluyen diseminación de la infección extra e intracraneal, pérdida de audición persistente y, en raras ocasiones, la muerte.

Colesteatoma

El colesteatoma es una colección epitelial queratinizada y descamada en el oído medio o mastoides y puede ocurrir como consecuencia de la perforación de la membrana timpánica, pero también puede ocurrir como una lesión primaria.

Etiología

Los colesteatomas adquiridos pueden ocurrir como lesiones primarias o pueden ser secundarios a la perforación o cirugía de la membrana timpánica. Existen también colesteatomas congénitos. Los colesteatomas pueden resultar en la erosión de los huesecillos en el oído medio y la consecuente pérdida de audición conductiva y rara vez causan una pérdida de audición neurosensorial debido a la erosión en el laberinto. El colesteatoma puede asociarse con una infección polimicrobiana, los patógenos aislados con mayor frecuencia siguen siendo S. aureus y P. aeruginosa.

Clínica

Los colesteatomas a menudo son asintomáticos o pueden estar asociados con pérdida de audición, mareos y otorrea sin dolor y fétida. La presencia de colesteatoma siempre debe investigarse en pacientes con OMCS y generalmente requiere otomicroscopía. La hipoacusia se produce al final de la evolución de los colesteatomas primarios, ya que la pars flácida es la porción no vibratoria de la membrana timpánica. La hipoacusia conductiva tardía también se debe a la erosión de los huesecillos, por lo general la porción distal

www.qxmedic.com PAG. 27 OTORRINOLARINGOLOGÍA

del yunque. La hipoacusia puede ocurrir antes cuando los colesteatomas se asocian con perforación de la membrana timpánica (Colesteatomas secundarios) debido a la afectación de la superficie vibratoria de la membrana timpánica (pars tensa).

Recuerda

La perforación timpánica de la otitis media crónica supurada suele ser central (en la pars tensa) y la del colesteatoma adquirido primario suele ser en la pars flácida.

Exámenes

Para todos los pacientes con colesteatoma, se obtiene una tomografía computarizada (TC) del hueso temporal. Estas imágenes pueden ayudar a definir la extensión de la enfermedad, ya sea que haya erosión, formación de fístulas o afectación intracraneal o laberíntica. La resonancia magnética (MRI) es más sensible y debe solicitarse (sin

y con gadolinio) cuando se sospecha de complicaciones intracraneales (p. Ej., Extensión directa o meningocele o encefalocele).

Manejo

El manejo es quirúrgico, se sugiere la timpanoplastía con mastoidectomía abierta o cerrada. La finalidad primordial del manejo quirúrgico del colesteatoma no es mejorar la audición, sino evitar las complicaciones.

www.qxmedic.com OTORRINOLARINGOLOGÍA PAG. 28
Figura 22. Colesteatoma adquirido primario de oreja izquierda. Pequeña erosión epitimpánica con colesteatoma. La piel que rodea la erosión está hiperémica y evertida.

03. PATOLOGÍAS DEL OÍDO INTERNO

Presbiacusia

Recuerda

La prueba para confirmar hipoacusia en niños que no colaboran es potenciales evocados. )

La presbiacusia, o pérdida auditiva relacionada con la edad. El problema está en el órgano e Corti con pérdida de las células ciliadas (ENAM 2014). Es una causa común de pérdida auditiva en todo el mundo y afecta a más de la mitad de todos los adultos a los 75 años.

Factores de riesgo

Múltiples factores influyen en la aparición y la gravedad de la presbiacusia. Estos factores incluyen predisposición genética, raza blanca, nivel socioeconómico bajo, exposición al ruido, ototóxicas (p. Ej., Aminoglucósidos, agentes quimioterapéuticos, metales pesados), infecciones, tabaquismo, hipertensión, diabetes, enfermedad vascular, trastornos inmunológicos y factores hormonales.

Tipos

Fisiológico: es un proceso involutivo del oído interno sin lesión exógena, aparece después de los 50-60 años. Debido a la energía sonora absorbida por el organismo a lo largo de la vida.

Patológica: es un proceso degenerativo multifactorial, su instauración es antes que la presbiacusia fisiológica. Aquí si intervienen factores exógenos que aumentan la degeneración del oído interno.

Clínica

El paciente cursa con una hipoacusia de percepción bilateral y simétrica, de curso progresivo en el contexto de un envejecimiento. Cursa con inteligibilidad disminuida (escuchan, pero no entienden lo que dicen los demás, especialmente en ambientes con ruido). La hipoacusia también puede ir acompañada de acúfenos, vértigo y desequilibrio. La presbiacusia puede causar baja autoestima, aislamiento y depresión. Los pacientes con pérdida auditiva que afecta el funcionamiento social o la calidad de vida requerirán una prueba de audiograma formal para confirmar el diagnóstico, determinar la gravedad y el tratamiento directo.

Manejo

No se dispone de un tratamiento dirigido para prevenir o revertir los efectos de la presbiacusia. Sin embargo, la mayoría de los pacientes con pérdida auditiva significativa relacionada con la edad se beneficiarán del uso de audífonos, aunque estos no suelen mejorar la inteligibilidad Los implantes cocleares se utilizan para pacientes con pérdida auditiva grave que no mejora significativamente con audífonos.

www.qxmedic.com PAG. 29
Figura 23. Paciente añoso con probable presbiacusia Figura 24. Audífono usado en la presbiacusia

Sordera profesional

La exposición al ruido diario, agravado con el tiempo, tiene un impacto en nuestra capacidad de oír. En última instancia, el ruido excesivo puede afectar el grado de presbiacusia que se desarrolla. La exposición constante a ruidos fuertes puede causar pérdida auditiva neurosensorial de alta frecuencia.

Mecanismo

El mecanismo por el cual el ruido excesivo induce la hipoacusia incluye el daño mecánico directo de las estructuras cocleares y la sobrecarga metabólica debida a la sobreestimulación. Algunos efectos metabólicos potenciales son la liberación excesiva de óxido nítrico que puede dañar las células ciliadas, la generación de radicales libres de oxígeno que se vuelven tóxicos para las membranas y las bajas concentraciones de magnesio que debilitan las células ciliadas al reducir la concentración de calcio intracelular.

Recuerda

La presbiacusia y la sordera laboral cursan con hipoacusia bilateral simétrica de tipo neurosensorial.

Clínica

Cursa con hipoacusia neurosensorial progresiva bilateral y simétrica, con acúfenos y sin vértigo al principio; en el contexto de un ambiente ruidoso.

Manejo

Si se abandona el medio laboral, la hipoacusia no progresa. El único manejo es la prevención.

Neurinoma del acústico

Recuerda

Las frecuencias de la neurinoma del acústico, son:

- Más frecuente es de la rama vestibular

- Más frecuente tumor del ángulo ponto-cerebeloso

- Más frecuente unilateral

- Más frecuente en Taiwan e islas del pacífico oriental

Es un tipo de tumor benigno del VIII par craneal con ubicación más frecuente en la rama vestibular. Es el tumor más frecuente del ángulo pontocerebeloso. Es un tipo de Schwannoma, es decir, deriva de la célula de Schwann. Tiene igual frecuencia en mujeres y varones. Tiene mayor incidencia en población de Taiwan y las islas del pacífico oriental y menor en afroamericanos e hispanos. Su edad media de presentación es a los 50 años. Suele ser más frecuente unilateral (90% de los casos). Las formas bilaterales se asocian a neurofibromatosis tipo 2 (el 90 a 95% de las NF tipo 2 cursan con neurinomas del acústico bilateral).

www.qxmedic.com OTORRINOLARINGOLOGÍA PAG. 30
Figura 23. Paciente añoso con probable presbiacusia

Anatomopatológica

Tiene un crecimiento excéntrico a las fibras nerviosas del VIII par. A la microscopía se puede evidencias 2 zonas: Antonia A de mayor densidad con células fusiformes dispuestas en fascículos y Antoni B de menor densidad con células separadas por tejido laxo.

Clínica

Debido al crecimiento lento que tiene se puede apreciar una evolución clínica en fases (ENAM 2017)

Fase otológica: por compromiso de la región coclear y el mismo nervio cursa con hipoacusia de tipo neurosensorial, tinitus, a veces puede debutar como una hipoacusia neurosensorial súbita. También, puede cursar con inestabilidad en la marcha e incluso hasta vértigo, estos por compromiso de la región vestibular.

Fase neurológica: se le llama así porque afecta estructuras nerviosas como son los pares craneales VII y V. Por compromiso del VII par genera una parálisis facial ipsilateral total, además del signo de Hetselberger que es una alteración de la sensibilidad en el CAE. Por lesión del V par craneal presentara alteración de la sensibilidad (parestesias) en la hemicara del mismo lado de la neurinoma.

Fase de hipertensión endocraneana: Debido al mayor aumento de tamaño de la neurinoma, se desarrollará un efecto de masa que se presenta como síndrome de hipertensión endocraneana con cefalea, vómitos, papiledema, etc.

Exámenes

El examen que debe solicitarse ante la sospecha es neuroimagen, el de elección es la resonancia magnética y como alternativa se podría solicitar una TEM.

Otras pruebas para realizar podrían ser la acumetría que evidenciaría la hipoacusia neurosensorial y la audiometría que es mejor que la anterior siendo positiva en el 95% de los casos.

Manejo

El manejo incluye 3 opciones: cirugía, radioterapia y la simple observación con seguimiento. Esta última está indicada para paciente de mayor edad y no candidatos a cirugía. La cirugía tiene tres opciones: suboccipito retromastoidea, translaberíntica y de fosa media, para decidir cuál de ellas dependerá del tamaño y de la preservación de la audición. La radioterapia puede ser como: radiocirugía estereotáctica, radioterapia estereotáctica o terapia con haz de protones.

www.qxmedic.com OTORRINOLARINGOLOGÍA
Figura 26. Microscopía de una neurinoma del acústico, nótese la diferencia entre las zonas de Antoni A y B

Recuerda

Las causas periféricas de vértigo generalmente comprenden el 80 por ciento de los casos; de estos, el vértigo posicional paroxístico benigno (VPPB), la neuritis vestibular y la enfermedad de Meniere son los más frecuentes .

Vértigo

Los vértigos se pueden clasificar en centrales y periféricos.

Causas periféricas:

Vértigo postural paroxístico benigno Neuritis vestibular

Herpes zóster ótico (síndrome de Ramsay Hunt)

Enfermedad de Meniere

Conmoción cerebral laberíntica

Fístula perilinfática

Síndrome de dehiscencia del canal semicircular

Síndrome de Cogan

Vestibulopatía recurrente

Neuroma acústico

Toxicidad por aminoglucósidos

Otitis media

Causas centrales:

Migraña vestibular

Isquemia del tronco encefálico

Infarto y hemorragia cerebelosa

Malformación de Chiari

Esclerosis múltiple

Ataxia episódica tipo 2

Vértigo posicional paroxístico benigno (VPPB)

La mayoría de ellos son idiopáticos, aunque se atribuyen comúnmente a canalolitos (es decir, restos de calcio dentro del canal semicircular), lo más probable es estos restos representen otoconias sueltas (cristales de carbonato de calcio) que se originan en el saco utricular. Otra causa puede ser TEC por lo general leves. El canal semicircular posterior es el sitio más común de canalitiasis, seguido por el horizontal y raro en el anterior.

Clínica

El VPPB se caracteriza por un síndrome específico de episodios recurrentes de vértigo que duran un minuto o menos y son provocados por tipos específicos de movimientos de la cabeza. Aunque los episodios individuales son breves, por lo general se repiten periódicamente durante semanas o meses sin tratamiento.

Diagnóstico

En pacientes con antecedentes típicos, la observación de nistagmo durante una maniobra provocadora solidifica el diagnóstico de VPPB y localiza la anomalía.

La maniobra de Dix-Hallpike se utiliza para identificar el VPPB del canal posterior, el subtipo más común.

Si la maniobra de Dix-Hallpike no identifica el VPPB del canal posterior, considere otros subtipos

www.qxmedic.com OTORRINOLARINGOLOGÍA PAG. 32
Figura 28. Maniobra de Dix-Hallpike

Tratamiento

Para pacientes con VPPB del canal posterior, recomendamos el tratamiento con maniobras de reposicionamiento de partículas. La maniobra de Epley tiene la evidencia más sólida de eficacia; la maniobra de Semont parece igualmente eficaz.

Para otros subtipos de VPPB, sugerimos la maniobra de reposicionamiento de partículas apropiada. Los medicamentos no son útiles para la mayoría de los pacientes con VPPB. Los pacientes raramente no responden a las maniobras de reposicionamiento de partículas.

Neuronitis vestibular

Suelen ser de causa desconocida, aunque se cree que la neuritis vestibular es un trastorno inflamatorio viral o posviral agudo de la porción vestibular del octavo par craneal.

Clínica

La neuritis vestibular se presenta con inicio agudo de vértigo con náuseas, vómitos y alteración de la marcha. En la neuritis vestibular pura, se conserva la función auditiva; cuando este síndrome se combina con hipoacusia unilateral, se denomina laberintitis. Las características clínicas de la neuritis vestibular se superponen con los episodios vasculares agudos en el cerebelo o el tronco del encéfalo. Los pacientes con neuritis vestibular generalmente sufren síntomas vestibulares severos durante uno o dos días, seguidos de una disminución gradual de los síntomas y un retorno al equilibrio. Si bien la enfermedad aguda rara vez dura más de varios días a algunas semanas, el desequilibrio residual y el mareo inespecífico pueden persistir durante meses.

www.qxmedic.com PAG. 33 OTORRINOLARINGOLOGÍA
Figura 29. Maniobra de Epley modificada para el autotratamiento del VPPB izquierdo Figura 30. Maniobra de Semont modificada

Diagnóstico

No existe una prueba de confirmación para la neuritis vestibular. Sin embargo, se requiere un estudio de neuroimagen urgente (RMN) para pacientes con vértigo agudo sostenido cuyo examen no es del todo compatible con neuritis vestibular, o en pacientes mayores (> 60 años), o con cefalea, cualquier foco signos neurológicos o factores de riesgo vascular.

Manejo

Se sugiere el uso de esteroides con reducción progresiva. También se puede brindar supresores vestibulares y antieméticos para limitar los síntomas en las primeras 24 horas a 48 horas. Se sugiere también la institución temprana de un programa de rehabilitación vestibular después de que desaparezcan los síntomas agudos, ya que esto puede acelerar la recuperación a largo plazo, particularmente del equilibrio.

Enfermedad de meniere (EM)

La enfermedad de Meniere es un tipo de síndrome de Meniere de causa idiopática. Probablemente sea causada por hidropesía endolinfática del sistema laberíntico del oído interno (ENAM 2011)

Clínica

El curso es variable. Algunos pacientes experimentan una pérdida auditiva progresiva con síntomas vestibulares poco

Recuerda

El VPPB y la neuronitis vestibular cursan con audición normal, en cambio la enfermedad de Meniere cursa con hipoacusia.

La triada de la enfermedad de Meniere es:

1. Tinitus

2. Vértigo periférico

3. Hipoacusia

Figura 31. Hidrops endolinfático como causa probable de enfermedad de Meniere, nótese en la segunda imagen como el sistema laberíntico esta distorsionado y distendido.

frecuentes; algunos tienen vértigo severo y frecuente con solo síntomas auditivos leves; y algunos manifiestan síntomas tanto auditivos como vestibulares en igual medida. La mayoría de los pacientes tienden a pasar de síntomas activos a remisiones prolongadas.

Un diagnóstico clínico de enfermedad de Meniere se realiza según los siguientes criterios:

Dos o más episodios espontáneos de vértigo, cada uno con una duración de 20 minutos a 12 horas.

Pérdida auditiva neurosensorial de frecuencia baja a media documentada audiométricamente en el oído afectado

Síntomas auditivos fluctuantes (audición reducida o distorsionada, tinitus o plenitud) en el oído afectado

Los síntomas no se explican mejor por otro diagnóstico vestibular

Aunque la prueba audiométrica es una parte obligatoria de la evaluación de diagnóstico, no existe una prueba de diagnóstico específica para la enfermedad de Meniere. Las imágenes, aunque no son necesarias para el diagnóstico de enfermedad de Meniere, se realizan con frecuencia para excluir trastornos importantes que pueden presentarse con síntomas similares.

www.qxmedic.com OTORRINOLARINGOLOGÍA PAG. 34

Manejo

Como terapia inicial para todos se sugiere cambios en el estilo de vida, incluida la restricción de sal y limitación del consumo de cafeína y alcohol. Para pacientes con enfermedad de Meniere y síntomas de desequilibrio persistente entre ataques, se sugiere la derivación para terapia de rehabilitación vestibular. Para todos los pacientes con EM con síntomas refractarios y mala calidad de vida a pesar de las intervenciones dietéticas y de estilo de vida, se sugiere el uso de farmacoterapia. La betahistina y los diuréticos son las dos opciones de terapia farmacológica para reducir la gravedad y la intensidad de los ataques de la EM. Los episodios agudos de vértigo deben tratarse con supresores vestibulares y antieméticos si es necesario. Podría darse corticoides en casos que no respondan a todo lo anterior.

Parálisis facial

La parálisis facial se puede deber a problemas en el encéfalo, en el núcleo del facial o en el mismo VII par craneal, dependiendo donde sea el problema se puede clasificar en supranuclear, nuclear o infranuclear, respectivamente. Lo más frecuente es que sean infranucleares ya que ahí incluye al tipo más frecuente en general que es la parálisis de Bell. Dependiendo de la ubicación del problema la parálisis facial tendrá una determinada presentación clínica, es así:

Supranuclear: parálisis facial contralateral inferior

Nuclear: parálisis facial ipsilateral total

Infranuclear: parálisis facial ipsilateral total

Además, las infranucleares pueden ir asociadas a otros signos y síntomas dependiendo donde exactamente se esté dando el daño del nervio facial. Para esto es importante recordar que el nervio facial al salir de la cavidad craneana tiene un trayecto intraóseo en donde se ubicará el ganglio geniculado y habrá salida de nervios. Los nervios que salen son el nervio petroso mayor que inervara la glándula lacrimal, el nervio músculo del estapedio para el reflejo estapedial, y el nervio cuerda del tímpano que inervará las glándulas sublinguales y submandibulares para la producción de saliva y además recogerá información sensorial de la parte anterior de la lengua.

Recuerda

El término parálisis facial central se refiere a la parálisis facial contralateral inferior y la parálisis facial periférica se refiere a la parálisis facial ipsilateral total.

del nervio facial. Nótese la salida del nervio petroso mayor, nervio del músculo estapedio y nervio cuerda del tímpano.

www.qxmedic.com PAG. 35 OTORRINOLARINGOLOGÍA
Figura 32. Trayecto intraóseo (hueso temporal)

Entonces, dependiendo en que parte del nervio facial se dé la lesión dará signos y síntomas tales como:

Lesión después de la salida del nervio cuerda del tímpano: parálisis facial ipsilateral total Lesión antes de la salida del nervio cuerda del tímpano: se suma la disgeusia/ageusia e hiposialia

Lesión antes de la salida del nervio del músculo estapedial: se suma la ausencia del reflejo estapedial

Lesión antes de la salida del nervio petroso mayor: se suma la xeroftalmia

Parálisis de Bell

La parálisis de Bell es definida como una parálisis aguda del nervio facial periférico de causa desconocida. Es el tipo más frecuente de parálisis facial y por ende la más frecuente de las infranucleares. Se presenta como una parálisis facial periférica, es decir una parálisis facial ipsilateral total. No hay predilección racial, geográfica o de género, pero el riesgo es tres veces mayor durante el embarazo, especialmente en el tercer trimestre o en la primera semana posparto.

Etiología

La causa es desconocida. La activación del virus del herpes simple es la causa probable de la parálisis de Bell en la mayoría de los casos. Sin embargo, la mayoría de los pacientes con parálisis facial periférica se etiquetan como parálisis de Bell porque no existe un método establecido para confirmar el virus del herpes simple como mecanismo en la práctica clínica. El herpes zóster es probablemente la segunda infección viral más común asociada con la parálisis facial.

Clínica

Los pacientes con parálisis de Bell típicamente (generalmente en horas) de parálisis facial unilateral. flacidez de las cejas, la incapacidad para cerrar y la caída en la comisura de la boca afectada, (ENAM 2018)

www.qxmedic.com OTORRINOLARINGOLOGÍA PAG. 36
Figura 33. Parálisis de Bell. Nótese que en A) Demuestra incapacidad para levantar la ceja izquierda o generar arrugas en el lado izquierdo de la frente; B) Demuestra dificultad para cerrar el ojo izquierdo e incapacidad para levantar la comisura de la boca izquierda; C) Demuestra caída en la esquina izquierda de la boca, pérdida del pliegue nasolabial izquierdo e incapacidad para cerrar completamente el ojo izquierdo.

Las manifestaciones asociadas pueden incluir disminución de lagrimeo, hiperacusia y/o pérdida de la sensación del gusto en los dos tercios anteriores de la lengua.

El diagnóstico de parálisis de Bell se basa en los siguientes criterios:

Hay una afectación difusa del nervio facial que se manifiesta por parálisis de los músculos faciales, con o sin pérdida del gusto en los dos tercios anteriores de la lengua o secreción alterada de las glándulas lagrimales y salivales.

El inicio es agudo, en uno o dos días; el curso es progresivo, alcanzando la máxima debilidad/ parálisis clínica dentro de las tres semanas o menos desde el primer día de debilidad visible; y la recuperación o algún grado de función está presente dentro de los seis meses.

Exámenes

Los pacientes con una parálisis de Bell típica que está incompleta y se recupera no necesitan más estudios. Sin embargo, las imágenes del cerebro, el hueso temporal y la glándula parótida con TEM con contraste de alta resolución o RMN con gadolinio están justificadas si los signos físicos son atípicos, si hay una progresión lenta más allá de tres semanas, o si no hay mejoría a los cuatro meses. En pacientes con lesiones clínicamente completas, los estudios de electrodiagnóstico pueden ser útiles con fines pronósticos.

Recuerda

El pronóstico de la parálisis de Bell es muy bueno. Aproximadamente del 80 al 85 por ciento experimenta una recuperación completa de la función del nervio facial a los seis meses .

Manejo

En el manejo de estos pacientes lo primero es determinar la gravedad según la clasificación de House-Brackmann: Para los grados I a III se recomienda corticoides tipo prednisona. Para los grados IV a VI se sugiere corticoides más antivirales tipo valaciclovir o como alternativa el aciclovir. Todos los pacientes con parálisis de Bell deben ser evaluados para determinar si el cierre ocular es completo. Para aquellos con cierre incompleto, se requiere un cuidado ocular meticuloso para prevenir lesiones en la córnea. El cuidado de los ojos implica el uso de lágrimas artificiales, protección para los ojos y ungüento y/o cerrar los ojos con cinta adhesiva durante el sueño. Los pacientes con parálisis aguda de Bell requieren seguimiento para confirmar la mejoría de la debilidad facial, monitorear las complicaciones oculares e identificar a los pacientes con recuperación incompleta a los tres o cuatro meses que pueden beneficiarse de la derivación a una clínica multidisciplinaria del nervio facial.

www.qxmedic.com PAG. 37 OTORRINOLARINGOLOGÍA

CALIFICACIÓN

CARACTERISTICAS

I. Normal Función normal en todas las áreas

II. Disfunción leve Fuerza

Ligera debilidad perceptible en una inspección cercana Puede tener una ligera sincinesia Simetría y tono normales en reposo Movimiento

Frente: Moderada a buena función

Ojo: cierre completo con un mínimo esfuerzo

Boca: ligera asimetría

III. Disfunción moderada Fuerza

Diferencia obvia pero no desfigurante entre los dos lados Sincinesia, contractura o espasmo hemifacial notable pero no grave Simetría y tono normales en reposo Movimiento

Frente: movimiento de leve a moderado

Ojo: Cierre completo con esfuerzo

Boca: Ligeramente débil con máximo esfuerzo.

IV. Disfunción moderadamente grave Fuerza

Debilidad evidente y / o asimetría desfigurante Simetría y tono normales en reposo

Movimiento

Frente: Ninguno

Ojo: cierre incompleto

Boca: asimétrica con máximo esfuerzo

V. Disfunción grave Fuerza

Solo movimiento apenas perceptible Asimetría en reposo Movimiento

Frente: Ninguno

Ojo: cierre incompleto

Boca: leve movimiento

VI. Parálisis total Sin movimiento

www.qxmedic.com OTORRINOLARINGOLOGÍA PAG. 38
Tabla 1. Clasificación de House-Brackmann

04. PATOLOGÍA NASOSINUSAL

Fracturas nasales

EPIDEMIOLOGÍA

La fractura nasal es el tipo más común de fractura de hueso medio facial.

ETIOLOGÍA

Principalmente es causada por traumatismos por fuerza contundente en la nariz o parte media de la cara durante deportes o altercados físicos.

CLÍNICA

Sensibilidad e hinchazón localizadas del puente nasal.

Epistaxis

Congestión nasal

Deformidad de la nariz

Crepitación a la palpación

En la rinoscopía se tiene que observar el tabique y ver si esta desviado, luxado y descartar hematomas septales.

Las imágenes suelen ser innecesarias, podría solicitarse si es que no cumple alguno de los siguientes criterios y se sospeche de una lesión nasal aislada.

♦ La sensibilidad y la hinchazón se aíslan en el puente óseo de la nariz.

♦ El paciente puede respirar a través de cada nariz

♦ La nariz es recta (es decir, sin desviación del tabique)

♦ Sin hematoma septal

Las proyecciones que se suelen solicitar son la mentonasoplaca de Waters y el perfilograma (radiografía simple de huesos propios de la nariz)

TRATAMIENTO

Manejo conservador: Analgésicos.

Elevación de la cabeza.

Enfriamiento con hielo.

www.qxmedic.com PAG. 39
Figura 35. Fractura nasal, nótese la deformidad, tumefacción y epistaxis. Figura 36. Radiografías (Rx) en fractura nasal. Rx izquierda (perfilograma) y Rx derecha (proyección de Waters)

Evaluación del grado de desplazamiento de la fractura.

Reducción cerrada en fracturas nasales desplazadas no complicadas:

♦ Evaluadas dentro de las seis horas posteriores a la lesión se reducen inmediatamente. Sin embargo, algunos otorrinolaringólogos prefieren esperar de tres a siete días para permitir que se resuelva la hinchazón.

♦ Procedimiento: realineación manual y fijación externa con férula nasal.

Las fracturas nasales aisladas de más de 10 días se derivan a un otorrinolaringólogo para su tratamiento ambulatorio.

Si en la rinoscopía se observa un hematoma septal debe ser drenado por el riesgo de infección y posterior necrosis del cartílago con nariz en silla de montar.

Manejo quirúrgico: en caso de fracturas nasales con desplazamiento grave.

COMPLICACIONES

Hematoma del tabique nasal

Perforación del tabique nasal secundaria a hematoma del tabique nasal

Deformidad de la nariz en silla de montar

Desviación del tabique nasal

Problemas de ventilación nasal y ronquidos

Cuerpos extraños intranasales

EPIDEMIOLOGÍA:

Principalmente niños pequeños (2 a 5 años)

Ttambién puede presentarse en adolescentes y adultos con discapacidades intelectuales o conductuales

Son más frecuentes en el lado derecho, debido a que la mayoría son diestros.

Se localizan con mayor frecuencia en el piso del pasaje nasal, justo debajo del cornete inferior o en la parte superior de la cavidad nasal, justo en frente del cornete medio.

Figura 38. Ubicaciones de cuerpos extraños nasales, nótese el tornillo en el piso del pasaje nasal cerca del cornete inferior y el tubito azul en la parte superior de la cavidad nasal justo antes del cornete medio.

www.qxmedic.com OTORRINOLARINGOLOGÍA PAG. 40
Figura 37. Hematoma septal.

ETIOLOGÍA:

Objetos inorgánicos (Perlas, piedras, juguetes pequeños) + común

Objetos orgánicos (Alimentos)

Son varios los objetos que llegan a la nariz, pero merecen mención especial, debido a su potencial de dañar las estructuras nasales, las pilas de botón e imanes de disco.

CLÍNICA:

Obstrucción nasal unilateral

Recuerda

Ante una secreción nasal purulenta unilateral y fétida se debe sospechar en niños la presencia de cuerpo extraño y en adultos un carcinoma nasosinusal.

Recuerda

Las pilas de botón en la cavidad nasal y los imanes que se colocan en el tabique nasal justifican su extracción urgente.

Epistaxis unilateral y/o con mal olor

Rinorrea purulenta maloliente unilateral

Las pilas de botón intranasales se asocian con secreción nasal purulenta que a veces es de color negro, epistaxis y dolor facial con hinchazón y tienen un potencial significativo de daño a las estructuras nasales.

DIAGNÓSTICO

Inspección de la cavidad nasal con otoscopio.

Endoscopia de fibra óptica flexible: si el cuerpo extraño tiene una ubicación superior, en la cavidad nasal posterior o si no es visible con la otoscopia

Las radiografías simples pueden establecer la presencia de pilas de botón o imanes dentro de la cavidad nasal cuando se sospecha, pero no son necesarias para el diagnóstico de otros tipos de CE intranasales.

TRATAMIENTO

Eliminación

♦ Técnicas de presión positiva (primera línea)

♦ Pinzas (ENAM EXTRA 2021-I)

♦ Si lo anterior falla: extracción mediante endoscopia y anestesia Instrumentación bajo visualización directa y examen de la cavidad nasal.

COMPLICACIONES

Los imanes de disco emparejados y las pilas de botón pueden provocar necrosis tisular y perforación del tabique (la extracción rápida es esencial).

Epistaxis

DEFINICIÓN

La epistaxis se define como el escape de sangre desde las fosas nasales (hemorragia nasal)

ETIOLOGÍA

La causa más frecuente en general es el trauma nasal con el dedo (hurgarse la nariz), pero no es la única causa, existe una variedad de diferentes etiologías. Las causas pueden variar según la edad y también si son causas locales, sistémicas o recurrentes.

www.qxmedic.com PAG. 41 OTORRINOLARINGOLOGÍA
Figura 39. Vista de endoscopia de goma espuma en la nariz con secreción mucoide blanca asociada.

Trauma

Traumatismo cerrado (puñetazo en la nariz).

Fracturas nasales y septales.

Fractura del hueso

Causas locales

Irritación

Hurgarse la nariz (+frecuente) Cuerpo extraño intranasal Rinitis seca

Causas locales

Defectos del tabique nasal

Tabique nasal desviado Espuelas septales Perforación del tabique

CLASIFICACIÓN

Malformacione

Telangiectasia hemorrágica hereditaria (HHT)

Hemangioma nasal

Tumores de nasofaringe

Angiofibroma nasofaríngeo juvenil

Carcinoma de células escamosas

Criterios Epistaxis anterior

Características clínicas Sangrado de las fosas nasales

Trastornos

Rinitis alérgica Sinusitis bacteriana

Causas sistémicas

Trastornos hemorrágicos

Enfermedad de von W illebrand

Trombocitopenia severa

Hemofilia

Terapia con anticoagulantes y / o aspirina

Causas

Hipertensión Granulomatosis de Wegener Aneurisma de la arteria carótida

Epistaxis posterior

Sangrado a través de la abertura nasal posterior

- Sangrado por la garganta (sin signos externos de sangrado)

- Puede ocurrir hemoptisis, hematemesis y / o melena debido a la ingestión de grandes cantidades de sangre.

Frecuencia relativa + 90% de los casos + 10% de los casos

Incidencia máxima Niños <10 años de edad Personas mayores (> 50 años)

Sitio más común de sangrado Plexo de Kiesselbach (área de Little)

Plexo de Woodruff (venoso) o ramas posterolaterales de la arteria esfenopalatina

DIAGNÓSTICO

La epistaxis anterior se nota por un mayor escape de sangre a través de las narinas y la posterior hacia la nasofaringe que lleva a deglutir sangre al paciente. En las epistaxis anteriores es más probable evidenciar el origen del sangrado (ENAM 2009)

www.qxmedic.com OTORRINOLARINGOLOGÍA PAG. 42

Recuerda

Las epistaxis anteriores suelen ser sangrados menores y de resolución espontánea, las posteriores tienden a ser hemorragias más significativas.

TRATAMIENTO

Manejo inmediato:

Recuerda

Si un paciente con epistaxis no mejora con el taponamiento nasal o deglute la sangre debes sospechar en epistaxis posterior.

Recuerda

El taponamiento nasal posterior se coloca en las coanas.

(ENAM 2004)

Figura 40. Vascularización del tabique nasal. Nótese el plexo de Kiesselbach y la arteria esfenopalatina.

Lo primero en el manejo es el ABC, es decir, evaluar y mantener la vía aérea permeable para una adecuada ventilación además de mantener una estabilidad hemodinámica (reanimación con líquidos)

♦ Elevar la parte superior del cuerpo del paciente e inclinar la cabeza hacia adelante.

♦ Aplicar compresas frías y presión directa sostenida pellizcando la nariz en las fosas nasales durante 5 a 10 minutos (ENAM 2015)

♦ Aplicar vasoconstrictores tópicos (oximetazolina, fenilefrina).

Si la epistaxis continúa después de 10 a 15 minutos:

♦ Primera línea: cauterización del vaso grande con nitrato de plata o electrocauterio.

♦ Segunda línea: taponamiento nasal con gasa impregnada de vaselina y antibióticos.

Taponamiento nasal anterior → epistaxis anterior (ENAM 2011, 2020, EXTRA 2021-II) – Taponamiento nasal posterior → epistaxis posterior (ENAM 2006, EXTRA 2020)

♦ Las complicaciones que se pueden suscitar por el taponamiento nasal son infecciones, sinequias intranasales, necrosis de la columela.

Si la epistaxis persiste: embolización arterial o ligadura endoscópica del vaso sangrante

♦ Arteria etmoidal anterior → epistaxis anterior

♦ Arteria esfenopalatina → epistaxis posterior

www.qxmedic.com PAG. 43 OTORRINOLARINGOLOGÍA
Figura 41. Compresión digital e inclinación anterior. Figura 42. Taponamiento nasal anterior y posterior

Rinitis

Se le define como la irritación e hinchazón de la mucosa de la nariz.

TIPOS

Rinitis alérgica (mediada por IgE)

Rinitis no alérgica (no mediada por IgE)

♦ Rinitis no alérgica con síndrome de eosinofilia (NARES)

♦ Rinitis inducida por fármacos

♦ Rinitis medicamentosa

♦ Rinitis hormonal, incluida la rinitis del embarazo.

♦ Rinitis ocupacional

♦ Rinitis gustativa

♦ Rinitis atrófica

♦ Rinitis vasomotora

♦ Rinitis infecciosa (generalmente como rinosinusitis )

RINITIS ALÉRGICA DEFINICIÓN

Se define como una rinitis aguda o crónica causada por la exposición a un alérgeno inhalado como polvo, moho, polen, etc.

EPIDEMIOLOGÍA

Forma más común de rinitis

♂ > ♀ en pacientes ≤ 21 años

♀ > ♂ en pacientes > 21 años

El riesgo aumenta en personas con eccema o asma.

ETIOLOGÍA

Los pacientes con rinitis alérgica estacional tienen conjuntivitis alérgica asociada en aproximadamente el 70 por ciento de los casos, caracterizada por ojos llorosos, enrojecidos y con picazón.

Reacción de hipersensibilidad tipo I (mediado por IgE)

FACTORES DE RIESGO

Predisposición genética

Condiciones alérgicas asociadas

♦ Conjuntivitis alérgica

♦ Dermatitis atópica y / o asma bronquial

Nacimiento durante la temporada de polen

CLASIFICACIÓN

Hijo primogénito

Uso temprano de antibióticos, fórmula o sólidos

Exposición a alérgenos en interiores, incluido el tabaquismo materno durante el primer año de vida.

Clasificación basada en el patrón temporal de exposición al alérgeno → permite identificar el antígeno putativo.

Episódico (Intermitente) Exposición a alérgenos que no suelen forman parte del entorno del individuo (Ejemplo: Visita a una granja)

Estacional Exposición que ocurre durante ciertas estaciones (Ejemplo: Fiebre del heno)

Perenne Exposición a alérgenos que suelen formar parte del entorno del paciente (Ejemplo: polvo de casa)

www.qxmedic.com OTORRINOLARINGOLOGÍA PAG. 44

Clasificación basada en la frecuencia y duración de los síntomas

Intermitente: <4 días / semana O <4 semanas / año

Persistente: > 4 días / semana O > 4 semanas / año

Clasificación según la gravedad

Leve: Los síntomas no interfieren con la calidad de vida.

Severo-moderado: Los síntomas interfieren con la calidad de vida.

CLÍNICA

Episodios recurrentes de estornudos, congestión nasal, rinorrea y goteo posnasal (ENAM EXTRA 2020)

Picazón en la nariz y la garganta (dato diferencial)

Mucosa nasal pálida y edematosa con cornetes hipertróficos

Los pólipos nasales se observan en 25 a 30% de los pacientes con rinitis alérgica crónica.

Aspecto empedrado de la pared faríngea posterior

Ojeras alérgicas: hiperpigmentación y edema del párpado inferior como consecuencia de la congestión venosa.

Saludo alérgico: hábito de limpiarse la nariz con un movimiento transversal o hacia arriba de la mano.

Pliegue nasal alérgico: una línea transversal hiperpigmentada o hipopigmentada que se ve en la unión del tercio inferior y el tercio medio del puente nasal, que es el pliegue natural que se forma cuando la nariz es empujada hacia arriba por el saludo alérgico.

Facies adenoidea

Predisposición del paciente a sinusitis y/u otitis media recurrentes.

Figura 43.

Los niños con rinitis alérgica pueden presentar "brillos alérgicos" y "facies adenoidea", como resultado de una respiración bucal prolongada. Las características de la facies adenoidea incluyen una cara larga y estrecha; nariz estrecha y vuelta hacia arriba; labio superior corto; incisivos superiores expuestos; mandíbula inferior empotrada; y postura de la cabeza hacia adelante.

DIAGNÓSTICO

RAST (prueba de radioalergoadsorción): mide las concentraciones séricas de anticuerpos IgE contra un alérgeno específico (ENAM EXTRA 2021-I, EXTRA 2021-II)

Prueba de punción y prueba intradérmica para identificar el alérgeno causante

No se recomiendan las imágenes de rutina.

TRATAMIENTO

Evitar exposición al alérgeno.

Farmacoterapia:

♦ Aerosol nasal con corticosteroides (budesonida, fluticasona)

♦ Antihistamínicos:

– Intranasal (Azelastina u olopatadina)

Oral (Cetirizina, levocetirizina, loratadina

– Combinación de un corticosteroide intranasal y un antihistamínico intranasal: recomendado en pacientes con síntomas moderados a graves.

www.qxmedic.com PAG. 45 OTORRINOLARINGOLOGÍA

♦ Descongestionantes:

Intranasal (agonistas α1: fenilefrina , oximetazolina , xilometazolina y nafazolina)

– Oral (agonistas α1: fenilefrina y pseudoefedrina)

Se prefiere una combinación de antihistamínicos de segunda o tercera generación con descongestionantes a la monoterapia con antihistamínicos.

– La monoterapia y el uso prolongado de descongestionantes (≥ 5 a 7 días) aumentan el riesgo de rinitis medicamentosa.

Inmunoterapia

Tratamiento quirúrgico: resección de cornetes nasales hipertróficos para aliviar la obstrucción nasal en la rinitis resistente al tratamiento.

RINITIS NO ALÉRGICA DEFINICIÓN

Se define como una rinitis aguda o crónica que no está mediada por IgE.

CLASIFICACIÓN

Rinitis no alérgica con síndrome de eosinofilia

Tipo más común de rinitis inflamatoria no alérgica.

Causa desconocida.

Rinitis eosinofílica crónica con desarrollo de poliposis nasal e hiposmia.

Más común en individuos de mediana edad.

Aumento de eosinófilos en la mucosa nasal confirma el diagnóstico.

Rinitis inducida por fármacos: Inflamación recurrente y no alérgica de la mucosa nasal asociada con ciertos medicamentos:

Aspirina y otros AINES

Antihipertensivos (IECA, clonidina, guanetidina, hidralazina, metildopa)

Inhibidores de la fosfodiesterasa (Sildenafil, tadalafil, vardenafil)

Anticonceptivos orales

Antipsicóticos (Risperidona, clorpromazina)

Antidepresivos (Amitriptilina)

Rinitis medicamentosa

Congestión nasal de rebote que se observa al suspender los agonistas alfa 1 intranasales.

Ocurre 5-7 días después del uso de descongestionantes tópicos.

Clásicamente conduce a un aumento de la dosis o la frecuencia de descongestionantes (círculo vicioso)

Rinitis hormonal

Asociada con desequilibrio hormonal: embarazo, menstruación, pubertad, hipotiroidismo.

La rinitis del embarazo generalmente comienza durante el segundo mes de embarazo y se detiene después del parto.

Rinitis ocupacional:

Resultado de la exposición a irritantes en un entorno laboral particular:

Irritantes: Pieles, harina, pinturas, pesticidas, polvo, talco, detergentes, productos químicos.

Sustancias alergénicas: roedores alérgenos, látex, guar goma, psyllium.

Rinitis gustativa

Rinitis episódica con rinorrea acuosa difusa que se asocia con ciertos alimentos como comida picante y alcohol.

Rinitis atrófica:

Rinitis crónica asociada a atrofia y esclerosis de la mucosa nasal.

Se presenta en dos formas:

www.qxmedic.com OTORRINOLARINGOLOGÍA PAG. 46

♦ Forma primaria: idiopática (ocena)

♦ Forma secundaria:

– Enfermedades granulomatosas de la cavidad nasal.

– Infeccioso: sífilis, lepra.

– No infeccioso: LES, granulomatosis con poliangeítis

Radioterapia y / u operaciones que involucran la cavidad nasal.

Produce rinorrea viscosa (formación de costras) con olor fétido (cacosmia)

Rinitis vasomotora (ENAM 2020)

Rinitis no alérgica causada por un aumento del flujo sanguíneo a la mucosa nasal.

Suele ser idiopática.

Otros agentes causantes: olores irritantes, cambio de temperatura, ciertos medicamentos, estímulos emocionales (ansiedad, excitación).

Fisiopatología:

♦ ↑ Actividad parasimpática: provoca la vasodilatación de los vasos sanguíneos en la mucosa nasal y aumenta la secreción mucosa.

♦ ↓ Actividad simpática: provoca vasoconstricción de los vasos sanguíneos nasales.

Pólipos nasosinusales

DEFINICIÓN:

Recuerda

La triada ASA (enfermedad de Widal) es:

1. Poliposis nasal

2. Asma intrínseca

3. Intolerancia a la aspirina Recuerda

PÓLIPO COANAL, pólipo nasal blando y aislado que se origina en la membrana mucosa del seno maxilar (raramente en células etmoidales) y crece desde el meato nasal medio hacia la nasofaringe. Es raro que los pólipos sean unilaterales, si lo es se debe pensar en el pólipo antrocoanal de Killian.

Se definen como lesiones benignas de la mucosa nasal o de los senos paranasales por inflamación crónica de la mucosa.

FACTORES DE RIESGO

Rinosinusitis crónica (adultos)

sensibilidad a la aspirina en el síndrome de enfermedad respiratoria exacerbada por aspirina (EREA) llamada así por Samter y Beers (antiguamente descrita por Widal como triada ASA).

Fibrosis quística (niños)

CLÍNICA

Goteo postnasal

Obstrucción nasal bilateral (ENAM 2019)

Función olfativa frecuentemente alterada (de hiposmia a anosmia)

Voz hiponasal

DIAGNÓSTICO

Citología nasal para eosinofilia Evaluar las condiciones asociadas (Prueba de cloruro en el sudor para FQ)

Espéculo nasal o rinoscopio: masas redondas, lisas, blandas, brillantes de color gris, generalmente son múltiples y bilaterales. En niños puede producir deformidad nasal (cara de rana).

Tomografía computarizada:

♦ Determina la ubicación exacta y la extensión de los pólipos (senos paranasales)

♦ También es útil para excluir otras causas de obstrucción nasal.

www.qxmedic.com PAG. 47 OTORRINOLARINGOLOGÍA
Figura 44. Pólipos nasales, nótese su aspecto en “racimo de uvas”

Recuerda

Lo más frecuente es que se desarrolle a expensas de la mucosa de los senos etmoidales y alrededor del cornete medio.

Rinosinusitis aguda

DEFINICIÓN

TRATAMIENTO

Glucocorticoides tópicos o sistémicos (pilar del tratamiento de la poliposis nasal)

Las terapias adicionales incluyen el tratamiento de alergias subyacentes, el tratamiento con agentes antileucotrienos, la terapia con anticuerpos monoclonales anti-IgE

Si es sintomático a pesar del tratamiento médico, resección de pólipos.

La recurrencia es común.

La rinosinusitis es una inflamación de las mucosas tanto de los senos paranasales como de las cavidades nasales adyacentes.

EPIDEMIOLOGÍA

Incidencia: principios del otoño hasta principios de la primavera

Sexo :

CLASIFICACIÓN

La clasificación de la rinosinusitis se basa en la duración de los síntomas:

Rinosinusitis aguda: síntomas durante menos de 4 semanas

Rinosinusitis subaguda: síntomas durante 4 a 12 semanas

Rinosinusitis crónica: los síntomas persisten más de 12 semanas

Rinosinusitis aguda recurrente: cuatro o más episodios de rinosinusitis aguda (RSA) por año, con resolución provisional de los síntomas (al menos 8 semanas)

El rinosinusitis aguda se clasifica además según la etiología y las manifestaciones clínicas:

Rinosinusitis viral aguda (RSAV): RSA con etiología viral

Rinosinusitis bacteriana aguda no complicada (RSAB): RSA con etiología bacteriana sin evidencia clínica de extensión fuera de los senos paranasales y la cavidad nasal (por ejemplo, sin afectación neurológica, oftalmológica o de tejidos blandos)

RSAB complicado: RSA con etiología bacteriana con evidencia clínica de extensión fuera de los senos paranasales y la cavidad nasal

ETIOLOGÍA

Patógenos

Recuerda

La gran mayoría de los casos de RSA se deben a una infección viral. La RSAB representa solo alrededor del 0,5 al 2% de los episodios de ARS.

Virales (más común): rinovirus, coronavirus, adenovirus, influenza parainfluenza

Bacterianas (orden de frecuencia): Streptococcus pneumoniae, Haemophilus influenzae y Moraxella catarrahalis, Staphylococcus aereus y Streptococcus pyogenes. Vía de transmisión: por gotas

FACTORES DE RIESGO

Infección viral del tracto respiratorio superior preexistente (más común)

Trastornos de la ventilación de los senos nasales

Hipertrofia de cornetes nasales, pólipos nasales, desviación del tabique nasal

Deficiencias de la función ciliar: fibrosis quística, discinesia ciliar primaria, granulomatosis de Wegener, inflamación alérgica e inmunodeficiencia

Concha bullosa (neumatización del cornete medio)

www.qxmedic.com OTORRINOLARINGOLOGÍA PAG. 48
♀ > ♂

Cuerpo extraño alojado en la cavidad nasal

Infección odontogénica: conduce a sinusitis maxilar unilateral

Rinitis: propagación de patógenos a través de la mucosa nasal

Asma bronquial

Intolerancia a analgésicos (AINE, aspirina)

FISIOPATOLOGÍA

Obstrucción de las vías de drenaje de los senos nasales, deterioro ciliar y alteración de la cantidad y calidad del moco → estasis de las secreciones dentro de los senos nasales → proliferación de diversos patógenos → sinusitis

CLÍNICA

Rinosinusitis aguda

Estornudos, congestión nasal, rinorrea y goteo posnasal

Hiposmia / anosmia

Síntomas inespecíficos: fiebre, cefalea, malestar general, mialgia

Dolor/presión facial, eritema e hinchazón sobre el área afectada

Senos maxilares (más afectados en adultos): dolor en la región de la mandíbula (imita el dolor dental)

Senos frontales: dolor en la parte inferior de la frente.

Senos etmoidales (más afectados en niños):

Recuerda

El seno paranasal más frecuentemente afectado en niños pequeños es el etmoidal, y en niños mayores y adultos es el maxilar.

dolor en la región del puente nasal o dolor retroorbitario

Senos esfenoides: ubicados cerca del nervio óptico y la glándula pituitaria.

Rinosinusitis viral aguda

Puede ocurrir con otitis media aguda

Puede manifestarse con otros síntomas de vías respiratorias altas (Ej., Dolor de garganta, tos)

Rinosinusitis bacteriana aguda

Síntomas graves (fiebre >39 °C, dolor facial, secreción nasal purulenta)

Los síntomas permanecen estables o mejoran durante cinco a seis días y luego empeoran. ("doble empeoramiento").

DIAGNÓSTICO

La rinosinusitis aguda viral o bacteriana es un diagnóstico clínico y no requiere una evaluación adicional en la mayoría de los casos.

www.qxmedic.com PAG. 49 OTORRINOLARINGOLOGÍA
Figura 45. Imagen endoscópica de drenaje purulento del meato medio en un paciente con rinosinusitis bacteriana aguda Figura 46. Radiografía de senos paranasales: sinusitis maxilar

Recuerda

Si te preguntar por las imágenes la más utilizada como prueba inicial es la radiografía de senos paranasales (ENAM EXTRA 2021-I) o sino la proyección de Waters, pero la prueba de elección es la TEM (ENAM 2016).

Recuerda

La mucosa necrótica pálida u oscura con costras o úlceras indica rinosinusitis fúngica invasiva aguda, y es una emergencia médica.

Se requieren estudios de diagnóstico en las siguientes situaciones:

Sospecha de complicaciones (diseminación hacia el sistema nervioso central, la órbita o los tejidos circundantes)

Factores de riesgo de rinosinusitis fúngica invasiva (Inmunosupresión, DM)

Rinosinusitis aguda recurrente o rinosinusitis crónica

Imágenes: herramienta de diagnóstico inicial para las complicaciones

TC sinusal: los hallazgos pueden incluir:

Rinosinusitis: opacificación, engrosamiento de la mucosa, niveles hidroaéreos

Complicaciones: se extienden más allá de los senos nasales.

Causas subyacentes de la rinosinusitis crónica: anomalías anatómicas, obstrucción osteomeatal, poliposis

Infección fúngica o neoplasia agresiva: destrucción ósea, extensión de extrasinusal, invasión local

Radiografía de los senos nasales: opacificación de los senos nasales y niveles hidroaéreos

Estudios

adicionales

Cultivos bacterianos/fúngicos: para guiar el tratamiento médico

Biopsia (endoscópica o quirúrgica): para identificar una afección subyacente (neoplasias malignas) y permitir su clasificación.

TRATAMIENTO

Rinosinusitis aguda

Rinosinusitis aguda viral no complicada suele ser autolimitada (se resuelva en 10 días)

Rinosinusitis aguda bacteriana aguda no complicada: antibióticos

Rinosinusitis fúngica invasiva aguda: terapia antimicótica (anfotericina B) y cirugía

Tratamiento sintomático

Irrigación nasal con solución salina

Analgésicos orales: ibuprofeno o acetaminofén

Esteroides intranasales: mometasona

Descongestionantes: oximetazolina

www.qxmedic.com OTORRINOLARINGOLOGÍA PAG. 50
Figura 47. TC de los senos paranasales (plano coronal) de un paciente con sinusitis aguda. Seno maxilar derecho opacificado. Figura 48. Rinosinusitis bacteriana aguda. Imagen coronal de una TC de los senos paranasales que muestra edema mucoso (flechas) y secreciones espesas (asteriscos).

Tratamiento con antibióticos

Recuerda

El tratamiento de la RSAB es con amoxicilina más ácido clavulánico.

Tratamiento de primera línea

Alergia a la penicilina

Adultos Niños (<18 años)

– Amoxicilina

O amoxicilina / clavulanato

– Hipersensibilidad no tipo I a la penicilina

– Clindamicina

MÁS una cefalosporina de tercera generación

– Hipersensibilidad tipo I a la penicilina

– Doxiciclina

– O una fluoroquinolona respiratoria

– Ampicilina / sulbactam

– Levofloxacina

– Amoxicilina

O amoxicilina / clavulanato

– Cualquier tipo de hipersensibilidad a la penicilina.

– Cefalosporinas de segunda o tercera generación

– O clindamicina más cefixima

– Ampicilina / sulbactam

– Ceftriaxona

Tratamiento hospitalario

Tratamiento quirúrgico Indicaciones

– Moxifloxacino

Ceftriaxona

– Cefotaxima

Objetivo

Recuerda

Evidencia de anomalías estructurales (pólipos, masas u obstrucciones anatómicas)

Fracaso del tratamiento o complicaciones de la rinosinusitis

Rinosinusitis fúngica invasiva aguda

COMPLICACIONES

Las sinusitis con mayor frecuencia de complicaciones es la etmoidal.

– Cefotaxima

Apertura y drenaje de los senos nasales.

Desbridamiento de tejido necrótico o drenaje de abscesos

Corrección de obstrucciones anatómicas

Obtención de cultivos

Locales: mucoceles, osteomielitis especialmente del hueso frontal (tumor hinchado de Pott)

Celulitis orbitaria: es la complicación más frecuente, su origen suele ser etmoidal

Meningitis: es la complicación intracraneal más frecuente, su origen es etmoidal, esfenoidal y también del seno frontal.

Absceso epidural: es la segunda complicación intracraneana más frecuente, su origen suele ser del seno frontal.

Complicaciones sistémicas: bacteriemia, sepsis, neumonía, fallo multiorgánico

Tumores nasosinusales benignos

Los benignos más importantes son los osteomas y mucocele.

Recuerda

Si un tumor obstruye a nivel del meato inferior, el paciente tendrá epífora. (ENAM EXTRA 2021-II)

Estos suelen presentarse en los senos frontal y etmoidal, suelen ser asintomáticos o generar cefalea.

En los estudios radiológicos los osteomas son radiopacos y los mucoceles tienen densidad de partes blandas.

El tratamiento final de estos tumores suelen ser la cirugía.

www.qxmedic.com PAG. 51 OTORRINOLARINGOLOGÍA

Tumores nasosinusales malignos

Los malignos son más frecuentes en varones, tienen como factor de riesgo al polvo de madera (para el adenocarcinoma) y papiloma invertido (para el epidermoide).

El alcohol y el tabaco no tienen relación.

El tipo histológico más frecuente en adulto es el epidermoide el cual tiene como lugar más frecuente el seno maxilar, seguido por el etmoidal y las fosas nasales; en segundo lugar, está el adenocarcinoma.

En niños son linfomas o rabdomiosarcoma.

El paciente cursa con rinorrea unilateral purulenta, obstrucción nasal unilateral, exudado hemorrágico y hasta dolor facial.

Los exámenes que se realizan son radiografías simples, TEM y RMN; se realizaría biopsia por vía endoscópica.

Su manejo incluye la cirugía más o menos radioterapia.

www.qxmedic.com OTORRINOLARINGOLOGÍA PAG. 52
Figura 49. TEM de un tumor maligno del seno maxilar

05. PATOLOGÍA DE LA FARINGE

Hipertrofia de amígdalas adenoides

DEFINICIÓN

La hipertrofia adenoidea es la hiperplasia de las amígdalas faríngeas.

Recuerda

La hipertrofia adenoidea no causa síntomas por sí misma. El paciente sólo se vuelve sintomático después de la congestión de las coanas y las trompas auditivas.

DIAGNÓSTICO

Respiración bucal

Voz hiponasal

Secreción nasal mucopurulenta

EPIDEMIOLOGÍA

Es la causa más común de obstrucción nasal en los niños.

Facies adenoidea: cara alargada y boca abierta, labio superior corto, dientes superiores mal posicionados y prominentes, mandíbula poco desarrollada, labio superior corto, orificios nasales elevados

El examen que se suele solicitar es la radiografía de Cavum, con la cual se podría clasificar el crecimiento del adenoide desde grado 0 a 3. Se traza una línea que pasa por el cuerpo del esfenoides y otra paralela que pasa por el velo del paladar.

♦ Grado 0: ausencia de obstrucción

♦ Grado 1: obstrucción menor al 33%

♦ Grado 2: obstrucción entre 33-66%

♦ Grado 3: obstrucción entre 66-100%

El adenoide aumentado de tamaño también es visible gracias a la fibroendoscopía flexibles

TRATAMIENTO

El manejo es netamente quirúrgico (Adenoidectomía)(ENAM 2017), las indicaciones son:

Adenoiditis recurrente

Obstrucción severa (SAOS) o moderada que no haya respondido al manejo conservador

Deformidad craneofacial

www.qxmedic.com PAG. 53
Figura 50. Niño con facies adenoidea Figura 51. Radiografía de cavum con las líneas que determinan los grados de obstrucción.

Sinusitis crónica

Otitis media aguda recurrente u otitis media serosa crónica

Está contraindicado en pacientes con insuficiencia del velo del paladar.

COMPLICACIONES

Rinosinusitis crónica o recurrente, nasofaringitis y/o epistaxis

Otitis media, traqueobronquitis

Apnea obstructiva del sueño (AOS)

Hipertrofia de amígdalas palatinas

DEFINICIÓN

Es el crecimiento de las amígdalas palatinas, son también llamadas “anginas”.

EPIDEMIOLOGÍA

Es una patología también de niños.

DIAGNÓSTICO

Cursa con síntomas obstructivos (ronquidos, disfagia, SAOS) e inflamatorios (amigdalitis a repetición o crónica).

El examen de la orofaringe detecta claramente el crecimiento de dichas amígdalas, e incluso se plantea una gradación:

♦ Grado 0: no visible

♦ Grado 1: obstrucción menor de 25%

♦ Grado 2: obstrucción de 25 a 49%

♦ Grado 3: obstrucción de 50 a 74%

♦ Grado 4: obstrucción igual o mayor a 75%

TRATAMIENTO

El manejo es quirúrgico cuando presenta respiración obstructiva con trastorno del sueño, SAOS, infección recurrente.

Recuerda

La amigdalitis recurrente se define según los criterios de Paradise

- >7 episodios en el último año

- >5 episodios/año en los últimos 2 años

- >3 episodios/año en los últimos 3 años

www.qxmedic.com OTORRINOLARINGOLOGÍA PAG. 54
Figura 52. Grados del crecimiento de las amígdalas palatinas.

Apnea obstructiva del sueño (SAOS)

La apnea obstructiva del sueño (AOS) es el trastorno respiratorio relacionado con el sueño más común y generalmente se asocia con la obesidad.

Recuerda

Apnea: cese completo o casi completo (≥90%) del flujo de aire inspiratorio durante ≥ 10 segundos. La obesidad es el factor de riesgo más importante de AOS

EPIDEMIOLOGÍA

Sexo: ♂ > ♀ (2: 1)

Prevalencia: 20-30% en hombres y 10-15% en mujeres

FACTORES DE RIESGO

Obesidad, especialmente alrededor del cuello ("cuello de toro")

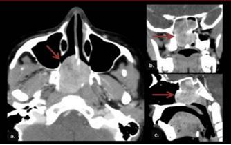
Anomalías estructurales que afectan el flujo respiratorio:

♦ Hiperplasia adenoamigdalar (especialmente en niños)

♦ Desviación del tabique nasal

♦ Cirugía previa de la vía aérea superior

♦ Úvula, lengua o paladar blando agrandados (especialmente en adultos)

FISIOPATOLOGÍA

♦ Músculos faríngeos hipertrofiados

♦ Pólipos nasales

Consumo de alcohol antes de dormir Ingesta de sedantes o betabloqueantes antes de dormir

familiar

Obstrucción de las vías respiratorias superiores debido al colapso de los músculos faríngeos durante el sueño → apnea →↓PaO2, ↑PaCO2, que conduce a:

↑Vasoconstricción pulmonar hipóxica → hipertensión pulmonar → cor pulmonale

↑ Actividad simpática → hipertensión secundaria

Acidosis respiratoria → compensación renal → ↑retención de HCO3 y ↓reabsorción de cloruro

Vía aérea normal durante el sueño Apnea - hipopnea obstructiva del sueño (AOS)

Relación de la lengua, la úvula y el paladar blando con las vías respiratorias agudas

CLÍNICA

Sueño inquieto con vigilia, jadeo o asfixia

Obstrucción de mas vías respiratorias superiores debido a la posición de la lengua y el paladar blando

Ronquidos fuertes e irregulares con episodios de apnea

Somnolencia diurna excesiva

www.qxmedic.com PAG. 55 OTORRINOLARINGOLOGÍA
Acromegalia
Tabaquismo Historia
Hipotiroidismo
Figura 53. Vía aérea normal durante el sueño vs Apnea obstructiva de sueño (AOS)

Recuerda

La AOS es una de las causas de hipertensión secundaria.

Cefalea al despertar

- Signos de complicaciones: función cognitiva deteriorada (concentración alterada, pérdida de memoria, depresión, disminución de la libido, hipertensión con aumento de la presión del pulso)

Pruebas de laboratorio: ayudan a identificar las consecuencias fisiológicas de la AOS y detectar las condiciones asociadas.

Hemograma: policitemia (hipoxia → secreción de eritropoyetina → estimulación de médula → aumenta de eritropoyesis)

Gasometría arterial: PaO2 normal durante el día, ↑HCO3 sérico

Polisomnografía: es el Gold Standard para el diagnóstico de trastornos respiratorios relacionados con el sueño, también puede ayudar a identificar otras afecciones relacionadas con el sueño (Convulsiones). el diagnóstico de AOS se confirma si se cumple alguno de los dos criterios siguientes:

♦ Hay 15 o más apneas, hipopneas por hora de sueño en un paciente asintomático.

♦ Hay 5 o más apneas obstructivas, hipopneas obstructivas en un paciente con los siguientes síntomas: somnolencia, sueño no reparador, fatiga o síntomas de insomnio; despertarse conteniendo la respiración, jadeando o ahogándose; ronquidos habituales, interrupciones de la respiración o ambos notados por un compañero de cama u otro observador; y/o hipertensión, trastorno del estado de ánimo, disfunción cognitiva, enfermedad de las arterias coronarias, accidente cerebrovascular, insuficiencia cardíaca congestiva, fibrilación auricular o diabetes mellitus tipo 2.

TRATAMIENTO

Tratamiento de primera línea: presión positiva en las vías respiratorias (PAP).

Tratamiento alternativo: pacientes que no pueden tolerar o rechazar la PAP

Recuerda

La PAP puede ser el tratamiento eficaz para la mayoría de las personas con apnea obstructiva del sueño.

Aparatos bucales Modificaciones de las vías respiratorias superiores Tratamiento de apoyo

Intervenciones de estilo de vida

♦ Reducir y/o evitar los factores de riesgo: evite el alcohol, nicotina y sedantes, pérdida de peso

Higiene del sueño

Medidas de apoyo: control de la presión arterial

COMPLICACIONES

Hipertensión sistémica

Arritmia: fibrilación auricular, aleteo auricular

Hipertensión pulmonar y cor pulmonale

Infarto cardíaco, ACV y muerte súbita

Policitemia

Riesgo de accidentes

www.qxmedic.com OTORRINOLARINGOLOGÍA PAG. 56
Figura 54. PAP en paciente con apnea obstructiva de sueño

Infecciones de faringe (Faringoamigdalitis)

DEFINICIÓN

Inflamación de las amígdalas y faringe

EPIDEMIOLOGÍA

Amigdalofaringitis aguda bacteriana: niños de 5 a 15 años

ETIOLOGÍA

Amigdalofaringitis aguda

Recuerda

Mononucleosis

infecciosa puede manifestarse con características clínicas similares a la amigdalofaringitis bacteriana aguda. Considere una prueba de anticuerpos heterófilos si la sospecha clínica es alta.

Virales (50-80% de casos): adenovirus, VEB, CMV, VHS, rinovirus, coronavirus, virus de influenza y parainfluenza, VIH

Bacteriana (15-30% de casos): S. pyogenes (más común: Estreptococo beta hemolítico del grupo A), Neisseria gonorrhoeae, Corynebacterium diphtheriae, Mycoplasma pneumoniae.

CLÍNICA

Amigdalofaringitis bacteriana aguda

Inicio repentino de síntomas: fiebre, dolor de garganta, disfagia

Eritema y edema faríngeo y/o

amigdalino

Exudados amigdalares

Linfadenitis cervical

Tos

Amigdalofaringitis viral aguda

Tos

Rinitis

Rinorrea

Úlceras orales, estomatitis anterior Conjuntivitis

Diarrea

www.qxmedic.com PAG. 57 OTORRINOLARINGOLOGÍA
Figura 55. Amigdalofaringitis aguda: eritema y edema amigdalar bilateralmente con enantema petequial del paladar blando. Figura 56. Amigdalitis aguda bacteriana: amígdalas agrandadas bilateralmente con exudados amarillentos. Paladar blando, pilares amigdalares anteriores y úvula eritematosa y edematosos.

DIAGNÓSTICO: es principalmente clínico

Sistemas de puntuación clínica: Escala de Centor modificada: ayuda a estimar la probabilidad de amigdalofaringitis aguda bacteriana según las características clínicas.

100,4 ° F (38 ° C)

Interpretación

• Puntuación ≤ 1: no se necesitan más pruebas de diagnóstico

• Puntuación ≥ 2: considere la posibilidad de realizar pruebas de detección rápida de antígenos ( RADT ) y / o cultivo de garganta.

• Puntuación ≥ 4: Considere la terapia con antibióticos empíricos (controvertido)

Prueba de detección rápida de antígenos: prueba de primera línea en sospecha de amigdalofaringitis bacteriana aguda

Cultivo de garganta: prueba confirmatoria para descartar definitivamente la infección por GAS en niños sintomáticos ≥ 3 años y adolescentes con prueba de antígeno negativo

TRATAMIENTO

Amigdalofaringitis por S. pyogenes: terapia con antibióticos para prevenir la fiebre reumática Amigdalofaringitis viral aguda: cuidado sintomático (hidratación, gárgaras con agua salada, analgésicos y antipiréticos).

Recuerda

El tratamiento erróneo de una infección por VEB (mononucleosis infecciosa) con amoxicilina puede provocar una erupción maculopapular.

de

a penicilina: clindamicina o macrólidos

www.qxmedic.com OTORRINOLARINGOLOGÍA PAG. 58
Puntos Criterios Puntos Edad 3-14 años +1 15 a 44 años 0 > 44 años -1 Exudado o
amígdalas Sí +1 No 0 Ganglios
anteriores
Sí +1 No 0 Temperatura
Sí +1 No 0 Tos Ausente +1 Regalo 0
hinchazón en las
linfáticos cervicales
sensibles o inflamados
>
Medicamento Duración Sin alergia a la penicilina Penicilina V: tratamiento de elección 10 días Amoxicilina 10 días Penicilina G benzatínica Dosis única Alergia a la penicilina Cefalexina 10 días Cefadroxilo 10 días Historia
Clindamicina 10 días Azitromicina 5 días Claritromicina 10 días
anafilaxia

Abscesos faríngeos

ABSCESO PERIAMIGDALINO (ENAM 2004, EXTRA 2021-I)

ETIOLOGÍA

Patógenos: Streptococcus pyogenes (más común)

Mas común en adolescentes o jóvenes

DIAGNÓSTICO

Características de la amigdalitis: fiebre, malestar, dolor de garganta intenso, disfagia y odinofagia

ABSCESO PARAFARÍNGEO

ETIOLOGÍA

Patógenos: estreptococos (estreptococos viridans, S. pneumoniae), estafilococos, Haemophilus influenzae

Mas común en niños < 5 años

DIAGNÓSTICO

Características del absceso periamigdalino, especialmente trismo.

Absceso del espacio posterior: desplazamiento medial de la pared faríngea lateral y la amígdala

ABSCESO RETROFARÍNGEO

ETIOLOGÍA

Patógeno: streptococcus (estreptococos viridans , S. pneumoniae), estafilococos, Haemophilus influenzae, anaerobios (peptoestreptococos, Bacteroides especies), a menudo en un entorno polimicrobiana

Mas común en niños < 5 años

DIAGNÓSTICO

Asimetría del cuello con hinchazón unilateral de la pared faríngea posterior; incapacidad para extender el cuello

Tumores de faringe

Trismo (limitación para la apertura bucal) Úvula hacia el lado contralateral.

Amígdala unilateral fluctuante, inflamada y eritematosa con exudados

Linfadenopatía ipsilateral cervical

TRATAMIENTO

Clindamicina o ampicilina-sulbactam

Incisión y drenaje; aspiración con aguja

Absceso del espacio anterior: hinchazón indurada, disnea, estridor

Extensión limitada del cuello cervical (tortícolis)

TRATAMIENTO

Antibióticos IV

Drenaje quirúrgico

COMPLICACIONES

Propagación de la infección al espacio retrofaríngeo, vaina carotídea

Dificultad respiratoria (disnea)

TRATAMIENTO

Manejo de las vías respiratorias

Antibióticos IV: ampicilina-sulbactam o clindamicina

Drenaje de abscesos

COMPLICACIONES

Propagación de la infección a la vaina carotídea ;y luego mediastino (mediastinitis necrotizante aguda con ensanchado mediastino)

Bacteriemia y sepsis

TUMORES BENIGNOS: angiofibroma de cavum o fibroma nasofaríngeo juvenil

DEFINICIÓN

Tumor benigno compuesto de tejido fibroso, tejido conjuntivo y vasos sanguíneos (angiofibroma)

EPIDEMIOLOGÍA:

Sexo: ocurre exclusivamente en hombres

Edad: 10-20 años

Asociado a la esclerosis tuberosa.

www.qxmedic.com PAG. 59 OTORRINOLARINGOLOGÍA

Recuerda

Descartar angiofibroma ante epistaxis intensos de repetición en un varón joven.

DIAGNÓSTICO

Obstrucción nasal unilateral progresiva con desviación del tabique hacia el lado contralateral Epistaxis recurrente e intensa Rinorrea, respiración nasal alterada, anosmia

Fibroendoscopía: masa redondeada rosa-violácea en cavum. No biopsiar, por el riesgo de hemorragia.

TAC y arteriografía: son los métodos diagnósticos de elección.

TRATAMIENTO

Escisión quirúrgica del tumor (tras embolización para disminuir el lecho vascular)

PRONÓSTICO

Recidiva en el 10 a 40%

juvenil. Nótese el aumento de volumen en hemicara izquierda y asimetría ocular..

TUMORES MALIGNOS DEFINICIÓN

a. Masa en cavum lobulada, heterogénea, con intensa captación de contraste, que mide 38 x 48 x 31 mm.

b. Imagen coronal y c. sagital, que muestran extensión craneal, con ocupación de los senos esfenoidales, y caudal hacia ambas coanas.

Estos cánceres son más comúnmente carcinomas de células escamosas (epidermoide)

FACTORES DE RIESGO

Carcinoma nasofaríngeo: infección por VEB

Carcinoma de orofaringe (amígdalas): infección por VPH, tabaco y alcohol

Carcinoma de hipofaringe: tabaco, alcohol, síndrome de Plummer Vinson

Recuerda

Una otitis secretora unilateral en un adulto que presenta una adenopatía cervical y. ocasionalmente, obstrucción nasal obliga a descartar un cáncer de cavum.

CLÍNICA

Cáncer de nasofaringe (cáncer de Cavum)

Linfadenopatía indolora (signo inicial más frecuente)

Rinorrea mucopurulenta, epistaxis.

Obstrucción de la trompa de Eustaquio: Otitis media recurrente, hipoacusia (otitis serosa)

Síndrome de Horner, diplopía (oftalmoplejía)

Cáncer de orofaringe (amígdalas)

Odinofagia (síntomas más frecuente)

Amígdala unilateralmente indurada, ulcerada y/o agrandada

Ganglios linfáticos cervicales agrandados

Cáncer de Hipofaringe

Ganglios linfáticos cervicales agrandados (signo inicial más frecuente)

Sensación de cuerpo extraño, disfagia, dolor de garganta

Voz apagada

DIAGNÓSTICO

Panendoscopia con biopsia

Examen histopatológico: células pleomórficas y figuras mitóticas

TRATAMIENTO:

Resección quirúrgica en cánceres de faringe en estadio temprano o localizado.

Radioterapia y quimioterapia (casos avanzados)

www.qxmedic.com OTORRINOLARINGOLOGÍA PAG. 60
Figura 57. Paciente con angiofibroma nasofaríngeo Figura 58. ANGIOFIBROMADE CAVUM

06. PATOLOGÍA DE LARINGE

Parálisis laringeas

PARÁLISIS CENTRAL

Supranuclear (lesión de las fibras corticobulbares):

♦ parálisis espástica por lesión de la motoneurona superior.

Nuclear (lesión en el bulbo):

♦ Lesión núcleo motor (ambiguo):

Parálisis flácida por lesión de la segunda

PARÁLISIS PERIFÉRICA (90% casos)

Recuerda

El nervio recurrente izquierdo rodea al cayado aórtico antes de ascender por el surco tráqueo-esofágico. El nervio recurrente derecho rodea a la arteria subclavia, antes de ascender por el surco tráqueo-esofágico

Recuerda

neurona (neuronas motoras del núcleo ambiguo).

– Cuerdas en posición intermedia.

Disfagia.

♦ Lesión núcleo sensitivo (tracto solitario):

Aspiración de alimentos por anestesia laríngea (lesión de las neuronas sensitivas del núcleo solitario)

Lesión del vago por encima de los nervios faríngeos:

♦ Disfagia, aspiración, disfonía

♦ cuerda vocal en posición intermedia.

Lesión del vago por debajo de los nervios faríngeos:

♦ Disfonía, aspiración. No hay disfagia

♦ cuerda vocal en posición intermedia.

Parálisis del nervio laríngeo superior:

♦ Alteraciones sensitivas

♦ Disfonía leve, aspiración. No hay disfagia.

♦ No suele requerir tratamiento

Parálisis del nervio laríngeo inferior (recurrente) :

♦ Es la más frecuente (lado izquierdo)

♦ causa más frecuente es la cirugía tiroidea

♦ Disfonía (voz bitonal). No hay aspiración ni disfagia

♦ Cuerdas vocales en posición paramediana.

♦ En las parálisis bilaterales las dos cuerdas vocales situadas en posición paramediana son responsables de la disnea y el estridor.

www.qxmedic.com PAG. 61
Figura 59. Posición intermedia: parálisis laríngea total Figura 60. Posición paramediana de la cuerda vocal en la parálisis del nervio laríngeo recurrente
El músculo cricoaritenoideo posterior es el encargado de la apertura de la glotis.
(ENAM EXTRA 2021-II)

Tumores benignos

PÓLIPO DE LAS CUERDAS VOCALES

DEFINICIÓN:

Lesión benigna más común que se desarrolla en respuesta a la irritación en el tercio anterior de las cuerdas vocales.

EPIDEMIOLOGÍA:

Incidencia máxima entre 30 y 50 años

ETIOLOGÍA:

Uso excesivo de la voz Tabaquismo

Enfermedad de reflujo gastroesofágico (ERGE)

Uso de anticoagulantes

DIAGNÓSTICO

Disfonía

Ronquera

Laringoscopia: excrecencia lisa y uniforme en el borde libre de una cuerda vocal

TRATAMIENTO:

Manejo quirúrgico

NÓDULO DE LAS CUERDAS VOCALES

DEFINICIÓN:

lesión benigna causada por microtraumatismos frecuentes en las cuerdas vocales, que conduce a hinchazón edematosa y desarrollo de cicatrices fibróticas.

EPIDEMIOLOGÍA:

Incidencia máxima entre 20 y 50 años

Causa más común de ronquera persistente en niños en edad escolar

ETIOLOGÍA:

uso excesivo de la voz (lesión funcional)

FISIOPATOLOGÍA:

microtraumatismo de las cuerdas vocales

→ hinchazón edematosa → cicatriz fibrótica (nódulo de las cuerdas vocales ) de la lámina propia superficial DIAGNÓSTICO

tono bajo de voz, voz susurrante, ronquera, rango vocal alterado.

Laringoscopia: nódulos pequeños en la unión del tercio anterior con los dos tercios posteriores de las cuerdas vocales.

de la derecha:

vocales en posición respiratoria. Los tumores del tamaño de una cabeza de alfiler se encuentran a ambos lados, entre los tercios medio y anterior de las cuerdas vocales (lugar de mayor amplitud de oscilación).

Imagen izquierda: mismo hallazgo en posición de fonación.

www.qxmedic.com OTORRINOLARINGOLOGÍA PAG. 62
♂ > ♀
♀ > ♂
Figura 61. Vista laringoscópica de un pólipo en el pliegue vocal (ubicado en el tercio anterior). Figura 62. Imagen laringoscópica de las cuerdas vocales de un adulto con ronquera creciente. Imagen pliegues

TRATAMIENTO:

- Manejo conservador: trate la causa subyacente

♦ Descanso vocal y terapia de la voz

♦ Tratamiento de la ERGE

♦ Dejar de fumar

Inyección de esteroides o toxina botulínica en las cuerdas vocales

Extirpación microquirúrgica en casos persistentes o graves

QUISTE DE LAS CUERDAS VOCALES

DEFINICIÓN:

estructura benigna en forma de saco en la lámina propia de las cuerdas vocales debido a la obstrucción de las glándulas secretoras de moco.

EPIDEMIOLOGÍA:

ocurre en todas las edades; a menudo en los niños

ETIOLOGÍA:

obstrucción de las glándulas secretoras de moco laríngeo

Quistes de retención: obstrucción causada por inflamación debido a un alto estrés vocal (p. Ej., Ocupacional)

GRANULOMA DE LAS CUERDAS VOCALES

DEFINICIÓN:

lesión en ambas cuerdas vocales causada por traumatismo y posterior inflamación y ulceración.

EPIDEMIOLOGÍA:

♂ > ♀

ETIOLOGÍA:

trauma en las cuerdas vocales.

Intubación endotraqueal (+ común)

Uso excesivo de la voz

Tos crónica

EDEMA DE REINKE

DEFINICIÓN:

acumulación benigna de líquido en la lámina propia superficial de las cuerdas vocales verdaderas causada por inflamación crónica e irritación secundaria al tabaquismo.

EPIDEMIOLOGÍA:

♀ > ♂

Quistes epidermoides: obstrucción provocada por anomalía congénita o secundaria a un traumatismo vocal

CLASIFICACIÓN:

Retención o quiste epidermoide Quiste intracordal o sacular

DIAGNÓSTICO

Quiste intracordal: ronquera

Quiste sacular: obstrucción de las vías respiratorias, cambio de voz

laringoscopia. Muestra una lesión unilateral de color blanco amarillento con un borde definido.

TRATAMIENTO:

extirpación microquirúrgica

ERGE DIAGNÓSTICO:

ronquera, tos.

Laringoscopia: aparece en la parte posterior de las cuerdas vocales

TRATAMIENTO:

Manejo conservador:

♦ Descanso vocal y terapia de la voz

♦ Tratamiento de la ERGE

♦ Dejar de fumar

Extirpación microquirúrgica: si los síntomas persisten o se sospecha de malignidad

ETIOLOGÍA:

Factor de riesgo principal: tabaquismo

Factores de riesgo menores

♦ Uso excesivo de la voz

♦ Alcohol

♦ Infección del tracto respiratorio superior crónica

♦ ERGE

www.qxmedic.com PAG. 63 OTORRINOLARINGOLOGÍA

DIAGNÓSTICO:

ronquera, voz grave y áspera, fatiga vocal 0laringoscopia: masa edematosa bilateral en ambas cuerdas vocales de amplia base de implantación

TRATAMIENTO:

Controlar los factores de riesgo

♦ Dejar de fumar

♦ Manejo del reflujo

♦ Evitación del uso excesivo de la voz Restauración de la función de voz normal

♦ Terapia de voz

♦ Extirpación microquirúrgica (decorticación o "stripping”) en casos en los que la función de la voz no es satisfactoria a pesar del tratamiento conservador

PAPILOMATOSIS LARÍNGEA

DEFINICIÓN:

tumor benigno del epitelio laríngeo causado por la infección de la garganta por el virus del papiloma humano (VPH)

CLASIFICACIÓN:

Inicio juvenil respiratoria recurrente papilomatosis (papilomatosis respiratoria juvenil recurrente): <20 años de edad

Papilomatosis respiratoria recurrente de inicio en el adulto (AORRP)

ETIOLOGÍA:

infección por VPH (especialmente VPH6 y VPH11)

DIAGNÓSTICO:

Ronquera, disfonía / afonía

Estridor, tos crónica, disnea por obstrucción de las vías respiratorias

Disfagia en enfermedad avanzada

Laringoscopia

TRATAMIENTO:

No hay cura definitiva, el objetivo es limitar

Tumores maligno

DEFINICIÓN

El carcinoma de laringe es un tumor maligno de la laringe que se presenta con mayor frecuencia en hombres mayores.

la propagación de la enfermedad:

Extirpación quirúrgica

Tratamiento potencialmente adyuvante con antivirales: Aciclovir, ribavirina, cidofovir

COMPLICACIONES:

Transformación maligna en carcinoma de células escamosas hasta en el 4% de los casos

Obstrucción de las vías respiratorias y dificultad respiratoria potencialmente mortal

LESIONES PRECANCEROSAS DE LA LARINGE

Papilomatosis laríngea: carcinoma de células escamosas hasta en el 4% de los casos.

Leucoplasia: hiperqueratosis del epitelio y las membranas mucosas que afecta con mayor frecuencia a la cavidad oral.

Paquiderma: mucosa rugosa y/o engrosada que puede ir acompañada de hinchazón

EPIDEMIOLOGÍA

Cáncer de laringe es el más frecuente de cabeza y cuello.

Afecta más a varón, aproximadamente 60 años

www.qxmedic.com OTORRINOLARINGOLOGÍA PAG. 64
Figura 63. Edema de Reinke: Edema submucoso, aspecto gelatinoso.

FACTORES DE RIESGO

Tabaco (+importante)

Alcohol

Productos químicos

VPH 6 y 11

PATOLOGÍA

Los carcinomas de laringe son casi siempre cánceres de células escamosas (epidermoide)

ESTADIAJE

Clasificación TNM:

T1: tumor limitado o una de las 3 regiones laríngeas (supraglotis, glotis o subglotis).

DIAGNÓSTICOS

CANCER SUPRAGLÓTICO

♦ 30 - 40% Cáncer laríngeo.

♦ Síntomas vagos: sensación cuerpo extraño, disfagia.

♦ Tienden a diseminarse localmente.

♦ Suele iniciarse en Epiglotis.

Recuerda

T2: tumor que afecta o dos regiones laríngeas

T3: tumor limitado o lo laringe con fijación de una o las dos cuerdos vocales.

T4: tumor que desbordo la laringe. Si es de origen subglótico, puede afectar lo hipofaringe (región retrocricoidea), la tráquea o la piel

Las adenopatías cervicales metastásicas son muy raras en el carcinoma exclusivamente glótico.

N1: adenopatía única de menos de 3 cm.

N2: adenopatía única de 3 o 6 cm, o adenopatías múltiples.

N3: adenopatías de más de 6 cm.

♦ Peor pronóstico: 40% Diseminación linfática (ganglionar)

CANCER GLÓTICO

♦ 50-75% cáncer laríngeo

♦ Diagnosticado en estadios tempranos debido a la sintomatología precoz (Disfonía o ronquera)

Toda ronquera o disfonía en un adulto de más de 2-3 semanas de duración requiere descartar carcinoma laríngeo

♦ Pronóstico favorable: Metástasis regional limitado

CANCER SUBGLÓTICO

♦ 1% de todo cáncer de laringe

♦ Síntoma: disnea y estridor.

♦ Histología: Epitelio Pseudoestratificado cilíndrico ciliado

♦ Pobre pronóstico < 20% metástasis regional

♦ Laringoscopia directa: lesiones irregulares, nodulares o ulcerativas

TRATAMIENTO

Etapas iniciales: radioterapia o resección láser endoscópica transoral

Etapas avanzadas: laringectomía total PRONÓSTICO

La presencia de adenopatías cervicales es el factor pronóstico más importante en el cáncer de laringe

Las adenopatías metastásicas son muy raras en el cáncer de glotis (mejor pronóstico)

Las metástasis linfáticas son más frecuentes en los tumores supraglóticos (peor pronóstico)

La mayoría de las recidivas tras tratamiento aparecen antes de los dos años.

Son muy raras las metástasis a distancia en el momento del diagnóstico

www.qxmedic.com PAG. 65 OTORRINOLARINGOLOGÍA
Figura 64. La presencia de adenopatías cervicales es el factor pronóstico más importante en el cáncer de laringe Figura 65. Laringoscópica del carcinoma glótico (T1): cuerda vocal derecha edematosa y eritematosa, con un área de ulceración

Turn static files into dynamic content formats.

Create a flipbook
Issuu converts static files into: digital portfolios, online yearbooks, online catalogs, digital photo albums and more. Sign up and create your flipbook.