EBOOK - Oftalmología V3_PI2023

Page 1

Jaime Torres OFTALMOLOGÍA

Trastornos del campo visual Neuritis óptica

Definición

Uveítis anterior (Iridociclitis)

Tumores orbitarios primarios

Hemangioma capilar

Hemangioma cavernoso

Rabdomiosarcoma

Neurofibroma

Tumores de glándula lacrimal

Tumores orbitarios metastásicos

Tumores intraoculares primarios

Glaucoma crónico (Ángulo abierto)

Glaucoma agudo (Ángulo cerrado) Glaucoma congénito

Í
Celulitis periorbitaria (preseptal) Celulitis orbitaria (postseptal) Dacrioadenitis Dacriocistitis Dacrioestenosis 01 Orzuelo Chalazión Blefaritis Ptosis
Patología de anexos: Párpados
de anexos: Sistema lagrimal
adultos Conjuntivitis en recién nacido
Uveítis intermedia
Uveítis posterior (Coriorretinitis) pág. 11 02 pág. 17 03 pág. 21
Epiescleritis Escleritis
NDICE
Ectropión
Patología
Conjuntivitis en
(Parsplanitis)
Queratitis
Glaucoma secundarios
Epidemiología Etiología Diagnóstico Tratamiento
Retinopatía diabética Retinopatía hipertensiva Oclusión de la arteria central de la retina Oclusión de la vena central de la retina Degeneración macular asociado con la edad Desprendimiento de retina Trauma ocular cerrado Trauma ocular abierto Fractura de órbita Quemaduras químicas Miopía Hipermetropía Astigmatismo Presbicia Ambliopía Patología inflamatoria de órbita 04 pág. 23 Patología de la conjuntiva 05 pág. 27 Patología de córnea y esclera 06 pág. 31 Patología de la Úvea 07 pág. 35 Glaucoma 08 pág. 39 Patología de la retina 09 pág. 47 10 pág. 49 11 pág. 53 Neuroftalmología Lesiones oculares traumáticas Catarata 12 pág. 55 Defectos de refracción (Ametropías) 13 pág. 59

PATOLOGÍA DE ANEXOS: PÁRPADOS 01.

Orzuelo

DEFINICIÓN

Inflamación aguda de los folículos de las pestañas (glándulas Zeis o de Meibomio)

ETIOLOGÍA

Principalmente Staphylococcus aureus, rara vez Streptococcus

Mayor incidencia en personas con acné vulgar y diabetes mellitus.

Recuerda

S. aureus también es la causa más frecuente de blefaritis bacteriana, forúnculo, foliculitis e hidradenitis supurativa.

GLÁNDULA ZEIS (sebácea)

CLASIFICACIÓN

Orzuelo externo: inflamación de la glándula de Moll (sudorípara)(ESSALUD 2008) o de Zeis (sebácea) en el borde del párpado. Orzuelo interno: inflamación de la glándula de Meibomio (sebácea); generalmente visible en la conjuntiva palpebral

GLÁNDULA MEIBOMIO (sebácea)

GLÁNDULA MOLL (sudorípara) (ESSALUD 2008)

DIAGNÓSTICO

Nódulo doloroso, eritematoso en el párpado

TRATAMIENTO

La mayoría de los orzuelos son autolimitados y se resuelven espontáneamente después de 1 a 2 semanas.

Compresa tibia y masaje Tratamiento con antibióticos tópicos (Gentamicina, amoxicilina, eritromicina)

www.qxmedic.com PAG. 7
Figura 2. Inflamación eritematosa nodular local de la parte medial del párpado superior. Este hallazgo es consistente con una inflamación bacteriana aguda de una glándula en el borde palpebral (orzuelo). Figura 1. Glándulas del párpado: en el borde externo tenemos a la glándula de Zeis y Moll, en la parte interna se encuentra la glándula de Meibomio

Chalazion

DEFINICIÓN

Inflamación granulomatosa crónica de las glándulas sebáceas (meibomio).

ETIOLOGÍA

Mala higiene de los párpados, estrés o inmunodeficiencia

Condiciones sistémicas: tuberculosis, rosácea, dermatitis seborreica

Anormalidades anatómicas locales: complicaciones de blefaritis crónica, trauma o después de una cirugía.

DIAGNÓSTICO

Nódulo indoloro, elástico, firme y crónico (de crecimiento lento) en el párpado

El chalazión persistente o recurrente puede ser un signo de carcinoma sebáceo (carcinoma de la glándula de Meibomio).

TRATAMIENTO

Esteroides intralesionales (triamcinolona) < 4 mm Incisión y legrado si el nódulo mide > 4 mm

Infecciosa (S. Aureus) Obstructiva (obstrucción de la glándula)

Zeizz/Moll o Meibomio

Inflamación, edema e hiperemia en el borde palpebral

Lavado, calor, antibiótico (Cloranfenicol, bacitracina, eritromicina)

Meibomio

Nódulo, no edema, no eritema

<4 mm: Triamcinolona

>4 mm: Incisión y curetaje

www.qxmedic.com OFTALMOLOGÍA PAG. 8
ORZUELO CHALAZION Agudo Crónico Doloroso No doloroso
Figura 3. Esta es la apariencia típica de un chalazión, que se desarrolla debido a la obstrucción y la posterior inflamación granulomatosa de la glándula de Meibomio.

Blefaritis

DEFINICIÓN

La blefaritis es una afección palpebral común que se presenta como una inflamación escamosa crónica y / o recurrente de los márgenes del párpado.

ETIOLOGÍA

Estafilococos (patógeno causante más común)

Parasitarias: Demodex sp.

Enfermedades sistémicas: rosácea, atopia y dermatitis seborreica

CLASIFICACIÓN

Anterior: Blefaritis bacteriana o dermatitis seborreica

Posterior: rosácea

DIAGNÓSTICO

Placas costrosas, escamosas y / o depósitos aceitosos en el borde del párpado y las pestañas.

♦ La formación de costras suele representarse en una enfermedad seborreica

♦ Una colección en forma de anillo alrededor de las pestañas (collarete) es típica de la enfermedad estafilocócica

♦ Una colección tubular suave en la base de la pestaña es típica de Demodex.

TRATAMIENTO

Higiene del margen del párpado Antibióticos tópicos, en enfermedad grave

Ptosis

DEFINICIÓN

Caída total o parcial de uno o ambos párpados superiores

ETIOLOGÍA

Congénito

Miogénico

♦ Causa más común de ptosis congénita

♦ Malformación del músculo elevador del párpado superior

Neurogénico: inervación defectuosa del párpado superior (Parálisis congénita del tercer par craneal)

Aponeurótico: inserción defectuosa de la aponeurosis en la superficie anterior de los párpados.

www.qxmedic.com PAG. 9 OFTALMOLOGÍA
Figura 3. Esta es la apariencia típica de un chalazión, que se desarrolla debido a la obstrucción y la posterior inflamación granulomatosa de la glándula de Meibomio. Figura 5. Ptosis palpebral izquierda

Adquirido

Ptosis aponeurótica

♦ Causa más común de ptosis adquirida

♦ Causada por dehiscencia o estiramiento de la aponeurosis del músculo elevador del párpado superior.

♦ Más frecuente en personas de edad avanzada y en usuarios de lentes de contacto

Miogénico

♦ Miopatía hipotiroidea

♦ Síndromes miotónicos (Distrofia miotónica tipo I) Mecánico

♦ El peso excesivo en el párpado superior (Hemangioma, hematoma, infecciones, tumores del párpado superior) impide la apertura completa del ojo.

♦ Provoca debilidad del músculo elevador del párpado superior.

Neurogénico:

♦ Parálisis del nervio motor ocular común (fibras parasimpáticas)

Neuropatía diabética (pupila normal)

– Aneurisma de la arteria comunicante posterior o hernia uncal (Compresión del núcleo del III par craneal) (pupila midriática)

Isquemia del nervio motor ocular común

♦ Enfermedad neuromuscular (Miastenia gravis, botulismo)

♦ Lesión del nervio simpático: síndrome de Horner

– Causa más común: tumor de Pancoast (carcinoma epidermoide de pulmón) ubicado en ápice de pulmón

Presenta ptosis por debilidad del músculo de Muller (fibras simpáticas)

– Asocia con miosis + anhidrosis + enoftalmos ipsilateral a la lesión

Traumático

Recuerda

Ptosis palpebral + midriasis = compresión del núcleo del III par craneal (aneurisma de comunicante posterior)

Sindrome causado por compromiso del simpático a nivel cervical (Y también ptosis)

ENOFTALMIA MIOSIS ANHIDROSIS

Es un sindorme común en enfermedades neoplásicas del ápice del púlmon

El lado de la cara afectada es homolateral a la lesión

www.qxmedic.com OFTALMOLOGÍA PAG. 10
Figura 6. Síndrome de Claude Bernard Horner

Ectropión

DEFINICIÓN

El párpado se pliega hacia afuera (generalmente el párpado inferior)

ETIOLOGÍA

Ectropión congénito

Síndrome de Down

Microftalmia

Ectropión adquirido

Involucional: debido a la laxitud relacionada con la edad de las placas tarsales

Cicatricial: debido a un traumatismo, inflamación, quemaduras, cirugía, cáncer (carcinoma basocelular es el tumor palpebral maligno más frecuente)

Paralítica: paresia del musculo orbicular del ojo debido a la parálisis del nervio facial (VII par craneal)

Ectropión mecánico: masa o edema conjuntival (quemosis)

DIAGNÓSTICO

Hiperemia conjuntival

Visión borrosa

Fotofobia

Lagoftalmos

Epífora

COMPLICACIONES

Conjuntivitis

Queratoplastia por exposición

Pérdida de visión

www.qxmedic.com PAG. 11 OFTALMOLOGÍA
Figura 7. Ectropión en el parpado inferior Figura 8. Carcinoma basocelular es el tumor palpebral maligno más frecuente su localización típica es el párpado inferior

02. PATOLOGÍA DE ANEXOS: SISTEMA LAGRIMAL

Dacrioadenitis

DEFINICIÓN:

Inflamación aguda de la glándula lagrimal.

ETIOLOGÍA:

Infección (más común)

♦ Viral: parotiditis, VEB, CMV, herpes zoster

♦ Bacterianas: S. aureus, Streptococcus, Gonoco, Mycobacterium tuberculosis

♦ Hongos: histoplasmosis , blastomicosis

Inflamatorio

Recuerda

La causa más frecuente de canaliculitis es la bacteria actinomices sp.

Recuerda

El síndrome de Mikulicz es una condición inflamatoria, usualmente benigna y crónica, caracterizada por el agrandamiento de las glándulas salivales (parótida) y lagrimal que ocurre como una complicación de otra enfermedad, tal como un linfoma, leucemia, sarcoidosis.

GLÁNDULA PRINCIPAL

CANALÍCULOS

CONDUCTO NASOLACRIMAL

DIAGNÓSTICO:

Dolor / malestar unilateral sobre la glándula lagrimal (párpado superior lateral) Ptosis característica en forma de S¨. Puede haber fiebre y agrandamiento de los ganglios linfáticos preauriculares ipsilaterales.

www.qxmedic.com PAG. 13
Figura 10. La hinchazón y el enrojecimiento debido a la dacrioadenitis aguda son visibles en el área del ojo izquierdo, especialmente en el párpado superior lateral. Se puede ver una ptosis característica en forma de S Figura 9. Sistema lagrimal, recordar que el conducto nasolagrimal drena en el meato inferior SACO LAGRIMAL MEATO INFERIOR

TRATAMIENTO:

La dacrioadenitis viral puede ser autolimitada Antibióticos intravenosos de amplio espectro: en pacientes febriles, presencia de secreción purulenta, cultivos de frotis de ojo positivos.

Dacriocistitis

DEFINICIÓN:

Inflamación aguda del saco lagrimal (ESSALUD 2004)

ETIOLOGÍA:

Dacrioestenosis congénita / adquirida → estasis de lágrimas → infección bacteriana secundaria (S. aureus) → inflamación del saco lagrimal.

DIAGNÓSTICO:

Eritema, edema, calor y dolor significativo debajo del canto medial del ojo La presión sobre la hinchazón provoca dolor y secreción purulenta del punto. Epífora Fiebre (puede estar presente)

TRATAMIENTO:

Sintomático: compresas calientes, AINES Antibióticos sistémicos: clindamicina oral, amoxicilina + ácido clavulánico, vancomicina EV pueden usarse empíricamente

Incisión y drenaje si ocurre un absceso del saco lagrimal Cirugía: Dacriocistorrinostomía (tratamiento de la obstrucción)

Dacrioestenosis

Es la obstrucción del conducto nasolagrimal, puede ser de dos tipos

Dacriostenosis congénita

Definición: atresia / obstrucción congénita del conducto nasolagrimal en un lactante Incidencia: hasta el 6% de los nacidos vivos (condición común)

Patogenia: La válvula de Hasner se ve como un pliegue mucoso que obstruye el tercio distal del conducto nasolagrimal

www.qxmedic.com OFTALMOLOGÍA PAG. 14
Figura 11. Dacriocistitis aguda Glándula lacrimal Conductos lagrimales Pelicula lagrimógena Válvula de Hasner Cornete inferior Figura 12. Dacriostenosis congénita (válvula de Hasner)

Diagnóstico:

♦ Epífora dentro de 2- 4 semanas de nacimiento

Tratamiento:

♦ Masaje del saco lagrimal: manejo inicial + importante

♦ Sondaje o intubación del conducto nasolagrimal

♦ Dacriocistorrinostomía como último recurso en casos refractarios o anatomía anormal

Recuerda

Dacrioestenosis congénita es la causa más común de epifora en los bebés. Figura 14. Técnica de masaje del conducto nasolagrimal

(A) El dedo índice se coloca sobre la cara superior del saco nasolagrimal y se aplica una presión moderada hacia abajo.

(B) La presión hacia abajo provoca la ruptura de la obstrucción membranosa en la parte inferior del conducto nasolagrimal.

Dacriostenosis adquirida

Etiología

♦ Enfermedades granulomatosas: sarcoidosis; vasculitis, tuberculosis

♦ Estenosis del punto lagrimal: debido a una conjuntivitis crónica

♦ Estenosis postraumática (fractura / cirugía nasal)

Las características clínicas, el diagnóstico y las complicaciones son similares a las de la dacrioestenosis congénita.

Tratamiento

♦ Manejo del trastorno subyacente

♦ Sonda / intubación del conducto lagrimal: en todos los pacientes

♦ Dacriocistorrinostomía en casos refractarios

www.qxmedic.com PAG. 15 OFTALMOLOGÍA
A. B. Figura 13. Epifora crónica en un lactante con dacrioestenosis

PATOLOGÍA INFLAMATORIA DE LA ÓRBITA

Celulitis periorbitaria (Preseptal)

DEFINICIÓN

Una infección del párpado y los tejidos blandos periorbitarios sin afectación del contenido orbitario.

Anterior al tabique orbitario

ETIOLOGÍA

Complicación de la infección del tracto respiratorio superior, más comúnmente debido a rinosinusitis bacteriana (Niños: sinusitis etmoidal)

EPIDEMIOLOGÍA

Más común en niños que en adultos

Mucho más común que la celulitis orbitaria

DIAGNÓSTICO

Dolor ocular

Párpado hinchazón y eritema

Con menos frecuencia, quemosis y fiebre

TRATAMIENTO

Para enfermedad leve no sistémica sin fiebre, antibióticos orales (Amoxicilina - ácido clavulánico) y seguimiento ambulatorio cercano.

Celulitis orbitaria (Postseptal)

DEFINICIÓN

Una infección del contenido orbitario, como la grasa y los músculos extraoculares.

Posterior al tabique orbitario

ETIOLOGÍA

Complicación de la infección del tracto respiratorio superior, más comúnmente debido a rinosinusitis bacteriana (Niños: sinusitis etmoidal)(ESSALUD 2013)

DIAGNÓSTICO

Además de los que se presentan en la celulitis periorbitaria

Proptosis (protrusión hacia adelante del globo ocular)(ESSALUD 2013)

Oftalmoplejía (el dolor es más severo y restringe los movimientos)

↓ agudeza visual

www.qxmedic.com PAG. 17
03

TRATAMIENTO

El tratamiento antibiótico intravenoso empírico incluye vancomicina + uno de los siguientes: ceftriaxona, cefotaxima, ampicilina-sulbactam, piperacilina-tazobactam. El drenaje quirúrgico está indicado en la formación de abscesos.

COMPLICACIONES

Absceso subperióstico, orbitario o cerebral Trombosis del seno cavernoso: cefalea, parálisis de pares craneales (III, IV, V1, V2 y / o VI), edema periorbitario y proptosis de forma bilateral.

www.qxmedic.com OFTALMOLOGÍA PAG. 18
Figura 15. Celulitis orbitaria se complica con trombosis del seno cavernoso

PATOLOGÍA DE LA CONJUNTIVA: CONJUNTIVITIS 04.

Es la causa más frecuente de ojo rojo Consulta oftalmológica más frecuente (ESSALUD 2004)

Presenta las siguientes características:

Inyección conjuntival o hiperemia conjuntival Sensación de ardor, cuerpo extraño o arenilla (ojo rojo indoloro)

Secreción y epífora (lagrimeo)

Quemosis: edema de la conjuntival bulbar Agudeza visual conservada

Recuerda

Ojo rojo indoloro primero pensar en conjuntivitis, diagnóstico diferencial hemorragia subconjuntival (hiposfagma)

Conjuntivitis en adultos

CONJUNTIVITIS BACTERIANA

ETIOLOGÍA:

Recuerda

Síndrome de Reiter uretritis (C trachomatis) + artritis + conjuntivitis.

S. aureus (más común en adultos y niños) (

H. influenzae

Gonococo (antecedente ITS: uretritis en varón)

C. trachomatis tipo A – C (conjuntivitis crónica → TRACOMA)

♦ Vía de infección: (directo de humano a humano contacto con los ojos o la nariz) o indirectos (moscas o toallas)

♦ Período de incubación: 5 a 12 días.

DIAGNÓSTICO:

Secreción purulenta profusa (polimorfonucleares)

Generalmente unilateral

Formación de pseudomembranas o legañas

Tracoma: Folículos → Pannus corneal → Opacidad corneal (ceguera)

www.qxmedic.com PAG. 19
Figura 16. Hiperemia conjuntival: conjuntivitis aguda Figura 17. Conjuntivitis bacteriana: secreción purulenta

Recuerda

La conjuntivitis aguda por C. trachomatis produce secreción purulenta y forma folículos, su tratamiento es con doxiciclina.

Recuerda

En la conjuntivitis aguda purulenta, está contraindicado la oclusión ocular

Recuerda

Tanto los virus como C. trachomatis (bacteria intracelular obligada) forman folículos en la conjuntiva.

Recuerda

Conjuntivitis alérgica es una reacción de hipersensibilidad tipo I (Ig E)

TRATAMIENTO:

Antibióticos tópicos de amplio espectro (polimixina B)

Lavado ocular y buena higiene de manos (↓ contagio)

Tracoma → azitromicina VO dosis única

CONJUNTIVITIS VIRAL

ETIOLOGÍA:

Adenovirus (más común)

♦ Fiebre faringoconjuntival (serotipo 3 – 4 – 7)

♦ Queratoconjuntivitis epidémica (serotipo 8 – 19 – 37)

Virus herpes simple (VHS 1 en niños y VHS 2 en adultos y RN)

DIAGNÓSTICO:

Secreción acuosa o serosa (linfocitos) Generalmente bilateral Formación de folículos

Ganglio preauricular

Antecedente: infección respiratoria alta Hemorragias conjuntivales

Figura 19.

Conjuntivitis viral: reacción folicular

TRATAMIENTO:

Antinflamatorios tópicos Compresas frías y húmedas, lágrimas artificiales Lavado ocular y buena higiene de manos (↓ contagio)

www.qxmedic.com OFTALMOLOGÍA PAG. 20
Figura 18. TRACOMA: cojuntivitis por C. trachomatis, vemos la opacidad corneal (izquierda) y reacción folicular (derecha)

CONJUNTIVITIS ALÉRGICA

ETIOLOGÍA:

Estacional o vernal (polen, ácaros del polvo)

Conjuntivitis papilar gigante (usuarios de lentes de contacto)

Queratoconjuntivitis atópica (asocia a dermatitis atópica)

Queratoconjunvitis flictenular (microbioalergia)

Recuerda

La queratoconjuntivitis flictenular es una reacción de hipersensibilidad tipo IV (retardada) inducida por las proteínas bacterianas (estafilococo, clamidia) considerada una microbioalergia donde el síntoma predominante es el prurito

DIAGNÓSTICO:

Prurito intenso y quemosis

Secreción mucosa (eosinófilos)

Formación de papilas

TRATAMIENTO:

Antihistamínicos tópicos (olopatadina), estabilizador de mastocitos (ketotifeno)

Corticoides en casos severos (papilar gigante)

Conjuntivitis papilar gigante

Papilas gigantes con forma de adoquín en la conjuntiva

Conjuntivitis en recien nacido (Oftalmia neonatal)

CONJUNTIVITIS BACTERIANA: CLAMIDIA

ETIOLOGÍA:

Recuerda

En neonatología el caso clínico típico de lactante con conjuntivitis + neumonitis = infección por Clamidia.

Chlamydia trachomatis tipo D – K (causa cervicitis en ♀)

Causa más común de conjuntivitis en RN (conjuntivitis de inclusión)

DIAGNÓSTICO:

Presentación: 5 a 14 días de vida

Secreción mucopurulenta

Formación de folículos

Cultivo en células McCoy: cuerpos de inclusión

Complicación: neumonitis

www.qxmedic.com PAG. 21 OFTALMOLOGÍA
Figura 22. tarsal del párpado superior del ojo de un paciente que usa lentes de contacto. Figura 20. Conjuntivitis alérgica: reacción papilar Figura 21. Conjuntivitis alérgica: quemosis o edema conjuntival con secreción mucosa

TRATAMIENTO:

Eritromicina 50 mg/kg/día por 14 días

CONJUNTIVITIS BACTERIANA: GONOCOCO

ETIOLOGÍA:

Neisseria gonorrhoeae (causa cervicitis en ♀)

DIAGNÓSTICO:

Presentación: < 3 días de vida (hiperaguda)

Secreción purulenta (+++)

Tinción GRAM: diplococo gram negativo

Complicación: artritis séptica, meningitis, sepsis.

TRATAMIENTO:

Ceftriaxona 25 mg/kg/día dosis única por vía IM

CONJUNTIVITIS VIRAL

ETIOLOGÍA

Virus herpes simple (VHS 2)

DIAGNÓSTICO

Presentación: < 14 días de vida

Secreción acuosa

Vesículas perioculares

TRATAMIENTO

Aciclovir

www.qxmedic.com OFTALMOLOGÍA PAG. 22
Figura 23. Conjuntivitis de inclusión por Clamidia: reacción folicular Figura 24. Cultivo en células McCoy: cuerpos de inclusión Figura 25. Conjuntivitis por gonococo: hiperaguda e hiperpurulenta Figura 26. Tinción GRAM: diplococo gram negativo

05. PATOLOGÍAS DE LA CÓRNEA Y ESCLERA

Queratitis

La queratitis es una inflamación de la córnea de forma superficial o profunda (intersticial). Presenta las siguientes características:

Inyección o hiperemia ciliar

Ojo rojo doloroso

Agudeza visual alterada (visión borrosa)

Triada clásica: fotofobia + blefaroespasmo + lagrimeo Usa lámpara hendidura: tinción con fluoresceína

Recuerda

La tríada de Hutchinson es una manifestación cardinal de la sífilis congénita tardía = queratitis intersticial + hipoacusia neurosensorial + dientes en tonel

QUERATITIS BACTERIANA

GENERALIDADES

Forma más común de queratitis (+ 90%) ↑ Riesgo el uso de lentes de contacto Complicación de una conjuntivitis aguda

ETIOLOGÍA:

S aureus (+ común)

Pseudomonas aeruginosa (en usuarios de lentes de contacto)

Sífilis, tuberculosis → queratitis intersticial (+ profunda y compromete el estroma)

www.qxmedic.com PAG. 23
Figura 28. La membrana de Descemet forma parte de las capas de córnea, es la zona donde se deposita cobre en la enfermedad de Wilson produciendo el anillo de Kayser – Fleischer en la córnea
ESCLERA CÓRNEA EPITELIO BOWMAN ESTROMA DESCEMET ENDOTELIO
Figura 27. Las capas externas del globo ocular son la córnea que cubre la 1/6 anterior del ojo y la esclera que cubre los 5/6 posteriores restantes Figura 29. Hiperemia ciliar

DIAGNÓSTICO:

Úlcera blanca regular (redonda)

Pus en cámara anterior (hipopion)

TRATAMIENTO:

Antibióticos tópicos de amplio espectro (Ciprofloxacina, cefazolina, gentamicina)

Recuerda

La reacción cruzada por la infección herpética produce la queratitis disciforme cuyo tratamiento es con corticoides.

Los glucocorticoides no deben usarse en el tratamiento de una infección activa por herpes.

QUERATITIS VIRAL

ETIOLOGÍA:

Virus herpes simple (VHS 1 > VHS 2)

DIAGNÓSTICO:

Ulcera dendrítica (ESSALUD 2023)

Ulcera geográfica (se complica por el uso de corticoides)

Prueba de reacción en cadena de la polimerasa (PCR)

TRATAMIENTO:

Aciclovir tópico → vía oral

QUERATITIS MICÓTICA

GENERALIDADES

Antecedente de trauma vegetal (Madera, espina, ramas)

El uso de glucocorticoides y antibióticos aumenta el riesgo de infección por hongos

ETIOLOGÍA:

Aspergillus sp (causa más común en nuestro medio)

Fusarium (+ común en USA)

Candida sp

DIAGNÓSTICO:

Ulcera aplumillada (blanca irregular)

TRATAMIENTO:

Nistatina tópica

Anfotericina B sistémica

www.qxmedic.com OFTALMOLOGÍA PAG. 24
Figura 30. Queratitis bacteriana por estafilococo sp: Úlcera blanca regular (redonda) Figura 31. Queratitis herpética: úlcera dendrítica Figura 32. Queratitis micótica: Ulcera aplumillada (blanca irregular)

QUERATITIS PARASITARIA

ETIOLOGÍA:

Acanthamoeba sp (ameba de vida libre)

↑ Riesgo el uso de lentes de contacto

DIAGNÓSTICO:

Ulcera en forma de anillo

Curso progresivo durante varias semanas a pesar de un intento de tratamiento con antibióticos

TRATAMIENTO:

Antiséptico tópico (por ejemplo, clorhexidina) con propamidina

Epiescleritis GENERALIDADES

Inflamación de las capas superficiales de la esclera

Edad media: + 45 años, ♀ > ♂

ETIOLOGÍA:

Más comúnmente idiopática

Asociado con enfermedad sistémica subyacente (más comúnmente artritis reumatoide)

Reacción a medicamentos (p. Ej., Bisfosfonatos)

CLASIFICACIÓN

Difusa: subtipo más común

Nodular / focal: por lo general ocurre en los pacientes con enfermedad sistémica subyacente.

DIAGNÓSTICO:

Inicio agudo de síntomas

Unilateral en hasta el 70% de los casos Dolor / irritación ocular leve y lagrimeo

Enrojecimiento de los ojos (ojo rojo)

Desaparece (blanquea) con gotas oftálmicas vasoconstrictoras (fenilefrina)

La agudeza visual esta normal

TRATAMIENTO:

Tratamiento sintomático (p. Ej., Compresas frías, lubricación ocular)

En casos persistentes o graves: AINE y / o esteroides tópicos

www.qxmedic.com PAG. 25 OFTALMOLOGÍA
Figura 33. Queratitis parasitaria: Ulcera en forma de anillo Figura 34. Epiescleritis en una mujer de 40 años

Escleritis

Recuerda

Para evaluar la presencia de una enfermedad sistémica subyacente: FR, ANA y ANCA.

GENERALIDADES

Inflamación transmural de la esclera

Edad media: 40 a 60 años, ♀ >

ETIOLOGÍA:

Hasta en 60% de los pacientes, la escleritis se asocia con una enfermedad sistémica subyacente (más comúnmente artritis reumatoide, pero también LES, poliangeítis, polimiositis y gota).

CLASIFICACIÓN

Escleritis anterior

♦ No necrosante (nodular o difuso)

♦ Necrosante

– Con inflamación (dolor intenso y enrojecimiento de los ojos)

Sin inflamación (indolora) → escleromalacia perforante (grave)

Escleritis posterior

DIAGNÓSTICO:

Inicio subagudo de síntomas

Bilateral hasta en el 50% de los casos

Dolor ocular severo, que se ve agravado por el movimiento ocular y palpación

Enrojecimiento de los ojos (ojo rojo)

Fotofobia y / o pérdida de visión.

No desaparece (blanquea) con gotas oftálmicas vasoconstrictoras (fenilefrina)

Recuerda

La complicación ocular más frecuente en paciente con artritis reumatoide es la xeroftalmia (ojo seco), la más específica es la escleritis y la más grave es la queratomalacia perforante

TRATAMIENTO:

AINE: tratamiento de primera línea en casos leves a moderados

Glucocorticoides sistémicos: en escleritis posterior o necrotizante; pacientes que no responden a los AINE

Terapia inmunosupresora sistémica (p. Ej., Azatioprina, metotrexato): en pacientes que no responden a los esteroides

www.qxmedic.com OFTALMOLOGÍA PAG. 26
Figura 35. Escleritis en una mujer con artritis reumatoide

06. PATOLOGÍA DE LA ÚVEA

Inflamación de la capa media del globo ocular, presenta la siguiente clasificación anatómica:

Uveitis anterior (Iridociclitis)

ETIOLOGÍA

La mayoría de los casos son idiopáticos (hipersensibilidad tipo III)

Asocia a HLA B27

Causas secundarias:

♦ Espondilitis anquilosante (Causa + común en jóvenes)

Recuerda

Joven con dolor de espalda, test de Schober +, sacroileitis con uveítis anterior, HLA B27 pensar en espondilitis anquilosante

Recuerda

Ojo rojo doloroso con miosis + efecto de Tyndall positivo = uveítis anterior.

DIAGNÓSTICO

Dolor periocular sordo y progresivo

Hiperemia ocular (ojo rojo) + miosis

Fotofobia

Disminución de la agudeza visual (visión borrosa).

Aumento del lagrimeo (epífora)

Hipopion (pus en cámara anterior)

Efecto de Tyndall positivo (Proteína en el humor acuoso)

♦ Artritis reumatoide juvenil idiopática (Causa + común en adolescentes)

♦ Artritis reumatoide

♦ Enfermedad inflamatoria intestinal

♦ LES

Las causas infecciosas incluyen HSV y VZV.

36. Espondilitis anquilosante se asocia con sacroileitis, ↓ amplexación lumbosacro, HLA B27, es la causa secundaria más frecuente de uveítis anterior en jóvenes

www.qxmedic.com PAG. 27
Figura Figura 37. Uveítis anterior, nótese la miosis y la presencia de hipopion

COMPLICACIONES

Catarata

Glaucoma secundario

Desprendimiento de retina

Edema de mácula

Uveitis intermedia (Parsplanitis)

ETIOLOGÍA

Idiopáticas (más frecuente)

Esclerosis múltiple

Sarcoidosis

DIAGNÓSTICO

TRATAMIENTO

Corticoides tópicos

Ciclopléjicos (atropina, escopolamina)

El sello distintivo de la uveítis intermedia es la inflamación del vítreo. Disminución de agudeza visual indolora Fondo de ojo: imagen en copos de nieve (condensados vítreos)

TRATAMIENTO

Corticoides

www.qxmedic.com OFTALMOLOGÍA PAG. 28
Figura 38. Esclerosis múltiple es la desmielinización del sistema nervioso a nivel central Figura 39. Uveítis intermedia: imagen en copos de nieve

Uveitis posterior (Coreorretinitis)

ETIOLOGÍA

A menudo causado por una infección:

♦ Toxoplasmosis (Causa + común en inmunocompetentes)

♦ Virus (citomegalovirus → causa + común en inmunosuprimidos, infectados VIH)

♦ Sífilis

♦ Tuberculosis

♦ Histoplasmosis

♦ Enfermedad por arañazo de gato (unilateral)

♦ enfermedad de Lyme

Las causas no infecciosas incluyen enfermedad de Behçet (panuveitis recurrente remitente), LES, EII, poliangeítis y poliarteritis nodosa.

DIAGNÓSTICO

Alteraciones visuales indoloras. Disminución de la agudeza visual (visión borrosa).

Fondo de ojo

♦ Lesiones atróficas amarillentas (toxoplasma)

♦ Lesiones necróticas hemorrágicas (citomegalovirus)

TRATAMIENTO

Sulfadiazina + pirimetamina → toxoplasma

Ganciclovir o foscarnet → citomegalovirus

VHS → aciclvoir

www.qxmedic.com PAG. 29 OFTALMOLOGÍA
Figura 41. Coreorretinitis por toxoplasma: Lesiones atróficas amarillentas Figura 42. Coreorretinitis por citomegalovirus: Lesiones necróticas hemorrágicas Figura 40. Toxoplasmosis es la causa más frecuente de coreorretinitis

07. GLAUCOMA

El glaucoma es un grupo de enfermedades oculares asociadas con la destrucción aguda o crónica del nervio óptico con o sin aumento concomitante de la presión intraocular (PIO).

Glaucoma crónico (ángulo abierto)

GENERALIDADES

Pérdida progresiva generalmente bilateral de las fibras del nervio óptico con ángulo iridocorneal abierto > 30 grados (a menudo con aumento de la PIO)

Principal causa de ceguera irreversible en menores de 65 años.

FACTORES DE RIESGO

Edad > 40 años

Etnia europea o africana

Diabetes mellitus, HTA

Predisposición familiar

Miopía alta (magna)

Corticoides

FISIOPATOLOGÍA

Obstrucción funcional del trabeculum → drenaje del humor acuoso reducido →↑gradual en la PIO → compresión vascular → isquemia del nervio óptico → deterioro visual progresivo.

DIAGNÓSTICO

Inicialmente a menudo asintomático

Pérdida del campo visual generalmente bilateral y progresiva (de periférico a central) Visión tunelizada

Tonometría: > 20 mmHg (solo en un 40% de los pacientes)

Fondo de ojo: ↑ excavación del disco óptico > 30%

Campimetría: Escotoma paracentral

www.qxmedic.com PAG. 31
IRIS Figura 43. Bloqueo funcional del trabeculum en glaucoma crónico (ángulo abierto) Figura 44. Visión tunelizada en glaucoma crónico Figura 45. Aumento de la excavación del disco óptico en glaucoma crónico
L MS2 = 24,8 MS3 = 14,0 MS1 = 23,5 MS4 = 23,2 R
Figura 46. Escotoma paracentral en glaucoma crónico

TRATAMIENTO

Objetivo de la terapia (PIO objetivo): ≥ 25% de disminución de la PIO antes del tratamiento Análogos tópicos de prostaglandinas (PGF2α+ potentes): ↑ excreción humor acuoso

♦ Latanoprost

♦ Travoprost

Beta Bloqueadores: ↓ síntesis del humor acuoso

♦ Timolol

♦ Betaxolol

Agonistas alfa-2: ↓ síntesis del humor acuoso (↓ AMPc)

♦ Brimonidina

♦ Apraclonidina

Trabeculoplastia con láser argón: ablación térmica de las células de la malla trabecular y mejorar el flujo de salida acuoso.

Trabeculectomía quirúrgica: consiste en la creación de un túnel (mediante la escisión de la malla trabecular)

PREVENCIÓN

La detección de glaucoma se recomienda en los siguientes grupos de pacientes:

Historia personal de diabetes mellitus

Antecedentes familiares de glaucoma

Afroamericanos > 50 años de edad

Hispanoamericanos > 65 años de edad

Glaucoma agudo (Ángulo cerrado)

GENERALIDADES

Aumento repentino y brusco de la presión intraocular causado por una obstrucción del flujo de salida del humor acuoso, con ángulo iridocorneal cerrado < 30 grados y asociado con neuropatía óptica y defectos del campo visual.

El glaucoma agudo de ángulo cerrado es una emergencia médica, ya que puede causar pérdida permanente de la visión.

FACTORES DE RIESGO

Hipermetropía

Edad avanzada

Sexo femenino

Etnia asiática

Anticolinérgicos (Atropina)

FISIOPATOLOGÍA

Bloqueo anatómico de la red trabecular → ↓ drenaje del humor acuoso del ojo → ↑ PIO

www.qxmedic.com OFTALMOLOGÍA PAG. 32
IRIS
Figura 47. Bloqueo anatómico del trabeculum en glaucoma agudo (ángulo cerrado)

DIAGNÓSTICO

Inicio repentino de síntomas y de afectación unilateral

Ojo rojo muy doloroso (duro a la palpación)

Pupila medianamente dilatada (midriasis: 4-6 mm), irregular y arreactiva. Cefalea, vómitos, náuseas. Visión borrosa y halos visibles alrededor de

Recuerda

Ojo rojo muy doloroso con midriasis arreactiva = Glaucoma agudo.

TRATAMIENTO

la luz.

Tonometría: > 30 mmHg (40 – 90 mmHg)

Gonioscopía: Prueba de oro para evaluar el ángulo iridocorneal (cerrado)

Complicaciones: pérdida rápida y permanente de la visión debido a isquemia y atrofia del nervio óptico

Figura 48. Glaucoma agudo o de ángulo cerrado, nótese la midriasis arreactiva

El glaucoma agudo de ángulo cerrado es una emergencia y debe tratarse inicialmente con medicamentos que reducen la PIO que tienen un inicio de acción rápido.

♦ Diuréticos:

– Acetazolamida (inhibidor de anhidrasa carbónica) (Via oral)

– Manitol (diurético osmótico) EV

Parasimpaticomimético directo: pilocarpina (agonista muscarínico M3)

Terapia intervencionista urgente

♦ Paracentesis de cámara anterior (medida temporal)

♦ Iridotomía periférica con láser YAG

Glaucoma congénito

GENERALIDADES

Recuerda

El tumor de Wilms tiene mayor incidencia en los niños que presentan ciertas anomalías o síndromes al nacer, entre ellos: Aniridia.

Bilateral en + 75% de los casos

La mayoría de los casos se diagnostican durante el primer año de vida.

ETIOLOGÍA

Glaucoma congénito primario: ocurrencia esporádica o herencia autosómica recesiva

♦ Membrana de Barkan → ↓ drenaje del humor acuoso → ↑ PIO

Glaucoma congénito secundario: debido a traumatismo, infección, tumor, otras anomalías oculares congénitas (Aniridia) o glaucoma asociado con anomalías congénitas sistémicas (Facomatosis, síndrome de Down)

♦ Malformación de la red trabecular e iris o córnea → ↓ drenaje del humor acuoso → ↑ PIO

www.qxmedic.com PAG. 33 OFTALMOLOGÍA

DIAGNÓSTICO

Buftalmos (globo ocular agrandado por ↑ PIO) Opacidad de la córnea

Fotofobia, epífora

Estrías de Haab (ruptura de membrana de Descemet)

Paquimetría: Diámetro corneal aumentado (> 12 mm)

Pruebas genéticas: Gen CYP1B1

TRATAMIENTO Cirugía

Goniotomía: si la córnea esta transparente Trabeculoplastía: si la córnea esta opaca.

Glaucoma secundarios

Neovascular: diabéticos

Inflamatorio: uveítis anterior Facolítico: catarata

www.qxmedic.com OFTALMOLOGÍA PAG. 34
Figura 49. Buftalmos en glaucoma congénito Figura 50. Estrías de Haab en glaucoma congénito

08. PATOLOGÍA DE LA RETINA

Retinopatía diabética

EPIDEMIOLOGÍA

Complicación crónica de la diabetes (15 años de enfermedad)

90% de los pacientes diabéticos tipo 1

25% de los pacientes diabéticos tipo 2

La segunda causa más común de ceguera irreversible en < 65 años (después del glaucoma)

Enfermedad vascular más común de la retina

PATOGENIA

Glicosilación de proteínas

↑ vía del sorbitol

Oclusión microvascular: lesión endotelial, ↑ agregación plaquetaria, ↑ viscosidad

Aumento de la permeabilidad vascular (edema, exudados), engrosamiento de la membrana basal de capilares.

Neovasos: inducido por VEGF producido por el tejido retiniano hipóxico

DIAGNÓSTICO:

Asintomático hasta etapas muy tardías de la enfermedad.

Disminución de la agudeza visual → ceguera

La evaluación oftalmoscópica se recomienda:

DM1: A los 10 años de edad o durante los 5 años después del diagnóstico

DM2: Al momento del diagnóstico

Diabetes gestacional: Durante el primer trimestre

Primera lesión en fondo ojo: micro aneurismas

Lesiones vasculares: anomalías microvasculares intraretinianas (AMIR), hemorragia intraretinianas, exudados duros edema de retina y manchas algodonosas

Lesiones severas: neovasos, hemorragia vítrea, desprendimiento de retina por tracción.

CLASIFICACIÓN:

Grado Hallazgos en fondo de ojo

RDNP leve Micro aneurismas

RDNP moderada < 20 hemorragias intraretinianas, exudados duros, exudados algodonosos (microinfartos de fibras nerviosas) y arrosariamiento venoso.

RDNP severa Uno de los siguientes hallazgos: 4: Hemorragias

intraretinianas 2: Arrosariamiento venoso 1: Anomalías microvasculares intraretinianas

RDNP muy severa Al menos 2 de los hallazgos anteriores

RD proliferativa Neovascularización y/o hemorragia vítrea

RDNP: retinopatía diabética no proliferativa

www.qxmedic.com PAG. 35
Tabla 1. Clasificación de la retinopatía diabética

Se pueden observar exudados duros (áreas amarillas bien delimitadas) y pequeñas hemorragias intraretinianas (manchas rojas) en toda la retina

COMPLICACIONES:

Hemorragia vítrea: principal causa de ↓AV de forma aguda

Desprendimiento de retina: principal causa de ↓AV de forma subaguda

Edema de macula: principal causa de ↓AV de forma crónica (en general es la causa más frecuente de visión borrosa en el paciente diabético)

Recuerda

La principal causa de pérdida de visión en paciente diabético es el edema de la macula

TRATAMIENTO

Retinopatía no proliferativa

Tratamiento con láser: fotocoagulación focal. Inyección intravítrea de inhibidor del factor de crecimiento endotelial vascular (Anti VEGF= ranibuzumab)

Retinopatía proliferativa

Tratamiento con láser: fotocoagulación panretiniana Vitrectomía en caso de desprendimiento de retina por tracción y hemorragia vítrea

Retinopatía hipertensiva

Cambios arterioscleróticos relacionados con la hipertensión de los vasos retinianos. Hay una vasoconstricción reactiva inicial (vasoespasmo) y, con el tiempo, la ruptura de la barrera hemato-retiniana con hemorragia y exudación subsiguientes.

Tratamiento: el control de la presión arterial sistémica

www.qxmedic.com OFTALMOLOGÍA PAG. 36
Figura 51. Retinopatía diabética no proliferativa Figura 52. Retinopatía diabética proliferativa Hay aumento de la vascularización alrededor del disco óptico Figura 53. Edema de macula identificada con tomografía de coherencia óptica, principal causa de ceguera en paciente diabético

Estadio I

Estadio II

Estadio III

CLASIFICACIÓN DE KEITH- WAGENER

Estrechamiento de las arterias. Relación arterio- venosa 1/2. (supervivencia del 71% a los diez años)

Marcada esclerosis de arteriolas, exageración del reflejo de la luz, cruces arterio – venosos y estrechamientos (signo de Salus y Gunn) (51% de supervivencia)

Edema retiniano, exudados y hemorragias (Supervivencia del 35%)

Estadio IV Edema de papila y atrofia óptica (21% la supervivencia)

Tabla

A. Cruce normal arterio venoso en la retina

B. Signo de Gunn (aplastamiento)

C. Signo de Salus (cambio de dirección)

A. Reflejo luminoso normal de la arteria de la retina (< 30%)

B. Hilo de cobre: reflejo luminoso es del 50%

C. Hilo de plata: reflejo luminoso es del 100%

Recuerda

El grado I y II de retinopatía se ve en los cuadros crónicos de la HTA, en cambio el grado III y IV son agudos y forman parte de la llamada hipertensión maligna (emergencia hipertensiva)

A. Grado I: vasoconstricción de las arterias de la retina

B. Grado II: cruce arterio-venosos, hilos de cobre y plata

C. Grado III: exudados y hemorragias

D. Grado IV: edema de papila

www.qxmedic.com PAG. 37 OFTALMOLOGÍA
2. Clasificación de KEITH- WAGENER
B. C.
A. A.
B. C.
A.
B. C. D.

Oclusión de la arteria central de la retina

EPIDEMIOLOGÍA

Edad de inicio: > 60 años

Sexo: ♂ > ♀

La oclusión de la arteria retiniana es una emergencia oftalmológica

ETIOLOGÍA:

Embolia

Liberación de émbolos trombóticos como resultado de la aterosclerosis de la arteria carótida (más común)

Émbolo de la aurícula izquierda (fibrilación auricular)

DIAGNÓSTICO

Pérdida de visión repentina e indolora en un ojo

Puede haber antecedentes de amaurosis fugaz.

Defecto pupilar aferente (pupila de Marcus Gunn)

Fondo de ojo:

♦ Decoloración de color blanco grisáceo (turbio) de toda la retina

♦ Mancha Rojo cereza

♦ Estrechamiento de todos los vasos retiniano

Solicitar: Eco Doppler carotideo → EKG

TRATAMIENTO

Figura 54. Oclusión aguda de la arteria central de la retina

Son visibles las arterias retinianas estrechas y una retina pálida. La fóvea central aparece la mancha rojo cereza

El tratamiento debe iniciarse tan pronto como sea posible, ya que se produce daño en la retina permanente dentro de 1,5 horas de oclusión de la arteria central de la retina.

Masaje de globo ocular

Terapia con carbogen: inhalar una mezcla de 5% de CO 2 y 95% de O 2

Disminuir la presión intraocular con medicamentos y / o terapia quirúrgica (por ejemplo, paracentesis de la cámara anterior)

Hemodilución

Vasodilatadores (p. Ej., Bloqueadores de los canales de calcio, nitroglicerina sublingual)

Tratamiento con dosis altas de glucocorticoides si se sospecha arteritis temporal Fibrinólisis

PRONÓSTICO

Oclusión de la arteria central de la retina: pérdida grave de la visión

www.qxmedic.com OFTALMOLOGÍA PAG. 38

Oclusión de la vena central de la retina

EPIDEMIOLOGÍA

Edad de inicio: > 80 años

Sexo: ♂ = ♀

La oclusión de la vena retiniana es mucho más común que la oclusión de la arteria retiniana. La oclusión de la vena retiniana es la segunda enfermedad vascular más común de la retina (después de la retinopatía diabética).

ETIOLOGÍA: Trombosis

Por lo general, como resultado de la aterosclerosis en pacientes con hipertensión arterial, diabetes mellitus.

Estados protrombóticos: Policitemia vera, uso de anticonceptivos orales

DIAGNÓSTICO

Pérdida de visión subaguda indolora (forma no isquémica)

Pérdida repentina y grave de la visión en el ojo afectado (forma isquémica)

Fondo de ojo:

♦ Hemorragia en llamas (neovasos retinovítreo: capas fibras nerviosas)

♦ Venas tortuosas.

TRATAMIENTO

La forma isquémica debe tratarse con:

Fotocoagulación panretiniana

La hemorragia en forma de llama es visible en los cuatro cuadrantes retinianos

Si hay edema macular: inyección intravítrea de inhibidores de VEGF y / o corticoides (triamcinolona)

PRONÓSTICO

Regla de los tercios: la agudeza visual mejora en un tercio de los casos, permanece igual en otro tercio y empeora en el tercio restante.

El pronóstico es especialmente malo en el caso de OVCR isquémica.

Degeneración macular asociado con la edad

EPIDEMIOLOGÍA

Principal causa de ceguera en personas > 65 años en los países desarrollados.

Edad de inicio: generalmente > 55 años

Sexo: ♀ > ♂

www.qxmedic.com PAG. 39 OFTALMOLOGÍA
Figura 55. Oclusión de la vena central de la retina

ETIOLOGÍA

Multifactorial: Envejecimiento (edad) Factores de riesgo Antecedentes familiares y predisposición genética.

FISIOPATOLOGÍA

Enfermedad cardiovascular Tabaquismo

Obesidad

Se caracteriza por cambios degenerativos progresivos en la retina central (mácula) → discapacidad visual.

CLASIFICACIÓN

Forma seca (90%)

También conocida como no exudativa o atrófica

DIAGNÓSTICO

Metamorfopsias (distorsión de línea) Discromatopsias

Forma seca:

♦ Deterioro visual lento y progresivo (generalmente durante décadas)

♦ FO: DRUSA (retinol)

Forma húmeda (10%)

También conocida como exudativa o neovascular

Forma húmeda:

♦ Pérdida brusca de visión

♦ FO: neovasos coroide – retina

♦ Angiografía de fluorescencia: neovascularización y exudación en la región macular

REJILLA DE AMSLER: detección de metamorfopsias y escotomas

a. Los ojos de una persona sana perciben una cuadrícula de líneas rectas

b. Si hay degeneración macular avanzada las líneas aparecen distorsionadas u onduladas (metamorfopsia).

c. También puede ocurrir un escotoma central

Las drusas son depósitos localizados de material rico en lípidos (fosfolípidos, grasas neutras) ubicados debajo del epitelio pigmentario.

Figura

relacionada con la edad. Gran hemorragia subretiniana (parcialmente intraretinianas) en la región macular. Este hallazgo ocurre principalmente en presencia de neovascularización coroideapigmentario.

www.qxmedic.com OFTALMOLOGÍA PAG. 40
a. b. c. Figura 56. Rejilla de Amsler Figura 57. Degeneración macular seca relacionada con la edad 58. Degeneración macular húmeda

TRATAMIENTO

El objetivo del tratamiento es retrasar o prevenir la progresión de la enfermedad. Tratamiento de apoyo

Educación del paciente

Evite los factores de riesgo (Tabaco)

Mejorar la dieta (es decir, rica en verduras y pescado)

Terapia con antioxidantes: vitaminas A, C y E, beta caroteno, zinc. Tratamiento de la DMAE húmeda

Primera línea: inyección intraocular de inhibidores de VEGF (ranibizumab, bevacizumab)

Segunda línea: Coagulación con láser: coagulación térmica directa de la neovascularización o terapia fotodinámica.

Desprendimiento de retina

DEFINICIÓN

Se refiere al desprendimiento de la capa interna de la retina (retina neurosensorial) del epitelio pigmentario de la retina.

CLASIFICACIÓN

REGMATÓGENO

Tipo más común

Desgarros o agujeros de retina

TRACCIONAL

Formación de bandas o neovasos vitreo retinianas

EXUDATIVA

Acumulación de líquido subretiniana sin desgarros retinianos

Crecimiento tumoral

FACTORES DE RIESGO

REGMATÓGENO

Roturas de retina periférica, comúnmente debido a:

♦ Miopía patológica (principal factor)

♦ Trauma

TRACCIONAL

Retinopatía diabética proliferativa

Retinopatía del prematuro

Retinopatía de células falciformes

EXUDATIVA

Retinoblastoma, melanoma de coroides

Hipertensión arterial

Cirugía intraocular previa

Antecedentes familiares

Retinitis por CMV

Oclusión de la vena central de la retina

Trauma ocular penetrante

Poliarteritis nodosa

www.qxmedic.com PAG. 41 OFTALMOLOGÍA
Figura 59. Separación de las 9 capas internas del epitelio pigmentario subyacente.

DIAGNÓSTICO

Miodesospsias (imagen de “moscas volando”)

Destellos de luz (fotopsias)

Escotoma (defecto del campo visual): Posible cortina o sombra ascendente normalmente unilateral

Pérdida de visión repentina en el ojo afectado postrauma

Defecto pupilar aferente (pupila de Marcus Gunn)

Presión intraocular baja

TRATAMIENTO

El desprendimiento de retina es una condición de emergencia que requiere una intervención quirúrgica inmediata (excepto exudativo).

Desprendimiento de retina regmatógena: Para agujeros de retina / desgarros de retina con poco o ningún desprendimiento de retina (profilaxis contra el desprendimiento de retina): fotocoagulación con láser o criorretinopexia en las inmediaciones del defecto de retina.

Desprendimiento de retina por tracción: vitrectomía seguida de taponamiento interno y fotocoagulación con láser / criorretinopexia.

Desprendimiento de retina exudativo (seroso): reabsorción espontánea de líquido; no se requiere tratamiento

www.qxmedic.com OFTALMOLOGÍA PAG. 42
B. Desprendimiento de retina traccional C. Desprendimiento de retina exudativo o seroso A. Desprendimiento de retina regmatógena

Trastornos del campo visual

La vía visual transmite señales desde la retina a la corteza visual. Está formado por la retina, el nervio óptico, el quiasma óptico, el tracto óptico, el núcleo geniculado lateral, las radiaciones ópticas y la corteza visual.

LESIÓN DE LA VÍA PREQUIASMÁTICA

Afecta principalmente al nervio óptico Y/o retina

Defectos del campo visual: Anopsia monocular ipsilateral

Producido por:

♦ Neuritis óptica (esclerosis múltiple, etambutol)

♦ Atrofia óptica

♦ Oclusión de vasos retinianos

♦ Neuropatía óptica isquémica anterior

♦ Papiledema

LESIÓN DEL QUIASMA ÓPTICO

Defectos del campo visual: hemianopsia heterónima bitemporal (visión tunelizada)

Producido por:

♦ Adenoma pituitario (prolactinoma): lesión medial → fibras nasales → afecta los campos temporales

♦ Craneofaringioma

♦ Aneurisma de la arteria carótida interna: lesión lateral → fibras temporales → afecta los campos nasales

♦ Meningioma

LESIÓN DE LA VÍA RETROQUIASMÁTICA

Daño en la región del tracto óptico, núcleo geniculado lateral, radiación óptica o corteza visual.

Defectos del campo visual: más comúnmente hemianopsia homónima y cuadrantanopsia homónima contralateral

Producido por:

♦ Accidente cerebro vascular (arteria cerebral posterior)

♦ Tumores

♦ Trauma

♦ Aneurisma de la comunicante posterior

♦ Meningitis

REGIÓN PREQUIASMÁTICA ANOPSIA MONO-OCULAR IPSLATERAL

QUIASMA ÓPTICO

REGIÓN RETROQUIASMÁTICA

HEMIANOPSIA HETERÓNIMA BITEMPORAL

HEMIANOPSIA HOMONIMA CONTRALATERAL

www.qxmedic.com PAG. 43 NEUROFTALMOLOGÍA
09.
Figura 60. Defectos del campo visual según la región afectada de la vía óptica

Neuritis óptica

DEFINICIÓN:

Inflamación del nervio óptico

CLASIFICACIÓN:

Anterior o Papilitis: Más frecuente en infancia

Posterior o retrobulbar: Más frecuente en adulto (mujer 20 a 45 años)

ETIOLOGÍA

Causa más común: esclerosis múltiple

Infecciones: tuberculosis, sífilis, enfermedad de Lyme, infecciones virales.

Tóxico: etambutol, intoxicación por metanol

Vasculitis: arteritis de la temporal (forma arterítica)

Isquémica: HTA, DM, dislipidemia (forma no arterítica)

DIAGNÓSTICO

Pérdida repentina de la visión

Defectos del campo visual (Escotoma central)

Dolor por los movimientos oculares

Defecto pupilar aferente (pupila de Marcus Gunn)

Neuritis anterior: papila mal definida, hiperemia, hemorragia en el borde de la papila

Neuritis retrobulbar: hallazgo oftalmoscópico normal

Examinación neurológica (forma retrobulbar)

TRATAMIENTO

Tratamiento de dosis altas con glucocorticoides

Tratamiento correspondiente en caso de esclerosis múltiple

www.qxmedic.com OFTALMOLOGÍA PAG. 44
Figura 61. Neuritis óptica anterior: edema de papila (papilitis) Figura 62. Neuritis óptica posterior: fondo de ojo normal

10. LESIONES OCULARES TRAUMÁTICAS

Trauma ocular cerrado

Lesión del globo ocular que ocurre en ausencia de una laceración o ruptura de la pared ocular.

Características clínicas:

Abrasión conjuntival y corneal (sensación de cuerpo extraño en el ojo)

Equimosis

Hemorragia subconjuntival (hiposfagma), vítrea o retiniana

Laceración conjuntival o de espesor parcial de la córnea o la esclerótica

Edema de Berlín (conmoción de la retina)

Hifema: sangre en la cámara anterior (ESSALUD 2005)

♦ Hifema parcial: urgencia

♦ Hifema total: emergencia (cirugía)

Recuerda

Frente a un cuerpo extraño no intraocular se brinda anestesia tópica y extracción del mismo

www.qxmedic.com PAG. 45
Figura 63. Hemorragia subconjuntival (hiposfagma)
I < 33 % II 33 - 50 % III > 50 % IV 100 %
Figura 64. Hifema: sangre en la cámara anterior Figura 65. Grados de hifema

Complicaciones:

Desprendimiento de retina: ↓agudeza visual en telón de cortina

Hemorragia vítrea: ↓agudeza visual súbita Glaucoma

Catarata traumática (roseta)

Trauma ocular abierto

Perforación o laceración de espesor total del globo ocular

Las lesiones penetrantes solo tienen un agujero de entrada.

Las lesiones perforantes tienen dos agüeros uno de entrada y otro de salida.

Características clínicas:

Deformidad macroscópica del ojo (rotura ocular con pérdida de volumen de líquido)

Úvea prolapsada (laceración de espesor total) o salida de humor vitreo

Atalamia: desaparición de la cámara anterior Pupila en forma de lagrima o puntiaguda

Tinción con fluoresceína: Signo de Seidel Síndrome compartimental orbitario

♦ Defecto pupilar aferente y alteración de la agudeza visual.

www.qxmedic.com OFTALMOLOGÍA PAG. 46
♦ Equimosis y proptosis ♦ Parpados tensos Figura 67. Atalamia: desaparición de la cámara anterior Figura 68. Pupila en forma de lagrima Figura 69. Úvea prolapsada (laceración de espesor total) Figura 70. Síndrome compartimental orbitario Figura 66. Trauma ocular abierto: cuerpo extraño intraocular

Recuerda

Si el cuerpo extraño intraocular es metálico esta contraindicado la evaluación por resonancia magnética.

En un trauma ocular abierto se brinda protección ocular y derivar al especialista

Fractura de órbita

PISO DE ÓRBITA GENERALIDADES

Es la zona más débil y por tanto el más común

Traumatismo contuso de alta velocidad en el globo ocular (Por un puñetazo, una pelota de tenis)

DIAGNÓSTICO

Dolor, edema y / o equimosis peri orbitarios unilaterales

Enoftalmos o proptosis

Tratamiento

Estabilización y reanimación urgentes (Evaluar y tratar las lesiones que amenazan la vida)

Reposo en cama con la cabecera elevada a 30 grados

No manipulación del globo ocular, no retirar cuerpo extraño, no colocar agentes tópicos

Analgesia (Morfina), antieméticos (Ondansetrón) y vacuna o refuerzo contra el tétanos.

Terapia antibiótica sistémica (ceftazidima + vancomicina)

Consulta oftalmológica urgente para reparación quirúrgica (< 24 horas)

Borde orbital " step-off "

Movimiento ocular restringido en el plano vertical (hacia arriba) Diplopía

Defecto pupilar aferente y alteración de la agudeza visual. Signo de lágrima en la radiografía.

Una fractura deprimida del suelo orbitario derecho (fractura por estallido) se acompaña de una hernia de grasa orbitaria en la cara superior del seno maxilar y atrapamiento del músculo recto inferior (signo de la lagrima).

www.qxmedic.com PAG. 47 OFTALMOLOGÍA
ETMOIDES UNGUIS MAXILAR PALATINO CIGOMÁTICO ESFENOIDES
Figura 71. Los 7 huesos que forman parte de la órbita, recordar que la lámina papirácea forma parte del hueso etmoides
FRONTAL
Figura 72. Fractura del piso o suelo orbitario Figura 73. Fractura del piso o suelo orbitario Prueba de motilidad ocular. La mirada hacia arriba del ojo derecho está restringida como resultado del atrapamiento del recto inferior.

TRATAMIENTO

Estabilización y reanimación urgentes

Consulta oftalmológica inmediata por lesiones del globo ocular o síntomas vagales (Náuseas, vómitos, bradicardia)

Medidas conservadoras

♦ Profilaxis antibiótica (cuando hay comunicación con senos paranasales)

♦ Corticosteroides orales para reducir la hinchazón.

♦ Descongestionantes nasales y evitar sonarse la nariz (Para prevenir o evitar el empeoramiento del enfisema orbitario)

PARED MEDIAL O INTERNA

Enfisema periorbitario (ESSALUD 2005)

Movimiento ocular restringido en el plano horizontal → diplopía

PARED SUPERIOR

Perdida de líquido cefalorraquídeo

Neumoencefalo

Quemaduras químicas oculares

DEFINICIÓN

Quemadura química del ojo con compuestos ácidos (ácido sulfúrico, ácido clorhídrico) o alcalinos (cemento, lejía, yeso).

FISIOPATOLOGÍA

Ácidos → necrosis coagulativa

Álcalis → necrosis licuefactiva

DIAGNÓSTICO

Dolor intenso

Discapacidad visual

Blefaroespasmo: cierre involuntario de párpados.

Conjuntiva eritematosa o blanqueamiento de la conjuntiva

Fotofobia

TRATAMIENTO

Irrigación inmediata y completa con abundante solución salina estéril (preferiblemente si está disponible) o agua fría corriente.

Gotas oftálmicas antibióticas (Tetraciclina) + anestesia local Consulta oftalmológica

Glucocorticoides tópicos (Acetato de prednisolona al 1%)

www.qxmedic.com OFTALMOLOGÍA PAG. 48
Figura 74. Opacificación corneal por quemadura química

Recuerda

EL cristalino deriva embriologicamente del ectodermo superficial (ESSALUD 2008)

Epidemiología

Definición

La catarata es una condición caracterizada por la opacidad del cristalino del ojo.

Causa principal de ceguera reversible o curable

♦ Prevalencia de cataratas adquiridas: aumenta con la edad (80 años: 70%)

Sexo: ♀ > ♂

Etiología

Cataratas congénitas (<1%)

Cataratas congénitas hereditarias

Causado por infecciones de TORCH (especialmente rubéola)

Asociado con las siguientes comorbilidades / síndromes:

♦ Galactosemia: Mancha en gota de aceite

♦ Tetania (hipocalcemia)

♦ Trisomía 21 (en la primera infancia)

♦ síndrome de Marfan

Examen con lámpara de hendidura del ojo izquierdo: Hay una opacificación blanca turbia de todo el cristalino. El reflejo rojo está ausente.

www.qxmedic.com PAG. 49
Figura 75. Catarata Figura 76. Catarata en gota de aceite: galactosemia
CATARATA 11.

Cataratas adquiridas (> 99%)

Relacionado con la edad (> 90%): forma cortical es la más común. Como resultado de enfermedades oculares (catarata complicada)

♦ Diabetes mellitus: en copos de nieve

♦ Insuficiencia renal (diálisis)

♦ Enfermedad de Wilson Inducido por drogas

♦ Corticoides (locales y sistémicos): Subscapulares posterior

Etiología

Principalmente un diagnóstico clínico

Agudeza visual reducida: visión borrosa, nublada o tenue, especialmente de noche

La alteración de la visión suele ser indolora y, a menudo, bilateral

Destellos: asociado con halos alrededor de las luces

Una mejora temporal en la visión de cerca

Tratamiento

♦ Mióticas (inhibidores de colinesterasa) Consumo crónico de alcohol y tabaco

Traumático (catarata en roseta): más común en jóvenes (subcapsular anterior)

Condiciones relacionadas físicamente

♦ Radiación (rayos X, radiación radiactiva)

♦ Exposición excesiva a la luz solar o a los rayos UVB

♦ Radiación infrarroja (catarata del trabajador del vidrio)

Catarata traumática (catarata por contusión) Nublado subcapsular anterior, en forma de roseta del cristalino

(mejora la presbicia)

Oscurecimiento del reflejo rojo

En el caso de catarata congénita

♦ Leucocoria (pupila blanca)

♦ Estrabismo

♦ Nistagmo

♦ Retraso en el desarrollo de habilidades motoras

♦ Ambliopía por privación

Figura 78.

Leucocoria en un recién nacido: debemos descartar en primer lugar catarata congénita

Cirugía de elección: Facoemulsificación con colocación de lente intraocular

Complicaciones:

Intraoperatorio: ruptura de capsula posterior.

Postoperatoria: infecciones (endoftalmitis)

www.qxmedic.com OFTALMOLOGÍA PAG. 50
Figura 77.

12. DEFECTOS DE REFRACCIÓN (AMETROPÍAS)

Generalidades

La visión mejora con el uso del agujero estenopeico

Evaluación de la agudeza visual normal: 20/20 (cartilla de Snellen)

El niño alcanza la agudeza visual del adulto a los 4 años de edad.

Miopía

FISIOPATOLOGÍA:

Aumento anormal de la longitud axial del ojo (> 24 mm) o aumento de la refracción → punto focal antes de la retina

DIAGNÓSTICO

Visión de lejos borrosa y visión de cerca conservada

TRATAMIENTO

Anteojos con lentes cóncavos (negativos o divergentes) o cirugía refractiva (laser Excimer → LASIK)

COMPLICACIONES

Desprendimiento de retina regmatógena Glaucoma crónico o de ángulo abierto

www.qxmedic.com PAG. 51
Figura 79. Agujero estenopeico Figura 80. Cartilla de Snellen

Hipermetropía

FISIOPATOLOGÍA

Recuerda

El recién nacido tiene visión hipermétrope debido a que la longitud axial del ojo es de 17 mm.

Longitud axial del ojo anormalmente disminuida (< 24 mm) → punto focal posterior a la retina

DIAGNÓSTICO

Visión cercana borrosa

Astenopatía acomodativa

Fondo de ojo: Pseudopapiledema

Astigmatismo

FISIOPATOLOGÍA

Curvatura anormal de la córnea (+ común) y/o del cristalino.

DIAGNÓSTICO

Visión borrosa a todas las distancias

TRATAMIENTO

Astigmatismo regular (2 puntos focales): lentes cilíndricas

Ojo normal La imagen se enfoca en la retina

Miopía

Ojo grande, las imágenes lejanas se enfocan por delante de la retina

Hupermetropía

Ojo corto, las imágenes se enfican por detrás de la retina

Astigmatismo

TRATAMIENTO

Anteojos con lentes convexos (positivos o convergentes) o cirugía refractiva

COMPLICACIONES

Glaucoma agudo o de ángulo cerrado Degeneración macular asociado a la edad

Astigmatismo irregular (> 2 puntos focales): lentes de contacto correctivos y cirugía refractiva

COMPLICACIONES:

El inicio temprano aumenta el riesgo de ambliopía

Longitud ocular Visión lejana

Visión cercana Punto focal Visión lejana borrosa

Se afecta más la visión cercana

Los ejes vertical y horizontal enfocan en distintos puntos

Enfoque desigual según eje

www.qxmedic.com OFTALMOLOGÍA PAG. 52
Figura 81. Tipos de ametropías o defectos de refracción

Presbicia

FISIOPATOLOGÍA

Disminución de la elasticidad del cristalino, la fuerza del músculo ciliar y la curvatura del cristalino, relacionada con la edad (> 45 años) → disminución de la acomodación del cristalino (visión cercana)

DIAGNÓSTICO

Similar a la hipermetropía

La miopía preexistente puede compensar temporalmente la presbicia, lo que conduce a una mejora de la visión cercana

TRATAMIENTO

Anteojos con lentes convexos o cirugía refractiva.

Ambliopía

DEFINICIÓN:

Disminución visual en uno o ambos ojos de tipo funcional debido a un trastorno de la visión del desarrollo durante la primera infancia.

FISIOPATOLOGÍA:

Uno o ambos ojos transmiten información visual deficiente o no coincidente al cerebro → el cerebro suprime la información de uno o ambos ojos → desuso del ojo → falta de estímulos visuales con subdesarrollo parcial de la corteza visual

CLASIFICACIÓN

Ambliopía por estrabismo (asimetría ocular)

Ambliopía refractiva (hipermetropía)

DIAGNÓSTICO

Recuerda

Se debe sospechar una afección subyacente grave (Tumor cerebral) en bebés con estrabismo, especialmente en presencia de hallazgos oculares adicionales como Leucocoria.

Ambliopía por privación (ptosis, cataratas, tumor)

Principal causa de ↓ agudeza visual en infantes (3 – 5 años)

TRATAMIENTO

Oclusión mecánica o farmacológica del ojo sano (para estimular al ojo enfermo).

www.qxmedic.com PAG. 53 OFTALMOLOGÍA
OJO NORMAL OJO CON AMBLIOPÍA U OJO VAGO ¿?
Figura 83. Ambliopía u “ojo perezoso es una asimetría funcional en la agudeza visual Figura 82. En la presbicia existe una pérdida de la acomodación del cristalino para la visión cercana

13. TUMORES ORBITARIOS PRIMARIOS

Hemangioma capilar

GENERALIDADES

Los hemangiomas capilares son el tumor orbitario benigno más común en los niños Más del 90% se manifiesta antes de los 6 meses.

Tienden a agrandarse rápidamente en el primer año de vida y retroceden lentamente en el transcurso de 6 a 7 años.

DIAGNÓSTICO

Las lesiones superficiales que afectan al párpado son de color rojizo (nevus en fresa)

Las lesiones dentro de la órbita pueden causar estrabismo, proptosis o neuropatía óptica compresiva.

La afectación de los párpados puede inducir astigmatismo u obstruir la visión, lo que resulta en ambliopía.

Hemangioma capilar con afectación cutánea y orbitaria del lado derecho que resulta en endotropía.

TRATAMIENTO:

Los esteroides sistémicos o intralesionales fueron la terapia estándar de primera línea. Un betabloqueante sistémico, típicamente propranolol, también es eficaz.

La cirugía generalmente se reserva para casos refractarios o con compromiso visual.

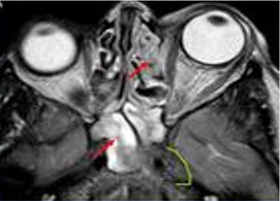
Hemangioma cavernoso

GENERALIDADES

El tumor orbitario benigno más común en adultos

Ocurren con mayor frecuencia en mujeres no tienden a retroceder espontáneamente

DIAGNÓSTICO

produciendo proptosis axial, hipermetropía y pliegues coroideos.

TRATAMIENTO

La escisión quirúrgica suele tener éxito y está indicada si el paciente presenta síntomas.

Alternativa: radioterapia

www.qxmedic.com PAG. 55
Figura 84. Figura 85. Imagen de resonancia magnética axial del hemangioma cavernoso intraconal de la órbita izquierda colindante con el nervio óptico.

Rabdomiosarcoma

GENERALIDADES

Tumor orbitario maligno primario más común en la niñez. La presentación es antes de los 10 años

DIAGNÓSTICO

El crecimiento rápido es característico con proptosis y / o desplazamiento hacia abajo del globo ocular, ya que dos tercios de estos tumores se localizan en la órbita supero nasal

El tumor puede destruir el hueso orbitario adyacente y diseminarse al cerebro.

TRATAMIENTO

El tratamiento depende de la estadificación e incluye cirugía, quimioterapia y / o radioterapia.

Neurofibroma

GENERALIDADES

La neurofibromatosis tipo 1 (NF1) (enfermedad de von Recklinghausen) es una enfermedad hereditaria autosómica dominante debida a mutaciones en el cromosoma 17q.

DIAGNÓSTICO

Los neuro fibromas plexiformes son característicos y pueden distorsionar los párpados y desfigurar la órbita

La presencia de nódulos de Lisch en el iris y manchas cutáneas café con leche ayuda a confirmar el diagnóstico.

El quince por ciento de los pacientes puede desarrollar un glioma del nervio óptico que puede manifestarse como proptosis y / o pérdida visual.

Algunos de estos pacientes también desarrollan meningiomas

www.qxmedic.com OFTALMOLOGÍA PAG. 56
Figura 86. Rabdomiosarcoma de la órbita derecha Figura 87. Resonancia magnética coronal que muestra tumoración en la órbita supero nasal (flecha)

Tumores de glándula lacrimal

El 50% de las masas de la glándula lagrimal son tumores epiteliales

El tumor epitelial benigno más común es el adenoma pleomórfico (tumor mixto benigno)

♦ Bien encapsulados, sin destrucción ósea

♦ Debe extirparse, no biopsias, debido a su propensión a la recurrencia y la transformación maligna. De los tumores epiteliales malignos de la glándula lagrimal, el 60% está compuesto por carcinoma quístico adenoide

♦ Lesiones mal definidas con áreas de calcificación

♦ Típicamente se presenta con dolor, proptosis no axial y cambios óseos destructivos de la fosa supero temporal en la TC.

♦ La biopsia debe realizarse a través del párpado para evitar la diseminación del tumor en la órbita.

Tumores orbitarios metastásicos

Los tumores metastásicos llegan a la órbita por diseminación hematógena.

En los adultos, el cáncer de mama, pulmón, próstata y el melanoma son los tumores primarios habituales.

En los niños, el tumor metastásico más común es el neuroblastoma

Los tumores metastásicos son mucho más frecuentes en la coroides que en la órbita, probablemente debido a la naturaleza del riego sanguíneo.

Tumores intraoculares primarios

RETINOBLASTOMA

GENERALIDADES

Tumor intraocular maligno primaria más común en los niños

Edad de inicio: <4 años

El gen del retinoblastoma (RB1) es un gen supresor de tumores que se encuentra en el cromosoma 13.

♦ Esporádicos: mutación espontanea (unilaterales) 95% casos

♦ Hereditarios: herencia autosómica dominante (son bilaterales) 5 % casos

www.qxmedic.com PAG. 57 OFTALMOLOGÍA
Figura 88. Neurofibroma plexiforme que afecta la cara, los párpados y la órbita izquierdos en la neurofibromatosis tipo 1. Figura 89. Nódulos de Lisch en el iris en un paciente con neurofibromatosis tipo 1.

Recuerda

Los pacientes con mutaciones hereditarias del gen Rb también tienen un riesgo significativamente mayor de desarrollar osteosarcomas y pinealomas.

Recuerda

El estrabismo es normal hasta tres meses después del nacimiento. El estrabismo que persista después de tres meses debe ser evaluado por un oftalmólogo.

Durante el examen oftalmológico, la prueba de cubrir un ojo (cover test), sirve para determinar el estrabismo latente (forias)

(ESSALUD 2010)

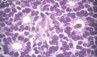
PATOLOGÍA

Deriva de las neuronas bipolares

En la forma diferenciada, es posible observar las rosetas de Flexner-Wintersteiner o fleurette compuestas por células muy maduras, cúbicas o cilíndricas, bajas dispuestas alrededor de una luz central.

Figura 90. Retinoblastoma que muestra las rosetas de Flexneri – Winter Steiner (también son vistos en Ependimoma y pinealoblastoma)

DIAGNÓSTICO

Leucocoria

Estrabismo (1 a 2 años)

Proptosis

Defecto pupilar aferente (pupila de Marcus Gunn)

Un ojo rojo y doloroso (pseudouveitis o glaucoma secundario)

Desprendimiento de retina exudativo

Examen del fondo de ojo: tumor retiniano vascularizado de color blanco grisáceo Ecografía ocular: Masa intraocular irregular que es hiperecogénica y tiene focos de sombra acústica (debido a calcificaciones)

Resonancia magnética del cráneo con contraste: identifique la afectación del nervio óptico y la extensión del tumor

Debe evitarse la tomografía computarizada debido al riesgo de tumores inducidos por radiación en pacientes con mutación RB1

Las biopsias de retinoblastomas están contraindicadas debido al riesgo de diseminación tumoral.

El ojo izquierdo muestra el reflejo retiniano normal, mientras que la pupila derecha aparece blanca (leucocoria

www.qxmedic.com OFTALMOLOGÍA PAG. 58
Figura 92. Dos tumores de retinoblastoma intraretinianas discretos en el ojo izquierdo de un niño con retinoblastoma bilateral. Figura 91. Leucocoria. Paciente con retinoblastoma.

TRATAMIENTO

Si el ojo es potencialmente recuperable: Retinoblastomas de bajo riesgo

♦ Crioterapia

♦ Fotocoagulación

♦ Braquiterapia

Retinoblastomas de alto riesgo: quimioterapia Si el ojo no se puede salvar (ya sea anatómica o funcionalmente)

Enucleación: implica la extirpación completa del globo ocular, junto con una parte del nervio óptico.

Quimioterapia sistémica y / o radioterapia adyuvante En el caso de enfermedad metastásica: quimioterapia de dosis alta con / sin radioterapia

MELANOMA DE COROIDES

GENERALIDADES

Los tumores intraoculares más frecuentes son las metástasis coroideas de tumores sistémicos (pulmón en el hombre y mama en la mujer).

El melanoma de coroides constituye el tumor maligno intraocular primario más frecuente en el adulto.

Casi siempre es unilateral y unifocal.

PATOLOGÍA

Mixto: Células fusiformes y epitelioides. Son los más frecuentes y pronóstico intermedio.

Células fusiformes: Los de mejor pronóstico

Epitelioide: Los de peor pronóstico

DIAGNÓSTICO

Tumor sobreelevado, pigmentado y unilateral.

Afecta campo visual y acompañarse de desprendimiento de retina (exudativo).

Puede diseminarse por extensión directa, dar metástasis locales y metástasis sistémicas (más frecuente hígado).

Fondo de ojo: masa subretiniana de color marrón oscuro a dorado pálido

TRATAMIENTO

Lesiones pequeñas y poco elevadas: fotocoagulación o radioterapia con placa de yodo-125

Cirugía: Resección local, crioterapia, enucleación

Si hay metástasis: Tratamiento paliativo (quimioterapia e ¡inmunoterapia).

www.qxmedic.com PAG. 59 OFTALMOLOGÍA
Figura 93. Fondo de ojo de un paciente con melanoma de coroides

Turn static files into dynamic content formats.

Create a flipbook
Issuu converts static files into: digital portfolios, online yearbooks, online catalogs, digital photo albums and more. Sign up and create your flipbook.
EBOOK - Oftalmología V3_PI2023 by QxMedic - Issuu