
2 minute read
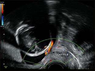
Vasa previa
DEFINICIÓN:
Hemorragia fetal (ENARM 2007) por la localización de los vasos fetales cerca al orificio cervical interno.
Advertisement
FACTORES DE RIESGO
La inserción anómala de la placenta (tipo I) Placenta succenturiata (tipo II).
A veces se observa el hematoma retroplacentario
DIAGNÓSTICO:
La clínica es un sangrado súbito posterior a la rotura artificial de membrana (amniotomía) durante el trabajo de parto, seguida de una hipoxia fetal (bradicardia fetal o patrón sinusoidal) (ENARM 2019). Se confirma con una ecografía Doppler.

TRATAMIENTO:
La conducta es cesárea de emergencia.
Rotura uterina
ETIOLOGÍA:
La causa más frecuente en países desarrollados es la dehiscencia de una cicatriz uterina producto de una cesárea (ENARM 2002), también otros tipos de cirugías como miomectomía (ENARM 2021) o legrado; en países subdesarrollados, la causa más frecuente, es el parto traumático, maniobra de Kristeller o parto disfuncional.
DIAGNÓSTICO:
La rotura inminente: presenta durante el parto hipertonía uterina con parametrios tensos (signo de Frommel) y contracción del segmento uterino inferior (anillo de Bandl) (ENARM 2011)

La ruptura consumada con un cuadro de abdomen agudo severo, shock, cese de la dinámica uterina, presentación alta, palpación fácil del feto (ENARM 2002, ENARM 2006, ENARM 2007) e hipoxia fetal.
TRATAMIENTO:
La conducta final es una cesárea de emergencia en rotura inminente y laparotomía en ruptura uterina consumada.
14. HEMORRAGIA POSPARTO
DEFINICIÓN:
Su definición clásica etas en relación al cálculo de la pérdida sanguínea (ENARM 2012): > 500 ml por vía vaginal, 1 000 ml por cesárea o caída más de 10 % de hematocrito. La definición actual es un sangrado > 1000 ml independiente de la vía del parto, o cualquier hemorragia que genere signos y síntomas de inestabilidad hemodinámica. La primera medida para determinar la etiología es palpar el útero.
Atonía uterina
GENERALIDADES:
Principal causa de sangrado en el puerperio inmediato (<24 horas) (ENARM 2003, ENARM 2014, ENARM 2015) (ESSALUD 2018).
FACTORES DE RIESGO:
Multípara añosa (ENARM 2011, ENARM 2014, ENARM 2020), sobre distensión del útero (macrosomía,
TRATAMIENTO: polihidramnios, gestación múltiple, miomas intramurales) (ENARM 2006, ENARM 2014), corioamnionitis, Usp inadecuado de oxitócicos o parto prolongado (ENARM 2022)
DIAGNÓSTICO:
Se advierte cuando se palpa el útero y la sensación es blanda y por encima de la cicatriz umbilical (ENARM 2011)
La primera línea de tratamiento es fluidoterapia y hemoderivados si son necesarios (índice de shock=FC/PAS > 0.9), procedemos luego con el masaje bimanual enérgico; como tratamiento farmacológico inicial, de elección es oxitocina 10 a 40 UI en infusión endovenosa continua (ENARM 2017), metilergonovina 0.2 mg IM (contraindicado en casos de preeclampsia o fenómeno de Raynaud) y, para un efecto sostenido de la contracción miometrial, misoprostol 800-1000 urg por vía intrarrectal. La administración temprana de ácido tranexámico, un fármaco antifibrinolítico, puede reducir la muerte (↓20-30%) por hemorragia en mujeres con hemorragia relacionada con atonía o traumatismo. Se infunde
1 gramo (ENARM 2021) durante 10 a 20 minutos, ya que una infusión rápida puede causar hipotensión. Si el sangrado persiste después de 30 minutos, se puede administrar una segunda dosis de 1 g. El efecto antifibrinolítico dura de 7 a 8 horas en suero.
Si no hay respuesta favorable a los uterotónicos, se indica taponamiento uterino (balón de Bakri), al final, cirugía, como ligadura de vasos, sutura hemostática (B Lynch) e histerectomía.
Trauma obstétrico
En caso de que el útero esté bien contraído, se debe descartar trauma del canal del parto (ESSALUD 2019)
En partos precipitados o macrosomía, podría presentarse trauma del canal del parto, donde lo más frecuente es la laceración del cuello uterino, por lo cual se colocan valvas. (ESSALUD 2019)



La conducta terapéutica es la sutura (traquelorrafia).
Si la puérpera presenta palidez asociada a sensación de bulto, se debe descartar un hematoma vulvovaginal.