
2 minute read
03. SÍNDROME DE DISTRÉS RESPIRATORIO AGUDO (SDRA)
Definición
El SDRA es un síndrome clínico de lesión pulmonar difusa que se caracteriza por un inicio agudo con hipoxemia e infiltrados radiográficos bilaterales y sin hipertensión auricular izquierda.
Advertisement
Etiología
Recuerda
La causa pulmonar más frecuente es la neumonía y en general es la sepsis.
Causas Indirectas (sistémicas)
Sepsis (causa más común)
Trauma
Shock
Transfusión masiva (por lesión pulmonar aguda asociada a transfusión)
Pancreatitis aguda
Causas Directas (Pulmonares)
Neumonía
Aspiración
Toxinas inhaladas
Contusión pulmonar (ENAM 2012-A)
Lesión por inhalación (Inhalación de oxígeno hiperbárico)
Fisiopatología Recuerda
La consecuencia fisiopatológica fundamental es el edema pulmonar no cardiogénico rico en proteínas y con perdida del tensoactivo que genera atelectasias.
Clínica
Trasplante de células madre hematopoyéticas
Medicamentos (ácido salicílico, amiodarona, bleomicina)
Sobredosis de drogas recreativas
Incidentes de ahogamiento
Embolia grasa
Embolia de líquido amniótico
Trasplante de pulmón
La inflamación y lesión alveolar conduce a un aumento de la permeabilidad capilar pulmonar proceso caracterizado por 3 fases distintas (etapas patológicas), que evolucionan durante 2-3 semanas.
La fase exudativa (inflamatoria) implica la destrucción inmunomediada (TNFα, IL-1, IL-6, IL-8) de las barreras del complejo alveolar epitelial-intersticial-endotelial que permite que el líquido entre en el intersticio y el espacio aéreo. Se da la caída de producción de tensoactivo y la disminución de neumocitos II frente a necrosis de neumocitos I. (ENAM EXTRA 2021-I)
- La fase proliferativa comienza la recuperación con la proliferación de células epiteliales sobre todo neumocitos II, la recuperación de la función de barrera, el retorno de la integridad celular y la reabsorción de líquido.
- La fase fibrótica, proliferación de fibroblastos.
La consecuencia clínica es la alteración del intercambio de gases debido a la disminución de la distensibilidad y la hipertensión pulmonares que da lugar a una poscarga del ventrículo derecho.
Disnea aguda
Taquipnea y taquicardia
Cianosis
Crepitantes difusos
Otros: fiebre, tos y dolor en el pecho
Diagnóstico
El SDRA es un diagnóstico de exclusión. Considere el SDRA en pacientes con insuficiencia respiratoria de inicio rápido y un posible desencadenante.
Criterios De Berl N Para Sdra
Deben cumplirse las cuatro condiciones siguientes:
Agudo: aparición dentro de la semana siguiente a una agresión clínica conocida o síntomas respiratorios nuevos o que empeoran.
Recuerda
El SDRA es agudo con PaFi ≤ de 300 con infiltrados bilaterales y sin falla cardiaca.
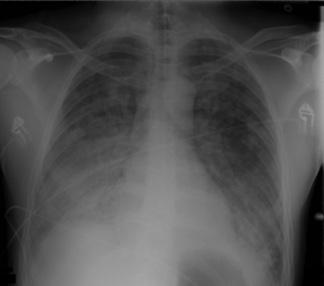
Rx: opacidades bilaterales que no se explican completamente por derrames, colapso lobular / pulmonar o nódulos en la radiografía de tórax o tomografía computarizada. Inicialmente alveolares que en segunda semana son mas intersticiales. Insuficiencia respiratoria que no se explica completamente por una insuficiencia cardíaca o una sobrecarga de líquidos (en ausencia de factores de riesgo de SDRA, se requiere una evaluación objetiva, como una ecocardiografía, para excluir estas causas de edema hidrostático).

Estado de oxigenación deteriorado: PaO2/ FiO2 ≤ 300 mmHg con PEEP ≥ 5 cm H2O, y son:
♦ SDRA leve: PaO2/FiO2 = 201–300 mm Hg
♦ SDRA moderado: PaO2/FiO2 = 101-200 mm Hg
♦ SDRA grave: PaO2/FiO2 ≤ 100 mm Hg
Evaluaci N
Gasometría para definir el PaO2/FiO2 ≤ 300 mm Hg y la Gradiente A-a aumentada Radiografía de tórax y considerar la tomografía para evaluar los infiltrados Ecocardiograma y nivel de péptido natriurético cerebral (Pro-BNP) para evaluar las causas cardiogénicas de los infiltrados pulmonares. Considerar una broncoscopia y un lavado broncoalveolar si se sospechan otras causas si el paciente no muestra mejoría.
Tratamiento
Recuerda
El pilar del tratamiento es la VM con PEEP alto (PEEP ≥ 5 cm H2O)
Pronóstico
Tratar la causa subyacente (como neumonía o shock) si se conoce, así como las complicaciones asociadas (como insuficiencia renal o coagulación intravascular diseminada).
La ventilación mecánica apoya el intercambio de gases mientras se espera que la enfermedad se resuelva y es el pilar de la atención asistida.
SDRA moderado - severo: aplicar posición prona, maniobras de capotaje pulmonar; considere el bloqueo neuromuscular.
SDRA severo refractario a la terapia: considere las indicaciones de ECMO. Identificar y tratar la causa subyacente (p. Ej., Neumonía, pancreatitis, sepsis).
La mortalidad del SDRA varía según su gravedad:
Leve: se asocia con un 27% de mortalidad
Moderada: se asocia con 32% de mortalidad
Grave: se asocia con un 45% de mortalidad

