Resiped - Edición No. 4 | Año 2022

Page 1

6

Boletín informativo de la Sociedad Colombiana de Pediatría

Edición No. 4 - Año 2022

ÍNDICE

Educativo taller de quemaduras organizado por residentes de Pediatría en la Universidad de Cartagena

Universidad del Rosario, tercer puesto en el XXI Plenum de Investigación en Pediatría por la SCP regional Bogotá

El caso clínico de este mes

Niños, pólvora y festividades de fin de año

5
ISSN 2805-9565
4

Los fuegos artificiales son dispositivos que contienen mezclas de productos químicos combustibles (pólvora), que causan efectos luminosos y auditivos, y se han usado a lo largo del tiempo en festivi dades culturales y religiosas. Las lesiones por pólvora y sus consecuencias se han converti do en un tema de interés en salud pública, al afectar tanto a corto y mediano como a largo plazo la calidad de vida de quienes las sufren, sumado al gran costo social y perso nal que producen.

Los niños, niñas y adolescentes son las principales víctimas de los accidentes con pirotecnia y en algunos casos, la gravedad de las lesiones genera discapacidad perma nente e incluso la muerte. Ante la ocurrencia de estos casos en Colombia, las instituciones prestadoras de servicios de salud y su perso nal, están en el deber de notificar al SIVIGI LA (Sistema Nacional de Vigilancia en Salud Pública) y diligenciar ficha de “Lesiones por artefactos explosivos (Código INS452)” e informar al ICBF (Instituto Colombiano de Bienestar Familiar), de conformidad con lo

COMITÉ DE RESIDENTES

Dra. Yuli González - Fundación Universitaria de Ciencias de la Salud

Dra. Silvia Galvis - U. de Antioquia

Dra. Angie Ching - U. de Cartagena

Dra. María Daniels - U. de Cartagena

Dra. Nathalie Beltrán - U. del Rosario

Dra. Lina Bustamante - U. del Rosario

Dra. Melisa López - Corporación Universitaria Remington

Dr. Sebastián Arteta - U. Libre (Seccional Barranquilla)

Dra. Karen Tous - U. del Sinú (Seccional Cartagena)

Dra. Valeria Ramírez - U. Nacional de Colombia

Dra. Lina Cañón - U. Militar Nueva Granada (Base San Rafael)

Dra. María José Calderón - U. Metropolitana

Dra. María Cerchiaro - Fundación Universitaria Sanitas

SOCIEDAD COLOMBIANA DE PEDIATRÍA

Dr. Mauricio Guerrero - Presidente

Gloria Zuccardi - Directora Ejecutiva

Oscar Ruiz - Subdirector de Programas Dirigidos al Pediatra

El contenido editorial de esta publicación es suministrado por nuestro Comité de Residentes y de interés para los residentes de pediatría.

Calle 83 No. 16A – 44 Oficina 701, Bogotá

Tels.: (601) 6495352 - 7464706/07 info@scp.com.co www.scp.com.co

establecido en el artículo 51 de la Ley 1098 de 2006 (resta blecimiento de derechos).

¿Cómo está Colombia en cifras?

De acuerdo con el registro realizado por el Instituto Na cional de Salud (INS), para las festividades de fin de año en 2021, 1.174 personas tuvieron afectación por pólvora, artículos pirotécnicos, fuegos artificiales y globos. El de partamento con mayor reporte de casos de accidentes con pólvora fue Nariño (145), seguido por Antioquia (108), Bo gotá (95), Valle del Cauca (91), Cauca (78), y Tolima (70). Las cifras evidencian un incremento del 61,93% de acci dentes con respecto al año anterior, cuando se registraron 725 lesionados. Del total de víctimas, hubo 364 menores de edad correspondiente al 31%, más comúnmente en menores de 15 años y de sexo masculino, entre quienes 35 de ellos habían consumido alcohol en compañía de un adulto.

El compromiso más frecuente de las lesiones se dio en los brazos y cara, siendo los artefactos más utilizados los totes (27,9%), voladores (25.8%), cohetes (9.7%), volca nes (6.0%), luces bengala (3.1%) y juegos pirotécnicos en general (2.9%). Para tener en cuenta, las luces de bengala que frecuentemente son percibidas como inocuas, pueden llegar a emitir cerca de 1.100°C, lo cual es suficiente para causar quemaduras de tercer grado.

Mecanismos comunes de lesiones

El riesgo de tener accidentes relacionados con la pirotec nia, varía de acuerdo a los siguientes factores:

• Disponibilidad: al tener mayor acceso para adquirir los artículos fabricados con pólvora.

• Tipo de fuego artificial: en Colombia con la Ley 670 del 2001 se categorizó el riesgo dividiéndolo en tres, siendo la tercera categoría la de productos de mayor riesgo. La primera y la segunda de riesgo muy reduci do y riesgo moderado respectivamente.

• Distancia: desde la cual se manipulan los fuegos piro técnicos y el lugar de los espectadores.

• Combustibilidad y capacidad explosiva: de los juegos pirotécnicos según la temperatura que requieran para encenderse.

• Otros factores: como antecedentes de asma, que pue de ser exacerbado por productos de la combustión.

El tipo principal de lesiones son las quemaduras, pero adicionalmente puede haber laceración y amputaciones debido al estallido anticipado del artefacto, sobre todo en

2

dedos, extremidades y ge nitales, dependiendo de la cercanía del artefacto con las partes del cuerpo. Asi mismo, contusiones, daño ocular y daño auditivo.

¿Qué hacer si un niño se lesiona por pólvora?

Se debe asegurar la esce na y alejar a los niños, niñas y adolescentes afectados de los objetos que causaron la quemadura. Si la quema dura es extensa, se sugiere cubrir la zona con gasas limpias y húmedas durante el traslado al hospital. Por ningún motivo se deben hacer remedios caseros, ya que estos pueden causar más daño en las lesio nes y aumentar la extensión o profundidad de la quemadura.

Finalmente, deben ser atendidos en las institucio nes de salud (urgencias), en las que se determinará algún protocolo adicional.

Mensajes de prevención a los cuidadores

Las lesiones por pólvora se pueden prevenir en la mayoría de los casos si se identifican los riesgos asociados a la venta, transporte, distribución, ma nipulación y uso inadecuado de la pólvora. Hablar con los niños y adolescentes, y explicarles el riesgo que conlleva la exposición a pólvora, artículos piro técnicos, fuegos artificiales y globos, es una medida protectora.

Evitar que los niños manipulen pólvora o cual quier artefacto que pueda causar algún daño o

lesión, y atente contra su integridad física o ponga en riesgo su vida.

Si por algún motivo hubo lesión por el uso de pólvora, es necesario dirigirse de inmediato a los servicios de salud más cercanos para iniciar la atención en urgencias. Esta atención médica de forma oportuna previene las complicaciones como infecciones graves, ingreso a unidad de cuidados intensivos, secuelas en la salud y hasta la muerte por falta de atención médica necesaria. El consejo como profesionales de la salud y futuros pediatras es considerar otras actividades recreativas para la celebración en familia que no involucren tales riesgos.

Universidad de Antioquia Fundación Universitaria de Ciencias de la Salud Comité de Residentes

Bibliografía:

1. Ministerio de salud. (2022, 3 de Enero). Pólvora dejó 1.174 lesionados en festividades de 2021-2022. https://www.minsalud.gov.co/Paginas/P%C3%B3l vora-dej%C3%B3-1.174-lesionados-en-festividades-de-2021-2022.aspx#:~:text=%E2%80%8BEl%20pa%C3%ADs%20registr%C3%B3%20un, cuando%20se%20reportaron%20725%20lesionados.&text=%E2%80%8BAudio%20de%20Jairo%20Hern%C3%A1ndez,Bogot%C3%A1%20 D.C.%2C%2023%20enero%202022.

2. Ruta de atención de niños, niñas y adolescentes lesionados por uso, porte o manipulación de pólvora https://www.icbf.gov.co/system/files/rutapol vora-a62.pdf.

3. Alcaldía de Medellín. Protocolo normas de prevención para la quema de juegos pirotécnicos. https://www.medellin.gov.co/irj/portal/ medellin?NavigationTarget=contenido/4913-Protocolo-normas-de-prevencion-para-la-quema-de-juegos-pirotecnicos.

4. Instituto Nacional de Salud. Protocolo de lesiones por pólvora. http://santamargarita.gov.co/intranet/pdf/vigilancia/Protocolopolvora2007.pdf.

5. Texas Children´s Hospital. Fireworks safety 101. https://www.texaschildrens.org/blog/2016/06/fireworks-safety-101.

3

Educativo taller de quemaduras organizado por residentes de Pediatría en la Universidad de Cartagena

El Programa de Especialización en Pediatría de la Universidad de Cartagena se ha caracteriza do a lo largo de los años, por su trabajo en pro de la educación continua de sus internos, médicos generales, pediatras y todo el personal en salud que trabaja por la población infantil cartagenera. Es por ello, que sus residentes or ganizan una serie de talleres formativos, programados durante el año y que buscan la actualización sobre distin tos temas de interés acadé mico en pediatría.

Se estima que cada año de 15.000 a 20.000 niños su fren lesiones térmicas en Co lombia, siendo Bolívar uno de los departamentos más afectados en mortalidad por dicha causa, con una tasa de 1.087 lesionados por cada 100.000 habitantes. Los residentes de Pediatría preocupados por este atroz flagelo que aqueja con fuerza a la niñez de su región, decidieron realizar un taller de quemaduras en pediatría durante el pasado trimestre.

El evento contó con la participación del doctor Enrique Soto Zárate, Pediatra egresado de nues tra alma máter, quien compartió su conocimiento y experiencias sobre el tema de una manera diná mica. Se realizaron ejercicios prácticos de cálculo de líquidos en el paciente pe diátrico quemado, los cuales se discutieron en un conver satorio en el que se aclararon todos los interrogantes de sus participantes.

Sin duda fue un espacio aca démico provechoso, en el cual se abordó un aspecto de crucial conocimiento en pediatría des de una perspectiva clara y sen cilla, que permitió la atención y facilitó el aprendizaje como futuros pediatras. El grupo de residentes de la Universidad de Cartagena desea continuar rea lizando este tipo de eventos, en su compromiso por compartir el conocimiento, incluso entre generaciones venideras, para así brin dar una óptima atención a la infancia y adolescen cia, especialmente de la región, ‘Por una niñez al alcance de sus sueños’.

4

Universidad del Rosario, tercer puesto en el

de Investigación en Pediatría por la

El mes pasado se realizó en la capital del país, el XXI Plenum de Investigación en Pediatría , liderado por la regional Bogotá de la Socie dad Colombiana de Pedia tría (SCP), con el apoyo del Programa de Especialización en Pediatría de la Fundación Universitaria de Ciencias de la Salud, generando un im portante espacio académico y de investigación para los futuros pediatras. Se llevó a cabo en el Auditorio Jorge Gómez Cusnir del Hospital Infantil Universitario de San José, permitiendo, además, un espacio de integración para los residentes de pedia tría de Bogotá.

XXI Plenum

SCP regional Bogotá

La Universidad del Rosario y específicamente su programa de Especialización de Pediatría tuvo el privilegio de participar y ser representada por la Dra. María Juliana Rusinque Del Busto, residente de pedia tría de segundo año, en la ca tegoría ‘Presentación oral con protocolo de investigación’ con su trabajo Evaluación de la calidad de vida en pacientes pediátricos con trasplante de hígado, realizados en la Funda ción CardioInfantil de Bogotá

La Dra. Rusinque tuvo la oportunidad de presentar este protocolo de investigación, con el que logró obtener el tercer puesto en tan importante en cuentro regional.

5

Caso Clínico

Por: Corporación Universitaria Remington (Medellín)

Paciente: Femenina

Edad: 15 años

Paciente de 15 años ingresa remitida a nuestra institución, con cuadro clínico de tres meses de evo lución de cefalea, edema orbital derecho y tumefac ción temporoparietal derecha, por lo cual consultan a hospital local de su comunidad en varias ocasio nes, dando manejo sintomático con analgesia, sin mejoría, realizando luego una ecografía de tejidos blandos en julio del presente año, con un reporte de lesión con características benignas posiblemente un lipoma.

Posteriormente fue manejada con AINES, pero con aumento en tamaño de la lesión y dolor incre mentando con el tiempo hasta que decidió consul tar nuevamente. En esta ocasión se realiza TAC de cráneo en septiembre de 2022, con reporte de lesión extra axial heterogénea que compromete la región parietal temporal y frontal derecha de 82*28*62 mm, y patrón permeativo y alteración de los tejidos blandos adyacentes con realce en forma heterogé nea en medio de contraste. Debido a este reporte le indican a su madre que requiere otro nivel de aten ción, por la complejidad de la lesión y la remiten a nuestra institución.

Se hospitaliza del 9 de septiembre de 2022, reali zando TAC de cráneo (Imagen 1) al día 21 del mis mo mes, con diagnóstico de tumor agresivo a nivel frontotemporal derecho realizando resección macro intraoperatoria con bordes sanos. Dura no infiltra da el día 13 de ese mes sin complicaciones. Realizan TAC control (Imagen 2), posteriormente sin residuo tumoral evidente con hematoma extradural, en ese momento se decide manejo médico.

Preguntas:

1. Teniendo en cuenta la edad y localización de la lesión, cuáles son las posibilidades diagnósticas : a. Rabdomiosarcoma b. Linfoma c. Meningioma d. Sarcoma de Ewing

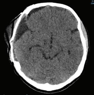
Imagen 1. Tac de cráneo: Se identifica una lesión extraaxial frontotem poral derecha con áreas de mayor densidad y calcificaciones en el interior con erosión, y lisis del diploe con extensión a los tejidos blandos adya centes; alcanzando unas medidas máximas de 82 x 53 mm. Tiene efecto de masa comprimiendo el parénquima adyacente y desplazando la línea media derecha izquierda aproximadamente 10 mm.

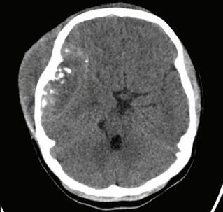
Imagen 2. Postoperatorio. Cambios postquirúrgicos de craniectomía am plia frontoparietal-temporal derecha. Colección residual extraaxial frontal y temporal en el lado derecho, con área de mayor coeficiente de atenua ción en la región temporal, relacionado con hematoma previo conocido.

2. Cuál es el diagnóstico, teniendo en cuenta las ayudas imagenológicas descritas : a. Lipoma b. Sarcoma de Ewing c. Meningioma d. Linfoma

3. De acuerdo al tiempo de evolución, cuáles son las probabilidades diagnósticas: a. Linfoma b. Astrocitoma c. Lipomas d. Sarcoma de Ewing

Para dar respuesta a este caso clínico y conocer posteriormente su solución, ingresa a www.scp.com.co y visita nuestra sección Residentes.

6
¡Se acerca fin de año, y es tu ÚLTIMA OPORTUNIDAD! Feliz Navidad y próspero 2023 El 30 de diciembre cerramos el año y en Nestlé, queremos invitarte a que sigas creciendo profesionalmente. Confiamos en ti, y queremos que seas parte de nuestro Programa J.Pedia Recuerda que todos los programas y cursos, deben estar finalizados el 30 de diciembre Ingresa aquí

es una opción para los padres Recomendamos a los profes ionales de la s alud que informen a los padres s obre las ventajas de la lactancia materna Si los padres s e plantean no amamantar, los profes ionales de la s alud deben informarles de que es a decis ión puede s er difícil de revertir y de que la introducción de la alimentación parcial con biberón reducirá el s uminis tro de leche materna Los padres deben tener en cuenta las implicaciones s ociales y económicas del us o de preparados para lactantes Como los bebés crecen a ritmos diferentes , los profes ionales de la s alud deben acons ejar s obre el momento adecuado para que el bebé empiece a tomar alimentos complementarios Los preparados para lactantes y los alimentos complementarios debe preparars e, utilizars e y almacenars e s iempre s egún las ins trucciones de la etiqueta para evitar ries gos para la s alud del bebé

Impres o en Colombia (LM) Fecha de impres ión: Noviembre 2022 Fecha de caducidad: Noviembre 2023

LA LECHE MATERNA ES EL MEJOR ALIMENTO PARA EL NIÑO MATERIAL EXCLUSIVO PARA EL PROFESIONAL DE LA SALUD PRIMERA Y ÚNICA CON APOYA AL MÁXIMO SU DESARROLLO INTEGRAL Y NUTRE TODAS SUS POSIBILIDADES PROBIÓTICO B. lact is DHA y ARA COMBINACIÓN EXCLUSIVA DE 5HMOs PROTEÍNA A2 (80% s uero 20% β cas eína A2) AVISO IMPORTANTE Creemos que la lactancia materna es el comienzo nutricional ideal para los bebés , ya que la leche materna proporciona una dieta equilibrada y protección contra las enfermedades para el bebé Apoyamos plenamente la recomendación de la Organización Mundial de la Salud que la lactancia materna s ea exclus iva durante los primeros mes es de vida, s eguida de la introducción de alimentos complementarios nutritivos adecuados , junto con una lactancia materna s os tenida has ta los dos años de edad También reconocemos que la lactancia materna no s iempre

Turn static files into dynamic content formats.

Create a flipbook
Issuu converts static files into: digital portfolios, online yearbooks, online catalogs, digital photo albums and more. Sign up and create your flipbook.
Resiped - Edición No. 4 | Año 2022 by Sociedad Colombiana de Pediatría - Issuu