APAPRO Κατάλογος

Page 1

Θεραπευτική πάστα Νανο-Υδροξυαπατίτη για την Επανασβεστίωση της Αδαµαντίνης Εφαρµογή και Κλινικά Παραδείγµατα
ΘΕΡΑΠΕΥΤΙΚΗ ΠΑΣΤΑ ΤΩΝ ∆ΟΝΤΙΩΝ ..................................... 2 Φροντίδα της Αδαµαντίνης στο Οδοντιατρείο .................. 2 ΕΝ∆ΕΙΞΕΙΣ .................................................................................. 4 ΜΕΘΟ∆ΟΙ ΕΦΑΡΜΟΓΗΣ ........................................................... 5 Καθαρισµός των ∆οντιών ................................................... 5 Χρήση µε Ελαστικό Κυπελλοειδές .................................... 6 Χρήση µε Εξατοµικευµένο ∆ισκάριο ................................. 8 Μαρτυρίες Χρηστών ......................................................... 9 ΦΡΟΝΤΙ∆Α ΤΗΣ Α∆ΑΜΑΝΤΙΝΗΣ ΜΕΤΑ ΤΗΝ ΘΕΡΑΠΕΙΑ .........10 Μετά την Λεύκανση ...........................................................12 ΕΦΑΡΜΟΓΕΣ ............................................................................18 Λευκές Κηλίδες ..................................................................18 Αποκατάσταση της επιφάνειας της αδαµαντίνης ................... 20 Υπερευαισθησία ............................................................... 22 Αρχόµενη Τερηδόνα της Ρίζας ........................................ 24 ΕΠΙΛΕΓΜΕΝΕΣ ΜΕΛΕΤΕΣ ....................................................... 26 Ι Αποκατάσταση της επιφάνειας της αδαµαντίνης ....... 26 ΙΙ Υποεπιφανειακή Επανασβεστίωση ............................... 26 ΙΙΙ Υπερευαισθησία ........................................................... 27 ΙV Πρόληψη του Σχηµατισµού Κηλίδων ........................ 28 ∆ΙΑΝΟΜΗ ΚΑΙ ΕΠΙΚΟΙΝΩΝΙΑ .................................................. 29 Θεραπευτική πάστα Νανο-Υδροξυαπατίτη ΠΕΡΙΕΧΟΜΕΝΑ Στη ∆ιάρκεια και Μετά την Ορθοδοντική Θεραπεία ........14 Μετά τον Επαγγελµατικό Μηχανικό Οδοντικό Καθαρισµό 10
ΘΕΡΑΠΕΥΤΙΚΗ ΠΑΣΤΑ ΤΩΝ ∆ΟΝΤΙΩΝ Φροντίδα της Αδαµαντίνης στο Οδοντιατρείο Κλινικές διαδικασίες, όπως ο µηχανικός καθαρισµός των δοντιών (PMTC), η λεύκανση και κλινικές ορθοδοντικές εργασίες µπορούν να προκαλέσουν µικροσκοπικές φθορές στην αδαµαντίνη των δοντιών, δηµιουργώντας µικροσχισµές στην επιφάνειά της ή ακόµα υποεπιφανειακές
και επιφανειακή αδρότητα,
περιπτώσεις µακροχρόνιας χρήσης των ορθοδοντικών εξαρτηµάτων (µπράκετς), που εµφανίζονται όταν τα µπράκετς αφαιρεθούν. Η APAPRO, επανορθωτική πάστα αποκατάστασης της αδαµαντίνης για επαγγελµατική χρήση, µε υψηλή συγκέντρωση νανο-υδροξυαπατίτη, δίνει λύση σε αυτά τα προβλήµατα, όταν εφαρµόζεται στο τελικό στάδιο αυτών των διαδικασιών, ιδιαιτέρως όταν µια οδοντόκρεµα nano<mHAP> όπως η APAGARD ή η APADENT επίσης συστήνεται στον ασθενή συµπληρωµατικά για καθηµερινή χρήση. APAPRO (55g) Θεραπευτική Πάστα Επανασβεστίωσης Υψηλή συγκέντρωση nano<mHAP> / Mη λειαντικό / Χωρίς φθόριο / Γεύση ροδάκινο
λευκές κηλίδες
σε

Θεραπευτική πάστα Νανο-Υδροξυαπατίτη Παρέχοντας τα άλατα που είναι απαραίτητα για την αποκατάσταση της λείας υφής της επιφάνειας της αδαµαντίνης και για την επανασβεστίωση των λευκών κηλίδων, η APAPRO όχι µόνο προλαµβάνει την τερηδόνα, αλλά επίσης προστατεύει από την υπερευαισθησία που παρουσιάζεται µετά την λεύκανση και από την πρώιµη επανεµφάνιση των κηλίδων χρωστικής, δηµιουργώντας συγχρόνως

της σύστασης της αδαµαντίνης µε τα απαραίτητα ανόργανα άλατα... µια νεοεµφανιζόµενη αντίληψη που είναι γνωστή ως «Θεραπευτική Φροντίδα».

*Nano<mHAP>

Το αυθεντικό ενεργό συστατικό της SANGI, ο nano<mHAP> είναι µια µη αποτριπτική µορφή υδροξυαπατίτη, που δηµιουργήθηκε ειδικά για χρήση στον τοµέα της στοµατικής φροντίδας, ήδη από το 1970. Είναι ο µόνος υδροξυαπατίτης που έχει εγκριθεί ως αντιτερηδονογόνος παράγοντας από την κυβέρνηση της Ιαπωνίας και αναγνωρίστηκε το 1993 ως «Ιατρικός Υδροξυαπατίτης».

ένα απαλό αίσθηµα φρεσκάδας στο στόµα, που οι ασθενείς άµεσα αναγνωρίζουν. Στην Ιαπωνία, η µέθοδος αυτή οδηγεί σε µια νέα προσέγγιση στον τοµέα της προληπτικής οδοντιατρικής: την ευκαιρία για ανώδυνες, ακόµα και ευχάριστες επισκέψεις στο οδοντιατρείο για τον τακτικό επαγγελµατικό καθαρισµό και την θεραπεία αποκατάστασης

Σηµείωση:

στο υλικό που ακολουθεί είναι µια ευγενική προσφορά του Dr. Shoji Kato, DDS, PhD, της Takanawa Dental Clinic, Tokyo Ιαπωνία, συγγραφέα του Ιαπωνικού οδοντιατρικού επαγγελµατικού εγχειριδίου

«Επαγγελµατική Φροντίδα, το Παράδειγµα της Μετατόπισης από την Επιφανειακή Αποτριβή στην Επιφανειακή

Αποκατάσταση» [“Professional Care , the Paradigm Shift from Surface Abrasion to Surface Repair” Quintessence 2010 (δηµοσιευµένο στην Ιαπωνική γλώσσα).

ΕΝ∆ΕΙΞΕΙΣ Η
για
ακόλουθες κλινικές εφαρµογές: META ΤΟΝ ΕΠΑΓΓΕΛΜΑΤΙΚΟ ΚΑΘΑΡΙΣΜΟ ΤΩΝ ∆ΟΝΤΙΩΝ (ΑΠΟΞΕΣΗ ή ΜΗΧΑΝΙΣΜΟ ΚΑΘΑΡΙΣΜΟ ΤΩΝ ∆ΟΝΤΙΩΝ - PMTC) ΜΕΤΑ ΤΗΝ ΛΕΥΚΑΝΣΗ ΣΤΗ ∆ΙΑΡΚΕΙΑ ΚΑΙ ΜΕΤΑ ΤΗΝ ΟΡΘΟ∆ΟΝΤΙΚΗ ΘΕΡΑΠΕΙΑ ΣΕ ΛΕΥΚΕΣ ΚΗΛΙ∆ΕΣ/ΑΡΧΟΜΕΝΕΣ ΤΕΡΗ∆ΟΝΕΣ ΣΕ ΥΠΕΡΕΥΑΙΣΘΗΣΙΑ ΤΗΣ Ο∆ΟΝΤΙΝΗΣ ΣΕ ΑΡΧΟΜΕΝΕΣ ΤΕΡΗ∆ΟΝΕΣ ΡΙΖΑΣ ΣΕ ΡΩΓΜΕΣ, ΑΠΟΤΡΙΒΗ ΚΑΙ ΦΥΣΙΟΛΟΓΙΚΕΣ ΦΘΟΡΕΣ ΤΗΣ ΕΠΙΦΑΝΕΙΑΣ ΤΗΣ Α∆ΑΜΑΝΤΙΝΗΣ ΠΡΟΣΤΑΣΙΑ ΑΠΟ ΚΗΛΙ∆ΕΣ ΧΡΩΣΤΙΚΗΣ ΠΡΟΣΤΑΣΙΑ ΤΩΝ ∆ΟΝΤΙΩΝ ΑΠΟ ΤΗΝ ΓΗΡΑΝΣΗ ΓΕΝΙΚΗ ΣΥΝΤΗΡΗΣΗ
APAPRO συστήνεται
τις
Τα κλινικά παραδείγµατα

Μη αποτριπτικός καθαρισµός των δοντιών, µε την χρήση ζελ NAOCl

που εφαρµόζεται µε µια µονοθύσσανη οδοντόβουρτσα.

να µην είναι διαθέσιµο εκτός Ιαπωνίας.) Ένας χηµικός παράγοντας καθαρισµού µπορεί να εφαρµοστεί σε κάθε οδοντική επιφάνεια µε την χρήση µιας µονοθύσσανης οδοντόβουρτσας ή ενός παρόµοιου εργαλείου χειρός. Αν γίνεται µηχανικός

Θεραπευτική πάστα Νανο-Υδροξυαπατίτη ΜΕΘΟ∆ΟΙ ΕΦΑΡΜΟΓΗΣ Καθαρισµός των ∆οντιών Η εφαρµογή µπορεί να διαφέρει ανάλογα µε την κατάσταση και τις συγκεκριµένες ανάγκες του ασθενούς, αλλά σε γενικές γραµµές η APAPRO θα πρέπει να εφαρµόζεται σε καθαρή οδοντική επιφάνεια, ιδανικά µετά την χρήση µιας πολύ απαλής µηχανικής ή µη µηχανικής µεθόδου καθαρισµού. Για παράδειγµα, ένα διαλυτικό µέσο σε µορφή ζελ έχει την ικανότητα να αφαιρεί τα οργανικά υπολείµµατα, όπως είναι η οδοντική πλάκα και οι κηλίδες χρωστικής ή στις περιπτώσεις της αποκαλυµµένης οδοντίνης, τις ίνες του κολλαγόνου. (Όµως αυτό το ζελ πιθανόν
καθαρισµός, προτείνεται µια πάστα καθαρισµού µε τον µικρότερο δυνατό βαθµό αποτριβής (RDA).
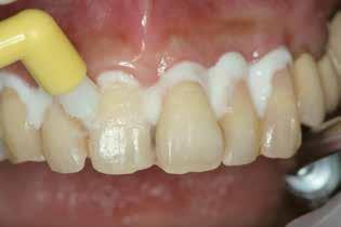
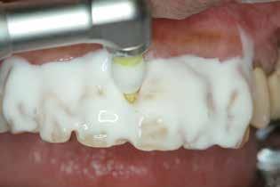
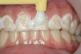
Χρήση µε Ελαστικό Κυπελλοειδές Όταν η πάστα εφαρµόζεται σε όλα τα δόντια, για παράδειγµα για µια γενική συντήρηση, περίπου 2 γρ. πάστας (µια λωρίδα περίπου 2 εκ.) για τα επάνω δόντια και µια αντίστοιχη ποσότητα για τα κάτω δόντια θα πρέπει να χρησιµοποιείται, εφαρµόζοντας µια µικρή ποσότητα µε ένα ελαστικό κυπελλοειδές σε κάθε δόντι ξεχωριστά, όπως υποδείχνεται. Περιστρέφοντας το ελαστικό κυπελλοειδές µε χαµηλή ταχύτητα (500-750 rpm), εφαρµόστε την πάστα µε απαλές κινήσεις πάνω στις οδοντικές επιφάνειες για 20-30 δευτερόλεπτα για τις επιφάνειες που χρειάζονται ιδιαίτερη φροντίδα και για 5-10 δευτερόλεπτα για γενική συντήρηση, µέχρι που µια µικρή ποσότητα πάστας να παραµείνει πάνω στα δόντια. Φροντίστε το απαλά περιστρεφόµενο ελαστικό να έρχεται σε επαφή µε ολόκληρη την επιφάνεια κάθε δοντιού, συµπεριλαµβανοµένων των µεσοδόντιων ακµών, όπως φαίνεται απέναντι, καθώς και γύρω από το όριο των ούλων µέχρι το κοπτικό χείλος ή την µασητική επιφάνεια. Ακήρωτο οδοντικό
να
της πάστας ανάµεσα στα δόντια, πριν το τελικό απαλό ξέπλυµα µε νερό, για την προστασία των όµορων επιφανειών από την τερηδόνα. Χρησιµοποιείστε 1- 2 γρ. (µια λωρίδα περίπου 1- 2 εκ.) πάστας APAPRO για τα επάνω δόντια και µια αντίστοιχη ποσότητα για τα κάτω δόντια για γενική χρήση ή την ίδια ποσότητα για κάθε ξεχωριστό δόντι όπου χρειάζεται ιδιαίτερη φροντίδα.
νήµα από µικροΐνες ή σπογγώδους τύπου οδοντικό νήµα µπορεί επίσης
χρησιµοποιηθεί για την επέκταση

Θεραπευτική πάστα Νανο-Υδροξυαπατίτη

Περιστρέφοντας το ελαστικό κυπελλοειδές µε χαµηλή ταχύτητα (500-750 rpm), εφαρµόστε την APAPRO απαλά σε κάθε δόντι, µέχρι µια µικρή ποσότητα πάστας να παραµείνει πάνω στα δόντια. Μεταφέρετε προσεκτικά την πάστα ανάµεσα στα δόντια µε την βοήθεια του οδοντικού νήµατος.

ή απώλειας

ανόργανων αλάτων, οπότε συστήνεται πιο µακρόχρονη θεραπεία, η επαγγελµατική φροντίδα πρέπει να συµπληρώνεται

Χρήση µε εξατοµικευµένο δισκάριο Προτείνεται επίσης εφαρµογή στο ιατρείο µε την χρήση εξατοµικευµένου δισκαρίου, που είναι κατασκευασµένο να εφαρµόζει στα δόντια του ασθενούς, ανάλογα µε τις ανάγκες του. Σε περιπτώσεις έντονης µασητικής αποτριβής, υπερευαισθησίας της οδοντίνης
δίνοντας στον ασθενή ένα εξατοµικευµένο δισκάριο για προσωπική χρήση και ένα σωληνάριο πάστας APAPRO, για την εφαρµογή στο σπίτι µια φορά την ηµέρα ή µια φορά την εβδοµάδα, σύµφωνα µε τις οδηγίες του οδοντιάτρου. Είναι προτιµότερο οι ασθενείς να χρησιµοποιούν την πάστα µετά το βούρτσισµα των δοντιών πριν από το βραδινό ύπνο, απλώνοντας ένα λεπτό στρώµα στο δισκάριο και τοποθετώντας το σταθερά πάνω στα δόντια, σύµφωνα µε τις οδηγίες και αφήνοντάς το για 5 λεπτά. Στη συνέχεια το δισκάριο πρέπει να αφαιρείται και να πλένεται, το στόµα επίσης να ξεπλένεται απαλά µε νερό.

(7%) και µια

στο στόµα όταν ξυπνούσαν το πρωί (3,5%).

Πιο λεία δόντια

Πιο λαµπερά δόντια

Πιο καθαρά δόντια

Λιγότερη οδοντική πλάκα

Πιο λευκά δόντια

Αίσθηση φρεσκάδας

Άλλα

Σχόλια που έκαναν οι ασθενείς για την αίσθηση των δοντιών τους, οι οποίοι αισθάνθηκαν

αµέσως µια διαφορά µετά την θεραπεία µε την πάστα APAPRO µε nano<mHAP>.

Θεραπευτική πάστα Νανο-Υδροξυαπατίτη Μαρτυρίες χρηστών Σε µια έρευνα που πραγµατοποιήθηκε στην Ιαπωνία από τον προµηθευτή οδοντιατρικών προϊόντων µε την επωνυµία Oral Care Ιnc., 1014 ασθενείς δέχτηκαν Θεραπευτική Φροντίδα µε την χρήση της πάστας APAPRO που έλαβαν από τον οδοντίατρό τους. Από αυτούς το 61% ή 621 ασθενείς είπαν ότι ένιωσαν αµέσως µια διαφορά µετά την θεραπεία µε την συµπυκνωµένη πάστα nano<mHAP>. Από αυτούς τους 621 ασθενείς, το 96% είπαν ότι αισθάνθηκαν τα δόντια τους πιο λεία, το 66% είδαν τα δόντια τους να είναι πιο λαµπερά και το 20% είπαν ότι εµπειράθηκαν ένα έντονο αίσθηµα καθαριότητας στο στόµα τους µετά από µια και µόνο εφαρµογή της πάστας APAPRO. Άλλα σχόλια περιελάµβαναν την µικρότερη συσσώρευση οδοντικής πλάκας (15%), πιο λευκά δόντια
φρεσκάδας και καθαριότητας
αίσθηση

O επαγγελµατικός µηχανικός καθαρισµός των δοντιών (PMTC) µε την χρήση αποτριπτικής

θεραπευτικές παρεµβάσεις, για παράδειγµα σε µια βάση ανάκλησης του ασθενούς κάθε δεκαπενθήµερο ή κάθε µήνα και επιπρόσθετα,

πάστα σε εξατοµικευµένο δισκάριο.

Η επιφάνεια της αδαµαντίνης πριν τον Επαγγελµατικό Καθαρισµό των ∆οντιών (Ra =9,6nm)

Μετά τον Επαγγελµατικό Καθαρισµό των ∆οντιών µε RDA 170 (Ra =19,8nm)

Μετά τον Επαγγελµατικό Καθαρισµό των ∆οντιών που ακολουθήθηκε από θεραπεία αποκατάστασης µε APAPRO (Ra=12,5nm)

Παρατήρηση στο µικροσκόπιο ανιχνευτή σάρωσης (SPM) πριν τον επαγγελµατικό µηχανικό καθαρισµό των δοντιών (PMTC), µετά τον επαγγελµατικό µηχανικό καθαρισµό των δοντιών (PMTC), και µετά από την εφαρµογή της APAPRO. Η επιφάνεια του δοντιού έχει σχεδόν εξολοκλήρου αποκατασταθεί στην αρχική της κατάσταση.

ΦΡΟΝΤΙ∆Α ΤΗΣ Α∆ΑΜΑΝΤΙΝΗΣ ΜΕΤΑ ΤΗΝ ΘΕΡΑΠΕΙΑ Μετά τον Επαγγελµατικό
πάστας καθαρισµού
για την αφαίρεση
χρωστικής και του βιοϋµενίου. Μπορεί όµως να προκαλέσει µικροσκοπικά φθορά στην επιφάνεια της αδαµαντίνης, ιδιαίτερα αν γίνεται συχνά ή µε πάστες καθαρισµού αδρότητας RDA 120 και πάνω, κάνοντας το δόντι περισσότερο ευάλωτο σε αποικισµό των βακτηριδίων και πρόσληψης χρωστικών από ότι προηγουµένως. Η χρήση της πάστας αποκατάστασης της αδαµαντίνης APAPRO προτείνεται σαν ένα τελικό στάδιο προφύλαξης µετά τον µηχανικό καθαρισµό των δοντιών για την επιδιόρθωση των µικροσχισµών και την αποκατάσταση της λείας επιφάνειας της αδαµαντίνης. Ανάλογα µε τον βαθµό της επιφανειακής αδρότητας, η πλήρης αποκατάσταση της λείας επιφάνειας της αδαµαντίνης µπορεί να χρειαστεί
Μηχανικό Οδοντικό Καθαρισµό (PMTC)
συνήθως εκτελείται
της τρυγίας, της επιφανειακής
επαναληπτικές
στις πιο σοβαρές περιπτώσεις, φροντίδα στο σπίτι µε επαγγελµατικές οδηγίες, χρησιµοποιώντας την

Θεραπευτική πάστα Νανο-Υδροξυαπατίτη

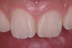
Κλινικό Παράδειγµα

(µια γυναίκα 34 χρονών µε ανώµαλες οδοντικές επιφάνειες που προσλαµβάνουν εύκολα χρωστικές)

Επαγγελµατικός Μηχανικός Καθαρισµός των ∆οντιών (PMTC) µε την χρήση πάστας καθαρισµού χαµηλής

αποτριπτικής δράσης (RDA<120)

Θεραπευτική αποκατάσταση µεAPAPRO, που εφαρµόζεται µε ελαστικό κυπελλοειδές.

Χρήση οδοντικού νήµατος για την επέκταση της πάστας

APAPRO στις όµορες επιφάνειες

Αποκατάσταση λείας επιφάνειας της αδαµαντίνης χωρίς κηλίδες χρωστικής

1 W. Browning και συνεργάτες, Επίδραση της

την Λεύκανση των ∆οντιών. (Journal of Esthetic and Restorative Dentistry 24(4):268-276, 2012

Μετά την Λεύκανση Η επαγγελµατική λεύκανση µε την χρήση υπεροξειδίου του υδρογόνου ή λεύκανση στο σπίτι µε την χρήση υπεροξειδίου της ουρίας τείνει να απασβεστιώσει την αδαµαντίνη των δοντιών, µειώνοντας την σκληρότητά της και προκαλώντας αδρότητα στην επιφάνειά της, που έχει σαν αποτέλεσµα την σύντοµη επανεµφάνιση κηλίδων. Η χρήση της APAPRO για την µεταφορά νέων ανόργανων αλάτων στο δόντι αµέσως µετά την λεύκανση έχει δείξει ότι αποκαθιστά όχι µόνο την σύσταση των ανόργανων αλάτων της αδαµαντίνης, αλλά επίσης και την σκληρότητα και την λεία επιφάνειά της, παρατείνοντας την δράση της λεύκανσης µε την βελτίωση της στιλπνότητας της επιφάνειας της αδαµαντίνης και την αντοχή της στην εµφάνιση περισσότερων κηλίδων. Η χρήση της APAPRO σαν τελικό στάδιο στην διαδικασία της λεύκανσης, µε την εφαρµογή της για 5 λεπτά στα δόντια του ασθενούς µε ένα εξατοµικευµένο δισκάριο, έχει δείξει κλινικά ότι µειώνει την υπερευαισθησία που σχετίζεται µε την λεύκανση.1 Επιπλέον, σαν ένα βήµα πρόληψης, η εφαρµογή της APAPRO µε ένα εξατοµικευµένο δισκάριο πριν από την λεύκανση και µετά τον αρχικό καθαρισµό των δοντιών µπορεί να βοηθήσει στην πρόληψη της υπερευαισθησίας που παρουσιάζεται στην διάρκεια της λεύκανσης. Στην περίπτωση της λεύκανσης στο σπίτι µε τη χρήση εξατοµικευµένου δισκαρίου,
της πάστας APAPRO πριν και µετά την λεύκανση µπορεί να έχει παρόµοια
δράση.
του Νανο-Υδροξυαπατίτη στην Υπερευαισθησία που Σχετίζεται µε
παρόµοια εφαρµογή
προστατευτική
Πάστας

Θεραπευτική πάστα Νανο-Υδροξυαπατίτη

Κλινικό Παράδειγµα (γυναίκα 30 ετών που ανησυχεί για την επανεµφάνιση χρωστικών σύντοµα

µετά την λεύκανση στο σπίτι)

Εµφάνιση κατά την παρουσίαση: σειρά απόχρωσης

Α3-Α3,5*, εµφανώς αδρή επιφάνεια της αδαµαντίνης

Εµφάνιση 1 χρόνο µετά την τελευταία λεύκανση στο σπίτι: σειρά απόχρωσης Β2-Α1, η αδαµαντίνη εµφανώς πιο λεία και δεν επανεµφανίστηκαν κηλίδες χρωστικής * Χρωµατολόγιο της VITA ** Σηµείωση: Μετά το τέλος της λεύκανσης στο σπίτι, επαγγελµατική

Η χρήση της πάστας APAPRO σαν ένα τελικό στάδιο της

λεύκανσης για ένα διάστηµα 2 µηνών. Η λεύκανση γινόταν

κάθε µέρα για 2 ώρες και ακολουθούσε εφαρµογή της

πάστας στο ίδιο δισκάριο για 5 λεπτά µετά το ξέπλυµα του λευκαντικού παράγοντα.**

θεραπεία αποκατάστασης µε APAPRO γινόταν µια φορά κάθε 3 µήνες στο ιατρείο για την διατήρηση του αποτελέσµατος, εφαρµόζοντας την πάστα για 5 λεπτά σε εξατοµικευµένο δισκάριο, µετά από καθαρισµό των δοντιών.

ένα εξατοµικευµένο δισκάριο και ένα σωληνάριο APAPRO για περιοδική χρήση στο σπίτι. Συστήνονται επίσης µια ή περισσότερες

Στη ∆ιάρκεια και Μετά την Ορθοδοντική Θεραπεία H ορθοδοντική θεραπεία που διαρκεί ένα µεγάλο χρονικό διάστηµα επιβαρύνει την αδαµαντίνη των δοντιών, εξαιτίας (1) της αδροποίησης και της συγκόλλησης που απαιτείται για να συγκρατηθούν τα ορθοδοντικά εξαρτήµατα (µπράκετς), (2) του γεγονότος ότι τα µπράκετς εµποδίζουν την εύκολη πρόσβαση της οδοντόβουρτσας στην επιφάνεια των δοντιών ώστε να γίνεται σωστή στοµατική υγιεινή και (3) κάποιας επιφανειακής φθοράς του δοντιού όταν τα µπράκετς αφαιρούνται στο τέλος της θεραπείας. Η εφαρµογή της πάστας APAPRO για να αυξήσει την πυκνότητα του δοντιού σε ανόργανα άλατα πριν την συγκόλληση των µπράκετς µπορεί να βοηθήσει ώστε να µετριαστεί αυτή η επίδραση, ενώ αν ο ασθενής χρησιµοποιεί επίσης καθηµερινά µια οδοντόκρεµα µε nano<mHAP> σε όλη τη διάρκεια της θεραπείας µειώνεται η πιθανότητα της δηµιουργίας λευκών κηλίδων, δηλαδή της ανάπτυξης αρχόµενης τερηδόνας. Η εφαρµογή της συµπυκνωµένης πάστας αποκατάστασης της αδαµαντίνης APAPRO, τόσο αµέσως µετά, όσο και σε συνεχή βάση αφού αφαιρεθούν τα ορθοδοντικά εξαρτήµατα, βοηθάει επίσης στην αποκατάσταση της επιφανειακής φθοράς που προκαλείται από την αφαίρεση της κονίας, ενώ επίσης επανασβεστιώνει όλες τις λευκές κηλίδες που πιθανόν να έχουν δηµιουργηθεί γύρω από την βάση των µπράκετς. Σε περιπτώσεις που έχουν παρουσιαστεί πιο έντονες ή επίµονες λευκές κηλίδες προτείνεται να δίνεται στον ασθενή
επισκέψεις στο οδοντιατρείο για την αξιολόγηση της υποχώρησης των λευκών κηλίδων και για περισσότερη θεραπευτική φροντίδα µε την πάστα αποκατάστασης της αδαµαντίνης, όπως χρειάζεται.

Θεραπευτική

πάστα Νανο-Υδροξυαπατίτη

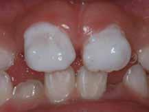
Κλινικό Παράδειγµα 1 (κορίτσι 13 ετών που αντιµετωπίστηκε για εµφάνιση αδρότητας στην επιφάνεια της αδαµαντίνης

και λευκών κηλίδων µετά την αφαίρεση των ορθοδοντικών µπράκετς)

Εµφάνιση στην διάρκεια της περιόδου της ορθοδοντικής θεραπείας Η αφαίρεση της κονίας αποκάλυψε λευκές κηλίδες γύρω από την βάση των µπράκετς

Μετά την αφαίρεση των ορθοδοντικών εξαρτηµάτων (µπράκετς), η υπολειπόµενη κονία αφαιρέθηκε απαλά µε ένα εργαλείο χειρός για την αποφυγή δηµιουργίας ρωγµών στην αδαµαντίνη

Ακολούθησε µηχανική στίλβωση µε την χρήση ειδικού εργαλείου, για την αφαίρεση των τελικών υπολειµµάτων της κονίας

Η αρχική εφαρµογή της πάστας APAPRO µε ελαστικό κυπελλοειδές

Η εµφάνιση έναν µήνα µετά (µε δυο θεραπευτικές εφαρµογές APAPRO* µια ανά δεκαπενθήµερο). Η αδαµαντίνη ήταν πιο λεία και οι λευκές κηλίδες είχαν µειωθεί σε µέγεθος

Κλινικό Παράδειγµα 2

(κορίτσι 18 ετών, µε παρουσία ρωγµών της αδαµαντίνης µετά την αφαίρεση των ορθοδοντικών

εξαρτηµάτων και της κονίας σε µια άλλη οδοντιατρική κλινική)

Εµφάνιση στην παρουσίαση οδοντική πλάκα και θραύσµατα κονίας φαίνονται στη θέση που βρίσκονταν τα µπράκετς που αφαιρέθηκαν.

Στίλβωση µε αποτριπτική πάστα καθαρισµού για την αφαίρεση της οδοντικής πλάκας και της υπολειπόµενης κονίας αποκάλυψε βαθιές λευκές αλλοιώσεις.

*Σηµείωση: Και στα δυο

Εµφάνιση µετά από 4 θεραπευτικές παρεµβάσεις µε APAPRO, µια κάθε µήνα. Η αδαµαντίνη ήταν περισσότερο λεία και οι λευκές αλλοιώσεις είχαν µειωθεί σε µέγεθος.*

κλινικά παραδείγµατα η θεραπεία µε APAPRO έγινε µια ή δυο φορές τον µήνα στην περίοδο αποκατάστασης της βλάβης, µετά κάθε 3 µήνες για την διατήρηση του αποτελέσµατος και σε όλους τους ασθενείς συστήθηκε να χρησιµοποιούν την πάστα APADENT nano<mHAP> καθηµερινά.
Θεραπευτική πάστα Νανο-Υδροξυαπατίτη ∆ΙΑΝΟΜΗ ΚΑΙ ΕΠΙΚΟΙΝΩΝΙΑ Θεραπευτική Πάστα Επανασβεστίωσης Υψηλή συγκέντρωση nano<mHAP> Μη αποτριπτική Χωρίς φθόριο Με γεύση ροδάκινο
Θεραπευτική πάστα Νανο-Υδροξυαπατίτη ΕΦΑΡΜΟΓΕΣ Λευκές Κηλίδες - Λευκές Αλλοιώσεις Περιοχές της αδαµαντίνης όπου υπάρχει ανεπάρκεια ανόργανων αλάτων φαίνονται σαν αδιαφανείς περιοχές που αναφέρονται συνήθως ως «λευκές κηλίδες» ∆ηµιουργούνται εξαιτίας της διάλυσης της υποεπιφανειακής αδαµαντίνης από οξέα της οδοντικής µικροβιακής πλάκας (αρχόµενη τερηδόνα), από ανεπάρκεια ανόργανων αλάτων στην σύσταση της αδαµαντίνης (υποπλασία της αδαµαντίνης) ή υπερβολική πρόσληψη φθορίου (φθορίαση), ιδιαίτερα σε νεαρή ηλικία. Η υποπλασία της αδαµαντίνης µπορεί να είναι µια γενετική διαταραχή και συχνά είναι δύσκολο να αποκατασταθεί. Όµως, η αρχόµενη τερηδόνα ή η διάλυση των ανόργανων αλάτων της αδαµαντίνης του δοντιού από τα οξέα της οδοντικής µικροβιακής πλάκας µπορεί να σταµατήσει να εξελίσσεται, ακόµα και να αναστραφεί αν υπάρχει ικανοποιητική πρόσληψη ανόργανων αλάτων από το σάλιο ή άλλες πηγές. Η οδοντόκρεµα APADENT της SANGI µε nano<mHAP> έδειξε ήδη από το 1980 ότι µπορεί να συµβάλει στην επανασβεστίωση των αλλοιώσεων της αρχόµενης τερηδόνας και είχε σαν αποτέλεσµα σηµαντική µείωση στην εµφάνιση νέων τερηδονογόνων αλλοιώσεων σε κλινικές δοκιµασίες στην Ιαπωνία.9 Η πάστα APAPRO για επαγγελµατική χρήση έχει µια ακόµα µεγαλύτερη συγκέντρωση nano<mHAP> και έχει επίσης δείξει ότι µπορεί να σταµατήσει και να αναστρέψει την εξέλιξη των αρχόµενων τερηδονογόνων αλλοιώσεων. Στις περιπτώσεις φθορίασης, ή όπου έχει σχηµατιστεί ένα στρώµα φθοριοαπατίτη και έχει σκληρύνει την οδοντική επιφάνεια, η προώθηση των παραγόντων επανασβεστίωσης µέσα στη µάζα της λευκής κηλίδας µπορεί να µπλοκαριστεί, έτσι ώστε η αδιαφανής περιοχή
παραµένει
µετά
να χρειαστεί να γίνει, αν η παρουσία της λευκής κηλίδας επιµένει, ακόµα και µετά την θεραπεία στο οδοντιατρείο και την φροντίδα στο σπίτι από τον ασθενή µε την χρήση της πάστας APAPRO. 9 T. Kani et al, Επίδραση Οδοντοκρεµών που Περιέχουν Απατίτη στην Οδοντική Τερηδόνα σε Παιδιά Σχολικής Ηλικίας, Journal of Dental Health 39 (1): 104-109,1989
να
µόνιµα. Στην περίπτωση αυτή, η θεραπεία επανασβεστίωσης είναι δυνατή µόνο
από µικροαποτριβή και/ή αδροποίηση για να επαναφέρει την διαπερατότητα στην επιφάνεια της αδαµαντίνης. Αυτή η διαδικασία µπορεί

Κλινικό Παράδειγµα

(αγόρι 7 ετών µε λευκές κηλίδες, που δηµιουργήθηκαν

αδενοειδών εκβλαστήσεων)

Εµφάνιση στην παρουσίαση: µόνιµα

δόντια που µόλις έχουν ανατείλει

καλυµµένα µε οδοντική πλάκα

Θεραπευτική πάστα Νανο-Υδροξυαπατίτη

Θεραπεία µε APAPRO, αρχικά κάθε δυο

εβδοµάδες, µετά µια φορά τον µήνα*

εξαιτίας στοµατικής αναπνοής λόγω

* Σηµείωση: ∆όθηκαν επίσης οδηγίες στον ασθενή να χρησιµοποιήσει µια µη αποτριπτική οδοντόκρεµα επανασβεστίωσης

της αδαµαντίνης και τσίχλα επανασβεστίωσης για να

αυξηθούν τα επίπεδα ασβεστίου και φωσφόρου του σάλιου. Εµφάνιση µετά από 5 χρόνια: οι λευκές κηλίδες έχουν σχεδόν πλήρως αποκατασταθεί Χηµικός καθαρισµός, µετά από βούρτσισµα µε κοινή οδοντόβουρτσα Μετά τον καθαρισµό αποκαλύπτονται εκτεταµένες λευκές κηλίδες
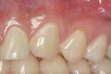
Αποκατάσταση της επιφάνειας της Αδαµαντίνης H θεραπευτική αποκατάσταση της αδαµαντίνης µε την πάστα APAPRO είναι αποτελεσµατική σε περιπτώσεις επιφανειακής διάβρωσης, δηµιουργίας ρωγµών και αποτριβής της αδαµαντίνης των δοντιών που δηµιουργούνται από διάφορες αιτίες. Ρωγµές σχεδόν αναπόφευκτα δηµιουργούνται µε την πάροδο της ηλικίας, όπως και η φθορά από την φυσικό τρίψιµο των δοντιών κατά την επαφή τους, από ιδιαίτερα έντονο βούρτσισµα ή από βρυγµό, δηλαδή ακούσιο τρίξιµο των δοντιών, συχνά στη διάρκεια του ύπνου την νύχτα. Παρουσιάζεται ιδιαίτερα σε περιοχές που έχουν ήδη εξασθενίσει από την υποεπιφανειακή απασβεστίωση (για παράδειγµα στις περιοχές µε λευκές κηλίδες). Οι ασθενείς µε βρυγµό µπορούν να χρησιµοποιούν το εξατοµικευµένο δισκάριο στη διάρκεια του ύπνου, σαν προστατευτικό νάρθηκα.

Θεραπευτική πάστα Νανο-Υδροξυαπατίτη

Κλινικό Παράδειγµα

(άνδρας 20 ετών που παρουσίαζε λευκές κηλίδες εξαιτίας µη ικανοποιητικής στοµατικής

υγιεινής και διάβρωση της αδαµαντίνης εξαιτίας βρυγµού)

Τα δόντια παρουσιάζονταν µε λευκές

κηλίδες και υπήρχαν ισχυρές ενδείξεις βρυγµού (φθορές στο κοπτικό χείλος)

δυνάµεων

Σφηνοειδής επιφανειακή διάβρωση εξαιτίας πίεσης στον αυχένα του δοντιού, όπου η αδαµαντίνη στην περίπτωση αυτή ήταν ακόµα περισσότερο εξασθενηµένη εξαιτίας της απασβεστίωσης

Μοντέλο που δείχνει την επίπτωση της

δράσης πλαγίων εξαιτίας του βρυγµού στην λεπτή αδαµαντίνη του αυχένα του δοντιού προκαλώντας επιφανειακή φθορά

Θεραπευτική εφαρµογή της APAPRO, κάθε δεκαπενθήµερο µετά τον χηµικό καθαρισµό των δοντιών

∆όθηκαν οδηγίες στον ασθενή να εφαρµόζει την πάστα στο σπίτι µε ένα εξατοµικευµένο δισκάριο, χρησιµοποιώντας το δισκάριο επίσης ως νάρθηκα βρυγµού στην διάρκεια του ύπνου µετά το ξέπλυµά του από την πάστα

Εµφάνιση µετά από 4 µήνες: εµφανής επανασβεστίωση και οι λευκές κηλίδες είχαν µειωθεί σε µέγεθος

B. Amaechi et al, Κλινική αποτελεσµατικότητα της οδοντόκρεµας

της οδοντίνης: µια τυχαιοποιηµένη µελέτη 8 εβδοµάδων, BJD Open 2021

Υπερευαισθησία Η APAPRO συστήνεται επίσης για την ανακούφιση από την υπερευαισθησία της οδοντίνης, που είναι αποτέλεσµα της διάβρωσης της οστεΐνης ή της υφίζησης των ούλων, που φυσιολογικά προστατεύουν τα οδοντινοσωληνάρια τα οποία οδηγούν στα νεύρα του δοντιού από την έκθεση σε εξωτερικά ερεθίσµατα. Σε περιπτώσεις έντονης υπερευαισθησίας, συστήνεται ένας συνδυασµός κλινικής θεραπευτικής αντιµετώπισης µε την χρήση του APAPRO και στοµατική φροντίδα στο σπίτι χρησιµοποιώντας APAPRO και/ή µια οδοντόκρεµα που περιέχει nano<mHAP>. Οι οδοντόκρεµες που περιέχουν nano<mHAP> της SANGI έχουν δείξει τόσο in vitro όσο και κλινικά ότι φράζουν τα εκτεθειµένα οδοντινοσωληνάρια και σχηµατίζουν ένα νέο επίστρωµα στις περιοχές της οδοντίνης όπου η οστεΐνη έχει µειωθεί ή έχει χαθεί. Με τον τρόπο αυτό επιτυγχάνεται ανακούφιση από την υπερευαισθησία χωρίς να καταφύγει κανείς στην παρεµβατική κάλυψη της περιοχής µε την χρήση σύνθετης ρητίνης ή υαλοϊονοµερούς κονίας.10 Η ίδια θεραπευτική αντιµετώπιση µε APAPRO επίσης προστατεύει από την δηµιουργία τερηδόνας της ρίζας, µια επιπλοκή που παρουσιάζεται στους ηλικιωµένους ασθενείς. (Κοιτάξτε στη σελίδα 24)
που περιέχει υδροξυαπατίτη στην ανακούφιση της υπερευαισθησίας
10

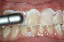
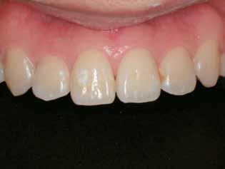
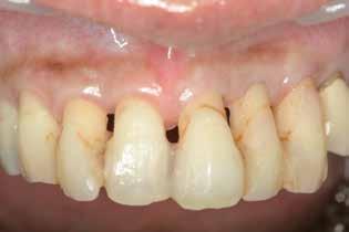
Κλινικό Παράδειγµα

(γυναίκα 47 ετών µε έντονη υφίζηση των ούλων, που έχει

των οδοντινοσωληναρίων)

Υπερευαισθησία που προέρχεται από µεγάλη υφίζηση των ούλων

Θεραπευτική πάστα Νανο-Υδροξυαπατίτη

Θεραπευτική αντιµετώπιση της επιφάνειας της ρίζας του δοντιού κάθε δεκαπέντε µέρες για περισσότερο από 2

µήνες µε την χρήση πάστας APAPRO, µε την βοήθεια

ελαστικού κυπελλοειδούς

σαν αποτέλεσµα αποκάλυψη

Επαγγελµατικός καθαρισµός µε τη χρήση ενός χηµικού παράγοντα

Εµφάνιση µετά από 13 µήνες. Τα συµπτώµατα της υπερευαισθησίας έχουν υποχωρήσει

Αρχόµενη Τερηδόνα Ρίζας Η τερηδόνα ρίζας είναι ιδιαίτερα συχνή σε ηλικιωµένους ασθενείς, κυρίως σαν αποτέλεσµα της υφίζησης των ούλων, της µειωµένης ροής του σάλιου, της περιοδοντίτιδας ή εξαιτίας και των τριών. Η χειρουργική παρέµβαση συνήθως απαιτεί να αφαιρεθεί το νεύρο ή να θυσιαστεί ένα υγιές τµήµα της επάνω επιφάνειας του δοντιού, ιδιαίτερα αν η αλλοίωση είναι πολύ κοντά στον πολφό ή δεν µπορεί να προσπελαστεί από κάτω. Όµως σε πολλές περιπτώσεις, η εξέλιξη της αρχόµενης τερηδόνας της ρίζας µπορεί να σταµατήσει µε την χρήση της πάστας APAPRO. Η θεραπευτική αντιµετώπιση είναι παρόµοια µε αυτήν της υπερευαισθησίας της οδοντίνης, η οποία συχνά παρουσιάζεται ταυτόχρονα. Για την αρχόµενη τερηδόνα της ρίζας η εφαρµογή της πάστας µε την χρήση ενός εξατοµικευµένου δισκαρίου είναι ιδιαίτερα βοηθητική, τόσο για την εφαρµογή στο ιατρείο όσο και στο σπίτι, καθώς η πίεση που ασκείται από το δισκάριο βοηθάει στην προώθηση της πάστας στις µεσοδόντιες περιοχές µε δύσκολη πρόσβαση.

Θεραπευτική πάστα Νανο-Υδροξυαπατίτη

Κλινικό Παράδειγµα

(γυναίκα 57 ετών µε αρχόµενη τερηδόνα ρίζας σε µια περιοχή της όµορης επιφάνειας µε πολύ

δύσκολη

πρόσβαση)

Αρχόµενη τερηδόνα που αποκαλύφθηκε σε µια περιοχή µε πολύ δύσκολη πρόσβαση στη διάρκεια περιοδοντικής

θεραπείας

Επαγγελµατική θεραπευτική αντιµετώπιση 3 φορές την

εβδοµάδα µε την χρήση APAPRO σε εξατοµικευµένο

δισκάριο µετά τον χηµικό καθαρισµό των δοντιών, σε συνδυασµό µε φροντίδα στο σπίτι χρησιµοποιώντας επίσης εξατοµικευµένο δισκάριο

Χηµικός καθαρισµός των δοντιών χρησιµοποιώντας µια χειροκίνητη οδοντόβουρτσα

Εµφάνιση µετά από 3 χρόνια. Η αρχόµενη τερηδόνα της

ρίζας δεν έχει εξελιχθεί, παρατηρήθηκε σχηµατισµός νέας

αδαµαντίνης και η επιφάνεια της ρίζας ήταν εµφανώς πιο λεία

*ΗΜΣ: Ηλεκτρονικό Μικροσκόπιο Σάρωσης

α. Υγιής επιφάνεια αδαµαντίνης

3

αλλοιώσεις έδειξαν ότι ο nano<mHAP> της εταιρείας

*CRM: µικροραδιογράφηµα επαφής (ακτινογραφία του δοντιού)

2 T.Ohashi et al , Επανασβεστίωση Τεχνητών Τερηδονογόνων Αλλοιώσεων µε Υδροξυαπατίτη Journal of Dental Health 41 (2):214-223,1991(Ιαπωνική

ΕΠΙΛΕΓΜΕΝΕΣ ΜΕΛΕΤΕΣ Πρώιµες µελέτες in vitro έδειξαν την επανορθωτική δράση του nano<mHAP> της εταιρείας SANGI πάνω σε οδοντικές επιφάνειες που µικροσκοπικά έχουν υποστεί φθορά. Έγιναν µελέτες χρησιµοποιώντας υγιή εξαχθέντα ανθρώπινα δόντια, τα οποία αδροποιήθηκαν µε αδροποιητικό οξύ για να δηµιουργηθεί τεχνητή αδρότητα στην επιφάνειά τους, µετά επαλείφθηκαν ή βυθίστηκαν σε ένα διάλυµα nano<mHAP>, ή, για σύγκριση βυθίστηκαν σε τεχνητό σάλιο. Ι. Αποκατάσταση της επιφάνειας: παρατήρηση στο (ΗΜΣ)* (x10.000) 2 ∆οκιµές in situ για περισσότερο από έναν µήνα µε την χρήση δειγµάτων αδαµαντίνης µε τεχνητές αρχόµενες τερηδονογόνες
II Υποεπιφανειακή Επανασβεστίωση (κλινική µελέτη in situ): παρατήρηση µε CRM
Γλώσσα µε Αγγλική περίληψη) α. Απασβεστιωµένη αδαµαντίνη β. Απασβεστιωµένη αδαµαντίνη µετά το βούρτσισµα µε 1000pm φθοριούχο (NaF) οδοντόκρεµα γ. Απασβεστιωµένη αδαµαντίνη µετά το βούρτσισµα µε οδοντόκρεµα nano<mHAP> β. Μετά την αδροποίηση µε οξύ γ. Μετά την αδροποίηση βύθιση σε τεχνητό σάλιο δ. Μετά την αδροποίηση βύθιση σε διάλυµα nano<mHAP> α α β γ β γ δ SANGI επανασβεστιώνει απασβεστιωµένες υποεπιφανειακές περιοχές της αδαµαντίνης πιο αποτελεσµατικά από το ίδιο το σάλιο και εξίσου αποτελεσµατικά µε το φθόριο.

Θεραπευτική πάστα Νανο-Υδροξυαπατίτη

ΙΙΙ Υπερευαισθησία: παρατήρηση στο (ΗΜΣ)* (x10.000)

Μια σειρά µελετών, τόσο in vitro όσο και in situ έδειξαν ότι ο nano<mHAP> της εταιρείας SANGI αποφράσσει και σχηµατίζει ένα στρώµα πάνω στα εκτεθειµένα οδοντινοσωληνάρια.4

Η ανακούφιση του πόνου αποδείχθηκε επίσης σε µια κλινική δοκιµή.5

(α)

περισωληναριακή οδοντίνη

µεσο-σωληναριακή οδοντίνη

α. Μηχανικά εκτεθειµένη οδοντίνη και οδοντινοσωληνάρια

β. Η ίδια επιφάνεια µετά το βούρτσισµα µε οδοντόκρεµα nano<mHAP>

γ. ∆ιατοµή του (β) που δείχνει την απόφραξη των οδοντινοσωληναρίων και τον σχηµατισµό ενιαίου επιφανειακού στρώµατος

4 K. Ohta et al, Σύγκλιση των Οδοντινοσωληναρίων από Υδροξυαπατίτη, Journal of Dental Research 86:1759, New Orleans Abstracts, 2007

5 B. Amaechi et al, Κλινική Αποτελεσµατικότητα της Πάστας που περιέχει Υδροξυαπατίτη στην Ανακούφιση της Υπερευαισθησίας της Οδοντίνης: Τυχαιοποιηµένη Μελέτη - A Randomized Controlled Trial, The Open Dentistry Journal 12:572-585, 2018

(β) (γ)

των κηλίδων χρωστικής (polyethylene glycol) επαναληπτικά για 3 κύκλους. Τα δόντια στην οµάδα του nano<mHAP> παρέµειναν σηµαντικά λευκότερα από εκείνα στην οµάδα ελέγχου.

6 R.Takikawa et al, Αποκατάσταση της Στιλπνότητας της Αδαµαντίνης µετά την Λέυκανση µε την Χρήση ενός Παράγοντα Μη-∆ιαβρωτικού Νανο-Υδροξυαπατίτη, Journal of Dental Research 85:1670, Brisbane Abstracts, 2006

7 W. Browning et al, Επίδραση της Πάστας του Νανο-Υδροξυαπατίτη στην Ευαισθησία του ∆οντιού που Οφείλεται στην Λεύκανση, Journal of Esthetic and Restorative Dentistry 24(4):268-276, 2012

8 M.Nishio et al, Αναχαίτιση του Σχηµατισµού Κηλίδων Χρωστικής Μετά την Λεύκανση µε την Χρήση Νανο-Υδροξυαπατίτη: Κυκλική ∆οκιµή Χρώσης, Journal of Dental Research 85:1671, Brisbane Abstracts, 2006

IV Πρόληψη του Σχηµατισµού Κηλίδων Χρωστικής: κλινική µελέτη in vitro Λευκαντικοί παράγοντες που χρησιµοποιούνται για την λεύκανση των δοντιών συχνά προκαλούν µικροσκοπική φθορά στην αδαµαντίνη των δοντιών, µε αποτέλεσµα την απώλεια της στιλπνότητας, την υπερευαισθησία και την πρώιµη επανεµφάνιση των κηλίδων χρωστικής. Μελέτες έχουν δείξει ότι η αποκατάσταση της σύστασης των ανόργανων αλάτων µε τον nano<mHAP> της SANGI, µετά ή σε συνδυασµό µε την λεύκανση των δοντιών, µπορεί να ανακουφίσει αυτά τα προβλήµατα. Συγκεκριµένα, έχει φανεί ότι ο nano<mHAP> κάνει και πάλι λεία την επιφάνεια του δοντιού και αποκαθιστά την σύσταση της αδαµαντίνης που έχει υποστεί λεύκανση, µε αποτέλεσµα την καλύτερη διατήρηση της στιλπνότητας,6 ενώ την ίδια στιγµή ανακουφίζει από την υπερευαισθησία7 που οφείλεται στην λεύκανση και καθυστερεί την επαναδηµιουργία κηλίδων.8 Θεραπεία της επιφάνειας µετά την λεύκανση α. εφαρµογή Nano<mHAP> β. Placebo κύκλος 1 χρωστική αφαίρεση χρωστικής χρωστική αφαίρεση χρωστικής χρωστική αφαίρεση χρωστικής κύκλος 2 κύκλος 3 ∆όντια που δέχτηκαν θεραπεία (α) ή που δεν δέχτηκαν θεραπεία (β) µε nano<mHAP> µετά την λεύκανση εµβαπτίστηκαν σε κόκκινο κρασί, στη συνέχεια σε παράγοντα αφαίρεσης
Θεραπευτική πάστα Νανο-Υδροξυαπατίτη ∆ΙΑΘΕΣΗ & ΕΠΙΚΟΙΝΩΝΙΑ Η πάστα APAPRO διατίθεται αποκλειστικά σε οδοντιάτρους. Για περισσότερες πληροφορίες µπορείτε να επισκεφθείτε το www.placcontrol.gr Εµπλουτίστε τα δόντια σας και τη ζωή σας
Θεραπευτική πάστα Νανο-Υδροξυαπατίτη www.placcontrol.gr ΤΗΛ. 800 11 75222 (ΧΩΡΙΣ ΧΡΕΩΣΗ ΑΠΟ plac@otenet.gr www.placcontrol.gr Made in Japan

Turn static files into dynamic content formats.

Create a flipbook
Issuu converts static files into: digital portfolios, online yearbooks, online catalogs, digital photo albums and more. Sign up and create your flipbook.