Skip to main content

Gaceta Dental - 374

Page 1


Núm. 374 Abril 2025 | 6,50€ gacetadental.com

Defectos de cresta severos

Implantes en sectores posteriores maxilares y mandibulares

La revolución móvil en Odontología

Inteligencia artificial, digitalización y aplicaciones

Dr. Francisco Teixeira Barbosa, director ejecutivo de FOR

«Estamos trayendo a la comunidad odontológica la siguiente capa de líderes»

Urgencias médicas en la clínica dental Pasos clave para una respuesta eficaz

Núm. 374 Abril 2025 | 6,50€ gacetadental.com

Defectos de cresta severos

Implantes en sectores posteriores maxilares y mandibulares

La revolución móvil en Odontología

Inteligencia artificial, digitalización y aplicaciones

Dr. Francisco Teixeira Barbosa, director ejecutivo de FOR

«Estamos trayendo a la comunidad odontológica la siguiente capa de líderes»

Urgencias médicas en la clínica dental Pasos clave para una respuesta eficaz

Tipos de férulas

Guía canina
Férula plana
canina

Núm. 374 Abril 2025 | 6,50€ gacetadental.com

Divulgación y prevención

Viernes 21 de marzo. Un día más echando la vista al cielo ante la amenaza de una intensa lluvia que no nos da tregua desde hace semanas. Mientras me tomo el café revitalizante pienso a qué dedicar estas líneas para no aburriros, aunque, no me engaño, soy plenamente consciente de que lo más interesante para vosotros está en las páginas siguientes (gracias colaboradores, ¡qué sería de nosotros sin vosotros!).

Mujer y Odontología. Primera baza.

Defectos de cresta severos

Implantes en sectores posteriores maxilares y mandibulares

La revolución móvil en Odontología

Inteligencia artificial, digitalización y aplicaciones

Acabamos de conmemorar el día de la mujer trabajadora y la visita a Alández Odontología me inspira. Tres mujeres jóvenes, apasionadas por su profesión y comprometidas con su formación y con sus pacientes llevan las riendas de un equipo humano, eminentemente femenino, de una clínica sostenible y con tecnología puntera... Pero, esperad; este hilo se merece más espacio que una página… Me lo reservo para otro momento. Ya sé… Ayer celebramos el Día Mundial de la Salud Bucodental. Otra conmemoración importante. En las últimas semanas, colegios y asociaciones profesionales, sociedades científicas y empresas nos

habéis hecho llegar comunicados de prensa para ayudaros en la necesaria labor de transmitir, en este día, este mensaje a la población: la importancia de mantener una buena salud oral para la salud y el bienestar general. Los índices de caries o de cáncer oral, los hábitos de nutrición y consumo, los datos de visitas al dentista… revelan que hay mucho por hacer. Os lo he dicho en más de una ocasión: en divulgación, vais a encontrar un aliado en nosotros siempre; pero, aún con el compromiso de divulgación de todos, nuestro y vuestro, somos conscientes de que no es suficiente. Hay «otra pata» muy importante a la que prestar atención: la prevención. Aquí dentistas e higienistas tenéis un papel esencial. Pero no carguemos todo a nuestras espaldas... está claro que debe haber más compromiso e inversión de las administraciones en la salud bucodental de la población. Prevención es ahorro, pero lo primero que hay que hacer es tomar conciencia de la importancia de la salud oral para la población y para nuestro sistema sanitario.

Dr. Francisco Teixeira Barbosa, director ejecutivo de FOR «Estamos trayendo a la comunidad odontológica la siguiente capa de líderes»

Urgencias médicas en la clínica dental

Gema Bonache Directora de Gaceta Dental

Pasos clave para una respuesta eficaz

Índice de anunciantes

ÁVILA MAÑAS Inte rior Portada BIOHORIZONS

IMPORTADOR MAYORISTA PARA LA PENÍNSULA IBÉRICA

Más de 20 años al servicio de distribuidores y servicios técnicos dentales

PVP: 1.880,00€*

GARANTÍA: 2 AÑOS

- Ultrasonidos: con luz LED, diseñado para tratamientos de profilaxis, periodoncia y endodoncia.

- Aeropulidor versátil 2 EN 1: Función Supragingival y Función Subgingival

- Potencia y precisión.

- Función de autolimpieza , diseñado para que nunca se atasque.

- 6 niveles de regulación de caudal.

- 6 niveles de regulación de potencia

UNIDAD DE PROFILAXIS

SOLUCIÓN COMBINADA Y COMPLETA PARA UNA PROFILAXIS PERFECTA: EFICIENTE, CÓMODA Y SEGURA .

DE LA MÁS SENCILLA A LA MÁS COMPLETA

*La unidad se fija al carrito de forma segura. Carrito OPCIONAL no incluido en el precio.

PT-A

Y ADEMÁS:

PVP: 3.980,00€*

GARANTÍA: 2 AÑOS

- Ultrasonidos con TECNOLOGÍA “PAINLESS” para tratamientos indoloros

- Calentador de agua.

- Pedal multifunción.

- Gran pantalla táctil.

- 12 niveles de regulación de caudal.

- 12 niveles de regulación de potencia.

¡Siempre en stock, entrega en 24 horas!

*IVA/IGIC no incluido Dispositivos, accesorios, repuestos y servicio postventa

Pregúntanos por tu distribuidor o servicio técnico más cercano www.rumarcedeira.com | rumarcedeira@rumarcedeira.com Teléfono:

Carta abierta

«Divulgación y prevención», por Gema Bonache.

Ciencia y clínica

–Defectos de cresta severos en sectores posteriores maxilares y mandibulares. ¿Qué opciones tenemos para colocar implantes?, por el Dr. Erik Regidor y cols.

A fondo

Urgencias médicas en la clínica dental: pasos clave para una respuesta eficaz

Protagonistas

Dr. Francisco Teixeira Barbosa Director ejecutivo de la Foundation for Oral Rehabilitation (FOR).

La revolución móvil en Odontología: inteligencia artificial, digitalización y aplicaciones móviles. Un nuevo paradigma tras el Mobile World Congress 2025, por el Dr. Giuliano Fragola

Congresos

–XLVI Congreso SEOP. [118]

–VIII Congreso SCOI. [120]

Alández Odontología

TU ELECCIÓN EN CASOS DE BAJA DENSIDAD ÓSEA

Descubre toda la gama

EDITA

Peldaño

DIRECTORA

Gema Bonache gbonache@gacetadental.com

RESPONSABLE DE DESARROLLO DE NEGOCIO

Marta Hernández mhernandez@gacetadental.com

PUBLICIDAD

Ana Santamaría ana@gacetadental.com

Marta Pérez marta@gacetadental.com

ACCEDE A LOS DATOS DE SUSCRIPCIÓN

HEAD OF DESIGN

Juan Luis Cachadiña GACETADENTAL.COM

COPYWRITER

Sandra Rodríguez srodriguez@gacetadental.com

REDACTORA

Patricia Merino pmerino@gacetadental.com

¡SÍGUENOS EN LAS REDES!

OFICINAS Y REDACCIÓN

Avda. Manzanares, 196 28026 Madrid 91 476 80 00

JEFE DE PRODUCCIÓN

Miguel Fariñas

TIENDA GD

Francisco Soriano paco@gacetadental.com

Jorge Cacuango jorge@gacetadental.com

DISEÑO Y MAQUETACIÓN

Débora Martín Cristina Corchuelo

IMPRIME

Grafinter S. L.

Av. de Castilla, 14, 28830 Polígono de San Fernando de Henares, Madrid

CONSEJO DE INNOVACIÓN Y EXCELENCIA

DEPÓSITO LEGAL

M.35.236-1989 ISSN 1135-2949

SUSCRIPCIONES Y DISTRIBUCIÓN

suscripciones@peldano.com

902 35 40 45

CIENCIA Y CLÍNICA: Dr. José Aranguren, Dra. Estefanía Laguna, Dr. Juan López-Quiles, Dra. Estefanía Moreno, Dr. Jesús Peláez Rico, Dr. Luis Segura-Mori · FORMACIÓN Y CONOCIMIENTO: Dr.Juan Carlos Vara, Dra. María José Muñoz, Dr. Simón Pardiñas · TECNOLOGÍA E INNOVACIÓN: Dr. Luis Cuadrado de Vicente, Dra. Irene García INTERNACIONAL: Dr. Joao Caramés, Dr. Cristian Abad

SUSCRIPCIÓN

Presidente: Ignacio Rojas · CEO: Lourdes Álvarez ·Director Financiero y de Talento: Daniel R. Villarraso

Director de Marca y Estrategia: Eneko Rojas · Director de Estrategia de Contenidos: Adrián Beloki

Directora de Estrategia Comercial: María Rojas · Directora de Marketing: Miriam Egea

Directora de Eventos: Yaiza Pascual

Los artículos científicos y clínicos que se publican en Gaceta Dental son supervisados por un grupo de expertos en las distintas ramas de la Odontología. Gaceta Dental no se identifica necesariamente con las opiniones expresadas libremente en sus páginas por los colaboradores.

Publicación autorizada por el Ministerio de Sanidad como soporte válido. Ref: S.V 89057 R. Premio aeepp a la mejor revista de 2008 | 1er Accesit al Mejor Editor, años 2004 y 2007 | Premio «Pro-Odontología» de la Sociedad Catalana de Odontología y Estomatología (scoe) 2009 | Premio «Fomento de la Salud» del Consejo General, 2005 | Premio del Colegio de Protésicos de la Comunidad de Madrid a la Trayectoria Profesional 2009 | Insignia de oro Colegial del COEM 2013.

AVISO LEGAL Y TRATAMIENTO DE DATOS

La opinión de los artículos publicados no es compartida necesariamente por la revista, y la responsabilidad de los mismos recae, exclusivamente, sobre sus autores. Cualquier forma de reproducción, distribución, comunicación pública o transformación de esta obra solo puede ser realizada con la autorización de sus titulares, salvo excepción prevista por la ley, y en el caso de hacer referencia a dicha fuente, deberá a tal fin ser mencionada GACETA DENTAL editada por Peldaño, en reconocimiento de los derechos regulados en la Ley de Propiedad Intelectual vigente, que como editor de la presente publicación impresa le asisten. Los archivos no deben modificarse de ninguna manera. Diríjase a CEDRO (Centro Español de Derechos Reprográficos) si necesita fotocopiar o escanear algún fragmento de esta obra (www.conlicencia.com / 917 021 970 / 932 720 445). De conformidad con lo dispuesto en el Reglamento (UE) 2016/679 del Parlamento Europeo y del Consejo, de 27 de abril de 2016, relativo a la protección de las personas físicas en lo que respecta al tratamiento de datos personales y a la libre circulación de estos datos y por el que se deroga la Directiva 95/46/CE, y de conformidad con la legislación nacional aplicable en materia de protección de datos, le recordamos que sus datos están incorporados en la base de datos de PELDAÑO MEDIA GROUP, S. L., como Responsable de Tratamiento de los mismos, y que serán tratados en observancia de las obligaciones y medidas de seguridad requeridas, con la finalidad de gestionar los envíos en formato papel y/o digital de la revista, de información sobre novedades y productos relacionados con el sector, así como poder trasladarle, a través nuestro o de otras entidades, publicidad y ofertas que pudieran ser de su interés, de conformidad con el consentimiento prestado al solicitar su suscripción expresa y voluntaria a la misma, cuya renovación podrá ser requerida por Ediciones Peldaño en cumplimiento del citado Reglamento. Le informamos que podrá revocar dicho consentimiento, en cualquier momento y en ejercicio legítimo de los derechos de acceso, rectificación, cancelación, oposición, portabilidad y olvido, dirigiéndose a PELDAÑO MEDIA GROUP, S. L., Avda. Manzanares, 196. 28026 Madrid, o al correo electrónico distribucion@peldano.com.

España Europa Resto
España Europa Resto
Foto: Lara Ferrer

El talento que mueve el futuro de la Odontología

18 Sep 2025

Hay estudiantes, profesionales, entidades y empresas que destacan por su capacidad innovadora y se merecen un premio.

¿Eres uno de ellos? ¡Te esperamos!

¡Consulta las bases!

Organiza: Impulsa:

y clínica

Ciencia

Defectos de cresta severos en sectores posteriores maxilares y mandibulares

¿Qué opciones tenemos para colocar implantes?

PhD. Máster en Periodoncia y Osteointegración Universidad del País Vasco

UPV/EHU. Investigador en Arrow Development & ThinkingPerio Research.

Diana Ramírez

Especialista en terapia periodontal y periimplantaria en Clínica Ortiz-Vigón.

Ana Azkue

Licenciada en Odontología por la Universidad de Santa María (Caracas, Venezuela).

Mónica González

Auxiliar clínica enfocada a Periodoncia, Implantes y Cirugía Mínimamente Invasiva.

Alberto Ortiz-Vigón

EFP, PhD, MBA, Profesor invitado e investigador. Máster de Periodoncia, Universidad Complutense de Madrid. Investigador en Arrow Development & ThinkingPerio Research.

Los implantes dentales emergieron hace ya más de cuatro décadas y se han consolidado con un sólido respaldo científico y clínico como la mejor alternativa para sustituir dientes ausentes y restaurar la función estética y masticatoria perdida. No obstante, la pérdida de dientes conlleva, de manera inherente, una pérdida considerable a nivel volumétrico de la estructura ósea necesaria para alojar un implante. Tanto que, en ocasiones, lleva consigo la imposibilidad de colocar el implante y requiere de un procedimiento quirúrgico reconstructivo previo para poder hacerlo.

Si bien es cierto que el sector anterior siempre ha tenido mayor protagonismo debido a la demanda estética, el sector posterior debido a estructuras anatómicas relevantes (tanto maxilar superior como inferior) y, por complicación de acceso y manejo de la zona, es

«Los futuros proyectos de investigación deberían considerar la implementación de herramientas digitales para individualizar los procedimientos quirúrgicos y así reducir la morbilidad y el riesgo de complicaciones»

un área en el que los procedimientos de aumento óseo para la colocación de implante han sido descritos como procedimientos de una complejidad mayor. Teniendo en cuenta que son numerosas las técnicas quirúrgicas de regeneración ósea guiada que se han propuesto, con mayor o menor eficacia, el objetivo de este trabajo es describir las ventajas e inconvenientes e, incluso, posibles complicaciones que pueden suceder con los procedimientos que el clínico tiene a su disposición en grandes regeneraciones óseas en el sector posterior, maxilar y mandibular.

INTRODUCCIÓN

La rehabilitación de pacientes parcial o totalmente edéntulos mediante prótesis implantosoportadas se ha convertido en una práctica habitual en las últimas décadas.

La atrofia ósea del proceso alveolar que sucede posterior a la pérdida de un diente ha sido descrita en estudios clínicos y preclínicos (Schropp y cols. 2003; Araujo y Lindhe 2005; Vignoletti y cols 2012; Chappuis y cols 2015; Chappuis y cols 2017). Esta pérdida ósea, que sucede de manera fisiológica e inherente a la pérdida dentaria, lleva consigo unos cambios volumétricos y dimensionales tanto en sentido corono-apical como en sentido vestíbulo-lingual.

Esta reabsorción ósea puede ser variable en función de la ubicación del diente perdido y en función del motivo de la extracción, pudiendo llegar a tratarse de la explantación de un implante (Monje y Nart 2022), y puede llegar a comprometer la colocación tridimensional adecuada de los implantes dentales, ya sean en el mismo momento de la extracción o posteriormente.

Caso clínico tratado mediante injerto óseo de lámina autóloga analizado en el presente artículo.

La literatura científica reporta que esta reabsorción ósea es progresiva y podrían llegar a suceder pérdidas de volumen crestal de aproximadamente 40 - 60 % en los primeros 3 años (Tallgren 2003). A fin de compensar estos cambios dimensionales de la cresta ósea y poder colocar implantes dentales, son numerosas las técnicas, biomateriales y abordajes quirúrgicos que se han propuesto hasta la fecha, con mayor o menor respaldo científico (Sanz-Sánchez y cols 2015; Jepsen, Schwarz, Cordaro y cols 2018; Buser y cols 2023). Sin embargo, probablemente, uno de los factores clave a la hora de decidir un procedimiento o abordaje reconstructivo es el tipo de defecto óseo al que nos enfrentamos en cada paciente. Para poder categorizar los defectos, la clasificación más utilizada hasta la fecha es la descrita por Benic & Hämmerle (2014) (Benic y Hämmerle

2014). Esta clasificación permite al clínico distinguir aquellas situaciones en las que existen dehiscencias o fenestraciones óseas que se pueden tratar simultáneas a la colocación del implante (Thoma y cols 2019) o, por el contrario, será necesario realizar un procedimiento de aumento óseo, ya sea lateral/horizontal o vertical, previo a la colocación del implante y colocar el implante en un segundo procedimiento quirúrgico (Ortiz-Vigón y cols 2017; Ortiz-Vigón y cols 2018) (Tabla 1).

Este tipo de clasificaciones son verdaderamente útiles para poder segmentar aquellos casos clínicos en los que se puede colocar el implante en una primera fase quirúrgica, aún teniendo que realizar un procedimiento reconstructivo o podría requerir un procedimiento reconstructivo previo para poder colocar el implante en una segunda fase quirúrgica. No obstante, otro de los elementos clave a tener en cuenta

Tabla 1. Configuración de defectos óseos a la hora de colocar implantes, según Benic & Hämmerle 2014.

Con INTELIGENCIA ARTIFICIAL

Nuevo

es el área que el clínico va a enfrentar. Si bien es cierto, el sector anterior tiene el gran inconveniente de la demanda estética de los pacientes (Rocchietta y cols 2018), el reto no es menor en el sector posterior, ya sea mandibular o maxilar, debido a la complejidad de acceso y a la escasa disponibilidad ósea que sucede en un alto porcentaje de pacientes.

Por un lado, en el sector posterior del maxilar superior es necesario destacar que la ausencia de dientes, además del proceso atrófico descrito, lleva consigo una expansión lateral y vertical (hacia coronal) de la cavidad antral que puede llegar a comprometer seriamente la colocación de implantes dentales (Sharan y Madjar 2008). Por ser una región anatómica con una gran complejidad también se han reportado diferentes clasificaciones que describen los defectos óseos que el clínico podría encontrarse en el sector posterior del maxilar superior. Simion y colaboradores, en el año 2004, describieron una clasificación que combinaba el análisis de la posición

de la cresta ósea con respecto a la línea amelocementaria de dientes adyacentes y la distancia con respecto al seno maxilar (Simion y cols 2004) (Tabla 2).

Por otra parte, en el sector posterior mandibular, el proceso de reabsorción ósea lleva consigo la aproximación del pico de la cresta ósea al nervio dentario inferior y adicionalmente es necesario destacar la importancia de respetar la arteria lingual debido a que podría lastimarse en grandes procedimientos regenerativos en los que se vaya a avanzar coronalmente el colgajo lingual (Urban 2017a; Urban 2017b; Ronda y Stacchi 2011).

Numerosas revisiones sistemáticas han reportado resultados favorables, predecibles y reproducibles mediante el uso de diferentes técnicas de regeneración ósea guiada existentes, en términos de ganancia lateral u horizontal de forma previa o simultánea a la colocación de los implantes (Elnayef cols 2018; Naenni, Lim, Papageorgiou y cols 2019; Thoma y cols 2019). No obstante, si

Tabla 2. Defectos de cresta en sector posterior superior, según Simion y cols 2004.

se analiza la ganancia en términos de aumento vertical, no se reporta la misma predictibilidad y la frecuencia con la que aparecen complicaciones podría ser considerable en función del abordaje terapéutico escogido, pudiendo llegar a significar un fracaso en el global del tratamiento (Rocchietta y cols 2018; Milinkovic y Cordaro 2014; Alotaibi y cols 2023). En consecuencia, el objetivo de este artículo de revisión es analizar los diferentes abordajes quirúrgicos y biomateriales que el clínico tiene a su disposición en la actualidad para la regeneración ósea vertical y horizontal, del sector posterior maxilar y mandibular, haciendo especial hincapié no solo en los resultados clínicos y radiográficos sino también en el coste beneficio y el ratio y tipo de complicaciones asociado a cada procedimiento.

1. Membranas no reabsorbibles (Figuras 1-8)

Las membranas no reabsorbibles han sido históricamente descritas como una herramienta útil a la hora de lograr una regeneración vertical

«La irrupción de las nuevas tecnologías ha permitido incrementar la precisión de los procedimientos que se realizan en el campo de la regeneración ósea»

para la colocación de implantes (Dahlin, Lekholm, Becker y cols 1995; Zitzmann y cols 1997; Chiapasco y cols 1999), con unos resultados comparables a los de la utilización de injertos en bloque de hueso autólogo. Estudios como el de Chiapasco y colaboradores reportan una tasa de éxito de 93,3% de los implantes colocados tras un procedimiento regenerativo con membranas

Continuación. A) Situación clínica tras 8 semanas de la extracción y cierre de tejidos blandos. Vista vestibular. B) Situación clínica tras 8 semanas de la extracción y cierre de tejidos blandos. Vista oclusal. C) Defecto óseo tras elevar un colgajo a espesor total. Vista vestibular. D) Defecto óseo tras elevar un colgajo a espesor total. Vista oclusal.

Figura 1. Caso clínico con membrana no reabsorbible (Goretex®). A) Situación radiográfica (2D) basal. B) Situación radiográfica (3D) basal.
Figura 2. Caso clínico con membrana no reabsorbible (Goretex®).

Figura 3. Caso clínico con membrana no reabsorbible (Goretex®). Continuación. A) Fresado para la colocación del implante. B) Colocación del implante en la posición tridimensional adecuada. C) Relleno del defecto óseo con `chips´ de hueso autólogo del propio paciente.

Figura 5. Caso clínico con membrana no reabsorbible (Goretex®). Continuación. A) Sutura y cierre primario. B) Situación radiográfica 2D inmediata post-operatoria.

Figura 6. Caso clínico con membrana no reabsorbible (Goretex®). Continuación. A) Reentrada. Vista vestibular. B) Reentrada. Retirada de la membrana. Vista vestibular. C) Reentrada. Retirada de la membrana. Vista oclusal. D) Aspecto oclusal-crestal del implante. reabsorbibles frente a un 90,9% de los implantes colocados tras injertos de bloque autólogos, a 2 años de seguimiento tras la carga protésica. En relación al tipo de politetrafluoretileno (PTFE) que se puede utilizar en estas membranas no reabsorbibles, es necesario distinguir que el clínico tiene a su disposición membranas de PTFE denso (d-PTFE) o expandido (e-PTFE), siendo las segundas las que más respaldo científico tienen en la actualidad (Urban y cols 2019).

En relación a la cantidad de hueso que se puede llegar a lograr, Urban y colaboradores reportaron en el año 2009 que tras la utilización de membranas de e-PTFE y hueso autólogo particulado, la ganancia media vertical en la reentrada para la colocación de implantes era de 5,5 ± 2,29 mm. Es importante destacar que, aunque se registró una reabsorción de 1,01 ± 0,57 mm en el primer año, los niveles óseos periimplantarios se mantuvieron estables hasta los 6 años de seguimiento, reportándose

Figura 4. Fijación de la membrana no reabsorbible (Goretex®).
Ciencia. CIENCIA

7. Caso clínico con membrana no reabsorbible (Goretex®). Continuación. A) Injerto de tejido conectivo autólogo. B) Sutura y cierre primario. C) Situación radiográfica tras carga protésica. D) Situación clínica tras carga protésica.

8. Caso clínico con membrana no reabsorbible (Goretex®). Comparación en vista oclusal. A) Defecto óseo inicial. B) Situación ósea en reentrada. C) Contorno vestibular tras carga protésica.

tasas de supervivencia de 100% y de éxito de 94,7% (Urban y cols 2009). No obstante, por motivos como este y por el riesgo de interposición de tejido conectivo por debajo de la membrana no reabsorbible, Chiapasco y colaboradores en 1999 recomiendan una sobrecorrección del defecto (Chiapasco y cols 1999).

En el año 2014, Urban y colaboradores publicaron una serie de casos en los que utilizaban membranas no reabsorbibles de d-PTFE bajo las cuales se colocaba una mezcla de hueso autólogo particulado y un xenoinjerto. La ganancia vertical media que se obtuvo a lo largo de los 19 pacientes que se trataron fue de 5,45 ± 1,93 mm (Urban y cols 2014).

El mismo año, Ronda y colaboradores (2014) llevaron a cabo un ensayo clínico aleatorizado entre membranas de e-PTFE y d-PTFE. La ganancia vertical media fue de 5,49 mm y de 4,91 mm, respectivamente, sin diferencias estadísticamente comparativas a lo largo de los 23 pacientes tratados (Ronda y cols 2014).

Uno de los debates en relación a las membranas no reabsorbibles es la colocación del implante o no en el mismo procedimiento regenerativo o en una reentrada. Un estudio multicéntrico retrospectivo, que evaluaba 123 implantes colocados simultáneo a la regeneración vertical con membranas no reabsorbibles, reportó que el comportamiento era similar a aquellos implantes colocados en hueso prístino (no regenerado), reportándose una tasa de éxito de 97,5% a 6 años de seguimiento (Simion y cols 2001). Adicionalmente reportaron que la ganancia era mayor al colocar hueso autólogo bajo la membrana no reabsorbible.

A pesar de los excelentes resultados reportados por la literatura científica, una de las desventajas de la utilización de membranas no reabsorbibles es que llevan inherente la necesidad obligatoria de una segunda intervención quirúrgica para retirar la membrana, lo cual podría además tener un impacto negativo en la morbilidad y satisfacción de los pacientes (Calzavara y cols 2021).

Figura
Figura

La Precisión Digital que Tu Sonrisa Merece

En Laboratorio Ceranium somos expertos en tecnología de vanguardia y nuestro equipo de técnicos trabajan juntos para garantizarte una experiencia dental incomparable.

¿Por qué debes elegirnos como tu laboratorio?

Tecnología de ÚLTIMA GENERACIÓN

ƒ Líderes en recepción de archivos intraorales: Precisión sin incomodidad.

ƒ Diseño CAD/CAM in house: Prótesis fabricadas con máxima precisión.

ƒ Impresión 3D: Soluciones personalizadas y avanzadas.

Nuestros SERVICIOS

ƒ Prótesis Fija

 Perfeccionamiento de estructuras de titanio con el nuevo servicio Tinium.

 Disilicato de Litio, Zirconio y Metal-Cerámica.

ƒ Prótesis Removible y Férulas de descarga

ƒ Cirugía Guiada

 Planificación Digital: Seguridad y exactitud en cada paso.

 Guías Quirúrgicas Personalizadas: Menor tiempo en quirófano, mejor recuperación.

Beneficios PARA TU CLÍNICA +

ƒ Pacientes Satisfechos: Resultados naturales, duraderos y de máxima calidad.

ƒ Tiempos de entrega: Justificados con protocolos de trabajo que garantizan la funcionalidad de las prótesis.

ƒ Comunicación Personalizada con técnico especializado: Mayor comunicación, menor tasa de incidencias.

ƒ Formación a odontólogos de la mano de los principales partners del sector.

“Profesionalidad, calidad, buena comunicación y comprometidos con su trabajo, totalmente recomendable”

Dr. G.

Visítanos Hoy: www.laboratorioceranium.com Calle Gavilanes 11; Pinto (28320) Madrid +34 91 517 06 33

A este segundo procedimiento, con los implantes colocados tras procedimientos regenerativos realizados con membranas no reabsorbibles se le ha asociado con una mayor prevalencia de deshicencias vestibulares de tejido blando (Cairo, Nieri, Cavalcanti y cols 2020). Además, este tipo de técnicas son altamente sensibles al operador, requieren una larga y controlada curva de aprendizaje y no están libres de la posibilidad de complicaciones. En el año 2011, Fontana y colaboradores realizaron

una clasificación en la que evaluaban complicaciones en procedimientos de regeneración ósea llevados a cabo con membranas no reabsorbibles e-PTFE (Fontana y cols 2011). Esta clasificación adicionalmente se ha utilizado a posteriori para evaluar la eficacia de diferentes propuestas que se han investigado con membranas no reabsorbibles (Cucchi y cols 2017). Ronda y Stacchi publicaron una serie de casos en el año 2011, analizando la utilización de membranas de e-PTFE y una combinación de hueso autólogo y

Tabla 3. Clasificación de complicaciones con membranas no reabsorbibles, según Fontana y cols 2011 con la utilización de membranas no reabsorbibles e-PTFE.
Tabla 4. Clasificación de complicaciones con membranas no reabsorbibles, según Vroom y cols 2022 con la utilización de membranas no reabsorbibles d-PTFE.

Tener los dientes más blancos puede darle a tus pacientes la confianza para sonreír más.

Una sonrisa más blanca puede iluminar tu mundo

Los tratamientos de blanqueamiento dental Opalescence™ tienen como misión ofrecer a tus pacientes sonrisas más blancas y brillantes, para convertir sus días buenos, en mejores. Como líder global en blanqueamiento profesional1, Opalescence™ ha iluminado más de 100 millones de sonrisas.1 Esos son muchos días mejores.

alogénico. Se incluyeron 52 pacientes en los que se trataban defectos posteriores mandibulares y se analizaba la liberación y avance del colgajo lingual para conseguir un cierre primario.

La mayor complicación descrita fue la sección de la arteria lingual pudiendo suponer un posible edema de la glotis y la asfixia del paciente (Ronda y Stacchi 2011). Adicionalmente, en el año 2022, Vroom y colaboradores desglosaron las posibles complicaciones durante la cicatrización tras la utilización de membranas no reabsorbibles d-PTFE, proponiendo otra clasificación (Vroom y cols 2022; Donos y cols 2023) (Tablas 3 y 4).

En este contexto, Urban y colaboradores, en una publicación reciente, proponen una secuencia quirúrgica detallada para un procedimiento seguro de regeneración ósea vertical en sectores posteriores atróficos mediante utilización de membranas no reabsorbibles con refuerzo de titanio que incluye (Urban y cols 2023):

1. Colgajo con diseño de seguridad: colgajo a espesor total, al menos un diente más allá del área a intervenir, preferiblemente 2 y elevándolo al menos 5 mm más allá del defecto.

2. Preparación del lecho. Múltiples decorticalizaciones para promover la angiogénesis.

3. Adaptación de la membrana. Utilización de membrana no reabsorbible de PTFE reforzada con titanio cubriendo todo el volumen del injerto óseo y que los bordes de la membrana no estén en contacto con dientes naturales.

4. Fijación y estabilización de la membrana. Será clave que la membrana esté inmóvil. Primero fijarla por lingual/palatino.

5. Colocación de injerto óseo: se recomienda combinación de injerto autólogo y sustituto óseo para proporcionar osteoinducción y osteoconducción.

6. Avance del colgajo lingual.

7. Cierre del colgajo-cierre por primaria intención.

2 Membranas reabsorbibles (Figuras 9-14)

Como alternativa a las membranas no reabsorbibles y con el fin de subsanar la necesidad de una segunda intervención quirúrgica y reducir el riesgo de complicaciones se desarrollaron las membranas reabsorbibles. Son membranas con una prevalencia de complicaciones graves menor (Moses y cols 2005), y además se ha descrito una morbilidad menor por parte de los pacientes. No obstante, es necesario destacar que, a diferencia de las membranas no reabsorbibles, tienen una serie de inconvenientes tales como un menor mantenimiento del efecto barrera por su reabsorción, un mayor colapso, la alteración de la cicatrización por los procesos de reabsorción y la necesidad de un material de injerto óseo por su baja capacidad para mantener el espacio.

Una revisión sistemática reportó que las membranas reabsorbibles podrían llegar a promover la misma cantidad de formación ósea que las membranas no reabsorbibles, pero necesitan un injerto óseo obligatoriamente bajo ella, a diferencia de las membranas no reabsorbibles (Chiapasco y Zaniboni 2009). Otra revisión sistemática del mismo año de Jensen y colaboradores reportó que el porcentaje de relleno del defecto óseo era del 87% en aquellos defectos en los que se había utilizado una membrana reabsorbible,

frente a un 75,7% en aquellos casos en los que se empleó una membrana no reabsorbible. Además, un 75% de los pacientes de membranas reabsorbibles y no reabsorbibles demostró un relleno completo del defecto (Jensen y Terheyden 2009). Estos resultados sugieren que la utilización de membranas reabsorbibles está a la altura de las no

reabsorbibles. No obstante, llegados a este punto, es necesario analizar cómo influye el tipo de defecto óseo en los resultados que se logran mediante la utilización de membranas reabsorbibles (Waller y cols 2020, Jung y cols 2017). Una revisión sistemática reportó que la utilización de membranas reabsorbibles en defectos tipo dehiscencias

Figura 9. Caso clínico con membrana reabsorbible.

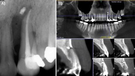
A) Situación clínica basal. B) Sondaje a través de la fístula en basal. C) Situación radiográfica basal (2D). D) Situación radiográfica basal en posición de 24 (3D). E) Situación radiográfica basal en posición de 25 (3D).

Figura 11. Caso clínico con membrana reabsorbible (ZMATRIX™). Continuación. A) Eliminación del tejido de granulación y visualización del defecto óseo vestíbulo-palatino. Vista vestibular. B) Eliminación del tejido de granulación y visualización del defecto óseo vestíbulo-palatino y el lecho alveolar posextracción. Vista oclusal. C) Estabilización de la membrana (ZMATRIX™) en el colgajo palatino. D) Utilización de injerto óseo alogénico particulado (OraGRAFT 70/30 Aloinjerto 70% min / 30% desmin) para la reconstrucción del defecto óseo. Vista vestibular.

10. Caso clínico con membrana reabsorbible. Continuación. A) Primer procedimiento quirúrgico. Incisión biselada a un diente de distancia del área a reconstruir. B) Liberación del colgajo. C) Liberación del colgajo. D) Extracción del diente en posición de 25 por fractura.

Figura 12. Caso clínico con membrana reabsorbible (ZMATRIX™). Continuación. A) Utilización de injerto óseo alogénico particulado (OraGRAFT 70/30 Aloinjerto 70% min / 30% desmin) para la reconstrucción del defecto óseo. Vista oclusal. B) Adaptación de la membrana reabsorbible (ZMATRIX™) cubriendo el injerto óseo. C) Sutura y cierre primario avanzando el colgajo coronalmente. D) Situación radiográfica (2D) inmediata postoperatoria.

Figura

Figura 13. Caso clínico con membrana reabsorbible.

Continuación. A) Situación clínica tras 4 meses de cicatrización. B) Situación radiográfica (3D) en posición de 24.

C) Situación radiográfica (3D) en posición de 25.

D) Colgajo a espesor total. Vista oclusal.

E) Colocación de implantes en posiciones 24 y 25.

Figura 14. Caso clínico con membrana reabsorbible. Continuación. A) Injerto de tejido conectivo en vestibular de los implantes. B) Sutura del injerto de tejido conectivo.

C) Radiografía (2D) inmediata posoperatoria.

D) Cicatrización tras 3 meses de cicatrización.

llevaba consigo que en ausencia de exposición se reducía el defecto >27%. Sin embargo, la utilización de estas en crestas edéntulas, siempre y cuando no se expusiera, tenía como resultado un >74% de ganancia ósea horizontal (García y cols 2018).

Adicionalmente, la supervivencia y salud de los implantes colocados en hueso reconstruido mediante el empleo de membranas reabsorbibles es similar a la de aquellos colocados tras el uso de membranas no reabsorbibles, siendo la supervivencia de 91,9% y 92,6% y la pérdida ósea 2,40 mm y 2,54 mm, respectivamente, tras 12-14 años de seguimiento (Jung y cols 2013). Estos resultados concuerdan con los de un ensayo clínico aleatorizado realizado por el grupo de Merli y colaboradores (2014) que comparaba la colocación de implantes de forma simultánea a la regeneración vertical con membranas reabsorbibles y no reabsorbibles con hueso autólogo particulado. En este ensayo se reportaron resultados similares entre grupos, describiendo ambos protocolos como predecibles,

satisfactorios y estables a 6 años de seguimiento, sin diferencias estadísticamente significativas entre ellos (Merli y cols 2014). Además, se ha descrito una prevalencia de periimplantitis de 16-26% con un seguimiento de 6-8 años que no dista de la prevalencia general de periimplantitis (Donos y cols 2008; Sanz-Sánchez, Carrillo de Albornoz, Figuero y cols 2018; Ramanauskaite y cols 2020; Clementini y cols 2012).

La mayor desventaja de este tipo de membranas es que su estabilidad mecánica es desfavorable y han demostrado una baja resistencia a la tracción y el colapso. Además, se ha reportado una rápida degradación, lo cual reduce significativamente su función de barrera (Hürzeler, Kohal, Naghshbandj y cols 1998; Miller y cols 1996). Para mejorar estas propiedades se ha propuesto la utilización de membranas de colágeno entrecruzado (cross-link), mejorándose así su efecto barrera y una prolongación de la degradación (Zahedi, Legrand, Brunel y cols 1998). Además, se ha descrito que la

El mejor Duo para su flujo de Trabajo Digital

Nuevo

Escáner 3D &

• 20 micras de precisión

• 20 segundos para una arcada completa

• Versiones con cable e inalámbricas

FOV 16x11 a 5x5 • Voxel 70 micras • Diseño ultracompacto • Nuevo CBCT

Escanee y reciba

Nuestros Folletos

Figura 15. Caso clínico tratado mediante expansión de cresta / split crest. A) Situación clinica basal. B) Reconstrucción volumétrica (3D) del área a reconstruir del primer cuadrante. C) Situación radiográfica (3D) del área a reconstruir. D) Elevación del colgajo a espesor total. E) Medición de la anchura ósea en el área a colocar los implantes.

Figura 17. Caso clínico tratado mediante expansión de cresta / split crest. Continuación. A) Colocación del implante mesial. B) Colocación del implante medial. C) Colocación del implante distal.

Figura 16. Caso clínico tratado mediante expansión de cresta / split crest. Continuación. A) Utilización de disco para la incisión ósea. B) Incisión ósea en la cresta. C) Introducción de cincel para la expansión de cresta. D) Utilización de expansores en las posiciones de los implantes.

Figura 18. Caso clínico tratado mediante expansión de cresta / split crest. Continuación. A) Obtención de chips de hueso autólogo tuberositario. B) Colocación de los chips de hueso autólogo en la zona de expansión. Vista vestibular. C) Colocación de los chips de hueso autólogo en la zona de expansión. Vista oclusal. D) Utilización de bloques óseos xenogénicos (BioOss Collagen, Geistlich®) y membrana de colágeno reabsorbible (BioGide, Geistlich®) para proteger la expansión de cresta.

Figura 19. Caso clínico tratado mediante expansión de cresta / split crest. Continuación. A) Fijación de la membrana con chinchetas. Vista vestibular. B) Fijación de la membrana con chinchetas. Vista oclusal. C) Sutura y cierre primario, avanzando coronalmente el colgajo. Vista vestibular. D) Sutura y cierre primario, avanzando coronalmente el colgajo. Vista oclusal.

«Gracias a radiografías 3D y escaneados intraorales se están diseñando guías quirúrgicas para realizar los cortes óseos que permiten extraer los bloques óseos autólogos con mayor precisión»

- Prestar especial atención en aquellas crestas <3 mm de anchura debido a que se incrementa significativamente el riesgo de fractura.

- Al menos se tiene que distinguir 1 mm de esponjosa en la radiografía tridimensional.

- Ausencia de concavidad en el proceso alveolar.

- Las osteotomías tienen que hacerse >1 mm de distancia de dientes adyacentes.

exposición prematura de membranas cross-link y no cross-link no tiene por qué ir en detrimento del resultado regenerativo ya que se ha descrito una cicatrización espontánea por reepitelización de la superficie (Friedmann y cols 2001).

3. Expansión de cresta o split crest (Figuras 15-19)

La expansión de cresta es una técnica que, aunque en la actualidad no se está analizando en muchos estudios de investigación, sí que históricamente ha sido ampliamente analizada y utilizada. Una revisión sistemática de Milinkovic y Cordaro del año 2014 reportó una supervivencia de 97,4 de los implantes y una tasa de complicaciones inferior al 7% (Milinkovic y Cordaro 2014; Elnayef, Monje, Lin y cols 2015). No obstante, para lograr un resultado exitoso se recomienda seguir una serie de pautas (Holtzclaw y cols 2010; Bassetti y cols 2013; Bassetti y cols 2016; Ella y cols 2014):

Adicionalmente se ha recomendado la utilización de un injerto óseo y una membrana reabsorbible debido a que el hueso más cresta va a tener una tendencia a la reabsorción durante la cicatrización (Beolchini y cols 2015) y, de esta manera, va a promover una mejor preservación de la altura y anchura de la pared ósea al compararse frente a la realización de la expansión de cresta sin ningún biomaterial adicional (Stricker y cols 2014; Bassetti y cols 2013; Bassetti y cols 2016).

4. Injertos óseos en bloque o lámina (Figuras 20-24)

Los injertos óseos en bloque o lámina han sido la otra gran alternativa a las membranas en la terapia de reconstrucción del hueso para la colocación de implantes en la posición tridimensionalmente adecuada. Los injertos se pueden clasificar en función de su origen en: autólogo, si es del propio paciente; aloinjerto, si es de otro individuo de la misma especie; xenoinjerto, si es de otra especie; y aloplástico, si es de origen sintético.

Los injertos óseos autólogos, debido a sus propiedades osteoconductoras, osteoinductivas y osteogénicas, han sido considerados

Figura 20. Caso clínico tratado mediante injerto óseo de lámina autóloga. A) Situación clínica basal de la atrofia del segundo cuadrante. Vista lateral. B) Situación clínica basal de la atrofia del segundo cuadrante. Vista oclusal. C) Situación clínica basal de la atrofia del segundo cuadrante. Vista vestibular.

Figura 21. Caso clínico tratado mediante injerto óseo de lámina autóloga. Continuación. A) Obtención del injerto óseo autólogo de la rama mandibular. B) Lámina de injerto óseo autólogo. C) Posicionamiento de la lámina oclusal en la dirección que será fijada bajo el colgajo tunelizado. D) Fijación de las láminas oclusal y vestibular a través del diseño de colgajo tunelizado.

Figura 22. Caso clínico tratado mediante injerto óseo de lámina autóloga. Continuación. A) Reconstrucción volumétrica del área a intervenir antes del primer procedimiento quirúrgico. B) Reconstrucción volumétrica del área intervenida 4 meses después del primer procedimiento quirúrgico. C) Reconstrucción volumétrica de la zona de la rama mandibular de la que se obtuvo el injerto óseo autólogo, inmediatamente después de su obtención. D) Vista oclusal del área a reconstruir, antes del primer procedimiento quirúrgico. E) Vista oclusal del área reconstruida, 4 meses después del primer procedimiento quirúrgico. F) Vista transversal del área a reconstruir, antes del primer procedimiento quirúrgico. G) Vista transversal del área reconstruida, 4 meses después del primer procedimiento quirúrgico. H) Vista transversal de la zona de obtención del injerto óseo autólogo.

Figura 23. Caso clínico tratado mediante injerto óseo de lámina autóloga. Continuación. A) Segundo procedimiento quirúrgico 4 meses después del primero. Situación clínica, vista oclusal. B) Elevación de un colgajo a espesor total con incisión crestal. C) Colocación de implantes en posición de 24 y 26. D) Sutura, cierre primario y cicatrización sumergida de los implantes.

Figura 24. Caso clínico tratado mediante injerto óseo de lámina autóloga. Continuación. A) Tercer procedimiento quirúrgico 3 meses después del segundo. Situación clínica, vista oclusal. B) Segunda fase de los implantes y colgajo a espesor parcial. C) Utilización de matriz colágena xenogénica (MucoGraft, Geistlich®) suturada en vestibular de los implantes para incrementar la cantidad de mucosa queratinizada periimplantaria y profundidad de vestíbulo. D) Cicatrización 2 meses después del tercer procedimiento quirúrgico.

históricamente como el gold standard para la reconstrucción lateral / horizontal y/o vertical de defectos óseos (Cordaro y cols 2002). Recientes revisiones sistemáticas han reportado que la utilización de injertos en bloque son una excelente alternativa terapéutica en términos de ganancia ósea vertical y horizontal cuando existe una atrofia severa del proceso alveolar (Sanz-Sánchez y cols 2015; Naenni y cols 2019). No obstante, la morbilidad postoperatoria y las complicaciones derivadas de la toma del injerto, su limitada disponibilidad y su variable tasa de reabsorción podrían poner en entredicho su utilización (Cordaro y cols 2002; Nkenke y Neukam 2001; Von Ara y cols 2005; Cremonini y cols 2010).

Al igual que el resto de los procedimientos quirúrgicos analizados, este tipo de procedimientos no están libres de complicaciones, forman un grupo de intervenciones quirúrgicas de carácter complejo, con una alta

sensibilidad a la técnica y a las manos del operador. Es por eso que también se han desarrollado diferentes clasificaciones (Tablas 5 y 6).

Una revisión sistemática del año 2015 de Sanz-Sánchez y colaboradores (Sanz-Sánchez y cols 2015) reportó que la utilización de injertos autólogos en bloque, ya sea solos o en combinación con una membrana de colágeno reabsorbible, son los procedimientos con la tasa de complicaciones menor (Chiapasco y cols 2020). No obstante, son destacables, no solo los inconvenientes mencionados con antelación sino también la elevada tasa de reabsorción (Cordaro y cols 2002). A consecuencia de este aspecto, se propuso la utilización de láminas corticales óseas y relleno con hueso autólogo particulado en sustitución de los bloques (De Stavola y Tunkel 2013). Además, a fin de evitar complicaciones en la toma de injertos, cada vez se están

cols 2018).

6. Clasificación de las complicaciones durante la cicatrización de los bloques óseos, según Sanz-Sánchez y colaboradores en 2022 (Sanz-Sánchez y cols 2022).

proponiendo métodos de obtención del injerto más seguros (Barbieri y cols 2021) que, incluso, pueden planificarse digitalmente para la impresión de guías quirúrgicas exclusivamente para la toma de injerto (De Stavola 2021).

4.2. Injerto óseo de origen no autólogo

4.2.1. Injerto óseo xenogénico (Figuras 25-27) Los injertos óseos de origen xenogénico son los sustitutos óseos más estudiados y utilizados

hasta la fecha en el mundo de la regeneración ósea para implantes dentales presentando propiedades osteoconductivas. Dentro de los xenoinjertos, aquellos de origen bovino, porcino y equino son los más empleados hasta la fecha. Al analizar los bloques de origen xenogénico, aquellos de origen equino han sido los más estudiados (Ortiz-Vigón y cols 2017; Ortiz-Vigón y cols 2018) hasta el punto de haberse propuesto como una alternativa válida para el tratamiento reconstructivo de

Tabla 5. Clasificación complicaciones a nivel de dehiscencia de tejidos blandos en función del momento en el que sucede (Ortiz-Vigón y
Tabla
«Es esencial analizar la evidencia científica disponible en torno a la reconstrucción ósea tridimensional para poder satisfacer las necesidades terapéuticas de nuestros pacientes»

maxilares atróficos. La ganancia observada mediante la utilización de bloques xenogénicos equinos oscila entre 3,28 mm y 4,12 mm (Di Stefano y cols. 2009; Pistilli y cols. 2014; Schwarz y cols. 2017; Ortiz-Vigón 2018).

Figura 25. Caso clínico tratado mediante injerto óseo de bloque xenogénico (Bio-Graft® Geistlich Pharma). A) Situación radiográfica tridimensional basal. B) Situación clínica basal. Colgajo a espesor total. Aspecto vestibular de la atrofia ósea. C) Situación clínica basal. Colgajo a espesor total. Aspecto oclusal de la atrofia ósea. D) Fijación de los bloques óseos xenogénicos mediante la utilización de tornillos de osteosíntesis (1.5 mm × 9–12 mm; Medicon, Tuttlingen, Germany). E) Relleno del espacio entre bloques y sobrecontorneado con injerto óseo xenogénico particulado (Geistlich Bio- Oss®; Geistlich Pharma AG, Wolhusen, Switzerland). F) Utilización de membrana de colágeno reabsorbible para cubrir todos los biomateriales regenerativos empleados (Geistlich Bio- Gide®; Geistlich Pharma AG).

Una vez más, este tipo de procedimientos también son susceptibles de sufrir complicaciones que pueden ir desde dehiscencias hasta la exposición completa o fracaso del procedimiento. El estudio llevado a cabo por Ortiz-Vigón y colaboradores en el año 2018 realiza el reconfortado de la fracción de bloque expuesta, promoviendo una cicatrización por segunda intención. La prevalencia de aparición de estas dehiscencias oscila entre el 35,7% y 70% (Schwarz y cols. 2017; Ortiz-Vigón y cols 2018), siendo ésta más elevada que en los injertos autólogos y aloinjertos, 33,3% y 25%, respectivamente (Cordaro y cols 2011; Dias y cols 2016; Bollain y cols 2021). La justificación puede deberse a que la lenta reabsorción de los xenoinjertos acabe por provocar dehiscencias a nivel de tejidos blandos. Estas dehiscencias han llegado incluso a

Figura 26. Caso clínico tratado mediante injerto óseo de bloque xenogénico (Bio-Graft® Geistlich Pharma). Continuación. A) Situación clínica tras 26 semanas de cicatrización desde el primer procedimiento. Vista vestibular. B) Situación clínica tras 26 semanas de cicatrización desde el primer procedimiento. Vista oclusal. C) Situación radiográfica tridimensional tras 26 semanas de cicatrización desde el primer procedimiento. D) Reentrada, segunda intervención quirúrgica para la colocación de implantes. Vista oclusal.

Figura 27. Caso clínico tratado mediante injerto óseo de bloque xenogénico (Bio-Graft® Geistlich Pharma). Continuación. A) Protocolo de fresado para la colocación de implantes en hueso reconstruido. B) Colocación de implantes (Straumann Tissue Level®) sin retirada de los tornillos de osteosíntesis. C) Retirada de los tornillos de osteosíntesis y colocación de pilares de cicatrización. D) Radiografía inmediata posoperatoria. E) Cicatrización 8 semanas después de la colocación de implantes. F) Carga protésica 8 semanas después de la colocación de implantes.

asociarse con la pérdida temprana de implantes (Pistilli y cols. 2014; OrtizVigón y cols 2018).

4.2.2. Injerto óseo alogénico (Figuras 28-31)

Los injertos óseos de origen alogénico presentan propiedades biológicas como la osteoinducción y la osteconducción y, por eso, investigaciones recientes los proponen como una alternativa válida y con menor morbilidad que los injertos autólogos (Park y cols 2017, Spin-neto y cols 2015, Silva y cols 2017, Tunkel y cols 2021, Regidor y cols 2021). Por el contrario, este tipo de injertos óseos no tienen capacidad osteogénica y, por eso, la formación de hueso requerirá de

mayor tiempo de espera y podría incluso resultar en una cantidad menor de hueso neoformado (Chiapasco 2015a; Chiapasco 2015B; Stavropoulos y cols 2023).

Los estudios que analizan la ganancia ósea horizontal y vertical tras el uso de aloinjertos óseos reportan una ganancia media de 4.79 mm (Monje, Nikos, Chan y cols 2014) y 4.03 mm (Macedo y cols 2012), respectivamente. En relación con el hueso neoformado tras el uso de aloinjertos, los resultados reportados por las investigaciones oscilan entre el 32 y 58% de la muestra, siendo un 15-40 injerto óseo residual y un 1954% tejido conectivo (Acocella y cols 2012; Ahmadi y cols 2017; Aslan y cols 2016 y Chaushu y cols 2019).

Figura 28. Caso clínico tratado mediante injerto óseo de lámina alogénica (Cortical Plate Salugraft®). A) Situación clinical basal. B) Situación radiográfica (3D) basal en posición de 45. C) Situación radiográfica (3D) basal en posición de 46. D) Extracción de 45 y elevación del colgajo a espesor total. E) Fijación de las láminas alogénicas (Cortical Plate Salugraft®) vestibular y oclusal.

Figura 30. Caso clínico tratado mediante injerto óseo de lámina alogénica. Continuación. A) Vista vestibular tras 4 meses de cicatrización. B) Vista oclusal tras 4 meses de cicatrización.

C) Vista transversal radiográfica (3D) en posición de 44. D)

Vista transversal radiográfica (3D) en posición de 45. E) Vista transversal radiográfica (3D) en posición de 46. F) Reentrada tras 4 meses del procedimiento quirúrgico.

Figura 29. Caso clínico tratado mediante injerto óseo de lámina alogénica (Cortical Plate Salugraft®). Continuación. A) Vista vestibular de la lámina vestibular. B) Vista oclusal de la lámina oclusal con un injerto de tejido conectivo autólogo en la zona de la extracción. C) Sutura y cierre primario del procedimiento. Vista oclusal. D) Sutura y cierre primario del procedimiento. Vista vestibular.

Figura 31. Caso clínico tratado mediante injerto óseo de lámina alogénica. Continuación. A) Colocación de los implantes. Vista oclusal. B) Vista oclusal del cierre primario tras el procedimiento de colocación de implantes. Cicatrización no sumergida.

C) Radiografía (2D) inmediata postoperatoria tras la colocación de los implantes. D) Colocación de la prótesis implantosoportada 3 meses después de la colocación de los implantes.

Figura 32. Complicaciones posquirúrgicas.

A) Fístula tras procedimiento de reconstrucción ósea mediante lámina alogénica. B) Exposición temprana de láminas óseas autólogas.

C) Exposición de bloque xenogénico. D) Exposición leve de membrana no reabsorbible. E) Exposición de lámina alogénica. F) Inflamación y dehiscencia de la herida tras la utilización de membrana reabsorbible.

«El clínico debería analizar el tipo de defecto al que se enfrenta, el índice de complicaciones y las ventajas e inconvenientes de cada técnica para así poder mejorar la satisfacción de los pacientes»

origen autólogo (Spin-neto, Landazuri del Barrio; Pereira y cols 2013a; Lumetti, Consolo, Multinu y cols 2014), otros describen un comportamiento similar independientemente del origen (Kloss y cols 2018). La literatura científica describe que el empleo adicional de un xenoinjerto particulado y una membrana de colágeno reabsorbible protege la cresta ósea reconstruida previamente de un mayor remodelado óseo y mantiene la ganancia ósea inicial además de un volumen tridimensional adecuado (Chiapasco y cols 2020, Dias y cols 2016, Silva y cols 2017, Tunkel y cols 2020).

Respecto al grado de reabsorción, cabe destacar que es variable en función del tipo de aloinjerto óseo empleado. Un ensayo clínico relacionado con la materia destacó que los aloinjertos de una densidad menor sufren una reabsorción mayor que aquellos de mayor densidad, 61% y 16%, respectivamente (Lumetti, Consolo, Multinu y cols 2014). Los aloinjertos liofilizados se pueden utilizar en formato desmineralizado (DFDBA) o mineralizado (FDBA). El FDBA tiene una mayor osteoconductividad que el DFDBA debido a que la propia mineralización lleva consigo una reabsorción más lenta. Sin embargo, la desmineralización del DFDBA provoca una exposición acelerada del colágeno y de las proteínas morfogenéticas óseas (BMPs) (Mellonig 1981a; Mellonig 1981b). Si bien es cierto que algunos estudios reportan una reabsorción mayor que la que demuestran los injertos de

Con relación a las complicaciones, la incidencia reportada oscila entre el 4 y el 30% (Chaushu y cols 2019; Nissan y cols 2012). Entre ellas podrían describirse las dehiscencias de tejido blando (especialmente en la línea de incisión), exposición del injerto y pérdida parcial o total del injerto (Acocella y cols 2012).

En términos generales para evitar este tipo de complicaciones o reducir el riesgo existen grupos de investigación que han reportado la realización de diseños alternativos como son los diseños tunelizados como alternativa al diseño convencional con incisión a nivel crestal, ofreciendo una mayor seguridad del procedimiento basada en la integridad del tejido blando sobre el área intervenida (Ponte y cols 2004, Mazzocco y cols 2008, De Stavola y Tunkel 2013).

5. Nuevos horizontes o líneas de investigación

No cabe duda de que cualquiera de los procedimientos previamente descritos a lo largo de este trabajo está expuesto al riesgo de complicaciones postquirúrgicas

En KaVo, desarrollamos constantemente nuevas tecnologías y productos que redefinen y mejoran la odontología. Con estas innovaciones, reafirmamos una vez más nuestro compromiso como marca premium y nuestra pasión por la calidad, la precisión y la durabilidad

Descubre la nueva unidad dental KaVo amiQa, así como las mejoras y actualizaciones en las unidades premium KaVo ESTETICA E70/E80 y KaVo uniQa. La innovadora lámpara de tratamiento KaVo Lumina y el nuevo KaVo eSCALER, „Made by KaVo“ son el complemento perfecto de su consulta dental.

Más información en: www.kavo.com/es/elements-of-excellence www.kavo.com/es/elements-of-excellence

que comprometan el resultado final (Figura 32). La irrupción de las nuevas tecnologías también ha permitido al campo de la regeneración ósea guiada incrementar la precisión de los procedimientos que se realizan. Gracias a radiografías 3D y escaneados intraorales se están diseñando guías quirúrgicas para realizar los cortes óseos que permiten extraer los bloques óseos autólogos con una mayor precisión y reduciendo drásticamente el riesgo de complicaciones (De Stavola y cols 2015; De Stavola y cols 2017). Adicionalmente, no solo para la obtención de bloques óseos sino también para la fijación y estabilización de láminas ya sean autólogas o no, también se están diseñando guías quirúrgicas que permiten al clínico incrementar la seguridad de procedimientos tan sensibles como estos (Ortiz-Puigpelat y cols 2024).

CONCLUSIONES

Todos los procedimientos de reconstrucción ósea analizados a lo largo de esta revisión han arrojado resultados favorables en términos de regeneración ósea horizontal y vertical para la colocación de implantes. No obstante, la evidencia científica disponible hasta la fecha no señala ningún procedimiento de los propuestos como superior a los demás. Es importante analizar las ventajas, inconvenientes y posibles complicaciones postoperatorias para poder obtener no solo un resultado clínico favorable sino también una percepción adecuada del paciente.

Relevancia clínica

Justificación del artículo

La pérdida de dientes en sectores posteriores conlleva, en ocasiones,

un escenario deficitario a nivel óseo para la colocación de implantes. Es esencial analizar la evidencia científica disponible en torno a la reconstrucción ósea tridimensional para poder satisfacer las necesidades terapéuticas de nuestros pacientes.

Conclusiones principales

Todos los abordajes quirúrgicos reconstructivos analizados son efectivos en términos de ganancia ósea vertical y horizontal. Sin embargo, ninguno de ellos ha demostrado una superioridad significativa. Por ende, el clínico debería analizar el tipo de defecto al que se enfrenta, el índice de complicaciones y las ventajas e inconvenientes de cada técnica para así poder mejorar la satisfacción de los pacientes a la hora de escoger un procedimiento concreto.

AGRADECIMIENTOS

Quisiéramos agradecer todo el trabajo del equipo de la Clínica Ortiz-Vigón & RealCAD Innovation Design responsable, no solo de los procedimientos quirúrgicos llevados a cabo, sino también de las restauraciones implantosoportadas y de la terapia de soporte de mantenimiento de los pacientes intervenidos.

Implicaciones prácticas

Un correcto diagnóstico y planificación serán esenciales para obtener un resultado que aúne un adecuado resultado clínico y, a su vez, una óptima satisfacción de los pacientes.

Implicaciones para la investigación

Son necesarios ensayos clínicos aleatorizados a largo plazo que no solo comparen el resultado

clínico obtenido con cada uno de los abordajes quirúrgicos reconstructivos propuestos sino también el índice de complicaciones y la percepción de los pacientes. Además, los futuros proyectos de investigación deberían considerar la implementación de herramientas digitales que permitan individualizar los procedimientos quirúrgicos a fin de reducir la morbilidad y el riesgo de complicaciones. ●

BIBLIOGRAFÍA

1. ACOCELLA, A., BERTOLAI, R., ELLIS, E., 3RD, NISSAN, J., & SACCO, R. (2012). Maxillary alveolar ridge reconstruction with monocortical fresh-frozen bone blocks: a clinical, histological and histomorphometric study. J Craniomaxillofac Surg, 40(6), 525-533.

2. ALOTAIBI, F. F., ROCCHIETTA, I., BUTI, J., & D’AIUTO, F. (2023). Comparative evidence of different surgical techniques for the management of vertical alveolar ridge defects in terms of complications and efficacy: A systematic review and network meta-analysis. Journal of Clinical Periodontology, 50(11), 1487–1519.

3. AHMADI, R. S., SAYAR, F., RAKHSHAN, V., IRANPOUR, B., JAHANBANI, J., TOUMAJ, A., & AKHOONDI, N. (2017). Clinical and Histomorphometric Assessment of Lateral Alveolar Ridge Augmentation Using a Corticocancellous Freeze-Dried Allograft Bone Block. J Oral Implantol, 43(3), 202-210.

4. ARAÚJO, M.G. AND LINDHE, J. (2005). Dimensional ridge alterations following tooth extraction. An experimental study in the dog. Journal of Clinical Periodontology, 32: 212-218.

5. ASLAN, E., GULTEKIN, A., KARABUDA, C., MORTELLARO, C., OLGAC, V., & MIJIRITSKY, E. (2016). Clinical, Histological, and Histomorphometric Evaluation of Demineralized Freeze-Dried Cortical Block Allografts for Alveolar Ridge Augmentation. J Craniofac Surg, 27(5), 1181-1186.

6. BARBIERI G, VIGNOLETTI F, MAREQUE S. (2021). Technique for minimally invasive harvesting of bone lamina for horizontal regeneration of the alveolar ridge. Cortical laminas for ridge reconstruction. Perio Clínica 2021/19: 53-62.

7. BASSETTI MA, BASSETTI RG, BOSSHARDT DD (2016). The alveolar ridge splitting/expansion technique: a systematic review. Clin. Oral Impl. Res. 27, 310–324

8. BASSETTI MA, BASSETTI RG, BOSSHARDT DD (2016). The alveolar ridge splitting/expansion technique: a systematic review. Clin. Oral Impl. Res. 27, 310–324.

9. BENIC, G.I. AND HÄMMERLE, C.H.F (2014). Horizontal bone augmentation by means of guided bone regeneration. Periodontol 2000, 66: 13-40.

10. BEOLCHINI M, LANG NP, RICCI E, BENGAZI F, TRIANA BG, BOTTICELLI D (2015). Influence on alveolar resorption of the buccal bony plate width in the edentulous ridge expansion (E.R.E.) – an experimental study in the dog. Clin. Oral Impl. Res. 26, 109–114.

11. BOLLAIN J, SUAREZ I, MARTINEZ-VILLA S, ORTIZ-VIGÓN A. (2021) Efficacy of xenogeneic block grafts for the regeneration of horizontal bone of the alveolar bone ridge. Perio Clínica 2021/19. 79 - 90.

12. BUSER D, URBAN I, MONJE A, KUNRATH MF, DAHLIN C. (2023) Guided bone regeneration in implant dentistry: Basic principle, progress over 35 years, and recent research activities. Periodontol 2000. 93: 9-25.

13. CALZAVARA D, REGIDOR E, ROMANDINI M, ORTIZ-VIGÓN A. (2021). Efficacy of non-resorbable membranes for the regeneration of severe defects of the alveolar process. Nonresorbable membranes in bone regeneration. Perio Clínica 2021/19. 23-36.

14. CAIRO, F., NIERI, M., CAVALCANTI, R., LANDI, L., RUPE, A., SFORZA, N. M., PACE, R., & BARBATO, L. (2020). Marginal soft tissue recession after lateral guided bone regeneration at implant site: A long-term study with at least 5 years of loading. Clin Oral Implants Res, 31(11), 1116–1124.

15. CHAPPUIS, V., ARAÚJO, M.G. AND BUSER, D. (2017), Clinical relevance of dimensional bone and soft tissue alterations postextraction in esthetic sites. Periodontol 2000, 73: 73-83.

16. CHAPPUIS V, ENGEL O, SHAHIM K, REYES M, KATSAROS C, BUSER D. (2015) Soft Tissue Alterations in Esthetic Postextraction Sites: A 3-Dimensional Analysis. J Dent Res 94(9 Suppl), 187S-193S.

17. CHAUSHU, L., CHAUSHU, G., KOLERMAN, R., VERED, M., NAISHLOS, S., & NISSAN, J. (2019). Anterior atrophic mandible restoration using cancellous bone block allograft. Clin Implant Dent Relat Res, 21(5), 903-909.

18. CHIAPASCO, M., ABATI, S., ROMEO, E. AND VOGEL, G. (1999), Clinical outcome of autogenous bone blocks or guided bone regeneration with e-PTFE membranes for the reconstruction of narrow edentulous ridges. Clinical Oral Implants Research, 10: 278-288.

19. CHIAPASCO, M., COLLETTI, G., COGGIOLA, A., DI MARTINO, G., ANELLO, T., & ROMEO, E. (2015a). Clinical outcome of the use of fresh frozen allogeneic bone grafts for the reconstruction of severely resorbed alveolar ridges: preliminary results of a prospective study. Int J Oral Maxillofac Implants, 30(2), 450-460.

20. CHIAPASCO, M., DI MARTINO, G., ANELLO, T., ZANIBONI, M., & ROMEO, E. (2015b). Fresh frozen versus autogenous iliac bone for the rehabilitation of the extremely atrophic maxilla with onlay grafts and endosseous implants: preliminary results of a prospective comparative study. Clin Implant Dent Relat Res, 17 Suppl 1, e251-266.

21. Chiapasco, M., Tommasato, G., Palombo, D., & Del Fabbro, M. (2020). A retrospective 10-year mean follow-up of implants placed in ridges grafted using autogenous mandibular blocks covered with bovine bone mineral and collagen membrane. Clin Oral Implants Res, 31(4), 328-340.

22. CHIAPASCO, M. AND ZANIBONI, M. (2009), Clinical outcomes of GBR procedures to correct peri-implant dehiscences and fenestrations: a systematic review. Clinical Oral Implants Research, 20: 113-123.

23. CLEMENTINI M, MORLUPI A, CANULLO L, AGRESTINI C, BARLATTANI A (2012). Success rate of dental implants inserted in horizontal and vertical guided bone regenerated areas: a systematic review. Int J Oral Maxillofac Surg. 41(7):847-52.

24. CORDARO, L., AMADE, D. S., & CORDARO, M. (2002). Clinical results of alveolar ridge augmentation with mandibular block bone grafts in partially edentulous patients prior to implant placement. Clin Oral Implants Res, 13(1), 103-111.

25. CORDARO L, TORSELLO F, MIUCCIO MT, DI TORRESANTO VM, ELIOPOULOS D. (2011) Mandibular bone harvesting for alveolar reconstruction and implant placement: Subjective and objective cross-sectional evaluation of donor and recipient site up to 4 years. Clinical Oral Implants Research 22, 1320-1326.

26. CREMONINI, C. C., DUMAS, M., PANNUTI, C., LIMA, L. A., & CAVALCANTI, M. G. (2010). Assessment of the availability of bone volume for grafting in the donor retromolar region using computed tomography: a pilot study. Int J Oral Maxillofac Implants, 25(2), 374-378.

27. CUCCHI A, VIGNUDELLI E, NAPOLITANO A, MARCHETTI C, CORINALDESI G (2017). Evaluation of complication rates and vertical bone gain after guided bone regeneration with nonresorbable membranes versus titanium meshes and resorbable membranes. A randomized clinical trial. Clinical implant dentistry and related research. 19(5):821-32.

28. DAHLIN C, LEKHOLM U, BECKER W, BECKER B, HIGUCHI K, CALLENS A, VAN STEENBERGHE D. (1995) Treatment of fenestration and dehiscence bone defects around oral implants using the guided tissue regeneration technique: a prospective multicenter study. Int J Oral Maxillofac Implants. 10(3):312-8.

29. DE STAVOLA L. (2021) Mandibular vertical alveolar ridge augmentation with a novel approach to safely harvest autologous bone. Perio Clínica 2021/19. 11-22.

30. DE STAVOLA L, FINCATO A, ALBIERO AM (2015). A computer-guided bone block harvesting procedure: a proof-ofprinciple case report and technical notes. Int J Oral Maxillofac Implants. 30(6):1409-13.

31. DE STAVOLA L, FINCATO A, BRESSAN E, GOBBATO L. (2017) Results of Computer-Guided Bone Block Harvesting from the Mandible: A Case Series. Int J Periodontics Restorative Dent. 37(1):e111-e119.

32. DE STAVOLA L, TUNKEL J. (2013) Results of vertical bone augmentation with autogenous bone block grafts and the tunnel technique: a clinical prospective study of 10 consecutively treated patients. Int J Periodontics Restorative Dent. 33(5):651-9.

33. DI STEFANO DA, ARTESE L, IEZZI G, PIATTELLI A, PAGNUTTI S, PICCIRILLI M, PERROTTI V. (2009) Alveolar ridge regeneration with equine spongy bone: A clinical, histological, and immunohistochemical case series. Clinical Implant Dentistry and Related Research 11, 90-100.

34. DIAS RR, SEHN FP, DE SANTANA SANTOS T, SILVA ER, CHAUSHU G. XAVIER SP. (2016) Corticocancellous freshfrozen allograft bone blocks for augmenting atrophied posterior mandibles in humans. Clin Oral Implants Res 27(1), 39-46.

35. DONOS N, AKCALI A, PADHYE N, SCULEAN A, CALCIOLARI E (2023). Bone regeneration in implant dentistry: Which are the factors affecting the clinical outcome? Periodontol 2000. 93: 26-55.

36. DONOS, N., MARDAS, N. AND CHADHA, V. (2008), Clinical outcomes of implants following lateral bone augmentation: systematic assessment of available options (barrier membranes, bone grafts, split osteotomy). Journal of Clinical Periodontology, 35: 173-202.

37. ELLA B, LAURENTJOYE M, SEDARAT C, COUTANT JC, MASSON E, ROUAS A (2014). Mandibular ridge expansion using a horizontal bone-splitting technique and synthetic bone substitute: an alternative to bone block grafting? Int J Oral Maxillofac Implants. 29(1):135-40.

38. ELNAYEF B, MONJE A, LIN GH, GARGALLO-ALBIOL J, CHAN HL, WANG HL, HERNÁNDEZ-ALFARO F (2015). Alveolar ridge split on horizontal bone augmentation: a systematic review. Int J Oral Maxillofac Implants. 30(3):596-606.

39. ELNAYEF B, PORTA C, SUÁREZ-LÓPEZ DEL AMO F, MORDINI L, GARGALLO-ALBIOL J, HERNÁNDEZ-ALFARO F (2018). The Fate of Lateral Ridge Augmentation: A Systematic Review and Meta-Analysis. Int J Oral Maxillofac Implants. 33(3):622-635.

40. FONTANA F, MASCHERA E, ROCCHIETTA I, SIMION M (2011). Clinical classification of complications in guided bone regeneration procedures by means of a nonresorbable membrane. The International journal of periodontics & restorative dentistry. 31(3):265-73.

41. FRIEDMANN, A., STRIETZEL, F.P., MARETZKI, B., PITARU, S. AND BERNIMOULIN, J.-P. (2001), Observations on a New Collagen Barrier Membrane in 16 Consecutively Treated Patients. Clinical and Histological Findings. Journal of Periodontology, 72: 1616-1623.

42. GARCIA J, DODGE A, LUEPKE P, WANG HL, KAPILA Y, LIN GH (2018). Effect of membrane exposure on guided bone regeneration: A systematic review and meta-analysis. Clin Oral Implants Res. 29(3):328-338.

43. HOLTZCLAW, D.J., TOSCANO, N.J. AND ROSEN, P.S. (2010), Reconstruction of Posterior Mandibular Alveolar Ridge Deficiencies With the Piezoelectric Hinge–Assisted Ridge Split Technique: A Retrospective Observational Report. Journal of Periodontology, 81: 1580-1586.

44. HÜRZELER MB, KOHAL RJ, NAGHSHBANDI J, MOTA LF, CONRADT J, HUTMACHER D, CAFFESSE RG (1998). Evaluation of a new bioresorbable barrier to facilitate guided bone regeneration around exposed implant threads. An experimental study in the monkey. Int J Oral Maxillofac Surg. 27(4):315-20.

45. JENSEN SS, TERHEYDEN H (2009). Bone augmentation procedures in localized defects in the alveolar ridge: clinical results with different bone grafts and bone-substitute materials. Int J Oral Maxillofac Implants. 24 Suppl:218-36.

46. JEPSEN S, SCHWARZ F, CORDARO L, ET AL (2019). Regeneration of alveolar ridge defects. Consensus report of group 4 of the 15th European Workshop on Periodontology on Bone Regeneration. J Clin Periodontol. 46(Suppl. 21): 277–286.

47. JUNG R.E., FENNER, N, HÄMMERLE C.H.F. & ZITZMANN N.U. (2013). Long-term outcome of implants placed with guided bone regeneration (GBR) using resorbable and non-resorbable membranes after 12–14 years. Clinical Oral Implants Research. 24, 1065–1073.

48. JUNG RE, HERZOG M, WOLLEB K, RAMEL CF, THOMA DS, HÄMMERLE CHF (2017). A randomized controlled clinical trial comparing small buccal dehiscence defects around dental implants treated with guided bone regeneration or left for spontaneous healing. Clin. Oral Impl. Res. 28, 348–354.

49. KLOSS, F. R., OFFERMANNS, V., & KLOSS-BRANDSTATTER, A. (2018). Comparison of allogeneic and autogenous bone grafts for augmentation of alveolar ridge defects-A 12-month retrospective radiographic evaluation. Clin Oral Implants Res, 29(11), 1163-1175.

50. LUMETTI, S., CONSOLO, U., GALLI, C., MULTINU, A., PIERSANTI, L., BELLINI, P., MARCHETTI, C. (2014a). Freshfrozen bone blocks for horizontal ridge augmentation in the upper maxilla: 6-month outcomes of a randomized controlled trial. Clin Implant Dent Relat Res, 16(1), 116-123.

51. MACEDO, L. G., MAZZUCCHELLI-COSMO, L. A., MACEDO, N. L., MONTEIRO, A. S., & SENDYK, W. R. (2012). Fresh-frozen human bone allograft in vertical ridge augmentation: clinical and tomographic evaluation of bone formation and resorption. Cell Tissue Bank, 13(4), 577-586.

52. MAZZOCCO C, BUDA S, DE PAOLI S. (2008) The tunnel technique: a different approach to block grafting procedures. The International journal of periodontics & restorative dentistry 28 (1): 45-53.

53. MELLONIG, J. T., BOWERS, G. M., & BAILEY, R. C. (1981a). Comparison of bone graft materials. Part I. New bone formation with autografts and allografts determined by Strontium-85. J Periodontol, 52(6), 291-296.

54. MELLONIG, J. T., BOWERS, G. M., & COTTON, W. R. (1981b). Comparison of bone graft materials. Part II. New bone formation with autografts and allografts: a histological evaluation. J Periodontol, 52(6), 297-302.

55. MERLI M, MOSCATELLI M, MARIOTTI G, ROTUNDO R, BERNARDELLI F, NIERI M (2014). Bone level variation after vertical ridge augmentation: resorbable barriers versus titanium-reinforced barriers. A 6-year double-blind randomized clinical trial. Int J Oral Maxillofac Implants. 29(4):905-13.

56. MILINKOVIC I, CORDARO L (2014). Are there specific indications for the different alveolar bone augmentation procedures for implant placement? A systematic review. Int J Oral Maxillofac Surg. 43(5):606-25.

57. MILLER, N., PENAUD, J., FOLIGUET, B., MEMBRE, H., AMBROSINI, P. AND PLOMBAS, M. (1996), Resorption rates of 2 commercially available bioresorbable membranes. Journal of Clinical Periodontology, 23: 1051-1059.

58. MONJE A, NART J (2022). Management and sequelae of dental implant removal. Periodontol 2000. 88: 182–201.

59. MONJE, A., PIKOS, M. A., CHAN, H. L., SUAREZ, F., GARGALLO-ALBIOL, J., HERNANDEZ-ALFARO, F., WANG, H. L. (2014). On the feasibility of utilizing allogeneic bone blocks for atrophic maxillary augmentation. Biomed Res Int, 2014, 814578.

60. MOSES, O., PITARU, S., ARTZI, Z. AND NEMCOVSKY, C.E. (2005), Healing of dehiscence-type defects in implants placed together with different barrier membranes: a comparative clinical study. Clinical Oral Implants Research, 16: 210-219.

61. NAENNI N, LIM H, PAPAGEORGIOU SN, ET AL (2019). Efficacy of lateral bone augmentation prior to implant placement: A systematic review and meta-analysis. J Clin Periodontol. 46(Suppl. 21): 287–306.

62. NISSAN, J., MARILENA, V., GROSS, O., MARDINGER, O., & CHAUSHU, G. (2012). Histomorphometric analysis following augmentation of the anterior atrophic maxilla with cancellous bone block allograft. Int J Oral Maxillofac Implants, 27(1), 84-89.

63. NKENKE E, NEUKAM FW. (2014) Autogenous bone harvesting and grafting in advanced jaw resorption: morbidity, resorption and implant survival. Eur J Oral Implantol 7 Suppl 2, S203-217.

64. ORTIZ-PUIGPELAT O, FOSKOLOS PG, BARROSO-PANELLA A, ALTUNA-FISTOLERA P, HERNÁNDEZ-ALFARO F (2024). Guided Customization and Fixation of Allogenic Cortical Lamina in Alveolar Bone Regeneration. A Case Report. Int J Periodontics Restorative Dent. 0(0):1-21.

65. ORTIZ-VIGÓN A, MARTÍNEZ-VILLA S, SUÁREZ I, VIGNOLETTI F, SANZ M (2017). Histomorphometric and immunohistochemical evaluation of collagen containing xenogeneic bone blocks used for lateral bone augmentation in staged implant placement. Int J Implant Dent. 3(1):24.

66. ORTIZ-VIGÓN A, SUÁREZ I, MARTÍNEZ-VILLA S, SANZMARTÍN I, BOLLAIN J, SANZ M (2018). Safety and performance of a novel collagenated xenogeneic bone block for lateral alveolar crest augmentation for staged implant placement. Clin Oral Impl Res. 29: 36–45.

67. PARK, Y. H., CHOI, S. H., CHO, K. S., & LEE, J. S. (2017). Dimensional alterations following vertical ridge augmentation using collagen membrane and three types of bone grafting materials: A retrospective observational study. Clin Implant Dent Relat Res, 19(4), 742-749.

68. PISTILLI R, FELICE P, PIATELLI M, NISII A, BARAUSSE C, ESPOSITO M. (2014) Blocks of autogenous bone versus xenografts for the rehabilitation of atrophic jaws with dental implants: Preliminary data from a pilot randomised controlled trial. European Journal of Oral Implantology 7, 153-171.

69. PONTE A KF (2004). The tunnel technique in bone grafting procedures: A clinical study. Int J Oral Maxillofac Implants. 19, 766.

70. RAMANAUSKAITE A, SCHWARZ F, BEGIC A, PARVINI P, GALARRAGA-VINUEZA ME, OBREJA K (2020). The influence of simultaneous lateral grafting on clinical outcomes following one-stage implant placement: a cross-sectional analysis. Int J Implant Dent. 6(1):37.

71. REGIDOR E, MORANTE S, LORENZO R, GROSS E, ORTIZVIGÓN A (2021). Clinical Efficacy in the treatment of critical defects of the alveolar ridge using cortical bone allografts. Perio Clínica 2021 / 19. 37-52

72. ROCCHIETTA, I., FERRANTINO, L. AND SIMION, M. (2018), Vertical ridge augmentation in the esthetic zone. Periodontol 2000, 77: 241-255.

73. RONDA M, REBAUDI A, TORELLI L, STACCHI C (2014). Expanded vs. dense polytetrafluoroethylene membranes in vertical ridge augmentation around dental implants: a prospective randomized controlled clinical trial. Clinical oral implants research. 25(7):859-66.

74. RONDA M, STACCHI C (2011). Management of a coronally advanced lingual flap in regenerative osseous surgery: a case series introducing a novel technique. Int J Periodontics Restorative Dent. 31(5):505-13.

75. SANZ-SÁNCHEZ I, CARRILLO DE ALBORNOZ A, FIGUERO E, ET AL (2018). Effects of lateral bone augmentation procedures on peri-implant health or disease: A systematic review and meta-analysis. Clin Oral Impl Res. 29(Suppl. 15): 18–31.

76. SANZ-SÁNCHEZ I, SANZ-MARTÍN I, ORTIZ-VIGÓN A, MOLINA A, SANZ M (2022). Complications in bone-grafting procedures: Classification and management. Periodontol 2000. 88(1):86-102.

77. SANZ-SÁNCHEZ I, ORTIZ-VIGÓN A, SANZ-MARTÍN I, FIGUERO E, SANZ M (2015). Effectiveness of Lateral Bone Augmentation on the Alveolar Crest Dimension: A Systematic Review and Meta-analysis. Journal of Dental Research. 94(9_ suppl):128S-142S.

78. SCHWARZ F, MIHATOVIC I, GHANAATI S, BECKER J. (2017) Performance and safety of collagenated xenogeneic bone block for lateral alveolar ridge augmentation and staged implant placement. A monocenter, prospective single-arm clinical study. Clinical Oral Implants Research 28, 954-960.

79. SILVA, E. R., FERRAZ, E. P., NETO, E. C., CHAUSHU, G., CHAUSHU, L., & XAVIER, S. P. (2017). Volumetric Stability of Fresh Frozen Bone Blocks in Atrophic Posterior Mandible Augmentation. J Oral Implantol, 43(1), 25-32.

80. SIMION M, FONTANA F, RASPERINI G, MAIORANA C (2004). Long-term evaluation of osseointegrated implants placed in sites augmented with sinus floor elevation associated with vertical ridge augmentation: a retrospective study of 38 consecutive implants with 1- to 7-year follow-up. Int J Periodontics Restorative Dent. 24(3):208-21.

81. SIMION M, JOVANOVIC SA, TINTI C, BENFENATI SP (2001). Long-term evaluation of osseointegrated implants inserted at

the time or after vertical ridge augmentation. A retrospective study on 123 implants with 1-5 year follow-up. Clinical oral implants research. 12(1):35-45.

82. SCHROPP L, WENZEL A, KOSTOPOULOS L, KARRING T (2003). Bone healing and soft tissue contour changes following single-tooth extraction: a clinical and radiographic 12-month prospective study. Int J Periodontics Restorative Dent. 23(4):313-23.

83. SHARAN A, MADJAR D (2008). Maxillary sinus pneumatization following extractions: a radiographic study. Int J Oral Maxillofac Implants. 23:48-56.

84. SPIN-NETO, R., LANDAZURI DEL BARRIO, R. A., PEREIRA, L. A., MARCANTONIO, R. A., MARCANTONIO, E., & MARCANTONIO, E., JR. (2013a). Clinical similarities and histological diversity comparing fresh frozen onlay bone blocks allografts and autografts in human maxillary reconstruction. Clin Implant Dent Relat Res, 15(4), 490-497.

85. SPIN-NETO, R., STAVROPOULOS, A., COLETTI, F. L., PEREIRA, L. A., MARCANTONIO, E., JR., & WENZEL, A. (2015). Remodeling of cortical and corticocancellous freshfrozen allogeneic block bone grafts--a radiographic and histomorphometric comparison to autologous bone grafts. Clin Oral Implants Res, 26(7), 747-752.

86. STAVROPOULOS A, MARCANTONIO CC, DE OLIVEIRA VXR, MARCANTONIO É JR, DE OLIVEIRA GJPL (2023). Fresh-frozen allogeneic bone blocks grafts for alveolar ridge augmentation: Biological and clinical aspects. Periodontol 2000. 93: 139-152

87. STRICKER A, FLEINER J, DARD M, VOSS P, SAUERBIER S, BOSSHARDT DD (2014). Evaluation of a new experimental model to study bone healing after ridge expansion with simultaneous implant placement – a pilot study in minipigs. Clin. Oral Impl. Res. 25, 1265–1272

88. TALLGREN A (2003). The continuing reduction of the residual alveolar ridges in complete denture wearers: a mixed longitudinal study covering 25 years. 1972. J Prosthet Dent. 89(5):427–35.

89. THOMA DS, BIENZ SP, FIGUERO E, JUNG RE, SANZ-MARTÍN I (2019). Efficacy of lateral bone augmentation performed simultaneously with dental implant placement: A systematic review and meta-analysis. J Clin Periodontol. 46(Suppl. 21): 257–276.

90. TUNKEL J, DE STAVOLA L, KLOSS-BRANDSTÄTTER A (2021). Alveolar ridge augmentation using the shell technique with allogeneic and autogenous bone plates in a split-mouth design—A retrospective case report from five patients. Clin Case Rep. 9: 947–959

91. URBAN IA, JOVANOVIC SA, LOZADA JL (2009). Vertical ridge augmentation using guided bone regeneration (GBR) in three clinical scenarios prior to implant placement: a retrospective study of 35 patients 12 to

72 months after loading. Int J Oral Maxillofac Implants. 24(3):502-10.

92. URBAN IA, LOZADA JL, JOVANOVIC SA, NAGURSKY H, NAGY K (2014). Vertical ridge augmentation with titaniumreinforced, dense-PTFE membranes and a combination of particulated autogenous bone and anorganic bovine bonederived mineral: a prospective case series in 19 patients. Int J Oral Maxillofac Implants. 29(1):185-93.

93. URBAN IA, MONJE A, WANG HL, LOZADA J, GERBER G, BAKSA G (2017A). Mandibular Regional Anatomical Landmarks and Clinical Implications for Ridge Augmentation. Int J Periodontics Restorative Dent. 37(3):347-353.

94. URBAN IA, MONJE A, LOZADA J, WANG HL (2017B). Principles for Vertical Ridge Augmentation in the Atrophic Posterior Mandible: A Technical Review. Int J Periodontics Restorative Dent. 37(5):639-645.

95. URBAN IA, MONTERO E, MONJE A, SANZ-SÁNCHEZ I (2019). Effectiveness of vertical ridge augmentation interventions: A systematic review and meta-analysis. J. Clin. Periodontol. 46(21), 319-339.

96. URBAN IA, MONTERO E, AMERIO E, PALOMBO D, MONJE A (2023). Techniques on vertical ridge augmentation: Indications and effectiveness. Periodontol 2000. 93:153-182

97. VIGNOLETTI, F., DISCEPOLI, N., MÜLLER, A., DE SANCTIS, M., MUÑOZ, F. AND SANZ, M. (2012), Bone modelling at fresh extraction sockets: immediate implant placement versus spontaneous healing. An experimental study in the beagle dog. J Clin Periodontol, 39: 91-97.

98. VON ARX T, HAFLIGER J, CHAPPUIS V. (2005) Neurosensory disturbances following bone harvesting in the symphysis: a prospective clinical study. Clin Oral Implants Res 16(4), 432-439.

99. VROOM MG, GRÜNDEMANN LJ, GALLO P (2022). Clinical Classification of Healing Complications and Management in Guided Bone Regeneration Procedures with a Nonresorbable d-PTFE Membrane. Int J Periodontics Restorative Dent. 42 (3):419-427.

100. WALLER T, HERZOG M, THOMA DS, HÜSLER J, HÄMMERLE CHF, JUNG RE (2020). Long-term clinical and radiographic results after treatment or no treatment of small buccal bone dehiscences at posterior dental implants: A randomized, controlled clinical trial. Clin Oral Impl Res. 31: 517–525.

101. ZAHEDI, S., LEGRAND, R., BRUNEL, G., ALBERT, A., DEWÉ, W., COUMANS, B. AND BERNARD, J.-P. (1998), Evaluation of a Diphenylphosphorylazide-Crosslinked Collagen Membrane for Guided Bone Regeneration in Mandibular Defects in Rats. Journal of Periodontology, 69: 1238-1246.

102. ZITZMANN NU, NAEF R, SCHÄRER P (1997). Resorbable versus nonresorbable membranes in combination with Bio-Oss for guided bone regeneration. Int J Oral Maxillofac Implants. 12(6):844-52.

DR. FRANCISCO TEIXEIRA BARBOSA

Director ejecutivo de FOR (Foundation for Oral Rehabilitation)

Apasionado de la tecnología aplicada a la Odontología, y muy especialmente de su gran familia -es padre de cinco hijos-, autodidacta, lector empedernido, amante del deporte, divulgador científico y clínico… Muchas definiciones para un mismo perfil, el del Dr. Francisco Teixeira Barbosa. Tras atravesar un bache emocional que le llevó a parar su ritmo frenético y dedicarse tiempo así mismo y a los suyos, vuelve a primera línea de batalla como director ejecutivo de FOR, el “trabajo de sus sueños”, como él mismo nos asegura, en la entrevista que nos concedió en una de sus últimas visitas a Madrid.

soy un implantólogo oral interesado en la investigación y las nuevas tecnologías en el campo de la salud oral. Esta es su descripción en la red Facebook, que me imagino tendrá ya unos años. A día de hoy, ¿seguiría manteniendo hoy en día esta misma carta de presentación?

—Mis principios y mis valores siguen siendo los mismos. La Implantología y todo lo que me interesaba hace 15 años o 16 años me sigue interesando hoy y sigue siendo parte de mi vida. Sobre todo, la investigación y la tecnología; mejor dicho, la investigación vinculada a la tecnología. La búsqueda de nuevas tecnologías y soluciones que ayuden a los odontólogos en su trabajo diario. Esto es algo que siempre me ha obsesionado e, incluso, diría que esta pasión tecnológica se ha agudizado en los últimos dos o tres años.

—¿Y de dónde le nace este interés, cosecha propia o se lo inculcaron en las aulas?

—De mi instinto de curiosidad. Empiezas investigando algo que te interesa y vas haciendo descubrimientos que alimentan más ese interés. Al final terminas, como dicen los ingleses, siendo un tech savvy, un early adopter de todo lo nuevo… La tecnología forma parte de tu vida y de tu forma de ser.

—Inquietudes que le llevaron hace unos años a crear la plataforma Periospot.

—Periospot vino en parte por eso, pero, también, por la gran frustración que sentía por no conseguir publicar en revistas de impacto. Cuando veía las anotaciones que hacían los revisores, me daba la impresión de que o no se habían leído los artículos o no los habían entendido.

Así que cuando estaba haciendo el MBA en ESADE, en 2015, planteé a mis compañeros la idea de montar una startup, una plataforma digital con contenido para odontólogos. Mis compañeros lo venían muy de nicho y con pocas opciones de ser atractiva para posibles business angels , que al fin y el cabo era lo que se pretendía, que tuviera rentabilidad y despertara

interés a potenciales inversores. Ahí se quedó la idea, pero lejos de tirar la toalla pensé en seguir adelante y financiarlo yo mismo. Aprendí de todo, desde cómo hacer una página web a crear animaciones e ilustraciones, programación... tareas no típicas de un dentista al uso. Podía haberlo externalizado, claro está, pero no tenía dinero. A base de no tener recursos, lo que haces es aprender. Y la verdad es que me gustaba. Era mi plataforma, escribía, comunicaba y compartía lo que quería, contenido que clínicamente tenía un valor inmediato y no tenía que esperar la aprobación de nadie para ver la luz. Mucha gente empezó a adherirse a Periospot y, a día de hoy, tenemos cerca de 20.000 suscriptores.

—Para quienes no conozcan esta plataforma, ¿cómo la describiría y qué cree que aporta a la comunidad odontológica?

—Una forma distinta de traducir la literatura científica, de filtrarla… Ver qué artículos son clínicamente relevantes. Poner esta literatura en un formato atractivo, escapando del modelo tradicional. Contamos una historia, pero transmitiendo conocimientos sobre aspectos clínicos. La gente rápidamente vio valor en ello. Esta buena respuesta me ha hecho tener muy claro cómo comunicar, cómo crear mi propio estilo, mi propio tono, mi propia voz… Sin embargo, Periospot es una plataforma abierta. Mis compañeros pueden escribir, pero hay que cumplir los principios y estilo de la plataforma. El objetivo es que mis colegas, nuestros colegas, tras la lectura del contenido, puedan aprender dos o tres tips que sean de aplicación inmediata su práctica clínica.

—Como seguidora de sus redes, le veo “trabajando con la tecla” desde bien temprano, correr por las calles desiertas de Basilea -ciudad suiza donde reside- o zambullirse en aguas gélidas de buena mañana.

—Hace tiempo leí el libro “The Productivity Project” en el que Chris Bailey daba unos tips de cómo identificar la hora del día en la que cada uno es más creativo. Yo me di cuenta de

«En FOR estamos trayendo a la comunidad odontológica la siguiente capa de líderes»

que mi horario más productivo era desde las 04:00 o a 05:00 hs hasta que se levantan los niños. Es mi forma de trabajar. Sé que a veces es contraproducente porque al final la gente empieza a trabajar a las 9:00 hs. y yo también tengo que estar. Muchas veces las reuniones son con Estados Unidos, son por la tarde y tienes que estar. No es fácil.

Además, es muy importante mantener el equilibrio porque todo esto te puede hacer pagar un peaje mental grande. Para poder llegar a todo, para mí es clave cuidar la parte física, hacer deporte siempre que puedo. Después de correr, bañarme en el río me despierta. Es como un reinicio del día y mi forma de renacer.

Tengo cinco hijos, con edades muy diferentes y con necesidades muy distintas. Con 30 años, viajaba más, hacía más congresos. Me apuntaba a todo. Ahora mismo mi prioridad es estar el máximo tiempo posible con mis hijos.

—¿Cómo ha visto que ha revolucionado la tecnología estos últimos años la práctica clínica odontológica?

—Los distintos colectivos del sector se lo están tomando como una amenaza. A nivel global, ya pasó con Internet, con el teléfono, con otras tecnologías disruptivas. Aquellas que Peter Thiel define como innovaciones horizontales. La inteligencia artificial es otra tecnología disruptiva que está creando mucha incertidumbre en muchos sectores y ya estamos viendo su impacto real en ellos. Los modelos de inteligencia artificial que están saliendo son cada vez mejores, impresionantes. Ves que va a llegar un momento en que, quizás, los metanálisis y las revisiones sistemáticas las van a hacer este tipo de modelos. Una amenaza para mucha

gente. Algo que vale también si hablamos de robótica. Ray Kurzweil lo explicó muy bien con su término “singularidad”. Los modelos de inteligencia artificial empezarán a tener identidad propia. Algo que, de alguna forma, ya vemos algunas veces cuando interaccionamos con ChatGPT, por ejemplo. Asimismo, Kurzweil nos advierte que en este siglo vamos a tener un 125% más de progreso a nivel tecnológico que en el siglo pasado. Es decir, esto no ha hecho más que empezar. Nick Bostrom en el libro “Superintelligence” nos habla del concepto de AGI (inteligencia artificial general), que es una inteligencia artificial superior a la que tenemos ahora, la superinteligencia artificial… Lo veíamos como algo que llegaría en 2050 o en 2060, pero con las evoluciones que hemos tenido en los últimos dos años ya se dice que antes de 2030 puede que tengamos esa AGI, un tipo de inteligencia que haga prácticamente tu trabajo.

A nosotros toda esta tecnología ya nos está impactando. Los odontólogos tenemos inteligencia artificial que hace planificaciones de ortodoncia, que hace planificaciones de implantes… Todo ello supervisado por un humano. El odontólogo tiene siempre la palabra final.

El nivel de precisión de estos modelos es cada vez más grande y va a llegar un momento que vamos a tener que admitir que quizás las máquinas sean mejores que nosotros. De momento, seguimos con el concepto “Better together” al que hace mención Agrawal en su libro Prediction Machines. Es decir, la toma de decisiones con los datos de la inteligencia artificial y la inteligencia humana. No obstante, esto puede llegar a cambiar: ¿puede la inteligencia artificial llegar a ser más potente que nuestro propio razonamiento? Nosotros tenemos el componente humano, que, de momento, las máquinas no tienen, aunque hay también algunos proyectos interesantes en este aspecto.

—¿Y qué recomendaciones o qué consejos les daría a esos colegas que ven la tecnología más como una amenaza que como una oportunidad?

—Más que hacer una resistencia total, aconsejo mirar al pasado y repasar los ejemplos de

La guía definitiva para perfeccionar la estética periimplantaria

Transforma tu práctica clínica con este Best Seller

Conviértete en un experto en cirugía de implantes con este libro de 2 volúmenes, que ofrece tratamientos innovadores y tradicionales para abordar cada situación, incluidos los casos clínicos “imposibles”.

Organiza:
Impulsa:

“resistencia al cambio”. Hemos visto muchas veces cómo personas muy inteligentes o líderes mundiales se han equivocado. Steve Ballmer, director ejecutivo en su día en Microsoft, cuando le preguntaron sobre el iPhone rompió a carcajadas al ver un teléfono sin teclado, augurando su fracaso. Nuestras creencias, las de todos, ya sea a nivel científico, político o social, son muy difíciles de cambiar, pero tenemos que cuestionarnos absolutamente todo. Es un ejercicio muy sano. Mi recomendación para los que tienen esa resistencia a las nuevas tecnologías es que cuestionen esa resistencia porque les va a ayudar a no sentirse arrepentidos unos años después.

—Usted que tiene una visión muy internacional, ¿cómo ve la Odontología española en esta carrera o en esta realidad digital que vivimos?

—En la Odontología española tenemos un problema a nivel de desarrollo y en el uso de

inteligencia artificial ya que estamos dentro del marco regulatorio de la Unión Europea, que es muy restrictivo comparado con otros mercados como el estadounidense o el chino, que nos llevan una ventaja tremenda. Con lo cual ahí tenemos una barrera legal o regulatoria muy grande que va a ser un gran problema a nivel competitivo. Estas regulaciones están poniendo puertas al campo y están dificultando la creación de startups que se enfoquen en esta nueva ola.

—Y en este avance sin freno tecnológico, ¿es capaz de imaginar cómo va a ser la Odontología del futuro?

—Creo que se va a producir un fenómeno cíclico. Cuando se alcance un pico en la automatización, en la que todo sea posible, va a haber también una demanda de lo humano, una necesidad de interacción con el profesional. Un efecto similar a lo que ocurrió durante la pandemia. Se pasó de un modelo de ir a la

FRANCISCO TEIXEIRA BARBOSA, TAMBIÉN EN GDENTALK

Además de esta entrevista, el Dr. Francisco Teixeira participó recientemente en el episodio 24 de nuestro podcast Gdentalk, donde conversó con el Dr. Simón Pardiñas y Adrián Beloki sobre un tema que cada vez despierta más interés en el sector: la compatibilización entre la práctica clínica y el trabajo en la industria dental.

A lo largo de la charla, abordaron cuestiones clave como las oportunidades profesionales que ofrece este camino, los desafíos de compaginar ambas facetas y el valor que aporta la experiencia clínica al desarrollo de nuevos productos y tecnologías.

Simón Pardiñas, Adrián Beloki y Francisco Teixeira, durante la grabación del episodio de GDentalk.

Si te interesa profundizar en este enfoque y conocer su visión de primera mano, puedes encontrar este episodio en YouTube y las principales plataformas de podcast.

oficina todos los días a trabajar desde casa. Pero, con el tiempo, nos hemos dado cuenta de que nos gusta ir a la oficina, tomar un café con los compañeros, estar con el equipo, interaccionar… Pues este mismo efecto, va a pasar con la tecnología.

Hay partes que tú no puedes automatizar, muy difíciles de sustituir… Tú necesitas hablar con el paciente, explicarle su tratamiento y empatizar con él.

Más que en lo digital, me enfocaría en la parte

Dr. Francisco Teixeira Barbosa. PROTAGONISTAS
«El marco regulatorio tan restrictivo de la UE sobre el desarrollo y uso de la inteligencia artificial está dificultando la creación de startups enfocadas en esta nueva ola»

—Hace unos años hizo las maletas y se trasladó con su familia a Suiza a vivir atendiendo a la llamada de Straumann. Y precisamente en este país acaba de añadir la última línea de su currículum. A finales de 2024, se anunciaba su nombramiento como executive director de FOR (Foundation for Oral Rehabilitation). ¿Qué supone para usted llevar las riendas de esta organización y qué objetivos se ha marcado al frente de la misma?

—Es un proyecto que me apasiona porque sus pilares básicos concuerdan conmigo a la perfección: ciencia, educación, humanitario y liderazgo.

Cuando se me presentó el proyecto, pensé que era mi trabajo soñado. Es donde quiero estar y donde creo que puedo aportar a todos los niveles, sobre todo, con la visión de traer nuevas tecnologías y talentos y atraer a las nuevas generaciones, en el marco de una fundación sin ánimo de lucro.

Tenemos como obsesión encontrar las mejores guidelines de forma que podamos contribuir a que los clínicos puedan proporcionar a sus pacientes el mejor tratamiento y el mejor cuidado posible basado en lo último de la evidencia científica.

—Y para quienes no conozcan FOR, ¿cómo la presentaría?

—En FOR lo que intentamos es crear best practices , es decir, las mejores prácticas

clínicas basadas en evidencia científica, creando contenido de alto valor y conceptos de educación accesibles a la comunidad dental a nivel internacional. También tenemos programas específicos de desarrollo de jóvenes, como el Emerging Leader Program , gracias al cual cada dos años formamos a jóvenes con potencial en publicaciones científicas, en divulgación… Les damos la oportunidad de innovar, de intervenir en el desarrollo de los productos, de comunicar… Personas que, al final, al margen de la práctica clínica, orientan su carrera hacia una corriente más divulgativa, más científica, más educacional, más académica… En definitiva, les damos una nueva perspectiva de la Odontología. Y esto es realmente bonito. Estamos trayendo a la comunidad odontológica la siguiente capa de líderes. Y esto es algo que nos enorgullece muchísimo.

El próximo 29 de mayo vamos a celebrar un simposio en Las Vegas con destacados ponentes, profesionales de todo el mundo que forman parte de la Fundación, que cursaron su programa de liderazgo… Un punto de encuentro donde habrá una puesta en común de experiencia y conocimiento en el campo de la rehabilitación oral.

—¿Echa de menos la práctica clínica?

—No exactamente. De hecho, la semana que viene, el martes y el miércoles voy a estar operando a pacientes de la Fundación. A través de organizaciones como Cruz Roja o Caritas, tratamos y rehabilitamos pacientes con dificultades de acceso a la atención bucodental.

Al margen de la satisfacción que genera poder ayudar a la gente de un modo altruista, me gusta más ahora la práctica que cuando tenía la clínica. Ahí tenía la presión económicafinanciera, la presión de llevar una empresa, la presión de coordinar personal… todos esos quebraderos de cabeza que al final hace que pierdas creatividad.

En mi caso, la actividad emprendedora en España no fue fácil. El sistema pone demasiadas trabas al emprendedor. ●

Urgencias médicas en la clínica dental: pasos clave para una respuesta eficaz

En cualquier práctica dental, la seguridad del paciente debe ser una prioridad. Sin embargo, a pesar de las medidas preventivas, pueden surgir situaciones críticas que requieran una actuación inmediata. Desde reacciones alérgicas hasta síncopes o incluso paros cardíacos, las urgencias médicas en la clínica dental son una realidad para la que todo el equipo debe estar preparado. En este sentido, ¿cómo puede prepararse el equipo para este tipo de situaciones? ¿Con qué equipamiento hay que contar?

¿Qué formación debe tener el grupo de trabajo de la clínica para afrontar con garantías casos de este tipo?

Freepik/DC Studio.

Entre las emergencias médicas más comunes en una clínica dental se encuentran el síncope o desmayo, la hipotensión postural, las reacciones a la epinefrina, la hipoglucemia, las reacciones alérgicas y los problemas cardiovasculares

Así lo señala el Consejo General de Dentistas de España en su Guía de urgencias médicas en la clínica dental, elaborada en colaboración con la Federación Dental Española (FDE), donde se subraya la importancia de disponer de protocolos claros y efectivos para actuar rápidamente y reducir los riesgos asociados.

La guía enfatiza que todos los dentistas y su equipo deben estar

«Un historial médico completo, revisado y actualizado en cada visita, es crucial para identificar riesgos potenciales»

preparados para manejar estas situaciones con el conocimiento y las herramientas adecuadas. Esto implica, además de la capacitación en técnicas de soporte vital básico (SVB), disponer de un kit de emergencia actualizado y localizado en un lugar accesible dentro de la clínica. También se recomienda realizar simulacros periódicos que permitan a todo el equipo dental practicar los diferentes roles asignados en una situación de emergencia, garantizando una reacción rápida y efectiva, incluso en ausencia de algún miembro clave. Según la guía, un historial médico completo, revisado y actualizado en cada visita, es crucial para identificar riesgos potenciales. Además,

El Dr. Stevens Salva, médico anestesiólogo y colaborador en la elaboración de la «Guía de Urgencias Médicas en la Clínica Dental» junto al Colegio Oficial de Odontólogos y Estomatólogos de Cataluña (COEC). Imagen: cedida por el Dr. Salva.

«Contar con protocolos en caso de emergencia es clave para mejorar la coordinación y reducir tiempos de respuesta»
Dr. Stevens Salva

contar con un desfibrilador externo automático (DEA) y dispositivos como un pulsioxímetro y un medidor de glucosa en sangre puede marcar la diferencia en situaciones críticas. En este sentido, la preparación del equipo de la clínica dental

es fundamental para afrontar emergencias médicas con eficacia. «Aunque son poco frecuentes, situaciones críticas, como las paradas cardiorrespiratorias, pueden presentarse en este entorno, y la respuesta adecuada puede marcar la diferencia», explica el Dr. Stevens Salva, médico anestesiólogo y colaborador de la «Guía de Urgencias Médicas en la Clínica Dental» editada por el Colegio Oficial de Odontólogos y Estomatólogos de Cataluña (COEC).

Para garantizar una respuesta óptima en este tipo de situaciones, el Dr. Salva ve necesaria «la divulgación de la necesidad y el deber ético de estar preparado, el uso de guías específicas para el sector dental y la organización de cursos de simulación de alta fidelidad. Estos últimos son fundamentales, ya que permiten recrear situaciones reales del entorno odontológico, incluyendo no solo maniobras de reanimación cardiopulmonar, sino también el manejo de fármacos y dispositivos esenciales adaptados a este contexto».

Además de una formación adecuada, el Dr. Salva enfatiza que «las clínicas dentales deben contar con recursos básicos para garantizar la seguridad del paciente en situaciones críticas». Entre ellos, menciona «los dispositivos esenciales como desfibriladores, tensiómetros, pulsioxímetros y glucómetros, ya que permiten una atención inicial que puede marcar una diferencia vital». Asimismo, destaca «la importancia de disponer de maletines de primeros auxilios y medicamentos básicos para emergencias. La implementación de estas herramientas debe ir acompañada de manuales de incidentes específicos para clínicas

SEAMOS CLAROS,

¿HACEMOS LA MEJOR PRÓTESIS DEL MUNDO? SEGURO QUE NO

¿TENEMOS EL PRECIO MÁS BARATO DEL SECTOR? SABEMOS QUE NO

Lo que SÍ sabemos con absoluta rotundidad es que:

El número de Clientes que nos eligen como su proveedor crece mes a mes

El número de Clientes que se mantienen a nuestro lado no deja de aumentar

El número de Clientes satisfechos con nuestro servicio es cada día mayor

Y nos decimos…. POR ALGO SERÁ

Sabemos que nuestro sistema funciona y es bueno para nuestros Clientes, por eso no trabajamos para mantenerlo. si no... PARA MEJORARLO CADA DÍA.

dentales, diseñados para ser concisos, prácticos y fáciles de consultar».

Otro aspecto esencial señalado por el anestesiólogo es «la necesidad de establecer sistemas de comunicación efectivos dentro de la clínica. Contar con protocolos claros para alertar, de manera rápida y precisa, al equipo en caso de emergencia, es clave para mejorar la coordinación y reducir tiempos

de respuesta». El compromiso con una formación continua que incluya simulacros periódicos y actualizaciones sobre el manejo de emergencias es, según el Dr. Salva, «el paso más efectivo para maximizar la eficacia ante crisis médicas. Un equipo bien preparado no solo actúa con mayor rapidez, sino que aporta un valor social incalculable al incorporar la gestión de emergencias a su práctica habitual».

ROLES EN LA GESTIÓN DE URGENCIAS MÉDICAS EN LA CLÍNICA DENTAL

Una respuesta eficaz ante una emergencia médica en una clínica dental depende de la preparación previa y de la coordinación entre los distintos miembros del equipo. De esta manera, el Dr. Stevens Salva señala que cada miembro del equipo debe tener un rol claro y definido para actuar con rapidez y precisión:

-Odontólogo. Lidera la crisis, evaluando la situación, tomando decisiones críticas e indicando procedimientos como la RCP o la administración de medicamentos. Además, coordina con los servicios médicos de urgencia (112) en caso necesario.

-Higienista dental. Apoya en la evaluación inicial, prepara el área para la atención de emergencia, realiza compresiones durante la RCP y asiste en la ventilación. También ayuda a coordinar las tareas con otros miembros del equipo.

-Auxiliar dental. Proporciona apoyo directo al odontólogo y al higienista, garantizando la disponibilidad inmediata de equipos y suministros esenciales, como el desfibrilador y el maletín de primeros auxilios. También colabora en la monitorización de signos vitales y en la administración de oxígeno o medicamentos.

-Recepcionista o personal administrativo. Activa el protocolo de emergencia, contacta con los servicios de emergencia, gestiona la comunicación con los familiares del paciente y asegura que la información proporcionada a los servicios médicos sea precisa para optimizar su respuesta.

-Personal de apoyo (si está disponible). Apoya al equipo en tareas secundarias, como reubicar a otros pacientes y obtener suministros adicionales.

Como subraya el Dr. Salva, en este tipo de situaciones «debe quedar muy claro que todos estos protocolos deben ponerse en práctica con antelación y que deben repasarse cíclicamente. Tener una emergencia médica sin preparación es totalmente inadecuado y redundará en una mala calidad de atención, incidiendo en un peor desenlace, desde secuelas que pueden variar en gravedad, pero que dejarán consecuencias, o, incluso, el fallecimiento del paciente».

PROTOCOLO BÁSICO DE ACTUACIÓN ANTE UNA URGENCIA

MÉDICA

Identificar los signos de alarma es fundamental para activar un protocolo de emergencia. Emilio Benito García, supervisor y jefe de la Unidad de Apoyo Jurídico en SAMUR-Protección Civil, destaca que, entre los síntomas iniciales que requieren una intervención rápida por parte del equipo, se encuentran «el mareo, la sensación nauseosa, el dolor precordial, la desorientación brusca, la disartria, la desviación de la comisura labial y las parestesias o pérdida de fuerza en extremidades». En este sentido, contar con un protocolo básico de actuación es esencial para manejar, de manera eficaz, las emergencias hasta la llegada de los equipos médicos. Según el supervisor de SAMUR-Protección Civil, ante una urgencia que requiere atención rápida, «lo primero que se debe hacer es llamar al 112 y comunicar el estado del paciente. Para ello, hay que aportar información clave como la edad del paciente, su estado de consciencia utilizando el test AVDN (que evalúa si el paciente está alerta, responde a órdenes verbales, reacciona solo al dolor o no responde en absoluto), y observar la respiración, prestando atención a los movimientos torácicos y la eficacia respiratoria, incluyendo el color de la piel y las mucosas. Además, es importante verificar la presencia o ausencia de pulso radial, describir los pródromos o inicio del cuadro clínico, especialmente si coincide con la administración de anestesia o medicación, y detallar cualquier enfermedad o alergia conocida». El segundo paso será comprobar si el paciente respira y tiene pulso. El supervisor de SAMUR-Protección

«Los dispositivos de monitoreo permiten medir de manera continua y precisa parámetros como la presión arterial, la frecuencia cardíaca y la saturación de oxígeno con equipos sencillos, accesibles y de bajo mantenimiento»

Civil explica que «en caso afirmativo, hay que colocarlo en posición de seguridad, de manera lateral, en la camilla o en el suelo. Si no respira y no tiene pulso, hay que comenzar las maniobras de reanimación cardiopulmonar (RCP) hasta la llegada de los equipos de urgencia o recuperación del pulso. Entre estas maniobras se encuentran el masaje cardíaco, la colocación

Freepik/gpointstudio.
«Son necesarias las actualizaciones cada cinco años, como máximo, para garantizar una actuación eficaz en cualquier emergencia»
Emilio Benito García

del desfibrilador siguiendo las instrucciones del propio dispositivo y el personal sanitario de manera transtelefónica y la ventilación con mascarilla con oxígeno».

Para el último paso, Emilio Benito indica que, «en caso de que exista

oclusión de la vía aérea por cuerpo extraño (OVACE), será necesario disponer de herramientas específicas para esta maniobra, como un laringoscopio y pinzas de Magill». Asimismo, como señala el especialista, «para minimizar el riesgo de que se presenten emergencias, es fundamental el entrenamiento y formación del personal para detectarlas, así como realizar un estudio y anamnesis exhaustiva del paciente antes de medicar y someterle al estrés de la técnica». En cuanto a formación del personal, «todo el equipo debe estar capacitado en Reanimación Cardiopulmonar (RCP) Básica como mínimo, y en RCP Avanzada si se trata de un centro quirúrgico». Además, insiste en la necesidad de «actualizaciones cada cinco años, como máximo, para garantizar una actuación eficaz en cualquier emergencia».

EQUIPAMIENTO CLAVE EN CLÍNICAS DENTALES

El equipamiento esencial en una clínica dental debe garantizar la capacidad de respuesta ante emergencias médicas, cumpliendo tanto con la normativa vigente como con las necesidades prácticas del entorno odontológico. Según la Guía de Urgencias Médicas en la Clínica Dental, elaborada por el Consejo General de Dentistas y la FDE, es fundamental contar con un maletín de urgencias que incluya materiales y fármacos indispensables para atender situaciones críticas de manera efectiva.

Entre los elementos materiales recomendados destacan el desfibrilador externo automático, glucómetro, jeringas desechables, oxígeno, esfigmomanómetro,

Emilio Benito García, supervisor de SAMUR-Protección Civil y jefe de la Unidad de Apoyo Jurídico. Imagen: cedida por Emilio Benito García.
«Una respuesta eficaz ante una emergencia médica en una clínica dental depende de la preparación previa y de la coordinación entre los distintos miembros del equipo» A

en cada una de ellas», recuerda el supervisor de SAMUR-Protección Civil, quien recomienda respecto al material, «seguir la clasificación realizada por la normativa y que las herramientas con las que se dote cada clínica sea acorde al nivel de técnica que vayan a utilizar». Según la normativa de la Comunidad de Madrid, por ejemplo, «las clínicas deben contar con dispositivos para soporte vital básico». Además, subraya «la importancia de disponer de un desfibrilador automático o semiautomático, un equipo clave, aunque no siempre exigido en la normativa general.

fonendoscopio y saturímetro. Estos equipos permiten monitorizar l os signos vitales y estabilizar al paciente en situaciones de emergencia, asegurando un manejo adecuado mientras llegan los servicios de emergencia. En cuanto a los fármacos, la guía subraya la importancia de tener disponibles: adrenalina 1:1.000, broncodilatadores inhaladores, hidrocortisona inyectable, glucagón, aspirina masticable, diazepam en supositorio y nitroglicerina en spray sublingual. Cada uno de estos medicamentos tiene indicaciones específicas que abarcan desde crisis asmáticas y reacciones anafilácticas hasta infartos de miocardio y crisis epilépticas.

«La regulación en España establece que las clínicas dentales están catalogadas como Centros Sanitarios C.2.5.1, conforme al Real Decreto 1277/2003, de 10 de octubre, que fija las bases generales sobre la autorización de centros, servicios y establecimientos sanitarios. Del mismo modo, las distintas comunidades autónomas han regulado aspectos concretos

LA TECNOLOGÍA

COMO ALIADA EN LA GESTIÓN DE URGENCIAS MÉDICAS

Desde la perspectiva del Dr. Stevens Salva, la tecnología actual desempeña un papel fundamental en la mejora de la respuesta ante urgencias médicas en la clínica dental. El especialista destaca que «los dispositivos de monitoreo han evolucionado significativamente, permitiendo medir de manera continua y precisa parámetros como la presión arterial, la frecuencia cardíaca y la saturación de oxígeno con equipos sencillos, accesibles y de bajo mantenimiento, como los pulsioxímetros de dedo». Estas herramientas permiten identificar cambios críticos en tiempo real, facilitando intervenciones oportunas que podrían marcar la diferencia. Además, el Dr. Salva subraya la importancia de las aplicaciones móviles que guían en situaciones de emergencia, asegurando que no se omita ningún procedimiento crucial. «Estas aplicaciones utilizan la metodología CRM (Crisis Resource Management) con ayudas cognitivas

que te guían, paso a paso, para hacer frente a estas situaciones», explica. La telemedicina también surge como una herramienta complementaria, especialmente útil en áreas con acceso limitado a servicios médicos. «Actualmente no conocemos de ninguna iniciativa dirigida al sector dental, sin embargo, una llamada al 112 puede proporcionar soporte inmediato y especializado en caso de urgencia», añade el Dr. Salva. Finalmente, destaca los simuladores de entrenamiento de alta fidelidad que permiten al equipo dental practicar respuestas a emergencias en entornos controlados y realistas.

«Estamos desarrollando un programa enfocado exclusivamente en el sector dental, que replicará situaciones críticas en un contexto específico para optimizar la preparación del personal clínico». Asimismo, menciona los dispositivos de resucitación, cada vez más actualizados. «Los dispositivos actuales de RCP son pequeños, fáciles de usar y altamente seguros. Siguiendo las señales visuales y auditivas, una persona con un sencillo entrenamiento puede usarlo de

«Los simuladores de entrenamiento de alta fidelidad permiten al equipo dental practicar respuestas a emergencias en entornos controlados y realistas»

manera óptima. Algunos, incluso, incluyen dispositivos para medir en tiempo real si estamos haciendo la maniobra correctamente».

«Al incorporar estas tecnologías en la práctica dental, se puede mejorar la capacidad de respuesta ante emergencias médicas, lo que, a su vez, contribuye a la seguridad y bienestar de los pacientes. La clave es asegurarse de que todo el equipo esté capacitado en el uso de estas herramientas y que se integren de manera efectiva en los protocolos existentes», concluye. ●

En BUSCA de LA EXCELENCIA

Turbinas | Contra ángulos | Piezas de mano

Descubre las ventajas de comprar en La Tienda Gaceta Dental

Disponemos de más de 200 libros de Odontología para perfeccionar tu formación como dentista. Incorporamos novedades editoriales cada mes.

Asesoramiento preventa y posventa, envío gratuito en península y devolución gratuita hasta 14 días.

5% descuento

Impulsa:

A la última

Alández Odontología

Lo que comenzó en 2018 como un proyecto con raíces sólidas en la excelencia odontológica, hoy es una clínica referente en innovación, sostenibilidad y digitalización. Alández Odontología ha sabido evolucionar de forma estratégica, apostando por la formación continua, la optimización de sus procesos y la mejora del entorno para ofrecer a sus pacientes un servicio de vanguardia. Con una reciente renovación de sus instalaciones y una visión clara de futuro, un equipo eminentemente femenino, capitaneado por las Dras. Mari Cruz Frías, Margarita Vázquez y Cristina Alández, sigue impulsando la Odontología hacia un modelo más eficiente, tecnológico y sostenible.

Fue en 2018 cuando Alández Odontología abrió sus puertas por primera vez en Madrid. Una clínica nacida de la mano de tres especialistas altamente cualificadas en Odontología, las Dras. M. Cruz Frías, Margarita Vázquez y Cristina Alández, quienes decidieron embarcarse en esta emocionante y prometedora etapa gracias a la amplia experiencia con la que ya contaban por aquel entonces. En los inicios de la clínica, la figura de su mentor, el Dr. Javier Alández, fue clave. Así lo corroboran ellas

mismas: «Desde nuestros inicios aplicamos un protocolo que asentó sólidamente hace más de 30 años el Dr. Javier Alández, impulsor de la Clínica Perio. Principalmente consiste en asentar rutinas precisas en todos los tratamientos y procedimientos, para lograr una alta eficiencia en el ámbito de la Periodoncia, la Implantología, la carga inmediata, la prótesis implantosoportada y la Estética Dental. Los resultados son de éxito reconocido gracias al adecuado restablecimiento y la limitación de la incidencia de patologías, y se ven reforzados mediante la prevención

Alández Odontología. A LA ÚLTIMA

Un gran equipo, eminentemente femenino, conforma Alández Odontología, una clínica donde se apuesta por la formación, la tecnología, la sostenibilidad y la atención excelente al paciente. En la foto superior, el equipo al completo; en la imagen inferior, las Dras. Cristina Alández, M. Cruz Frías y Margarita Vázquez. Imágenes: cedidas por Alández Odontología.

eficaz, la pedagogía al paciente y el mantenimiento periódico».

Pero, además, destacan, «con el Dr. Javier Alández aprendimos a no escatimar dedicación al paciente y a esforzarnos por una buena relación entre compañeros, basada en la confianza mutua, la comunicación efectiva y el respeto. Todo esto tiene un impacto significativo en la calidad de la atención odontológica, el servicio de excelencia y la satisfacción del paciente».

Un paciente que, como no podría ser de otra manera, es el centro de todo dentro de la clínica. Tanto es así que, desde el primer contacto, en Alández Odontología se prioriza al máximo la cercanía para ofrecer una atención plena y continuada con diagnóstico integral desde el TAC inicial y las pruebas de imagen.

«Nos orientamos hacia la limitación temprana de la incidencia de patologías y al adecuado restablecimiento. Exponemos al paciente las mejores técnicas, ya sean convencionales o innovadoras,

que se ajusten mejor a su situación, pero siempre adaptativas, con el objetivo de que lo comprenda y pueda formar parte de la toma de decisiones. También llevamos en nuestro ADN promover en el paciente el mantenimiento periódico y el cuidado autónomo», añaden las Dras. M. Cruz Frías, Margarita Vázquez y Cristina Alández.

Además, «en ámbitos transversales, ofrecemos espacios diferenciados pero abiertos, diseñados para el confort del paciente, con óptima calidad térmica y aire limpio independizado en cada entorno. Promovemos el cuidado de la luz natural, la minimización del ruido, aromas agradables y el bienestar emocional. Las instalaciones de aerotermia y geotermia con suelo radiante completan el conjunto bioclimático y sostenible que es nuestra clínica de Santísima Trinidad 30», cuentan.

Y para que el cuidado al paciente sea redondo, el equipo humano que forma parte de Alández

En Alández Odontología se prioriza al máximo la cercanía para ofrecer una atención plena y continuada con diagnóstico integral desde el TAC inicial y las pruebas de imagen.
Gaceta

Por favor, den la bienvenida a nuestro NUEVO sillón dental

Sillón dental HEKA+

Más que solo una pieza de mobiliario elegante, encarna el concepto danés de «hygge», creando una sensación de seguridad, relajación y cuidado tanto para los pacientes como para los equipos de tratamiento.

Heka

EL VALOR DE LA FORMACIÓN

En un sector en constante evolución, la formación continua del equipo no podía quedarse atrás. «Fomentamos el aprendizaje constante mediante la asistencia a congresos, cursos y seminarios de vanguardia en Odontología. Además, organizamos sesiones internas de actualización, donde compartimos casos clínicos y debatimos sobre nuevas técnicas y materiales. Creemos en la especialización como un camino hacia la excelencia, por lo que incentivamos a nuestro equipo a profundizar en sus áreas de interés mediante másteres y certificaciones avanzadas. Nuestro compromiso con la formación no solo mejora la calidad del servicio, sino que también motiva y enriquece profesionalmente a cada miembro del equipo», manifiestan. Y como profesionales comprometidas con la formación, con los pacientes… y al ritmo tan rápido que evoluciona todo, ¿cómo ven las tres doctoras el futuro de la Odontología?: «Incluso en los momentos más volátiles de los últimos años, vemos que la Odontología que ha sido capaz de mantener el rumbo hacia el éxito, siempre llevaba vinculada la excelencia en el servicio. En nuestro caso, para mantener la excelencia en el servicio, hemos apostado por un modelo de crecimiento trasversal basado en la estrategia, y no crecer por impulsos en áreas concretas: así avanzamos de forma sostenible en un proceso equilibrado y simplificado sin que se generen cuellos de botella». Por todo ello, «llevamos siempre en nuestra estrategia la formación continuada, las nuevas técnicas y avances en Odontología, y nos rodeamos de buenos profesionales en el ámbito de la gestión y la regulación normativa. Invertimos en innovación, sostenibilidad y eficiencia. Y, por supuesto, tenemos absoluta confianza en cada miembro del equipo y en sus capacidades. Todo ello se revierte en última instancia en nuestro proyecto, en nuestros pacientes y en nuestro equipo».

Odontología es fundamental. Un equipo donde la presencia femenina es clara, ya que está formado por 17 mujeres con cerca de 20 años de experiencia trabajando en común. Tambien cuentan con dos doctores externos, dos anestesistas y varios profesionales para la gestión y el mantenimiento de las instalaciones. Asimismo, «en otra línea, cada año contamos con jóvenes doctores y doctoras que quieren completar con nosotros su experiencia profesional y que se unen puntualmente mediante acuerdos de formación», cuentan las fundadoras de la clínica.

LA ODONTOLOGÍA DIGITAL, UNA REALIDAD EN LA CLÍNICA

Para conseguir los tratamientos más efectivos y exitosos, la digitalización es primordial dentro de Alández Odontología. «La Odontología Digital ha transformado la manera en que diagnosticamos y tratamos a nuestros pacientes, mejorando la precisión, la comodidad y los resultados. En nuestra clínica apostamos por la innovación y contamos con tecnología de vanguardia para ofrecer tratamientos más eficaces y predecibles», subrayan.

En este sentido, cuentan, «disponemos de tres escáneres intraorales 3D, uno de ellos con tecnología de fotogrametría, que nos permiten tomar impresiones digitales de la boca sin necesidad de usar moldes tradicionales, mejorando la experiencia del paciente y la exactitud de las prótesis y alineadores. También utilizamos radiografías digitales y CBCT (tomografía computarizada de haz cónico), que nos proporcionan imágenes detalladas en alta resolución para un diagnóstico preciso en Implantología, Ortodoncia y Cirugía

«En nuestra clínica apostamos por la innovación y contamos con tecnología de vanguardia para ofrecer tratamientos más eficaces y predecibles»

Oral. Para la planificación estética utilizamos software de diseño de sonrisa (SmileCloud), que nos permite previsualizar digitalmente el resultado del tratamiento antes de comenzar. Esto no solo ayuda a que el paciente pueda ver cómo quedará su sonrisa, sino que también nos permite personalizar cada detalle y lograr resultados altamente estéticos y naturales».

En el área quirúrgica, cuentan con un software de planificación para cirugía guiada por ordenador (CoDiagnostix), que permite colocar implantes dentales con una precisión milimétrica. Gracias a esta tecnología pueden realizar procedimientos mínimamente invasivos, reduciendo el tiempo quirúrgico, el postoperatorio y ofreciendo mayor seguridad tanto para el paciente como para el profesional.

En el área de rehabilitación y estética, trabajan con CAD/CAM, que permite diseñar y fabricar restauraciones como coronas y carillas en el mismo día, reduciendo tiempos de espera y garantizando un ajuste y estética óptimos. «Además, la planificación digital en ortodoncia invisible nos ayuda a personalizar

Para conseguir los tratamientos más efectivos y exitosos, la digitalización juega un papel primordial dentro de Alández Odontología.

al máximo cada tratamiento, asegurando resultados predecibles y satisfactorios», añaden las Dras. M. Cruz Frías, Margarita Vázquez y Cristina Alández.

LA COMUNICACIÓN, CLAVE PARA MANTENER

INFORMADOS A LOS PACIENTES

Además de la apuesta por la digitalización, en Alández Odontología tienen muy cuenta que «la comunicación con nuestros pacientes es clave para generar confianza y mantenerlos informados sobre los avances en Odontología. Utilizamos diversos canales, como información audiovisual interna, redes sociales y nuestra web, donde compartimos información sobre nuevos tratamientos, consejos de salud bucodental y testimonios de pacientes. Además, organizamos charlas educativas y estancias clínicas en la consulta para resolver dudas en un ambiente cercano».

Sobre las redes sociales, apostillan que «se han convertido en una herramienta esencial en nuestra relación con los pacientes. Gestionamos nuestra presencia digital de forma estratégica, ofreciendo contenido educativo, novedades sobre la clínica y respuestas a dudas frecuentes. Instagram, Facebook y TikTok nos permiten humanizar nuestra marca, mostrando el día a día en la clínica y generando cercanía con nuestros seguidores. Las redes no solo nos ayudan a captar nuevos pacientes, sino que también fortalecen la fidelización y permiten que nuestra comunidad crezca informada y confiada en la atención que ofrecemos».

«También creemos en la colaboración y el intercambio de conocimientos con nuestros colegas de profesión. Publicamos artículos en revistas especializadas, participamos en congresos y

UN PASO MÁS HACIA LA ODONTOLOGÍA SOSTENIBLE

Tecnología, comunicación, gestión… Y también sostenibilidad. Desde Alández Odontología también cuidan mucho esta parcela. Tanto es así que, como detallan las expertas, «hemos enfocado el cambio para evolucionar hacia la reducción de los impactos que nuestro servicio puede provocar sobre el medio ambiente durante todas las etapas del mismo».

Así, explican, «con la nueva clínica crecemos hacia una mayor sostenibilidad, porque mantenemos el objetivo de dar un servicio de excelencia a nuestros pacientes y nuestra comunidad, garantizamos el crecimiento profesional y personal de nuestro equipo y sus familias; y nuestros pacientes al salir han dejado una huella muy limitada en el entorno próximo y el medio ambiente. Para lograrlo, hemos dedicado especial atención y esfuerzo a localizar un espacio adecuado y especialistas de referencia en sus campos, y hemos logrado un diseño ambiental integrado y que favorece el uso racional de la energía y los recursos».

Es importante destacar, además, «que las instalaciones de climatización renovable con aerotermia y geotermia con suelo radiante, el resto de equipos y sistemas que utilizamos son de última generación y alta eficiencia para reducción de consumos de energía y agua».

DESDE EL 1 DE MARZO HASTA EL 30 DE ABRIL DE 2025

Ti-Max Z TURBINAS DE TITANIO CON LUZ

Conexión NSK

Z990L

REF. PA2373

POTENCIA 44W

Conexión KaVo® MULTIflex®

Z990KL

REF. PA2375

• Cabezal en ángulo de 100° • Cuerpo de Titanio con DURAGRIP Resistente a arañazos • Rodamientos de Cerámica • Óptica de Vidrio Celular

• Portafresas Push Botton • Spray Quattro • Sistema de Cabezal Limpio • Parada rápida • Microfiltro • DYNAMIC POWER SYSTEM • DURAPOWER CHUCK

• Fácil cambio de cartucho • Velocidad: 280.000-360.000 min-1 • Tamaño del Cabezal: ø12,1 x H 12,7 mm

Ti-Max

Z CONTRA-ÁNGULOS DE TITANIO CON LUZ

Z95L Con Luz 1:5

REF. C1034

• Clean Head System (Anti-Retorno) • Spray Quattro (2 tipos de Spray: bruma y chorro) • Velocidade Máxima: 200.000 min-1

• Portafresas Push Button • Rodamientos de Cerámica • Microfiltro

Z25L Con Luz 1:1

Clean Head System (Anti-Retorno) • Cuerpo de Titanio con DURAGRIP resistente a arañazos • Óptica de Vidrio Celular • Portafresas Push Botton • Microfiltro • Spray Simple • Para fresas CA (ø2,35) • Velocidad Máx: 40.000 min-1 SPRAY SWITCH

REF. C1038 Los precios no incluyen IVA. Ofertas limitadas hasta el 30 de abril de 2025.

de garantía

mantenemos foros de discusión con otros profesionales para seguir creciendo como comunidad odontológica. Estamos especialmente involucradas en el programa WIN (Women Implantology Network), donde colaboramos como embajadoras», cuentan.

SIN OLVIDARSE DE LA GESTIÓN

Pero además de la tecnología y la comunicación, la gestión no podía pasar a un segundo plano dentro de Alández Odontología. Y es que, en palabras de las fundadoras, «una clínica dental pequeña con una plantilla como la nuestra debe valorar

RENOVACIÓN CON VISIÓN DE FUTURO

En 2022 decidieron dar un paso al frente y renovar sus instalaciones para ampliar el espacio de forma sostenible, lograr mayor autonomía e innovar en tecnología. «También queríamos estar a la vanguardia en la calidad del ambiente interior para nuestros pacientes y nuestro equipo, y mejorar en el uso de energías renovables. Seguimos una filosofía de mejora continuada, con estrategias a medio plazo que se van validando mediante pequeños cambios a corto plazo y en reuniones periódicas. Así se fraguó la decisión de renovarnos, fruto del proceso natural de ir verificando el cumplimiento de objetivos a cada hito», señalan las Dras. M. Cruz Frías, Margarita Vázquez y Cristina Alández.

Así, la nueva clínica abre una etapa «en la que podemos dedicar más tiempo de calidad a nuestros pacientes, mejorando plazos y resultados, y sin dejar de mantener la excelencia en el servicio. Además, estamos empezando a optimizar el funcionamiento de nuestras instalaciones y recursos, y el margen de crecimiento y mejora que se nos presenta es muy amplio. También seguimos avanzando en nuevas tecnologías y equipos dentales, en más formación universitaria, y en mayor divulgación; en la Certificación LEED de Calidad del Ambiente Interior, Localización y Transporte; o en garantizar el uso de energía eléctrica 100% renovable certificada con Garantías de Origen para ofrecer un servicio de muy baja huella ambiental y sin usar fuentes de energía de origen fósil», detallan.

Por último, en proyectos de I+D+i, «la clínica se ha postulado como un referente de innovación en bioclimatismo, calidad del aire interior y eficiencia en el uso de energía en el sector sanitario, y estamos estableciendo acuerdos de colaboración con la Universidad Politécnica de Madrid, la Universidad San Pablo CEU y empresas nacionales como ENERES, DESNER, el Instituto Europeo de Innovación, o a nivel internacional con el Politécnico de Bari y la empresa suiza ENERDRAPE». Esquema ENERDRAPE.

En 2022 decidieron dar un paso al frente y renovar sus instalaciones para ampliar el espacio de forma sostenible, lograr mayor autonomía e innovar en tecnología.

detenidamente qué parte de la gestión se externaliza y que parte se asume como propia».

«En cuanto a la parte de la gestión que nosotras asumimos de forma interna, seguimos un método en el que tenemos amplia experiencia y fiabilidad del trabajo en equipo, y es desempeñado según las diferentes competencias dentro de nuestra plantilla. Respecto a los aspectos más específicos de la gestión, los delegamos a empresas externas con las que llevamos años trabajando, que además nos facilitan la toma de decisiones», explican.

«Una vez decidida qué parte de gestión se externaliza y cuál se asume, lo implantamos y mantenemos hasta asimilarlo y madurarlo, y solo realizamos modificaciones según el cumplimiento de objetivos a medio plazo. En cualquier caso, ante una situación compleja, lo más importante para nosotras es conocer

el contexto, nuestras capacidades y nuestras limitaciones; ello nos permite siempre avanzar y formar parte de las decisiones en su justo grado, sin bloquear el proceso de decisión, ni adoptar decisiones que conlleven riesgos no asumibles». ●

ALÁNDEZ

ODONTOLOGÍA

¿Dónde está?

Calle Santísima Trinidad, 30. Madrid.

¿Quieres saber más?

Un nuevo paradigma tras el Mobile World Congress 2025

Imagen generada con inteligencia artificial a través del programa Runway.

Tendencias

El Mobile World Congress (MWC) 2025, celebrado recientemente en Barcelona, ha dejado claro que la Odontología digital ya no es una tendencia futura, sino una realidad que está transformando la profesión. La inteligencia artificial (IA), la conectividad 5G, la realidad aumentada y el procesamiento en la nube han permitido que los dispositivos móviles y tablets se conviertan en herramientas fundamentales no solamente para la población en general, sino también para los odontólogos y sus pacientes. Los avances en software han democratizado el acceso a tecnologías que antes solo estaban disponibles en clínicas altamente especializadas. Ahora, con un simple smartphone o una tablet, es posible diagnosticar caries con IA, planificar cirugías en 3D, tomar impresiones digitales, registrar perfiles faciales y realizar consultas remotas con pacientes. Además, la Odontología móvil ha logrado involucrar más activamente a los pacientes,

«La revolución móvil en Odontología ha transformado por completo la forma en que los profesionales diagnostican, planifican tratamientos y se comunican con sus pacientes»

dándoles herramientas para mejorar su higiene oral, monitorear su progreso en tratamientos ortodóncicos y hasta aprender sobre salud dental mediante juegos interactivos.

En este artículo exploramos cómo las aplicaciones móviles están revolucionando la Odontología en diferentes ámbitos, mejorando la eficiencia de los tratamientos y optimizando la experiencia del paciente, mostrando algunas apps y sus características; es imposible resaltarlas todas porque es un mercado emergente con cientos de aplicaciones en las diversas plataformas móviles.

1. Aplicaciones para la higiene oral: educación, gamificación y monitorización

Uno de los principales desafíos en Odontología es lograr que los pacientes adopten hábitos de higiene oral adecuados y los mantengan en el tiempo. A pesar de las recomendaciones de los profesionales, muchos pacientes no realizan un cepillado eficaz ni utilizan la seda dental con regularidad, lo

DR. GIULIANO FRAGOLA

Director médico de Estudio Dental Majadahonda. Licenciado en Odontología, Universidad Complutense de Madrid. Máster en implantología, Periodoncia y Rehabilitación Oral, New York University. Senior fellow y speaker ITI (International Team for Implantology). Anthogyr international speaker.

CEO IDE Immersive Dental Experiences. Director de la International Dental Education Academy (IDEA).

«La capacidad de realizar un diagnóstico preciso y rápido con un teléfono móvil representa un cambio de paradigma en la Odontología»

que aumenta el riesgo de caries y enfermedades periodontales.

La falta de motivación y el desconocimiento sobre la técnica correcta de cepillado son dos de los principales problemas que enfrentan los odontólogos al intentar mejorar la higiene bucal de sus pacientes. Aquí es donde la tecnología móvil ha jugado un papel crucial, ofreciendo aplicaciones que educan, motivan y permiten un seguimiento detallado del cepillado.

Las aplicaciones móviles han cambiado la forma en que las personas cuidan su salud bucal, brindando herramientas de seguimiento, educación y gamificación que hacen que la higiene oral sea más atractiva y efectiva.

-Brush DJ: motiva a los usuarios a cepillarse durante los dos minutos recomendados al reproducir música. Además, permite programar recordatorios para el cepillado, el uso la seda dental y las visitas al odontólogo.

-Disney Magic Timer by Oral-B: está orientada a los niños y convierte el cepillado en una experiencia divertida al desbloquear personajes animados y recompensas virtuales cada vez que el niño completa una sesión de cepillado correctamente.

-Toothy-Toothbrush Timer: ofrece guías visuales interactivas para enseñar a los usuarios la forma correcta de cepillarse y utilizar el hilo dental. También permite establecer objetivos personalizados y generar estadísticas de progreso.

-Colgate Connect: sincroniza cepillos inteligentes con una aplicación que analiza la técnica de cepillado en tiempo real, proporcionando retroalimentación para corregir errores y mejorar la higiene bucal.

-Smile Motivation: aplicación que incentiva la higiene oral mediante un sistema de recompensas, desafíos y recordatorios personalizados, lo que la hace ideal para aumentar la motivación en niños y adultos.

2. Diagnóstico y radiología: inteligencia artificial en móviles y tablets

El diagnóstico dental ha experimentado un avance significativo con la incorporación de IA y análisis de imágenes en dispositivos móviles. Antes, la interpretación de radiografías y fotografías intraorales requería software especializado instalado en ordenadores de alto rendimiento. Hoy, las apps móviles permiten a los odontólogos analizar imágenes desde sus smartphones o tablets con un nivel de precisión comparable al de un especialista, pero siempre será necesario contar con la experiencia y conocimiento de personal cualificado para revisar la información mostrada y darle un valor-diagnóstico, así como establecer el plan de tratamiento adecuado a cada caso.

La capacidad de realizar un diagnóstico preciso y rápido con un teléfono móvil representa un cambio de paradigma en la Odontología. La

TÍTULO EXPERTO DE UNIVERSIDAD EN LA

APNEA-HIPOPNEA DEL SUEÑO

• 1 CURSO ACADÉMICO (septiembre 2025 / septiembre 2026)

• TIPO DOCENCIA: ONLINE + 1 DÍA PRÁCTICAS

• CRÉDITOS: 22,42 ECTS

• PRECIO: 5.000€

Podrás diferenciarte en el mercado laboral, dentro de una especialidad emergente y con alta demanda.

Su enfoque del diagnóstico y tratamiento del SAHS es novedoso.

El profesorado de este programa es una referencia en el sector de la medicina del sueño a nivel internacional.

Avalado por:

Declarado de Interés Científico por:

ABIERTO PLAZO

DE

hasta el 1 de septiembre de 2025

IA ha permitido mejorar la detección de caries, patologías periodontales, lesiones óseas y problemas endodónticos en radiografías digitales, con una precisión equiparable a la de un experto.

-Dental Monitoring: permite a los pacientes tomar fotografías intraorales con su móvil y enviarlas para su evaluación. La IA analiza el progreso de tratamientos ortodóncicos y alerta sobre posibles problemas.

-Toothpic Dental Report: esta aplicación ayuda a los pacientes a autoevaluar su salud bucal mediante imágenes capturadas con su móvil. Luego, un algoritmo de IA detecta caries, inflamación gingival o desgaste dental.

-Denti.AI Patient: analiza radiografías en cuestión de segundos y puede detectar signos de caries, enfermedad periodontal y anomalías endodónticas con alta precisión.

-Orca Dental AI: diseñada para odontólogos, permite la interpretación avanzada de

radiografías panorámicas y periapicales, ayudando en el diagnóstico y planificación de tratamientos.

-Rayplicker Vision: optimiza la selección de materiales en restauraciones dentales al analizar el color dental mediante espectrofotometría digital.

3. Ortodoncia digital: escaneo, seguimiento remoto y simulación de resultados

La Ortodoncia ha sido una de las especialidades más beneficiadas por la digitalización. Tradicionalmente, los tratamientos requerían visitas frecuentes a la consulta para evaluar el progreso, realizar ajustes y verificar la correcta colocación de los aparatos ortodóncicos. Sin embargo, con la tecnología móvil, los pacientes pueden monitorizar sus tratamientos en tiempo real y los ortodoncistas pueden realizar ajustes sin necesidad de consultas presenciales constantes, aunque siempre será necesario acudir a las revisiones presenciales establecidas por el equipo de profesionales responsables del caso. No olvidemos que son aplicaciones que nos ayudan a dar seguimiento a los pacientes, pero que en ningún caso sustituyen la experiencia y cualificación del profesional.

Las aplicaciones móviles han permitido un control más preciso y eficiente de los tratamientos con alineadores y brackets. Estas herramientas facilitan la comunicación entre ortodoncista y paciente, optimizan la planificación del tratamiento y su seguimiento.

-My Invisalign: permite a los pacientes monitorizar su tratamiento con alineadores, recibir recordatorios sobre su uso y enviar imágenes

Imagen generada con inteligencia artificial a través del programa Runway.

Escanea el código QR con tu smartphone para acceder al listado de precios o accede a www.expadent.com/precios

YA DISPONIBLE EXPADENT APP

Hemos mejorado nuestro sistema de gestión, y ahora cualquiera de nuestros clientes podrán realizar los pedidos directamente desde nuestra aplicación, intuitivamente.

También permite hacer un seguimiento total del proceso de fabricación y de envío del pedido realizado. CORONA ZIRCONIO MULTICAPA 49,90 euros …y como siempre con los precios más competitivos del mercado

«La tecnología móvil también ha revolucionado el proceso de toma de impresiones digitales y captura de perfiles faciales»

a su ortodoncista para controles virtuales.

-SmileView by Invisalign: simula, con IA, cómo quedará la sonrisa del paciente después del tratamiento, aumentando la confianza en el proceso.

-ClearCorrect Sync: aplicación diseñada para pacientes de ClearCorrect que permite hacer seguimiento del uso de los alineadores, registrar el tiempo de uso diario y compartir imágenes con el ortodoncista.

-Smile Tracker: ayuda a los pacientes a rastrear el tiempo de uso de sus alineadores, generando informes y recordatorios.

-OrthoPhoto: facilita la comparación de fotografías intraorales para un mejor seguimiento del tratamiento y permite a los ortodoncistas organizar los casos clínicos de manera digital.

-CephNinja: permite realizar trazados cefalométricos automáticos desde un smartphone, optimizando la planificación de tratamientos ortodóncicos y ortognáticos.

4. Aplicaciones para impresiones digitales y captura de perfiles faciales

La tecnología móvil también ha revolucionado el proceso de toma

de impresiones digitales y captura de perfiles faciales, eliminando la necesidad de las tradicionales impresiones de silicona, facilitando la planificación de tratamientos estéticos y restauradores.

Anteriormente, las impresiones dentales se realizaban con materiales como alginato o silicona, un proceso que podía resultar incómodo para los pacientes. Ahora, los escáneres intraorales permiten capturar modelos 3D de la boca de manera rápida y precisa. Algunas aplicaciones móviles han integrado esta tecnología, permitiendo incluso el escaneo desde un smartphone o tablet siendo una tecnología incipiente y prometedora que hemos podido ver y probar en la feria IDS de Colonia.

-Medit Mobile Scan: permite escanear la boca del paciente y generar modelos digitales en 3D desde un dispositivo móvil, eliminando la necesidad de impresiones físicas.

-Face Scanner 3D: genera un modelo tridimensional del rostro del paciente, ideal para la planificación de rehabilitaciones faciales y armonización dental.

-Smilecloud App: una plataforma colaborativa que permite a los odontólogos diseñar sonrisas en 3D y compartir casos clínicos con otros profesionales, facilitando la comunicación con el laboratorio y el paciente.

-PIC App: utiliza la tecnología de la fotogrametría y permite tomar impresiones digitales de los implantes a partir de escanbodies específicos y la utilización del móvil como elemento de captura.

5. Prótesis digitales y planificación en la nube

El diseño de prótesis dentales

también se ha digitalizado, reduciendo los tiempos de fabricación y mejorando la precisión de las restauraciones. Las aplicaciones móviles han facilitado la comunicación entre odontólogos y laboratorios, optimizando el flujo de trabajo y reduciendo tiempos de espera.

-Medit Link y 3Shape

Communicate: permiten enviar escaneos digitales desde el móvil al laboratorio, eliminando la necesidad de modelos físicos.

-exocad WebView: ofrece a los odontólogos una vista previa de los diseños protésicos antes de su fabricación, garantizando una mayor precisión.

-AXS: plataforma integradora de diferentes apps de uso cotidiano como escaneado intraoral, ortodoncia invisible, diseño de sonrisas o prótesis dentales e incluso permite la recopilación de datos del plan de tratamiento implantológico en la que el clínico puede pasar información de una app a otra sin necesidad de abrir diferentes programas.

6. Juegos educativos sobre

Odontología

Los juegos móviles han demostrado ser una excelente herramienta para educar a los niños y adolescentes sobre la importancia de la salud bucodental. La gamificación del aprendizaje facilita la adopción de buenos hábitos de higiene oral y reduce el miedo a las visitas al dentista. Los niños, en particular, pueden beneficiarse de aplicaciones interactivas que los motiven a cepillarse correctamente y a aprender sobre los tratamientos dentales de una manera lúdica y entretenida.

-Little Dentist: permite a los niños jugar a ser dentistas, realizando limpiezas, extracciones y tratamientos en pacientes virtuales.

-Tooth Fairy Adventure: incentiva a los niños a cuidar su higiene oral mientras completan misiones para el Hada de los Dientes.

-Crazy Dentist: un juego donde los usuarios simulan tratamientos dentales, como empastes, blanqueamientos y extracción de dientes cariados.

-Dentist Bling: juego en el que los usuarios pueden realizar procedimientos odontológicos en personajes animados, ayudándolos a superar su miedo al dentista.

-Dr. Teeth: aplicación educativa donde los niños aprenden sobre el cepillado y la importancia de visitar al dentista regularmente.

7. Teleconsulta y gestión de clínicas: la Odontología sin barreras

Las aplicaciones móviles también han transformado la gestión de

Imagen generada con inteligencia artificial a través del programa Runway. 83
«El mercado de aplicaciones móviles en Odontología sigue creciendo exponencialmente, con soluciones cada vez más avanzadas para cada área de especialidad»

CONCLUSIONES

clínicas dentales y la teleodontología, permitiendo que los odontólogos programen citas, gestionen historias clínicas, realicen videollamadas y brinden asesoramiento a distancia.

Con la creciente demanda de atención remota, muchas plataformas han integrado funciones de teleconsulta para ofrecer servicios odontológicos sin la necesidad de que el paciente se desplace a la clínica.

-Dentrix Mobile: permite gestionar citas, pagos y expedientes clínicos desde un smartphone o tablet.

-Doctolib: facilita la reserva de citas y la realización de consultas por videollamada.

-Teledentix: plataforma de teleodontología que conecta pacientes con odontólogos para realizar evaluaciones preliminares y seguimiento de tratamientos.

-Denteractive: permite a los pacientes recibir asesoramiento de un odontólogo mediante videoconferencia, chat en vivo y envío de imágenes intraorales.

La revolución móvil en Odontología ha transformado por completo la forma en que los profesionales diagnostican, planifican tratamientos y se comunican con sus pacientes. Gracias a inteligencia artificial, la digitalización y las aplicaciones móviles, ahora es posible realizar diagnósticos más precisos, monitorizar la evolución de los tratamientos ortodóncicos a distancia, capturar impresiones digitales en 3D y mejorar la higiene oral a través de la gamificación. Además, la teleodontología ha permitido que la atención sea más accesible, eliminando barreras geográficas y optimizando la gestión de citas y expedientes clínicos. Esta evolución tecnológica no solo ha mejorado la eficiencia en la práctica odontológica, sino que también ha aumentado la adherencia y satisfacción de los pacientes.

En este sentido, el mercado de aplicaciones móviles en Odontología sigue creciendo exponencialmente, con soluciones cada vez más avanzadas para cada área de especialidad. Así, desde herramientas de planificación estética hasta plataformas de educación para niños, las posibilidades son prácticamente infinitas. De esta manera, los profesionales pueden explorar y adaptar estas tecnologías a sus necesidades, aprovechando la conectividad y la IA para ofrecer tratamientos más precisos y personalizados.

El uso de dispositivos móviles en Odontología ha marcado un antes y un después en la forma en que los odontólogos practican y los pacientes reciben atención.

¡El futuro de la Odontología ya está en la palma de nuestra mano!. ●

En Philips, la mejora de los resultados de los pacientes es la prioridad.

Descubre las soluciones de higiene bucal

Philips Sonicare y blanqueamiento Philips Zoom.

• Sensor de presión con alertas visibles

• Nuevo modo para dientes y encías sensibles

• Con el cabezal Sensitive para evitar los daños

• Protocolo de prevención de la sensibilidad

• Resultados obtenidos tras una sesión

• Materiales y gel de calidad profesional (In-office y Take Home)

Eva

Para más información o preguntas, póngase en contacto con nuestro representante de su zona:

Escanee el código QR y vaya directamente a la Tienda Philips para Profesionales Dentales

Anna Or�la – 600511466 (zona noroeste)
Vila – 670361669 (zona sur)
Vivian Bracho – 654033773 (zona este)
Izaskun Bernales – 672632055 (zona norte) Ruth Camanho – 697701593 (zona centro)

COMO RENOCOCIMIENTO JUSTO A SU FORMACIÓN Y ATRIBUCIONES

El Consejo de Dentistas solicita la creación de la categoría profesional A1+

La Organización Colegial considera que los odontólogos deben tener el mismo reconocimiento que otros profesionales sanitarios con titulaciones de nivel superior, como los médicos o los farmacéuticos.

El Consejo General de Dentistas ha solicitado al Ministerio de Sanidad la creación de una nueva categoría profesional denominada A1 Plus (A1+), donde estarían incluidos los dentistas. Esta petición se produce a raíz del borrador del Anteproyecto del Estatuto Marco del Personal Estatutario de los Servicios de Salud, donde se ubica a los odontólogos en el Grupo 7, que corresponde a «personas con título de Nivel 7 del Marco Español de Cualificaciones para el Aprendizaje Permanente (MECU) o nivel 6 del MECU con título de Especialista en Ciencias de la Salud», reservando el Grupo 8 exclusivamente para aquellos profesionales con un título de especialista o con doctorado. El problema se ve agravado por la inexistencia de especialidades en Odontología en España, una situación que lleva a perpetuar la exclusión de los odontólogos del Grupo 8 hasta que éstas no se aprueben. Al igual que han declarado los Consejos Generales de Médicos y Farmacéuticos sobre sus respectivos colegiados, el Consejo General de Dentistas considera que los odontólogos deben tener el mismo reconocimiento que otros profesionales sanitarios con titulaciones de nivel superior. En este sentido, las principales razones que el Consejo de Dentistas argumenta para la creación del grupo A1+ son:

-Mayor carga formativa: Los odontólogos cursan un grado universitario de 300 créditos ECTS con prácticas clínicas obligatorias. Esto supone una preparación más extensa que

otras titulaciones sanitarias como Enfermería o Fisioterapia (240 créditos ECTS) y que, al tener título de Especialidad, pertenecerán al mismo grupo que los odontólogos según el Anteproyecto del Estatuto Marco del Personal Estatutario de los Servicios de Salud, lo que supone una homogeneización injusta.

-Mayor responsabilidad en la salud pública: Las competencias, atribuciones, funciones y responsabilidades de los odontólogos son muy diferentes a las de los profesionales sanitarios citados en el punto anterior. Los odontólogos tienen un papel fundamental en el diagnóstico y tratamiento de patologías complejas, con impacto directo en la salud general de la población.

-Impacto en la carrera profesional: Incluir a los odontólogos en el grupo A1+ permitiría mejores condiciones retributivas y de acceso a puestos de responsabilidad en el ámbito público.

Por ello, el presidente del Consejo General de Dentistas, el Dr. Óscar Castro Reino, insiste en que la clasificación del Anteproyecto del Estatuto Marco supone una discriminación y un desprestigio para la profesión de odontólogo como profesión sanitaria de alta cualificación, ignorando que sus competencias incluyen diagnóstico, prescripción y tratamiento odontológico y quirúrgico, con la responsabilidad y rigor que ello implica.

«Por tanto, la creación del grupo A1+ es una necesidad para garantizar a los odontólogos el reconocimiento adecuado de su formación y responsabilidades dentro del Sistema Sanitario de nuestro país», concluye el Dr. Castro. ●

Más info:

AEDE, SOCIEDAD INVITADA

SEPES celebró el 25 aniversario de su Reunión de Invierno

Con un programa que combinó prótesis, estética y endodoncia, tuvo lugar del 26 al 28 de febrero en Baqueira la 25 edición de la Reunión de Invierno de SEPES, con la Asociación Española de Endodoncia (AEDE) como sociedad invitada.

El Dr. Gabriel García asumió, al igual que en la cita de 2001, la coordinación de esta edición aniversario, contando con el apoyo de los doctores Ion Zabalegui y José Aranguren, este último, presidente de AEDE.

A lo largo de las tres jornadas de la Reunión de este año, 150 clínicos dedicados a la prótesis, la estética y la endodoncia compartieron experiencias clínicas y debate en torno a temas como los protocolos actuales para maximizar la estética en tratamientos restauradores que presentaron los doctores Carla Vidal y Lucas Queiroz; o cómo, desde la planificación al resultado final, el uso de la tecnología ha llevado hoy en día a una mayor predictibilidad, tema que abordó el Dr. Andrés Mota.

La endodoncia y su abordaje en tratamientos multidisciplinares tuvo, asimismo, un espacio destacado en el programa. Las herramientas digitales para simplificar el autotrasplante dental, los límites de la endodoncia y sus beneficios en los tratamientos multidisciplinares endo-hueso fueron algunos de los aspectos que abordaron los expertos en endodoncia David Rubio, Javier Nieto y Gonzaga Zabalegui.

La Reunión de Invierno de SEPES se caracteriza principalmente por los debates clínicos que se abren en las sesiones a propósito de los casos que presentan los diferentes ponentes. La adhesión y su fiabilidad en ciertos casos restauradores o la decisión entre pilares customizados o pilares

De izda. a dcha., los docotres Ion Zabalegui, Guillermo Pradíes, Gabriel García, Javier Nieto, David Rubio, José Aranguren y Javier R. Vallejo. Foto: SEPES.

mecanizados fueron este año dos de los temas que suscitaron más debate.

La Reunión de Invierno de SEPES es una cita que, año tras año, concita el interés de un mayor número de jóvenes dentistas que ven en la participativa dinámica del curso y en el tiempo de ocio que comparten junto a veteranos y prestigiosos clínicos que asisten a esta Reunión, una ocasión única y diferente de formarse y ser partícipes de enriquecedores debates.

El Prof. Guillermo Pradíes, presidente de SEPES, clausuró la Reunión agradeciendo la participación de AEDE, el nivel de las presentaciones de los ponentes, el trabajo de los coordinadores y el apoyo de la industria con el que se ha contado en esta edición.

La Reunión de Invierno se cerró con una animada velada para celebrar el 25 Aniversario de una de las citas más queridas de la agenda formativa de SEPES, destacan los organizadores. ●

UN PROGRAMA IMPULSADO POR ORAL-B, IADH Y SEOENE

La FDE apoya DisabilityChampionsAward para una Odontología más inclusiva

Imágenes de la campaña: Fundación Dental Española.

Con este proyecto se fomenta que los pacientes con discapacidad y sus cuidadores puedan mejorar su accesibilidad a las clínicas dentales.

La Fundación Dental Española (FDE) respalda el programa Disability Champions Award, una iniciativa impulsada por Oral-B en colaboración con la International Association for Disability and Oral Health (iADH) y sustentada por la Sociedad Española de Odontoestomatología para Pacientes con Necesidades Especiales (SEOENE).

Este proyecto tiene como objetivo fomentar una Odontología más accesible e inclusiva en Europa, animando a los dentistas a convertirse en líderes en la promoción de una actitud positiva hacia la discapacidad en sus clínicas. A través de una formación online y la implementación de recomendaciones de accesibilidad propuestas por la iADH y Oral-B, las clínicas podrán obtener un distintivo para exhibir en su consulta y redes sociales.

Además, las clínicas que terminen esta formación aparecerán en un mapa dentro del sitio web de Oral-B, facilitando así que las personas

con discapacidad y sus cuidadores localicen con mayor facilidad centros dentales que cumplen con estos estándares de accesibilidad, ofreciendo un entorno más seguro y acogedor.

¿CÓMO UNIRSE AL PROGRAMA?

Los dentistas interesados pueden obtener este distintivo siguiendo estos pasos:

1. Registro: Acceder al formulario de inscripción en la web de la iADH: https://www. iadh.org/oral-b-iadh-disability-champions/ . Puede optar por hacer el registro como clínica o de forma individual.

2. Formación: Completar el formulario según se indica. En la pregunta 2 puede optar por: realizar los 2 módulos online de Wiley accesibles desde el formulario (en inglés) o completar los 2 cursos en español, disponibles en la pestaña EDUCACIÓN

PROFESIONAL de la página web de Oral B.

Estos cursos son: «Mejor salud bucal para personas con discapacidad física» y «Salud bucal en pacientes con discapacidad del desarrollo y del aprendizaje».

En ambos casos, será necesario subir los certificados de realización de los 2 módulos.

3. Distintivo: Tras completar la formación, la iADH analizará la información y otorgará el distintivo correspondiente. La concesión del mismo -«Clínica adherida al programa Disability Champions»- es potestad exclusiva de la iADH, sin la involucración de Oral-B.

La FDE recuerda que «cuando un paciente con discapacidad acude a la clínica, se debe implicar todo el equipo, desde el recepcionista hasta el dentista. Manteniendo a todos informados y comprometidos con las necesidades del paciente, la experiencia puede ser mucho más positiva. Gracias a esta iniciativa, se fomentará una Odontología más accesible para todos». ●

RECIBIÓ LA MEDALLA DE ORO AL MÉRITO

COLEGIAL

El Dr. Alberto Monje, premiado por el Colegio de Dentistas de Extremadura

La distinción ha sido otorgada por unanimidad de la directiva del Colegio, que ha destacado la contribución del Dr. Alberto Monje como uno de los investigadores más influyentes a nivel mundial en el campo de la Implantología.

El sábado 22 de febrero, el Colegio Oficial de Dentistas de Extremadura reconoció la destacada trayectoria profesional del Dr. Alberto Monje, otorgándole la Medalla al Mérito Colegial en un emotivo acto celebrado en la sede del Ilustre Colegio Oficial de Médicos de Badajoz. La distinción fue entregada durante los actos conmemorativos del Día de Santa Apolonia y contó con la presidencia de la consejera de Salud y Servicios Sociales de la Junta de Extremadura, Sara García Espada. La ceremonia estuvo marcada por la presencia de figuras destacadas del ámbito odontológico, como el Dr. Óscar Castro, presidente del Consejo de Dentistas de España, y el Dr. Miguel Parvao, Bastonário da Ordem dos Médicos Dentistas de Portugal. El Dr. Monje recibió la Medalla de manos de M. Paz Moro Velasco, presidenta del Colegio de Dentistas de Extremadura.

En su intervención, el Dr. Alberto Monje, director del área de Periodoncia de CICOM MONJE, expresó su más sincero agradecimiento a sus compañeros y al equipo que lo ha acompañado a lo largo de su carrera, reconociendo que su apoyo y confianza han sido fundamentales para su carrera profesional. La distinción fue otorgada por unanimidad de la directiva del Colegio, que destacó la contribución del Dr. Monje como uno de los investigadores más influyentes a nivel mundial

El Dr. Alberto Monje es reconocido como uno de los mayores expertos en Implantología a nivel internacional. Foto: CICOM Monje.

en el campo de la Implantología. Recientemente, la Universidad de Stanford lo incluyó entre los cinco investigadores más citados del mundo.

El Dr. Alberto Monje, especialista en Periodoncia por la Universidad de Michigan (EE. UU.) y en Implantología y Regeneración por la Universidad de Berna (Suiza), dirige el departamento de Periodoncia y Osteointegración en la Clínica CICOM MONJE, en Badajoz. Con más de 200 artículos publicados en revistas científicas internacionales, es reconocido como uno de los mayores expertos en Implantología. ●

UN ÁCIDO HIALURÓNICO PARA SU USO EN CLÍNICAS DENTALES

FillAH, la apuesta de Normon para incluir el ácido hialurónico en Odontología

Normon presenta, dentro de su división dental, FillAH, un ácido hialurónico específico para su uso en clínicas odontológicas.

Normon refuerza su compromiso con la innovación en el ámbito odontológico con el lanzamiento de FillAH, una gama de ácido hialurónico diseñada específicamente para su uso en clínicas dentales. Con más de 85 años de experiencia en el sector farmacéutico, el laboratorio pone a disposición de los profesionales cuatro presentaciones adaptadas a distintas necesidades.

«Los profesionales de la Odontología están capacitados para realizar tratamientos con ácido hialurónico en el tercio inferior del rostro: dientes, boca-labios, maxilares y tejidos anejos»

El ácido hialurónico es un biopolímero natural que se lleva utilizando en distintos ámbitos de la Medicina por sus extraordinarias propiedades antiinflamatorias, antioxidantes, de lubricación e hidratación, bacteriostáticas (1), reguladoras de la angiogénesis (2) y promotoras de la cicatrización (3).

En este sentido, desde hace algunos años, los profesionales de la Odontología están capacitados para realizar tratamientos con ácido hialurónico en el tercio inferior del rostro, es decir, dientes, boca-labios, maxilares y tejidos anejos.

FILLAH, UNO PARA TODOS

Normon, laboratorio farmacéutico de capital 100% español y con más de 85 años de experiencia, presenta, dentro de su división dental, FillAH, un ácido hialurónico específico para su uso en clínicas odontológicas, disponible en cuatro presentaciones.

FillAH Hydra es un hidrogel inyectable de ácido hialurónico lineal. Se trata de una solución polimérica biocompatible de alto peso molecular. Administrado mediante inyección intradérmica, es un tratamiento dermatológico facial con

finalidad estética indicado para complementar la matriz extracelular y el tejido intradérmico, restaurando las estructuras anatómicas envejecidas de la piel y promoviendo la hidratación, revitalización y tonificación de la misma.

FillAH Soft , FillAH Medium y FillAH Intense, por su parte, son hidrogeles biocompatibles de ácido hialurónico entrecruzado obtenidos mediante Tecnología SARE®. Administrados mediante inyección intradérmica, están indicados para restaurar y corregir volúmenes, contornos faciales, relleno de arrugas y pliegues:

-FillAH Soft está indicado para la corrección de arrugas superficiales, fundamentalmente.

-FillAH Medium está indicado principalmente para el relleno de arrugas medias y/o profundas.

-FillAH Intense está indicado sobre todo para restablecer las pérdidas de volumen y contorno facial.

RECURSOS

A DISPOSICIÓN

DE LOS ODONTÓLOGOS

Con el objetivo de ofrecer a los profesionales del sector las mejores herramientas y conocimientos, se han desarrollado los siguientes recursos y eventos:

-Una plataforma online donde visualizar la serie «Uno para todos», disponible en cuatro capítulos donde consagrados odontólogos y profesionales del sector ofrecen su conocimiento sobre diversas ramas de la Odontología, como Medicina Oral, Cirugía y Periodoncia o Estética.

-Eventos de lanzamiento en distintas ciudades de España y Portugal con charlas enfocadas a principiantes y expertos,

presentaciones técnicas de la mano de profesionales del sector, presentación de novedades de Normon, inscripción a los distintos cursos de certificación y muchas más sorpresas.

-Cursos de certificación en los que, con una breve introducción a la anatomía facial y las propiedades del ácido hialurónico, trabajarán directamente sobre pacientes aplicando técnicas avanzadas bajo la supervisión de expertos. ●

*FILLAH debe ser administrado a nivel intradérmico por personal médico cualificado siguiendo todas las reglas relativas al procedimiento aséptico y la técnica de inyección. Estos productos sanitarios pueden tener contraindicaciones y/o efectos adversos. Lea el etiquetado y las instrucciones de uso antes de su utilización. De conformidad con la legislación vigente de productos sanitarios.

81-PS-PF-FILLAH-03.2025-1.1

1. Zamboni F, Okoroafor C, Ryan MP, Pembroke JT, Strozyk M, Culebras M, Collins MN. On the bacteriostatic activity of hyaluronic acid composite films, Carbohydrate Polymers, Volume 260, 2021, 117803, ISSN 0144-8617, https://doi. org/10.1016/j.carbpol.2021.117803.

2. Park D, Kim Y, Kim H, Kim K, Lee YS, Choe J, Hahn JH, Lee H, Jeon J, Choi C, Kim YM, Jeoung D. (2012). Hyaluronic acid promotes angiogenesis by inducing RHAMM-TGF β receptor interaction via CD44-PKC δ. Molecules and cells, 33(6), 563–574. https://doi.org/10.1007/s10059012-2294-1

3. Colegio Oficial de Odontólogos y Estomatólogos de la I Región. Ácido hialurónico en la clínica dental, ¿sabemos qué podemos hacer como dentistas? [Internet]. COEM (acceso marzo 2025). Disponible en: https://coem.org.es/pdf/ acidoHialurocClin.pdf

Las cuatro presentaciones de FillAH.

CON LA ASISTENCIA DE MÁS DE 300 PROFESIONALES

Madrid acoge las III Jornadas de Salud Bucodental de Atención Primaria

Bajo el lema «Atención Primaria, al servicio de tu salud bucodental», el encuentro se celebró en la sede del Colegio de Odontólogos de la Primera Región (COEM) el pasado martes 25 de febrero. En esta cita, odontólogos e higienistas dentales intercambiaron experiencias y abordaron nuevas tendencias en el campo odontológico.

La inauguración de las III Jornadas de Salud Bucodental corrió a cargo de la presidenta del COEM, la doctora Marisol Ucha; el presidente del Colegio de Higienistas Dentales de Madrid, César Calvo, y la gerente asistencial de Atención Primaria de la Comunidad de Madrid, Rosario Azcutia.

El encuentro, que consiguió congregar a más de 300 profesionales, arrancó con una ponencia de Alejandro Mira sobre el microbioma oral y la nueva revolución en Odontología, seguida de la

actualización en remineralización de las lesiones iniciales de caries, por parte de la doctora Laura Ceballos.

PERIOMEDICINA, PACIENTE INFANTIL Y FLÚOR

El doctor Juan Amaro dedicó su ponencia a la Periomedicina, ¿mito o realidad?, mostrando la repercusión de las enfermedades periodontales en la salud general de los pacientes.

Posteriormente, la doctora Mónica

Miegimolle mostró las pautas de manejo de comportamiento y el establecimiento del hogar dental en pacientes de 0-6 años, tras la ampliación de la Cartera de Servicios de Salud Bucodental en ese tramo etario.

La higienista dental Leonor Martín-Pero cerró la ronda de intervenciones con su disertación sobre el flúor como herramienta de prevención para seguidamente dar paso a la clausura de las Jornadas, realizada por José Enrique Villares, director técnico de Procesos Asistenciales de Atención Primaria de la Consejería de Salud de la Comunidad de Madrid. ●

Mesa inaugural de las III Jornadas de Salud Bucodental de la Comunidad de Madrid. En la imagen de la derecha, los organizadores de la actividad formativa. Foto: Comunidad de Madrid.

INICIATIVA PIONERA DEL COLEGIO DE DENTISTAS DE SEVILLA

Curso para ayudar a los dentistas andaluces a conseguir plaza en el SAS

Un total de 121 dentistas de toda Andalucía se han inscrito para realizar una formación que se extenderá hasta septiembre.

El examen para conseguir una de las 48 plazas ofertadas por el Servicio Andaluz de Salud (SAS) será el 4 de octubre.

El Colegio de Dentistas de Sevilla ha puesto en marcha un curso de Actualización en Odontología cuyo contenido está adaptado a las plazas de odontologoestomatólogo convocadas por el SAS. Se trata de una iniciativa novedosa que ha puesto en marcha la institución colegial con el fin de ayudar a los dentistas a conseguir una de las 48 plazas que el SAS oferta para la próxima convocatoria, cuyo examen será el 4 de octubre.

Un total de 121 dentistas de toda Andalucía se han inscrito en este curso que se celebra de forma presencial en Sevilla, si bien se retransmite en directo a otras provincias como Almería, Granada y Huelva, con la colaboración de los colegios de dentistas de dichas

provincias. Son un total de 19 sesiones, dos de ellas simulacros de examen, que se desarrollarán hasta el próximo mes de septiembre.

Cabe destacar el gran cartel de profesores que se ha logrado reunir para poder cubrir todos los temas que forman parte de la convocatoria. Se trata de docentes de la Facultad de Odontología de la US, así como personal sanitario del Servicio Andaluz de Salud y asesores jurídicos para la parte general. En palabras del presidente del CODS, Rafael Flores, se trata de algo inédito ante la inexistencia de formación preparatoria. «Hemos seleccionado ponentes de reconocido prestigio profesional y académico con amplia experiencia en los temas que van a impartir, 100 temas adaptados a las plazas del SAS».

«Desde el CODS creemos que esto es hacer Colegio. Además de las funciones habituales de los colegios profesionales de velar por el buen ejercicio de la profesión y la relación con la Administración, un pilar fundamental es la ayuda a la formación continuada de nuestros profesionales y, en concreto, la ayuda a los colegiados en la preparación a las oposiciones», apuntan desde la Organización Colegial. ●

Profesores de la Universidad de Sevilla, personal sanitario del SAS y asesores jurídicos se encargarán de formar a los alumnos del curso. Fotos: CODS.

A TRAVÉS DE UNA SERIE DE EVENTOS POR LA GEOGRAFÍA ESPAÑOLA

BioHorizons Camlog presenta su nueva línea de implantes Tapered Pro Conical

La presentación al mercado del nuevo implante de BioHorizons Camlog, Tapered Pro Conical, ha congregado a más de 250 profesionales de la Odontología.

BioHorizons Camlog ha llevado a cabo una serie de eventos en España para presentar Tapered Pro Conical, su nueva línea de implantes con conexión cónica profunda. Más de 250 profesionales del sector dental han asistido a estas jornadas formativas, donde expertos en Implantología han destacado la precisión, versatilidad y rendimiento del nuevo sistema.

La presentación al mercado del nuevo implante de BioHorizons Camlog, Tapered Pro Conical, se ha realizado de febrero a marzo a través de una serie de eventos en distintas ciudades

de España -Bilbao, Madrid, Santiago de Compostela, Sevilla y Barcelona- en los que se reunió a más de 250 profesionales del sector dental.

Durante los eventos de presentación los asistentes tuvieron la posibilidad de conocer a fondo de la mano de expertos en Implantología las características y los beneficios de Tapered Pro Conical, la nueva y avanzada línea de BioHorizons Camlog.

Entre los expertos que participaron en los eventos de presentación se encontraban el Dr. Alfonso Gil, el Dr. Ramón Gómez Meda, el Dr. Vicente Gimeno y los Dres. Álvaro y Gonzalo Blasi. Cada uno de los doctores presentó casos clínicos en los que el nuevo implante dental cobró protagonismo, seguido de una sesión de preguntas y respuestas por parte de los asistentes.

«Los implantes presentados destacan por su versatilidad, precisión y rendimiento, y son los primeros implantes dentales de la compañía con conexión cónica profunda disponibles en España», destacan desde BioHorizons Camlog. Tapered Pro Conical aprovecha el exitoso macrodiseño de Tapered Pro con la conexión CONELOG® probada y patentada para proporcionar a los profesionales una solución predecible para el tratamiento inmediato, desde un solo diente hasta una arcada completa. Está diseñado para la eficiencia quirúrgica con la mejor conexión cónica de su clase.

En este sentido, la conexión de Tapered Pro Conical presenta un cono largo diseñado para reducir los micromovimientos y una angulación de 7,5° que ha demostrado proporcionar una estabilidad posicional superior en comparación con otros sistemas cónicos.

«En BioHorizons Camlog estamos comprometidos con el desarrollo de soluciones innovadoras que ayuden a impulsar el avance de la Implantología»

Por otro lado, la conexión de 6 muescas está diseñada para opciones flexibles de orientación del pilar e inserción directa simplificada del pilar con capacidad de antirrotación.

Entre sus características también destaca que las roscas profundas de apoyo invertido están diseñadas para proporcionar estabilidad primaria. Además, cuenta con dos plataformas protésicas para mejorar la eficacia del flujo de trabajo restaurador y simplificar la gestión del inventario.

«En BioHorizons Camlog estamos comprometidos con el desarrollo de soluciones innovadoras que ayuden a impulsar el avance de la Implantología y permitan a los profesionales ofrecer tratamientos avanzados, con resultados más predecibles y satisfactorios para sus pacientes. Nuestra nueva línea es un reflejo de este compromiso con la innovación y la calidad en el ámbito de la Implantología y los biomateriales», detalla Javier Otero, National Sales Manager de BioHorizons Ibérica S.R.L.

¡Tapered Pro Conical ya está disponible en España! ●

MÁS INFORMACIÓN

Tapered Pro Conical aprovecha el exitoso macrodiseño de Tapered Pro con la conexión CONELOG®.

CAMPAÑA EN RRSS DEL COLEGIO DE DENTISTAS DE CASTELLÓN

Los tratamientos dentales que «sólo y siempre» debe realizar un dentista

Imagen de la campaña desarrollada en marzo por el CODECS en redes sociales. Imagen: Colegio de Dentistas de Castellón.

Bajo el lema «En tu salud oral, no caben las medias tintas», el Colegio Oficial de Dentistas de Castellón (CODECS) puso en marcha el pasado mes de marzo una campaña a través de sus redes sociales para informar y aclarar a la ciudadanía sobre algunos tratamientos dentales que son exclusivos de la labor del dentista como garantía para su seguridad y salud oral.

La iniciativa, activa durante el mes de marzo, puso el foco en cuatro tratamientos dentales: el tratamiento periodontal, el blanqueamiento dental, el tratamiento de ortodoncia y la toma de impresiones y registros para prótesis dentales. «Todos ellos competen única y exclusivamente al dentista», destacan desde la entidad colegial levantina. Asimismo, alertan sobre que «todavía existe un cierto desconocimiento o confusión al respecto, y con esta campaña hemos buscado disipar cualquier duda: que el paciente tenga muy claro, cuando llega a la clínica, qué tratamiento debe

realizar siempre y sólo el dentista; ningún otro profesional, aunque sea bajo supervisión del odontólogo o médico estomatólogo», añaden desde el CODECS.

CAMPAÑA CON CUATRO FOCOS

-Tratamiento periodontal: raspados y curetajes. El tratamiento de la periodontitis debe realizarla un dentista, y en función del estado de cada paciente el odontólogo o médico estomatólogo aplicará una u otra técnica: desde los raspados o curetajes a las cirugías en los casos más extremos. «Tras cada tratamiento, el dentista pautará una rutina de hábitos de higiene bucodental, necesaria para blindar la salud de las encías», informa el CODECS.

-Blanqueamiento dental. Al tratarse de un proceso sanitario, en el que se utilizan agentes blanqueadores como peróxido de hidrógeno y peróxido de carbamida, tiene que ser realizado por un dentista. «Será él también quien realice, antes del tratamiento, una revisión bucodental al paciente para descartar cualquier patología y quien planifique el procedimiento, supervise los resultados y establezca las pautas a seguir por el paciente tras el blanqueamiento dental», destacan.

-Tratamiento de ortodoncia. «Sólo el dentista puede prescribir, realizar y hacer seguimiento de los tratamientos de ortodoncia. Es la base para garantizar la seguridad y el éxito de los tratamientos de ortodoncia y el bienestar de los pacientes», reafirma el CODECS a través de esta campaña de sensibilización.

-En el campo de la toma de impresiones y registros para prótesis dentales, «es clave que el dentista lidere, realice y esté presente en todo el proceso, de principio a fin», concluyen desde el Colegio Oficial de Dentistas de Castellón. ●

Cursos presenciales e impartidos por expertos.

Líderes en formación de odontología y medicina avanzada

La mejor enseñanza posible, tu futuro solo depende de ti.

Fórmate, crece, destaca Tu éxito te espera

EL OBJETIVO: MEJORAR LA CALIDAD ASISTENCIAL EN ODONTOLOGÍA

Digitalización y personalización: la apuesta de EOMA por la formación

Oferta formativa de EOMA para los meses de mayo y junio.

La evolución de la Odontología, marcada por la digitalización y la personalización de los tratamientos, exige una formación que permita a los profesionales adaptarse a estos cambios. Por todo ello, EOMA apuesta por un enfoque práctico y multidisciplinar, proporcionando a los odontólogos las herramientas necesarias para incorporar nuevas tecnologías y mejorar la calidad asistencial.

El presente de la Odontología a nivel global se está enfrentando a varios retos de los que todos somos conscientes. « El más relevante es el ritmo acelerado que está viviendo la profesión, impulsado por la digitalización, las altas expectativas de los pacientes y un enfoque interdisciplinar que exige la estrecha colaboración entre odontólogos, técnicos

e higienistas. En este panorama, todos los profesionales de la Odontología deben dominar las técnicas tradicionales a la par que adaptarse a las innovaciones que están transformando los procesos de diagnóstico y de tratamiento de las patologías orales », manifiestan desde EOMA.

LA DIGITALIZACIÓN COMO PILAR

DEL CAMBIO

En este sentido, uno de los cambios más significativos en la Odontología moderna es la digitalización de los procesos clínicos. Las herramientas digitales han permitido mejorar la precisión, reducir los tiempos de tratamiento y ofrecer soluciones más cómodas para los pacientes.

La Odontología digital integra tecnologías como la impresión 3D, el diseño asistido (CAD/ CAM), los escáneres intraorales y la IA aplicada al diagnóstico. Estos avances, apostillan desde EOMA, «requieren que los profesionales estén en constante actualización, ya que el uso

adecuado de estas herramientas optimiza los resultados clínicos y permite una mejor comunicación con los pacientes con una gestión más eficiente de la consulta».

En este contexto, «EOMA se posiciona como un referente en la formación enfocada a la realidad clínica, ofreciendo programas diseñados para formar a los odontólogos en estas tecnologías. Nuestros programas basados en la práctica con equipamiento de última generación permiten a los profesionales adquirir conocimientos profundos en entornos simulados, asegurando su capacidad para aplicar dichos conocimientos en su práctica diaria», explican.

PERSONALIZACIÓN DE LOS TRATAMIENTOS:

EL NUEVO ESTÁNDAR

Por otra parte, el paciente actual espera soluciones personalizadas que se adapten a sus necesidades específicas. En Odontología, esto se traduce en el uso de tecnologías que permiten planificar cada caso de manera individualizada, optimizando la estética, la funcionalidad y la comodidad del tratamiento. «Por ejemplo, la ortodoncia invisible ha revolucionado la manera en que se corrigen las malposiciones dentales, permitiendo tratamientos más cómodos y estéticos. La Implantología guiada digitalmente ha mejorado la precisión en la colocación de implantes, reduciendo riesgos y acelerando la recuperación del paciente», subrayan desde EOMA.

«Para que los odontólogos puedan ofrecer soluciones con este nivel de personalización, es necesaria una formación especializada que permita comprender y aplicar estas técnicas con seguridad. EOMA responde a esta necesidad con programas que abordan las últimas tendencias en Odontología, brindando a los profesionales la oportunidad de diferenciarse y ofrecer un servicio de mayor calidad», detallan.

UN ENFOQUE MULTIDISCIPLINAR PARA SER COMPETITIVOS

Asimismo, el futuro de la Odontología está marcado por la tecnología y también por la colaboración entre las distintas especialidades.

Así, la integración de la Odontología con otras ramas de la Medicina, como la Cirugía Maxilofacial, la Medicina Estética o la Fisioterapia Orofacial, está permitiendo ofrecer tratamientos más eficaces, pero también complejos. «Para simplificar este entorno, los odontólogos deben adoptar una visión integral de la salud bucodental, considerando la parte técnica y el bienestar general del paciente. EOMA impulsa este enfoque multidisciplinar a través de sus programas, promoviendo la formación de los odontólogos con una visión global», apostillan.

EL ÉXITO EN LA ODONTOLOGÍA MODERNA: FORMACIÓN Y ADAPTABILIDAD

En resumen, destacan desde EOMA, «la Odontología del futuro exige profesionales altamente competentes, con la capacidad de adaptarse al cambio e incorporar nuevas metodologías en su práctica diaria. En un entorno donde la competencia es cada vez mayor, la clave para el éxito radica en la formación continua y el talento de ofrecer soluciones innovadoras y diferenciadas. EOMA se erige como la institución de referencia que ofrece soluciones formativas a los profesionales para afrontar estos retos con un enfoque eminentemente práctico. En un mundo donde la Odontología sigue evolucionando, contar con una formación continua y de calidad es una ventaja y una necesidad para quienes queremos ser vanguardia del sector». ●

ACCEDE A LA AGENDA FORMATIVA DE EOMA

LA GALA SE CELEBRARÁ EL PRÓXIMO 18 DE SEPTIEMBRE

La Finca Uzalacaín, escenario de los 28 Premios Gaceta Dental

El emplazamiento de este año destaca por sus amplios espacios y fácil acceso. Foto: Uzalacaín.

La Finca Uzalacaín, en la localidad madrileña de Pozuelo de Alarcón, acogerá la celebración de la gala de entrega de los 28 Premios GD.

Desde hace tres ediciones, la gala de los Premios Gaceta Dental garantiza una gran experiencia a sus asistentes. Además de ser una fiesta de la excelencia odontológica, en la velada se disfruta del networking, de la comida, de la música, de la magia... Y, cada año, incorporando novedades.

Una de ellas, el emplazamiento. En esta ocasión, la gran noche de los 28 Premios Gaceta Dental tendrá lugar en un escenario de excepción: la Finca Uzalacaín, en Pozuelo de Alarcón, un espacio exclusivo que aportará un ambiente elegante y acogedor a esta gran noche. Asimismo, destaca por la amplitud de sus instalaciones, por su facilidad de acceso y aparcamiento.

Y, aunque este año no será novedad, el conductor de la velada será, al igual que la pasada edición, Vicente Lucca, finalista de Got Talent, quien sorprenderá a los asistentes con su fusión de magia, psicología y sugestión.

Ya el año pasado causó sensación entre los asistentes, y en esta ocasión no será menos pues traerá hasta Pozuelo un espectáculo totalmente nuevo.

EXCELENCIA Y TALENTO

Las categorías han sido diseñadas para reflejar la realidad actual del sector. Así, la 28a edición de los Premios Gaceta Dental incluye nuevas categorías, como, por ejemplo, la sostenibilidad, la experiencia de paciente o el apoyo a la investigación por parte de empresas del sector, entre otras.

Premios GD para profesionales

-Con el patrocinio de IPG Dental, el Premio GD Mejor Artículo Científico reconoce el mejor artículo científico publicado en la revista GD entre septiembre de 2024 y junio/julio de 2025, en la web en este mismo periodo, los trabajos aprobados para su publicación en print o en web en ese mismo periodo y aquellos que se reciban expresamente para participar en esta convocatoria.

- Premio GD Mejor Caso Clínico , patrocinado por Ivoclar, destaca el mejor caso clínico, publicado en la revista GD entre septiembre de 2024 y junio/julio de 2025, en la web en este mismo periodo, los trabajos aprobados para su publicación en print o en web en ese mismo periodo y aquellos que se reciban expresamente para participar en esta convocatoria.

Premios GD talento (Estudiantes)

-Patrocinado por Denarius, el Premio GD Mejor Talento en Postgrado en Odontología reconoce los mejores trabajos de estudiantes de Postgrado de Odontología de centros formativos ubicados en España.

- Premio GD Mejor Talento en Grado en Odontología. Patrocinado por Instituto IPAO,

este premio reconoce el mejor trabajo de los estudiantes de Odontología matriculados en universidades españolas.

-Con el patrocinio de Laboratorio Ceranium, el Premio GD Talento en Prótesis Dental distingue el mejor trabajo de los alumnos de segundo año matriculados en las escuelas de Prótesis españolas.

- Premio GD Mejor Talento en Higiene Dental. Esta categoría reconoce el mejor trabajo de los alumnos de segundo curso de Higiene Bucodental matriculados en escuelas españolas.

Premios GD a la excelencia y digitalización

- El Premio GD Impulso Digital, con el patrocinio de Align, reconoce a los clínicos y técnicos que hayan integrado la digitalización en su práctica diaria para mejorar la calidad y eficiencia de sus servicios.

-Premio GD Experiencia de Paciente. Este galardón, patrocinado por EOMA Formación, está dirigido a clínicas dentales que destacan por ofrecer una atención centrada en mejorar la experiencia de sus pacientes.

- Premio GD Clínica Sostenible. Este premio pone en valor el compromiso con el medio ambiente mediante iniciativas que promueven una Odontología más responsable y respetuosa con el entorno.

-Con el patrocinio de Salugraft Dental, el Premio GD Comunicación y Marketing distingue a las clínicas dentales que han trabajado activamente en su presencia digital, destacando por su estrategia de comunicación y marketing en canales digitales.

-Premio GD al Profesional Disruptivo. Con el patrocinio de IPD, este premio reconoce a los profesionales que hayan sido y sean promotores e impulsores de la digitalización en el campo odontológico a través de sus cursos, conferencias y todo tipo de contenidos de divulgación sobre transformación digital.

Premios GD a la innovación y empresa

- Premio GD Avance Tecnológico. Con el patrocinio de Expodental, este galardón reconoce el esfuerzo de startups del sector dental y grupos de investigación universitarios

que hayan desarrollado soluciones innovadoras con impacto en la Odontología.

- Premio GD Apoyo a la Investigación. Con el patrocinio de Donte Group, reconoce a las empresas que apuestan por la investigación en colaboración con centros universitarios en España. Este premio pone en valor tanto la inversión realizada como los avances científicos y tecnológicos derivados de estas iniciativas.

-Premio GD Responsabilidad Social Corporativa. Premia a las empresas comprometidas con la sostenibilidad y la responsabilidad social. Esto incluye iniciativas como la reducción de residuos, el uso de materiales ecológicos, la eficiencia energética, y políticas internas de inclusión, conciliación laboral, igualdad de oportunidades, formación continua para empleados, y seguridad en el trabajo.

Premios GD sociedad y cultura

- Premio GD Proyecto Solidario. Este galardón distingue el trabajo que realizan las ONGs en el terreno bucodental, tanto en España como en el extranjero.

- Premio GD Mejor Libro del Año. Este premio, impulsado por la Tienda GD, reconoce el conocimiento y progreso en el ámbito odontológico. Las candidaturas serán seleccionadas entre las novedades editoriales lanzadas en la Tienda GD entre 2021-2025.

CON EL APOYO DE MARCAS LÍDERES

El respaldo de las empresas del sector es fundamental para alcanzar el éxito año tras año. En esta edición ya contamos con el patrocinio de Align, Denarius, Laboratorio Ceranium, Donte Group, EOMA Formación, Expodental, Instituto IPAO, IPD, IPG Dental, Ivoclar, Salugraft Dental y la Tienda GD. ●

CON UN PROGRAMA DE EXCELENCIA

Transformar la práctica clínica, eje del GMI International Summit 2025

El GMI International Summit 2025 se perfila como una de las citas imprescindibles del año para los profesionales de la Implantología y la regeneración ósea. El evento se celebrará los días 2 y 3 de mayo en el World Trade Center de Barcelona, reuniendo a expertos nacionales e internacionales en un entorno diseñado para el aprendizaje y la excelencia clínica.

El Dr. Juan López-Quiles, coordinador científico del evento, ha compartido en uno de los últimos episodios de GDentalk los entresijos del proceso creativo para diseñar un congreso de esta envergadura.

UN PROGRAMA DE EXCELENCIA

Según el Dr. López-Quiles, uno de los principales valores diferenciales del GMI Summit’25 es la calidad de los ponentes: «Todos ellos son de primer nivel mundial. Se ha buscado un equilibrio entre ponentes nacionales e internacionales; entre bases científicas básicas y nuevas tecnologías aplicadas a la Implantología; y entre novedad y experiencia». Por este motivo, entre los conferenciantes destacados se encuentran el Dr. Mariano Sanz, el Dr. Ramón Gómez Meda, el Dr. Juraj Brozović y el Dr. Luca de Stavola, figuras reconocidas a nivel mundial en sus respectivas especialidades.

El objetivo final es claro: que los asistentes puedan trasladar los conocimientos adquiridos a su práctica clínica diaria.

Para ello, el congreso ha sido diseñado con un enfoque directo, interactivo y ágil, asegurando

El Dr. Simón Pardiñas y Patricia Merino, conductores de GDentalk, junto al Dr. Juan López-Quiles, coordinador científico del GMI International Summit 2025.

que los contenidos sean fáciles de asimilar y aplicar.

SIETE TALLERES LIDERADOS

POR PROFESORES DE PRESTIGIOSAS

UNIVERSIDADES

El diseño del programa busca el equilibrio entre teoría y práctica, combinando sesiones hands-on con conferencias magistrales. «Hemos estructurado un programa intenso y corto de ponencias, directo e interactivo entre conferenciantes y asistentes. Queremos que sea ágil, concreto y fácil de retener para que los participantes aprovechen al máximo la experiencia», afirma el Dr. López-Quiles.

Pero el GMI Summit’25 no solo reúne a ponentes de renombre, sino que también cuenta con la colaboración de algunas de las universidades más prestigiosas en el ámbito de la Implantología y la regeneración ósea.

Entre ellas se encuentran:

-Universidad de Barcelona (UB): Contribuye con dos talleres centrados en las enfermedades periimplantarias y en la Implantología digital aplicada a la gestión clínica. Participan la Dra. Marta García, el Dr. Rui Figueiredo, el Dr. Carles Subirà Pifarrer y Domènec Huguet.

-Universidad Internacional de Cataluña: Aporta formación en implantes inmediatos y protocolos avanzados de regeneración, con la participación del Dr. Pau Altuna, el Dr. Pau Galbán y el Dr. Marc Quevedo.

-Universidad Alfonso X El Sabio: Presenta un taller sobre planificación digital en Implantología y diseño de férulas de cirugía guiada, liderado por la Dra. Ana Boquete.

-La Salle – EDE (Madrid): Se enfoca en el manejo del alveolo postextracción y el implante inmediato, con los Dres. Juan Carlos Vara y Juan Delgado.

-Universidad Complutense de Madrid: Aborda el manejo quirúrgico del seno maxilar, atrofias y complicaciones, con el Dr. Carlos M. Cobo Vázquez y el Dr. Pedro Molinero Mourelle.

-Universidad Católica de Valencia: Expone el abordaje sinusal transcrestal para la colocación de implantes en senos atróficos, impartido por el Dr. Javier Barberá y el Dr. Javier Vilanova.

-Universidad de Oporto: Ofrece un taller sobre simplificación de la prótesis sobre implantes y el perfil de emergencia, a cargo del Dr. Pedro Ferrás Fernandes y el Dr. Manuel Sampaio-Fernandes.

«Estos talleres están diseñados para que cada asistente pueda aplicar los conocimientos teóricos en su área de interés», explica el director del programa.

AVANCES CIENTÍFICOS

CON IMPACTO REAL

La regeneración ósea y el tratamiento de la periimplantitis son dos de los temas centrales del congreso. «Son dos cuestiones de máxima actualidad e interés para el implantólogo. En el GMI Summit conoceremos hacia dónde se dirige la Implantología en estos campos», señala el Dr. López-Quiles.

¿Y por qué no faltar a esta importante cita científica? El Dr. López-Quiles lanza un mensaje claro para aquellos profesionales que todavía no se han inscrito o dudan si asistir al GMI Summit’25 en Barcelona: «Hemos conseguido reunir a los líderes mundiales en Implantología para tratar los dos temas más interesantes de la actualidad con un enfoque basado en la evidencia científica. Es un programa teóricopráctico presencial, completo, concreto e interactivo, diseñado para el máximo aprovechamiento de los asistentes». ●

MÁS INFORMACIÓN

Si quieres estar al tanto de todas las novedades del GMI International Summit 2025 que se celebrará en Barcelona los días 2 y 3 de mayo, ¡escanea el QR!

CURSO MONOGRÁFICO DE ALTO NIVEL CIENTÍFICO

SECIB y BTI abordan en León el tratamiento del maxilar atrófico

Los Dres. Lara Chao y Domínguez Mompel, en un momento de su ponencia. Foto: SECIB.

El monográfico organizado por la Sociedad Española de Cirugía Bucal, en colaboración con BTI, se celebró en la Sala del Pendón del Museo de San Isidoro, en la Real Colegiata de León. Esta cita reunió a un gran número de profesionales interesados en las últimas innovaciones en el tratamiento de las atrofias óseas.

Organizado por la SECIB con la colaboración de BTI Biotechnology Institute, el evento fue inaugurado por la presidenta de la Sociedad Española de Cirugía Bucal (SECIB), la Dra. Agurne Uribarri, quien destacó la importancia de la formación continuada en la especialidad y el papel fundamental de encuentros científicos como este para el avance de la Cirugía Bucal. «El monográfico se distinguió por la altísima calidad científica de sus ponencias y la relevancia de los temas abordados -destacan desde la organización-, con expertos de primer nivel, quienes expusieron los avances más innovadores en la rehabilitación del maxilar atrófico y ofrecieron soluciones eficaces para el tratamiento de casos complejos».

Así, la jornada comenzó con la introducción a la temática a cargo de Mariano del Canto Pingarrón y Berta García, quienes, además de ejercer como moderadores, realizaron una destacada labor en la conducción del evento. Posteriormente, los asistentes pudieron disfrutar de ponencias de gran rigor científico, impartidas por especialistas de referencia como Bruno Ruiz Gómez y Mariano del Canto Díaz, quienes presentaron los implantes subperiósticos como una nueva herramienta en el tratamiento de las atrofias óseas.

A continuación, David de Paz ofreció una visión innovadora sobre la rehabilitación del maxilar atrófico con implantes cortos y extracortos, destacando la eficacia de la filosofía «Menos es más». La sesión continuó con la intervención de Juan Lara Chao y José Luis Mompell, quienes abordaron la resolución de defectos óseos mediante el uso de hueso autólogo, aportando claves fundamentales para el manejo de este tipo de casos.

El debate final permitió a los asistentes interactuar con los ponentes, generando un valioso intercambio de ideas y experiencias. Como broche de oro a la jornada, se ofreció una visita guiada al Museo de San Isidoro, seguida de un vino español.

Desde la SECIB quieren expresar su «más profundo agradecimiento a BTI, cuya implicación ha sido clave para el éxito del curso. Asimismo, queremos reconocer la extraordinaria labor de los moderadores Berta García y Mariano del Canto Pingarrón, cuya profesionalidad y compromiso han contribuido de manera inestimable al desarrollo de esta jornada. Además, el éxito de este monográfico reafirma nuestro compromiso con la formación continua y el avance de la Cirugía Bucal, consolidándose como un referente en la divulgación científica y la excelencia profesional». ●

Mª ASUNCIÓN PÉREZ Y FERNANDO JUSTA, PREMIADOS

La Revista Higienistas entrega sus Premios Marisa Casares

Representantes de la Junta Directiva del Colegio de Higienistas de Madrid y de la firma patrocinadora, miembros del Comité Científico de la revista Higienistas y premiados tras el acto de entrega de premios.

El pasado sábado 15 de marzo tuvo lugar, en la sede del Colegio Profesional de Higienistas Dentales de Madrid, la XI Edición de la entrega de los Premios Revista Higienistas Dentales Marisa Casares. Este año el acto contó con gran participación al retransmitirse, por primera vez, en directo desde el canal de YouTube del Colegio.

Entre todos los trabajos recibidos, destacaron dos por su originalidad, por su desarrollo de investigación científica y su promoción de la salud bucodental y la figura del higienista dental. Por un lado, el artículo finalista, de Fernando Justa González, titulado «Clorhexidina y presión arterial: la interconexión entre microbiota oral y regulación cardiovascular».

Y, por otro, el proyecto ganador, titulado «¡Mira qué boca! Combinación Estudio +

Intervención sobre Higiene Bucodental en niños y adolescentes con especial énfasis en el contraste Hábito vs Conocimiento» de M a Asunción Pérez López y otros siete higienistas dentales de Atención Primaria de Ourense.

PROFESIONALES COMPROMETIDOS

CON SU FORMACIÓN

Tal y como señaló Cristina Navarro Martín, directora de la Revista Higienistas, con este acto se pretende « reconocer y premiar el talento, el conocimiento, la experiencia profesional y la capacidad de trabajo investigador y esfuerzo de crecer profesionalmente de los higienistas dentales». Cristina Navarro tuvo también unas palabras de agradecimiento para todos los profesionales que han participado en esta edición con sus artículos, por su esfuerzo, trabajo e implicación.

El presidente del Colegio Profesional de Higienistas Dentales de Madrid, César Calvo Rocha, reconoció la labor que el Colegio y sus profesionales realizan para promocionar y poner en valor la figura del higienista dental, destacando su compromiso con la formación continuada y la educación en salud bucodental.

Desde el órgano colegial quieren «destacar la labor del Comité Científico, formado por la Dra. Elena Martínez Sanz, presidenta del Comité; Gema M a Antúnez; M a José Melchor Zamorano, y el Dr. Juan Carlos Muñoz García, por su profesionalidad, su experiencia, su tiempo y su rigor a la hora de seleccionar los artículos galardonados».

«Por último -añaden-, queremos destacar el generoso apoyo de Oral-B un año más, representado en este acto de entrega de premios por el Dr. Ángel Alcaide, como patrocinadores del Premio Marisa Casares». ●

DECLARACIONES DEL DR. JOSÉ ARANGUREN, PRESIDENTE DE AEDE

¿Quién formará a los futuros especialistas en Odontología?

La creación de las especialidades en Odontología parece estar más cerca que nunca. Así lo confirma el presidente de la Asociación Española de Endodoncia (AEDE), el Dr. José Aranguren, quien destaca que la formación inicial de los nuevos especialistas en Odontología será impartida a través de las universidades.

En este sentido, «los expertos que designen las sociedades científicas serán los encargados de formar a los futuros especialistas. En el caso de la Endodoncia, se les exigirá contar con formación en dicha disciplina, así como tener al menos cinco publicaciones científicas en los últimos tres años (dos nacionales y tres internacionales)», destaca.

No obstante, el presidente de AEDE aclara que «estos requisitos no son para convertirse en especialista, sino para poder ser reconocido como experto y formador dentro de la especialidad. Los especialistas serán aquellos que, en el futuro, cumplan los requisitos establecidos por la Comisión Nacional de Especialidades, una vez se acepte la especialidad y se definan las bases y normas transitorias para aquellos que ya eran especialistas de facto».

«Este paso es fundamental para garantizar que, cuando se cree la especialidad, contemos con una gran cantidad de expertos, lo que permitirá formar a más especialistas cada año.

Por eso, es importante que todos los miembros de nuestra asociación sigan recopilando sus publicaciones de los últimos tres años, para poder aspirar a un mayor número de expertos y, en un futuro, a la mayor cantidad posible de especialistas», comenta.

Hasta ahora son seis sociedades científicas la que están trabajando de forma unificada en la creación de la especialidad odontológica: la Sociedad Española de Endodoncia (AEDE), la Sociedad Española de Periodoncia y Osteointegración (SEPA), la Sociedad Española de Cirugía Bucal (SECIB), la Sociedad Española de Odontopediatría (SEOP), la Sociedad Española de Ortodoncia y Ortopedia Dentofacial (SEDO) y la Sociedad Española de Prótesis Estomatológica y Estética (SEPES). En esta tarea también colaboran activamente la Conferencia de Decanos de Odontología y el Consejo General de Dentistas, lo que marca un hito histórico: por primera vez, toda la profesión odontológica se encuentra unida en este proyecto común, lo que aumenta significativamente las posibilidades de éxito.

Hasta el momento, cinco consejerías han firmado el documento elaborado por las sociedades científicas, un informe que explica la necesidad de crear una especialidad para cada disciplina.

«Este documento será enviado al Ministerio de Sanidad cuando logremos el apoyo de siete consejerías, lo que nos acercará aún más a la creación de la especialidad odontológica», concluye el Dr. Aranguren. ●

¡MÁS NOTICIAS DEL SECTOR EN NUESTRA WEB!

Creatividad, compromiso y sonrisas con World of Smiles

El Dr. Simón Pardiñas siempre tuvo claro que la Odontología no podía quedarse dentro de las cuatro paredes de la consulta dental. Por ello, tras años ofreciendo atención a personas en situación de vulnerabilidad a través de la Fundación Clínica Pardiñas, decidió sumarse a una misión en República Dominicana con la ONG World of Smiles, con sede en la «Gran Manzana».

Imágenes: cedidas por el Dr. Simón Pardiñas.

La idea de llevar la Odontología más allá de la consulta me rondaba desde mis últimos años en la universidad. Sabía que, de algún modo, tenía que aportar mi granito de arena en el ámbito solidario. Aunque un viaje a Nicaragua planificado en esa etapa no pudo llevarse a cabo por problemas sociopolíticos, esa inquietud no desapareció.

Años después, decidí canalizar ese compromiso a través de la Fundación Clínica Pardiñas, con el objetivo de

«Animo a estudiantes, profesionales y docentes a sumarse a este tipo de iniciativas. Cualquiera puede aportar su granito de arena»

ofrecer tratamientos a personas en situación de vulnerabilidad que no pueden acceder a ellos a través de la sanidad pública. Durante más de diez años, hemos atendido a mujeres víctimas de violencia, personas en exclusión social y pacientes con enfermedades raras, entre otros colectivos.

El pasado año, mi compromiso con la Odontología solidaria dio un paso más allá cuando la organización World of Smiles, con sede en Nueva York, se puso en contacto conmigo a través de la Universidad de Nueva York. La

DR. SIMÓN PARDIÑAS

Director de la Clínica Dental Pardiñas de A Coruña. Divulgador científico.

ONG buscaba un cirujano oral para acompañarles en una de sus misiones a República Dominicana, donde trabajan desde hace más de 20 años. En colaboración con la Fundación MIR, que gestiona una escuela con más de 2.500 niños, ofrecen consultas odontológicas gratuitas y programas de prevención en salud bucodental en

«Durante una semana, nuestro equipo de voluntarios trabajó sin descanso. Realizamos tratamientos a los niños de la escuela, pero también a sus familias y profesores»

comunidades desfavorecidas de la región de La Romana.

Durante una semana, nuestro equipo de voluntarios trabajó sin descanso. Realizamos tratamientos a los niños de la escuela, pero también a sus familias y profesores. Extracciones dentales, cirugías menores, endodoncias, colocación de prótesis, sellado de fisuras o fluoraciones fueron algunos de los procedimientos que llevamos a cabo. En total, atendimos a más de 200 pacientes. Fue una labor intensa, de unas 12 horas diarias, pero tremendamente gratificante.

El equipo estaba formado por estudiantes y profesores de la Facultad de Odontología de Stony Brook (Nueva York), de la New York University, así como residentes de distintas especialidades. Mi papel no solo fue el de cirujano, sino también el de supervisor de los alumnos que realizaban tratamientos. La experiencia me permitió aprender tanto de los pacientes como de mis compañeros. El nivel de preparación de los estudiantes y la seriedad con la que trabajaban me impresionó enormemente.

El equipo de la misión estaba formado por estudiantes y profesores de la Facultad de Odontología de Stony Brook (Nueva York), de la New York University, así como residentes de distintas especialidades.

CURSOS / POSTGRADOS / MÁSTERES

Anuncia tu curso, máster o postgrado en la guía que batió récords de audiencia en 2024.

Una herramienta clave para que odontólogos, higienistas y protésicos definan su futuro

«Para mí, iniciativas como esta son una forma de devolver a la sociedad algo a través de mi profesión»

CREATIVIDAD ANTE LA FALTA DE RECURSOS

Uno de los casos más especiales que atendí fue el de una madre joven con un incisivo central en muy mal estado, prácticamente perdido y desplazado hacia afuera. La solución más sencilla habría sido extraerlo, pero era un diente fundamental para su estética y autoestima. No teníamos los materiales ni el tiempo para un tratamiento ortodóncico completo, así que improvisé una solución con

gomas para intentar recolocar la pieza.

Al día siguiente, para mi sorpresa, el diente ya estaba en su sitio y pudimos ferulizarlo. La paciente estaba emocionada y no paraba de agradecer que hubiéramos salvado su diente.

Situaciones como esta nos obligan a salirnos de los métodos convencionales. Cuando los recursos son limitados, la creatividad se convierte en la mejor herramienta.

Más allá de la labor clínica, hubo momentos especiales que quedarán grabados en mi memoria. Desde el recibimiento que nos brindaron con bailes y celebraciones hasta la tradición de escuchar el himno cada mañana con los alumnos. El agradecimiento de los pacientes y la hospitalidad con la que nos acogieron hicieron que nos sintiéramos parte de su comunidad desde el primer día.

Para mí, iniciativas como esta son una forma de devolver a la sociedad algo a través de mi profesión. No hace falta irse muy lejos para encontrar personas que necesitan atención odontológica. Hay muchas oportunidades de colaborar en proyectos solidarios, tanto en el extranjero como en nuestras propias ciudades. Por eso, animo a estudiantes, profesionales y docentes a sumarse a este tipo de iniciativas. Cualquiera puede aportar su granito de arena. Solo hay que dar el paso y contactar con alguna organización.

En el futuro, seguiré colaborando con World of Smiles y otras organizaciones, además de continuar desarrollando la labor de la Fundación Clínica Pardiñas en A Coruña y Galicia. Ayudar a los demás es algo que forma parte de mi carrera como profesional y, sin duda, de mi vida. ●

Imagen del caso que detalla el Dr. Simón Pardiñas, sobre la madre joven con un incisivo central en muy mal estado.

revista durante un año

Desconecta del mundo digital y disfruta de una lectura más pausada desde 55 €. Colecciona, número a número, el mejor contenido sobre odontología.

tienda.peldano.com

Escanea el QR y sigue las instrucciones en nuestra web

Congresos

DRA. CARMEN GARCÍA

Presidenta del Comité Organizador de SEOP Toledo

Toledo acogerá, del 8 al 10 de mayo, la celebración del XLVI Congreso de la Sociedad Española de Odontopediatría (SEOP), un evento, en palabras de la Dra. Carmen García, presidenta del Comité Organizador del mismo, «para estar a la vanguardia de la Odontopediatría con ponentes de élite, talleres prácticos, innovación tecnológica y la mayor exposición del sector».

Del 8 al 10 de mayo, Toledo se convertirá en la capital de la Odontopediatría con la celebración del XLVI Congreso de la Sociedad Española de Odontopediatría (SEOP). ¿Qué temáticas se abordarán dentro de su programa científico?

—En este congreso abordaremos cuatro ejes temáticos fundamentales para la Odontopediatría actual.

Por un lado, la patología oral y el diagnóstico radiológico, donde exploraremos técnicas avanzadas para identificar y tratar enfermedades bucales en los niños, así como su reflejo de enfermedades sistémicas, o la enfermedad periodontal en edades tempranas. Por otro lado, el manejo de conducta para lograr una experiencia positiva en los pequeños pacientes.

También trataremos las nuevas tecnologías e inteligencia artificial aplicada, mostrando cómo estas herramientas están revolucionando el diagnóstico y tratamiento.

Por último, nos centraremos en el diagnóstico precoz de maloclusiones, destacando la importancia de la intervención temprana para prevenir complicaciones futuras.

—Además de las ponencias, se celebrarán varios talleres prácticos. ¿En qué campos podrán mejorar sus habilidades los congresistas?

—Hemos organizado tres talleres prácticos, diseñados para profundizar en temas claves del congreso: «Óxido nitroso: manejo y legislación oficial», «Ortodoncia interceptiva con alineadores: paso a paso» y «Cómo realizar tapones apicales con Biodentine XP».

—LA SEOP no se olvida de los higienistas dentales con la celebración de un curso específico para este colectivo en la jornada final. ¿Cuáles son los principales atractivos de esta actividad?

—Esta edición ha querido dar todo el protagonismo del curso a los higienistas dentales, tanto en sus ponencias como en

sus ponentes. En él se van a exponer estudios y resultados de prevalencia de caries en las clases sociales más vulnerables y sus tratamientos preventivos desde la Atención Primaria, así como técnicas de higiene en ortodoncia. Y, no menos importante, la nutrición en el paciente infantil.

—¿Qué podrán encontrar los asistentes en ExpoSEOP?

—En el espacio ExpoSEOP hemos conseguido reunir un numero récord de empresas del sector, a las que queremos agradecer su patrocinio y participación.

Esto va a permitir a los congresistas conocer de primera mano las últimas novedades en productos tecnológicos y servicios dentales directamente de los proveedores más relevantes, dando la oportunidad de establecer una comunicación directa y personalizada. Esto facilita, al mismo tiempo, resolver dudas, explorar soluciones adaptadas a sus necesidades y establecer colaboraciones futuras.

En definitiva, ExpoSEOP será un punto de encuentro imprescindible para ampliar conocimientos y conectar con el sector.

—Por si hubiera algún indeciso… ¿Por qué no faltar a SEOP Toledo?

—El Congreso SEOP Toledo 2025 es el evento imprescindible para estar a la vanguardia de la Odontopediatría. Tendremos ponentes de élite, talleres prácticos, innovación tecnológica y la mayor exposición del sector. Es tu oportunidad para aprender, conectar y crecer. ●

MÁS INFORMACIÓN

Congresos

Los días 30 y 31 de mayo la SCOI celebrará en Tarragona la octava edición de su congreso internacional, un hito especial según destaca en la web de presentación de la cita. ¿Qué elementos la harán única?

—Este congreso reunirá, durante dos días y en una sala única, a 13 ponentes internacionales de primer nivel. Estos ponentes son líderes mundiales y referentes en diferentes temáticas sobre implantes, lo que supondrá una oportunidad única poderlos ver en vivo y en directo en Tarragona. Queremos dar la máxima importancia a nuestros ponentes, que transmitan su experiencia y conocimiento, y también a los congresistas, porque este formato de sala única conlleva

DR. JORDI GARGALLO

Presidente del Comité Organizador del VIII Congreso de la Sociedad Científica de Odontología Implantológica (SCOI)

Tarragona acogerá, los días 30 y 31 de mayo, la celebración del VIII Congreso SCOI, un evento, en palabras del Dr. Jordi Gargallo, donde «veremos de primera mano cómo se aplican las nuevas tecnologías, el flujo digital completo y la incorporación de las ayudas de la inteligencia artificial» a través de un amplio panel de expertos.

que puedan aprovechar al máximo el contenido del congreso. En el fondo, nuestra intención es proporcionar una experiencia cómoda, agradable y provechosa.

—¿Qué temas se abordarán en las ponencias?

—Siguiendo el lema del congreso: «Innovation and science in dental implantology», la temática se distribuirá en dos bloques principales: flujo digital, nuevas tecnologías e inteligencia artificial; y manejo de tejidos blandos y duros. La incorporación de las nuevas tecnologías ha transformado radicalmente la Implantología dental, lo que obliga a los profesionales a adaptarse a ese cambio. La digitalización de todos los procesos de clínica y laboratorio, unido a la incorporación de la inteligencia artificial, ha

permitido un avance espectacular en la precisión y la rapidez de los procedimientos con implantes, tanto a nivel quirúrgico como prostodóncico, mejorando la calidad, reduciendo las complicaciones y disminuyendo enormemente el impacto para los pacientes.

Además, los tejidos blandos y el hueso siguen siendo protagonistas principales en Implantología, pero los avances científicos y las nuevas tecnologías han permitido avanzar mucho en las terapias de regeneración, con un enfoque mucho más preciso y con mayor evidencia.

—¿Qué se llevarán los congresistas para su aplicación inmediata en la clínica?

—Para nosotros es de máxima importancia dar contenido útil, que uno pueda aplicar en la clínica el lunes después del congreso. Para eso vamos a crear debates cada media jornada de congreso, para resolver dudas y provocar el debate sobre temas de actualidad, con rigor científico y objetividad.

Durante el congreso veremos cómo se aplican las nuevas tecnologías, el flujo digital completo y la incorporación de las ayudas de la inteligencia artificial. Veremos también de primera mano cómo hemos de aplicar el «zero bone loss concept» descrito y desarrollado por Tomas Linkevicius, junto a toda su filosofía de Implantología inmediata, muy criticada pocos años atrás y con tanto protagonismo en la actualidad. Además, para completar esta formación de aplicación directa en nuestra clínica, vamos a aprender y entender cómo regenerar el hueso y los tejidos blandos de manera fiable y sencilla, lejos de grandes cirugías que afecten a la calidad de vida y a la satisfacción de nuestros pacientes.

—¿Para qué tipo de perfiles cree que es una cita imprescindible?

—La Implantología hoy en día es parte activa y diaria de muchas clínicas dentales, y ha evolucionado y simplificado tanto que cualquier dentista general debería invertir tiempo y dinero en formarse bien.

Los tratamientos con implantes han evolucionado mucho con la incorporación del

flujo digital y la inteligencia artificial, que han hecho que las técnicas sean muy predecibles, tanto a nivel quirúrgico como rehabilitador, por lo que hay que estar al día en estas tecnologías. Pensamos que el objetivo de este congreso es que aúne conceptos quirúgicos con conceptos prostodónticos, siendo una opción inmejorable y necesaria para que todo el equipo se actualice.

La SCOI siempre ha contemplado al equipo implantológico en su totalidad, porque no se puede entender la Implantología sin tener en cuenta a todos sus componentes, tanto los profesionales implicados en la inserción de los implantes como los profesionales enfocados a la rehabilitación, los técnicos de laboratorio y el personal auxiliar e higienistas que permiten que estos tratamientos se lleven a cabo con alta calidad y precisión. Nuestros pacientes se lo merecen.

—¿Qué ofrecerá una ciudad como Tarragona al congresista?

—Tarragona, una ciudad con un encanto único y un legado histórico incomparable, será el escenario perfecto para este encuentro. Con una historia que se remonta al siglo V a.C., ofrece a los visitantes la oportunidad de explorar su legado romano. El evento se llevará a cabo en el Palacio Ferial y de Congresos, con unas instalaciones de primer nivel.

Además, la ciudad cuenta con una amplia oferta gastronómica y de ocio, desde restaurantes de alta cocina hasta playas mediterráneas, brindando a los congresistas múltiples opciones para disfrutar durante su estancia. ●

MÁS INFORMACIÓN

Técnica con lámina cortical: protocolo simplificado de ROG

Organizan: BeiDE y Center for Advanced Dental Education. Imparte: Dr. Roberto Rossi.

Fecha y lugar: 6 y 7 de junio de 2025 en Dallas (Estados Unidos).

E-mail: info@bedentalexpert.com

https://bit.ly/4kBARt6

El gradiente de color de los dientes naturales y su imitación inteligente

Organiza: GC Ibérica Dental.

Imparte: Stefan Roozen.

Fecha y lugar: 27 de junio de 2025 en Madrid.

Teléfono e e-mail: 916 364 340 - formacion@spain.gceurope.com https://europe.gc.dental/es-ES/education/courses

Título Experto Universitario en Estética Dental

Organiza: CEOdont.

Imparten: Dres. José A. de Rábago Vega, Guillermo Pradíes, Óscar González, Álvaro Ferrando y David Montalvo.

Fechas: distintos módulos y fechas. A consultar.

Teléfonos e e-mail: 915 530 880 - 680 338 317 - cursos@ceodont.com www.ceodont.com

«Print&Drink»

Organiza: BEGO Iberia.

Fecha y lugar: 9 de abril de 2025 en Vigo y 10 de abril de 2025 en Málaga.

Teléfono e e-mail: 933 720 325 - begoiberia@bego.com

El encuentro arrancará con una demostración en vivo de impresión 3D, donde los asistentes podrán descubrir de primera mano las aplicaciones más avanzadas de esta tecnología en el sector dental y más allá.

https://iberia.bego.com/

Estancias Monje-Ticare

Organiza: Ticare junto al Dr. Alberto Monje.

Imparte: Dr. Alberto Monje.

Fechas y lugar: Del 21 al 23 de abril, del 16 al 18 de junio y del 13 al 15 de octubre en Clínica CICOM (Badajoz).

https://www.ticareimplants.com/formacion/

6º Congreso EAS

Organiza: European Aligner Society. Fecha y lugar: del 22 al 24 de mayo de 2025 en Rhodes (Grecia). https://www.eas-aligners.com

Restauración funcional y estética del diente desgastado: diagnóstico, técnica y ajuste de férulas

Organiza: GC Ibérica Dental.

Dirige: Salvador Gallardo.

Fecha: 30 de mayo de 2025 en Las Rozas (Madrid). Teléfono e e-mail: 916 364 340 - formacion.spain@gc.dental https://europe.gc.dental/es-ES/education/courses

Impresión 3D, pulido y maquillaje de coronas definitivas

Organiza: BEGO Iberia. Fecha y lugar: 10 de abril de 2025 en Sant Just Desvern (Barcelona). Teléfono e e-mail: 933 720 325 - begoiberia@bego.com https://iberia.bego.com/

Título Experto Universitario en Cirugía, Prótesis sobre Implantes y Manejo de los Tejidos Blandos

Organiza: CEODont.

Imparten: Dres. Mariano Sanz Alonso, José de Rábago Vega, Guillermo Pradíes, Ignacio Snaz y Ana Carrillo.

Fechas: distintos módulos de enero de 2026 a junio de 2026. Teléfonos e email: 915 530 880 - 680 338 317 - cursos@ceodont.com www.ceodont.com

Implantología y cirugía guiada: descubre el arte de la precisión quirúrgica

Organiza: Ticare.

Imparte: Dr. Pablo Freitas. Fecha: 11 de abril de 2025. www.ticareimplants.com/formacion

Curso intensivo de Microtornillos de Ortodoncia

Organiza: Osteógenos.

Fecha y lugar: 11 de julio de 2025 en Bilbao.

Imparte: Dra. Patricia Vergara. Teléfono e e-mail: 914 133 714 - formacion@osteogenos.com wwww.osteogenos.com

Regeneración tisular de defectos óseos periodontales y manejo de tejidos blandos

Organiza: EOMA.

Ponente: Javier Gómez.

Fecha y lugar: 23 de mayo de 2025 en EOMA (Móstoles).

Teléfonos e e-mail: 914 860 606 - 621 690 310 - info@eomaformacion.com https://eomaformacion.com/cursos/regeneracion-tisular/

Curso de Implantología básica para residentes de Cirugía Oral y Maxilofacial

Organiza: SECOMCyC y Ticare.

Ponentes: Dres. Pablo Domínguez, José Luis Cebrián, Ignacio García Recuerdo y Carlos Navarro Cuéllar.

Fecha: del 24 al 26 de abril de 2025. https://www.ticareimplants.com/

VITA Rocks 2025

Programa de certificación OrthoApnea NOA

Organiza: OrthoApnea. Imparten: Dres. Eduardo Vázquez, Sergio Oliván y Javier Albares. Fechas: 16 de mayo en Málaga. https://academy.orthoapnea.com/es/

Organiza: VITA. Fecha y lugar: 30 y 31 de mayo de 2025 en Jerez de la Frontera (Cádiz). https://hs.vita-zahnfabrik.com/vitarocks2025

Cursos personalizados Bioinnovación Dental Academy

Organiza: Bioinnovación Dental Academy. Ponentes: Formadores oficiales de Exocad, Exoplan y BlenderForDental de Bioinnovación Dental

Lugar: Bioinnovación Dental/Online. Teléfono e e-mail: 948 277 430 - cesar.d@bioinnovaciondental.com www.bioinnovaciondental.com

Formación Exocad para clínicas dentales

Organiza: BEGO Iberia.

Imparte: Pere Colomina.

Fecha y lugar: diversas fechas en Madrid y Barcelona. Teléfono e e-mail: 933 720 325 - begoiberia@bego.com https://iberia.bego.com/

Intensivo en composites dentales

Organiza: SDI junto a Autrán Dental Academy. Fecha y lugar: 22 y 23 de mayo de 2025 en Madrid. https://www.autrandentalacademy.com/cursos/curso-mejora-tus-composites-en-2-dias/

Inmersión en cirugía avanzada

Organiza: Ticare en colaboración con el Dr. Alberto Salgado.

Imparte: Dr. Alberto Salgado.

Fecha y lugar: a lo largo de 2025 en Salgado Dental Institute, Alicante. www.ticareimplants.com/formacion

Título Experto Universitario en Endodoncia

Organiza: CEOdont.

Imparte: Dr. Juan Manuel Liñares Sixto. Fecha: de octubre de 2025 a febrero de 2026.

Teléfonos e e-mail: 915 530 880 - 680 33 83 17 - cursos@ceodont.com www.ceodont.com

Formación sobre oseodensificación con las Fresas Densah

Organiza: Salugraft Dental.

Imparte: Dr. Emilio Rodríguez.

Fecha y lugar: a lo largo del año en diferentes ciudades. E-mail: versah@salugraftdental.com https://salugraftdental.com/cursos/

Formación sobre el Módulo iBar de BlenderForDental

Organiza: Bioinnovación Dental en colaboración con la Asociación de Técnicos en Prótesis Dentales del País Vasco.

Imparte: César de la Ossa.

Fecha y lugar: 4 de abril de 2025 en Bilbao.

E-mail: euskalprotesis@gmail.com https://bioinnovaciondental.com/

Tratamiento de la periimplantitis

Organiza: Ticare en colaboración con el Dr. Alberto Monje.

Imparte: Dr. Alberto Monje.

Fecha y lugar: 9 y 10 de mayo de 2025 en el Grupo de Estudios Murciano de Odontología. https://www.grupogemo.com/tratamiento-de-la-peri-implantitis/

Manejo predecible de casos complejos en Endodoncia

Organiza: Fundación SCOE con la colaboración de IPG Academy.

Imparten: Dres. Ricard Cardona y Carlos Ibáñez.

Fecha: 12 de abril de 2025. www.ipgdental.com

Férulas de descarga para el tratamiento de la ATM y el bruxismo

Organiza: Ortoplus. Imparte: Dr. Eduardo Vázquez.

Fecha y lugar: 17 de mayo de 2025 en Málaga. www.ortoplus.es/cursos

Iniciación a la Implantología

Organiza: GC Ibérica Dental.

Imparte: el Dr. Miguel Ángel Iglesia.

Fecha y lugar: 13 y 14 de junio 2025 en Madrid.

Teléfono e e-mail: 916 364 340 - formacion@spain.gceurope.com https://europe.gc.dental/es-ES/education/courses

IX Jornadas Multidisciplinares de Salud Oral

Organiza: Colegio Profesional de Higienistas Dentales de Madrid.

Fecha: 7 de junio de 2025.

Participan: la Dra. Belén González Cerrajero, el Dr. Gerardo Gómez Moreno, el Dr. Eduardo Montero Solís, el Dr. Víctor Francisco Tapias Perero, Leonela del Pilar Portabales Villalobos y José Luis Gómez Gómez. https://www.colegiohigienistasmadrid.org/

Summit GMI

Organiza: GMI.

Open Day Osteógenos

Organiza: Osteógenos.

Imparte: Dr. Patrick Palacci

Fecha y lugar: 13 de junio de 2025 en Madrid.

Teléfono e e-mail: 914 133 714 - info@osteogenos.com https://www.osteogenos.com/curso/open-day-osteogenos-palacci/

Fecha y lugar: 2 y 3 de mayo de 2025 en Barcelona.

Disfrutarás de cursos hands-on prácticos donde podrás perfeccionar técnicas avanzadas junto a expertos, además de conferencias de actuales líderes de la Odontología que te inspirarán a explorar nuevos horizontes clínicos. https://summitgmi25.com/

Revolución digital en prótesis dentales con Exocad

Organiza: EOMA.

Ponente: Mar Coloma.

Fecha y lugar: 16 de mayo de 2025 en EOMA (Móstoles). Teléfonos e e-mail: 914 860 606 - 621 690 310 - info@eomaformacion.com https://eomaformacion.com/cursos/curso-exocad-bascio-revolucion-digital/

Encerado digital, férulas de descarga con IA e impresión 3D

Organiza: EOMA.

Ponentes: Dres. Estrella Pizarro y Jonathan Romero. Fecha y lugar: los días 30 y 31 de mayo de 2025 en EOMA (Móstoles). Teléfonos e e-mail: 914 860 606 - 621 690 310 - info@eomaformacion.com https://eomaformacion.com/cursos/ferulas-de-descarga-con-ia-e-impresion-3d/

Experiencia en Odontología IPAO: conferencias de actualidad y hands-on

Organiza: Instituto IPAO.

Imparten: Dres. Juan Algar, Eugenio Gamo, Víctor García Vives, Pilar Ginés y Fátima Martín.

Fecha y lugar: 23 de mayo de 2025 en Madrid.

E-mail: info@odontologiaipao.com

https://odontologiaipao.com/lp-ipao-dentistry-sessions-2025/

Ácido hialurónico: nuevos usos en Odontología

Organiza: SEPA con la colaboración de Salugraft Dental.

Imparte: Dr. Samuel Oliván. Fecha y lugar: 9 de abril de 2025 en formato online. https://salugraftdental.com/curso/webinar-sepa-samuel-olivan-acido-hialuroniconuevos-usos-odontologia/

Experto Universitario en Odontología Digital Clínica

Organiza: PgO UCAM con el Centro de Formación Learnning Donnay. Fecha y lugar: comenzará en mayo de 2025 en Vitoria-Gasteiz. E-mail: info@pgo-ucam.com https://www.pgoucam.com/home

Dirección de la clínica 2.0

Organiza: Dentsply Sirona. Fechas: de septiembre de 2025 a enero de 2026. Diferentes módulos. E-mail: comunicacionInterna@dentsplysirona.com https://cvent.me/rAAoZ8

IV Congreso Knotgroup

Organiza: Knotgroup. Fecha y lugar: 13 de septiembre de 2025 en Alicante. https://knotgroupdentalcorporation.com/

Productos

Aster, la resina compuesta microhíbrida de Kiyomi

Aster es la resina compuesta microhíbrida de Kiyomi que cuenta con partículas de relleno de 0,5 μ m. Indicada para restauraciones directas e indirectas de dientes anteriores y posteriores.

Con apertura fácil de una sola mano y cierre hermético, mantiene la resina siempre lista y en perfectas condiciones. El diseño ergonómico de la jeringa se adapta perfectamente a la mano para poder tener una manipulación y almacenaje seguro en todo momento.

www.kiyomidental.com

Multi-Unit mini de Smart Implant Solutions

Es un componente transepitelial innovador diseñado para mejorar la estabilidad del hueso periimplantario y combatir la periimplantitis. Entre sus características principales destacan: plataforma reducida de 3,8 mm; geometría convergente hacia la zona coronal; revestimiento de superficie Biogold; fabricación en titanio grado 5 de alta resistencia; y disponibilidad en diversas alturas.

https://smartimplantsolutions.com/

Nuevo Método ABC: Salud, belleza y bienestar

Más que un simple tratamiento de profilaxis, el Método ABC es un tratamiento de salud, belleza y bienestar, pero sobre todo se debe ver como un método preventivo. Cada vez son más los profesionales que recomiendan una limpieza integral previa a cualquier intervención, con el fin de reducir la cantidad de bacterias en la zona y reducir así la probabilidad de potenciales complicaciones futuras.

www.rumarcedeira.com

Sistema de Inyección Fi-E Woodpecker

Con un nuevo diseño interno, disfrutarás de mayor vida útil y un mantenimiento más sencillo. La batería ahora tiene el doble de capacidad, ¡pasando de 14 a 28 pellets de gutapercha! Además, el calentamiento es un 25% más rápido, alcanzando los 200 oC en solo 12 segundos. Por último, la nueva aleación de las agujas de inyección mejora la eficiencia y durabilidad gracias al calentamiento por inducción

www.rumarcedeira.com

BEGO VarseoSmile TriniQ®: «One for all»

BEGO presenta la resina VarseoSmile® TriniQ®, el material polivalente que se adapta a la perfección y de forma inteligente a los requisitos de la Odontología moderna y la tecnología dental. Este nuevo material híbrido con carga cerámica se puede utilizar para la impresión 3D de coronas individuales, inlays, onlays y carillas permanentes.

www.bego.com

Microscopio Flexion Twin de CJ-Optik

El microscopio Flexion Twin de CJ-Optik cuenta con dos versiones, White y Blue, ambos con dos fuentes de luz que permiten disfrutar de una experiencia de microscopía excepcional. El modelo Twin Blue usa una luz fluorescente que pone de manifiesto los límites entre la estructura dentaria y los empastes, normalmente imperceptibles, además de mejorar la visibilidad de las caries. Twin White tiene el poder de dos luces LED, de hasta 200.000 lux de iluminación, que penetran incluso en la raíz de los canales más profundos.

www.vittrea.com

PT-A / Unidad de Profilaxis, Aeropulidor + Ultrasonidos

Está compuesto por un escalador ultrasónico y un aeropulidor de bicarbonato/ glicina que permite realizar tratamientos periodontales y endodónticos (subgingivales y supragingivales) de forma precisa, eficaz e indolora. El aeropulidor es ideal para pulir, sin producir arañazos en la superficie dental ni daños leves en los tejidos blandos. Además, ambas piezas de mano son divisibles y autoclavables.

www.rumarcedeira.com

Nueva línea de modelos formación en Learning Salugraft

Salugraft Dental refuerza su compromiso con la formación incorporando la completa gama del líder mundial japonés Nissin de modelos para educación al paciente y para capacitación dental, Nissin. Para que puedas mostrar y explicar a tus pacientes todas las situaciones ante las que se pueden encontrar, ofrecen los siguientes modelos: anatomía y enfermedad de dientes, implantes, Periodoncia, prevención, Endodoncia, Ortodoncia, Odontología pediátrica y Prostodoncia.

https://www.nissin-dental.net/

Nuevos kits de puntas para Endodoncia

¡Los nuevos ENDO TIP KITS ya están en RUMAR! Diseñados por expertos endodoncistas reconocidos mundialmente, y compatibles con las principales marcas del mercado. Endo Kit Azim (Dr. Azim, perfecto para retro-preparación), Kit A-C Castellucci (Dr. Castellucci, acabado de la cavidad de acceso), Kit BFRT (Dr. Terauchi, eliminación de limas rotas) y Kit Talal (Dr. Talal, para problemas comunes en el retratamiento endodóntico no quirúrgico). ¡No te los pierdas!

https://rumarcedeira.com/novedades-aparatologia/

Full Digital Workflow con Smart Implant Solutions

En el ámbito de la Implantología, el flujo de trabajo digital ha transformado la manera en la que los profesionales planifican y ejecutan los tratamientos, mejorando la precisión y eficiencia. Smart Implant Solutions ofrece una gama de productos diseñados para integrarse perfectamente en este entorno digital, destacando entre ellos los análogos de doble uso, las Ti-Bases, los Scanbodies y los tornillos Smart-Angle.

https://smartimplantsolutions.com/

VITA Vionic Resins

A partir de abril de 2025, VITA Zahnfabrik ampliará su surtido para prótesis digitales con los innovadores materiales de impresión 3D de la gama VITA Vionic Solutions. Las nuevas VITA Vionic Resins ofrecen a los usuarios materiales de alta calidad y cromáticamente fiables que permiten llevar a cabo la impresión 3D en el laboratorio de manera rentable y predecible.

https://www.vita-zahnfabrik.com/

NeoSealer Flo®, el cemento biocerámico premezclado de Zarc

Diseñado para promover la formación de hidroxiapatita y la regeneración dentinaria. Incluye en su fórmula más cemento bioactivo que otros selladores, ideal para obturaciones verticales calientes o de cono único. Es compatible con cualquier técnica de obturación y cuenta con tecnología de vanguardia que promueve la bioactividad y favorece la cicatrización.

www.ipgdental.com

Nuevas

CALENDARIO DE CONGRESOS

Calendario de congresos

ABRIL 2025

SEOC Córdoba del 3 al 5

Barcelona Dental Show Barcelona días 10 y 11

MAYO 2025

SEOP Toledo del 8 al 10

SEDCYDO, SEMO, SEGER Madrid del 8 al 10

SEMO Materiales, SEDAO, SEOD Melilla días 23 y 24

SCOI Tarragona días 30 y 31

JUNIO 2025

SECOMCyC

del 5 al 7

SEdO Murcia del 11 al 14

IADR Barcelona del 25 al 28

SEPTIEMBRE 2025

SEdO Alineadores Zaragoza días 19 y 20

SEI Toledo del 25 al 27

OCTUBRE 2025

SEPES Bilbao del 9 al 11

HIDES Tenerife días 10 y 11

SESPO Madrid días 17 y 18

AEDE Alicante del 31 al 2

NOVIEMBRE 2025

SECIB

SEOENE

ACADEN

días 7 y 8

del 14 al 16

del 14 al 16 OMD Oporto del 20 al 22

SEMDeS San Lorenzo de El Escorial días 21 y 22

SEPA Barcelona del 26 al 29

FEBRERO 2026

SELO Pendiente de confirmación días 20 y 21

MARZO 2026

SEOII Bilbao del 19 al 21

Cuente con Tetric® plus

Tetric® plus Composite universal simplificado

– 5 clases de cavidad – 4 colores – 3 segundos de polimerización

– 2 viscosidades – 1 composite universal

Ofertas Especiales

DEL 1 DE MARZO HASTA EL 31 DE AGOSTO DE 2025

iClave plus AUTOCLAVE DE CLASE B CON TECNOLOGÍA DE VANGUARDIA

MAYOR SEGURIDAD, MAYOR CAPACIDAD

Su exclusivo sistema de calentamiento de tipo Calor Adaptativo permite alcanzar una temperatura uniforme en todo el interior de la cámara evitando dañar los instrumentos.

Cámara de 18 litros de capacidad con un volumen útil equivalente a un autoclave de 24 litros.

Cámara de cobre para una mayor eficacia térmica. Posee una conductividad térmica superior al 25% frente a las cámaras de acero.

2 años de garantía

iClave plus REF. Y1003077

Puedes descargar nuestras ofertas aquí.

•Autoclave de clase B (conforme a la norma EN 13060)

3.499€*

8.448€*

Ergonómico: el sistema de bandejas especiales permite introducir unmayor número de piezas.

Rápido y seguro: su cámara de cobre ofrece una alta conductividad térmica en todo el tanque y por lo tanto los ciclos son más rápidos con un menor consumo energético.

Silencioso: ciclos de esterilización rápidos y silenciosos para tu clínica.

Ofertas Especiales

DEL 1 DE MARZO HASTA EL 31 DE AGOSTO DE 2025

DISPOSITIVO PARA TRATAMIENTO PERIODONTAL

2 SISTEMAS EN 1

El equipo se compone de:

•Unidad de control

•Prophy-System Incluye pieza de mano con boquilla de 60º para profilaxis supragingival

•Polvo FLASHpearl (5 sobres de 15 g)

•Ultrasonidos Incluye pieza de ultrasonidos Varios2 LUX con luz LED

•Tres puntas: G4, G8 y G16

•Pedal de control multifuncional para regular la presión de agua y polvo

Motor Ultrasónico de Última Generación Exclusivo de NSK

Dispositivo para Tratamiento Periodontal Varios Combi Pro REF. Y1002843

Tratamiento Periodontal Subgingival

Kit Perio REF. Y1003042

Varios2 Lux REF. E351050

Kit de Puntas

Perio-Control REF: Y1002606 Carrito de soporte iCart Prophy REF. S9095 5.999

Escanee el código QR para más información

* Los precios no incluyen iva. Ofertas limitadas hasta el 31 de agosto de 2025 o hasta fin de existencias.

VITARocks2025

Colaboran y participan

TPD. PEDRO PERALES
TPD. JOSE M. FONOLLOSA
LUIS M. VERA
LUIS SARAIVA DR. LUKEN DE ARBELOA
TPD. PAOLO MORAZZINI
DR. PERI COLINO
PETER PIZZI
RUNE
SERGI GUIRAO
SERGIO LOSAS
STEPHAN WEIß
TPD. FEDERICO RAMON DR. VICTOR C. BLASCO
TPD. AINHOA FERNANDEZ
TPD. ALVARO GALAN
TPD. BARBARA CALERO
TPD. CARLOS ORTIZ
TPD. JAUME AISA TPD. JORGE REYES
TPD. MAR COLOMA
DRA.BEATRIZ M. NIETO
DR. JUANJO ITURRALDE

Turn static files into dynamic content formats.

Create a flipbook