Skip to main content

Gaceta Dental - 367

Page 1


Núm. 367 Junio/Julio 2024 | 6,50€ gacetadental.com

ESPECIAL IMPLANTES

Casos clínicos

Con el sello de cuatro sociedades científicas: SECOMCyC, SEI, SECIB y SCOI

Protagonistas

Doctores Mariano Sanz y João Caramês

Matrimonio

Universidad-Empresa

Una relación beneficiosa para estudiantes, profesionales y pacientes

Tecnología

Restauraciones digitales sobre implantes

Núm. 367 Junio/Julio 2024 | 6,50€ gacetadental.com

ESPECIAL IMPLANTES

Casos clínicos

Con el sello de cuatro sociedades científicas: SECOMCyC, SEI, SECIB y SCOI

Protagonistas

Doctores Mariano Sanz y João Caramês

Matrimonio

Universidad-Empresa

Una relación beneficiosa para estudiantes, profesionales y pacientes

Tecnología

Restauraciones digitales sobre implantes

Guía canina

E-max CAD sobre implante

E-max CAD sobre diente natural

E-max CAD sobre diente natural

E-max CAD sobre implante

E-max CAD técnica “Cut-back”

E-max CAD sobre implante

E-max CAD técnica “Cut-back”

E-max CAD técnica “Cut-back”

E-max CAD “Monolítico”

E-max CAD “Monolítico” Pre

E-max CAD “Monolítico”

le ofrece:

Pre

innovador Disilicato de Litio (LS2) del sistema de cerámica

le ofrece:

IPS e.max CAD no solo ofrece una altísima estética que también es de 2,5 a 3 veces más resistente 360 que el resto de cerámicas de vidrio. Por ello, este material cubre todos los requerimientos estéticos y también representa una alternativa eficiente a las restauraciones unitarias ZrO2. (Zirconio)

le ofrece:

El innovador Disilicato de Litio (LS2) del sistema de cerámica vítrea IPS e.max CAD no solo ofece una altísima estética sino que también es de 2,5 a 3 veces más resistente 360 MPa que el resto de cerámicas de vidrio. Por ello, este material cubre todos los requerimientos estéticos y también representa una alternativa eficiente a las restauraciones unitarias de Zr02 (Zirconio).

El innovador Disilicato de Litio (LS2) del sistema de cerámica vítrea IPS e.max CAD no solo ofrece una altísima estética sino que también es de 2,5 a 3 veces más resistente 360 MPa que el resto de cerámicas de vidrio. Por ello, este material cubre todos los requerimientos estéticos y también representa una alternativa eficiente a las restauraciones unitarias de ZrO2. (Zirconio)

IPS e.max está avalado por la experiencia clínica que ha demostrado durante años, tanto en estética como en resistencia. La amplitud de elección del material, según el caso, en conjunción con la técnica empleada en nuestro laboratorio dotarán a los trabajos de la mayor estética para sus pacientes.

IPS e.max está avalado por la experiencia clínica que ha demostrado durante años, tanto en estética como en resistencia. La amplitud de elección del material, según el caso, en conjunción con la técnica empleada en nuestro laboratorio dotarán a los trabajos de la mayor estética para sus pacientes.

IPS e.max está avalado por la experiencia clínica que ha demostrado durante años, tanto en estética como en resistencia. La amplitud de elección del material, según el caso, en conjunción con la técnica empleada en nuestro laboratorio dotarán a los trabajos de la mayor estética para sus pacientes.

Núm. 367 Junio/Julio 2024 | 6,50€ gacetadental.com

El último empujón

Ya es tradición que el último número de Gaceta Dental antes del parón estival esté dedicado a la Implantología, una disciplina que no ha dejado de desarrollarse en los últimos años y que tiene un presente y un futuro de lo más prometedor. El esfuerzo investigador de muchos profesionales, el apoyo de otras tantas empresas para responder a los desafíos de la rama -que también los tiene- y, cómo no, la tecnología, auguran desarrollos continuos e importantes pasos para ayudar al clínico en su práctica diaria y mejorar los tratamientos de los pacientes.

ESPECIAL IMPLANTES

Casos clínicos

Con el sello de cuatro sociedades científicas: SECOMCyC, SEI, SECIB y SCOI

Protagonistas

Así lo ponemos de manifiesto en las páginas que tienes entre manos, donde también encontrarás los casos clínicos firmados por los doctores Néstor Montesdeoca, Manuel Fuentes y Daniel Capitán, Toni Flichy y Núria Noguerón (y cols), contenidos con el sello de las sociedades científicas SECOMCyC, SEI, SECIB y SCOI, respectivamente. Gracias desde aquí a todos por su colaboración. Además, contamos con las interesantes entregas de nuestros colaboradores Luis Cuadrado y el equipo de I2 y Giuliano Fragola para poner la guinda clínica a este número Especial Implantes.

Doctores Mariano Sanz y João Caramês

Mención especial a nuestros protagonistas del número, los doctores Mariano Sanz y João Caramês, dos auténticos maestros no solo de la Implantología, sino de la Odontología ibérica. Una Odontología que en ambos casos se escribe en letras de oro y con mayúsculas. Un auténtico placer escucharles y leerles.

Y aunque una llega a estas alturas del curso con el piloto de la reserva encendido, hasta que alcancemos «el momento playa» queda mucho trabajo por delante. De hecho, este mes de junio se cierra la recepción de candidaturas a los 27 Premios GD (venga, anímate que aún estás a tiempo de presentarte), hay que organizar jurados, gestionar invitaciones, cerrar detalles de la gala… Pero también está en el horno una nueva edición de la Guía de formación GD, el día a día de nuestra web y redes sociales, los capítulos del podcast, el número de inicio de curso de GD… Bendita vorágine, pero también, no lo vamos a negar, ¡qué ganas de vacaciones! Feliz verano a todos.

Matrimonio

Universidad-Empresa

Una relación beneficiosa para estudiantes, profesionales y pacientes

Tecnología

Gema Bonache

Directora de Gaceta Dental

Restauraciones digitales sobre implantes

Índice de anunciantes

19 años al servicio de distribuidores y servicios técnicos dentales

20 años al servicio de distribuidores y servicios técnicos dentales

¡Siempre

3

ESPECIAL IMPLANTES

Ciencia y clínica

–El papel de los implantes subperiósticos en la reconstrucción del maxilar superior, por el Dr. Néstor Montesdeoca y cols. [16]

–Uso de las aplicaciones digitales para la rehabilitación de una arcada superior completa. Mediante implantes inmediatos y carga inmediata, por los Dres. Manuel Fuentes y Daniel Capitán. [34]

–Regeneración ósea guiada horizontal y parcialmente vertical en sector posterior. Mediante la técnica de Sausage Technique, por el Dr. Toni Flichy. [60]

–Análisis de distintas situaciones clínicas y toma de decisiones en prótesis implantosoportadas parciales, por la Dra. Núria Noguerón y cols. [72]

16

88

Protagonistas

Dr. Mariano Sanz Catedrático, investigador de la UCM y Patrono de Honor de la Fundación SEPA. [98]

Dr. João Caramês Presidente de SOPIO (Sociedad Portuguesa de Implantología y Osteointegración). [106]

98

«El último empujón», por Gema Bonache.

Di2gitalArch® Standard Stacked: carga inmediata en el día. Implantes Bioner TOP-DM y pilares micromini, por el Dr. Luis Cuadrado Canals.

Vilar de María / Sarria / Lugo

Restauraciones digitales sobre implantes (I). Conexiones internas VS externas, por el Dr. Giuliano Fragola.

Cátedras UniversidadEmpresa: un matrimonio necesario, también para el paciente. Actualidad del sector Y además...

–Congreso Dental Técnic. [172]

–5o Congreso Nacional de Higienistas Bucodentales (HIDES) y 2o Encuentro Europeo. [176]

–XXXIV Congreso Nacional y XXVII Congreso Internacional de la SEI. [178]

TECNOLOGÍA PRGF - ENDORET®

LA REGENERACIÓN TISULAR CON EL MAYOR AVAL CIENTÍFICO ( MÁS DE 300 PUBLICACIONES)

LÍQUIDO (ATM) COÁGULO INJERTO AUTÓLOGO INJERTO CON BIOMATERIAL MEMBRANA DE FIBRINA VERSATILIDAD

REESCRIBE LA MANERA DE TRATAR A LOS PACIENTES

POR 5 RAZONES:

1. Acelera la curación

2. Acorta los tiempos de tratamiento

3. Reduce las complicaciones postoperatorias

4. Disminuye los costes en retratamientos

5. Mejora la experiencia del paciente

¿POR QUÉ ES ÚNICO ENDORET ® ?

EDITA

Peldaño

DIRECTORA

Gema Bonache gbonache@gacetadental.com

PUBLICIDAD

Ana Santamaría Directora de ventas ana@gacetadental.com

Marta Pérez marta@gacetadental.com

Manuela Bino i mbinotti@gacetadental.com

JEFE DE PRODUCCIÓN

Miguel Fariñas

GACETADENTAL.COM ACCEDE A LOS DATOS DE SUSCRIPCIÓN

OFICINAS Y REDACCIÓN

Avda. Manzanares, 196 28026 Madrid 91 476 80 00

HEAD OF DESIGN

Juan Luis Cachadiña

COPYWRITER

Sandra Rodríguez srodriguez@gacetadental.com

REDACTORA

Patricia Merino pmerino@gacetadental.com

TIENDA GD

Francisco Soriano paco@gacetadental.com

Jorge Cacuango jorge@gacetadental.com

¡SÍGUENOS

EN LAS REDES!

DISEÑO Y MAQUETACIÓN

Débora Martín Cristina Corchuelo

IMPRIME mccgraphics

Txirrita-Maleo Biribil, 11 20100 Errenteria, Gipuzkoa

CONSEJO DE INNOVACIÓN Y EXCELENCIA

SUSCRIPCIONES Y DISTRIBUCIÓN

Remedios García Laura López suscripciones@peldano.com 902 35 40 45

DEPÓSITO LEGAL

M.35.236-1989 ISSN 1135-2949

Foto: Iker Alberdi Oyarzabal.

CIENCIA Y CLÍNICA: Dr. José Aranguren, Dra. Estefanía Laguna, Dr. Juan López-Quiles, Dra. Estefanía Moreno, Dr. Jesús Peláez Rico, Dr. Luis Segura-Mori · FORMACIÓN Y CONOCIMIENTO: Dr.Juan Carlos Vara, Dra. María José Muñoz, Dr. Simón Pardiñas · TECNOLOGÍA E INNOVACIÓN: Dr. Luis Cuadrado de Vicente, Dra. Irene García

INTERNACIONAL: Dr. Joao Caramés, Dr. Cristian Abad

Presidente: Ignacio Rojas · CEO: Lourdes Álvarez ·Director Financiero y de Talento: Daniel R. Villarraso

Director de Marca y Estrategia: Eneko Rojas · Director de Estrategia de Contenidos: Adrián Beloki

Directora de Estrategia Digital Comercial: María Rojas · Directora de Marketing: Miriam Egea

Business Unit Manager: María Muñoz · Chief Digital O icer: Pau Colás

Los artículos científicos y clínicos que se publican en Gaceta Dental son supervisados por un grupo de expertos en las distintas ramas de la Odontología. Gaceta Dental no se identifica necesariamente con las opiniones expresadas libremente en sus páginas por los colaboradores.

Publicación autorizada por el Ministerio de Sanidad como soporte válido. Ref: S.V 89057 R. Premio aeepp a la mejor revista de 2008 | 1er Accesit al Mejor Editor, años 2004 y 2007 | Premio «Pro-Odontología» de la Sociedad Catalana de Odontología y Estomatología (scoe) 2009 | Premio «Fomento de la Salud» del Consejo General, 2005 | Premio del Colegio de Protésicos de la Comunidad de Madrid a la Trayectoria Profesional 2009 | Insignia de oro Colegial del COEM 2013. AVISO LEGAL Y TRATAMIENTO DE DATOS

La opinión de los artículos publicados no es compartida necesariamente por la revista, y la responsabilidad de los mismos recae, exclusivamente, sobre sus autores. Cualquier forma de reproducción, distribución, comunicación pública o transformación de esta obra solo puede ser realizada con la autorización de sus titulares, salvo excepción prevista por la ley, y en el caso de hacer referencia a dicha fuente, deberá a tal fin ser mencionada GACETA DENTAL editada por Peldaño, en reconocimiento de los derechos regulados en la Ley de Propiedad Intelectual vigente, que como editor de la presente publicación impresa le asisten. Los archivos no deben modificarse de ninguna manera. Diríjase a CEDRO (Centro Español de Derechos Reprográficos) si necesita fotocopiar o escanear algún fragmento de esta obra (www.conlicencia.com / 917 021 970 / 932 720 445). De conformidad con lo dispuesto en el Reglamento (UE) 2016/679 del Parlamento Europeo y del Consejo, de 27 de abril de 2016, relativo a la protección de las personas físicas en lo que respecta al tratamiento de datos personales y a la libre circulación de estos datos y por el que se deroga la Directiva 95/46/CE, y de conformidad con la legislación nacional aplicable en materia de protección de datos, le recordamos que sus datos están incorporados en la base de datos de PELDAÑO MEDIA GROUP, S. L., como Responsable de Tratamiento de los mismos, y que serán tratados en observancia de las obligaciones y medidas de seguridad requeridas, con la finalidad de gestionar los envíos en formato papel y/o digital de la revista, de información sobre novedades y productos relacionados con el sector, así como poder trasladarle, a través nuestro o de otras entidades, publicidad y ofertas que pudieran ser de su interés, de conformidad con el consentimiento prestado al solicitar su suscripción expresa y voluntaria a la misma, cuya renovación podrá ser requerida por Ediciones Peldaño en cumplimiento del citado Reglamento. Le informamos que podrá revocar dicho consentimiento, en cualquier momento y en ejercicio legítimo de los derechos de acceso, rectificación, cancelación, oposición, portabilidad y olvido, dirigiéndose a PELDAÑO MEDIA GROUP, S. L., Avda. Manzanares, 196. 28026 Madrid, o al correo electrónico distribucion@peldano.com.

Málaga | 21 y 22 de junio de 2024

Amplía tu formación en Odontología de la mano de prestigiosos expertos a nivel nacional e internacional

Dr.Federico Hernández- Alfaro

Impartido por los doctores Manuel Román, Federico Hernández- Alfaro y Juan Carlos Pérez-Varela

Aprende en qué casos operar y qué técnica quirúrgica elegir. Conoce a fondo la cirugía ortognática, en el plano vertical y Sagital, cirugía segmentada vs SARPE.

Te enseñamos cómo confeccionar una férula quirúrgica digital y un ClinCheck o Approver de cirugía ortognática. Aprenderás sobre protocolo y planificación y te daremos consejos y soluciones para quepuedas abordar incluso los casos más complejos.

1.500 €

(Desde 66€/mes)

Dr.Manuel Román
Dr.Juan Carlos Pérez-Varela

Estos son los 5 títulos de Implantología y Estética que no pueden faltar en tu día a día.

5 títulos imprescindibles en Implantología y Estética

La Implantología es una de las ramas de la Odontología que más ha evolucionado en los últimos años, con nuevas técnicas y tratamientos que hacen necesaria una constante actualización por parte de los profesionales del sector. Por ello, en este Especial Implantes, desde la Tienda Gaceta Dental te presentamos 5 libros imprescindibles en esta disciplina, y también en Estética, para que estés al día en tu práctica clínica.

1. CIRUGÍA ESTÉTICA MUCOGINGIVAL EN IMPLANTES

(2. VOL)

Este libro, de los Dres. Claudio Mazzotti y Giovanni Zucchelli, consta de 2 volúmenes e ilustra, de una forma extraordinaria, la importancia de los tejidos blandos para el éxito estético y funcional de los implantes. En sus 13 capítulos, los Dres. Mazzotti y Zucchelli diseñan, paso a paso, un camino para cada escenario clínico y explican cómo dominar el manejo técnico de los tejidos periodontales. Así, para abordar cada situación, incluso los casos clínicos más complicados, los autores proponen tratamientos que combinan las soluciones tradicionales con las más innovadoras. Una obra, en definitiva, que sirve como punto de referencia para la cirugía de los tejidos blandos periimplantarios y que ofrece un viaje guiado entre la biología, la estética y la cirugía.

2. OCLUSIÓN Y PRÓTESIS SOBRE IMPLANTES

¿Cómo se relaciona la oclusión con los implantes dentales? Las diferentes respuestas a esta compleja pregunta las vamos a encontrar en la nueva publicación del Dr. Maxi

Cacciacane García: «Oclusión y prótesis sobre implantes». Esta obra, diseñada para que los lectores puedan comprender los conceptos con facilidad, se presenta de manera clara y organizada a través de sus 9 capítulos, lo que la hace accesible tanto para estudiantes como para profesionales experimentados. Además, combina de manera equilibrada la teoría y la práctica, ofreciendo una base sólida en los principios teóricos de la oclusión y los implantes. A través de numerosos casos clínicos detallados, los lectores pueden ver cómo se aplican estos conceptos en situaciones reales, lo que facilita su comprensión y aplicación en la práctica clínica. Por último, la inclusión de numerosos casos clínicos paso a paso es una característica distintiva de esta obra, ya que proporcionan ejemplos concretos de cómo abordar diferentes situaciones en tratamientos implantoprotéticos.

3. ODONTOLOGÍA RESTAURADORA BIOMIMÉTIA

(2. VOL)

El libro, dividido en dos volúmenes y escrito por el Dr. Pascal Magne, representa un avance significativo en la ciencia de la reconstrucción dental estética, proporcionando una guía completa tanto para el ámbito clínico como académico. El autor aborda las indicaciones y pasos clínicos clásicos para la preparación de los dientes, los procedimientos de laboratorio y CAD/CAM, la cementación

TU LIBRO DIGITAL ¡YA DISPONIBLE!

En la Tienda Gaceta Dental hemos ampliado nuestra oferta para brindarte una experiencia de lectura más versátil y accesible. Ahora tienes la opción de adquirir tus libros preferidos en formato digital o en formato impreso, gracias al nuevo botón de compra que hemos agregado en nuestra página web.

Esta opción no solo ofrece comodidad, sino también una alternativa más económica para quienes prefieren el formato digital. Además, destacamos que los libros digitales no solo pueden visualizarse a través de la aplicación web, sino que también puedes descargártelos en tus dispositivos móviles y tabletas, brindando así una experiencia de lectura óptima en cualquier plataforma.

adhesiva y el mantenimiento, siempre rigiéndose por su principio: respetar la estructura natural del diente como guía principal en la restauración, fundamentado en la filosofía biomimética.

Con el principio biomimético como filosofía central del libro, el objetivo de esta obra es proponer nuevos criterios basados en la biomimética para la Odontología restauradora estética. Así, el volumen 1 se centra en los fundamentos y procedimientos básicos; y el volumen 2 en las técnicas clínicas avanzadas, el mantenimiento y la reconstrucción de las restauraciones adheridas.

4. 3STEP. PROSTODONCIA ADITIVA

Con más de 500 páginas, este libro, de los Dres. Francesca Vailati y Urs Belser, revoluciona la Odontología contemporánea a través de los conceptos de estética y función, los cuales deben ser entendidos como bases de una medicina contemporánea, especialmente en tratamientos con pacientes disfuncionales.

Con un enfoque alternativo o complementario al tratamiento convencional que añade interesantes aspectos de observación clínica, «3Step. Prostodoncia» proporciona al clínico todas las herramientas necesarias para poder llevar a cabo una investigación más en profundidad con el objetivo de hallar la causa que ha generado el daño biológico y, a partir de ahí, ofrecer nuevos conceptos para su rehabilitación.

A través de sus páginas, los Dres. Vailati y Belsers exponen, entre otros asuntos, qué buscar en el diagnóstico integral del desgaste dental, cómo efectuar la estabilización funcional y estética del paciente, cómo planificar un protocolo 3Step digital

y qué hacer una vez finalizado el tratamiento.

5. DIRECT. CARILLAS EN RESINAS COMPUESTAS

«Direct. Carillas en resinas compuestas» escrita por los Dres. Rafael Calixto y Jorge Eustáquio, junto con más de una veintena de colaboradores expertos en Odontología Estética y Restauradora, reúne, en sus más de 500 páginas y 8 capítulos, todo el conocimiento y modos de aplicación de las resinas compuestas en forma de carillas.

El libro hace una introducción sobre los fundamentos para elegir las resinas compuestas, además de mostrar cómo expresar y reproducir toda la morfología dental para conseguir que el diente se integre con la cavidad bucal, con los labios y la cara de cada paciente.

También se aborda la complejidad de color y la translucidez, así como las caracterizaciones para armonizar las carillas de resina compuesta y las diferentes técnicas de estratificación en dientes anteriores unitarios.

En el libro también podemos encontrar diferentes casos clínicos, además de un apéndice especial, donde se introduce el uso de la fotografía y otros recursos de magnificación de imagen. ●

¡CONSIGUE TU LIBRO EN LA TIENDA GD!

Una herramienta indispensable para quienes buscan perfeccionar sus habilidades quirúrgicas

¡Novedad editorial disponible en la Tienda Gaceta Dental!

Este libro ofrece a los profesionales de la Periodoncia técnicas avanzadas para corregir deformidades de los tejidos blandos, mejorando la estética de la sonrisa de los pacientes con resultados óptimos.

Hazte con él en tienda.gacetadental.com 606 948 236

Impulsa:

Ciencia y clínica

El papel de los implantes subperiósticos en la reconstrucción del maxilar superior

DR. NÉSTOR MONTESDEOCA GARCÍA

Licenciado en Medicina y Cirugía por la Universidad Autónoma de Madrid (UAM).

Especialista en Cirugía Oral y Maxilofacial por el Hospital Universitario La Paz, Madrid. Doctor en Medicina y Cirugía por la Universidad de Navarra.

Jefe de Servicio de Cirugía Oral y Maxilofacial y Odontología del MD Anderson Cancer Center (Madrid). Codirector del Servicio de Cirugía Oral y Maxilofacial y Odontología del Hospital Universitario La Luz (Madrid).

Dr. José Luis Cebrián Carretero Licenciado en Odontología por la Universidad Europea de Madrid. Doctor y Licenciado en Medicina y Cirugía por la UAM. Jefe de Servicio de Cirugía Oral y Maxilofacial del Hospital Universitario La Paz (Madrid).

Dra. Carlota de las Heras González Licenciada en Odontología por la Universidad Complutense de Madrid (UCM). Máster Cirugía Oral, Implantología y Periodoncia por la Universidad Rey Juan Carlos, Madrid. Odontóloga en el MD Anderson Cancer Center.

Dr. Pablo Garrido Martínez

Doctor y Licenciado en Odontología por la UCM. Odontólogo en el Servicio de Cirugía Oral y Maxilofacial y Odontología en el Hospital Universitario La Luz. Profesor asociado de Prótesis y Oclusión en la Universidad Alfonso X el Sabio.

RESUMEN

Se presenta un caso de reconstrucción maxilar tras la extirpación de un carcinoma adenoide quístico maxilar izquierdo en una paciente de 35 años. Tras la realización de una maxilectomía parcial es reconstruida de forma inmediata con el colgajo de músculo temporal homolateral. A los 2 años de finalizar el tratamiento radioterápico y sin evidencia de recidiva, se realiza la reconstrucción del maxilar y el proceso dentoalveolar mediante el diseño y fabricación de un implante subperióstico de titanio a la medida del defecto. Es estabilizado con tornillos de osteosíntesis para recuperar el volumen facial y permitir una rehabilitación fija cerámica. Tras dos años de evolución, el caso sirve de ejemplo para discutir la planificación, el diseño, la técnica quirúrgica, las indicaciones y contraindicaciones y pronóstico de los nuevos implantes subperiósticos de titanio.

Con la colaboración de:
«Los nuevos IS de titanio hechos a medida han vuelto a abrir el debate sobre el tratamiento de los grandes defectos del maxilar ofreciendo algunas ventajas frente a otros procedimientos reconstructivos más complejos, con menor morbilidad y tiempos de tratamiento más cortos»

Los implantes subperiósticos diseñados a medida evitan el uso de complejos procedimientos de regeneración ósea. Son una alternativa eficiente al empleo de implantes cigomáticos, angulados o excesivamente cortos o estrechos para atrofias severas del maxilar superior y, en especial, para la reconstrucción de casos oncológicos o postraumáticos del maxilar superior en combinación con colgajos de partes blandas o en pacientes no candidatos al empleo de colgajos osteocutáneos microvascularizados por su comorbilidad.

Palabras clave: implantes subperiósticos, hemimaxilectomía, maxilectomía, reconstrucción maxilar, atrofia maxilar.

ABSTRACT

Reconstrucción del maxilar izquierdo (antes y después).

A case of maxillary reconstruction after removal of a left maxillary adenoid cystic carcinoma in a 35-year-old female patient is presented. After a partial maxillectomy she was immediately reconstructed with the homolateral temporal flap. Two years after the end of the radiotherapeutic treatment and without evidence of recurrence, the reconstruction of the maxilla and the dentoalveolar process was performed by designing and fabricating a subperiosteal titanium implant to the size of the defect and stabilized with osteosynthesis screws to recover the facial volume and allow a fixed ceramic rehabilitation. After two years of evolution, the case serves as an example to discuss the planning, design, surgical technique, indications and contraindications and prognosis of the new subperiosteal titanium implants.

Custom-designed subperiosteal implants avoid the use of complex bone regeneration procedures. They are an efficient alternative to the use of zygomatic, angulated or excessively short or narrow implants for severe maxillary atrophy and especially for the reconstruction of oncologic or postraumatic cases of the maxilla in combination with soft tissue flaps or in patients who are not candidates for the use of microvascularized osteocutaneous flaps.

Keywords: subperiosteal implants, hemimaxillectomy, maxillectomy, maxillary reconstruction, maxillary atrophy.

INTRODUCCIÓN

Los defectos del maxilar superior tras cirugía oncológica se han sistematizado mediante la clasificación de Brown (1), que los divide en función del número y posición de piezas afectadas, el paladar, la órbita y su contenido y la región nasomaxilar.

Según Futran (2), la reconstrucción de las maxilectomías parciales o totales requieren del uso de colgajos de partes blandas regionales o a distancia o colgajos óseos microvascularizados, si es viable la rehabilitación dental. Los colgajos de peroné, cresta ilíaca y escápula que permiten la posibilidad de colocar implantes osteointegrados son los más empleados.

El uso de implantes subperiósticos (IS) fue descrito por primera vez en 1943 por Dahl (3). En 1949, Goldberg describe su uso para la rehabilitación completa de la mandíbula (4). Los implantes subperiósticos se usaron durante más de 20 años hasta la popularización de los implantes

endoóseos en la década de los setenta. Diversas complicaciones como las infecciones de repetición (la más frecuente), la reabsorción ósea o la exposición y movilidad de la estructura en boca disminuían las tasas de supervivencia a largo plazo, lo que hizo declinar su uso. La supervivencia a los 15 años oscilaba entre el 52% y el 86% (5).

Los implantes estaban fabricados con una aleación de vitalium y requerían dos procedimientos. Inicialmente, una cirugía para realizar una impresión con alginato sobre el hueso y su posterior fabricación en el laboratorio sobre el modelo de escayola, con una adaptación subóptima del IS. En un segundo procedimiento, se acometía la colocación pasiva del implante para su posterior fibrointegración.

OBJETIVOS

La aparición de nueva tecnología de diseño y fabricación asistida por ordenador (CAD/CAM) y el empleo de metales más biocompatibles y con capacidad de osteointegración como el titanio ha permitido revisar esta técnica (6). La posibilidad de realizar tratamiento de superficie para favorecer la integración secundaria ha permitido, además, una adaptación submilimétrica muy precisa al hueso atrófico o remanente (7). Combinada con tornillos de osteosíntesis, la proveen de resistencia mecánica y estabilidad primaria suficiente para tolerar las cargas masticatorias. Los nuevos IS de titanio hechos a medida han vuelto a abrir el debate sobre el tratamiento de los grandes defectos del maxilar, ofreciendo algunas ventajas frente a otros procedimientos reconstructivos más complejos, con menor morbilidad y tiempos de tratamiento más cortos.

PARA CADA SITUACIÓN, UNA SOLUCIÓN POLA

POLA DAY

RADII XPERT

Desde 30 min con férula

Disponible al 6% de peróxido de hidrógeno

• Disponible en kit de 4, 10 o 50 jeringas

RADII XPERT

RADII XPERT

¡LA ÚNICA QUE SE

CONVIERTE EN LÁMPARA DE BLANQUEAMIENTO!

¡LA ÚNICA QUE SE CONVIERTE EN LÁMPARA DE BLANQUEAMIENTO!

¡LA ÚNICA QUE SE CONVIERTE EN LÁMPARA DE BLANQUEAMIENTO!

POLA NIGHT

Desde 90 minutos al día

Disponible en peróxido de carbamida al 10% y 16%

Disponible en kit de 4, 10 o 50 jeringas

La tecnología única de asistencia a la focalización de Radii Xpert permite obtener el correcto posicionamiento de la luz, así como el ángulo adecuado antes del fotocurado.

POLA FOR ALIGNERS

Máxima comodidad para el paciente en un kit de blanqueamiento

Contiene nitrato de potasio y flúor para reducir la sensibilidad durante su uso a largo plazo

SOOTHE

Alivio instantáneo – úselo antes o después del proceso de blanqueamiento

Nitrato de potasio al 6% y flúor al 0.1%,

Con férula

La tecnología única de asistencia a la focalización de Radii Xpert permite obtener el correcto posicionamiento de la luz, así como el ángulo adecuado antes del fotocurado.

La tecnología única de asistencia a la focalización de Radii Xpert permite obtener el correcto posicionamiento de la luz, así como el ángulo adecuado antes del fotocurado.

POLA LIGHT

• El sistema Pola Light se combina con el gel Pola Day

• Formulado para eliminar con seguridad las manchas más duraderas

• Remineralización para fortalecer los dientes.

• Hidratación adicional para minimizar la sensibilidad

PINCEL APLICADOR INCLUIDO!

MULTIDIRECCIONAL

TRÍPODE MULTIDIRECCIONAL

Diseño inteligente Estable

•Manejo fácil y cómodo

facebook.com/sdipola/españa instagram/sdi_espana

facebook.com/sdipola/españa instagram/sdi_espana

SDI ESPAÑA

SDI ESPAÑA

MATERIAL Y MÉTODO

Desde el primer caso intervenido hace ya hace 9 años (8), hemos realizado 18 procedimientos de reconstrucción maxilar primaria o secundaria utilizando IS con diferentes diseños y fabricantes para casos oncológicos, postraumáticos o sindrómicos (8-13).

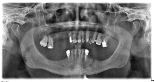
Para ilustrar el proceso, presentamos el caso de una mujer joven diagnosticada de carcinoma adenoide quístico en la región posterior del hemipaladar izquierdo (Figuras 1 y 2). El procedimiento quirúrgico realizado fue una

maxilectomía parcial que incluyó las piezas 24-26 y desde el reborde alveolar hasta la base del cráneo (Figuras 3 y 4). En este caso, la órbita y el globo ocular pudieron ser preservados. La reconstrucción inmediata se realizó mediante un colgajo de músculo temporal homolateral (Figura 5) y el defecto de la fosa temporal fue cubierto mediante una malla de titanio. Posteriormente, la paciente recibió radioterapia (Figuras 6 y 7). 2 años más tarde se diseñó un IS con anclaje en el arbotante nasomaxilar, zona subnasal izquierda

Figura 1. Imagen preoperatoria de la paciente.
Figura 2. Carcinoma adenoide quístico en región posterior del hemimaxilar izquierdo.
Figura 3. Maxilectomía parcial.
Figura 4. Defecto maxilar tras resección del tumor.

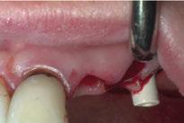
y lo que se pudo preservar del hueso malar. Se añadió una malla sinterizada infraorbitaria para dar volumen a la mejilla y se planificaron dos brazos de conexión que emergieran en las posiciones 24 y 26 de forma subgingival (Figuras 8 y 9). La superficie interna que apoyaba en el hueso era de titanio microrrugoso, y la superficie externa y conectores de titanio pulido y hexágono externo universal (Figuras 10 y 11). La cirugía se hizo bajo anestesia general en infiltración con anestesia local (4% articaína, 1:100.00 epinefrina), levantando el

colgajo cutáneo de la mejilla por vía intraoral, preservando el colgajo temporal para no comunicar con el remanente de la cavidad naso maxilar (Figura 12). Se emplearon 10 tornillos de osteosíntesis de 1,9 mm y la estabilidad primaria obtenida fue excelente (Figura 13)

4 meses después de la cirugía la encía estaba completamente cicatrizada y las conexiones de los implantes tipo hexágono externo universal quedaron a nivel yuxtamucoso. En este caso no se requirió el empleo de pilares transepiteliales y las impresiones fueron tomadas

Figura 5. Reconstrucción del maxilar y paladar con colgajo de músculo temporal.
Figura 6. Defecto maxilar tras dos años del final de la radioterapia.
Figura 7. Imagen facial previa a la reconstrucción.

8. Imagen 3D de la extirpación y planificación del implante subperióstico.

Posición de los tornillos de osteosíntesis y emergencia de las conexiones.

Figura
Figura 9.
Figura 10. Visión vestibular de la estructura con conexiones en titanio pulido.
Figura 11. Visión posterior de la estructura con titanio rugoso en contacto con el hueso.
Figura 12. Abordaje quirúrgico. El músculo temporal aísla el seno maxilar y fosa nasal.
Figura 13. Fijación del implante y emergencia de las conexiones.

MULTI-UNITmini

Nuevo pilar transepitelial estrecho diseñado para la lucha contra la periimplantitis gracias a la mejora del espacio biológico supracrestal.

PLATAFORMA

REDUCIDA 3,8 mm.

DISEÑO ESTRECHO

Mejora la cantidad de fibras de colágeno, incrementando la vascuralización del sellado mucoso.

GEOMETRÍA EXTERNA

Convergente hacia coronal.

Favorece la migración en esa dirección de los miofibroblastos presentes en el tejido conectivo. 1,5 2,5 3,5 4,5 5,5 6,5

BIOGOLD

Recubrimiento de superficie biocompatible.

Titanio 6AL-4V.

Grado 5. (Alta resistencia).

Dispone de librería para Ti-base y pilar provisional.

Disponibles en diferentes Alturas desde 1,5mm. hasta 6,5mm. para:

STRAUMANN® BONE LEVEL® Interna NC 3,3

BIOHORIZONS® TAPERED® Hexágono Interno 3.0 I 3,5

MIS SEVEN® Hexágono Interno NP3,30 I SP 3,75 /4,20

NOBEL BIOCARE® NOBELACTIVE® Interna Activa NP 3,5/3,75

OSSTEM® TS/ HIOSSEN® ET Cónica Interna MINI

BIOMET 3i® CERTAIN® Hexágono Interno “Click” NP3,4

BTI® Interno Tetralobular Interno NP3,5

ZIMMER® SCREW-VENT® Hexágono Interno NP 3,5

ASTRA® TECH OSSEOSPEED® Cónica Interna Yellow 3,0 I Aqua 3,5/4,0

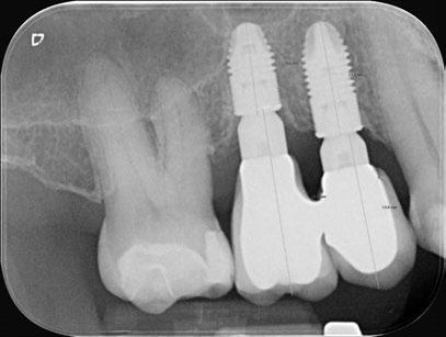
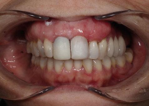
directamente a cabeza de implante para realizar una prótesis dentoalveolar de cerámica de 3 piezas, que equilibraran la oclusión y dieran soporte al labio y la mejilla (Figuras 14-17)

Durante el primer mes tras la intervención la paciente presentó epífora del ojo izquierdo que se resolvió de forma espontánea. Al año acude a consulta refiriendo dolor localizado y celulitis subcutánea originada por tejido de granulación en el brazo de la conexión más anterior.

Tras realizar curetaje quirúrgico periimplantario y tras una semana

de tratamiento antibiótico con amoxicilina y ácido clavulánico, cede la infección. Al segundo año de seguimiento, el tratamiento permanece estable y no ha presentado más complicaciones biológicas, estructurales o protésicas.

DISCUSIÓN

Planificación clínica

El diseño y fabricación de una estructura subperióstica requiere del empleo de un completo flujo digital. El duplicado de la prótesis preexistente no siempre satisface las necesidades estéticas del

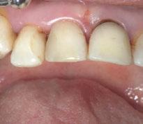
Figura 14. Imagen intraoral frontal postoperatoria al año de la reconstrucción.
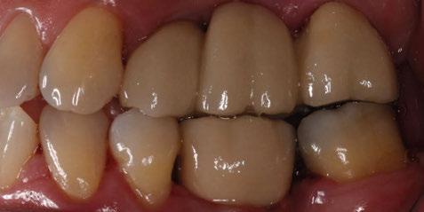
Figura 15. Detalle de prótesis dentoalveolar cerámica en visión lateral.
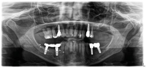
Figura 16. Ortopantomografía postoperatoria.
Figura 17. Resultado final.

paciente. Rutinariamente tomamos fotos clínicas, realizamos un escáner intraoral y un escáner facial de haz cónico del paciente y de la prótesis, bien de la original o una completa provisional nueva si necesitamos mejorar la estética dentofacial. De manera virtual creamos, junto con los ingenieros, el diseño del implante sobre el hueso residual y la emergencia de las conexiones (11). Cada nuevo caso nos permite añadir mejoras y corregir deficiencias. El archivo STL definitivo es enviado al fabricante para impresión. De esta forma podemos poner en relación el hueso y encía residuales con la posición óptima de los dientes.

Diseño del implante

No hay un consenso específico sobre cuál es el diseño más adecuado de un IS. Empezamos a vislumbrar cuáles serían los óptimos, pero cada caso debe ser evaluado individualmente por el cirujano y el ingeniero y sólo la experiencia acumulada irá mejorando el diseño y las indicaciones.

En líneas generales, preferimos poco volumen de titanio, una buena estabilidad primaria con un adecuado número de tornillos y una cobertura de partes blandas de calidad, así como alejar el metal de las incisiones.

La estructura de un implante superior subperióstico para un hemimaxilar superior se compone de dos alas que apoyan sobre el hueso cigomático y sobre el arbotante nasomaxilar que portan los tornillos de osteosíntesis, por lo que preferimos entre 3 y 4 por arbotante. Dichas alas se unen mediante una estructura basal horizontalizada de la que descienden tres brazos que portarán las conexiones sobre las que se realizará siempre una prótesis fija (14). Dichas conexiones

«Los IS requieren de una única cirugía para su colocación, disminuyendo el tiempo total de tratamiento y la necesidad de procedimientos regenerativos»

pueden diseñarse para que queden submucosas o transmucosas. En el caso de existir paladar, preferimos realizar una extensión palatina del implante para incrementar la estabilidad y, si hay hueso suficiente en calidad y volumen, añadir algún tornillo de osteosíntesis más.

Asimismo, el tratamiento que aumente la rugosidad de la superficie interna que estará en contacto directo con el hueso favorecerá la integración secundaria y el pulido de la superficie externa, en especial las conexiones y sus brazos minimizarán el acúmulo de placa y la estabilidad de las partes blandas en caso de dehiscencia de la mucosa (15).

En los casos bilaterales, el cirujano debe elegir entre una sola estructura solidarizada con una prótesis de resina con refuerzo metálico o dos estructuras conectadas por el paladar o por la región subnasal si la atrofia ósea no es muy severa en esta zona. La posición de los tornillos se planifica en función de la densidad del hueso. Por su parte, el número de tornillos de osteosíntesis a emplear no está aclarado.

Hay autores que sólo emplean 4 por hemiarcada, mientras que otros usan una media de 20 (16).

Los tornillos se colocarán sobre el hueso más denso y deben ser preferiblemente autorroscantes con una anchura en torno a los 2 mm. Hay que infrapreparar el agujero de forma previa en hueso muy cortical y debe tenerse cuidado con no invadir el conducto lacrimal o penetrar en seno maxilar o nariz.

Aunque hay distintas técnicas de fabricación del IS, habitualmente se utiliza titanio grado 5 con técnicas de adicción (17).

Conexiones transmucosas vs conexiones submucosas

La mayoría de los casos atróficos requerirán del uso de conexiones transmucosas mediante el uso de pilares multi-unit (Nobel Biocare Services AG, Zurich, Suiza), que necesitan una altura mínima de 3 mm u otro tipo de conexión interna.

Este tipo de conexiones permiten una mejor estética, evitando la exposición del metal de la estructura. Los usamos preferentemente en el sector anterior.

Si el espacio continúa siendo insuficiente a nivel vertical o vestíbulo-mesial, puede requerirse una osteotomía para mejorar la emergencia y la cobertura mucosa (18). En sectores posteriores o en casos oncológicos donde el remanente maxilar es muy atrófico, a veces preferimos el uso de conexiones externas universales submucosas (altura mínima necesaria de 5 mm hasta la emergencia mucosa). Es conveniente adaptar con posterioridad, tras la cicatrización de los tejidos y la radioterapia, la altura del pilar para la mejor estética de la prótesis.

Dejar la conexión submucosa ofrece la ventaja de poder retirar la prótesis y el pilar en el caso de que

se produzca una infección crónica alrededor del implante y poder realizar un mejor tratamiento de curetaje quirúrgico y tratamiento antibiótico sin comprometer al implante subperióstico en su totalidad. Este tipo de soluciones las preferimos para los casos oncológicos o los casos en los que no hay problemas de altura protésica. También en estos casos es deseable realizar una segunda fase y atornillar pilares multi-unit. El ajuste pasivo de la prótesis es más sencillo que sobre un hexágono externo universal (8).

Número de conexiones

Es necesaria que exista una buena distancia entre las conexiones para que estén perfectamente rodeadas de mucosa queratinizada o piel o mucosa metaplasiada de grosor adecuado en los pacientes oncológicos. Por ello, recomendamos 3 conexiones por hemiarcada, especialmente en pacientes bruxistas. En las posiciones caninas, segundo premolar y primer molar si hay suficiente apertura bucal. A veces sólo se pueden usar 2 conexiones por la severidad de la atrofia o la emergencia de la conexión, pero no aconsejamos esta solución por hemiarcada. Si se produjera la fractura de algún tornillo protésico que no pudiera ser rescatado, obligaría a la retirada de la estructura (8).

Uso de una estructura vs dos estructuras para la rehabilitación maxilar total Bajo nuestra opinión, el uso de una sola estructura, preferiblemente por palatino y que una de las 2 hemiarcadas dará mayor estabilidad al sistema.

Si se produce una complicación en alguno de los lados siempre se podrá retirar la parte afectada cortando

la unión entre ambos con una fresa. Tiene la desventaja de que requiere un abordaje más amplio y el uso de incisiones de descarga laterales más largas o centrales.

Algunos autores solucionan este problema uniendo las dos estructuras con un tornillo palatino o mediante un brazo que permite desmontarse (19).

Uso de apoyos palatinos

En los casos en los que se conserve el hueso palatino, el apoyo de la estructura sobre los arbotantes cigomáticos y nasales se puede completar adicionalmente con una extensión sobre el paladar, alejándonos de la incisión.

Esto conformará una estructura tridimensional que aumentará la estabilidad y el reparto de fuerzas. Nosotros preferimos poner algún tornillo corto en el paladar; otros realizan un apoyo totalmente pasivo (20).

Grosor y anchura del implante subperióstico

Diversos fabricantes diseñan IS con perfiles (grosores) de 0,8 mm a 1,5 mm. Buscan un equilibrio entre resistencia mecánica y minimizar el volumen de titanio empleado para reducir el riesgo de dehiscencia. En la opinión de los autores, menos es más, siempre y cuando no comprometa la biomecánica de la estructura en masticación. Además, hay que tener especial precaución con los pacientes bruxistas severos.

Tornillos de osteosíntesis

La estructura de titanio debe ser fijada con tornillos de osteosíntesis de aproximadamente 2 mm (se han empleado de 1.5 mm a 2.1 mm). El sistema debe proveer de tornillos de rescate por si no se lograra suficiente

Troll Foil es un papel de articular de 8 micras de espesor: al ser muy fino deja marcas precisas y homogéneas. Es fácil de utilizar: no se necesitan pinzas, viene pre montado en un marco semi rígido que lo mantiene estirado y plano. La tinta viene por ambas caras. Funciona sobre todo tipo de superficies y también superficies húmedas. Existe en azul o rojo, en paquetes de 100 o 500 unidades. ¡ Pruébalo !

Distribuidores : Dental Express, Henry Schein, Proclinic, y RoyalDent

torque en la adaptación. Con respecto al número de ellos, cuantos más tornillos de osteosíntesis puedan ser empleados de manera accesible en regiones con hueso denso y más volumen, mejor para el pronóstico de la estructura. La longitud del tornillo debería ser la de toda la anchura de hueso disponible. Para asegurar la estabilidad primaria se requiere tener experiencia previa en el manejo de tornillos de osteosíntesis en casos de traumatología facial, cirugía ortognática o cirugía de reconstrucción ósea con bloques de hueso autólogo.

Técnica quirúrgica

La cirugía se realiza bajo anestesia general e infiltración local. Se planifica una incisión crestal orientada hacia palatino e incisiones verticales laterales para poder levantar el colgajo mucoso de espesor total hasta exponer en su totalidad el hueso donde apoyará el implante. El colgajo hay que elevarlo tanto por vestibular como por palatino si la estructura es bilateral y se conecta cruzando la línea media palatina.

En algunas ocasiones diseñamos férulas de corte óseo para adaptar el reborde alveolar remanente al perfil de emergencia de las conexiones en altura y orientación vestibular.

Si hay que realizar exodoncias de piezas periodontales o infectadas, lo haremos de forma previa al menos con 3 meses de antelación.

Prestaremos especial atención a que la posición de la estructura coincida con la planificada de forma pasiva y exista el mayor contacto posible con el hueso. Es decir, que no haya movilidad antes de la fijación con los tornillos, por lo que debería encajar perfectamente en una única posición.

En caso de rehabilitaciones totales del maxilar con dos estructuras independientes, como en los pacientes atróficos con secuelas de fisura labiopalatina, pueden emplearse posicionadores adaptados a las conexiones que la conviertan en una única pieza y nos ayuden a encontrar la posición precisa de las dos estructuras (21).

Manejo de partes blandas

Siempre que sea posible, y en los casos atróficos, la estructura ya fijada deberá ser cubierta con un colgajo de bola de Bichat hasta la parte más anterior posible sin que comprometa su vascularización. Otros abogan por realizar de forma previa una mejoría de la calidad de la encía mediante injertos de tejido conectivo o dermis.

Habitualmente el cierre necesitará la realización de incisiones en el periostio para que el colgajo mucoso sea suturado libre de tensión.

Carga inmediata vs carga convencional

Los primeros casos que realizamos los hicimos con carga inmediata mediante prótesis fija. Realizábamos una prótesis provisional de resina para su uso precoz, lo que nos permite chequear de forma preoperatoria el ajuste de la prótesis provisional a las conexiones del implante subperióstico y emplearla como ayuda al posicionamiento del IS.

Actualmente somos partidarios de esperar al menos 4 meses para que se empiece a estabilizar el proceso de osteointegración secundario de la estructura y los tornillos.

Biomecánicamente se comportan de manera diferente a los implantes endoóseos.

Se ha descrito el crecimiento de hueso sobre miniplacas de osteosíntesis (22) y es esto lo que esperamos que suceda al menos en algunas áreas de la estructura, además de la integración de los tornillos de osteosíntesis de titanio mecanizado y el crecimiento de hueso sobre la superficie interna de la estructura, para que el sistema sea estable (23).

Por otra parte, es necesario que la calidad de los tejidos blandos alrededor de las conexiones sea de grosor y de estabilidad suficiente para disminuir los problemas de sellado y dehiscencia cuando se diseñe la prótesis provisional o definitiva.

Si pese a todo, la estructura nos ha quedado muy estable y preferimos cargarla, aconsejamos esperar a que el cierre de la mucosa sea estable y mantener la prótesis provisional durante un periodo mínimo de 4 meses para comprobar que no hay complicaciones antes de la toma de registros definitivos.

Reconstrucción primaria vs secundaria

Los primeros casos de IS los indicamos en la reconstrucción maxilar secundaria tras maxilectomía o fracasos de colgajos óseos microvascularizados de peroné, bien por fallo vascular postoperatorio precoz o por osteorradionecrosis (10). La estrategia en los casos de reconstrucción secundaria requirió siempre del aporte de una cobertura de tejidos blandos adecuada bien mediante el uso músculo temporal o mediante el uso de un colgajo microvascularizado con piel. Sólo entonces empezamos el diseño del IS para la rehabilitación dentaria.

«Los IS representan una alternativa viable para sustentar prótesis fijas, ya que las tasas de fallo con el empleo de tecnología CAD/CAM y estructuras de titanio se han reducido»

Los éxitos logrados nos animaron a planificar reconstrucciones de forma primaria. Es decir, la realización de la maxilectomia parcial o total, pero ya teniendo diseñada y fabricada la estructura que daría soporte a los dientes del paciente. Como en los casos de reconstrucción secundaria, dicha estructura debe ser cubierta de forma generosa por un colgajo de partes blandas local o regional; especialmente en los pacientes que van a recibir radioterapia. Lógicamente, en los pacientes oncológicos no realizamos ningún tipo de carga inmediata y esperamos meses a la completa cicatrización de las partes blandas para la toma de registros.

Complicaciones

En este segundo resurgir de los IS estamos todavía empezando a recorrer un largo camino. Numerosas complicaciones se han descrito: precoces, tardías, biológicas y mecánicas. Algunas son solucionables y otras requieren la retirada de la estructura.

La mucositis alrededor de las conexiones es debida principalmente a tres causas: espacio insuficiente

entre las conexiones, ausencia de encía queratinizada y excesiva altura de la conexión. Otra de las complicaciones más frecuentes es la dehiscencia alrededor de la estructura, debido principalmente a un mal diseño de la prótesis en la que la extensión palatina está muy cerca de la incisión, los brazos son demasiado anchos, las conexiones pueden estar muy próximas o sobre una base muy ancha, o simplemente no hemos mejorado de forma intraoperatoria o preoperatoria la cobertura de partes blandas. Son más frecuentes pacientes que recibieron radioterapia. Su manejo debe ser conservador si el área expuesta es pequeña, manteniendo una estricta higiene del metal expuesto y la prótesis.

Así, la aparición de una fístula orosinusal alrededor de un implante puede ocurrir en los casos que han tenido implantes cigomáticos previos y no hemos tenido la precaución de alejar las conexiones del defecto óseo o no hemos realizado un sellado previo de la fístula con un colgajo. Se ha descrito la infección postquirúrgica tardía de la estructura que requiere inicialmente drenaje y tratamiento antibiótico. Las infecciones repetición cursan con celulitis y/o abscesos y requieren, habitualmente, de la retirada total o parcial de la estructura y el legrado del hueso subyacente (24). También se ha descrito la necrosis parcial de los colgajos si realizamos la incisión muy palatina e intentamos realizar un cierre primario con tensión, pudiéndose en estos casos producirse la exposición palatina de la estructura que requerirá la retirada del metal expuesto. Asimismo, se han reportado casos de fracasos mecánicos por la movilidad de

los tornillos, especialmente por sobrecarga en pacientes bruxistas o insuficiente torque de inserción, que inevitablemente necesitarán la retirada del tornillo o la estructura si compromete su estabilidad.

Ventajas

Los IS se adaptan a la anatomía preexistente en lugar de modificarla. Además, requieren de una única cirugía para su colocación, disminuyendo el tiempo total de tratamiento y la necesidad de procedimientos regenerativos.

Los IS permiten la carga inmediata con una prótesis fija atornillada de resina (25). Además, la adaptación de los implantes al hueso subyacente y el material empleado favorecen la estabilización y osteointegración de la estructura. Estudios histológicos han demostrado el crecimiento de hueso en estructuras de titanio sinterizado con laser (17).

En la actualidad, los IS representan una alternativa viable para sustentar prótesis fijas (15), ya que las tasas de fallo y complicaciones con el empleo de tecnología CAD/CAM y estructuras de titanio se han reducido. Como comunica Cerea y Dolcini, de su serie de 70 pacientes consecutivos con atrofias de los maxilares tratados con IS sinterizados con un seguimiento de 2 años, sólo el 1.4% de los IS tuvieron que ser retirados por infecciones recurrentes (26).

RESULTADOS

Indicaciones

Según lo descrito, el empleo de implantes subperiósticos en la actualidad está exclusivamente reservado para pacientes con atrofias maxilares severas Cawood y Howell de 5–7 (27). También, para

pacientes oncológicos que requieran reconstrucción maxilar y no sean buenos candidatos para el empleo de colgajos microvascularizados óseos debido a su comorbilidad, radioterapia previa o cuellos deplecionados de vasos, en especial las hemimaxilectomías clases I y II B de Brown (1); y para pacientes oncológicos que han tenido fracaso de colgajos microvascularizados osteocutáneos en su reconstrucción. Igualmente, está indicado para pacientes fisurados con edentulismo y atrofia ósea asociada, osteonecrosis de los maxilares; pacientes con fracasos previos de implantes osteointegrados convencionales o fracaso de implantes cigomáticos; y pacientes sindrómicos con oligodoncias y/o gran discrepancia maxilomandibular en el plano sagital y/o transversal.

Contraindicaciones

Quedarían excluidos del uso de esta técnica los pacientes fumadores por los problemas secundarios de cicatrización de partes blandas (28). También, los pacientes con infecciones en el seno maxilar e infección en dientes remanentes; pacientes con edentulismo parcial localizados en la región anterior del maxilar por la dificultad de dar una adecuada cobertura mucosa a la estructura y su alto riesgo de exposición y posterior pérdida de estabilidad; pacientes con alto riesgo de infección de la estructura, es decir, pacientes con fístula oronasal u oroantral (fracaso previo de implantes cigomáticos); pacientes alérgicos a la penicilina y derivados (29); o aquellos pacientes bruxistas que comprometan la osteointegración primaria o secundaria de la estructura por

«Los mejores resultados con IS los hemos conseguido en pacientes con atrofias poco severas, problemas de anchura y en casos oncológicos»

sobrecarga o la fractura de sus componentes.

CONCLUSIONES

El uso de implantes subperiósticos a medida en el momento actual debe ser considerado como un tratamiento de rescate frente a la regeneración ósea con hueso autólogo y/o biomateriales para las atrofias severas del maxilar; a los implantes cigomáticos, cortos o tuberositarios; o a las técnicas reconstructivas microquirúrgicas con colgajos osteocutáneos. No hay todavía estudios aleatorizados y prospectivos con más de 5 años de seguimiento y tamaño de muestras adecuado que puedan recomendar esta solución de forma estandarizada.

Pero, por otra parte, son una alternativa al uso de colgajos libres microvascularizados óseos (disminuyendo el tiempo operatorio y la morbilidad de la zona donante); al uso de implantes cigomáticos en pacientes oncológicos sobre hueso radiado; al fracaso de los propios implantes cigomáticos (una vez solucionada la comunicación

oroantral); además de pacientes con fracaso previo de implantes, pacientes postraumáticos o sindrómicos. Igualmente, puede emplearse tanto en reconstrucción primaria como secundaria. Los factores de éxito más importantes son la adecuada cobertura de la estructura con buena encía queratinizada; los pacientes irradiados requerirán, además, aporte adicional de tejidos mediante colgajos. Los mejores resultados los hemos conseguido en pacientes con atrofias poco severas, problemas de anchura y en casos oncológicos que requieren el empleo de colgajos de partes blandas de grosor adecuado.

Para concluir debemos mencionar que los estudios que mayor número de estos pacientes han incluido nos confirman que es posible la realización de una rehabilitación protésica estable, lograr estética adecuada, un habla inteligible y una dieta regular en estos pacientes (30). Una planificación meticulosa, con un diseño adaptado al paciente que cumpla los requerimientos biológicos y mecánicos, una adecuada selección del candidato y una amplia experiencia quirúrgica es necesaria para la realización de esta técnica de reconstrucción del maxilar superior. Mientras tanto, su pronóstico a largo plazo, como hace 40 años, continúa siendo incierto. ●

BIBLIOGRAFÍA

1. BROWN JS, SHAW RJ. Reconstruction of the maxilla and midface: introducing a new classification. Lancet Oncol. 2010 Oct; 11 (10): 1001-8.

2. FUTRAN N, MÉNDEZ E. Developments in reconstruction of midface and maxilla. Lancet Oncol 2006; 7: 249–58.

3. DAHL G. Om Möjligheten För Inplantation I KäKen Avmetallskelett Som Bas Eller Retention För Fasta Eller Avtagbaraproteser. Odontologisk Tidskrift (1943) 51: 440–9.

4. GOLDBERG NI, GERSHKOFF A. The Implant Lower Denture. Dental Digest (1949) 55: 490–5.

5. SCHOU S, PALLESEN L, HJØRTING HANSEN E, PEDERSEN CS, FIBAEK B. A 41-year history of a mandibular subperiosteal implant. Clin Oral Implants Res. 2000 Apr; 11 (2): 171-8.

6. MCALLISTER ML. Application of stereolithography to subperiosteal implant manufacture. J Oral Implantol. 1998; 24 (2): 89-92.

7. CARNICERO A, PELÁEZ A, RESTOY LOZANO A, JACQUOTT I, PERERA R. Improvement of an additively manufactured subperios ¬teal implant structure design by finite elements based topological optimization. Scientific reports. 2021; 11: 15390.

8. MONTESDEOCA GARCÍA N, DE LAS HERAS GONZÁLEZ C. Implante subperióstico de titanio a medida en una atrofia maxilar grave. En: Aragoneses Lamas JM, editor. Casos clínicos docentes de implantología, periodoncia y cirugía oral. 1ª ed. Zaragoza: Edra; 2022. p. 99-108.

9. GARRIDO MARTÍNEZ P, PEÑA CARDELLES JF, QUISPE LÓPEZ N, POZO KREILINGER JJ, ESPARZA GÓMEZ G, MONTESDEOCA GARCÍA N, CEBRIÁN CARRETERO JL. Correction: Dental implants rehabilitation in a patient with head and neck radiotherapy for osteosarcoma in the jaw. A clinical case reports. J Clin Exp Dent. 2021 Dec 1; 13 (12): e1275. Erratum for: J Clin Exp Dent. 2021 Apr 1; 13 (4): e418-e421.

10. GARRIDO MARTÍNEZ P, QUISPE LÓPEZ N, MONTESDEOCA GARCÍA N, ESPARZA GÓMEZ G, CEBRIÁN CARRETERO JL.

Maxillary reconstruction with subperiosteal implants in a cancer patient: A one-year follow-up. J Clin Exp Dent. 2022 Mar 1; 14 (3): e293-e297.

11. CEBRIÁN CARRETERO JL, DEL CASTILLO PARDO DE VERA JL, MONTESDEOCA GARCÍA N, GARRIDO MARTÍNEZ P, PAMPÍN MARTÍNEZ MM, ARAGÓN NIÑO I, NAVARRO CUÉLLAR I, NAVARRO CUÉLLAR C. Virtual Surgical Planning and Customized Subperiosteal Titanium Maxillary Implant (CSTMI) for Three-Dimensional Reconstruction and Dental Implants of Maxillary Defects after Oncological Resection: Case Series. J Clin Med. 2022 Aug 6;11 (15): 4594.

12. GARRIDO MARTÍNEZ P, MONTESDEOCA GARCÍA N, ESPARZA GÓMEZ G, QUISPE LÓPEZ N, CEBRIÁN CARRETERO JL. (2023). Reconstrucción maxilar con un implante subperióstico en un caso de atrofia severa. De la planificación a la rehabilitación siguiendo un protocolo totalmente digital. Cient. dent. (Ed. impr.), 23-3.

13. SADA MALUMBRES A, MONTESDEOCA GARCÍA N. Implante subperióstico maxilar diseñado a medida como alternativa al fracaso de implantes cigomáticos para rehabilitar un maxilar severamente atrófico. En: Aragoneses Lamas JM, editor. Mejora de la estética y la función en odontología. Casos Clínicos. 1ª ed. Madrid: Editorial Gaceta Dental; 2023. Capítulo 19.

14. DE MOOR E, HUYS SEF, VAN LENTHE GH, MOMMAERTS MY, VANDER SLOTEN J. Mechanical evaluation of a patientspecific additively manufactured subperiosteal jaw implant (AMSJI) using finite-element analysis. Int J Oral Maxillofac Surg. 2022 Mar; 51 (3): 405-411.

15. MOMMAERTS MY. Additively manufactured sub-periosteal jaw implants. Int J Oral Maxillofac Surg. 2017 Jul; 46 (7): 938940.

16. KORN P, GELLRICH NC, JEHN P, SPALTHOFF S, RAHLF B. A New Strategy for Patient-Specific Implant-Borne Dental Rehabilitation in Patients With Extended Maxillary Defects. Front Oncol. 2021 Dec 10; 11: 718872.

17. MANGANO F, BAZZOLI M, TETTAMANTI L, FARRONATO D, MAINERI M, MACCHI A, MANGANO C. Custom-made, selective laser sintering (SLS) blade implants as a nonconventional solution for the prosthetic rehabilitation of extremely atrophied posterior mandible. Lasers Med Sci. 2013 Sep; 28 (5): 1241-7.

18. RINALDI M, DE NEEF B, LOOMANS NAJ, MOMMAERTS MY. Guidelines for the Use of Resection Guides for Subperiosteal Maxillary Implants in Cases of Terminal Dentition - A Novel Approach. Ann Maxillofac Surg. 2020 Jul-Dec; 10 (2): 467-471.

19. CHAMORRO M, ARIAS J, MARGARIT L, DEMARÍA G, CIDAD A. Implantes subperiósticos personalizados para la rehabilitación completa del maxilar superior atrófico. Revisión de una serie clínica de 8 casos. Rev Esp Cirug

Oral y Maxilofac, Dic 2021, vol.43, no.4, p.140-148. ISSN 1130-0558.

20. MOMMAERTS MY. Evolutionary steps in the design and biofunctionalization of the additively manufactured subperiosteal jaw implant ‘AMSJI’ for the maxilla. Int J Oral Maxillofac Surg. 2019 Jan;48(1):108-114.

21. RAHLF B, KORN P, ZELLER AN, SPALTHOFF S, JEHN P, LENTGE F, GELLRICH NC. Novel approach for treating challenging implant-borne maxillary dental rehabilitation cases of cleft lip and palate: a retrospective study. Int J Implant Dent. 2022 Feb 2; 8 (1):6.

22. O’CONNELL J, MURPHY C, IKEAGWUANI O, ADLEY C, KEARNS G. The fate of titanium miniplates and screws used in maxillofacial surgery: a 10 year retrospective study. Int J Oral Maxillofac Surg. 2009 Jul; 38 (7): 731-5.

23. FISH JM, MISCH CE. Mandibular Bone Growth Induced by a Hydroxylapatite-coated Subperiosteal Implant: A Case Report. Journal Oral Implantology 2000; 26: 267.

24. VAN DEN BORRE C, RINALDI M, DE NEEF B, LOOMANS NAJ, NOUT E, VAN DOORNE L, NAERT I, POLITIS C, SCHOUTEN H, KLOMP G, BECKERS L, FREILICH MM, MOMMAERTS MY. Radiographic Evaluation of Bone Remodeling after Additively Manufactured Subperiosteal Jaw Implantation (AMSJI) in the Maxilla: A One-Year Follow-Up Study. J Clin Med. 2021 Aug 12; 10 (16): 3542.

25. NAZARIAN A. Placement of a modified subperiosteal implant: a clinical solution to help those with no bone. Dent Today. 2014 Jul; 33 (7): 134, 136-7.

26. CEREA M, DOLCINI GA. Custom-Made Direct Metal Laser Sintering Titanium Subperiosteal Implants: A Retrospective Clinical Study on 70 Patients. Biomed Res Int. 2018 May 28; 2018: 5420391.

27. CAWOOD JI, HOWELL RA. A classification of the edentulous jaws. Int J Oral Maxillofac Surg. 1988 Aug; 17 (4): 232-6.

28. MUSTAPHA AD, SALAME Z, CHRCANOVIC BR. Smoking and Dental Implants: A Systematic Review and Meta-Analysis. Medicina (Kaunas). 2021 Dec 27; 58 (1): 39.

29. SALGADO PERALVO AO, PEÑA CARDELLES JF, KEWALRAMANI N, ORTIZ GARCÍA I, JIMÉNEZ GUERRA Á, URIBARRI A, VELASCO ORTEGA E, MORENO MUÑOZ J, NÚÑEZ MÁRQUEZ E, MONSALVE GUIL L. Is Penicillin Allergy a Risk Factor for Early Dental Implant Failure? A Systematic Review. Antibiotics (Basel). 2021 Oct 9; 10 (10): 1227.

30. VAN DEN BORRE C, DE NEEF B, LOOMANS NAJ, RINALDI M, NOUT E, BOUVRY P, NAERT I, MOMMAERTS MY. Patient Satisfaction and Impact on Oral Health after Maxillary Rehabilitation Using a Personalized Additively Manufactured Subperiosteal Jaw Implant (AMSJI). J Pers Med. 2023 Feb 8; 13 (2): 297.

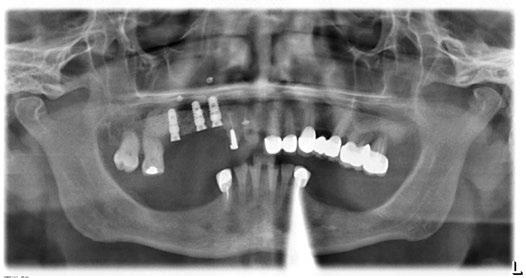
Ciencia y clínica Uso de las aplicaciones digitales para la rehabilitación de una arcada superior completa

Mediante implantes inmediatos y carga inmediata

Con la colaboración de:

INTRODUCCIÓN

DR. MANUEL FUENTES ORTIZ (1)

DR. DANIEL CAPITÁN MARAVER (2)

(1) Licenciado en Odontología. Postgrado en Clínica en Implantología y Prótesis Oral.

Diploma de Estudios Avanzados (DEA).

Universidad de Barcelona. Miembro de SEI, SEPA y SEPES.

(2) Licenciado en Odontología.

Postgrado en Clínica en Implantología y Prótesis Oral.

Máster en investigación en Ciencias Odontológicas.

Universidad de Barcelona.

Vocal de la SEI.

Hoy en día, debido a las altas demandas estéticas de muchos pacientes, la Implantología ha ido evolucionando, sobre todo respecto a protocolos de tratamiento, para poder realizar tratamientos predecibles y exitosos a nivel estético, biológico y funcional. Actualmente disponemos de herramientas digitales (escáneres, CBCT, software de planificación, impresoras 3D, etc.), que nos permiten optimizar tanto la fase previa de estudio y planificación como la fase quirúrgica y protésica posterior. Estas herramientas toman un papel importante en los casos de Implantología inmediata y provisionalización inmediata, pudiendo preparar previamente a la cirugía, guías quirúrgicas y provisionales de carga inmediata (1).

Cuando hablamos de éxito en Implantología, ya no sólo nos basamos en la osteointegración de los implantes a largo plazo, sino de la estabilidad de los tejidos periimplantarios, que

«Los tratamientos en casos de Implantología inmediata y provisionalización inmediata en casos de edéntulos totales son predecibles, siempre que se sigan unos protocolos adecuados»

nos proporcionarán una estética y mantenimiento correcto de las restauraciones definitivas, evitando la aparición y progresión de las enfermedades periimplantarias (mucositis y periimplantitis) (2).

Tras una extracción dental, siempre se produce una remodelación ósea, sobre todo en sentido horizontal, que puede comprometer la futura colocación tridimensional del implante y la rehabilitación protésica posterior, requiriendo, en muchos casos, una regeneración ósea guiada previa o simultánea (3, 4). Esta remodelación afectará más a la zona vestibular, pudiendo producirse hasta una pérdida de ésta del 50% al año de la exodoncia (5). Por este motivo, es oportuno realizar protocolos de tratamiento mediante regeneraciones alveolares y/o Implantología inmediata que puedan reducir o compensar dicho remodelado (6).

Cuando debemos de afrontar un caso de Implantología múltiple y provisionalización inmediata, todos estos factores cobran aún más importancia (7-9). Como explicaremos a continuación en el caso clínico, para lograr un resultado óptimo, deberemos iniciar nuestro tratamiento a partir de encerados digitales, que nos permitan simular la rehabilitación definitiva (10). A partir de aquí podremos planificar la posición tridimensional correcta de nuestros implantes protéticamente guiados, ayudándonos de guías quirúrgicas, tanto en las regeneraciones óseas previas como en la cirugía implantológica.

Varias son las ventajas de una Implantología inmediata, como pueden ser: reducción del número de visitas y procedimientos quirúrgicos; estética inmediata, tanto en caso unitarios como en múltiples; inmediatez, tanto en casos unitarios como múltiples;

Las herramientas digitales permiten optimizar tanto la fase previa de estudio y planificación como la fase quirúrgica y protésica posterior.

acondicionamiento de los tejidos periimplantarios desde el primer día; y mejora en los aspectos psicológicos del paciente.

Por todo ello, nuestra toma de decisiones a la hora de rehabilitar un paciente que requiera las exodoncias de toda la arcada, se basará, siempre que las condiciones sean favorables, en una Implantología inmediata junto a una carga inmediata que vaya guiando los tejidos durante la fase de osteointegración (11-12).

CASO CLÍNICO

Anamnesis

Presentamos el caso de un paciente de 66 años de edad, ASA I, que acudió a nuestra consulta para rehabilitar la arcada superior, buscando una solución definitiva para recuperar tanto la función como la estética perdida. El paciente presentaba buen estado de salud general, no refería alergias medicamentosas ni medicación relevante.

Para el estudio del caso nos apoyamos en nuestro protocolo para casos complejos, el cual pasaremos a detallar a continuación:

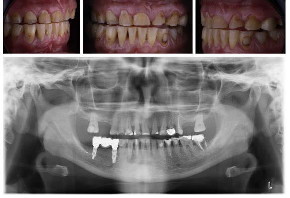
-Registros fotográficos intra y extraorales (Figura 1 a-c).

-Estudio radiográfico inicial (ortopantomografía y radiografías periapicales) (Figura 2).

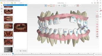
-Escáner intraoral mediante iTero Element™2 con el fin de obtener modelos digitales (archivos STL) (Figura 3).

-CBCT para obtener imágenes en 3D del caso.

-Protocolo de planificación digital del caso mediante RealGUIDE® (STL+DICOM) (Figura 4) (Cuadro 1).

A partir de toda la información obtenida pasamos a describir el caso:

Exploración intraoral y extraoral 1. Exploración dental

A partir del estudio radiológico y de las imágenes fotográficas podemos observar edentulismo de 17, 15, 14, 12,

Figura 1a. Foto intraoral frontal inicial.
Figura 1b. Foto intraoral lateral izquierda inicial.
Figura 1c. Foto intraoral lateral derecha inicial.

Cuadro 1. Protocolo fase planificación, quirúrgica y protésica.

Figura 3. Archivo STL inicial obtenido mediante iTero Element™2.
Figura 4. Planificación digital mediante RealGUIDE.
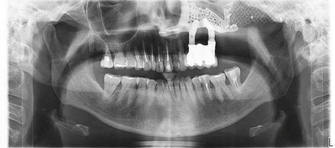
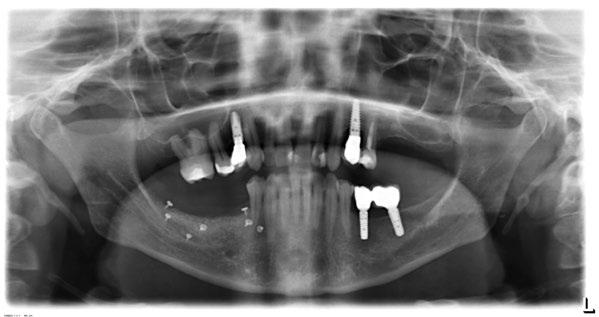
Figura 2. Ortopantomografía inicial.

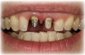
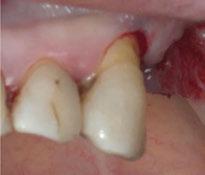
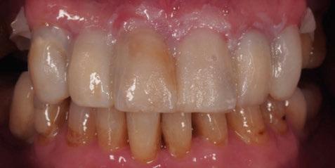
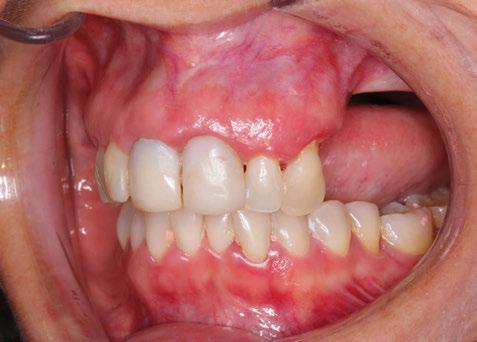
25, 26, 28, 37, 38, 47 y 48. Presentaba corona desajustada en 13 con extensión en 12, implantes en 35-36, 45-46, con coronas ferulizadas en 35-36, 45-46, y dientes anteriores superiores con enfermedad periodontal Grado IV.

2. Exploración de tejidos blandos

El paciente presentaba biotipo periodontal grueso, con márgenes asimétricos, con recesiones gingivales a nivel de 11 y 13 y pérdida de tejidos blandos interproximales.

3. Exploración de tejidos duros

En la exploración radiográfica (OPG, CBCT) observamos la existencia de pérdida ósea interproximal, lesión apical a nivel de la raíz mesial del 27 y el cordal del primer cuadrante incluido y neumatización sinusal del primer y segundo cuadrante.

En el CBCT observamos pérdida ósea posterior superior debida a la neumatización de los senos maxilares izquierdo y derecho. También podemos observar disponibilidad ósea apical suficiente en dientes antero-superiores para la realización de una Implantología inmediata y corticales vestibulares y palatinas conservadas.

Plan de tratamiento

Tras consensuar con el paciente las diferentes opciones terapéuticas y analizando el pronóstico de cada diente de manera individualizada, se decidió por realizar un tratamiento en la arcada superior en las siguientes fases:

-Fase higiénica inicial: tratamiento periodontal generalizado.

-Planificación digital del caso.

-Fase quirúrgica inicial: elevación de seno bilateral mediante férula de cirugía digitalmente guiada y exodoncia del diente 27.

-Planificación digital de la Implantología y carga inmediata superior.

-Fase quirúrgica implantológica: exodoncia de dientes superiores remanentes e implantes inmediatos con cirugía guiada.

-Fase protésica provisional: realización de la carga inmediata superior a las 24 horas.

-Fase protésica definitiva: confección de la restauración final de metal-cerámica.

1. Planificación digital y diseño de la férula de cirugía guiada Tras analizar el caso y siguiendo los parámetros estéticos y funcionales, se realizó un encerado digital de la arcada superior mediante el programa de diseño 3D Exocad® (Figura 5), el cual se imprimió y validó junto al paciente mediante un mock-up (Figura 6 a-b).

A continuación, para la planificación de los implantes dentales y el diseño de la férula de cirugía guiada se usó la plataforma digital RealGUIDE®. Para ello se realizó el matching, por un lado, del archivo STL del encerado digital; y, por otro, del archivo 3D. De esta manera, se pudo analizar el tejido óseo residual apical a cada diente y la posición de la raíz respecto a las corticales vestibular y palatina. También se estudió la relación de los contornos óseos con los tejidos blandos y con la posición final de los márgenes cervicales de la restauración protésica, pudiendo así planificar la posición 3D correcta de los implantes. En esta primera fase se diseñó una férula quirúrgica para la elevación de seno bilateral a partir del software RealGUIDE™, que nos sirvió de guía para el diseño de las ventanas de acceso. Esta férula se imprimió con la impresora 3D Formlabs® (Figura 7)

2. Fase quirúrgica inicial

En una primera fase quirúrgica, bajo sedación consciente y anestesia infiltrativa Articaína + epinefrina

40/0,01 mg/ml Ultracain®, 5 carpules en vestibular y palatino de la arcada superior, se realizó la exodoncia de la pieza 27 y la elevación sinusal bilateral. Se procedió a la elevación de los colgajos mucoperiósticos de espesor total y se posicionó la férula de

cirugía digitalmente guiada, pudiendo así marcar la forma de las ventanas de acceso con un lápiz estéril. En este caso en particular, podemos observar cómo pudimos realizar una doble ventana de acceso, evitando, de esta manera, el tabique presente. A continuación, se retiró la férula y se continuó con el procedimiento quirúrgico de realización de las ventanas de acceso mediante pieza

Figura 5. Encerado digital del caso.
Figura 6 a-b. Mock-up intraoral y mock-up extraoral.
Figura 7. Férula impresa para elevación de seno con ventana lateral.

VISIBLE PARA EL DENTISTA –

INVISIBLE PARA EL PACIENTE

• Es fluorescente bajo luz ultravioleta A! Muy buena visibilidad de excesos y los límites de la reconstrucción, también en el área subgingival profunda

• Estética! Color de dentina

• De curado dual! También para el uso en el conducto radicular para pegar postes radiculares (p.ej. Rebilda Post)

• Manipulación simple! Tallable como dentina, adaptación perfecta (fluido)

Figura 8. Posicionamiento de la férula en boca.
Figura 10. Ventanas realizadas mediante pieza de mano y fresa de bola de diamante.
Figura 9. Marcación de las ventanas para la elevación sinusal.
Figura 11. Posicionamiento de membrana reabsorvible y chinchetas tras la elevación sinusal.
Figura 12. Ortopantomografía tras la elevación sinusal. Figura 13. Imagen CBCT tras la elevación sinusal.

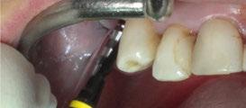
de mano y fresa de bola de tungsteno y diamante. Se realizó el relleno mediante aloinjerto cortical Puros Zimvie® y se sellaron las ventanas de acceso mediante membranas reabsorvibles Copios Zimvie® fijadas con chinchetas por vestibular. Finalmente, se reposicionaron los colgajos y se suturó la parte crestal con sutura Supramid® 4/0 y la descarga con PGA® 5/0 (Figuras 8-13).

3. Fase quirúrgica final

A los 6 meses de cicatrización, se realizó un nuevo CBCT, obteniendo un nuevo archivo DICOM que alineamos con el STL del encerado. De esta manera, se planificó la posición de los implantes a 4 mm del margen de la restauración final y se diseñó y confeccionó la férula de cirugía guiada dentosoportada en 12-13 y 22-23, la cual imprimimos con la impresora 3D Formlabs®. El provisional

de carga inmediata lo diseñamos con el programa de diseño 3D Exocad® a partir del encerado y se imprimió también en clínica con la misma impresora 3D (Figuras 14-16).

La cirugía se realizó bajo sedación consciente y anestesia local (articaína 4% con epinefrina 40/0,01 mg/ml Ultracain®, 5 carpules en vestibular y palatino de la arcada superior). En primer lugar, se realizaron las exodoncias de los dientes remanentes 11, 21 y 24 y, a continuación, se adaptó la férula de cirugía guiada dentosoportada, insertando los implantes elegidos, en este caso en las posiciones 11 y 21 de Zimvie Tapered Screw-Vent Z3D de 3,7 por 13 mm, 14 Zimvie Tapered Screw-Vent Z3D de 3,7 por 13 mm y 16, 24 y 26 de Zimvie Tapered Screw-Vent Z3D de 4,7 por 13 mm, quedando todos ellos a un torque mayor a 30 Nm. Posteriormente, se realizaron el resto de exodoncias,

Figura 14. Férula de cirugía guiada para inserción de implantes.
Figura 15. Férula pick-up modificada vista frontal.
Figura 16. Férula pick-up modificada vista oclusal.

Figura 21b. Fijación de la cortical vestibular del 23 mediante un pin de fijación.

Figura 19. Fresado para inserción de implantes.
Figura 20. Relleno de gap y alveolos con biomaterial de lenta reabsorción.
Figura 21a. Vista oclusal con posición de implantes, relleno de alveolos y suturas reabsorbibles.
Figura 22. Rebasado del provisional mediante resina acrílica autopolimerizable.
Figura 23. Rebasado del provisional mediante resina acrílica autopolimerizable.
Figura 18. Posicionamiento y verificación de férula en cirugía de implantes.
Figura 17. Exodoncias de 11 y 21 previo a inserción de férula cirugía guiada.

“ESTABILIDAD MECÁNICA INMEDIATA ESTUPENDA”

PREDICTIBILIDAD Y EFICIENCIA

ISQ

“Para nosotros es un implante ideal para utilizar en carga inmediata”

OSTEOINTEGRACIÓN

“Nos permite utilizar aditamentos transepiteliales como Basic, consiguiendo con ello las ventajas del Switch Platform”

Dr. Luis cuadrado de Vicente
Dra. Carmen Vera Moros

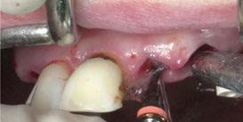
produciéndose la fractura de la tabla vestibular del 23, la cual se fijó con un tornillo de osteosíntesis, tras abrir un colgajo mucoperióstico. A continuación, se procedió al relleno de los alveolos que harán de pónticos y los gaps con GEISTLICH BIO-OSS® COLLAGEN 100 mg.

Seguidamente, se colocaron los pilares cónicos TSV-TM de Zimmer® y se atornillaron los pilares provisionales de titanio (Figuras 17-23).

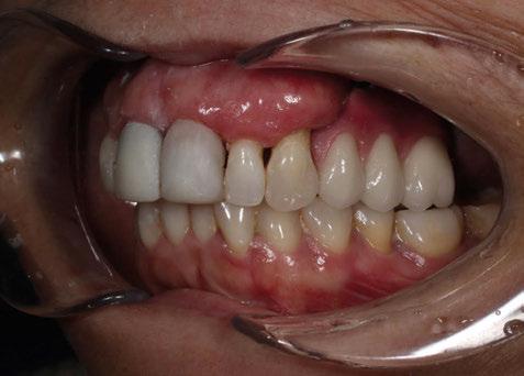
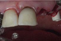
4. Fase protésica provisional

Una vez colocados los pilares provisionales de titanio, se adaptó la férula pick-up modificada y se verificó su correcto asentamiento de los pilares a través de los orificios de ésta. A continuación, se recapturó la férula a los pilares de titanio mediante resina acrílica autopolimerizable (Enamel Temp

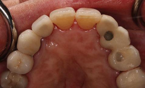
Plus®) y, una vez polimerizada, se tomó un registro de mordida, se desatornillaron los pilares y se retiraron de boca. Seguidamente, se atornillaron los análogos verificando que no hubiera movilidad de ningún pilar y se envió al laboratorio para el acabado y pulido final, eliminando todo el soporte y añadiendo un refuerzo metálico por palatino. En boca, se colocaron los tapones de cicatrización de los transepiteliales y se le explicaron las recomendaciones postquirúrgicas y medicación necesaria. Instruimos al laboratorio a dejar los perfiles de emergencia lo más estrechos posibles y los pónticos ovoides entrando unos 3 mm en cada alveolo a fin de preservar la arquitectura gingival presente.

A las 24 horas se citó al paciente nuevamente, se atornilló el provisional en boca y se realizó una

Figura 24. Provisional finalizado tras acabado y pulido en el laboratorio.
Figura 25. Provisional finalizado tras acabado y pulido en el laboratorio.
Figura 26. Entrega del provisional de carga inmediata a las 24 horas.
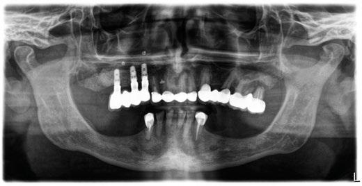
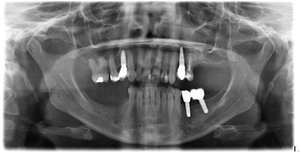
Figura 27. Ortopantomografía del provisional atornillado en boca para verificar ajuste.

ortopantomografía de verificación del ajuste pasivo de todos los implantes. Por último, tapamos las chimeneas con teflón y resina provisional y se chequeó nuevamente la oclusión, dando nuevamente las instrucciones de higiene y mantenimiento de la prótesis provisional (Figuras 24-27).

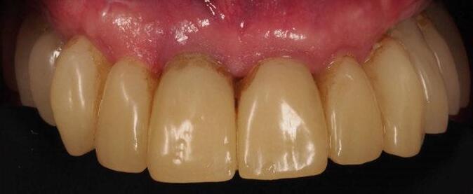
5. Fase protésica definitiva

A los 4 meses, se retiró la prótesis provisional, verificando la

estabilidad de todos los implantes y procediendo a la toma de impresión definitiva, enviando toda la información necesaria, tanto de la posición de los implantes, de los perfiles de emergencia y pónticos y de la forma del provisional (Figuras 28 y 29).

Para ello, se procedió al escaneado mediante el escáner intraoral iTero Element™2 de los siguientes elementos:

Figura 28. Provisional en boca a los 4 meses.
Figura 29 (a, b, c). Perfiles de emergencia tras la retirada del provisional.

-Escaneado 1 superior (preescaneado): provisional atornillado en boca.

-Escaneado inferior: antagonista.

-Escaneado de mordida izquierda y derecha.

-Escaneado 2 superior: con los scanbodies atornillados a los pilares cónicos TSV-TM de Zimmer®.

-Escaneado HD de cada scanbody individualmente.

-En un escaneado nuevo, se procedió a la captura del provisional fuera de boca, para poder alinearlo con el escaneado 1 (pre-escaneado) y tener bien definidos los perfiles de emergencia (Figuras 30-34).

En la siguiente visita se solicitó, por un lado, una prueba de verificación del escaneado y una prueba estética rígida en resina, ya que habíamos solicitado modificaciones del provisional.

Figura 32. STL obtenidos mediante iTero Element™2.
Figura 33. Ortopantomografía con scanbodies posicionados en boca.
Figura 34. Archivo STL de la férula de verificación previo a su fresado.
Figura 30. Scanbodies posicionados en boca. Vista oclusal. Figura 31. Scanbodies posicionados en boca. Vista frontal.

superventas con un plus.

Visiblemente diferente. Notablemente mejor.

Fresado en seco con un plus. Rectificado y fresado en húmedo con un plus.

Visiblemente diferentes y notablemente mejores, los dos superventas de nuestra PERFORMANCE CLASS garantizan una precisión excelente para cualquier aplicación, ya sea en el laboratorio dental, en la consulta o en el centro de fresado. La K5+ es la fresadora compacta y de alta calidad para el mecanizado en seco de sus discos. Se complementa de forma óptima con la N4+ para el procesamiento en húmedo de bloques. Como dúo, puede cubrir prácticamente todas las indicaciones con estas dos fresadoras. Más información: www.vhf.com

Figura 35. Imagen de la férula de verificación.
Figura 36. Férula de verificación atornillada al modelo.
Figura 37. Férula de verificación atornillada en boca.
Figura 38. Prueba de dientes rígida (PDR) de la rehabilitación final.
Figura 39. PDR en oclusión.
Figura 40. Posición bordes incisales con la PDR.
Figura 41. Posición bordes incisales en reposo.
Figura 42. Diseño de la estructura metálica.
Figura 43. Prueba de la estructura metálica.
Figura 44. Prueba de «biscuit».
Figura 45. Prótesis definitiva metal-cerámica.
Figura 46. Relación prótesis y perfiles de emergencia.
Figura 47. Prótesis definitiva atornillada en boca.
Figura 48. Prótesis definitiva atornillada en boca con fondo negro.
Figura 49. Ortopantomografía final.

Una vez validada la prueba estética, se pidió la estructura metálica de cromo-cobalto, la cual se probó en boca y se realizaron las verificaciones a partir de radiografías periapicales.

Posteriormente, se realizó la prueba de «biscuit» y se solicitó el acabado. El día de la entrega, se atornilló la prótesis a 20 N, se taparon las chimeneas con teflón y composite y se comprobó nuevamente la oclusión. Posteriormente, se entregaron las recomendaciones de prótesis sobre implantes fija, enseñando instrucciones de higiene oral y programando la primera visita de control a los 15 días (Figuras 35-49) (Cuadro 2).

DISCUSIÓN

El tratamiento de casos de Implantología inmediata múltiple requiere de un enfoque multidisciplinario. Para que el tratamiento sea exitoso desde el punto de vista funcional, biológico y estético, necesitaremos abordar el caso desde un punto de vista de la Cirugía, la Periodoncia y la Prótesis.

El uso de tecnologías digitales nos facilita la comunicación del caso entre profesionales y entre profesional y paciente.

Cuando realizamos una exodoncia, siempre se producirán cambios anatómicos en el alveolo, tanto de los tejidos duros como blandos. Estos pueden ser: reducción de anchura y altura en un 25% en el primer año y en un 50% a los tres años (2/3 partes en los 3 primeros meses); los mayores cambios dimensionales se producen durante primer año, unos 5-7 mm de pérdida (50%) (13); existe mayor reabsorción en la cortical vestibular que en lingual; y existe mayor reabsorción horizontal (3,8 mm) que en vertical (1,24 mm).

Para intentar reducir o compensar dichos cambios podemos recurrir a diferentes técnicas, como las de preservación alveolar y regeneración alveolar (14-16). En los casos en que las condiciones sean favorables, podremos realizar una Implantología inmediata y provisionalización inmediata. Para decidir qué técnica quirúrgica será más indicada en cada

Cuadro 2. Protocolo implantes inmediatos múltiples y carga inmediata.

caso, deberemos de evaluar cada uno individualmente, basándonos en una correcta planificación.

Los factores que deberemos de evaluar en cada caso serán: motivo de la exodoncia/cirugía flapless; presencia de infección activa; estabilidad primaria del implante inmediato/posición 3D; estado de tabla ósea vestibular; biotipo periodontal del paciente; presencia de defectos en los tejidos blandos; posibilidad de provisionalización inmediata; y necesidades estéticas y psicológicas.

El primer paso consistirá en realizar una exodoncia lo más atraumática posible, conservando las corticales vestibular y palatina intactas (17). La cortical vestibular de los dientes anteriores superiores

presentará en el 87% de los casos una anchura media inferior a 1 mm (18). En muchas ocasiones podremos encontrarnos con defectos de las tablas óseas o tejidos blandos, debido a fracturas verticales o reabsorciones radiculares, donde deberemos tratar los defectos presentes mediante técnicas de regeneración alveolar, en algunos casos, difiriendo la colocación del implante. Siempre que podamos realizaremos la exodoncia y la colocación de los implantes mediante cirugía flapless, manteniendo la vascularización proveniente del periostio, reduciendo así la posible pérdida ósea de las corticales (19-21).

Para poder realizar una Implantología inmediata, se recomienda una estabilidad primaria entre 30-35 Nm. El primer paso

«En casos de Implantología inmediata es necesario el correcto manejo tanto de los pónticos como de los gaps para reducir los cambios dimensionales producidos después de una exodoncia»

Para conservar la arquitectura ósea presente será importante el manejo del gap y los alveolos que harán de pónticos.

En el caso clínico presentado, posicionamos los implantes ligeramente palatinizados, de diámetro reducido y dejando un gap mínimo de 2 mm en todos ellos (23). Posteriormente, rellenamos todos los gaps y alveolos pónticos con biomateriales de lenta reabsorción, compensando así la remodelación de las corticales óseas (24, 25).

será el estudio, a partir del CBCT, de la disponibilidad ósea en la porción apical y palatina del alveolo postextracción para cada implante. En el caso presentado se puede observar la correcta disponibilidad ósea para cada posición planificada (20).

En los casos de arcadas completas como el que hemos presentado, la mayor complejidad es la posición tridimensional correcta de los implantes, ya que, al realizar las exodoncias, podemos perder las referencias anatómicas. Es por este motivo que, nuestro protocolo de trabajo en estos casos, empieza por una planificación y encerado digital para la correcta posición de los implantes, enterrándolos unos 4 mm respecto al LAC de los dientes adyacentes (si los tejidos son óptimos) o a 4 mm del margen cervical de la restauración protésica final en casos de edéntulos totales (21, 22). Para ello, trabajaremos con cirugía guiada, tanto en las fases de reconstrucción ósea como en la cirugía de implantes, pudiendo ser así más precisos.

Es importante valorar el fenotipo periodontal del paciente, ya que la presencia de un fenotipo grueso aporta estabilidad a los tejidos tanto blandos como duros tras una exodoncia. Por lo tanto, deberemos mejorar siempre la cantidad y calidad de los tejidos mediante un injerto de tejido conectivo (ITC) en los pacientes con biotipo fino y será recomendable también en fenotipos gruesos para compensar la remodelación de los tejidos duros, en los casos de corticales vestibulares inferiores a 2 mm (26). Igualmente, los casos con recesiones de los tejidos blandos, deberemos tratarlos con ITC, pudiendo realizar una Implantología inmediata siempre que estos sean inferiores a 3-4 mm (27).

Como ya hemos mencionado, nuestro protocolo de trabajo consistirá en la realización de una Implantología inmediata, y siempre que las condiciones sean favorables para una provisionalización inmediata. En los casos unitarios y parciales, realizaremos una provisionalización sin función, eliminando los posibles contactos oclusales. En los casos de edéntulos totales, dicho provisional entrará en oclusión desde el primer día, por lo que será importante comprobar el correcto ajuste oclusal tanto en

Escanea el código QR con tu smartphone para acceder al listado de precios o accede a www.expadent.com/precios

YA DISPONIBLE EXPADENT APP

Hemos mejorado nuestro sistema de gestión, y ahora cualquiera de nuestros clientes podrán realizar los pedidos directamente desde nuestra aplicación, intuitivamente.

También permite hacer un seguimiento total del proceso de fabricación y de envío del pedido realizado. CORONA ZIRCONIO MULTICAPA 49,90 euros …y como siempre con los precios más competitivos del mercado

relación céntrica como en movimientos de lateralidad y protusiva. En nuestro caso, enviamos el provisional al laboratorio para realizar el acabado y pulido de los perfiles de emergencia y pónticos, entregándolo a las 24 horas. La realización de éste aportará una serie de ventajas, mencionadas anteriormente como (28-30): el sellado de los alveolos y el aislamiento de los biomateriales; el acondicionamiento de los tejidos periimplantarios desde el primer día; y una estética y mejora en los aspectos psicológicos del paciente. Habrá que tener especial cuidado en el manejo de los perfiles de emergencia y de los pónticos paras evitar posibles contracciones de los tejidos blandos. Deberemos de diferenciar las partes de nuestro perfil de emergencia, dejando la zona subcrítica lo más estrecha posible para dejar espacio al coágulo y al injerto de tejido blando, y la zona crítica con el perfil deseado o ligeramente reducido, para mantener o recrear la arquitectura gingival final deseada (31-33).

CONCLUSIONES

Hoy en día, los protocolos en casos de Implantología inmediata y provisionalización inmediata en casos de edéntulos totales son predecibles,

siempre que se sigan unos protocolos adecuados.

El uso de tecnologías digitales nos ayuda a la hora de la planificación del caso a partir de software de planificación y de la colocación de implantes gracias al uso de férulas guiadas.

La utilización de técnicas de Implantología inmediata, acompañadas con regeneración del gap mediante biomateriales, así como con injertos de tejido blando, son predecibles, aunque faltarían más datos de éxito en nuestros casos a largo plazo.

La ventaja en los casos seleccionados adecuadamente es la reducción del tiempo de espera quirúrgico-rehabilitador y la mínima remodelación de tejidos duros y blandos, que se produce después de cualquier exodoncia.

En casos de Implantología inmediata es necesario el correcto manejo tanto de los pónticos como de los gaps para reducir los cambios dimensionales producidos después de una exodoncia.

Por otro lado, es imprescindible el manejo adecuado de los tejidos duros y blandos para lograr unos tratamientos exitosos en la estética, higiene y función. ●

BIBLIOGRAFÍA

1. HÄMMERLE CH, CHEN ST, WILSON TG JR. Consensus statements and recommended clinical procedures regarding the placement of implants in extraction sockets. Int J Oral Maxillofac Implans 2004; 19 (suppl): 26-28.

2. RODRIGO D, SANZ SÁNCHEZ I, FIGUERO E, LLODRÁ JC, BRAVO M, CAFFESSE RG, ET AL. Prevalence and risk

indicators of periimplant diseases in Spain. Journal of clinical periodontology. 2018; 45 (12): 1510–20.

3. ARAÚJO MG, SUKEKAVA F, WENNSTRÖM JL, LINDHE J. Ridge alterations following implant placement in fresh extraction sockets: an experimental study in the dog. J. Clin Periodontol 2005; 32: 645-652.

4. ARAÚJO MG, SILVA CO, MISAWA M, SUKEKAVA F. Alveolar socket healing: What can we learn? Periodontol 2000. 2015; 68 (1): 122–34.

5. CHAPPUIS V, ARAÚJO MG, BUSER D. Clinical relevance of dimensional bone and soft tissue alterations postextraction in esthetic sites. Vol. 73, Periodontology 2000. 2017. p. 73–83.

6. VIGNOLETTI F ET AL. Surgical protocols for ridge preservation after tooth extraction a systematic review. Clinical Oral Implant Research 2012; 23 (suppl 5): 23-38.

7. KAN JY, RUNGCHARASSAENG K, LOZADA J. Immediate placement and provisionalization of maxillary anterior single implants: 1-year prospective study. Int J Oral Maxillofac Implants., 203; 18: 31-39.

8. CHEN ST, WILSON TG JR, HÄMMERLE CH. Immediate or early placement of implants following tooth extraction: review of biologic basis, cliical procedures, and outcomes. Int J Oral Maxillofac Implants 2004; 19 (suppl): 12-25.

9. CORNELLINI R, CANGINI F, COVANI U, WILSON TG JR. Immediate restoration of implants placed into fresh extraction sockets for single-tooth replacement: a prospective clinical study. Int J Periodontics Restorative Dent 2005; 25; 439-447.

10. ESPOSITO M, GRUSOVIN MG, WILLINGS M, COULTHARD P, WORTHINGTON HV. Interventions for replacing missing teeth:different times for loading dental implants. Cochrane Database Syst Rev 2007; 18: CD003878.

11. SANZ L, GARCÍA GARGALLO M, HERRERA D, MARTÍN C, FUIGERO E, SANZ M. Surgical protocols for early implant placement in postextraction sockets: a systematic review. Clin Oral Implants Res 2012 Feb; 23 (suppl 5): 67-79.

12. LANG NP, PUN L, KAN YAN L, WONG M. A systematic review on survival and succes rates of implants placed immediately into fresh extraction sockets after at least 1 year. Clinical oral implants research 23 (suppl5) 39-6; 2012.

13. ARAUJO MG, LINDHE J. Dimensional ridge alterations following tooth extraction:an experimental study in the dog. J. Clin. Periodontol. 2005; 32 (2): 212-8.

14. SCHULTE W, KLEINEIKENSCHEIDT H, LINDER K, SCHAREYKA R. The Tubingen immediate implant in clinical studies. Dtsch Zahnärztl Zeitschr. 1978; 33: 348-59.

15. GÓMEZ ROMÁN G, SCHULTE W, D’HOEDT B, AXMAN KRCMAR D. The Frialit-2 implant system: five-year clinical experience in single-tooth and immediately postextraction applications. Int. J. Oral Maxillofac. Implant. 1997; 12: 299-309.

16. FUGAZZOTTO PA. Simplified technique for immediate implant insertion into extraction sockets: report of technique and preliminary results. Impl. Dent. 2002; 11: 79-82.

17. SCLAR GA. Strategies for management of single-tooth extraction sites in aesthetic implant therapy. J. Oral Maxillofacial Surg. 2004; 62 (suppl. 2): 90-105.

18. HUYNH BA G, PJETURSSON BE, SANZ M, CECCHINATO D, FERRUS J, LINDHE J, LANG NP. Analysis of the socket bone wall dimensions in the upper maxilla in relation to immediate implant placement. Clin. Oral Implants Res. 2010; 21: 37-42.

19. CANEVA M, BOTTICELLI D, SALATA LA, SOUZA SL, BRESSAN E, LANG NP. Flap vs Flapless surgical approach at immediate implants: a histomorphometric study in gogs. Clin. Oral Implants Res. 2010 b; 21: 1.314-1.319.

20. FERRUS J, CECCHINATO D, PJETURSSON EB, LANG NP, SANZ M, LINDHE J. Factors influencing ridge alterations following immediate implant placement into extraction sockets. Clin. Oral Implants Res. 2010 Jan; 21 (1): 22-9.

21. TAN WL, WONG TLT, WONG MCM, LANG NP. A systematic review of post-extraccional alveolar hard and soft tissue dimensional changes in humans. Clin. Oral Implant. Res. 2012; 23 (suppl. 5): 1-21.

22. LANG NP, PUN L, KA YEE L, KAN YAN L, WONG M. A systematic review on survival and succes rates of implants placed immediately into fresh extraction sockets after at least 1 year. Clinical Oral Implants Research. 2012; 23 (suppl 5): 39-6.

23. ENRÍQUEZ SACRISTÁN C, BARONA DORADO C, CALVO GUIRADO JL, LECO BERROCAL I, MARTÍNEZ GONZÁLEZ JM. Immediate post-extraction implants subjects to immediate loading: A meta-analytic study. Medicina Oral Patología Oral Cirugía Bucal. 2011. Nov 1; 16, 91-24.

24. COVANI U, CRONELINI R, BARONE. Bucco-lingual bone remodeling around implants placed into immediate extraction sockets. A case series. J. Periodontol. 2003; 74: 268-73.

25. VIGNOLETTI F, MATESANZ P, RODRIGO D, FIGUERO E, MARTIN C, SANZ M. Surgical protocols for ridge preservation after tooth extraction. A systematic review. Clin. Oral Impl. Res. 23 (Suppl. 5), 2012, 22–38.

26. KAN J, RUNGCHARASSAENG K, MORIMOTO T. Facial gingival tissue stability after connective tissue graft with single immediate tooth replacement in the esthetic zone: consecutive case report. J. Oral Maxillofacial Surg. 2009; 67 (suppl. 3): 40-48.

27. JOLY JC, MESQUITA DE CARVALHO PF, CARVALHO DA SILVA R. Perio-Implantlogía Estética. Quintessence Editora 2018.

28. GÓMEZ MEDA R, ESQUIVEL J. The flat and step (F and S) pontics. Novel pontic designs for periodontally reconstructed sites. J Esthet Restor Dent. 2022; 34 (7): 999–1004.

29. GÓMEZ MEDA R, ESQUIVEL J, BLATZ MB. The esthetic biological contour concept for implant restoration emergence profile design. J Esthet Restor Dent. 2021; 33 (1): 173–84.

30. ESQUIVEL J, MEDA R, BLATZ M. The Impact of 3D Implant Position on Emergence Profile Design. Int J Periodontics Restorative Dent. 2021; 41 (1): 79–86.

31. SU H, GONZÁLEZ MARTÍN O, WEISGOLD A, LEE E. Considerations of implant abutment and crown contour: critical contour and subcritical contour. Int J Periodontics Restorative Dent [Internet]. 2010; 30 (4): 335–343.

32. GONZÁLEZ MARTÍN O, LEE E, WEISGOLD A, VELTRI M, PERIO C. Contour Management of Implant Restorations for Optimal Emergence Profiles: Guidelines for Immediate and Delayed Provisional Restorations. 2019;

33. CLAVIJO V, BLASI A. Decision-making Process for restoring single implants. QDT 2017; 66-88.

Tenemos un libro para cada profesional dental

tienda.gacetadental.com y elige: ¿cuál es el tuyo?

¡Accede a la tienda!

Impulsa:

y clínica

Ciencia

Regeneración ósea guiada horizontal y parcialmente vertical en sector posterior

Mediante la técnica de Sausage Technique

DR. TONI FLICHY

Licenciado en Odontología por la Universidad de Barcelona. Doctor en Odontología por la Universidad de Valencia. Máster en Cirugía e Implantología Oral. Universidad de Valencia. Codirector del Máster de Cirugía Oral, Reconstructiva e Implantología de la Universidad Europea Miguel de Cervantes. Socio titular de la Sociedad Española de Cirugía Bucal (SECIB).

INTRODUCCIÓN

La atrofia ósea horizontal en maxilares atróficos, en ocasiones, imposibilita la colocación de implantes dentales (1). En dichos casos se mantiene una buena altura ósea que nos facilita estabilizar un injerto óseo para ganar volumen horizontal, ya que reduce el número de movimientos del mismo. En este tipo de casos de atrofia ósea, es viable la regeneración ósea mediante injertos en bloque laminados y fijados en la cresta, o mediante la Regeneración Ósea Guiada (ROG), siendo esta última técnica una buena alternativa para evitar complicaciones de morbilidad en el caso de los injertos en bloque (2-4).

Técnica ROG horizontal

En las técnicas de ROG para el aumento horizontal es frecuente la utilización de membranas reabsorbibles, en combinación con hueso autólogo y biomateriales o una combinación de ambos (5-7).

Uno de los principales factores de éxito en la ROG es la correcta

estabilización del injerto y la ausencia de movilidad del mismo, mejorando su pronóstico y resultado, y siendo la Sausage Technique, descrita por Istvan Urban, una buena opción técnica para conseguir dicho resultado óptimo. En dicha técnica, mezclamos hueso autólogo con xenoinjerto en una proporción 1:1 o, en su defecto, cuanta mayor cantidad de autólogo, mejor. La membrana con el relleno óseo en su interior se fija con pins a tensión, lo que da lugar a una zona regenerada completamente inmóvil y firme tras fijar el último pin. En dicha técnica, la membrana debe adaptarse al defecto a regenerar cubriéndolo por completo y apoyándose, al menos, en 2 mm de hueso adyacente. La fijación de la misma se recomienda hacer con pins, sobre todo, en el caso de membranas reabsorbibles, empezando a fijar la misma en la zona lingual o palatina, y de zona más posterior a anterior por vestibular, una vez colocada la mezcla de autólogo con xenoinjerto. El pin vestibular más anterior se coloca entre los dos dientes

Con la colaboración de:
«Siguiendo el protocolo de Sausage Technique para regeneración horizontal se presentan dos casos donde se utilizaron membranas reabsorbibles, hueso autólogo y xenoinjerto con ácido hialurónico»

adyacentes al defecto o, en su defecto, en distal del diente adyacente al defecto. Se recomienda colocar el relleno óseo, en caso de ser necesario, tanto por la zona lingual o palatina, crestal -en algunos casos-, y en vestibular como en silla de montar, facilitando una regeneración tridimensional del defecto óseo.

Manejo de los tejidos blandos

En cuanto al diseño del colgajo es importante poder conseguir un buen cierre primario de la herida y sin tensión tras la ROG horizontal. Para ello, se trabaja con incisiones de descarga crestales y verticales (en zona retromolar posterior y, al menos, dos dientes por delante del defecto en zona más anterior) para conseguir suficiente tejido blando para cubrir el mayor volumen óseo injertado sin tensión.

En defectos mandibulares, se levanta colgajo a espesor total en vestibular y en lingual, y para liberar los colgajos, con el fin de conseguir un cierre sin tensión, se realiza la maniobra de Rerhmann por vestibular. Hay que tener cuidado en la zona de la inserción de las fibras del nervio mentoniano, sin profundizar la incisión, para no lesionar dichas fibras que se insertan en el colgajo vestibular.

El colgajo lingual se divide en tres zonas: la zona retromolar donde se separa la zona posterior; la zona media donde se separa el colgajo lingual de las fibras del músculo milohioideo; y la zona más anterior donde, al estar la inserción del milohioideo muy profunda, se hace maniobra de Rehrmann por lingual de tan solo el periostio. Se llega hasta una pequeña incisión vertical lingual dos dientes por delante del defecto. En defectos maxilares posteriores se debe contar con la no movilización

del colgajo palatino por sus características, siendo el colgajo vestibular el responsable de conseguir un cierre primario. En estos casos realizamos una descarga 2 dientes por delante del defecto maxilar posterior y una descarga distal al defecto. Tras la maniobra de Rehrmann se conseguirá cubrir por completo el injerto realizado en la zona receptora. Por último, el cierre del colgajo debe hacerse sin tensión y en dos capas, combinando puntos simples con colchoneros horizontales. De este modo, se consigue una superficie de contacto entre los dos colgajos, y se otorga mayor vascularización a la zona de la incisión, evitando posibles exposiciones y que se abra la herida gracias a que se revierten los márgenes del colgajo (8-10).

Membranas reabsorbibles

Las membranas reabsorbibles de colágeno nativo son una buena opción en los casos de regeneración ósea, dado que presentan varias ventajas respecto a las de lenta reabsorción o las membranas de colágeno crosslinked o las membranas sintéticas. Asimismo, por ejemplo, no provocan reacciones a cuerpos extraños, son biocompatibles, se revascularizan de forma rápida gracias al periostio, y en el caso de exposición, se reabsorben y reepiteliza la zona.

Las membranas de colágeno nativo son también más elásticas que las sintéticas o de cross-linked, siendo más cómodas para el manejo de la técnica de Sausage Technique , ofreciendo la posibilidad de fijarlas a tensión (11).

Hueso autólogo y materiales de injerto óseo

En cuanto al hueso particulado utilizado para la regeneración, se

ha demostrado que cuanto más autólogo, el volumen óseo obtenido es mejor que si se utiliza solo xenoinjerto o poca cantidad de autólogo junto al xenoinjerto (12).

El hueso autólogo tiene la ventaja de ser osteoconductivo, osteogénico y osteoinductivo. El hueso autólogo particulado libera factores de crecimiento relacionados con la formación ósea (13). Actualmente se dispone de formas poco invasivas y de fácil aplicación para obtener dichas partículas de hueso autólogo. Se puede obtener principalmente de la rama de la mandíbula, pero también es posible del mentón o de la zona del hueso malar.

El xenoinjerto, hueso esponjoso bovino, esterilizado y desnaturalizado es uno de los principales sustitutos óseos utilizados. Tiene propiedades osteoconductivas y facilita un entramado para la formación ósea. Este biomaterial proporciona un volumen del injerto estable.

Respecto a los diferentes tipos de biomateriales de relleno óseo, el hueso autólogo sigue siendo el gold standard de referencia y el material de injerto más efectivo (14). Por otro lado, el xenoinjerto es uno de los biomateriales de relleno más estudiados y con mayor base científica, y en diversos estudios se ha demostrado que la mezcla 1:1 de autólogo y xenoinjerto proporcionaba una situación idónea en los casos de ROG horizontal (15-17).

Se ha estudiado que la combinación de un material sustituto óseo xenogénico con ácido hialurónico inducía significativamente la angiogénesis in vivo. Esto podría conducir a una integración más rápida y una mejor curación en situaciones clínicas (18).

Se desarrolló un estudio i n vivo donde se analizaron tanto las reacciones inflamatorias del tejido como la capacidad de cicatrización

ósea de un material sustituto óseo (BSM) basado en gránulos xenogénicos de sustituto óseo combinado con hialuronato (HY) como molécula fijadora de agua. Los resultados del hialuronato, que contiene el material sustituto óseo (BSM), se compararon con un BSM xenogénico de control del mismo producto químico y composición. No hubo diferencias entre las reacciones inflamatorias del tejido en ambos materiales. El xenoinjerto con hialuronato así como el BSM de control eran totalmente biocompatibles sin ninguna diferencia en cuanto a la regeneración ósea (19).

En un estudio observaron que el ácido hialurónico de los BSM causó un aumento de la actividad de los osteoblastos y podría representar una alternativa prometedora a los xenoinjertos en la regeneración ósea oral (20).

Siguiendo el protocolo Sausage Technique para regeneración horizontal -descrito en el presente artículo-, presentamos dos casos donde se utilizaron membranas reabsorbibles, hueso autólogo y xenoinjerto con ácido hialurónico.

CASO CLÍNICO 1

Mujer de 44 años, sin antecedentes patológicos de interés y sin hábitos tóxicos. Acude con ausencia de 45 a 48 desde hace años (Figura 1) Presenta en CBCT un defecto óseo

Ortopantomografía inicial.

Figura 3. Zona quirúrgica expuesta de cuarto cuadrante, tras colgajo a espesor completo.
Figura 4. Mezcla de hueso autólogo con cerabone plus y sangre de la paciente.
Figura 5. Sausage Technique horizontal y parcialmente vertical con cerabone plus, autólogo, membrana Jason y pins en zona de 4 cuadrante.
Figura 6. Sutura sin tensión combinando puntos simples y colchoneros.
Figura 1.
Figura 2. CBCT previo de 4o cuadrante.

horizontal con hueso remanente de 2,41 mm de anchura en zona crestal y parcialmente vertical con una altura remanente entre 9,20 – 9,63 mm. Requiere la reposición de 45 a 47 con implantes dentales (Figura 2).

Se levantó un colgajo a espesor total y se liberó el colgajo lingual y vestibular, tal y como se ha descrito es este artículo. Se obtuvo hueso autólogo con el Safescrapper curvo (Meta, Italia) de la zona retromolar y línea oblicua externa del cuarto cuadrante (Figura 3). Se mezcló el hueso autólogo y xenoinjerto con ácido hialurónico (Cerabone Plus, Botiss, Alemania) en una proporción 1:1, y con sangre del paciente como marca el protocolo de dicho material (Figura 4). Se fijó una membrana de pericardio (Jason Membrane, Botiss, Alemania) en zona lingual con pins (MasterPin, Meissinger, Alemania), se colocó la mezcla de hueso autólogo y xenoinjerto en zona oclusal y vestibular, aportando el ácido hialurónico un mejor manejo y estabilidad del injerto en la zona. Tras fijar a tensión la membrana y conseguir la máxima estabilidad del injerto (Figura 5), se procedió al cierre de la herida sin tensiones, combinando puntos simples y colchoneros, tal y como se ha descrito en este artículo (Figura 6)

Se le prescribió Amoxicilina 750mg 1/8h 7 días, Enantyum 25mg 1/8h 5 días, Paroex 0,12% (Gum, Sunstar, Suiza) 10 días y suplementación con el complejo de Osteoimplant Complex 1/12h 15 días y, a continuación, Osteoimplant 1/24h 2 meses (Spainlab Pharmaceuticals SL, Madrid, España).

Se le explicaron a la paciente las pautas postoperatorias. A los 10 días se retiró la sutura. Se hicieron controles al mes, a los 3 meses y a los 6 meses (Figura 7), donde se procedió

a realizar un nuevo CBCT y se vio una anchura ósea de entre 7 - 9,20 mm y una altura de entre 12,61 – 12,80 mm (Figura 8). Se realizó la cirugía de reentrada abriendo un colgajo a espesor completo (Figura 9), y se colocaron en las zonas de 45 y 47 dos implantes dentales Klockner Vega de 4x10 (Klockner SL, Barcelona), con un torque de inserción de 40N. Los sumergimos 1 mm por debajo de la cresta (Figura 10). Se colocaron pilares de cicatrización y se procedió con el cierre de la herida con puntos simples (Figura 11). Se le prescribió Amoxicilina 750mg 1/8h 5 días, Enantyum 25mg 1/8h 5 días, Paroex 0,12% (Gum, Sunstar, Suiza) 10 días y suplementación con el complejo de Osteoimplant Complex 1/12h 15 días y, a continuación, Osteoimplant 1/24h 2 meses (Spainlab Pharmaceuticals SL, Madrid, España). Se le explicaron a la paciente las pautas postoperatorias. A la semana se retiró la sutura y se hizo un control al mes. A los 2 meses de la colocación de los implantes dentales se realizó la 2ª fase, destapando los implantes y colocando pilares de cicatrización altos. A los 15 días se tomaron las medidas y se realizaron las pruebas pertinentes hasta la colocación del puente sobre implantes atornillado a 35N. Se realizó un control a la semana de la colocación de la prótesis y luego se realizaron controles cada 6 meses, con un seguimiento actual de 3 años (Figura 12).

CASO CLÍNICO 2

Hombre de 56 años, sin antecedentes patológicos de interés y sin hábitos tóxicos. Acude con ausencia de 13 a 16 tras las extracciones previas 4 meses antes (Figura 13). En el CBCT se observa buena anchura, pero ausencia de altura al seno en la zona

Figura 7. Control radiológico a los 6 meses de la intervención.

8. CBCT previo a la reentrada a los 6 meses de la intervención.

Figura 11. Control radiológico tras la colocación de los implantes dentales Klockner Vega en 4 º cuadrante.

Figura
Figura 10. Colocación de implantes Klockner Vega en zona regenerada.
Figura 9. Situación clínica de la zona tratada en la reentrada tras levantar colgajo a los 6 meses de la regeneración.

APUNTA EN TU AGENDA LAS FECHAS CLAVE

21/06/24

Último día de cuota reducida

10/09/24

Último día para enviar tu comunicación libre

Ponentes

Regeneración

ósea

David González

Frank Schwarz

Liliana Silva

Luca de Stavola

Frank Zastrow

Tejidos blandos

Gonzalo Blasi

Santiago Carreras

Xavier Mir

David Palombo

Cirugía guiada

Luca Comuzzi

Luigi Laino

Nikos Mattheos

Rehabilitación de maxilares atróficos

Mariano del Canto

Vivek Gaur

César Muelas

Ignacio Mayo

Tratamientos multidisciplinarios

Henry García Raquel Guijarro

Montserrat Mercadé

Xavier Rodríguez

SIMPOSIO UNIVERSIDADES TALLERES

del 16, habiendo un hueso remanente de 1,41 – 1,46 mm de altura (Figura 14). Presentaba buena altura, pero ausencia de anchura en la zona de 13 a 15, con una anchura remanente de 1,89 – 2,24 mm (Figura 15).

Se levantó un colgajo a espesor total y se liberó el colgajo vestibular, tal y como se ha descrito es este artículo (Figura 16). Se obtuvo hueso autólogo con el Safescrapper curvo (Meta, Italia) de la zona malar del primer cuadrante. Se realizó en la zona de 16 una elevación de seno directa (Figura 17) y se colocó en su interior 2cc de xenoinjerto (Cerabone, Botiss, Alemania). Para realizar la Sausage Technique en la zona de 14 y 15, se mezcló el hueso autólogo y xenoinjerto con ácido hialurónico (Cerabone Plus, Botiss, Alemania) en una proporción 1:1, y con sangre del paciente, como marca el protocolo de dicho material. Se fijó una membrana de pericardio

(Jason Membrane, Botiss, Alemania) en zona palatina con pins (MasterPin, Meissinger, Alemania). Se colocó la mezcla de hueso y xenoinjerto en zona palatina, oclusal y vestibular, aportando el ácido hialurónico un mejor manejo y estabilidad del injerto en la zona (Figura 18)

Tras fijar a tensión la membrana y conseguir la máxima estabilidad del injerto, cubriendo incluso la ventana lateral de la elevación de seno (Figura 19), se procedió al cierre de la herida sin tensiones, combinando puntos simples y colchoneros, tal y como se ha descrito en este artículo. Se le prescribió Amoxicilina 750mg 1/8h 7 días, Enantyum 25mg 1/8h 5 días, Paroex 0,12% (Gum, Sunstar, Suiza) 10 días y suplementación con el complejo de Osteoimplant Complex 1/12h 15 días y, a continuación, Osteoimplant 1/24h 2 meses (Spainlab Pharmaceuticals SL, Madrid, España). Se le explicaron a la

Figura 13. Situación previa en ortopantomografía.
Figura 14. CBCT previo en zona de 16.
Figura 15. CBCT previo en zona 13 a 15.
Figura 12. Control radiológico a los 3 años de seguimiento tras la carga protésica.

paciente las pautas postoperatorias. A los 10 días se retiró la sutura.

Se hicieron controles al mes, a los 3 meses y a los 6 meses, donde se procedió a realizar un nuevo CBCT y se observó en la zona de 16 una altura de 11 mm tras la regeneración (Figura 20) , y en la zona de 13 y 15 se determinó una anchura tras la regeneración de 7,54 – 8,16 mm y de una ganancia en altura de 1,8 mm (Figura 21).

Se realizó la cirugía de reentrada abriendo un colgajo a espesor completo (Figura 22) , y se colocaron en las zonas de 13, 14 y 16 tres implantes dentales Klockner Vega

Figura 19. Sausage technique de regeneración en zona de defecto horizontal de 13 a 16, cubriendo también la ventana lateral de elevación de seno.

de 4x10 (Klockner SL, Barcelona), con un torque de inserción de 40N, que fueron sumergidos 1mm por debajo de la cresta (Figura 23)

Se colocaron pilares de cicatrización y se procedió con el cierre de la herida con una sutura continua entrelazada (Figura 24). Se le prescribió Amoxicilina 750mg 1/8h 5 días, Enantyum 25mg 1/8h 5 días, Paroex 0,12% (Gum, Sunstar, Suiza) 10 días y suplementación con el complejo de Osteoimplant Complex 1/12h 15 días y, a continuación, Osteoimplant 1/24h 2 meses (Spainlab Pharmaceuticals SL, Madrid, España). Se le explicaron al paciente las pautas postoperatorias.

Figura 16. Situación clínica tras levantar colgajo a espesor completo.
Figura 17. Ventana lateral de acceso para la elevación de seno directa en zona de 16.
Figura 18. Colocación de la mezcla de hueso autólogo con cerabone plus en zona a regenerar, con membrana Jason fijada en este momento por palatino.

Figura 22. Reentrada en zona regenerada tras levantar colgajo a espesor completo.

Figura 23. Situación clínica tras la colocación de 3 implantes Klockner Vega.

Figura 24. Control radiológico tras la colocación de los implantes dentales Klockner Vega.

Figura 25. Control radiológico a los 3 años de seguimiento tras la carga protésica.

Figura 20. CBCT de la zona regenerada de elevación de seno en el 16
Figura 21. CBCT de la zona regenerada de 13 a 15.

A la semana se retiró la sutura y se hizo un control al mes y a los dos meses. A los 3 meses de la colocación de los implantes dentales se realizó la 2a fase, destapando los implantes y colocando pilares de cicatrización altos. A los 15 días se tomaron las medidas y se

realizaron las pruebas pertinentes hasta la colocación del puente sobre implantes atornillado, a 35N. Se realizó un control a la semana de la colocación de la prótesis y se realizaron controles cada 6 meses, con un seguimiento actual de 3 años (Figura 25) ●

BIBLIOGRAFÍA

1. PROUSSAEFS P, LOZADA J. The use of resorbable collagen membrane in conjunctionn with autogenous bone graft and inorganic bovine mineral for buccal/labial alveolar ridge augmentation: a pilot study. J Prosthetic Dent 2003; 90: 530-8.

2. NKENKE E, SCHULTZE-MOSGAU S, RADESPIEL-TROGER M, KLOSS F, NEUKAM FW. Morbidity of harvesting of chin grafts: a prospective stydy. Clin Oral Implants Res 2001; 12: 495-502.

3. NKENKE E, WEISBACH V, WINCKLER E Y COLS. Morbidity of harvesting of bone grafts from the iliac crest for preprothetic augmentation procedure: a prospective study. Int J Oral Maxillofac Surg 2004; 33: 157-163.

4. RAGHOEBAR GM, LOUWERSE C, KALK WW, VISSINK A. Morbidity of chin bone harvesting. Clin Oral Implants Res 2001; 12: 503-7.

5. HAMMERLE CH, JUNG RE, YAMAN D, LANG NP. Ridge augmentation by applying bioresorbable membranas and deproteinized bovine bone mineral: a reporto f twelve consecutive cases. Clin Oral Implants Res 2008; 19: 19-25.

6. LINDHE J, KARRING T, LANG NP. Clinical Periodontology and Implant Dentistry. Oxford, UK; Malden, MA: Blackwell, 2003.

7. FRIEDMANN A, STRIETZEL FP, MARETZKI B, PITARU S, BERNIMOULIN JP. Histological assessment of augmented jaw bone utilizing a new collagen barrier membrane compared to a standard barrier membrane to protect a granular bone substitute material. Clin Oral Implants Res 2002; 13: 587-94.

8. URBAN IA, TRAXLER H, ROMERO BUSTILLOS M, FARKASDI S, BARTEE B, BAKSA B, ÁVILA ORTIZ G. Effectiveness of two different lingual flap advancing techniques for vertical bone augmentation in the posterior mandible: A comparative, Splitmiuth cadáver study. Int J Periodontics Restorative Dent. 2018 Jan/Feb; 38 (1): 35-40.

9. RONDA M, STACCHI C. Managment of a coronally advanced lingual flap in regenerative osseous surgery: a case series introducing a novel technique. Int J Periodontics Restorative Dent 2011; 31: 505-13.

10. RONDA M, STACCHI C. A novel approach for the coronal advancement of the buccal flap. Int J Periodontics Restorative Dent 2015; 35: 795-801.

11. ROTHAMEL D, SCHARZ F, SAGER M, HERTEN M, SCULEAN A,

BECKER J. Biodegradation of differently cross-linked collagen membranas: an experimental study in the rat. Clin Oral Implants Res 2005; 16: 369-78.

12. MORDENFELD A, JOHANSSON CB, ALBREKTSSON T, HALLMAN M. A randomized and controlled clinical trial of two different compositions of deproteinized bovine bone and autogenous bone used for lateral ridge augmentation. Clin Oral Implants Res 2014; 25: 310-20.

13. CABALLÉ SERRANO J, BOSSHARDT DD, BUSER D, GRUBER R. Proteomic analysis of porcine bone-conditioned médium. Int J Oral Maxillofac Implants 2014; 29: 1208-15.

14. BUSER D, INGIMATSSON S, DULA K, LUSSI A, HIRT HP, BELSER UC. Long-term stability of osseointegrated implants in augmented bone: a 5-year prospective study in partially edentolous patients. Int J Periodontics Restorative Dent 2002; 22: 109-17.

15. URBAN IA, NAGURSKY H, LOZADA JL, NAGY K. Horizontal ridge augmentation with a collagen membrane and a combination of particulated autogenous bone and anorganic bovine bonederived mineral: a prospective case series in 25 patients. Int J Periodontics Restorative Dent 2013; 33: 299-307.

16. URBAN IA, LOZADA JL, JOVANOVIC SA, NAGURSKY H, NAGY K. Vertical ridge augmentation with titanium-reinforced, dense-PTFE membranas and a combination of particulated autogenous bone and anorganic bovine bone-derived mineral: a prospective case series in 19 patients. Int J Oral Maxillofac Implants 2014; 29: 185-93.

17. URBAN IA. El aumento vertical y horizontal de la cresta. Quintessence; 2018, Barcelona.

18. KYYAK S, BLATT S, WIESMANN N, SMEETS R, KAEMMERER PW. Hyaluronic Acid with Bone Substitutes Enhance Angiogenesis In Vivo. Materials (Basel). 2022 May 27; 15 (11): 3839.

19. PRÖHL A, BATINIC M, ALKILDANI S, HAHN M, RADENKOVIC M, NAJMAN S, JUNG O, BARBECK M. In Vivo Analysis of the Biocompatibility and Bone Healing Capacity of a Novel Bone Grafting Material Combined with Hyaluronic Acid. Int J Mol Sci. 2021 May; 22 (9): 4818.

20. KYYAK S, PABST A, HEIMES D, KÄMMERER PW. The Influence of Hyaluronic Acid Biofunctionalization of a Bovine Bone Substitute on Osteoblast Activity In Vitro. Materials (Basel). 2021 May 27; 14 (11): 2885.

y clínica

Ciencia

Análisis de distintas situaciones clínicas y toma de decisiones en prótesis implantosoportadas parciales

INTRODUCCIÓN

Grado en Odontología por la Universitat de Barcelona.

Postgrado en Rehabilitación Oral y Prótesis

Maxilofacial por la Universitat de Barcelona. Doctora en Odontología por la Universitat de Barcelona.

Tesorera de la Sociedad Científica de Odontología Implantológica (SCOI).

Dra. Ylenia Díaz Robles

Grado en Odontología por la Universitat de Barcelona.

Máster en Odontología integrada de adultos por la Universitat de Barcelona.

Miembro de la Sociedad Española de Prótesis Estomatológica y Estética (SEPES).

Dra. Nan Xiao Liu

Grado en Odontología por la Universitat de Barcelona.

Máster en Odontología Integrada de adultos por la Universitat de Barcelona.

Miembro de la Sociedad Española de Prótesis Estomatológica y Estética (SEPES).

La degradación de la dentadura de la población actual es evidente (1). El aumento del consumo de bebidas y alimentos procesados, la disminución de la calidad y cantidad de saliva por medicamentos o respiración oral, las parafunciones generadas por el estrés, el envejecimiento de la población y el aumento de la disparidad económica han incrementado la necesidad y uso de implantes. Estas situaciones requieren de un enfoque integrativo y razonado, puesto que surgen dilemas como si aumentar el espacio intermaxilar protésico, el número de implantes necesarios en el tramo edéntulo, tipo y diseño de cantilévers y piezas pónticas, uso o no transepiteliales, y otros factores. Además, una vez finalizado el trabajo restaurador, hay que asegurar su éxito y supervivencia a largo plazo con una buena estabilidad oclusal y función masticatoria, además de una estética natural, tanto de las prótesis dento como implantorretenidas. A continuación, describimos cuatro

Con la colaboración de:
«El éxito a largo plazo de las prótesis parciales implantosoportadas depende de múltiples factores que deben ser analizados antes, durante y después de su colocación en boca»

Figura 1. a) se muestran escaneados con mapa de oclusión de paciente rehabilitado con implantes en 4o cuadrante en 2008; la intensidad de los puntos oclusales en 46 y 47 se sitúa entre los 0,8 a 1 mm. Por contra, los dientes anteriores reciben una carga oclusal mucho más intensa; b) se muestran escaneados y mapa de oclusión de paciente rehabilitado con implantes en molares de 1 o y 2o cuadrante. De nuevo la intensidad de los puntos oclusales es mucho más intensa en zona anterior que posterior.

situaciones clínicas frecuentes que implican el uso de implantes y exponemos el porqué de nuestras elecciones. Es importante aclarar que, en todas las situaciones, el primer paso siempre ha sido siempre decidir una posición intermaxilar inicial. En rehabilitación total hemos buscado la relación céntrica del paciente con un desprogramador KOIS (2), aunque también se podrían usar otros métodos similares; cuando la prótesis a realizar era parcial, hemos optado por respetar la posición de máxima intercuspidación (PIM) que presentaba el paciente previamente (3).

SITUACIONES CLÍNICAS

Situación clínica 1. Extremos libres Debido a las diferencias biomecánicas entre un diente y un implante, principalmente la presencia de un ligamento periodontal que se comprime y permite una movilidad dentaria de 10-50 μ m, en comparación con los 3–5 μ m de los implantes, se ha recomendado dejar un espacio mínimo de entre 10–30 μ m (4, 5) en las prótesis implantorretenidas con el objetivo de minimizar el riesgo de complicaciones mecánicas. Esta recomendación tuvo gran influencia a finales del siglo XX, con numerosos artículos que describen (6-8) la sobrecarga funcional como la principal causa de pérdida ósea periimplantaria, hecho que aumentó la práctica de minimizar la carga oclusal en prótesis sobre implantes reduciendo el tamaño y la intensidad de los contactos oclusales. Aún hoy en día no es infrecuente observar pacientes con escaso o nulo soporte oclusal en sus prótesis sobre implantes, especialmente en las situaciones de extremo posterior (Figura 1a-b).

3. Papel Shimstock, de solo 8 micras de grosor y sin tintar, disponible en la mayoría de depósitos dentales.

Los molares están perfectamente capacitados para soportar tres veces más la carga masticatoria (9), en comparación con los dientes restantes, y, por tanto, en prótesis sobre implantes parciales de extremo libre hay que imitar este concepto, ya que no hay evidencia sólida sobre el efecto nocivo de las fuerzas oclusales traumáticas en la pérdida ósea periimplantaria en ausencia de inflamación periodontal (10).

Es importante, por tanto, seguir un buen protocolo de control oclusal y no apoyarse solamente en las fuerzas compensatorias de los dientes antagonistas (11); de lo contrario correremos el riesgo de sobrecargar el sector anterior, además de desarrollar problemas de disfunción temporomandibular por falta de soporte posterior (12, 13).

Presentamos a una paciente femenina de 47 años sin patología sistémica que requiere rehabilitación completa con prótesis fija adhesiva e implantosoportada de extremo libre

debido a erosión generalizada (Figura 2). Para discernir la cantidad de carga oclusal en la nueva prótesis sobre implantes, seguiremos el protocolo propuesto por Jeffrey Bonk (14) con el papel de aluminio o Shim Stock, de 8 micrones de grosor (Figura 3), ya que los papeles convencionales de oclusión han demostrado ser un indicador poco fiable e insuficiente para interpretar la intensidad de la carga oclusal (15, 16).

El primer paso tras la colocación de la prótesis al torque indicado es pedir al paciente que vaya a PIM con contacto suave o normal de los dientes, mientras interponemos en distintas zonas oclusales el papel Shimstock (Figura 4a-b)

Es deseable que el papel se escape con resistencia mínima o nula en la prótesis implantosoportada, mientras que en el resto de la dentición natural éste debería quedar atrapado. Después pediremos una mordida con fuerza, que es el momento en que el Shimstock

Figura 2. Ortopantomografía y fotografías intraorales iniciales de la paciente con erosión generalizada y necesidad de estabilización de sectores posteriores con una rehabilitación mixta.
Figura

Figura 4a-b. Cuando hemos colocado ya la(s) prótesis, y tras un primero equilibrado de oclusión con los papeles tintados, procedemos al refinamiento final oclusal chequeando el atrapamiento del papel Shimstock en las diferentes superficies implanto o dentorretenidas.

Figura 5a. Vemos el escaneado de oclusión de la paciente con mordida suave; la zona del puente implantosoportado mantiene una intensidad de oclusión de aproximadamente 8-10 micras, y el papel Shimstock se escapa.

Figura 5b. Esquema oclusal de la misma paciente con mordida fuerte; las marcas sobre el puente implantosoportado son rojas, hay estabilidad oclusal y el papel Shimstock queda atrapado.

debería quedar retenido en todas las superficies oclusales, ya que el ligamento periodontal de los dientes adyacentes ha cedido a su máxima capacidad.

En los movimientos excursivos, además, siguiendo las recomendaciones de Misch (17), hay que recalcar la importancia de evitar cargas laterales, además de realizar diseños con cúspides planas y tablas más bien estrechas para reducir, en lo posible, las fuerzas laterales sobre estas prótesis. Últimamente se propone el escaneado con

análisis de las cargas oclusales con programas tipo T-Scan, como método más fiable, ya que aunque no esté probado de manera unánime, algunos autores afirman que los contactos observados en el entorno virtual son significativamente más precisos que los físicos y proporcionan datos más objetivos y significativos (18, 19).

Al no disponer de T-Scan, como alternativa hemos usado el escáner intraoral, donde se puede observar las capturas obtenidas de nuestra paciente después de haber colocado la prótesis (Figura 5a-b)

«Un enfoque integral y meticuloso en la planificación, ejecución y mantenimiento tanto a nivel oclusal como a nivel periimplantario de las prótesis parciales implantosoportadas es fundamental para su salud a largo plazo»

Situación clínica 2

Implantes adyacentes: ferulizar o no ferulizar No hay duda de la necesidad de ferulizar implantes en presencia de zonas pónticas, aunque esta imposición se relativiza en su ausencia.

Yi y cols (20), tras una revisión exhaustiva de la literatura, concluyeron que los implantes adyacentes ferulizados tenían mayor probabilidad de desarrollar complicaciones biológicas, pero menor riesgo de desarrollar complicaciones mecánicas, sobre todo cuanto mayor era el número de implantes y éstos tenían conexiones cónicas. Es por este motivo que siempre recomendamos el uso de pilares transepiteliales en prótesis parciales sobre implantes de conexión interna (21).

La literatura nos dice que la unión de implantes adyacentes distribuye la carga oclusal entre ellos, disminuyendo así la concentración de estrés en el hueso crestal, pero hay varios estudios clínicos que

han encontrado grados similares de pérdida de hueso marginal y complicaciones protésicas entre restauraciones de implantes ferulizados o sin ferulizar (22). La decisión final, pues, depende de las preferencias del clínico, aunque nosotras proponemos valorar específicamente dos aspectos: la cantidad de espacio interoclusal y la presencia de dientes a distal de la prótesis.

Presentamos el caso de una paciente de 34 años (Figura 6ae), con ausencia de 2.5-2.6 y 2.7 natural con oclusión estable. Es por ello que se decidió rehabilitar el tramo edéntulo con coronas unitarias, ya que la longitud de los implantes era la adecuada, pero el espacio interoclusal, limitado; por tanto, evitamos tener que usar transepiteliales y reducimos así el gap de la conexión, mejorando el pronóstico de dichas restauraciones (23, 24). Es importante también crear áreas de contacto anchas y fuertes a los dientes interproximales (25). Observamos, tras ocho años de uso en boca, la estabilidad de los tejidos y la prótesis, que sufrió una fractura de porcelana, se reparó con resina, y que, a día de hoy, se mantiene funcional.

A continuación mostramos a un varón de 45 años (Figura 7a-f) cuyas prótesis sobre los implantes en 1 o y 4o fueron ferulizadas porque la ratio implante/prótesis era arriesgada (sobre todo en primer cuadrante) y no había extremo distal natural en cuarto cuadrante. Además, se disponía de suficiente espacio protésico para interponer elementos transepiteliales, que reducían el riesgo de las complicaciones mecánicas de los implantes de conexión interna.

Oferta formativa

curso 2024 - 2025

Másteres presenciales*

DOBLES MÁSTERES (OFICIALES + PROPIOS)

PERIODONTOLOGY AND IMPLANT DENTISTRY

3 años académicos

MÁSTERES

Máster Universitario en Odontología Restauradora Estética (OFICIAL)

2 años académicos - 120 ECTS

Máster Universitario en Odontopediatría Integral y Hospitalaria (OFICIAL)

2 años académicos - 120 ECTS

Máster de Formación Permanente en Disfunción

Craneomandibular, Dolor Orofacial y Medicina Dental del Sueño

1 año académico - 60 ECTS

Máster de Formación Permanente en Gerodontología, Pacientes Especiales y Medicina Oral 1 año académico - 60 ECTS

Máster de Formación Permanente en Odontología Digital y Nuevas Tecnologías

1 año académico - 60 ECTS

Másteres Online

Máster Universitario en Investigación en Odontología (OFICIAL) 1 año académico - 60 ECTS

Máster de Formación Permanente en Endodoncia Online

2 años académicos - 120 ECTS

Máster de Formación Permanente en Estética Dental Online

2 años académicos - 120 ECTS

Máster Universitario en Periodoncia e Implantes 120 ECTS +  Máster de Formación Permanente Avanzado en Periodoncia e Implantología 60 ECTS

ENDODONTICS

3 años académicos

Máster Universitario en Endodoncia 120 ECTS + Máster de Formación Permanente Avanzado en Endodoncia 60 ECTS

ORAL SURGERY AND IMPLANTOLOGY

3 años académicos

Máster Universitario en Implantología y Cirugía Oral 120 ECTS + Máster de Formación Permanente Avanzado en Cirugía Oral e Implantología 60 ECTS

AESTHETIC RESTORATIVE DENTISTRY

3 años académicos

Máster Universitario en Odontología Restauradora Estética 120 ECTS + Máster de Formación Permanente Avanzado en Odontología Restauradora 60 ECTS

ORTODONCIA Y ORTOPEDIA DENTOFACIAL

3 años académicos

Máster Universitario en Ortodoncia y Ortopedia Dentofacial 120 ECTS + Máster de Formación Permanente Avanzado en Ortodoncia y Ortopedia Dentofacial

Universitat Internacional de Catalunya Facultad de Odontología

Paola Lago / Marta Utset T. +34 935 042 000 - infodonto@uic.es

Máster de Formación Permanente en Odontopediatría Integral y Hospitalaria Online 2 años académicos - 120 ECTS

Máster de Formación Permanente en Gerodontología, Pacientes Especiales y Medicina Oral Online 1 año académico - 60 ECTS

Postgrados

1 AÑO ACADÉMICO. DEDICACIÓN PARCIAL

Residencia Clínica en Periodoncia

Residencia Clínica en Prótesis Bucal

Residencia Clínica en Implantología Oral

Residencia Clínica en Ortodoncia

Residencia Clínica en Odontopediatría

Residencia Clínica en Técnicas Quirúrgicas Aplicadas a la Cavidad Oral

Postgrado en Odontología Integrada Avanzada

Postgrado Avanzado en Radiología Oral y Maxilofacial

Postgrado en Creación y Gestión de la Clínica Dental 6 meses

Proceso de admisión, reserva de plaza y matrícula:

Figura 6a. Imagen de la prótesis en la actualidad, donde se puede observar la estabilidad de los tejidos periimplantarios y el correcto perfil de emergencia.

Figura 6b. Imagen oclusal de las coronas, donde se observa la fractura cerámica de la cúspide palatina reparada, y la reducción de la tabla oclusal de éstas.

Figura 6c. Observamos el escaneado de la oclusión con intensidad normal, con puntos intensos en el 27 natural y contactos también, aunque de menor intensidad, en las prótesis sobre implantes.

abril de 2024.

Figura 6d-e. Radiografías periapicales de marzo de 2016 y

7a-c. Vista lateral y oclusal de las prótesis en la actualidad, tras ocho años de uso en boca.

Figura 7d-e. Observamos la ratio implante/corona invertida en el caso del primer cuadrante, y la proporción uno a uno en el cuarto cuadrante. A pesar de esta condición, las prótesis y el hueso periimplantario se mantienen estables tras ocho años de uso.

Figura 7f. Se muestra el escaneado intraoral con mapa de oclusión y mordida habitual del paciente; la prótesis inferior implantosoportada, al estar en extremo libre, debe proporcionar buenos contactos oclusales (puntos rojos y naranjas) contra la hemiarcada antagonista.

Figura

Situación clínica 3. Cantilévers

El uso de cantilévers puede ser una buena alternativa en situaciones con gran atrofia de tejidos, donde no sea posible realizar técnicas de regeneración ósea, ya que presentan una tasa de supervivencia similar a las prótesis con ausencia de cantilévers (26, 27).

Como norma general, deberíamos evitar el uso de cantilévers en molares, ya que es el grupo dental que mayor carga soporta (9), a menos que estemos tratando edéntulos totales con prótesis híbridas. En casos así, a pesar de no existir un consenso definido, se considera 5-7 mm como una longitud adecuada del cantiléver, con una supervivencia de 98% (28).

En cuanto a prótesis parciales, esta longitud será mayor o menor según el diámetro del implante, que no debería extenderse más allá de la distancia entre ellos. Por ejemplo, para dos implantes de 4 mm de diámetro separados aproximadamente 3 mm, la corona no debería ser más grande que un premolar. Destacar que siempre es preferible un cantiléver mesial que distal para reducir la cantidad de fuerza sobre la palanca, aunque la bibliografía actual muestra falta de uniformidad (29) respecto a este punto. En cuanto a la longitud de los implantes, ésta debería ser igual o superior a 8 mm y su diámetro estándar o ancho.

Hay dos factores cruciales en el uso de un cantiléver: el tipo de antagonista contra el que va a ocluir y el grupo dentario que ocupará. Si se trata de sustituir un incisivo lateral o un premolar, no vemos ningún problema en usar un cantiléver si el implante adyacente tiene una buena longitud y situación estable.

«La decisión de ferulizar implantes adyacentes debe basarse en consideraciones biomecánicas y la presencia de dientes adyacentes»

Idealmente, el diente antagonista debería ser una prótesis, removible o implantosoportada, para así estar seguros que no habrá una extrusión compensatoria a lo largo del tiempo que pueda sobrecargar el voladizo (30). Si el antagonista es un diente natural, los chequeos periódicos de la oclusión son mandatorios. Hay que controlar o minimizar las secuelas de las parafunciones y optar preferiblemente por prótesis de metal cerámica (31), ya que es el material que tiene más soporte científico en situaciones de estrés mecánico máximo. En caso de usar materiales monolíticos como zirconia, que presentan unas propiedades excelentes de biocompatibilidad, es de vital importancia mantener un área en el conector de, al menos, 9 mm (32, 33).

Presentamos el caso de una paciente rehabilitada con dos prótesis parciales fijas implantosoportadas en anterosuperior y con cantiléver en situación del 1.2 y 2.2 (Figura 8a-d) en el año 2014, ya que disponíamos de implantes con buena longitud y diámetro, y los dientes en voladizo son los que menos carga reciben en la dinámica oclusal. Con el objetivo de evitar la sobrecarga de los implantes pilares, pérdida ósea periimplantaria

(34, 35) o la descementación en las prótesis cementadas y aflojamiento de los tornillos en prótesis atornilladas, se somete a la paciente a controles de oclusión cada seis meses donde se alivia toda carga lateral o protusiva de los cantilévers. A día de hoy, tras diez años de uso, no ha habido ninguna complicación mecánica.

Situación clínica 4.

Conexión diente e implante

En casos de pérdida considerable de dientes, surgen circunstancias en las que las restauraciones totalmente implantosoportadas se vuelven más complejas, lo que puede llevar a considerar la unión de implantes y dientes naturales como pilares

para una misma prótesis (36, 37). Mientras que el diente cuenta con un ligamento periodontal que le confiere capacidad amortiguadora y cierta movilidad, el implante carece de esta característica y transmite directamente las fuerzas al hueso, hecho que sugiere la necesidad de tomar ciertas precauciones si combinamos ambos pilares en una misma restauración protésica (38).

Siempre habrá riesgo biomecánico al unir dientes e implantes, aunque se han descrito algunas técnicas para minimizarlas. Misch ha propuesto sistemas de ataches resilientes (39), que no han mejorado la distribución de las tensiones entre los diferentes pilares, además de causar migraciones dentarias,

Figura 8a. Vista frontal de la prótesis en la actualidad. El diente 1.2 y el 2.2. son cantilévers de las prótesis implantorretenidas 1.3-1.4 y 2.3-2,4.
Figura 8b. Vista oclusal de las prótesis. En el primer cuadrante, debido a la inclinación excesivamente vestibulizada de los implantes, se tuvo que optar por un sistema cementado.
Figura 8c-d. Radiografías periapicales actuales de ambas prótesis.

descementado de la prótesis del diente natural con la consecuente filtración bacteriana y desarrollo de lesiones cariadas (sobre todo cuando éstas se cementan con cementos temporales). El uso de de conexiones rígidas (Figura 9a-c) tampoco ha resultado satisfactorio, y es frecuente la pérdida del diente pilar por descementado de la cofia (40, 41).

Otros inconvenientes de este diseño rígido son una mayor carga hacia el implante, mayor riesgo de fractura de éste y de la cerámica, y aflojamiento del tornillo protésico.

La solución más recomendable consiste en el uso de un sistema telescópico comprendido por una corona primaria que protege el

muñón dental en caso de intrusión o descementado y una corona secundaria en la supraestructura, que proporciona ajuste y retención debido a la fricción entre ambas (38).

En caso que haya uno o más pónticos, el pronóstico de la prótesis a largo plazo aumenta (42-44).

Presentamos el caso de un varón de 58 años de edad (Figura 10ac), con historia previa de fracaso de implantes en la zona de los premolares superiores izquierdos y que pide una prótesis fija sin la colocación adicional de implantes. Comprobamos que la movilidad del diente pilar 2.7 es fisiológica y, por tanto, adecuada para este tipo de prótesis. Sobre el implante

9a. Observamos imagen periapical de prótesis combinada diente-implante.

Figura
Figura 9b-c. El muñón dental del diente 1.5 está careado, y la prótesis presentaba movilidad tras tres años de uso.

en posición 2.5 se realiza un muñón unitario de titanio, sobre el diente 2.7 una corona primaria de cromo-cobalto y se realiza una superestructura metal-cerámica que irá cementada sobre ambas estructuras. Siguiendo el protocolo propuesto por Chrcanovi (44), aconsejamos remover y cementar cada dos años la prótesis dento implantorretenida, con el objetivo de controlar el estado de los pilares dentales y limpiar la supraestructura. Si el paciente está, además, comprometido periodontalmente, esta práctica asegurará la prevención de complicaciones biológicas, ya que estudios clínicos han relacionado el éxito de la terapia periodontal de apoyo regular en casos de prótesis conectadas a diente e implante (45).

CONCLUSIONES

El éxito a largo plazo de las prótesis parciales implantosoportadas depende de múltiples factores que

10c. Radiografía periapical de la prótesis tras tres años de uso.

deben ser analizados antes, durante y después de su colocación en boca. Es crucial seguir un protocolo de control oclusal preciso, utilizando herramientas como papel de Shim Stock, herramientas digitales como los escáneres intraorales o programas de análisis de cargas oclusales, para garantizar una distribución equilibrada de las fuerzas. La decisión de ferulizar implantes adyacentes debe basarse en consideraciones biomecánicas y la presencia de dientes adyacentes, mientras que el uso de cantilévers requiere precaución y uso de sistemas telescópicos para minimizar la sobrecarga de ambos pilares y otras complicaciones. Un enfoque integral y meticuloso en la planificación, ejecución y mantenimiento tanto a nivel oclusal como a nivel periimplantario de las prótesis parciales implantosoportadas es fundamental para su salud a largo plazo. ●

Figura 10a-b. Vista lateral y oclusal de la prótesis sobre diente pilar 2.7 e implante pilar 2.5.
Figura

Cementación de óxido de circonio fácil y económica.

ZirCAD ®

Cement

- Fácil manejo y rápida limpieza con opción de polimerizado adhesivo.

- Resultados de cementación fiables caso tras caso

- Cementación rentable de la marca de primera calidad en la que confía

ivoclar.com Making People Smile

BIBLIOGRAFÍA

1. O’BRIEN KJ, FORDE VM, MULROONEY MA, PURCELL EC, FLAHERT GT. Global status of oral health provision: Identifying the root of the problem.

2. KOIS DE, KOIS JC. Comprehensive Risk-Based Diagnostically Driven Treatment Planning: Developing Sequentially Generated Treatment. Dent Clin North Am. 2015; 59 (3): 593-608.

3. KATTADIYIL MT, ALZAID AA, CAMPBELL SD. The Relationship Between Centric Occlusion and The Maximal Intercuspal Position and Their Use as Treatment Positions for Complete Mouth Rehabilitation: Best Evidence Consensus Statement. J Prosthodont. 2021 Apr; 30 (S1): 26-33.

4. DAVIES SJ. Occlusal considerations in implantology: good occlusal practice in implantology. Dent Update. 2010; 37 (9): 610–20.

5. RILO B, DA SILVA JL, MORA MJ. Guidelines for occlusion strategy in implant-borne prostheses. A review. Int Dent J. 2011; 58 (3): 139–45.

6. RANGERT B, JEMT T, JÖRNEUS L. (1989). Forces and moments on Branemark implants. The International Journal of Oral & Maxillofacial Implants, 4 (3), 241-247.

7. MISCH CE. (1989). Occlusal considerations for implantsupported prostheses. The Journal of Prosthetic Dentistry, 62 (5), 597-602.

8. RANGERT B, KROGH PH, LANGER B. (1989). On implant loading, occlusion, and force factors: a biomechanical investigation. The International Journal of Oral & Maxillofacial Implants, 4 (4), 299-310

9. APOSTOLOV N, CHAKALOV I, DRAJEV T. Measurement of the Maximum Bite Force in the Natural Dentition with a Gnathodynamometer. Journal of Medical and Dental Practice, 2014.

10. ISIDOR F. Influence of forces on peri-implant bone. Clin Oral Implants Res. 2006 Oct; 17 Suppl 2:8-18.

11. MADANI AS, NAKHAEI M, ALAMI M, HAGHI HR, MOAZZAMI SM. Post-insertion Posterior Single-implant Occlusion Changes at Different Intervals: A T-Scan Computerized Occlusal Analysis. J Contemp Dent Pract. 2017 Oct 1; 18 (10): 927-932.

12. TABATABAEI S, PAKNAHAD M, POOSTFOROOSH M. The effect of tooth loss on the temporomandibular joint space: A CBCT study. Clin Exp Dent Res. 2024 Feb; 10 (1): e845.

13. ABRAHAMSSON C. Masticatory function and temporomandibular disorders in patients with dentofacial deformities. Swed Dent J Suppl. 2013; (231): 9-85.

14. https://www.speareducation.com/spear-review/2021/03/ shimstock-and-occlusal-maintenance-of-dental-implants

15. HARPER KA, SETCHELL DJ. The use of shimstock to assess occlusal contacts: a laboratory study. Int J Prosthodont. 2002 Jul-Aug; 15 (4): 347-52.

16. QADEER S, KERSTEIN R, KIM RJ, HUH JB, SHIN SW. Relationship between articulation paper mark size and percentage of force measured with computerized occlusal analysis. J Adv Prosthodont. 2012; 4 (1): 7–12.

17. MISCH CE. (2008). Contemporary Implant Dentistry. Reino Unido: Mosby Elsevier.

18. SOLABERRIETA E, OTEGI JR, GOICOECHEA N, ABRIZUELA A, PRADÍES G. Comparison of a conventional and virtual occlusal record,The Journal of Prosthetic Dentistry,Volume 114, Issue 1, 2015, Pages 92-97.

19. LUO Q, DING Q, ZHANG L, XIE Q. Analyzing the occlusion variation of single posterior implant-supported fixed prostheses by using the T-scan system: A prospective 3-year follow-up study. J Prosthet Dent. 2020 Jan; 123 (1): 79-84.

20. YI Y, HEO SJ, KOAK JY, KIM SK, KOO KT. Splinting or Nonsplinting Adjacent Implants? A Retrospective Study Up to 15 Years: Part I-Biologic and Mechanical Complication Analysis. Int J Oral Maxillofac Implants. 2023 May, Jun; 38 (3): 435-442a.

21. CASCOS R, CELEMÍN VIÑUELA A, MORY RUBIÑOS N, GÓMEZ POLO C, ORTEGA R, AGUSTÍN PANADERO R, GÓMEZ POLO M. Influence of the Use of Transepithelial Abutments vs. Titanium Base Abutments on Microgap Formation at the Dental Implant-Abutment Interface: An In Vitro Study. Materials (Basel). 2023 Oct 1; 16 (19): 6532.

22. I Y, HEO SJ, KOAK JY, KIM SK, KOO KT. Splinting or Nonsplinting Adjacent Implants? A Retrospective Study Up to 15 Years: Part II-Success and Survival Rate Analysis. Int J Oral Maxillofac Implants. 2023 May, Jun; 38(3): 443-450b.

23. CERUSO FM. Implant-abutment connections on single crowns: a systematic review. Oral & Implantology 2017 (10): 349-356.

24. CAMPS FONT O, RUBIANES PORTA L, VALMASEDA CASTELLÓN E, JUNG RE, GAY ESCODA C, FIGUEIREDO R. Comparison of external, internal flat-to-flat, and conical implant abutment connections for implant-supported prostheses: A systematic review and network metaanalysis of randomized clinical trials. J Prosthet Dent. 2023 Sep; 130 (3): 327-340.

25. SHI JY, ZHU Y, GU YX, LAI HC. P roximal Contact Alterations Between Implant-Supported Restorations and Adjacent Natural Teeth in the Posterior Region: A 1-Year Preliminary Study. Int J Oral Maxillofac Implants. 2019 Jan/Feb; 34 (1): 165-168.

26. MONTERO J. A Review of the Major Prosthetic Factors Influencing the Prognosis of Implant Prosthodontics. J Clin Med. 2021 Feb 17; 10 (4): 816.

27. ZURDO J, ROMÃO C, WENNSTRÖM JL. Survival and complication rates of implant-supported fixed partial dentures with cantilevers: A systematic review. Clin Oral Implants Res 2009; 20 (suppl 4): 59–66.

28. ROCCUZZO A, FANTI R, MANCINI L, ET AL. Implantsupported fixed dental prostheses with cantilever extensions: State of the art and future perspectives. Int J Oral Implantol (Berl). 2023; 16 (1): 13-28.

29. ROCCUZZO A, JENSEN SS, WORSAAE N, GOTFREDSEN K. Implantsupported 2-unit cantilevers compared with single crowns on adjacent implants: A comparative retrospective case series. J Prosthet Dent 2020; 123: 717–723.

30. MADANI AS, NAKHAEI M, ALAMI M, HAGHI HR, MOAZZAMI SM. Post-insertion Posterior Single-implant Occlusion Changes at Different Intervals: A T-Scan Computerized Occlusal Analysis. J Contemp Dent Pract. 2017 Oct 1; 18 (10): 927-932.

31. KIM Y, OH TJ, MISCH CE, WANG HL. Occlusal considerations in implant therapy: clinical guidelines with biomechanical rationale. Clin Oral Implants Res. 2005; 16 (1): 26-35.

32. SILLAM CE, CETIK S, HA TH, ATASH R. Influence of the amount of surface preparation on the shear bond strength of zirconia cantilever single-retainer resin-bonded fixed partial denture. J Adv Prosthodont 2018; 10: 286–290.

33. MASCETTI T. Manejo clínico de las restauraciones fijas de disilicato de litio con un solo retenedor y resina. The International Journal of Esthetic Dentistry. Vol 15. Num 2. Año 2022.

34. SHACKLETON JL, CARR L, SLABBERT JC, BECKER PJ. (1994) Survival of fixed implant-supported prostheses related to cantilever lengths. Journal of Prosthetic Dentistry 71: 23–26.

35. FREITAS DA SILVA EV, DOS SANTOS DM, SONEGO MV, DE LUNA GOMES JM, PELLIZZER EP, GOIATO MC. Does the Presence of a Cantilever Influence the Survival and Success of Partial Implant-Supported Dental Prostheses? Systematic Review and Meta-Analysis. Int J Oral Maxillofac Implants. 2018; 33 (4): 815-823.

36. LA MONACA G, PRANNO N, ANNIBALI S, MASSIMO C, POLIMENI A, PATINI R, ET AL. Survival and complication rates of tooth-implant versus freestanding implant supporting fixed partial prosthesis: a systematic review and meta-analysis. J Prosthodont Res. 2021; 65 (1): 1–10.

37. ERICSSON I, LEKHOLM U, BRÅNEMARK PI, LINDHE J, GLANTZ PO, NYMAN S. A clinical evaluation of fixed ‐ bridge restorations supported by the combination of teeth and osseointegrated titanium implants. J Clin Periodontol 1986; 13: 307‐12.

38. PESUN IJ. Intrusion of teeth in the combination implant‐to ‐natural ‐tooth fixed partial denture: A review of the theories. J Prosthodont 1997; 6: 268 ‐77.

39. MISCH CE. Dental Implant Prosthetics. 2nd ed. Missouri: Elsevier; 2014.

40. BRÄGGER U, AESCHLIMANN S, BÜRGIN W, HÄMMERLE CH, LANG NP. Biological and technical complications and failures with fixed partial dentures (FPD) on implants and teeth after four to five years of function. Clin Oral Implants Res 2001; 12: 26 ‐ 34.

41. RAMMELSBERG P, SCHWARZ S, SCHROEDER C, BERMEJO JL, GABBERT O. Short‐term complications of implant‐supported and combined tooth ‐ implant‐ supported fixed dental prostheses. Clin Oral Implants Res 2013; 24: 758 ‐ 62.

42. KRENNMAIR G, KRAINHÖFNER M, WALDENBERGER O, PIEHSLINGER E. Dental implants as strategic supplementary abutments for implant-tooth-supported telescopic crownretained maxillary dentures: a retrospective follow-up study for up to 9 years. Int J Prosthodont. 2007; 20 (6): 617–22.

43. BORG P, PURYER J, MCNALLY L, O’SULLIVAN D. The overall survival, complication-free survival, and related complications of combined tooth-implant fixed partial dentures: A literature review. Dent J (Basel) 2016; 4:15.

44. CHRCANOVIC BR, KISCH J, LARSSON C. Analysis of technical complications and risk factors for failure of combined tooth-implant-supported fixed dental prostheses. Clin Implant Dent Relat Res. 2020;22:523–532. [PubMed] [Google SchoGuarnieri R, Ippoliti S. Long-term outcomes of tooth-implant-supported rehabilitation of periodontally compromised and treated patients refusing bone grafting surgical therapies. Implant Dent. 2019; 6: 528–536.

45. ZAFIROPOULOS GG, ABUZAYEDA M, AL-ASFOUR AA, QASIM SS, PELEKOS G, MURRAY CA. Tooth-implant connection with fixed partial dentures in partially edentulous arches. A retrospective cohort study over an 11.8 year observation period. J Clin Exp Dent. 2021 Jul 1; 13 (7): e659-e668.

Di 2 gital al dí 2 a Di²gitalArch®️ Standard Stacked: carga inmediata en el día

Implantes Bioner TOP-DM y pilares micromini

DR. LUIS CUADRADO CANALS

DDS i2 Implantología Madrid.

Dra. Sara Perrone

DDS i2 Implantología Madrid.

Dra. Cristina Cuadrado Canals

DDS i2 Implantología Madrid.

Roberto Vives

TPD Laboratorio «Dental Full Digital» Madrid.

Ignacio Montiel

TPD Laboratorio «Dental Full Digital» Madrid.

Dr. Luis Cuadrado de Vicente

MD DDS i2 Implantología Madrid.

Los objetivos iniciales de tratamiento, en un tratamiento de arcada completa con implantes, deben ser buscar la sencillez y la precisión, tanto quirúrgica como protésica. Los protocolos Di2gitalArch están diseñados para obtener esta absoluta fiabilidad de resultados. Presentamos otro caso clínico con la técnica Di2gitalArch Stacked (Figuras 1-41). Esta técnica, al tener varios escaneados intraorales de todas las fases del tratamiento, permite alinear perfectamente los archivos y, sobre todo, comprobar que todos los archivos son correctos y no arrastran ninguna imprecisión. Transmitimos la oclusión y estética preoperatoria del paciente y la posición de los implantes. El

«Es fundamental dar un adecuado torque a los pilares y usar la fresa perfiladora para asegurarnos que no hay hueso entre el pilar y el implante»

laboratorio encuentra así un trabajo mucho más sencillo y, sobre todo, preciso.

La elección correcta del implante es fundamental. Un implante como Bioner TopDM permite una cirugía sencilla y un alto torque de inserción. Los pilares Bioner micromini permiten conseguir muy buenos perfiles de emergencia.

Es fundamental dar un adecuado torque a los pilares y usar la fresa perfiladora para asegurarnos que no hay hueso entre el pilar y el implante.

En la cirugía haremos uso de los pilares angulados, si es necesario corregir la emergencia del tornillo de prótesis.

El caso se diseña en Dental System y se fresa en TelioCAD, cementando las bases de titanio de los pilares.

Tres horas después de finalizada la cirugía, la prótesis está lista para ser colocada.

Basados en la carga inmediata y exclusivamente en la utilización del escáner intraoral, permiten al equipo de tratamiento quirúrgico transmitir al laboratorio digital toda la información que necesita para elaborar la prótesis de arcada completa de carga inmediata en el mismo día.

Los pasos de esta técnica

Standard Stacked son:

1. Escaneado preoperatorio de maxilar superior, inferior y oclusión (enviar al laboratorio).

2. Colocación de algún implante, pilar y scanbody en zona edéntula sin o con exodoncia de algunas piezas estratégicas.

3. Escaneado intraoral del maxilar a tratar (enviar al laboratorio).

4. Exodoncia piezas y colocación de más implantes (sin retirar ni mover los scanbodies colocados en los implantes iniciales). Esta técnica tiene la gran ventaja de que permite «guiar» la colocación de los implantes en la mejor posición protética y la correcta selección del pilar.

5. Nuevo escaneado intraoral (enviar al laboratorio).

6. Repetir los pasos 4 y 5 las veces que se consideren necesarias hasta enviar el archivo final solo con los implantes finales.

7. Escaneado final solo con los scanbodies para perfiles de emergencia.

Esta técnica tiene la gran ventaja de que permite «guiar» la colocación de los implantes en la mejor posición

protética y la correcta selección del pilar. Asimismo, al recibir distintos archivos en los que siempre hay piezas o scanbodies en la misma posición, el laboratorio puede realizar un perfecto best-fit de los diferentes archivos. Quizá lo más importante es que, por esa misma razón, el laboratorio dental chequea que no haya ninguna distorsión en los archivos y que todos ellos sean perfectos. ●

Figura 1. Situación intraoral preoperatoria.
Figura 2. Exodoncia 16.
Figura 3. Primera fresa en la raíz palatina de 16.
Figura 4. Segunda fresa.
Figura 5. Implante en raíz palatina 16.
Figura 6. Fresa perfiladora en 16.

10 AÑOS TOP DM

Más de 30 años de experiencia

Toda la competencia técnica y científica de Bioner al servicio del sistema Top DM, un implante que optimiza la gestión y el cuidado de los tejidos del paciente con excelentes resultados.

Desarrollado por el Dr. David Morales Schwarz

10 años de éxitos

Elaborado con titanio de grado 5, dotado de un núcleo cónico expansivo, doble paso de rosca y para una colocación rápida y segura. Top DM, una solución versátil y avanzada.

ápice neutro

la simbiosis que redefine la implantología

900 833 807

bioner@bioner.es 669 613 740

Figura 7. Resultado de la regularizació n.
Figura 8. Pilar recto conectado.
Figura 9. Preparació n lecho implante 14.
Figura 10. Segunda fresa para implante 14.
Figura 11. Implante 14.
Figura 12. Implante colocado en 14.
Figura 13. Colocació n pilar angulado.
Figura 14. Scanbodies colocados.
Figura 15. Preparació n lecho implante 26.
Figura 16. Implante en 26.
Figura 17. Colocació n pilar en 26.
Figura 18. Lecho creado para implante 24.
Figura 19. Implante en 24.
Figura 20. Scanbodies colocados en los cuatro implantes.
Figura 21. Escaneado preoperatorio modelo de estudio. Figura 22. Escaneado de implantes posteriores.
Figura 23. Oclusió n primer escaneado preoperatorio.
Figura 24. Preparació n lecho 12.
Figura 25. Implante 12.
Figura 26. Fresa perfiladora implante 12.
Figura 27. Preparació n lecho 22.
Figura 28. Implante 22.
Figura 29. Torque para pilar del 22.
Figura 30. Los seis scanbodies conectados.
Figura 31. Borrado del escaneado anterior.
Figura 32. Escaneado con los seis implantes.
Figura 33. Oclusió n con la oclusió n modelo de estudio.
Figura 34. Envío del archivo.
Figura 35. Exodoncia 11 y 21.
Figura 36. Cirugí a finalizada.
Figura 37. Nuevo escaneado postoperatorio para perfiles de emergencia.

¡CONSIGUE EL LIBRO DEL DR. LUIS CUADRADO DE VICENTE EN LA TIENDA GACETA DENTAL!

Figura 39. Resultado inmediato.
Figura 41. Vista oclusal.
Figura 40. Oclusió n postoperatoria.
Figura 38. Prótesis provisional en el dí a.

Protagonistas

DR. MARIANO SANZ

Catedrático, investigador de la Universidad Complutense de Madrid y Patrono de Honor de la Fundación SEPA

«La búsqueda de un implante inteligente con capacidad de reducir la formación de agregados de bacterias en su superficie, mediante tecnologías biológicas y de sistemas de inteligencia artificial, está hoy más vigente que nunca», destaca el Dr. Mariano Sanz en esta entrevista en la que hablamos sobre los avances en la investigación en el campo implantológico, la tendencia hacia la personalización de los tratamientos y la necesaria colaboración entre los profesionales de la salud bucal para la promoción de esta última entre la población.

Recientemente, se publicaban en «Clinical and Experimental Dental Research» los datos de un estudio en el que usted lidera la lista mundial de autores con más artículos científicos relevantes en Odontología de la última década. Pasión, determinación, trabajo, tiempo… ¿qué ingredientes son necesarios para alcanzar este importante hito?

—Quizás lo importante no es liderar la lista mundial de autores, sino dirigir un grupo de investigación que sea muy competitivo y que tenga capacidad de publicar al más alto nivel. Para alcanzar esto se necesitan muchos factores y no solo pasión, determinación y trabajo que, por supuesto, son básicos, pero no suficientes. Se necesita una institución que te apoye y te permita realizar tu proyecto. Yo en la UCM he tenido todas las facilidades y el constante apoyo de todos, desde el rector a los auxiliares de laboratorio. Además, independientemente de lo que uno trabaje, se necesita un equipo de personas que compartan contigo el mismo proyecto y lo que se necesita para llevarlo a cabo. Finalmente, se necesita tiempo y constancia para que lo que has sembrado durante tantos años fructifique y, efectivamente, puedas recoger esto que ahora estamos recibiendo.

—¿Qué le aporta la investigación de entre todas las facetas profesionales que aborda? —La investigación puede parecer algo abstracto que abarca muchas cosas (curiosidad, inquietud, trabajo, dedicación, colaboración, triunfo, fracaso, satisfacción, remuneración, etc.), pero, al igual que otras facetas profesionales, es pasión y vocación. Para aquellos que las tenemos, la posibilidad de hacer investigación de un modo profesional y competitivo genera muchas recompensas. Hay pocos sentimientos tan satisfactorios a nivel profesional que cuando te aceptan una publicación en una revista de alto impacto o cuando te otorgan la financiación a un proyecto, ya que supone la culminación de un proceso en el que involucras a distintos miembros de

«La Odontología española tiene un alto nivel profesional y tecnológico, pero es fundamental el trabajo y la coordinación entre las distintas profesiones sanitarias que formamos parte del equipo de salud bucal»

equipo, por lo que dicha publicación o proyecto te afecta positivamente no solo a ti, sino a todo el grupo. Además, investigar no es incompatible con la práctica clínica o con la docencia, y cada una de estas facetas tiene sus propias recompensas, por lo que la posibilidad de participar de todas ellas es un lujo que compensa con creces los esfuerzos.

—Entre sus artículos más relevantes Dr. Sanz, se incluyen guías de práctica clínica, trabajos que desvelan la asociación entre periodontitis y enfermedades cardiovasculares, y periodontitis y diabetes, y la «Clasificación de las Enfermedades Periodontales y Periimplantarias» adoptada en todo el mundo. Aunque imagino que esto será como cuando a un padre le preguntan a qué hijo quiere más, ¿de cuál de estos trabajos de investigación se siente más orgulloso y por qué?

—Efectivamente, cada uno tiene su transcendencia y su desarrollo. Es muy relevante participar en proyectos cuyos resultados cambian la práctica profesional y, en ese aspecto, las guías de práctica clínica son herramientas que tienen una enorme transcendencia y por eso son tan ampliamente citadas. Sin embargo, hay pequeñas investigaciones que dan lugar a publicaciones

relativamente sencillas que parten de una idea interesante o una curiosidad no satisfecha, en las que conseguir los resultados que planteaste en la hipótesis, genera una gran satisfacción.

—¿Qué investigaciones cree que han tenido y tendrán mayor impacto para la comunidad odontológica y para los pacientes?

—Sin lugar a dudas, las publicaciones en relación con la clasificación de las enfermedades periodontales y periimplantarias, así como las guías de práctica clínica, por su trascendencia profesional. Sin embargo, las investigaciones en las que hemos estudiado a fondo los vínculos entre periodontitis y enfermedades cardiovasculares, diabetes o artritis reumatoide, nos han permitido no solo relacionarnos con el mundo odontológico, sino con la comunidad científica médica, lo que es no solo interesante, sino muy reconfortante, al formar parte de una comunidad científica muy amplia y competitiva.

—Los resultados del trabajo publicado en «Clinical and Experimental Dental Research» le

han hecho aparecer en las últimas semanas en medios generalistas, poniendo en primera plana la importancia de la salud oral. ¿Cree que desde las consultas, las organizaciones profesionales y sociedades científicas se trabajan bien –y lo suficientemente– los mensajes al paciente? ¿Cómo podríamos mejorar el alcance de estos mensajes y qué repercusiones podría tener en términos sanitarios?

—Yo creo que la Odontología española tiene un alto nivel profesional y tecnológico, pero igualmente pienso que se debería hacer mucho más en la promoción de la salud bucal y para ello me parece fundamental el trabajo y la coordinación entre las distintas profesiones sanitarias que formamos parte de equipo de salud bucal. El hecho de que los higienistas dentales y los técnicos de laboratorio dental no se formen en las universidades junto con los odontólogos, como ocurre en otros países europeos, me parece un error e impide que interactuemos adecuadamente, sobre todo en procesos formativos, en investigación sanitaria y en promoción de salud.

El Dr. Mariano Sanz lidera la lista mundial de autores con más artículos científicos relevantes en Odontología de la última década. Foto: SEPA.
Gaceta
«Debemos ser capaces de transmitir a nuestros pacientes que un implante no es un bien de consumo, sino un dispositivo médico que se puede infectar y que puede afectarse por múltiples complicaciones, por lo que su labor en la prevención es fundamental»

Bionic Hair

Durabilidad excepcional y comportamiento natural

—Centrándonos en el tema de la periimplantitis, usted ha manifestado en más de una ocasión que la clave en el manejo de las enfermedades periimplantarias es la prevención. En este sentido, ¿cómo se ha avanzado en los últimos años en el por qué, en el cómo y los factores de riesgo de estas enfermedades? ¿Cree que se va en el camino correcto?

—Hemos avanzado en el sentido que conocemos mucho mejor cuál es la causa del inicio del proceso inflamatorio de los tejidos periimplantarios y cuáles son los factores de riesgo para su progresión. Esta es la razón por la que estamos investigando en desarrollar sistemas eficaces de descontaminación de las superficies de los implantes y componentes protésicos, y en desarrollar superficies de implantes y otros componentes con propiedades antibiofilm y antibacterianas. Esta búsqueda de un implante inteligente que tenga capacidad de reducir la formación de agregados de bacterias en su superficie,

Los pinceles para cerámica de la gama evo establecen un nuevo estándar. La fibra biónica recién diseñada Bionic Hair reúne todas las ventajas de los pinceles de pelo sintético y natural y destaca por su extraordinaria durabilidad. Gracias a la absorción óptima de la humedad y a la composición química especial de sus fibras se consiguen resultados de estratificación excellentes.

dura

Experimente ahora www.renfert.com/bionic-hair

De izq. a dcha.; los profesores Juan Carlos Palma, Mariano Sanz, Gonzalo Hernández-Vallejo y David Herrera en la entrega del título de Doctor Honoris Causa por la Universidad Nacional y Kapodistríaca de Atenas. Además, el Dr. Sanz cuenta con otros cinco doctorados Honoris Causa por las Universidades de Goteborg (Suecia), Coimbra (Portugal), San Sebastián (Santiago de Chile), Buenos Aires (Argentina) y la Universidad Médica de Varsovia (Polonia). Imagen: Facebook Facultad Odontología UCM.

mediante tecnologías biológicas y de sistemas de inteligencia artificial, está hoy más vigente que nunca. Todo esto tiene sentido si, además, somos capaces de trasmitir a nuestros pacientes que un implante no es un bien de consumo, sino un dispositivo médico que se puede infectar y que puede afectarse por múltiples complicaciones, por lo que su labor en la prevención es fundamental, al igual que lo es la labor del profesional diseñando unas prótesis que el paciente pueda mantener adecuadamente.

—La periimplantitis es una enfermedad que afecta a aproximadamente 1 de cada 4 implantes dentales colocados y que, en caso de no abordarse correctamente, suele llevar al fracaso de la terapia de implantes. ¿Qué limitaciones se le presentan al clínico con los tratamientos quirúrgicos de la periimplantitis? —La mayor limitación es que el implante dental como dispositivo médico no es un órgano o un tejido que disponga de mecanismos propios de defensa, sino que es algo inerte que tiene

un comportamiento fantástico cuando los tejidos que lo soportan están sanos, pero que, ante un proceso inflamatorio crónico de dichos tejidos, estos tienen mucha peor capacidad de respuesta, sobre todo cuando el tejido que soporta los implantes se ha perdido en su mayor parte. Dicho esto, también es importante recalcar que hoy en día disponemos de intervenciones terapéuticas eficaces que están perfectamente contrastadas por la evidencia científica, sobre todo si el proceso de periimplantitis se diagnostica tempranamente. Por ello es importante realizar el diagnóstico cuanto antes, ya que su tratamiento, entonces, es altamente predecible.

—¿Qué tratamientos o abordajes están ofreciendo mejores resultados?

—Hay una frase muy utilizada en nuestra profesión que, por mucho que la repitamos, no deja de tener la misma vigencia: «Cualquier enfermedad puede tener distintos tratamientos, pero solo tiene un diagnóstico» y, por ello, dicho diagnóstico, en sus distintas vertientes,

es muy importante, ya que, dependiendo de él, tendremos distintas posibilidades terapéuticas, cada una de ellas con distinto grado de predictibilidad en función de dichas circunstancias particulares. En Odontología, como en Medicina, cada vez vamos hacia tratamientos personalizados que deben estar basados en diagnósticos precisos, ya que los abordajes no quirúrgicos o, por el contrario, los quirúrgicos, pueden tener igual de predictibilidad dependiendo de dichas circunstancias.

—El aumento de casos en consulta de periimplantitis, ¿cómo ha cambiado los protocolos o modus operandi del equipo clínico (dentistas, higienistas, laboratorio...) y también la comunicación con el paciente? —Lo que más ha cambiado es el enfoque con el paciente cuando le planteas la terapéutica con implantes, ya que no le puedes decir que es un tratamiento para toda la vida o para mucho tiempo, sino que tienes que plantear la posibilidad de complicaciones, sobre todo si el paciente no se involucra activamente en su prevención y no acude a un programa de mantenimiento reglado. Creo que este enfoque realista y participativo es fundamental para conseguir que la gran mayoría de los pacientes mantengan sus implantes sanos muchos años y, aunque se detecten procesos inflamatorios periimplantarios, que sean diagnosticados pronto, ya que entonces su tratamiento será muy exitoso.

—Lidera, junto al Dr. David Herrera, el grupo de investigación en la UCM «Etiología y terapéutica de enfermedades periodontales y periimplantarias» con varias líneas de investigación abiertas. Entre otras, las relativas a terapias regenerativas, tanto de regeneración periodontal como de regeneración ósea o la de protocolos de rehabilitación con implantes dentales. ¿Qué hallazgos están siendo más reveladores y prometedores en estas vías de investigación? —Efectivamente. Nuestro grupo de investigación, que tengo el placer de co-dirigir con el Prof. Herrera, participa en diversas líneas de investigación, siendo la regeneración y

reconstrucción tisular una de las más activas. Estamos trabajando tanto en terapias que combinan distintos tipos de biomateriales como injertos óseos, con terapias biológicas, utilizando tanto moléculas autólogas como sintéticas. Al igual que lo mencionado anteriormente en el tratamiento de las enfermedades utilizando terapéuticas personalizadas, estamos muy activamente trabajando en desarrollar andamiajes personalizados a la morfología tridimensional del defecto a tratar y su combinación con sustancias biológicamente activas, bien promoviendo la regeneración periodontal o ósea.

—Hace tres años nos hablaba de que estaban inmersos en pleno ensayo clínico dentro del Proyecto Maxibone. ¿Qué resultados ha ofrecido este proyecto y en qué punto está actualmente?

—Este gran proyecto de investigación europeo, que he tenido el orgullo de coordinar, mediante la utilización de terapias celulares (con células madre autólogas procedentes de la médula ósea de la cresta espinal) en regeneración ósea vertical, nos ha permitido regenerar crestas óseas atróficas, permitiendo la colocación de implantes en periodos tan cortos como cuatro meses, con un alto grado de predictibilidad. Hemos demostrado que es posible y que es predecible. Sin embargo, el desarrollo tecnológico para que estas tecnologías de expansión celular puedan aplicarse en la clínica diaria es todavía muy preliminar y las barreras regulatorias en el uso de células expandidas autólogas o alogénicas impide que estas terapias celulares sean de uso habitual. Sin embargo, dichas barreras serán superadas al demostrar que, biológicamente funcionan, y que disponemos de técnicas quirúrgicas y biomateriales para su aplicación en pacientes que han sufrido grandes atrofias en sus huesos maxilares. En estos momentos estamos analizando todos los resultados del proyecto y pronto estarán disponibles las publicaciones científicas que permitan a otros grupos de investigación replicar o mejorar dichas investigaciones y, con ello, avanzar poco a

poco en mejorar nuestra capacidad de aplicar estas tecnologías.

—Sin duda, la industria implantológica realiza una gran apuesta por la investigación. ¿Hacia qué modelos o sistemas de implantes vamos?

—Yo creo que tenemos que ir a implantes que permitan tanto un alto grado de integración tisular, no solo en hueso sino también en tejidos blandos y, al mismo tiempo, tengan capacidad intrínseca para evitar y prevenir la colonización bacteriana. Cuando hablamos de modelos o sistemas de implantes debemos incluir no solo los implantes que anclamos en el hueso, sino los pilares y otros componentes protésicos que forman parte del componente transmucoso o en contacto directo con la cavidad bucal, que, en mi opinión, son tan importantes o más que los propios implantes.

—¿Ha contribuido el boom de la Odontología Digital a la mejora de los tratamientos implantológicos?

—Por supuesto. El flujo digital es una maravillosa herramienta para mejorar nuestros tratamientos, sobre todo en cuanto a su precisión y fiabilidad. Sin embargo, la Odontología digital es un medio, no es un fin en sí mismo, por lo que el correcto uso de estas herramientas es lo que nos permitirá no solo ser mucho mejores dentistas, sino comunicarnos mejor con nuestros pacientes y conseguir que, con nuestras mismas manos de operadores, con estas herramientas, los tratamientos sean más precisos, más duraderos y, en algunos casos, con mejores resultados estéticos para el paciente.

—No podemos terminar sin hablar de la formación. Una buena práctica implantológica que logre resultados exitosos y evite fracasos o problemas en los tratamientos pasa necesariamente por la formación. ¿Qué consejos les da a los profesionales a la hora de elegir un itinerario formativo adecuado en la rama implantológica?

—La formación es, por supuesto, básica para cualquier profesional de la salud,

«Nuestro grupo de investigación de la UCM participa en diversas líneas de investigación, siendo la regeneración y reconstrucción tisular una de las más activas»

independientemente de su faceta profesional, ya que lo que hoy enseñamos en las universidades en la formación de los odontólogos, no tendrá la misma vigencia dentro de 10 años y si formamos profesionales con una vida media profesional de alrededor de 30 años, los que no mantengan una formación a lo largo de su vida profesional, no podrán sobrevivir manteniendo una práctica profesional razonable. Sin embargo, cada uno debe diseñar su itinerario dependiendo de sus objetivos profesionales, ya que, por ejemplo, uno no puede ser especialista en una de las clásicas áreas odontológicas especializadas participando en cursos de fin de semana y, por el contrario, uno puede capacitarse perfectamente en distintas tecnologías, tratamientos y técnicas participando en cursos de formación continua y congresos. Yo llevo más de 30 años formando especialistas en Periodoncia y en implantes dentales y la demanda no ha descendido, sino todo lo contrario, lo que indica que este perfil de un profesional con una intensa formación y alta cualificación para trabajar fundamentalmente en un área especializada (Periodoncia, Ortodoncia, etc…) está todavía vigente y creo que tiene mucho futuro. Lo que es difícilmente entendible es como en España, teniendo algunos de los mejores centros de formación de especialistas, todavía dichas especialidades no estén reguladas. ●

DR. JOÃO CARAMÊS

Presidente de SOPIO

(Sociedad Portuguesa de Implantología y Osteointegración)

Se confiesa un clínico 100% dedicado a la profesión, poseedor de un fuerte espíritu emprendedor y abierto a los desafíos diarios de aprendizaje que le impulsan en el camino de la excelencia. Así es el Dr. João Caramês, un referente indiscutible de la Odontología ibérica, quien nos recibe en su Instituto de Implantología® (con sedes en Lisboa y Cascais), para, entre otros puntos, hacer repaso de su trayectoria, abordar los retos que se ha marcado al frente de organizaciones profesionales y académicas y analizar el papel de la tecnología en la actividad clínica de nuestros días.

–Dr. Caramês, el pasado mes de octubre fue nombrado presidente de la Sociedad Portuguesa de Implantología y Osteointegración (SOPIO). ¿Cómo afronta este nuevo reto profesional?

—En Portugal, la Sociedad Portuguesa de Implantología y Osteointegración (SOPIO) ha contribuido al desarrollo y promoción de la Implantología Oral en los últimos años. En un ámbito tan desafiante y con diferentes niveles de complejidad como éste, creo que solo podemos ser competitivos si avanzamos conociendo nuestras capacidades reales e invirtiendo en formación de calidad y acreditada. SOPIO ha jugado un papel importante en esta formación continua, al igual que otras sociedades científicas europeas. Por lo tanto, con un honorable espíritu de liderazgo acepté la invitación a presidir la organización. Los principios y estándares que subyacen a la práctica de una correcta y actual Implantología Bucal han sido objetivos esenciales alcanzados por SOPIO a lo largo de su historia. Con base a este mérito y esta perspectiva, apuntamos a un futuro de crecimiento, reconocimiento continuo y amplio intercambio de conocimiento con asociados de otras sociedades a nivel internacional.

–El desarrollo, la investigación, el estudio y la promoción de la Medicina Dental, y de la Implantología Oral en particular, son algunos de los objetivos que persigue la SOPIO. ¿Cómo se canalizan los esfuerzos de la organización para lograrlos?

–El equipo que forma parte de SOPIO tiene mucha capacidad científica y un alto sentido de organización. Entre los retos que hemos definido para los próximos meses destacan, entre otros: el regreso a los eventos formativos presenciales, la celebración de la 6 a edición de nuestro congreso y el establecimiento de sinergias con sociedades científicas europeas afines, que permitirán un importante intercambio de conocimiento entre colegas y asociados, además de una difusión internacional de nuestra Sociedad. También será una realidad el acceso de nuestros miembros a publicaciones

Dr. João Caramês. ESPECIAL
«La mejor práctica en Odontología es, sin duda, aquella que supone la mejora continua del clínico. ¡Tenemos que estar abiertos al “life long learning”!»

científicas de referencia, o la concesión de premios científicos patrocinados por la industria y SOPIO en la próxima edición de su congreso. Contando con todo aquel que quiera sumarse a SOPIO, pondremos el dinamismo científico necesario para generar un amplio espacio de formación y debate sobre los temas más actuales y relevantes en Implantología. Esta perspectiva enriquecerá a todos sus asociados y participantes, confirmando a SOPIO como una sociedad científica de referencia en Implantología en Europa.

–Este nombramiento es un reconocimiento más a su brillante trayectoria en el terreno implantológico. ¿De dónde le viene su pasión por la Implantología?

–Desde muy temprana edad desarrollé el gusto por las Ciencias Médicas. Sentí una particular vocación por el área quirúrgica combinada con los aspectos estéticos y funcionales. Al aprender a reconstruir y mejorar la «sonrisa» de los pacientes y notar la mejora en su autoestima y calidad de vida, me convertí en un clínico 100% dedicado a la profesión. Al mismo tiempo, comencé a darme cuenta del enorme impacto de la salud bucal en el funcionamiento de otros sistemas de nuestro cuerpo y en la salud general del paciente. Esta perspectiva nos invita a asumir un sentido holístico y plenamente integrador del paciente en el contexto sanitario. Hoy, y después de 30 años de una formación de posgrado verdaderamente diferenciadora y enriquecedora en la Universidad de Nueva

York, no me arrepiento de la elección realizada a nivel clínico y académico. Siento un enorme orgullo por el camino recorrido en las áreas de Implantología y Cirugía Bucal.

–¿Qué le aportó esa experiencia americana que mencionaba anteriormente?

–A principios de los años 90, la formación de posgrado en las áreas en las que decidí diferenciarme, Implantología y Cirugía Bucal, era escasa en Portugal. Ir a Estados Unidos fue una de las decisiones más importantes en mi carrera como dentista. No sólo por la experiencia clínica y el conocimiento científico adquirido en la Universidad de Nueva York (EE.UU), sino también por la experiencia emprendedora que transmite la sociedad americana. Los tres años en Nueva York constituyeron una gran inversión profesional y personal. El compromiso y trabajo desarrollado durante este período significó distinción, me permitió recibir un reconocimiento académico y crear lazos de amistad que perduran hasta el día de hoy. En el área de Medicina Dental, NYU destacó por la calidad de su enseñanza y la presencia de referentes en el área de

Implantología como los doctores. Dennis Tarnow, Stephen Chu y muchos otros. Después de este enriquecimiento curricular, mi mayor motivación fue llevar el «saber hacer» aprendido a mis pacientes en Portugal. Mi proyecto empresarial, Instituto de Implantología®, tiene su génesis en la experiencia americana y surge de mi determinación de promover un centro multidisciplinar pionero en Portugal dedicado a las áreas de Implantología, rehabilitación oral y estética. Hoy, Instituto de Implantología® ya ha cumplido 25 años de vida.

–Con esta dilatada experiencia a sus espaldas y una cifra superior a los 50.000 implantes colocados. ¿Cómo se alcanza el nivel de excelencia del que goza actualmente? –El nivel de excelencia alcanzado sólo es posible con un gran espíritu de trabajo y, en ocasiones, de sacrificio personal. Creo que es necesario un ejercicio cada vez más exigente y dedicado de la profesión.

A pesar de la experiencia, la perspectiva de mejora clínica continua de cara al dominio de nuevas técnicas, como las que se encuentran en el área de la Odontología Digital, constituye

«Solo podemos ser competitivos si avanzamos conociendo nuestras capacidades reales e invirtiendo en formación de calidad y acreditada», destaca el Dr. Caramês.

«No debemos olvidar que detrás de la tecnología debe estar la figura del profesional, estableciendo el principio rector del plan de tratamiento y reconociendo también las limitaciones actuales de la Medicina Dental Digital»

La súper tienda de ortodoncia

Más de 23.000 artículos increíblemente baratos

un reto diario motivador. Esta ha sido siempre mi guía dentro de la profesión, además de mi espíritu emprendedor y pionero. Mi mayor proyecto es asegurar la continuidad de este sentido de liderazgo, tanto a través de la innovación en la práctica clínica como a través del fomento de la investigación en las áreas de Cirugía Oral, Implantología y Rehabilitación Oral.

El Instituto de Implantología® es la clínica que creé como modelo de referencia en la prestación de asistencia sanitaria y rehabilitación bucal a la población, y cuya estructura ahora es reconocida gracias a un gran equipo clínico distribuido en dos centros, en Lisboa y Cascais. Sólo me queda agradecer y compartir con el equipo con el que trabajo día a día, el éxito alcanzado.

–¿Es posible realizar una práctica odontológica de calidad sin una formación continuada?

–La formación continua de calidad es fundamental en nuestro recorrido profesional. La mejor práctica en Odontología es, sin duda, aquella que supone la mejora continua del clínico y su permanente actualización. ¡Tenemos que estar abiertos al «life long learning» !

Productos 3MTM TransbondTM con las mejores condiciones:

IVA

Pídalo hoy mismo directamente a

más
3M Health Care es ahora Solventum.

–¿Y sin tecnología? ¿Qué papel cree que juegan las herramientas digitales en el campo odontológico? ¿Son más importantes para los profesionales o para los pacientes?

–La Odontología representa uno de los mejores ejemplos de la era digital y la mejora continua de las nuevas tecnologías en el ámbito sanitario. No cabe duda de que los distintos recursos tecnológicos que progresivamente se han ido poniendo a disposición de los odontólogos en los últimos años (equipos CBCT, escáneres intraorales, escáneres faciales, impresoras 3D...) nos permiten actualmente y lo harán en el futuro: mejorar la comunicación con el paciente, tener mayor asertividad en el diagnóstico o planificar y ejecutar, de forma más eficaz y menos invasiva, la gran mayoría de los tratamientos. Desde esta perspectiva, la tecnología digital ha beneficiado tanto a los dentistas como a los pacientes. Es fundamental que nuestras habilidades clínicas estén claramente diferenciadas, sin esperar que las tecnologías digitales compitan con nuestra experiencia clínica.

–Le pregunto esto, porque hace unos años, en una visita que le realizamos a la sede de su Instituto de Implantología® de Lisboa, todo un referente en el campo de la Medicina Dental del país, nos decía: «Debemos filtrar de forma crítica el mundo digital». ¿Sigue siendo cauto respecto a la Odontología Digital? –Planificar y ejecutar con herramientas digitales impone siempre un pensamiento biológico orientado a los tejidos que componen la cavidad bucal y los desafíos que presenta cada tipo de rehabilitación. El uso de flujos digitales sólo tendrá sentido si el flujo de trabajo generado se basa en el conocimiento y la consideración clínica del médico y contribuye a mejorar la previsibilidad y eficacia del tratamiento. Es importante no olvidar que detrás de la tecnología debe estar la figura del médico estableciendo el principio rector del plan de tratamiento y reconociendo también las limitaciones actuales de la Medicina Dental Digital. Es claro que a día de hoy tenemos que sacar partido de las ventajas del flujo digital, pero sin olvidar el

analógico siempre que esa sinergia digital/ analógica permita resultados más eficaces. –Su labor en el campo implantológico le llevó a crear un sistema de clasificación de rehabilitación total con implantes -Caramês Classification-, que es utilizado por una gran cantidad de profesionales en todo el mundo. ¿Cómo beneficia a sus colegas este sistema? –La «Clasificación Caramês» deriva de una larga experiencia clínica de más de 24 años en la rehabilitación de pacientes completamente edéntulos o candidatos a rehabilitación fija total con implantes. Este sistema de clasificación considera la información clínica del paciente como base del proceso de planificación y toma de decisiones terapéuticas. Se reúnen factores médicos, biomecánicos, anatómicos, diseño protésico y expectativas del paciente y se toman como punto de partida para evaluar y clasificar cada caso clínico. Todos los pacientes son únicos y requieren un enfoque individual de su caso. Por tanto, esta clasificación contradice la idea de que una técnica quirúrgica estándar pueda ser aplicable a todo tipo de casos. Por el contrario, sostiene que debemos aplicar la técnica quirúrgica al caso clínico que pretendemos tratar. Para elaborar esta propuesta, analizamos retrospectivamente más de 3.500 arcadas desdentadas operadas y rehabilitadas en el Instituto de Implantología®. Esta es una clasificación sugerente de cómo proceder en cada nivel del caso clínico, desde IC hasta CV. Se trata naturalmente de un sistema vivo que, ante la permanente evolución de la Implantología, acepta igualmente modificaciones y actualizaciones.

–¿Qué es lo que usted, como profesional de la Implantología, espera de un sistema de implantes?

–Se espera que un sistema de implantes disponible en el mercado presente varios estudios clínicos con un alto nivel de evidencia que apunten a su éxito biológico y biomecánico. Son fundamentales aspectos como la facilidad y calidad de manejo del sistema, la macro y microgeometría del implante que favorecen no solo la colocación, sino también la consecución

de torques de inserción para la aplicación de protocolos de carga inmediata y acelerar su osteointegración. Al mismo tiempo, deben existir opciones protésicas para los distintos tipos de rehabilitación que garanticen una adecuada complementariedad implantológica, favorezcan el sellado biológico de la zona periimplantaria y minimicen el riesgo de complicaciones protésicas. Actualmente, las diversas opciones protésicas tienen que considerar el aspecto digital.

–Por su conocimiento y experiencia, ¿qué tipo de implante recomendaría a sus colegas de profesión para obtener los mejores resultados?

–No existe un solo tipo de implante ni un solo sistema de implantes que ofrezca los mejores resultados. Sobre todo, cada profesional debe conocer, según los criterios que mencioné anteriormente, el sistema de implante que coloca y desarrollar una curva de aprendizaje adecuada en su uso.

–Periimplantitis, osteointegración… la Implantología tiene varios desafíos abiertos. Si tuviera que identificarlos, desde su punto de vista, ¿cuáles serían y cómo pronostica que evolucionarán en el futuro?

–Debemos reconocer que los retos de la Implantología afectan no sólo a los futuros candidatos a la rehabilitación oral con implantes, sino también a los millones de pacientes portadores de implantes que, a lo largo de su vida, pueden presentar algún tipo de complicación biológica o protésica. En una evaluación sistemática de estudios clínicos con un seguimiento de 10 o más años, se reconoce que la tasa de supervivencia del implante es significativamente alta, superior al 95%, lo que apunta a la alta previsibilidad de esta opción de tratamiento. Sin embargo, el resultado, la supervivencia, es insuficiente para traducir su eficacia en la población general. Cuando se evalúa, se observa que la prevalencia de periimplantitis es de hasta el 47% y que hay una correlación positiva entre su aparición y la vida útil del implante. Dependiendo

«La “Ciudad de la salud bucal digital” es uno de los proyectos en curso más recientes y atractivos»

del tipo de rehabilitación y del material utilizado, también se registran diferentes niveles de complicaciones protésicas. Salvo en determinados contextos regionales, no conocemos la frecuencia de complicaciones de los implantes en la población. En muchos países no hay cuestionarios observacionales nacionales centralizadas sobre salud bucal. Su implementación ayudaría a comprender mejor la realidad que nos rodea y significaría un aporte importante al esclarecimiento y alfabetización de los pacientes. Como enfermedad inflamatoria con repercusiones sistémicas, la periimplantitis es un factor de riesgo funcional y estético para los implantes cuyo diagnóstico precoz y tratamiento preciso aún son difíciles de establecer. Seguimos sin poder dar una respuesta eficaz para la resolución de la enfermedad periimplantaria cuando se presenta en estadios más avanzados. Su control es un desafío que se expresa en la investigación y propuesta de nuevas superficies de implantes con propiedades antibacterianas, o en nuevos medios y protocolos de tratamiento quirúrgico y no quirúrgico. Se trata de líneas de investigación relevantes que podrían traer importantes novedades en el área de la Implantología.

–También ha renovado hace unos meses su cargo como director de la Facultad de Medicina Dental de la Universidad de Lisboa, ¿a qué desafíos se enfrenta la enseñanza odontológica de cara a los próximos años? –La ampliación, modernización y crecimiento de la Facultad de Medicina Dental de la Universidad de Lisboa (FMDUL) son algunos de los desafíos definidos para el presente y futuro del centro. A

«La Odontología representa uno de los mejores ejemplos de mejora continua de las nuevas tecnologías en el ámbito sanitario»

pesar de un riguroso plan de gestión, al renovar mi mandato como director de la FMDUL para el período 2024-2026, no abandono la perspectiva de modernización e innovación del centro. Por ello, uno de los proyectos en curso más recientes y atractivos, fruto de la obtención de financiación europea externa, es la «Ciudad de la salud bucal digital». La creación de este hub impulsará un proyecto pedagógico innovador en Portugal, que consolidará la estrategia de transición curricular al campo digital, con la oferta de formación continua de postgrado para profesionales del área de la salud bucal. La « C iudad de la salud bucal digital» brindará acceso a una variedad de herramientas tecnológicas fundamentales para la educación universitaria de vanguardia (como escáneres intra y extraorales, impresoras 3D o equipos CAD-CAM), software de inteligencia artificial para apoyar la toma de decisiones clínicas, y la capacidad de los estudiantes de simular y planificar todas las fases del tratamiento de forma virtual, adquiriendo y entrenando habilidades adicionales antes de la intervención clínica. Somos un centro que busca la mejora permanente y somos conscientes de que su éxito depende, considerablemente, de la dedicación, dinamismo y movilización de toda la comunidad académica.

–A su juicio, ¿hay un buen presente y futuro «ibérico» en la profesión odontológica?

–Vislumbrar los retos presentes y futuros de la Odontología Ibérica exige, sin duda, un sentido de unidad entre los profesionales y futuros profesionales en torno a una actitud consciente,

comprometida, honesta y responsable hacia la profesión. Creo que Portugal y España, como países hermanos, tienen mucho en común. Por un lado, tienen de las Odontologías más avanzadas del mundo y, por otro, sufren del excesivo número de profesionales graduados por las Universidades Ibéricas, lo que complica la entrada de los jóvenes en el mercado de trabajo. A pesar de la realidad socioeconómica más adversa que estamos viviendo en Europa, creo que el mercado laboral de nuestra zona siempre puede acoger a quienes «tratan mejor la profesión». Aconsejo a los más jóvenes que den lo mejor de sí mismos, que se lleven la formación y el ejemplo de la «escuela» donde se graduaron y que persigan la atención óptima a sus pacientes. Su determinación individual de una buena práctica clínica, imbuida de competencia médica y sentido ético, es fundamental para que todos podamos ampliar la necesaria promoción de la salud bucal en Portugal y España. ●

Miembro del área internacional del Consejo de Innovación y Excelencia de GD, el Dr. João Caramês es un gran referente de la Odontología portuguesa.

A fondo

Cátedras UniversidadEmpresa: un matrimonio necesario, también para el paciente

Diferentes líneas de investigación en la rama implantológica nacen fruto de la colaboración entre universidad y empresa, una relación que se articula en forma de Cátedras o Aulas de investigación que se reparten por toda la geografía española. Hoy te acercamos a la actividad de algunas de ellas, cuya actividad beneficia a estudiantes, profesionales y pacientes.

Shutterstock/ Pan Andrii.

La colaboración entre el mundo formativo y el empresarial se ha revelado como esencial para el progreso científico en muchas áreas, entre ellas, la Odontología. Una de las fórmulas en las que este « matrimonio» ofrece muy buenos resultados son las Cátedras y Aulas Universidad-Empresa. « Es una opción realmente eficaz para ordenar la generación del conocimiento y su difusión », destaca el Dr. Lluís Giner, presidente de la Conferencia de Decanos y Secretarios Académicos de las Facultades de Odontología de España (CRADO).

«La base fundamental de una cátedra es la investigación, con propósitos bien concretos, que, a veces, en el transcurso del tiempo, tienes que ir adaptando, pero con un rigor para llegar a la obtención de resultados», nos explica el Dr. Giner, destacando «la importancia de concretar la forma de divulgación de este conocimiento que se va generando (artículos científicos, organización de eventos, etc.) y su gran relevancia para la sociedad, ya que ese nuevo conocimiento que se genera se puede plasmar en materiales o piezas útiles para resolver problemas existentes». Sobre el papel que juegan en el progreso odontológico cada uno de los actores que intervienen en este tipo de cátedras, el Dr. Giner lo tiene claro: «La universidad puede generar conocimiento mediante la investigación, pero los únicos que pueden poner este conocimiento en las manos de los profesionales y, por tanto, para el bien de la sociedad, es la industria. Por esto, las Cátedras y Aulas Universidad-Empresa son de gran importancia y ofrecen una forma ordenada de avanzar en todos los aspectos».

«Las Cátedras Universidad-Empresa son una opción eficaz para ordenar la generación del conocimiento»

AVANCES EN IMPLANTOLOGÍA

En el campo de la Implantología, la colaboración universidad-empresa ha dado, está dando y dará importantes frutos. «Branemark y George Zarb en 1982 en la conferencia de Toronto nos definieron la osteointegración. En aquel momento la novedad era el implante de titanio puro en sí y aditamentos muy rudimentarios para la prótesis. Sin embargo, rápidamente la investigación, la colaboración universidad-empresa

DESCUBRE MÁS SOBRE AVANCES Y LÍNEAS DE ESTUDIO EN NUESTRA WEB

El Dr. Lluís Giner, presidente de CRADO.

y el desarrollo industrial, han puesto a nuestro servicio multitud de elementos que ayudan muchísimo a la rehabilitación mediante implantes, a tener una mayor seguridad y un mejor pronóstico, incluso con avances muy importantes en la prevención y tratamiento de la periimplantitis», destaca el Dr. Lluís Giner.

Una evolución que también se ha adaptado y beneficiado del desarrollo tecnológico de los últimos años. «Gracias a la digitalización y a la inteligencia artificial, entre otros avances, la investigación se traslada a individualizar al máximo los tratamientos, con Odontología regenerativa, cirugías robotizadas, implantes subperiósticos, etc. Auguro un muy buen porvenir al «matrimonio» universidad-empresa. Seguro que lo veremos fructificar en los próximos años», destaca el presidente de CRADO.

UNA RICA RED EN TODA ESPAÑA

Las Cátedras y Aulas UniversidadEmpresa se reparten a lo largo

de toda la geografía española, estableciendo cada centro una normativa (duración, renovación, enfoque, objetivos de investigación, etc.), aunque con una base similar que comparten todos ellos. En el campo concreto de la Implantología son centros y compañías muy diversos los que han establecido acuerdos para propiciar el desarrollo de la disciplina. «En la UIC –de la que es decano el Dr. Giner–, empezamos hace casi dos décadas con una cátedra y, en la actualidad, tenemos siete cátedras relacionadas con la Implantología de forma directa o con algún aspecto de la misma dentro de sus objetivos, y tres aulas en diferentes ámbitos del conocimiento», destaca del Dr. Giner. Entre ellas, la Cátedra Klockner Implant System para la Prevención de la Periimplantitis, dirigida por el Dr. José Nart, o las tres dirigidas por el Dr. Federico Hernández Alfaro: la Cátedra de Implantes Cigomáticos

«Además del apoyo formativo a los alumnos de grado y postgrado, las investigaciones que se desarrollan fruto de las colaboraciones entre universidadempresa tienen dos claros beneficiarios: el profesional y el paciente»
El Dr. Federico Hernández Alfaro (UIC Barcelona).

(Straumann), la de Nuevos diseños y soluciones para la Cirugía Oral y Maxilofacial (Klockner) y la Cátedra de Investigación sobre Regeneración Ósea en Implantología (Dentium). «En el marco de la cátedra de Straumann, que está coordinada por el Prof. Jorge Bertos, hemos desarrollado un protocolo digital 360 para la rehabilitación de maxilares tróficos mediante implantes cigomáticos. En el caso de la cátedra de Klockner, ésta nos ayuda en el desarrollo de

un prototipo de implante pterigoideo en un proyecto coordinado por el Prof. Oscar Salomó y, en paralelo, la optimización de soluciones customizadas para cirugía ortognática en otro proyecto que coordina la Profesora Adaia Valls. Finalmente, la cátedra Dentium, codirigida por el Prof. Pau Altuna y coordinada por Marc Quevedo, está inmersa en el desarrollo de soluciones customizadas en regeneración ósea», destaca el Dr. Hernández Alfaro.

FORMACIÓN E INVESTIGACIÓN, EJES ESENCIALES

En la Universidad de Santiago está activa la Cátedra Ticare en Osteointegración, dirigida por el Dr. Juan Blanco, que centra su actividad en la formación y la investigación. «En grado, los alumnos, además del conocimiento de la literatura sobre el sistema, tienen la posibilidad de realizar cursos hands-on organizados a través de la cátedra para que conozcan el material quirúrgico y puedan colocar implantes en modelos de resina. A nivel de máster, los alumnos también tienen cursos hands-on para conocer bien el material y, por supuesto, la posibilidad de colocar implantes en pacientes previamente seleccionados y bien planificados», explica el Dr. Blanco. «A nivel de investigación, en concreto en nuestra unidad docente de Periodoncia, estamos realizando dos estudios sobre los cuales ya tenemos dos publicaciones en el Clinical Oral Implant Research y estamos en fase de correcciones respecto a la tercera. Estamos trabajando en la validación del «gap 0» y en la utilización de pilares con un diseño novedoso que, en teoría, permite mayor grosor en los tejidos blandos», destaca el Dr. Juan Blanco.

Además del apoyo formativo a los alumnos de grado y postgrado, las investigaciones que se desarrollan fruto de las colaboraciones entre Universidad-Empresa tienen dos claros beneficiarios: el profesional y el paciente. «Evidentemente, el último beneficiado debe ser siempre el paciente, por ello las hipótesis de trabajo deben ser de clara traslación a la clínica, con una importante validez externa. Esto supone que los clínicos pueden mejorar su práctica clínica a través del desarrollo e innovación de nuevas técnicas y materiales», finaliza el Dr. Blanco.

El Dr. Juan Blanco (USC).

«Los proyectos asociados a las tres cátedras aún están en marcha -prosigue- y, aunque los resultados son preliminares, son prometedores en todas ellas. Las soluciones customizadas en cirugía implantológica y reconstructiva han llegado para quedarse y la medicina personalizada es, sin duda, el camino a seguir en los años venideros. La Odontología traslacional es posible en nuestro departamento gracias al soporte financiero y logístico de la industria y, por ello, estamos enormemente agradecidos a estas compañías por la apuesta sólida que han hecho por nuestro Departamento de Cirugía Oral y Maxilofacial», finaliza el Dr. Hernández Alfaro.

TECNOLOGÍA DIGITAL, BIOMATERIALES Y MUCHO MÁS

En la Facultad de Odontología de la Universidad Complutense de Madrid (UCM), el Grupo de Investigación «Etiología y terapéutica de enfermedades periodontales y periimplantarias» tiene activas varias Cátedras Universidad-Empresa. «Tenemos firmadas 5 cátedras en la actualidad con Straumann, Dentsply, Klockner, CAMLOG y DENTAID. Todas ellas buscan fomentar la investigación y la formación en Implantología clínica, tecnologías digitales, desarrollo de biomateriales y tecnologías regenerativas en Odontología y, en particular, la Cátedra DENTAID fomenta la investigación básica y clínica en Periodoncia y Salud Bucal», destaca el Dr. Mariano Sanz, director del grupo de investigación junto al Dr. David Herrera.

Otra de las cátedras activas en la Complutense es la de Investigación en Implantología Dental, Terapia Regenerativa y Tratamiento de

El Dr. Mariano Sanz (UCM).

la Apnea del Sueño y Roncopatía, apadrinada por BTI Biotechnology Institute y dirigida por el Dr. Guillermo Pradíes. «En la actualidad estamos llevando a cabo varias acciones relacionadas con la cátedra. Por un lado, todos los pacientes a los que realizamos procedimientos de extracciones dentales, así como cualquier otro tipo de acto quirúrgico son previamente sometidos a un procedimiento de venopunción para la posterior preparación de PRGF Endoret. Esto permite su aplicación tanto en alveolos postextracción frescos como en el resto de los procedimientos quirúrgicos. Por otra parte, estamos realizando, en colaboración con BTI, una investigación sobre la supervivencia de implantes extracortos (4 a 5 mm.) y, por último, tenemos en marcha un estudio de prevalencia de Apnea de Sueño en pacientes considerados «sanos» que acuden a la clínica del máster que está demostrando resultados muy interesantes», señala el Dr. Pradíes.

¿Considera que este matrimonio universidad-empresa es una herramienta eficaz para impulsar

TRANSPARENCIA Y REDES COLABORATIVAS

el progreso y la innovación en la Odontología en general y la Implantología en particular? Le preguntamos al Doctor Pradíes. «Sin duda alguna. La universidad NO puede ni DEBE vivir sin la colaboración de la industria y la industria NO puede ni DEBE vivir sin la aportación científica que le proporciona la universidad. Los recursos económicos y técnicos que nos ofrece en este caso la empresa BTI permiten, no sólo la evaluación de sus productos y protocolos, sino, como es nuestro caso, sufragar gastos de personal técnico ajeno directamente a los proyectos, pero que, finalmente, redundan en la posibilidad de supervivencia de un grupo de investigación consolidado. Estamos verdaderamente encantados del soporte que nos da la empresa y la neutralidad que a la vez mantiene en los estudios que realizamos con ellos. Ojalá pudiéramos tener más empresas dispuestas a colaborar con nosotros al mismo nivel. Aprovechamos esta oportunidad para agradecerles su constante apoyo», comenta el Dr. Pradíes.

Coincide con la importancia de la neutralidad y la transparencia el Dr. Daniel Torres, director de la Cátedra Universidad-Empresa Alejandro Padrós de la Universidad de Sevilla. «Las colaboraciones con empresas son fantásticas, siempre y cuando se mantenga cada uno en su sitio y no se perviertan en sus propósitos, es decir, que se vaya buscando la mejora de la Implantología -o de la rama en la que se centre-, la potenciación de la universidad y de su tejido innovador y, sobre todo, que también dé respuesta o estén enfocadas a la sociedad». En su cátedra, nombrada así con el objetivo de plasmar el enfoque y visión de la Odontología que potenciaba el Dr. Padrós (fundador de Klockner), «hacemos un estudio en conjunción con el Hospital Virgen del Rocío con implantes en pacientes oncológicos, del cual se beneficia la rama por el estudio de nuevas superficies y de implantes tecnológicamente punteros y también los pacientes. En este caso, los tratamientos, tanto en la parte quirúrgica como en la parte protésica, los subvenciona la cátedra. En este sentido, Klockner es un socio interesante porque tiene cirugía guiada, implantología, regeneración, un entorno de fresado tridimensional, etc… Un sumatorio que permite que en estos pacientes tan complejos se puedan poner a prueba técnicas y soluciones clínicas», reseña Torres. Además de este trabajo con el hospital, en el marco de esta cátedra se hacen actividades de difusión de la Implantología enfocadas a los alumnos de grado y de postgrado, «y estamos aprovechando para hacer actividades conjuntas con profesionales y equipos que también tienen cátedras con Klockner para

El Dr. Guillermo Pradíes (UCM).

unir y debatir proyectos en común», destaca el Dr. Torres. «El año pasado celebramos una reunión conjunta con la cátedra que dirige el Dr. Manuel Toledano en la Universidad de Granada. Hicimos este año otra aquí, en Sevilla, en la que invitamos al equipo de Granada y al equipo de la Universidad Miguel de Cervantes, que dirige el Dr. Aritza Brizuela y estamos pendientes de hacer un tercer encuentro de nuevo en Granada», detalla el Dr. Torres.

Ahora mismo, la cátedra sevillana tiene en marcha varios estudios. «Estamos colaborando con la Universidad de Granada, con la Universidad Internacional de Cataluña o con el equipo de la Miguel de Cervantes en aspectos como cultivos celulares, genética o, incluso, cirugía de animales», enumera el Dr. Torres. Gracias a esta cooperación, se fomenta el debate, pero «no solamente cada director de cátedra presenta sus aportaciones, sino que hacemos que los alumnos presenten comunicaciones. Además, se incorpora la figura del Dr. Javier Gil Mur como, digamos, coordinador de las líneas de investigación de Klockner. Todo ello hace que se genere un caldo de cultivo interesante para desarrollar proyectos colaborativos entre todas las cátedras. Cada uno aportamos nuestro mejor saber hacer a entornos colaborativos que den lugar a líneas de investigación más potentes», expone el Dr. Torres. Incluso más allá de la Implantología. «No es la primera vez, que aparecen líneas de investigación cooperativas que no tienen nada que ver con la Implantología, proyectos que se llevan a cabo en otros entornos, pero como ya está establecida la comunicación entre grupos de investigación

«Gracias a las actividades de las cátedras se establecen líneas de investigación cooperativas entre grupos y con un alcance mucho mayor»

potentísimos, la productividad de las Cátedras Universidad-Empresa se multiplica», detalla el Dr. Torres.

MODELO DE ÉXITO

Por fortuna para todos, estudiantes, profesionales y pacientes, son más los centros de formación españoles y las empresas que han estrechado lazos para impulsar el avance científico y clínico en las diferentes ramas de la Odontología, entre ellas, la Implantología. Una relación necesaria, estable y con un gran futuro. ●

El Dr. Daniel Torres (Universidad de Sevilla).

Restauraciones digitales sobre implantes (I)

Conexiones internas VS externas

Cortesía Dr. Fragola.

Rincón digital

Son muchos los compañeros que nos preguntan sobre la toma de impresiones digitales a implantes según el tipo de conexión, si son unitarios o múltiples, siendo la conexión un elemento determinante a la hora de realizar este tipo de procedimientos y las posteriores comprobaciones de ajuste de nuestras restauraciones. Por ello hemos considerado interesante dedicar este número a analizar los tipos de conexiones y sus características para, en un número posterior, abordar los procesos de toma de impresión digital y preparación de modelos físicos o virtuales para confeccionar nuestras restauraciones definitivas.

Las restauraciones sobre implantes dentales juegan un papel crucial en la rehabilitación oral de pacientes con pérdida dentaria, así como en la estabilidad de los

«Las restauraciones sobre implantes dentales juegan un papel crucial en la rehabilitación oral de pacientes con pérdida dentaria»

tejidos periimplantarios. La conexión entre el implante y la restauración desempeña un papel fundamental en la estabilidad, funcionalidad y longevidad del tratamiento. En este artículo exploraremos las diferencias entre las conexiones internas y externas en las restauraciones sobre implantes, sus características, ventajas y consideraciones clínicas. En los inicios, las conexiones eran realmente rudimentarias, poco precisas y servían más como elementos de posicionamiento y antirrotación que como conectores entre dos piezas, ya que esta función la cumplía el tornillo del pilar restaurador o sobre la propia restauración que se colocaba en boca.

TIPOS DE CONEXIONES EN LOS IMPLANTES

Podemos encontrar dos tipos de conexiones en los implantes: internas

DR. GIULIANO FRAGOLA

Director médico de Estudio Dental Majadahonda. Licenciado en Odontología, Universidad Complutense de Madrid. Máster en implantología, Periodoncia y Rehabilitación Oral, New York University. Senior fellow y speaker ITI (International Team for Implantology). Anthogyr international speaker.

CEO IDE Immersive Dental Experiences.

y externas, cada una con sus particularidades.

Conexiones externas

Hacen referencia a aquellas cuya interfase entre el implante y la restauración se encuentra fuera del cuerpo del implante. Estas suelen tener un diseño hexagonal que facilita el acceso y la manipulación durante el proceso de restauración. Aunque las conexiones externas pueden ser más susceptibles a las fuerzas oclusales debido a su ubicación fuera del implante, su diseño permite una fácil reparación y reemplazo de la restauración en caso de necesidad, así como la posibilidad de utilizar aditamentos muy variados.

Estas conexiones surgieron a medida que la Implantología dental evolucionaba y se desarrollaban nuevas tecnologías y técnicas en el campo de las restauraciones. No hay un inventor claro de las conexiones externas, ya que su desarrollo fue el resultado de la colaboración y la innovación continua de varios investigadores, ingenieros y fabricantes de implantes dentales a lo largo del tiempo. No obstante, las conocidas como conexiones hexagonales «tipo Branemark» se han ganado un lugar en la historia

de la Implantología por derecho propio y se hace necesario rendirle un pequeño homenaje y compartir nuestra admiración y respeto por su contribución a la Implantología universal.

Es importante destacar que las conexiones externas se convirtieron en una opción viable y popular en la Odontología implantológica durante el avance de la tecnología en la segunda mitad del siglo XX. Fabricantes líderes en la industria dental comenzaron a diseñar y producir implantes con conexiones externas para satisfacer las demandas de los profesionales dentales y mejorar la estabilidad y durabilidad de las restauraciones sobre implantes.

Así, a medida que las conexiones externas ganaron aceptación y reconocimiento en la comunidad odontológica, su diseño y funcionalidad fueron refinados y mejorados para proporcionar una mayor eficacia y versatilidad en la práctica clínica. Las conexiones externas tienen diversas ventajas e inconvenientes que deben tenerse en consideración a la hora de seleccionar un sistema de implantes para nuestros pacientes.

• Ventajas

-Facilidad de acceso. Las conexiones externas son fácilmente accesibles durante el procedimiento de restauración y mantenimiento, lo que facilita la colocación, ajuste y reparación de la prótesis.

-Flexibilidad restauradora. La conexión externa ofrece una gran flexibilidad en el diseño protésico, permitiendo una variedad de opciones para adaptar la restauración a las necesidades y preferencias del paciente.

Perfil de emergencia de un implante de conexion có nica. Cortesía Dr. Fragola.

• Inconvenientes

-Mayor tamaño. Las conexiones externas pueden tener un perfil más prominente en comparación con las conexiones internas, lo que puede afectar a la estética, especialmente si los implantes no han sido colocados correctamente en su emplazamiento tridimensional.

-Acumulación de placa. La presencia de una conexión externa puede facilitar la acumulación de placa alrededor en la zona de unión implante-corona, lo que aumenta el riesgo de inflamación gingival.

-Menor resistencia a la carga funcional. Las conexiones externas pueden tener menor estabilidad en comparación con las internas, lo que puede requerir precauciones adicionales durante el diseño de nuestras restauraciones.

-Aflojamientos o fractura de tornillos. Al someter la carga funcional a las restauraciones sobre conexiones externas, sobre todo en restauraciones unitarias o múltiples de pequeña extensión, las fuerzas masticatorias se transmiten principalmente a tornillo de conexión implante-restauración que, tras muchos ciclos de masticación, terminan por aflojarse o fracturarse con las consiguientes complicaciones para su retirada.

-Pérdida ósea marginal. Debido a la ausencia de sellado entre implante y restauración, se produce un fenómeno de microfiltración bacteriana que se hace más evidente en coronas unitarias; no olvidemos el dicho «los implantes de hexágono externo pierden hueso hasta la primera espira». Esto es debido al fenómeno fisiológico de conformación del espacio biológico necesario para la salud periimplantaria del que hablaremos más adelante y que, en este tipo de

«Las conexiones externas son fácilmente accesibles durante el procedimiento de restauración y mantenimiento, lo que facilita la colocación, ajuste y reparación de la prótesis»

diseños, suele dar lugar a mucositis y periimplantitis.

Estas conexiones han ido cayendo en desuso porque se han visto superadas por sistemas mucho más precisos con menores tasas de complicaciones.

Conexiones internas

Hacen referencia a la interfase entre el implante y la restauración ubicada dentro del cuerpo del implante. Este tipo de conexión suele caracterizarse por su diseño hexagonal o cónico, que proporciona una mayor estabilidad y distribución de cargas. Las conexiones internas ofrecen varias ventajas, incluida una mejor resistencia a las cargas oclusales, mayor precisión en la colocación de la restauración y una reducción del riesgo de fractura del tornillo. Sin embargo, su principal limitación radica en la mayor exigencia clínica a la hora de colocar los implantes, ya que permiten menos errores, aunque hoy en día es tal la variedad de pilares restauradores y soluciones CAD/CAM que nos ofrecen las compañías de implantes que este

problema prácticamente ha pasado a la historia

Al seleccionar el tipo de conexión para una restauración sobre implantes, es importante considerar varios factores clínicos, como la ubicación del implante, la carga oclusal esperada, la estabilidad primaria del implante y las preferencias del paciente. Además, es fundamental seguir las recomendaciones del fabricante del implante y utilizar componentes restauradores originales para garantizar una integración adecuada y una funcionalidad óptima a largo plazo.

Su origen puede atribuirse a Stephen A. Morse (1860-1936), ingeniero e inventor estadounidense conocido principalmente por la invención del cono Morse, un tipo de conexión cónica utilizada en una amplia variedad de aplicaciones industriales y médicas, incluida la Odontología y la Implantología.

Fue patentado en la década de 1860, siendo un diseño de un cono de 3o que se utilizó para fijar y asegurar piezas de maquinaria en su lugar con una «soldadura en frío de las

dos partes» que impide la filtración o separación de las dos partes a ser sometido a cargas o fuerzas de desinserción. La conexión se logra mediante un cono macho y una cavidad cónica hembra que se ajustan entre sí con una cierta cantidad de fricción, proporcionando una sujeción segura y estable. Esta conexión cónica es ampliamente apreciada por su facilidad de uso, eficacia y fiabilidad. En el campo de la Odontología y la Implantología, el cono Morse se utiliza como una forma de conexión entre el implante dental y la restauración protésica.

La conexión cónica proporciona una unión sólida y estable entre el implante y la prótesis, lo que contribuye a la estabilidad y longevidad del tratamiento dental. Además, el diseño del cono Morse permite una inserción fácil y precisa del implante, así como una mayor resistencia a las fuerzas oclusales.

• Ventajas

-Mejor distribución de cargas. La conexión interna proporciona una distribución más uniforme de

Scanbodies para toma de impresión digital. Cortesía Dr. Fragola.

Radiografía colocación de restauración sobre implante Axiom Bone Level. Cortesía Dr. Fragola.

las cargas oclusales, lo que puede reducir el riesgo de complicaciones biomecánicas y biológicas.

-Reducción del riesgo de aflojamiento y fractura de tornillo. La configuración interna protege el tornillo de la exposición a las fuerzas masticatorias, lo que puede disminuir el riesgo de aflojamiento y fractura.

•Inconvenientes

-Mayor complejidad quirúrgica. La colocación de implantes con conexiones internas puede requerir técnicas quirúrgicas más precisas y experiencia adicional por parte del cirujano realizando siempre una planificación guiada por la prótesis.

-Limitaciones de diseño.

Algunos sistemas de implantes con conexiones internas pueden tener opciones de diseño limitadas en comparación con las conexiones externas.

-Coste potencialmente mayor. Los implantes con conexiones internas

Radiografía de control 3 años de restauración sobre implante Axiom Bone Level. Cortesía Dr. Fragola.

pueden ser más costosos debido a su diseño y fabricación más complejos. Las conexiones internas en implantes dentales han revolucionado la Odontología restauradora al ofrecer ventajas significativas en términos de estabilidad y distribución de cargas.

Conceptos ligados a las conexiones internas

En este sentido, se hace necesario conocer y comprender dos conceptos ligados a la estabilidad de los tejidos periimplantarios como son el ancho biológico, la reducción de plataforma o platform switching y la microfiltración bacteriana en relación con las conexiones internas:

-Ancho biológico. El ancho biológico hace referencia al espacio biológico que rodea naturalmente los dientes y los implantes dentales. Incluye la unión epitelial y la inserción conectiva, que son esenciales para mantener el estado de salud.

Cuando se coloca un implante, es crucial respetar el ancho biológico para evitar la inflamación del tejido gingival y subsiguiente migración ósea marginal y crear este espacio fisiológico necesario que ronda aproximadamente los 2,5-3 mm. Las conexiones internas en implantes dentales están diseñadas para preservar el ancho biológico al permitir que la interfase implante se sitúe por debajo del nivel del hueso alveolar. No todas las conexiones internas son iguales y solamente algunas permitirán que estas interfases sean totalmente estancas y ofrezcan los resultados esperados con migraciones óseas mínimas o casi nulas.

- Platform Switching (desplazamiento de plataforma). Este concepto implica utilizar un diámetro del pilar restaurador menor que el del implante creando un espacio horizontal adicional entre el implante y el tejido gingival circundante, alejando las bacterias de la zona de unión implante pilar del margen óseo, lo que ayuda a preservar el ancho biológico y reduce el impacto de las fuerzas oclusales sobre el hueso. Se ha demostrado que el platform switching reduce la pérdida ósea periimplantaria y mejora la estabilidad a largo plazo de los tejidos periimplantarios; la combinación del concepto de ancho biológico y el platform switching es fundamental para garantizar resultados estéticos y funcionales óptimos en la rehabilitación con implantes.

-Microfiltración. La microfiltración hace referencia al movimiento de fluidos y partículas microscópicas a través de la interfase de unión entre los componentes del implante y la restauración. Esta microfiltración

puede ocurrir en conexiones internas y externas, aunque puede variar en términos de magnitud y sus efectos en la salud periimplantaria.

Esta microfiltración viene determinada, sobre todo, por el ajuste de los componentes implantepilar, material de fabricación, por el ángulo de conexión o ángulo de cono y la longitud de la misma.

Hay en el mercado infinidad de sistemas con sus propios diseños y geometrías siendo algunos ineficaces a la hora de producir este sellado necesario para evitar la filtración responsable en último término de la patología de los tejidos circundantes. Se deben elegir sistemas en los cuales estas interfases garanticen sellado total y ausencia de microfiltración y, cuanto más cerrado es el cono de conexión, más complejo se hace el proceso de fabricación.

En términos de resistencia a la microfiltración, las conexiones internas tienden a ser más efectivas que las conexiones externas. Esto se debe a varias razones:

Implante Conexión Cónica Morse Pura 3 o Anthogyr 2.8. Cortesía Dr. Fragola.

-Ubicación interna. En las conexiones internas, la unión entre el implante y el pilar está ubicada dentro del cuerpo del implante, lo que la protege de la exposición directa a los fluidos orales y a las bacterias presentes en la cavidad oral.

-Diseño y sellado. Las conexiones internas suelen tener un diseño más ajustado, lo que minimiza las brechas y espacios donde pueden infiltrarse los fluidos y las bacterias. Esto ayuda a prevenir la microfiltración y reduce el riesgo de complicaciones asociadas, como la periimplantitis. En contraste, en las conexiones externas, al no existir ese sellado cónico y generarse espacio de filtración bacteriana en los movimientos masticatorios, la microfiltración ocurre siempre en implantes unitarios y, en muchas ocasiones, en las múltiples debido a los defectos de ajuste de las restauraciones protésicas por la baja calidad de los componentes o las tomas de impresión deficitarias, algo que se pone de manifiesto en la digitalización si no se siguen los pasos correctas y se conocen los protocolos de escaneado.

CONCLUSIONES

Como conclusión podemos decir que las conexiones internas han superado ampliamente a las externas. También, que no todas las conexiones internas son iguales, por lo que debemos emplear aquellas de bajo ángulo de cono. Asimismo, se deben utilizar con componentes restauradores de calidad que resistan las fuerzas masticatorias y que no se fracturen con facilidad ya que, en base al concepto de reducción de plataforma, su diámetro será reducido. Otra conclusión es que debemos respetar el ancho biológico

«El proceso restaurador nos debe garantizar una correcta toma de registros y una posterior construcción de restauraciones que asiente de modo pasivo y preciso sobre nuestros implantes»

a la hora de elegir nuestros pilares restauradores; y que la reducción de plataforma es un elemento clave para la estabilidad de los tejidos periimplantarios.

Por último, el proceso restaurador nos debe garantizar una correcta toma de registros y una posterior construcción de restauraciones que asiente de modo pasivo y preciso sobre nuestros implantes.

En la próxima entrega de «Restauraciones digitales sobre implantes (II). Toma de impresiones digitales y manejo de la información», abordaremos los procesos de toma de impresiones con nuestros dispositivos intraorales y los elementos necesarios para llevarlo a cabo. Por otro lado, detallaremos qué hacer con toda la información recabada, cómo procesarla, qué enviar al laboratorio y qué pasos intermedios debemos realizar para obtener resultados finales de calidad de una manera sencilla y dirigida.

¡Os esperamos en el próximo número! ●

PRÁCTICAS CON PACIENTES

• Presentación y seguimiento de casos.

• Práctica de cementado con pacientes.

• Estancia clínica.

Dr. Alberto Cervera Sabater / Dra. Isabel Cervera del Río / Dra. Mónica Simón Pardell

SE MUESTRAN PARTIDARIOS DE UN PROCESO GRADUAL

Preocupación del Consejo de Dentistas por la eliminación prematura de la amalgama

La organización colegial insta a los responsables políticos a fomentar los programas preventivos de la caries entre la población, pues es la mejor forma de reducir el uso de la amalgama.

El pasado 10 de abril se votó la revisión del Reglamento sobre el mercurio en el Pleno del Parlamento Europeo. En dicha votación se aprobó el acuerdo político provisional existente con los Estados miembros de la UE con 575 votos a favor, 12 en contra y 38 abstenciones. Según el proceso habitual, ahora la legislación debe ser adoptada por el Consejo Europeo antes de ser publicada en el Diario Oficial de la UE y entrar en vigor 20 días después.

Entre las principales disposiciones legislativas sobre el uso de amalgamas, el texto adoptado elimina progresivamente el uso de amalgamas dentales en la UE a partir del 1 de enero de 2025, excepto si el odontólogo lo considera estrictamente necesario y en función de las necesidades médicas específicas del paciente; aunque no es el caso de España, es posible una excepción hasta el 30 de junio de 2026 para aquellos países que aún no hayan ajustado sus sistemas de reembolso para cubrir las alternativas, con el fin de evitar efectos negativos en las personas con bajos ingresos. Para esta excepción deben cumplirse unas condiciones específicas.

Asimismo, la exportación de amalgama dental estará prohibida a partir del 1 de enero de 2025, mientras que la fabricación e importación en la UE estarán prohibidas a partir del 1 de julio de 2026. A modo de excepción, se permitirá la fabricación e importación después de esta fecha para necesidades médicas específicas.

El Consejo General de Dentistas, como miembro del Consejo de Dentistas Europeos (CED) y en interés de los pacientes, considera primordial una atención sanitaria bucodental accesible y de alto nivel. En este sentido, aunque en España casi no se utiliza, desde el Consejo de Dentistas son partidarios de la reducción gradual del uso de amalgama dental, pero no su eliminación prematura, ya que supondría un impacto perjudicial en la salud y el bienestar de los países más desfavorecidos.

MEDIDAS EFECTIVAS

«Nuestra crítica a esta acción reguladora se basa en el hecho de que ya existían medidas sólidas y eficaces para la reducción progresiva de la amalgama sin esta acción reguladora; unos esfuerzos que han conducido hasta ahora a una disminución de alrededor del 50% en el uso de amalgama, con una previsión de una disminución mayor y continua en las próximas décadas», destacan desde el Consejo.

Asimismo, añaden, «la profesión odontológica se ha comprometido a abordar las preocupaciones medioambientales existentes mediante el uso de la forma de amalgama libre de gamma 2 (extremadamente resistente a la corrosión), así como de separadores de amalgama (Reglamento sobre el mercurio de la UE de 2017). Por último, destacan que «la profesión dental también ha subrayado continuamente, tanto a los responsables políticos como al público en general, que la prevención es y será siempre la respuesta para reducir el uso de la amalgama. Los programas eficaces de prevención de la caries dental y de promoción de la salud reducirán el uso de los materiales de restauración actuales, incluida la amalgama dental». ●

PRIMER DENTISTA EN RECIBIR ESTE RECONOCIMIENTO

La OMS premia al Dr. Francisco Rodríguez Lozano por su lucha contra el tabaquismo

Como cada año, la Organización Mundial de la Salud (OMS) ha organizado los Premios del Día Mundial Sin Tabaco, que reconocen a las personas y a las instituciones que más han contribuido en la lucha contra el tabaquismo.

Uno de los galardones ha sido para el español Francisco Rodríguez Lozano, dentista y presidente de la Junta Directiva de la Asociación Europea de Pacientes con Cáncer. El Dr. Rodríguez Lozano ha dedicado más de veinte años de su carrera a impulsar la prevención

del consumo de tabaco. Con una gran experiencia a nivel local, nacional e internacional, ha presidido el Comité Nacional de Prevención del Tabaquismo en España y la Red Europea para el Tabaquismo y la Prevención del Tabaco. Además, ha liderado con éxito campañas en las Islas Canarias para combatir las promociones engañosas de la industria tabacalera. ●

El Dr. Francisco Rodríguez Lozano. Imagen: cedida por el Colegio de Dentistas de Santa Cruz de Tenerife.

A TRAVÉS DE UN INFORME

Sepa y SED demandan más atención bucodental en las personas con diabetes

De izda. a dcha.; Eduardo Montero, Juan Francisco Perán, Paula Matesanz, Cristina Serrano, Laura Sánchez, Virginia Bellido, Miguel Carasol y Ángel Ramírez.

Imagen: cedida por SEPA.

Menos complicaciones asociadas a la diabetes, mayor control de las enfermedades periodontales, mejoras en la calidad de vida y ahorro económico son algunas de las ventajas de esta mejora asistencial.

Expertos de la Sociedad Española de Periodoncia (Sepa) y la Sociedad Española de Diabetes (SED) han presentado el informe

«Asociación entre diabetes y enfermedades periodontales: justificación para ampliar la cobertura de atención bucodental a las personas con diabetes» y han solicitado a las autoridades sanitarias que «asuman la evidencia científica y aborden el manejo de las enfermedades periodontales en personas con diabetes como una cuestión de salud pública». En concreto, demandan «ampliar la cobertura de atención bucodental a las personas con diabetes, ya que la exigencia se apoya en un informe sobre la asociación entre diabetes y enfermedades de las encías (como la gingivitis o la periodontitis)».

«No podemos continuar dejando de lado las coberturas del sistema público a la salud de las encías, ya que existe evidencia firme y concluyente sobre el impacto que algunas enfermedades periodontales tienen en la calidad de vida de los pacientes y en otras múltiples enfermedades. No se puede tener buena salud general sin una óptima salud bucal», afirma el Dr. Eduardo Montero, periodoncista e integrante del grupo de trabajo Sepa-SED.

Por su parte, la vicepresidenta de Sepa, la Dra. Paula Matesanz, asegura que «la evaluación del estado de las encías de las personas con diabetes podría ayudar a prevenir o a detectar precozmente un gran número de casos de periodontitis y a reducir la morbilidad asociada a esta patología». ●

ALGUNAS CLÍNICAS YA UTILIZAN TECNOLOGÍAS ADAPTADAS

La tecnología sanitaria, aliada de la salud oral de las personas con discapacidad

La formación en higiene y salud bucodental por parte de los profesionales sanitarios, así como la de las propias familias, cuidadores, centros educativos y residenciales, constituye el eje central de las demandas de las asociaciones y entidades que los representan.

La necesidad de que pacientes con discapacidad física, cognitiva o sensorial puedan tener una atención específica para el cuidado de la boca y cómo impacta en su bienestar y salud general fueron algunos de los asuntos abordados en la Jornada «Aportación de la Tecnología Sanitaria a la salud bucodental en las personas con discapacidad», organizada por la Fundación Tecnología y Salud, de la Federación Española de Empresas de Tecnología Sanitaria, Fenin; y la Fundación Ortega Marañón, FOM; enmarcada en las iniciativas impulsadas por la cátedra interuniversitaria «Tecnología, Salud y Sociedad».

En este encuentro, que contó con la participación de distintas asociaciones de pacientes, representantes de la Administración, sociedades científicas y miembros de la industria, como la Dirección General de Salud Pública de la Comunidad de Madrid, Plena Inclusión Comunidad Valenciana, Federación ASEM, la Sociedad Española de Prótesis Estomatología y Estética (SEPES), la International Association for Disability & Oral Health (IADH) e ILUNION, se debatió cómo a través del uso de tecnología sanitaria orientada también a este tipo de pacientes se pueden tratar muchas de las patologías más frecuentes que afectan a este colectivo.

TECNOLOGÍAS EN LA CLÍNICA DENTAL

Algunas clínicas dentales utilizan tecnologías concretas y adaptadas a las personas con discapacidad según la especificidad de su condición, aunque muchos pacientes no son conocedores de ellas. Algunas de estas tecnologías como los sistemas de diagnóstico digital, los equipos dentales que permiten tratar al paciente desde la misma silla de ruedas, el instrumental rotatorio con menor impacto sonoro, los materiales odontológicos que reducen el tiempo de aplicación de los productos, o los sistemas de sedación consciente, permiten tratar a pacientes en situaciones complejas minimizando los riesgos de alteración del comportamiento.

Otros productos, como las férulas para el control del bruxismo o los irrigadores, que maximizan la efectividad y facilidad de uso en el control de la placa bacteriana, mejoran considerablemente la calidad de vida de estos pacientes.

Ángela Paredes, patrono de la Fundación Tecnología y Salud y vocal de la Junta Directiva

Foto de familia del encuentro «Tecnología sanitaria, dependencia y salud bucodental». Imagen: cedida por Fenin.

del sector Dental de Fenin, señaló la importancia de que todos los agentes implicados en la atención bucodental a estos pacientes analicen conjuntamente cuáles son sus necesidades con el fin de ofrecerles un abordaje más eficiente. «Este tipo de encuentros ayudan a concienciar sobre el valor de prestar un servicio adaptado a las características y circunstancias de cada persona. La tecnología sanitaria es una herramienta fundamental para superar las barreras que dificultan el tratamiento de las patologías bucodentales en la población con discapacidad», destacó.

Para el Dr. Guillermo Pradíes, presidente de la Fundación de la Sociedad Española de Prótesis Estomatología y Estética (SEPES), «hay que seguir avanzando para disponer de tecnologías adaptadas que eliminen las dificultades a la hora de tratar a las personas con discapacidad y para que los propios profesionales que presentan alguna discapacidad puedan desarrollar su actividad con normalidad. También es necesario mejorar la comunicación entre el odontólogo o higienista bucodental y el paciente». De esta forma, Pradíes aboga por desarrollar protocolos que recojan cómo los profesionales deben proporcionar la atención bucodental a estas personas.

El Dr. Pedro Diz Dios, representante de la International Association for Disability & Oral Health (IADH), recordó por qué es tan importante seguir adaptando la tecnología a

esta población: «En España hay cuatro millones de personas con discapacidad, lo que hace necesario conocer y potenciar el contexto del individuo que tenemos delante e incluirlo en el desarrollo de tecnologías, así como en los ensayos clínicos para que también puedan beneficiarse del avance tecnológico».

Entre los proyectos que se están llevando a cabo con éxito se ha destacado el esfuerzo por parte de la Comunidad de Madrid, que cuenta con distintas prestaciones públicas en materia de salud bucodental para personas con discapacidad, al ofrecer atención bucodental a todos los ciudadanos de la región de 6 a 16 años en el marco del Programa de Atención

Dental Infantil, PADI, y hasta los 18 años al resto de la población con discapacidad física o psíquica reconocida que les impida la asistencia en un gabinete tradicional. Esta atención se lleva a cabo en el Hospital Infantil Universitario Niño Jesús y el Hospital General Universitario Gregorio Marañón.

Desde los representantes de las asociaciones de pacientes destacaron la importancia de la sensibilización y la formación del personal sanitario en la atención a la persona con discapacidad además de que las tecnologías sean accesibles para todo tipo de personas y que los padres o cuidadores dispongan de información de los servicios que tienen a su disposición para este tipo de cuidados. ●

ÁNGELA PAREDES, DIRECTORA DE W&H IBÉRICA

«En W&H siempre estamos a la vanguardia en innovación y tecnología»

Ángela Paredes, directora de W&H Ibérica, vocal de la junta directiva de FENIN y patrona del sector dental en la Fundación Tecnología y Salud.

Con 25 años en el sector, atender los deseos, las inquietudes y los retos del odontólogo en el ejercicio de su profesión son algunas de las máximas que sigue W&H Ibérica en el desarrollo de creación y diseño de sus productos.

—W&H Ibérica ha cumplido, de forma exitosa, 25 años en el sector. ¿Cuál ha sido (y es) el secreto del crecimiento de la compañía en un mercado cada vez más competitivo?

—El Grupo internacional W&H está habituado al cambio tanto en perspectiva global como local. Este enfoque local se realiza con delegaciones propias y en el resto del mundo con responsables de área. Por ello, hace 25 años, W&H abre su delegación de W&H Ibérica con el fin de atender el mercado local en España y Portugal. Años en los que el sector ha cambiado totalmente y donde las condiciones regulatorias sanitarias nos han ayudado a profesionalizar y asegurar siempre al profesional una práctica odontológica fiable, sostenible y mínimamente invasiva.

—Ángela Paredes, 25 años en el sector. ¿Cómo ha afrontado el crecimiento de la compañía en un mercado cada vez más competitivo?

—Que la familia Malata y Rudolf Flieger contaran conmigo ha sido un privilegio, pues me ha permitido conocer todas las áreas de trabajo de la empresa desde dentro, ofreciéndome una visión muy completa del potencial de W&H a la hora de proporcionar sus productos y servicios a un sector dental en constante evolución.

Asumir la dirección en 2005, crear un equipo basado en la profesionalidad, responsabilidad y empatía ha sido un trabajo de gran satisfacción tanto personal como profesional.

—Y, en este sentido, considerando los cambios en las tendencias y demandas del mercado, ¿cómo ha adaptado W&H Ibérica su estrategia comercial y de productos a lo largo de los años para satisfacer las necesidades de sus clientes en España y Portugal?

—Hemos buscado soluciones al uso de nuevos materiales en la práctica como el zirconio, presentando en Expodental el nuevo contraángulo Synea Power Edition, diseñado para mejorar el trabajo diario de los doctores y sus pacientes, ya que está pensado para aplicaciones difíciles y especialmente duras. Por otro lado, continuamos creando nuevas aplicaciones a productos tan consolidados como el motor de cirugía de implantes Implantmed, donde añadimos el módulo de piezocirugía Piezomed, la única solución todo en uno en cirugía ósea mínimamente invasiva.

—¿Cómo ha evolucionado el enfoque de W&H Ibérica en términos de innovación y tecnología durante estos 25 años y cuál es su visión para el futuro en este aspecto?

—En W&H siempre estamos a la vanguardia en innovación y tecnología, y por eso ya hemos empezado a incluir en nuestros productos el IT de las cosas. Ahora mismo ya disponemos en nuestros autoclaves de ioDent, que permite conectar el esterilizador a la nube.

La inversión de W&H en I+D es muy importante, lo que nos permite irnos adaptando a la metamorfosis que va experimentando el sector. Actualmente, nos enfrentamos al desafío de gestionar la gran cantidad de información disponible mediante el uso de la IA.

—¿Cuáles han sido los hitos más importantes en la historia de W&H Ibérica durante todo este tiempo?

—Hemos sido parte activa del crecimiento de la cirugía de implantes con nuestro motor Implantmed. También hemos sido pioneros en la venta de Autoclaves Clase B y en el uso de la luz led en el instrumental rotario.

Asimismo, el logro más importante como delegación ha sido la postventa con nuestro servicio técnico ProService, que ha elevado los estándares en el sector con nuestra plataforma online de registro de producto y seguimiento de su reparación. También, nuestra atención personalizada con consejos específicos para apoyar al usuario en el ejercicio del cuidado de sus productos W&H, el seguimiento de nuestra red comercial para la clarificación de dudas en el uso y manejo de los productos W&H, junto a una red de distribución cualificada, han marcado una diferencia con nuestra competencia. Otro de nuestros grandes hitos ha sido nuestras nuevas instalaciones en Valencia, un edificio totalmente adaptado a los nuevos tiempos, donde, además, contamos con la Sala Salzburgo, que está equipada con lo último en tecnología y que ofertamos para la realización de todo tipo de cursos y reuniones de empresa.

—¿Cuáles son los aspectos que diferencian sus productos del resto de compañías?

—Nuestros productos se han desarrollado para mejorar la vida de nuestros clientes y la de sus pacientes, siempre a la vanguardia en innovación. Pero, además, queremos que

no tengan que preocuparse por ellos, por su funcionamiento o su mantenimiento. Por eso, nuestros productos se diseñan para durar, lo que, además, los hace más sostenibles. Por ejemplo, podemos ofrecer 3 años de garantía en todos nuestros productos gracias a la confianza que tenemos en su funcionamiento.

—En términos de sostenibilidad, ¿qué acciones ha tomado W&H Ibérica hasta ahora y qué objetivos tiene para seguir siendo una empresa eco-responsable en el futuro?

—En nuestra central trabajan con electricidad 100% verde, y desde 2021 cuentan con su propio sistema fotovoltaico. Además, todo el material de virutas metálicas se recicla y el reciclaje de aceite de máquina de ciclo abierto permite una reutilización del 90%.

—¿Cómo interpreta W&H Ibérica el compromiso social corporativo y qué acciones realiza en relación a este tema?

—W&H se ha enfocado en apoyar a organizaciones que trabajan en el ámbito de la discapacidad y la formación. La empresa colabora con: Acavall, Tots junts podem, Alter y Desata tu potencial. ●

W&H IBÉRICA

C/ Canónigo Tárrega, 33 46014 Valencia, España

Email: oficinas.es@wh.com

Teléfono: +34 963 532 020

Whatsapp: +34 609 33 33 78 wh.com

Equipo W&H Ibérica.

INTERDISCIPLINARIDAD Y TECNOLOGÍA, TEMAS CLAVE DE LA CITA

Salamanca, escenario del XIX Congreso de Cirugía Oral e Implantología

Los Dres. Sánchez Aniceto, Mejía Nieto, Arévalo Arévalo, Sánchez Santolino y Patiño Seijas, en una de las mesas redondas moderadas por el Dr. Del Castillo Pardo. Imagen: Instagram @secommaxilofacialcyc

La cita, celebrada del 16 al 18 de mayo en la ciudad castellanoleonesa, puso el foco en los avances tecnológicos desde el punto de vista diagnóstico y quirúrgico, y resaltó la importancia de la colaboración interdisciplinaria.

La Sociedad Española de Cirugía Oral y Maxilofacial y de Cabeza y Cuello (SECOMCyC) puso el broche a una etapa con la organización de este XIX Congreso de Cirugía Oral e Implantología que, bajo el eslogan «Desde la cuna del saber, innovando en cirugía», sirvió como punto de encuentro de prestigiosos profesionales de todo el mundo.

A partir del próximo año, y debido al crecimiento de la especialidad, el encuentro, que hasta ahora se celebraba cada dos años, pasará a denominarse Congreso de Cirugía Oral y Maxilofacial y tendrá una periodicidad anual. Para facilitar esa transición, varios especialistas en Cirugía Maxilofacial «reivindicaron la figura del cirujano maxilofacial en el liderazgo de un tipo de intervenciones que avanzan hacia técnicas menos invasivas».

«La cita de Salamanca ha supuesto un punto de encuentro muy enriquecedor que ha puesto el foco en el empleo de la vanguardia tecnológica aplicada a la Cirugía Oral y la Implantología desde el punto de vista diagnóstico y quirúrgico», destacan desde la organización.

Prueba de ese enfoque fue la intervención final, a cargo del doctor José Vicente Bagán, quien abordó «la relevancia futura de la inteligencia artificial en el diagnóstico y pronóstico del cáncer oral». En esa misma línea, el congreso contó con ponentes de la talla del doctor Alexander Gaggl, cirujano maxilofacial austriaco, que planteó un acercamiento a la cirugía reconstructiva con robótica. De igual modo, se abordaron aspectos relacionados con la mejora de pronósticos y calidad de vida de los pacientes asociada a la innovación tecnológica, gracias a la aplicación de técnicas digitales, el flujo digital y otros avances como la realidad aumentada.

El XIX Congreso de Cirugía Oral e Implantología también puso de relevancia la importancia de la colaboración interdisciplinaria gracias a la presencia de diferentes especialistas complementarios en el abordaje terapéutico de pacientes afectados por este tipo de patologías. Asimismo, y fiel a la tradición, el encuentro sirvió para que la SECOMCyC respalde a sus socios más jóvenes, a los que volvió a dar voz para resaltar el enorme interés de sus propuestas, «auténticos soplos de aire fresco para la especialidad apoyados en la innovación, la creatividad y el desarrollo de las nuevas tecnologías», destacan.

Por otro lado, los asistentes también pudieron disfrutar de la última de las conferencias magistrales, a cargo del doctor Julio Acero, quien pronunció una charla sobre el manejo integral del paciente con cáncer de cabeza y cuello. ●

MÁS DE 400 PROFESIONALES SE REUNIERON EN BARCELONA

La Odontología integrada en el adulto mayor, eje del Congreso SEGER 2024

Los 450 asistentes tuvieron la oportunidad de poder disfrutar tanto de un programa general como de otros programas para higienistas y técnicos de laboratorio. Imagen: cedida por el Dr. José M a Martínez González.

Del 9 al 11 de mayo, el Auditorio Axa de Barcelona acogió el XXII Congreso Nacional y XI Internacional de la Sociedad Española de Gerodontología (SEGER), un evento que reunió a 450 asistentes entre dentistas, higienistas y técnicos de laboratorio.

El acto de inauguración fue presentado por el Dr. Manuel Ribera Uribe, presidente del Congreso, quien estuvo acompañado por el Dr. José M a Martínez González, presidente de la SEGER; el Dr. Carles Subirà Pifarré, vicedecano de la Facultad de Odontología de la Universidad de Barcelona; Dña. María Rosa Pons, del Departamento de Derechos Sociales de la Generalitat de Cataluña; el Dr. Lluís Giner Tarrida, decano de la Facultad de Odontología de la Universidad Internacional de Cataluña; y el Dr. Boi Ruiz, director de la Cátedra de Gestión

Sanitaria y Políticas de Salud de la Universidad Internacional de Cataluña.

TALLERES, PONENCIAS Y PREMIOS

El congreso contó con la presencia de ponentes nacionales e internacionales de reconocido prestigio, quienes debatieron sobre distintos temas organizados en varios bloques: Medicina Oral y Farmacología; Cirugía y Prótesis; Restauradora y Preventiva; y Gerodontología del siglo XXI.

Asimismo, durante su desarrollo se presentaron más de 100 comunicaciones libres, otorgándose en el acto de clausura ocho premios para las diferentes modalidades: investigación, revisión bibliográfica, caso clínico y comunicaciones internacionales. También destacó el desarrollo de 14 talleres con el apoyo de la industria.

«Desde la Junta Directiva queremos agradecer al Dr. Manuel Ribera Uribe, presidente del congreso, y a todo su comité organizador y científico, el magnífico trabajo realizado que ha hecho, una vez más, que los congresos de la SEGER ocupen un lugar destacado. Igualmente, extenderlo a los ponentes y moderadores de mesa, y en especial a la Dra. Soraya León, presidenta de la Sociedad de Odontogeriatría de Chile. Por último, destacar el apoyo de la industria con 47 colaboraciones; sin duda, sin ellos sería difícil el desarrollo de cualquier congreso», explicó el Dr. José M a Martínez.

La finalización del congreso culminó con una cena de confraternización, en la que se reiteró la felicitación al Dr. Manuel Ribera Uribe y se instó a los asistentes, por parte de la Dra. M a Jesús Suárez, vicepresidenta de la SEGER y próxima presidenta del Congreso SEGER que se celebrará en Madrid en 2025, a la asistencia al mismo. ●

Estética y precisión

Para los profesionales que exigen excelencia y eficiencia en cada rehabilitación

Aprende a diseñar estructuras BIOFIT® de manera eficiente. Somos el único centro de fresado en España con un formador certificado en BlenderForDental.

CÉSAR DE LA OSSA, RESPONSABLE DE FLUJO DIGITAL

«En Bioinnovación Dental no dejamos de innovar para ofrecer mejores soluciones»

Con el objetivo de seguir innovando para ofrecer el mejor servicio a sus clientes, Bioinnovación Dental acaba de lanzar al mercado BIOFIT®, su nueva solución protésica. Hablamos con César de la Ossa, responsable de flujo digital en la compañía, para conocer más detalles sobre este nuevo producto.

—Hace poco tiempo que han lanzado BIOFIT® al mercado. ¿En qué consiste exactamente esta innovación?

—BIOFIT® es una solución protésica que consiste en una estructura primaria, generalmente mecanizada en titanio, y una estructura secundaria fresada en un material estético, que se cementan entre sí y ofrecen a los laboratorios una solución eficiente y eficaz ante casos de muy diversa índole.

—¿Qué aporta? ¿Qué tiene de novedoso?

—BIOFIT® presenta varias ventajas novedosas que compaginan muy bien con la digitalización que estamos viviendo en el sector.

En nuestra opinión, está dejando obsoletos a trabajos de zirconio sobre interfases, donde nos es complicado tener un control absoluto de la pasividad y donde nos podemos encontrar con tramos pónticos de mucha largura, que hacen que nuestra prótesis tenga riesgo de fracasar. En Bioinnovación Dental tenemos una obsesión con el ajuste pasivo y gracias a BIOFIT® podemos tener todas las conexiones en una misma matriz metálica. Esto nos brinda un control minucioso sobre la pasividad del trabajo y, además, el soporte de la barra nos va a permitir trabajar con zirconios, composites y PMMAs en tramos largos sin miedo a la fractura. La ventaja en el laboratorio es enorme gracias a esto, ya que podemos trabajar con zirconios mucho más blandos y, por lo tanto, más

Para César de la Ossa, responsable de flujo digital en Bioinnovación Dental, el nuevo producto de la compañía, «BIOFIT® presenta varias ventajas novedosas que compaginan muy bien con la digitalización que estamos viviendo en el sector».

«Bioinnovación Dental es el único centro de fresado de España que cuenta con un formador certificado de BlenderForDental», destaca César de la Ossa.

estéticos; y, de esta manera, realizar diseños monolíticos donde el tiempo que invertiremos en cargar cerámica es muchísimo menor. Además, siempre tendremos la posibilidad de realizar un pequeño cut-back en zonas anteriores para dar un resultado más estético.

Aunque lo más novedoso es, sin duda, la incorporación del concepto BIOFIT® en trabajos sobre diente natural. Este tipo de soluciones está gustando mucho, ya que en la zona vestibular sólo queda visible el material estético y el metal sólo se muestra en forma de ribete palatino.

—¿Es complicado diseñar estas estructuras?

—Este tipo de estructuras se diseñan, generalmente, con el software

BlenderForDental, y Bionnovación Dental es el único centro de fresado de España que cuenta con un formador certificado. Blender es un programa complejo que puede ser un poco inaccesible al inicio si no te has formado. Con nuestros cursos de iniciación teórico-prácticos, los alumnos salen sabiendo diseñar una estructura telescópica sobre implantes. Su duración es de cuatro horas y

el precio es muy asequible. Además, siempre se pueden contratar sesiones totalmente personalizadas, por horas, para resolver dudas o estudiar conceptos más complejos.

—¿Es, por tanto, el futuro de las rehabilitaciones dentales?

—Sí, ya forma parte del presente y seguro que en el futuro tendrá más relevancia todavía. Pero conviene recordar que este tipo de restauraciones no nos servirán para todos los tratamientos y necesitaremos contar con un abanico grande de posibilidades para los trabajos que requieran otro tipo de prótesis. Por eso, en Bioinnovación Dental no dejamos de investigar e innovar para ofrecer mejores soluciones y con la mayor calidad del mercado.●

«En Bioinnovación Dental tenemos una obsesión con el ajuste pasivo y gracias a BIOFIT® podemos tener todas las conexiones en una misma matriz metálica»

MÁS INFORMACIÓN

¿Dónde está?

Polígono Industrial Mutilva, Calle V, Nave 24.

31192 Mutilva (Navarra).

¿Quieres saber más?

Tel: 948 277 430

htt ps://bioinnovaciondental.com/

CINCO ESPAÑOLES, ESPECIALISTAS EUROPEOS EN PROSTODONCIA

El Prof. Guillermo Pradíes, presidente del Comité de Especialización de la EPA

Presidirá el tribunal de evaluación para otorgar el título de Specialist in Prosthodontics.

Tan solo cinco prostodoncistas españoles, incluyendo al presidente de SEPES, el Dr. Guillermo Pradíes (especialista N o 11), los doctores Rafael Martínez de Fuentes (N o 88), Marta Revilla (N o 101), Francisco Martínez Rus (N o 112) y Guillermo Galván (N o 113) están acreditados con este título europeo de especialistas en prótesis.

Desde 2022, la Sociedad Española de Prótesis Odontoestomatológica y Estética (SEPES) está integrada en la European Prosthodontic

Association (EPA) y, por tanto, todos los miembros de SEPES son, asimismo, miembros de la EPA. Por ello, tienen la opción de presentarse, ante el tribunal de evaluación que esta Sociedad convoca anualmente, para obtener el título de especialista europeo reservado exclusivamente para miembros de la EPA. ●

La SEdO lanza la campaña #SonríeSeguro

La Sociedad Española de Ortodoncia (SEDO) quiere reforzar el mensaje sobre la importancia de los tratamientos dentales seguros y eficaces.

Esta iniciativa, lanzada el pasado 15 de mayo coincidiendo con la celebración del Día Mundial de la Ortodoncia, busca educar y concienciar tanto a profesionales como a pacientes sobre la importancia vital de contar siempre con supervisión profesional en los tratamientos de ortodoncia y alertar sobre los riesgos de las opciones no supervisadas que se ofrecen en línea.

La campaña tiene como objetivo reforzar la importancia de los tratamientos de ortodoncia

seguros y eficaces, y promover el compromiso de la Sociedad con la excelencia profesional y los más altos estándares éticos.

De esta forma, todas las acciones de la campaña están diseñadas para:

• Educar al público sobre los beneficios de los tratamientos de ortodoncia supervisados y los riesgos de las alternativas no profesionales.

• Promover la consulta con odontólogos cualificados para cualquier tratamiento de ortodoncia. Recomendar siempre a los pacientes que verifiquen que su tratamiento de ortodoncia lo realice un miembro SEdO como estándar mínimo de calidad.

• Fomentar una comunidad de aprendizaje y apoyo mutuo entre pacientes y profesionales de la ortodoncia. ●

El Dr. Guillermo Pradíes, presidente de SEPES. Imagen: cedida por SEPES.

*Incluídos en la oferta formativa de posgrado de la Universidad del País Vasco

Hasta el 30 de septiembre de 2024

www. fundacioneduardoanitua.org

EL DR. GUILLERMO PRADÍES ABRIÓ EL ACTO EN EL COEM

El Dr. Jesús Calatayud presenta su libro sobre anestesia en Odontología

La obra «Local Anesthesia in Dentistry. A Locoregional Approach», firmada también por Mana Saraghi, ofrece una visión completa y actualizada de la anestesia local en Odontología, equipando a los profesionales con el conocimiento necesario para administrar anestesia de manera segura, eficiente y cómoda para el paciente.

El Dr. Guillermo Pradíes, presidente de la Sociedad Española de Prótesis Odontoestomatológica y Estética (SEPES), fue el encargado de presentar la obra a los asistentes en un acto celebrado en el salón de actos del Colegio de Odontólogos y Estomatólogos de la I Región (COEM) la noche del pasado 9 de mayo. El Dr. Pradíes trazó el perfil profesional del Dr. Calatayud destacando «su pasión por las cosas bien hechas y el cariño y generosidad demostrado siempre hacia los compañeros en todas sus facetas profesionales».

A continuación, el Dr. Calatayud dio paso a un vídeo de su compañera de «aventura editorial», la Dra. Mana Saraghi, quien se encargó de introducir a los asistentes la obra, labor que fue complementada por el propio Calatayud haciendo un repaso completo del proceso editorial y del contenido de la publicación. De este modo, el libro, que puede adquirirse en la Tienda Gaceta Dental, se presenta en formato impreso, con 512 páginas y 23 capítulos, y formato digital para ebook. Todo ello se complementa con 42 anexos que solo se presentan en formato online.

«El objetivo de estos anexos es presentar una gran cantidad de datos e información elaborada, trabajada y ordenada, de modo que la podamos aportar a los capítulos del libro para que esta información apoye los criterios y pautas que indicamos, pero de una manera práctica con datos concretos. Y, al mismo tiempo, no bloqueen la fluidez del texto y la agilidad del libro», indica su autor.

La obra está escrita en inglés, anunciando el Dr. Calatayud, durante la presentación, el interés mostrado por su traducción al chino, proyecto que posiblemente verá la luz en 2026. ●

¡CONSIGUE EL LIBRO EN LA TIENDA GD!
Los Dres. Guillermo Pradíes y Jesús Calatayud, en la presentación del libro. Imagen: Gaceta Dental.

FORMACIÓN CONTINUADA MULTIDISCIPLINAR

II Jornada de Salud Bucodental del Colegio de Higienistas de Valencia

La jornada contó con más de 150 asistentes entre higienistas dentales, odontólogos y estudiantes.

Como indican desde el Colegio Oficial de Higienistas Dentales de la Comunidad Valenciana, «el objetivo de estas Jornadas de Salud Bucodental es ofrecer anualmente a todos sus colegiados, resto de profesionales sanitarios y estudiantes, una jornada de formación continuada multidisciplinar, que aborde el papel del higienista dental en la clínica

dental, en las diferentes áreas odontológicas, y, en concreto, en su competencia clave, la educación y prevención de la salud bucodental, para llegar a una sociedad del bienestar». El programa de actividades de la jornada contó con siete ponencias ofrecidas por Rubén Agustín, Verónica Ausina, Toni Flichy, Pablo Freitas; Ana Abadía, Silvia Oltra, Silvia Martínez y Ana Mejías. «Todos ellos, profesionales sanitarios de la sanidad pública y privada, que no dudan en tender la mano y colaborar en la mejora de la competitividad del higienista dental», destacan desde la organización. ●

CON LA SALUD BUCODENTAL INFANTIL COMO PROTAGONISTA

Nueva entrega del podcast del Colegio de Higienistas Dentales de Madrid

Dentro de la campaña «12 meses, 12 sonrisas», el Colegio Profesional de Higienistas Dentales de Madrid ha lanzado un nuevo episodio de su podcast «Sincera-mente higienista dental».

En esta ocasión, Leonor Martín-Pero, vicepresidenta del Colegio Profesional de Higienistas Dentales de Madrid, Gema Antúnez y Arancha Martínez, higienistas dentales y miembros de la Comisión de Prevención y Salud Oral del Colegio, han abordado la importancia

de la salud bucodental desde los primeros meses de vida.

«La caries es uno de los principales problemas de salud dental en todo el mundo, y la principal enfermedad infecciosa crónica en los niños. Existen muchas creencias erróneas en torno a las caries en los niños y la relevancia del cuidado de su salud oral», destacan desde el Colegio.

Por otra parte, la organización ha publicado las bases para sus premios «Revista Higienistas Dentales – Marisa Casares», cuyo plazo de presentación de trabajos está abierto del 30 de junio al 31 de diciembre de 2024. ●

¿Quieres colaborar con el grupo líder en atención sanitaria?

+200 clínicas en toda España

Clínicas Dentales 100% digitalizadas

Excelencia en la atención al paciente

Descubre cómo aquí

TOMA POSESIÓN COMO ACADÉMICO DE NÚMERO

El Dr. José Mª Martínez, miembro de la Academia de Ciencias Odontológicas

Odontológicas

Imagen: Gaceta Dental.

Rodeado de familiares, amigos y compañeros de profesión, el Dr. José María Martínez tomó posesión de la plaza de Académico de Número adscrita a la sección de Estomatología MédicoQuirúrgica de la Academia de Ciencias Odontológicas de España.

El salón de actos de la Real Academia Nacional de Farmacia de Madrid sirvió de escenario, en la mañana del 25 de abril, a la toma de posesión como Académico de Número de la Academia de Ciencias Odontológicas de España del Dr. José María Martínez González.

Tras sus palabras de agradecimiento a familiares, compañeros y amigos, por su contribución y ayuda en su trayectoria

académica y profesional, el Dr. José María Martínez dedicó su discurso de ingreso al tema «Patología sinusal inflamatoria de naturaleza odontogénica: una encrucijada diagnóstica». En su exposición, el actual presidente de SEGER (Sociedad Española de Gerodontología) y profesor titular de la Universidad Complutense de Madrid, abordó los aspectos epidemiológicos, los factores etiopatogénicos, las manifestaciones clínicas y complicaciones, los medios diagnósticos y la actitud terapéutica de la patología sinusal, destacando entre las conclusiones que «la sinusitis de naturaleza odontogénica es una entidad que cada día adquiere mayor prevalencia, por lo que sería deseable una mayor profundización en su diagnóstico y tratamiento por parte de los profesionales que estén implicados».

Asimismo, el Dr. José M a Martínez indicó que «su diagnóstico debe realizarse basándose en los hallazgos clínicos y explorativos que pueden aportar tanto los odontólogos como los radiólogos y los otorrinolaringólogos; que su tratamiento requiere, en numerosas ocasiones, de un enfoque y un seguimiento multidisciplinar y, por último, que conseguir todos esos aspectos permitirá mejorar la calidad de vida de los pacientes afectos de esta patología, en ocasiones, silenciosa y desapercibida».

El Dr. Rafael Gómez Font fue el encargado de contestar al nuevo académico de número, destacando su figura como MAESTRO y ahondando también en las controversias que genera la sinusitis odontogénica en la clínica.

El acto sirvió también para el ingreso como Académico Correspondiente del Dr. Joaquín Callabed Carracedo, quien entrará a formar parte de la Academia de Ciencias Odontológicas de España, siendo el encargado de la laudatio el Dr. Manuel Bravo Pérez. ●

Los Dres. Joaquín Callabed Carracedo y José María Martínez, junto con miembros de la Academia de Ciencias
de España, al finalizar el acto.

EN LA FACULTAD HM DE CIENCIAS DE LA SALUD

La UCJC, formación teórica y práctica para odontólogos

Instalaciones de la Universidad Camilo José Cela. Imagen: cedida por la UCJC.

La Facultad HM de Ciencias de la Salud de la Universidad Camilo José Cela (UCJC) ofrece másteres de formación integral en Odontología, en los que se aúna la práctica asistencial de los profesionales de HM Hospitales con la experiencia formativa de la UCJC.

La oferta de posgrado en Odontología de la Facultad, como el Máster de Formación

Permanente en Cirugía Bucal, Periodoncia e Implantología; el Máster de Formación

Permanente en Ciencias Básicas de la Ortodoncia; y el Máster de Formación

Permanente en Ortodoncia y Ortopedia

Dentofacial, «cuenta con un equipamiento dental y auxiliar de última generación, la aparatología más avanzada y sofisticada y prácticas con pacientes para un perfecto seguimiento de los tratamientos realizados en pacientes a lo largo del tiempo», destacan desde la UCJC.

La Facultad HM posibilita, asimismo, sedes prácticas como el Policlínico HM Arapiles en Madrid o el Hospital de HM Nens de Barcelona. «Además, estos másteres cuentan con docentes

cualificados y reconocidos internacionalmente, equipos multidisciplinares y una formación que se imparte en castellano e inglés», apostillan desde la UCJC.

El Máster de Formación Permanente en Cirugía Bucal, Periodoncia e Implantología se imparte en formato semipresencial en el Policlínico de HM Arapiles y cuenta con una duración de dos cursos.

Por otro lado, el Máster de Formación Permanente en Ciencias Básicas de la Ortodoncia y el Máster de Formación Permanente en Ortodoncia y Ortopedia Dentofacial tienen una duración de tres cursos y se imparten en Barcelona o Madrid. Se estudian de forma conjunta con el objetivo de ofrecer una formación integral.

«Esta formación de posgrado es un ejemplo de la estrategia de la Facultad HM de Ciencias de la Salud de la UCJC, que nace del firme convencimiento de la necesidad de evolucionar en la formación de los futuros profesionales sanitarios, incorporando al hospital como eje fundamental y vertebrador de su aprendizaje», concluyen desde la Facultad HM de Ciencias de la Salud de la Universidad Camilo José Cela. ●

MÁS INFORMACIÓN

sandra.vnavarro@ucjc.edu 918 153 131 htt ps://cuhmucjc.com/

ES UNO DE LOS OBJETIVOS DE LA SOCIEDAD

AEDE ve cada vez más cerca el reconocimiento de la especialidad

Coincidiendo con la celebración en Madrid, los días 17 y 18 de mayo, del Simposio y el SIE Campus, la Asociación Española de Endodoncia (AEDE) hizo mención a sus objetivos como Junta Directiva desde que tomaran posesión en noviembre de 2023: aumento de la oferta formativa, reconocimiento de la Endodoncia como especialidad odontológica y acercar esta disciplina tanto a pacientes como a profesionales no endodoncistas.

Durante la tarde del 17 de mayo, el Simposio AEDE, coordinado por el vocal de la Sociedad, el Dr. Antonio Conde, se desarrolló a través de ponencias de media hora por parte de los Dres. Alejandro Peña, Cristina González, Jorge Domínguez, Luis Baroni, Manuel Peix, Pablo Castelo, Pablo Fernández y Rafael Cisneros, quienes abordaron las principales novedades endodónticas. Al día siguiente y en el mismo lugar se celebró el SIE Campus bajo el lema «I’m young but not stupid», una jornada dirigida a los profesionales jóvenes que contó con la

participación de Style Italiano, la comunidad más grande de endodoncistas en la red. Los asistentes aprendieron a evitar problemas en Endodoncia de la mano de Alberto Morales, Fabio Gorni, Federico Foschi, Francesca Cerutti, Gabriele Ragucci, Jorge Rubio, José Conde, José Valverde, Marino Sutedjo, Martín Jiménez, Massimo Giovarruscio, Riccardo Tonini y Xavi Ruiz.

LA ESPECIALIDAD, CADA VEZ MÁS CERCA

En la previa al Simposio y al SIE Campus, en rueda de prensa, con la presencia de los doctores Dr. José Aranguren, Eugenio Grano de Oro y Antonio Conde, presidente, presidente electo y vocal de AEDE, respectivamente, se hizo un repaso por los objetivos de la junta directiva durante su mandato, unos propósitos que pasan por el aumento de la oferta formativa y de acercar esta disciplina tanto a pacientes como a profesionales no endodoncistas.

En este sentido, uno de los grandes objetivos de AEDE es conseguir el reconocimiento de la Endodoncia como especialidad odontológica. Un camino que ha dado sus primeros pasos gracias a un documento conjunto firmado junto a otras cinco sociedades científicas, las de mayor peso en la Odontología española, así como con el Consejo General de Dentistas y la Conferencia de Decanos de Facultades de Odontología.

A raíz de esto, el Dr. José Aranguren detalla que «lo bueno de trabajar todos juntos es que estamos desarrollando los programas de forma conjunta». Respecto a cuándo serán las especialidades una realidad, el presidente de AEDE destaca que «aunque todo hace pensar que sí se adaptarán las especialidades pronto, no quiere decir que ya empezarían a ejecutarse. Habrá que esperar un tiempo para diseñarlas, pero creo que estamos en la línea para, en poco tiempo, poder conseguir la especialidad». ●

En la imagen, de izda. a dcha.; los Dres. Antonio Conde, José Aranguren y Eugenio Grano de Oro. Imagen: Gaceta Dental.

MEJORA TU SONRISA

EL MEJOR COMPLEMENTO

PARA TUS BLANQUEAMIENTOS

BLANQUEAMIENTO SIMPLE E INSTANTÁNEO

Gracias a la combinación de 3 fosfatos que aceleran el proceso de blanqueamiento

AJUSTE UNIVERSAL

Se adapta al 99% de las sonrisas, tanto para los dientes superiores como para los inferiores

INVISIBLE Y SOLUBLE

El tiempo de uso es de tan solo 15 min y se disuelven en tu boca dejando un sabor a menta

BIOCOMPATIBLE Y CLÍNICAMENTE PROBADO*

*Testeado por la Universidad de Cardiff

TE PRESENTAMOS NUESTRAS NUEVAS TIRAS DE BLANQUEAMIENTO P3

WHITE DENTAL BEAUTY SABOR A MENTA PERÓXIDO DE HIDRÓGENO

¡Accede al precio de Oferta en nuestra Web!

A TRAVÉS DE LA UNIÓN DE LAS DOS COMPAÑÍAS

BioHorizons Camlog celebra 55 años de innovación en Implantología

Este 2024, BioHorizons Camlog ha cumplido un hito significativo: 55 años al servicio de los profesionales de la Odontología a través de la innovación y dedicación en el campo de la Implantología. Con 30 años de trayectoria de BioHorizons y 25 años de Camlog, esta fusión de fuerzas ha contribuido a transformar el sector a nivel mundial.

La historia de BioHorizons comenzó en 1994 en Birmingham, Alabama, donde destacó por sus innovaciones en ingeniería de sonrisas a través de implantes dentales y soluciones para la regeneración de tejidos mediante la investigación pionera, las innovaciones y una búsqueda incesante por la calidad. Paralelamente, en Alemania, Camlog fue fundada en 1999, «estableciéndose rápidamente como líder en la fabricación de implantes dentales de alta tecnología», cuentan desde BioHorizons Camlog.

«Estas dos empresas, con legados distintos y puntos fuertes únicos, se encontraron en una encrucijada de oportunidades en el dinámico panorama del sector de la Odontología. Sus historias, aunque divergentes, tenían en común la ciencia, la innovación y el compromiso por la excelencia en productos de implantes dentales basados en la evidencia científica», explican.

Ahora, «nuestro concepto de «Alcance global con un carácter local» se ha convertido en el sello distintivo del éxito de nuestras más de 90 filiales y distribuidores. Este enfoque supone un delicado equilibrio entre las operaciones de expansión a nivel global y un profundo conocimiento de las culturas y mercados locales», añaden.

Prueba de ello es el impacto de BioHorizons Camlog en sus clientes y trabajadores. «Desde nuestra primera interacción con BioHorizons Camlog, hemos sido testigos de la evolución y el impacto significativo que sus productos y servicios han tenido en nuestra práctica. Elegir BioHorizons Camlog no solo ha mejorado nuestra oferta clínica con resultados excepcionales y duraderos, sino que también ha fortalecido

«Los principales avances tecnológicos permitirán mejorar el éxito de los tratamientos y la experiencia de los pacientes»

nuestra confianza en cada caso tratado. La combinación de innovación constante y un equipo de apoyo dedicado ha sido fundamental para nuestro desarrollo profesional. Estamos agradecidos por la relación forjada a lo largo de los años y esperamos muchos más éxitos juntos», destacan los Dres. Gonzalo y Álvaro Blasi.

RESPONSABILIDAD SOCIAL CORPORATIVA

Comprometidos con un futuro sostenible, BioHorizons Camlog ha implementado una serie de iniciativas de Responsabilidad Social Corporativa (RSC) que incluyen prácticas comerciales éticas, sostenibilidad ambiental y participación comunitaria.

Estas iniciativas no solo benefician a sus empleados, sino también a las comunidades en las que operan.

MIRANDO HACIA EL FUTURO

Con la vista puesta en los próximos 30 años, «la próxima generación de ingenieros y clínicos seguirá dando forma al futuro de la Implantología dental con sus nuevas ideas y desarrollos novedosos. Los principales avances tecnológicos permitirán mejorar el éxito de los tratamientos y la experiencia de los pacientes, centrándose en la accesibilidad y la facilidad de uso», cuentan desde BioHorizons Camlog. ●

MÁS INFORMACIÓN

Equipo de BioHorizons Camlog Ibérica.

SOLO PUEDEN REALIZARLA PROFESIONALES AUTORIZADOS

Los dentistas alertan de la realización de frenectomías de modo irregular

El Consejo General de Dentistas de España ha advertido que «las matronas no tienen atribuciones para realizar frenectomías, una técnica quirúrgica que consiste en eliminar el frenillo en aquellos casos de lengua anclada o frenillo corto, y de las graves consecuencias que puede conllevar esta práctica si no se realiza cuando es estrictamente necesario».

Este aviso por parte del Consejo General de Dentistas surge a raíz de la denuncia de la Fiscalía de Madrid a una clínica de Pozuelo de Alarcón (Madrid) tras conocerse que «al menos dos bebés acabaron, supuestamente en urgencias, a consecuencia de una

hemorragia provocada por la realización de este procedimiento quirúrgico por parte de una matrona en este centro privado de su propiedad». Sobre este hecho, el Colegio de Odontólogos y Estomatólogos de Madrid (COEM) se personará como acusación ante el Juzgado de Instrucción n o 3 de Pozuelo de Alarcón.

En este sentido, el Consejo General ha recordado que «sólo los dentistas, así como los cirujanos orales y maxilofaciales y pediátricos, tienen atribuciones para realizar este tipo de cirugías y alerta de los peligros que puede suponer realizar este tipo de intervención sin contar con las competencias adecuadas, incluyendo un riesgo vital para el propio bebé».

Del mismo modo, el COEM insiste «en la necesidad de un adecuado diagnóstico por un profesional debidamente cualificado de la patología producida por el frenillo lingual». ●

ACUERDO PARA GARANTIZAR LA BIOSEGURIDAD EN LAS CLÍNICAS DENTALES

El Colegio Oficial de Odontólogos y Estomatólogos de la Primera Región (COEM) y el Colegio de Biólogos de Madrid (COBCM) han firmado un acuerdo para facilitar el desarrollo de actividades que beneficien a la colegiación en la elevación de las garantías biosanitarias en el desarrollo de su actividad. «El primer proyecto versa sobre actividades para la prevención y control de la legionelosis en clínicas dentales. Tal como es público y notorio, las clínicas dentales fueron incluidas en el Real Decreto 487/2022, de 21 de junio, por el que se establecen los requisitos sanitarios para la prevención y el control de la legionelosis. Dado que el compromiso del COEM es ayudar a los colegiados a mantener unos niveles de excelencia sobre la bioseguridad de las clínicas, el Colegio impulsó un PSL al efecto de que las clínicas pudieran dar cumplimiento a la normativa y están pendientes de desarrollar actividades formativas en la materia que permitan profundizar en el conocimiento de los riesgos biosanitarios y la forma de excluirlos o minimizarlos por completo en la actividad profesional del odontólogo», comenta la Dra. Marisol Ucha, presidenta del COEM.

160

CON CONGRESISTAS DE MEDIO CENTENAR DE PAÍSES

Éxito de asistencia en SEPA Bilbao 2024 con 4.500 profesionales

Del 29 de mayo al 1 de junio, Bilbao acogió la celebración del Congreso de la Periodoncia y la Salud Bucal, organizado por la Sociedad Española de Periodoncia y Osteointegración (SEPA), una cita de referencia que abordó todos los conceptos y técnicas en Periodoncia y Terapia de Implantes, tanto clínicos como científicos.

«Se ha completado todo el aforo, con la participación de unos 4.500 congresistas de medio centenar de países (48), lo que le convierte en uno de los encuentros cientí ficos m á s numerosos organizados en el Palacio Euskalduna de Bilbao hasta la fecha y, sin duda, el congreso de Odontología más importante a nivel internacional de este año», resaltó la Dra. Paula Matesanz, vicepresidenta de SEPA.

PRINCIPALES CONTENIDOS

Actualizar conocimientos y habilidades en la prevención y manejo de las enfermedades

periodontales o poner al día los recursos técnicos que existen para abordar con éxito una terapia de implantes fueron algunas de las oportunidades formativas del Congreso. El Dr. José Nart, presidente de SEPA, destacó «la calidad y variedad del programa científico, poniendo el foco en la sobresaliente participación de expertos mundiales, la aplicabilidad en la práctica clínica de los contenidos y, sobre todo, el interés y oportunidad que ofrece este evento para los profesionales de la Odontología más jóvenes y en pleno proceso formativo».

De esta manera, el encuentro se estructuró en tres itinerarios científicos, incluyendo bloques temáticos de Dentistas (Interdisciplinar, Digital y Periodoncia), Higiene y Gestión, sin olvidar la oferta formativa y expositora alojada en ExpoPerio.

Según detalló el Dr. Alberto Monje, vocal de Encuentros de SEPA, «este Congreso aborda conceptos cl í nicos y cient í ficos de una manera muy prá ctic a, y recurriendo a ponentes con una alta carga clínica, para ayudar a responder los dilemas que nos encontramos en el d í a a d í a».

La Periodoncia y sus bases tuvieron un protagonismo crucial en este Congreso, desarrollando de manera extensa el concepto de microbioma y periodontitis. Adem á s, se actualizaron y revisaron conceptos asociados a las nuevas tecnolog í as, la inteligencia artificial aplicada al diagn ó stico de la periodontitis o el uso de las herramientas digitales en tratamientos interdisciplinares. Y se incorporaron en el programa tem á tica s relacionadas con los retos y avances en la terapia de implantes, colocaci ó n de i mplantes en situaciones de alto compromiso o sobre c ó mo abordar casos tras la explantaci ó n de implantes.

De izda. a dcha.; Francisco Vijande, José Nart, Paula Matesanz y Alberto Monje: Imagen: Gaceta Dental.

«Hemos intentado que todas las sesiones, en sus distintos formatos, tengan una aplicaci ó n cl í nica», subrayó el Dr. Francisco Vijande, secretario general de SEPA. Respecto al carácter eminentemente interdisciplinar de este encuentro, el Dr. Vijande reconoció que «hoy en d í a no podemos entender la Odontolog í a desd e un enfoque interdisciplinar sin que se tenga en cuenta que la salud periodontal debe ser la base de cualquier tratamiento».

SESIONES ESTELARES Y GRANDES NOMBRES

De especial relevancia fue la cirugía en directo que dirigió desde su clínica en Padua (Italia) el Dr. Luca de Stavola, quien incidió en la técnica de encofrado en defectos óseos avanzados, guiada por ordenador, abriéndose también el debate a la participación de los asistentes vía WhatsApp.

El Congreso también acogió la presentación de los primeros resultados derivados del programa Promosalud, en el que participan ya cerca de 1.500 clínicas odontológicas y que está recogiendo información sobre la detección precoz de diabetes e hipertensión arterial en las consultas dentales de España.

Asimismo, en el programa científico se reflejó el carácter internacional del evento, con sesiones conjuntas con la American Academy of Periodontology (AAP), el International Team for Implantology (ITI), la Federación

Aloinjerto BioBank, la mejor alternativa al hueso autólogo con óptimos resultados.

Iberopanamericana de Periodoncia (FIPP) o la Oral Reconstruction Foundation.

Un aspecto innovador fue la celebración, por primera vez, de la Mucogingival World Cup (MWC), una liga de casos clínicos exitosos que contó con dos categorías temáticas: mucogingival alrededor de dientes y tejidos blandos alrededor de implantes. El ganador fue Xavi Mir, quedando en segundo lugar el caso clínico de Patricia Solano.

Giovanni Zucchelli, Luca de Stavola, Iain Chapple, Maurizio Tonetti, Vivianne Chappuis, Sofia Aroca, Filippo Graziani, Martina Stefanini, Paulo Carvalho, Homa Zadeh, Mauro Merli o Anton Sculean fueron, entre otros muchos, algunos de los expertos internacionales que participarán en Sepa Bilbao’24, todo ello sin olvidar la presencia de los expertos españoles más sobresalientes, que son referentes mundiales en el campo de la Periodoncia y la Terapia de Implantes.

«España es líder mundial en la investigación y la práctica clínica en Periodoncia y Terapia de Implantes, con expertos que son referentes internacionales y ponentes habituales en encuentros de máximo nivel, como el profesor Mariano Sanz», destacó el Dr. José Nart. ●

LEE LA NOTICIA COMPLETA AQUÍ

Principal banco de tejidos francés de hueso de origen humano, autorizado por la ANSM (Agencia Nacional Francesa de Seguridad de los Productos Sanitarios) con más de 20 años de experiencia. Es el único banco que obtiene su hueso de cabezas femorales exclusivamente extraídas de donantes vivos en Francia, por cirujanos ortopedistas durante artroplastias de cadera.La selección de donantes se basa en el respeto estricto de las reglas de seguridad sanitarias y de los criterios clínicos y serológicos reglamentarios, garantizando la trazabilidad del injerto al 100%.

Proceso Supercrit®

La estructura ósea se vuelve inerte usando CO2 súper crítico. Este proceso es reconocido como el más eficiente e innovador para preservar la estructura mineral y colágena del hueso y reduce la tasa de lípidos residuales a menos del 0,1% a la vez que preserva las propiedades de resistencia mecánica del hueso nativo.

QR

Escanea este
para ver diferentes casos clínicos en los que se ha utilizado el aloinjerto BioBank.

REDUCE LA PROBABILIDAD DE SENSIBILIDAD DENTAL

K-Bleach 16%, el nuevo blanqueamiento domiciliario de Kiyomi

«K-Bleach 16% ofrece resultados notables y una experiencia cómoda y segura», destacan desde Kiyomi.

El K-Bleach 16% de Kiyomi es un blanqueamiento dental de uso en casa formulado con peróxido de carbamida al 16%, diseñado para su uso bajo la supervisión de un odontólogo.

Con una eficacia mejorada, K-Bleach 16% ofrece resultados notables en menos tiempo, al brindar un blanqueamiento dental efectivo desde el hogar.

«Gracias a su fórmula neutra de pH, reduce la probabilidad de sensibilidad dental, por lo que es adecuado para casos moderados y severos. Además, su alta viscosidad evita goteos, tiene una punta de fácil manipulación para un transporte sencillo del gel y también un tapón de cierre para un almacenamiento seguro», destacan desde Kiyomi.

Asimismo, proporciona un blanqueamiento duradero, por lo que «es el aliado perfecto para prolongar los efectos blanqueadores por más tiempo», cuentan desde Kiyomi.

Por otro lado, dada su amplia disponibilidad, los kits permiten ofrecer diferentes presentaciones: un kit de 4 jeringas de 3

ml cada una y un kit de 2 jeringas más gel desensibilizante K-Desens 5% para que también pueda ser utilizado en pacientes con hipersensibilidad dental.

Por todo ello, «el K-Bleach 16% de Kiyomi establece un nuevo estándar en blanqueamiento dental de uso casero, ofreciendo resultados notables y una experiencia cómoda y segura», añaden.

«Nos enorgullece ofrecer a los odontólogos opciones simples y eficaces que les permitan lograr resultados estéticos y funcionales excepcionalmente predecibles sin importar su nivel de formación. Nuestro lema es «Simple and Easy», porque creemos que la Odontología estética debería ser fácil y accesible para todos», concluyen desde Kiyomi. ●

«Gracias a su fórmula neutra de pH, reduce la probabilidad de sensibilidad dental, por lo que es adecuado para casos moderados y severos»

MÁS INFORMACIÓN

ILUMINA LA SONRISA DE TUS PACIENTES

Blanqueamiento dental de uso casero a base de peróxido de carbamida

FACILITA UNA PRODUCCIÓN MÁS RÁPIDA

Tecnología de impresión 3D de titanio con fresado, lo nuevo de CNC Dental

CNC Dental se caracteriza por su búsqueda constante de la innovación tecnológica, el desarrollo de nuevos materiales y la formación continua.

Con más de dos décadas de experiencia en el sector odontológico, CNC Dental presenta un nuevo sistema de producción que combina la tecnología impresión 3D de titanio y la de fresado.

La compañía apuesta, de esta manera, por la combinación de circonio y titanio, aprovechando las ventajas estéticas del primero y la resistencia del segundo. «Al sinterizar el titanio en lugar de fresarlo, logramos una producción más rápida y con resultados precisos que garantizan un ajuste perfecto al momento de la cementación con el circonio, evitando las complicaciones típicas del fresado», destacan desde CNC Dental.

«Con este nuevo avance ofrecemos a nuestros clientes una opción más rápida y precisa, manteniendo siempre la calidad y el

compromiso que nos distingue. Además, en nuestras nuevas instalaciones hemos adoptado el concepto de «puertas abiertas», invitando al público a conocer de cerca nuestros procesos, métodos de trabajo y maquinaria empleada», añaden desde la compañía.

COMPROMISO CON LA MÁXIMA CALIDAD

Los servicios ofrecidos por CNC Dental abarcan desde el diseño y fabricación de estructuras y piezas dentales hasta un asesoramiento personalizado para garantizar la excelencia en cada trabajo.

«Además, ampliamos los conocimientos del sector a través de programas de formación dirigidos tanto a laboratorios como a particulares, incluyendo nuestra sede ICAD Digital en Andalucía, que contribuye al desarrollo de la industria dental en la región», apostillan.

Asimismo, desde la selección del mejor metal en polvo hasta el análisis y asesoramiento sobre archivos STL, «nos esforzamos por ofrecer resultados óptimos mediante la utilización de las mismas máquinas y software, garantizando así la homogeneidad y precisión en todas las piezas fabricadas», cuentan desde CNC Dental.

También se encuentran las estructuras fresadas, que representan la innovación tecnológica y la evolución constante del departamento de I+D de la empresa. «Y no solo eso, ya que hemos incorporado sistemas de fabricación aditiva específicos para materiales sanitarios certificados, cumpliendo con los más altos estándares de seguridad y calidad», explican. «Continuamos así con nuestra trayectoria de innovación y calidad, marcando nuevos estándares en el sector dental y reafirmando nuestra voluntad con la satisfacción del cliente y la excelencia en cada trabajo realizado», concluyen. ●

ESCANEO INTRAORAL EN CLÍNICA DENTAL

Somos especialistas en la impresión 3D de prótesis dentales de resina y metal

ENVÍO DEL ARCHIVO DIGITAL AL LABORATORIO

TECNOLOGÍA CAD / CAM DE CNC DENTAL 04

IMPRESIÓN 3D DE PRÓTESIS DENTAL POR CNC DENTAL

RESULTADO

A TRAVÉS DE UN EQUIPO LIDERADO POR EL DR. MANUEL MÁIQUEZ

La FDE patrocina la fabricación de los protectores bucales de siete deportistas

Un equipo liderado por el presidente de la Sociedad Española de Odontología del Deporte (SEOD), el Dr. Manuel Máiquez, ha sido el encargado de confeccionar los protectores bucales a medida a los deportistas empleando tecnología de última generación.

La Fundación Dental Española (FDE), entidad dependiente del Consejo General de Dentistas de España, colabora con varios deportistas internacionales españoles en el marco de una campaña sobre salud oral y deporte. En concreto, se trata de la actual subcampeona olímpica y campeona de Europa de taekwondo, Adriana Cerezo, y de los jugadores de hockey hierba Borja Lacalle, Belén Iglesias, Rafael Vilallonga, Alejandra TorresQuevedo, Begoña García e Ignacio Rodríguez.

El encargado de confeccionar los bucales ha sido el equipo del Dr. Manuel Máiquez Gosálvez, doctor en Odontología y presidente de la Sociedad Española de Odontología del Deporte –adscrita al Consejo General de Dentistas-, quien ha empleado las últimas técnicas y los mejores materiales disponibles para elaborar un producto a medida para los deportistas y de altísima calidad.

«Los protectores bucales personalizados son los únicos que pueden disminuir considerablemente los posibles daños causados por impactos, mientras permiten una respiración adecuada, brindan estabilidad a la mandíbula y mejoran el equilibrio neuromuscular del deportista», ha explicado el Dr. Máiquez, cuyo equipo en su momento diseñó y fabricó el protector bucal del luchador Ilia Topuria.

En lo que respecta a su elaboración, el Dr. Máiquez ha indicado que «estos dispositivos, totalmente personalizados, tardan varias semanas en elaborarse y requieren de la participación de un completo elenco de profesionales que trabajan en coordinación desde la toma de medidas hasta la aplicación final, pasando por su diseño y fabricación en un laboratorio específico».

Para el presidente del Consejo General de Dentistas de España y de la Fundación Dental Española, el Dr. Óscar Castro Reino, es crucial enviar un mensaje a todas las personas que practican deportes de contacto: «Siempre que se compite en este tipo de disciplinas, aunque sea a nivel amateur, existe un riesgo de lesión por una contusión o un golpe. Por eso es importantísimo que el público general conozca que un protector bucal bien colocado y adaptado puede evitar consecuencias tan serias como la pérdida de piezas dentales». ●

Adriana Cerezo y el Dr. Manuel Máiquez. Imagen: cedida por la FDE.

19 Sep · Madrid

¡La gran esta de la Odontología!

¡Envía tu candidatura y elige el camino de la excelencia!

Plazo de recepción: 30 de junio

¡Consulta las bases!

Organiza: Impulsa:

NUEVO MÁSTER EN IMPLANTOLOGÍA EN LA UNIVERSIDAD DE ALICANTE

«Este máster proporciona maestría, experiencia, innovación y formación»

La Dra. Elena Ronda -izda.-, médica catedrática de Medicina preventiva y vicedecana del Grado de Medicina de la Universidad de Alicante; y la Dra. Carmen Pomares, médica estomatóloga, periodoncista e implantóloga. Imagen: cedida por la Dra. Carmen Pomares.

Con el objetivo de seguir ampliando los conocimientos en el campo de la Implantología y dar respuesta a las inquietudes que puedan surgir durante el ejercicio de la profesión, la Universidad de Alicante ha lanzado el nuevo Máster Internacional avanzado en Implantología, Regeneración y Perioprótesis con enfoque digital.

—¿Cuál es el objetivo del Máster Internacional en Implantología, Regeneración y Perioprótesis avanzado con enfoque digital de la Universidad de Alicante?

—Dra. Ronda: Se trata de un novedoso máster de formación permanente que tiene como objetivo la ampliación de conocimientos y competencias en Implantología y todos los campos relacionados y necesarios para su

desarrollo, para la actualización formativa de médicos y odontólogos. Es el primer máster de este tipo en el campo de la salud que se va a impartir en la Universidad de Alicante, por lo que representa un reto que asumimos con mucha ilusión. Cabe destacar la flexibilidad para cursarlo: son diez asignaturas, que se pueden seguir de forma independiente, y cada una de ellas da lugar a un reconocimiento oficial; es decir, te puedes matricular de asignaturas de forma individual según tus necesidades. El seguimiento de las diez asignaturas, más un trabajo fin de máster (TFM) y prácticas intensivas, completaría el título. Conviene llamar la atención sobre la participación y combinación de profesionales de varias áreas de conocimiento (Ingeniería biomédica, Medicina preventiva, Medicina de familia, Anatomía, Medicina bucal, Periodoncia, Prótesis e Implantología, entre otros) que ofrecerán una visión amplia e integrada.

—¿Para quién está destinado este máster? —Dra. Pomares: Para los doctores que ya han realizado algún tipo de formación en Implantología y al colocar los primeros implantes en su clínica es cuando les asaltan las dudas y se dan cuenta de qué conocimientos necesitarían adquirir para desarrollar su labor por completo. Este máster viene a resolverlo, ya que vamos a aportar la formación necesaria para cubrir todas las lagunas que pueda percibir el implantólogo. Daremos respuesta a las inquietudes a nivel legal de cómo abordar los consentimientos, la recopilación de datos y los protocolos a seguir por el equipo. Vamos a visualizar la anatomía de los campos en los que trabajamos a nivel bucofacial y las patologías orales que puedan aparecer y su relación sistémica. También la interacción con

fármacos y su manejo y, para los que tengan espíritu científico e investigador, aprenderán a discriminar artículos científicos y cómo llevarlos a cabo. También veremos cómo discernir en diagnóstico 3D CBCT y cómo realizar fotografía intraoral y diseño de sonrisa para planificar los casos.

Asimismo, repasaremos conceptos biológicos y mecánicos de Implantología, y llegaremos a desgranar cómo resolver los contratiempos o las complicaciones que puedan surgir en la práctica diaria y cómo gestionarlos. Aprenderemos de regeneración ósea desde el inicio a lo más complejo, y las opciones más punteras en técnicas, uso de plasma, biomateriales y elevación de seno. Ampliaremos conocimientos en cirugía mucogingival periimplantaria, qué técnica elegir en cada caso y cómo ejecutar un buen manejo de tejidos blandos y posibilidades del láser. Igualmente, asentaremos protocolos de cómo manejar la atrofia ósea y el abanico de posibilidades a nuestra disposición para afrontar el reto del maxilar atrófico. Nos formaremos en Implantología digital desde la A a la Z en cirugía guiada y navegada y su fusión con la técnica del Doble Factor y protocolo All on four . Todo dentro del actual flujo digital completo que aprenderemos a implementar en todos su pasos y variantes, desde la impresión 3D y la provisionalización a la prótesis implantológica definitiva y su control. Adquiriremos conocimientos complementarios sobre el uso de fillers y bótox en zona bucofacial y el manejo del bruxismo adecuado tras nuestras rehabilitaciones definitivas y de manera preventiva con diseño de férulas. Daremos cobertura a temas tan actuales como lo que nos aporta la IA y las nuevas tecnologías como la realidad virtual y la fotogrametría. Y terminaremos sumando el plus de gestión, marketing y comunicación en medios y con nuestros pacientes.

—¿Qué es lo que le diferencia de otros másteres y qué pueden esperar los alumnos?

—Dra. Pomares: Hemos desarrollado este revolucionario máster en el entorno de las

«Hay una dedicación por parte del profesorado para que los alumnos aprendan todos los detalles que van a darles seguridad en su práctica clínica y conseguir comunicar con sus pacientes»

Ciencias de la Salud en la Universidad de Alicante bajo el prisma científico y médico y con un carácter eminentemente práctico, con la seriedad y compromiso que proporciona esta universidad.

Será versátil dada la colaboración de un cuadro docente con los mejores profesionales de cada campo en Odontología, además de los profesionales de Ingeniería y Medicina de la propia universidad. Hay una dedicación por parte del profesorado para que los alumnos aprendan todos los detalles que van a darles seguridad en su práctica clínica y conseguir fidelizar y comunicar con sus pacientes, además de un servicio de mentoría.

Hemos conseguido construir nuestro cuadro de expertos con una importante presencia femenina que, a veces en el campo de la Implantología, es difícil de encontrar. Dispondremos de unas prácticas con la tecnología más innovadora y las técnicas más predecibles y precisas para conseguir el éxito en nuestra labor. También habrá una masterclass mensual con ponentes internacionales de renombre y seminarios que nos proporcionarán el mayor conocimiento. Colaborarán marcas comerciales comprometidas con el desarrollo de los mayores estándares en Implantología y todo lo que les rodea en la era digital.

Esta variada conjunción de conceptos y de talentos confluirán en este máster único para proporcionar maestría, experiencia, innovación y la formación más exhaustiva en aras de la excelencia. ●

LA GALA DE LA 27ª EDICIÓN SE CELEBRARÁ EL 19 DE SEPTIEMBRE

¡Últimas

semanas para participar en los Premios Gaceta Dental!

¿Eres estudiante de Odontología, de Prótesis Dental o Higiene Bucodental? ¿Has dado el salto al mundo digital e incorporado nuevas tecnologías y vías de comunicación a tu clínica? ¿Dedicas tu tiempo a mejorar la salud bucodental de las personas más vulnerables? ¿Te gusta escribir y quieres demostrar tu talento? Si has respondido que sí a algunas de estas preguntas, los Premios Gaceta Dental son para ti. ¿A qué esperas? No te lo pienses más y participa. ¡Envía tu candidatura a redaccion@gacetadental.com antes del 30 de junio!

Cada vez falta menos para la celebración de la gran cita del sector: los 27 Premios Gaceta Dental, unos galardones que, desde su puesta en marcha, no han dejado de reconocer el trabajo y dedicación de los profesionales, estudiantes y organizaciones vinculadas a la Odontología. Al igual que la edición pasada, la convocatoria cuenta con el apoyo de Catalano Clínicas Odontológicas como patrocinador global.

El próximo 19 de septiembre, la Real Fábrica de Tapices de Madrid acogerá una nueva gala llena de momentos inolvidables donde se premiará la excelencia y en la que nos reuniremos con algunas de las personalidades más importantes del sector para compartir una pasión: la Odontología y la salud bucodental.

PREMIOS DIVIDIDOS EN 4 BLOQUES

Las categorías de los 27 Premios Gaceta Dental se dividen en cuatro bloques: Profesionales, Estudiantes, Innovación y Gestión y Sociedad y Cultura.

-Premios GD Profesionales: Mejor Artículo Científico (IPG Dental) y Mejor Caso Clínico (Ivoclar).

-Premios GD Estudiantes: Talento en Odontología (Instituto IPAO), Talento en Prótesis Dental y Talento en Higiene Dental (Instituto IDEOD).

-Premios GD Innovación y Gestión: Clínica o Laboratorio Digital (Aragoneses CPD), Avance Tecnológico, Premio Gestión Clínica, y Comunicación y Marketing.

-Premio GD Sociedad y Cultura. Proyecto Solidario (apoyado por Catalano Clínicas Odontológicas), Relato Corto y Libro del Año (Tienda GD). ●

¡NO PIERDAS DETALLE DE LA CONVOCATORIA!

Consulta nuestra web y nuestras redes sociales para estar al día de los 27 Premios GD.

JOSÉ MARÍA FONOLLOSA PLA

Presidente de Dental Tècnic

Barcelona acogerá, los días 4 y 5 de octubre de 2024, una nueva edición del Congreso Dental Tècnic del Colegio Oficial de Protésicos Dentales de Cataluña (COPDEC), un evento, según su presidente, José María Fonollosa Pla, con un programa científico que «permitirá responder a las preguntas o dudas que se plantean a diario» a través de «una temática que abarcará una amplia variedad de aspectos de la prótesis dental».

Los próximos 4 y 5 de octubre tendrá lugar la celebración de Dental Tècnic 2024 en Barcelona. En la pasada edición, más de 200 personas, entre las que se encontraban colegiados, protésicos dentales y estudiantes de diferentes puntos de España y de varios países de Europa, asistieron al evento. ¿Qué expectativas tienen para este año?

—Hemos organizado la presente edición con especial ilusión y motivación para presentar un congreso que atienda las expectativas, en cuanto a formación y presentación de nuevas tecnologías, de los técnicos dentales. Sabemos que los compañeros tienen ganas de acudir a nuestro congreso para compartir experiencias y tener acceso a interesantes conferencias como las programadas, y a una exposición comercial exclusiva para el laboratorio dental. Además, en esta ocasión, el Colegio Oficial de Protésicos Dentales de Cataluña (COPDEC) realiza un importante

esfuerzo económico, ya que ha optado por ofrecer a sus miembros y colegiados españoles una asistencia totalmente gratuita a las conferencias. Así pues, nuestras expectativas de asistencia son muy superiores a las de pasadas ediciones; esperamos que sea masiva.

—¿Con qué objetivos se ha diseñado el programa científico de esta edición? ¿Hay alguna novedad destacable?

—La presente edición tiene la misma estructura que las anteriores: un programa científico con ponencias sobre diferentes temas, una amplia exposición comercial y un espacio dedicado a talleres donde predominan las demostraciones prácticas.

Tenemos un único gran objetivo: conseguir que conferenciantes, empresas expositoras y congresistas queden gratamente satisfechos de su participación en Dental Tècnic.

Estamos convencidos de que el programa científico es realmente interesante y permitirá a Dental

«La tecnología CAD/CAM ocupará un lugar preeminente en la medida que está representando un cambio de paradigma en los procesos de fabricación de las prótesis dentales»

y, por tanto, es de especial interés para todos los técnicos dentales.

—No faltará, tampoco, la presencia de algunas de las casas comerciales del sector en la zona expositiva. ¿Qué avances en tecnología y equipamiento podrán ver los asistentes al evento?

los asistentes obtener respuestas a preguntas o dudas que se les plantean en el día a día. En la exposición comercial estarán representadas las principales firmas del sector, que nos ofrecerán las principales novedades en cuanto a materiales y equipos. En esta ocasión hemos creído conveniente no solapar las conferencias con los talleres para que los asistentes no se pierdan ninguna actividad.

—Thomas Sing, Franco Fares, Mar Coloma, Luis Mampel, Luis Macieira, Alejandro Salazar, Luis Miguel Vera y Arturo Godoy serán los encargados de impartir las ponencias. ¿Qué temas abordarán en las mismas?

—La temática es muy variada y hemos tratado de abarcar una amplia variedad de aspectos de la prótesis dental. En este sentido, el Comité Científico, formado por Josep Torrents, Jaume Vidal, Bernat Pujol, David Juan y Jordi Gual; el ponente de Cultura y Formación Continuada del COPDEC, Antonio Lóbez, y yo mismo, hemos confeccionado un programa que incluirá las prótesis completas, las prótesis parciales removibles con sistemas CAD/CAM, estética mediante restauraciones cerámicas, diseño y uso de herramientas digitales, y materiales para la fabricación de prótesis y estructuras mediante CAD/CAM. Sin lugar a dudas, la tecnología CAD/CAM ocupará un lugar preeminente en la medida que está representando un cambio de paradigma en los procesos de fabricación de las prótesis dentales

—En esta edición ya hemos cerrado prácticamente el cupo de casas comerciales que nos caben en el recinto y, por lo tanto, tendremos una amplia representación de las empresas más importantes de nuestro sector. Queremos agradecerles esta magnífica respuesta que hemos recibido. Es obligación nuestra también ofrecerles un espacio en el que se sientan cómodos y un tiempo adecuado para que puedan presentar sus productos y novedades a los congresistas. Nos presentarán lo último en cuanto a tecnología, equipamientos y materiales, de manera muy atractiva y con la cercanía y amabilidad que les caracteriza.

—¿Qué hace que Dental Tècnic 2024 sea una cita imprescindible en el sector?

—Dental Tècnic está pensado por y para profesionales protésicos dentales de todas las edades y de cualquier nacionalidad. Defendemos el futuro de nuestra profesión y, por ello, creemos que los estudiantes deben de tener la posibilidad de introducirse en nuestro mundo. A aquellos protésicos que ya cuentan con años de ejercicio les ofrecemos la oportunidad de reciclarse. También consideramos que será atractivo para todos aquellos dentistas interesados en los temas de las conferencias que plantearán los prestigiosos y reconocidos ponentes de nuestro congreso. ●

Congresos MAR GONZÁLEZ

Presidenta de HIDES Asturias y del 35º Congreso Nacional de Higienistas Bucodentales y 2º Encuentro Europeo

Los días 4 y 5 de octubre, Oviedo albergará la celebración del 35º Congreso Nacional de Higienistas Bucodentales (HIDES) y 2º Encuentro Europeo, una cita, en palabras de su presidenta, Mar González, donde «se fomentará el intercambio de conocimientos, experiencias y mejores prácticas en el campo de la higiene bucodental» a través de la investigación y el desarrollo de nuevas ideas y enfoques.

Oviedo acogerá, los días 4 y 5 de octubre de 2024, la celebración del 35o Congreso Nacional de Higienistas Bucodentales y 2o Encuentro Europeo. ¿Qué aspectos destacaría como los más relevantes para esta nueva edición?

—Entre los aspectos más relevantes para esta nueva edición destacaría la oportunidad de compartir conocimientos y experiencias con profesionales de toda Europa, la actualización en las últimas tendencias y avances en higiene bucodental, así como la posibilidad de establecer redes de colaboración y crecimiento profesional. ¡Será un evento imperdible para todos los higienistas bucodentales!

—¿Cómo cree que este evento contribuirá al avance y desarrollo profesional de los higienistas bucodentales?

—Al reunir a profesionales de toda Europa, se fomentará el intercambio de conocimientos, experiencias y mejores prácticas en el campo de la higiene bucodental. Además, la oportunidad de participar en conferencias y talleres sobre las últimas tendencias y avances en el sector permitirá a los higienistas mantenerse actualizados y mejorar sus habilidades. Asimismo, el establecimiento de redes de colaboración durante el evento abrirá nuevas oportunidades de crecimiento profesional y personal para todos los participantes.

—Las ponencias abarcan una amplia gama de temas. ¿Con qué objetivos se ha elaborado el programa científico de este año?

—Queremos promover la difusión de conocimientos científicos actuales y relevantes en diversas áreas de estudio; fomentar la

interacción y colaboración entre investigadores, académicos y profesionales de diferentes disciplinas; proporcionar un espacio de debate y reflexión sobre temas de actualidad e importancia en el ámbito académico y científico; impulsar la investigación y el desarrollo de nuevas ideas y enfoques en diferentes campos del conocimiento; y brindar a los participantes la oportunidad de presentar y discutir sus investigaciones y proyectos con la comunidad académica.

—¿Podría adelantarnos algunos detalles sobre las actividades o sesiones que los asistentes disfrutarán?

—Habrá conferencias y charlas con expertos en diferentes temas relevantes para la industria; talleres prácticos y dinámicos donde los participantes podrán adquirir nuevas habilidades y conocimientos; debates sobre temas de actualidad en el sector; networking con otros profesionales y oportunidades para establecer contactos y colaboraciones; y zonas de exposición donde empresas y organizaciones podrán mostrar sus productos y servicios. También contaremos con actividades sociales y de entretenimiento para fomentar la interacción y el espíritu de comunidad entre los asistentes.

—Como indica en su carta de presentación del Congreso, la higiene oral y la prevención son pilares fundamentales en la promoción de la salud. ¿Cuáles cree que son los retos más urgentes y relevantes para abordarlos y afrontarlos?

—Algunos de los retos incluyen, por un lado, el acceso a la atención odontológica. Es importante garantizar que todas las personas tengan acceso a servicios de salud bucal asequibles y de calidad para prevenir enfermedades bucodentales. También, es necesario promover una mayor conciencia sobre la importancia de la higiene oral y la prevención de enfermedades bucodentales a través de campañas de educación y sensibilización en la comunidad. Asimismo, hay que promover la adopción de hábitos saludables, como el cepillado

adecuado de los dientes, el uso de hilo dental y la limitación del consumo de azúcares, que son aspectos clave para prevenir enfermedades bucodentales.

Igualmente, es fundamental que los gobiernos y las instituciones de salud implementen políticas públicas que fomenten la prevención en salud bucal y garanticen la disponibilidad de servicios de atención odontológica para toda la población.

Enfrentar estos retos requerirá de un enfoque integral que incluya a los distintos actores involucrados en la promoción de la salud bucal, como los profesionales de la salud, las autoridades sanitarias, las organizaciones de la sociedad civil y la propia comunidad.

—Por si hubiera algún indeciso, ¿por qué acudir a HIDES Oviedo?

—Porque es un congreso enfocado al colectivo de higienistas que contará con 18 ponencias y 8 talleres que facilitarán un espacio de aprendizaje y disfrute de la cultura académica y asturiana. ●

«Es fundamental que los gobiernos y las instituciones de salud implementen políticas públicas que fomenten la prevención en salud bucal» MÁS INFORMACIÓN

Congresos

La ciudad de Vigo, acogerá, del 26 al 28 de septiembre de 2024, la celebración del XXXIV Congreso Nacional y XXVII Congreso Internacional de la SEI. ¿Qué esperan de esta cita científica?

—En la reunión de este año daremos continuidad a la presentación de los avances más significativos referidos a la Implantología. El presidente del congreso, el Prof. Mario Pérez-Sayáns García, con todo su equipo y en coordinación con la Junta Directiva de la Sociedad, ha preparado un programa muy completo, que nos permitirá mantenernos al día en el apasionado mundo de la Implantología Oral. Además, en esta nueva reunión de la Sociedad, hemos querido resaltar la valiosa contribución de las mujeres en todos los ámbitos y, en particular, queremos destacar y apoyar a las mujeres ponentes que compartirán sus conocimientos y experiencias con nosotros.

DR. JOSÉ LÓPEZ LÓPEZ

Presidente de la Sociedad Española de Implantes (SEI)

Del 26 al 28 de septiembre, la Sociedad Española de Implantes (SEI) celebrará en Vigo su XXXIV Congreso Nacional y XXVII Congreso Internacional. Una cita, según destaca el presidente de la entidad, el Dr. José López López, donde se presentarán «los avances más significativos referidos a la Implantología» a través de un programa científico muy completo dividido en cuatro bloques temáticos que «nos permitirá mantenernos al día en el apasionado mundo de esta disciplina».

—La innovación y el conocimiento en el campo de la Implantología se convertirán en el epicentro del evento. ¿Qué quieren transmitir a los asistentes? ¿Cuáles son los objetivos principales del congreso? —Por un lado, actualizar los avances que se producen constantemente en las nuevas técnicas de implantes y su posterior rehabilitación, así como consolidar los conocimientos clásicos sobre esta parcela de la Odontología; y, por otro, conseguir un ambiente de confraternización entre los diferentes profesionales que aman la Implantología Oral.

—El congreso estará dividido en cuatro bloques temáticos: Implantología y su relación con la prótesis; Implantología multidisciplinar; Aspectos quirúrgicos de la Implantología; y Prevención y enfermedades periimplantarias. ¿Qué temas centrarán las ponencias y quiénes serán los encargados de llevarlas a cabo?

—En el primero queremos resaltar los nuevos avances que se están produciendo en la planificación. En el segundo, destacar la importancia de la colaboración entre diferentes profesionales con el fin último de conseguir el mejor beneficio para nuestros pacientes. En el tercero, detallar las nuevas técnicas quirúrgicas que permiten rehabilitar desde casos sencillos a casos extremos. Y, finalmente, en el cuarto, afrontar el gran reto que representa la prevención y tratamiento de la periimplantitis. Para ello contaremos con Inmaculada Tomás, Isabel Ramos, Carmen Martín, Laura Ceballos, Laura Torrecillas, Guillermo Escobar, Eva Otero, María Martín, Adriana castro, Pilar Batalla, Paula Baz, Agurne Uribarri, Rocío Cerero, Irene La Fuente, Pía López, Leticia Bagán, Pilar Gándara, Loreto Monsalve, Ana Messias, Janaina Medina, Gisela Camolesi, Mayka González, Habib Shammas, Alfonso Sande, Mariano Del Canto, Orión Salgado, Fabio Camacho, José M a Martínez, Francisco Prezzi, Pablo Castelo, Sergio Rodríguez, Javier Montero, José Viña, Martiniano Francischetti, Sergio G. Moreno, Manuel Alonso, Miguel Padial, Fernando Arcinegas, Álvaro Jiménez, Iván Ortiz, José Luis Rondón, Guillermo Escobar, Octavi Ortiz-Puigpela, David Peñarrocha, Luis Segura-Mori, Pedro Guitián, Antonio Murillo, Emilio Rodríguez, Nuno Matos, Enrique Nuñez, Jesús Moreno, Gerardo Moreno, Andrés Blanco, Tomas Beca, Juan López-Quiles, Benito Ramos, Norberto Manzanares, Félix Pose, Fernando Guerra, Álvaro Carballo, Antonio Bowen, Santiago Ferris y Javier Gil Mur. También hemos preparado, de la mano de este último y su Red Nacional de Implantoplastia, una jornada sobre el tema en la que se reparan tanto aspectos biológicos como técnicos. Todo ello con Esteban Padullés, Darcio Fonseca, Luis Delgado, Jorge Toledano y Loreto Monsalve.

—También habrá talleres para enriquecer la práctica profesional de los asistentes. ¿Qué conocimientos podrán adquirir los congresistas que acudan a estos seminarios para poner en práctica en sus clínicas?

—En estos momentos están concretados 5 talleres con empresas como Avinent,

«Queremos destacar la importancia de la colaboración entre diferentes profesionales con el fin último de conseguir el mejor beneficio para nuestros pacientes»

Biohorizons Camlog, Galimplant y Microdent. En ellos podremos adentrarnos de una manera práctica en los implantes subperiósticos, la importancia del escaneado facial, los implantes postextracción y la Implantología básica.

—Además de para los profesionales de la Implantología, ¿para qué otros perfiles está dirigido el congreso y por qué no se deberían perder esta cita científica?

—El dentista general puede obtener una buena perspectiva de qué se está realizando en estos momentos en este campo. De igual manera, también hemos pensado un espacio en formato talleres, para los higienistas y auxiliares. Asimismo, creemos que es de interés para los técnicos de laboratorio que pueden interaccionar con los implantólogos. Finalmente, es una oportunidad para todas las empresas del sector para dar a conocer sus productos e interaccionar con los profesionales. ●

MÁS INFORMACIÓN

Productos

Smartbone: xenoinjertos a medida en solo 4 pasos

Smartbone® on demand completa el catálogo de Salugraft Dental. Son bloques de xenoinjerto bovino híbrido a medida para tus cirugías, procedentes de IBI, Suiza. Consta de 4 pasos: envías una tomografía computerizada de tu paciente (dicom) con una breve descripción clínica; IBI diseña el injerto según tus prescripciones; IBI produce el injerto personalizado basado en el archivo.stl.; y tres semanas más tarde recibes el injerto.

https://salugraftdental.com/productos/smartbonexenoinjerto-bovino-hibrido/

Multi-Unit mini de Smart Implant Solutions

El nuevo pilar Multi-Unit mini ha sido diseñado para combatir la periimplantitis, mejorando el espacio biológico supracrestal. Entre sus características destaca su plataforma reducida de 3,8 mm. Su diseño estrecho mejora la cantidad de fibras de colágeno, aumentando la vascularización del sellado mucoso. Su geometría externa es convergente hacia la coronal, lo que favorece la migración de los miofibroblastos presentes en el tejido conectivo en esa dirección.

https://www.smartimplantsolutions.com/

Este material polivalente se adapta a la perfección y de forma inteligente a los requisitos de la Odontología moderna y la tecnología dental. Además, se alinea con el lema “One for all” de la compañía, demostrando de forma eficiente cómo una sola resina puede cubrir una amplia gama de aplicaciones en la restauración dental. Se puede utilizar para la impresión 3D de coronas individuales, inlays, onlays y carillas permanentes.

www.bego.com

Set de explantación atraumática de Ticare

El set permite la extracción de tornillos fracturados o con cabeza hexagonal redondeada, retirar prótesis fracturadas o gripadas y la explantación. Es un set universal que dispone de plantillas esterilizables compatibles con otras marcas, aportando mayor flexibilidad en procedimientos quirúrgicos.

www.genetic.ticareimplants.com/tienda/

Implantes subperiósticos personalizados de Avinent

Están totalmente personalizados y adaptados al hueso basal de los casos con atrofia maxilar severa y que no son candidatos a un tratamiento de implantes endoóseos. Se ajustan a la estructura ósea de cada paciente, anclándose en las zonas de mejor calidad ósea y permitiendo unir de manera pasiva una rehabilitación dental fija a las conexiones de la estructura de titanio. Está pensado para ofrecer unos resultados estéticos y funcionales excelentes para el paciente y proporcionar al clínico la seguridad de obtener los resultados que había planificado.

https://www.avinent.com/

VITA Ambria, cerámica

prensada brillante

VITA Ambria, compuesta de disilicato de litio reforzado con dióxido de circonio, ofrece aquello que los protésicos dentales esperan de una cerámica prensada: resultados de prensado limpios y precisos con una calidad superficial y una fidelidad cromática excelentes. Gracias a la tecnología de coincidencia cromática de VITA, la inexpresividad gris en el laboratorio es cosa del pasado.

https://www.vita-zahnfabrik.com/

Resina

Nuevas Ti-Bases de Smart Implant Solutions

Están fabricadas con varias alturas gingivales para adaptarse a las necesidades de cada paciente. Entre sus características destacan varias áreas cementables, área cónica para facilitar la inserción de puentes, 3 caras planas para evitar rotaciones y un ajuste perfecto mejorado. Además, están recubiertas con el revestimiento de superficie Biogold.

https://www.smartimplantsolutions.com/

Kit Sinus Flow para elevación sinusal de Osteógenos

Osteógenos presenta novedades en su catálogo de productos de regeneración tisular: el Kit Sinus Flow, un sistema innovador y mínimamente invasivo diseñado para la elevación del seno crestal. Este Kit simplifica tu elevación de seno crestal: insertando el biomaterial directamente a través de los huecos de los drivers, genera un efecto hidráulico que desprende la membrana del seno gradualmente, sin traumatismos ni presión excesiva.

www.osteogenostiendaonline.com

Rehabilitación dental de zirconio estético multicapa

Hexa3Dental presenta una rehabilitación dental de zirconio estético multicapa, robusta y con un faldón de encía rosa de composite, todo ello sobre interfases de titanio. Una solución integral para una sonrisa natural, duradera y estéticamente impecable.

www.hexa3dental.com

Nueva línea BEGO Semados® Esthetic Line

BEGO presenta la nueva línea de aditamentos protésicos BEGO Semados® Esthetic Line, que con su diseño cóncavo ayudarán al implantólogo a tratar el tejido blando y crear un perfil de emergencia estético en el caso de los implantes de colocación subcrestal. Se ha optimizado el diseño de los componentes protésicos según los conocimientos más avanzados y se ha complementado con una codificación por colores intuitiva y sistemas de impresión digital y analógicos mejorados.

www.bego.com

Los Mini Mordedores de Oli&Carol, creados con una atención meticulosa y al detalle, no son solo adorables en apariencia, sino también funcionales y seguros para los recién nacidos. Así como los chupetes clásicos tienen como principal objetivo calmar y reconfortar emocionalmente a los bebés en momentos de estrés, los Mini Mordedores de Oli&Carol son un complemento diseñado específicamente para la primera etapa de dentición, ofreciendo alivio y estimulando el desarrollo sensorial y motor gracias a su talla adaptada al pequeño paladar.

https://oliandcarol.com/es

Férula quirúrgica de nylon de Ortoplus

Ortoplus presenta su más reciente innovación: la primera férula quirúrgica de nylon diseñada específicamente para la cirugía ortognática. Esta férula pionera representa un avance significativo en la búsqueda de precisión y excelencia en el tratamiento de los pacientes. No solo garantiza la durabilidad y resistencia necesarias, sino también una adaptabilidad excepcional a la anatomía única de cada paciente.

www.ortoplus.es

Mini Mordedores de Oli&Carol

Superficie de implantes C-SLA de Dentis

Descubre la revolucionaria tecnología de superficie de implantes C-SLA en Dentis Smart Clean Factory. Reconocida por su estabilidad a largo plazo y aumento del contacto óseo, la innovadora Clean-TechTM lleva la superficie SLA a un nuevo nivel de limpieza y seguridad.

https://dentiseurope.com/

Ticare amplía su presencia en el software RealGuide

Se han introducido los principales aditamentos protésicos, permitiendo hacer una planificación clínica también con la prótesis, lo que posibilita la planificación del tratamiento completo para lograr el gapZero mediante el uso de implantes y aditamentos Ticare. Asimismo, se han incorporado elementos de escaneado digitales para diseñar tratamientos de Odontología en el entorno digital.

https://www.ticareimplants.com/softwares-cirugiaguiada-ticare/

Está compuesto por un escalador ultrasónico y un aeropulidor de bicarbonato/glicina, que permite realizar tratamientos periodontales y endodónticos (subgingivales y supragingivales) de forma precisa, eficaz e indolora. El aeropulidor es ideal para pulir, sin producir arañazos en la superficie dental ni daños leves en los tejidos blandos. Además, ambas piezas de mano son divisibles y autoclavables.

www.rumarcedeira.com/novedades-aparatologia/

Safescraper® Volumizer de Salugraft Dental

Safescraper® Volumizer es un innovador rascador curvo de gran volumen que recolecta en una sola pasada mayor cantidad de hueso cortical (en volumen, que no en peso). Su cuchilla contiene cortes verticales que dividen el hueso en un mayor número de bandas estrechas, que entrechocan entre sí, lo que genera un mayor volumen y disminuye el tiempo de extracción.

https://salugraftdental.com/productos/safescrapercurvo-rascador-hueso/

Genius evo, nuevo pincel para cerámica

Con Bionic Hair, Renfert anuncia un cambio de paradigma en el área de los pinceles para cerámica. Además de la versión clásica de pelo natural, el pincel Genius ahora también está disponible con un nuevo pelo: Genius evo. La finura, la elasticidad y la estabilidad dimensional de su punta permiten estratificaciones precisas. Gracias a su gran resiliencia y rigidez, recoge perfectamente hasta las cantidades más pequeñas de cerámica.

www.renfert.com/bionic-hair

Nuevos catálogos de Ravagnani Dental

Con motivo de su 20 aniversario, Ravagnani Dental presenta dos nuevos catálogos promocionales hasta septiembre. Por un lado, la compañía cuenta con un catálogo específico de consumibles; y, por otro lado, dispone de otro catálogo de equipamientos. Ambos destinados a que el profesional encuentre lo que mejor se adapte a sus necesidades.

www.ravagnanidental.com

PT-A de Woodpecker de RUMAR

Taller

«Aumento de dimensión vertical con la técnica de inyección»

Organiza: GC Ibérica Dental.

Imparte: Francisco Troyano.

Fecha y lugar: 19 de septiembre de 2024 en Madrid.

Teléfono e e-mail: 916 364 340 - formacion@spain.gceurope.com https://europe.gc.dental/es-ES/education/courses

Cirugía regenerativa en Implantología

Organiza: Universidad Complutense de Madrid (UCM).

Imparte: Dr. Juan López-Quiles.

Fecha y lugar: el primer módulo se celebrará del 31 de enero al 1 de febrero de 2025 en la UCM.

Teléfono e e-mail: 913 941 906 - odonfpermanente@ucm.es

https://odontologia.ucm.es/f-permanente-cursos

Formación Exocad para clínicas dentales

Organiza: BEGO Iberia.

Imparte: Pere Colomina.

Fecha y lugar: consultar fechas para Madrid y Barcelona. Teléfono e e-mail: 933 720 325 - begoiberia@bego.com https://bego-iberia.mailchimpsites.com/

Máster en Dirección y Transformación de clínicas dentales

Organiza: Instituto de Desarrollo Odontológico Digital (IDEOD). Dirigen: Sofía Solano, Pedro de Ahumada y Úrsula Barroso. Fecha y lugar: de octubre de 2024 a junio de 2025. Doble convocatoria. Sevilla/Madrid. Teléfono e e-mail: 659 862 391 - info@institutoideo.es www.institutoideod.es

Alineadores «in-house»: el siguiente paso en la digitalización de tu clínica

Organiza: Ortocervera - Instituto de Ortodoncia.

Imparten: Dres. Isabel Cervera, Alberto Cervera y Mónica Simón. Fecha: comienza en septiembre de 2024. Teléfono: 915 541 029 www.ortocervera.com

«Open Day» de Osteógenos

Organiza: Osteógenos. Imparte: Dr. Abdelsalam Elaskary. Fecha y lugar: 29 de junio de 2024 en Madrid. Teléfono e e-mail: 914 13 37 14 - info@osteogenos.com wwww.osteogenos.com

Curso de estratificación cerámica Initial

Organiza: GC Ibérica Dental.

Dictante: Dirk Galle.

Fecha y lugar: 7 y 8 de octubre de 2024 en Leuven (Bélgica).

Teléfono e e-mail: 916 364 340 - formacion.spain@gc.dental https://europe.gc.dental/es-ES/education/courses

Aplicación clínica del avance mandibular para el tratamiento de la AOS

Organiza: Ortocervera - Instituto de Ortodoncia. Imparte: Dra. Mónica Simón Pardell.

Fecha: libre elección de fecha de celebración.

Teléfono: 915 541 029 www.ortocervera.com

Estética anterior con resinas compuestas

Organiza: RTC-CEPI y Ultradent.

Dictante: Rafael Beolchi. Fecha y lugar: 21 y 22 de junio de 2024 en Oporto (Portugal).

Teléfono e email: +351 962 014 741 - info@rtc-cepi.com https://rtc-cepi.com/formacao-dentista/estetica-anterior-com-resinas-compostas/

Prótesis completas con Vitapan Excell & Lingform

Organiza: VITA.

Imparte: José Mª Fonollosa.

Fecha y lugar: 29 de junio de 2024 en Oporto. Teléfono e e-mail: +351 966 235 366 - l.pinela@vita-zahnfabrik.com https://www.vita-zahnfabrik.com/

Curso de «Ortodoncia más allá de los límites»

Organiza: Osteógenos.

Imparte: Dra. Patricia Vergara. Fecha y lugar: 17 de octubre en Madrid. Teléfono e e-mail: 696 962 892 - formacion@osteogenos.com www.osteogenos.com

Formaciones

Organiza: QuickSmile.

avanzadas en Ortodoncia invisible

Imparte: Dr. Manuel Poveda e invitados.

Fecha y lugar: consultar en web.

Teléfono e e-mail: 911 178 128 – formaciones@quicksmile.es https://doctores.quicksmile.es/formaciones/

*tarifa formación
Dra. Elena Cerviño
Dr. Ángel Navarro
Dr. Jhonny León Valencia
Dra. Laura Ospina
Dr. Gilberto Salas Abad
Dra. Montse Puigpinos
Dr. David Gonzalez Zamora
Dra. Romina Vignolo
Dr. Rafael García-Espejo Padilla
Dr. Juan Manuel Bailón
Dra. Cristina Sanclemente

Prótesis: estética y tecnología digital

Organiza: Universidad Complutense de Madrid (UCM).

Imparten: Profa. Dra. Mª Jesús Suárez y Prof. Dr. Jesús Peláez. Fecha y lugar: primer módulo del 31 de enero-1 de febrero de 2025 hasta el 4-5 de julio de 2025, en la UCM.

Teléfono e e-mail: 913 941 906 - odonfpermanente@ucm.es https://odontologia.ucm.es/f-permanente-cursos

Curso intensivo de regeneración ósea

Organiza: Osteógenos.

Imparte: Dr. José Sirvent Iniesta.

Fecha y lugar: 4 de octubre de 2024 en Barcelona. Teléfeno e e-mail: 696 962 892 - formacion@osteogenos.com www.osteogenos.com

Minec Summit 2025

Organiza: Consejo Científico Minec (MegaGen International Network of Education & Clinical Research).

Imparten: Dres. Fernando Cebrián, Miguel Murua, Félix Wucherpfennig, Ramón Gómez Meda y Marcus Engelschalk.

Fecha y lugar: 31 de enero de 2025 y 1 de febrero de 2025 en Madrid. E-mail: hola@minec.es www.minec.es/summit

Máster en Ortodoncia y Ortopedia Dentofacial

Organiza: Instituto de Desarrollo Odontológico Digital (IDEOD) - Universidad Antonio de Nebrija Formación (NFC). Dirige: Dr. Enrique Solano.

Fecha y lugar: 3 años a tiempo parcial. Inicio en septiembre de 2024. Sevilla. Acreditaciones: 180 ECTS. Certificación Invisalign incluida. Teléfono e e-mail: 659 862 391 - info@institutoideo.es www.institutoideod.es

Máster de Formación Permanente en Endodoncia 27ª Edición

Organiza: Fundació Lluís Alcanyís – Universitat de València.

Dirige: Dr. Leopoldo Forner Navarro.

Fecha y lugar: comienza el 4 de octubre de 2024 y finaliza el 19 de diciembre de 2025 en Valencia.

Teléfono e e-mail: 963 395 037 - formaciofla@uv.es https://go.uv.es/H4FK8AM

¿Te gustaría aprender o mejorar tu nivel de FOTOgrafía Dental?

Organiza: Fernando Rey FOTOgrafía Dental. Cursos personalizados grupales o individuales. Cursos tanto de nivel clínico como avanzado. Ofrecen diseño de presentaciones, conferencias y comunicaciones modernas, elegantes y dinámicas. www.fotografiadentalfr.com/

Congreso Internacional de Odontología de Intervención Mínima

Organiza: Sociedad Internacional de Odontología de Intervención Mínima. Fecha y lugar: 29 de junio de 2024 en Madrid. E-mail: info@misociety.dental www.miscongress2024.com

Diploma universitario en Odontología Estética

Organiza: Universidad Complutense de Madrid (UCM).

Imparte: Dr. Carlos Oteo.

Fecha y lugar: a consultar.

Teléfono e e-mail: 913 941 906 - odonfpermanente@ucm.es https://odontologia.ucm.es/f-permanente-cursos

Diploma de Experto en Odontopediatría Clínica

Organiza: Instituto de Desarrollo Odontológico Digital (IDEOD) - Universidad Antonio de Nebrija Formación (NFC).

Dirige: Dra. Asunción Mendoza.

Acreditaciones: 20 ECTS.

Fecha y lugar: 9 meses a tiempo parcial. Inicio en septiembre de 2024. Sevilla. Teléfono e e-mail: 659 862 391 - info@institutoideo.es www.institutoideod.es

Curso «Aplicaciones intraorales y extraorales del ácido hialurónico»

Organiza: Osteógenos.

Imparte: Dr. Juan Carrión.

Fecha y lugar: 22 y 23 de noviembre de 2024 en Madrid. Teléfono e e-mail: 696 962 892 - formacion@osteogenos.com www.osteogenos.com

Curso «Manejo de tejidos duros y blandos alrededor de dientes e implantes»

Organiza: Salugraft Dental.

Imparten: Dres. Alberto Ortiz-Vigón y Erik Regidor. Fecha y lugar: 25 de octubre de 2024 en Bilbao. https://salugraftdental.com/curso/curso-salugraft-manejo-tejidos-blandos-y-durosperiocentrum-bilbao/

Curso de alineadores

Organiza: Ortocervera - Instituto de Ortodoncia.

Imparten: Dra. Isabel Cervera, Dr. Alberto Cervera y Dra. Mónica Simón.

Fechas: del 4 al 6 de julio de 2024 (segundo módulo).

Teléfono: 915 541 029 www.ortocervera.com

Implantología clínica: técnicas quirúrgicas y procedimientos restauradores

Organiza: Universidad Complutense de Madrid (UCM).

Imparte: Prof. Dr. Guillermo Pradíes y Profa. Dra. Cristina Madrigal.

Fecha: consta de 6 módulos. Desde el 24-25 enero de 2025 hasta el 14-15 de noviembre de 2025 en la UCM.

Teléfono e e-mail: 913 941 906 - odonfpermanente@ucm.es https://odontologia.ucm.es/f-permanente-cursos

Curso intensivo de elevación sinusal

Organiza: Osteógenos.

Imparten: Dres. Alfonso García Pérez y Carlos Martínez Barcenilla.

Fecha y lugar: 22 de noviembre de 2024 en Madrid. Teléfono e e-mail: 696 962 892 - formacion@osteogenos.com www.osteogenos.com

Ciclo formativo patrocinado por Ticare

Organiza: Ticare.

Imparten: distintos profesionales y líderes de opinión del sector. Fecha y lugar: durante todo el año por puntos de la geografía española. Consultar en la web. www.ticareimplants.com/formacion

Máster de Formación Permanente en Odontología en Pacientes con Necesidades Especiales 31ª Edición

Organiza: Fundació Lluís Alcanyís – Universitat de València. Dirigen: Dr. Javier Silvestre Rangil, Dra. Victoria Isabel Martínez Mihi y Dr. Francisco Javier Silvestre Donat. Fecha y lugar: comienza el 3 de octubre de 2024 y finaliza el 29 de septiembre de 2025 en Valencia.

Teléfono e e-mail: 963 395 037 - formaciofla@uv.es https://go.uv.es/R0sEeHL

VIII Jornadas Multidisciplinares de Salud Oral

Organiza: Colegio Profesional de Higienistas Dentales de Madrid. Profesorado: Francisco J. López, Francisco M. Rodríguez, Óscar Camejo, Sonia Miranda, María Regla Carro y Gerardo Gómez-Moreno. Fecha y lugar: 22 de junio de 2024 en Madrid. https://colegiohigienistasmadrid.org/masinfo.asp?idcurso=557

Máster Propio en Cirugía Bucal, Implantología Bucofacial y Periodoncia

Organiza: Universidad CEU Cardenal Herrera. Fecha y lugar: de septiembre de 2024 a julio de 2026 en Alfara. Teléfono e e-mail: 961 369 009 - postgrados@uchceu.es https://www.uchceu.es/estudios/posgrado/master-propio-cirugia-bucalimplantologia-bucofacial

Curso intensivo: «Descubre el novedoso tratamiento vestibular Socket Therapy»

Organiza: Osteógenos. Imparte: Dr. Abdelsalam Elaskary.

Fecha y lugar: 29 y 30 de noviembre de 2024 en Madrid. Teléfono e e-mail: 696 962 892 - formacion@osteogenos.com www.osteogenos.com

Certificado universitario «Cirugía mucogingival avanzada alrededor de dientes e implantes»

Organiza: Universidad Complutense de Madrid (UCM). Dirigen: Ignacio Sanz e Ignacio Sanz Sánchez. Teléfono e e-mail: 913 941 906 - odonfpermanente@ucm.es https://odontologia.ucm.es/f-permanente-cursos

Atrofias maxilares severas mediante implantes subperiósticos

Organiza: Avinent.

Director: Dr. Mariano del Canto. Fecha y lugar: 12 y 13 de julio de 2024 en Las Palmas de Gran Canaria. Teléfono e e-mail: 689 816 430 - info@delcantoformacion.com https://www.avinent.com/formacion/

Técnico de Ortodoncia para higienistas dentales

Organiza: Instituto de Desarrollo Odontológico Digital (IDEOD) - CEU Fundación San Pablo Andalucía.

Dirige: Dr. Enrique Solano. Fecha y lugar: Comienza en noviembre de 2024 en Sevilla. 14 ECTS. Teléfono e e-mail: 659 862 391 - info@institutoideo.es www.institutoideod.es

Cubrimiento de recesiones sobre dientes e implantes con aplicación de la Técnica VISTA

Organiza: Advanced Esthetic Seminars y BioHorizons Camlog. Fecha y lugar: 15 de junio de 2024 en Bilbao. Teléfono: 917 131 084 https://www.biohorizonscamlog.es/es/formacion

Máster Universitario en Ortodoncia

y Ortopedia Dentofacial

Organiza: Universidad CEU Cardenal Herrera. Fecha y lugar: de septiembre de 2024 a julio de 2026 en Alfara. Teléfono e e-mail: 961 369 009 - postgrados@uchceu.es https://www.uchceu.es/estudios/posgrado/master-universitario-ortodonciaortopedia-dentofacial

Manejo de tejidos blandos para la regeneración ósea horizontal y vertical

Organiza: BioHorizons Camlog.

Fecha y lugar: 27 de septiembre de 2024 en Madrid.

Teléfono: 917 131 084

https://www.biohorizonscamlog.es/es/formacion

Postgrado de Especialización en Endodoncia

4ª Edición

Organiza: Fundació Lluís Alcanyís – Universitat de València.

Dirigen: Dr. Leopoldo Forner Navarro y Dr. Adrián Lozano Alcañiz.

Fecha y lugar: comienza el 17 de octubre de 2024 y finaliza el 22 de octubre de 2027 en Valencia.

Teléfono e e-mail: 963 395 037 - formaciofla@uv.es https://go.uv.es/32cP3xL

9ª edición del Curso de gestión de clínica dental

Organiza: Colegio Profesional de Higienistas Dentales de Madrid.

Profesorado: José Luis Gómez, Almudena Rodríguez, Antonio Gosálvez, Lola Sánchez, Luis Miguel Sacristán, Sol Archanco, Javier López y César Díaz.

Fecha y lugar: desde el 21 de septiembre al 14 de diciembre de 2024 en Madrid.

https://colegiohigienistasmadrid.org/masinfo.asp?idcurso=563

Experto en Ortodoncia Funcional, Aparatología Fija y Alineadores

Organiza: Ortocervera - Instituto de Ortodoncia.

Imparten: Dr. Alberto Cervera, Dra. Isabel Cervera y Dra. Mónica Simón.

Fecha: comienza el 26 de septiembre de 2024.

Teléfono: 915 541 029 www.ortocervera.com

Máster de Formación Permanente en Cirugía Bucal

Organiza: Universidad CEU Cardenal Herrera. Fecha y lugar: de septiembre 2024 a julio de 2025 en Alfara.

Teléfono e e-mail: 961 369 009 - postgrados@uchceu.es

https://www.uchceu.es/estudios/posgrado/master-formacion-permanente-cirugia-bucal

I Simposio Salugraft

Organiza: Salugraft.

Fecha y lugar: 23 de noviembre de 2024 en Madrid.

Este evento científico-benéfico contará con los mejores expertos en regeneración del país.

https://salugraftdental.com/curso/simposio-salugraft/

Postgrado en Implantología

Organiza: CEPUME - Universidad de Alcalá. Dirige: Dr. José Vicente Sanz. Fecha y lugar: comienza el 4 de octubre de 2024 y finaliza el 22 de junio de 2025 en Madrid.

Teléfono e e-mail: 648 418 072 - info@cepume.com https://cepume.com/

Utilización

Estancias Monje-Ticare

Organiza: Ticare y el Dr. Alberto Monje. Fechas y lugar: del 1 al 3 de julio de 2024 en CICOM Monje (Badajoz). Durante la formación se abordan temas como Implantología inmediata y diferida, regeneración ósea simultánea o diferida, implantes en zona estética con injerto óseo y de tejido conectivo o manejo de la periimplantitis. www.ticareimplants.com/formacion

de implantes cigomáticos en el maxilar atrófico

Organiza: Universidad Complutense de Madrid (UCM).

Imparten: Prof. Dr. José María Martínez-González y Prof. Dr. Juan López-Quiles. Fechas: 14 y 15 de febrero de 2025 (primer módulo); 21 y 22 de febrero de 2025 (segundo módulo).

Teléfono e e-mail: 913 941 906 - odonfpermanente@ucm.es https://odontologia.ucm.es/f-permanente-cursos

Curso MZM edición 2024: Reconstrucción vertical de tejidos blandos, papilas y periimplantitis

Organiza: Dentariel con la colaboración de BioHorizons Camlog. Fecha y lugar: 12 de septiembre de 2024 en Madrid.

Teléfono: 917 131 084

https://www.biohorizonscamlog.es/es/formacion

Cursos de formación CAD/CAM

Organiza: CNC Dental. Fecha y lugar: a consultar en la web. Teléfono: 925 264 427 https://cncdental.es/

Curso «Minitornillos & autoligado: la combinación perfecta»

Organiza: Tienda Gaceta Dental.

Imparte: Dr. Luis Fernando Morales. Fecha y lugar: 16 de noviembre de 2024 en Madrid. E-mail: tienda@gacetadental.com

https://tienda.gacetadental.com/curso-para-odontologos-y-ortodoncistas/

Calendario de congresos

SEPTIEMBRE 2024

FDI Esta mbul del 12 a l 15

Jornadas del Club Tecnológico Dental A Coru ña días 1 3 y 14

SEI Vigo del 26 a l 28

OCTUBRE 2024

HIDES Ovie do días 4 y 5

SEPES Sevi lla del 10 a l 12

V Congreso Internacional de Prótesis Dental Vale ncia días 1 8 y 19

AEDE Sevi lla del 31 a l 2

NOVIEMBRE 2024

SECIB Giro na días 14 y 15

SEOE Vale ncia día 16

ACADEN Gran ada del 15 a l 17

SEMDES

elona del 21 a l 23 OMD Lisboa del 21 a l 23

ENERO 2025

SOCE

FEBRERO 2025

AAMADE

MARZO 2025

Jornadas Técnicas de Prótesis Dental

elona días 31 y 1

días 7 y 8

días 7 y 8

SEOII Murc ia del 27 a l 29

ABRIL 2025

SEOC Córd oba del 3 al 5

Barcelona Dental Show Barc elona del 10 a l 12

MAYO 2025

SEDCYDO, SEMO, SEGER

do del 8 al 1 0

del 8 al 1 0

SEMO Materiales Meli lla días 23 y 24

Oferta

Ti-Max Z

TURBINAS DE TITANIO · CON LUZ

2 años de garantía

• Cabezal en ángulo de 100°

• Cuerpo de Titanio con DURAGRIP Resistente a arañazos

• Rodamientos de Cerámica

• Óptica de Vidrio Celular

• Portafresas Push Botton

• Spray Quattro

• Sistema de Cabezal Limpio

• Parada rápida

• Microfiltro

• DYNAMIC POWER SYSTEM

• DURAPOWER CHUCK

• Fácil cambio de cartucho

• Velocidad: 280.000-360.000 min-1

• Tamaño del Cabezal: ø12,1 x H 12,7 mm

POTENCIA 44W

1 + 1

Ti-Max Z

CONTRA-ÁNGULOS DE TITANIO · CON LUZ

3 años de garantía

• Clean Head System (Anti-Retorno)

• Con Luz

• Multiplicador 1:5

• Spray Quattro (2 tipos de Spray: bruma y chorro)

• Velocidad Máxima: 200.000 min -1

• Portafresas Push Button

• Rodamientos de Cerámica

• Microfiltro

SPRAY SWITCH

Conexión NSK

MODELO Z990L REF. PA2373

Conexión KaVo® MULTIflex®

MODELO Z990KL REF. PA2375

DESDE EL 27 DE MAYO

Varios Combi Pro

DISPOSITIVO PARA TRATAMIENTO PERIODONTAL

2 SISTEMAS EN 1

El equipo se compone de:

• Prophy-System Incluye pieza de mano con boquilla de 60º para profilaxis supragingival

• Polvo FLASH pearl (5 sobres de 15 g)

• Ultrasonidos Incluye pieza de ultrasonidos Varios2 LUX con luz LED

• Tres puntas: G4, G8 y G16

• Pe dal de control multifuncional para regular la presión de agua y polvo

•Unidad de control

Motor Ultrasónico de Última Generación Exclusivo de

Dispositivo para Tratamiento Periodontal

MODELO Varios Combi Pro REF. Y1002843

Tratamiento Periodontal Subgingival

MODELO Kit Perio REF. Y1003042

2ª Pieza de Mano · Escarificador Ultrasónico

MODELO Varios2 Lux REF. E351050

Carrito de soporte

MODELO iCart Prophy REF. S9095

4.599€* 10.726€*

HASTA EL 28 DE JUNIO DE 2024 * Los precios no incluyen IVA • Ofertas limitadas hasta el 28 de junio de 2024

VITAPAN EXCELL®

Funcionalidad Natural. Belleza Real.

• Formas dentales absolutamente naturales

• Juego cromático y lumínico muy expresivo

• Excelente resistencia a la abrasión

* Condiciones de la promoción:

- Oferta válida hasta el 31.07.2024 - Compra

150 +50 *

Turn static files into dynamic content formats.

Create a flipbook