
4 minute read
Ankle Fractures
Ankle Fractures (Broken Ankle) By Dr. Michael M. Cohen, DPM, FACFAS
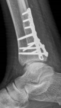
Ankle fractures- otherwise known as broken ankles are common injuries in people of all ages and lifestyles. They may occur during any sport involving a twisting or jumping motion such as football, basketball, ballet, and running. They may also occur as a result of a motor vehicle accident, slip or fall from a height. People (particularly post-menopausal women) with osteoporosis may be susceptible. When one breaks an ankle, they have fractured one or more of three bones which make up the ankle. If treated improperly the injury could lead to long-term disability. The ankle joint is made up of the tibia (shin bone) the larger of two bones in the lower leg and flares out at its lower end forming a knob on the inside of the ankle called the medial malleolus and another flare in the back known as the posterior malleolus. The smaller of the two bones in the leg is the fibula and flares out on the outside of the ankle to form the lateral malleolus. The tibia and fibula rest on the talus, a wedge-shaped bone connecting the foot to the leg. We think of the ankle as a room with three sides and a roof. The tibia forms the roof, the medial malleolus (inside wall), and the posterior malleolus (backside wall). The lateral malleolus forms the outside wall of the room. Ligaments connect these structures together to guide movement and assure stability. If a major ligament such as the Deltoid or Syndesmotic ligament is torn the ankle is generally considered unstable. A syndesmotic tear may involve a fracture of the fibula near the knee (Maisonneuve fracture). The lateral malleolar ankle fracture is the most common, and bimalleolar (lateral and medial) the second most common. When all three sides are fractured (medial, lateral, and posterior) the injury is referred to as a trimalleolar fracture. As the number of fractures or level of impact increases so does the risk of long-term damage to the ankle joint. Ankle fractures may be nondisplaced (in correct position) or displaced (misaligned). High velocity fractures are known as Pilon fractures and have the worst long-term prognosis because of the extensive comminution and damage to the joint. These fractures inherently pose the worst long-term prognosis reduction using specialized plates and because the ankle shatters in many pieces screws. A foot and ankle specialist may wait and quite often lead to chronic disability and one to three weeks for swelling to resolve arthritis regardless of how well the ankle before the ankle is surgically repaired. After was repaired. Many of these patients will surgery, patients must remain non-weight inevitably require additional surgery in the bearing for a period of anywhere from future to eliminate pain. The procedures 4-6 weeks to a few months depending on may include fusion where the bones are the severity of the fracture. A graduated welded together or an ankle replacement. rehabilitative period is prescribed during the
Advertisement
X-rays of the ankle and knee are postoperative period to allow the patient required to diagnose an ankle fracture. to regain movement, strength, and balance. More advanced imaging such as CT or Risk factors for poorer outcomes in proper MRI is often necessary to determine the healing of ankle fractures include smoking, extent of the injury. With modern imaging diabetes (especially if under poor control), techniques, a three-dimensional recreation age, and peripheral neuropathy. of the fracture can be obtained with a CT scan allowing the surgeon to fully assess the fracture. Treatment is based on the alignment and stability of the ankle with the goal being to heal the fracture(s) as close to ⊲ Dr. Cohen is a published author, is on faculty at several South Florida residency programs, podiatric medical colleges and frequent lecturer. He practices with the Foot, Ankle and Leg Specialists of South Florida specializing in lower perfect as possible. A fracture displaced 2 leg injuries and reconstructive surgery of the or more millimeters can result in long term foot and ankle. The practice includes Robert problems and often necessitates an operation. Unfortunately, arthritis may develop even when the ankle has been placed in good alignment because of the irreparable damage done to the bone and cartilage at Sheinberg DPM, Al DeSimone MD, Fernando Moya MD PhD, Alexander Bertot MD, David Shenassa MD, Carlo Messina DPM, Franz Jones DO and John Goodner DPM. The South Florida Institute of Sports Medicine in Weston is located at 1600 Town Center Blvd., Suite C, (954) 389the time of injury. Not all fractures require 5900 and in Pembroke Pines at 17842 NW 2nd surgery. Simple nondisplaced fractures may be treated with a cast or walking boot. More Street, (954) 430-9901 The practice website is www southfloridasportsmedicine.com severe injuries however require surgical

