Our City Davie: August 2024

Page 1


When you fly now, you know it’s extra for everything — that airfare only pretends to be low.

But when a Senior Community offers luxury living for a seemingly-attractive monthly rent, you don’t expect to be Nickel-and-Dimed.

That’s why you’ll never see Nickel-and-Diming at The Palace. Here your monthly rent covers almost everything. Including all your meals, housekeeping, personal trainers, maintenance, and even Happy Hours with drinks and hors d’oeuvres.

You won’t see a long list of extra charges. At The Palace, the price is the price.

Remember when everything about flying was to make you feel special?

That’s how living at The Palace feels today. Call or visit soon to see for yourself.

GRAND OPENING!

DR. GERMAN L. MURIAS trained in implant dentistry at Harvard University. He has been a fellow of the American Academy of Implant Dentistry since 2002 & a Diplomat of the American Board of Oral Implantology since 2004. He served as an Adjunct Professor at the University of Florida from 2014-2022. He also holds 3 patents for a dental surgical instrument.

Dr German L. Murias has been a Diplomate of ABOI/ID since 2004; he is 1 of 638 in the United States!

DR. ERIC L. MURIAS graduated from NYU College of Dentistry and trained in implant dentistry at Loma Linda University in California. He is a board member of the American Academy of Clear Aligners and is currently a Gold+ Invisalign® provider.

DR. FRANK J. MURIAS a graduate of LECOM School of Dental Medicine in Erie, PA, further enhanced his skills in implant dentistry at NOVA Southeastern University. He is a member of the American Academy of Cosmetic Dentistry and the American Academy of Implant Dentistry (AAID).

Since 1988, Murias Dental has pioneered dental technology, providing exceptional care to all our patients. Our dentists have received extensive training nationwide on the latest dental innovations. We ensure quality control through our in-house dental lab.

Our practice offers SAME-DAY RESULTS** using a combination of cutting-edge imaging and 3D technology to achieve a beautiful result in one appointment.

Using the patient’s plasma, we can grow bone. This is a modern & innovative procedure for dental implants which we use in our practice frequently. This method, also used by doctors in orthopedic treatment, wrinkle reduction, and hair growth, showcases its versatility and potential benefits.

As we expand to Plantation, we are excited to offer our services and invite you to join our dental family!

MANAGING

Christy Jaillet

ART

Tom Rowe

GRAPHIC DESIGNER

Alana Brodie

ADVERTISING SALES MANAGER Nancy Koval nancy@ourcitymedia.com

ACCOUNT EXECUTIVES

John Brodie, Denise Caligiuri, Adrienne Collins, Mariem Garcia, Silvia Silva, Kevin Tanke

CONTRIBUTING WRITERS

Terry Jaillet, Jon Duka, Andrea L. Jakob, Esq. Dr. Carlo A. Messina, Alyssa Ross Dr. Alon Grosman, Rose Sklar, Senator Lauren Book

20807 Biscayne Blvd, Suite 100 Aventura, FL 33180 advisor.morganstanley.com/the-bodkins-group

The appropriateness of a particular investment or strategy will depend on an investor’s individual circumstances and objectives

© 2023 Morgan Stanley Smith Barney LLC. Member SIPC.

Your wealth plan should keep up with the changing circumstances of your life, as well as with the cycles in the financial markets. A new career, a new grandchild, a new business, a significant shift in your portfolio — any of these events could necessitate a fresh look at your strategy.

As Morgan Stanley Financial Advisors, we can work with you to develop a strategy and then help you manage your investments and assets through life’s changes. Call today to arrange an appointment. We’ll work together to plan for what may come.

The Bodkins Group at Morgan Stanley

Mark N. Bodkins Executive Director Financial Advisor

305 936-2714

Mark.N.Bodkins @morganstanley.com

NMLS #1395703

John Duford First Vice President Financial Advisor

305 936-2772

John.Duford @morganstanley.com

NMLS# 1413970

MAR014 CRC6051620 11/23 CS 471810-2767707 11/22

L to R: Tatiana Jaramillo, Client Service Associate; John Martell Duford; Mark Bodkins; Carolyn Williams, Senior Registered Client Service Associate; Maria Strand, Senior Client Service Associate

A Fresh Start to the New School Year

As summer draws to a close, it’s astonishing how quickly the new school year approaches. This year, Broward County students head back to school earlier than ever, with the first day set for August 12th. As we transition from beach days to school days, it’s time to gather supplies, pick out new lunch boxes, and finish those last-minute summer reading projects. Preparing for school has certainly evolved over the years, becoming more complex with the rise of technology and diverse educational choices.

The era of covering textbooks in brown paper bags is long gone. Today’s students are immersed in a digital world where learning materials are accessed through smartphones, tablets, and Chromebooks. With countless educational apps and online resources, students can explore a wealth of information right at their fingertips.

After-school activities have expanded far beyond traditional sports and music programs. Now, students can delve into coding classes, dual language programs, and much more. Parents, too, have a plethora of educational paths to consider. Alongside conventional public and private schools, options like charter schools, homeschooling, and virtual learning provide families with the flexibility to choose what best fits their needs.

Feeling overwhelmed by back-to-school preparations? Don’t worry—Our City has got you covered. This issue features our extensive Back-to-School Guide, filled with information on the best preschools, private schools, and educational programs in the area. Additionally, we’ve compiled a comprehensive directory of after-school activities, from arts and crafts to YMCA programs, designed to help you plan a successful school year.

While preparing for the upcoming school year, don’t forget to savor the final weeks of summer. Enjoy the sun, create lasting memories, and embrace the freedom of the season. Soon enough, school will be back in session, and a new chapter of learning and growth will begin.

So, take a moment to relax, enjoy the remaining days of summer, and know that you have everything you need to start the school year off right. Here’s to a fantastic and successful new school year!

Yul Lopez, APRN
Hector Fabregas, MD

ª Complete Family Dentistry

ª On-Site Specialists

ª Same-Day Emergency Care

ª Sedation Dentistry Options

ª Same Location for 20+ Years

ª Low-Exposure Digital X-Rays

ª Precise Digital Impressions

ª Private Treatment Rooms

ª Saturday & Evenings

ª Most Insurance Accepted

ª Financing Available

August 2024 Calendar

AUGUST 1

From Gershwin to Sondheim: Celebrating the Jewish Broadway Composers

Come hear the sounds of Broadway featuring the works of George and Ira Gershwin, Irving Berlin, Jerome Kern, Lorenz Heart, Richard Rodgers, Oscar Hammerstein II, Steven Sondheim, Leonard Bernstein, and more! It features Emily Kennedy on the trumpet and Patrice Risi on the piano. Hosted at Davie/Cooper City Branch Library, 4600 SW 82nd Ave from 2:00 pm - 3:00 pm. For more info, call 954-825-5577.

AUGUST 2-4

Professional Bull Riders

Experience the adrenaline rush as riders unite for the ultimate glory! This is your chance to witness talented bull riders going head-to-head with powerful bucking bulls to see which team can come out on top! Who will you cheer on in this opening weekend for the Florida Freedom? The three-day event will be hosted at Amerant Bank Stadium in Sunrise. For more info or tickets, scan the QR code.

AUGUST 3

Take a Kid Fishin’

Davie residents ages 5-12 are invited to join your neighbors for a morning of fishin’ fun! Every participant of the fun-filled event will receive lunch, a t-shirt and a container of worms. Registration is required and cost $10. Hosted at the Davie Golf Course, 8201 Nova Drive. Scan the QR code to register. For more info, call 954-797-1151.

AUGUST 10-11

Monster Jam

Lets get ready to rumble! Experience the sounds, sights and action of the world’s biggest monster truck tour. Famous trucks include Grave Digger, Max-D, and El Toro Loco. Events typically include various competitions such as racing, freestyle, and skills challenges. Racing involves head-to-head competitions on a dirt track, while freestyle allows drivers to perform stunts and tricks. Skills challenges might include wheelies, stoppies, and other maneuvers. Hosted at Amerant Bank Stadium. Scan the QR code for tickets and more info.

AUGUST 12

Flamingo Gardens Orchid

Society Meeting

Listen to Keith and Dina Emig, from Winter Haven Orchid Nursery, present “Vandaceous but Not Vandas”. Keith and Dina grow, hybridize & register plants in the Oncidium, Cattleya, Phalaenopsis, Vanda, and Dendrobium alliances, and have created their own genera (Emigara). They have received more than 45 American Orchid Society awards, so far, including nine for their original crosses. Keith and Dina share their growing knowledge with other enthusiasts. Hosted at Flamingo Gardens, Mary N. Porter Learning Center 3750 S. Flamingo Road. Doors open at 7:00 pm program starts at 7:30 pm.

AUGUST 12

First Day of School

Broward County Public School students are heading back to school! Early in the morning, kids will be on the roads and waiting at bus stops. Please drive with caution and remember to slow down in school zones. Good luck to all our students from everyone at Our City Media!

August 2024 Calendar

AUGUST 17

Work Out & Get Motivated!

Celebrate spring with an outdoor workout. Led by personal trainer Susan Malinski, this session will get your blood flowing and set you off with a positive mindset. Led by personal trainer Susan Malinski, these sessions will get your blood flowing and set you off with a positive mindset. Text Susan to learn what local park the next workout will be at. For more info visit www.SusanMalinski.com or call or text 954-245-207.1

AUGUST 20

Primary Election Day

Voters will be heading to the polls early in the morning for Florida’s Primary Election. Please exercise your right to vote and make your voice heard. Drive safely and be mindful of increased traffic around polling stations. For more info on your voting information, visit www. browardvotes.gov.

AUGUST 23

Ghost Tour

Head to the Old Davie School and enjoy this spirited stroll through Davie uncovering its historical and supernatural hotspots along the way! Hosted by ConspiriSisters from This Is Improv. Tour starts at 6:30 pm at the Old Davie School, 6650 Griffin Road. For more info, call 954-797-1044. Scan the QR code for more info.

AUGUST 27

Senior Cinema: Downtown Owl Seniors 55+, enjoy a movie at the Jim Ward Community Center every Tuesday at 10:30 am (second showing at 6:00 pm). Freshly popped popcorn and light refreshments will be provided. This week’s move is Downtown Owl which follows the lives of isolated residents of Owl North Dakota, who are upended by a whiteout blizzard in 1983. Hosted at the Jim Ward Community Center, 301 NW 46th Ave. For more info, call 954-585-2344.

AUGUST 30

Sunrise Civic Center Art Gallery: "Las Flores De Mi Vida”

This opening reception features works by Chyky Lafaurie. The collection is a collection in an abstract geometric style where through lines and geometric figures I create designs where color in all its ranges are protagonists giving depth, light, shadow and movement to each of them. Furthermore, incorporating different levels or planes allows me to give fundamental importance to the background of the painting, thus achieving a special effect that ends up defining the desired design. 6:00 pm - 8:00 pm at the Sunrise Civic Center Art Gallery, 10610 W Oakland Park Blvd. For more info, scan the QR code.

SEPTEMBER 2

Labor Day

Labor Day is a federal holiday in the United States celebrated on the first Monday in September to honor and recognize the American labor movement and the works and contributions of laborers to the development and achievements of the United States.

The Democrats Choice!

Former Mayor of Broward County, 14 years in elected office. Business owner and Nurse for 33 years.

Dr. Barbara Sharief is celebrated for her work in healthcare, housing, education, and employment.

Personal History

Born in South Florida, Barbara was one of eight siblings. Her father's death instilled a strong work ethic. She earned a Bachelor’s in Nursing, a Master’s in Nursing, and an ARNP license from Florida International University. In 2017, she completed her Doctor of Nursing Practice (DNP) from Wilkes University.

Work History

Barbara advanced from registered nurse to ARNP and founded South Florida Pediatric Homecare, Inc. in 2001, specializing in care for medically complex children.

Political Career

Barbara has served Broward County for 13 years as a County Commissioner, former Vice Mayor, and two-time Mayor. She was the first African American woman to serve as Mayor and the first African American female President of the Florida Association of Counties. Her initiatives focused on insurance relief, affordable housing, healthcare, school funding, and teacher pay. She also championed veterans, reproductive rights, clean water, and veterans’ benefits.

Leadership & Advocacy

As Mayor, Barbara led responses to Hurricane Irma, the Fort Lauderdale Airport shooting, and the Port Everglades oil spill. She advocated for all 67 Florida counties on healthcare, social justice, voting rights, women’s issues, human rights, education,

environmental protection, and jobs. She lobbied in Washington on healthcare, Medicare, Medicaid, clean water, and rural issues.

Notable Accomplishments

Barbara saved taxpayers $33 million and secured funding for the Miramar Amphitheater and youth employment programs. She led infrastructure improvements and supported minority-owned and LGBT+ businesses.

Community Engagement

Barbara sponsored the Foster Park Reading Library Program and Veterans Appreciation Day. She supports minority-owned businesses and fosters an inclusive environment.

Legacy & Ongoing Efforts

Barbara’s legacy in Broward County is profound. As a State Senate candidate for District 35, she is committed to healthcare, social justice, voting rights, women’s issues, human rights, education, environmental protection, and jobs. With 30 years in healthcare and a successful home health company employing over 500 professionals, she understands community challenges and is ready to fight for her constituents. Barbara is a member of Alpha Kappa Alpha Sorority, Inc. (AKA) and The Links, Inc.

Dr. Barbara Sharief exemplifies dedication and leadership, combining her healthcare expertise with her passion for public service. Her achievements highlight her commitment to improving life for all Broward residents and her readiness to serve as a State Senator for District 35.

BARBARA ORTIS, CITY OF PEMBROKE PINES

VICE MAYOR LINDA HILL ANDERSON, HOLLYWOOD

VICE MAYOR ALEXANDRA DAVIS, CITY OF MIRAMAR

FM. VICE MAYOR IRIS SIPLE, CITY OF PEMBROKE PINES

VICE MAYOR CARYL HATTAN, TOWN OF DAVIE

DEPUTY MAYOR MARK DOUGLAS, CITY OF SUNRISE

COMMISSIONER LINDA HILL-ANDERSON, CITY OF HOLLYWOOD

COMMISSIONER MAXWELL CHAMBERS, CITY OF MIRAMAR

COMMISSIONER DENISE D. GRANT, CITY OF LAUDERHILL

COMMISSIONER JACQUELINE GUZMAN, CITY OF SUNRISE

COMMISSIONER NEIL C KERCH, CITY OF SUNRISE

COMMISSIONER LISA MALLOZZI, CITY OF COOPER CITY COMMISSIONER JOSEPH SCUOTTO, CITY OF SUNRISE COMMISSIONER JAY SCHWARTZ, CITY OF PEMBROKE PINES

COUNCIL MEMBER JIM ALBRITTON, TOWN OF SW RANCHES

COMMISSIONER ELVIN VILLALOBOS, CITY OF TAMARAC

COMMISSIONER MARVIN PRICE, WEST PARK FM. COMMISSIONER THOMAS DORSETT, WEST PARK COMMISSIONER DON D’ARMINIO, CITY OF WILTON MANORS COMMISSIONER ALANNA MERSINGER, SOUTH BROWARD DRAINAGE DISTRICT HON. PERRY THURSTON, FORMER STATE SENATOR HON. ELAINE SCHWARTZ, FORMER STATE REPRESENTATIVE HON. JENNIFER GOTTLIEB, FORMER BROWARD COUNTY SCHOOL BOARD MEMBER HON. LORI MOSELEY, FORMER MAYOR, CITY OF MIRAMAR HON. DANIEL STERMER, FORMER MAYOR, CITY OF WESTON HON. TOBY FEUER, FORMER COMMISSIONER, CITY OF WESTON HON. KAREN FORTMAN, FORMER BROWARD COUNTY SCHOOL BOARD MEMBER & BROWARD DEM. PRESIDENT OF COUNCIL OF CLUB COMMUNITY LEADERS, UNION OFFICIALS AND DEMOCRATIC PARTY OFFICERS (BOTH PAST AND PRESENT) MICHEAL ALBETTA, LORI BAER, MITCHELL BERGER, HOPE CALHOUN, SERGIO CANTU, GRACE CARRINGTON, MARIO CARTAYA, MITCH CEASAR, ADOLFO COTILLA, LOURDES DIAZ, HEIKO DOBRIKOW, KEN EVANS, DAVID L. ERICKS, DR. MARIE ETIENNE, DADLY FILIUS, ANNA FUSCO, AUSTIN FORMAN, KAREN FORTMAN, BERNIE FRIEDMAN, NATASHA HAMPTON, RICHARD HOYE, PERCY JOHNSON, STEVEN JULIAN, BILL LAYSTROM, KEITH POLIAKOFF, LINDA THOMPSON GONZALEZ, MARGARITA HERNANDEZ, GEORGIANNA IRBY, WILLIE JONES, DODIE KEITH-LAZOWICK, PATTI LYNN, ANDY MADTES, DENNIS MELE, JOHN MILLEDGE, DORSEY MILLER, CATHERINE MINNIS, RAYMOND MOLINARY, TYRONE NABBIE, GEORGE PLATT, COREY SHEARER, AUDE M L SICARD, JODIE SIEGEL, JIM SILVERNALE, JOHN T, JEAN-PIERRE TURGOT, JOHNNY WALKER DIXON, SCOTT WEISELBERG, TERESA WILLIAMS, ESQ.

Dr. Sharief with Hillary Clinton, highlighting a moment of shared commitment to public service and leadership.
Dr. Sharief and property appraiser Marty Kiar with his dad Monroe Kiar.
Dr. Sharief with supporters Karen and Phil Fortman.
Dr. Sharief, with 30+ years in healthcare and public service, exemplifies dedication and compassion.

TOWN OF DAVIE CELEBRATES INDEPENDENCE DAY 2024

Davie residents braved the scorching heat to celebrate Independence Day at the Bamford Sports Complex. This annual event, a cherished tradition for families, once again delivered an outstanding celebration on July 4th.

The main stage buzzed with lively music that enchanted the crowd. Children of all ages enjoyed a wide array of activities, from exhilarating carnival rides to the joy of interacting with adorable animals at the petting

farm. The excitement in the air was palpable as face-painting artists turned little faces into vibrant works of art. A variety of food trucks offered a delectable assortment of treats, tantalizing everyone's taste buds.

As the day unfolded, residents secured their spots on the lush green lawns, eagerly anticipating the grand finale. Mayor Judy Paul of the Town of Davie expressed her delight in seeing the community come together to celebrate their remarkable nation. She highlighted the resilience and strength of both the town's heritage and the country as a whole.

In this joyous atmosphere, Davie embraced the essence of patriotism and unity, celebrating the freedom and values that make their town and country truly great.

YOM KIPPUR

The Melting Pot WHERE FONDUE DINING CREATES LASTING MEMORIES

The Melting Pot is unlike any other dining experience; Fondue cuisine is very social and interactive, and not only will you love the food, you will love the experience. Guests frequently comment on how much fun they had, feeling included and connected in our social dining atmosphere!

“Our fondue restaurant is perfect for every occasion,” said General Manager Baris Asar, “from a night out with friends to a romantic dinner with your special someone to a promotion celebration with colleagues, it really is the perfect place."

The restaurant, located on Sample Road in Coral Springs, recently renovated the interior providing guests with a modern, welcoming environment. In addition to the fresh new look and feel, The Melting Pot upgrading its food quality and service level even above its already great standards.

UNIQUE DINING EXPERIENCE

The unique aspect of Fondue dining lies in its inclusivity. The interactive preparation of your dish is as enjoyable as its consumption. The restaurant fosters conversation, laughter, and togetherness over artisan cheeses, fresh salads, savory entrees, and indulgent

desserts, creating a sense of connection and engagement among diners.

“If you want to blow away your date,” commented Baris, “ask for a closed-curtain dining experience. You and your date will feel like you are the only ones in the restaurant!”

The Melting Pot offers authentic fondue, including cheese fondue created and prepared tableside. Your server interacts with guests as he or she melts scrumptious cheese, creating a fondue master piece. The guests then dive in with artisan bread, pretzel bread, vegetable crudites, and crisp seasonal fruit, all dipped in the warm, melted, ultra-smooth cheese fondue worthy of the Swiss Alps.

Following the cheese course is a full array of protein options, including beef, poultry or seafood. The server whisks away the cheese pot and replaces it with a fresh pot of oil, or one of their secret fat-free broths. Most entrees consist of choice meats, poultry, and fresh seafood. There are also options for plant-based and gluten-free diets.

The final course of the decadent meal is dessert. Melted chocolate fondue is

accompanied by a delicious assortment of fresh fruits, pastries, and even dusted marshmallows.

The Melting Pot has a large party room that is perfect for private events and parties like baby showers, graduations, bridal showers or business meetings and celebrations.

SUMMER PROMOTION

The Melting Pot is offering diners a special three-course dinner, cheese, entrée and chocolate fondue, for only $37 per person during the summer. It is an incredible value that will keep you coming back for more! Their children’s menu allows parents of little ones to enjoy the scrumptious offerings without breaking the bank as well!

The Melting Pot provides a truly unparalleled dining experience that goes beyond just enjoying a meal. Its fondue cuisine creates an interactive and inclusive atmosphere where guests can savor delicious food while engaging in lively conversation and laughter. Whether you're celebrating a special occasion, enjoying a romantic evening, or simply spending time with friends and family, The Melting Pot offers an experience that is both memorable and delightful. With its unique dining setup, exceptional menu options, and special summer promotion, there has never been a better time to visit and create lasting memories at The Melting Pot.

The Melting Pot is located at 10374 W Sample Road. To make a reservation call 954-755-6368 or scan the QR code.

Cooper City’s Eat to the Beat concert was held at the Suellen H. Fardelmann Sports Complex. It was a night filled with food, music, and fun! The event featured The Samantha Russell Band and food trucks serving up culinar y creations.

Cooper City's "Eat to the Beat" events are vibrant community gatherings that blend the pleasures of diverse culinary experiences with the joy of live music. Held regularly, these events transform local parks into bustling hubs of activity, drawing

residents and visitors alike to enjoy a festive atmosphere. Each event features live music, food trucks and vendors, community engagement and wholesome family fun! Keep an eye on the Our City Magazine calendar for the next "Eat to the Beat" events, including dates, locations, and featured performers. Whether you’re a foodie, music lover, or simply looking for a fun evening out, "Eat to the Beat" promises a delightful experience for all.

WHAT TO DO AFTER A LOVED ONE DIES

If you’ve recently lost a loved one or been appointed as a Personal Representative of a loved one's estate, your grief and the tasks ahead can be overwhelming. It's important to take care of yourself during this emotional time. Here's a checklist of crucial details to help you handle the “business” end of things and make the trip to an attorney’s office easier. Some of these tasks have deadlines, so reach out sooner rather than later.

Immediate Actions

Secure Personal Property: Protect the deceased's vehicle, home, business, and other assets.

• Notify the Post Office: Redirect their mail to your address.

• Get Copies of the Death Certificate: You'll need them for various tasks.

Notify Social Security: Inform them about the death immediately to avoid overpayments and legal issues.

• Handle Medicare Details.

• Contact the Employer: Find out about benefits and final pay.

• Manage Insurance: Stop unnecessary health insurance and notify relevant insurance companies. Terminate any policies after officially taking over the estate.

Cancel Identifications: Cancel the deceased's driver's license, passport, voter's registration, and club memberships.

Close Online Accounts: Close email and social media accounts. Shut down any websites.

• Contact Your CPA.

What NOT To Do After a Loved One Dies

Handling the estate improperly can lead to significant problems. Here are things you should avoid and should consult with an attorney before handling any of the items below:

1. Do Not Tell the Bank Right Away or Close Accounts Prematurely: Wait until you understand the estate fully.

2. Do Not Notify Utility Companies: Avoid having services shut off;

3. Do Not Give Away or Promise Items or Sell Personal Assets

4. Do Not Drive Their Vehicles: Insurance may not cover you after their death.

5. Do Not Let Others Move Into Their House.

6. Do Not Let Homeowner’s Insurance Lapse: Ensure the house remains insured.

7. Do Not Neglect Digital Assets: Manage online accounts, social media profiles, and digital currencies.

8. Do Not Forget to Notify Creditors: Prevent further charges by informing creditors of the death.

9. Do Not Overlook Pets: Ensure pets are cared for according to the estate plan.

10. Do Not Neglect Filing for Life Insurance or Death Benefits: File for any life insurance or death benefits.

11. Do Not Forget About Personal Notifications: Notify friends, family, and acquaintances about the death.

Preparing for Probate

Depending on the circumstances, probate may be necessary. Gather the following: Will and Trust: Ensure you have the original or a good copy.

List of Bills and Debts: Compile all outstanding bills and debts.

Professional Advisors: List financial advisors, insurance agents, and other professional advisors.

Surviving Family Members: Create a list of family members with their contact information.

My final “DO NOT”

Do Not Delay Handling Things: Consult an attorney within 1-2 months to develop a plan.

Gather important documents like estate plans, life insurance, bank statements, and bills. A qualified attorney will help you manage the estate efficiently, saving you time, money, and stress. As always, my firm and I are here to help you through this difficult time.

▸ Andrea L. Jakob, PA is located at 12401 Orange Drive, Suite 219 in Davie. They can be reached at 954-862-1479 or on the at www.jakoblegal.com.

PURSUIT OF HONOR, COURAGE & COMMITMENT

A Race to Remember

Let’s come together as a community to support our veterans and youth. Lace up your running shoes, bring your family and friends, and head to Charnow Park for a memorable sunrise run/walk on Hollywood Beach. Together, we can make a difference while enjoying a wonderful morning by the sea. See you at the starting line!

Location

Charnow Park, Hollywood Beach, Florida

Event Overview

Mark your calendars for an exciting and purposeful morning at Charnow Park on Hollywood Beach. On October 12, 2024, join fellow runners, active-duty military, first responders and community members for a sunrise run/walk that promises not only scenic beauty but also a chance to make a significant impact. The event, starting at 7:30 a.m., aims to support the Wounded Warrior Project and the Fort Lauderdale Sea Cadets Youth Development Program.

Race Day Highlights

Participants can look forward to a picturesque route along the beach, cool tech shirts, and finishing medals for the first 750 registrants and finishers, respectively. The atmosphere will be vibrant with a post-race breakfast provided by Whole Foods, ensuring participants replenish their energy with wholesome food.

Fun for the Whole Family

This event is family-friendly, featuring a Kids Fun Run for children aged 10 and under. This ensures that even the youngest members of the community can participate and enjoy the spirit of the race. With plenty of raffle prizes and awards for the top three finishers in each 5-year age group up to 80 plus, there’s something for everyone.

Packet Pick-up Details

To ensure a smooth race day, participants can pick up their race packets and bibs ahead of time. Packet pick-up will be available at Runners Depot in Davie on Thursday, October 10, 2024, from 3:30 p.m. until closing at 7:00 pm, and at The Sea Cadet Training Center, 300 SW 25th St, Fort Lauderdale on Friday, October 11th, from 4:00 pm - 7:00 pm. For those unable to make it on Thursday, race morning packet pick-up will start at 6:00 a.m. at Charnow Park.

About the Beneficiaries

The Wounded Warrior Project (WWP) is an American charity and veterans service organization operating as a nonprofit 501(c) (3). WWP offers a variety of programs, services, and events for veterans who incurred physical or mental injuries, illnesses, or wounds co-incident to their military service on or after September 11, 2001. This organization is dedicated to honoring and empowering wounded warriors, helping them transition back to civilian life with dignity and purpose.

The Fort Lauderdale Sea Cadets Youth Development Program, part of the U.S. Naval Sea Cadet Corps, equips young people with skills, knowledge, and confidence through a diverse range of training opportunities. Sea Cadets work as teams in a disciplined environment, adhering to core values of Honor, Respect, Commitment, and Service.

The program instills values of discipline, accountability, and teamwork in a safe environment, encouraging cadets to step outside their comfort zones with dynamic challenges, fostering humility and confidence.

Get Involved

This sunrise run/walk is a perfect opportunity to get some exercise, enjoy the beautiful Florida coastline, and contribute to two worthy causes. Whether you're a seasoned runner or just looking for a fun way to spend your Saturday morning, this event welcomes all. Remember, the first 750 participants will receive a cool tech shirt, and the first 750 finishers will earn a finishing medal.

For more info and to register, scan the QR Code.

PRESCHOOLS/SCHOOLS

Academic School 4 Arts

8673 Stirling Road, Cooper City as4a.org

954-999-5956

Academic School 4 Arts i s a learning institution that nurtures the whole child, utilizing the gifts of the fine and performing arts. The fine and performing arts are treated as equal learning disciplines with core academics. AS4A promotes mindfulness, problem-solving skills, independent thinking, and celebration of diversity. We help mold great citizens!

.

All Saints Catholic School

10900 W Oakland Park Blvd, Sunrise allsaintscatholicschool.net

954-742-4842

The Mission of All Saints Catholic School is to provide an atmosphere rich in the Catholic faith where each child is challenged to grow spiritually, academically, and emotionally in a safe and nurturing environment. They offer instruction for PreK–8th grade.

.

Apple Tree Montessori School

6301 SW 160th Avenue, Southwest Ranches appletreemont.com

954-252-9250

Apple Tree Montessori School is a PreK-8 school that uses the Montessori method to encourage independence and freedom with limits and responsibility. It also allows for the child to grow independently and encourages the self-absorption. Students have been encouraged to exchange ideas and to discuss their work freely with others by using good communication skills to ease the way in their new setting.

Beth Emet School

4807 S Flamingo Road, Cooper City templebethemet.org 954-680-1882

Beth Emet School is committed to helping students reach their full potential through a challenging, advanced curriculum with a warm, supportive environment that promotes critical thinking, creative expression, self-esteem, emotional learning and Jewish ethics.

Creative Child Learning Center

1305 SW 101st Road, Davie creativechildlearningcenter.com 954-452-3346

Creative Child Learning Centers provide children with a loving, nurturing, environment that allows for social & emotional growth. Hands-on learning is accomplished through creativity, self-expression & good old-fashioned fun.

Franklin Academy

6301 S Flamingo Road, Cooper City cambridgepreschools.com 954-780-5533

Franklin Academy creates a learning atmosphere where differentiated instruction implements strategies that support student success within the classroom. They also constantly enhance student skills that are essential for success beyond the classroom walls, ensuring students are college and career ready.

Greentree Preparatory Charter School

6301 SW 160th Avenue, Southwest Ranches cambridgepreschools.com 954-217-8566

Greentree Prep has a mission to prepare K-8 students for high academic achievement and personal success. The school was designated as one of the top 3 performing schools in Broward County according to FSA scores in 2014. Greentree Prep enrolls students in grades K-8.

Posnack School

5810 S Pine Island Rd posnackschool.org 954-583-6100

David Posnack Jewish Day School offers students a unique learning experience. Combining academic rigor in general and Judaic Studies with award-winning arts and sports programming, the Posnack School prepares students for lifelong achievement.

U R P R O G R A M S

At Code Ninjas, children ages 5-14 dive into the exciting world of coding by building video games. Along the way, they develop essential skills in coding, critical thinking, and problem-solving. Our engaging programs not only make learning fun but also boost academic performance and set the stage for future success.

NSU University School

3375 SW 75th Avenue, Davie uschool.nova.edu

954-262-4506

NSU University School is an independent, college preparatory school that educates students in grades junior kindergarten through twelfth grade. The school prepares students for productive lives and leadership roles through a program that focuses on academic excellence, extracurricular participation, and service to others. .

Sagemont Preparatory School

1570 Sagemont Way, Weston sagemont.com

954-389-2454

Sagemont Preparatory School inspires academic excellence, through intellectual exploration, entrepreneurship, and innovation. Students in Pre-k through grade 12 are encouraged to take responsible risks and develop a deep understanding of social responsibility as active agents of change.

.

St. David Catholic School

3900 S University Drive, Davie saintdavidschool.org

954-472-7086

The mission of Saint David Catholic School is to provide a foundation for nurturing of Catholic faith, traditions, and academic excellence. .

Tree of Life Christian Academy

4035 Embassy Drive N, Cooper City treeoflifeacademy.com

754-210-5855

Experience what Weston parents have known for years. Tree of Life Christian Academy Preschool is now open in Cooper City at the former Chesterbrook Academy location. Tree of Life Christian Academy is committed to providing children with a higher level of care and education in a safe, nurturing, academically challenging and culturally diverse environment. The bilingual school combined two top-rated curriculum to create one unique high-level learning curriculum for its students.

ACADEMIC ENRICHMENT

Academy of Arts

20841 Johnson Street, Suite 113, Pembroke Pines academyofartsinc.com

954-704-0068

In the warm, caring environment of Academy of Arts, every student is special. Nurturing their love of the arts, by creating a class filled with positive learning experiences your child will be challenged in areas where his/her growing body and mind can benefit most. Academy of Arts teaches classes in Ballet, Pointe, Tap, Modern, Jazz, Hip Hop, Flamenco, Contemporary, Musical Theatre, Drama, Art, Violin, Guitar, Piano, Voice for preschoolers through adults ranging from beginner through professional levels.

Broadway Kids Studio

9042 W State Road 84, Davie broadwaykidsstudio.com

954-693-7500

Broadway Kids Studio's after school program offers kids 15 different acting and performing arts programs to choose from. The program is available to students ages 5 through 18.

Broward Tutorial Services

5400 S University Drive, Suite 503, Davie browardtutorialservices.com

954-667-6500

Since 2004, Broward Tutorial Services has provided professional small group and one-on-one tutoring to help students attain their highest score on the SAT and/or ACT exams. Students are taught skills to help manage the test, understand the questions, maximize what they know, eliminate mistakes, and recognize and avoid test traps.

Camp Lingua

4700 SW 160th Avenue, Southwest Ranches camplingua.com

954-642-2267

Camp Lingua offers an after-school language program that uses a proven natural, multi-sensory approach, delivered by professional educators who utilize engaging materials, ensuring students’ success in the acquisition and mastery of a new language. It also offers customized tutoring tailored to the student’s proficiency level, learning style, and schedule.

2024/25 SCHOOL CALENDAR

Code Ninjas

5534 S Flamingo Road, Cooper City codeninjas.com

954-954-727-8797

At Code Ninjas, kids learn to code by creating their own video games, making learning fun and engaging. Their flexible coding programs are designed with busy parents in mind, offering convenient drop-in hours after school and on weekends. They offer a variety of STEM programs for children ages 5 to 14 that enhance problem-solving skills, boost creativity, and improve academic performance. In the AI era, Code Ninjas is transforming children's futures through the power of coding.

Inna's Hall of Fame Performing Arts Conservatory

8685 Stirling Road, Cooper City www.innashof.com

954-237-6021

Inna’s Hall of Fame is Broward County’s very own Performing Arts Conservatory (PAC). They provide quality instruction in art, dance, theater, and music. In addition, the PAC offers a summer camp for music, art, and theater. Programs are available for all ages.

International Dance Academy

825 Shotgun Road, Sunrise danceida.com

954-476-4419

The International Dance Academy teaches classes in Ballet (including Royal Academy of Dance instruction and certification), Pointe, Repertoire, Contemporary, and Jazz. The studio presents two full-scale professional theatrical performances annually, including the beloved The Nutcracker ballet each December.

Premier Martial Arts

1375 Shotgun Road, Sunrise premiermartialarts.com/weston 954-217-6006

The martial arts offer numerous health benefits, while at the same time teaching respect, discipline and self-control. At Premier Martial Arts, children learn to focus, how to concentrate and discipline. They also do this in a fun atmosphere where every child is cherished.

School of Rock

4401 S Flamingo Road, Suite 100, Davie schoolofrock.com

954-252-7625

At School of Rock, students learn guitar, bass, vocals, keyboards, and drums. The school combines weekly private music lessons and group band rehearsals to prepare students to take the stage in front of live audiences in an authentic concert setting

Sun City Aviation Academy Aero Camp

7201 S Airport Road, Suite 504A, Pembroke Pines suncityaviation.com

754-423-2159

Aero Camp is a day camp program for high school students designed to give young people a unique opportunity to explore the vast & exciting world of aviation and aerospace. Sun City Aviation Academy also offers a variety of pilot certification courses.

Super Aqua Swim School

115 Weston Road, Weston superaquaswim.com

954-451-2727

The Super Aqua Swim School has an innovative methodology that submerges into the children’s universe bringing technique, creativity and fun to the swim lessons. Elements necessary to make the aquatics experience an incredible learning moment.

TAG USA Gymnastics

15900 W State Road 84, Weston taggymnastics.com

954-384-9393

TAG USA Gymnastics is both the “Home of Champions” and the most popular Gymnastics/Tumbling/Trampoline and Cheer facility in the area. TAG USA is proud to be home to 5 national champions in multiple sports. They also boast award winning recreational classes. Be sure to ask about their parkour area and after school programs.

August 20 is primary election day. Do not forget to vote. Since this is the regular date for our Veterans breakfast that will be canceled since the Multi-Purpose Center is set up for several voting precincts. The next Veterans Breakfast will be on September 17th.

Don’t forget to join us for Take a Kid Fishing on Saturday, August 3 at the Davie Golf Club, 8201 Nova Drive. This event is open to children ages 5 to 12. Prizes will be awarded for different categories including: Longest fish caught | Most fish caught Most unusual catch | Sportsmanship award

To participate, individuals must pre-register at www. davie-fl.gov/eventregistration. The cost to participate is $10 per child and includes lunch, a Take-a-Kid Fishin’ t-shirt and a can of worms. The last day to register is Wednesday, July 31, 2024.

All children must be accompanied by an adult throughout the event. Participants must bring their own fishing pole with line, hooks, bobbers and additional fishing tackle.

For more information, contact the Parks, Recreation and Cultural Arts Department at 954-797-1181 or email specialevents@davie-fl.gov.

The Town of Davie in partnership with Rick and Rita

DAVIE UPDATE

Case Boys and Girls Club, Florence A. De George Unit Boys and Girls Club, and Davie Police Athletic League (PAL) is hosting a School Supply Donation Drive now through August 12, 2024. Donations will help children in need within our community to prepare for the upcoming school year.

To participate, please bring an item from the donation list to a drop-off location listed below.

Town of Davie Drop-off Locations: Monday - Thursday

• Town Clerk’s Office (Building C): 8800 SW 36th Street | 7:30 a.m. to 5:30 p.m.

• Pine Island Multipurpose Center: 3801 S. Pine Island Road | 8 a.m. to 9 p.m.

• Fitness and Aquatic Center: 3800 SW 92nd Avenue | 5 a.m. to 9 p.m.

• Davie Police Department Lobby: 1230 South Nob Hill Road | 7:30 a.m. to 5:30 p.m.

• Davie Fire Rescue Department Main Lobby: 6901 Orange Drive | 7:30 a.m. to 5:30 p.m.

Friday

• Davie Fitness and Aquatic Center: 3800 SW 92nd Avenue | 5 a.m. to 9 p.m.

• Pine Island Multipurpose Center: 3801 S. Pine Island Road | 8 a.m. to 9 p.m.

Saturday - Sunday

• Fitness and Aquatic Center: 3800 SW 92nd Avenue | 8 a.m. to 5 p.m.

• Pine Island Multipurpose Center: 3801 S. Pine Island Road | 9 a.m. to 5 p.m.

Acceptable items include:

Composition Books, Spiral Notebooks (wide and college-ruled), Dry Erase Markers, #2 Pencils, Pencil Cases, Erasers, Pocket Folders (duo-tang style), Pens, Rulers, Glue Sticks, Highlighters

Please ensure that all donations are new and unused. Additionally, we ask that you follow the donation items list provided and make no substitutions.

Florida’s Back to School 2024 Sales Tax Holiday begins on Monday, July 29, and ends on Sunday, August 11, 2024. Individuals can take full advantage of saving money on qualifying back-to-school supplies that are exempt from tax during this time when purchasing items to donate.

The school supply distribution will be completed in partnership with Rick and Rita Case Boys and Girls Club, Florence A. De George Unit Boys and Girls Club, and Davie PAL.

For more information about the donation drive, please contact Angela Madias, Davie Police Compliance and Accreditation Manager, at amadias@davie-fl.gov or 954-693-8395 or Chad Pezoldt, Assistant Parks, Recreation and Cultural Arts Director, at cpezoldt@ davie-fl.gov or 954-797-1151.

PUZZLES

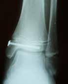
PEDIatric Foot & Ankle Sprains May Be a More Complex Growth Plate Injury

Injuries to the growth plate in children may cause damage to the structures at the end of the bone that will allow the child’s bone to grow to full adult size. X-rays can fail to provide a complete and accurate picture of the diagnosis. These injuries may be misdiagnosed as a simple sprain of the foot or ankle. However, a more complex injury may be present.

Growth plates, which start to close between the ages of 13 and 18, can be damaged in incidents such as simple falls, sports injuries, automobile accidents or other major or minor trauma. If not recognized and treated early, a child’s growth plate injury can lead to shortening of the bone (growth ceases) as the growth plate may close prematurely. Angular deformities of the bone (a curve) may also develop. The severity of these deformities depends on the age at the time of injury, extent of the injury and the part of the growth plate that has been damaged. Certain portions of

the growth plate may be injured affecting its growth while other parts grow more normally thus causing a bowing of the bone. Symptoms of a growth plate injury may mimic a sprain. These injuries occur more frequently than realized. There will always be pinpoint tenderness on the bone’s growth plate and a degree of swelling that is proportional to the degree of injury to the area. The child will often limp and try to avoid the body part. Normal treatment for a sprain may involve simple observation and application of an ace bandage or brace. This treatment for a growth plate injury that is severe may be devastating.

X-rays are used to evaluate bone and joint alignment. A growth plate can be injured or even fractured with a normal X-ray. In more moderate to severe cases, x-rays will usually show the fracture. When in doubt, a CT scan may be necessary.

Treatment options include:

1. Immobilization in a below-the-knee cast with or without crutches may be necessary if the growth plate is well aligned. These injuries will heal on their own within six to eight weeks. The younger the child, the

faster it heals.

2. If the injury has caused misalignment of the growth plate it can sometimes be carefully manipulated back into place and then protected with a cast. The cast would be necessary for a minimum of six to eight weeks. Non-weight bearing would be mandatory.

3. If the misalignment is more severe and not able to be manipulated back into its normal position, surgery would be necessary to restore the growth plate to its proper position. This may help avoid later problems including malalignment or premature growth plate closure that may cause the extremity to be shortened and crooked.

The most important thing is immediate diagnosis and treatment.

Carlo A. Messina, DPM, is a Board Certified Reconstructive Foot and Ankle Surgeon, Diplomate American Board of Foot and Ankle Surgery. He is a Foot and Ankle Surgeon with the South Florida Foot & Ankle Sports Institute and specializes in treating infants, children, teens and adults.

South Florida Foot & Ankle Sports Institute

Pediatrics: We treat flat feet, high arches, fractures, growing pains, warts, toe walkers, in & out toe, limping, and ingrown nails in children.

Fractures: We can diagnose all foot, ankle & leg fractures in children & adults.

Cartilage Injuries: Microfractures, cartilage transplants, osteochondral grafting.

Reconstructive Surgeries: Flat foot, bunions, hammertoe, Achilles tears, more!

Foot & Ankle Arthritis: Total replacement, arthroscopy, fusions, realignment. Sports Medicine: Tendon & ligament injuries, heel pain, shockwave therapy, PRP & stem cell injections, arthroscopy, tendonoscopy, and more!

A Culture Of Caring

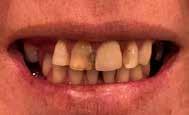
AUnexpected Cavities

lmost daily, we have a child come in to our office with many more cavities than anticipated. In some instances, they are “regulars” coming in for their six month checks and everyone present attests to their daily brushing ritual. Still, in a relatively short period of time, these cavities have formed between the teeth. To understand this situation better, it is helpful to look at the underlying causes of cavities.

In order to form a dental cavity, there are certain ingredients which are a must. First of all, cavity causing bacteria must be present. The most notable of these bacteria are the Streptococcus Mutans. Although the thought of bacteria entering the mouth is an unsavory one, it is a fact of life. In fact, these bacteria make a home in our mouth at a very early age and are usually transmitted unintentionally by a child’s caregiver (i.e. when blowing on a hot spoon during feeding time).

The bacteria colonize on our teeth and form a plaque. They use sugars we ingest to increase the size of the plaque. Biproducts

from these colonies are acidic. This decrease in pH begins the process of breakdown of the tooth’s outer layer, the enamel. Once this shell is accessed, the bacteria can start to travel through the tooth. Therefore, the main players are bacteria, sugar, and acidity.

We recommend brushing and flossing to reduce the quantities of bacteria and remove sugars left behind after meals. Fluoride can be used to strengthen the enamel. Xylitol products are showing some promising data in the ability to limit the effectiveness of the bacteria. Still, a person who brushes/flosses and goes to the dentist for cleanings and fluoride application can still have cavities depending on intake of certain foods and liquids. As it turns out, consumption of sugar is not the only advantage that our diet provides the bacteria.

Many of the foods and beverages we are consuming are acidic and therefore lower the overall pH in the mouth speeding the process of cavity making. For example, diet soda may have no simple sugars useful to the bacteria, but the carbonation creates a very acidic oral environment. Studies have shown that many of the popular sports drinks are more acidic than batteries used for small appliances. After a little digging,

we usually find out that the unexpected cavities are preceded by the intake of acidic beverages. The bad news is that our modern diet is full of sugary acidic foods. Our children’s heroes promote them in every marketing medium.

Our office philosophy is not to deny our children their treats but rather to modify eating habits and limit the periods of exposure to certain foods. For example, a child who drinks a sports drink after practice should do so at one sitting rather than doing so throughout the day. We recommend rinsing with water after consuming acidic drinks as it is very effective at balancing pH. If hard candy is eaten, brushing should be done. Sugary snacks should be eaten with meals. Snacks eaten between meals should be of a healthier variety, like fruits veggies and granola. The idea is to be creative rather than restrictive. Happy eating!

▸ The office of Dr. Maria Maranzini-Grosman (Board Certified Pediatric Dentist) and Dr. Alon Grosman (Specialist in Orthodontics) is located at South Flamingo Road on the NW corner of Griffin and Flamingo Road. For more information or to schedule an appointment, call 954-236-3434.

Pet of the Month

Meet Brandy and Bailey, our two wonderful girls. One of them is a rescue, and both are playful and affectionate. They love to sleep and eat together, and they enjoy napping with Dad. We are so grateful to have them in our lives!

AUGUST SENATE UPDATE

Dear Friends and Neighbors, As we navigate through the summer months, I want to provide you with important updates on insurance help, homeowner protection programs, and information on voting. Your safety, well-being, and confidence in our government are my top priorities as your Senator.

The Insurance Consumer Helpline: 1-877-MY-FL-CFO (1-877-6935236) is a lifeline for Floridians looking for insurance information and assistance, allowing Floridians to speak directly with insurance experts one-on-one. These experts can help you review their policies to understand coverage, help file claims for damage, and offer assistance when having trouble communicating with their insurance company.

Homeowner Protection Programs

The My Safe Florida Home Program is available for another year! This program helps homeowners protect their homes from storms and reduces insurance premiums. Visit My Safe Florida Home Program to learn more and apply.

Additionally, condo associations can now participate in the My Safe Florida Home Condo Pilot Program to protect your condominiums and reduce insurance costs. To be considered, add your condo association’s name and contact information here: Condo Pilot Program.

Voting Information

about fifty words describing why they’re so special! Include: Your Name, Email, Phone, and City of Residence. Email entries to: anna@ourcitymedia.com

Our democracy is only as strong as our participation in it. With elections coming up this August and November, it's crucial to ensure you're registered and ready to vote. If you’ve been voting by mail, please note that the laws have changed. You’re no longer automatically enrolled and must now re-enroll for each election cycle.

Important Dates:

The Primary Election will be held on August 20, 2024. Early voting for the Primary Election will be held from August 10th to August 18th from 10:00 a.m. to 7:00 p.m.

The General Election will be held on November 5, 2024.

It is my greatest honor and responsibility to serve as your Senator. My staff and I are always here to help with any questions or concerns you may have. If you need assistance, please reach out to me at book.lauren.web@flsenate.gov or (954) 424-6674.

I look forward to hearing from you. Thank you for placing your trust in me.

Always at your service,

Lauren Book

Florida Senate Democratic Leader District 35, West Broward County

Turn static files into dynamic content formats.

Create a flipbook
Issuu converts static files into: digital portfolios, online yearbooks, online catalogs, digital photo albums and more. Sign up and create your flipbook.