Échox | Juin 2024 | Volume 45, Numéro 2

Page 1


Les technologues : alliés de la santé cardiovasculaire

Notre offre pour les technologues en imagerie médicale, en radio-oncologie et en électrophysiologie médicale devient encore plus avantageuse

Découvrez vos nouveaux avantages et privilèges à bnc.ca /specialiste-sante

Ordre des technologues en imagerie médicale, en radio-oncologie et en électrophysiologie médicale du Québec Fière partenaire de

Sous réserve d’approbation de crédit de la Banque Nationale. L’o re constitue un avantage conféré aux détenteurs d’une carte de crédit MastercardMD Platine, World MastercardMD , World EliteMD de la Banque Nationale. Certaines restrictions s’appliquent. Pour plus de détails, visitez bnc.ca/specialiste-sante. MD MASTERCARD, WORLD MASTERCARD et WORLD ELITE sont des marques de commerce déposées de Mastercard International inc. La Banque Nationale du Canada est un usager autorisé. MD BANQUE NATIONALE et le logo de la BANQUE NATIONALE sont des marques de commerce déposées de Banque Nationale du Canada. © 2020 Banque Nationale du Canada. Tous droits réservés. Toute reproduction totale ou partielle est strictement interdite sans l’autorisation préalable écrite de la Banque Nationale du Canada.

Sommaire

Mot du président 4 15 ans de l’ARM France-Québec : une collaboration au-delà des frontières

Dossier spécial 5

Le 15e anniversaire du programme d’arrangement de reconnaissance mutuel (ARM) Québec-France

Inspection 8

La confidentialité des données dans l’utilisation des technologies de l’information

Déontologie 11

Réflexions sur la pratique autonome en échographie

Radioprotection 13

Du renouveau pour le code de sécurité 35-Canada (2024)

Respire ! La résonance magnétique 16 cardio-vasculaire sensible à l’oxygénation (OS-CMR) et manœuvres respiratoires pour le diagnostic des maladies cardio-vasculaires

Ce qu’une mammographie peut 21 révéler sur la santé cardio-vasculaire : un modèle d’intelligence artificielle en développement

TEP-FDG cardiaque : 26 révolutionner le diagnostic et le traitement cardiovasculaires au Canada

Tétralogie de Fallot : 30 combinaison de quatre anomalies cardiaques congénitales

Dispositifs cardiaques 34 en radiothérapie :  une trajectoire importante pour des soins sécuritaires

Radioablation de foyers 41 de tachycardie ventriculaire : de nouveaux horizons de prise en charge

L’échocardiographie fœtale : 46 du diagnostic à la médecine fœtale

L’ÉchoX, la revue de l’Ordre des technologues en imagerie médicale, en radio-oncologie et en électrophysiologie médicale, est publié depuis 1964. Elle est disponible en format numérique sur le site de l’Ordre. • COMITÉ DE LA REVUE Ksenia Sirotkina, t.i.m. (MN), Mohamed Khélifi, t.i.m. (RD), Rita Kassatli, t.r.o., Vanessa Signoracci, t.i.m. (RD) • COLLABORATEURS AU CONTENU Arnaud Felin, cadre médico-technique du pôle de radiothérapie, Claudia Hernandez, t.e.p.m., Geneviève Dupuis, t.i.m. (RD), Gilbert Gagnon, t.i.m. (E) (RD), Jérôme Roy, cadre du pôle de radiothérapie, Karine Garyépi, t.i.m. (RD), Margherita Leo, t.i.m (RD), Marie-Christine Lapointe, t.r.o., Marie-Eve Côté, t.i.m. (RD), Matthieu Pelletier-Galarneau, MD, MSc, FRCPC, Patrick Martineau, MDCM, PhD, FRCPC, Sandie Guénette-Dubois t.i.m. (RD), Sophie Brisebois, t.i.m. (RD), Vanessa Signoracci, t.i.m. (RD), Vincent Dubé, t.i.m. (MN), Yves Morel, t.i.m. (RD) • RÉVISION ET CORRECTION Dominique Gaucher • TRADUCTION Semato • PUBLICITÉ OTIMRŒPMQ • DESIGN GRAPHIQUE Bunka • PLATEFORME DE DIFFUSION ISSUU ABONNEMENTS communications@otimrœpmq.ca • POLITIQUE D’ABONNEMENT Les membres reçoivent l’ ÉchoX trois fois par année par infolettre. POLITIQUE ÉDITORIALE Sauf indications contraires, les textes et les photos publiés n’engagent que les auteurs. Toute reproduction doit mentionner la source, après autorisation préalable de l’Ordre.

66455, rue Jean-Talon Est, bureau 401, Saint-Léonard, Montréal (Québec) H1S 3E8 514 351-0052 ou 1 800 361-8759 • otimrœpmq.ca

DÉPÔT LÉGAL Bibliothèque nationale du Québec et Bibliothèque nationale du Canada ISSN 0820-6295

Mot du président

15 ans de l’ARM France-Québec : une collaboration au-delà des frontières

Voilà maintenant déjà 15 ans que le Québec et la France établissaient une entente historique sur les arrangements de reconnaissance mutuelle des qualifications professionnelles (ARM). L’Ordre a alors saisi cette opportunité pour signer une entente avec ses homologues français et ainsi assurer une mobilité entre technologues et manipulateur en électroradiologie, mais surtout de cristalliser une amitié entre deux nations.

L’Association française des professionnels paramédicaux en électroradiologie (AFPPE) est un partenaire inestimable avec qui nous avons pu nous lancer cette grande aventure.

J’en profite aujourd’hui pour rappeler l’importance de ce lien qui nous unit au-delà des frontières. En effet, des enjeux communs tels que les besoins de formation, le manque de reconnaissance de la profession et la pénurie de main-d’œuvre rendent cette relation nécessaire et prioritaire pour l’avenir de nos professions. Notre savoir collectif saura assurément être mis à profit pour votre bénéfice et celui de la population. Nous nous engageons à pérenniser notre collaboration, notamment par un partage plus grand de contenus de formation, de publications, et d’invitations à nos événements respectifs. Vous pourrez

découvrir dans cette édition un dossier spécial sur les 15 ans de l’ARM Québec-France vous présentant, entre autres, le portrait d’une manipulatrice diplômée en France qui a choisi de venir pratiquer au Québec la profession de technologue.

Soyons fiers de notre leadership et engagement envers la profession et assuronsnous de la faire rayonner à travers toute la francophonie.

Pour finir, je vous invite à parcourir avec intérêt cette édition fascinante sur la santé cardiovasculaire en lien avec votre pratique comme technologue. On se rend bien compte, en parcourant les textes, du rôle important de chacun de nos cinq domaines de pratique dans les différents parcours de soin. Je tiens à souligner l’apport de nos auteurs et experts dans ce partage essentiel des avancées cliniques.

Bonne lecture !

Vincent Dubé, t.i.m. (MN) Président de l’OTIMRŒPMQ

Soyons fiers de notre leadership et engagement envers la profession et assurons-nous de la faire rayonner à travers toute la francophonie.

LE PROGRAMME ARM

L’arrangement de reconnaissance mutuelle des qualifications (ARM) est un accord qui permet d’encourager la mobilité professionnelle entre la France et le Québec, à travers une simplification des procédures requises, pour exercer un emploi en France et au Québec, dans les professions réglementées par la loi.

Ce programme concerne les personnes ayant obtenu :

• un diplôme d’état (DE) de manipulateur d’électroradiologie médicale délivré par le ministère de la Santé de la France ; OU

• un diplôme de technicien supérieur (DTS) en imagerie médicale et en radiologie thérapeutique délivré par le ministère de l’Enseignement supérieur et de la Recherche de la France ; ET

• qui désirent obtenir un permis d’exercice au Québec en devenant membre de l’Ordre

HISTOIRE

Le premier ministre du Québec et le président de la République française ont convenu, à l’occasion d’une rencontre au palais de l’Élysée le 6 juillet 2007, de conclure une entente globale sur la mobilité de la main‑d’œuvre entre le Québec et la France.

Ils ont ainsi signé, à Québec, le 17 octobre 2008, l’Entente entre le Québec et la France en matière de reconnaissance mutuelle des qualifications professionnelles. 2008

L’Entente a pris effet le 10 juin 2009, à la suite de l’entrée en vigueur de la Loi permettant la mise en œuvre de l’Entente.

L’arrangement entre L’Ordre des technologues en imagerie médicale, en radio-oncologie et en électrophysiologie médicale du Québec et le Ministre du Travail, de l’Emploi et de la Santé de la France est signé en 2010. 2010

Quelques statistiques clés concernant cet ARM montrent que plus de 150 professionnels français et québécois ont profité de cette entente pour exercer leur métier de part et d’autre de l’Atlantique, avec environ 90 % des permis délivrés au Québec (Gouvernement du Québec) (Consulat de France à Québec). Cela témoigne de l’impact positif de l’ARM sur la mobilité professionnelle entre les deux régions, permettant aux technologues de contribuer efficacement aux systèmes de santé en répondant aux besoins croissants dans le domaine de l’imagerie médicale.

Portrait de la technologue Mouni Amrane, t.i.m.

Devenir technologue au Québec grâce au processus de l’ARM.

Pouvez-vous nous raconter votre parcours professionnel en France avant de venir exercer la profession de technologue au Québec ?

Je vivais initialement au Québec et j’ai voyagé en France pour poursuivre mes études et profiter d’une expérience académique à l’étranger. L’arrangement de reconnaissance mutuel France Québec m’a encouragé dans ce sens et m’a permis de bénéficier de cette belle expérience internationale qui a été très enrichissante.

J’ai intégré l’Institut de formation de manipulateurs (IFMEM) à la suite de ma réussite au concours de première année aux études de santé (PACES) à l’Université Grenoble-Alpes. Durant ces 3 années de formation, j’ai réalisé de nombreux stages totalisant plus de 2000 heures de pratique dans divers milieux professionnels (hôpitaux et cliniques) couvrant toutes les modalités d’imageries médicales comme le radiodiagnostic, la médecine nucléaire, la radiothérapie, mais également des stages cliniques en soins infirmiers. Une fois mon diplôme obtenu, j’ai travaillé deux ans comme technologue en radiodiagnostic (TDM et IRM) au CHU Grenoble-Alpes au sein de la Clinique Universitaire de Neuroradiologie et d’IRM.

Comment avez-vous découvert l’existence de l’arrangement mutuel de reconnaissance des qualifications entre la France et le Québec ?

Je m’étais renseignée sur le site internet de l’Ordre (OTIMRŒPMQ) et j’avais également reçu de la documentation de mon établissement scolaire qui a été très encourageant dans ce sens. L’IFMEM montrait un enthousiasme à vouloir consolider les liens académiques et professionnels entre les technologues québécois et les manipulateurs français.

Pouvez-vous décrire le processus que vous avez suivi pour faire reconnaître vos compétences professionnelles dans le cadre de cet arrangement ?

J’ai le souvenir que le processus avait été très simple. Dès mon arrivée au Québec, j’avais directement contacté l’Ordre pour faire la demande en lien avec l’Arrangement de Reconnaissance Mutuel des qualifications. Une fois le dossier, comprenant le formulaire de demande, un justificatif des heures travaillées en France et la photocopie de mon diplôme, eu été envoyé, j’ai obtenu une réponse positive de l’Ordre en moins de deux semaines et j’ai pu poursuivre le processus en m’inscrivant au tableau de l’Ordre et en prêtant serment. J’ai donc pu commencer à travailler rapidement après mon arrivée au Québec.

Selon vous, quels sont les défis les plus importants rencontrés par les candidats en lien avec cette démarche ?

J’ai réalisé, en discutant avec d’anciens collègues français qui envisagent de venir exercer au Québec, que l’inconnu était ce qui les effraye le plus. Comme on le sait tous, le milieu de la santé peut varier beaucoup d’un hôpital à l’autre, d’une province à l’autre et encore plus d’un pays à l’autre. Ce constat est déstabilisant. Le changement peut être à la fois très enrichissant et effrayant pour certains. La réalisation de stages d’introduction au milieu de la santé québécois pourrait être une bonne solution afin qu’ils se familiarisent avec le milieu de la santé du Québec avant même de débuter le processus d’immigration permanente. Je n’ai aucun doute que toutes leurs inquiétudes se dissiperaient et ils y trouveraient l’aspiration et la volonté de venir sereinement exercer au Québec.

CONSULTEZ NOTRE SITE INTERNET pour prendre connaissance de toutes les modalités otimrœpmq.ca/entente-quebec-france/

RENSEIGNEMENTS Service de l’admission 1-800-361-8759, poste 224 admission@otimrœpmq.ca

La confidentialité des données dans l’utilisation des technologies de l’information

QUESTIONS ET RÉPONSES SUR LA CONFIDENTIALITÉ DES DONNÉES DANS L’UTILISATION DES TECHNOLOGIES DE L’INFORMATION

Tout d’abord, rappelons qu’en vertu de leur code de déontologie respectif, les professionnels de la santé doivent assurer la confidentialité des données du patient, y compris celles nécessaires à l’émission d’une ordonnance et à la transmission de celle-ci. Qu’importe le mode de transmission utilisé (support papier, voie électronique, communication verbale), des pratiques sécuritaires doivent être adoptées. Chaque professionnel est donc responsable d’utiliser ces modes de façon la plus intègre, confidentielle et sécuritaire possible.

1) Puis-je transmettre les images radiologiques au médecin par courriel ou messagerie-texte lorsque ce dernier n’est pas présent dans l’établissement et que la lecture diagnostique de l’examen est urgente ?

Les outils technologiques utilisés par les médecins doivent répondre à des critères spécifiques en matière de contrôle de qualité, et ce, afin d’assurer une lecture diagnostique optimale pour l’émission du rapport d’examen. Or, il n’est pas recommandé de transmettre les images radiologiques autrement que par le système informatique d’archivage (PACS), qui assure également un transfert sécuritaire des données confidentielles du patient.

Le Collège des médecins (CMQ) a d’ailleurs sensibilisé ses membres à ce sujet :

« La transmission de photographies d’images radiologiques est à proscrire, car cette pratique pourrait affecter la qualité des soins et la justesse du diagnostic. Les examens d’imagerie médicale doivent être transmis et visionnés sur des appareils dédiés à ces fins. »

La mise en place d’un accès à distance sécurisé pour les médecins est la solution la plus sécuritaire pour la transmission des données. Une politique encadrant celle des examens par voie électronique devrait être établie dans chaque établissement.

2) L’envoi des images radiologiques est-il permis si ces dernières sont anonymisées ?

Lorsque les images sont utilisées à titre de contenu pour une conférence, présentation ou tout autre enseignement, elles doivent être anonymisées. Toutefois, dans le cas où l’envoi des images est destiné à un rapport diagnostique, elles ne doivent l’être en aucun cas. D’ailleurs, une publication antérieure, sur le site de l’Ordre, a déjà fait mention de cela : « La réponse est non, puisque la transmission des examens au médecin spécialiste (p. ex. : radiologiste, nucléiste, cardiologue) à

Sandie GuénetteDubois, t.i.m. (RD)
Geneviève Dupuis t.i.m. (RD)
Marie-Eve Côté
t.i.m. (RD)

des fins de lecture doit permettre de préserver l’intégrité des deux documents (original et transmis). À cet effet, les images ne doivent pas être anonymisées, et ce, afin d’éviter tout préjudice au patient. »

3) Un médecin peut-il transmettre une ordonnance au technologue par texto ?

L’utilisation d’un texto à l’aide d’un appareil mobile pour transmettre une demande d’examen constitue une ordonnance verbale. L’ordonnance verbale comporte des règles et des conditions à respecter, et, par conséquent, la communication directe est toujours recommandée et à privilégier afin d’éviter une fuite de renseignements personnels.

4) Dans quelles mesures les échanges par écrit entre professionnels (p. ex. : médecin-technologue) seraient-ils acceptables, au bénéfice du patient ?

Les échanges écrits doivent être considérés en dernier recours, puisqu’ils s’avèrent être des canaux de communication pouvant nuire à la confidentialité des renseignements personnels. Or, s’il s’agit d’une situation urgente, ou encore si l’avis du radiologiste est nécessaire à la réalisation et à l’optimisation de l’examen, le technologue doit utiliser un moyen plus direct, soit l’appel téléphonique ou le téléavertisseur.

À cet effet, voici ce que le CMQ recommande quant à l’utilisation des communications écrites :

« Le Collège juge que les textos et courriels peuvent être utiles ou acceptables pour :

■ donner ou confirmer un rendez-vous;

■ recevoir ou transmettre des données se rapportant à la santé (glycémie, pression artérielle, présence ou absence d’effets indésirables);

■ donner des conseils généraux sur la santé;

■ confirmer la réception d’un résultat de laboratoire, d’une consultation ou d’une imagerie et en assurer le suivi;

■ effectuer le suivi et l’ajustement thérapeutique pour des maladies chroniques;

■ transmettre certains résultats cliniques ou paracliniques. »

5) L’utilisation d’une plateforme de collaboration comme Teams est-elle acceptable ?

En 2022, le gouvernement du Québec a publié un communiqué visant l’utilisation sécuritaire par les médecins des outils de collaboration, dont l’application Teams

L’orientation ministérielle consistait à implanter un déploiement de comptes Microsoft 365 dans un contexte clinique de soins virtuels. Le ministère de la Santé et des Services sociaux (MSSS) préconise l’utilisation de l’application Teams de la suite Microsoft 365, notamment en raison de son haut degré de sécurité.

Il est à noter que seuls les comptes Microsoft Teams du réseau de la santé et des services sociaux satisfont les critères de sécurité exigés (comparativement à un compte Microsoft Teams externe), ce qui en fait une plateforme sécurisée avec laquelle on peut communiquer des informations confidentielles d’un utilisateur de Microsoft 365 à un autre.

Comme mentionné dans l’aide-mémoire publié par le MSSS :

« Le but étant de miser sur cet outil adapté et sécuritaire pour faciliter les échanges cliniques en temps réel ou différé entre les professionnels de la santé, leurs collègues et les usagers et ainsi, permettre de préserver les informations cliniques du système de santé du Québec contre toute atteinte à la disponibilité, à l’intégrité et à la confidentialité des informations dont il dispose. »

5) Quelles sont les conséquences possibles à l’interception par un tiers de l’échange écrit de renseignements sensibles entre professionnels ?

Tout comme l’accès au Dossier santé Québec, toute consultation d’un dossier médical laisse des traces et doit être justifiée en tout temps. En vertu de la Loi modernisant des dispositions législatives en matière de protection des renseignements personnels (Loi 25) la Commission d’accès à l’information a émis de nouvelles lignes directrices visant tous les organismes publics et privés de la province, pour l’application des mesures législatives entourant le droit à la vie privée. Notre réalité étant de plus en plus numérique, un encadrement rigoureux de la collecte, de l’utilisation et du partage des renseignements personnels d’une personne s’avère essentiel pour répondre aux préoccupations grandissantes liées à la protection desdits renseignements. Chaque établissement doit désormais répondre aux obligations de la Loi 25, qui implique une gestion d’évaluation des risques et un encadrement administratif rigoureux. Tout incident de confidentialité impliquant des renseignements personnels doit être analysé, documenté et traité, sans quoi des sanctions sévères (jusqu’à 50 000 $ pour une personne physique) et des poursuites pénales sont à prévoir :

« La Commission d’accès à l’information a notamment pour fonctions de surveiller l’application des lois en

matière de protection des renseignements personnels. Pour ce faire, elle dispose de tous les pouvoirs nécessaires, dont celui d’imposer des sanctions.

Elle a également pour fonction de rédiger des lignes directrices à l’intention notamment des organismes publics, des entreprises et des partis politiques provinciaux afin de les soutenir dans l’application de leurs obligations en matière de protection des renseignements personnels.

Elle a la responsabilité de soutenir les citoyennes et les citoyens qui ont des préoccupations concernant la protection des renseignements personnels ou qui souhaitent porter plainte. »

En conclusion, il faut être très vigilant lorsqu’il s’agit de consulter un dossier médical sans y être autorisé ou de communiquer les renseignements personnels

RÉFÉRENCES

1 – Modernisation de la protection des renseignements personnels, Gouvernement du Québec, 2024.

2 – Loi modernisant des dispositions législatives en matière de protection des renseignements personnels, Organismes publics, 2024.

3 – Loi sur l’accès aux documents des organismes publics et sur la protection des renseignements personnels, 2024.

4 – Collège des médecins, « Échanges de photographies par voie électronique : Quelles sont les règles à respecter ? », Télémédecine — Fiche 18, 2024.

d’un patient. Le transfert de renseignements personnels par les différents moyens de communication (p. ex. : texto, courriel) n’est pas à prendre à la légère et est passible d’une sanction très sévère en cas de fuite de données. Il est de la responsabilité de chaque professionnel de prendre les moyens raisonnables afin d’assurer la protection des renseignements personnels.

Le technologue, dans l’exercice de sa profession, engage pleinement sa responsabilité professionnelle. Il doit agir selon les normes et la réglementation en vigueur.

5 – Ordre des technologues en imagerie médicale, en radio-oncologie et en électrophysiologie médicale, L’utilisation des technologies de l’information et de la communication, 2024,

6 – « Courriel, textos et autres modes de communication, Que faire et que ne pas faire ? », Le médecin du Québec, 2024.

7 – Réseau québécois de la télésanté, Applications et technologies en télésanté, 2024.

Réflexions sur la pratique autonome

en échographie

Depuis 2012, année d’implantation des attestations de pratique autonome, près de 700 technologues se sont prévalus de ce statut pour l’un ou l’autre des centres d’activité visés. Il s’agissait d’une avancée majeure dans la pratique de l’imagerie médicale, puisque les technologues devenaient alors responsables de l’exécution de leurs examens respectifs, et ce, du début à la fin.

C’est notamment la volonté de diminuer les listes d’attente, principalement en échographie, qui est à l’origine de ce projet. Les technologues autonomes peuvent dorénavant libérer leurs patients sans qu’il soit nécessaire qu’un médecin spécialiste vienne vérifier ou compléter au besoin l’examen réalisé, leur permettant ainsi de consacrer plus de temps à d’autres patients ou occupations. L’augmentation de l’offre s’étend dorénavant sur des plages horaires allongées (soir ou fin de semaine), et ce, même en clinique privée, permettant ainsi de répondre au but initial.

Les deux côtés de la médaille

Certes, la pratique autonome a démontré de grands avantages au fil des ans, particulièrement pour l’accessibilité à ces examens spécialisés, et elle s’inscrit dans une démarche d’affranchissement pour les technologues. Mais est-ce au détriment d’autres considérations ?

Les technologues en pratique autonome ont dorénavant une responsabilité supplémentaire, puisque c’est à eux qu’incombe la réalisation de l’examen demandé dans son entièreté. De plus, ceux-ci doivent s’assurer que le protocole préétabli soit respecté et qu’un survol global et sécuritaire soit aussi effectué au cas où certaines découvertes fortuites pourraient être faites. Le patient peut ensuite être libéré par le technologue

Yves Morel t.i.m.

et l’examen, mis en disponibilité pour interprétation. L’examen fourni doit être complet et d’une haute qualité diagnostique.

La responsabilité du technologue est d’autant plus importante qu’il est le dernier intervenant entre le patient et les composantes du diagnostic. Afin d’éviter les risques d’erreur, il est donc primordial de bien prendre le temps nécessaire pour effectuer un examen complet et de qualité, et ce, dans le plus grand bénéfice des patients.

De ce fait, bien que la pratique au tonome permette un gain de temps pour les médecins et une plus grande accessibilité pour les patients, il est aussi primordial de ne pas sacrifier la qualité pour la quantité. Les technologues devraient pouvoir compter sur des conditions optimales afin de fournir une prestation digne de leur compétence.

Alors, est-il à propos de hausser le débit d’examens à réaliser par un technologue autonome sous prétexte qu’il n’y a plus de perte de temps liée à l’attente pour un complément d’examen ou pour la libération du patient par un médecin ? Plus d’examens réalisés, mais moins de temps consacré à les faire. Quel serait alors le véritable coût/bénéfices, surtout pour le patient ? La question se pose et elle mérite réflexion.

N’y a-t-il pas là une contradiction implicite ? Ne serait-il pas plus réaliste de penser qu’il faut plus de temps à un technologue autonome pour la réalisation des examens pour lesquels il a dorénavant plus de responsabilités professionnelles ? Nous sommes de cet avis et nous encourageons fortement les organisations à adopter cette philosophie.

La responsabilité professionnelle

En situation de pratique autonome, l’assuranceresponsabilité professionnelle prend ici tout son sens. Les technologues autonomes, en assumant de plus grandes responsabilités, deviennent alors, pour ainsi dire, plus à risque pour l’assureur. Rappelons-nous que le médecin spécialiste ne peut analyser et diagnostiquer que ce qui lui est soumis comme document. Tout oubli ou erreur dont découlerait un préjudice au patient pourrait potentiellement conduire à une réclamation auprès de l’assureur.

D’où l’importance d’accorder une attention accrue aux examens à réaliser ainsi qu’aux exigences des protocoles d’examens en place. Mieux vaut toujours s’assurer d’en faire plus que moins en ce qui a trait à la qualité, autant pour l’imagerie que pour les commentaires et observations à l’intention de la personne qui fera l’interprétation. La mémoire oublie, les documents et les écrits restent.

Mise en garde ! Bien que les technologues autonomes aient le plein contrôle de l’exécution des examens qui leur sont attribués, il y aura toujours un élément sensible duquel il ne faut pas s’approcher : le diagnostic

En effet, il importe de s’assurer qu’un mécanisme fiable de communication directe avec un médecin soit mis en place. En tout temps, il doit être possible de compter sur l’intervention d’un médecin pour des raisons la nécessitant (confirmation d’un doute, émission du diagnostic, aiguillage du patient vers le médecin traitant ou les urgences). Il n’appartient pas aux technologues d’assumer ces responsabilités.

C’est à ces médecins qu’appartiendra le soin de transmettre l’information aux patients et de leur indiquer la marche à suivre pour la suite des choses, advenant qu’une situation particulière ou problématique nécessite un suivi médical immédiat ou éventuel. Ce filet de sécurité est absolument essentiel, voire obligatoire.

En conclusion

Les technologues détenant des attestations de pratique autonome sont des acquis précieux pour la population. Certes, viennent avec ces privilèges quelques contraintes supplémentaires, mais qui en fin de compte ne font qu’assurer la qualité de l’acte, et ce, pour le plus grand bénéfice de la population.

Soyez fiers de cet accomplissement qui fera en sorte que votre reconnaissance n’en sera que plus importante.

Malgré les quelques embûches qui parsèment le parcours des technologues, nous croyons que la satisfaction personnelle et professionnelle qu’il y a à en tirer en vaut vraiment le coût.

Merci à vous tous !

Du renouveau pour le code de sécurité 35

-Canada (2024)

PROCÉDURES DE SÉCURITÉ POUR L’INSTALLATION, L’UTILISATION ET LE CONTRÔLE DES APPAREILS À RAYONS X DANS LES GRANDS

ÉTABLISSEMENTS RADIOLOGIQUES

MÉDICAUX

À l’automne 2023, Santé Canada a procédé à la révision du Code de sécurité  35 : Procédures de sécurité pour l’installation, l’utilisation et le contrôle des appareils à rayons X dans les grands établissements radiologiques médicaux. La version 2024 remplace donc la version publiée en 2008. Elle comprend des mises à jour pertinentes sur la protection des patients, les limites de doses et les directives sur l’examen radiologique des femmes enceintes.

Pourquoi doit-on se référer au Code de sécurité  35, alors que la juridiction de la radioprotection est de niveau provincial, sous la responsabilité du Gouvernement du Québec ? Il faut savoir que le Règlement d’application de la Loi sur les laboratoires médicaux et sur la conservation des organes et tissus n’a pas subi de mise à jour depuis 1981. Pourtant, c’est ce règlement qui encadre du point de vue légal les laboratoires d’imagerie médicale et de radiologie diagnostique spécifique.

Vous vous rappellerez peut-être qu’en juillet 2009, le ministère de la Santé et des Services sociaux du Québec a informé les dirigeants des laboratoires d’imagerie médicale (LIM publics et privés) et des laboratoires de radiologie diagnostique (LRD) du réseau privé que de nouvelles dispositions concernant la radioprotection au Québec avaient

été adoptées. Ainsi, les normes de Santé Canada sur la radioprotection en radiologie contenues dans le Code de sécurité  35 sont devenues la condition préalable à l’émission et au maintien des permis de radiologie au Québec.

Code de sécurité 35 (2024)

Dans la pratique quotidienne des technologues en imagerie médicale, le principe As Low As Reasonnably Achievable (ALARA) constitue une approche de la protection contre les rayonnements X destinée à maintenir les expositions des patients, des travailleurs sous irradiation (TSI) et du public en général à un niveau aussi faible qu’il est raisonnablement possible de le faire, et ce, en tenant compte des facteurs socioéconomiques. Afin de respecter ALARA, les technologues en imagerie médicale doivent considérer des aspects d’optimisation de la radioprotection, afin que les patients ne soient pas soumis à des examens inutiles et que, lorsqu’une procédure est requise, il soit essentiel de protéger le patient contre une exposition excessive de la zone irradiée au cours de l’examen.

La version 2024 du Code de sécurité  35 comporte des modifications importantes concernant les directives de blindage pour

Gilbert Gagnon t.i.m. (E)
Ne vous inquiétez pas, des formations et des affiches destinées aux patients, aux technologues ainsi qu’aux différents personnels concernés par les rayonnements X seront bientôt disponibles.

la protection plombée des patients. À cet égard, les technologues en imagerie médicale du domaine radiodiagnostic verront à apporter les changements appropriés à la radioprotection des patients. Les normes de pratique seront aussi modifiées afin de tenir compte de ces changements, et les technologues devront mettre leurs connaissances à jour.

Voici quelques faits saillants découlant du nouveau Code de sécurité 35 :

■ l’utilisation d’un blindage pour assurer la protection des patients dans le cadre de l’imagerie médicale n’est pas recommandée;

■ chez les enfants et les adultes de petite taille, lorsque la qualité de l’image demeure acceptable sans l’utilisation de la grille, celle-ci devrait être enlevée, car cela permet de réduire la dose;

■ les personnes qui réalisent les examens radiologiques des patients doivent porter une attention particulière à une collimation adéquate du faisceau primaire de rayons X;

■ les protecteurs de gonades ne devraient pas être utilisés systématiquement;

■ la femme enceinte subissant un examen radiologique susceptible d’irradier l’abdomen ou la région pelvienne devrait être informée des risques pour le fœtus;

■ les examens radiologiques des nourrissons et des enfants ne devraient être effectués qu’à l’aide de techniques et de paramètres de charge adaptés à la taille et à l’âge;

■ en angiographie, tenir le tube radiogène aussi loin que possible du patient et le récepteur d’image aussi près que possible de lui;

■ en angiographie, si la procédure de radioscopie est longue, repositionner le tube afin que la même zone cutanée ne soit pas soumise constamment au faisceau de rayons X;

■ doses limites annuelles :

tout le corps (TSI) : dose efficace 20 mSv par année reçue sur une période définie de 5 ans (100 mSv/5 ans), la dose pour une seule année ne dépassant pas 50 mSv;

– cristallin (TSI) : dose équivalente à 20 mSv par année reçue sur une moyenne de 5 ans (100 mSv/5 ans), la dose pour une seule année ne dépassant pas 50 mSv;

Attention ! Les limites de doses édictées par la CCSN sont différentes !

■ en cas de déclaration d’une grossesse possible ou confirmée, les recommandations suivantes s’appliquent aux examens radiologiques :

– seuls les examens justifiés devraient être effectués chez une personne en cas de grossesse confirmée ou présumée. Dans certaines situations, il peut être acceptable d’attendre après la grossesse pour effectuer l’examen radiologique;

– lorsqu’il est justifié de procéder à un examen de la région pelvienne ou abdominale, des protocoles spécialisés ou alternatifs devraient être appliqués, s’il y a lieu, pour faire en sorte d’administrer la plus faible dose possible à la personne tout en s’assurant de pouvoir obtenir les renseignements diagnostiques nécessaires; – si l’examen radiologique requis entraîne l’exposition directe de la région pelvienne, on devrait placer la personne en décubitus ventral, si possible. Cette position protège le fœtus contre le rayonnement de faible énergie et réduit la dose qu’il reçoit.

Santé Canada n’est pas la seule organisation à s’être prononcée sur l’utilisation d’un protecteur

plombé pour la protection des patients. Par exemple, le National Council on Radiation Protection and Measurements (NCRP) recommande de mettre fin à la protection plombée de routine pendant les radiographies abdominales et pelviennes.

De son côté, l’American Society of Radiologic Technologists (ASRT) estime que les progrès technologiques et les meilleures pratiques mises en œuvre par les technologues ont considérablement réduit la dose pour le patient lors de nombreuses procédures radiographiques. Le risque de protection des gonades ou du fœtus réduisant l’efficacité de la radiographie abdomino-pelvienne l’emporte désormais sur le bénéfice limité d’une réduction de dose. Par conséquent, la protection du patient ne devrait plus être une pratique courante pour ces procédures.

Le British Institute of Radiology (BIR) précise que la protection plombée des patients en radiologie diagnostique et interventionnelle n’est pas recommandée, puisque très peu de situations spécifiques s’appliquent à ce type de protection. De plus, le BIR souligne que l’application du principe ALARA dépend du jugement professionnel et de l’expérience, ainsi que du respect de tout consensus sur les « bonnes pratiques » établi par les intervenants. Il suggère que si la dose a été réduite au niveau du risque « négligeable », aucune

RÉFÉRENCES

1 – AAPM, Statement PP 32-A, Énoncé de position de l’AAPM sur l’utilisation de la protection gonadique et fœtale du patient, CA 2-3 avril 2019.

2 – ACR, American College of Radiology, Endorsement AAPM position, Alexandria, VA, mai 2019.

3 – ACTRM, Association Canadienne des technologues en radiation médicale, Énoncé de position, Cessation de l’utilisation du blindage gonadique et fœtal pour les patients, Ottawa, Canada, mai 2021.

4 – ASRT, American Society of Radiologic Technologists, ASRT update on gonadal and fetal shielding, Albuquerque, NM, jan. 2021.

5 – ARRT, American Registry of Radiologic Technologists, ARRT issues statement on gonadal and fetal shielding St. Paul, MN, printemps 2021.

6 – BIR, The British Institute of Radiology, Guidance on using shielding on patients for diagnostic radiology applications, Londres, 2020.

autre mesure n’est nécessaire pour satisfaire le principe ALARA, et cela favorise une limitation du faisceau primaire pour un impact significatif sur la dose donnée au patient.

Parallèlement à l’application du nouveau Code 35, un Groupe de travail constitué de représentantes et représentants de l’OTIMRŒPMQ, mais aussi des ordres professionnels et des associations de physiciens concernés par les rayonnements X sont en train d’élaborer des lignes directrices ainsi qu’un guide d’application concernant l’utilisation d’un protecteur plombé pour le patient qui subit un examen d’imagerie comportant des rayonnements X. Ne vous inquiétez pas, des formations et des affiches destinées aux patients, aux technologues ainsi qu’aux différents personnels concernés par les rayonnements X seront bientôt disponibles.

Conclusion

En tant que technologues en imagerie médicale, soyons prêts à accepter et assumer ces changements dans l’intérêt des patients ! Nos responsabilités envers la profession seront encore plus grandes, et nos compétences en radioprotection permettront de rassurer nos patients et par le fait même, d’assurer la protection du public.

7 – CAR, Énoncé de position de l’Association canadienne des radiologistes, Arrêter l’utilisation d’une protection des gonades et du fœtus pour les patients, Ottawa, Ontario, mai 2021.

8 – CIPR, Recommandations 2007 de la Commission Internationale de Protection Radiologique, Publication 103 , Éditions TEC&DOC, IRSN, 2009.

9 – Cordoliani, Y-S. et coll., Guide de radioprotection en milieu médical, Elsevier Masson, Paris, 2023.

10 – National Council on Radioprotection and Measurements, Gonadal shielding during abdominal and pelvic radiography, SC 4-11, Bethesda, MD, 2021.

11 – Santé Canada, Code de sécurité 35 : Procédures de sécurité pour l’installation, l’utilisation et le contrôle des appareils à rayons X dans les grands établissements radiologiques médicaux (2024)

Respire ! La résonance magnétique cardio-vasculaire

sensible à l’oxygénation (OS-CMR) et manœuvres respiratoires pour le diagnostic des maladies cardio-vasculaires

UNE NOUVELLE MÉTHODE D’ACQUISITION ET SON POTENTIEL POUR ÉLIMINER DES AGENTS DE STRESS PHARMACOLOGIQUES ET DES SUBSTANCES DE CONTRASTE

Les examens standards actuels de la maladie coronarienne (angiographie coronarienne, SPECT, échocardiographie de stress, perfusion par imagerie de la résonance magnétique cardiaque — IRMC) causent un stress pharmacologique ou physique, et nécessitent souvent l’injection d’un agent de contraste ou d’un traceur radioactif (Jove, 2022). Aucune de ces méthodes ne peut quantifier la fonction vasculaire coronarienne sur le plan microvasculaire et ne peut évaluer les changements d’oxygénation des tissus en tant que biomarqueur. Par ailleurs, les procédures actuelles nécessitent la présence d’un médecin, les valeurs de taux de filtration glomérulaire (GFR), la mise en place d’une pompe à perfusion pour l’Adénosine, un injecteur de pression pour l’agent de contraste et, évidemment, un accès intraveineux pour les deux instruments. Les technologues savent que ces examens peuvent prendre

du temps, sont complexes et parfois assez stressants (figure 1 ).

Méthodes actuelles

Agents de stress pharmacologiques

Stress physique

Agent de contraste ou traceur radioactif

Figure 1 : Les méthodes actuelles utilisent des agents de stress pharmacologique comme l’Adénosine ou Dobutamine, ou stress physique et aussi l’injection d’un agent de contraste comme le Gadovist ou traceur radioactif.

Margherita Leo t.i.m.

Tableau 1 : Les paramètres bSSFP qui ont été modifiés pour obtenir des séquences sensibles à l’oxygénation.

Récemment, l’IRMC sensible à l’oxygénation (OS-CMR) a été établie comme une technique non invasive et sans injection pour étudier et caractériser les changements de l’oxygénation du myocarde et évaluer la fonction vasculaire coronarienne pendant des manœuvres respiratoires vasoactives. L’avantage pour les technologues est que cet examen est extrêmement facile à exécuter. Le présent article expliquera le protocole de l’OS-CMR et l’acquisition de la réserve d’oxygénation myocardique induite par la respiration chez des volontaires sains et des patients.

Qu’est-ce que l’IRMC sensible à l’oxygénation (OS-CMR) ?

L’OS-CMR est une technique d’imagerie qui utilise les propriétés magnétiques intrinsèques de l’hémoglobine désoxygénée pour provoquer un contraste tissulaire. Pour mesurer ces changements, nous utilisons une séquence de T2*, spécifiquement une séquence bSSFP optimisée pour l’imagerie de l’OS-CMR. La séquence bSSFP est la séquence standard clinique pour l’imagerie cardiaque. Nous modifions quelques paramètres tels que le TE, le TR, l’épaisseur de la coupe et l’angle de bascule pour obtenir une séquence sensible à l’oxygénation avec un rapport signal-bruit (SNR) significatif et une bonne qualité d’image. Cette séquence est utilisée pour détecter les différences régionales dans l’oxygénation myocardique et donc les changements dans le tissu myocardique. Le tableau 1 est un aperçu des paramètres bSSFP qui ont été modifiés pour produire la séquence sensible à l’oxygénation. Ces exemples proviennent d’un appareil GE Premier 3T et d’un appareil Siemens 1.5T.

Technique de réalisation

Il existe une méthodologie spécifique pour exécuter ces séquences sensibles à l’oxygénation. L’acquisition dure trois minutes au total et consiste en une minute de respiration normale et détendue, suivie d’une minute d’hyperventilation rythmée à l’aide d’un métronome préenregistré réglé à 30 cycles par minute. La manœuvre se termine par une apnée volontaire en fin d’expiration d’au moins 40 secondes, pour s’assurer que trois cycles cardiaques complets sont obtenus pour chaque coupe planifiée. Le tableau 2 donne un aperçu de la technique sensible à l’oxygénation IRMC. Chaque composante de la manœuvre respiratoire induit une réponse vasculaire unique. Notez le tonus vasculaire normal pendant une respiration normale et détendue. L’hyperventilation induit une vasoconstriction. Et, enfin, l’apnée induit une vasodilatation. Les changements d’oxygénation résultants reflètent la fonction vasculaire et peuvent ainsi permettre de détecter des sténoses coronariennes. Une dysfonction sur le plan microvasculaire peut aussi être reconnue.

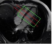
Planification des séquences

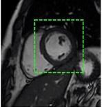
La séquence d’OS a été établie, et on peut voir ce qui se passe au cours des différentes phases des manœuvres respiratoires. L’étape suivante consiste à planifier cette séquence, ce qui est très simple. La première coupe est une coupe mi-basale qui est stratégiquement placée pour éviter la voie d’éjection du ventricule gauche (LVOT), et les valves atrio-ventriculaires. La deuxième est une coupe mi-ventriculaire. On vérifie le cycle cardiaque pour s’assurer du bon positionnement. Notez 3T GE

comment le shim est concentré autour des deux coupes et non du cœur complet ! (figure 2.)

Avant d’exécuter le protocole à acquisition continue susmentionnée, une référence de base d’OS est numérisée à l’aide d’une apnée d’environ 10 secondes. Cette référence de base joue un double rôle. Tout d’abord, ce protocole est utilisé pour vérifier que les deux coupes axiales ont une bonne qualité d’image, n’ont pas d’artefacts et sont bien positionnées, avant d’exécuter le protocole à acquisition continue. Et deuxièmement, ces images de base sont utilisées plus tard au moment du traitement des données et de l’analyse de comparaison.

Tableau 2 : Le protocole d’imagerie OS-CMR complet. Les manœuvres respiratoires vasoactives déclenchent une réponse vasculaire résultant en des changements de l’oxygénation des tissus. Cela peut être visualisé avec un protocole IRCM à acquisition continue, et des changements de l’intensité du signal sont visibles tout au long de la manœuvre de respiration vasoactive.

La séquence d’acquisition continue

Avant de procéder à la séquence d’acquisition continue, il est impératif d’expliquer au participant l’importance de respirer profondément et rapidement (30 respirations à la minute), en synchronisation avec le métronome pendant la partie d’hyperventilation de la séquence.

La résonance magnétique cardiovasculaire sensible à l’oxygénation (OS-CMR) avec manœuvres respiratoires a le potentiel d’éliminer la nécessité d’agents de stress pharmacologiques ou d’agents de contraste.
A B C
Figure 2 : Images montrant les positions correctes des coupes mi-basale et mi-ventriculaire et le bon placement du shim. A- Aspect 4 chambres, B- Aspect 2 chambres et C- Coupe axiale.

Figure 3 : Image montrant la partie hyperventilation de l’acquisition continue. Important de noter l’amplitude de la forme respiratoire (flèche orange) ainsi que la fréquence respiratoire au nombre de 30 qui a été atteinte (flèche jaune).

Lorsque l’hyperventilation est effectuée correctement, les fréquences cardiaque et respiratoire commenceront rapidement à augmenter. Pendant l’hyperventilation, vérifiez que la fréquence respiratoire atteint le nombre de 30 et vérifiez également l’amplitude de la forme respiratoire. Cela indique si le participant ou patient respecte les instructions et respire profondément. Si les respirations ne sont pas effectuées correctement, on peut guider le participant par l’interphone. On s’attend

à ce que la fréquence cardiaque d’un volontaire sain augmente d’au moins 10 à 15 battements à la minute pendant l’hyperventilation (figure 3).

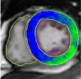
L’acquisition de cette manœuvre respiratoire et les analyses génèrent une cartographie de l’oxygénation myocardique. Rappelons que ces résultats sont dérivés d’une méthode qui n’a pris que quelques minutes à exécuter. La figure 4 présente quelques exemples des cartes obtenues.

En résumé, l’OS-CMR est une technique simple qui peut facilement être réalisée et adaptée par divers fournisseurs. Voici quelques points importants à considérer par les technologues :

■ tout d’abord, la préparation. Plutôt que de mettre en place des pompes à perfusion, des injecteurs à pression et d’avoir à installer deux intraveineuses pour l’imagerie de stress standard, la préparation pour l’OS-CMR consiste uniquement à démontrer et pratiquer les manœuvres respiratoires avec le participant. Ceci est très important pour l’exécution correcte et réussie de la séquence. L’étape suivante est la planification des deux coupes axiales pour la séquence de base et d’acquisition continue;

■ l’absence des artefacts de mouvement et autres sont impératifs;

■ finalement, il est primordial de veiller au respect des consignes par le participant pendant les manœuvres respiratoires et de le guider par l’interphone si nécessaire.

Figure 4 : L’intensité du signal démontrant la réserve d’oxygénation du myocarde. A- Oxygénation myocardique globale chez un volontaire sain avec une augmentation globale et homogène de l’intensité du signal; B- Anomalie régionale (diminution de l’oxygénation du myocarde) chez un patient présentant une sténose coronarienne sévère; C- Réduction globale de l’oxygénation myocardique chez un patient qui souffre d’insuffisance cardiaque. La barre de couleur (à droite) fournit une légende pour les différences d’intensité du signal qui correspondent aux différences d’oxygénation myocardique. Les changements négatifs de l’intensité du signal sont mis en évidence par le bleu et le noir, ce qui représente une réponse d’oxygénation altérée, tandis que les changements positifs de l’intensité du signal sont mis en évidence par le vert, ce qui représente une réponse d’oxygénation saine.

Conclusion

Avec ses manœuvres respiratoires vasoactives, l’OS-CMR est une méthode non invasive pour l’imagerie de l’oxygénation du myocarde qui ne prend que quelques minutes. Elle fournit des informations sur la fonction vasculaire coronarienne et microvasculaire. Cette nouvelle méthode d’acquisition a le potentiel

REMERCIEMENTS

Je tiens à remercier sincèrement le Dr E. Hillier, K. Eyre, PhD, le Dr M. Benovoy et le Dr M. Friedrich pour leur aide inestimable dans ce projet.

RÉFÉRENCES

1 – Hillier, E., Covone, J. et Friedrich, M., « Oxygenationsensitive cardiac MRI with vasoactive breathing maneuvers for the non-invasive assessment of coronary microvascular dysfunction », Jove, 2022

Injecteur dʼagent de contraste sans seringue pour TDM

Moins de déchets

Moins dʼétapes

Faites-en plus avec la technologie sans seringueMC

d’éliminer la nécessité d’agents de stress pharmacologiques ou d’agents de contraste. Les résultats peuvent être présentés sous forme d’image de la fonction vasculaire et démontrer ainsi des informations importantes pour la prise de décision clinique. Le potentiel est très prometteur et pour les patients, il suffit de savoir respirer !

Figures 1, 2 et 3 – Banque personnelle de l’auteure. RI-MUHC (Institut de Recherche — Centre Universitaire de santé McGill).

Tableaux 1, 2 et figure 4 – Hillier, E., Covone, J. et Friedrich, M., « Oxygenation-sensitive cardiac MRI with vasoactive breathing maneuvers for the non-invasive assessment of coronary microvascular dysfunction », Jove, 2022.

24 h Tubulure de pompe à configurer une fois par jour pour 24 heures pour plusieurs patients*

Contribue à lʼefficacité du flux de travail

Compatible avec Bluetooth

Intégration aux systèmes RIS/PACS

Rentable

Surveillance avancée de la pression et de lʼair, filtre à particules intégré

Système fermé hygiénique

Aide à optimiser lʼutilisation des agents de contraste et des solutions salines

FIGURES ET TABLEAUX

Ce qu’une mammographie peut révéler sur la santé cardio-vasculaire : un modèle

d’intelligence artificielle en développement

GRÂCE À L’INTELLIGENCE ARTIFICIELLE, LES CALCIFICATIONS

ARTÉRIELLES SE RETROUVANT SUR LES IMAGES DE MAMMOGRAPHIE

SONT UTILISÉES POUR DÉTERMINER LE NIVEAU DE RISQUE

CARDIO-VASCULAIRE DES PATIENTES

En plus d’être le meilleur moyen pour dépister le cancer du sein depuis des décennies, la mammographie peut fournir d’autres informations sur la santé des patientes, notamment sur leur santé cardio-vasculaire. Sur les quatre images de base créées lors d’une mammographie, on peut déceler des indices significatifs concernant l’état des vaisseaux sanguins et ainsi révéler une condition préoccupante. Selon la Société canadienne de l’imagerie mammaire, les problèmes cardio-vasculaires représentent la première cause de décès prématuré chez les femmes canadiennes.

Alors qu’on croyait jadis à une maladie masculine, les femmes sont de plus en plus touchées par ce fléau. Voyons quelques statistiques : les Françaises meurent 8 fois plus de problèmes cardio-vasculaires que

du cancer du sein, et les Canadiennes, de 4 à 5 fois plus. Pourquoi les maladies cardiovasculaires représentent-elles la première cause de décès des femmes de plus de 35 ans dans le monde ? Ces pathologies sont détectées moins prématurément que chez les hommes en raison de symptômes plus atypiques. Elles sont, par conséquent, moins adéquatement médicamentées et, de plus, moins facilement traitables.

Sur les clichés mammographiques, on observe parfois des éléments qui se distinguent de la graisse noire par un blanc très vif et qui arborent différentes formes. Ce sont des calcifications. La glande mammaire et la vascularisation sont d’un blanc généralement plus ténu, d’une apparence moins contrastée que les calcifications. Constituées de minéraux calciques, les calcifications ont

Karine Gariépy t.i.m.
Centre d’imagerie médicale Clarke

une densité qui se rapproche de l’os. Et si ces calcifications révélaient des informations importantes sur la santé vasculaire ? Des médecins se sont penchés sur la question en s’intéressant spécifiquement aux calcifications artérielles (figure 1 ).

L’observation de calcifications artérielles dans les seins sur les images issues de la mammographie était auparavant considérée par les radiologistes comme étant « accessoire ». Ces découvertes « fortuites » sont de plus en plus reconnues comme des informations clés concernant la santé des femmes, en particulier des femmes ménopausées. Souvent de forme oblongue, ces calcifications sont une accumulation de calcium dans la couche intermédiaire de la paroi des artères.

Bien que les radiologistes soient au courant du lien entre leur présence et le risque cardio-vasculaire, ils ne font que rarement mention de la présence de ce type de calcifications en raison de l’absence de lignes directrices pour les rapporter efficacement. Ces opacités sont des biomarqueurs de rigidité artérielle qui s’avèrent prédicateurs de maladies coronariennes.

L’évaluation des calcifications artérielles mammaires observées sur les images de mammographie a été suggérée comme point de départ pour élaborer une grille de classification de la condition cardiovasculaire des patientes. Grâce à l’intelligence artifi cielle, la stratification se fait sans que les professionnels n’y consacrent de temps ou sinon très peu. Un logiciel y étant consacré fait l’objet de plusieurs projets de recherche. Il pourrait remplacer la laborieuse segmentation manuelle autrefois utilisée et, ainsi, considérablement diminuer la charge de travail des professionnels de la santé.

Les séquelles issues d’une mauvaise condition cardio-vasculaire représentent la première cause de décès prématuré chez les femmes canadiennes.

Les séquelles issues d’une mauvaise condition cardio-vasculaire représentent la première cause de décès prématuré chez les femmes canadiennes.
Figure 1 : Alors que l’image de mammographie présentée en A ne montre pas de calcifications artérielles, les images B , C et D en laissent paraître plusieurs qui sont pointées par des flèches.

La Société canadienne de l’imagerie mammaire (CSBI) propose l’utilisation de cette échelle de classification qui est basée sur les calcifications artérielles visibles dans les seins (figure 2).

La plupart des femmes ne connaissent pas l’état de santé de leurs vaisseaux sanguins. Parmi les séquelles d’une mauvaise condition cardio-vasculaire, notons la nécrose cardiaque, l’infarctus aigu du myocarde, la cardiopathie ischémique, l’accident vasculaire cérébral, la maladie artérielle périphérique et l’insuffisance cardiaque. De surcroît, une corrélation probante existe entre la présence de calcifications artérielles mammaires et l’hypertension artérielle, l’inflammation, le diabète de type 2 et les maladies rénales chroniques.

Cet outil pourrait être un moyen fiable, rapide et peu coûteux pour évaluer le risque cardiovasculaire des femmes qui font leurs mammographies de routine.

Compte tenu du succès de la campagne de dépistage, cette nouvelle pratique rend possible l’évaluation d’un grand nombre de femmes qui n’auraient peut-être pas eu accès autrement à l’état de leur statut cardio-vasculaire. En 2022, le taux de participation au Programme québécois de dépistage du cancer du sein s’élevait à 63,4 %.

En moins d’une seconde, le logiciel détecte automatiquement les calcifications artérielles présentes sur les images et attribue le niveau de risque cardio-vasculaire approprié à chaque patiente.

Cette automatisation de la prévention permet une classification du risque cardio-vasculaire faite directement à partir des images de mammographie. Aucun test supplémentaire n’est nécessaire, ce

1 2 3

Figure 2 : classification des calcifications artérielles mammaires selon la CSBI :

Grade 0 : pas de calcification vasculaire.

Grade 1 : quelques calcifications vasculaires ponctuelles de petite taille, pas de calcifications en forme d’anneau ni de calcifications de forme linéaire suivant la trajectoire d’un vaisseau sanguin.

Grade 2 : calcifications vasculaires de taille moyenne ou calcifications suivant la trajectoire d’un vaisseau sanguin dans moins de trois vaisseaux sanguins

Grade 3 : calcifications vasculaires de grosse taille ou calcifications suivant la trajectoire d’un vaisseau sanguin dans au moins trois vaisseaux sanguins.

En moins d’une seconde, le logiciel détecte automatiquement les calcifications artérielles présentes sur les images et attribue le niveau de risque cardio-vasculaire approprié à chaque patiente.

qui constitue une économie de temps considérable. De plus, le temps d’analyse pour chaque image est de moins d’une seconde, ce qui s’intègre bien à la réalité clinique d’aujourd’hui.

Un logiciel d’intelligence artificielle derrière ce diagnostic !

Le logiciel est constitué de millions d’algorithmes pour régir sa prise de décision et son apprentissage. Ce modèle d’intelligence artificielle à base d’apprentissage profond (ou Deep Learning, en anglais) traite les données d’une façon inspirée du cerveau humain. Le puissant système neuronal convolutif apprend par l’exemple. Contrairement aux modèles d’intelligence artificielle d’apprentissage machine (ou Machine Learning, en anglais) composés de milliers d’algorithmes seulement, le Deep Learning n’a pas ou peu besoin d’interventions humaines pour fonctionner.

Lorsque le logiciel repère une calcification artérielle sur l’image, il classe l’image BAC+ ( breast arterial calcification positive). Tous les types de calcifications se voient attribuer un numéro de 0 à 5 correspondant au niveau de dangerosité selon la classification Bi-Rads. Les calcifications artérielles sont toujours Bi-Rads 0, ce qui indique que le risque de malignité est nul.

Chaque image retenue est cartographiée en détail. Le logiciel met en surbrillance les pixels pertinents dans l’évaluation de la condition cardio-vasculaire attribuée à la patiente en tenant compte de la longueur des calcifications observées (figure 3). À l’âge électronique, une telle création permet la réalisation d’études longitudinales d’envergure. Les résultats sont rapidement encodés dans une base de données offrant de nouvelles possibilités d’analyse.

Efficacité et limites du logiciel

Depuis sa création, la percée technologique fut le fruit de plusieurs projets de recherche. Une étude menée à Milan, en Italie, entre 2017 et 2021 a réuni 1493 femmes de plus de 45 ans, avec un âge médian de 59 ans. On y a analysé 5972 images mammographiques. On a trouvé des calcifications artérielles mammaires chez 194 femmes (13 %) et sur 581 images (9,7 %). La prévalence est donc estimée à 13 %. Chez les femmes ménopausées, la présence des calcifications artérielles mammaires correspond à un risque augmenté à l’échelle de 1.23. Quatre classes d’âge ont été créées. Parmi les femmes qui ont des calcifications artérielles

Figure 3 : Pour une détection rapide des zones touchées, le logiciel met en surbrillance les pixels qui dévoilent des calcifications artérielles sur les images de mammographie.

mammaires, 6,3 % étaient dans la première catégorie d’âge (45-60 ans), 11,6 % dans la deuxième (61-70 ans), 34,3 % dans la troisième (71-73 ans) et 38,2 % dans la quatrième (74-87 ans).

Comparé à la méthode de segmentation manuelle, le système informatique est arrivé à des résultats similaires dans 88 % des situations. Bien que le système soit jugé très fiable, il comporte certaines limites. Il a généré des faux positifs, mais de façon comparable à l’analyse humaine, c’est-à-dire dans une proportion négligeable. Le logiciel a été confondu par des ligaments de Cooper et des microcalcifications non

La forte participation au Programme québécois de dépistage du cancer du sein permet la réalisation de projets favorables à la santé cardio-vasculaire des femmes.

artérielles en ligne droite. De plus, seulement deux consoles ont été utilisées pour l’étude. Les chercheurs se demandent comment étendre un tel logiciel à tous les types de consoles.

La forte participation au Programme québécois de dépistage du cancer du sein permet la réalisation de projets favorables à la santé cardio-vasculaire des femmes.

RÉFÉRENCES

1 – « Association Between Breast Arterial Calcifications and Cardiovascular Disease: A Systematic Review and Meta-analysis », Canadian Journal of Cardiology, 2023, [Consulté le 2 janvier 2024].

2 – « Detection and quantification of breast arterial calcifications on mammograms: a deep learning approach », Springer Link, 2024, [Consulté le 3 janvier 2024].

3 – Centre canadien de santé cardiaque pour les femmes, « La différence », [Consulté le 3 janvier 2024].

4 – « Info », Place de la santé, 2022, [Consulté le 3 janvier 2024].

5 – Science Direct, « Screening mammography beyond breast cancer: breast arterial calcifications as a sex-specific biomarker of cardiovascular risk », European Journal of Radiology, [Consulté le 2 janvier 2024].

6 – « Breast calcifications: description and classification according to BI-RADS 5th Edition », Revue chilienne de radiologie, 2016, [Consulté le 3 janvier 2024].

Le Programme québécois de dépistage du cancer du sein cible un taux de participation de 70 %. Faire sa mammographie de routine constitue le meilleur moyen de prendre en considération sa santé mammaire. De plus, l’engouement face au programme de dépistage permet la réalisation d’importants projets visant la santé des femmes. Il y a une panoplie de bonnes raisons de faire ses mammographies de dépistage !

FIGURES

1 – Research Gate, 2024, [Consulté le 4 janvier 2024].

2 – Société canadienne de l’imagerie mammaire, « Canadian Society of Breast Imaging Position Statement on Breast Arterial Calcification Reporting on Mammography », 2023, [Consulté le 3 janvier 2024].

3 – « Detection and quantification of breast arterial calcifications on mammograms: a deep learning approach », Springer Link, 2023, [Consulté le 3 janvier 2024].

Médecine nucléaire

TEP-FDG cardiaque : révolutionner le diagnostic et le traitement cardiovasculaires au Canada

Département de radiologie, Université de la ColombieBritannique, Vancouver, Colombie-Britannique, Canada

Chef

Depuis longtemps, les maladies cardiovasculaires (MCV) sont l’une des principales causes de morbidité et de mortalité dans le monde et elles le seront encore probablement dans les années à venir. Selon la Fondation des maladies du cœur et de l’AVC du Canada, plus de 1,6 million de Canadiens sont atteints de MCV qui sont la cause d’environ 70 000 décès par an. Rien qu’au Canada, on estime que les MCV coûtent 22,2 milliards de dollars chaque année en coûts liés aux soins de santé et en baisse de productivité. Un diagnostic et un traitement précoces peuvent jouer un rôle important dans l’amélioration des résultats tout en réduisant la morbidité et la charge financière entraînées par les MCV. L’imagerie médicale joue un rôle de plus en plus important dans le diagnostic et la prise en charge de ces maladies. Plus précisément, il a été démontré ces dernières années que la tomographie par émission de positons au fluorodéoxyglucose (TEP-FDG) est un outil essentiel à l’évaluation de la patientèle canadienne chez qui l’on suspecte ou connaît déjà l’existence d’une MCV.

Qu’est-ce que la TEP-FDG cardiaque ?

La TEP-FDG cardiaque est une technique d’imagerie non invasive qui utilise un traceur radioactif appelé fluorodésoxyglucose (FDG) pour permettre de visualiser l’activité métabolique du cœur et des vaisseaux sanguins

importants. Le FDG est un analogue du glucose absorbé par les cellules de façon proportionnelle à leur absorption du glucose. Le degré d’absorption du FDG reflète l’activité métabolique du myocarde, ce qui peut donner de l’information sur diverses MCV. Le FDG est également absorbé par les cellules immunitaires, ce qui en fait un outil utile pour évaluer les infections et les inflammations cardiovasculaires.

Après l’injection du FDG, la personne est soumise à un examen par tomographie par émission de positons (TEP) qui détecte les émissions radioactives du FDG et crée une image en 3D de l’ensemble du corps, y compris du cœur, en s’appuyant sur les schémas de radiation. Les images générées dans le cadre de la TEP sont ensuite combinées aux images d’une tomodensitométrie (TDM) ou d’une imagerie par résonance magnétique (IRM) afin d’obtenir des informations anatomiques détaillées sur le cœur.

Applications de la TEP-FDG cardiaque

La TEP-FDG cardiaque est très utile dans le cadre du diagnostic et de la prise en charge de multiples MCV. En voici les applications les plus communes :

1. Évaluation de la maladie coronarienne : il s’agit d’une maladie courante qui touche environ 1 Canadien de plus de 20 ans sur 12 et qui se traduit

Patrick Martineau MDCM, Ph. D., FRCPC
Matthieu PelletierGalarneau, M.D., MSc, FRCPC
de Service, Institut de cardiologie de Montréal

par le rétrécissement ou l’obstruction par une plaque coronarienne des artères coronaires qui alimentent le cœur en sang, ce qui entraîne une réduction du débit sanguin et de l’apport d’oxygène au muscle cardiaque. Chez la patientèle dont la maladie coronarienne est suspectée ou connue, la TEP-FDG cardiaque peut être utilisée pour évaluer l’activité inflammatoire de la plaque coronarienne, laquelle est composée de nombreuses cellules inflammatoires.

2. Évaluation de la myocardite : il s’agit d’une maladie qui provoque une inflammation du muscle cardiaque, souvent à la suite d’une infection virale. L’inflammation peut endommager le muscle cardiaque et entraîner des symptômes comme des douleurs thoraciques, un essoufflement et une insuffisance cardiaque. La TEP-FDG peut être utilisée pour visualiser l’activité métabolique du muscle cardiaque et détecter les zones d’activité accrue pouvant indiquer une inflammation. Dans certains cas, la TEP-FDG peut être utilisée pour guider la biopsie du tissu affecté, ce qui peut faciliter le diagnostic de la myocardite.

3. Évaluation de la sarcoïdose : il s’agit d’une maladie qui se caractérise par la formation anormale de tissu (granulomes) dans divers organes, dont le cœur (figure 1 ). Le recours à la TEP-FDG cardiaque dans les cas de sarcoïdose cardiaque est particulièrement important compte tenu du fait que le diagnostic de cette maladie peut être difficile. Les symptômes de la sarcoïdose cardiaque sont souvent vagues et peuvent être confondus avec ceux d’autres maladies comme l’insuffisance cardiaque ou la myocardite. En outre, les techniques d’imagerie traditionnelles, comme les échocardiogrammes et les IRM, peuvent ne pas être en mesure de détecter les premiers stades de cette maladie. Les granulomes observés dans les cas de sarcoïdose peuvent souvent être très inflammatoires, ce qui permet de les détecter à l’aide de la TEP-FDG cardiaque. Outre son utilité dans le cadre du diagnostic, la TEP-FDG cardiaque se révèle également utile pour guider le traitement chez la patientèle atteinte de la sarcoïdose. Le recours à la TEP-FDG cardiaque dans les cas de sarcoïdose cardiaque est une technique encore relativement nouvelle

au Canada : seuls quelques établissements de soins de santé offrent cette procédure. Toutefois, le nombre d’établissements offrant ce type d’examen augmente continuellement, puisque les médecins reconnaissent l’effet positif qu’il peut avoir sur les soins prodigués à la patientèle.

4. Évaluation de la vascularite des gros vaisseaux : il s’agit d’un groupe de troubles caractérisés par une inflammation des vaisseaux sanguins, affectant principalement les grosses artères (figure 2). Ces affections peuvent provoquer des symptômes comme la fièvre, la fatigue et des douleurs ou une raideur dans les épaules, les hanches et le cou. La TEP-FDG peut être utilisée pour visualiser l’activité métabolique des vaisseaux sanguins et détecter les

Figure 1 : Exemple de TEP-FDG chez une personne atteinte de sarcoïdose cardiaque. Outre la détection de l’inflammation du myocarde, la TEP-FDG du corps entier permet de détecter les emplacements atteints à l’extérieur du cœur et d’obtenir davantage d’information sur le stade de la maladie.

Figure 2 : La TEP-FDG est un examen précis et simple pour l’évaluation de la vascularite. Chez cette personne atteinte d’une vascularite des gros vaisseaux, on observe un niveau élevé d’absorption dans la région de l’aorte abdominale.

zones d’activité accrue pouvant indiquer une inflammation. En comparant le niveau d’absorption du FDG dans les vaisseaux sanguins à celui d’un tissu sain normal, les médecins peuvent identifier les zones d’inflammation et évaluer l’étendue des dommages subis par les vaisseaux sanguins. La TEP-FDG peut également être utilisée pour surveiller l’évolution de la vascularite des gros vaisseaux ainsi que l’efficacité du traitement. L’examen peut aider à identifier une rechute précoce de la maladie et à évaluer la nécessité de modifier les plans de traitement. Dans l’ensemble, la TEP-FDG est un outil utile pour le diagnostic et la prise en charge de la vascularite des gros vaisseaux, car elle peut fournir des informations précieuses sur l’étendue et la gravité de l’inflammation dans les vaisseaux sanguins, ainsi que guider les décisions relatives au traitement et en surveiller l’efficacité.

5. Évaluation de l’endocardite : il s’agit d’une maladie qui se caractérise par une inflammation de la paroi interne du cœur, y compris les valves, en raison d’une infection (figure 3). L’infection peut entraîner la formation d’amas de bactéries et de cellules sanguines, appelés végétations, sur les valves cardiaques. Ces végétations peuvent endommager les valves et entraîner des complications comme une insuffisance cardiaque, un accident vasculaire cérébral et une septicémie. La TEP-FDG peut être utilisée pour détecter une infection des valves cardiaques, mais également pour surveiller l’évolution de l’endocardite ainsi que l’efficacité du traitement. L’examen peut aider à identifier une rechute précoce de la maladie et à évaluer la nécessité de modifier les plans de traitement.

6. Évaluation de la viabilité cardiaque : la réduction du débit sanguin vers le muscle cardiaque causée par une crise cardiaque peut endommager le tissu cardiaque. Il peut alors devenir non viable ou cicatrisé et ne plus être en mesure de se contracter et de contribuer à l’action de pompage du cœur. Cependant, une partie du tissu endommagé peut encore être viable, ce qui signifie qu’elle a le potentiel de se rétablir et de contribuer à la fonction cardiaque après le rétablissement d’un débit sanguin normal. La TEP-FDG peut être utilisée pour distinguer les tissus cardiaques viables de ceux non viables en obtenant des images de l’activité

Figure 3 : La TEP-FDG est particulièrement utile pour l’évaluation de l’endocardite sur prothèse valvulaire. Chez cette personne qui possède une prothèse de valve aortique, une zone importante d’absorption indique la présence d’une infection active.

métabolique dans le tissu cardiaque, mais elle peut également être utilisée pour orienter la sélection des membres de la patientèle pour qui des procédures de revascularisation visant à rétablir le débit sanguin, comme le pontage aortocoronarien ou l’intervention coronarienne percutanée, pourraient convenir. Le succès des procédures de revascularisation visant à rétablir le débit sanguin dans le tissu cardiaque endommagé dépend de l’étendue du tissu viable dans la zone affectée.

« Un diagnostic et un traitement précoces peuvent jouer un rôle important dans l’amélioration des résultats tout en réduisant la morbidité et la charge financière entraînées par les MCV. L’imagerie médicale joue un rôle de plus en plus important dans le diagnostic et la prise en charge de ces maladies. »

Restrictions du recours à la TEP

Malgré la popularité croissante de la TEP-FDG cardiaque, cette procédure présente encore quelques difficultés. L’un des principaux défis qui en découlent est le coût élevé de l’examen, ce qui peut limiter son accessibilité pour la patientèle.

En outre, l’utilisation de traceurs radioactifs soulève des inquiétudes quant à l’exposition aux radiations, bien que la quantité de radiations utilisée dans le cadre de la TEP-FDG cardiaque soit généralement considérée comme sûre. Néanmoins, les médecins

doivent soigneusement évaluer les avantages de cet examen par rapport aux risques potentiels et informer la patientèle de ces risques.

Enfin, le plus grand défi demeure l’offre limitée de cet examen dans certaines régions du pays.

Contrairement à la patientèle des grands centres de soins de santé en zones urbaines qui est plus susceptible d’accéder à cette procédure, la patientèle des zones rurales et isolées peut être confrontée à des obstacles importants pour accéder à la TEP-FDG cardiaque.

Avenir de la TEP au Canada

Grâce aux progrès continus de la technologie, de la recherche et de la politique en matière de santé qui devraient renforcer l’utilité et l’accessibilité de la TEP, l’avenir de cette procédure est prometteur au Canada.

Le recours à la TEP cardiaque est de plus en plus fréquent en raison de la reconnaissance croissante de sa valeur clinique, ainsi que de l’innovation continuelle sur les plans de la technologie de la TEP et du développement radiopharmaceutique. Par exemple, de nouveaux traceurs de TEP sont en cours de développement pour fournir de l’information plus exacte et précise sur la fonction et le métabolisme cardiaques, ainsi que sur la présence et l’étendue des MCV.

« Le recours à la TEP cardiaque est de plus en plus fréquent en raison de la reconnaissance croissante de sa valeur clinique, ainsi que de l’innovation continuelle sur les plans de la technologie de la TEP et du développement radiopharmaceutique. »

Une autre avancée importante est l’intégration de la TEP cardiaque à d’autres examens d’imagerie, comme la TDM et l’IRM. Cette intégration permet d’augmenter la quantité et la précision des renseignements diagnostiques et peut améliorer la netteté des images de la TEP cardiaque pour détecter diverses MCV et obtenir de l’information à leur égard. En outre, des recherches en cours explorent de nouvelles applications pour lesquelles la TEP cardiaque pourrait convenir, notamment pour évaluer la viabilité

myocardique, prédire l’émergence de MCV et évaluer de nouveaux traitements pour ces maladies.

Dans l’ensemble, grâce aux progrès continus de la technologie, de la recherche et de la politique en matière de santé qui devraient renforcer l’utilité et l’accessibilité de la TEP cardiaque dans le cadre du diagnostic, du traitement et de la prise en charge de diverses MCV, l’avenir de cette procédure est prometteur au Canada.

Les docteurs Mathieu Pelletier-Galarneau et Patrick Martineau sont les co-éditeurs de FDG-PET/CT and PET/MR in Cardiovascular Disease, un ouvrage clinique qui met l’accent sur les preuves actuellement disponibles pour fournir un bilan à jour et approfondi des diverses applications de la TEP-FDG combinée aux examens de TDM ou d’IRM dans les cas de MCV. Cet ouvrage de référence s’adresse à un large public, notamment aux cardiologues, aux radioisotopistes, aux radiologues, aux résidentes et résidents, aux chercheuses et chercheurs postdoctoraux et aux technologues. Cet ouvrage de 400 pages comprend 24 chapitres couvrant un large éventail de MCV ainsi qu’une gamme de cas représentatifs et de variantes de la normale.

RÉFÉRENCES

1 – Le texte provient de la revue Le patient, volume 17, numéro 1, de juin 2023. Le texte a été traduit et publié avec l’accord des parties.

Électrophysiologie médicale

Tétralogie de Fallot : combinaison de quatre anomalies cardiaques congénitales

Assistante-chef technologue en électrophysiologie médicale spécialisée en échographie cardiaque

Hôpital Jean-Talon, CIUSSS du Nord-del’île-de-Montréal

La tétralogie de Fallot est la plus fréquente des cardiopathies congénitales cyanogènes, représentant près de 8 % d’entre elles. Cette malformation tire son nom d’Étienne-Louis Arthur Fallot, qui l’a décrite en 1888.

La tétralogie de Fallot se caractérise par quatre anomalies distinctes, comme ÉtienneLouis Fallot, anatomopathologiste, les avait observées lors d’autopsies. En réalité, deux de ces anomalies suffisent à expliquer la physiopathologie de cette malformation, les deux autres n’étant que des conséquences. Cette introduction vise à offrir un aperçu des caractéristiques cliniques, des défis diagnostiques et des approches thérapeutiques actuelles de cette pathologie (figure 1 ).

Anomalies anatomiques de la tétralogie de Fallot :

■ Rétrécissement de l’artère pulmonaire.

■ Hypertrophie du ventricule droit, qui compense la pression exercée par le rétrécissement de l’artère pulmonaire.

■ Communication interventriculaire entre les ventricules droit et gauche.

■ Malposition de l’aorte à droite, chevauchant le septum interventriculaire. Ce déplacement partiel au-dessus du ventricule droit résulte du défaut d’alignement à l’origine de la communication interventriculaire.

Cœur normal Tétralogie de Fallot

Dextroposition de l’aorte Sténose pulmonaire

Communication inter-ventriculaire

Hypertrophie ventriculaire droite

Figure 1 : Différence entre un cœur normal et un cœur ayant une malformation appelé la tétralogie de Fallot.

Anomalies principales :

■ Sténose (rétrécissement) de la voie d’éjection du ventricule droit : Cette sténose peut se situer au niveau de l’infundibulum pulmonaire, de l’anneau pulmonaire ou du tronc de l’artère pulmonaire (avant la bifurcation en deux artères pulmonaires). Le rétrécissement peut être localisé ou prédominer sur une de ces trois parties dans les formes mineures. En revanche, dans les formes sévères, il peut s’étendre à l’artère pulmonaire, y compris aux branches droite ou gauche.

Claudia Hernandez t.e.p.m.

■ Communication interventriculaire (CIV) : Cette communication se situe près de l’origine des gros vaisseaux, notamment de l’aorte. Elle résulte d’un mauvais alignement entre l’aorte et la portion musculaire du septum interventriculaire.

Ces caractéristiques anatomiques et physiopathologiques permettent de comprendre la complexité et la gravité de la tétralogie de Fallot, nécessitant une prise en charge médicale spécialisée.

Signes et symptômes

Nouveau-né et nourrisson

À la naissance, le nouveau-né est souvent bien coloré, rose, et ne présente pas de gêne particulière. Cependant, la présence d’un souffle cardiaque systolique, perçu dès l’auscultation en salle d’accouchement, attire l’attention. Un souffle d’apparition précoce nécessite une échocardiographie d’urgence.

Dans sa forme habituelle, la tétralogie de Fallot est bien supportée à la naissance et ne demande pas de traitement immédiat. Il est toutefois utile d’hospitaliser le nouveau-né en unité de réanimation pédiatrique pour une surveillance attentive. La cyanose, signe classique de la malformation, apparaît généralement plusieurs semaines après la naissance, d’abord lors d’efforts ou de colères. Au repos, elle reste modérée et difficile à détecter sans observation experte. La cyanose s’accentue progressivement, accompagnée de fatigue, gênant les acquisitions motrices de l’enfant.

Grand enfant et adulte

Il est rare de rencontrer une tétralogie de Fallot non opérée après l’âge de deux ans. Cela peut se produire dans des formes particulières ou dans des pays en voie de développement. Dans ces cas, le tableau clinique présente une cyanose plus ou moins profonde, accompagnée de fatigue et de dyspnée, limitant les possibilités d’effort en raison d’un manque d’oxygène et non d’une insuffisance cardiaque.

Étiologie, âge d’apparition et évolution

La tétralogie de Fallot est la conséquence d’une anomalie de cloisonnement du tronc artériel.

Anomalie chromosomique

Une microdélétion 22q11 serait présente dans près du quart des cas et serait à rechercher avant toute anomalie conotroncale. Ce type d’anomalie chromosomique est également associé au syndrome de Di George qui comporte fréquemment une atteinte cardiaque de type de tétralogie de Fallot.

Les autres anomalies chromosomiques fréquemment retrouvées sont le syndrome de Down ou trisomie 21, la trisomie 13, la trisomie 18 et le syndrome des yeux de chat.

La tétralogie de Fallot est une malformation décrite dans plusieurs syndromes, la plupart étant génétiques : syndrome-charge, syndrome d’alcoolisme fœtal.

Elle se forme principalement au cours du deuxième mois de la vie intra-utérine. Le diagnostic peut être posé avant la naissance grâce à l’échographie fœtale, avec une détection dans 70 à 80 % des cas (jusqu’à 100 % avec un échographiste de référence). Le plus souvent, il s’agit d’une découverte de novo, sans antécédent familial particulier.

Traitements et pronostic

Dans la majorité des cas, le traitement est chirurgical et possible dès la première année de vie. On distingue deux types d’interventions :

1. Interventions palliatives : Elles visent à limiter les conséquences de la malformation sans la corriger.

2. Intervention curatrice : Elle vise à rétablir une anatomie aussi normale que possible.

Après une « cure complète » (chirurgie curatrice), une intervention unique et définitive peut théoriquement et de plus en plus souvent aboutir à une « guérison complète », permettant une vie normale sans traitement médical. Toutefois, la tétralogie de Fallot, en raison de la malformation de la vascularisation intrapulmonaire, peut laisser une certaine limitation à l’effort.

Les patients opérés de la tétralogie de Fallot nécessitent un suivi à long terme pour détecter et gérer les complications tardives, telles que l’insuffisance valvulaire pulmonaire et les arythmies.

Utilisation du Doppler (l’échographie cardiaque transthoracique) demeure l’examen d’imagerie privilégié lors de l’évaluation initiale, car elle fournit des informations essentielles sur l’anatomie cardiaque.

Utilisation du Doppler (l’échographie cardiaque transthoracique) demeure
l’examen d’imagerie privilégié lors de l’évaluation initiale, car elle fournit des informations essentielles sur l’anatomie cardiaque.

L’échographie Doppler permet une évaluation détaillée des quatre anomalies caractéristiques de la tétralogie de Fallot. Elle joue un rôle crucial dans le diagnostic, l’évaluation de la gravité de l’état et la planification de l’intervention chirurgicale. Elle permet de :

■ visualiser et quantifier le flux sanguin anormal à travers la communication interventriculaire;

■ évaluer la gravité de la sténose pulmonaire en mesurant les gradients de pression à travers la valve pulmonaire et l’infundibulum;

■ détecter le flux sanguin anormal dans les grandes artères, confirmant la malposition de l’aorte.

Anomalies rencontrées à l’ECG

L’ECG peut montrer des signes d’hypertrophie ventriculaire droite (HVD) de type « adaptation » ou « égalité de pressions », aidant à rectifier un diagnostic erroné de simple communication interventriculaire (CIV) chez le nouveau-né. Par exemple, la présence d’une onde T positive en V1 (critère simple, mais non unique d’HVD) chez un nouveau-né présentant un tableau clinique de CIV bien tolérée doit amener à remettre en cause ce diagnostic et à soupçonner la présence d’une tétralogie de Fallot.

En résumé, la tétralogie de Fallot présente un défi complexe en cardiologie pédiatrique. Son diagnostic précoce et une prise en charge multidisciplinaire sont

Figure 2 : Tétralogie de Fallot en échocardiographie; dilatation du ventricule droit

essentiels pour améliorer les résultats cliniques et la qualité de vie des patients. Grâce aux progrès dans les techniques d’imagerie et les interventions chirurgicales, de nombreux patients peuvent désormais bénéficier d’une correction efficace. Toutefois, un suivi à long terme demeure indispensable pour détecter

RÉFÉRENCES

1 – Cardiologie pratique, https://www.cardiologie-pratique. com/axistv/video/grossesse-tetralogie-fallot

2 – National Heart Lung, and Blood Institute, https://www. nhlbi.nih.gov/health/congenital-heart-defects/types

3 – Wikipedia, https://fr.wikipedia.org/ wiki/T%C3%A9tralogie_de_Fallot

et gérer les complications tardives. En combinant les avancées médicales avec une approche holistique centrée sur le patient, l’équipe médicale peut garantir les meilleurs résultats aux patients atteints de tétralogie de Fallot.

FIGURES

1 – Wikipedia, https://fr.wikipedia.org/wiki/ T%C3%A9tralogie_de_Fallot#/media/Fichier:Tetralogy_of_ Fallot.png

2 – Le Cardiologue, https://lecardiologue.com/ wp-content/uploads/2019/11/FMC426_v2_BD.pdf

Près de 30 ans d’excellence clinique

L’iodixanol s’est révélé moins susceptible de causer un malaise grave que l’iopamidol (n = 299)1

% de patients présentant un inconfort grave

L’iodixanol aide à réduire au minimum l’effet de l’AC sur le confort du patient au cours l’injection IV1,2

Propriétés physiques3

Plus de 13 millions de patients chaque année sont desservis par imagerie à l’aide de Visipaque (iodixanol)4

25/1 min

Cela équivaut à 25 patients qui reçoivent des injections chaque minute

Ce résultat est principalement attribuable à une réduction de la sensation de chaleur dans le cas d’iodixanol en comparaison à l’iopamidol1

Dispositifs cardiaques en radiothérapie : une trajectoire importante pour des soins sécuritaires

PRÉSENTATION DE LA TRAJECTOIRE DES PATIENTS PORTEURS D’UN STIMULATEUR OU D’UN DÉFIBRILLATEUR CARDIAQUE EN RADIOTHÉRAPIE AU CIC DU CHU DE QUÉBEC

Les dispositifs médicaux électroniques prennent une place grandissante dans notre quotidien. On voit quasi quotidiennement dans notre pratique des patients porteurs de stimulateur cardiaque ou de défibrillateur. Véritable petit ordinateur, leur fonctionnement peut être affecté par le rayonnement ionisant et les champs électromagnétiques utilisés dans les services de radiothérapie. Leur résistance à la radiation et leur compatibilité aux champs magnétiques varient d’une compagnie à l’autre selon les composantes utilisées et les modes de fabrication. C’est pourquoi une surveillance attentive des dispositifs cardiaques pendant leur parcours dans nos services est essentielle. Une trajectoire doit être mise en place dans l’établissement afin d’encadrer le parcours complet du patient porteur d’un dispositif cardiaque.

DCEI

Les dispositifs cardiaques électroniques implantables (DCEI) sont conçus pour intervenir

et traiter plusieurs affections cardiaques. En plus de leurs fonctions principales, ils enregistrent les rythmes cardiaques et les événements anormaux détectés. Ces données peuvent être analysées par les professionnels de la santé pour évaluer l’efficacité du traitement et ajuster les réglages, si nécessaire.

Chaque appareil est généralement composé d’un générateur contenu dans un boîtier et d’une ou plusieurs sondes. Le boîtier est habituellement localisé dans la partie supérieure gauche du thorax près du cœur, mais peut aussi être implanté du côté droit ou même dans l’abdomen, selon les contraintes médicales du patient. Les sondes, quant à elles, sont installées dans le cœur.

Les DCEI comprennent, entre autres, les stimulateurs cardiaques, communément appelés pacemakers, les défibrillateurs cardiaques implantables et les dispositifs de thérapie de la resynchronisation. Chaque appareil a des fonctions et des applications différentes.

Marie-Christine Lapointe, t.r.o.
CHU de Québec — Université Laval, Hôpital de l’Enfant-Jésus

Le stimulateur cardiaque est utilisé principalement pour traiter la bradycardie qui se caractérise par un rythme cardiaque lent, généralement inférieur à 60 battements par minute. Lorsqu’il détecte un rythme cardiaque anormal, le stimulateur envoie une impulsion électrique indolore au cœur par le biais de la sonde. C’est cette action qui déclenche un battement cardiaque.

De son côté, en plus de contrer les ralentissements du cœur, le défibrillateur cardiaque implantable traite les irrégularités dangereuses du rythme cardiaque comme la tachycardie ou l’arythmie ventriculaire. Il envoie une impulsion électrique unique et intense appelée choc électrique, ressentie différemment par chaque patient (il est parfois décrit comme un coup violent à la poitrine).

Les dispositifs de la thérapie de resynchronisation cardiaque sont utilisés pour traiter l’insuffisance cardiaque. Ce sont des stimulateurs ou des défibrillateurs cardiaques conçus pour être connectés à trois sondes permettant aux cavités inférieures du cœur de battre au même rythme.

Impact de la radiation sur l’électronique

Les composants électroniques contenus dans les DCEI, comme les circuits intégrés, les transistors et les condensateurs peuvent être altérés par la radiation. Selon la dose reçue et l’énergie utilisée, les bris potentiels peuvent se manifester sous différentes

formes : une décharge prématurée de la batterie, une déprogrammation partielle ou complète, une perte de données enregistrées, un dysfonctionnement momentané empêchant une stimulation ou un choc requis, ou encore un bris permanent et irréversible du dispositif. Ces dommages sont causés par les rayonnements ionisants et neutroniques. Les rayonnements ionisants (comme les photons) ont le pouvoir d’arracher des électrons au moment de leur interaction avec un matériau, perturbant ainsi l’équilibre électronique, ce qui peut entraîner une détérioration de sa structure. À partir d’une énergie de 10 MV, des neutrons sont produits au moment de l’interaction du faisceau de radiation avec les composantes de la tête d’un accélérateur linéaire. Lorsqu’un neutron interagit avec un matériau, il peut provoquer des déplacements d’atomes ayant le potentiel d’endommager ces éléments semiconducteurs, altérant ainsi leurs propriétés électriques. Les neutrons peuvent également induire une radioactivité secondaire par excitation des noyaux atomiques. Ils sont donc indirectement ionisants. Ces particules ont un potentiel plus grand d’interaction avec la matière, ce qui augmente de façon considérable le risque de bris du dispositif.

Une trajectoire bien implantée

Au service de radio-oncologie du CHU de Québec, une procédure est établie depuis de nombreuses années.

Les composants électroniques contenus dans les DCEI, comme les circuits intégrés, les transistors et les condensateurs peuvent être altérés par la radiation.

Elle continue d’évoluer selon les avancées technologiques, les nouvelles lignes de conduite proposées par les études et les recommandations émises par les fabricants.

Afin que la trajectoire soit optimale, la présence d’un DCEI doit être détectée dès la consultation médicale. À ce moment, le radio-oncologue évalue si les traitements peuvent être administrés de façon sécuritaire en fonction de l’emplacement du DCEI et de la zone à irradier. Au besoin, une évaluation de dose préliminaire au dispositif peut être effectuée par un physicien, et la possibilité de déplacer le DCEI dans une autre région du thorax ou de l’abdomen peut être envisagée en collaboration avec le cardiologue.

Une demande de consultation avec un cardiologue au service d’électrophysiologie médicale est remplie par le radio-oncologue. La consultation doit avoir lieu avant le début des traitements. Elle permet d’obtenir toutes les informations nécessaires pour ceux-ci : le type, le modèle et le nom du fabricant du dispositif, le degré de dépendance du patient, les besoins de télésurveillance ou d’un suivi de la fréquence cardiaque et l’utilisation d’un aimant per traitement. Le cardiologue précise aussi la fréquence de la réévaluation requise en clinique d’électrophysiologie. Ces informations sont transmises par formulaire au service de radio-oncologie qui est annexé au dossier.

Afin d’effectuer une planification adéquate, le radiooncologue prescrit un ou plusieurs types d’imagerie : TDM, IRM ou TEP-TDM.

Pendant la planification

À partir de cette étape, un questionnaire est annexé au dossier de radiothérapie du patient. Il sera rempli par chaque secteur et servira de canal de communication entre les technologues. Pendant l’examen TDM, le dispositif sera inclus dans l’image seulement si le traitement est prévu dans la même région anatomique. Cela permettra d’évaluer la distance entre les champs de traitement et le dispositif ainsi que la dose que pourrait recevoir le dispositif pendant l’épisode de soin.

L’ajout d’une TEP est possible malgré la présence d’un DCEI, car la dose reçue lors cet examen est équivalente à celle d’un TDM standard en radiothérapie, malgré la présence du radiotraceur (18 FFDG).

Lorsqu’on prévoit réaliser une IRM de planification, une étude de compatibilité ainsi qu’une consultation en cardiologie doivent être effectuées avant l’examen. De plus en plus de stimulateurs cardiaques sont compatibles avec l’IRM ou considérés comme tels, mais très peu de défibrillateurs le sont. Les risques associés à cette modalité d’imagerie sont une déprogrammation, une surchauffe ou une décharge accrue de la batterie.

Figure 1 : Exemple d’une dosimétrie qui évite le DCEI.

Dans notre service, nous effectuons une IRM seulement sur les patients porteurs d’un stimulateur cardiaque compatible. Afin de réaliser l’examen, le dispositif aura préalablement été désactivé ou programmé en mode asynchrone au service d’électrophysiologie médicale (EPM). Durant l’examen, les technologues surveillent la fréquence cardiaque et la saturation du patient. Par la suite, le patient retournera en EPM pour rétablir les réglages de son pacemaker

La dosimétrie et l’évaluation de dose au DCEI

L’élaboration d’un plan dosimétrique sécuritaire est une étape importante dans la trajectoire du patient. Une énergie plus petite ou égale à 10 MV devrait être utilisée afin de limiter la production de neutrons. Le plan ne doit comporter aucun faisceau de traitement interceptant le dispositif, autant à l’entrée qu’à la sortie, et si possible, être à plus de 3 cm du dispositif (figure 1). Lorsque le traitement est dans une région anatomique près du DCEI, un contour de la partie électronique du DCEI est réalisé, et un second contour est ajouté avec une extension de 1 cm (PRV : volume cible prévisionnel d’organe à risque) afin de prendre en considération les mouvements sous-cutanés potentiels du dispositif. L’évaluation de la dose sera effectuée sur chacun de ces contours, permettant ainsi de valider si le plan est sécuritaire.

Lorsque le dispositif se trouve à moins de 15 cm d’un champ de traitement, un cache en plomb recouvert d’acrylique sera apposé sur le dispositif. Il sert à diminuer la dose hors champ en atténuant les électrons et photons de basse énergie produits et diffusés par la tête de l’accélérateur. Si la distance est de 5 cm et moins, le cache est illustré dans le système de planification dosimétrique afin de s’assurer que les champs ne l’interceptent pas. Un champ de positionnement représentant le cache sera fourni afin qu’il soit positionné à l’endroit prévu à chaque traitement (figure 2).

La dose que le dispositif recevra pendant les traitements de radiothérapie peut être difficile à évaluer, les logiciels de planification dosimétrique n’offrant généralement pas une grande précision sur la dose hors champ. Un calcul manuel conservateur est donc réalisé en fonction de la distance entre les isodoses et le dispositif, ainsi qu’avec le PRV. Comme nous avons déjà observé des mouvements du DCEI supérieur à 1 cm, la dose à 2 cm est maintenant évaluée lorsque la distance entre le dispositif et un champ de traitement est inférieure à 3 cm. Dans de rares cas, par exemple lors d’une incertitude sur la validité du calcul pour des champs tangentiels, une mesure de dose in vivo sera réalisée pendant le premier traitement. Il a aussi été décidé de ne pas considérer dans le calcul les doses reçues au cours de l’imagerie diagnostique de planification et de positionnement.

Figure 2 : Exemple d’un champ de positionnement du cache de plomb.

La dose maximale pouvant être reçue par le dispositif variant d’une compagnie à l’autre et même selon le modèle du dispositif, une recherche doit donc être effectuée au moment de l’évaluation de la dose. Si le fabricant ne déclare aucune valeur, 2 Gy maximum sera considéré, soit la plus petite dose fournie par une compagnie. La date d’implantation est aussi une donnée importante. En cas de retraitement, elle permet de valider si un traitement antérieur a déjà été administré sur le même dispositif.

Lorsque l’évaluation de la dose qui pourrait être reçue par le dispositif excède les valeurs recommandées ou considérées, ou si l’énergie à utiliser pour un traitement est supérieure à 10 MV, le radio-oncologue discute avec le cardiologue de la conduite à adopter. Le niveau de dépendance et la durée d’autonomie

de la batterie seront des facteurs importants dans la décision d’administrer des traitements qui ne respectent pas les critères établis. Le déplacement du dispositif, la réduction des volumes traités, l’annulation des traitements de radiothérapie sont des options qui seront aussi envisagées. Si les traitements sont administrés sans modification dans le plan, l’évaluation de la dose déposée au dossier devra être approuvée par le radio-oncologue avant le premier traitement.

Les traitements

Au moment de la préparation du traitement, les technologues doivent s’assurer d’être en possession de tous les éléments nécessaires afin qu’il soit de qualité et sécuritaire. Ils se réfèrent au rapport de consultation du cardiologue, au questionnaire intersectoriel et à l’évaluation de la dose réalisée. Ils s’assurent que les rendez-vous de réévaluation au service d’électrophysiologie médicale ont été prévus et qu’ils respectent la demande du cardiologue. Le patient devrait avoir au minimum un rendez-vous de contrôle après le dernier traitement de radiothérapie. Pour la majorité des patients, la fréquence de réévaluation comprend aussi une visite après le premier traitement et, selon le fractionnement, au milieu de l’épisode de soins. Si une télésurveillance a été prescrite, ils confirment avec l’unité coronarienne qu’ils ont reçu la demande contenant les informations nécessaires ainsi que les dates où la surveillance sera requise.

À chaque traitement, le technologue suit les lignes de conduite indiquées au dossier et valide l’état du patient avant de débuter. Si une télésurveillance doit être effectuée, un moniteur à signes vitaux muni d’électrodes est mis en place dès le début du positionnement. Le signal est ensuite envoyé par réseau à l’unité coronarienne qui effectuera un suivi à distance de la fréquence et de la régularité des battements cardiaques du patient pendant l’administration du traitement de radiothérapie. L’infirmière, en collaboration avec le cardiologue de l’unité, avisera les technologues des actions requises au besoin.

Le cardiologue peut avoir prescrit l’utilisation d’un aimant pendant les traitements de radiothérapie afin d’éviter qu’un faux signal survienne durant l’irradiation. Selon le type de dispositif cardiaque, l’impact de l’aimant sera différent. Sur un cardiostimulateur, il active la stimulation cardiaque en continu afin de régulariser le rythme cardiaque, tandis que dans le cas d’un défibrillateur, il désactive la fonction défibrillation de l’appareil pour éviter un choc inapproprié.

Figure 3 : Les contour DCEI et PRV_DCEI sont affichés sur la DRR.
Figure 4 : Vérification de la position du cache de plomb sur le DCEI.

Certains dispositifs ne sont pas affectés par un aimant. Une programmation doit alors être effectuée avant et après chaque traitement. Ces cas particuliers sont très rares et demandent une surveillance accrue. Il est possible de mettre un aimant et un cache de plomb pour le traitement d’un patient. Dans ce cas, le technologue appose le cache sur le DCEI afin de bien le couvrir et dépose ensuite l’aimant par-dessus le cache.

Une fois le patient installé, le technologue adapte ses interventions selon le type d’imagerie prétraitement utilisé. Bien que la dose reçue par le dispositif pendant l’imagerie de contrôle de qualité n’est pas prise en considération, la pertinence d’inclure le dispositif dans l’imagerie sera évaluée et indiquée sur le document annexé au dossier. Que le DCEI soit à éviter ou non dans l’imagerie, le technologue devra toujours s’assurer qu’il ne sort pas du contour PRV_DCEI (figure 3).

Pour les contrôles de qualité en kV, le technologue ajuste les volets kV ou la plage d’acquisition du CBCT afin d’éviter ou non le DCEI, selon les indications fournies au dossier. Lorsque le DCEI doit être évité, la position des volets doit correspondre aux limites du PRV_DCEI. Ceci permet de s’assurer que le dispositif se positionne toujours à l’intérieur du PRV. Il ne devrait donc pas être visible sur les ISO kV ou sur le CBCT. Si un cache DCEI est présent, il n’est pas nécessaire d’ajuster les volets pour un « ISO G0 », car le cache atténue suffisamment le faisceau kV (figure 4).

Si des contrôles de qualité utilisant l’énergie de traitement (MV) doivent être acquis, le technologue vérifie la dimension des mâchoires programmées afin de NE PAS irradier le DCEI. Au maximum, elle doit correspondre aux limites du PRV_DCEI afin de pallier les mouvements potentiels du DCEI.

Pendant l’irradiation, le technologue est attentif à l’état du patient. Si une télésurveillance est en cours, la ligne téléphonique doit être libre afin que l’infirmière de l’unité coronarienne puisse communiquer ses directives en cas de besoin.

Après le traitement, le technologue valide l’état du patient. Si une télésurveillance est en cours, il vérifie auprès de l’infirmière que le patient peut être libéré avant de débrancher le moniteur. Au besoin, le patient pourrait être dirigé vers le service d’électrophysiologie pour une vérification ou une reprogrammation de son DCEI, ou vers l’urgence.

Les avancées technologiques nous obligent à rester vigilants et demandent une adaptation constante de nos processus.

Conclusion

En résumé, les rayonnements ionisants et les champs magnétiques émis par l’équipement des services de radiothérapie peuvent perturber, voire endommager les composants électroniques d’une grande majorité d’appareils électroniques. Tous les dispositifs électroniques, qu’ils soient cardiaques ou non, requièrent une attention particulière et des lignes de conduite claires.

Les avancées technologiques nous obligent à rester vigilants et demandent une adaptation constante de nos processus. Dans les dernières années, nous avons vu arriver les moniteurs cardiaques implantés permettant d’enregistrer le rythme du cœur pendant 3 à 5 ans et, plus récemment, des stimulateurs cardiaques sans sonde directement implantés

dans le cœur. Du côté de la radiothérapie, l’arrivée d’une nouvelle modalité de traitement, l’IRM-Linac, amènera aussi des changements dans notre pratique. Il n’existe actuellement pas de données de faisabilité de traitement avec cet appareil chez les patients porteurs de dispositifs cardiaques implantables, mais ce

n’est qu’une question de temps avant que de nouvelles recommandations soient émises.

Malgré les risques, il a été démontré qu’il est possible d’offrir des traitements de qualité et sécuritaires avec une bonne collaboration interprofessionnelle et une trajectoire bien définie qui évolue constamment.

Affirmations : vrai ou faux ?

Affirmation 1 :

Les dommages aux dispositifs électroniques ne sont causés que par les neutrons.

Vrai Faux

Affirmation 2 :

Tous les dispositifs cardiaques réagissent de la même façon à la présence d’un aimant.

Vrai Faux

Affirmation 3 :

La fréquence de réévaluation des DCEI par traitement devrait comprendre au minimum un rendez-vous au service de l’électrophysiologie médicale après le dernier traitement.

Vrai Faux

Affirmation 4 :

La dose maximale pouvant être reçue de façon sécuritaire varie d’un dispositif à l’autre.

Vrai Faux

Affirmation 5 :

Le dispositif cardiaque peut être déplacé dans l’abdomen d’un patient afin de permettre l’administration d’un traitement de radiothérapie sécuritaire.

Vrai Faux

Affirmation 6 :

Le DCEI est fixe, aucun mouvement sous-cutané potentiel n’est à considérer dans la planification dosimétrique ou au moment des traitements.

Vrai Faux

Nous vous invitons à cliquer sur ce lien pour entrer vos réponses et ainsi obtenir 0.5 h de DP supplémentaire.

RÉFÉRENCES

1 – Bergamin, C., Graf, D., 2015, « Aimant, stimulateur cardiaque et défibrillateur : attraction fatale ? », Rev Med Suisse 11, nº 476, p. 1185-1191.

2 – Bitterman, D. S., Zei, P. C., et Mak, R. H., 2018, « Radiation Safety and Cardiovascular Implantable Electronic Devices », International Journal of Radiation Oncology, Biology, Physics 102, nº 2, p. 243-246.

3 – Bouter, J., Lacroix, J. et Thariat., J., 2020, « Une IRM peut être prescrite en situation de dispositif cardiaque implantable (pacemaker, défibrillateur) : application à la radiothérapie », Cancer/radiothérapie 24 , nº 4, p. 340-344.

4 – Meor Azraai, Daniel D’Souza, Yuan-Hong Lin et Voltaire Nadurata, 2021, « Current clinical practice in patients with cardiac implantable electronic devices undergoing radiotherapy: a literature review » EP Europace 24 , nº 3, mars 2022, p. 362-374.

5 – Schukraft, S., Burri, H., 2014, « Mise à jour des indications à la thérapie de resynchronisation dans l’insuffisance cardiaque », Rev Med Suisse 10, nº 432, p. 1192-1196.

FIGURES

1 à 4 – Les images sont des exemples cliniques provenant du système dosimétrique.

Radioablation de foyers de tachycardie ventriculaire : de nouveaux horizons de prise en charge

IL S’AGIT ICI DE LA PRÉSENTATION D’UNE TECHNIQUE INNOVANTE DE PRISE EN CHARGE DE CERTAINES PATHOLOGIES CARDIAQUES EN RADIOTHÉRAPIE. CE TRAITEMENT ÉMERGENT NÉCESSITE UNE COLLABORATION ENTRE DEUX ÉQUIPES SPÉCIALISÉES, L’UNE AYANT UNE CONNAISSANCE APPROFONDIE DE LA RADIOTHÉRAPIE STÉRÉOTAXIQUE, L’AUTRE DE LA PRISE DE LA CHARGE DES TROUBLES DU RYTHME CARDIAQUE. UNE DIZAINE DE PATIENTS RÉFRACTAIRES AUX TRAITEMENTS STANDARDS EN A BÉNÉFICIÉ DANS LE BUT DE RÉDUIRE DRASTIQUEMENT LEURS ARYTHMIES.

La radioablation ventriculaire est une technique novatrice, utilisée par peu de structures. Elle connait des retours cliniques prometteurs y compris dans des situations pour lesquelles il n’y avait pas d’alternatives thérapeutiques. L’expérience de Lille concerne la prise en charge par radiothérapie stéréotaxique de patients atteints de tachycardies ventriculaires réfractaires aux traitements médicamenteux, et non accessibles à un geste destructeur par voie endocavitaire.

Séméiologie

La tachycardie ventriculaire se définit comme la survenue d’au moins trois

battements consécutifs d’origine ventriculaire à une cadence supérieure à 100 battements par minute1 . Elle est susceptible d’engendrer collapsus, insuffisance cardiaque ou décès du patient. En cas de survenue de plus de 3 épisodes en 24 heures, on parle d’orage rythmique.

La prise en charge de ces troubles a fait l’objet de recommandations, notamment celles de l’European Society of Cardiology 2 Ainsi, la prise en charge préventive repose principalement sur des traitements médicamenteux (bêta-bloquants ou plus rarement amiodarone, flécaïnide ou sotalol). En complément, y compris en cas de survenue de

Jérôme Roy cadre du pôle de radiothérapie

Arnaud Felin

cadre médicotechnique du pôle de radiothérapie

Centre Oscar Lambret de Lille

crise, il est recommandé la mise en place d’un dispositif automatique implantable (DAI – défibrillateur automatique et pacemaker).

En cas de tachycardies ventriculaires récidivantes et monomorphes (c’est-à-dire issues de la même zone du ventricule), une ablation par radiofréquence peut être proposée. Il s’agit cependant d’une technique invasive qui n’est pas accessible à l’ensemble des patients et qui enregistre un taux de complications non négligeable pouvant avoisiner les 11 %3 au niveau hospitalier dont 1,6 % mortelles. Par ailleurs, le taux de récidive est supérieur à 50 % à 6 mois.

Les progrès technologiques et techniques de ces dernières années permettent d’envisager la destruction des foyers de tachycardie ventriculaire selon deux nouvelles modalités 4 :

1. Dans le premier cas, pour prendre en compte les mouvements respiratoires et cardiaques, un scanner quadridimensionnel (parfois complété d’une IRM cardiaque) est réalisé afin de créer un volume intégrant les mouvements de la cible (Internal Target Volume ou ITV) pour un traitement sur un appareil de radiothérapie conventionnel.

2. La solution retenue à Lille prévoit l’utilisation du système de radiothérapie CyberKnife ® (Accuray), accélérateur miniaturisé sur un bras robotisé. Cette technique permet de compenser les mouvements liés à la respiration, la sonde du DAI est utilisée comme repère pour suivre les mouvements intra-fraction. Seuls les mouvements cardiaques d’amplitude relativement faible ne peuvent pas être compensés... Le volume à irradier s’en trouve réduit et le myocarde sain et certaines sous-unités cardiaques peuvent être mieux protégés (figure 1 ).

La radiothérapie utilise les rayonnements ionisants. Elle est habituellement utilisée pour détruire les cellules tumorales. L’efficacité pour le traitement des foyers de tachycardie ventriculaire a été découverte de façon pragmatique. Le mode d’action reste mal connu, probablement lié à des modifications de la conduction des cellules myocardiques.

Protocole de prise en charge à Lille

Les patients pris en charge sont ceux souffrant d’une tachycardie ventriculaire réfractaire aux traitements médicamenteux et non accessibles à un geste destructeur par voie endocavitaire. Les indications sont proposées par l’équipe du service de cardiologie-rythmologie de

l’Institut cœur poumon (ICP) du CHRU de Lille. Il s’agit de patients en situation d’orage rythmique mettant en jeu leur pronostic vital à très court terme en l’absence d’alternative thérapeutique. Certaines indications peuvent être urgentes, chez des patients instables, hospitalisés en Unité de soins intensifs cardiologiques.

Ces planifications de traitement en urgence sont facilitées par la programmation sur les machines après validation dosimétrique, par une équipe expérimentée et par l’équipement du plateau technique (2 systèmes CyberKnife® sur site).

La collaboration étroite entre les deux équipes du CHRU et du Centre Oscar Lambret (COL) permet de définir les volumes à traiter. Le système de cartographie 3D (utilisé par les cardiologues) est utilisé pour identifier la zone à traiter. Cette zone cible est reportée sur un scanner de cardiologie (acquisition ultra-rapide, gating ECG).

Il est cependant nécessaire de réaliser une acquisition sur le scanner de radiothérapie. Il s’agit en effet de repérer précisément le foyer à l’origine de l’arythmie mais également les structures nécessaires au repositionnement du patient en position de traitement.

Figure 1 : CyberKnife ®M6 au Centre Oscar Lambret.

L’acquisition du scanner de centrage est dite « cœur rapide ». L’objectif est d’obtenir l’image la plus nette possible du cœur tout en visualisant le mieux possible les cathéters du DAI (nécessaires pour le tracking au CyberKnife®) en diminuant les flous cinétiques (respiratoires et cardiaques). Cette acquisition doit être répétée en cas de dédoublement de la sonde du DAI qui servira de repère lors du traitement. L’équipe de physique médicale présente au scanner de centrage valide directement les reconstructions.

Pour suivre la première modalité proposée (sur un accélérateur conventionnel), il est également possible de réaliser un scanner 4D, pendant lequel l’examen est synchronisé à la respiration. Le volume de traitement comprend alors les mouvements cardiaques et respiratoires. L’intérêt du système CyberKnife® se limite alors à la multiplicité des faisceaux.

Le contour du volume cible est reporté sur le scanner de radiothérapie après recalage élastique des deux scanners. Les organes à risque sont délinéés, ceux habituels pour une stéréotaxie thoracique mais aussi les coronaires, les valves cardiaques, parfois le pilier de la mitrale ou d’autres sous-unités. Les points d’intérêt qui pourront être utilisés pour le tracking sont identifiés.

Cette phase est validée lors d’une réunion en visioconférence entre oncologues radiothérapeutes, cardiologues et radiologues de l’ICP.

Le protocole conjoint du CHRU et du COL prévoit la réalisation d’une fraction unique de 20 Gy sur 95 % du volume cible planifié, tout en privilégiant la protection du cœur sain, des coronaires.

La dosimétrie est préparée par l’équipe de physique médicale, et vérifiée avec des contrôles qualité. La séance de traitement est prévue deux jours après le scanner pour permettre la réalisation de ces étapes de délinéation, prescription, préparation de la balistique.

Lors du traitement, l’onco-radiothérapeute et le cardiologue sont présents. Ce dernier programme le défibrillateur avant la séance pour éviter tout choc électrique intempestif. L’équipe soignante explique au patient le déroulement du traitement et les recommandations (éviter les mouvements brusques, adopter une respiration calme, régulière). Les manipulateurs installent ensuite le patient avec les contentions prévues, le suivi des paramètres vitaux et le système de suivi respiratoire (figure 2).

Ce type de prise en charge montre d’intéressantes perspectives dans les applications de traitements stéréotaxiques, et ce, au-delà de celles concernant les localisations tumorales.
Figure 2 : Suivi des paramètres vitaux d’un patient.

3 : Suivi de l’extrémité du DAI au CyberKnife® .

Dans un premier temps, il s’agit d’aligner le patient en recalant les clichés orthogonaux avec les images de projection reconstruites du rachis (figure 3).

Puis le positionnement est réalisé sur la sonde DAI : les manipulateurs créent le modèle de corrélation entre celle-ci et les repères externes. Pour cela, une série d’images radiographiques est réalisée à différents moments du cycle respiratoire. On peut alors situer la cible dans l’espace, à chaque instant du cycle respiratoire.

Le modèle respiratoire acquis, le début du traitement est validé par l’onco-radiothérapeute. Le bras robotisé se déplace autour du patient pour la réalisation des faisceaux de traitement. La surveillance est continue pendant ces étapes de placement et de traitement, par les caméras, interphone et scope. Le chariot d’urgence, ainsi qu’un défibrillateur manuel sont disponibles au poste de traitement.

Une fois le traitement terminé, le DAI est de nouveau réglé, puis le transfert du patient au CHRU est réalisé (si besoin accompagné du cardiologue) où il reste quelques jours à quelques semaines sous surveillance en Unité de soins intensifs cardiologiques puis en hospitalisation traditionnelle cardiologique. Un suivi à domicile est ensuite réalisé en télé cardiologie, permettant d’identifier la survenue de nouveaux troubles du rythme, même à distance du traitement.

Résultats

Douze patients ont été inclus entre avril 2020 et mai 2021. Trois sont encore dans la période de blanking, qui correspond au premier mois après la séance de radiothérapie, durée durant laquelle le traitement n’a pas délivré toute sa potentialité. L’ensemble des patients prévus a pu bénéficier de cette technique. « Une réduction majeure des évènements rythmiques a été observée, en passant d’une médiane de 25 [17-61] évènements observés dans l’année précédant la radiothérapie à aucun [0-1], après un suivi médian post-radiothérapie de 5,2 mois »5. Deux décès ont été observés dans les semaines qui ont suivi le traitement. Cependant, une bonne tolérance, sans effet indésirable, est pour le moment constatée.

Discussion – Perspectives

Actuellement, il n’existe que 3 études de recherches cliniques portant sur cette thématique, toutes 3 monocentriques et n’ayant inclus au total que 39 patients6,7,8.Il reste donc de nombreux points à développer afin de confirmer ces résultats très préliminaires en termes d’efficacité et de sécurité. Les mécanismes d’action des rayonnements ionisants, au niveau cardiaque, restent à découvrir, en particulier dans le cadre d’un traitement délivré en une seule séance.

Figure

Toutefois, ce type de prise en charge montre d’intéressantes perspectives dans les applications de traitements stéréotaxiques, et ce au-delà de celles concernant les localisations tumorales. La radiochirurgie permet également d’établir des ponts entre différentes spécialités et ainsi de bénéficier de l’expertise d’équipes jusqu’alors très spécialisées.

Enfin, les techniques utilisées peuvent encore connaitre des améliorations majeures. Ainsi, l’émergence actuelle de l’IRM dans le champ de la radiothérapie pourrait permettre d’envisager une simplification de la détermination des volumes cibles (en cas d’utilisation d’IRM de centrage) et une simplification des méthodes de tracking (en cas d’utilisation d’une IRM-linac, accélérateur linéaire avec dispositif IRM embarqué).

REMERCIEMENTS

Nous aimerions remercier l’ensemble des équipes qui prennent en charge ces patients (cardiologues, internes, médecins, MERM, cadres, physiciens…) dans une période particulière demandant encore plus de précautions en ce qui concerne les aspects de soins et de sécurité. Un remerciement spécifique aux Dr Mirabel et Dr Ninni : c’est grâce à leur collaboration exemplaire que ce projet a pu voir le jour. Enfin, un remerciement particulier à Thomas Lacornerie, physicien médical, dont l’expertise a permis d’anticiper les problématiques techniques et d’améliorer sans cesse le process de prise en charge.

RÉFÉRENCES

1 – Al-Khatib SM, Stevenson WG, Ackerman MJ, Bryant WJ, Callans DJ, Curtis AB, et al. 2017 AHA/ACC/HRS, Guideline for Management of Patients With Ventricular Arrhythmias and the Prevention of Sudden Cardiac Death: A Report of the American College of Cardiology/American Heart Association Task Force on Clinical Practice Guidelines and the Heart Rhythm Society. Journal of the American College of Cardiology, 2018 Oct; 72 (14): 91-220.

2 – Priori SG, Blomström-Lundqvist C, Mazzanti A et al. 2015 ESC, Guidelines for the management of patients with ventricular arrhytmias and the prevention of sudden cardiac death: The Task Force for the Management of Patients with Ventricular Arrhythmias and the Prevention of Sudden Cardia Death of the European Society of Cardiology (ESC). Endorsed by: Association for European Paediatric and Congenital Cardiology (AEPC), Eur Heart J, 215 Nov; 36 (41): 2793-2867.

Conclusion

L’ablation des foyers de tachycardie ventriculaire par radiothérapie stéréotaxique réduit de façon importante la charge en arythmie chez les patients réfractaires au traitement standard. Il s’agit d’un traitement non invasif délivré en une seule fraction, ne nécessitant pas d’anesthésie. Cette prise en charge est facilitée sur Lille, du fait de la proximité géographique des deux pôles intervenants et grâce à un large accès à la radiothérapie stéréotaxique robotisée.

Si les perspectives sont très encourageantes, il convient de rester extrêmement prudents et d’évaluer les résultats et la toxicité du traitement dans une approche prospective.

3 – Palaniswamy C, Kolte D, Harikrishnan P, Khera S, Aronow Ws, Mujib M, et al. Catheter ablation of postinfarction ventricular tachycardia: Ten-year trends in utilization, in-hospital complications, and in-hospital mortality in the United States. Heart Rhythm. 2014 Nov; 11 (11): 2056-2063.

4 – Lydiard S, Blanck O, Hugo G, O’Brien R, Keall P. A Review of Cardiac Radioablation (CR) for Arrhythmias: Procedures, Technology, and Future Opportunities Int J Radiat Oncol Biol Phys. 2021 Mar 1; 109 (3): 783-800.

5 – Thèse du Dr Thomas Gallot Lavallée, Ablation de tachycardie ventriculaire par radiothérapie stéréotaxique cardiaque : l’expérience Lilloise 2021, p.49.

6 – Robinson CG, Samson PP, Moore KMS, Hugo GD, Knutson N, Mutic S, et al. Phase I/II, Trial of Electrophysiology-Guided Noninvasive Cardiac Radioablation For Ventricular Tachycardia Circulation, 2019 Jan; 139 (3): 313-321.

7 – Neuthwirth R, Cvek J, Knybel L, Jiravsky O, Molenda L, Kodaj M, et al. Stereotactic radiosurgery for ablation of ventricular tachycardia. Europace, 2019 Jul; 21 (7): 1088-1095.

8 – Lloyd MS, Wight J, Schneider F, Hoskins M, Attia T, Escott C, et al. Clinical experience of stereotactic body radiation for refractory ventricular tachycardia in advanced heart failure patients. Heart Rhythm, 2020 Mar; 17 (3): 415-422.

PARUTION

Cet article vient de la revue Le manipulateur, nº revue : 311 de novembre 2021.

Échographie médicale

L’échocardiographie fœtale : du diagnostic à la médecine fœtale

VISITE GUIDÉE DE L’UNITÉ DE CARDIOLOGIE FŒTALE DU CHUSJ :

Sophie Brisebois

t.i.m. spécialisée en échocardiographie fœtale

CHU Sainte-Justine

L’échographie cardiaque fœtale demeure une pratique assez marginale au Québec, réservée à quelques centres tertiaires possédant une unité de cardiologie pédiatrique, sauf exception1 . Elle demeure une pratique méconnue et suscitant la curiosité, d’où l’intérêt d’en présenter un survol à l’unité de cardiologie fœtale du CHU Sainte-Justine (CHUSJ).

Premier département d’échocardiographie fœtale, fondé en 1989 par feu Dr JeanClaude Fouron, l’unité de cardiologie fœtale du CHUSJ propose une approche systématique, permettant d’obtenir de manière efficace l’ensemble des coupes du cœur et d’établir le diagnostic pré-natal le plus précis possible quant à la morphologie, au rythme et à l’hémodynamie cardiaque fœtale. La mission d’enseignement est au cœur de notre pratique quotidienne. Effectivement, nous acceuillons beaucoup de cardiologues voulant se spécialiser en cardiologie fœtale venant de l’international (France, Haïti, Afrique, Colombie...). Au niveau national, nous formons surtout des obstétriciens voulant améliorer leur détection précoce des malformations cardiaques et des cardiologues pédiatriques voulant se spécialiser en cardiologie fœtale. Le fait d’enseigner est très stimulant et pousse les technologues

à maîtriser leur savoir-faire, à se remettre en question et à développer constamment du contenu pédagogique.

L’examen échographique du cœur fœtal est réalisé, sans préparation, idéalement autour de la 20e semaine de gestation. En réalité, notre unité effectue des examens entre la 15 e et la 40e semaine de gestation, selon les indications et le moment du dépistage des anomalies. Il existe environ une cinquantaine d’indications spécifiques pour lesquelles nous acceptons les requêtes d’examen. Parmi les plus fréquentes,

Dr Jean-Claude Fouron

citons les anomalies cardiaques dépistées au premier trimestre ou à l’échographie morphologique, les malformations cardiaques familiales antérieures (1 er degré), certaines pathologies extracardiaques (hernie diaphragmatique, anomalies rénales, omphalocèle), certaines anomalies génétiques (T21, syndromes), l’hyperclarté nucale, un diabète présentant une hémoglobine glyquée ≥ à 6,5 %, l’exposition à des substances tératogènes (drogues, alcool, médicaments...), l’exposition à certains virus (CMV, parvovirus), les anomalies circulatoires fœto-maternelles sévères...

À l’instar des obstétriciens et des radiologistes lors de l’échographie morphologique, nous effectuons le dépistage des anomalies cardiaques de base selon les recommandations de l’ISUOG, soit : le situs et l’évaluation de l’axe du cœur, la coupe des quatre cavités cardiaques (figures 1 et 2 ), la vue des voies d’éjection gauche et droite, la vue des trois vaisseaux (artère pulmonaire principale, aorte ascendante et veine cave supérieure) et une vue de la latéralisation de l’aorte par rapport à la trachée. Ces vues permettent surtout de diagnostiquer des malformations cardiaques majeures, d’importantes dysfonctions myocardiques et de détecter la présence d’une arythmie. À partir du moment où une anomalie est suspectée, la patiente nous est envoyée afin de confirmer sa présence et d’en préciser la nature.

Une étude plus poussée est nécessaire pour détecter des anomalies plus subtiles qui peuvent sembler bénignes, mais qui sont parfois lourdes de conséquences à la naissance du fœtus (anomalie du retour veineux pulmonaire, par

exemple). Lors du dépistage de base des anomalies cardiaques par les obstétriciens et les radiologistes, les signes d’appel d’une éventuelle anomalie cardiaque sont :

■ un axe anormal du cœur;

■ l’hétérotaxie;

■ la présence d’une ou de plusieurs cavités cardiaques sous ou surdéveloppées (hypoplasie, dilatation ou hypertrophie);

■ une anomalie du positionnement ou du développement d’une ou des voies de chasse;

■ une position anormale des trois vaisseaux par rapport à la trachée;

■ un calibre anormal d’un des trois vaisseaux;

■ une cardiomégalie;

■ un épanchement péricardique;

■ ou de l’arythmie.

En échocardiographie fœtale, nous ajoutons à ces coupes de base du cœur, la vue des quatre cavités dans plusieurs axes (cœur vertical, horizontal et oblique) ainsi que la coupe des cinq cavités (cœur oblique vertical et oblique horizontal), afin d’étudier toutes les structures cardiaques (valves, veines pulmonaires, sinus coronaire...).

Ensuite, à partir de ces coupes, nous effectuons des rotations de 90 degrés afin d’obtenir des vues sagittales (vue bicavale, arc aortique, court axe de la valve mitrale, court-axe des gros vaisseaux artériel (figure 3) et du canal artériel.

Figure 1 : Vue des quatre chambres, cœur vertical.
Figure 2 : Vue des quatre chambres, cœur horizontal.
Effectuer un examen complet et ciblé nécessite
beaucoup de concentration, de patience, de minutie et possiblement une connaissance accrue des diverses malformations cardiaques, de l’hémodynamie et des arythmies.

À partir de ces vues, nous réalisons des Doppler couleur et continus sur plusieurs structures. Nous effectuons un mode temps-mouvement (figure 4), afin de mesurer le septum interventriculaire et de quantifier la fonction systolique au besoin. Le Doppler du ductus venosus nous servira à évaluer la fonction diastolique du ventricule droit, qui est dominant en vie fœtale. Nous ajoutons à cela l’index de pulsatilité du cordon à l’insertion abdominale qui peut servir dans certains calculs concernant le bien-être fœtal.

Lorsqu’il y a présence d’une malformation cardiaque (d-transposition des gros vaisseaux, Tétralogie de Fallot, maladie d’Ebstein, hypoplasie du cœur gauche, sténose ou atrésie valvulaire...), un changement d’axe du cœur ou une compression (hernie diaphragmatique, omphalocèle, masse pulmonaire, hydrops...) plusieurs mesures s’ajoutent, et nos repères habituels à l’obtention des vues sagittales ne sont plus les mêmes. Il faut donc continuellement adapter notre examen aux mouvements maternels, fœtaux, de la position fœtale, mais aussi en fonction de la position du cœur dans le médiastin. Un examen normal est réalisé en un laps de temps de 30 minutes à une heure (rapport préliminaire détaillé compris).

Lorsqu’il y a présence d’anomalie, le temps d’examen est souvent de plus d’une heure. Effectuer un examen complet et ciblé nécessite beaucoup de concentration, de patience, de minutie et possiblement une connaissance accrue des diverses malformations cardiaques, de l’hémodynamie et des arythmies.

Les patientes et leur conjoint/accompagnateur sont souvent très vulnérables à leur arrivée dans notre salle d’examen. Se présenter adéquatement et fournir

Figure 4 : Mode temps-mouvement.
Figure 3 : Court-axe des gros vaisseaux en vue sagittale.

des explications détaillées sur l’examen est nécessaire à son bon déroulement et à la collaboration des patientes. Nous devons les informer sur :

■ notre nom, notre titre et notre rôle de technologue (faire les images, mesures nécessaires...);

■ la durée moyenne de l’examen (30 minutes à une heure, variant beaucoup selon la position et la collaboration du fœtus);

■ son déroulement (informer sur la grosseur approximative du cœur et sur les nombreuses mesures à effectuer, mentionner la nécessité de concentration du technologue, demander la plus grande immobilité possible).

Il faut aussi :

■ veiller au confort de la patiente et faire preuve d’une grande empathie tout au long de l’examen (mettre des coussins/serviettes pour aider au positionnement, donner des mouchoirs en cas de pleurs et tenter d’être rassurant sur l’avancement de l’examen, vérifier si la patiente se sent relativement bien...);

■ informer sur la suite de l’examen dès le début (résultats donnés par le cardiologue dans une autre salle après l’examen dans un temps inconnu et hors de notre contrôle en raison des urgences potentielles, mais le plus rapidement possible);

■ répondre aux questions pertinentes dans la mesure de nos connaissances.

Lorsqu’une anomalie cardiaque est détectée, le cardiologue rencontre la patiente et tente de lui expliquer la malformation en vulgarisant ses propos dans la mesure du possible, souvent à l’aide de schémas. Absorber le choc de la nouvelle et comprendre la malformation est une lourde tâche. La patiente vue à 20 semaines de grossesse sera, dans la plupart des cas, revue seulement à 28 et 35 semaines pour l’échocardiographie fœtale et la consultation avec le cardiologue fœtal. Après le choc de la première consultation, beaucoup de questions, d’inquiétudes, d’angoisses peuvent survenir avant la deuxième consultation. Une infirmière clinicienne, en clinique de cardiologie pédiatrique, est appelée afin de rencontrer les familles immédiatement après la première consultation et elle fournit ses coordonnées à la patiente/au couple afin de répondre aux multiples questions, de vulgariser les explications et de soutenir la famille entre les consultations en cardiologie

fœtale. Elle est disponible afin de les aider à faire des choix éclairés selon leurs valeurs et leurs convictions. Ensuite, la patiente et sa famille immédiate sont prises en charge par une équipe multidisciplinaire qui peut être composée d’un chirurgien cardiaque pédiatrique ou d’un cardiologue-pédiatre effectuant du cathétérisme, d’un néonatologiste, d’un radiologiste, d’un obstétricien spécialisé en médecine fœtomaternelle, d’un psychologue, d’un travailleur social… S’il y a lieu, après la naissance, l’infirmière clinicienne en cardiologie agira comme intervenante pivot entre la famille et l’équipe multidisciplinaire tout au long du processus chirurgical.

Certaines patientes, porteuses d’un fœtus avec une malformation cardiaque nécessitant des soins immédiats à la naissance, viennent de régions éloignées de Montréal (Baie-James, Abitibi...). L’équipe multidisciplinaire doit veiller à ce que l’accouchement de la patiente soit prévu « au quart de tour ». Par exemple, lorsqu’une d-transposition des gros vaisseaux est détectée durant la vie fœtale, une induction sera prévue par l’obstétricien traitant, le cardiologue fœtal prescrira des prostaglandines à la mère afin de maintenir le canal artériel ouvert, et l’équipe d’hémodynamie de garde sera prévenue afin de se préparer à l’éventualité d’une septostomie auriculaire par ballonnet (procédure de Rashkind), cette intervention étant parfois nécessaire à la survie de l’enfant. L’équipe de la néonatalogie doit aussi s’assurer d’avoir une place pour accueillir le nouveau-né qui devra faire l’objet d’une surveillance accrue. Un psychologue/travailleur social accompagnera la famille au besoin.

Figure 5 : Tracé VCS-Ao (éjection aortique en haut et veine cave supérieure en bas).

Figure 6 : Tracé VCS-Ao démontrant une extrasystole auriculaire bloquée (éjection aortique en bas).

Figure 7 : Tachycardie supra-ventriculaire (aorte en haut superposée à l’onde A).

Parfois, le cœur est anatomiquement normal, mais c’est le rythme cardiaque qui attire notre attention. Le Doppler simultané de la veine cave supérieure et de l’aorte ascendante qui lui est adjacente (VCS-Ao) est, en quelque sorte, l’ECG fœtal. L’ECG demeure la panacée pour l’obtention des informations sur la conduction électrique cardiaque.

Faire un ECG chez un fœtus n’est pas impossible, mais demeure très difficile à réaliser. N’étant pas le plus facile des Doppler à réaliser, le VCS-Ao (figure 5 ) demeure tout de même un moyen beaucoup plus simple pour obtenir des informations sur l’activation mécanique dans le cœur.

Le Doppler simultané de la veine cave supérieure et de l’aorte ascendante qui lui est adjacente (VCS-Ao) est, en quelque sorte, l’ECG fœtal.

Le tracé VCS-Ao nous permet de mesurer la fréquence cardiaque, mais surtout de quantifier précisément les délais de conduction auriculoventriculaire (A-V), ventriculo-auriculaire (V-A), auriculo-auriculaire (A-A) et ventriculo-ventriculaire (V-V) ainsi que d’analyser les anomalies de conduction comme les extrasystoles auriculaires (figure 6), les extrasystoles ventriculaires et les blocs atrioventriculaires, plus précisément que sur le mode temps-mouvement en oblique, échantillonnant simultanément une oreillette et un ventricule. En fait, le mode TM oreillette-ventricule devient un excellent complément du VCS-Ao !

C’est à ce moment que la médecine fœtale entre en ligne de compte et que notre importance devient vraiment tangible.

Lorsque des bradycardies, des tachycardies (figure 7 ) ou des blocs auriculoventriculaires fœtaux sont détectés, divers médicaments qui traverseront la barrière placentaire peuvent être administrés à la mère. Ils pourront parfois éliminer complètement ces arythmies et éviter la pose d’un pacemaker au nouveau-né. C’est à ce moment que la médecine fœtale entre en ligne de compte et que notre importance devient vraiment tangible.

L’étude approfondie de l’anatomie, du rythme et de l’hémodynamie cardiaques fœtaux est essentielle à la compréhension du bien-être fœtal et du devenir du nouveau-né. La combinaison de ces trois volets nous permet d’obtenir de nombreux indices pour évaluer la fonction myocardique, de manière qualitative et quantitative.

L’étude de la fonction myocardique (systolique et diastolique) demeure limitée durant la vie fœtale, avec des outils de mesure efficients et ne nécessitant que peu de technologie. Plusieurs équipes s’affairent à développer de nouveaux outils (par exemple, Doppler tissulaire, STRAIN) afin de quantifier la fonction myocardique. Ces méthodes sont parfois peu accessibles, laborieuses ou coûteuses. Ou elles n’apportent pas

nécessairement de résultats concluants, considérant le temps d’examen (pour la patiente, le cardiologue et le technologue) en regard des résultats probants (pour les mêmes parties).

Dans notre unité, nous utilisons des techniques de base ayant prouvé leur efficacité relativement au diagnostic de la normalité face à des altérations des fonctions systolique et diastolique, soit :

Fonction systolique

Fonction diastolique

Fonction globale

Mode TM (mesure de la fraction de raccourcissement).

Doppler des valves mitrales et tricuspide : évaluation qualitative de la prédominance de l’onde A (remplissage actif du ventricule gauche par la contraction auriculaire) ou son égalisation avec l’onde E (remplissage ventriculaire passif au 3 e trimestre, le myocarde étant plus docile).

Doppler du ductus venosus : appréciation de l’onde A (normale, profonde ou rétrograde).

Doppler de la veine ombilicale (flux non pulsatile et de basse vélocité vs pulsatile (pathologique).

Index de performance myocardique (TEI) : évaluation globale des fonctions systolique et diastolique des ventricules gauche et droit, en étudiant le temps de relaxation et le temps de contraction isovolumétriques.

Épanchement péricardique (mesure de l’espace péricardique exécutée en télédiastole. L’épanchement doit être visualisé et mesuré à 2 mm ou plus dans deux vues différentes du cœur en quatre cavités).

Rapport cardiothoracique (diamètre du cœur en télédiastole/diamètre du thorax rapporté en pourcentage. Les limites normales se situent entre 50 et 56 %).

Nous cherchons présentement la mesure prédictive qui tracera une ligne claire entre les coarctations de l’aorte légères, modérées et sévères.

Comme la majorité des unités de cardiologies fœtales mondiales, nous cherchons présentement la mesure prédictive qui tracera une ligne claire entre les coarctations de l’aorte légères, modérées et sévères. Plusieurs autres projets de recherche sont présentement en cours. Nous sommes conscients de la nécessité de rester ouverts à l’innovation. Les interventions in utero font partie de nos intérêts pour un futur prochain.

Nous demeurons à l’affût des nouvelles tendances et des innovations, mais gardons toujours à l’œil notre mission première, soit de voir toutes les patientes qui nécessitent une consultation en cardiologie fœtale dans un délai sécuritaire pour les fœtus.

Pour les fœtus présentant une tachycardie, une bradycardie ou un hydrops, le délai d’attente pour la consultation ne devrait pas dépasser 24 heures. Malgré leur bonne volonté, certaines patientes venant de régions éloignées ne peuvent pas respecter ce court délai. Quant aux fœtus chez qui une malformation cardiaque est suspectée, un épanchement péricardique a été visualisé ou qui est porteur d’une varice de la veine ombilicale, nous nous accordons un délai de

REMERCIEMENTS

Dre Myriam Brassard pour sa relecture de quelques passages de l’article. Julie Landry et Sylvie Gamache, mes collègues technologues à l’Unité de cardiologie fœtale du CHUSJ et mes inspirations pour mes projets de E-learning et de cahier de formation. Sophie Fouron et sa famille pour la permission d’utiliser la photographie de Dr Jean-Claude Fouron.

2 à 10 jours. Pour les autres indications, les patientes doivent être idéalement vues à la 20 e semaine de gestation et au plus tard à la 22e semaine (clarté nucale augmentée, malformations cardiaques familiales antérieures [1er degré], consanguinité, anomalies génétiques, certaines pathologies extracardiaques, certaines anomalies génétiques, diabète présentant une hémoglobine glyquée ≥ à 6,5 %, l’exposition à des substances tératogènes et plusieurs autres). Les patientes porteuses d’anticorps lupiques doivent être prises en charge dès 16 semaines de gestation, et par la suite, nous recommandons la poursuite d’une surveillance hebdomadaire jusqu’à 24 semaines, puis aux deux semaines, jusqu’à 30 semaines.

Enfin, il y a beaucoup à apprendre lorsqu’on devient titulaire d’un poste en échocardiographie fœtale. La courbe d’apprentissage est longue; Il faut beaucoup de motivation et d’intérêt. En espérant que ce survol vous a permis de mieux connaître l’échocardiographie cardiaque fœtale, de répondre à plusieurs de vos interrogations et peut-être donné l’envie de la pratiquer un jour.

RÉFÉRENCES

1 – Dre Tessa Bergeron gynécologue-obstétricienne — CIUSSS du Saguenay–Lac-Saint-Jean — formée en échocardiographie fœtale au CHU Sainte-Justine.

APPEL AUX CONFÉRENCIERS.ÈRES ET AUTEURS.TRICES

Vous êtes technologue en imagerie médicale, en radiooncologie, en électrophysiologie médicale, ou un professionnel relié à l’un de ces domaines ?

Si vous avez de l’intérêt à partager votre expertise en devenant conférencier.ère ou auteur.trice pour la revue scientifique échoX, laissez-nous le savoir !

Profitez de nos rabais exclusifs

Vous renouvelez votre police d’assurance dans moins de 90 jours ?

Automobile

Habitation

Bateau

Motoneige

Véhicule récréatif

Appelez-nous pour une soumission dès aujourd’hui !

Appliquez le Code Promo Z00088

Turn static files into dynamic content formats.

Create a flipbook
Issuu converts static files into: digital portfolios, online yearbooks, online catalogs, digital photo albums and more. Sign up and create your flipbook.