Ortopediskt Magasin nr 1 2023

Page 1

nummer 1/2023 grundad 1979

Medlemstidskrift för Svensk Ortopedisk Förening och Sveriges Ortopedingenjörers Förening.

Ortopediskt Magasin utkommer 4 ggr/år; vecka 12, 24, 41 och 52. Manus till redaktionen senast sex veckor innan respektive utgivningsvecka.

Ansvarig utgivare: Anne Garland

Ordförande Svensk Ortopedisk Förening

Tuna Industriväg 4, 153 30 Järna, tel. 08-550 390 50 e-post: sofkansli@ortopedi.se

Redaktion:

Huvudredaktör: Överläkare Karin Bernhoff

Andreredaktör: Specialistläkare Christian Carrwik

Redaktionschef: Linda Linnskog Rudh, tel. 0707-467047

Samtliga nås på e-postadressen redaktionen@ortopedi.se

Manuskript skickas till samma e-postadress.

Redaktionsadress:

Ortopediskt Magasin, SOF:s kansli, Tuna Industriväg 4, 153 30 Järna, tel. 08-550 390 50

e-post: sofkansli@ortopedi.se

Hemsida: www.ortopedisktmagasin.se

Prenumeration:

4 nr 150:- per år för medlemmar. Övriga 250:- per år i Sverige. Övriga länder: 280:- per år.

Prenumeration SOF:s kansli, Tuna Industriväg 4, 153 30 Järna, tel. 08-550 390 50 e-post: sofkansli@ortopedi.se

Prenumeration SOIF, e-post: info@soif.se

Annonser: För prisuppgifter, övriga uppgifter eller annan information, samt bokning av annonser:

Erik Lind, i första hand e-post: annons@ortopedi.se.

Telefon: 08-550 390 50 vid brådskande ärenden. Bokning senast fyra veckor innan respektive utgivning. Lämning av annonsmaterial senast tre veckor innan respektive utgivning.

Rabatt 10% vid bokning av fyra annonser samtidigt.

Upplaga: 2.000 ex.

Tryck:

Printall AS, Estland Nr 1, 2023. ISSN 0349-733X.

Omslagsbild: Mattias Pettersson, Umeå universitet

Rättesle

I Ortopediskt Magasin nr 4, 2022, råkade redaktionen lägga in fel person som skribent under artikeln Diagnostiska artroskopier på sidan 9. Det var Karin Bokvist, Epiphysens ansvariga för material till Ortopediskt Magasin, som skrev artikeln, och inte Epiphysens ordförande Alice Bäckman. Rätt ska vara rätt!

Ortopediskt Magasin 4/2017 7
Ortopediskt magasin

Tack för förtroendet! Som nytillträdd ordförande för Svensk Ortopedisk Förening känner jag mig glad och hedrad. Efter att ha deltagit i styrelsearbetet både som kvalitetsansvarig och utbildningsansvarig har jag en bild av hur komplext ordförandeskapet kan vara, och jag tar mig an uppdraget med stor ödmjukhet.

FORSKNING …

Ortopediskt Magasins tema detta nummer är forskning. Jag slås ofta av hur stor roll rena tillfälligheter spelar när det kommer till avgörande upptäckter. Se på Alexander Fleming och hans mögliga bakterieodlingsplatta. Hade Dr Fleming (senare Sir) inte åkt på semester och glömt agarplattan framme i värmen kanske vi idag hade nödgats till helt andra avväganden vid alla typer av implantatkirurgi. Utan att vilja jämföra mina egna vetenskapliga bedrifter med Sir Alexanders i övrigt, kan jag konstatera att tillfälligheter spelat en avgörande roll för oss båda. Om inte min kliniska handledare Hasse Törnqvist på randningskliniken i Stockholm retat mig med frågan ”Du tänker väl aldrig dö odisputerad?” och om jag inte hade fått förmånen att få Nils Hailer till bordet vid en SOF-bankett någonstans i södra Sverige, är jag tveksam till huruvida det alls blivit någon avhandling. För någon ortopediskt fostrad på Sveriges minsta länssjukhus är det ingen självklarhet att forska. Samtidigt är det kanske med dagens ortopediska landskap än viktigare att hitta förutsättningar för akademin även på våra mindre kliniker, såväl inom det offentliga som det privata. Det är ju där patienterna finns. En forskarutbildning ger inte heller bara ett körkort i att producera egna studier utan även i att bedöma trafiken, alla de studier som publiceras, de ständigt framrusande nya rönen. En studie i form av en stop-skylt: ”Det betyder sluta använda.” Dags att uppdatera rutinen: ”Vilka regler gäller vid rondellkörning egentligen nu för tiden?” Där patienterna finns behöver vi kunna bedriva forskning liksom värdera den evidens som ständigt tillkommer för att kunna erbjuda bästa möjliga vård.

… OCH FRAMSTEG

Innan årsskiftet hade styrelsen förmånen att ha representanter från våra olika delföreningar och associerade föreningar med på en workshop på temat framtidens ortopedivecka. Det handlar

om att bibehålla och modernisera veckan som fortbildningsplattform samt stabilisera organisationen kring veckan så att den inte vilar lika tungt på värdkliniken. Arbetet fortsätter under våren och vi hoppas kunna presentera det färdiga förslaget i samband med Ortopediveckan i Göteborg.

ST-skolan har efter ett intensivt arbete under 2022 glädjande sjösatts vid årsskiftet och de första kurserna ges nu i vår. SOFs utbildningsverksamhet har vuxit markant de senaste åren (STskola, bakjoursskola, ledarskapskurs, OrtoS mm) och vår ambition är att fortsätta utveckla den delen av föreningens verksamhet. Som avgående utbildningsansvarig känns det tryggt att lämna över det fortsatta utbildningsarbetet till Christian Carrwik, som varit delaktig de senaste åren, samt att välkomna ST-skolans prorektor Kajsa Thulin i styrelsen som nytillträdd SPUR- och kvalitetsansvarig.

Vi har en enorm utmaning framför oss med den omställning av vården som kommer krävas för att möta de framtida behoven. Det handlar om förbättrade samarbeten över gränserna, ett nationellt gemensamt ansvarstagande för kvalitet och utbud av ortopedisk vård, liksom att långsiktigt trygga kompetensöverföring och bemanning. Det arbetet är i sin linda, men dialog med SKR, Socialstyrelsen med flera är påbörjad.

Jag vill här uttrycka min och övriga styrelsens stora uppskattning till Birgitta Ekstrand som under sin ordförandeperiod med trygg hand styrt SOF-skutan genom pandemi och tillhörande digital ortopedivecka. Samtidigt har hon med entusiasm drivit styrelseutveckling med modernisering av styrelsens, och i förlängningen föreningens, arbetssätt. Det är en skuta med fulla segel att ta över, vilket kommer väl till pass då flera stora och viktiga projekt pågår som de som nämnts här ovan. Varmt välkomna ombord på den fortsatta resan!

4 Ortopediskt Magasin 1/2023
ANNE GARLAND
Ledare
Anne Garland ansvarig utgivare och ordförande Svensk Ortopedisk Förening

36 44

30 46

Innehåll nr.1

4 Ledare

6-35 Tema: Forskning

Inledning

Region Örebro län

Universitetssjukhuset i Linköping

Sahlgrenska akademin

Umeå universitet

Skånes universitetssjukhus

Karolinska institutet

Uppsala universitet och Akademiska sjukhuset

36 Ortopediveckan i Göteborg 2023

28 augusti-1 september

38 SOF-nytt

Intervju med SOF:s nya ordförande

40 Nominera Årets SOF-ortoped

39 Patientsäkerhetsstipendiet återupplivas

42 NPO-spalten

Implementeringarnas år

43 Ortopediskt professorskonvent

44 Epiphysen

Det här är Epiphysens styrelse 2023

46 SOIF-nytt

Reseberättelse från Dominikanska republiken

49 Årets avhandling

53 Pompe

54 Vinspalten

Châteauneuf-du-Pape

Ortopediskt Magasin 1/2023 5
6

Forskning

Det är med stor glädje som jag får möjligheten att skriva en kort ingress till det aktuella temanumret av Ortopedisk Magasin, där läsarna får en inblick i den fantastiska och berikande forskningsaktivitet som pågår runtom i landet.

Idetta nummer av OM får läsarna en överblick över pågående vetenskapliga projekt inom ortopedin, presenterad av respektive universitetssjukhus.

Sverige har en rik forsknings- och kvalitetsregistertradition inom ortopedin, där de första kvalitetsregistren i världen (Svenska Knä- samt Höftprotesregistret) startade redan på 1970-talet. Dessa kvalitetsregister har bidragit till, och varit delaktiga och många gånger drivande, i många forskningsaktiviteter. Våra kvalitetsregister har blivit en förebild för andra specialiteter och för flera andra länder som valt att starta liknande register. Internationellt finns det ett stort intresse för svensk ortopedisk forskning och de registerbaserade forskningsaktiviteterna.

Som nutida forskare och vetenskaplig sekreterare för föreningen gläds jag över att läsa om det växande samarbetet mellan olika universitet och universitetssjukhus där även läns- och länsdelssjukhus involveras i pågående kliniska studier. Det ökade samarbetet mellan olika lärosäten och sjukhus runtom i landet har bidragit till att flera spännande projekt har kunnat sjösättas, där kvalitetsregistren många gånger fungerar som nav. Andra samarbetsformer, såsom tvärprofessionella samarbeten, ökat samarbete mellan privata och offentliga aktörer, samverkan med industrin och internationella samarbeten lyfts också fram.

Min bestämda uppfattning är att framtida ortopedisk forskning kommer att gynnas av ett vidgat samarbete där kvalitetsregistren får en än

mer framträdande roll. Jag ser också ett tydligt behov av att stärka forskningen kring de organisatoriska förändringar som krävs för att möta det ökade vårdbehovet, där både patientperspektivet och tvärprofessionella samarbeten kommer att kunna bidra vid utformningen och genomförandet av forskningsprojekten. Detta tänker jag är viktigt för att kunna få gehör och legitimitet kring de förändringar svensk hälso- och sjukvård står inför och behöver genomgå.

Trots flera utmaningar inom den ortopediska forskningen, såsom uppdaterade regelverk kring implantatstudier och förändringar i hur ortopedisk vård

erbjuds medborgarna, ser jag med stor tillförsikt fram emot den kommande evolution som den svenska ortopediska forskningen står inför. Tillsammans, genom samarbete och samverkan, gör vi varandra framgångsrika.

6 Ortopediskt Magasin 1/2022 Tema
6 Ortopediskt Magasin 1/2023
Maziar Mohaddes Vetenskaplig sekreterare SOF

REGION ÖREBRO LÄN

Örebro är landets klart yngsta universitetssjukhus och läkarutbildningen har nu tio år på nacken. Det är intressant att ta del av de dokument som låg till grund för att Örebros ansökan om att få påbörja läkarutbildning, inte minst de kraftigt negativa remissvaren från samtliga andra medicinska fakulteter! Nåväl, nu är vi i alla fall ett universitetssjukhus och det har varit väldigt givande att vara en del av den snabba utvecklingen både kliniskt och inom den ortopediska forskningen.

Då ortopedkliniken i Örebro påbörjade sin akademiska resa för sju år sedan rekryterades både en ny verksamhetschef och professor. Uppdraget från politiken och hälso- och sjukvårdsdirektören var väldigt tydligt: 1. Få igång en stabil forskningsverksamhet, 2. förbättra tillgängligheten och 3. öka den högspecialiserade vården. För att optimera förutsättningarna för att nå målen gjordes en genomlysning av verksamheten och sedan en omorganisation mellan regionens tre sjukhus. Proteskirurgin flyttades till Lindesberg, mjuka knän, övre extremitet och geriatriska frakturer till Karlskoga och multitrauma, rygg och barn var kvar i Örebro. Detta i kombination med vidareutbildning av specialister har skapat starka kliniska sektioner och goda förutsättningar för forskning inom respektive område.

Den kliniska forskningen bedrivs i huvudsak av doktorander och i Örebro har man förstått detta och också byggt upp ett system som på väldigt många sätt stöttar doktoranderna direkt. Det finns en forskningskommitté som fördelar de lokala medlen samt en stor del av ALFmedlen, baserat på ansökningar. Har man ett pågående vettigt doktorandprojekt så är det normala att man får 4-8 veckor per år. Dessutom ordnas en omfattande forskningsintroduktionskurs (15 hp) som alla beviljas inom två år från antagning. Universitet och regionen samarbetar på ett väldigt klokt sätt för att optimera förutsättningarna för våra doktorander.

En ytterligare faktor som gjort att vi kunnat komma igång med en bred ortopedisk forskning är att vi efter äskande fick medel direkt från regionen för att bygga upp en s.k. testbäddsverksamhet. Inom ramen för denna verksamhet jobbar vi med teknisk innovation i nära samarbete med industrin för att utveckla nya tekniska lösningar och också pröva dem i klinisk praxis.

Här sammanfattas den forskning som bedrivs inom verksamhetsområdet ortopedi och handkirurgi i Örebro.

RYGGKIRURGI

Den ryggkirurgiska forskningen i Örebro har utvecklats i snabbt i takt i samband med att den kliniska verksamheten har breddats till att nu innefatta all ryggkirurgi, förutom primära sarkom. I den första avhandlingen (Joelsson) presenterades en 30-årig uppföljning av patienter opererade med bakre, icke instrumenterad, fusion vid spondylolistes. Sammanfattningsvis visade avhandlingen att unga patienter som genomgår icke instrumenterad fusion vid långtidsuppföljning har lika bra livskvalitet som normalbefolkningen.

Tre doktorander har ett pågående ryggprojekt. Tema för forskningen är degenerativ halsrygg, komplikationer vid ryggkirurgi samt utfall av ryggkirurgi vid neurologisk sjukdom. Ryggsektionen har samarbete med universitetskliniker i Norge, Japan och Danmark. Den ryggkirurgiska forskningen innefattar såväl kliniska studier som registerstudier. Vi har en pågående randomiserad studie där vi jämför främre dekompression och fusion i halsryggen med bakre foraminotomi. Protokollet finns beskrivet i Trials 2021;22(1). I registerstudierna har vi hittills studerat olika aspekter av mätning av hälsorelaterad livskvalitet vid ryggkirurgi och även omoperationer efter ryggkirurgi. I en av studierna följde vi en kohort patienter som opererades med enklast möjliga ryggoperation, ennivås diskbråcksoperation, åren 2007 till 2008. Vi följde sedan patienterna i minst tio år för att se hur många patienter som genomgick fler operationer i ländryggen, oavsett orsak. Den totala omoperationsfrekvensen blev 21% vilket var en högre frekvens än vi hade förväntat.

Den vanligaste orsaken till omoperation var ett nytt diskbråck (47%). Vi kunde också se att patientnöjdheten skilde sig avsevärt mellan de som inte omopererades (79% nöjda) jämfört med de som omopererades (63% nöjda). Efter en andra omoperationen var endast 52% av patienterna nöjda. Resultaten finns redovisade i Bone Joint J 2022;104-B(5) och artikeln belönades med pris vid Global

Spine Congress 2022. Ryggteamet har också utvecklat en metod för temporär intern fixation på barn med atlato-occipital dislokation, en metod som möjliggör behandling utan fusion och således med bevarad rörlighet i halsryggen, J Neurol Surg Rep 2023;84, figur 1 (nästa sida).

PROTESKIRURGI

Testbäddsverksamheten i Örebro har framför allt utnyttjats i protesverksamheten och huvudsakliga samarbetspartners har varit Secta, Orthoma och Stryker. Tillsammans med Sectra har vi gjort den första långtidsuppföljningen av patienter som genomfört IMA (Implant Movement Analysis) pga. misstänkt lösa höftproteser och kunnat visa att metoden är tillförlitlig även över tid, Acta Orthop 2022;943. Vi har också deltagit i utvecklingen av IMA för knäproteser, Orthop Res Online 2021;8(3). Fokus nu är att i samarbete med Sahlgrenska göra en randomiserad studie på TKA (Total Knee Arthroplasty)-patienter med och utan robotassistans (MAKO, Stryker). Den studien är påbörjad och 40 patienter inkluderade. De preliminära resultaten visar att robotassisterad kirurgi ger stora möjligheter för optimal placering av protesen och balansering av knät, figur 2 (nästa sida).

I en nyligen presenterad avhandling (Mahdi) analyserades hur patienter med ångest och depression reagerar efter TKA. Det visade sig att majoriteten (60%) av de patienter som hade dessa tillstånd innan operation hade förbättrats i sin psykiska hälsa ett år efter operation. Resultaten tyder också på att ortopeder i för hög grad väljer att inte operera deprimerade patienter, trots att resultaten både gällande psykisk hälsa och knästatus efter operation är bra.

Patienter med obesitas har högre risk för komplikationer i samband med TKA varför viktnedgång ofta rekommenderas. Ett sätt att gå ner i vikt är med hjälp av överviktskirurgi (bariatrisk kirurgi, BS). I ett pågående avhandlingsprojekt (Ighani) studeras hur BS påverkar utfallet efter TKA och studien har inte påvisat att

Ortopedisk forskning vid
Ortopediskt Magasin 1/2023 7

det finns någon fördel att genomgå en BS innan TKA gällande revision av TKA, patientnöjdhet, knäsmärta eller funktion, Acta Orthop 2021;92(1), Obes Surg 2022;32. Fortsatta studier inom fältet övervikt och proteskirurgi planeras.

Infektionsortopedi är ett tydligt fokus i Örebro, och då inte minst när det gäller protesinfektioner. Ett protesinfektions centrum har byggts upp vid protessektionen i Lindesberg och Bo Söderquist professor i infektionssjukdomar har knutits till enheten på 40%. I en nyligen presenterad avhandling (Wildeman) studerades orsaker och konsekvenser av att drabbas av en ledprotesinfektion. Dödligheten är förhöjd och livskvalitén är försämrad även på lång sikt för de som drabbas, Clin Orthop Rel Res 2021;479(10), figur 3. Det sker även forskning med speciellt fokus på bakterier och dess koppling till ledprotesinfektioner. Bland annat med olika mikrobiologiska metoder inklusive helgenomsekvensering där flera spännande upptäckter gjorts att staf aureu som orsakar ledprotesinfektioner är genetiskt oskiljbara från de friska personer har i näsan, Sci Rep 2020;10(1). Forskningen inom protesinfektioner sker i samarbete med flera nationella och internationella institutioner bl.a. Karolinska Institutet, Svenska Ledprotesregistret och Statens Serum Institut i Köpenhamn.

På kliniken bedrivs även ett avhandlingsprojekt som handlar om höftledsdysplasi, diagnostik och behandling (Möse). I ett prospektivt delarbete visar MR att i princip alla dysplastiker också har labrumskador. Med AI-teknik utvecklas en algoritm för att ställa diagnosen höftdysplasi. Våra preliminära data tyder på en kraftig underdiagnostik där bara en av fyra får diagnosen efter rtg.

HANDKIRURGI OCH ÖVRE EXTREMITET

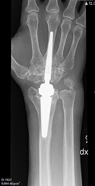
Den handkirurgiska forskningen i Örebro har en tydlig klinisk prägel och har tidigare främst fokuserat på proteskirurgi, något som genererat 2 avhandlingar inom ämnet handledsproteser (Sagerfors, Fischer). Den protestyp som utvecklades i Örebro fungerade bra initialt men lossningsfrekvensen var hög, 37% på tio år. En ny typ av handledsprotes (Motec, Swemac) har därför börjat användas och kommer att utvärderas, figur 4.

I den senaste avhandling (Lundqvist) studerades olika aspekter på komplicerade distala radiusfrakturer (DRF, AO klass C). I en RCT på 150 patienter jämfördes volar platta med dubbel plattfixation. Dubbla plattor gav inte bättre frakturläge men däremot signifikant sämre rörlighet, greppstyrka samt en klart ökad risk för reoperation. CTMA-analys visade också att stabiliteten i frakturen var fullgod med volar platta. J Hand Surg Am 2022;47(9).

Vi planerar att fortsätta med kliniska och registerbaserade arbeten kring DRF

8 Ortopediskt
1/2023
Magasin
Fig 1. Temporär atlanto-occipital-fixation. Fig 2. Robotassisterad TKA.

samt att utvärdera knogledsproteser i pyrokarbon. Ett intressant projekt gäller nanoskopi av handleden. Nanoskopi utförs med ett ultratunt engångsartroskop och vi utvärderar nu användbarheten vid vanliga mottagningsbesök, i diagnostiskt syfte, figur 5.

I samarbetet med Linköpings universitet deltar övre extremitetssektionen i två prospektiva multicenterstudier. Den första studien är en randomiserad studie mellan två olika former av icke-operativ

behandling vid proximal humerusfraktur. Den andra studien gäller mjukdelsskador efter olika former av armbågstrauma samt den kliniska relevansen av dessa skador.

BROSKSKADOR OCH IDROTTSMEDICIN

Broskrojektet syftar till att utveckla nya polymermatriser ”scaffolds” för broskgeneration. Detta görs i samarbete med Vinca Institute i Belgrad, som har

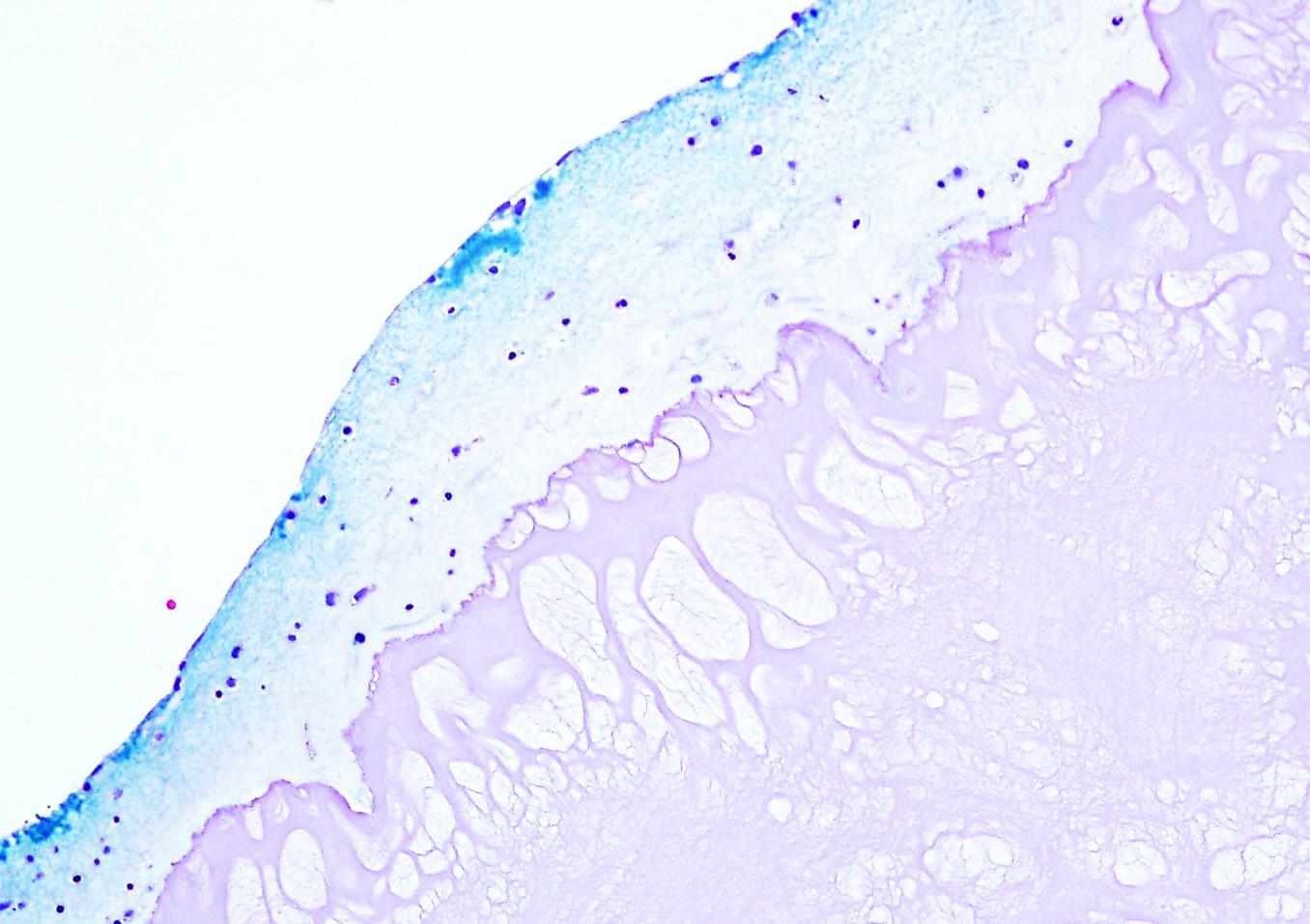
expertis inom materialvetenskap, särskilt biologiskt nedbrytbara polymerer (chitosan, polyetylenglykol etc.). Vi har dock börjat få resultat rörande vilka kombinationer av polymerer som fungerar med broskceller och där broskcellerna in vitro prolifererar in i matrisen, J Exp Orth 2021; 8(12), figur 6 (nästa sida).

Ett avhandlingsprojekt (Castellanos) studerar hur elitidrottare som drabbats av främre korsbandsskada återkommer i elitidrott. Projektet bedrivs i samarbete med Folksam och Korsbandregistret.

BARNORTOPEDI OCH GÅNGANALYS

Den barnortopediska forskningen i Örebro påbörjades för några år sedan med ett avhandlingsarbete (Pantzar) om barn med cerebral pares (CP). Det finns en klar korrelation mellan knäflexions kontraktur och knäande gång och försämrad gångfunktion hos dessa barn. I avhandlingen validerades även en ny enklare tvådimensionell gånganalys som visade sig vara pålitlig och praktisk genomförbar även i öppenvård. Vi har också nyligen deltagit i uppbygganden av ett fullskaligt motoriklab. där 3D-gånganalys kan kombineras med kraftmätningar och EMG. Här planeras fortsatta studier på barn i första hand för att utvärdera resultat efter CP-kirurgi.

Den barnortopediska forskningen har flera pågående projekt inom både akut och elektiv barnkirurgi. Ett fokus är höftdysplasi med en prospektivt samarbete med Skånes universitets sjukhus samt en

Ortopediskt Magasin 1/2023 9
Fig. 3 Överlevnad efter djup höftprotesinfektion. Fig 4. Handledsprotes (Motec, Swemac). Fig 5. Nanoskopi.

retrospektiv studie där vi kommer följa upp våra patienter som behandlats med Örebroskenan (ett skonsammare alternativ till von Rosen-skenan) minst tio år efter avslutad behandling. Preliminära resultat visar att skenan fungerar lika bra, figur 7.

OMVÅRDNAD OCH IMPLEMENTERING

Oförmåga att tömma blåsan dvs urinretention (UR), är en vanligt förekommande komplikation hos äldre personer i samband med höftkirurgi vilket kan leda till blåsövertänjning och permanenta skador på urinblåsan. Trots att det finns nationella riktlinjer för hur UR ska

hanteras åtföljs inte alltid dessa. I OPTION (Onset PrevenTIon of urinary retention in Orthopaedic Nursing) handleder vi multiprofessionella team i att implementera riktlinjer om UR och undersöker effekterna av implementeringen med hänseende på följsamhet till riktlinjerna och urinrelaterade komplikationer. OPTION kombinerar studier om följsamhet till UR-riktlinjer med effekter på UR hos patienter över 65 år som genomgår höftkirurgi och hälsoekonomiska aspekter, J Ev Clin Prac; 2020;25(2). Projektet är ett pågående avhandlingsarbete (Fjordkvist). Vi hoppas att denna forskning kommer att bidra till att förbättra vårdkvalitet och

ökar kunskap om strategier för att implementera evidensbaserad vård som kan användas inom flera andra områden.

GERIATRISK ORTOPEDI, HÖFTFRAKTURER

Den ortogeriatriska forskningen i Örebro har två ben. Det ena benet är direkta fältstudier på patienter med höftfraktur. I en stor kontrollerad prospektiv studie visade vi bland annat att lokal tvätt var minst lika effektivt för att förebygga infektion som 3 x helkroppstvätt preoperativt. Detta gällde både vid osteosyntes och vid protesoperation Eur Ger Med 2022;13(5). Vi har också kunnat visa att ortogeriatriska patienter nu jämfört med för tio år sedan har klart ökad morbiditet (co-morbiditet, ASA-klass och polyfarmaci) men trots det inte ökad dödlighet, mindre malnutition och sarkopeni, J Nutr Healt Ag 2020;24(8).

Det andra benet är registerbaserad forskning. I en nyligen framlagd avhandling (Ahmad) påvisades i ett starkt samband mellan pågående beta-blockadbehandling och minskad dödlighet efter höftfrakturkirurgi, J Orthop Trauma 2021;92(1). Resultaten tros förklaras av beta-blockadens stressreducerande effekt. Två ytterligare avhandlingsprojekt pågår. I det första (Iannidis) analyseras patienter med demenssjukdom och höftfrakturer. Dessa patienter är sjukare, skörare och dör i större utsträckning än åldersmatchade kontroller. Dock tycks de dö av samma orsaker som den generella höftfrakturpopulationen. Även för dessa patienter har betablockad positiv effekt, Eur J Tr Em Surg 2022;48. Nästa viktiga steg blir nu en randomiserad interventionsstudie med betablockad.

Det andra avhandlingsprojektet (Forssten) fokuserar på ett nytt poängbaserat system utvecklat i Örebro, Orthopedic hip Frailty Score (OFS), som ska kunna identifiera skörhet (frailty) och där igenom förutspå vilka individer som har högst risk att få komplikationer eller avlida efter operation. OFS baseras på fem variabler och är enkel att applicera i klinisk vardag, samt visat sig fungera lika bra, eller bättre, på att förutspå dödlighet jämfört med de tidigare mer invecklade metoderna, Tr Surg A Care 2022; 7(1).

Sammanställt av: Per Wretenberg

Med bidrag från: Anders Joelson

Evelina Pantzar Castilla

Peter Wildeman

Gauti Sigmundsson

Maria Hälleberg Nyman

Shahin Mohseni

Perna Ighani Arani

Gunnar Falk

Åsa Andersson

Eva Lundqvist

Markus Sagerfors

10 Ortopediskt Magasin 1/2022
Fig 6. Broskbildning på Scaffold. Fig 7. Örebroskenan.

Nya generationens fotledsstöd

ActyFoot

En stabil och smidig fotledsortos som kan användas för både akuta skador och kronisk instabilitet. Den nya generationens Aircast fotledsortos anpassas med hjälp av en avtagbar lateral skena och följer patienten under behandlings- och rehabiliteringsfasen.

INDIKATIONER

•Akuta fotledsdistorsioner

•Laterala ligamentsbristningar

•Kronisk fotledsinstabilitet

FÖRDELAR OCH EGENSKAPER

NYHET!

• Tre integrerade remmar ger proprioceptiv feedback, stabiliserar fotleden och begränsar rörelseomfånget.

•Avtagbar sidoskena gör det möjligt att modifiera stödet för användning i både akuta och kroniska skadefaser

•Låg profil. Passar i de flesta skor och träningsskor och kan bäras över en strumpa för extra bekvämlighet

•Kan öppnas helt för att kunna tas på enkelt och säkert

•Korsad rem bidrar ytterligare till att minimera risken för fotledsstukning

AirSelect

INDIKATIONER

•Airselect Walker passar till både hälsenerupturer, frakturer och fotledsdistorsioner.

FÖRDELAR OCH EGENSKAPER

•En komplett pneumatiska walkern som förenar funktion med komfort. Med individuellt justerbara luftceller garanterar Airselect perfekt passform och stabilitet i alla lägen.

•Den stötdämpande sulan med låg bygghöjd möjliggör ett skonsamt gångmönster.

KONTAKTA DIN PRODUKTSPECIALIST

Maria Ottander Leg. fysioterapeut

0703 35 13 41

maria.ottander@enovis.com

Stockholm, Uppsala

Gotland, Västernorrland

Gävleborg

Rickard Hanzek Leg. Ortopedingenjör

0761 30 57 70 rickard.hanzek@enovis.com Västra Götaland, Dalarna Västmanland, Värmland Södermanland, Östergötland Örebro, Jönköping

Lars Tunestål Leg. Ortopedingenjör 0720 83 79 64 lars.tunestal@enovis.com Skåne, Halland, Blekinge Kalmar, Kronoberg Norrbotten, Västerbotten Jämtland

Enovis | Murmansgatan 126 | 212 25 Malmö | 040 39 40 00 | enovis.se

UNIVERSITETSSJUKHUSET I LINKÖPING

Idag är forskningen på SU Linköping huvudsakligen klinisk och metodologisk och kan grovt rubriceras efter klinikens sektioner enligt övre extremitet, nedre extremitet, rygg och barn. Nedan följer en redovisning av de studier som är påbörjade eller ska starta inom kort.

Ortopedisk forskning i Linköping har bedrivits sedan 1970-talet då främst representerat av den legendariske professor Olov Lindahl. Ortopedisk traumatologi sköttes under denna tid av allmänkirurger men i och med att dessa under 1970-talet började intressera sig för knäligamentkirurgi och artroskopi kom all muskuloskelettal kirurgi att samlas på ortopedkliniken vid dåvarande Regionsjukhuset. Under slutet av förra millenniet var framför allt knäligament och artroskopi huvudsakliga forskningsfokus vid ortopedkliniken i Linköping, vilket resulterade i ett flertal avhandlingar och kursverksamheter. Något mindre frekvent genomfördes även studier på framför allt höftfrakturer och ledproteser. För ganska exakt 20 år sedan vidtogs en radikal och hårdhänt omorganisation initierad av politiker och tjänstemän där alla tre klinikerna i länet påverkades på olika sätt. Linköpings universitetsklinik reducerades till landets minsta och under ett par år hade det nya arbetssättet en tydligt hämmande inverkan på forskningsmiljön. Efter att den mest omskakande perioden var överstånden återkom forskningsambitionerna och aktiviteterna med delvis andra profilområden. Grundforskning i laboratoriemiljö, framför allt driven av Professor Per Aspenberg, klinisk forskning inom övre extremitetens trauma och sjukdomar, ryggkirurgi, hälsenor och fortsatta studier på höftfrakturer och höftproteser kom att dominera under de följande två decennierna. Forskningsaktiviteten blev återigen hög, speciellt med hänsyn till det relativa fåtal anställda vid kliniken. Flera samarbeten med doktorandprojekt för fysioterapeuter genomfördes också. På senare tid har kliniken vuxit i antal anställda och forskningsaktiviteten har i stort sett bibehållits men med flera samarbetsprojekt även utanför kliniken, såväl regionalt, nationellt som internationellt. Fokus har företrädesvis varit kliniska studier med mindre kontakt mellan kliniken och laboratorieforskningen. Även regionalt, i sydöstra regionen, har forskningen stärkts och idag finns handledarkompetens i Jönköping och Eksjö där ett par doktorandprojekt på respektive enhet relativt nyligen startat eller är i uppstartsfas.

ÖVRE EXTREMITET

Proximala humerus

Proximala humerusfrakturer är relativt vanliga och ibland svårbehandlade. Framför allt är valet mellan kirurgi och icke-operativ behandling svårt och kontroversiellt. Majoriteten av dessa frakurer behandlas utan kirurgi men den optimala icke-operativa behandlingen är dåligt undersökt. I NOSWEPH-projektet randomiseras icke operativt behandlade proximala humerusfrakturer till tidig rörelseträning eller 4 veckors immobilisering i en ortos med armen i neutralt rotationsläge för att minska risken för en felläkning i inåtrotation vilket beskrivits kunna vara ett problem. I dag är över 300 patienter inkluderade och registrerade i ett webbaserat formulär och följs upp till ett år. 360 patienter ska inkluderas enligt powerberäkning. I ett delprojekt utvärderas nyttan av ”veckokontroll” för att se om, och för vilka, frakturtyper den i så fall kan vara av värde. I en annan studie klassificeras frakturerna enligt Neer och systemet som används i svenska frakturregistret valideras för inrapporterade data. I ytterligare ett delarbete jämförs patienter som behandlats med kirurgi under samma tidperiod för att undersöka vilka frakturtyper som valts till operation och efter vilka kriterier. I detta projekt samarbetar Linköping, Västervik, Kalmar och Örebro med inklusion och datainsamling.

Nyligen har vi publicerat en studie om antibiotikaprofylax vid operation med axelprotes och undersökt värdet av denna med hjälp av axelprotesregistret. Detta arbete fördjupas nu i en studie där behandlande klinikers val av profylax har registrerats via en enkätundersökning. Med utdrag från socialstyrelsens databas identifieras sedan infektionsfrekvens samt agens vid verifierad infektion på respektive kliniker för att undersöka nyttan av olika profylaxregimer för uppkomst av protesrelaterad infektion. Två avhandlingsprojekt är påbörjade med dessa material som bas och ytterligare ett är i planeringsstadiet.

Axelsmärta

I tidigare studier har vi undersökt värdet av fysioterapi vid subakromial smärta och kuffruptur och funnit att ett specifikt träningsprogram var överlägset rörelseträning och att man med hjälp av strukturerad träning kunde undvika kirurgi på majoriteten av patienter uppsatta på väntelista för operation. I en ny studie har vi undersökt resultaten efter 10 år och dessa data håller på att sammanställas som del i ett fysioterapeutiskt avhandlingsprojekt. I en nordisk multicenterstudie (ACCURATE) randomiseras akuta genomgående kuffrupturer som

artroskopisk sutur eller en shamperation. Studien är dubbelblindad med kort- och långtidsuppföljning. Linköping är drivande av studien i Sverige och inklusionsprocessen närmar sig ett slut. I en annan randomiserad placebokontrollerad multicenterstudie har värdet av ultraljudsledd evakuering av subakromial förkalkning undersökts och studiedata är nu under analys och förväntas publiceras under året.

Armbågstrauma

Bakgrunden till detta projekt är ett ökat inflöde av armbågstrauma från en stor del av landet. En instabil armbåge är ofta kraftigt dysfunktionell och klarar inte belastning. Mjukdelar i form av ledband och muskler är väsentliga för armbågens stabilitet men trots detta har behandling tidigare väsentligen fokuserat på skelettet. Skadornas komplexitet innefattar dock ett brett panorama och för ett optimalt omhändertagande har vi förfinat operationstekniken, utvecklat ett operationsprotokoll och en webbaserad databas samt startat en randomiserad studie som jämför tidig mobilisering med tidigare standardbehandling; 3 veckors postoperativt gips. Vi har även ett ökat remissinflöde på grund av restbesvär med stelhet, felläkning och instabilitet orsakade av bristfällig initial behandling. Vi ser därför

Bild 12A Bild 12B 12 Ortopediskt Magasin 1/2023 Ortopedisk forskning vid

ett behov av fördjupad kunskap avseende diagnostik, skademekanism, operationsindikationer, validering av behandlingsresultat och epidemiologi. Därför har vi utvecklat ett multicenterprojekt med sex delar där tre avhandlingsprojekt är påbörjade:

Del 1: Diagnostik av mjukdelsskador är väsentligt och vi undersöker om ultraljud kan användas för detta och därmed minska behovet av magnetkameraundersökning (MR) som varit den enda beskrivna metoden. Vi har utarbetat ett ultraljudsprotokoll som valideras mellan undersökare och i relation till MR.

I del 2 studeras samband mellan röntgenfynd och associerade mjukdelsskador. Frakturutseendet beror på skademekanismen dvs. riktning av kraften i skadeögonblicket och sannolikt finns samband mellan olika frakturtyper och mjukdelsskadans omfattning. Målet är att skapa en beskrivning som tar hänsyn till både skelett och mjukdelsskador.

Del 3 är en prospektiv kohortstudie av frakturer som engagerar proximala radius. Indikation för kirurgi diskuteras men behandling baseras på bristande vetenskap. Studien blir hypotesgenererande där opererade och icke-opererade patienter värderas före och efter behandling. Baserat på resultatet planeras sedan en randomiserad studie för att jämföra behandlingar.

I del 4 valideras, testas responsivitet och beräknas den minsta kliniska relevansen av en traumaanpassad version av det armbågsspecifika Oxford Elbow Score (OES) som vi nyligen översatt till svenska.

5:e delprojektet utgörs av undersökning av epidemiologiska data av prevalens, könsfördelning och orsaker till akuta armbågsskador i Svenska Frakturregistret.

I en sjätte studie kartläggs förekomst av långtidsbesvär efter armbågsfraktur hos barn under 16 år, där mjukdelsskadorna ofta ignorerats. Inte sällan ställs vi inför frågeställningar om korrigerande kirurgi av unga vuxna där skelett eller led växt fel pga. skador som underbehandlats. Studien innefattar klinisk och radiologisk uppföljning cirka 10 år efter skada för att kunna beskriva frekvens och typ av dessa komplikationer.

I hela projektet samarbetar Linköping, Örebro, Karlstad, Helsingborg och Mölndal. Patienterna genomgår ett standardiserat inklusionsförfarande med ultraljud och datainsamling via vårt webbaserade formulär. Skadorna kategoriseras enligt fraktur och mjukdelspåverkan och alla följs upp. Hela projektet förväntas ge värdefull kunskap som direkt kan implementeras i vården samt generera hypoteser till fler studier där kunskapen idag inte är tillräcklig för att formulera relevanta frågeställningar.

Etablerat eller planerat samarbete finns dessutom med Oslo, Köln, Rotterdam och Barcelona.

NEDRE EXTREMITET

PRIO är en forskargrupp som lägger fokus på att utmana vedertagna ortopediska sanningar. Vi driver pragmatiska studier inom frakturkirurgi och protesersättning i translationell miljö som ska kunna hjälpa oss att fatta klokare beslut som kliniker.

Antibiotic Impregnated Bone Graft; ABOGRAFT

Protesinfektion är den mest allvarliga komplikationen efter proteskirurgi, framför allt efter revisioner och komplexa primära protesoperationer. Systemisk antibiotikaprofylax och antibiotika i cement minskar risken för infektion. Antibiotika i bengraft som profylax vid kirurgi kan sannolikt minska risken för infektion ytterligare. En randomiserad studie som undersöker detta har aldrig genomförts.

Resultat

In vitro har vi sett mycket höga antibiotikakoncentrationer i bengraft genom att blanda in 8 ml tobramycinlösning och 1g vancomycin. När vi sedan använder bengraftet vid kirurgi förblir koncentrationen i bengraftet så hög att även resistenta bakterier dör. Detta trots att bengraftet har utsatts för benpackningsmanöver och spolning. Just nu analyseras data från en pilotstudie som utförts i Linköping för att utvärdera en eventuell systemisk påverkan av de höga lokala antibiotikakoncentrationerna.

Framtid

En randomiserad, dubbelblindad, placebokontrollerad, multicenter läkemedelsprövning planeras med start hösten 2023. Kontakta oss gärna om du vill vet mer och är intresserad att delta.

Biomarkers for Acute Compartment Syndrome: BIOFACTS

Akut kompartmentsyndrom är ett tillstånd känt sedan 1800-talet men detta till trots, saknas objektiva diagnoskriterier. Vi har blivit lärda att fasciotomera vid minsta tvekan och framför allt vid ”pain out of proportion” för att rädda muskulaturen från ischemi. Kliniska tecken och tryckmätning kan vara vilseledande och leda till onödiga fasciotomier framför allt vid samtidig tibiafraktur. I BIOFACTS-studien används myoglobin som indikator för muskelischemi, figur 2, efter trauma och operation. Att känna till om muskelischemi föreligger eller ej, tror vi kan hjälpa oss att våga avstå från att fasciotomera. Denna prospektiva observationsstudie har inkluderat patienter sedan 2018 i flera sjukhus i sydöstra sjukvårdsregionen och sedan 2020 också i Helsingfors/Finland.

Resultat

I preliminära analyser har ett tydligt samband setts mellan plasmanivåer av myoglobin och traumats energi. Det primära syftet med studien är att undersöka om myoglobin kan användas för att predicera akut kompartmentsyndrom och vara ett verktyg att våga avstå fasciotomi när vi är osäkra om det behövs.

Framtid

Studien ska utvidgas till en internationell proof-of-concept-studie där flera länder deltar för att hjälpas åt att rekrytera cirka 50 patienter med tibiafraktur och ett äkta akut kompartmentsyndrom. Istället för fasciotomi som utfall, kommer studien använda en expertpanel för att bedöma om ett akut kompartmentsyndrom förelegat eller ej.

Ortopediskt Magasin 1/2023 13
Figur 2. Myoglobin är indikator för muskelischämi medan tryck enbart är en indirekt indikator.

Höftprotesfixation

För att förbättra initial protesfixation testar vi benskörhetsläkemedel (bisfosfonater) som ges intravenöst vid ett tillfälle direkt efter operationen och vi impregnerar benbädden med bisfosfonat under operation när vi sätter in ocementerade proteskomponenter. Studierna är finansierade av Vetenskapsrådet och bedrivs i samarbete med Capio Specialistvård i Motala. För cirka ett år sedan avslutades rekrytering av 1000 patienter och nu inväntas 3-årsresultat av patientrapporterade utfallsmått som är primärvariabel. I flera olika projekt undersöks möjligheten att använda modern CT-diagnostik för att diagnosticera aseptisk lossning, och hur vi på bästa sätt kan planera och genom-

Atypiska femurfrakturer

Atypiska frakturer är utmattningsbrott i femur med stark koppling till resorptionshämmande mediciner som används för att motverka benskörhet (bisfosfonater och denosumab). Vi har studerat dessa frakturer i 15 år och 3 doktorander arbetar med olika projekt för att öka förståelsen av dessa frakturer och hur vi ska diagnosticera och behandla dem.

Resultat

Mer än 70% av alla kompletta frakturer missas vid första röntgenundersökningen. Artificiell intelligens verkar dock kunna hjälpa oss att identifiera patienter med AFF mer korrekt så att vi kan operera dem direkt med collumfixerande märgspikar för att undvika framtida höftfrakturer, figur 4

Framtid

Trots många års forskning vet vi ganska lite om hur vi kan optimera bisfosfonaternas förebyggande effekt för fragilitetsfraktur och risken för atypisk fraktur. Sannolikt spelar patienternas bakgrundsfaktorer en viktig roll men även hur länge vi behandlar med bisfosfonater och om vi gör planerade behandlingsavbrott. Eftersom atypiska frakturer är sällsynta studerar vi nu flera stora patientkohorter tillsammans med forskare från Danmark och USA i ett 5-årigt forskningsprojekt, finansierad av amerikanska National Institute of Health.

Randomiserad menisk studie

Ska man operera meniskskador på medelålders?

2010-2012 randomiserades 150 patienter med meniskbesvär till träning eller träning + en knäledsartroskopi inom 4 veckor. Uppföljning har gjorts efter 3 månader, 1, 3, 5 år och nu 10 år. Vid 1 år var de

opererade statistiskt och klinisk signifikant något bättre. Vid 3 år var denna skillnad borta förutom i subgruppen som inte hade upphakningar i knäleden. Vid 10 år är fokus på röntgenfynd för att se om en artroskopi påverkat artrosförekomst och patienternas aktivitet.

NACOX (NAtural COrollaries and recovery after anterior cruciate (X) ligament injury)

En multicenter, prospektiv observationsstudie med inklusion under åren 20162018 utgående från Linköping. I studien, som består av 5 större delprojekt, har en mängd undersökningar fortlöpande utförts: röntgen, ledvätske-, urin- och blodprov, täta smartphone-enkäter, MR-undersökningar vid 6 tillfällen, kliniska undersökningar och funktionella tester. 2 doktorander på ortopedkliniken är knutna till projektet. Vi hoppas att NACOX-studierna kommer att fortsätta under många år framgent och förhoppningsvis möjliggöra uppföljningar på mer än 30 år.

Idrottsepidemiologi

Både ARC (Athletic Research Center) och

föra en reoperation av en lös höftprotes när ben saknas. Vi förespråkar noggrann planering av skruvfixation i kombination med bengraft i stället för att ersätta ben med mer metall.

Resultat

Ocementerade revisionscupar som sätts in med mycket bengraft för att fylla bendefekter har en utmärkt långtidsöverlevnad och bengraftet verkar remodelleras i stor omfattning i en framgångsrik process av osseointegration, figur 3. Planering av revisionskirurgi med ett 3D-verktyg kan möjliggöra längre skruvlängd i ramus superior i os pubis vilket kan ge en stabilare fixation av revisionscupen.

Framtid

Flera biomekaniska studier i samarbete med företag och tekniska fakulteten på LiU är planerade för att analysera skruvplaceringens inverkan på mekanisk stabilitet och det biologiska svaret.

FRG (Football Research Group) sysslar med idrottsepidemiologi. ARC fr a inom friidrott och motionslöpning, men även exempelvis parasport och konståkning. Inom ARC har utförts studier under friidrotts-VM. I Linköping görs en prospektiv ultraljudstudie av hälsenor på långdistanslöpare med syfte att kunna predicera senare besvär utifrån ultraljudsfynden.

FORT (Fotonräknare inom ORTopedi) Fotonräknare är en ny vidareutveckling av datortomografin. En av de första fotonräknarna i världen finns på CMIV i Linköping. I en datortomograf omvandlas först fotonerna till synligt ljus i en detektor. En hel del information missas och upplösningen begränsas. I en fotonräknare avläses alla fotoner direkt, inklusive deras individuella energinivåer. Detta ger teoretiskt en bättre upplösning, minskade stråldoser, ökade möjligheter att bedöma mjukdelar, och en bättre metallartefaktreducering. En studie på ortopedpatienter som plattfixeras pga proximala och distala tibiafrakturer (pilon) pågår. En doktorand arbetar inom FORT-projektet.

Figur 3.Osseointegration på den porösa ytan av en revisionscup är förutsättningen för en god protesöverlevnad.
14 Ortopediskt Magasin 1/2023
Figur 4. Vid märgspikning av femursskaftfrakturer kan en collumfixerande märgspik (höger) jämfört med en utan collumfixation (vänster) förebygga en ipsilateral collumfraktur.

RYGGSEKTIONEN

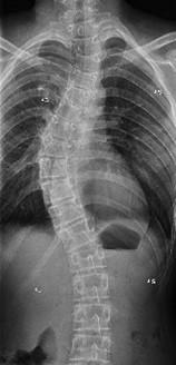
En etablerad forskningsverksamhet finns inom flera olika områden. En forskningslinje är inriktad på att studera morfologiska förändringar i kotpelaren hos patienter med adolescent idiopatisk skolios (AIS). Man vill studera relationen till sagittal balans och thoraxvolym. Påverkan på lungfunktion utgör det starkaste argumentet för kirurgisk behandling av skolios. Det finns många teorier bakom patogenesen till AIS. Utöver ärftlighet har man funnit att patienter med AIS har förändrad hållning och i viss mån förändrad postural kontroll. Det är oklart vad som är orsak och verkan bakom de faktorer man studerar och vilka man vet förändras i samband med skoliosutveckling. Det finns ett etablerat samarbete med ortopedkliniken i Utrecht vad gäller visualisering av

kotpelaren. Denna bygger i första hand på information från i första hand CT.

De vanligaste operationsmetoderna vid scolios är bakre respektive främre instrumentering, korrektion och fusion. Vi följer upp patienter som opererats med respektive metod för att jämföra utfall avseende PROMs, korrektion samt lungfunktion.

I samarbete med KS har genomförts en stor studie (Contrais) där man jämfört nattkorsettbehandling, skolios-specifik träning och allmän fysisk aktivitet vid behandling av AIS.

I ett annat samarbete med KI utvärderas behandling av patienter med early onset skolios (EOS, skolios med debut före 10 års ålder) vilket skett med magnet-drivna distraktionsstag. Resultaten visar relativt

goda resultat jämfört med andra metoder även om effekten på tillväxt i kotpelaren inte motsvarat förhoppningar. Vinsten med dessa stag är att patienterna slipper upprepad kirurgi eftersom stagen kan förlängas med hjälp av en extern elektromagnet.

Lumbala diskproteser har delvis associerats med komplikationer och osäker långtidseffekt. Nu genomförs en registerstudie avseende långtidsresultat och reoperationer hos cirka 1800 patienter som opererats med denna metod. Patienter från vår region som har smärtor efter diskprotesoperation utreds med CT-IMA, vilket är en dynamisk CT-metod som kommersialiserats av det Linköpings-baserade företaget Sectra AB. Metoden kan användas för att mäta rörlighet av implantatet gentemot omgivningen i det opererade segmentet och därmed indikera lossning av protesen.

BARN

Höftfyseolys på barn studeras i ett doktorandprojekt i samarbete med barnenheten Ryhovs sjukhus i Jönköping. Studierna baseras delvis på data i det Svenska Höftfyseolysregistret och de primära frågeställningarna berör funktionsnivå minst 5 år efter in-situ fixation och om denna är relaterad till initial felställning samt om vinkelremodellering sker efter in-situ fixation med LiH-spik eller skruv. Som nämnts ovan pågår, i ett multicenterprojekt, studier av proximala radiusfrakturer

barn

inletts

en undersökning av restbesvär efter proximal radiusfraktur som uppkommit innan 17 års ålder.

Sammanställt av: Lars Adolfsson

Med bidrag från: Hanna Björnsson Hallgren

Jörg Schilcher

Håkan Gauffin

Hans Tropp

Mattias Andersson

Ortopediskt Magasin 1/2023

hos vilka med Patient med idiopatisk skolios. Vi ser dels den hypokyfotiska bröstryggen och den högerkonvexa thorakala skoliosen. Denna patient har en allvarlig kongenital skolios. Patienten opererades vid knappt två års ålder med den teknik som bygger på ett magnet-drivet distraktionsstag. CT-undersökning av en patient med dubbla disk-proteser. Till vänster ländryggen i flexion och till höger i extension. CTIMA ger möjlighet att dels visualisera men också beräkna rörlighet i segmentet och mellan protesdelar och kotkropp.
15

Ortopedisk forskning vid

SAHLGRENSKA AKADEMIN

Ämnesområdet ortopedi ligger under Institutionen för kliniska vetenskaper vid Sahlgrenska akademin (SA) som är den största fakulteten vid Göteborgs universitet. Klinisk forskning inom ortopedi bedrivs vid verksamhet Ortopedi vid Sahlgrenska universitetssjukhuset (SU) och det finns ortopedisk forskning som är knuten till SA vid nästan alla sjukhus i regionen. Ämnesområdet ortopedi representeras av 14 professorer (tre universitetsanställda, fem adjungerade, fem seniora och en gäst) och det finns 14 forskningsaktiva docenter. Vi har ett sjuttiotal forskarstuderande och naturligtvis en lång rad disputerade forskare.

12 Ortopediskt
1/2022
Magasin
Bild 3. Gång- och rörelselabbet. Foto: Ola Rolfson. Bild 1. R-huset – ortopedins forskningshus vid Mölndals sjukhus. Foto: Ola Rolfson. Bild 4. Markörmodell för rörelseanalys i knäled. Foto: Roy Tranberg. Bild 2. EOS helkroppsröntgen.
16 Ortopediskt
Foto: Ola Rolfson
Magasin 1/2023

Ortopedins forskningsenhet har ett tjugotal anställda och befinner sig i moderna lokaler i R-huset på Mölndals sjukhus, bild 1. Enheten utgör en länk mellan kliniken och akademin och är en resurs för klinisk forskning som bedrivs av olika forskargrupper inom ortopedin. Enheten har en fast grupp av anställda med en bred bakgrund och olika kompetenser. Lokalerna huserar labb för bland annat gång- och rörelseanalys, mätning av muskeltryck, funktions- och muskeltester och olika cell- och molekylärbiologiska metoder. Kopplat till enheten finns också labb för radiostereometri (RSA), bentäthetsmätning och lågdos helkroppsröntgen (EOS), bild 2. Vissa forskningsprojekt bedrivs helt inom enheten men en stor del av verksamheten består i att ge stöd åt kliniska forskare, doktorander och studenter. Det kan handla om att bistå med metodologisk expertis men också med administration, statistik och projektkoordinering.

Hur exakt är gånganalys?

På gång- och rörelselabbet bedrivs patientnära forskning samt klinisk utredningsverksamhet, bild 3. Vid en rörelseanalys går patienten genom rummet vanligtvis i självvald gånghastighet. Patientens ledrörelser och kraftutveckling registreras med hjälp av ett kamerasystem med 16 höghastighetskameror som synkroniseras med fyra kraftplattor i golvet. Undersökningen kan göras aktivitetsspecifik som till exempel vid löpning, olika typer av hopp eller gång i trappa. Man kan se rörelser i tre olika plan för respektive led och mäta grundläggande gångparametrar såsom hastighet, steglängd, stegfrekvens och tid i stödfasen. Data kan sedan användas för jämförelser före och efter behandling, mellan friska och sjuka sidan eller för jämförelser med normalpopulationen.

Gång- och rörelseanalys används i studier av olika karaktär och för olika skador och sjukdomar i rörelseorganen. Just nu pågår forskning som utgår från trauma-, artro-, protes- och tumörsektionerna vid SU.

I samarbete med radiologi görs en valideringstudie av rörelseanalysens markörmodeller, bild 4. Genom att synkronisera dynamisk röntgen och rörelseanalys kan modellerna valideras med hög precision. Preliminära resultat med dynamiska rörelsedata över knäleden visar god överensstämmelse mellan de två systemen och fler leder kommer att studeras.

Världsunikt frakturregister dominerar traumaforskningen

Forskning med data från Svenska Frakturregistret (SFR) dominerar traumaforskningen vid SU och SA och har resulterat i fyra avhandlingar på fyra år. Två av dem har fått utmärkelsen Årets bästa ortopediska avhandling. För närvarande pågår projekt om acetabulumfrakturer där klassifikationsvaliditet, epidemiologi, patientrapporterat utfall och konversion till protes studeras. I ett annat doktorandpro-

jekt studeras patientrapporterat utfall och mortalitet vid nedre extremitetsfrakturer där exponeringsfaktorer såsom väntetid till operation och rökning analyseras. Ett pågående doktorandprojekt belyser utfall efter calcaneusfrakturer med en blandning av registerstudier om komplikationer och reoperationer samt patientrapporterat utfall, metaanalys kring patientrapporterat utfall och kvalitativ intervjustudie.

I ytterligare ett doktorandprojekt studeras proximala tibiafrakturer med allt från gånganalys till djupintervjuer. Ett höftfrakturprojekt undersöker allt ifrån betydelsen av vårdkedjor till hur artificiell intelligens kan användas inom höftfrakturområdet. Forskning rörande förväntan i relation till patientrapporterat utfall kommer att studeras liksom socioekonomiska faktorers betydelse för behandlingsval och utfall efter frakturbehandling i två kommande större projekt. I planeringsfas finns även projekt som syftar till att studera verklig reoperationsfrekvens med samkörningsstudier mellan SFR och Patientregistret. Studier som kombinerar registerdata med data från journaler såväl lokalt som nationellt planeras för att bestämma komplikationsfrekvens efter distala femurfrakturer. På liknande sätt ska även för- och nackdelar med lång kontra kort märgspik på subtrokantära femurfrakturer undersökas. SU och flera andra sjukhus i regionen deltar också i de nationella registerbaserade randomiserade multicenterstudierna Hipsther, Duality, Daicy och Sunburst.

Utöver registerforskning bedrivs även forskning om distala femurfrakturer och frakturrelaterade infektioner med revisonskirurgi med byte av osteosyntesmaterial med randomisering till med eller utan samtidig applicering av lokal antibiotika.

Är Ryggregistrets dialogstöd till någon nytta?

Inom ryggkirurgisk forskning vill vi lyfta fram fyra pågående studier. Intresset för att förutsäga resultat av vårdinsatser utifrån stora databaser med hjälp av artificiell intelligens är stort, men effekten på specifika vårdförlopp oklar. I en multicenterstudie med 900 patienter undersöker vi om användning av dialogstöd vid urvalsprocessen till operation kan ge förbättrat resultat för patienter med spinal stenos. Med hjälp av ett algoritmbaserat dialogstöd, som tagits fram av Swespine, får patienten och ortopeden ta del av förväntat resultat av operationen vilket sedan används i dialogen med patienten i samband med beslut om operation. Studiekohortens resultat ett år efter operation jämförs med matchade historiska kontroller.

I en annan studie utvärderar vi en av de senaste kirurgiska behandlingsmetoderna för skolios – vertebral body tethering. Operationen innebär att man fäster skruvar i kotorna på krökens konvexa sida och dessa kopplas sedan ihop med ett dynamiskt band så att succesiv korrigeringen kan ske under tillväxten, bild 5 och 6

Ortopediskt Magasin 1/2023 17
Bild 5 och 6. Idiopatisk skolios preoperativt och direkt efter operation med vertebral body tethering.

Ett forskningsprojekt syftar till att förbättra diagnostiken vid foraminal stenos. Vid radierande armsmärta och MR-verifierad foraminal stenos är det ofta svårt att avgöra vilka och hur många nervrötter som är påverkade. Med en nykonstruerad apparat tas MR-bilder i avslappnat, respektive komprimerat läge, med huvudet i sidoflexion/extension för att efterlikna Spurlings test. Effekten på foramina och nervrötter analyseras med mål att förbättra diagnostik och på sikt operationsresultat för patientgruppen.

Endoskopisk lumbal diskbråckskirurgi introducerades 2013 på Sahlgrenska och har utvärderats med gott resultat, bild 7 Nu påbörjas studier av endoskopisk dekompressionskirurgi för spinal stenos, där denna metod jämförs med konventionell dekompressionskirurgi.

Barnortopediskt register inte småbarn längre

Det börjar finnas bra registerdata även för barnortopedins sjukdomar och skador. Med hjälp av Svensk Pediatriskt Ortopediskt Qvalitetsregister (SPOQ) görs en långtidsuppföljning av barn med medfödd klumpfotsfelställning (PEVA) som utvärderas med patientrapporterade utfallsmått och kliniska resultatet. Det här projektet innehåller också studier för att validera översättningen av olika frågeformulär som rör barns hälsa och fötter. Sedan 2015 registreras barnfrakturer i de långa rörbenen i SFR och vi har pågående epidemiologiska studier för att studera förekomsten och riskfaktorer för refrakturer hos barn. I en klinisk studie av femurfrakturer hos barn utvärderas fysisk återhämtning och hur den påverkas av rörelserädsla eller oro hos barnet.

I en observationell kohortstudie undersöks om barn med skolios med debut före tio års ålder, som behandlats med korsett eller operation före avslutad tillväxt, har normal morbiditet och mortalitet. Studiegruppen har nu uppnått drygt 50 års ålder.

Vi använde relativt tidigt bioresorberbara skruvar vid bäckenosteotomier på barn. Efter avslutade uppföljningsstudier kan vi konstatera att skruvarna vid Salter- och trippelosteotomier ger tillfredställande stabilitet utan betydande lokala reaktioner under nedbrytningen. Den stora fördelen är dock sannolikt att man slipper en andra operation för att ta ut skruvarna.

Ledproteskirurgi – med fokus på stegvist införande av nya implantat Filosofin med säker och kontrollerad introduktion av nya implantat och tekniker har genomsyrat forskningen inom ledproteskirurgin vid SU. Randomiserade studier med RSA, multicenterstudier och forskning med data från Ledprotesregistret har dominerat. Nu har vi paketerat ordnad introduktion i ett studiekoncept som vi kallar STEISURE (STEpwise Introduction in orthopaedic Surgery Using REgistries). Den första studien som genomförs enligt STEISURE-modellen pågår. Studien utvärderar ett etablerat

Magasin 1/2023

implantat, Trident-cupen, som förnyats eftersom tillverkaren gått från traditionell tillverkning till additive manufacturing det vill säga en typ av 3D-printning.

För närvarande inkluderar vi patienter i sex randomiserade kliniska studier (RCT) inom protessektionen. Tillsammans med Örebro universitetssjukhus driver vi en studie där patienter lottas till antingen robotassisterad eller konventionell knäproteskirurgi med patientrapporterade och radiologiska utfallsmått samt CTbaserad analys av mikrorörelse (CTMA).

I en annan RCT jämförs knäprotesmodellerna Attune och NexGen och patienterna följs med RSA. En nystartad multicenter-RCT lottar till bakre eller lateralt snitt vid total höftprotes med hälta, testat med gånganalys, som utfallsmått. För patienter med gluteus mediusinsufficiens har vi nyligen startat en RCT i vilken patienten antingen lottas till operation med mediusplastik med allograft från hälsena eller strukturerad fysioterapi. I en annan RCT utvärderar vi ett nytt diagnostiskt verktyg vid ledprotesinfektion som ger vägledning för antibiotikaval efter protesbevarande infektionskirurgi. Den nya metoden kan bestämma bakteriers antibiotikaresistens i biofilm. I triagestudien randomiseras patienter med höfteller knäartros som remitterats till SU för bedömning till att antingen träffa en ortoped eller en fysioterapeut vid första besöket. Patientrapporterade utfallsmått, patienternas upplevelse av besöket samt kostnader analyseras.

Vi har precis startat en studie för att undersöka värdet av Implant motion analys (IMA) som använder dubbla exponeringar med en lågdos-CT för att kartlägga om det föreligger implantatlossning. I denna prospektiva pilotstudie kommer patienter planerade för revisionskirurgi genomgå IMA. Resultaten från IMA-undersökningen jämförs med röntgen samt de peroperativa fynden.

Inom ramen för protesforskningen driver vi även ett projekt som går under namnet Clean Air. Projektet fokuserar på teknik och ventilation i operationsmiljön, vård- och omsorgshygien, samt diagnostik och behandling av implantatrelaterade infektioner.

Knäforskning i samarbete med Chalmers

En multidisciplinär forskargrupp, som engagerar ett trettiotal läkare, fysioterapeuter, ingenjörer och studenter, fokuserar huvudsakligen på ligament- och meniskskador i knäleden. Pågående projekt handlar om att identifiera faktorer som kan optimera nuvarande diagnostiska verktyg, nya behandlingar, skadeförebyggande program och prediktionsmodeller. Många av våra studier har historiskt baserats på Svenska Korsbandsregistret och Projekt Korsband. Under senaste åren har vi lagt ytterligare fokus på multidisciplinärt samarbete och involverat Chalmers. I pågående projekt används artificiell intelligens och maskinlärning för att utveckla diagnostiska precisionsmodeller som kan bidra till att förbättra utfallet för olika ortopediska tillstånd. Likaså arbetar vi med Chalmers för att ta fram nya digitala metoder för att diagnosticera ligamentskador. Här pågår också arbete för att utveckla ny materialteknik och nya knäortoser.

Bred front inom senforskning

Vi undersöker och utvärderar olika behandlingar och rehabiliteringar av senskador i fotled och underben. Vi utvärderar funktion med gånganalys och ett batteri av olika hopp-, styrke- och uthållighetstester. Radiologiska undersökningar, såsom MR och ultraljud, används för bedömningar av muskelkvalitet och senmorfologi. Med intervjustudier undersöker vi psykologiska och patientupplevda faktorer av betydelse för återhämtning efter skada och med molekylärbiologiska metoder undersöker vi biologiska mekanismer som utgör en viktig roll för läkningen. Andra vetenskapliga metoder innefattar kostnadsanalys, biomekanisk analys och systematiska litteraturgenomgångar. Vi har även tillgång till ett cellodlingslaboratorium där vi kan konstruera små artificiella senor för experimentell forskning. Nyligen avslutades en behandlingsstudie för individualiserad behandling av akut hälseneruptur. Utvärdering sker med ovan nämnda metoder och vi har nu påbörjat analys av resultatet. I ett annat doktorandprojekt, har vi undersökt kroniska hälsenerupturer med utvärdering av olika kirurgiska behandlingar men också vävnadsrelaterade aspekter.

Pionjärer inom broskcellsimplantation

I Göteborg gjordes den första broskcellsimplantation i världen 1987. Forskningen om brosk har sedan dess fortsatt och just nu förbereds en prospektiv studie med en vävnadsteknisk produkt som består av patientens egna broskceller i en matrix av hyaluronsura. Vi avser utvärdera effekten av cellterapibehandlingen på patienter med stora isolerade broskskador i knäleden. Förberedelsearbete pågår men eftersom de manipulerade cellerna betraktas som avancerat terapiläkemedel behöver studien också godkännas av Läkemedelsverket.

I Finland har man utvecklat ett nedbrytningsbart implantat för broskreparation. Här kommer vi att delta i en multicenterstudie

18 Ortopediskt
Bild 7. Instrument för endoskopisk kirurgi i ländryggen.

vid

för att utvärdera implantatets säkerhet. Vi har en rad samarbeten med andra institutioner inom SA där vi studerar biomarkörer som indikerar tillstånd i brosk, ledvätska och stamceller. I ett projekt tillsammans med Klinisk kemi har vi utvecklat en in vitro-metod för att analysera effekten av extracellulära vesiklar och inducerade pluripotenta stamceller (IPS) vid osteokondral skada. I en annan del av projektet utvärderas effekten av injektionsbehandling med extracellulära vesiklar eller IPS-celler för att förhindra utveckling av knäartros i en får-modell. Vi har även utvecklat en metod för att 3D-printa en menisk med IPS-celler.

Könsskillnad i tryck är relevant för kroniskt kompartmentsyndrom Kroniskt kompartmentsyndrom (KKS) ger ansträngningsutlöst smärta orsakat av förhöjt muskeltryck. Oftast är det underbenen som drabbas, där isolerat KKS av den främre muskellogen är vanligast. Tillståendet kan missas av kliniker, eftersom patienterna är symptomfria i vila. Inte sällan har patienterna haft sina problem i många år innan de remitteras till rätt instans. Vi bedömer cirka 150 fall med misstänkt KKS årligen. Patienterna som remitteras kommer från hela landet och är till stor del unga idrottare. Diagnosen ställs genom mätning av muskeltrycket och behandlingen är fasciotomi av den drabbade muskellogen, bild 8

En färsk avhandling visade att muskeltrycken skiljer sig mellan de fyra muskellogerna i underbenet och att kvinnor har lägre muskeltryck än män. Därtill påvisades att fasciotomi leder till en normalisering av muskeltrycket samt att de flesta patienter är nöjda och har mindre smärta efter operationen. Avhandlingen fick stor medial uppmärksamhet, bland annat med anledning av att den också visade att kompressionsstrumpor inte har någon positiv effekt hos löpare.

Först i världen med benförankrade amputationsproteser

SU var först i världen med skelettförankrade benproteser för lårbensamputerade i början av 90-talet. Allt sedan dess har vi

utvecklat metoder och implantat i samarbete avdelningen för biomaterialvetenskap. Nyligen publicerades långtidsuppföljning med tioårsresultat och patientrapporterade data visade stabil förbättring med mer protesanvändning och förbättrad fysisk livskvalitet jämfört med före behandlingen. Mer än var femte patient hade kvar implantatet och två tredjedelar hade inte haft någon djup infektion. Däremot var bara knappt var femte helt fria från mekaniska implantatkomplikationer. Det fanns ett samband mellan högre aktivitetsnivå med protes och fler mekaniska komplikationer. För att öka kunskapen om vardagsaktivitet hos personer med lårbensamputation startades ett nytt projekt 2019. Med en aktivitetsmätare på protesen och en på det ”friska” låret har all aktivitet registrerats i hemmiljö under en vecka, bild 9. Det visade sig att patienterna använde protesen vid 73% av alla steg, 85% av alla uppresningar till stående och 68% av gångtiden vilken uppgick till en timme per dag. En subgrupp gjorde också tredimensionell gånganalys och dessa resultat håller på att analyseras.

Angiosarkom och megaproteser fokus inom tumörortopedin Megaproteser har under senaste årtiondena blivit en populär metod för rekonstruktion när det fordras stora skelettresektioner. Behandlingen innebär att patienterna kan slippa en amputation och få relativt bra funktion men komplikationer avsevärt vanligare och svårare än vid konventionell ledproteskirurgi. Vi undersöker långtidsresultat och komplikationsfrekvens med speciellt fokus på infektioner och kommer genomföra en kvalitativ studie av upplevelsen att drabbas av en infektion hos dem som opererats med megaprotes på grund av tumör.

Angiosarkom kan uppstå sekundärt till strålbehandling efter bröstcancer. Tyvärr är recidivrisken stor och tidigare studier har visat låg överlevnad. Syftet med studien är att beskriva epidemiologi och undersöka resultat för patienter behandlade för angiosarkom vid SU under den senaste 20-årsperioden. Som fortsättning på projektet planeras en nationell studie med patienter som drabbats av dessa angiosarkom.

Professorer

Helena Brisby

Ola Rolfson

Kristian Samuelsson

Adad Baranto

Mats Brittberg

Michael Möller

Jüri Kartus

Ninni Sernert

Tommy Hansson

Jón Karlsson

Johan Kärrholm

Henrik Malchau

Björn Rydevik

Volker Musahl

Docenter

Aina Danielsson

Carl Ekholm

Pernilla Eliasson

Kerstin Hagberg

Ferid Krupic

Maziar Mohaddes

Anna Nilsdotter

David Wennergren

Katarina Nilsson Helander

Jaques Riad

Yohan Robinsson

Mikael Sansone

Roy Tranberg

Olof Westin

Qiuxia Zhang

Ortopediskt Magasin 1/2023 19
Bild 8. Intramuskulär tryckmätning av den främre muskellogen misstänkt kroniskt kompartmentsyndrom. Foto: Roy Tranberg. Aktiva docenter och professorer i ortopedi vid Sahlgrenska akademin: Bild 9. Aktivitetsmätning av patient med benförankrad amputationsprotes.

NanoScope™

NanoScope™ -handtag

■ Steril kamera för engångsbruk

■ 1,9 mm optik

■ Integrerad LED-ljuskälla

■ Låg vikt, välbalanserat

■ Minimalinvasiv direkt visualisering under den preoperativa, intraoperativa och postoperativa vårdfasen

arthrex.se

Arthrex Sverige AB, 2021. Alla rättigheter förbehållna.

NanoScope™ -basenhet

■ Portabel basenhet – inklusive dokumentations- och datahantering

■ 13-tums pekskärm

■ Kan drivas av laddningsbart batteri

■ Medicintekniskt klassificerad produkt

■ Ethernet-, USB- och HDMI-portar –fungerar i trådlösa nätverk

AD16-000077_sv-SE_B
Nästa generations artroskopisystem

UMEÅ UNIVERSITET

Umeå universitet startades för att förse 59,6% av Sveriges yta med vårdpersonal. Sedan 2011 är läkarutbildningens termin 6-11 regionaliserad till Sunderbyn, Östersund, Umeå och Sundsvall. Det har bidragit till en fördubbling av andelen av de 200 läkare som årligen examinerats som int’ flytt´ till Söderbotten. För närvarande har Norrland 896 000 innevånare, huvudsakligen koncentrerade till kusttrakterna. Det ställer stora krav på kommunikationer och logistik, det är ju inte alla dagar som vädret tillåter helikoptertransport, figur 1 och 2.

Universitetssjukvården och forskningen, inriktas på morgondagens patienter och här arbetar hela norra sjukvårdsregionen gemensamt med samordning av utbildning, forskning och kunskapsstyrning, och även den vitala uppgiften att skapa infrastruktur, sammanhållning och samarbete.

SUNDERBYN

I samarbete med Orthopaedic Research Laboratories i Sydney studeras hur olika material, ytors topografi och ytbeläggningar påverkar integrationen i olika typer av ben, figur 3, samt hur tillägg av olika benstimulerande ämnen påverkar fusionen mellan kotor i försöksdjur. Ett annat projekt studerar hur fördeformering av plattor för osteosyntes påverkar utmattningshållfastheten.

patienter med tibiakondylfraktur. Syftet med studien är dels att studera epidemiologin av dessa frakturer i Norrbotten, dels att analysera faktorer som potentiellt påverkar artrosutvecklingen.

Studier inriktade på skadeepidemiologi ledde till en disputation för drygt 1 år sedan. Forskningen har därefter fokuserats på prevention av de äldres frakturer, framför allt höftfrakturer. Nu planeras en större studie i samarbete med Svenska Perioperativa Registret (SPOR). Avsikten är att undersöka om Zoledronsyra givet peroperativt vid höftfraktur leder till minskat antal refrakturer i framtiden genom att jämföra sjukhus som implementerar denna rutin med dem som inte gör det.

I samarbete med Universitetet i Łodz pågår arbete med att till polska översätta samt kulturellt anpassa den i Linköping utvecklade aktivitetsskalan för övre extremiteten (Adolfsson-Björnsson Skala, ABS). Tanken är att använda skalan i en studie av hur behandlingen av radiusfraktur kan optimeras.

SUNDSVALL

I samarbete med Tekniska Universitetet i Gdaṅsk studeras belastningskrafterna och kraftdistributionen i fotleden som underlag för design av mer optimala osteosynteser för fotledsfrakturer.

En pilotstudie jämförande öppen kirurgi vs MIPO (Minimal-Invasiv Platt-Osteosyntes) vid femurdiafysfrakturer visade tendens till bättre resultat för MIPO. En större studie i samarbete med Frakturregistret har startats. En annan studie undersöker behandlingsresultaten hos

Radiusfraktur är den vanligaste frakturen hos vuxna och incidensen ökar. Trots dess höga prevalens finns det olika uppfattning om optimal behandling och frakturerna behandlas olika både beroende på frakturutseende och beroende på vilket land eller vilken region man behandlas i. En serie studier med ursprung från Sundsvalls ortopedklinik i samarbete med Östersund utvärderar hur slutgiltigt radiologiskt utfall påverkar patienterna objektivt och subjektivt samt undersöker riskfaktorer för kvarstående instabilitet efter reposition med fokus på risken sent frakturhaveri. I nuläget pågår även en långtidsuppföljning för att utvärdera resultaten över 10 år efter skadan.

Operation för spinal stenos och diskbråck står för 75% av de kirurgiska ingrepp som varje år registreras i det

Figur 1. Norrlandssjukvården dikteras av geografi och demografi. Kommunerna är blåfärgade efter befolkningstäthet. Röda punkter med vitt kors markerar tertiära traumacentra, röda och svarta punkter sjukhus (I storstäderna är inte alla markerade). De röda cirklarna visar 1 timmes helikopteravstånd och de gula cirklarna visar en timmes bilavstånd till närmaste universitetssjukhus viket ställer höga lokala kompetenskrav. (Candefjord S. & al. DOI:10.1007/s00068-020-01446-6).

Figur 2. Norrland ligger också sämre i många hälsoindikatorer. Kartan visar förekomsten av höftfraktur hos personer äldre än 80. Norrland är värst drabbat. Ju mörkare desto värre. Socialstyrelsens skadedatabas.

svenska ryggregistret Swespine. I ett doktorandprojekt kommer retrospektiva registerstudier beskriva risken för kardiovaskulära komplikationer efter operation för spinal stenos och diskbråck.

UMEÅ

Traumatologi

En stor del av den kliniska forskningen inom dessa områden bedrivs i samarbete med forskare i Uppsala, Göteborg, Malmö och Stockholm, men även inom Norra sjukvårdsregionen i Sundsvall, Östersund och Sunderbyn, men också internationellt.

Umeå deltar i styrgruppen för 4 nationella och/eller internationella register-randomiserade studier avseende behandlingen av lårbenshals- och kotfrakturer:

1. Hipsther ska försöka besvara frågan: vilken terapi som är bäst vid odislocerad medial collumfraktur hos patienter ≥ 75 år, osteosyntes eller protes. 1440 patienter vid 25 ortopedkliniker i Sverige ska inkluderas. Primär utfallsvariabel är reoperation och mortalitet inom 1 år.

22 Ortopediskt Magasin 1/2023 Ortopedisk forskning vid
Figur 3. Slipsnitt av porösa implantat i ben.

2. Daicy undersöker vad som bäst minskar incidensen postoperativa infektioner vid halvprotes på grund av dislocerad collumfraktur hos patienter ≥ 60 år, bencement med tillägg av 1 eller 2 antibiotika. Målet är att inkludera ca 7000 patienter från 15 klinker (varav 5 från norra sjukvårdsregionen) under 4 år. Primära utfallsmåttet är förekomsten av djup protesinfektion.

3. Duality är en register-randomiserad studie i samarbete med Storbritannien. Syftet är att utreda om dubbelartikulerande cupar minskar risken för luxation vid protesoperation för collumfraktur. 1600 patienter ≥ 65 år randomiseras via frakturregistret. Studien leds av Nils Hailer, Uppsala.

4. Sunburst är registerbaserad randomiserad kontrollerad studie som jämför kirurgisk med icke-kirurgisk behandling av patienter, 18-66 år, med en torakolumbal burstfraktur. Studien startade 2021 och totalt 202 patienter ska inkluderas där skillnader i sjukskrivning, behov av smärtstillande och komplikationer mellan behandlingarna analyseras. I studien deltar Sveriges universitetssjukhus samt ett sjukhus från Norge. Forskare från Umeå ingår i studiens styrgrupp.

På initiativ från Danmark genomförs en multinationell, multicenter prospektiv randomiserad studie av humerusdiafysfrakturer (Shaft). Umeå deltar i den svenska delen av projektet med rekrytering av patienter. Studien ämnar undersöka skillnader mellan icke-operativ respektive operativ behandling och ska inkludera ungefär 300 patienter med en uppföljningstid på minst 1 år.

Frakturregistret används i ett antal studier av epidemiologin kring höft, knä, fot och patologiska frakturer. Till exempel studeras behandlingsresultaten av de ovanliga frakturtyperna basocervikal collumfraktur samt stressorsakad collumfraktur. Utöver detta studeras om graden av felställning på sidobilden av collumfrakturer som klassificerats som odislocerade kan kopplas till utfallet efter osteosyntes. Dessutom pågår studier av förekomsten och behandlingsresultaten av protesnära och implantatnära frakturer hos patienter som behandlats för en höftfraktur.

RYGGKIRURGI

Den ryggkirurgiska sektionen i Umeå har sedan flertalet år tillbaka använt sig av CT-navigation och minimalinvasiv teknik vid ryggkirurgi. I en retrospektiv studie undersöktes resultaten av denna teknik vid operation av patienter med Mb Bechterew. I en prospektiv studie undersöks kliniskt och radiologiskt utfall efter minimalinvasiv navigerad dekompression hos patienter med degenerativ skolios. Genom denna studie kommer man förhoppningsvis kunna påvisa vilka patienter som är lämpliga för denna operation med minimala risker jämfört med konventionell öppen steloperation.

IMPLANTATKIRURGI

En stor del av forskningen inom implantatkirurgin i Umeå har bedrivits med användande av RSA (radiostereometri), figur 4. Det första RSA-labbet i Umeå sattes upp av Johan Kärrholm 1983 och sedan dess har 10 avhandlingsarbeten inom implantatforskningen där RSA ingått lagts fram. För närvarande finns 2 doktorander som bedriver studier på knä- respektive höftplastiker och där RSA ingår till stor del. Från början användes markörbaserad RSA, men sedan något år tillbaka sker implantatstudierna med CTMA, vilken tillåter studier av protesmigration och polyetylenslitage utan att tantalum markörer behöver sättas in. Forskningssamarbete avseende implantatkirurgi sker med forskargrupper i Göteborg, Adelaide, Leiden, Oslo och Uppsala.

Fokus i de studier som bedrivits har legat på att utvärdera effekten av de förändringar i design och materialegenskaper som skett genom åren i avsikt att förbättra protesfixation och polyetylenslitage.

Polyetylenslitage kan minskas genom att plasten crosslinkas (HXLPE). Det finns ett stort antal tekniker att crosslinka plast och det är inte givet att alla är lika bra eller saknar nackdelar. I 2 RCT-studier med minimum 5 årsuppföljning har vi visat cupar avsedda för cementerad fixation, med olika grad av bestrålning respektive efterbehandling, båda uppvisade signifikant lägre slitage jämfört med konventionell polyetylen utan att negativt påverka fixationen. Detta år avslutas en RCT-studie med 5 årsuppföljning där en ocementerad cup med ny typ av HXLPE jämförs med etablerat HXLPE-implantat.

Kraven på ökad livslängd hos höft- och knäimplantat har lett till successiva förändringar av implantatens design och ytstruktur (porositet och/eller beläggning) för bättre initial vidhäftning och beninväxt. Inom såväl höft- som knäprotesområdet har utvecklingen gått mot alltmer porösa och/eller trabekulära ytor för att åstadkomma detta. För närvarande pågår 2 RCT inom höftplastiker där effekten på protesstabilitet

av ocementerade cupar med 2 nya former av trabekulär yta jämförs med dagens protesstandard. En doktorand är involverad i dessa studier där RSA och CTMA ingår. För knäproteser har flera RSA-studier från Umeå visat att proteser gjorda av Trabecular Metall av tantalum uppvisar ett synnerligen benignt migrationsmönster jämfört med cementerade implantat, både vad gäller CR- och PSimplantat, tydande på möjlighet till bra kliniska långtidsresultat. I dessa studier har emellertid operationerna utförts av 2 operatörer och indikationer och kontraindikationer varit strikta. Efter de lovande resultaten började dessa implantat användas mer på rutinbasis av ett större antal operatörer med varierande erfarenhet och indikation, faktorer som kan påverka långtidsresultaten negativt. De kliniska resultaten efter i medeltal 8 (5-13) år av dessa operationer av patienter 60 år och yngre med stor del sekundär artros och tidigare knäoperationer håller för närvarande på att sammanställas av en doktorand. Preliminära resultat hos dessa ca 340 patienter visar endast 5 revisioner (1,5%) och ingen pga. aseptisk lossning. Det är fortfarande oklart om ett migrationsmönster mätt med RSA upp till 2 eller 5 år förändras med längre uppföljning. Detta är viktigt att känna till eftersom det påverkar det prediktiva värdet av RSA. I ett doktorandprojekt pågår för närvarande en RSA uppföljning av patienter ≤ 60 år ingående i en RCT studie jämförande cementerad och ocementerad fixation av knäprotes, vilka opererades mellan 1997 och 2003 vilket innebär att uppföljningen blir 20-25 år, figur 5 (se nästa sida).

Benförlust kring en höftprotes är en av de vanligaste orsakerna till protesrevision. Med hjälp av strukturella benallograft kan benet återuppbyggas även vid stora defekter. Det har hittills varit oklart om allograftet med tiden kan revaskulariseras eller inte. I en pågående retrospektiv kohortstudie av 20 patienter som genomgått höftrevision med benallograft på i genomsnitt 29 cm3 volym visar preliminära resultat av 18F-PETscan undersökning tecken på att 96% av graftens volym hade återfått blodcirku-

Ortopediskt Magasin 1/2023 23
Figur 4. RSA bild av ocementerad knäprotes 22 år postoperativt.

lation och 71% av volymen uppvisade tecken på aktiva benceller tydande på revaskularisering.

Djup infektion (PJI) i anslutning till ledproteser är en fruktad komplikation. Diagnostiken försvåras genom att bakterierna har god förmåga att vidhäfta och bilda "biofilm" på implantatets yta. Bakterier i biofilmen kan inte detekteras med odling av ledaspirat/ledbiopsi. Sonikering bygger på att ultraljud lösgör bakterier från biofilmen på det uttagna implantatet. De därvid lossgjorda bakterierna kan därefter påvisas med konventionell odling. Sonikering har i internationella studier visats ge viss ökad diagnossäkerhet jämfört med enbart vävnadsodling, dock har effektiviteten varierat i stor utsträckning mellan studier. I Umeå har en modifierad teknik vid sonikering använts. Sedan 2007 har sonikering rutinmässigt tillämpats i tillägg till konventionell diagnostik på alla de ortopediska ledimplantat som borttagits i samband med reoperation av höftoch knäprotes, oavsett om orsaken till protesrevisionen varit känd infektion eller bedömd som aseptisk lossning. För närvarande pågår ett doktorandprojekt med syfte att utvärdera metodens precision och mervärde jämfört med konventionell diagnostik vid PJI.

SKELETTMETASTASER

Skelettmetastaser är kanske den manifestation av cancer som orsakar mest lidande. Det mesta av den nuvarande kunskapen om tumörbiologi vid tumörer som metastaserar till skelettet är baserad på studier på primära tumörer eller mjukdelsmetastaser. Mekanismerna som reglerar tillväxten av benmetastaser är okända.

För 20 år sedan grundades vid ortopedkliniken i Umeå en vävnadsbank med benmetastasprover. Under 20 år har vi samlat in benmetastasprover (frysta i flytande kväve) från nästan 400 patienter

som opererats för benmetastasrelaterade problem. De flesta patienter hade prostatacancer (cirka 200) men även andra tumörer ingår, exempelvis bröst-, lung- och njurcancer, myelom och lymfom. Kliniska data från dessa patienter är systematiserade i en specifik databas.

Metastasoteket är världsunikt – ett multidisciplinärt translationellt samarbete mellan ortopedi, patologi och onkologi, som hittills gett 5 disputationer. Våra resultat tyder på att prostatacancerpatienter med metastatisk ryggmärgskompression är en mycket heterogen grupp där kirurgi är förknippad med hög morbiditet och mortalitet. Vi visade att högt uttryck av nukleär androgenreceptor (AR) i benmetastaser är associerat med dålig överlevnad. Undergrupper av kastrationsresistenta benmetastaser av prostatacancer kunde identifieras i enlighet med närvaron av AR-amplifiering vilket kan ha klinisk relevans för behandling av patienter. Vi identifierade ett nytt radiologiskt mönster relaterat till dålig prognos vid metastatisk ryggmärgskompression och prostatacancer.

Sammantaget tyder våra studier på att den kunskap som krävs för att utveckla nya behandlingar för benmetastaser troligen inte kan erhållas genom att endast studera deras primära tumörer och att studier på metastaser är mycket nödvändiga.

Nyligen har vi initierat en retrospektiv multiregister studie som belyser resultat av kirurgisk behandling hos prostatacancerpatienter med metastatisk ryggmärgskompression, följt av analys av metastasvävnad i subkohorter av patienter. Studien omfattar patienter som är registrerade i Swespine. Data från Swespine jämförs med data från nationella canceroch prostatacancerregistret. Vi kommer också att analysera den paraffininbäddade benmetastasvävnaden från dessa patienter från landets sjukhus för att undersöka prognostiska faktorer för

överlevnad och funktion. Undersökning av metastasvävnad kommer att utöka vår kunskap om metastasernas biologi och underlätta utvecklingen av de nya metastasspecifika behandlingarna som ofta behövs efter spinal metastaskirurgi. Projektet bedrivs som doktorsavhandling.

OMVÅRDNAD

Professor Birgitta Olofsson har affiliering vid Enheten för ortopedi

Patienten med höftfraktur har mycket ont. I ett nyligen av slutat avhandlingsarbete jämfördes den analgetiska effekten av femoralisblockad vs enbart systematiskt analgetikum (opioid). Femoralisblockad minskade skattad smärta och det totala behovet av pre- och perioperativa opioider. En stor andel patienterna med demenssjukdom utvecklade akut förvirringstillstånd (delirium) oavsett smärtlindringsmetod. Många patienter kände sig beroende av personalens vilja att behandla smärtan och att få en blockad upplevdes som livräddande, men ibland kunde även smärtbehandlingen upplevas som en nära-döden upplevelse. Personalen beskrev att blockaden satte agendan för omvårdnaden innan operation beroende på om blockaden lyckades eller inte.

Ett pågående avhandlingsprojekt undersöker en delmängd av patienterna i Hipsther-studien vad gäller deras smärta, funktion och upplevelse av rehabiliteringsprocessen beroende på operationsmetod (osteosyntes eller protes). Man avser även undersöka sambandet mellan höftfraktur och depressiva symtom samt riskfaktorer för ökad 3-årsmortalitet bland mycket gamla människor, med särskilt fokus på delirium, demenssjukdomar och depressiva symtom.

I ett annat avhandlingsprojekt studeras operationssjuksköterskans roll vad gäller patientsäkerheten vid artroplastikoperationer. I en Delphi-studie undersöks vilka perioperativa patientsäkerhetsindikatorer operationssjuksköterskor anser viktiga för att senare kunna följa upp i den kliniska vården. Resultaten ska ligga till grund för att identifiera vilka möjligheter och hinder det finns för det ortopediska operationsteamet att följa infektionsförebyggande rekommendationer.

FYSIOTERAPI

Professor Charlotte Häger har affiliering vid Enheten för ortopedi

Främre korsbandsskada är en vanlig skada som drabbar framför allt unga idrottande personer och leder till instabilitet, smärta, svaghet och på sikt artros i de flesta fall. Behandling är antingen fysioterapi enbart eller i kombination med ortopedisk rekonstruktion. Det finns dock inget entydigt sätt att mäta knäfunktion och rörelsekontroll och inte heller evidens för bästa behandling för individen på kort eller lång sikt.

24 Ortopediskt Magasin 1/2023
Figur 5. RSA-migration cementerad vs ocementerad knäprotes >20 år.

Vid Enheten för fysioterapi pågår sedan år 2009 en stark forskningslinje tillsammans med Enheten för ortopedi med fokus på utvärdering av rörelsekontroll och biomekanik. Centralt är det högteknologiska rörelseanalyslaboratorium U-Motion Lab som startades år 2000. Forskargruppen är tvärvetenskaplig och spänner över fysioterapi, ortopedi, idrottsmedicin, bioingenjörsvetenskap, statistik m.m. Totalt har 4 doktorander disputerat och ytterligare 2 är pågående, samt 9 post-docs involverade varav 4 pågående.

Här utvecklas nya tester och analyser för komplicerad rörelsekontroll, proprioception, hjärnans påverkan och rörelserädsla. För närvarande utvärderas: 1) knäfunktion longitudinellt hos korsbandsskadade under rehabilitering upp till ett år och i jämförelse med knäfriska; 2) skadans inverkan på proprioception och hjärnans processer; 3) rörelserädsla fysiologiskt och hur den påverkar rörelsekontroll och hjärnaktivitet hos knäskadade; 4) vilket uppmärksamhetsfokus (internt på egna kroppen, eller externt) som har bäst effekt på knäkontroll och hur detta relaterar till hjärnans aktivitet.

Med fMRI har förmågan att detektera knäposition under samtidig registrering av hjärnaktiviteten identifierat vilka hjärnregioner som primärt används. Höger sida av hjärnan som anses mer specialiserad på spatiala relationer är också mer aktiverad hos icke-skadade kontrollpersoner med högerdominant ben.

Hittills använda hopp- och styrketester hos skadade idrottare efter operation och avslutad rehabilitering (10-20 månader post-op) visar dålig precision. Nya reliabla och valida mätmetoder har därför utvecklats vid laboratoriet. Resultaten visar bl.a. att ett enbens-sidohopp utmanar den dynamiska knästabiliteten mer än de mer traditionella testerna med distanshopp framåt eller uppåt. Ett nytt dubbelhopp-test har också utvecklats som utmanar till kontroll under snabba oförutsägbara riktningsförändringar, figur 6

Rörelserädsla påverkar troligen rörelsekontrollen men kan idag inte mätas objektivt. En unik metodik att parallellt med avancerad rörelseanalys inklusive muskelaktivitet även registrera hjärnans aktivering med olika metoder som elektroencefalografi samt funktionell magnetavbildning har därför utvecklats. Rörelserädsla undersöks vid provokativa balanstester med förutom hjärnaktivering även med registrering av andra tänkbara biofysiologiska signaler på rädsla såsom hjärtfrekvensvariabilitet, muskelaktivering i ansikte och ben m.m.

Forskningen genererar metoder för utvärdering av rörelsekontroll samt kunskap om hur den påverkas av kognition och hjärnans plasticitet, och bör bidra till mer riktad rehabilitering för återgång till idrott/fysisk aktivitet med minskad skaderisk. Slutmålet är klinisk individanpassad behandling efter skada, i enlighet med precisionsmedicin.

Sunderbyn: Per Morberg

Przemyslaw Paradowski

Fredrik Röding

Hans Juto

Sundsvall:

Arkan Sayed-Noor

Björn Knutsson

Mats Wadsten

Östersund: Christian Buttazzoni

Umeå: Sead Crnalic

Kjell Nilsson

Olle Svensson

Birgitta Olofsson

Charlotte Häger

Sebastian Mukka

Volker Otten

Lucas Bobinski

Josefin Åkerstedt

Johan Wänman

Erik Hedström

Ulrica Bergström

Göran Toolanen

Richard Löfvenberg

David Edmundsson

Christer Hildingsson

Lars-Gunnar Elmqvist

Ortopediskt Magasin 1/2023 25
Fig 6. Ett nytt dubbelhopptest på ett ben med en oförutsägbar riktningsförändring för det andra hoppet. Personen hoppar framåt från en kraftplatta och i luften under första hoppet ges information om i vilken riktning nästa hopp ska ske. Hopptesten provocerar knästabiliteten och knämuskelkoordinationen på liknande sätt som under idrottsutövande, och är reliabelt.

Ortopedisk forskning vid

SKÅNES UNIVERSITETSSJUKHUS MALMÖ

Den första Malmöortopeden som disputerade var Göran Bauer år 1954. Han blev sedermera professor i Lund. Den första Malmö-professorn i ortopedi var Anders Hult. Han utnämndes 1969 och hade själv disputerat i Uppsala.

Sedan i början av 2000-talet är ortopedklinikerna i Malmö och Lund sammanslagna till verksamhetsområde Ortopedi vid Skånes universitetssjukhus (SUS). Traumaortopedi finns på båda orterna medan sektionerna Ledplastik, Reuma, Tumör och Barn bara finns i Lund medan Idrott, Axel, Fot och Rygg bara i Malmö. Viss elektiv verksamhet är utlokaliserad till lasaretten i Trelleborg, Ystad och Ängelholm. Verksamheten är välfungerande, om än med knappa resurser i förhållande till uppdraget.

Verksamheten i Malmö och Lund är ur ett akademiskt perspektiv uppdelad på två institutioner som båda tillhör Lunds universitet; Institutionerna för kliniska vetenskaper i Malmö (IKVM) respektive Lund (IKVL). Det innebär att ortopedin i Skåne akademiskt företräds av två olika prefekter och två olika organisationer. Forskningen i Malmö är liksom i Lund finansierad via anslag sökta i konkurrens. Handledaren ansvarar för doktorandens finansiering. Numera finns även möjligheter till vissa bidrag från både universitet och regionen i slutet av doktorandtiden. Särskilda öronmärkta ALF-anslag är tillgängliga för yngre som vill satsa på forskningskarriär både under och efter disputation. Region Skåne och Lunds universitet har dessutom nyligen sjösatt karriärprogrammet ”Från student till docent” för att främja klinisk forskning. Ortopeden i Malmö har en lång tradition med engagemang i såväl medicinska fakulteten, som läkarutbildningen lokalt i Malmö, vid Lunds universitet, och nationellt. Professor Bo Nilsson var den

som började med PBL (problembaserat lärande) vid Lunds universitet redan i början på 1980-talet. Nilsson verkade också som ordförande i grundutbildningsnämnden. I dag är det främst professor Björn Rosengren som driver denna tradition vidare inom ledningsgruppen för läkarutbildning vid Lunds universitet och nationella utbildningsuppdrag. Professor Kristina Åkesson, tidigare prefekt vid IKVM, är nu dekan för medicinska fakulteten.

OSTEOPOROSFORSKNING

Professor Bo Nilsson var först i världen att i ett vetenskapligt abstrakt 1964 beskriva en utvecklad teknik för att mäta benmassan hos patienter med misstänkt skelettskörhet. Nilssons pionjärarbete inom området fick senare stor klinisk betydelse genom att effektiv utredning och behandlingar av skelettskörhet. Per Gärdsell, Ingemar Sernbo, Karl Obrant, och Olof Johnell var andra kollegor som påtagligt bidrog till det tidiga forskningsfältet inom frakturprediktion. Samtliga nuvarande Malmöprofessorer i ortopedi har fortsatt inom osteoporosfältet, något som gör att huvudfokus av forskningen i Malmö fortfarande innefattar osteoporos.

En del av denna forskning innefattar flera större longitudinellt följda observationsstudier där grupperna nu är följda upp till 30 år. Dessa studier identifierar och

värderar riskfaktorer för benskörhet och fraktur. Fyra stora kohorter (>1000 studiedeltagare) är specifikt och unikt designade för att förstå risker och mekanismer för skeletthälsa hos kvinnor respektive män: OPRA-studien följer 75-åriga kvinnor, PEAK-25-studien följer 25-åriga kvinnor, MrOS-studien följer 69-81 åriga män, och Mr Peak-studien följer 18-28 åriga män. I Bunkeflostudien (på engelska POP-study; Paediatric Osteoporosis Prevention Study) kluster-randomiserades >4000 elever i en skola till intervention med daglig fysisk aktivitet i skolan under hela grundskoleperioden, medan elever i tre andra skolor verkade som kontroller. Några av eleverna har även följts med årliga mätningar av benmassa och muskelstyrka genom grundskolan och till 25 års ålder.

I alla kohorter görs uppföljande undersökningar kontinuerligt med mål att värdera livets olika benmetabola perioder, från peak bone mass till de äldsta åldrarna när fragilitetsfrakturerna ökar exponentiellt. De yngre grupperna är inkluderade för att öka kunskapen om det som sker tidigt i livet har implikationer på sikt för skelettet och frakturförekomsten.

Exempel på några forskningsfrågor vi arbetar med är att definiera potentiellt modifierbara riskfaktorer för skelettets hållfasthet och fraktur från den unga

26 Ortopediskt Magasin 1/2023
VO ortopedi ligger för närvarande i det stora gula huset längst till vänster. Från och med våren 2024 flyttar verksamheten in i de nya stora byggnaderna i mitten på bilden. Längst ner till höger i det runda huset ligger akutmottagningen. Foto Perry Nordeng.

till den gamla människan; att genom markörer identifiera vilka biologiska faktorer som är av betydelse för att uppnå maximal benmassa respektive minst förlust av benmassa och lägst risk för fraktur vid olika åldrar; eller att testa om enkla indikatorer för sarkopeni och frailty (allmän skörhet) kan bidra till bästa val av individualiserad intervention mot fall och fraktur.

Genom att kombinera olika biomarkörer (metabola, proteomik, genetik, epigenetik) med frakturbenägenhet och skelettparametrar har vår forskning kunnat ligga i frontlinjen. I takt med att vi lärt oss mer om interaktionen mellan olika organsystem, där skelettet de facto bidrar till metabol reglering, integrerar vi nu kunskapen mellan molekylär biologi, skelettutveckling under barn- och ungdomsåren, biologiskt åldrande, och skörhet

LUND

Forskning vid ortopedkliniken i Lund/SUS. Historiska anor och en spännande framtid.

Forskningsverksamheten på SUS lundaenhet har traditionsenligt varit mångfacetterad med flera oberoende gruppledare inom olika områden. Man har i viss mån samarbetat inbördes, men siktet har huvudsakligen varit riktat utåt, nationellt och kanske ännu mer internationellt. Forskningstraditionerna sträcker sig inte sällan historiskt långt tillbaka men förs idag raskt och begåvat vidare av nästa generation. Arbetssätten förändras och idag gäller det i hög grad att nätverka för att forma nya dynamiska samarbeten.

(frailty) för att motverka benskörhet, fall och frakturer samt att öka precision av tidig diagnostik och effektiv behandling.

EPIDEMIOLOGI/REGISTERFORSKNING

Tidigare Malmöortopeden Per-Axel Alffram lyftes för några år sedan fram av ASBMR (American Society of Bone and Mineral Research) som en av de 10 viktigaste kliniska forskarna inom fältet. Hans arbete under 1960-talet med epidemiologisk kartläggning av frakturer i den vuxna Malmöbefolkningen var banbrytande.

Flera andra har följt denna tradition, här kan särskilt nämnas Lennart Landin som på 1980-talet kartlade barnfrakturer på samma sätt. Inte minst de svenska personnumren samt att Malmö sjukhus har sparat alla röntgenbilder sedan sjukhuset öppnade har möjliggjort unik forskning.

Våra svenska registerdata, såväl kvalitetsregister som register via Socialstyrelsen och Statistiska centralbyrån, med möjligheter att samköra registren, har gjort att vi fortfarande kan ligga i frontlinjen inom epidemiologisk forskning. För närvarande pågår denna typ av forskning kring höftfrakturer, handledsfrakturer, ryggsjukdomar, axelfrakturer och barnfrakturer, samt kring artros i fotleden.

KLINISK BEHANDLINGSFORSKNING

Viktig och banbrytande klinisk behandlingsforskning i Malmö har bedrivits av bland annat Sophus Von Rosen. Hans skena för behandling av medfödd höftledsluxation är spridd över världen. Per Edwards kartläggning av mjukdelarnas betydelse vid underbensfrakturer, och Stig Willners arbete kring korsettbehandling vid skolios är andra exempel på tidiga kliniska studier som påverkat behandlingen över hela vårt klot.

För närvarande pågår flera randomiserade kontrollerade (RCT) studier på Malmökliniken. Den senaste är en behandlingsstudie som jämför tension band wire-fixation (TBW) mot cerklage-fixation utan stift hos dislocerade men ulno-humeralt stabila olecranonfrakturer. En annan RCT jämför olika träningsformer efter höftfraktur, en studie som genomförs tillsammans med den kommunala rehabiliteringen. Såklart deltar kliniken även via Svenska Frakturregistret också i Hipsther, Duality och Sunburst – alla registerbaserade RCT studier. Förutom nämnda RCT pågår även explorativa kliniska kohortstudier till exempel av personer med fallskador.

Björn Rosengren

Magnus Karlsson

Kristina Åkesson

Cecilia Rogmark

Daniel Wenger

ARTROS

Den största forskargruppen idag finns inom artrosområdet, där man formerat en intressegruppering, LOAD (Lund OsteoArthritis Division), kring den forskning från ”bench to bedside”. LOAD är idag ett tvärvetenskapligt nätverk med ett brett internationellt samarbete, koordinerat av Martin Englund. Inom LOAD finns expertis inom klinisk ortopedi, epidemiologi, extracellulär matrixbiologi och proteomik, fysioterapi, biomekanik, medicinsk fysik och hälsoekonomi. LOAD har tillgång till icke-invasiva och känsliga analysmetoder av till exempel brosk och ledvätska, samt olika patientkohorter vilket ger unika möjligheter att besvara såväl molekylära som kliniska frågor relaterade till artros.

ARTROPLASTIK

Artroplastikforskningen har traditionellt baserats på RSA, radiostereometri, en teknik som utvecklades i Lund på 1960-talet av anatomen Göran Selvik och implementerades kliniskt i forskningen av Leif Ryd. Idag verkar RSA-labbet som en del av forskningen kring protesförankring och har flera internationella samarbetspartners. Gruppen leds av Gunnar Flivik och förutom utvärdering av olika proteskoncept studerar man bredare hur man optimerar de biomekaniska förhållandena vid proteskirurgi, bland annat genom att använda moderna tekniker som tredimensionell CT för preoperativ mallning samt kirurgisk datornavigation.

Ortopediskt Magasin 1/2023 27
Väggen med porträtt av disputerade vid ortopeden i Malmö, för närvarande 122. Foto Björn Rosengren.

Utrustning för bestämning och kvantifiering av peptider och proteiner i olika vävnadsprover – masspektrometer (till vä) med tillhörande liquid chromatography-system (till hö) (P Önnerfjord/M Englund).

Ett annat lundensiskt forskningsintresse, ursprungligen drivet av Lars Lidgren, har varit bakteriologin vid protesrelaterade infektioner. Idag leds infektionsgruppen kliniskt och forskningsmässigt av Anna Stefansdottir som samlat en grupp med kliniker, bakteriologer och infektionsläkare kring den infekterade protespatienten.

TRAUMA

Traumaforskningen i Lund har kliniskt fokuserat på den distala radiusfrakturen, mycket beroende på att det i Lund tidigare fanns en handkirurgisk sektion. Gruppen leddes av Carl Göran Hagert, då en auktoritet avseende den för radiusfrakturen så centrala distala radioulnarleden. Philippe Kopylov introducerade de nya plattorna som kom i början av 00-talet, vilka utvärderades i prospektiva randomiserade studier. Idag leds gruppen vetenskapligt av Magnus Tägil tillsammans med Anna Kajsa Harding. Forskningen utgår till stor del från det lokala PROM-register som startades 2002 och omfattar alla vuxna med radiusfraktur.

Traumaforskningen har även kompletterats med ren experimentell forskning, en gång startat av KG Thorngren. Labbet utvecklades vidare av Per Aspenberg som bland annat studerade benmorfogent protein (BMP) och bisfosfonater vid frakturläkning. Idag drivs labbet av Magnus Tägil och forskningen kring benpåverkande proteiner och läkemedel har breddats till att idag även involvera antibiotika och tumöraktiva läkemedel samt keramiska bärarsubstanser av dessa molekyler.

BARN

CPUP är ett nationellt kvalitetsregister och uppföljningsprogram för personer med cerebral pares (CP). Gunnar Hägglund var med att starta programmet 1994. Till CPUP rapporteras årligen en mängd information om patientens funktion, status och behandling. Registret innehåller

således longitudinell information från totalpopulationen barn med CP i Sverige och ett stort antal vuxna. Databasen har under senare år vuxit med cirka 500 personer per år. CPUP används även i Norge, Danmark, Island och Storbritannien vilket möjliggör internationella jämförelser och forskningssamarbeten. Projektet drivs idag även av Ann Alriksson Schmidt med syftet att tvärvetenskapligt och ur ett folkhälsoperspektiv lära mer om hur personer med livslånga funktionsnedsättningar och hur deras familjer mår.

På barnsektionen leder Carl Johan Tiderius en grupp som studerar olika höftsjukdomar med debut i barndomen. Gruppen studerar höftdysplasi, en omogenhet i höftleden som ses hos både nyfödda och vuxna. En annan diagnos är fysiolys, en glidning i höftkulans tillväxtzon som ofta leder till cam-deformitet efter avslutad tillväxt. Glidningen är oftast stabil, men i 5-10% av fallen instabil, vilket innebär risk för skadad blodcirkulation till höftkulan och tidiga besvär. I samarbete med Erasmus Medical Center i Rotterdam studerar gruppen långsiktiga konsekvenser av dysplasi och cam-deformitet på en större kohort medelålders individer.

TUMÖR

I Södra sjukvårdsregion är vården av patienter med sarkom centraliserad till SUS/ Lund. Två tredjedelar av sarkomen är höggradigt maligna och en tredjedel av patienterna avlider i tumörsjukdom. Anders Rydholm, av många känd som mångårig redaktör för Acta Orthopedica, var den som initierade denna centralisering. Idag leds gruppen av Fredrik Vult von Steyern och Emelie Styring. Forskningen inriktas på hur tumöregenskaper och behandlingsmetoder korrelerar till prognos, och utgår från en biobank samt en stor databas med kompletta data kring behandlingar och uppföljningar av patienter med sarkom. Forskningen bedrivs i samarbete med avdelningarna för onkologi, patologi och klinisk genetik.

Utvärdering av osteosarkom med mikro PET-CT på möss. Bilden till vänster visar en tumör endast behandlad med kirurgi. Bilden till höger visar tumör behandlade med kirurgi följt av lokal behandling med nanopartiklar av hydroxyapatit som laddats med cytostatika (Raina/Tägil).

Magnus Tägil

Martin Englund

Carl Johan Tiderius

Gunnar Hägglund

Gunnar Flivik

Fredrik Vult von Steyern

28 Ortopediskt Magasin 1/2023
Tredimensionell CT för preoperativ mallning av protesläge (Flivik).

KAROLINSKA INSTITUTET

DOKTORANDER

PER 2023 01 23

I Stockholm bedrivs många olika forskningsprojekt inom ortopedi samt rörelseorganens sjukdomar och skador. Här presenteras registrerade doktorandprojekt, disputationer de senaste åren samt pågående forskningsprojekt som bedrivs av seniora forskare.

DISPUTATIONER 2020-2023 (TOM 2023 02 17)

Junyu Chen 2022-12-09

Helena Boström

Windhamre 2022-04-29

Johan Teiler 2021-11-19

Ulrika Tampe 2021-10-15

Susanna Aufwerber 2020-12-18

Peyman Bakhshayesh 2020-11-13

Pierre Campenfeldt 2020-10-02

Tobias Lagerbäck

2020-05-29

Michael Wilczek

2020-05-15

Asle Hesla 2020-05-08

Josefina Skogö Nyvang

2020-02-21

Anastasios Charalampidis

2023 02 17

Johanna Rundgren 2020-11-24

Christoffer von Essen 2021-01-21

Erik Rönnblad 2021-01-22

Eric Hjortzberg Rydman 2020-03-13

Novel Biomarkers in regulation of human connective tissue repair

Studies on acromioclavicular joint dislocations - clinical outcomes and radiological classification

Leukocyte scintigraphy, SPECT/ CT and PET/CT in prosthetic joint infection

Open tibial fractures in Sweden

Effects of early functional mobilization after acute Achilles tendon rupture repair

Clinical and radiological aspects of traumatic pelvic ring injury

Fracture healing, functional outcome and health related quality of life in younger patients with a femoral neck fracture

Long term effects of lumbar disc herniation surgery in adolescents

Hands-on osteoporosis screening with digital x-ray radiogrammetry

Ewing sarcoma; treatment, prognosis and late effects

Different perspectives of living with osteoarthritis and outcomes after knee arthroplasty

Idiopathic scoliosis - aspects on surgical and non-surgical treatment

Distal radius fractures: epidemiology and aspects of surgical management

New aspects on timing and graft morbidity in Anterior Cruciate Ligament Reconstruction

Studies on meniscus Surgery With Focus on Preservation and Meniscus Function

Prognostic factors for Whiplash Associated Disorders

PROJEKT

Lukas Berglund Synovial metabolism after knee surgery and tissue pharmacomodulation

Christian Bitar Living with a recalled hip implant, and post revision surgery. A study of subjective and objective factors

Simon Blixt Treatment and outcome of vertebral fractures

Tian Cheng Delineating the genetics in severe scoliosis

Katarina Greve Höftfrakturer i en åldrande befolkning: Kliniska och epidemiologiska aspekter

Robin Hansson The evidence-based treatment for osteoporotic fractures

Siri Heijbel Patientrapporterat utfall efter knäartroplastik

Jonas Holtenius Polytrauma patients – Epidemiology and outcome

Maritha Kumlin Studies of cellular and synovial tissue on tendon and joint regeneration

Alejandro Marcano To operate or not to operate: The invisible hand in healthcare decision making.

Alexander Oxblom Ytersättningsproteser: Kirurgi med framtidspotential?

Christos Topalis Aspects on idiopathic scoliosis at youth and adulthood

Marcus Ahl Protesinfektion; radiologisk och mikrobiologisk diagnostik med inriktning på mikroorganismers biofilmsetablering

Simon Svedman Venous thromboembolism and failed healing during lower leg immobilization - Predictive factors and prophylactic intervention

Robin Juthberg A novel concept for the future of blood clot prevention

Johanna Flodin

Optimized neuromuscular electrical stimulation in physical inactivity. Effects on muscle activation, metabolic control and coagulation factors.

Annukka Saarensilta

Faktorer kopplade till läkning och patientutfall efter en kirurgisk reparation av akillesseneruptur

Praxitelis Praxitelous Micro- and macrocirculation in the lower extremities in relation to tendon degeneration and healing

Natalie Lundin Pelvic fractures – epidemiology and treatment

Mathias Mosfeldt

Peter Espinosa

Prediction of mortality in hip fracture patients

Evaluation of patients with multiple total joint arthroplasties in the lower limbs

Jessica Ehne Surgical treatment of metastatic bone disease

Ortopedisk forskning vid
30 Ortopediskt Magasin 1/2023

Subhash Srivastava Nya aspekter i bilddiagnostik och i DT-styrda biopsier hos sarkompatienter

Zlatan Alagic Radiation dose reduction techniques in CT and specific clinical implications

Andrea Lundin Exploration of prerequisites for patients with traumatic thoracic injuries

Elizabeth Mårtensson

Recovering from trauma: associations between patient’s experience of care, clinical outcomes and factors that support early identification of physical and psychological needs after discharge

Akhbarian Ehsan Methods and implementation of large-scale hip fracture studies

Delmir Yilmaz

Ledplastikoperation som behandling för komplexa proximala humerusfrakturer, analys från det svenska axelregistret

Kristofer Hallberg Shoulder Arthroplasty

Jakub Olczak

Using artificial intelligence and machine learning to predict patient related outcome one year after a fracture

Anders Persson Studies on surgical site infections after orthopaedic surgery focusing on air-born transmission

Elsa Pihl Proximal Hamstring Avulsions. Aspects on injury treatment and outcome

Sara Severin Distal Radius Fracture - longterm outcome, health economics and deep learning algorithms

Sara Hellberg Patient safety and nurse staffing in patient care

Hanna Südow Distal radius fracture – a risk throughout life

Osama Omar Studies on adverse events and longterm outcome of the ACL injury

Alexander Hallgren Anterior Cruciate Ligament - Aspects of personalized treatment

Sebastian McCallum Anterior Cruciate Ligament injury – how different treatments impact on socioeconomic costs and patient outcomes

Lina Sjödin Lower-extremity amputations: Aspects on outcomes, complications and patient perspectives (OBS doktorand vid SÖS, inte KS)

Annika Tillander Utbildning till specialistsjuksköterska – skäl till att vidareutbilda sig och val av specialitet

Mattias Juhlin Rebound pain in shoulder surgery – effects of surgical delay and local infiltration anesthesia (LIA)

Cecilia Holmberg Delayed surgery of ankle fracture – associated adverse events and socioeconomic effects

Dawood Abdulkarim Rebound pain in tibial plateau fracture surgery – effects of surgical delay and local infiltration anaesthesia (LIA)

Dawood Abdulkarim Rebound pain in tibial plateau fracture surgery – effects of surgical delay and local infiltration anaesthesia (LIA)

Katinka Siesage Ökad fysioterapi för patienter som vårdats på intensivvårdsavdelning

POST DOC-PROJECT OCH ÖVRIGA PÅGÅENDE STUDIER VID SÖS SOM EJ ÄR KNUTNA TILL AVHANDLINGSARBETE LIKSOM ÖVRIGA PROJEKT MED SENIOR FORSKARE SOM PI

Piotr Kasina; HIPSTER, multicenetr höft frakturstudie.

Eric Hjortzberg Rydman; ERAS, förbättrad återhämtning efter ryggoperation.

Ted Eneqvist; Risken för komplikation efter operation hos pat. som är opererade med både höftprotes och för spinal stenos.

Karl Eriksson:

- PI Sverige, Stability 2, NIH finansierad internationell multicenter RCT studie om främre korsbandsrekonstruktion med eller utan lateral extraartikulär tenodes.

- Autologt semitendinosustransplantat som meniskersättning, en prospektiv kohortstudie.

- Episealer vid fokala broskskador i knäleden, en prospektiv kohortstudie.

Hans Berg: Improving proximal humerus fracture treatment – is muscle performance the missing link?

Harald Brismar: Establishment of a novel real-time clean air monitoring system to prevent hospital-related implant infections.

Elias Diarbakerli: Conservative treatment in children and adolescents with idiopathic scoliosis: two multi-center, randomized controlled trials.

Li Felländer-Tsai:

- To operate or not to operate. Socioeconomics and the invisible hand in orthopedic decision making.

- Physiologic markers for impaired muscle function in knee osteoarthritis. Potential for prophylaxis and treatment.

Åsa Fröberg: The effect of foot wear technology on Achilles tendon biomechanics.

Margareta Hedström:

- From bench to bedside". Subgruppering av patienter med artros baserat på biomarkörer, objektiva funktionstest och patientrapporterad smärta för bättre diagnostik och riktad behandling, kohortstudier, interventionsstudier (RCT), kvalitativa studier. BIOFUNC och Empowermentstudien

- Nationella registerstudier av patienter med höftfraktur med subgruppsanalyser för kön, åldrar och socioekonomi.

Yan Li: The evidence-based treatment for distal radius fracture in the elderly based on an international multi-center randomized-controlled study.

Carl Mellner: Predicting growth rate in adolescent idiopathic scoliosis patients".

Tomas Movin: Tendon injuries and tendon pathology.

Axel Wihlborg: Bone density and geometry in women with distal radius fractures.

Paul Ackermann: STOP Leg Clots - an international multicenter study to investigate if the addition of mechanical thromboprophylaxis via intermittent pneumatic compression (IPC) during lower leg immobilization after Achilles tendon rupture or ankle fracture can reduce the risk of blood clot formation and stimulate healing.

Anders Enocson:

- Early versus late surgery in patients with pelvic and acetabular fractures.

- Follow-up of pelvic fracture patients using CTMA (computer tomography micro motion analysis).

- Prediction of care needs and mortality in trauma patients using machine learning.

- Thoracic injuries in trauma patients.

Paul Ackermann

Anders Enocson

Karl Eriksson

Li Felländer-Tsai

Olof Sköldenberg

Ortopediskt Magasin 1/2023 31

UPPSALA UNIVERSITET & AKADEMISKA SJUKHUSET

Enheten för ortopedi bedriver forskning på nästan alla av ortopedins specialområden. Beroende på frågeställning använder vi vitt skilda metoder, från experimentell forskning på vårt labb via kliniska studier till storskalig epidemiologisk forskning på bl a registerdata. Bristen på välgjorda randomiserade kliniska prövningar (RCT) inom ortopedin försöker vi råda bot på genom att driva flera storskaliga nationella och internationella behandlingsstudier. Vetenskapligt samarbete inom och utanför regionen samt med andra lärosäten är en nyckel för fortsatt framgångsrik forskning. Detta avspeglas i många nationella och internationella kooperationer, samt i ett flertal doktorander som är verksamma vid olika kliniker i landet, från Visby i ost till Karlstad i väst.

R-RCT: VAD ÄR NU DÉ?

Vi har tillsammans med medarbetare på många andra lärosäten och kliniker runtom i landet bestämt oss för att undersöka vanliga tillstånd som sysselsätter oss alla, på både stora och små enheter: Höftfrakturer och kotfrakturer.

Och där kommer konceptet register-baserad randomiserad klinisk prövning in, förkortat ”r-RCT”. Vi kombinerar helt enkelt fördelarna med att ha tillgång till stora antal patienter i ett register med den slumpmässiga tilldelningen av vald behandling. Med Svenska Frakturregistret som plattform kan vi nu lotta patienter till flera studier som förhoppningsvis kommer ge bra data av hög evidensgrad. Samtliga dessa studier har stöd av Vetenskapsrådet inom ramprogrammet ”klinisk behandlingsforskning”.

HIPSTHERSTUDIEN

Docent Olle Wolf, traumasektionen

Vi startade tillsammans med kollegor från Umeå och Göteborg i form av ”Hipsther” den första registerrandomiserade r-RCTn i Frakturregistret (SFR) genom att bygga en studieplattform tillsammans med Registercentrum i Göteborg. figur 1. Vi försöker besvara frågan om patienter ≥75 år gagnas av en direkt protesbehandling vid odislocerad collumfraktur, jämfört med gold standard som är osteosyntes med skruvar. Vi har under 3 års tid tillsammans med ca 30 aktiva sjukhus inkluderat drygt 800 patienter. Primärt utfall är reoperationer och mortalitet. Substudier pågår avseende funktionellt utfall och patientupplevelser. Vi planerar senare analysera bockningens samband med osteosynteshaveri i denna randomiserade kohort.

DUALITY-STUDIEN

Professor Nils Hailer

DUALITY-studiens syfte är att ta reda på om dubbelcupar minskar risken för luxation efter totalprotes satt på patienter med collumfraktur. Studien har nu inkluderat ca. 950 av 1.600 patienter, randomiserade till antingen dubbelcup eller standardcup, figur 2. Val av implantat, snittföring, mobilisering etc. är upp till deltagande klinik. Inga särskilda återbesök

eller undersökningar utöver vanlig rutin krävs. För att hjälpa oss komma i mål öppnade nyligen en andra studiearm i Storbritannien, kallad ”White 12-duality”.

SUNBURST-STUDIEN

Professor Paul Gerdhem

Study on Burst fractures (SunBurst) studerar behandling vid torakolumbala burstfrakturer. Studien engagerar alla sjukhus i Sverige som opererar kotfrakturer och 4 sjukhus i Norge. I nuläget är cirka en tredjedel av de planerade 202 deltagarna inkluderade. SunBurst kommer att bli en betydligt större studie än de tidigare gjorda på burstfrakturer och har god möjlighet att ge ett tydligare svar på frågan om vilken behandling som bäst gynnar patienterna.

ORTOLABB

Professor Nils Hailer, med dr Nikos Schizas OrthoLab är vår plattform för experimentell, translationell forskning. Vi har två huvudintressen:

1. Benersättning

Ibland behöver man fylla bendefekter som uppstått efter frakturer eller i samband med svår proteslossning. Vårt mål är att utveckla nya bensubstitut för klinisk användning. Två klassiska exempel är bendefekter efter öppna frakturer, t ex på underbenet, samt stora osteolyser som uppstått i samband med lossning av tidigare insatta ledproteser.

Exempel på resorberbara bensubstitut är kalciumfosfatkristaller som 3D-printas tillsammans med en resorberbar, lite fastare bärarsubstans. I nuläget jobbar vi mest med matriser av polylaktit eller kollagen. Dessa bensubstitut utvärderas avseende mekaniska egenskaper, förmågan att stimulera påväxt av osteoblaster och därmed bennybildning, samt slutligen egenskapen att i efterhand resorberas i takt med att nytt ben bildas.

Ett annat spår är ytbehandlingar av titanimplantat med syftet att minska risken för infektion, figur 3. Vi har i detta sammanhang modifierat titanytor med

nanometersmå silveröar eller tunna silverskikt som ska motverka bakteriell vidhäftning. Vi utvecklar och utvärderar även resorberbara hydrogeler som innehåller antibiotika och som kan penslas direkt på porösa titanytor. Båda strategier ska förhindra tillväxt av bakterier och bildande av biofilm på ocementerade implantat samtidigt som osseointegration främjas. Doktoranderna Michalis Kontakis och Dimitris Argyrakis är involverade i dessa projekt.

2. Neuroprotektion och stimulering av neuronal regeneration efter nervskada Projektets övergripande syfte är att utveckla stimuleringsstrategier för neuronal utväxt och innervation. Hypotesen är att målorganets signaler påverkar axonal utväxt och styrning. Signalmekanismerna undersöks genom att:

• Studera innervation i mänsklig cancervävnad där innervation går hand i hand med cancertillväxten. Vi studerar signalerna som attraherar neuronal inväxt i cancervävnad och mekanismerna som främjar innervation ska identifieras. Innervationsmönstret studeras och justerbara signalvägar för nervutväxt och innervation identifieras.

• Studera nervutväxt mellan nervvävnad och målorgan. Vi utvecklar in vitro-vävnadsmodeller för neuronal utväxt kombinerat med muskelvävnad. Förekomsten av ett antal faktorer som utsöndras av målorganet och främjar nervregeneration och axonal styrning studeras för att identifiera faktorer som kan bakas in i nervimplantat.

Utveckla biokompatibla hyaluronsyre-baserade biomaterial integrerande med faktorer som främjar nervregeneration och styrning och använda dessa som implantat för nervdefekter.

Allt detta med syftet att utvecklas nya behandlingar för att hantera nervskador. Doktoranden Andrej Bajic arbetar med dessa frågor.

Ortopedisk forskning vid
32 Ortopediskt Magasin 1/2023

Trabekulärt titan (TL) har försetts med stigande koncentrationer av nano-silver (TLSN, med 10, 15 eller 25 atom-% silver). Bencellers förmåga att kolonisera dessa titanytor har undersökts med immunhistokemi (vänster) respektive genom analys av genexpression (höger). Därefter har biofilmsbildning genom två olika bakterietyper analyserats (mitten). Lagom blev bäst: En silverkoncentration på 15% gav god inhibition av biofilmsbildning genom S. epidermidis utan att minska tillväxten av benceller.

IMPLANTATFORSKNING

Med 17 000 insatta primära höftproteser och 16 000 insatta knäproteser per år växer också antalet patienter som drabbas av allvarliga komplikationer. Mycket av vår protesrelaterade forskning handlar om att förebygga, upptäcka och behandla protesinfektion, luxation (på höftproteser) och lossning.

Hur hantera proteslossning — och är den ärftlig? med dr Anders Brüggemann, Professor Hans Mallmin På protessektionen forskar vi om genesen till lossning efter proteskirurgi genom genetiska studier där vi jämför genomet av patienter med lossning versus de utan tecken till lossning, figur 4 (se nästa sida).

Hittills är detta gjort på en mindre kohort, men replikering görs på ett större patientunderlag, bl a på SIMPLER-kohorten (se Karl Michaelssons forskning).

Utöver detta utvärderar vi dubbelcupar i en observationsstudie där vi mäter plastslitage på alla patienter med mer än 8 års uppföljning. Förbättrad diagnostik av proteslossning hoppas vi kunna uppnå genom användande av fluorid-PET, en metod som undersöks inom ramen för Caroline Skölds avhandlingsprojekt. Ytterligare studier syftar till att undersöka om cementerade eller ocementerade revisionsstammar ger bättre resultat, en frågeställning som i ett samarbete med Svenska ledprotesregistret undersöks i Yosef Tysons avhandlingsarbete. Hur

behandling med antiresorptiva substanser påverkar primärprotesers stabilitet undersöks av doktoranden Demis Kiritopoulos. I detta sammanhang utförs med hjälp av Cyrus Brodén studier på implantatmigration med CTMA, en CT-baserad metod som på sikt sannolikt kommer ersätta den konventionella radiostereometrin (RSA).

med dr Stergios Lazarinis

Protessektionen på Akademiska sjukhuset har utvecklat en särskild profilering inom området periprostetiska infektioner. Behandlingen av många patienter med protesinfektion utifrån standardiserade vårdplaner har förutom klinisk erfarenhet skapat en unikt stor databas som används för att utforska hur vi kan förbättra behandlingen av patienter som drabbats

Figur 3:
HipSTHeR – Aktuellt inklusionsläge DUALITY – Aktuellt inklusionsläge
Figur 2: Inklusionsläge respektive antal screenade patienter i Duality, 220214.
Ortopediskt Magasin 1/2023 33
Figur 1: Inklusionsläge respektive antal screenade patienter i Hipsther, 220131.

av denna högst besvärliga komplikation. Viktiga områden som vi undersökt, delvis inom ramen för Hannah Erikssons avhandlingsarbete, är värdet av preoperativ diagnostik med biopsi eller analys av alfa-defensin, effekten av behandling med specifika antibiotika med god effekt mot biofilm (exempelvis rifampicin eller linezolid), samt utfallet efter revisionskirurgi med cementerade kontra ocementerade implantat.

TRAUMA

Docent Olle Wolf

Frakturrelaterade infektioner

Doktorandprojekt för Pendar Khalili där vi gått igenom LÖFs ärenden avseende patientskador i form av infektion efter osteosyntes i handled, axel, höft och fotled. Slutsatsen är att få anmäler men de flesta får ersättning. Vidare arbeten rör infektioner efter höftfrakturosteosyntes, ett område där lite är publicerat jämfört med proteskirurgi efter höftfraktur. Målet är att genom samkörning med Patientregistret kartlägga incidens av frakturrelaterade infektioner för olika lokalisationer på nationell nivå.

Frakturer runt höften hos äldre patienter

Doktorandprojektet för Johan Ljungdahl, där även med dr Björn Hernefalk medarbetar, är att belysa behandling och utfall efter acetabularkirurgi hos den äldre patienten. Vilka komplikationer ser vi efter kirurgisk respektive icke-kirurgisk behandling? Kan vi göra nytta genom att direkt operera med höftprotes för att möjliggöra mobilisering istället för avlastning? Ytterligare delarbeten analyserar utfall på andra sidan höftleden hos den äldre patienten - Hur ser mortalitet och komplikationer ut för äldre patienter med odislocerad höftfraktur?

Epidemiologi och utfall efter tibiakondylfrakturer

Doktorandprojekt för Fredrik Olerud som kartlägger modern epidemiologi av tibiakondylfrakturer avseende incidens, kön- och åldersfördelning respektive behandlingstrender. Från Frakturregistret analyseras samband mellan frakturutseende och konvertering till knäprotes?

Laterala klavikelfrakturer

Doktorandprojekt för Caroline Kihlström som analyserar behandling vid lateral klavikelfraktur, patientrapporterat utfall och komplikationer. För detta används dels en lokal kohort och dels en kohort med dislocerade laterala klavikelfrakturer från Frakturregistret. Denna registerkohort har samkörts med Patientregistret för att analysera senare operationer men också fått besvara ytterliga patientenkäter.

Metakarpal- och intraartikulära distala radiusfrakturer hos äldre

Doktorandprojekt för Cecilia Stalberg Ostwald (Ortopedkliniken Falun) som under lokal bihandledning av med dr Daniel Muder undersöker om metakarpala spiralfrakturer kan behandlas icke-kirurgisk och huruvida förkortning påverkar utfallet. Vidare planeras observationsstudier avseende utfall vid komminuta intraartikulära distala radiusfrakturer hos patienter

Figur 4: ”Manhattan-plot” där varje punkt representerar ett p-värde för en specifik gen, efter test mellan fall (reviderade patienter) och kontroller (de patienterna utan revision). På x-axeln markeras motsvarande position i det mänskliga genomet. Den röda horisontella linjen markerar signifikans inom helgenomstudier, dvs p < 5*10-8. Enkelt uttryckt, alla prickar ovanför den röda linjen markerar gener som kan kopplas till ökad risk för proteslossning.

>70 år för att analysera om det är någon skillnad i utfall efter icke-kirurgisk eller kirurgisk behandling med spanning plate. Långtidsutfallet efter icke-kirurgisk gipsbehandling kommer också att undersökas i denna patientgrupp genom enkätutskick, greppstyrka och rörelseomfång.

I samband med detta beforskar med dr Albert Christersson data från Frakturregistret för att analysera patientrapporterade utfallet efter behandling av distal radiusfraktur. Frakturregistret låter patienter med registrerad fraktur rapportera sin funktion före skada och de som svarar får sedan även rapportera funktion 1 år efter skadan.

PROXIMALA HAMSTRINGSKADOR –NÄR, VAR, HUR?

Professor Kenneth Jonsson

I samarbete med flera kliniker både i Sverige och Norge arbetar vi i Uppsala på att förbättra kunskapsläget kring skador som involverar de proximala delarna av hamstringsmuskulaturen. Vid projektstart var det mesta okänt. Många var frågorna. Vem drabbas? Hur vanlig är skadan? Vilka är de prognostiska faktorerna och hur ska avulsionerna behandlas? Sakta men säkert försöker vi beta av dem. Pärlan i studiekorgen och i Sofia Laszlos avhandlingsarbete är PHACT. Studien som randomiserat mellan kirurgisk och icke-kirurgisk behandling och jämför det patientrapporterade resultatet 2 år efter skadan.

RYGGFORSKNING

Professor Paul Gerdhem, docent Bengt Sandén & med dr Anna MacDowall Inom ryggsektionen på Akademiska bedrivs klinisk och translationell forskning inom områdena cervikal och lumbal spinal stenos, kotfrakturer och skolios, med hjälp av stora randomiserade studier, observationsstudier och registerstudier. Cervikal spinal stenos är den vanligaste orsaken till spastisk pares hos vuxna. Behandling är kirurgisk dekompression av ryggmärgen men konsensus saknas avseende behovet av samtidig fusion-

skirurgi. Multicenterstudien ”Myelopathy randomized controlled trial” (MyRanc) har som mål att definiera den bästa operationsmetoden och 300 patienter kommer att lottas till muskelsparande laminektomi eller laminektomi med fusion.

I ”Uppsala spinal stenos studie” (Uppsten) jämförs kirurgisk behandling med dekompression mot strukturerad träning på motionscykel. Inklusionen är avslutad och resultaten är under utvärdering, vilket utgör grunden i Tomas Karlssons avhandlingsarbete. Analys av långtidsuppföljningen från den randomiserade svenska spinal stenosstudien (SSSS) pågår. Tvåårsresultaten publicerades i New England Journal of Medicine 2016 och visade ingen fördel med fusion jämfört med enbart dekompression.

Doktorandprojektet för Markus Björklund undersöker subaxiala halsryggsfrakturer och kartlägger epidemiologi avseende incidens, kön- och åldersfördelning samt behandlingstrender med komplikationer och resultat. Instabilitetsbegreppet prövas och en ny och mer användarvänlig frakturklassifikation valideras.

BARNORTOPEDI

Docent Yasmin Hailer

”Barn är inga små vuxna”, och därför har barn ortopediska åkommor som inte förkommer hos vuxna. Speciellt höften verkar vara barnets ”akilleshäl”. Vår forskning fokuserar därför på Perthes’ sjukdom, höftfyseolys och medfödd höftledsinstabilitet, figur 5. Vi är både intresserade av etiologi och demografi, samt undersöker hur dessa sjukdomar påverkar livet i vuxen ålder, exempelvis när de drabbade patienterna är i behov av en höftprotes. Med hjälp av läkemedelsregistret i kombination med patientregistret kunde vi visa att vuxna patienter med höftsjukdomar i barndomen har en högre risk för opiatförskrivning jämfört med matchade kontroller. För forskning på Perthes’ sjukdom använder vi bl a det rikstäckande registret SPOQ

34 Ortopediskt
1/2023
Magasin

(Swedish Pediatric Orthopedic Quality register). Där registrerar vi riskfaktorer för Perthes’ tillsammans med radiologiska och demografiska data, och där följer vi prospektivt sjukdomsförloppet. Men vi försöker också belysa Perthes’ sjukdom ur flera andra perspektiv, bl a genom en kvalitativ studie som ska ge mer insyn i hur sjukdomen påverkar barnens och föräldrarnas livskvalité och mående, och hur vi i vården kan ge hjälp och stöd till de drabbade barnen och deras familjer. Detta är en del i Miriam Wadströms avhandlingsprojekt.

Att barn inte är små vuxna återspeglar sig också i fraktursammanhang. Med hjälp av Svenska frakturregistret (SFR) får vi mer insyn i frakturmönster, orsaker till vanliga frakturer, och undersöker utfallet av operativt och icke-operativt behandlade barnfrakturer.

FOTKIRURGI

Docent Maria Cöster

På fot- och ankelsektionen bedrivs registerstudier baserade på ”Riksfot”, med fokus på deskriptiv demografi och resultat efter kirurgi. Vi handleder ett avhandlingsarbete om plattfot samt driver enskilda studier på behandlingsutfall efter kirurgi på hallux valgus och rigidus. Sedan några år är vi också ansvariga för en multicenterstudie på droppfot hos strokepatienter som behandlas kirurgiskt med sentransferering. Anna Sprinchorns avhandlingsarbete handlar om peroneussenorna, med fokus på utfall av kirurgi och påverkan på gång efter sentransferering.

HANDKIRURGI

med dr Sarah Edsfeldt

Inom den handkirurgiska forskningen i Uppsala intresserar man sig för klinisk och preklinisk forskning på frakturer engagerande metacarpalben, triggerfinger, I Dupuytrens kontraktur och böjsenskador. Inom frakturforskningen fokuserar man på förbättrad behandling av frakturer på metacarpalbenets skaft. Här drivs kliniska randomiserade studier som utmanar tidigare vedertagna behandlingssätt, samt registerbaserad utvärdering av denna frakturtyp. Mer specifikt jämför man behandling med tidig rörelseträning mot konventionell kirurgisk behandling för metakarpalbensfrakturer med felställning,

förkortning eller rotation, samt kartläggning av incidens, behandlingsresultat och reoperationer för dessa frakturer med hjälp av data från kvalitetsregister.

Inom triggerfingerforskningen studerar man patofysiologi och co-morbiditet vid tendovaginitis stenosans. Man utvärderar också resultat efter kirurgisk åtgärd. Syftet är att vidare utröna vilka faktorer som kan ha betydelse för etiologin.

Dupuytrens kontraktur (vikingasjuka) är en vanligt förekommande bindvävssjukdom. Oftast drabbas palmaraponeurosen i handflatan med successive extensionsdedefekt i fingrarna. Behandlingsalternativen är nålfasciotomi, kollagenasinjektion och operation för att återskapa extensionsförmåga. I Uppsala pågår 2 studier där den ena utvärderar användandet av nattortos. Efter genomförd nålfasciotomi utrustas patienterna enligt rutin med en nattortos. I en nationell multicenter-RCT utvärderar man om nattortosen verkligen visar en fördel i form av mindre återkomst av kontraktur. Den andra studien är en internationell multicenter-RCT som undersöker effekten av en ny sort kollagenas. Läkemedelet Xiapex (kollagenasinjektion) som tidigare användes mot Dupuytrens kontraktur är inte längre tillgängligt på den europeiska marknaden och förhoppning med den aktuella studien är att bidra till framtagandet av ett nytt kollagenas-läkemedel.

DEVIATION FRÅN ORTOPEDISK FORSKNING TILL EN STÖRRE BREDD

Professor Karl Michaëlsson Samarbete inom forskning är en essentiell beståndsdel inom dagens forskningslandskap och vi får inte agera inom isolerade öar. Därför är det glädjande att notera att Epihubben, en samlingsplats för 45–50 forskare med olika forskningsinriktning, blivit till en framgång. Ett nära tankeutbyte föder nya goda forskningsidéer och den tanken har burit frukt. Forskarna kommer från flera olika institutioner och här finns en mycket stark internationell prägel. Vi alla är överens om att gemensamt bidra till en god gränsövergripande kultur som leder till ett gott vetenskapligt utbyte, tvärs över forskargruppsgränserna. Det är dessutom essentiellt att det i tidiga stadier av forskarkarriären sker en kunskapsöver-

föring från seniora forskare till forskare och en sådan överföring kommer på sikt att berika vårt kollegiala universitet.

Sedan 2018 är jag också föreståndare för den nationella forskningsinfrastrukturen SIMPLER med 110 000 kohortdeltagare inkluderande longitudinella data, registermatchning mot 20 olika register, upprepad provinsamling och en stor biobank. SIMPLER berikas succesivt med omicsanalyser (genomik, proteomik, metabolomik, mikrobiota) via bidrag från Vetenskapsrådet, fyra lärosäten och tre regioner. Omicsanalyserna görs baserat på den unika sammansättningen av prover från blod, saliv, fettbiopsier, urin och avföring. Uppsala universitet är huvudvärd men andra konsortiemedlemmar är Karolinska institutet, Chalmers och Örebro universitet.

Även om randomiserade kliniska prövningar är ’gold standard’ för att utvärdera behandlingseffekt, är de av flera anledningar inte lika väl lämpade för utvärdering av livsstilsfaktorer eller långtidseffekt av behandlingar. RCT:s kan bara fortsätta under en begränsad tid och omfattar normalt ett måttligt stort antal försökspersoner. Dessutom är randomiserade studier fria från störfaktorers inverkan endast vid baslinjen, och deras tolkning kompliceras av en ofta betydande brist på följsamhet och bortfall. Tvärtemot vad många tror finns en god överensstämmelse i resultat från RCT:s och kohortstudier, om frågeställningen är densamma och vid användande av moderna statistiska analysmetoder. Komplettering med olika typer av omics och dessutom från olika typer av biologiska prover ger oss nya möjligheter att förstå varför vissa drabbas tidigt av sjukdomar och varför andra förblir vid full hälsa högt upp i åldrarna. Stora genetiska databaser inom kohorter ger oss dessutom möjlighet till ytterligare moderna designinstrument såsom mendelsk randomisering, underutnyttjad som metod inom ortopedin.

FOK-AVELNINGEN

Biträdande verksamhetschef Viktor Näslund, forskningssjuksköterska Catharina Strömstedt, forskningssjuksköterska Eva Nordin, forskningskoordinator Ann-Charlotte Claesson och forskningssekreterare Annette Liljeholm, professor Nils Hailer.

Under våren 2022 startades Forskningoch kvalitetsenheten på Akademiska sjukhuset. Den leds av biträdande verksamhetschef tillsammans med verksamhetsområdets professor. I enheten arbetar två forskningssjuksköterskor, en forskningskoordinator samt en forskningssekreterare. Vi bedriver kliniska prövningar, sponsrade läkemedelsstudier, kvalitetsutvecklingsprojekt, registerforskning och registrerar i de flesta stora ortopediska och handkirurgiska kvalitetsregistren.

Ortopediskt Magasin 1/2023 35
Sammanställt av: Nils Hailer
Figur 5: Röntgen av bäcken på 7-årig pojke med Perthes’ sjukdom vänster höft. Opererad med variseringsosteotomi och trokanterfysiodes.

Gå in på www.ortopediveckan.se för anmälan, program och praktiska detaljer.

Följ oss på Instagram!

@ortopediveckan2023

28 augusti – 1 september

Ortopediveckan i Göteborg 2023

Svensk Ortopedisk Förening och Sahlgrenska Universitetssjukhuset hälsar dig välkommen till Ortopediveckan 2023 i Göteborg. Konferensen, som är öppen för läkare, sjuksköterskor, fysioterapeuter, arbetsterapeuter och vårdadministratörer, genomförs den 28 augusti-1 september på Svenska Mässan i centrala Göteborg.

Årets ortopedivecka kommer att ha temat ”Vart är vi på väg? Ortopedin nu och i framtiden”. Vårt vetenskapliga program kommer att innehålla intressanta och aktuella föreläsningar inriktade på innovationer, men också utmaningar inom ortopedisk behandling och forskning, idag och i framtiden. Dessutom erbjuds introduktionskurser, workshops, Ortopedexamen med mera. Förutom det vetenskapliga programmet arrangerar vi sociala aktiviteter såsom bankett, ortopedmil och andra festligheter.

Sahlgrenska Universitetssjukhuset är Sveriges största sjukhus och ett av de större universitetssjukhusen i norra Europa. Sjukhuset har ett nära samarbete med Sahlgrenska akademin vid Göteborgs universitet och erbjuder en bred vårdverksamhet som omfattar både grundläggande hälso- och sjukvård samt högspecialiserad vård. Svenska Mässan är en av Europas största och mest uppskattade mötesplatser. Här finns kongress- och mässhallar, hotell och restauranger under samma tak. Anläggningen är centralt belägen bredvid Liseberg och har bekvämt gångavstånd till stadens stora utbud av kultur och shopping.

WORKSHOPS OCH KURSER FRÅN NACKEN TILL FOTEN

Årets workshops täcker in hela spektrat från utredning till rehabilitering, och sträcker sig från nacken ner till foten. I samarbete med Kirurgiskt anatomiskt träningscentrum (KAT) erbjuder vi två dissektionskurser. Här får du möjlighet att se och träna på viktiga kirurgiska approacher och anatomiska strukturer i hand/handled respektive fot/fotled. För alla som är intresserade av ryggkirurgi har vi kurs både i endoskopisk kirurgi och i frakturkirurgi med möjlighet att träna på navigation.

Patienter med ont i höften är en växande grupp på våra mottagningar, och på workshopen ”Ont i höften – vad kan det vara” får du tillgång till alla verktyg du behöver i form av teori och undersökningsteknik. Vi har också en spännande workshop på

temat "Vägen tillbaka efter en hälseneruptur", där vi fokuserar på rehabiliteringens betydelse för en framgångsrik behandling. Det kommer också att finnas möjlighet att lära sig de senaste tekniska färdigheterna inom proteskirurgi, både för höft, knä och axel, under handledning av kollegor med stor erfarenhet.

Frågan om det egentligen är enkelt eller svårt att hantera patellarfrakturer, eller om sanningen ligger någonstans där emellan kommer att besvaras på en annan av våra workshops. Dessutom kommer det att finnas möjlighet att fördjupa sig i det aktuella och komplicerade ämnet frakturrelaterade infektioner.

HELTÄCKANDE OCH AKTUELLT VETENSKAPLIGT

PROGRAM

Vårt vetenskapliga program speglar vart vi är på väg inom ortopedi med inbjudna talare som bland annat ska prata om ledarskap och organisation, vilken roll randomiserade kliniska studier har och kommer att ha inom ortopedisk forskning, samt användande av robotassisterad kirurgi vid protesoperationer.

Vi kommer att spegla hur ortopediska lösningar har utvecklats med tiden inom olika områden och om de utmaningar som vi står inför. Vårt program täcker ortopediska problem från olika perspektiv som speglar det multidisciplinära arbetssätt som de flesta av oss jobbar på idag. Programmet är heltäckande och berör alla delar av rörelseorganen. De olika delföreningarna kommer presentera det senaste inom respektive fält, och inskickade abstrakt presenteras dels på en postervisning och dels som korta symposium. Både bästa poster och bästa talare kan vänta sig ett fint pris på vår fantastiska bankett på torsdagskvällen.

EN HÄRLIG VECKA I GÖTEBORG

Ja, vart är det sociala programmet på väg under årets ortopedivecka i Göteborg? Vi laddar förstås för att du ska stortrivas hos oss!

Vi är trygga med att vår möteslokal och den närmsta omgivningen borgar för att du kommer ha det riktigt fint. Till exempel så hittar du Liseberg, Nordens främsta nöjespark, på andra sidan gatan. Vi planerar för ett gemensamt mingel på tisdagskvällen, fria aktiviteter i Göteborg på onsdagen och en fantastisk bankett på Svenska Mässan med dans och underhållning på torsdagskvällen.

Det kommer självklart finnas möjlighet att delta med sina konstnärliga alster på Art Ort som visas tisdag till torsdag i de lokaler vi rör oss i, och som traditionen bjuder anordnas Ortopedmilen under tisdagen. En härlig vecka i Göteborg, det kan vi lova! Varmt välkommen!

36 Ortopediskt Magasin 1/2023
Foto: Per Pixel Petersson/Göteborg & Co. Foto: Jennie Smith/Göteborg & Co.
1/2023 37
Arrangörsgruppen för Ortopediveckan i Göteborg 2023. Ortopediskt Magasin

ANNE GARLAND

Ålder: 47 år

Titel: Överläkare och verksamhetschef, Visby Lasarett

Familj: Maken Martin, tre döttrar, 21, 18 och 12 år gamla.

Bor: i Visby

På fritiden: Tycker om att träna, speciellt cross fit, läsa och vara med människor jag tycker om. Varför blev du ortoped? För att jag tyckte att det är fantastiskt roligt att operera och hade goda förebilder tidigt. Jag är ortoped i Visby, men har fått inspiration från ALB, SöS och Uppsala, där har jag min forskning.

Om du inte blivit ortoped vad hade du blivit då? Barnläkare kanske, men om jag hade valt en helt annan bana var jag sugen på journalist – det är roligt att skriva.

Svensk Ortopedisk Förening har sedan årsskiftet fått en ny ordförande. Hon heter Anne Garland och ser fram emot en tid fylld av viktiga och intressanta projekt och uppgifter som ska förvaltas och startas upp inom SOF.

en benägenhet att hitta tid

Mitt i livet och med en tjänst som överläkare och verksamhetschef på Visby Lasarett kan man undra hur hon ska hinna, men svaret är enkelt och uppriktigt:

– Jag har en benägenhet att hitta tid till det jag tycker är roligt och viktigt.

En förutsättning för att det skulle kännas rimligt att ta över rollen som ordförande i SOF, var att det fanns en väl fungerande styrelse med flera erfarna ledamöter. Dessutom finns tidigare ordföranden Birgitta Ekstrand med som bollplank.

– Det har funnits en tydlig överrapportering och Birgitta har hela tiden ut fortsatt att starta upp saker, så att jag som tillträdande inte är tvungen att börja om, säger Anne.

I förra numret av Ortopediskt Magasin berättade vi om det målmedvetna styrelseutvecklingsarbete som har gjorts med hjälp av en expert på ledarskap och organisation. Det var ett arbete som Anne var del av i och med att hon under sin förra mandatperiod var utbildningsansvarig.

– Det känns väldigt lyxigt att man i styrelsen fått landa i vilka frågor som är viktiga framöver, det ger oss en god chans att arbeta strukturerat tillsammans kring de frågorna.

Vilka är då de viktiga frågorna framåt?

– Det är flera olika delar, dels vår samverkan med omvärlden, dels samverkan inom ortopedin. Ett exempel är projektet om balansen och samverkan mellan privat och offentlig verksamhet.

Det Anne menar med samverkan mellan privat och offentligt är bland annat problematiken med att många erfarna och skickliga kollegor lämnar det offentliga för att gå över till privata vårdgivare. Man ser dränage av kunskap och problem med att fylla bakjourslinjer med kompetenta medarbetare och så vidare. Att frågan landar hos SOF tycker Anne är naturligt och ett typiskt exempel på hur SOF kan och ska arbeta mot omgivningen.

– Hur ska professionen kunna ta det ansvaret på ett annat sätt än via sin professionsförening? Vi måste ta tag i den här frågan på ett klokt sätt. Och jag tror inte att vi ensamma kan driva igenom de omfattande förändringar som krävs. Däremot ska vi försöka hjälpa till med vår kunskap och ge en verklighetsöverensstämmande bild. Det handlar mycket om politiska beslut och om att föra dialog med beslutsfattare.

Inåt, i föreningen, har styrelsen börjat titta på hur man ska skruva på konceptet Ortopediveckan för att det ska genomföras på absolut bästa sätt – från själva arrangemanget till fortbildningsinsatser under konferensen.

– Vi vill att Ortopediveckan ska fortsätta vara en viktig fortbildningsplattform för svenska ortopeder. Dessutom måste det finnas en kontinuitet i hur man organiserar veckan så att inte hjulet behöver uppfinnas på nytt varje år.

Annars är ST-skolan fortsatt en viktig satsning som SOF nu har sjösatt. Första delkursen sker när det här numret av Ortopediskt Magasin landar i prenumeranternas brevlådor.

– Där måste vi hålla i och utvärdera hur det går, och även vara öppna för att göra förbättringar längs vägen, säger Anne.

Anne är väldigt nöjd med att ST-skolan äntligen blivit verklighet, ett stort projekt som hon genomförde som tidigare utbildningsansvarig i SOF.

– Det är ett bra exempel på något där SOF gör som mest nytta. Kurser för ortopeder under deras ST har varit ett stort problem under lång tid. Och det är inte bara för ortopeder på tillväxt det är viktigt med en fungerande ST-utbildning, utan långsiktigt för patienterna.

I övrigt kommer Anne och hennes styrelsekollegor se över kansliets arbete och försöka tillvarata medlemmarnas intressen. Hon uppmanar dig som medlem att höra av dig.

– Vi vill veta vad medlemmarna tycker, så kontakta gärna oss i styrelsen, uppmanar Anne.

En chans till dialog som kommer att finnas under den närmaste treårsperioden är annars projektet ”SOF kan komma till er”. Åtta personer ur SOF-styrelsen ger sig ut på vägarna för att besöka landets 40 ortopedkliniker. Vad kan man förvänta sig vid de mötena?

– Man kan förvänta sig information om vad föreningen gör och arbetar med för frågor. Men sedan vill vi få igång en dialog kring vilka frågor som är viktiga för er därute i landet. Det blir en temperaturmätare på ortopedsverige helt enkelt och vi bestämde att det ska vara helt genomfört inom tre år från det att vi startar upp.

”Jag har
till det jag tycker är roligt och viktigt”
38 Ortopediskt Magasin 1/2023 SOF-nytt

Stipendium för patientsäkerhet återupplivas

Sedan flera år delar Svensk Ortopedisk Förening tillsammans med Reumatikerförbundet ut ett patientsäkerhetsstipendium. Inget pris har dock delats ut sedan 2020, men förhoppningen är att det i år ska inkomma fler nomineringar. Total stipendiesumma uppgår till 25 000 kronor och kan delas mellan flera kliniker/enheter.

Stipendiet ska stimulera fortsatt utveckling av patientsäkerhet inom svensk ortopedi. Målet är att uppmärksamma och belöna ett multiprofessionellt utvecklings- eller förbättringsarbete som under det senaste året har visat sig, eller på goda grunder kan antas minska risken för vårdskador.

Motivering i ansökan ska tydligt redogöra för hur ett multiprofessionellt arbete genomförts, samt tydligt visa på vinsten ur patientens perspektiv. Ansökan ska rymmas på en A4-sida.

Nomineringar skickas senast 30 juni till kvalitetsansvarig@ ortopedi.se. Vinnaren annonseras under Ortopediveckan.

Pengarna ska användas för fortsatt arbete med att minska risken för vårdskador, där mottagande klinik/enhet själv avgör hur detta ska ske.

Fundera på vilka förbättringsarbeten som pågår på din klinik där patientsäkerhet står i fokus. Säkerligen är det flera stycken.

TIDIGARE PRISTAGARE

2018: Ortopedkliniken vid Linköpings universitetssjukhus för deras förbättrade arbetssätt med att minska användningen av kvarliggande urinkateter (KAD) postoperativt. För att undvika skadlig blåsöverfyllnad görs regelbundna kontroller med bladderscan. Individuell bedömning görs vid behov av urintappning och engångstappning istället för KAD har nästan halverat antalet urinvägsinfektioner.

Minskad användning av antibiotika, bättre utnyttjande av resurser och fokus på att förhindra undvikbara vårdskador är ett utmärkt exempel på framgångsrikt säkerhetsarbete där patienterna blir de stora vinnarna.

2019: E-hälsostöd för patienter som genomgår knäprotesoperation.

Ortopediska kliniken i Falun för deras förbättrade arbetssätt med att möjliggöra tidig utskrivning från klinik med en adekvat rehabilitering. Genom att öppna upp en e-service för information, instruktioner och kommunikation med fysioterapeuter har man kunnat tillhandahålla en ökad post-operativ säkerhet för dessa patienter men även utvecklat en lösning som är ett utmärkt exempel på framgångsrikt säkerhetsarbete som har potential att skalas upp och tillföra stor patientnytta.

Xtra Torsion.

Xtra Shock.

The AllPro XTS combines the AllPro performance you have come to expect with an even smoother rollover and forgiveness on rough terrain or around town. The XTS unit provides adjustable torsion and vertical shock reduction without sacrificing build height.

Ortopediskt Magasin 1/2023
© 2022 Fillauer LLC Ortopediskt Magasin Nr1_Fillauer_AllProXTS.indd 1 2023-02-15 08:51:13

Årets SOF-ortoped

SOF:s styrelse har beslutat att från och med 2022 dela ut stipendiet: ”Årets SOF-Ortoped”.

Stipendiet är instiftat som en hyllning till den svåra konsten att var en skicklig kliniker och de många kollegor runt om i landet som bemästrar den. För att kunna få utmärkelsen ska den nominerade vara specialistläkare i ortopedi sedan minst fem år, medlem i SOF och just en skicklig kliniker.

Nomineringar görs av verksamhetschef, eller av annan kollega med bifall av verksamhetschef, på särskild blankett som tillhandahålls av kansliet. Stipendiesumman är om 30 000 kronor och ska användas till något som stipendiaten uppfattar som för honom eller henne lustfyllt och berikande.

Nomineringsblanketten skickas senast 30 juni 2023 till sofkansli@ortopedi.se eller till följande adress: Svensk Ortopedisk Förening, Tuna Industriväg 4, 153 30 Järna. Stipendiet tillkännages på SOF:s årsmöte under Ortopediveckan i Göteborg.

Fotsmärta – Fotkirurgi – Fotrehabilitering

Kurs för sjukgymnaster, fysioterapeuter, ortopedingenjörer, naprapater m fl.

Plats och datum: Göteborg, 2–3 maj, 2023.

Anmälan: Senast 10 april på fotkurs.se.

Föreläsare:

Fysioterapeut, MSc, Med Dr Annelie Brorsson. Sjukgymnast, Överläkare, Docent Maria Cöster. Överläkare Liliane Helger.

Fotrehabilitering

Överläkare, Docent Katarina Nilsson Helander. Överläkare, Med Dr Ann-Charlott Söderpalm.

www.fotkurs.se

Nya SOF-medlemmar

Victoria Örtenwall, Varberg

John Petersen, Luleå

Mustafa Al-Asadi, Örebro

Lovisa Winblad von Walter, Nyköping

Jan Kabath, Eskilstuna

Zaid Mousa, Ystad

Mohamed Ghassan, Åkarp

Mersheya Shithy, Eskilstuna

Karin Sundqvist, Trollhättan

Marcin Jablonski, Umeå

Sebastian Stålnacke, Gällivare

Josephine Olsson, Oxie

Michele Mikolaucic, Mölndal

Oskar Hising, Stockholm

Sindri Jarlsson, Västerås

David Chalom, Hässleholm

Lovisa Lind, Mora

Maria Sjövall, Tullinge

Lisa Lindqvist, Arnäsvall

Ahmed Najeeb, Örebro

Tito Hellström, Örebro

SOF:s företagsmedlemmar

Anatomica AB

Stora Åvägen 25 436 34 ASKIM

Kontakt: Sverker Stomberg sverker.stomberg@ anatomica.se www.anatomica.se

Arthrex Sverige AB

Textilgatan 43 120 30 STOCKHOLM

Kontakt: Johan Karlsson johan.karlsson@arthrex.se www.arthrex.se

DePuy Synthes

Kolonnvägen 45 170 67 SOLNA Tfn: 08-626 22 00 info.se@synthes.com www.depuysynthes.com

Episurf Europe AB

Karlavägen 60 114 49 Stockholm

Kontakt: Veronica Scholz Castro nfo@episurf.com www.episurf.com

Heraeus Medical AB

Vasagatan 28 111 20 Stockholm

Kontakt: Eva Norrbin eva.norrbin@heraeus.com www.heraeus-medical.com

Link Sweden AB Box 180 184 22 AKERSBERGA

Kontakt: Gunilla Eriksson link.sweden@linksweden.se www.linksweden.se

ConMed/Linvatec

Sweden AB

Datavägen 10 D 436 32 ASKIM

Kontakt: Sofia Palomaa, sofiapalomaa@conmed.com www.conmed.com

Sectra Orthopaedics AB Teknikringen 20 583 30 LINKÖPING

Kontakt: Ulrika Vach ulrika.vach@sectra.se www.sectra.com

Smith & Nephew AB Box 143 431 22 MÖLNDAL

Kontakt: Thomas Weine Tfn: 031-746 58 00

www.smith-nephew.com

Zimmer Biomet Sweden AB Industrivägen 4 433 61 SÄVEDALEN

Kontakt: Jenny Stokke jenny.stokke@ zimmerbiomet.com www.zimmerbiomet.com

Ottobock Scandinavia AB Box 4041 169 04 Solna

Kontakt: Anett GrusserPettersson anett.grusser-pettersson@ ottobock.se www.professionals.ottobock.se

SOF-medlemmar SOF-nytt
Stipendium 2023:
www.fotkurs.se
ortopedingenjörer, naprapater m fl. fotkurs.se. Brorsson. Överläkare Helander.
40 Ortopediskt Magasin 1/2023
Skanna QR-koden för att ladda ner nomineringsblanketten.

Ömma hälar ska inte vara ett hinder från att ha roligt!

Kontakta TeamOlmed för rådgivning och hjälp. www.teamolmed.se

Ömma hälar ska inte vara ett hinder från att ha roligt!

Kontakta TeamOlmed för rådgivning och hjälp. www.teamolmed.se

LASSEKUDDEN

Kudde som används för att minska risken för hälsår och för att förebygga trycksår Används av patienter som ligger mycket och till akuta höft- och fotfrakturpatienter, på väg i ambulansen och som stöd efter operation

ROFFEKUDDEN

Höglägeskudde för arm

Används efter skador och operationer på övre extremiteter, när högläge är viktigt för att minska svullnad i handen Arm och hand ligger stabilt samtidigt som det är komfortabelt för patienten.

ISAKUDDEN

Höglägeskudde för ben

Ömma hälar ska inte vara ett hinder från att ha roligt!

Används efter skador och operationer på

de nedre extremiteterna, när högläge önskas

Urgröpningen ger benet ett bra stöd så det inte glider av Stabilitet med ett komfortabelt högläge

Kontakta TeamOlmed för

rådgivning och hjälp.

www.teamolmed.se

N G ! S C A N N A Q R - K O D E N F Ö R A T T K O M M A D I R E K T T I L L 4 C A R E . N U
Karlstad Karlstad Karlstad Karlstad

Implementeringens år

Jag vill inleda med att tacka Maziar Mohaddes som under fem år har varit ordförande i NPO Rörelseorganens sjukdomar. Maziars förmåga att lyssna och leda med omsorg och kraft har starkt bidragit till att vi samarbetat väl med olika myndigheter, intresseföreningar och patientorganisationer.

Maziar har också starkt bidragit till att nationella arbetsgrupper med experter från hela landet producerat tre personcentrerade standardiserade vårdförlopp (PSVF); höftledsartros – primärvård (2020), höftledsartros – proteskirurgi (2022), knäledsartros – primärvård (2022) och två nationella vårdprogram; distal radiusfraktur (2021), tumbasartros (2022).

Under 2023 kommer även PSVF ländryggsbesvär och nationellt vårdprogram höftledsfraktur att färdigställas. Nominering pågår till vårdförlopp knäledsartros kirurgi och i höst startar vi nominering till vårdprogram framfotskirurgi och vårdprogram fotledsfraktur.

Jag vill också tacka alla de som deltagit i arbetet med att ta fram alla kunskapsstöd och speciellt de som varit/är ordförande i de nationella arbetsgrupperna; Gunilla Limbäck Svensson (Sahlgrenska Universitetssjukhuset), Cecilia Mellstrand Navarro (Södersjukhuset), Christer Sollerman (Sahlgrenska), Åsa Fröberg (Karolinska Universitetssjukhuset), Cecilia Rogmark (Skånes Universitetssjukhus) och Allan Abbott (Linköpings Universitetssjukhus).

Några av er har även deltagit som experter i nationella arbetsgrupper inom nationell högspecialiserad vård. I år och under kommande år kommer flera nya nationella arbetsgrupper att starta för att ta ställning till om viss vård lämpar sig för att bedrivas vid ett fåtal centra i Sverige. Ni som tar dessa uppdrag utför en viktig insats och vi är tacksamma för att ni deltar.

Kvinnliga ortopeders stiftelse, BGS

utlyser rese/forskningsbidrag på 30 000 kr.

Bidraget kan sökas för yrkesmässig utveckling i form av resa för besök på annan klinik, deltagande i kurs/ konferens eller forskningsarbete inom den ortopediska specialiteten för att främja kvinnliga ortopeders fortbildning.

Ansökan skickas till BGS sekreterare, Ebba Fridh per e-post: ebba.fridh@vgregion.se

Ansökan ska innehålla uppgifter om sökanden i form av CV (1 sida) och vad bidraget avses att användas till (max 2 sidor).

Sökanden måste vara medlem i Svensk Ortopedisk Förening.

Sista ansökningsdag är 30 april 2023. Redovisning av erhållna bidrag görs genom rese/ forskningsrapport för publicering i Ortopediskt Magasin.

Stiftelsen BGS, Kvinnliga Ortopeder i Sverige

Stipendier för medicinsk forskning

Stipendier för medicinsk forskning

Stiftelsen Guldbyxan avser att årligen dela ut stipendier för medicinsk forskning eller omvårdnadsforskning i Sverige.

Stiftelsen Guldbyxan avser att årligen dela ut stipendier för medicinsk forskning eller omvårdnadsforskning i Sverige.

Under 2023 och kommande år kommer kunskapsorganisationen att fokusera på implementering och uppföljning av de olika kunskapsstöden. Alla 21 regioner har skapat lokala organisationer för att anpassa implementeringen till de regionala förutsättningarna. I detta arbete kommer många av er att bidra.

En fråga som vi arbetat med de senaste åren är bristen på kapacitet inom svensk ortopedi. De sjukaste ortopedpatienterna får allt sämre tillgänglighet och den offentliga vården riskerar att tappa ytterligare personal och kompetens med ytterligare minskad kapacitet för de sjukaste patienterna, med ökade svårigheter att klara utbildningsuppdraget, minskad rekryteringsbas för doktorander och handledare, allt färre som kan bidra till jourverksamhet och färre som kan ta hand om det mest komplicerade som följd. Denna fråga arbetar vi med på olika sätt och hoppas på att i kommande nummer av OM kunna återkomma med positiva besked om steg i rätt riktning.

2023 kommer stiftelsen att prioritera forskare, gärna doktorander, med projekt inom området rörelseorganens sjukdomar. Stipendiet skall användas för att frigöra forskaren från kliniskt arbete för att ge tid för forskning .

2023 kommer stiftelsen att prioritera forskare, gärna doktorander, med projekt inom området rörelseorganens sjukdomar. Stipendiet ska användas för att frigöra forskaren från kliniskt arbete för att ge tid för forskning på heltid.

Ansökningsperioden är 15 februari - 15 april 2023.

Vi inom NPO ser fram emot att fortsatt arbeta med er för våra patienters och medarbetares bästa.

Ansökningsformuläret och närmare instruktioner finns på www.stiftelsenguldbyxan.se

Ansökningsperioden är 15 februari-15 april, 2023. Ansökningsformuläret och närmare instruktioner finns på www.stiftelsenguldbyxan.se

NPO
42 Ortopediskt Magasin 1/2023
Magnus Eneroth Ordförande NPO Rörelseorganen

Ortopediskt professorskonvent

För första gången på många år anordnades 9-10 februari ett professorskonvent för ortopedin i Sverige.

På mötet diskuterades forskningen och infrastrukturen på de svenska lärosätena. Kristina Åkesson presenterade resultaten från den nationella ALF-utvärderingen.

KURS

Olof Sköldenberg informerade om Etikmyndighetens allmänna uppstramning av regler och om Överklagandenämnden, som numera har ett tillsynsansvar och dessutom är skyldiga att göra en åtalsanmälan vid misstanke om allvarliga överträdelser av etikprövningslagen (läs mer om det på Överklagandenämndens hemsida). Ola Rolfsson rapporterade om de svenska ortopedregistren som får alltmer krympande anslag och dessutom

HÖFTREVISION

Kurs för specialister med intresse för höftproteskirurgi och god vana att operera primär höftprotes som nu önskar gå vidare med revisionskirurgi. Kursen innehåller både teoretiska och praktiska moment.

Kursledare: Per Wretenberg / Peter Wildeman

Plats: Nordic Light Hotel, Stockholm

Datum: 27-29 september 2023

Kursavgift: 15.000 kr

Kontakt och anmälan: events@linksweden.se

har många andra stora utmaningar framför sig.

Ett stort tack till Nils Hailer, UAS och SOF som tog initiativ till detta första möte!

Margareta Hedström Överläkare Ortopedkliniken Karolinska sjukhuset Adj Professor Karolinska Institutet

Skicka in din avhandling!

Är du en av dem som la fram en ortopedisk avhandling under 2022? I så fall är det en god idé att sända den till Svensk Ortopedisk Förening och därmed vara med och fajtas om utmärkelsen Årets avhandling, som utses under Ortopediveckan 2023. Vinnare av Årets avhandling får 30 000 kronor.

Så här ansöker du

Skicka in 2 exemplar av din avhandling i tryckt form till SOF:s vetenskapliga sekreterare (Maziar Mohaddes, Askims Kyrkväg 51, 436 42 Askim). Skicka avhandlingen som digital pdf till följande e-postadress: vetenskaplig-sekreterare@ortopedi.se

Skicka en kort populärvetenskaplig sammanfattning samt en faktaruta (max 3500 tecken, inkl. ev. en väsentlig tabell eller figur). Glöm inte att skicka en porträttbild på dig själv, samt din fullständiga titel och arbetsplats. Detta skickas till SOF:s kansli sofkansli@ortopedi.se för publikation senast i Ortopediskt Magasin nr 2, 2023. För att din sammanfattning ska komma med i OM nr 2 måste materialet inkomma senast den 10 maj 2023.

Läs mer om kriterier för ansökan här: www.slf.se/sof/stipendier/basta-ortopediska-avhandling

Anmäl dig
Ortopediskt Magasin 1/2023 43

Epiphysens styrelse 2023

Nytt år, ny styrelse, nya tag!

Nu har det nya verksamhetsåret dragit i gång och med det har en ny styrelse tagit över arbetet i Epiphysen. Och då kan man undra, vad är egentligen Epiphysen, och vad håller vi på med?

Jo, Epiphysen är både bildligen och bokstavligen SOFs tillväxtzon – en förening för ST-läkare och nyblivna specialister inom ortopedi som ska bevaka ST-frågor gentemot SOF. Det gör vi till exempel genom att bevaka och förmedla tillgängliga utbildningar via Epiphysens kurskalender, vara med och utveckla

ST-skolan via SOF och har drivit kampanjen ”Ge kniven vidare” för strukturerad kirurgisk handledning. Vi är varje år med på Ortopediveckan där vi har ett eget program under onsdagseftermiddagen

där vi bjuder in föreläsare på ämnen som ska vara spännande och relevanta för ST-läkare och skapar mötesplatser för ST-läkare under veckan för ett ökat utbyte. Vi jobbar även för ett ökat nordiskt samarbete med föreningar för yngre ortopeder i våra grannländer för att hålla oss à jour, och vår ordförande är även medlem i SOFs styrelse för att bevaka STläkares intressen i de frågor som avhandlas där. Vi har även ett eget uppslag i varje utgåva av Ortopediskt magasin där vi skriver och rapporterar om saker som är intressanta för ortopeder i början av sin karriär. Kort sagt, Epiphysen är till för att göra din utbildning och förhoppningsvis ditt arbetsliv bättre om du är ST-läkare i ortopedi.

Har du frågor, synpunkter, tankar eller

idéer om frågor du vill lyfta eller tycker vi bör driva, hör av dig till: epiphysen@ ortopedi.se! Vi ses i vimlet!

För att lära känna oss bättre har vi sammanställt några fakta om oss nedan: Vilken funktion vi har, vad vi heter, ST-ort, år på ST och hur vi reagerar när vi går på nattpasset med 12 opåtittade i listan.

44 Ortopediskt Magasin 1/2023 Epiphysen
Karin Bokvist Ansvarig Ortopediskt Magasin Epiphysen

Ordförande

ALICE BÄCKMAN

ST: Karlskrona, femte året

Hur reagerar du när du går på nattpasset med 12 opåtittade i listan?

Åh neeeej! Måste ha skett någon hemsk olycka – antingen en busskrock eller en vabbande dagjour. Så många har jag aldrig sett på akuten!

Vice ordförande

ARVID VON KONOW

ST: Skånes Universitetssjukhus, tredje året

Hur reagerar du när du går på nattpasset med 12 opåtittade i listan? 12 opåtittade? Då är det ju hopp om natten!

Sekreterare

ALEXANDER TILOSIUS

ST: Mölndal, tredje året

Hur reagerar du när du går på nattpasset med 12 opåtittade i listan?

Shit, vad najs! Bara 12 patienter? Kommer få sova inatt!

Kassör

PENDAR KHALILI

ST: Karlstad, tredje året Hur reagerar du när du går på nattpasset med 12 opåtittade i listan? Nu är det fest!

Ansvarig Ortopediskt Magasin

KARIN BOKVIST

ST: Helsingborg, fjärde året Hur reagerar du när du går på nattpasset med 12 opåtittade i listan? Vad har armén av AT-läkare gjort hela dagen? Nåväl, vad har vi för gipsare ikväll?

1: Ja, men då är det lugnt!

2: Jisses, inte lönt att gå och ställa väskan i jourrummet …

Utbildningsansvarig

FRIDA BOSTRÖM

ST: Skellefteå, femte året

Hur reagerar du när du går på nattpasset med 12 opåtittade i listan? Usch!

IT-ansvarig

MARCUS SVENSSON

ST: Skövde, fjärde året

Hur reagerar du när du går på nattpasset med 12 opåtittade i listan? 12 opåtittade?! Suck… och jag som hade hoppats på att få sova inatt.

Ansvarig Ortopediveckan

LUDVIG ALGEMARK CLASE

ST: Mölndal, tredje året

Hur reagerar du när du går på nattpasset med 12 opåtittade i listan? Lyxigt!

Ortopediskt Magasin 1/2023 45

Håll utkik efter inbjudan!

Snart är vintern slut och äntligen går vi mot ljusare tider. Jag längtar efter sol och sommaren vilket för mig är den bästa årstiden!

Som ni alla vet råder det brist på ortopedingenjörer på klinikerna. Det vi ser att det är få eller inga sökande till de annonser som ligger ute. Vi har kännedom om att en del ortopedingenjörer söker eller har tjänster på leverantörssidan, inom MedTech eller väljer anställning i Norge. Även Hälsohögskolan i Jönköping har problem med att fylla studieplatserna med antal sökande.

Med anledning av att vi ser en negativ trend har vi på SOIF påbörjat ett arbete med att ta fram en interaktiv broschyr för att locka flera till vår bransch. Vårt mål är att broschyren ska finnas hos studievägledare på både högstadie- och gymnasieskolor i hela landet samt på arbetsförmedlingen. Broschyren kommer behandla ”vad är en ortopedingenjör”, ”vad innebär det att vara en ortopedingenjör och hur kan ens vardag se ut”? Men också information om Hälsohögskolan i Jönköping och andra studieorter runt om i världen. Vårt mål är att ha klart broschyren mot slutet på våren.

Planeringen inför höstens branschdagar tillsammans med branschrådet, Svensk Ortopedteknisk Förening och Sverige Ortopedskomakare Förening är i fullgång. Om ni har några förslag på föreläsare eller programpunkter tas dessa emot och kan mejlas till info@soif.se, för vi vill får till ett program som kan locka många deltagare. Om intresse finns för att fortbilda sig inom ortopedteknik och dessutom kombinera det med en resa är det nu dags att söka SOIFs rese och fortbildningsstipendium, sista ansökningsdagen är 1 april 2023.

Jag vill avsluta med att skicka med en påminnelse om att hålla utkik efter inbjudan till vårt digitala årsmöte som kommer per mejl, vi önskar ett högt deltagande för tillsammans är vi starka!

Dominikanska republiken – en reseberättelse

Hösten 2019 sökte jag ett resestipendium utlyst av SOIF, Sveriges Ortopedingenjörers förening. Jag hade genom min bror som då höll på med sin doktorsavhandling, och undervisade på ett universitet i USA, kommit i kontakt med en av hans kollegor som är professor där på Universitetet. Han verkar också som teknisk rådgivare till en grupp som kallar sig för 2ftProsthetics.

Den ideella föreningen 2ft är knuten till universitetet som verkar för att sprida kunskap kring protesförsörjning till och i länder där dessa möjligheter är små samt bedriver aktiviteter för att främja utveckling av produkter för denna marknad. En idé hade börjat formas i mitt huvud att kunna få besöka dem, utbyta erfarenheter och även att följa med och hjälpa till på ett av deras projekt på plats där hjälp behövs.

En annan del i min plan, som dock grusades, var att besöka företag i delstaten som jobbar både med klinisk verksamhet i protesförsörjning samt utveckling av proteskomponenter.

Som lycklig mottagare av stipendiet intensifierades planerna, möten såväl som resor bokades. Några dagar innan avresa gick nyheterna i Sverige, och på många andra platser i världen, mest ut på något som döptes till Covid-19 och som gjorde att flygplanet jag skulle resa med parkerades på asfalt och våra planer grusades. Det innebar att både resan som planerats till USA och till Dominikanska republiken ställdes in. Viss del av utbytet skedde i stället digitalt genom Zoom- och Teamsmöten som vi nu vant oss vid. Jag presenterade över Zoom som jag tidigare berättat flera av mina erfarenheter som ortopedingenjör i Sverige och på Irland för intresserade på andra sidan atlanten.

På vårvintern 2022 när samhället globalt börjat öppnas upp igen återtogs kontakterna och planer plockades fram, dammades av och justerades. I augusti reste vi med väskor fulla med proteskomponenter mot Dominikanska republiken. Jag från Sverige och övriga deltagare från olika platser i USA där jag var den enda ortopedingenjören i gruppen.

Vi anslöt till Asociación Dominicana de Rehabilitación i Santo Domingo en måndagmorgon och började med en inventering av de komponenter och material

SOIF-nytt
Vibeke Musoke-Muwanga Ordförande
SOIF
46 Ortopediskt Magasin 1/2023
Flera organisationer samverkade för dessa patienter, personal från rehabiliteringscentret, lokala volontärer från Edwards, volontärer från USA och jag själv från Sverige.

vi tagit med oss. Det fanns då en lista med 18 personer som valts ut ur en lista med ett större antal som vi skulle fokusera på under veckan vi var på plats på kliniken. Vid 10-tiden börjar dessa personer strömma in och vi tog mått och gipsavgjutningar på dem alla för att kunna tillverka en anpassad hylsa till var och en.

De två ortopedingenjörerna på plats och jag själv delade upp patienterna mellan oss. Jag fick ta avgjutning på 6 personer varav fyra lårben och två underben. De två på underbensnivå hade protes sedan tidigare men hade sedan länge behov av förnyelse. De fyra amputerade på lårbensnivå var alla förstagångsförsörjningar med cirka 1,5-2 år sedan amputation.

Andelen amputerade på lårbensnivå var klart högre än hemma i Sverige. Ålder på patienterna var klart lägre. Orsaken till amputation skiljde sig också avsevärt med stor andel trafikolyckor med ”Moto” som ett frekvent svar på frågan. Detta ser man tydligt orsakerna till när man vistas i trafiken i stan och ser förare med deras ofta flera passagerare på mopeder och motorcyklar kryssa fram mellan bilar i rusningstrafik. Diabeteskomplikationer och cirkulationsproblem var den andra tydliga orsaken till amputation men också dessa patienter var yngre än den grupp vi vanligtvis möter hemma i Sverige.

Måndag eftermiddag och tisdagen användes till stor del till att ta hand om och modellera gipsmodeller för att sedan börja tillverka proteshylsor. Onsdagen för att färdigställa de 18 proteserna för provgång. Under dessa dagar träffade vi ibland på ivriga patienter som stannat kvar i närheten för att få prova sin protes. Torsdag och

fredag spenderades med prov av proteser och gåskoleträning med framför allt de patienter som fick protes för första gången. Då hade också en tredje lokal ortopedingenjör anslutit. Innan veckan var slut hade brukarna alla funktionella proteser och i många fall var de också redan klädda med kosmetik, färdiga för slutleverans.

Detta var en mycket uppskattad och lärorik vecka för alla inblandade. Befintlig personal på rehabiliteringscentret fick utbyte och input från oss tillresta. Fler patienter än vanligt kunde få hjälp. Ökad tillgång till komponenter gav möjlighet till protesförsörjningar som annars inte varit möjliga eller fått skjutas längre fram i tiden. Ytterligare komponenter som donerades ger också möjlighet till protesförsörjning för andra patienter en tid framöver. Just komponentimport är något de kämpar med och är en stor utmaning för dem. Positionerade på en ö är det både kostsamt och svårt periodvis att få tillgång till de komponenter de önskar. De har dock ett grundsortiment som fungerar relativt väl som standard. Det och uppfinningsrikedom visade oss tillresta hur man med blygsamma medel och spartansk utrustning kan utföra mycket gott. Kanske lite utanför de ramar som vi jobbar inom med våra regelverk i Europa men oftast väl inom patientsäkerhetsramar. Själv fick jag möjlighet att på en begränsad tid träffa, protesförsörja och jobba med fler nya lårbensamputerade patienter än vad jag normalt får tillfälle till. Vi växte alla av erfarenheten och hade roligt tillsammans. Jag kan bara rekommendera liknande erfarenheter för oss alla.

Det är ödmjukande att se en ivrig 29-åring som hoppat på kryckor sedan

en olycka för 18 månader sedan gå iväg på en lårbensprotes efter en vecka, lycklig och fast besluten och kapabel att förbättra sin arbets- och inkomstsituation.

Då vi jobbade med en befintlig organisation med personal på plats finns också en kontinuitet för de patienter vi försörjde då de har kontakt lokalt vilket ger trygghet och stabilitet. Intressant kan också vara att kommentera kring utbildning. Av de tre ortopedingenjörerna som jobbade med protesförsörjning på Rehabiliteringscentret var endast en formellt utbildad. Hon fick sin utbildning i El Salvador. De andra två är internutbildade, en av dem har jobbat i New York i flera år men kommit hem igen för att fortsätta som ortopedingenjör hemma i Santo Domingo. Det finns också en som idag jobbar som tekniker som står på tillväxt och har börjat sin utbildningsbana för att framöver kunna ta rollen som ortopedingenjör.

Ett stort tack vill jag rikta till Sveriges Ortopedingenjörers förening för det stipendium som möjliggjorde resan samt också till min arbetsgivare Rörelseorganens centrum inom Region Västerbotten som stod för min arbetstid en stor del av den tid jag var engagerad i detta på plats i Santo Domingo.

Jan Ottosson Leg. Ortopedingenjör Avdelningschef Ortopedteknik Rörelseorganens Centrum, Västerbotten
Ortopediskt Magasin 1/2023 47
Arbete i mörker när strömmen gått underlättas av mobiltelefonernas lampor. Justerar protesinställningen under provning, brukarens t-shirt var perfekt för dagen. Limitless! Förberedelser och dialog på möjliga och omöjliga språk inför tillverkning av en ny underbensprotes.

Ett sjukhus i Norge visar INGEN

djup infektion på >1500 utförda höft och knäoperationer under 2018-2019. De använder både Operio och Steristay sedan 2015 i kombination med omblandande ventilation.

Defining the clinical usefulness of vertebral fracture assessment

Kotkompression är den vanligaste osteoporosfrakturen och är en av de frakturer som starkast kan förutsäga risken för ny fraktur men trots det förblir två tredjedelar odiagnostiserade. Även om det finns mycket effektiva frakturpreventiva läkemedelsbehandlingar så minskar andelen frakturpatienter som får behandling. Kotkompressioner kan diagnostiseras med ”vertebral fracture assessment” (VFA) från sidobild på ryggraden som kan göras i samband med bentäthetsmätning (DXA).

Det övergripande syftet med avhandlingen var att undersöka den kliniska nyttan med VFA. I Socialstyrelsens riktlinjer för rörelseorganens sjukdomar 2021 fick DXA med samtidig VFA mycket hög prioritering. Trots det utförs inte VFA i Sverige i den omfattning som krävs för att identifiera både symtomatiska och asymtomatiska kotkompressioner. Den kliniska betydelsen av att identifiera kotkompressioner är stor både för patient och samhället då det finns nya mycket potenta anabola läkemedelsbehandlingar, speciellt effektiva på kotfrakturpatienter, att tillgå för att kraftigt minska risken för ny fraktur.

Studierna i avhandlingen är baserade på SUPERB-studien, en populationsbaserad studie på 3028 kvinnor, 75-80 år från Göteborg. I samband med inklusion mättes bentäthet med DXA och kotkompressioner diagnostiserades med VFA.

I delstudie I undersöktes om förekomst av VFA kotkompressioner var associerade med benegenskaper såsom benets mikrostruktur (högupplöst datortomografi) och styrka (mikroindentering). Den trabekulära benmikrostrukturen och bengeometrin var sämre hos kvinnor med kotkompression.

I delstudie II undersöktes associationer mellan VFA kotkompressioner och hälsorelaterad livskvalité (SF-12) och fysisk funktion (enbensstående, Timed Up and Go, gånghastighet, uppresande från stol och greppstyrka). Den fysiska hälsan och funktionen var sämre hos kvinnor med kotkompression, även efter

omfattande statistisk justering, jämfört med kvinnor utan kotkompression.

I delstudierna III-IV studerades samband med incidenta frakturer verifierade med röntgenbilder och röntgenutlåtanden. I delstudie III undersöktes om VFA kotkompressioner, beroende på antal och svårighetsgrad, förutsäger framtida frakturer, och mer specifikt om milda kotkompressioner (2025% höjdreduktion) ökar risken för fraktur. Under en uppföljningstid på 3.6 år fick 213 kvinnor en större osteoporosfraktur (major osteoporotic fracture; MOF). Kvinnor med enbart milda kotkompressioner hade 72% ökad risk för MOF oberoende av kliniska riskfaktorer och bentäthet i lårbenshals jämfört med kvinnor utan kotkompression, vilket denna studie var först med att visa.

I delstudie IV undersöktes om förekomst av VFA kotkompressioner har betydande inverkan på 10-årssannolikheten för ny osteoporosfraktur utöver den risk som kan kalkyleras med ”Fracture Risk Assessment Tool” (FRAX). Under uppföljningtiden fick 422 kvinnor en MOF. Resultaten visade att kotkompressioner diagnostiserade med VFA har en väsentlig påverkan på 10-års sannolikheten för MOF i FRAX, oberoende av självrapporterad tidigare fraktur och andra kliniska riskfaktorer och bentäthet, vilket denna studie var först med att visa.

Avhandlingen visar att VFA är en kliniskt värdefull metod för att diagnostisera symtomatiska och asymtomatiska kotkompressioner vilket förbättrar frakturrisk-bedömningen hos äldre kvinnor.

FAKTA

• Milda kotkompressioner diagnostiserade med VFA ökar risken för framtida osteoporosfraktur oberoende av bentäthet och kliniska riskfaktorer.

Kotkompressioner ökade 10-års sannolikheten för osteoporosfraktur väsentligt utöver tidigare självrapporterad fraktur samt andra kliniska riskfaktorer i FRAX och BMD.

Med VFA kan fler högriskpatienter för osteoporosfraktur identifieras och erbjudas adekvat läkemedelsbehandling resulterande i minskat antal frakturer i denna population av 75-80 åriga kvinnor.

Årets Avhandling
Ortopediskt Magasin 1/2023 49
VFA på en 75-80-årig kvinna med en svår kotkompression på L1 och degenerativa förändringar på T10-T12.

On hip fractures in adults under the age of 60

Genomsnittlig T-score efter åldersgrupp och kön för HFU-60 kohorten jämfört med NHANES III (amerikanskt befolkningsbaserat referensmaterial vid DXA-undersökning).

Genomsnittlig T-score för HFU-60 var signifikant lägre än för NHANES III avseende både TH och FN för män (p = < 0,001), TH för kvinnor (p = 0,02) och FN för kvinnor (p = 0,03). Figur 2 i delarbete I. TH: total hip, FN: femoral neck.

Höftfraktur är välstuderat bland äldre, medan litteraturen om de yngre patienterna har varit sparsam. Den generella uppfattningen av yngre patienter med höftfraktur har influerats av förutfattade meningar; att yngre bryter höften på grund av högenergetiskt trauma, missbruk, eller för att de är multisjuka – men inte på grund av osteoporos.

Det råder också en uppfattning om att vilken typ av höftfraktur en patient får styrs av traumamekanismen, ju högre energi i skademomentet desto värre – mer felställd eller instabil – fraktur. Ännu mindre har skrivits om de yngre patienternas egna upplever att drabbas av en höftfraktur och även resultaten efter operation för cervikala höftfrakturer var bristfälligt beskrivna. För att komplettera kunskapen om yngre individer som drabbas av höftfrakturer utvecklades doktorandprojektet, med målet att svara på de övergripande frågorna:

- Vilka bryter höften i yngre ålder?

- Vad avgör frakturmönstret?

- Hur påverkas livet och hur upplever patienterna återhämtningen efter en höftfraktur?

- Hur är det kirurgiska resultatet hos yngre patienter?

Delarbete I och II utgår från forskningsprojektet HöftFraktur hos vuxna Under 60 år (HFU-60). HFU-60 är en kohortstudie baserad på den allmänna befolkningen från fyra ortopediska kliniker i Sverige och Danmark, där patienter under 60 år med höftfraktur har bjudits in att delta i studien. Avsikten med HFU-60 studien var att analysera demografi, epidemiologi, förekomst av osteoporos, frakturbehandling och resultaten efter höftfraktur för unga patienter.

Delarbete I undersökte vilka patienterna är som drabbas av höftfraktur i yngre ålder; vi analyserade detaljerad information om skademekanismen bakom höftfrakturen, demografi, epidemiologi, livsstilsfaktorer, samsjuklighet och generell hälsa. Dessutom mättes bentätheten med DXA kort tid efter frakturen. Delarbete II beskrev frakturtyperna enligt AO/OTAs frakturklassifikation och undersökte om det fanns ett samband mellan typ av höftfraktur, traumamekanism och osteoporos. Delarbete III var en kvalitativ intervjustudie, som baserades på en subgrupp av HFU-60 patienterna, där patien-

ternas egna upplevelser av att bryta höften belystes. Delarbete IV analyserade nationella registerdata från Svenska Frakturregistret och Svenska Ledprotesregistret för att beskriva frekvensen av reoperation med höftprotes i de fall när osteosyntes med spikning/skruvning av cervikala frakturer misslyckades.

Vi fann att vuxna under 60 år utgjorde cirka 5% av den totala höftfrakturpopulationen. Mer än hälften av frakturerna skedde hos män och de flesta patienterna (68%) var i åldern 50–59 år. Två tredjedelar av frakturerna var felställda eller instabila och intrakapsulära höftfrakturer var vanligare än extrakapsulära. Två tredjedelar ådrog sig frakturen vid lågenergitrauma, två tredjedelar hade tidigare sjukdom(ar), och hälften hade haft en tidigare fraktur. Vid bentäthetsmätning fann vi en hög förekomst av osteopeni (57%) och osteoporos (31%), men osteoporos och traumamekanism avgjorde inte frakturmönstret. Att återhämta sig efter en höftfraktur var en långvarig process som innehöll ihållande smärta, funktionella och psykosociala svårigheter och stödet i rehabiliteringen var bristfälligt. Efter osteosyntes av cervikala höftfrakturer utfördes reoperation med höftprotes inom 5 år hos 25% av dem med felställda frakturer och 8% av dem med icke felställda frakturer.

Förutfattade meningar bör ersättas av en nyanserad förståelse av vilka de yngre patienterna med höftfraktur är. En grundlig hälsoundersökning samt bentäthetsmätning är befogat för alla patienter, oavsett ålder och traumamekanism. Långtidsuppföljning är motiverad; särskilt med tanke på långvariga svårigheter i återhämtningen efter en höftfraktur i kombination med risken för både tidiga och sena komplikationer efter osteosyntes av cervikala höftfrakturer, vilka kan kräva reoperation med höftprotes. Rehabiliteringen efter höftfrakturer bör individualiseras och möta kraven även från yngre patienter.

Årets Avhandling

Patienter under 60 år med höftfraktur utgör en heterogen grupp, med stor variation avseende demografi, livsstilsfaktorer, tidigare frakturer och sjukdomar.

Vi fann en hög grad av skörhet bland patienterna och riskfaktorer för fraktur och osteoporos var vanligt förekommande.

• Lågenergitrauma var den vanligaste orsaken till höftfraktur.

Förekomsten av osteoporos och osteopeni var hög jämfört med befolkningsbaserade referensmaterial, oavsett ålder och traumamekanism. Endast 1 av 8 hade normal benmassa.

Patienternas upplevelser av att bryta höften innehöll svårigheter i det dagliga livet, även år efter frakturen.

Dödligheten efter en höftfraktur var högre än i normalbefolkningen, vilket talar för att en underliggande skörhet som associeras med höftfraktur även gäller yngre individer.

FAKTA Sebastian Strøm Rönnquist Specialistläkare, med dr Skånes Universitetssjukhus
50 Ortopediskt Magasin 1/2023

Distal radius fracture – Incidence, malunion and osteoarthritis

Distal radius fraktur är den vanligaste frakturen som drabbar människan. Både män och kvinnor i alla åldrar, från barn till äldre, kan drabbas. Hos yngre individer sker handledsbrottet oftast i samband med högenergitrauma såsom trafikolyckor och fall från hög höjd, eller som ett resultat av olyckor under idrottsutövning eller på fritiden. Hos individer i medelåldern och hos de äldre är lågenergitrauma såsom fall i samma plan den vanligaste orsaken till brott på handleden. Handledsbrott drabbar framför allt kvinnor från 50 år och uppåt på grund av en stark koppling till benskörhet.

Det finns olika metoder för att behandla en handledsfraktur, både kirurgiska och icke-kirurgiska. Valet av behandlingsalternativ beror på olika faktorer. Målet med behandlingen är att läka frakturen så att patienten kan återfå sin handledsfunktion utan smärta.

Under de senaste två decennierna har sjukvården implementerat vårdprogram för att upptäcka och behandla benskörhet (som är en stark riskfaktor för benbrott) vilket kan ha påverkat förekomsten av handledsfrakturer. Två kända följder till en handledsfraktur är att frakturen läker med felställning eller att man får artros i handleden efter sitt handledsbrott. Vi har fortfarande inte tillräcklig kunskap om hur en felställning påverkar patientens egen

upplevelse av handfunktion och smärta på lång sikt. Sådan kunskap är viktig eftersom den påverkar val av behandling.

Att ställa diagnosen handledsartros kräver att en läkare granskar röntgenbilderna, vilket både är en tidskrävande uppgift och inbegriper viss osäkerhet, då bedömningen av artrosens utbredning och svårighetsgrad är subjektiv.

I min avhandling har jag jämfört förekomsten av handledsbrott i Nordöstra Skåne i södra Sverige under 2016 med skadans förekomst under 2001. Jag har undersökt hur felställning av en handledsfraktur kan påverka patienternas handledsfunktion och symptom på lång sikt (12 till 14 år efter skadan). Jag har också undersökt kunskapsläget när det gäller frågan om hur felställning i frakturen kan påverka patienternas symptom. Jag har jämfört ett datorprograms förmågan i att upptäcka artros i handleden med standardmetoden (granskning av röntgenbilder av en läkare).

Jag har funnit att förekomsten av handledsbrott i Nordöstra Skåne under 2016 hade sjunkit med 24% jämfört med 2001. Patienter som får ett handledsbrott som läker med felställning löper större risk att på lång sikt ha sämre utfall, med mer smärta och aktivitetsbegränsning jämfört med patienterna där frakturen läker utan felställning. Efter en omfattande litteratursökning fann jag evidens för att felställning efter en handledsfraktur har måttlig negativ påverkan på patientens handledsfunktion och symptom. Det AI baserade datorprogrammet för att upptäcka artros var inte redo för att upptäcka artros i handleden.

FAKTA

Distal radius fraktur är den vanligaste frakturen som drabbar människan.

Kvinnor 50 år och uppåt drabbas mest på grund av stark koppling till osteoporos.

Incidensen av distal radius fraktur har minskat under de senaste två decennierna, i huvudsak på grund av minskning av incidensen hos individer 50 år och äldre.

• Patienter som får en distal radius fraktur som läker med malunion löper större risk att på långsikt ha sämre patientrapporterade utfall och mer smärta.

Lätt artros i handleden efter en distal radius fraktur är vanlig men verkar inte ha en klinisk relevans.

Det finns evidens i litteraturen för att malunion har en måttlig negativ påverkan på patienternas rapporterade utfall.

Det AI baserade datorprogrammet för att upptäcka artros var inte redo för att upptäcka artros i handleden.

Muhanned Ali Överläkare, med dr Sektionschef Höftartroplastik VO Ortopedi Skånes sjukhus nordost Hässleholm sjukhus

Avhandling Ortopediskt Magasin 1/2022 51
Årets

Surgical treatment of spinal metastasis

Vilka patienter med metastaser i kotpelaren kan dra nytta av kirurgi? Den frågan har ryggkirurger brottats med i decennier. Tyvärr har metoderna för beslutsstöd inte hängt med i utvecklingen, visar denna avhandling.

Ryggmetastaser är en vanlig komplikation till cancer. Metastaser i kotpelaren drabbar förr eller senare omkring två tredjedelar av alla cancerpatienter men lyckligtvis är det inte alla som får symtom. Ryggmetastaser kan däremot vara första symtomet på cancer i upp till 20% av fallen, även om siffran varierar stort mellan olika studier.

Metastaserna kan ge ryggmärgspåverkan med snabbt insättande symtom som kräver akut handläggning. Det finns en randomiserad studie (Patchell 2005) som jämför kirurgi och strålning med enbart strålning för dessa patienter. Patienterna som blev opererade hade bättre utfall jämfört med dem som enbart fick strålbehandling.

Det finns alltså evidens för att vi ryggkirurger kan göra nytta med akut och ibland komplex kirurgi som en palliativ åtgärd för patienter med metastaserad cancersjukdom. Tyvärr är kirurgin inte komplikationsfri och en patient med begränsad livslängd ska ju inte tillbringa sin sista tid på sjukhus i sviterna efter en ryggoperation.

För att fatta ett korrekt beslut om operation för dessa patienter finns det flera poängbaserade scoringsystem till hjälp. Poängsystemen förutspår patientens överlevnad och ger därmed en indikation på om kirurgi kan vara rimligt. Första delmålet i avhandlingen var att utvärdera precisionen i dessa beslutsstöd.

I delarbete 1 inkluderades 315 patienter opererade på Akademiska sjukhuset i Uppsala 2006-2012 på grund av ryggmetastaser. Data hämtades från journaler och Svenska ryggregistret Swespine. Genom att jämföra patientens riktiga överlevnad med den förutspådda från fyra olika poängsystem kunde vi beräkna precisionen i prognoserna. Resultatet visar att alla poängsystem tenderar att underskatta snarare än överskatta överlevnaden, se illustration här intill. En förklaring kan vara att poängsystemen inte har hängt med i de senaste decenniernas snabba utveckling inom onkologin.

I det andra delarbetet i avhandlingen jämförde vi överlevnad efter kirurgi mellan patienter med känd respektive okänd primärtumör. Av 393 inkluderade patienter hade 122 (31%) en okänd primärtumör vid operationstillfället. Patienterna med okänd primärtumör visade sig

Figur från delarbete 1 som visar att scoringsystemen tenderar att underskatta snarare än överskatta överlevnad hos patienter med ryggmetastaser.

Årets Avhandling

AVHANDLINGENS FYRA VIKTIGASTE SLUTSATSER

Poängbaserade scoringsystem som bygger på gamla kohorter underskattar överlevnaden hos patienter med ryggmetastaser. De bör användas med stor försiktighet, helst inte alls.

• Att primärtumören är okänd är inget argument för att avstå kirurgi hos patienter med ryggmetastaser.

Operationsmetoder och överlevnad efter kirurgi hos patienter opererade i Sverige på grund av ryggmetastaser är i linje med internationella material. Nästan alla patienter med ryggmetastaser dör av sin cancersjukdom.

AI-baserade verktyg som PathFx 3.0 är har framtiden för sig när det gäller prediktion, inte minst eftersom de kan uppdateras och lättare hänger med i onkologins utveckling.

ha signifikant längre överlevnad efter kirurgi efter operation, medianöverlevnaden var 15,6 månader jämfört med 7,4 månader för patienterna med känd primärtumör.

Delarbete tre är en nationell sammanställning av Swespines metastasmodul med data från 1820 patienter opererade 2006-2016. Den vanligaste indikationen för kirurgi under perioden var neurologiskt bortfall och den vanligaste operationsmetoden bakre dekompression och stabilisering. Genom att samköra Swespine och Dödsorsaksregistret finner man dessutom att 97% avlider av cancersjukdom och inte av andra orsaker, vilket understryker att ryggkirurgin är en palliativ behandling.

Det fjärde delarbetet blickar framåt i tiden och utforskar möjligheterna till modernare prediktion av överlevnad. Det svensk-amerikanska webbaserade verktyget PathFx 3.0 har tidigare validerats för patienter med patologiska frakturer. Vår analys av 668 patienter (opererade och/eller strålbehandlade) visar att det har hyggligt god precision även för patienter med ryggmetastaser.

52 Ortopediskt Magasin 1/2023
Christian Carrwik Överläkare, ryggsektionen VO Ortopedi & handkirurgi Akademiska sjukhuset, Uppsala

Parathyreoideahormon

Kontinuerligt högt PTH bryter ner ben. Intermittenta peak-koncentrationer stimulerar paradoxalt nog benbildning. Hur? Det har vi ingen aaaning om, men eftersom det är en så svår benbrist i samhället borde PTH kunna användas kliniskt på patienter där benbristen försvårar kirurgin. Har du några egna anekdotiska erfarenheter? Det vore kul att samla spridda erfarenheter för att försöka utmejsla solida indikationer. Några stora randomiserade studier lär det inte bli.

PTH är en av flera mekanismer som håller serumkalcium inom mycket snäva gränser; det är vitalt för överlevnaden. När de första ur-fiskarna började vandra mellan söt/saltvatten för cirka 400-500 miljoner år sedan så behövde de hålla koll på saltbalansen, och praktiskt nog anlades bisköldkörtlarna och calcitonin-producerande celler då i gälarna, och de har behållit sin plats på halsen även hos homo.

PTH är ett litet protein, 84 aminosyror, molekylvikt 9 500, som ständigt produceras i stort överskott. Serumkoncentrationen till blodet regleras genom nedbrytning, vilket uppenbarligen behövs eftersom PTH insöndras inermittent genom att överskottet bryts ner intracellulärt – det går mycket snabbare än genom att variera syntesen. Liknande svängningar finns även för exempelvis tillväxthormon. Varför?

Man har även identifierat PTH:s receptor som också påverkas av andra peptider.1 I blodet har PTH en mycket kort halveringstid, och det är bara den aminoterminala änden som är biologiskt aktiv; den aktiva 34-aminosyresekvensen har framställts med rekombinations-teknik, teriparatide. Råttor som fått hästdoser fick dock osteosarkom, vilket kom att dämpa entusiasmen något, men teriparatide har en användning vid speciella fall av svår benskörhet. Nackdelar är priset och att det måste ges som injektioner.

Många och dyra randomiserade teriparatide-studier för att

speeda upp frakturläkning har givit magra resultat. Problemet har dels varit att läkemedelsindustrin vill ha stora marknadssegment, vanliga frakturer, som handledsfrakturer som ju läker ändå; dels att vi inte har något bra sätt att mäta benläkning. Spongiöst ben läker ju direkt utan kallus, och röntgen/CT är inte to-the-point. Men, som sagt, för några speciella fall, där vi behöver fäste för skruvar och spikar, borde det finnas indikationer. Vid trauma och kirurgi stimuleras en ökad bennedbrytning som kan brytas med den effektivaste bisfosfonaten zoledronat, som kan ges i engångsinjektion med en frakurskyddande effekt i flera år.

Märkligt nog läker de flesta frakturer som är vaskulariserade, trots att det rimligen inte finns någon evolutionär drive för frakturläkning, som kan vara en spin-off effekt av benets ständiga remodellering.2 De flesta djur i naturen blir uppätna eller svälter ihjäl även efter triviala frakturer. Pseudartroser och läkningsstörningar hos människa är ovanliga, trots att det ofta står att det drabbar 5-10% av alla frakturer. Visst, det är ju en fråga om definitioner. FDA kräver för non-union att det gått 9 månader och så lång tid kan väl få svenska ortopeder hålla fingrarna i styr.

Vad gäller benläkning har den praktiska patientnyttan av PHT – att bygga nytt ben – och för övrigt även olika varianter bone morphogenetic proteins, ännu inte varit så stor. Det kommer knappast att bli någon stor patientgrupp,

som man kan tjäna storkovan på. Men borde vi inte kunna utnyttja ben-specifika medlen på ett smartare sätt? Att 1) stimulera osteoblasterna att bygga nytt ben, och 2) att hindra osteoklasterna att bryta ner befintligt ben. Man kanske kunde börja med en inventering av OM:s illustra läsekrets högst personliga erfarenheter? De användningsområden man först tänker på är ryggkirurgi, men även andra större rekonstruktiva åtgärder och frakturer i räkskals-liknande ben.3

IMalmö har man samlat ett antal fall. I en operererad deformitet, lossnade pedikelskruvarna pga fragilt ben. Efter tre månaders PTH-behandling reopererades patienten. Operatören hade då svårt att sätta in nya pedikelskruvar pga det hårda benet. Så han var

tvungen att be en yngre och starkare assistent att sätta skruvarna.

För övrigt anser Pompe att vi måste få korsköra och länka register och journaler. Dubbeldokumentation är en styggelse. Sanera dagens obsoleta IT-lagstiftning som skadar patienter och värnar om Bandidos’ personliga integritet.

REFERENSER

1. Martin TJ & al. Endocr Rev 2021; DOI: 10.1210/endrev/bnab005.

2. Aspenberg P. Benboken, Googla Benboken.

3. Barnes GL & al 2008. DOI: 10.2106/JBJS. G.01443.

Ortopediskt Magasin 1/2023 53 POMPES hörna

Vad är grejen med

Châteauneuf-du-Pape?

OM MAN VILL PROVA CHÂTEAUNEUF-DU-PAPE HEMMA, VAD VÄLJER MAN?

Systembolaget erbjuder idag 59 olika viner från området och samtliga är naturligtvis fantastiska viner och bör så vara i en prisklass på 239-1866 kronor. Jag har valt att prova:

Domaine de la Pinède 2019

Nr 55507

319 kr

Beställningssortiment

Vi har alla sett namnet i vinlistor såväl som i annonser … Vid en av våra bilresor genom Europa passerade jag och familjen genom den lilla, ganska oansenliga, byn som fått ge namn till Frankrikes kanske mest välkända vindistrikt. Helt plötsligt dök det upp en helt vanlig vägskylt med namnet och min måttligt vinintresserade hustru vaknade till och utbrast ”det där vinet gillar jag!”.

Vi börjar från början. Vart kommer egentligen namnet "Påvens nya slott" ifrån? För det första så pratar vi om Avignon-påvarna, som Filip den IV av Frankrike helt sonika hade flyttat från Italien och Rom till Frankrike i början av 1300-talet. Det var i Avignon som vår egen Heliga Birgitta besökte påven och övertalade honom att låta henne starta Birgittin-orden.

Påvarna i Avignon behövde ett sommarslott, alltså byggdes ett sådant 18 km från påvepalatset. I området runt det nya sommarslottet började man med vinodling redan på 1300talet. Det finns en vingård som hävdar att de funnits sedan mitten av 1300-talet – Château Pape Clément.

Château Pape Clément är en så kallad Grand Cru, en klassifikation av vingården. Gran Cru är högsta kvalitet och därefter följer Premier Cru, Appellation Communale och sist Appellation Regionale. Tyvärr har Systembolaget inga viner från Château Pape Clément, men se listan på viner här i artikeln för liknande vin.

Alla viner från Châteauneuf-du-Pape är en blandning (cuvee) av de 18 sorters druvor som få ingå, där huvuddelen är Grenache. Vanliga druvor i blandningen är Syrah och Cinsaut.

Châteauneuf-du-Pape kontrollerar sin vinodling hårt. 1923 fick Châteauneuf-du-Pape

Frankrikes första ursprungsskydd för vin: appellation dórigine protégéé.

Man får endast sälja viner under namnet Châteauneuf-du-Pape om man uppfyller följande:

• Druvor får endast odlas där det växer lavendel och timjan.

• Minst 12,5% alkoholhalt.

• Uppbindning och beskärning regleras. De ursprungliga 18 olika druvorna får blandas fritt, inga andra tillåts. Absolut ingen produktion av rosévin!

Det som utmärker Châteauneuf-du-Pape är dess unika jordmån ”les Galets” som kännetecknas av stenar i samma storlek och form som en tennisboll och som täcker samtliga vinodlingar. Stenarna fyller förutom ett estetiskt syfte två viktiga funktioner:

1. De alstrar värme. Området har heta dagar och kalla nätter och eftersom man måste ha en alkoholhalt på minst 12,5% så behövs värmen även under natten för att uppnå rätt sockerhalt i druvorna.

2. Dränering. Regnvattnet når ner till rankans rötter och ger Châteauneuf-du-Papee sitt karakteristiska drag av mineraler.

Vad bör du hitta i en Châteauneuf-du-Pape?

I doften bör du hitta fat (ek, vanilj), röda bär och lagerblad. Den erfarne sommeliern kanske misstänker att det är en Châteauneuf-du-Pape vid en blindprovning vägledd av doften av nymalen vitpeppar.

Smaken beskrivs ofta som en komplex blandning av röda körsbär, björnbär, franska örter (lavendel och timjan). Tanninhaltena är ganska höga och vinet har en frisk syra.

Så vad är grejen med Châteauneuf-du-Pape?

Du kan välja vilken Châteauneuf-du-Pape du vill – de håller alltid en otroligt hög lägstanivå. Dessutom signalerar namnet god smak, högt pris och ett visst vinintresse – det är ju inte en Amarone precis. ;)

2019 fick betyget ”Outstanding” av Robert Parker och jag kan bara hålla med honom. För att vara en Châteauneuf-du-Pape är den fortfarande ganska ung och har en något för hög syra, inte riktigt tydliga toner av lakrits, men vitpeppar finns i näsan. Jag skulle låta den ligga 5-10 år i källaren eftersom den fortfarande är – för ung! Köp och glöm ett decennium!

CdP E. Gigual 2017

Nr 70503

379 kr

Standardsortiment

2017 får ett något lägre omdöme men två år till på flaska gör underverk för utvecklingen av typiska Châteauneuf-du-Papesmaker. Från denna mycket namnkunniga producent kommer en supertypisk Châteauneuf-du-Pape. Det är fat, vitpeppar och jordgubbe direkt i både munnen och näsan. Rekommenderas!

Vinspalten
58 Ortopediskt Magasin 1/2023
Christer Rudh Vinintresserad make till OM:s redaktionschef
54 Ortopediskt Magasin 1/2023

Turn static files into dynamic content formats.

Create a flipbook
Issuu converts static files into: digital portfolios, online yearbooks, online catalogs, digital photo albums and more. Sign up and create your flipbook.