



ESPECÍFICO PARA ALINEADORES
El CS®5 Bondable representa un avance innovador en la tecnología de ortodoncia. Te explicamos más en el interior.


















![]()




El CS®5 Bondable representa un avance innovador en la tecnología de ortodoncia. Te explicamos más en el interior.




















El CS®5 Bondable representa un avance innovador en la tecnología de ortodoncia.
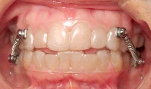
CS®5 Bondable se adhiere directamente al diente, ofreciendo una integración perfecta que mejora la efectividad de los tratamientos de ortodoncia, especialmente cuando se usa junto con alineadores. Con Bondable CS®5, los ortodoncistas pueden mejorar los resultados de su tratamiento, brindando a los pacientes la confianza de una sonrisa bellamente alineada.
El CS®5 Bondable está disponible para su compra como kit para 5 pacientes:
• 10 resortes de baja fuerza CS5 (7 mm o 10 mm)
• 20 pivotes vinculables
• 20 tornillos de perfil bajo
• 1 lápiz Allen magnético
• 1 cargador magnético

Con el innovador pivote Bondable, meticulosamente diseñado para la comodidad del paciente con su diseño de perfil bajo, este dispositivo garantiza una experiencia de ortodoncia suave y cómoda.
El tornillo de bajo perfil adjunto fija sin esfuerzo el resorte al pivote, simplificando el proceso de aplicación para los ortodoncistas. Además, el resorte Bondable CS®5 está diseñado para ejercer una fuerza suave pero efectiva de solo 150 gramos, lo que facilita la corrección de casos de Clase II o III con notable precisión y mínima incomodidad.
El resorte de baja fuerza que genera 150 gramos de fuerza , acompañado de un pivote Bondable de bajo perfil, garantiza resultados predecibles.


Resorte de baja fuerza
7mm y 10mm


Lápiz Allen magnético Cargador magnético
Específicamente para su uso junto con alineadores, CS®5 Bondable se integra perfectamente en varios planes de tratamiento de ortodoncia para mejorar la eficiencia.



Norris 20/26® Brackets
Aleación de Cobalto-Cromo Libre de Níquel
• Ganchos Integrados
• Ganchos Bicuspidos Universales
• .020 x .026 Slot
• Borde Delantero Redondeado de la Puerta
Norris Extra Broad Archwire
• Nivelación y Alineación Máxima Tratamiento de la Mordida Cruzada Posterior
• Produce una Sonrisa Amplia y Hermosa
• Pre -Stopped
• 19 × 25 “Rectangular Redondeado”

30% Broader Than Other Broad Archwires On The Market
DISPOSITIVO DE CORRECCIÓN
DEFINITIVA EN EL SILLÓN DENTAL


CS®5 Spring
• Carga Instantánea
• Fuerza Constante
Twist-Lock Pivot
•
• Diseño de una pieza Instalación simplificada
• Rendimiento Mejorado

Lápiz Allen Magnético
• Colocación más segura
• Rápida instalación Tornillo híbrido con Nylok™
• Resistencia al Aflojamiento
• Ajuste más seguro
Características y Bene cios
• Claridad incomparable
• Excelente ductilidad
• Película protectora Fabricado en EE. UU.
Disponible en forma Redonda & Cuadrada
• .030 in.
• .035 in.
• .040 in.


Los Únicos Botones Adhesivos Diseñados
Especí camente Para Alineadores Transparentes.



#10- PAB102 1 0 #10- PAB M IN I # 10 - PABCLR 2
Características y Bene cios
• La almohadilla de base está perfectamente adaptada para encajar en la forma de las ventanas recortadas del alineador.
• Máxima superficie para una fuerza de unión confiable.
• La almohadilla de base está contorneada para adaptarse al diente en la línea de las encías.
• La cabeza del botón mejorada facilita la colocación de elásticos de diferentes tamaños.
• Dimple de posicionamiento en la cabeza del botón para una colocación precisa.


€ / Arcada

EL SISTEMA DE BRACKETS NORRIS 20/26™ ES LA SIGUIENTE PROGRESIÓN EN BRACKETS AUTOLIGABLES
EL SISTEMA NORRIS 20/26® ES UNA NUEVA DIMENSIÓN EN LA EFICIENCIA DEL TRATAMIENTO; ES, CON MUCHO, LA PROGRESIÓN MÁS AVANZADA EN TECNOLOGÍA DE FORMA DE ARCO Y AUTOLIGADO PASIVO HASTA LA FECHA.
Concebido por el Dr. Robert "Tito" Norris, este sistema es la culminación de sus años de experiencia en el tratamiento con los principales sistemas de autoligado pasivo, junto con su experiencia en ingeniería mecánica. Pudo identificar tanto los atributos físicos como las deficiencias clínicas de los aparatos de la competencia y determinar qué elementos de diseño beneficiarían más al ortodoncista actual.
El resultado es un verdadero sistema de aparato de autoligado pasivo/activo gemelo con una dimensión de ranura reducida de 0,020 x 0,026”, combinado con una serie de alambres con forma de arco extra ancho.
2x .014 Extra Broad NiTi
2x .018 x .018 Extra Broad NiTi
10 casos Norris System 20/26 con los siguientes items incluidos:
2x .019 x .025 Rounded Rect. Extra Broad NiTi



Visita la sección Sistema Norris 20/26 en ortodoncia10.com para saber más sobre el sistema y publicaciones
2x .019 x .025 Extra Broad Rounded Rect. Beta 1x Triple Tool - Door Opener 1x HIP Tool - Archwire Seater
El k it de introducción 7x7 viene con 10 estuches de Bracket además de los siguientes ar tículos de cor tesía:
2x .014 Ex tra Broad N iTi
2x .018 x .018 Ex tra Broad N iTi
2x .019 x .025 R ounded R ec t. Ex tra Broad N iTi
2x .019 x .025 Ex tra Broad R ounded R ec t. B eta
1x Tr iple Tool - D oor Opener
1x HIP Tool - Archwire S eater #217-01C7-INT












SU ÁREA MÁXIMA DE UNIÓN
EVITA EL DESPRENDIMIENTO AL TIRAR DEL ELÁSTICO
CONTORNEADO PARA QUE
COINCIDA CON LA FORMA DEL MOLAR EN LA LÍNEA DE LAS




LA CABEZA DEL BOTÓN MEJORADA ES CÓMODA Y FÁCIL PARA COLOCAR ELÁSTICOS


LA FORMA DE LA BASE SE AJUSTA CON PRECISIÓN A LAS VENTANAS DE CORTE DEL ALINEADOR

CORRECTOR DE CLASES II Y CLASES III
EFICIENCIA, FUERZAS CONSTANTES Y RESULTADOS PREDECIBLES.

GARANTIZA RESULTADOS CON TUS CASOS DE ORTODONCIA
CLASE II Y CLASE III CON ESTE REVOLUCIONARIO SISTEMA
Los resortes CS5® Niti son exclusivos de DynaFlex®, y utilizan una espiral patentada de fuerza instantánea (350 gr.), un muelle helicoidal cerrado y un extremo especialmente diseñado que se ajusta a nuestro pivote patentado tradicional y al nuevo pivote Twist-Lock™ o tradicional.
CS5® está hecho de un exclusivo material de níquel titanio con extremos de orificio especialmente construidos para mejorar la resistencia y durabilidad en un 40%. El nuevo resorte CS5® cargará fuerza al instante y se mantendrá extremadamente

constante durante todo el tratamiento con la confianza de un uso prolongado. El beneficio es una fuerza más suave y constante que se comporta mejor y dura más tiempo. El sistema CS5® es uno de los sistemas de clase II y clase III más exitosos que se utilizan en todo mundo debido a su simplicidad, efectividad y precio en comparación con otros sistemas disponibles en la actualidad. El CS5® es una mejora importante de un producto ya exitoso y ampliamente utilizado. Este es un sistema imprescindible para su inventario
Radiografía Clase III









El material patentado de Glacier® se utiliza en los alineadores transparentes SmileShare™ y también está disponible para fabricación interna.
El material termoformado Glacier Ultra Premium de DynaFlex fue diseñado para brindar durabilidad, claridad y comodidad durante el tratamiento.





Duradero
Claridad suprema
Tecnología Grab-Force


Movimiento dental mejorado
Fabricado en los Estados Unidos
TALLA FORMA COD # CÓD. PROMO
.030 x 125m m
Redonda #0764-030
.035 x 125m m Redonda #0764-035
.040 x 125m m Redonda #0764-040
. 030m m Cuadrado x5” #0765-030
.035 m m Cuadrado x5” #0765-035
.040 m m Cuadrado x5” #0765-040
.030 m m #0764-030
“
.035 m m #0764-035
.030
.035
Las compras al por mayor de material Glacier® están disponibles.
¡Llame a nuestro equipo de atención al cliente para obtener más detalles! 950 615 592

.040 m m #0764-040

m #0765-030
m #0765-035
.040 m m #0765-040 REDONDO (125mm)

1 5 7 € /box
Tener los materiales correctos para diferentes movimientos es crucial para obtener excelentes resultados con los alineadores. Glacier® proporciona la fuerza predecible necesaria para nalizar el tratamiento y llevar el caso a casa.
Un bracket verdaderamente excepcional que es casi perfecto en todos los aspectos. Simplemente puesto, el AtlasTM Mini es un bracket en el que usted y su personal pueden confiar. Una resistencia superior y una gran durabilidad del AtlasTM Mini. Fabricación combinada de acero inoxidable extremadamente fuerte y la técnica de soldadura más precisa para agregar una de malla ideal de calibre 80.
Las impresionantes características de AtlasTM incluyen: acero inoxidable 17-4, calibre 80 en la malla de aluminio, ranura suave, precisa y diseño de bajo perfil que le da la confianza para lograr el tratamiento en las maloclusiones más difíciles. Este es el bracket que hará que usted, su personal y sus pacientes sonrían!


Cada tubo bucal es fabricado con gran precisión y más de 50 años de experiencia en la industria, ofreciendo los mejores resultados. Nuestro Tubo Trompeta facilita la inserción del arco en todo momento. Ofrecen un verdadero torque en la base, lo que maximiza la expresión de la información y minimiza las interferencias oclusales. Las mallas diseñadas por ordenador proporcionan ajuste anatómico excepcional en los molares.
Tubo Trompeta Bajo Perfil.....................................5,50 €/Ud.
Comprando 60 tubos bucales trompeta..............3,80 €/Ud.
Comprando 120 tubos bucales trompeta............3,00 € /Ud.
Comprando 150 tubos bucales trompeta............2,50 € /Ud.
Rápido, estético, invisible y más cómodo gracias a su bajo perfil y aletas redondeadas. Los brackets autoligables ACTIVE CERAMIC SLB ofrecen una estética perfecta, comodidad y un manejo preciso y sencillo. Fabricados en USA con la más alta calidad disponible en materiales policristalinos dando resultado en una estética ideal y un rendimiento excepcional.



Este revolucionario bracket de zafiro monocristalino cambiará para siempre su forma de ver y pensar acerca de los brackets estéticos. Con la estética de ClearViz + Mini obtendrás la máxima satisfacción del paciente.
El bracket de zafiro ClearViz + Mini incluye: la fuerza y claridad superiores del zafiro monocristalino, revestimiento de sílice para una mecánica de deslizamiento superior y resistencia a la ranura, tamaño un 30% más pequeño con bordes perfectamente redondeados para la comodidad intransigente del paciente, fuerza de adhesión infinita durante todo el tratamiento y la fractura mínima durante despegando.
Como puede ver, no hay nada igual a ClearViz+ Mini en el tratamiento de ortodoncia estética.
Brackets estéticos ClearViz+TM
Comprando 3 casos
Comprando 5 casos
Comprando 10 casos




DURABILIDAD, ACCESSIBILIDAD, Y POTENCIA


Nueva led aumentada, mayor espectro de colimación 4sg de gran potencia para ortodoncia xtra power: 3200 mw/cm
El diseño delgado y de bajo perfil permite un acceso sin precedentes a cualquier lugar de la boca. Tubos y bandas de difícil acceso, valo grand lo hace fácil.

Con una nueva lente un 50% más grande. OFERTA ESPECIAL







Serie completa de arcos creada a partir de materiales confiables y probados.
Cada alambre está pulido para una suavidad sin igual, para reducir la fricción y proporcione el movimiento que está buscando.





.013 #10-C27013U #10-C27013L
.014 #10-C27014U #10-C27014L
.016 #10-C27016U #10-C27016L
.018 #10-C27018U #10-C27018L
.014 x .025 #10-C27014025U #10-C27014025L
.016 x .025 #10-C27016025U #10-C27016025L
.017 x .025 #10-C27017025U #10-C27017025L
.018 x .025 #10-C27018025U #10-C27018025L
.019 x .025 #10-C27019025U #10-C27019025L MEDI DA
.013 #09-C27013
.014 #09-C27014
.016 #09-C27016
.018 #09-C27018
.014 x .025 #09-C27014025
.016 x .025 #09-C27016025
.017 x .025 #09-C27017025
.018 x .025 #09-C27018025
.019 x .025 #09-C27019025
#10-C35016U #10-C35016L
#10-C35018U #10-C35018L
.016 x .022 #10-C35016022U #10-C35016022L
.017 x .025 #10-C35017025U #10-C35017025L
.018 x .025 #10-C35018025U #10-C35018025L
.019 x .025 #10-C35019025U #10-C35019025L
#09-C35018 .017 x .025 #09-C35017025
.018 x .025 #09-C35018025
x .025 #09-C35019025
C o mo s i emp r e , t od o s nuest r o s a r co s est á n pul i dos a un a l t o b r ill o y cuent an con u n aca b a d o su a v e c omo la sed a p ara r edu ci r l a f r i c c ión. Nuest r os a r cos de a ce r o i n o xid a ble de d o bl e
r eso r t e t empl a d o de ca lid a d supe r i or son un a opción p r e f e r id a y ec o nómi ca p ara su oficina MED I DA S U P E R I O R I NFE R IO R
.012 #0900-AU #0900 -AL
.014 #0900-BU #0900-BL
.016 #0900-CU #0900-CL
.016 x .016 #0925-AU #0925-AL .016 x .022 #0925-BU #0925-BL .017 x .025 #0925-CU #0925-CL .018 x .025 #0925-DU #0925-DL .019 x .025 #0925-EU #0925-EL
#0924-AU #0924-AL
#0924-BU #0924-BL
#0924-CU #0924-CL
.018 #0900-DU #0900-DL .020 #0900-EU #0900-EL .016 x .016 #0902-AU #0902-AL
12 € /pk
#0924-DU #0924-DL .020 #0924-EU #0924-EL
x .022 #0902-BU #0902-BL .017 x .025 #0902-CU #0902-CL .018 x .025 #0902-DU #0902-DL
#0902-EU #0902-EL .021
#0902-FU #0902-FL
12 € /pk.

íquel
¡ S olo la m a t e r ia p r i m a de l a m á s a lt a c a l i d a d c umpl i r á c o n nuest r o s estánd a r es de fa b r icación ! D ec i mos : “¡Emp i ece c o n lo mej o r, t e r mine con lo
El a st ic N ic k el T i t a n i um supe a t odos los dem á s y dej a mu ch o d in e r o en su bolsillo! ¡El r a ngo de tr a INFERIOR e x t r em a d a men t e l a r g o y el ac ab a do su a v e y s a t ina do p r oduc i r
DA SU P ERI O R INFERI O R .012 #0910-AU #0910-AL .014 #0910-BU #0910-BL
#0910-CU #0910-CL
#0910-DU #0910-DL .020 #0910-EU #0910-EL
.016 x .016 #0911-AU #0911-AL
.016 x .022 #0911-BU #0911-BL
.017 x .025 #0911-CU #0911-CL
.018 x .025 #0911-EU #0911-EL .019 x .025 #0911-FU #0911-FL .021 x .025 #0911-GU #0911-GL
#0927-AU #0927-AL
#0927-BU #0927-BL
#0927-CU #0927-CL
#0927-DU #0927-DL
#0927-EU #0927-EL

COMPRANDO
.016 x .016 #0928-AU #0928-AL
.016 x .022 #0928-BU #0928-BL
.017 x .025 #0928-CU #0928-CL
.018 x .025 #0928-DU #0928-DL .019 x .025 #0928-EU #0928-EL



¡Súper fuerte y potente! Mantiene un excelente rebote durante largos períodos de tiempo, brindándole la fuerza que necesita. Garantizamos que nuestra cadena es de la más alta calidad disponible. carrete de 15 pies.


Cuentan con un acabado brillante que profundiza el color mientras mantiene el estiramiento de 3/8 ' y el 90% de rebote. Fuerza superior, colores brillantes, garantizados para no desvanecerse ni decolorarse.



Fuerza superior, colores brillantes, garantizados para no desvanecerse ni decolorarse. ¡29 atractivos colores disponibles para Dyna Sticks y Single Sticks!
Ligaduras por barra: 10 ligaduras por stick - 100 barras por paquete Dyna Sticks: 50 lazos ligaduras por barra - 20 barras por paquete
e formado y cor tado con precisión para garantizar niveles de fuerza

#1208-BL 3/16" Light
#1208-BM 3/16' Med Anteater #1208-BH 3/16" Heavy Chimpanzee
#1208-CL 1/4" Light Caterpillar
#1208-CM 1/4" Med
#1208-CH 1/4" Heavy Parrot


Aligner Chewies™ son la solución per fec ta para colocar cor rec tamente un alineador -

mente para proporcionar una fuer za unifor me a un área de la boca si es necesar io. Aligner Chewies™ son una alter nativa más limpia a los rollos de algodón. Disponible en paquetes de 20. 10 paquetes sellados para pacientes de 2.

OFERTA ESPECIAL! 1,79€PK 5+1
€ 2.15 /pk 2 ud
Reduce la incomodidad del paciente. ¡Las cajas de cera simples, tropicales, con salpicaduras o per fumadas serán un éxito entre sus pacientes! Cada compac to contiene cera transparente para brackets. 50 compac tos por caja.Any Color

#1309-AQ Aqua

#1309-BB Blueberr y

#1309-M Mint

#1309-BG Bubble Gum

#1309-G Grape

#1309-C Cherr y

#1309-MR Maroon
Cera transparente para alivio de brackets Compactos fáciles de usar. 50 por caja.






#0853-W Blanco/Sin per fume #0853-G Púrpura/uva #0853-BG Rosa/Chicle #0853-M Verde/Menta #0853-P Amarillo/Piña



#1309-LB Light Blue

#1309-TB Tropical Blue

#1309-TG Tropical Green

#1309-TP Tropical Pink
Los paquetes de cera alivian la irritación de los
Disponible lleno de cera o compactos vacíos 5 tiras de cera sin sabor en una caja transpare Caja de 100

¡Los estuches de colores brillantes, per fumados, salpicados, brillantes o simples seguramente serán un éxito entre sus pacientes! Etiquetas de nombre incluidas. 20 por paquete. Gran cantidad de descuentos disponibles Cualquier color













*Los cabezales se venden por separado


DynaFlex® De un solo lado

DynaFlex® Contraángulo alternativo
Se adapta a piezas de mano tipo 'E' 1.4 mm trazo A u t ocl a v abl e Par óptimo
#O-109-1600
597€ /ea.
Un método seguro, preciso y fiable para lograr un desprendimiento interproximal preciso. Más controlables y más seguros para el odontólogo y el paciente que los discos de diamante. Brinda la flexibilidad que las fresas de diamante y carburo no pueden. Más rápido y más cómodo para el paciente que la extracción manual manual. Velocidad máxima 20.000 oscilaciones por minuto.
Doble cara Disponible en 5 granos diferentes
90 micras - para uso como sierra para abrir contactos
60 micras - para reducción


40 micras - para contornear
25 micras - para acabado
15 micras - para prepulido


Disponible en 5 granos diferentes / derecho e izquierdo
90 m i c r o n - para usar como sierra para abrir contactos
60 m i c r o n – para reducción
40 m i c r o n – para reducción y contorneado
25 m i c r o n - para terminar
15 m i c r o n - para prepulido











NUEVO BLANQUEAMIENTO PARA TU SISTEMA DE ALINEADORES. ¡PACIENTES ENCANTADOS!
El blanqueamiento para alineadores Opalescence PF tiene todos los beneficios del blanqueamiento original Opalescence PF:
Contiene 8 unidades Opalescence PF 10% Jeringas regulares
Alto contenido de agua para mantener los dientes hidratados
PH neutro para la salud y seguridad bucales
Nitrato de potasio y fluoruro para tratar la sensibilidad
Está disponible en un cómodo diseño portátil de 8 jeringas para que los pacientes puedan llevar el gel consigo y blanquear a su conveniencia.
5366EU kit BLANQUEAMIENTO Opalescence PF 10% Regular Patient Alineadores.



• Lámpara de fotopolimerización BLAZE incluye: Luz de detección de caries
• Diseño de mango colorido y ergonómic
• Opciones de color: verde hierba, rosa, morado, azul y negro
• Una carga completa proporcionará más de 200 aplicaciones
• Tres modos de trabajo: potencia máxima, aumento gradual y pulso
• Configuración de tiempo variable: de 5 segundos a 40 segundos
• Intensidad de la luz: 1,600 mW / cm2 a 1,800 mW / cm2
• 1 año de garantía






018x025 5mm: WS182505
018x025 6mm: WS182506
019x025 5mm: WS192505
019x025 6mm: WS192506


CURVED CRIMPABLE
Ref: 92-001-05L (left) Ref: 92-001-05R (right)







Ref: 92-002-04L (left)
Ref: 92-002-04R (right)
x 10 uds.


Ref: 92-002-03L (left) Ref: 92-002-03R (right)



Ref: 92-002-06L (left) Ref: 92-002-06R (right)


92-002-01L (left)
(right)















ALICATES PARA ALINEADORES

17-3011
Legend II



Aligner Tear Drop
€

O-160-1048
Botón redondo con cadena extrusión oro. Pack por 5


Botón con cadena extrusión
Acero Nit. Pack por 10
€
Ligadura metálica corta Pack por 500 33 €

Calibrador de espesor incrementaL. Acero inoxidable. Conjunto de 6 guías, una de cada tamaño.
51 €




SIÉNTETE COMO EN CASA, CON EL MEJOR EQUIPO Y LOS MEJORES PRODUCTOS.
Más de 30 años proporcionándote la confianza, el servicio y la atención que necesitas.







CON LA COMPRA DEL KIT DE INTRODUCCIÓN 7X7 10 CASOS NORRIS SYSTEM 20/26®
POR LA COMPRA DE UNO O VARIOS DE LOS SIGUIENTES PACKS: SOLO HASTA EL 31 DE ENERO DE 2025


POR LA COMPRA DE 25 CASOS
INTRO Kits
Este pack especial de 25 CASOS INTRO KIT 7x7 incluye tubos de primer y segundo molar y 8 paquetes Arcos secuencia Norris System 20/26™
014 NiTi
018x018 NiTi
019x025 NiTi
019x025 Betatitanio
177€/CASO (IVA NO INCLUIDO)

POR LA COMPRA DE ATLAS-MINI™ MBT
70 CASOS
29€/CASO (IVA NO INCLUIDO)




POR LA COMPRA DE MINI-TWIN™ CLEAR
119€/CASO (IVA NO INCLUIDO)

O, SI LO PREFIERES, LLÉVATE GRATIS

20 CASOS POR LA COMPRA DE MINI-CLEAR™ VIZ
119€/CASO (IVA NO INCLUIDO)

20 CASOS


200 TUBOS SENCILLOS
MINITWIN BX






























3DISC MADE IN USA
Heron IOS es una solución de escáner intraoral para odontología diseñada para aportar simplicidad a su clínica. Software intuitivo, un escáner compacto y ergonómico, vinculado con la apertura total del sistema, diseñado para llevar su práctica al mundo digital. Listo desde el primer día. Aportando belleza y sencillez a su día de trabajo.
Diseñado para una impresión más simple, rápida y precisa, lo que hace que los dentistas confíen en el éxito de sus escaneos. Con el software HeronClinic, su equipo puede navegar fácilmente por la interfaz intuitiva y fácil de usar para satisfacer todas sus necesidades de restauración, ortodoncia e implantes. Ya sea en la creación de casos, el escaneo o la integración de casos, Heron IOS con flujos de trabajo claros y una plataforma más fácil, hace que buscar casos de pacientes, escanear y compartir con laboratorios.
Para un escaneo de arcada completa 59 s

250
Puntas esterilizables en autoclave 250 veces
150g
El más pequeño y ligero


8.950€







