ODA Journal: September/October 2024

Page 1


ADVERTISERS

Thank you to the following businesses who support the Oklahoma Dental Association by advertising in the Journal:

Alliant Insurance Services

Endodontic Associates OKC

Endodontic Practice Associates

Hopkins Dental Implant Institute

iCore Connect

Mobile Smiles

National Dentex

ODA Rewards Partners

Suction Solutions

The Uniform Shoppe

Tobacco Settlement Endowment Trust

THE OKLAHOMA DENTAL ASSOCIATION JOURNAL (ISSN 0164-9442) is the official publication of the Oklahoma Dental Association and is published bimonthly by the Oklahoma Dental Association, 317 NE 13th Street, Oklahoma City, OK 73104, Phone: (405) 848-8873; (800) 876-8890. Fax: (405) 848-8875. Email: information@ okda.org. Annual subscription rate of $39 for ODA members is included in their annual membership dues.

POSTMASTER: Send address changes to OKLAHOMA DENTAL ASSOCIATION, 317 NE 13th Street Oklahoma City, OK 73104

Periodical postage paid at Oklahoma City, OK and additional mailing offices.

Subscriptions: Rates for non-members are $56. Single copy rate is $18, payable in advance.

Reprints: of the Journal are available by contacting the ODA at (405) 848-8873, (800) 876-8890, editor@okda.org.

Opinions and statements expressed in the OKLAHOMA DENTAL ASSOCIATION JOURNAL are those of the author and are not necessarily those of the Oklahoma Dental Association. Neither the Editors nor the Oklahoma Dental Association are in any way responsible for the articles or views published in the OKLAHOMA DENTAL ASSOCIATION JOURNAL.

Copyright © 2024 Oklahoma Dental Association.

CONTENTS

EDITORIAL

7 Continuing Education: A Pillar of Our Mission and Membership Value by Jill Johnson

STATE ASSOCIATION

8 Incorporating Overall Health into the Dental Visit by Shelly Patterson, MPH and Nicole Reynolds, DDS

11 OU College of Dentistry Launches State's First Pediatric Residency by April Wilkerson

ADA NEWS

14 National Toxicology Program Releases Fluoride Exposure Monograph by Olivia Anderson

CLINICAL

18 Hygiene Highlight: Dentist and Hygienist Roles in Detecting Sleep Apnea by Kaitlyn Matlock, RDH and Sarah Justus, M.Ed., RDH

24 Case Study: Lesions and Burning Sensation After Full Mouth Extraction by Annie Jamison, DDS

27 Student Research: How Patient Privacy Applies to Oklahoma's New Health Information Exchange System by Taylor Terrell

MEMBER REWARDS

33 Rewards Catalog 2024-2025

CLASSIFIEDS

50 Classifed Ads

Would you like to submit a case study, scientific article, or editorial for publication in the Journal?

Email editor@okda.org with story ideas.

Is Your Information Correct?

Help the ODA keep you informed about legislative actions, educational opportunities, events, and other important member-only news. Contact Ansley Jinkins at ajinkins@okda.org or 800.876.8890 to provide ODA with your current contact information.

ODA JOURNAL STAFF

EDITOR

Mary Hamburg, DDS, MS

ASSOCIATE EDITOR

Roberta A. Wright, DMD, MDSc, FACP

EDITORIAL BOARD MEMBERS

M. Edmund Braly, DDS, FACS, FAACS

Daryn Lu, DDS

Phoebe Vaughan, DDS

Meredith Turbeville, DDS

ODA OFFICERS 2024-2025

PRESIDENT

Daryn Lu, DDS president@okda.org

PRESIDENT-ELECT

Twana Duncan, DDS presidentelect@okda.org

VICE PRESIDENT

Nicole Nellis, DDS vicepresident@okda.org

SECRETARY/TREASURER

Sydney Rogers, DDS treasurer@okda.org

SPEAKER OF THE HOUSE

Mitch Kramer, DDS speaker@okda.org

IMMEDIATE PAST PRESIDENT

Paul Wood, DDS pastpresident@okda.org

ADMINISTRATIVE STAFF

EXECUTIVE DIRECTOR

F. Lynn Means

DIRECTOR OF GOVERNANCE & FINANCE

Shelly Frantz

DIRECTOR OF MEMBERSHIP

Ansley Jinkins

DIRECTOR OF COMMUNICATIONS & EDUCATION

Jill Johnson

DIRECTOR OF MEETINGS & EVENTS

Lindsay Dennis

INTERN

Ainsley Smith

CALENDAR

See more online at OKDA.ORG/CALENDAR

September Gum Care Month

September Office Manager Appreciation Month

September 6 First Bite with ODA (DS1 students) ODA Office 5:30pm

September 13 RDGP Meeting ODA Office and Zoom 11:00am

September 19 Champions of Health Gala Cox Business Convention Center Tulsa, OK 6:00pm

September 19-21 OU College of Dentistry Alumni Weekend

September 27 ODA Success Seminar Speaker Craig Dreiling (DS3 and DS4) OUCOD 4:00pm - 5:00pm

October Dental Hygiene Month

October 3

Eastern District Meeting & CE Pete's Place Krebs, OK 6:00pm - 9:00pm

October 4

ODA Risk Management Webinar Zoom 11:00am - 1:00pm okda.org/education

October 17-19 SmileCon New Orleans, LA

October 22

ODA Success Seminar for DS1 & DS2 Students OU College of Dentistry 11:30am - 1:00pm

November 1

National Brush Day

November

Mouth Cancer Awareness Month

November TMJ Awareness Month

November 1 Council on Budget and Finance ODA Office 9:00am

November 1-2 Botox and Dermal Fillers Course ODA Office Friday: 8:00am - 4:30pm Saturday: 8:00am - 12:00pm okda.org/education

November 2 Early Career Symposium Science Museum Oklahoma 9:30am - 11:30am

Stay connected with the ODA!

SAVE THE DATE

OKLAHOMA MISSION OF MERCY February 7-8, 2025 Expo Square - Tulsa Fairgrounds Volunteer registration opens October 15 at okmom.org

ODA ANNUAL MEETING April 11-12, 2025 Southern Hills Marriott - Tulsa, OK

DENPAC GOLF TOURNAMENT May 30, 2025

The Golf Club of Edmond

Combining over 65 years of experience and state-of-the-art technology to provide your patients with the best endodontic care.

Continuing Education: A Pillar of Our Mission and Membership Value

I want to take a moment to highlight one of the most vital components of our mission—continuing education. For decades, the ODA has been committed to providing high-quality educational opportunities for our members, ensuring that every dentist in Oklahoma has access to the latest tools, techniques, and knowledge needed to provide exemplary patient care. Continuing education is not just an additional benefit of membership; it’s a cornerstone of how we ensure the dental profession’s growth, adaptability, and success in an everchanging healthcare landscape.

Listening to Our Members

Continuing education is not just about providing content; it’s about offering real value to our members. To do that, we need your input. We want to hear from you when planning future continuing education events. Your feedback, ideas, and suggestions are invaluable to us as we strive to meet your needs and support your professional growth.

Upcoming CE Events

Our upcoming continuing education calendar is filled with opportunities designed to help you expand your expertise and sharpen your skills. I want to highlight a few key events on

the horizon that we hope will be of great value to you:

Botox and Dermal Fillers Training Course – Nov. 1 & 2: This course provides comprehensive training in both Botox and dermal fillers, two services that can greatly expand the scope of your practice. Learn how to safely and effectively incorporate these treatments into your offerings, whether for therapeutic or cosmetic purposes. Dr. Frank Henrich, Dr. Coty Shores, and Dr. Jamison Spencer will lead this course that is a hybrid of both online learning (12 hours) and hands-on coursework (12 hours). The event will take place at the ODA office in Oklahoma City, and it has a max capacity of 20 students. It’s more than halfway full already, so register soon!

Early Career Symposium – Nov. 2: Tailored to member dentists who graduated within the past ten years, this event features Dr. Bryan Chrz who will be talking about forensic dentistry and his experience serving in the aftermath of the Oklahoma City Bombing. The class is 2 hours and takes place at the Science Museum Oklahoma. Registered attendees also receive free admission for four people to the museum that day.

Medicare Webinar – Nov. 8: Medicare is becoming an increasingly important topic for dental professionals. This webinar will offer practical guidance on navigating Medicare regulations and ensuring compliance, making sure you stay informed and equipped to handle upcoming changes in patient care and reimbursement policies. More details to come!

These events are a testament to our commitment to providing a broad range of educational opportunities that address both clinical and

administrative aspects of dental practice. We encourage you to take advantage of these resources, which are designed to support both the advancement of your career and the enhancement of patient care.

Shaping the Future Together

At the ODA, our continuing education programs are designed with you in mind. Our commitment is to ensure that the education we provide enhances your practice, meets your career aspirations, and supports the wellbeing of your patients. But we can’t do it alone. We need your ideas, your input, and your collaboration to continue to provide education that is as dynamic and diverse as our membership.

So, as we look to the future, we ask you to stay engaged. Attend these events, share your experiences, and let us know how we can continue to serve you better. Together, we can ensure that our continuing education offerings remain a pillar of our mission, providing lasting value to every member of the ODA.

We look forward to seeing you at an upcoming event and hearing your thoughts on how we can continue to grow and improve as an association. And don't forget to save the date for our Annual Meeting on April 11 and 12, 2025 in Tulsa, where we are offering 28 hours of CE!

For more information on these and other upcoming continuing education opportunities, please visit okda.org/ education.

Jill Johnson

Incorporating Overall Health into the Dental Visit

As dentists, we know that oral health is inextricably linked to overall health. Additionally, we know that this relationship is bi-directional: improvements in our patients’ oral condition can positively impact their overall well-being, and vice-versa. Increasingly, our society is moving toward viewing health through a “whole-person” lens. Patients benefit from their dental team's efforts to discuss, screen for, and address health topics beyond the oral cavity. The list below includes a few health concerns that the dental team can play a role in addressing. Some may be conditions that you currently incorporate into patient visits. Others may be opportunities to implement something new for your patients.

Heart Disease:

In 2020, heart disease was the leading cause of death in Oklahoma. Routine blood pressure checks for your patients prior to treatment are likely already part of your protocol. The dental office could be the first line of evaluation for patients who might not visit a primary care provider often. Consider routinely reviewing your office protocol with any staff who are involved in taking or monitoring blood pressure before, during, and after procedures.

It has been estimated that only 1 in 4 patients with hypertension has their condition under control. For patients who are already being followed by a physician for their condition, consider providing information on OSDH’s Healthy Heart Ambassador Blood Pressure Self-Monitoring Program. Clients who meet the criteria for this program are provided resources and support to better understand their

blood pressure readings and make positive lifestyle choices.

-For more information on the Healthy Heart Ambassador Blood Pressure Self-Monitoring Program, reach out to Brittany Clark at BrittanyC@health.ok.gov

Diabetes:

Periodontal disease has a bidirectional relationship with poor glycemic control. Discussing this correlation with your patients can motivate them to improve their oral hygiene home care practices and reinforce the need to keep routine periodontal visits. Encourage your patients to reduce inflammation in their mouth as a positive move toward maintaining control of their diabetes.

• Ask your patients about their most recent A1c results.

• Encourage patients to check their blood sugar and have a routine meal prior to their dental visit.

• Keep a glucometer and emergency glycemic control products in the dental office.

• Train all office staff to recognize the signs of hypoglycemia, including mood changes, profuse sweating, confusion, and unusual behavior.

Tobacco Use:

Tobacco use continues to be one of the leading causes of morbidity and mortality in the United States. Many of the major forms of tobacco used have negative oral health consequences. Tobacco use can contribute to many oral health issues, such as tooth discoloration,

gingival recession, periodontal disease, mucosal lesions, gingival keratosis, halitosis, and oral cancer. Dental health providers play a vital and valued role in helping patients quit using tobacco. Using the 5 As (Ask, Advise, Assess, Assist, and Arrange) is crucial to this integral role.

1. Ask about tobacco use at every visit.

2. Advise the patient to stop using tobacco if the patient is a tobacco user.

3. Assess if a patient is ready to quit.

4. Assist a patient who is ready to quit with accessing resources. You can refer to the Oklahoma Tobacco Helpline (1-800-QUITNOW) and/or work directly with their physician.

5. Arrange a follow-up phone call or visit with the patient to see how they are doing during their journey to quit.

The billing code for cessation counseling is D1320. This code applies to counseling lasting three minutes or more. Counseling under three minutes is not billable as it is deemed a standard routine visit.

Vaccines:

We might not consider routinely discussing vaccines with our patients to be something at the top of our clinical priority list. Even so, patients may seek your opinion as a health care professional. Providing information to your patients on how to learn more about vaccine options can be one place to start.

• Consider rack cards/brochures in waiting areas with links to factual information and guidance on how to access care. During flu season, you could provide information on flu shot clinics in your community.

• Share basic information on HPV and oropharyngeal cancer. 90% of HPV-related cancers can be prevented by completing the HPV vaccine series at the recommended ages.

• Open the lines of communication and encourage parents to talk with their child’s pediatrician about the HPV vaccine, which can be given as early as age nine.

• HPV vaccine is indicated for males and females up to age 45, so be prepared to mention it to your young adult patients as well. Discussion can include the fact that the HPV vaccine is strictly a cancer prevention vaccine.

ABOUT THE AUTHORS

• Printable resources for your office, as well as information on how to discuss the HPV vaccine with patients/parents, can be found at cdc.gov/hpv

Dementia:

Based on 2023 Alzheimer’s Association data, an estimated 70,500 Oklahomans are living with Alzheimer’s dementia. 108,000 Oklahomans are estimated to be serving as unpaid caregivers for someone with Alzheimer’s or dementia. With so many patients and their families affected by dementia, it is important for both clinicians and their dental office staff to be informed about these conditions.

• Dementia Friendly trainingFree 45-60-minute training on creating dementia-friendly office spaces, communication tips, and discussing scenarios. This would be a great opportunity to incorporate learning into a staff retreat or lunch and learn.

• Be prepared to work with patients and caregivers to incorporate good home care routines.

• Consider allowing extra time in your schedule when making appointments, as this can result in a more pleasant experience for the patient.

• Contact HealthyBrain@health. ok.gov for technical assistance, to sign up for DementiaFriendly training or for collateral materials/rack cards for your waiting area.

• An estimated 27 million patients see their dentist each year but don’t routinely see a physician. The dental team is often uniquely positioned to provide education on a variety of health topics. As a trusted member of your patients’ health care journey, consider what opportunities your practice has to positively influence their overall well-being.

Shelly Patterson is the Director of Chronic Disease Prevention Service at the Oklahoma State Department of Health (OSDH) and leads five departments responsible for administering programs to prevent the development and reduce the burden of chronic conditions among Oklahomans: Tobacco Use Prevention and Control, Comprehensive Cancer Prevention and Control, Heart Disease, Diabetes, and Healthy Brain (Alzheimer’s Disease and Related Dementias). Prior to joining OSDH, Shelly worked for 21 years for Oklahoma’s Medicaid program, the OK Health Care Authority (OHCA) where she led a variety of preventive health programs and regularly collaborated with key state agencies and community stakeholders to develop partnerships to improve health outcomes of Oklahomans, with previous work in both non-profit mental health and for the OK Department of Human Services. Shelly received her Master of Public Health in Health Administration and Policy from the University of Oklahoma.

Nicole Reynolds is Director of Dental Health Service at the Oklahoma State Department of Health. In this position, she oversees public health program efforts designed to improve oral health for all Oklahomans. Prior to joining OSDH in 2022, she practiced clinically, primarily in long term care settings throughout the state. She is a 2009 graduate of the University of Oklahoma College of Dentistry and a 2005 graduate of Oklahoma State University. nicole.reynolds@health.ok.gov

Norman, Oklahoma

n Serving the OKC Metro for 43 years - since 1977

n Your patient’s experience is top priority

n 3D CBCT scanning for improved diagnosis

n Complex endodontic cases welcomed

n Complex and “heroic” teeth salvage

n Build-up and post & core placement available

n Cutting edge instrumentation and disinfection

n Zeiss microscopes used on every case

n Specializing in finding 4+ canals in molars

n Surgical and nonsurgical retreatment

n General anesthesia and oral sedation

We pride ourselves in a trusted referral pattern that ensures your patient returns to you holding you in high regard - regardless of the reason for referral. We speak highly of you to your patient and reassure them they are in good hands in your care.

We value communication between you and our office. Give us a call to talk about anything. We are even happy to help you navigate through a difficult case in your chair.

Dr. Spencer Hinckley and Dr. Percy Bolen

STATE NEWS

OU College of Dentistry Launches State's First Pediatric Residency

This summer, the University of Oklahoma College of Dentistry launched the state’s first pediatric dental residency, a two-year program that trains new dentists in the care of children, with a special emphasis on those with medical complexities and developmental conditions. In doing so, the college aims to grow the workforce of pediatric dentists in Oklahoma and increase access to comprehensive oral health care.

Three dental residents began their training in July, working with college faculty members and health care providers from a variety of other health disciplines. The residency is directed by David Ciesla, D.D.S., a clinical assistant professor in the OU College of Dentistry. Ciesla said the program will equip residents not only

with extensive skills but also with the ability to advocate for their patients and the profession on the state and national levels.

“The demand for specialized pediatric dental services in Oklahoma is significant, making the training of pediatric dentists crucial for improving the oral health of children in the state,” Ciesla said. “Good oral health is linked to overall health, as well as quality of life. Studies show that kids with poor oral health tend to have poor academic performance in school. Oral health can also affect sleep, growth, development and nutrition. We created this program so that we will have more specialists to meet the treatment needs of children in our state.”

The dental needs of Oklahoma children are significant. According to

the Oklahoma Oral Health Coalition, children in the state have more untreated cavities than the national average; those from Hispanic, Black and Native American communities are especially affected, as well as children from low-income households. Of Oklahoma’s 77 counties, 66 are classified as shortage areas for dental providers.

In the residency, which is 80% patient care and 20% educational, residents learn the skills and approaches that are unique to children with varying needs. Some children have dental issues but are undergoing chemotherapy for cancer. Others may be awaiting an organ transplant.

(continued on page 13)

OU College of Dentistry faculty members David Ciesla, DDS, right, and Autumn Hurd, DDS, second from left, lead the college’s new pediatric dental residency program. They are pictured with two current residents, John Gavel, DDS, and Samantha Collins, DDS.

STATE NEWS

“Those patients are at higher risk because their immune systems can’t manage a cavity infection if it becomes systemic,” said Autumn Hurd, D.D.S., assistant director of the residency program and a clinical assistant professor in the college. “We collaborate with other health professionals, such as oncologists and transplant physicians, to ensure the treatment is provided in a way that keeps the patient safe.”

Because much of the residents’ training takes place on the OU Health Sciences campus, they interact with providers from numerous medical and nursing specialties, as well professionals from other areas, such as allied health and pharmacy. The OU Health Sciences campus is one of only a few in the nation to have seven health professional colleges on the same campus. Learning in that setting will help the residents make similar connections when they establish their own careers.

“This residency provides a good foundation for us to springboard from and become part of the larger health community caring for children,” said resident Samantha Collins, D.D.S. “Every day, we talk to different types of physicians and providers to coordinate care. The interdisciplinary interactions require a lot of learning, but it’s nice to be a part of the bigger picture of a patient’s well-being.”

Residents also see young patients who have autism, Down syndrome, sensory disorders or other conditions that might make a dental visit scary

or distressing. Each patient’s visit is individualized, and many times, actual dental care isn’t provided until the child is comfortable in the clinic.

The dentists follow a “tell, show, do” approach of familiarizing the child with exam rooms and equipment and visiting with parents and caregivers. Sometimes the dentist may need to be silly and fun, but always patient and willing to meet children where they are.

“I really enjoy the process of helping a child who is uncomfortable become comfortable,” said resident John Gavel, D.D.S. “On the first visit, we may just push the button on the chair and watch it go up and down, and maybe the next visit, they sit in the chair while it goes up and down. We also bring the parents into the process. I recently had a patient get into the chair for the first time. It was a monumental thing for the child and the parent. Those things may seem little, but they’re really big.”

Most of the dental services on campus are provided at the Pediatric Dentistry Clinic located at Oklahoma Children’s Hospital OU Health. There, residents learn advanced sedation techniques and are part of the team caring for children for whom general anesthesia is required in an operating room. Along with their faculty members, the residents also provide trauma-related dental care for the hospital’s 24/7 pediatric emergency room.

Off campus, residents see patients at Variety Care, a federally qualified

health center. In addition, residents are required to conduct a research project and present their findings at the American Academy of Pediatric Dentistry annual conference. They also will provide dental education and exams at community events, such as the Special Olympics, and take part in public policy advocacy.

“We really want to help our pediatric dentistry residents establish the mindset of ‘What can I do to help out?’ beyond the dental care they provide,” Ciesla said. “They will learn how to interact with policymakers and lobbyists, and we will guide them in becoming advocates for kids and for the services we provide.”

The pediatric residency program is accredited by Commission on Dental Accreditation. It also aligns with the OU Health Sciences strategic plan to expand access to affordable oral health care, reduce health disparities and meet the health care workforce demands for the state.

“The OU College of Dentistry is excited to welcome our first three residents to the pediatric program, and we know they will make a difference in children’s lives throughout their careers,” said Paul M. Mullasseril, D.D.S., dean of the OU College of Dentistry. “Oral health is an essential component of overall health, and healthy habits begin early in one’s life. This program will help the college fulfill our mission of improving the oral health of Oklahomans by expanding access to care for some of our state’s most vulnerable patients.”

NATIONAL ADA NEWS

National Toxicology Program Releases Fluoride Exposure Monograph

The ADA continues to endorse community water fluoridation as safe and beneficial to oral health, following a new report from the National Toxicology Program.

The National Toxicology Program, part of the Department of Health and Human Services, released its “Monograph on the State of Science Concerning Fluoride Exposure and Neurodevelopment and Cognition,” which found that fluoride in drinking water at more than twice the recommended limit is associated with lower IQ in children. The ADA has reviewed the monograph and continues to stand behind community water fluoridation.

The long-awaited report, which follows two previous drafts in 2019 and 2020, summarizes the available literature about a possible relationship between fluoride exposure, neurodevelopmental and cognitive health and IQ. The report’s authors acknowledge the findings are limited to fluoride exposures that are more than double (≥1.5 mg/L) what the CDC recommends for community water fluoridation (0.7 mg/L).

The monograph emphasizes that it does not address whether the exposure to fluoride added to drinking water is associated with a measurable effect on IQ, nor does the monograph assess benefits of the use of fluorides in oral health or provide a risk/benefit analysis.

According to the ADA’s expert committee that examined the report in great detail, the monograph does not provide any new or conclusive evidence that should necessitate any changes in current community water fluoridation practices for public health policy consideration. None of the studies on IQ included in the organization’s review were conducted in the U.S. and were instead from areas with high levels of naturallyoccurring fluoride in water.

The report does not provide any evidence to inform the practice of community water fluoridation, according to Scott Tomar, D.M.D., professor and associate dean at the University of Illinois at Chicago College of Dentistry.

“The bottom line is that the National Toxicology Program report and other recent systematic reviews indicate that the level of fluoride used in community water fluoridation is effective for preventing tooth decay and is not associated with any change in people’s IQ or neurological development,” said Dr. Tomar, who is a member of the National Fluoridation Advisory Committee, the ADA’s standing panel of experts that provide ongoing advice about the safety and effectiveness of fluoride.

NATIONAL ADA NEWS

The ADA has criticized the National Toxicology Program for using unorthodox research methods, flawed analyses, lack of clarity, failure to follow the norms of peer review and lack of transparency.

Last year, National Toxicology Program Director Rick Woychik, Ph.D., convened a scientific review panel to determine whether the organization had resolved the methodological concerns expressed by the report’s original peer reviewer, the National Academies of Sciences, Engineering and Medicine, several federal agencies, the ADA and others.

Howard Pollick, B.D.S., ADA spokesperson on fluoridation, said the National Toxicology Program did not adequately address concerns from the National Academies of Sciences, Engineering and Medicine in its initial drafts.

“After the [National Academies of Sciences, Engineering and Medicine] committee reported the first two drafts would not survive scientific scrutiny without major revision, [the National Toxicology Program] abandoned that course of peer review and, instead, hand-picked its own panel to review the draft before you,” Dr. Pollick testified during a May 4, 2023, panel hearing. “[The National Toxicology Program] also has not resolved what [the National Academies of Sciences, Engineering and Medicine] identified as ‘worrisome inconsistencies’ in its risk-of-bias determinations.”

“That is not consistent with the spirit of a truly independent peer review,” Dr. Pollick added.

The Board of Scientific Counselors reported nearly 13% of the National Toxicology Program’s responses to comments on the third draft state of the science report, and more than one third, or 35.5%, of the organization’s responses to comments on the meta-analysis, to be inadequate. The panel recommended or suggested revisions to the meta-analysis, based on 57.4% of reviewer comments.

Meta-analyses are used to reveal the biases, strengths and weaknesses of existing studies.

“Significant limitations and biases within the report must be considered before accepting its conclusions,” said Jayanth Kumar, D.D.S., MPH former California state dental director and NFAC member. “A major failing is the omission of the meta-analysis, which undermines the report’s robustness.”

Dr. Kumar added that the National Academies of Sciences, Engineering and Medicine panel previously

raised concerns such as inconsistent application of risk of bias criteria, inadequate statistical rigor and selective reporting of non-significant study results, all of which persist in the latest report.

“The report heavily relies on studies that use spot urinary fluoride to assess exposure despite a scientific consensus that this is not a valid biomarker for long-term fluoride exposure,” he said.

Two earlier drafts contained a hazard assessment stating fluoride is “presumed to be a cognitive neurodevelopmental hazard to humans,” regardless of exposure level. The hazard assessment was later removed after [the National Academies of Sciences, Engineering and Medicine, the original peer reviewer, reported in its second review, “[T]he monograph falls short of providing a clear and convincing argument that supports its assessment.”

“As public health professionals, we are committed to the overall health and wellbeing of the public and not just its oral health,” Dr. Tomar said. “We consider overall risks and benefits in making our assessments and recommendations.”

The Centers for Disease Control and Prevention has hailed community water fluoridation as one of 10 great public health achievements of the 20th century and noted it is an inexpensive way to reduce tooth decay by at least 25% in the population, the ADA notes.

"It would be a shame to distract from over 75 years of public health success over a simple matter of communicating the science, which is often more nuanced than a sound bite can convey," the ADA said in a statement.

Follow all the ADA’s advocacy efforts at ADA.org/ Advocacy.

For more information on community water fluoridation and ADA advocacy, visit ADA.org/fluoride.

SPONSORED CONTENT

Patients Prefer E-Prescribing: Here's Why You Should Too

The patient experience is more than a healthcare marketing term; it's a critical component that influences care delivery, patient outcomes, satisfaction, and the reputation of healthcare practices. One significant issue affecting patient experience is the process of filling prescriptions. Many healthcare providers across various states have adopted electronic prescribing (ePrescribing) to comply with laws regarding controlled substances. However, there remains inconsistency in prescription methods, which can frustrate patients.

Why Patients Prefer ePrescribing

Patients favor ePrescribing for its numerous advantages:

1. Convenience: ePrescriptions eliminate the need for patients to drop off and pick up physical prescriptions. Often, prescriptions are sent to the pharmacy before patients leave the doctor’s office, allowing for convenient pickup at their leisure.

which simplifies and speeds up the process. It eliminates the need for handwritten notes and physical prescriptions.

2. Improved Medication Adherence: By simplifying the prescription process, ePrescribing helps patients adhere to their medication schedules, which is crucial for managing chronic conditions and preventing complications.

3. Customization and Compliance: ePrescription software can be tailored to fit the specific needs of healthcare providers and integrate with state prescription drug monitoring programs (PMP/ PDMP), enhancing patient safety and ensuring compliance with regulations.

3. Efficiency: Electronic transmission allows pharmacists to prepare medications sooner, reducing wait times.

4. Safety and Privacy: ePrescriptions enhance patient safety by checking for drug interactions and allergies and maintain privacy by minimizing exposure to sensitive information.

These benefits not only enhance the quality of service but also foster trust and respect between patients and providers.

Benefits to Your Practice

ePrescribing doesn’t just benefit patients; it offers significant advantages to healthcare practices as well:

2. Security: Unlike paper prescriptions, ePrescriptions are stored digitally, reducing the chances of them being lost. They allow for easy access to refills and help pharmacists monitor potential drug interactions.

1. Streamlined Processes: ePrescribing allows for direct, electronic transmission of prescriptions to pharmacies,

4. Accuracy and Error Reduction: ePrescribing minimizes prescription errors caused by illegible handwriting or inaccurate information, which can lead to serious health risks and emergency room visits.

While improving the patient experience is a goal for many healthcare providers, finding situations where both patients and providers win is even better. ePrescribing is that kind of solution. Book a demo of iCoreRx cloud ePrescribing software from ODA Endorsed Partner iCoreConnect today to improve the efficiency and safety of prescription management while significantly enhancing patient satisfaction and trust. Visit iCoreConnect.com/OK19 or call 888.810.7706. ODA members receive substantial discounts on iCoreRx.

HYGIENE HIGHLIGHT

Dentist and Hygienist Roles in Detecting Sleep Apnea

Sleep apnea (SA) is a severe sleeping disorder that can cause involuntary cessation of breathing for at least 10 seconds, reoccurring about five times while asleep. SA affects between 4%-9% of the U.S. population (Reibel et al., 2019). It affects a person’s breathing, and the lack of oxygen strains a person’s cardiovascular system. It can cause hypertension, a weakened immune system, and fatigue. Dental professionals play a pivotal role in detecting SA and reducing its systemic effects on the population. Through intra and extra-oral examinations (EIE), dental professionals are equipped to observe indications of SA in a patient's physiology.

Dental professionals are well-trained in the anatomy and physiology of the oral cavity. They can detect SA using the Mallampati Classification system that helps gauge the oral cavity structures. This system inspects the uvula, tonsils, soft palate, hard palate, and tongue, which are then graded. Grade One: tonsils, pillars, and soft palate visible; Grade Two: uvula, pillars visible; Grade Three: only part of the soft palate visible; Grade Four: only the hard palate visible (Suoglu et al., 2001). Grades are recorded during an EIE when a patient is sitting upright, mouth open, and tongue relaxed. Friedman et al. (2013) reviewed 2,513 patients through a systematic review and random-effects meta-analysis of studies evaluating tongue position and SA severity. The Mallampati Classification system was significantly associated with SA detection. Therefore, this system is a reliable screening tool dental professionals can use to detect SA.

Although dental professionals are equipped to observe indications of SA, 70%-90% of SA in the U.S. remains undiagnosed (Reibel et al., 2019). Berggren et al. (2022) conducted qualitative interviews with seven dental hygienists and six dentists to explore their experiences when encountering adult patients with potential, untreated, and treated SA. Most participants reported a lack of discussion, care, and treatment of SA due to a lack of knowledge. Berggren et al. (2022) concluded that oral health providers' experiences with SA are varied and can lead to a lack of recognition and diagnosis of sleep apnea. A limitation of this study is the small selection of dental professionals who all worked closely together.

Alzahrani et al. (2022) conducted a quantitative study that assessed the knowledge and attitude of 191 dentists

by Kaitlyn Matlock, RDH and Sarah Justus, M.Ed., RDH regarding SA. The study found that 80.6% of participants reported having previous SA knowledge. However, 65.58% of all respondents scored below a 12 in the knowledge section of the survey, which is considered low level knowledge. A significant positive association was found between total knowledge score and confidence subscale. Although many dentists recognized the significance of SA related matters in dentistry, there was a notable gap in their knowledge regarding SA screening and management like in Alzahrani et al.’s (2022) study. Similarly, Reibel et al. (2019) surveyed 230 registered dental hygienists and found that self-rated SA knowledge was 3.5 on a scale of 0-10. The author concluded that the surveyed participants only had moderate knowledge of SA. Results of these studies reflect the knowledge dental professionals gain from their dental curriculum is below the benchmark of the standard of care they should be providing. This may be because the curriculum for dental and dental hygiene lacks the specificity required for dental professionals to effectively detect SA.

Thacker et al. (2016) conducted a mixed methods study of eight associate-degree dental hygiene programs in Illinois. The study found that three programs reported teaching students to palpate the tonsils. Overall, the tonsils and oropharynx were examined in only 37.5% of programs. This study provides important insight into the eight programs in Illinois; however, the small sample presents a limitation geographically and institutionally. Bachelor-degree programs may add to the responded percentages and allow more diversity in program specifications. Therefore, the purpose of this study is to measure the knowledge, confidence, and perceived importance of SA among dental and dental hygiene students at an Oklahoma dental school.

Methods

This study involved a quantitative, cross-sectional survey design. The study was approved by the University of Oklahoma Health Sciences Center Institutional Review Board (#16301). An anonymous 34-item questionnaire was created electronically through Qualtrics and distributed via email to 334 dental and dental hygiene students attending an Oklahoma Dental school in the fall (continued on next page)

HYGIENE HIGHLIGHT

TABLE 1

semester 2023. An informed consent was also distributed to the 334 students. All surveys were distributed successfully. The survey consisted of questions assessing demographics of participants, as well as questions regarding students’ education, confidence, and perceived importance of SA through multiple choice and 5-point Likert scale questions. The survey was distributed in early September. A reminder email was then sent 2 weeks later before the survey closed in early October. Descriptive statistics were analyzed through Qualtrics, and Fisher’s exact and chi-square tests were utilized to conduct data comparisons.

Results

A total of 17.7% (N=59) of students completed the online survey. Of those respondents, 38 (64.41%) were dental hygiene students and 21 (35.59%) were dental students. Additionally, 17 (28.81%) respondents were first-year students (DH1 or DS1), 30 (50.85%) were second-year students (DH2 or DS2), five were third-year dental students (DS3), and seven were fourth-year dental students (DS4). Of the students, 12 (20.34%) identified as male, and 46 (77.97%) identified as female. Most of the respondents identified their age as 19-24 years old (49.15%) and race/ethnicity as Caucasians (61.02%). Furthermore, 17 (28.81%) of the respondents reported they had treated zero patients at the time they received the survey. Nine (15.25%) respondents reported they had treated 1-10 patients, 19 (32.20%) respondents reported they had treated 11-20 patients, nine (15.25%) respondents reported they had treated 21-30 patients, and five (8.47%) respondents reported they had treated 31 or more patients. See Table 1.

In addition to the descriptive statistics, comparisons between groups were conducted using chi-square or fisher’s exact at a significance level of a=0.01. The first comparison group consisted of dental hygiene students and dental students. The second group consisted of first year students (DH1 and DS1) and all other years (DH2, DS2, DS3, DS4).

First, this study analyzed respondents’ perceived importance of the extraoral/intraoral examination (EIE) and if they are actively performing the EIE during clinic sessions. Of the respondents, 29 (50%) felt that performing an EIE is extremely important and 18 (31.03%) felt it is very important. In addition, 42 (72.41%) students reported that they perform the EIE on patients. There was no statistical significance found when comparing dental and dental hygiene students’ reported performance of the EIE. However, when comparing students in their first year compared to all other years (second, third, or fourth year) of their respective dental and dental hygiene program, statistical significance was found (p<.0001). In fact, all 41 (100%) of the respondents in their second, third year, or fourth year of school said they perform the EIE compared to only one (5.9%) student in their first year of a program. An important finding is that 15 (88.2%) students in their first year reported they do not currently see patients. See Table 2.

(continued on next page)

HYGIENE HIGHLIGHT

Next, this study analyzed if respondents are performing the EIE specifically for oral cancer. No statistical significance was found when comparing dental and dental hygiene students. However, when comparing students in their first year compared to all other years (second, third, or fourth year) of their respective dental or dental hygiene program, statistical significance was found (p=.0001) with 40 (97.6%) respondents in their second, third, or fourth year of school assessing for oral cancer, and only two (11.8%) respondents in their first year assessing for oral cancer. Next, this study also analyzed if respondents are performing the EIE specifically for SA. There was no statistical significance found when comparing dental and dental hygiene students. However, when comparing students in their first year compared to all other years (second, third, or fourth year) of their respective dental and dental hygiene program, statistical significance was found (p<.001) with only seven (17.1%) respondents in their second, third, or fourth year of a program assessing for SA, and no (0%) first year student assessing for it. See Table 2.

This study also analyzed respondents’ education on SA. Data showed that respondents reported receiving education on SA in dental or dental hygiene school primarily through class lecture (37.29%), while 10 respondents (16.95%) received education through other means, such as social media, friends, family, etc. Of all respondents, 24 (40.68%) did not receive education about SA in dental or dental hygiene school. When comparing dental and dental hygiene students, the only significant value was social media, friends, family, etc. (p=0.003) with eight (38.1%) dental program respondents reporting education primarily through social media, friends, family, etc. compared to two (5.3%) dental hygiene respondents that reported education through these same means. Additionally, although there were no significant values between all first-year students when compared to all other years, when comparing dental and dental hygiene programs individually by year, the data revealed a significant difference between DH1 students’ and DS1 students’ SA education (p=.0003). Of dental hygiene respondents, 17 (44.7%) DH1 students reported receiving education on SA in their first year compared to zero (0%) DS1 students. See Table 2.

Lastly, this study analyzed respondents’ perceived confidence with managing SA. 34 (58.62%) respondents indicated that they did not feel confident in their ability

to manage patients with dental concerns related to SA. At an alpha=0.01, there is not enough evidence that the distribution of respondents’ confidence in their ability to manage patients with dental concerns related to SA significantly differed between program (dental hygiene vs. dental) or between year in program (first year vs. second, third, or fourth year) (p > 0.01). Among dental hygiene respondents, 21 (56.8%) indicated that they were not confident, while 13 (61.9%) of dental program respondents indicated they were not confident in their ability to manage patients with dental concerns related to SA. Among first year respondents, 13 (76.5%) indicated they were not confident, while 21 (51.2%) respondents in their second, third, or fourth year indicated they were not confident in their ability to manage patients with dental concerns related to SA. However, when asked how important detecting SA is as a clinical disorder, 24 (41.38%) of all respondents reported very important and 10 (17.24%) reported extremely important.

Discussion

Previous studies have established that dental professionals play a pivotal role in detecting SA (Alzahrani et al., 2022; Suoglu et al., 2001). However, based on the results of this study, there is a gap in the education, confidence, and perceived importance of SA in the student population at an Oklahoma dental school. According to the results regarding education, most respondents reported they had yet to receive education about SA in dental or dental hygiene school. Also, many respondents disagreed that they had received adequate education about SA in dental or dental hygiene school. This is an important finding because the results also revealed that 86.21% of the students reported having no knowledge of SA or only some knowledge of it. This could be due to the absence of SA in the curriculum. The results of the current study also align with those of Reibel et al.'s (2019) research on registered dental hygienists. The respondents in the study reported a low self-rating of knowledge of SA. The respondents of the current study also reported a selfrating of only some or no knowledge. While Reibel et al.'s (2019) study recorded responses of registered dental hygienists, the current study recorded responses of dental and dental hygiene students. Although the respondents have different experience levels, both studies portrayed a low self-rating of knowledge of SA.

(continued on next page)

HYGIENE HIGHLIGHT

Regarding confidence, 82.76% of the respondents did not have adequate confidence in managing patients with dental concerns related to SA. In a similar study by Reibel et al. (2019), registered dental hygienists also self-measured their confidence as a 2.8 on a scale of five. Confidence has not been widely studied in the literature, so the results of this study add important insight into perceptions of confidence in managing patients with SA. Based on the results of the current study, there is a clear discrepancy in confidence levels and the ability to manage patients with concerns related to SA, such as CPAP therapy management, in dental and dental hygiene students at a single dental school. This is an important

finding because at the time of the survey, DH2 and DS2, DS3, and DS4 students were currently treating patients. To uphold societal trust, professionals must have confidence in all aspects of patient care.

According to students’ perceived importance in the current study, 81.03% responded that performing an EIE is very important. The results reveal that students' perceived importance aligns with that of the participants in Alzahrani et al.'s (2022) study. Specifically, general dentists and specialists were aware of the importance (continued on next page)

TABLE 2

HYGIENE HIGHLIGHT

of detecting SA; however, there was a notable gap in the knowledge and confidence regarding SA screening and management. Among the dental and dental hygiene students in their second, third, or fourth year actively seeing patients, EIEs are being conducted as an oral cancer screening tool for signs, symptoms, and early detection of oral cancers. However, a critical finding of the study is that among those dental and dental hygiene students who are actively seeing patients, over half of the respondents reported not screening their patients for signs or symptoms of SA. A significant portion of the student body lacks familiarity with appropriate screening tools and the indications and manifestations of SA.

The American Dental Association states that dentists’ role in SA management is to identify cases, refer at-risk patients, and provide oral appliances such as mandibular advancement devices (Alzahrani et al., 2022). Because dental professionals understand the importance of the oral-systemic link, the standard of care delivered to patients must be stressed in dental and dental hygiene curriculum. Preparing future dental professionals to detect SA can prevent hypertension, a weakened immune system, and fatigue in the patient population. Limitations of this study include DS1 and DH1 students not seeing patients at the time of survey administration and a low response rate (17.7%). Although a convenience sample limits the generalizability of the study, this study provides important information regarding education at a single dental college, which was the goal of this study.

Conclusion

In conclusion, this study adds to the body of literature on SA by specifically examining dental and dental hygiene students’ education, confidence, and perceived importance of SA at a single dental college. The results of this research confirmed that dental and dental hygiene students do not feel that they received adequate education about SA in their respective dental and dental hygiene programs. The study has also shown that the participating students felt they only had some knowledge of SA, and many felt a lack of confidence in their abilities to manage dental concerns relating to SA. Although students perceived detecting SA while treating a patient to be very important, screening for SA in an EIE is not occurring. The outcomes of this study reveal the importance of didactic and clinical education about SA in dental and dental hygiene programs to increase the knowledge, confidence, and perceived importance of SA in the students.

REFERENCES

Alzahrani, M. M., Alghamdi, A. A., Alghamdi, S. A., & Alotaibi, R. K. (2022). Knowledge and attitude of dentists towards obstructive sleep apnea. International Dental Journal, 72(3), 315–321. https://doi.org/10.1016/j. identj.2021.05.004

Berggren, K., Broström, A., Firestone, A., Wright, B., Josefsson, E., & Lindmark, U. (2022). Oral health problems linked to obstructive sleep apnea are not always recognized within dental care-As described by dental professionals. Clinical and Experimental Dental Research, 8(1), 84–95. https://doi.org/10.1002/cre2.517

Friedman, M., Hamilton, C., Samuelson, C. G., Lundgren, M. E., & Pott, T. (2013). Diagnostic value of the Friedman tongue position and Mallampati classification for obstructive sleep apnea: A meta-analysis. Otolaryngology-Head and Neck Surgery, 148(4), 540–547. https://doi.org/10.1177/0194599812473413

Kornegay, E. C., & Brame, J. L. (2015). Obstructive sleep apnea and the role of dental hygienists. Journal of Dental Hygiene, 89(5), 286-292. https://jdh.adha.org/ content/89/5/286

Reibel, Y. G., Pusalavidyasagar, S., & Flynn, P. M. (2019). Obstructive sleep apnea knowledge: Attitudes and screening practices of Minnesota dental hygienists. Journal of Dental Hygiene, 93(3), 29-36. https://jdh.adha. org/content/93/3/29.short

Suoglu, Y., Cuhadaroglu, C., Katircioglu, S., Guven, M., & Erdamar, B. (2001). Evaluation of clinical parameters in patients with obstructive sleep apnea and possible correlation with the severity of the disease. European Archives of Oto-Rhino-Laryngology, 258(9), 492-495. https://doi.org/10.1007/s004050100367

Thacker, K., Kaste, L., Homsi, K., & LeHew, C. (2016). An assessment of oral cancer curricula in dental hygiene programmes: Implications for cancer control. International Journal of Dental Hygiene, 14(4), 307–313. https://doi.org/10.1111/idh.12150

HYGIENE HIGHLIGHT

ABOUT THE AUTHORS

Kaitlyn Matlock is a distinguished graduate of the University of Oklahoma College of Dentistry, holding a bachelor’s degree in Dental Hygiene. While attending school, her academic dedication to research was recognized when she was awarded the Don M. Ishmael Scholarship for her research on the "Dental and Dental Hygienists' Role in Detecting Sleep Apnea." Driven by her passion for improving oral health and enhancing patient care, Kaitlyn continues to pursue excellence in her field. With her research and expanding knowledge, she is prepared to leave a lasting impact on dental hygiene by reducing sleep apnea. In her free time, Kaitlyn enjoys running, working out, walking her dogs, and diving into captivating books.

Sarah Justus completed her Bachelor of Science in Dental Hygiene degree at the University of Oklahoma College of Dentistry. During her schooling, she received several leadership awards, the 4.0 grade point average medallion, and was inducted membership into the Sigma Phi Alpha dental hygiene honor society. Sarah completed her Master of Education degree at the University of Central Oklahoma and is currently a Ph.D. candidate at Oklahoma State University. Sarah worked in a private dental office in Oklahoma City before becoming a faculty member in the dental hygiene program at the University of Oklahoma College of Dentistry. Currently, she is the Dental Hygiene I clinic coordinator and provides didactic instruction in Preventive Dentistry, Clinical Dental Hygiene Theory I and II, and Research Methods. Sarah serves as the Sigma Phi Alpha Beta Delta chapter secretary and is a Student Research Program mentor. Sarah is a member of the American Dental Educator's Association, the American Dental Hygienists' Association, the Oklahoma Dental Hygienists' Association, and the Oklahoma County Dental Hygienists' Association. Sarah also serves on several committees for the College of Dentistry and OU Health Sciences Center. She enjoys serving others at Oklahoma Mission of Mercy and OU’s Kid’s Day. Sarah's enjoyments outside campus include the lake, hiking, deer hunting, sports, traveling, and spending quality time with friends and family.

CASE STUDY

Lesions and burning sensation after full mouth extraction

A 76-year-old post-menopausal female presented to the University of Oklahoma Advanced Education in General Dentistry, AEGD, Program in April of 2023. She was seeking comprehensive care to address her failing dentition. After discussion with previous AEGD and Oral Surgery residents, the patient decided to proceed with a full mouth extractions, ostectomy, implant placement, and a Conus overdenture on both the upper and lower arches.

The patient’s medical history consists of left a hip replacement in March of 2023, Atrial fibrillation, narcolepsy, asthma, and numerous daily medications. A few medications to note from her medical history include: plaquenil 200 mg (2x day) for her arthritis and eliquis 5 mg (2x day) to prevent blood clotting.

In June of 2023, the patient reported to the AEGD clinic for full-mouth extractions, ostectomy, and implant placement on both upper and lower arches. Following this, an immediate upper and lower denture were delivered for her convenience.

In August of 2023, the patient was scheduled for an immediate denture adjustment, where she presented with multiple lesions throughout her mouth and a “burning sensation”. After evaluation, it was noted that the patient had dry mouth and was at risk for Sjogren’s Syndrome due to her age and medical history. Most often, Sjogren’s Syndrome can be found in post-menopausal women who have a concomitant autoimmune diagnosis. The patient was encouraged to speak with her primary care physician regarding these findings and Biotene dry mouth rinse was recommended to her.

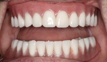
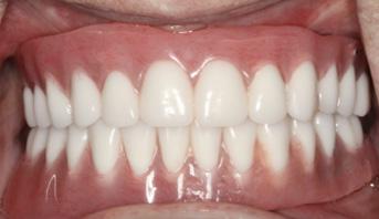
After three months of healing, the patient returned to the AEGD clinic to confirm osseointegration of implants and to begin the overdenture fabrication process. At the final impression appointment, signs of arthritis including knuckle enlargement were noted. Due to this finding, it was determined that changing the patient's final prosthesis from a Conus overdenture to a conventional overdenture was in the best interest of the patient, as the Conus would be too cumbersome for her. As seen in Figures 1 and 2, the outcome turned out very well and the patient was pleased with results and esthetics.

In February of 2024, a month after delivery of both prostheses, the patient reported for a denture adjustment

due to pain and discomfort. Upon evaluation, the patient had erosive lesions throughout her oral cavity including geographic tongue that were not consistent with pressure spots from her overdenture, as seen in figures 3-6.

It was determined that the patient could be having type IV hypersensitivity reaction to her new prostheses, or an immune-mediated reaction to a systemic condition. These findings were discussed with Dr. Kathleen Higgins in the OU Oral Pathology department where she intra-orally evaluated these lesions. She encouraged me to prescribe a magic mouth rinse to help alleviate underlying conditions, including an immune-mediated reaction.

The magic mouth rinse prescription consisted of 500 mL of liquid dexamethasone, 500 mL of liquid nystatin, liquid diphenhydramine, and liquid antacid, (Maalox). The patient was encouraged to swish for two minutes, four times per day.

When these findings were discussed with the patient, she reported that her Rheumatoid arthritis had been flaring up recently and she was prescribed a steroid for systemic management. This was an oral manifestation of her autoimmune disease not once, but twice after delivering both her immediate dentures and her final overdentures.

After two weeks, the patient returned for a re-evaluation. The patient reported that all of her oral lesions had dissipated with the help from the magic mouth rinse. Her arthritis is in fact Rheumatoid arthritis, resulting in an immune-mediated reaction in her oral cavity. Managing this patient’s intraoral complications with magic mouth rinse rather than simply adjusting her dentures was the appropriate decision to ensure her long-term success of these prostheses.

CASE STUDY

ABOUT THE AUTHOR

Dr. Annie Jamison grew up in Tulsa, Oklahoma. She attended the University of Oklahoma for her undergraduate studies where she graduated with a Bachelor's of Science in Biology and a minor in Religious Studies. Following her time in Norman, she moved to Oklahoma City to complete her Doctor of Dental Surgery degree from the OU College of Dentistry in 2023 and Advanced Education in General Dentistry Residency in June of 2024. Dr. Jamison is joining Grand Avenue Dental Studio in Chickasha, Oklahoma.

FIGURE 1
FIGURE 2
FIGURE 3
FIGURE 4
FIGURE 5
FIGURE 6

NDX Aligners are premium products that provide your patients with an optimal way to straighten and improve their smiles. From the initial consultation and treatment planning to case monitoring, our team is dedicated to assisting you at every stage of your journey.

■ Treatment Planning

■ Premium Material

■ Low Refinement Rate*

■ Competitive Pricing

STUDENT RESEARCH

How Patient Privacy Applies to Oklahoma’s New Health Information Exchange System

In 2021, the Oklahoma State Legislature passed State Bill 574, which “created the Oklahoma State Health Information Network Exchange”, also known as HIE (Wilcox). This bill began Oklahoma’s journey to, in the words of the Oklahoma Health Care Authority, “[improve] the patient experience by making their health information available whenever and wherever their care occurs” (Wilcox). In 2022, State Bill 1369 was passed, which “requires that all health care providers participate in the statewide HIE” as of July 1, 2023 (Wilcox). This bill also created the Office of the State Coordinator for Health Information Exchange (OHCA), and the “concept of a State Designated Entity”, or SDE, “for HIE Operations overseen by the office” (Wilcox). The OHCA later went on to contract with “MyHealth Access Network as the SDE” (Wilcox). Health care providers as defined by the bill include doctors, dentists, chiropractors, optometrists, physical therapists, physician assistants, pharmacists, nurses, licensed mental health professionals, hospitals or related institutions, nursing facilities, and home health care agencies (“35. Oklahoma Statewide Health Information Exchange”). To be in accordance with the current law, Bill 1369 requires that all of the above-listed professionals and agencies do the following: “establish a direct secure connection to the HIE and transmit active patient data” and “actively utilize HIE services to securely access records during and/or in support of patient care” (Wilcox).

In order to “establish EHR system interoperability” in their clinics and offices, health care providers are required to pay approximately “$5,000”, which will cover the “time and effort for the State Designated Entity (MyHealth) to meet with the providers’ [Electronic Medical Records] vendor or IT team, review the standards, setup the secure connection, and test the data flow to ensure data elements are categorized appropriately within the patient’s chart” (Wilcox). On top of the cost of initial setup, there is also a “subscription fee” that is dependent on the “organization/provider types, and size” (Wilcox). This cost does not account for the financial burden that could be placed on small private offices who do not currently have the technological advancements in place to simply establish and subscribe to the HIE program. While a large number of healthcare providers have made the technological jump to using Electronic Medical Records, there are still a handful of offices where physical patient charts are still in use. For these offices, the cost of set up would certainly skyrocket beyond the “one-time connection fee” and a recurring “subscription fee” (Wilcox). According to the Oklahoma State Medical Association, OHCA and Oklahoma Legislature have “ appropriated $30 million” to help fund the cost of setup for providers, even going as far as “[paying] MyHealth directly” so healthcare providers will not have to “pay for initial setup and then be reimbursed” (“35. Oklahoma Statewide Health Information Exchange”). However, the OHCA has yet to publish “anything

officially saying how this process will be handled” (“35. Oklahoma Statewide Health Information Exchange”).

HIPAA Laws

The Health Insurance Portability and Accountability Act (“Health Insurance Portability and Accountability Act of 1996”) was passed in 1996 to create “national standards to protect sensitive patient health information from being disclosed without patient’s consent or knowledge” (“Health Insurance Portability and Accountability Act of 1996”). These laws were set up to hold not only health care providers, but also health plans, healthcare clearinghouses, and business associates accountable. Their purpose was and is to ensure these agencies and individuals are taking seriously the responsibility of having access to patients’ private information and maintaining that privacy on their behalves. One rule within the Health Insurance Portability and Accountability Act is the Privacy Rule, which prioritizes “[making] sure that individuals’ health information is properly protected while allowing the flow of health information needed to provide and promote high-quality healthcare, and to protect the public’s health and wellbeing” (“Health Insurance Portability and Accountability Act of 1996”). From the start, the US Department of Health and Human Services (HHS), has recognized the challenging balance between patient care and patient privacy, and has established proper rules and regulations to manage this difficult dilemma. By establishing HIPAA in 1996, they set standards by which all those with influence over an individual’s healthcare are governed.

Concerns About Patient Privacy

HIE is designed to create one large, overarching patient file where all providers can add their individual notes and experiences with their patients and their care. This file can include all of the following kinds of health information:

1. Names of the doctors and other health professionals who provide your care

2. Diagnoses

3. Current medications prescribed to you

4. Lab and radiography results

5. Past procedures

6. Known Allergies

7. Immunization records

8. Hospital discharge records

9. Basic personal information (your name, address, family phone contacts, etc.) (Wilcox)

STUDENT RESEARCH,

While all of this information sharing is designed to “improve patient outcomes”, this “greater sharing of data” has also given both patients and providers alike cause for concern (Health Information Exchange FAQ). Many patients and providers have specifically cited concerns regarding access to patients’ “mental and behavioral health” records, due to the incredibly sensitive and personal nature of this area of care (Health Information Exchange FAQ). State Bill 1369 “specifically says data will be collected only in accordance with relevant state and federal privacy laws, including HIPAA”, however, there is an incredible “lack of specificity” in the bill when it comes to certain areas of health care, such as mental health or many other incredibly personal details of patients’ lives and health (Health Information Exchange FAQ).

These concerns about patient privacy have encouraged many practitioners to seek exemptions from this new system. However, exemptions for practitioners are granted or denied based only on specific circumstances, such as “size, technological”, or “financial [burdens]” which limit a provider’s ability to utilize the HIE system (Wilcox). There is no option for a provider, clinic, or organization to be exempt from the program based on a desire to keep their patients’ private information safe. Futhermore, even in the event of an exemption being granted, the exemption often “does not exclude the provider from having to meet the requirements to report data”, but instead simply provides them extra time “to mitigate their hardship” (“35. Oklahoma Statewide Health Information Exchange”).

Along with their providers, many patients have looked to find avenues to ensure their health information will not be included in the HIE system. The Oklahoma Health Care Authority notes that “providers and patients are in control of what data they share”, however, it is not as simple as they make it seem (Wilcox). Patients do have the ability to exclude themselves from the HIE patient database, but it requires the completion of a form from their provider, a policy that seems to contradict the HIPAA standard of receiving “patient consent or knowledge” before disclosing any personal health information (Health Information Exchange FAQ; “Health Insurance Portability and Accountability Act of 1996”). This process also requires patients to be aware of their right to opt out of the HIE system and seek out an exemption form from their providers, which can certainly become a lengthy and arduous process for patients with multiple providers.

Providers also have a small impact on what information can be accessible in the HIE system by marking “a chart or note as sensitive”, which allows that information to be withheld (Wilcox). This, again, requires knowledge of what information is sensitive or personal to the patient or requires a professional judgment call on the part of the provider. This judgment call for providers is only made increasingly more difficult when it is taken into account that the CDC describes all patient health information as “sensitive” under HIPAA (“Health Insurance Portability and Accountability Act of 1996”). Even the language surrounding patient health files in the HIPAA privacy rule supports this, which calls patient information “Protected Health Information” (“Health Insurance Portability and Accountability Act of 1996”). Where is the line

drawn? How can a provider draw this line?

Furthermore, a large electronic database containing almost every Oklahoman’s health information presents a concern for the cybersecurity of such a system. Many private offices and health providers already deal with the risk of hacking and have systems in place to try and protect their records and documents. Still, many of these offices will and have experienced incidents of hacking and data breaches in their own offices. This issue is only exacerbated in larger healthcare facilities, such as hospitals. Sung J Choi and associates found that as electronic information exchanges increased, so did data breaches, “largely due to the rise in hacking and unauthorized access” (Choi et al.). They also found that “HIE engagement was associated with a 0.672 percentage point increase in the probability of an IT breach three years after engagement” (Choi et al.). This risk was even greater with “hospitals actively engaging in a health information organization and exchanging data with outside providers” (Choi et al.). In a world where hacking and cybersecurity threats are constantly increasing, this statistic does not bode well for the safety of our private patient management networks, much less that of the Oklahoma State Health Information Network Exchange.

Conclusion

As health care providers, we are called first and foremost to care for and do what is best for our patients. We are regulated by laws and standards, such as those outlined in the Health Insurance Portability and Accountability Act (HIPAA), to protect our patients and their right to keep their personal information private. The Oklahoma State Legislature, Office of the State Coordinator for Health Information Exchange, and MyHealth Access Network are offering us an easy way out in exchange for access to our patients’ most personal and private information.

Every health provider can admit that PHI can be difficult to obtain, and that can lead to frustration for the providers and even danger for their patients. But we must ask ourselves, is that added challenge and inconvenience worth exposing our patients to the risk of having their personal health information illegally accessed and obtained? The HIPAA Privacy Rule has set in place and established what is defined as and what should be done with “sensitive patient health information” (“Health Insurance Portability and Accountability Act of 1996”). Will we disregard this standard which has protected patients for almost 30 years while government agencies gain access to information that is meant to remain confidential? We must be willing to stand up on behalf of those we care for and take care of them outside of the walls of our clinics, hospitals, and offices. We have to be willing to do the hard thing for our patients, even when there are supposed benefits to be gained from the alternative. What would we want for ourselves?

STUDENT RESEARCH,

REFERENCES

“35. Oklahoma Statewide Health Information Exchange.” Oklahoma Human Services, https://oklahoma.gov/okdhs/library/ policy/current/oac-317/chapter-30/subchapter-3/parts-3/okstatewide-health-info-exchange.html. Accessed 22 Jan. 2024.

Choi, Sung J et al. “Assessing the impact of health information exchange on hospital data breach risk.” International journal of medical informatics vol. 177 (2023): 105149. doi:10.1016/j. ijmedinf.2023.105149

Health Information Exchange FAQ. https://www.okmed.org/web/ Online/News/Health_Information_Exchange_FAQ.aspx. Accessed 22 Jan. 2024.

“Health Insurance Portability and Accountability Act of 1996 (HIPAA).” CDC, 28 June 2022, https://www.cdc.gov/phlp/ publications/topic/hipaa.html.

Wilcox, Laura. “Health Information Exchange Fact Sheet.” Oklahoma Health Care Authority, Apr. 2023.

ABOUT THE AUTHOR

Taylor Terrell is a third-year dental student from Norman, Oklahoma, and attended the University of Oklahoma where she graduated Summa Cum Laude with a bachelor’s degree in Letters Constitutional Studies with minors in Biology, Spanish, and Nonprofit Organizational Studies. Taylor currently serves as the Oklahoma ASDA Chapter President and is already looking forward to opportunities to be involved in organized dentistry after she graduates in 2026. After graduation, Taylor plans to enter private practice and practice General Dentistry in Oklahoma.

GUEST COLUMN

Managing Patient Expectations and Educating Staff on Medicare Advantage Nuances

The dental insurance landscape in the United States is complex and everevolving, with Medicare Advantage plans playing an increasingly significant role. For dental practices, navigating these plans requires a deep understanding of their nuances, effective management of patient expectations, and thorough staff education. This article explores strategies for dental practices to tackle these challenges, ensuring operational efficiency and high patient satisfaction.

Understanding

in Dental Care

Medicare

Advantage

Medicare Advantage, also known as Medicare Part C, is an alternative to traditional Medicare provided by private insurance companies. These plans often include benefits not covered by Original Medicare, including dental care, ranging from simple cleanings and X-rays to more complex procedures. However, coverage details, restrictions, and processes can vary significantly between plans, presenting a challenge for dental practices regarding billing and service provision.

Managing Patient Expectations

One of the primary challenges dental practices face with Medicare Advantage is managing patient expectations. Patients may need more clarification on the specifics of their plan, especially regarding what dental services are covered and to what extent. Misunderstandings can lead to frustration, dissatisfaction, and even billing disputes. To mitigate these issues, dental practices should:

1. Educate Patients Early: Implement a process where patients are educated about the basics of Medicare Advantage plans during their first visit or consultation. Clear, concise information about how these plans work in

general and what they might expect regarding coverage for dental services can set realistic expectations from the outset.

2. Verify Coverage Before Treatment: Always verify a patient's coverage before performing any procedures. This step is crucial in managing expectations and avoiding surprises regarding billing. It's also an opportunity to discuss with patients any out-of-pocket costs they may incur.

3. Clear Communication: Use simple, jargon-free language when discussing insurance details with patients. Consider creating easyto-understand guides or brochures that explain the nuances of Medicare Advantage as it relates to dental care.

4. Provide Written Estimates: Whenever possible, provide patients with written estimates of their treatment plan, detailing what is covered by their plan and what out-of-pocket costs they may expect. This transparency helps build trust and reduces confusion.

Educating Staff on Medicare Advantage Nuances

Successfully navigating Medicare Advantage plans is not just about managing patient expectations but also about ensuring your staff is welleducated on the nuances of these plans. Staff education is critical to operational efficiency, accurate billing, and patient satisfaction.

1. Regular Training Sessions: Conduct regular training sessions for all staff members involved in patient care and billing. These sessions should cover the basics of Medicare Advantage, common misunderstandings about coverage, and any recent changes to these plans.

2. Create Internal Resources: Develop internal resources, such as quick-reference guides or FAQs, tailored to your practice's most common encounters with Medicare Advantage plans. These resources can help staff answer patient questions confidently and accurately.

3. Stay Updated: The details of Medicare Advantage plans can change annually. Assign a team member to stay updated on these changes and disseminate relevant information to the rest of the staff.

4. Leverage Technology: Utilize practice management software that can handle the specifics of Medicare Advantage billing and claims. Software that stays updated with the latest billing codes and regulations can reduce errors and improve efficiency.

5. Encourage Open Communication: Create an environment where staff feel comfortable asking questions and sharing information about their experiences with Medicare Advantage plans. This open communication can lead to better problem-solving and learning opportunities.

Navigating the complexities of Medicare Advantage plans requires a dual approach: managing patient expectations through education and communication and ensuring staff are well-informed about the nuances of these plans. By adopting these strategies, dental practices can improve operational efficiency, enhance patient satisfaction, and confidently navigate the complexities of Medicare Advantage. In doing so, they bolster their practice’s reputation and contribute to the broader goal of making dental care accessible and understandable for all patients.

ODA REWARDS PARTNERS CATALOG

TOURS AND CRUISES

More than 50 Years as ODA’s Preferred & Endorsed Insurance Provider!

We at Alliant Insurance Services are grateful for the ODA members’ support over the last 50 years. We look forward to giving you peace of mind with any of the coverages below:

• Professional Liability (Malpractice, Errors & Omissions)

• Commercial Property, Flood, Earthquake

• Business Owners Policy – Property, General Liability, Business Income Package

• General Liability – Standalone

• Cyber Liability and Data Breach Protection

• Workers’ Compensation

• Business Auto

• Commercial Umbrella

• Directors and Officers Liability

• Employment Practices Liability

• Health, Dental, Vision Insurance – Group and Individual

• Life, Disability, Business Overhead Expense, Long Term Care

• Home and Auto – Earthquake, Flood, RV, Boat, Motorcycle

• Personal Umbrella

Journeys Of A Lifetim e

Thrill your senses on an inspiring 2025 journey with AHI Travel. Experience enticing cuisine, stunning landmarks, enriching cultures, welcoming locals and so much more!

All of AHI’s programs feature a strong educational component and the goal of presenting worry-free travel experiences that foster a deeper understanding of diverse cultures and natural phenomena by putting travelers in direct touch with local people and cultures.

2025 Dates:

• Dutch Waterways (Apr 1-9)

• Cultural Capitals of Spain: Madrid & Barcelona (Apr 22-May 1)

• Croatia & the Dalmation Coast (Apr 25-May 6)

• Normandy ~ France (May 24-June 1)

• The Charm of the Amalfi Coast (June 25-July 3)

• Wonders of Peru (Aug 23-Sept 3)

• Cruise the Rhine & Moselle Rivers (Aug 25-Sept 2)

• Switzerland's Alpine Majesty (Aug 27-Sept 5)

• Coastal Gems of the Emerald Isle (Aug 31-Sept 12)

• Pleasures of Provence (Sept 9-17)

• Istanbul & the Turquoise Coast (Sept 10-20)

• Journey to Southern Africa (Sept 14-29)

• Grand Danube Passage (Oct 6-20)

• Malta & Sicily (Oct 16-26)

• Chilean Wonders ~ Lake District & Patagonia (Oct 27-Nov 7)

• Legends of the Nile (Dec 9-20)

With over 50 years of experience, AHI Travel is proud to have become one of the leading group travel companies in the world by establishing a reputation for excellence in service, quality and value.

A Collection Agency That Keeps Your Practice Healthy

If your patients are entitled to full recovery...aren’t you? If you’re a practice looking for a collection agency that understand your needs and the delicate nature of collections, then look no further than American Profit Recovery.

We are effective in resolving debt issues for any size practice. There is a fine line between care and collections and we understand how sensitive the relationship is between doctor and patient.

Our consultants provide insight and tailored solutions utilizing our popular low cost affordable collection system. Our diplomatic approach is designed to collect and keep patients coming back to your practice. All of this is managed via our custom web portal allowing 24/7 account updates and management!

Safeguard Your Practice from Cyberattacks

We’ve got your back to protect your critical patient data, network infrastructure, and the hard-earned reputation of the practice you have built over the years. Cybersecurity is a vital service, no longer just a “nice to have”…but a “MUST HAVE” for your peace of mind.

For over 7 years, Black Talon Security has specialized in sophisticated cybersecurity solutions tailored specifically for dental practices. With an impressive track record of securing over 31,000 devices in the dental space, we work closely with your IT team to fortify your network against potential ransomware attacks and data breaches.

Our multi-layered offense and defense strategies include:

• EAGLEi – Designed and engineered by Black Talon to provide a clear picture of the current state of your security risks

• Black Talon Academy – Cybersecurity Awareness Training modules, paired with simulated phishing campaigns to educate staff and help mitigate the chance of a social engineering attack against your practice

• Real-Time Vulnerability Management – Computers are scanned 6x per day to find vulnerabilities hackers will use to gain access

• Daily Firewall Scanning – Determines susceptibility to a cyberattack or exploitation

• Threat Hunting – Our security engineers proactively search for threats lurking in your network Secure your practice, protect your patients, and take control of your cybersecurity.

Financing Simplified

Adding CareCredit as a payment option is easy to do, then just two simple steps may help patients get care.

Step 1

Simply let patients know you accept the CareCredit credit card and provide them with your custom link, available as a:

• QR code

• custom URL to text* or email

• website banner or button

Step 2

Encourage patients to scan the QR code or click your custom link to:

• learn about CareCredit

• see if they prequalify (with no impact to their credit bureau score)

• apply privately

It’s financing simplified.

Ready to enroll? Call 800.300.3046 (option 5) or visit carecredit.com/dental.

Already accept CareCredit? Get connected to free resources by calling your Practice Development Team at 800-859-9975, option 1, then 6.

On Demand Or In-Person

Fitness Options To Get You Moving

Class Pass is the world’s largest fitness membership, bringing the world’s best fitness classes, gym time and wellness experiences to your fingertips in a way that is more fully customizable and flexible than any single gym membership.

• Get free, unlimited access to over 20,000

• on-demand audio and video workouts including strength, cardio, stretching, meditation and more

• Receive a 15% discount on credit packages that can be applied to in-person classes at top studios and gyms across the country

• Credits can also be used for wellness experiences including massages, facials, manicures, and more

• Search for the network in your area or review

• on-demand offerings at classpass.com

To get started, visit ADA.org/ClassPass and sign up using “Company Code,” ADACP.

Available ADA Member plans include:

$0 per month for free digital programs

$20 for 10 credits

$42 for 23 credits

$67 for 38 credits

$136 for 80 credits

ADA.org/ClassPass

Compliance Dentists Can Trust: HIPAA and OSHA Built for You

Need help meeting your HIPAA and OSHA requirements? Compliancy Group’s software provides you with materials to fulfill your compliance requirements effectively. Protect your practice while giving your employees the confidence to do their job safely.

• Simplified— Instructions, recommended processes, and templates.

• Automated— Training and audits that fulfill your compliance requirements.

• Guided— Get guidance on how to use the software and templated material.

ODA Members Save 15% on Compliance Software Don’t let compliance overwhelm you. Simplify compliance today!

Contact Director of Dental Relations, Kelly Koch to learn more.

855-854-4722 ext 514 or visit compliancy-group.com/ada

855.854.4722 ext 514 compliancy-group.com/ada

Be Compliant With The Section 1557 Regulation

CyraCom provides phone and video interpretation, enabling dentists to communicate with their non-English-speaking patients in seconds. CyraCom services are fully compliant with Section 1557 of the Affordable Care Act.

CyraCom supports hundreds of languages, including ASL. Employee interpreters complete extensive training where they learn medical terminology, anatomy & physiology, and other topics essential for healthcare-related calls.

CyraCom provides dental offices:

• Easy online sign-up with no startup costs or minimum fees

• Compliance with Section 1557 language service requirements

• Access to qualified interpreters in hundreds of languages through phones, laptops, or even an interpretation app

ODA members receive preferred pricing off of interpretation services. There’s also no minimums and no set-up fees!

At DentalHQ, we empower dental practices by providing a membership platform that caters to insured and uninsured patients, ensuring everyone has access to quality oral health care.

We help practice owners achieve consistent, reliable revenue with our Guaranteed Plan Payments, transforming the financial stability of your practice. For office managers, DentalHQ streamlines operations, making it easier to provide top-notch care. And, most importantly, your patients get to enjoy hassle-free, affordable dental care, enhancing their overall experience. We help you help your patients, and that's what matters most.

Ready to elevate your practice? Set up a demo with us to see how we can get you started: https://www.dentalhq. com/demo. It's time to take your practice to the next level. DentalHQ can get you there.

SCRAP METAL RECOVERY

One valuable benefit of membership in the ODA is access to a reputable resource for refining your practice’s precious metals. D-MMEX Easyrefine will pay you a 5% bonus on the total value of your metals, and provide a report stating the value of all precious metals in your submission. You can now enjoy a service endorsed by 11 state dental associations and used by thousands of dentists internationally, while maximizing your return.

Be Paid More-than-Fair Value.

• Receive 97% of gold value, 90% of silver, platinum and 85% of palladium.

• Trade bullion terms on London-based market.

• Earn a 5% ODA member bonus on total value of your metals. Get Documentation to Prove It.

• Each submission is individually melted and assayed to determine the true precious metal content and its breakdown.

• You receive a detailed, all-element analysis report (including gold, platinum, palladium and silver) illustrating the value of your shipment.

• Fingertip access to current market prices at easyrefine.com. Easy as 1-2-3!

1. Order a free shipping kit at easyrefine.com, or call D-MMEX USA at 800-741-3174.

2. Gather your precious scrap metal, put it in the sealing shipping container and call FedEx for a free pick-up.

3. Be sure you specify you’re an ODA member on your submission form to receive your 5% bonus.

Savings to ODA Members:

Members already earn 5% more—redeem coupon to earn a total of 7% premium on your precious scrap metals refining! Enclose this coupon with your next refining shipment to receive an additional 2% premium on the total value of your dental scrap submission! Shipment must be received by DMMEX Easyrefine by Dec. 31, 2025. Enjoy fast payment in about 10 days.

AN AFFORDABLE E-CLAIM OPTION

Tired of Paying the National Average of 50 Cents per Claim?

With EC&EC (E-Claims & Eligibility Connect), ODA Members pay just 25 cents per claim! Our E-Claims software is an interface with most practice management systems. There is no set up fee, no monthly fee for claims and no timeframe commitment! You’ll have easy access to daily reports and claims tracking with one of the largest clearinghouses. Call 866-EClaims today to get started or request our FREE 60 day demo of unlimited E-Claims. Tech support/training is included.

Optional: Claim Attachments and Patient Eligibility are available for $25 a month/per option. We can provide a remote service for Aging Claims FollowUp! Rather than charging a percentage of the claim like most billing companies, we have a flat rate per hour with no contract commitment. This means additional savings for your practice?

EVERYDAY SAVINGS

• Access to members-only savings on select GE appliances

• Exclusive savings with promotional and rebate offers

• Financing available

• Convenient in-home delivery, installation and haul-away services offered

EXCLUSIVE PROMOTIONS

Sign up for the GE Appliances Store e-newsletter and be the first to know about limited-time offers and rebates. In addition, special promotional financing is also available.

TOP BRANDS

Find great deals on the latest Profile™, Cafe™, GE®, Monogram® Haier, and Hotpoint® appliances.

ODA members can refer staff, family and friends once you have set up an account and are in the site. Visit ADA.org/GE to get your authorization code to set up an account and start shopping.

Keeping You Up To Date & Ready For Medical Emergencies

You can trust HealthFirst emergency medical kits to help keep your practice compliant and ready for unexpected emergencies. Over 40,000 dental offices already rely on HealthFirst, the leader in emergency preparedness for over 40 years. Their kits meet today’s standard of care and help your practice comply with state regulations.

Take advantage of enhanced benefits by purchasing your emergency medical kit through HealthFirst’s Practice Partner Program. A flat annual fee covers all medication replenishments throughout the year, online CE training, and more.

HealthFirst representatives will review an emergency preparedness checklist with you when you call for a FREE consultation on emergency preparedness. Find the right fit for your practice from a range of kits like the SM Series for general dentists or the Mobile ACLS for oral surgeons.

• ODA members save 10% on kits and AEDs, and can access exclusive deals

• Oxygen, and other safety devices are available

• Don’t worry about expiration dates – HealthFirst will track and replenish meds for you

• Medications can be replenished with single units and low-cost alternatives

ePrescribe all meds faster from any device.

Speed up your clinical workflow when you start electronically prescribing with iCoreRx from iCoreConnect.

• ePrescribe ALL medications, including required electronic prescriptions for controlled substances

• Provide prescription care anywhere you have internet access, using any computer, tablet or smartphone

• Access full patient prescription history

• Integrate directly with the Oklahoma PMP AWARE for controlled substance history verifications

• Access a built-in Physicians Desk Reference for drug and dosage information

• Connect directly with practice management software to auto-fill data, reducing errors and duplicate work

There’s more to iCoreRx! Book a free no-obligation demo now. ODA Members receive 43% off.

Plan Details you Need Without Staff on Carrier Websites

• Complete insurance verification, streamlines front office efficiency & helps manage your insurance verification process

• IAPlus has 130+ detailed benefit limitations per plan, regardless of the carrier; automatic daily plan updates

• Thousands of local & national employer’s plans, ACA, Medicaid/Medicare, and individual dental policies included

• ‘Real Time’ patient eligibility feature included for a confirmation of coverage in seconds on most major carriers

• 24/7 access on all computers, staff support & training, no contract/time frame commitment

• We’ll fight/appeal any claim processed different than indicated; there’s less than a 1% error rate

• Requests accepted for additional plans to be researched/ added to the program-IAPlus guidelines apply

• 35 years in the insurance verification industry; our program is endorsed by the Oklahoma Dental Association

• Discounted license for ODA Members - Start for $295 per office (not $595); Regular monthly subscription applies.

Demos available via GoToMeeting. Call to schedule one for your front office team-takes 20-30 minutes. Additional Add-On Options: Verification of past history for new patients, remote help with aging claims or recall/scheduling appts.

QUALITY APPAREL WITH PRACTICE LOGO

Always Save 10% With Lands’ End

Lands’ End provides team apparel that meets some of the highest quality standards in the industry, as well as hundreds of customized products that help your practice stand out in the marketplace.

ODA members qualify for an automatic program discount of 10% off logos, promotional products and Lands’ End labeled products.

Lands’ End creates products that help brands succeed and works tirelessly to satisfy the needs of their business customers and their employees.

Lands’ End helps your brand succeed with quality business and uniform apparel, legendary service and real value.

WHY LANDS’ END

• NO MINIMUMS, NO INVENTORY: Need 1 or 1,000? Not a problem. They maintain the inventory so you have less risk – and no investment up front.

• ON-DEMAND EMBROIDERY: Their expert designers accurately reproduce your logo with state-of-the-art technology. Feature your logo on polos, sweaters, hats and more!

• PROGRAM MANAGEMENT: Theirs is a turnkey experience, convenient for your employees and easy for you. They manage the program, so you don’t have to. Calls are answered fast, by real people.

• INNOVATIVE ONLINE SHOPPING: They can customize an e-store for you that exclusively features your apparel assortment and your choice of logos.

• LANDS’ END FITS EVERY BODY: With sizes from XXL to 5XL, Big and Tall, Plus, Maternity, and Adaptive Clothing. And if they don’t carry the size you need, ask them about a custom order.

Refinance Your Student Loans And Save Thousands

Join thousands of dentists that have taken control of their student loan debt by refinancing through Laurel Road. Highlights of the Laurel Road Student Loan Refinance program include:

• An exclusive 0.25% rate reduction1 on loans for ODA Members

• No application or origination fees, and no payment penalties

• Flexible repayment options for residents during training

• Concierge-level customer service from dedicated representatives

• Check rates in 5 minutes – no hard credit pull required2

855.277.6771

Laurelroad.com/ada

1The 0.25% American Dental Association (ADA) member rate discount is offered for applications from (ADA) members in good standing. The rate discount will end if (ADA) notifies Laurel Road that borrower is no longer in good standing. Offer cannot be combined with other offers, including the Referral Program.

2Checking your rate with Laurel Road only requires a soft credit pull, which will not affect your credit score. To proceed with an application, a hard credit pull will be required, which may affect your credit score.

MORTGAGE LENDING

Laurel Road Offers Savings To ODA Members Looking To Purchase A New Home Or Refinance

An Existing Mortgage

Laurel Road offers savings to ODA Members looking to purchase a new home or refinance an existing mortgage.

Open the door to a new home with a Laurel Road Mortgage. Laurel Road’s digital mortgage solution was designed with dentists in mind – offering a streamlined approval process, competitive low rates, and special financing options.

Mortgage Benefits Include:

• Special savings with a 0.25% rate discount as a ODA member1

• Save up to $650 on your closing costs2

• Up to 100% financing3

• No monthly mortgage insurance payments (PMI)4

• Human support when you need it

NOTICE: This is not a commitment to lend or extend credit. Conditions and restrictions may apply. All credit products are subject to credit approval. Mortgage prod- ucts are also subject to collateral approval. Mortgage products are available in all 50 U.S. states and Washington, D.C. Hazard insurance and, if applicable, flood insurance are required on collateral property. Actual rates, fees, and terms are based on those offered as of the date of application and are subject to change without notice.

1The rate discount of 0.25% is offered to borrowers that are an active ADA member at the time of closing. This 0.25% interest rate discount cannot be combined with other offers, except the Rewards Program.

For Fixed-rate mortgages, the 0.25% rate discount is a permanent interest rate reduc- tion that will be reflected in the Promissory Note interest rate. For adjustable-rate mortgages, the 0.25% rate discount will apply to the initial Fixed interest rate period and will be reflected in the maximum amount the interest rate can increase over the term of the loan, subject to the minimum interest rate that may be charged per the terms of the Promissory Note.

2Laurel Road offers up to $650 in lender’s credit towards your mortgage closing costs. Credits cannot exceed borrowers actual costs to close. For more information refer to the Rewards Program below. http://www.laurelroad.com/partnerships/ada/#Dis- claimers

3100% financing is only available to interns, residents, fellows, doctors, dentists, clinical professors, researchers, or managing physicians with a current license and a degree of Doctor of Medicine (MD), Doctor of Osteopathic Medicine (DO), Doctor of Podiatric Medicine (DPM), Doctor of Dental Surgery (DDS), or Doctor of Dental Medicine (DMD). Only available when purchasing or refinancing with no cash out on a primary residence and loan amount does not exceed $1,000,000. Retired dentists are not eligible. Additional conditions and restrictions may apply.

4Only available to interns, residents, fellows, doctors, clinical professors, researchers, or managing physicians with a current license and a degree of Doctor of Medicine in Dentistry or Doctor of Dental Medicine (DMD), Doctor of Dental Surgery (DDS). Retired dentists are not eligible. Additional conditions and restrictions apply. Laurel Road is a brand of KeyBank National Association. All products offered by Key- Bank N.A. Member FDIC. NMLS # 399797. Equal Housing Lender. © 2022 KeyCorp® All Rights Reserved. Laurel Road is a federally registered service mark of KeyCorp.

Save Up To 30% On Computers & Technology

ODA members are eligible to save up to 30% off the everyday public web price of Lenovo’s entire product line. Take advantage of great deals on everything you need for your office and home, including all laptops, tablets, desktops, all-in-ones, workstations, servers, and accessories. This includes savings on top products, such as the award-winning ThinkPad laptops and innovative YOGA tablets.

ODA members also receive free ground shipping on all web orders, monthly limitedtime special offers, access to energy-efficient green technologies, and award-winning service and support. Experience the Lenovo difference! For more information and easy ordering, call 1.800.426.7235 or visit ada.org/lenovo. Be sure to check the website often - special offers change frequently!

Trusted. Reliable. Secure.

For the past 11 years, Medical Waste Services has been providing services to Oklahoma and neighboring states for their bio-hazard waste disposal needs. For a number of those years we have been blessed to work with the Oklahoma Dental Association by becoming a Rewards Vendor.

As a Rewards Vendor we have established special discounted pricing for ODA members. We offer numerous pickup schedules that will certainly fit your needs.

Our services include cradle-to-grave bio-hazard waste disposal, ECO-Shred Secure Document Destruction, and OSHA compliance training. Just mention you are an ODA member to take advantage of our discounts and start saving today!

Members Savings Start at $5001 On A New Mercedes-Benz

The vehicles are all-electric. The quality is allencompassing. The craftsmanship, intelligence and performance that you expect from a MercedesBenz vehicle is exactly what you get with the EQ lineup. Mercedes-Benz continues its long legacy of excellence and pushes the level of commitment even further. Learn how ODA Members can enjoy savings starting at $5001 towards the purchase or lease of a new 2023 or 2024 Mercedes-Benz, including the EQ lineup.

1Fleet incentives available only for qualified customers on certain MY23 and MY24 Mercedes-Benz models. Incentive amounts are subject to change on a monthly basis and should be confirmed with your dealer at the time of transaction. Amount of actual savings may vary depending on model selected. Offer expires December 31, 2023.

ODA SUPPLY SOURCE offers:

• FDA approved PPE products

• Only products from direct manufacturers or authorized distributors

• More than 65,000 products from more than 500 brands (most available through dealers)

• No gray market, expired or counterfeit items

• FREE ground shipping on any order, regardless of size

To Order:

Order your discounted supplies through ODASupplySource.com, or via email, phone or fax. Your ADA membership number is required. Don’t know it? Call the ODA membership department at 800.876.8890.

To Contact:

Contact customer support Monday - Friday from 8:00 a.m. to 7:00 p.m.

Call: 877.659.7310

Email: support@ODASupplySource.com

Banking Built for Doctors

Accelerate your practice through specialized credit structures, competitive pricing, and experienced advice as you start, build, and grow your practice with ADA member-exclusive discounts from Panacea Financial.

0.25% interest rate discount and $0 origination fees

• Acquire or start a dental practice

• Become a partner in an existing practice

• Expand your practice or conduct a remodel

• Secure working capital or a line of credit

• Refinance or consolidate your practice’s existing debt

Find practice financing tips, articles and other helpful resources at panaceafinancial.com/ada.

Fast, Simple, Secure Encrypted Email For Dentists

It’s time to join the thousands of practices who’ve already discovered the power and simplicity of PBHS SecureMail – the easiest way to share PHI (protected health information) between patients and providers. Seamlessly transmit and store messages, documents and radiographs and help your practice avoid a costly data breach with military-grade encryption from start to reception.

Your member account is pre-certified and setup. Account initiation is as easy as entering your ODA Membership ID number, verifying your practice, and creating your first secure email.

• Easily achieve HIPAA data privacy compliance

• No software to install, configure or maintain

• Works on any device

• Multi-doctor collaboration

• Just $10/month per office account!

“Our office saves thousands of hours a year by streamlining communications via PBHS. Not to mention all of our communications are secure. We are eliminating liability not only for our practice, but for our colleagues as well. Over half of the practices I work with interact with SecureMail on a weekly basis!” – Dr. A.A., Walnut Creek, CA

Even use the optional Outlook Plug-in to send and receive messages directly through MS Outlook on your PC. Your treatment letters and private communications delivered from your practice software to Outlook and your radiographs delivered from your digital imaging system to Outlook are all completely encrypted.

PBHS SecureMail starts at $10 per month with options to add robust case collaboration. ODA members are pre-registered. Just sign in with your ADA ID number and get started today.

Improve Practice Efficiencies

ProSites delivers innovative tools and marketing solutions to build the bridge between patient care and practice success, including:

• Mobile-friendly websites that immediately capture attention

• Search engine optimization to rank higher in search results

• Pay-per-click advertising to generate immediate interest from potential patients

• Social media management to build relationships and increase referrals

• Facebook advertising to stand out on social media

• Automated patient communications to reduce no-shows and increase profitability

By leveraging our industry expertise supporting over 7,500 dental practices, we’ll create a custom solution tailored to your unique goals and budget. Plus, ODA members now save up to 70% on all ProSites solutions!

Refresh Your Routine

Explore SimpleModern's latest drinkware available for customization, where style meets function. Whether it’s a sleek tumbler or a cozy mug, each piece is crafted to enhance every sip.

As an ODA member, you will receive 15% off your order with code ODA15. So go ahead and treat your staff to a new tumbler to rep your brand!

Scrubs, Shoes, Stethoscopes & More!

The Uniform Shoppe is locally owned, doing business for 60 years. Since 1962 we have continued to offer top-notch service, customer satisfaction and quality apparel at affordable prices. We can help you design a special uniform program in your choice of colors and styles. Select from scrubs, shoes, colorfully decorated socks, stethoscopes and all kinds of fun medical accessories.

We are pleased to offer a 15% discount to ODA members. Come into our stores in Oklahoma City and Tulsa or shop our website and let us give you the royal service that you deserve.

Now offering curbside pickup - Just ask!

OKC Location 10503 N. May OKC, OK 73120 405.755.6600

Tulsa Location 6044 S. Sheridan Tulsa, OK 74145 918.494.7692

Market your practice with a logo on the right products!

Threadfellows is proud to offer a curated collection of gear ranging from jacket sand water bottles to scrubs and fleece; all chosen to elevate your brand.

• Gear up your staff, give referral gifts, or rep your practice around town

• Brands include Patagonia, Cotopaxi, Nike, Travis Mathew, Fjallraven, Gap, The North Face, Vineyard Vines, Under Armor, Adidas, Columbia, and more

• Enhance your brans with ease from product selection to logo set-up

The Threadfellows experience is one of simplicity. Shop the site, pick your gear, upload your logo, and check out – they take care of the rest!

Want help finding exactly what you need? We can put you in touch with your own personal Threadfellow to walk you through the process and answer any questions you may have. Call anytime!

SHIPPING DISCOUNTS

Members Save Up To 50% Every Time You Ship

ODA members now have access to new flat discounts – no matter how much you ship, when you ship, or where it’s going. UPS can provide the reliability, scalability and security that your dental practice needs, so you can focus on what’s most important – your patients.

Members-Only Savings Include:

• 10%* on UPS Next Day Air® Early

• 50% on Domestic Next Day / Deferred

• 30% on Ground Commercial / Residential

• International: 50% on Export / 40% on Import / 25% Canada Standard

• In addition, members can take advantage of UPS Smart Pickup® service for free

Open a new account, or if you are already taking advantage of our UPS savings program, re-enroll and apply the new discounts to your existing account by visiting: savewithups.com/ada or calling 1.800. MEMBERS (636.2377)

*Visit savewithups.com/ada for specific services and discounts.

The ADA® Visa® Business Rewards Card has the perks of a business card designed with ODA member dentists in mind.

• Earn up to 50,000 Bonus Points in the first year!¹

• Earn valuable points on your biggest expenses—5X POINTS on dues payments with ODA and on ADA purchases,² 2X POINTS at dental supply providers³ like Benco, Schein, Patterson, TDSC and more, and 1X POINT everywhere else Visa is accepted.4

• No Annual Fee and No Foreign Transaction Fees

• Complimentary employee cards with spending control

• Redeem points for your choice of rewards—Award travel on 150+ airlines with no blackout dates, hotel stays and travel packages, plus gift cards and cash back in the form of a statement credit

are earned on eligible net purchases. Net purchases are purchases minus credits and returns. Accounts must be open and in good standing to earn and redeem rewards and benefits. Not all transactions are eligible to earn rewards, such as Advances, Balance Transfers, and Convenience Checks. Purchases qualify for Points based on how merchants choose to classify their business and we reserve the right to determine which purchases qualify. See your Cardmember Agreement for details. Points will expire five years from the end of the calendar quarter in which they were earned.

1. Earn up to an additional 50,000 bonus points in the first 365 days after account opening. Accounts will earn 1 bonus point in addition to the standard amount earned for each $1 of eligible net purchases, up to 50,000 bonus points. Additional bonus points are only earned on purchases made using the Authorized Officer’s Card. The Authorized Officer’s Card is the card assigned to the initial applicant of the Account and would not include cards used by authorized employees. These bonus points will be awarded on your monthly billing statement. This offer may not be combined with any other bonus offer.

2. You will earn four 4 additional Points above base earn (for a total of 5 points) for every $1 in eligible Net Purchases. In order to qualify for the 4 additional points on ADA purchases, the purchases must be from designated ADA Member Advantage endorsed providers, as determined by the provider. Some restrictions apply.

3. U.S. Bank cannot control how merchants choose to classify their business and reserves the right to determine which purchases qualify.

4. Reward points are earned with your ADA Visa credit card. Refer to your Program Rules at adavisa.com/ faqs for additional information. Some restrictions apply.

Exclusive Member Offer from Volvo

Volvo is proud to offer Oklahoma Dental Association members $1,000* off the purchase or lease of any vehicle. Committed to becoming a fully electric car company by 2030, Volvo is one of the world’s premier automotive brands and a leader in safety and sustainability. Take $1,000* off any vehicle, including:

• Pure electric, plug-in hybrid or mild hybrid Volvos

• Certified by Volvo pre-owned vehicle purchases

• Overseas Delivery purchases

• This offer is combinable with other Volvo offers

To access your discount you must sign up to receive a pin number. Members will need to have their member number handy in order to log in and request a pin number that is then presented to the dealer. Members are allowed two pin numbers per year, as well as three more to share with family and friends.

On-Hold Media, Digital Video & Overhead Music

Waiting time is the perfect time to connect with your patients using on-hold messaging and lobby video from Works24. Custom onhold messages help you cross-sell additional services. Flat-screen TVs in your lobby or exam area display professional video clips of your latest promotions, as well as news, weather and more. The best part? You can change all of it with our easy online system within minutes.

Call today - you’ll be amazed by how easy it is!

Awesome FFS Practice for Sale in North Texas15 min from the OK Border

If you don't want to deal with insurance, have the skillset to keep some specialty procedures in house, and want the autonomy to do things your own way, this is the practice for you. It's located about two hours north of DFW. We’re a completely OON office. Our staff is a great close-knit group of people. Wonderful patient base. We do a little bit of everything from breadand-butter crowns and fillings, to root canals, implants, and AOX and cosmetic/full mouth rehab stuff.

We got in on scanning, milling, and printing pretty early and have an amazing workflow that lets us do a lot of our own custom lab work for a more aesthetic and personal touch. This includes 3D printing our own dentures, partials, and nightguards, as well as milling our own crowns and AOX prostheses. We have a lab grade 5-axis mill, 3D printer, IO scanner, CBCT machine, intraoral cameras, digital X-rays, etc. All brand new in 2022. 4 ops, one full time hygienist and one part time. Last year we did 1.2 million in collections and are on track to beat that this year. The practice is also newly remodeled.

I would be willing to consider an immediate purchase or an associate with the option to buy me out after a smooth transition. If interested, please call/text Chandler at (801) 895-0514.

PRACTICE FOR SALE

South Central Oklahoma

General Practice for Sale

2600 sq ft, 5 ops, great visible location, 4 days per week, 8 days hygiene, softdent, cerec, laser, intraoral cameras, digital radiography, super staff, collections $1.1 million.

Contact:

Call or text (580) 221-4767.

JOB OPENING

Guthrie, OK

Seeking a Hygienist for IMMEDIATE start!

Proud Dental is searching for a Registered Dental Hygienist to join our dedicated team of dental professionals. Our ideal candidate is passionate about oral health and will strive to deliver outstanding patient care to our guests. We are committed to staying current with the latest technology and techniques, making appointments a breeze for both our Hygienists and our patients. Whether you are a seasoned RDH seeking a new opportunity or a recent graduate eager to begin your career, submit your application today!

** $2,000 Sign-on bonus! **

Compensation and Perks

Competitive pay

Medical, dental, vision, and life insurance

PTO and paid holidays

Traditional and Roth 401(k) options

Weekends off

Qualifications

A valid Hygienist license is required Must be certified to administer local anesthesia

Contact:

Morgan at (817) 733-6201 or mphillips@mb2dental.com

PRACTICE FOR SALE

Tulsa area, OK

Practice and building (approx. 2000 sq/ft), 4 Ops, Collected $680,000 on 3 days/wk. Dr. takes 4-5 wks of vacation/yr. 25 years at current location, Computerized/ Dentrix, Most specialty wk. referred out, Hyg. is booked out 6 months with 5-6 days/wk. Experienced staff.

Contact: Cathy (539) 333-0430.

JOB OPENING

Associate Dentist, Stigler, OK

Private practice located in Stigler, OK seeking associate with possible buyout in future.  Very well established office that has been in business for 45 years with a loyal patient base.  Only private practice in Haskell County, located between Eufaula Lake and Kerr Lake.  Office is in prime location right on the main highway across from Choctaw Travel Plaza.  Building is 2000 sq ft, has 3 DR operatories, 1 hygiene operatory, break room has capabilities to be another operatory if needed.  Equipment is older but fully functional.  Office is open Tuesday - Thursday 8 to 5, and Saturday 8 to 3 (only hygiene patients are seen on Saturdays currently). Office has Dentrix software. Currently providers for 4 insurance companies including Medicaid and have FFS patients as well. Practice offers preventive, restorative, crown/bridge, denture/partials, some oral surgery, and some implants. Definite growth potential since the office currently refers for orthodontics, endodontics, periodontics, and some oral surgery and implants. Email lyndiejoan@gmail.com or call (918) 448-0181.

Turn static files into dynamic content formats.

Create a flipbook
Issuu converts static files into: digital portfolios, online yearbooks, online catalogs, digital photo albums and more. Sign up and create your flipbook.